We use cookies to enhance the usability of our website. If you continue, we'll assume that you are happy to receive all cookies. More information. Don't show this again.
MRPS17
HPA
RESOURCES
  • TISSUE
  • BRAIN
  • SINGLE CELL
  • SUBCELLULAR
  • CANCER
  • BLOOD
  • CELL LINE
  • STRUCTURE & INTERACTION
ABOUT
  • INTRODUCTION
  • HISTORY
  • ORGANIZATION
  • PUBLICATIONS
  • ANTIBODY SUBMISSION
  • ANTIBODY AVAILABILITY
  • ACKNOWLEDGMENTS
  • CONTACT
NEWS
  • NEWS ARTICLES
  • PRESS ROOM
LEARN
  • DICTIONARY
  • PROTEIN CLASSES
  • PROTEIN EVIDENCE
  • METHODS
  • EDUCATIONAL VIDEOS
DATA
  • DOWNLOADABLE DATA
  • PUBLICATION DATA
  • RELEASE HISTORY
HELP
  • ANTIBODY VALIDATION
  • ASSAYS & ANNOTATION
  • DISCLAIMER
  • HELP & FAQ
  • PRIVACY STATEMENT
  • LICENCE & CITATION
Fields »
Search result

Field
Term
Gene name
Class
Subclass
Class
Keyword
Chromosome
External id
Tissue
Cell type
Expression
Antibody panel
Tissue
Main location
Patient ID
Annotation
Tissue
Category
Tau score
Cluster
Reliability
Brain region
Category
Tau score
Brain region
Category
Tau score
Brain region
Category
Tau score
Cluster
Reliability
Tissue
Cell type
Enrichment
Cell type
Category
Tau score
Cell type
Category
Tau score
Cell type
Category
Tau score
Cell lineage
Category
Tau score
Cluster
Cluster
Location
Searches
Location
Cell line
Class
Type
Phase
Reliability
Cancer
Prognosis
Cancer
Category
Cancer
Category
Tau score
Cluster
Variants
Interacting gene (ensg_id)
Type
Number of interactions
Pathway
Category
Score
Score
Score
Validation
Validation
Validation
Validation
Antibodies
Data type
Column


  • SUMMARY

  • TISSUE

  • BRAIN

  • SINGLE CELL

  • SUBCELL

  • CANCER

  • BLOOD

  • CELL LINE

  • STRUCT & INT

  • MRPS17
CANCER PANCREATIC CANCER Show tissue menu
BREAST CANCER CARCINOID CERVICAL CANCER COLORECTAL CANCER ENDOMETRIAL CANCER GLIOMA HEAD AND NECK CANCER LIVER CANCER LUNG CANCER LYMPHOMA
MELANOMA OVARIAN CANCER PANCREATIC CANCER PROSTATE CANCER RENAL CANCER SKIN CANCER STOMACH CANCER TESTIS CANCER THYROID CANCER UROTHELIAL CANCER
PAAD TCGA PAAD VALIDATION PROTEIN PDAC CPTAC PROTEIN EXPRESSION
ANTIBODIES
AND
VALIDATION
Dictionary
Pancreatic cancer
Human cancer
Pancreatic adenocarcinoma
PANCREATIC ADENOCARCINOMA (TCGA) - Interactive survival scatter ploti

The Survival Scatter plot shows the clinical status (i.e. dead or alive) for all individuals in the patient cohort, based on the same data that underlies the corresponding Kaplan-Meier plots. Patients that are alive at last time for follow-up are shown in blue and patients who have died during the study are shown in red.

The x-axis shows the expression levels (FPKM) of the investigated gene in the tumor tissue at the time of diagnosis. The y-axis shows the follow-up time after diagnosis (years). Both axes are complimented with kernel density curves demonstrating the data density over the axes. The top density plot shows the expression levels (FPKM) distribution among dead (red) and alive patients (blue). The right density plot shows the data density of the survived years of dead patients with high and low expression levels respectively, stratified using the cutoff indicated by the vertical dashed line through the Survival Scatter plot. This cutoff is automatically defined based on the FPKM cutoff that minimizes the p-score. The cutoff can be changed by dragging the vertical line or by entering a cutoff value in the square labeled "Current cut-off".

Under the Survival Scatter plot the p-score landscape (black curve; left axis) is shown together with dead median separation (red curve; right axis). Dead median separation is the difference in median mRNA expression between patients who have died with high and low expression, respectively. It is calculated as follows: median FPKM expression of dead patients with high expression - median FPKM expression of dead patients with low expression. This is intended to aid the user in visually exploring custom cutoffs and the associated p-scores and dead median separation.

Individual patient data is displayed and can be filtered by clicking on one or more of the category buttons on the top of the page. Categories describing expression level and patient information include: high, low, alive, dead, female, male and tumor stages. The scale of the x-axis can be toggled between linear and log-scale by clicking on the "x log" button. Mouse-over function shows TCGA ID, patient information and mRNA expression (FPKM) for each patient.

& Survival analysisi

Kaplan-Meier plots summarize results from analysis of correlation between mRNA expression level and patient survival. Patients were divided based on level of expression into one of the two groups "low" (under cut off) or "high" (over cut off). X-axis shows time for survival (years) and y-axis shows the probability of survival, where 1.0 corresponds to 100 percent.

MRPS17 is not prognostic in Pancreatic Adenocarcinoma (TCGA)


Stage:

Survival analysis
Current cut offi

Current cut-off shows the cut-off (FPKM) currently selected. It may be changed manually. When the current cut-off is changed, the vertical dashed line indicating cut-off, the interactive survival scatter plot and the Kaplan-Meier curve will be automatically adjusted to show results accordingly.

:
Best expression cut offi

Based on the FPKM value of each gene, patients were classified into two groups and association between prognosis (survival) and gene expression (FPKM) was examined. The best expression cut-off refers the FPKM value that yields maximal difference with regard to survival between the two groups at the lowest log-rank P-value. Best expression cut-off was selected based on survival analysis .

When clicking on this number, the vertical dashed line indicating cut-off, the interactive survival plot, and the Kaplan-Meier curve will be adjusted to show results based on the best expression cut-off.

: 15.13
Median expressioni

Median expression refers to the median FPKM value calculated based on the gene expression (FPKM) data from all patients in this dataset. When clicking on this number, the vertical dashed line indicating cut-off, the interactive survival plot, and the Kaplan-Meier curve will be adjusted to show results based on the median expression.

: N/A
Median follow up timei

Median follow up time refers to the median time (years) after diagnosis with this type of cancer, based on clinical data from all patients in this dataset.

: N/A
P scorei

Log-rank P value for Kaplan-Meier plot showing results from analysis of correlation between mRNA expression level and patient survival.

N/A
5-year survival highi

5-year survival for patients with higher expression than the expression cutoff.

For melanoma and glioma, 3-year survival is shown.

N/A
5-year survival lowi

5-year survival for patients with lower expression than the expression cutoff.

For melanoma and glioma, 3-year survival is shown.

N/A
TCGA RNA samplesi

RNA-seq data is reported as average FPKM (number Fragments Per Kilobase of exon per Million reads), generated by the The Cancer Genome Atlas (TCGA) .

