We use cookies to enhance the usability of our website. If you continue, we'll assume that you are happy to receive all cookies. More information. Don't show this again.
ADSL
HPA
RESOURCES
  • TISSUE
  • BRAIN
  • SINGLE CELL
  • SUBCELLULAR
  • CANCER
  • BLOOD
  • CELL LINE
  • STRUCTURE & INTERACTION
ABOUT
  • INTRODUCTION
  • HISTORY
  • ORGANIZATION
  • PUBLICATIONS
  • ANTIBODY SUBMISSION
  • ANTIBODY AVAILABILITY
  • ACKNOWLEDGMENTS
  • CONTACT
NEWS
  • NEWS ARTICLES
  • PRESS ROOM
LEARN
  • DICTIONARY
  • PROTEIN CLASSES
  • PROTEIN EVIDENCE
  • METHODS
  • EDUCATIONAL VIDEOS
DATA
  • DOWNLOADABLE DATA
  • PUBLICATION DATA
  • RELEASE HISTORY
HELP
  • ANTIBODY VALIDATION
  • ASSAYS & ANNOTATION
  • DISCLAIMER
  • HELP & FAQ
  • PRIVACY STATEMENT
  • LICENCE & CITATION
Fields »
Search result

Field
Term
Gene name
Class
Subclass
Class
Keyword
Chromosome
External id
Tissue
Cell type
Expression
Antibody panel
Tissue
Main location
Patient ID
Annotation
Tissue
Category
Tau score
Cluster
Reliability
Brain region
Category
Tau score
Brain region
Category
Tau score
Brain region
Category
Tau score
Cluster
Reliability
Tissue
Cell type
Enrichment
Cell type
Category
Tau score
Cell type
Category
Tau score
Cell type
Category
Tau score
Cell lineage
Category
Tau score
Cluster
Cluster
Location
Searches
Location
Cell line
Class
Type
Phase
Reliability
Cancer
Prognosis
Cancer
Category
Cancer
Category
Tau score
Cluster
Variants
Interacting gene (ensg_id)
Type
Number of interactions
Pathway
Category
Score
Score
Score
Validation
Validation
Validation
Validation
Antibodies
Data type
Column


  • SUMMARY

  • TISSUE

  • BRAIN

  • SINGLE CELL

  • SUBCELL

  • CANCER

  • BLOOD

  • CELL LINE

  • STRUCT & INT

  • ADSL
TISSUE PRIMARY DATA HEART MUSCLE Show tissue menu
ADIPOSE TISSUE ADRENAL GLAND AMYGDALA APPENDIX BASAL GANGLIA BONE MARROW BREAST BRONCHUS CEREBELLUM CEREBRAL CORTEX CERVIX CHOROID PLEXUS COLON DUODENUM
ENDOMETRIUM EPIDIDYMIS ESOPHAGUS FALLOPIAN TUBE GALLBLADDER HEART MUSCLE HIPPOCAMPAL FORMATION HYPOTHALAMUS KIDNEY LIVER LUNG LYMPH NODE MIDBRAIN NASOPHARYNX
ORAL MUCOSA OVARY PANCREAS PARATHYROID GLAND PITUITARY GLAND PLACENTA PROSTATE RECTUM RETINA SALIVARY GLAND SEMINAL VESICLE SKELETAL MUSCLE SKIN SMALL INTESTINE
SMOOTH MUSCLE SOFT TISSUE SPINAL CORD SPLEEN STOMACH TESTIS THYMUS THYROID GLAND TONGUE TONSIL URINARY BLADDER VAGINA
ANTIBODIES
AND
VALIDATION
Dictionary
Heart muscle
Tissue proteome
Heart
HEART MUSCLE - Expression summary
Protein expression
Heart musclei

On the top, protein expression in current human tissue, based on all annotated cell types, is reported with the units not detected (n), low (l), medium (m) and high (h). Underneath, protein expression in each annotated cell type are reported using the same units.

Protein expression data is based on knowledge-based annotation. For genes where more than one antibody has been used, a collective score is set.

If knowledge-based annotation could not be performed for a gene, no data is displayed here. View antibody staining data further down this page.

h
m
l
n
Cardiomyocytes: Medium
RNA expressioni

A summary of mRNA expression data available for current tissue based on several datasets. The mRNA expression levels in human tissues are based on RNA-seq data generated by the Human Protein Atlas (HPA), Genotype-Tissue Expression (GTEx) portal and CAGE data generated by the FANTOM5 consortium. Consensus normalized expression levels for human tissues was created by combining the data from HPA and GTEx datasets.

The mRNA expression levels in pig are based on RNA-seq data generated by the Human Protein Atlas (HPA), and for mouse, HPA data and in situ hybridization generated by the Allen brain atlas are reported.

Scroll down to view mRNA expression data in more detail.
Consensus:45.9 nTPM
HPA:44.2 nTPM
GTEx:45.9 nTPM
FANTOM5:38.8 Scaled Tags Per Million

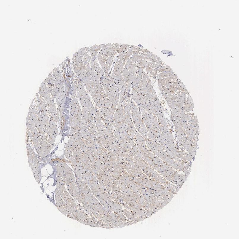
HEART MUSCLE - Antibody stainingi

Antibody staining in the annotated cell types in the current human tissue is reported as not detected, low, medium, or high, based on conventional immunohistochemistry profiling in selected tissues. This score is based on the combination of the staining intensity and fraction of stained cells.

Each image is clickable and will lead to virtual microscopy that enables deeper exploration of all samples and also displays staining intensity scores, fraction scores and subcellular localization as well as patient and tissue information for each sample.

Antibody HPA000525Antibody CAB019285
Cardiomyocytes LowMedium





HEART MUSCLE - HPA RNA-seqi

The RNA-seq details section shows detailed information about the individual samples used for the transcript profiling and results of the RNA-seq analysis.

Information about each individual sample is listed below, including gender, age, a tissue section image and estimated fractions of cell types. nTPM (normalized transcripts per million) values give a quantification of the gene abundance which is comparable between different genes and samples.
Average nTPMi

Max subtype nTPM is the value for the subtype with the largest average nTPM across the subtype samples.

44.2
overview
Female, age 48
Heart muscle sample 149
nTPM: 48.1
Cell types%
Myocytes:
15

Fibroblasts:
55

Endothelial cells:
25

Other cell types:
5

overview
Female, age 42
Heart muscle sample 150
nTPM: 56.8
Cell types%
Myocytes:
20

Fibroblasts:
45

Endothelial cells:
30

Other cell types:
5

overview
Male, age 53
Heart muscle sample 151
nTPM: 33.4
Cell types%
Myocytes:
20

Fibroblasts:
45

Endothelial cells:
30

Other cell types:
5

overview
Female, age 69
Heart muscle sample 152
nTPM: 38.5
Cell types%
Myocytes:
20

Fibroblasts:
45

Endothelial cells:
30

Other cell types:
5


HEART MUSCLE - GTEx RNA-seqi

RNA-Seq data generated by the Genotype-Tissue Expression (GTEx) project from human tissues is reported as mean nTPM. More information can be found on the GTEx portal.

Distribution across the dataset is visualized with box plots, shown as median and 25th and 75th percentiles. Points are displayed as outliers if they are above or below 1.5 times the interquartile range. nTPM values of the individual samples are presented next to the box plot.
Max subtype nTPMi

Max subtype nTPM is the value for the subtype with the largest average nTPM across the subtype samples.

