We use cookies to enhance the usability of our website. If you continue, we'll assume that you are happy to receive all cookies. More information. Don't show this again.
ZSWIM7
HPA
RESOURCES
  • TISSUE
  • BRAIN
  • SINGLE CELL
  • SUBCELLULAR
  • CANCER
  • BLOOD
  • CELL LINE
  • STRUCTURE & INTERACTION
ABOUT
  • INTRODUCTION
  • HISTORY
  • ORGANIZATION
  • PUBLICATIONS
  • ANTIBODY SUBMISSION
  • ANTIBODY AVAILABILITY
  • ACKNOWLEDGMENTS
  • CONTACT
NEWS
  • NEWS ARTICLES
  • PRESS ROOM
LEARN
  • DICTIONARY
  • PROTEIN CLASSES
  • PROTEIN EVIDENCE
  • METHODS
  • EDUCATIONAL VIDEOS
DATA
  • DOWNLOADABLE DATA
  • PUBLICATION DATA
  • RELEASE HISTORY
HELP
  • ANTIBODY VALIDATION
  • ASSAYS & ANNOTATION
  • DISCLAIMER
  • HELP & FAQ
  • PRIVACY STATEMENT
  • LICENCE & CITATION
Fields »
Search result

Field
Term
Gene name
Class
Subclass
Class
Keyword
Chromosome
External id
Tissue
Cell type
Expression
Antibody panel
Tissue
Main location
Patient ID
Annotation
Tissue
Category
Tau score
Cluster
Reliability
Brain region
Category
Tau score
Brain region
Category
Tau score
Brain region
Category
Tau score
Cluster
Reliability
Tissue
Cell type
Enrichment
Cell type
Category
Tau score
Cell type
Category
Tau score
Cell type
Category
Tau score
Cell lineage
Category
Tau score
Cluster
Cluster
Location
Searches
Location
Cell line
Class
Type
Phase
Reliability
Cancer
Prognosis
Cancer
Category
Cancer
Category
Tau score
Cluster
Variants
Interacting gene (ensg_id)
Type
Number of interactions
Pathway
Category
Score
Score
Score
Validation
Validation
Validation
Validation
Antibodies
Data type
Column


  • SUMMARY

  • TISSUE

  • BRAIN

  • SINGLE CELL

  • SUBCELL

  • CANCER

  • BLOOD

  • CELL LINE

  • STRUCT & INT

  • ZSWIM7
TISSUE PRIMARY DATA HEART MUSCLE Show tissue menu
ADIPOSE TISSUE ADRENAL GLAND AMYGDALA APPENDIX BASAL GANGLIA BONE MARROW BREAST CEREBELLUM CEREBRAL CORTEX CERVIX CHOROID PLEXUS COLON DUODENUM
ENDOMETRIUM EPIDIDYMIS ESOPHAGUS FALLOPIAN TUBE GALLBLADDER HEART MUSCLE HIPPOCAMPAL FORMATION HYPOTHALAMUS KIDNEY LIVER LUNG LYMPH NODE MIDBRAIN
OVARY PANCREAS PARATHYROID GLAND PITUITARY GLAND PLACENTA PROSTATE RECTUM RETINA SALIVARY GLAND SEMINAL VESICLE SKELETAL MUSCLE SKIN SMALL INTESTINE
SMOOTH MUSCLE SPINAL CORD SPLEEN STOMACH TESTIS THYMUS THYROID GLAND TONGUE TONSIL URINARY BLADDER VAGINA
ANTIBODIES
AND
VALIDATION
Dictionary
Heart muscle
Tissue proteome
Heart
HEART MUSCLE - Expression summary
Protein expressioni

On the top, protein expression in current human tissue, based on all annotated cell types, is reported with the units not detected (n), low (l), medium (m) and high (h). Underneath, protein expression in each annotated cell type are reported using the same units.

Protein expression data is based on knowledge-based annotation. For genes where more than one antibody has been used, a collective score is set.

If knowledge-based annotation could not be performed for a gene, no data is displayed here. View antibody staining data further down this page.

No data
RNA expressioni

A summary of mRNA expression data available for current tissue based on several datasets. The mRNA expression levels in human tissues are based on RNA-seq data generated by the Human Protein Atlas (HPA), Genotype-Tissue Expression (GTEx) portal and CAGE data generated by the FANTOM5 consortium. Consensus normalized expression levels for human tissues was created by combining the data from HPA and GTEx datasets.

The mRNA expression levels in pig are based on RNA-seq data generated by the Human Protein Atlas (HPA), and for mouse, HPA data and in situ hybridization generated by the Allen brain atlas are reported.

Scroll down to view mRNA expression data in more detail.
Consensus:17.6 nTPM
HPA:10.4 nTPM
GTEx:17.6 nTPM
FANTOM5:83.6 Scaled Tags Per Million

HEART MUSCLE - Annotated protein expression
Pending normal tissue analysis

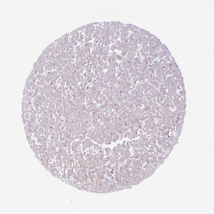
HEART MUSCLE - Antibody stainingi

Antibody staining in the annotated cell types in the current human tissue is reported as not detected, low, medium, or high, based on conventional immunohistochemistry profiling in selected tissues. This score is based on the combination of the staining intensity and fraction of stained cells.

Each image is clickable and will lead to virtual microscopy that enables deeper exploration of all samples and also displays staining intensity scores, fraction scores and subcellular localization as well as patient and tissue information for each sample.

Antibody HPA054681
Cardiomyocytes High



HEART MUSCLE - HPA RNA-seqi

The RNA-seq details section shows detailed information about the individual samples used for the transcript profiling and results of the RNA-seq analysis.

Information about each individual sample is listed below, including gender, age, a tissue section image and estimated fractions of cell types. nTPM (normalized transcripts per million) values give a quantification of the gene abundance which is comparable between different genes and samples.
Average nTPMi

Max subtype nTPM is the value for the subtype with the largest average nTPM across the subtype samples.

10.4
overview
Female, age 48
Heart muscle sample 149
nTPM: 12.1
Cell types%
Myocytes:
15

Fibroblasts:
55

Endothelial cells:
25

Other cell types:
5

overview
Female, age 42
Heart muscle sample 150
nTPM: 4.6
Cell types%
Myocytes:
20

Fibroblasts:
45

Endothelial cells:
30

Other cell types:
5

overview
Male, age 53
Heart muscle sample 151
nTPM: 8.2
Cell types%
Myocytes:
20

Fibroblasts:
45

Endothelial cells:
30

Other cell types:
5

overview
Female, age 69
Heart muscle sample 152
nTPM: 16.4
Cell types%
Myocytes:
20

Fibroblasts:
45

Endothelial cells:
30

Other cell types:
5


HEART MUSCLE - GTEx RNA-seqi

RNA-Seq data generated by the Genotype-Tissue Expression (GTEx) project from human tissues is reported as mean nTPM. More information can be found on the GTEx portal.

Distribution across the dataset is visualized with box plots, shown as median and 25th and 75th percentiles. Points are displayed as outliers if they are above or below 1.5 times the interquartile range. nTPM values of the individual samples are presented next to the box plot.
Max subtype nTPMi

Max subtype nTPM is the value for the subtype with the largest average nTPM across the subtype samples.

