We use cookies to enhance the usability of our website. If you continue, we'll assume that you are happy to receive all cookies. More information. Don't show this again.
IRF9
HPA
RESOURCES
  • TISSUE
  • BRAIN
  • SINGLE CELL
  • SUBCELLULAR
  • CANCER
  • BLOOD
  • CELL LINE
  • STRUCTURE & INTERACTION
ABOUT
  • INTRODUCTION
  • HISTORY
  • ORGANIZATION
  • PUBLICATIONS
  • ANTIBODY SUBMISSION
  • ANTIBODY AVAILABILITY
  • ACKNOWLEDGMENTS
  • CONTACT
NEWS
  • NEWS ARTICLES
  • PRESS ROOM
LEARN
  • DICTIONARY
  • PROTEIN CLASSES
  • PROTEIN EVIDENCE
  • METHODS
  • EDUCATIONAL VIDEOS
DATA
  • DOWNLOADABLE DATA
  • PUBLICATION DATA
  • RELEASE HISTORY
HELP
  • ANTIBODY VALIDATION
  • ASSAYS & ANNOTATION
  • DISCLAIMER
  • HELP & FAQ
  • PRIVACY STATEMENT
  • LICENCE & CITATION
Fields »
Search result

Field
Term
Gene name
Class
Subclass
Class
Keyword
Chromosome
External id
Tissue
Cell type
Expression
Antibody panel
Tissue
Main location
Patient ID
Annotation
Tissue
Category
Tau score
Cluster
Reliability
Brain region
Category
Tau score
Brain region
Category
Tau score
Brain region
Category
Tau score
Cluster
Reliability
Tissue
Cell type
Enrichment
Cell type
Category
Tau score
Cell type
Category
Tau score
Cell type
Category
Tau score
Cell lineage
Category
Tau score
Cluster
Cluster
Location
Searches
Location
Cell line
Class
Type
Phase
Reliability
Cancer
Prognosis
Cancer
Category
Cancer
Category
Tau score
Cluster
Variants
Interacting gene (ensg_id)
Type
Number of interactions
Pathway
Category
Score
Score
Score
Validation
Validation
Validation
Validation
Antibodies
Data type
Column


  • SUMMARY

  • TISSUE

  • BRAIN

  • SINGLE CELL

  • SUBCELL

  • CANCER

  • BLOOD

  • CELL LINE

  • STRUCT & INT

  • IRF9
TISSUE PRIMARY DATA PANCREAS Show tissue menu
ADIPOSE TISSUE ADRENAL GLAND AMYGDALA APPENDIX BASAL GANGLIA BONE MARROW BREAST BRONCHUS CEREBELLUM CEREBRAL CORTEX CERVIX CHOROID PLEXUS COLON DUODENUM
ENDOMETRIUM EPIDIDYMIS ESOPHAGUS FALLOPIAN TUBE GALLBLADDER HEART MUSCLE HIPPOCAMPAL FORMATION HYPOTHALAMUS KIDNEY LIVER LUNG LYMPH NODE MIDBRAIN NASOPHARYNX
ORAL MUCOSA OVARY PANCREAS PARATHYROID GLAND PITUITARY GLAND PLACENTA PROSTATE RECTUM RETINA SALIVARY GLAND SEMINAL VESICLE SKELETAL MUSCLE SKIN SMALL INTESTINE
SMOOTH MUSCLE SOFT TISSUE SPINAL CORD SPLEEN STOMACH TESTIS THYMUS THYROID GLAND TONGUE TONSIL URINARY BLADDER VAGINA
ANTIBODIES
AND
VALIDATION
Dictionary
Pancreas
Tissue proteome
Pancreas
PANCREAS - Expression summary
Protein expression
Pancreasi

On the top, protein expression in current human tissue, based on all annotated cell types, is reported with the units not detected (n), low (l), medium (m) and high (h). Underneath, protein expression in each annotated cell type are reported using the same units.

Protein expression data is based on knowledge-based annotation. For genes where more than one antibody has been used, a collective score is set.

If knowledge-based annotation could not be performed for a gene, no data is displayed here. View antibody staining data further down this page.

h
m
l
n
Exocrine glandular cells: Medium
Pancreatic endocrine cells: Not detected
RNA expressioni

A summary of mRNA expression data available for current tissue based on several datasets. The mRNA expression levels in human tissues are based on RNA-seq data generated by the Human Protein Atlas (HPA), Genotype-Tissue Expression (GTEx) portal and CAGE data generated by the FANTOM5 consortium. Consensus normalized expression levels for human tissues was created by combining the data from HPA and GTEx datasets.

