We use cookies to enhance the usability of our website. If you continue, we'll assume that you are happy to receive all cookies. More information. Don't show this again.
EGFL8
HPA
RESOURCES
  • TISSUE
  • BRAIN
  • SINGLE CELL
  • SUBCELLULAR
  • CANCER
  • BLOOD
  • CELL LINE
  • STRUCTURE & INTERACTION
ABOUT
  • INTRODUCTION
  • HISTORY
  • ORGANIZATION
  • PUBLICATIONS
  • ANTIBODY SUBMISSION
  • ANTIBODY AVAILABILITY
  • ACKNOWLEDGMENTS
  • CONTACT
NEWS
  • NEWS ARTICLES
  • PRESS ROOM
LEARN
  • DICTIONARY
  • PROTEIN CLASSES
  • PROTEIN EVIDENCE
  • METHODS
  • EDUCATIONAL VIDEOS
DATA
  • DOWNLOADABLE DATA
  • PUBLICATION DATA
  • RELEASE HISTORY
HELP
  • ANTIBODY VALIDATION
  • ASSAYS & ANNOTATION
  • DISCLAIMER
  • HELP & FAQ
  • PRIVACY STATEMENT
  • LICENCE & CITATION
Fields »
Search result

Field
Term
Gene name
Class
Subclass
Class
Keyword
Chromosome
External id
Tissue
Cell type
Expression
Antibody panel
Tissue
Main location
Patient ID
Annotation
Tissue
Category
Tau score
Cluster
Reliability
Brain region
Category
Tau score
Brain region
Category
Tau score
Brain region
Category
Tau score
Cluster
Reliability
Tissue
Cell type
Enrichment
Cell type
Category
Tau score
Cell type
Category
Tau score
Cell type
Category
Tau score
Cell lineage
Category
Tau score
Cluster
Cluster
Location
Searches
Location
Cell line
Class
Type
Phase
Reliability
Cancer
Prognosis
Cancer
Category
Cancer
Category
Tau score
Cluster
Variants
Interacting gene (ensg_id)
Type
Number of interactions
Pathway
Category
Score
Score
Score
Validation
Validation
Validation
Validation
Antibodies
Data type
Column


  • SUMMARY

  • TISSUE

  • BRAIN

  • SINGLE CELL

  • SUBCELL

  • CANCER

  • BLOOD

  • CELL LINE

  • STRUCT & INT

  • EGFL8
TISSUE PRIMARY DATA HEART MUSCLE Show tissue menu
ADIPOSE TISSUE ADRENAL GLAND AMYGDALA APPENDIX BASAL GANGLIA BONE MARROW BREAST BRONCHUS CEREBELLUM CEREBRAL CORTEX CERVIX CHOROID PLEXUS COLON DUODENUM
ENDOMETRIUM EPIDIDYMIS ESOPHAGUS FALLOPIAN TUBE GALLBLADDER HEART MUSCLE HIPPOCAMPAL FORMATION HYPOTHALAMUS KIDNEY LIVER LUNG LYMPH NODE MIDBRAIN NASOPHARYNX
ORAL MUCOSA OVARY PANCREAS PARATHYROID GLAND PITUITARY GLAND PLACENTA PROSTATE RECTUM RETINA SALIVARY GLAND SEMINAL VESICLE SKELETAL MUSCLE SKIN SMALL INTESTINE
SMOOTH MUSCLE SOFT TISSUE SPINAL CORD SPLEEN STOMACH TESTIS THYMUS THYROID GLAND TONGUE TONSIL URINARY BLADDER VAGINA
ANTIBODIES
AND
VALIDATION
Dictionary
Heart muscle
Tissue proteome
Heart
HEART MUSCLE - Expression summary
Protein expression
Heart musclei

On the top, protein expression in current human tissue, based on all annotated cell types, is reported with the units not detected (n), low (l), medium (m) and high (h). Underneath, protein expression in each annotated cell type are reported using the same units.

Protein expression data is based on knowledge-based annotation. For genes where more than one antibody has been used, a collective score is set.

If knowledge-based annotation could not be performed for a gene, no data is displayed here. View antibody staining data further down this page.

h
m
l
n
Cardiomyocytes: High
RNA expressioni

A summary of mRNA expression data available for current tissue based on several datasets. The mRNA expression levels in human tissues are based on RNA-seq data generated by the Human Protein Atlas (HPA), Genotype-Tissue Expression (GTEx) portal and CAGE data generated by the FANTOM5 consortium. Consensus normalized expression levels for human tissues was created by combining the data from HPA and GTEx datasets.

The mRNA expression levels in pig are based on RNA-seq data generated by the Human Protein Atlas (HPA), and for mouse, HPA data and in situ hybridization generated by the Allen brain atlas are reported.

Scroll down to view mRNA expression data in more detail.
Consensus:13.7 nTPM
HPA:1.0 nTPM
GTEx:13.7 nTPM
FANTOM5:4.0 Scaled Tags Per Million

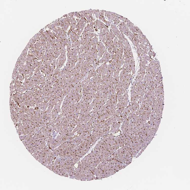
HEART MUSCLE - Antibody stainingi

Antibody staining in the annotated cell types in the current human tissue is reported as not detected, low, medium, or high, based on conventional immunohistochemistry profiling in selected tissues. This score is based on the combination of the staining intensity and fraction of stained cells.

Each image is clickable and will lead to virtual microscopy that enables deeper exploration of all samples and also displays staining intensity scores, fraction scores and subcellular localization as well as patient and tissue information for each sample.

Antibody HPA061173
Cardiomyocytes High



HEART MUSCLE - HPA RNA-seqi

The RNA-seq details section shows detailed information about the individual samples used for the transcript profiling and results of the RNA-seq analysis.

Information about each individual sample is listed below, including gender, age, a tissue section image and estimated fractions of cell types. nTPM (normalized transcripts per million) values give a quantification of the gene abundance which is comparable between different genes and samples.
Average nTPMi

Max subtype nTPM is the value for the subtype with the largest average nTPM across the subtype samples.

1.0
overview
Female, age 48
Heart muscle sample 149
nTPM: 0.7
Cell types%
Myocytes:
15

Fibroblasts:
55

Endothelial cells:
25

Other cell types:
5

overview
Female, age 42
Heart muscle sample 150
nTPM: 0.3
Cell types%
Myocytes:
20

Fibroblasts:
45

Endothelial cells:
30

Other cell types:
5

overview
Male, age 53
Heart muscle sample 151
nTPM: 2.6
Cell types%
Myocytes:
20

Fibroblasts:
45

Endothelial cells:
30

Other cell types:
5

overview
Female, age 69
Heart muscle sample 152
nTPM: 0.3
Cell types%
Myocytes:
20

Fibroblasts:
45

Endothelial cells:
30

Other cell types:
5


HEART MUSCLE - GTEx RNA-seqi

RNA-Seq data generated by the Genotype-Tissue Expression (GTEx) project from human tissues is reported as mean nTPM. More information can be found on the GTEx portal.

Distribution across the dataset is visualized with box plots, shown as median and 25th and 75th percentiles. Points are displayed as outliers if they are above or below 1.5 times the interquartile range. nTPM values of the individual samples are presented next to the box plot.
Max subtype nTPMi

Max subtype nTPM is the value for the subtype with the largest average nTPM across the subtype samples.