17.6
GTEx sample id Sample description nTPM
Heart - Atrial Appendage
Average nTPM: 14.7
Samples: 429

Max nTPM: 46.8
Min nTPM: 4.3
Std nTPM: 5.8
Median nTPM: 13.9
GTEX-14PJM-0826-SM-6LLIW 50-59 years, female 46.8
GTEX-1MCC2-0226-SM-EVYD5 30-39 years, female 42.5
GTEX-145MN-0726-SM-5NQBH 30-39 years, male 40.9
GTEX-ZLFU-0326-SM-4WWBK 40-49 years, male 38.7
GTEX-1KANB-1126-SM-DHXJT 50-59 years, male 34.2
GTEX-11DYG-1026-SM-5A5JQ 60-69 years, male 33.1
GTEX-1MJIX-0426-SM-DTXEN 40-49 years, male 32.4
GTEX-131XG-0526-SM-5DUWF 50-59 years, female 32.3
GTEX-1GF9U-0526-SM-7P8SK 40-49 years, female 30.4
GTEX-ZYFC-1026-SM-5GZX9 50-59 years, male 29.6
GTEX-XQ8I-0226-SM-4BOPM 50-59 years, male 27.8
GTEX-ZV7C-0526-SM-9WPNK 50-59 years, male 27.7
GTEX-X4EP-0326-SM-3P5Z6 60-69 years, female 27.3
GTEX-ZTPG-1326-SM-51MSQ 20-29 years, female 27.1
GTEX-1GZ4I-0826-SM-9WG6O 50-59 years, male 26.4
GTEX-17F9Y-1226-SM-7EPGE 70-79 years, female 26.1
GTEX-15DCE-0826-SM-7KULW 20-29 years, male 26.0
GTEX-117YX-0626-SM-5EGJI 50-59 years, male 25.7
GTEX-12BJ1-0326-SM-5FQUB 60-69 years, male 25.6
GTEX-1C2JI-0626-SM-7DHM1 50-59 years, male 25.0
GTEX-ZF3C-1126-SM-57WEG 50-59 years, female 25.0
GTEX-1HT8W-1326-SM-CGQEN 30-39 years, male 24.6
GTEX-13FHP-0826-SM-5K7V5 50-59 years, male 24.4
GTEX-17JCI-0826-SM-7LT8W 60-69 years, female 24.4
GTEX-XQ3S-0526-SM-4BOQA 20-29 years, male 24.4
GTEX-1HFI7-0526-SM-A9SMA 50-59 years, female 23.7
GTEX-1RLM8-0226-SM-E6CJY 50-59 years, male 23.3
GTEX-XLM4-2026-SM-4AT4X 60-69 years, male 23.2
GTEX-YEC3-0426-SM-CYPS8 50-59 years, male 23.1
GTEX-13NZB-0426-SM-5KM26 30-39 years, male 23.0
GTEX-1AX8Z-1126-SM-731CS 60-69 years, male 23.0
GTEX-1GMR8-1026-SM-9MQLA 50-59 years, female 23.0
GTEX-12ZZX-0726-SM-5EGKA 40-49 years, female 22.9
GTEX-14PJO-0826-SM-6ETZK 60-69 years, male 22.9
GTEX-14ASI-0826-SM-5Q5EB 60-69 years, male 22.7
GTEX-132NY-1426-SM-5J1MJ 60-69 years, male 22.6
GTEX-1313W-1126-SM-5EQ5U 50-59 years, female 22.4
GTEX-1JMLX-1826-SM-CNPOX 50-59 years, male 22.3
GTEX-V955-0826-SM-CYPR5 60-69 years, male 22.3
GTEX-15SDE-1826-SM-7KUFN 50-59 years, female 22.1
GTEX-1H1DG-0826-SM-9QEIW 70-79 years, male 21.7
GTEX-13JUV-0226-SM-5IJCC 40-49 years, female 21.6
GTEX-13VXT-0726-SM-5SIAD 20-29 years, female 21.6
GTEX-14C5O-1226-SM-664N3 60-69 years, male 21.6
GTEX-14PII-1026-SM-5ZZVW 60-69 years, male 21.5
GTEX-17KNJ-0626-SM-7LT9L 50-59 years, male 21.3
GTEX-1H1ZS-1026-SM-9WG6E 70-79 years, male 21.3
GTEX-13W3W-0526-SM-5LU3X 60-69 years, female 21.1
GTEX-XYKS-0226-SM-4BRW3 60-69 years, female 21.1
GTEX-1LSNM-0426-SM-E9TIZ 50-59 years, male 21.1
GTEX-13PDP-1326-SM-5K7U9 60-69 years, male 21.0
GTEX-ZT9W-0526-SM-57WFG 50-59 years, male 21.0
GTEX-1122O-0626-SM-5N9B9 60-69 years, female 20.9
GTEX-1GN1W-0226-SM-7P8QY 50-59 years, female 20.8
GTEX-183WM-0926-SM-718AN 70-79 years, female 20.7
GTEX-1H2FU-0826-SM-9WYSU 60-69 years, female 20.7
GTEX-1EX96-2626-SM-9MQJV 50-59 years, male 20.5
GTEX-XV7Q-0726-SM-4BRV6 40-49 years, female 20.4
GTEX-ZTTD-0626-SM-4YCCY 50-59 years, male 20.4
GTEX-1H3VY-1126-SM-A96TP 50-59 years, male 20.4
GTEX-15RJE-0726-SM-7KUEG 40-49 years, male 20.2
GTEX-1LVAO-0626-SM-EWRNT 60-69 years, male 20.2
GTEX-13S86-0326-SM-5SI6K 40-49 years, male 20.1
GTEX-XBEC-1226-SM-4AT65 50-59 years, male 20.1
GTEX-131XE-0526-SM-5K7YT 50-59 years, male 19.9
GTEX-15CHC-0326-SM-5ZZVP 60-69 years, female 19.8
GTEX-1E1VI-1426-SM-793CY 50-59 years, male 19.8
GTEX-14PN4-0826-SM-69LON 50-59 years, male 19.7
GTEX-ZYVF-1826-SM-5E44F 50-59 years, female 19.7
GTEX-18D9U-1426-SM-718BO 40-49 years, male 19.6
GTEX-1B8KE-0326-SM-73KTY 50-59 years, male 19.6
GTEX-YFC4-0426-SM-4TT3J 40-49 years, female 19.6
GTEX-ZPCL-0526-SM-DO91R 60-69 years, female 19.6
GTEX-11EQ8-1326-SM-5EGJQ 60-69 years, male 19.5
GTEX-13X6K-1726-SM-7IGLG 60-69 years, female 19.3
GTEX-1EMGI-1126-SM-9KNUF 60-69 years, male 19.3
GTEX-1HSGN-0926-SM-CNNQM 40-49 years, female 19.1
GTEX-13NZ9-0126-SM-5K7XV 50-59 years, male 19.0
GTEX-Y3I4-0526-SM-4TT6X 50-59 years, male 18.9
GTEX-ZDTS-1226-SM-4WKGL 60-69 years, male 18.8
GTEX-1HSMO-1126-SM-CGQF2 60-69 years, male 18.8
GTEX-15UF7-1526-SM-6LPI7 40-49 years, male 18.7
GTEX-14H4A-0426-SM-5ZZWO 40-49 years, female 18.6
GTEX-15SHV-0526-SM-7KUEN 60-69 years, male 18.5
GTEX-YF7O-0526-SM-5P9IO 50-59 years, male 18.5
GTEX-WK11-0626-SM-3NMAV 50-59 years, male 18.4
GTEX-XGQ4-0526-SM-4AT6C 50-59 years, male 18.4
GTEX-15ER7-0826-SM-6PALW 20-29 years, female 18.3
GTEX-1P4AB-0926-SM-E76PV 50-59 years, male 18.3
GTEX-146FH-1126-SM-5NQAT 50-59 years, female 18.2
GTEX-1JMQL-1026-SM-CMKGV 50-59 years, female 18.2
GTEX-1QCLZ-1126-SM-EWRNB 60-69 years, female 18.1
GTEX-13NYS-1926-SM-5IJCB 60-69 years, male 18.0
GTEX-1CAMS-1126-SM-7MXUQ 40-49 years, female 18.0
GTEX-12WSD-1226-SM-5HL9Q 60-69 years, female 17.9
GTEX-WI4N-0726-SM-3TW93 40-49 years, female 17.9
GTEX-Y5V5-0726-SM-4VBPY 60-69 years, female 17.9
GTEX-1CB4G-0726-SM-79OOJ 60-69 years, male 17.8
GTEX-WQUQ-1326-SM-3MJFF 60-69 years, male 17.8
GTEX-ZPU1-0726-SM-5HL6O 40-49 years, male 17.8
GTEX-12WSI-0426-SM-5EQ5J 50-59 years, male 17.7
GTEX-13OW6-0926-SM-5L3GM 50-59 years, male 17.7
GTEX-13PVQ-1326-SM-5LU4J 50-59 years, male 17.7
GTEX-1IKOE-0626-SM-A9G31 30-39 years, female 17.7
GTEX-1B932-1326-SM-79OM4 40-49 years, female 17.6
GTEX-1JK1U-0626-SM-CKZOJ 60-69 years, male 17.6
GTEX-11EMC-0826-SM-59862 60-69 years, female 17.5
GTEX-1339X-0326-SM-5K7Z8 40-49 years, male 17.5
GTEX-ZG7Y-1426-SM-4WWBM 50-59 years, male 17.5
GTEX-1192X-0726-SM-5987R 50-59 years, male 17.4
GTEX-XOT4-1126-SM-4B66E 60-69 years, female 17.4
GTEX-131XF-0426-SM-5HL7U 60-69 years, male 17.3
GTEX-14PN3-0726-SM-6EU14 60-69 years, female 17.3
GTEX-YB5K-0226-SM-5IFJE 40-49 years, female 17.3
GTEX-ZZPT-0926-SM-5GICZ 50-59 years, male 17.3
GTEX-1QPFJ-0926-SM-EVR3K 30-39 years, female 17.3
GTEX-13SLX-0926-SM-5S2NM 50-59 years, female 17.2
GTEX-Y114-0126-SM-4TT8K 50-59 years, female 17.2
GTEX-13OVI-0326-SM-5K7X1 60-69 years, female 17.1
GTEX-ZF29-0426-SM-4WKFN 60-69 years, female 17.1
GTEX-13FHO-1226-SM-5L3EF 60-69 years, male 17.0
GTEX-1HR98-1026-SM-CKZOM 60-69 years, male 17.0
GTEX-1I1GQ-1226-SM-CL55J 50-59 years, male 17.0
GTEX-1OFPY-0926-SM-DTX8Q 60-69 years, male 17.0
GTEX-1JJ6O-2226-SM-AHZ3I 60-69 years, male 16.8
GTEX-14PJ4-0926-SM-5YY98 60-69 years, male 16.7
GTEX-1HBPN-0926-SM-CGQEG 50-59 years, male 16.7
GTEX-1I1HK-0626-SM-CNPQM 60-69 years, male 16.6
GTEX-1IDJD-0226-SM-CKZOA 30-39 years, male 16.6
GTEX-1K2DU-0226-SM-DIPF6 20-29 years, male 16.6
GTEX-1L5NE-0526-SM-DIPG5 50-59 years, male 16.6
GTEX-1R7EV-0426-SM-DTX7Z 40-49 years, male 16.6
GTEX-148VJ-1426-SM-5TDE3 70-79 years, male 16.5
GTEX-WEY5-0226-SM-3GIKN 40-49 years, female 16.5
GTEX-1AYCT-0526-SM-7RHHS 50-59 years, male 16.5
GTEX-11NV4-0826-SM-5BC4S 60-69 years, male 16.4
GTEX-1211K-0226-SM-59HJY 60-69 years, female 16.4
GTEX-132Q8-1126-SM-5K7XS 60-69 years, male 16.4
GTEX-1399S-0826-SM-5KM23 30-39 years, female 16.4
GTEX-18A6Q-1526-SM-731CO 60-69 years, male 16.4
