We use cookies to enhance the usability of our website. If you continue, we'll assume that you are happy to receive all cookies. More information. Don't show this again.
ALG3
HPA
RESOURCES
  • TISSUE
  • BRAIN
  • SINGLE CELL
  • SUBCELLULAR
  • CANCER
  • BLOOD
  • CELL LINE
  • STRUCTURE & INTERACTION
ABOUT
  • INTRODUCTION
  • HISTORY
  • ORGANIZATION
  • PUBLICATIONS
  • ANTIBODY SUBMISSION
  • ANTIBODY AVAILABILITY
  • ACKNOWLEDGMENTS
  • CONTACT
NEWS
  • NEWS ARTICLES
  • PRESS ROOM
LEARN
  • DICTIONARY
  • PROTEIN CLASSES
  • PROTEIN EVIDENCE
  • METHODS
  • EDUCATIONAL VIDEOS
DATA
  • DOWNLOADABLE DATA
  • PUBLICATION DATA
  • RELEASE HISTORY
HELP
  • ANTIBODY VALIDATION
  • ASSAYS & ANNOTATION
  • DISCLAIMER
  • HELP & FAQ
  • PRIVACY STATEMENT
  • LICENCE & CITATION
Fields »
Search result

Field
Term
Gene name
Class
Subclass
Class
Keyword
Chromosome
External id
Tissue
Cell type
Expression
Antibody panel
Tissue
Main location
Patient ID
Annotation
Tissue
Category
Tau score
Cluster
Reliability
Brain region
Category
Tau score
Brain region
Category
Tau score
Brain region
Category
Tau score
Cluster
Reliability
Tissue
Cell type
Enrichment
Cell type
Category
Tau score
Cell type
Category
Tau score
Cell type
Category
Tau score
Cell lineage
Category
Tau score
Cluster
Cluster
Location
Searches
Location
Cell line
Class
Type
Phase
Reliability
Cancer
Prognosis
Cancer
Category
Cancer
Category
Tau score
Cluster
Variants
Interacting gene (ensg_id)
Type
Number of interactions
Pathway
Category
Score
Score
Score
Validation
Validation
Validation
Validation
Antibodies
Data type
Column


  • SUMMARY

  • TISSUE

  • BRAIN

  • SINGLE CELL

  • SUBCELL

  • CANCER

  • BLOOD

  • CELL LINE

  • STRUCT & INT

  • ALG3
TISSUE PRIMARY DATA HEART MUSCLE Show tissue menu
ADIPOSE TISSUE ADRENAL GLAND AMYGDALA APPENDIX BASAL GANGLIA BONE MARROW BREAST BRONCHUS CEREBELLUM CEREBRAL CORTEX CERVIX CHOROID PLEXUS COLON DUODENUM
ENDOMETRIUM EPIDIDYMIS ESOPHAGUS FALLOPIAN TUBE GALLBLADDER HEART MUSCLE HIPPOCAMPAL FORMATION HYPOTHALAMUS KIDNEY LIVER LUNG LYMPH NODE MIDBRAIN NASOPHARYNX
ORAL MUCOSA OVARY PANCREAS PARATHYROID GLAND PITUITARY GLAND PLACENTA PROSTATE RECTUM RETINA SALIVARY GLAND SEMINAL VESICLE SKELETAL MUSCLE SKIN SMALL INTESTINE
SMOOTH MUSCLE SOFT TISSUE SPINAL CORD SPLEEN STOMACH TESTIS THYMUS THYROID GLAND TONGUE TONSIL URINARY BLADDER VAGINA
ANTIBODIES
AND
VALIDATION
Dictionary
Heart muscle
Tissue proteome
Heart
HEART MUSCLE - Expression summary
Protein expression
Heart musclei

On the top, protein expression in current human tissue, based on all annotated cell types, is reported with the units not detected (n), low (l), medium (m) and high (h). Underneath, protein expression in each annotated cell type are reported using the same units.

Protein expression data is based on knowledge-based annotation. For genes where more than one antibody has been used, a collective score is set.

If knowledge-based annotation could not be performed for a gene, no data is displayed here. View antibody staining data further down this page.

h
m
l
n
Cardiomyocytes: Not detected
RNA expressioni

A summary of mRNA expression data available for current tissue based on several datasets. The mRNA expression levels in human tissues are based on RNA-seq data generated by the Human Protein Atlas (HPA), Genotype-Tissue Expression (GTEx) portal and CAGE data generated by the FANTOM5 consortium. Consensus normalized expression levels for human tissues was created by combining the data from HPA and GTEx datasets.

The mRNA expression levels in pig are based on RNA-seq data generated by the Human Protein Atlas (HPA), and for mouse, HPA data and in situ hybridization generated by the Allen brain atlas are reported.

Scroll down to view mRNA expression data in more detail.
Consensus:19.0 nTPM
HPA:11.8 nTPM
GTEx:19.0 nTPM
FANTOM5:37.2 Scaled Tags Per Million

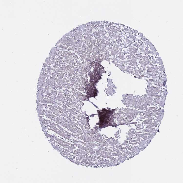
HEART MUSCLE - Antibody stainingi

Antibody staining in the annotated cell types in the current human tissue is reported as not detected, low, medium, or high, based on conventional immunohistochemistry profiling in selected tissues. This score is based on the combination of the staining intensity and fraction of stained cells.

Each image is clickable and will lead to virtual microscopy that enables deeper exploration of all samples and also displays staining intensity scores, fraction scores and subcellular localization as well as patient and tissue information for each sample.

Antibody HPA045103
Cardiomyocytes Not detected



HEART MUSCLE - HPA RNA-seqi

The RNA-seq details section shows detailed information about the individual samples used for the transcript profiling and results of the RNA-seq analysis.

Information about each individual sample is listed below, including gender, age, a tissue section image and estimated fractions of cell types. nTPM (normalized transcripts per million) values give a quantification of the gene abundance which is comparable between different genes and samples.
Average nTPMi

Max subtype nTPM is the value for the subtype with the largest average nTPM across the subtype samples.

11.8
overview
Female, age 48
Heart muscle sample 149
nTPM: 13.3
Cell types%
Myocytes:
15

Fibroblasts:
55

Endothelial cells:
25

Other cell types:
5

overview
Female, age 42
Heart muscle sample 150
nTPM: 9.9
Cell types%
Myocytes:
20

Fibroblasts:
45

Endothelial cells:
30

Other cell types:
5

overview
Male, age 53
Heart muscle sample 151
nTPM: 11.1
Cell types%
Myocytes:
20

Fibroblasts:
45

Endothelial cells:
30

Other cell types:
5

overview
Female, age 69
Heart muscle sample 152
nTPM: 13.1
Cell types%
Myocytes:
20

Fibroblasts:
45

Endothelial cells:
30

Other cell types:
5


HEART MUSCLE - GTEx RNA-seqi

RNA-Seq data generated by the Genotype-Tissue Expression (GTEx) project from human tissues is reported as mean nTPM. More information can be found on the GTEx portal.

Distribution across the dataset is visualized with box plots, shown as median and 25th and 75th percentiles. Points are displayed as outliers if they are above or below 1.5 times the interquartile range. nTPM values of the individual samples are presented next to the box plot.
Max subtype nTPMi

Max subtype nTPM is the value for the subtype with the largest average nTPM across the subtype samples.

