We use cookies to enhance the usability of our website. If you continue, we'll assume that you are happy to receive all cookies. More information. Don't show this again.
FADS3
HPA
RESOURCES
  • TISSUE
  • BRAIN
  • SINGLE CELL
  • SUBCELLULAR
  • CANCER
  • BLOOD
  • CELL LINE
  • STRUCTURE & INTERACTION
ABOUT
  • INTRODUCTION
  • HISTORY
  • ORGANIZATION
  • PUBLICATIONS
  • ANTIBODY SUBMISSION
  • ANTIBODY AVAILABILITY
  • ACKNOWLEDGMENTS
  • CONTACT
NEWS
  • NEWS ARTICLES
  • PRESS ROOM
LEARN
  • DICTIONARY
  • PROTEIN CLASSES
  • PROTEIN EVIDENCE
  • METHODS
  • EDUCATIONAL VIDEOS
DATA
  • DOWNLOADABLE DATA
  • PUBLICATION DATA
  • RELEASE HISTORY
HELP
  • ANTIBODY VALIDATION
  • ASSAYS & ANNOTATION
  • DISCLAIMER
  • HELP & FAQ
  • PRIVACY STATEMENT
  • LICENCE & CITATION
Fields »
Search result

Field
Term
Gene name
Class
Subclass
Class
Keyword
Chromosome
External id
Tissue
Cell type
Expression
Antibody panel
Tissue
Main location
Patient ID
Annotation
Tissue
Category
Tau score
Cluster
Reliability
Brain region
Category
Tau score
Brain region
Category
Tau score
Brain region
Category
Tau score
Cluster
Reliability
Tissue
Cell type
Enrichment
Cell type
Category
Tau score
Cell type
Category
Tau score
Cell type
Category
Tau score
Cell lineage
Category
Tau score
Cluster
Cluster
Location
Searches
Location
Cell line
Class
Type
Phase
Reliability
Cancer
Prognosis
Cancer
Category
Cancer
Category
Tau score
Cluster
Variants
Interacting gene (ensg_id)
Type
Number of interactions
Pathway
Category
Score
Score
Score
Validation
Validation
Validation
Validation
Antibodies
Data type
Column


  • SUMMARY

  • TISSUE

  • BRAIN

  • SINGLE CELL

  • SUBCELL

  • CANCER

  • BLOOD

  • CELL LINE

  • STRUCT & INT

  • FADS3
TISSUE PRIMARY DATA SKIN Show tissue menu
ADIPOSE TISSUE ADRENAL GLAND AMYGDALA APPENDIX BASAL GANGLIA BONE MARROW BREAST BRONCHUS CEREBELLUM CEREBRAL CORTEX CERVIX CHOROID PLEXUS COLON DUODENUM
ENDOMETRIUM EPIDIDYMIS ESOPHAGUS FALLOPIAN TUBE GALLBLADDER HEART MUSCLE HIPPOCAMPAL FORMATION HYPOTHALAMUS KIDNEY LIVER LUNG LYMPH NODE MIDBRAIN NASOPHARYNX
ORAL MUCOSA OVARY PANCREAS PARATHYROID GLAND PITUITARY GLAND PLACENTA PROSTATE RECTUM RETINA SALIVARY GLAND SEMINAL VESICLE SKELETAL MUSCLE SKIN SMALL INTESTINE
SMOOTH MUSCLE SOFT TISSUE SPINAL CORD SPLEEN STOMACH TESTIS THYMUS THYROID GLAND TONGUE TONSIL URINARY BLADDER VAGINA
ANTIBODIES
AND
VALIDATION
Dictionary
Skin
Tissue proteome
Skin
SKIN - Expression summary
Protein expression
Skini

On the top, protein expression in current human tissue, based on all annotated cell types, is reported with the units not detected (n), low (l), medium (m) and high (h). Underneath, protein expression in each annotated cell type are reported using the same units.

Protein expression data is based on knowledge-based annotation. For genes where more than one antibody has been used, a collective score is set.

If knowledge-based annotation could not be performed for a gene, no data is displayed here. View antibody staining data further down this page.

h
m
l
n
Epidermal cells: Low
Fibroblasts: Not detected
Keratinocytes: Medium
Langerhans: Not detected
Melanocytes: Medium
RNA expressioni

A summary of mRNA expression data available for current tissue based on several datasets. The mRNA expression levels in human tissues are based on RNA-seq data generated by the Human Protein Atlas (HPA), Genotype-Tissue Expression (GTEx) portal and CAGE data generated by the FANTOM5 consortium. Consensus normalized expression levels for human tissues was created by combining the data from HPA and GTEx datasets.

The mRNA expression levels in pig are based on RNA-seq data generated by the Human Protein Atlas (HPA), and for mouse, HPA data and in situ hybridization generated by the Allen brain atlas are reported.

Scroll down to view mRNA expression data in more detail.
Consensus:13.0 nTPM
HPA:3.6 nTPM
GTEx:13.0 nTPM

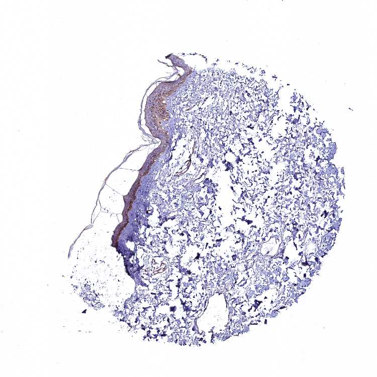
SKIN 1 - Antibody stainingi

Antibody staining in the annotated cell types in the current human tissue is reported as not detected, low, medium, or high, based on conventional immunohistochemistry profiling in selected tissues. This score is based on the combination of the staining intensity and fraction of stained cells.

Each image is clickable and will lead to virtual microscopy that enables deeper exploration of all samples and also displays staining intensity scores, fraction scores and subcellular localization as well as patient and tissue information for each sample.

Antibody HPA045224
Langerhans Not detected
Fibroblasts Not detected
Keratinocytes Medium
Melanocytes Medium


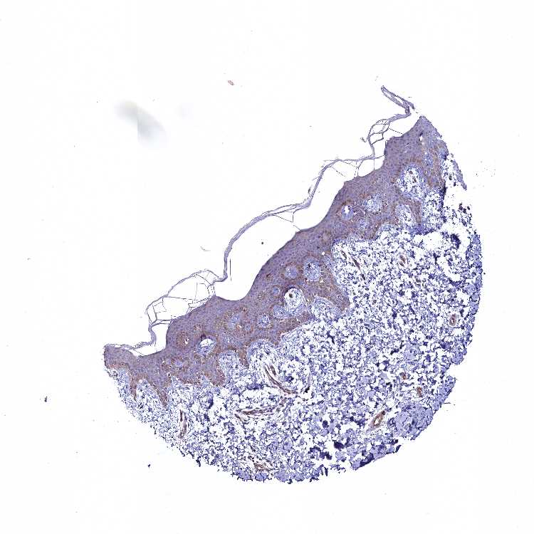
SKIN 2 - Antibody stainingi

Antibody staining in the annotated cell types in the current human tissue is reported as not detected, low, medium, or high, based on conventional immunohistochemistry profiling in selected tissues. This score is based on the combination of the staining intensity and fraction of stained cells.

Each image is clickable and will lead to virtual microscopy that enables deeper exploration of all samples and also displays staining intensity scores, fraction scores and subcellular localization as well as patient and tissue information for each sample.

Antibody HPA045224
Epidermal cells Low
 
 
 


SKIN - HPA RNA-seqi

The RNA-seq details section shows detailed information about the individual samples used for the transcript profiling and results of the RNA-seq analysis.

Information about each individual sample is listed below, including gender, age, a tissue section image and estimated fractions of cell types. nTPM (normalized transcripts per million) values give a quantification of the gene abundance which is comparable between different genes and samples.
Average nTPMi

Max subtype nTPM is the value for the subtype with the largest average nTPM across the subtype samples.

3.6
overview
Female, age 34
Skin sample 225
nTPM: 2.2
Cell types%
Keratinocytes:
60

Other cell types:
40

overview
Female, age 30
Skin sample 226
nTPM: 1.9
Cell types%
Keratinocytes:
55

Other cell types:
45

N/A
Male, age 57
Skin sample 227
nTPM: 6.7

SKIN - GTEx RNA-seqi

RNA-Seq data generated by the Genotype-Tissue Expression (GTEx) project from human tissues is reported as mean nTPM. More information can be found on the GTEx portal.

Distribution across the dataset is visualized with box plots, shown as median and 25th and 75th percentiles. Points are displayed as outliers if they are above or below 1.5 times the interquartile range. nTPM values of the individual samples are presented next to the box plot.
Max subtype nTPMi

Max subtype nTPM is the value for the subtype with the largest average nTPM across the subtype samples.

