We use cookies to enhance the usability of our website. If you continue, we'll assume that you are happy to receive all cookies. More information. Don't show this again.
CLIC1
HPA
RESOURCES
  • TISSUE
  • BRAIN
  • SINGLE CELL
  • SUBCELLULAR
  • CANCER
  • BLOOD
  • CELL LINE
  • STRUCTURE & INTERACTION
ABOUT
  • INTRODUCTION
  • HISTORY
  • ORGANIZATION
  • PUBLICATIONS
  • ANTIBODY SUBMISSION
  • ANTIBODY AVAILABILITY
  • ACKNOWLEDGMENTS
  • CONTACT
NEWS
  • NEWS ARTICLES
  • PRESS ROOM
LEARN
  • DICTIONARY
  • PROTEIN CLASSES
  • PROTEIN EVIDENCE
  • METHODS
  • EDUCATIONAL VIDEOS
DATA
  • DOWNLOADABLE DATA
  • PUBLICATION DATA
  • RELEASE HISTORY
HELP
  • ANTIBODY VALIDATION
  • ASSAYS & ANNOTATION
  • DISCLAIMER
  • HELP & FAQ
  • PRIVACY STATEMENT
  • LICENCE & CITATION
Fields »
Search result

Field
Term
Gene name
Class
Subclass
Class
Keyword
Chromosome
External id
Tissue
Cell type
Expression
Antibody panel
Tissue
Main location
Patient ID
Annotation
Tissue
Category
Tau score
Cluster
Reliability
Brain region
Category
Tau score
Brain region
Category
Tau score
Brain region
Category
Tau score
Cluster
Reliability
Tissue
Cell type
Enrichment
Cell type
Category
Tau score
Cell type
Category
Tau score
Cell type
Category
Tau score
Cell lineage
Category
Tau score
Cluster
Cluster
Location
Searches
Location
Cell line
Class
Type
Phase
Reliability
Cancer
Prognosis
Cancer
Category
Cancer
Category
Tau score
Cluster
Variants
Interacting gene (ensg_id)
Type
Number of interactions
Pathway
Category
Score
Score
Score
Validation
Validation
Validation
Validation
Antibodies
Data type
Column


  • SUMMARY

  • TISSUE

  • BRAIN

  • SINGLE CELL

  • SUBCELL

  • CANCER

  • BLOOD

  • CELL LINE

  • STRUCT & INT

  • CLIC1
TISSUE PRIMARY DATA SALIVARY GLAND Show tissue menu
ADIPOSE TISSUE ADRENAL GLAND AMYGDALA APPENDIX BASAL GANGLIA BONE MARROW BREAST BRONCHUS CEREBELLUM CEREBRAL CORTEX CERVIX CHOROID PLEXUS COLON DUODENUM
ENDOMETRIUM EPIDIDYMIS ESOPHAGUS FALLOPIAN TUBE GALLBLADDER HEART MUSCLE HIPPOCAMPAL FORMATION HYPOTHALAMUS KIDNEY LIVER LUNG LYMPH NODE MIDBRAIN NASOPHARYNX
ORAL MUCOSA OVARY PANCREAS PARATHYROID GLAND PITUITARY GLAND PLACENTA PROSTATE RECTUM RETINA SALIVARY GLAND SEMINAL VESICLE SKELETAL MUSCLE SKIN SMALL INTESTINE
SMOOTH MUSCLE SOFT TISSUE SPINAL CORD SPLEEN STOMACH TESTIS THYMUS THYROID GLAND TONGUE TONSIL URINARY BLADDER VAGINA
ANTIBODIES
AND
VALIDATION
Dictionary
Salivary gland
Tissue proteome
Salivary gland
SALIVARY GLAND - Expression summary
Protein expression
Salivary glandi

On the top, protein expression in current human tissue, based on all annotated cell types, is reported with the units not detected (n), low (l), medium (m) and high (h). Underneath, protein expression in each annotated cell type are reported using the same units.

