We use cookies to enhance the usability of our website. If you continue, we'll assume that you are happy to receive all cookies. More information. Don't show this again.
ORM1
HPA
RESOURCES
  • TISSUE
  • BRAIN
  • SINGLE CELL
  • SUBCELLULAR
  • CANCER
  • BLOOD
  • CELL LINE
  • STRUCTURE & INTERACTION
ABOUT
  • INTRODUCTION
  • HISTORY
  • ORGANIZATION
  • PUBLICATIONS
  • ANTIBODY SUBMISSION
  • ANTIBODY AVAILABILITY
  • ACKNOWLEDGMENTS
  • CONTACT
NEWS
  • NEWS ARTICLES
  • PRESS ROOM
LEARN
  • DICTIONARY
  • PROTEIN CLASSES
  • PROTEIN EVIDENCE
  • METHODS
  • EDUCATIONAL VIDEOS
DATA
  • DOWNLOADABLE DATA
  • PUBLICATION DATA
  • RELEASE HISTORY
HELP
  • ANTIBODY VALIDATION
  • ASSAYS & ANNOTATION
  • DISCLAIMER
  • HELP & FAQ
  • PRIVACY STATEMENT
  • LICENCE & CITATION
Fields »
Search result

Field
Term
Gene name
Class
Subclass
Class
Keyword
Chromosome
External id
Tissue
Cell type
Expression
Antibody panel
Tissue
Main location
Patient ID
Annotation
Tissue
Category
Tau score
Cluster
Reliability
Brain region
Category
Tau score
Brain region
Category
Tau score
Brain region
Category
Tau score
Cluster
Reliability
Tissue
Cell type
Enrichment
Cell type
Category
Tau score
Cell type
Category
Tau score
Cell type
Category
Tau score
Cell lineage
Category
Tau score
Cluster
Cluster
Location
Searches
Location
Cell line
Class
Type
Phase
Reliability
Cancer
Prognosis
Cancer
Category
Cancer
Category
Tau score
Cluster
Variants
Interacting gene (ensg_id)
Type
Number of interactions
Pathway
Category
Score
Score
Score
Validation
Validation
Validation
Validation
Antibodies
Data type
Column


  • SUMMARY

  • TISSUE

  • BRAIN

  • SINGLE CELL

  • SUBCELL

  • CANCER

  • BLOOD

  • CELL LINE

  • STRUCT & INT

  • ORM1
TISSUE PRIMARY DATA STOMACH Show tissue menu
ADIPOSE TISSUE ADRENAL GLAND AMYGDALA APPENDIX BASAL GANGLIA BONE MARROW BREAST BRONCHUS CEREBELLUM CEREBRAL CORTEX CERVIX CHOROID PLEXUS COLON DUODENUM
ENDOMETRIUM EPIDIDYMIS ESOPHAGUS FALLOPIAN TUBE GALLBLADDER HEART MUSCLE HIPPOCAMPAL FORMATION HYPOTHALAMUS KIDNEY LIVER LUNG LYMPH NODE MIDBRAIN NASOPHARYNX
ORAL MUCOSA OVARY PANCREAS PARATHYROID GLAND PITUITARY GLAND PLACENTA PROSTATE RECTUM RETINA SALIVARY GLAND SEMINAL VESICLE SKELETAL MUSCLE SKIN SMALL INTESTINE
SMOOTH MUSCLE SOFT TISSUE SPINAL CORD SPLEEN STOMACH TESTIS THYMUS THYROID GLAND TONGUE TONSIL URINARY BLADDER VAGINA
ANTIBODIES
AND
VALIDATION
Dictionary
Tissue proteome
Stomach
STOMACH - Expression summary
Protein expression
Stomachi

On the top, protein expression in current human tissue, based on all annotated cell types, is reported with the units not detected (n), low (l), medium (m) and high (h). Underneath, protein expression in each annotated cell type are reported using the same units.

Protein expression data is based on knowledge-based annotation. For genes where more than one antibody has been used, a collective score is set.

If knowledge-based annotation could not be performed for a gene, no data is displayed here. View antibody staining data further down this page.

h
m
l
n
Glandular cells: Not detected
RNA expressioni

A summary of mRNA expression data available for current tissue based on several datasets. The mRNA expression levels in human tissues are based on RNA-seq data generated by the Human Protein Atlas (HPA), Genotype-Tissue Expression (GTEx) portal and CAGE data generated by the FANTOM5 consortium. Consensus normalized expression levels for human tissues was created by combining the data from HPA and GTEx datasets.

The mRNA expression levels in pig are based on RNA-seq data generated by the Human Protein Atlas (HPA), and for mouse, HPA data and in situ hybridization generated by the Allen brain atlas are reported.

