We use cookies to enhance the usability of our website. If you continue, we'll assume that you are happy to receive all cookies. More information. Don't show this again.
EMP2
HPA
RESOURCES
  • TISSUE
  • BRAIN
  • SINGLE CELL
  • SUBCELLULAR
  • CANCER
  • BLOOD
  • CELL LINE
  • STRUCTURE & INTERACTION
ABOUT
  • INTRODUCTION
  • HISTORY
  • ORGANIZATION
  • PUBLICATIONS
  • ANTIBODY SUBMISSION
  • ANTIBODY AVAILABILITY
  • ACKNOWLEDGMENTS
  • CONTACT
NEWS
  • NEWS ARTICLES
  • PRESS ROOM
LEARN
  • DICTIONARY
  • PROTEIN CLASSES
  • PROTEIN EVIDENCE
  • METHODS
  • EDUCATIONAL VIDEOS
DATA
  • DOWNLOADABLE DATA
  • PUBLICATION DATA
  • RELEASE HISTORY
HELP
  • ANTIBODY VALIDATION
  • ASSAYS & ANNOTATION
  • DISCLAIMER
  • HELP & FAQ
  • PRIVACY STATEMENT
  • LICENCE & CITATION
Fields »
Search result

Field
Term
Gene name
Class
Subclass
Class
Keyword
Chromosome
External id
Tissue
Cell type
Expression
Antibody panel
Tissue
Main location
Patient ID
Annotation
Tissue
Category
Tau score
Cluster
Reliability
Brain region
Category
Tau score
Brain region
Category
Tau score
Brain region
Category
Tau score
Cluster
Reliability
Tissue
Cell type
Enrichment
Cell type
Category
Tau score
Cell type
Category
Tau score
Cell type
Category
Tau score
Cell lineage
Category
Tau score
Cluster
Cluster
Location
Searches
Location
Cell line
Class
Type
Phase
Reliability
Cancer
Prognosis
Cancer
Category
Cancer
Category
Tau score
Cluster
Variants
Interacting gene (ensg_id)
Type
Number of interactions
Pathway
Category
Score
Score
Score
Validation
Validation
Validation
Validation
Antibodies
Data type
Column


  • SUMMARY

  • TISSUE

  • BRAIN

  • SINGLE CELL

  • SUBCELL

  • CANCER

  • BLOOD

  • CELL LINE

  • STRUCT & INT

  • EMP2
TISSUE PRIMARY DATA ESOPHAGUS Show tissue menu
ADIPOSE TISSUE ADRENAL GLAND AMYGDALA APPENDIX BASAL GANGLIA BONE MARROW BREAST BRONCHUS CEREBELLUM CEREBRAL CORTEX CERVIX CHOROID PLEXUS COLON DUODENUM
ENDOMETRIUM EPIDIDYMIS ESOPHAGUS FALLOPIAN TUBE GALLBLADDER HEART MUSCLE HIPPOCAMPAL FORMATION HYPOTHALAMUS KIDNEY LIVER LUNG LYMPH NODE MIDBRAIN NASOPHARYNX
ORAL MUCOSA OVARY PANCREAS PARATHYROID GLAND PITUITARY GLAND PLACENTA PROSTATE RECTUM RETINA SALIVARY GLAND SEMINAL VESICLE SKELETAL MUSCLE SKIN SMALL INTESTINE
SMOOTH MUSCLE SOFT TISSUE SPINAL CORD SPLEEN STOMACH TESTIS THYMUS THYROID GLAND TONGUE TONSIL URINARY BLADDER VAGINA
ANTIBODIES
AND
VALIDATION
Dictionary
Esophagus
Tissue proteome
Esophagus
ESOPHAGUS - Expression summary
Protein expression
Esophagusi

On the top, protein expression in current human tissue, based on all annotated cell types, is reported with the units not detected (n), low (l), medium (m) and high (h). Underneath, protein expression in each annotated cell type are reported using the same units.

Protein expression data is based on knowledge-based annotation. For genes where more than one antibody has been used, a collective score is set.

If knowledge-based annotation could not be performed for a gene, no data is displayed here. View antibody staining data further down this page.

h
m
l
n
Squamous epithelial cells: Not detected
RNA expressioni

A summary of mRNA expression data available for current tissue based on several datasets. The mRNA expression levels in human tissues are based on RNA-seq data generated by the Human Protein Atlas (HPA), Genotype-Tissue Expression (GTEx) portal and CAGE data generated by the FANTOM5 consortium. Consensus normalized expression levels for human tissues was created by combining the data from HPA and GTEx datasets.

The mRNA expression levels in pig are based on RNA-seq data generated by the Human Protein Atlas (HPA), and for mouse, HPA data and in situ hybridization generated by the Allen brain atlas are reported.

Scroll down to view mRNA expression data in more detail.
Consensus:147.9 nTPM
HPA:66.1 nTPM
GTEx:147.9 nTPM
FANTOM5:88.9 Scaled Tags Per Million

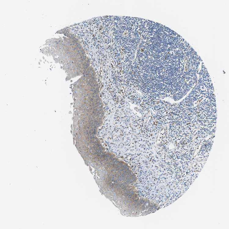
ESOPHAGUS - Antibody stainingi

Antibody staining in the annotated cell types in the current human tissue is reported as not detected, low, medium, or high, based on conventional immunohistochemistry profiling in selected tissues. This score is based on the combination of the staining intensity and fraction of stained cells.

Each image is clickable and will lead to virtual microscopy that enables deeper exploration of all samples and also displays staining intensity scores, fraction scores and subcellular localization as well as patient and tissue information for each sample.

Antibody HPA014711Antibody HPA070816
Squamous epithelial cells LowNot detected





ESOPHAGUS - HPA RNA-seqi

The RNA-seq details section shows detailed information about the individual samples used for the transcript profiling and results of the RNA-seq analysis.

Information about each individual sample is listed below, including gender, age, a tissue section image and estimated fractions of cell types. nTPM (normalized transcripts per million) values give a quantification of the gene abundance which is comparable between different genes and samples.
Average nTPMi

Max subtype nTPM is the value for the subtype with the largest average nTPM across the subtype samples.

66.1
overview
Female, age 70
Esophagus sample 130
nTPM: 61
Cell types%
Squamous epithelial cells:
35

Smooth muscle cells:
15

Skeletal muscle cells:
5

Other cell types:
45

overview
Male, age 38
Esophagus sample 131
nTPM: 57.5
Cell types%
Squamous epithelial cells:
60

Smooth muscle cells:
20

Other cell types:
20

overview
Male, age 76
Esophagus sample 132
nTPM: 79.7
Cell types%
Squamous epithelial cells:
45

Smooth muscle cells:
15

Other cell types:
40


ESOPHAGUS - GTEx RNA-seqi

RNA-Seq data generated by the Genotype-Tissue Expression (GTEx) project from human tissues is reported as mean nTPM. More information can be found on the GTEx portal.