Protein expression data is based on knowledge-based annotation. For genes where more than one antibody has been used, a collective score is set.

If knowledge-based annotation could not be performed for a gene, no data is displayed here. View antibody staining data further down this page.

h
m
l
n
Glandular cells: Medium
RNA expressioni

A summary of mRNA expression data available for current tissue based on several datasets. The mRNA expression levels in human tissues are based on RNA-seq data generated by the Human Protein Atlas (HPA), Genotype-Tissue Expression (GTEx) portal and CAGE data generated by the FANTOM5 consortium. Consensus normalized expression levels for human tissues was created by combining the data from HPA and GTEx datasets.

The mRNA expression levels in pig are based on RNA-seq data generated by the Human Protein Atlas (HPA), and for mouse, HPA data and in situ hybridization generated by the Allen brain atlas are reported.

Scroll down to view mRNA expression data in more detail.
Consensus:243.8 nTPM
HPA:90.5 nTPM
GTEx:243.8 nTPM
FANTOM5:205.3 Scaled Tags Per Million

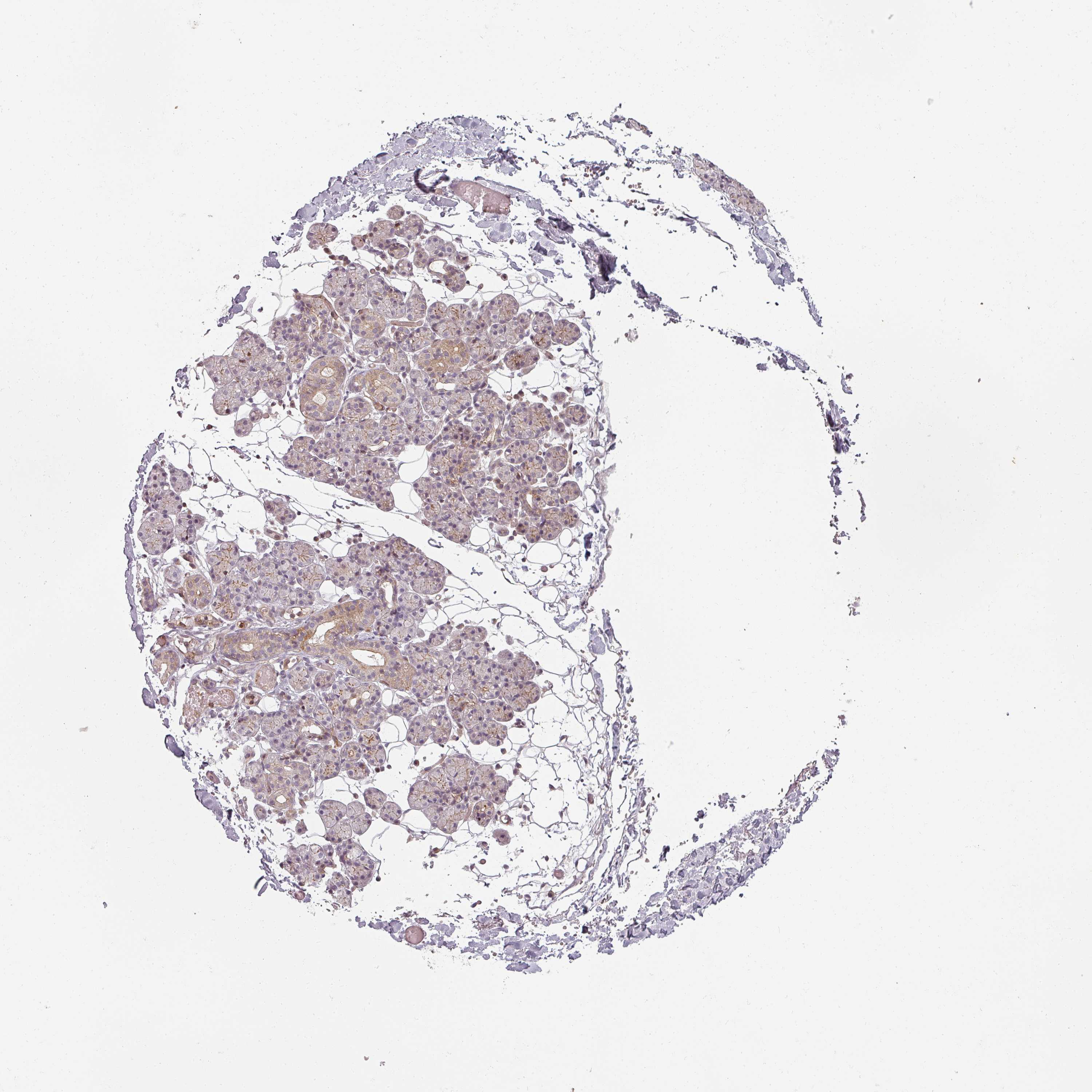
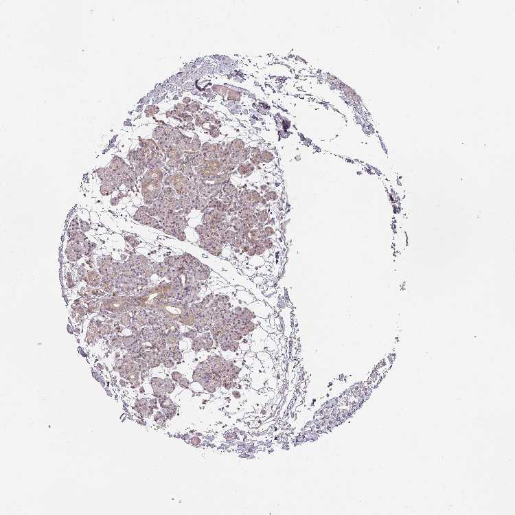
SALIVARY GLAND - Antibody stainingi