Scroll down to view mRNA expression data in more detail.
Consensus:19.9 nTPM
HPA:19.9 nTPM
GTEx:13.5 nTPM

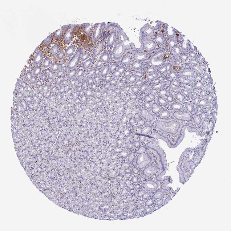
STOMACH 1 - Antibody stainingi

Antibody staining in the annotated cell types in the current human tissue is reported as not detected, low, medium, or high, based on conventional immunohistochemistry profiling in selected tissues. This score is based on the combination of the staining intensity and fraction of stained cells.

Each image is clickable and will lead to virtual microscopy that enables deeper exploration of all samples and also displays staining intensity scores, fraction scores and subcellular localization as well as patient and tissue information for each sample.

Antibody HPA046438Antibody HPA057726Antibody CAB006265
Glandular cells Not detectedLowMedium






STOMACH 2 - Antibody stainingi

Antibody staining in the annotated cell types in the current human tissue is reported as not detected, low, medium, or high, based on conventional immunohistochemistry profiling in selected tissues. This score is based on the combination of the staining intensity and fraction of stained cells.

Each image is clickable and will lead to virtual microscopy that enables deeper exploration of all samples and also displays staining intensity scores, fraction scores and subcellular localization as well as patient and tissue information for each sample.

Antibody HPA046438Antibody HPA057726Antibody CAB006265
Glandular cells Not detectedNot detectedLow







STOMACH - HPA RNA-seqi

The RNA-seq details section shows detailed information about the individual samples used for the transcript profiling and results of the RNA-seq analysis.

Information about each individual sample is listed below, including gender, age, a tissue section image and estimated fractions of cell types. nTPM (normalized transcripts per million) values give a quantification of the gene abundance which is comparable between different genes and samples.
Average nTPMi

Max subtype nTPM is the value for the subtype with the largest average nTPM across the subtype samples.

19.9
overview
Female, age 33
Stomach sample 61
nTPM: 6.7
Cell types%
Glandular cells:
60

Smooth muscle cells:
5

Other cell types:
35

N/A
Male, age 82
Stomach sample 240
nTPM: 4.7
Cell types%
Glandular cells:
65

Smooth muscle cells:
5

Other cell types:
30

overview
Male, age 71
Stomach sample 241
nTPM: 5.5
Cell types%
Glandular cells:
50

Smooth muscle cells:
5

Other cell types:
45

overview
Female, age 66
Stomach sample 369
nTPM: 62.5
Cell types%
Glandular cells:
50

Smooth muscle cells:
10

Other cell types:
40


STOMACH - GTEx RNA-seqi

RNA-Seq data generated by the Genotype-Tissue Expression (GTEx) project from human tissues is reported as mean nTPM. More information can be found on the GTEx portal.

Distribution across the dataset is visualized with box plots, shown as median and 25th and 75th percentiles. Points are displayed as outliers if they are above or below 1.5 times the interquartile range. nTPM values of the individual samples are presented next to the box plot.
Max subtype nTPMi

Max subtype nTPM is the value for the subtype with the largest average nTPM across the subtype samples.

