We use cookies to enhance the usability of our website. If you continue, we'll assume that you are happy to receive all cookies. More information. Don't show this again.
PNMA6A
HPA
RESOURCES
  • TISSUE
  • BRAIN
  • SINGLE CELL
  • SUBCELLULAR
  • CANCER
  • BLOOD
  • CELL LINE
  • STRUCTURE & INTERACTION
ABOUT
  • INTRODUCTION
  • HISTORY
  • ORGANIZATION
  • PUBLICATIONS
  • ANTIBODY SUBMISSION
  • ANTIBODY AVAILABILITY
  • ACKNOWLEDGMENTS
  • CONTACT
NEWS
  • NEWS ARTICLES
  • PRESS ROOM
LEARN
  • DICTIONARY
  • PROTEIN CLASSES
  • PROTEIN EVIDENCE
  • METHODS
  • EDUCATIONAL VIDEOS
DATA
  • DOWNLOADABLE DATA
  • PUBLICATION DATA
  • RELEASE HISTORY
HELP
  • ANTIBODY VALIDATION
  • ASSAYS & ANNOTATION
  • DISCLAIMER
  • HELP & FAQ
  • PRIVACY STATEMENT
  • LICENCE & CITATION
Fields »
Search result

Field
Term
Gene name
Class
Subclass
Class
Keyword
Chromosome
External id
Tissue
Cell type
Expression
Antibody panel
Tissue
Main location
Patient ID
Annotation
Tissue
Category
Tau score
Cluster
Reliability
Brain region
Category
Tau score
Brain region
Category
Tau score
Brain region
Category
Tau score
Cluster
Reliability
Tissue
Cell type
Enrichment
Cell type
Category
Tau score
Cell type
Category
Tau score
Cell type
Category
Tau score
Cell lineage
Category
Tau score
Cluster
Cluster
Location
Searches
Location
Cell line
Class
Type
Phase
Reliability
Cancer
Prognosis
Cancer
Category
Cancer
Category
Tau score
Cluster
Variants
Interacting gene (ensg_id)
Type
Number of interactions
Pathway
Category
Score
Score
Score
Validation
Validation
Validation
Validation
Antibodies
Data type
Column


  • SUMMARY

  • TISSUE

  • BRAIN

  • SINGLE CELL

  • SUBCELL

  • CANCER

  • BLOOD

  • CELL LINE

  • STRUCT & INT

  • PNMA6A
TISSUE PRIMARY DATA HEART MUSCLE Show tissue menu
ADIPOSE TISSUE ADRENAL GLAND AMYGDALA APPENDIX BASAL GANGLIA BONE MARROW BREAST CEREBELLUM CEREBRAL CORTEX CERVIX CHOROID PLEXUS COLON DUODENUM
ENDOMETRIUM EPIDIDYMIS ESOPHAGUS FALLOPIAN TUBE GALLBLADDER HEART MUSCLE HIPPOCAMPAL FORMATION HYPOTHALAMUS KIDNEY LIVER LUNG LYMPH NODE MIDBRAIN
OVARY PANCREAS PARATHYROID GLAND PITUITARY GLAND PLACENTA PROSTATE RECTUM RETINA SALIVARY GLAND SEMINAL VESICLE SKELETAL MUSCLE SKIN SMALL INTESTINE
SMOOTH MUSCLE SPINAL CORD SPLEEN STOMACH TESTIS THYMUS THYROID GLAND TONGUE TONSIL URINARY BLADDER VAGINA
ANTIBODIES
AND
VALIDATION
Dictionary
Heart muscle
Tissue proteome
Heart
HEART MUSCLE - Expression summary
Protein expressioni

On the top, protein expression in current human tissue, based on all annotated cell types, is reported with the units not detected (n), low (l), medium (m) and high (h). Underneath, protein expression in each annotated cell type are reported using the same units.

Protein expression data is based on knowledge-based annotation. For genes where more than one antibody has been used, a collective score is set.

If knowledge-based annotation could not be performed for a gene, no data is displayed here. View antibody staining data further down this page.

No data
RNA expressioni

A summary of mRNA expression data available for current tissue based on several datasets. The mRNA expression levels in human tissues are based on RNA-seq data generated by the Human Protein Atlas (HPA), Genotype-Tissue Expression (GTEx) portal and CAGE data generated by the FANTOM5 consortium. Consensus normalized expression levels for human tissues was created by combining the data from HPA and GTEx datasets.

The mRNA expression levels in pig are based on RNA-seq data generated by the Human Protein Atlas (HPA), and for mouse, HPA data and in situ hybridization generated by the Allen brain atlas are reported.

Scroll down to view mRNA expression data in more detail.
Consensus:2.0 nTPM
HPA:2.0 nTPM
GTEx:1.8 nTPM

HEART MUSCLE - Annotated protein expression
Pending normal tissue analysis

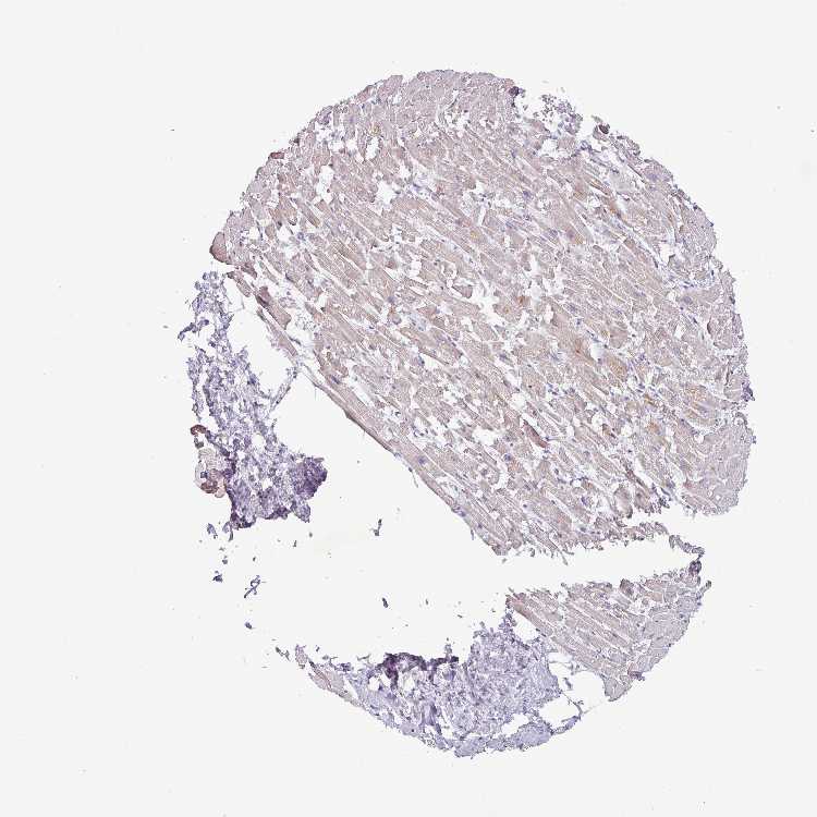
HEART MUSCLE - Antibody stainingi

Antibody staining in the annotated cell types in the current human tissue is reported as not detected, low, medium, or high, based on conventional immunohistochemistry profiling in selected tissues. This score is based on the combination of the staining intensity and fraction of stained cells.

Each image is clickable and will lead to virtual microscopy that enables deeper exploration of all samples and also displays staining intensity scores, fraction scores and subcellular localization as well as patient and tissue information for each sample.

Antibody HPA045007Antibody HPA052115
Cardiomyocytes LowMedium




HEART MUSCLE - HPA RNA-seqi

The RNA-seq details section shows detailed information about the individual samples used for the transcript profiling and results of the RNA-seq analysis.

Information about each individual sample is listed below, including gender, age, a tissue section image and estimated fractions of cell types. nTPM (normalized transcripts per million) values give a quantification of the gene abundance which is comparable between different genes and samples.
Average nTPMi

Max subtype nTPM is the value for the subtype with the largest average nTPM across the subtype samples.

2.0
overview
Female, age 48
Heart muscle sample 149
nTPM: 1.3
Cell types%
Myocytes:
15

Fibroblasts:
55

Endothelial cells:
25

Other cell types:
5

overview
Female, age 42
Heart muscle sample 150
nTPM: 0.5
Cell types%
Myocytes:
20

Fibroblasts:
45

Endothelial cells:
30

Other cell types:
5

overview
Male, age 53
Heart muscle sample 151
nTPM: 2.2
Cell types%
Myocytes:
20

Fibroblasts:
45

Endothelial cells:
30

Other cell types:
5

overview
Female, age 69
Heart muscle sample 152
nTPM: 4
Cell types%
Myocytes:
20

Fibroblasts:
45

Endothelial cells:
30

Other cell types:
5


HEART MUSCLE - GTEx RNA-seqi

RNA-Seq data generated by the Genotype-Tissue Expression (GTEx) project from human tissues is reported as mean nTPM. More information can be found on the GTEx portal.

Distribution across the dataset is visualized with box plots, shown as median and 25th and 75th percentiles. Points are displayed as outliers if they are above or below 1.5 times the interquartile range. nTPM values of the individual samples are presented next to the box plot.
Max subtype nTPMi

Max subtype nTPM is the value for the subtype with the largest average nTPM across the subtype samples.

