We use cookies to enhance the usability of our website. If you continue, we'll assume that you are happy to receive all cookies. More information. Don't show this again.
NDUFAF8
HPA
RESOURCES
  • TISSUE
  • BRAIN
  • SINGLE CELL
  • SUBCELLULAR
  • CANCER
  • BLOOD
  • CELL LINE
  • STRUCTURE & INTERACTION
ABOUT
  • INTRODUCTION
  • HISTORY
  • ORGANIZATION
  • PUBLICATIONS
  • ANTIBODY SUBMISSION
  • ANTIBODY AVAILABILITY
  • ACKNOWLEDGMENTS
  • CONTACT
NEWS
  • NEWS ARTICLES
  • PRESS ROOM
LEARN
  • DICTIONARY
  • PROTEIN CLASSES
  • PROTEIN EVIDENCE
  • METHODS
  • EDUCATIONAL VIDEOS
DATA
  • DOWNLOADABLE DATA
  • PUBLICATION DATA
  • RELEASE HISTORY
HELP
  • ANTIBODY VALIDATION
  • ASSAYS & ANNOTATION
  • DISCLAIMER
  • HELP & FAQ
  • PRIVACY STATEMENT
  • LICENCE & CITATION
Fields »
Search result

Field
Term
Gene name
Class
Subclass
Class
Keyword
Chromosome
External id
Tissue
Cell type
Expression
Antibody panel
Tissue
Main location
Patient ID
Annotation
Tissue
Category
Tau score
Cluster
Reliability
Brain region
Category
Tau score
Brain region
Category
Tau score
Brain region
Category
Tau score
Cluster
Reliability
Tissue
Cell type
Enrichment
Cell type
Category
Tau score
Cell type
Category
Tau score
Cell type
Category
Tau score
Cell lineage
Category
Tau score
Cluster
Cluster
Location
Searches
Location
Cell line
Class
Type
Phase
Reliability
Cancer
Prognosis
Cancer
Category
Cancer
Category
Tau score
Cluster
Variants
Interacting gene (ensg_id)
Type
Number of interactions
Pathway
Category
Score
Score
Score
Validation
Validation
Validation
Validation
Antibodies
Data type
Column


  • SUMMARY

  • TISSUE

  • BRAIN

  • SINGLE CELL

  • SUBCELL

  • CANCER

  • BLOOD

  • CELL LINE

  • STRUCT & INT

  • NDUFAF8
TISSUE PRIMARY DATA ADRENAL GLAND Show tissue menu
ADIPOSE TISSUE ADRENAL GLAND AMYGDALA APPENDIX BASAL GANGLIA BONE MARROW BREAST BRONCHUS CEREBELLUM CEREBRAL CORTEX CERVIX CHOROID PLEXUS COLON DUODENUM
ENDOMETRIUM EPIDIDYMIS ESOPHAGUS FALLOPIAN TUBE GALLBLADDER HEART MUSCLE HIPPOCAMPAL FORMATION HYPOTHALAMUS KIDNEY LIVER LUNG LYMPH NODE MIDBRAIN ORAL MUCOSA
OVARY PANCREAS PARATHYROID GLAND PITUITARY GLAND PLACENTA PROSTATE RECTUM RETINA SALIVARY GLAND SEMINAL VESICLE SKELETAL MUSCLE SKIN SMALL INTESTINE SMOOTH MUSCLE
SOFT TISSUE SPINAL CORD SPLEEN STOMACH TESTIS THYMUS THYROID GLAND TONGUE TONSIL URINARY BLADDER VAGINA
ANTIBODIES
AND
VALIDATION
Dictionary
Adrenal gland
Tissue proteome
Adrenal gland
ADRENAL GLAND - Expression summary
Protein expression
Adrenal glandi

On the top, protein expression in current human tissue, based on all annotated cell types, is reported with the units not detected (n), low (l), medium (m) and high (h). Underneath, protein expression in each annotated cell type are reported using the same units.

Protein expression data is based on knowledge-based annotation. For genes where more than one antibody has been used, a collective score is set.