13.5
GTEx sample id Sample description nTPM
Stomach
Average nTPM: 13.5
Samples: 359

Max nTPM: 512.7
Min nTPM: 0.0
Std nTPM: 34.1
Median nTPM: 6.2
GTEX-12WSD-2326-SM-59HKQ 60-69 years, female 512.7
GTEX-ZYFG-1326-SM-5GICJ 60-69 years, female 247.0
GTEX-13FTX-0726-SM-5N9BI 20-29 years, female 159.9
GTEX-TMMY-1626-SM-4DXTY 40-49 years, female 131.3
GTEX-14BMU-1126-SM-5RQJ8 20-29 years, female 118.9
GTEX-13S7M-1826-SM-5RQK6 60-69 years, female 76.7
GTEX-14B4R-0726-SM-5TDDR 30-39 years, male 76.0
GTEX-QDVN-1226-SM-48TZ5 50-59 years, male 73.9
GTEX-T8EM-1226-SM-4DM5J 40-49 years, male 71.7
GTEX-12BJ1-1726-SM-5HL9B 60-69 years, male 70.4
GTEX-12WSK-1426-SM-5CVNN 40-49 years, female 65.6
GTEX-17GQL-1226-SM-7KFTS 60-69 years, male 61.9
GTEX-Y5V6-1326-SM-4VDTF 60-69 years, male 52.0
GTEX-V1D1-1726-SM-4JBHB 50-59 years, male 51.6
GTEX-13OW6-2526-SM-5IJEC 50-59 years, male 51.2
GTEX-1J8JJ-1726-SM-C1YQG 60-69 years, female 51.2
GTEX-1F75I-1826-SM-7MKGX 40-49 years, male 51.0
GTEX-1LGRB-1726-SM-CNNRA 50-59 years, female 50.1
GTEX-1I4MK-0926-SM-A9SLD 50-59 years, female 44.0
GTEX-ZA64-0826-SM-5HL9U 20-29 years, male 43.0
GTEX-XUZC-0726-SM-4BOPH 30-39 years, female 41.7
GTEX-S3XE-1026-SM-4AD4O 50-59 years, male 41.2
GTEX-1F5PK-1826-SM-7RHHX 50-59 years, male 38.9
GTEX-1HCU8-1326-SM-C1YQQ 60-69 years, female 37.7
GTEX-11I78-1726-SM-5A5M3 50-59 years, female 37.6
GTEX-U4B1-1026-SM-4DXT1 40-49 years, male 37.0
GTEX-WHPG-0426-SM-4M1XW 50-59 years, male 35.0
GTEX-14PJ5-0826-SM-6AJAR 60-69 years, female 34.9
GTEX-1JKYN-1726-SM-AHZ48 30-39 years, male 34.6
GTEX-15G19-1526-SM-6LPKP 60-69 years, male 34.5
GTEX-1ICG6-1826-SM-AHZ2O 70-79 years, female 31.2
GTEX-1MUQO-1926-SM-EAZ59 60-69 years, male 30.5
GTEX-15DZA-1126-SM-6LPK8 30-39 years, female 29.8
GTEX-1I1HK-2026-SM-CNNRB 60-69 years, male 29.8
GTEX-Y3IK-1426-SM-4YCES 50-59 years, female 29.1
GTEX-1RB15-1026-SM-E9U6V 60-69 years, male 29.0
GTEX-13O21-0926-SM-5IFGT 50-59 years, male 28.2
GTEX-OHPK-1526-SM-3MJGM 50-59 years, female 28.2
GTEX-1GL5R-1926-SM-9WG7U 50-59 years, male 27.1
GTEX-14PJ4-1626-SM-664OB 60-69 years, male 26.8
GTEX-WHSB-1226-SM-4M1XR 50-59 years, male 26.8
GTEX-1122O-1926-SM-5EGIQ 60-69 years, female 25.9
GTEX-ZLWG-1526-SM-DO12F 50-59 years, female 25.5
GTEX-WY7C-1726-SM-4ONCC 50-59 years, male 24.4
GTEX-117YX-1026-SM-5H11V 50-59 years, male 23.9
GTEX-1KXAM-0926-SM-CXZKA 60-69 years, male 23.3
GTEX-Q2AI-0826-SM-48TZO 40-49 years, male 23.0
GTEX-1IDJU-1526-SM-CNNR3 60-69 years, female 22.4
GTEX-1B8KZ-1226-SM-793CP 50-59 years, male 22.0
GTEX-1F5PL-1426-SM-7MKFH 40-49 years, female 22.0
GTEX-ZPIC-2026-SM-57WG3 40-49 years, female 21.6
GTEX-POMQ-0826-SM-3P61H 20-29 years, female 21.2
GTEX-17MF6-2126-SM-7KFS7 40-49 years, male 20.4
GTEX-1B97I-1226-SM-7MGWQ 40-49 years, male 20.3
GTEX-1B97J-1826-SM-7IGPP 50-59 years, female 20.2
GTEX-ZYY3-1726-SM-5EGH3 60-69 years, female 19.6
GTEX-17F98-1526-SM-7EWD8 40-49 years, female 19.5