13.7
GTEx sample id Sample description nTPM
Heart - Atrial Appendage
Average nTPM: 13.7
Samples: 429

Max nTPM: 54.7
Min nTPM: 1.5
Std nTPM: 9.2
Median nTPM: 10.9
GTEX-ZXG5-0626-SM-5NQ85 60-69 years, male 54.7
GTEX-1HFI6-0826-SM-9YFM2 40-49 years, male 51.2
GTEX-1MJK2-1626-SM-EVYCQ 50-59 years, male 45.6
GTEX-WRHU-1026-SM-4E3ID 50-59 years, female 45.4
GTEX-1C6WA-0826-SM-7PBXS 60-69 years, male 45.3
GTEX-13112-0526-SM-5EQ4S 50-59 years, male 41.4
GTEX-13FTZ-0326-SM-5J1O1 60-69 years, male 40.2
GTEX-17EVP-0526-SM-7EPGY 40-49 years, male 39.5
GTEX-11GS4-0426-SM-5N9CD 60-69 years, male 38.2
GTEX-1IL2V-1126-SM-CMKGH 70-79 years, male 37.3
GTEX-1POEN-0726-SM-DTXDU 30-39 years, female 36.8
GTEX-11ZVC-0526-SM-5N9G1 50-59 years, female 36.7
GTEX-117YW-0426-SM-5GZZZ 50-59 years, male 36.1
GTEX-1EH9U-0626-SM-7PC33 60-69 years, male 36.0
GTEX-1IOXB-0726-SM-A9G32 50-59 years, male 35.7
GTEX-ZUA1-0726-SM-4YCD9 40-49 years, male 34.9
GTEX-1LSNL-0626-SM-DIPFJ 50-59 years, male 34.1
GTEX-1PPGY-0926-SM-DTXFF 60-69 years, male 33.3
GTEX-14BIN-2126-SM-793AX 50-59 years, female 33.1
GTEX-11ZUS-0326-SM-5EQ4W 30-39 years, male 32.9
GTEX-YECK-1226-SM-4W21G 60-69 years, male 32.4
GTEX-1EWIQ-1126-SM-7EPIK 70-79 years, female 31.9
GTEX-1JN6P-0826-SM-ARL97 60-69 years, male 31.8
GTEX-1I1CD-1326-SM-A9SMM 60-69 years, female 31.7
GTEX-13X6J-1226-SM-79OMF 50-59 years, male 31.6
GTEX-16YQH-0726-SM-7IGM1 30-39 years, male 31.5
GTEX-ZE7O-0626-SM-57WCD 50-59 years, female 30.1
GTEX-1HUB1-0726-SM-CGQF4 60-69 years, male 29.8
GTEX-14PJ2-1126-SM-69LOD 50-59 years, male 29.4
GTEX-1GN1V-1026-SM-CNPPS 60-69 years, male 29.4
GTEX-1GF9V-1726-SM-9KNW4 60-69 years, male 29.3
GTEX-14C5O-1226-SM-664N3 60-69 years, male 29.1
GTEX-1I1GV-1426-SM-B2LXN 60-69 years, male 28.9
GTEX-1IKJJ-0626-SM-CY8GF 60-69 years, male 28.9
GTEX-13OW7-1626-SM-5IJDH 50-59 years, male 28.4
GTEX-111VG-0326-SM-5GZX7 60-69 years, male 28.2
GTEX-13FXS-1026-SM-62LFQ 50-59 years, male 28.2
GTEX-1F75B-1126-SM-7RHGP 50-59 years, male 28.2
GTEX-12WSI-0426-SM-5EQ5J 50-59 years, male 27.8
GTEX-13O3O-1426-SM-5KM2S 60-69 years, female 27.7
GTEX-1GMRU-1326-SM-9WYUI 50-59 years, male 27.4
GTEX-ZVZQ-0726-SM-51MR3 60-69 years, female 27.3
GTEX-ZYFC-1026-SM-5GZX9 50-59 years, male 27.0
GTEX-1C64N-0826-SM-7RHGQ 50-59 years, male 26.8
GTEX-11NUK-0926-SM-5HL57 50-59 years, male 26.6
GTEX-1QEPI-1126-SM-E8VN7 60-69 years, female 26.0
GTEX-1F75A-1026-SM-7PC3W 50-59 years, male 25.3
GTEX-1QP6S-1026-SM-DTXFW 40-49 years, male 25.2
GTEX-11O72-1026-SM-5986B 40-49 years, male 25.1
GTEX-1A8FM-1026-SM-7PC26 50-59 years, female 25.1
GTEX-13NZA-0826-SM-5K7WS 60-69 years, male 24.9
GTEX-1A8G6-1826-SM-73KY8 60-69 years, male 24.8
GTEX-XQ3S-0526-SM-4BOQA 20-29 years, male 24.7
GTEX-1HR98-1026-SM-CKZOM 60-69 years, male 24.6
GTEX-13FHP-0826-SM-5K7V5 50-59 years, male 24.5
GTEX-1F88F-0326-SM-9KNV3 60-69 years, female 24.5
GTEX-1H1CY-0426-SM-9KNVD 60-69 years, female 24.5
GTEX-13PL6-0826-SM-5IJBI 40-49 years, female 24.2
GTEX-1IKOH-0926-SM-A9SLU 60-69 years, female 24.2
GTEX-147F4-1126-SM-5TDDE 50-59 years, male 23.7
GTEX-15D1Q-0426-SM-6AJ9G 40-49 years, male 23.5
GTEX-1E1VI-1426-SM-793CY 50-59 years, male 23.5
GTEX-147JS-1326-SM-5SI6D 60-69 years, male 23.4
GTEX-1B8SF-1326-SM-7IGQJ 60-69 years, male 23.4
GTEX-ZYVF-1826-SM-5E44F 50-59 years, female 23.4
GTEX-1F6I4-0826-SM-7RHGK 60-69 years, male 23.4
GTEX-1J8EW-0626-SM-CM2TY 60-69 years, female 23.4
GTEX-1LG7Y-1426-SM-D4P31 50-59 years, male 23.1
GTEX-V1D1-0626-SM-4JBHN 50-59 years, male 22.9
GTEX-1CB4G-0726-SM-79OOJ 60-69 years, male 22.8
GTEX-XOT4-1126-SM-4B66E 60-69 years, female 22.8
GTEX-WYBS-1226-SM-3NM9N 60-69 years, female 22.7
GTEX-144GL-1026-SM-5O99R 50-59 years, male 22.0
GTEX-ZF3C-1126-SM-57WEG 50-59 years, female 21.6
GTEX-1IDJH-1126-SM-COH3R 70-79 years, male 21.5
GTEX-111FC-0626-SM-5N9CU 60-69 years, male 21.2
GTEX-1477Z-1126-SM-5P9GK 60-69 years, male 21.2
GTEX-ZVT4-1326-SM-5NQ8E 50-59 years, female 21.2
GTEX-1HSKV-0726-SM-ACKWE 60-69 years, male 21.2
GTEX-12WSE-0926-SM-5S2VX 20-29 years, male 21.1
GTEX-18465-0726-SM-7LG4L 50-59 years, male 21.1
GTEX-12584-1026-SM-59HK3 40-49 years, male 20.9
GTEX-14ASI-0826-SM-5Q5EB 60-69 years, male 20.9
GTEX-14PJM-0826-SM-6LLIW 50-59 years, female 20.9
GTEX-1P4AB-0926-SM-E76PV 50-59 years, male 20.9
GTEX-WL46-0726-SM-3LK5Z 50-59 years, male 20.4
GTEX-12WSC-1026-SM-5EQ5Y 50-59 years, male 20.2
GTEX-WZTO-1226-SM-3NMAZ 40-49 years, male 20.2
GTEX-17JCI-0826-SM-7LT8W 60-69 years, female 20.1
GTEX-WK11-0626-SM-3NMAV 50-59 years, male 20.1
GTEX-1GN2E-1426-SM-7RHHI 60-69 years, male 20.1
GTEX-1JMOU-0326-SM-ARL8X 60-69 years, female 20.0
GTEX-11DYG-1026-SM-5A5JQ 60-69 years, male 19.8
GTEX-1313W-1126-SM-5EQ5U 50-59 years, female 19.8
GTEX-1J8Q2-1026-SM-ARU8I 60-69 years, male 19.7
GTEX-YJ8O-0826-SM-5CVM3 40-49 years, female 19.6
GTEX-1I1GP-0626-SM-ARL7H 50-59 years, male 19.5
GTEX-1IY9M-0626-SM-D4P2L 60-69 years, male 19.5
GTEX-1NSGN-1226-SM-E76OL 50-59 years, male 19.4
GTEX-11NV4-0826-SM-5BC4S 60-69 years, male 19.3
GTEX-13PDP-1326-SM-5K7U9 60-69 years, male 19.3
GTEX-16GPK-1226-SM-7LTAU 60-69 years, male 19.1
GTEX-1EMGI-1126-SM-9KNUF 60-69 years, male 19.0
GTEX-14E7W-1126-SM-5ZZVS 70-79 years, male 18.9
GTEX-ZDXO-0426-SM-4WKF6 60-69 years, male 18.7
GTEX-1H3O1-0226-SM-9WYSW 60-69 years, male 18.7
GTEX-YFC4-0426-SM-4TT3J 40-49 years, female 18.4
GTEX-X4XX-1126-SM-3NMBY 60-69 years, male 18.2
GTEX-11EQ8-1326-SM-5EGJQ 60-69 years, male 18.0
GTEX-117XS-0726-SM-5H131 60-69 years, male 17.9
GTEX-X261-0926-SM-3NMCY 50-59 years, male 17.8
GTEX-ZAK1-1126-SM-5PNXU 50-59 years, female 17.7
GTEX-WOFL-1226-SM-4OOST 60-69 years, male 17.6
GTEX-11EMC-0826-SM-59862 60-69 years, female 17.5
GTEX-14BIL-0926-SM-7DHKN 50-59 years, male 17.5
GTEX-VJWN-1026-SM-4M1ZN 50-59 years, female 17.4
GTEX-1KD5A-0926-SM-D4P3U 50-59 years, male 17.4
GTEX-1M5QR-1626-SM-E9U5O 40-49 years, male 17.4
GTEX-1JJEA-0926-SM-CYPSO 60-69 years, male 17.3
GTEX-WHSE-0826-SM-4SOJU 20-29 years, male 17.2
GTEX-1399T-0726-SM-5J1MH 60-69 years, male 17.1
GTEX-1I1GQ-1226-SM-CL55J 50-59 years, male 17.1
GTEX-1I1HK-0626-SM-CNPQM 60-69 years, male 17.1
GTEX-15CHQ-1326-SM-6871Z 60-69 years, male 16.9
GTEX-13SLW-0826-SM-5QGP7 70-79 years, male 16.8
GTEX-14A5I-1026-SM-5Q5E3 50-59 years, female 16.7
GTEX-1I19N-0626-SM-A9SKY 70-79 years, male 16.7
GTEX-13SLX-0926-SM-5S2NM 50-59 years, female 16.6
GTEX-14A6H-0326-SM-5NQAN 30-39 years, male 16.6
GTEX-1EU9M-1926-SM-7RHH4 60-69 years, male 16.6
GTEX-1JMQK-0926-SM-ARL96 60-69 years, male 16.6
GTEX-1LVAO-0626-SM-EWRNT 60-69 years, male 16.6
GTEX-1QMI2-1026-SM-DTX7T 60-69 years, male 16.6
GTEX-1AX9I-1026-SM-73KYF 60-69 years, male 16.4
GTEX-Y5V5-0726-SM-4VBPY 60-69 years, female 16.4
GTEX-15SKB-0926-SM-7KUFC 60-69 years, male 16.2
GTEX-13OW5-0926-SM-5L3GZ 60-69 years, male 16.0
GTEX-18A6Q-1526-SM-731CO 60-69 years, male 16.0
GTEX-1CB4H-0626-SM-7IGN3 60-69 years, female 15.8
GTEX-1HBPH-0226-SM-9WYSM 40-49 years, female 15.7