1.8
GTEx sample id Sample description nTPM
Heart - Atrial Appendage
Average nTPM: 1.7
Samples: 429

Max nTPM: 5.2
Min nTPM: 0.0
Std nTPM: 0.8
Median nTPM: 1.6
GTEX-11DYG-1026-SM-5A5JQ 60-69 years, male 5.2
GTEX-14PJM-0826-SM-6LLIW 50-59 years, female 5.1
GTEX-14JG1-0826-SM-5ZZWR 40-49 years, male 5.0
GTEX-ZAK1-1126-SM-5PNXU 50-59 years, female 4.6
GTEX-1I1GQ-1226-SM-CL55J 50-59 years, male 4.6
GTEX-XOT4-1126-SM-4B66E 60-69 years, female 4.5
GTEX-131XE-0526-SM-5K7YT 50-59 years, male 4.4
GTEX-ZE7O-0626-SM-57WCD 50-59 years, female 4.4
GTEX-11NV4-0826-SM-5BC4S 60-69 years, male 4.0
GTEX-17F96-0826-SM-7DHLU 70-79 years, male 4.0
GTEX-WK11-0626-SM-3NMAV 50-59 years, male 3.9
GTEX-12WSC-1026-SM-5EQ5Y 50-59 years, male 3.6
GTEX-1399U-0726-SM-5KM1D 50-59 years, female 3.6
GTEX-1MJIX-0426-SM-DTXEN 40-49 years, male 3.6
GTEX-1QMI2-1026-SM-DTX7T 60-69 years, male 3.6
GTEX-1F75I-1326-SM-7PBZX 40-49 years, male 3.5
GTEX-111VG-0326-SM-5GZX7 60-69 years, male 3.4
GTEX-12ZZY-1226-SM-5GCNK 60-69 years, male 3.4
GTEX-15SDE-1826-SM-7KUFN 50-59 years, female 3.4
GTEX-1GN73-2326-SM-9MQKV 60-69 years, male 3.4
GTEX-13JVG-1126-SM-5KM2M 60-69 years, male 3.3
GTEX-Y3IK-1026-SM-51MR7 50-59 years, female 3.3
GTEX-1IY9M-0626-SM-D4P2L 60-69 years, male 3.3
GTEX-12WSD-1226-SM-5HL9Q 60-69 years, female 3.2
GTEX-14BMV-1026-SM-5SI6B 50-59 years, male 3.2
GTEX-Y3I4-0526-SM-4TT6X 50-59 years, male 3.2
GTEX-1J8EW-0626-SM-CM2TY 60-69 years, female 3.2
GTEX-11P81-0526-SM-59873 30-39 years, female 3.1
GTEX-1399T-0726-SM-5J1MH 60-69 years, male 3.1
GTEX-147JS-1326-SM-5SI6D 60-69 years, male 3.1
GTEX-17JCI-0826-SM-7LT8W 60-69 years, female 3.1
GTEX-1AX8Z-1126-SM-731CS 60-69 years, male 3.1
GTEX-1BAJH-1026-SM-7EWEG 70-79 years, male 3.1
GTEX-ZYFC-1026-SM-5GZX9 50-59 years, male 3.1
GTEX-1HSKV-0726-SM-ACKWE 60-69 years, male 3.1
GTEX-1KANB-1126-SM-DHXJT 50-59 years, male 3.1
GTEX-14ASI-0826-SM-5Q5EB 60-69 years, male 3.0
GTEX-14PJ2-1126-SM-69LOD 50-59 years, male 3.0
GTEX-15CHQ-1326-SM-6871Z 60-69 years, male 3.0
GTEX-1HT8W-1326-SM-CGQEN 30-39 years, male 3.0
GTEX-1OFPY-0926-SM-DTX8Q 60-69 years, male 3.0
GTEX-111FC-0626-SM-5N9CU 60-69 years, male 2.9
GTEX-1212Z-0726-SM-5EGI5 60-69 years, male 2.9
GTEX-W5X1-0826-SM-3GILN 40-49 years, female 2.9
GTEX-XQ8I-0226-SM-4BOPM 50-59 years, male 2.9
GTEX-YECK-1226-SM-4W21G 60-69 years, male 2.9
GTEX-1I1GP-0626-SM-ARL7H 50-59 years, male 2.9
GTEX-ZDTS-1226-SM-4WKGL 60-69 years, male 2.8
GTEX-1B8L1-0426-SM-7SB76 60-69 years, male 2.8
GTEX-1EH9U-0626-SM-7PC33 60-69 years, male 2.8
GTEX-1F88F-0326-SM-9KNV3 60-69 years, female 2.8
GTEX-1I1GV-1426-SM-B2LXN 60-69 years, male 2.8
GTEX-1R9JW-0426-SM-E76QL 30-39 years, female 2.8
GTEX-11EM3-0426-SM-5N9BZ 20-29 years, female 2.7
GTEX-12WSE-0926-SM-5S2VX 20-29 years, male 2.7
GTEX-132NY-1426-SM-5J1MJ 60-69 years, male 2.7
GTEX-13PVQ-1326-SM-5LU4J 50-59 years, male 2.7
GTEX-144GL-1026-SM-5O99R 50-59 years, male 2.7
GTEX-ZDXO-0426-SM-4WKF6 60-69 years, male 2.7
GTEX-ZF3C-1126-SM-57WEG 50-59 years, female 2.7
GTEX-1GF9V-1726-SM-9KNW4 60-69 years, male 2.7
GTEX-1HC8U-0626-SM-B2LWB 40-49 years, female 2.7
GTEX-1IDJH-1126-SM-COH3R 70-79 years, male 2.7
GTEX-11ZUS-0326-SM-5EQ4W 30-39 years, male 2.6
GTEX-13D11-1526-SM-5J2NA 50-59 years, female 2.6
GTEX-13OW6-0926-SM-5L3GM 50-59 years, male 2.6
GTEX-Y8E4-0426-SM-4V6GB 40-49 years, male 2.6
GTEX-Z93S-0326-SM-5HL84 50-59 years, male 2.6
GTEX-ZF29-0426-SM-4WKFN 60-69 years, female 2.6
GTEX-1GN1U-1426-SM-7P8TF 50-59 years, female 2.6
GTEX-1NSGN-1226-SM-E76OL 50-59 years, male 2.6
GTEX-11DXZ-0326-SM-5EGH1 50-59 years, male 2.5
GTEX-13NZB-0426-SM-5KM26 30-39 years, male 2.5
GTEX-13X6K-1726-SM-7IGLG 60-69 years, female 2.5
GTEX-16YQH-0726-SM-7IGM1 30-39 years, male 2.5
GTEX-1B932-1326-SM-79OM4 40-49 years, female 2.5
GTEX-XGQ4-0526-SM-4AT6C 50-59 years, male 2.5
GTEX-1F75A-1026-SM-7PC3W 50-59 years, male 2.5
GTEX-1HSGN-0926-SM-CNNQM 40-49 years, female 2.5
GTEX-1KXAM-1426-SM-D3LAC 60-69 years, male 2.5
GTEX-1PPGY-0926-SM-DTXFF 60-69 years, male 2.5
GTEX-1313W-1126-SM-5EQ5U 50-59 years, female 2.4
GTEX-13PDP-1326-SM-5K7U9 60-69 years, male 2.4
GTEX-16MT8-0826-SM-7KULO 60-69 years, female 2.4
GTEX-YFC4-0426-SM-4TT3J 40-49 years, female 2.4
GTEX-ZVT3-0826-SM-5GIC8 60-69 years, female 2.4
GTEX-1HBPH-0226-SM-9WYSM 40-49 years, female 2.4
GTEX-1HR98-1026-SM-CKZOM 60-69 years, male 2.4
GTEX-1J8QM-0326-SM-CL53D 60-69 years, female 2.4
GTEX-131YS-0826-SM-5PNYV 60-69 years, female 2.3
GTEX-1399S-0826-SM-5KM23 30-39 years, female 2.3
GTEX-139YR-0526-SM-5L3DG 50-59 years, male 2.3
GTEX-13U4I-0626-SM-5LU5L 40-49 years, female 2.3
GTEX-17KNJ-0626-SM-7LT9L 50-59 years, male 2.3
GTEX-18A6Q-1526-SM-731CO 60-69 years, male 2.3
GTEX-XBEC-1226-SM-4AT65 50-59 years, male 2.3
GTEX-XPT6-0226-SM-4B65L 20-29 years, male 2.3
GTEX-1GMRU-1326-SM-9WYUI 50-59 years, male 2.3
GTEX-1GN2E-1426-SM-7RHHI 60-69 years, male 2.3
GTEX-1IDJD-0226-SM-CKZOA 30-39 years, male 2.3
GTEX-1IOXB-0726-SM-A9G32 50-59 years, male 2.3
GTEX-1K2DU-0226-SM-DIPF6 20-29 years, male 2.3
GTEX-1KANC-0226-SM-E9TIW 50-59 years, female 2.3
GTEX-1LVAO-0626-SM-EWRNT 60-69 years, male 2.3
GTEX-1MJK2-1626-SM-EVYCQ 50-59 years, male 2.3
GTEX-1POEN-0726-SM-DTXDU 30-39 years, female 2.3
GTEX-1R9K4-1026-SM-EXUT1 60-69 years, male 2.3
GTEX-11NUK-0926-SM-5HL57 50-59 years, male 2.2
GTEX-11ONC-1026-SM-5GU64 60-69 years, male 2.2
GTEX-13N11-0726-SM-5L3DP 50-59 years, female 2.2
GTEX-16XZY-0526-SM-7DHKY 70-79 years, male 2.2
GTEX-183WM-0926-SM-718AN 70-79 years, female 2.2
GTEX-18465-0726-SM-7LG4L 50-59 years, male 2.2
GTEX-1B97J-0326-SM-7939H 50-59 years, female 2.2
GTEX-1EWIQ-1126-SM-7EPIK 70-79 years, female 2.2
GTEX-X3Y1-0226-SM-3P5Z5 40-49 years, male 2.2
GTEX-X4EP-0326-SM-3P5Z6 60-69 years, female 2.2
GTEX-ZLFU-0326-SM-4WWBK 40-49 years, male 2.2
GTEX-1A8FM-1026-SM-7PC26 50-59 years, female 2.2
GTEX-1GMR3-0426-SM-7PC17 40-49 years, male 2.2
GTEX-117XS-0726-SM-5H131 60-69 years, male 2.1
GTEX-11UD2-0926-SM-5CVL6 50-59 years, male 2.1
GTEX-12WSI-0426-SM-5EQ5J 50-59 years, male 2.1
GTEX-13SLX-0926-SM-5S2NM 50-59 years, female 2.1
GTEX-13W3W-0526-SM-5LU3X 60-69 years, female 2.1
GTEX-14PJ4-0926-SM-5YY98 60-69 years, male 2.1
GTEX-15EU6-1326-SM-6PANG 50-59 years, male 2.1
GTEX-15SKB-0926-SM-7KUFC 60-69 years, male 2.1
GTEX-1A32A-1326-SM-73KWW 50-59 years, female 2.1
GTEX-1A8G6-1826-SM-73KY8 60-69 years, male 2.1
GTEX-1C2JI-0626-SM-7DHM1 50-59 years, male 2.1
GTEX-WHPG-1026-SM-3NMBA 50-59 years, male 2.1
GTEX-ZDYS-0326-SM-5HL4W 50-59 years, male 2.1
GTEX-ZPU1-0726-SM-5HL6O 40-49 years, male 2.1
GTEX-ZUA1-0726-SM-4YCD9 40-49 years, male 2.1
GTEX-ZYT6-0926-SM-5GIEM 30-39 years, male 2.1
GTEX-1HFI6-0826-SM-9YFM2 40-49 years, male 2.1
GTEX-1I1GR-1026-SM-A9SLC 60-69 years, male 2.1
GTEX-1IKJJ-0626-SM-CY8GF 60-69 years, male 2.1
GTEX-1IKOE-0626-SM-A9G31 30-39 years, female 2.1
GTEX-1QP6S-1026-SM-DTXFW 40-49 years, male 2.1