Distribution across the dataset is visualized with box plots, shown as median and 25th and 75th percentiles. Points are displayed as outliers if they are above or below 1.5 times the interquartile range. nTPM values of the individual samples are presented next to the box plot.
Max subtype nTPMi

Max subtype nTPM is the value for the subtype with the largest average nTPM across the subtype samples.

147.9
GTEx sample id Sample description nTPM
Esophagus - Mucosa
Average nTPM: 147.9
Samples: 555

Max nTPM: 370.0
Min nTPM: 39.2
Std nTPM: 43.5
Median nTPM: 143.0
GTEX-1HGF4-0926-SM-9WPP8 60-69 years, male 370.0
GTEX-14PJ5-0526-SM-664OE 60-69 years, female 346.5
GTEX-15RIF-0826-SM-6M47C 20-29 years, male 299.0
GTEX-13NYB-0926-SM-5IFFA 40-49 years, male 285.7
GTEX-1CAMQ-2726-SM-7MKGD 40-49 years, male 284.3
GTEX-1RAZA-1326-SM-DPS12 20-29 years, male 273.3
GTEX-Q2AG-1326-SM-43V8K 40-49 years, female 269.9
GTEX-1269C-1026-SM-5N9EY 60-69 years, female 250.4
GTEX-1399Q-1126-SM-5P9JA 40-49 years, male 249.5
GTEX-1LB8K-1326-SM-CXZKB 50-59 years, male 248.4
GTEX-11ZU8-1526-SM-5EGHX 60-69 years, male 243.4
GTEX-1JKYR-2126-SM-CNNPC 20-29 years, male 241.7
GTEX-17EVQ-1926-SM-7IGOF 70-79 years, male 241.4
GTEX-148VJ-1026-SM-5LU98 70-79 years, male 240.5
GTEX-13FHP-1526-SM-5IJGE 50-59 years, male 240.1
GTEX-1HSKV-2426-SM-A8N8K 60-69 years, male 234.4
GTEX-1HBPH-1126-SM-A96TU 40-49 years, female 234.0
GTEX-YEC4-1026-SM-9WG7N 40-49 years, male 233.7
GTEX-1N2DV-2026-SM-EV7BL 40-49 years, male 231.5
GTEX-14A6H-1326-SM-5NQBC 30-39 years, male 227.8
GTEX-14ICK-2026-SM-6AJB2 40-49 years, male 227.6
GTEX-1N2EE-2426-SM-EXOIO 60-69 years, male 224.8
GTEX-11I78-1526-SM-5A5K7 50-59 years, female 223.9
GTEX-1RAZQ-1726-SM-EAZ4T 30-39 years, male 223.6
GTEX-QEG4-0726-SM-CNNRF 30-39 years, male 222.9
GTEX-14PJN-0526-SM-68724 30-39 years, male 222.2
GTEX-11ZTS-2626-SM-5EGIC 60-69 years, female 221.8
GTEX-1IDJH-2026-SM-CNNQX 70-79 years, male 221.3
GTEX-18QFQ-1026-SM-7LG6B 30-39 years, male 220.5
GTEX-1MGNQ-1626-SM-EAZ4Z 40-49 years, male 219.6
GTEX-YEC3-2526-SM-CXZIH 50-59 years, male 219.1
GTEX-1LNCM-0626-SM-EV7AI 50-59 years, female 217.1
GTEX-1GN1W-2226-SM-9JGI5 50-59 years, female 216.4
GTEX-1EN7A-1226-SM-7MGX9 40-49 years, male 216.1
GTEX-14ICL-0526-SM-5RQJ6 30-39 years, male 215.6
GTEX-1KANB-1826-SM-DHXJU 50-59 years, male 213.2
GTEX-1LG7Y-1726-SM-EV7AR 50-59 years, male 212.5
GTEX-ZT9W-1326-SM-51MTB 50-59 years, male 210.4
GTEX-1H23P-1426-SM-9JGH5 60-69 years, male 210.3
GTEX-Y3IK-1126-SM-51MSV 50-59 years, female 209.8
GTEX-1HCVE-1226-SM-9WPPH 50-59 years, male 209.3
GTEX-1B996-1826-SM-7MGY6 60-69 years, male 209.0
GTEX-1EH9U-2426-SM-7EWFG 60-69 years, male 208.7
GTEX-ZTSS-0626-SM-59867 40-49 years, male 208.6
GTEX-1HCU6-1326-SM-A96TZ 60-69 years, female 208.3
GTEX-1B97I-0926-SM-731DZ 40-49 years, male 208.1
GTEX-Y114-0926-SM-4TT7J 50-59 years, female 207.7
GTEX-R55E-1326-SM-48FCR 20-29 years, male 207.5
GTEX-12ZZX-1326-SM-5DUWI 40-49 years, female 207.2
GTEX-T5JW-1326-SM-4DM5G 20-29 years, female 207.0
GTEX-18D9U-2126-SM-7LG4Y 40-49 years, male 206.8
GTEX-11EQ9-0726-SM-5A5K2 30-39 years, male 206.5
GTEX-1QP2A-1926-SM-EXOJ9 50-59 years, male 206.2
GTEX-1RLM8-0726-SM-E6CRH 50-59 years, male 206.1
GTEX-1S83E-0826-SM-EV7B7 40-49 years, male 204.8
GTEX-1HCU8-2226-SM-9WPOV 60-69 years, female 204.4
GTEX-14JG6-0926-SM-6871Y 30-39 years, female 204.3
GTEX-13NZB-1226-SM-5J2MW 30-39 years, male 204.1
GTEX-1I1GS-2126-SM-ARU7G 60-69 years, male 204.1
GTEX-14BIN-2726-SM-5RQIE 50-59 years, female 203.9
GTEX-X3Y1-1326-SM-4PQZB 40-49 years, male 203.7
GTEX-1KAFJ-0626-SM-D3L8X 50-59 years, male 203.6
GTEX-1LG7Z-0926-SM-CXKYK 30-39 years, male 203.6
GTEX-16BQI-1526-SM-6LLIE 30-39 years, female 203.1
GTEX-13QBU-1026-SM-5LU3R 40-49 years, female 203.0
GTEX-1GF9U-0826-SM-7MXTZ 40-49 years, female 202.9
GTEX-1QCLZ-1626-SM-E9U5R 60-69 years, female 202.8
GTEX-145ME-5004-SM-7MGXP 40-49 years, female 200.2
GTEX-145LU-0926-SM-79OJL 50-59 years, male 199.6
GTEX-1S82Y-1226-SM-EV7BD 40-49 years, male 198.8
GTEX-SNMC-0526-SM-4DM69 20-29 years, male 198.2
GTEX-15F5U-5010-SM-AHZ2D 40-49 years, male 197.9
