We use cookies to enhance the usability of our website. If you continue, we'll assume that you are happy to receive all cookies. More information. Don't show this again.
VDAC1
HPA
RESOURCES
  • TISSUE
  • BRAIN
  • SINGLE CELL
  • SUBCELLULAR
  • CANCER
  • BLOOD
  • CELL LINE
  • STRUCTURE & INTERACTION
ABOUT
  • INTRODUCTION
  • HISTORY
  • ORGANIZATION
  • PUBLICATIONS
  • ANTIBODY SUBMISSION
  • ANTIBODY AVAILABILITY
  • ACKNOWLEDGMENTS
  • CONTACT
NEWS
  • NEWS ARTICLES
  • PRESS ROOM
LEARN
  • DICTIONARY
  • PROTEIN CLASSES
  • PROTEIN EVIDENCE
  • METHODS
  • EDUCATIONAL VIDEOS
DATA
  • DOWNLOADABLE DATA
  • PUBLICATION DATA
  • RELEASE HISTORY
HELP
  • ANTIBODY VALIDATION
  • ASSAYS & ANNOTATION
  • DISCLAIMER
  • HELP & FAQ
  • PRIVACY STATEMENT
  • LICENCE & CITATION
Fields »
Search result

Field
Term
Gene name
Class
Subclass
Class
Keyword
Chromosome
External id
Tissue
Cell type
Expression
Antibody panel
Tissue
Main location
Patient ID
Annotation
Tissue
Category
Tau score
Cluster
Reliability
Brain region
Category
Tau score
Brain region
Category
Tau score
Brain region
Category
Tau score
Cluster
Reliability
Tissue
Cell type
Enrichment
Cell type
Category
Tau score
Cell type
Category
Tau score
Cell type
Category
Tau score
Cell lineage
Category
Tau score
Cluster
Cluster
Location
Searches
Location
Cell line
Class
Type
Phase
Reliability
Cancer
Prognosis
Cancer
Category
Cancer
Category
Tau score
Cluster
Variants
Interacting gene (ensg_id)
Type
Number of interactions
Pathway
Category
Score
Score
Score
Validation
Validation
Validation
Validation
Antibodies
Data type
Column


  • SUMMARY

  • TISSUE

  • BRAIN

  • SINGLE CELL

  • SUBCELL

  • CANCER

  • BLOOD

  • CELL LINE

  • STRUCT & INT

  • VDAC1
TISSUE PRIMARY DATA SKIN Show tissue menu
ADIPOSE TISSUE ADRENAL GLAND AMYGDALA APPENDIX BASAL GANGLIA BONE MARROW BREAST BRONCHUS CEREBELLUM CEREBRAL CORTEX CERVIX CHOROID PLEXUS COLON DUODENUM
ENDOMETRIUM EPIDIDYMIS ESOPHAGUS FALLOPIAN TUBE GALLBLADDER HEART MUSCLE HIPPOCAMPAL FORMATION HYPOTHALAMUS KIDNEY LIVER LUNG LYMPH NODE MIDBRAIN NASOPHARYNX
ORAL MUCOSA OVARY PANCREAS PARATHYROID GLAND PITUITARY GLAND PLACENTA PROSTATE RECTUM RETINA SALIVARY GLAND SEMINAL VESICLE SKELETAL MUSCLE SKIN SMALL INTESTINE
SMOOTH MUSCLE SOFT TISSUE SPINAL CORD SPLEEN STOMACH TESTIS THYMUS THYROID GLAND TONGUE TONSIL URINARY BLADDER VAGINA
ANTIBODIES
AND
VALIDATION
Dictionary
Skin
Tissue proteome
Skin
SKIN - Expression summary
Protein expression
Skini

On the top, protein expression in current human tissue, based on all annotated cell types, is reported with the units not detected (n), low (l), medium (m) and high (h). Underneath, protein expression in each annotated cell type are reported using the same units.

Protein expression data is based on knowledge-based annotation. For genes where more than one antibody has been used, a collective score is set.

If knowledge-based annotation could not be performed for a gene, no data is displayed here. View antibody staining data further down this page.

h
m
l
n
Arrector pili muscle cells: Not detected
Cells in basal layer: Medium
Cells in corneal layer: Not detected
Cells in granular layer: Medium
Cells in spinous layer: Medium
Endothelial cells: Not detected
Extracellular matrix: Not detected
Fibrohistiocytic cells: Medium
Hair follicles: Medium
Langerhans cells: Medium
Lymphocytes: Low
Melanocytes: Medium
Vascular mural cells: Not detected
RNA expressioni

A summary of mRNA expression data available for current tissue based on several datasets. The mRNA expression levels in human tissues are based on RNA-seq data generated by the Human Protein Atlas (HPA), Genotype-Tissue Expression (GTEx) portal and CAGE data generated by the FANTOM5 consortium. Consensus normalized expression levels for human tissues was created by combining the data from HPA and GTEx datasets.

The mRNA expression levels in pig are based on RNA-seq data generated by the Human Protein Atlas (HPA), and for mouse, HPA data and in situ hybridization generated by the Allen brain atlas are reported.

Scroll down to view mRNA expression data in more detail.
Consensus:110.4 nTPM
HPA:98.9 nTPM
GTEx:110.4 nTPM

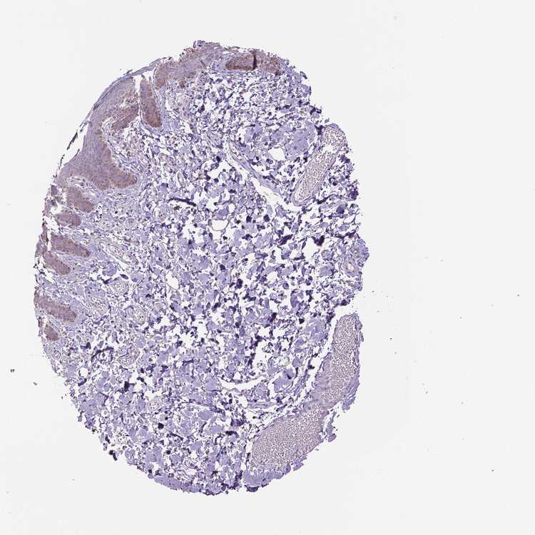
SKIN 1 - Antibody stainingi

Antibody staining in the annotated cell types in the current human tissue is reported as not detected, low, medium, or high, based on conventional immunohistochemistry profiling in selected tissues. This score is based on the combination of the staining intensity and fraction of stained cells.

Each image is clickable and will lead to virtual microscopy that enables deeper exploration of all samples and also displays staining intensity scores, fraction scores and subcellular localization as well as patient and tissue information for each sample.

Antibody HPA030780Antibody CAB005885Antibody CAB072343
Langerhans -HighMedium
Cells in basal layer Medium--
Cells in corneal layer Not detected--
Cells in granular layer Low--
Cells in spinous layer Medium--
Endothelial cells Not detected--
Extracellular matrix Not detected--
Fibroblasts -HighNot detected
Fibrohistiocytic cells Medium--
Hair follicles Medium--
Keratinocytes -HighMedium
Langerhans cells Medium--
Lymphocytes Low--
Melanocytes MediumHighNot detected
Vascular mural cells Not detected--




SKIN 2 - Antibody stainingi

Antibody staining in the annotated cell types in the current human tissue is reported as not detected, low, medium, or high, based on conventional immunohistochemistry profiling in selected tissues. This score is based on the combination of the staining intensity and fraction of stained cells.

Each image is clickable and will lead to virtual microscopy that enables deeper exploration of all samples and also displays staining intensity scores, fraction scores and subcellular localization as well as patient and tissue information for each sample.

Antibody HPA030780Antibody CAB005885Antibody CAB072343
Arrector pili muscle cells Not detected--
Cells in basal layer Medium--
Cells in corneal layer Not detected--
Cells in granular layer Medium--
Cells in spinous layer Medium--
Endothelial cells Not detected--
Epidermal cells -HighHigh
Extracellular matrix Not detected--
Fibrohistiocytic cells Low--
Hair follicles Medium--
Langerhans cells Medium--
Lymphocytes Low--
Melanocytes Medium--
Vascular mural cells Not detected--
   





SKIN - HPA RNA-seqi

The RNA-seq details section shows detailed information about the individual samples used for the transcript profiling and results of the RNA-seq analysis.

Information about each individual sample is listed below, including gender, age, a tissue section image and estimated fractions of cell types. nTPM (normalized transcripts per million) values give a quantification of the gene abundance which is comparable between different genes and samples.
Average nTPMi

Max subtype nTPM is the value for the subtype with the largest average nTPM across the subtype samples.

98.9
overview
Female, age 34
Skin sample 225
nTPM: 120
Cell types%
Keratinocytes:
60

Other cell types:
40

overview
Female, age 30
Skin sample 226
nTPM: 93.9
Cell types%
Keratinocytes:
55

Other cell types:
45

N/A
Male, age 57
Skin sample 227
nTPM: 82.9

SKIN - GTEx RNA-seqi

RNA-Seq data generated by the Genotype-Tissue Expression (GTEx) project from human tissues is reported as mean nTPM. More information can be found on the GTEx portal.

Distribution across the dataset is visualized with box plots, shown as median and 25th and 75th percentiles. Points are displayed as outliers if they are above or below 1.5 times the interquartile range. nTPM values of the individual samples are presented next to the box plot.
Max subtype nTPMi

Max subtype nTPM is the value for the subtype with the largest average nTPM across the subtype samples.