The mRNA expression levels in pig are based on RNA-seq data generated by the Human Protein Atlas (HPA), and for mouse, HPA data and in situ hybridization generated by the Allen brain atlas are reported.

Scroll down to view mRNA expression data in more detail.
Consensus:14.8 nTPM
HPA:14.8 nTPM
GTEx:11.7 nTPM
FANTOM5:41.6 Scaled Tags Per Million

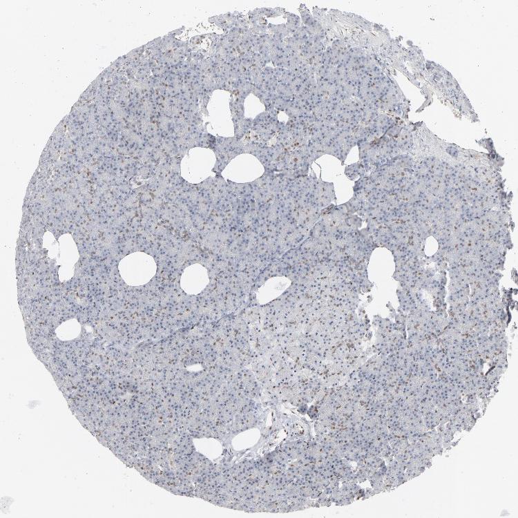
PANCREAS - Antibody stainingi

Antibody staining in the annotated cell types in the current human tissue is reported as not detected, low, medium, or high, based on conventional immunohistochemistry profiling in selected tissues. This score is based on the combination of the staining intensity and fraction of stained cells.

Each image is clickable and will lead to virtual microscopy that enables deeper exploration of all samples and also displays staining intensity scores, fraction scores and subcellular localization as well as patient and tissue information for each sample.

Antibody HPA001862
Exocrine glandular cells Medium
Pancreatic endocrine cells Not detected



PANCREAS - HPA RNA-seqi

The RNA-seq details section shows detailed information about the individual samples used for the transcript profiling and results of the RNA-seq analysis.

Information about each individual sample is listed below, including gender, age, a tissue section image and estimated fractions of cell types. nTPM (normalized transcripts per million) values give a quantification of the gene abundance which is comparable between different genes and samples.
Average nTPMi

Max subtype nTPM is the value for the subtype with the largest average nTPM across the subtype samples.

14.8
overview
Female, age 59
Pancreas sample 194
nTPM: 9.3
Cell types%
Exocrine glandular cells:
75

Pancreatic endocrine cells:
10

Ductal cells:
5

Other cell types:
10

overview
Male, age 60
Pancreas sample 195
nTPM: 20.3
Cell types%
Exocrine glandular cells:
90

Pancreatic endocrine cells:
5

Ductal cells:
5


PANCREAS - GTEx RNA-seqi

RNA-Seq data generated by the Genotype-Tissue Expression (GTEx) project from human tissues is reported as mean nTPM. More information can be found on the GTEx portal.

Distribution across the dataset is visualized with box plots, shown as median and 25th and 75th percentiles. Points are displayed as outliers if they are above or below 1.5 times the interquartile range. nTPM values of the individual samples are presented next to the box plot.
Max subtype nTPMi

Max subtype nTPM is the value for the subtype with the largest average nTPM across the subtype samples.