19.0
GTEx sample id Sample description nTPM
Heart - Atrial Appendage
Average nTPM: 17.4
Samples: 429

Max nTPM: 48.3
Min nTPM: 0.0
Std nTPM: 6.1
Median nTPM: 16.1
GTEX-14XAO-0926-SM-69LPZ 60-69 years, female 48.3
GTEX-11TT1-1426-SM-5EGIA 20-29 years, male 46.8
GTEX-ZTPG-1326-SM-51MSQ 20-29 years, female 42.5
GTEX-1B996-1026-SM-793CF 60-69 years, male 39.8
GTEX-14C38-1326-SM-62LDK 50-59 years, male 38.4
GTEX-1GF9U-0526-SM-7P8SK 40-49 years, female 37.2
GTEX-12BJ1-0326-SM-5FQUB 60-69 years, male 35.3
GTEX-12696-1226-SM-5FQSM 60-69 years, male 34.1
GTEX-Y3I4-0526-SM-4TT6X 50-59 years, male 33.8
GTEX-ZYVF-1826-SM-5E44F 50-59 years, female 33.8
GTEX-132AR-1926-SM-5EGK5 50-59 years, female 33.1
GTEX-13O3Q-0326-SM-5L3FE 50-59 years, male 32.9
GTEX-14PJM-0826-SM-6LLIW 50-59 years, female 32.5
GTEX-14PJO-0826-SM-6ETZK 60-69 years, male 31.8
GTEX-1J1OQ-2226-SM-A96SS 40-49 years, female 31.6
GTEX-11TUW-1126-SM-5EQKJ 60-69 years, male 31.5
GTEX-ZTTD-0626-SM-4YCCY 50-59 years, male 31.1
GTEX-13S86-0326-SM-5SI6K 40-49 years, male 30.6
GTEX-XXEK-2026-SM-4BRVE 50-59 years, male 30.5
GTEX-146FH-1126-SM-5NQAT 50-59 years, female 30.2
GTEX-1K2DU-0226-SM-DIPF6 20-29 years, male 30.1
GTEX-13FH7-0826-SM-5J2NW 50-59 years, female 29.9
GTEX-ZYFD-2026-SM-5E459 50-59 years, male 29.4
GTEX-13D11-1526-SM-5J2NA 50-59 years, female 29.2
GTEX-1339X-0326-SM-5K7Z8 40-49 years, male 29.0
GTEX-1GN1W-0226-SM-7P8QY 50-59 years, female 28.2
GTEX-ZVT4-1326-SM-5NQ8E 50-59 years, female 28.1
GTEX-14PN4-0826-SM-69LON 50-59 years, male 27.0
GTEX-1RLM8-0226-SM-E6CJY 50-59 years, male 27.0
GTEX-13W3W-0526-SM-5LU3X 60-69 years, female 26.9
GTEX-YB5K-0226-SM-5IFJE 40-49 years, female 26.9
GTEX-1HFI7-0526-SM-A9SMA 50-59 years, female 26.8
GTEX-1L5NE-0526-SM-DIPG5 50-59 years, male 26.6
GTEX-132QS-0526-SM-5IJC7 60-69 years, male 26.4
GTEX-14C39-0726-SM-5RQIK 40-49 years, male 26.3
GTEX-XYKS-0226-SM-4BRW3 60-69 years, female 26.1
GTEX-1399S-0826-SM-5KM23 30-39 years, female 26.0
GTEX-ZAJG-0926-SM-5Q5AB 50-59 years, female 26.0
GTEX-11WQK-0226-SM-5EQLI 50-59 years, male 25.8
GTEX-14PHY-0326-SM-62LE3 60-69 years, female 25.6
GTEX-U8XE-0926-SM-3DB8V 30-39 years, male 25.5
GTEX-YEC4-0226-SM-4W1YG 40-49 years, male 25.5
GTEX-14BIL-0926-SM-7DHKN 50-59 years, male 25.4
GTEX-WHSE-0826-SM-4SOJU 20-29 years, male 25.4
GTEX-WI4N-0726-SM-3TW93 40-49 years, female 25.4
GTEX-1IKOE-0626-SM-A9G31 30-39 years, female 25.2
GTEX-17F9Y-1226-SM-7EPGE 70-79 years, female 25.0
GTEX-XV7Q-0726-SM-4BRV6 40-49 years, female 24.5
GTEX-132NY-1426-SM-5J1MJ 60-69 years, male 24.4
GTEX-15RIE-1326-SM-6PAMM 60-69 years, male 23.9
GTEX-XGQ4-0526-SM-4AT6C 50-59 years, male 23.9
GTEX-139TU-1926-SM-5J2OC 60-69 years, male 23.7
GTEX-14BIM-2726-SM-5Q5EG 60-69 years, female 23.7
GTEX-1JMQL-1026-SM-CMKGV 50-59 years, female 23.7
GTEX-X62O-0826-SM-46MW8 50-59 years, male 23.6
GTEX-XQ3S-0526-SM-4BOQA 20-29 years, male 23.6
GTEX-1H2FU-0826-SM-9WYSU 60-69 years, female 23.6
GTEX-145MN-0726-SM-5NQBH 30-39 years, male 23.4
GTEX-11LCK-0826-SM-5PNYD 30-39 years, male 23.3
GTEX-13QBU-0226-SM-5LU48 40-49 years, female 23.3
GTEX-XBEC-1226-SM-4AT65 50-59 years, male 23.3
GTEX-1H3VY-1126-SM-A96TP 50-59 years, male 23.3
GTEX-YF7O-0526-SM-5P9IO 50-59 years, male 23.1
GTEX-XQ8I-0226-SM-4BOPM 50-59 years, male 23.0
GTEX-1H1ZS-1026-SM-9WG6E 70-79 years, male 23.0
GTEX-1122O-0626-SM-5N9B9 60-69 years, female 22.9
GTEX-1AX9K-0426-SM-73KUG 50-59 years, male 22.9
GTEX-15SHV-0526-SM-7KUEN 60-69 years, male 22.7
GTEX-1LH75-0526-SM-DIPG2 50-59 years, female 22.7
GTEX-1JK1U-0626-SM-CKZOJ 60-69 years, male 22.5
GTEX-14PK6-0726-SM-6LLIX 70-79 years, female 22.3
GTEX-13O1R-0926-SM-5L3DS 60-69 years, male 22.2
GTEX-13O61-0426-SM-5L3ET 60-69 years, male 22.1
GTEX-12WSN-0226-SM-5DUXH 40-49 years, male 21.9
GTEX-13NZ9-0126-SM-5K7XV 50-59 years, male 21.8
GTEX-15UF7-1526-SM-6LPI7 40-49 years, male 21.8
GTEX-13OW5-0926-SM-5L3GZ 60-69 years, male 21.7
GTEX-1ICG6-0726-SM-B2LY5 70-79 years, female 21.7
GTEX-11DXX-0526-SM-5PNVR 60-69 years, female 21.6
GTEX-17GQL-0626-SM-731CN 60-69 years, male 21.6
GTEX-1HSMQ-0426-SM-ADEIM 50-59 years, male 21.6
GTEX-1H1DG-0826-SM-9QEIW 70-79 years, male 21.5
GTEX-1HCU7-1226-SM-B2LX8 50-59 years, male 21.5
GTEX-1211K-0226-SM-59HJY 60-69 years, female 21.4
GTEX-14H4A-0426-SM-5ZZWO 40-49 years, female 21.4
GTEX-13PDP-1326-SM-5K7U9 60-69 years, male 21.3
GTEX-1CAMS-1126-SM-7MXUQ 40-49 years, female 21.0
GTEX-1M5QR-1626-SM-E9U5O 40-49 years, male 21.0
GTEX-13N11-0726-SM-5L3DP 50-59 years, female 20.9
GTEX-13RTJ-0526-SM-62LDP 60-69 years, male 20.9
GTEX-ZPIC-0426-SM-DO91V 40-49 years, female 20.8
GTEX-1F75B-1126-SM-7RHGP 50-59 years, male 20.7
GTEX-1F75I-1326-SM-7PBZX 40-49 years, male 20.7
GTEX-131XG-0526-SM-5DUWF 50-59 years, female 20.6
GTEX-13O3O-1426-SM-5KM2S 60-69 years, female 20.5
GTEX-1445S-1226-SM-5O9BF 60-69 years, male 20.5
GTEX-11UD2-0926-SM-5CVL6 50-59 years, male 20.4
GTEX-Y114-0126-SM-4TT8K 50-59 years, female 20.4
GTEX-ZZPU-1126-SM-5N9CW 50-59 years, female 20.4
GTEX-13O3P-1426-SM-5L3DT 50-59 years, male 20.3
GTEX-1B8SG-0726-SM-79ONS 50-59 years, male 20.3
GTEX-ZPU1-0726-SM-5HL6O 40-49 years, male 20.3
GTEX-1GMR8-1026-SM-9MQLA 50-59 years, female 20.2
GTEX-ZDTT-0326-SM-4WKF9 60-69 years, male 20.1
GTEX-11O72-1026-SM-5986B 40-49 years, male 20.0
GTEX-YFC4-0426-SM-4TT3J 40-49 years, female 20.0
GTEX-13PVR-0926-SM-5S2RB 60-69 years, female 19.9
GTEX-1R7EV-0426-SM-DTX7Z 40-49 years, male 19.9
GTEX-13PL6-0826-SM-5IJBI 40-49 years, female 19.8
GTEX-1JJ6O-2226-SM-AHZ3I 60-69 years, male 19.8
GTEX-13PVQ-1326-SM-5LU4J 50-59 years, male 19.7
GTEX-XPVG-0726-SM-4B658 50-59 years, male 19.6
GTEX-1AX8Z-1126-SM-731CS 60-69 years, male 19.5
GTEX-1HSGN-0926-SM-CNNQM 40-49 years, female 19.5
GTEX-1HSMO-1126-SM-CGQF2 60-69 years, male 19.5
GTEX-1OFPY-0926-SM-DTX8Q 60-69 years, male 19.5
GTEX-11EM3-0426-SM-5N9BZ 20-29 years, female 19.4
GTEX-13JVG-1126-SM-5KM2M 60-69 years, male 19.4
GTEX-1CB4J-0226-SM-7P8T4 60-69 years, male 19.4
GTEX-11EMC-0826-SM-59862 60-69 years, female 19.3
GTEX-18A6Q-1526-SM-731CO 60-69 years, male 19.3
GTEX-ZDYS-0326-SM-5HL4W 50-59 years, male 19.3
GTEX-13CF2-0226-SM-5L3DV 60-69 years, male 19.2
GTEX-14PJ4-0926-SM-5YY98 60-69 years, male 19.2
GTEX-X4XX-1126-SM-3NMBY 60-69 years, male 19.2
GTEX-1QP29-1426-SM-DTX9Q 50-59 years, male 19.2
GTEX-W5X1-0826-SM-3GILN 40-49 years, female 18.9
GTEX-1KANC-0226-SM-E9TIW 50-59 years, female 18.9
GTEX-1NHNU-0626-SM-E6CP1 50-59 years, male 18.9
GTEX-139YR-0526-SM-5L3DG 50-59 years, male 18.8
GTEX-147F4-1126-SM-5TDDE 50-59 years, male 18.8
GTEX-18D9U-1426-SM-718BO 40-49 years, male 18.8
GTEX-145LS-1326-SM-5Q5EP 60-69 years, female 18.7
GTEX-X261-0926-SM-3NMCY 50-59 years, male 18.7
GTEX-ZT9W-0526-SM-57WFG 50-59 years, male 18.7
GTEX-1C6VQ-0826-SM-7PBZT 50-59 years, male 18.7
GTEX-ZV7C-0526-SM-9WPNK 50-59 years, male 18.7
GTEX-145LV-0226-SM-5S2QG 50-59 years, male 18.6
GTEX-14A5I-1026-SM-5Q5E3 50-59 years, female 18.6
GTEX-1B97J-0326-SM-7939H 50-59 years, female 18.5
GTEX-1C2JI-0626-SM-7DHM1 50-59 years, male 18.5
