We use cookies to enhance the usability of our website. If you continue, we'll assume that you are happy to receive all cookies. More information. Don't show this again.
DDX3X
HPA
RESOURCES
  • TISSUE
  • BRAIN
  • SINGLE CELL
  • SUBCELLULAR
  • CANCER
  • BLOOD
  • CELL LINE
  • STRUCTURE & INTERACTION
ABOUT
  • INTRODUCTION
  • HISTORY
  • ORGANIZATION
  • PUBLICATIONS
  • ANTIBODY SUBMISSION
  • ANTIBODY AVAILABILITY
  • ACKNOWLEDGMENTS
  • CONTACT
NEWS
  • NEWS ARTICLES
  • PRESS ROOM
LEARN
  • DICTIONARY
  • PROTEIN CLASSES
  • PROTEIN EVIDENCE
  • METHODS
  • EDUCATIONAL VIDEOS
DATA
  • DOWNLOADABLE DATA
  • PUBLICATION DATA
  • RELEASE HISTORY
HELP
  • ANTIBODY VALIDATION
  • ASSAYS & ANNOTATION
  • DISCLAIMER
  • HELP & FAQ
  • PRIVACY STATEMENT
  • LICENCE & CITATION
Fields »
Search result

Field
Term
Gene name
Class
Subclass
Class
Keyword
Chromosome
External id
Tissue
Cell type
Expression
Antibody panel
Tissue
Main location
Patient ID
Annotation
Tissue
Category
Tau score
Cluster
Reliability
Brain region
Category
Tau score
Brain region
Category
Tau score
Brain region
Category
Tau score
Cluster
Reliability
Tissue
Cell type
Enrichment
Cell type
Category
Tau score
Cell type
Category
Tau score
Cell type
Category
Tau score
Cell lineage
Category
Tau score
Cluster
Cluster
Location
Searches
Location
Cell line
Class
Type
Phase
Reliability
Cancer
Prognosis
Cancer
Category
Cancer
Category
Tau score
Cluster
Variants
Interacting gene (ensg_id)
Type
Number of interactions
Pathway
Category
Score
Score
Score
Validation
Validation
Validation
Validation
Antibodies
Data type
Column


  • SUMMARY

  • TISSUE

  • BRAIN

  • SINGLE CELL

  • SUBCELL

  • CANCER

  • BLOOD

  • CELL LINE

  • STRUCT & INT

  • DDX3X
TISSUE PRIMARY DATA STOMACH Show tissue menu
ADIPOSE TISSUE ADRENAL GLAND AMYGDALA APPENDIX BASAL GANGLIA BONE MARROW BREAST BRONCHUS CEREBELLUM CEREBRAL CORTEX CERVIX CHOROID PLEXUS COLON DUODENUM
ENDOMETRIUM EPIDIDYMIS ESOPHAGUS FALLOPIAN TUBE GALLBLADDER HEART MUSCLE HIPPOCAMPAL FORMATION HYPOTHALAMUS KIDNEY LIVER LUNG LYMPH NODE MIDBRAIN NASOPHARYNX
ORAL MUCOSA OVARY PANCREAS PARATHYROID GLAND PITUITARY GLAND PLACENTA PROSTATE RECTUM RETINA SALIVARY GLAND SEMINAL VESICLE SKELETAL MUSCLE SKIN SMALL INTESTINE
SMOOTH MUSCLE SOFT TISSUE SPINAL CORD SPLEEN STOMACH TESTIS THYMUS THYROID GLAND TONGUE TONSIL URINARY BLADDER VAGINA
ANTIBODIES
AND
VALIDATION
Dictionary
Tissue proteome
Stomach
STOMACH - Expression summary
Protein expression
Stomachi

On the top, protein expression in current human tissue, based on all annotated cell types, is reported with the units not detected (n), low (l), medium (m) and high (h). Underneath, protein expression in each annotated cell type are reported using the same units.

Protein expression data is based on knowledge-based annotation. For genes where more than one antibody has been used, a collective score is set.

If knowledge-based annotation could not be performed for a gene, no data is displayed here. View antibody staining data further down this page.

h
m
l
n
Glandular cells: Medium
RNA expressioni

A summary of mRNA expression data available for current tissue based on several datasets. The mRNA expression levels in human tissues are based on RNA-seq data generated by the Human Protein Atlas (HPA), Genotype-Tissue Expression (GTEx) portal and CAGE data generated by the FANTOM5 consortium. Consensus normalized expression levels for human tissues was created by combining the data from HPA and GTEx datasets.

The mRNA expression levels in pig are based on RNA-seq data generated by the Human Protein Atlas (HPA), and for mouse, HPA data and in situ hybridization generated by the Allen brain atlas are reported.