11.7
GTEx sample id Sample description nTPM
Pancreas
Average nTPM: 11.7
Samples: 328

Max nTPM: 50.3
Min nTPM: 0.0
Std nTPM: 4.9
Median nTPM: 10.9
GTEX-15SDE-0826-SM-6M463 50-59 years, female 50.3
GTEX-14PN4-1626-SM-6AJB5 50-59 years, male 30.4
GTEX-WY7C-1026-SM-4OND3 50-59 years, male 26.6
GTEX-1B932-1626-SM-731EA 40-49 years, female 26.4
GTEX-13SLX-1326-SM-5S2QS 50-59 years, female 25.4
GTEX-18A67-1726-SM-7KFT9 50-59 years, male 24.6
GTEX-WFON-0626-SM-4LVLX 40-49 years, male 24.1
GTEX-ZAB5-0826-SM-5P9FU 50-59 years, male 23.0
GTEX-1339X-1026-SM-5IFH5 40-49 years, male 22.8
GTEX-XBED-0226-SM-47JY8 60-69 years, male 22.8
GTEX-SUCS-1426-SM-4DM5W 70-79 years, male 20.8
GTEX-1AX8Z-1726-SM-731DE 60-69 years, male 20.6
GTEX-OIZF-1026-SM-2HML5 60-69 years, male 20.6
GTEX-139YR-1526-SM-5IFJ1 50-59 years, male 20.3
GTEX-QESD-0226-SM-447BH 20-29 years, male 19.9
GTEX-1IL2U-2326-SM-CNNQV 60-69 years, male 19.9
GTEX-XV7Q-0926-SM-4BRVQ 40-49 years, female 19.7
GTEX-132AR-1826-SM-5EGHR 50-59 years, female 19.6
GTEX-1R9K5-1226-SM-E6CPQ 50-59 years, male 19.6
GTEX-U4B1-0726-SM-4DXUA 40-49 years, male 19.2
GTEX-YB5E-0526-SM-4VDSD 40-49 years, male 18.9
GTEX-131XE-1926-SM-5IFER 50-59 years, male 18.8
GTEX-17KNJ-1926-SM-7KFRV 50-59 years, male 18.6
GTEX-OHPL-1026-SM-3MJGI 60-69 years, female 18.6
GTEX-QDVJ-1226-SM-48U1V 50-59 years, male 18.1
GTEX-13VXT-1226-SM-5LU3M 20-29 years, female 17.9
GTEX-O5YT-1026-SM-3MJGF 20-29 years, male 17.8
GTEX-Q2AH-0926-SM-48TZK 40-49 years, male 17.8
GTEX-1PFEY-1126-SM-DPRZ3 30-39 years, male 17.8
GTEX-13N11-0226-SM-5KM3C 50-59 years, female 17.7
GTEX-1A3MW-1926-SM-7IGM8 60-69 years, female 17.7
GTEX-ZP4G-0426-SM-4YCER 20-29 years, female 17.7
GTEX-QMRM-0326-SM-CKZNB 50-59 years, male 17.7
GTEX-N7MT-1626-SM-3LK71 60-69 years, female 17.6
GTEX-R55G-0326-SM-48FDM 40-49 years, female 17.5
GTEX-Y9LG-0726-SM-4VDS3 30-39 years, male 17.5
GTEX-1JKYN-0426-SM-CGQG2 30-39 years, male 17.5
GTEX-1L5NE-0826-SM-DHXKU 50-59 years, male 17.5
GTEX-11TT1-0326-SM-5LUAY 20-29 years, male 17.3
GTEX-SE5C-0326-SM-4BRWX 40-49 years, female 17.0
GTEX-VJYA-0826-SM-4KL1M 60-69 years, male 17.0
GTEX-14BMU-0726-SM-73KXS 20-29 years, female 16.8
GTEX-1JKYR-1026-SM-CGQGI 20-29 years, male 16.8
GTEX-1R46S-1426-SM-EXOJD 60-69 years, female 16.8
GTEX-13O1R-1826-SM-5KM3B 60-69 years, male 16.6
GTEX-144FL-1526-SM-5Q5CA 50-59 years, male 16.6
GTEX-ZPU1-0226-SM-4WWC9 40-49 years, male 16.6
GTEX-1QAET-1326-SM-E9U64 50-59 years, male 16.6
GTEX-144GN-0826-SM-5LU5G 50-59 years, male 16.5
GTEX-1K9T9-1726-SM-CXZK1 50-59 years, female 16.5
GTEX-WFG8-0326-SM-4LVN4 20-29 years, male 16.3
GTEX-XYKS-1226-SM-4BRVI 60-69 years, female 16.3
GTEX-17F98-0426-SM-79ONZ 40-49 years, female 16.2
GTEX-145ME-0326-SM-5S2QO 40-49 years, female 16.1
GTEX-Y3I4-0826-SM-4TT2A 50-59 years, male 16.1