If knowledge-based annotation could not be performed for a gene, no data is displayed here. View antibody staining data further down this page.

h
m
l
n
Glandular cells: Medium
RNA expressioni

A summary of mRNA expression data available for current tissue based on several datasets. The mRNA expression levels in human tissues are based on RNA-seq data generated by the Human Protein Atlas (HPA), Genotype-Tissue Expression (GTEx) portal and CAGE data generated by the FANTOM5 consortium. Consensus normalized expression levels for human tissues was created by combining the data from HPA and GTEx datasets.

The mRNA expression levels in pig are based on RNA-seq data generated by the Human Protein Atlas (HPA), and for mouse, HPA data and in situ hybridization generated by the Allen brain atlas are reported.

Scroll down to view mRNA expression data in more detail.
Consensus:63.1 nTPM
HPA:36.6 nTPM
GTEx:63.1 nTPM

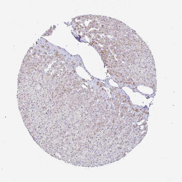
ADRENAL GLAND - Antibody stainingi

Antibody staining in the annotated cell types in the current human tissue is reported as not detected, low, medium, or high, based on conventional immunohistochemistry profiling in selected tissues. This score is based on the combination of the staining intensity and fraction of stained cells.

Each image is clickable and will lead to virtual microscopy that enables deeper exploration of all samples and also displays staining intensity scores, fraction scores and subcellular localization as well as patient and tissue information for each sample.

Antibody HPA057732
Glandular cells Medium



ADRENAL GLAND - HPA RNA-seqi

The RNA-seq details section shows detailed information about the individual samples used for the transcript profiling and results of the RNA-seq analysis.

Information about each individual sample is listed below, including gender, age, a tissue section image and estimated fractions of cell types. nTPM (normalized transcripts per million) values give a quantification of the gene abundance which is comparable between different genes and samples.
Average nTPMi

Max subtype nTPM is the value for the subtype with the largest average nTPM across the subtype samples.

36.6
overview
Female, age 62
Adrenal gland sample 87
nTPM: 50.2
Cell types%
Cortical cells:
50

Medullary cells:
40

Other cell types:
10

overview
Female, age 36
Adrenal gland sample 88
nTPM: 24.8
Cell types%
Cortical cells:
50

Medullary cells:
40

Other cell types:
10

overview
Female, age 63
Adrenal gland sample 89
nTPM: 34.9
Cell types%
Cortical cells:
50

Medullary cells:
40

Other cell types:
10


ADRENAL GLAND - GTEx RNA-seqi

RNA-Seq data generated by the Genotype-Tissue Expression (GTEx) project from human tissues is reported as mean nTPM. More information can be found on the GTEx portal.

Distribution across the dataset is visualized with box plots, shown as median and 25th and 75th percentiles. Points are displayed as outliers if they are above or below 1.5 times the interquartile range. nTPM values of the individual samples are presented next to the box plot.
Max subtype nTPMi

Max subtype nTPM is the value for the subtype with the largest average nTPM across the subtype samples.

