We use cookies to enhance the usability of our website. If you continue, we'll assume that you are happy to receive all cookies. More information. Don't show this again.
CCL27
HPA
RESOURCES
  • TISSUE
  • BRAIN
  • SINGLE CELL
  • SUBCELLULAR
  • CANCER
  • BLOOD
  • CELL LINE
  • STRUCTURE & INTERACTION
ABOUT
  • INTRODUCTION
  • HISTORY
  • ORGANIZATION
  • PUBLICATIONS
  • ANTIBODY SUBMISSION
  • ANTIBODY AVAILABILITY
  • ACKNOWLEDGMENTS
  • CONTACT
NEWS
  • NEWS ARTICLES
  • PRESS ROOM
LEARN
  • DICTIONARY
  • PROTEIN CLASSES
  • PROTEIN EVIDENCE
  • METHODS
  • EDUCATIONAL VIDEOS
DATA
  • DOWNLOADABLE DATA
  • PUBLICATION DATA
  • RELEASE HISTORY
HELP
  • ANTIBODY VALIDATION
  • ASSAYS & ANNOTATION
  • DISCLAIMER
  • HELP & FAQ
  • PRIVACY STATEMENT
  • LICENCE & CITATION
Fields »
Search result

Field
Term
Gene name
Class
Subclass
Class
Keyword
Chromosome
External id
Tissue
Cell type
Expression
Antibody panel
Tissue
Main location
Patient ID
Annotation
Tissue
Category
Tau score
Cluster
Reliability
Brain region
Category
Tau score
Brain region
Category
Tau score
Brain region
Category
Tau score
Cluster
Reliability
Tissue
Cell type
Enrichment
Cell type
Category
Tau score
Cell type
Category
Tau score
Cell type
Category
Tau score
Cell lineage
Category
Tau score
Cluster
Cluster
Location
Searches
Location
Cell line
Class
Type
Phase
Reliability
Cancer
Prognosis
Cancer
Category
Cancer
Category
Tau score
Cluster
Variants
Interacting gene (ensg_id)
Type
Number of interactions
Pathway
Category
Score
Score
Score
Validation
Validation
Validation
Validation
Antibodies
Data type
Column


  • SUMMARY

  • TISSUE

  • BRAIN

  • SINGLE CELL

  • SUBCELL

  • CANCER

  • BLOOD

  • CELL LINE

  • STRUCT & INT

  • CCL27
TISSUE PRIMARY DATA SKIN Show tissue menu
ADIPOSE TISSUE ADRENAL GLAND AMYGDALA APPENDIX BASAL GANGLIA BONE MARROW BREAST BRONCHUS CEREBELLUM CEREBRAL CORTEX CERVIX CHOROID PLEXUS COLON DUODENUM
ENDOMETRIUM EPIDIDYMIS ESOPHAGUS FALLOPIAN TUBE GALLBLADDER HEART MUSCLE HIPPOCAMPAL FORMATION HYPOTHALAMUS KIDNEY LIVER LUNG LYMPH NODE MIDBRAIN NASOPHARYNX
ORAL MUCOSA OVARY PANCREAS PARATHYROID GLAND PITUITARY GLAND PLACENTA PROSTATE RECTUM RETINA SALIVARY GLAND SEMINAL VESICLE SKELETAL MUSCLE SKIN SMALL INTESTINE
SMOOTH MUSCLE SOFT TISSUE SPINAL CORD SPLEEN STOMACH TESTIS THYMUS THYROID GLAND TONGUE TONSIL URINARY BLADDER VAGINA
ANTIBODIES
AND
VALIDATION
Dictionary
Skin
Tissue proteome
Skin
SKIN - Expression summary
Protein expression
Skini

On the top, protein expression in current human tissue, based on all annotated cell types, is reported with the units not detected (n), low (l), medium (m) and high (h). Underneath, protein expression in each annotated cell type are reported using the same units.

Protein expression data is based on knowledge-based annotation. For genes where more than one antibody has been used, a collective score is set.

If knowledge-based annotation could not be performed for a gene, no data is displayed here. View antibody staining data further down this page.

h
m
l
n
Cells in basal layer: Not detected
Cells in corneal layer: Not detected
Cells in granular layer: Not detected
Cells in spinous layer: Medium
Endothelial cells: Not detected
Extracellular matrix: Not detected
Fibrohistiocytic cells: High
Langerhans cells: Not detected
Lymphocytes: Not detected
Melanocytes: Not detected
Vascular mural cells: Not detected
RNA expressioni

A summary of mRNA expression data available for current tissue based on several datasets. The mRNA expression levels in human tissues are based on RNA-seq data generated by the Human Protein Atlas (HPA), Genotype-Tissue Expression (GTEx) portal and CAGE data generated by the FANTOM5 consortium. Consensus normalized expression levels for human tissues was created by combining the data from HPA and GTEx datasets.

The mRNA expression levels in pig are based on RNA-seq data generated by the Human Protein Atlas (HPA), and for mouse, HPA data and in situ hybridization generated by the Allen brain atlas are reported.

Scroll down to view mRNA expression data in more detail.
Consensus:470.5 nTPM
HPA:470.5 nTPM
GTEx:301.2 nTPM

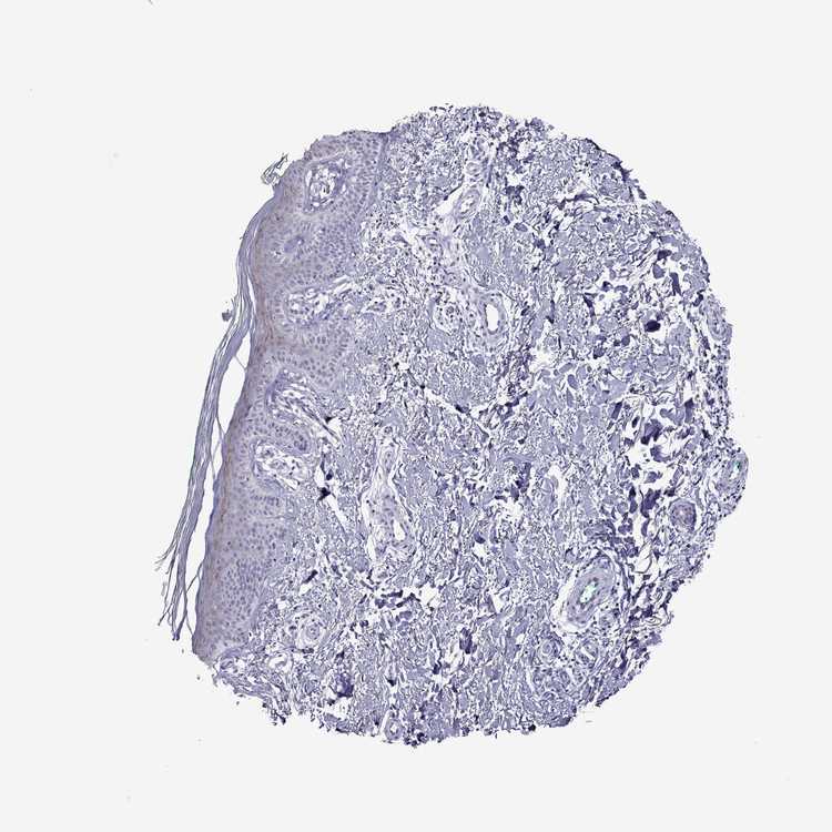
SKIN 1 - Antibody stainingi

Antibody staining in the annotated cell types in the current human tissue is reported as not detected, low, medium, or high, based on conventional immunohistochemistry profiling in selected tissues. This score is based on the combination of the staining intensity and fraction of stained cells.

Each image is clickable and will lead to virtual microscopy that enables deeper exploration of all samples and also displays staining intensity scores, fraction scores and subcellular localization as well as patient and tissue information for each sample.

Antibody HPA073848
Cells in basal layer Not detected
Cells in corneal layer Not detected
Cells in granular layer Not detected
Cells in spinous layer Medium
Endothelial cells Not detected
Extracellular matrix Not detected
Fibrohistiocytic cells Not detected
Langerhans cells Not detected
Lymphocytes Not detected
Melanocytes Not detected
Vascular mural cells Not detected


SKIN 2 - Antibody stainingi

Antibody staining in the annotated cell types in the current human tissue is reported as not detected, low, medium, or high, based on conventional immunohistochemistry profiling in selected tissues. This score is based on the combination of the staining intensity and fraction of stained cells.

Each image is clickable and will lead to virtual microscopy that enables deeper exploration of all samples and also displays staining intensity scores, fraction scores and subcellular localization as well as patient and tissue information for each sample.

Antibody HPA073848
Cells in basal layer Not detected
Cells in corneal layer Not detected
Cells in granular layer Not detected
Cells in spinous layer Medium
Endothelial cells Not detected
Extracellular matrix Not detected
Fibrohistiocytic cells High
Langerhans cells Not detected
Lymphocytes Not detected
Melanocytes Not detected
Vascular mural cells Not detected



SKIN - HPA RNA-seqi

The RNA-seq details section shows detailed information about the individual samples used for the transcript profiling and results of the RNA-seq analysis.

Information about each individual sample is listed below, including gender, age, a tissue section image and estimated fractions of cell types. nTPM (normalized transcripts per million) values give a quantification of the gene abundance which is comparable between different genes and samples.
Average nTPMi

Max subtype nTPM is the value for the subtype with the largest average nTPM across the subtype samples.

470.5
overview
Female, age 34
Skin sample 225
nTPM: 472
Cell types%
Keratinocytes:
60

Other cell types:
40

overview
Female, age 30
Skin sample 226
nTPM: 379.2
Cell types%
Keratinocytes:
55

Other cell types:
45

N/A
Male, age 57
Skin sample 227
nTPM: 560.1

SKIN - GTEx RNA-seqi

RNA-Seq data generated by the Genotype-Tissue Expression (GTEx) project from human tissues is reported as mean nTPM. More information can be found on the GTEx portal.

Distribution across the dataset is visualized with box plots, shown as median and 25th and 75th percentiles. Points are displayed as outliers if they are above or below 1.5 times the interquartile range. nTPM values of the individual samples are presented next to the box plot.
Max subtype nTPMi

Max subtype nTPM is the value for the subtype with the largest average nTPM across the subtype samples.

