We use cookies to enhance the usability of our website. If you continue, we'll assume that you are happy to receive all cookies. More information. Don't show this again.
PHB2
HPA
RESOURCES
  • TISSUE
  • BRAIN
  • SINGLE CELL
  • SUBCELLULAR
  • CANCER
  • BLOOD
  • CELL LINE
  • STRUCTURE & INTERACTION
ABOUT
  • INTRODUCTION
  • HISTORY
  • ORGANIZATION
  • PUBLICATIONS
  • ANTIBODY SUBMISSION
  • ANTIBODY AVAILABILITY
  • ACKNOWLEDGMENTS
  • CONTACT
NEWS
  • NEWS ARTICLES
  • PRESS ROOM
LEARN
  • DICTIONARY
  • PROTEIN CLASSES
  • PROTEIN EVIDENCE
  • METHODS
  • EDUCATIONAL VIDEOS
DATA
  • DOWNLOADABLE DATA
  • PUBLICATION DATA
  • RELEASE HISTORY
HELP
  • ANTIBODY VALIDATION
  • ASSAYS & ANNOTATION
  • DISCLAIMER
  • HELP & FAQ
  • PRIVACY STATEMENT
  • LICENCE & CITATION
Fields »
Search result

Field
Term
Gene name
Class
Subclass
Class
Keyword
Chromosome
External id
Tissue
Cell type
Expression
Antibody panel
Tissue
Main location
Patient ID
Annotation
Tissue
Category
Tau score
Cluster
Reliability
Brain region
Category
Tau score
Brain region
Category
Tau score
Brain region
Category
Tau score
Cluster
Reliability
Tissue
Cell type
Enrichment
Cell type
Category
Tau score
Cell type
Category
Tau score
Cell type
Category
Tau score
Cell lineage
Category
Tau score
Cluster
Cluster
Location
Searches
Location
Cell line
Class
Type
Phase
Reliability
Cancer
Prognosis
Cancer
Category
Cancer
Category
Tau score
Cluster
Variants
Interacting gene (ensg_id)
Type
Number of interactions
Pathway
Category
Score
Score
Score
Validation
Validation
Validation
Validation
Antibodies
Data type
Column


  • SUMMARY

  • TISSUE

  • BRAIN

  • SINGLE CELL

  • SUBCELL

  • CANCER

  • BLOOD

  • CELL LINE

  • STRUCT & INT

  • PHB2
TISSUE PRIMARY DATA SKIN Show tissue menu
ADIPOSE TISSUE ADRENAL GLAND AMYGDALA APPENDIX BASAL GANGLIA BONE MARROW BREAST BRONCHUS CEREBELLUM CEREBRAL CORTEX CERVIX CHOROID PLEXUS COLON DUODENUM
ENDOMETRIUM EPIDIDYMIS ESOPHAGUS FALLOPIAN TUBE GALLBLADDER HEART MUSCLE HIPPOCAMPAL FORMATION HYPOTHALAMUS KIDNEY LIVER LUNG LYMPH NODE MIDBRAIN NASOPHARYNX
ORAL MUCOSA OVARY PANCREAS PARATHYROID GLAND PITUITARY GLAND PLACENTA PROSTATE RECTUM RETINA SALIVARY GLAND SEMINAL VESICLE SKELETAL MUSCLE SKIN SMALL INTESTINE
SMOOTH MUSCLE SOFT TISSUE SPINAL CORD SPLEEN STOMACH TESTIS THYMUS THYROID GLAND TONGUE TONSIL URINARY BLADDER VAGINA
ANTIBODIES
AND
VALIDATION
Dictionary
Skin
Tissue proteome
Skin
SKIN - Expression summary
Protein expression
Skini

On the top, protein expression in current human tissue, based on all annotated cell types, is reported with the units not detected (n), low (l), medium (m) and high (h). Underneath, protein expression in each annotated cell type are reported using the same units.

Protein expression data is based on knowledge-based annotation. For genes where more than one antibody has been used, a collective score is set.

If knowledge-based annotation could not be performed for a gene, no data is displayed here. View antibody staining data further down this page.

h
m
l
n
Cells in basal layer: Medium
Cells in corneal layer: Not detected
Cells in granular layer: Medium
Cells in spinous layer: Medium
Eccrine glands: Medium
Endothelial cells: Medium
Extracellular matrix: Not detected
Fibrohistiocytic cells: High
Hair follicles: High
Langerhans cells: Medium
Lymphocytes: High
Melanocytes: Medium
Sebaceous glands: High
Vascular mural cells: Not detected
RNA expressioni

A summary of mRNA expression data available for current tissue based on several datasets. The mRNA expression levels in human tissues are based on RNA-seq data generated by the Human Protein Atlas (HPA), Genotype-Tissue Expression (GTEx) portal and CAGE data generated by the FANTOM5 consortium. Consensus normalized expression levels for human tissues was created by combining the data from HPA and GTEx datasets.

The mRNA expression levels in pig are based on RNA-seq data generated by the Human Protein Atlas (HPA), and for mouse, HPA data and in situ hybridization generated by the Allen brain atlas are reported.

Scroll down to view mRNA expression data in more detail.
Consensus:145.8 nTPM
HPA:106.2 nTPM
GTEx:145.8 nTPM

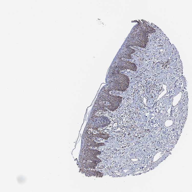
SKIN 1 - Antibody stainingi

Antibody staining in the annotated cell types in the current human tissue is reported as not detected, low, medium, or high, based on conventional immunohistochemistry profiling in selected tissues. This score is based on the combination of the staining intensity and fraction of stained cells.

Each image is clickable and will lead to virtual microscopy that enables deeper exploration of all samples and also displays staining intensity scores, fraction scores and subcellular localization as well as patient and tissue information for each sample.

Antibody HPA039874Antibody CAB014889Antibody CAB026335
Langerhans -MediumMedium
Cells in basal layer Medium--
Cells in corneal layer Not detected--
Cells in granular layer Medium--
Cells in spinous layer Medium--
Eccrine glands Medium--
Endothelial cells Medium--
Extracellular matrix Not detected--
Fibroblasts -Not detectedLow
Fibrohistiocytic cells High--
Hair follicles High--
Keratinocytes -MediumMedium
Langerhans cells Medium--
Lymphocytes High--
Melanocytes MediumNot detectedLow
Sebaceous glands High--
Vascular mural cells Not detected--




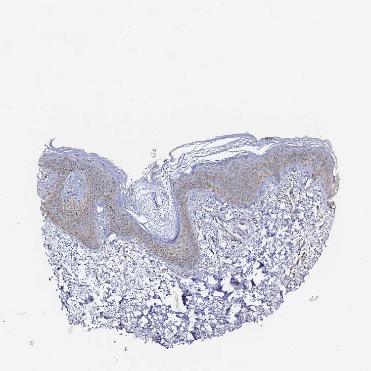
SKIN 2 - Antibody stainingi

Antibody staining in the annotated cell types in the current human tissue is reported as not detected, low, medium, or high, based on conventional immunohistochemistry profiling in selected tissues. This score is based on the combination of the staining intensity and fraction of stained cells.

Each image is clickable and will lead to virtual microscopy that enables deeper exploration of all samples and also displays staining intensity scores, fraction scores and subcellular localization as well as patient and tissue information for each sample.

Antibody HPA039874Antibody CAB014889Antibody CAB026335
Cells in basal layer Medium--
Cells in corneal layer Not detected--
Cells in granular layer Medium--
Cells in spinous layer Medium--
Endothelial cells Low--
Epidermal cells -MediumHigh
Extracellular matrix Not detected--
Fibrohistiocytic cells Medium--
Langerhans cells Medium--
Lymphocytes Medium--
Melanocytes Medium--
Vascular mural cells Not detected--
   
   
   
   
   





SKIN - HPA RNA-seqi

The RNA-seq details section shows detailed information about the individual samples used for the transcript profiling and results of the RNA-seq analysis.

Information about each individual sample is listed below, including gender, age, a tissue section image and estimated fractions of cell types. nTPM (normalized transcripts per million) values give a quantification of the gene abundance which is comparable between different genes and samples.
Average nTPMi

Max subtype nTPM is the value for the subtype with the largest average nTPM across the subtype samples.

106.2
overview
Female, age 34
Skin sample 225
nTPM: 117.6
Cell types%
Keratinocytes:
60

Other cell types:
40

overview
Female, age 30
Skin sample 226
nTPM: 95.9
Cell types%
Keratinocytes:
55

Other cell types:
45

N/A
Male, age 57
Skin sample 227
nTPM: 105.2

SKIN - GTEx RNA-seqi

RNA-Seq data generated by the Genotype-Tissue Expression (GTEx) project from human tissues is reported as mean nTPM. More information can be found on the GTEx portal.

Distribution across the dataset is visualized with box plots, shown as median and 25th and 75th percentiles. Points are displayed as outliers if they are above or below 1.5 times the interquartile range. nTPM values of the individual samples are presented next to the box plot.
Max subtype nTPMi

Max subtype nTPM is the value for the subtype with the largest average nTPM across the subtype samples.