63.1
GTEx sample id Sample description nTPM
Adrenal Gland
Average nTPM: 63.1
Samples: 258

Max nTPM: 170.1
Min nTPM: 21.0
Std nTPM: 19.9
Median nTPM: 59.5
GTEX-1B996-2026-SM-7MKG7 60-69 years, male 170.1
GTEX-ZYVF-1626-SM-5N9EH 50-59 years, female 165.9
GTEX-1PWST-2126-SM-DPRZ5 70-79 years, male 129.5
GTEX-QEG5-1826-SM-CE6QW 20-29 years, male 117.7
GTEX-QXCU-1326-SM-48FE2 50-59 years, male 116.7
GTEX-14753-1726-SM-5NQ9X 60-69 years, male 110.6
GTEX-14A5I-2126-SM-5NQA8 50-59 years, female 109.5
GTEX-1GN1V-1626-SM-7PBZF 60-69 years, male 105.0
GTEX-14PJM-2226-SM-6AJAT 50-59 years, female 102.8
GTEX-1GMR3-0926-SM-9WPP9 40-49 years, male 100.8
GTEX-1KD4Q-1826-SM-DIPFV 40-49 years, male 100.8
GTEX-1A32A-2126-SM-718AZ 50-59 years, female 100.3
GTEX-1EKGG-2126-SM-7MKFT 60-69 years, male 98.7
GTEX-147F4-2526-SM-5NQBB 50-59 years, male 96.5
GTEX-17HHY-2226-SM-7KFS4 50-59 years, male 96.4
GTEX-RWSA-1726-SM-47JX7 40-49 years, male 96.1
GTEX-12ZZZ-0926-SM-5N9EQ 60-69 years, male 95.4
GTEX-144GL-1826-SM-79OMB 50-59 years, male 93.6
GTEX-1HBPI-1926-SM-CE6RT 50-59 years, male 93.2
GTEX-13O3O-1626-SM-5KM1O 60-69 years, female 92.6
GTEX-1A3MW-2126-SM-731DO 60-69 years, female 89.7
GTEX-14XAO-0326-SM-6ETZN 60-69 years, female 88.8
GTEX-13OW7-2726-SM-5L3HN 50-59 years, male 87.2
GTEX-1PIIG-1426-SM-EXOIS 30-39 years, male 86.8
GTEX-V1D1-0226-SM-4JBHG 50-59 years, male 85.3
GTEX-1GF9V-2026-SM-9JGHS 60-69 years, male 85.3
GTEX-1HC8U-0226-SM-9WG7Q 40-49 years, female 85.1
GTEX-1LNCM-0826-SM-DHXL6 50-59 years, female 85.0
GTEX-1IDJH-1726-SM-A96T3 70-79 years, male 84.6
GTEX-1KANB-2626-SM-EV7BF 50-59 years, male 84.6
GTEX-1GN73-1526-SM-9WPP1 60-69 years, male 84.3
GTEX-XQ3S-1726-SM-4BOOD 20-29 years, male 83.3
GTEX-1F88F-1526-SM-9JGG1 60-69 years, female 83.3
GTEX-12WSD-2126-SM-5LZWK 60-69 years, female 83.0
GTEX-R55E-1826-SM-EXOHD 20-29 years, male 83.0
GTEX-12WSG-0726-SM-5EGIG 50-59 years, female 82.0
GTEX-13FH7-0226-SM-5IFGG 50-59 years, female 81.2
GTEX-1BAJH-2626-SM-7EPG6 70-79 years, male 81.2
GTEX-1J8EW-1826-SM-C1YQW 60-69 years, female 81.0
GTEX-11EMC-0526-SM-5EGJN 60-69 years, female 80.8
GTEX-1ICG6-0226-SM-AHZ2P 70-79 years, female 80.6
GTEX-O5YV-1126-SM-3LK73 60-69 years, female 80.3
GTEX-1I1GP-1826-SM-C1YS1 50-59 years, male 80.2
GTEX-REY6-1726-SM-48FDL 60-69 years, male 79.5
GTEX-1339X-0826-SM-5J2O6 40-49 years, male 79.1
GTEX-12696-0626-SM-5EGGD 60-69 years, male 78.8
GTEX-1QMI2-1926-SM-EAZ4B 60-69 years, male 78.8
GTEX-S33H-1326-SM-4AD6A 30-39 years, male 78.6
GTEX-1KWVE-0726-SM-D4P3O 30-39 years, male 77.5
GTEX-11GSP-0326-SM-5A5KW 60-69 years, female 77.0
