We use cookies to enhance the usability of our website. If you continue, we'll assume that you are happy to receive all cookies. More information. Don't show this again.
TXNDC5
HPA
RESOURCES
  • TISSUE
  • BRAIN
  • SINGLE CELL
  • SUBCELLULAR
  • CANCER
  • BLOOD
  • CELL LINE
  • STRUCTURE & INTERACTION
ABOUT
  • INTRODUCTION
  • HISTORY
  • ORGANIZATION
  • PUBLICATIONS
  • ANTIBODY SUBMISSION
  • ANTIBODY AVAILABILITY
  • ACKNOWLEDGMENTS
  • CONTACT
NEWS
  • NEWS ARTICLES
  • PRESS ROOM
LEARN
  • DICTIONARY
  • PROTEIN CLASSES
  • PROTEIN EVIDENCE
  • METHODS
  • EDUCATIONAL VIDEOS
DATA
  • DOWNLOADABLE DATA
  • PUBLICATION DATA
  • RELEASE HISTORY
HELP
  • ANTIBODY VALIDATION
  • ASSAYS & ANNOTATION
  • DISCLAIMER
  • HELP & FAQ
  • PRIVACY STATEMENT
  • LICENCE & CITATION
Fields »
Search result

Field
Term
Gene name
Class
Subclass
Class
Keyword
Chromosome
External id
Tissue
Cell type
Expression
Antibody panel
Tissue
Main location
Patient ID
Annotation
Tissue
Category
Tau score
Cluster
Reliability
Brain region
Category
Tau score
Brain region
Category
Tau score
Brain region
Category
Tau score
Cluster
Reliability
Tissue
Cell type
Enrichment
Cell type
Category
Tau score
Cell type
Category
Tau score
Cell type
Category
Tau score
Cell lineage
Category
Tau score
Cluster
Cluster
Location
Searches
Location
Cell line
Class
Type
Phase
Reliability
Cancer
Prognosis
Cancer
Category
Cancer
Category
Tau score
Cluster
Variants
Interacting gene (ensg_id)
Type
Number of interactions
Pathway
Category
Score
Score
Score
Validation
Validation
Validation
Validation
Antibodies
Data type
Column


  • SUMMARY

  • TISSUE

  • BRAIN

  • SINGLE CELL

  • SUBCELL

  • CANCER

  • BLOOD

  • CELL LINE

  • STRUCT & INT

  • TXNDC5
TISSUE PRIMARY DATA COLON Show tissue menu
ADIPOSE TISSUE ADRENAL GLAND AMYGDALA APPENDIX BASAL GANGLIA BONE MARROW BREAST BRONCHUS CEREBELLUM CEREBRAL CORTEX CERVIX CHOROID PLEXUS COLON DUODENUM
ENDOMETRIUM EPIDIDYMIS ESOPHAGUS FALLOPIAN TUBE GALLBLADDER HEART MUSCLE HIPPOCAMPAL FORMATION HYPOTHALAMUS KIDNEY LIVER LUNG LYMPH NODE MIDBRAIN NASOPHARYNX
ORAL MUCOSA OVARY PANCREAS PARATHYROID GLAND PITUITARY GLAND PLACENTA PROSTATE RECTUM RETINA SALIVARY GLAND SEMINAL VESICLE SKELETAL MUSCLE SKIN SMALL INTESTINE
SMOOTH MUSCLE SOFT TISSUE SPINAL CORD SPLEEN STOMACH TESTIS THYMUS THYROID GLAND TONGUE TONSIL URINARY BLADDER VAGINA
ANTIBODIES
AND
VALIDATION
Dictionary
Colon
Tissue proteome
Intestine
COLON - Expression summary
Protein expression
Coloni

On the top, protein expression in current human tissue, based on all annotated cell types, is reported with the units not detected (n), low (l), medium (m) and high (h). Underneath, protein expression in each annotated cell type are reported using the same units.

Protein expression data is based on knowledge-based annotation. For genes where more than one antibody has been used, a collective score is set.

If knowledge-based annotation could not be performed for a gene, no data is displayed here. View antibody staining data further down this page.

h
m
l
n
Endocrine cells: Not detected
Enterocytes: Not detected
Enterocytes - Microvilli: Not detected
Fibroblasts: Not detected
Goblet cells: Not detected
Mucosal lymphoid cells: High
RNA expressioni

A summary of mRNA expression data available for current tissue based on several datasets. The mRNA expression levels in human tissues are based on RNA-seq data generated by the Human Protein Atlas (HPA), Genotype-Tissue Expression (GTEx) portal and CAGE data generated by the FANTOM5 consortium. Consensus normalized expression levels for human tissues was created by combining the data from HPA and GTEx datasets.

The mRNA expression levels in pig are based on RNA-seq data generated by the Human Protein Atlas (HPA), and for mouse, HPA data and in situ hybridization generated by the Allen brain atlas are reported.

Scroll down to view mRNA expression data in more detail.
Consensus:257.5 nTPM
HPA:257.5 nTPM
GTEx:118.2 nTPM
FANTOM5:263.4 Scaled Tags Per Million

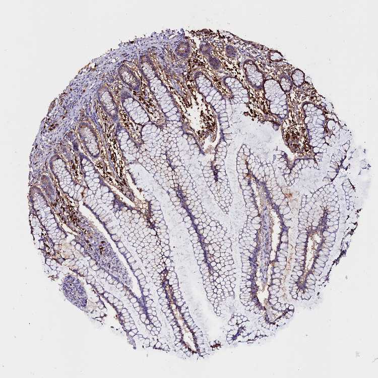
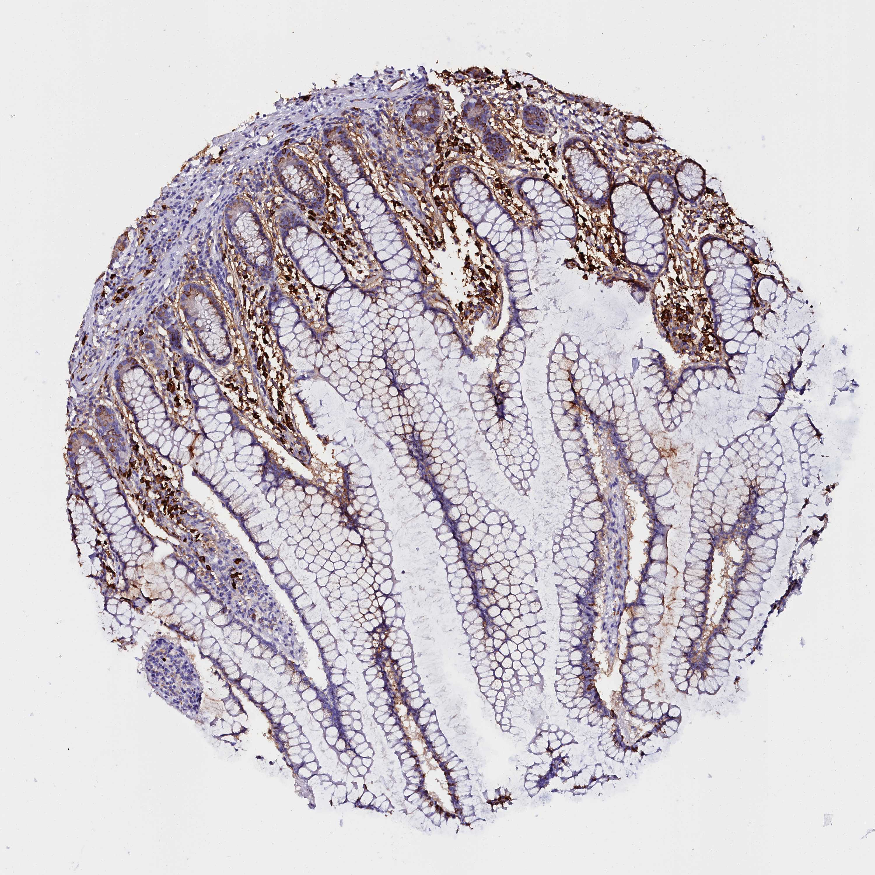
COLON - Antibody stainingi

Antibody staining in the annotated cell types in the current human tissue is reported as not detected, low, medium, or high, based on conventional immunohistochemistry profiling in selected tissues. This score is based on the combination of the staining intensity and fraction of stained cells.

Each image is clickable and will lead to virtual microscopy that enables deeper exploration of all samples and also displays staining intensity scores, fraction scores and subcellular localization as well as patient and tissue information for each sample.

Antibody HPA034677Antibody HPA034678
Endocrine cells -Not detected
Endothelial cells Not detected-
Enterocytes -Not detected
Enterocytes - Microvilli -Not detected
Fibroblasts -Not detected
Glandular cells Medium-
Goblet cells -Not detected
Mucosal lymphoid cells -High
Peripheral nerve/ganglion Not detected-


COLON - HPA RNA-seqi

The RNA-seq details section shows detailed information about the individual samples used for the transcript profiling and results of the RNA-seq analysis.

Information about each individual sample is listed below, including gender, age, a tissue section image and estimated fractions of cell types. nTPM (normalized transcripts per million) values give a quantification of the gene abundance which is comparable between different genes and samples.
Average nTPMi

Max subtype nTPM is the value for the subtype with the largest average nTPM across the subtype samples.

