We use cookies to enhance the usability of our website. If you continue, we'll assume that you are happy to receive all cookies. More information. Don't show this again.
MBLAC1
HPA
RESOURCES
  • TISSUE
  • BRAIN
  • SINGLE CELL
  • SUBCELLULAR
  • CANCER
  • BLOOD
  • CELL LINE
  • STRUCTURE & INTERACTION
ABOUT
  • INTRODUCTION
  • HISTORY
  • ORGANIZATION
  • PUBLICATIONS
  • ANTIBODY SUBMISSION
  • ANTIBODY AVAILABILITY
  • ACKNOWLEDGMENTS
  • CONTACT
NEWS
  • NEWS ARTICLES
  • PRESS ROOM
LEARN
  • DICTIONARY
  • PROTEIN CLASSES
  • PROTEIN EVIDENCE
  • METHODS
  • EDUCATIONAL VIDEOS
DATA
  • DOWNLOADABLE DATA
  • PUBLICATION DATA
  • RELEASE HISTORY
HELP
  • ANTIBODY VALIDATION
  • ASSAYS & ANNOTATION
  • DISCLAIMER
  • HELP & FAQ
  • PRIVACY STATEMENT
  • LICENCE & CITATION
Fields »
Search result

Field
Term
Gene name
Class
Subclass
Class
Keyword
Chromosome
External id
Tissue
Cell type
Expression
Antibody panel
Tissue
Main location
Patient ID
Annotation
Tissue
Category
Tau score
Cluster
Reliability
Brain region
Category
Tau score
Brain region
Category
Tau score
Brain region
Category
Tau score
Cluster
Reliability
Tissue
Cell type
Enrichment
Cell type
Category
Tau score
Cell type
Category
Tau score
Cell type
Category
Tau score
Cell lineage
Category
Tau score
Cluster
Cluster
Location
Searches
Location
Cell line
Class
Type
Phase
Reliability
Cancer
Prognosis
Cancer
Category
Cancer
Category
Tau score
Cluster
Variants
Interacting gene (ensg_id)
Type
Number of interactions
Pathway
Category
Score
Score
Score
Validation
Validation
Validation
Validation
Antibodies
Data type
Column


  • SUMMARY

  • TISSUE

  • BRAIN

  • SINGLE CELL

  • SUBCELL

  • CANCER

  • BLOOD

  • CELL LINE

  • STRUCT & INT

  • MBLAC1
BRAIN HIPPOCAMPAL FORMATION Show tissue menu
AMYGDALA BASAL GANGLIA CEREBELLUM CEREBRAL CORTEX CHOROID PLEXUS HIPPOCAMPAL FORMATION HYPOTHALAMUS MEDULLA OBLONGATA
MIDBRAIN OLFACTORY BULB PITUITARY GLAND PONS RETINA SPINAL CORD THALAMUS WHITE MATTER
ANTIBODIES
AND
VALIDATION
Brain proteome
Hippocampal formation
HIPPOCAMPAL FORMATION - Expression summary
Protein expressioni

On the top, protein expression in current human tissue, based on all annotated cell types, is reported with the units not detected (n), low (l), medium (m) and high (h). Underneath, protein expression in each annotated cell type are reported using the same units.

Protein expression data is based on knowledge-based annotation. For genes where more than one antibody has been used, a collective score is set.

If knowledge-based annotation could not be performed for a gene, no data is displayed here. View antibody staining data further down this page.

No data
RNA expressioni

A summary of mRNA expression data available for current tissue based on several datasets. The mRNA expression levels in human tissues are based on RNA-seq data generated by the Human Protein Atlas (HPA), Genotype-Tissue Expression (GTEx) portal and CAGE data generated by the FANTOM5 consortium. Consensus normalized expression levels for human tissues was created by combining the data from HPA and GTEx datasets.

The mRNA expression levels in pig are based on RNA-seq data generated by the Human Protein Atlas (HPA), and for mouse, HPA data and in situ hybridization generated by the Allen brain atlas are reported.