GTEX-Y3IK-1026-SM-51MR7 50-59 years, female 16.4
GTEX-13RTJ-0526-SM-62LDP 60-69 years, male 16.3
GTEX-1GN1U-1426-SM-7P8TF 50-59 years, female 16.3
GTEX-111YS-0326-SM-5GZZ3 60-69 years, male 16.2
GTEX-1B97J-0326-SM-7939H 50-59 years, female 16.2
GTEX-X4XX-1126-SM-3NMBY 60-69 years, male 16.2
GTEX-Z93S-0326-SM-5HL84 50-59 years, male 16.2
GTEX-ZYFG-0526-SM-5GZXX 60-69 years, female 16.2
GTEX-1LGRB-1026-SM-CNPQD 50-59 years, female 16.2
GTEX-12ZZY-1226-SM-5GCNK 60-69 years, male 16.1
GTEX-1445S-1226-SM-5O9BF 60-69 years, male 16.1
GTEX-ZVT2-0926-SM-5GICE 50-59 years, female 16.1
GTEX-1KANC-0226-SM-E9TIW 50-59 years, female 16.1
GTEX-ZPIC-0426-SM-DO91V 40-49 years, female 16.1
GTEX-13OW7-1626-SM-5IJDH 50-59 years, male 16.0
GTEX-12WSA-1126-SM-5EGKU 60-69 years, male 15.9
GTEX-14BIM-2726-SM-5Q5EG 60-69 years, female 15.9
GTEX-16XZZ-1026-SM-7DHKS 60-69 years, male 15.9
GTEX-17GQL-0626-SM-731CN 60-69 years, male 15.9
GTEX-WY7C-1126-SM-3NB3A 50-59 years, male 15.9
GTEX-1GL5R-0426-SM-9WPOP 50-59 years, male 15.9
GTEX-1KXAM-1426-SM-D3LAC 60-69 years, male 15.8
GTEX-11NUK-0926-SM-5HL57 50-59 years, male 15.7
GTEX-16NPX-0826-SM-6M489 50-59 years, male 15.7
GTEX-1AX9K-0426-SM-73KUG 50-59 years, male 15.7
GTEX-YEC4-0226-SM-4W1YG 40-49 years, male 15.7
GTEX-1F75A-1026-SM-7PC3W 50-59 years, male 15.7
GTEX-1JJEA-0926-SM-CYPSO 60-69 years, male 15.7
GTEX-12WSK-0526-SM-5CVNA 40-49 years, female 15.6
GTEX-16XZY-0526-SM-7DHKY 70-79 years, male 15.6
GTEX-18A7A-1226-SM-7LTAJ 50-59 years, female 15.6
GTEX-1A32A-1326-SM-73KWW 50-59 years, female 15.5
GTEX-1A8G6-1826-SM-73KY8 60-69 years, male 15.5
GTEX-X5EB-0626-SM-46MVQ 40-49 years, male 15.5
GTEX-12696-1226-SM-5FQSM 60-69 years, male 15.4
GTEX-ZAB5-0126-SM-5CVMT 50-59 years, male 15.4
GTEX-1IDJU-0626-SM-CKZOG 60-69 years, female 15.4
GTEX-13O1R-0926-SM-5L3DS 60-69 years, male 15.3
GTEX-1NSGN-1226-SM-E76OL 50-59 years, male 15.3
GTEX-12WSG-1226-SM-5EQ4C 50-59 years, female 15.2
GTEX-18D9B-1126-SM-7KFSH 60-69 years, male 15.2
GTEX-1JN6P-0826-SM-ARL97 60-69 years, male 15.2
GTEX-1NHNU-0626-SM-E6CP1 50-59 years, male 15.2
GTEX-1ICG6-0726-SM-B2LY5 70-79 years, female 15.1
GTEX-11O72-1026-SM-5986B 40-49 years, male 15.0
GTEX-X3Y1-0226-SM-3P5Z5 40-49 years, male 15.0
GTEX-1EU9M-1926-SM-7RHH4 60-69 years, male 15.0
GTEX-13O3O-1426-SM-5KM2S 60-69 years, female 14.9
GTEX-1EH9U-0626-SM-7PC33 60-69 years, male 14.9
GTEX-12WSC-1026-SM-5EQ5Y 50-59 years, male 14.8
GTEX-1HBPH-0226-SM-9WYSM 40-49 years, female 14.8
GTEX-139TU-1926-SM-5J2OC 60-69 years, male 14.7
GTEX-1IDJF-0826-SM-ARU7N 20-29 years, male 14.7
GTEX-1399U-0726-SM-5KM1D 50-59 years, female 14.6
GTEX-ZGAY-0226-SM-4WWAL 40-49 years, female 14.6
GTEX-13D11-1526-SM-5J2NA 50-59 years, female 14.5
GTEX-15EU6-1326-SM-6PANG 50-59 years, male 14.5
GTEX-1I1GP-0626-SM-ARL7H 50-59 years, male 14.5
GTEX-14PJ2-1126-SM-69LOD 50-59 years, male 14.4
GTEX-VJWN-1026-SM-4M1ZN 50-59 years, female 14.4
GTEX-XPT6-0226-SM-4B65L 20-29 years, male 14.4
GTEX-1HBPM-1026-SM-ARL9D 60-69 years, female 14.4
GTEX-1HCU7-1226-SM-B2LX8 50-59 years, male 14.4
GTEX-1IL2U-1226-SM-CL53P 60-69 years, male 14.4
GTEX-11WQK-0226-SM-5EQLI 50-59 years, male 14.3
GTEX-13O21-0326-SM-5J1N9 50-59 years, male 14.3
GTEX-13X6J-1226-SM-79OMF 50-59 years, male 14.3
GTEX-145LV-0226-SM-5S2QG 50-59 years, male 14.2
GTEX-117XS-0726-SM-5H131 60-69 years, male 14.0
GTEX-14E7W-1126-SM-5ZZVS 70-79 years, male 14.0
GTEX-15RIE-1326-SM-6PAMM 60-69 years, male 14.0
GTEX-1C64O-0926-SM-79OLN 60-69 years, male 14.0
GTEX-1CB4J-0226-SM-7P8T4 60-69 years, male 14.0
GTEX-1GZ2Q-0926-SM-7RHHN 40-49 years, male 14.0
GTEX-14PJ6-0626-SM-686Z6 60-69 years, female 13.9
GTEX-17F9E-0726-SM-793A1 50-59 years, male 13.9
GTEX-1CAMQ-0726-SM-7P8SG 40-49 years, male 13.9
GTEX-1GMR3-0426-SM-7PC17 40-49 years, male 13.9
GTEX-132QS-0526-SM-5IJC7 60-69 years, male 13.8
GTEX-146FR-0926-SM-5QGPE 60-69 years, female 13.7
GTEX-1CB4I-1526-SM-7DHMY 50-59 years, male 13.7
GTEX-WFG8-0726-SM-3GILP 20-29 years, male 13.7
GTEX-ZAK1-1126-SM-5PNXU 50-59 years, female 13.7
GTEX-17F96-0826-SM-7DHLU 70-79 years, male 13.6
GTEX-1AX9J-0926-SM-73KXA 60-69 years, male 13.6
GTEX-X8HC-1026-SM-46MWH 50-59 years, female 13.6
GTEX-ZE7O-0626-SM-57WCD 50-59 years, female 13.6
GTEX-1I19N-0626-SM-A9SKY 70-79 years, male 13.6
GTEX-11P81-0526-SM-59873 30-39 years, female 13.4
GTEX-131YS-0826-SM-5PNYV 60-69 years, female 13.4
GTEX-XPVG-0726-SM-4B658 50-59 years, male 13.4
GTEX-1A8FM-1026-SM-7PC26 50-59 years, female 13.4
GTEX-YJ8O-0826-SM-5CVM3 40-49 years, female 13.3
GTEX-ZYFD-2026-SM-5E459 50-59 years, male 13.3
GTEX-1H3O1-0226-SM-9WYSW 60-69 years, male 13.3
GTEX-18A66-1126-SM-731C5 60-69 years, male 13.2
GTEX-1GN73-2326-SM-9MQKV 60-69 years, male 13.2
GTEX-1QP29-1426-SM-DTX9Q 50-59 years, male 13.2
GTEX-ZDXO-0426-SM-4WKF6 60-69 years, male 13.1
GTEX-11DXX-0526-SM-5PNVR 60-69 years, female 13.0
GTEX-13PL7-0726-SM-5KM1S 60-69 years, female 13.0
GTEX-14PHX-0626-SM-5YY8Z 50-59 years, male 13.0
GTEX-17EVP-0526-SM-7EPGY 40-49 years, male 13.0
GTEX-UTHO-1226-SM-3GAEE 60-69 years, male 13.0
GTEX-WFON-0226-SM-3GIKR 40-49 years, male 13.0
GTEX-1J8EW-0626-SM-CM2TY 60-69 years, female 13.0
GTEX-11GSP-1226-SM-5985M 60-69 years, female 12.9
GTEX-14A6H-0326-SM-5NQAN 30-39 years, male 12.8
GTEX-1B996-1026-SM-793CF 60-69 years, male 12.8
GTEX-1C6WA-0826-SM-7PBXS 60-69 years, male 12.8
GTEX-1399T-0726-SM-5J1MH 60-69 years, male 12.7
GTEX-1LVAN-1526-SM-CNPQN 50-59 years, female 12.7
GTEX-ZF2S-0826-SM-4WWBI 50-59 years, female 12.6
GTEX-13FTZ-0326-SM-5J1O1 60-69 years, male 12.5
GTEX-14PHY-0326-SM-62LE3 60-69 years, female 12.5
GTEX-15CHQ-1326-SM-6871Z 60-69 years, male 12.5
GTEX-1GF9V-1726-SM-9KNW4 60-69 years, male 12.5
GTEX-1HUB1-0726-SM-CGQF4 60-69 years, male 12.5
GTEX-12WSE-0926-SM-5S2VX 20-29 years, male 12.4
GTEX-16MT8-0826-SM-7KULO 60-69 years, female 12.4
GTEX-1HCUA-0626-SM-ACKVT 50-59 years, female 12.4
GTEX-139YR-0526-SM-5L3DG 50-59 years, male 12.3
GTEX-13PVR-0926-SM-5S2RB 60-69 years, female 12.3
GTEX-1GMRU-1326-SM-9WYUI 50-59 years, male 12.3
GTEX-1M5QR-1626-SM-E9U5O 40-49 years, male 12.3
GTEX-14XAO-0926-SM-69LPZ 60-69 years, female 12.2
GTEX-W5X1-0826-SM-3GILN 40-49 years, female 12.2
GTEX-1PPGY-0926-SM-DTXFF 60-69 years, male 12.2
GTEX-1J8Q3-1126-SM-ARU8N 60-69 years, male 12.1
GTEX-17MF6-0926-SM-7LTAL 40-49 years, male 12.0
GTEX-ZVZQ-0726-SM-51MR3 60-69 years, female 12.0
GTEX-1RB15-0426-SM-E9U4Y 60-69 years, male 12.0
GTEX-1192W-0226-SM-5EGGT 60-69 years, male 11.9
GTEX-13YAN-1426-SM-7EPG8 60-69 years, male 11.9
GTEX-WZTO-1226-SM-3NMAZ 40-49 years, male 11.9
GTEX-13CF2-0226-SM-5L3DV 60-69 years, male 11.8
GTEX-18A67-1026-SM-731CE 50-59 years, male 11.8
GTEX-1BAJH-1026-SM-7EWEG 70-79 years, male 11.8
GTEX-WYBS-1226-SM-3NM9N 60-69 years, female 11.8
GTEX-1J1OQ-2226-SM-A96SS 40-49 years, female 11.7
GTEX-X261-0926-SM-3NMCY 50-59 years, male 11.6
GTEX-1H3NZ-1026-SM-A9SM5 60-69 years, male 11.6
GTEX-WOFL-1226-SM-4OOST 60-69 years, male 11.5
GTEX-1F75I-1326-SM-7PBZX 40-49 years, male 11.5
