We use cookies to enhance the usability of our website. If you continue, we'll assume that you are happy to receive all cookies. More information. Don't show this again.
MRPL23
HPA
RESOURCES
  • TISSUE
  • BRAIN
  • SINGLE CELL
  • SUBCELLULAR
  • CANCER
  • BLOOD
  • CELL LINE
  • STRUCTURE & INTERACTION
ABOUT
  • INTRODUCTION
  • HISTORY
  • ORGANIZATION
  • PUBLICATIONS
  • ANTIBODY SUBMISSION
  • ANTIBODY AVAILABILITY
  • ACKNOWLEDGMENTS
  • CONTACT
NEWS
  • NEWS ARTICLES
  • PRESS ROOM
LEARN
  • DICTIONARY
  • PROTEIN CLASSES
  • PROTEIN EVIDENCE
  • METHODS
  • EDUCATIONAL VIDEOS
DATA
  • DOWNLOADABLE DATA
  • PUBLICATION DATA
  • RELEASE HISTORY
HELP
  • ANTIBODY VALIDATION
  • ASSAYS & ANNOTATION
  • DISCLAIMER
  • HELP & FAQ
  • PRIVACY STATEMENT
  • LICENCE & CITATION
Fields »
Search result

Field
Term
Gene name
Class
Subclass
Class
Keyword
Chromosome
External id
Tissue
Cell type
Expression
Antibody panel
Tissue
Main location
Patient ID
Annotation
Tissue
Category
Tau score
Cluster
Reliability
Brain region
Category
Tau score
Brain region
Category
Tau score
Brain region
Category
Tau score
Cluster
Reliability
Tissue
Cell type
Enrichment
Cell type
Category
Tau score
Cell type
Category
Tau score
Cell type
Category
Tau score
Cell lineage
Category
Tau score
Cluster
Cluster
Location
Searches
Location
Cell line
Class
Type
Phase
Reliability
Cancer
Prognosis
Cancer
Category
Cancer
Category
Tau score
Cluster
Variants
Interacting gene (ensg_id)
Type
Number of interactions
Pathway
Category
Score
Score
Score
Validation
Validation
Validation
Validation
Antibodies
Data type
Column


  • SUMMARY

  • TISSUE

  • BRAIN

  • SINGLE CELL

  • SUBCELL

  • CANCER

  • BLOOD

  • CELL LINE

  • STRUCT & INT

  • MRPL23
TISSUE PRIMARY DATA HEART MUSCLE Show tissue menu
ADIPOSE TISSUE ADRENAL GLAND AMYGDALA APPENDIX BASAL GANGLIA BONE MARROW BREAST BRONCHUS CEREBELLUM CEREBRAL CORTEX CERVIX CHOROID PLEXUS COLON DUODENUM
ENDOMETRIUM EPIDIDYMIS ESOPHAGUS FALLOPIAN TUBE GALLBLADDER HEART MUSCLE HIPPOCAMPAL FORMATION HYPOTHALAMUS KIDNEY LIVER LUNG LYMPH NODE MIDBRAIN NASOPHARYNX
ORAL MUCOSA OVARY PANCREAS PARATHYROID GLAND PITUITARY GLAND PLACENTA PROSTATE RECTUM RETINA SALIVARY GLAND SEMINAL VESICLE SKELETAL MUSCLE SKIN SMALL INTESTINE
SMOOTH MUSCLE SOFT TISSUE SPINAL CORD SPLEEN STOMACH TESTIS THYMUS THYROID GLAND TONGUE TONSIL URINARY BLADDER VAGINA
ANTIBODIES
AND
VALIDATION
Dictionary
Heart muscle
Tissue proteome
Heart
HEART MUSCLE - Expression summary
Protein expression
Heart musclei

On the top, protein expression in current human tissue, based on all annotated cell types, is reported with the units not detected (n), low (l), medium (m) and high (h). Underneath, protein expression in each annotated cell type are reported using the same units.

Protein expression data is based on knowledge-based annotation. For genes where more than one antibody has been used, a collective score is set.

If knowledge-based annotation could not be performed for a gene, no data is displayed here. View antibody staining data further down this page.

h
m
l
n
Cardiomyocytes: Medium
RNA expressioni

A summary of mRNA expression data available for current tissue based on several datasets. The mRNA expression levels in human tissues are based on RNA-seq data generated by the Human Protein Atlas (HPA), Genotype-Tissue Expression (GTEx) portal and CAGE data generated by the FANTOM5 consortium. Consensus normalized expression levels for human tissues was created by combining the data from HPA and GTEx datasets.

The mRNA expression levels in pig are based on RNA-seq data generated by the Human Protein Atlas (HPA), and for mouse, HPA data and in situ hybridization generated by the Allen brain atlas are reported.

Scroll down to view mRNA expression data in more detail.
Consensus:124.3 nTPM
HPA:19.2 nTPM
GTEx:124.3 nTPM
FANTOM5:107.3 Scaled Tags Per Million

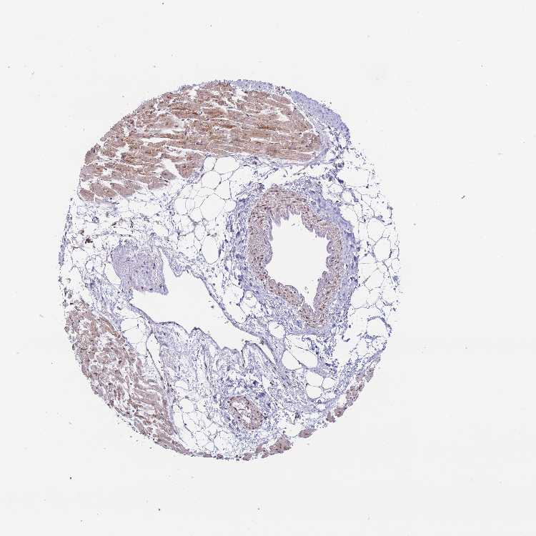
HEART MUSCLE - Antibody stainingi

Antibody staining in the annotated cell types in the current human tissue is reported as not detected, low, medium, or high, based on conventional immunohistochemistry profiling in selected tissues. This score is based on the combination of the staining intensity and fraction of stained cells.

Each image is clickable and will lead to virtual microscopy that enables deeper exploration of all samples and also displays staining intensity scores, fraction scores and subcellular localization as well as patient and tissue information for each sample.

Antibody HPA050406
Cardiomyocytes Medium


HEART MUSCLE - HPA RNA-seqi

The RNA-seq details section shows detailed information about the individual samples used for the transcript profiling and results of the RNA-seq analysis.

Information about each individual sample is listed below, including gender, age, a tissue section image and estimated fractions of cell types. nTPM (normalized transcripts per million) values give a quantification of the gene abundance which is comparable between different genes and samples.
Average nTPMi

Max subtype nTPM is the value for the subtype with the largest average nTPM across the subtype samples.

19.2
overview
Female, age 48
Heart muscle sample 149
nTPM: 26.2
Cell types%
Myocytes:
15

Fibroblasts:
55

Endothelial cells:
25

Other cell types:
5

overview
Female, age 42
Heart muscle sample 150
nTPM: 20.7
Cell types%
Myocytes:
20

Fibroblasts:
45

Endothelial cells:
30

Other cell types:
5

overview
Male, age 53
Heart muscle sample 151
nTPM: 0.8
Cell types%
Myocytes:
20

Fibroblasts:
45

Endothelial cells:
30

Other cell types:
5

overview
Female, age 69
Heart muscle sample 152
nTPM: 28.9
Cell types%
Myocytes:
20

Fibroblasts:
45

Endothelial cells:
30

Other cell types:
5


HEART MUSCLE - GTEx RNA-seqi

RNA-Seq data generated by the Genotype-Tissue Expression (GTEx) project from human tissues is reported as mean nTPM. More information can be found on the GTEx portal.

Distribution across the dataset is visualized with box plots, shown as median and 25th and 75th percentiles. Points are displayed as outliers if they are above or below 1.5 times the interquartile range. nTPM values of the individual samples are presented next to the box plot.
Max subtype nTPMi

Max subtype nTPM is the value for the subtype with the largest average nTPM across the subtype samples.