257.5
overview
Male, age 54
Colon sample 67
nTPM: 324.4
Cell types%
Glandular cells:
65

Smooth muscle cells:
10

Other cell types:
25

overview
Female, age 57
Colon sample 68
nTPM: 183.2
Cell types%
Glandular cells:
40

Smooth muscle cells:
5

Other cell types:
55

overview
Male, age 80
Colon sample 69
nTPM: 254.2
Cell types%
Glandular cells:
55

Smooth muscle cells:
5

Other cell types:
40

overview
Male, age 68
Colon sample 70
nTPM: 60
Cell types%
Glandular cells:
35

Smooth muscle cells:
10

Other cell types:
55

overview
Female, age 68
Colon sample 76
nTPM: 267.1
Cell types%
Glandular cells:
25

Smooth muscle cells:
5

Other cell types:
70

overview
Female, age 61
Colon sample 299
nTPM: 179.8
Cell types%
Glandular cells:
5

Smooth muscle cells:
65

Other cell types:
30

overview
Male, age 80
Colon sample 300
nTPM: 183.2
Cell types%
Glandular cells:
15

Smooth muscle cells:
20

Other cell types:
65

overview
Female, age 78
Colon sample 368
nTPM: 274.3
Cell types%
Glandular cells:
45

Smooth muscle cells:
5

Other cell types:
50

overview
Male, age 84
Colon sample 381
nTPM: 354.8
Cell types%
Glandular cells:
50

Smooth muscle cells:
15

Other cell types:
35

overview
Male, age 80
Colon sample 384
nTPM: 472.5
Cell types%
Glandular cells:
20

Smooth muscle cells:
35

Other cell types:
45

overview
Female, age 78
Colon sample 389
nTPM: 200.5
Cell types%
Glandular cells:
35

Smooth muscle cells:
10

Other cell types:
55

overview
Female, age 69
Colon sample 391
nTPM: 257.8
Cell types%
Glandular cells:
10

Smooth muscle cells:
45

Other cell types:
45

overview
Female, age 72
Colon sample 403
nTPM: 336
Cell types%
Glandular cells:
20

Smooth muscle cells:
15

Other cell types:
65


COLON - GTEx RNA-seqi

RNA-Seq data generated by the Genotype-Tissue Expression (GTEx) project from human tissues is reported as mean nTPM. More information can be found on the GTEx portal.

Distribution across the dataset is visualized with box plots, shown as median and 25th and 75th percentiles. Points are displayed as outliers if they are above or below 1.5 times the interquartile range. nTPM values of the individual samples are presented next to the box plot.
Max subtype nTPMi

Max subtype nTPM is the value for the subtype with the largest average nTPM across the subtype samples.