GTEX-ZE9C-1126-SM-4WWBD 60-69 years, male 197.5
GTEX-1A3MV-1326-SM-7LG6C 30-39 years, male 197.3
GTEX-1AX9J-1826-SM-731FM 60-69 years, male 197.3
GTEX-139T6-0626-SM-5IFF9 50-59 years, male 196.8
GTEX-17JCI-1226-SM-793D9 60-69 years, female 196.8
GTEX-S4P3-0426-SM-4AD56 50-59 years, female 195.7
GTEX-15RIE-0826-SM-6M47X 60-69 years, male 195.5
GTEX-1EWIQ-1526-SM-79OO7 70-79 years, female 195.4
GTEX-1L5NE-1426-SM-DHXKV 50-59 years, male 195.1
GTEX-1H11D-2126-SM-9OSXM 40-49 years, male 195.0
GTEX-1K2DA-0626-SM-CGQGO 50-59 years, male 194.7
GTEX-1A8FM-1526-SM-7MXTA 50-59 years, female 194.0
GTEX-183FY-1526-SM-7IGOW 20-29 years, male 193.2
GTEX-R55G-1026-SM-48FDI 40-49 years, female 193.1
GTEX-1I1GV-2226-SM-ARU7E 60-69 years, male 192.7
GTEX-1HKZK-1426-SM-A96U1 40-49 years, male 192.6
GTEX-1KD4Q-1126-SM-CXZKK 40-49 years, male 191.8
GTEX-15SB6-0726-SM-6M48F 50-59 years, female 190.5
GTEX-ZYY3-1526-SM-5SIA9 60-69 years, female 190.5
GTEX-14BMU-0926-SM-5S2QB 20-29 years, female 190.4
GTEX-1CB4G-1326-SM-7MKFP 60-69 years, male 190.4
GTEX-1MCQQ-1026-SM-EV7AX 60-69 years, male 189.8
GTEX-131XF-0826-SM-5GICG 60-69 years, male 189.5
GTEX-1F5PK-1526-SM-7MKGV 50-59 years, male 189.3
GTEX-X62O-2226-SM-46MW3 50-59 years, male 188.8
GTEX-1J1R8-0326-SM-AHZ3D 40-49 years, male 188.4
GTEX-ZLWG-1326-SM-DNZYZ 50-59 years, female 188.4
GTEX-1399S-1326-SM-5P9GH 30-39 years, female 188.2
GTEX-UPJH-1026-SM-EAZB2 50-59 years, male 188.2
GTEX-18465-1126-SM-7LG6E 50-59 years, male 188.1
GTEX-1H1ZS-1526-SM-9OSXR 70-79 years, male 187.9
GTEX-148VI-1026-SM-5TDDJ 60-69 years, female 187.2
GTEX-1QEPI-1826-SM-EAZ3J 60-69 years, female 187.1
GTEX-RN64-1026-SM-48FDX 50-59 years, male 186.3
GTEX-S7SF-0926-SM-4AD4M 20-29 years, female 186.2
GTEX-13OVG-0626-SM-5IFEP 60-69 years, male 185.7
GTEX-1GMR3-1526-SM-9JGGL 40-49 years, male 185.3
GTEX-PWN1-0626-SM-48TDT 40-49 years, female 184.5
GTEX-1AMEY-0226-SM-7189Q 30-39 years, female 183.9
GTEX-144FL-2726-SM-5O98Z 50-59 years, male 183.8
GTEX-1KANA-0626-SM-D4P3I 20-29 years, male 183.5
GTEX-14JIY-0926-SM-6871D 60-69 years, male 183.2
GTEX-14PKV-1726-SM-6871U 20-29 years, female 182.6
GTEX-18D9A-0526-SM-7KFSW 30-39 years, female 182.6
GTEX-PVOW-1626-SM-48TC9 40-49 years, male 181.8
GTEX-131XG-1026-SM-5GCMX 50-59 years, female 181.3
GTEX-144GN-0626-SM-5O9B2 50-59 years, male 181.3
GTEX-13W46-1926-SM-5J2MF 50-59 years, male 180.9
GTEX-1CB4E-1026-SM-793AB 60-69 years, male 180.9
GTEX-1I1GR-1326-SM-ARU7B 60-69 years, male 180.6
GTEX-1F88F-1126-SM-7MKHL 60-69 years, female 179.9
GTEX-15DCE-1326-SM-6LPJL 20-29 years, male 179.7
GTEX-11EMC-2226-SM-5A5JW 60-69 years, female 179.4
GTEX-1HBPI-0626-SM-9WPP4 50-59 years, male 178.1
GTEX-WXYG-1226-SM-4ONCJ 50-59 years, female 177.9
GTEX-13111-0826-SM-5LZV3 50-59 years, male 177.1
GTEX-Q2AI-0626-SM-48TZU 40-49 years, male 176.9
GTEX-139YR-1726-SM-5IFFK 50-59 years, male 176.6
GTEX-1C475-0926-SM-7MKFI 40-49 years, female 176.6
GTEX-1R7EU-0826-SM-DPRZL 60-69 years, male 176.4
GTEX-U3ZM-0526-SM-4DXTB 40-49 years, male 176.3
GTEX-PWCY-0726-SM-48TCS 20-29 years, female 176.2
GTEX-1GPI7-1026-SM-7MGY2 20-29 years, male 175.7
GTEX-1HFI6-1226-SM-A96SK 40-49 years, male 175.4
GTEX-Y5LM-1026-SM-4VDSQ 40-49 years, female 175.3
GTEX-ZDTT-1326-SM-4WKFH 60-69 years, male 175.0
GTEX-SUCS-0726-SM-4DM7J 70-79 years, male 174.8
GTEX-ZG7Y-1126-SM-4WWEZ 50-59 years, male 174.6
GTEX-QESD-0826-SM-47J4G 20-29 years, male 173.8
GTEX-RU1J-0326-SM-46MUM 20-29 years, female 172.9
GTEX-RU72-0726-SM-46MUW 50-59 years, female 172.9
GTEX-1F75I-1726-SM-7MKGW 40-49 years, male 172.7
GTEX-17HHE-0926-SM-7938K 50-59 years, male 172.4
GTEX-1AMFI-0226-SM-731D5 50-59 years, female 172.3
GTEX-11P7K-1326-SM-5BC5G 30-39 years, male 171.9
GTEX-11P81-0826-SM-5P9GR 30-39 years, female 171.9
GTEX-1AX9I-1426-SM-7DHM8 60-69 years, male 171.9
GTEX-X15G-0826-SM-4PQZD 50-59 years, female 171.8
GTEX-ZTX8-0226-SM-5E44D 20-29 years, male 171.7
GTEX-ZXES-1126-SM-5GZXN 30-39 years, female 171.1
GTEX-1F52S-1426-SM-7P8PU 60-69 years, female 170.1
GTEX-1HCU7-2126-SM-A96SG 50-59 years, male 170.1
GTEX-12ZZY-1426-SM-5N9EI 60-69 years, male 169.8