145.8
GTEx sample id Sample description nTPM
Skin - Not Sun Exposed (Suprapubic)
Average nTPM: 141.5
Samples: 604

Max nTPM: 326.1
Min nTPM: 79.5
Std nTPM: 29.7
Median nTPM: 137.0
GTEX-1OJC3-1226-SM-DTXER 20-29 years, male 326.1
GTEX-X585-2426-SM-46MW2 50-59 years, male 270.6
GTEX-15RIE-1926-SM-7KUKJ 60-69 years, male 248.5
GTEX-1PIGE-1826-SM-E8VOU 20-29 years, male 243.1
GTEX-1IKOE-1426-SM-CE6T7 30-39 years, female 242.4
GTEX-15RIG-0726-SM-7KUM7 40-49 years, male 235.3
GTEX-Y114-2126-SM-4TT8B 50-59 years, female 234.0
GTEX-ZTX8-1326-SM-4YCEL 20-29 years, male 232.5
GTEX-1N2DV-1526-SM-DTXEP 40-49 years, male 232.1
GTEX-1QP9N-1226-SM-E76QN 30-39 years, male 229.8
GTEX-WFG7-2026-SM-5SI7P 20-29 years, male 228.4
GTEX-1HSMP-0926-SM-A9SKX 70-79 years, male 225.2
GTEX-11DXX-2126-SM-5PNYR 60-69 years, female 217.7
GTEX-12WSJ-1126-SM-5LZVJ 40-49 years, female 214.7
GTEX-1E2YA-2126-SM-7MXUO 50-59 years, male 214.0
GTEX-131XG-0326-SM-5L3DX 50-59 years, female 212.2
GTEX-15G1A-1626-SM-7KUKN 30-39 years, male 211.8
GTEX-1PPH8-0126-SM-EWRN8 20-29 years, male 211.7
GTEX-ZT9X-1526-SM-5DUXD 40-49 years, male 205.3
GTEX-1QCLY-0226-SM-EWRNH 30-39 years, male 204.2
GTEX-ZPU1-1126-SM-4YCF3 40-49 years, male 201.6
GTEX-14ICL-1626-SM-5YYAO 30-39 years, male 201.1
GTEX-Y3IK-1626-SM-4YCF5 50-59 years, female 200.7
GTEX-XBEW-1126-SM-4QARW 40-49 years, male 200.6
GTEX-WI4N-2726-SM-3LK7Y 40-49 years, female 198.3
GTEX-ZTTD-2826-SM-4YCFA 50-59 years, male 197.5
GTEX-14XAO-1226-SM-6EU1C 60-69 years, female 195.6
GTEX-Y111-0626-SM-4SOIT 50-59 years, male 195.3
GTEX-ZYW4-0626-SM-59HJR 60-69 years, male 193.8
GTEX-14PJ3-1126-SM-5ZZVX 50-59 years, male 193.5
GTEX-111YS-1526-SM-5GZYW 60-69 years, male 193.4
GTEX-1A3MW-0626-SM-731CB 60-69 years, female 192.1
GTEX-WXYG-2026-SM-4E3IY 50-59 years, female 192.0
GTEX-Y3I4-1726-SM-4TT89 50-59 years, male 192.0
GTEX-1AYD5-2626-SM-7PBXY 50-59 years, male 191.4
GTEX-Y5V6-2326-SM-4VDSA 60-69 years, male 191.3
GTEX-YEC4-1826-SM-4W1YP 40-49 years, male 190.8
GTEX-11P7K-1126-SM-5HL4L 30-39 years, male 190.5
GTEX-1JN76-0626-SM-CKZOQ 20-29 years, female 190.3
GTEX-14E1K-2026-SM-7DUEI 50-59 years, male 189.9
GTEX-11DYG-1526-SM-5A5JS 60-69 years, male 188.7
GTEX-13X6H-0926-SM-5SIB2 50-59 years, female 188.1
GTEX-ZPIC-0526-SM-DO91W 40-49 years, female 187.9
GTEX-14PHX-2226-SM-6EU2P 50-59 years, male 187.4
GTEX-ZF29-0926-SM-4WKFZ 60-69 years, female 187.0
GTEX-ZPCL-1126-SM-4WWFE 60-69 years, female 185.3
GTEX-1S3DN-2126-SM-E9TIN 50-59 years, male 185.2
GTEX-11DXZ-2026-SM-5987S 50-59 years, male 184.8
GTEX-14DAR-1226-SM-73KYV 50-59 years, male 184.1
GTEX-1JMPY-0226-SM-CKZOK 30-39 years, male 183.7
GTEX-1399S-0126-SM-5IJCF 30-39 years, female 183.3
GTEX-1CAMS-2226-SM-7PBXQ 40-49 years, female 181.8
GTEX-11OF3-0126-SM-5PNYF 60-69 years, male 180.6
GTEX-1F75I-2226-SM-7SB8U 40-49 years, male 179.9
GTEX-1QP28-1126-SM-EVYC4 50-59 years, female 179.3
GTEX-13NYB-0126-SM-5J1MD 40-49 years, male 178.7
GTEX-ZDTS-0826-SM-4WKHL 60-69 years, male 178.1
GTEX-1I6K7-1926-SM-B2LXR 40-49 years, male 178.0
GTEX-144FL-0626-SM-5LU43 50-59 years, male 177.7
GTEX-15SHW-0226-SM-7LTAT 60-69 years, male 177.0
GTEX-WHSB-1326-SM-3LK6W 50-59 years, male 176.8
GTEX-14PHY-1226-SM-5ZZWK 60-69 years, female 176.4
GTEX-WHWD-1826-SM-3LK6I 50-59 years, male 176.1
GTEX-ZF2S-1626-SM-57WES 50-59 years, female 176.1
GTEX-ZY6K-1426-SM-5GZX2 50-59 years, male 175.7
GTEX-WH7G-2026-SM-3NMBL 40-49 years, male 175.6
GTEX-131XF-2626-SM-5EQ6K 60-69 years, male 175.3
GTEX-1E1VI-0326-SM-793D1 50-59 years, male 175.2
GTEX-145MN-1526-SM-5SI9T 30-39 years, male 175.1
GTEX-1HCUA-0826-SM-ADEHM 50-59 years, female 174.9
GTEX-1LKK1-2626-SM-DKPQE 50-59 years, female 174.8
GTEX-13X6K-0626-SM-5LU5D 60-69 years, female 173.9
GTEX-1JMQK-1226-SM-D4P2S 60-69 years, male 173.8
GTEX-13JVG-0726-SM-5KM16 60-69 years, male 173.6
GTEX-17F9E-2326-SM-79OKD 50-59 years, male 173.5
GTEX-YFCO-1226-SM-5LUAT 40-49 years, male 173.2
GTEX-1GPI7-1826-SM-9KNU1 20-29 years, male 173.1
GTEX-Y8E4-2026-SM-5IFJB 40-49 years, male 172.9
GTEX-13N11-2326-SM-5IJBF 50-59 years, female 172.7
GTEX-1F6I4-2326-SM-7RHGL 60-69 years, male 172.5
GTEX-1497J-0226-SM-5QGPU 60-69 years, male 172.1
GTEX-12BJ1-0926-SM-5EQ62 60-69 years, male 172.0
GTEX-18A67-1626-SM-7LT9T 50-59 years, male 171.9
GTEX-W5X1-2526-SM-3GILC 40-49 years, female 171.9
GTEX-YEC3-1326-SM-DO92X 50-59 years, male 171.3
GTEX-13OVG-1626-SM-5J1NF 60-69 years, male 170.9
GTEX-13FTX-1526-SM-5K7VJ 20-29 years, female 170.7
GTEX-17MFQ-1526-SM-7KFRR 20-29 years, male 170.7
GTEX-1B97I-0626-SM-73KUZ 40-49 years, male 170.7
GTEX-1JMLX-0626-SM-ARL8T 50-59 years, male 170.5
GTEX-144GO-2026-SM-5O99P 60-69 years, male 170.0
GTEX-18QFQ-1826-SM-72D52 30-39 years, male 169.6
GTEX-1QW4Y-1126-SM-DTXE3 30-39 years, male 169.3
GTEX-1MJK3-0726-SM-E6CJC 20-29 years, male 169.0
GTEX-15UF6-1926-SM-7KUDV 70-79 years, female 168.8
GTEX-15RJ7-2126-SM-6PAMD 40-49 years, male 168.6
GTEX-18D9B-0926-SM-7LG4U 60-69 years, male 168.2
GTEX-1GN1W-2426-SM-9KNUU 50-59 years, female 167.8
GTEX-17F96-0126-SM-7EWDU 70-79 years, male 167.7
GTEX-15RJE-2826-SM-7KUM9 40-49 years, male 167.5
GTEX-1F6IF-0926-SM-7SB7M 60-69 years, male 167.5
GTEX-ZA64-1026-SM-5HL8R 20-29 years, male 166.5
GTEX-1NV5F-0626-SM-DTXEG 60-69 years, female 166.1
GTEX-1H2FU-0926-SM-9WPPT 60-69 years, female 165.9
GTEX-17F97-2626-SM-7IGM5 50-59 years, male 165.8
GTEX-X3Y1-2026-SM-3P5YM 40-49 years, male 165.8
GTEX-1RAZA-2226-SM-E9U4X 20-29 years, male 165.5
GTEX-1HSMQ-2626-SM-A9SML 50-59 years, male 165.3
GTEX-X5EB-1926-SM-4E3IW 40-49 years, male 165.2
GTEX-1I1GU-0926-SM-ACKVS 40-49 years, male 165.0
GTEX-XXEK-1626-SM-4BRUZ 50-59 years, male 164.1
GTEX-1399Q-2326-SM-5KM2X 40-49 years, male 164.0
GTEX-ZLFU-1826-SM-4WWBV 40-49 years, male 163.8
GTEX-13NYS-0626-SM-5L3F1 60-69 years, male 163.7
GTEX-1AX8Z-0726-SM-73KTS 60-69 years, male 163.5
GTEX-1LVAN-0626-SM-CNPOQ 50-59 years, female 163.5
GTEX-1117F-2926-SM-5GZYI 60-69 years, female 163.4
GTEX-1H11D-1826-SM-9QEHM 40-49 years, male 163.4
GTEX-1PPH7-1126-SM-DTX9A 40-49 years, male 163.3
GTEX-131XH-0126-SM-5LZUY 50-59 years, male 163.2
GTEX-11ZU8-0126-SM-5EQ58 60-69 years, male 162.4
GTEX-YECK-0326-SM-4W1YS 60-69 years, male 162.4
GTEX-1122O-1026-SM-9WYSF 60-69 years, female 162.4
GTEX-14PJO-2526-SM-6AJBQ 60-69 years, male 162.1
GTEX-17F98-1326-SM-7DUEP 40-49 years, female 162.0
GTEX-1PIIG-2326-SM-DTXFR 30-39 years, male 161.5
GTEX-147F3-1726-SM-5SIAW 50-59 years, female 161.0
GTEX-YB5K-2026-SM-4VDT3 40-49 years, female 161.0
GTEX-17HGU-2326-SM-7DUFE 50-59 years, male 160.9
GTEX-17KNJ-2126-SM-718AM 50-59 years, male 160.8
GTEX-1B8KE-1126-SM-7EPHI 50-59 years, male 160.5
GTEX-1H1DE-1326-SM-9KNUG 20-29 years, male 160.0
GTEX-1LGRB-0926-SM-COH3K 50-59 years, female 159.9
GTEX-ZZ64-1026-SM-5GZXG 20-29 years, male 159.8
GTEX-1R9PM-1926-SM-EVR3O 20-29 years, male 159.4
GTEX-1HGF4-0126-SM-CNPPX 60-69 years, male 159.1
GTEX-1RAZQ-1326-SM-E9TK6 30-39 years, male 159.1
GTEX-ZF3C-0626-SM-DO92O 50-59 years, female 159.1
GTEX-16NPX-0726-SM-7KULC 50-59 years, male 159.0
GTEX-146FQ-2126-SM-5RQHU 30-39 years, male 158.9
GTEX-1QP2A-1726-SM-E76QC 50-59 years, male 158.9
GTEX-13D11-0926-SM-5J2NC 50-59 years, female 158.4
GTEX-14PJ4-0226-SM-5YY92 60-69 years, male 158.4
GTEX-ZE7O-2726-SM-51MT5 50-59 years, female 158.3
GTEX-13RTJ-0126-SM-5S2NN 60-69 years, male 158.2
GTEX-ZDTT-0426-SM-4WKFL 60-69 years, male 158.2
GTEX-1192X-2726-SM-5N9DN 50-59 years, male 158.0
GTEX-14PJ5-1526-SM-6LLIL 60-69 years, female 157.8
GTEX-1F48J-0726-SM-7RHGS 50-59 years, female 157.8
GTEX-14ABY-2026-SM-62LDL 50-59 years, male 157.7
GTEX-111CU-1126-SM-5EGIM 50-59 years, male 157.5
GTEX-ZVZP-1226-SM-5GID7 50-59 years, male 157.4
GTEX-1HBPN-0126-SM-CGQEF 50-59 years, male 157.4
GTEX-13G51-1826-SM-5KLZH 60-69 years, male 157.3
GTEX-16AAH-0626-SM-793C9 50-59 years, male 157.2
GTEX-145LT-0526-SM-5LUB2 40-49 years, male 157.0
GTEX-1I6K6-1726-SM-CGQFD 30-39 years, male 156.9
GTEX-1LVA9-2626-SM-EVYD4 50-59 years, male 156.7
GTEX-1QPFJ-1926-SM-EVYBD 30-39 years, female 156.3
GTEX-144GM-0526-SM-79OJO 20-29 years, male 155.9
GTEX-1J1OQ-0126-SM-D4P2N 40-49 years, female 155.8
GTEX-1LGOU-1326-SM-D3L8M 20-29 years, female 155.7
GTEX-1ICLZ-0326-SM-ARL82 60-69 years, male 155.6
GTEX-ZYT6-2326-SM-5GZY3 30-39 years, male 155.5
GTEX-11WQC-1826-SM-5GU59 60-69 years, male 155.4
GTEX-12WSF-1626-SM-7KUG5 70-79 years, male 155.0
GTEX-1GMR3-0126-SM-A9SLW 40-49 years, male 154.8
GTEX-1QAET-0326-SM-EVR3U 50-59 years, male 154.8
GTEX-13U4I-2226-SM-5LU5H 40-49 years, female 154.6
GTEX-183WM-0326-SM-72D5V 70-79 years, female 154.6
GTEX-1JK1U-0226-SM-ARZMX 60-69 years, male 154.6
GTEX-139TS-2126-SM-5K7XC 60-69 years, male 154.3
GTEX-18A66-0626-SM-7LT8Z 60-69 years, male 154.3
GTEX-Y8LW-1526-SM-5IFHL 50-59 years, female 154.2
GTEX-13O61-1426-SM-5KM3D 60-69 years, male 154.0
GTEX-1JKYR-0626-SM-ARL8R 20-29 years, male 154.0
GTEX-12126-0826-SM-5FQTZ 20-29 years, male 153.8
GTEX-13113-1626-SM-5EQ4I 60-69 years, female 153.8
GTEX-1A3MV-1826-SM-731CD 30-39 years, male 153.8
GTEX-15DYW-2726-SM-6EU2I 60-69 years, female 153.7
GTEX-11P82-1426-SM-DTXFY 20-29 years, male 153.7
GTEX-1CB4J-1326-SM-7P8RX 60-69 years, male 153.5
GTEX-11NSD-0626-SM-5A5LU 20-29 years, male 153.3
GTEX-11WQK-1026-SM-5EQLX 50-59 years, male 152.8
GTEX-139TT-2126-SM-5LZWC 60-69 years, male 152.7
GTEX-1GZ4H-0526-SM-9KNU9 50-59 years, female 152.7
GTEX-17HHE-1326-SM-7EWDZ 50-59 years, male 152.3
GTEX-14E6E-0526-SM-793DN 30-39 years, male 152.1
GTEX-16YQH-2226-SM-7IGM2 30-39 years, male 152.1
GTEX-1IY9M-2826-SM-ARU8H 60-69 years, male 151.9
GTEX-1HBPI-2126-SM-ARL9K 50-59 years, male 151.5
GTEX-11P81-2226-SM-5PNYI 30-39 years, female 151.2
GTEX-XQ3S-1426-SM-4BOPR 20-29 years, male 151.0
GTEX-1GMR2-0826-SM-7PC3V 50-59 years, male 150.9
GTEX-1IKJJ-2226-SM-CJI4C 60-69 years, male 150.9
GTEX-14PJN-1826-SM-6AJ98 30-39 years, male 150.8
GTEX-1F5PK-2226-SM-7SB6N 50-59 years, male 150.8
GTEX-ZYVF-0926-SM-5E44J 50-59 years, female 150.7
GTEX-13112-0126-SM-5P9IU 50-59 years, male 150.6
GTEX-145MG-1526-SM-5Q5EM 50-59 years, male 150.5