Normal distribution across the dataset is visualized with box plots, shown as median and 25th and 75th percentiles. Points are displayed as outliers if they are above or below 1.5 times the interquartile range. FPKM values of the individual samples are presented next to the box plot.

Average pTPM 15.8
Number of samples 176
Samples
Sample Description pTPM
TCGA-FB-AAPP-01A 71 years, male, white, stage:Stage IIB, dead, 485 days 32.3
TCGA-HV-A7OP-01A 72 years, male, asian, stage:Stage IIB, alive, 978 days 29.5
TCGA-YY-A8LH-01A 61 years, female, white, stage:Stage IIB, alive, 2016 days 28.4
TCGA-FB-A5VM-01A 74 years, male, white, stage:Stage IB, dead, 498 days 27.8
TCGA-HV-A5A6-01A 65 years, female, asian, stage:Stage IIB, dead, 2036 days 27.3
TCGA-L1-A7W4-01A 48 years, female, white, stage:Stage IIB, dead, 278 days 26.7
TCGA-S4-A8RO-01A 75 years, female, white, stage:Stage IIB, alive, 525 days 25.6
TCGA-F2-A44G-01A 79 years, female, white, stage:Stage IIB, dead, 233 days 23.6
TCGA-2J-AABP-01A 58 years, female, white, stage:Stage IIB, alive, 463 days 23.4
TCGA-IB-7644-01A 65 years, female, white, stage:Stage IV, dead, 394 days 23.3
TCGA-S4-A8RM-01A 67 years, male, white, stage:Stage IIB, alive, 737 days 23.3
TCGA-2J-AABI-01A 55 years, female, white, stage:Stage IIA, alive, 969 days 23.2
TCGA-2J-AAB8-01A 71 years, male, white, stage:Stage IIB, alive, 80 days 23.1
TCGA-IB-AAUU-01A 35 years, male, white, stage:Stage IIB, alive, 245 days 21.8
TCGA-3A-A9IR-01A 64 years, female, white, stage:Stage IB, alive, 1542 days 21.6
TCGA-US-A776-01A 61 years, male, white, stage:Stage IIA, alive, 1216 days 21.5
TCGA-FB-AAQ1-01A 49 years, male, white, stage:Stage IIB, dead, 123 days 21.2
TCGA-3A-A9I5-01A 57 years, male, white, stage:'--, alive, 1794 days 20.9
TCGA-HZ-7289-01A 77 years, male, white, stage:Stage IIB, dead, 661 days 20.9
TCGA-2L-AAQA-01A 76 years, male, white, stage:Stage IIB, dead, 143 days 20.7
TCGA-PZ-A5RE-01A 44 years, female, white, stage:Stage IIB, dead, 470 days 20.4
TCGA-3A-A9IL-01A 39 years, female, white, stage:Stage I, alive, 2741 days 20.4
TCGA-IB-AAUQ-01A 50 years, male, white, stage:Stage IIB, dead, 183 days 20.2
TCGA-IB-7646-01A 60 years, male, white, stage:Stage IIB, dead, 145 days 20.0
TCGA-2J-AABT-01A 72 years, female, white, stage:Stage IIB, alive, 319 days 19.9
TCGA-FB-AAQ2-01A 81 years, female, white, stage:Stage IIB, dead, 153 days 19.6
TCGA-FB-A7DR-01A 48 years, male, asian, stage:Stage IIA, dead, 353 days 19.5
TCGA-H6-8124-01A 56 years, female, white, stage:Stage IIB, alive, 392 days 19.3
TCGA-2L-AAQM-01A 52 years, male, white, stage:Stage IIB, alive, 1383 days 19.3
TCGA-HZ-8005-01A 81 years, male, white, stage:Stage IIB, dead, 120 days 19.3
TCGA-IB-A7M4-01A 81 years, male, white, stage:Stage IIB, alive, 483 days 19.3
TCGA-2J-AABA-01A 55 years, male, white, stage:Stage IIB, dead, 607 days 19.3
TCGA-IB-7887-01A 62 years, female, white, stage:Stage IIB, dead, 110 days 19.2
TCGA-IB-8127-01A 59 years, male, white, stage:Stage IIB, alive, 522 days 19.2
TCGA-IB-7889-01A 85 years, female, white, stage:Stage IIB, dead, 481 days 19.0
TCGA-3A-A9IC-01A 61 years, female, white, stage:Stage IIB, dead, 738 days 18.9
TCGA-IB-A7LX-01A 57 years, male, white, stage:Stage IIB, dead, 250 days 18.9
TCGA-2J-AABO-01A 43 years, male, white, stage:Stage IIB, alive, 440 days 18.8
TCGA-OE-A75W-01A 75 years, male, white, stage:Stage IIA, dead, 267 days 18.7
TCGA-IB-7893-01A 64 years, male, white, stage:Stage IIA, dead, 117 days 18.6
TCGA-HZ-A77P-01A 77 years, male, white, stage:Stage IIB, alive, 330 days 18.6
TCGA-2L-AAQE-01A 56 years, male, white, stage:Stage IIB, dead, 684 days 18.6
TCGA-3E-AAAZ-01A 71 years, male, white, stage:Stage IIA, dead, 2182 days 18.5
TCGA-2J-AABK-01A 71 years, male, white, stage:Stage IIB, alive, 484 days 18.4
TCGA-3A-A9IZ-01A 47 years, male, white, stage:Stage IIB, dead, 308 days 18.3
TCGA-IB-AAUO-01A 64 years, female, white, stage:Stage IIB, dead, 239 days 18.2
TCGA-F2-6879-01A 57 years, male, white, stage:Stage IIB, dead, 334 days 18.1
TCGA-HZ-8636-01A 58 years, female, white, stage:Stage IV, dead, 545 days 18.1
TCGA-LB-A7SX-01A 74 years, female, black or african american, stage:Stage IIB, dead, 393 days 18.0
TCGA-FB-AAQ0-01A 68 years, male, white, stage:Stage IIA, dead, 473 days 17.9
TCGA-HZ-8001-01A 69 years, male, white, stage:Stage III, alive, 706 days 17.9
TCGA-FB-A545-01A 72 years, female, white, stage:Stage IIB, dead, 732 days 17.8
TCGA-HZ-A9TJ-01A 70 years, male, white, stage:Stage IV, alive, 603 days 17.7
TCGA-HZ-8002-01A 61 years, male, white, stage:Stage IIB, dead, 366 days 17.6
TCGA-2J-AABU-01A 56 years, male, white, stage:Stage IIB, dead, 277 days 17.5
TCGA-2J-AABF-01A 73 years, male, white, stage:Stage IIB, dead, 691 days 17.3
TCGA-IB-AAUN-01A 74 years, female, white, stage:Stage IB, dead, 144 days 17.3
TCGA-RB-AA9M-01A 43 years, male, white, stage:Stage IIB, alive, 286 days 17.2
TCGA-FB-AAPZ-01A 54 years, male, white, stage:Stage IIB, alive, 716 days 17.2
TCGA-FB-AAQ6-01A 85 years, male, white, stage:Stage IA, dead, 244 days 17.2
TCGA-IB-A5SS-01A 64 years, female, white, stage:Stage IIB, dead, 460 days 17.1
TCGA-US-A77E-01A 73 years, male, white, stage:Stage IIB, dead, 430 days 17.1
TCGA-HV-A7OL-01A 70 years, male, asian, stage:Stage IIA, alive, 252 days 17.1
TCGA-LB-A8F3-01A 64 years, female, black or african american, stage:Stage IIA, alive, 379 days 16.8
TCGA-3A-A9IN-01A 62 years, female, white, stage:Stage IB, alive, 2084 days 16.7
TCGA-XD-AAUI-01A 50 years, female, white, stage:Stage IIB, dead, 366 days 16.7
TCGA-HZ-A77O-01A 77 years, female, white, stage:Stage IIB, dead, 160 days 16.6
TCGA-3E-AAAY-01A 67 years, male, white, stage:Stage IIB, alive, 2285 days 16.6
TCGA-2J-AAB6-01A 75 years, male, white, stage:Stage IIA, dead, 293 days 16.6
TCGA-IB-A5SP-01A 77 years, male, white, stage:Stage IIA, alive, 482 days 16.5
TCGA-YH-A8SY-01A 73 years, female, white, stage:'--, alive, 388 days 16.5
TCGA-S4-A8RP-01A 77 years, female, white, stage:Stage IIB, dead, 702 days 16.4
TCGA-3A-A9IJ-01A 65 years, male, white, stage:Stage IB, alive, 1854 days 16.4
TCGA-RB-A7B8-01A 81 years, female, white, stage:Stage IIB, dead, 466 days 16.3
TCGA-Q3-AA2A-01A 64 years, female, white, stage:Stage IB, alive, 95 days 16.3
TCGA-IB-AAUW-01A 63 years, female, white, stage:Stage IIB, dead, 230 days 16.2
TCGA-HZ-7920-01A 71 years, male, white, stage:Stage IB, dead, 236 days 16.1
TCGA-HZ-7926-01A 57 years, male, black or african american, stage:Stage IIB, dead, 518 days 16.1
TCGA-IB-7645-01A 44 years, female, stage:Stage IIB, dead, 1502 days 16.1
TCGA-HV-AA8X-01A 75 years, female, asian, stage:Stage IIB, dead, 532 days 16.1
TCGA-IB-7651-01A 64 years, female, white, stage:Stage IIB, dead, 603 days 16.1
TCGA-3A-A9J0-01A 75 years, male, white, stage:Stage IIB, alive, 743 days 16.0
TCGA-HZ-8638-01A 84 years, female, white, stage:Stage IA, dead, 151 days 16.0
TCGA-XD-AAUH-01A 57 years, female, white, stage:Stage IIB, alive, 395 days 16.0
TCGA-3A-A9IB-01A 69 years, female, white, stage:Stage IIB, dead, 224 days 15.9
TCGA-FB-A78T-01A 71 years, female, white, stage:Stage IIB, dead, 375 days 15.9