118.2
GTEx sample id Sample description nTPM
Colon - Sigmoid
Average nTPM: 45.8
Samples: 373

Max nTPM: 501.1
Min nTPM: 20.8
Std nTPM: 35.2
Median nTPM: 38.3
GTEX-VJYA-2126-SM-4KL1O 60-69 years, male 501.1
GTEX-X5EB-1126-SM-46MVV 40-49 years, male 246.3
GTEX-WQUQ-2626-SM-4MVNP 60-69 years, male 237.2
GTEX-1AMEY-1826-SM-72D5L 30-39 years, female 201.5
GTEX-ZQUD-1026-SM-4YCEZ 30-39 years, male 185.3
GTEX-Y5V6-1626-SM-4VDT2 60-69 years, male 177.0
GTEX-WH7G-1426-SM-4LVMU 40-49 years, male 151.4
GTEX-WOFM-1926-SM-4OOSP 20-29 years, male 147.9
GTEX-13W3W-2226-SM-5LU4M 60-69 years, female 137.4
GTEX-1OJC3-1826-SM-DTX93 20-29 years, male 134.2
GTEX-1PFEY-1726-SM-DPRZ4 30-39 years, male 131.1
GTEX-1PBJJ-2026-SM-DTX8U 30-39 years, male 112.6
GTEX-11TT1-0926-SM-5GU5M 20-29 years, male 106.3
GTEX-11VI4-1426-SM-5GU6O 40-49 years, female 104.7
GTEX-WRHK-1126-SM-4MVOJ 20-29 years, female 100.0
GTEX-13113-1426-SM-5EGHU 60-69 years, female 97.9
GTEX-1HBPI-2226-SM-9WYTY 50-59 years, male 88.5
GTEX-Y8E4-2326-SM-EAZAZ 40-49 years, male 84.0
GTEX-W5WG-2026-SM-4LMIB 50-59 years, female 83.4
GTEX-1K9T9-2926-SM-E9TKD 50-59 years, female 81.7
GTEX-15ER7-2826-SM-6PAN2 20-29 years, female 81.3
GTEX-1RLM8-1726-SM-E9TKF 50-59 years, male 81.0
GTEX-11I78-1326-SM-5PNY9 50-59 years, female 80.1
GTEX-ZDTS-2726-SM-5L3E2 60-69 years, male 78.1
GTEX-1PPH8-2226-SM-EWRN7 20-29 years, male 76.2
GTEX-11EQ8-2626-SM-5N9BO 60-69 years, male 72.7
GTEX-13O1R-2426-SM-5KLZZ 60-69 years, male 71.6
GTEX-15F5U-1426-SM-7KUN2 40-49 years, male 69.7
GTEX-1RMOY-1726-SM-EVYC9 50-59 years, male 69.0
GTEX-WYJK-2326-SM-4ONDN 50-59 years, male 65.4
GTEX-XBED-1726-SM-47JYO 60-69 years, male 65.0
GTEX-139D8-2926-SM-5IJBM 30-39 years, female 64.9
GTEX-1I1CD-2826-SM-A9SL4 60-69 years, female 64.9
GTEX-XAJ8-0726-SM-47JY5 40-49 years, male 62.4
GTEX-15RIE-2026-SM-7KFRW 60-69 years, male 61.2
GTEX-15FZZ-1826-SM-6LLJP 30-39 years, female 61.0
GTEX-1LVAO-2826-SM-E9TJH 60-69 years, male 59.6
GTEX-WI4N-2226-SM-4OOS9 40-49 years, female 59.1
GTEX-1A3MX-2326-SM-718B4 60-69 years, male 58.5
GTEX-1EU9M-2726-SM-7P8QD 60-69 years, male 58.1
GTEX-1IL2U-2526-SM-C1YQV 60-69 years, male 58.1
GTEX-WHSE-2726-SM-EZ6ML 20-29 years, male 57.7
GTEX-132NY-2726-SM-5PNY2 60-69 years, male 57.2
GTEX-14C39-1626-SM-5S2P4 40-49 years, male 57.2
GTEX-1N2EF-1726-SM-EXUSI 60-69 years, male 57.2
GTEX-ZYFD-2226-SM-5E43P 50-59 years, male 56.7
GTEX-YJ8A-1726-SM-5P9IQ 20-29 years, male 56.6
GTEX-13OVJ-1826-SM-5KM2D 50-59 years, female 56.3
GTEX-1GMR8-2926-SM-9KNW5 50-59 years, female 56.2
GTEX-1CB4F-1926-SM-7MKFN 60-69 years, male 55.9
GTEX-14C5O-2626-SM-5RQI5 60-69 years, male 55.7
GTEX-1C64O-2426-SM-7P8R3 60-69 years, male 55.2
GTEX-132AR-2826-SM-5IJFV 50-59 years, female 54.5
GTEX-1A3MV-1026-SM-72D5U 30-39 years, male 54.3
GTEX-14AS3-1026-SM-5TDD7 40-49 years, female 53.7
GTEX-1HBPH-2526-SM-ACKXK 40-49 years, female 53.6
GTEX-11EQ9-1526-SM-5PNY7 30-39 years, male 52.1
GTEX-1CB4G-2726-SM-79OO4 60-69 years, male 51.9
GTEX-1F5PL-1926-SM-7MXTP 40-49 years, female 51.1
GTEX-11EM3-1626-SM-5N9CO 20-29 years, female 50.7
GTEX-15RJ7-1726-SM-6PAL3 40-49 years, male 50.4
GTEX-16Z82-2426-SM-7KUMS 60-69 years, male 50.4
GTEX-YFCO-1526-SM-5YYB8 40-49 years, male 50.4
GTEX-ZTTD-2626-SM-57WEX 50-59 years, male 50.4
GTEX-1LSVX-2026-SM-E9TJD 60-69 years, male 49.9
GTEX-144GM-1126-SM-79OJK 20-29 years, male 49.8
GTEX-1B8L1-1926-SM-7IGND 60-69 years, male 49.7
GTEX-11EMC-1426-SM-5N9E4 60-69 years, female 49.5
GTEX-13FHO-2726-SM-5K7VG 60-69 years, male 49.4
GTEX-17HHE-1626-SM-7DHLN 50-59 years, male 49.3
GTEX-111CU-1226-SM-5EGIN 50-59 years, male 49.0
GTEX-1C475-1526-SM-7DHM3 40-49 years, female 48.9
GTEX-14A5I-2426-SM-5Q5CP 50-59 years, female 48.8
GTEX-XXEK-1826-SM-4BRVC 50-59 years, male 48.8
GTEX-13G51-2126-SM-5IJD9 60-69 years, male 48.4
GTEX-14BIN-2426-SM-5TDCF 50-59 years, female 48.4
GTEX-12BJ1-2026-SM-5FQUH 60-69 years, male 48.3
GTEX-1H1ZS-2626-SM-9QEIX 70-79 years, male 48.2
GTEX-13SLW-2826-SM-5Q5ES 70-79 years, male 48.0
GTEX-1RDX4-1926-SM-E6CJJ 50-59 years, female 47.9
GTEX-Z93S-2626-SM-57WBX 50-59 years, male 47.8
GTEX-1PBJI-2526-SM-E6CP4 20-29 years, female 47.8
GTEX-1F75W-2126-SM-7RHIA 60-69 years, male 47.3
GTEX-1JMQJ-2626-SM-CY8HQ 50-59 years, male 47.3
GTEX-1IDJH-2826-SM-CJI49 70-79 years, male 47.1
GTEX-183WM-2526-SM-731BP 70-79 years, female 47.0
GTEX-1GN73-2726-SM-9WYUB 60-69 years, male 46.4
GTEX-13OVK-1026-SM-7KFTC 40-49 years, male 46.3
GTEX-1R9PO-2026-SM-E9J4N 60-69 years, female 46.2
GTEX-1E2YA-2526-SM-7IGOU 50-59 years, male 46.1
GTEX-15G1A-1926-SM-7KUFF 30-39 years, male 46.1
GTEX-1AYCT-1926-SM-793AE 50-59 years, male 45.9
GTEX-1HCU7-2726-SM-A9G3D 50-59 years, male 45.9
GTEX-1P4AB-2626-SM-DTXEU 50-59 years, male 45.6
GTEX-1HBPM-2626-SM-9WYU5 60-69 years, female 45.5
GTEX-13CF3-1326-SM-5LZXZ 60-69 years, female 45.4
GTEX-12WSJ-1426-SM-5GCON 40-49 years, female 45.3
GTEX-1LSNL-1626-SM-E9TJY 50-59 years, male 45.2
GTEX-1JMPZ-2626-SM-ARU8Z 30-39 years, male 45.0
GTEX-1LKK1-2426-SM-DIPES 50-59 years, female 44.6
GTEX-147JS-2626-SM-5S2UX 60-69 years, male 44.4
GTEX-18465-2726-SM-7LT9I 50-59 years, male 44.4
GTEX-1J1OQ-2826-SM-D3L88 40-49 years, female 44.3
GTEX-1GTWX-2626-SM-9WPOT 60-69 years, male 44.2
GTEX-ZLV1-1326-SM-DO11Q 60-69 years, female 44.2
GTEX-1JMQK-2326-SM-ARZN4 60-69 years, male 44.1
GTEX-ZXES-1726-SM-5E43G 30-39 years, female 44.0
GTEX-1RQEC-2626-SM-EVR3Z 60-69 years, male 44.0
GTEX-17EUY-1726-SM-79OK4 20-29 years, male 43.6
GTEX-1CAMS-2626-SM-7PBY3 40-49 years, female 43.6
GTEX-131YS-2926-SM-5EGKI 60-69 years, female 43.4
GTEX-14A5H-1626-SM-5SIAN 60-69 years, male 43.4
GTEX-13D11-0626-SM-5LZYY 50-59 years, female 43.3
GTEX-ZAB4-2426-SM-5HL8A 40-49 years, male 43.2
GTEX-1CAMR-1026-SM-7P8QI 20-29 years, male 43.2
GTEX-1HB9E-2526-SM-D4P35 50-59 years, male 42.9
GTEX-14DAQ-2926-SM-664MV 60-69 years, female 42.7
GTEX-ZE7O-2626-SM-51MSS 50-59 years, female 42.7
GTEX-1BAJH-2726-SM-7IGNJ 70-79 years, male 42.6
GTEX-ZVT4-2626-SM-5N9GJ 50-59 years, female 42.6
GTEX-1H3NZ-2526-SM-9KNVO 60-69 years, male 42.5
GTEX-ZVZQ-2626-SM-59HLB 60-69 years, female 42.1
GTEX-1RAZR-2026-SM-E9TKE 40-49 years, male 42.1