Scroll down to view mRNA expression data in more detail.
Consensus:82.2 nTPM
HPA:82.2 nTPM
GTEx:78.1 nTPM

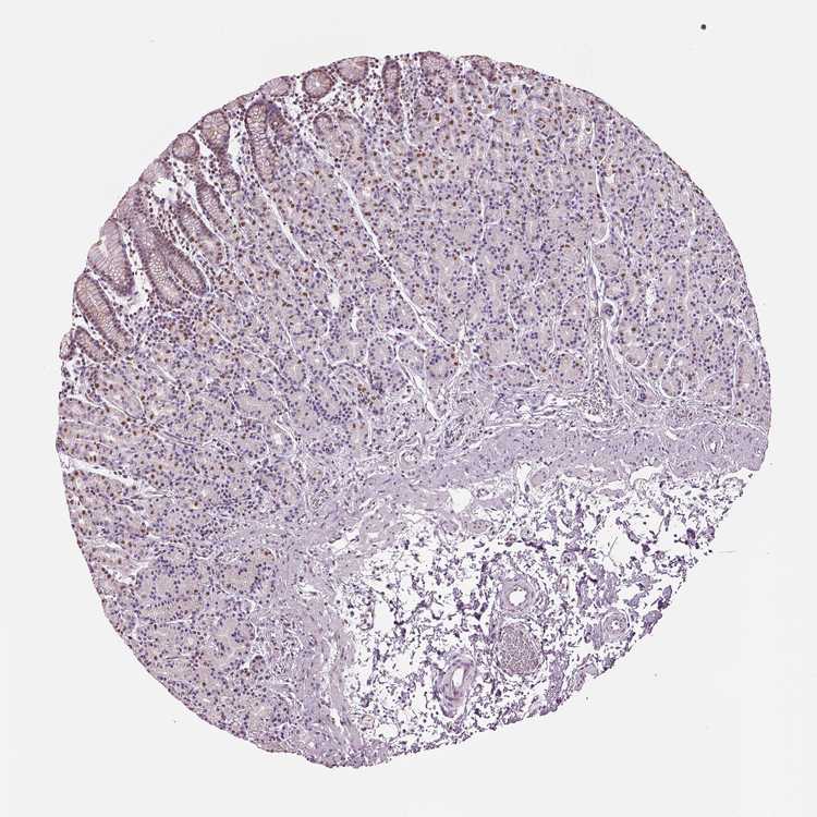
STOMACH 1 - Antibody stainingi

Antibody staining in the annotated cell types in the current human tissue is reported as not detected, low, medium, or high, based on conventional immunohistochemistry profiling in selected tissues. This score is based on the combination of the staining intensity and fraction of stained cells.

Each image is clickable and will lead to virtual microscopy that enables deeper exploration of all samples and also displays staining intensity scores, fraction scores and subcellular localization as well as patient and tissue information for each sample.

Antibody HPA001648Antibody HPA005631Antibody HPA059585
Glandular cells MediumMediumMedium






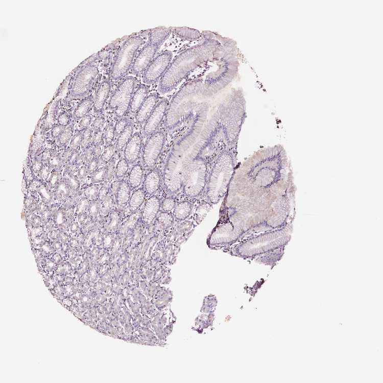
STOMACH 2 - Antibody stainingi

Antibody staining in the annotated cell types in the current human tissue is reported as not detected, low, medium, or high, based on conventional immunohistochemistry profiling in selected tissues. This score is based on the combination of the staining intensity and fraction of stained cells.

Each image is clickable and will lead to virtual microscopy that enables deeper exploration of all samples and also displays staining intensity scores, fraction scores and subcellular localization as well as patient and tissue information for each sample.

Antibody HPA001648Antibody HPA005631Antibody HPA059585
Glandular cells MediumMediumLow







STOMACH - HPA RNA-seqi

The RNA-seq details section shows detailed information about the individual samples used for the transcript profiling and results of the RNA-seq analysis.

Information about each individual sample is listed below, including gender, age, a tissue section image and estimated fractions of cell types. nTPM (normalized transcripts per million) values give a quantification of the gene abundance which is comparable between different genes and samples.
Average nTPMi

Max subtype nTPM is the value for the subtype with the largest average nTPM across the subtype samples.

82.2
overview
Female, age 33
Stomach sample 61
nTPM: 81.6
Cell types%
Glandular cells:
60

Smooth muscle cells:
5

Other cell types:
35

N/A
Male, age 82
Stomach sample 240
nTPM: 64.7
Cell types%
Glandular cells:
65

Smooth muscle cells:
5

Other cell types:
30

overview
Male, age 71
Stomach sample 241
nTPM: 85.8
Cell types%
Glandular cells:
50

Smooth muscle cells:
5

Other cell types:
45

overview
Female, age 66
Stomach sample 369
nTPM: 96.8
Cell types%
Glandular cells:
50

Smooth muscle cells:
10

Other cell types:
40


STOMACH - GTEx RNA-seqi

RNA-Seq data generated by the Genotype-Tissue Expression (GTEx) project from human tissues is reported as mean nTPM. More information can be found on the GTEx portal.

Distribution across the dataset is visualized with box plots, shown as median and 25th and 75th percentiles. Points are displayed as outliers if they are above or below 1.5 times the interquartile range. nTPM values of the individual samples are presented next to the box plot.
Max subtype nTPMi

Max subtype nTPM is the value for the subtype with the largest average nTPM across the subtype samples.