GTEX-14AS3-1526-SM-5Q5ED 40-49 years, female 150.5
GTEX-1RLM8-2926-SM-E8VON 50-59 years, male 150.1
GTEX-1CB4E-0926-SM-7EPHT 60-69 years, male 150.0
GTEX-16MT8-2926-SM-7DUFO 60-69 years, female 149.9
GTEX-1211K-1526-SM-5FQU4 60-69 years, female 149.8
GTEX-18D9U-0126-SM-731BM 40-49 years, male 149.8
GTEX-14C39-1726-SM-5RQIL 40-49 years, male 149.7
GTEX-1HC8U-1326-SM-9YFMJ 40-49 years, female 149.6
GTEX-13FHO-0426-SM-5L3F5 60-69 years, male 149.5
GTEX-1H1ZS-2726-SM-9WG75 70-79 years, male 149.4
GTEX-13FTY-2126-SM-5IFFB 40-49 years, female 149.1
GTEX-14C38-0726-SM-5SI6M 50-59 years, male 149.1
GTEX-15CHR-1126-SM-7EWF4 50-59 years, male 149.0
GTEX-1NSGN-0726-SM-DTXEF 50-59 years, male 149.0
GTEX-1I1GT-1026-SM-ARZLV 60-69 years, female 148.7
GTEX-117YX-1926-SM-5GIEC 50-59 years, male 148.6
GTEX-Y5LM-0926-SM-6LLJG 40-49 years, female 148.6
GTEX-ZDYS-2426-SM-4WKGI 50-59 years, male 148.6
GTEX-1HFI7-2326-SM-CGQFS 50-59 years, female 148.4
GTEX-1H1DG-2426-SM-9QEHJ 70-79 years, male 148.3
GTEX-11DZ1-2426-SM-5GZZX 50-59 years, male 148.1
GTEX-11ZTT-2126-SM-5CVLO 60-69 years, female 147.6
GTEX-1HFI6-0126-SM-CNPPI 40-49 years, male 147.5
GTEX-139YR-1026-SM-5LZYN 50-59 years, male 147.3
GTEX-ZYFG-1526-SM-5GZYM 60-69 years, female 147.3
GTEX-12696-0126-SM-5EQ4L 60-69 years, male 147.2
GTEX-139TU-0726-SM-5L3EK 60-69 years, male 147.2
GTEX-13W3W-0726-SM-5IJDQ 60-69 years, female 147.2
GTEX-12WSD-0626-SM-5GCMW 60-69 years, female 146.7
GTEX-16MTA-0926-SM-6M47Z 50-59 years, male 146.6
GTEX-XV7Q-1826-SM-4BRUV 40-49 years, female 146.6
GTEX-1MCYP-0526-SM-E9U6Q 20-29 years, female 146.2
GTEX-1C64N-2626-SM-7PC2N 50-59 years, male 146.1
GTEX-18A6Q-0626-SM-7KFRP 60-69 years, male 145.7
GTEX-1LSNM-0826-SM-DIPG8 50-59 years, male 145.7
GTEX-1JMOU-1026-SM-CYPSS 60-69 years, female 145.4
GTEX-1H1E6-0426-SM-9WYUS 30-39 years, male 145.3
GTEX-Z93S-1626-SM-5CVMB 50-59 years, male 145.2
GTEX-1S82P-2126-SM-E6CI5 60-69 years, female 145.0
GTEX-11EQ9-1626-SM-5PNY8 30-39 years, male 144.4
GTEX-12WSK-2126-SM-5CVNC 40-49 years, female 144.4
GTEX-1F52S-2926-SM-7MKGA 60-69 years, female 144.4
GTEX-U8XE-0226-SM-4E3J3 30-39 years, male 144.4
GTEX-1CB4I-0126-SM-7RHGG 50-59 years, male 144.3
GTEX-1C6VQ-1226-SM-73KYD 50-59 years, male 144.2
GTEX-12ZZY-0726-SM-5EQ66 60-69 years, male 144.0
GTEX-13PVR-0426-SM-5RQK2 60-69 years, female 144.0
GTEX-XQ8I-0926-SM-4BOOF 50-59 years, male 143.9
GTEX-1EH9U-2826-SM-7DUGT 60-69 years, male 143.6
GTEX-132AR-0326-SM-5KM2C 50-59 years, female 143.4
GTEX-1GTWX-2026-SM-9YFLM 60-69 years, male 143.2
GTEX-1S82U-1026-SM-E6CJK 30-39 years, female 143.2
GTEX-1RB15-1326-SM-E76Q9 60-69 years, male 143.1
GTEX-13IVO-0726-SM-5LZYV 70-79 years, male 142.9
GTEX-1RMOY-1326-SM-E9TIH 50-59 years, male 142.8
GTEX-ZVP2-0326-SM-57WBP 50-59 years, male 142.7
GTEX-XYKS-1426-SM-4BRUO 60-69 years, female 142.6
GTEX-1PPGY-1626-SM-EVYBL 60-69 years, male 142.5
GTEX-1JMQJ-0826-SM-CNPP7 50-59 years, male 142.4
GTEX-1399U-1126-SM-5L3DB 50-59 years, female 142.3
GTEX-178AV-1726-SM-7KUL8 40-49 years, male 142.3
GTEX-1I1GP-1326-SM-A9G28 50-59 years, male 142.2
GTEX-18D9A-1426-SM-7LT8M 30-39 years, female 142.1
GTEX-1HCU6-2526-SM-ADEHL 60-69 years, female 142.1
GTEX-111VG-1626-SM-5EGIO 60-69 years, male 142.0
GTEX-13OW5-2326-SM-5L3HO 60-69 years, male 142.0
GTEX-14C5O-0326-SM-5ZZUX 60-69 years, male 142.0
GTEX-XAJ8-1426-SM-47JYM 40-49 years, male 141.9
GTEX-13VXT-1926-SM-5K7UO 20-29 years, female 141.7
GTEX-1HCU7-0726-SM-A9SL1 50-59 years, male 141.3
GTEX-1KXAM-1626-SM-D3LAD 60-69 years, male 141.3
GTEX-1PDJ9-1226-SM-EXUSX 20-29 years, male 141.3
GTEX-1IDJC-1526-SM-B2LW4 50-59 years, male 141.2
GTEX-1S5ZU-2526-SM-E6CIF 20-29 years, female 141.1
GTEX-14LZ3-0126-SM-69LPM 60-69 years, female 141.0
GTEX-UPJH-0226-SM-3GADV 50-59 years, male 140.6
GTEX-147F4-0726-SM-5TDDD 50-59 years, male 140.3
GTEX-13OVJ-0826-SM-5J1OK 50-59 years, female 140.0
GTEX-17HII-1426-SM-7EPGG 50-59 years, male 140.0
GTEX-1AX9I-2226-SM-73KUO 60-69 years, male 140.0
GTEX-WY7C-2126-SM-3NB2R 50-59 years, male 139.4
GTEX-1JJEA-1826-SM-ARU8P 60-69 years, male 139.4
GTEX-1K2DU-1226-SM-CYPT4 20-29 years, male 139.4
GTEX-12WSH-1526-SM-5BC5W 50-59 years, male 139.3
GTEX-15G19-2426-SM-7KUMR 60-69 years, male 139.3
GTEX-16BQI-1326-SM-6M486 30-39 years, female 139.2
GTEX-16NGA-0726-SM-731AO 40-49 years, female 139.1
GTEX-15EU6-2226-SM-6EU2L 50-59 years, male 139.0
GTEX-1J1R8-2026-SM-CL53Y 40-49 years, male 139.0
GTEX-1C6WA-2626-SM-7MKGM 60-69 years, male 138.8
GTEX-1F5PL-0926-SM-7PC2W 40-49 years, female 138.4
GTEX-1GZ2Q-0126-SM-9WG6M 40-49 years, male 138.4
GTEX-1LSVX-2526-SM-DIPEU 60-69 years, male 138.4
GTEX-1R7EU-1626-SM-DTXG3 60-69 years, male 138.3
GTEX-11VI4-1126-SM-5EQMD 40-49 years, female 138.1
GTEX-1BAJH-2426-SM-7IGP8 70-79 years, male 138.0
GTEX-1J8Q3-0526-SM-ARL8U 60-69 years, male 137.7
GTEX-12ZZZ-0726-SM-5GCNZ 60-69 years, male 137.6
GTEX-1H3O1-1326-SM-9MQLD 60-69 years, male 137.3
GTEX-ZZPU-0826-SM-5GZX5 50-59 years, female 137.2
GTEX-1CAMR-1326-SM-7PC1F 20-29 years, male 137.2
GTEX-1IDJF-2026-SM-CL53V 20-29 years, male 137.1
GTEX-UPK5-0426-SM-3GAEK 40-49 years, male 137.0
GTEX-1KANC-1226-SM-CYPT7 50-59 years, female 137.0
GTEX-XBED-1926-SM-47JYP 60-69 years, male 136.9
GTEX-133LE-2326-SM-5K7W3 20-29 years, female 136.8
GTEX-1I19N-0126-SM-CYPSF 70-79 years, male 136.8
GTEX-12ZZX-2426-SM-5GCOE 40-49 years, female 136.5
GTEX-1PBJJ-1026-SM-E76OS 30-39 years, male 136.4
GTEX-11DXY-0126-SM-5H11Q 60-69 years, male 136.2
GTEX-13YAN-0226-SM-5TDC6 60-69 years, male 136.0
GTEX-X8HC-0626-SM-4E3HQ 50-59 years, female 136.0
GTEX-1HT8W-0626-SM-A9G2H 30-39 years, male 136.0
GTEX-147GR-2426-SM-5ZZWQ 60-69 years, male 135.9
GTEX-WK11-2726-SM-3NMAQ 50-59 years, male 135.7
GTEX-145MH-2826-SM-5RQJF 50-59 years, male 135.6
GTEX-ZAJG-1526-SM-5CVML 50-59 years, female 135.5
GTEX-ZP4G-1426-SM-4WWCL 20-29 years, female 135.5
GTEX-1B996-0426-SM-7EWF8 60-69 years, male 135.0
GTEX-X4EO-2926-SM-4E3JH 60-69 years, female 135.0
GTEX-13X6I-1826-SM-5SIAO 60-69 years, male 134.9
GTEX-1LBAC-0826-SM-CY8IJ 20-29 years, male 134.9
GTEX-1O9I2-0226-SM-EYYXD 50-59 years, male 134.7
GTEX-XK95-0226-SM-4AT58 40-49 years, male 134.6
GTEX-1EU9M-1426-SM-793AI 60-69 years, male 134.3
GTEX-1H1CY-0126-SM-9YFLY 60-69 years, female 134.3
GTEX-12C56-1526-SM-5FQUQ 20-29 years, male 134.1
GTEX-14PKV-1126-SM-6LLJ1 20-29 years, female 134.1
GTEX-1B8KZ-0326-SM-73KY4 50-59 years, male 134.1
GTEX-Y9LG-1126-SM-4VBQ7 30-39 years, male 134.0
GTEX-14PJ6-2626-SM-6EU2T 60-69 years, female 133.8
GTEX-139D8-1126-SM-5LU8W 30-39 years, female 133.7
GTEX-13FH7-1126-SM-5K7UG 50-59 years, female 133.7
GTEX-1GF9V-0826-SM-9KNUV 60-69 years, male 133.6
GTEX-1HKZK-0726-SM-ACKW2 40-49 years, male 133.6
GTEX-13QBU-1226-SM-5LU4G 40-49 years, female 133.4
GTEX-13QJC-0126-SM-5ZZWJ 60-69 years, female 133.2
GTEX-1F75A-0726-SM-7RHHD 50-59 years, male 132.9
GTEX-15DDE-2926-SM-6LLJ3 50-59 years, female 132.8
GTEX-1I1GV-0626-SM-ARL7M 60-69 years, male 132.4
GTEX-13FTW-0326-SM-5K7UW 40-49 years, male 132.3
GTEX-15ER7-0626-SM-6PANF 20-29 years, female 132.3
GTEX-14JG6-1426-SM-9WG7C 30-39 years, female 132.2
GTEX-1QP29-1826-SM-DTX9S 50-59 years, male 132.2
GTEX-14BMU-1226-SM-5S2OR 20-29 years, female 132.1
GTEX-1I1GS-2626-SM-B2LY3 60-69 years, male 132.1
GTEX-1JJ6O-2726-SM-CNPOG 60-69 years, male 131.9
GTEX-13SLX-2226-SM-62LEP 50-59 years, female 131.8
GTEX-1K2DA-1026-SM-CGQGF 50-59 years, male 131.6
GTEX-14PII-0726-SM-6EU2B 60-69 years, male 131.5
GTEX-WEY5-2326-SM-3GIKK 40-49 years, female 131.4
GTEX-ZVTK-0226-SM-51MRG 20-29 years, male 131.4
GTEX-1GN73-0726-SM-7P8TJ 60-69 years, male 131.4
GTEX-1GN1V-2826-SM-9JGIA 60-69 years, male 131.3
GTEX-1JJE9-2626-SM-ARZMT 70-79 years, male 131.2
GTEX-1J8QM-2426-SM-A9SLS 60-69 years, female 131.1
GTEX-ZWKS-0626-SM-5GIDV 30-39 years, male 130.8
GTEX-ZAK1-0626-SM-5HL8E 50-59 years, female 130.6
GTEX-1JMQL-2226-SM-CNPP4 50-59 years, female 130.6
GTEX-1399R-1326-SM-5PNYS 30-39 years, male 130.3
GTEX-1B933-2426-SM-7DHMD 50-59 years, female 130.3
GTEX-1JN1M-2726-SM-CY8I4 60-69 years, female 130.1
GTEX-1R46S-2426-SM-E76QA 60-69 years, female 129.9
GTEX-1C64O-1326-SM-7MGWR 60-69 years, male 129.8
GTEX-1313W-0626-SM-5EQ4H 50-59 years, female 129.6
GTEX-WFON-1926-SM-3LK7L 40-49 years, male 129.4
GTEX-XPVG-2126-SM-4B667 50-59 years, male 129.4
GTEX-1N5O9-0926-SM-E9J3C 60-69 years, male 129.4
GTEX-XMD2-2126-SM-4YCF8 60-69 years, female 129.2
GTEX-11ZUS-2626-SM-5FQUR 30-39 years, male 129.1
GTEX-WHPG-2626-SM-3NMBR 50-59 years, male 129.1
GTEX-1C2JI-1026-SM-73KY1 50-59 years, male 128.8
GTEX-1EX96-1026-SM-7MKG2 50-59 years, male 128.8
GTEX-11PRG-0726-SM-5EGL1 50-59 years, male 128.6
GTEX-1EN7A-2426-SM-793DB 40-49 years, male 128.6
GTEX-16MT9-0126-SM-7EPI8 60-69 years, female 128.4
GTEX-1H3VE-0726-SM-9YFL5 40-49 years, male 128.2
GTEX-11TT1-1826-SM-5EQLV 20-29 years, male 127.8
GTEX-14PKU-0126-SM-6LLHV 40-49 years, female 127.8
GTEX-15EO6-2426-SM-6PALZ 50-59 years, male 127.7
GTEX-14JFF-0626-SM-5ZZVT 60-69 years, male 127.7
GTEX-13OVH-0526-SM-5L3E6 70-79 years, male 127.6
GTEX-14753-0726-SM-5QGQO 60-69 years, male 127.6
GTEX-ZDXO-3126-SM-5IJDF 60-69 years, male 127.6
GTEX-14JG1-1526-SM-5YY9X 40-49 years, male 127.5
GTEX-14PK6-0226-SM-62LF5 70-79 years, female 127.5
GTEX-YJ8O-2526-SM-5HL85 40-49 years, female 127.5
GTEX-1F75B-0726-SM-7PC3R 50-59 years, male 126.8
GTEX-139UW-0326-SM-5J1ML 60-69 years, male 126.7
GTEX-1C475-1326-SM-7SB73 40-49 years, female 126.6
GTEX-1GZ4I-2626-SM-9KNU3 50-59 years, male 126.6
GTEX-1KD5A-0126-SM-E9U54 50-59 years, male 126.5
GTEX-1LVAM-0726-SM-E6CIL 50-59 years, female 126.4
GTEX-13O3Q-0126-SM-5KM34 50-59 years, male 126.3
GTEX-1B8SF-0126-SM-7DUG3 60-69 years, male 126.3
GTEX-11EM3-1226-SM-5N9DD 20-29 years, female 126.2
GTEX-ZXG5-2126-SM-59HKD 60-69 years, male 126.2
GTEX-11O72-0626-SM-5PNYE 40-49 years, male 126.1
GTEX-145ME-1726-SM-5Q5EU 40-49 years, female 126.1
GTEX-17EVQ-0126-SM-7IGLR 70-79 years, male 126.0
GTEX-ZGAY-1826-SM-DO91Q 40-49 years, female 126.0
GTEX-14E6C-2426-SM-5S2NF 40-49 years, male 125.9
GTEX-1QP66-1226-SM-DTX7U 50-59 years, male 125.9