GTEX-1J8Q3-1126-SM-ARU8N 60-69 years, male 18.5
GTEX-15CHR-0326-SM-7DHN3 50-59 years, male 18.4
GTEX-1JMQK-0926-SM-ARL96 60-69 years, male 18.4
GTEX-1KD5A-0926-SM-D4P3U 50-59 years, male 18.4
GTEX-1RB15-0426-SM-E9U4Y 60-69 years, male 18.4
GTEX-146FR-0926-SM-5QGPE 60-69 years, female 18.3
GTEX-1IKK5-1726-SM-CM2RU 60-69 years, male 18.2
GTEX-15SDE-1826-SM-7KUFN 50-59 years, female 18.1
GTEX-16XZY-0526-SM-7DHKY 70-79 years, male 18.1
GTEX-1QPFJ-0926-SM-EVR3K 30-39 years, female 18.1
GTEX-13YAN-1426-SM-7EPG8 60-69 years, male 18.0
GTEX-15CHC-0326-SM-5ZZVP 60-69 years, female 18.0
GTEX-1LSNM-0426-SM-E9TIZ 50-59 years, male 18.0
GTEX-1P4AB-0926-SM-E76PV 50-59 years, male 18.0
GTEX-X3Y1-0226-SM-3P5Z5 40-49 years, male 17.9
GTEX-ZVT2-0926-SM-5GICE 50-59 years, female 17.9
GTEX-ZZPT-0926-SM-5GICZ 50-59 years, male 17.8
GTEX-14PN3-0726-SM-6EU14 60-69 years, female 17.7
GTEX-1GL5R-0426-SM-9WPOP 50-59 years, male 17.7
GTEX-12WSG-1226-SM-5EQ4C 50-59 years, female 17.6
GTEX-132Q8-1126-SM-5K7XS 60-69 years, male 17.6
GTEX-14PHX-0626-SM-5YY8Z 50-59 years, male 17.6
GTEX-18D9B-1126-SM-7KFSH 60-69 years, male 17.6
GTEX-WQUQ-1326-SM-3MJFF 60-69 years, male 17.6
GTEX-ZDTS-1226-SM-4WKGL 60-69 years, male 17.6
GTEX-1EH9U-0626-SM-7PC33 60-69 years, male 17.6
GTEX-YEC3-0426-SM-CYPS8 50-59 years, male 17.6
GTEX-ZXG5-0626-SM-5NQ85 60-69 years, male 17.5
GTEX-ZPCL-0526-SM-DO91R 60-69 years, female 17.5
GTEX-1212Z-0726-SM-5EGI5 60-69 years, male 17.4
GTEX-183WM-0926-SM-718AN 70-79 years, female 17.4
GTEX-1GF9V-1726-SM-9KNW4 60-69 years, male 17.4
GTEX-13PL7-0726-SM-5KM1S 60-69 years, female 17.3
GTEX-1C64O-0926-SM-79OLN 60-69 years, male 17.3
GTEX-1CB4H-0626-SM-7IGN3 60-69 years, female 17.3
GTEX-11ZTT-0526-SM-5EQLA 60-69 years, female 17.2
GTEX-13NZB-0426-SM-5KM26 30-39 years, male 17.2
GTEX-14BIN-2126-SM-793AX 50-59 years, female 17.2
GTEX-1A3MX-1226-SM-731B3 60-69 years, male 17.2
GTEX-Y3IK-1026-SM-51MR7 50-59 years, female 17.1
GTEX-1E2YA-0626-SM-7P8P4 50-59 years, male 17.1
GTEX-1JMLX-1826-SM-CNPOX 50-59 years, male 17.1
GTEX-13VXT-0726-SM-5SIAD 20-29 years, female 17.0
GTEX-WY7C-1126-SM-3NB3A 50-59 years, male 17.0
GTEX-1IL2V-1126-SM-CMKGH 70-79 years, male 17.0
GTEX-13X6K-1726-SM-7IGLG 60-69 years, female 16.9
GTEX-14E6C-0326-SM-5Q5EE 40-49 years, male 16.9
GTEX-1H3NZ-1026-SM-A9SM5 60-69 years, male 16.9
GTEX-14A6H-0326-SM-5NQAN 30-39 years, male 16.8
GTEX-14PJ2-1126-SM-69LOD 50-59 years, male 16.8
GTEX-1CB4E-0626-SM-7DHMW 60-69 years, male 16.8
GTEX-13SLW-0826-SM-5QGP7 70-79 years, male 16.7
GTEX-14JG1-0826-SM-5ZZWR 40-49 years, male 16.7
GTEX-16NPX-0826-SM-6M489 50-59 years, male 16.7
GTEX-16XZZ-1026-SM-7DHKS 60-69 years, male 16.7
GTEX-UPK5-0226-SM-3GAEV 40-49 years, male 16.7
GTEX-X8HC-1026-SM-46MWH 50-59 years, female 16.7
GTEX-1GN1U-1426-SM-7P8TF 50-59 years, female 16.7
GTEX-WH7G-0326-SM-3NMBH 40-49 years, male 16.6
GTEX-1LVAN-1526-SM-CNPQN 50-59 years, female 16.6
GTEX-1LVAO-0626-SM-EWRNT 60-69 years, male 16.5
GTEX-13FTW-0826-SM-5K7XR 40-49 years, male 16.4
GTEX-WHPG-1026-SM-3NMBA 50-59 years, male 16.4
GTEX-XOT4-1126-SM-4B66E 60-69 years, female 16.4
GTEX-1C6WA-0826-SM-7PBXS 60-69 years, male 16.4
GTEX-1MCC2-0226-SM-EVYD5 30-39 years, female 16.4
GTEX-ZEX8-0326-SM-DO92C 50-59 years, male 16.4
GTEX-11P81-0526-SM-59873 30-39 years, female 16.3
GTEX-18A67-1026-SM-731CE 50-59 years, male 16.3
GTEX-13JUV-0226-SM-5IJCC 40-49 years, female 16.2
GTEX-13OVG-0426-SM-5KM2T 60-69 years, male 16.2
GTEX-1C64N-0826-SM-7RHGQ 50-59 years, male 16.2
GTEX-1399R-1726-SM-5K7YJ 30-39 years, male 16.1
GTEX-V1D1-0626-SM-4JBHN 50-59 years, male 16.1
GTEX-XPT6-0226-SM-4B65L 20-29 years, male 16.1
GTEX-ZLFU-0326-SM-4WWBK 40-49 years, male 16.1
GTEX-13NYS-1926-SM-5IJCB 60-69 years, male 16.0
GTEX-1F48J-1126-SM-9WYSY 50-59 years, female 16.0
GTEX-1IDJU-0626-SM-CKZOG 60-69 years, female 16.0
GTEX-1AX9J-0926-SM-73KXA 60-69 years, male 15.9
GTEX-1MJIX-0426-SM-DTXEN 40-49 years, male 15.9
GTEX-1R9JW-0426-SM-E76QL 30-39 years, female 15.9
GTEX-131XE-0526-SM-5K7YT 50-59 years, male 15.8
GTEX-1I19N-0626-SM-A9SKY 70-79 years, male 15.8
GTEX-1KANB-1126-SM-DHXJT 50-59 years, male 15.8
GTEX-12ZZY-1226-SM-5GCNK 60-69 years, male 15.7
GTEX-14E1K-0826-SM-5ZZW9 50-59 years, male 15.7
GTEX-Y5V5-0726-SM-4VBPY 60-69 years, female 15.7
GTEX-1GMR2-1326-SM-9KNUT 50-59 years, male 15.7
GTEX-15DCE-0826-SM-7KULW 20-29 years, male 15.6
GTEX-1J8QM-0326-SM-CL53D 60-69 years, female 15.6
GTEX-147JS-1326-SM-5SI6D 60-69 years, male 15.5
GTEX-1HBPM-1026-SM-ARL9D 60-69 years, female 15.5
GTEX-1QP6S-1026-SM-DTXFW 40-49 years, male 15.5
GTEX-17KNJ-0626-SM-7LT9L 50-59 years, male 15.4
GTEX-1IY9M-0626-SM-D4P2L 60-69 years, male 15.4
GTEX-V955-0826-SM-CYPR5 60-69 years, male 15.4
GTEX-1192X-0726-SM-5987R 50-59 years, male 15.3
GTEX-11ZVC-0526-SM-5N9G1 50-59 years, female 15.3
GTEX-1399U-0726-SM-5KM1D 50-59 years, female 15.3
GTEX-13X6J-1226-SM-79OMF 50-59 years, male 15.3
GTEX-15EU6-1326-SM-6PANG 50-59 years, male 15.3
GTEX-WFG8-0726-SM-3GILP 20-29 years, male 15.3
GTEX-ZAB5-0126-SM-5CVMT 50-59 years, male 15.3
GTEX-1HBPN-0926-SM-CGQEG 50-59 years, male 15.3
GTEX-1LGOU-0326-SM-D3LAM 20-29 years, female 15.3
GTEX-111YS-0326-SM-5GZZ3 60-69 years, male 15.2
GTEX-17HGU-1126-SM-793BP 50-59 years, male 15.2
GTEX-1B8KE-0326-SM-73KTY 50-59 years, male 15.2
GTEX-WFG7-0826-SM-3GIKU 20-29 years, male 15.2
GTEX-1GMRU-1326-SM-9WYUI 50-59 years, male 15.2
GTEX-12WSC-1026-SM-5EQ5Y 50-59 years, male 15.1
GTEX-14PJ6-0626-SM-686Z6 60-69 years, female 15.1
GTEX-1B932-1326-SM-79OM4 40-49 years, female 15.1
GTEX-WHWD-0326-SM-3LK6L 50-59 years, male 15.1
GTEX-ZG7Y-1426-SM-4WWBM 50-59 years, male 15.1
GTEX-1CAMQ-0726-SM-7P8SG 40-49 years, male 15.1
GTEX-1LGRB-1026-SM-CNPQD 50-59 years, female 15.1
GTEX-11GSP-1226-SM-5985M 60-69 years, female 15.0
GTEX-XLM4-2026-SM-4AT4X 60-69 years, male 15.0
GTEX-YECK-1226-SM-4W21G 60-69 years, male 15.0
GTEX-1HCUA-0626-SM-ACKVT 50-59 years, female 15.0
GTEX-1I1GQ-1226-SM-CL55J 50-59 years, male 15.0
GTEX-1IDJD-0226-SM-CKZOA 30-39 years, male 15.0
GTEX-1KXAM-1426-SM-D3LAC 60-69 years, male 15.0
GTEX-1192W-0226-SM-5EGGT 60-69 years, male 14.9
GTEX-12WSD-1226-SM-5HL9Q 60-69 years, female 14.9
GTEX-1H11D-1026-SM-9QEIU 40-49 years, male 14.9
GTEX-117XS-0726-SM-5H131 60-69 years, male 14.8
GTEX-11GS4-0426-SM-5N9CD 60-69 years, male 14.8
GTEX-131XF-0426-SM-5HL7U 60-69 years, male 14.8
GTEX-15CHQ-1326-SM-6871Z 60-69 years, male 14.8
GTEX-X5EB-0626-SM-46MVQ 40-49 years, male 14.8
GTEX-1QCLZ-1126-SM-EWRNB 60-69 years, female 14.8
GTEX-12WSE-0926-SM-5S2VX 20-29 years, male 14.7
GTEX-12WSK-0526-SM-5CVNA 40-49 years, female 14.7
GTEX-144GL-1026-SM-5O99R 50-59 years, male 14.7
GTEX-ZDXO-0426-SM-4WKF6 60-69 years, male 14.7
GTEX-ZYFG-0526-SM-5GZXX 60-69 years, female 14.7
GTEX-1HC8U-0626-SM-B2LWB 40-49 years, female 14.7
GTEX-1I1GP-0626-SM-ARL7H 50-59 years, male 14.7
GTEX-1F6I4-0826-SM-7RHGK 60-69 years, male 14.6
GTEX-13N1W-0926-SM-5MR36 70-79 years, male 14.5
GTEX-WYJK-1126-SM-3NM9Z 50-59 years, male 14.5
GTEX-13FHO-1226-SM-5L3EF 60-69 years, male 14.4