Antibody staining in the annotated cell types in the current human tissue is reported as not detected, low, medium, or high, based on conventional immunohistochemistry profiling in selected tissues. This score is based on the combination of the staining intensity and fraction of stained cells.

Each image is clickable and will lead to virtual microscopy that enables deeper exploration of all samples and also displays staining intensity scores, fraction scores and subcellular localization as well as patient and tissue information for each sample.

Antibody CAB020825Antibody CAB040557
Glandular cells MediumLow



SALIVARY GLAND - HPA RNA-seqi

The RNA-seq details section shows detailed information about the individual samples used for the transcript profiling and results of the RNA-seq analysis.

Information about each individual sample is listed below, including gender, age, a tissue section image and estimated fractions of cell types. nTPM (normalized transcripts per million) values give a quantification of the gene abundance which is comparable between different genes and samples.
Average nTPMi

Max subtype nTPM is the value for the subtype with the largest average nTPM across the subtype samples.

90.5
overview
Female, age 68
Salivary gland sample 216
nTPM: 103.9
Cell types%
Glandular cells:
45

Ductal cells:
25

Adipocytes:
5

Other cell types:
25

overview
Male, age 60
Salivary gland sample 217
nTPM: 74.5
Cell types%
Glandular cells:
55

Ductal cells:
20

Adipocytes:
5

Endothelial cells:
5

Other cell types:
15

overview
Female, age 21
Salivary gland sample 218
nTPM: 93.1
Cell types%
Glandular cells:
55

Ductal cells:
15

Adipocytes:
5

Endothelial cells:
5

Other cell types:
20


SALIVARY GLAND - GTEx RNA-seqi

RNA-Seq data generated by the Genotype-Tissue Expression (GTEx) project from human tissues is reported as mean nTPM. More information can be found on the GTEx portal.