13.0
GTEx sample id Sample description nTPM
Skin - Not Sun Exposed (Suprapubic)
Average nTPM: 9.9
Samples: 604

Max nTPM: 51.1
Min nTPM: 1.5
Std nTPM: 5.7
Median nTPM: 8.4
GTEX-14E6C-2426-SM-5S2NF 40-49 years, male 51.1
GTEX-13FH7-1126-SM-5K7UG 50-59 years, female 37.7
GTEX-YB5K-2026-SM-4VDT3 40-49 years, female 35.0
GTEX-1H23P-0626-SM-9WG6T 60-69 years, male 33.6
GTEX-1I4MK-0126-SM-CY8G6 50-59 years, female 32.7
GTEX-11WQK-1026-SM-5EQLX 50-59 years, male 30.3
GTEX-11TT1-1826-SM-5EQLV 20-29 years, male 30.1
GTEX-14A5H-0826-SM-5QGPJ 60-69 years, male 29.5
GTEX-1GF9U-2026-SM-7SB92 40-49 years, female 28.8
GTEX-1HCU8-2526-SM-CE6RX 60-69 years, female 27.4
GTEX-1AX9J-1326-SM-731BJ 60-69 years, male 27.3
GTEX-WI4N-2726-SM-3LK7Y 40-49 years, female 26.2
GTEX-1QCLZ-2426-SM-EVYBW 60-69 years, female 26.1
GTEX-1R9PN-0426-SM-DTXDT 40-49 years, female 25.6
GTEX-13OVJ-0826-SM-5J1OK 50-59 years, female 24.7
GTEX-132AR-0326-SM-5KM2C 50-59 years, female 24.6
GTEX-WFG8-2126-SM-3GIKQ 20-29 years, male 24.5
GTEX-XPVG-2126-SM-4B667 50-59 years, male 24.3
GTEX-1JMOU-1026-SM-CYPSS 60-69 years, female 23.2
GTEX-1LVAO-2726-SM-E9TJ8 60-69 years, male 22.8
GTEX-WFON-1926-SM-3LK7L 40-49 years, male 22.6
GTEX-WHSE-0126-SM-3NMBT 20-29 years, male 22.4
GTEX-1399R-1326-SM-5PNYS 30-39 years, male 22.3
GTEX-Y5LM-0926-SM-6LLJG 40-49 years, female 21.9
GTEX-ZU9S-1826-SM-5NQ9E 30-39 years, male 21.8
GTEX-12584-0726-SM-5FQTK 40-49 years, male 21.4
GTEX-1A3MX-2626-SM-7PC24 60-69 years, male 21.3
GTEX-ZVE1-0726-SM-51MRN 50-59 years, female 21.1
GTEX-1RB15-1326-SM-E76Q9 60-69 years, male 21.1
GTEX-1L5NE-1126-SM-D3L9P 50-59 years, male 21.0
GTEX-18D9B-0926-SM-7LG4U 60-69 years, male 20.9
GTEX-11DZ1-2426-SM-5GZZX 50-59 years, male 20.7
GTEX-12BJ1-0926-SM-5EQ62 60-69 years, male 20.6
GTEX-U8XE-0226-SM-4E3J3 30-39 years, male 20.2
GTEX-1A3MW-0626-SM-731CB 60-69 years, female 19.8
GTEX-1O9I2-0226-SM-EYYXD 50-59 years, male 19.8
GTEX-17JCI-2926-SM-7DUFF 60-69 years, female 19.7
GTEX-1I6K7-1926-SM-B2LXR 40-49 years, male 19.5
GTEX-X3Y1-2026-SM-3P5YM 40-49 years, male 19.4
GTEX-1CB4I-0126-SM-7RHGG 50-59 years, male 19.3
GTEX-1QP29-1826-SM-DTX9S 50-59 years, male 19.3
GTEX-X8HC-0626-SM-4E3HQ 50-59 years, female 19.2
GTEX-ZLFU-1826-SM-4WWBV 40-49 years, male 19.1
GTEX-14PKV-1126-SM-6LLJ1 20-29 years, female 18.9
GTEX-Y8LW-1526-SM-5IFHL 50-59 years, female 18.9
GTEX-1LVA9-2626-SM-EVYD4 50-59 years, male 18.9
GTEX-X4EP-0626-SM-3P621 60-69 years, female 18.6
GTEX-ZYFG-1526-SM-5GZYM 60-69 years, female 18.6
GTEX-1H1ZS-2726-SM-9WG75 70-79 years, male 18.6
GTEX-1ICG6-1226-SM-A9SLN 70-79 years, female 18.6
GTEX-1CAV2-0126-SM-7IGN7 40-49 years, female 18.5
GTEX-16XZZ-0726-SM-7KUF2 60-69 years, male 18.4
GTEX-ZTSS-1426-SM-5985P 40-49 years, male 18.4
GTEX-13OVG-1626-SM-5J1NF 60-69 years, male 18.2
GTEX-17EVQ-0126-SM-7IGLR 70-79 years, male 18.2
GTEX-ZT9W-1126-SM-57WDR 50-59 years, male 18.0
GTEX-11NSD-0626-SM-5A5LU 20-29 years, male 17.9
GTEX-1LG7Z-1626-SM-CXKYR 30-39 years, male 17.8
GTEX-1IDJE-1426-SM-ADEIW 50-59 years, female 17.6
GTEX-17F96-0126-SM-7EWDU 70-79 years, male 17.5
GTEX-14JG6-1426-SM-9WG7C 30-39 years, female 17.5
GTEX-1F48J-0726-SM-7RHGS 50-59 years, female 17.5
GTEX-13N2G-0226-SM-5K7VF 60-69 years, male 17.3
GTEX-WH7G-2026-SM-3NMBL 40-49 years, male 17.2
GTEX-12WSL-2026-SM-5GCML 50-59 years, male 17.1
GTEX-1211K-1526-SM-5FQU4 60-69 years, female 17.0
GTEX-14DAR-1226-SM-73KYV 50-59 years, male 16.9
GTEX-145MN-1526-SM-5SI9T 30-39 years, male 16.8
GTEX-XK95-0226-SM-4AT58 40-49 years, male 16.8
GTEX-Y5V6-2326-SM-4VDSA 60-69 years, male 16.7
GTEX-1JKYN-0826-SM-ARU8S 30-39 years, male 16.7
GTEX-11DXX-2126-SM-5PNYR 60-69 years, female 16.6
GTEX-ZYFD-0626-SM-5E44E 50-59 years, male 16.4
GTEX-13FTW-0326-SM-5K7UW 40-49 years, male 16.3
GTEX-14BMU-1226-SM-5S2OR 20-29 years, female 16.1
GTEX-14E6E-0526-SM-793DN 30-39 years, male 16.0
GTEX-18A7B-2726-SM-7LG56 70-79 years, male 16.0
GTEX-1GMR2-0826-SM-7PC3V 50-59 years, male 16.0
GTEX-111FC-2526-SM-5GZXU 60-69 years, male 15.9
GTEX-12WSJ-1126-SM-5LZVJ 40-49 years, female 15.9
GTEX-ZLWG-0826-SM-59888 50-59 years, female 15.8
GTEX-1117F-2926-SM-5GZYI 60-69 years, female 15.7
GTEX-WEY5-2326-SM-3GIKK 40-49 years, female 15.7
GTEX-1AX8Z-0726-SM-73KTS 60-69 years, male 15.6
GTEX-XUW1-0926-SM-4BONX 50-59 years, female 15.6
GTEX-1IDJC-1526-SM-B2LW4 50-59 years, male 15.6
GTEX-1KANC-1226-SM-CYPT7 50-59 years, female 15.6
GTEX-1MCC2-1826-SM-DIPEX 30-39 years, female 15.6
GTEX-ZVTK-0226-SM-51MRG 20-29 years, male 15.4
GTEX-ZYW4-0626-SM-59HJR 60-69 years, male 15.4
GTEX-14PJO-2526-SM-6AJBQ 60-69 years, male 15.2
GTEX-14PK6-0226-SM-62LF5 70-79 years, female 15.2
GTEX-XV7Q-1826-SM-4BRUV 40-49 years, female 15.2
GTEX-11VI4-1126-SM-5EQMD 40-49 years, female 15.1
GTEX-WYJK-0526-SM-3NM8Z 50-59 years, male 15.1
GTEX-11EM3-1226-SM-5N9DD 20-29 years, female 14.9
GTEX-1HC8U-1326-SM-9YFMJ 40-49 years, female 14.9
GTEX-1HFI7-2326-SM-CGQFS 50-59 years, female 14.9
GTEX-147F3-1726-SM-5SIAW 50-59 years, female 14.7
GTEX-XYKS-1426-SM-4BRUO 60-69 years, female 14.6
GTEX-1JN1M-2726-SM-CY8I4 60-69 years, female 14.6
GTEX-11DXW-0826-SM-5H118 40-49 years, male 14.5
GTEX-1PIGE-1826-SM-E8VOU 20-29 years, male 14.5
GTEX-145LT-0526-SM-5LUB2 40-49 years, male 14.4
GTEX-16MTA-0926-SM-6M47Z 50-59 years, male 14.4
GTEX-1JN6P-2926-SM-CL54D 60-69 years, male 14.2
GTEX-YEC3-1326-SM-DO92X 50-59 years, male 14.2
GTEX-18A66-0626-SM-7LT8Z 60-69 years, male 14.1
GTEX-1H3NZ-2726-SM-9WYTQ 60-69 years, male 13.8
GTEX-1K2DA-1026-SM-CGQGF 50-59 years, male 13.8
GTEX-ZPIC-0526-SM-DO91W 40-49 years, female 13.8
GTEX-ZVP2-0326-SM-57WBP 50-59 years, male 13.7
GTEX-13PVR-0426-SM-5RQK2 60-69 years, female 13.6
GTEX-1HUB1-1426-SM-CGQF5 60-69 years, male 13.6
GTEX-1S3DN-2126-SM-E9TIN 50-59 years, male 13.6
GTEX-1HKZK-0726-SM-ACKW2 40-49 years, male 13.5
GTEX-ZAB4-2126-SM-5HL8U 40-49 years, male 13.4
GTEX-1JMQL-2226-SM-CNPP4 50-59 years, female 13.4
GTEX-16GPK-0626-SM-7KFSF 60-69 years, male 13.3
GTEX-1J8JJ-0626-SM-ARZMQ 60-69 years, female 13.3
GTEX-12WSA-0426-SM-5EQ5X 60-69 years, male 13.2
GTEX-139T8-0626-SM-5KLZX 60-69 years, male 13.2
GTEX-13JUV-2026-SM-5K7UA 40-49 years, female 13.2
GTEX-1LSNM-0826-SM-DIPG8 50-59 years, male 13.2
GTEX-1RLM8-2926-SM-E8VON 50-59 years, male 13.2
GTEX-178AV-1726-SM-7KUL8 40-49 years, male 13.0
GTEX-1B996-0426-SM-7EWF8 60-69 years, male 13.0
GTEX-ZP4G-1426-SM-4WWCL 20-29 years, female 13.0
GTEX-13113-1626-SM-5EQ4I 60-69 years, female 12.9
GTEX-1GMR3-0126-SM-A9SLW 40-49 years, male 12.9
GTEX-11EQ9-1626-SM-5PNY8 30-39 years, male 12.8
GTEX-13QBU-1226-SM-5LU4G 40-49 years, female 12.8
GTEX-13U4I-2226-SM-5LU5H 40-49 years, female 12.8
GTEX-1JMQK-1226-SM-D4P2S 60-69 years, male 12.8
GTEX-1212Z-0126-SM-59HK4 60-69 years, male 12.7
GTEX-YEC4-1826-SM-4W1YP 40-49 years, male 12.7
GTEX-ZA64-1026-SM-5HL8R 20-29 years, male 12.7
GTEX-18D9A-1426-SM-7LT8M 30-39 years, female 12.7
GTEX-1IDJD-2326-SM-ACKWX 30-39 years, male 12.7
GTEX-1LGOU-1326-SM-D3L8M 20-29 years, female 12.7
GTEX-13SLX-2226-SM-62LEP 50-59 years, female 12.6
GTEX-1IDJU-1726-SM-CMKHU 60-69 years, female 12.6
GTEX-11UD2-2526-SM-5CVNU 50-59 years, male 12.5
GTEX-14PJ3-1126-SM-5ZZVX 50-59 years, male 12.5
GTEX-1LVAN-0626-SM-CNPOQ 50-59 years, female 12.5
GTEX-ZF3C-0626-SM-DO92O 50-59 years, female 12.5
GTEX-145MO-2826-SM-5LU96 60-69 years, male 12.4
GTEX-14LLW-2626-SM-62LDZ 70-79 years, female 12.4
GTEX-16MT8-2926-SM-7DUFO 60-69 years, female 12.4
GTEX-13X6H-0926-SM-5SIB2 50-59 years, female 12.3
GTEX-15FZZ-0526-SM-7KUGD 30-39 years, female 12.3
GTEX-17MF6-2626-SM-79OKQ 40-49 years, male 12.3
GTEX-YF7O-1526-SM-5IFI6 50-59 years, male 12.3
GTEX-1IDJF-2026-SM-CL53V 20-29 years, male 12.3
GTEX-111CU-1126-SM-5EGIM 50-59 years, male 12.2
GTEX-16BQI-1326-SM-6M486 30-39 years, female 12.2
GTEX-1E1VI-0326-SM-793D1 50-59 years, male 12.2
GTEX-XQ8I-0926-SM-4BOOF 50-59 years, male 12.2
GTEX-1CAMR-1326-SM-7PC1F 20-29 years, male 12.2
GTEX-13OW8-1026-SM-5J1NQ 60-69 years, male 12.1
GTEX-14AS3-1526-SM-5Q5ED 40-49 years, female 12.1
GTEX-15EU6-2226-SM-6EU2L 50-59 years, male 12.1
GTEX-ZY6K-1426-SM-5GZX2 50-59 years, male 12.1
GTEX-ZZ64-1026-SM-5GZXG 20-29 years, male 12.1
GTEX-1GL5R-1326-SM-7RHHF 50-59 years, male 12.1
GTEX-XBEC-0726-SM-4QARZ 50-59 years, male 12.0
GTEX-1GTWX-2026-SM-9YFLM 60-69 years, male 12.0
GTEX-ZAJG-1526-SM-5CVML 50-59 years, female 11.9
GTEX-1I6K6-1726-SM-CGQFD 30-39 years, male 11.9
GTEX-1QP66-1226-SM-DTX7U 50-59 years, male 11.9
GTEX-ZPU1-1126-SM-4YCF3 40-49 years, male 11.8
GTEX-1J1R8-2026-SM-CL53Y 40-49 years, male 11.8
GTEX-11EI6-2826-SM-5H11D 60-69 years, male 11.7
GTEX-11P7K-1126-SM-5HL4L 30-39 years, male 11.6
GTEX-13N1W-2426-SM-5IJD1 70-79 years, male 11.6
GTEX-14PHY-1226-SM-5ZZWK 60-69 years, female 11.6
GTEX-15RIE-1926-SM-7KUKJ 60-69 years, male 11.6
GTEX-WHPG-2626-SM-3NMBR 50-59 years, male 11.6
GTEX-145ME-1726-SM-5Q5EU 40-49 years, female 11.5
GTEX-146FQ-2126-SM-5RQHU 30-39 years, male 11.5
GTEX-1477Z-0326-SM-7IGLA 60-69 years, male 11.5
GTEX-ZZPU-0826-SM-5GZX5 50-59 years, female 11.5
GTEX-Y5V5-0126-SM-5S2NW 60-69 years, female 11.4
GTEX-17F97-2626-SM-7IGM5 50-59 years, male 11.3
GTEX-18D9U-0126-SM-731BM 40-49 years, male 11.3
GTEX-1F75W-2726-SM-7SB8H 60-69 years, male 11.3
GTEX-11ZTT-2126-SM-5CVLO 60-69 years, female 11.2
GTEX-145MG-1526-SM-5Q5EM 50-59 years, male 11.2
GTEX-1HSMP-0926-SM-A9SKX 70-79 years, male 11.2
GTEX-13RTJ-0126-SM-5S2NN 60-69 years, male 11.1
GTEX-13W3W-0726-SM-5IJDQ 60-69 years, female 11.1
GTEX-15CHQ-0326-SM-69LQD 60-69 years, male 11.1
GTEX-1K2DU-1226-SM-CYPT4 20-29 years, male 11.1
GTEX-13O3O-2326-SM-5IJD6 60-69 years, female 10.9
GTEX-15D1Q-2826-SM-6LLH7 40-49 years, male 10.9
GTEX-1S82U-1026-SM-E6CJK 30-39 years, female 10.9
GTEX-XXEK-1626-SM-4BRUZ 50-59 years, male 10.8