GTEX-ZUA1-0726-SM-4YCD9 40-49 years, male 11.4
GTEX-11ONC-1026-SM-5GU64 60-69 years, male 11.3
GTEX-WFG7-0826-SM-3GIKU 20-29 years, male 11.3
GTEX-ZDTT-0326-SM-4WKF9 60-69 years, male 11.3
GTEX-1I1GR-1026-SM-A9SLC 60-69 years, male 11.3
GTEX-1JMQK-0926-SM-ARL96 60-69 years, male 11.3
GTEX-13FXS-1026-SM-62LFQ 50-59 years, male 11.2
GTEX-13OW5-0926-SM-5L3GZ 60-69 years, male 11.2
GTEX-1EWIQ-1126-SM-7EPIK 70-79 years, female 11.2
GTEX-ZYT6-0926-SM-5GIEM 30-39 years, male 11.2
GTEX-1212Z-0726-SM-5EGI5 60-69 years, male 11.1
GTEX-13SLW-0826-SM-5QGP7 70-79 years, male 11.1
GTEX-14C39-0726-SM-5RQIK 40-49 years, male 11.1
GTEX-WHSE-0826-SM-4SOJU 20-29 years, male 11.1
GTEX-1C64N-0826-SM-7RHGQ 50-59 years, male 11.0
GTEX-1QEPI-1126-SM-E8VN7 60-69 years, female 11.0
GTEX-13JVG-1126-SM-5KM2M 60-69 years, male 10.9
GTEX-13O3P-1426-SM-5L3DT 50-59 years, male 10.9
GTEX-14E1K-0826-SM-5ZZW9 50-59 years, male 10.9
GTEX-17HGU-1126-SM-793BP 50-59 years, male 10.9
GTEX-111FC-0626-SM-5N9CU 60-69 years, male 10.8
GTEX-11DXZ-0326-SM-5EGH1 50-59 years, male 10.8
GTEX-13NZA-0826-SM-5K7WS 60-69 years, male 10.8
GTEX-147JS-1326-SM-5SI6D 60-69 years, male 10.8
GTEX-14E6C-0326-SM-5Q5EE 40-49 years, male 10.8
GTEX-16YQH-0726-SM-7IGM1 30-39 years, male 10.8
GTEX-WYJK-1126-SM-3NM9Z 50-59 years, male 10.7
GTEX-X62O-0826-SM-46MW8 50-59 years, male 10.7
GTEX-1IL2V-1126-SM-CMKGH 70-79 years, male 10.7
GTEX-ZEX8-0326-SM-DO92C 50-59 years, male 10.7
GTEX-13QBU-0226-SM-5LU48 40-49 years, female 10.6
GTEX-13U4I-0626-SM-5LU5L 40-49 years, female 10.6
GTEX-14BMV-1026-SM-5SI6B 50-59 years, male 10.5
GTEX-1F48J-1126-SM-9WYSY 50-59 years, female 10.5
GTEX-1IKOH-0926-SM-A9SLU 60-69 years, female 10.5
GTEX-14JG1-0826-SM-5ZZWR 40-49 years, male 10.4
GTEX-18465-0726-SM-7LG4L 50-59 years, male 10.4
GTEX-132AR-1926-SM-5EGK5 50-59 years, female 10.3
GTEX-145LS-1326-SM-5Q5EP 60-69 years, female 10.3
GTEX-VUSG-0726-SM-3GIK1 50-59 years, male 10.3
GTEX-1HC8U-0626-SM-B2LWB 40-49 years, female 10.3
GTEX-1HFI6-0826-SM-9YFM2 40-49 years, male 10.3
GTEX-1I1GV-1426-SM-B2LXN 60-69 years, male 10.2
GTEX-13N1W-0926-SM-5MR36 70-79 years, male 10.1
GTEX-14BIL-0926-SM-7DHKN 50-59 years, male 10.1
GTEX-ZVT3-0826-SM-5GIC8 60-69 years, female 10.1
GTEX-1I1CD-1326-SM-A9SMM 60-69 years, female 10.1
GTEX-1IKK5-1726-SM-CM2RU 60-69 years, male 10.1
GTEX-11LCK-0826-SM-5PNYD 30-39 years, male 10.0
GTEX-13O61-0426-SM-5L3ET 60-69 years, male 10.0
GTEX-1CB4H-0626-SM-7IGN3 60-69 years, female 10.0
GTEX-U8XE-0926-SM-3DB8V 30-39 years, male 10.0
GTEX-UPK5-0226-SM-3GAEV 40-49 years, male 10.0
GTEX-V1D1-0626-SM-4JBHN 50-59 years, male 10.0
GTEX-Y8E4-0426-SM-4V6GB 40-49 years, male 10.0
GTEX-1E2YA-0626-SM-7P8P4 50-59 years, male 10.0
GTEX-13PL6-0826-SM-5IJBI 40-49 years, female 9.9
GTEX-1H11D-1026-SM-9QEIU 40-49 years, male 9.9
GTEX-1IDJH-1126-SM-COH3R 70-79 years, male 9.9
GTEX-13FH7-0826-SM-5J2NW 50-59 years, female 9.8
GTEX-ZAJG-0926-SM-5Q5AB 50-59 years, female 9.8
GTEX-1GN1V-1026-SM-CNPPS 60-69 years, male 9.8
GTEX-1POEN-0726-SM-DTXDU 30-39 years, female 9.8
GTEX-13OVG-0426-SM-5KM2T 60-69 years, male 9.7
GTEX-ZDYS-0326-SM-5HL4W 50-59 years, male 9.7
GTEX-1A3MX-1226-SM-731B3 60-69 years, male 9.6
GTEX-1LGOU-0326-SM-D3LAM 20-29 years, female 9.6
GTEX-1MJK2-1626-SM-EVYCQ 50-59 years, male 9.6
GTEX-11DXY-1026-SM-5987V 60-69 years, male 9.5
GTEX-1477Z-1126-SM-5P9GK 60-69 years, male 9.5
GTEX-1F88F-0326-SM-9KNV3 60-69 years, female 9.5
GTEX-1LH75-0526-SM-DIPG2 50-59 years, female 9.5
GTEX-1R9JW-0426-SM-E76QL 30-39 years, female 9.5
GTEX-147F4-1126-SM-5TDDE 50-59 years, male 9.4
GTEX-1AX9I-1026-SM-73KYF 60-69 years, male 9.4
GTEX-1B933-0826-SM-79OMW 50-59 years, female 9.4
GTEX-WHWD-0326-SM-3LK6L 50-59 years, male 9.4
GTEX-11GS4-0426-SM-5N9CD 60-69 years, male 9.3
GTEX-ZZPU-1126-SM-5N9CW 50-59 years, female 9.3
GTEX-1GN2E-1426-SM-7RHHI 60-69 years, male 9.3
GTEX-15CHR-0326-SM-7DHN3 50-59 years, male 9.2
GTEX-WH7G-0326-SM-3NMBH 40-49 years, male 9.2
GTEX-111VG-0326-SM-5GZX7 60-69 years, male 9.1
GTEX-11EM3-0426-SM-5N9BZ 20-29 years, female 9.0
GTEX-11ZTT-0526-SM-5EQLA 60-69 years, female 9.0
GTEX-13112-0526-SM-5EQ4S 50-59 years, male 9.0
GTEX-YECK-1226-SM-4W21G 60-69 years, male 9.0
GTEX-1F75B-1126-SM-7RHGP 50-59 years, male 9.0
GTEX-1J8Q2-1026-SM-ARU8I 60-69 years, male 9.0
GTEX-1LB8K-0926-SM-D4P42 50-59 years, male 9.0
GTEX-13NYB-0326-SM-5IJDP 40-49 years, male 8.9
GTEX-15SHU-0926-SM-6PAMK 40-49 years, female 8.9
GTEX-1B8SG-0726-SM-79ONS 50-59 years, male 8.9
GTEX-1LG7Y-1426-SM-D4P31 50-59 years, male 8.9
GTEX-1399R-1726-SM-5K7YJ 30-39 years, male 8.8
GTEX-ZAB4-0926-SM-5CVN4 40-49 years, male 8.8
GTEX-1H1CY-0426-SM-9KNVD 60-69 years, female 8.8
GTEX-13N11-0726-SM-5L3DP 50-59 years, female 8.7
GTEX-12WSN-0226-SM-5DUXH 40-49 years, male 8.6
GTEX-14PK6-0726-SM-6LLIX 70-79 years, female 8.6
GTEX-1GMR2-1326-SM-9KNUT 50-59 years, male 8.6
GTEX-14C38-1326-SM-62LDK 50-59 years, male 8.5
GTEX-1IY9M-0626-SM-D4P2L 60-69 years, male 8.5
GTEX-1J8QM-0326-SM-CL53D 60-69 years, female 8.5
GTEX-WRHU-1026-SM-4E3ID 50-59 years, female 8.4
GTEX-1117F-0726-SM-5GIEN 60-69 years, female 8.2
GTEX-13FTW-0826-SM-5K7XR 40-49 years, male 8.2
GTEX-1HCVE-0826-SM-CM2SF 50-59 years, male 8.2
GTEX-1KD5A-0926-SM-D4P3U 50-59 years, male 8.2
GTEX-11TT1-1426-SM-5EGIA 20-29 years, male 8.1
GTEX-11TUW-1126-SM-5EQKJ 60-69 years, male 8.1
GTEX-1IKJJ-0626-SM-CY8GF 60-69 years, male 8.1
GTEX-13O3Q-0326-SM-5L3FE 50-59 years, male 7.9
GTEX-WL46-0726-SM-3LK5Z 50-59 years, male 7.9
GTEX-ZVT4-1326-SM-5NQ8E 50-59 years, female 7.9
GTEX-144GL-1026-SM-5O99R 50-59 years, male 7.8
GTEX-1CB4E-0626-SM-7DHMW 60-69 years, male 7.8
GTEX-1GTWX-0926-SM-9MQKM 60-69 years, male 7.8
GTEX-1HSMQ-0426-SM-ADEIM 50-59 years, male 7.7
GTEX-14DAQ-1026-SM-793B1 60-69 years, female 7.6
GTEX-1F6I4-0826-SM-7RHGK 60-69 years, male 7.6
GTEX-1B8SF-1326-SM-7IGQJ 60-69 years, male 7.4
GTEX-11UD2-0926-SM-5CVL6 50-59 years, male 7.3
GTEX-1IOXB-0726-SM-A9G32 50-59 years, male 7.3
GTEX-15SKB-0926-SM-7KUFC 60-69 years, male 7.1
GTEX-1HSKV-0726-SM-ACKWE 60-69 years, male 7.1
GTEX-1QMI2-1026-SM-DTX7T 60-69 years, male 7.1
GTEX-14A5I-1026-SM-5Q5E3 50-59 years, female 6.8
GTEX-1C6VQ-0826-SM-7PBZT 50-59 years, male 6.8
GTEX-WHPG-1026-SM-3NMBA 50-59 years, male 6.7
GTEX-WWYW-1126-SM-3NB2Q 50-59 years, female 6.7
GTEX-XXEK-2026-SM-4BRVE 50-59 years, male 6.7
GTEX-11ZUS-0326-SM-5EQ4W 30-39 years, male 6.3
GTEX-1B8L1-0426-SM-7SB76 60-69 years, male 6.3
GTEX-11ZVC-0526-SM-5N9G1 50-59 years, female 6.2
GTEX-14BIN-2126-SM-793AX 50-59 years, female 6.2
GTEX-1JMOU-0326-SM-ARL8X 60-69 years, female 5.9
GTEX-117YW-0426-SM-5GZZZ 50-59 years, male 5.7
GTEX-12584-1026-SM-59HK3 40-49 years, male 5.4
GTEX-1R9K4-1026-SM-EXUT1 60-69 years, male 5.4
GTEX-ZXG5-0626-SM-5NQ85 60-69 years, male 5.2
GTEX-16GPK-1226-SM-7LTAU 60-69 years, male 5.1
GTEX-1LSNL-0626-SM-DIPFJ 50-59 years, male 5.0
GTEX-15D1Q-0426-SM-6AJ9G 40-49 years, male 4.8
GTEX-1QP6S-1026-SM-DTXFW 40-49 years, male 4.3
Show allShow less
Heart - Left Ventricle
Average nTPM: 17.6
Samples: 432