GTEX-11O72-1026-SM-5986B 40-49 years, male 2.0
GTEX-13FHP-0826-SM-5K7V5 50-59 years, male 2.0
GTEX-13NYS-1926-SM-5IJCB 60-69 years, male 2.0
GTEX-14C5O-1226-SM-664N3 60-69 years, male 2.0
GTEX-15CHC-0326-SM-5ZZVP 60-69 years, female 2.0
GTEX-15DCE-0826-SM-7KULW 20-29 years, male 2.0
GTEX-18A7A-1226-SM-7LTAJ 50-59 years, female 2.0
GTEX-1B933-0826-SM-79OMW 50-59 years, female 2.0
GTEX-1C64O-0926-SM-79OLN 60-69 years, male 2.0
GTEX-WL46-0726-SM-3LK5Z 50-59 years, male 2.0
GTEX-YJ8O-0826-SM-5CVM3 40-49 years, female 2.0
GTEX-ZF2S-0826-SM-4WWBI 50-59 years, female 2.0
GTEX-ZGAY-0226-SM-4WWAL 40-49 years, female 2.0
GTEX-ZYFG-0526-SM-5GZXX 60-69 years, female 2.0
GTEX-1H3NZ-1026-SM-A9SM5 60-69 years, male 2.0
GTEX-1HCVE-0826-SM-CM2SF 50-59 years, male 2.0
GTEX-1I1HK-0626-SM-CNPQM 60-69 years, male 2.0
GTEX-1IKOH-0926-SM-A9SLU 60-69 years, female 2.0
GTEX-1J8Q3-1126-SM-ARU8N 60-69 years, male 2.0
GTEX-11DXY-1026-SM-5987V 60-69 years, male 1.9
GTEX-12WSG-1226-SM-5EQ4C 50-59 years, female 1.9
GTEX-131XF-0426-SM-5HL7U 60-69 years, male 1.9
GTEX-148VJ-1426-SM-5TDE3 70-79 years, male 1.9
GTEX-14A6H-0326-SM-5NQAN 30-39 years, male 1.9
GTEX-18D9U-1426-SM-718BO 40-49 years, male 1.9
GTEX-X4XX-1126-SM-3NMBY 60-69 years, male 1.9
GTEX-X5EB-0626-SM-46MVQ 40-49 years, male 1.9
GTEX-1F6I4-0826-SM-7RHGK 60-69 years, male 1.9
GTEX-1399R-1726-SM-5K7YJ 30-39 years, male 1.8
GTEX-13FTW-0826-SM-5K7XR 40-49 years, male 1.8
GTEX-15RJE-0726-SM-7KUEG 40-49 years, male 1.8
GTEX-17F9Y-1226-SM-7EPGE 70-79 years, female 1.8
GTEX-1B8KE-0326-SM-73KTY 50-59 years, male 1.8
GTEX-1B8SF-1326-SM-7IGQJ 60-69 years, male 1.8
GTEX-WH7G-0326-SM-3NMBH 40-49 years, male 1.8
GTEX-WQUQ-1326-SM-3MJFF 60-69 years, male 1.8
GTEX-XPVG-0726-SM-4B658 50-59 years, male 1.8
GTEX-ZAB5-0126-SM-5CVMT 50-59 years, male 1.8
GTEX-ZVT2-0926-SM-5GICE 50-59 years, female 1.8
GTEX-1C64N-0826-SM-7RHGQ 50-59 years, male 1.8
GTEX-1EX96-2626-SM-9MQJV 50-59 years, male 1.8
GTEX-1HCUA-0626-SM-ACKVT 50-59 years, female 1.8
GTEX-1LH75-0526-SM-DIPG2 50-59 years, female 1.8
GTEX-YEC3-0426-SM-CYPS8 50-59 years, male 1.8
GTEX-ZPIC-0426-SM-DO91V 40-49 years, female 1.8
GTEX-13CF2-0226-SM-5L3DV 60-69 years, male 1.7
GTEX-13N1W-0926-SM-5MR36 70-79 years, male 1.7
GTEX-13X6J-1226-SM-79OMF 50-59 years, male 1.7
GTEX-145MN-0726-SM-5NQBH 30-39 years, male 1.7
GTEX-14DAQ-1026-SM-793B1 60-69 years, female 1.7
GTEX-15RIE-1326-SM-6PAMM 60-69 years, male 1.7
GTEX-WEY5-0226-SM-3GIKN 40-49 years, female 1.7
GTEX-WHWD-0326-SM-3LK6L 50-59 years, male 1.7
GTEX-XQ3S-0526-SM-4BOQA 20-29 years, male 1.7
GTEX-XV7Q-0726-SM-4BRV6 40-49 years, female 1.7
GTEX-1H11D-1026-SM-9QEIU 40-49 years, male 1.7
GTEX-1IL2U-1226-SM-CL53P 60-69 years, male 1.7
GTEX-1J1OQ-2226-SM-A96SS 40-49 years, female 1.7
GTEX-1LB8K-0926-SM-D4P42 50-59 years, male 1.7
GTEX-1P4AB-0926-SM-E76PV 50-59 years, male 1.7
GTEX-1QCLZ-1126-SM-EWRNB 60-69 years, female 1.7
GTEX-V955-0826-SM-CYPR5 60-69 years, male 1.7
GTEX-12ZZX-0726-SM-5EGKA 40-49 years, female 1.6
GTEX-13112-0526-SM-5EQ4S 50-59 years, male 1.6
GTEX-132AR-1926-SM-5EGK5 50-59 years, female 1.6
GTEX-13NZA-0826-SM-5K7WS 60-69 years, male 1.6
GTEX-13O1R-0926-SM-5L3DS 60-69 years, male 1.6
GTEX-13PL7-0726-SM-5KM1S 60-69 years, female 1.6
GTEX-13S86-0326-SM-5SI6K 40-49 years, male 1.6
GTEX-147F4-1126-SM-5TDDE 50-59 years, male 1.6
GTEX-14BIM-2726-SM-5Q5EG 60-69 years, female 1.6
GTEX-15CHR-0326-SM-7DHN3 50-59 years, male 1.6
GTEX-15ER7-0826-SM-6PALW 20-29 years, female 1.6
GTEX-16NPX-0826-SM-6M489 50-59 years, male 1.6
GTEX-17HGU-1126-SM-793BP 50-59 years, male 1.6
GTEX-1CB4H-0626-SM-7IGN3 60-69 years, female 1.6
GTEX-X62O-0826-SM-46MW8 50-59 years, male 1.6
GTEX-YEC4-0226-SM-4W1YG 40-49 years, male 1.6
GTEX-1EMGI-1126-SM-9KNUF 60-69 years, male 1.6
GTEX-1GL5R-0426-SM-9WPOP 50-59 years, male 1.6
GTEX-1GMR8-1026-SM-9MQLA 50-59 years, female 1.6
GTEX-1GZ2Q-0926-SM-7RHHN 40-49 years, male 1.6
GTEX-1H3VY-1126-SM-A96TP 50-59 years, male 1.6
GTEX-1HFI7-0526-SM-A9SMA 50-59 years, female 1.6
GTEX-1LG7Y-1426-SM-D4P31 50-59 years, male 1.6
GTEX-1211K-0226-SM-59HJY 60-69 years, female 1.5
GTEX-12WSA-1126-SM-5EGKU 60-69 years, male 1.5
GTEX-13NYB-0326-SM-5IJDP 40-49 years, male 1.5
GTEX-13O61-0426-SM-5L3ET 60-69 years, male 1.5
GTEX-13OW7-1626-SM-5IJDH 50-59 years, male 1.5
GTEX-14PII-1026-SM-5ZZVW 60-69 years, male 1.5
GTEX-14PN3-0726-SM-6EU14 60-69 years, female 1.5
GTEX-16GPK-1226-SM-7LTAU 60-69 years, male 1.5
GTEX-18A67-1026-SM-731CE 50-59 years, male 1.5
GTEX-V1D1-0626-SM-4JBHN 50-59 years, male 1.5
GTEX-WFG7-0826-SM-3GIKU 20-29 years, male 1.5
GTEX-WYBS-1226-SM-3NM9N 60-69 years, female 1.5
GTEX-ZT9W-0526-SM-57WFG 50-59 years, male 1.5
GTEX-ZVZQ-0726-SM-51MR3 60-69 years, female 1.5
GTEX-1I1CD-1326-SM-A9SMM 60-69 years, female 1.5
GTEX-1IDJF-0826-SM-ARU7N 20-29 years, male 1.5
GTEX-1LVAN-1526-SM-CNPQN 50-59 years, female 1.5
GTEX-1RB15-0426-SM-E9U4Y 60-69 years, male 1.5
GTEX-ZEX8-0326-SM-DO92C 50-59 years, male 1.5
GTEX-11LCK-0826-SM-5PNYD 30-39 years, male 1.4
GTEX-13O3O-1426-SM-5KM2S 60-69 years, female 1.4
GTEX-13YAN-1426-SM-7EPG8 60-69 years, male 1.4
GTEX-146FR-0926-SM-5QGPE 60-69 years, female 1.4
GTEX-14E7W-1126-SM-5ZZVS 70-79 years, male 1.4
GTEX-14PJ6-0626-SM-686Z6 60-69 years, female 1.4
GTEX-14PJO-0826-SM-6ETZK 60-69 years, male 1.4
GTEX-14PK6-0726-SM-6LLIX 70-79 years, female 1.4
GTEX-15UF7-1526-SM-6LPI7 40-49 years, male 1.4
GTEX-1AX9I-1026-SM-73KYF 60-69 years, male 1.4
GTEX-1AX9K-0426-SM-73KUG 50-59 years, male 1.4
GTEX-1CB4G-0726-SM-79OOJ 60-69 years, male 1.4
GTEX-WFON-0226-SM-3GIKR 40-49 years, male 1.4
GTEX-WY7C-1126-SM-3NB3A 50-59 years, male 1.4
GTEX-WZTO-1226-SM-3NMAZ 40-49 years, male 1.4
GTEX-XLM4-2026-SM-4AT4X 60-69 years, male 1.4
GTEX-Y114-0126-SM-4TT8K 50-59 years, female 1.4
GTEX-1CAMS-1126-SM-7MXUQ 40-49 years, female 1.4
GTEX-1ICG6-0726-SM-B2LY5 70-79 years, female 1.4
GTEX-1JJEA-0926-SM-CYPSO 60-69 years, male 1.4
GTEX-1R7EV-0426-SM-DTX7Z 40-49 years, male 1.4
GTEX-11EMC-0826-SM-59862 60-69 years, female 1.3
GTEX-11ZTT-0526-SM-5EQLA 60-69 years, female 1.3
GTEX-13FH7-0826-SM-5J2NW 50-59 years, female 1.3
GTEX-13QBU-0226-SM-5LU48 40-49 years, female 1.3
GTEX-14BIN-2126-SM-793AX 50-59 years, female 1.3
GTEX-14H4A-0426-SM-5ZZWO 40-49 years, female 1.3
GTEX-18A66-1126-SM-731C5 60-69 years, male 1.3
GTEX-1AX9J-0926-SM-73KXA 60-69 years, male 1.3
GTEX-1CB4E-0626-SM-7DHMW 60-69 years, male 1.3
GTEX-VJWN-1026-SM-4M1ZN 50-59 years, female 1.3
GTEX-WOFL-1226-SM-4OOST 60-69 years, male 1.3
GTEX-WRHU-1026-SM-4E3ID 50-59 years, female 1.3
GTEX-WWYW-1126-SM-3NB2Q 50-59 years, female 1.3
GTEX-1HCU7-1226-SM-B2LX8 50-59 years, male 1.3
GTEX-1HSMO-1126-SM-CGQF2 60-69 years, male 1.3
GTEX-1HUB1-0726-SM-CGQF4 60-69 years, male 1.3
GTEX-1JK1U-0626-SM-CKZOJ 60-69 years, male 1.3
GTEX-1KD5A-0926-SM-D4P3U 50-59 years, male 1.3
GTEX-1LSNM-0426-SM-E9TIZ 50-59 years, male 1.3
GTEX-1QEPI-1126-SM-E8VN7 60-69 years, female 1.3