GTEX-1192W-0226-SM-5EGGT 60-69 years, male 15.6
GTEX-13NYS-1926-SM-5IJCB 60-69 years, male 15.6
GTEX-ZVT3-0826-SM-5GIC8 60-69 years, female 15.6
GTEX-1I1GR-1026-SM-A9SLC 60-69 years, male 15.6
GTEX-1GN1U-1426-SM-7P8TF 50-59 years, female 15.5
GTEX-1H2FU-0826-SM-9WYSU 60-69 years, female 15.5
GTEX-12WSA-1126-SM-5EGKU 60-69 years, male 15.4
GTEX-Z93S-0326-SM-5HL84 50-59 years, male 15.1
GTEX-1CAMQ-0726-SM-7P8SG 40-49 years, male 15.0
GTEX-1HCU7-1226-SM-B2LX8 50-59 years, male 15.0
GTEX-1LB8K-0926-SM-D4P42 50-59 years, male 15.0
GTEX-11DXY-1026-SM-5987V 60-69 years, male 14.9
GTEX-15SHU-0926-SM-6PAMK 40-49 years, female 14.8
GTEX-1C6VQ-0826-SM-7PBZT 50-59 years, male 14.7
GTEX-1QP29-1426-SM-DTX9Q 50-59 years, male 14.7
GTEX-14DAQ-1026-SM-793B1 60-69 years, female 14.6
GTEX-11GSP-1226-SM-5985M 60-69 years, female 14.5
GTEX-14BIM-2726-SM-5Q5EG 60-69 years, female 14.5
GTEX-1HT8W-1326-SM-CGQEN 30-39 years, male 14.5
GTEX-1KANB-1126-SM-DHXJT 50-59 years, male 14.5
GTEX-WWYW-1126-SM-3NB2Q 50-59 years, female 14.3
GTEX-13CF2-0226-SM-5L3DV 60-69 years, male 14.2
GTEX-15RJE-0726-SM-7KUEG 40-49 years, male 13.9
GTEX-1B932-1326-SM-79OM4 40-49 years, female 13.9
GTEX-13N1W-0926-SM-5MR36 70-79 years, male 13.7
GTEX-13U4I-0626-SM-5LU5L 40-49 years, female 13.7
GTEX-11ONC-1026-SM-5GU64 60-69 years, male 13.6
GTEX-18A7A-1226-SM-7LTAJ 50-59 years, female 13.6
GTEX-13X6K-1726-SM-7IGLG 60-69 years, female 13.5
GTEX-ZDTS-1226-SM-4WKGL 60-69 years, male 13.5
GTEX-14JG1-0826-SM-5ZZWR 40-49 years, male 13.4
GTEX-17F9Y-1226-SM-7EPGE 70-79 years, female 13.4
GTEX-1EX96-2626-SM-9MQJV 50-59 years, male 13.4
GTEX-17GQL-0626-SM-731CN 60-69 years, male 13.3
GTEX-145LS-1326-SM-5Q5EP 60-69 years, female 13.2
GTEX-13VXT-0726-SM-5SIAD 20-29 years, female 13.1
GTEX-XBEC-1226-SM-4AT65 50-59 years, male 13.1
GTEX-15CHR-0326-SM-7DHN3 50-59 years, male 13.0
GTEX-1B8SG-0726-SM-79ONS 50-59 years, male 13.0
GTEX-WQUQ-1326-SM-3MJFF 60-69 years, male 13.0
GTEX-13NYB-0326-SM-5IJDP 40-49 years, male 12.9
GTEX-WYJK-1126-SM-3NM9Z 50-59 years, male 12.9
GTEX-1GZ2Q-0926-SM-7RHHN 40-49 years, male 12.9
GTEX-1HC8U-0626-SM-B2LWB 40-49 years, female 12.9
GTEX-17KNJ-0626-SM-7LT9L 50-59 years, male 12.8
GTEX-1A32A-1326-SM-73KWW 50-59 years, female 12.7
GTEX-1HCVE-0826-SM-CM2SF 50-59 years, male 12.7
GTEX-1HSMO-1126-SM-CGQF2 60-69 years, male 12.6
GTEX-1JMQL-1026-SM-CMKGV 50-59 years, female 12.5
GTEX-13RTJ-0526-SM-62LDP 60-69 years, male 12.4
GTEX-ZZPT-0926-SM-5GICZ 50-59 years, male 12.4
GTEX-13JUV-0226-SM-5IJCC 40-49 years, female 12.3
GTEX-1445S-1226-SM-5O9BF 60-69 years, male 12.3
GTEX-XPVG-0726-SM-4B658 50-59 years, male 12.2
GTEX-1192X-0726-SM-5987R 50-59 years, male 12.1
GTEX-1IKK5-1726-SM-CM2RU 60-69 years, male 12.1
GTEX-X62O-0826-SM-46MW8 50-59 years, male 12.0
GTEX-1399R-1726-SM-5K7YJ 30-39 years, male 11.9
GTEX-1B933-0826-SM-79OMW 50-59 years, female 11.9
GTEX-12WSD-1226-SM-5HL9Q 60-69 years, female 11.8
GTEX-12ZZX-0726-SM-5EGKA 40-49 years, female 11.8
GTEX-12ZZY-1226-SM-5GCNK 60-69 years, male 11.8
GTEX-ZYT6-0926-SM-5GIEM 30-39 years, male 11.7
GTEX-1LVAN-1526-SM-CNPQN 50-59 years, female 11.7
GTEX-1J1OQ-2226-SM-A96SS 40-49 years, female 11.6
GTEX-UPK5-0226-SM-3GAEV 40-49 years, male 11.5
GTEX-X4EP-0326-SM-3P5Z6 60-69 years, female 11.5
GTEX-132Q8-1126-SM-5K7XS 60-69 years, male 11.4
GTEX-13OW6-0926-SM-5L3GM 50-59 years, male 11.4
GTEX-17HGU-1126-SM-793BP 50-59 years, male 11.3
GTEX-132NY-1426-SM-5J1MJ 60-69 years, male 11.1
GTEX-131YS-0826-SM-5PNYV 60-69 years, female 10.9
GTEX-13NZB-0426-SM-5KM26 30-39 years, male 10.9
GTEX-1BAJH-1026-SM-7EWEG 70-79 years, male 10.9
GTEX-1GZ4I-0826-SM-9WG6O 50-59 years, male 10.9
GTEX-1LH75-0526-SM-DIPG2 50-59 years, female 10.9
GTEX-1R9K4-1026-SM-EXUT1 60-69 years, male 10.9
GTEX-1H3VY-1126-SM-A96TP 50-59 years, male 10.8
GTEX-12WSG-1226-SM-5EQ4C 50-59 years, female 10.7
GTEX-13FHO-1226-SM-5L3EF 60-69 years, male 10.7
GTEX-13O3P-1426-SM-5L3DT 50-59 years, male 10.6
GTEX-1A3MX-1226-SM-731B3 60-69 years, male 10.6
GTEX-1GTWX-0926-SM-9MQKM 60-69 years, male 10.6
GTEX-1H11D-1026-SM-9QEIU 40-49 years, male 10.6
GTEX-1212Z-0726-SM-5EGI5 60-69 years, male 10.5
GTEX-1C64O-0926-SM-79OLN 60-69 years, male 10.3
GTEX-1CB4I-1526-SM-7DHMY 50-59 years, male 10.3
GTEX-U8XE-0926-SM-3DB8V 30-39 years, male 10.3
GTEX-1CB4J-0226-SM-7P8T4 60-69 years, male 10.3
GTEX-1E2YA-0626-SM-7P8P4 50-59 years, male 10.2
GTEX-1GMR8-1026-SM-9MQLA 50-59 years, female 10.2
GTEX-1GN73-2326-SM-9MQKV 60-69 years, male 10.2
GTEX-14PII-1026-SM-5ZZVW 60-69 years, male 10.1
GTEX-16NPX-0826-SM-6M489 50-59 years, male 10.0
GTEX-XQ8I-0226-SM-4BOPM 50-59 years, male 10.0
GTEX-146FH-1126-SM-5NQAT 50-59 years, female 9.9
GTEX-ZAJG-0926-SM-5Q5AB 50-59 years, female 9.9
GTEX-14BMV-1026-SM-5SI6B 50-59 years, male 9.8
GTEX-ZGAY-0226-SM-4WWAL 40-49 years, female 9.8
GTEX-ZVT2-0926-SM-5GICE 50-59 years, female 9.8
GTEX-1H3NZ-1026-SM-A9SM5 60-69 years, male 9.8
GTEX-139TU-1926-SM-5J2OC 60-69 years, male 9.7
GTEX-ZPIC-0426-SM-DO91V 40-49 years, female 9.7
GTEX-117YX-0626-SM-5EGJI 50-59 years, male 9.6
GTEX-1AX8Z-1126-SM-731CS 60-69 years, male 9.6
GTEX-1HSMQ-0426-SM-ADEIM 50-59 years, male 9.6
GTEX-13OVG-0426-SM-5KM2T 60-69 years, male 9.5
GTEX-15SDE-1826-SM-7KUFN 50-59 years, female 9.5
GTEX-183WM-0926-SM-718AN 70-79 years, female 9.5
GTEX-1AX9K-0426-SM-73KUG 50-59 years, male 9.5
GTEX-17F96-0826-SM-7DHLU 70-79 years, male 9.4
GTEX-1117F-0726-SM-5GIEN 60-69 years, female 9.3
GTEX-11EM3-0426-SM-5N9BZ 20-29 years, female 9.2
GTEX-X8HC-1026-SM-46MWH 50-59 years, female 9.2
GTEX-13YAN-1426-SM-7EPG8 60-69 years, male 9.1
GTEX-14C38-1326-SM-62LDK 50-59 years, male 9.0
GTEX-14C39-0726-SM-5RQIK 40-49 years, male 9.0
GTEX-X3Y1-0226-SM-3P5Z5 40-49 years, male 9.0
GTEX-ZT9W-0526-SM-57WFG 50-59 years, male 9.0
GTEX-Y114-0126-SM-4TT8K 50-59 years, female 8.9
GTEX-1MCC2-0226-SM-EVYD5 30-39 years, female 8.9
GTEX-11TUW-1126-SM-5EQKJ 60-69 years, male 8.8
GTEX-13PVQ-1326-SM-5LU4J 50-59 years, male 8.8
GTEX-1B97J-0326-SM-7939H 50-59 years, female 8.8
GTEX-WI4N-0726-SM-3TW93 40-49 years, female 8.8
GTEX-1CAMS-1126-SM-7MXUQ 40-49 years, female 8.8
GTEX-1F48J-1126-SM-9WYSY 50-59 years, female 8.8
GTEX-13O3Q-0326-SM-5L3FE 50-59 years, male 8.7
GTEX-UTHO-1226-SM-3GAEE 60-69 years, male 8.7
GTEX-WHPG-1026-SM-3NMBA 50-59 years, male 8.7
GTEX-1JJ6O-2226-SM-AHZ3I 60-69 years, male 8.7
GTEX-15DCE-0826-SM-7KULW 20-29 years, male 8.6
GTEX-15SHV-0526-SM-7KUEN 60-69 years, male 8.6
GTEX-18D9B-1126-SM-7KFSH 60-69 years, male 8.6
GTEX-Y8E4-0426-SM-4V6GB 40-49 years, male 8.6
GTEX-1H1ZS-1026-SM-9WG6E 70-79 years, male 8.5
GTEX-V955-0826-SM-CYPR5 60-69 years, male 8.5
GTEX-11WQK-0226-SM-5EQLI 50-59 years, male 8.3
GTEX-13JVG-1126-SM-5KM2M 60-69 years, male 8.3
GTEX-13NZ9-0126-SM-5K7XV 50-59 years, male 8.3
GTEX-1GMR3-0426-SM-7PC17 40-49 years, male 8.3
GTEX-11P81-0526-SM-59873 30-39 years, female 8.1
GTEX-148VJ-1426-SM-5TDE3 70-79 years, male 8.1
GTEX-W5X1-0826-SM-3GILN 40-49 years, female 8.1