78.1
GTEx sample id Sample description nTPM
Stomach
Average nTPM: 78.1
Samples: 359

Max nTPM: 244.0
Min nTPM: 31.8
Std nTPM: 30.6
Median nTPM: 70.5
GTEX-1JMPY-0926-SM-ARL92 30-39 years, male 244.0
GTEX-R55G-1126-SM-48FDG 40-49 years, female 192.7
GTEX-WFJO-1126-SM-4LVLZ 30-39 years, male 179.1
GTEX-Y114-1226-SM-4TT88 50-59 years, female 173.9
GTEX-ZV6S-0926-SM-57WGB 40-49 years, female 168.5
GTEX-14PKU-1126-SM-69LOU 40-49 years, female 167.1
GTEX-P4QT-1526-SM-3NMCT 50-59 years, female 166.6
GTEX-11P82-0726-SM-5PNYL 20-29 years, male 164.7
GTEX-117YW-2226-SM-5N9DB 50-59 years, male 163.8
GTEX-1PIGE-1126-SM-EWRMV 20-29 years, male 163.6
GTEX-1JMLX-2426-SM-CXZJQ 50-59 years, male 159.5
GTEX-R55C-1026-SM-48FCM 40-49 years, male 154.0
GTEX-1HCUA-1626-SM-A9SMG 50-59 years, female 153.9
GTEX-11EQ9-1226-SM-5987E 30-39 years, male 152.0
GTEX-11NUK-2426-SM-5BC4U 50-59 years, male 148.1
GTEX-1LVAM-1426-SM-E9TJ4 50-59 years, female 143.3
GTEX-RU1J-0526-SM-46MUT 20-29 years, female 141.9
GTEX-1399U-1626-SM-5P9J3 50-59 years, female 139.7
GTEX-11GSP-2126-SM-5HL5E 60-69 years, female 138.7
GTEX-12C56-0526-SM-5FQST 20-29 years, male 138.1
GTEX-11EM3-1026-SM-5A5KL 20-29 years, female 136.3
GTEX-WEY5-1226-SM-4LMIQ 40-49 years, female 134.6
GTEX-12WSK-1426-SM-5CVNN 40-49 years, female 134.5
GTEX-1MCYP-1126-SM-E9J2P 20-29 years, female 133.8
GTEX-1JN1M-2926-SM-CNNPJ 60-69 years, female 131.5
GTEX-1HBPI-0726-SM-9WG7Z 50-59 years, male 129.0
GTEX-1QP67-1026-SM-EVR47 40-49 years, female 128.1
GTEX-14PN3-1326-SM-6AJ9U 60-69 years, female 128.0
GTEX-13OVI-2426-SM-5KM4J 60-69 years, female 126.7
GTEX-1GPI7-1326-SM-9KNVA 20-29 years, male 126.4
GTEX-UJHI-1026-SM-4IHJP 50-59 years, female 125.9
GTEX-1C475-1026-SM-7MKFJ 40-49 years, female 125.3
GTEX-13X6H-1626-SM-5Q5CT 50-59 years, female 124.0
GTEX-13111-1226-SM-5GCNC 50-59 years, male 123.1
GTEX-1L5NE-1526-SM-DIPFW 50-59 years, male 122.7
GTEX-TKQ1-0526-SM-4DXTG 30-39 years, male 122.5
GTEX-PWCY-0926-SM-48TD7 20-29 years, female 122.2
GTEX-ZTX8-0426-SM-59HLG 20-29 years, male 121.8
GTEX-ZYY3-1726-SM-5EGH3 60-69 years, female 121.2
GTEX-146FR-2026-SM-5NQAI 60-69 years, female 120.9
GTEX-S4P3-0726-SM-4AD57 50-59 years, female 120.7
GTEX-15EU6-2526-SM-7KUGB 50-59 years, male 119.8
GTEX-11I78-1726-SM-5A5M3 50-59 years, female 117.3
GTEX-13PVQ-2126-SM-5L3FW 50-59 years, male 116.5
GTEX-1JMPZ-1826-SM-CXZJT 30-39 years, male 115.2
GTEX-14PHY-0926-SM-5ZZWL 60-69 years, female 115.1
GTEX-13QBU-1126-SM-5LU44 40-49 years, female 114.9
GTEX-1S831-1126-SM-EWROI 20-29 years, male 113.8
GTEX-1339X-1426-SM-5K7YO 40-49 years, male 110.1
GTEX-RUSQ-1126-SM-EAZAU 50-59 years, male 108.1
GTEX-YEC3-1426-SM-D4P1S 50-59 years, male 108.0
GTEX-11VI4-0326-SM-5EQ6L 40-49 years, female 106.9
GTEX-1HSEH-1526-SM-B2LXG 60-69 years, male 106.6
GTEX-ZVT3-2126-SM-59HL2 60-69 years, female 106.4
GTEX-1JN76-0926-SM-ARZNH 20-29 years, female 106.4
GTEX-12WSD-2326-SM-59HKQ 60-69 years, female 105.9
GTEX-11P7K-1726-SM-5GU6F 30-39 years, male 105.0
