We use cookies to enhance the usability of our website. If you continue, we'll assume that you are happy to receive all cookies. More information. Don't show this again.
ARHGEF25
HPA
RESOURCES
  • TISSUE
  • BRAIN
  • SINGLE CELL
  • SUBCELLULAR
  • CANCER
  • BLOOD
  • CELL LINE
  • STRUCTURE & INTERACTION
ABOUT
  • INTRODUCTION
  • HISTORY
  • ORGANIZATION
  • PUBLICATIONS
  • ANTIBODY SUBMISSION
  • ANTIBODY AVAILABILITY
  • ACKNOWLEDGMENTS
  • CONTACT
NEWS
  • NEWS ARTICLES
  • PRESS ROOM
LEARN
  • DICTIONARY
  • PROTEIN CLASSES
  • PROTEIN EVIDENCE
  • METHODS
  • EDUCATIONAL VIDEOS
DATA
  • DOWNLOADABLE DATA
  • PUBLICATION DATA
  • RELEASE HISTORY
HELP
  • ANTIBODY VALIDATION
  • ASSAYS & ANNOTATION
  • DISCLAIMER
  • HELP & FAQ
  • PRIVACY STATEMENT
  • LICENCE & CITATION
Fields »
Search result

Field
Term
Gene name
Class
Subclass
Class
Keyword
Chromosome
External id
Tissue
Cell type
Expression
Antibody panel
Tissue
Main location
Patient ID
Annotation
Tissue
Category
Tau score
Cluster
Reliability
Brain region
Category
Tau score
Brain region
Category
Tau score
Brain region
Category
Tau score
Cluster
Reliability
Tissue
Cell type
Enrichment
Cell type
Category
Tau score
Cell type
Category
Tau score
Cell type
Category
Tau score
Cell lineage
Category
Tau score
Cluster
Cluster
Location
Searches
Location
Cell line
Class
Type
Phase
Reliability
Cancer
Prognosis
Cancer
Category
Cancer
Category
Tau score
Cluster
Variants
Interacting gene (ensg_id)
Type
Number of interactions
Pathway
Category
Score
Score
Score
Validation
Validation
Validation
Validation
Antibodies
Data type
Column


  • SUMMARY

  • TISSUE

  • BRAIN

  • SINGLE CELL

  • SUBCELL

  • CANCER

  • BLOOD

  • CELL LINE

  • STRUCT & INT

  • ARHGEF25
TISSUE PRIMARY DATA STOMACH Show tissue menu
ADIPOSE TISSUE ADRENAL GLAND AMYGDALA APPENDIX BASAL GANGLIA BONE MARROW BREAST BRONCHUS CEREBELLUM CEREBRAL CORTEX CERVIX CHOROID PLEXUS COLON DUODENUM
ENDOMETRIUM EPIDIDYMIS ESOPHAGUS FALLOPIAN TUBE GALLBLADDER HEART MUSCLE HIPPOCAMPAL FORMATION HYPOTHALAMUS KIDNEY LIVER LUNG LYMPH NODE MIDBRAIN NASOPHARYNX
ORAL MUCOSA OVARY PANCREAS PARATHYROID GLAND PITUITARY GLAND PLACENTA PROSTATE RECTUM RETINA SALIVARY GLAND SEMINAL VESICLE SKELETAL MUSCLE SKIN SMALL INTESTINE
SMOOTH MUSCLE SOFT TISSUE SPINAL CORD SPLEEN STOMACH TESTIS THYMUS THYROID GLAND TONGUE TONSIL URINARY BLADDER VAGINA
ANTIBODIES
AND
VALIDATION
Dictionary
Tissue proteome
Stomach
STOMACH - Expression summary
Protein expression
Stomachi

On the top, protein expression in current human tissue, based on all annotated cell types, is reported with the units not detected (n), low (l), medium (m) and high (h). Underneath, protein expression in each annotated cell type are reported using the same units.

Protein expression data is based on knowledge-based annotation. For genes where more than one antibody has been used, a collective score is set.

If knowledge-based annotation could not be performed for a gene, no data is displayed here. View antibody staining data further down this page.

h
m
l
n
Glandular cells: Medium
RNA expressioni

A summary of mRNA expression data available for current tissue based on several datasets. The mRNA expression levels in human tissues are based on RNA-seq data generated by the Human Protein Atlas (HPA), Genotype-Tissue Expression (GTEx) portal and CAGE data generated by the FANTOM5 consortium. Consensus normalized expression levels for human tissues was created by combining the data from HPA and GTEx datasets.

The mRNA expression levels in pig are based on RNA-seq data generated by the Human Protein Atlas (HPA), and for mouse, HPA data and in situ hybridization generated by the Allen brain atlas are reported.