GTEX-18A67-2626-SM-718AD 50-59 years, male 19.5
GTEX-1RQEC-2126-SM-DPS15 60-69 years, male 19.1
GTEX-RTLS-2626-SM-46MUJ 60-69 years, female 18.9
GTEX-QCQG-0526-SM-48U2A 50-59 years, female 18.8
GTEX-QXCU-1926-SM-48FE4 50-59 years, male 18.4
GTEX-PLZ5-1226-SM-EXOHA 50-59 years, male 18.2
GTEX-QDVJ-1426-SM-48U1Y 50-59 years, male 17.9
GTEX-1HBPN-1626-SM-9WPNP 50-59 years, male 17.8
GTEX-OHPM-1526-SM-EV796 50-59 years, male 17.8
GTEX-1KANA-1126-SM-D3L9M 20-29 years, male 17.6
GTEX-111CU-0926-SM-5EGIK 50-59 years, male 17.4
GTEX-1I6K7-1726-SM-B2LXQ 40-49 years, male 17.4
GTEX-1LBAC-1426-SM-CXZKT 20-29 years, male 17.3
GTEX-1J8EW-2226-SM-AHZ3T 60-69 years, female 17.1
GTEX-1R7EU-1126-SM-EAZ4M 60-69 years, male 16.9
GTEX-14PJ6-0826-SM-686Z9 60-69 years, female 16.8
GTEX-RM2N-0826-SM-48FD3 50-59 years, male 16.8
GTEX-1RAZR-1526-SM-EAZ4U 40-49 years, male 16.0
GTEX-17HII-2426-SM-7KFTT 50-59 years, male 15.9
GTEX-S7SF-0626-SM-4AD4V 20-29 years, female 15.9
GTEX-QMRM-1126-SM-447BN 50-59 years, male 15.7
GTEX-ZLV1-0826-SM-DO11P 60-69 years, female 15.6
GTEX-Q2AH-1126-SM-48TZM 40-49 years, male 15.4
GTEX-ZP4G-1226-SM-4WWCJ 20-29 years, female 14.8
GTEX-17HGU-2126-SM-7IGOV 50-59 years, male 14.6
GTEX-18A66-2226-SM-7189E 60-69 years, male 14.5
GTEX-1A8G6-1426-SM-731EZ 60-69 years, male 14.5
GTEX-Y3I4-1626-SM-4TT7W 50-59 years, male 14.4
GTEX-OIZF-1526-SM-2I5GR 60-69 years, male 14.2
GTEX-1H3VY-2326-SM-9WG81 50-59 years, male 13.9
GTEX-ZVZP-1726-SM-5GZWY 50-59 years, male 13.8
GTEX-1399S-1626-SM-5P9GI 30-39 years, female 13.5
GTEX-YJ8A-1526-SM-5P9FT 20-29 years, male 13.3
GTEX-PX3G-1526-SM-48U11 20-29 years, female 13.0
GTEX-YB5E-1126-SM-664NU 40-49 years, male 13.0
GTEX-13QBU-1126-SM-5LU44 40-49 years, female 12.9
GTEX-16AAH-1226-SM-79OO9 50-59 years, male 12.9
GTEX-1L5NE-1526-SM-DIPFW 50-59 years, male 12.6
GTEX-1JMPZ-1826-SM-CXZJT 30-39 years, male 12.5
GTEX-14JG6-1226-SM-664O6 30-39 years, female 12.4
GTEX-14DAR-0926-SM-73KUQ 50-59 years, male 12.3
GTEX-P4PP-1526-SM-3P61M 30-39 years, female 12.3
GTEX-13PVQ-2126-SM-5L3FW 50-59 years, male 12.2
GTEX-Q734-1026-SM-48U16 40-49 years, female 12.1
GTEX-ZZPU-1426-SM-5GZZ6 50-59 years, female 12.0
GTEX-1H1DG-2126-SM-9WPPB 70-79 years, male 11.9
GTEX-13CF3-1926-SM-5K7WF 60-69 years, female 11.8
GTEX-PWN1-1526-SM-48TDA 40-49 years, female 11.6
GTEX-132QS-1826-SM-5IFFN 60-69 years, male 11.5
GTEX-11GSP-2126-SM-5HL5E 60-69 years, female 11.2
GTEX-1QMI2-2126-SM-DPRXQ 60-69 years, male 11.1
GTEX-133LE-1326-SM-5IFGO 20-29 years, female 10.7
GTEX-ZQUD-0826-SM-57WDQ 30-39 years, male 10.5
GTEX-1JK1U-1326-SM-AHZ45 60-69 years, male 10.5
GTEX-1RMOY-1126-SM-EV79E 50-59 years, male 10.3
GTEX-17F9E-2226-SM-7IGNC 50-59 years, male 10.2
GTEX-131XG-1226-SM-5EGH9 50-59 years, female 10.1
GTEX-1MJIX-1126-SM-EV7AO 40-49 years, male 10.1
GTEX-OOBJ-1526-SM-3NB1Q 60-69 years, male 10.0
GTEX-ZPU1-1626-SM-4WWB2 40-49 years, male 9.7
GTEX-13D11-2126-SM-5IFH2 50-59 years, female 9.5