GTEX-1H1DG-2426-SM-9QEHJ 70-79 years, male 10.8
GTEX-1QCLY-0226-SM-EWRNH 30-39 years, male 10.8
GTEX-11O72-0626-SM-5PNYE 40-49 years, male 10.7
GTEX-13N11-2326-SM-5IJBF 50-59 years, female 10.7
GTEX-1CB4H-1126-SM-7MKGL 60-69 years, female 10.7
GTEX-ZUA1-2626-SM-5NQ92 40-49 years, male 10.7
GTEX-139YR-1026-SM-5LZYN 50-59 years, male 10.6
GTEX-13NYC-0126-SM-5L3F4 60-69 years, male 10.6
GTEX-13PVQ-0626-SM-5LU47 50-59 years, male 10.6
GTEX-1C475-1326-SM-7SB73 40-49 years, female 10.6
GTEX-1HSMO-0626-SM-ACKXC 60-69 years, male 10.5
GTEX-1IDJI-0126-SM-CMKHS 50-59 years, female 10.5
GTEX-12696-0126-SM-5EQ4L 60-69 years, male 10.4
GTEX-131XG-0326-SM-5L3DX 50-59 years, female 10.4
GTEX-13NZ9-2626-SM-5L3FK 50-59 years, male 10.4
GTEX-VJYA-1526-SM-3GIJV 60-69 years, male 10.4
GTEX-1KANA-1326-SM-DIPFA 20-29 years, male 10.4
GTEX-1PPH8-0126-SM-EWRN8 20-29 years, male 10.4
GTEX-16Z82-2626-SM-7KULU 60-69 years, male 10.3
GTEX-183WM-0326-SM-72D5V 70-79 years, female 10.3
GTEX-ZTTD-2826-SM-4YCFA 50-59 years, male 10.3
GTEX-1J8Q3-0526-SM-ARL8U 60-69 years, male 10.3
GTEX-1RMOY-1326-SM-E9TIH 50-59 years, male 10.3
GTEX-1GMR8-0626-SM-7RHI7 50-59 years, female 10.2
GTEX-1I19N-0126-SM-CYPSF 70-79 years, male 10.2
GTEX-111YS-1526-SM-5GZYW 60-69 years, male 10.1
GTEX-WXYG-2026-SM-4E3IY 50-59 years, female 10.1
GTEX-1H3VE-0726-SM-9YFL5 40-49 years, male 10.1
GTEX-1HBPM-0726-SM-9YFL7 60-69 years, female 10.1
GTEX-1JJE9-2626-SM-ARZMT 70-79 years, male 10.1
GTEX-117YX-1926-SM-5GIEC 50-59 years, male 10.0
GTEX-12WSF-1626-SM-7KUG5 70-79 years, male 10.0
GTEX-1JMPZ-0726-SM-CY8HZ 30-39 years, male 10.0
GTEX-14DAQ-0626-SM-793DS 60-69 years, female 9.8
GTEX-WY7C-2126-SM-3NB2R 50-59 years, male 9.8
GTEX-1F88E-1626-SM-7SB8Z 60-69 years, female 9.8
GTEX-1LBAC-0826-SM-CY8IJ 20-29 years, male 9.8
GTEX-139TT-2126-SM-5LZWC 60-69 years, male 9.7
GTEX-145LS-0626-SM-7EPG7 60-69 years, female 9.7
GTEX-VUSG-2326-SM-4KL1U 50-59 years, male 9.7
GTEX-YFCO-1226-SM-5LUAT 40-49 years, male 9.7
GTEX-ZDXO-3126-SM-5IJDF 60-69 years, male 9.7
GTEX-1GZHY-0626-SM-9KNVC 50-59 years, female 9.7
GTEX-1HCUA-0826-SM-ADEHM 50-59 years, female 9.7
GTEX-1K9T9-1526-SM-DIPFR 50-59 years, female 9.7
GTEX-1LKK1-2626-SM-DKPQE 50-59 years, female 9.7
GTEX-16MT9-0126-SM-7EPI8 60-69 years, female 9.6
GTEX-11P82-1426-SM-DTXFY 20-29 years, male 9.6
GTEX-1C64O-1326-SM-7MGWR 60-69 years, male 9.6
GTEX-1F75I-2226-SM-7SB8U 40-49 years, male 9.6
GTEX-11LCK-2226-SM-5HL4Q 30-39 years, male 9.5
GTEX-14ABY-2026-SM-62LDL 50-59 years, male 9.5
GTEX-14PJ5-1526-SM-6LLIL 60-69 years, female 9.5
GTEX-15UF6-1926-SM-7KUDV 70-79 years, female 9.5
GTEX-1B97I-0626-SM-73KUZ 40-49 years, male 9.5
GTEX-UPK5-0426-SM-3GAEK 40-49 years, male 9.5
GTEX-ZDTS-0826-SM-4WKHL 60-69 years, male 9.5
GTEX-1QP9N-1226-SM-E76QN 30-39 years, male 9.5
GTEX-144FL-0626-SM-5LU43 50-59 years, male 9.4
GTEX-17HG3-2626-SM-7DUF2 30-39 years, female 9.4
GTEX-1HCVE-2726-SM-CL54F 50-59 years, male 9.4
GTEX-1JN76-0626-SM-CKZOQ 20-29 years, female 9.4
GTEX-13FTX-1526-SM-5K7VJ 20-29 years, female 9.3
GTEX-1QEPI-2626-SM-DTXF4 60-69 years, female 9.3
GTEX-1S831-1826-SM-EWROF 20-29 years, male 9.3
GTEX-11DYG-1526-SM-5A5JS 60-69 years, male 9.2
GTEX-1CB4E-0926-SM-7EPHT 60-69 years, male 9.2
GTEX-XOT4-0626-SM-4B66L 60-69 years, female 9.2
GTEX-Z93S-1626-SM-5CVMB 50-59 years, male 9.2
GTEX-18465-2826-SM-7LT9J 50-59 years, male 9.1
GTEX-XBEW-1126-SM-4QARW 40-49 years, male 9.1
GTEX-ZVE2-2826-SM-5GU51 50-59 years, male 9.1
GTEX-1GN1W-2426-SM-9KNUU 50-59 years, female 9.1
GTEX-ZVT2-0126-SM-5GIDQ 50-59 years, female 9.0
GTEX-ZGAY-1826-SM-DO91Q 40-49 years, female 9.0
GTEX-12WSK-2126-SM-5CVNC 40-49 years, female 8.9
GTEX-12ZZZ-0726-SM-5GCNZ 60-69 years, male 8.9
GTEX-131YS-2826-SM-5EQ47 60-69 years, female 8.9
GTEX-17HGU-2326-SM-7DUFE 50-59 years, male 8.9
GTEX-WYBS-0626-SM-3NMAS 60-69 years, female 8.9
GTEX-YJ8O-2526-SM-5HL85 40-49 years, female 8.9
GTEX-1KWVE-1026-SM-D3L9O 30-39 years, male 8.9
GTEX-11ZU8-0126-SM-5EQ58 60-69 years, male 8.8
GTEX-13X6I-1826-SM-5SIAO 60-69 years, male 8.8
GTEX-147F4-0726-SM-5TDDD 50-59 years, male 8.8
GTEX-14BMV-2826-SM-5TDED 50-59 years, male 8.8
GTEX-17F98-1326-SM-7DUEP 40-49 years, female 8.8
GTEX-WYVS-1626-SM-3NM9R 40-49 years, female 8.8
GTEX-1GZ2Q-0126-SM-9WG6M 40-49 years, male 8.8
GTEX-1H1CY-0126-SM-9YFLY 60-69 years, female 8.8
GTEX-11GSP-2326-SM-5HL63 60-69 years, female 8.7
GTEX-133LE-2326-SM-5K7W3 20-29 years, female 8.7
GTEX-17KNJ-2126-SM-718AM 50-59 years, male 8.7
GTEX-Y3I4-1726-SM-4TT89 50-59 years, male 8.7
GTEX-1HB9E-0126-SM-CM2S5 50-59 years, male 8.7
GTEX-1I1GP-1326-SM-A9G28 50-59 years, male 8.7
GTEX-1KD5A-0126-SM-E9U54 50-59 years, male 8.7
GTEX-1R9K4-2826-SM-DTX8F 60-69 years, male 8.7
GTEX-1192X-2726-SM-5N9DN 50-59 years, male 8.6
GTEX-1GPI7-1826-SM-9KNU1 20-29 years, male 8.6
GTEX-1MJK3-0726-SM-E6CJC 20-29 years, male 8.6
GTEX-1PPH7-1126-SM-DTX9A 40-49 years, male 8.6
GTEX-1RAZA-2226-SM-E9U4X 20-29 years, male 8.6
GTEX-144GO-2026-SM-5O99P 60-69 years, male 8.5
GTEX-1M4P7-0726-SM-E6CJ3 60-69 years, male 8.5
GTEX-139D8-1126-SM-5LU8W 30-39 years, female 8.4
GTEX-16AAH-0626-SM-793C9 50-59 years, male 8.4
GTEX-1GF9V-0826-SM-9KNUV 60-69 years, male 8.4
GTEX-1314G-1326-SM-5BC6E 30-39 years, male 8.3
GTEX-13FHO-0426-SM-5L3F5 60-69 years, male 8.3
GTEX-13VXT-1926-SM-5K7UO 20-29 years, female 8.3
GTEX-15G1A-1626-SM-7KUKN 30-39 years, male 8.3
GTEX-15RIG-0726-SM-7KUM7 40-49 years, male 8.3
GTEX-16YQH-2226-SM-7IGM2 30-39 years, male 8.3
GTEX-1EN7A-2426-SM-793DB 40-49 years, male 8.3
GTEX-1JJ6O-2726-SM-CNPOG 60-69 years, male 8.3
GTEX-183FY-1026-SM-7939A 20-29 years, male 8.2
GTEX-XMD2-2126-SM-4YCF8 60-69 years, female 8.2
GTEX-1I1GS-2626-SM-B2LY3 60-69 years, male 8.2
GTEX-14B4R-1326-SM-5Q5EZ 30-39 years, male 8.1
GTEX-16NGA-0726-SM-731AO 40-49 years, female 8.1
GTEX-X585-2426-SM-46MW2 50-59 years, male 8.1
GTEX-ZYVF-0926-SM-5E44J 50-59 years, female 8.1
GTEX-1I1CD-0626-SM-CE6SW 60-69 years, female 8.1
GTEX-14C38-0726-SM-5SI6M 50-59 years, male 8.0
GTEX-14PHX-2226-SM-6EU2P 50-59 years, male 8.0
GTEX-15CHC-1126-SM-6LLHQ 60-69 years, female 8.0
GTEX-17HII-1426-SM-7EPGG 50-59 years, male 8.0
GTEX-WHWD-1826-SM-3LK6I 50-59 years, male 8.0
GTEX-Y3IK-1626-SM-4YCF5 50-59 years, female 8.0
GTEX-1IDJH-0126-SM-D3L92 70-79 years, male 8.0
GTEX-1JMQI-1726-SM-ARL93 50-59 years, male 8.0
GTEX-15CHR-1126-SM-7EWF4 50-59 years, male 7.9
GTEX-1MCYP-0526-SM-E9U6Q 20-29 years, female 7.9
GTEX-1QAET-0326-SM-EVR3U 50-59 years, male 7.9
GTEX-1RAZR-2126-SM-E9U6T 40-49 years, male 7.9
GTEX-1S5ZU-2526-SM-E6CIF 20-29 years, female 7.9
GTEX-15EO6-2426-SM-6PALZ 50-59 years, male 7.8
GTEX-15G19-2426-SM-7KUMR 60-69 years, male 7.8
GTEX-1B8KE-1126-SM-7EPHI 50-59 years, male 7.8
GTEX-WRHU-2826-SM-3MJG8 50-59 years, female 7.8
GTEX-14PJ2-0626-SM-6LLII 50-59 years, male 7.7
GTEX-XBED-1926-SM-47JYP 60-69 years, male 7.7
GTEX-Y114-2126-SM-4TT8B 50-59 years, female 7.7
GTEX-1LGRB-0926-SM-COH3K 50-59 years, female 7.7
GTEX-1N2DV-1526-SM-DTXEP 40-49 years, male 7.7
GTEX-11OF3-0126-SM-5PNYF 60-69 years, male 7.6
GTEX-13YAN-0226-SM-5TDC6 60-69 years, male 7.6
GTEX-17F9E-2326-SM-79OKD 50-59 years, male 7.6
GTEX-ZDYS-2426-SM-4WKGI 50-59 years, male 7.6
GTEX-ZPCL-1126-SM-4WWFE 60-69 years, female 7.6
GTEX-1J8QM-2426-SM-A9SLS 60-69 years, female 7.6
GTEX-ZLV1-1526-SM-DO91J 60-69 years, female 7.6
GTEX-13X6J-0626-SM-5LU5F 50-59 years, male 7.5
GTEX-1EKGG-0626-SM-7DUGJ 60-69 years, male 7.5
GTEX-1CAMQ-1326-SM-7P8RV 40-49 years, male 7.5
GTEX-1F6I4-2326-SM-7RHGL 60-69 years, male 7.5
GTEX-1HFI6-0126-SM-CNPPI 40-49 years, male 7.5
GTEX-1ICLY-0826-SM-CMKG1 50-59 years, male 7.5
GTEX-1JKYR-0626-SM-ARL8R 20-29 years, male 7.5
GTEX-1EWIQ-0326-SM-7DHMQ 70-79 years, female 7.4
GTEX-XAJ8-1426-SM-47JYM 40-49 years, male 7.4
GTEX-1IDJV-0126-SM-COH3Y 60-69 years, male 7.4
GTEX-11DXY-0126-SM-5H11Q 60-69 years, male 7.3
GTEX-11TUW-0626-SM-5LU9M 60-69 years, male 7.3
GTEX-ZAK1-0626-SM-5HL8E 50-59 years, female 7.3
GTEX-1N5O9-0926-SM-E9J3C 60-69 years, male 7.3
GTEX-1S82P-2126-SM-E6CI5 60-69 years, female 7.3
GTEX-13D11-0926-SM-5J2NC 50-59 years, female 7.2
GTEX-13IVO-0726-SM-5LZYV 70-79 years, male 7.2
GTEX-13OVL-0126-SM-5L3GJ 50-59 years, male 7.2
GTEX-13VXU-0626-SM-5L3F9 50-59 years, male 7.2
GTEX-14XAO-1226-SM-6EU1C 60-69 years, female 7.2
GTEX-17HHY-0426-SM-7DHLC 50-59 years, male 7.2
GTEX-1B932-2326-SM-79OL5 40-49 years, female 7.2
GTEX-1CB4F-1026-SM-7DUH1 60-69 years, male 7.2
GTEX-1E2YA-2126-SM-7MXUO 50-59 years, male 7.2
GTEX-1H1E6-0426-SM-9WYUS 30-39 years, male 7.2
GTEX-1HCU6-2526-SM-ADEHL 60-69 years, female 7.2
GTEX-1ICLZ-0326-SM-ARL82 60-69 years, male 7.2
GTEX-1QP28-1126-SM-EVYC4 50-59 years, female 7.2
GTEX-14LZ3-0126-SM-69LPM 60-69 years, female 7.1
GTEX-17EVP-2626-SM-7IGMA 40-49 years, male 7.1
GTEX-WK11-2726-SM-3NMAQ 50-59 years, male 7.1
GTEX-ZYY3-2926-SM-5GIEB 60-69 years, female 7.1
GTEX-1GZ4H-0526-SM-9KNU9 50-59 years, female 7.1
GTEX-1H11D-1826-SM-9QEHM 40-49 years, male 7.1
GTEX-1H1DE-1326-SM-9KNUG 20-29 years, male 7.1
GTEX-1IY9M-2826-SM-ARU8H 60-69 years, male 7.1
GTEX-1LSNL-2726-SM-E9TKJ 50-59 years, male 7.1
GTEX-1QMI2-2526-SM-E8VNZ 60-69 years, male 7.1
GTEX-1QW4Y-1126-SM-DTXE3 30-39 years, male 7.1
GTEX-12C56-1526-SM-5FQUQ 20-29 years, male 7.0
GTEX-X5EB-1926-SM-4E3IW 40-49 years, male 7.0
GTEX-1GF9W-1426-SM-7PBYM 60-69 years, male 7.0
GTEX-1POEN-2326-SM-E9J2L 30-39 years, female 7.0
GTEX-12ZZX-2426-SM-5GCOE 40-49 years, female 6.9
GTEX-131XF-2626-SM-5EQ6K 60-69 years, male 6.9
GTEX-13O61-1426-SM-5KM3D 60-69 years, male 6.9
GTEX-14753-0726-SM-5QGQO 60-69 years, male 6.9
GTEX-17HHE-1326-SM-7EWDZ 50-59 years, male 6.9
GTEX-1EH9U-2826-SM-7DUGT 60-69 years, male 6.9
GTEX-UPJH-0226-SM-3GADV 50-59 years, male 6.9
GTEX-X4EO-2926-SM-4E3JH 60-69 years, female 6.9