Distribution across the dataset is visualized with box plots, shown as median and 25th and 75th percentiles. Points are displayed as outliers if they are above or below 1.5 times the interquartile range. nTPM values of the individual samples are presented next to the box plot.
Max subtype nTPMi

Max subtype nTPM is the value for the subtype with the largest average nTPM across the subtype samples.

243.8
GTEx sample id Sample description nTPM
Minor Salivary Gland
Average nTPM: 243.8
Samples: 162

Max nTPM: 496.0
Min nTPM: 84.2
Std nTPM: 74.2
Median nTPM: 227.4
GTEX-Y5LM-1826-SM-4VDT9 40-49 years, female 496.0
GTEX-11ZTS-3026-SM-5EQM7 60-69 years, female 442.7
GTEX-ZQG8-2126-SM-4YCF1 60-69 years, female 433.5
GTEX-ZLWG-2026-SM-DO11F 50-59 years, female 431.3
GTEX-ZLFU-2226-SM-EXUS7 40-49 years, male 429.6
GTEX-11EMC-2526-SM-5PNVU 60-69 years, female 423.8
GTEX-ZA64-1726-SM-5CVMF 20-29 years, male 408.3
GTEX-ZAB5-2326-SM-5IJFR 50-59 years, male 376.7
GTEX-11P81-2026-SM-5P9GT 30-39 years, female 375.4
GTEX-1HCU7-0126-SM-C1YR3 50-59 years, male 373.9
GTEX-1QP9N-2026-SM-DPRZT 30-39 years, male 373.0
GTEX-1PIEJ-0626-SM-DTX99 20-29 years, female 367.4
GTEX-XV7Q-2426-SM-4BRV8 40-49 years, female 362.1
GTEX-131XH-2626-SM-5GCNP 50-59 years, male 359.7
GTEX-XMK1-2626-SM-4B65R 40-49 years, male 356.6
GTEX-13OVI-2326-SM-5KM47 60-69 years, female 356.4
GTEX-18QFQ-0626-SM-718AW 30-39 years, male 355.7
GTEX-1PPH8-1526-SM-E6CQO 20-29 years, male 355.5
GTEX-ZT9W-2126-SM-51MSF 50-59 years, male 348.8
GTEX-1OJC3-1026-SM-E6CQK 20-29 years, male 337.4
GTEX-1C64O-0626-SM-7DHL1 60-69 years, male 336.6
GTEX-ZXG5-2826-SM-5NQ8T 60-69 years, male 336.4
GTEX-11WQK-2926-SM-5EQKT 50-59 years, male 334.5
GTEX-WH7G-2126-SM-4M1XU 40-49 years, male 331.1
GTEX-ZF29-2126-SM-DNZYX 60-69 years, female 330.9
GTEX-WY7C-1426-SM-4OND1 50-59 years, male 322.0
GTEX-1192X-2926-SM-5N9BA 50-59 years, male 316.2
GTEX-YF7O-2226-SM-5CVN8 50-59 years, male 316.2
GTEX-18A67-0626-SM-7KFSL 50-59 years, male 309.9
GTEX-YB5K-1726-SM-5IFIZ 40-49 years, female 306.2
GTEX-Y5V6-2226-SM-4VDTC 60-69 years, male 306.0
GTEX-1I4MK-1326-SM-B2LWT 50-59 years, female 304.5
GTEX-1KANC-1326-SM-CYPT8 50-59 years, female 303.4
GTEX-13QBU-2126-SM-5KLZN 40-49 years, female 296.7
GTEX-1NSGN-0626-SM-E9J35 50-59 years, male 296.5
GTEX-15EU6-2626-SM-7KUN4 50-59 years, male 296.0
GTEX-1I6K7-0926-SM-A96SV 40-49 years, male 294.5