124.3
GTEx sample id Sample description nTPM
Heart - Atrial Appendage
Average nTPM: 110.0
Samples: 429

Max nTPM: 586.8
Min nTPM: 23.6
Std nTPM: 41.4
Median nTPM: 104.8
GTEX-14PJM-0826-SM-6LLIW 50-59 years, female 586.8
GTEX-14C5O-1226-SM-664N3 60-69 years, male 283.7
GTEX-1J1OQ-2226-SM-A96SS 40-49 years, female 253.7
GTEX-1EH9U-0626-SM-7PC33 60-69 years, male 250.7
GTEX-1LVAO-0626-SM-EWRNT 60-69 years, male 227.6
GTEX-1F75A-1026-SM-7PC3W 50-59 years, male 214.0
GTEX-1GF9U-0526-SM-7P8SK 40-49 years, female 211.5
GTEX-14BIM-2726-SM-5Q5EG 60-69 years, female 206.2
GTEX-ZYFC-1026-SM-5GZX9 50-59 years, male 206.1
GTEX-ZYVF-1826-SM-5E44F 50-59 years, female 197.9
GTEX-12WSI-0426-SM-5EQ5J 50-59 years, male 196.2
GTEX-1KANB-1126-SM-DHXJT 50-59 years, male 194.3
GTEX-11O72-1026-SM-5986B 40-49 years, male 187.6
GTEX-14PN4-0826-SM-69LON 50-59 years, male 181.0
GTEX-13RTJ-0526-SM-62LDP 60-69 years, male 179.5
GTEX-1RB15-0426-SM-E9U4Y 60-69 years, male 179.3
GTEX-1A8G6-1826-SM-73KY8 60-69 years, male 175.7
GTEX-12WSC-1026-SM-5EQ5Y 50-59 years, male 170.7
GTEX-1HC8U-0626-SM-B2LWB 40-49 years, female 169.8
GTEX-1MJIX-0426-SM-DTXEN 40-49 years, male 169.1
GTEX-1I1GP-0626-SM-ARL7H 50-59 years, male 167.0
GTEX-1GZ4I-0826-SM-9WG6O 50-59 years, male 166.0
GTEX-13SLW-0826-SM-5QGP7 70-79 years, male 165.9
GTEX-145LV-0226-SM-5S2QG 50-59 years, male 165.3
GTEX-13D11-1526-SM-5J2NA 50-59 years, female 164.9
GTEX-ZVT3-0826-SM-5GIC8 60-69 years, female 164.9
GTEX-14JG1-0826-SM-5ZZWR 40-49 years, male 163.6
GTEX-18465-0726-SM-7LG4L 50-59 years, male 162.9
GTEX-148VJ-1426-SM-5TDE3 70-79 years, male 162.7
GTEX-1RLM8-0226-SM-E6CJY 50-59 years, male 162.3
GTEX-13X6K-1726-SM-7IGLG 60-69 years, female 162.1
GTEX-1JMLX-1826-SM-CNPOX 50-59 years, male 161.2
GTEX-1HR98-1026-SM-CKZOM 60-69 years, male 161.0
GTEX-1JJ6O-2226-SM-AHZ3I 60-69 years, male 160.4
GTEX-1I1GQ-1226-SM-CL55J 50-59 years, male 159.5
GTEX-13JVG-1126-SM-5KM2M 60-69 years, male 158.9
GTEX-1H1DG-0826-SM-9QEIW 70-79 years, male 158.6
GTEX-147F4-1126-SM-5TDDE 50-59 years, male 157.6
GTEX-1I1GV-1426-SM-B2LXN 60-69 years, male 156.2
GTEX-14ASI-0826-SM-5Q5EB 60-69 years, male 155.0
GTEX-1KANC-0226-SM-E9TIW 50-59 years, female 153.8
GTEX-1IY9M-0626-SM-D4P2L 60-69 years, male 153.7
GTEX-1GF9V-1726-SM-9KNW4 60-69 years, male 153.5
GTEX-145LS-1326-SM-5Q5EP 60-69 years, female 153.1
GTEX-XBEC-1226-SM-4AT65 50-59 years, male 153.1
GTEX-ZDTS-1226-SM-4WKGL 60-69 years, male 152.6
GTEX-1LH75-0526-SM-DIPG2 50-59 years, female 151.7
GTEX-1IDJH-1126-SM-COH3R 70-79 years, male 151.3
GTEX-183WM-0926-SM-718AN 70-79 years, female 150.0
GTEX-1C6VQ-0826-SM-7PBZT 50-59 years, male 147.3
GTEX-1E2YA-0626-SM-7P8P4 50-59 years, male 147.0
GTEX-13FHP-0826-SM-5K7V5 50-59 years, male 145.9
GTEX-1J8Q2-1026-SM-ARU8I 60-69 years, male 145.6
GTEX-13QBU-0226-SM-5LU48 40-49 years, female 145.5
GTEX-1K2DU-0226-SM-DIPF6 20-29 years, male 145.2
GTEX-ZLFU-0326-SM-4WWBK 40-49 years, male 145.0
GTEX-144GL-1026-SM-5O99R 50-59 years, male 143.6
GTEX-1QP29-1426-SM-DTX9Q 50-59 years, male 143.5
GTEX-XQ3S-0526-SM-4BOQA 20-29 years, male 143.1
GTEX-1QPFJ-0926-SM-EVR3K 30-39 years, female 142.6
GTEX-ZZPT-0926-SM-5GICZ 50-59 years, male 142.3
GTEX-1JJEA-0926-SM-CYPSO 60-69 years, male 142.3
GTEX-1CAMQ-0726-SM-7P8SG 40-49 years, male 142.2
GTEX-1CB4J-0226-SM-7P8T4 60-69 years, male 142.1
GTEX-11DYG-1026-SM-5A5JQ 60-69 years, male 141.8
GTEX-1122O-0626-SM-5N9B9 60-69 years, female 141.5
GTEX-13O3O-1426-SM-5KM2S 60-69 years, female 141.3
GTEX-1BAJH-1026-SM-7EWEG 70-79 years, male 140.6
GTEX-XOT4-1126-SM-4B66E 60-69 years, female 140.6
GTEX-14A5I-1026-SM-5Q5E3 50-59 years, female 139.0
GTEX-14PJO-0826-SM-6ETZK 60-69 years, male 139.0
GTEX-14PJ2-1126-SM-69LOD 50-59 years, male 138.9
GTEX-17GQL-0626-SM-731CN 60-69 years, male 138.6
GTEX-ZF3C-1126-SM-57WEG 50-59 years, female 138.1
GTEX-XLM4-2026-SM-4AT4X 60-69 years, male 136.8
GTEX-ZE7O-0626-SM-57WCD 50-59 years, female 136.8
GTEX-1EMGI-1126-SM-9KNUF 60-69 years, male 136.2
GTEX-16MT8-0826-SM-7KULO 60-69 years, female 135.9
GTEX-12BJ1-0326-SM-5FQUB 60-69 years, male 135.5
GTEX-W5X1-0826-SM-3GILN 40-49 years, female 135.5
GTEX-ZDXO-0426-SM-4WKF6 60-69 years, male 135.5
GTEX-1OFPY-0926-SM-DTX8Q 60-69 years, male 135.4
GTEX-1H3NZ-1026-SM-A9SM5 60-69 years, male 135.1
GTEX-13JUV-0226-SM-5IJCC 40-49 years, female 134.8
GTEX-13W3W-0526-SM-5LU3X 60-69 years, female 134.7
GTEX-1A32A-1326-SM-73KWW 50-59 years, female 134.7
GTEX-1HBPM-1026-SM-ARL9D 60-69 years, female 134.4
GTEX-1GMR8-1026-SM-9MQLA 50-59 years, female 133.8
GTEX-1H3VY-1126-SM-A96TP 50-59 years, male 133.2
GTEX-1AX8Z-1126-SM-731CS 60-69 years, male 132.9
GTEX-147JS-1326-SM-5SI6D 60-69 years, male 132.0
GTEX-1QEPI-1126-SM-E8VN7 60-69 years, female 132.0
GTEX-ZAK1-1126-SM-5PNXU 50-59 years, female 131.9
GTEX-13OW5-0926-SM-5L3GZ 60-69 years, male 131.7
GTEX-1EX96-2626-SM-9MQJV 50-59 years, male 131.6
GTEX-X3Y1-0226-SM-3P5Z5 40-49 years, male 131.2
GTEX-12WSE-0926-SM-5S2VX 20-29 years, male 130.8
GTEX-13FXS-1026-SM-62LFQ 50-59 years, male 130.4
GTEX-15CHQ-1326-SM-6871Z 60-69 years, male 130.0
GTEX-1AX9K-0426-SM-73KUG 50-59 years, male 129.9
GTEX-1HBPH-0226-SM-9WYSM 40-49 years, female 129.4
GTEX-13O61-0426-SM-5L3ET 60-69 years, male 129.2
GTEX-111FC-0626-SM-5N9CU 60-69 years, male 129.0
GTEX-1E1VI-1426-SM-793CY 50-59 years, male 128.9
GTEX-13FH7-0826-SM-5J2NW 50-59 years, female 128.6
GTEX-13PDP-1326-SM-5K7U9 60-69 years, male 128.6
GTEX-146FH-1126-SM-5NQAT 50-59 years, female 128.6
GTEX-1NHNU-0626-SM-E6CP1 50-59 years, male 128.3
GTEX-YF7O-0526-SM-5P9IO 50-59 years, male 127.9
GTEX-1EU9M-1926-SM-7RHH4 60-69 years, male 127.8
GTEX-XPVG-0726-SM-4B658 50-59 years, male 127.3
GTEX-XQ8I-0226-SM-4BOPM 50-59 years, male 126.6
GTEX-1LSNM-0426-SM-E9TIZ 50-59 years, male 126.2
GTEX-1LB8K-0926-SM-D4P42 50-59 years, male 126.0
GTEX-13CF2-0226-SM-5L3DV 60-69 years, male 125.8
GTEX-15RIE-1326-SM-6PAMM 60-69 years, male 125.8
GTEX-1J8EW-0626-SM-CM2TY 60-69 years, female 125.8
GTEX-18A6Q-1526-SM-731CO 60-69 years, male 125.7
GTEX-WYBS-1226-SM-3NM9N 60-69 years, female 125.5
GTEX-12WSA-1126-SM-5EGKU 60-69 years, male 124.3
GTEX-1B933-0826-SM-79OMW 50-59 years, female 124.2
GTEX-1HSGN-0926-SM-CNNQM 40-49 years, female 124.2
GTEX-1IKJJ-0626-SM-CY8GF 60-69 years, male 124.2
GTEX-131XG-0526-SM-5DUWF 50-59 years, female 123.8
GTEX-14PK6-0726-SM-6LLIX 70-79 years, female 123.7
GTEX-1CB4G-0726-SM-79OOJ 60-69 years, male 123.2
GTEX-1QMI2-1026-SM-DTX7T 60-69 years, male 123.0
GTEX-17F9Y-1226-SM-7EPGE 70-79 years, female 122.9
GTEX-11UD2-0926-SM-5CVL6 50-59 years, male 122.2
GTEX-1F75I-1326-SM-7PBZX 40-49 years, male 121.8
GTEX-1F88F-0326-SM-9KNV3 60-69 years, female 121.6
GTEX-145MN-0726-SM-5NQBH 30-39 years, male 121.4
GTEX-XGQ4-0526-SM-4AT6C 50-59 years, male 121.4
GTEX-1CAMS-1126-SM-7MXUQ 40-49 years, female 121.2
GTEX-ZTPG-1326-SM-51MSQ 20-29 years, female 121.1
GTEX-1B996-1026-SM-793CF 60-69 years, male 121.0
GTEX-WH7G-0326-SM-3NMBH 40-49 years, male 120.8
GTEX-1C64O-0926-SM-79OLN 60-69 years, male 120.6
GTEX-1HT8W-1326-SM-CGQEN 30-39 years, male 120.5
GTEX-Y114-0126-SM-4TT8K 50-59 years, female 120.4