110.4
GTEx sample id Sample description nTPM
Skin - Not Sun Exposed (Suprapubic)
Average nTPM: 110.4
Samples: 604

Max nTPM: 205.7
Min nTPM: 54.6
Std nTPM: 24.4
Median nTPM: 107.7
GTEX-14XAO-1226-SM-6EU1C 60-69 years, female 205.7
GTEX-1F6RS-2026-SM-7RHHC 60-69 years, female 199.8
GTEX-1PPH8-0126-SM-EWRN8 20-29 years, male 199.7
GTEX-11WQK-1026-SM-5EQLX 50-59 years, male 199.5
GTEX-1HSMP-0926-SM-A9SKX 70-79 years, male 197.4
GTEX-WHSE-0126-SM-3NMBT 20-29 years, male 191.1
GTEX-1399Q-2326-SM-5KM2X 40-49 years, male 184.0
GTEX-1E2YA-2126-SM-7MXUO 50-59 years, male 182.9
GTEX-ZY6K-1426-SM-5GZX2 50-59 years, male 178.3
GTEX-1H2FU-0926-SM-9WPPT 60-69 years, female 177.8
GTEX-11DYG-1526-SM-5A5JS 60-69 years, male 176.4
GTEX-ZYVF-0926-SM-5E44J 50-59 years, female 174.4
GTEX-148VJ-0626-SM-5LUAW 70-79 years, male 173.3
GTEX-13PDP-0726-SM-5L3HP 60-69 years, male 170.9
GTEX-1N2DV-1526-SM-DTXEP 40-49 years, male 170.8
GTEX-1OJC3-1226-SM-DTXER 20-29 years, male 170.0
GTEX-18A67-1626-SM-7LT9T 50-59 years, male 169.9
GTEX-WH7G-2026-SM-3NMBL 40-49 years, male 167.7
GTEX-1F75I-2226-SM-7SB8U 40-49 years, male 166.5
GTEX-15RIE-1926-SM-7KUKJ 60-69 years, male 164.6
GTEX-1PIGE-1826-SM-E8VOU 20-29 years, male 163.6
GTEX-13G51-1826-SM-5KLZH 60-69 years, male 162.6
GTEX-U8XE-0226-SM-4E3J3 30-39 years, male 161.7
GTEX-ZTX8-1326-SM-4YCEL 20-29 years, male 161.7
GTEX-13IVO-0726-SM-5LZYV 70-79 years, male 159.9
GTEX-1PBJJ-1026-SM-E76OS 30-39 years, male 159.4
GTEX-ZTTD-2826-SM-4YCFA 50-59 years, male 158.2
GTEX-18A6Q-0626-SM-7KFRP 60-69 years, male 158.0
GTEX-12WSK-2126-SM-5CVNC 40-49 years, female 157.7
GTEX-1I1GU-0926-SM-ACKVS 40-49 years, male 157.0
GTEX-11WQC-1826-SM-5GU59 60-69 years, male 156.1
GTEX-15G1A-1626-SM-7KUKN 30-39 years, male 156.1
GTEX-1R9PN-0426-SM-DTXDT 40-49 years, female 154.4
GTEX-15G19-2426-SM-7KUMR 60-69 years, male 154.0
GTEX-14C38-0726-SM-5SI6M 50-59 years, male 153.2
GTEX-1IKOE-1426-SM-CE6T7 30-39 years, female 153.2
GTEX-13NYB-0126-SM-5J1MD 40-49 years, male 152.3
GTEX-11P7K-1126-SM-5HL4L 30-39 years, male 151.7
GTEX-14PJ3-1126-SM-5ZZVX 50-59 years, male 150.8
GTEX-14ICL-1626-SM-5YYAO 30-39 years, male 150.7
GTEX-1E1VI-0326-SM-793D1 50-59 years, male 150.4
GTEX-144GL-0626-SM-5LU4D 50-59 years, male 150.3
GTEX-1ICLZ-0326-SM-ARL82 60-69 years, male 150.1
GTEX-15UF6-1926-SM-7KUDV 70-79 years, female 150.0
GTEX-11EQ8-0926-SM-5H12V 60-69 years, male 149.9
GTEX-13NZ8-1226-SM-5KM4A 60-69 years, female 148.8
GTEX-15DDE-2926-SM-6LLJ3 50-59 years, female 148.0
GTEX-1NSGN-0726-SM-DTXEF 50-59 years, male 147.7
GTEX-14E6C-2426-SM-5S2NF 40-49 years, male 147.2
GTEX-1399S-0126-SM-5IJCF 30-39 years, female 146.8
GTEX-1QCLY-0226-SM-EWRNH 30-39 years, male 146.7
GTEX-11DXX-2126-SM-5PNYR 60-69 years, female 145.5
GTEX-Y114-2126-SM-4TT8B 50-59 years, female 145.3
GTEX-15SHW-0226-SM-7LTAT 60-69 years, male 144.9
GTEX-ZYT6-2326-SM-5GZY3 30-39 years, male 144.8
GTEX-W5X1-2526-SM-3GILC 40-49 years, female 144.6
GTEX-1GN1V-2826-SM-9JGIA 60-69 years, male 144.0
GTEX-17F9Y-0126-SM-79OKX 70-79 years, female 143.8
GTEX-14A5H-0826-SM-5QGPJ 60-69 years, male 143.5
GTEX-13NYC-0126-SM-5L3F4 60-69 years, male 142.3
GTEX-12ZZX-2426-SM-5GCOE 40-49 years, female 142.2
GTEX-WFG7-2026-SM-5SI7P 20-29 years, male 141.8
GTEX-1H11D-1826-SM-9QEHM 40-49 years, male 141.8
GTEX-X585-2426-SM-46MW2 50-59 years, male 141.7
GTEX-YECK-0326-SM-4W1YS 60-69 years, male 141.7
GTEX-144GO-2026-SM-5O99P 60-69 years, male 141.3
GTEX-YFCO-1226-SM-5LUAT 40-49 years, male 140.6
GTEX-11DZ1-2426-SM-5GZZX 50-59 years, male 140.3
GTEX-131XG-0326-SM-5L3DX 50-59 years, female 140.0
GTEX-1A3MW-0626-SM-731CB 60-69 years, female 139.9
GTEX-1BAJH-2426-SM-7IGP8 70-79 years, male 139.5
GTEX-1CB4J-1326-SM-7P8RX 60-69 years, male 139.3
GTEX-15ER7-0626-SM-6PANF 20-29 years, female 138.8
GTEX-1JMQL-2226-SM-CNPP4 50-59 years, female 138.4
GTEX-1I1GP-1326-SM-A9G28 50-59 years, male 138.3
GTEX-1R9PM-1926-SM-EVR3O 20-29 years, male 137.7
GTEX-1HCU6-2526-SM-ADEHL 60-69 years, female 137.1
GTEX-1MJK3-0726-SM-E6CJC 20-29 years, male 137.1
GTEX-111VG-1626-SM-5EGIO 60-69 years, male 137.0
GTEX-139UW-0326-SM-5J1ML 60-69 years, male 136.5
GTEX-1JN1M-2726-SM-CY8I4 60-69 years, female 136.5
GTEX-1C6WA-2626-SM-7MKGM 60-69 years, male 135.9
GTEX-13OW5-2326-SM-5L3HO 60-69 years, male 135.3
GTEX-ZAJG-1526-SM-5CVML 50-59 years, female 135.3
GTEX-13JVG-0726-SM-5KM16 60-69 years, male 135.2
GTEX-XK95-0226-SM-4AT58 40-49 years, male 134.9
GTEX-1HCU7-0726-SM-A9SL1 50-59 years, male 134.9
GTEX-ZDTS-0826-SM-4WKHL 60-69 years, male 134.5
GTEX-1HT8W-0626-SM-A9G2H 30-39 years, male 133.8
GTEX-13RTJ-0126-SM-5S2NN 60-69 years, male 133.7
GTEX-ZYW4-0626-SM-59HJR 60-69 years, male 133.6
GTEX-14LZ3-0126-SM-69LPM 60-69 years, female 133.1
GTEX-12WSD-0626-SM-5GCMW 60-69 years, female 133.0
GTEX-1JMQK-1226-SM-D4P2S 60-69 years, male 132.8
GTEX-1NV5F-0626-SM-DTXEG 60-69 years, female 132.8
GTEX-131XH-0126-SM-5LZUY 50-59 years, male 132.7
GTEX-1CAMS-2226-SM-7PBXQ 40-49 years, female 132.4
GTEX-15RJE-2826-SM-7KUM9 40-49 years, male 131.8
GTEX-17MFQ-1526-SM-7KFRR 20-29 years, male 131.8
GTEX-1LKK1-2626-SM-DKPQE 50-59 years, female 131.8
GTEX-11TT1-1826-SM-5EQLV 20-29 years, male 131.7
GTEX-1J8Q2-2626-SM-ACKWQ 60-69 years, male 131.7
GTEX-13YAN-0226-SM-5TDC6 60-69 years, male 131.4
GTEX-1H1DG-2426-SM-9QEHJ 70-79 years, male 131.4
GTEX-12126-0826-SM-5FQTZ 20-29 years, male 131.0
GTEX-ZWKS-0626-SM-5GIDV 30-39 years, male 131.0
GTEX-1QP9N-1226-SM-E76QN 30-39 years, male 130.4
GTEX-14PHY-1226-SM-5ZZWK 60-69 years, female 130.3
GTEX-1313W-0626-SM-5EQ4H 50-59 years, female 130.1
GTEX-1CAMQ-1326-SM-7P8RV 40-49 years, male 130.1
GTEX-139TS-2126-SM-5K7XC 60-69 years, male 130.0
GTEX-1IY9M-2826-SM-ARU8H 60-69 years, male 129.5
GTEX-1QP2A-1726-SM-E76QC 50-59 years, male 129.2
GTEX-15RIG-0726-SM-7KUM7 40-49 years, male 129.1
GTEX-1GZ4I-2626-SM-9KNU3 50-59 years, male 128.9
GTEX-12WSH-1526-SM-5BC5W 50-59 years, male 128.7
GTEX-13112-0126-SM-5P9IU 50-59 years, male 128.5
GTEX-1EX96-1026-SM-7MKG2 50-59 years, male 128.4
GTEX-1IE54-1126-SM-A9G2Z 40-49 years, female 128.1
GTEX-18A66-0626-SM-7LT8Z 60-69 years, male 128.0
GTEX-ZVP2-0326-SM-57WBP 50-59 years, male 127.8
GTEX-ZXG5-2126-SM-59HKD 60-69 years, male 127.8
GTEX-1HR98-2226-SM-ADEI2 60-69 years, male 127.6
GTEX-13O3O-2326-SM-5IJD6 60-69 years, female 127.2
GTEX-16YQH-2226-SM-7IGM2 30-39 years, male 127.2
GTEX-1AYD5-2626-SM-7PBXY 50-59 years, male 127.0
GTEX-16AAH-0626-SM-793C9 50-59 years, male 126.8
GTEX-17F97-2626-SM-7IGM5 50-59 years, male 126.8
GTEX-1LVA9-2626-SM-EVYD4 50-59 years, male 126.8
GTEX-13PL6-1126-SM-5L3IE 40-49 years, female 126.7
GTEX-1JMPY-0226-SM-CKZOK 30-39 years, male 126.5
GTEX-11PRG-0726-SM-5EGL1 50-59 years, male 126.0
GTEX-XXEK-1626-SM-4BRUZ 50-59 years, male 125.9
GTEX-144FL-0626-SM-5LU43 50-59 years, male 125.3
GTEX-1F6I4-2326-SM-7RHGL 60-69 years, male 125.3
GTEX-1B97I-0626-SM-73KUZ 40-49 years, male 125.0
GTEX-ZT9X-1526-SM-5DUXD 40-49 years, male 125.0
GTEX-14JFF-0626-SM-5ZZVT 60-69 years, male 125.0
GTEX-145MH-2826-SM-5RQJF 50-59 years, male 124.9
GTEX-147F4-0726-SM-5TDDD 50-59 years, male 124.4
GTEX-15SKB-2826-SM-6PAMH 60-69 years, male 124.4
GTEX-17F9E-2326-SM-79OKD 50-59 years, male 124.4
GTEX-1GF9X-1326-SM-7PC2Y 40-49 years, female 124.4
GTEX-17F98-1326-SM-7DUEP 40-49 years, female 124.1
GTEX-1RAZA-2226-SM-E9U4X 20-29 years, male 124.1
GTEX-Y5LM-0926-SM-6LLJG 40-49 years, female 124.0
GTEX-YEC4-1826-SM-4W1YP 40-49 years, male 124.0
GTEX-1HSMQ-2626-SM-A9SML 50-59 years, male 124.0
GTEX-13O61-1426-SM-5KM3D 60-69 years, male 123.6
GTEX-WI4N-2726-SM-3LK7Y 40-49 years, female 123.5
GTEX-XYKS-1426-SM-4BRUO 60-69 years, female 123.5
GTEX-1IDJC-1526-SM-B2LW4 50-59 years, male 123.4
GTEX-11DXY-0126-SM-5H11Q 60-69 years, male 123.1
GTEX-1CAMR-1326-SM-7PC1F 20-29 years, male 122.9
GTEX-139D8-1126-SM-5LU8W 30-39 years, female 122.8
GTEX-1IKJJ-2226-SM-CJI4C 60-69 years, male 122.6
GTEX-1F52S-2926-SM-7MKGA 60-69 years, female 122.4
GTEX-WHWD-1826-SM-3LK6I 50-59 years, male 122.4
GTEX-1GMRU-2126-SM-7P8RA 50-59 years, male 122.2
GTEX-ZVE1-0726-SM-51MRN 50-59 years, female 122.0
GTEX-1C64O-1326-SM-7MGWR 60-69 years, male 122.0
GTEX-1O9I2-0226-SM-EYYXD 50-59 years, male 122.0
GTEX-14E1K-2026-SM-7DUEI 50-59 years, male 121.8
GTEX-1F88E-1626-SM-7SB8Z 60-69 years, female 121.8
GTEX-1JN76-0626-SM-CKZOQ 20-29 years, female 121.8
GTEX-ZYFD-0626-SM-5E44E 50-59 years, male 121.7
GTEX-147GR-2426-SM-5ZZWQ 60-69 years, male 121.5
GTEX-12696-0126-SM-5EQ4L 60-69 years, male 121.0
GTEX-X8HC-0626-SM-4E3HQ 50-59 years, female 121.0
GTEX-1OJC4-2726-SM-E76PJ 50-59 years, female 121.0
GTEX-111YS-1526-SM-5GZYW 60-69 years, male 120.8
GTEX-1QAET-0326-SM-EVR3U 50-59 years, male 120.7
GTEX-1C64N-2626-SM-7PC2N 50-59 years, male 120.6
GTEX-1J1OQ-0126-SM-D4P2N 40-49 years, female 120.6
GTEX-1H3O1-1326-SM-9MQLD 60-69 years, male 120.5
GTEX-1GPI7-1826-SM-9KNU1 20-29 years, male 120.4
GTEX-1JJEA-1826-SM-ARU8P 60-69 years, male 120.2
GTEX-15RJ7-2126-SM-6PAMD 40-49 years, male 120.1
GTEX-1HGF4-0126-SM-CNPPX 60-69 years, male 120.1
GTEX-1IDFM-0326-SM-ARL7V 60-69 years, male 120.1
GTEX-14C39-1726-SM-5RQIL 40-49 years, male 119.9
GTEX-1F48J-0726-SM-7RHGS 50-59 years, female 119.9
GTEX-YEC3-1326-SM-DO92X 50-59 years, male 119.9
GTEX-WEY5-2326-SM-3GIKK 40-49 years, female 119.7
GTEX-13X6K-0626-SM-5LU5D 60-69 years, female 119.4
GTEX-1HR9M-2226-SM-CNPPY 60-69 years, male 119.4
GTEX-1H1DF-1126-SM-9WG7G 40-49 years, female 119.3
GTEX-1192X-2726-SM-5N9DN 50-59 years, male 119.2
GTEX-13NYS-0626-SM-5L3F1 60-69 years, male 119.1
GTEX-1AX9I-2226-SM-73KUO 60-69 years, male 118.9
GTEX-Z93S-1626-SM-5CVMB 50-59 years, male 118.8
GTEX-12WSM-1926-SM-5BC65 60-69 years, male 118.6
GTEX-13FTY-2126-SM-5IFFB 40-49 years, female 118.6
GTEX-1F88F-0126-SM-9WYSZ 60-69 years, female 118.6
GTEX-1HBPN-0126-SM-CGQEF 50-59 years, male 118.4
GTEX-131YS-2826-SM-5EQ47 60-69 years, female 118.0
GTEX-ZPCL-1126-SM-4WWFE 60-69 years, female 118.0
GTEX-145MG-1526-SM-5Q5EM 50-59 years, male 117.9