GTEX-16BQI-2026-SM-7KULQ 30-39 years, female 42.0
GTEX-1IDJI-2226-SM-CKZPM 50-59 years, female 42.0
GTEX-1JJE9-2526-SM-ARU8K 70-79 years, male 42.0
GTEX-17GQL-1626-SM-7LG69 60-69 years, male 41.9
GTEX-ZQG8-2426-SM-57WEE 60-69 years, female 41.9
GTEX-1I1GP-2826-SM-A9SKZ 50-59 years, male 41.9
GTEX-ZF29-1826-SM-4WKG8 60-69 years, female 41.8
GTEX-1399U-2226-SM-5KLZI 50-59 years, female 41.4
GTEX-15DYW-2426-SM-7KUG8 60-69 years, female 41.4
GTEX-1C6VQ-2626-SM-7IGMQ 50-59 years, male 41.4
GTEX-ZC5H-2426-SM-4WAZ6 40-49 years, female 41.3
GTEX-ZVT3-2826-SM-5GU6A 60-69 years, female 41.1
GTEX-1A32A-2626-SM-73KX9 50-59 years, female 41.0
GTEX-1QPFJ-2426-SM-EVR3L 30-39 years, female 41.0
GTEX-1339X-1726-SM-5P9J9 40-49 years, male 40.9
GTEX-1399R-2126-SM-5K7WZ 30-39 years, male 40.9
GTEX-WFG7-1626-SM-4LVMF 20-29 years, male 40.9
GTEX-ZF28-2526-SM-57WFH 60-69 years, male 40.9
GTEX-1I6K6-1926-SM-A96SN 30-39 years, male 40.9
GTEX-ZF2S-1826-SM-4WKFF 50-59 years, female 40.8
GTEX-ZTSS-1226-SM-51MSZ 40-49 years, male 40.8
GTEX-1PIGE-1526-SM-DTXFC 20-29 years, male 40.7
GTEX-131XG-1526-SM-5GCNQ 50-59 years, female 40.6
GTEX-145LS-2926-SM-5O99G 60-69 years, female 40.6
GTEX-1R9JW-2126-SM-E76QT 30-39 years, female 40.6
GTEX-12WSG-2426-SM-5EQLZ 50-59 years, female 40.5
GTEX-14PJ4-1826-SM-5YY97 60-69 years, male 40.5
GTEX-ZYT6-2826-SM-5GICX 30-39 years, male 40.5
GTEX-1AMFI-1826-SM-73KWB 50-59 years, female 40.4
GTEX-13N2G-2226-SM-5IJCU 60-69 years, male 40.3
GTEX-11PRG-2026-SM-5GU5F 50-59 years, male 40.2
GTEX-11ZU8-1126-SM-5EQ5K 60-69 years, male 40.2
GTEX-14JG6-1626-SM-5YYBC 30-39 years, female 40.2
GTEX-1C64N-2226-SM-7SB7C 50-59 years, male 40.2
GTEX-1N2DV-1826-SM-E6CJ5 40-49 years, male 40.2
GTEX-1LVAM-1726-SM-DHXKQ 50-59 years, female 40.1
GTEX-15RIF-1426-SM-7KUKQ 20-29 years, male 40.0
GTEX-ZLWG-1826-SM-DO11I 50-59 years, female 40.0
GTEX-1J1R8-1426-SM-CL55O 40-49 years, male 39.9
GTEX-1HFI7-1626-SM-9WYTR 50-59 years, female 39.7
GTEX-ZYY3-2226-SM-5E45A 60-69 years, female 39.6
GTEX-1JMLX-2526-SM-CY8HX 50-59 years, male 39.6
GTEX-17JCI-2826-SM-7IGNA 60-69 years, female 39.5
GTEX-ZE9C-2126-SM-4WKGY 60-69 years, male 39.5
GTEX-YEC3-2026-SM-DKPOL 50-59 years, male 39.5
GTEX-YF7O-1626-SM-5IFII 50-59 years, male 39.3
GTEX-1211K-1826-SM-5EGJ2 60-69 years, female 39.1
GTEX-1L5NE-1926-SM-D3L9R 50-59 years, male 39.1
GTEX-1LB8K-2526-SM-DIPEQ 50-59 years, male 39.1
GTEX-12ZZW-2426-SM-5DUWE 50-59 years, male 39.0
GTEX-13X6K-2726-SM-5O9DG 60-69 years, female 39.0
GTEX-15CHQ-2626-SM-686YZ 60-69 years, male 39.0
GTEX-117XS-2226-SM-5GIE1 60-69 years, male 38.9
GTEX-1477Z-2126-SM-5Q5CM 60-69 years, male 38.9
GTEX-14BMU-1326-SM-5RQIH 20-29 years, female 38.9
GTEX-1H3VE-2326-SM-9KNVU 40-49 years, male 38.9
GTEX-1HSKV-2326-SM-A9SL9 60-69 years, male 38.7
GTEX-1OFPY-1226-SM-E76OM 60-69 years, male 38.7
GTEX-1QP2A-2226-SM-DTXF6 50-59 years, male 38.7
GTEX-13U4I-2626-SM-5SI9C 40-49 years, female 38.5
GTEX-WY7C-1926-SM-4ONCI 50-59 years, male 38.5
GTEX-145MO-2626-SM-5QGPD 60-69 years, male 38.4
GTEX-146FH-2426-SM-5Q5EW 50-59 years, female 38.4
GTEX-1B996-2726-SM-7DUGG 60-69 years, male 38.3
GTEX-1S82P-2026-SM-E9TIQ 60-69 years, female 38.3
GTEX-11TUW-2326-SM-5EQMO 60-69 years, male 38.0
GTEX-18A66-2626-SM-72D67 60-69 years, male 38.0
GTEX-XV7Q-2226-SM-4BRVY 40-49 years, female 38.0
GTEX-12WSD-2626-SM-5EGJE 60-69 years, female 37.9
GTEX-17F96-2126-SM-7KFSM 70-79 years, male 37.9
GTEX-11P7K-1826-SM-5HL5A 30-39 years, male 37.8
GTEX-1AX9J-2526-SM-73KUY 60-69 years, male 37.8
GTEX-ZAJG-2626-SM-5S2NU 50-59 years, female 37.8
GTEX-11ZTS-1526-SM-5N9G7 60-69 years, female 37.7
GTEX-13O61-1526-SM-5KM3P 60-69 years, male 37.7
GTEX-1HBPN-2026-SM-B2LWA 50-59 years, male 37.6
GTEX-YECK-2826-SM-5IFHF 60-69 years, male 37.4
GTEX-1GPI7-1926-SM-9KNUH 20-29 years, male 37.4
GTEX-148VJ-2426-SM-5NQ9Y 70-79 years, male 37.3
GTEX-ZVT2-1726-SM-51MRO 50-59 years, female 37.3
GTEX-1F5PK-1726-SM-7RHHW 50-59 years, male 37.3
GTEX-1LVAN-2626-SM-CNPQF 50-59 years, female 37.3
GTEX-WXYG-1726-SM-4ONCU 50-59 years, female 37.2
GTEX-ZY6K-1326-SM-5GZWP 50-59 years, male 37.2
GTEX-111YS-1826-SM-5GIEP 60-69 years, male 37.1
GTEX-1HSMO-2526-SM-A9SKP 60-69 years, male 37.1
GTEX-1122O-1426-SM-5H11R 60-69 years, female 37.0
GTEX-15UF7-1326-SM-7KUKV 40-49 years, male 37.0
GTEX-14E6E-1726-SM-5S2R6 30-39 years, male 36.9
GTEX-12KS4-2326-SM-5EGJB 30-39 years, male 36.8
GTEX-ZPU1-1726-SM-4WWFV 40-49 years, male 36.8
GTEX-1JJEA-2526-SM-CY8HJ 60-69 years, male 36.8
GTEX-1S5ZA-1426-SM-E6CJQ 20-29 years, male 36.8
GTEX-12WSL-1826-SM-5LZW9 50-59 years, male 36.7
GTEX-147GR-2826-SM-5RQK8 60-69 years, male 36.7
GTEX-15UF6-2726-SM-7KULY 70-79 years, female 36.7
GTEX-1B932-2126-SM-7IGMU 40-49 years, female 36.7
GTEX-13FTW-2126-SM-5K7YG 40-49 years, male 36.6
GTEX-145LT-0826-SM-5S2QL 40-49 years, male 36.6
GTEX-14PJ3-1226-SM-5ZZVY 50-59 years, male 36.5
GTEX-ZA64-1426-SM-5CVMC 20-29 years, male 36.5
GTEX-11DXX-1926-SM-5EGJK 60-69 years, female 36.3
GTEX-14PN3-1926-SM-6EU1Y 60-69 years, female 36.3
GTEX-18QFQ-1726-SM-731C9 30-39 years, male 36.3
GTEX-14PK6-1826-SM-69LOM 70-79 years, female 36.1
GTEX-1ICG6-2226-SM-B2LY7 70-79 years, female 36.1
GTEX-12696-1926-SM-5EGJT 60-69 years, male 36.0
GTEX-1PIIG-2126-SM-EXUSD 30-39 years, male 36.0
GTEX-11EI6-2626-SM-5PNVT 60-69 years, male 35.9
GTEX-11DXZ-1626-SM-5GIDI 50-59 years, male 35.8
GTEX-11P81-1426-SM-5P9JN 30-39 years, female 35.8
GTEX-14E6C-2226-SM-5QGQG 40-49 years, male 35.8
GTEX-13RTJ-1926-SM-5YYA2 60-69 years, male 35.7
GTEX-15G19-2726-SM-6LPKG 60-69 years, male 35.7
GTEX-ZZ64-0826-SM-5E449 20-29 years, male 35.7
GTEX-1QW4Y-1426-SM-E76P3 30-39 years, male 35.6
GTEX-1LGRB-2026-SM-COH47 50-59 years, female 35.5
GTEX-12WSM-1426-SM-5GCPA 60-69 years, male 35.3
GTEX-131XE-1026-SM-5EGKE 50-59 years, male 35.3
GTEX-13FH7-1626-SM-5J2O9 50-59 years, female 35.3
GTEX-17F9Y-2626-SM-7IGN9 70-79 years, female 35.3
GTEX-17HG3-1126-SM-7DUFC 30-39 years, female 35.3
GTEX-11ZTT-1626-SM-5EQKR 60-69 years, female 35.1
GTEX-11GS4-1826-SM-5HL4T 60-69 years, male 35.0
GTEX-YJ8O-1426-SM-5PNV9 40-49 years, female 35.0