GTEX-QXCU-1926-SM-48FE4 50-59 years, male 104.9
GTEX-16NGA-1526-SM-72D56 40-49 years, female 104.4
GTEX-12WSJ-0926-SM-5P9JD 40-49 years, female 103.9
GTEX-1AMEY-1226-SM-731DU 30-39 years, female 103.1
GTEX-17EUY-1526-SM-793CA 20-29 years, male 102.0
GTEX-R55D-1526-SM-48FEJ 50-59 years, male 101.8
GTEX-13OW6-2526-SM-5IJEC 50-59 years, male 100.4
GTEX-ZPIC-2026-SM-57WG3 40-49 years, female 99.6
GTEX-1S82Z-1726-SM-E6CHZ 30-39 years, female 99.0
GTEX-T6MO-0726-SM-4DM58 40-49 years, female 98.9
GTEX-SNOS-0826-SM-4DM5N 40-49 years, male 97.3
GTEX-QDT8-2026-SM-EZ6LS 30-39 years, female 96.4
GTEX-YJ8A-1526-SM-5P9FT 20-29 years, male 96.3
GTEX-1HSMQ-2426-SM-CE6RY 50-59 years, male 96.2
GTEX-RTLS-2626-SM-46MUJ 60-69 years, female 95.6
GTEX-131XG-1226-SM-5EGH9 50-59 years, female 95.5
GTEX-14PJ6-0826-SM-686Z9 60-69 years, female 94.7
GTEX-1211K-1426-SM-5FQTF 60-69 years, female 94.6
GTEX-OIZH-1526-SM-3NB1J 50-59 years, male 94.3
GTEX-ZF29-1526-SM-4WKF7 60-69 years, female 94.2
GTEX-11WQK-2626-SM-5EQ4K 50-59 years, male 94.1
GTEX-1I1GT-1726-SM-C1YS3 60-69 years, female 93.8
GTEX-13S7M-1826-SM-5RQK6 60-69 years, female 93.7
GTEX-1CB4H-2426-SM-7PBYR 60-69 years, female 93.6
GTEX-1QCLZ-1826-SM-DPRXP 60-69 years, female 93.3
GTEX-1C64O-2226-SM-73KTV 60-69 years, male 93.1
GTEX-15G19-1526-SM-6LPKP 60-69 years, male 92.4
GTEX-S7SF-0626-SM-4AD4V 20-29 years, female 91.7
GTEX-1LGOU-1526-SM-D3LAJ 20-29 years, female 91.6
GTEX-PLZ6-0826-SM-3P61K 30-39 years, male 91.5
GTEX-ZVT2-1626-SM-51MRC 50-59 years, female 91.5
GTEX-P4PQ-1526-SM-3NMCK 60-69 years, male 91.1
GTEX-18A7A-2726-SM-7LG6U 50-59 years, female 90.9
GTEX-1HFI7-1526-SM-9WG7W 50-59 years, female 90.7
GTEX-1I4MK-0926-SM-A9SLD 50-59 years, female 90.5
GTEX-13N1W-2026-SM-5K7YU 70-79 years, male 90.2
GTEX-18D9A-0626-SM-7KFTY 30-39 years, female 90.2
GTEX-1QPFJ-1526-SM-DPRXT 30-39 years, female 89.7
GTEX-ZQUD-0826-SM-57WDQ 30-39 years, male 89.0
GTEX-R53T-1226-SM-48FCT 50-59 years, female 88.4
GTEX-13CF3-1926-SM-5K7WF 60-69 years, female 88.1
GTEX-1AX9J-2626-SM-731EK 60-69 years, male 87.1
GTEX-1QP28-2126-SM-DTX8B 50-59 years, female 86.7
GTEX-111YS-1126-SM-5GZYQ 60-69 years, male 86.6
GTEX-1RQEC-2126-SM-DPS15 60-69 years, male 86.6
GTEX-133LE-1326-SM-5IFGO 20-29 years, female 86.1
GTEX-1IDJU-1526-SM-CNNR3 60-69 years, female 85.8
GTEX-1J8JJ-1726-SM-C1YQG 60-69 years, female 85.5
GTEX-OHPK-1526-SM-3MJGM 50-59 years, female 85.1
GTEX-14E1K-1526-SM-664MN 50-59 years, male 84.9
GTEX-ZLWG-1526-SM-DO12F 50-59 years, female 84.9
GTEX-W5WG-1726-SM-4LMI5 50-59 years, female 84.7
GTEX-1H1DE-1226-SM-9JGHH 20-29 years, male 84.6
GTEX-TMMY-1626-SM-4DXTY 40-49 years, female 84.5
GTEX-WH7G-1526-SM-4LVMX 40-49 years, male 83.9
GTEX-1GZ4H-1026-SM-9OSXL 50-59 years, female 83.4
GTEX-S341-0626-SM-4AD5T 40-49 years, female 83.3
GTEX-XPVG-1526-SM-4B66C 50-59 years, male 83.2
GTEX-14JG6-1226-SM-664O6 30-39 years, female 83.1
GTEX-ZA64-0826-SM-5HL9U 20-29 years, male 82.6
GTEX-S4UY-1626-SM-4AD55 40-49 years, female 82.4