GTEX-XLM4-2026-SM-4AT4X 60-69 years, male 8.1
GTEX-12WSN-0226-SM-5DUXH 40-49 years, male 8.0
GTEX-14E6C-0326-SM-5Q5EE 40-49 years, male 8.0
GTEX-18A66-1126-SM-731C5 60-69 years, male 8.0
GTEX-ZF2S-0826-SM-4WWBI 50-59 years, female 8.0
GTEX-132AR-1926-SM-5EGK5 50-59 years, female 7.9
GTEX-15ER7-0826-SM-6PALW 20-29 years, female 7.9
GTEX-17MF6-0926-SM-7LTAL 40-49 years, male 7.9
GTEX-1RLM8-0226-SM-E6CJY 50-59 years, male 7.9
GTEX-WHWD-0326-SM-3LK6L 50-59 years, male 7.8
GTEX-YEC4-0226-SM-4W1YG 40-49 years, male 7.8
GTEX-ZTTD-0626-SM-4YCCY 50-59 years, male 7.8
GTEX-1H1DG-0826-SM-9QEIW 70-79 years, male 7.8
GTEX-ZYFD-2026-SM-5E459 50-59 years, male 7.7
GTEX-1HBPN-0926-SM-CGQEG 50-59 years, male 7.7
GTEX-13QBU-0226-SM-5LU48 40-49 years, female 7.6
GTEX-16XZZ-1026-SM-7DHKS 60-69 years, male 7.6
GTEX-1CB4E-0626-SM-7DHMW 60-69 years, male 7.6
GTEX-11LCK-0826-SM-5PNYD 30-39 years, male 7.5
GTEX-ZAB4-0926-SM-5CVN4 40-49 years, male 7.5
GTEX-13O21-0326-SM-5J1N9 50-59 years, male 7.4
GTEX-VUSG-0726-SM-3GIK1 50-59 years, male 7.4
GTEX-1J8QM-0326-SM-CL53D 60-69 years, female 7.4
GTEX-1122O-0626-SM-5N9B9 60-69 years, female 7.3
GTEX-1R9JW-0426-SM-E76QL 30-39 years, female 7.3
GTEX-12696-1226-SM-5FQSM 60-69 years, male 7.2
GTEX-17F9E-0726-SM-793A1 50-59 years, male 7.1
GTEX-1C2JI-0626-SM-7DHM1 50-59 years, male 7.1
GTEX-XXEK-2026-SM-4BRVE 50-59 years, male 7.1
GTEX-ZAB5-0126-SM-5CVMT 50-59 years, male 7.1
GTEX-1B8L1-0426-SM-7SB76 60-69 years, male 7.1
GTEX-WH7G-0326-SM-3NMBH 40-49 years, male 7.0
GTEX-ZG7Y-1426-SM-4WWBM 50-59 years, male 7.0
GTEX-1GF9U-0526-SM-7P8SK 40-49 years, female 7.0
GTEX-1HBPM-1026-SM-ARL9D 60-69 years, female 7.0
GTEX-1IL2U-1226-SM-CL53P 60-69 years, male 7.0
GTEX-131XF-0426-SM-5HL7U 60-69 years, male 6.9
GTEX-15RIE-1326-SM-6PAMM 60-69 years, male 6.9
GTEX-ZDYS-0326-SM-5HL4W 50-59 years, male 6.9
GTEX-1AX9J-0926-SM-73KXA 60-69 years, male 6.8
GTEX-14PJ6-0626-SM-686Z6 60-69 years, female 6.6
GTEX-1RB15-0426-SM-E9U4Y 60-69 years, male 6.5
GTEX-14PK6-0726-SM-6LLIX 70-79 years, female 6.4
GTEX-1LSNM-0426-SM-E9TIZ 50-59 years, male 6.3
GTEX-Y3IK-1026-SM-51MR7 50-59 years, female 6.2
GTEX-1IDJF-0826-SM-ARU7N 20-29 years, male 6.2
GTEX-ZEX8-0326-SM-DO92C 50-59 years, male 6.2
GTEX-11DXZ-0326-SM-5EGH1 50-59 years, male 6.1
GTEX-11UD2-0926-SM-5CVL6 50-59 years, male 6.1
GTEX-139YR-0526-SM-5L3DG 50-59 years, male 6.1
GTEX-13PVR-0926-SM-5S2RB 60-69 years, female 6.1
GTEX-14E1K-0826-SM-5ZZW9 50-59 years, male 6.1
GTEX-14PN3-0726-SM-6EU14 60-69 years, female 6.1
GTEX-ZTPG-1326-SM-51MSQ 20-29 years, female 6.1
GTEX-1LGOU-0326-SM-D3LAM 20-29 years, female 6.1
GTEX-14PN4-0826-SM-69LON 50-59 years, male 6.0
GTEX-ZPU1-0726-SM-5HL6O 40-49 years, male 6.0
GTEX-1ICG6-0726-SM-B2LY5 70-79 years, female 6.0
GTEX-1JMLX-1826-SM-CNPOX 50-59 years, male 6.0
GTEX-1OFPY-0926-SM-DTX8Q 60-69 years, male 6.0
GTEX-12WSK-0526-SM-5CVNA 40-49 years, female 5.9
GTEX-ZYFG-0526-SM-5GZXX 60-69 years, female 5.9
GTEX-13S86-0326-SM-5SI6K 40-49 years, male 5.8
GTEX-145LV-0226-SM-5S2QG 50-59 years, male 5.8
GTEX-14PHX-0626-SM-5YY8Z 50-59 years, male 5.8
GTEX-11DXX-0526-SM-5PNVR 60-69 years, female 5.7
GTEX-14H4A-0426-SM-5ZZWO 40-49 years, female 5.7
GTEX-1F75I-1326-SM-7PBZX 40-49 years, male 5.7
GTEX-1GL5R-0426-SM-9WPOP 50-59 years, male 5.7
GTEX-1K2DU-0226-SM-DIPF6 20-29 years, male 5.7
GTEX-1KANC-0226-SM-E9TIW 50-59 years, female 5.7
GTEX-1HSGN-0926-SM-CNNQM 40-49 years, female 5.6
GTEX-1MJIX-0426-SM-DTXEN 40-49 years, male 5.6
GTEX-1399U-0726-SM-5KM1D 50-59 years, female 5.5
GTEX-13D11-1526-SM-5J2NA 50-59 years, female 5.5
GTEX-146FR-0926-SM-5QGPE 60-69 years, female 5.5
GTEX-16MT8-0826-SM-7KULO 60-69 years, female 5.5
GTEX-1B996-1026-SM-793CF 60-69 years, male 5.5
GTEX-18A67-1026-SM-731CE 50-59 years, male 5.4
GTEX-Y3I4-0526-SM-4TT6X 50-59 years, male 5.4
GTEX-ZZPU-1126-SM-5N9CW 50-59 years, female 5.4
GTEX-1HFI7-0526-SM-A9SMA 50-59 years, female 5.4
GTEX-YEC3-0426-SM-CYPS8 50-59 years, male 5.4
GTEX-15CHC-0326-SM-5ZZVP 60-69 years, female 5.3
GTEX-1AYCT-0526-SM-7RHHS 50-59 years, male 5.3
GTEX-1QCLZ-1126-SM-EWRNB 60-69 years, female 5.3
GTEX-XPT6-0226-SM-4B65L 20-29 years, male 5.2
GTEX-ZLFU-0326-SM-4WWBK 40-49 years, male 5.2
GTEX-13OVI-0326-SM-5K7X1 60-69 years, female 5.1
GTEX-1QPFJ-0926-SM-EVR3K 30-39 years, female 5.1
GTEX-ZPCL-0526-SM-DO91R 60-69 years, female 5.1
GTEX-11ZTT-0526-SM-5EQLA 60-69 years, female 5.0
GTEX-1IDJD-0226-SM-CKZOA 30-39 years, male 5.0
GTEX-1L5NE-0526-SM-DIPG5 50-59 years, male 5.0
GTEX-14PHY-0326-SM-62LE3 60-69 years, female 4.9
GTEX-XV7Q-0726-SM-4BRV6 40-49 years, female 4.9
GTEX-13O1R-0926-SM-5L3DS 60-69 years, male 4.8
GTEX-13W3W-0526-SM-5LU3X 60-69 years, female 4.8
GTEX-15UF7-1526-SM-6LPI7 40-49 years, male 4.8
GTEX-1B8KE-0326-SM-73KTY 50-59 years, male 4.8
GTEX-XGQ4-0526-SM-4AT6C 50-59 years, male 4.8
GTEX-1GN1W-0226-SM-7P8QY 50-59 years, female 4.8
GTEX-111YS-0326-SM-5GZZ3 60-69 years, male 4.7
GTEX-13FTW-0826-SM-5K7XR 40-49 years, male 4.7
GTEX-WY7C-1126-SM-3NB3A 50-59 years, male 4.7
GTEX-1J8Q3-1126-SM-ARU8N 60-69 years, male 4.7
GTEX-14PJO-0826-SM-6ETZK 60-69 years, male 4.6
GTEX-18D9U-1426-SM-718BO 40-49 years, male 4.6
GTEX-1IDJU-0626-SM-CKZOG 60-69 years, female 4.6
GTEX-1JK1U-0626-SM-CKZOJ 60-69 years, male 4.6
GTEX-14PJ4-0926-SM-5YY98 60-69 years, male 4.5
GTEX-131XE-0526-SM-5K7YT 50-59 years, male 4.3
GTEX-13PL7-0726-SM-5KM1S 60-69 years, female 4.3
GTEX-1R7EV-0426-SM-DTX7Z 40-49 years, male 4.3
GTEX-ZV7C-0526-SM-9WPNK 50-59 years, male 4.3
GTEX-14XAO-0926-SM-69LPZ 60-69 years, female 4.2
GTEX-ZDTT-0326-SM-4WKF9 60-69 years, male 4.2
GTEX-1399S-0826-SM-5KM23 30-39 years, female 4.0
GTEX-13O61-0426-SM-5L3ET 60-69 years, male 4.0
GTEX-WEY5-0226-SM-3GIKN 40-49 years, female 4.0
GTEX-1KXAM-1426-SM-D3LAC 60-69 years, male 4.0
GTEX-16XZY-0526-SM-7DHKY 70-79 years, male 3.9
GTEX-X5EB-0626-SM-46MVQ 40-49 years, male 3.8
GTEX-XYKS-0226-SM-4BRW3 60-69 years, female 3.8
GTEX-ZF29-0426-SM-4WKFN 60-69 years, female 3.8
GTEX-132QS-0526-SM-5IJC7 60-69 years, male 3.7
GTEX-15EU6-1326-SM-6PANG 50-59 years, male 3.7
GTEX-13FH7-0826-SM-5J2NW 50-59 years, female 3.4
GTEX-WFON-0226-SM-3GIKR 40-49 years, male 3.4
GTEX-1339X-0326-SM-5K7Z8 40-49 years, male 3.3
GTEX-YB5K-0226-SM-5IFJE 40-49 years, female 3.2
GTEX-13N11-0726-SM-5L3DP 50-59 years, female 2.9
GTEX-1GMR2-1326-SM-9KNUT 50-59 years, male 2.9
GTEX-1HCUA-0626-SM-ACKVT 50-59 years, female 2.9
GTEX-12BJ1-0326-SM-5FQUB 60-69 years, male 2.8
GTEX-145MN-0726-SM-5NQBH 30-39 years, male 2.8
GTEX-WFG7-0826-SM-3GIKU 20-29 years, male 2.8
GTEX-WFG8-0726-SM-3GILP 20-29 years, male 2.7
GTEX-1IKOE-0626-SM-A9G31 30-39 years, female 2.7
GTEX-11TT1-1426-SM-5EGIA 20-29 years, male 2.5
GTEX-1NHNU-0626-SM-E6CP1 50-59 years, male 2.5
GTEX-YF7O-0526-SM-5P9IO 50-59 years, male 1.9
GTEX-1LGRB-1026-SM-CNPQD 50-59 years, female 1.9
GTEX-1211K-0226-SM-59HJY 60-69 years, female 1.8
GTEX-131XG-0526-SM-5DUWF 50-59 years, female 1.5
Show allShow less
Heart - Left Ventricle
Average nTPM: 10.1
Samples: 432