GTEX-ZF29-1326-SM-DNZYV 60-69 years, female 169.5
GTEX-WRHK-0526-SM-4MVOF 20-29 years, female 169.1
GTEX-1MCYP-1026-SM-DPRYB 20-29 years, female 169.0
GTEX-QV44-1126-SM-CL55C 50-59 years, male 169.0
GTEX-11DXY-1426-SM-5N9CN 60-69 years, male 168.9
GTEX-1JKYN-1526-SM-CGQGA 30-39 years, male 168.9
GTEX-14DAR-0826-SM-73KYJ 50-59 years, male 168.3
GTEX-15SHU-1426-SM-6LPIN 40-49 years, female 168.0
GTEX-16NPX-1626-SM-6LLI5 50-59 years, male 167.4
GTEX-1H1DE-1026-SM-9JGH6 20-29 years, male 167.4
GTEX-T8EM-0526-SM-4DM64 40-49 years, male 167.2
GTEX-117YW-1926-SM-5H121 50-59 years, male 166.8
GTEX-11GSP-1826-SM-5N9DQ 60-69 years, female 166.5
GTEX-1IDFM-1126-SM-A96SY 60-69 years, male 166.1
GTEX-QCQG-0626-SM-48U21 50-59 years, female 166.0
GTEX-17EUY-1426-SM-7938X 20-29 years, male 165.7
GTEX-15EOM-5013-SM-7MKF9 20-29 years, female 165.3
GTEX-14H4A-1626-SM-5SI69 40-49 years, female 164.9
GTEX-1GL5R-1526-SM-7MKHO 50-59 years, male 164.9
GTEX-1QP9N-0926-SM-E9U5S 30-39 years, male 164.8
GTEX-1RAZS-2626-SM-EV79C 50-59 years, male 164.5
GTEX-1AX9K-1126-SM-731DQ 50-59 years, male 163.9
GTEX-18D9B-2026-SM-7LT96 60-69 years, male 163.6
GTEX-S95S-0426-SM-4B64I 60-69 years, male 163.2
GTEX-Q2AH-0826-SM-48TZN 40-49 years, male 163.1
GTEX-1JK1U-1726-SM-CNNPM 60-69 years, male 162.9
GTEX-1LSVX-1226-SM-DHXJN 60-69 years, male 162.5
GTEX-Y5V6-1026-SM-4VBS2 60-69 years, male 162.3
GTEX-WFJO-0826-SM-4LVM5 30-39 years, male 162.1
GTEX-16Z82-1926-SM-6M47U 60-69 years, male 161.9
GTEX-1122O-1726-SM-5GICM 60-69 years, female 161.7
GTEX-1B97J-1026-SM-7MXTE 50-59 years, female 161.3
GTEX-POYW-1326-SM-48TCG 60-69 years, male 161.1
GTEX-1MA7W-0426-SM-E9TJ5 20-29 years, female 161.1
GTEX-XQ3S-1126-SM-4BOPK 20-29 years, male 161.0
GTEX-1KXAM-0826-SM-CXZK9 60-69 years, male 160.5
GTEX-Y8E4-1726-SM-5LU9G 40-49 years, male 160.4
GTEX-ZTPG-1626-SM-5DUX2 20-29 years, female 160.2
GTEX-YB5K-0826-SM-5YYB7 40-49 years, female 159.8
GTEX-1PFEY-0826-SM-E9U6A 30-39 years, male 159.6
GTEX-1QPFJ-1226-SM-EAZ3M 30-39 years, female 159.6
GTEX-11LCK-1726-SM-5S2OQ 30-39 years, male 159.0
GTEX-1IY9M-1626-SM-AHZ39 60-69 years, male 159.0
GTEX-178AV-0526-SM-6LPJH 40-49 years, male 158.7
GTEX-146FR-0426-SM-5SI97 60-69 years, female 158.6
GTEX-ZLV1-0526-SM-4WWD4 60-69 years, female 158.1
GTEX-1CB4I-1026-SM-7MKFZ 50-59 years, male 158.0
GTEX-1J8QM-1926-SM-AHZ3Z 60-69 years, female 157.8
GTEX-145MN-1026-SM-5NQ9G 30-39 years, male 157.3
GTEX-1R9K4-1926-SM-DPRZW 60-69 years, male 157.2
GTEX-R55C-0826-SM-48FCL 40-49 years, male 157.1
GTEX-OXRK-1326-SM-3NB1A 50-59 years, female 157.0
GTEX-1HSMQ-2026-SM-B2LY1 50-59 years, male 156.9
GTEX-PLZ6-0526-SM-3P61C 30-39 years, male 156.8
GTEX-132Q8-1826-SM-5EGIY 60-69 years, male 156.2
GTEX-14PJ6-1026-SM-686ZB 60-69 years, female 156.1
GTEX-Y5V5-1626-SM-4VDSG 60-69 years, female 156.1
GTEX-13QJ3-1726-SM-5RQK9 50-59 years, male 156.0
GTEX-S32W-0926-SM-4AD5X 50-59 years, female 155.8
GTEX-1NSGN-2026-SM-DPRYM 50-59 years, male 155.8
GTEX-13FLV-1126-SM-5J2NO 50-59 years, male 155.4
GTEX-OXRN-1726-SM-3NM9B 50-59 years, male 155.0
GTEX-15RJE-0926-SM-6LLHZ 40-49 years, male 154.6
GTEX-1QP28-1826-SM-EAZ4L 50-59 years, female 154.6
GTEX-17F98-1726-SM-7938O 40-49 years, female 154.2
GTEX-S33H-0826-SM-4AD5Y 30-39 years, male 154.2
GTEX-XBEW-1326-SM-4AT63 40-49 years, male 154.2
GTEX-QDVN-1026-SM-48TZA 50-59 years, male 154.1
GTEX-ZGAY-1126-SM-4WWBS 40-49 years, female 154.1
GTEX-YJ89-1526-SM-5P9IR 60-69 years, male 154.0
GTEX-12WSK-1126-SM-5LZV8 40-49 years, female 153.9
GTEX-1E1VI-1526-SM-7IGQ2 50-59 years, male 153.8
GTEX-WYVS-0726-SM-4ONDO 40-49 years, female 153.6
GTEX-WHSB-0426-SM-4M1XI 50-59 years, male 153.3
GTEX-13D11-1926-SM-5IFGB 50-59 years, female 152.5
GTEX-ZZ64-0226-SM-5E44X 20-29 years, male 152.4
GTEX-T6MO-0526-SM-4DM6R 40-49 years, female 152.3
GTEX-1EKGG-1726-SM-7MXUP 60-69 years, male 152.2
GTEX-1A32A-1826-SM-72D5G 50-59 years, female 151.9
GTEX-11ONC-1526-SM-5GU6S 60-69 years, male 151.3
GTEX-1GN1U-1826-SM-9JGH2 50-59 years, female 150.9
GTEX-1EX96-2226-SM-7MKGT 50-59 years, male 150.3
GTEX-TKQ1-0326-SM-4DXSM 30-39 years, male 150.3