TCGA-3A-A9IO-01A 55 years, male, white, stage:'--, alive, 1942 days 15.7
TCGA-US-A77G-01A 64 years, male, white, stage:Stage IIB, dead, 12 days 15.7
TCGA-FB-AAQ3-01A 65 years, female, white, stage:Stage IIB, dead, 31 days 15.6
TCGA-HZ-7919-01A 52 years, female, white, stage:Stage IIB, dead, 593 days 15.6
TCGA-IB-A6UF-01A 63 years, male, white, stage:Stage IIB, alive, 666 days 15.6
TCGA-RL-AAAS-01A 60 years, female, white, stage:Stage IB, alive, 9 days 15.5
TCGA-IB-A5SQ-01A 56 years, female, white, stage:Stage IB, dead, 219 days 15.4
TCGA-F2-A7TX-01A 77 years, male, white, stage:Stage IIB, dead, 95 days 15.4
TCGA-FB-AAPY-01A 71 years, male, white, stage:Stage IIB, dead, 1059 days 15.3
TCGA-HZ-8637-01A 76 years, female, white, stage:Stage IIB, dead, 517 days 15.1
TCGA-XN-A8T3-01A 67 years, male, white, stage:Stage IB, alive, 951 days 15.1
TCGA-3A-A9IX-01A 40 years, male, white, stage:Stage IA, alive, 1037 days 15.0
TCGA-HZ-7924-01A 60 years, female, white, stage:Stage IIA, alive, 840 days 14.9
TCGA-2J-AABE-01A 73 years, male, white, stage:Stage IIA, alive, 676 days 14.9
TCGA-US-A779-01A 54 years, female, white, stage:Stage IIB, dead, 511 days 14.8
TCGA-HZ-A8P1-01A 81 years, male, white, stage:Stage IB, alive, 7 days 14.7
TCGA-HV-A5A4-01A 72 years, female, asian, stage:Stage IIA, alive, 232 days 14.6
TCGA-3A-A9IH-01A 66 years, female, white, stage:Stage IA, alive, 1021 days 14.6
TCGA-Z5-AAPL-01A 74 years, female, white, stage:Stage IIA, alive, 467 days 14.5
TCGA-IB-A6UG-01A 65 years, male, white, stage:Stage IIB, dead, 41 days 14.4
TCGA-2J-AABR-01A 60 years, female, white, stage:Stage IIA, alive, 438 days 14.4
TCGA-2L-AAQL-01A 82 years, male, white, stage:Stage IIB, dead, 292 days 14.4
TCGA-IB-7897-01A 53 years, female, white, stage:Stage IIB, dead, 486 days 14.3
TCGA-XN-A8T5-01A 53 years, female, white, stage:Stage IB, alive, 720 days 14.2
TCGA-F2-A8YN-01A 76 years, male, white, stage:Stage IIA, alive, 517 days 14.2
TCGA-HZ-A4BK-01A 72 years, male, white, stage:Stage IIB, alive, 657 days 14.1
TCGA-F2-7276-01A 64 years, male, white, stage:Stage IIB, dead, 216 days 14.1
TCGA-IB-7885-01A 78 years, female, white, stage:Stage IIB, alive, 1257 days 14.0
TCGA-FB-AAPU-01A 41 years, female, asian, stage:Stage IIA, dead, 381 days 14.0
TCGA-HZ-A49I-01A 77 years, male, white, stage:Stage IIB, dead, 308 days 14.0
TCGA-H8-A6C1-01A 53 years, male, white, stage:Stage IIA, alive, 671 days 13.9
TCGA-IB-AAUS-01A 84 years, female, white, stage:Stage IIB, alive, 225 days 13.8
TCGA-2J-AAB1-01A 65 years, male, white, stage:Stage IIB, dead, 66 days 13.8
TCGA-IB-7649-01A 73 years, female, stage:Stage IIB, dead, 467 days 13.6
TCGA-XD-AAUG-01A 66 years, female, white, stage:Stage IV, alive, 420 days 13.6
TCGA-FB-A4P6-01A 54 years, male, white, stage:Stage IIB, alive, 767 days 13.5
TCGA-IB-AAUV-01A 49 years, male, white, stage:Stage IIB, alive, 404 days 13.5
TCGA-HZ-A49H-01A 68 years, female, white, stage:Stage IIB, alive, 491 days 13.5
TCGA-XD-AAUL-01A 56 years, male, white, stage:Stage IIA, alive, 498 days 13.4
TCGA-2L-AAQJ-01A 49 years, female, white, stage:Stage III, dead, 394 days 13.4
TCGA-HV-A5A5-01A 61 years, female, asian, stage:Stage IIB, alive, 289 days 13.4
TCGA-YB-A89D-01A 59 years, male, white, stage:Stage IIB, alive, 350 days 13.2
TCGA-2L-AAQI-01A 66 years, male, white, stage:Stage IIB, dead, 103 days 13.2
TCGA-FB-AAPS-01A 62 years, female, white, stage:Stage IIB, alive, 228 days 13.2
TCGA-IB-7886-01A 80 years, male, white, stage:Stage IIB, dead, 123 days 13.1
TCGA-IB-AAUR-01A 67 years, male, white, stage:Stage IIB, alive, 338 days 13.0
TCGA-3A-A9I7-01A 45 years, male, black or african american, stage:Stage IIB, alive, 1323 days 12.9
TCGA-HZ-8315-01A 54 years, female, white, stage:Stage IIA, dead, 299 days 12.9
TCGA-HZ-7925-01A 66 years, male, white, stage:Stage IIB, dead, 614 days 12.8
TCGA-IB-A5ST-01A 64 years, female, white, stage:Stage IIB, alive, 635 days 12.8
TCGA-2J-AABH-01A 61 years, male, white, stage:Stage IIA, alive, 1287 days 12.7
TCGA-HZ-7918-01A 72 years, male, white, stage:Stage IIB, alive, 969 days 12.7
TCGA-3A-A9IU-01A 65 years, male, white, stage:Stage IIB, dead, 458 days 12.7
TCGA-2J-AAB9-01A 70 years, female, white, stage:Stage IIB, dead, 627 days 12.5
TCGA-FB-A4P5-01A 69 years, female, white, stage:Stage IIB, dead, 179 days 12.4
TCGA-2J-AAB4-01A 48 years, male, white, stage:Stage IIB, alive, 729 days 12.3
TCGA-IB-7890-01A 73 years, male, stage:Stage IB, dead, 598 days 12.2
TCGA-HV-A5A3-01A 50 years, male, asian, stage:Stage IIA, dead, 128 days 12.2
TCGA-HV-AA8V-01A 50 years, male, asian, stage:Stage IIB, alive, 920 days 12.1
TCGA-IB-7888-01A 66 years, female, black or african american, stage:Stage IIA, dead, 1332 days 12.0
TCGA-HZ-8519-01A 73 years, male, white, stage:Stage IA, alive, 454 days 12.0
TCGA-IB-7891-01A 49 years, female, white, stage:Stage IIB, dead, 913 days 12.0
TCGA-US-A774-01A 76 years, female, white, stage:Stage IIB, dead, 695 days 12.0
TCGA-2J-AABV-01A 74 years, male, white, stage:Stage IIB, dead, 652 days 12.0
TCGA-IB-AAUT-01A 65 years, male, white, stage:Stage IIB, alive, 287 days 11.9
TCGA-US-A77J-01A 81 years, female, white, stage:Stage IIB, dead, 568 days 11.8
TCGA-IB-7652-01A 49 years, female, asian, stage:Stage IIB, alive, 1116 days 11.8
TCGA-HZ-7923-01A 65 years, male, white, stage:Stage IIA, alive, 314 days 11.6
TCGA-M8-A5N4-01A 48 years, female, stage:Stage IIA, alive, 584 days 11.5
TCGA-3A-A9IV-01A 59 years, female, white, stage:Stage IB, alive, 1103 days 11.4
TCGA-H6-A45N-01A 88 years, female, white, stage:Stage IIB, dead, 397 days 11.4
TCGA-HZ-A49G-01A 58 years, female, white, stage:Stage IIB, alive, 660 days 11.1
TCGA-F2-7273-01A 54 years, male, black or african american, stage:Stage IIB, dead, 592 days 10.8
TCGA-IB-AAUP-01A 68 years, male, white, stage:Stage IIB, alive, 431 days 10.7
TCGA-HZ-A77Q-01A 55 years, female, white, stage:Stage IIB, alive, 33 days 10.5
TCGA-HZ-7922-01A 61 years, female, white, stage:Stage IIB, alive, 4 days 10.4
TCGA-HZ-A4BH-01A 75 years, male, white, stage:Stage IIB, alive, 194 days 10.2
TCGA-IB-7654-01A 80 years, male, white, stage:Stage IIB, dead, 476 days 10.2
TCGA-FB-AAPQ-01A 65 years, male, white, stage:Stage IIB, dead, 1130 days 9.9
TCGA-F2-A44H-01A 65 years, male, white, stage:Stage IIA, alive, 586 days 9.8
TCGA-Q3-A5QY-01A 58 years, male, white, stage:Stage IIB, alive, 416 days 9.6
TCGA-HZ-8317-01A 69 years, female, white, stage:Stage IIB, dead, 378 days 9.5
TCGA-IB-A5SO-01A 71 years, male, white, stage:Stage IIB, dead, 365 days 9.1
TCGA-IB-AAUM-01A 76 years, male, white, stage:Stage IIB, alive, 8 days 8.7
TCGA-3A-A9IS-01A 67 years, male, white, stage:Stage IB, alive, 998 days 8.5
TCGA-3A-A9I9-01A 67 years, male, white, stage:Stage IIA, dead, 634 days 8.2
TCGA-LB-A9Q5-01A 63 years, female, white, stage:Stage IIB, dead, 313 days 7.2
TCGA-HZ-8003-01A 65 years, female, white, stage:Stage IIB, dead, 596 days 7.1
TCGA-IB-8126-01A 79 years, female, white, stage:Stage III, alive, 462 days 6.5
TCGA-F2-6880-01A 70 years, male, white, stage:Stage IIB, alive, 295 days 4.2
Show allShow less
PANCREATIC ADENOCARCINOMA (VALIDATION) - Interactive survival scatter ploti