Scroll down to view mRNA expression data in more detail.
Consensus:4.4 nTPM
HPA Brain:12.0 nTPM
GTEx:4.4 nTPM
FANTOM5:1.7 Scaled Tags Per Million
Pig:9.1 nTPM
Mouse:3.1 nTPM
Allen mouse:0.0 Expression energy

HIPPOCAMPAL FORMATION - Annotated protein expression
Pending normal tissue analysis

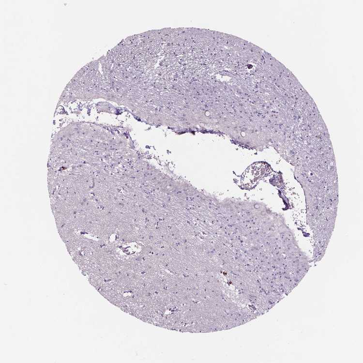
HIPPOCAMPUS - Antibody stainingi

Antibody staining in the annotated cell types in the current human tissue is reported as not detected, low, medium, or high, based on conventional immunohistochemistry profiling in selected tissues. This score is based on the combination of the staining intensity and fraction of stained cells.

Each image is clickable and will lead to virtual microscopy that enables deeper exploration of all samples and also displays staining intensity scores, fraction scores and subcellular localization as well as patient and tissue information for each sample.

Antibody HPA071574
Glial cells Not detected
Neuronal cells Not detected



HIPPOCAMPAL FORMATION - HPA Brain RNA-seq
Max subtype nTPMi

Max subtype nTPM is the value for the subtype with the largest average nTPM across the subtype samples.

12.0
Sample id Sample description nTPM
Hippocampus
nTPM: 9.1
2148 Female, age 91, left hemisphere 11.4
2621 Female, age 67, right hemisphere 9.4
1911 Female, age 85, right hemisphere 9.2
1898 Male, age 80, left hemisphere 8.7
1855 Male, age 76, left hemisphere 7.9
2529 Female, age 94, left hemisphere 7.8
Dentate gyrus
nTPM: 9.2
2531 Female, age 67, both hemispheres 11.0
1927 Female, age 91, both hemispheres 10.8
2246 Female, age 85, both hemispheres 9.0
2528 Male, age 74, both hemispheres 8.6
2530 Female, age 94, left hemisphere 7.9
2010 Male, age 76, both hemispheres 7.8
Entorhinal gyrus
nTPM: 12.0
2764 Male, age 80, right hemisphere 14.1
2613 Female, age 94, left hemisphere 13.6
2686 Male, age 75, right hemisphere 13.2
1787 Male, age 76, left hemisphere 12.0
1938 Female, age 85, left hemisphere 10.5
2117 Female, age 91, right hemisphere 8.4
Hippocampus, CA1
nTPM: 9.6
2749 Male, age 80, left hemisphere 11.5
1873 Female, age 85, both hemispheres 9.6
2045 Male, age 76, both hemispheres 9.2
2082 Female, age 91, right hemisphere 9.2
2527 Male, age 74, both hemispheres 8.7
Hippocampus, CA2
nTPM: 9.5
1892 Male, age 76, both hemispheres 11.0
2437 Female, age 94, left hemisphere 11.0
1963 Male, age 80, left hemisphere 10.5
2113 Female, age 91, right hemisphere 9.0
1940 Female, age 85, left hemisphere 8.2
2249 Male, age 74, both hemispheres 7.5
Hippocampus, CA3
nTPM: 10.4
2620 Female, age 94, left hemisphere 15.1
2861 Female, age 67, both hemispheres 11.0
1867 Male, age 76, both hemispheres 9.8
1891 Female, age 85, both hemispheres 9.8
2137 Male, age 80, left hemisphere 9.1
2436 Male, age 74, both hemispheres 7.6
Parahippocampal cortex
nTPM: 11.4
2622 Female, age 67, right hemisphere 15.2
2693 Female, age 94, both hemispheres 13.6
1990 Female, age 91, right hemisphere 11.7
2532 Female, age 72, left hemisphere 11.6
1933 Female, age 85, both hemispheres 11.3
2245 Female, age 91, both hemispheres 10.8
1850 Male, age 80, both hemispheres 10.4
2692 Male, age 74, both hemispheres 10.4
2250 Female, age 67, right hemisphere 10.3
2018 Male, age 76, both hemispheres 9.1
Perirhinal gyrus
nTPM: 11.0
1794 Male, age 80, right hemisphere 12.1
2848 Male, age 76, right hemisphere 11.3
1847 Female, age 91, left hemisphere 11.1
1841 Female, age 85, right hemisphere 10.3
2521 Female, age 94, right hemisphere 9.9
Subiculum
nTPM: 9.2
1977 Female, age 85, both hemispheres 11.3
1901 Male, age 80, both hemispheres 9.8
2619 Male, age 74, both hemispheres 9.8
2042 Male, age 76, both hemispheres 8.5
2438 Female, age 94, left hemisphere 8.4
2729 Female, age 91, right hemisphere 7.2