GTEX-ZPU1-2326-SM-57WEP 40-49 years, male 294.0
GTEX-X261-2426-SM-4PQZU 50-59 years, male 292.5
GTEX-1339X-2326-SM-5HL5B 40-49 years, male 292.1
GTEX-1R9PO-2626-SM-E6CPU 60-69 years, female 291.3
GTEX-1C6VR-0726-SM-7P8OV 60-69 years, male 288.0
GTEX-17KNJ-2726-SM-7KFRE 50-59 years, male 287.8
GTEX-ZP4G-1926-SM-57WDZ 20-29 years, female 284.4
GTEX-1314G-2026-SM-5LZUM 30-39 years, male 280.7
GTEX-1R9K5-0626-SM-DPRZB 50-59 years, male 280.0
GTEX-1CB4I-2526-SM-7MKG1 50-59 years, male 279.1
GTEX-18D9U-2226-SM-7KFTN 40-49 years, male 279.0
GTEX-1GPI7-0326-SM-7MKH6 20-29 years, male 277.4
GTEX-11P82-0926-SM-5986X 20-29 years, male 275.5
GTEX-14E1K-2626-SM-664OJ 50-59 years, male 269.5
GTEX-ZG7Y-2426-SM-DO11H 50-59 years, male 269.1
GTEX-1R9PM-1726-SM-E8VOA 20-29 years, male 267.6
GTEX-WFJO-2026-SM-4LVM3 30-39 years, male 267.5
GTEX-1JKYR-0726-SM-AHZ3K 20-29 years, male 263.7
GTEX-1MGNQ-1926-SM-DTX8L 40-49 years, male 261.9
GTEX-14PN4-2526-SM-686ZG 50-59 years, male 261.7
GTEX-12BJ1-2226-SM-5BC6G 60-69 years, male 260.6
GTEX-1R9K4-0526-SM-E76P1 60-69 years, male 260.0
GTEX-14PJ3-1526-SM-664O9 50-59 years, male 258.5
GTEX-1AYD5-2726-SM-7MXVG 50-59 years, male 256.3
GTEX-13111-2326-SM-5LZUQ 50-59 years, male 255.8
GTEX-1QCLZ-2526-SM-EXUST 60-69 years, female 254.0
GTEX-1IDJD-2526-SM-C1YSA 30-39 years, male 253.6
GTEX-18A7B-2826-SM-7KFTK 70-79 years, male 252.8
GTEX-15CHC-1226-SM-686ZH 60-69 years, female 250.7
GTEX-1S83E-0626-SM-E9TKC 40-49 years, male 250.3
GTEX-1LKK1-2926-SM-EVR4Z 50-59 years, female 246.2
GTEX-1EH9U-2926-SM-7DHLX 60-69 years, male 243.8
GTEX-12WSL-2126-SM-5GCNG 50-59 years, male 243.4
GTEX-1LVA9-2526-SM-EVR5H 50-59 years, male 242.9
GTEX-1JN1M-2426-SM-ARU93 60-69 years, female 242.1
GTEX-X5EB-1726-SM-4E3J7 40-49 years, male 241.7
GTEX-145ME-1626-SM-5RQI3 40-49 years, female 240.6
GTEX-11EQ9-2026-SM-5P9JI 30-39 years, male 238.4
GTEX-13QJC-2326-SM-5Q5CD 60-69 years, female 237.2
GTEX-1AX9K-2126-SM-72D7K 50-59 years, male 233.6
GTEX-Y3I4-1926-SM-4TT8L 50-59 years, male 231.7
GTEX-1POEN-2226-SM-DPRXV 30-39 years, female 231.4
GTEX-1IY9M-2926-SM-A96TH 60-69 years, male 229.2
GTEX-12WSN-2226-SM-5DUXT 40-49 years, male 227.4
GTEX-1HR9M-2526-SM-A9G3J 60-69 years, male 227.3
GTEX-1LVAO-2626-SM-EVR4S 60-69 years, male 227.3
GTEX-15RJE-2726-SM-6LPJ1 40-49 years, male 224.6
GTEX-1117F-3026-SM-5GZYU 60-69 years, female 221.3
GTEX-11TUW-2426-SM-5EQKB 60-69 years, male 219.8