GTEX-1M5QR-1726-SM-EV7AU 40-49 years, male 76.7
GTEX-18D9B-1926-SM-7KFSV 60-69 years, male 76.0
GTEX-1R7EV-1726-SM-E6CR8 40-49 years, male 75.8
GTEX-1HCU6-1826-SM-C1YRN 60-69 years, female 75.7
GTEX-13O1R-2326-SM-5IJF9 60-69 years, male 75.3
GTEX-1RQEC-1926-SM-DTX7M 60-69 years, male 75.2
GTEX-RNOR-1626-SM-EZ6MM 50-59 years, female 75.2
GTEX-1KXAM-0326-SM-EV7AQ 60-69 years, male 75.0
GTEX-1B8L1-1326-SM-7MKG6 60-69 years, male 74.6
GTEX-18A7A-1826-SM-7KFTU 50-59 years, female 74.5
GTEX-1I1GV-1826-SM-CNNR8 60-69 years, male 74.3
GTEX-1A8FM-1926-SM-7MXTX 50-59 years, female 74.2
GTEX-1JMLX-1126-SM-CXZJN 50-59 years, male 74.0
GTEX-1K2DU-0826-SM-DHXKA 20-29 years, male 74.0
GTEX-18A6Q-1826-SM-72D6I 60-69 years, male 73.8
GTEX-1AX8Z-2426-SM-72D7D 60-69 years, male 73.8
GTEX-111CU-0126-SM-5GZWZ 50-59 years, male 73.7
GTEX-SUCS-0526-SM-4DM56 70-79 years, male 73.7
GTEX-132NY-2226-SM-5J2LZ 60-69 years, male 72.7
GTEX-15EU6-0326-SM-6M48I 50-59 years, male 72.7
GTEX-14A5H-2126-SM-7IGNV 60-69 years, male 72.2
GTEX-13111-0326-SM-5DUXF 50-59 years, male 71.7
GTEX-Y3IK-0226-SM-51MRJ 50-59 years, female 71.7
GTEX-XV7Q-0226-SM-4BRVL 40-49 years, female 70.9
GTEX-Y5V6-1926-SM-5IFIL 60-69 years, male 70.4
GTEX-ZYFG-0926-SM-5BC5U 60-69 years, female 70.3
GTEX-X4LF-0126-SM-4QAS7 50-59 years, male 69.8
GTEX-1211K-0126-SM-59HJE 60-69 years, female 69.7
GTEX-ZT9W-0126-SM-4YCFD 50-59 years, male 69.6
GTEX-QLQW-0226-SM-447BJ 30-39 years, male 69.3
GTEX-1LG7Z-0426-SM-D4P47 30-39 years, male 68.8
GTEX-WFG8-0126-SM-4LVMH 20-29 years, male 68.7
GTEX-12WSN-0926-SM-5GCN1 40-49 years, male 68.4
GTEX-131XF-0126-SM-5DUVF 60-69 years, male 68.4
GTEX-ZEX8-0626-SM-DO118 50-59 years, male 67.9
GTEX-PLZ5-0326-SM-3P614 50-59 years, male 67.5
GTEX-132AR-1726-SM-5EGHQ 50-59 years, female 67.3
GTEX-13O21-0126-SM-5IJE8 50-59 years, male 66.9
GTEX-13OW6-1726-SM-5IJGI 50-59 years, male 66.9
GTEX-17HGU-0126-SM-7DHLV 50-59 years, male 66.8
GTEX-QDVJ-1126-SM-48U1U 50-59 years, male 66.8
GTEX-1399U-0226-SM-5P9J2 50-59 years, female 66.7
GTEX-11TT1-0126-SM-5LUAA 20-29 years, male 66.5
GTEX-145MN-0226-SM-5QGPY 30-39 years, male 66.3
GTEX-1LGRB-0326-SM-CNPQC 50-59 years, female 66.1
GTEX-14H4A-0226-SM-5SI6Q 40-49 years, female 66.0
GTEX-Y5LM-0126-SM-4VBRL 40-49 years, female 66.0
GTEX-1I1GQ-2026-SM-ARU7F 50-59 years, male 66.0
GTEX-15ER7-1126-SM-6M47F 20-29 years, female 65.8
GTEX-131YS-2026-SM-5P9J8 60-69 years, female 65.0
GTEX-W5WG-1126-SM-4LMK4 50-59 years, female 64.6
GTEX-14C38-1726-SM-5RQJC 50-59 years, male 64.0
GTEX-U3ZM-0226-SM-4DXTA 40-49 years, male 63.7
GTEX-PLZ6-0226-SM-3P61I 30-39 years, male 63.6