HIPPOCAMPAL FORMATION - GTEx RNA-seqi

RNA-Seq data generated by the Genotype-Tissue Expression (GTEx) project from human tissues is reported as mean nTPM. More information can be found on the GTEx portal.

Distribution across the dataset is visualized with box plots, shown as median and 25th and 75th percentiles. Points are displayed as outliers if they are above or below 1.5 times the interquartile range. nTPM values of the individual samples are presented next to the box plot.
Max subtype nTPMi

Max subtype nTPM is the value for the subtype with the largest average nTPM across the subtype samples.

4.4
GTEx sample id Sample description nTPM
Brain - Hippocampus
Average nTPM: 4.4
Samples: 197

Max nTPM: 11.6
Min nTPM: 1.0
Std nTPM: 1.7
Median nTPM: 4.1
GTEX-13O3Q-0011-R1b-SM-5KM3L 50-59 years, male 11.6
GTEX-13NYB-0011-R1b-SM-5KM4F 40-49 years, male 10.5
GTEX-13FXS-0011-R1a-SM-5K7U6 50-59 years, male 9.0
GTEX-144GL-0011-R1a-SM-5PNZ5 50-59 years, male 8.7
GTEX-1IOXB-0011-R1a-SM-D4P27 50-59 years, male 8.5
GTEX-14PN4-0011-R1b-SM-69LP8 50-59 years, male 7.9
GTEX-1399T-0011-R1b-SM-5DUWN 60-69 years, male 7.7
GTEX-1F48J-0011-R1a-SM-9QEIC 50-59 years, female 7.7
GTEX-1GF9W-0011-R1a-SM-9QEIQ 60-69 years, male 7.5
GTEX-13FLW-0011-R1b-SM-5LZX2 50-59 years, male 7.4
GTEX-14LLW-0011-R1a-SM-5ZZVD 70-79 years, female 7.4
GTEX-1F75A-0011-R1b-SM-CE6RA 50-59 years, male 7.4
GTEX-13JUV-0011-R1a-SM-5LZY4 40-49 years, female 7.3
GTEX-N7MS-0011-R1a-SM-2HMJG 60-69 years, male 7.3
GTEX-1B8SF-0011-R1b-SM-7P8Q8 60-69 years, male 7.1
GTEX-12WSF-0011-R1a-SM-5DUVI 70-79 years, male 7.0
GTEX-WVLH-0011-R1A-SM-4MVOK 50-59 years, male 6.9
GTEX-1B933-0011-R1b-SM-9QEGW 50-59 years, female 6.9
GTEX-WHSE-0011-R1A-SM-3P5ZK 20-29 years, male 6.8
GTEX-131XH-0011-R1a-SM-5DUWA 50-59 years, male 6.7
GTEX-16YQH-0011-R1a-SM-7LT8R 30-39 years, male 6.6
GTEX-Y8DK-0011-R1A-SM-4RGLO 60-69 years, male 6.5
GTEX-1CB4G-0011-R1b-SM-9QEHT 60-69 years, male 6.5
GTEX-1GMR8-0011-R1b-SM-CJI2O 50-59 years, female 6.4
GTEX-145MH-0011-R1b-SM-5PNWY 50-59 years, male 6.3
GTEX-WL46-0011-R1A-SM-3LK6M 50-59 years, male 6.3
GTEX-1EX96-0011-R1a-SM-CE6R5 50-59 years, male 6.3
GTEX-1EWIQ-0011-R1a-SM-9OSX7 70-79 years, female 6.2