GTEX-1CAMR-1126-SM-7MGXF 20-29 years, male 16.1
GTEX-13U4I-1526-SM-5IFFF 40-49 years, female 15.9
GTEX-15FZZ-0626-SM-7KFTO 30-39 years, female 15.9
GTEX-V1D1-0726-SM-4JBH7 50-59 years, male 15.9
GTEX-X15G-0726-SM-4PQZ5 50-59 years, female 15.8
GTEX-1497J-0426-SM-5Q5CO 60-69 years, male 15.7
GTEX-V955-0326-SM-4JBGV 60-69 years, male 15.7
GTEX-1I1GU-0326-SM-AHZ2K 40-49 years, male 15.6
GTEX-1JK1U-1026-SM-AHZ44 60-69 years, male 15.6
GTEX-18A66-2126-SM-7189D 60-69 years, male 15.5
GTEX-1NSGN-1726-SM-EXOJG 50-59 years, male 15.5
GTEX-18D9U-1626-SM-7KFTW 40-49 years, male 15.3
GTEX-1C4CL-0926-SM-79OL2 30-39 years, male 15.3
GTEX-ZF3C-2026-SM-4WWB5 50-59 years, female 15.3
GTEX-WI4N-1826-SM-4OOSF 40-49 years, female 15.2
GTEX-1K2DU-1026-SM-DHXKC 20-29 years, male 15.2
GTEX-13W3W-1026-SM-5IFG4 60-69 years, female 15.1
GTEX-T8EM-0826-SM-4DM76 40-49 years, male 15.1
GTEX-WFG7-0426-SM-4LMK5 20-29 years, male 15.0
GTEX-OOBK-1026-SM-48TC2 40-49 years, male 14.9
GTEX-QLQ7-0626-SM-CE6QX 60-69 years, male 14.9
GTEX-S33H-1226-SM-4AD69 30-39 years, male 14.8
GTEX-TKQ2-0426-SM-4DXUO 50-59 years, male 14.8
GTEX-1IDJD-0126-SM-C1YQZ 30-39 years, male 14.7
GTEX-U8XE-2026-SM-3DB8S 30-39 years, male 14.6
GTEX-1JMPZ-1026-SM-CXZJS 30-39 years, male 14.6
GTEX-11XUK-0626-SM-5N9ES 40-49 years, female 14.5
GTEX-1K2DA-0326-SM-CGQGX 50-59 years, male 14.5
GTEX-1NUQO-0826-SM-DPS16 20-29 years, female 14.5
GTEX-144GM-0726-SM-79OJQ 20-29 years, male 14.4
GTEX-15EU6-1126-SM-68721 50-59 years, male 14.4
GTEX-15UF7-0826-SM-6M46E 40-49 years, male 14.1
GTEX-R53T-0426-SM-48FEM 50-59 years, female 13.8
GTEX-WFJO-0626-SM-4LVMC 30-39 years, male 13.8
GTEX-XXEK-1726-SM-4BRVB 50-59 years, male 13.8
GTEX-14PHY-1126-SM-664OR 60-69 years, female 13.7
GTEX-1C64O-1426-SM-7EWER 60-69 years, male 13.7
GTEX-ZC5H-0826-SM-5N9FH 40-49 years, female 13.6
GTEX-OXRK-1526-SM-E6CHJ 50-59 years, female 13.5
GTEX-Y8LW-1026-SM-5IFJY 50-59 years, female 13.4
GTEX-ZF29-1126-SM-4WKGO 60-69 years, female 13.3
GTEX-WHSB-0726-SM-4M1XQ 50-59 years, male 13.2
GTEX-WYVS-0926-SM-4SOJV 40-49 years, female 13.2
GTEX-117YX-0226-SM-5EGH6 50-59 years, male 13.1
GTEX-S32W-0826-SM-4AD5Z 50-59 years, female 13.1
GTEX-UJHI-0626-SM-3DB8T 50-59 years, female 13.1
GTEX-QEL4-1326-SM-447AD 50-59 years, male 13.0
GTEX-13X6H-0626-SM-5LU53 50-59 years, female 12.9
GTEX-S95S-0726-SM-4B64H 60-69 years, male 12.9
GTEX-11VI4-0426-SM-5EGHZ 40-49 years, female 12.8
GTEX-12WSN-0826-SM-5GCOF 40-49 years, male 12.8
GTEX-Y5LM-0526-SM-4V6G3 40-49 years, female 12.8
GTEX-ZDYS-2526-SM-4WKGU 50-59 years, male 12.8
GTEX-1RAZQ-1426-SM-EV7B2 30-39 years, male 12.8
GTEX-WHPG-0326-SM-4M1XV 50-59 years, male 12.7
GTEX-ZTPG-1026-SM-5DUWP 20-29 years, female 12.7
GTEX-1GF9X-1126-SM-7MKHC 40-49 years, female 12.7