GTEX-1HCU8-1326-SM-C1YQQ 60-69 years, female 82.4
GTEX-1A3MV-1226-SM-718BW 30-39 years, male 82.0
GTEX-13FH7-1026-SM-5IJGF 50-59 years, female 81.6
GTEX-1AMFI-1226-SM-731CZ 50-59 years, female 81.5
GTEX-WYVS-1326-SM-4ONCQ 40-49 years, female 81.5
GTEX-1PPH8-1326-SM-DTXFO 20-29 years, male 81.4
GTEX-Y5LM-1326-SM-5RQIS 40-49 years, female 81.3
GTEX-O5YV-1926-SM-EV797 60-69 years, female 81.2
GTEX-13O61-1126-SM-5L3FI 60-69 years, male 81.1
GTEX-XAJ8-0326-SM-47JYI 40-49 years, male 80.8
GTEX-1GMRU-2526-SM-9WG7T 50-59 years, male 80.7
GTEX-TKQ2-0926-SM-4DXU5 50-59 years, male 80.5
GTEX-1B8KE-1326-SM-73KVI 50-59 years, male 80.4
GTEX-1B97J-1826-SM-7IGPP 50-59 years, female 80.0
GTEX-14B4R-0726-SM-5TDDR 30-39 years, male 79.9
GTEX-13FTX-0726-SM-5N9BI 20-29 years, female 79.8
GTEX-PWN1-1526-SM-48TDA 40-49 years, female 79.8
GTEX-1F5PK-1826-SM-7RHHX 50-59 years, male 79.8
GTEX-17JCI-2226-SM-7LTA1 60-69 years, female 79.4
GTEX-17KNJ-1526-SM-7LTA9 50-59 years, male 79.0
GTEX-1K2DA-0826-SM-CGQGD 50-59 years, male 78.2
GTEX-1122O-1926-SM-5EGIQ 60-69 years, female 78.0
GTEX-1J8EW-2226-SM-AHZ3T 60-69 years, female 77.8
GTEX-XUZC-0726-SM-4BOPH 30-39 years, female 77.7
GTEX-145LT-1426-SM-5O9B3 40-49 years, male 77.4
GTEX-1IDJF-1426-SM-ACKWK 20-29 years, male 77.2
GTEX-14BMU-1126-SM-5RQJ8 20-29 years, female 77.1
GTEX-15DZA-1126-SM-6LPK8 30-39 years, female 77.0
GTEX-15G1A-1226-SM-7KUF3 30-39 years, male 77.0
GTEX-NFK9-1526-SM-3LK7B 40-49 years, male 76.9
GTEX-13D11-2126-SM-5IFH2 50-59 years, female 76.7
GTEX-18A67-2626-SM-718AD 50-59 years, male 76.1
GTEX-144GM-1726-SM-5O9AS 20-29 years, male 76.0
GTEX-1QCLY-1126-SM-EAZ4J 30-39 years, male 76.0
GTEX-OXRK-1626-SM-3NB17 50-59 years, female 75.9
GTEX-145ME-1026-SM-5O9B4 40-49 years, female 75.1
GTEX-WXYG-1626-SM-4ONCR 50-59 years, female 74.8
GTEX-P4PP-1526-SM-3P61M 30-39 years, female 74.7
GTEX-1J8QM-1126-SM-C1YQB 60-69 years, female 74.6
GTEX-1N2DV-0926-SM-E9TJT 40-49 years, male 74.5
GTEX-S4Z8-1226-SM-4AD6W 60-69 years, male 74.4
GTEX-1QMI2-2126-SM-DPRXQ 60-69 years, male 74.3
GTEX-ZGAY-1626-SM-DNZZ3 40-49 years, female 74.1
GTEX-1CB4E-1326-SM-7DUGD 60-69 years, male 73.9
GTEX-ZYVF-2726-SM-5GID4 50-59 years, female 73.9
GTEX-ZZPU-1426-SM-5GZZ6 50-59 years, female 73.7
GTEX-ZYFG-1326-SM-5GICJ 60-69 years, female 73.2
GTEX-1KANA-1126-SM-D3L9M 20-29 years, male 72.8
GTEX-146FH-2126-SM-5SI9U 50-59 years, female 72.7
GTEX-QCQG-0526-SM-48U2A 50-59 years, female 72.7
GTEX-1QW4Y-0726-SM-DTX8E 30-39 years, male 72.7
GTEX-Y9LG-1026-SM-5IFJN 30-39 years, male 72.5
GTEX-11DXX-1326-SM-5GIDZ 60-69 years, female 72.3
GTEX-17F98-1526-SM-7EWD8 40-49 years, female 72.3
GTEX-1R7EU-1126-SM-EAZ4M 60-69 years, male 72.0
GTEX-12BJ1-1726-SM-5HL9B 60-69 years, male 71.9
GTEX-13PVR-2126-SM-73KVR 60-69 years, female 71.4
GTEX-U4B1-1026-SM-4DXT1 40-49 years, male 71.0
GTEX-ZP4G-1226-SM-4WWCJ 20-29 years, female 71.0
GTEX-ZVP2-1626-SM-5GU5D 50-59 years, male 70.8
GTEX-13FTW-1726-SM-5KM2B 40-49 years, male 70.5