GTEX-1GN1U-0011-R1a-SM-CJI25 50-59 years, female 6.2
GTEX-1HT8W-0011-R1b-SM-CJI3V 30-39 years, male 6.2
GTEX-1F6I4-0011-R1a-SM-9OSWU 60-69 years, male 6.1
GTEX-12WSE-0011-R1b-SM-5GU4V 20-29 years, male 6.0
GTEX-139TT-0011-R1a-SM-5LZVD 60-69 years, male 6.0
GTEX-1AX9I-0011-R1b-SM-7RHG2 60-69 years, male 6.0
GTEX-1GTWX-0011-R1a-SM-CE6RL 60-69 years, male 6.0
GTEX-12WSD-0011-R1b-SM-5LZVY 60-69 years, female 5.9
GTEX-X585-0011-R1B-SM-46MVE 50-59 years, male 5.9
GTEX-1ICLZ-0011-R1b-SM-A9SM3 60-69 years, male 5.9
GTEX-RNOR-0011-R1A-SM-CNNP5 50-59 years, female 5.9
GTEX-1EMGI-0011-R1b-SM-9OSWZ 60-69 years, male 5.8
GTEX-P44G-0011-R1A-SM-2I3FE 30-39 years, male 5.7
GTEX-14C5O-0011-R1b-SM-6AJBW 60-69 years, male 5.6
GTEX-17HG3-0011-R1a-SM-7LG6H 30-39 years, female 5.6
GTEX-NL3H-0011-R1a-SM-48TDJ 60-69 years, male 5.6
GTEX-11DXW-0011-R1a-SM-DNZZD 40-49 years, male 5.6
GTEX-1A3MX-0011-R1b-SM-7P8PH 60-69 years, male 5.6
GTEX-Q2AG-0011-R1A-SM-2HMJI 40-49 years, female 5.5
GTEX-TSE9-0011-R1A-SM-3DB7E 60-69 years, female 5.5
GTEX-1GZ2Q-0011-R1a-SM-CJI2Y 40-49 years, male 5.5
GTEX-1H1ZS-0011-R1b-SM-A9G1E 70-79 years, male 5.5
GTEX-1H3VE-0011-R1a-SM-A9G1K 40-49 years, male 5.5
GTEX-1IDJH-0011-R1b-SM-ARU6U 70-79 years, male 5.5
GTEX-1IY9M-0011-R1a-SM-EXURZ 60-69 years, male 5.5
GTEX-1313W-0011-R1b-SM-5EQ4A 50-59 years, female 5.4
GTEX-13FTY-0011-R1a-SM-5LZXE 40-49 years, female 5.4
GTEX-13O3O-0011-R1b-SM-5KM2K 60-69 years, female 5.4
GTEX-1HSKV-0011-R1b-SM-CMKH7 60-69 years, male 5.4
GTEX-1LG7Y-0011-R1a-SM-EYYWV 50-59 years, male 5.4
GTEX-14ABY-0011-R1a-SM-6EU2W 50-59 years, male 5.3
GTEX-14E6D-0011-R1b-SM-5YYAW 50-59 years, male 5.3
GTEX-1B8L1-0011-R1a-SM-7P8SS 60-69 years, male 5.3
GTEX-1C6VR-0011-R1a-SM-7MXUE 60-69 years, male 5.3
GTEX-17HHY-0011-R1a-SM-7189V 50-59 years, male 5.2
GTEX-T5JC-0011-R1A-SM-32PM6 20-29 years, male 5.2
GTEX-13N2G-0011-R1b-SM-5MR3G 60-69 years, male 5.1
GTEX-13OW7-0011-R1b-SM-5L3HF 50-59 years, male 5.1
GTEX-14JIY-0011-R1a-SM-68713 60-69 years, male 5.1
GTEX-16Z82-0011-R1b-SM-7EPHZ 60-69 years, male 5.1
GTEX-YFC4-0011-R1a-SM-4V6EH 40-49 years, female 5.1
GTEX-131YS-0011-R1a-SM-5DUXC 60-69 years, female 5.0