GTEX-1CB4I-1526-SM-7DHMY 50-59 years, male 14.4
GTEX-VUSG-0726-SM-3GIK1 50-59 years, male 14.4
GTEX-111VG-0326-SM-5GZX7 60-69 years, male 14.3
GTEX-117YW-0426-SM-5GZZZ 50-59 years, male 14.3
GTEX-13FXS-1026-SM-62LFQ 50-59 years, male 14.3
GTEX-ZGAY-0226-SM-4WWAL 40-49 years, female 14.3
GTEX-ZVT3-0826-SM-5GIC8 60-69 years, female 14.3
GTEX-1AYCT-0526-SM-7RHHS 50-59 years, male 14.3
GTEX-1F75A-1026-SM-7PC3W 50-59 years, male 14.3
GTEX-1B8SF-1326-SM-7IGQJ 60-69 years, male 14.2
GTEX-VJWN-1026-SM-4M1ZN 50-59 years, female 14.2
GTEX-WOFL-1226-SM-4OOST 60-69 years, male 14.2
GTEX-ZAB4-0926-SM-5CVN4 40-49 years, male 14.1
GTEX-ZAK1-1126-SM-5PNXU 50-59 years, female 14.1
GTEX-1MJK2-1626-SM-EVYCQ 50-59 years, male 14.1
GTEX-1A32A-1326-SM-73KWW 50-59 years, female 14.0
GTEX-WEY5-0226-SM-3GIKN 40-49 years, female 14.0
GTEX-Z93S-0326-SM-5HL84 50-59 years, male 14.0
GTEX-ZF29-0426-SM-4WKFN 60-69 years, female 14.0
GTEX-17F9E-0726-SM-793A1 50-59 years, male 13.9
GTEX-18A66-1126-SM-731C5 60-69 years, male 13.9
GTEX-ZE7O-0626-SM-57WCD 50-59 years, female 13.9
GTEX-1J8Q2-1026-SM-ARU8I 60-69 years, male 13.9
GTEX-12WSI-0426-SM-5EQ5J 50-59 years, male 13.8
GTEX-13NZA-0826-SM-5K7WS 60-69 years, male 13.8
GTEX-1IKJJ-0626-SM-CY8GF 60-69 years, male 13.8
GTEX-1GMR3-0426-SM-7PC17 40-49 years, male 13.7
GTEX-1PPGY-0926-SM-DTXFF 60-69 years, male 13.7
GTEX-11DXY-1026-SM-5987V 60-69 years, male 13.6
GTEX-11ZUS-0326-SM-5EQ4W 30-39 years, male 13.6
GTEX-1GN1V-1026-SM-CNPPS 60-69 years, male 13.6
GTEX-11EQ8-1326-SM-5EGJQ 60-69 years, male 13.5
GTEX-15D1Q-0426-SM-6AJ9G 40-49 years, male 13.5
GTEX-1NSGN-1226-SM-E76OL 50-59 years, male 13.5
GTEX-11ONC-1026-SM-5GU64 60-69 years, male 13.3
GTEX-13FHP-0826-SM-5K7V5 50-59 years, male 13.3
GTEX-1GN73-2326-SM-9MQKV 60-69 years, male 13.3
GTEX-1QMI2-1026-SM-DTX7T 60-69 years, male 13.3
GTEX-111FC-0626-SM-5N9CU 60-69 years, male 13.2
GTEX-14C5O-1226-SM-664N3 60-69 years, male 13.2
GTEX-WFON-0226-SM-3GIKR 40-49 years, male 13.2
GTEX-WL46-0726-SM-3LK5Z 50-59 years, male 13.2
GTEX-12ZZX-0726-SM-5EGKA 40-49 years, female 13.1
GTEX-13O21-0326-SM-5J1N9 50-59 years, male 13.1
GTEX-13SLX-0926-SM-5S2NM 50-59 years, female 13.1
GTEX-1HR98-1026-SM-CKZOM 60-69 years, male 13.1
GTEX-1117F-0726-SM-5GIEN 60-69 years, female 13.0
GTEX-117YX-0626-SM-5EGJI 50-59 years, male 13.0
GTEX-14E7W-1126-SM-5ZZVS 70-79 years, male 13.0
GTEX-16GPK-1226-SM-7LTAU 60-69 years, male 13.0
GTEX-1GTWX-0926-SM-9MQKM 60-69 years, male 13.0
GTEX-Y8E4-0426-SM-4V6GB 40-49 years, male 12.9
GTEX-1H3O1-0226-SM-9WYSW 60-69 years, male 12.9
GTEX-1HUB1-0726-SM-CGQF4 60-69 years, male 12.9
GTEX-148VJ-1426-SM-5TDE3 70-79 years, male 12.8
GTEX-15ER7-0826-SM-6PALW 20-29 years, female 12.8
GTEX-1H1CY-0426-SM-9KNVD 60-69 years, female 12.8
GTEX-1JMOU-0326-SM-ARL8X 60-69 years, female 12.8
GTEX-14ASI-0826-SM-5Q5EB 60-69 years, male 12.7
GTEX-1EX96-2626-SM-9MQJV 50-59 years, male 12.7
GTEX-1IOXB-0726-SM-A9G32 50-59 years, male 12.7
GTEX-16YQH-0726-SM-7IGM1 30-39 years, male 12.6
GTEX-1477Z-1126-SM-5P9GK 60-69 years, male 12.5
GTEX-17F96-0826-SM-7DHLU 70-79 years, male 12.5
GTEX-18465-0726-SM-7LG4L 50-59 years, male 12.5
GTEX-1EWIQ-1126-SM-7EPIK 70-79 years, female 12.5
GTEX-1GN2E-1426-SM-7RHHI 60-69 years, male 12.5
GTEX-1AX9I-1026-SM-73KYF 60-69 years, male 12.4
GTEX-13112-0526-SM-5EQ4S 50-59 years, male 12.3
GTEX-WWYW-1126-SM-3NB2Q 50-59 years, female 12.3
GTEX-YJ8O-0826-SM-5CVM3 40-49 years, female 12.3
GTEX-1IDJF-0826-SM-ARU7N 20-29 years, male 12.3
GTEX-13U4I-0626-SM-5LU5L 40-49 years, female 12.2
GTEX-ZF3C-1126-SM-57WEG 50-59 years, female 12.2
GTEX-1HCVE-0826-SM-CM2SF 50-59 years, male 12.2
GTEX-12WSA-1126-SM-5EGKU 60-69 years, male 12.1
GTEX-ZF2S-0826-SM-4WWBI 50-59 years, female 12.1
GTEX-ZYFC-1026-SM-5GZX9 50-59 years, male 12.1
GTEX-1HT8W-1326-SM-CGQEN 30-39 years, male 12.1
GTEX-1POEN-0726-SM-DTXDU 30-39 years, female 12.0
GTEX-1HFI6-0826-SM-9YFM2 40-49 years, male 11.9
GTEX-14PII-1026-SM-5ZZVW 60-69 years, male 11.8
GTEX-1B933-0826-SM-79OMW 50-59 years, female 11.8
GTEX-1A8G6-1826-SM-73KY8 60-69 years, male 11.7
GTEX-11DXZ-0326-SM-5EGH1 50-59 years, male 11.5
GTEX-1A8FM-1026-SM-7PC26 50-59 years, female 11.5
GTEX-1EU9M-1926-SM-7RHH4 60-69 years, male 11.4
GTEX-11DYG-1026-SM-5A5JQ 60-69 years, male 11.3
GTEX-1399T-0726-SM-5J1MH 60-69 years, male 11.3
GTEX-1I1HK-0626-SM-CNPQM 60-69 years, male 11.3
GTEX-1LG7Y-1426-SM-D4P31 50-59 years, male 11.3
GTEX-15SKB-0926-SM-7KUFC 60-69 years, male 11.2
GTEX-1I1GV-1426-SM-B2LXN 60-69 years, male 11.2
GTEX-1313W-1126-SM-5EQ5U 50-59 years, female 11.1
GTEX-13NYB-0326-SM-5IJDP 40-49 years, male 11.1
GTEX-14DAQ-1026-SM-793B1 60-69 years, female 11.1
GTEX-15RJE-0726-SM-7KUEG 40-49 years, male 11.1
GTEX-ZVZQ-0726-SM-51MR3 60-69 years, female 11.1
GTEX-1QEPI-1126-SM-E8VN7 60-69 years, female 11.1
GTEX-13OW6-0926-SM-5L3GM 50-59 years, male 11.0
GTEX-17EVP-0526-SM-7EPGY 40-49 years, male 11.0
GTEX-X4EP-0326-SM-3P5Z6 60-69 years, female 11.0
GTEX-1F88F-0326-SM-9KNV3 60-69 years, female 11.0
GTEX-1IKOH-0926-SM-A9SLU 60-69 years, female 10.9
GTEX-13FTZ-0326-SM-5J1O1 60-69 years, male 10.8
GTEX-15SHU-0926-SM-6PAMK 40-49 years, female 10.8
GTEX-16MT8-0826-SM-7KULO 60-69 years, female 10.8
GTEX-ZYT6-0926-SM-5GIEM 30-39 years, male 10.8
GTEX-1I1GR-1026-SM-A9SLC 60-69 years, male 10.7
GTEX-11NV4-0826-SM-5BC4S 60-69 years, male 10.6
GTEX-1HSKV-0726-SM-ACKWE 60-69 years, male 10.6
GTEX-1IDJH-1126-SM-COH3R 70-79 years, male 10.6
GTEX-1IL2U-1226-SM-CL53P 60-69 years, male 10.6
GTEX-1LB8K-0926-SM-D4P42 50-59 years, male 10.6
GTEX-1LSNL-0626-SM-DIPFJ 50-59 years, male 10.6
GTEX-13OW7-1626-SM-5IJDH 50-59 years, male 10.5
GTEX-ZUA1-0726-SM-4YCD9 40-49 years, male 10.3
GTEX-131YS-0826-SM-5PNYV 60-69 years, female 10.2
GTEX-14BMV-1026-SM-5SI6B 50-59 years, male 10.2
GTEX-1BAJH-1026-SM-7EWEG 70-79 years, male 10.2
GTEX-1HBPH-0226-SM-9WYSM 40-49 years, female 10.2
GTEX-1JJEA-0926-SM-CYPSO 60-69 years, male 10.2
GTEX-WK11-0626-SM-3NMAV 50-59 years, male 10.1
GTEX-1EMGI-1126-SM-9KNUF 60-69 years, male 10.1
GTEX-1R9K4-1026-SM-EXUT1 60-69 years, male 10.0
GTEX-17MF6-0926-SM-7LTAL 40-49 years, male 9.9
GTEX-1B8L1-0426-SM-7SB76 60-69 years, male 9.9
GTEX-UTHO-1226-SM-3GAEE 60-69 years, male 9.8
GTEX-11NUK-0926-SM-5HL57 50-59 years, male 9.7
GTEX-1E1VI-1426-SM-793CY 50-59 years, male 9.7
GTEX-WYBS-1226-SM-3NM9N 60-69 years, female 9.6
GTEX-17JCI-0826-SM-7LT8W 60-69 years, female 9.5
GTEX-1I1CD-1326-SM-A9SMM 60-69 years, female 9.5
GTEX-1J8EW-0626-SM-CM2TY 60-69 years, female 9.5
GTEX-1GZ2Q-0926-SM-7RHHN 40-49 years, male 9.4
GTEX-18A7A-1226-SM-7LTAJ 50-59 years, female 9.3
GTEX-WRHU-1026-SM-4E3ID 50-59 years, female 9.3
GTEX-13OVI-0326-SM-5K7X1 60-69 years, female 9.2
GTEX-12584-1026-SM-59HK3 40-49 years, male 8.3
GTEX-1GZ4I-0826-SM-9WG6O 50-59 years, male 8.2
GTEX-1CB4G-0726-SM-79OOJ 60-69 years, male 8.1
GTEX-1JN6P-0826-SM-ARL97 60-69 years, male 8.1
GTEX-WZTO-1226-SM-3NMAZ 40-49 years, male 0.0
Show allShow less
Heart - Left Ventricle
Average nTPM: 19.0
Samples: 432