GTEX-ZLFU-1326-SM-DO11R 40-49 years, male 70.5
GTEX-117YX-1026-SM-5H11V 50-59 years, male 70.3
GTEX-132QS-1826-SM-5IFFN 60-69 years, male 70.2
GTEX-ZZ64-0426-SM-5E43F 20-29 years, male 70.0
GTEX-1H3NZ-2226-SM-9WYUT 60-69 years, male 70.0
GTEX-1S3DN-1526-SM-EVYCB 50-59 years, male 70.0
GTEX-ZLV1-0826-SM-DO11P 60-69 years, female 69.9
GTEX-XBEW-1826-SM-4RTWX 40-49 years, male 69.8
GTEX-ZXES-1426-SM-5NQ8S 30-39 years, female 69.3
GTEX-17HII-2426-SM-7KFTT 50-59 years, male 69.2
GTEX-S4Q7-0726-SM-4AD5F 20-29 years, male 69.2
GTEX-T8EM-1226-SM-4DM5J 40-49 years, male 69.2
GTEX-1I1HK-2026-SM-CNNRB 60-69 years, male 69.1
GTEX-139D8-2326-SM-5IFGE 30-39 years, female 69.0
GTEX-1F5PL-1426-SM-7MKFH 40-49 years, female 69.0
GTEX-WRHK-0626-SM-4MVOE 20-29 years, female 69.0
GTEX-12WSG-2026-SM-5FQUU 50-59 years, female 68.8
GTEX-WHPG-0426-SM-4M1XW 50-59 years, male 68.6
GTEX-ZVZP-1726-SM-5GZWY 50-59 years, male 68.5
GTEX-1MUQO-1926-SM-EAZ59 60-69 years, male 68.4
GTEX-Q2AH-1126-SM-48TZM 40-49 years, male 68.3
GTEX-1JKYN-1726-SM-AHZ48 30-39 years, male 68.1
GTEX-1LVAN-2426-SM-CNNPZ 50-59 years, female 67.9
GTEX-YFCO-0826-SM-5LUAG 40-49 years, male 67.6
GTEX-18D9B-2226-SM-718BM 60-69 years, male 67.5
GTEX-1LGRB-1726-SM-CNNRA 50-59 years, female 66.7
GTEX-POMQ-0826-SM-3P61H 20-29 years, female 66.1
GTEX-131XF-1226-SM-5HL8V 60-69 years, male 66.0
GTEX-RM2N-0826-SM-48FD3 50-59 years, male 65.5
GTEX-1QP29-2326-SM-EXOJO 50-59 years, male 65.2
GTEX-18QFQ-1226-SM-718AE 30-39 years, male 65.0
GTEX-RWS6-0926-SM-47JXE 60-69 years, female 64.9
GTEX-14ICL-0826-SM-5YY9W 30-39 years, male 64.8
GTEX-1B8L1-1526-SM-79OLK 60-69 years, male 64.6
GTEX-14PKV-1826-SM-69LO9 20-29 years, female 64.4
GTEX-1399S-1626-SM-5P9GI 30-39 years, female 64.2
GTEX-ZF2S-1426-SM-57WET 50-59 years, female 64.2
GTEX-1EH9U-2226-SM-7PBXX 60-69 years, male 64.0
GTEX-ZE7O-3026-SM-51MS4 50-59 years, female 63.8
GTEX-Y3IK-1426-SM-4YCES 50-59 years, female 63.5
GTEX-1KD5A-1426-SM-D4P3V 50-59 years, male 63.4
GTEX-SNMC-0626-SM-4DM6H 20-29 years, male 63.3
GTEX-Y8LW-0826-SM-4WWDO 50-59 years, female 63.3
GTEX-13RTK-0226-SM-5RQHR 20-29 years, male 62.8
GTEX-1A8G6-1426-SM-731EZ 60-69 years, male 62.6
GTEX-1E1VI-2826-SM-7MGWU 50-59 years, male 62.6
GTEX-1GL5R-1926-SM-9WG7U 50-59 years, male 62.5
GTEX-14PJ5-0826-SM-6AJAR 60-69 years, female 62.4
GTEX-13113-0726-SM-5LZUF 60-69 years, female 62.3
GTEX-16AAH-1226-SM-79OO9 50-59 years, male 62.2
GTEX-1GN1W-2126-SM-9JGI7 50-59 years, female 62.2
GTEX-QV31-0626-SM-447C5 30-39 years, male 62.1
GTEX-ZPU1-1626-SM-4WWB2 40-49 years, male 62.0
GTEX-XV7Q-1326-SM-4BRWM 40-49 years, female 61.9
GTEX-OIZF-1526-SM-2I5GR 60-69 years, male 61.9
GTEX-1LBAC-1426-SM-CXZKT 20-29 years, male 61.6
GTEX-11TT1-0726-SM-5GU5A 20-29 years, male 61.2
GTEX-1A3MX-1926-SM-72D7F 60-69 years, male 60.8
GTEX-PX3G-1526-SM-48U11 20-29 years, female 60.6
GTEX-111CU-0926-SM-5EGIK 50-59 years, male 60.5
GTEX-Q734-1026-SM-48U16 40-49 years, female 60.4
GTEX-13X6J-2126-SM-5TDCV 50-59 years, male 60.2