GTEX-1I1GQ-0011-R1a-SM-CY8GG 50-59 years, male 5.0
GTEX-12WSH-0011-R1a-SM-5GU5V 50-59 years, male 4.8
GTEX-139T8-0011-R1a-SM-5HL75 60-69 years, male 4.8
GTEX-13OW6-0011-R1a-SM-5L3HQ 50-59 years, male 4.8
GTEX-11GSP-0011-R1a-SM-9QEJ3 60-69 years, female 4.8
GTEX-1J1OQ-0011-R1a-SM-A9G1Z 40-49 years, female 4.8
GTEX-13112-0011-R1b-SM-5HL7K 50-59 years, male 4.7
GTEX-14BIM-0011-R1a-SM-69LQI 60-69 years, female 4.7
GTEX-WWYW-0011-R1A-SM-3TW8G 50-59 years, female 4.7
GTEX-1B996-0011-R1b-SM-7P8PO 60-69 years, male 4.7
GTEX-1IKK5-0011-R1b-SM-CE6SQ 60-69 years, male 4.7
GTEX-ZUA1-0011-R1a-SM-4YCE2 40-49 years, male 4.6
GTEX-1H3NZ-0011-R1a-SM-CKZP5 60-69 years, male 4.6
GTEX-1I1HK-0011-R1b-SM-CM2T7 60-69 years, male 4.6
GTEX-12WSM-0011-R1a-SM-5LZW6 60-69 years, male 4.5
GTEX-17F97-0011-R1b-SM-7IGM9 50-59 years, male 4.5
GTEX-1H3O1-0011-R1b-SM-CL554 60-69 years, male 4.5
GTEX-11ONC-0011-R1a-SM-57WD4 60-69 years, male 4.4
GTEX-13FHP-0011-R1b-SM-5K7XL 50-59 years, male 4.4
GTEX-S7SE-0011-R1A-SM-2XCDE 50-59 years, male 4.4
GTEX-1A8G6-0011-R1a-SM-7P8PC 60-69 years, male 4.4
GTEX-11EI6-0011-R1a-SM-DO93L 60-69 years, male 4.3
GTEX-1GN73-0011-R1a-SM-CKZNT 60-69 years, male 4.3
GTEX-13NYS-0011-R1b-SM-5MR55 60-69 years, male 4.2
GTEX-R55E-0011-R1A-SM-2TC6N 20-29 years, male 4.2
GTEX-ZF28-0011-R1a-SM-4WWD1 60-69 years, male 4.2
GTEX-11GS4-0011-R1a-SM-DO129 60-69 years, male 4.2
GTEX-1EKGG-0011-R1b-SM-9QEI1 60-69 years, male 4.2
GTEX-15ER7-0011-R1b-SM-7KUE1 20-29 years, female 4.1
GTEX-ZDXO-0011-R1a-SM-4WKF4 60-69 years, male 4.1
GTEX-1C64N-0011-R1b-SM-7P8Q7 50-59 years, male 4.1
GTEX-1HBPI-0011-R1b-SM-A9SKF 50-59 years, male 4.1
GTEX-16XZZ-0011-R1a-SM-7LTAH 60-69 years, male 4.0
GTEX-17JCI-0011-R1b-SM-718A3 60-69 years, female 4.0
GTEX-14PJO-0011-R1b-SM-6AJAK 60-69 years, male 3.9
GTEX-WZTO-0011-R1B-SM-3NMAR 40-49 years, male 3.9
GTEX-15CHQ-0011-R1a-SM-COH27 60-69 years, male 3.9
GTEX-1H1CY-0011-R1a-SM-CKZOZ 60-69 years, female 3.9
GTEX-1J8Q2-0011-R1a-SM-D4P2D 60-69 years, male 3.9
GTEX-13N1W-0011-R1b-SM-5MR4T 70-79 years, male 3.8
GTEX-13SLW-0011-R1a-SM-5S2W7 70-79 years, male 3.8
GTEX-13X6I-0011-R1b-SM-5PNZC 60-69 years, male 3.8
GTEX-145LU-0011-R1a-SM-5Q5CE 50-59 years, male 3.8