45.9
GTEx sample id Sample description nTPM
Heart - Atrial Appendage
Average nTPM: 31.7
Samples: 429

Max nTPM: 79.7
Min nTPM: 14.4
Std nTPM: 8.2
Median nTPM: 31.1
GTEX-14PJM-0826-SM-6LLIW 50-59 years, female 79.7
GTEX-14PJO-0826-SM-6ETZK 60-69 years, male 65.4
GTEX-1GF9U-0526-SM-7P8SK 40-49 years, female 60.0
GTEX-1J1OQ-2226-SM-A96SS 40-49 years, female 59.3
GTEX-1B996-1026-SM-793CF 60-69 years, male 57.5
GTEX-1RLM8-0226-SM-E6CJY 50-59 years, male 57.0
GTEX-11TT1-1426-SM-5EGIA 20-29 years, male 56.6
GTEX-YF7O-0526-SM-5P9IO 50-59 years, male 55.0
GTEX-145MN-0726-SM-5NQBH 30-39 years, male 54.8
GTEX-12696-1226-SM-5FQSM 60-69 years, male 54.6
GTEX-13O61-0426-SM-5L3ET 60-69 years, male 51.7
GTEX-1GN1W-0226-SM-7P8QY 50-59 years, female 50.8
GTEX-1MJIX-0426-SM-DTXEN 40-49 years, male 50.4
GTEX-13O1R-0926-SM-5L3DS 60-69 years, male 49.1
GTEX-Y3IK-1026-SM-51MR7 50-59 years, female 49.1
GTEX-13W3W-0526-SM-5LU3X 60-69 years, female 48.0
GTEX-1OFPY-0926-SM-DTX8Q 60-69 years, male 47.9
GTEX-YEC4-0226-SM-4W1YG 40-49 years, male 47.8
GTEX-132QS-0526-SM-5IJC7 60-69 years, male 46.7
GTEX-12BJ1-0326-SM-5FQUB 60-69 years, male 46.5
GTEX-13RTJ-0526-SM-62LDP 60-69 years, male 46.1
GTEX-14XAO-0926-SM-69LPZ 60-69 years, female 46.1
GTEX-13FTW-0826-SM-5K7XR 40-49 years, male 45.9
GTEX-XBEC-1226-SM-4AT65 50-59 years, male 45.9
GTEX-ZV7C-0526-SM-9WPNK 50-59 years, male 45.5
GTEX-X8HC-1026-SM-46MWH 50-59 years, female 45.3
GTEX-1122O-0626-SM-5N9B9 60-69 years, female 44.8
GTEX-14PN4-0826-SM-69LON 50-59 years, male 44.7
GTEX-1K2DU-0226-SM-DIPF6 20-29 years, male 44.3
GTEX-XPVG-0726-SM-4B658 50-59 years, male 44.2
GTEX-13D11-1526-SM-5J2NA 50-59 years, female 44.0
GTEX-131XF-0426-SM-5HL7U 60-69 years, male 43.4
GTEX-132NY-1426-SM-5J1MJ 60-69 years, male 43.3
GTEX-XYKS-0226-SM-4BRW3 60-69 years, female 43.2
GTEX-ZTTD-0626-SM-4YCCY 50-59 years, male 42.9
GTEX-ZYFD-2026-SM-5E459 50-59 years, male 42.4
GTEX-139TU-1926-SM-5J2OC 60-69 years, male 42.2
GTEX-14JG1-0826-SM-5ZZWR 40-49 years, male 41.9
GTEX-14PJ4-0926-SM-5YY98 60-69 years, male 41.9
GTEX-15EU6-1326-SM-6PANG 50-59 years, male 41.4
GTEX-13FH7-0826-SM-5J2NW 50-59 years, female 41.2
GTEX-14BIM-2726-SM-5Q5EG 60-69 years, female 41.2
GTEX-XGQ4-0526-SM-4AT6C 50-59 years, male 41.2
GTEX-1KANC-0226-SM-E9TIW 50-59 years, female 41.2
GTEX-1LGRB-1026-SM-CNPQD 50-59 years, female 41.1
GTEX-1HBPN-0926-SM-CGQEG 50-59 years, male 41.0
GTEX-1HFI7-0526-SM-A9SMA 50-59 years, female 40.8
GTEX-1H1ZS-1026-SM-9WG6E 70-79 years, male 40.7
GTEX-11EM3-0426-SM-5N9BZ 20-29 years, female 40.6
GTEX-1IKK5-1726-SM-CM2RU 60-69 years, male 40.6
GTEX-1F75I-1326-SM-7PBZX 40-49 years, male 40.3
GTEX-13X6K-1726-SM-7IGLG 60-69 years, female 40.2
GTEX-1HSGN-0926-SM-CNNQM 40-49 years, female 40.2
GTEX-13JVG-1126-SM-5KM2M 60-69 years, male 39.9
GTEX-16MT8-0826-SM-7KULO 60-69 years, female 39.9
GTEX-145LS-1326-SM-5Q5EP 60-69 years, female 39.8
GTEX-12WSN-0226-SM-5DUXH 40-49 years, male 39.6
GTEX-1LGOU-0326-SM-D3LAM 20-29 years, female 39.6
GTEX-1RB15-0426-SM-E9U4Y 60-69 years, male 39.4
GTEX-13S86-0326-SM-5SI6K 40-49 years, male 39.3
GTEX-1EH9U-0626-SM-7PC33 60-69 years, male 39.3
GTEX-U8XE-0926-SM-3DB8V 30-39 years, male 39.1
GTEX-1MCC2-0226-SM-EVYD5 30-39 years, female 39.0
GTEX-W5X1-0826-SM-3GILN 40-49 years, female 38.9
GTEX-YB5K-0226-SM-5IFJE 40-49 years, female 38.8
GTEX-11TUW-1126-SM-5EQKJ 60-69 years, male 38.7
GTEX-11DXX-0526-SM-5PNVR 60-69 years, female 38.6
GTEX-Y114-0126-SM-4TT8K 50-59 years, female 38.5
GTEX-ZYVF-1826-SM-5E44F 50-59 years, female 38.5
GTEX-X3Y1-0226-SM-3P5Z5 40-49 years, male 38.3
GTEX-1R9JW-0426-SM-E76QL 30-39 years, female 38.3
GTEX-132AR-1926-SM-5EGK5 50-59 years, female 37.8
GTEX-ZAK1-1126-SM-5PNXU 50-59 years, female 37.8
GTEX-ZYFC-1026-SM-5GZX9 50-59 years, male 37.6
GTEX-1AX9K-0426-SM-73KUG 50-59 years, male 37.5
GTEX-ZLFU-0326-SM-4WWBK 40-49 years, male 37.5
GTEX-1JMLX-1826-SM-CNPOX 50-59 years, male 37.4
GTEX-1GN1U-1426-SM-7P8TF 50-59 years, female 37.3
GTEX-12WSD-1226-SM-5HL9Q 60-69 years, female 37.2
GTEX-14PK6-0726-SM-6LLIX 70-79 years, female 37.2
GTEX-Y3I4-0526-SM-4TT6X 50-59 years, male 37.1
GTEX-1LSNM-0426-SM-E9TIZ 50-59 years, male 37.1
GTEX-13O3Q-0326-SM-5L3FE 50-59 years, male 37.0
GTEX-14PN3-0726-SM-6EU14 60-69 years, female 37.0
GTEX-13PVR-0926-SM-5S2RB 60-69 years, female 36.9
GTEX-13QBU-0226-SM-5LU48 40-49 years, female 36.9
GTEX-1AX9J-0926-SM-73KXA 60-69 years, male 36.9
GTEX-12WSG-1226-SM-5EQ4C 50-59 years, female 36.8
GTEX-1IDJF-0826-SM-ARU7N 20-29 years, male 36.8
GTEX-XQ3S-0526-SM-4BOQA 20-29 years, male 36.7
GTEX-16XZY-0526-SM-7DHKY 70-79 years, male 36.6
GTEX-1IKOE-0626-SM-A9G31 30-39 years, female 36.6
GTEX-1339X-0326-SM-5K7Z8 40-49 years, male 36.5
GTEX-14H4A-0426-SM-5ZZWO 40-49 years, female 36.4
GTEX-1H1DG-0826-SM-9QEIW 70-79 years, male 36.4
GTEX-1L5NE-0526-SM-DIPG5 50-59 years, male 36.3
GTEX-117YX-0626-SM-5EGJI 50-59 years, male 36.2
GTEX-1B97J-0326-SM-7939H 50-59 years, female 36.2
GTEX-XQ8I-0226-SM-4BOPM 50-59 years, male 36.1
GTEX-1H3NZ-1026-SM-A9SM5 60-69 years, male 36.1
GTEX-11O72-1026-SM-5986B 40-49 years, male 36.0
GTEX-13CF2-0226-SM-5L3DV 60-69 years, male 36.0
GTEX-WI4N-0726-SM-3TW93 40-49 years, female 35.9
GTEX-ZDTT-0326-SM-4WKF9 60-69 years, male 35.9
GTEX-13PL7-0726-SM-5KM1S 60-69 years, female 35.8
GTEX-18D9B-1126-SM-7KFSH 60-69 years, male 35.8
GTEX-XLM4-2026-SM-4AT4X 60-69 years, male 35.8
GTEX-1QMI2-1026-SM-DTX7T 60-69 years, male 35.8
GTEX-1R7EV-0426-SM-DTX7Z 40-49 years, male 35.8
GTEX-1211K-0226-SM-59HJY 60-69 years, female 35.7
GTEX-ZDYS-0326-SM-5HL4W 50-59 years, male 35.7
GTEX-1192X-0726-SM-5987R 50-59 years, male 35.6
GTEX-14C38-1326-SM-62LDK 50-59 years, male 35.6
GTEX-ZTPG-1326-SM-51MSQ 20-29 years, female 35.6
GTEX-XV7Q-0726-SM-4BRV6 40-49 years, female 35.5
GTEX-ZDTS-1226-SM-4WKGL 60-69 years, male 35.5
GTEX-1KXAM-1426-SM-D3LAC 60-69 years, male 35.5
GTEX-1I1GP-0626-SM-ARL7H 50-59 years, male 35.4
GTEX-1KANB-1126-SM-DHXJT 50-59 years, male 35.3
GTEX-1QCLZ-1126-SM-EWRNB 60-69 years, female 35.3
GTEX-1HBPM-1026-SM-ARL9D 60-69 years, female 35.2
GTEX-1QPFJ-0926-SM-EVR3K 30-39 years, female 35.2
GTEX-12WSK-0526-SM-5CVNA 40-49 years, female 35.1
GTEX-131XG-0526-SM-5DUWF 50-59 years, female 35.0
GTEX-1E2YA-0626-SM-7P8P4 50-59 years, male 35.0
GTEX-1GMR8-1026-SM-9MQLA 50-59 years, female 34.9
GTEX-17F9Y-1226-SM-7EPGE 70-79 years, female 34.8
GTEX-18D9U-1426-SM-718BO 40-49 years, male 34.8
GTEX-11ZTT-0526-SM-5EQLA 60-69 years, female 34.7
GTEX-1A32A-1326-SM-73KWW 50-59 years, female 34.7
GTEX-XPT6-0226-SM-4B65L 20-29 years, male 34.7
GTEX-111YS-0326-SM-5GZZ3 60-69 years, male 34.3
GTEX-12WSI-0426-SM-5EQ5J 50-59 years, male 34.2
GTEX-13YAN-1426-SM-7EPG8 60-69 years, male 34.2
GTEX-15CHQ-1326-SM-6871Z 60-69 years, male 34.2
GTEX-ZG7Y-1426-SM-4WWBM 50-59 years, male 34.2
GTEX-1NHNU-0626-SM-E6CP1 50-59 years, male 34.2
GTEX-11LCK-0826-SM-5PNYD 30-39 years, male 34.1
GTEX-WH7G-0326-SM-3NMBH 40-49 years, male 34.1
GTEX-1HBPH-0226-SM-9WYSM 40-49 years, female 34.1
GTEX-131XE-0526-SM-5K7YT 50-59 years, male 34.0