GTEX-13U4I-2526-SM-5SI8Z 40-49 years, female 9.5
GTEX-1CAMR-0726-SM-7EPIE 20-29 years, male 9.5
GTEX-Y5LM-1326-SM-5RQIS 40-49 years, female 9.4
GTEX-15RIE-1026-SM-6LPJQ 60-69 years, male 9.2
GTEX-S4Q7-0726-SM-4AD5F 20-29 years, male 9.2
GTEX-13FH7-1026-SM-5IJGF 50-59 years, female 9.1
GTEX-1HBPI-0726-SM-9WG7Z 50-59 years, male 9.1
GTEX-1QCLY-1126-SM-EAZ4J 30-39 years, male 9.1
GTEX-1QPFJ-1526-SM-DPRXT 30-39 years, female 9.1
GTEX-1C475-1026-SM-7MKFJ 40-49 years, female 9.0
GTEX-1J8Q3-1926-SM-C1YSJ 60-69 years, male 9.0
GTEX-145ME-1026-SM-5O9B4 40-49 years, female 8.9
GTEX-VJYA-1026-SM-4KL21 60-69 years, male 8.9
GTEX-ZAB4-1526-SM-5CVN7 40-49 years, male 8.9
GTEX-RWS6-0926-SM-47JXE 60-69 years, female 8.8
GTEX-XMK1-1526-SM-EYYVO 40-49 years, male 8.8
GTEX-13X6J-2126-SM-5TDCV 50-59 years, male 8.7
GTEX-S95S-0826-SM-4B64N 60-69 years, male 8.7
GTEX-WXYG-1626-SM-4ONCR 50-59 years, female 8.7
GTEX-17HHE-1026-SM-79ON6 50-59 years, male 8.6
GTEX-QLQ7-0826-SM-447B3 60-69 years, male 8.6
GTEX-11NSD-1426-SM-5HL67 20-29 years, male 8.5
GTEX-12WSG-2026-SM-5FQUU 50-59 years, female 8.4
GTEX-13113-0726-SM-5LZUF 60-69 years, female 8.4
GTEX-1JN1M-2926-SM-CNNPJ 60-69 years, female 8.4
GTEX-X15G-1126-SM-4PQZG 50-59 years, female 8.2
GTEX-1HFI7-1526-SM-9WG7W 50-59 years, female 8.2
GTEX-1JMLX-2426-SM-CXZJQ 50-59 years, male 8.2
GTEX-132AR-2426-SM-5IFFD 50-59 years, female 8.1
GTEX-18QFQ-1226-SM-718AE 30-39 years, male 8.1
GTEX-14PHX-1026-SM-664OL 50-59 years, male 8.0
GTEX-145MN-1326-SM-5NQ9S 30-39 years, male 7.9
GTEX-1A3MX-1926-SM-72D7F 60-69 years, male 7.9
GTEX-S4UY-1626-SM-4AD55 40-49 years, female 7.9
GTEX-WYJK-2526-SM-4ONDF 50-59 years, male 7.9
GTEX-13FTW-1726-SM-5KM2B 40-49 years, male 7.8
GTEX-1GMRU-2526-SM-9WG7T 50-59 years, male 7.7
GTEX-QV44-1226-SM-CJI1S 50-59 years, male 7.6
GTEX-XV7Q-1326-SM-4BRWM 40-49 years, female 7.5
GTEX-ZVT3-2126-SM-59HL2 60-69 years, female 7.5
GTEX-1H1E6-1626-SM-9OSWC 30-39 years, male 7.5
GTEX-1QP2A-2126-SM-DPRZ7 50-59 years, male 7.5
GTEX-YEC3-1426-SM-D4P1S 50-59 years, male 7.5
GTEX-12696-1726-SM-5EQLH 60-69 years, male 7.4
GTEX-11DXX-1326-SM-5GIDZ 60-69 years, female 7.3
GTEX-YFCO-0826-SM-5LUAG 40-49 years, male 7.3
GTEX-ZVT2-1626-SM-51MRC 50-59 years, female 7.3
GTEX-14E6E-0926-SM-664N8 30-39 years, male 7.2
GTEX-14PKV-1826-SM-69LO9 20-29 years, female 7.2
GTEX-14BIL-1926-SM-73KYI 50-59 years, male 7.1
GTEX-1AYCT-1326-SM-7MKHB 50-59 years, male 7.1
GTEX-NFK9-1526-SM-3LK7B 40-49 years, male 7.0
GTEX-YEC4-1426-SM-5IFHS 40-49 years, male 7.0
GTEX-ZDYS-1926-SM-5HL59 50-59 years, male 7.0
GTEX-ZF2S-1426-SM-57WET 50-59 years, female 7.0
GTEX-13RTK-0226-SM-5RQHR 20-29 years, male 6.8
GTEX-1AMEY-1226-SM-731DU 30-39 years, female 6.8
GTEX-WFG8-1326-SM-4LVN3 20-29 years, male 6.7
GTEX-14PJ3-1426-SM-664O8 50-59 years, male 6.6
GTEX-11EM3-1026-SM-5A5KL 20-29 years, female 6.4
GTEX-S341-0626-SM-4AD5T 40-49 years, female 6.3
GTEX-15DCE-1626-SM-6LPJM 20-29 years, male 6.2