GTEX-X4EP-0011-R1A-SM-3P624 60-69 years, female 3.8
GTEX-1HSMO-0011-R1a-SM-CM2SV 60-69 years, male 3.8
GTEX-13OW5-0011-R1b-SM-5L3GE 60-69 years, male 3.7
GTEX-P44H-0011-R1A-SM-3NM8J 40-49 years, male 3.7
GTEX-1E1VI-0011-R1a-SM-ARZMM 50-59 years, male 3.7
GTEX-1I1GS-0011-R1a-SM-CJI43 60-69 years, male 3.7
GTEX-13FHO-0011-R1b-SM-5KLZG 60-69 years, male 3.6
GTEX-14ASI-0011-R1b-SM-5S2TY 60-69 years, male 3.6
GTEX-14PQA-0011-R1b-SM-6EU1G 50-59 years, female 3.6
GTEX-17EVP-0011-R1a-SM-7DHLA 40-49 years, male 3.6
GTEX-ZAB4-0011-R1a-SM-4RGNO 40-49 years, male 3.6
GTEX-1A32A-0011-R1a-SM-7P8SQ 50-59 years, female 3.6
GTEX-13OVL-0011-R1a-SM-5L3H5 50-59 years, male 3.5
GTEX-1H1DG-0011-R1b-SM-CKZP1 70-79 years, male 3.5
GTEX-1LB8K-0011-R1b-SM-EZ6MV 50-59 years, male 3.5
GTEX-11ZTS-0011-R1a-SM-5BC71 60-69 years, female 3.4
GTEX-13G51-0011-R1a-SM-5LZYR 60-69 years, male 3.4
GTEX-13QIC-0011-R1a-SM-5O9CJ 60-69 years, female 3.4
GTEX-T6MN-0011-R1A-SM-32QOY 50-59 years, male 3.4
GTEX-ZVZQ-0011-R1a-SM-57WBU 60-69 years, female 3.4
GTEX-1F75W-0011-R1a-SM-ARU81 60-69 years, male 3.4
GTEX-12ZZX-0011-R1a-SM-5EQ6B 40-49 years, female 3.3
GTEX-13CF2-0011-R1a-SM-5LZY1 60-69 years, male 3.3
GTEX-X4XX-0011-R1B-SM-3P622 60-69 years, male 3.3
GTEX-1E2YA-0011-R1b-SM-CJI29 50-59 years, male 3.3
GTEX-1EH9U-0011-R1b-SM-CJI2B 60-69 years, male 3.3
GTEX-QVJO-0011-R1A-SM-2S1QI 60-69 years, female 3.2
GTEX-YJ89-0011-R1a-SM-4RGLS 60-69 years, male 3.2
GTEX-1HGF4-0011-R1a-SM-CJI3S 60-69 years, male 3.2
GTEX-13JVG-0011-R1a-SM-5KM32 60-69 years, male 3.1
GTEX-16GPK-0011-R1b-SM-7EWDH 60-69 years, male 3.1
GTEX-11TUW-0011-R1a-SM-DO92S 60-69 years, male 3.1
GTEX-1GF9V-0011-R1a-SM-CKZNQ 60-69 years, male 3.1
GTEX-N7MT-0011-R1a-SM-CNPO1 60-69 years, female 3.1
GTEX-13PDP-0011-R1a-SM-5PNX5 60-69 years, male 3.0
GTEX-13RTL-0011-R1a-SM-5PNZ8 40-49 years, male 3.0
GTEX-13S7M-0011-R1b-SM-5PNZE 60-69 years, female 3.0
GTEX-183WM-0011-R1a-SM-718A8 70-79 years, female 3.0
GTEX-17HII-0011-R1b-SM-7MGVW 50-59 years, male 3.0
GTEX-1C6VQ-0011-R1a-SM-7P8Q2 50-59 years, male 3.0
GTEX-1I1GV-0011-R1a-SM-CL559 60-69 years, male 3.0
GTEX-14E7W-0011-R1b-SM-5YYAT 70-79 years, male 2.9