GTEX-ZYFC-0426-SM-5GICQ 50-59 years, male 6.9
GTEX-1HCU9-0426-SM-9WYSD 20-29 years, male 6.9
GTEX-1RAZQ-1326-SM-E9TK6 30-39 years, male 6.9
GTEX-13112-0126-SM-5P9IU 50-59 years, male 6.8
GTEX-18A7A-0126-SM-731AH 50-59 years, female 6.8
GTEX-1A32A-0626-SM-731AQ 50-59 years, female 6.8
GTEX-1B933-2426-SM-7DHMD 50-59 years, female 6.8
GTEX-1C2JI-1026-SM-73KY1 50-59 years, male 6.8
GTEX-1HSGN-0826-SM-ACKW3 40-49 years, female 6.8
GTEX-1IKOE-1426-SM-CE6T7 30-39 years, female 6.8
GTEX-11EQ8-0926-SM-5H12V 60-69 years, male 6.7
GTEX-147JS-0226-SM-5S2U9 60-69 years, male 6.7
GTEX-16NPX-0726-SM-7KULC 50-59 years, male 6.7
GTEX-ZDTT-0426-SM-4WKFL 60-69 years, male 6.7
GTEX-1F6IF-0926-SM-7SB7M 60-69 years, male 6.7
GTEX-1H4P4-2126-SM-9WYSL 50-59 years, male 6.7
GTEX-1KXAM-1626-SM-D3LAD 60-69 years, male 6.7
GTEX-1269C-0126-SM-5EQ5L 60-69 years, female 6.6
GTEX-13JVG-0726-SM-5KM16 60-69 years, male 6.6
GTEX-13O3Q-0126-SM-5KM34 50-59 years, male 6.6
GTEX-13OVH-0526-SM-5L3E6 70-79 years, male 6.6
GTEX-13OVK-1426-SM-6PAN7 40-49 years, male 6.6
GTEX-13X6K-0626-SM-5LU5D 60-69 years, female 6.6
GTEX-Y9LG-1126-SM-4VBQ7 30-39 years, male 6.6
GTEX-1A8FM-0626-SM-7PC25 50-59 years, female 6.6
GTEX-1F5PL-0926-SM-7PC2W 40-49 years, female 6.6
GTEX-1H1DF-1126-SM-9WG7G 40-49 years, female 6.6
GTEX-12KS4-2126-SM-5FQUT 30-39 years, male 6.5
GTEX-14E1K-2026-SM-7DUEI 50-59 years, male 6.5
GTEX-14PKU-0126-SM-6LLHV 40-49 years, female 6.5
GTEX-1B8KZ-0326-SM-73KY4 50-59 years, male 6.5
GTEX-1399S-0126-SM-5IJCF 30-39 years, female 6.4
GTEX-14C39-1726-SM-5RQIL 40-49 years, male 6.4
GTEX-15DYW-2726-SM-6EU2I 60-69 years, female 6.4
GTEX-1CAMS-2226-SM-7PBXQ 40-49 years, female 6.4
GTEX-1F75B-0726-SM-7PC3R 50-59 years, male 6.4
GTEX-1N2EE-0626-SM-E76PW 60-69 years, male 6.4
GTEX-11DXZ-2026-SM-5987S 50-59 years, male 6.3
GTEX-13OW7-0426-SM-5K7VK 50-59 years, male 6.3
GTEX-15RJ7-2126-SM-6PAMD 40-49 years, male 6.3
GTEX-1C6WA-2626-SM-7MKGM 60-69 years, male 6.3
GTEX-ZC5H-1526-SM-5HL9Y 40-49 years, female 6.3
GTEX-ZXG5-2126-SM-59HKD 60-69 years, male 6.3
GTEX-1QPFJ-1926-SM-EVYBD 30-39 years, female 6.3
GTEX-139TU-0726-SM-5L3EK 60-69 years, male 6.2
GTEX-ZF29-0926-SM-4WKFZ 60-69 years, female 6.2
GTEX-139TS-2126-SM-5K7XC 60-69 years, male 6.1
GTEX-144GM-0526-SM-79OJO 20-29 years, male 6.1
GTEX-14PJN-1826-SM-6AJ98 30-39 years, male 6.1
GTEX-ZT9X-1526-SM-5DUXD 40-49 years, male 6.1
GTEX-ZVT4-2426-SM-5GIEI 50-59 years, female 6.1
GTEX-1JMLX-0626-SM-ARL8T 50-59 years, male 6.1
GTEX-1497J-0226-SM-5QGPU 60-69 years, male 6.0
GTEX-14ICL-1626-SM-5YYAO 30-39 years, male 6.0
GTEX-15SHW-0226-SM-7LTAT 60-69 years, male 6.0
GTEX-1AX9I-2226-SM-73KUO 60-69 years, male 6.0
GTEX-1EX96-1026-SM-7MKG2 50-59 years, male 6.0
GTEX-XQ3S-1426-SM-4BOPR 20-29 years, male 6.0
GTEX-1I1GT-1026-SM-ARZLV 60-69 years, female 6.0
GTEX-13NYS-0626-SM-5L3F1 60-69 years, male 5.9
GTEX-WHSB-1326-SM-3LK6W 50-59 years, male 5.9
GTEX-1F5PK-2226-SM-7SB6N 50-59 years, male 5.9
GTEX-1IE54-1126-SM-A9G2Z 40-49 years, female 5.9
GTEX-1JK1U-0226-SM-ARZMX 60-69 years, male 5.9
GTEX-1KAFJ-0126-SM-DIPEK 50-59 years, male 5.9
GTEX-1R7EU-1626-SM-DTXG3 60-69 years, male 5.9
GTEX-11P81-2226-SM-5PNYI 30-39 years, female 5.8
GTEX-12126-0826-SM-5FQTZ 20-29 years, male 5.8
GTEX-13OW5-2326-SM-5L3HO 60-69 years, male 5.8
GTEX-145MF-0926-SM-5Q5EA 50-59 years, male 5.8
GTEX-14PJ6-2626-SM-6EU2T 60-69 years, female 5.8
GTEX-1AYD5-2626-SM-7PBXY 50-59 years, male 5.8
GTEX-1C64N-2626-SM-7PC2N 50-59 years, male 5.8
GTEX-1CB4J-1326-SM-7P8RX 60-69 years, male 5.8
GTEX-1LSVX-2526-SM-DIPEU 60-69 years, male 5.8
GTEX-1NSGN-0726-SM-DTXEF 50-59 years, male 5.8
GTEX-13G51-1826-SM-5KLZH 60-69 years, male 5.7
GTEX-18QFQ-1826-SM-72D52 30-39 years, male 5.7
GTEX-1F52S-2926-SM-7MKGA 60-69 years, female 5.7
GTEX-ZTX8-1326-SM-4YCEL 20-29 years, male 5.7
GTEX-1IL2V-1926-SM-B2LW8 70-79 years, male 5.7
GTEX-1LG7Y-2526-SM-EWRO7 50-59 years, male 5.7
GTEX-1LVAM-0726-SM-E6CIL 50-59 years, female 5.7
GTEX-1399U-1126-SM-5L3DB 50-59 years, female 5.6
GTEX-18A6Q-0626-SM-7KFRP 60-69 years, male 5.6
GTEX-1I1HK-2326-SM-CKZOH 60-69 years, male 5.6
GTEX-11GS4-0226-SM-5HL77 60-69 years, male 5.5
GTEX-11ZUS-2626-SM-5FQUR 30-39 years, male 5.5
GTEX-14JG1-1526-SM-5YY9X 40-49 years, male 5.5
GTEX-WFG7-2026-SM-5SI7P 20-29 years, male 5.5
GTEX-Y111-0626-SM-4SOIT 50-59 years, male 5.5
GTEX-ZE9C-2526-SM-5IJDR 60-69 years, male 5.5
GTEX-1GN1U-0626-SM-9MQL9 50-59 years, female 5.5
GTEX-11NUK-2726-SM-5A5MC 50-59 years, male 5.4
GTEX-1C6VQ-1226-SM-73KYD 50-59 years, male 5.4
GTEX-Y8E4-2026-SM-5IFJB 40-49 years, male 5.4
GTEX-ZF2S-1626-SM-57WES 50-59 years, female 5.4
GTEX-1I1GU-0926-SM-ACKVS 40-49 years, male 5.4
GTEX-1KANB-2826-SM-CY8I6 50-59 years, male 5.4
GTEX-11WQC-1826-SM-5GU59 60-69 years, male 5.3
GTEX-12WSC-2826-SM-5BC5Y 50-59 years, male 5.3
GTEX-W5X1-2526-SM-3GILC 40-49 years, female 5.3
GTEX-1HBPI-2126-SM-ARL9K 50-59 years, male 5.3
GTEX-1HGF4-0126-SM-CNPPX 60-69 years, male 5.3
GTEX-12WSD-0626-SM-5GCMW 60-69 years, female 5.2
GTEX-15DDE-2926-SM-6LLJ3 50-59 years, female 5.2
GTEX-15RJE-2826-SM-7KUM9 40-49 years, male 5.2
GTEX-1AMEY-0826-SM-72D65 30-39 years, female 5.2
GTEX-1HR98-2226-SM-ADEI2 60-69 years, male 5.2
GTEX-1R9PM-1926-SM-EVR3O 20-29 years, male 5.2
GTEX-12ZZY-0726-SM-5EQ66 60-69 years, male 5.1
GTEX-13NZ8-1226-SM-5KM4A 60-69 years, female 5.1
GTEX-1BAJH-2426-SM-7IGP8 70-79 years, male 5.1
GTEX-1PDJ9-1226-SM-EXUSX 20-29 years, male 5.1
GTEX-12WSH-1526-SM-5BC5W 50-59 years, male 5.0
GTEX-1A3MV-1826-SM-731CD 30-39 years, male 5.0
GTEX-1I1GV-0626-SM-ARL7M 60-69 years, male 5.0
GTEX-1OJC4-2726-SM-E76PJ 50-59 years, female 5.0
GTEX-1PPGY-1626-SM-EVYBL 60-69 years, male 5.0
GTEX-131XH-0126-SM-5LZUY 50-59 years, male 4.9
GTEX-1A8G6-2726-SM-731AR 60-69 years, male 4.9
GTEX-1GN2E-0226-SM-9WG6K 60-69 years, male 4.9
GTEX-1H2FU-0926-SM-9WPPT 60-69 years, female 4.9
GTEX-1JMQJ-0826-SM-CNPP7 50-59 years, male 4.9
GTEX-1PIIG-2326-SM-DTXFR 30-39 years, male 4.9
GTEX-13FLV-0126-SM-5K7WT 50-59 years, male 4.8
GTEX-14PJ4-0226-SM-5YY92 60-69 years, male 4.8
GTEX-1B8SF-0126-SM-7DUG3 60-69 years, male 4.8
GTEX-14JFF-0626-SM-5ZZVT 60-69 years, male 4.8
GTEX-1GN73-0726-SM-7P8TJ 60-69 years, male 4.8
GTEX-1IOXB-2726-SM-CM2RI 50-59 years, male 4.8
GTEX-1JMPY-0226-SM-CKZOK 30-39 years, male 4.8
GTEX-1LB8K-0726-SM-D5OV2 50-59 years, male 4.8
GTEX-1R46S-2426-SM-E76QA 60-69 years, female 4.8
GTEX-1RAZS-2526-SM-E6CHT 50-59 years, male 4.8
GTEX-V1D1-2026-SM-3GAF4 50-59 years, male 4.7
GTEX-1HSMQ-2626-SM-A9SML 50-59 years, male 4.7
GTEX-145MI-0626-SM-5SI8S 60-69 years, female 4.6
GTEX-14C5O-0326-SM-5ZZUX 60-69 years, male 4.6
GTEX-14A6H-2026-SM-5Q5DD 30-39 years, male 4.5
GTEX-1A8G7-1326-SM-73KVM 60-69 years, male 4.5
GTEX-1AMFI-1326-SM-7939R 50-59 years, female 4.5
GTEX-ZE7O-2726-SM-51MT5 50-59 years, female 4.5
GTEX-ZWKS-0626-SM-5GIDV 30-39 years, male 4.5
GTEX-1GF9X-1326-SM-7PC2Y 40-49 years, female 4.5
GTEX-111VG-1626-SM-5EGIO 60-69 years, male 4.4
GTEX-17MFQ-1526-SM-7KFRR 20-29 years, male 4.4
GTEX-1EU9M-1426-SM-793AI 60-69 years, male 4.4
GTEX-131XW-0626-SM-5PNVD 50-59 years, female 4.3
GTEX-13QJC-0126-SM-5ZZWJ 60-69 years, female 4.3
GTEX-1HBPN-0126-SM-CGQEF 50-59 years, male 4.3
GTEX-ZVZP-1226-SM-5GID7 50-59 years, male 4.2
GTEX-ZYT6-2326-SM-5GZY3 30-39 years, male 4.2
GTEX-1B8L1-2226-SM-7P8PT 60-69 years, male 4.2
GTEX-1OJC3-1226-SM-DTXER 20-29 years, male 4.2
GTEX-12WSM-1926-SM-5BC65 60-69 years, male 4.1
GTEX-13OW6-2726-SM-5J2OE 50-59 years, male 4.1
GTEX-14BIN-1126-SM-5RQJZ 50-59 years, female 4.1
GTEX-15ER7-0626-SM-6PANF 20-29 years, female 4.1
GTEX-1F75A-0726-SM-7RHHD 50-59 years, male 4.1
GTEX-1J1OQ-0126-SM-D4P2N 40-49 years, female 4.1
GTEX-13NYB-0126-SM-5J1MD 40-49 years, male 4.0
GTEX-144GL-0626-SM-5LU4D 50-59 years, male 4.0
GTEX-145MH-2826-SM-5RQJF 50-59 years, male 4.0
GTEX-1H3O1-1326-SM-9MQLD 60-69 years, male 4.0
GTEX-1QP2A-1726-SM-E76QC 50-59 years, male 4.0
GTEX-1122O-1026-SM-9WYSF 60-69 years, female 3.9
GTEX-1EMGI-2326-SM-7PBYA 60-69 years, male 3.9
GTEX-1F6RS-2026-SM-7RHHC 60-69 years, female 3.8
GTEX-1GZ4I-2626-SM-9KNU3 50-59 years, male 3.8
GTEX-148VJ-0626-SM-5LUAW 70-79 years, male 3.7
GTEX-14PII-0726-SM-6EU2B 60-69 years, male 3.7
GTEX-1GPI6-1926-SM-9KNV7 60-69 years, male 3.7
GTEX-1HCU7-0726-SM-A9SL1 50-59 years, male 3.7
GTEX-1HT8W-0626-SM-A9G2H 30-39 years, male 3.7
GTEX-1J8Q2-2626-SM-ACKWQ 60-69 years, male 3.7
GTEX-13PL6-1126-SM-5L3IE 40-49 years, female 3.5
GTEX-145LU-1926-SM-79OJN 50-59 years, male 3.5
GTEX-1J8EW-2726-SM-CY8HR 60-69 years, female 3.5
GTEX-1HSKV-1226-SM-ADEI4 60-69 years, male 3.4
GTEX-139UW-0326-SM-5J1ML 60-69 years, male 3.3
GTEX-1IDFM-0326-SM-ARL7V 60-69 years, male 3.3
GTEX-1313W-0626-SM-5EQ4H 50-59 years, female 3.2
GTEX-13FTY-2126-SM-5IFFB 40-49 years, female 3.2
GTEX-147GR-2426-SM-5ZZWQ 60-69 years, male 3.2
GTEX-1C6VR-0126-SM-7RHGB 60-69 years, male 3.2
GTEX-1GMRU-2126-SM-7P8RA 50-59 years, male 3.2
GTEX-1GN1V-2826-SM-9JGIA 60-69 years, male 3.1
GTEX-1IKJJ-2226-SM-CJI4C 60-69 years, male 3.1
GTEX-1S83E-1326-SM-E6CJM 40-49 years, male 3.1
GTEX-17F9Y-0126-SM-79OKX 70-79 years, female 3.0
GTEX-11PRG-0726-SM-5EGL1 50-59 years, male 2.8
GTEX-1F88F-0126-SM-9WYSZ 60-69 years, female 2.8
GTEX-1PBJJ-1026-SM-E76OS 30-39 years, male 2.8
GTEX-18A67-1626-SM-7LT9T 50-59 years, male 2.7
GTEX-13SLW-0626-SM-5Q5ER 70-79 years, male 2.6
GTEX-13PDP-0726-SM-5L3HP 60-69 years, male 2.4
GTEX-1399Q-2326-SM-5KM2X 40-49 years, male 2.3
GTEX-1JJEA-1826-SM-ARU8P 60-69 years, male 2.2
GTEX-YECK-0326-SM-4W1YS 60-69 years, male 2.1
GTEX-1HR9M-2226-SM-CNPPY 60-69 years, male 2.1
GTEX-15SKB-2826-SM-6PAMH 60-69 years, male 1.9
GTEX-1NV5F-0626-SM-DTXEG 60-69 years, female 1.5
Show allShow less
Skin - Sun Exposed (Lower leg)
Average nTPM: 13.0
Samples: 701