GTEX-ZC5H-1526-SM-5HL9Y 40-49 years, female 125.8
GTEX-14A5H-0826-SM-5QGPJ 60-69 years, male 125.7
GTEX-1KANA-1326-SM-DIPFA 20-29 years, male 125.7
GTEX-1GN1U-0626-SM-9MQL9 50-59 years, female 125.5
GTEX-1IE54-1126-SM-A9G2Z 40-49 years, female 125.4
GTEX-1S831-1826-SM-EWROF 20-29 years, male 125.4
GTEX-ZLV1-1526-SM-DO91J 60-69 years, female 125.4
GTEX-ZYY3-2926-SM-5GIEB 60-69 years, female 125.2
GTEX-1GMRU-2126-SM-7P8RA 50-59 years, male 124.9
GTEX-1J8EW-2726-SM-CY8HR 60-69 years, female 124.8
GTEX-12WSL-2026-SM-5GCML 50-59 years, male 124.7
GTEX-1GL5R-1326-SM-7RHHF 50-59 years, male 124.7
GTEX-ZLWG-0826-SM-59888 50-59 years, female 124.6
GTEX-1H4P4-2126-SM-9WYSL 50-59 years, male 124.6
GTEX-1N2EE-0626-SM-E76PW 60-69 years, male 124.6
GTEX-XUW1-0926-SM-4BONX 50-59 years, female 124.2
GTEX-14B4R-1326-SM-5Q5EZ 30-39 years, male 124.1
GTEX-1GMR8-0626-SM-7RHI7 50-59 years, female 124.0
GTEX-15D1Q-2826-SM-6LLH7 40-49 years, male 123.9
GTEX-1CAMQ-1326-SM-7P8RV 40-49 years, male 123.8
GTEX-15FZZ-0526-SM-7KUGD 30-39 years, female 123.6
GTEX-ZVT2-0126-SM-5GIDQ 50-59 years, female 123.6
GTEX-12KS4-2126-SM-5FQUT 30-39 years, male 123.5
GTEX-13OVK-1426-SM-6PAN7 40-49 years, male 123.5
GTEX-11NUK-2726-SM-5A5MC 50-59 years, male 123.4
GTEX-WHSE-0126-SM-3NMBT 20-29 years, male 123.3
GTEX-1GPI6-1926-SM-9KNV7 60-69 years, male 123.2
GTEX-1RAZR-2126-SM-E9U6T 40-49 years, male 123.1
GTEX-1GF9W-1426-SM-7PBYM 60-69 years, male 123.0
GTEX-16XZZ-0726-SM-7KUF2 60-69 years, male 122.9
GTEX-1A32A-0626-SM-731AQ 50-59 years, female 122.9
GTEX-16Z82-2626-SM-7KULU 60-69 years, male 122.6
GTEX-1I4MK-0126-SM-CY8G6 50-59 years, female 122.6
GTEX-1QCLZ-2426-SM-EVYBW 60-69 years, female 122.5
GTEX-1LB8K-0726-SM-D5OV2 50-59 years, male 122.4
GTEX-1OJC4-2726-SM-E76PJ 50-59 years, female 122.4
GTEX-14BMV-2826-SM-5TDED 50-59 years, male 122.3
GTEX-1CB4F-1026-SM-7DUH1 60-69 years, male 122.3
GTEX-13X6J-0626-SM-5LU5F 50-59 years, male 122.2
GTEX-1R9K4-2826-SM-DTX8F 60-69 years, male 122.1
GTEX-131YS-2826-SM-5EQ47 60-69 years, female 122.0
GTEX-13SLW-0626-SM-5Q5ER 70-79 years, male 121.9
GTEX-11TUW-0626-SM-5LU9M 60-69 years, male 121.7
GTEX-1I1CD-0626-SM-CE6SW 60-69 years, female 121.5
GTEX-12WSA-0426-SM-5EQ5X 60-69 years, male 121.4
GTEX-WFG8-2126-SM-3GIKQ 20-29 years, male 121.3
GTEX-X4EP-0626-SM-3P621 60-69 years, female 121.3
GTEX-13NZ9-2626-SM-5L3FK 50-59 years, male 121.2
GTEX-1IDJU-1726-SM-CMKHU 60-69 years, female 121.2
GTEX-1LVAO-2726-SM-E9TJ8 60-69 years, male 121.2
GTEX-13VXU-0626-SM-5L3F9 50-59 years, male 121.1
GTEX-14LLW-2626-SM-62LDZ 70-79 years, female 120.9
GTEX-1ICG6-1226-SM-A9SLN 70-79 years, female 120.8
GTEX-1477Z-0326-SM-7IGLA 60-69 years, male 120.7
GTEX-1M4P7-0726-SM-E6CJ3 60-69 years, male 120.5
GTEX-131XW-0626-SM-5PNVD 50-59 years, female 120.3
GTEX-17F9Y-0126-SM-79OKX 70-79 years, female 120.3
GTEX-ZT9W-1126-SM-57WDR 50-59 years, male 120.1
GTEX-13PL6-1126-SM-5L3IE 40-49 years, female 119.9
GTEX-1A8G6-2726-SM-731AR 60-69 years, male 119.9
GTEX-XBEC-0726-SM-4QARZ 50-59 years, male 119.9
GTEX-13PDP-0726-SM-5L3HP 60-69 years, male 119.8
GTEX-145MF-0926-SM-5Q5EA 50-59 years, male 119.8
GTEX-ZYFC-0426-SM-5GICQ 50-59 years, male 119.8
GTEX-1LSNL-2726-SM-E9TKJ 50-59 years, male 119.7
GTEX-18A7A-0126-SM-731AH 50-59 years, female 119.5
GTEX-1I1HK-2326-SM-CKZOH 60-69 years, male 119.5
GTEX-145LU-1926-SM-79OJN 50-59 years, male 119.4
GTEX-1IDJI-0126-SM-CMKHS 50-59 years, female 119.1
GTEX-1QMI2-2526-SM-E8VNZ 60-69 years, male 119.1
GTEX-139T8-0626-SM-5KLZX 60-69 years, male 118.9
GTEX-17HG3-2626-SM-7DUF2 30-39 years, female 118.9
GTEX-1HR98-2226-SM-ADEI2 60-69 years, male 118.7
GTEX-15CHQ-0326-SM-69LQD 60-69 years, male 118.6
GTEX-13PVQ-0626-SM-5LU47 50-59 years, male 118.5
GTEX-11UD2-2526-SM-5CVNU 50-59 years, male 118.4
GTEX-Y5V5-0126-SM-5S2NW 60-69 years, female 118.4
GTEX-1IDJD-2326-SM-ACKWX 30-39 years, male 118.0
GTEX-1IDJH-0126-SM-D3L92 70-79 years, male 117.9
GTEX-1POEN-2326-SM-E9J2L 30-39 years, female 117.9
GTEX-1KANB-2826-SM-CY8I6 50-59 years, male 117.5
GTEX-WYJK-0526-SM-3NM8Z 50-59 years, male 117.2
GTEX-1JN6P-2926-SM-CL54D 60-69 years, male 117.2
GTEX-1H23P-0626-SM-9WG6T 60-69 years, male 117.1
GTEX-11LCK-2226-SM-5HL4Q 30-39 years, male 117.0
GTEX-1LG7Y-2526-SM-EWRO7 50-59 years, male 116.9
GTEX-1H1DF-1126-SM-9WG7G 40-49 years, female 116.8
GTEX-14A6H-2026-SM-5Q5DD 30-39 years, male 116.7
GTEX-1JMPZ-0726-SM-CY8HZ 30-39 years, male 116.7
GTEX-1HB9E-0126-SM-CM2S5 50-59 years, male 116.6
GTEX-ZVT4-2426-SM-5GIEI 50-59 years, female 116.5
GTEX-ZAB4-2126-SM-5HL8U 40-49 years, male 116.4
GTEX-1RAZS-2526-SM-E6CHT 50-59 years, male 116.4
GTEX-16GPK-0626-SM-7KFSF 60-69 years, male 116.3
GTEX-WRHU-2826-SM-3MJG8 50-59 years, female 116.2
GTEX-XOT4-0626-SM-4B66L 60-69 years, female 116.2
GTEX-1IOXB-2726-SM-CM2RI 50-59 years, male 115.9
GTEX-18A7B-2726-SM-7LG56 70-79 years, male 115.8
GTEX-1GZHY-0626-SM-9KNVC 50-59 years, female 115.6
GTEX-17EVP-2626-SM-7IGMA 40-49 years, male 115.5
GTEX-14BIN-1126-SM-5RQJZ 50-59 years, female 115.4
GTEX-1MCC2-1826-SM-DIPEX 30-39 years, female 115.3
GTEX-1HCU9-0426-SM-9WYSD 20-29 years, male 115.0
GTEX-1B8L1-2226-SM-7P8PT 60-69 years, male 114.8
GTEX-VUSG-2326-SM-4KL1U 50-59 years, male 114.6
GTEX-13OW6-2726-SM-5J2OE 50-59 years, male 114.5
GTEX-1CB4H-1126-SM-7MKGL 60-69 years, female 114.5
GTEX-1F75W-2726-SM-7SB8H 60-69 years, male 114.4
GTEX-1HSGN-0826-SM-ACKW3 40-49 years, female 114.4
GTEX-1KWVE-1026-SM-D3L9O 30-39 years, male 114.4
GTEX-1R9PN-0426-SM-DTXDT 40-49 years, female 114.3
GTEX-1212Z-0126-SM-59HK4 60-69 years, male 114.2
GTEX-1K9T9-1526-SM-DIPFR 50-59 years, female 114.2
GTEX-1IDJE-1426-SM-ADEIW 50-59 years, female 113.6
GTEX-1JMQI-1726-SM-ARL93 50-59 years, male 113.6
GTEX-11EI6-2826-SM-5H11D 60-69 years, male 113.5
GTEX-1AMFI-1326-SM-7939R 50-59 years, female 113.5
GTEX-1HR9M-2226-SM-CNPPY 60-69 years, male 113.0
GTEX-1HSMO-0626-SM-ACKXC 60-69 years, male 112.9
GTEX-13O3O-2326-SM-5IJD6 60-69 years, female 112.8
GTEX-12WSM-1926-SM-5BC65 60-69 years, male 112.7
GTEX-17HHY-0426-SM-7DHLC 50-59 years, male 112.7
GTEX-183FY-1026-SM-7939A 20-29 years, male 112.1
GTEX-ZYFD-0626-SM-5E44E 50-59 years, male 111.8
GTEX-1AX9J-1326-SM-731BJ 60-69 years, male 111.3
GTEX-1EWIQ-0326-SM-7DHMQ 70-79 years, female 111.3
GTEX-1HSKV-1226-SM-ADEI4 60-69 years, male 111.3
GTEX-1HCVE-2726-SM-CL54F 50-59 years, male 110.8
GTEX-148VJ-0626-SM-5LUAW 70-79 years, male 110.5
GTEX-1J8Q2-2626-SM-ACKWQ 60-69 years, male 110.5
GTEX-111FC-2526-SM-5GZXU 60-69 years, male 110.2
GTEX-1GN2E-0226-SM-9WG6K 60-69 years, male 110.2
GTEX-1KAFJ-0126-SM-DIPEK 50-59 years, male 110.1
GTEX-144GL-0626-SM-5LU4D 50-59 years, male 110.0
GTEX-1CAV2-0126-SM-7IGN7 40-49 years, female 109.5
GTEX-18465-2826-SM-7LT9J 50-59 years, male 109.4
GTEX-13OVL-0126-SM-5L3GJ 50-59 years, male 108.9
GTEX-1HUB1-1426-SM-CGQF5 60-69 years, male 108.8
GTEX-1L5NE-1126-SM-D3L9P 50-59 years, male 108.8
GTEX-15SKB-2826-SM-6PAMH 60-69 years, male 108.5
GTEX-1F88F-0126-SM-9WYSZ 60-69 years, female 108.3
GTEX-1ICLY-0826-SM-CMKG1 50-59 years, male 108.3
GTEX-11DXW-0826-SM-5H118 40-49 years, male 108.1
GTEX-1C6VR-0126-SM-7RHGB 60-69 years, male 107.6
GTEX-12584-0726-SM-5FQTK 40-49 years, male 107.5
GTEX-1EMGI-2326-SM-7PBYA 60-69 years, male 107.5
GTEX-1S83E-1326-SM-E6CJM 40-49 years, male 107.4
GTEX-1GF9X-1326-SM-7PC2Y 40-49 years, female 107.2
GTEX-13N2G-0226-SM-5K7VF 60-69 years, male 106.9
GTEX-1H3NZ-2726-SM-9WYTQ 60-69 years, male 106.9
GTEX-YF7O-1526-SM-5IFI6 50-59 years, male 106.8
GTEX-13NYC-0126-SM-5L3F4 60-69 years, male 106.7
GTEX-13JUV-2026-SM-5K7UA 40-49 years, female 106.4
GTEX-1A8FM-0626-SM-7PC25 50-59 years, female 106.2
GTEX-1A3MX-2626-SM-7PC24 60-69 years, male 106.0
GTEX-145MO-2826-SM-5LU96 60-69 years, male 105.8
GTEX-11GS4-0226-SM-5HL77 60-69 years, male 105.7
GTEX-1IL2V-1926-SM-B2LW8 70-79 years, male 105.2
GTEX-1LG7Z-1626-SM-CXKYR 30-39 years, male 105.2
GTEX-13OW8-1026-SM-5J1NQ 60-69 years, male 104.8
GTEX-VJYA-1526-SM-3GIJV 60-69 years, male 104.0
GTEX-1IDFM-0326-SM-ARL7V 60-69 years, male 104.0
GTEX-15CHC-1126-SM-6LLHQ 60-69 years, female 103.6
GTEX-ZE9C-2526-SM-5IJDR 60-69 years, male 103.6
GTEX-1EKGG-0626-SM-7DUGJ 60-69 years, male 103.5
GTEX-13FLV-0126-SM-5K7WT 50-59 years, male 103.4
GTEX-ZVE2-2826-SM-5GU51 50-59 years, male 102.9
GTEX-12WSC-2826-SM-5BC5Y 50-59 years, male 102.8
GTEX-13OW7-0426-SM-5K7VK 50-59 years, male 102.3
GTEX-1QEPI-2626-SM-DTXF4 60-69 years, female 102.2
GTEX-1B932-2326-SM-79OL5 40-49 years, female 102.0
GTEX-1A8G7-1326-SM-73KVM 60-69 years, male 101.4
GTEX-1J8JJ-0626-SM-ARZMQ 60-69 years, female 101.4
GTEX-1JKYN-0826-SM-ARU8S 30-39 years, male 101.2
GTEX-V1D1-2026-SM-3GAF4 50-59 years, male 101.1
GTEX-17MF6-2626-SM-79OKQ 40-49 years, male 101.0
GTEX-17JCI-2926-SM-7DUFF 60-69 years, female 100.8
GTEX-ZU9S-1826-SM-5NQ9E 30-39 years, male 100.4
GTEX-1GF9U-2026-SM-7SB92 40-49 years, female 100.3
GTEX-1314G-1326-SM-5BC6E 30-39 years, male 99.8
GTEX-1269C-0126-SM-5EQ5L 60-69 years, female 98.5
GTEX-WYVS-1626-SM-3NM9R 40-49 years, female 96.1
GTEX-1AMEY-0826-SM-72D65 30-39 years, female 96.0
GTEX-ZUA1-2626-SM-5NQ92 40-49 years, male 95.7
GTEX-147JS-0226-SM-5S2U9 60-69 years, male 95.5
GTEX-1F6RS-2026-SM-7RHHC 60-69 years, female 95.5
GTEX-14PJ2-0626-SM-6LLII 50-59 years, male 94.6
GTEX-1F88E-1626-SM-7SB8Z 60-69 years, female 94.4
GTEX-145LS-0626-SM-7EPG7 60-69 years, female 94.0
GTEX-14DAQ-0626-SM-793DS 60-69 years, female 93.6
GTEX-145MI-0626-SM-5SI8S 60-69 years, female 92.6
GTEX-1HCU8-2526-SM-CE6RX 60-69 years, female 92.6
GTEX-1HBPM-0726-SM-9YFL7 60-69 years, female 91.7
GTEX-WYBS-0626-SM-3NMAS 60-69 years, female 91.5
GTEX-13N1W-2426-SM-5IJD1 70-79 years, male 90.5
GTEX-ZVE1-0726-SM-51MRN 50-59 years, female 88.8
GTEX-1IDJV-0126-SM-COH3Y 60-69 years, male 88.6
GTEX-11GSP-2326-SM-5HL63 60-69 years, female 86.0
GTEX-ZTSS-1426-SM-5985P 40-49 years, male 85.5
GTEX-11EQ8-0926-SM-5H12V 60-69 years, male 84.7
GTEX-13NZ8-1226-SM-5KM4A 60-69 years, female 79.5
Show allShow less
Skin - Sun Exposed (Lower leg)
Average nTPM: 145.8
Samples: 701