GTEX-1H1CY-0126-SM-9YFLY 60-69 years, female 117.6
GTEX-1LVAN-0626-SM-CNPOQ 50-59 years, female 117.6
GTEX-16XZZ-0726-SM-7KUF2 60-69 years, male 117.5
GTEX-1H3VE-0726-SM-9YFL5 40-49 years, male 117.5
GTEX-1QP66-1226-SM-DTX7U 50-59 years, male 117.5
GTEX-1POEN-2326-SM-E9J2L 30-39 years, female 117.1
GTEX-11TUW-0626-SM-5LU9M 60-69 years, male 117.0
GTEX-1R9K4-2826-SM-DTX8F 60-69 years, male 116.9
GTEX-XBED-1926-SM-47JYP 60-69 years, male 116.6
GTEX-1J8EW-2726-SM-CY8HR 60-69 years, female 116.6
GTEX-1GN1W-2426-SM-9KNUU 50-59 years, female 116.5
GTEX-1LGRB-0926-SM-COH3K 50-59 years, female 116.4
GTEX-131XF-2626-SM-5EQ6K 60-69 years, male 116.2
GTEX-13FTX-1526-SM-5K7VJ 20-29 years, female 116.2
GTEX-1F5PK-2226-SM-7SB6N 50-59 years, male 116.0
GTEX-1GMR3-0126-SM-A9SLW 40-49 years, male 115.8
GTEX-1HFI6-0126-SM-CNPPI 40-49 years, male 115.6
GTEX-12KS4-2126-SM-5FQUT 30-39 years, male 115.5
GTEX-14A6H-2026-SM-5Q5DD 30-39 years, male 115.4
GTEX-Y111-0626-SM-4SOIT 50-59 years, male 115.4
GTEX-1C6VQ-1226-SM-73KYD 50-59 years, male 115.3
GTEX-1RAZQ-1326-SM-E9TK6 30-39 years, male 115.3
GTEX-1PPH7-1126-SM-DTX9A 40-49 years, male 115.2
GTEX-ZE7O-2726-SM-51MT5 50-59 years, female 115.1
GTEX-ZPU1-1126-SM-4YCF3 40-49 years, male 115.0
GTEX-1I19N-0126-SM-CYPSF 70-79 years, male 115.0
GTEX-1JMQJ-0826-SM-CNPP7 50-59 years, male 114.8
GTEX-13W3W-0726-SM-5IJDQ 60-69 years, female 114.7
GTEX-17HHE-1326-SM-7EWDZ 50-59 years, male 114.7
GTEX-13OVH-0526-SM-5L3E6 70-79 years, male 114.6
GTEX-1497J-0226-SM-5QGPU 60-69 years, male 114.6
GTEX-14PJ5-1526-SM-6LLIL 60-69 years, female 114.5
GTEX-14BMV-2826-SM-5TDED 50-59 years, male 114.4
GTEX-1LSVX-2526-SM-DIPEU 60-69 years, male 114.4
GTEX-13OW6-2726-SM-5J2OE 50-59 years, male 114.3
GTEX-1PIIG-2326-SM-DTXFR 30-39 years, male 114.3
GTEX-1IL2V-1926-SM-B2LW8 70-79 years, male 114.2
GTEX-145MF-0926-SM-5Q5EA 50-59 years, male 113.9
GTEX-17KNJ-2126-SM-718AM 50-59 years, male 113.9
GTEX-WY7C-2126-SM-3NB2R 50-59 years, male 113.7
GTEX-139TU-0726-SM-5L3EK 60-69 years, male 113.5
GTEX-ZDTT-0426-SM-4WKFL 60-69 years, male 113.5
GTEX-1KANB-2826-SM-CY8I6 50-59 years, male 113.5
GTEX-1S5ZU-2526-SM-E6CIF 20-29 years, female 113.4
GTEX-1I1GV-0626-SM-ARL7M 60-69 years, male 113.3
GTEX-14B4R-1326-SM-5Q5EZ 30-39 years, male 113.2
GTEX-1F75B-0726-SM-7PC3R 50-59 years, male 113.1
GTEX-1GN73-0726-SM-7P8TJ 60-69 years, male 113.1
GTEX-12WSJ-1126-SM-5LZVJ 40-49 years, female 112.4
GTEX-14AS3-1526-SM-5Q5ED 40-49 years, female 112.4
GTEX-117YX-1926-SM-5GIEC 50-59 years, male 112.3
GTEX-1A3MV-1826-SM-731CD 30-39 years, male 112.3
GTEX-1H23P-0626-SM-9WG6T 60-69 years, male 112.3
GTEX-12ZZY-0726-SM-5EQ66 60-69 years, male 112.2
GTEX-XBEW-1126-SM-4QARW 40-49 years, male 112.2
GTEX-1QPFJ-1926-SM-EVYBD 30-39 years, female 112.2
GTEX-11ZTT-2126-SM-5CVLO 60-69 years, female 112.1
GTEX-14JG1-1526-SM-5YY9X 40-49 years, male 111.9
GTEX-1HCVE-2726-SM-CL54F 50-59 years, male 111.8
GTEX-14PJO-2526-SM-6AJBQ 60-69 years, male 111.6
GTEX-1I1CD-0626-SM-CE6SW 60-69 years, female 111.5
GTEX-1I6K7-1926-SM-B2LXR 40-49 years, male 111.3
GTEX-1F75A-0726-SM-7RHHD 50-59 years, male 111.2
GTEX-13NZ9-2626-SM-5L3FK 50-59 years, male 110.8
GTEX-14C5O-0326-SM-5ZZUX 60-69 years, male 110.8
GTEX-1GF9W-1426-SM-7PBYM 60-69 years, male 110.8
GTEX-1QW4Y-1126-SM-DTXE3 30-39 years, male 110.8
GTEX-1R7EU-1626-SM-DTXG3 60-69 years, male 110.8
GTEX-ZVT4-2426-SM-5GIEI 50-59 years, female 110.6
GTEX-16MT9-0126-SM-7EPI8 60-69 years, female 110.5
GTEX-1HBPI-2126-SM-ARL9K 50-59 years, male 110.5
GTEX-1JMLX-0626-SM-ARL8T 50-59 years, male 110.5
GTEX-1PPGY-1626-SM-EVYBL 60-69 years, male 110.5
GTEX-WXYG-2026-SM-4E3IY 50-59 years, female 110.4
GTEX-ZE9C-2526-SM-5IJDR 60-69 years, male 110.4
GTEX-1H1E6-0426-SM-9WYUS 30-39 years, male 110.4
GTEX-1GPI6-1926-SM-9KNV7 60-69 years, male 110.3
GTEX-ZZ64-1026-SM-5GZXG 20-29 years, male 110.2
GTEX-13OVJ-0826-SM-5J1OK 50-59 years, female 110.1
GTEX-11EQ9-1626-SM-5PNY8 30-39 years, male 110.0
GTEX-144GM-0526-SM-79OJO 20-29 years, male 110.0
GTEX-1GN1U-0626-SM-9MQL9 50-59 years, female 109.9
GTEX-1GZ4H-0526-SM-9KNU9 50-59 years, female 109.6
GTEX-14PII-0726-SM-6EU2B 60-69 years, male 109.4
GTEX-1A8G6-2726-SM-731AR 60-69 years, male 109.4
GTEX-UPK5-0426-SM-3GAEK 40-49 years, male 109.4
GTEX-WHSB-1326-SM-3LK6W 50-59 years, male 109.4
GTEX-13X6J-0626-SM-5LU5F 50-59 years, male 109.1
GTEX-1LSNL-2726-SM-E9TKJ 50-59 years, male 109.1
GTEX-13SLX-2226-SM-62LEP 50-59 years, female 108.9
GTEX-18D9U-0126-SM-731BM 40-49 years, male 108.9
GTEX-VJYA-1526-SM-3GIJV 60-69 years, male 108.7
GTEX-1L5NE-1126-SM-D3L9P 50-59 years, male 108.7
GTEX-1MCYP-0526-SM-E9U6Q 20-29 years, female 108.7
GTEX-15D1Q-2826-SM-6LLH7 40-49 years, male 108.6
GTEX-UPJH-0226-SM-3GADV 50-59 years, male 108.6
GTEX-XMD2-2126-SM-4YCF8 60-69 years, female 108.1
GTEX-1RLM8-2926-SM-E8VON 50-59 years, male 108.1
GTEX-13OVK-1426-SM-6PAN7 40-49 years, male 108.0
GTEX-1A3MX-2626-SM-7PC24 60-69 years, male 108.0
GTEX-18QFQ-1826-SM-72D52 30-39 years, male 107.9
GTEX-1QP28-1126-SM-EVYC4 50-59 years, female 107.9
GTEX-ZLV1-1526-SM-DO91J 60-69 years, female 107.9
GTEX-11NUK-2726-SM-5A5MC 50-59 years, male 107.7
GTEX-1B8L1-2226-SM-7P8PT 60-69 years, male 107.7
GTEX-13N11-2326-SM-5IJBF 50-59 years, female 107.5
GTEX-1B933-2426-SM-7DHMD 50-59 years, female 107.5
GTEX-1H1DE-1326-SM-9KNUG 20-29 years, male 107.4
GTEX-183FY-1026-SM-7939A 20-29 years, male 107.3
GTEX-ZVZP-1226-SM-5GID7 50-59 years, male 107.1
GTEX-1HC8U-1326-SM-9YFMJ 40-49 years, female 107.1
GTEX-1LGOU-1326-SM-D3L8M 20-29 years, female 106.9
GTEX-145MO-2826-SM-5LU96 60-69 years, male 106.8
GTEX-14PHX-2226-SM-6EU2P 50-59 years, male 106.8
GTEX-13SLW-0626-SM-5Q5ER 70-79 years, male 106.4
GTEX-1LG7Y-2526-SM-EWRO7 50-59 years, male 106.2
GTEX-ZC5H-1526-SM-5HL9Y 40-49 years, female 106.1
GTEX-ZF29-0926-SM-4WKFZ 60-69 years, female 106.1
GTEX-1S831-1826-SM-EWROF 20-29 years, male 106.1
GTEX-1RMOY-1326-SM-E9TIH 50-59 years, male 105.9
GTEX-1EMGI-2326-SM-7PBYA 60-69 years, male 105.7
GTEX-11ZUS-2626-SM-5FQUR 30-39 years, male 105.6
GTEX-1GF9V-0826-SM-9KNUV 60-69 years, male 105.6
GTEX-139TT-2126-SM-5LZWC 60-69 years, male 105.0
GTEX-11O72-0626-SM-5PNYE 40-49 years, male 104.9
GTEX-11DXZ-2026-SM-5987S 50-59 years, male 104.8
GTEX-16NGA-0726-SM-731AO 40-49 years, female 104.7
GTEX-Y8E4-2026-SM-5IFJB 40-49 years, male 104.7
GTEX-11P82-1426-SM-DTXFY 20-29 years, male 104.7
GTEX-1A8FM-0626-SM-7PC25 50-59 years, female 104.7
GTEX-15EO6-2426-SM-6PALZ 50-59 years, male 104.6
GTEX-12BJ1-0926-SM-5EQ62 60-69 years, male 104.5
GTEX-17HG3-2626-SM-7DUF2 30-39 years, female 104.5
GTEX-17HGU-2326-SM-7DUFE 50-59 years, male 104.5
GTEX-1JK1U-0226-SM-ARZMX 60-69 years, male 104.5
GTEX-1KXAM-1626-SM-D3LAD 60-69 years, male 104.5
GTEX-13QJC-0126-SM-5ZZWJ 60-69 years, female 103.8
GTEX-VUSG-2326-SM-4KL1U 50-59 years, male 103.7
GTEX-XQ3S-1426-SM-4BOPR 20-29 years, male 103.7
GTEX-ZDYS-2426-SM-4WKGI 50-59 years, male 103.7
GTEX-1IOXB-2726-SM-CM2RI 50-59 years, male 103.6
GTEX-18D9B-0926-SM-7LG4U 60-69 years, male 103.4
GTEX-1ICG6-1226-SM-A9SLN 70-79 years, female 103.4
GTEX-1S3DN-2126-SM-E9TIN 50-59 years, male 103.3
GTEX-1RB15-1326-SM-E76Q9 60-69 years, male 103.2
GTEX-1F5PL-0926-SM-7PC2W 40-49 years, female 103.1
GTEX-1J8QM-2426-SM-A9SLS 60-69 years, female 103.1
GTEX-12WSC-2826-SM-5BC5Y 50-59 years, male 103.0
GTEX-11LCK-2226-SM-5HL4Q 30-39 years, male 102.9
GTEX-11ZU8-0126-SM-5EQ58 60-69 years, male 102.9
GTEX-18D9A-1426-SM-7LT8M 30-39 years, female 102.9
GTEX-1B8KE-1126-SM-7EPHI 50-59 years, male 102.8
GTEX-1H4P4-2126-SM-9WYSL 50-59 years, male 102.8
GTEX-ZYFC-0426-SM-5GICQ 50-59 years, male 102.7
GTEX-1KANC-1226-SM-CYPT7 50-59 years, female 102.7
GTEX-1HSKV-1226-SM-ADEI4 60-69 years, male 102.5
GTEX-1I1HK-2326-SM-CKZOH 60-69 years, male 102.5
GTEX-11EM3-1226-SM-5N9DD 20-29 years, female 102.3
GTEX-WFG8-2126-SM-3GIKQ 20-29 years, male 102.3
GTEX-1JKYR-0626-SM-ARL8R 20-29 years, male 102.3
GTEX-1314G-1326-SM-5BC6E 30-39 years, male 102.1
GTEX-1IDJF-2026-SM-CL53V 20-29 years, male 102.1
GTEX-1EU9M-1426-SM-793AI 60-69 years, male 102.0
GTEX-14753-0726-SM-5QGQO 60-69 years, male 101.8
GTEX-147F3-1726-SM-5SIAW 50-59 years, female 101.8
GTEX-16MTA-0926-SM-6M47Z 50-59 years, male 101.8
GTEX-14PJ4-0226-SM-5YY92 60-69 years, male 101.5
GTEX-1CB4I-0126-SM-7RHGG 50-59 years, male 101.5
GTEX-13FLV-0126-SM-5K7WT 50-59 years, male 101.4
GTEX-ZPIC-0526-SM-DO91W 40-49 years, female 101.1
GTEX-178AV-1726-SM-7KUL8 40-49 years, male 101.0
GTEX-ZYY3-2926-SM-5GIEB 60-69 years, female 101.0
GTEX-1N5O9-0926-SM-E9J3C 60-69 years, male 101.0
GTEX-1IDJH-0126-SM-D3L92 70-79 years, male 100.5
GTEX-11UD2-2526-SM-5CVNU 50-59 years, male 100.4
GTEX-1B8SF-0126-SM-7DUG3 60-69 years, male 100.4
GTEX-1KWVE-1026-SM-D3L9O 30-39 years, male 100.4
GTEX-ZLFU-1826-SM-4WWBV 40-49 years, male 100.3
GTEX-1HB9E-0126-SM-CM2S5 50-59 years, male 100.3
GTEX-1I6K6-1726-SM-CGQFD 30-39 years, male 100.3
GTEX-14ABY-2026-SM-62LDL 50-59 years, male 100.1
GTEX-1C6VR-0126-SM-7RHGB 60-69 years, male 100.1
GTEX-17F96-0126-SM-7EWDU 70-79 years, male 100.0
GTEX-1KANA-1326-SM-DIPFA 20-29 years, male 100.0
GTEX-1ICLY-0826-SM-CMKG1 50-59 years, male 99.8
GTEX-18465-2826-SM-7LT9J 50-59 years, male 99.7
GTEX-1HCU9-0426-SM-9WYSD 20-29 years, male 99.7
GTEX-16NPX-0726-SM-7KULC 50-59 years, male 99.6
GTEX-1QMI2-2526-SM-E8VNZ 60-69 years, male 99.5
GTEX-14BMU-1226-SM-5S2OR 20-29 years, female 99.2
GTEX-1117F-2926-SM-5GZYI 60-69 years, female 99.0
GTEX-13VXU-0626-SM-5L3F9 50-59 years, male 98.9
GTEX-17HHY-0426-SM-7DHLC 50-59 years, male 98.8
GTEX-139YR-1026-SM-5LZYN 50-59 years, male 98.7
GTEX-13D11-0926-SM-5J2NC 50-59 years, female 98.7
GTEX-1EH9U-2826-SM-7DUGT 60-69 years, male 98.7
GTEX-132AR-0326-SM-5KM2C 50-59 years, female 98.6
GTEX-WHPG-2626-SM-3NMBR 50-59 years, male 98.5
GTEX-1GMR8-0626-SM-7RHI7 50-59 years, female 98.5
GTEX-1KD5A-0126-SM-E9U54 50-59 years, male 98.4
GTEX-145MN-1526-SM-5SI9T 30-39 years, male 98.3
GTEX-1PDJ9-1226-SM-EXUSX 20-29 years, male 98.3
GTEX-111CU-1126-SM-5EGIM 50-59 years, male 98.2