GTEX-ZAB4-0926-SM-5CVN4 40-49 years, male 34.0
GTEX-1CAMS-1126-SM-7MXUQ 40-49 years, female 34.0
GTEX-13N1W-0926-SM-5MR36 70-79 years, male 33.9
GTEX-1J8QM-0326-SM-CL53D 60-69 years, female 33.9
GTEX-1LVAO-0626-SM-EWRNT 60-69 years, male 33.9
GTEX-1QP29-1426-SM-DTX9Q 50-59 years, male 33.9
GTEX-1399S-0826-SM-5KM23 30-39 years, female 33.8
GTEX-15SHV-0526-SM-7KUEN 60-69 years, male 33.8
GTEX-ZYFG-0526-SM-5GZXX 60-69 years, female 33.8
GTEX-15DCE-0826-SM-7KULW 20-29 years, male 33.7
GTEX-11ONC-1026-SM-5GU64 60-69 years, male 33.6
GTEX-13VXT-0726-SM-5SIAD 20-29 years, female 33.6
GTEX-WFG8-0726-SM-3GILP 20-29 years, male 33.5
GTEX-1GN73-2326-SM-9MQKV 60-69 years, male 33.5
GTEX-13OVI-0326-SM-5K7X1 60-69 years, female 33.4
GTEX-14BIL-0926-SM-7DHKN 50-59 years, male 33.4
GTEX-14C39-0726-SM-5RQIK 40-49 years, male 33.4
GTEX-1C64O-0926-SM-79OLN 60-69 years, male 33.4
GTEX-147JS-1326-SM-5SI6D 60-69 years, male 33.2
GTEX-17JCI-0826-SM-7LT8W 60-69 years, female 33.2
GTEX-1ICG6-0726-SM-B2LY5 70-79 years, female 33.2
GTEX-1445S-1226-SM-5O9BF 60-69 years, male 33.1
GTEX-145LV-0226-SM-5S2QG 50-59 years, male 33.1
GTEX-ZVT2-0926-SM-5GICE 50-59 years, female 33.1
GTEX-XXEK-2026-SM-4BRVE 50-59 years, male 33.0
GTEX-ZPU1-0726-SM-5HL6O 40-49 years, male 33.0
GTEX-1LH75-0526-SM-DIPG2 50-59 years, female 33.0
GTEX-1IDJU-0626-SM-CKZOG 60-69 years, female 32.9
GTEX-14PJ2-1126-SM-69LOD 50-59 years, male 32.8
GTEX-ZEX8-0326-SM-DO92C 50-59 years, male 32.8
GTEX-14PJ6-0626-SM-686Z6 60-69 years, female 32.7
GTEX-1B933-0826-SM-79OMW 50-59 years, female 32.7
GTEX-1IDJH-1126-SM-COH3R 70-79 years, male 32.7
GTEX-183WM-0926-SM-718AN 70-79 years, female 32.6
GTEX-WFON-0226-SM-3GIKR 40-49 years, male 32.6
GTEX-13PVQ-1326-SM-5LU4J 50-59 years, male 32.5
GTEX-1CB4J-0226-SM-7P8T4 60-69 years, male 32.5
GTEX-1C2JI-0626-SM-7DHM1 50-59 years, male 32.4
GTEX-X62O-0826-SM-46MW8 50-59 years, male 32.4
GTEX-1JMQK-0926-SM-ARL96 60-69 years, male 32.4
GTEX-12ZZY-1226-SM-5GCNK 60-69 years, male 32.3
GTEX-1A3MX-1226-SM-731B3 60-69 years, male 32.2
GTEX-XOT4-1126-SM-4B66E 60-69 years, female 32.2
GTEX-1CAMQ-0726-SM-7P8SG 40-49 years, male 32.2
GTEX-1HCUA-0626-SM-ACKVT 50-59 years, female 32.2
GTEX-1JK1U-0626-SM-CKZOJ 60-69 years, male 32.2
GTEX-1C6VQ-0826-SM-7PBZT 50-59 years, male 32.1
GTEX-1HSMO-1126-SM-CGQF2 60-69 years, male 32.1
GTEX-1J8Q3-1126-SM-ARU8N 60-69 years, male 32.1
GTEX-ZPIC-0426-SM-DO91V 40-49 years, female 32.1
GTEX-11P81-0526-SM-59873 30-39 years, female 32.0
GTEX-146FH-1126-SM-5NQAT 50-59 years, female 32.0
GTEX-15SKB-0926-SM-7KUFC 60-69 years, male 32.0
GTEX-ZT9W-0526-SM-57WFG 50-59 years, male 32.0
GTEX-WY7C-1126-SM-3NB3A 50-59 years, male 31.9
GTEX-ZZPU-1126-SM-5N9CW 50-59 years, female 31.9
GTEX-11WQK-0226-SM-5EQLI 50-59 years, male 31.7
GTEX-16NPX-0826-SM-6M489 50-59 years, male 31.7
GTEX-WHSE-0826-SM-4SOJU 20-29 years, male 31.7
GTEX-1JJ6O-2226-SM-AHZ3I 60-69 years, male 31.7
GTEX-11DYG-1026-SM-5A5JQ 60-69 years, male 31.5
GTEX-13NZB-0426-SM-5KM26 30-39 years, male 31.5
GTEX-ZF2S-0826-SM-4WWBI 50-59 years, female 31.5
GTEX-ZPCL-0526-SM-DO91R 60-69 years, female 31.5
GTEX-148VJ-1426-SM-5TDE3 70-79 years, male 31.4
GTEX-14BMV-1026-SM-5SI6B 50-59 years, male 31.4
GTEX-1212Z-0726-SM-5EGI5 60-69 years, male 31.3
GTEX-WFG7-0826-SM-3GIKU 20-29 years, male 31.3
GTEX-ZF29-0426-SM-4WKFN 60-69 years, female 31.3
GTEX-V955-0826-SM-CYPR5 60-69 years, male 31.3
GTEX-13O3O-1426-SM-5KM2S 60-69 years, female 31.2
GTEX-13OW5-0926-SM-5L3GZ 60-69 years, male 31.2
GTEX-1HSMQ-0426-SM-ADEIM 50-59 years, male 31.2
GTEX-1GZ4I-0826-SM-9WG6O 50-59 years, male 31.1
GTEX-13OVG-0426-SM-5KM2T 60-69 years, male 31.0
GTEX-1CB4I-1526-SM-7DHMY 50-59 years, male 30.9
GTEX-1H11D-1026-SM-9QEIU 40-49 years, male 30.9
GTEX-1399U-0726-SM-5KM1D 50-59 years, female 30.8
GTEX-14ASI-0826-SM-5Q5EB 60-69 years, male 30.8
GTEX-YFC4-0426-SM-4TT3J 40-49 years, female 30.8
GTEX-1GF9V-1726-SM-9KNW4 60-69 years, male 30.7
GTEX-1GMR3-0426-SM-7PC17 40-49 years, male 30.7
GTEX-14C5O-1226-SM-664N3 60-69 years, male 30.5
GTEX-14PHX-0626-SM-5YY8Z 50-59 years, male 30.4
GTEX-X5EB-0626-SM-46MVQ 40-49 years, male 30.4
GTEX-Y5V5-0726-SM-4VBPY 60-69 years, female 30.4
GTEX-1B8L1-0426-SM-7SB76 60-69 years, male 30.4
GTEX-146FR-0926-SM-5QGPE 60-69 years, female 30.3
GTEX-147F4-1126-SM-5TDDE 50-59 years, male 30.3
GTEX-14PII-1026-SM-5ZZVW 60-69 years, male 30.3
GTEX-17KNJ-0626-SM-7LT9L 50-59 years, male 30.3
GTEX-ZVT4-1326-SM-5NQ8E 50-59 years, female 30.2
GTEX-1HT8W-1326-SM-CGQEN 30-39 years, male 30.2
GTEX-17GQL-0626-SM-731CN 60-69 years, male 30.1
GTEX-13OW7-1626-SM-5IJDH 50-59 years, male 30.0
GTEX-13SLX-0926-SM-5S2NM 50-59 years, female 30.0
GTEX-1IL2U-1226-SM-CL53P 60-69 years, male 30.0
GTEX-11DXZ-0326-SM-5EGH1 50-59 years, male 29.9
GTEX-ZE7O-0626-SM-57WCD 50-59 years, female 29.9
GTEX-ZYT6-0926-SM-5GIEM 30-39 years, male 29.9
GTEX-1GL5R-0426-SM-9WPOP 50-59 years, male 29.9
GTEX-15ER7-0826-SM-6PALW 20-29 years, female 29.8
GTEX-13SLW-0826-SM-5QGP7 70-79 years, male 29.7
GTEX-1LVAN-1526-SM-CNPQN 50-59 years, female 29.7
GTEX-15UF7-1526-SM-6LPI7 40-49 years, male 29.6
GTEX-1AX8Z-1126-SM-731CS 60-69 years, male 29.6
GTEX-11EMC-0826-SM-59862 60-69 years, female 29.5
GTEX-12WSC-1026-SM-5EQ5Y 50-59 years, male 29.5
GTEX-13FHP-0826-SM-5K7V5 50-59 years, male 29.5
GTEX-WEY5-0226-SM-3GIKN 40-49 years, female 29.5
GTEX-17MF6-0926-SM-7LTAL 40-49 years, male 29.4
GTEX-1JMQL-1026-SM-CMKGV 50-59 years, female 29.4
GTEX-ZGAY-0226-SM-4WWAL 40-49 years, female 29.3
GTEX-1H3VY-1126-SM-A96TP 50-59 years, male 29.3
GTEX-131YS-0826-SM-5PNYV 60-69 years, female 29.2
GTEX-15RIE-1326-SM-6PAMM 60-69 years, male 29.2
GTEX-1B8KE-0326-SM-73KTY 50-59 years, male 29.2
GTEX-WHWD-0326-SM-3LK6L 50-59 years, male 29.1
GTEX-11NV4-0826-SM-5BC4S 60-69 years, male 29.0
GTEX-13N11-0726-SM-5L3DP 50-59 years, female 29.0
GTEX-1117F-0726-SM-5GIEN 60-69 years, female 28.9
GTEX-139YR-0526-SM-5L3DG 50-59 years, male 28.9
GTEX-1IY9M-0626-SM-D4P2L 60-69 years, male 28.9
GTEX-UPK5-0226-SM-3GAEV 40-49 years, male 28.8
GTEX-WK11-0626-SM-3NMAV 50-59 years, male 28.8
GTEX-12WSE-0926-SM-5S2VX 20-29 years, male 28.7
GTEX-1IDJD-0226-SM-CKZOA 30-39 years, male 28.7
GTEX-13JUV-0226-SM-5IJCC 40-49 years, female 28.6
GTEX-13U4I-0626-SM-5LU5L 40-49 years, female 28.6
GTEX-17F96-0826-SM-7DHLU 70-79 years, male 28.6
GTEX-1F75A-1026-SM-7PC3W 50-59 years, male 28.6
GTEX-YEC3-0426-SM-CYPS8 50-59 years, male 28.6
GTEX-1KD5A-0926-SM-D4P3U 50-59 years, male 28.5
GTEX-13O3P-1426-SM-5L3DT 50-59 years, male 28.4
GTEX-1313W-1126-SM-5EQ5U 50-59 years, female 28.3
GTEX-1EMGI-1126-SM-9KNUF 60-69 years, male 28.2
GTEX-17F9E-0726-SM-793A1 50-59 years, male 28.1
GTEX-1AYCT-0526-SM-7RHHS 50-59 years, male 28.1
GTEX-11UD2-0926-SM-5CVL6 50-59 years, male 28.0
GTEX-1399T-0726-SM-5J1MH 60-69 years, male 28.0
GTEX-1CB4E-0626-SM-7DHMW 60-69 years, male 28.0
GTEX-1I1HK-0626-SM-CNPQM 60-69 years, male 28.0
GTEX-11GSP-1226-SM-5985M 60-69 years, female 27.9
GTEX-1HCVE-0826-SM-CM2SF 50-59 years, male 27.9
GTEX-1PPGY-0926-SM-DTXFF 60-69 years, male 27.9