Max nTPM: 326.4
Min nTPM: 81.7
Std nTPM: 30.0
Median nTPM: 141.0
GTEX-15SB6-1726-SM-6PAME 50-59 years, female 326.4
GTEX-1399U-2326-SM-5K7WY 50-59 years, female 304.7
GTEX-W5X1-3026-SM-EAZAX 40-49 years, female 297.6
GTEX-O5YT-0126-SM-48TBW 20-29 years, male 266.9
GTEX-Y3IK-2426-SM-4WWDU 50-59 years, female 259.5
GTEX-POMQ-2226-SM-2I5FK 20-29 years, female 257.9
GTEX-15UF6-0826-SM-6PALJ 70-79 years, female 243.4
GTEX-1QP9N-1426-SM-DTXFL 30-39 years, male 242.5
GTEX-P4PP-0126-SM-3LK69 30-39 years, female 239.1
GTEX-11UD1-0126-SM-5PNYG 40-49 years, female 234.6
GTEX-OIZH-0126-SM-2HMIS 50-59 years, male 230.1
GTEX-SE5C-1626-SM-2XCE3 40-49 years, female 226.4
GTEX-Y114-2426-SM-4TT8A 50-59 years, female 224.6
GTEX-1OJC3-0126-SM-E76QX 20-29 years, male 223.1
GTEX-P4QT-0126-SM-2I3FL 50-59 years, female 221.8
GTEX-S33H-1026-SM-EZ6L6 30-39 years, male 220.7
GTEX-14PN4-0126-SM-6EU2V 50-59 years, male 213.7
GTEX-1KANC-1526-SM-D3LAB 50-59 years, female 212.1
GTEX-1PWST-0226-SM-E76QJ 70-79 years, male 211.9
GTEX-13FTW-2626-SM-5K7WL 40-49 years, male 210.8
GTEX-ZVTK-0426-SM-51MRS 20-29 years, male 210.7
GTEX-1211K-2026-SM-5EQ4Z 60-69 years, female 208.4
GTEX-1CAMS-0426-SM-7P8T2 40-49 years, female 207.9
GTEX-13CF2-2526-SM-5LZYX 60-69 years, male 207.5
GTEX-O5YW-0126-SM-3LK6D 50-59 years, male 206.7
GTEX-1497J-2426-SM-7IGNX 60-69 years, male 205.9
GTEX-WXYG-2326-SM-4E3I6 50-59 years, female 204.7
GTEX-OIZG-0726-SM-33HBL 50-59 years, male 203.9
GTEX-T6MN-0126-SM-32PLP 50-59 years, male 202.9
GTEX-1122O-2126-SM-5EGIR 60-69 years, female 202.4
GTEX-1JMPZ-0226-SM-CNPP1 30-39 years, male 201.8
GTEX-1ICLZ-0126-SM-CKZPO 60-69 years, male 201.6
GTEX-11DYG-0126-SM-59883 60-69 years, male 200.8
GTEX-1HGF4-2426-SM-ACKXM 60-69 years, male 200.2
GTEX-XUZC-1726-SM-4BRWS 30-39 years, female 199.9
GTEX-PWCY-1826-SM-DHXIZ 20-29 years, female 198.9
GTEX-145LT-1726-SM-5QGP3 40-49 years, male 198.6
GTEX-18D9A-1926-SM-7LG6P 30-39 years, female 198.2
GTEX-11DXZ-2326-SM-5EGGV 50-59 years, male 195.7
GTEX-17F98-0626-SM-79OMX 40-49 years, female 195.0
GTEX-1NV5F-0226-SM-E8VNY 60-69 years, female 193.0
GTEX-1K2DA-1826-SM-CGQGT 50-59 years, male 192.1
GTEX-1PIIG-0226-SM-EWRN6 30-39 years, male 192.1
GTEX-Y5V6-2426-SM-4VDSB 60-69 years, male 190.9
GTEX-X88G-0126-SM-47JZ3 30-39 years, male 190.3
GTEX-12WSJ-1826-SM-5GCNY 40-49 years, female 190.2
GTEX-UJHI-1526-SM-3DB99 50-59 years, female 189.7
GTEX-ZVZO-0126-SM-5A5L9 40-49 years, male 189.3
GTEX-1S5ZA-0126-SM-EVYCV 20-29 years, male 189.1
GTEX-SUCS-1926-SM-32PM3 70-79 years, male 189.0
GTEX-RTLS-0126-SM-447CA 60-69 years, female 188.0
GTEX-1R9PM-2026-SM-E76OY 20-29 years, male 187.6
GTEX-1AX8Z-0126-SM-7DHM6 60-69 years, male 187.5
GTEX-1MA7W-2026-SM-E9TJ6 20-29 years, female 187.3
GTEX-PLZ6-1426-SM-DKPOT 30-39 years, male 187.3
GTEX-13OVI-1426-SM-5L3EY 60-69 years, female 187.1
GTEX-13X6H-2126-SM-7EWD5 50-59 years, female 187.1
GTEX-14PHX-2326-SM-62LEM 50-59 years, male 187.1
GTEX-1PDJ9-0326-SM-DTX95 20-29 years, male 186.2
GTEX-XYKS-2126-SM-4E3IB 60-69 years, female 186.1
GTEX-ZF3C-0126-SM-DO92D 50-59 years, female 185.2
GTEX-X585-0226-SM-4QAS2 50-59 years, male 184.7
GTEX-Y8DK-0126-SM-4TT3L 60-69 years, male 184.7
GTEX-13FXS-0226-SM-5IJCK 50-59 years, male 184.3
GTEX-13YAN-0326-SM-5O9DF 60-69 years, male 183.9
GTEX-1R7EU-0226-SM-EVR4G 60-69 years, male 183.8
GTEX-NPJ8-0126-SM-2YUNR 40-49 years, male 183.6
GTEX-PSDG-0226-SM-DKPOZ 50-59 years, male 183.4
GTEX-X4XX-0126-SM-3NMC2 60-69 years, male 182.8
GTEX-145MO-0326-SM-5Q5B3 60-69 years, male 182.6
GTEX-ZVT2-2526-SM-51MT1 50-59 years, female 182.6
GTEX-1PPH8-0226-SM-E8VND 20-29 years, male 182.6
GTEX-XAJ8-0826-SM-47JY6 40-49 years, male 182.3
GTEX-Y111-0126-SM-4SOIV 50-59 years, male 182.3
GTEX-1LGOU-2026-SM-DIPFF 20-29 years, female 182.3
GTEX-RVPV-0126-SM-EAZAW 60-69 years, male 182.0
GTEX-144FL-0126-SM-5TDC8 50-59 years, male 181.6
GTEX-1OFPY-2426-SM-DTXEJ 60-69 years, male 181.2
GTEX-145MN-2226-SM-5SIAU 30-39 years, male 180.6
GTEX-15RIG-0226-SM-7KFTL 40-49 years, male 180.5
GTEX-139TS-2826-SM-5J1OO 60-69 years, male 180.4
GTEX-1JMPY-1326-SM-ARL8Y 30-39 years, male 179.9
GTEX-X8HC-0126-SM-4E3JW 50-59 years, female 178.8
GTEX-1RB15-2126-SM-E9TIM 60-69 years, male 178.5
GTEX-S7PM-0126-SM-4AD6S 60-69 years, male 178.3
GTEX-1IKK5-0626-SM-ARL8A 60-69 years, male 178.2
GTEX-PX3G-0126-SM-2I3EN 20-29 years, female 178.1
GTEX-1JMLX-0226-SM-CM2RO 50-59 years, male 178.0
GTEX-1B8KE-2126-SM-73KYX 50-59 years, male 177.6
GTEX-13O3P-0126-SM-5KM4S 50-59 years, male 177.5
GTEX-WI4N-1026-SM-3LK7N 40-49 years, female 177.2
GTEX-14753-0426-SM-5NQAM 60-69 years, male 177.1
GTEX-SIU8-0126-SM-2XCDT 50-59 years, male 176.8
GTEX-15ETS-0126-SM-7KUMW 40-49 years, female 176.6
GTEX-T2YK-0526-SM-32QPJ 50-59 years, male 176.6
GTEX-X5EB-2226-SM-46MW4 40-49 years, male 176.2
GTEX-13NYB-2526-SM-5K7Z6 40-49 years, male 176.1
GTEX-1JN6P-0126-SM-D3L98 60-69 years, male 176.1
GTEX-1JMQK-0226-SM-CL543 60-69 years, male 175.5
GTEX-139UW-2826-SM-5L3E7 60-69 years, male 175.4
GTEX-Q2AI-1326-SM-2S1PL 40-49 years, male 175.3
GTEX-13111-1626-SM-5EGJY 50-59 years, male 175.1
GTEX-1EWIQ-0126-SM-7RHH2 70-79 years, female 174.7
GTEX-1KD4Q-0226-SM-E9TJ9 40-49 years, male 174.4
GTEX-ZGAY-0526-SM-4WWBB 40-49 years, female 174.2
GTEX-1GF9W-0326-SM-9KNUN 60-69 years, male 174.2
GTEX-1B8SF-1426-SM-7DUGL 60-69 years, male 173.7
GTEX-1MJK2-0426-SM-DTXE5 50-59 years, male 173.7
GTEX-1QAET-0926-SM-E76QM 50-59 years, male 173.6
GTEX-131XE-2326-SM-5PNZ2 50-59 years, male 173.5
GTEX-1LGRB-2526-SM-CNPPQ 50-59 years, female 173.3
GTEX-13RTK-1426-SM-5QGQJ 20-29 years, male 172.7
GTEX-Y5LM-1926-SM-5RQJH 40-49 years, female 172.7
GTEX-1H3VE-0326-SM-9YFLH 40-49 years, male 172.3
GTEX-U8T8-0126-SM-3DB94 60-69 years, male 171.9
GTEX-1AX9J-0226-SM-73KXM 60-69 years, male 171.5
GTEX-131XF-5016-SM-7MGWE 60-69 years, male 171.4
GTEX-U8XE-0326-SM-3DB8P 30-39 years, male 171.0
GTEX-1A3MW-0126-SM-73KXX 60-69 years, female 170.9
GTEX-X4EP-0126-SM-3P5YV 60-69 years, female 170.9
GTEX-146FQ-0126-SM-5NQA9 30-39 years, male 170.8
GTEX-14DAR-2026-SM-5S2O3 50-59 years, male 170.7
GTEX-1GZ4H-1726-SM-7PBZJ 50-59 years, female 170.5
GTEX-XBEW-0626-SM-4QASP 40-49 years, male 170.2
GTEX-OOBJ-0126-SM-E6CJW 60-69 years, male 170.2
GTEX-TMZS-0126-SM-3DB9Q 60-69 years, male 169.9
GTEX-1A3MX-0126-SM-731BR 60-69 years, male 169.8
GTEX-XQ3S-1526-SM-4BOOC 20-29 years, male 169.6
GTEX-1L5NE-2526-SM-E6CIE 50-59 years, male 169.4
GTEX-WH7G-2326-SM-3NMBC 40-49 years, male 169.3
GTEX-14E6E-1826-SM-5S2R7 30-39 years, male 169.2
GTEX-1LVAN-0226-SM-COH3S 50-59 years, female 169.2
GTEX-1CAV2-2226-SM-7P8P2 40-49 years, female 168.8
GTEX-1H1CY-2826-SM-9MQM3 60-69 years, female 168.4
GTEX-1HCUA-2426-SM-ADEIS 50-59 years, female 168.4
GTEX-13NZ8-0826-SM-5MR3I 60-69 years, female 168.3
GTEX-WFON-2126-SM-3LK7O 40-49 years, male 168.2
GTEX-ZE7O-0126-SM-57WC1 50-59 years, female 168.1
GTEX-13NYS-0126-SM-5MR3W 60-69 years, male 168.0
GTEX-1C4CL-0526-SM-73KVK 30-39 years, male 168.0
GTEX-WFG8-2226-SM-3GIL9 20-29 years, male 168.0
GTEX-TML8-1926-SM-32QOS 40-49 years, female 167.9
GTEX-1I4MK-2226-SM-ACKWD 50-59 years, female 167.9
GTEX-14XAO-2326-SM-6EU1B 60-69 years, female 166.9
GTEX-1MUQO-0126-SM-EAZ58 60-69 years, male 166.4
GTEX-1PFEY-1526-SM-E76PP 30-39 years, male 166.2
GTEX-ZV68-0126-SM-59HKS 50-59 years, female 166.1
GTEX-YB5E-2026-SM-5IFIS 40-49 years, male 166.0
GTEX-ZDTS-0126-SM-4WAY5 60-69 years, male 166.0
GTEX-13CF3-2426-SM-5IFGX 60-69 years, female 165.9
GTEX-1HSGN-0226-SM-CGQFV 40-49 years, female 165.8
GTEX-13PVR-2326-SM-5QGR1 60-69 years, female 165.3
GTEX-U412-0426-SM-3DB9O 60-69 years, male 165.3
GTEX-1B97I-1626-SM-73KYO 40-49 years, male 165.1
GTEX-NFK9-0226-SM-2HMKQ 40-49 years, male 165.1
GTEX-14JG1-0426-SM-6ETZZ 40-49 years, male 164.9
GTEX-1MGNQ-0126-SM-EVYCJ 40-49 years, male 164.8
GTEX-WQUQ-0426-SM-3MJFU 60-69 years, male 164.3
GTEX-15ER7-0326-SM-7KUEV 20-29 years, female 163.9
GTEX-12126-0326-SM-5PNW3 20-29 years, male 163.8
GTEX-Z93T-0126-SM-5HL5N 50-59 years, male 163.6
GTEX-1192X-0226-SM-5H12D 50-59 years, male 163.5
GTEX-1I6K6-0126-SM-A9SLE 30-39 years, male 163.5
GTEX-13O21-1426-SM-5K7XI 50-59 years, male 163.3
GTEX-16MT8-0426-SM-7KUEY 60-69 years, female 163.2
GTEX-1EMGI-0126-SM-9KNUE 60-69 years, male 163.2
GTEX-1HSMO-0126-SM-CL547 60-69 years, male 163.1
GTEX-ZVZP-2426-SM-59HKJ 50-59 years, male 162.6
GTEX-1HCU6-0126-SM-CL54K 60-69 years, female 162.6
GTEX-14PII-0226-SM-6EU1T 60-69 years, male 162.5
GTEX-1JKYR-0126-SM-CNPOJ 20-29 years, male 162.3
GTEX-117XS-2726-SM-5N9BL 60-69 years, male 162.2
GTEX-1M5QR-1226-SM-EWROB 40-49 years, male 162.2
GTEX-1LG7Z-1726-SM-D3LA4 30-39 years, male 161.8
GTEX-1HFI6-0226-SM-ADEHZ 40-49 years, male 161.7
GTEX-12696-2426-SM-5EQ6H 60-69 years, male 161.6