GTEX-WFON-1126-SM-4LVMA 40-49 years, male 6.2
GTEX-1GN1W-2126-SM-9JGI7 50-59 years, female 6.2
GTEX-ZXES-1426-SM-5NQ8S 30-39 years, female 6.1
GTEX-139D8-2326-SM-5IFGE 30-39 years, female 6.0
GTEX-145MO-2226-SM-5Q5BN 60-69 years, male 6.0
GTEX-13OVK-0926-SM-7KUFX 40-49 years, male 5.9
GTEX-XQ8I-2026-SM-4BOOL 50-59 years, male 5.9
GTEX-Y9LG-1026-SM-5IFJN 30-39 years, male 5.9
GTEX-1HKZK-1526-SM-B2LWG 40-49 years, male 5.7
GTEX-1IDJD-2426-SM-C1YS6 30-39 years, male 5.7
GTEX-11NUK-2426-SM-5BC4U 50-59 years, male 5.6
GTEX-R53T-1226-SM-48FCT 50-59 years, female 5.6
GTEX-V955-1326-SM-4JBHR 60-69 years, male 5.6
GTEX-ZY6K-0726-SM-5A5L8 50-59 years, male 5.5
GTEX-UJMC-1226-SM-4IHLI 50-59 years, male 5.4
GTEX-1QCLZ-1826-SM-DPRXP 60-69 years, female 5.3
GTEX-ZF29-1526-SM-4WKF7 60-69 years, female 5.2
GTEX-PW2O-1226-SM-48TCH 20-29 years, male 5.1
GTEX-WFG7-1326-SM-4LMK1 20-29 years, male 5.1
GTEX-1H23P-2726-SM-9JGHN 60-69 years, male 5.1
GTEX-Y8E4-1526-SM-4WWDI 40-49 years, male 5.0
GTEX-S4P3-0726-SM-4AD57 50-59 years, female 4.9
GTEX-WZTO-2126-SM-4PQYW 40-49 years, male 4.9
GTEX-1LGOU-1526-SM-D3LAJ 20-29 years, female 4.8
GTEX-O5YW-1526-SM-3MJGL 50-59 years, male 4.7
GTEX-R55D-1526-SM-48FEJ 50-59 years, male 4.7
GTEX-Y8LW-0826-SM-4WWDO 50-59 years, female 4.7
GTEX-1H11D-2226-SM-9OSXN 40-49 years, male 4.7
GTEX-18A7A-2726-SM-7LG6U 50-59 years, female 4.6
GTEX-R55C-1026-SM-48FCM 40-49 years, male 4.6
GTEX-SUCS-0926-SM-4DM4Z 70-79 years, male 4.5
GTEX-1GF9U-1126-SM-AHZ4H 40-49 years, female 4.5
GTEX-1I1GT-1726-SM-C1YS3 60-69 years, female 4.4
GTEX-1R9K5-1026-SM-EAZ4F 50-59 years, male 4.4
GTEX-1399R-1126-SM-5IFIO 30-39 years, male 4.3
GTEX-SNMC-0626-SM-4DM6H 20-29 years, male 4.2
GTEX-U3ZN-2026-SM-4DXUC 30-39 years, female 4.2
GTEX-ZEX8-1626-SM-4WKG7 50-59 years, male 4.2
GTEX-ZGAY-1626-SM-DNZZ3 40-49 years, female 4.2
GTEX-111YS-1126-SM-5GZYQ 60-69 years, male 4.1
GTEX-QLQW-0726-SM-447AA 30-39 years, male 4.1
GTEX-S4Z8-1226-SM-4AD6W 60-69 years, male 4.1
GTEX-XXEK-0826-SM-4BRWG 50-59 years, male 4.1
GTEX-ZLFU-1326-SM-DO11R 40-49 years, male 4.0
GTEX-17JCI-2226-SM-7LTA1 60-69 years, female 3.9
GTEX-T5JW-0926-SM-4DM5K 20-29 years, female 3.9
GTEX-14DAQ-2826-SM-664MU 60-69 years, female 3.8
GTEX-1LVAN-2426-SM-CNNPZ 50-59 years, female 3.8
GTEX-1E1VI-2826-SM-7MGWU 50-59 years, male 3.6
GTEX-WRHK-0626-SM-4MVOE 20-29 years, female 3.5
GTEX-1MGNQ-1826-SM-DPRYI 40-49 years, male 3.5
GTEX-131XF-1226-SM-5HL8V 60-69 years, male 3.4
GTEX-15G1A-1226-SM-7KUF3 30-39 years, male 3.4
GTEX-15UF7-1226-SM-6M46G 40-49 years, male 3.4
GTEX-PWCY-0926-SM-48TD7 20-29 years, female 3.3
GTEX-ZZ64-0426-SM-5E43F 20-29 years, male 3.3
GTEX-1J8QM-1126-SM-C1YQB 60-69 years, female 3.3
GTEX-144GM-1726-SM-5O9AS 20-29 years, male 3.2
GTEX-146FR-2026-SM-5NQAI 60-69 years, female 3.2
GTEX-14BMV-2226-SM-5RQHX 50-59 years, male 3.2
GTEX-QV31-0626-SM-447C5 30-39 years, male 3.2
GTEX-13111-1226-SM-5GCNC 50-59 years, male 3.1