GTEX-1H3VY-2526-SM-9KNW1 50-59 years, male 35.0
GTEX-1H23P-2626-SM-9KNVN 60-69 years, male 34.9
GTEX-1MGNQ-2126-SM-EV7AC 40-49 years, male 34.9
GTEX-16NGA-0926-SM-718AG 40-49 years, female 34.8
GTEX-1JKYN-2226-SM-ARZNE 30-39 years, male 34.8
GTEX-12ZZY-2726-SM-5EQ45 60-69 years, male 34.7
GTEX-183FY-1426-SM-7DHLM 20-29 years, male 34.7
GTEX-139UW-2326-SM-5KM1Y 60-69 years, male 34.6
GTEX-14PKV-1926-SM-686YU 20-29 years, female 34.6
GTEX-ZAB5-1426-SM-5HL9D 50-59 years, male 34.6
GTEX-1GMR3-2526-SM-7P8QS 40-49 years, male 34.6
GTEX-1J8JJ-2426-SM-D4P4A 60-69 years, female 34.6
GTEX-1PIEJ-1826-SM-EWRMN 20-29 years, female 34.6
GTEX-13111-1926-SM-5GCOL 50-59 years, male 34.4
GTEX-14E1K-1626-SM-664MO 50-59 years, male 34.4
GTEX-1212Z-1826-SM-5FQSH 60-69 years, male 34.2
GTEX-1H1E6-1826-SM-A9G21 30-39 years, male 34.2
GTEX-15EO6-2326-SM-6LPKK 50-59 years, male 34.1
GTEX-WHWD-1526-SM-4OORV 50-59 years, male 34.0
GTEX-11DXY-2026-SM-5N9CZ 60-69 years, male 33.9
GTEX-13OW5-2826-SM-5KM1G 60-69 years, male 33.9
GTEX-WFON-1326-SM-4LVMN 40-49 years, male 33.9
GTEX-1R9K5-2226-SM-DTX9G 50-59 years, male 33.9
GTEX-139T6-1426-SM-5P9J7 50-59 years, male 33.8
GTEX-1LBAC-1726-SM-D3L9W 20-29 years, male 33.8
GTEX-13OVI-2126-SM-5KM3U 60-69 years, female 33.7
GTEX-1JK1U-1426-SM-CNPOW 60-69 years, male 33.7
GTEX-12ZZX-2726-SM-5N9FT 40-49 years, female 33.4
GTEX-13OW8-2726-SM-5L3FZ 60-69 years, male 33.4
GTEX-16XZZ-2726-SM-7EWDO 60-69 years, male 33.4
GTEX-1LSNM-1426-SM-E6CIH 50-59 years, male 33.4
GTEX-1R7EU-1826-SM-DTX9L 60-69 years, male 33.4
GTEX-1K2DA-1626-SM-CGQGB 50-59 years, male 33.3
GTEX-17KNJ-1826-SM-7LT9N 50-59 years, male 33.1
GTEX-WHPG-1626-SM-4M1ZL 50-59 years, male 33.1
GTEX-117YX-0526-SM-5EGJH 50-59 years, male 33.0
GTEX-13PVR-1726-SM-5Q5EC 60-69 years, female 32.9
GTEX-17MFQ-1226-SM-7KFSA 20-29 years, male 32.9
GTEX-1LG7Y-2226-SM-E9U5K 50-59 years, male 32.9
GTEX-15RJE-2226-SM-6M46A 40-49 years, male 32.8
GTEX-13X6J-2826-SM-7EPGA 50-59 years, male 32.6
GTEX-1LG7Z-1326-SM-DIPF3 30-39 years, male 32.3
GTEX-13X6I-2726-SM-5Q5ET 60-69 years, male 32.2
GTEX-1EMGI-2626-SM-7IGNR 60-69 years, male 32.2
GTEX-ZT9W-1726-SM-51MS3 50-59 years, male 32.2
GTEX-1I1GR-2226-SM-ARL7F 60-69 years, male 32.1
GTEX-14PHX-1126-SM-5YYA5 50-59 years, male 31.9
GTEX-15ETS-2326-SM-7KUGC 40-49 years, female 31.9
GTEX-X15G-1526-SM-4PQZM 50-59 years, female 31.8
GTEX-Y3I4-1126-SM-4TT7Y 50-59 years, male 31.8
GTEX-WFG8-1726-SM-4LVM6 20-29 years, male 31.7
GTEX-ZLFU-1426-SM-4WWEU 40-49 years, male 31.7
GTEX-1GL5R-1726-SM-9KNUX 50-59 years, male 31.5
GTEX-1HSEH-1926-SM-A96SB 60-69 years, male 31.5
GTEX-1KANA-1726-SM-CY8IG 20-29 years, male 31.5
GTEX-1QP9N-0826-SM-DTX9O 30-39 years, male 31.4
GTEX-1HCUA-1926-SM-B2LWE 50-59 years, female 31.3
GTEX-1QP67-1426-SM-E8VOO 40-49 years, female 31.3
GTEX-13QBU-2026-SM-5KLZB 40-49 years, female 31.1
GTEX-1C4CL-1626-SM-7DUF3 30-39 years, male 31.0
GTEX-ZPIC-2626-SM-57WE2 40-49 years, female 31.0
GTEX-1HSGN-2226-SM-A9SL6 40-49 years, female 30.9
GTEX-X4EO-2726-SM-4E3HS 60-69 years, female 30.8
GTEX-Y5LM-1426-SM-5RQJL 40-49 years, female 30.8
GTEX-ZPCL-1626-SM-57WGC 60-69 years, female 30.8
GTEX-1B97I-1526-SM-73KUK 40-49 years, male 30.7
GTEX-ZV6S-1126-SM-57WE9 40-49 years, female 30.7
GTEX-1JKYR-2026-SM-CNPON 20-29 years, male 30.7
GTEX-1AX9K-1626-SM-73KUS 50-59 years, male 30.6
GTEX-1IDJU-1926-SM-CL53W 60-69 years, female 30.6
GTEX-1J8Q3-2426-SM-CL53S 60-69 years, male 30.6
GTEX-139TS-2226-SM-5J2N1 60-69 years, male 30.5
GTEX-1GZ4H-1326-SM-7P8TE 50-59 years, female 30.5
GTEX-V955-1726-SM-4JBHF 60-69 years, male 30.4
GTEX-1IKOE-2126-SM-A96T5 30-39 years, female 30.2
GTEX-WYVS-1126-SM-4SOJX 40-49 years, female 30.1
GTEX-XUZC-1526-SM-4BRV4 30-39 years, female 30.1
GTEX-1JMPY-1026-SM-ARZN1 30-39 years, male 30.0
GTEX-1B8KE-1526-SM-7DUG2 50-59 years, male 29.9
GTEX-1GMRU-2626-SM-9WPPM 50-59 years, male 29.6
GTEX-1S831-1726-SM-EWROJ 20-29 years, male 29.6
GTEX-145MH-2726-SM-5QGQ6 50-59 years, male 29.5
GTEX-1HCU6-2926-SM-B2LWV 60-69 years, female 29.5
GTEX-1QP28-2226-SM-DTX8C 50-59 years, female 29.4
GTEX-18D9A-1326-SM-7LT8P 30-39 years, female 29.3
GTEX-Y114-1626-SM-4TT7I 50-59 years, female 29.1
GTEX-1KXAM-1926-SM-D3LAG 60-69 years, male 29.1
GTEX-ZG7Y-1826-SM-4WWD3 50-59 years, male 29.0
GTEX-1QCLZ-2026-SM-EAZ4A 60-69 years, female 29.0
GTEX-17HGU-2626-SM-79OKN 50-59 years, male 28.7
GTEX-ZP4G-1526-SM-57WE5 20-29 years, female 28.6
GTEX-145ME-1126-SM-5SIAT 40-49 years, female 28.3
GTEX-11ONC-1926-SM-5GU75 60-69 years, male 28.1
GTEX-18A67-2226-SM-7LT9Z 50-59 years, male 28.1
GTEX-ZYFG-1826-SM-5GZWX 60-69 years, female 28.0
GTEX-1HSMQ-2526-SM-A9SMK 50-59 years, male 27.9
GTEX-1QCLY-2026-SM-EVR4C 30-39 years, male 27.7
GTEX-1EH9U-1926-SM-7P8QM 60-69 years, male 27.6
GTEX-1LGOU-1726-SM-D3L8P 20-29 years, female 27.6
GTEX-13CF2-1826-SM-5N9GK 60-69 years, male 27.5
GTEX-1H1DE-1626-SM-9KNU5 20-29 years, male 27.5
GTEX-1PDJ9-2026-SM-E76PT 20-29 years, male 27.5
GTEX-1QP29-2526-SM-E6CQ3 50-59 years, male 27.4
GTEX-16MTA-1626-SM-6M47N 50-59 years, male 27.3
GTEX-1GF9X-1426-SM-7RHGX 40-49 years, female 27.2
GTEX-1I1GT-2026-SM-CKZPK 60-69 years, female 27.1
GTEX-1RAZQ-2026-SM-E76P7 30-39 years, male 27.0
GTEX-15DZA-1026-SM-6PAND 30-39 years, female 26.9
GTEX-18A6Q-2226-SM-7LG61 60-69 years, male 26.6
GTEX-1GMR2-1826-SM-9KNUP 50-59 years, male 26.5
GTEX-1C2JI-1726-SM-73KUW 50-59 years, male 26.4
GTEX-Y9LG-1326-SM-4VBQB 30-39 years, male 26.3
GTEX-13VXT-2026-SM-5L3EW 20-29 years, female 26.2
GTEX-XUW1-1826-SM-4BOQD 50-59 years, female 26.2
GTEX-13PVQ-2726-SM-5L3H7 50-59 years, male 26.0
GTEX-1J8QM-1226-SM-CY8HI 60-69 years, female 25.7
GTEX-1HCVE-2326-SM-9WYUD 50-59 years, male 25.1
GTEX-1HKZK-2026-SM-9WYUF 40-49 years, male 24.6
GTEX-1JN6P-2126-SM-ARL98 60-69 years, male 24.6
GTEX-13OW6-2226-SM-5N9FL 50-59 years, male 24.4
GTEX-1JN76-1326-SM-ARU94 20-29 years, female 24.1
GTEX-13PL7-2426-SM-5J2N3 60-69 years, female 23.8
GTEX-XQ8I-2326-SM-4BOQC 50-59 years, male 23.7
GTEX-Y8LW-1126-SM-4VDS4 50-59 years, female 23.1
GTEX-1J8EW-2426-SM-CE6T5 60-69 years, female 20.8
Show allShow less
Colon - Transverse
Average nTPM: 118.2
Samples: 406