GTEX-15DCD-0011-R1b-SM-6LPIJ 70-79 years, female 2.9
GTEX-XMD1-0011-R1A-SM-4AT4C 60-69 years, male 2.9
GTEX-14PJM-0011-R1a-SM-CNPO3 50-59 years, female 2.9
GTEX-1BAJH-0011-R1a-SM-7P8SV 70-79 years, male 2.9
GTEX-13OVJ-0011-R1b-SM-5L3I6 50-59 years, female 2.8
GTEX-PVOW-0011-R1A-SM-32PL6 40-49 years, male 2.8
GTEX-16NPV-0011-R1b-SM-7MGVZ 50-59 years, female 2.8
GTEX-1GN2E-0011-R1b-SM-CE6RJ 60-69 years, male 2.8
GTEX-13QJC-0011-R1b-SM-5S2UU 60-69 years, female 2.7
GTEX-13RTJ-0011-R1a-SM-5O9D9 60-69 years, male 2.7
GTEX-145LS-0011-R1b-SM-5PNUP 60-69 years, female 2.7
GTEX-17EVQ-0011-R1a-SM-7189S 70-79 years, male 2.7
GTEX-OHPN-0011-R1A-SM-2I5GB 60-69 years, female 2.7
GTEX-1F6IF-0011-R1b-SM-9WG78 60-69 years, male 2.7
GTEX-1H4P4-0011-R1b-SM-CL54V 50-59 years, male 2.7
GTEX-132Q8-0011-R1a-SM-5EGLK 60-69 years, male 2.6
GTEX-13OW8-0011-R1a-SM-5L3HI 60-69 years, male 2.6
GTEX-QDT8-0011-R1A-SM-32PKS 30-39 years, female 2.6
GTEX-1GZHY-0011-R1a-SM-CE6RR 50-59 years, female 2.6
GTEX-1212Z-0011-R1b-SM-5BC72 60-69 years, male 2.5
GTEX-PWO3-0011-R1A-SM-2I5EW 60-69 years, female 2.5
GTEX-11WQC-0011-R1b-SM-DO932 60-69 years, male 2.5
GTEX-15UF6-0011-R1a-SM-9QEGH 70-79 years, female 2.5
GTEX-1CAV2-0011-R1a-SM-ARZML 40-49 years, female 2.5
GTEX-11GSO-0011-R1b-SM-57WD3 60-69 years, male 2.4
GTEX-18A6Q-0011-R1b-SM-731DI 60-69 years, male 2.4
GTEX-1CB4J-0011-R1a-SM-9WG64 60-69 years, male 2.4
GTEX-1HR98-0011-R1a-SM-ARZLQ 60-69 years, male 2.4
GTEX-17MF6-0011-R1a-SM-72D6O 40-49 years, male 2.3
GTEX-NPJ7-0011-R1a-SM-3GACT 60-69 years, female 2.3
GTEX-ZE7O-0011-R1a-SM-57WDM 50-59 years, female 2.1
GTEX-QVUS-0011-R1A-SM-3GAD2 60-69 years, female 2.0
GTEX-11UD1-0011-R1b-SM-5BC7D 40-49 years, female 1.9
GTEX-11ZVC-0011-R1b-SM-5BC6M 50-59 years, female 1.9
GTEX-144GO-0011-R1a-SM-5PNWO 60-69 years, male 1.8
GTEX-13NZ8-0011-R1b-SM-5KM3V 60-69 years, female 1.7
GTEX-14LZ3-0011-R1a-SM-69LP5 60-69 years, female 1.7
GTEX-13NZA-0011-R1b-SM-5LUAF 60-69 years, male 1.5
GTEX-NPJ8-0011-R1a-SM-33HCB 40-49 years, male 1.5
GTEX-1H23P-0011-R1a-SM-ACKVC 60-69 years, male 1.5
GTEX-QMR6-0011-R1A-SM-32PKW 50-59 years, male 1.3
GTEX-UTHO-0011-R1A-SM-3GIJO 60-69 years, male 1.0
Show allShow less