Scroll down to view mRNA expression data in more detail.
Consensus:43.5 nTPM
HPA:8.5 nTPM
GTEx:43.5 nTPM

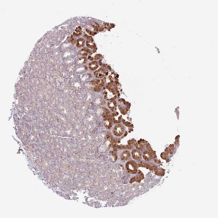
STOMACH 1 - Antibody stainingi

Antibody staining in the annotated cell types in the current human tissue is reported as not detected, low, medium, or high, based on conventional immunohistochemistry profiling in selected tissues. This score is based on the combination of the staining intensity and fraction of stained cells.

Each image is clickable and will lead to virtual microscopy that enables deeper exploration of all samples and also displays staining intensity scores, fraction scores and subcellular localization as well as patient and tissue information for each sample.

Antibody HPA052016
Glandular cells Medium


STOMACH 2 - Antibody stainingi

Antibody staining in the annotated cell types in the current human tissue is reported as not detected, low, medium, or high, based on conventional immunohistochemistry profiling in selected tissues. This score is based on the combination of the staining intensity and fraction of stained cells.

Each image is clickable and will lead to virtual microscopy that enables deeper exploration of all samples and also displays staining intensity scores, fraction scores and subcellular localization as well as patient and tissue information for each sample.

Antibody HPA052016
Glandular cells Medium



STOMACH - HPA RNA-seqi

The RNA-seq details section shows detailed information about the individual samples used for the transcript profiling and results of the RNA-seq analysis.

Information about each individual sample is listed below, including gender, age, a tissue section image and estimated fractions of cell types. nTPM (normalized transcripts per million) values give a quantification of the gene abundance which is comparable between different genes and samples.
Average nTPMi

Max subtype nTPM is the value for the subtype with the largest average nTPM across the subtype samples.

8.5
overview
Female, age 33
Stomach sample 61
nTPM: 7.2
Cell types%
Glandular cells:
60

Smooth muscle cells:
5

Other cell types:
35

N/A
Male, age 82
Stomach sample 240
nTPM: 9.6
Cell types%
Glandular cells:
65

Smooth muscle cells:
5

Other cell types:
30

overview
Male, age 71
Stomach sample 241
nTPM: 5
Cell types%
Glandular cells:
50

Smooth muscle cells:
5

Other cell types:
45

overview
Female, age 66
Stomach sample 369
nTPM: 12.1
Cell types%
Glandular cells:
50

Smooth muscle cells:
10

Other cell types:
40


STOMACH - GTEx RNA-seqi

RNA-Seq data generated by the Genotype-Tissue Expression (GTEx) project from human tissues is reported as mean nTPM. More information can be found on the GTEx portal.

Distribution across the dataset is visualized with box plots, shown as median and 25th and 75th percentiles. Points are displayed as outliers if they are above or below 1.5 times the interquartile range. nTPM values of the individual samples are presented next to the box plot.
Max subtype nTPMi

Max subtype nTPM is the value for the subtype with the largest average nTPM across the subtype samples.