Max nTPM: 49.4
Min nTPM: 0.0
Std nTPM: 7.5
Median nTPM: 17.2
GTEX-145MN-0626-SM-5QGRH 30-39 years, male 49.4
GTEX-1MCC2-0326-SM-EV7AK 30-39 years, female 42.2
GTEX-O5YV-0326-SM-2I5H2 60-69 years, female 41.7
GTEX-15CHC-0426-SM-6LLHI 60-69 years, female 38.8
GTEX-1C2JI-0526-SM-7EWEQ 50-59 years, male 37.3
GTEX-132NY-1726-SM-5EGKK 60-69 years, male 36.2
GTEX-XQ8I-0126-SM-4BOPL 50-59 years, male 35.9
GTEX-ZLFU-0226-SM-4WWFH 40-49 years, male 35.8
GTEX-111YS-0426-SM-5987O 60-69 years, male 35.7
GTEX-OXRL-0326-SM-2I3F2 50-59 years, male 35.0
GTEX-V955-0726-SM-3GAFG 60-69 years, male 34.6
GTEX-13VXT-1126-SM-5LU3A 20-29 years, female 34.2
GTEX-1IDJU-0726-SM-CNPQ9 60-69 years, female 33.9
GTEX-1MUQO-1226-SM-E9TJK 60-69 years, male 33.4
GTEX-WFG8-0626-SM-3GILJ 20-29 years, male 33.0
GTEX-YEC3-0726-SM-CMKFH 50-59 years, male 33.0
GTEX-POMQ-0326-SM-2I5FO 20-29 years, female 31.9
GTEX-OHPK-0326-SM-2HMJO 50-59 years, female 31.2
GTEX-P4PP-0326-SM-33HC4 30-39 years, female 31.1
GTEX-13O3O-1526-SM-5KM1C 60-69 years, female 31.0
GTEX-14H4A-0626-SM-5ZZUT 40-49 years, female 31.0
GTEX-X15G-0426-SM-4PQZ6 50-59 years, female 31.0
GTEX-1F5PK-0326-SM-9KNUD 50-59 years, male 30.8
GTEX-OHPL-0326-SM-33HC8 60-69 years, female 30.7
GTEX-13CF3-0726-SM-5J2MY 60-69 years, female 30.6
GTEX-ZV7C-0326-SM-57WB1 50-59 years, male 30.4
GTEX-1OFPY-1026-SM-EXUSO 60-69 years, male 29.7
GTEX-1R9PO-0326-SM-DTXA1 60-69 years, female 29.7
GTEX-13SLX-1026-SM-5ZZUQ 50-59 years, female 29.5
GTEX-1RQEC-0926-SM-EWROG 60-69 years, male 29.4
GTEX-12696-1126-SM-5FQTI 60-69 years, male 29.3
GTEX-QLQ7-0526-SM-2I5G3 60-69 years, male 29.3
GTEX-1M5QR-1026-SM-DHXK9 40-49 years, male 29.3
GTEX-Y114-0226-SM-4TT8W 50-59 years, female 29.0
GTEX-ZPCL-0426-SM-DNZZ4 60-69 years, female 29.0
GTEX-13O21-2326-SM-5MR3X 50-59 years, male 28.9
GTEX-1HFI7-0826-SM-A9G23 50-59 years, female 28.9
GTEX-QDVN-0326-SM-2I3FS 50-59 years, male 28.8
GTEX-12BJ1-0226-SM-5LUA2 60-69 years, male 28.3
GTEX-1AX8Z-5007-SM-AHZ36 60-69 years, male 28.2
GTEX-WQUQ-1426-SM-3MJFD 60-69 years, male 28.1
GTEX-1QCLZ-0926-SM-E6CQZ 60-69 years, female 28.1
GTEX-131XE-0626-SM-5HL98 50-59 years, male 27.8
GTEX-14PHY-0226-SM-5ZZWM 60-69 years, female 27.5
GTEX-1314G-0126-SM-5LZUL 30-39 years, male 27.2
GTEX-13S86-0226-SM-5S2PJ 40-49 years, male 27.2
GTEX-QDVJ-0426-SM-2I5FW 50-59 years, male 27.1
GTEX-14A6H-0226-SM-5Q5DX 30-39 years, male 27.0
GTEX-XQ3S-0626-SM-4BOOB 20-29 years, male 27.0
GTEX-13NZB-0226-SM-5KM1T 30-39 years, male 26.8
GTEX-PX3G-0326-SM-2I3EO 20-29 years, female 26.8
GTEX-1B97J-0726-SM-7RHG3 50-59 years, female 26.8
GTEX-ZG7Y-0926-SM-5EQ6O 50-59 years, male 26.7
GTEX-117YX-1126-SM-5H128 50-59 years, male 26.5
GTEX-1CAMS-1326-SM-79OJR 40-49 years, female 26.5
GTEX-1JK1U-0526-SM-CYPSQ 60-69 years, male 26.5
GTEX-13X6H-0426-SM-5LU4E 50-59 years, female 26.4
GTEX-1R9K5-1326-SM-E6CPR 50-59 years, male 26.4
GTEX-1LSNM-0526-SM-DIPG6 50-59 years, male 26.3
GTEX-Y3I4-0626-SM-4TT7A 50-59 years, male 26.0
GTEX-ZAB5-0226-SM-5CVMH 50-59 years, male 25.9
GTEX-ZTPG-1226-SM-4YCDO 20-29 years, female 25.6
GTEX-11EMC-0726-SM-5EGJO 60-69 years, female 25.5
GTEX-RNOR-0826-SM-2TF5C 50-59 years, female 25.5
GTEX-1IKOE-1026-SM-ARZMF 30-39 years, female 25.4
GTEX-14PJ6-0726-SM-69LOL 60-69 years, female 25.1
GTEX-18A67-1226-SM-7KFRS 50-59 years, male 25.1
GTEX-1AYCT-0426-SM-73KVZ 50-59 years, male 24.9
GTEX-OIZH-0326-SM-2HMKC 50-59 years, male 24.9
GTEX-YF7O-0426-SM-5P9FS 50-59 years, male 24.8
GTEX-11DXX-0326-SM-5PNWC 60-69 years, female 24.7
GTEX-16BQI-0926-SM-6M485 30-39 years, female 24.7
GTEX-O5YW-0326-SM-2I5EI 50-59 years, male 24.7
GTEX-PWCY-0526-SM-5P9HG 20-29 years, female 24.7
GTEX-1ICG6-0626-SM-ACKWS 70-79 years, female 24.6
GTEX-OIZF-0326-SM-3MJGY 60-69 years, male 24.5
GTEX-15ER7-1726-SM-6PAMX 20-29 years, female 24.3
GTEX-NFK9-0926-SM-2HMJU 40-49 years, male 24.3
GTEX-ZPIC-0826-SM-4WWFJ 40-49 years, female 24.3
GTEX-WEY5-0426-SM-3GIKT 40-49 years, female 24.2
GTEX-PSDG-0926-SM-2I5FP 50-59 years, male 24.1
GTEX-ZQUD-1526-SM-7IGO2 30-39 years, male 24.0
GTEX-17GQL-0526-SM-72D5N 60-69 years, male 23.9
GTEX-131XF-5001-SM-7DHLY 60-69 years, male 23.8
GTEX-13PVQ-1226-SM-5IJDC 50-59 years, male 23.7
GTEX-SUCS-0326-SM-32PLL 70-79 years, male 23.7
GTEX-UJHI-0426-SM-3DB8Y 50-59 years, female 23.7
GTEX-1MJIX-0326-SM-EVR42 40-49 years, male 23.7
GTEX-1RMOY-0626-SM-E9TIE 50-59 years, male 23.7
GTEX-1CB4G-0826-SM-7DUGF 60-69 years, male 23.6
GTEX-1CB4I-1626-SM-7RHGV 50-59 years, male 23.6
GTEX-1GF9U-0426-SM-7RHHA 40-49 years, female 23.6
GTEX-1POEN-0626-SM-EVR4B 30-39 years, female 23.5
GTEX-146FR-0626-SM-5RQJ1 60-69 years, female 23.2
GTEX-18D9U-1126-SM-72D5Y 40-49 years, male 23.1
GTEX-P78B-0426-SM-2I5F5 40-49 years, female 23.0
GTEX-QV44-0526-SM-2S1RE 50-59 years, male 23.0
GTEX-ZGAY-0326-SM-57WF5 40-49 years, female 23.0
GTEX-1GZ4I-1026-SM-9KNV5 50-59 years, male 23.0
GTEX-1339X-0426-SM-5KLZY 40-49 years, male 22.9
GTEX-U3ZN-1426-SM-3DB87 30-39 years, female 22.9
GTEX-1KANC-0426-SM-CXZK5 50-59 years, female 22.9
GTEX-1L5NE-0426-SM-E9TIX 50-59 years, male 22.8
GTEX-1JMQK-0626-SM-D4P2R 60-69 years, male 22.6
GTEX-17F9E-0926-SM-7IGMG 50-59 years, male 22.4
GTEX-18A66-1226-SM-7LT8G 60-69 years, male 22.4
GTEX-1HCU7-1326-SM-CNPPW 50-59 years, male 22.4
GTEX-146FH-1026-SM-5RQIF 50-59 years, female 22.3
GTEX-ZPU1-0626-SM-4YCDM 40-49 years, male 22.3
GTEX-1GL5R-0326-SM-9WYTJ 50-59 years, male 22.3
GTEX-1KD5A-1026-SM-CY8I8 50-59 years, male 22.2
GTEX-1AX9K-0526-SM-73KV1 50-59 years, male 22.1