301.2
GTEx sample id Sample description nTPM
Skin - Not Sun Exposed (Suprapubic)
Average nTPM: 301.2
Samples: 604

Max nTPM: 1689.8
Min nTPM: 0.7
Std nTPM: 230.5
Median nTPM: 232.1
GTEX-148VJ-0626-SM-5LUAW 70-79 years, male 1689.8
GTEX-16YQH-2226-SM-7IGM2 30-39 years, male 1351.7
GTEX-14C39-1726-SM-5RQIL 40-49 years, male 1295.6
GTEX-Y111-0626-SM-4SOIT 50-59 years, male 1294.8
GTEX-11PRG-0726-SM-5EGL1 50-59 years, male 1159.5
GTEX-ZYW4-0626-SM-59HJR 60-69 years, male 1054.5
GTEX-WI4N-2726-SM-3LK7Y 40-49 years, female 1054.2
GTEX-1JJEA-1826-SM-ARU8P 60-69 years, male 1025.8
GTEX-13JVG-0726-SM-5KM16 60-69 years, male 999.5
GTEX-147GR-2426-SM-5ZZWQ 60-69 years, male 956.9
GTEX-1313W-0626-SM-5EQ4H 50-59 years, female 950.1
GTEX-11WQK-1026-SM-5EQLX 50-59 years, male 938.2
GTEX-15G19-2426-SM-7KUMR 60-69 years, male 938.2
GTEX-1BAJH-2426-SM-7IGP8 70-79 years, male 915.5
GTEX-1H2FU-0926-SM-9WPPT 60-69 years, female 891.6
GTEX-145MH-2826-SM-5RQJF 50-59 years, male 888.9
GTEX-1HT8W-0626-SM-A9G2H 30-39 years, male 888.9
GTEX-144FL-0626-SM-5LU43 50-59 years, male 872.7
GTEX-13OVH-0526-SM-5L3E6 70-79 years, male 864.1
GTEX-1HBPM-0726-SM-9YFL7 60-69 years, female 837.3
GTEX-1H3VE-0726-SM-9YFL5 40-49 years, male 825.7
GTEX-12ZZX-2426-SM-5GCOE 40-49 years, female 823.7
GTEX-1POEN-2326-SM-E9J2L 30-39 years, female 821.9
GTEX-139TS-2126-SM-5K7XC 60-69 years, male 821.0
GTEX-13FTY-2126-SM-5IFFB 40-49 years, female 819.3
GTEX-1H1ZS-2726-SM-9WG75 70-79 years, male 811.2
GTEX-1H3O1-1326-SM-9MQLD 60-69 years, male 810.5
GTEX-1JMLX-0626-SM-ARL8T 50-59 years, male 806.6
GTEX-1NV5F-0626-SM-DTXEG 60-69 years, female 791.1
GTEX-ZE9C-2526-SM-5IJDR 60-69 years, male 777.6
GTEX-11ZU8-0126-SM-5EQ58 60-69 years, male 777.4
GTEX-1LKK1-2626-SM-DKPQE 50-59 years, female 762.9
GTEX-ZE7O-2726-SM-51MT5 50-59 years, female 759.7
GTEX-1GN73-0726-SM-7P8TJ 60-69 years, male 748.7
GTEX-ZYY3-2926-SM-5GIEB 60-69 years, female 745.5
GTEX-1J1OQ-0126-SM-D4P2N 40-49 years, female 745.4
GTEX-15SKB-2826-SM-6PAMH 60-69 years, male 741.4
GTEX-1LSVX-2526-SM-DIPEU 60-69 years, male 739.2
GTEX-1GN1V-2826-SM-9JGIA 60-69 years, male 728.7
GTEX-1PPGY-1626-SM-EVYBL 60-69 years, male 713.0
GTEX-11OF3-0126-SM-5PNYF 60-69 years, male 703.5
GTEX-1HB9E-0126-SM-CM2S5 50-59 years, male 699.8
GTEX-1IKJJ-2226-SM-CJI4C 60-69 years, male 688.4
GTEX-11WQC-1826-SM-5GU59 60-69 years, male 687.2
GTEX-1LG7Y-2526-SM-EWRO7 50-59 years, male 683.3
GTEX-131XH-0126-SM-5LZUY 50-59 years, male 669.5
GTEX-14C38-0726-SM-5SI6M 50-59 years, male 669.1
GTEX-1A3MW-0626-SM-731CB 60-69 years, female 660.1
GTEX-1J8EW-2726-SM-CY8HR 60-69 years, female 658.1
GTEX-13YAN-0226-SM-5TDC6 60-69 years, male 657.5
GTEX-1F48J-0726-SM-7RHGS 50-59 years, female 649.9
GTEX-1F88F-0126-SM-9WYSZ 60-69 years, female 635.3
GTEX-139TU-0726-SM-5L3EK 60-69 years, male 633.1
GTEX-1JMQJ-0826-SM-CNPP7 50-59 years, male 628.2
GTEX-1JMQL-2226-SM-CNPP4 50-59 years, female 627.9
GTEX-1LSNL-2726-SM-E9TKJ 50-59 years, male 627.2
GTEX-1KAFJ-0126-SM-DIPEK 50-59 years, male 620.8
GTEX-1HCU6-2526-SM-ADEHL 60-69 years, female 618.2
GTEX-13OW6-2726-SM-5J2OE 50-59 years, male 605.0
GTEX-1PPH8-0126-SM-EWRN8 20-29 years, male 604.1
GTEX-1F6I4-2326-SM-7RHGL 60-69 years, male 603.5
GTEX-1GF9V-0826-SM-9KNUV 60-69 years, male 601.0
GTEX-11DYG-1526-SM-5A5JS 60-69 years, male 598.6
GTEX-13OW7-0426-SM-5K7VK 50-59 years, male 598.1
GTEX-1LVA9-2626-SM-EVYD4 50-59 years, male 597.9
GTEX-1GPI6-1926-SM-9KNV7 60-69 years, male 586.3
GTEX-ZVE1-0726-SM-51MRN 50-59 years, female 584.9
GTEX-1C6VQ-1226-SM-73KYD 50-59 years, male 578.6
GTEX-ZYT6-2326-SM-5GZY3 30-39 years, male 576.9
GTEX-16XZZ-0726-SM-7KUF2 60-69 years, male 576.2
GTEX-1H1DG-2426-SM-9QEHJ 70-79 years, male 567.7
GTEX-139UW-0326-SM-5J1ML 60-69 years, male 566.9
GTEX-17F97-2626-SM-7IGM5 50-59 years, male 566.2
GTEX-1EMGI-2326-SM-7PBYA 60-69 years, male 566.2
GTEX-W5X1-2526-SM-3GILC 40-49 years, female 566.1
GTEX-1GMRU-2126-SM-7P8RA 50-59 years, male 565.1
GTEX-YECK-0326-SM-4W1YS 60-69 years, male 564.4
GTEX-1R9K4-2826-SM-DTX8F 60-69 years, male 562.8
GTEX-11NUK-2726-SM-5A5MC 50-59 years, male 562.3
GTEX-111VG-1626-SM-5EGIO 60-69 years, male 561.1
GTEX-1GZHY-0626-SM-9KNVC 50-59 years, female 559.6
GTEX-13SLW-0626-SM-5Q5ER 70-79 years, male 553.3
GTEX-13OVJ-0826-SM-5J1OK 50-59 years, female 548.9
GTEX-UPJH-0226-SM-3GADV 50-59 years, male 548.1
GTEX-ZYFC-0426-SM-5GICQ 50-59 years, male 547.4
GTEX-15RJE-2826-SM-7KUM9 40-49 years, male 546.5
GTEX-11DZ1-2426-SM-5GZZX 50-59 years, male 538.3
GTEX-1EN7A-2426-SM-793DB 40-49 years, male 538.0
GTEX-WHSE-0126-SM-3NMBT 20-29 years, male 533.0
GTEX-1I1HK-2326-SM-CKZOH 60-69 years, male 526.9
GTEX-13O3O-2326-SM-5IJD6 60-69 years, female 522.8
GTEX-1EU9M-1426-SM-793AI 60-69 years, male 522.5
GTEX-13PL6-1126-SM-5L3IE 40-49 years, female 520.4
GTEX-12584-0726-SM-5FQTK 40-49 years, male 509.0
GTEX-11DXY-0126-SM-5H11Q 60-69 years, male 508.9
GTEX-Z93S-1626-SM-5CVMB 50-59 years, male 507.6
GTEX-15DYW-2726-SM-6EU2I 60-69 years, female 503.7
GTEX-1I1GV-0626-SM-ARL7M 60-69 years, male 502.9
GTEX-1OJC4-2726-SM-E76PJ 50-59 years, female 501.3
GTEX-1CB4J-1326-SM-7P8RX 60-69 years, male 500.9
GTEX-1ICLZ-0326-SM-ARL82 60-69 years, male 498.9
GTEX-1R46S-2426-SM-E76QA 60-69 years, female 496.8
GTEX-1E2YA-2126-SM-7MXUO 50-59 years, male 480.9
GTEX-12126-0826-SM-5FQTZ 20-29 years, male 477.8
GTEX-147F4-0726-SM-5TDDD 50-59 years, male 475.8
GTEX-1CAMQ-1326-SM-7P8RV 40-49 years, male 474.4
GTEX-1HFI6-0126-SM-CNPPI 40-49 years, male 469.3
GTEX-13SLX-2226-SM-62LEP 50-59 years, female 468.6
GTEX-1C64N-2626-SM-7PC2N 50-59 years, male 464.3
GTEX-15G1A-1626-SM-7KUKN 30-39 years, male 463.5
GTEX-1399S-0126-SM-5IJCF 30-39 years, female 459.3
GTEX-1EKGG-0626-SM-7DUGJ 60-69 years, male 456.3
GTEX-12ZZY-0726-SM-5EQ66 60-69 years, male 455.1
GTEX-13O3Q-0126-SM-5KM34 50-59 years, male 455.0
GTEX-11UD2-2526-SM-5CVNU 50-59 years, male 454.9
GTEX-1IE54-1126-SM-A9G2Z 40-49 years, female 454.5
GTEX-1B8SF-0126-SM-7DUG3 60-69 years, male 453.5
GTEX-1KANB-2826-SM-CY8I6 50-59 years, male 452.5
GTEX-1PIIG-2326-SM-DTXFR 30-39 years, male 449.3
GTEX-XOT4-0626-SM-4B66L 60-69 years, female 448.9
GTEX-1PBJJ-1026-SM-E76OS 30-39 years, male 447.4
GTEX-12ZZZ-0726-SM-5GCNZ 60-69 years, male 443.3
GTEX-17MF6-2626-SM-79OKQ 40-49 years, male 442.3
GTEX-1JN1M-2726-SM-CY8I4 60-69 years, female 442.2
GTEX-13IVO-0726-SM-5LZYV 70-79 years, male 440.4
GTEX-13FHO-0426-SM-5L3F5 60-69 years, male 438.9
GTEX-13OVK-1426-SM-6PAN7 40-49 years, male 433.9
GTEX-1B8L1-2226-SM-7P8PT 60-69 years, male 433.1
GTEX-12WSD-0626-SM-5GCMW 60-69 years, female 432.2
GTEX-144GL-0626-SM-5LU4D 50-59 years, male 431.8
GTEX-ZYVF-0926-SM-5E44J 50-59 years, female 431.3
GTEX-13G51-1826-SM-5KLZH 60-69 years, male 430.6
GTEX-1HGF4-0126-SM-CNPPX 60-69 years, male 429.2
GTEX-X585-2426-SM-46MW2 50-59 years, male 429.1
GTEX-14JG1-1526-SM-5YY9X 40-49 years, male 428.1
GTEX-17HHY-0426-SM-7DHLC 50-59 years, male 427.9
GTEX-12WSM-1926-SM-5BC65 60-69 years, male 426.7
GTEX-XQ3S-1426-SM-4BOPR 20-29 years, male 425.5
GTEX-13NYB-0126-SM-5J1MD 40-49 years, male 423.0
GTEX-1GZ4I-2626-SM-9KNU3 50-59 years, male 421.4
GTEX-1M4P7-0726-SM-E6CJ3 60-69 years, male 420.2
GTEX-1A8G6-2726-SM-731AR 60-69 years, male 419.1
GTEX-1R9PN-0426-SM-DTXDT 40-49 years, female 418.7
GTEX-1HCVE-2726-SM-CL54F 50-59 years, male 417.6
GTEX-18A6Q-0626-SM-7KFRP 60-69 years, male 415.5
GTEX-11GS4-0226-SM-5HL77 60-69 years, male 411.0
GTEX-1269C-0126-SM-5EQ5L 60-69 years, female 409.4
GTEX-13O61-1426-SM-5KM3D 60-69 years, male 407.3
GTEX-XV7Q-1826-SM-4BRUV 40-49 years, female 406.3
GTEX-13FLV-0126-SM-5K7WT 50-59 years, male 406.1
GTEX-1IL2V-1926-SM-B2LW8 70-79 years, male 404.4
GTEX-1C6WA-2626-SM-7MKGM 60-69 years, male 402.5
GTEX-ZDTS-0826-SM-4WKHL 60-69 years, male 402.4
GTEX-15UF6-1926-SM-7KUDV 70-79 years, female 401.2
GTEX-1OJC3-1226-SM-DTXER 20-29 years, male 400.9
GTEX-13NYC-0126-SM-5L3F4 60-69 years, male 398.2
GTEX-1EWIQ-0326-SM-7DHMQ 70-79 years, female 395.8
GTEX-1HR9M-2226-SM-CNPPY 60-69 years, male 392.7
GTEX-1HCU7-0726-SM-A9SL1 50-59 years, male 389.4
GTEX-17HII-1426-SM-7EPGG 50-59 years, male 383.6
GTEX-13VXU-0626-SM-5L3F9 50-59 years, male 379.2
GTEX-1LVAM-0726-SM-E6CIL 50-59 years, female 378.7
GTEX-1HBPI-2126-SM-ARL9K 50-59 years, male 378.1
GTEX-131XF-2626-SM-5EQ6K 60-69 years, male 377.5
GTEX-15RIG-0726-SM-7KUM7 40-49 years, male 377.5
GTEX-1117F-2926-SM-5GZYI 60-69 years, female 375.0
GTEX-1GN2E-0226-SM-9WG6K 60-69 years, male 370.2
GTEX-13PDP-0726-SM-5L3HP 60-69 years, male 369.5
GTEX-11ZUS-2626-SM-5FQUR 30-39 years, male 367.9
GTEX-13X6J-0626-SM-5LU5F 50-59 years, male 366.3
GTEX-ZVT4-2426-SM-5GIEI 50-59 years, female 365.4
GTEX-145MI-0626-SM-5SI8S 60-69 years, female 364.9
GTEX-1I1GS-2626-SM-B2LY3 60-69 years, male 361.3
GTEX-1S82U-1026-SM-E6CJK 30-39 years, female 360.3
GTEX-1N2EE-0626-SM-E76PW 60-69 years, male 359.7
GTEX-X8HC-0626-SM-4E3HQ 50-59 years, female 356.3
GTEX-1H4P4-2126-SM-9WYSL 50-59 years, male 355.6
GTEX-1C6VR-0126-SM-7RHGB 60-69 years, male 355.5
GTEX-ZTX8-1326-SM-4YCEL 20-29 years, male 354.3
GTEX-15DDE-2926-SM-6LLJ3 50-59 years, female 352.9
GTEX-1AYD5-2626-SM-7PBXY 50-59 years, male 352.5
GTEX-ZF3C-0626-SM-DO92O 50-59 years, female 352.3
GTEX-YFCO-1226-SM-5LUAT 40-49 years, male 350.9
GTEX-13NYS-0626-SM-5L3F1 60-69 years, male 350.1
GTEX-11TUW-0626-SM-5LU9M 60-69 years, male 348.7
GTEX-1JMQK-1226-SM-D4P2S 60-69 years, male 348.0
GTEX-14A5H-0826-SM-5QGPJ 60-69 years, male 346.8
GTEX-1A8G7-1326-SM-73KVM 60-69 years, male 346.1
GTEX-ZF2S-1626-SM-57WES 50-59 years, female 344.0
GTEX-ZYFD-0626-SM-5E44E 50-59 years, male 343.9
GTEX-1F75A-0726-SM-7RHHD 50-59 years, male 343.7
GTEX-U8XE-0226-SM-4E3J3 30-39 years, male 342.3
GTEX-ZC5H-1526-SM-5HL9Y 40-49 years, female 342.2
GTEX-1J8Q2-2626-SM-ACKWQ 60-69 years, male 342.1
GTEX-13QJC-0126-SM-5ZZWJ 60-69 years, female 340.6
GTEX-139TT-2126-SM-5LZWC 60-69 years, male 338.7
GTEX-1QMI2-2526-SM-E8VNZ 60-69 years, male 338.6
GTEX-1LVAO-2726-SM-E9TJ8 60-69 years, male 337.1
GTEX-144GO-2026-SM-5O99P 60-69 years, male 336.1