43.5
GTEx sample id Sample description nTPM
Stomach
Average nTPM: 43.5
Samples: 359

Max nTPM: 189.1
Min nTPM: 4.1
Std nTPM: 43.3
Median nTPM: 19.9
GTEX-1IL2V-2026-SM-ARZMA 70-79 years, male 189.1
GTEX-11P82-0726-SM-5PNYL 20-29 years, male 159.2
GTEX-1KD5A-1426-SM-D4P3V 50-59 years, male 155.3
GTEX-1QP28-2126-SM-DTX8B 50-59 years, female 153.7
GTEX-1QW4Y-0726-SM-DTX8E 30-39 years, male 153.5
GTEX-PLZ6-0826-SM-3P61K 30-39 years, male 151.0
GTEX-13111-1226-SM-5GCNC 50-59 years, male 150.9
GTEX-T5JC-1926-SM-4DM6Q 20-29 years, male 150.9
GTEX-1K2DA-0826-SM-CGQGD 50-59 years, male 150.0
GTEX-YEC3-1426-SM-D4P1S 50-59 years, male 143.9
GTEX-1PPH8-1326-SM-DTXFO 20-29 years, male 140.9
GTEX-1H1DE-1226-SM-9JGHH 20-29 years, male 140.4
GTEX-14PKU-1126-SM-69LOU 40-49 years, female 139.9
GTEX-RU1J-0526-SM-46MUT 20-29 years, female 136.3
GTEX-WZTO-2126-SM-4PQYW 40-49 years, male 135.6
GTEX-1N2DV-0926-SM-E9TJT 40-49 years, male 135.4
GTEX-13O3Q-2126-SM-5KM4C 50-59 years, male 135.3
GTEX-TKQ2-0926-SM-4DXU5 50-59 years, male 133.1
GTEX-1CB4H-2426-SM-7PBYR 60-69 years, female 132.1
GTEX-1S82Z-1726-SM-E6CHZ 30-39 years, female 132.0
GTEX-1LVAM-1426-SM-E9TJ4 50-59 years, female 130.0
GTEX-1CB4E-1326-SM-7DUGD 60-69 years, male 129.5
GTEX-1S3DN-1526-SM-EVYCB 50-59 years, male 128.3
GTEX-11VI4-0326-SM-5EQ6L 40-49 years, female 127.8
GTEX-XPVG-1526-SM-4B66C 50-59 years, male 127.0
GTEX-TKQ1-0526-SM-4DXTG 30-39 years, male 126.2
GTEX-OIZH-1526-SM-3NB1J 50-59 years, male 126.1
GTEX-131XE-2226-SM-5PNYX 50-59 years, male 125.6
GTEX-S4P3-0726-SM-4AD57 50-59 years, female 125.2
GTEX-1E2YA-2426-SM-7EPIG 50-59 years, male 124.7
GTEX-R55D-1526-SM-48FEJ 50-59 years, male 123.4
GTEX-14PN3-1326-SM-6AJ9U 60-69 years, female 120.6
GTEX-13O61-1126-SM-5L3FI 60-69 years, male 120.5
GTEX-1B8L1-1526-SM-79OLK 60-69 years, male 119.3
GTEX-1JN76-0926-SM-ARZNH 20-29 years, female 119.2
GTEX-1211K-1426-SM-5FQTF 60-69 years, female 119.1
GTEX-S4Z8-1226-SM-4AD6W 60-69 years, male 115.6
GTEX-QDT8-2026-SM-EZ6LS 30-39 years, female 114.8
GTEX-13N1W-2026-SM-5K7YU 70-79 years, male 113.8
GTEX-146FR-2026-SM-5NQAI 60-69 years, female 113.7
GTEX-UJHI-1026-SM-4IHJP 50-59 years, female 112.4
GTEX-1GPI7-1326-SM-9KNVA 20-29 years, male 110.9
GTEX-R55G-1126-SM-48FDG 40-49 years, female 109.9
GTEX-WH7G-1526-SM-4LVMX 40-49 years, male 109.6
GTEX-17JCI-2226-SM-7LTA1 60-69 years, female 109.1
GTEX-1HT8W-2326-SM-A9SLA 30-39 years, male 108.0
GTEX-1HSMQ-2426-SM-CE6RY 50-59 years, male 107.2
GTEX-14E1K-1526-SM-664MN 50-59 years, male 107.1
GTEX-ZV6S-0926-SM-57WGB 40-49 years, female 105.1
GTEX-WFJO-1126-SM-4LVLZ 30-39 years, male 104.3
GTEX-11EQ9-1226-SM-5987E 30-39 years, male 103.6
GTEX-1C64O-2226-SM-73KTV 60-69 years, male 103.4
GTEX-1IDJF-1426-SM-ACKWK 20-29 years, male 103.4
GTEX-18D9B-2226-SM-718BM 60-69 years, male 103.3
GTEX-15RIF-1126-SM-7KUG2 20-29 years, male 102.7
GTEX-1QP67-1026-SM-EVR47 40-49 years, female 100.6
GTEX-1S831-1126-SM-EWROI 20-29 years, male 98.3