Max nTPM: 105.3
Min nTPM: 1.5
Std nTPM: 8.3
Median nTPM: 11.2
GTEX-SE5C-1626-SM-2XCE3 40-49 years, female 105.3
GTEX-1RAZQ-0726-SM-EAZ43 30-39 years, male 62.3
GTEX-RUSQ-1526-SM-2TF62 50-59 years, male 50.4
GTEX-1QP67-1626-SM-EAZ3X 40-49 years, female 46.1
GTEX-15EOM-0126-SM-7KUGG 20-29 years, female 43.6
GTEX-1RLM8-2326-SM-EWRN4 50-59 years, male 41.5
GTEX-13N1W-0126-SM-5K7VT 70-79 years, male 39.8
GTEX-146FR-1326-SM-E9J48 60-69 years, female 39.5
GTEX-QDT8-0126-SM-48TZ1 30-39 years, female 38.8
GTEX-16XZY-2126-SM-79OK1 70-79 years, male 38.3
GTEX-Y3I4-2126-SM-4TT7C 50-59 years, male 38.1
GTEX-11EMC-2926-SM-5EQ4F 60-69 years, female 37.6
GTEX-Y8LW-1826-SM-5S2MV 50-59 years, female 37.5
GTEX-1H1ZS-0426-SM-9WG6G 70-79 years, male 36.7
GTEX-14XAO-2326-SM-6EU1B 60-69 years, female 36.4
GTEX-WI4N-1026-SM-3LK7N 40-49 years, female 34.4
GTEX-14A6H-0126-SM-5QGPK 30-39 years, male 34.0
GTEX-ZF29-2326-SM-DO92K 60-69 years, female 33.9
GTEX-12WSG-2826-SM-E9J4H 50-59 years, female 33.1
GTEX-144GN-2326-SM-5LU4F 50-59 years, male 32.8
GTEX-14JIY-0126-SM-6LLH6 60-69 years, male 32.8
GTEX-11WQK-0526-SM-5EQLD 50-59 years, male 32.4
GTEX-ZPIC-1726-SM-DHXIU 40-49 years, female 32.3
GTEX-131XG-2626-SM-5KM17 50-59 years, female 32.0
GTEX-13O1R-0126-SM-5L3EH 60-69 years, male 31.7
GTEX-1LC47-0326-SM-E9TJP 60-69 years, male 31.4
GTEX-ZZPT-0226-SM-5E43X 50-59 years, male 31.2
GTEX-R45C-0126-SM-EAZ2R 60-69 years, female 30.5
GTEX-NPJ8-0126-SM-2YUNR 40-49 years, male 30.2
GTEX-14PK6-1926-SM-6ETZU 70-79 years, female 29.8
GTEX-11TT1-2526-SM-5EGIB 20-29 years, male 29.6
GTEX-1OJC4-0126-SM-E9J2E 50-59 years, female 29.0
GTEX-ZTPG-0326-SM-5O9AX 20-29 years, female 28.5
GTEX-R55G-2526-SM-2TC6D 40-49 years, female 28.1
GTEX-1HBPM-0226-SM-ARL9F 60-69 years, female 27.9
GTEX-147F4-0226-SM-5QGPW 50-59 years, male 27.6
GTEX-1JMOU-1526-SM-CL54I 60-69 years, female 27.4
GTEX-1GN1V-0126-SM-9WPOS 60-69 years, male 27.0
GTEX-1A3MW-0126-SM-73KXX 60-69 years, female 26.6
GTEX-15UKP-0426-SM-7KUFQ 20-29 years, male 26.5
GTEX-1M4P7-0226-SM-DIPEV 60-69 years, male 26.4
GTEX-1AYCT-2426-SM-7IGQ3 50-59 years, male 26.2
GTEX-ZAJG-0126-SM-5HL94 50-59 years, female 26.2
GTEX-1HUB1-0426-SM-E9U4U 60-69 years, male 26.1
GTEX-QDVN-2026-SM-3GAEP 50-59 years, male 26.0
GTEX-11P82-1626-SM-59879 20-29 years, male 25.8
GTEX-13OVI-1426-SM-5L3EY 60-69 years, female 25.7
GTEX-1HCVE-0126-SM-CGQEU 50-59 years, male 25.6
GTEX-RTLS-0126-SM-447CA 60-69 years, female 25.3
GTEX-WH7G-2326-SM-3NMBC 40-49 years, male 25.0
GTEX-1I1HK-0126-SM-COH49 60-69 years, male 25.0
GTEX-13N11-2526-SM-5K7UE 50-59 years, female 24.9
GTEX-ZAB4-0226-SM-5N9F5 40-49 years, male 24.8
GTEX-1HSMO-0126-SM-CL547 60-69 years, male 24.7
GTEX-113IC-0126-SM-5HL6T 60-69 years, male 24.6
GTEX-1F48J-0126-SM-7P8TT 50-59 years, female 24.6
GTEX-1HBPH-0426-SM-B2LW5 40-49 years, female 24.5
GTEX-SN8G-0126-SM-32PLI 50-59 years, female 24.4
GTEX-WOFL-0126-SM-3MJG2 60-69 years, male 24.4
GTEX-X4XY-0226-SM-4E3IZ 60-69 years, male 24.4
GTEX-1LNCM-1126-SM-E9U5E 50-59 years, female 24.4
GTEX-Q734-1926-SM-2I5EV 40-49 years, female 24.3
GTEX-169BO-1326-SM-9MQK2 50-59 years, male 24.2
GTEX-1I1GS-0126-SM-B2LVW 60-69 years, male 24.0
GTEX-16YQH-0126-SM-7DUFJ 30-39 years, male 23.9
GTEX-11TTK-0126-SM-5987B 60-69 years, female 23.8
GTEX-1GTWX-0126-SM-9YFLK 60-69 years, male 23.7
GTEX-OXRL-0126-SM-2YUMP 50-59 years, male 23.6
GTEX-1PBJI-0526-SM-E8VNK 20-29 years, female 23.6
GTEX-11NSD-2226-SM-5986V 20-29 years, male 23.5
GTEX-1C6VQ-0126-SM-7P8RI 50-59 years, male 23.3
GTEX-1HKZK-0326-SM-9WYUH 40-49 years, male 23.2
GTEX-17MF6-0126-SM-7LG4F 40-49 years, male 23.0
GTEX-X4EP-0126-SM-3P5YV 60-69 years, female 23.0
GTEX-11H98-0126-SM-5EGHG 50-59 years, male 22.5
GTEX-OXRO-0126-SM-2YUN4 60-69 years, female 22.5
GTEX-1GN1W-0526-SM-9MQJQ 50-59 years, female 22.5
GTEX-U4B1-1826-SM-4DXSU 40-49 years, male 22.3
GTEX-1QP29-0626-SM-EWRMX 50-59 years, male 22.3
GTEX-13FTY-0526-SM-5L3EV 40-49 years, female 22.1
GTEX-11GSO-2426-SM-5A5LY 60-69 years, male 21.9
GTEX-X8HC-0126-SM-4E3JW 50-59 years, female 21.9
GTEX-1A3MX-0126-SM-731BR 60-69 years, male 21.5
GTEX-1R9PO-2126-SM-E9J4O 60-69 years, female 21.5
GTEX-18A67-0126-SM-7LG5P 50-59 years, male 21.4
GTEX-15CHC-2126-SM-6EU21 60-69 years, female 21.2
GTEX-13OVJ-0126-SM-5KM36 50-59 years, female 21.1
GTEX-14E6C-0126-SM-5RQIP 40-49 years, male 20.9
GTEX-1HSMP-0126-SM-E6CJS 70-79 years, male 20.9
GTEX-1MCYP-1926-SM-E9J2R 20-29 years, female 20.8
GTEX-13RTL-0126-SM-7LG5S 40-49 years, male 20.7
GTEX-16MT8-0426-SM-7KUEY 60-69 years, female 20.7
GTEX-Q2AI-1326-SM-2S1PL 40-49 years, male 20.7
GTEX-14PHW-0126-SM-6LLJI 60-69 years, female 20.6
GTEX-ZDXO-3026-SM-5J1N5 60-69 years, male 20.5
GTEX-11ZUS-0626-SM-59885 30-39 years, male 20.4
GTEX-1I1GU-2226-SM-CGQFA 40-49 years, male 20.4
GTEX-1JN1M-0326-SM-CYPT3 60-69 years, female 20.2
GTEX-1R46S-0626-SM-E9J41 60-69 years, female 20.2
GTEX-132NY-0326-SM-5IJBL 60-69 years, male 20.1
GTEX-13X6H-2126-SM-7EWD5 50-59 years, female 20.1
GTEX-13FH7-2026-SM-E9J4I 50-59 years, female 20.1
GTEX-11ZVC-2526-SM-5FQTE 50-59 years, female 20.0
GTEX-ZYY3-0126-SM-5GZY5 60-69 years, female 20.0
GTEX-1RQEC-0426-SM-E6CHU 60-69 years, male 19.9
GTEX-11DXX-2426-SM-5GZZW 60-69 years, female 19.8
GTEX-1N2DV-0226-SM-E6CJ6 40-49 years, male 19.8
GTEX-13RTJ-2426-SM-5S2Q2 60-69 years, male 19.5
GTEX-15SDE-2226-SM-7IGLO 50-59 years, female 19.5
GTEX-XV7Q-2526-SM-4BRV9 40-49 years, female 19.5
GTEX-ZF28-0126-SM-4WKGK 60-69 years, male 19.5
GTEX-ZXES-1826-SM-5E43S 30-39 years, female 19.5
GTEX-ZYW4-0126-SM-5E44A 60-69 years, male 19.5
GTEX-1C6WA-0126-SM-7PC2B 60-69 years, male 19.4
GTEX-139T4-0226-SM-5HL5S 50-59 years, female 19.2
GTEX-U3ZM-1526-SM-3DB9D 40-49 years, male 19.0
GTEX-X62O-0126-SM-4E3JN 50-59 years, male 19.0
GTEX-13W46-0226-SM-5SIAG 50-59 years, male 18.9
GTEX-1F75I-0326-SM-9YFLU 40-49 years, male 18.9
GTEX-1QP2A-0126-SM-E9J43 50-59 years, male 18.9
GTEX-O5YW-0126-SM-3LK6D 50-59 years, male 18.7
GTEX-X638-0126-SM-47JZ8 70-79 years, female 18.6
GTEX-111VG-2426-SM-5GZXD 60-69 years, male 18.4
GTEX-14PN4-0126-SM-6EU2V 50-59 years, male 18.4
GTEX-11GSP-2526-SM-5N9BP 60-69 years, female 18.3
GTEX-1AX8Z-0126-SM-7DHM6 60-69 years, male 18.3
GTEX-1MGNQ-0126-SM-EVYCJ 40-49 years, male 18.3
GTEX-113JC-2326-SM-5EQ4E 50-59 years, female 18.1
GTEX-OXRK-0226-SM-3NB2G 50-59 years, female 18.1
GTEX-V1D1-2226-SM-3NMAX 50-59 years, male 18.1
GTEX-1R9K4-0126-SM-DTX9X 60-69 years, male 18.0
GTEX-OOBK-0126-SM-2YUND 40-49 years, male 17.8
GTEX-U3ZN-2326-SM-3DB7W 30-39 years, female 17.7
GTEX-XYKS-2126-SM-4E3IB 60-69 years, female 17.6
GTEX-YEC4-2126-SM-5IFJH 40-49 years, male 17.6
GTEX-15UF6-0826-SM-6PALJ 70-79 years, female 17.4
GTEX-1H1DG-0126-SM-9WYU2 70-79 years, male 17.4
GTEX-117YW-2626-SM-5GZZH 50-59 years, male 17.3
GTEX-13OVG-1926-SM-5L3DK 60-69 years, male 17.3
GTEX-13O3O-0126-SM-E9J49 60-69 years, female 17.3
GTEX-P4PQ-0126-SM-2S1NM 60-69 years, male 17.2
GTEX-PW2O-1526-SM-7RHHB 20-29 years, male 17.2
GTEX-YJ8A-0426-SM-5IFID 20-29 years, male 17.1
GTEX-1CB4J-0626-SM-7DHMP 60-69 years, male 17.0
GTEX-XAJ8-0826-SM-47JY6 40-49 years, male 16.9
GTEX-1LH75-2426-SM-E9TJE 50-59 years, female 16.9
GTEX-11VI4-1726-SM-5CVLH 40-49 years, female 16.8
GTEX-14BIL-0126-SM-5SI92 50-59 years, male 16.8
GTEX-16NGA-1726-SM-731B4 40-49 years, female 16.8
GTEX-XXEK-2226-SM-4BRUM 50-59 years, male 16.8
GTEX-1N2EF-0226-SM-EYYXB 60-69 years, male 16.8
GTEX-1PPH7-2326-SM-EVYB8 40-49 years, male 16.8
GTEX-146FQ-0126-SM-5NQA9 30-39 years, male 16.7
GTEX-X5EB-2226-SM-46MW4 40-49 years, male 16.6
GTEX-1ICG6-2526-SM-CGQFZ 70-79 years, female 16.6
GTEX-12WSJ-1826-SM-5GCNY 40-49 years, female 16.5
GTEX-147F3-0526-SM-5SI98 50-59 years, female 16.5
GTEX-17F98-0626-SM-79OMX 40-49 years, female 16.5
GTEX-1JJE9-0326-SM-CL53Z 70-79 years, male 16.4
GTEX-1PWST-0226-SM-E76QJ 70-79 years, male 16.4
GTEX-145LT-1726-SM-5QGP3 40-49 years, male 16.3
GTEX-17HGU-0226-SM-7DHKV 50-59 years, male 16.3
GTEX-ZEX8-2426-SM-4WKG4 50-59 years, male 16.3
GTEX-1H23P-0126-SM-ADEJ3 60-69 years, male 16.2
GTEX-11P7K-2126-SM-5GU7G 30-39 years, male 16.1
GTEX-ZE7O-0126-SM-57WC1 50-59 years, female 16.1
GTEX-14PJ3-1826-SM-62LEX 50-59 years, male 16.0
GTEX-SUCS-1926-SM-32PM3 70-79 years, male 16.0
GTEX-1KD5A-0226-SM-D5OV3 50-59 years, male 16.0
GTEX-ZUA1-0126-SM-5GU76 40-49 years, male 15.9
GTEX-1J8Q3-1626-SM-CMKGC 60-69 years, male 15.9
GTEX-13VXT-0126-SM-5LU4I 20-29 years, female 15.7
GTEX-15D1Q-0126-SM-7KUG6 40-49 years, male 15.7
GTEX-11DZ1-0126-SM-5985Q 50-59 years, male 15.6