GTEX-1QP29-1426-SM-DTX9Q 50-59 years, male 1.3
GTEX-ZPCL-0526-SM-DO91R 60-69 years, female 1.3
GTEX-111YS-0326-SM-5GZZ3 60-69 years, male 1.2
GTEX-117YW-0426-SM-5GZZZ 50-59 years, male 1.2
GTEX-117YX-0626-SM-5EGJI 50-59 years, male 1.2
GTEX-1192W-0226-SM-5EGGT 60-69 years, male 1.2
GTEX-11GS4-0426-SM-5N9CD 60-69 years, male 1.2
GTEX-12WSK-0526-SM-5CVNA 40-49 years, female 1.2
GTEX-13FXS-1026-SM-62LFQ 50-59 years, male 1.2
GTEX-13O3Q-0326-SM-5L3FE 50-59 years, male 1.2
GTEX-14PN4-0826-SM-69LON 50-59 years, male 1.2
GTEX-15SHU-0926-SM-6PAMK 40-49 years, female 1.2
GTEX-18D9B-1126-SM-7KFSH 60-69 years, male 1.2
GTEX-1A3MX-1226-SM-731B3 60-69 years, male 1.2
GTEX-1B996-1026-SM-793CF 60-69 years, male 1.2
GTEX-WYJK-1126-SM-3NM9Z 50-59 years, male 1.2
GTEX-ZAJG-0926-SM-5Q5AB 50-59 years, female 1.2
GTEX-ZDTT-0326-SM-4WKF9 60-69 years, male 1.2
GTEX-1C6VQ-0826-SM-7PBZT 50-59 years, male 1.2
GTEX-1GF9U-0526-SM-7P8SK 40-49 years, female 1.2
GTEX-1GZ4I-0826-SM-9WG6O 50-59 years, male 1.2
GTEX-1JMLX-1826-SM-CNPOX 50-59 years, male 1.2
GTEX-1L5NE-0526-SM-DIPG5 50-59 years, male 1.2
GTEX-1LSNL-0626-SM-DIPFJ 50-59 years, male 1.2
GTEX-1122O-0626-SM-5N9B9 60-69 years, female 1.1
GTEX-11ZVC-0526-SM-5N9G1 50-59 years, female 1.1
GTEX-13JUV-0226-SM-5IJCC 40-49 years, female 1.1
GTEX-13O21-0326-SM-5J1N9 50-59 years, male 1.1
GTEX-13OVI-0326-SM-5K7X1 60-69 years, female 1.1
GTEX-13PL6-0826-SM-5IJBI 40-49 years, female 1.1
GTEX-1445S-1226-SM-5O9BF 60-69 years, male 1.1
GTEX-145LS-1326-SM-5Q5EP 60-69 years, female 1.1
GTEX-14A5I-1026-SM-5Q5E3 50-59 years, female 1.1
GTEX-14PHX-0626-SM-5YY8Z 50-59 years, male 1.1
GTEX-U8XE-0926-SM-3DB8V 30-39 years, male 1.1
GTEX-Y5V5-0726-SM-4VBPY 60-69 years, female 1.1
GTEX-YF7O-0526-SM-5P9IO 50-59 years, male 1.1
GTEX-ZZPT-0926-SM-5GICZ 50-59 years, male 1.1
GTEX-1CAMQ-0726-SM-7P8SG 40-49 years, male 1.1
GTEX-1E2YA-0626-SM-7P8P4 50-59 years, male 1.1
GTEX-1EU9M-1926-SM-7RHH4 60-69 years, male 1.1
GTEX-1F75B-1126-SM-7RHGP 50-59 years, male 1.1
GTEX-1H3O1-0226-SM-9WYSW 60-69 years, male 1.1
GTEX-1IDJU-0626-SM-CKZOG 60-69 years, female 1.1
GTEX-1JJ6O-2226-SM-AHZ3I 60-69 years, male 1.1
GTEX-1JN6P-0826-SM-ARL97 60-69 years, male 1.1
GTEX-1MCC2-0226-SM-EVYD5 30-39 years, female 1.1
GTEX-12696-1226-SM-5FQSM 60-69 years, male 1.0
GTEX-131XG-0526-SM-5DUWF 50-59 years, female 1.0
GTEX-13NZ9-0126-SM-5K7XV 50-59 years, male 1.0
GTEX-145LV-0226-SM-5S2QG 50-59 years, male 1.0
GTEX-146FH-1126-SM-5NQAT 50-59 years, female 1.0
GTEX-17GQL-0626-SM-731CN 60-69 years, male 1.0
GTEX-UPK5-0226-SM-3GAEV 40-49 years, male 1.0
GTEX-WHSE-0826-SM-4SOJU 20-29 years, male 1.0
GTEX-WI4N-0726-SM-3TW93 40-49 years, female 1.0
GTEX-ZAB4-0926-SM-5CVN4 40-49 years, male 1.0
GTEX-ZTTD-0626-SM-4YCCY 50-59 years, male 1.0
GTEX-1GN1W-0226-SM-7P8QY 50-59 years, female 1.0
GTEX-1I19N-0626-SM-A9SKY 70-79 years, male 1.0
GTEX-1IKK5-1726-SM-CM2RU 60-69 years, male 1.0
GTEX-1192X-0726-SM-5987R 50-59 years, male 0.9
GTEX-11GSP-1226-SM-5985M 60-69 years, female 0.9
GTEX-132Q8-1126-SM-5K7XS 60-69 years, male 0.9
GTEX-132QS-0526-SM-5IJC7 60-69 years, male 0.9
GTEX-1339X-0326-SM-5K7Z8 40-49 years, male 0.9
GTEX-13FTZ-0326-SM-5J1O1 60-69 years, male 0.9
GTEX-13O3P-1426-SM-5L3DT 50-59 years, male 0.9
GTEX-13OVG-0426-SM-5KM2T 60-69 years, male 0.9
GTEX-13PVR-0926-SM-5S2RB 60-69 years, female 0.9
GTEX-13RTJ-0526-SM-62LDP 60-69 years, male 0.9
GTEX-1E1VI-1426-SM-793CY 50-59 years, male 0.9
GTEX-ZTPG-1326-SM-51MSQ 20-29 years, female 0.9
GTEX-ZZPU-1126-SM-5N9CW 50-59 years, female 0.9
GTEX-1H2FU-0826-SM-9WYSU 60-69 years, female 0.9
GTEX-1HSMQ-0426-SM-ADEIM 50-59 years, male 0.9
GTEX-1IL2V-1126-SM-CMKGH 70-79 years, male 0.9
GTEX-1NHNU-0626-SM-E6CP1 50-59 years, male 0.9
GTEX-11DXX-0526-SM-5PNVR 60-69 years, female 0.8
GTEX-11TT1-1426-SM-5EGIA 20-29 years, male 0.8
GTEX-11TUW-1126-SM-5EQKJ 60-69 years, male 0.8
GTEX-12WSN-0226-SM-5DUXH 40-49 years, male 0.8
GTEX-13FHO-1226-SM-5L3EF 60-69 years, male 0.8
GTEX-13OW5-0926-SM-5L3GZ 60-69 years, male 0.8
GTEX-14BIL-0926-SM-7DHKN 50-59 years, male 0.8
GTEX-15SHV-0526-SM-7KUEN 60-69 years, male 0.8
GTEX-16XZZ-1026-SM-7DHKS 60-69 years, male 0.8
GTEX-17F9E-0726-SM-793A1 50-59 years, male 0.8
GTEX-ZYVF-1826-SM-5E44F 50-59 years, female 0.8
GTEX-1CB4J-0226-SM-7P8T4 60-69 years, male 0.8
GTEX-1GTWX-0926-SM-9MQKM 60-69 years, male 0.8
GTEX-1H1DG-0826-SM-9QEIW 70-79 years, male 0.8
GTEX-1LGRB-1026-SM-CNPQD 50-59 years, female 0.8
GTEX-1QPFJ-0926-SM-EVR3K 30-39 years, female 0.8
GTEX-1117F-0726-SM-5GIEN 60-69 years, female 0.7
GTEX-VUSG-0726-SM-3GIK1 50-59 years, male 0.7
GTEX-X8HC-1026-SM-46MWH 50-59 years, female 0.7
GTEX-YB5K-0226-SM-5IFJE 40-49 years, female 0.7
GTEX-1HBPN-0926-SM-CGQEG 50-59 years, male 0.7
GTEX-1J8Q2-1026-SM-ARU8I 60-69 years, male 0.7
GTEX-1LGOU-0326-SM-D3LAM 20-29 years, female 0.7
GTEX-11EQ8-1326-SM-5EGJQ 60-69 years, male 0.6
GTEX-12584-1026-SM-59HK3 40-49 years, male 0.6
GTEX-12BJ1-0326-SM-5FQUB 60-69 years, male 0.6
GTEX-139TU-1926-SM-5J2OC 60-69 years, male 0.6
GTEX-1477Z-1126-SM-5P9GK 60-69 years, male 0.6
GTEX-14E1K-0826-SM-5ZZW9 50-59 years, male 0.6
GTEX-14XAO-0926-SM-69LPZ 60-69 years, female 0.6
GTEX-1CB4I-1526-SM-7DHMY 50-59 years, male 0.6
GTEX-X261-0926-SM-3NMCY 50-59 years, male 0.6
GTEX-ZG7Y-1426-SM-4WWBM 50-59 years, male 0.6
GTEX-ZVT4-1326-SM-5NQ8E 50-59 years, female 0.6
GTEX-ZXG5-0626-SM-5NQ85 60-69 years, male 0.6
GTEX-1AYCT-0526-SM-7RHHS 50-59 years, male 0.6
GTEX-1F48J-1126-SM-9WYSY 50-59 years, female 0.6
GTEX-1H1ZS-1026-SM-9WG6E 70-79 years, male 0.6
GTEX-1JMOU-0326-SM-ARL8X 60-69 years, female 0.6
GTEX-13SLW-0826-SM-5QGP7 70-79 years, male 0.5
GTEX-14C39-0726-SM-5RQIK 40-49 years, male 0.5
GTEX-14PHY-0326-SM-62LE3 60-69 years, female 0.5
GTEX-15D1Q-0426-SM-6AJ9G 40-49 years, male 0.5
GTEX-1B8SG-0726-SM-79ONS 50-59 years, male 0.5
GTEX-XYKS-0226-SM-4BRW3 60-69 years, female 0.5
GTEX-ZYFD-2026-SM-5E459 50-59 years, male 0.5
GTEX-1C6WA-0826-SM-7PBXS 60-69 years, male 0.5
GTEX-1GMR2-1326-SM-9KNUT 50-59 years, male 0.5
GTEX-1RLM8-0226-SM-E6CJY 50-59 years, male 0.5
GTEX-ZV7C-0526-SM-9WPNK 50-59 years, male 0.5
GTEX-11WQK-0226-SM-5EQLI 50-59 years, male 0.4
GTEX-13VXT-0726-SM-5SIAD 20-29 years, female 0.4
GTEX-14E6C-0326-SM-5Q5EE 40-49 years, male 0.4
GTEX-17EVP-0526-SM-7EPGY 40-49 years, male 0.4
GTEX-17MF6-0926-SM-7LTAL 40-49 years, male 0.4
GTEX-XXEK-2026-SM-4BRVE 50-59 years, male 0.4
GTEX-1GN1V-1026-SM-CNPPS 60-69 years, male 0.4
GTEX-1H1CY-0426-SM-9KNVD 60-69 years, female 0.4
GTEX-1M5QR-1626-SM-E9U5O 40-49 years, male 0.4
GTEX-1HBPM-1026-SM-ARL9D 60-69 years, female 0.3
GTEX-14C38-1326-SM-62LDK 50-59 years, male 0.2
GTEX-WFG8-0726-SM-3GILP 20-29 years, male 0.2
GTEX-UTHO-1226-SM-3GAEE 60-69 years, male 0.1
GTEX-1JMQL-1026-SM-CMKGV 50-59 years, female 0.1
GTEX-1JMQK-0926-SM-ARL96 60-69 years, male 0.0
Show allShow less
Heart - Left Ventricle
Average nTPM: 1.8
Samples: 432