GTEX-TSE9-1226-SM-4DXTM 60-69 years, female 150.0
GTEX-1JMQJ-1226-SM-D3L97 50-59 years, male 149.8
GTEX-R3RS-1326-SM-48FE7 40-49 years, female 149.6
GTEX-1HB9E-1526-SM-D3LA6 50-59 years, male 149.6
GTEX-11NSD-1126-SM-5N9BQ 20-29 years, male 149.3
GTEX-14B4R-0326-SM-5TDDP 30-39 years, male 149.2
GTEX-111YS-0926-SM-5EGGI 60-69 years, male 149.1
GTEX-O5YV-1026-SM-3LK72 60-69 years, female 148.8
GTEX-WFG8-1226-SM-4V6EI 20-29 years, male 148.2
GTEX-1OJC3-0826-SM-DPRYU 20-29 years, male 147.9
GTEX-13FTX-0526-SM-5IFGS 20-29 years, female 147.8
GTEX-YB5E-0926-SM-4WWDQ 40-49 years, male 147.8
GTEX-13OW8-2326-SM-5L3I9 60-69 years, male 147.7
GTEX-1LGRB-1626-SM-CNNR7 50-59 years, female 147.6
GTEX-VUSG-1226-SM-4KKZF 50-59 years, male 146.9
GTEX-1J8EW-1326-SM-AHZ3S 60-69 years, female 146.8
GTEX-1I4MK-0426-SM-B2LWQ 50-59 years, female 146.6
GTEX-XMD2-1326-SM-4YCET 60-69 years, female 146.5
GTEX-11EI6-1526-SM-5P9GL 60-69 years, male 146.4
GTEX-1399R-0826-SM-5IJEL 30-39 years, male 146.3
GTEX-OXRP-0926-SM-48TC1 60-69 years, female 146.2
GTEX-W5WG-1626-SM-4LMKG 50-59 years, female 146.2
GTEX-1OKEX-1326-SM-E9J2U 60-69 years, male 146.2
GTEX-131YS-1426-SM-5IJF7 60-69 years, female 146.1
GTEX-Z9EW-0526-SM-5HL8S 40-49 years, male 146.1
GTEX-1IDJD-1626-SM-C1YRC 30-39 years, male 145.9
GTEX-ZEX8-1426-SM-4WKHQ 50-59 years, male 145.3
GTEX-12WSL-1526-SM-5GCP8 50-59 years, male 145.2
GTEX-1497J-2726-SM-5SI9W 60-69 years, male 145.2
GTEX-ZC5H-1326-SM-5HL7E 40-49 years, female 144.6
GTEX-ZAB4-1126-SM-5HL86 40-49 years, male 144.5
GTEX-PSDG-1326-SM-48TD2 50-59 years, male 144.3
GTEX-XQ8I-1526-SM-4BOOH 50-59 years, male 144.3
GTEX-ZYFG-1126-SM-5GICY 60-69 years, female 144.2
GTEX-15UF6-2326-SM-6M465 70-79 years, female 144.0
GTEX-OHPN-1026-SM-E9TI8 60-69 years, female 144.0
GTEX-1CB4F-1526-SM-7MKFM 60-69 years, male 143.8
GTEX-1K2DU-1726-SM-EV79S 20-29 years, male 143.8
GTEX-1212Z-2126-SM-5FQTM 60-69 years, male 143.6
GTEX-1B933-2026-SM-7EWFC 50-59 years, female 143.0
GTEX-1IKOE-1526-SM-C1YSD 30-39 years, female 143.0
GTEX-1HC8U-1526-SM-9WPO4 40-49 years, female 142.8
GTEX-UPK5-1226-SM-4IHL8 40-49 years, male 142.7
GTEX-XLM4-2326-SM-4AT5E 60-69 years, male 142.7
GTEX-XMK1-1326-SM-4B65Q 40-49 years, male 142.5
GTEX-17F97-1326-SM-7MGVO 50-59 years, male 142.5
GTEX-13FTW-1626-SM-5KM4N 40-49 years, male 142.4
GTEX-OOBK-0625-SM-3LK5P 40-49 years, male 142.3
GTEX-V1D1-1026-SM-4JBHE 50-59 years, male 141.9
GTEX-1J1OQ-2526-SM-AHZ3Q 40-49 years, female 141.9
GTEX-1GMR8-1826-SM-9WYUE 50-59 years, female 141.8
GTEX-147F3-0826-SM-5NQA7 50-59 years, female 141.6
GTEX-17MFQ-0526-SM-7KFTX 20-29 years, male 141.6
GTEX-OIZF-0626-SM-7MKHG 60-69 years, male 141.6
GTEX-11EM3-0826-SM-5N9CC 20-29 years, female 141.3
GTEX-12696-1326-SM-5FQTJ 60-69 years, male 141.3
GTEX-1GMR2-1526-SM-7MXV6 50-59 years, male 141.3
GTEX-1QP67-0726-SM-DPRY1 40-49 years, female 141.2
GTEX-1R9JW-1526-SM-DPRZK 30-39 years, female 140.8
GTEX-1I6K7-1426-SM-B2LXP 40-49 years, male 140.5
GTEX-1GN73-1926-SM-9JGGS 60-69 years, male 140.3
GTEX-QDVJ-0726-SM-48U1W 50-59 years, male 139.9
GTEX-15DCD-1626-SM-6AJBH 70-79 years, female 139.7
GTEX-U4B1-0826-SM-4DXTW 40-49 years, male 139.7
GTEX-V955-1126-SM-4JBH3 60-69 years, male 139.7
GTEX-1B8KE-1826-SM-731FD 50-59 years, male 139.5
GTEX-183WM-1726-SM-7KFT5 70-79 years, female 139.4
GTEX-13PVR-1826-SM-5Q5CC 60-69 years, female 139.1
GTEX-ZT9X-0526-SM-5GCOP 40-49 years, male 139.0
GTEX-S4Q7-0626-SM-4AD5M 20-29 years, male 138.8
GTEX-OIZH-0626-SM-3NB1L 50-59 years, male 138.7
GTEX-13FHO-1726-SM-DPRZX 60-69 years, male 138.4
GTEX-18A6Q-1226-SM-7KFS9 60-69 years, male 138.3
GTEX-Y9LG-0626-SM-4WWDH 30-39 years, male 137.7
GTEX-TMMY-1126-SM-4DXSX 40-49 years, female 137.4
GTEX-1R9K5-1526-SM-DPRZA 50-59 years, male 137.4
GTEX-SE5C-1226-SM-4BRWV 40-49 years, female 137.2
GTEX-11DXX-1126-SM-5GZZK 60-69 years, female 137.0
GTEX-1I1GQ-1726-SM-B2LWZ 50-59 years, male 136.3
GTEX-WFG7-1126-SM-4LMK3 20-29 years, male 136.1
GTEX-16NGA-1426-SM-718AC 40-49 years, female 135.9
GTEX-YFC4-1226-SM-5LU9R 40-49 years, female 135.9
GTEX-U3ZH-1026-SM-4DXUZ 30-39 years, male 135.7