Max nTPM: 44.2
Min nTPM: 0.6
Std nTPM: 8.3
Median nTPM: 7.0
GTEX-1RAZS-0826-SM-E76QP 50-59 years, male 44.2
GTEX-14BIN-2226-SM-5YYA1 50-59 years, female 40.6
GTEX-1JN6P-1126-SM-CKZON 60-69 years, male 40.2
GTEX-14JIY-1126-SM-6EU28 60-69 years, male 40.0
GTEX-1IKJJ-0826-SM-A96SP 60-69 years, male 39.4
GTEX-1NV8Z-1526-SM-DTX8X 60-69 years, male 38.7
GTEX-ZF3C-1226-SM-4WWCB 50-59 years, female 38.0
GTEX-1IDJH-1026-SM-E9TKH 70-79 years, male 37.5
GTEX-1KD4Q-0726-SM-DIPGE 40-49 years, male 36.1
GTEX-15CHQ-1526-SM-69LPW 60-69 years, male 34.9
GTEX-1LVA9-0926-SM-EVR5G 50-59 years, male 34.6
GTEX-1O97I-0826-SM-E8VNE 60-69 years, male 34.6
GTEX-OXRO-2026-SM-2YUMZ 60-69 years, female 32.2
GTEX-1A8G6-1626-SM-7MGWO 60-69 years, male 29.4
GTEX-1EWIQ-1426-SM-7IGOS 70-79 years, female 28.9
GTEX-14E6D-0926-SM-5S2QV 50-59 years, male 28.7
GTEX-13NYB-0226-SM-5N9G4 40-49 years, male 28.5
GTEX-11ONC-0126-SM-5PNW6 60-69 years, male 28.4
GTEX-X261-1426-SM-4PQZ1 50-59 years, male 28.4
GTEX-13FTZ-0226-SM-5K7X6 60-69 years, male 27.8
GTEX-1EH9U-0826-SM-7IGPT 60-69 years, male 27.6
GTEX-XBEC-1326-SM-4AT69 50-59 years, male 27.5
GTEX-12ZZW-1026-SM-5GCMM 50-59 years, male 27.4
GTEX-1I1GV-1326-SM-A96SE 60-69 years, male 27.0
GTEX-1LB8K-1026-SM-DHXJJ 50-59 years, male 25.9
GTEX-ZUA1-0826-SM-4YCDL 40-49 years, male 25.7
GTEX-1399T-0426-SM-5PNVJ 60-69 years, male 25.5
GTEX-15RJE-0626-SM-7KUKR 40-49 years, male 25.3
GTEX-WRHU-1226-SM-4E3IJ 50-59 years, female 24.3
GTEX-18465-0926-SM-731AY 50-59 years, male 23.9
GTEX-1PPH7-2026-SM-E9J3N 40-49 years, male 23.6
GTEX-1EX96-2526-SM-7RHGW 50-59 years, male 23.4
GTEX-1H3NZ-1126-SM-9WYT9 60-69 years, male 23.1
GTEX-17HHY-1426-SM-7EWDQ 50-59 years, male 23.0
GTEX-1H1CY-0326-SM-9QEIZ 60-69 years, female 23.0
GTEX-14A5I-1226-SM-5NQBW 50-59 years, female 22.8
GTEX-1269C-0826-SM-5N9EM 60-69 years, female 22.7
GTEX-16MT8-0926-SM-6M487 60-69 years, female 22.7
GTEX-1JJE9-1426-SM-ARL8P 70-79 years, male 22.6
GTEX-13112-0426-SM-5PNVC 50-59 years, male 22.4
GTEX-1313W-1426-SM-5KLZU 50-59 years, female 22.2
GTEX-147F4-1226-SM-5NQAY 50-59 years, male 22.2
GTEX-11O72-1126-SM-5N9E2 40-49 years, male 22.1
GTEX-1GN2E-1326-SM-9KNVG 60-69 years, male 22.1
GTEX-1314G-0126-SM-5LZUL 30-39 years, male 22.0
GTEX-11DXY-0826-SM-5EGGR 60-69 years, male 21.5
GTEX-13OW5-1126-SM-5J1NR 60-69 years, male 21.4
GTEX-1HT8W-1726-SM-CNNQB 30-39 years, male 21.4
GTEX-13CF2-0426-SM-5KM1H 60-69 years, male 21.2
GTEX-T2IS-0426-SM-32QPE 20-29 years, female 21.1
GTEX-13OW8-2126-SM-5J1OS 60-69 years, male 20.9
GTEX-1GN1V-0826-SM-9KNU6 60-69 years, male 20.9
GTEX-11GSP-1326-SM-5A5KY 60-69 years, female 20.7
GTEX-14PJ2-1026-SM-6EU1M 50-59 years, male 20.5
GTEX-117YW-0326-SM-5N9CY 50-59 years, male 20.3
GTEX-14E7W-1226-SM-5RQIU 70-79 years, male 20.3
GTEX-1EKGG-1126-SM-7MGXB 60-69 years, male 20.1
GTEX-17JCI-1126-SM-7IGMM 60-69 years, female 19.9
GTEX-1B8L1-0526-SM-79ONX 60-69 years, male 19.9
GTEX-15SHW-1226-SM-6M46C 60-69 years, male 19.8
GTEX-13FHP-1026-SM-5K7Y2 50-59 years, male 19.7
GTEX-WK11-0826-SM-EZ6LH 50-59 years, male 19.6
GTEX-R45C-0926-SM-3GAD4 60-69 years, female 19.5
GTEX-YJ8O-0926-SM-EAZ2Z 40-49 years, female 19.1
GTEX-15DYW-1126-SM-6LPK5 60-69 years, female 19.0
GTEX-18A6Q-1626-SM-7KFTA 60-69 years, male 19.0
GTEX-13JVG-1326-SM-5N9F8 60-69 years, male 18.8
GTEX-12ZZY-1126-SM-5DUWQ 60-69 years, male 18.7
GTEX-1HCVE-1126-SM-9WPPG 50-59 years, male 18.6
GTEX-111FC-0826-SM-5GZWO 60-69 years, male 18.4
GTEX-12ZZZ-1726-SM-59HK5 60-69 years, male 18.3
GTEX-1E1VI-1326-SM-7IGQD 50-59 years, male 18.2
GTEX-1ICLY-1326-SM-CJI47 50-59 years, male 18.2
GTEX-1POEN-0626-SM-EVR4B 30-39 years, female 18.2
GTEX-1EN7A-0726-SM-7PBXT 40-49 years, male 17.3
GTEX-14PJM-1126-SM-6LLHK 50-59 years, female 17.2
GTEX-14BIL-1126-SM-79OMC 50-59 years, male 17.1
GTEX-PVOW-0426-SM-5MR5R 40-49 years, male 17.1
GTEX-QVJO-1926-SM-2S1QZ 60-69 years, female 17.1
GTEX-RN64-0826-SM-2TC62 50-59 years, male 17.0
GTEX-ZYW4-0926-SM-59HJS 60-69 years, male 17.0
GTEX-S33H-0526-SM-COH1W 30-39 years, male 17.0
GTEX-11ZVC-0426-SM-5CVLD 50-59 years, female 16.9
GTEX-WWYW-1326-SM-3NB2S 50-59 years, female 16.9
GTEX-1F6IF-2526-SM-7P8TV 60-69 years, male 16.8
GTEX-147JS-1526-SM-5ZZWF 60-69 years, male 16.7
GTEX-15ER7-1726-SM-6PAMX 20-29 years, female 16.3
GTEX-1I1GP-0826-SM-A96SD 50-59 years, male 16.1
GTEX-1O9I2-1126-SM-DTXEA 50-59 years, male 16.0
GTEX-17HII-1326-SM-7IGOB 50-59 years, male 15.7
GTEX-1I1GQ-1426-SM-B2LWY 50-59 years, male 15.7
GTEX-1ICLZ-1026-SM-A9SLF 60-69 years, male 15.7
GTEX-ZYT6-1726-SM-5E44P 30-39 years, male 15.5
GTEX-QEL4-0926-SM-3GAD1 50-59 years, male 15.4
GTEX-14C5O-1326-SM-5S2UW 60-69 years, male 15.2
GTEX-ZYFC-1126-SM-5E44W 50-59 years, male 15.1
GTEX-11GS4-0526-SM-5A5KQ 60-69 years, male 14.9
GTEX-148VJ-1526-SM-5Q5DU 70-79 years, male 14.8
GTEX-1F48J-1026-SM-7P8SO 50-59 years, female 14.8
GTEX-1J8Q2-1226-SM-A9G2W 60-69 years, male 14.7
GTEX-SIU8-0826-SM-2XCDQ 50-59 years, male 14.5
GTEX-14DAQ-1126-SM-664MT 60-69 years, female 14.4
GTEX-1GTWX-1026-SM-7P8QW 60-69 years, male 14.4
GTEX-13O3P-1626-SM-5K7X3 50-59 years, male 14.3
GTEX-16NPX-0926-SM-7KUEZ 50-59 years, male 14.2
GTEX-1CB4G-0826-SM-7DUGF 60-69 years, male 14.2
GTEX-N7MT-1326-SM-2I3FV 60-69 years, female 14.2
GTEX-X15G-0426-SM-4PQZ6 50-59 years, female 13.9