The Survival Scatter plot shows the clinical status (i.e. dead or alive) for all individuals in the patient cohort, based on the same data that underlies the corresponding Kaplan-Meier plots. Patients that are alive at last time for follow-up are shown in blue and patients who have died during the study are shown in red.

The x-axis shows the expression levels (FPKM) of the investigated gene in the tumor tissue at the time of diagnosis. The y-axis shows the follow-up time after diagnosis (years). Both axes are complimented with kernel density curves demonstrating the data density over the axes. The top density plot shows the expression levels (FPKM) distribution among dead (red) and alive patients (blue). The right density plot shows the data density of the survived years of dead patients with high and low expression levels respectively, stratified using the cutoff indicated by the vertical dashed line through the Survival Scatter plot. This cutoff is automatically defined based on the FPKM cutoff that minimizes the p-score. The cutoff can be changed by dragging the vertical line or by entering a cutoff value in the square labeled "Current cut-off".

Under the Survival Scatter plot the p-score landscape (black curve; left axis) is shown together with dead median separation (red curve; right axis). Dead median separation is the difference in median mRNA expression between patients who have died with high and low expression, respectively. It is calculated as follows: median FPKM expression of dead patients with high expression - median FPKM expression of dead patients with low expression. This is intended to aid the user in visually exploring custom cutoffs and the associated p-scores and dead median separation.

Individual patient data is displayed and can be filtered by clicking on one or more of the category buttons on the top of the page. Categories describing expression level and patient information include: high, low, alive, dead, female, male and tumor stages. The scale of the x-axis can be toggled between linear and log-scale by clicking on the "x log" button. Mouse-over function shows TCGA ID, patient information and mRNA expression (FPKM) for each patient.