GTEX-15DYW-1826-SM-6LPIY 60-69 years, female 135.6
GTEX-16A39-1026-SM-6LPJU 30-39 years, female 135.4
GTEX-13O3Q-0826-SM-5IFGF 50-59 years, male 135.0
GTEX-T5JC-1726-SM-4DM6U 20-29 years, male 134.7
GTEX-X4XY-1726-SM-46MVO 60-69 years, male 133.6
GTEX-1RAZR-1226-SM-E6CRD 40-49 years, male 133.5
GTEX-Y3I4-1226-SM-4TT8N 50-59 years, male 133.0
GTEX-17HII-1526-SM-9OSVD 50-59 years, male 132.9
GTEX-1PPH8-1626-SM-E6CQP 20-29 years, male 132.9
GTEX-U3ZN-1726-SM-4DXUQ 30-39 years, female 132.7
GTEX-U8XE-1726-SM-4E3IF 30-39 years, male 132.1
GTEX-XV7Q-1126-SM-4BRVS 40-49 years, female 131.9
GTEX-15ETS-1926-SM-7KUN5 40-49 years, female 131.7
GTEX-SJXC-1426-SM-EYYVB 60-69 years, male 131.7
GTEX-NPJ8-1926-SM-3MJGB 40-49 years, male 131.3
GTEX-132AR-2226-SM-5J2NT 50-59 years, female 131.1
GTEX-ZV68-0926-SM-59HK7 50-59 years, female 131.0
GTEX-1HBPM-1426-SM-9WPPE 60-69 years, female 130.8
GTEX-16MTA-0826-SM-6LLIC 50-59 years, male 130.7
GTEX-1MCC2-1926-SM-DHXJR 30-39 years, female 130.3
GTEX-15UF7-0926-SM-6M46F 40-49 years, male 130.1
GTEX-NFK9-1126-SM-3LK78 40-49 years, male 129.8
GTEX-1CB4H-1526-SM-7MXU4 60-69 years, female 129.8
GTEX-111CU-0726-SM-5GZYD 50-59 years, male 129.3
GTEX-1JMPZ-2026-SM-C1YR8 30-39 years, male 129.2
GTEX-1PIGE-0926-SM-E9U5Z 20-29 years, male 129.0
GTEX-145LV-1326-SM-5S2QI 50-59 years, male 128.9
GTEX-13RTK-0526-SM-5S2QF 20-29 years, male 128.7
GTEX-ZY6K-0626-SM-59HJL 50-59 years, male 128.4
GTEX-YF7O-0926-SM-5IFIF 50-59 years, male 128.3
GTEX-14AS3-0626-SM-5QGQD 40-49 years, female 128.0
GTEX-OIZI-1426-SM-3NB1T 40-49 years, male 127.5
GTEX-XBED-1026-SM-48TCB 60-69 years, male 127.5
GTEX-1EMGI-1926-SM-7938Y 60-69 years, male 127.4
GTEX-1I1GU-1426-SM-B2LX3 40-49 years, male 127.3
GTEX-RWS6-0826-SM-47JXF 60-69 years, female 127.2
GTEX-WH7G-0926-SM-4LVMJ 40-49 years, male 127.1
GTEX-11DXZ-1226-SM-5H11L 50-59 years, male 127.0
GTEX-1PPGY-1726-SM-EVR3S 60-69 years, male 127.0
GTEX-WOFM-0626-SM-4OOS3 20-29 years, male 126.7
GTEX-PLZ5-0926-SM-3TW8L 50-59 years, male 126.5
GTEX-ZVT2-1326-SM-5E45H 50-59 years, female 126.4
GTEX-1LVAM-1126-SM-DHXKP 50-59 years, female 126.4
GTEX-14E6E-0726-SM-5S2R3 30-39 years, male 126.2
GTEX-WK11-1026-SM-4OOS8 50-59 years, male 126.2
GTEX-13PL7-0226-SM-731DT 60-69 years, female 126.1
GTEX-139UW-1126-SM-5IJEJ 60-69 years, male 125.9
GTEX-146FH-1726-SM-5QGQ2 50-59 years, female 125.8
GTEX-1JMPY-0826-SM-AHZ4A 30-39 years, male 125.7
GTEX-13OVI-2626-SM-5KM4T 60-69 years, female 125.3
GTEX-N7MT-0326-SM-48TDP 60-69 years, female 125.1
GTEX-145MF-1426-SM-5O9B6 50-59 years, male 124.5
GTEX-QLQ7-0926-SM-447BC 60-69 years, male 124.5
GTEX-14E1K-1226-SM-5S2PD 50-59 years, male 124.3
GTEX-T2IS-0826-SM-4DM6L 20-29 years, female 124.0
GTEX-QVUS-0626-SM-447CC 60-69 years, female 123.6
GTEX-ZLFU-1126-SM-DO11K 40-49 years, male 123.6
GTEX-14C38-2126-SM-5RQJO 50-59 years, male 123.4
GTEX-1R9PM-0926-SM-DPRYA 20-29 years, male 123.3
GTEX-R55D-1126-SM-48FEB 50-59 years, male 123.0
GTEX-13W3W-1626-SM-5LU35 60-69 years, female 122.9
GTEX-14DAQ-1426-SM-5RQJD 60-69 years, female 122.9
GTEX-ZVE2-1326-SM-5NQ94 50-59 years, male 122.8
GTEX-12C56-1226-SM-5FQSU 20-29 years, male 122.7
GTEX-14PJ4-1526-SM-664OA 60-69 years, male 122.6
GTEX-OIZG-1026-SM-3LK5X 50-59 years, male 122.6
GTEX-11DZ1-2026-SM-5A5KG 50-59 years, male 122.4
GTEX-1LVA9-2126-SM-DLHBY 50-59 years, male 122.3
GTEX-12WSD-1826-SM-5GCOA 60-69 years, female 122.2
GTEX-13CF3-1626-SM-5IFG9 60-69 years, female 122.2
GTEX-1C2JI-1126-SM-731FH 50-59 years, male 121.9
GTEX-1MJIX-0826-SM-DTXEO 40-49 years, male 121.6
GTEX-11NUK-1326-SM-5P9GN 50-59 years, male 121.4
GTEX-ZPCL-1426-SM-57WEC 60-69 years, female 121.3
GTEX-WHSE-1526-SM-4M1XH 20-29 years, male 120.9
GTEX-1N2DW-1426-SM-EV7AZ 50-59 years, male 120.9
GTEX-15EU6-1626-SM-6LPKF 50-59 years, male 120.6
GTEX-1RDX4-2126-SM-EV7B3 50-59 years, female 120.4
GTEX-18A7A-2326-SM-7KFRH 50-59 years, female 120.1
GTEX-R45C-1226-SM-48FEE 60-69 years, female 120.0
GTEX-13U4I-1126-SM-5LU3S 40-49 years, female 119.8
GTEX-1I1CD-1726-SM-A9G3P 60-69 years, female 119.8
GTEX-139TU-1226-SM-5J2NL 60-69 years, male 119.6