GTEX-1PIGE-1126-SM-EWRMV 20-29 years, male 98.1
GTEX-1399U-1626-SM-5P9J3 50-59 years, female 97.1
GTEX-146FH-2126-SM-5SI9U 50-59 years, female 96.5
GTEX-1J8EW-2226-SM-AHZ3T 60-69 years, female 96.4
GTEX-11P7K-1726-SM-5GU6F 30-39 years, male 96.1
GTEX-1H3NZ-2226-SM-9WYUT 60-69 years, male 95.5
GTEX-P4QT-1526-SM-3NMCT 50-59 years, female 94.6
GTEX-13OVI-2426-SM-5KM4J 60-69 years, female 93.9
GTEX-11EI6-2426-SM-5PNVS 60-69 years, male 93.8
GTEX-17KNJ-1526-SM-7LTA9 50-59 years, male 93.8
GTEX-1EH9U-2226-SM-7PBXX 60-69 years, male 93.8
GTEX-1HR9M-2326-SM-CNPPZ 60-69 years, male 92.9
GTEX-14PHY-0926-SM-5ZZWL 60-69 years, female 91.1
GTEX-ZTX8-0426-SM-59HLG 20-29 years, male 90.5
GTEX-1NSGN-1926-SM-E9J36 50-59 years, male 90.4
GTEX-1MCYP-1126-SM-E9J2P 20-29 years, female 88.6
GTEX-P4PQ-1526-SM-3NMCK 60-69 years, male 88.1
GTEX-S7SF-0626-SM-4AD4V 20-29 years, female 85.7
GTEX-12C56-0526-SM-5FQST 20-29 years, male 84.8
GTEX-15EU6-2526-SM-7KUGB 50-59 years, male 84.7
GTEX-UPK5-2126-SM-4JBJK 40-49 years, male 84.5
GTEX-XAJ8-0326-SM-47JYI 40-49 years, male 84.5
GTEX-12WSJ-0926-SM-5P9JD 40-49 years, female 84.0
GTEX-Y114-1226-SM-4TT88 50-59 years, female 83.5
GTEX-R55C-1026-SM-48FCM 40-49 years, male 81.8
GTEX-1HCUA-1626-SM-A9SMG 50-59 years, female 81.5
GTEX-14DAQ-2826-SM-664MU 60-69 years, female 79.6
GTEX-16NGA-1526-SM-72D56 40-49 years, female 79.0
GTEX-1JMPY-0926-SM-ARL92 30-39 years, male 76.5
GTEX-RUSQ-1126-SM-EAZAU 50-59 years, male 75.4
GTEX-15SHW-2126-SM-6M46Y 60-69 years, male 74.8
GTEX-14BMV-2226-SM-5RQHX 50-59 years, male 74.1
GTEX-1JMQJ-1326-SM-D4P3B 50-59 years, male 71.7
GTEX-13QJ3-2726-SM-5SI6L 50-59 years, male 69.9
GTEX-17EUY-1526-SM-793CA 20-29 years, male 68.9
GTEX-13X6H-1626-SM-5Q5CT 50-59 years, female 68.0
GTEX-Y8E4-1526-SM-4WWDI 40-49 years, male 67.6
GTEX-1E1VI-2826-SM-7MGWU 50-59 years, male 66.3
GTEX-ZE7O-3026-SM-51MS4 50-59 years, female 65.8
GTEX-ZYVF-2726-SM-5GID4 50-59 years, female 65.2
GTEX-1LSNM-1026-SM-DHXL2 50-59 years, male 64.1
GTEX-13X6J-2126-SM-5TDCV 50-59 years, male 62.7
GTEX-1339X-1426-SM-5K7YO 40-49 years, male 61.9
GTEX-ZPIC-2026-SM-57WG3 40-49 years, female 61.2
GTEX-1H11D-2226-SM-9OSXN 40-49 years, male 61.0
GTEX-1AX9J-2626-SM-731EK 60-69 years, male 60.0
GTEX-1A3MX-1926-SM-72D7F 60-69 years, male 59.7
GTEX-XBEW-1826-SM-4RTWX 40-49 years, male 58.1
GTEX-15G1A-1226-SM-7KUF3 30-39 years, male 57.6
GTEX-WYVS-1326-SM-4ONCQ 40-49 years, female 57.6
GTEX-NFK9-1526-SM-3LK7B 40-49 years, male 56.3
GTEX-PLZ5-1226-SM-EXOHA 50-59 years, male 54.4
GTEX-O5YV-1926-SM-EV797 60-69 years, female 52.9
GTEX-17MF6-2126-SM-7KFS7 40-49 years, male 51.8
GTEX-145MO-2226-SM-5Q5BN 60-69 years, male 51.4
GTEX-1RQEC-2126-SM-DPS15 60-69 years, male 48.5
GTEX-1L5NE-1526-SM-DIPFW 50-59 years, male 48.0
GTEX-RTLS-2626-SM-46MUJ 60-69 years, female 46.8
GTEX-139D8-2326-SM-5IFGE 30-39 years, female 45.1
GTEX-1HSEH-1526-SM-B2LXG 60-69 years, male 45.0
GTEX-ZZPU-1426-SM-5GZZ6 50-59 years, female 43.4
GTEX-14JG6-1226-SM-664O6 30-39 years, female 42.7