GTEX-117YW-2626-SM-5GZZH 50-59 years, male 161.5
GTEX-ZAB4-0226-SM-5N9F5 40-49 years, male 161.5
GTEX-1HBPM-0226-SM-ARL9F 60-69 years, female 161.4
GTEX-XQ8I-0426-SM-4BOPO 50-59 years, male 160.7
GTEX-145MF-0626-SM-5LUAI 50-59 years, male 160.6
GTEX-ZYT6-0226-SM-5NQ6T 30-39 years, male 160.6
GTEX-11H98-0126-SM-5EGHG 50-59 years, male 160.4
GTEX-1F5PL-0326-SM-7P8PQ 40-49 years, female 160.2
GTEX-1GPI7-0126-SM-9MQL8 20-29 years, male 160.2
GTEX-14PJ3-1826-SM-62LEX 50-59 years, male 159.9
GTEX-1QCLY-0326-SM-E8VOG 30-39 years, male 159.7
GTEX-1J1R8-1726-SM-ARL8M 40-49 years, male 159.6
GTEX-13N11-2526-SM-5K7UE 50-59 years, female 159.5
GTEX-15SHU-0126-SM-7KUEH 40-49 years, female 159.5
GTEX-YB5K-2126-SM-4WWDJ 40-49 years, female 159.5
GTEX-WYJK-0126-SM-3NMAB 50-59 years, male 159.3
GTEX-T8EM-1026-SM-3DB7M 40-49 years, male 159.2
GTEX-1313W-0126-SM-5LZUN 50-59 years, female 159.0
GTEX-11DZ1-0126-SM-5985Q 50-59 years, male 158.9
GTEX-ZTPG-0326-SM-5O9AX 20-29 years, female 158.5
GTEX-QEG4-0226-SM-2S1PY 30-39 years, male 158.4
GTEX-13SLW-0126-SM-5SI6C 70-79 years, male 157.8
GTEX-1R9K4-0126-SM-DTX9X 60-69 years, male 157.7
GTEX-SN8G-0126-SM-32PLI 50-59 years, female 157.6
GTEX-ZDYS-2026-SM-5HL5L 50-59 years, male 157.6
GTEX-144GN-2326-SM-5LU4F 50-59 years, male 157.5
GTEX-TKQ1-1026-SM-4GICL 30-39 years, male 157.5
GTEX-13FHO-0226-SM-5IFGY 60-69 years, male 157.2
GTEX-18QFQ-0126-SM-731BE 30-39 years, male 157.0
GTEX-18A6Q-0126-SM-731BZ 60-69 years, male 156.8
GTEX-QESD-1426-SM-2S1R9 20-29 years, male 156.4
GTEX-ZYFG-2326-SM-5E44B 60-69 years, female 156.3
GTEX-1H1DG-0126-SM-9WYU2 70-79 years, male 156.3
GTEX-RM2N-1426-SM-2TF4H 50-59 years, male 156.1
GTEX-Y3I4-2126-SM-4TT7C 50-59 years, male 156.1
GTEX-11WQK-0526-SM-5EQLD 50-59 years, male 156.0
GTEX-17EUY-0426-SM-793BD 20-29 years, male 156.0
GTEX-P4PQ-0126-SM-2S1NM 60-69 years, male 156.0
GTEX-12WSE-0526-SM-793B2 20-29 years, male 155.9
GTEX-12WSK-2326-SM-5GCOH 40-49 years, female 155.6
GTEX-XUW1-0426-SM-4BOOT 50-59 years, female 155.5
GTEX-1C6VQ-0126-SM-7P8RI 50-59 years, male 155.5
GTEX-16XZZ-0126-SM-793DV 60-69 years, male 155.3
GTEX-1S82Y-2026-SM-EVYCM 40-49 years, male 155.3
GTEX-ZYFD-0126-SM-5GIDL 50-59 years, male 155.2
GTEX-14BMU-2226-SM-5TDE9 20-29 years, female 155.1
GTEX-11EQ9-2426-SM-5HL5T 30-39 years, male 154.9
GTEX-Z93S-0126-SM-5HL7M 50-59 years, male 154.9
GTEX-ZWKS-0126-SM-5SIAA 30-39 years, male 154.9
GTEX-13FHP-0126-SM-5IJBG 50-59 years, male 154.8
GTEX-1CB4E-2226-SM-793DC 60-69 years, male 154.7
GTEX-1K2DU-2326-SM-E9TIV 20-29 years, male 154.7
GTEX-1HB9E-0226-SM-E9U4R 50-59 years, male 154.5
GTEX-17HHY-0126-SM-7LG5D 50-59 years, male 154.3
GTEX-1IDJF-0126-SM-CM2RS 20-29 years, male 154.3
GTEX-OHPL-0126-SM-2HMJ7 60-69 years, female 154.1
GTEX-T5JW-1626-SM-3GADZ 20-29 years, female 154.1
GTEX-ZTX8-1426-SM-5DUVO 20-29 years, male 154.1
GTEX-ZU9S-0226-SM-5E441 30-39 years, male 154.1
GTEX-Y8E4-0626-SM-4WWDL 40-49 years, male 153.8
GTEX-ZF29-2326-SM-DO92K 60-69 years, female 153.6
GTEX-QV44-1926-SM-2S1RF 50-59 years, male 153.2
GTEX-1I1GV-0526-SM-A9G29 60-69 years, male 153.2
GTEX-1399R-2726-SM-5IJBA 30-39 years, male 152.9
GTEX-11XUK-2026-SM-5EQLF 40-49 years, female 152.8
GTEX-11TT1-2526-SM-5EGIB 20-29 years, male 152.6
GTEX-ZPIC-1726-SM-DHXIU 40-49 years, female 152.5
GTEX-X261-0126-SM-3NMD6 50-59 years, male 152.3
GTEX-1IDJH-0326-SM-A9SLQ 70-79 years, male 152.3
GTEX-132NY-0326-SM-5IJBL 60-69 years, male 152.0
GTEX-ZYFC-0226-SM-5NQ75 50-59 years, male 151.9
GTEX-11UD2-0226-SM-5EQKY 50-59 years, male 151.8
GTEX-13D11-2426-SM-5KM1V 50-59 years, female 151.8
GTEX-WRHK-1426-SM-3MJF9 20-29 years, female 151.6
GTEX-131XG-2626-SM-5KM17 50-59 years, female 151.5
GTEX-17EVQ-0226-SM-7LG4P 70-79 years, male 151.5
GTEX-S95S-1226-SM-4GICG 60-69 years, male 151.5
GTEX-1B8L1-2526-SM-9WYTF 60-69 years, male 151.4
GTEX-1RLM8-2326-SM-EWRN4 50-59 years, male 151.4
GTEX-ZDTT-2726-SM-4WKF8 60-69 years, male 151.3
GTEX-13OVK-2026-SM-7KUEO 40-49 years, male 151.1
GTEX-13U4I-0126-SM-5LU38 40-49 years, female 151.0
GTEX-131XH-2226-SM-5DUXJ 50-59 years, male 150.9
GTEX-ZXES-1826-SM-5E43S 30-39 years, female 150.5
GTEX-1H3O1-0426-SM-9YFKY 60-69 years, male 150.4
GTEX-1N2DW-0226-SM-E9TK2 50-59 years, male 150.4
GTEX-1PIGE-0126-SM-EVYBJ 20-29 years, male 150.3
GTEX-XBED-2226-SM-47JYQ 60-69 years, male 150.1
GTEX-13NZB-2526-SM-5J1OM 30-39 years, male 149.9
GTEX-14C5O-0126-SM-5SI6N 60-69 years, male 149.8
GTEX-13113-5016-SM-7EPIP 60-69 years, female 148.9
GTEX-1C475-1826-SM-73KWA 40-49 years, female 148.9
GTEX-S7SE-0126-SM-2XCD5 50-59 years, male 148.8
GTEX-1HBPN-0226-SM-9YFM1 50-59 years, male 148.8
GTEX-1J1OQ-0226-SM-CYPSH 40-49 years, female 148.8
GTEX-11P82-1626-SM-59879 20-29 years, male 148.7
GTEX-T2IS-0126-SM-4DM6O 20-29 years, female 148.6
GTEX-1S83E-0126-SM-EWRO4 40-49 years, male 148.6
GTEX-YFC4-0126-SM-5CVLY 40-49 years, female 148.4
GTEX-XXEK-2226-SM-4BRUM 50-59 years, male 148.3
GTEX-1GZ2Q-0226-SM-7P8TL 40-49 years, male 148.3
GTEX-18D9U-0226-SM-718BP 40-49 years, male 148.1
GTEX-1AYCT-2426-SM-7IGQ3 50-59 years, male 148.1
GTEX-1AYD5-2426-SM-73KXR 50-59 years, male 148.1
GTEX-13X6J-0126-SM-5QGOU 50-59 years, male 147.9
GTEX-ZAJG-0126-SM-5HL94 50-59 years, female 147.7
GTEX-1GMR3-1926-SM-9KNUZ 40-49 years, male 147.7
GTEX-1HSEH-0126-SM-ACKXN 60-69 years, male 147.7
GTEX-11EM3-2426-SM-59861 20-29 years, female 147.6
GTEX-117YX-2326-SM-5H12W 50-59 years, male 147.5
GTEX-11DXX-2426-SM-5GZZW 60-69 years, female 147.5
GTEX-13JUV-2726-SM-5LZZ8 40-49 years, female 147.5
GTEX-Y5V5-2326-SM-4V6GA 60-69 years, female 147.3
GTEX-139T8-0126-SM-5K7XZ 60-69 years, male 147.1
GTEX-UPJH-0326-SM-3GADU 50-59 years, male 147.1
GTEX-1S3DN-2226-SM-EVYCD 50-59 years, male 147.1
GTEX-OHPM-0126-SM-2YUN9 50-59 years, male 147.0
GTEX-11TUW-2726-SM-E9J4M 60-69 years, male 147.0
GTEX-QDVN-2026-SM-3GAEP 50-59 years, male 146.9
GTEX-1H2FU-0126-SM-9WYSI 60-69 years, female 146.6
GTEX-1LNCM-1126-SM-E9U5E 50-59 years, female 146.5
GTEX-1LBAC-0126-SM-DIPEZ 20-29 years, male 146.4
GTEX-W5WG-1826-SM-4KL2Y 50-59 years, female 146.3
GTEX-1GN1U-0126-SM-7PBZK 50-59 years, female 146.3
GTEX-1GZHY-0326-SM-9QEHI 50-59 years, female 146.3
GTEX-15EOM-0126-SM-7KUGG 20-29 years, female 146.2
GTEX-T6MO-1626-SM-32QOM 40-49 years, female 146.0
GTEX-1IOXB-0126-SM-ARL8G 50-59 years, male 145.9
GTEX-ZY6K-1826-SM-5GZXK 50-59 years, male 145.8
GTEX-1QP67-1626-SM-EAZ3X 40-49 years, female 145.7
GTEX-17KNJ-2326-SM-7DHLQ 50-59 years, male 145.6
GTEX-ZZ64-1726-SM-5GZYB 20-29 years, male 145.6
GTEX-1HSMP-0126-SM-E6CJS 70-79 years, male 145.4
GTEX-1LSNM-1926-SM-E6CII 50-59 years, male 145.4
GTEX-14ICK-0226-SM-6EU25 40-49 years, male 145.3
GTEX-145LS-0126-SM-5QGP1 60-69 years, female 145.1
GTEX-1GN73-0226-SM-9WG67 60-69 years, male 144.9
GTEX-Q2AH-1626-SM-3GAF8 40-49 years, male 144.8
GTEX-XUYS-0126-SM-47JWZ 50-59 years, male 144.6
GTEX-1H3VY-0126-SM-ACKXD 50-59 years, male 144.5
GTEX-111FC-0126-SM-5N9DL 60-69 years, male 144.2
GTEX-WZTO-0126-SM-3NM95 40-49 years, male 144.1
GTEX-X4XY-0226-SM-4E3IZ 60-69 years, male 143.9
GTEX-1F75B-0126-SM-9KNVL 50-59 years, male 143.9
GTEX-1N2DV-0226-SM-E6CJ6 40-49 years, male 143.8
GTEX-1JMQI-2226-SM-CM2SD 50-59 years, male 143.6
GTEX-12WSA-0226-SM-5BC5V 60-69 years, male 143.4
GTEX-1GMRU-0126-SM-9YFLV 50-59 years, male 143.4
GTEX-169BO-1326-SM-9MQK2 50-59 years, male 143.3
GTEX-1R46S-0626-SM-E9J41 60-69 years, female 143.3
GTEX-1F6RS-0126-SM-9MQKZ 60-69 years, female 143.1
GTEX-1JN1M-0326-SM-CYPT3 60-69 years, female 143.1
GTEX-14E6C-0126-SM-5RQIP 40-49 years, male 143.0
GTEX-12ZZZ-0626-SM-5DUXI 60-69 years, male 142.9
GTEX-13G51-2526-SM-5LZYK 60-69 years, male 142.9
GTEX-148VI-1626-SM-5SI6E 60-69 years, female 142.9
GTEX-1314G-1526-SM-5EGK2 30-39 years, male 142.8
GTEX-1MCQQ-0826-SM-DLHC2 60-69 years, male 142.7
GTEX-17JCI-0126-SM-7LG5G 60-69 years, female 142.6
GTEX-RNOR-0126-SM-E9J4R 50-59 years, female 142.6
GTEX-YJ89-0126-SM-4TT3X 60-69 years, male 142.4
GTEX-1JMQJ-0526-SM-CYPSU 50-59 years, male 142.4
GTEX-WVJS-0126-SM-4MVOT 50-59 years, male 142.3
GTEX-U3ZH-2026-SM-3DB78 30-39 years, male 142.2
GTEX-14JG6-2226-SM-6EU2G 30-39 years, female 142.0
GTEX-1HSKV-0226-SM-A9SKJ 60-69 years, male 142.0
GTEX-1H1DE-2126-SM-9WG6R 20-29 years, male 141.9
GTEX-1QMI2-0226-SM-EVYBX 60-69 years, male 141.8
GTEX-11OF3-2626-SM-5GU7F 60-69 years, male 141.7
GTEX-X4EO-0326-SM-3P5YO 60-69 years, female 141.6
GTEX-13FH7-2026-SM-E9J4I 50-59 years, female 141.5
GTEX-1GN2E-0426-SM-9MQKX 60-69 years, male 141.5
GTEX-YEC4-2126-SM-5IFJH 40-49 years, male 141.1
GTEX-1F48J-0126-SM-7P8TT 50-59 years, female 141.1
GTEX-PWO3-1526-SM-48TCM 60-69 years, female 141.0
GTEX-13IVO-0126-SM-5J1NG 70-79 years, male 140.8
GTEX-15EU6-0426-SM-6PAN5 50-59 years, male 140.8
GTEX-1LC47-0326-SM-E9TJP 60-69 years, male 140.8