GTEX-18A66-1426-SM-7KFRT 60-69 years, male 119.5
GTEX-1211K-0926-SM-5FQTL 60-69 years, female 119.2
GTEX-11TT1-0526-SM-5P9JO 20-29 years, male 119.0
GTEX-P4PQ-0626-SM-3NMCU 60-69 years, male 118.8
GTEX-1399U-1026-SM-5J1OC 50-59 years, female 118.5
GTEX-1IDJF-1226-SM-C1YPX 20-29 years, male 118.2
GTEX-13X6K-2126-SM-5O9D4 60-69 years, female 117.8
GTEX-1LVAN-2326-SM-CNNPY 50-59 years, female 117.7
GTEX-S341-0526-SM-4AD5U 40-49 years, female 117.1
GTEX-ZPU1-1426-SM-4WWFU 40-49 years, male 117.1
GTEX-WFON-0826-SM-4LVMI 40-49 years, male 116.4
GTEX-18A67-2426-SM-7LT95 50-59 years, male 116.3
GTEX-145MO-1426-SM-DTX9W 60-69 years, male 116.2
GTEX-RM2N-0726-SM-48FD5 50-59 years, male 116.1
GTEX-13OVK-1126-SM-6PAMR 40-49 years, male 115.8
GTEX-1AYD5-0926-SM-793AF 50-59 years, male 115.8
GTEX-12BJ1-1626-SM-5HL8Y 60-69 years, male 115.7
GTEX-ZAJG-1326-SM-5S2NV 50-59 years, female 115.7
GTEX-ZUA1-1226-SM-5NQ6O 40-49 years, male 115.6
GTEX-1C64O-1826-SM-7DHM4 60-69 years, male 115.5
GTEX-1NUQO-1126-SM-DTX98 20-29 years, female 115.1
GTEX-1HCUA-1426-SM-9WPP7 50-59 years, female 115.0
GTEX-XGQ4-1526-SM-4AT6H 50-59 years, male 114.9
GTEX-13FH7-0526-SM-5IJF8 50-59 years, female 114.8
GTEX-1C6VQ-1826-SM-7EWEH 50-59 years, male 114.6
GTEX-1H1DG-1226-SM-9JGH3 70-79 years, male 114.4
GTEX-1JMLX-2326-SM-CXZJP 50-59 years, male 114.4
GTEX-11VI4-0526-SM-5EQ48 40-49 years, female 114.2
GTEX-XXEK-0326-SM-4BRVV 50-59 years, male 114.0
GTEX-WVLH-1426-SM-4MVNX 50-59 years, male 113.9
GTEX-1LSNL-2226-SM-DHXKM 50-59 years, male 113.3
GTEX-1B8KZ-0726-SM-7938W 50-59 years, male 113.2
GTEX-145LT-1126-SM-5LUA1 40-49 years, male 112.8
GTEX-14BIM-1326-SM-7EWD1 60-69 years, female 112.7
GTEX-PLZ4-1626-SM-3P618 50-59 years, female 112.5
GTEX-T2YK-1326-SM-4DM6S 50-59 years, male 112.3
GTEX-ZVP2-1326-SM-57WCE 50-59 years, male 112.3
GTEX-ZYW4-1326-SM-5E45N 60-69 years, male 112.1
GTEX-1H3NZ-1326-SM-9JGHI 60-69 years, male 112.1
GTEX-VJYA-0726-SM-4KL1T 60-69 years, male 111.7
GTEX-12WSN-5013-SM-7P8P9 40-49 years, male 111.6
GTEX-TML8-1526-SM-4DXUX 40-49 years, female 111.5
GTEX-133LE-0626-SM-5IFFJ 20-29 years, female 111.3
GTEX-ZYVF-2226-SM-5GIDD 50-59 years, female 111.3
GTEX-UJHI-0826-SM-4IHLM 50-59 years, female 111.0
GTEX-R53T-1126-SM-48FD4 50-59 years, female 110.9
GTEX-RTLS-1126-SM-46MUQ 60-69 years, female 110.9
GTEX-131XE-1426-SM-5HL7V 50-59 years, male 110.4
GTEX-12WSA-1426-SM-5EGJU 60-69 years, male 109.9
GTEX-ZF2S-1226-SM-4WWAX 50-59 years, female 109.8
GTEX-13SLX-1726-SM-5Q5E5 50-59 years, female 109.7
GTEX-ZQUD-0426-SM-57WFR 30-39 years, male 109.7
GTEX-1BAJH-2026-SM-7P8OZ 70-79 years, male 109.7
GTEX-13G51-0926-SM-5IFFU 60-69 years, male 109.3
GTEX-1GTWX-1326-SM-9JGHU 60-69 years, male 108.7
GTEX-QLQW-0526-SM-4R1KS 30-39 years, male 108.6
GTEX-ZDYS-0826-SM-4WWCR 50-59 years, male 108.2
GTEX-WHPG-1126-SM-4M1XT 50-59 years, male 108.1
GTEX-13JVG-2026-SM-5KM1N 60-69 years, male 107.2
GTEX-RNOR-1226-SM-48FDQ 50-59 years, female 107.0
GTEX-YECK-1626-SM-5IFHQ 60-69 years, male 106.8
GTEX-1K9T9-2026-SM-CXZK3 50-59 years, female 106.4
GTEX-1QW4Y-0526-SM-EAZ3V 30-39 years, male 105.8
GTEX-13OVJ-1226-SM-5L3HA 50-59 years, female 105.7
GTEX-169BO-0526-SM-793AK 50-59 years, male 105.6
GTEX-16XZY-0926-SM-7938M 70-79 years, male 105.6
GTEX-WQUQ-1626-SM-4OOSH 60-69 years, male 105.6
GTEX-13X6H-1326-SM-5LU42 50-59 years, female 105.4
GTEX-P4QT-0626-SM-3NMCP 50-59 years, female 105.2
GTEX-17F96-2526-SM-7DHL3 70-79 years, male 105.0
GTEX-1I1GP-1026-SM-C1YRZ 50-59 years, male 104.9
GTEX-ZA64-0626-SM-5HL9O 20-29 years, male 104.7
GTEX-1IKK5-1326-SM-AHZ2X 60-69 years, male 104.7
GTEX-13PVQ-1726-SM-5IFF3 50-59 years, male 104.4
GTEX-12KS4-0926-SM-5BC5S 30-39 years, male 104.3
GTEX-Y8LW-0726-SM-5IFI1 50-59 years, female 104.3
GTEX-1HSGN-1626-SM-A96U2 40-49 years, female 104.2
GTEX-11TUW-1326-SM-5EQKV 60-69 years, male 104.0
GTEX-14PJM-1526-SM-664NY 50-59 years, female 103.9
GTEX-1F5PL-1726-SM-9QEGL 40-49 years, female 103.6
GTEX-11P82-0526-SM-5986P 20-29 years, male 103.3
GTEX-ZYT6-1126-SM-5GZYR 30-39 years, male 103.2
GTEX-15EO6-1026-SM-7KUG9 50-59 years, male 102.5