GTEX-12WSF-1626-SM-7KUG5 70-79 years, male 98.2
GTEX-13OVG-1626-SM-5J1NF 60-69 years, male 98.2
GTEX-18A7B-2726-SM-7LG56 70-79 years, male 98.2
GTEX-1KAFJ-0126-SM-DIPEK 50-59 years, male 98.2
GTEX-1JMPZ-0726-SM-CY8HZ 30-39 years, male 98.1
GTEX-145LT-0526-SM-5LUB2 40-49 years, male 97.8
GTEX-15EU6-2226-SM-6EU2L 50-59 years, male 97.8
GTEX-1B8KZ-0326-SM-73KY4 50-59 years, male 97.8
GTEX-1K2DU-1226-SM-CYPT4 20-29 years, male 97.7
GTEX-ZF2S-1626-SM-57WES 50-59 years, female 97.4
GTEX-WFON-1926-SM-3LK7L 40-49 years, male 97.2
GTEX-1I1GS-2626-SM-B2LY3 60-69 years, male 97.2
GTEX-1LBAC-0826-SM-CY8IJ 20-29 years, male 97.2
GTEX-1QEPI-2626-SM-DTXF4 60-69 years, female 97.2
GTEX-1F6IF-0926-SM-7SB7M 60-69 years, male 97.1
GTEX-1R46S-2426-SM-E76QA 60-69 years, female 97.1
GTEX-13FHO-0426-SM-5L3F5 60-69 years, male 96.9
GTEX-13PVQ-0626-SM-5LU47 50-59 years, male 96.9
GTEX-183WM-0326-SM-72D5V 70-79 years, female 96.8
GTEX-1HKZK-0726-SM-ACKW2 40-49 years, male 96.7
GTEX-1CB4E-0926-SM-7EPHT 60-69 years, male 96.6
GTEX-14DAR-1226-SM-73KYV 50-59 years, male 96.3
GTEX-WK11-2726-SM-3NMAQ 50-59 years, male 96.3
GTEX-1B996-0426-SM-7EWF8 60-69 years, male 96.1
GTEX-ZDXO-3126-SM-5IJDF 60-69 years, male 96.0
GTEX-1269C-0126-SM-5EQ5L 60-69 years, female 95.8
GTEX-16BQI-1326-SM-6M486 30-39 years, female 95.7
GTEX-131XW-0626-SM-5PNVD 50-59 years, female 95.5
GTEX-1AX8Z-0726-SM-73KTS 60-69 years, male 95.5
GTEX-1JJ6O-2726-SM-CNPOG 60-69 years, male 95.4
GTEX-1HBPM-0726-SM-9YFL7 60-69 years, female 95.3
GTEX-1QP29-1826-SM-DTX9S 50-59 years, male 95.3
GTEX-14PJN-1826-SM-6AJ98 30-39 years, male 95.0
GTEX-1GTWX-2026-SM-9YFLM 60-69 years, male 94.8
GTEX-1RAZR-2126-SM-E9U6T 40-49 years, male 94.7
GTEX-133LE-2326-SM-5K7W3 20-29 years, female 94.5
GTEX-15CHC-1126-SM-6LLHQ 60-69 years, female 94.5
GTEX-1B932-2326-SM-79OL5 40-49 years, female 94.5
GTEX-1LB8K-0726-SM-D5OV2 50-59 years, male 94.5
GTEX-15DYW-2726-SM-6EU2I 60-69 years, female 94.0
GTEX-1RAZS-2526-SM-E6CHT 50-59 years, male 94.0
GTEX-1C475-1326-SM-7SB73 40-49 years, female 93.8
GTEX-14LLW-2626-SM-62LDZ 70-79 years, female 93.5
GTEX-XAJ8-1426-SM-47JYM 40-49 years, male 93.5
GTEX-11DXW-0826-SM-5H118 40-49 years, male 93.2
GTEX-13PVR-0426-SM-5RQK2 60-69 years, female 93.2
GTEX-11OF3-0126-SM-5PNYF 60-69 years, male 93.1
GTEX-12ZZZ-0726-SM-5GCNZ 60-69 years, male 93.0
GTEX-ZA64-1026-SM-5HL8R 20-29 years, male 92.9
GTEX-1CB4F-1026-SM-7DUH1 60-69 years, male 92.5
GTEX-14PJ2-0626-SM-6LLII 50-59 years, male 92.4
GTEX-1122O-1026-SM-9WYSF 60-69 years, female 92.3
GTEX-1LSNM-0826-SM-DIPG8 50-59 years, male 92.3
GTEX-14PJ6-2626-SM-6EU2T 60-69 years, female 92.1
GTEX-11GSP-2326-SM-5HL63 60-69 years, female 92.0
GTEX-1N2EE-0626-SM-E76PW 60-69 years, male 92.0
GTEX-16GPK-0626-SM-7KFSF 60-69 years, male 91.9
GTEX-ZP4G-1426-SM-4WWCL 20-29 years, female 91.9
GTEX-1HSMO-0626-SM-ACKXC 60-69 years, male 91.8
GTEX-146FQ-2126-SM-5RQHU 30-39 years, male 91.6
GTEX-1GZHY-0626-SM-9KNVC 50-59 years, female 91.5
GTEX-1HCUA-0826-SM-ADEHM 50-59 years, female 91.3
GTEX-13OW7-0426-SM-5K7VK 50-59 years, male 91.2
GTEX-14PKU-0126-SM-6LLHV 40-49 years, female 91.2
GTEX-1HFI7-2326-SM-CGQFS 50-59 years, female 91.2
GTEX-145MI-0626-SM-5SI8S 60-69 years, female 91.1
GTEX-12WSL-2026-SM-5GCML 50-59 years, male 91.0
GTEX-13X6I-1826-SM-5SIAO 60-69 years, male 90.9
GTEX-1JMQI-1726-SM-ARL93 50-59 years, male 90.9
GTEX-14BIN-1126-SM-5RQJZ 50-59 years, female 90.8
GTEX-1A8G7-1326-SM-73KVM 60-69 years, male 90.8
GTEX-13113-1626-SM-5EQ4I 60-69 years, female 90.4
GTEX-1JMOU-1026-SM-CYPSS 60-69 years, female 90.1
GTEX-1S83E-1326-SM-E6CJM 40-49 years, male 90.1
GTEX-1C2JI-1026-SM-73KY1 50-59 years, male 90.0
GTEX-ZAK1-0626-SM-5HL8E 50-59 years, female 89.9
GTEX-17HII-1426-SM-7EPGG 50-59 years, male 89.8
GTEX-XOT4-0626-SM-4B66L 60-69 years, female 89.8
GTEX-Y3I4-1726-SM-4TT89 50-59 years, male 89.8
GTEX-ZVE2-2826-SM-5GU51 50-59 years, male 89.7
GTEX-XQ8I-0926-SM-4BOOF 50-59 years, male 89.6
GTEX-Y9LG-1126-SM-4VBQ7 30-39 years, male 89.5
GTEX-1EKGG-0626-SM-7DUGJ 60-69 years, male 89.4
GTEX-ZF3C-0626-SM-DO92O 50-59 years, female 89.4
GTEX-11VI4-1126-SM-5EQMD 40-49 years, female 89.3
GTEX-1399U-1126-SM-5L3DB 50-59 years, female 89.3
GTEX-13X6H-0926-SM-5SIB2 50-59 years, female 89.3
GTEX-YB5K-2026-SM-4VDT3 40-49 years, female 89.3
GTEX-1S82U-1026-SM-E6CJK 30-39 years, female 89.2
GTEX-YJ8O-2526-SM-5HL85 40-49 years, female 89.1
GTEX-13O3Q-0126-SM-5KM34 50-59 years, male 89.0
GTEX-1LVAM-0726-SM-E6CIL 50-59 years, female 89.0
GTEX-139T8-0626-SM-5KLZX 60-69 years, male 88.8
GTEX-YF7O-1526-SM-5IFI6 50-59 years, male 88.8
GTEX-13VXT-1926-SM-5K7UO 20-29 years, female 88.7
GTEX-ZUA1-2626-SM-5NQ92 40-49 years, male 88.6
GTEX-1IDJV-0126-SM-COH3Y 60-69 years, male 88.6
GTEX-145LS-0626-SM-7EPG7 60-69 years, female 88.4
GTEX-X5EB-1926-SM-4E3IW 40-49 years, male 88.4
GTEX-145LU-1926-SM-79OJN 50-59 years, male 88.3
GTEX-16Z82-2626-SM-7KULU 60-69 years, male 88.3
GTEX-1A32A-0626-SM-731AQ 50-59 years, female 88.3
GTEX-1GN2E-0226-SM-9WG6K 60-69 years, male 88.2
GTEX-1S82P-2126-SM-E6CI5 60-69 years, female 88.2
GTEX-12584-0726-SM-5FQTK 40-49 years, male 88.1
GTEX-14E6E-0526-SM-793DN 30-39 years, male 88.1
GTEX-1GMR2-0826-SM-7PC3V 50-59 years, male 88.1
GTEX-11NSD-0626-SM-5A5LU 20-29 years, male 88.0
GTEX-14PK6-0226-SM-62LF5 70-79 years, female 87.7
GTEX-1MCC2-1826-SM-DIPEX 30-39 years, female 87.7
GTEX-16MT8-2926-SM-7DUFO 60-69 years, female 87.6
GTEX-1AMFI-1326-SM-7939R 50-59 years, female 87.4
GTEX-13OVL-0126-SM-5L3GJ 50-59 years, male 87.3
GTEX-WRHU-2826-SM-3MJG8 50-59 years, female 87.3
GTEX-1K2DA-1026-SM-CGQGF 50-59 years, male 87.1
GTEX-1M4P7-0726-SM-E6CJ3 60-69 years, male 87.1
GTEX-12C56-1526-SM-5FQUQ 20-29 years, male 86.9
GTEX-WYBS-0626-SM-3NMAS 60-69 years, female 86.8
GTEX-1212Z-0126-SM-59HK4 60-69 years, male 86.5
GTEX-15CHR-1126-SM-7EWF4 50-59 years, male 86.4
GTEX-11P81-2226-SM-5PNYI 30-39 years, female 86.2
GTEX-1EN7A-2426-SM-793DB 40-49 years, male 86.0
GTEX-Y5V6-2326-SM-4VDSA 60-69 years, male 85.9
GTEX-17EVQ-0126-SM-7IGLR 70-79 years, male 85.8
GTEX-X4EO-2926-SM-4E3JH 60-69 years, female 85.7
GTEX-11GS4-0226-SM-5HL77 60-69 years, male 85.5
GTEX-14DAQ-0626-SM-793DS 60-69 years, female 85.5
GTEX-1GL5R-1326-SM-7RHHF 50-59 years, male 85.3
GTEX-ZZPU-0826-SM-5GZX5 50-59 years, female 85.1
GTEX-111FC-2526-SM-5GZXU 60-69 years, male 85.0
GTEX-14PKV-1126-SM-6LLJ1 20-29 years, female 85.0
GTEX-13N1W-2426-SM-5IJD1 70-79 years, male 84.9
GTEX-18A7A-0126-SM-731AH 50-59 years, female 84.9
GTEX-1F75W-2726-SM-7SB8H 60-69 years, male 84.9
GTEX-17EVP-2626-SM-7IGMA 40-49 years, male 84.6
GTEX-Y8LW-1526-SM-5IFHL 50-59 years, female 84.5
GTEX-X4EP-0626-SM-3P621 60-69 years, female 84.3
GTEX-1J8JJ-0626-SM-ARZMQ 60-69 years, female 84.3
GTEX-17MF6-2626-SM-79OKQ 40-49 years, male 84.2
GTEX-1GZ2Q-0126-SM-9WG6M 40-49 years, male 84.1
GTEX-ZT9W-1126-SM-57WDR 50-59 years, male 83.8
GTEX-1I1GT-1026-SM-ARZLV 60-69 years, female 83.7
GTEX-12WSA-0426-SM-5EQ5X 60-69 years, male 83.6
GTEX-145ME-1726-SM-5Q5EU 40-49 years, female 83.6
GTEX-1EWIQ-0326-SM-7DHMQ 70-79 years, female 83.2
GTEX-1J1R8-2026-SM-CL53Y 40-49 years, male 83.1
GTEX-1LG7Z-1626-SM-CXKYR 30-39 years, male 83.1
GTEX-V1D1-2026-SM-3GAF4 50-59 years, male 83.0
GTEX-ZVTK-0226-SM-51MRG 20-29 years, male 82.8
GTEX-1LVAO-2726-SM-E9TJ8 60-69 years, male 82.8
GTEX-1CB4H-1126-SM-7MKGL 60-69 years, female 82.6
GTEX-ZYFG-1526-SM-5GZYM 60-69 years, female 82.6
GTEX-13FTW-0326-SM-5K7UW 40-49 years, male 82.4
GTEX-WYJK-0526-SM-3NM8Z 50-59 years, male 82.1
GTEX-ZGAY-1826-SM-DO91Q 40-49 years, female 82.1
GTEX-1211K-1526-SM-5FQU4 60-69 years, female 81.7
GTEX-ZLWG-0826-SM-59888 50-59 years, female 81.7
GTEX-1IDJE-1426-SM-ADEIW 50-59 years, female 81.7
GTEX-ZU9S-1826-SM-5NQ9E 30-39 years, male 81.3
GTEX-1CAV2-0126-SM-7IGN7 40-49 years, female 81.1
GTEX-14JG6-1426-SM-9WG7C 30-39 years, female 80.5
GTEX-XV7Q-1826-SM-4BRUV 40-49 years, female 80.1
GTEX-15CHQ-0326-SM-69LQD 60-69 years, male 79.3
GTEX-13FH7-1126-SM-5K7UG 50-59 years, female 79.1
GTEX-1GF9U-2026-SM-7SB92 40-49 years, female 78.9
GTEX-Y3IK-1626-SM-4YCF5 50-59 years, female 78.8
GTEX-1JKYN-0826-SM-ARU8S 30-39 years, male 78.8
GTEX-1477Z-0326-SM-7IGLA 60-69 years, male 78.6
GTEX-1J8Q3-0526-SM-ARL8U 60-69 years, male 78.3
GTEX-1JJE9-2626-SM-ARZMT 70-79 years, male 77.9
GTEX-13QBU-1226-SM-5LU4G 40-49 years, female 77.4
GTEX-XPVG-2126-SM-4B667 50-59 years, male 77.2
GTEX-13U4I-2226-SM-5LU5H 40-49 years, female 76.9
GTEX-13JUV-2026-SM-5K7UA 40-49 years, female 76.5
GTEX-1IDJI-0126-SM-CMKHS 50-59 years, female 76.2
GTEX-13OW8-1026-SM-5J1NQ 60-69 years, male 76.0
GTEX-1AX9J-1326-SM-731BJ 60-69 years, male 75.5
GTEX-1JN6P-2926-SM-CL54D 60-69 years, male 75.3
GTEX-1HSGN-0826-SM-ACKW3 40-49 years, female 75.2
GTEX-1H1ZS-2726-SM-9WG75 70-79 years, male 74.9
GTEX-1H3NZ-2726-SM-9WYTQ 60-69 years, male 74.0
GTEX-1K9T9-1526-SM-DIPFR 50-59 years, female 74.0
GTEX-1HUB1-1426-SM-CGQF5 60-69 years, male 73.0
GTEX-XUW1-0926-SM-4BONX 50-59 years, female 72.5
GTEX-X3Y1-2026-SM-3P5YM 40-49 years, male 72.3
GTEX-11EI6-2826-SM-5H11D 60-69 years, male 72.2
GTEX-1IDJU-1726-SM-CMKHU 60-69 years, female 72.1
GTEX-147JS-0226-SM-5S2U9 60-69 years, male 71.9
GTEX-1AMEY-0826-SM-72D65 30-39 years, female 71.5
GTEX-XBEC-0726-SM-4QARZ 50-59 years, male 71.5
GTEX-1I4MK-0126-SM-CY8G6 50-59 years, female 70.7
GTEX-ZVT2-0126-SM-5GIDQ 50-59 years, female 70.4
GTEX-1QCLZ-2426-SM-EVYBW 60-69 years, female 69.8
GTEX-1IDJD-2326-SM-ACKWX 30-39 years, male 68.0
GTEX-13N2G-0226-SM-5K7VF 60-69 years, male 67.5
GTEX-17JCI-2926-SM-7DUFF 60-69 years, female 65.8
GTEX-ZAB4-2126-SM-5HL8U 40-49 years, male 65.0
GTEX-ZTSS-1426-SM-5985P 40-49 years, male 64.0
GTEX-1HCU8-2526-SM-CE6RX 60-69 years, female 62.8
GTEX-Y5V5-0126-SM-5S2NW 60-69 years, female 62.1
GTEX-WYVS-1626-SM-3NM9R 40-49 years, female 57.8
GTEX-1399R-1326-SM-5PNYS 30-39 years, male 56.6
GTEX-15FZZ-0526-SM-7KUGD 30-39 years, female 54.6
Show allShow less
Skin - Sun Exposed (Lower leg)
Average nTPM: 107.9
Samples: 701