GTEX-13OVL-0226-SM-5L3E9 50-59 years, male 140.5
GTEX-ZE9C-2726-SM-57WB5 60-69 years, male 140.5
GTEX-1ICG6-2526-SM-CGQFZ 70-79 years, female 140.3
GTEX-139D8-0226-SM-5KLZO 30-39 years, female 140.2
GTEX-18A7A-0226-SM-718BH 50-59 years, female 140.2
GTEX-11DXW-0226-SM-5H122 40-49 years, male 140.1
GTEX-13RTJ-2426-SM-5S2Q2 60-69 years, male 140.1
GTEX-1JMQL-0226-SM-CNPP5 50-59 years, female 140.1
GTEX-12ZZY-0226-SM-5LZVE 60-69 years, male 140.0
GTEX-1JJ6O-0126-SM-E6CI8 60-69 years, male 140.0
GTEX-1QP66-1726-SM-E8VO1 50-59 years, male 139.8
GTEX-1F52S-0126-SM-9MQJU 60-69 years, female 139.6
GTEX-145LV-2126-SM-5LU8N 50-59 years, male 139.4
GTEX-1BAJH-0526-SM-793CQ 70-79 years, male 139.4
GTEX-12ZZX-0126-SM-5EGK9 40-49 years, female 139.3
GTEX-14BIM-0226-SM-7IGLD 60-69 years, female 139.3
GTEX-1KXAM-2226-SM-CYPTC 60-69 years, male 139.2
GTEX-1NHNU-1026-SM-E9J2A 50-59 years, male 139.1
GTEX-PLZ5-2026-SM-2S1O4 50-59 years, male 139.0
GTEX-1HSMQ-1226-SM-CGQFX 50-59 years, male 138.9
GTEX-146FH-0126-SM-5QGPP 50-59 years, female 138.6
GTEX-ZYY3-0126-SM-5GZY5 60-69 years, female 138.6
GTEX-ZTSS-1926-SM-57WEW 40-49 years, male 138.5
GTEX-OXRN-0126-SM-48TDM 50-59 years, male 138.4
GTEX-1CB4F-0426-SM-9KNV4 60-69 years, male 138.4
GTEX-1A3MV-1926-SM-718BT 30-39 years, male 138.3
GTEX-QLQ7-1626-SM-2S1R8 60-69 years, male 138.3
GTEX-1I19N-0326-SM-ACKVX 70-79 years, male 138.3
GTEX-1QPFJ-0226-SM-E76PB 30-39 years, female 138.3
GTEX-1GF9U-2126-SM-7SB7L 40-49 years, female 138.0
GTEX-1CAMR-1926-SM-7EPI2 20-29 years, male 137.8
GTEX-OXRL-0126-SM-2YUMP 50-59 years, male 137.8
GTEX-T5JC-0426-SM-32PLO 20-29 years, male 137.8
GTEX-13112-2826-SM-5DUWH 50-59 years, male 137.7
GTEX-145ME-1826-SM-5SI9G 40-49 years, female 137.6
GTEX-1LB8K-0226-SM-EWRNW 50-59 years, male 137.5
GTEX-ZV6S-2326-SM-4YCEY 40-49 years, female 137.3
GTEX-1HT8W-0126-SM-CNPPP 30-39 years, male 137.3
GTEX-13FTX-1826-SM-5J1NX 20-29 years, female 137.2
GTEX-17F96-1626-SM-7DUFL 70-79 years, male 137.1
GTEX-183FY-0126-SM-7LT9P 20-29 years, male 137.0
GTEX-13VXU-0126-SM-5SI9F 50-59 years, male 136.9
GTEX-1GTWX-0126-SM-9YFLK 60-69 years, male 136.9
GTEX-1F75A-0126-SM-7RHGM 50-59 years, male 136.6
GTEX-1JJEA-0326-SM-CNPOT 60-69 years, male 136.6
GTEX-ZZPT-0226-SM-5E43X 50-59 years, male 136.4
GTEX-11OC5-0126-SM-5HL6A 60-69 years, male 136.3
GTEX-131YS-0126-SM-5KM1M 60-69 years, female 136.3
GTEX-13X6I-0626-SM-5QGP9 60-69 years, male 136.3
GTEX-1CB4G-0226-SM-7PC3O 60-69 years, male 136.3
GTEX-1R7EV-2426-SM-EVYBG 40-49 years, male 136.0
GTEX-11GS4-2726-SM-5A5LE 60-69 years, male 135.8
GTEX-17HGU-0226-SM-7DHKV 50-59 years, male 135.7
GTEX-1J8QM-2126-SM-CYPSJ 60-69 years, female 135.7
GTEX-1KWVE-1426-SM-E9TJO 30-39 years, male 135.7
GTEX-WY7C-2326-SM-3NB2U 50-59 years, male 135.4
GTEX-1HBPI-1526-SM-C1YQ1 50-59 years, male 135.4
GTEX-OXRK-0226-SM-3NB2G 50-59 years, female 135.2
GTEX-R45C-0126-SM-EAZ2R 60-69 years, female 135.2
GTEX-1B933-0126-SM-7PC29 50-59 years, female 135.1
GTEX-11GSO-2426-SM-5A5LY 60-69 years, male 134.9
GTEX-1H1ZS-0426-SM-9WG6G 70-79 years, male 134.9
GTEX-18465-0126-SM-731BN 50-59 years, male 134.8
GTEX-1GL5R-1826-SM-9KNUY 50-59 years, male 134.8
GTEX-1PPH7-2326-SM-EVYB8 40-49 years, male 134.8
GTEX-1CB4H-0226-SM-7PBXM 60-69 years, female 134.7
GTEX-1ICLY-0126-SM-D4P36 50-59 years, male 134.7
GTEX-ZQG8-1626-SM-DHXIT 60-69 years, female 134.7
GTEX-1269C-2526-SM-5EGJ3 60-69 years, female 134.3
GTEX-14PN3-2426-SM-6LLHS 60-69 years, female 134.1
GTEX-12WSG-2826-SM-E9J4H 50-59 years, female 134.1
GTEX-13OVJ-0126-SM-5KM36 50-59 years, female 134.0
GTEX-11P81-2326-SM-59875 30-39 years, female 133.9
GTEX-13S7M-0126-SM-5SI6A 60-69 years, female 133.6
GTEX-1B8SG-0126-SM-73KZ3 50-59 years, male 133.6
GTEX-XV7Q-2526-SM-4BRV9 40-49 years, female 133.5
GTEX-1GF9X-2026-SM-7PC3A 40-49 years, female 133.5
GTEX-11ZTS-0126-SM-5EQ6M 60-69 years, female 133.4
GTEX-16BQI-0226-SM-7KUEX 30-39 years, female 133.4
GTEX-1IL2U-0226-SM-CE6T8 60-69 years, male 133.4
GTEX-11NUK-0126-SM-5A5L3 50-59 years, male 133.3
GTEX-ZAK1-0126-SM-5IJD3 50-59 years, female 133.3
GTEX-1HCU9-1526-SM-A9SL7 20-29 years, male 133.2
GTEX-1HR98-0126-SM-B2LWI 60-69 years, male 133.2
GTEX-13OW7-0126-SM-5MR3B 50-59 years, male 133.0
GTEX-18A67-0126-SM-7LG5P 50-59 years, male 133.0
GTEX-1C2JI-1826-SM-73KXC 50-59 years, male 133.0
GTEX-X638-0126-SM-47JZ8 70-79 years, female 133.0
GTEX-QCQG-1726-SM-3GIJ9 50-59 years, female 132.8
GTEX-1J8EW-0126-SM-CJI4F 60-69 years, female 132.8
GTEX-1H3NZ-0126-SM-ACKX7 60-69 years, male 132.6
GTEX-RWS6-2026-SM-2XCB5 60-69 years, female 132.4
GTEX-13OW5-0126-SM-DTXFS 60-69 years, male 132.4
GTEX-1J8Q3-1626-SM-CMKGC 60-69 years, male 132.4
GTEX-1RAZA-0126-SM-E6CI3 20-29 years, male 132.1
GTEX-12C56-1726-SM-5EQ61 20-29 years, male 132.0
GTEX-1RDX4-0126-SM-E9J4P 50-59 years, female 132.0
GTEX-13W46-0226-SM-5SIAG 50-59 years, male 131.8
GTEX-R55G-2526-SM-2TC6D 40-49 years, female 131.5
GTEX-1212Z-2526-SM-5EGKP 60-69 years, male 131.4
GTEX-11WQC-2526-SM-5CVLE 60-69 years, male 131.2
GTEX-17HII-0226-SM-7LG4E 50-59 years, male 131.1
GTEX-1EX96-1626-SM-7PBXR 50-59 years, male 131.1
GTEX-17GQL-2026-SM-718BA 60-69 years, male 130.9
GTEX-18A66-0226-SM-718BD 60-69 years, male 130.9
GTEX-QDT8-0126-SM-48TZ1 30-39 years, female 130.8
GTEX-133LE-1826-SM-5J1MV 20-29 years, female 130.6
GTEX-15DDE-0126-SM-6LPKH 50-59 years, female 130.6
GTEX-1A32A-0126-SM-718B1 50-59 years, female 130.5
GTEX-183WM-0126-SM-7LTAB 70-79 years, female 130.3
GTEX-1AMFI-2026-SM-731BH 50-59 years, female 130.3
GTEX-11TTK-0126-SM-5987B 60-69 years, female 130.2
GTEX-RUSQ-1526-SM-2TF62 50-59 years, male 130.2
GTEX-1399T-2826-SM-5KLYZ 60-69 years, male 129.9
GTEX-1MCYP-1926-SM-E9J2R 20-29 years, female 129.9
GTEX-1CB4J-0626-SM-7DHMP 60-69 years, male 129.8
GTEX-14E6D-0126-SM-62LDV 50-59 years, male 129.7
GTEX-1EU9M-0226-SM-7P8SP 60-69 years, male 129.7
GTEX-139TU-0126-SM-5K7WH 60-69 years, male 129.5
GTEX-1O97I-0326-SM-EYYX7 60-69 years, male 129.5
GTEX-1E2YA-0126-SM-9KNUC 50-59 years, male 129.3
GTEX-1IY9M-0126-SM-D3L8S 60-69 years, male 129.2
GTEX-11P7K-2126-SM-5GU7G 30-39 years, male 129.1
GTEX-1GPI6-0126-SM-9WG69 60-69 years, male 129.1
GTEX-U3ZM-1526-SM-3DB9D 40-49 years, male 129.0
GTEX-13W3W-2426-SM-5LU5B 60-69 years, female 128.6
GTEX-1GN1W-0526-SM-9MQJQ 50-59 years, female 128.6
GTEX-147F3-0526-SM-5SI98 50-59 years, female 128.5
GTEX-1CB4I-0226-SM-79OLH 50-59 years, male 128.5
GTEX-1HFI7-1826-SM-ACKXH 50-59 years, female 128.5
GTEX-11LCK-1026-SM-5A5KB 30-39 years, male 128.4
GTEX-147F4-0226-SM-5QGPW 50-59 years, male 128.3
GTEX-1I1GP-2226-SM-CGQFK 50-59 years, male 128.3
GTEX-PLZ4-0126-SM-5SI8O 50-59 years, female 128.0
GTEX-1F6I4-0126-SM-9MQL2 60-69 years, male 127.9
GTEX-1I1GS-0126-SM-B2LVW 60-69 years, male 127.9
GTEX-XPVG-2626-SM-4B669 50-59 years, male 127.7
GTEX-13OW6-0426-SM-5L3HM 50-59 years, male 127.6
GTEX-QLQW-1126-SM-2S1Q8 30-39 years, male 127.6
GTEX-14PJM-0226-SM-62LF1 50-59 years, female 127.5
GTEX-16GPK-0126-SM-7DHLE 60-69 years, male 127.4
GTEX-1H4P4-0726-SM-9YFLR 50-59 years, male 127.3
GTEX-RWSA-0126-SM-2XCBB 40-49 years, male 127.2
GTEX-SJXC-0126-SM-2XCFF 60-69 years, male 127.2
GTEX-1C64O-0126-SM-7SB8P 60-69 years, male 127.2
GTEX-QDVJ-1726-SM-2I5FX 50-59 years, male 127.1
GTEX-1KANA-0726-SM-D3L9I 20-29 years, male 127.1
GTEX-11ZVC-2526-SM-5FQTE 50-59 years, female 126.9
GTEX-1AX9K-2326-SM-73KWU 50-59 years, male 126.9
GTEX-1JN76-0126-SM-CNPPE 20-29 years, female 126.9
GTEX-1F6IF-0726-SM-7P8TW 60-69 years, male 126.7
GTEX-1QW4Y-1526-SM-EAZ3Z 30-39 years, male 126.6
GTEX-QVJO-1626-SM-2S1QW 60-69 years, female 126.4
GTEX-11DXY-2626-SM-5GIE7 60-69 years, male 126.3
GTEX-14PJ6-2126-SM-6EU1V 60-69 years, female 126.1
GTEX-16AAH-1726-SM-7939C 50-59 years, male 126.1
GTEX-ZQUD-1426-SM-57WER 30-39 years, male 126.0
GTEX-1OJC4-0126-SM-E9J2E 50-59 years, female 125.9
GTEX-PW2O-1526-SM-7RHHB 20-29 years, male 125.9
GTEX-15D1Q-0126-SM-7KUG6 40-49 years, male 125.8
GTEX-1KANB-0526-SM-E6CJH 50-59 years, male 125.8
GTEX-1QP2A-0126-SM-E9J43 50-59 years, male 125.7
GTEX-1I1GU-2226-SM-CGQFA 40-49 years, male 125.5
GTEX-1LG7Y-0526-SM-DKPQC 50-59 years, male 125.4
GTEX-S32W-2126-SM-2XCB1 50-59 years, female 125.1
GTEX-SNMC-1226-SM-2XCFP 20-29 years, male 124.7
GTEX-13VXT-0126-SM-5LU4I 20-29 years, female 124.6
GTEX-XMD2-0126-SM-4YCDU 60-69 years, female 124.6
GTEX-11VI4-1726-SM-5CVLH 40-49 years, female 124.5
GTEX-18A7B-0126-SM-7LG64 70-79 years, male 124.3
GTEX-TMMY-0226-SM-33HBA 40-49 years, female 124.3
GTEX-13OVH-0126-SM-5MR4B 70-79 years, male 124.2
GTEX-1HKZK-0326-SM-9WYUH 40-49 years, male 124.2
GTEX-1HUB1-0426-SM-E9U4U 60-69 years, male 124.2
GTEX-111VG-2426-SM-5GZXD 60-69 years, male 124.1
GTEX-12WSD-0126-SM-59HKN 60-69 years, female 124.1