Max nTPM: 65.1
Min nTPM: 0.0
Std nTPM: 7.9
Median nTPM: 17.6
GTEX-ZPIC-0826-SM-4WWFJ 40-49 years, female 65.1
GTEX-14XAO-1126-SM-6EU11 60-69 years, female 64.7
GTEX-XV7Q-0826-SM-4BRV7 40-49 years, female 59.0
GTEX-11EM3-0626-SM-5H12Z 20-29 years, female 51.0
GTEX-YB5K-0126-SM-5IFJ2 40-49 years, female 47.7
GTEX-1GN1W-0326-SM-9JGHF 50-59 years, female 44.9
GTEX-1K9T9-1126-SM-D3L9E 50-59 years, female 44.6
GTEX-13W3W-0426-SM-5SI9D 60-69 years, female 42.3
GTEX-17GQL-0526-SM-72D5N 60-69 years, male 41.7
GTEX-QEG5-0926-SM-2TC64 20-29 years, male 40.9
GTEX-O5YV-0326-SM-2I5H2 60-69 years, female 39.5
GTEX-P44G-0826-SM-2I5ES 30-39 years, male 38.5
GTEX-U4B1-0326-SM-3DB8K 40-49 years, male 37.4
GTEX-11TT1-1326-SM-5PNYM 20-29 years, male 37.2
GTEX-P4QS-0326-SM-2I3EU 60-69 years, male 36.6
GTEX-1HSMO-1226-SM-CL548 60-69 years, male 36.2
GTEX-13O1R-1226-SM-5J1NU 60-69 years, male 35.6
GTEX-U8XE-1126-SM-3DB8W 30-39 years, male 34.8
GTEX-YF7O-0426-SM-5P9FS 50-59 years, male 33.7
GTEX-14C38-1426-SM-5RQHZ 50-59 years, male 33.5
GTEX-1JMOU-0226-SM-CNNPD 60-69 years, female 33.5
GTEX-13OW5-1126-SM-5J1NR 60-69 years, male 33.0
GTEX-R55G-0526-SM-2TC5O 40-49 years, female 32.8
GTEX-WY7C-0526-SM-3NB3D 50-59 years, male 32.8
GTEX-1LC47-1026-SM-D3LAH 60-69 years, male 32.7
GTEX-1ICLY-1326-SM-CJI47 50-59 years, male 32.5
GTEX-OXRO-2026-SM-2YUMZ 60-69 years, female 32.4
GTEX-1O9I2-1126-SM-DTXEA 50-59 years, male 31.8
GTEX-1HCU6-1026-SM-A9G25 60-69 years, female 31.4
GTEX-NPJ8-0426-SM-2HMK6 40-49 years, male 30.4
GTEX-PWCY-0526-SM-5P9HG 20-29 years, female 30.3
GTEX-1I6K7-0626-SM-ARL7Q 40-49 years, male 29.6
GTEX-QDVJ-0426-SM-2I5FW 50-59 years, male 29.4
GTEX-SUCS-0326-SM-32PLL 70-79 years, male 29.3
GTEX-11DXX-0326-SM-5PNWC 60-69 years, female 29.0
GTEX-131XG-0626-SM-5GCMP 50-59 years, female 29.0
GTEX-1211K-0626-SM-5FQUZ 60-69 years, female 28.6
GTEX-139YR-0826-SM-5LZXY 50-59 years, male 28.6
GTEX-132AR-2026-SM-5IJG4 50-59 years, female 28.5
GTEX-13PVQ-1226-SM-5IJDC 50-59 years, male 28.5
GTEX-1I1GP-0826-SM-A96SD 50-59 years, male 28.1
GTEX-13CF3-0726-SM-5J2MY 60-69 years, female 27.7
GTEX-QDVN-0326-SM-2I3FS 50-59 years, male 27.7
GTEX-X261-1426-SM-4PQZ1 50-59 years, male 27.2
GTEX-1IDJU-0726-SM-CNPQ9 60-69 years, female 27.2
GTEX-1PWST-1026-SM-DTXF2 70-79 years, male 27.2
GTEX-1N2EF-2826-SM-E6CQF 60-69 years, male 27.1
GTEX-X15G-0426-SM-4PQZ6 50-59 years, female 27.0
GTEX-1LGOU-0726-SM-E9TIY 20-29 years, female 26.8
GTEX-18A66-1226-SM-7LT8G 60-69 years, male 26.7
GTEX-15EOM-5007-SM-793DG 20-29 years, female 26.6
GTEX-1M5QR-1026-SM-DHXK9 40-49 years, male 26.6
GTEX-131XE-0626-SM-5HL98 50-59 years, male 26.5
GTEX-13FH7-0926-SM-5J2MR 50-59 years, female 26.4
GTEX-1OKEX-0726-SM-DPRYE 60-69 years, male 26.4
GTEX-XBED-0526-SM-47JY3 60-69 years, male 26.0
GTEX-12WSG-0526-SM-5FQTH 50-59 years, female 25.9
GTEX-PLZ5-0626-SM-2I5F8 50-59 years, male 25.8
GTEX-1A3MW-1326-SM-7189P 60-69 years, female 25.6
GTEX-XXEK-0926-SM-4BRWH 50-59 years, male 25.1
GTEX-1R7EV-0326-SM-E76PA 40-49 years, male 25.1
GTEX-146FH-1026-SM-5RQIF 50-59 years, female 25.0
GTEX-11TUW-1026-SM-5GU7D 60-69 years, male 24.9
GTEX-1J8QM-0426-SM-AHZ3X 60-69 years, female 24.9
GTEX-WH7G-0426-SM-3NMBJ 40-49 years, male 24.8
GTEX-1IDJF-0726-SM-CJI1U 20-29 years, male 24.8
GTEX-Y3I4-0626-SM-4TT7A 50-59 years, male 24.7
GTEX-1QP2A-1126-SM-EVR3H 50-59 years, male 24.7
GTEX-13O3P-1626-SM-5K7X3 50-59 years, male 24.6
GTEX-13NZB-0226-SM-5KM1T 30-39 years, male 24.4
GTEX-1B8SG-0826-SM-7EWF7 50-59 years, male 24.4
GTEX-13O3O-1526-SM-5KM1C 60-69 years, female 24.3
GTEX-14C39-0926-SM-5TDDV 40-49 years, male 24.3
GTEX-1JJ6O-2126-SM-CNNP6 60-69 years, male 24.3
GTEX-WI4N-0626-SM-3TW8Z 40-49 years, female 24.2
GTEX-15CHR-0226-SM-7PC2Z 50-59 years, male 24.2
GTEX-1MUQO-1226-SM-E9TJK 60-69 years, male 24.2
GTEX-1CB4E-0526-SM-7MXTK 60-69 years, male 24.1
GTEX-1F75I-1126-SM-9WYUO 40-49 years, male 24.0
GTEX-13X6H-0426-SM-5LU4E 50-59 years, female 23.8
GTEX-ZVZP-0226-SM-5NQ73 50-59 years, male 23.8
GTEX-1339X-0426-SM-5KLZY 40-49 years, male 23.7
GTEX-1IKOE-1026-SM-ARZMF 30-39 years, female 23.7
GTEX-1HCU7-1326-SM-CNPPW 50-59 years, male 23.6
GTEX-1ICG6-0626-SM-ACKWS 70-79 years, female 23.6
GTEX-15RIE-1726-SM-7KUMU 60-69 years, male 23.5
GTEX-1H23P-1226-SM-9QEJ2 60-69 years, male 23.5
GTEX-145LV-0326-SM-5Q5BW 50-59 years, male 23.4
GTEX-1JJE9-1426-SM-ARL8P 70-79 years, male 23.3
GTEX-14H4A-0626-SM-5ZZUT 40-49 years, female 23.2
GTEX-ZDTT-0726-SM-4WKFK 60-69 years, male 23.1
GTEX-145MN-0626-SM-5QGRH 30-39 years, male 23.0
GTEX-SIU8-0826-SM-2XCDQ 50-59 years, male 23.0
GTEX-1J8Q2-1226-SM-A9G2W 60-69 years, male 23.0
GTEX-18D9B-1226-SM-72D6V 60-69 years, male 22.8
GTEX-RTLS-0826-SM-2TF5Q 60-69 years, female 22.7
GTEX-1CB4J-0326-SM-7PBZO 60-69 years, male 22.7
GTEX-1LSNM-0526-SM-DIPG6 50-59 years, male 22.7
GTEX-ZAJG-0826-SM-5PNVA 50-59 years, female 22.6
GTEX-1CB4I-1626-SM-7RHGV 50-59 years, male 22.5
GTEX-R45C-0926-SM-3GAD4 60-69 years, female 22.4
GTEX-1JMQK-0626-SM-D4P2R 60-69 years, male 22.4
GTEX-132NY-1726-SM-5EGKK 60-69 years, male 22.3
GTEX-13X6I-1426-SM-5SI9Z 60-69 years, male 22.3
GTEX-O5YT-0326-SM-32PKA 20-29 years, male 22.3
GTEX-12WSN-5001-SM-7DHMK 40-49 years, male 22.2
GTEX-WHSE-0926-SM-3NMBS 20-29 years, male 22.2
GTEX-XQ3S-0626-SM-4BOOB 20-29 years, male 22.2
GTEX-1497J-1226-SM-5Q5BL 60-69 years, male 22.1
GTEX-14PN3-0526-SM-69LQF 60-69 years, female 22.1
GTEX-17HGU-1026-SM-79OKL 50-59 years, male 22.1
GTEX-1122O-0826-SM-5GICV 60-69 years, female 22.0