GTEX-145MO-2226-SM-5Q5BN 60-69 years, male 60.2
GTEX-14E6E-0926-SM-664N8 30-39 years, male 60.1
GTEX-OHPM-1526-SM-EV796 50-59 years, male 60.1
GTEX-15RIF-1126-SM-7KUG2 20-29 years, male 59.9
GTEX-WHSB-1226-SM-4M1XR 50-59 years, male 59.8
GTEX-PLZ5-1226-SM-EXOHA 50-59 years, male 59.7
GTEX-13O3Q-2126-SM-5KM4C 50-59 years, male 59.4
GTEX-WY7C-1726-SM-4ONCC 50-59 years, male 59.2
GTEX-131XE-2226-SM-5PNYX 50-59 years, male 59.0
GTEX-13QJ3-2726-SM-5SI6L 50-59 years, male 59.0
GTEX-15SHW-2126-SM-6M46Y 60-69 years, male 58.9
GTEX-15UF7-1226-SM-6M46G 40-49 years, male 58.8
GTEX-132AR-2426-SM-5IFFD 50-59 years, female 58.6
GTEX-U3ZN-2026-SM-4DXUC 30-39 years, female 58.6
GTEX-1LG7Z-1226-SM-DHXK4 30-39 years, male 58.5
GTEX-1NSGN-1926-SM-E9J36 50-59 years, male 58.4
GTEX-14DAR-0926-SM-73KUQ 50-59 years, male 58.0
GTEX-1JK1U-1326-SM-AHZ45 60-69 years, male 58.0
GTEX-1GF9U-1126-SM-AHZ4H 40-49 years, female 57.6
GTEX-14PJ4-1626-SM-664OB 60-69 years, male 57.5
GTEX-P78B-1826-SM-3P5YX 40-49 years, female 57.5
GTEX-1JMQJ-1326-SM-D4P3B 50-59 years, male 57.5
GTEX-1H23P-2726-SM-9JGHN 60-69 years, male 57.2
GTEX-Y5V6-1326-SM-4VDTF 60-69 years, male 56.9
GTEX-1MGNQ-1826-SM-DPRYI 40-49 years, male 56.9
GTEX-YEC4-1426-SM-5IFHS 40-49 years, male 56.6
GTEX-14PHX-1026-SM-664OL 50-59 years, male 56.3
GTEX-ZV7C-1626-SM-5NQ7E 50-59 years, male 56.2
GTEX-S3XE-1026-SM-4AD4O 50-59 years, male 55.9
GTEX-VJYA-1026-SM-4KL21 60-69 years, male 55.9
GTEX-ZT9W-1526-SM-4YCDE 50-59 years, male 55.8
GTEX-T5JW-0926-SM-4DM5K 20-29 years, female 55.7
GTEX-14DAQ-2826-SM-664MU 60-69 years, female 55.1
GTEX-QDVN-1226-SM-48TZ5 50-59 years, male 55.0
GTEX-1IDJD-2426-SM-C1YS6 30-39 years, male 55.0
GTEX-13U4I-2526-SM-5SI8Z 40-49 years, female 54.9
GTEX-X15G-1126-SM-4PQZG 50-59 years, female 54.8
GTEX-1R9K5-1026-SM-EAZ4F 50-59 years, male 54.7
GTEX-1J8Q3-1926-SM-C1YSJ 60-69 years, male 54.4
GTEX-1F75I-1826-SM-7MKGX 40-49 years, male 54.0
GTEX-S95S-0826-SM-4B64N 60-69 years, male 54.0
GTEX-14BIL-1926-SM-73KYI 50-59 years, male 53.9
GTEX-14BMV-2226-SM-5RQHX 50-59 years, male 53.8
GTEX-13OVK-0926-SM-7KUFX 40-49 years, male 53.7
GTEX-O5YW-1526-SM-3MJGL 50-59 years, male 53.7
GTEX-QMRM-1126-SM-447BN 50-59 years, male 53.6
GTEX-1CAMR-0726-SM-7EPIE 20-29 years, male 53.3
GTEX-1H11D-2226-SM-9OSXN 40-49 years, male 53.2
GTEX-1ICG6-1826-SM-AHZ2O 70-79 years, female 53.2
GTEX-1E2YA-2426-SM-7EPIG 50-59 years, male 53.1
GTEX-QLQ7-0826-SM-447B3 60-69 years, male 53.1
GTEX-11EI6-2426-SM-5PNVS 60-69 years, male 52.9
GTEX-14PJ3-1426-SM-664O8 50-59 years, male 52.5
GTEX-ZY6K-0726-SM-5A5L8 50-59 years, male 52.1
GTEX-1QP2A-2126-SM-DPRZ7 50-59 years, male 51.9
GTEX-17F9E-2226-SM-7IGNC 50-59 years, male 51.6
GTEX-UJMC-1226-SM-4IHLI 50-59 years, male 51.6
GTEX-OOBJ-1526-SM-3NB1Q 60-69 years, male 51.4
GTEX-15CHR-1326-SM-79OLT 50-59 years, male 51.3
GTEX-QLQW-0726-SM-447AA 30-39 years, male 50.7
GTEX-YB5E-1126-SM-664NU 40-49 years, male 50.7
GTEX-1IL2V-2026-SM-ARZMA 70-79 years, male 50.7