GTEX-13O3P-1426-SM-5L3DT 50-59 years, male 120.3
GTEX-YEC4-0226-SM-4W1YG 40-49 years, male 119.5
GTEX-WI4N-0726-SM-3TW93 40-49 years, female 119.2
GTEX-YECK-1226-SM-4W21G 60-69 years, male 119.1
GTEX-1QCLZ-1126-SM-EWRNB 60-69 years, female 118.5
GTEX-1445S-1226-SM-5O9BF 60-69 years, male 118.4
GTEX-12ZZX-0726-SM-5EGKA 40-49 years, female 118.3
GTEX-16YQH-0726-SM-7IGM1 30-39 years, male 118.1
GTEX-ZPIC-0426-SM-DO91V 40-49 years, female 117.9
GTEX-1HSKV-0726-SM-ACKWE 60-69 years, male 117.7
GTEX-11NUK-0926-SM-5HL57 50-59 years, male 117.5
GTEX-13OW7-1626-SM-5IJDH 50-59 years, male 117.5
GTEX-13VXT-0726-SM-5SIAD 20-29 years, female 117.4
GTEX-11NV4-0826-SM-5BC4S 60-69 years, male 117.3
GTEX-13NYB-0326-SM-5IJDP 40-49 years, male 117.3
GTEX-1GN1U-1426-SM-7P8TF 50-59 years, female 117.3
GTEX-1HSMO-1126-SM-CGQF2 60-69 years, male 117.1
GTEX-1399S-0826-SM-5KM23 30-39 years, female 117.0
GTEX-1HFI7-0526-SM-A9SMA 50-59 years, female 117.0
GTEX-13SLX-0926-SM-5S2NM 50-59 years, female 116.9
GTEX-11EMC-0826-SM-59862 60-69 years, female 116.7
GTEX-132NY-1426-SM-5J1MJ 60-69 years, male 116.5
GTEX-1KXAM-1426-SM-D3LAC 60-69 years, male 116.3
GTEX-1GN2E-1426-SM-7RHHI 60-69 years, male 116.2
GTEX-14PN3-0726-SM-6EU14 60-69 years, female 116.1
GTEX-13NZB-0426-SM-5KM26 30-39 years, male 116.0
GTEX-1CB4H-0626-SM-7IGN3 60-69 years, female 115.5
GTEX-14XAO-0926-SM-69LPZ 60-69 years, female 115.2
GTEX-1212Z-0726-SM-5EGI5 60-69 years, male 115.1
GTEX-12ZZY-1226-SM-5GCNK 60-69 years, male 115.1
GTEX-1211K-0226-SM-59HJY 60-69 years, female 114.8
GTEX-11ZUS-0326-SM-5EQ4W 30-39 years, male 114.5
GTEX-132QS-0526-SM-5IJC7 60-69 years, male 114.4
GTEX-WK11-0626-SM-3NMAV 50-59 years, male 114.3
GTEX-1399U-0726-SM-5KM1D 50-59 years, female 113.9
GTEX-1POEN-0726-SM-DTXDU 30-39 years, female 113.8
GTEX-1C2JI-0626-SM-7DHM1 50-59 years, male 113.7
GTEX-12696-1226-SM-5FQSM 60-69 years, male 113.4
GTEX-13YAN-1426-SM-7EPG8 60-69 years, male 112.8
GTEX-1GN1W-0226-SM-7P8QY 50-59 years, female 112.8
GTEX-1339X-0326-SM-5K7Z8 40-49 years, male 112.6
GTEX-17JCI-0826-SM-7LT8W 60-69 years, female 112.6
GTEX-1PPGY-0926-SM-DTXFF 60-69 years, male 112.4
GTEX-Y3IK-1026-SM-51MR7 50-59 years, female 112.2
GTEX-1GN73-2326-SM-9MQKV 60-69 years, male 111.7
GTEX-WOFL-1226-SM-4OOST 60-69 years, male 110.7
GTEX-ZYFG-0526-SM-5GZXX 60-69 years, female 110.4
GTEX-1A8FM-1026-SM-7PC26 50-59 years, female 110.2
GTEX-1MCC2-0226-SM-EVYD5 30-39 years, female 110.1
GTEX-13NYS-1926-SM-5IJCB 60-69 years, male 110.0
GTEX-117XS-0726-SM-5H131 60-69 years, male 109.8
GTEX-14PHX-0626-SM-5YY8Z 50-59 years, male 109.4
GTEX-1LVAN-1526-SM-CNPQN 50-59 years, female 109.4
GTEX-15DCE-0826-SM-7KULW 20-29 years, male 109.2
GTEX-1JK1U-0626-SM-CKZOJ 60-69 years, male 109.2
GTEX-1B97J-0326-SM-7939H 50-59 years, female 108.7
GTEX-111VG-0326-SM-5GZX7 60-69 years, male 108.4
GTEX-V1D1-0626-SM-4JBHN 50-59 years, male 108.4
GTEX-ZDYS-0326-SM-5HL4W 50-59 years, male 108.3
GTEX-1L5NE-0526-SM-DIPG5 50-59 years, male 107.6
GTEX-1H1ZS-1026-SM-9WG6E 70-79 years, male 107.2
GTEX-13OW6-0926-SM-5L3GM 50-59 years, male 107.1
GTEX-11LCK-0826-SM-5PNYD 30-39 years, male 106.9
GTEX-11P81-0526-SM-59873 30-39 years, female 106.8
GTEX-1F6I4-0826-SM-7RHGK 60-69 years, male 106.5
GTEX-1P4AB-0926-SM-E76PV 50-59 years, male 106.5
GTEX-16NPX-0826-SM-6M489 50-59 years, male 106.3
GTEX-ZZPU-1126-SM-5N9CW 50-59 years, female 106.3
GTEX-1IKK5-1726-SM-CM2RU 60-69 years, male 106.1
GTEX-13PVQ-1326-SM-5LU4J 50-59 years, male 105.9
GTEX-ZYT6-0926-SM-5GIEM 30-39 years, male 105.8
GTEX-1GMRU-1326-SM-9WYUI 50-59 years, male 105.7
GTEX-15RJE-0726-SM-7KUEG 40-49 years, male 105.1
GTEX-X62O-0826-SM-46MW8 50-59 years, male 104.9
GTEX-1LGOU-0326-SM-D3LAM 20-29 years, female 104.8
GTEX-1QP6S-1026-SM-DTXFW 40-49 years, male 104.8
GTEX-Y3I4-0526-SM-4TT6X 50-59 years, male 104.5
GTEX-15SDE-1826-SM-7KUFN 50-59 years, female 104.3
GTEX-14BMV-1026-SM-5SI6B 50-59 years, male 103.7
GTEX-ZPU1-0726-SM-5HL6O 40-49 years, male 103.6
GTEX-13N1W-0926-SM-5MR36 70-79 years, male 103.5
GTEX-1AX9J-0926-SM-73KXA 60-69 years, male 103.5
GTEX-1GTWX-0926-SM-9MQKM 60-69 years, male 103.4
GTEX-11ONC-1026-SM-5GU64 60-69 years, male 102.9
GTEX-1B8KE-0326-SM-73KTY 50-59 years, male 102.6
GTEX-139TU-1926-SM-5J2OC 60-69 years, male 102.1
GTEX-ZVZQ-0726-SM-51MR3 60-69 years, female 101.8
GTEX-111YS-0326-SM-5GZZ3 60-69 years, male 101.1
GTEX-U8XE-0926-SM-3DB8V 30-39 years, male 100.9
GTEX-VJWN-1026-SM-4M1ZN 50-59 years, female 100.5
GTEX-YB5K-0226-SM-5IFJE 40-49 years, female 100.5
GTEX-ZAJG-0926-SM-5Q5AB 50-59 years, female 100.3
GTEX-Z93S-0326-SM-5HL84 50-59 years, male 100.0
GTEX-11DXX-0526-SM-5PNVR 60-69 years, female 99.9
GTEX-1313W-1126-SM-5EQ5U 50-59 years, female 99.8
GTEX-1CB4I-1526-SM-7DHMY 50-59 years, male 99.5
GTEX-X8HC-1026-SM-46MWH 50-59 years, female 99.4
GTEX-1R9K4-1026-SM-EXUT1 60-69 years, male 99.3
GTEX-1HFI6-0826-SM-9YFM2 40-49 years, male 99.2
GTEX-15EU6-1326-SM-6PANG 50-59 years, male 99.1
GTEX-131XF-0426-SM-5HL7U 60-69 years, male 98.8
GTEX-1IKOE-0626-SM-A9G31 30-39 years, female 98.4
GTEX-ZG7Y-1426-SM-4WWBM 50-59 years, male 98.0
GTEX-12WSN-0226-SM-5DUXH 40-49 years, male 97.9
GTEX-14H4A-0426-SM-5ZZWO 40-49 years, female 97.7
GTEX-XYKS-0226-SM-4BRW3 60-69 years, female 97.2
GTEX-13PL6-0826-SM-5IJBI 40-49 years, female 97.0
GTEX-13FHO-1226-SM-5L3EF 60-69 years, male 96.9
GTEX-14BIL-0926-SM-7DHKN 50-59 years, male 96.6
GTEX-1192X-0726-SM-5987R 50-59 years, male 96.5
GTEX-14E7W-1126-SM-5ZZVS 70-79 years, male 96.3
GTEX-14PJ6-0626-SM-686Z6 60-69 years, female 96.3
GTEX-12WSD-1226-SM-5HL9Q 60-69 years, female 95.5
GTEX-13PL7-0726-SM-5KM1S 60-69 years, female 95.4
GTEX-1MJK2-1626-SM-EVYCQ 50-59 years, male 95.3
GTEX-11ZTT-0526-SM-5EQLA 60-69 years, female 95.2
GTEX-132Q8-1126-SM-5K7XS 60-69 years, male 95.2
GTEX-WHSE-0826-SM-4SOJU 20-29 years, male 95.2
GTEX-1IDJU-0626-SM-CKZOG 60-69 years, female 95.0
GTEX-ZVT4-1326-SM-5NQ8E 50-59 years, female 94.9
GTEX-1399T-0726-SM-5J1MH 60-69 years, male 94.8
GTEX-11DXY-1026-SM-5987V 60-69 years, male 94.7
GTEX-1NSGN-1226-SM-E76OL 50-59 years, male 94.7
GTEX-1R9JW-0426-SM-E76QL 30-39 years, female 94.5
GTEX-1ICG6-0726-SM-B2LY5 70-79 years, female 94.4
GTEX-1GMR3-0426-SM-7PC17 40-49 years, male 94.3
GTEX-ZDTT-0326-SM-4WKF9 60-69 years, male 94.2
GTEX-WRHU-1026-SM-4E3ID 50-59 years, female 94.0
GTEX-1J8QM-0326-SM-CL53D 60-69 years, female 93.2
GTEX-1J8Q3-1126-SM-ARU8N 60-69 years, male 93.1
GTEX-1B8SG-0726-SM-79ONS 50-59 years, male 92.9
GTEX-WQUQ-1326-SM-3MJFF 60-69 years, male 92.9
GTEX-1C64N-0826-SM-7RHGQ 50-59 years, male 92.8
GTEX-18D9U-1426-SM-718BO 40-49 years, male 92.7
GTEX-1192W-0226-SM-5EGGT 60-69 years, male 92.6
GTEX-WL46-0726-SM-3LK5Z 50-59 years, male 92.5
GTEX-146FR-0926-SM-5QGPE 60-69 years, female 92.2
GTEX-15SHV-0526-SM-7KUEN 60-69 years, male 92.2
GTEX-WY7C-1126-SM-3NB3A 50-59 years, male 91.7
GTEX-13NZA-0826-SM-5K7WS 60-69 years, male 91.5
GTEX-V955-0826-SM-CYPR5 60-69 years, male 91.3
GTEX-13X6J-1226-SM-79OMF 50-59 years, male 91.2
GTEX-14E6C-0326-SM-5Q5EE 40-49 years, male 91.2
GTEX-1HBPN-0926-SM-CGQEG 50-59 years, male 90.9