GTEX-13CF3-1026-SM-5LZWY 60-69 years, female 12.5
GTEX-1AYCT-1226-SM-7EPGH 50-59 years, male 12.5
GTEX-P4QS-1026-SM-3NMCW 60-69 years, male 12.5
GTEX-WYJK-2426-SM-4ONDQ 50-59 years, male 12.5
GTEX-1QP29-1926-SM-DPRZO 50-59 years, male 12.5
GTEX-1R7EV-1126-SM-DPRXU 40-49 years, male 12.5
GTEX-1RAZA-1626-SM-EV79I 20-29 years, male 12.5
GTEX-1399R-0426-SM-5IJE3 30-39 years, male 12.4
GTEX-13FTW-0526-SM-5IFIP 40-49 years, male 12.4
GTEX-178AV-0226-SM-793B7 40-49 years, male 12.4
GTEX-1PWST-1526-SM-EXOIT 70-79 years, male 12.4
GTEX-15DYW-1626-SM-6LLI1 60-69 years, female 12.3
GTEX-Y3IK-0426-SM-4WWE2 50-59 years, female 12.3
GTEX-14PKV-0926-SM-6AJB4 20-29 years, female 12.2
GTEX-14ICL-1126-SM-5S2RE 30-39 years, male 12.1
GTEX-15RJ7-0826-SM-6LLI8 40-49 years, male 12.1
GTEX-1B8KZ-0926-SM-731D7 50-59 years, male 12.1
GTEX-ZYT6-1326-SM-5E453 30-39 years, male 12.1
GTEX-Q2AI-0426-SM-48U13 40-49 years, male 12.0
GTEX-14PJ2-1526-SM-686Z4 50-59 years, male 11.9
GTEX-14PJ6-0926-SM-686ZA 60-69 years, female 11.9
GTEX-PSDG-1526-SM-48TCY 50-59 years, male 11.9
GTEX-WHWD-0726-SM-4OORX 50-59 years, male 11.9
GTEX-ZEX8-1026-SM-4WKHE 50-59 years, male 11.9
GTEX-WRHK-0226-SM-4MVOH 20-29 years, female 11.8
GTEX-ZG7Y-0326-SM-4WWEY 50-59 years, male 11.8
GTEX-1PPH8-2326-SM-EAZ48 20-29 years, male 11.8
GTEX-1S831-0626-SM-EV79N 20-29 years, male 11.8
GTEX-13D11-2226-SM-5IFEO 50-59 years, female 11.7
GTEX-13FTX-1226-SM-5IFGN 20-29 years, female 11.7
GTEX-YFCO-1026-SM-5LU9S 40-49 years, male 11.7
GTEX-1M5QR-0926-SM-DHXK8 40-49 years, male 11.7
GTEX-17HHE-0526-SM-7DUGR 50-59 years, male 11.6
GTEX-1CB4I-1326-SM-79OLY 50-59 years, male 11.6
GTEX-1F5PL-0726-SM-7MKH8 40-49 years, female 11.6
GTEX-PW2O-0826-SM-48TC5 20-29 years, male 11.6
GTEX-WXYG-0826-SM-4ONC7 50-59 years, female 11.6
GTEX-Y114-0826-SM-4TT77 50-59 years, female 11.6
GTEX-WQUQ-2126-SM-4OOSO 60-69 years, male 11.5
GTEX-XBEW-1626-SM-4SOJP 40-49 years, male 11.5
GTEX-ZZPU-0726-SM-5N9C8 50-59 years, female 11.5
GTEX-1QW4Y-0926-SM-DPRY2 30-39 years, male 11.5
GTEX-14AS3-0326-SM-5Q5DB 40-49 years, female 11.4
GTEX-14PK6-1026-SM-664NZ 70-79 years, female 11.4
GTEX-ZLWG-0326-SM-4WWC7 50-59 years, female 11.4
GTEX-15UF6-1826-SM-6LLI9 70-79 years, female 11.3
GTEX-XMK1-0326-SM-4B652 40-49 years, male 11.3
GTEX-XPVG-0326-SM-4B653 50-59 years, male 11.3
GTEX-OOBJ-1026-SM-3NB2L 60-69 years, male 11.1
GTEX-1AX9K-2026-SM-731D1 50-59 years, male 11.0
GTEX-1HSMO-2026-SM-CNNQO 60-69 years, male 11.0
GTEX-1AX9J-1726-SM-731FF 60-69 years, male 10.9
GTEX-YF7O-1326-SM-4W1ZR 50-59 years, male 10.9
GTEX-13FH7-1426-SM-5IFIC 50-59 years, female 10.8
GTEX-148VI-0826-SM-5TDDI 60-69 years, female 10.8
GTEX-111YS-1226-SM-5EGGJ 60-69 years, male 10.7
GTEX-1CAMS-1926-SM-7DUEU 40-49 years, female 10.7
GTEX-1HKZK-1126-SM-9WG82 40-49 years, male 10.6