Max nTPM: 6.7
Min nTPM: 0.2
Std nTPM: 1.1
Median nTPM: 1.5
GTEX-PSDG-0926-SM-2I5FP 50-59 years, male 6.7
GTEX-13CF2-0426-SM-5KM1H 60-69 years, male 5.7
GTEX-14JG1-1026-SM-6ETZY 40-49 years, male 5.7
GTEX-132NY-1726-SM-5EGKK 60-69 years, male 5.5
GTEX-ZF29-0226-SM-4WKHO 60-69 years, female 5.5
GTEX-1F6I4-0726-SM-7PC2P 60-69 years, male 5.5
GTEX-1AX9I-1126-SM-7EPHH 60-69 years, male 5.4
GTEX-1313W-1426-SM-5KLZU 50-59 years, female 5.2
GTEX-YFC4-0526-SM-5ZZVI 40-49 years, female 5.0
GTEX-1GMR3-0326-SM-7P8QT 40-49 years, male 5.0
GTEX-R55E-1026-SM-2TC5S 20-29 years, male 4.9
GTEX-1F75I-1126-SM-9WYUO 40-49 years, male 4.7
GTEX-1RQEC-0926-SM-EWROG 60-69 years, male 4.7
GTEX-UPK5-0326-SM-CYPR4 40-49 years, male 4.7
GTEX-ZVT2-1026-SM-5GU55 50-59 years, female 4.5
GTEX-13FTW-1026-SM-5L3E3 40-49 years, male 4.3
GTEX-13NZB-0226-SM-5KM1T 30-39 years, male 4.3
GTEX-18A67-1226-SM-7KFRS 50-59 years, male 4.3
GTEX-WZTO-1326-SM-3NM8X 40-49 years, male 4.3
GTEX-1314G-0126-SM-5LZUL 30-39 years, male 4.2
GTEX-1B8L1-0526-SM-79ONX 60-69 years, male 4.2
GTEX-WHPG-0826-SM-3NMBF 50-59 years, male 4.2
GTEX-ZDXO-0726-SM-57WBT 60-69 years, male 4.2
GTEX-1KD5A-1026-SM-CY8I8 50-59 years, male 4.2
GTEX-P44H-0726-SM-48TBT 40-49 years, male 4.1
GTEX-1R9JW-0526-SM-EWRNK 30-39 years, female 4.1
GTEX-1I1GQ-1426-SM-B2LWY 50-59 years, male 4.0
GTEX-11ZUS-0226-SM-5FQT8 30-39 years, male 3.9
GTEX-R53T-0926-SM-3GADH 50-59 years, female 3.9
GTEX-1C2JI-0526-SM-7EWEQ 50-59 years, male 3.8
GTEX-NFK9-0926-SM-2HMJU 40-49 years, male 3.8
GTEX-12ZZY-1126-SM-5DUWQ 60-69 years, male 3.7
GTEX-XQ3S-0626-SM-4BOOB 20-29 years, male 3.7
GTEX-XQ8I-0126-SM-4BOPL 50-59 years, male 3.7
GTEX-15CHR-0226-SM-7PC2Z 50-59 years, male 3.7
GTEX-1O9I2-1126-SM-DTXEA 50-59 years, male 3.7
GTEX-13OVL-0526-SM-5KLZQ 50-59 years, male 3.6
GTEX-1HBPH-0126-SM-CNNQ7 40-49 years, female 3.6
GTEX-12WSG-0526-SM-5FQTH 50-59 years, female 3.5
GTEX-WL46-0926-SM-3LK7T 50-59 years, male 3.5
GTEX-1R7EV-0326-SM-E76PA 40-49 years, male 3.5
GTEX-1399U-0526-SM-5K7YM 50-59 years, female 3.4
GTEX-16BQI-0926-SM-6M485 30-39 years, female 3.4
GTEX-OIZG-1126-SM-2HMIU 50-59 years, male 3.4
GTEX-OOBJ-0326-SM-33HBO 60-69 years, male 3.4
GTEX-P78B-0426-SM-2I5F5 40-49 years, female 3.4
GTEX-12WSC-1126-SM-5EQ4G 50-59 years, male 3.3
GTEX-13N11-0426-SM-5KM3O 50-59 years, female 3.3
GTEX-14A6H-0226-SM-5Q5DX 30-39 years, male 3.3
GTEX-Y8E4-0326-SM-4VBRR 40-49 years, male 3.3
GTEX-1GN73-2426-SM-7RHFQ 60-69 years, male 3.3
GTEX-1H1ZS-1126-SM-9MQLJ 70-79 years, male 3.3
GTEX-1RMOY-0626-SM-E9TIE 50-59 years, male 3.3
GTEX-11DXZ-0626-SM-5GU77 50-59 years, male 3.2
GTEX-12WSD-1126-SM-5EGJD 60-69 years, female 3.2
GTEX-R55C-0326-SM-3GAF1 40-49 years, male 3.2
GTEX-1POEN-0626-SM-EVR4B 30-39 years, female 3.2
GTEX-QEL4-0926-SM-3GAD1 50-59 years, male 3.1
GTEX-WHSE-0926-SM-3NMBS 20-29 years, male 3.1
GTEX-XBED-0526-SM-47JY3 60-69 years, male 3.1
GTEX-S33H-0526-SM-COH1W 30-39 years, male 3.1
GTEX-16YQH-0926-SM-793BC 30-39 years, male 3.0
GTEX-NPJ8-0426-SM-2HMK6 40-49 years, male 3.0
GTEX-RWSA-0626-SM-2XCBD 40-49 years, male 3.0
GTEX-ZAB5-0226-SM-5CVMH 50-59 years, male 3.0
GTEX-ZDYS-0226-SM-5HL4K 50-59 years, male 3.0
GTEX-1I1HK-0726-SM-B2LY4 60-69 years, male 3.0
GTEX-OIZF-0326-SM-3MJGY 60-69 years, male 3.0
GTEX-11ZVC-0426-SM-5CVLD 50-59 years, female 2.9
GTEX-13O3O-1526-SM-5KM1C 60-69 years, female 2.9
GTEX-QV44-0526-SM-2S1RE 50-59 years, male 2.9
GTEX-ZQUD-1526-SM-7IGO2 30-39 years, male 2.9
GTEX-13O3P-1626-SM-5K7X3 50-59 years, male 2.8
GTEX-1AX8Z-5007-SM-AHZ36 60-69 years, male 2.8
GTEX-1LH75-0426-SM-E9TJF 50-59 years, female 2.8
GTEX-1OFPY-1026-SM-EXUSO 60-69 years, male 2.8
GTEX-1269C-0826-SM-5N9EM 60-69 years, female 2.7
GTEX-15RJE-0626-SM-7KUKR 40-49 years, male 2.7
GTEX-POMQ-0326-SM-2I5FO 20-29 years, female 2.7
GTEX-QESD-0526-SM-2I5G5 20-29 years, male 2.7
GTEX-V1D1-0526-SM-4JBGW 50-59 years, male 2.7
GTEX-WFG8-0626-SM-3GILJ 20-29 years, male 2.7
GTEX-ZDTS-1326-SM-6LLHE 60-69 years, male 2.7
GTEX-1HCU7-1326-SM-CNPPW 50-59 years, male 2.7
GTEX-12ZZZ-1726-SM-59HK5 60-69 years, male 2.6
GTEX-UJMC-0526-SM-3GAE3 50-59 years, male 2.6
GTEX-WEY5-0426-SM-3GIKT 40-49 years, female 2.6
GTEX-WFON-0326-SM-3GIKX 40-49 years, male 2.6
GTEX-1JJEA-0826-SM-CL53T 60-69 years, male 2.6
GTEX-13112-0426-SM-5PNVC 50-59 years, male 2.5
GTEX-1399S-1026-SM-5KLZ9 30-39 years, female 2.5
GTEX-13OW6-1126-SM-5L3HL 50-59 years, male 2.5
GTEX-13U4I-0826-SM-5SIBD 40-49 years, female 2.5
GTEX-1CAMS-1326-SM-79OJR 40-49 years, female 2.5
GTEX-OXRL-0326-SM-2I3F2 50-59 years, male 2.5
GTEX-RNOR-0826-SM-2TF5C 50-59 years, female 2.5
GTEX-WYJK-1026-SM-3NM8W 50-59 years, male 2.5
GTEX-1GF9V-1626-SM-7PBXL 60-69 years, male 2.5
GTEX-1IDJI-1026-SM-A96TE 50-59 years, female 2.5
GTEX-ZEX8-0426-SM-DO92Y 50-59 years, male 2.5
GTEX-ZF2S-1026-SM-9QEGK 50-59 years, female 2.5
GTEX-111YS-0426-SM-5987O 60-69 years, male 2.4
GTEX-139YR-0826-SM-5LZXY 50-59 years, male 2.4
GTEX-13FTZ-0226-SM-5K7X6 60-69 years, male 2.4
GTEX-14E6D-0926-SM-5S2QV 50-59 years, male 2.4
GTEX-15DYW-1126-SM-6LPK5 60-69 years, female 2.4
GTEX-16NPX-0926-SM-7KUEZ 50-59 years, male 2.4
GTEX-16XZY-0426-SM-793BI 70-79 years, male 2.4
GTEX-PX3G-0326-SM-2I3EO 20-29 years, female 2.4