GTEX-1AX8Z-0626-SM-731EH 60-69 years, male 218.7
GTEX-1GMR2-2026-SM-7MKHK 50-59 years, male 213.7
GTEX-WYVS-2026-SM-4RGNS 40-49 years, female 213.0
GTEX-13JVG-2926-SM-5J2N9 60-69 years, male 212.3
GTEX-1GF9X-0226-SM-7P8SM 40-49 years, female 212.2
GTEX-11NV4-1926-SM-5N9D4 60-69 years, male 211.9
GTEX-146FR-1226-SM-5SIA7 60-69 years, female 206.2
GTEX-1MCC2-2226-SM-EV7AJ 30-39 years, female 206.1
GTEX-1JN6P-2526-SM-CNNPX 60-69 years, male 205.8
GTEX-13OVK-1826-SM-6PALE 40-49 years, male 202.9
GTEX-ZE7O-2926-SM-51MSG 50-59 years, female 202.4
GTEX-1LC47-2426-SM-DHXKK 60-69 years, male 201.5
GTEX-ZQUD-2126-SM-51MSY 30-39 years, male 200.9
GTEX-178AV-1426-SM-6LLID 40-49 years, male 200.8
GTEX-1HFI7-2426-SM-B2LXV 50-59 years, female 200.1
GTEX-111FC-2926-SM-5GZY7 60-69 years, male 199.3
GTEX-1QMI2-0426-SM-EWRND 60-69 years, male 198.7
GTEX-Y111-2626-SM-4TT24 50-59 years, male 197.8
GTEX-17MFQ-1626-SM-7938Z 20-29 years, male 197.7
GTEX-13OVL-2926-SM-5IFG3 50-59 years, male 197.6
GTEX-WHSB-2326-SM-4M1XK 50-59 years, male 197.6
GTEX-13G51-2426-SM-5LZY8 60-69 years, male 197.5
GTEX-X3Y1-1926-SM-4PQZO 40-49 years, male 196.5
GTEX-1445S-2926-SM-5O993 60-69 years, male 195.7
GTEX-1HSEH-1826-SM-A96SA 60-69 years, male 194.6
GTEX-1KD5A-2226-SM-EV79U 50-59 years, male 194.2
GTEX-13NYB-2426-SM-5IFF4 40-49 years, male 193.8
GTEX-14PJN-1726-SM-69LO7 30-39 years, male 191.9
GTEX-1OJC4-3126-SM-EXOJK 50-59 years, female 191.5
GTEX-1B97J-2126-SM-79OL6 50-59 years, female 190.2
GTEX-13113-1526-SM-5EGHV 60-69 years, female 189.8
GTEX-15SHV-2226-SM-6M464 60-69 years, male 188.8
GTEX-14B4R-1426-SM-5Q5CG 30-39 years, male 187.4
GTEX-1GTWX-2526-SM-9JGHG 60-69 years, male 187.4
GTEX-1GZ2Q-2526-SM-9KNVW 40-49 years, male 187.0
GTEX-1MCQQ-2226-SM-DLHC4 60-69 years, male 186.5
GTEX-XGQ4-2626-SM-4AT6B 50-59 years, male 186.4
GTEX-1I6K6-0626-SM-ARU7J 30-39 years, male 184.2
GTEX-WOFM-2126-SM-4OOSR 20-29 years, male 183.3
GTEX-1J8EW-2826-SM-A96T9 60-69 years, female 182.1
GTEX-1QEPI-0626-SM-E76QE 60-69 years, female 182.1
GTEX-1IE54-0826-SM-AHZ2Z 40-49 years, female 181.0
GTEX-1J1R8-1826-SM-AHZ3B 40-49 years, male 180.3
GTEX-1IDJC-1626-SM-AHZ2R 50-59 years, male 179.6
GTEX-1RNSC-2926-SM-EV79L 60-69 years, male 179.5
GTEX-1C4CL-2026-SM-731EB 30-39 years, male 178.7
GTEX-1KD4Q-2526-SM-CXZKL 40-49 years, male 178.4
GTEX-1S82P-0726-SM-EVR4O 60-69 years, female 178.2