GTEX-OXRL-0326-SM-2I3F2 50-59 years, male 22.0
GTEX-PSDG-0926-SM-2I5FP 50-59 years, male 22.0
GTEX-S32W-0626-SM-2XCBG 50-59 years, female 22.0
GTEX-13O61-0526-SM-5J2M1 60-69 years, male 21.9
GTEX-147F4-1226-SM-5NQAY 50-59 years, male 21.9
GTEX-1LH75-0426-SM-E9TJF 50-59 years, female 21.8
GTEX-13O21-2326-SM-5MR3X 50-59 years, male 21.7
GTEX-YEC4-0326-SM-4W216 40-49 years, male 21.7
GTEX-1QCLZ-0926-SM-E6CQZ 60-69 years, female 21.7
GTEX-1GF9U-0426-SM-7RHHA 40-49 years, female 21.5
GTEX-13N1W-1026-SM-5IJC5 70-79 years, male 21.4
GTEX-13QBU-0426-SM-5J2O4 40-49 years, female 21.4
GTEX-OIZI-0926-SM-E6CHF 40-49 years, male 21.4
GTEX-13VXT-1126-SM-5LU3A 20-29 years, female 21.3
GTEX-1399S-1026-SM-5KLZ9 30-39 years, female 21.2
GTEX-XPT6-0126-SM-4B65S 20-29 years, male 21.2
GTEX-11I78-0826-SM-5A5K4 50-59 years, female 21.1
GTEX-14PHY-0226-SM-5ZZWM 60-69 years, female 20.9
GTEX-1H11D-1226-SM-9WPQ2 40-49 years, male 20.9
GTEX-13PVR-1026-SM-5QGQW 60-69 years, female 20.8
GTEX-XQ8I-0126-SM-4BOPL 50-59 years, male 20.8
GTEX-13FTW-1026-SM-5L3E3 40-49 years, male 20.6
GTEX-ZG7Y-0926-SM-5EQ6O 50-59 years, male 20.5
GTEX-O5YW-0326-SM-2I5EI 50-59 years, male 20.4
GTEX-1HSMQ-0226-SM-C1YQL 50-59 years, male 20.4
GTEX-14A5I-1226-SM-5NQBW 50-59 years, female 20.2
GTEX-RUSQ-0526-SM-2TF72 50-59 years, male 20.2
GTEX-13YAN-1326-SM-5Q5F1 60-69 years, male 20.1
GTEX-WFG7-0726-SM-3GIKO 20-29 years, male 20.1
GTEX-YFC4-0526-SM-5ZZVI 40-49 years, female 20.1
GTEX-UPK5-0326-SM-CYPR4 40-49 years, male 20.1
GTEX-1HSGN-1126-SM-CJI4G 40-49 years, female 20.0
GTEX-1JK1U-0526-SM-CYPSQ 60-69 years, male 20.0
GTEX-111YS-0426-SM-5987O 60-69 years, male 19.9
GTEX-OXRK-0826-SM-2HMK7 50-59 years, female 19.9
GTEX-ZTPG-1226-SM-4YCDO 20-29 years, female 19.9
GTEX-14PJ4-1126-SM-5YY91 60-69 years, male 19.8
GTEX-16BQI-0926-SM-6M485 30-39 years, female 19.8
GTEX-OHPL-0326-SM-33HC8 60-69 years, female 19.8
GTEX-WHPG-0826-SM-3NMBF 50-59 years, male 19.8
GTEX-13N11-0426-SM-5KM3O 50-59 years, female 19.7
GTEX-1A3MX-1326-SM-72D58 60-69 years, male 19.7
GTEX-1AX9K-0526-SM-73KV1 50-59 years, male 19.7
GTEX-1B996-1126-SM-73KWN 60-69 years, male 19.6
GTEX-Y114-0226-SM-4TT8W 50-59 years, female 19.6
GTEX-11LCK-0926-SM-5A5KA 30-39 years, male 19.5
GTEX-V1D1-0526-SM-4JBGW 50-59 years, male 19.5
GTEX-18D9U-1126-SM-72D5Y 40-49 years, male 19.4
GTEX-P78B-0426-SM-2I5F5 40-49 years, female 19.4
GTEX-17F9Y-1326-SM-7MGW9 70-79 years, female 19.4
GTEX-1HFI7-0826-SM-A9G23 50-59 years, female 19.4
GTEX-1JMPZ-1426-SM-CJI3C 30-39 years, male 19.4
GTEX-1KANC-0426-SM-CXZK5 50-59 years, female 19.4
GTEX-1QPFJ-1026-SM-E6CR6 30-39 years, female 19.4
GTEX-13OVL-0526-SM-5KLZQ 50-59 years, male 19.3
GTEX-XGQ4-0326-SM-4GIEE 50-59 years, male 19.3
GTEX-YEC3-0726-SM-CMKFH 50-59 years, male 19.2
GTEX-13SLX-1026-SM-5ZZUQ 50-59 years, female 19.1
GTEX-14A6H-0226-SM-5Q5DX 30-39 years, male 19.1
GTEX-OHPM-0326-SM-33HCA 50-59 years, male 19.1
GTEX-RWS6-0326-SM-2XCAP 60-69 years, female 19.1
GTEX-Y5V6-0826-SM-4VBRU 60-69 years, male 19.1
GTEX-1S3DN-0726-SM-E9TIO 50-59 years, male 19.1
GTEX-ZF2S-1026-SM-9QEGK 50-59 years, female 19.1
GTEX-132QS-0426-SM-5KLZ6 60-69 years, male 19.0
GTEX-WFG8-0626-SM-3GILJ 20-29 years, male 19.0
GTEX-ZYFG-0426-SM-5E43M 60-69 years, female 19.0
GTEX-1314G-0126-SM-5LZUL 30-39 years, male 18.9
GTEX-1C2JI-0526-SM-7EWEQ 50-59 years, male 18.9
GTEX-XPVG-0826-SM-4B654 50-59 years, male 18.9
GTEX-1IDJE-0326-SM-CM2TD 50-59 years, female 18.9
GTEX-1RQEC-0926-SM-EWROG 60-69 years, male 18.9
GTEX-15CHC-0426-SM-6LLHI 60-69 years, female 18.8
GTEX-WEY5-0426-SM-3GIKT 40-49 years, female 18.8
GTEX-WQUQ-1426-SM-3MJFD 60-69 years, male 18.8
GTEX-12WSK-0626-SM-5LZUJ 40-49 years, female 18.7
GTEX-1B97J-0726-SM-7RHG3 50-59 years, female 18.7
GTEX-1GF9V-1626-SM-7PBXL 60-69 years, male 18.7
GTEX-11O72-1126-SM-5N9E2 40-49 years, male 18.6
GTEX-1CAMS-1326-SM-79OJR 40-49 years, female 18.6
GTEX-ZV7C-0326-SM-57WB1 50-59 years, male 18.5
GTEX-S33H-0526-SM-COH1W 30-39 years, male 18.5
GTEX-12696-1126-SM-5FQTI 60-69 years, male 18.4
GTEX-ZDXO-0726-SM-57WBT 60-69 years, male 18.4
GTEX-ZPU1-0626-SM-4YCDM 40-49 years, male 18.4
GTEX-1HC8U-0726-SM-ACKXL 40-49 years, female 18.4
GTEX-1ICLZ-1026-SM-A9SLF 60-69 years, male 18.4
GTEX-11ZUS-0226-SM-5FQT8 30-39 years, male 18.3
GTEX-OIZG-1126-SM-2HMIU 50-59 years, male 18.3
GTEX-1KD5A-1026-SM-CY8I8 50-59 years, male 18.3
GTEX-18A67-1226-SM-7KFRS 50-59 years, male 18.2
GTEX-X3Y1-0426-SM-3P5Z4 40-49 years, male 18.2
GTEX-X8HC-1626-SM-46MWE 50-59 years, female 18.2
GTEX-1LGRB-1126-SM-CNPP2 50-59 years, female 18.1
GTEX-11ONC-0126-SM-5PNW6 60-69 years, male 18.0
GTEX-1R9JW-0526-SM-EWRNK 30-39 years, female 18.0
GTEX-12ZZW-1026-SM-5GCMM 50-59 years, male 17.9
GTEX-146FR-0626-SM-5RQJ1 60-69 years, female 17.9
GTEX-1IKJJ-0826-SM-A96SP 60-69 years, male 17.9
GTEX-1L5NE-0426-SM-E9TIX 50-59 years, male 17.8
GTEX-ZYW4-0926-SM-59HJS 60-69 years, male 17.7
GTEX-1GMR2-1426-SM-7RHHK 50-59 years, male 17.7
GTEX-14E6C-0426-SM-5YYA8 40-49 years, male 17.6
GTEX-15DDE-1126-SM-6LLHN 50-59 years, female 17.6
GTEX-P4PQ-0326-SM-2HMJ8 60-69 years, male 17.6
GTEX-WFON-0326-SM-3GIKX 40-49 years, male 17.6
GTEX-WWYW-1326-SM-3NB2S 50-59 years, female 17.6
GTEX-1MCC2-0326-SM-EV7AK 30-39 years, female 17.6
GTEX-ZAB5-0226-SM-5CVMH 50-59 years, male 17.5
GTEX-1AX8Z-5007-SM-AHZ36 60-69 years, male 17.5
GTEX-1GMR3-0326-SM-7P8QT 40-49 years, male 17.5
GTEX-1LG7Y-1226-SM-CXZKD 50-59 years, male 17.5
GTEX-1RMOY-0626-SM-E9TIE 50-59 years, male 17.4