GTEX-ZYFD-2026-SM-5E459 50-59 years, male 90.7
GTEX-14C38-1326-SM-62LDK 50-59 years, male 90.5
GTEX-1JMQK-0926-SM-ARL96 60-69 years, male 90.5
GTEX-1I1HK-0626-SM-CNPQM 60-69 years, male 90.4
GTEX-1HUB1-0726-SM-CGQF4 60-69 years, male 90.3
GTEX-1477Z-1126-SM-5P9GK 60-69 years, male 89.9
GTEX-WWYW-1126-SM-3NB2Q 50-59 years, female 89.9
GTEX-1EWIQ-1126-SM-7EPIK 70-79 years, female 89.8
GTEX-ZAB4-0926-SM-5CVN4 40-49 years, male 89.7
GTEX-ZXG5-0626-SM-5NQ85 60-69 years, male 89.7
GTEX-1AX9I-1026-SM-73KYF 60-69 years, male 89.5
GTEX-YFC4-0426-SM-4TT3J 40-49 years, female 89.4
GTEX-XPT6-0226-SM-4B65L 20-29 years, male 89.1
GTEX-X261-0926-SM-3NMCY 50-59 years, male 89.0
GTEX-1B8L1-0426-SM-7SB76 60-69 years, male 88.9
GTEX-13O3Q-0326-SM-5L3FE 50-59 years, male 88.7
GTEX-11GS4-0426-SM-5N9CD 60-69 years, male 88.0
GTEX-18A7A-1226-SM-7LTAJ 50-59 years, female 87.9
GTEX-1GL5R-0426-SM-9WPOP 50-59 years, male 87.2
GTEX-1JMOU-0326-SM-ARL8X 60-69 years, female 86.6
GTEX-1JN6P-0826-SM-ARL97 60-69 years, male 86.0
GTEX-131XE-0526-SM-5K7YT 50-59 years, male 85.7
GTEX-18D9B-1126-SM-7KFSH 60-69 years, male 85.3
GTEX-14E1K-0826-SM-5ZZW9 50-59 years, male 84.9
GTEX-1KD5A-0926-SM-D4P3U 50-59 years, male 84.9
GTEX-1IDJF-0826-SM-ARU7N 20-29 years, male 84.7
GTEX-1399R-1726-SM-5K7YJ 30-39 years, male 84.6
GTEX-WHWD-0326-SM-3LK6L 50-59 years, male 84.6
GTEX-117YW-0426-SM-5GZZZ 50-59 years, male 84.5
GTEX-1H11D-1026-SM-9QEIU 40-49 years, male 84.5
GTEX-1I19N-0626-SM-A9SKY 70-79 years, male 84.5
GTEX-1I1GR-1026-SM-A9SLC 60-69 years, male 84.1
GTEX-X4XX-1126-SM-3NMBY 60-69 years, male 84.0
GTEX-1A3MX-1226-SM-731B3 60-69 years, male 83.9
GTEX-WHPG-1026-SM-3NMBA 50-59 years, male 83.9
GTEX-13OVG-0426-SM-5KM2T 60-69 years, male 83.7
GTEX-1GZ2Q-0926-SM-7RHHN 40-49 years, male 83.7
GTEX-1IOXB-0726-SM-A9G32 50-59 years, male 83.6
GTEX-15SHU-0926-SM-6PAMK 40-49 years, female 83.5
GTEX-13U4I-0626-SM-5LU5L 40-49 years, female 83.3
GTEX-1HCVE-0826-SM-CM2SF 50-59 years, male 83.3
GTEX-ZGAY-0226-SM-4WWAL 40-49 years, female 83.2
GTEX-15CHC-0326-SM-5ZZVP 60-69 years, female 83.1
GTEX-Y5V5-0726-SM-4VBPY 60-69 years, female 83.1
GTEX-ZT9W-0526-SM-57WFG 50-59 years, male 83.1
GTEX-13FTW-0826-SM-5K7XR 40-49 years, male 83.0
GTEX-12584-1026-SM-59HK3 40-49 years, male 82.8
GTEX-13PVR-0926-SM-5S2RB 60-69 years, female 82.5
GTEX-15ER7-0826-SM-6PALW 20-29 years, female 82.3
GTEX-139YR-0526-SM-5L3DG 50-59 years, male 81.5
GTEX-1LG7Y-1426-SM-D4P31 50-59 years, male 81.5
GTEX-13N11-0726-SM-5L3DP 50-59 years, female 81.4
GTEX-13O1R-0926-SM-5L3DS 60-69 years, male 81.4
GTEX-ZVT2-0926-SM-5GICE 50-59 years, female 81.4
GTEX-16GPK-1226-SM-7LTAU 60-69 years, male 81.0
GTEX-ZF29-0426-SM-4WKFN 60-69 years, female 81.0
GTEX-14DAQ-1026-SM-793B1 60-69 years, female 80.8
GTEX-13112-0526-SM-5EQ4S 50-59 years, male 80.1
GTEX-YEC3-0426-SM-CYPS8 50-59 years, male 80.1
GTEX-1F75B-1126-SM-7RHGP 50-59 years, male 79.6
GTEX-1B932-1326-SM-79OM4 40-49 years, female 79.5
GTEX-ZPCL-0526-SM-DO91R 60-69 years, female 79.4
GTEX-11WQK-0226-SM-5EQLI 50-59 years, male 79.3
GTEX-14PII-1026-SM-5ZZVW 60-69 years, male 79.1
GTEX-17F96-0826-SM-7DHLU 70-79 years, male 79.1
GTEX-1I1CD-1326-SM-A9SMM 60-69 years, female 79.0
GTEX-14PJ4-0926-SM-5YY98 60-69 years, male 78.9
GTEX-1IKOH-0926-SM-A9SLU 60-69 years, female 78.9
GTEX-15SKB-0926-SM-7KUFC 60-69 years, male 78.5
GTEX-XV7Q-0726-SM-4BRV6 40-49 years, female 78.3
GTEX-1R7EV-0426-SM-DTX7Z 40-49 years, male 77.9
GTEX-17MF6-0926-SM-7LTAL 40-49 years, male 77.8
GTEX-X4EP-0326-SM-3P5Z6 60-69 years, female 77.8
GTEX-1M5QR-1626-SM-E9U5O 40-49 years, male 77.8
GTEX-13S86-0326-SM-5SI6K 40-49 years, male 77.1
GTEX-11EM3-0426-SM-5N9BZ 20-29 years, female 77.0
GTEX-11DXZ-0326-SM-5EGH1 50-59 years, male 76.6
GTEX-13O21-0326-SM-5J1N9 50-59 years, male 76.0
GTEX-18A67-1026-SM-731CE 50-59 years, male 76.0
GTEX-1CB4E-0626-SM-7DHMW 60-69 years, male 76.0
GTEX-12WSG-1226-SM-5EQ4C 50-59 years, female 75.9
GTEX-1AYCT-0526-SM-7RHHS 50-59 years, male 75.9
GTEX-17F9E-0726-SM-793A1 50-59 years, male 75.8
GTEX-1LGRB-1026-SM-CNPQD 50-59 years, female 75.7
GTEX-17KNJ-0626-SM-7LT9L 50-59 years, male 75.4
GTEX-1H2FU-0826-SM-9WYSU 60-69 years, female 75.4
GTEX-16XZY-0526-SM-7DHKY 70-79 years, male 75.1
GTEX-14PHY-0326-SM-62LE3 60-69 years, female 74.7
GTEX-11TT1-1426-SM-5EGIA 20-29 years, male 74.6
GTEX-1JMQL-1026-SM-CMKGV 50-59 years, female 74.6
GTEX-1117F-0726-SM-5GIEN 60-69 years, female 74.4
GTEX-11EQ8-1326-SM-5EGJQ 60-69 years, male 74.4
GTEX-1HCUA-0626-SM-ACKVT 50-59 years, female 74.3
GTEX-17HGU-1126-SM-793BP 50-59 years, male 74.1
GTEX-132AR-1926-SM-5EGK5 50-59 years, female 74.0
GTEX-1F48J-1126-SM-9WYSY 50-59 years, female 73.9
GTEX-ZV7C-0526-SM-9WPNK 50-59 years, male 73.9
GTEX-WYJK-1126-SM-3NM9Z 50-59 years, male 73.2
GTEX-X5EB-0626-SM-46MVQ 40-49 years, male 73.2
GTEX-14C39-0726-SM-5RQIK 40-49 years, male 72.8
GTEX-1LSNL-0626-SM-DIPFJ 50-59 years, male 72.7
GTEX-13NZ9-0126-SM-5K7XV 50-59 years, male 72.6
GTEX-1HSMQ-0426-SM-ADEIM 50-59 years, male 72.6
GTEX-12WSK-0526-SM-5CVNA 40-49 years, female 72.5
GTEX-1HCU7-1226-SM-B2LX8 50-59 years, male 72.3
GTEX-1IDJD-0226-SM-CKZOA 30-39 years, male 72.3
GTEX-14A6H-0326-SM-5NQAN 30-39 years, male 71.8
GTEX-YJ8O-0826-SM-5CVM3 40-49 years, female 70.8
GTEX-11GSP-1226-SM-5985M 60-69 years, female 70.7
GTEX-1H3O1-0226-SM-9WYSW 60-69 years, male 70.7
GTEX-1IL2U-1226-SM-CL53P 60-69 years, male 69.8
GTEX-11TUW-1126-SM-5EQKJ 60-69 years, male 68.9
GTEX-UPK5-0226-SM-3GAEV 40-49 years, male 68.1
GTEX-1C6WA-0826-SM-7PBXS 60-69 years, male 68.1
GTEX-1GMR2-1326-SM-9KNUT 50-59 years, male 67.7
GTEX-13FTZ-0326-SM-5J1O1 60-69 years, male 67.6
GTEX-16XZZ-1026-SM-7DHKS 60-69 years, male 67.6
GTEX-ZEX8-0326-SM-DO92C 50-59 years, male 67.1
GTEX-1B8SF-1326-SM-7IGQJ 60-69 years, male 66.4
GTEX-1IL2V-1126-SM-CMKGH 70-79 years, male 66.1
GTEX-14BIN-2126-SM-793AX 50-59 years, female 65.8
GTEX-117YX-0626-SM-5EGJI 50-59 years, male 65.3
GTEX-15UF7-1526-SM-6LPI7 40-49 years, male 64.7
GTEX-ZTTD-0626-SM-4YCCY 50-59 years, male 64.5
GTEX-18A66-1126-SM-731C5 60-69 years, male 62.2
GTEX-17EVP-0526-SM-7EPGY 40-49 years, male 60.3
GTEX-WFON-0226-SM-3GIKR 40-49 years, male 60.3
GTEX-ZF2S-0826-SM-4WWBI 50-59 years, female 59.8
GTEX-15CHR-0326-SM-7DHN3 50-59 years, male 59.7
GTEX-WEY5-0226-SM-3GIKN 40-49 years, female 59.6
GTEX-WFG7-0826-SM-3GIKU 20-29 years, male 59.5
GTEX-131YS-0826-SM-5PNYV 60-69 years, female 56.6
GTEX-15D1Q-0426-SM-6AJ9G 40-49 years, male 56.0
GTEX-ZAB5-0126-SM-5CVMT 50-59 years, male 55.6
GTEX-1GN1V-1026-SM-CNPPS 60-69 years, male 55.1
GTEX-Y8E4-0426-SM-4V6GB 40-49 years, male 54.5
GTEX-XXEK-2026-SM-4BRVE 50-59 years, male 54.3
GTEX-11ZVC-0526-SM-5N9G1 50-59 years, female 54.1
GTEX-WFG8-0726-SM-3GILP 20-29 years, male 52.7
GTEX-VUSG-0726-SM-3GIK1 50-59 years, male 51.9
GTEX-1H1CY-0426-SM-9KNVD 60-69 years, female 51.2
GTEX-WZTO-1226-SM-3NMAZ 40-49 years, male 49.3
GTEX-ZUA1-0726-SM-4YCD9 40-49 years, male 49.0
GTEX-13OVI-0326-SM-5K7X1 60-69 years, female 46.8
GTEX-UTHO-1226-SM-3GAEE 60-69 years, male 23.6
Show allShow less
Heart - Left Ventricle
Average nTPM: 124.3
Samples: 432