& Survival analysisi

Kaplan-Meier plots summarize results from analysis of correlation between mRNA expression level and patient survival. Patients were divided based on level of expression into one of the two groups "low" (under cut off) or "high" (over cut off). X-axis shows time for survival (years) and y-axis shows the probability of survival, where 1.0 corresponds to 100 percent.

MRPS17 is not prognostic in Pancreatic Adenocarcinoma (validation)


Stage:
Survival analysis
Current cut offi

Current cut-off shows the cut-off (FPKM) currently selected. It may be changed manually. When the current cut-off is changed, the vertical dashed line indicating cut-off, the interactive survival scatter plot and the Kaplan-Meier curve will be automatically adjusted to show results accordingly.

:
Best expression cut offi

Based on the FPKM value of each gene, patients were classified into two groups and association between prognosis (survival) and gene expression (FPKM) was examined. The best expression cut-off refers the FPKM value that yields maximal difference with regard to survival between the two groups at the lowest log-rank P-value. Best expression cut-off was selected based on survival analysis .

When clicking on this number, the vertical dashed line indicating cut-off, the interactive survival plot, and the Kaplan-Meier curve will be adjusted to show results based on the best expression cut-off.

: 13.95
Median expressioni

Median expression refers to the median FPKM value calculated based on the gene expression (FPKM) data from all patients in this dataset. When clicking on this number, the vertical dashed line indicating cut-off, the interactive survival plot, and the Kaplan-Meier curve will be adjusted to show results based on the median expression.

: N/A
Median follow up timei

Median follow up time refers to the median time (years) after diagnosis with this type of cancer, based on clinical data from all patients in this dataset.

: N/A
P scorei

Log-rank P value for Kaplan-Meier plot showing results from analysis of correlation between mRNA expression level and patient survival.

N/A
5-year survival highi

5-year survival for patients with higher expression than the expression cutoff.

For melanoma and glioma, 3-year survival is shown.

N/A
5-year survival lowi

5-year survival for patients with lower expression than the expression cutoff.

For melanoma and glioma, 3-year survival is shown.

N/A
TCGA RNA samplesi

RNA-seq data is reported as average FPKM (number Fragments Per Kilobase of exon per Million reads), generated by the The Cancer Genome Atlas (TCGA) .

Normal distribution across the dataset is visualized with box plots, shown as median and 25th and 75th percentiles. Points are displayed as outliers if they are above or below 1.5 times the interquartile range. FPKM values of the individual samples are presented next to the box plot.