GTEX-PLZ5-2026-SM-2S1O4 50-59 years, male 15.6
GTEX-PWCY-1826-SM-DHXIZ 20-29 years, female 15.6
GTEX-1AYD5-2426-SM-73KXR 50-59 years, male 15.5
GTEX-WYJK-0126-SM-3NMAB 50-59 years, male 15.5
GTEX-1K9T9-0126-SM-EVYCF 50-59 years, female 15.5
GTEX-OOBJ-0126-SM-E6CJW 60-69 years, male 15.5
GTEX-146FH-0126-SM-5QGPP 50-59 years, female 15.4
GTEX-XQ8I-0426-SM-4BOPO 50-59 years, male 15.4
GTEX-ZVT2-2526-SM-51MT1 50-59 years, female 15.4
GTEX-SIU8-0126-SM-2XCDT 50-59 years, male 15.3
GTEX-11TUW-2726-SM-E9J4M 60-69 years, male 15.3
GTEX-13OW7-0126-SM-5MR3B 50-59 years, male 15.2
GTEX-XUW1-0426-SM-4BOOT 50-59 years, female 15.2
GTEX-1H1DE-2126-SM-9WG6R 20-29 years, male 15.2
GTEX-1192W-2626-SM-5Q5AF 60-69 years, male 15.1
GTEX-13NZA-0226-SM-5K7Z7 60-69 years, male 15.1
GTEX-14BIM-0226-SM-7IGLD 60-69 years, female 15.1
GTEX-14DAR-2026-SM-5S2O3 50-59 years, male 15.1
GTEX-15SHU-0126-SM-7KUEH 40-49 years, female 15.1
GTEX-1AMEY-1326-SM-73KYK 30-39 years, female 15.1
GTEX-11ZTT-2426-SM-5EQLS 60-69 years, female 15.0
GTEX-R55E-0126-SM-2TC5Y 20-29 years, male 15.0
GTEX-14ABY-0226-SM-5TDCQ 50-59 years, male 14.9
GTEX-RWS6-2026-SM-2XCB5 60-69 years, female 14.9
GTEX-14JG6-2226-SM-6EU2G 30-39 years, female 14.8
GTEX-1HCU8-0626-SM-A9SM9 60-69 years, female 14.8
GTEX-1192X-0226-SM-5H12D 50-59 years, male 14.7
GTEX-11LCK-1026-SM-5A5KB 30-39 years, male 14.7
GTEX-18A7B-0126-SM-7LG64 70-79 years, male 14.7
GTEX-1HSEH-0126-SM-ACKXN 60-69 years, male 14.7
GTEX-13W3W-2426-SM-5LU5B 60-69 years, female 14.6
GTEX-13O21-1426-SM-5K7XI 50-59 years, male 14.5
GTEX-147GR-0526-SM-5S2MY 60-69 years, male 14.5
GTEX-1C6VS-0526-SM-7DUEN 60-69 years, male 14.5
GTEX-ZGAY-0526-SM-4WWBB 40-49 years, female 14.5
GTEX-1F7RK-0126-SM-7PC2S 20-29 years, female 14.5
GTEX-11ZTS-0126-SM-5EQ6M 60-69 years, female 14.4
GTEX-Y5LM-1926-SM-5RQJH 40-49 years, female 14.4
GTEX-1F6I4-0126-SM-9MQL2 60-69 years, male 14.4
GTEX-1I1GP-2226-SM-CGQFK 50-59 years, male 14.4
GTEX-S33H-1026-SM-EZ6L6 30-39 years, male 14.4
GTEX-139T8-0126-SM-5K7XZ 60-69 years, male 14.3
GTEX-13CF2-2526-SM-5LZYX 60-69 years, male 14.3
GTEX-144FL-0126-SM-5TDC8 50-59 years, male 14.3
GTEX-16XZZ-0126-SM-793DV 60-69 years, male 14.3
GTEX-17EVQ-0226-SM-7LG4P 70-79 years, male 14.3
GTEX-18D9B-0526-SM-7LTAS 60-69 years, male 14.3
GTEX-PLZ4-0126-SM-5SI8O 50-59 years, female 14.3
GTEX-S95S-1226-SM-4GICG 60-69 years, male 14.3
GTEX-ZDTS-0126-SM-4WAY5 60-69 years, male 14.3
GTEX-ZYFG-2326-SM-5E44B 60-69 years, female 14.3
GTEX-1J1R8-1726-SM-ARL8M 40-49 years, male 14.3
GTEX-1N2DW-0226-SM-E9TK2 50-59 years, male 14.3
GTEX-17F97-0326-SM-7LG5B 50-59 years, male 14.2
GTEX-U8T8-0126-SM-3DB94 60-69 years, male 14.2
GTEX-1JMQK-0226-SM-CL543 60-69 years, male 14.2
GTEX-13NYS-0126-SM-5MR3W 60-69 years, male 14.1
GTEX-1C2JI-1826-SM-73KXC 50-59 years, male 14.0
GTEX-ZQG8-1626-SM-DHXIT 60-69 years, female 14.0
GTEX-11UD1-0126-SM-5PNYG 40-49 years, female 13.9
GTEX-13FTX-1826-SM-5J1NX 20-29 years, female 13.9
GTEX-14LLW-0126-SM-6LLIO 70-79 years, female 13.9
GTEX-1A32A-0126-SM-718B1 50-59 years, female 13.9
GTEX-12584-0126-SM-5EGKQ 40-49 years, male 13.8
GTEX-ZU9S-0226-SM-5E441 30-39 years, male 13.8
GTEX-1399U-2326-SM-5K7WY 50-59 years, female 13.7
GTEX-T2IS-0126-SM-4DM6O 20-29 years, female 13.7
GTEX-1S3DN-2226-SM-EVYCD 50-59 years, male 13.7
GTEX-145MN-2226-SM-5SIAU 30-39 years, male 13.6
GTEX-1497J-2426-SM-7IGNX 60-69 years, male 13.6
GTEX-QEG4-0226-SM-2S1PY 30-39 years, male 13.6
GTEX-1LSNM-1926-SM-E6CII 50-59 years, male 13.6
GTEX-15RIG-0226-SM-7KFTL 40-49 years, male 13.5
GTEX-WY7C-2326-SM-3NB2U 50-59 years, male 13.5
GTEX-1122O-2126-SM-5EGIR 60-69 years, female 13.4
GTEX-12WSN-5019-SM-79OM6 40-49 years, male 13.4
GTEX-1AMFI-2026-SM-731BH 50-59 years, female 13.4
GTEX-ZY6K-1826-SM-5GZXK 50-59 years, male 13.4
GTEX-13NZB-2526-SM-5J1OM 30-39 years, male 13.3
GTEX-1GPI6-0126-SM-9WG69 60-69 years, male 13.3
GTEX-11GS4-2726-SM-5A5LE 60-69 years, male 13.2
GTEX-16BQI-0226-SM-7KUEX 30-39 years, female 13.2
GTEX-W5WG-1826-SM-4KL2Y 50-59 years, female 13.2
GTEX-ZAB5-1826-SM-5HL7C 50-59 years, male 13.2
GTEX-11DXW-0226-SM-5H122 40-49 years, male 13.1
GTEX-14ICK-0226-SM-6EU25 40-49 years, male 13.1
GTEX-1K2DU-2326-SM-E9TIV 20-29 years, male 13.1
GTEX-11NUK-0126-SM-5A5L3 50-59 years, male 13.0
GTEX-S7PM-0126-SM-4AD6S 60-69 years, male 13.0
GTEX-1J8Q2-0526-SM-CM2RW 60-69 years, male 13.0
GTEX-VUSG-2526-SM-4KL1V 50-59 years, male 12.9
GTEX-1QW4Y-1526-SM-EAZ3Z 30-39 years, male 12.9
GTEX-1269C-2526-SM-5EGJ3 60-69 years, female 12.8
GTEX-13IVO-0126-SM-5J1NG 70-79 years, male 12.8
GTEX-13PDP-0126-SM-5L3HD 60-69 years, male 12.8
GTEX-RU72-0926-SM-2TF6B 50-59 years, female 12.8
GTEX-13OW8-1326-SM-5J1OW 60-69 years, male 12.7
GTEX-15DYW-0126-SM-7KULE 60-69 years, female 12.7
GTEX-1J8EW-0126-SM-CJI4F 60-69 years, female 12.7
GTEX-13CF3-2426-SM-5IFGX 60-69 years, female 12.6
GTEX-WXYG-2326-SM-4E3I6 50-59 years, female 12.6
GTEX-WZTO-0126-SM-3NM95 40-49 years, male 12.6
GTEX-11EM3-2426-SM-59861 20-29 years, female 12.5
GTEX-139D8-0226-SM-5KLZO 30-39 years, female 12.5
GTEX-18A7A-0226-SM-718BH 50-59 years, female 12.5
GTEX-OHPM-0126-SM-2YUN9 50-59 years, male 12.5
GTEX-11XUK-2026-SM-5EQLF 40-49 years, female 12.4
GTEX-13PVR-2326-SM-5QGR1 60-69 years, female 12.4
GTEX-14753-0426-SM-5NQAM 60-69 years, male 12.4
GTEX-TMMY-0226-SM-33HBA 40-49 years, female 12.4
GTEX-U8XE-0326-SM-3DB8P 30-39 years, male 12.4
GTEX-1B933-0126-SM-7PC29 50-59 years, female 12.4
GTEX-1CAMS-0426-SM-7P8T2 40-49 years, female 12.4
GTEX-1128S-2326-SM-5GZZY 60-69 years, female 12.3
GTEX-Q2AG-0126-SM-33HBV 40-49 years, female 12.3
GTEX-TKQ1-1026-SM-4GICL 30-39 years, male 12.3
GTEX-TMZS-0126-SM-3DB9Q 60-69 years, male 12.3
GTEX-ZF3C-0126-SM-DO92D 50-59 years, female 12.3
GTEX-11UD2-0226-SM-5EQKY 50-59 years, male 12.2
GTEX-183FY-0126-SM-7LT9P 20-29 years, male 12.2
GTEX-13U4I-0126-SM-5LU38 40-49 years, female 12.1
GTEX-QLQ7-1626-SM-2S1R8 60-69 years, male 12.1
GTEX-1GF9U-2126-SM-7SB7L 40-49 years, female 12.1
GTEX-1JN76-0126-SM-CNPPE 20-29 years, female 12.1
GTEX-12C56-1726-SM-5EQ61 20-29 years, male 12.0
GTEX-1314G-1526-SM-5EGK2 30-39 years, male 12.0
GTEX-13X6I-0626-SM-5QGP9 60-69 years, male 12.0
GTEX-183WM-0126-SM-7LTAB 70-79 years, female 12.0
GTEX-1R7EV-2426-SM-EVYBG 40-49 years, male 12.0
GTEX-14E7W-0126-SM-6LLJ9 70-79 years, male 11.9
GTEX-OHPL-0126-SM-2HMJ7 60-69 years, female 11.9
GTEX-1ICLZ-0126-SM-CKZPO 60-69 years, male 11.9
GTEX-1IKOH-0226-SM-COH4E 60-69 years, female 11.9
GTEX-1IL2V-0126-SM-CM2TX 70-79 years, male 11.9
GTEX-1JK1U-2026-SM-CM2RZ 60-69 years, male 11.9
GTEX-12ZZZ-0626-SM-5DUXI 60-69 years, male 11.8
GTEX-13FTW-2626-SM-5K7WL 40-49 years, male 11.8
GTEX-17HHE-2026-SM-79OKF 50-59 years, male 11.8
GTEX-RM2N-1426-SM-2TF4H 50-59 years, male 11.8
GTEX-Y5V6-2426-SM-4VDSB 60-69 years, male 11.8
GTEX-1IY9M-0126-SM-D3L8S 60-69 years, male 11.8
GTEX-1NV5F-0226-SM-E8VNY 60-69 years, female 11.8
GTEX-139TT-0126-SM-5K7Y5 60-69 years, male 11.7
GTEX-13G51-2526-SM-5LZYK 60-69 years, male 11.7
GTEX-148VI-1626-SM-5SI6E 60-69 years, female 11.7
GTEX-ZDYS-2026-SM-5HL5L 50-59 years, male 11.7
GTEX-1GF9X-2026-SM-7PC3A 40-49 years, female 11.7
GTEX-1HB9E-0226-SM-E9U4R 50-59 years, male 11.7
GTEX-1IDJU-2626-SM-CM2RT 60-69 years, female 11.7
GTEX-1POEN-0126-SM-EYYXJ 30-39 years, female 11.7
GTEX-11DXY-2626-SM-5GIE7 60-69 years, male 11.6
GTEX-PWO3-1526-SM-48TCM 60-69 years, female 11.6
GTEX-1EKGG-0226-SM-9WYTH 60-69 years, male 11.6
GTEX-1I19N-0326-SM-ACKVX 70-79 years, male 11.6
GTEX-1LGOU-2026-SM-DIPFF 20-29 years, female 11.6
GTEX-1QEPI-0126-SM-EWRMQ 60-69 years, female 11.6
GTEX-117XS-2726-SM-5N9BL 60-69 years, male 11.5
GTEX-14A5H-0426-SM-5QGQF 60-69 years, male 11.5
GTEX-14LZ3-0226-SM-62LET 60-69 years, female 11.5
GTEX-NFK9-0226-SM-2HMKQ 40-49 years, male 11.5
GTEX-QESD-1426-SM-2S1R9 20-29 years, male 11.5
GTEX-QLQW-1126-SM-2S1Q8 30-39 years, male 11.5
GTEX-X585-0226-SM-4QAS2 50-59 years, male 11.5
GTEX-XMD2-0126-SM-4YCDU 60-69 years, female 11.5
GTEX-11ZU8-2526-SM-5EQKI 60-69 years, male 11.4
GTEX-P4PP-0126-SM-3LK69 30-39 years, female 11.4
GTEX-ZQUD-1426-SM-57WER 30-39 years, male 11.4
GTEX-13FHO-0226-SM-5IFGY 60-69 years, male 11.3
GTEX-13O3P-0126-SM-5KM4S 50-59 years, male 11.3
GTEX-14BMU-2226-SM-5TDE9 20-29 years, female 11.3
GTEX-Y111-0126-SM-4SOIV 50-59 years, male 11.3
GTEX-1H3NZ-0126-SM-ACKX7 60-69 years, male 11.3
GTEX-1H3VY-0126-SM-ACKXD 50-59 years, male 11.3
GTEX-1LG7Y-0526-SM-DKPQC 50-59 years, male 11.3
GTEX-Z93S-0126-SM-5HL7M 50-59 years, male 11.2
GTEX-ZVT3-0126-SM-5GU6I 60-69 years, female 11.2