GTEX-1F75I-0126-SM-9WPPW 40-49 years, male 63.5
GTEX-1399R-0326-SM-5KM1X 30-39 years, male 63.0
GTEX-ZT9X-0126-SM-4YCFC 40-49 years, male 62.9
GTEX-V955-0126-SM-4JBH5 60-69 years, male 62.8
GTEX-1K2DA-0226-SM-CGQGW 50-59 years, male 62.8
GTEX-15DYW-2126-SM-6M47B 60-69 years, female 62.4
GTEX-X4EO-1726-SM-4QARN 60-69 years, female 62.3
GTEX-17KNJ-0326-SM-7KFS5 50-59 years, male 62.0
GTEX-1QP2A-2626-SM-EAZ3L 50-59 years, male 61.9
GTEX-ZPCL-0826-SM-DNZZ7 60-69 years, female 61.6
GTEX-1GL5R-1026-SM-7P8U1 50-59 years, male 61.3
GTEX-14DAR-1726-SM-664MZ 50-59 years, male 60.9
GTEX-1F5PK-0826-SM-7MXVI 50-59 years, male 60.9
GTEX-1JKYN-0126-SM-AHZ4C 30-39 years, male 60.8
GTEX-NFK9-1726-SM-3TW8P 40-49 years, male 60.7
GTEX-14PN3-1426-SM-686Z8 60-69 years, female 60.6
GTEX-PW2O-0226-SM-48TC7 20-29 years, male 60.6
GTEX-OIZF-1326-SM-3MJGU 60-69 years, male 60.6
GTEX-QCQG-0126-SM-48U27 50-59 years, female 60.5
GTEX-13PVR-0226-SM-5RQJI 60-69 years, female 60.4
GTEX-1LVAN-0826-SM-CNNPG 50-59 years, female 60.4
GTEX-ZUA1-1926-SM-5E45E 40-49 years, male 60.3
GTEX-S32W-0126-SM-4AD61 50-59 years, female 60.2
GTEX-145LT-0126-SM-5S2QJ 40-49 years, male 59.9
GTEX-14PK6-0126-SM-664O1 70-79 years, female 59.7
GTEX-11DXX-0126-SM-5EGH7 60-69 years, female 59.3
GTEX-13QBU-0526-SM-5IJFE 40-49 years, female 59.0
GTEX-OHPL-1326-SM-3MJGG 60-69 years, female 59.0
GTEX-1EH9U-1726-SM-7P8QK 60-69 years, male 58.8
GTEX-12BJ1-0526-SM-5FQUD 60-69 years, male 58.6
GTEX-13O61-0126-SM-5KM4P 60-69 years, male 58.6
GTEX-ZTSS-0326-SM-5987M 40-49 years, male 58.6
GTEX-Q2AI-0226-SM-48U1D 40-49 years, male 58.4
GTEX-RM2N-0126-SM-48FDD 50-59 years, male 58.3
GTEX-1F75A-2026-SM-9KNTR 50-59 years, male 58.3
GTEX-XMK1-0226-SM-4B65D 40-49 years, male 58.2
GTEX-R55C-0226-SM-48FEO 40-49 years, male 58.0
GTEX-OOBK-3125-SM-3LK5R 40-49 years, male 57.7
GTEX-11XUK-0126-SM-5CVLK 40-49 years, female 57.5
GTEX-131XG-1326-SM-5DUX4 50-59 years, female 57.5
GTEX-12WSJ-0126-SM-5GCOM 40-49 years, female 57.2
GTEX-Y5V5-1326-SM-4V6G9 60-69 years, female 57.2
GTEX-OHPK-1326-SM-3MJGN 50-59 years, female 57.0
GTEX-11NSD-0226-SM-5A5LR 20-29 years, male 56.8
GTEX-13FTW-0126-SM-5IJED 40-49 years, male 56.8
GTEX-1AX9K-0126-SM-7PC1B 50-59 years, male 56.7
GTEX-1CB4F-0126-SM-9JGGZ 60-69 years, male 56.4
GTEX-1I1GU-0226-SM-AHZ2J 40-49 years, male 56.4
GTEX-OXRK-0126-SM-3NB1E 50-59 years, female 56.2
GTEX-WY7C-0326-SM-4OND5 50-59 years, male 56.2
GTEX-13PL7-1026-SM-5MR5C 60-69 years, female 55.9
GTEX-14DAQ-1826-SM-5S2VV 60-69 years, female 55.9
GTEX-1399S-0426-SM-5IFG5 30-39 years, female 55.8
GTEX-UJMC-0226-SM-4IHLH 50-59 years, male 55.6