GTEX-1IL2U-1326-SM-A9G2O 60-69 years, male 13.9
GTEX-1JMPZ-1426-SM-CJI3C 30-39 years, male 13.9
GTEX-1JMOU-0226-SM-CNNPD 60-69 years, female 13.8
GTEX-1LG7Y-1226-SM-CXZKD 50-59 years, male 13.8
GTEX-131XH-0226-SM-5LZVB 50-59 years, male 13.7
GTEX-1A3MX-1326-SM-72D58 60-69 years, male 13.6
GTEX-1AX9I-1126-SM-7EPHH 60-69 years, male 13.5
GTEX-13OW6-1126-SM-5L3HL 50-59 years, male 13.4
GTEX-17F9Y-1326-SM-7MGW9 70-79 years, female 13.4
GTEX-17MF6-0726-SM-7LT8E 40-49 years, male 13.2
GTEX-XQ3S-0626-SM-4BOOB 20-29 years, male 13.1
GTEX-V1D1-0526-SM-4JBGW 50-59 years, male 12.8
GTEX-Y5V5-0626-SM-4VBPX 60-69 years, female 12.7
GTEX-15SHU-1126-SM-7KUMB 40-49 years, female 12.5
GTEX-1JJ6O-2126-SM-CNNP6 60-69 years, male 12.5
GTEX-15DDE-1126-SM-6LLHN 50-59 years, female 12.4
GTEX-OIZG-1126-SM-2HMIU 50-59 years, male 12.3
GTEX-1C6VQ-1126-SM-7EWET 50-59 years, male 12.2
GTEX-1HCU7-1326-SM-CNPPW 50-59 years, male 12.2
GTEX-1JN1M-1026-SM-CNPOS 60-69 years, female 12.2
GTEX-13N1W-1026-SM-5IJC5 70-79 years, male 12.0
GTEX-1IKK5-1526-SM-CKZPW 60-69 years, male 12.0
GTEX-12WSC-1126-SM-5EQ4G 50-59 years, male 11.8
GTEX-13X6I-1426-SM-5SI9Z 60-69 years, male 11.8
GTEX-13YAN-1326-SM-5Q5F1 60-69 years, male 11.8
GTEX-14A6H-0226-SM-5Q5DX 30-39 years, male 11.8
GTEX-WL46-0926-SM-3LK7T 50-59 years, male 11.8
GTEX-1H1ZS-1126-SM-9MQLJ 70-79 years, male 11.8
GTEX-1HBPM-1226-SM-A9SM8 60-69 years, female 11.8
GTEX-1BAJH-1626-SM-73KUV 70-79 years, male 11.7
GTEX-1R9PO-0326-SM-DTXA1 60-69 years, female 11.7
GTEX-UPK5-0326-SM-CYPR4 40-49 years, male 11.7
GTEX-1B932-1026-SM-793CL 40-49 years, female 11.6
GTEX-R55E-1026-SM-2TC5S 20-29 years, male 11.6
GTEX-1497J-1226-SM-5Q5BL 60-69 years, male 11.4
GTEX-14C39-0926-SM-5TDDV 40-49 years, male 11.4
GTEX-ZDTS-1326-SM-6LLHE 60-69 years, male 11.4
GTEX-RWSA-0626-SM-2XCBD 40-49 years, male 11.3
GTEX-ZAB4-1026-SM-5HL7T 40-49 years, male 11.3
GTEX-13O3O-1526-SM-5KM1C 60-69 years, female 11.2
GTEX-148VI-0326-SM-5RQK7 60-69 years, female 11.2
GTEX-1PPGY-1126-SM-E76OU 60-69 years, male 11.2
GTEX-1KD5A-1026-SM-CY8I8 50-59 years, male 11.1
GTEX-1HCU6-1026-SM-A9G25 60-69 years, female 11.0
GTEX-N7MS-0826-SM-2HML4 60-69 years, male 10.7
GTEX-P44G-0826-SM-2I5ES 30-39 years, male 10.7
GTEX-YFC4-0526-SM-5ZZVI 40-49 years, female 10.7
GTEX-13RTJ-0726-SM-5QGQN 60-69 years, male 10.6
GTEX-P44H-0726-SM-48TBT 40-49 years, male 10.6
GTEX-X8HC-1626-SM-46MWE 50-59 years, female 10.6
GTEX-1I1HK-0726-SM-B2LY4 60-69 years, male 10.6
GTEX-1EU9M-1826-SM-7DUGU 60-69 years, male 10.3
GTEX-1HBPH-0126-SM-CNNQ7 40-49 years, female 10.3
GTEX-1B8SG-0826-SM-7EWF7 50-59 years, male 10.1
GTEX-ZAJG-0826-SM-5PNVA 50-59 years, female 10.1
GTEX-1PWST-1026-SM-DTXF2 70-79 years, male 10.1
GTEX-11EMC-0726-SM-5EGJO 60-69 years, female 10.0
GTEX-14JG1-1026-SM-6ETZY 40-49 years, male 10.0
GTEX-1ICG6-0626-SM-ACKWS 70-79 years, female 10.0
GTEX-13X6K-1826-SM-5O9CR 60-69 years, female 9.9
GTEX-1C64O-0826-SM-79OKZ 60-69 years, male 9.9
GTEX-12584-0926-SM-5FQTN 40-49 years, male 9.8
GTEX-13SLX-1026-SM-5ZZUQ 50-59 years, female 9.7
GTEX-1GF9V-1626-SM-7PBXL 60-69 years, male 9.7
GTEX-1IDJE-0326-SM-CM2TD 50-59 years, female 9.7
GTEX-11TUW-1026-SM-5GU7D 60-69 years, male 9.6
GTEX-1A3MW-1326-SM-7189P 60-69 years, female 9.6
GTEX-1JJEA-0826-SM-CL53T 60-69 years, male 9.6
GTEX-1AX9K-0526-SM-73KV1 50-59 years, male 9.5
GTEX-1QP29-1526-SM-EXUSY 50-59 years, male 9.5
GTEX-1R9K4-1326-SM-DTX8G 60-69 years, male 9.4
GTEX-WQUQ-1426-SM-3MJFD 60-69 years, male 9.3
GTEX-1F6I4-0726-SM-7PC2P 60-69 years, male 9.3
GTEX-146FH-1026-SM-5RQIF 50-59 years, female 9.2
GTEX-WZTO-1326-SM-3NM8X 40-49 years, male 9.2
GTEX-1212Z-0626-SM-5FQTB 60-69 years, male 8.9
GTEX-11ZUS-0226-SM-5FQT8 30-39 years, male 8.8
GTEX-13NZB-0226-SM-5KM1T 30-39 years, male 8.8
GTEX-145LV-0326-SM-5Q5BW 50-59 years, male 8.6
GTEX-16YQH-0926-SM-793BC 30-39 years, male 8.6
GTEX-1GZ4I-1026-SM-9KNV5 50-59 years, male 8.6
GTEX-NFK9-0926-SM-2HMJU 40-49 years, male 8.5
GTEX-1GMRU-1526-SM-9WYT5 50-59 years, male 8.5
GTEX-1RQEC-0926-SM-EWROG 60-69 years, male 8.5
GTEX-11DXZ-0626-SM-5GU77 50-59 years, male 8.4
GTEX-131XE-0626-SM-5HL98 50-59 years, male 8.4
GTEX-REY6-1026-SM-2TF4Y 60-69 years, male 8.4
GTEX-XQ8I-0126-SM-4BOPL 50-59 years, male 8.3
GTEX-1MJIX-0326-SM-EVR42 40-49 years, male 8.3
GTEX-17F9E-0926-SM-7IGMG 50-59 years, male 8.0
GTEX-WHSE-0926-SM-3NMBS 20-29 years, male 8.0
GTEX-1IDJI-1026-SM-A96TE 50-59 years, female 8.0
GTEX-WI4N-0626-SM-3TW8Z 40-49 years, female 7.9
GTEX-ZAB5-0226-SM-5CVMH 50-59 years, male 7.9
GTEX-1JMLX-1626-SM-ARZMV 50-59 years, male 7.8
GTEX-P78B-0426-SM-2I5F5 40-49 years, female 7.7
GTEX-T6MN-0926-SM-32PLX 50-59 years, male 7.7
GTEX-132NY-1726-SM-5EGKK 60-69 years, male 7.6
GTEX-145MO-1126-SM-5NQBX 60-69 years, male 7.6
GTEX-RNOR-0826-SM-2TF5C 50-59 years, female 7.6
GTEX-1IKOE-1026-SM-ARZMF 30-39 years, female 7.6
GTEX-13OVL-0526-SM-5KLZQ 50-59 years, male 7.4
GTEX-1J8EW-0926-SM-A9G33 60-69 years, female 7.4
GTEX-1JMQK-0626-SM-D4P2R 60-69 years, male 7.3
GTEX-13FLV-0926-SM-5L3DZ 50-59 years, male 7.2
GTEX-1GN73-2426-SM-7RHFQ 60-69 years, male 7.2
GTEX-ZEX8-0426-SM-DO92Y 50-59 years, male 7.2
GTEX-U3ZH-0326-SM-3DB7A 30-39 years, male 7.1
GTEX-1EMGI-1226-SM-793DD 60-69 years, male 7.0
GTEX-ZQUD-1526-SM-7IGO2 30-39 years, male 7.0