Max nTPM: 503.5
Min nTPM: 27.6
Std nTPM: 49.2
Median nTPM: 120.3
GTEX-1O9I2-1126-SM-DTXEA 50-59 years, male 503.5
GTEX-11ONC-0126-SM-5PNW6 60-69 years, male 410.2
GTEX-1M5QR-1026-SM-DHXK9 40-49 years, male 295.4
GTEX-1RQEC-0926-SM-EWROG 60-69 years, male 263.2
GTEX-R45C-0926-SM-3GAD4 60-69 years, female 262.9
GTEX-1LGOU-0726-SM-E9TIY 20-29 years, female 245.8
GTEX-13O3O-1526-SM-5KM1C 60-69 years, female 241.6
GTEX-1MUQO-1226-SM-E9TJK 60-69 years, male 234.3
GTEX-1POEN-0626-SM-EVR4B 30-39 years, female 233.8
GTEX-1PWST-1026-SM-DTXF2 70-79 years, male 224.4
GTEX-1LH75-0426-SM-E9TJF 50-59 years, female 222.9
GTEX-ZDXO-0726-SM-57WBT 60-69 years, male 221.6
GTEX-1H1ZS-1126-SM-9MQLJ 70-79 years, male 220.3
GTEX-14JG1-1026-SM-6ETZY 40-49 years, male 215.5
GTEX-1QP2A-1126-SM-EVR3H 50-59 years, male 213.5
GTEX-O5YV-0326-SM-2I5H2 60-69 years, female 213.1
GTEX-1HBPM-1226-SM-A9SM8 60-69 years, female 213.0
GTEX-1OKEX-0726-SM-DPRYE 60-69 years, male 212.6
GTEX-1CB4I-1626-SM-7RHGV 50-59 years, male 211.9
GTEX-16BQI-0926-SM-6M485 30-39 years, female 209.0
GTEX-13OVL-0526-SM-5KLZQ 50-59 years, male 207.2
GTEX-1C2JI-0526-SM-7EWEQ 50-59 years, male 207.0
GTEX-15DDE-1126-SM-6LLHN 50-59 years, female 206.9
GTEX-1KD5A-1026-SM-CY8I8 50-59 years, male 205.5
GTEX-ZQUD-1526-SM-7IGO2 30-39 years, male 204.5
GTEX-1JMQK-0626-SM-D4P2R 60-69 years, male 203.6
GTEX-ZPIC-0826-SM-4WWFJ 40-49 years, female 203.2
GTEX-1F6I4-0726-SM-7PC2P 60-69 years, male 201.5
GTEX-1JMPZ-1426-SM-CJI3C 30-39 years, male 201.1
GTEX-1MJIX-0326-SM-EVR42 40-49 years, male 200.4
GTEX-1A3MW-1326-SM-7189P 60-69 years, female 196.4
GTEX-14A6H-0226-SM-5Q5DX 30-39 years, male 194.8
GTEX-1LC47-1026-SM-D3LAH 60-69 years, male 194.4
GTEX-145LV-0326-SM-5Q5BW 50-59 years, male 194.3
GTEX-1F5PK-0326-SM-9KNUD 50-59 years, male 194.3
GTEX-11ZUS-0226-SM-5FQT8 30-39 years, male 193.6
GTEX-NPJ8-0426-SM-2HMK6 40-49 years, male 193.5
GTEX-1IDJF-0726-SM-CJI1U 20-29 years, male 193.2
GTEX-1N2EF-2826-SM-E6CQF 60-69 years, male 191.3
GTEX-X15G-0426-SM-4PQZ6 50-59 years, female 190.7
GTEX-1I1GQ-1426-SM-B2LWY 50-59 years, male 190.5
GTEX-12ZZZ-1726-SM-59HK5 60-69 years, male 185.7
GTEX-OXRO-2026-SM-2YUMZ 60-69 years, female 184.7
GTEX-1LB8K-1026-SM-DHXJJ 50-59 years, male 184.4
GTEX-ZDTS-1326-SM-6LLHE 60-69 years, male 182.5
GTEX-OIZG-1126-SM-2HMIU 50-59 years, male 181.1
GTEX-1JJEA-0826-SM-CL53T 60-69 years, male 180.6
GTEX-UPK5-0326-SM-CYPR4 40-49 years, male 178.2
GTEX-1GZ4I-1026-SM-9KNV5 50-59 years, male 177.9
GTEX-1ICLY-1326-SM-CJI47 50-59 years, male 176.6
GTEX-1OFPY-1026-SM-EXUSO 60-69 years, male 176.6
GTEX-OXRL-0326-SM-2I3F2 50-59 years, male 175.0
GTEX-1IDJU-0726-SM-CNPQ9 60-69 years, female 174.9
GTEX-1HBPH-0126-SM-CNNQ7 40-49 years, female 174.1
GTEX-13PVQ-1226-SM-5IJDC 50-59 years, male 172.1
GTEX-132NY-1726-SM-5EGKK 60-69 years, male 171.8
GTEX-1A3MX-1326-SM-72D58 60-69 years, male 171.1
GTEX-16YQH-0926-SM-793BC 30-39 years, male 170.9
GTEX-N7MS-0826-SM-2HML4 60-69 years, male 170.5
GTEX-1S3DN-0726-SM-E9TIO 50-59 years, male 169.5
GTEX-1AX9K-0526-SM-73KV1 50-59 years, male 168.6
GTEX-ZF3C-1226-SM-4WWCB 50-59 years, female 168.3
GTEX-1C64O-0826-SM-79OKZ 60-69 years, male 167.4
GTEX-13QBU-0426-SM-5J2O4 40-49 years, female 167.2
GTEX-V1D1-0526-SM-4JBGW 50-59 years, male 166.2
GTEX-T6MN-0926-SM-32PLX 50-59 years, male 165.7
GTEX-131XH-0226-SM-5LZVB 50-59 years, male 165.4
GTEX-WZTO-1326-SM-3NM8X 40-49 years, male 164.2
GTEX-XPVG-0826-SM-4B654 50-59 years, male 164.0
GTEX-O5YW-0326-SM-2I5EI 50-59 years, male 162.7
GTEX-ZYFC-1126-SM-5E44W 50-59 years, male 162.5
GTEX-1HSMQ-0226-SM-C1YQL 50-59 years, male 162.5
GTEX-1J8QM-0426-SM-AHZ3X 60-69 years, female 161.5
GTEX-13X6I-1426-SM-5SI9Z 60-69 years, male 160.0
GTEX-1HSGN-1126-SM-CJI4G 40-49 years, female 159.1
GTEX-XPT6-0126-SM-4B65S 20-29 years, male 158.8
GTEX-Y5V6-0826-SM-4VBRU 60-69 years, male 158.4
GTEX-1QPFJ-1026-SM-E6CR6 30-39 years, female 158.4
GTEX-13O1R-1226-SM-5J1NU 60-69 years, male 158.1
GTEX-WH7G-0426-SM-3NMBJ 40-49 years, male 157.8
GTEX-1QCLZ-0926-SM-E6CQZ 60-69 years, female 157.5
GTEX-1R7EV-0326-SM-E76PA 40-49 years, male 157.5
GTEX-1IL2U-1326-SM-A9G2O 60-69 years, male 157.3
GTEX-1R9JW-0526-SM-EWRNK 30-39 years, female 157.2
GTEX-18D9B-1226-SM-72D6V 60-69 years, male 156.9
GTEX-1ICG6-0626-SM-ACKWS 70-79 years, female 156.9
GTEX-WYJK-1026-SM-3NM8W 50-59 years, male 156.7
GTEX-13112-0426-SM-5PNVC 50-59 years, male 156.2
GTEX-1K9T9-1126-SM-D3L9E 50-59 years, female 154.5
GTEX-XQ3S-0626-SM-4BOOB 20-29 years, male 154.4
GTEX-14E6C-0426-SM-5YYA8 40-49 years, male 153.9
GTEX-13SLX-1026-SM-5ZZUQ 50-59 years, female 153.8
GTEX-145MO-1126-SM-5NQBX 60-69 years, male 153.4
GTEX-P4PQ-0326-SM-2HMJ8 60-69 years, male 153.4
GTEX-OIZI-0926-SM-E6CHF 40-49 years, male 153.4
GTEX-17GQL-0526-SM-72D5N 60-69 years, male 152.1
GTEX-1QP29-1526-SM-EXUSY 50-59 years, male 152.0
GTEX-1B996-1126-SM-73KWN 60-69 years, male 151.7
GTEX-13VXT-1126-SM-5LU3A 20-29 years, female 151.6
GTEX-17F9E-0926-SM-7IGMG 50-59 years, male 151.6
GTEX-14PHX-2126-SM-6EU2U 50-59 years, male 151.3
GTEX-14C38-1426-SM-5RQHZ 50-59 years, male 151.1
GTEX-1EMGI-1226-SM-793DD 60-69 years, male 150.1
GTEX-1HCU6-1026-SM-A9G25 60-69 years, female 150.1
GTEX-P78B-0426-SM-2I5F5 40-49 years, female 149.9
GTEX-PWCY-0526-SM-5P9HG 20-29 years, female 149.5
GTEX-12WSN-5001-SM-7DHMK 40-49 years, male 149.4
GTEX-1E1VI-1326-SM-7IGQD 50-59 years, male 148.4
GTEX-SIU8-0826-SM-2XCDQ 50-59 years, male 148.2
GTEX-1I1HK-0726-SM-B2LY4 60-69 years, male 148.2
GTEX-12WSC-1126-SM-5EQ4G 50-59 years, male 147.7
GTEX-1R9K4-1326-SM-DTX8G 60-69 years, male 147.7