GTEX-QMRM-0126-SM-CJI1R 50-59 years, male 55.4
GTEX-1AX9J-0626-SM-72D7L 60-69 years, male 55.3
GTEX-WQUQ-0126-SM-4OOSS 60-69 years, male 55.3
GTEX-Q734-0126-SM-48U1E 40-49 years, female 55.2
GTEX-QDVN-0426-SM-48TZ6 50-59 years, male 55.2
GTEX-TKQ2-0226-SM-4DM6V 50-59 years, male 55.1
GTEX-S3XE-0126-SM-4AD4R 50-59 years, male 54.8
GTEX-1H11D-2426-SM-9JGGN 40-49 years, male 54.8
GTEX-ZLV1-0226-SM-4WWC1 60-69 years, female 54.6
GTEX-1S82P-1126-SM-EV79M 60-69 years, female 54.6
GTEX-1J8Q3-0326-SM-CE6TD 60-69 years, male 54.5
GTEX-15SHU-1926-SM-7KUMO 40-49 years, female 54.3
GTEX-VJYA-0526-SM-4KL1R 60-69 years, male 54.2
GTEX-1QP29-0326-SM-E6CQ4 50-59 years, male 53.6
GTEX-111YS-0126-SM-5987T 60-69 years, male 53.4
GTEX-PWCY-0226-SM-48TD8 20-29 years, female 53.2
GTEX-1IDJU-0126-SM-CNNR2 60-69 years, female 53.2
GTEX-R53T-0226-SM-48FEH 50-59 years, female 52.8
GTEX-1F5PL-2326-SM-7MKFC 40-49 years, female 52.5
GTEX-13W3W-1326-SM-5LU4T 60-69 years, female 52.2
GTEX-ZLFU-0826-SM-4WWBP 40-49 years, male 52.0
GTEX-VUSG-1526-SM-4KKZH 50-59 years, male 51.8
GTEX-ZVP2-0126-SM-5NQ7D 50-59 years, male 51.8
GTEX-1NUQO-0626-SM-E6CQT 20-29 years, female 51.8
GTEX-139YR-0126-SM-5IJEY 50-59 years, male 51.7
GTEX-ZA64-0226-SM-5HL9C 20-29 years, male 51.7
GTEX-P4QS-1326-SM-3NMCD 60-69 years, male 51.5
GTEX-132QS-0126-SM-5IFH9 60-69 years, male 51.4
GTEX-11EQ9-0126-SM-5986I 30-39 years, male 51.3
GTEX-XYKS-0926-SM-4BRVG 60-69 years, female 51.3
GTEX-ZP4G-0126-SM-4YCE3 20-29 years, female 51.3
GTEX-YB5E-0226-SM-5IFHI 40-49 years, male 51.2
GTEX-16MT8-1626-SM-7EWDW 60-69 years, female 51.0
GTEX-YFCO-0126-SM-4W1YT 40-49 years, male 51.0
GTEX-16NGA-0126-SM-72D6U 40-49 years, female 50.9
GTEX-ZZPU-1226-SM-5N9CK 50-59 years, female 50.9
GTEX-YF7O-0126-SM-5IFIR 50-59 years, male 50.8
GTEX-1QPFJ-2526-SM-EXOJX 30-39 years, female 50.7
GTEX-RUSQ-0226-SM-47JWT 50-59 years, male 50.2
GTEX-Q2AH-0126-SM-48U2B 40-49 years, male 49.4
GTEX-1A3MV-0226-SM-731FS 30-39 years, male 49.3
GTEX-ZVT2-0826-SM-5GIEO 50-59 years, female 49.3
GTEX-12WSK-0326-SM-5GCOJ 40-49 years, female 49.0
GTEX-ZDTT-0126-SM-4WKHA 60-69 years, male 49.0
GTEX-WHPG-1526-SM-4M1ZK 50-59 years, male 48.9
GTEX-14JG6-0126-SM-68726 30-39 years, female 48.8
GTEX-U3ZN-0826-SM-4DXSZ 30-39 years, female 48.8
GTEX-13CF3-0126-SM-5IFFM 60-69 years, female 48.7
GTEX-146FR-1526-SM-5SIB8 60-69 years, female 48.7
GTEX-1HKZK-0126-SM-B2LWF 40-49 years, male 48.2
GTEX-XUZC-0226-SM-4BOO7 30-39 years, female 47.7
GTEX-S4Z8-0126-SM-4GICC 60-69 years, male 47.3
GTEX-11EM3-0326-SM-5A5KJ 20-29 years, female 47.2