HIPPOCAMPAL FORMATION - FANTOM5 CAGEi

RNA expression in human tissues obtained through Cap Analysis of Gene Expression (CAGE) generated by the FANTOM5 project are reported as Scaled Tags Per Million.

Max subtype Scaled Tags Per Millioni

Max subtype Scaled Tags Per Million is the value for the subtype with the largest average Scaled Tags Per Million across the subtype samples.

1.7
FANTOM5 sample id Sample description Scaled Tags Per Million
Hippocampus
Scaled Tags Per Million: 1.7
FF:10153-102I9 76 years, female 2.5
FF:10169-103B7 60 years, female 1.0

HIPPOCAMPAL FORMATION - Pig RNA-seqi

RNA-seq data obtained from pig brain is reported as nTPM .

Normal distribution across the dataset is visualized with box plots, shown as median and 25th and 75th percentiles. Points are displayed as outliers if they are above or below 1.5 times the interquartile range. nTPM values of the individual samples are presented next to the box plot.
Max subtype nTPMi

Max subtype nTPM is the value for the subtype with the largest average nTPM across the subtype samples.

9.1
Pig sample Sample description nTPM
Subiculum
nTPM: 7.9
Samples: 4

Max nTPM: 10.4
Min nTPM: 6.6
Sample A Female 10.4
Sample B Female 7.3
Sample C Male 6.6
Sample D Male 7.1
Dorsal hippocampus
nTPM: 9.1
Samples: 4

Max nTPM: 12.1
Min nTPM: 7.8
Sample A Female 12.1
Sample B Female 8.2
Sample C Male 8.3
Sample D Male 7.8
Entorhinal cortex
nTPM: 7.9
Samples: 4

Max nTPM: 9.1
Min nTPM: 6.1
Sample A Female 9.1
Sample B Female 8.0
Sample C Male 8.3
Sample D Male 6.1
Ventral hippocampus
nTPM: 8.6
Samples: 4

Max nTPM: 10.1
Min nTPM: 7.0
Sample A Female 8.9
Sample B Female 7.0
Sample C Male 10.1
Sample D Male 8.5

HIPPOCAMPAL FORMATION - Mouse RNA-seqi

RNA-seq data obtained from mouse brain is reported as nTPM .

Normal distribution across the dataset is visualized with box plots, shown as median and 25th and 75th percentiles. Points are displayed as outliers if they are above or below 1.5 times the interquartile range. nTPM values of the individual samples are presented next to the box plot.
Max subtype nTPMi

Max subtype nTPM is the value for the subtype with the largest average nTPM across the subtype samples.

3.1
Mouse sample Sample description nTPM
Entorhinal cortex
nTPM: 3.1
Samples: 4

Max nTPM: 3.6
Min nTPM: 2.3
Sample A Male 3.0
Sample B Male 3.6
Sample C Female 3.6
Sample D Female 2.3
Hippocampal formation
nTPM: 2.6
Samples: 4

Max nTPM: 3.0
Min nTPM: 2.3
Sample A Male 2.3
Sample B Male 2.7
Sample C Female 2.4
Sample D Female 3.0

HIPPOCAMPAL FORMATION - Allen Mouse ISHi

In situ hybridization (ISH) data generated by the Allen brain atlas from mouse brain is reported as expression energy. For more details about a particular experiment, click on the corresponding Allen experiment ID.

Max subtype Expression energyi

Max subtype Expression energy is the value for the subtype with the largest average Expression energy across the subtype samples.

0.0
Allen experiment id Experiment description Expression energy
Hippocampal formation
Expression energy: 0.0
68920662 Antisense, RP_050303_01_A05, Mouse strain C57BL/6J (56 days, male) 0.0

Contact

  • NEWS ARTICLES
  • PRESS ROOM

The Project

  • INTRODUCTION
  • ORGANIZATION
  • PUBLICATIONS

The Human Protein Atlas

  • DOWNLOADABLE DATA
  • LICENCE & CITATION
  • HELP & FAQ
The Human Protein Atlas project is funded
by the Knut & Alice Wallenberg Foundation.


contact@proteinatlas.org