GTEX-1C6WA-0826-SM-7PBXS 60-69 years, male 27.8
GTEX-1JJEA-0926-SM-CYPSO 60-69 years, male 27.8
GTEX-111FC-0626-SM-5N9CU 60-69 years, male 27.7
GTEX-14A5I-1026-SM-5Q5E3 50-59 years, female 27.7
GTEX-18A7A-1226-SM-7LTAJ 50-59 years, female 27.7
GTEX-ZAJG-0926-SM-5Q5AB 50-59 years, female 27.7
GTEX-14DAQ-1026-SM-793B1 60-69 years, female 27.6
GTEX-ZVT3-0826-SM-5GIC8 60-69 years, female 27.6
GTEX-18465-0726-SM-7LG4L 50-59 years, male 27.5
GTEX-18A6Q-1526-SM-731CO 60-69 years, male 27.5
GTEX-1B8SG-0726-SM-79ONS 50-59 years, male 27.5
GTEX-X4EP-0326-SM-3P5Z6 60-69 years, female 27.5
GTEX-11DXY-1026-SM-5987V 60-69 years, male 27.4
GTEX-Y8E4-0426-SM-4V6GB 40-49 years, male 27.4
GTEX-ZF3C-1126-SM-57WEG 50-59 years, female 27.4
GTEX-YJ8O-0826-SM-5CVM3 40-49 years, female 27.3
GTEX-1EU9M-1926-SM-7RHH4 60-69 years, male 27.3
GTEX-1GTWX-0926-SM-9MQKM 60-69 years, male 27.3
GTEX-WWYW-1126-SM-3NB2Q 50-59 years, female 27.2
GTEX-1H2FU-0826-SM-9WYSU 60-69 years, female 27.1
GTEX-14E6C-0326-SM-5Q5EE 40-49 years, male 27.0
GTEX-14PHY-0326-SM-62LE3 60-69 years, female 27.0
GTEX-V1D1-0626-SM-4JBHN 50-59 years, male 27.0
GTEX-144GL-1026-SM-5O99R 50-59 years, male 26.9
GTEX-15SDE-1826-SM-7KUFN 50-59 years, female 26.9
GTEX-1399R-1726-SM-5K7YJ 30-39 years, male 26.8
GTEX-WYJK-1126-SM-3NM9Z 50-59 years, male 26.8
GTEX-1HC8U-0626-SM-B2LWB 40-49 years, female 26.8
GTEX-11NUK-0926-SM-5HL57 50-59 years, male 26.7
GTEX-1HCU7-1226-SM-B2LX8 50-59 years, male 26.7
GTEX-1P4AB-0926-SM-E76PV 50-59 years, male 26.7
GTEX-13FHO-1226-SM-5L3EF 60-69 years, male 26.5
GTEX-1A8FM-1026-SM-7PC26 50-59 years, female 26.5
GTEX-1R9K4-1026-SM-EXUT1 60-69 years, male 26.5
GTEX-1192W-0226-SM-5EGGT 60-69 years, male 26.4
GTEX-Z93S-0326-SM-5HL84 50-59 years, male 26.4
GTEX-1EX96-2626-SM-9MQJV 50-59 years, male 26.4
GTEX-1LG7Y-1426-SM-D4P31 50-59 years, male 26.4
GTEX-18A67-1026-SM-731CE 50-59 years, male 26.3
GTEX-VJWN-1026-SM-4M1ZN 50-59 years, female 26.3
GTEX-1I19N-0626-SM-A9SKY 70-79 years, male 26.3
GTEX-1CB4H-0626-SM-7IGN3 60-69 years, female 26.2
GTEX-1GMR2-1326-SM-9KNUT 50-59 years, male 26.2
GTEX-15CHR-0326-SM-7DHN3 50-59 years, male 26.0
GTEX-15SHU-0926-SM-6PAMK 40-49 years, female 26.0
GTEX-1GZ2Q-0926-SM-7RHHN 40-49 years, male 26.0
GTEX-ZDXO-0426-SM-4WKF6 60-69 years, male 25.9
GTEX-16YQH-0726-SM-7IGM1 30-39 years, male 25.8
GTEX-13NYS-1926-SM-5IJCB 60-69 years, male 25.7
GTEX-14E1K-0826-SM-5ZZW9 50-59 years, male 25.7
GTEX-WHPG-1026-SM-3NMBA 50-59 years, male 25.7
GTEX-13O21-0326-SM-5J1N9 50-59 years, male 25.6
GTEX-1B932-1326-SM-79OM4 40-49 years, female 25.6
GTEX-1LB8K-0926-SM-D4P42 50-59 years, male 25.6
GTEX-1A8G6-1826-SM-73KY8 60-69 years, male 25.4
GTEX-18A66-1126-SM-731C5 60-69 years, male 25.2
GTEX-WL46-0726-SM-3LK5Z 50-59 years, male 25.2
GTEX-1I1GQ-1226-SM-CL55J 50-59 years, male 25.2
GTEX-1NSGN-1226-SM-E76OL 50-59 years, male 25.2
GTEX-1BAJH-1026-SM-7EWEG 70-79 years, male 25.1
GTEX-1GN2E-1426-SM-7RHHI 60-69 years, male 25.1
GTEX-13PDP-1326-SM-5K7U9 60-69 years, male 25.0
GTEX-13PL6-0826-SM-5IJBI 40-49 years, female 24.9
GTEX-132Q8-1126-SM-5K7XS 60-69 years, male 24.6
GTEX-WOFL-1226-SM-4OOST 60-69 years, male 24.6
GTEX-14A6H-0326-SM-5NQAN 30-39 years, male 24.5
GTEX-17HGU-1126-SM-793BP 50-59 years, male 24.5
GTEX-1J8Q2-1026-SM-ARU8I 60-69 years, male 24.5
GTEX-15CHC-0326-SM-5ZZVP 60-69 years, female 24.4
GTEX-VUSG-0726-SM-3GIK1 50-59 years, male 24.4
GTEX-1F88F-0326-SM-9KNV3 60-69 years, female 24.3
GTEX-15RJE-0726-SM-7KUEG 40-49 years, male 24.2
GTEX-1HUB1-0726-SM-CGQF4 60-69 years, male 24.2
GTEX-12WSA-1126-SM-5EGKU 60-69 years, male 24.0
GTEX-13NZ9-0126-SM-5K7XV 50-59 years, male 24.0
GTEX-1HFI6-0826-SM-9YFM2 40-49 years, male 24.0
GTEX-1GMRU-1326-SM-9WYUI 50-59 years, male 23.8
GTEX-1HSKV-0726-SM-ACKWE 60-69 years, male 23.7
GTEX-12ZZX-0726-SM-5EGKA 40-49 years, female 23.6
GTEX-13NZA-0826-SM-5K7WS 60-69 years, male 23.6
GTEX-1IKJJ-0626-SM-CY8GF 60-69 years, male 23.6
GTEX-1AX9I-1026-SM-73KYF 60-69 years, male 23.5
GTEX-WRHU-1026-SM-4E3ID 50-59 years, female 23.5
GTEX-ZAB5-0126-SM-5CVMT 50-59 years, male 23.5
GTEX-1477Z-1126-SM-5P9GK 60-69 years, male 23.4
GTEX-1I1GV-1426-SM-B2LXN 60-69 years, male 23.4
GTEX-YECK-1226-SM-4W21G 60-69 years, male 23.3
GTEX-1J8EW-0626-SM-CM2TY 60-69 years, female 23.3
GTEX-1QEPI-1126-SM-E8VN7 60-69 years, female 23.3
GTEX-WYBS-1226-SM-3NM9N 60-69 years, female 23.2
GTEX-WQUQ-1326-SM-3MJFF 60-69 years, male 23.1
GTEX-11ZUS-0326-SM-5EQ4W 30-39 years, male 23.0
GTEX-1POEN-0726-SM-DTXDU 30-39 years, female 23.0
GTEX-117XS-0726-SM-5H131 60-69 years, male 22.9
GTEX-1F48J-1126-SM-9WYSY 50-59 years, female 22.8
GTEX-1I1GR-1026-SM-A9SLC 60-69 years, male 22.8
GTEX-UTHO-1226-SM-3GAEE 60-69 years, male 22.7
GTEX-1I1CD-1326-SM-A9SMM 60-69 years, female 22.5
GTEX-1CB4G-0726-SM-79OOJ 60-69 years, male 22.4
GTEX-14E7W-1126-SM-5ZZVS 70-79 years, male 22.3
GTEX-1IKOH-0926-SM-A9SLU 60-69 years, female 22.2
GTEX-1M5QR-1626-SM-E9U5O 40-49 years, male 22.2
GTEX-13112-0526-SM-5EQ4S 50-59 years, male 22.1
GTEX-16XZZ-1026-SM-7DHKS 60-69 years, male 21.9
GTEX-ZZPT-0926-SM-5GICZ 50-59 years, male 21.9
GTEX-1HR98-1026-SM-CKZOM 60-69 years, male 21.9
GTEX-13NYB-0326-SM-5IJDP 40-49 years, male 21.6
GTEX-117YW-0426-SM-5GZZZ 50-59 years, male 21.4
GTEX-1H3O1-0226-SM-9WYSW 60-69 years, male 21.4
GTEX-X261-0926-SM-3NMCY 50-59 years, male 21.3
GTEX-1C64N-0826-SM-7RHGQ 50-59 years, male 21.3
GTEX-13OW6-0926-SM-5L3GM 50-59 years, male 21.2
GTEX-1F6I4-0826-SM-7RHGK 60-69 years, male 21.2
GTEX-14BIN-2126-SM-793AX 50-59 years, female 21.0
GTEX-1E1VI-1426-SM-793CY 50-59 years, male 21.0
GTEX-1EWIQ-1126-SM-7EPIK 70-79 years, female 20.9
GTEX-1JMOU-0326-SM-ARL8X 60-69 years, female 20.9
GTEX-ZVZQ-0726-SM-51MR3 60-69 years, female 20.8
GTEX-11GS4-0426-SM-5N9CD 60-69 years, male 20.6
GTEX-15D1Q-0426-SM-6AJ9G 40-49 years, male 20.5
GTEX-13FXS-1026-SM-62LFQ 50-59 years, male 20.3
GTEX-ZXG5-0626-SM-5NQ85 60-69 years, male 20.2
GTEX-1JN6P-0826-SM-ARL97 60-69 years, male 20.2
GTEX-1IL2V-1126-SM-CMKGH 70-79 years, male 20.1
GTEX-16GPK-1226-SM-7LTAU 60-69 years, male 19.6
GTEX-111VG-0326-SM-5GZX7 60-69 years, male 19.4
GTEX-1B8SF-1326-SM-7IGQJ 60-69 years, male 19.3
GTEX-1GN1V-1026-SM-CNPPS 60-69 years, male 19.3
GTEX-1MJK2-1626-SM-EVYCQ 50-59 years, male 19.3
GTEX-1F75B-1126-SM-7RHGP 50-59 years, male 18.6
GTEX-WZTO-1226-SM-3NMAZ 40-49 years, male 18.3
GTEX-11ZVC-0526-SM-5N9G1 50-59 years, female 18.2
GTEX-ZUA1-0726-SM-4YCD9 40-49 years, male 18.2
GTEX-11EQ8-1326-SM-5EGJQ 60-69 years, male 18.0
GTEX-1IOXB-0726-SM-A9G32 50-59 years, male 17.3
GTEX-1QP6S-1026-SM-DTXFW 40-49 years, male 17.0
GTEX-17EVP-0526-SM-7EPGY 40-49 years, male 16.6
GTEX-13FTZ-0326-SM-5J1O1 60-69 years, male 16.2
GTEX-13X6J-1226-SM-79OMF 50-59 years, male 16.0
GTEX-X4XX-1126-SM-3NMBY 60-69 years, male 15.9
GTEX-1LSNL-0626-SM-DIPFJ 50-59 years, male 15.5
GTEX-12584-1026-SM-59HK3 40-49 years, male 14.4
GTEX-1H1CY-0426-SM-9KNVD 60-69 years, female 14.4
Show allShow less
Heart - Left Ventricle
Average nTPM: 45.9
Samples: 432