GTEX-11EMC-0726-SM-5EGJO 60-69 years, female 17.2
GTEX-13OW6-1126-SM-5L3HL 50-59 years, male 17.2
GTEX-1AYCT-0426-SM-73KVZ 50-59 years, male 17.2
GTEX-U3ZN-1426-SM-3DB87 30-39 years, female 17.2
GTEX-117YX-1126-SM-5H128 50-59 years, male 17.1
GTEX-11ZVC-0426-SM-5CVLD 50-59 years, female 17.1
GTEX-13RTJ-0726-SM-5QGQN 60-69 years, male 17.1
GTEX-ZEX8-0426-SM-DO92Y 50-59 years, male 16.9
GTEX-148VJ-1526-SM-5Q5DU 70-79 years, male 16.8
GTEX-Q2AH-0526-SM-2I3ED 40-49 years, male 16.8
GTEX-1GL5R-0326-SM-9WYTJ 50-59 years, male 16.8
GTEX-16XZY-0426-SM-793BI 70-79 years, male 16.7
GTEX-OIZH-0326-SM-2HMKC 50-59 years, male 16.7
GTEX-R55C-0326-SM-3GAF1 40-49 years, male 16.7
GTEX-R55E-1026-SM-2TC5S 20-29 years, male 16.7
GTEX-RU72-0326-SM-2TF5T 50-59 years, female 16.7
GTEX-Y8E4-0326-SM-4VBRR 40-49 years, male 16.7
GTEX-ZGAY-0326-SM-57WF5 40-49 years, female 16.7
GTEX-1OFPY-1026-SM-EXUSO 60-69 years, male 16.7
GTEX-ZPCL-0426-SM-DNZZ4 60-69 years, female 16.7
GTEX-OOBJ-0326-SM-33HBO 60-69 years, male 16.6
GTEX-QEL4-0926-SM-3GAD1 50-59 years, male 16.6
GTEX-ZQUD-1526-SM-7IGO2 30-39 years, male 16.6
GTEX-16NPX-0926-SM-7KUEZ 50-59 years, male 16.5
GTEX-1AX9I-1126-SM-7EPHH 60-69 years, male 16.5
GTEX-13OVG-0526-SM-5K7YD 60-69 years, male 16.4
GTEX-1AX9J-1026-SM-72D6E 60-69 years, male 16.4
GTEX-1C64O-0826-SM-79OKZ 60-69 years, male 16.4
GTEX-1HBPH-0126-SM-CNNQ7 40-49 years, female 16.4
GTEX-P44H-0726-SM-48TBT 40-49 years, male 16.3
GTEX-ZDTS-1326-SM-6LLHE 60-69 years, male 16.3
GTEX-XBEC-1326-SM-4AT69 50-59 years, male 16.2
GTEX-1J8Q3-1226-SM-CKZPT 60-69 years, male 16.2
GTEX-1QP29-1526-SM-EXUSY 50-59 years, male 16.2
GTEX-14E7W-1226-SM-5RQIU 70-79 years, male 16.1
GTEX-NFK9-0926-SM-2HMJU 40-49 years, male 16.1
GTEX-1HBPM-1226-SM-A9SM8 60-69 years, female 16.1
GTEX-WZTO-1326-SM-3NM8X 40-49 years, male 16.0
GTEX-ZDYS-0226-SM-5HL4K 50-59 years, male 16.0
GTEX-1HCUA-0526-SM-A9SMH 50-59 years, female 16.0
GTEX-1LVAN-1726-SM-CNNR1 50-59 years, female 16.0
GTEX-13D11-1726-SM-5IFGQ 50-59 years, female 15.9
GTEX-13S86-0226-SM-5S2PJ 40-49 years, male 15.9
GTEX-14E1K-1026-SM-73KUR 50-59 years, male 15.9
GTEX-1BAJH-1626-SM-73KUV 70-79 years, male 15.9
GTEX-ZF29-0226-SM-4WKHO 60-69 years, female 15.9
GTEX-1JN1M-1026-SM-CNPOS 60-69 years, female 15.9
GTEX-147JS-1526-SM-5ZZWF 60-69 years, male 15.8
GTEX-QESD-0526-SM-2I5G5 20-29 years, male 15.8
GTEX-ZVT2-1026-SM-5GU55 50-59 years, female 15.8
GTEX-13X6K-1826-SM-5O9CR 60-69 years, female 15.7
GTEX-145MO-1126-SM-5NQBX 60-69 years, male 15.7
GTEX-14PHX-2126-SM-6EU2U 50-59 years, male 15.7
GTEX-1F48J-1026-SM-7P8SO 50-59 years, female 15.7
GTEX-14PJ6-0726-SM-69LOL 60-69 years, female 15.6
GTEX-18465-0926-SM-731AY 50-59 years, male 15.5
GTEX-N7MS-0826-SM-2HML4 60-69 years, male 15.5
GTEX-WYJK-1026-SM-3NM8W 50-59 years, male 15.5
GTEX-12BJ1-0226-SM-5LUA2 60-69 years, male 15.4
GTEX-14PJM-1126-SM-6LLHK 50-59 years, female 15.4
GTEX-POMQ-0326-SM-2I5FO 20-29 years, female 15.4
GTEX-1GN2E-1326-SM-9KNVG 60-69 years, male 15.4
GTEX-1PPH7-2026-SM-E9J3N 40-49 years, male 15.4
GTEX-148VI-0326-SM-5RQK7 60-69 years, female 15.3
GTEX-1B932-1026-SM-793CL 40-49 years, female 15.3
GTEX-QLQ7-0526-SM-2I5G3 60-69 years, male 15.3
GTEX-QMRM-0526-SM-2I5GA 50-59 years, male 15.3
GTEX-ZAB4-1026-SM-5HL7T 40-49 years, male 15.3
GTEX-ZZPU-0926-SM-5GZYT 50-59 years, female 15.3
GTEX-1R9PO-0326-SM-DTXA1 60-69 years, female 15.3
GTEX-14JG1-1026-SM-6ETZY 40-49 years, male 15.2
GTEX-UJHI-0426-SM-3DB8Y 50-59 years, female 15.2
GTEX-WHWD-0426-SM-3LK83 50-59 years, male 15.2
GTEX-1F5PK-0326-SM-9KNUD 50-59 years, male 15.2
GTEX-SE5C-0626-SM-2XCDV 40-49 years, female 15.1
GTEX-T6MN-0926-SM-32PLX 50-59 years, male 15.1
GTEX-12ZZZ-1726-SM-59HK5 60-69 years, male 15.0
GTEX-13FTZ-0226-SM-5K7X6 60-69 years, male 15.0
GTEX-13JVG-1326-SM-5N9F8 60-69 years, male 15.0
GTEX-PVOW-0426-SM-5MR5R 40-49 years, male 15.0
GTEX-UJMC-0526-SM-3GAE3 50-59 years, male 15.0
GTEX-16YQH-0926-SM-793BC 30-39 years, male 14.9
GTEX-QV44-0526-SM-2S1RE 50-59 years, male 14.8
GTEX-RWSA-0626-SM-2XCBD 40-49 years, male 14.8
GTEX-1F6I4-0726-SM-7PC2P 60-69 years, male 14.8
GTEX-1GMRU-1526-SM-9WYT5 50-59 years, male 14.8
GTEX-1GN73-2426-SM-7RHFQ 60-69 years, male 14.8
GTEX-1POEN-0626-SM-EVR4B 30-39 years, female 14.8
GTEX-12ZZY-1126-SM-5DUWQ 60-69 years, male 14.7
GTEX-14PK6-0826-SM-5ZZVO 70-79 years, female 14.7
GTEX-REY6-1026-SM-2TF4Y 60-69 years, male 14.6
GTEX-131XF-5001-SM-7DHLY 60-69 years, male 14.5
GTEX-1B8L1-0526-SM-79ONX 60-69 years, male 14.5
GTEX-1I1GQ-1426-SM-B2LWY 50-59 years, male 14.5
GTEX-1212Z-0626-SM-5FQTB 60-69 years, male 14.4
GTEX-1EU9M-1826-SM-7DUGU 60-69 years, male 14.3
GTEX-OHPK-0326-SM-2HMJO 50-59 years, female 14.3
GTEX-1I1HK-0726-SM-B2LY4 60-69 years, male 14.3
GTEX-1EH9U-0826-SM-7IGPT 60-69 years, male 14.2
GTEX-R53T-0926-SM-3GADH 50-59 years, female 14.2
GTEX-WL46-0926-SM-3LK7T 50-59 years, male 14.2
GTEX-1MJIX-0326-SM-EVR42 40-49 years, male 14.2
GTEX-1399T-0426-SM-5PNVJ 60-69 years, male 14.1
GTEX-18A6Q-1626-SM-7KFTA 60-69 years, male 14.1
GTEX-1JMLX-1626-SM-ARZMV 50-59 years, male 14.1
GTEX-111FC-0826-SM-5GZWO 60-69 years, male 14.0
GTEX-1C6VQ-1126-SM-7EWET 50-59 years, male 14.0
GTEX-1399R-1926-SM-5K7X8 30-39 years, male 13.9
GTEX-17KNJ-0826-SM-793A4 50-59 years, male 13.9
GTEX-1IL2U-1326-SM-A9G2O 60-69 years, male 13.9
GTEX-12WSD-1126-SM-5EGJD 60-69 years, female 13.8
GTEX-131XH-0226-SM-5LZVB 50-59 years, male 13.8
GTEX-14DAQ-1126-SM-664MT 60-69 years, female 13.8
GTEX-1KD4Q-0726-SM-DIPGE 40-49 years, male 13.8