GTEX-1I1GT-1726-SM-C1YS3 60-69 years, female 42.5
GTEX-O5YW-1526-SM-3MJGL 50-59 years, male 42.3
GTEX-18A7A-2726-SM-7LG6U 50-59 years, female 42.1
GTEX-1HCU8-1326-SM-C1YQQ 60-69 years, female 41.8
GTEX-11WQK-2626-SM-5EQ4K 50-59 years, male 41.3
GTEX-1QP29-2326-SM-EXOJO 50-59 years, male 39.8
GTEX-Y3I4-1626-SM-4TT7W 50-59 years, male 39.1
GTEX-12WSD-2326-SM-59HKQ 60-69 years, female 39.0
GTEX-13QBU-1126-SM-5LU44 40-49 years, female 37.7
GTEX-13FH7-1026-SM-5IJGF 50-59 years, female 37.6
GTEX-QMRM-1126-SM-447BN 50-59 years, male 37.4
GTEX-SUCS-0926-SM-4DM4Z 70-79 years, male 37.3
GTEX-ZEX8-1626-SM-4WKG7 50-59 years, male 37.1
GTEX-1GMRU-2526-SM-9WG7T 50-59 years, male 36.7
GTEX-ZVT3-2126-SM-59HL2 60-69 years, female 36.6
GTEX-1AMEY-1226-SM-731DU 30-39 years, female 36.2
GTEX-145LT-1426-SM-5O9B3 40-49 years, male 35.7
GTEX-QXCU-1926-SM-48FE4 50-59 years, male 35.4
GTEX-1I4MK-0926-SM-A9SLD 50-59 years, female 34.4
GTEX-13RTK-0226-SM-5RQHR 20-29 years, male 34.3
GTEX-139YR-1926-SM-5LZXM 50-59 years, male 33.4
GTEX-SNOS-0826-SM-4DM5N 40-49 years, male 33.4
GTEX-WHWD-1426-SM-4OORU 50-59 years, male 32.8
GTEX-13S7M-1826-SM-5RQK6 60-69 years, female 32.7
GTEX-YJ8A-1526-SM-5P9FT 20-29 years, male 32.3
GTEX-1JMPZ-1826-SM-CXZJT 30-39 years, male 31.1
GTEX-WEY5-1226-SM-4LMIQ 40-49 years, female 30.8
GTEX-132AR-2426-SM-5IFFD 50-59 years, female 28.3
GTEX-T8EM-1226-SM-4DM5J 40-49 years, male 27.9
GTEX-1J8JJ-1726-SM-C1YQG 60-69 years, female 27.9
GTEX-1QCLZ-1826-SM-DPRXP 60-69 years, female 27.7
GTEX-1H1E6-1626-SM-9OSWC 30-39 years, male 26.3
GTEX-1GF9U-1126-SM-AHZ4H 40-49 years, female 25.8
GTEX-1H23P-2726-SM-9JGHN 60-69 years, male 25.6
GTEX-XQ8I-2026-SM-4BOOL 50-59 years, male 25.4
GTEX-1JMLX-2426-SM-CXZJQ 50-59 years, male 25.1
GTEX-1JN1M-2926-SM-CNNPJ 60-69 years, female 24.3
GTEX-R53T-1226-SM-48FCT 50-59 years, female 24.1
GTEX-ZGAY-1626-SM-DNZZ3 40-49 years, female 24.1
GTEX-Y5V6-1326-SM-4VDTF 60-69 years, male 23.6
GTEX-OIZF-1526-SM-2I5GR 60-69 years, male 23.6
GTEX-1LVAN-2426-SM-CNNPZ 50-59 years, female 23.3
GTEX-WRHK-0626-SM-4MVOE 20-29 years, female 23.2
GTEX-18D9A-0626-SM-7KFTY 30-39 years, female 22.9
GTEX-111YS-1126-SM-5GZYQ 60-69 years, male 22.7
GTEX-PW2O-1226-SM-48TCH 20-29 years, male 21.7
GTEX-ZAB4-1526-SM-5CVN7 40-49 years, male 21.4
GTEX-17HII-2426-SM-7KFTT 50-59 years, male 21.2
GTEX-13U4I-2526-SM-5SI8Z 40-49 years, female 21.1
GTEX-133LE-1326-SM-5IFGO 20-29 years, female 21.0
GTEX-1QMI2-2126-SM-DPRXQ 60-69 years, male 20.8
GTEX-1A3MV-1226-SM-718BW 30-39 years, male 20.5
GTEX-1H1DG-2126-SM-9WPPB 70-79 years, male 20.5
GTEX-ZP4G-1226-SM-4WWCJ 20-29 years, female 20.4
GTEX-1J8QM-1126-SM-C1YQB 60-69 years, female 20.3
GTEX-ZXES-1426-SM-5NQ8S 30-39 years, female 20.2
GTEX-XMK1-1526-SM-EYYVO 40-49 years, male 20.2
GTEX-1GN1W-2126-SM-9JGI7 50-59 years, female 20.1
GTEX-OXRL-1526-SM-E6CHQ 50-59 years, male 20.1
GTEX-14ICL-0826-SM-5YY9W 30-39 years, male 19.9
GTEX-Q734-1026-SM-48U16 40-49 years, female 19.9