Max nTPM: 520.9
Min nTPM: 41.3
Std nTPM: 29.1
Median nTPM: 104.5
GTEX-SE5C-1626-SM-2XCE3 40-49 years, female 520.9
GTEX-POMQ-2226-SM-2I5FK 20-29 years, female 237.9
GTEX-139UW-2826-SM-5L3E7 60-69 years, male 222.2
GTEX-183WM-0126-SM-7LTAB 70-79 years, female 193.1
GTEX-W5X1-3026-SM-EAZAX 40-49 years, female 186.0
GTEX-11WQK-0526-SM-5EQLD 50-59 years, male 185.9
GTEX-1R9PM-2026-SM-E76OY 20-29 years, male 178.9
GTEX-Y3IK-2426-SM-4WWDU 50-59 years, female 174.9
GTEX-15UF6-0826-SM-6PALJ 70-79 years, female 174.1
GTEX-14XAO-2326-SM-6EU1B 60-69 years, female 171.8
GTEX-14E6C-0126-SM-5RQIP 40-49 years, male 171.5
GTEX-1B8SF-1426-SM-7DUGL 60-69 years, male 171.4
GTEX-1JMQL-0226-SM-CNPP5 50-59 years, female 171.3
GTEX-14E6E-1826-SM-5S2R7 30-39 years, male 171.0
GTEX-X4XY-0226-SM-4E3IZ 60-69 years, male 170.8
GTEX-11TT1-2526-SM-5EGIB 20-29 years, male 170.0
GTEX-11DXZ-2326-SM-5EGGV 50-59 years, male 169.0
GTEX-QESD-1426-SM-2S1R9 20-29 years, male 168.6
GTEX-XYKS-2126-SM-4E3IB 60-69 years, female 167.3
GTEX-14ICK-0226-SM-6EU25 40-49 years, male 166.8
GTEX-11TUW-2726-SM-E9J4M 60-69 years, male 166.2
GTEX-ZYFD-0126-SM-5GIDL 50-59 years, male 165.2
GTEX-1LBAC-0126-SM-DIPEZ 20-29 years, male 163.7
GTEX-U8XE-0326-SM-3DB8P 30-39 years, male 163.1
GTEX-1JN76-0126-SM-CNPPE 20-29 years, female 160.2
GTEX-1HSMO-0126-SM-CL547 60-69 years, male 160.0
GTEX-13NYB-2526-SM-5K7Z6 40-49 years, male 159.8
GTEX-O5YT-0126-SM-48TBW 20-29 years, male 159.8
GTEX-15D1Q-0126-SM-7KUG6 40-49 years, male 159.3
GTEX-1A3MX-0126-SM-731BR 60-69 years, male 159.2
GTEX-PVOW-0126-SM-2XCFA 40-49 years, male 158.7
GTEX-ZYT6-0226-SM-5NQ6T 30-39 years, male 158.4
GTEX-SJXC-0126-SM-2XCFF 60-69 years, male 157.8
GTEX-ZVZO-0126-SM-5A5L9 40-49 years, male 154.1
GTEX-1PIIG-0226-SM-EWRN6 30-39 years, male 153.2
GTEX-1KD4Q-0226-SM-E9TJ9 40-49 years, male 153.0
GTEX-1MJK2-0426-SM-DTXE5 50-59 years, male 151.2
GTEX-14PN4-0126-SM-6EU2V 50-59 years, male 150.8
GTEX-15SB6-1726-SM-6PAME 50-59 years, female 150.8
GTEX-13G51-2526-SM-5LZYK 60-69 years, male 149.4
GTEX-1B8KE-2126-SM-73KYX 50-59 years, male 147.2
GTEX-13NYS-0126-SM-5MR3W 60-69 years, male 147.1
GTEX-1EWIQ-0126-SM-7RHH2 70-79 years, female 147.1
GTEX-WFG8-2226-SM-3GIL9 20-29 years, male 147.0
GTEX-13FXS-0226-SM-5IJCK 50-59 years, male 146.8
GTEX-1C475-1826-SM-73KWA 40-49 years, female 146.5
GTEX-OIZH-0126-SM-2HMIS 50-59 years, male 145.7
GTEX-ZU9S-0226-SM-5E441 30-39 years, male 145.2
GTEX-1LG7Z-1726-SM-D3LA4 30-39 years, male 145.2
GTEX-13CF2-2526-SM-5LZYX 60-69 years, male 144.9
GTEX-15EOM-0126-SM-7KUGG 20-29 years, female 144.9
GTEX-ZF3C-0126-SM-DO92D 50-59 years, female 144.9
GTEX-11WQC-2526-SM-5CVLE 60-69 years, male 144.6
GTEX-ZWKS-0126-SM-5SIAA 30-39 years, male 143.9
GTEX-1H1CY-2826-SM-9MQM3 60-69 years, female 143.9
GTEX-1C6VQ-0126-SM-7P8RI 50-59 years, male 143.8
GTEX-PSDG-0226-SM-DKPOZ 50-59 years, male 143.2
GTEX-1I1GV-0526-SM-A9G29 60-69 years, male 142.6
GTEX-1PDJ9-0326-SM-DTX95 20-29 years, male 142.3
GTEX-1K2DA-1826-SM-CGQGT 50-59 years, male 142.1
GTEX-1A3MW-0126-SM-73KXX 60-69 years, female 141.7
GTEX-1R7EU-0226-SM-EVR4G 60-69 years, male 141.7
GTEX-YJ8A-0426-SM-5IFID 20-29 years, male 141.6
GTEX-1F6RS-0126-SM-9MQKZ 60-69 years, female 141.2
GTEX-1LGRB-2526-SM-CNPPQ 50-59 years, female 140.8
GTEX-15ER7-0326-SM-7KUEV 20-29 years, female 140.4
GTEX-131XE-2326-SM-5PNZ2 50-59 years, male 140.3
GTEX-P4QT-0126-SM-2I3FL 50-59 years, female 140.1
GTEX-T5JC-0426-SM-32PLO 20-29 years, male 140.1
GTEX-15G19-0126-SM-6PANQ 60-69 years, male 139.9
GTEX-1JJEA-0326-SM-CNPOT 60-69 years, male 139.7
GTEX-ZTX8-1426-SM-5DUVO 20-29 years, male 138.7
GTEX-18D9A-1926-SM-7LG6P 30-39 years, female 138.6
GTEX-12126-0326-SM-5PNW3 20-29 years, male 137.9
GTEX-1399U-2326-SM-5K7WY 50-59 years, female 137.9
GTEX-SNMC-1226-SM-2XCFP 20-29 years, male 137.8
GTEX-1GMR3-1926-SM-9KNUZ 40-49 years, male 137.4
GTEX-1JMLX-0226-SM-CM2RO 50-59 years, male 137.4
GTEX-13FHP-0126-SM-5IJBG 50-59 years, male 136.5
GTEX-1N2EF-0226-SM-EYYXB 60-69 years, male 136.1
GTEX-U8T8-0126-SM-3DB94 60-69 years, male 135.9
GTEX-1I4MK-2226-SM-ACKWD 50-59 years, female 135.8
GTEX-1L5NE-2526-SM-E6CIE 50-59 years, male 135.0
GTEX-1GF9X-2026-SM-7PC3A 40-49 years, female 134.9
GTEX-Y8DK-0126-SM-4TT3L 60-69 years, male 134.8
GTEX-13FTW-2626-SM-5K7WL 40-49 years, male 133.6
GTEX-1EMGI-0126-SM-9KNUE 60-69 years, male 133.6
GTEX-11OF3-2626-SM-5GU7F 60-69 years, male 133.2
GTEX-T2YK-0526-SM-32QPJ 50-59 years, male 132.7
GTEX-1N2DW-0226-SM-E9TK2 50-59 years, male 132.6
GTEX-Y114-2426-SM-4TT8A 50-59 years, female 132.3
GTEX-12ZZX-0126-SM-5EGK9 40-49 years, female 132.2
GTEX-11DYG-0126-SM-59883 60-69 years, male 132.1
GTEX-139TS-2826-SM-5J1OO 60-69 years, male 132.1
GTEX-1ICLZ-0126-SM-CKZPO 60-69 years, male 132.1
GTEX-1HFI6-0226-SM-ADEHZ 40-49 years, male 132.0
GTEX-1MA7W-2026-SM-E9TJ6 20-29 years, female 132.0
GTEX-18A7A-0226-SM-718BH 50-59 years, female 131.7
GTEX-Z93S-0126-SM-5HL7M 50-59 years, male 131.4
GTEX-17GQL-2026-SM-718BA 60-69 years, male 131.2
GTEX-14PII-0226-SM-6EU1T 60-69 years, male 130.9
GTEX-131XF-5016-SM-7MGWE 60-69 years, male 130.8
GTEX-13OW5-0126-SM-DTXFS 60-69 years, male 130.8
GTEX-1JMQK-0226-SM-CL543 60-69 years, male 130.7
GTEX-11DZ1-0126-SM-5985Q 50-59 years, male 130.6
GTEX-1IKJJ-0126-SM-CNPQB 60-69 years, male 130.1
GTEX-T6MN-0126-SM-32PLP 50-59 years, male 129.9
GTEX-11UD1-0126-SM-5PNYG 40-49 years, female 129.8
GTEX-XBEW-0626-SM-4QASP 40-49 years, male 129.8
GTEX-14A5I-0126-SM-5TDEA 50-59 years, female 129.7
GTEX-1KANC-1526-SM-D3LAB 50-59 years, female 129.5
GTEX-XAJ8-0826-SM-47JY6 40-49 years, male 129.2
GTEX-1NV5F-0226-SM-E8VNY 60-69 years, female 129.1
GTEX-12WSL-2526-SM-5GCNJ 50-59 years, male 128.6
GTEX-15ETS-0126-SM-7KUMW 40-49 years, female 128.6
GTEX-1497J-2426-SM-7IGNX 60-69 years, male 128.5
GTEX-1GF9V-0326-SM-7RHI5 60-69 years, male 128.5
GTEX-1IKK5-0626-SM-ARL8A 60-69 years, male 128.5
GTEX-PX3G-0126-SM-2I3EN 20-29 years, female 128.4
GTEX-1H1DE-2126-SM-9WG6R 20-29 years, male 128.2
GTEX-11UD2-0226-SM-5EQKY 50-59 years, male 128.0
GTEX-1OJC3-0126-SM-E76QX 20-29 years, male 127.9
GTEX-18A6Q-0126-SM-731BZ 60-69 years, male 127.8
GTEX-1PIGE-0126-SM-EVYBJ 20-29 years, male 127.8
GTEX-1122O-2126-SM-5EGIR 60-69 years, female 127.7
GTEX-1JN6P-0126-SM-D3L98 60-69 years, male 127.6
GTEX-111FC-0126-SM-5N9DL 60-69 years, male 127.5
GTEX-146FH-0126-SM-5QGPP 50-59 years, female 127.2
GTEX-YJ89-0126-SM-4TT3X 60-69 years, male 127.2
GTEX-13OW6-0426-SM-5L3HM 50-59 years, male 127.1
GTEX-1B8L1-2526-SM-9WYTF 60-69 years, male 127.1
GTEX-1192W-2626-SM-5Q5AF 60-69 years, male 126.9
GTEX-YB5K-2126-SM-4WWDJ 40-49 years, female 126.8
GTEX-1CAMS-0426-SM-7P8T2 40-49 years, female 126.8
GTEX-1QAET-0926-SM-E76QM 50-59 years, male 126.7
GTEX-XUZC-1726-SM-4BRWS 30-39 years, female 126.6
GTEX-RVPV-0126-SM-EAZAW 60-69 years, male 126.3
GTEX-1JMQI-2226-SM-CM2SD 50-59 years, male 126.2
GTEX-1H1DG-0126-SM-9WYU2 70-79 years, male 126.1
GTEX-X88G-0126-SM-47JZ3 30-39 years, male 126.0
GTEX-1GN1U-0126-SM-7PBZK 50-59 years, female 126.0
GTEX-S7SE-0126-SM-2XCD5 50-59 years, male 125.9
GTEX-1F5PL-0326-SM-7P8PQ 40-49 years, female 125.9
GTEX-OIZG-0726-SM-33HBL 50-59 years, male 125.6
GTEX-145MO-0326-SM-5Q5B3 60-69 years, male 125.5
GTEX-1C64N-0126-SM-793D7 50-59 years, male 125.4
GTEX-ZE9C-2726-SM-57WB5 60-69 years, male 125.2
GTEX-ZTPG-0326-SM-5O9AX 20-29 years, female 125.1
GTEX-1F75B-0126-SM-9KNVL 50-59 years, male 125.1
GTEX-TKQ1-1026-SM-4GICL 30-39 years, male 124.8
GTEX-ZVTK-0426-SM-51MRS 20-29 years, male 124.6
GTEX-1R9K4-0126-SM-DTX9X 60-69 years, male 124.6
GTEX-12WSE-0526-SM-793B2 20-29 years, male 124.4
GTEX-1B8SG-0126-SM-73KZ3 50-59 years, male 124.4
GTEX-1HCUA-2426-SM-ADEIS 50-59 years, female 124.4
GTEX-1GZ2Q-0226-SM-7P8TL 40-49 years, male 124.3
GTEX-12696-2426-SM-5EQ6H 60-69 years, male 124.2
GTEX-12WSK-2326-SM-5GCOH 40-49 years, female 124.2
GTEX-148VJ-0126-SM-5TDDN 70-79 years, male 124.2
GTEX-ZGAY-0526-SM-4WWBB 40-49 years, female 124.1
GTEX-15F5U-1526-SM-6PANO 40-49 years, male 123.9
GTEX-1HR98-0126-SM-B2LWI 60-69 years, male 123.8
GTEX-12584-0126-SM-5EGKQ 40-49 years, male 123.6
GTEX-1211K-2026-SM-5EQ4Z 60-69 years, female 123.4
GTEX-1399R-2726-SM-5IJBA 30-39 years, male 123.4
GTEX-145MF-0626-SM-5LUAI 50-59 years, male 122.9
GTEX-18465-0126-SM-731BN 50-59 years, male 122.4
GTEX-13OVH-0126-SM-5MR4B 70-79 years, male 122.3
GTEX-1J8JJ-0226-SM-CL53I 60-69 years, female 122.3
GTEX-1QMI2-0226-SM-EVYBX 60-69 years, male 122.3
GTEX-1QP9N-1426-SM-DTXFL 30-39 years, male 122.3
GTEX-WI4N-1026-SM-3LK7N 40-49 years, female 121.9
GTEX-ZV68-0126-SM-59HKS 50-59 years, female 121.9
GTEX-1LVAN-0226-SM-COH3S 50-59 years, female 121.6
GTEX-16XZZ-0126-SM-793DV 60-69 years, male 121.5