GTEX-1OKEX-1726-SM-E9U4F 60-69 years, male 10.6
GTEX-1R7EU-0726-SM-DPRZM 60-69 years, male 10.6
GTEX-12WSL-0426-SM-5GCNX 50-59 years, male 10.5
GTEX-14E6E-1426-SM-5RQI2 30-39 years, male 10.5
GTEX-14PHX-2026-SM-6872C 50-59 years, male 10.5
GTEX-1CB4G-1826-SM-7MKGO 60-69 years, male 10.5
GTEX-NPJ8-2126-SM-3MJGK 40-49 years, male 10.5
GTEX-QCQG-0426-SM-48U29 50-59 years, female 10.5
GTEX-X4LF-0326-SM-4QAS9 50-59 years, male 10.5
GTEX-1H1DG-1426-SM-9OSXP 70-79 years, male 10.5
GTEX-132QS-0926-SM-5P9GB 60-69 years, male 10.4
GTEX-X5EB-0526-SM-46MVP 40-49 years, male 10.4
GTEX-1B8KE-0726-SM-72D7G 50-59 years, male 10.3
GTEX-15SHV-1526-SM-6LLIB 60-69 years, male 10.2
GTEX-1AMFI-0726-SM-731D9 50-59 years, female 10.2
GTEX-P4PQ-1026-SM-3NMCN 60-69 years, male 10.2
GTEX-15CHR-2026-SM-7MXU2 50-59 years, male 10.2
GTEX-1IDJC-0526-SM-AHZ2Q 50-59 years, male 10.2
GTEX-1399S-0326-SM-5IFFS 30-39 years, female 10.1
GTEX-13PL7-2226-SM-5L3IC 60-69 years, female 10.1
GTEX-15SB6-0226-SM-6LLIA 50-59 years, female 10.1
GTEX-SNOS-0926-SM-4DM7A 40-49 years, male 10.1
GTEX-ZVZP-0626-SM-59HL5 50-59 years, male 10.1
GTEX-1GN1W-1126-SM-9OSW3 50-59 years, female 10.1
GTEX-OIZI-1526-SM-E6CHI 40-49 years, male 10.1
GTEX-PX3G-1026-SM-48TZW 20-29 years, female 10.0
GTEX-1A8FM-1826-SM-7MGXO 50-59 years, female 10.0
GTEX-QLQW-0326-SM-447A8 30-39 years, male 9.8
GTEX-R55D-1426-SM-48FEN 50-59 years, male 9.8
GTEX-145MN-1426-SM-5SI9H 30-39 years, male 9.7
GTEX-1B97J-1526-SM-79ONI 50-59 years, female 9.7
GTEX-T5JW-0226-SM-4DM7I 20-29 years, female 9.7
GTEX-X3Y1-0726-SM-3P5YU 40-49 years, male 9.7
GTEX-13OVI-0526-SM-5IFFQ 60-69 years, female 9.6
GTEX-15RIF-0626-SM-6LLI3 20-29 years, male 9.6
GTEX-XQ8I-1926-SM-4BOOK 50-59 years, male 9.6
GTEX-1H11D-0926-SM-9OSXO 40-49 years, male 9.6
GTEX-1LGRB-0426-SM-CNNRD 50-59 years, female 9.6
GTEX-17HGU-2026-SM-79OKS 50-59 years, male 9.5
GTEX-Q734-0426-SM-48TZX 40-49 years, female 9.5
GTEX-1QEPI-1626-SM-EAZ3I 60-69 years, female 9.5
GTEX-1S83E-1426-SM-EV7B8 40-49 years, male 9.5
GTEX-11P7K-0526-SM-5BC5I 30-39 years, male 9.4
GTEX-13PVR-0726-SM-5S2PX 60-69 years, female 9.3
GTEX-14C39-1026-SM-73KWG 40-49 years, male 9.3
GTEX-17MF6-1426-SM-7IGOX 40-49 years, male 9.3
GTEX-1GZ4H-0626-SM-9OSXJ 50-59 years, female 9.3
GTEX-14DAR-0526-SM-664MX 50-59 years, male 9.2
GTEX-OHPM-1026-SM-3LK74 50-59 years, male 9.2
GTEX-PLZ6-0726-SM-3P619 30-39 years, male 9.2
GTEX-1I4MK-1026-SM-AHZ2H 50-59 years, female 9.2
GTEX-1IDJU-0326-SM-CGQEE 60-69 years, female 9.2
GTEX-1LVAN-1226-SM-CNNQY 50-59 years, female 9.2
GTEX-1399U-0926-SM-5IFHA 50-59 years, female 9.1
GTEX-1KANA-1526-SM-CXZKG 20-29 years, male 9.1
GTEX-1O97I-1726-SM-EXOIP 60-69 years, male 9.1
GTEX-XGQ4-0226-SM-4GIDS 50-59 years, male 9.0
GTEX-Y8E4-1326-SM-5IFIY 40-49 years, male 9.0