GTEX-1H3VY-1826-SM-9JGI4 50-59 years, male 47.2
GTEX-Y9LG-0126-SM-5Q59W 30-39 years, male 47.1
GTEX-1RAZQ-0226-SM-EV7BK 30-39 years, male 46.8
GTEX-1B8KZ-0126-SM-7DHM5 50-59 years, male 46.6
GTEX-1AMFI-0626-SM-731DR 50-59 years, female 46.3
GTEX-T6MO-0126-SM-4DM6X 40-49 years, female 46.1
GTEX-13N11-0826-SM-5IJFP 50-59 years, female 45.8
GTEX-Y114-0526-SM-4TT8V 50-59 years, female 45.8
GTEX-ZF2S-0126-SM-4WKFO 50-59 years, female 45.7
GTEX-WYVS-0226-SM-4ONDK 40-49 years, female 45.2
GTEX-1CAMR-0126-SM-79391 20-29 years, male 45.0
GTEX-14PKV-0726-SM-686ZF 20-29 years, female 44.5
GTEX-13OVI-1226-SM-5J2ME 60-69 years, female 44.1
GTEX-1H1E6-1026-SM-9JGFZ 30-39 years, male 43.9
GTEX-ZLWG-0126-SM-4WWC5 50-59 years, female 43.3
GTEX-15CHR-0626-SM-7938V 50-59 years, male 42.5
GTEX-14PJ6-0126-SM-686Z5 60-69 years, female 42.1
GTEX-12WSL-0326-SM-5CVMK 50-59 years, male 42.0
GTEX-117YX-0126-SM-5EGH5 50-59 years, male 41.8
GTEX-1PPH8-0826-SM-DTX9T 20-29 years, male 41.8
GTEX-11DXY-1626-SM-5H12L 60-69 years, male 41.6
GTEX-14E1K-0626-SM-5S2PG 50-59 years, male 41.6
GTEX-11DXZ-0226-SM-5EGGZ 50-59 years, male 41.5
GTEX-14E6E-0126-SM-73KXH 30-39 years, male 41.5
GTEX-QLQ7-0126-SM-CL55R 60-69 years, male 41.2
GTEX-S341-0126-SM-4AD64 40-49 years, female 40.8
GTEX-14BMU-0126-SM-5S2Q9 20-29 years, female 40.3
GTEX-11I78-1826-SM-5A5M4 50-59 years, female 40.2
GTEX-O5YT-1326-SM-3MJGR 20-29 years, male 39.9
GTEX-1122O-0326-SM-5H124 60-69 years, female 39.4
GTEX-OIZH-1326-SM-3NB1H 50-59 years, male 39.3
GTEX-PX3G-1326-SM-48U18 20-29 years, female 39.2
GTEX-1CAMS-0226-SM-79397 40-49 years, female 39.1
GTEX-16AAH-0226-SM-793A8 50-59 years, male 38.7
GTEX-14PJ4-0426-SM-6871F 60-69 years, male 38.5
GTEX-1C475-0126-SM-731DC 40-49 years, female 38.3
GTEX-11P7K-0126-SM-5986E 30-39 years, male 38.2
GTEX-1I1GT-0126-SM-B2LWM 60-69 years, female 37.4
GTEX-TMMY-0126-SM-4DXTP 40-49 years, female 35.8
GTEX-13D11-0426-SM-5LZYA 50-59 years, female 33.8
GTEX-S4Q7-0226-SM-4AD5O 20-29 years, male 33.5
GTEX-R55G-0126-SM-48FDS 40-49 years, female 32.9
GTEX-U4B1-0126-SM-4DXSN 40-49 years, male 32.4
GTEX-ZY6K-0126-SM-5SIAM 50-59 years, male 31.4
GTEX-17HHE-0226-SM-79399 50-59 years, male 28.7
GTEX-1B8KE-0926-SM-7189I 50-59 years, male 22.7
GTEX-P4QT-1326-SM-3NMD3 50-59 years, female 21.0
Show allShow less

Contact

  • NEWS ARTICLES
  • PRESS ROOM

The Project

  • INTRODUCTION
  • ORGANIZATION
  • PUBLICATIONS

The Human Protein Atlas

  • DOWNLOADABLE DATA
  • LICENCE & CITATION
  • HELP & FAQ
The Human Protein Atlas project is funded
by the Knut & Alice Wallenberg Foundation.


contact@proteinatlas.org