GTEX-1B996-0226-SM-7RHGO 60-69 years, male 121.5
GTEX-15UKP-0426-SM-7KUFQ 20-29 years, male 121.3
GTEX-13O1R-0126-SM-5L3EH 60-69 years, male 121.2
GTEX-17JCI-0126-SM-7LG5G 60-69 years, female 121.0
GTEX-1F75A-0126-SM-7RHGM 50-59 years, male 120.9
GTEX-1GZ4H-1726-SM-7PBZJ 50-59 years, female 120.9
GTEX-1RLM8-2326-SM-EWRN4 50-59 years, male 120.7
GTEX-WYJK-0126-SM-3NMAB 50-59 years, male 120.5
GTEX-1H3VE-0326-SM-9YFLH 40-49 years, male 120.5
GTEX-1PPH8-0226-SM-E8VND 20-29 years, male 120.5
GTEX-WQUQ-0426-SM-3MJFU 60-69 years, male 120.1
GTEX-1F52S-0126-SM-9MQJU 60-69 years, female 120.0
GTEX-1B97I-1626-SM-73KYO 40-49 years, male 119.8
GTEX-132NY-0326-SM-5IJBL 60-69 years, male 119.6
GTEX-1AX9J-0226-SM-73KXM 60-69 years, male 119.4
GTEX-1BAJH-0526-SM-793CQ 70-79 years, male 119.4
GTEX-1LGOU-2026-SM-DIPFF 20-29 years, female 119.4
GTEX-1JN1M-0326-SM-CYPT3 60-69 years, female 118.9
GTEX-S32W-2126-SM-2XCB1 50-59 years, female 118.8
GTEX-11H98-0126-SM-5EGHG 50-59 years, male 118.7
GTEX-VJYA-1126-SM-3GIJU 60-69 years, male 118.6
GTEX-1CB4G-0226-SM-7PC3O 60-69 years, male 118.6
GTEX-14BIN-0626-SM-793DP 50-59 years, female 118.5
GTEX-1KANA-0726-SM-D3L9I 20-29 years, male 118.5
GTEX-1OFPY-2426-SM-DTXEJ 60-69 years, male 118.5
GTEX-1M5QR-1226-SM-EWROB 40-49 years, male 118.3
GTEX-131XG-2626-SM-5KM17 50-59 years, female 118.2
GTEX-1GF9W-0326-SM-9KNUN 60-69 years, male 118.1
GTEX-QDVJ-1726-SM-2I5FX 50-59 years, male 118.0
GTEX-1EX96-1626-SM-7PBXR 50-59 years, male 118.0
GTEX-14A5H-0426-SM-5QGQF 60-69 years, male 117.9
GTEX-1HT8W-0126-SM-CNPPP 30-39 years, male 117.9
GTEX-1HCU6-0126-SM-CL54K 60-69 years, female 117.7
GTEX-1GN2E-0426-SM-9MQKX 60-69 years, male 117.6
GTEX-1HCU7-0226-SM-CL545 50-59 years, male 117.6
GTEX-15EU6-0426-SM-6PAN5 50-59 years, male 117.5
GTEX-T8EM-1026-SM-3DB7M 40-49 years, male 117.5
GTEX-1399T-2826-SM-5KLYZ 60-69 years, male 117.4
GTEX-13111-1626-SM-5EGJY 50-59 years, male 117.1
GTEX-14PJM-0226-SM-62LF1 50-59 years, female 117.1
GTEX-P44H-0226-SM-2XCEU 40-49 years, male 117.1
GTEX-12WSA-0226-SM-5BC5V 60-69 years, male 117.0
GTEX-13PDP-0126-SM-5L3HD 60-69 years, male 117.0
GTEX-15DDE-0126-SM-6LPKH 50-59 years, female 116.9
GTEX-S7PM-0126-SM-4AD6S 60-69 years, male 116.6
GTEX-1CAV2-2226-SM-7P8P2 40-49 years, female 116.6
GTEX-ZVT2-2526-SM-51MT1 50-59 years, female 116.4
GTEX-1HGF4-2426-SM-ACKXM 60-69 years, male 116.0
GTEX-1S5ZA-0126-SM-EVYCV 20-29 years, male 115.4
GTEX-1JMPZ-0226-SM-CNPP1 30-39 years, male 115.3
GTEX-13OVK-2026-SM-7KUEO 40-49 years, male 115.1
GTEX-1MUQO-0126-SM-EAZ58 60-69 years, male 115.1
GTEX-144FL-0126-SM-5TDC8 50-59 years, male 114.9
GTEX-ZPIC-1726-SM-DHXIU 40-49 years, female 114.9
GTEX-S33H-1026-SM-EZ6L6 30-39 years, male 114.8
GTEX-1R46S-0626-SM-E9J41 60-69 years, female 114.5
GTEX-13FHO-0226-SM-5IFGY 60-69 years, male 114.4
GTEX-VJWN-0126-SM-3GIK7 50-59 years, female 114.4
GTEX-13X6H-2126-SM-7EWD5 50-59 years, female 114.3
GTEX-13PVR-2326-SM-5QGR1 60-69 years, female 114.1
GTEX-145LS-0126-SM-5QGP1 60-69 years, female 114.1
GTEX-13NYC-0326-SM-E9J4S 60-69 years, male 113.9
GTEX-1CB4F-0426-SM-9KNV4 60-69 years, male 113.9
GTEX-1K2DU-2326-SM-E9TIV 20-29 years, male 113.9
GTEX-13X6J-0126-SM-5QGOU 50-59 years, male 113.7
GTEX-16GPK-0126-SM-7DHLE 60-69 years, male 113.6
GTEX-UJHI-1526-SM-3DB99 50-59 years, female 113.6
GTEX-1F6IF-0726-SM-7P8TW 60-69 years, male 113.2
GTEX-1GN73-0226-SM-9WG67 60-69 years, male 113.2
GTEX-1IDJF-0126-SM-CM2RS 20-29 years, male 113.2
GTEX-145LT-1726-SM-5QGP3 40-49 years, male 113.1
GTEX-145MI-0526-SM-5O9A8 60-69 years, female 113.1
GTEX-13CF3-2426-SM-5IFGX 60-69 years, female 113.0
GTEX-17F96-1626-SM-7DUFL 70-79 years, male 112.8
GTEX-NFK9-0226-SM-2HMKQ 40-49 years, male 112.8
GTEX-11O72-0126-SM-59887 40-49 years, male 112.7
GTEX-139D8-0226-SM-5KLZO 30-39 years, female 112.7
GTEX-13RTK-1426-SM-5QGQJ 20-29 years, male 112.7
GTEX-1I6K6-0126-SM-A9SLE 30-39 years, male 112.7
GTEX-1JMPY-1326-SM-ARL8Y 30-39 years, male 112.7
GTEX-1J8QM-2126-SM-CYPSJ 60-69 years, female 112.6
GTEX-18A67-0126-SM-7LG5P 50-59 years, male 112.5
GTEX-18D9U-0226-SM-718BP 40-49 years, male 112.5
GTEX-W5WG-1826-SM-4KL2Y 50-59 years, female 112.5
GTEX-1LC47-0326-SM-E9TJP 60-69 years, male 112.2
GTEX-111VG-2426-SM-5GZXD 60-69 years, male 112.1
GTEX-1HBPI-1526-SM-C1YQ1 50-59 years, male 112.1
GTEX-1IDJH-0326-SM-A9SLQ 70-79 years, male 111.8
GTEX-X261-0126-SM-3NMD6 50-59 years, male 111.6
GTEX-1PWST-0226-SM-E76QJ 70-79 years, male 111.5
GTEX-117YW-2626-SM-5GZZH 50-59 years, male 111.4
GTEX-OHPL-0126-SM-2HMJ7 60-69 years, female 111.4
GTEX-T5JW-1626-SM-3GADZ 20-29 years, female 111.4
GTEX-X8HC-0126-SM-4E3JW 50-59 years, female 111.4
GTEX-14C5O-0126-SM-5SI6N 60-69 years, male 111.2
GTEX-131XH-2226-SM-5DUXJ 50-59 years, male 111.1
GTEX-117XS-2726-SM-5N9BL 60-69 years, male 111.0
GTEX-OXRK-0226-SM-3NB2G 50-59 years, female 111.0
GTEX-1I1GU-2226-SM-CGQFA 40-49 years, male 110.9
GTEX-117YX-2326-SM-5H12W 50-59 years, male 110.8
GTEX-ZE7O-0126-SM-57WC1 50-59 years, female 110.8
GTEX-1GPI7-0126-SM-9MQL8 20-29 years, male 110.7
GTEX-1H23P-0126-SM-ADEJ3 60-69 years, male 110.6
GTEX-14DAR-2026-SM-5S2O3 50-59 years, male 110.4
GTEX-Q2AH-1626-SM-3GAF8 40-49 years, male 110.4
GTEX-16AAH-1726-SM-7939C 50-59 years, male 110.3
GTEX-14753-0426-SM-5NQAM 60-69 years, male 110.1
GTEX-1O97I-0326-SM-EYYX7 60-69 years, male 110.1
GTEX-UPJH-0326-SM-3GADU 50-59 years, male 110.0
GTEX-17HG3-2226-SM-7938L 30-39 years, female 109.8
GTEX-1H2FU-0126-SM-9WYSI 60-69 years, female 109.8
GTEX-1H4P4-0726-SM-9YFLR 50-59 years, male 109.8
GTEX-14JG1-0426-SM-6ETZZ 40-49 years, male 109.6
GTEX-1IL2V-0126-SM-CM2TX 70-79 years, male 109.6
GTEX-SN8G-0126-SM-32PLI 50-59 years, female 109.5
GTEX-ZDTS-0126-SM-4WAY5 60-69 years, male 109.5
GTEX-12WSJ-1826-SM-5GCNY 40-49 years, female 109.4
GTEX-13NZ8-0826-SM-5MR3I 60-69 years, female 109.4
GTEX-1AX9I-0126-SM-7SB74 60-69 years, male 109.4
GTEX-12ZZY-0226-SM-5LZVE 60-69 years, male 109.2
GTEX-1LB8K-0226-SM-EWRNW 50-59 years, male 109.2
GTEX-XQ3S-1526-SM-4BOOC 20-29 years, male 109.1
GTEX-1RB15-2126-SM-E9TIM 60-69 years, male 108.9
GTEX-15SHU-0126-SM-7KUEH 40-49 years, female 108.8
GTEX-ZAK1-0126-SM-5IJD3 50-59 years, female 108.8
GTEX-RWSA-0126-SM-2XCBB 40-49 years, male 108.7
GTEX-1JMQJ-0526-SM-CYPSU 50-59 years, male 108.7
GTEX-1KXAM-2226-SM-CYPTC 60-69 years, male 108.6
GTEX-13FTX-1826-SM-5J1NX 20-29 years, female 108.4
GTEX-17F98-0626-SM-79OMX 40-49 years, female 108.4
GTEX-1GZHY-0326-SM-9QEHI 50-59 years, female 108.4
GTEX-14E6D-0126-SM-62LDV 50-59 years, male 108.3
GTEX-SIU8-0126-SM-2XCDT 50-59 years, male 108.3
GTEX-1C6VR-2426-SM-79OLD 60-69 years, male 108.2
GTEX-YFC4-0126-SM-5CVLY 40-49 years, female 108.0
GTEX-1POEN-0126-SM-EYYXJ 30-39 years, female 108.0
GTEX-T6MO-1626-SM-32QOM 40-49 years, female 107.8
GTEX-13NZB-2526-SM-5J1OM 30-39 years, male 107.7
GTEX-ZVZP-2426-SM-59HKJ 50-59 years, male 107.7
GTEX-131YS-0126-SM-5KM1M 60-69 years, female 107.6
GTEX-13O21-1426-SM-5K7XI 50-59 years, male 107.6
GTEX-WRHK-1426-SM-3MJF9 20-29 years, female 107.5
GTEX-13113-5016-SM-7EPIP 60-69 years, female 107.4
GTEX-14LZ3-0226-SM-62LET 60-69 years, female 107.3
GTEX-13VXU-0126-SM-5SI9F 50-59 years, male 107.2
GTEX-17KNJ-2326-SM-7DHLQ 50-59 years, male 107.2
GTEX-13D11-2426-SM-5KM1V 50-59 years, female 107.0
GTEX-13N2G-2626-SM-5J1OT 60-69 years, male 106.9
GTEX-YB5E-2026-SM-5IFIS 40-49 years, male 106.9
GTEX-13O3P-0126-SM-5KM4S 50-59 years, male 106.8
GTEX-1GMRU-0126-SM-9YFLV 50-59 years, male 106.8
GTEX-11XUK-2026-SM-5EQLF 40-49 years, female 106.6
GTEX-13YAN-0326-SM-5O9DF 60-69 years, male 106.6
GTEX-1HBPN-0226-SM-9YFM1 50-59 years, male 106.5
GTEX-X4XX-0126-SM-3NMC2 60-69 years, male 106.3
GTEX-PLZ6-1426-SM-DKPOT 30-39 years, male 106.3
GTEX-1KD5A-0226-SM-D5OV3 50-59 years, male 106.2
GTEX-1CB4I-0226-SM-79OLH 50-59 years, male 106.1
GTEX-QDVN-2026-SM-3GAEP 50-59 years, male 106.1
GTEX-1IOXB-0126-SM-ARL8G 50-59 years, male 106.1
GTEX-PWCY-1826-SM-DHXIZ 20-29 years, female 106.1
GTEX-17EVP-0326-SM-7DHLG 40-49 years, male 105.9
GTEX-1CB4J-0626-SM-7DHMP 60-69 years, male 105.9
GTEX-183FY-0126-SM-7LT9P 20-29 years, male 105.7
GTEX-1JKYR-0126-SM-CNPOJ 20-29 years, male 105.5
GTEX-11OC5-0126-SM-5HL6A 60-69 years, male 105.3
GTEX-ZDYS-2026-SM-5HL5L 50-59 years, male 105.3
GTEX-1F6I4-0126-SM-9MQL2 60-69 years, male 105.3
GTEX-ZZ64-1726-SM-5GZYB 20-29 years, male 105.2
GTEX-14BMU-2226-SM-5TDE9 20-29 years, female 105.0
GTEX-1C4CL-0526-SM-73KVK 30-39 years, male 104.9
GTEX-1313W-0126-SM-5LZUN 50-59 years, female 104.7
GTEX-1C6WA-0126-SM-7PC2B 60-69 years, male 104.7
GTEX-11EQ9-2426-SM-5HL5T 30-39 years, male 104.6
GTEX-Y111-0126-SM-4SOIV 50-59 years, male 104.5