GTEX-13QJ3-0326-SM-5S2RA 50-59 years, male 124.0
GTEX-17HHE-2026-SM-79OKF 50-59 years, male 124.0
GTEX-YJ8A-0426-SM-5IFID 20-29 years, male 123.8
GTEX-1J8JJ-0226-SM-CL53I 60-69 years, female 123.8
GTEX-1F7RK-0126-SM-7PC2S 20-29 years, female 123.7
GTEX-1JK1U-2026-SM-CM2RZ 60-69 years, male 123.7
GTEX-11ZU8-2526-SM-5EQKI 60-69 years, male 123.6
GTEX-1AX9I-0126-SM-7SB74 60-69 years, male 123.5
GTEX-Z9EW-1626-SM-5CVMN 40-49 years, male 123.4
GTEX-1IKJJ-0126-SM-CNPQB 60-69 years, male 123.4
GTEX-1I1GT-0626-SM-CGQER 60-69 years, female 123.3
GTEX-ZF28-0126-SM-4WKGK 60-69 years, male 123.2
GTEX-1EKGG-0226-SM-9WYTH 60-69 years, male 123.2
GTEX-17MF6-0126-SM-7LG4F 40-49 years, male 123.1
GTEX-Q2AG-0126-SM-33HBV 40-49 years, female 123.0
GTEX-1JMOU-1526-SM-CL54I 60-69 years, female 123.0
GTEX-11ZTT-2426-SM-5EQLS 60-69 years, female 122.9
GTEX-13RTL-0126-SM-7LG5S 40-49 years, male 122.9
GTEX-1GMR8-0126-SM-9WYTM 50-59 years, female 122.9
GTEX-17MFQ-1726-SM-793C7 20-29 years, male 122.6
GTEX-1HCU7-0226-SM-CL545 50-59 years, male 122.6
GTEX-1N2EF-0226-SM-EYYXB 60-69 years, male 122.6
GTEX-1F5PK-2426-SM-7RHHY 50-59 years, male 122.3
GTEX-1H11D-0226-SM-9WG6Z 40-49 years, male 122.3
GTEX-1I1CD-0126-SM-CM2TK 60-69 years, female 122.2
GTEX-11EMC-2926-SM-5EQ4F 60-69 years, female 122.0
GTEX-15F5U-1526-SM-6PANO 40-49 years, male 121.9
GTEX-16YQH-0126-SM-7DUFJ 30-39 years, male 121.7
GTEX-1JKYN-1326-SM-CGQG9 30-39 years, male 121.6
GTEX-U4B1-1826-SM-4DXSU 40-49 years, male 121.4
GTEX-12584-0126-SM-5EGKQ 40-49 years, male 121.3
GTEX-ZAB5-1826-SM-5HL7C 50-59 years, male 121.2
GTEX-1GF9V-0326-SM-7RHI5 60-69 years, male 121.2
GTEX-ZVT4-0126-SM-DTXFN 50-59 years, female 121.2
GTEX-15SHW-0326-SM-6PAML 60-69 years, male 121.0
GTEX-16NGA-1726-SM-731B4 40-49 years, female 121.0
GTEX-1HCVE-0126-SM-CGQEU 50-59 years, male 120.9
GTEX-13PDP-0126-SM-5L3HD 60-69 years, male 120.7
GTEX-1C64N-0126-SM-793D7 50-59 years, male 120.6
GTEX-1IDJU-2626-SM-CM2RT 60-69 years, female 120.6
GTEX-1C6WA-0126-SM-7PC2B 60-69 years, male 120.5
GTEX-147GR-0526-SM-5S2MY 60-69 years, male 120.1
GTEX-14A5I-0126-SM-5TDEA 50-59 years, female 120.0
GTEX-14PK6-1926-SM-6ETZU 70-79 years, female 119.9
GTEX-1IKOH-0226-SM-COH4E 60-69 years, female 119.9
GTEX-11EI6-0126-SM-5985R 60-69 years, male 119.7
GTEX-OXRP-0126-SM-3NB32 60-69 years, female 119.6
GTEX-1K9T9-0126-SM-EVYCF 50-59 years, female 119.6
GTEX-VUSG-2526-SM-4KL1V 50-59 years, male 119.4
GTEX-1HCU8-0626-SM-A9SM9 60-69 years, female 119.4
GTEX-1I1GR-0126-SM-CL55F 60-69 years, male 119.4
GTEX-1LH75-2426-SM-E9TJE 50-59 years, female 119.4
GTEX-17F97-0326-SM-7LG5B 50-59 years, male 119.3
GTEX-1B8KZ-2026-SM-7DHMB 50-59 years, male 119.3
GTEX-1H1E6-1726-SM-ACKVK 30-39 years, male 119.3
GTEX-1R9PO-2126-SM-E9J4O 60-69 years, female 119.3
GTEX-113JC-2326-SM-5EQ4E 50-59 years, female 119.2
GTEX-13OW8-1326-SM-5J1OW 60-69 years, male 119.2
GTEX-VJYA-1126-SM-3GIJU 60-69 years, male 119.2
GTEX-11GSP-2526-SM-5N9BP 60-69 years, female 118.8
GTEX-ZVE2-0226-SM-59HJB 50-59 years, male 118.8
GTEX-14ABY-0226-SM-5TDCQ 50-59 years, male 118.6
GTEX-15DYW-0126-SM-7KULE 60-69 years, female 118.6
GTEX-12WSC-0126-SM-5EQ4P 50-59 years, male 118.5
GTEX-146FR-1326-SM-E9J48 60-69 years, female 118.5
GTEX-17HG3-2226-SM-7938L 30-39 years, female 118.4
GTEX-13SLX-0526-SM-5S2ON 50-59 years, female 118.2
GTEX-12WSL-2526-SM-5GCNJ 50-59 years, male 118.1
GTEX-1128S-2326-SM-5GZZY 60-69 years, female 118.0
GTEX-TSE9-0126-SM-3DB83 60-69 years, female 118.0
GTEX-WYVS-2126-SM-3NMA3 40-49 years, female 118.0
GTEX-15UKP-0426-SM-7KUFQ 20-29 years, male 117.6
GTEX-17EVP-0326-SM-7DHLG 40-49 years, male 117.6
GTEX-ZF2S-2326-SM-4WWCE 50-59 years, female 117.6
GTEX-X62O-0126-SM-4E3JN 50-59 years, male 117.5
GTEX-1H23P-0126-SM-ADEJ3 60-69 years, male 117.5
GTEX-P44H-0226-SM-2XCEU 40-49 years, male 117.3
GTEX-139TT-0126-SM-5K7Y5 60-69 years, male 117.1
GTEX-13O3O-0126-SM-E9J49 60-69 years, female 117.0
GTEX-1POEN-0126-SM-EYYXJ 30-39 years, female 117.0
GTEX-1B996-0226-SM-7RHGO 60-69 years, male 116.6
GTEX-144GL-0126-SM-5TDE2 50-59 years, male 116.4
GTEX-RU72-0926-SM-2TF6B 50-59 years, female 116.4
GTEX-1F75I-0326-SM-9YFLU 40-49 years, male 116.4
GTEX-14BMV-0126-SM-5S2PO 50-59 years, male 116.3
GTEX-1S82Z-0826-SM-E6CHY 30-39 years, female 116.1
GTEX-14A6H-0126-SM-5QGPK 30-39 years, male 115.9
GTEX-14LLW-0126-SM-6LLIO 70-79 years, female 115.8
GTEX-1RQEC-0426-SM-E6CHU 60-69 years, male 115.4
GTEX-13O3Q-2426-SM-5IJBR 50-59 years, male 115.3
GTEX-14BIL-0126-SM-5SI92 50-59 years, male 115.3
GTEX-1IL2V-0126-SM-CM2TX 70-79 years, male 115.3
GTEX-1QP29-0626-SM-EWRMX 50-59 years, male 115.0
GTEX-13NZA-0226-SM-5K7Z7 60-69 years, male 114.9
GTEX-Y8LW-1826-SM-5S2MV 50-59 years, female 114.9
GTEX-1IDFM-0126-SM-COH2V 60-69 years, male 114.9
GTEX-14BIN-0626-SM-793DP 50-59 years, female 114.6
GTEX-1192W-2626-SM-5Q5AF 60-69 years, male 114.4
GTEX-145MI-0526-SM-5O9A8 60-69 years, female 114.1
GTEX-13O1R-0126-SM-5L3EH 60-69 years, male 113.7
GTEX-15SDE-2226-SM-7IGLO 50-59 years, female 113.4
GTEX-1KAFJ-2026-SM-CY8ID 50-59 years, male 113.3
GTEX-1KD5A-0226-SM-D5OV3 50-59 years, male 113.2
GTEX-ZEX8-2426-SM-4WKG4 50-59 years, male 113.0
GTEX-R55E-0126-SM-2TC5Y 20-29 years, male 112.9
GTEX-WOFL-0126-SM-3MJG2 60-69 years, male 112.8
GTEX-ZXG5-0126-SM-5GIEU 60-69 years, male 112.7
GTEX-11O72-0126-SM-59887 40-49 years, male 112.6
GTEX-145LU-0126-SM-5TDCB 50-59 years, male 112.6
GTEX-18D9B-0526-SM-7LTAS 60-69 years, male 112.6
GTEX-1AMEY-1326-SM-73KYK 30-39 years, female 112.6
GTEX-1RAZQ-0726-SM-EAZ43 30-39 years, male 112.6
GTEX-148VJ-0126-SM-5TDDN 70-79 years, male 112.5
GTEX-14A5H-0426-SM-5QGQF 60-69 years, male 112.2
GTEX-ZC5H-0226-SM-4WAY9 40-49 years, female 111.6
GTEX-131XW-0426-SM-5LZWP 50-59 years, female 111.3
GTEX-1IGQW-0126-SM-COH42 60-69 years, male 111.2
GTEX-OXRO-0126-SM-2YUN4 60-69 years, female 110.9
GTEX-12KS4-0326-SM-5EQ41 30-39 years, male 110.7
GTEX-113IC-0126-SM-5HL6T 60-69 years, male 110.6
GTEX-U3ZN-2326-SM-3DB7W 30-39 years, female 110.6
GTEX-1C6VR-2426-SM-79OLD 60-69 years, male 110.2
GTEX-ZVT3-0126-SM-5GU6I 60-69 years, female 109.5
GTEX-1M4P7-0226-SM-DIPEV 60-69 years, male 109.3
GTEX-13OVG-1926-SM-5L3DK 60-69 years, male 109.2
GTEX-SSA3-0126-SM-32QPU 60-69 years, male 109.0
GTEX-OOBK-0126-SM-2YUND 40-49 years, male 108.8
GTEX-ZYW4-0126-SM-5E44A 60-69 years, male 108.8
GTEX-15CHC-2126-SM-6EU21 60-69 years, female 108.7
GTEX-15G19-0126-SM-6PANQ 60-69 years, male 108.7
GTEX-1F88F-2726-SM-7PBZZ 60-69 years, female 108.7
GTEX-ZDXO-3026-SM-5J1N5 60-69 years, male 108.4
GTEX-1I1GQ-0126-SM-COH3H 50-59 years, male 108.1
GTEX-15DCD-0126-SM-7KUEK 70-79 years, female 107.7
GTEX-PVOW-0126-SM-2XCFA 40-49 years, male 107.6
GTEX-16NPX-0226-SM-79OMT 50-59 years, male 107.3
GTEX-OIZF-0126-SM-7SB8I 60-69 years, male 107.3
GTEX-1CAMQ-0226-SM-7IGPK 40-49 years, male 107.1
GTEX-11ZUS-0626-SM-59885 30-39 years, male 106.4
GTEX-139T4-0226-SM-5HL5S 50-59 years, female 106.0
GTEX-16XZY-2126-SM-79OK1 70-79 years, male 105.9
GTEX-11NSD-2226-SM-5986V 20-29 years, male 105.8
GTEX-1E1VI-0126-SM-7DHMZ 50-59 years, male 105.8
GTEX-1JJE9-0326-SM-CL53Z 70-79 years, male 105.4
GTEX-12WSN-5019-SM-79OM6 40-49 years, male 105.1
GTEX-Q734-1926-SM-2I5EV 40-49 years, female 105.0
GTEX-14LZ3-0226-SM-62LET 60-69 years, female 104.0
GTEX-1HBPH-0426-SM-B2LW5 40-49 years, female 104.0
GTEX-14DAQ-0126-SM-5S2MQ 60-69 years, female 103.7
GTEX-1J8Q2-0526-SM-CM2RW 60-69 years, male 103.7
GTEX-1GN1V-0126-SM-9WPOS 60-69 years, male 103.6
GTEX-13N1W-0126-SM-5K7VT 70-79 years, male 103.5
GTEX-1QEPI-0126-SM-EWRMQ 60-69 years, female 101.7
GTEX-R3RS-0126-SM-3GIJL 40-49 years, female 101.5
GTEX-1A8FM-0226-SM-7SB7Q 50-59 years, female 99.5
GTEX-1MA7X-2226-SM-E6CIY 60-69 years, male 98.9
GTEX-1PBJI-0526-SM-E8VNK 20-29 years, female 98.8
GTEX-VJWN-0126-SM-3GIK7 50-59 years, female 98.5
GTEX-13NYC-0326-SM-E9J4S 60-69 years, male 98.5
GTEX-13FTY-0526-SM-5L3EV 40-49 years, female 98.2
GTEX-1IE54-0126-SM-CMKHW 40-49 years, female 98.1
GTEX-1I1HK-0126-SM-COH49 60-69 years, male 96.5
GTEX-14JIY-0126-SM-6LLH6 60-69 years, male 96.4
GTEX-ZUA1-0126-SM-5GU76 40-49 years, male 96.1
GTEX-14E7W-0126-SM-6LLJ9 70-79 years, male 95.7
GTEX-RN64-0126-SM-2TC68 50-59 years, male 95.6
GTEX-1EN7A-0126-SM-7SB81 40-49 years, male 95.1
GTEX-14PHW-0126-SM-6LLJI 60-69 years, female 94.9
GTEX-13N2G-2626-SM-5J1OT 60-69 years, male 93.7
GTEX-V1D1-2226-SM-3NMAX 50-59 years, male 91.6
GTEX-1C6VS-0526-SM-7DUEN 60-69 years, male 81.7
Show allShow less

Contact

  • NEWS ARTICLES
  • PRESS ROOM

The Project

  • INTRODUCTION
  • ORGANIZATION
  • PUBLICATIONS

The Human Protein Atlas

  • DOWNLOADABLE DATA
  • LICENCE & CITATION
  • HELP & FAQ
The Human Protein Atlas project is funded
by the Knut & Alice Wallenberg Foundation.


contact@proteinatlas.org