GTEX-1N2EF-2126-SM-DPRYL 60-69 years, male 9.0
GTEX-ZV7C-0726-SM-59HKH 50-59 years, male 8.9
GTEX-1I1GT-0926-SM-AHZ2G 60-69 years, female 8.9
GTEX-1128S-0826-SM-5GZZI 60-69 years, female 8.8
GTEX-14PJ4-0726-SM-6872E 60-69 years, male 8.8
GTEX-1C2JI-0926-SM-731F1 50-59 years, male 8.8
GTEX-1B933-1726-SM-731FC 50-59 years, female 8.7
GTEX-W5WG-0826-SM-4RGNE 50-59 years, female 8.7
GTEX-1I1GQ-2226-SM-B2LX1 50-59 years, male 8.7
GTEX-1LSNM-0726-SM-DHXL1 50-59 years, male 8.7
GTEX-11EQ9-1026-SM-5H134 30-39 years, male 8.6
GTEX-14PJN-1526-SM-6AJBP 30-39 years, male 8.6
GTEX-NFK9-1626-SM-3LK5J 40-49 years, male 8.6
GTEX-TMMY-1326-SM-4DXU9 40-49 years, female 8.6
GTEX-1QPFJ-2226-SM-EXOJW 30-39 years, female 8.6
GTEX-YEC4-1326-SM-5IFHG 40-49 years, male 8.5
GTEX-1GN1U-1126-SM-9WPPZ 50-59 years, female 8.5
GTEX-1LG7Z-0326-SM-DHXK3 30-39 years, male 8.5
GTEX-1S82P-1026-SM-EAZ4W 60-69 years, female 8.5
GTEX-13FLV-0626-SM-5IFEY 50-59 years, male 8.4
GTEX-WH7G-0826-SM-4LVMR 40-49 years, male 8.4
GTEX-ZVT2-2026-SM-5NQ8Q 50-59 years, female 8.4
GTEX-1HSGN-1426-SM-A8NAA 40-49 years, female 8.4
GTEX-YEC3-0626-SM-CMKFG 50-59 years, male 8.4
GTEX-1122O-0726-SM-5GIEV 60-69 years, female 8.3
GTEX-TML8-0526-SM-32QOQ 40-49 years, female 8.3
GTEX-ZYFG-0826-SM-5BC5T 60-69 years, female 8.3
GTEX-111CU-0526-SM-5EGHK 50-59 years, male 8.2
GTEX-XUW1-1726-SM-4BOOZ 50-59 years, female 8.2
GTEX-14JG6-0426-SM-68715 30-39 years, female 8.1
GTEX-14PN3-0126-SM-6AJAU 60-69 years, female 8.1
GTEX-16MT8-1726-SM-7EWE7 60-69 years, female 8.1
GTEX-ZPIC-0926-SM-4WWFK 40-49 years, female 8.1
GTEX-1N2DV-1726-SM-DPRYR 40-49 years, male 8.1
GTEX-131XF-1426-SM-5BC68 60-69 years, male 8.0
GTEX-1H1E6-0826-SM-9WG83 30-39 years, male 8.0
GTEX-1MUQO-1426-SM-DPRYJ 60-69 years, male 8.0
GTEX-146FQ-1526-SM-5Q5CX 30-39 years, male 7.9
GTEX-1CB4F-1226-SM-7DHKU 60-69 years, male 7.9
GTEX-18A6Q-1726-SM-7LT9A 60-69 years, male 7.8
GTEX-1KXAM-0226-SM-EV7AP 60-69 years, male 7.8
GTEX-1QP28-1026-SM-EAZ4K 50-59 years, female 7.8
GTEX-11I78-0626-SM-5A5LZ 50-59 years, female 7.7
GTEX-15UKP-1326-SM-6LPI8 20-29 years, male 7.7
GTEX-1AYD5-0326-SM-7EWEO 50-59 years, male 7.7
GTEX-ZPCL-0726-SM-DO91S 60-69 years, female 7.7
GTEX-11ONC-0526-SM-5BC57 60-69 years, male 7.6
GTEX-14PJ3-0426-SM-6LLHF 50-59 years, male 7.6
GTEX-QDVN-0926-SM-2I5GL 50-59 years, male 7.6
GTEX-1QP2A-1326-SM-EAZ3K 50-59 years, male 7.6
GTEX-14PJO-1826-SM-69LPR 60-69 years, male 7.5
GTEX-S4P3-0626-SM-4AD59 50-59 years, female 7.5
GTEX-1GL5R-0926-SM-9JGFO 50-59 years, male 7.5
GTEX-QV31-0226-SM-447BO 30-39 years, male 7.4
GTEX-ZDTT-1126-SM-4WKFW 60-69 years, male 7.4
GTEX-1MGNQ-1226-SM-EV7BM 40-49 years, male 7.4
GTEX-1OFPY-0626-SM-EXOJ4 60-69 years, male 7.4
GTEX-12WSD-1626-SM-5GCNR 60-69 years, female 7.3
GTEX-VUSG-0326-SM-3GIJ7 50-59 years, male 7.3