GTEX-1F7RK-0126-SM-7PC2S 20-29 years, female 104.5
GTEX-Y5LM-1926-SM-5RQJH 40-49 years, female 104.4
GTEX-U412-0426-SM-3DB9O 60-69 years, male 104.1
GTEX-11GS4-2726-SM-5A5LE 60-69 years, male 104.0
GTEX-13OVL-0226-SM-5L3E9 50-59 years, male 104.0
GTEX-1CB4E-2226-SM-793DC 60-69 years, male 104.0
GTEX-OXRN-0126-SM-48TDM 50-59 years, male 104.0
GTEX-ZV6S-2326-SM-4YCEY 40-49 years, female 103.9
GTEX-RU72-0926-SM-2TF6B 50-59 years, female 103.8
GTEX-NPJ8-0126-SM-2YUNR 40-49 years, male 103.7
GTEX-1HFI7-1826-SM-ACKXH 50-59 years, female 103.6
GTEX-1IDFM-0126-SM-COH2V 60-69 years, male 103.6
GTEX-14BIM-0226-SM-7IGLD 60-69 years, female 103.4
GTEX-1KWVE-1426-SM-E9TJO 30-39 years, male 103.4
GTEX-RUSQ-1526-SM-2TF62 50-59 years, male 103.3
GTEX-XBED-2226-SM-47JYQ 60-69 years, male 103.2
GTEX-Y3I4-2126-SM-4TT7C 50-59 years, male 103.2
GTEX-1I1GR-0126-SM-CL55F 60-69 years, male 103.2
GTEX-13SLW-0126-SM-5SI6C 70-79 years, male 103.1
GTEX-145MN-2226-SM-5SIAU 30-39 years, male 103.1
GTEX-1AX8Z-0126-SM-7DHM6 60-69 years, male 103.1
GTEX-1AX9K-2326-SM-73KWU 50-59 years, male 103.1
GTEX-1CAMR-1926-SM-7EPI2 20-29 years, male 103.0
GTEX-OXRO-0126-SM-2YUN4 60-69 years, female 103.0
GTEX-1PPH7-2326-SM-EVYB8 40-49 years, male 102.9
GTEX-139T8-0126-SM-5K7XZ 60-69 years, male 102.8
GTEX-1LSNM-1926-SM-E6CII 50-59 years, male 102.8
GTEX-131XW-0426-SM-5LZWP 50-59 years, female 102.7
GTEX-145LV-2126-SM-5LU8N 50-59 years, male 102.7
GTEX-1A32A-0126-SM-718B1 50-59 years, female 102.7
GTEX-R3RS-0126-SM-3GIJL 40-49 years, female 102.7
GTEX-ZVE2-0226-SM-59HJB 50-59 years, male 102.6
GTEX-1R9PO-2126-SM-E9J4O 60-69 years, female 102.6
GTEX-1212Z-2526-SM-5EGKP 60-69 years, male 102.5
GTEX-ZXES-1826-SM-5E43S 30-39 years, female 102.4
GTEX-1HCU8-0626-SM-A9SM9 60-69 years, female 102.4
GTEX-XXEK-2226-SM-4BRUM 50-59 years, male 102.2
GTEX-12WSG-2826-SM-E9J4H 50-59 years, female 102.2
GTEX-1HSKV-0226-SM-A9SKJ 60-69 years, male 102.2
GTEX-TMZS-0126-SM-3DB9Q 60-69 years, male 102.0
GTEX-13IVO-0126-SM-5J1NG 70-79 years, male 101.8
GTEX-144GN-2326-SM-5LU4F 50-59 years, male 101.8
GTEX-1HSGN-0226-SM-CGQFV 40-49 years, female 101.8
GTEX-QEG4-0226-SM-2S1PY 30-39 years, male 101.7
GTEX-148VI-1626-SM-5SI6E 60-69 years, female 101.5
GTEX-1GPI6-0126-SM-9WG69 60-69 years, male 101.4
GTEX-15RIG-0226-SM-7KFTL 40-49 years, male 101.3
GTEX-1H3O1-0426-SM-9YFKY 60-69 years, male 101.1
GTEX-13O3Q-2426-SM-5IJBR 50-59 years, male 100.9
GTEX-13112-2826-SM-5DUWH 50-59 years, male 100.8
GTEX-1J8EW-0126-SM-CJI4F 60-69 years, female 100.5
GTEX-11DXW-0226-SM-5H122 40-49 years, male 100.4
GTEX-WXYG-2326-SM-4E3I6 50-59 years, female 100.4
GTEX-Q2AI-1326-SM-2S1PL 40-49 years, male 100.3
GTEX-1ICG6-2526-SM-CGQFZ 70-79 years, female 100.3
GTEX-17HII-0226-SM-7LG4E 50-59 years, male 100.2
GTEX-12ZZZ-0626-SM-5DUXI 60-69 years, male 100.0
GTEX-11ZTS-0126-SM-5EQ6M 60-69 years, female 99.9
GTEX-OOBK-0126-SM-2YUND 40-49 years, male 99.9
GTEX-YEC4-2126-SM-5IFJH 40-49 years, male 99.9
GTEX-1F75I-0326-SM-9YFLU 40-49 years, male 99.9
GTEX-XMD2-0126-SM-4YCDU 60-69 years, female 99.8
GTEX-1HB9E-0226-SM-E9U4R 50-59 years, male 99.8
GTEX-1NHNU-1026-SM-E9J2A 50-59 years, male 99.8
GTEX-1CB4H-0226-SM-7PBXM 60-69 years, female 99.7
GTEX-1B933-0126-SM-7PC29 50-59 years, female 99.6
GTEX-1I19N-0326-SM-ACKVX 70-79 years, male 99.5
GTEX-1PFEY-1526-SM-E76PP 30-39 years, male 99.5
GTEX-1RDX4-0126-SM-E9J4P 50-59 years, female 99.5
GTEX-145ME-1826-SM-5SI9G 40-49 years, female 99.4
GTEX-13RTJ-2426-SM-5S2Q2 60-69 years, male 99.1
GTEX-1J8Q2-0526-SM-CM2RW 60-69 years, male 99.0
GTEX-OOBJ-0126-SM-E6CJW 60-69 years, male 99.0
GTEX-1192X-0226-SM-5H12D 50-59 years, male 98.7
GTEX-144GL-0126-SM-5TDE2 50-59 years, male 98.7
GTEX-1H3VY-0126-SM-ACKXD 50-59 years, male 98.4
GTEX-16MT8-0426-SM-7KUEY 60-69 years, female 98.1
GTEX-1QPFJ-0226-SM-E76PB 30-39 years, female 98.1
GTEX-15SHW-0326-SM-6PAML 60-69 years, male 97.9
GTEX-1QCLY-0326-SM-E8VOG 30-39 years, male 97.8
GTEX-14BMV-0126-SM-5S2PO 50-59 years, male 97.7
GTEX-14PHX-2326-SM-62LEM 50-59 years, male 97.6
GTEX-14PJ3-1826-SM-62LEX 50-59 years, male 97.6
GTEX-14PN3-2426-SM-6LLHS 60-69 years, female 97.5
GTEX-Y8E4-0626-SM-4WWDL 40-49 years, male 97.5
GTEX-ZF2S-2326-SM-4WWCE 50-59 years, female 97.5
GTEX-OHPM-0126-SM-2YUN9 50-59 years, male 97.4
GTEX-16BQI-0226-SM-7KUEX 30-39 years, female 97.1
GTEX-Z9EW-1626-SM-5CVMN 40-49 years, male 97.1
GTEX-113JC-2326-SM-5EQ4E 50-59 years, female 97.0
GTEX-13N11-2526-SM-5K7UE 50-59 years, female 97.0
GTEX-1I1GT-0626-SM-CGQER 60-69 years, female 97.0
GTEX-1IL2U-0226-SM-CE6T8 60-69 years, male 97.0
GTEX-1MCQQ-0826-SM-DLHC2 60-69 years, male 96.8
GTEX-139TU-0126-SM-5K7WH 60-69 years, male 96.7
GTEX-X585-0226-SM-4QAS2 50-59 years, male 96.5
GTEX-1E2YA-0126-SM-9KNUC 50-59 years, male 96.5
GTEX-1HSMQ-1226-SM-CGQFX 50-59 years, male 96.5
GTEX-12KS4-0326-SM-5EQ41 30-39 years, male 96.3
GTEX-RTLS-0126-SM-447CA 60-69 years, female 96.3
GTEX-X5EB-2226-SM-46MW4 40-49 years, male 96.3
GTEX-145LU-0126-SM-5TDCB 50-59 years, male 96.0
GTEX-TSE9-0126-SM-3DB83 60-69 years, female 96.0
GTEX-11EM3-2426-SM-59861 20-29 years, female 95.9
GTEX-SUCS-1926-SM-32PM3 70-79 years, male 95.8
GTEX-13W46-0226-SM-5SIAG 50-59 years, male 95.5
GTEX-WFON-2126-SM-3LK7O 40-49 years, male 95.5
GTEX-13JUV-2726-SM-5LZZ8 40-49 years, female 95.4
GTEX-1S83E-0126-SM-EWRO4 40-49 years, male 95.4
GTEX-RM2N-1426-SM-2TF4H 50-59 years, male 95.3
GTEX-1LH75-2426-SM-E9TJE 50-59 years, female 95.3
GTEX-1S82Z-0826-SM-E6CHY 30-39 years, female 95.3
GTEX-1269C-2526-SM-5EGJ3 60-69 years, female 95.2
GTEX-18D9B-0526-SM-7LTAS 60-69 years, male 95.1
GTEX-11NUK-0126-SM-5A5L3 50-59 years, male 95.0
GTEX-RWS6-2026-SM-2XCB5 60-69 years, female 95.0
GTEX-1S3DN-2226-SM-EVYCD 50-59 years, male 95.0
GTEX-1F88F-2726-SM-7PBZZ 60-69 years, female 94.7
GTEX-ZVT4-0126-SM-DTXFN 50-59 years, female 94.7
GTEX-QVJO-1626-SM-2S1QW 60-69 years, female 94.6
GTEX-1KAFJ-2026-SM-CY8ID 50-59 years, male 94.6
GTEX-1QP2A-0126-SM-E9J43 50-59 years, male 94.5
GTEX-11DXX-2426-SM-5GZZW 60-69 years, female 94.4
GTEX-146FQ-0126-SM-5NQA9 30-39 years, male 94.3
GTEX-1A3MV-1926-SM-718BT 30-39 years, male 94.3
GTEX-17EVQ-0226-SM-7LG4P 70-79 years, male 94.2
GTEX-XQ8I-0426-SM-4BOPO 50-59 years, male 94.2
GTEX-13OVI-1426-SM-5L3EY 60-69 years, female 94.1
GTEX-18QFQ-0126-SM-731BE 30-39 years, male 94.1
GTEX-147F4-0226-SM-5QGPW 50-59 years, male 94.0
GTEX-1EKGG-0226-SM-9WYTH 60-69 years, male 94.0
GTEX-1GMR8-0126-SM-9WYTM 50-59 years, female 94.0
GTEX-1EU9M-0226-SM-7P8SP 60-69 years, male 93.9
GTEX-12WSD-0126-SM-59HKN 60-69 years, female 93.8
GTEX-13SLX-0526-SM-5S2ON 50-59 years, female 93.7
GTEX-14ABY-0226-SM-5TDCQ 50-59 years, male 93.7
GTEX-18A66-0226-SM-718BD 60-69 years, male 93.6
GTEX-12WSN-5019-SM-79OM6 40-49 years, male 93.3
GTEX-13X6I-0626-SM-5QGP9 60-69 years, male 93.2
GTEX-ZAJG-0126-SM-5HL94 50-59 years, female 93.1
GTEX-1H11D-0226-SM-9WG6Z 40-49 years, male 93.0
GTEX-1H1E6-1726-SM-ACKVK 30-39 years, male 93.0
GTEX-1HSEH-0126-SM-ACKXN 60-69 years, male 93.0
GTEX-1ICLY-0126-SM-D4P36 50-59 years, male 93.0
GTEX-1314G-1526-SM-5EGK2 30-39 years, male 92.9
GTEX-13VXT-0126-SM-5LU4I 20-29 years, female 92.9
GTEX-14PK6-1926-SM-6ETZU 70-79 years, female 92.8
GTEX-WY7C-2326-SM-3NB2U 50-59 years, male 92.8
GTEX-13U4I-0126-SM-5LU38 40-49 years, female 92.7
GTEX-14BIL-0126-SM-5SI92 50-59 years, male 92.7
GTEX-139TT-0126-SM-5K7Y5 60-69 years, male 92.6
GTEX-13S7M-0126-SM-5SI6A 60-69 years, female 92.6
GTEX-WVJS-0126-SM-4MVOT 50-59 years, male 92.6
GTEX-1HBPM-0226-SM-ARL9F 60-69 years, female 92.6
GTEX-1J1R8-1726-SM-ARL8M 40-49 years, male 92.5
GTEX-T2IS-0126-SM-4DM6O 20-29 years, female 92.4
GTEX-1GL5R-1826-SM-9KNUY 50-59 years, male 92.4
GTEX-U3ZH-2026-SM-3DB78 30-39 years, male 92.3
GTEX-13W3W-2426-SM-5LU5B 60-69 years, female 92.2
GTEX-1I1GP-2226-SM-CGQFK 50-59 years, male 92.0
GTEX-1128S-2326-SM-5GZZY 60-69 years, female 91.8
GTEX-ZDTT-2726-SM-4WKF8 60-69 years, male 91.7
GTEX-1QP66-1726-SM-E8VO1 50-59 years, male 91.7
GTEX-1C2JI-1826-SM-73KXC 50-59 years, male 91.6
GTEX-1JMOU-1526-SM-CL54I 60-69 years, female 91.4
GTEX-1HSMP-0126-SM-E6CJS 70-79 years, male 91.3
GTEX-1A8FM-0226-SM-7SB7Q 50-59 years, female 91.1
GTEX-1IGQW-0126-SM-COH42 60-69 years, male 91.1
GTEX-1JKYN-1326-SM-CGQG9 30-39 years, male 91.1
GTEX-QV44-1926-SM-2S1RF 50-59 years, male 91.0
GTEX-1I1GQ-0126-SM-COH3H 50-59 years, male 91.0
GTEX-1J1OQ-0226-SM-CYPSH 40-49 years, female 91.0
GTEX-TML8-1926-SM-32QOS 40-49 years, female 90.9
GTEX-X4EP-0126-SM-3P5YV 60-69 years, female 90.8
GTEX-1JK1U-2026-SM-CM2RZ 60-69 years, male 90.8
GTEX-11NSD-2226-SM-5986V 20-29 years, male 90.7
GTEX-X4EO-0326-SM-3P5YO 60-69 years, female 90.7
GTEX-14DAQ-0126-SM-5S2MQ 60-69 years, female 90.6