GTEX-13O1R-1226-SM-5J1NU 60-69 years, male 6.9
GTEX-SE5C-0626-SM-2XCDV 40-49 years, female 6.9
GTEX-1R9K5-1326-SM-E6CPR 50-59 years, male 6.9
GTEX-16BQI-0926-SM-6M485 30-39 years, female 6.8
GTEX-O5YW-0326-SM-2I5EI 50-59 years, male 6.8
GTEX-PX3G-0326-SM-2I3EO 20-29 years, female 6.8
GTEX-QEG4-0426-SM-33HC3 30-39 years, male 6.8
GTEX-RU72-0326-SM-2TF5T 50-59 years, female 6.8
GTEX-1N2EF-2826-SM-E6CQF 60-69 years, male 6.7
GTEX-Y5V6-0826-SM-4VBRU 60-69 years, male 6.6
GTEX-1M5QR-1026-SM-DHXK9 40-49 years, male 6.6
GTEX-1HSMO-1226-SM-CL548 60-69 years, male 6.5
GTEX-Y3I4-0626-SM-4TT7A 50-59 years, male 6.4
GTEX-1K9T9-1126-SM-D3L9E 50-59 years, female 6.4
GTEX-14C38-1426-SM-5RQHZ 50-59 years, male 6.3
GTEX-Y8E4-0326-SM-4VBRR 40-49 years, male 6.3
GTEX-15CHR-0226-SM-7PC2Z 50-59 years, male 6.2
GTEX-1LC47-1026-SM-D3LAH 60-69 years, male 6.2
GTEX-13PVQ-1226-SM-5IJDC 50-59 years, male 6.1
GTEX-18D9B-1226-SM-72D6V 60-69 years, male 5.8
GTEX-1CAMS-1326-SM-79OJR 40-49 years, female 5.8
GTEX-1LH75-0426-SM-E9TJF 50-59 years, female 5.8
GTEX-NPJ8-0426-SM-2HMK6 40-49 years, male 5.7
GTEX-1MCC2-0326-SM-EV7AK 30-39 years, female 5.7
GTEX-13U4I-0826-SM-5SIBD 40-49 years, female 5.6
GTEX-1B996-1126-SM-73KWN 60-69 years, male 5.6
GTEX-1H23P-1226-SM-9QEJ2 60-69 years, male 5.6
GTEX-1HSGN-1126-SM-CJI4G 40-49 years, female 5.6
GTEX-139YR-0826-SM-5LZXY 50-59 years, male 5.5
GTEX-14E6C-0426-SM-5YYA8 40-49 years, male 5.5
GTEX-17HGU-1026-SM-79OKL 50-59 years, male 5.5
GTEX-QV44-0526-SM-2S1RE 50-59 years, male 5.5
GTEX-WYJK-1026-SM-3NM8W 50-59 years, male 5.5
GTEX-XPVG-0826-SM-4B654 50-59 years, male 5.5
GTEX-1AYCT-0426-SM-73KVZ 50-59 years, male 5.4
GTEX-QEG5-0926-SM-2TC64 20-29 years, male 5.4
GTEX-RWS6-0326-SM-2XCAP 60-69 years, female 5.4
GTEX-WHWD-0426-SM-3LK83 50-59 years, male 5.4
GTEX-1HSMQ-0226-SM-C1YQL 50-59 years, male 5.4
GTEX-ZF2S-1026-SM-9QEGK 50-59 years, female 5.4
GTEX-1C2JI-0526-SM-7EWEQ 50-59 years, male 5.3
GTEX-ZDXO-0726-SM-57WBT 60-69 years, male 5.3
GTEX-12BJ1-0226-SM-5LUA2 60-69 years, male 5.2
GTEX-ZPIC-0826-SM-4WWFJ 40-49 years, female 5.2
GTEX-1R7EV-0326-SM-E76PA 40-49 years, male 5.2
GTEX-15RJ7-0226-SM-7KUMN 40-49 years, male 5.1
GTEX-18A67-1226-SM-7KFRS 50-59 years, male 5.1
GTEX-RTLS-0826-SM-2TF5Q 60-69 years, female 5.1
GTEX-XXEK-0926-SM-4BRWH 50-59 years, male 5.1
GTEX-12WSG-0526-SM-5FQTH 50-59 years, female 5.0
GTEX-OXRL-0326-SM-2I3F2 50-59 years, male 5.0
GTEX-1QP2A-1126-SM-EVR3H 50-59 years, male 5.0
GTEX-1GF9U-0426-SM-7RHHA 40-49 years, female 4.9
GTEX-13OVG-0526-SM-5K7YD 60-69 years, male 4.8
GTEX-13W3W-0426-SM-5SI9D 60-69 years, female 4.8
GTEX-ZYFG-0426-SM-5E43M 60-69 years, female 4.7
GTEX-1122O-0826-SM-5GICV 60-69 years, female 4.6
GTEX-1399R-1926-SM-5K7X8 30-39 years, male 4.6
GTEX-O5YV-0326-SM-2I5H2 60-69 years, female 4.6
GTEX-OOBJ-0326-SM-33HBO 60-69 years, male 4.6
GTEX-15RIE-1726-SM-7KUMU 60-69 years, male 4.6
GTEX-U3ZN-1426-SM-3DB87 30-39 years, female 4.5
GTEX-1AX8Z-5007-SM-AHZ36 60-69 years, male 4.5
GTEX-1HC8U-0726-SM-ACKXL 40-49 years, female 4.5
GTEX-12WSD-1126-SM-5EGJD 60-69 years, female 4.4
GTEX-OXRK-0826-SM-2HMK7 50-59 years, female 4.4
GTEX-1HFI7-0826-SM-A9G23 50-59 years, female 4.4
GTEX-1R9JW-0526-SM-EWRNK 30-39 years, female 4.4
GTEX-1S3DN-0726-SM-E9TIO 50-59 years, male 4.4
GTEX-132AR-2026-SM-5IJG4 50-59 years, female 4.3
GTEX-13N11-0426-SM-5KM3O 50-59 years, female 4.3
GTEX-PSDG-0926-SM-2I5FP 50-59 years, male 4.3
GTEX-U8XE-1126-SM-3DB8W 30-39 years, male 4.3
GTEX-ZPU1-0626-SM-4YCDM 40-49 years, male 4.3
GTEX-13O61-0526-SM-5J2M1 60-69 years, male 4.2
GTEX-ZVT2-1026-SM-5GU55 50-59 years, female 4.2
GTEX-1OFPY-1026-SM-EXUSO 60-69 years, male 4.2
GTEX-1399U-0526-SM-5K7YM 50-59 years, female 4.1
GTEX-14H4A-0626-SM-5ZZUT 40-49 years, female 4.1
GTEX-14PHX-2126-SM-6EU2U 50-59 years, male 4.1
GTEX-S32W-0626-SM-2XCBG 50-59 years, female 4.1
GTEX-X3Y1-0426-SM-3P5Z4 40-49 years, male 4.1
GTEX-XGQ4-0326-SM-4GIEE 50-59 years, male 4.1
GTEX-1KANC-0426-SM-CXZK5 50-59 years, female 4.1
GTEX-1QPFJ-1026-SM-E6CR6 30-39 years, female 4.1
GTEX-11LCK-0926-SM-5A5KA 30-39 years, male 4.0
GTEX-13QBU-0426-SM-5J2O4 40-49 years, female 4.0
GTEX-14PK6-0826-SM-5ZZVO 70-79 years, female 4.0
GTEX-R53T-0926-SM-3GADH 50-59 years, female 4.0
GTEX-WFON-0326-SM-3GIKX 40-49 years, male 4.0
GTEX-1MUQO-1226-SM-E9TJK 60-69 years, male 4.0
GTEX-14E1K-1026-SM-73KUR 50-59 years, male 3.9
GTEX-17KNJ-0826-SM-793A4 50-59 years, male 3.9
GTEX-UJHI-0426-SM-3DB8Y 50-59 years, female 3.9
GTEX-WHPG-0826-SM-3NMBF 50-59 years, male 3.9
GTEX-ZLFU-0226-SM-4WWFH 40-49 years, male 3.9
GTEX-1J8QM-0426-SM-AHZ3X 60-69 years, female 3.9
GTEX-1LGOU-0726-SM-E9TIY 20-29 years, female 3.9
GTEX-1LSNM-0526-SM-DIPG6 50-59 years, male 3.9
GTEX-YEC3-0726-SM-CMKFH 50-59 years, male 3.9
GTEX-1AX9J-1026-SM-72D6E 60-69 years, male 3.8
GTEX-YEC4-0326-SM-4W216 40-49 years, male 3.8
GTEX-1B97J-0726-SM-7RHG3 50-59 years, female 3.8
GTEX-1GMR3-0326-SM-7P8QT 40-49 years, male 3.8
GTEX-OIZF-0326-SM-3MJGY 60-69 years, male 3.8
GTEX-18D9U-1126-SM-72D5Y 40-49 years, male 3.7
GTEX-U4B1-0326-SM-3DB8K 40-49 years, male 3.7
GTEX-WEY5-0426-SM-3GIKT 40-49 years, female 3.7
GTEX-Y3IK-0826-SM-51MT8 50-59 years, female 3.7
GTEX-ZTPG-1226-SM-4YCDO 20-29 years, female 3.7
GTEX-1KXAM-1326-SM-E9TJW 60-69 years, male 3.7
GTEX-1LVAN-1726-SM-CNNR1 50-59 years, female 3.7