GTEX-1S82P-2126-SM-E6CI5 60-69 years, female 333.4
GTEX-WHSB-1326-SM-3LK6W 50-59 years, male 333.3
GTEX-14ABY-2026-SM-62LDL 50-59 years, male 331.6
GTEX-18465-2826-SM-7LT9J 50-59 years, male 330.8
GTEX-1EX96-1026-SM-7MKG2 50-59 years, male 329.1
GTEX-15EO6-2426-SM-6PALZ 50-59 years, male 328.3
GTEX-11GSP-2326-SM-5HL63 60-69 years, female 327.7
GTEX-12WSJ-1126-SM-5LZVJ 40-49 years, female 327.7
GTEX-ZDXO-3126-SM-5IJDF 60-69 years, male 327.3
GTEX-ZU9S-1826-SM-5NQ9E 30-39 years, male 327.2
GTEX-1192X-2726-SM-5N9DN 50-59 years, male 327.0
GTEX-ZT9X-1526-SM-5DUXD 40-49 years, male 323.5
GTEX-Y114-2126-SM-4TT8B 50-59 years, female 323.1
GTEX-1HSKV-1226-SM-ADEI4 60-69 years, male 322.3
GTEX-1IOXB-2726-SM-CM2RI 50-59 years, male 321.1
GTEX-1399Q-2326-SM-5KM2X 40-49 years, male 319.3
GTEX-12WSH-1526-SM-5BC5W 50-59 years, male 318.9
GTEX-1LB8K-0726-SM-D5OV2 50-59 years, male 318.9
GTEX-1I1GP-1326-SM-A9G28 50-59 years, male 317.7
GTEX-1H11D-1826-SM-9QEHM 40-49 years, male 317.6
GTEX-XXEK-1626-SM-4BRUZ 50-59 years, male 317.4
GTEX-13RTJ-0126-SM-5S2NN 60-69 years, male 316.5
GTEX-145LS-0626-SM-7EPG7 60-69 years, female 315.1
GTEX-145MF-0926-SM-5Q5EA 50-59 years, male 314.5
GTEX-13OW8-1026-SM-5J1NQ 60-69 years, male 313.9
GTEX-13112-0126-SM-5P9IU 50-59 years, male 312.9
GTEX-1S5ZU-2526-SM-E6CIF 20-29 years, female 311.0
GTEX-1F75B-0726-SM-7PC3R 50-59 years, male 310.6
GTEX-1A3MX-2626-SM-7PC24 60-69 years, male 309.3
GTEX-183WM-0326-SM-72D5V 70-79 years, female 307.7
GTEX-1RLM8-2926-SM-E8VON 50-59 years, male 307.7
GTEX-XBEW-1126-SM-4QARW 40-49 years, male 306.6
GTEX-1IDJI-0126-SM-CMKHS 50-59 years, female 303.8
GTEX-14LZ3-0126-SM-69LPM 60-69 years, female 302.1
GTEX-1IDFM-0326-SM-ARL7V 60-69 years, male 301.5
GTEX-1I1GT-1026-SM-ARZLV 60-69 years, female 299.1
GTEX-1JMPZ-0726-SM-CY8HZ 30-39 years, male 297.9
GTEX-1MCC2-1826-SM-DIPEX 30-39 years, female 297.5
GTEX-X4EO-2926-SM-4E3JH 60-69 years, female 296.6
GTEX-16Z82-2626-SM-7KULU 60-69 years, male 296.5
GTEX-VUSG-2326-SM-4KL1U 50-59 years, male 295.5
GTEX-ZVZP-1226-SM-5GID7 50-59 years, male 295.3
GTEX-ZXG5-2126-SM-59HKD 60-69 years, male 295.3
GTEX-1IY9M-2826-SM-ARU8H 60-69 years, male 294.9
GTEX-14E1K-2026-SM-7DUEI 50-59 years, male 292.9
GTEX-1MJK3-0726-SM-E6CJC 20-29 years, male 290.6
GTEX-12696-0126-SM-5EQ4L 60-69 years, male 290.3
GTEX-1NSGN-0726-SM-DTXEF 50-59 years, male 289.6
GTEX-13OVL-0126-SM-5L3GJ 50-59 years, male 289.1
GTEX-1HSMO-0626-SM-ACKXC 60-69 years, male 289.1
GTEX-1JMQI-1726-SM-ARL93 50-59 years, male 287.4
GTEX-1H23P-0626-SM-9WG6T 60-69 years, male 286.7
GTEX-14PHX-2226-SM-6EU2P 50-59 years, male 286.1
GTEX-1IDJH-0126-SM-D3L92 70-79 years, male 285.8
GTEX-1H1DF-1126-SM-9WG7G 40-49 years, female 285.5
GTEX-ZPCL-1126-SM-4WWFE 60-69 years, female 283.4
GTEX-WRHU-2826-SM-3MJG8 50-59 years, female 282.4
GTEX-1I1GU-0926-SM-ACKVS 40-49 years, male 281.3
GTEX-1F88E-1626-SM-7SB8Z 60-69 years, female 280.0
GTEX-11P81-2226-SM-5PNYI 30-39 years, female 278.8
GTEX-1RAZS-2526-SM-E6CHT 50-59 years, male 274.2
GTEX-1KD5A-0126-SM-E9U54 50-59 years, male 273.9
GTEX-Y3IK-1626-SM-4YCF5 50-59 years, female 273.6
GTEX-11DXW-0826-SM-5H118 40-49 years, male 272.0
GTEX-1QP2A-1726-SM-E76QC 50-59 years, male 271.4
GTEX-1H1CY-0126-SM-9YFLY 60-69 years, female 270.9
GTEX-ZAB4-2126-SM-5HL8U 40-49 years, male 268.3
GTEX-ZAK1-0626-SM-5HL8E 50-59 years, female 268.2
GTEX-1B933-2426-SM-7DHMD 50-59 years, female 267.5
GTEX-17F9Y-0126-SM-79OKX 70-79 years, female 266.0
GTEX-13N1W-2426-SM-5IJD1 70-79 years, male 265.1
GTEX-1KWVE-1026-SM-D3L9O 30-39 years, male 265.1
GTEX-13113-1626-SM-5EQ4I 60-69 years, female 264.2
GTEX-15ER7-0626-SM-6PANF 20-29 years, female 264.0
GTEX-1IKOE-1426-SM-CE6T7 30-39 years, female 261.5
GTEX-14PJN-1826-SM-6AJ98 30-39 years, male 259.7
GTEX-13D11-0926-SM-5J2NC 50-59 years, female 259.5
GTEX-11O72-0626-SM-5PNYE 40-49 years, male 257.6
GTEX-132AR-0326-SM-5KM2C 50-59 years, female 256.0
GTEX-1CAV2-0126-SM-7IGN7 40-49 years, female 254.7
GTEX-1GMR8-0626-SM-7RHI7 50-59 years, female 252.7
GTEX-14ICL-1626-SM-5YYAO 30-39 years, male 252.6
GTEX-1QP28-1126-SM-EVYC4 50-59 years, female 251.1
GTEX-15D1Q-2826-SM-6LLH7 40-49 years, male 250.9
GTEX-131XW-0626-SM-5PNVD 50-59 years, female 250.0
GTEX-14PII-0726-SM-6EU2B 60-69 years, male 248.9
GTEX-WFG7-2026-SM-5SI7P 20-29 years, male 248.5
GTEX-14DAQ-0626-SM-793DS 60-69 years, female 248.2
GTEX-146FQ-2126-SM-5RQHU 30-39 years, male 248.0
GTEX-1S83E-1326-SM-E6CJM 40-49 years, male 247.9
GTEX-1ICLY-0826-SM-CMKG1 50-59 years, male 247.4
GTEX-1A8FM-0626-SM-7PC25 50-59 years, female 246.7
GTEX-14JFF-0626-SM-5ZZVT 60-69 years, male 245.8
GTEX-1QPFJ-1926-SM-EVYBD 30-39 years, female 241.3
GTEX-17F9E-2326-SM-79OKD 50-59 years, male 240.5
GTEX-17HG3-2626-SM-7DUF2 30-39 years, female 240.3
GTEX-14753-0726-SM-5QGQO 60-69 years, male 238.8
GTEX-1JMOU-1026-SM-CYPSS 60-69 years, female 238.0
GTEX-1QEPI-2626-SM-DTXF4 60-69 years, female 237.8
GTEX-133LE-2326-SM-5K7W3 20-29 years, female 237.2
GTEX-144GM-0526-SM-79OJO 20-29 years, male 235.9
GTEX-XQ8I-0926-SM-4BOOF 50-59 years, male 235.7
GTEX-1HR98-2226-SM-ADEI2 60-69 years, male 232.8
GTEX-13PVQ-0626-SM-5LU47 50-59 years, male 231.5
GTEX-17EVP-2626-SM-7IGMA 40-49 years, male 231.0
GTEX-1J8QM-2426-SM-A9SLS 60-69 years, female 230.5
GTEX-1B932-2326-SM-79OL5 40-49 years, female 229.6
GTEX-14BIN-1126-SM-5RQJZ 50-59 years, female 229.1
GTEX-1K2DU-1226-SM-CYPT4 20-29 years, male 227.7
GTEX-1HSMQ-2626-SM-A9SML 50-59 years, male 227.6
GTEX-1CAMS-2226-SM-7PBXQ 40-49 years, female 225.7
GTEX-XBEC-0726-SM-4QARZ 50-59 years, male 225.6
GTEX-1HBPN-0126-SM-CGQEF 50-59 years, male 225.1
GTEX-1N2DV-1526-SM-DTXEP 40-49 years, male 224.7
GTEX-14XAO-1226-SM-6EU1C 60-69 years, female 224.6
GTEX-WYVS-1626-SM-3NM9R 40-49 years, female 223.3
GTEX-12WSF-1626-SM-7KUG5 70-79 years, male 222.5
GTEX-1212Z-0126-SM-59HK4 60-69 years, male 220.4
GTEX-18D9B-0926-SM-7LG4U 60-69 years, male 220.1
GTEX-1HCU8-2526-SM-CE6RX 60-69 years, female 220.1
GTEX-ZLFU-1826-SM-4WWBV 40-49 years, male 219.6
GTEX-1LGRB-0926-SM-COH3K 50-59 years, female 219.3
GTEX-13N11-2326-SM-5IJBF 50-59 years, female 218.8
GTEX-14BMV-2826-SM-5TDED 50-59 years, male 218.8
GTEX-1JJ6O-2726-SM-CNPOG 60-69 years, male 218.2
GTEX-16MT8-2926-SM-7DUFO 60-69 years, female 217.1
GTEX-145MG-1526-SM-5Q5EM 50-59 years, male 216.8
GTEX-1RMOY-1326-SM-E9TIH 50-59 years, male 216.8
GTEX-14PJ4-0226-SM-5YY92 60-69 years, male 215.6
GTEX-1GTWX-2026-SM-9YFLM 60-69 years, male 215.6
GTEX-X4EP-0626-SM-3P621 60-69 years, female 215.3
GTEX-17HHE-1326-SM-7EWDZ 50-59 years, male 215.0
GTEX-18QFQ-1826-SM-72D52 30-39 years, male 213.3
GTEX-1C2JI-1026-SM-73KY1 50-59 years, male 212.2
GTEX-Y3I4-1726-SM-4TT89 50-59 years, male 211.9
GTEX-1AX9I-2226-SM-73KUO 60-69 years, male 211.7
GTEX-18A7B-2726-SM-7LG56 70-79 years, male 211.4
GTEX-139YR-1026-SM-5LZYN 50-59 years, male 209.5
GTEX-15SHW-0226-SM-7LTAT 60-69 years, male 206.9
GTEX-1PPH7-1126-SM-DTX9A 40-49 years, male 206.2
GTEX-1H1DE-1326-SM-9KNUG 20-29 years, male 206.1
GTEX-11ZTT-2126-SM-5CVLO 60-69 years, female 205.9
GTEX-13OW5-2326-SM-5L3HO 60-69 years, male 205.4
GTEX-17HGU-2326-SM-7DUFE 50-59 years, male 205.4
GTEX-1F75I-2226-SM-7SB8U 40-49 years, male 204.4
GTEX-14AS3-1526-SM-5Q5ED 40-49 years, female 203.5
GTEX-13X6H-0926-SM-5SIB2 50-59 years, female 203.4
GTEX-1GPI7-1826-SM-9KNU1 20-29 years, male 202.9
GTEX-1JN76-0626-SM-CKZOQ 20-29 years, female 202.3
GTEX-14LLW-2626-SM-62LDZ 70-79 years, female 202.2
GTEX-13X6I-1826-SM-5SIAO 60-69 years, male 202.0
GTEX-14C5O-0326-SM-5ZZUX 60-69 years, male 199.3
GTEX-14E6C-2426-SM-5S2NF 40-49 years, male 198.4
GTEX-1QAET-0326-SM-EVR3U 50-59 years, male 197.4
GTEX-17MFQ-1526-SM-7KFRR 20-29 years, male 196.3
GTEX-11VI4-1126-SM-5EQMD 40-49 years, female 196.0
GTEX-XBED-1926-SM-47JYP 60-69 years, male 195.6
GTEX-13NZ8-1226-SM-5KM4A 60-69 years, female 194.9
GTEX-16BQI-1326-SM-6M486 30-39 years, female 194.7
GTEX-1A32A-0626-SM-731AQ 50-59 years, female 194.1
GTEX-131XG-0326-SM-5L3DX 50-59 years, female 192.6
GTEX-Y8LW-1526-SM-5IFHL 50-59 years, female 191.9
GTEX-1IDJU-1726-SM-CMKHU 60-69 years, female 191.9
GTEX-WH7G-2026-SM-3NMBL 40-49 years, male 191.7
GTEX-XUW1-0926-SM-4BONX 50-59 years, female 191.1
GTEX-11DXZ-2026-SM-5987S 50-59 years, male 190.9
GTEX-145LU-1926-SM-79OJN 50-59 years, male 190.4
GTEX-ZPIC-0526-SM-DO91W 40-49 years, female 189.3
GTEX-13X6K-0626-SM-5LU5D 60-69 years, female 189.2
GTEX-1QCLY-0226-SM-EWRNH 30-39 years, male 187.8
GTEX-147JS-0226-SM-5S2U9 60-69 years, male 187.0
GTEX-ZLV1-1526-SM-DO91J 60-69 years, female 186.0
GTEX-18D9U-0126-SM-731BM 40-49 years, male 185.7
GTEX-1F5PK-2226-SM-7SB6N 50-59 years, male 184.4
GTEX-1IDJV-0126-SM-COH3Y 60-69 years, male 184.1
GTEX-11DXX-2126-SM-5PNYR 60-69 years, female 183.6
GTEX-1JMPY-0226-SM-CKZOK 30-39 years, male 183.0
GTEX-ZF29-0926-SM-4WKFZ 60-69 years, female 182.9
GTEX-WHPG-2626-SM-3NMBR 50-59 years, male 182.5
GTEX-Y5V6-2326-SM-4VDSA 60-69 years, male 182.2
GTEX-14PJ3-1126-SM-5ZZVX 50-59 years, male 181.9
GTEX-15CHQ-0326-SM-69LQD 60-69 years, male 181.6
GTEX-Y9LG-1126-SM-4VBQ7 30-39 years, male 180.8
GTEX-1EH9U-2826-SM-7DUGT 60-69 years, male 180.7
GTEX-1GF9W-1426-SM-7PBYM 60-69 years, male 179.8
GTEX-14B4R-1326-SM-5Q5EZ 30-39 years, male 178.9
GTEX-12KS4-2126-SM-5FQUT 30-39 years, male 178.8
GTEX-16AAH-0626-SM-793C9 50-59 years, male 178.7
GTEX-1JJE9-2626-SM-ARZMT 70-79 years, male 177.4
GTEX-YJ8O-2526-SM-5HL85 40-49 years, female 177.2
GTEX-ZDYS-2426-SM-4WKGI 50-59 years, male 176.5
GTEX-1314G-1326-SM-5BC6E 30-39 years, male 175.9
GTEX-13FTW-0326-SM-5K7UW 40-49 years, male 175.9
GTEX-1HFI7-2326-SM-CGQFS 50-59 years, female 175.4
GTEX-1RAZR-2126-SM-E9U6T 40-49 years, male 175.4
GTEX-1CB4E-0926-SM-7EPHT 60-69 years, male 175.2
GTEX-XYKS-1426-SM-4BRUO 60-69 years, female 175.2
GTEX-Y8E4-2026-SM-5IFJB 40-49 years, male 174.0
GTEX-1CAMR-1326-SM-7PC1F 20-29 years, male 173.8
GTEX-17KNJ-2126-SM-718AM 50-59 years, male 173.0
GTEX-17F96-0126-SM-7EWDU 70-79 years, male 172.1
GTEX-1F6RS-2026-SM-7RHHC 60-69 years, female 171.3