Max nTPM: 135.0
Min nTPM: 11.3
Std nTPM: 17.2
Median nTPM: 47.3
GTEX-YB5K-0126-SM-5IFJ2 40-49 years, female 135.0
GTEX-11EM3-0626-SM-5H12Z 20-29 years, female 132.6
GTEX-ZPIC-0826-SM-4WWFJ 40-49 years, female 115.5
GTEX-17GQL-0526-SM-72D5N 60-69 years, male 98.0
GTEX-1LGOU-0726-SM-E9TIY 20-29 years, female 97.9
GTEX-14XAO-1126-SM-6EU11 60-69 years, female 94.9
GTEX-13W3W-0426-SM-5SI9D 60-69 years, female 85.6
GTEX-XV7Q-0826-SM-4BRV7 40-49 years, female 85.0
GTEX-1IDJU-0726-SM-CNPQ9 60-69 years, female 83.4
GTEX-WY7C-0526-SM-3NB3D 50-59 years, male 81.7
GTEX-11TT1-1326-SM-5PNYM 20-29 years, male 80.4
GTEX-14H4A-0626-SM-5ZZUT 40-49 years, female 79.9
GTEX-YF7O-0426-SM-5P9FS 50-59 years, male 77.1
GTEX-13VXT-1126-SM-5LU3A 20-29 years, female 76.5
GTEX-1GN1W-0326-SM-9JGHF 50-59 years, female 76.2
GTEX-14PN3-0526-SM-69LQF 60-69 years, female 76.1
GTEX-1LSNM-0526-SM-DIPG6 50-59 years, male 75.4
GTEX-PWCY-0526-SM-5P9HG 20-29 years, female 74.0
GTEX-Y114-0226-SM-4TT8W 50-59 years, female 72.6
GTEX-U4B1-0326-SM-3DB8K 40-49 years, male 71.8
GTEX-OOBJ-0326-SM-33HBO 60-69 years, male 70.1
GTEX-O5YV-0326-SM-2I5H2 60-69 years, female 70.0
GTEX-13FTW-1026-SM-5L3E3 40-49 years, male 69.5
GTEX-15EOM-5007-SM-793DG 20-29 years, female 69.2
GTEX-1RQEC-0926-SM-EWROG 60-69 years, male 68.6
GTEX-QEG5-0926-SM-2TC64 20-29 years, male 68.4
GTEX-WFG7-0726-SM-3GIKO 20-29 years, male 67.9
GTEX-PLZ5-0626-SM-2I5F8 50-59 years, male 67.3
GTEX-1CB4I-1626-SM-7RHGV 50-59 years, male 67.1
GTEX-SUCS-0326-SM-32PLL 70-79 years, male 66.7
GTEX-1H11D-1226-SM-9WPQ2 40-49 years, male 66.6
GTEX-OXRL-0326-SM-2I3F2 50-59 years, male 66.4
GTEX-1F75I-1126-SM-9WYUO 40-49 years, male 66.2
GTEX-1QCLZ-0926-SM-E6CQZ 60-69 years, female 65.9
GTEX-R55C-0326-SM-3GAF1 40-49 years, male 65.8
GTEX-13FH7-0926-SM-5J2MR 50-59 years, female 65.2
GTEX-13X6H-0426-SM-5LU4E 50-59 years, female 65.2
GTEX-1LC47-1026-SM-D3LAH 60-69 years, male 65.1
GTEX-132NY-1726-SM-5EGKK 60-69 years, male 64.5
GTEX-1MUQO-1226-SM-E9TJK 60-69 years, male 64.5
GTEX-XPVG-0826-SM-4B654 50-59 years, male 64.4
GTEX-13PVR-1026-SM-5QGQW 60-69 years, female 64.2
GTEX-1F5PK-0326-SM-9KNUD 50-59 years, male 64.2
GTEX-1KANC-0426-SM-CXZK5 50-59 years, female 64.1
GTEX-11ZUS-0226-SM-5FQT8 30-39 years, male 64.0
GTEX-ZGAY-0326-SM-57WF5 40-49 years, female 63.8
GTEX-1J8QM-0426-SM-AHZ3X 60-69 years, female 63.8
GTEX-XPT6-0126-SM-4B65S 20-29 years, male 63.5
GTEX-1QP2A-1126-SM-EVR3H 50-59 years, male 63.4
GTEX-OIZI-0926-SM-E6CHF 40-49 years, male 63.4
GTEX-14PJ6-0726-SM-69LOL 60-69 years, female 63.1
GTEX-YEC4-0326-SM-4W216 40-49 years, male 63.0
GTEX-O5YW-0326-SM-2I5EI 50-59 years, male 62.9
GTEX-X15G-0426-SM-4PQZ6 50-59 years, female 62.8
GTEX-13O3O-1526-SM-5KM1C 60-69 years, female 62.7
GTEX-15CHR-0226-SM-7PC2Z 50-59 years, male 62.7
GTEX-WFG8-0626-SM-3GILJ 20-29 years, male 62.4
GTEX-ZF2S-1026-SM-9QEGK 50-59 years, female 62.3
GTEX-U8XE-1126-SM-3DB8W 30-39 years, male 62.2
GTEX-QDVJ-0426-SM-2I5FW 50-59 years, male 61.9
GTEX-QDVN-0326-SM-2I3FS 50-59 years, male 61.5
GTEX-R55E-1026-SM-2TC5S 20-29 years, male 61.3
GTEX-Y3I4-0626-SM-4TT7A 50-59 years, male 61.3
GTEX-ZDTT-0726-SM-4WKFK 60-69 years, male 61.1
GTEX-WH7G-0426-SM-3NMBJ 40-49 years, male 61.0
GTEX-S32W-0626-SM-2XCBG 50-59 years, female 60.9
GTEX-1RMOY-0626-SM-E9TIE 50-59 years, male 60.9
GTEX-U3ZN-1426-SM-3DB87 30-39 years, female 60.8
GTEX-1211K-0626-SM-5FQUZ 60-69 years, female 60.7
GTEX-WEY5-0426-SM-3GIKT 40-49 years, female 60.7
GTEX-ZG7Y-0926-SM-5EQ6O 50-59 years, male 60.7
GTEX-12696-1126-SM-5FQTI 60-69 years, male 60.5
GTEX-12WSN-5001-SM-7DHMK 40-49 years, male 60.4
GTEX-13O61-0526-SM-5J2M1 60-69 years, male 60.4
GTEX-XQ3S-0626-SM-4BOOB 20-29 years, male 60.3
GTEX-1K9T9-1126-SM-D3L9E 50-59 years, female 60.1
GTEX-145MN-0626-SM-5QGRH 30-39 years, male 60.0
GTEX-1R9JW-0526-SM-EWRNK 30-39 years, female 60.0
GTEX-12WSD-1126-SM-5EGJD 60-69 years, female 59.8
GTEX-O5YT-0326-SM-32PKA 20-29 years, male 59.8
GTEX-1IDJF-0726-SM-CJI1U 20-29 years, male 59.6
GTEX-WFON-0326-SM-3GIKX 40-49 years, male 59.4
GTEX-1HBPH-0126-SM-CNNQ7 40-49 years, female 59.2
GTEX-1B97J-0726-SM-7RHG3 50-59 years, female 59.1
GTEX-P78B-0426-SM-2I5F5 40-49 years, female 59.0
GTEX-P4PQ-0326-SM-2HMJ8 60-69 years, male 58.9
GTEX-XQ8I-0126-SM-4BOPL 50-59 years, male 58.8
GTEX-1O9I2-1126-SM-DTXEA 50-59 years, male 58.8
GTEX-131XF-5001-SM-7DHLY 60-69 years, male 58.4
GTEX-QESD-0526-SM-2I5G5 20-29 years, male 58.4
GTEX-117YX-1126-SM-5H128 50-59 years, male 58.0
GTEX-ZLFU-0226-SM-4WWFH 40-49 years, male 57.8
GTEX-1CB4E-0526-SM-7MXTK 60-69 years, male 57.8
GTEX-1R7EV-0326-SM-E76PA 40-49 years, male 57.8
GTEX-11I78-0826-SM-5A5K4 50-59 years, female 57.7
GTEX-13U4I-0826-SM-5SIBD 40-49 years, female 57.6
GTEX-ZYFG-0426-SM-5E43M 60-69 years, female 57.5
GTEX-P4QS-0326-SM-2I3EU 60-69 years, male 57.4
GTEX-ZDXO-0726-SM-57WBT 60-69 years, male 57.3
GTEX-RWS6-0326-SM-2XCAP 60-69 years, female 57.2
GTEX-13CF3-0726-SM-5J2MY 60-69 years, female 57.0
GTEX-1C2JI-0526-SM-7EWEQ 50-59 years, male 56.8
GTEX-YEC3-0726-SM-CMKFH 50-59 years, male 56.8
GTEX-ZPU1-0626-SM-4YCDM 40-49 years, male 56.7
GTEX-1GZ4I-1026-SM-9KNV5 50-59 years, male 56.7
GTEX-1LH75-0426-SM-E9TJF 50-59 years, female 56.7
GTEX-11DXX-0326-SM-5PNWC 60-69 years, female 56.6
GTEX-1EU9M-1826-SM-7DUGU 60-69 years, male 56.6
GTEX-1HFI7-0826-SM-A9G23 50-59 years, female 56.4
GTEX-18D9U-1126-SM-72D5Y 40-49 years, male 56.1
GTEX-OIZF-0326-SM-3MJGY 60-69 years, male 55.9
GTEX-131XG-0626-SM-5GCMP 50-59 years, female 55.8