GTEX-18A66-2226-SM-7189E 60-69 years, male 19.8
GTEX-ZLV1-0826-SM-DO11P 60-69 years, female 19.8
GTEX-1B97I-1226-SM-7MGWQ 40-49 years, male 19.7
GTEX-WYJK-2526-SM-4ONDF 50-59 years, male 19.6
GTEX-1LGRB-1726-SM-CNNRA 50-59 years, female 19.4
GTEX-17GQL-1226-SM-7KFTS 60-69 years, male 19.3
GTEX-1F5PK-1826-SM-7RHHX 50-59 years, male 19.3
GTEX-145ME-1026-SM-5O9B4 40-49 years, female 19.2
GTEX-13PVR-2126-SM-73KVR 60-69 years, female 19.1
GTEX-1B8KE-1326-SM-73KVI 50-59 years, male 18.9
GTEX-1IDJD-2426-SM-C1YS6 30-39 years, male 18.8
GTEX-1RAZR-1526-SM-EAZ4U 40-49 years, male 18.8
GTEX-Y8LW-0826-SM-4WWDO 50-59 years, female 18.4
GTEX-V955-1326-SM-4JBHR 60-69 years, male 18.3
GTEX-S4UY-1626-SM-4AD55 40-49 years, female 18.0
GTEX-ZF2S-1426-SM-57WET 50-59 years, female 17.5
GTEX-14DAR-0926-SM-73KUQ 50-59 years, male 17.4
GTEX-18QFQ-1226-SM-718AE 30-39 years, male 17.3
GTEX-W5WG-1726-SM-4LMI5 50-59 years, female 17.2
GTEX-XV7Q-1326-SM-4BRWM 40-49 years, female 17.1
GTEX-1H3VY-2326-SM-9WG81 50-59 years, male 17.0
GTEX-P78B-1826-SM-3P5YX 40-49 years, female 16.9
GTEX-ZV7C-1626-SM-5NQ7E 50-59 years, male 16.9
GTEX-OXRK-1626-SM-3NB17 50-59 years, female 16.8
GTEX-1GZ4H-1026-SM-9OSXL 50-59 years, female 16.5
GTEX-YB5E-1126-SM-664NU 40-49 years, male 16.4
GTEX-17HHE-1026-SM-79ON6 50-59 years, male 16.3
GTEX-X15G-1126-SM-4PQZG 50-59 years, female 16.3
GTEX-1QP2A-2126-SM-DPRZ7 50-59 years, male 16.2
GTEX-11NSD-1426-SM-5HL67 20-29 years, male 15.8
GTEX-Y9LG-1026-SM-5IFJN 30-39 years, male 15.7
GTEX-1JK1U-1326-SM-AHZ45 60-69 years, male 15.7
GTEX-14PJ3-1426-SM-664O8 50-59 years, male 15.5
GTEX-1HBPN-1626-SM-9WPNP 50-59 years, male 15.5
GTEX-1QCLY-1126-SM-EAZ4J 30-39 years, male 15.5
GTEX-1MGNQ-1826-SM-DPRYI 40-49 years, male 15.4
GTEX-13OW6-2526-SM-5IJEC 50-59 years, male 15.3
GTEX-1MUQO-1926-SM-EAZ59 60-69 years, male 15.2
GTEX-13D11-2126-SM-5IFH2 50-59 years, female 15.0
GTEX-1HFI7-1526-SM-9WG7W 50-59 years, female 14.8
GTEX-15DZA-1126-SM-6LPK8 30-39 years, female 14.6
GTEX-TMMY-1626-SM-4DXTY 40-49 years, female 14.6
GTEX-1JKYN-1726-SM-AHZ48 30-39 years, male 14.6
GTEX-117YW-2226-SM-5N9DB 50-59 years, male 14.5
GTEX-1J8Q3-1926-SM-C1YSJ 60-69 years, male 14.5
GTEX-1HKZK-1526-SM-B2LWG 40-49 years, male 14.3
GTEX-16AAH-1226-SM-79OO9 50-59 years, male 14.0
GTEX-15G19-1526-SM-6LPKP 60-69 years, male 13.9
GTEX-V1D1-1726-SM-4JBHB 50-59 years, male 13.9
GTEX-U3ZN-2026-SM-4DXUC 30-39 years, female 13.8
GTEX-1LG7Z-1226-SM-DHXK4 30-39 years, male 13.8
GTEX-1A8G6-1426-SM-731EZ 60-69 years, male 13.7
GTEX-QV44-1226-SM-CJI1S 50-59 years, male 13.7
GTEX-17HGU-2126-SM-7IGOV 50-59 years, male 13.4
GTEX-ZT9W-1526-SM-4YCDE 50-59 years, male 13.4
GTEX-OHPM-1526-SM-EV796 50-59 years, male 13.4
GTEX-WHSB-1226-SM-4M1XR 50-59 years, male 13.3
GTEX-17F98-1526-SM-7EWD8 40-49 years, female 13.2
GTEX-1AMFI-1226-SM-731CZ 50-59 years, female 13.2
GTEX-15DCE-1626-SM-6LPJM 20-29 years, male 13.1
GTEX-ZVZP-1726-SM-5GZWY 50-59 years, male 13.1