GTEX-1EKGG-1126-SM-7MGXB 60-69 years, male 13.7
GTEX-13FLV-0926-SM-5L3DZ 50-59 years, male 13.6
GTEX-Y5V5-0626-SM-4VBPX 60-69 years, female 13.6
GTEX-13112-0426-SM-5PNVC 50-59 years, male 13.5
GTEX-1E1VI-1326-SM-7IGQD 50-59 years, male 13.5
GTEX-1GN1V-0826-SM-9KNU6 60-69 years, male 13.5
GTEX-1JJEA-0826-SM-CL53T 60-69 years, male 13.5
GTEX-1LB8K-1026-SM-DHXJJ 50-59 years, male 13.5
GTEX-1PPGY-1126-SM-E76OU 60-69 years, male 13.4
GTEX-OIZF-0326-SM-3MJGY 60-69 years, male 13.4
GTEX-17HHY-1426-SM-7EWDQ 50-59 years, male 13.3
GTEX-1399U-0526-SM-5K7YM 50-59 years, female 13.2
GTEX-14PJ2-1026-SM-6EU1M 50-59 years, male 13.2
GTEX-Y3IK-0826-SM-51MT8 50-59 years, female 13.0
GTEX-ZYFC-1126-SM-5E44W 50-59 years, male 13.0
GTEX-1J8EW-0926-SM-A9G33 60-69 years, female 13.0
GTEX-1GZ4I-1026-SM-9KNV5 50-59 years, male 12.9
GTEX-14BIN-2226-SM-5YYA1 50-59 years, female 12.7
GTEX-15DYW-1126-SM-6LPK5 60-69 years, female 12.7
GTEX-15RJ7-0226-SM-7KUMN 40-49 years, male 12.7
GTEX-YJ8O-0926-SM-EAZ2Z 40-49 years, female 12.7
GTEX-14E6D-0926-SM-5S2QV 50-59 years, male 12.6
GTEX-1CB4G-0826-SM-7DUGF 60-69 years, male 12.6
GTEX-13CF2-0426-SM-5KM1H 60-69 years, male 12.5
GTEX-13OW8-2126-SM-5J1OS 60-69 years, male 12.5
GTEX-N7MT-1326-SM-2I3FV 60-69 years, female 12.5
GTEX-1EX96-2526-SM-7RHGW 50-59 years, male 12.4
GTEX-1KXAM-1326-SM-E9TJW 60-69 years, male 12.4
GTEX-1RAZS-0826-SM-E76QP 50-59 years, male 12.4
GTEX-12584-0926-SM-5FQTN 40-49 years, male 12.3
GTEX-1313W-1426-SM-5KLZU 50-59 years, female 12.3
GTEX-14BIL-1126-SM-79OMC 50-59 years, male 12.3
GTEX-1F6IF-2526-SM-7P8TV 60-69 years, male 12.3
GTEX-1R9K4-1326-SM-DTX8G 60-69 years, male 12.3
GTEX-1RB15-0326-SM-E6CQB 60-69 years, male 12.3
GTEX-15ER7-1726-SM-6PAMX 20-29 years, female 12.2
GTEX-13NYB-0226-SM-5N9G4 40-49 years, male 12.1
GTEX-17HII-1326-SM-7IGOB 50-59 years, male 12.1
GTEX-QEG4-0426-SM-33HC3 30-39 years, male 12.1
GTEX-117YW-0326-SM-5N9CY 50-59 years, male 12.0
GTEX-1IDJI-1026-SM-A96TE 50-59 years, female 12.0
GTEX-P4PP-0326-SM-33HC4 30-39 years, female 11.9
GTEX-RNOR-0826-SM-2TF5C 50-59 years, female 11.9
GTEX-1H1ZS-1126-SM-9MQLJ 70-79 years, male 11.9
GTEX-11DXZ-0626-SM-5GU77 50-59 years, male 11.8
GTEX-17F9E-0926-SM-7IGMG 50-59 years, male 11.8
GTEX-13U4I-0826-SM-5SIBD 40-49 years, female 11.7
GTEX-V955-0726-SM-3GAFG 60-69 years, male 11.7
GTEX-1EN7A-0726-SM-7PBXT 40-49 years, male 11.7
GTEX-1B8KE-0126-SM-793AM 50-59 years, male 11.6
GTEX-PX3G-0326-SM-2I3EO 20-29 years, female 11.6
GTEX-SNMC-0126-SM-2XCFO 20-29 years, male 11.6
GTEX-ZLFU-0226-SM-4WWFH 40-49 years, male 11.6
GTEX-1H3NZ-1126-SM-9WYT9 60-69 years, male 11.6
GTEX-1R9K5-1326-SM-E6CPR 50-59 years, male 11.6
GTEX-1GTWX-1026-SM-7P8QW 60-69 years, male 11.4
GTEX-1HCVE-1126-SM-9WPPG 50-59 years, male 11.2
GTEX-11GS4-0526-SM-5A5KQ 60-69 years, male 11.1
GTEX-12WSC-1126-SM-5EQ4G 50-59 years, male 11.1
GTEX-17MF6-0726-SM-7LT8E 40-49 years, male 11.1
GTEX-U3ZH-0326-SM-3DB7A 30-39 years, male 11.0
GTEX-1LVA9-0926-SM-EVR5G 50-59 years, male 11.0
GTEX-1HT8W-1726-SM-CNNQB 30-39 years, male 10.8
GTEX-1H1CY-0326-SM-9QEIZ 60-69 years, female 10.6
GTEX-1NV8Z-1526-SM-DTX8X 60-69 years, male 10.6
GTEX-11GSP-1326-SM-5A5KY 60-69 years, female 10.4
GTEX-11DXY-0826-SM-5EGGR 60-69 years, male 9.9
GTEX-16MT8-0926-SM-6M487 60-69 years, female 9.8
GTEX-1269C-0826-SM-5N9EM 60-69 years, female 9.7
GTEX-14JIY-1126-SM-6EU28 60-69 years, male 9.7
GTEX-WRHU-1226-SM-4E3IJ 50-59 years, female 9.6
GTEX-1EWIQ-1426-SM-7IGOS 70-79 years, female 9.3
GTEX-1IKK5-1526-SM-CKZPW 60-69 years, male 9.2
GTEX-15SHU-1126-SM-7KUMB 40-49 years, female 9.1
GTEX-15CHQ-1526-SM-69LPW 60-69 years, male 8.9
GTEX-1I1GV-1326-SM-A96SE 60-69 years, male 8.8
GTEX-15RJE-0626-SM-7KUKR 40-49 years, male 8.6
GTEX-1EMGI-1226-SM-793DD 60-69 years, male 8.4
GTEX-T2IS-0426-SM-32QPE 20-29 years, female 8.4
GTEX-1IDJH-1026-SM-E9TKH 70-79 years, male 8.1
GTEX-ZUA1-0826-SM-4YCDL 40-49 years, male 7.9
GTEX-ZF3C-1226-SM-4WWCB 50-59 years, female 7.8
GTEX-RN64-0826-SM-2TC62 50-59 years, male 7.7
GTEX-1A8G6-1626-SM-7MGWO 60-69 years, male 7.6
GTEX-1O97I-0826-SM-E8VNE 60-69 years, male 7.3
GTEX-14C5O-1326-SM-5S2UW 60-69 years, male 7.1
GTEX-17JCI-1126-SM-7IGMM 60-69 years, female 6.2
GTEX-ZYT6-1726-SM-5E44P 30-39 years, male 5.0
GTEX-WK11-0826-SM-EZ6LH 50-59 years, male 4.6
GTEX-1JN6P-1126-SM-CKZON 60-69 years, male 2.9
GTEX-13FHP-1026-SM-5K7Y2 50-59 years, male 1.0
GTEX-15SHW-1226-SM-6M46C 60-69 years, male 0.0
GTEX-QVJO-1926-SM-2S1QZ 60-69 years, female 0.0
Show allShow less

HEART MUSCLE - FANTOM5 CAGEi

RNA expression in human tissues obtained through Cap Analysis of Gene Expression (CAGE) generated by the FANTOM5 project are reported as Scaled Tags Per Million.

Max subtype Scaled Tags Per Millioni

Max subtype Scaled Tags Per Million is the value for the subtype with the largest average Scaled Tags Per Million across the subtype samples.

37.2
FANTOM5 sample id Sample description Scaled Tags Per Million
Heart
Scaled Tags Per Million: 36.9
FF:10016-101C7 70,73,74 years, mixed 36.9
Left atrium
Scaled Tags Per Million: 37.2
FF:10079-102A7 40 years, male 37.2
Left ventricle
Scaled Tags Per Million: 30.6
FF:10078-102A6 73 years, female 30.6

Contact

  • NEWS ARTICLES
  • PRESS ROOM

The Project

  • INTRODUCTION
  • ORGANIZATION
  • PUBLICATIONS

The Human Protein Atlas

  • DOWNLOADABLE DATA
  • LICENCE & CITATION
  • HELP & FAQ
The Human Protein Atlas project is funded
by the Knut & Alice Wallenberg Foundation.


contact@proteinatlas.org