GTEX-WHSE-0926-SM-3NMBS 20-29 years, male 55.7
GTEX-1OFPY-1026-SM-EXUSO 60-69 years, male 55.4
GTEX-1QP29-1526-SM-EXUSY 50-59 years, male 55.4
GTEX-132QS-0426-SM-5KLZ6 60-69 years, male 55.3
GTEX-OXRK-0826-SM-2HMK7 50-59 years, female 55.3
GTEX-1QPFJ-1026-SM-E6CR6 30-39 years, female 55.3
GTEX-1S3DN-0726-SM-E9TIO 50-59 years, male 55.3
GTEX-1GMR3-0326-SM-7P8QT 40-49 years, male 55.0
GTEX-13O21-2326-SM-5MR3X 50-59 years, male 54.8
GTEX-13OVL-0526-SM-5KLZQ 50-59 years, male 54.8
GTEX-15CHC-0426-SM-6LLHI 60-69 years, female 54.8
GTEX-1HSMO-1226-SM-CL548 60-69 years, male 54.7
GTEX-16XZY-0426-SM-793BI 70-79 years, male 54.2
GTEX-1CB4J-0326-SM-7PBZO 60-69 years, male 54.1
GTEX-1HSGN-1126-SM-CJI4G 40-49 years, female 54.1
GTEX-1J8Q3-1226-SM-CKZPT 60-69 years, male 54.1
GTEX-1KD5A-1026-SM-CY8I8 50-59 years, male 54.1
GTEX-RNOR-0826-SM-2TF5C 50-59 years, female 54.0
GTEX-13PVQ-1226-SM-5IJDC 50-59 years, male 53.8
GTEX-XXEK-0926-SM-4BRWH 50-59 years, male 53.8
GTEX-Y3IK-0826-SM-51MT8 50-59 years, female 53.7
GTEX-1122O-0826-SM-5GICV 60-69 years, female 53.4
GTEX-1JMQK-0626-SM-D4P2R 60-69 years, male 53.4
GTEX-ZEX8-0426-SM-DO92Y 50-59 years, male 53.4
GTEX-POMQ-0326-SM-2I5FO 20-29 years, female 53.3
GTEX-ZDYS-0226-SM-5HL4K 50-59 years, male 53.3
GTEX-WYJK-1026-SM-3NM8W 50-59 years, male 53.1
GTEX-1AX9J-1026-SM-72D6E 60-69 years, male 52.9
GTEX-12WSK-0626-SM-5LZUJ 40-49 years, female 52.7
GTEX-16YQH-0926-SM-793BC 30-39 years, male 52.7
GTEX-1B8KE-0126-SM-793AM 50-59 years, male 52.7
GTEX-SNMC-0126-SM-2XCFO 20-29 years, male 52.7
GTEX-11DXZ-0626-SM-5GU77 50-59 years, male 52.6
GTEX-146FR-0626-SM-5RQJ1 60-69 years, female 52.6
GTEX-Y8E4-0326-SM-4VBRR 40-49 years, male 52.5
GTEX-R55G-0526-SM-2TC5O 40-49 years, female 52.3
GTEX-1I6K7-0626-SM-ARL7Q 40-49 years, male 52.3
GTEX-15RIE-1726-SM-7KUMU 60-69 years, male 52.2
GTEX-11LCK-0926-SM-5A5KA 30-39 years, male 52.1
GTEX-X3Y1-0426-SM-3P5Z4 40-49 years, male 52.1
GTEX-14PHX-2126-SM-6EU2U 50-59 years, male 52.0
GTEX-Q2AH-0526-SM-2I3ED 40-49 years, male 52.0
GTEX-ZQUD-1526-SM-7IGO2 30-39 years, male 52.0
GTEX-1399R-1926-SM-5K7X8 30-39 years, male 51.9
GTEX-12WSG-0526-SM-5FQTH 50-59 years, female 51.8
GTEX-17F9E-0926-SM-7IGMG 50-59 years, male 51.8
GTEX-OHPL-0326-SM-33HC8 60-69 years, female 51.8
GTEX-1IDJI-1026-SM-A96TE 50-59 years, female 51.8
GTEX-1POEN-0626-SM-EVR4B 30-39 years, female 51.8
GTEX-ZPCL-0426-SM-DNZZ4 60-69 years, female 51.8
GTEX-NPJ8-0426-SM-2HMK6 40-49 years, male 51.7
GTEX-OIZH-0326-SM-2HMKC 50-59 years, male 51.7
GTEX-UPK5-0326-SM-CYPR4 40-49 years, male 51.7
GTEX-RUSQ-0526-SM-2TF72 50-59 years, male 51.6
GTEX-1LVAN-1726-SM-CNNR1 50-59 years, female 51.6
GTEX-1OKEX-0726-SM-DPRYE 60-69 years, male 51.4
GTEX-18D9B-1226-SM-72D6V 60-69 years, male 51.3
GTEX-13FLV-0926-SM-5L3DZ 50-59 years, male 51.2
GTEX-14JG1-1026-SM-6ETZY 40-49 years, male 51.1
GTEX-13N11-0426-SM-5KM3O 50-59 years, female 51.0
GTEX-1IKOE-1026-SM-ARZMF 30-39 years, female 50.8
GTEX-1J8EW-0926-SM-A9G33 60-69 years, female 50.8
GTEX-V1D1-0526-SM-4JBGW 50-59 years, male 50.7
GTEX-V955-0726-SM-3GAFG 60-69 years, male 50.7
GTEX-1GMR2-1426-SM-7RHHK 50-59 years, male 50.6
GTEX-14PK6-0826-SM-5ZZVO 70-79 years, female 50.4
GTEX-1HCUA-0526-SM-A9SMH 50-59 years, female 50.4
GTEX-1ICG6-0626-SM-ACKWS 70-79 years, female 50.4
GTEX-18A66-1226-SM-7LT8G 60-69 years, male 50.3
GTEX-111YS-0426-SM-5987O 60-69 years, male 50.1
GTEX-1LGRB-1126-SM-CNPP2 50-59 years, female 50.1
GTEX-PSDG-0926-SM-2I5FP 50-59 years, male 50.0
GTEX-XBED-0526-SM-47JY3 60-69 years, male 50.0
GTEX-1JMOU-0226-SM-CNNPD 60-69 years, female 50.0
GTEX-1399U-0526-SM-5K7YM 50-59 years, female 49.8
GTEX-145LV-0326-SM-5Q5BW 50-59 years, male 49.7
GTEX-13D11-1726-SM-5IFGQ 50-59 years, female 49.5
GTEX-XGQ4-0326-SM-4GIEE 50-59 years, male 49.5
GTEX-ZZPU-0926-SM-5GZYT 50-59 years, female 49.5
GTEX-1AX9K-0526-SM-73KV1 50-59 years, male 49.4
GTEX-ZTPG-1226-SM-4YCDO 20-29 years, female 49.3
GTEX-PX3G-0326-SM-2I3EO 20-29 years, female 49.2
GTEX-QEG4-0426-SM-33HC3 30-39 years, male 49.2
GTEX-1M5QR-1026-SM-DHXK9 40-49 years, male 48.9
GTEX-1GN73-2426-SM-7RHFQ 60-69 years, male 48.7
GTEX-UJMC-0526-SM-3GAE3 50-59 years, male 48.6
GTEX-WHPG-0826-SM-3NMBF 50-59 years, male 48.6
GTEX-WZTO-1326-SM-3NM8X 40-49 years, male 48.4
GTEX-1R9PO-0326-SM-DTXA1 60-69 years, female 48.3
GTEX-U3ZH-0326-SM-3DB7A 30-39 years, male 48.2
GTEX-OHPK-0326-SM-2HMJO 50-59 years, female 48.1
GTEX-1MCC2-0326-SM-EV7AK 30-39 years, female 48.1
GTEX-1CAMS-1326-SM-79OJR 40-49 years, female 47.9
GTEX-1JK1U-0526-SM-CYPSQ 60-69 years, male 47.8
GTEX-139YR-0826-SM-5LZXY 50-59 years, male 47.7
GTEX-15RJ7-0226-SM-7KUMN 40-49 years, male 47.7
GTEX-YFC4-0526-SM-5ZZVI 40-49 years, female 47.7
GTEX-ZDTS-1326-SM-6LLHE 60-69 years, male 47.6
GTEX-ZVZP-0226-SM-5NQ73 50-59 years, male 47.6
GTEX-1HC8U-0726-SM-ACKXL 40-49 years, female 47.5
GTEX-12BJ1-0226-SM-5LUA2 60-69 years, male 47.4
GTEX-QLQ7-0526-SM-2I5G3 60-69 years, male 47.4
GTEX-14A6H-0226-SM-5Q5DX 30-39 years, male 47.3
GTEX-QEL4-0926-SM-3GAD1 50-59 years, male 47.3
GTEX-UJHI-0426-SM-3DB8Y 50-59 years, female 47.3
GTEX-ZV7C-0326-SM-57WB1 50-59 years, male 47.3
GTEX-13QBU-0426-SM-5J2O4 40-49 years, female 47.1
GTEX-SE5C-0626-SM-2XCDV 40-49 years, female 47.1
GTEX-1HSMQ-0226-SM-C1YQL 50-59 years, male 47.1
GTEX-1L5NE-0426-SM-E9TIX 50-59 years, male 47.1
GTEX-16BQI-0926-SM-6M485 30-39 years, female 47.0
GTEX-1AYCT-0426-SM-73KVZ 50-59 years, male 47.0
GTEX-ZAB5-0226-SM-5CVMH 50-59 years, male 47.0
GTEX-1339X-0426-SM-5KLZY 40-49 years, male 46.9