Average pTPM 13.1
Number of samples 80
Samples
Sample Description pTPM
DO33368 81 years, male, NA, stage:, dead, 98 days 56.1
DO34656 61 years, female, NA, stage:, alive, 834 days 24.9
DO49079 50 years, male, NA, stage:, dead, 332 days 23.9
DO49175 68 years, male, NA, stage:, dead, 414 days 22.3
DO49204 67 years, male, NA, stage:, dead, 156 days 21.0
DO34616 68 years, female, NA, stage:, alive, 666 days 19.8
DO34336 70 years, female, NA, stage:, alive, 743 days 19.8
DO49087 68 years, female, NA, stage:, dead, 260 days 19.0
DO49074 49 years, male, NA, stage:, dead, 168 days 18.3
DO33400 76 years, female, NA, stage:, alive, 1043 days 18.3
DO34640 49 years, female, NA, stage:, dead, 287 days 18.0
DO34961 71 years, male, NA, stage:, dead, 632 days 17.9
DO32900 51 years, male, NA, stage:, dead, 768 days 17.8
DO49080 60 years, male, NA, stage:, alive, 83 days 17.3
DO49172 60 years, female, NA, stage:, dead, 1021 days 17.1
DO34849 86 years, female, NA, stage:, dead, 272 days 16.3
DO49130 76 years, female, NA, stage:, alive, 351 days 16.3
DO34905 64 years, male, NA, stage:, alive, 1142 days 15.8
DO49178 58 years, male, NA, stage:, dead, 27 days 15.3
DO34680 75 years, male, NA, stage:, dead, 99 days 15.0
DO34785 67 years, female, NA, stage:, alive, 721 days 14.9
DO49184 56 years, male, NA, stage:, dead, 455 days 14.5
DO34288 83 years, female, NA, stage:, dead, 220 days 14.5
DO49090 77 years, female, NA, stage:, dead, 152 days 14.4
DO34504 37 years, male, NA, stage:, dead, 257 days 14.0
DO49181 77 years, male, NA, stage:, dead, 1534 days 13.9
DO33984 64 years, male, NA, stage:, alive, 847 days 13.8
DO34720 68 years, male, NA, stage:, alive, 555 days 13.8
DO34696 75 years, male, NA, stage:, alive, 689 days 13.7
DO33344 70 years, male, NA, stage:, dead, 361 days 13.7
DO32829 78 years, female, NA, stage:T2N0MX, dead, 1874 days 13.0
DO33472 75 years, female, NA, stage:, dead, 388 days 13.0
DO33480 52 years, male, NA, stage:, alive, 1054 days 13.0
DO33128 72 years, male, NA, stage:, dead, 423 days 12.9
DO32875 69 years, male, NA, stage:, dead, 348 days 12.9
DO33392 70 years, male, NA, stage:, alive, 1014 days 12.9
DO33336 67 years, female, NA, stage:, dead, 451 days 12.8
DO32878 69 years, female, NA, stage:, dead, 260 days 12.8
DO34240 72 years, male, NA, stage:, dead, 236 days 12.5
DO32863 60 years, male, NA, stage:, dead, 715 days 12.4
DO34809 74 years, female, NA, stage:, dead, 297 days 12.2
DO49133 55 years, female, NA, stage:, alive, 188 days 12.1
DO33552 70 years, female, NA, stage:, alive, 873 days 11.8
DO49166 40 years, female, NA, stage:, alive, 222 days 11.8
DO49164 70 years, male, NA, stage:, alive, 272 days 11.6
DO49193 60 years, male, NA, stage:, dead, 1 days 11.6
DO34312 58 years, female, NA, stage:, dead, 226 days 11.5
DO49198 61 years, female, NA, stage:, dead, 251 days 11.5
DO34728 77 years, female, NA, stage:, alive, 508 days 11.4
DO49137 67 years, female, NA, stage:, alive, 232 days 11.4
DO34264 63 years, female, NA, stage:, dead, 1144 days 11.2
DO49183 51 years, female, NA, stage:, dead, 429 days 11.0
DO34801 60 years, male, NA, stage:, alive, 626 days 10.7
DO34608 72 years, female, NA, stage:, dead, 709 days 10.7
DO49127 77 years, female, NA, stage:, alive, 392 days 10.2
DO49185 55 years, male, NA, stage:, alive, 179 days 10.1
DO34600 77 years, male, NA, stage:, dead, 537 days 10.1
DO34368 64 years, female, NA, stage:, dead, 537 days 10.0
DO49113 46 years, female, NA, stage:, alive, 413 days 9.8
DO34448 79 years, female, NA, stage:, dead, 719 days 9.7
DO49135 65 years, male, NA, stage:, alive, 270 days 9.5
DO33488 61 years, male, NA, stage:, alive, 844 days 9.2
DO34817 72 years, female, NA, stage:, alive, 540 days 9.2
DO49076 64 years, male, NA, stage:, dead, 480 days 9.1
DO33408 68 years, female, NA, stage:, alive, 909 days 8.6
DO34736 78 years, female, NA, stage:, dead, 203 days 8.4
DO49138 74 years, male, NA, stage:, dead, 230 days 8.4
DO49129 50 years, male, NA, stage:, alive, 337 days 8.1
DO34793 56 years, male, NA, stage:, dead, 427 days 7.8
DO33512 female, NA, stage:, dead, 499 days 7.6
DO33600 77 years, female, NA, stage:, alive, 854 days 7.5
DO33544 83 years, female, NA, stage:, dead, 412 days 7.2
DO32860 57 years, male, NA, stage:, dead, 1259 days 7.1
DO49078 79 years, male, NA, stage:, dead, 465 days 7.1
DO49170 67 years, male, NA, stage:, alive, 197 days 6.9
DO33376 62 years, female, NA, stage:, alive, 909 days 6.8
DO49168 58 years, male, NA, stage:, alive, 149 days 6.6
DO34432 82 years, female, NA, stage:, dead, 400 days 6.4
DO49199 52 years, male, NA, stage:, dead, 1095 days 6.2
DO33168 80 years, female, NA, stage:, dead, 8 days 6.2
Show allShow less
PANCREATIC DUCTAL ADENOCARCINOMA - Protein relative expression (CPTAC)
Number of samples 235
Samples
Sample ID Sample type nRPX
CPT0237920004 Normal 1.3
CPT0162780004 Normal 1.2
CPT0208710004 Normal 1.1
CPT0347820002 Normal 1.0
C3L-00189-04 Normal 1.0
CPT0127270003 Tumor 1.0
CPT0064520004 Tumor 0.9
CPT0248440003 Normal 0.9
CPT0347760002 Normal 0.9
CPT0347880002 Normal 0.8
CPT0063580003 Normal 0.8
CPT0347850002 Normal 0.8
CPT0355190003 Normal 0.8
CPT0347790002 Normal 0.8
CPT0081260004 Tumor 0.8
CPT0276030003 Normal 0.8
CPT0208850004 Normal 0.8
CPT0246220004 Normal 0.7
CPT0247000003 Normal 0.7
CPT0198930003 Normal 0.7
CPT0091680003 Normal 0.6
CPT0025750003 Tumor 0.6
CPT0236800004 Normal 0.6
CPT0093860003 Tumor 0.6
CPT0238740004 Normal 0.5