GTEX-P44H-0726-SM-48TBT 40-49 years, male 147.5
GTEX-WHSE-0926-SM-3NMBS 20-29 years, male 147.3
GTEX-1KANC-0426-SM-CXZK5 50-59 years, female 147.1
GTEX-RNOR-0826-SM-2TF5C 50-59 years, female 146.6
GTEX-1F75I-1126-SM-9WYUO 40-49 years, male 146.6
GTEX-1JJ6O-2126-SM-CNNP6 60-69 years, male 145.6
GTEX-ZVZP-0226-SM-5NQ73 50-59 years, male 145.2
GTEX-13PVR-1026-SM-5QGQW 60-69 years, female 145.1
GTEX-13NZB-0226-SM-5KM1T 30-39 years, male 144.3
GTEX-XQ8I-0126-SM-4BOPL 50-59 years, male 144.2
GTEX-1EU9M-1826-SM-7DUGU 60-69 years, male 144.0
GTEX-R55E-1026-SM-2TC5S 20-29 years, male 144.0
GTEX-WQUQ-1426-SM-3MJFD 60-69 years, male 143.9
GTEX-WY7C-0526-SM-3NB3D 50-59 years, male 143.9
GTEX-13FLV-0926-SM-5L3DZ 50-59 years, male 143.7
GTEX-15SHU-1126-SM-7KUMB 40-49 years, female 143.7
GTEX-ZDTT-0726-SM-4WKFK 60-69 years, male 143.7
GTEX-14PHY-0226-SM-5ZZWM 60-69 years, female 143.6
GTEX-1JMLX-1626-SM-ARZMV 50-59 years, male 143.4
GTEX-11DXZ-0626-SM-5GU77 50-59 years, male 143.3
GTEX-13CF3-0726-SM-5J2MY 60-69 years, female 143.3
GTEX-1CB4E-0526-SM-7MXTK 60-69 years, male 143.3
GTEX-13O21-2326-SM-5MR3X 50-59 years, male 142.4
GTEX-1IKOE-1026-SM-ARZMF 30-39 years, female 142.1
GTEX-SUCS-0326-SM-32PLL 70-79 years, male 141.2
GTEX-17HGU-1026-SM-79OKL 50-59 years, male 140.9
GTEX-1KD4Q-0726-SM-DIPGE 40-49 years, male 140.3
GTEX-13RTJ-0726-SM-5QGQN 60-69 years, male 139.3
GTEX-1MCC2-0326-SM-EV7AK 30-39 years, female 139.2
GTEX-QEG5-0926-SM-2TC64 20-29 years, male 139.0
GTEX-15SHW-1226-SM-6M46C 60-69 years, male 138.6
GTEX-ZF2S-1026-SM-9QEGK 50-59 years, female 138.1
GTEX-13OW6-1126-SM-5L3HL 50-59 years, male 137.8
GTEX-QEL4-0926-SM-3GAD1 50-59 years, male 137.8
GTEX-17HHY-1426-SM-7EWDQ 50-59 years, male 137.5
GTEX-16NPX-0926-SM-7KUEZ 50-59 years, male 137.4
GTEX-1GMR3-0326-SM-7P8QT 40-49 years, male 136.5
GTEX-1AX9J-1026-SM-72D6E 60-69 years, male 136.4
GTEX-1LSNM-0526-SM-DIPG6 50-59 years, male 136.1
GTEX-1R9PO-0326-SM-DTXA1 60-69 years, female 135.4
GTEX-X3Y1-0426-SM-3P5Z4 40-49 years, male 135.3
GTEX-13O61-0526-SM-5J2M1 60-69 years, male 135.1
GTEX-RWSA-0626-SM-2XCBD 40-49 years, male 135.1
GTEX-U3ZN-1426-SM-3DB87 30-39 years, female 134.7
GTEX-1A8G6-1626-SM-7MGWO 60-69 years, male 133.8
GTEX-14PJ6-0726-SM-69LOL 60-69 years, female 133.7
GTEX-13FH7-0926-SM-5J2MR 50-59 years, female 133.5
GTEX-13N11-0426-SM-5KM3O 50-59 years, female 133.5
GTEX-1PPGY-1126-SM-E76OU 60-69 years, male 133.3
GTEX-1EH9U-0826-SM-7IGPT 60-69 years, male 133.1
GTEX-PLZ5-0626-SM-2I5F8 50-59 years, male 133.1
GTEX-OIZF-0326-SM-3MJGY 60-69 years, male 132.8
GTEX-QDVJ-0426-SM-2I5FW 50-59 years, male 132.6
GTEX-12ZZY-1126-SM-5DUWQ 60-69 years, male 131.8
GTEX-1J8Q2-1226-SM-A9G2W 60-69 years, male 131.8
GTEX-12696-1126-SM-5FQTI 60-69 years, male 131.7
GTEX-14H4A-0626-SM-5ZZUT 40-49 years, female 131.6
GTEX-ZG7Y-0926-SM-5EQ6O 50-59 years, male 131.6
GTEX-ZYW4-0926-SM-59HJS 60-69 years, male 130.8
GTEX-139YR-0826-SM-5LZXY 50-59 years, male 130.7
GTEX-16MT8-0926-SM-6M487 60-69 years, female 130.6
GTEX-1IDJE-0326-SM-CM2TD 50-59 years, female 130.4
GTEX-13W3W-0426-SM-5SI9D 60-69 years, female 129.9
GTEX-1IKK5-1526-SM-CKZPW 60-69 years, male 129.9
GTEX-111YS-0426-SM-5987O 60-69 years, male 129.8
GTEX-WHPG-0826-SM-3NMBF 50-59 years, male 129.7
GTEX-1497J-1226-SM-5Q5BL 60-69 years, male 128.5
GTEX-15CHC-0426-SM-6LLHI 60-69 years, female 127.7
GTEX-14XAO-1126-SM-6EU11 60-69 years, female 127.0
GTEX-1BAJH-1626-SM-73KUV 70-79 years, male 127.0
GTEX-ZPCL-0426-SM-DNZZ4 60-69 years, female 127.0
GTEX-YFC4-0526-SM-5ZZVI 40-49 years, female 126.8
GTEX-1313W-1426-SM-5KLZU 50-59 years, female 126.4
GTEX-11EMC-0726-SM-5EGJO 60-69 years, female 125.7
GTEX-XV7Q-0826-SM-4BRV7 40-49 years, female 125.6
GTEX-1GN1W-0326-SM-9JGHF 50-59 years, female 125.4
GTEX-147F4-1226-SM-5NQAY 50-59 years, male 125.1
GTEX-RTLS-0826-SM-2TF5Q 60-69 years, female 124.9
GTEX-131XE-0626-SM-5HL98 50-59 years, male 124.8
GTEX-ZEX8-0426-SM-DO92Y 50-59 years, male 124.5
GTEX-13O3P-1626-SM-5K7X3 50-59 years, male 124.2
GTEX-18465-0926-SM-731AY 50-59 years, male 124.2
GTEX-Y114-0226-SM-4TT8W 50-59 years, female 124.1
GTEX-YB5K-0126-SM-5IFJ2 40-49 years, female 124.1
GTEX-15RJE-0626-SM-7KUKR 40-49 years, male 124.0
GTEX-RU72-0326-SM-2TF5T 50-59 years, female 124.0
GTEX-18A67-1226-SM-7KFRS 50-59 years, male 123.3
GTEX-1CB4G-0826-SM-7DUGF 60-69 years, male 123.2
GTEX-15ER7-1726-SM-6PAMX 20-29 years, female 122.9
GTEX-11I78-0826-SM-5A5K4 50-59 years, female 122.7
GTEX-11O72-1126-SM-5N9E2 40-49 years, male 122.5
GTEX-11ZVC-0426-SM-5CVLD 50-59 years, female 122.2
GTEX-1314G-0126-SM-5LZUL 30-39 years, male 122.2
GTEX-ZAB4-1026-SM-5HL7T 40-49 years, male 122.1
GTEX-PVOW-0426-SM-5MR5R 40-49 years, male 122.0
GTEX-1JK1U-0526-SM-CYPSQ 60-69 years, male 121.7
GTEX-Y5V5-0626-SM-4VBPX 60-69 years, female 121.4
GTEX-148VI-0326-SM-5RQK7 60-69 years, female 121.3
GTEX-YEC3-0726-SM-CMKFH 50-59 years, male 121.2
GTEX-145MN-0626-SM-5QGRH 30-39 years, male 121.1
GTEX-14C5O-1326-SM-5S2UW 60-69 years, male 121.1
GTEX-11DXX-0326-SM-5PNWC 60-69 years, female 121.0
GTEX-17JCI-1126-SM-7IGMM 60-69 years, female 120.5
GTEX-WFG8-0626-SM-3GILJ 20-29 years, male 120.3
GTEX-1KXAM-1326-SM-E9TJW 60-69 years, male 120.2
GTEX-1CB4J-0326-SM-7PBZO 60-69 years, male 119.8
GTEX-11TUW-1026-SM-5GU7D 60-69 years, male 119.7
GTEX-1GN73-2426-SM-7RHFQ 60-69 years, male 118.2
GTEX-ZGAY-0326-SM-57WF5 40-49 years, female 118.1
GTEX-1H11D-1226-SM-9WPQ2 40-49 years, male 117.7
GTEX-RN64-0826-SM-2TC62 50-59 years, male 117.4
GTEX-146FH-1026-SM-5RQIF 50-59 years, female 116.6