GTEX-1CB4H-0226-SM-7PBXM 60-69 years, female 11.2
GTEX-1PFEY-1526-SM-E76PP 30-39 years, male 11.2
GTEX-1QP9N-1426-SM-DTXFL 30-39 years, male 11.2
GTEX-13OVL-0226-SM-5L3E9 50-59 years, male 11.1
GTEX-1F88F-2726-SM-7PBZZ 60-69 years, female 11.1
GTEX-1HCUA-2426-SM-ADEIS 50-59 years, female 11.1
GTEX-1HR98-0126-SM-B2LWI 60-69 years, male 11.1
GTEX-1QCLY-0326-SM-E8VOG 30-39 years, male 11.1
GTEX-1AX9K-2326-SM-73KWU 50-59 years, male 11.0
GTEX-OXRP-0126-SM-3NB32 60-69 years, female 11.0
GTEX-ZAK1-0126-SM-5IJD3 50-59 years, female 11.0
GTEX-1HFI7-1826-SM-ACKXH 50-59 years, female 11.0
GTEX-11O72-0126-SM-59887 40-49 years, male 10.9
GTEX-12WSD-0126-SM-59HKN 60-69 years, female 10.8
GTEX-13O3Q-2426-SM-5IJBR 50-59 years, male 10.8
GTEX-RN64-0126-SM-2TC68 50-59 years, male 10.8
GTEX-X261-0126-SM-3NMD6 50-59 years, male 10.8
GTEX-X4XX-0126-SM-3NMC2 60-69 years, male 10.8
GTEX-1S82Y-2026-SM-EVYCM 40-49 years, male 10.8
GTEX-13QJ3-0326-SM-5S2RA 50-59 years, male 10.7
GTEX-148VJ-0126-SM-5TDDN 70-79 years, male 10.7
GTEX-131XF-5016-SM-7MGWE 60-69 years, male 10.7
GTEX-1EN7A-0126-SM-7SB81 40-49 years, male 10.7
GTEX-1NHNU-1026-SM-E9J2A 50-59 years, male 10.7
GTEX-RNOR-0126-SM-E9J4R 50-59 years, female 10.7
GTEX-14DAQ-0126-SM-5S2MQ 60-69 years, female 10.6
GTEX-18QFQ-0126-SM-731BE 30-39 years, male 10.6
GTEX-XUYS-0126-SM-47JWZ 50-59 years, male 10.6
GTEX-Z93T-0126-SM-5HL5N 50-59 years, male 10.6
GTEX-ZXG5-0126-SM-5GIEU 60-69 years, male 10.6
GTEX-1IDFM-0126-SM-COH2V 60-69 years, male 10.6
GTEX-1RAZA-0126-SM-E6CI3 20-29 years, male 10.6
GTEX-W5X1-3026-SM-EAZAX 40-49 years, female 10.6
GTEX-13VXU-0126-SM-5SI9F 50-59 years, male 10.5
GTEX-1IE54-0126-SM-CMKHW 40-49 years, female 10.5
GTEX-12WSL-2526-SM-5GCNJ 50-59 years, male 10.4
GTEX-12ZZX-0126-SM-5EGK9 40-49 years, female 10.4
GTEX-13NZ8-0826-SM-5MR3I 60-69 years, female 10.4
GTEX-1ICLY-0126-SM-D4P36 50-59 years, male 10.4
GTEX-145LV-2126-SM-5LU8N 50-59 years, male 10.3
GTEX-15DCD-0126-SM-7KUEK 70-79 years, female 10.3
GTEX-XBED-2226-SM-47JYQ 60-69 years, male 10.3
GTEX-ZYFC-0226-SM-5NQ75 50-59 years, male 10.3
GTEX-1211K-2026-SM-5EQ4Z 60-69 years, female 10.2
GTEX-17HHY-0126-SM-7LG5D 50-59 years, male 10.2
GTEX-1H3VE-0326-SM-9YFLH 40-49 years, male 10.2
GTEX-1JKYN-1326-SM-CGQG9 30-39 years, male 10.2
GTEX-1LBAC-0126-SM-DIPEZ 20-29 years, male 10.2
GTEX-11P81-2326-SM-59875 30-39 years, female 10.1
GTEX-12WSC-0126-SM-5EQ4P 50-59 years, male 10.1
GTEX-13113-5016-SM-7EPIP 60-69 years, female 10.1
GTEX-R3RS-0126-SM-3GIJL 40-49 years, female 10.1
GTEX-WQUQ-0426-SM-3MJFU 60-69 years, male 10.1
GTEX-XUZC-1726-SM-4BRWS 30-39 years, female 10.1
GTEX-Z9EW-1626-SM-5CVMN 40-49 years, male 10.1
GTEX-1H2FU-0126-SM-9WYSI 60-69 years, female 10.1
GTEX-WYVS-2126-SM-3NMA3 40-49 years, female 10.0
GTEX-Y3IK-2426-SM-4WWDU 50-59 years, female 10.0
GTEX-1CAMR-1926-SM-7EPI2 20-29 years, male 9.9
GTEX-OXRN-0126-SM-48TDM 50-59 years, male 9.9
GTEX-P44H-0226-SM-2XCEU 40-49 years, male 9.9
GTEX-Y114-2426-SM-4TT8A 50-59 years, female 9.9
GTEX-1H1E6-1726-SM-ACKVK 30-39 years, male 9.9
GTEX-1I6K6-0126-SM-A9SLE 30-39 years, male 9.9
GTEX-13SLX-0526-SM-5S2ON 50-59 years, female 9.8
GTEX-X4EO-0326-SM-3P5YO 60-69 years, female 9.8
GTEX-131XH-2226-SM-5DUXJ 50-59 years, male 9.7
GTEX-17EUY-0426-SM-793BD 20-29 years, male 9.7
GTEX-1C4CL-0526-SM-73KVK 30-39 years, male 9.7
GTEX-WRHK-1426-SM-3MJF9 20-29 years, female 9.7
GTEX-XPVG-2626-SM-4B669 50-59 years, male 9.7
GTEX-YB5E-2026-SM-5IFIS 40-49 years, male 9.7
GTEX-ZVE2-0226-SM-59HJB 50-59 years, male 9.7
GTEX-131XW-0426-SM-5LZWP 50-59 years, female 9.6
GTEX-14C5O-0126-SM-5SI6N 60-69 years, male 9.5
GTEX-15SB6-1726-SM-6PAME 50-59 years, female 9.5
GTEX-17HII-0226-SM-7LG4E 50-59 years, male 9.5
GTEX-18D9U-0226-SM-718BP 40-49 years, male 9.5
GTEX-T8EM-1026-SM-3DB7M 40-49 years, male 9.5
GTEX-1C64O-0126-SM-7SB8P 60-69 years, male 9.5
GTEX-1PIGE-0126-SM-EVYBJ 20-29 years, male 9.5
GTEX-1QPFJ-0226-SM-E76PB 30-39 years, female 9.5
GTEX-131XE-2326-SM-5PNZ2 50-59 years, male 9.4
GTEX-139TU-0126-SM-5K7WH 60-69 years, male 9.4
GTEX-18A66-0226-SM-718BD 60-69 years, male 9.4
GTEX-XBEW-0626-SM-4QASP 40-49 years, male 9.4
GTEX-ZDTT-2726-SM-4WKF8 60-69 years, male 9.4
GTEX-1F52S-0126-SM-9MQJU 60-69 years, female 9.4
GTEX-1KANB-0526-SM-E6CJH 50-59 years, male 9.4
GTEX-13OVH-0126-SM-5MR4B 70-79 years, male 9.3
GTEX-13RTK-1426-SM-5QGQJ 20-29 years, male 9.3
GTEX-SSA3-0126-SM-32QPU 60-69 years, male 9.3
GTEX-VJWN-0126-SM-3GIK7 50-59 years, female 9.3
GTEX-1H3O1-0426-SM-9YFKY 60-69 years, male 9.3
GTEX-1399T-2826-SM-5KLYZ 60-69 years, male 9.2
GTEX-15SHW-0326-SM-6PAML 60-69 years, male 9.2
GTEX-QDVJ-1726-SM-2I5FX 50-59 years, male 9.2
GTEX-ZC5H-0226-SM-4WAY9 40-49 years, female 9.2
GTEX-1GN73-0226-SM-9WG67 60-69 years, male 9.2
GTEX-12WSA-0226-SM-5BC5V 60-69 years, male 9.1
GTEX-14E6D-0126-SM-62LDV 50-59 years, male 9.1
GTEX-U3ZH-2026-SM-3DB78 30-39 years, male 9.1
GTEX-YB5K-2126-SM-4WWDJ 40-49 years, female 9.1
GTEX-1J1OQ-0226-SM-CYPSH 40-49 years, female 9.1
GTEX-1JJ6O-0126-SM-E6CI8 60-69 years, male 9.1
GTEX-1LB8K-0226-SM-EWRNW 50-59 years, male 9.1
GTEX-1MA7X-2226-SM-E6CIY 60-69 years, male 9.1
GTEX-1A3MV-1926-SM-718BT 30-39 years, male 9.0
GTEX-1B8SG-0126-SM-73KZ3 50-59 years, male 9.0
GTEX-QV44-1926-SM-2S1RF 50-59 years, male 9.0
GTEX-1JKYR-0126-SM-CNPOJ 20-29 years, male 9.0
GTEX-1MCQQ-0826-SM-DLHC2 60-69 years, male 9.0
GTEX-1S82Z-0826-SM-E6CHY 30-39 years, female 9.0
GTEX-13N2G-2626-SM-5J1OT 60-69 years, male 8.9
GTEX-16NPX-0226-SM-79OMT 50-59 years, male 8.9
GTEX-1B8L1-2526-SM-9WYTF 60-69 years, male 8.9
GTEX-1EU9M-0226-SM-7P8SP 60-69 years, male 8.9
GTEX-TSE9-0126-SM-3DB83 60-69 years, female 8.8
GTEX-WVJS-0126-SM-4MVOT 50-59 years, male 8.8
GTEX-Y5V5-2326-SM-4V6GA 60-69 years, female 8.8
GTEX-YFC4-0126-SM-5CVLY 40-49 years, female 8.8
GTEX-1HGF4-2426-SM-ACKXM 60-69 years, male 8.8
GTEX-1MUQO-0126-SM-EAZ58 60-69 years, male 8.8
GTEX-1F6IF-0726-SM-7P8TW 60-69 years, male 8.7
GTEX-1F75A-0126-SM-7RHGM 50-59 years, male 8.7
GTEX-1GZHY-0326-SM-9QEHI 50-59 years, female 8.7
GTEX-12696-2426-SM-5EQ6H 60-69 years, male 8.6
GTEX-145MO-0326-SM-5Q5B3 60-69 years, male 8.6
GTEX-1GMR8-0126-SM-9WYTM 50-59 years, female 8.6
GTEX-1GPI7-0126-SM-9MQL8 20-29 years, male 8.6
GTEX-1IKK5-0626-SM-ARL8A 60-69 years, male 8.6
GTEX-PLZ6-1426-SM-DKPOT 30-39 years, male 8.6
GTEX-13D11-2426-SM-5KM1V 50-59 years, female 8.5
GTEX-17KNJ-2326-SM-7DHLQ 50-59 years, male 8.5
GTEX-U412-0426-SM-3DB9O 60-69 years, male 8.5
GTEX-X88G-0126-SM-47JZ3 30-39 years, male 8.5
GTEX-1I1GT-0626-SM-CGQER 60-69 years, female 8.5
GTEX-1IDJF-0126-SM-CM2RS 20-29 years, male 8.5
GTEX-11OC5-0126-SM-5HL6A 60-69 years, male 8.4
GTEX-1313W-0126-SM-5LZUN 50-59 years, female 8.4
GTEX-14PN3-2426-SM-6LLHS 60-69 years, female 8.4
GTEX-T6MO-1626-SM-32QOM 40-49 years, female 8.4
GTEX-1HSMQ-1226-SM-CGQFX 50-59 years, male 8.4
GTEX-1JMPY-1326-SM-ARL8Y 30-39 years, male 8.4
GTEX-1KWVE-1426-SM-E9TJO 30-39 years, male 8.4
GTEX-1B8KZ-2026-SM-7DHMB 50-59 years, male 8.3
GTEX-1CB4I-0226-SM-79OLH 50-59 years, male 8.3
GTEX-ZV6S-2326-SM-4YCEY 40-49 years, female 8.3
GTEX-1GF9V-0326-SM-7RHI5 60-69 years, male 8.3
GTEX-1RB15-2126-SM-E9TIM 60-69 years, male 8.3
GTEX-17MFQ-1726-SM-793C7 20-29 years, male 8.2
GTEX-117YX-2326-SM-5H12W 50-59 years, male 8.1
GTEX-11OF3-2626-SM-5GU7F 60-69 years, male 8.1
GTEX-133LE-1826-SM-5J1MV 20-29 years, female 8.1
GTEX-1E1VI-0126-SM-7DHMZ 50-59 years, male 8.1
GTEX-T5JC-0426-SM-32PLO 20-29 years, male 8.1
GTEX-1HCU6-0126-SM-CL54K 60-69 years, female 8.1
GTEX-1I1CD-0126-SM-CM2TK 60-69 years, female 8.1
GTEX-1MA7W-2026-SM-E9TJ6 20-29 years, female 8.1
GTEX-1QP66-1726-SM-E8VO1 50-59 years, male 8.1
GTEX-ZE9C-2726-SM-57WB5 60-69 years, male 8.0
GTEX-1A8FM-0226-SM-7SB7Q 50-59 years, female 8.0
GTEX-1B996-0226-SM-7RHGO 60-69 years, male 8.0
GTEX-13X6J-0126-SM-5QGOU 50-59 years, male 7.9
GTEX-Q2AH-1626-SM-3GAF8 40-49 years, male 7.9
GTEX-1CAV2-2226-SM-7P8P2 40-49 years, female 7.9
GTEX-1J8JJ-0226-SM-CL53I 60-69 years, female 7.9
GTEX-1B8SF-1426-SM-7DUGL 60-69 years, male 7.8
GTEX-ZVZO-0126-SM-5A5L9 40-49 years, male 7.8
GTEX-ZYFD-0126-SM-5GIDL 50-59 years, male 7.8
GTEX-12126-0326-SM-5PNW3 20-29 years, male 7.7
GTEX-14E6E-1826-SM-5S2R7 30-39 years, male 7.7
GTEX-15DDE-0126-SM-6LPKH 50-59 years, female 7.7
GTEX-VJYA-1126-SM-3GIJU 60-69 years, male 7.7
GTEX-ZVT4-0126-SM-DTXFN 50-59 years, female 7.7
GTEX-11EQ9-2426-SM-5HL5T 30-39 years, male 7.6
GTEX-14PHX-2326-SM-62LEM 50-59 years, male 7.6
GTEX-1CAMQ-0226-SM-7IGPK 40-49 years, male 7.6