GTEX-1R9PM-1926-SM-EVR3O 20-29 years, male 171.0
GTEX-1N5O9-0926-SM-E9J3C 60-69 years, male 170.3
GTEX-1QP9N-1226-SM-E76QN 30-39 years, male 169.5
GTEX-16NPX-0726-SM-7KULC 50-59 years, male 169.4
GTEX-1F52S-2926-SM-7MKGA 60-69 years, female 167.8
GTEX-1J8JJ-0626-SM-ARZMQ 60-69 years, female 167.8
GTEX-1399U-1126-SM-5L3DB 50-59 years, female 167.5
GTEX-1GZ2Q-0126-SM-9WG6M 40-49 years, male 166.2
GTEX-11EQ8-0926-SM-5H12V 60-69 years, male 166.1
GTEX-18A67-1626-SM-7LT9T 50-59 years, male 166.0
GTEX-1CB4F-1026-SM-7DUH1 60-69 years, male 165.8
GTEX-11P82-1426-SM-DTXFY 20-29 years, male 165.0
GTEX-ZVP2-0326-SM-57WBP 50-59 years, male 164.7
GTEX-XMD2-2126-SM-4YCF8 60-69 years, female 163.7
GTEX-ZTTD-2826-SM-4YCFA 50-59 years, male 163.7
GTEX-ZP4G-1426-SM-4WWCL 20-29 years, female 163.2
GTEX-111CU-1126-SM-5EGIM 50-59 years, male 162.0
GTEX-1RAZQ-1326-SM-E9TK6 30-39 years, male 161.9
GTEX-ZAJG-1526-SM-5CVML 50-59 years, female 161.1
GTEX-1QP29-1826-SM-DTX9S 50-59 years, male 160.5
GTEX-1KXAM-1626-SM-D3LAD 60-69 years, male 160.1
GTEX-ZDTT-0426-SM-4WKFL 60-69 years, male 159.6
GTEX-1B8KE-1126-SM-7EPHI 50-59 years, male 159.4
GTEX-1MCYP-0526-SM-E9U6Q 20-29 years, female 158.4
GTEX-12WSK-2126-SM-5CVNC 40-49 years, female 157.9
GTEX-18A7A-0126-SM-731AH 50-59 years, female 157.1
GTEX-1K9T9-1526-SM-DIPFR 50-59 years, female 155.2
GTEX-145ME-1726-SM-5Q5EU 40-49 years, female 155.1
GTEX-139D8-1126-SM-5LU8W 30-39 years, female 153.6
GTEX-WHWD-1826-SM-3LK6I 50-59 years, male 153.5
GTEX-1H3NZ-2726-SM-9WYTQ 60-69 years, male 153.1
GTEX-14PJ6-2626-SM-6EU2T 60-69 years, female 152.8
GTEX-1CB4H-1126-SM-7MKGL 60-69 years, female 152.8
GTEX-1477Z-0326-SM-7IGLA 60-69 years, male 151.3
GTEX-1GN1U-0626-SM-9MQL9 50-59 years, female 151.3
GTEX-1LBAC-0826-SM-CY8IJ 20-29 years, male 151.3
GTEX-15CHR-1126-SM-7EWF4 50-59 years, male 150.8
GTEX-15RIE-1926-SM-7KUKJ 60-69 years, male 149.5
GTEX-11P7K-1126-SM-5HL4L 30-39 years, male 148.9
GTEX-1PDJ9-1226-SM-EXUSX 20-29 years, male 147.8
GTEX-1PIGE-1826-SM-E8VOU 20-29 years, male 146.9
GTEX-1F6IF-0926-SM-7SB7M 60-69 years, male 146.3
GTEX-1HCUA-0826-SM-ADEHM 50-59 years, female 145.8
GTEX-WK11-2726-SM-3NMAQ 50-59 years, male 145.5
GTEX-15EU6-2226-SM-6EU2L 50-59 years, male 145.4
GTEX-13U4I-2226-SM-5LU5H 40-49 years, female 144.9
GTEX-1LSNM-0826-SM-DIPG8 50-59 years, male 144.9
GTEX-1HSGN-0826-SM-ACKW3 40-49 years, female 143.8
GTEX-14PJO-2526-SM-6AJBQ 60-69 years, male 143.6
GTEX-13VXT-1926-SM-5K7UO 20-29 years, female 142.8
GTEX-1GZ4H-0526-SM-9KNU9 50-59 years, female 142.4
GTEX-1JK1U-0226-SM-ARZMX 60-69 years, male 142.2
GTEX-15RJ7-2126-SM-6PAMD 40-49 years, male 140.9
GTEX-13FTX-1526-SM-5K7VJ 20-29 years, female 140.7
GTEX-17F98-1326-SM-7DUEP 40-49 years, female 138.9
GTEX-1AMFI-1326-SM-7939R 50-59 years, female 138.8
GTEX-11LCK-2226-SM-5HL4Q 30-39 years, male 138.0
GTEX-12WSC-2826-SM-5BC5Y 50-59 years, male 137.9
GTEX-131YS-2826-SM-5EQ47 60-69 years, female 137.5
GTEX-14PJ5-1526-SM-6LLIL 60-69 years, female 137.1
GTEX-15FZZ-0526-SM-7KUGD 30-39 years, female 136.9
GTEX-1IDJC-1526-SM-B2LW4 50-59 years, male 135.5
GTEX-1JKYR-0626-SM-ARL8R 20-29 years, male 134.8
GTEX-1S3DN-2126-SM-E9TIN 50-59 years, male 133.8
GTEX-1O9I2-0226-SM-EYYXD 50-59 years, male 133.5
GTEX-1HKZK-0726-SM-ACKW2 40-49 years, male 132.0
GTEX-139T8-0626-SM-5KLZX 60-69 years, male 131.3
GTEX-13W3W-0726-SM-5IJDQ 60-69 years, female 129.4
GTEX-15CHC-1126-SM-6LLHQ 60-69 years, female 129.4
GTEX-Y5LM-0926-SM-6LLJG 40-49 years, female 129.0
GTEX-1QW4Y-1126-SM-DTXE3 30-39 years, male 129.0
GTEX-1I1CD-0626-SM-CE6SW 60-69 years, female 128.3
GTEX-14PK6-0226-SM-62LF5 70-79 years, female 128.1
GTEX-ZVE2-2826-SM-5GU51 50-59 years, male 127.9
GTEX-1R7EU-1626-SM-DTXG3 60-69 years, male 127.7
GTEX-14PKU-0126-SM-6LLHV 40-49 years, female 127.4
GTEX-14PHY-1226-SM-5ZZWK 60-69 years, female 127.2
GTEX-ZY6K-1426-SM-5GZX2 50-59 years, male 126.4
GTEX-ZZPU-0826-SM-5GZX5 50-59 years, female 126.1
GTEX-X5EB-1926-SM-4E3IW 40-49 years, male 125.8
GTEX-1AMEY-0826-SM-72D65 30-39 years, female 125.0
GTEX-ZPU1-1126-SM-4YCF3 40-49 years, male 124.5
GTEX-1K2DA-1026-SM-CGQGF 50-59 years, male 123.6
GTEX-1B996-0426-SM-7EWF8 60-69 years, male 123.0
GTEX-1RB15-1326-SM-E76Q9 60-69 years, male 120.2
GTEX-1LVAN-0626-SM-CNPOQ 50-59 years, female 119.7
GTEX-18A66-0626-SM-7LT8Z 60-69 years, male 118.5
GTEX-1122O-1026-SM-9WYSF 60-69 years, female 116.8
GTEX-13FH7-1126-SM-5K7UG 50-59 years, female 116.7
GTEX-WYBS-0626-SM-3NMAS 60-69 years, female 116.1
GTEX-1H1E6-0426-SM-9WYUS 30-39 years, male 116.0
GTEX-16NGA-0726-SM-731AO 40-49 years, female 115.8
GTEX-1A3MV-1826-SM-731CD 30-39 years, male 115.5
GTEX-UPK5-0426-SM-3GAEK 40-49 years, male 114.5
GTEX-1KANA-1326-SM-DIPFA 20-29 years, male 113.9
GTEX-1HSMP-0926-SM-A9SKX 70-79 years, male 112.1
GTEX-1GF9X-1326-SM-7PC2Y 40-49 years, female 111.5
GTEX-1GN1W-2426-SM-9KNUU 50-59 years, female 109.6
GTEX-12BJ1-0926-SM-5EQ62 60-69 years, male 109.5
GTEX-1B97I-0626-SM-73KUZ 40-49 years, male 109.3
GTEX-12C56-1526-SM-5FQUQ 20-29 years, male 108.4
GTEX-ZWKS-0626-SM-5GIDV 30-39 years, male 108.3
GTEX-16MTA-0926-SM-6M47Z 50-59 years, male 107.5
GTEX-11NSD-0626-SM-5A5LU 20-29 years, male 106.9
GTEX-1CB4I-0126-SM-7RHGG 50-59 years, male 105.8
GTEX-13N2G-0226-SM-5K7VF 60-69 years, male 105.0
GTEX-1JN6P-2926-SM-CL54D 60-69 years, male 104.2
GTEX-WEY5-2326-SM-3GIKK 40-49 years, female 104.1
GTEX-18D9A-1426-SM-7LT8M 30-39 years, female 103.4
GTEX-ZA64-1026-SM-5HL8R 20-29 years, male 102.8
GTEX-178AV-1726-SM-7KUL8 40-49 years, male 102.6
GTEX-1HUB1-1426-SM-CGQF5 60-69 years, male 101.9
GTEX-YEC4-1826-SM-4W1YP 40-49 years, male 101.7
GTEX-1JKYN-0826-SM-ARU8S 30-39 years, male 101.2
GTEX-1S831-1826-SM-EWROF 20-29 years, male 101.2
GTEX-111YS-1526-SM-5GZYW 60-69 years, male 100.9
GTEX-1HCU9-0426-SM-9WYSD 20-29 years, male 100.9
GTEX-1LGOU-1326-SM-D3L8M 20-29 years, female 99.8
GTEX-11EQ9-1626-SM-5PNY8 30-39 years, male 99.7
GTEX-YB5K-2026-SM-4VDT3 40-49 years, female 98.8
GTEX-11EM3-1226-SM-5N9DD 20-29 years, female 98.7
GTEX-145MN-1526-SM-5SI9T 30-39 years, male 97.6
GTEX-1211K-1526-SM-5FQU4 60-69 years, female 96.9
GTEX-117YX-1926-SM-5GIEC 50-59 years, male 95.8
GTEX-ZYFG-1526-SM-5GZYM 60-69 years, female 95.3
GTEX-1HC8U-1326-SM-9YFMJ 40-49 years, female 92.2
GTEX-1GL5R-1326-SM-7RHHF 50-59 years, male 91.5
GTEX-Y5V5-0126-SM-5S2NW 60-69 years, female 91.4
GTEX-V1D1-2026-SM-3GAF4 50-59 years, male 90.9
GTEX-14BMU-1226-SM-5S2OR 20-29 years, female 90.7
GTEX-XAJ8-1426-SM-47JYM 40-49 years, male 90.5
GTEX-1I4MK-0126-SM-CY8G6 50-59 years, female 90.2
GTEX-1E1VI-0326-SM-793D1 50-59 years, male 89.8
GTEX-1J1R8-2026-SM-CL53Y 40-49 years, male 88.9
GTEX-1J8Q3-0526-SM-ARL8U 60-69 years, male 88.4
GTEX-1QP66-1226-SM-DTX7U 50-59 years, male 86.1
GTEX-1GMR3-0126-SM-A9SLW 40-49 years, male 85.9
GTEX-1QCLZ-2426-SM-EVYBW 60-69 years, female 85.2
GTEX-13PVR-0426-SM-5RQK2 60-69 years, female 85.1
GTEX-ZVT2-0126-SM-5GIDQ 50-59 years, female 84.9
GTEX-1F5PL-0926-SM-7PC2W 40-49 years, female 84.5
GTEX-VJYA-1526-SM-3GIJV 60-69 years, male 82.6
GTEX-1B8KZ-0326-SM-73KY4 50-59 years, male 81.7
GTEX-147F3-1726-SM-5SIAW 50-59 years, female 81.6
GTEX-1IDJD-2326-SM-ACKWX 30-39 years, male 80.9
GTEX-14JG6-1426-SM-9WG7C 30-39 years, female 80.6
GTEX-1C475-1326-SM-7SB73 40-49 years, female 80.2
GTEX-WY7C-2126-SM-3NB2R 50-59 years, male 79.0
GTEX-WXYG-2026-SM-4E3IY 50-59 years, female 78.2
GTEX-16MT9-0126-SM-7EPI8 60-69 years, female 77.8
GTEX-1AX8Z-0726-SM-73KTS 60-69 years, male 77.2
GTEX-11EI6-2826-SM-5H11D 60-69 years, male 76.2
GTEX-1KANC-1226-SM-CYPT7 50-59 years, female 76.2
GTEX-145MO-2826-SM-5LU96 60-69 years, male 74.9
GTEX-12WSA-0426-SM-5EQ5X 60-69 years, male 73.4
GTEX-14PJ2-0626-SM-6LLII 50-59 years, male 72.8
GTEX-14E6E-0526-SM-793DN 30-39 years, male 71.6
GTEX-1I6K7-1926-SM-B2LXR 40-49 years, male 71.6
GTEX-12WSL-2026-SM-5GCML 50-59 years, male 70.8
GTEX-ZLWG-0826-SM-59888 50-59 years, female 68.9
GTEX-14A6H-2026-SM-5Q5DD 30-39 years, male 68.3
GTEX-13QBU-1226-SM-5LU4G 40-49 years, female 66.6
GTEX-1C64O-1326-SM-7MGWR 60-69 years, male 66.6
GTEX-11TT1-1826-SM-5EQLV 20-29 years, male 66.0
GTEX-1GMR2-0826-SM-7PC3V 50-59 years, male 65.5
GTEX-1LG7Z-1626-SM-CXKYR 30-39 years, male 64.9
GTEX-14DAR-1226-SM-73KYV 50-59 years, male 64.3
GTEX-ZTSS-1426-SM-5985P 40-49 years, male 64.2
GTEX-YEC3-1326-SM-DO92X 50-59 years, male 64.2
GTEX-XK95-0226-SM-4AT58 40-49 years, male 62.6
GTEX-183FY-1026-SM-7939A 20-29 years, male 59.8
GTEX-X3Y1-2026-SM-3P5YM 40-49 years, male 59.8
GTEX-ZGAY-1826-SM-DO91Q 40-49 years, female 59.5
GTEX-XPVG-2126-SM-4B667 50-59 years, male 59.0
GTEX-1ICG6-1226-SM-A9SLN 70-79 years, female 58.7
GTEX-ZZ64-1026-SM-5GZXG 20-29 years, male 55.7
GTEX-13OVG-1626-SM-5J1NF 60-69 years, male 54.5
GTEX-1IDJF-2026-SM-CL53V 20-29 years, male 53.9
GTEX-1497J-0226-SM-5QGPU 60-69 years, male 50.4
GTEX-WYJK-0526-SM-3NM8Z 50-59 years, male 49.3
GTEX-13NZ9-2626-SM-5L3FK 50-59 years, male 48.8
GTEX-1I6K6-1726-SM-CGQFD 30-39 years, male 48.7
GTEX-145LT-0526-SM-5LUB2 40-49 years, male 40.0
GTEX-17JCI-2926-SM-7DUFF 60-69 years, female 38.4
GTEX-1I19N-0126-SM-CYPSF 70-79 years, male 37.7
GTEX-1IDJE-1426-SM-ADEIW 50-59 years, female 34.7
GTEX-WFON-1926-SM-3LK7L 40-49 years, male 33.6
GTEX-1F75W-2726-SM-7SB8H 60-69 years, male 29.4
GTEX-13JUV-2026-SM-5K7UA 40-49 years, female 29.1
GTEX-1399R-1326-SM-5PNYS 30-39 years, male 28.8
GTEX-ZT9W-1126-SM-57WDR 50-59 years, male 26.8
GTEX-WFG8-2126-SM-3GIKQ 20-29 years, male 25.3
GTEX-1RAZA-2226-SM-E9U4X 20-29 years, male 24.6
GTEX-14PKV-1126-SM-6LLJ1 20-29 years, female 22.0
GTEX-ZVTK-0226-SM-51MRG 20-29 years, male 17.0
GTEX-YF7O-1526-SM-5IFI6 50-59 years, male 10.1
GTEX-1AX9J-1326-SM-731BJ 60-69 years, male 7.8
GTEX-17EVQ-0126-SM-7IGLR 70-79 years, male 3.0
GTEX-16GPK-0626-SM-7KFSF 60-69 years, male 2.3
GTEX-ZUA1-2626-SM-5NQ92 40-49 years, male 2.1
GTEX-1GF9U-2026-SM-7SB92 40-49 years, female 1.8
GTEX-111FC-2526-SM-5GZXU 60-69 years, male 1.4
GTEX-1L5NE-1126-SM-D3L9P 50-59 years, male 0.7
Show allShow less
Skin - Sun Exposed (Lower leg)
Average nTPM: 199.3
Samples: 701