GTEX-1HKZK-1526-SM-B2LWG 40-49 years, male 50.6
GTEX-1HR9M-2326-SM-CNPPZ 60-69 years, male 50.5
GTEX-17HGU-2126-SM-7IGOV 50-59 years, male 50.3
GTEX-UPK5-2126-SM-4JBJK 40-49 years, male 50.3
GTEX-144GN-1226-SM-5O991 50-59 years, male 50.2
GTEX-XMK1-1526-SM-EYYVO 40-49 years, male 50.2
GTEX-Q2AI-0826-SM-48TZO 40-49 years, male 50.1
GTEX-WFG7-1326-SM-4LMK1 20-29 years, male 49.9
GTEX-1RMOY-1126-SM-EV79E 50-59 years, male 49.7
GTEX-15RIE-1026-SM-6LPJQ 60-69 years, male 49.4
GTEX-17MF6-2126-SM-7KFS7 40-49 years, male 49.4
GTEX-18A66-2226-SM-7189E 60-69 years, male 49.3
GTEX-1H1DG-2126-SM-9WPPB 70-79 years, male 49.1
GTEX-1RAZR-1526-SM-EAZ4U 40-49 years, male 49.0
GTEX-15DCE-1626-SM-6LPJM 20-29 years, male 48.8
GTEX-Y8E4-1526-SM-4WWDI 40-49 years, male 48.7
GTEX-XXEK-0826-SM-4BRWG 50-59 years, male 48.5
GTEX-1AYCT-1326-SM-7MKHB 50-59 years, male 48.1
GTEX-Y3I4-1626-SM-4TT7W 50-59 years, male 48.1
GTEX-1H1E6-1626-SM-9OSWC 30-39 years, male 48.1
GTEX-17HHE-1026-SM-79ON6 50-59 years, male 47.9
GTEX-1LSNM-1026-SM-DHXL2 50-59 years, male 47.9
GTEX-QV44-1226-SM-CJI1S 50-59 years, male 47.9
GTEX-145MN-1326-SM-5NQ9S 30-39 years, male 47.8
GTEX-1KXAM-0926-SM-CXZKA 60-69 years, male 47.5
GTEX-WFON-1126-SM-4LVMA 40-49 years, male 47.4
GTEX-1RB15-1026-SM-E9U6V 60-69 years, male 47.4
GTEX-12696-1726-SM-5EQLH 60-69 years, male 47.2
GTEX-WYJK-2526-SM-4ONDF 50-59 years, male 47.0
GTEX-17GQL-1226-SM-7KFTS 60-69 years, male 46.9
GTEX-ZDYS-1926-SM-5HL59 50-59 years, male 46.6
GTEX-XBED-1226-SM-4AT5V 60-69 years, male 46.5
GTEX-WHWD-1426-SM-4OORU 50-59 years, male 46.0
GTEX-139YR-1926-SM-5LZXM 50-59 years, male 45.9
GTEX-QDVJ-1426-SM-48U1Y 50-59 years, male 45.8
GTEX-1MJIX-1126-SM-EV7AO 40-49 years, male 45.5
GTEX-1I6K7-1726-SM-B2LXQ 40-49 years, male 45.3
GTEX-1399R-1126-SM-5IFIO 30-39 years, male 44.7
GTEX-PW2O-1226-SM-48TCH 20-29 years, male 44.3
GTEX-ZAB4-1526-SM-5CVN7 40-49 years, male 44.3
GTEX-SUCS-0926-SM-4DM4Z 70-79 years, male 44.0
GTEX-1HBPN-1626-SM-9WPNP 50-59 years, male 43.2
GTEX-1HT8W-2326-SM-A9SLA 30-39 years, male 43.1
GTEX-T5JC-1926-SM-4DM6Q 20-29 years, male 42.9
GTEX-1H3VY-2326-SM-9WG81 50-59 years, male 42.9
GTEX-WFG8-1326-SM-4LVN3 20-29 years, male 42.5
GTEX-ZEX8-1626-SM-4WKG7 50-59 years, male 42.1
GTEX-V955-1326-SM-4JBHR 60-69 years, male 41.6
GTEX-1B8KZ-1226-SM-793CP 50-59 years, male 41.5
GTEX-11NSD-1426-SM-5HL67 20-29 years, male 41.2
GTEX-13O21-0926-SM-5IFGT 50-59 years, male 40.1
GTEX-WZTO-2126-SM-4PQYW 40-49 years, male 40.1
GTEX-V1D1-1726-SM-4JBHB 50-59 years, male 39.5
GTEX-XQ8I-2026-SM-4BOOL 50-59 years, male 39.3
GTEX-OXRL-1526-SM-E6CHQ 50-59 years, male 35.0
GTEX-1B97I-1226-SM-7MGWQ 40-49 years, male 31.8
Show allShow less

Contact

  • NEWS ARTICLES
  • PRESS ROOM

The Project

  • INTRODUCTION
  • ORGANIZATION
  • PUBLICATIONS

The Human Protein Atlas

  • DOWNLOADABLE DATA
  • LICENCE & CITATION
  • HELP & FAQ
The Human Protein Atlas project is funded
by the Knut & Alice Wallenberg Foundation.


contact@proteinatlas.org