GTEX-14PJ4-1126-SM-5YY91 60-69 years, male 46.8
GTEX-1399S-1026-SM-5KLZ9 30-39 years, female 46.7
GTEX-1N2EF-2826-SM-E6CQF 60-69 years, male 46.7
GTEX-P4PP-0326-SM-33HC4 30-39 years, female 46.6
GTEX-RU72-0326-SM-2TF5T 50-59 years, female 45.9
GTEX-R45C-0926-SM-3GAD4 60-69 years, female 45.8
GTEX-ZVT2-1026-SM-5GU55 50-59 years, female 45.8
GTEX-1KXAM-1326-SM-E9TJW 60-69 years, male 45.7
GTEX-13OVG-0526-SM-5K7YD 60-69 years, male 45.6
GTEX-14C38-1426-SM-5RQHZ 50-59 years, male 45.6
GTEX-18A67-1226-SM-7KFRS 50-59 years, male 45.6
GTEX-QV44-0526-SM-2S1RE 50-59 years, male 45.4
GTEX-1GL5R-0326-SM-9WYTJ 50-59 years, male 45.4
GTEX-13RTJ-0726-SM-5QGQN 60-69 years, male 45.2
GTEX-13SLX-1026-SM-5ZZUQ 50-59 years, female 45.0
GTEX-1AX8Z-5007-SM-AHZ36 60-69 years, male 45.0
GTEX-14E1K-1026-SM-73KUR 50-59 years, male 44.9
GTEX-1JJEA-0826-SM-CL53T 60-69 years, male 44.8
GTEX-1HCU6-1026-SM-A9G25 60-69 years, female 44.7
GTEX-NFK9-0926-SM-2HMJU 40-49 years, male 44.6
GTEX-17HGU-1026-SM-79OKL 50-59 years, male 44.5
GTEX-1C64O-0826-SM-79OKZ 60-69 years, male 44.4
GTEX-1R9K4-1326-SM-DTX8G 60-69 years, male 44.4
GTEX-132AR-2026-SM-5IJG4 50-59 years, female 44.2
GTEX-13NZB-0226-SM-5KM1T 30-39 years, male 44.2
GTEX-RWSA-0626-SM-2XCBD 40-49 years, male 44.1
GTEX-1IDJE-0326-SM-CM2TD 50-59 years, female 43.9
GTEX-ZF29-0226-SM-4WKHO 60-69 years, female 43.8
GTEX-14PHY-0226-SM-5ZZWM 60-69 years, female 43.7
GTEX-17KNJ-0826-SM-793A4 50-59 years, male 43.7
GTEX-1GF9U-0426-SM-7RHHA 40-49 years, female 43.7
GTEX-1RB15-0326-SM-E6CQB 60-69 years, male 43.6
GTEX-SIU8-0826-SM-2XCDQ 50-59 years, male 43.5
GTEX-T6MN-0926-SM-32PLX 50-59 years, male 43.1
GTEX-WL46-0926-SM-3LK7T 50-59 years, male 43.1
GTEX-OHPM-0326-SM-33HCA 50-59 years, male 42.8
GTEX-12ZZZ-1726-SM-59HK5 60-69 years, male 42.3
GTEX-1GF9V-1626-SM-7PBXL 60-69 years, male 42.2
GTEX-13S86-0226-SM-5S2PJ 40-49 years, male 42.0
GTEX-1H23P-1226-SM-9QEJ2 60-69 years, male 42.0
GTEX-11EMC-0726-SM-5EGJO 60-69 years, female 41.8
GTEX-1I1GQ-1426-SM-B2LWY 50-59 years, male 41.7
GTEX-1EMGI-1226-SM-793DD 60-69 years, male 41.5
GTEX-WHWD-0426-SM-3LK83 50-59 years, male 41.4
GTEX-1MJIX-0326-SM-EVR42 40-49 years, male 41.3
GTEX-1R9K5-1326-SM-E6CPR 50-59 years, male 41.3
GTEX-OIZG-1126-SM-2HMIU 50-59 years, male 40.8
GTEX-QMRM-0526-SM-2I5GA 50-59 years, male 40.8
GTEX-1A3MX-1326-SM-72D58 60-69 years, male 40.7
GTEX-12WSC-1126-SM-5EQ4G 50-59 years, male 40.6
GTEX-R53T-0926-SM-3GADH 50-59 years, female 40.6
GTEX-1E1VI-1326-SM-7IGQD 50-59 years, male 40.5
GTEX-1IKK5-1526-SM-CKZPW 60-69 years, male 40.5
GTEX-1I1HK-0726-SM-B2LY4 60-69 years, male 40.4
GTEX-13O1R-1226-SM-5J1NU 60-69 years, male 40.2
GTEX-146FH-1026-SM-5RQIF 50-59 years, female 40.2
GTEX-1PPGY-1126-SM-E76OU 60-69 years, male 40.0
GTEX-1F6I4-0726-SM-7PC2P 60-69 years, male 39.5
GTEX-11TUW-1026-SM-5GU7D 60-69 years, male 39.3
GTEX-Y5V6-0826-SM-4VBRU 60-69 years, male 39.3
GTEX-1JMLX-1626-SM-ARZMV 50-59 years, male 39.3
GTEX-1PWST-1026-SM-DTXF2 70-79 years, male 39.2
GTEX-131XE-0626-SM-5HL98 50-59 years, male 39.1
GTEX-148VI-0326-SM-5RQK7 60-69 years, female 38.7
GTEX-145MO-1126-SM-5NQBX 60-69 years, male 38.6
GTEX-1B996-1126-SM-73KWN 60-69 years, male 38.4
GTEX-ZYFC-1126-SM-5E44W 50-59 years, male 38.2
GTEX-1A3MW-1326-SM-7189P 60-69 years, female 38.1
GTEX-1ICLY-1326-SM-CJI47 50-59 years, male 38.0
GTEX-N7MS-0826-SM-2HML4 60-69 years, male 37.9
GTEX-WI4N-0626-SM-3TW8Z 40-49 years, female 37.7
GTEX-14DAQ-1126-SM-664MT 60-69 years, female 37.6
GTEX-1J8Q2-1226-SM-A9G2W 60-69 years, male 37.6
GTEX-1B932-1026-SM-793CL 40-49 years, female 37.5
GTEX-1HCU7-1326-SM-CNPPW 50-59 years, male 37.0
GTEX-1JMPZ-1426-SM-CJI3C 30-39 years, male 36.9
GTEX-14E6C-0426-SM-5YYA8 40-49 years, male 36.6
GTEX-111FC-0826-SM-5GZWO 60-69 years, male 36.3
GTEX-X8HC-1626-SM-46MWE 50-59 years, female 36.3
GTEX-11O72-1126-SM-5N9E2 40-49 years, male 36.0
GTEX-1AX9I-1126-SM-7EPHH 60-69 years, male 35.9
GTEX-1IL2U-1326-SM-A9G2O 60-69 years, male 35.7
GTEX-15ER7-1726-SM-6PAMX 20-29 years, female 35.6
GTEX-ZAB4-1026-SM-5HL7T 40-49 years, male 35.4
GTEX-WQUQ-1426-SM-3MJFD 60-69 years, male 35.2
GTEX-11ZVC-0426-SM-5CVLD 50-59 years, female 34.7
GTEX-REY6-1026-SM-2TF4Y 60-69 years, male 34.5
GTEX-Y5V5-0626-SM-4VBPX 60-69 years, female 34.4
GTEX-1HBPM-1226-SM-A9SM8 60-69 years, female 34.0
GTEX-1JJ6O-2126-SM-CNNP6 60-69 years, male 34.0
GTEX-1BAJH-1626-SM-73KUV 70-79 years, male 33.9
GTEX-13CF2-0426-SM-5KM1H 60-69 years, male 33.8
GTEX-14C39-0926-SM-5TDDV 40-49 years, male 33.7
GTEX-16NPX-0926-SM-7KUEZ 50-59 years, male 33.7
GTEX-13112-0426-SM-5PNVC 50-59 years, male 33.6
GTEX-13OW6-1126-SM-5L3HL 50-59 years, male 33.6
GTEX-1GMRU-1526-SM-9WYT5 50-59 years, male 33.2
GTEX-1CB4G-0826-SM-7DUGF 60-69 years, male 33.1
GTEX-13YAN-1326-SM-5Q5F1 60-69 years, male 33.0
GTEX-1B8SG-0826-SM-7EWF7 50-59 years, male 32.8
GTEX-1314G-0126-SM-5LZUL 30-39 years, male 32.7
GTEX-13O3P-1626-SM-5K7X3 50-59 years, male 32.6
GTEX-13N1W-1026-SM-5IJC5 70-79 years, male 32.5
GTEX-12584-0926-SM-5FQTN 40-49 years, male 32.3
GTEX-1313W-1426-SM-5KLZU 50-59 years, female 32.3
GTEX-147JS-1526-SM-5ZZWF 60-69 years, male 32.1
GTEX-1212Z-0626-SM-5FQTB 60-69 years, male 31.7
GTEX-1497J-1226-SM-5Q5BL 60-69 years, male 31.6
GTEX-P44H-0726-SM-48TBT 40-49 years, male 31.6
GTEX-RTLS-0826-SM-2TF5Q 60-69 years, female 31.6
GTEX-13X6K-1826-SM-5O9CR 60-69 years, female 31.4
GTEX-P44G-0826-SM-2I5ES 30-39 years, male 31.2
GTEX-1I1GP-0826-SM-A96SD 50-59 years, male 30.9