Max nTPM: 1312.0
Min nTPM: 0.0
Std nTPM: 148.1
Median nTPM: 163.7
GTEX-W5X1-3026-SM-EAZAX 40-49 years, female 1312.0
GTEX-14PN4-0126-SM-6EU2V 50-59 years, male 1033.2
GTEX-13OVH-0126-SM-5MR4B 70-79 years, male 913.9
GTEX-139TS-2826-SM-5J1OO 60-69 years, male 846.5
GTEX-1H1DG-0126-SM-9WYU2 70-79 years, male 783.3
GTEX-1C6VQ-0126-SM-7P8RI 50-59 years, male 742.2
GTEX-1PIIG-0226-SM-EWRN6 30-39 years, male 723.4
GTEX-12584-0126-SM-5EGKQ 40-49 years, male 698.8
GTEX-WI4N-1026-SM-3LK7N 40-49 years, female 688.8
GTEX-13CF2-2526-SM-5LZYX 60-69 years, male 657.5
GTEX-1HBPM-0226-SM-ARL9F 60-69 years, female 636.5
GTEX-ZYFD-0126-SM-5GIDL 50-59 years, male 621.9
GTEX-Z93S-0126-SM-5HL7M 50-59 years, male 570.6
GTEX-1R46S-0626-SM-E9J41 60-69 years, female 570.6
GTEX-11H98-0126-SM-5EGHG 50-59 years, male 567.3
GTEX-ZF3C-0126-SM-DO92D 50-59 years, female 565.4
GTEX-11UD2-0226-SM-5EQKY 50-59 years, male 554.3
GTEX-1JMQL-0226-SM-CNPP5 50-59 years, female 552.7
GTEX-139UW-2826-SM-5L3E7 60-69 years, male 552.0
GTEX-Y3IK-2426-SM-4WWDU 50-59 years, female 543.7
GTEX-1192W-2626-SM-5Q5AF 60-69 years, male 541.0
GTEX-1HCU8-0626-SM-A9SM9 60-69 years, female 537.0
GTEX-132NY-0326-SM-5IJBL 60-69 years, male 531.2
GTEX-Y111-0126-SM-4SOIV 50-59 years, male 527.1
GTEX-145MF-0626-SM-5LUAI 50-59 years, male 513.8
GTEX-1JJEA-0326-SM-CNPOT 60-69 years, male 512.8
GTEX-15ER7-0326-SM-7KUEV 20-29 years, female 509.5
GTEX-11DXZ-2326-SM-5EGGV 50-59 years, male 500.1
GTEX-1JJ6O-0126-SM-E6CI8 60-69 years, male 499.8
GTEX-ZV68-0126-SM-59HKS 50-59 years, female 499.7
GTEX-1GN2E-0426-SM-9MQKX 60-69 years, male 492.5
GTEX-1LC47-0326-SM-E9TJP 60-69 years, male 491.5
GTEX-SN8G-0126-SM-32PLI 50-59 years, female 484.2
GTEX-1IKJJ-0126-SM-CNPQB 60-69 years, male 480.1
GTEX-1NV5F-0226-SM-E8VNY 60-69 years, female 477.7
GTEX-T2YK-0526-SM-32QPJ 50-59 years, male 475.4
GTEX-YFC4-0126-SM-5CVLY 40-49 years, female 467.3
GTEX-14JG1-0426-SM-6ETZZ 40-49 years, male 464.6
GTEX-1A3MW-0126-SM-73KXX 60-69 years, female 456.9
GTEX-Y8DK-0126-SM-4TT3L 60-69 years, male 455.1
GTEX-1RB15-2126-SM-E9TIM 60-69 years, male 453.7
GTEX-RTLS-0126-SM-447CA 60-69 years, female 442.7
GTEX-1399U-2326-SM-5K7WY 50-59 years, female 437.3
GTEX-P4QT-0126-SM-2I3FL 50-59 years, female 436.7
GTEX-PVOW-0126-SM-2XCFA 40-49 years, male 435.5
GTEX-13FXS-0226-SM-5IJCK 50-59 years, male 433.4
GTEX-1122O-2126-SM-5EGIR 60-69 years, female 430.6
GTEX-18A6Q-0126-SM-731BZ 60-69 years, male 430.6
GTEX-P4PP-0126-SM-3LK69 30-39 years, female 426.6
GTEX-12696-2426-SM-5EQ6H 60-69 years, male 426.2
GTEX-1JMQI-2226-SM-CM2SD 50-59 years, male 423.6
GTEX-16GPK-0126-SM-7DHLE 60-69 years, male 421.3
GTEX-1HBPI-1526-SM-C1YQ1 50-59 years, male 417.9
GTEX-15UF6-0826-SM-6PALJ 70-79 years, female 417.7
GTEX-13111-1626-SM-5EGJY 50-59 years, male 413.8
GTEX-11TUW-2726-SM-E9J4M 60-69 years, male 410.1
GTEX-RU72-0926-SM-2TF6B 50-59 years, female 409.9
GTEX-15D1Q-0126-SM-7KUG6 40-49 years, male 402.4
GTEX-145MI-0526-SM-5O9A8 60-69 years, female 400.7
GTEX-1IOXB-0126-SM-ARL8G 50-59 years, male 400.5
GTEX-1EMGI-0126-SM-9KNUE 60-69 years, male 398.0
GTEX-X88G-0126-SM-47JZ3 30-39 years, male 396.7
GTEX-SIU8-0126-SM-2XCDT 50-59 years, male 391.9
GTEX-13YAN-0326-SM-5O9DF 60-69 years, male 391.3
GTEX-144FL-0126-SM-5TDC8 50-59 years, male 389.2
GTEX-117XS-2726-SM-5N9BL 60-69 years, male 388.9
GTEX-YJ89-0126-SM-4TT3X 60-69 years, male 388.5
GTEX-1HCU7-0226-SM-CL545 50-59 years, male 388.4
GTEX-X4XY-0226-SM-4E3IZ 60-69 years, male 388.3
GTEX-ZVZO-0126-SM-5A5L9 40-49 years, male 386.6
GTEX-1S3DN-2226-SM-EVYCD 50-59 years, male 386.5
GTEX-12WSE-0526-SM-793B2 20-29 years, male 385.9
GTEX-1497J-2426-SM-7IGNX 60-69 years, male 385.8
GTEX-1I1GV-0526-SM-A9G29 60-69 years, male 381.9
GTEX-1CB4G-0226-SM-7PC3O 60-69 years, male 379.6
GTEX-ZE9C-2726-SM-57WB5 60-69 years, male 378.7
GTEX-1399R-2726-SM-5IJBA 30-39 years, male 378.3
GTEX-1GMR3-1926-SM-9KNUZ 40-49 years, male 376.5
GTEX-1211K-2026-SM-5EQ4Z 60-69 years, female 374.9
GTEX-ZTX8-1426-SM-5DUVO 20-29 years, male 371.3
GTEX-1HGF4-2426-SM-ACKXM 60-69 years, male 370.7
GTEX-UPJH-0326-SM-3GADU 50-59 years, male 370.2
GTEX-1JN1M-0326-SM-CYPT3 60-69 years, female 369.6
GTEX-11DXW-0226-SM-5H122 40-49 years, male 369.4
GTEX-16XZZ-0126-SM-793DV 60-69 years, male 368.0
GTEX-148VJ-0126-SM-5TDDN 70-79 years, male 365.1
GTEX-PWO3-1526-SM-48TCM 60-69 years, female 364.8
GTEX-X261-0126-SM-3NMD6 50-59 years, male 363.7
GTEX-1CB4F-0426-SM-9KNV4 60-69 years, male 363.3
GTEX-131YS-0126-SM-5KM1M 60-69 years, female 361.6
GTEX-1HFI6-0226-SM-ADEHZ 40-49 years, male 354.2
GTEX-183WM-0126-SM-7LTAB 70-79 years, female 354.1
GTEX-1H1CY-2826-SM-9MQM3 60-69 years, female 353.0
GTEX-13113-5016-SM-7EPIP 60-69 years, female 352.5
GTEX-13112-2826-SM-5DUWH 50-59 years, male 351.7
GTEX-1H1ZS-0426-SM-9WG6G 70-79 years, male 351.6
GTEX-1HT8W-0126-SM-CNPPP 30-39 years, male 351.2
GTEX-PX3G-0126-SM-2I3EN 20-29 years, female 349.4
GTEX-145MO-0326-SM-5Q5B3 60-69 years, male 348.9
GTEX-RVPV-0126-SM-EAZAW 60-69 years, male 347.7
GTEX-1GZ2Q-0226-SM-7P8TL 40-49 years, male 347.3
GTEX-15ETS-0126-SM-7KUMW 40-49 years, female 346.2
GTEX-146FQ-0126-SM-5NQA9 30-39 years, male 344.8
GTEX-1128S-2326-SM-5GZZY 60-69 years, female 344.5
GTEX-1KD4Q-0226-SM-E9TJ9 40-49 years, male 343.1
GTEX-XUZC-1726-SM-4BRWS 30-39 years, female 341.8
GTEX-13NYB-2526-SM-5K7Z6 40-49 years, male 340.9
GTEX-1MJK2-0426-SM-DTXE5 50-59 years, male 340.7
GTEX-14BIN-0626-SM-793DP 50-59 years, female 340.3
GTEX-11WQK-0526-SM-5EQLD 50-59 years, male 338.9
GTEX-ZTPG-0326-SM-5O9AX 20-29 years, female 338.5
GTEX-TKQ1-1026-SM-4GICL 30-39 years, male 336.6
GTEX-13SLW-0126-SM-5SI6C 70-79 years, male 335.4
GTEX-1C64N-0126-SM-793D7 50-59 years, male 333.9
GTEX-ZF2S-2326-SM-4WWCE 50-59 years, female 329.6
GTEX-17KNJ-2326-SM-7DHLQ 50-59 years, male 329.5
GTEX-1L5NE-2526-SM-E6CIE 50-59 years, male 327.2
GTEX-14E6D-0126-SM-62LDV 50-59 years, male 327.0
GTEX-1IDJH-0326-SM-A9SLQ 70-79 years, male 326.9
GTEX-13X6I-0626-SM-5QGP9 60-69 years, male 324.2
GTEX-ZVTK-0426-SM-51MRS 20-29 years, male 324.1
GTEX-NPJ8-0126-SM-2YUNR 40-49 years, male 322.5
GTEX-1212Z-2526-SM-5EGKP 60-69 years, male 319.6
GTEX-14A5I-0126-SM-5TDEA 50-59 years, female 317.9
GTEX-11TT1-2526-SM-5EGIB 20-29 years, male 316.7
GTEX-1B8L1-2526-SM-9WYTF 60-69 years, male 316.7
GTEX-1QAET-0926-SM-E76QM 50-59 years, male 316.2
GTEX-1OJC3-0126-SM-E76QX 20-29 years, male 314.7
GTEX-WFG8-2226-SM-3GIL9 20-29 years, male 314.5
GTEX-PLZ6-1426-SM-DKPOT 30-39 years, male 314.3
GTEX-T6MN-0126-SM-32PLP 50-59 years, male 313.2
GTEX-OOBJ-0126-SM-E6CJW 60-69 years, male 312.3
GTEX-QESD-1426-SM-2S1R9 20-29 years, male 312.2
GTEX-13U4I-0126-SM-5LU38 40-49 years, female 309.8
GTEX-1192X-0226-SM-5H12D 50-59 years, male 307.5
GTEX-15RIG-0226-SM-7KFTL 40-49 years, male 306.6
GTEX-1H3VE-0326-SM-9YFLH 40-49 years, male 306.0
GTEX-147GR-0526-SM-5S2MY 60-69 years, male 305.8
GTEX-145LS-0126-SM-5QGP1 60-69 years, female 305.1
GTEX-1JMQJ-0526-SM-CYPSU 50-59 years, male 304.9
GTEX-1JMLX-0226-SM-CM2RO 50-59 years, male 304.0
GTEX-1PPH8-0226-SM-E8VND 20-29 years, male 302.9
GTEX-1KWVE-1426-SM-E9TJO 30-39 years, male 298.5
GTEX-14E6C-0126-SM-5RQIP 40-49 years, male 296.2
GTEX-ZE7O-0126-SM-57WC1 50-59 years, female 295.9
GTEX-ZYY3-0126-SM-5GZY5 60-69 years, female 294.9
GTEX-X4EO-0326-SM-3P5YO 60-69 years, female 293.8
GTEX-1CAV2-2226-SM-7P8P2 40-49 years, female 293.7
GTEX-17GQL-2026-SM-718BA 60-69 years, male 293.3
GTEX-1C6VR-2426-SM-79OLD 60-69 years, male 291.3
GTEX-12ZZX-0126-SM-5EGK9 40-49 years, female 290.8
GTEX-15G19-0126-SM-6PANQ 60-69 years, male 290.0
GTEX-1HCU6-0126-SM-CL54K 60-69 years, female 289.3
GTEX-1F6I4-0126-SM-9MQL2 60-69 years, male 288.8
GTEX-13O3P-0126-SM-5KM4S 50-59 years, male 286.6
GTEX-17EVP-0326-SM-7DHLG 40-49 years, male 286.3
GTEX-1JMPZ-0226-SM-CNPP1 30-39 years, male 286.0
GTEX-VJWN-0126-SM-3GIK7 50-59 years, female 282.4
GTEX-ZDTS-0126-SM-4WAY5 60-69 years, male 281.9
GTEX-1POEN-0126-SM-EYYXJ 30-39 years, female 281.9
GTEX-13IVO-0126-SM-5J1NG 70-79 years, male 281.4
GTEX-13OW6-0426-SM-5L3HM 50-59 years, male 281.1
GTEX-13PDP-0126-SM-5L3HD 60-69 years, male 277.3
GTEX-18465-0126-SM-731BN 50-59 years, male 276.7
GTEX-1CB4H-0226-SM-7PBXM 60-69 years, female 275.1
GTEX-1B8SG-0126-SM-73KZ3 50-59 years, male 274.7
GTEX-1399T-2826-SM-5KLYZ 60-69 years, male 272.7
GTEX-1A3MX-0126-SM-731BR 60-69 years, male 272.7
GTEX-XUYS-0126-SM-47JWZ 50-59 years, male 272.3
GTEX-1RDX4-0126-SM-E9J4P 50-59 years, female 270.0
GTEX-17HHY-0126-SM-7LG5D 50-59 years, male 269.0
GTEX-17HG3-2226-SM-7938L 30-39 years, female 268.3
GTEX-PSDG-0226-SM-DKPOZ 50-59 years, male 267.9
GTEX-11ZVC-2526-SM-5FQTE 50-59 years, female 267.8
GTEX-1JN6P-0126-SM-D3L98 60-69 years, male 267.3