GTEX-1AMEY-1126-SM-72D79 30-39 years, female 178.1
GTEX-1LSNL-2626-SM-EV7AT 50-59 years, male 177.5
GTEX-13VXT-1726-SM-5IFF5 20-29 years, female 175.5
GTEX-1IOXB-2826-SM-AHZ32 50-59 years, male 174.9
GTEX-1RAZA-0626-SM-EAZ4H 20-29 years, male 173.8
GTEX-1LBAC-0626-SM-D3L9T 20-29 years, male 172.7
GTEX-13O21-1926-SM-5MR39 50-59 years, male 172.6
GTEX-1J8QM-1826-SM-A96TA 60-69 years, female 171.4
GTEX-X15G-2126-SM-4PQZR 50-59 years, female 170.1
GTEX-1A3MV-1726-SM-72D68 30-39 years, male 168.3
GTEX-13CF2-2426-SM-5LZYL 60-69 years, male 168.2
GTEX-ZC5H-2726-SM-5KLZW 40-49 years, female 167.1
GTEX-1HSMQ-0926-SM-A96SI 50-59 years, male 166.0
GTEX-1GN1V-2926-SM-9JGI3 60-69 years, male 163.4
GTEX-1B8SF-1826-SM-731DJ 60-69 years, male 162.9
GTEX-1GN1W-2526-SM-9JGHX 50-59 years, female 162.2
GTEX-1I1HK-2526-SM-A96SM 60-69 years, male 162.1
GTEX-1H4P4-2026-SM-9WPNV 50-59 years, male 160.0
GTEX-1HSGN-0626-SM-A9G2E 40-49 years, female 159.8
GTEX-1B932-0626-SM-731EM 40-49 years, female 159.7
GTEX-12WSM-1826-SM-5BC64 60-69 years, male 157.2
GTEX-1P4AB-2926-SM-EXOJR 50-59 years, male 155.3
GTEX-1H1CY-2326-SM-9OSXW 60-69 years, female 154.5
GTEX-11ZTT-2226-SM-5CVLP 60-69 years, female 152.2
GTEX-1B8KZ-1726-SM-73KV7 50-59 years, male 142.2
GTEX-131XF-2826-SM-5EGKH 60-69 years, male 140.8
GTEX-1C64N-2926-SM-79OLM 50-59 years, male 137.1
GTEX-14JIY-3026-SM-6EU1R 60-69 years, male 84.2
Show allShow less

SALIVARY GLAND - FANTOM5 CAGEi

RNA expression in human tissues obtained through Cap Analysis of Gene Expression (CAGE) generated by the FANTOM5 project are reported as Scaled Tags Per Million.

Max subtype Scaled Tags Per Millioni

Max subtype Scaled Tags Per Million is the value for the subtype with the largest average Scaled Tags Per Million across the subtype samples.

205.3
FANTOM5 sample id Sample description Scaled Tags Per Million
Parotid gland
Scaled Tags Per Million: 205.3
FF:10199-103F1 23 years, male 205.3
Salivary gland
Scaled Tags Per Million: 179.1
FF:10093-102C3 16-60 years, mixed 179.1
Submaxillary gland
Scaled Tags Per Million: 161.2
FF:10202-103F4 24 years, male 161.2

Contact

  • NEWS ARTICLES
  • PRESS ROOM

The Project

  • INTRODUCTION
  • ORGANIZATION
  • PUBLICATIONS

The Human Protein Atlas

  • DOWNLOADABLE DATA
  • LICENCE & CITATION
  • HELP & FAQ
The Human Protein Atlas project is funded
by the Knut & Alice Wallenberg Foundation.


contact@proteinatlas.org