GTEX-QEG4-0426-SM-33HC3 30-39 years, male 2.4
GTEX-U3ZH-0326-SM-3DB7A 30-39 years, male 2.4
GTEX-ZYFC-1126-SM-5E44W 50-59 years, male 2.4
GTEX-ZZPU-0926-SM-5GZYT 50-59 years, female 2.4
GTEX-1HC8U-0726-SM-ACKXL 40-49 years, female 2.4
GTEX-1HSGN-1126-SM-CJI4G 40-49 years, female 2.4
GTEX-1J8EW-0926-SM-A9G33 60-69 years, female 2.4
GTEX-1QCLZ-0926-SM-E6CQZ 60-69 years, female 2.4
GTEX-11DXX-0326-SM-5PNWC 60-69 years, female 2.3
GTEX-131XH-0226-SM-5LZVB 50-59 years, male 2.3
GTEX-1339X-0426-SM-5KLZY 40-49 years, male 2.3
GTEX-14DAQ-1126-SM-664MT 60-69 years, female 2.3
GTEX-1B8KE-0126-SM-793AM 50-59 years, male 2.3
GTEX-1F5PK-0326-SM-9KNUD 50-59 years, male 2.3
GTEX-1IDJF-0726-SM-CJI1U 20-29 years, male 2.3
GTEX-11O72-1126-SM-5N9E2 40-49 years, male 2.2
GTEX-12584-0926-SM-5FQTN 40-49 years, male 2.2
GTEX-132AR-2026-SM-5IJG4 50-59 years, female 2.2
GTEX-13FLV-0926-SM-5L3DZ 50-59 years, male 2.2
GTEX-13O21-2326-SM-5MR3X 50-59 years, male 2.2
GTEX-18465-0926-SM-731AY 50-59 years, male 2.2
GTEX-1BAJH-1626-SM-73KUV 70-79 years, male 2.2
GTEX-1EU9M-1826-SM-7DUGU 60-69 years, male 2.2
GTEX-QMRM-0526-SM-2I5GA 50-59 years, male 2.2
GTEX-1ICLY-1326-SM-CJI47 50-59 years, male 2.2
GTEX-WK11-0826-SM-EZ6LH 50-59 years, male 2.2
GTEX-147F4-1226-SM-5NQAY 50-59 years, male 2.1
GTEX-17JCI-1126-SM-7IGMM 60-69 years, female 2.1
GTEX-O5YT-0326-SM-32PKA 20-29 years, male 2.1
GTEX-T6MN-0926-SM-32PLX 50-59 years, male 2.1
GTEX-WQUQ-1426-SM-3MJFD 60-69 years, male 2.1
GTEX-XGQ4-0326-SM-4GIEE 50-59 years, male 2.1
GTEX-1IKOE-1026-SM-ARZMF 30-39 years, female 2.1
GTEX-1MJIX-0326-SM-EVR42 40-49 years, male 2.1
GTEX-148VI-0326-SM-5RQK7 60-69 years, female 2.0
GTEX-14C5O-1326-SM-5S2UW 60-69 years, male 2.0
GTEX-14E7W-1226-SM-5RQIU 70-79 years, male 2.0
GTEX-N7MS-0826-SM-2HML4 60-69 years, male 2.0
GTEX-PVOW-0426-SM-5MR5R 40-49 years, male 2.0
GTEX-QLQ7-0526-SM-2I5G3 60-69 years, male 2.0
GTEX-XPT6-0126-SM-4B65S 20-29 years, male 2.0
GTEX-XV7Q-0826-SM-4BRV7 40-49 years, female 2.0
GTEX-ZGAY-0326-SM-57WF5 40-49 years, female 2.0
GTEX-ZYFG-0426-SM-5E43M 60-69 years, female 2.0
GTEX-1IDJE-0326-SM-CM2TD 50-59 years, female 2.0
GTEX-1JMPZ-1426-SM-CJI3C 30-39 years, male 2.0
GTEX-11DXY-0826-SM-5EGGR 60-69 years, male 1.9
GTEX-13PVQ-1226-SM-5IJDC 50-59 years, male 1.9
GTEX-17HHY-1426-SM-7EWDQ 50-59 years, male 1.9
GTEX-1AX9K-0526-SM-73KV1 50-59 years, male 1.9
GTEX-1CB4G-0826-SM-7DUGF 60-69 years, male 1.9
GTEX-O5YW-0326-SM-2I5EI 50-59 years, male 1.9
GTEX-SNMC-0126-SM-2XCFO 20-29 years, male 1.9
GTEX-U8XE-1126-SM-3DB8W 30-39 years, male 1.9
GTEX-X15G-0426-SM-4PQZ6 50-59 years, female 1.9
GTEX-XBEC-1326-SM-4AT69 50-59 years, male 1.9
GTEX-11TUW-1026-SM-5GU7D 60-69 years, male 1.8
GTEX-14PJ4-1126-SM-5YY91 60-69 years, male 1.8
GTEX-14PN3-0526-SM-69LQF 60-69 years, female 1.8
GTEX-17KNJ-0826-SM-793A4 50-59 years, male 1.8
GTEX-1AX9J-1026-SM-72D6E 60-69 years, male 1.8
GTEX-1C64O-0826-SM-79OKZ 60-69 years, male 1.8
GTEX-X3Y1-0426-SM-3P5Z4 40-49 years, male 1.8
GTEX-ZAB4-1026-SM-5HL7T 40-49 years, male 1.8
GTEX-1CB4E-0526-SM-7MXTK 60-69 years, male 1.8
GTEX-1JJ6O-2126-SM-CNNP6 60-69 years, male 1.8
GTEX-1QP29-1526-SM-EXUSY 50-59 years, male 1.8
GTEX-1R9K4-1326-SM-DTX8G 60-69 years, male 1.8
GTEX-11EMC-0726-SM-5EGJO 60-69 years, female 1.7
GTEX-13D11-1726-SM-5IFGQ 50-59 years, female 1.7
GTEX-13YAN-1326-SM-5Q5F1 60-69 years, male 1.7
GTEX-1497J-1226-SM-5Q5BL 60-69 years, male 1.7
GTEX-14PHX-2126-SM-6EU2U 50-59 years, male 1.7
GTEX-14PJ6-0726-SM-69LOL 60-69 years, female 1.7
GTEX-15CHC-0426-SM-6LLHI 60-69 years, female 1.7
GTEX-WH7G-0426-SM-3NMBJ 40-49 years, male 1.7
GTEX-15RIE-1726-SM-7KUMU 60-69 years, male 1.7
GTEX-1HCU6-1026-SM-A9G25 60-69 years, female 1.7
GTEX-1J8Q3-1226-SM-CKZPT 60-69 years, male 1.7
GTEX-1LGOU-0726-SM-E9TIY 20-29 years, female 1.7
GTEX-1MCC2-0326-SM-EV7AK 30-39 years, female 1.7
GTEX-YEC3-0726-SM-CMKFH 50-59 years, male 1.7
GTEX-1212Z-0626-SM-5FQTB 60-69 years, male 1.6
GTEX-13OW8-2126-SM-5J1OS 60-69 years, male 1.6
GTEX-13X6I-1426-SM-5SI9Z 60-69 years, male 1.6
GTEX-14JIY-1126-SM-6EU28 60-69 years, male 1.6
GTEX-15ER7-1726-SM-6PAMX 20-29 years, female 1.6
GTEX-15SHW-1226-SM-6M46C 60-69 years, male 1.6
GTEX-QDVJ-0426-SM-2I5FW 50-59 years, male 1.6
GTEX-WRHU-1226-SM-4E3IJ 50-59 years, female 1.6
GTEX-XPVG-0826-SM-4B654 50-59 years, male 1.6
GTEX-Y3IK-0826-SM-51MT8 50-59 years, female 1.6
GTEX-Y5V6-0826-SM-4VBRU 60-69 years, male 1.6
GTEX-1GMRU-1526-SM-9WYT5 50-59 years, male 1.6
GTEX-1HT8W-1726-SM-CNNQB 30-39 years, male 1.6
GTEX-1PPGY-1126-SM-E76OU 60-69 years, male 1.6
GTEX-YJ8O-0926-SM-EAZ2Z 40-49 years, female 1.6
GTEX-111FC-0826-SM-5GZWO 60-69 years, male 1.5
GTEX-11GS4-0526-SM-5A5KQ 60-69 years, male 1.5
GTEX-13O61-0526-SM-5J2M1 60-69 years, male 1.5
GTEX-13SLX-1026-SM-5ZZUQ 50-59 years, female 1.5
GTEX-147JS-1526-SM-5ZZWF 60-69 years, male 1.5
GTEX-QEG5-0926-SM-2TC64 20-29 years, male 1.5
GTEX-RN64-0826-SM-2TC62 50-59 years, male 1.5
GTEX-T2IS-0426-SM-32QPE 20-29 years, female 1.5
GTEX-ZF3C-1226-SM-4WWCB 50-59 years, female 1.5
GTEX-1GZ4I-1026-SM-9KNV5 50-59 years, male 1.5
GTEX-1HBPM-1226-SM-A9SM8 60-69 years, female 1.5
GTEX-1HSMQ-0226-SM-C1YQL 50-59 years, male 1.5
GTEX-1ICG6-0626-SM-ACKWS 70-79 years, female 1.5