GTEX-ZYFG-0426-SM-5E43M 60-69 years, female 116.5
GTEX-1I6K7-0626-SM-ARL7Q 40-49 years, male 116.3
GTEX-1B8SG-0826-SM-7EWF7 50-59 years, male 115.6
GTEX-12WSG-0526-SM-5FQTH 50-59 years, female 115.4
GTEX-ZAJG-0826-SM-5PNVA 50-59 years, female 115.1
GTEX-1B8L1-0526-SM-79ONX 60-69 years, male 114.8
GTEX-15CHR-0226-SM-7PC2Z 50-59 years, male 114.6
GTEX-YF7O-0426-SM-5P9FS 50-59 years, male 114.5
GTEX-111FC-0826-SM-5GZWO 60-69 years, male 114.4
GTEX-ZPU1-0626-SM-4YCDM 40-49 years, male 113.8
GTEX-1IDJI-1026-SM-A96TE 50-59 years, female 113.7
GTEX-YEC4-0326-SM-4W216 40-49 years, male 112.7
GTEX-14E1K-1026-SM-73KUR 50-59 years, male 112.3
GTEX-ZF29-0226-SM-4WKHO 60-69 years, female 111.7
GTEX-1RMOY-0626-SM-E9TIE 50-59 years, male 111.7
GTEX-14PN3-0526-SM-69LQF 60-69 years, female 111.1
GTEX-17MF6-0726-SM-7LT8E 40-49 years, male 110.9
GTEX-1HFI7-0826-SM-A9G23 50-59 years, female 110.8
GTEX-1GF9U-0426-SM-7RHHA 40-49 years, female 110.6
GTEX-1211K-0626-SM-5FQUZ 60-69 years, female 110.5
GTEX-1H23P-1226-SM-9QEJ2 60-69 years, male 110.3
GTEX-1ICLZ-1026-SM-A9SLF 60-69 years, male 110.3
GTEX-16XZY-0426-SM-793BI 70-79 years, male 110.1
GTEX-Y3I4-0626-SM-4TT7A 50-59 years, male 110.1
GTEX-13OVG-0526-SM-5K7YD 60-69 years, male 109.9
GTEX-11TT1-1326-SM-5PNYM 20-29 years, male 109.8
GTEX-UJMC-0526-SM-3GAE3 50-59 years, male 109.5
GTEX-XXEK-0926-SM-4BRWH 50-59 years, male 109.3
GTEX-12WSD-1126-SM-5EGJD 60-69 years, female 109.1
GTEX-REY6-1026-SM-2TF4Y 60-69 years, male 108.9
GTEX-1RB15-0326-SM-E6CQB 60-69 years, male 108.9
GTEX-12WSK-0626-SM-5LZUJ 40-49 years, female 108.7
GTEX-14DAQ-1126-SM-664MT 60-69 years, female 108.6
GTEX-1HC8U-0726-SM-ACKXL 40-49 years, female 108.3
GTEX-ZAB5-0226-SM-5CVMH 50-59 years, male 108.1
GTEX-1JMOU-0226-SM-CNNPD 60-69 years, female 108.0
GTEX-13N1W-1026-SM-5IJC5 70-79 years, male 107.5
GTEX-15RJ7-0226-SM-7KUMN 40-49 years, male 107.5
GTEX-1GMR2-1426-SM-7RHHK 50-59 years, male 107.2
GTEX-R55G-0526-SM-2TC5O 40-49 years, female 106.6
GTEX-146FR-0626-SM-5RQJ1 60-69 years, female 106.4
GTEX-11GSP-1326-SM-5A5KY 60-69 years, female 106.3
GTEX-18A6Q-1626-SM-7KFTA 60-69 years, male 106.3
GTEX-WEY5-0426-SM-3GIKT 40-49 years, female 105.8
GTEX-1GMRU-1526-SM-9WYT5 50-59 years, male 105.6
GTEX-13X6K-1826-SM-5O9CR 60-69 years, female 105.5
GTEX-SE5C-0626-SM-2XCDV 40-49 years, female 105.4
GTEX-1F48J-1026-SM-7P8SO 50-59 years, female 105.4
GTEX-11LCK-0926-SM-5A5KA 30-39 years, male 105.0
GTEX-1122O-0826-SM-5GICV 60-69 years, female 104.9
GTEX-OIZH-0326-SM-2HMKC 50-59 years, male 104.8
GTEX-ZLFU-0226-SM-4WWFH 40-49 years, male 104.8
GTEX-XBED-0526-SM-47JY3 60-69 years, male 104.7
GTEX-WFON-0326-SM-3GIKX 40-49 years, male 104.4
GTEX-1AX9I-1126-SM-7EPHH 60-69 years, male 104.2
GTEX-13CF2-0426-SM-5KM1H 60-69 years, male 104.0
GTEX-WL46-0926-SM-3LK7T 50-59 years, male 104.0
GTEX-1HCU7-1326-SM-CNPPW 50-59 years, male 104.0
GTEX-ZZPU-0926-SM-5GZYT 50-59 years, female 103.4
GTEX-12584-0926-SM-5FQTN 40-49 years, male 102.9
GTEX-1269C-0826-SM-5N9EM 60-69 years, female 102.9
GTEX-POMQ-0326-SM-2I5FO 20-29 years, female 102.9
GTEX-QEG4-0426-SM-33HC3 30-39 years, male 102.8
GTEX-ZDYS-0226-SM-5HL4K 50-59 years, male 102.7
GTEX-131XG-0626-SM-5GCMP 50-59 years, female 102.5
GTEX-132QS-0426-SM-5KLZ6 60-69 years, male 102.4
GTEX-1GF9V-1626-SM-7PBXL 60-69 years, male 102.3
GTEX-ZTPG-1226-SM-4YCDO 20-29 years, female 102.2
GTEX-WWYW-1326-SM-3NB2S 50-59 years, female 101.8
GTEX-ZV7C-0326-SM-57WB1 50-59 years, male 101.8
GTEX-WI4N-0626-SM-3TW8Z 40-49 years, female 101.4
GTEX-OXRK-0826-SM-2HMK7 50-59 years, female 101.0
GTEX-X8HC-1626-SM-46MWE 50-59 years, female 100.9
GTEX-13FTZ-0226-SM-5K7X6 60-69 years, male 100.7
GTEX-1J8Q3-1226-SM-CKZPT 60-69 years, male 100.6
GTEX-1399S-1026-SM-5KLZ9 30-39 years, female 100.3
GTEX-18A66-1226-SM-7LT8G 60-69 years, male 100.2
GTEX-Y8E4-0326-SM-4VBRR 40-49 years, male 100.2
GTEX-15RIE-1726-SM-7KUMU 60-69 years, male 99.6
GTEX-U8XE-1126-SM-3DB8W 30-39 years, male 99.2
GTEX-1B8KE-0126-SM-793AM 50-59 years, male 99.0
GTEX-1L5NE-0426-SM-E9TIX 50-59 years, male 98.7
GTEX-UJHI-0426-SM-3DB8Y 50-59 years, female 97.9
GTEX-15EOM-5007-SM-793DG 20-29 years, female 97.2
GTEX-13OW5-1126-SM-5J1NR 60-69 years, male 97.1
GTEX-13YAN-1326-SM-5Q5F1 60-69 years, male 97.0
GTEX-1R9K5-1326-SM-E6CPR 50-59 years, male 96.8
GTEX-14PJ4-1126-SM-5YY91 60-69 years, male 96.3
GTEX-1JN6P-1126-SM-CKZON 60-69 years, male 96.1
GTEX-1JN1M-1026-SM-CNPOS 60-69 years, female 95.2
GTEX-117YW-0326-SM-5N9CY 50-59 years, male 95.1
GTEX-13FTW-1026-SM-5L3E3 40-49 years, male 95.0
GTEX-OHPL-0326-SM-33HC8 60-69 years, female 95.0
GTEX-1B932-1026-SM-793CL 40-49 years, female 94.9
GTEX-WHWD-0426-SM-3LK83 50-59 years, male 94.7
GTEX-13D11-1726-SM-5IFGQ 50-59 years, female 94.6
GTEX-18D9U-1126-SM-72D5Y 40-49 years, male 94.6
GTEX-U3ZH-0326-SM-3DB7A 30-39 years, male 94.6
GTEX-R55C-0326-SM-3GAF1 40-49 years, male 94.4
GTEX-1J8EW-0926-SM-A9G33 60-69 years, female 94.2
GTEX-12BJ1-0226-SM-5LUA2 60-69 years, male 94.1
GTEX-14A5I-1226-SM-5NQBW 50-59 years, female 94.0
GTEX-QESD-0526-SM-2I5G5 20-29 years, male 93.1
GTEX-1B97J-0726-SM-7RHG3 50-59 years, female 92.7
GTEX-U4B1-0326-SM-3DB8K 40-49 years, male 92.0
GTEX-XGQ4-0326-SM-4GIEE 50-59 years, male 91.3
GTEX-131XF-5001-SM-7DHLY 60-69 years, male 90.9
GTEX-14PK6-0826-SM-5ZZVO 70-79 years, female 90.8
GTEX-NFK9-0926-SM-2HMJU 40-49 years, male 90.3
GTEX-OHPK-0326-SM-2HMJO 50-59 years, female 89.9
GTEX-1EKGG-1126-SM-7MGXB 60-69 years, male 88.7
GTEX-QLQ7-0526-SM-2I5G3 60-69 years, male 88.6
GTEX-Y3IK-0826-SM-51MT8 50-59 years, female 88.5
GTEX-1I1GV-1326-SM-A96SE 60-69 years, male 88.5