GTEX-1AX8Z-5016-SM-AHZ2B 60-69 years, male 102.2
GTEX-17HGU-1426-SM-7938G 50-59 years, male 101.5
GTEX-13O21-0626-SM-5IJDI 50-59 years, male 101.3
GTEX-OXRL-0626-SM-3NM9C 50-59 years, male 101.3
GTEX-13YAN-1926-SM-7EPH9 60-69 years, male 101.2
GTEX-WEY5-0926-SM-4LMI4 40-49 years, female 101.1
GTEX-1QP29-2126-SM-E6CPZ 50-59 years, male 101.1
GTEX-ZAK1-1526-SM-5S2OV 50-59 years, female 100.9
GTEX-XK95-1026-SM-4GIDV 40-49 years, male 100.7
GTEX-12ZZW-1726-SM-5DUVD 50-59 years, male 100.5
GTEX-X4EP-1626-SM-4QAS6 60-69 years, female 100.4
GTEX-144GM-1426-SM-5LU31 20-29 years, male 100.2
GTEX-XUZC-0426-SM-4BOPE 30-39 years, female 99.9
GTEX-QEL4-1426-SM-447AC 50-59 years, male 99.6
GTEX-132QS-1426-SM-5P9GE 60-69 years, male 99.5
GTEX-P4QS-0626-SM-3NMD1 60-69 years, male 99.1
GTEX-14PJ3-0626-SM-6UGC5 50-59 years, male 99.1
GTEX-1QCLY-1526-SM-DPRXX 30-39 years, male 99.1
GTEX-14PK6-1326-SM-686ZE 70-79 years, female 97.9
GTEX-145LS-1826-SM-5LUAZ 60-69 years, female 97.4
GTEX-1CB4J-2426-SM-7MXVC 60-69 years, male 96.3
GTEX-QEG5-1426-SM-447AS 20-29 years, male 96.2
GTEX-WYJK-1926-SM-4ONDP 50-59 years, male 95.2
GTEX-1LBAC-1226-SM-DHXK1 20-29 years, male 95.1
GTEX-11XUK-0826-SM-5GU6P 40-49 years, female 94.5
GTEX-SNOS-0626-SM-4DM5F 40-49 years, male 94.5
GTEX-1JMQK-2026-SM-C1YQN 60-69 years, male 93.1
GTEX-S3XE-0926-SM-4AD4S 50-59 years, male 92.8
GTEX-ZZPT-1426-SM-5N9C5 50-59 years, male 91.9
GTEX-16AAH-0726-SM-793A9 50-59 years, male 91.4
GTEX-X4LF-0626-SM-4QASB 50-59 years, male 91.4
GTEX-1F7RK-1526-SM-7P8T6 20-29 years, female 90.5
GTEX-144GO-2726-SM-5O9A2 60-69 years, male 90.1
GTEX-14PHY-0626-SM-664NN 60-69 years, female 89.6
GTEX-X4EO-1226-SM-4QARR 60-69 years, female 89.4
GTEX-RVPV-0526-SM-47JYL 60-69 years, male 89.2
GTEX-13S86-0826-SM-5SI6J 40-49 years, male 89.1
GTEX-146FQ-1026-SM-5LU8I 30-39 years, male 89.1
GTEX-16MT8-1326-SM-6M47R 60-69 years, female 89.1
GTEX-X585-1226-SM-46MW7 50-59 years, male 87.2
GTEX-1ICG6-1926-SM-ARU7L 70-79 years, female 86.8
GTEX-1EU9M-2326-SM-7MKGS 60-69 years, male 85.3
GTEX-P78B-1026-SM-3NMC4 40-49 years, female 85.0
GTEX-13X6I-1026-SM-5LU4C 60-69 years, male 84.3
GTEX-1M5QR-0726-SM-DHXK7 40-49 years, male 84.3
GTEX-15RJ7-0926-SM-6LPJO 40-49 years, male 82.4
GTEX-ZF3C-1626-SM-4WWB4 50-59 years, female 80.7
GTEX-17F9E-1926-SM-7IGQF 50-59 years, male 80.1
GTEX-XYKS-1526-SM-4BRUP 60-69 years, female 79.7
GTEX-UJMC-0926-SM-4IHLK 50-59 years, male 78.5
GTEX-ZYFC-1626-SM-5N9EU 50-59 years, male 77.9
GTEX-15ER7-2126-SM-7939E 20-29 years, female 77.5
GTEX-P4PP-0626-SM-3NM9X 30-39 years, female 76.4
GTEX-1MA7X-0726-SM-EV7AB 60-69 years, male 76.2
GTEX-RUSQ-0826-SM-47JWW 50-59 years, male 74.0
GTEX-11DYG-1326-SM-5N9DO 60-69 years, male 73.6
GTEX-13O1R-1326-SM-5IJF5 60-69 years, male 71.5
GTEX-ZAB5-0926-SM-5CVMV 50-59 years, male 71.1
GTEX-REY6-1326-SM-48FDO 60-69 years, male 70.3
GTEX-1LGOU-0526-SM-D3LAO 20-29 years, female 68.8
GTEX-14C5O-1626-SM-73KYH 60-69 years, male 68.5
GTEX-12WSG-5007-SM-7DUGZ 50-59 years, female 66.1
GTEX-13O61-0926-SM-5IFFE 60-69 years, male 61.8
GTEX-1H3VY-2026-SM-9JGHK 50-59 years, male 61.8
GTEX-WHWD-0926-SM-4OORY 50-59 years, male 51.5
GTEX-Y111-1626-SM-57WCY 50-59 years, male 47.2
GTEX-N7MS-1225-SM-3LK5G 60-69 years, male 42.7
GTEX-17KNJ-1326-SM-7KFTG 50-59 years, male 39.2
Show allShow less

ESOPHAGUS - FANTOM5 CAGEi

RNA expression in human tissues obtained through Cap Analysis of Gene Expression (CAGE) generated by the FANTOM5 project are reported as Scaled Tags Per Million.

Max subtype Scaled Tags Per Millioni

Max subtype Scaled Tags Per Million is the value for the subtype with the largest average Scaled Tags Per Million across the subtype samples.

88.9
FANTOM5 sample id Sample description Scaled Tags Per Million
Esophagus
Scaled Tags Per Million: 88.9
FF:10015-101C6 68,74,75 years, mixed 88.9

Contact

  • NEWS ARTICLES
  • PRESS ROOM

The Project

  • INTRODUCTION
  • ORGANIZATION
  • PUBLICATIONS

The Human Protein Atlas

  • DOWNLOADABLE DATA
  • LICENCE & CITATION
  • HELP & FAQ
The Human Protein Atlas project is funded
by the Knut & Alice Wallenberg Foundation.


contact@proteinatlas.org