GTEX-147F4-1226-SM-5NQAY 50-59 years, male 30.3
GTEX-12ZZY-1126-SM-5DUWQ 60-69 years, male 30.2
GTEX-11ONC-0126-SM-5PNW6 60-69 years, male 30.1
GTEX-131XH-0226-SM-5LZVB 50-59 years, male 30.1
GTEX-13X6I-1426-SM-5SI9Z 60-69 years, male 29.9
GTEX-17F9Y-1326-SM-7MGW9 70-79 years, female 29.5
GTEX-ZAJG-0826-SM-5PNVA 50-59 years, female 29.3
GTEX-1H1ZS-1126-SM-9MQLJ 70-79 years, male 29.1
GTEX-17HII-1326-SM-7IGOB 50-59 years, male 28.8
GTEX-18A6Q-1626-SM-7KFTA 60-69 years, male 28.7
GTEX-1F48J-1026-SM-7P8SO 50-59 years, female 28.5
GTEX-13OW5-1126-SM-5J1NR 60-69 years, male 28.4
GTEX-S33H-0526-SM-COH1W 30-39 years, male 28.3
GTEX-PVOW-0426-SM-5MR5R 40-49 years, male 28.0
GTEX-15SHU-1126-SM-7KUMB 40-49 years, female 27.8
GTEX-1B8L1-0526-SM-79ONX 60-69 years, male 27.8
GTEX-ZYW4-0926-SM-59HJS 60-69 years, male 27.4
GTEX-1LB8K-1026-SM-DHXJJ 50-59 years, male 27.4
GTEX-1ICLZ-1026-SM-A9SLF 60-69 years, male 27.3
GTEX-13FTZ-0226-SM-5K7X6 60-69 years, male 27.0
GTEX-17MF6-0726-SM-7LT8E 40-49 years, male 27.0
GTEX-1JJE9-1426-SM-ARL8P 70-79 years, male 26.9
GTEX-1269C-0826-SM-5N9EM 60-69 years, female 26.7
GTEX-15DDE-1126-SM-6LLHN 50-59 years, female 26.6
GTEX-OXRO-2026-SM-2YUMZ 60-69 years, female 26.6
GTEX-1F6IF-2526-SM-7P8TV 60-69 years, male 26.5
GTEX-1GN1V-0826-SM-9KNU6 60-69 years, male 26.5
GTEX-15RJE-0626-SM-7KUKR 40-49 years, male 25.8
GTEX-17JCI-1126-SM-7IGMM 60-69 years, female 25.8
GTEX-1PPH7-2026-SM-E9J3N 40-49 years, male 25.4
GTEX-117YW-0326-SM-5N9CY 50-59 years, male 25.0
GTEX-T2IS-0426-SM-32QPE 20-29 years, female 25.0
GTEX-11GS4-0526-SM-5A5KQ 60-69 years, male 24.9
GTEX-14PJM-1126-SM-6LLHK 50-59 years, female 24.9
GTEX-18465-0926-SM-731AY 50-59 years, male 24.7
GTEX-1GTWX-1026-SM-7P8QW 60-69 years, male 24.7
GTEX-QVJO-1926-SM-2S1QZ 60-69 years, female 24.5
GTEX-WWYW-1326-SM-3NB2S 50-59 years, female 24.5
GTEX-148VJ-1526-SM-5Q5DU 70-79 years, male 24.3
GTEX-15SHW-1226-SM-6M46C 60-69 years, male 24.2
GTEX-16MT8-0926-SM-6M487 60-69 years, female 24.2
GTEX-11GSP-1326-SM-5A5KY 60-69 years, female 24.1
GTEX-1JN1M-1026-SM-CNPOS 60-69 years, female 24.1
GTEX-15DYW-1126-SM-6LPK5 60-69 years, female 23.9
GTEX-1EH9U-0826-SM-7IGPT 60-69 years, male 23.4
GTEX-14PJ2-1026-SM-6EU1M 50-59 years, male 22.7
GTEX-ZF3C-1226-SM-4WWCB 50-59 years, female 22.7
GTEX-14C5O-1326-SM-5S2UW 60-69 years, male 22.5
GTEX-1LVA9-0926-SM-EVR5G 50-59 years, male 22.5
GTEX-1IKJJ-0826-SM-A96SP 60-69 years, male 22.3
GTEX-1I1GV-1326-SM-A96SE 60-69 years, male 22.2
GTEX-N7MT-1326-SM-2I3FV 60-69 years, female 22.1
GTEX-X261-1426-SM-4PQZ1 50-59 years, male 21.9
GTEX-14E6D-0926-SM-5S2QV 50-59 years, male 21.7
GTEX-RN64-0826-SM-2TC62 50-59 years, male 21.7
GTEX-1LG7Y-1226-SM-CXZKD 50-59 years, male 21.6
GTEX-XBEC-1326-SM-4AT69 50-59 years, male 21.5
GTEX-1EKGG-1126-SM-7MGXB 60-69 years, male 21.3
GTEX-14BIL-1126-SM-79OMC 50-59 years, male 21.1
GTEX-1H1CY-0326-SM-9QEIZ 60-69 years, female 21.1
GTEX-17HHY-1426-SM-7EWDQ 50-59 years, male 21.0
GTEX-1A8G6-1626-SM-7MGWO 60-69 years, male 20.9
GTEX-1GN2E-1326-SM-9KNVG 60-69 years, male 20.9
GTEX-YJ8O-0926-SM-EAZ2Z 40-49 years, female 20.6
GTEX-ZYT6-1726-SM-5E44P 30-39 years, male 20.5
GTEX-12ZZW-1026-SM-5GCMM 50-59 years, male 20.4
GTEX-1NV8Z-1526-SM-DTX8X 60-69 years, male 20.4
GTEX-1HCVE-1126-SM-9WPPG 50-59 years, male 20.2
GTEX-1EN7A-0726-SM-7PBXT 40-49 years, male 20.1
GTEX-1IDJH-1026-SM-E9TKH 70-79 years, male 20.0
GTEX-1RAZS-0826-SM-E76QP 50-59 years, male 20.0
GTEX-11DXY-0826-SM-5EGGR 60-69 years, male 19.9
GTEX-13NYB-0226-SM-5N9G4 40-49 years, male 19.8
GTEX-WRHU-1226-SM-4E3IJ 50-59 years, female 19.3
GTEX-WK11-0826-SM-EZ6LH 50-59 years, male 19.0
GTEX-1C6VQ-1126-SM-7EWET 50-59 years, male 18.9
GTEX-13JVG-1326-SM-5N9F8 60-69 years, male 18.8
GTEX-14JIY-1126-SM-6EU28 60-69 years, male 18.6
GTEX-1399T-0426-SM-5PNVJ 60-69 years, male 18.2
GTEX-13OW8-2126-SM-5J1OS 60-69 years, male 18.2
GTEX-1HT8W-1726-SM-CNNQB 30-39 years, male 18.1
GTEX-14E7W-1226-SM-5RQIU 70-79 years, male 18.0
GTEX-1KD4Q-0726-SM-DIPGE 40-49 years, male 17.6
GTEX-13FHP-1026-SM-5K7Y2 50-59 years, male 17.1
GTEX-1EX96-2526-SM-7RHGW 50-59 years, male 17.1
GTEX-1O97I-0826-SM-E8VNE 60-69 years, male 16.9
GTEX-1JN6P-1126-SM-CKZON 60-69 years, male 16.4
GTEX-15CHQ-1526-SM-69LPW 60-69 years, male 15.5
GTEX-ZUA1-0826-SM-4YCDL 40-49 years, male 15.2
GTEX-1H3NZ-1126-SM-9WYT9 60-69 years, male 15.2
GTEX-14A5I-1226-SM-5NQBW 50-59 years, female 14.8
GTEX-1EWIQ-1426-SM-7IGOS 70-79 years, female 13.9
GTEX-14BIN-2226-SM-5YYA1 50-59 years, female 11.3
Show allShow less

HEART MUSCLE - FANTOM5 CAGEi

RNA expression in human tissues obtained through Cap Analysis of Gene Expression (CAGE) generated by the FANTOM5 project are reported as Scaled Tags Per Million.

Max subtype Scaled Tags Per Millioni

Max subtype Scaled Tags Per Million is the value for the subtype with the largest average Scaled Tags Per Million across the subtype samples.

38.8
FANTOM5 sample id Sample description Scaled Tags Per Million
Heart
Scaled Tags Per Million: 38.8
FF:10016-101C7 70,73,74 years, mixed 38.8
Left atrium
Scaled Tags Per Million: 20.1
FF:10079-102A7 40 years, male 20.1
Left ventricle
Scaled Tags Per Million: 26.4
FF:10078-102A6 73 years, female 26.4

Contact

  • NEWS ARTICLES
  • PRESS ROOM

The Project

  • INTRODUCTION
  • ORGANIZATION
  • PUBLICATIONS

The Human Protein Atlas

  • DOWNLOADABLE DATA
  • LICENCE & CITATION
  • HELP & FAQ
The Human Protein Atlas project is funded
by the Knut & Alice Wallenberg Foundation.


contact@proteinatlas.org