GTEX-WH7G-2326-SM-3NMBC 40-49 years, male 90.6
GTEX-11GSP-2526-SM-5N9BP 60-69 years, female 90.5
GTEX-QCQG-1726-SM-3GIJ9 50-59 years, female 90.5
GTEX-WZTO-0126-SM-3NM95 40-49 years, male 90.4
GTEX-ZAB4-0226-SM-5N9F5 40-49 years, male 90.4
GTEX-ZTSS-1926-SM-57WEW 40-49 years, male 90.3
GTEX-14PJ6-2126-SM-6EU1V 60-69 years, female 90.1
GTEX-ZYFC-0226-SM-5NQ75 50-59 years, male 90.1
GTEX-1MGNQ-0126-SM-EVYCJ 40-49 years, male 89.6
GTEX-17MFQ-1726-SM-793C7 20-29 years, male 89.4
GTEX-11P81-2326-SM-59875 30-39 years, female 89.3
GTEX-1LG7Y-0526-SM-DKPQC 50-59 years, male 89.3
GTEX-ZF29-2326-SM-DO92K 60-69 years, female 89.3
GTEX-Y5V6-2426-SM-4VDSB 60-69 years, male 89.2
GTEX-17HHY-0126-SM-7LG5D 50-59 years, male 89.1
GTEX-OIZF-0126-SM-7SB8I 60-69 years, male 89.1
GTEX-P4PP-0126-SM-3LK69 30-39 years, female 89.0
GTEX-13FH7-2026-SM-E9J4I 50-59 years, female 89.0
GTEX-133LE-1826-SM-5J1MV 20-29 years, female 88.9
GTEX-S95S-1226-SM-4GICG 60-69 years, male 88.9
GTEX-11ZU8-2526-SM-5EQKI 60-69 years, male 88.8
GTEX-ZYFG-2326-SM-5E44B 60-69 years, female 88.8
GTEX-11LCK-1026-SM-5A5KB 30-39 years, male 88.7
GTEX-Q734-1926-SM-2I5EV 40-49 years, female 88.7
GTEX-TMMY-0226-SM-33HBA 40-49 years, female 88.7
GTEX-1R7EV-2426-SM-EVYBG 40-49 years, male 88.7
GTEX-17EUY-0426-SM-793BD 20-29 years, male 88.5
GTEX-ZYW4-0126-SM-5E44A 60-69 years, male 88.5
GTEX-QLQW-1126-SM-2S1Q8 30-39 years, male 88.2
GTEX-Z93T-0126-SM-5HL5N 50-59 years, male 88.1
GTEX-1F48J-0126-SM-7P8TT 50-59 years, female 88.0
GTEX-1HCU9-1526-SM-A9SL7 20-29 years, male 87.8
GTEX-13O3O-0126-SM-E9J49 60-69 years, female 87.7
GTEX-PWO3-1526-SM-48TCM 60-69 years, female 87.6
GTEX-1GN1W-0526-SM-9MQJQ 50-59 years, female 87.5
GTEX-U4B1-1826-SM-4DXSU 40-49 years, male 87.4
GTEX-1C64O-0126-SM-7SB8P 60-69 years, male 87.2
GTEX-14JG6-2226-SM-6EU2G 30-39 years, female 87.0
GTEX-1E1VI-0126-SM-7DHMZ 50-59 years, male 87.0
GTEX-17HHE-2026-SM-79OKF 50-59 years, male 86.9
GTEX-1RAZQ-0726-SM-EAZ43 30-39 years, male 86.8
GTEX-12WSC-0126-SM-5EQ4P 50-59 years, male 86.7
GTEX-147GR-0526-SM-5S2MY 60-69 years, male 86.6
GTEX-17MF6-0126-SM-7LG4F 40-49 years, male 86.5
GTEX-1M4P7-0226-SM-DIPEV 60-69 years, male 86.5
GTEX-O5YW-0126-SM-3LK6D 50-59 years, male 86.3
GTEX-OXRP-0126-SM-3NB32 60-69 years, female 86.3
GTEX-11ZUS-0626-SM-59885 30-39 years, male 86.2
GTEX-18A7B-0126-SM-7LG64 70-79 years, male 86.1
GTEX-PW2O-1526-SM-7RHHB 20-29 years, male 86.0
GTEX-17HGU-0226-SM-7DHKV 50-59 years, male 85.9
GTEX-1GF9U-2126-SM-7SB7L 40-49 years, female 85.8
GTEX-11ZVC-2526-SM-5FQTE 50-59 years, female 85.6
GTEX-1AMFI-2026-SM-731BH 50-59 years, female 85.4
GTEX-ZQG8-1626-SM-DHXIT 60-69 years, female 85.4
GTEX-11DXY-2626-SM-5GIE7 60-69 years, male 85.3
GTEX-11EMC-2926-SM-5EQ4F 60-69 years, female 85.1
GTEX-1F5PK-2426-SM-7RHHY 50-59 years, male 85.1
GTEX-XUYS-0126-SM-47JWZ 50-59 years, male 85.0
GTEX-VUSG-2526-SM-4KL1V 50-59 years, male 84.7
GTEX-ZAB5-1826-SM-5HL7C 50-59 years, male 84.3
GTEX-1AYCT-2426-SM-7IGQ3 50-59 years, male 84.2
GTEX-1EN7A-0126-SM-7SB81 40-49 years, male 83.8
GTEX-1J8Q3-1626-SM-CMKGC 60-69 years, male 83.7
GTEX-P4PQ-0126-SM-2S1NM 60-69 years, male 83.6
GTEX-R55G-2526-SM-2TC6D 40-49 years, female 83.5
GTEX-1IDJU-2626-SM-CM2RT 60-69 years, female 83.5
GTEX-Y5V5-2326-SM-4V6GA 60-69 years, female 83.3
GTEX-1GN1V-0126-SM-9WPOS 60-69 years, male 83.3
GTEX-1IY9M-0126-SM-D3L8S 60-69 years, male 83.3
GTEX-16NPX-0226-SM-79OMT 50-59 years, male 83.2
GTEX-RNOR-0126-SM-E9J4R 50-59 years, female 83.2
GTEX-15DYW-0126-SM-7KULE 60-69 years, female 82.9
GTEX-ZQUD-1426-SM-57WER 30-39 years, male 82.9
GTEX-1IE54-0126-SM-CMKHW 40-49 years, female 82.9
GTEX-1K9T9-0126-SM-EVYCF 50-59 years, female 82.9
GTEX-1GTWX-0126-SM-9YFLK 60-69 years, male 82.6
GTEX-1H3NZ-0126-SM-ACKX7 60-69 years, male 82.5
GTEX-XPVG-2626-SM-4B669 50-59 years, male 82.2
GTEX-ZY6K-1826-SM-5GZXK 50-59 years, male 82.2
GTEX-11P7K-2126-SM-5GU7G 30-39 years, male 82.1
GTEX-1PBJI-0526-SM-E8VNK 20-29 years, female 81.6
GTEX-11P82-1626-SM-59879 20-29 years, male 81.5
GTEX-16XZY-2126-SM-79OK1 70-79 years, male 81.5
GTEX-1S82Y-2026-SM-EVYCM 40-49 years, male 81.5
GTEX-16YQH-0126-SM-7DUFJ 30-39 years, male 81.3
GTEX-ZVT3-0126-SM-5GU6I 60-69 years, female 81.3
GTEX-11ZTT-2426-SM-5EQLS 60-69 years, female 81.2
GTEX-SSA3-0126-SM-32QPU 60-69 years, male 81.2
GTEX-1B8KZ-2026-SM-7DHMB 50-59 years, male 81.1
GTEX-1IKOH-0226-SM-COH4E 60-69 years, female 81.1
GTEX-1AMEY-1326-SM-73KYK 30-39 years, female 80.9
GTEX-1JJE9-0326-SM-CL53Z 70-79 years, male 80.7
GTEX-16NGA-1726-SM-731B4 40-49 years, female 80.6
GTEX-1QEPI-0126-SM-EWRMQ 60-69 years, female 80.4
GTEX-11EI6-0126-SM-5985R 60-69 years, male 80.3
GTEX-PLZ4-0126-SM-5SI8O 50-59 years, female 80.3
GTEX-1MA7X-2226-SM-E6CIY 60-69 years, male 80.2
GTEX-1JJ6O-0126-SM-E6CI8 60-69 years, male 80.1
GTEX-1I1CD-0126-SM-CM2TK 60-69 years, female 79.9
GTEX-13OVJ-0126-SM-5KM36 50-59 years, female 79.7
GTEX-14E7W-0126-SM-6LLJ9 70-79 years, male 79.7
GTEX-169BO-1326-SM-9MQK2 50-59 years, male 79.3
GTEX-1QW4Y-1526-SM-EAZ3Z 30-39 years, male 79.0
GTEX-17F97-0326-SM-7LG5B 50-59 years, male 78.7
GTEX-1RQEC-0426-SM-E6CHU 60-69 years, male 78.7
GTEX-14PHW-0126-SM-6LLJI 60-69 years, female 78.3
GTEX-13OW7-0126-SM-5MR3B 50-59 years, male 78.2
GTEX-1CAMQ-0226-SM-7IGPK 40-49 years, male 78.2
GTEX-1RAZA-0126-SM-E6CI3 20-29 years, male 78.2
GTEX-15CHC-2126-SM-6EU21 60-69 years, female 78.1
GTEX-XUW1-0426-SM-4BOOT 50-59 years, female 78.1
GTEX-V1D1-2226-SM-3NMAX 50-59 years, male 77.3
GTEX-147F3-0526-SM-5SI98 50-59 years, female 77.2
GTEX-14LLW-0126-SM-6LLIO 70-79 years, female 77.2
GTEX-WYVS-2126-SM-3NMA3 40-49 years, female 76.9
GTEX-1LNCM-1126-SM-E9U5E 50-59 years, female 76.9
GTEX-1N2DV-0226-SM-E6CJ6 40-49 years, male 76.6
GTEX-1C6VS-0526-SM-7DUEN 60-69 years, male 76.5
GTEX-1AYD5-2426-SM-73KXR 50-59 years, male 76.4
GTEX-1KANB-0526-SM-E6CJH 50-59 years, male 76.2
GTEX-13N1W-0126-SM-5K7VT 70-79 years, male 76.1
GTEX-ZDXO-3026-SM-5J1N5 60-69 years, male 75.8
GTEX-RN64-0126-SM-2TC68 50-59 years, male 75.7
GTEX-Q2AG-0126-SM-33HBV 40-49 years, female 75.6
GTEX-WOFL-0126-SM-3MJG2 60-69 years, male 75.4
GTEX-12C56-1726-SM-5EQ61 20-29 years, male 75.1
GTEX-13NZA-0226-SM-5K7Z7 60-69 years, male 75.1
GTEX-14JIY-0126-SM-6LLH6 60-69 years, male 75.1
GTEX-15DCD-0126-SM-7KUEK 70-79 years, female 74.8
GTEX-ZYY3-0126-SM-5GZY5 60-69 years, female 74.8
GTEX-QLQ7-1626-SM-2S1R8 60-69 years, male 74.4
GTEX-11GSO-2426-SM-5A5LY 60-69 years, male 73.5
GTEX-13OVG-1926-SM-5L3DK 60-69 years, male 73.4
GTEX-13RTL-0126-SM-7LG5S 40-49 years, male 73.4
GTEX-1MCYP-1926-SM-E9J2R 20-29 years, female 73.2
GTEX-Y8LW-1826-SM-5S2MV 50-59 years, female 73.0
GTEX-1HCVE-0126-SM-CGQEU 50-59 years, male 72.7
GTEX-X62O-0126-SM-4E3JN 50-59 years, male 72.4
GTEX-XV7Q-2526-SM-4BRV9 40-49 years, female 72.4
GTEX-1HKZK-0326-SM-9WYUH 40-49 years, male 72.4
GTEX-1HUB1-0426-SM-E9U4U 60-69 years, male 72.4
GTEX-1QP29-0626-SM-EWRMX 50-59 years, male 72.3
GTEX-15SDE-2226-SM-7IGLO 50-59 years, female 72.2
GTEX-R45C-0126-SM-EAZ2R 60-69 years, female 71.9
GTEX-R55E-0126-SM-2TC5Y 20-29 years, male 71.2
GTEX-U3ZM-1526-SM-3DB9D 40-49 years, male 70.8
GTEX-13QJ3-0326-SM-5S2RA 50-59 years, male 70.6
GTEX-1H1ZS-0426-SM-9WG6G 70-79 years, male 70.2
GTEX-13OW8-1326-SM-5J1OW 60-69 years, male 70.1
GTEX-1QP67-1626-SM-EAZ3X 40-49 years, female 70.1
GTEX-ZXG5-0126-SM-5GIEU 60-69 years, male 69.8
GTEX-ZZPT-0226-SM-5E43X 50-59 years, male 69.4
GTEX-ZC5H-0226-SM-4WAY9 40-49 years, female 69.3
GTEX-11VI4-1726-SM-5CVLH 40-49 years, female 69.2
GTEX-14A6H-0126-SM-5QGPK 30-39 years, male 69.0
GTEX-13FTY-0526-SM-5L3EV 40-49 years, female 68.7
GTEX-1I1GS-0126-SM-B2LVW 60-69 years, male 67.8
GTEX-PLZ5-2026-SM-2S1O4 50-59 years, male 67.5
GTEX-OXRL-0126-SM-2YUMP 50-59 years, male 66.9
GTEX-139T4-0226-SM-5HL5S 50-59 years, female 66.0
GTEX-11TTK-0126-SM-5987B 60-69 years, female 63.9
GTEX-X638-0126-SM-47JZ8 70-79 years, female 62.8
GTEX-ZUA1-0126-SM-5GU76 40-49 years, male 62.7
GTEX-ZEX8-2426-SM-4WKG4 50-59 years, male 62.4
GTEX-1HBPH-0426-SM-B2LW5 40-49 years, female 60.8
GTEX-QDT8-0126-SM-48TZ1 30-39 years, female 58.5
GTEX-1I1HK-0126-SM-COH49 60-69 years, male 56.5
GTEX-146FR-1326-SM-E9J48 60-69 years, female 55.3
GTEX-1OJC4-0126-SM-E9J2E 50-59 years, female 54.9
GTEX-ZF28-0126-SM-4WKGK 60-69 years, male 52.0
GTEX-U3ZN-2326-SM-3DB7W 30-39 years, female 48.2
GTEX-113IC-0126-SM-5HL6T 60-69 years, male 41.3
Show allShow less

Contact

  • NEWS ARTICLES
  • PRESS ROOM

The Project

  • INTRODUCTION
  • ORGANIZATION
  • PUBLICATIONS

The Human Protein Atlas

  • DOWNLOADABLE DATA
  • LICENCE & CITATION
  • HELP & FAQ
The Human Protein Atlas project is funded
by the Knut & Alice Wallenberg Foundation.


contact@proteinatlas.org