CPT0209650004 Normal 0.5
CPT0000250017 Tumor 0.5
CPT0246950003 Normal 0.5
CPT0198910005 Tumor 0.5
CPT0238940004 Normal 0.5
CPT0239140004 Normal 0.5
CPT0218220004 Normal 0.5
CPT0166780004 Normal 0.5
CPT0093880003 Normal 0.4
CPT0011520003 Tumor 0.4
CPT0198440004 Normal 0.4
CPT0125090003 Tumor 0.4
CPT0183770004 Normal 0.4
C3L-00401-04 Normal 0.4
CPT0246210004 Tumor 0.4
CPT0123460003 Normal 0.4
CPT0238610009 Tumor 0.4
CPT0161990005 Tumor 0.3
CPT0248410004 Tumor 0.3
CPT0170240004 Tumor 0.3
CPT0239920004 Normal 0.3
CPT0247040003 Tumor 0.3
CPT0238040005 Tumor 0.3
CPT0186040004 Tumor 0.3
CPT0083270003 Tumor 0.3
CPT0226490004 Tumor 0.3
CPT0123670003 Normal 0.3
CPT0066020003 Normal 0.3
C3L-03632-04 Normal 0.3
CPT0087890004 Tumor 0.3
CPT0123650003 Tumor 0.3
CPT0226680005 Tumor 0.3
CPT0166760004 Tumor 0.3
CPT0355200003 Normal 0.3
CPT0247090003 Tumor 0.3
CPT0123890003 Normal 0.3
CPT0221240004 Tumor 0.2
CPT0088320003 Tumor 0.2
CPT0183750005 Tumor 0.2
CPT0246260004 Tumor 0.2
CPT0008750003 Tumor 0.2
CPT0187550004 Tumor 0.2
CPT0064570003 Normal 0.2
CPT0237270005 Tumor 0.2
CPT0241320005 Tumor 0.2
CPT0221470005 Tumor 0.2
CPT0236710004 Normal 0.2
CPT0127290003 Normal 0.2
CPT0246990003 Tumor 0.1
CPT0226610004 Normal 0.1
CPT0246940003 Tumor 0.1
CPT0078180003 Normal 0.1
CPT0226600004 Tumor 0.1
CPT0162660004 Tumor 0.1
CPT0241510004 Normal 0.1
CPT0078250003 Tumor 0.1
CPT0089720003 Tumor 0.1
CPT0001750003 Normal 0.1
CPT0237850004 Normal 0.1
CPT0108960003 Normal 0.1
CPT0161770004 Tumor 0.1
CPT0064110003 Normal 0.1
CPT0226530004 Tumor 0.1
CPT0197420004 Tumor 0.1
CPT0109300004 Tumor 0.1
CPT0207780004 Tumor 0.1
CPT0170260004 Normal 0.1
CPT0246720003 Tumor 0.1
CPT0226650004 Tumor 0.1
CPT0224460004 Tumor 0.1
CPT0078090004 Tumor 0.1
CPT0241500004 Tumor 0.1
CPT0238640004 Normal 0.0
CPT0203850004 Tumor 0.0
CPT0238920004 Tumor 0.0
CPT0019410004 Tumor 0.0
CPT0254680003 Tumor 0.0
CPT0236700005 Tumor 0.0
CPT0185920004 Tumor 0.0
CPT0238440005 Tumor 0.0
CPT0064090003 Tumor 0.0
CPT0198420004 Tumor 0.0
CPT0086190004 Tumor 0.0
CPT0124610004 Tumor 0.0
CPT0077930004 Tumor 0.0
CPT0217700004 Tumor 0.0
CPT0236340004 Tumor 0.0
CPT0108930003 Tumor 0.0
CPT0218200004 Tumor -0.1
CPT0088260004 Tumor -0.1
CPT0246840003 Tumor -0.1
CPT0077950003 Normal -0.1
CPT0124980004 Tumor -0.1
CPT0238710004 Tumor -0.1
CPT0124360003 Tumor -0.1
CPT0239100009 Tumor -0.1
CPT0138990003 Normal -0.1
CPT0207980005 Tumor -0.1
CPT0092630003 Tumor -0.1
CPT0065640003 Tumor -0.1
CPT0089750004 Normal -0.1
CPT0078000003 Tumor -0.1
CPT0109200004 Tumor -0.1
CPT0014040003 Tumor -0.1
CPT0236560004 Tumor -0.1
CPT0088180004 Tumor -0.2
CPT0065570003 Tumor -0.2
CPT0236360004 Normal -0.2
CPT0011540003 Normal -0.2
CPT0276010003 Tumor -0.2
CPT0248620003 Normal -0.2
CPT0209310004 Tumor -0.2
CPT0197440004 Normal -0.2
CPT0236780005 Tumor -0.2
KoreanReference2 Tumor -0.2
CPT0078160004 Tumor -0.2
CPT0094230004 Tumor -0.2
CPT0207990004 Normal -0.2
CPT0093930004 Tumor -0.2
CPT0187930005 Tumor -0.3
CPT0094740004 Tumor -0.3
C3N-02573-03 Normal -0.3
CPT0094130004 Tumor -0.3
CPT0078030003 Normal -0.3
CPT0239910004 Tumor -0.3
CPT0208690004 Tumor -0.3
CPT0174800003 Normal -0.3
CPT0162670004 Normal -0.3
CPT0198700005 Tumor -0.3
CPT0094940004 Tumor -0.3
CPT0187540004 Normal -0.3
CPT0248590004 Tumor -0.3
CPT0123860003 Tumor -0.3
CPT0108400003 Tumor -0.3
CPT0237910004 Tumor -0.3
CPT0208550005 Tumor -0.3
C3N-00709-06 Normal -0.3
CPT0063970004 Tumor -0.3
CPT0094180003 Tumor -0.3
CPT0001730017 Tumor -0.4
CPT0183450005 Tumor -0.4
CPT0063570003 Tumor -0.4
KoreanReference1 Tumor -0.4
CPT0081360004 Tumor -0.4
CPT0081060004 Tumor -0.4
CPT0124410004 Tumor -0.4
CPT0226570004 Tumor -0.4
KoreanReference3 Tumor -0.5
CPT0227930004 Tumor -0.5
CPT0237840004 Tumor -0.5
CPT0081470004 Tumor -0.5
CPT0123990003 Tumor -0.5
CPT0208840004 Tumor -0.5
CPT0226760004 Tumor -0.5
CPT0124500004 Tumor -0.5
CPT0017040004 Tumor -0.5
CPT0019300004 Tumor -0.5
CPT0209640005 Tumor -0.5
CPT0238530005 Tumor -0.5
CPT0077810003 Normal -0.5
CPT0221250004 Normal -0.5
CPT0238820005 Tumor -0.6
CPT0162760003 Tumor -0.6
CPT0086210003 Normal -0.6
CPT0235230004 Tumor -0.6
CPT0123750003 Tumor -0.6
CPT0008800003 Tumor -0.6
CPT0094630004 Tumor -0.6
CPT0123770003 Normal -0.6
CPT0264150003 Tumor -0.6
CPT0124530003 Normal -0.7
CPT0174700004 Tumor -0.7
CPT0077880003 Normal -0.7
CPT0109010004 Tumor -0.7
CPT0025760003 Normal -0.7
CPT0017130003 Normal -0.7
CPT0093980004 Tumor -0.7
CPT0139000004 Tumor -0.7
CPT0246810003 Tumor -0.7
CPT0126160004 Tumor -0.8
CPT0355180003 Normal -0.8
CPT0077790004 Tumor -0.9
CPT0124000003 Normal -1.0
CPT0094030003 Tumor -1.1
WU-PDA1 Tumor -1.1
CPT0123440003 Tumor -1.1
CPT0125010003 Normal -1.2
CPT0091660003 Tumor -1.2
CPT0125130003 Tumor -1.4
CPT0077860003 Tumor -1.4
CPT0247050003 Normal N/A
CPT0108410003 Normal N/A
CPT0248320003 Normal N/A
CPT0166650006 Tumor N/A
CPT0224470004 Normal N/A
C3L-01687-04 Normal N/A
CPT0138890003 Normal N/A
CPT0109110004 Tumor N/A
WU-pooled sample Tumor N/A
CPT0014060003 Normal N/A
CPT0109130003 Normal N/A
CPT0138900004 Tumor N/A
CPT0166680004 Normal N/A
CPT0094760003 Normal N/A
CPT0186050004 Normal N/A
CPT0237290004 Normal N/A
CPT0264180003 Normal N/A
CPT0063990003 Normal N/A
CPT0126200003 Normal N/A
CPT0198730004 Normal N/A
Show allShow less
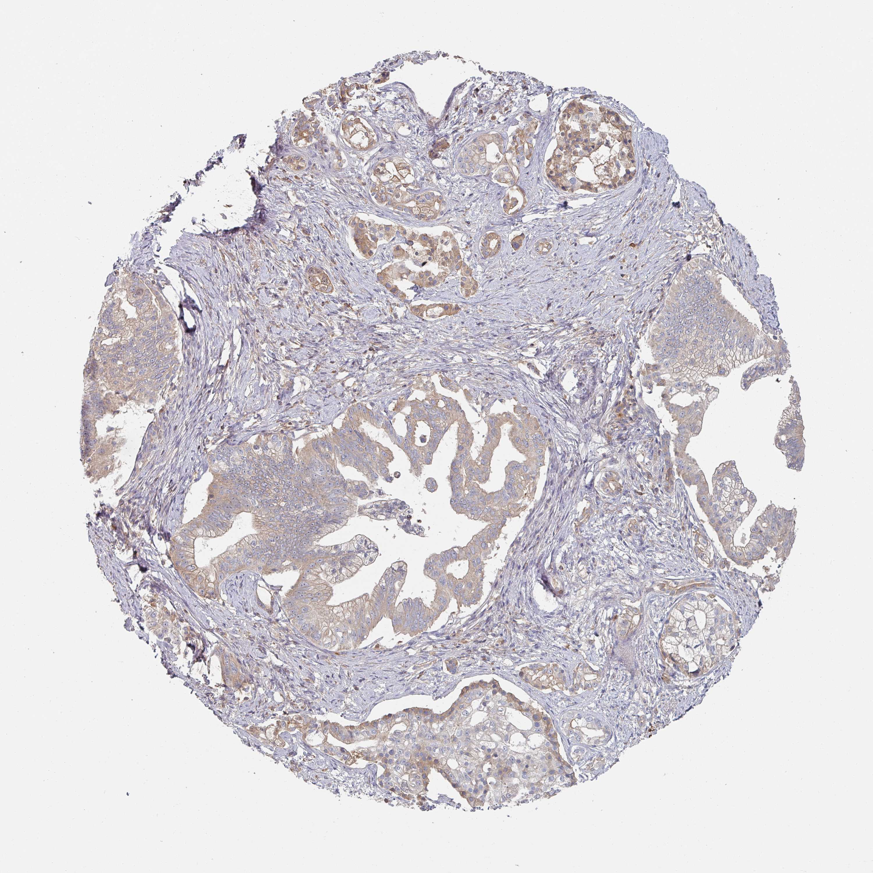
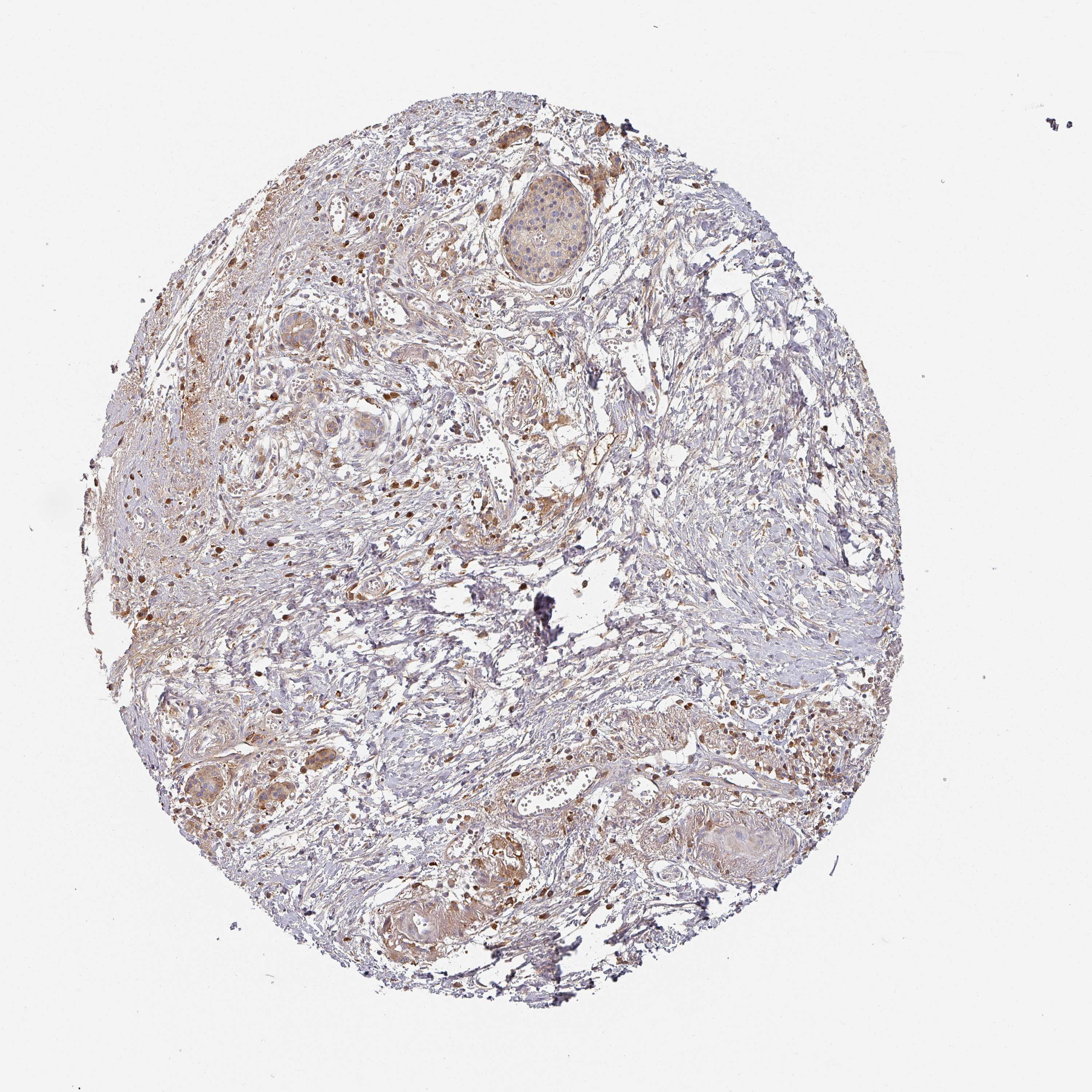
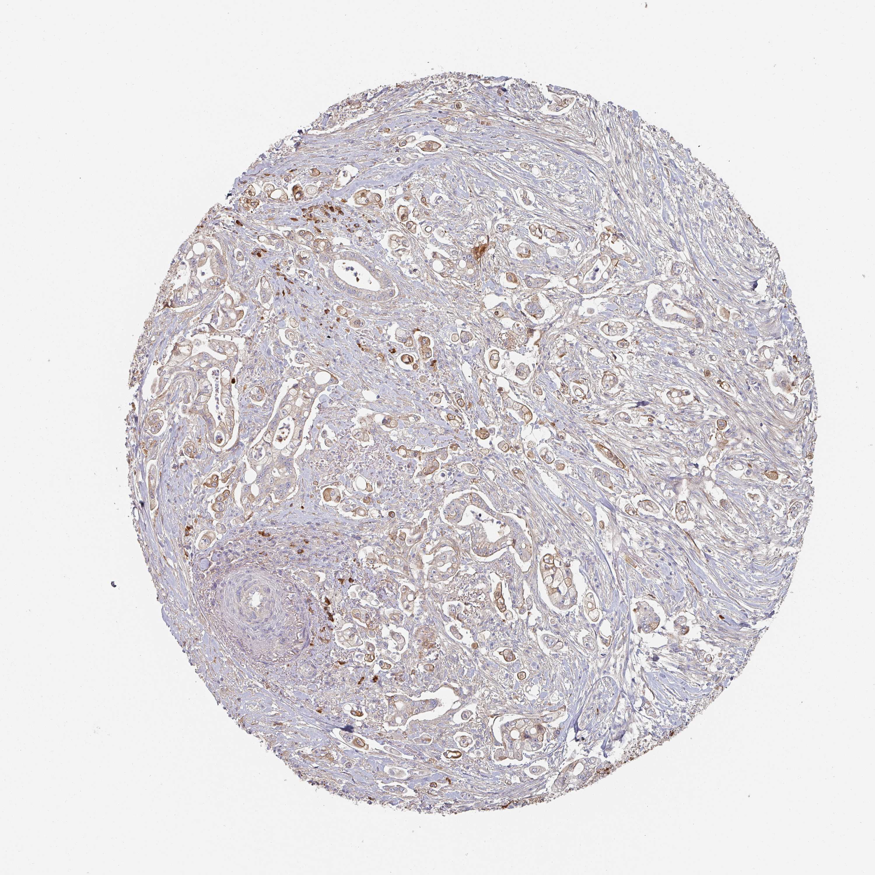
PANCREATIC CANCER - Protein expressioni