GTEX-Y5V5-0626-SM-4VBPX 60-69 years, female 22.0
GTEX-YFC4-0526-SM-5ZZVI 40-49 years, female 22.0
GTEX-1JMLX-1626-SM-ARZMV 50-59 years, male 22.0
GTEX-R55E-1026-SM-2TC5S 20-29 years, male 21.9
GTEX-1QPFJ-1026-SM-E6CR6 30-39 years, female 21.8
GTEX-1IDJF-0726-SM-CJI1U 20-29 years, male 21.7
GTEX-1122O-0826-SM-5GICV 60-69 years, female 21.6
GTEX-1B932-1026-SM-793CL 40-49 years, female 21.6
GTEX-1I1HK-0726-SM-B2LY4 60-69 years, male 21.6
GTEX-14PJ4-1126-SM-5YY91 60-69 years, male 21.5
GTEX-1I1GQ-1426-SM-B2LWY 50-59 years, male 21.5
GTEX-18D9B-1226-SM-72D6V 60-69 years, male 21.4
GTEX-WFG7-0726-SM-3GIKO 20-29 years, male 21.4
GTEX-YB5K-0126-SM-5IFJ2 40-49 years, female 21.4
GTEX-WFON-0326-SM-3GIKX 40-49 years, male 21.3
GTEX-1AX9J-1026-SM-72D6E 60-69 years, male 21.2
GTEX-XPVG-0826-SM-4B654 50-59 years, male 21.2
GTEX-ZDTS-1326-SM-6LLHE 60-69 years, male 21.2
GTEX-15DDE-1126-SM-6LLHN 50-59 years, female 21.1
GTEX-P4QS-0326-SM-2I3EU 60-69 years, male 21.1
GTEX-1GN1W-0326-SM-9JGHF 50-59 years, female 21.1
GTEX-14PN3-0526-SM-69LQF 60-69 years, female 21.0
GTEX-1B8KE-0126-SM-793AM 50-59 years, male 21.0
GTEX-RU72-0326-SM-2TF5T 50-59 years, female 21.0
GTEX-1R7EV-0326-SM-E76PA 40-49 years, male 20.9
GTEX-1313W-1426-SM-5KLZU 50-59 years, female 20.8
GTEX-1HBPH-0126-SM-CNNQ7 40-49 years, female 20.8
GTEX-QEG5-0926-SM-2TC64 20-29 years, male 20.7
GTEX-QEG4-0426-SM-33HC3 30-39 years, male 20.6
GTEX-XBED-0526-SM-47JY3 60-69 years, male 20.6
GTEX-15EOM-5007-SM-793DG 20-29 years, female 20.5
GTEX-1HSGN-1126-SM-CJI4G 40-49 years, female 20.4
GTEX-ZF29-0226-SM-4WKHO 60-69 years, female 20.3
GTEX-1EMGI-1226-SM-793DD 60-69 years, male 20.2
GTEX-RWS6-0326-SM-2XCAP 60-69 years, female 20.2
GTEX-17F9Y-1326-SM-7MGW9 70-79 years, female 20.2
GTEX-1KXAM-1326-SM-E9TJW 60-69 years, male 20.2
GTEX-WY7C-0526-SM-3NB3D 50-59 years, male 20.1
GTEX-1JMPZ-1426-SM-CJI3C 30-39 years, male 20.1
GTEX-N7MS-0826-SM-2HML4 60-69 years, male 19.9
GTEX-XPT6-0126-SM-4B65S 20-29 years, male 19.9
GTEX-1LGRB-1126-SM-CNPP2 50-59 years, female 19.9
GTEX-131XG-0626-SM-5GCMP 50-59 years, female 19.8
GTEX-R55C-0326-SM-3GAF1 40-49 years, male 19.8
GTEX-XGQ4-0326-SM-4GIEE 50-59 years, male 19.8
GTEX-1F48J-1026-SM-7P8SO 50-59 years, female 19.8
GTEX-UPK5-0326-SM-CYPR4 40-49 years, male 19.7
GTEX-ZDXO-0726-SM-57WBT 60-69 years, male 19.5
GTEX-O5YT-0326-SM-32PKA 20-29 years, male 19.3
GTEX-15RIE-1726-SM-7KUMU 60-69 years, male 19.3
GTEX-1211K-0626-SM-5FQUZ 60-69 years, female 19.2
GTEX-12WSC-1126-SM-5EQ4G 50-59 years, male 19.2
GTEX-13W3W-0426-SM-5SI9D 60-69 years, female 19.2
GTEX-1AX9I-1126-SM-7EPHH 60-69 years, male 19.2
GTEX-1J8Q3-1226-SM-CKZPT 60-69 years, male 19.1
GTEX-1LGOU-0726-SM-E9TIY 20-29 years, female 19.1
GTEX-12WSD-1126-SM-5EGJD 60-69 years, female 19.0
GTEX-17KNJ-0826-SM-793A4 50-59 years, male 19.0
GTEX-1EU9M-1826-SM-7DUGU 60-69 years, male 19.0
GTEX-P4PQ-0326-SM-2HMJ8 60-69 years, male 19.0
GTEX-WHSE-0926-SM-3NMBS 20-29 years, male 19.0
GTEX-ZYFC-1126-SM-5E44W 50-59 years, male 19.0
GTEX-11ONC-0126-SM-5PNW6 60-69 years, male 18.9
GTEX-132QS-0426-SM-5KLZ6 60-69 years, male 18.9
GTEX-WHWD-0426-SM-3LK83 50-59 years, male 18.9
GTEX-13OW6-1126-SM-5L3HL 50-59 years, male 18.8
GTEX-16XZY-0426-SM-793BI 70-79 years, male 18.8
GTEX-R55G-0526-SM-2TC5O 40-49 years, female 18.8
GTEX-1LH75-0426-SM-E9TJF 50-59 years, female 18.8
GTEX-14E6C-0426-SM-5YYA8 40-49 years, male 18.7
GTEX-OXRK-0826-SM-2HMK7 50-59 years, female 18.6
GTEX-14PHX-2126-SM-6EU2U 50-59 years, male 18.5
GTEX-QESD-0526-SM-2I5G5 20-29 years, male 18.4
GTEX-YEC4-0326-SM-4W216 40-49 years, male 18.3
GTEX-Y8E4-0326-SM-4VBRR 40-49 years, male 18.2
GTEX-ZF2S-1026-SM-9QEGK 50-59 years, female 18.2
GTEX-1E1VI-1326-SM-7IGQD 50-59 years, male 18.1
GTEX-15CHR-0226-SM-7PC2Z 50-59 years, male 18.1
GTEX-OIZG-1126-SM-2HMIU 50-59 years, male 18.0
GTEX-1J8EW-0926-SM-A9G33 60-69 years, female 18.0
GTEX-17JCI-1126-SM-7IGMM 60-69 years, female 17.9
GTEX-13PVR-1026-SM-5QGQW 60-69 years, female 17.8
GTEX-13RTJ-0726-SM-5QGQN 60-69 years, male 17.8
GTEX-14XAO-1126-SM-6EU11 60-69 years, female 17.8
GTEX-WH7G-0426-SM-3NMBJ 40-49 years, male 17.8
GTEX-WI4N-0626-SM-3TW8Z 40-49 years, female 17.8
GTEX-1C64O-0826-SM-79OKZ 60-69 years, male 17.7
GTEX-U3ZH-0326-SM-3DB7A 30-39 years, male 17.7
GTEX-ZYFG-0426-SM-5E43M 60-69 years, female 17.7
GTEX-1QP2A-1126-SM-EVR3H 50-59 years, male 17.7
GTEX-OIZI-0926-SM-E6CHF 40-49 years, male 17.7
GTEX-1LVA9-0926-SM-EVR5G 50-59 years, male 17.6
GTEX-1S3DN-0726-SM-E9TIO 50-59 years, male 17.6
GTEX-15RJE-0626-SM-7KUKR 40-49 years, male 17.5
GTEX-1JJEA-0826-SM-CL53T 60-69 years, male 17.5
GTEX-12WSG-0526-SM-5FQTH 50-59 years, female 17.4
GTEX-12ZZZ-1726-SM-59HK5 60-69 years, male 17.4
GTEX-REY6-1026-SM-2TF4Y 60-69 years, male 17.4
GTEX-12WSK-0626-SM-5LZUJ 40-49 years, female 17.3
GTEX-S32W-0626-SM-2XCBG 50-59 years, female 17.3
GTEX-T6MN-0926-SM-32PLX 50-59 years, male 17.3
GTEX-XV7Q-0826-SM-4BRV7 40-49 years, female 17.3
GTEX-1HBPM-1226-SM-A9SM8 60-69 years, female 17.3
GTEX-13YAN-1326-SM-5Q5F1 60-69 years, male 17.2
GTEX-UJMC-0526-SM-3GAE3 50-59 years, male 17.2
GTEX-ZVZP-0226-SM-5NQ73 50-59 years, male 17.2
GTEX-1H1ZS-1126-SM-9MQLJ 70-79 years, male 17.2
GTEX-ZYW4-0926-SM-59HJS 60-69 years, male 17.0
GTEX-148VJ-1526-SM-5Q5DU 70-79 years, male 16.9
GTEX-13O1R-1226-SM-5J1NU 60-69 years, male 16.8
GTEX-RUSQ-0526-SM-2TF72 50-59 years, male 16.8
GTEX-1K9T9-1126-SM-D3L9E 50-59 years, female 16.8
GTEX-OXRO-2026-SM-2YUMZ 60-69 years, female 16.6