GTEX-1HBPI-0726-SM-9WG7Z 50-59 years, male 13.1
GTEX-1ICG6-1826-SM-AHZ2O 70-79 years, female 13.1
GTEX-14BIL-1926-SM-73KYI 50-59 years, male 13.0
GTEX-S4Q7-0726-SM-4AD5F 20-29 years, male 12.9
GTEX-XUZC-0726-SM-4BOPH 30-39 years, female 12.8
GTEX-1MJIX-1126-SM-EV7AO 40-49 years, male 12.8
GTEX-1KXAM-0926-SM-CXZKA 60-69 years, male 12.7
GTEX-XBED-1226-SM-4AT5V 60-69 years, male 12.6
GTEX-11DXX-1326-SM-5GIDZ 60-69 years, female 12.5
GTEX-1399R-1126-SM-5IFIO 30-39 years, male 12.5
GTEX-T5JW-0926-SM-4DM5K 20-29 years, female 12.5
GTEX-13113-0726-SM-5LZUF 60-69 years, female 12.4
GTEX-ZVT2-1626-SM-51MRC 50-59 years, female 12.4
GTEX-15UF7-1226-SM-6M46G 40-49 years, male 12.3
GTEX-POMQ-0826-SM-3P61H 20-29 years, female 12.3
GTEX-1CAMR-0726-SM-7EPIE 20-29 years, male 12.1
GTEX-S95S-0826-SM-4B64N 60-69 years, male 12.1
GTEX-WHPG-0426-SM-4M1XW 50-59 years, male 12.1
GTEX-1AYCT-1326-SM-7MKHB 50-59 years, male 12.0
GTEX-117YX-1026-SM-5H11V 50-59 years, male 11.9
GTEX-14BMU-1126-SM-5RQJ8 20-29 years, female 11.9
GTEX-1I1HK-2026-SM-CNNRB 60-69 years, male 11.9
GTEX-1I6K7-1726-SM-B2LXQ 40-49 years, male 11.9
GTEX-PX3G-1526-SM-48U11 20-29 years, female 11.8
GTEX-QV31-0626-SM-447C5 30-39 years, male 11.8
GTEX-1R9K5-1026-SM-EAZ4F 50-59 years, male 11.8
GTEX-1RMOY-1126-SM-EV79E 50-59 years, male 11.8
GTEX-1IDJU-1526-SM-CNNR3 60-69 years, female 11.7
GTEX-1LBAC-1426-SM-CXZKT 20-29 years, male 11.7
GTEX-144GN-1226-SM-5O991 50-59 years, male 11.6
GTEX-WFG7-1326-SM-4LMK1 20-29 years, male 11.6
GTEX-1122O-1926-SM-5EGIQ 60-69 years, female 11.5
GTEX-P4PP-1526-SM-3P61M 30-39 years, female 11.5
GTEX-11EM3-1026-SM-5A5KL 20-29 years, female 11.4
GTEX-1F75I-1826-SM-7MKGX 40-49 years, male 11.4
GTEX-OOBJ-1526-SM-3NB1Q 60-69 years, male 11.4
GTEX-WY7C-1726-SM-4ONCC 50-59 years, male 11.4
GTEX-13CF3-1926-SM-5K7WF 60-69 years, female 11.3
GTEX-ZA64-0826-SM-5HL9U 20-29 years, male 11.3
GTEX-UJMC-1226-SM-4IHLI 50-59 years, male 11.2
GTEX-14PJ6-0826-SM-686Z9 60-69 years, female 11.1
GTEX-1F5PL-1426-SM-7MKFH 40-49 years, female 11.1
GTEX-XXEK-0826-SM-4BRWG 50-59 years, male 11.0
GTEX-13OVK-0926-SM-7KUFX 40-49 years, male 10.9
GTEX-PWCY-0926-SM-48TD7 20-29 years, female 10.9
GTEX-T6MO-0726-SM-4DM58 40-49 years, female 10.9
GTEX-1B8KZ-1226-SM-793CP 50-59 years, male 10.8
GTEX-14PJ5-0826-SM-6AJAR 60-69 years, female 10.7
GTEX-15RIE-1026-SM-6LPJQ 60-69 years, male 10.7
GTEX-ZYFG-1326-SM-5GICJ 60-69 years, female 10.6
GTEX-11GSP-2126-SM-5HL5E 60-69 years, female 10.4
GTEX-12WSG-2026-SM-5FQUU 50-59 years, female 10.4
GTEX-131XF-1226-SM-5HL8V 60-69 years, male 10.4
GTEX-15CHR-1326-SM-79OLT 50-59 years, male 10.4
GTEX-1399S-1626-SM-5P9GI 30-39 years, female 10.3
GTEX-1B97J-1826-SM-7IGPP 50-59 years, female 10.3
GTEX-OHPK-1526-SM-3MJGM 50-59 years, female 10.3
GTEX-ZVP2-1626-SM-5GU5D 50-59 years, male 10.3
GTEX-Q2AI-0826-SM-48TZO 40-49 years, male 10.1
GTEX-SNMC-0626-SM-4DM6H 20-29 years, male 10.1
GTEX-WFG8-1326-SM-4LVN3 20-29 years, male 10.1
GTEX-14PKV-1826-SM-69LO9 20-29 years, female 10.0