A mouse-over function shows sample information and annotation data. Click on an image to view it in a full screen mode. Samples can be filtered based on level of antibody staining by selecting one or several of the following categories: high, medium, low and not detected. The assay and annotation is described here.

Note that samples used for immunohistochemistry by the Human Protein Atlas do not correspond to samples in the TCGA dataset.

 

Antibody stainingi

Antibody staining in the annotated cell types in the current human tissue is reported as not detected, low, medium, or high, based on conventional immunohistochemistry profiling in selected tissues. This score is based on the combination of the staining intensity and fraction of stained cells.

Each image is clickable and will lead to virtual microscopy that enables deeper exploration of all samples and also displays staining intensity scores, fraction scores and subcellular localization as well as patient and tissue information for each sample.


Antibody HPA047159
 Staining
  High
  Medium
  Low
  Not detected
 Intensity
  Strong
  Moderate
  Weak
  Negative
 Quantity
  >75%
  75%-25%
  <25%
  None
 Location
  Nuclear
  Cytoplasmic/membranous
  Cytoplasmic/membranous,nuclear
  None
Adenocarcinoma, NOS

Contact

  • NEWS ARTICLES
  • PRESS ROOM

The Project

  • INTRODUCTION
  • ORGANIZATION
  • PUBLICATIONS

The Human Protein Atlas

  • DOWNLOADABLE DATA
  • LICENCE & CITATION
  • HELP & FAQ
The Human Protein Atlas project is funded
by the Knut & Alice Wallenberg Foundation.


contact@proteinatlas.org