GTEX-17MF6-0726-SM-7LT8E 40-49 years, male 16.5
GTEX-1LB8K-1026-SM-DHXJJ 50-59 years, male 16.5
GTEX-1N2EF-2826-SM-E6CQF 60-69 years, male 16.5
GTEX-WYJK-1026-SM-3NM8W 50-59 years, male 16.4
GTEX-1LC47-1026-SM-D3LAH 60-69 years, male 16.4
GTEX-13FH7-0926-SM-5J2MR 50-59 years, female 16.3
GTEX-R53T-0926-SM-3GADH 50-59 years, female 16.3
GTEX-13FHP-1026-SM-5K7Y2 50-59 years, male 16.2
GTEX-1A3MW-1326-SM-7189P 60-69 years, female 16.2
GTEX-14JG1-1026-SM-6ETZY 40-49 years, male 16.1
GTEX-16NPX-0926-SM-7KUEZ 50-59 years, male 16.1
GTEX-1CB4E-0526-SM-7MXTK 60-69 years, male 16.1
GTEX-ZVT2-1026-SM-5GU55 50-59 years, female 16.0
GTEX-11ZUS-0226-SM-5FQT8 30-39 years, male 15.9
GTEX-13FTW-1026-SM-5L3E3 40-49 years, male 15.9
GTEX-1HCU6-1026-SM-A9G25 60-69 years, female 15.9
GTEX-1R9JW-0526-SM-EWRNK 30-39 years, female 15.9
GTEX-11LCK-0926-SM-5A5KA 30-39 years, male 15.8
GTEX-PLZ5-0626-SM-2I5F8 50-59 years, male 15.8
GTEX-1O9I2-1126-SM-DTXEA 50-59 years, male 15.8
GTEX-U4B1-0326-SM-3DB8K 40-49 years, male 15.7
GTEX-1O97I-0826-SM-E8VNE 60-69 years, male 15.7
GTEX-1PPGY-1126-SM-E76OU 60-69 years, male 15.7
GTEX-1HC8U-0726-SM-ACKXL 40-49 years, female 15.5
GTEX-12ZZY-1126-SM-5DUWQ 60-69 years, male 15.4
GTEX-OHPM-0326-SM-33HCA 50-59 years, male 15.4
GTEX-1OKEX-0726-SM-DPRYE 60-69 years, male 15.4
GTEX-17HGU-1026-SM-79OKL 50-59 years, male 15.2
GTEX-X3Y1-0426-SM-3P5Z4 40-49 years, male 15.2
GTEX-1GMRU-1526-SM-9WYT5 50-59 years, male 15.2
GTEX-11GSP-1326-SM-5A5KY 60-69 years, female 15.1
GTEX-1399U-0526-SM-5K7YM 50-59 years, female 15.1
GTEX-148VI-0326-SM-5RQK7 60-69 years, female 15.1
GTEX-1399S-1026-SM-5KLZ9 30-39 years, female 15.0
GTEX-16MT8-0926-SM-6M487 60-69 years, female 15.0
GTEX-1QP29-1526-SM-EXUSY 50-59 years, male 15.0
GTEX-13FLV-0926-SM-5L3DZ 50-59 years, male 14.9
GTEX-145LV-0326-SM-5Q5BW 50-59 years, male 14.9
GTEX-13N11-0426-SM-5KM3O 50-59 years, female 14.8
GTEX-1F75I-1126-SM-9WYUO 40-49 years, male 14.8
GTEX-13X6I-1426-SM-5SI9Z 60-69 years, male 14.6
GTEX-1H11D-1226-SM-9WPQ2 40-49 years, male 14.6
GTEX-11DXZ-0626-SM-5GU77 50-59 years, male 14.5
GTEX-13O61-0526-SM-5J2M1 60-69 years, male 14.5
GTEX-ZF3C-1226-SM-4WWCB 50-59 years, female 14.5
GTEX-X8HC-1626-SM-46MWE 50-59 years, female 14.3
GTEX-1GN73-2426-SM-7RHFQ 60-69 years, male 14.3
GTEX-12WSN-5001-SM-7DHMK 40-49 years, male 14.1
GTEX-ZEX8-0426-SM-DO92Y 50-59 years, male 14.1
GTEX-139YR-0826-SM-5LZXY 50-59 years, male 14.0
GTEX-15RJ7-0226-SM-7KUMN 40-49 years, male 14.0
GTEX-QMRM-0526-SM-2I5GA 50-59 years, male 14.0
GTEX-SE5C-0626-SM-2XCDV 40-49 years, female 14.0
GTEX-18A6Q-1626-SM-7KFTA 60-69 years, male 13.9
GTEX-R45C-0926-SM-3GAD4 60-69 years, female 13.9
GTEX-WZTO-1326-SM-3NM8X 40-49 years, male 13.9
GTEX-1JN6P-1126-SM-CKZON 60-69 years, male 13.9
GTEX-NPJ8-0426-SM-2HMK6 40-49 years, male 13.8
GTEX-1GMR3-0326-SM-7P8QT 40-49 years, male 13.8
GTEX-1J8QM-0426-SM-AHZ3X 60-69 years, female 13.8
GTEX-1H1CY-0326-SM-9QEIZ 60-69 years, female 13.7
GTEX-1I6K7-0626-SM-ARL7Q 40-49 years, male 13.7
GTEX-ZZPU-0926-SM-5GZYT 50-59 years, female 13.6
GTEX-1HSMO-1226-SM-CL548 60-69 years, male 13.6
GTEX-13CF2-0426-SM-5KM1H 60-69 years, male 13.5
GTEX-14PK6-0826-SM-5ZZVO 70-79 years, female 13.5
GTEX-ZDYS-0226-SM-5HL4K 50-59 years, male 13.5
GTEX-1HCUA-0526-SM-A9SMH 50-59 years, female 13.5
GTEX-1HSMQ-0226-SM-C1YQL 50-59 years, male 13.5
GTEX-1497J-1226-SM-5Q5BL 60-69 years, male 13.4
GTEX-1BAJH-1626-SM-73KUV 70-79 years, male 13.3
GTEX-U8XE-1126-SM-3DB8W 30-39 years, male 13.1
GTEX-1IDJE-0326-SM-CM2TD 50-59 years, female 13.1
GTEX-WL46-0926-SM-3LK7T 50-59 years, male 13.0
GTEX-13OVG-0526-SM-5K7YD 60-69 years, male 12.9
GTEX-11EM3-0626-SM-5H12Z 20-29 years, female 12.7
GTEX-14PJM-1126-SM-6LLHK 50-59 years, female 12.7
GTEX-1GMR2-1426-SM-7RHHK 50-59 years, male 12.7
GTEX-1IDJI-1026-SM-A96TE 50-59 years, female 12.7
GTEX-11O72-1126-SM-5N9E2 40-49 years, male 12.6
GTEX-1269C-0826-SM-5N9EM 60-69 years, female 12.6
GTEX-Q2AH-0526-SM-2I3ED 40-49 years, male 12.6
GTEX-1R9K4-1326-SM-DTX8G 60-69 years, male 12.6
GTEX-132AR-2026-SM-5IJG4 50-59 years, female 12.5
GTEX-Y5V6-0826-SM-4VBRU 60-69 years, male 12.5
GTEX-1JJ6O-2126-SM-CNNP6 60-69 years, male 12.5
GTEX-17HHY-1426-SM-7EWDQ 50-59 years, male 12.4
GTEX-OOBJ-0326-SM-33HBO 60-69 years, male 12.4
GTEX-1GN1V-0826-SM-9KNU6 60-69 years, male 12.4
GTEX-11I78-0826-SM-5A5K4 50-59 years, female 12.3
GTEX-ZAJG-0826-SM-5PNVA 50-59 years, female 12.2
GTEX-1IL2U-1326-SM-A9G2O 60-69 years, male 12.2
GTEX-1399R-1926-SM-5K7X8 30-39 years, male 12.1
GTEX-13O3P-1626-SM-5K7X3 50-59 years, male 12.1
GTEX-13OVL-0526-SM-5KLZQ 50-59 years, male 12.1
GTEX-1F6IF-2526-SM-7P8TV 60-69 years, male 12.1
GTEX-1B996-1126-SM-73KWN 60-69 years, male 12.0
GTEX-ZDTT-0726-SM-4WKFK 60-69 years, male 12.0
GTEX-XBEC-1326-SM-4AT69 50-59 years, male 11.8
GTEX-Y3IK-0826-SM-51MT8 50-59 years, female 11.8
GTEX-13X6K-1826-SM-5O9CR 60-69 years, female 11.7
GTEX-14BIN-2226-SM-5YYA1 50-59 years, female 11.7
GTEX-14C38-1426-SM-5RQHZ 50-59 years, male 11.7
GTEX-WHPG-0826-SM-3NMBF 50-59 years, male 11.7
GTEX-13QBU-0426-SM-5J2O4 40-49 years, female 11.6
GTEX-14E1K-1026-SM-73KUR 50-59 years, male 11.6
GTEX-S33H-0526-SM-COH1W 30-39 years, male 11.6
GTEX-11TUW-1026-SM-5GU7D 60-69 years, male 11.5
GTEX-16YQH-0926-SM-793BC 30-39 years, male 11.5
GTEX-1ICLZ-1026-SM-A9SLF 60-69 years, male 11.5
GTEX-RN64-0826-SM-2TC62 50-59 years, male 11.4
GTEX-1F6I4-0726-SM-7PC2P 60-69 years, male 11.4
GTEX-111FC-0826-SM-5GZWO 60-69 years, male 11.3