GTEX-QCQG-1726-SM-3GIJ9 50-59 years, female 7.6
GTEX-UJHI-1526-SM-3DB99 50-59 years, female 7.6
GTEX-O5YT-0126-SM-48TBW 20-29 years, male 7.5
GTEX-S32W-2126-SM-2XCB1 50-59 years, female 7.5
GTEX-1H4P4-0726-SM-9YFLR 50-59 years, male 7.5
GTEX-1I4MK-2226-SM-ACKWD 50-59 years, female 7.5
GTEX-12WSK-2326-SM-5GCOH 40-49 years, female 7.4
GTEX-1C64N-0126-SM-793D7 50-59 years, male 7.4
GTEX-1HFI6-0226-SM-ADEHZ 40-49 years, male 7.4
GTEX-1J8QM-2126-SM-CYPSJ 60-69 years, female 7.4
GTEX-1K2DA-1826-SM-CGQGT 50-59 years, male 7.4
GTEX-18A6Q-0126-SM-731BZ 60-69 years, male 7.3
GTEX-1BAJH-0526-SM-793CQ 70-79 years, male 7.3
GTEX-1F5PK-2426-SM-7RHHY 50-59 years, male 7.3
GTEX-1M5QR-1226-SM-EWROB 40-49 years, male 7.3
GTEX-139TS-2826-SM-5J1OO 60-69 years, male 7.2
GTEX-Y8E4-0626-SM-4WWDL 40-49 years, male 7.2
GTEX-1JMPZ-0226-SM-CNPP1 30-39 years, male 7.1
GTEX-1LVAN-0226-SM-COH3S 50-59 years, female 7.1
GTEX-OIZF-0126-SM-7SB8I 60-69 years, male 7.1
GTEX-RVPV-0126-SM-EAZAW 60-69 years, male 7.1
GTEX-145LS-0126-SM-5QGP1 60-69 years, female 7.0
GTEX-17GQL-2026-SM-718BA 60-69 years, male 7.0
GTEX-ZTSS-1926-SM-57WEW 40-49 years, male 7.0
GTEX-1QAET-0926-SM-E76QM 50-59 years, male 7.0
GTEX-1R7EU-0226-SM-EVR4G 60-69 years, male 7.0
GTEX-13OVK-2026-SM-7KUEO 40-49 years, male 6.9
GTEX-1F75B-0126-SM-9KNVL 50-59 years, male 6.9
GTEX-1GF9W-0326-SM-9KNUN 60-69 years, male 6.9
GTEX-1IOXB-0126-SM-ARL8G 50-59 years, male 6.9
GTEX-11WQC-2526-SM-5CVLE 60-69 years, male 6.8
GTEX-14PJ6-2126-SM-6EU1V 60-69 years, female 6.8
GTEX-OIZG-0726-SM-33HBL 50-59 years, male 6.8
GTEX-P4QT-0126-SM-2I3FL 50-59 years, female 6.8
GTEX-QVJO-1626-SM-2S1QW 60-69 years, female 6.8
GTEX-ZVTK-0426-SM-51MRS 20-29 years, male 6.8
GTEX-1GZ4H-1726-SM-7PBZJ 50-59 years, female 6.8
GTEX-1HSGN-0226-SM-CGQFV 40-49 years, female 6.8
GTEX-13112-2826-SM-5DUWH 50-59 years, male 6.7
GTEX-131YS-0126-SM-5KM1M 60-69 years, female 6.7
GTEX-13S7M-0126-SM-5SI6A 60-69 years, female 6.7
GTEX-145ME-1826-SM-5SI9G 40-49 years, female 6.7
GTEX-RWSA-0126-SM-2XCBB 40-49 years, male 6.7
GTEX-ZVZP-2426-SM-59HKJ 50-59 years, male 6.7
GTEX-1EX96-1626-SM-7PBXR 50-59 years, male 6.7
GTEX-1GZ2Q-0226-SM-7P8TL 40-49 years, male 6.7
GTEX-1H11D-0226-SM-9WG6Z 40-49 years, male 6.7
GTEX-1IGQW-0126-SM-COH42 60-69 years, male 6.7
GTEX-12KS4-0326-SM-5EQ41 30-39 years, male 6.6
GTEX-13SLW-0126-SM-5SI6C 70-79 years, male 6.6
GTEX-14A5I-0126-SM-5TDEA 50-59 years, female 6.6
GTEX-14BMV-0126-SM-5S2PO 50-59 years, male 6.6
GTEX-1CB4G-0226-SM-7PC3O 60-69 years, male 6.6
GTEX-1H1CY-2826-SM-9MQM3 60-69 years, female 6.6
GTEX-1HBPI-1526-SM-C1YQ1 50-59 years, male 6.6
GTEX-1PPH8-0226-SM-E8VND 20-29 years, male 6.6
GTEX-144GL-0126-SM-5TDE2 50-59 years, male 6.5
GTEX-16GPK-0126-SM-7DHLE 60-69 years, male 6.5
GTEX-1HBPN-0226-SM-9YFM1 50-59 years, male 6.5
GTEX-1KAFJ-2026-SM-CY8ID 50-59 years, male 6.5
GTEX-1KXAM-2226-SM-CYPTC 60-69 years, male 6.5
GTEX-1S5ZA-0126-SM-EVYCV 20-29 years, male 6.5
GTEX-1C6VR-2426-SM-79OLD 60-69 years, male 6.4
GTEX-1F5PL-0326-SM-7P8PQ 40-49 years, female 6.4
GTEX-1I1GQ-0126-SM-COH3H 50-59 years, male 6.4
GTEX-1OFPY-2426-SM-DTXEJ 60-69 years, male 6.4
GTEX-1AX9J-0226-SM-73KXM 60-69 years, male 6.3
GTEX-1GN2E-0426-SM-9MQKX 60-69 years, male 6.3
GTEX-17F96-1626-SM-7DUFL 70-79 years, male 6.2
GTEX-17HG3-2226-SM-7938L 30-39 years, female 6.2
GTEX-1PDJ9-0326-SM-DTX95 20-29 years, male 6.2
GTEX-145MI-0526-SM-5O9A8 60-69 years, female 6.1
GTEX-1F6RS-0126-SM-9MQKZ 60-69 years, female 6.1
GTEX-1GMRU-0126-SM-9YFLV 50-59 years, male 6.1
GTEX-1GN1U-0126-SM-7PBZK 50-59 years, female 6.1
GTEX-1LGRB-2526-SM-CNPPQ 50-59 years, female 6.1
GTEX-15ETS-0126-SM-7KUMW 40-49 years, female 6.0
GTEX-1HT8W-0126-SM-CNPPP 30-39 years, male 6.0
GTEX-1KD4Q-0226-SM-E9TJ9 40-49 years, male 6.0
GTEX-1RDX4-0126-SM-E9J4P 50-59 years, female 6.0
GTEX-11DYG-0126-SM-59883 60-69 years, male 5.9
GTEX-1212Z-2526-SM-5EGKP 60-69 years, male 5.9
GTEX-13YAN-0326-SM-5O9DF 60-69 years, male 5.9
GTEX-1AX9I-0126-SM-7SB74 60-69 years, male 5.9
GTEX-1KANA-0726-SM-D3L9I 20-29 years, male 5.9
GTEX-T2YK-0526-SM-32QPJ 50-59 years, male 5.8
GTEX-UPJH-0326-SM-3GADU 50-59 years, male 5.8
GTEX-13OW6-0426-SM-5L3HM 50-59 years, male 5.7
GTEX-OIZH-0126-SM-2HMIS 50-59 years, male 5.7
GTEX-S7SE-0126-SM-2XCD5 50-59 years, male 5.7
GTEX-WFON-2126-SM-3LK7O 40-49 years, male 5.7
GTEX-ZZ64-1726-SM-5GZYB 20-29 years, male 5.7
GTEX-1HCU9-1526-SM-A9SL7 20-29 years, male 5.7
GTEX-1JMQJ-0526-SM-CYPSU 50-59 years, male 5.7
GTEX-1B8KE-2126-SM-73KYX 50-59 years, male 5.6
GTEX-1QMI2-0226-SM-EVYBX 60-69 years, male 5.6
GTEX-11EI6-0126-SM-5985R 60-69 years, male 5.5
GTEX-12ZZY-0226-SM-5LZVE 60-69 years, male 5.5
GTEX-15F5U-1526-SM-6PANO 40-49 years, male 5.5
GTEX-15G19-0126-SM-6PANQ 60-69 years, male 5.5
GTEX-1CB4E-2226-SM-793DC 60-69 years, male 5.5
GTEX-Y8DK-0126-SM-4TT3L 60-69 years, male 5.5
GTEX-1HSKV-0226-SM-A9SKJ 60-69 years, male 5.5
GTEX-1JMLX-0226-SM-CM2RO 50-59 years, male 5.5
GTEX-14BIN-0626-SM-793DP 50-59 years, female 5.4
GTEX-14JG1-0426-SM-6ETZZ 40-49 years, male 5.4
GTEX-18465-0126-SM-731BN 50-59 years, male 5.4
GTEX-SNMC-1226-SM-2XCFP 20-29 years, male 5.4
GTEX-XQ3S-1526-SM-4BOOC 20-29 years, male 5.4
GTEX-ZWKS-0126-SM-5SIAA 30-39 years, male 5.4
GTEX-13NYC-0326-SM-E9J4S 60-69 years, male 5.4
GTEX-13OW5-0126-SM-DTXFS 60-69 years, male 5.4
GTEX-1JMQL-0226-SM-CNPP5 50-59 years, female 5.4
GTEX-1O97I-0326-SM-EYYX7 60-69 years, male 5.4
GTEX-17EVP-0326-SM-7DHLG 40-49 years, male 5.3
GTEX-1L5NE-2526-SM-E6CIE 50-59 years, male 5.3
GTEX-1S83E-0126-SM-EWRO4 40-49 years, male 5.3
GTEX-T5JW-1626-SM-3GADZ 20-29 years, female 5.2
GTEX-1EWIQ-0126-SM-7RHH2 70-79 years, female 5.2
GTEX-1I1GR-0126-SM-CL55F 60-69 years, male 5.2
GTEX-111FC-0126-SM-5N9DL 60-69 years, male 5.1
GTEX-14PJM-0226-SM-62LF1 50-59 years, female 5.1
GTEX-POMQ-2226-SM-2I5FK 20-29 years, female 5.1
GTEX-1E2YA-0126-SM-9KNUC 50-59 years, male 5.1
GTEX-PSDG-0226-SM-DKPOZ 50-59 years, male 5.1
GTEX-139UW-2826-SM-5L3E7 60-69 years, male 5.0
GTEX-145MF-0626-SM-5LUAI 50-59 years, male 5.0
GTEX-14PII-0226-SM-6EU1T 60-69 years, male 5.0
GTEX-18D9A-1926-SM-7LG6P 30-39 years, female 4.9
GTEX-1JMQI-2226-SM-CM2SD 50-59 years, male 4.9
GTEX-1399R-2726-SM-5IJBA 30-39 years, male 4.8
GTEX-TML8-1926-SM-32QOS 40-49 years, female 4.7
GTEX-13JUV-2726-SM-5LZZ8 40-49 years, female 4.6
GTEX-WFG8-2226-SM-3GIL9 20-29 years, male 4.6
GTEX-1HCU7-0226-SM-CL545 50-59 years, male 4.6
GTEX-1IL2U-0226-SM-CE6T8 60-69 years, male 4.5
GTEX-13FHP-0126-SM-5IJBG 50-59 years, male 4.4
GTEX-1EMGI-0126-SM-9KNUE 60-69 years, male 4.4
GTEX-1GMR3-1926-SM-9KNUZ 40-49 years, male 4.4
GTEX-1PIIG-0226-SM-EWRN6 30-39 years, male 4.4
GTEX-1R9PM-2026-SM-E76OY 20-29 years, male 4.4
GTEX-145LU-0126-SM-5TDCB 50-59 years, male 4.3
GTEX-SJXC-0126-SM-2XCFF 60-69 years, male 4.3
GTEX-11DXZ-2326-SM-5EGGV 50-59 years, male 4.2
GTEX-PVOW-0126-SM-2XCFA 40-49 years, male 4.2
GTEX-1GL5R-1826-SM-9KNUY 50-59 years, male 4.2
GTEX-1JN6P-0126-SM-D3L98 60-69 years, male 4.2
GTEX-16AAH-1726-SM-7939C 50-59 years, male 4.1
GTEX-1KANC-1526-SM-D3LAB 50-59 years, female 4.1
GTEX-1OJC3-0126-SM-E76QX 20-29 years, male 4.1
GTEX-13FXS-0226-SM-5IJCK 50-59 years, male 4.0
GTEX-15ER7-0326-SM-7KUEV 20-29 years, female 4.0
GTEX-1I1GV-0526-SM-A9G29 60-69 years, male 4.0
GTEX-T6MN-0126-SM-32PLP 50-59 years, male 3.9
GTEX-1B97I-1626-SM-73KYO 40-49 years, male 3.8
GTEX-1CB4F-0426-SM-9KNV4 60-69 years, male 3.8
GTEX-ZV68-0126-SM-59HKS 50-59 years, female 3.4
GTEX-12WSE-0526-SM-793B2 20-29 years, male 3.3
GTEX-PX3G-0126-SM-2I3EN 20-29 years, female 3.3
GTEX-ZF2S-2326-SM-4WWCE 50-59 years, female 3.3
GTEX-13111-1626-SM-5EGJY 50-59 years, male 3.2
GTEX-YJ89-0126-SM-4TT3X 60-69 years, male 3.1
GTEX-ZYT6-0226-SM-5NQ6T 30-39 years, male 3.1
GTEX-1MJK2-0426-SM-DTXE5 50-59 years, male 3.1
GTEX-15EU6-0426-SM-6PAN5 50-59 years, male 3.0
GTEX-1IDJH-0326-SM-A9SLQ 70-79 years, male 3.0
GTEX-17JCI-0126-SM-7LG5G 60-69 years, female 2.9
GTEX-ZTX8-1426-SM-5DUVO 20-29 years, male 2.6
GTEX-1IKJJ-0126-SM-CNPQB 60-69 years, male 2.6
GTEX-1JJEA-0326-SM-CNPOT 60-69 years, male 2.6
GTEX-1LG7Z-1726-SM-D3LA4 30-39 years, male 2.6
GTEX-13NYB-2526-SM-5K7Z6 40-49 years, male 2.3
GTEX-1C475-1826-SM-73KWA 40-49 years, female 1.5
Show allShow less

Contact

  • NEWS ARTICLES
  • PRESS ROOM

The Project

  • INTRODUCTION
  • ORGANIZATION
  • PUBLICATIONS

The Human Protein Atlas

  • DOWNLOADABLE DATA
  • LICENCE & CITATION
  • HELP & FAQ
The Human Protein Atlas project is funded
by the Knut & Alice Wallenberg Foundation.


contact@proteinatlas.org