Max nTPM: 569.8
Min nTPM: 21.9
Std nTPM: 85.3
Median nTPM: 89.5
GTEX-1QCLZ-1926-SM-E6CR3 60-69 years, female 569.8
GTEX-14ICK-1026-SM-6AJA4 40-49 years, male 491.1
GTEX-XV7Q-2126-SM-4BRVX 40-49 years, female 455.4
GTEX-1E2YA-2626-SM-7MGWW 50-59 years, male 451.7
GTEX-15DYW-2326-SM-6PAMU 60-69 years, female 446.5
GTEX-ZVP2-1526-SM-5NQ82 50-59 years, male 435.8
GTEX-15SB6-1226-SM-7KUMP 50-59 years, female 412.4
GTEX-144GL-2526-SM-5TDDL 50-59 years, male 349.7
GTEX-1QP67-1326-SM-EAZ4D 40-49 years, female 343.3
GTEX-14PK6-1726-SM-6871J 70-79 years, female 329.4
GTEX-WHWD-1226-SM-4OOS1 50-59 years, male 326.0
GTEX-13OVK-0826-SM-7KULZ 40-49 years, male 310.9
GTEX-15CHR-1426-SM-7DUGV 50-59 years, male 310.0
GTEX-13FTW-1826-SM-5IJEN 40-49 years, male 304.5
GTEX-1PIEJ-2026-SM-E6CPA 20-29 years, female 297.1
GTEX-1F5PL-2126-SM-7PC2O 40-49 years, female 295.0
GTEX-13QJ3-2626-SM-9OSXQ 50-59 years, male 287.6
GTEX-QDVN-1326-SM-48TZ3 50-59 years, male 275.2
GTEX-1KANB-1526-SM-CXZK4 50-59 years, male 272.4
GTEX-1LGRB-1426-SM-CNNPT 50-59 years, female 268.2
GTEX-13PL7-2526-SM-5IFGR 60-69 years, female 266.5
GTEX-1PFEY-1426-SM-E9U6U 30-39 years, male 266.5
GTEX-PLZ5-1126-SM-3P613 50-59 years, male 264.5
GTEX-17F98-1026-SM-7IGO8 40-49 years, female 261.6
GTEX-139TS-1926-SM-5IJFO 60-69 years, male 260.5
GTEX-WHSB-0926-SM-4M1XJ 50-59 years, male 260.1
GTEX-133LE-1526-SM-5IFEN 20-29 years, female 256.9
GTEX-U4B1-1126-SM-4DXV3 40-49 years, male 255.4
GTEX-UJHI-1126-SM-4IHLN 50-59 years, female 254.3
GTEX-XMK1-1726-SM-4B64Z 40-49 years, male 252.7
GTEX-14PJ4-1926-SM-6LLHG 60-69 years, male 249.2
GTEX-ZDTT-1926-SM-5HL5W 60-69 years, male 249.2
GTEX-1K9T9-2826-SM-D4P3F 50-59 years, female 246.5
GTEX-145MN-1726-SM-5SIA6 30-39 years, male 245.4
GTEX-12C56-0626-SM-5EGGC 20-29 years, male 244.8
GTEX-T5JW-1126-SM-4DM5V 20-29 years, female 244.4
GTEX-1F5PK-1926-SM-7MXT7 50-59 years, male 240.6
GTEX-147JS-2526-SM-5S2Q8 60-69 years, male 237.4
GTEX-XBED-1526-SM-4AT5W 60-69 years, male 229.9
GTEX-1I1GR-2526-SM-CNNQF 60-69 years, male 229.9
GTEX-13OW6-2126-SM-5N9GL 50-59 years, male 229.3
GTEX-Q2AH-1226-SM-48TZL 40-49 years, male 225.9
GTEX-1CAMS-2526-SM-7EPH7 40-49 years, female 225.3
GTEX-ZPU1-1926-SM-57WDT 40-49 years, male 224.6
GTEX-11P82-1026-SM-5BC5J 20-29 years, male 224.2
GTEX-147GR-2726-SM-664OO 60-69 years, male 222.4
GTEX-1PPH8-2026-SM-DTX7P 20-29 years, male 221.1
GTEX-1AX9I-2626-SM-73KU5 60-69 years, male 218.8
GTEX-1C475-1626-SM-731FP 40-49 years, female 217.0
GTEX-1J1OQ-2726-SM-AHZ3R 40-49 years, female 212.6
GTEX-18A66-2426-SM-7KFSQ 60-69 years, male 212.4
GTEX-16XZZ-2626-SM-6M47S 60-69 years, male 211.4
GTEX-WFON-1426-SM-4LVMT 40-49 years, male 210.9
GTEX-ZPIC-2226-SM-57WDX 40-49 years, female 208.4
GTEX-1J1R8-1126-SM-CNPQ3 40-49 years, male 208.1
GTEX-13S86-1626-SM-5Q5C5 40-49 years, male 207.7
GTEX-1LG7Z-1426-SM-CXKYV 30-39 years, male 205.2
GTEX-13D11-0826-SM-5KLZJ 50-59 years, female 204.1
GTEX-18D9A-1126-SM-7KFRJ 30-39 years, female 203.8
GTEX-11P7K-1526-SM-5EGI7 30-39 years, male 202.5
GTEX-S4Q7-0826-SM-4AD5E 20-29 years, male 202.5
GTEX-1S3DN-1826-SM-EV79K 50-59 years, male 202.3
GTEX-ZLWG-1726-SM-DNZZ2 50-59 years, female 200.1
GTEX-132AR-2726-SM-5PNVN 50-59 years, female 199.7
GTEX-1MJK3-0926-SM-EV7AY 20-29 years, male 198.6
GTEX-R53T-1326-SM-48FCQ 50-59 years, female 198.5
GTEX-1HFI7-1726-SM-A9G22 50-59 years, female 198.5
GTEX-1H11D-2626-SM-9JGH4 40-49 years, male 195.9
GTEX-1C6VQ-2726-SM-73KUL 50-59 years, male 195.5
GTEX-1S83E-1626-SM-EV7B9 40-49 years, male 194.6
GTEX-ZV7C-1526-SM-5NQ72 50-59 years, male 193.6
GTEX-13111-0726-SM-5DUVE 50-59 years, male 192.1
GTEX-VJYA-2026-SM-4KL1K 60-69 years, male 191.4
GTEX-1NSGN-2326-SM-E9U5X 50-59 years, male 190.1
GTEX-144GM-1226-SM-5LU52 20-29 years, male 188.5
GTEX-PX3G-1426-SM-48U1J 20-29 years, female 188.2
GTEX-1I1GT-1926-SM-ARU7D 60-69 years, female 187.3
GTEX-U3ZN-2126-SM-4DXU1 30-39 years, female 184.3
GTEX-OXRK-1726-SM-3NB16 50-59 years, female 183.9
GTEX-13OVJ-1726-SM-5IJDZ 50-59 years, female 183.0
GTEX-17EUY-1826-SM-7DUEZ 20-29 years, male 182.6
GTEX-1I4MK-1126-SM-B2LWS 50-59 years, female 182.3
GTEX-1B8KZ-1326-SM-7DUG6 50-59 years, male 181.0
GTEX-QCQG-1626-SM-48U26 50-59 years, female 180.6
GTEX-131XG-1826-SM-5LZV4 50-59 years, female 179.3
GTEX-OOBJ-1426-SM-E6CHH 60-69 years, male 178.9
GTEX-QV31-0826-SM-CKZNC 30-39 years, male 176.6
GTEX-15RIE-1826-SM-6M48P 60-69 years, male 174.5
GTEX-ZDYS-2326-SM-4WKG6 50-59 years, male 171.8
GTEX-QMRM-1226-SM-447C6 50-59 years, male 171.2
GTEX-11DXX-1826-SM-5H126 60-69 years, female 170.9
GTEX-ZAB4-2226-SM-5HL97 40-49 years, male 170.5
GTEX-WOFM-2026-SM-4OOSQ 20-29 years, male 170.3
GTEX-QLQW-0426-SM-447A7 30-39 years, male 170.1
GTEX-14PJM-2626-SM-686ZD 50-59 years, female 169.2
GTEX-ZY6K-1226-SM-5GZYL 50-59 years, male 169.2
GTEX-1QCLY-1726-SM-DPRXY 30-39 years, male 168.3
GTEX-PWCY-1026-SM-48TD4 20-29 years, female 167.7
GTEX-ZEX8-1926-SM-4WKFR 50-59 years, male 167.4
GTEX-1399U-1926-SM-5IFH7 50-59 years, female 165.7
GTEX-R55D-1826-SM-48FEF 50-59 years, male 163.4
GTEX-1LSVX-1726-SM-DHXJP 60-69 years, male 162.7
GTEX-YB5E-1626-SM-5IFIQ 40-49 years, male 162.1
GTEX-TML8-1326-SM-4DXTO 40-49 years, female 161.4
GTEX-1N2DV-1426-SM-DPRYQ 40-49 years, male 159.4
GTEX-P78B-1726-SM-3P5ZV 40-49 years, female 158.8
GTEX-W5WG-2426-SM-4LMI6 50-59 years, female 158.6
GTEX-16Z82-2226-SM-6LPJ7 60-69 years, male 156.4
GTEX-1QP9N-1026-SM-E6CPX 30-39 years, male 155.8
GTEX-1B996-2626-SM-73KZ1 60-69 years, male 153.5
GTEX-TKQ2-1326-SM-4DXT9 50-59 years, male 152.4
GTEX-SNOS-1226-SM-4DM5H 40-49 years, male 151.7
GTEX-1H1E6-1926-SM-9OSWD 30-39 years, male 150.9
GTEX-1AMFI-1726-SM-7189L 50-59 years, female 150.8
GTEX-X15G-1326-SM-4PQZJ 50-59 years, female 148.8
GTEX-14BMU-1526-SM-5TDE6 20-29 years, female 148.4
GTEX-1PIGE-1426-SM-E9U61 20-29 years, male 147.7
GTEX-1HCU9-1326-SM-B2LXT 20-29 years, male 147.5
GTEX-178AV-1326-SM-6LPJX 40-49 years, male 147.0
GTEX-1B932-2826-SM-73KUD 40-49 years, female 146.6
GTEX-117YW-1826-SM-5PNY5 50-59 years, male 146.4
GTEX-139YR-2126-SM-5KM11 50-59 years, male 145.0
GTEX-QEL4-1926-SM-D3L8D 50-59 years, male 145.0
GTEX-QDVJ-1326-SM-48U1X 50-59 years, male 144.5
GTEX-13X6H-1926-SM-7EWD3 50-59 years, female 143.4
GTEX-ZVT2-1926-SM-5GU5T 50-59 years, female 143.1
GTEX-147F3-1926-SM-5SIB9 50-59 years, female 142.4
GTEX-1C4CL-2126-SM-7IGQC 30-39 years, male 141.5
GTEX-YEC3-2426-SM-DO11A 50-59 years, male 140.4
GTEX-OXRO-0726-SM-E9U4C 60-69 years, female 138.0
GTEX-145LT-0926-SM-5LU9C 40-49 years, male 137.7
GTEX-RM2N-0926-SM-48FD1 50-59 years, male 137.2
GTEX-YF7O-1726-SM-5IFJ9 50-59 years, male 136.8
GTEX-1LVAM-1626-SM-EV79Y 50-59 years, female 134.7
GTEX-Y9LG-1526-SM-4WWDR 30-39 years, male 134.5
GTEX-1ICLZ-2426-SM-CKZOD 60-69 years, male 133.0
GTEX-ZF2S-1926-SM-4WWAN 50-59 years, female 132.9
GTEX-1399R-2226-SM-5P9JB 30-39 years, male 132.3
GTEX-11LCK-2026-SM-5A5MA 30-39 years, male 132.1