GTEX-11P82-0726-SM-5PNYL 20-29 years, male 3.0
GTEX-1A3MV-1226-SM-718BW 30-39 years, male 3.0
GTEX-R55G-1126-SM-48FDG 40-49 years, female 3.0
GTEX-TKQ1-0526-SM-4DXTG 30-39 years, male 3.0
GTEX-1QP29-2326-SM-EXOJO 50-59 years, male 2.9
GTEX-OXRK-1626-SM-3NB17 50-59 years, female 2.8
GTEX-SNOS-0826-SM-4DM5N 40-49 years, male 2.8
GTEX-ZYVF-2726-SM-5GID4 50-59 years, female 2.8
GTEX-1GZ4H-1026-SM-9OSXL 50-59 years, female 2.8
GTEX-117YW-2226-SM-5N9DB 50-59 years, male 2.6
GTEX-OXRL-1526-SM-E6CHQ 50-59 years, male 2.6
GTEX-P78B-1826-SM-3P5YX 40-49 years, female 2.5
GTEX-15CHR-1326-SM-79OLT 50-59 years, male 2.4
GTEX-XBED-1226-SM-4AT5V 60-69 years, male 2.4
GTEX-ZV7C-1626-SM-5NQ7E 50-59 years, male 2.4
GTEX-1211K-1426-SM-5FQTF 60-69 years, female 2.3
GTEX-14ICL-0826-SM-5YY9W 30-39 years, male 2.3
GTEX-T6MO-0726-SM-4DM58 40-49 years, female 2.3
GTEX-WHWD-1426-SM-4OORU 50-59 years, male 2.3
GTEX-ZVP2-1626-SM-5GU5D 50-59 years, male 2.3
GTEX-ZT9W-1526-SM-4YCDE 50-59 years, male 2.2
GTEX-145LT-1426-SM-5O9B3 40-49 years, male 2.1
GTEX-1LG7Z-1226-SM-DHXK4 30-39 years, male 2.1
GTEX-1AMFI-1226-SM-731CZ 50-59 years, female 2.0
GTEX-131XE-2226-SM-5PNYX 50-59 years, male 1.9
GTEX-1HSEH-1526-SM-B2LXG 60-69 years, male 1.9
GTEX-ZE7O-3026-SM-51MS4 50-59 years, female 1.8
GTEX-144GN-1226-SM-5O991 50-59 years, male 1.7
GTEX-1AX9J-2626-SM-731EK 60-69 years, male 1.7
GTEX-WEY5-1226-SM-4LMIQ 40-49 years, female 1.7
GTEX-WYVS-1326-SM-4ONCQ 40-49 years, female 1.7
GTEX-16NGA-1526-SM-72D56 40-49 years, female 1.6
GTEX-UPK5-2126-SM-4JBJK 40-49 years, male 1.6
GTEX-18D9A-0626-SM-7KFTY 30-39 years, female 1.5
GTEX-1JMPY-0926-SM-ARL92 30-39 years, male 1.5
GTEX-1LSNM-1026-SM-DHXL2 50-59 years, male 1.5
GTEX-11TT1-0726-SM-5GU5A 20-29 years, male 1.4
GTEX-12C56-0526-SM-5FQST 20-29 years, male 1.4
GTEX-PLZ6-0826-SM-3P61K 30-39 years, male 1.4
GTEX-XBEW-1826-SM-4RTWX 40-49 years, male 1.4
GTEX-WH7G-1526-SM-4LVMX 40-49 years, male 1.3
GTEX-1CB4E-1326-SM-7DUGD 60-69 years, male 1.2
GTEX-1E2YA-2426-SM-7EPIG 50-59 years, male 1.2
GTEX-TKQ2-0926-SM-4DXU5 50-59 years, male 1.2
GTEX-XPVG-1526-SM-4B66C 50-59 years, male 1.2
GTEX-ZV6S-0926-SM-57WGB 40-49 years, female 1.2
GTEX-1JMQJ-1326-SM-D4P3B 50-59 years, male 1.2
GTEX-1MCYP-1126-SM-E9J2P 20-29 years, female 1.2
GTEX-139YR-1926-SM-5LZXM 50-59 years, male 1.1
GTEX-13PVR-2126-SM-73KVR 60-69 years, female 1.1
GTEX-13X6H-1626-SM-5Q5CT 50-59 years, female 1.1
GTEX-RU1J-0526-SM-46MUT 20-29 years, female 1.1
GTEX-13OVI-2426-SM-5KM4J 60-69 years, female 0.9
GTEX-14E1K-1526-SM-664MN 50-59 years, male 0.9
GTEX-WFJO-1126-SM-4LVLZ 30-39 years, male 0.9
GTEX-O5YV-1926-SM-EV797 60-69 years, female 0.9
GTEX-1KD5A-1426-SM-D4P3V 50-59 years, male 0.8
GTEX-11EQ9-1226-SM-5987E 30-39 years, male 0.7
GTEX-12WSJ-0926-SM-5P9JD 40-49 years, female 0.7
GTEX-1B8KE-1326-SM-73KVI 50-59 years, male 0.7
GTEX-OIZH-1526-SM-3NB1J 50-59 years, male 0.7
GTEX-ZTX8-0426-SM-59HLG 20-29 years, male 0.7