GTEX-14JIY-1126-SM-6EU28 60-69 years, male 11.3
GTEX-QEL4-0926-SM-3GAD1 50-59 years, male 11.3
GTEX-1A3MX-1326-SM-72D58 60-69 years, male 11.2
GTEX-SIU8-0826-SM-2XCDQ 50-59 years, male 11.2
GTEX-1ICLY-1326-SM-CJI47 50-59 years, male 11.1
GTEX-13FTZ-0226-SM-5K7X6 60-69 years, male 11.0
GTEX-P44H-0726-SM-48TBT 40-49 years, male 11.0
GTEX-15DYW-1126-SM-6LPK5 60-69 years, female 10.9
GTEX-1NV8Z-1526-SM-DTX8X 60-69 years, male 10.9
GTEX-11TT1-1326-SM-5PNYM 20-29 years, male 10.8
GTEX-14A5I-1226-SM-5NQBW 50-59 years, female 10.8
GTEX-1EWIQ-1426-SM-7IGOS 70-79 years, female 10.8
GTEX-145MO-1126-SM-5NQBX 60-69 years, male 10.7
GTEX-RWSA-0626-SM-2XCBD 40-49 years, male 10.7
GTEX-QVJO-1926-SM-2S1QZ 60-69 years, female 10.6
GTEX-1EN7A-0726-SM-7PBXT 40-49 years, male 10.6
GTEX-131XH-0226-SM-5LZVB 50-59 years, male 10.5
GTEX-13U4I-0826-SM-5SIBD 40-49 years, female 10.5
GTEX-XXEK-0926-SM-4BRWH 50-59 years, male 10.5
GTEX-1LVAN-1726-SM-CNNR1 50-59 years, female 10.5
GTEX-1RB15-0326-SM-E6CQB 60-69 years, male 10.5
GTEX-1EH9U-0826-SM-7IGPT 60-69 years, male 10.4
GTEX-1GTWX-1026-SM-7P8QW 60-69 years, male 10.4
GTEX-YJ8O-0926-SM-EAZ2Z 40-49 years, female 10.4
GTEX-V1D1-0526-SM-4JBGW 50-59 years, male 10.3
GTEX-14C5O-1326-SM-5S2UW 60-69 years, male 10.2
GTEX-1I1GV-1326-SM-A96SE 60-69 years, male 10.2
GTEX-1PPH7-2026-SM-E9J3N 40-49 years, male 10.2
GTEX-1RAZS-0826-SM-E76QP 50-59 years, male 10.2
GTEX-13112-0426-SM-5PNVC 50-59 years, male 10.1
GTEX-ZAB4-1026-SM-5HL7T 40-49 years, male 9.8
GTEX-1CB4J-0326-SM-7PBZO 60-69 years, male 9.8
GTEX-1EKGG-1126-SM-7MGXB 60-69 years, male 9.8
GTEX-PVOW-0426-SM-5MR5R 40-49 years, male 9.6
GTEX-1IKK5-1526-SM-CKZPW 60-69 years, male 9.6
GTEX-17HII-1326-SM-7IGOB 50-59 years, male 9.5
GTEX-RTLS-0826-SM-2TF5Q 60-69 years, female 9.5
GTEX-1PWST-1026-SM-DTXF2 70-79 years, male 9.5
GTEX-14DAQ-1126-SM-664MT 60-69 years, female 9.4
GTEX-14E7W-1226-SM-5RQIU 70-79 years, male 9.4
GTEX-15CHQ-1526-SM-69LPW 60-69 years, male 9.3
GTEX-1HT8W-1726-SM-CNNQB 30-39 years, male 9.3
GTEX-12ZZW-1026-SM-5GCMM 50-59 years, male 9.2
GTEX-1B8L1-0526-SM-79ONX 60-69 years, male 9.0
GTEX-1IKJJ-0826-SM-A96SP 60-69 years, male 9.0
GTEX-13D11-1726-SM-5IFGQ 50-59 years, female 8.9
GTEX-1B8SG-0826-SM-7EWF7 50-59 years, male 8.9
GTEX-1GN2E-1326-SM-9KNVG 60-69 years, male 8.9
GTEX-15SHW-1226-SM-6M46C 60-69 years, male 8.6
GTEX-ZYT6-1726-SM-5E44P 30-39 years, male 8.5
GTEX-18465-0926-SM-731AY 50-59 years, male 8.4
GTEX-1H23P-1226-SM-9QEJ2 60-69 years, male 8.3
GTEX-WK11-0826-SM-EZ6LH 50-59 years, male 8.2
GTEX-14C39-0926-SM-5TDDV 40-49 years, male 8.1
GTEX-WRHU-1226-SM-4E3IJ 50-59 years, female 8.1
GTEX-1JN1M-1026-SM-CNPOS 60-69 years, female 8.1
GTEX-14E6D-0926-SM-5S2QV 50-59 years, male 8.0
GTEX-11DXY-0826-SM-5EGGR 60-69 years, male 7.8
GTEX-11GS4-0526-SM-5A5KQ 60-69 years, male 7.8
GTEX-WWYW-1326-SM-3NB2S 50-59 years, female 7.8
GTEX-1KD4Q-0726-SM-DIPGE 40-49 years, male 7.8
GTEX-ZUA1-0826-SM-4YCDL 40-49 years, male 7.7
GTEX-SNMC-0126-SM-2XCFO 20-29 years, male 7.6
GTEX-1399T-0426-SM-5PNVJ 60-69 years, male 7.5
GTEX-13OW5-1126-SM-5J1NR 60-69 years, male 7.5
GTEX-N7MT-1326-SM-2I3FV 60-69 years, female 7.5
GTEX-12584-0926-SM-5FQTN 40-49 years, male 7.4
GTEX-147JS-1526-SM-5ZZWF 60-69 years, male 7.4
GTEX-14PJ2-1026-SM-6EU1M 50-59 years, male 7.4
GTEX-1LG7Y-1226-SM-CXZKD 50-59 years, male 7.4
GTEX-1J8Q2-1226-SM-A9G2W 60-69 years, male 7.3
GTEX-1JMOU-0226-SM-CNNPD 60-69 years, female 7.3
GTEX-1HCVE-1126-SM-9WPPG 50-59 years, male 7.2
GTEX-117YW-0326-SM-5N9CY 50-59 years, male 7.1
GTEX-1212Z-0626-SM-5FQTB 60-69 years, male 7.1
GTEX-P44G-0826-SM-2I5ES 30-39 years, male 7.1
GTEX-13NYB-0226-SM-5N9G4 40-49 years, male 6.8
GTEX-1I1GP-0826-SM-A96SD 50-59 years, male 6.5
GTEX-13OW8-2126-SM-5J1OS 60-69 years, male 6.2
GTEX-1GF9V-1626-SM-7PBXL 60-69 years, male 6.0
GTEX-11ZVC-0426-SM-5CVLD 50-59 years, female 5.9
GTEX-15SHU-1126-SM-7KUMB 40-49 years, female 5.6
GTEX-13N1W-1026-SM-5IJC5 70-79 years, male 5.4
GTEX-1EX96-2526-SM-7RHGW 50-59 years, male 5.4
GTEX-1H3NZ-1126-SM-9WYT9 60-69 years, male 5.3
GTEX-14BIL-1126-SM-79OMC 50-59 years, male 5.1
GTEX-1A8G6-1626-SM-7MGWO 60-69 years, male 5.0
GTEX-X261-1426-SM-4PQZ1 50-59 years, male 4.7
GTEX-147F4-1226-SM-5NQAY 50-59 years, male 4.6
GTEX-1C6VQ-1126-SM-7EWET 50-59 years, male 4.1
GTEX-T2IS-0426-SM-32QPE 20-29 years, female 3.5
GTEX-1JJE9-1426-SM-ARL8P 70-79 years, male 3.4
GTEX-13JVG-1326-SM-5N9F8 60-69 years, male 2.0
GTEX-1IDJH-1026-SM-E9TKH 70-79 years, male 0.0
Show allShow less

HEART MUSCLE - FANTOM5 CAGEi

RNA expression in human tissues obtained through Cap Analysis of Gene Expression (CAGE) generated by the FANTOM5 project are reported as Scaled Tags Per Million.

Max subtype Scaled Tags Per Millioni

Max subtype Scaled Tags Per Million is the value for the subtype with the largest average Scaled Tags Per Million across the subtype samples.

83.6
FANTOM5 sample id Sample description Scaled Tags Per Million
Heart
Scaled Tags Per Million: 56.7
FF:10016-101C7 70,73,74 years, mixed 56.7
Left atrium
Scaled Tags Per Million: 83.6
FF:10079-102A7 40 years, male 83.6
Left ventricle
Scaled Tags Per Million: 53.9
FF:10078-102A6 73 years, female 53.9

Contact

  • NEWS ARTICLES
  • PRESS ROOM

The Project

  • INTRODUCTION
  • ORGANIZATION
  • PUBLICATIONS

The Human Protein Atlas

  • DOWNLOADABLE DATA
  • LICENCE & CITATION
  • HELP & FAQ
The Human Protein Atlas project is funded
by the Knut & Alice Wallenberg Foundation.


contact@proteinatlas.org