GTEX-11GS4-2726-SM-5A5LE 60-69 years, male 265.2
GTEX-111FC-0126-SM-5N9DL 60-69 years, male 262.9
GTEX-O5YW-0126-SM-3LK6D 50-59 years, male 261.6
GTEX-1E1VI-0126-SM-7DHMZ 50-59 years, male 261.5
GTEX-113JC-2326-SM-5EQ4E 50-59 years, female 260.1
GTEX-11ZTS-0126-SM-5EQ6M 60-69 years, female 260.1
GTEX-OXRN-0126-SM-48TDM 50-59 years, male 259.1
GTEX-1N2DW-0226-SM-E9TK2 50-59 years, male 257.9
GTEX-1H3O1-0426-SM-9YFKY 60-69 years, male 255.2
GTEX-ZYT6-0226-SM-5NQ6T 30-39 years, male 255.1
GTEX-YB5E-2026-SM-5IFIS 40-49 years, male 254.6
GTEX-1J1OQ-0226-SM-CYPSH 40-49 years, female 253.2
GTEX-XBEW-0626-SM-4QASP 40-49 years, male 252.8
GTEX-SJXC-0126-SM-2XCFF 60-69 years, male 252.2
GTEX-Y114-2426-SM-4TT8A 50-59 years, female 252.0
GTEX-131XF-5016-SM-7MGWE 60-69 years, male 251.9
GTEX-XQ3S-1526-SM-4BOOC 20-29 years, male 251.4
GTEX-1PWST-0226-SM-E76QJ 70-79 years, male 250.5
GTEX-17F96-1626-SM-7DUFL 70-79 years, male 249.8
GTEX-1H4P4-0726-SM-9YFLR 50-59 years, male 248.8
GTEX-ZAK1-0126-SM-5IJD3 50-59 years, female 248.6
GTEX-1EWIQ-0126-SM-7RHH2 70-79 years, female 248.6
GTEX-1GMRU-0126-SM-9YFLV 50-59 years, male 248.6
GTEX-11ZU8-2526-SM-5EQKI 60-69 years, male 248.0
GTEX-15SHU-0126-SM-7KUEH 40-49 years, female 246.7
GTEX-1J8JJ-0226-SM-CL53I 60-69 years, female 244.4
GTEX-14DAQ-0126-SM-5S2MQ 60-69 years, female 243.7
GTEX-SSA3-0126-SM-32QPU 60-69 years, male 243.0
GTEX-S7SE-0126-SM-2XCD5 50-59 years, male 242.9
GTEX-S32W-2126-SM-2XCB1 50-59 years, female 241.5
GTEX-17JCI-0126-SM-7LG5G 60-69 years, female 241.2
GTEX-1O97I-0326-SM-EYYX7 60-69 years, male 239.6
GTEX-11DXY-2626-SM-5GIE7 60-69 years, male 238.7
GTEX-11OC5-0126-SM-5HL6A 60-69 years, male 238.6
GTEX-ZEX8-2426-SM-4WKG4 50-59 years, male 237.7
GTEX-1QMI2-0226-SM-EVYBX 60-69 years, male 237.7
GTEX-18A66-0226-SM-718BD 60-69 years, male 237.1
GTEX-11LCK-1026-SM-5A5KB 30-39 years, male 236.8
GTEX-1QP66-1726-SM-E8VO1 50-59 years, male 236.4
GTEX-131XE-2326-SM-5PNZ2 50-59 years, male 235.6
GTEX-1EU9M-0226-SM-7P8SP 60-69 years, male 235.6
GTEX-145MN-2226-SM-5SIAU 30-39 years, male 235.3
GTEX-Y5LM-1926-SM-5RQJH 40-49 years, female 235.3
GTEX-1F75B-0126-SM-9KNVL 50-59 years, male 235.2
GTEX-XV7Q-2526-SM-4BRV9 40-49 years, female 235.0
GTEX-ZV6S-2326-SM-4YCEY 40-49 years, female 234.8
GTEX-TMZS-0126-SM-3DB9Q 60-69 years, male 232.6
GTEX-QEG4-0226-SM-2S1PY 30-39 years, male 232.4
GTEX-1K2DA-1826-SM-CGQGT 50-59 years, male 232.3
GTEX-1KANC-1526-SM-D3LAB 50-59 years, female 231.3
GTEX-139D8-0226-SM-5KLZO 30-39 years, female 231.0
GTEX-1HSMO-0126-SM-CL547 60-69 years, male 231.0
GTEX-17MF6-0126-SM-7LG4F 40-49 years, male 229.6
GTEX-1I1GS-0126-SM-B2LVW 60-69 years, male 228.4
GTEX-1H3NZ-0126-SM-ACKX7 60-69 years, male 228.2
GTEX-ZDTT-2726-SM-4WKF8 60-69 years, male 228.0
GTEX-1EX96-1626-SM-7PBXR 50-59 years, male 227.6
GTEX-T2IS-0126-SM-4DM6O 20-29 years, female 227.3
GTEX-1IKK5-0626-SM-ARL8A 60-69 years, male 226.7
GTEX-13CF3-2426-SM-5IFGX 60-69 years, female 226.1
GTEX-1LGRB-2526-SM-CNPPQ 50-59 years, female 225.3
GTEX-12126-0326-SM-5PNW3 20-29 years, male 224.6
GTEX-ZDYS-2026-SM-5HL5L 50-59 years, male 224.2
GTEX-1K2DU-2326-SM-E9TIV 20-29 years, male 223.3
GTEX-15F5U-1526-SM-6PANO 40-49 years, male 222.2
GTEX-1H23P-0126-SM-ADEJ3 60-69 years, male 221.9
GTEX-14753-0426-SM-5NQAM 60-69 years, male 221.7
GTEX-13O3Q-2426-SM-5IJBR 50-59 years, male 221.0
GTEX-12WSJ-1826-SM-5GCNY 40-49 years, female 220.3
GTEX-1RQEC-0426-SM-E6CHU 60-69 years, male 219.9
GTEX-1I1GR-0126-SM-CL55F 60-69 years, male 219.0
GTEX-S33H-1026-SM-EZ6L6 30-39 years, male 217.8
GTEX-1JMQK-0226-SM-CL543 60-69 years, male 217.6
GTEX-13OVK-2026-SM-7KUEO 40-49 years, male 217.2
GTEX-X4EP-0126-SM-3P5YV 60-69 years, female 216.8
GTEX-1F7RK-0126-SM-7PC2S 20-29 years, female 216.8
GTEX-S7PM-0126-SM-4AD6S 60-69 years, male 216.2
GTEX-WVJS-0126-SM-4MVOT 50-59 years, male 215.5
GTEX-ZYFC-0226-SM-5NQ75 50-59 years, male 214.1
GTEX-1KAFJ-2026-SM-CY8ID 50-59 years, male 213.4
GTEX-ZAB4-0226-SM-5N9F5 40-49 years, male 213.1
GTEX-13RTJ-2426-SM-5S2Q2 60-69 years, male 212.6
GTEX-14PJM-0226-SM-62LF1 50-59 years, female 212.1
GTEX-YJ8A-0426-SM-5IFID 20-29 years, male 211.5
GTEX-1HCU9-1526-SM-A9SL7 20-29 years, male 211.2
GTEX-13OVI-1426-SM-5L3EY 60-69 years, female 209.9
GTEX-14PHX-2326-SM-62LEM 50-59 years, male 209.8
GTEX-ZU9S-0226-SM-5E441 30-39 years, male 205.4
GTEX-14XAO-2326-SM-6EU1B 60-69 years, female 204.8
GTEX-1B8SF-1426-SM-7DUGL 60-69 years, male 203.7
GTEX-U412-0426-SM-3DB9O 60-69 years, male 202.2
GTEX-TML8-1926-SM-32QOS 40-49 years, female 201.6
GTEX-1M4P7-0226-SM-DIPEV 60-69 years, male 201.6
GTEX-1MA7X-2226-SM-E6CIY 60-69 years, male 200.9
GTEX-1GF9V-0326-SM-7RHI5 60-69 years, male 200.6
GTEX-1E2YA-0126-SM-9KNUC 50-59 years, male 200.0
GTEX-VUSG-2526-SM-4KL1V 50-59 years, male 198.9
GTEX-13VXU-0126-SM-5SI9F 50-59 years, male 198.7
GTEX-1MA7W-2026-SM-E9TJ6 20-29 years, female 197.9
GTEX-1BAJH-0526-SM-793CQ 70-79 years, male 197.8
GTEX-1LG7Y-0526-SM-DKPQC 50-59 years, male 196.5
GTEX-16MT8-0426-SM-7KUEY 60-69 years, female 196.1
GTEX-15UKP-0426-SM-7KUFQ 20-29 years, male 195.8
GTEX-1GZHY-0326-SM-9QEHI 50-59 years, female 193.8
GTEX-13NYS-0126-SM-5MR3W 60-69 years, male 192.7
GTEX-1IGQW-0126-SM-COH42 60-69 years, male 191.8
GTEX-1QPFJ-0226-SM-E76PB 30-39 years, female 191.7
GTEX-WYJK-0126-SM-3NMAB 50-59 years, male 191.4
GTEX-1LG7Z-1726-SM-D3LA4 30-39 years, male 189.8
GTEX-X4XX-0126-SM-3NMC2 60-69 years, male 189.4
GTEX-18D9A-1926-SM-7LG6P 30-39 years, female 188.4
GTEX-11DYG-0126-SM-59883 60-69 years, male 187.6
GTEX-1IDJF-0126-SM-CM2RS 20-29 years, male 187.5
GTEX-1HCUA-2426-SM-ADEIS 50-59 years, female 186.9
GTEX-13FTW-2626-SM-5K7WL 40-49 years, male 186.3
GTEX-OOBK-0126-SM-2YUND 40-49 years, male 186.2
GTEX-ZY6K-1826-SM-5GZXK 50-59 years, male 186.2
GTEX-1S83E-0126-SM-EWRO4 40-49 years, male 185.8
GTEX-13D11-2426-SM-5KM1V 50-59 years, female 185.7
GTEX-T5JC-0426-SM-32PLO 20-29 years, male 184.4
GTEX-1H2FU-0126-SM-9WYSI 60-69 years, female 184.2
GTEX-1RLM8-2326-SM-EWRN4 50-59 years, male 183.1
GTEX-1AX8Z-0126-SM-7DHM6 60-69 years, male 182.7
GTEX-14ABY-0226-SM-5TDCQ 50-59 years, male 182.6
GTEX-Q2AI-1326-SM-2S1PL 40-49 years, male 182.2
GTEX-117YW-2626-SM-5GZZH 50-59 years, male 182.1
GTEX-13N2G-2626-SM-5J1OT 60-69 years, male 181.1
GTEX-QV44-1926-SM-2S1RF 50-59 years, male 181.1
GTEX-12KS4-0326-SM-5EQ41 30-39 years, male 181.0
GTEX-145LU-0126-SM-5TDCB 50-59 years, male 180.5
GTEX-1F48J-0126-SM-7P8TT 50-59 years, female 180.5
GTEX-1PDJ9-0326-SM-DTX95 20-29 years, male 180.2
GTEX-ZVZP-2426-SM-59HKJ 50-59 years, male 179.7
GTEX-18QFQ-0126-SM-731BE 30-39 years, male 179.4
GTEX-13X6H-2126-SM-7EWD5 50-59 years, female 179.0
GTEX-11OF3-2626-SM-5GU7F 60-69 years, male 178.7
GTEX-1B996-0226-SM-7RHGO 60-69 years, male 178.5
GTEX-ZVT4-0126-SM-DTXFN 50-59 years, female 177.9
GTEX-1313W-0126-SM-5LZUN 50-59 years, female 177.4
GTEX-11GSO-2426-SM-5A5LY 60-69 years, male 177.2
GTEX-16YQH-0126-SM-7DUFJ 30-39 years, male 177.1
GTEX-ZAJG-0126-SM-5HL94 50-59 years, female 177.1
GTEX-1H11D-0226-SM-9WG6Z 40-49 years, male 176.8
GTEX-13NYC-0326-SM-E9J4S 60-69 years, male 176.7
GTEX-1HSKV-0226-SM-A9SKJ 60-69 years, male 175.8
GTEX-11EMC-2926-SM-5EQ4F 60-69 years, female 175.6
GTEX-11WQC-2526-SM-5CVLE 60-69 years, male 175.6
GTEX-13OW7-0126-SM-5MR3B 50-59 years, male 175.4
GTEX-XYKS-2126-SM-4E3IB 60-69 years, female 175.3
GTEX-13O1R-0126-SM-5L3EH 60-69 years, male 175.2
GTEX-1LSNM-1926-SM-E6CII 50-59 years, male 175.2
GTEX-QDVN-2026-SM-3GAEP 50-59 years, male 175.0
GTEX-1CAMQ-0226-SM-7IGPK 40-49 years, male 174.7
GTEX-1ICLY-0126-SM-D4P36 50-59 years, male 174.3
GTEX-1F6RS-0126-SM-9MQKZ 60-69 years, female 173.8
GTEX-1H3VY-0126-SM-ACKXD 50-59 years, male 172.7
GTEX-1AX9I-0126-SM-7SB74 60-69 years, male 172.6
GTEX-1C4CL-0526-SM-73KVK 30-39 years, male 172.5
GTEX-T8EM-1026-SM-3DB7M 40-49 years, male 171.9
GTEX-11DZ1-0126-SM-5985Q 50-59 years, male 171.6
GTEX-12ZZZ-0626-SM-5DUXI 60-69 years, male 171.5
GTEX-13OVL-0226-SM-5L3E9 50-59 years, male 171.4
GTEX-131XW-0426-SM-5LZWP 50-59 years, female 170.8
GTEX-1GMR8-0126-SM-9WYTM 50-59 years, female 169.6
GTEX-RNOR-0126-SM-E9J4R 50-59 years, female 169.2
GTEX-1R7EU-0226-SM-EVR4G 60-69 years, male 169.1
GTEX-13X6J-0126-SM-5QGOU 50-59 years, male 169.0
GTEX-14BMV-0126-SM-5S2PO 50-59 years, male 168.1
GTEX-1GPI6-0126-SM-9WG69 60-69 years, male 168.1
GTEX-1R9PM-2026-SM-E76OY 20-29 years, male 167.7
GTEX-13NZB-2526-SM-5J1OM 30-39 years, male 167.4
GTEX-1HFI7-1826-SM-ACKXH 50-59 years, female 166.0
GTEX-XXEK-2226-SM-4BRUM 50-59 years, male 164.9
GTEX-1GN73-0226-SM-9WG67 60-69 years, male 164.4
GTEX-P44H-0226-SM-2XCEU 40-49 years, male 163.8
GTEX-1CB4E-2226-SM-793DC 60-69 years, male 163.7
GTEX-14LZ3-0226-SM-62LET 60-69 years, female 163.4