GTEX-ZLV1-1226-SM-4WWBX 60-69 years, female 131.6
GTEX-PLZ6-0926-SM-3P5ZQ 30-39 years, male 131.5
GTEX-131XE-0826-SM-5HL9W 50-59 years, male 131.3
GTEX-1JMPY-0426-SM-C1YQ3 30-39 years, male 131.1
GTEX-ZT9W-1826-SM-51MQX 50-59 years, male 130.5
GTEX-17MF6-2426-SM-7LTAM 40-49 years, male 130.4
GTEX-12KS4-2426-SM-5LU8P 30-39 years, male 130.2
GTEX-Y8E4-2426-SM-4WWDN 40-49 years, male 130.2
GTEX-11EM3-1526-SM-5A5KN 20-29 years, female 128.1
GTEX-S7SF-1926-SM-4AT5B 20-29 years, female 127.9
GTEX-1MGNQ-2026-SM-EAZ51 40-49 years, male 127.3
GTEX-WFG7-1526-SM-4LVMG 20-29 years, male 125.8
GTEX-1H1DG-2226-SM-9WPPC 70-79 years, male 124.9
GTEX-1IKOE-2026-SM-AHZ31 30-39 years, female 123.1
GTEX-1GPI7-1726-SM-7P8R1 20-29 years, male 122.9
GTEX-1R7EU-1926-SM-E9U62 60-69 years, male 122.0
GTEX-1GMR3-2826-SM-9WPOG 40-49 years, male 117.4
GTEX-11DXZ-1726-SM-5H12M 50-59 years, male 117.2
GTEX-12BJ1-2126-SM-5BC5O 60-69 years, male 117.2
GTEX-17EVQ-1826-SM-7IGPH 70-79 years, male 116.7
GTEX-1211K-1726-SM-5FQUJ 60-69 years, female 116.4
GTEX-1LVAN-2526-SM-CNPPC 50-59 years, female 116.1
GTEX-17HHE-1826-SM-79OKE 50-59 years, male 115.4
GTEX-P4PP-1426-SM-3NM9L 30-39 years, female 115.2
GTEX-144GN-1126-SM-5LU33 50-59 years, male 114.9
GTEX-Q734-1126-SM-48TZY 40-49 years, female 113.2
GTEX-XAJ8-0426-SM-47JYJ 40-49 years, male 112.9
GTEX-WH7G-1326-SM-4LVMS 40-49 years, male 112.7
GTEX-1JJ6O-2426-SM-ARU8J 60-69 years, male 111.8
GTEX-15DCE-2026-SM-7KUFE 20-29 years, male 110.6
GTEX-1OKEX-1226-SM-DTXEC 60-69 years, male 109.5
GTEX-1BAJH-2326-SM-7IGMO 70-79 years, male 109.1
GTEX-R45C-2126-SM-EZ6KZ 60-69 years, female 108.9
GTEX-17GQL-1526-SM-7LTAC 60-69 years, male 108.3
GTEX-1JN76-1226-SM-C1YRM 20-29 years, female 106.4
GTEX-111CU-1426-SM-5GZYP 50-59 years, male 106.0
GTEX-X3Y1-1726-SM-4PQZL 40-49 years, male 105.8
GTEX-Y3IK-1826-SM-4WWDS 50-59 years, female 105.4
GTEX-1JKYR-1926-SM-C1YR7 20-29 years, male 105.1
GTEX-17JCI-2626-SM-7EWE6 60-69 years, female 104.6
GTEX-1MA7W-0626-SM-EV79Z 20-29 years, female 104.4
GTEX-11TT1-1026-SM-5PNW7 20-29 years, male 101.0
GTEX-1JK1U-1526-SM-AHZ46 60-69 years, male 100.8
GTEX-UJMC-1326-SM-4IHLS 50-59 years, male 100.7
GTEX-1HSMQ-2726-SM-C1YRE 50-59 years, male 100.2
GTEX-1L5NE-2026-SM-CXZKR 50-59 years, male 99.9
GTEX-ZG7Y-2126-SM-DO117 50-59 years, male 99.6
GTEX-1B8KE-1926-SM-731EE 50-59 years, male 99.0
GTEX-1RAZR-1926-SM-E6CRF 40-49 years, male 98.9
GTEX-18A7B-2026-SM-72D71 70-79 years, male 97.7
GTEX-14XAO-2026-SM-69LOI 60-69 years, female 96.5
GTEX-1IOXB-2626-SM-CJI2N 50-59 years, male 96.4
GTEX-1KANC-0926-SM-D3LA9 50-59 years, female 96.3
GTEX-1N2EF-1926-SM-DTX8M 60-69 years, male 96.2
GTEX-XGQ4-1226-SM-4AT67 50-59 years, male 95.2
GTEX-13VXT-2426-SM-5LU46 20-29 years, female 94.6
GTEX-16NGA-1026-SM-7KFS3 40-49 years, female 94.4
GTEX-16MT8-2726-SM-7IGLJ 60-69 years, female 94.1
GTEX-18D9U-1926-SM-7KFTM 40-49 years, male 94.1
GTEX-ZP4G-1726-SM-4WWCM 20-29 years, female 93.1
GTEX-15UF6-2626-SM-6M466 70-79 years, female 92.3
GTEX-13W3W-2126-SM-5K7UX 60-69 years, female 91.3
GTEX-O5YT-1426-SM-3MJHC 20-29 years, male 90.4
GTEX-ZYVF-2826-SM-5GIDK 50-59 years, female 89.7
GTEX-13O3P-2326-SM-5KM55 50-59 years, male 89.3
GTEX-1AX8Z-2726-SM-73KUC 60-69 years, male 89.0
GTEX-R55C-1126-SM-48FCJ 40-49 years, male 89.0
GTEX-1NHNU-2326-SM-E6CQE 50-59 years, male 88.9
GTEX-OHPN-2026-SM-E9TIA 60-69 years, female 88.8
GTEX-14PHX-1526-SM-68717 50-59 years, male 88.4
GTEX-1128S-1626-SM-5H12O 60-69 years, female 87.9
GTEX-16AAH-1326-SM-7KFRG 50-59 years, male 87.9
GTEX-14C39-1926-SM-5ZZW5 40-49 years, male 87.4
GTEX-1F75I-2426-SM-9WPOY 40-49 years, male 87.4
GTEX-146FQ-1926-SM-5NQBY 30-39 years, male 86.6
GTEX-ZGAY-2126-SM-4YCFB 40-49 years, female 86.5
GTEX-1CAMR-0926-SM-7MXTD 20-29 years, male 86.3
GTEX-1K2DA-2026-SM-CGQGK 50-59 years, male 86.2
GTEX-1JMPZ-2426-SM-C1YQP 30-39 years, male 85.7
GTEX-1HSGN-2626-SM-CE6S1 40-49 years, female 85.0
GTEX-OIZH-1426-SM-3NB1O 50-59 years, male 84.5
GTEX-PWN1-1426-SM-48TDF 40-49 years, female 83.3
GTEX-13PVR-1626-SM-73KVF 60-69 years, female 83.2
GTEX-17F9E-1826-SM-7IGMC 50-59 years, male 82.7
GTEX-SJXC-2226-SM-EVYAK 60-69 years, male 82.5
GTEX-145MO-2426-SM-5NQ9W 60-69 years, male 82.4
GTEX-14DAR-1526-SM-5RQIX 50-59 years, male 82.4
GTEX-1IDJD-2226-SM-A96TD 30-39 years, male 82.1
GTEX-1IKK5-2726-SM-CNPQ6 60-69 years, male 81.9
GTEX-XUZC-1326-SM-4BRV2 30-39 years, female 81.7
GTEX-1F75B-2726-SM-7P8QO 50-59 years, male 81.7
GTEX-15SHU-2526-SM-6M47D 40-49 years, female 81.3
GTEX-XBEW-1926-SM-4SOJO 40-49 years, male 80.9
GTEX-1399S-1926-SM-5J2M5 30-39 years, female 80.4
GTEX-11O72-2226-SM-5PNW2 40-49 years, male 80.3
GTEX-SE5C-1526-SM-4BRWU 40-49 years, female 79.9
GTEX-1HSEH-1726-SM-B2LXH 60-69 years, male 79.2
GTEX-R55G-1226-SM-48FDC 40-49 years, female 78.7
GTEX-17HGU-2426-SM-7EWDP 50-59 years, male 78.3
GTEX-ZZ64-0726-SM-5GZX4 20-29 years, male 78.0
GTEX-OIZF-1426-SM-2HML2 60-69 years, male 76.3
GTEX-1IGQW-2326-SM-CE6RV 60-69 years, male 76.1
GTEX-11VI4-1526-SM-5EQKC 40-49 years, female 74.8
GTEX-S4P3-1226-SM-4AD4Y 50-59 years, female 74.8
GTEX-1JKYN-2326-SM-CGQG7 30-39 years, male 74.6
GTEX-Q2AI-0926-SM-48U1F 40-49 years, male 74.2
GTEX-1H3VY-2426-SM-9WPPD 50-59 years, male 74.2
GTEX-1RDX4-1826-SM-EVR54 50-59 years, female 74.2
GTEX-1N5O9-2726-SM-E76QH 60-69 years, male 74.1
GTEX-14JG6-1726-SM-69LPL 30-39 years, female 73.9
GTEX-XUW1-1926-SM-4BOP1 50-59 years, female 73.5
GTEX-14BMV-2426-SM-5S2PP 50-59 years, male 72.9
GTEX-14JIY-3326-SM-6871E 60-69 years, male 72.2
GTEX-1PWST-2426-SM-EWRMP 70-79 years, male 72.0
GTEX-14C5O-2526-SM-73KU2 60-69 years, male 71.9
GTEX-1NV5F-2226-SM-DTX8O 60-69 years, female 71.5
GTEX-OHPM-1426-SM-3TW8Y 50-59 years, male 71.2
GTEX-14PKV-2126-SM-664O3 20-29 years, female 71.1
GTEX-139T6-1326-SM-5IFFO 50-59 years, male 71.0
GTEX-1GF9U-1526-SM-7MXUW 40-49 years, female 70.9
GTEX-13O3O-2526-SM-5L3DR 60-69 years, female 70.8
GTEX-XPVG-1826-SM-4B64X 50-59 years, male 70.5
GTEX-XYKS-2226-SM-4E3IU 60-69 years, female 70.2
GTEX-1HKZK-2126-SM-A9SL3 40-49 years, male 69.9
GTEX-1122O-1526-SM-5N9CL 60-69 years, female 69.7
GTEX-13O21-2426-SM-5MR4A 50-59 years, male 69.4
GTEX-ZTSS-1126-SM-5985O 40-49 years, male 69.2
GTEX-17KNJ-1726-SM-7LG6A 50-59 years, male 68.7
GTEX-ZPCL-1826-SM-57WF1 60-69 years, female 68.2
GTEX-11I78-1226-SM-5A5K6 50-59 years, female 67.8
GTEX-1RAZA-1726-SM-DPS13 20-29 years, male 67.3
GTEX-P4QT-1426-SM-3NMCX 50-59 years, female 67.1
GTEX-1QPFJ-2326-SM-E6CR7 30-39 years, female 65.9
GTEX-ZXES-1626-SM-5NQ7L 30-39 years, female 65.5
GTEX-S4UY-0826-SM-4AD4Z 40-49 years, female 65.4
GTEX-1JN1M-2626-SM-CY8I3 60-69 years, female 64.6
GTEX-1R9PM-1526-SM-DPRY8 20-29 years, male 64.1
GTEX-QLQ7-1126-SM-CYPRB 60-69 years, male 63.9
GTEX-1KXAM-2126-SM-CY8I9 60-69 years, male 63.4
GTEX-1S5VW-2926-SM-E9U6H 60-69 years, male 63.4
GTEX-1KANA-1926-SM-DHXKF 20-29 years, male 63.3
GTEX-13FHP-2426-SM-5KLZ5 50-59 years, male 63.0