GTEX-13O3Q-2126-SM-5KM4C 50-59 years, male 0.6
GTEX-17EUY-1526-SM-793CA 20-29 years, male 0.6
GTEX-1HT8W-2326-SM-A9SLA 30-39 years, male 0.6
GTEX-1IL2V-2026-SM-ARZMA 70-79 years, male 0.6
GTEX-1PPH8-1326-SM-DTXFO 20-29 years, male 0.6
GTEX-1B8L1-1526-SM-79OLK 60-69 years, male 0.5
GTEX-11EI6-2426-SM-5PNVS 60-69 years, male 0.4
GTEX-11P7K-1726-SM-5GU6F 30-39 years, male 0.4
GTEX-14PKU-1126-SM-69LOU 40-49 years, female 0.4
GTEX-W5WG-1726-SM-4LMI5 50-59 years, female 0.4
GTEX-18D9B-2226-SM-718BM 60-69 years, male 0.3
GTEX-T5JC-1926-SM-4DM6Q 20-29 years, male 0.3
GTEX-UJHI-1026-SM-4IHJP 50-59 years, female 0.3
GTEX-1H3NZ-2226-SM-9WYUT 60-69 years, male 0.3
GTEX-QDT8-2026-SM-EZ6LS 30-39 years, female 0.3
GTEX-13O61-1126-SM-5L3FI 60-69 years, male 0.2
GTEX-13QJ3-2726-SM-5SI6L 50-59 years, male 0.2
GTEX-14PHY-0926-SM-5ZZWL 60-69 years, female 0.2
GTEX-15EU6-2526-SM-7KUGB 50-59 years, male 0.2
GTEX-1C64O-2226-SM-73KTV 60-69 years, male 0.2
GTEX-XAJ8-0326-SM-47JYI 40-49 years, male 0.2
GTEX-1EH9U-2226-SM-7PBXX 60-69 years, male 0.2
GTEX-1HCUA-1626-SM-A9SMG 50-59 years, female 0.2
GTEX-1HSMQ-2426-SM-CE6RY 50-59 years, male 0.2
GTEX-1JN76-0926-SM-ARZNH 20-29 years, female 0.2
GTEX-1K2DA-0826-SM-CGQGD 50-59 years, male 0.2
GTEX-11VI4-0326-SM-5EQ6L 40-49 years, female 0.1
GTEX-11WQK-2626-SM-5EQ4K 50-59 years, male 0.1
GTEX-1339X-1426-SM-5K7YO 40-49 years, male 0.1
GTEX-1399U-1626-SM-5P9J3 50-59 years, female 0.1
GTEX-14PN3-1326-SM-6AJ9U 60-69 years, female 0.1
GTEX-P4PQ-1526-SM-3NMCK 60-69 years, male 0.1
GTEX-1GPI7-1326-SM-9KNVA 20-29 years, male 0.1
GTEX-1HR9M-2326-SM-CNPPZ 60-69 years, male 0.1
GTEX-1LVAM-1426-SM-E9TJ4 50-59 years, female 0.1
GTEX-1QP28-2126-SM-DTX8B 50-59 years, female 0.1
GTEX-13N1W-2026-SM-5K7YU 70-79 years, male 0.0
GTEX-146FH-2126-SM-5SI9U 50-59 years, female 0.0
GTEX-15RIF-1126-SM-7KUG2 20-29 years, male 0.0
GTEX-15SHW-2126-SM-6M46Y 60-69 years, male 0.0
GTEX-17KNJ-1526-SM-7LTA9 50-59 years, male 0.0
GTEX-P4QT-1526-SM-3NMCT 50-59 years, female 0.0
GTEX-Y114-1226-SM-4TT88 50-59 years, female 0.0
GTEX-1CB4H-2426-SM-7PBYR 60-69 years, female 0.0
GTEX-1H1DE-1226-SM-9JGHH 20-29 years, male 0.0
GTEX-1IDJF-1426-SM-ACKWK 20-29 years, male 0.0
GTEX-1N2DV-0926-SM-E9TJT 40-49 years, male 0.0
GTEX-1NSGN-1926-SM-E9J36 50-59 years, male 0.0
GTEX-1PIGE-1126-SM-EWRMV 20-29 years, male 0.0
GTEX-1QP67-1026-SM-EVR47 40-49 years, female 0.0
GTEX-1QW4Y-0726-SM-DTX8E 30-39 years, male 0.0
GTEX-1S3DN-1526-SM-EVYCB 50-59 years, male 0.0
GTEX-1S82Z-1726-SM-E6CHZ 30-39 years, female 0.0
GTEX-1S831-1126-SM-EWROI 20-29 years, male 0.0
GTEX-RUSQ-1126-SM-EAZAU 50-59 years, male 0.0
Show allShow less

Contact

  • NEWS ARTICLES
  • PRESS ROOM

The Project

  • INTRODUCTION
  • ORGANIZATION
  • PUBLICATIONS

The Human Protein Atlas

  • DOWNLOADABLE DATA
  • LICENCE & CITATION
  • HELP & FAQ
The Human Protein Atlas project is funded
by the Knut & Alice Wallenberg Foundation.


contact@proteinatlas.org