GTEX-OIZG-0726-SM-33HBL 50-59 years, male 163.4
GTEX-T5JW-1626-SM-3GADZ 20-29 years, female 162.6
GTEX-X585-0226-SM-4QAS2 50-59 years, male 162.3
GTEX-1M5QR-1226-SM-EWROB 40-49 years, male 162.0
GTEX-1QP9N-1426-SM-DTXFL 30-39 years, male 161.7
GTEX-14PII-0226-SM-6EU1T 60-69 years, male 161.6
GTEX-X8HC-0126-SM-4E3JW 50-59 years, female 161.5
GTEX-17F98-0626-SM-79OMX 40-49 years, female 160.2
GTEX-145LV-2126-SM-5LU8N 50-59 years, male 160.0
GTEX-RWSA-0126-SM-2XCBB 40-49 years, male 159.5
GTEX-1I4MK-2226-SM-ACKWD 50-59 years, female 159.5
GTEX-1J8QM-2126-SM-CYPSJ 60-69 years, female 159.0
GTEX-ZTSS-1926-SM-57WEW 40-49 years, male 158.6
GTEX-13NZ8-0826-SM-5MR3I 60-69 years, female 157.4
GTEX-1HB9E-0226-SM-E9U4R 50-59 years, male 156.6
GTEX-WYVS-2126-SM-3NMA3 40-49 years, female 156.1
GTEX-144GL-0126-SM-5TDE2 50-59 years, male 155.5
GTEX-1J8EW-0126-SM-CJI4F 60-69 years, female 154.8
GTEX-1S82Y-2026-SM-EVYCM 40-49 years, male 154.8
GTEX-18A7B-0126-SM-7LG64 70-79 years, male 154.4
GTEX-16XZY-2126-SM-79OK1 70-79 years, male 152.1
GTEX-1I1GQ-0126-SM-COH3H 50-59 years, male 151.2
GTEX-ZXG5-0126-SM-5GIEU 60-69 years, male 150.5
GTEX-16NPX-0226-SM-79OMT 50-59 years, male 150.4
GTEX-13S7M-0126-SM-5SI6A 60-69 years, female 150.3
GTEX-13N11-2526-SM-5K7UE 50-59 years, female 150.2
GTEX-13N1W-0126-SM-5K7VT 70-79 years, male 150.1
GTEX-1KANB-0526-SM-E6CJH 50-59 years, male 148.8
GTEX-131XH-2226-SM-5DUXJ 50-59 years, male 148.1
GTEX-12WSK-2326-SM-5GCOH 40-49 years, female 147.9
GTEX-QDT8-0126-SM-48TZ1 30-39 years, female 147.2
GTEX-14PHW-0126-SM-6LLJI 60-69 years, female 147.0
GTEX-1GN1V-0126-SM-9WPOS 60-69 years, male 147.0
GTEX-183FY-0126-SM-7LT9P 20-29 years, male 146.8
GTEX-OIZH-0126-SM-2HMIS 50-59 years, male 146.8
GTEX-ZYFG-2326-SM-5E44B 60-69 years, female 146.8
GTEX-1JKYR-0126-SM-CNPOJ 20-29 years, male 146.8
GTEX-1AYD5-2426-SM-73KXR 50-59 years, male 145.4
GTEX-1S82Z-0826-SM-E6CHY 30-39 years, female 145.2
GTEX-1B933-0126-SM-7PC29 50-59 years, female 144.8
GTEX-OHPL-0126-SM-2HMJ7 60-69 years, female 144.7
GTEX-1KXAM-2226-SM-CYPTC 60-69 years, male 144.7
GTEX-OIZF-0126-SM-7SB8I 60-69 years, male 144.7
GTEX-18A67-0126-SM-7LG5P 50-59 years, male 142.4
GTEX-12ZZY-0226-SM-5LZVE 60-69 years, male 142.2
GTEX-ZPIC-1726-SM-DHXIU 40-49 years, female 142.0
GTEX-Y8E4-0626-SM-4WWDL 40-49 years, male 140.6
GTEX-14E6E-1826-SM-5S2R7 30-39 years, male 140.4
GTEX-1A8FM-0226-SM-7SB7Q 50-59 years, female 140.4
GTEX-1B97I-1626-SM-73KYO 40-49 years, male 139.2
GTEX-ZC5H-0226-SM-4WAY9 40-49 years, female 138.6
GTEX-UJHI-1526-SM-3DB99 50-59 years, female 138.3
GTEX-V1D1-2226-SM-3NMAX 50-59 years, male 138.2
GTEX-1R7EV-2426-SM-EVYBG 40-49 years, male 137.8
GTEX-1F6IF-0726-SM-7P8TW 60-69 years, male 137.5
GTEX-13FTY-0526-SM-5L3EV 40-49 years, female 137.4
GTEX-1LB8K-0226-SM-EWRNW 50-59 years, male 137.4
GTEX-12WSC-0126-SM-5EQ4P 50-59 years, male 137.3
GTEX-1B8KE-2126-SM-73KYX 50-59 years, male 136.4
GTEX-Z93T-0126-SM-5HL5N 50-59 years, male 136.0
GTEX-Y5V5-2326-SM-4V6GA 60-69 years, female 135.8
GTEX-1JN76-0126-SM-CNPPE 20-29 years, female 135.4
GTEX-1GN1U-0126-SM-7PBZK 50-59 years, female 135.3
GTEX-ZVT3-0126-SM-5GU6I 60-69 years, female 135.2
GTEX-1314G-1526-SM-5EGK2 30-39 years, male 134.8
GTEX-ZAB5-1826-SM-5HL7C 50-59 years, male 134.8
GTEX-ZVE2-0226-SM-59HJB 50-59 years, male 134.8
GTEX-SUCS-1926-SM-32PM3 70-79 years, male 133.1
GTEX-XBED-2226-SM-47JYQ 60-69 years, male 132.8
GTEX-1IL2V-0126-SM-CM2TX 70-79 years, male 132.4
GTEX-13NZA-0226-SM-5K7Z7 60-69 years, male 132.3
GTEX-1CAMS-0426-SM-7P8T2 40-49 years, female 130.3
GTEX-14PJ6-2126-SM-6EU1V 60-69 years, female 129.7
GTEX-1I1CD-0126-SM-CM2TK 60-69 years, female 129.4
GTEX-15DDE-0126-SM-6LPKH 50-59 years, female 127.9
GTEX-1I1GP-2226-SM-CGQFK 50-59 years, male 127.4
GTEX-1ICLZ-0126-SM-CKZPO 60-69 years, male 127.1
GTEX-1N2EF-0226-SM-EYYXB 60-69 years, male 126.4
GTEX-1KD5A-0226-SM-D5OV3 50-59 years, male 125.6
GTEX-VJYA-1126-SM-3GIJU 60-69 years, male 125.5
GTEX-13W46-0226-SM-5SIAG 50-59 years, male 125.1
GTEX-11DXX-2426-SM-5GZZW 60-69 years, female 124.9
GTEX-1F88F-2726-SM-7PBZZ 60-69 years, female 124.8
GTEX-XUW1-0426-SM-4BOOT 50-59 years, female 124.5
GTEX-18A7A-0226-SM-718BH 50-59 years, female 123.6
GTEX-ZWKS-0126-SM-5SIAA 30-39 years, male 123.5
GTEX-1IL2U-0226-SM-CE6T8 60-69 years, male 123.1
GTEX-U8T8-0126-SM-3DB94 60-69 years, male 123.0
GTEX-P4PQ-0126-SM-2S1NM 60-69 years, male 122.8
GTEX-11EQ9-2426-SM-5HL5T 30-39 years, male 122.4
GTEX-RN64-0126-SM-2TC68 50-59 years, male 122.0
GTEX-14A5H-0426-SM-5QGQF 60-69 years, male 121.1
GTEX-OXRP-0126-SM-3NB32 60-69 years, female 120.9
GTEX-1GPI7-0126-SM-9MQL8 20-29 years, male 120.8
GTEX-Y5V6-2426-SM-4VDSB 60-69 years, male 120.6
GTEX-117YX-2326-SM-5H12W 50-59 years, male 119.5
GTEX-15CHC-2126-SM-6EU21 60-69 years, female 119.5
GTEX-15EU6-0426-SM-6PAN5 50-59 years, male 118.7
GTEX-13O3O-0126-SM-E9J49 60-69 years, female 118.2
GTEX-XQ8I-0426-SM-4BOPO 50-59 years, male 118.0
GTEX-ZXES-1826-SM-5E43S 30-39 years, female 117.8
GTEX-1JMPY-1326-SM-ARL8Y 30-39 years, male 117.7
GTEX-139TT-0126-SM-5K7Y5 60-69 years, male 117.4
GTEX-1MUQO-0126-SM-EAZ58 60-69 years, male 117.3
GTEX-1LVAN-0226-SM-COH3S 50-59 years, female 116.6
GTEX-14ICK-0226-SM-6EU25 40-49 years, male 116.0
GTEX-1C6VS-0526-SM-7DUEN 60-69 years, male 115.9
GTEX-1IKOH-0226-SM-COH4E 60-69 years, female 115.8
GTEX-1LH75-2426-SM-E9TJE 50-59 years, female 115.6
GTEX-147F4-0226-SM-5QGPW 50-59 years, male 115.5
GTEX-1C2JI-1826-SM-73KXC 50-59 years, male 115.5
GTEX-OHPM-0126-SM-2YUN9 50-59 years, male 115.5
GTEX-R45C-0126-SM-EAZ2R 60-69 years, female 115.3
GTEX-SNMC-1226-SM-2XCFP 20-29 years, male 115.1
GTEX-17EVQ-0226-SM-7LG4P 70-79 years, male 114.6
GTEX-111VG-2426-SM-5GZXD 60-69 years, male 114.2
GTEX-WZTO-0126-SM-3NM95 40-49 years, male 113.6
GTEX-11EI6-0126-SM-5985R 60-69 years, male 112.5
GTEX-11GSP-2526-SM-5N9BP 60-69 years, female 112.5
GTEX-XPVG-2626-SM-4B669 50-59 years, male 112.2
GTEX-1LGOU-2026-SM-DIPFF 20-29 years, female 112.1
GTEX-145LT-1726-SM-5QGP3 40-49 years, male 111.7
GTEX-11EM3-2426-SM-59861 20-29 years, female 110.4
GTEX-WY7C-2326-SM-3NB2U 50-59 years, male 110.2
GTEX-1PFEY-1526-SM-E76PP 30-39 years, male 109.7
GTEX-Q2AG-0126-SM-33HBV 40-49 years, female 109.3
GTEX-1CB4I-0226-SM-79OLH 50-59 years, male 107.7
GTEX-1IY9M-0126-SM-D3L8S 60-69 years, male 107.5
GTEX-1GF9W-0326-SM-9KNUN 60-69 years, male 107.3
GTEX-11O72-0126-SM-59887 40-49 years, male 106.7
GTEX-1I1GT-0626-SM-CGQER 60-69 years, female 106.6
GTEX-1OFPY-2426-SM-DTXEJ 60-69 years, male 106.6
GTEX-11UD1-0126-SM-5PNYG 40-49 years, female 106.4
GTEX-13FHP-0126-SM-5IJBG 50-59 years, male 105.7
GTEX-1H1E6-1726-SM-ACKVK 30-39 years, male 105.7
GTEX-1PIGE-0126-SM-EVYBJ 20-29 years, male 105.6
GTEX-U3ZH-2026-SM-3DB78 30-39 years, male 105.5
GTEX-1K9T9-0126-SM-EVYCF 50-59 years, female 105.4
GTEX-148VI-1626-SM-5SI6E 60-69 years, female 105.2
GTEX-1A3MV-1926-SM-718BT 30-39 years, male 105.2
GTEX-1JMOU-1526-SM-CL54I 60-69 years, female 104.4
GTEX-RUSQ-1526-SM-2TF62 50-59 years, male 104.3
GTEX-PWCY-1826-SM-DHXIZ 20-29 years, female 103.8
GTEX-17HGU-0226-SM-7DHKV 50-59 years, male 103.1
GTEX-O5YT-0126-SM-48TBW 20-29 years, male 102.3
GTEX-11P81-2326-SM-59875 30-39 years, female 102.2
GTEX-PLZ5-2026-SM-2S1O4 50-59 years, male 101.4
GTEX-1RAZA-0126-SM-E6CI3 20-29 years, male 101.4
GTEX-13OVJ-0126-SM-5KM36 50-59 years, female 101.0
GTEX-QLQ7-1626-SM-2S1R8 60-69 years, male 101.0
GTEX-U8XE-0326-SM-3DB8P 30-39 years, male 100.5
GTEX-1B8KZ-2026-SM-7DHMB 50-59 years, male 100.1
GTEX-1MCQQ-0826-SM-DLHC2 60-69 years, male 99.9
GTEX-WQUQ-0426-SM-3MJFU 60-69 years, male 99.6
GTEX-13FHO-0226-SM-5IFGY 60-69 years, male 99.3
GTEX-ZGAY-0526-SM-4WWBB 40-49 years, female 99.3
GTEX-1HSGN-0226-SM-CGQFV 40-49 years, female 99.0
GTEX-1HUB1-0426-SM-E9U4U 60-69 years, male 98.9
GTEX-1JJE9-0326-SM-CL53Z 70-79 years, male 98.5
GTEX-14E7W-0126-SM-6LLJ9 70-79 years, male 98.3
GTEX-14BIL-0126-SM-5SI92 50-59 years, male 98.2
GTEX-14JG6-2226-SM-6EU2G 30-39 years, female 97.9
GTEX-1NHNU-1026-SM-E9J2A 50-59 years, male 96.9
GTEX-X5EB-2226-SM-46MW4 40-49 years, male 96.7
GTEX-14DAR-2026-SM-5S2O3 50-59 years, male 96.1
GTEX-1HSMP-0126-SM-E6CJS 70-79 years, male 96.0
GTEX-13RTL-0126-SM-7LG5S 40-49 years, male 95.8
GTEX-1KANA-0726-SM-D3L9I 20-29 years, male 95.5
GTEX-RWS6-2026-SM-2XCB5 60-69 years, female 95.4
GTEX-ZVT2-2526-SM-51MT1 50-59 years, female 95.2
GTEX-1269C-2526-SM-5EGJ3 60-69 years, female 95.1
GTEX-XMD2-0126-SM-4YCDU 60-69 years, female 94.9
GTEX-Q2AH-1626-SM-3GAF8 40-49 years, male 94.6
GTEX-13FH7-2026-SM-E9J4I 50-59 years, female 94.5
GTEX-1MGNQ-0126-SM-EVYCJ 40-49 years, male 94.4
GTEX-Y8LW-1826-SM-5S2MV 50-59 years, female 94.1