GTEX-ZVP2-0726-SM-59HKY 50-59 years, male 7.1
GTEX-ZYY3-0826-SM-5E44R 60-69 years, female 7.1
GTEX-131XG-1426-SM-5GCMO 50-59 years, female 6.8
GTEX-S3XE-0526-SM-4AD4G 50-59 years, male 6.8
GTEX-13YAN-2126-SM-5Q5C4 60-69 years, male 6.7
GTEX-14PKU-0626-SM-6EU1Q 40-49 years, female 6.7
GTEX-QV44-0426-SM-4R1KF 50-59 years, male 6.7
GTEX-11DXX-0926-SM-5H112 60-69 years, female 6.6
GTEX-ZLFU-0726-SM-57WF6 40-49 years, male 6.6
GTEX-11LCK-0226-SM-5A5M6 30-39 years, male 6.5
GTEX-146FR-0126-SM-5Q5F3 60-69 years, female 6.5
GTEX-ZT9W-0926-SM-57WFS 50-59 years, male 6.5
GTEX-1H23P-2026-SM-9OSXY 60-69 years, male 6.5
GTEX-1J8Q3-0626-SM-AHZ3V 60-69 years, male 6.4
GTEX-1211K-1126-SM-5EGGB 60-69 years, female 6.1
GTEX-17F9E-1426-SM-793BG 50-59 years, male 6.1
GTEX-12BJ1-1126-SM-5EGGG 60-69 years, male 6.0
GTEX-RM2N-0326-SM-48FD8 50-59 years, male 6.0
GTEX-15ER7-1326-SM-6LPK9 20-29 years, female 5.8
GTEX-11NSD-0526-SM-5A5LT 20-29 years, male 5.6
GTEX-UJMC-1126-SM-3GADP 50-59 years, male 5.6
GTEX-ZYW4-2126-SM-59HJ9 60-69 years, male 5.6
GTEX-1PBJI-2126-SM-DPRYG 20-29 years, female 5.6
GTEX-145MO-2126-SM-5Q5CZ 60-69 years, male 5.4
GTEX-13O61-2126-SM-5IJEO 60-69 years, male 5.3
GTEX-YB5K-1826-SM-5IFJC 40-49 years, female 5.3
GTEX-1B996-1326-SM-731EO 60-69 years, male 5.2
GTEX-P4PP-1026-SM-3NM9O 30-39 years, female 5.2
GTEX-RWS6-1126-SM-47JXC 60-69 years, female 5.2
GTEX-1J8EW-1926-SM-CGQGR 60-69 years, female 5.2
GTEX-ZAK1-2326-SM-5CVMY 50-59 years, female 5.0
GTEX-12WSK-0226-SM-5BC62 40-49 years, female 4.8
GTEX-ZAB4-1726-SM-5HL8C 40-49 years, male 4.8
GTEX-12WSG-1026-SM-5EGII 50-59 years, female 4.7
GTEX-16Z82-1726-SM-7MGX3 60-69 years, male 4.7
GTEX-1C6VQ-1726-SM-7IGLQ 50-59 years, male 4.5
GTEX-1CAMQ-1626-SM-7MGXG 40-49 years, male 4.4
GTEX-1GMR3-1226-SM-7MGY1 40-49 years, male 4.3
GTEX-14PJM-2126-SM-6AJAS 50-59 years, female 4.1
GTEX-11GSP-0426-SM-5A5KX 60-69 years, female 2.9
GTEX-18A7A-1726-SM-7LT93 50-59 years, female 0.0
Show allShow less

PANCREAS - FANTOM5 CAGEi

RNA expression in human tissues obtained through Cap Analysis of Gene Expression (CAGE) generated by the FANTOM5 project are reported as Scaled Tags Per Million.

Max subtype Scaled Tags Per Millioni

Max subtype Scaled Tags Per Million is the value for the subtype with the largest average Scaled Tags Per Million across the subtype samples.

41.6
FANTOM5 sample id Sample description Scaled Tags Per Million
Pancreas
Scaled Tags Per Million: 41.6
FF:10049-101G4 52 years, male 41.6

Contact

  • NEWS ARTICLES
  • PRESS ROOM

The Project

  • INTRODUCTION
  • ORGANIZATION
  • PUBLICATIONS

The Human Protein Atlas

  • DOWNLOADABLE DATA
  • LICENCE & CITATION
  • HELP & FAQ
The Human Protein Atlas project is funded
by the Knut & Alice Wallenberg Foundation.


contact@proteinatlas.org