GTEX-1J8QM-0426-SM-AHZ3X 60-69 years, female 1.5
GTEX-1L5NE-0426-SM-E9TIX 50-59 years, male 1.5
GTEX-1S3DN-0726-SM-E9TIO 50-59 years, male 1.5
GTEX-1399R-1926-SM-5K7X8 30-39 years, male 1.4
GTEX-13O1R-1226-SM-5J1NU 60-69 years, male 1.4
GTEX-13PVR-1026-SM-5QGQW 60-69 years, female 1.4
GTEX-13S86-0226-SM-5S2PJ 40-49 years, male 1.4
GTEX-13X6K-1826-SM-5O9CR 60-69 years, female 1.4
GTEX-14E1K-1026-SM-73KUR 50-59 years, male 1.4
GTEX-17HGU-1026-SM-79OKL 50-59 years, male 1.4
GTEX-RTLS-0826-SM-2TF5Q 60-69 years, female 1.4
GTEX-RWS6-0326-SM-2XCAP 60-69 years, female 1.4
GTEX-ZPU1-0626-SM-4YCDM 40-49 years, male 1.4
GTEX-ZUA1-0826-SM-4YCDL 40-49 years, male 1.4
GTEX-1B97J-0726-SM-7RHG3 50-59 years, female 1.4
GTEX-1GL5R-0326-SM-9WYTJ 50-59 years, male 1.4
GTEX-1GTWX-1026-SM-7P8QW 60-69 years, male 1.4
GTEX-1JN1M-1026-SM-CNPOS 60-69 years, female 1.4
GTEX-1KXAM-1326-SM-E9TJW 60-69 years, male 1.4
GTEX-11GSP-1326-SM-5A5KY 60-69 years, female 1.3
GTEX-11TT1-1326-SM-5PNYM 20-29 years, male 1.3
GTEX-12BJ1-0226-SM-5LUA2 60-69 years, male 1.3
GTEX-18A66-1226-SM-7LT8G 60-69 years, male 1.3
GTEX-1EMGI-1226-SM-793DD 60-69 years, male 1.3
GTEX-OHPK-0326-SM-2HMJO 50-59 years, female 1.3
GTEX-QVJO-1926-SM-2S1QZ 60-69 years, female 1.3
GTEX-R55G-0526-SM-2TC5O 40-49 years, female 1.3
GTEX-WHWD-0426-SM-3LK83 50-59 years, male 1.3
GTEX-1A8G6-1626-SM-7MGWO 60-69 years, male 1.3
GTEX-1IL2U-1326-SM-A9G2O 60-69 years, male 1.3
GTEX-1KANC-0426-SM-CXZK5 50-59 years, female 1.3
GTEX-1MUQO-1226-SM-E9TJK 60-69 years, male 1.3
GTEX-1PWST-1026-SM-DTXF2 70-79 years, male 1.3
GTEX-12WSK-0626-SM-5LZUJ 40-49 years, female 1.2
GTEX-131XG-0626-SM-5GCMP 50-59 years, female 1.2
GTEX-13N1W-1026-SM-5IJC5 70-79 years, male 1.2
GTEX-OIZH-0326-SM-2HMKC 50-59 years, male 1.2
GTEX-RU72-0326-SM-2TF5T 50-59 years, female 1.2
GTEX-U3ZN-1426-SM-3DB87 30-39 years, female 1.2
GTEX-U4B1-0326-SM-3DB8K 40-49 years, male 1.2
GTEX-WY7C-0526-SM-3NB3D 50-59 years, male 1.2
GTEX-ZVZP-0226-SM-5NQ73 50-59 years, male 1.2
GTEX-17F9Y-1326-SM-7MGW9 70-79 years, female 1.2
GTEX-1EX96-2526-SM-7RHGW 50-59 years, male 1.2
GTEX-1GN1V-0826-SM-9KNU6 60-69 years, male 1.2
GTEX-1HFI7-0826-SM-A9G23 50-59 years, female 1.2
GTEX-1LB8K-1026-SM-DHXJJ 50-59 years, male 1.2
GTEX-1NV8Z-1526-SM-DTX8X 60-69 years, male 1.2
GTEX-117YX-1126-SM-5H128 50-59 years, male 1.1
GTEX-12ZZW-1026-SM-5GCMM 50-59 years, male 1.1
GTEX-13X6H-0426-SM-5LU4E 50-59 years, female 1.1
GTEX-145MO-1126-SM-5NQBX 60-69 years, male 1.1
GTEX-14PHY-0226-SM-5ZZWM 60-69 years, female 1.1
GTEX-14PJ2-1026-SM-6EU1M 50-59 years, male 1.1
GTEX-15RJ7-0226-SM-7KUMN 40-49 years, male 1.1
GTEX-15SHU-1126-SM-7KUMB 40-49 years, female 1.1
GTEX-18A6Q-1626-SM-7KFTA 60-69 years, male 1.1
GTEX-18D9B-1226-SM-72D6V 60-69 years, male 1.1
GTEX-18D9U-1126-SM-72D5Y 40-49 years, male 1.1
GTEX-R45C-0926-SM-3GAD4 60-69 years, female 1.1
GTEX-UJHI-0426-SM-3DB8Y 50-59 years, female 1.1
GTEX-XXEK-0926-SM-4BRWH 50-59 years, male 1.1
GTEX-ZG7Y-0926-SM-5EQ6O 50-59 years, male 1.1
GTEX-ZLFU-0226-SM-4WWFH 40-49 years, male 1.1
GTEX-ZYT6-1726-SM-5E44P 30-39 years, male 1.1
GTEX-1H3NZ-1126-SM-9WYT9 60-69 years, male 1.1
GTEX-1I1GV-1326-SM-A96SE 60-69 years, male 1.1
GTEX-1JN6P-1126-SM-CKZON 60-69 years, male 1.1
GTEX-1R9PO-0326-SM-DTXA1 60-69 years, female 1.1
GTEX-1RB15-0326-SM-E6CQB 60-69 years, male 1.1
GTEX-11ONC-0126-SM-5PNW6 60-69 years, male 1.0
GTEX-131XF-5001-SM-7DHLY 60-69 years, male 1.0
GTEX-13OVG-0526-SM-5K7YD 60-69 years, male 1.0
GTEX-145LV-0326-SM-5Q5BW 50-59 years, male 1.0
GTEX-146FR-0626-SM-5RQJ1 60-69 years, female 1.0
GTEX-14PK6-0826-SM-5ZZVO 70-79 years, female 1.0
GTEX-1AYCT-0426-SM-73KVZ 50-59 years, male 1.0
GTEX-OHPL-0326-SM-33HC8 60-69 years, female 1.0
GTEX-PLZ5-0626-SM-2I5F8 50-59 years, male 1.0
GTEX-REY6-1026-SM-2TF4Y 60-69 years, male 1.0
GTEX-WI4N-0626-SM-3TW8Z 40-49 years, female 1.0
GTEX-WWYW-1326-SM-3NB2S 50-59 years, female 1.0
GTEX-Y114-0226-SM-4TT8W 50-59 years, female 1.0
GTEX-Y3I4-0626-SM-4TT7A 50-59 years, male 1.0
GTEX-1GF9U-0426-SM-7RHHA 40-49 years, female 1.0
GTEX-1LVAN-1726-SM-CNNR1 50-59 years, female 1.0
GTEX-1N2EF-2826-SM-E6CQF 60-69 years, male 1.0
GTEX-1PPH7-2026-SM-E9J3N 40-49 years, male 1.0
GTEX-1QP2A-1126-SM-EVR3H 50-59 years, male 1.0
GTEX-1QPFJ-1026-SM-E6CR6 30-39 years, female 1.0
GTEX-1RAZS-0826-SM-E76QP 50-59 years, male 1.0
GTEX-12WSN-5001-SM-7DHMK 40-49 years, male 0.9
GTEX-131XE-0626-SM-5HL98 50-59 years, male 0.9
GTEX-13VXT-1126-SM-5LU3A 20-29 years, female 0.9
GTEX-148VJ-1526-SM-5Q5DU 70-79 years, male 0.9
GTEX-14A5I-1226-SM-5NQBW 50-59 years, female 0.9
GTEX-14BIL-1126-SM-79OMC 50-59 years, male 0.9
GTEX-14E6C-0426-SM-5YYA8 40-49 years, male 0.9
GTEX-1E1VI-1326-SM-7IGQD 50-59 years, male 0.9
GTEX-OXRK-0826-SM-2HMK7 50-59 years, female 0.9
GTEX-P4PQ-0326-SM-2HMJ8 60-69 years, male 0.9
GTEX-QDVN-0326-SM-2I3FS 50-59 years, male 0.9
GTEX-SE5C-0626-SM-2XCDV 40-49 years, female 0.9
GTEX-V955-0726-SM-3GAFG 60-69 years, male 0.9
GTEX-WFG7-0726-SM-3GIKO 20-29 years, male 0.9
GTEX-X8HC-1626-SM-46MWE 50-59 years, female 0.9
GTEX-ZYW4-0926-SM-59HJS 60-69 years, male 0.9
GTEX-1EKGG-1126-SM-7MGXB 60-69 years, male 0.9
GTEX-1GN1W-0326-SM-9JGHF 50-59 years, female 0.9
GTEX-1GN2E-1326-SM-9KNVG 60-69 years, male 0.9