GTEX-1R7EU-1126-SM-EAZ4M 60-69 years, male 10.0
GTEX-ZLWG-1526-SM-DO12F 50-59 years, female 10.0
GTEX-132QS-1826-SM-5IFFN 60-69 years, male 9.9
GTEX-QLQ7-0826-SM-447B3 60-69 years, male 9.9
GTEX-QLQW-0726-SM-447AA 30-39 years, male 9.9
GTEX-QDVN-1226-SM-48TZ5 50-59 years, male 9.8
GTEX-RM2N-0826-SM-48FD3 50-59 years, male 9.8
GTEX-1LGOU-1526-SM-D3LAJ 20-29 years, female 9.8
GTEX-17F9E-2226-SM-7IGNC 50-59 years, male 9.4
GTEX-ZY6K-0726-SM-5A5L8 50-59 years, male 9.4
GTEX-145MN-1326-SM-5NQ9S 30-39 years, male 9.3
GTEX-14E6E-0926-SM-664N8 30-39 years, male 9.3
GTEX-11TT1-0726-SM-5GU5A 20-29 years, male 9.2
GTEX-14PHX-1026-SM-664OL 50-59 years, male 9.2
GTEX-QCQG-0526-SM-48U2A 50-59 years, female 9.1
GTEX-1QPFJ-1526-SM-DPRXT 30-39 years, female 9.1
GTEX-ZQUD-0826-SM-57WDQ 30-39 years, male 9.0
GTEX-1C475-1026-SM-7MKFJ 40-49 years, female 8.8
GTEX-S341-0626-SM-4AD5T 40-49 years, female 8.8
GTEX-S3XE-1026-SM-4AD4O 50-59 years, male 8.8
GTEX-VJYA-1026-SM-4KL21 60-69 years, male 8.8
GTEX-ZZ64-0426-SM-5E43F 20-29 years, male 8.8
GTEX-11I78-1726-SM-5A5M3 50-59 years, female 8.7
GTEX-18A67-2626-SM-718AD 50-59 years, male 8.7
GTEX-RWS6-0926-SM-47JXE 60-69 years, female 8.7
GTEX-111CU-0926-SM-5EGIK 50-59 years, male 8.6
GTEX-12696-1726-SM-5EQLH 60-69 years, male 8.6
GTEX-13FTW-1726-SM-5KM2B 40-49 years, male 8.5
GTEX-13O21-0926-SM-5IFGT 50-59 years, male 8.5
GTEX-ZLFU-1326-SM-DO11R 40-49 years, male 8.5
GTEX-YFCO-0826-SM-5LUAG 40-49 years, male 8.4
GTEX-PWN1-1526-SM-48TDA 40-49 years, female 8.2
GTEX-14B4R-0726-SM-5TDDR 30-39 years, male 8.1
GTEX-131XG-1226-SM-5EGH9 50-59 years, female 8.0
GTEX-12BJ1-1726-SM-5HL9B 60-69 years, male 7.9
GTEX-14PJ4-1626-SM-664OB 60-69 years, male 7.9
GTEX-WFON-1126-SM-4LVMA 40-49 years, male 7.7
GTEX-QDVJ-1426-SM-48U1Y 50-59 years, male 7.5
GTEX-11NUK-2426-SM-5BC4U 50-59 years, male 7.4
GTEX-12WSK-1426-SM-5CVNN 40-49 years, female 7.4
GTEX-Y3IK-1426-SM-4YCES 50-59 years, female 7.4
GTEX-U4B1-1026-SM-4DXT1 40-49 years, male 7.3
GTEX-ZF29-1526-SM-4WKF7 60-69 years, female 7.3
GTEX-1GL5R-1926-SM-9WG7U 50-59 years, male 7.0
GTEX-Q2AH-1126-SM-48TZM 40-49 years, male 6.9
GTEX-WXYG-1626-SM-4ONCR 50-59 years, female 6.9
GTEX-ZPU1-1626-SM-4WWB2 40-49 years, male 6.8
GTEX-YEC4-1426-SM-5IFHS 40-49 years, male 6.3
GTEX-1RB15-1026-SM-E9U6V 60-69 years, male 6.3
GTEX-13PVQ-2126-SM-5L3FW 50-59 years, male 6.1
GTEX-13FTX-0726-SM-5N9BI 20-29 years, female 5.9
GTEX-ZYY3-1726-SM-5EGH3 60-69 years, female 5.8
GTEX-Y5LM-1326-SM-5RQIS 40-49 years, female 5.6
GTEX-ZDYS-1926-SM-5HL59 50-59 years, male 4.8
GTEX-144GM-1726-SM-5O9AS 20-29 years, male 4.4
GTEX-1KANA-1126-SM-D3L9M 20-29 years, male 4.1
Show allShow less

Contact

  • NEWS ARTICLES
  • PRESS ROOM

The Project

  • INTRODUCTION
  • ORGANIZATION
  • PUBLICATIONS

The Human Protein Atlas

  • DOWNLOADABLE DATA
  • LICENCE & CITATION
  • HELP & FAQ
The Human Protein Atlas project is funded
by the Knut & Alice Wallenberg Foundation.


contact@proteinatlas.org