GTEX-139T8-0126-SM-5K7XZ 60-69 years, male 93.9
GTEX-T6MO-1626-SM-32QOM 40-49 years, female 93.8
GTEX-12C56-1726-SM-5EQ61 20-29 years, male 93.6
GTEX-QVJO-1626-SM-2S1QW 60-69 years, female 92.6
GTEX-1AMFI-2026-SM-731BH 50-59 years, female 92.4
GTEX-1JKYN-1326-SM-CGQG9 30-39 years, male 92.3
GTEX-1H1DE-2126-SM-9WG6R 20-29 years, male 91.8
GTEX-1EKGG-0226-SM-9WYTH 60-69 years, male 91.5
GTEX-1I6K6-0126-SM-A9SLE 30-39 years, male 91.5
GTEX-ZZ64-1726-SM-5GZYB 20-29 years, male 90.6
GTEX-1CB4J-0626-SM-7DHMP 60-69 years, male 90.5
GTEX-XAJ8-0826-SM-47JY6 40-49 years, male 90.0
GTEX-1HR98-0126-SM-B2LWI 60-69 years, male 89.6
GTEX-11NUK-0126-SM-5A5L3 50-59 years, male 89.2
GTEX-13QJ3-0326-SM-5S2RA 50-59 years, male 89.2
GTEX-17HII-0226-SM-7LG4E 50-59 years, male 89.1
GTEX-146FH-0126-SM-5QGPP 50-59 years, female 89.0
GTEX-15DCD-0126-SM-7KUEK 70-79 years, female 88.8
GTEX-12WSL-2526-SM-5GCNJ 50-59 years, male 88.0
GTEX-13G51-2526-SM-5LZYK 60-69 years, male 88.0
GTEX-13SLX-0526-SM-5S2ON 50-59 years, female 87.7
GTEX-1F75A-0126-SM-7RHGM 50-59 years, male 87.7
GTEX-14PN3-2426-SM-6LLHS 60-69 years, female 87.6
GTEX-1IDFM-0126-SM-COH2V 60-69 years, male 86.7
GTEX-13OW8-1326-SM-5J1OW 60-69 years, male 86.4
GTEX-12WSG-2826-SM-E9J4H 50-59 years, female 86.3
GTEX-R3RS-0126-SM-3GIJL 40-49 years, female 86.2
GTEX-WOFL-0126-SM-3MJG2 60-69 years, male 85.9
GTEX-1GF9X-2026-SM-7PC3A 40-49 years, female 85.5
GTEX-RM2N-1426-SM-2TF4H 50-59 years, male 85.4
GTEX-12WSN-5019-SM-79OM6 40-49 years, male 84.9
GTEX-13PVR-2326-SM-5QGR1 60-69 years, female 84.5
GTEX-1AYCT-2426-SM-7IGQ3 50-59 years, male 84.2
GTEX-1GZ4H-1726-SM-7PBZJ 50-59 years, female 84.0
GTEX-18D9U-0226-SM-718BP 40-49 years, male 83.7
GTEX-1LBAC-0126-SM-DIPEZ 20-29 years, male 82.9
GTEX-1HSEH-0126-SM-ACKXN 60-69 years, male 82.7
GTEX-Y3I4-2126-SM-4TT7C 50-59 years, male 82.3
GTEX-1F5PK-2426-SM-7RHHY 50-59 years, male 82.1
GTEX-ZF29-2326-SM-DO92K 60-69 years, female 82.1
GTEX-11XUK-2026-SM-5EQLF 40-49 years, female 82.0
GTEX-133LE-1826-SM-5J1MV 20-29 years, female 81.4
GTEX-1QP2A-0126-SM-E9J43 50-59 years, male 80.9
GTEX-1AX9J-0226-SM-73KXM 60-69 years, male 80.7
GTEX-14A6H-0126-SM-5QGPK 30-39 years, male 80.3
GTEX-1GL5R-1826-SM-9KNUY 50-59 years, male 79.8
GTEX-11P82-1626-SM-59879 20-29 years, male 79.0
GTEX-1IDJU-2626-SM-CM2RT 60-69 years, female 78.6
GTEX-17MFQ-1726-SM-793C7 20-29 years, male 78.5
GTEX-14PK6-1926-SM-6ETZU 70-79 years, female 78.3
GTEX-15SDE-2226-SM-7IGLO 50-59 years, female 78.1
GTEX-1GTWX-0126-SM-9YFLK 60-69 years, male 78.1
GTEX-TSE9-0126-SM-3DB83 60-69 years, female 77.7
GTEX-ZUA1-0126-SM-5GU76 40-49 years, male 77.5
GTEX-W5WG-1826-SM-4KL2Y 50-59 years, female 77.0
GTEX-14C5O-0126-SM-5SI6N 60-69 years, male 76.8
GTEX-169BO-1326-SM-9MQK2 50-59 years, male 76.8
GTEX-12WSD-0126-SM-59HKN 60-69 years, female 76.5
GTEX-11P7K-2126-SM-5GU7G 30-39 years, male 76.0
GTEX-14LLW-0126-SM-6LLIO 70-79 years, female 76.0
GTEX-1F52S-0126-SM-9MQJU 60-69 years, female 75.8
GTEX-OXRK-0226-SM-3NB2G 50-59 years, female 75.7
GTEX-17F97-0326-SM-7LG5B 50-59 years, male 75.2
GTEX-YB5K-2126-SM-4WWDJ 40-49 years, female 75.0
GTEX-14BMU-2226-SM-5TDE9 20-29 years, female 74.9
GTEX-TMMY-0226-SM-33HBA 40-49 years, female 74.5
GTEX-1HBPN-0226-SM-9YFM1 50-59 years, male 74.5
GTEX-15SB6-1726-SM-6PAME 50-59 years, female 74.0
GTEX-12WSA-0226-SM-5BC5V 60-69 years, male 73.9
GTEX-1JK1U-2026-SM-CM2RZ 60-69 years, male 73.7
GTEX-1J1R8-1726-SM-ARL8M 40-49 years, male 73.1
GTEX-13FTX-1826-SM-5J1NX 20-29 years, female 72.2
GTEX-1HCVE-0126-SM-CGQEU 50-59 years, male 72.2
GTEX-1QCLY-0326-SM-E8VOG 30-39 years, male 70.9
GTEX-17EUY-0426-SM-793BD 20-29 years, male 70.2
GTEX-ZDXO-3026-SM-5J1N5 60-69 years, male 69.2
GTEX-X638-0126-SM-47JZ8 70-79 years, female 68.7
GTEX-139TU-0126-SM-5K7WH 60-69 years, male 68.5
GTEX-17HHE-2026-SM-79OKF 50-59 years, male 67.9
GTEX-1C475-1826-SM-73KWA 40-49 years, female 67.6
GTEX-1J8Q3-1626-SM-CMKGC 60-69 years, male 67.4
GTEX-1J8Q2-0526-SM-CM2RW 60-69 years, male 67.3
GTEX-1LNCM-1126-SM-E9U5E 50-59 years, female 66.8
GTEX-15DYW-0126-SM-7KULE 60-69 years, female 66.6
GTEX-1F5PL-0326-SM-7P8PQ 40-49 years, female 66.3
GTEX-S95S-1226-SM-4GICG 60-69 years, male 66.1
GTEX-1GF9U-2126-SM-7SB7L 40-49 years, female 66.1
GTEX-1CAMR-1926-SM-7EPI2 20-29 years, male 65.8
GTEX-QLQW-1126-SM-2S1Q8 30-39 years, male 65.6
GTEX-1S5ZA-0126-SM-EVYCV 20-29 years, male 64.9
GTEX-NFK9-0226-SM-2HMKQ 40-49 years, male 64.8
GTEX-13O21-1426-SM-5K7XI 50-59 years, male 64.7
GTEX-1OJC4-0126-SM-E9J2E 50-59 years, female 64.6
GTEX-13RTK-1426-SM-5QGQJ 20-29 years, male 64.5
GTEX-16BQI-0226-SM-7KUEX 30-39 years, female 64.4
GTEX-WRHK-1426-SM-3MJF9 20-29 years, female 64.3
GTEX-1I19N-0326-SM-ACKVX 70-79 years, male 63.2
GTEX-1I1HK-0126-SM-COH49 60-69 years, male 63.0
GTEX-Q734-1926-SM-2I5EV 40-49 years, female 61.8
GTEX-ZF28-0126-SM-4WKGK 60-69 years, male 61.5
GTEX-PW2O-1526-SM-7RHHB 20-29 years, male 61.5
GTEX-15SHW-0326-SM-6PAML 60-69 years, male 60.1
GTEX-13OVG-1926-SM-5L3DK 60-69 years, male 59.8
GTEX-U3ZN-2326-SM-3DB7W 30-39 years, female 58.7
GTEX-1MCYP-1926-SM-E9J2R 20-29 years, female 58.7
GTEX-WH7G-2326-SM-3NMBC 40-49 years, male 58.5
GTEX-13OW5-0126-SM-DTXFS 60-69 years, male 57.9
GTEX-R55G-2526-SM-2TC6D 40-49 years, female 57.6
GTEX-14PJ3-1826-SM-62LEX 50-59 years, male 56.8
GTEX-113IC-0126-SM-5HL6T 60-69 years, male 54.5
GTEX-144GN-2326-SM-5LU4F 50-59 years, male 54.3
GTEX-1C6WA-0126-SM-7PC2B 60-69 years, male 54.1
GTEX-11NSD-2226-SM-5986V 20-29 years, male 53.9
GTEX-1A32A-0126-SM-718B1 50-59 years, female 53.3
GTEX-139T4-0226-SM-5HL5S 50-59 years, female 53.1
GTEX-11VI4-1726-SM-5CVLH 40-49 years, female 52.5
GTEX-ZQG8-1626-SM-DHXIT 60-69 years, female 52.5
GTEX-1AMEY-1326-SM-73KYK 30-39 years, female 52.2
GTEX-WFON-2126-SM-3LK7O 40-49 years, male 52.1
GTEX-145ME-1826-SM-5SI9G 40-49 years, female 51.7
GTEX-1C64O-0126-SM-7SB8P 60-69 years, male 51.0
GTEX-1PPH7-2326-SM-EVYB8 40-49 years, male 50.7
GTEX-13W3W-2426-SM-5LU5B 60-69 years, female 50.5
GTEX-1N2DV-0226-SM-E6CJ6 40-49 years, male 50.5
GTEX-ZYW4-0126-SM-5E44A 60-69 years, male 50.0
GTEX-OXRO-0126-SM-2YUN4 60-69 years, female 49.1
GTEX-QDVJ-1726-SM-2I5FX 50-59 years, male 49.0
GTEX-1QEPI-0126-SM-EWRMQ 60-69 years, female 48.5
GTEX-1EN7A-0126-SM-7SB81 40-49 years, male 47.3
GTEX-11ZTT-2426-SM-5EQLS 60-69 years, female 46.7
GTEX-1QP29-0626-SM-EWRMX 50-59 years, male 46.4
GTEX-WXYG-2326-SM-4E3I6 50-59 years, female 46.0
GTEX-1AX9K-2326-SM-73KWU 50-59 years, male 45.6
GTEX-1HSMQ-1226-SM-CGQFX 50-59 years, male 45.6
GTEX-16AAH-1726-SM-7939C 50-59 years, male 44.9
GTEX-131XG-2626-SM-5KM17 50-59 years, female 44.1
GTEX-1HKZK-0326-SM-9WYUH 40-49 years, male 43.5
GTEX-15EOM-0126-SM-7KUGG 20-29 years, female 43.4
GTEX-1GN1W-0526-SM-9MQJQ 50-59 years, female 43.2
GTEX-14BIM-0226-SM-7IGLD 60-69 years, female 42.5
GTEX-11TTK-0126-SM-5987B 60-69 years, female 41.2
GTEX-ZZPT-0226-SM-5E43X 50-59 years, male 40.8
GTEX-QCQG-1726-SM-3GIJ9 50-59 years, female 40.4
GTEX-16NGA-1726-SM-731B4 40-49 years, female 35.7
GTEX-YEC4-2126-SM-5IFJH 40-49 years, male 35.7
GTEX-PLZ4-0126-SM-5SI8O 50-59 years, female 35.2
GTEX-1PBJI-0526-SM-E8VNK 20-29 years, female 34.6
GTEX-R55E-0126-SM-2TC5Y 20-29 years, male 33.1
GTEX-18D9B-0526-SM-7LTAS 60-69 years, male 29.5
GTEX-1I1GU-2226-SM-CGQFA 40-49 years, male 29.1
GTEX-SE5C-1626-SM-2XCE3 40-49 years, female 28.1
GTEX-13JUV-2726-SM-5LZZ8 40-49 years, female 27.2
GTEX-13VXT-0126-SM-5LU4I 20-29 years, female 26.2
GTEX-U3ZM-1526-SM-3DB9D 40-49 years, male 24.7
GTEX-ZQUD-1426-SM-57WER 30-39 years, male 23.2
GTEX-1IE54-0126-SM-CMKHW 40-49 years, female 22.6
GTEX-X62O-0126-SM-4E3JN 50-59 years, male 22.4
GTEX-1F75I-0326-SM-9YFLU 40-49 years, male 22.1
GTEX-147F3-0526-SM-5SI98 50-59 years, female 21.5
GTEX-1R9PO-2126-SM-E9J4O 60-69 years, female 19.3
GTEX-Z9EW-1626-SM-5CVMN 40-49 years, male 16.6
GTEX-POMQ-2226-SM-2I5FK 20-29 years, female 16.2
GTEX-1ICG6-2526-SM-CGQFZ 70-79 years, female 14.7
GTEX-OXRL-0126-SM-2YUMP 50-59 years, male 11.6
GTEX-1QP67-1626-SM-EAZ3X 40-49 years, female 5.9
GTEX-U4B1-1826-SM-4DXSU 40-49 years, male 0.9
GTEX-1R9K4-0126-SM-DTX9X 60-69 years, male 0.9
GTEX-1HBPH-0426-SM-B2LW5 40-49 years, female 0.2
GTEX-11ZUS-0626-SM-59885 30-39 years, male 0.1
GTEX-14JIY-0126-SM-6LLH6 60-69 years, male 0.0
GTEX-146FR-1326-SM-E9J48 60-69 years, female 0.0
GTEX-1QW4Y-1526-SM-EAZ3Z 30-39 years, male 0.0
GTEX-1RAZQ-0726-SM-EAZ43 30-39 years, male 0.0
Show allShow less

Contact

  • NEWS ARTICLES
  • PRESS ROOM

The Project

  • INTRODUCTION
  • ORGANIZATION
  • PUBLICATIONS

The Human Protein Atlas

  • DOWNLOADABLE DATA
  • LICENCE & CITATION
  • HELP & FAQ
The Human Protein Atlas project is funded
by the Knut & Alice Wallenberg Foundation.


contact@proteinatlas.org