GTEX-Y5LM-1526-SM-4VDTA 40-49 years, female 63.0
GTEX-1IDJU-2026-SM-A9SLM 60-69 years, female 62.6
GTEX-13FH7-1526-SM-5J2N6 50-59 years, female 62.4
GTEX-OXRN-2026-SM-E6CHK 50-59 years, male 62.4
GTEX-WYVS-1826-SM-4OND6 40-49 years, female 62.3
GTEX-1AYCT-1826-SM-731EG 50-59 years, male 62.1
GTEX-11ZVC-2126-SM-5EGJ1 50-59 years, female 61.8
GTEX-145LS-2726-SM-5Q5D8 60-69 years, female 61.1
GTEX-XQ8I-2126-SM-4BOOM 50-59 years, male 61.0
GTEX-1I6K6-1826-SM-B2LX5 30-39 years, male 60.7
GTEX-13OVG-1426-SM-5K7VP 60-69 years, male 60.5
GTEX-111VG-2226-SM-5N9DU 60-69 years, male 60.1
GTEX-RU1J-1326-SM-46MUL 20-29 years, female 59.8
GTEX-11NSD-1626-SM-5986U 20-29 years, male 59.5
GTEX-15RIF-1326-SM-6LPKO 20-29 years, male 59.4
GTEX-12ZZZ-2426-SM-5GCNN 60-69 years, male 59.3
GTEX-1HCU7-2626-SM-C1YQO 50-59 years, male 58.9
GTEX-U412-1726-SM-EZ6KX 60-69 years, male 58.3
GTEX-15G1A-1826-SM-7KUKO 30-39 years, male 58.2
GTEX-1CB4F-2026-SM-79OLU 60-69 years, male 57.9
GTEX-S3XE-1126-SM-4AD4N 50-59 years, male 57.2
GTEX-15ER7-2926-SM-7KUFK 20-29 years, female 55.3
GTEX-1GZ4I-2426-SM-9WPPP 50-59 years, male 54.6
GTEX-WYJK-2226-SM-4ONDJ 50-59 years, male 54.2
GTEX-14E1K-1826-SM-793DT 50-59 years, male 54.0
GTEX-17HII-2726-SM-7MGVM 50-59 years, male 53.9
GTEX-1HCVE-2526-SM-A9G2G 50-59 years, male 53.1
GTEX-1LGOU-1626-SM-D3LAK 20-29 years, female 53.1
GTEX-15CHQ-2526-SM-6EU24 60-69 years, male 53.0
GTEX-1POEN-2026-SM-E6CRL 30-39 years, female 52.6
GTEX-14DAQ-2726-SM-5S2QY 60-69 years, female 52.3
GTEX-1LH75-2126-SM-EVR5F 50-59 years, female 51.1
GTEX-1EMGI-2726-SM-7P8S4 60-69 years, male 49.9
GTEX-1H1DE-1526-SM-ARL9B 20-29 years, male 49.9
GTEX-1QMI2-2626-SM-E6CR4 60-69 years, male 49.9
GTEX-1339X-1626-SM-5IJDN 40-49 years, male 49.3
GTEX-12WSJ-1526-SM-5GCNI 40-49 years, female 48.6
GTEX-1AYD5-1726-SM-7RHFW 50-59 years, male 48.2
GTEX-1R9K5-2126-SM-E8VN1 50-59 years, male 47.8
GTEX-14BIN-3026-SM-5ZZUS 50-59 years, female 47.7
GTEX-1GN73-2626-SM-9KNUQ 60-69 years, male 46.8
GTEX-Z93S-2426-SM-5HL8N 50-59 years, male 46.5
GTEX-1HSMP-2326-SM-D3L8R 70-79 years, male 46.2
GTEX-13OW5-2626-SM-5MR3M 60-69 years, male 45.8
GTEX-148VJ-2626-SM-5QGPI 70-79 years, male 45.7
GTEX-1JJE9-2426-SM-D3L8T 70-79 years, male 45.7
GTEX-14AS3-1126-SM-5Q5CR 40-49 years, female 45.6
GTEX-1AMEY-1926-SM-73KVT 30-39 years, female 45.5
GTEX-PSDG-1826-SM-EAZ2S 50-59 years, male 45.5
GTEX-1GF9X-1526-SM-7P8QP 40-49 years, female 44.9
GTEX-1R9JW-2026-SM-EAZ4O 30-39 years, female 44.8
GTEX-WVJS-2426-SM-EZ6LI 50-59 years, male 44.6
GTEX-13CF3-1426-SM-5K7YY 60-69 years, female 44.4
GTEX-WQUQ-2526-SM-4MVNO 60-69 years, male 43.8
GTEX-NFK9-2026-SM-3LK5K 40-49 years, male 43.7
GTEX-1GMR2-1726-SM-9JGI2 50-59 years, male 43.7
GTEX-11TTK-2426-SM-5PNYO 60-69 years, female 43.3
GTEX-1IDJC-1326-SM-CL53H 50-59 years, male 42.5
GTEX-117YX-0826-SM-5H11J 50-59 years, male 42.3
GTEX-16NPV-2626-SM-6M484 50-59 years, female 42.2
GTEX-11ONC-2026-SM-5HL61 60-69 years, male 42.0
GTEX-X4EO-2526-SM-EWRM8 60-69 years, female 41.8
GTEX-13U4I-2426-SM-5LU34 40-49 years, female 41.7
GTEX-11EQ9-1426-SM-5987G 30-39 years, male 41.2
GTEX-13QBU-1826-SM-5IJG3 40-49 years, female 41.0
GTEX-X5EB-0926-SM-46MVT 40-49 years, male 40.9
GTEX-Y3I4-1426-SM-4TT9C 50-59 years, male 40.9
GTEX-U3ZM-1126-SM-4DXUB 40-49 years, male 40.7
GTEX-14H4A-1926-SM-5ZZWN 40-49 years, female 40.4
GTEX-1PPGY-2826-SM-DTX9H 60-69 years, male 40.3
GTEX-SNMC-1126-SM-4DM5M 20-29 years, male 40.2
GTEX-XXEK-1926-SM-4BRVD 50-59 years, male 40.1
GTEX-1MUQO-2626-SM-EWRO3 60-69 years, male 40.1
GTEX-1RMOY-1626-SM-EVYC8 50-59 years, male 39.9
GTEX-1MCC2-1626-SM-DIPEW 30-39 years, female 39.7
GTEX-11GSP-1626-SM-5986N 60-69 years, female 38.9
GTEX-1EH9U-2026-SM-7PBYS 60-69 years, male 38.9
GTEX-17F96-2026-SM-79ON4 70-79 years, male 38.4
GTEX-145ME-0826-SM-5O9AF 40-49 years, female 38.3
GTEX-11TUW-2026-SM-5EQL8 60-69 years, male 38.1
GTEX-14PJ3-0926-SM-69LQG 50-59 years, male 37.9
GTEX-WEY5-1426-SM-4LMJ3 40-49 years, female 37.3
GTEX-15DZA-0926-SM-69LQ3 30-39 years, female 37.2
GTEX-1S82U-0726-SM-E9TKI 30-39 years, female 37.2
GTEX-18D9B-2526-SM-718BN 60-69 years, male 36.9
GTEX-ZF29-1726-SM-4WKFV 60-69 years, female 36.9
GTEX-1A3MV-1126-SM-718BS 30-39 years, male 36.1
GTEX-1HCU6-2726-SM-A9SKV 60-69 years, female 36.1
GTEX-111YS-1626-SM-5GZZ9 60-69 years, male 35.9
GTEX-1QW4Y-1326-SM-EWRMZ 30-39 years, male 35.8
GTEX-O5YW-1426-SM-3MJHF 50-59 years, male 35.5
GTEX-ZYFC-2626-SM-5NQ6S 50-59 years, male 35.0
GTEX-13OVI-2026-SM-5J1MU 60-69 years, female 34.7
GTEX-18A7A-2226-SM-7LT8K 50-59 years, female 33.9
GTEX-14ICL-1226-SM-5S2RD 30-39 years, male 33.3
GTEX-1C64O-2326-SM-73KU8 60-69 years, male 33.3
GTEX-13O61-1626-SM-5KM3T 60-69 years, male 33.2
GTEX-18QFQ-1526-SM-72D57 30-39 years, male 32.9
GTEX-V955-1626-SM-4JBHJ 60-69 years, male 32.8
GTEX-1C2JI-1626-SM-7EPHC 50-59 years, male 32.1
GTEX-T6MO-0826-SM-4DM51 40-49 years, female 31.8
GTEX-11P81-1126-SM-5GU5G 30-39 years, female 31.7
GTEX-1RAZQ-2126-SM-DTX9V 30-39 years, male 31.6
GTEX-OXRL-1426-SM-3NM9E 50-59 years, male 31.5
GTEX-YEC4-1926-SM-5IFHJ 40-49 years, male 31.5
GTEX-S341-1426-SM-4AD6U 40-49 years, female 31.4
GTEX-1LBAC-1626-SM-CXZKV 20-29 years, male 31.2
GTEX-1CB4I-2226-SM-7P8SL 50-59 years, male 30.8
GTEX-14PJ5-0926-SM-6LLIK 60-69 years, female 30.7
GTEX-1LG7Y-2126-SM-DIPER 50-59 years, male 30.7
GTEX-ZYFG-1926-SM-5GID5 60-69 years, female 30.5
GTEX-ZV6S-1226-SM-59HLH 40-49 years, female 29.5
GTEX-Y114-1526-SM-4TT79 50-59 years, female 29.4
GTEX-1IDJF-1826-SM-CKZOE 20-29 years, male 28.8
GTEX-12WSL-1626-SM-5GCMU 50-59 years, male 28.7
GTEX-RWS6-1826-SM-47JXX 60-69 years, female 28.6
GTEX-1JMLX-2726-SM-CM2SB 50-59 years, male 28.3
GTEX-1GL5R-2426-SM-7MXV1 50-59 years, male 28.2
GTEX-TKQ1-0626-SM-4DXTS 30-39 years, male 28.1
GTEX-U3ZH-1326-SM-4DXSF 30-39 years, male 28.0
GTEX-WY7C-1626-SM-4ONC8 50-59 years, male 27.9
GTEX-15CHC-1626-SM-5ZZWS 60-69 years, female 27.1
GTEX-1GZ4H-1226-SM-9KNUA 50-59 years, female 26.9
GTEX-14E6E-1526-SM-5RQIG 30-39 years, male 21.9
GTEX-Y8LW-1226-SM-4WWDP 50-59 years, female 21.9
Show allShow less

COLON - FANTOM5 CAGEi

RNA expression in human tissues obtained through Cap Analysis of Gene Expression (CAGE) generated by the FANTOM5 project are reported as Scaled Tags Per Million.

Max subtype Scaled Tags Per Millioni

Max subtype Scaled Tags Per Million is the value for the subtype with the largest average Scaled Tags Per Million across the subtype samples.

263.4
FANTOM5 sample id Sample description Scaled Tags Per Million
Colon
Scaled Tags Per Million: 263.4
FF:10014-101C5 62,83,84 years, mixed 263.4

Contact

  • NEWS ARTICLES
  • PRESS ROOM

The Project

  • INTRODUCTION
  • ORGANIZATION
  • PUBLICATIONS

The Human Protein Atlas

  • DOWNLOADABLE DATA
  • LICENCE & CITATION
  • HELP & FAQ
The Human Protein Atlas project is funded
by the Knut & Alice Wallenberg Foundation.


contact@proteinatlas.org