GTEX-PX3G-0326-SM-2I3EO 20-29 years, female 88.3
GTEX-Q2AH-0526-SM-2I3ED 40-49 years, male 87.8
GTEX-1LVAN-1726-SM-CNNR1 50-59 years, female 87.4
GTEX-11DXY-0826-SM-5EGGR 60-69 years, male 87.2
GTEX-WFG7-0726-SM-3GIKO 20-29 years, male 86.6
GTEX-XBEC-1326-SM-4AT69 50-59 years, male 86.3
GTEX-1HSMO-1226-SM-CL548 60-69 years, male 86.3
GTEX-1GN1V-0826-SM-9KNU6 60-69 years, male 86.2
GTEX-OOBJ-0326-SM-33HBO 60-69 years, male 85.3
GTEX-WRHU-1226-SM-4E3IJ 50-59 years, female 85.1
GTEX-1AYCT-0426-SM-73KVZ 50-59 years, male 84.9
GTEX-ZVT2-1026-SM-5GU55 50-59 years, female 84.3
GTEX-11EM3-0626-SM-5H12Z 20-29 years, female 84.0
GTEX-1CAMS-1326-SM-79OJR 40-49 years, female 83.9
GTEX-V955-0726-SM-3GAFG 60-69 years, male 83.5
GTEX-RUSQ-0526-SM-2TF72 50-59 years, male 82.3
GTEX-1399R-1926-SM-5K7X8 30-39 years, male 81.8
GTEX-1399U-0526-SM-5K7YM 50-59 years, female 81.2
GTEX-OHPM-0326-SM-33HCA 50-59 years, male 80.9
GTEX-QDVN-0326-SM-2I3FS 50-59 years, male 80.6
GTEX-1F6IF-2526-SM-7P8TV 60-69 years, male 80.5
GTEX-147JS-1526-SM-5ZZWF 60-69 years, male 80.0
GTEX-1EN7A-0726-SM-7PBXT 40-49 years, male 79.9
GTEX-1212Z-0626-SM-5FQTB 60-69 years, male 79.7
GTEX-13X6H-0426-SM-5LU4E 50-59 years, female 79.3
GTEX-R53T-0926-SM-3GADH 50-59 years, female 79.2
GTEX-13U4I-0826-SM-5SIBD 40-49 years, female 78.7
GTEX-15DYW-1126-SM-6LPK5 60-69 years, female 78.5
GTEX-T2IS-0426-SM-32QPE 20-29 years, female 78.3
GTEX-117YX-1126-SM-5H128 50-59 years, male 78.0
GTEX-QV44-0526-SM-2S1RE 50-59 years, male 77.7
GTEX-1H3NZ-1126-SM-9WYT9 60-69 years, male 77.3
GTEX-RWS6-0326-SM-2XCAP 60-69 years, female 77.1
GTEX-1H1CY-0326-SM-9QEIZ 60-69 years, female 77.0
GTEX-QVJO-1926-SM-2S1QZ 60-69 years, female 76.9
GTEX-17KNJ-0826-SM-793A4 50-59 years, male 76.7
GTEX-1LGRB-1126-SM-CNPP2 50-59 years, female 76.5
GTEX-1RAZS-0826-SM-E76QP 50-59 years, male 76.0
GTEX-1HCUA-0526-SM-A9SMH 50-59 years, female 75.4
GTEX-11GS4-0526-SM-5A5KQ 60-69 years, male 74.8
GTEX-14PJM-1126-SM-6LLHK 50-59 years, female 74.5
GTEX-QMRM-0526-SM-2I5GA 50-59 years, male 74.2
GTEX-S33H-0526-SM-COH1W 30-39 years, male 74.2
GTEX-12ZZW-1026-SM-5GCMM 50-59 years, male 73.8
GTEX-S32W-0626-SM-2XCBG 50-59 years, female 73.3
GTEX-PSDG-0926-SM-2I5FP 50-59 years, male 72.4
GTEX-YJ8O-0926-SM-EAZ2Z 40-49 years, female 71.3
GTEX-13S86-0226-SM-5S2PJ 40-49 years, male 69.7
GTEX-13OW8-2126-SM-5J1OS 60-69 years, male 69.2
GTEX-1I1GP-0826-SM-A96SD 50-59 years, male 69.2
GTEX-1AX8Z-5007-SM-AHZ36 60-69 years, male 67.6
GTEX-1LG7Y-1226-SM-CXZKD 50-59 years, male 67.4
GTEX-SNMC-0126-SM-2XCFO 20-29 years, male 66.8
GTEX-14PJ2-1026-SM-6EU1M 50-59 years, male 66.6
GTEX-15CHQ-1526-SM-69LPW 60-69 years, male 66.6
GTEX-P44G-0826-SM-2I5ES 30-39 years, male 65.6
GTEX-ZYT6-1726-SM-5E44P 30-39 years, male 65.6
GTEX-14JIY-1126-SM-6EU28 60-69 years, male 65.1
GTEX-148VJ-1526-SM-5Q5DU 70-79 years, male 64.1
GTEX-1O97I-0826-SM-E8VNE 60-69 years, male 64.0
GTEX-17HII-1326-SM-7IGOB 50-59 years, male 63.2
GTEX-N7MT-1326-SM-2I3FV 60-69 years, female 62.5
GTEX-1NV8Z-1526-SM-DTX8X 60-69 years, male 62.5
GTEX-O5YT-0326-SM-32PKA 20-29 years, male 61.6
GTEX-1GL5R-0326-SM-9WYTJ 50-59 years, male 61.5
GTEX-132AR-2026-SM-5IJG4 50-59 years, female 60.6
GTEX-1GN2E-1326-SM-9KNVG 60-69 years, male 60.2
GTEX-1LVA9-0926-SM-EVR5G 50-59 years, male 58.7
GTEX-1339X-0426-SM-5KLZY 40-49 years, male 57.9
GTEX-1HT8W-1726-SM-CNNQB 30-39 years, male 57.5
GTEX-WK11-0826-SM-EZ6LH 50-59 years, male 57.1
GTEX-1EX96-2526-SM-7RHGW 50-59 years, male 56.1
GTEX-13JVG-1326-SM-5N9F8 60-69 years, male 55.3
GTEX-1JJE9-1426-SM-ARL8P 70-79 years, male 55.1
GTEX-P4QS-0326-SM-2I3EU 60-69 years, male 55.0
GTEX-14BIL-1126-SM-79OMC 50-59 years, male 54.6
GTEX-14E7W-1226-SM-5RQIU 70-79 years, male 53.9
GTEX-14C39-0926-SM-5TDDV 40-49 years, male 53.1
GTEX-14E6D-0926-SM-5S2QV 50-59 years, male 53.0
GTEX-17F9Y-1326-SM-7MGW9 70-79 years, female 51.7
GTEX-X261-1426-SM-4PQZ1 50-59 years, male 51.4
GTEX-P4PP-0326-SM-33HC4 30-39 years, female 51.1
GTEX-13FHP-1026-SM-5K7Y2 50-59 years, male 51.0
GTEX-1IDJH-1026-SM-E9TKH 70-79 years, male 50.5
GTEX-1GTWX-1026-SM-7P8QW 60-69 years, male 50.2
GTEX-1HCVE-1126-SM-9WPPG 50-59 years, male 49.1
GTEX-14BIN-2226-SM-5YYA1 50-59 years, female 47.3
GTEX-1PPH7-2026-SM-E9J3N 40-49 years, male 47.1
GTEX-1399T-0426-SM-5PNVJ 60-69 years, male 45.8
GTEX-1IKJJ-0826-SM-A96SP 60-69 years, male 45.4
GTEX-1EWIQ-1426-SM-7IGOS 70-79 years, female 45.1
GTEX-ZUA1-0826-SM-4YCDL 40-49 years, male 39.9
GTEX-13NYB-0226-SM-5N9G4 40-49 years, male 33.5
GTEX-1C6VQ-1126-SM-7EWET 50-59 years, male 27.6
Show allShow less

HEART MUSCLE - FANTOM5 CAGEi

RNA expression in human tissues obtained through Cap Analysis of Gene Expression (CAGE) generated by the FANTOM5 project are reported as Scaled Tags Per Million.

Max subtype Scaled Tags Per Millioni

Max subtype Scaled Tags Per Million is the value for the subtype with the largest average Scaled Tags Per Million across the subtype samples.

107.3
FANTOM5 sample id Sample description Scaled Tags Per Million
Heart
Scaled Tags Per Million: 107.3
FF:10016-101C7 70,73,74 years, mixed 107.3
Left atrium
Scaled Tags Per Million: 74.5
FF:10079-102A7 40 years, male 74.5
Left ventricle
Scaled Tags Per Million: 84.6
FF:10078-102A6 73 years, female 84.6

Contact

  • NEWS ARTICLES
  • PRESS ROOM

The Project

  • INTRODUCTION
  • ORGANIZATION
  • PUBLICATIONS

The Human Protein Atlas

  • DOWNLOADABLE DATA
  • LICENCE & CITATION
  • HELP & FAQ
The Human Protein Atlas project is funded
by the Knut & Alice Wallenberg Foundation.


contact@proteinatlas.org