GTEX-1HCUA-0526-SM-A9SMH 50-59 years, female 0.9
GTEX-1JMLX-1626-SM-ARZMV 50-59 years, male 0.9
GTEX-1KD4Q-0726-SM-DIPGE 40-49 years, male 0.9
GTEX-1LVA9-0926-SM-EVR5G 50-59 years, male 0.9
GTEX-1R9K5-1326-SM-E6CPR 50-59 years, male 0.9
GTEX-1211K-0626-SM-5FQUZ 60-69 years, female 0.8
GTEX-13FHP-1026-SM-5K7Y2 50-59 years, male 0.8
GTEX-13RTJ-0726-SM-5QGQN 60-69 years, male 0.8
GTEX-145MN-0626-SM-5QGRH 30-39 years, male 0.8
GTEX-146FH-1026-SM-5RQIF 50-59 years, female 0.8
GTEX-14PJM-1126-SM-6LLHK 50-59 years, female 0.8
GTEX-17MF6-0726-SM-7LT8E 40-49 years, male 0.8
GTEX-1A3MW-1326-SM-7189P 60-69 years, female 0.8
GTEX-1EWIQ-1426-SM-7IGOS 70-79 years, female 0.8
GTEX-S32W-0626-SM-2XCBG 50-59 years, female 0.8
GTEX-SUCS-0326-SM-32PLL 70-79 years, male 0.8
GTEX-Y5V5-0626-SM-4VBPX 60-69 years, female 0.8
GTEX-YEC4-0326-SM-4W216 40-49 years, male 0.8
GTEX-1EN7A-0726-SM-7PBXT 40-49 years, male 0.8
GTEX-1F6IF-2526-SM-7P8TV 60-69 years, male 0.8
GTEX-1I1GP-0826-SM-A96SD 50-59 years, male 0.8
GTEX-1J8Q2-1226-SM-A9G2W 60-69 years, male 0.8
GTEX-1JK1U-0526-SM-CYPSQ 60-69 years, male 0.8
GTEX-11I78-0826-SM-5A5K4 50-59 years, female 0.7
GTEX-1399T-0426-SM-5PNVJ 60-69 years, male 0.7
GTEX-13FH7-0926-SM-5J2MR 50-59 years, female 0.7
GTEX-14H4A-0626-SM-5ZZUT 40-49 years, female 0.7
GTEX-15DDE-1126-SM-6LLHN 50-59 years, female 0.7
GTEX-17HII-1326-SM-7IGOB 50-59 years, male 0.7
GTEX-1A3MX-1326-SM-72D58 60-69 years, male 0.7
GTEX-1B932-1026-SM-793CL 40-49 years, female 0.7
GTEX-OHPM-0326-SM-33HCA 50-59 years, male 0.7
GTEX-SIU8-0826-SM-2XCDQ 50-59 years, male 0.7
GTEX-1F48J-1026-SM-7P8SO 50-59 years, female 0.7
GTEX-1ICLZ-1026-SM-A9SLF 60-69 years, male 0.7
GTEX-1IDJU-0726-SM-CNPQ9 60-69 years, female 0.7
GTEX-1K9T9-1126-SM-D3L9E 50-59 years, female 0.7
GTEX-1O97I-0826-SM-E8VNE 60-69 years, male 0.7
GTEX-1OKEX-0726-SM-DPRYE 60-69 years, male 0.7
GTEX-12696-1126-SM-5FQTI 60-69 years, male 0.6
GTEX-13JVG-1326-SM-5N9F8 60-69 years, male 0.6
GTEX-13OW5-1126-SM-5J1NR 60-69 years, male 0.6
GTEX-13QBU-0426-SM-5J2O4 40-49 years, female 0.6
GTEX-14BIN-2226-SM-5YYA1 50-59 years, female 0.6
GTEX-15EOM-5007-SM-793DG 20-29 years, female 0.6
GTEX-1EH9U-0826-SM-7IGPT 60-69 years, male 0.6
GTEX-N7MT-1326-SM-2I3FV 60-69 years, female 0.6
GTEX-P4QS-0326-SM-2I3EU 60-69 years, male 0.6
GTEX-PWCY-0526-SM-5P9HG 20-29 years, female 0.6
GTEX-Q2AH-0526-SM-2I3ED 40-49 years, male 0.6
GTEX-1GMR2-1426-SM-7RHHK 50-59 years, male 0.6
GTEX-1H23P-1226-SM-9QEJ2 60-69 years, male 0.6
GTEX-1HCVE-1126-SM-9WPPG 50-59 years, male 0.6
GTEX-1JMOU-0226-SM-CNNPD 60-69 years, female 0.6
GTEX-1JMQK-0626-SM-D4P2R 60-69 years, male 0.6
GTEX-1LG7Y-1226-SM-CXZKD 50-59 years, male 0.6
GTEX-1LGRB-1126-SM-CNPP2 50-59 years, female 0.6
GTEX-OIZI-0926-SM-E6CHF 40-49 years, male 0.6
GTEX-11LCK-0926-SM-5A5KA 30-39 years, male 0.5
GTEX-13CF3-0726-SM-5J2MY 60-69 years, female 0.5
GTEX-14C39-0926-SM-5TDDV 40-49 years, male 0.5
GTEX-15CHQ-1526-SM-69LPW 60-69 years, male 0.5
GTEX-17F9E-0926-SM-7IGMG 50-59 years, male 0.5
GTEX-17GQL-0526-SM-72D5N 60-69 years, male 0.5
GTEX-O5YV-0326-SM-2I5H2 60-69 years, female 0.5
GTEX-P4PP-0326-SM-33HC4 30-39 years, female 0.5
GTEX-YB5K-0126-SM-5IFJ2 40-49 years, female 0.5
GTEX-ZAJG-0826-SM-5PNVA 50-59 years, female 0.5
GTEX-ZPIC-0826-SM-4WWFJ 40-49 years, female 0.5
GTEX-1CB4J-0326-SM-7PBZO 60-69 years, male 0.5
GTEX-1IDJH-1026-SM-E9TKH 70-79 years, male 0.5
GTEX-1IKK5-1526-SM-CKZPW 60-69 years, male 0.5
GTEX-1LSNM-0526-SM-DIPG6 50-59 years, male 0.5
GTEX-1M5QR-1026-SM-DHXK9 40-49 years, male 0.5
GTEX-1122O-0826-SM-5GICV 60-69 years, female 0.4
GTEX-117YW-0326-SM-5N9CY 50-59 years, male 0.4
GTEX-13W3W-0426-SM-5SI9D 60-69 years, female 0.4
GTEX-14C38-1426-SM-5RQHZ 50-59 years, male 0.4
GTEX-14XAO-1126-SM-6EU11 60-69 years, female 0.4
GTEX-16MT8-0926-SM-6M487 60-69 years, female 0.4
GTEX-1B8SG-0826-SM-7EWF7 50-59 years, male 0.4
GTEX-OXRO-2026-SM-2YUMZ 60-69 years, female 0.4
GTEX-P44G-0826-SM-2I5ES 30-39 years, male 0.4
GTEX-ZV7C-0326-SM-57WB1 50-59 years, male 0.4
GTEX-1H11D-1226-SM-9WPQ2 40-49 years, male 0.4
GTEX-ZPCL-0426-SM-DNZZ4 60-69 years, female 0.4
GTEX-11EM3-0626-SM-5H12Z 20-29 years, female 0.3
GTEX-13NYB-0226-SM-5N9G4 40-49 years, male 0.3
GTEX-1B996-1126-SM-73KWN 60-69 years, male 0.3
GTEX-1C6VQ-1126-SM-7EWET 50-59 years, male 0.3
GTEX-RUSQ-0526-SM-2TF72 50-59 years, male 0.3
GTEX-X261-1426-SM-4PQZ1 50-59 years, male 0.3
GTEX-YF7O-0426-SM-5P9FS 50-59 years, male 0.3
GTEX-ZDTT-0726-SM-4WKFK 60-69 years, male 0.3
GTEX-ZTPG-1226-SM-4YCDO 20-29 years, female 0.3
GTEX-1CB4I-1626-SM-7RHGV 50-59 years, male 0.3
GTEX-1H1CY-0326-SM-9QEIZ 60-69 years, female 0.3
GTEX-1HSMO-1226-SM-CL548 60-69 years, male 0.3
GTEX-1I6K7-0626-SM-ARL7Q 40-49 years, male 0.3
GTEX-1IKJJ-0826-SM-A96SP 60-69 years, male 0.3
GTEX-1JJE9-1426-SM-ARL8P 70-79 years, male 0.3
GTEX-132QS-0426-SM-5KLZ6 60-69 years, male 0.2
GTEX-1LC47-1026-SM-D3LAH 60-69 years, male 0.2
Show allShow less

Contact

  • NEWS ARTICLES
  • PRESS ROOM

The Project

  • INTRODUCTION
  • ORGANIZATION
  • PUBLICATIONS

The Human Protein Atlas

  • DOWNLOADABLE DATA
  • LICENCE & CITATION
  • HELP & FAQ
The Human Protein Atlas project is funded
by the Knut & Alice Wallenberg Foundation.


contact@proteinatlas.org