GTEX-OIZI-0926-SM-E6CHF 40-49 years, male 3.7
GTEX-13CF3-0726-SM-5J2MY 60-69 years, female 3.6
GTEX-ZGAY-0326-SM-57WF5 40-49 years, female 3.6
GTEX-ZZPU-0926-SM-5GZYT 50-59 years, female 3.6
GTEX-111YS-0426-SM-5987O 60-69 years, male 3.5
GTEX-117YX-1126-SM-5H128 50-59 years, male 3.5
GTEX-131XF-5001-SM-7DHLY 60-69 years, male 3.5
GTEX-13FH7-0926-SM-5J2MR 50-59 years, female 3.5
GTEX-1B8KE-0126-SM-793AM 50-59 years, male 3.5
GTEX-V955-0726-SM-3GAFG 60-69 years, male 3.5
GTEX-ZDYS-0226-SM-5HL4K 50-59 years, male 3.5
GTEX-1IDJF-0726-SM-CJI1U 20-29 years, male 3.5
GTEX-132QS-0426-SM-5KLZ6 60-69 years, male 3.4
GTEX-13X6H-0426-SM-5LU4E 50-59 years, female 3.4
GTEX-15EOM-5007-SM-793DG 20-29 years, female 3.4
GTEX-QESD-0526-SM-2I5G5 20-29 years, male 3.4
GTEX-XV7Q-0826-SM-4BRV7 40-49 years, female 3.4
GTEX-Y114-0226-SM-4TT8W 50-59 years, female 3.4
GTEX-1QCLZ-0926-SM-E6CQZ 60-69 years, female 3.4
GTEX-1399S-1026-SM-5KLZ9 30-39 years, female 3.3
GTEX-SNMC-0126-SM-2XCFO 20-29 years, male 3.3
GTEX-ZF29-0226-SM-4WKHO 60-69 years, female 3.3
GTEX-1GL5R-0326-SM-9WYTJ 50-59 years, male 3.3
GTEX-1J8Q3-1226-SM-CKZPT 60-69 years, male 3.3
GTEX-13S86-0226-SM-5S2PJ 40-49 years, male 3.2
GTEX-14PJ6-0726-SM-69LOL 60-69 years, female 3.2
GTEX-PWCY-0526-SM-5P9HG 20-29 years, female 3.2
GTEX-SUCS-0326-SM-32PLL 70-79 years, male 3.2
GTEX-ZV7C-0326-SM-57WB1 50-59 years, male 3.2
GTEX-1OKEX-0726-SM-DPRYE 60-69 years, male 3.2
GTEX-1RB15-0326-SM-E6CQB 60-69 years, male 3.2
GTEX-12WSK-0626-SM-5LZUJ 40-49 years, female 3.1
GTEX-OHPM-0326-SM-33HCA 50-59 years, male 3.1
GTEX-QMRM-0526-SM-2I5GA 50-59 years, male 3.1
GTEX-XPT6-0126-SM-4B65S 20-29 years, male 3.1
GTEX-1GMR2-1426-SM-7RHHK 50-59 years, male 3.1
GTEX-1339X-0426-SM-5KLZY 40-49 years, male 3.0
GTEX-13O21-2326-SM-5MR3X 50-59 years, male 3.0
GTEX-13VXT-1126-SM-5LU3A 20-29 years, female 3.0
GTEX-146FR-0626-SM-5RQJ1 60-69 years, female 3.0
GTEX-QLQ7-0526-SM-2I5G3 60-69 years, male 3.0
GTEX-RUSQ-0526-SM-2TF72 50-59 years, male 3.0
GTEX-ZDTT-0726-SM-4WKFK 60-69 years, male 3.0
GTEX-1CB4J-0326-SM-7PBZO 60-69 years, male 3.0
GTEX-1F75I-1126-SM-9WYUO 40-49 years, male 3.0
GTEX-145MN-0626-SM-5QGRH 30-39 years, male 2.9
GTEX-OHPK-0326-SM-2HMJO 50-59 years, female 2.9
GTEX-POMQ-0326-SM-2I5FO 20-29 years, female 2.9
GTEX-WFG8-0626-SM-3GILJ 20-29 years, male 2.9
GTEX-1CB4E-0526-SM-7MXTK 60-69 years, male 2.9
GTEX-12WSN-5001-SM-7DHMK 40-49 years, male 2.8
GTEX-UJMC-0526-SM-3GAE3 50-59 years, male 2.8
GTEX-12696-1126-SM-5FQTI 60-69 years, male 2.7
GTEX-13D11-1726-SM-5IFGQ 50-59 years, female 2.7
GTEX-13PVR-1026-SM-5QGQW 60-69 years, female 2.7
GTEX-14PJ4-1126-SM-5YY91 60-69 years, male 2.7
GTEX-16XZY-0426-SM-793BI 70-79 years, male 2.7
GTEX-XBED-0526-SM-47JY3 60-69 years, male 2.7
GTEX-1JK1U-0526-SM-CYPSQ 60-69 years, male 2.7
GTEX-1LGRB-1126-SM-CNPP2 50-59 years, female 2.7
GTEX-15CHC-0426-SM-6LLHI 60-69 years, female 2.6
GTEX-PLZ5-0626-SM-2I5F8 50-59 years, male 2.6
GTEX-ZVZP-0226-SM-5NQ73 50-59 years, male 2.6
GTEX-1RMOY-0626-SM-E9TIE 50-59 years, male 2.6
GTEX-11I78-0826-SM-5A5K4 50-59 years, female 2.5
GTEX-14PHY-0226-SM-5ZZWM 60-69 years, female 2.5
GTEX-18A66-1226-SM-7LT8G 60-69 years, male 2.5
GTEX-P4PP-0326-SM-33HC4 30-39 years, female 2.5
GTEX-R55G-0526-SM-2TC5O 40-49 years, female 2.5
GTEX-1CB4I-1626-SM-7RHGV 50-59 years, male 2.5
GTEX-1H11D-1226-SM-9WPQ2 40-49 years, male 2.5
GTEX-OIZH-0326-SM-2HMKC 50-59 years, male 2.4
GTEX-WY7C-0526-SM-3NB3D 50-59 years, male 2.4
GTEX-1F5PK-0326-SM-9KNUD 50-59 years, male 2.4
GTEX-1GN1W-0326-SM-9JGHF 50-59 years, female 2.4
GTEX-1I6K7-0626-SM-ARL7Q 40-49 years, male 2.4
GTEX-YF7O-0426-SM-5P9FS 50-59 years, male 2.2
GTEX-ZG7Y-0926-SM-5EQ6O 50-59 years, male 2.1
GTEX-1HCUA-0526-SM-A9SMH 50-59 years, female 2.1
GTEX-14XAO-1126-SM-6EU11 60-69 years, female 2.0
GTEX-131XG-0626-SM-5GCMP 50-59 years, female 1.9
GTEX-QDVJ-0426-SM-2I5FW 50-59 years, male 1.9
GTEX-WFG7-0726-SM-3GIKO 20-29 years, male 1.9
GTEX-ZPCL-0426-SM-DNZZ4 60-69 years, female 1.9
GTEX-11DXX-0326-SM-5PNWC 60-69 years, female 1.8
GTEX-11TT1-1326-SM-5PNYM 20-29 years, male 1.8
GTEX-17GQL-0526-SM-72D5N 60-69 years, male 1.8
GTEX-Q2AH-0526-SM-2I3ED 40-49 years, male 1.8
GTEX-QDVN-0326-SM-2I3FS 50-59 years, male 1.8
GTEX-R55C-0326-SM-3GAF1 40-49 years, male 1.7
GTEX-WH7G-0426-SM-3NMBJ 40-49 years, male 1.7
GTEX-1IDJU-0726-SM-CNPQ9 60-69 years, female 1.7
GTEX-O5YT-0326-SM-32PKA 20-29 years, male 1.6
GTEX-OHPL-0326-SM-33HC8 60-69 years, female 1.6
GTEX-P4QS-0326-SM-2I3EU 60-69 years, male 1.6
GTEX-14PN3-0526-SM-69LQF 60-69 years, female 1.4
GTEX-P4PQ-0326-SM-2HMJ8 60-69 years, male 1.3
GTEX-1211K-0626-SM-5FQUZ 60-69 years, female 1.2
GTEX-YB5K-0126-SM-5IFJ2 40-49 years, female 1.2
GTEX-1L5NE-0426-SM-E9TIX 50-59 years, male 1.2
GTEX-13FTW-1026-SM-5L3E3 40-49 years, male 1.0
GTEX-11EM3-0626-SM-5H12Z 20-29 years, female 0.6
Show allShow less

HEART MUSCLE - FANTOM5 CAGEi

RNA expression in human tissues obtained through Cap Analysis of Gene Expression (CAGE) generated by the FANTOM5 project are reported as Scaled Tags Per Million.

Max subtype Scaled Tags Per Millioni

Max subtype Scaled Tags Per Million is the value for the subtype with the largest average Scaled Tags Per Million across the subtype samples.

4.0
FANTOM5 sample id Sample description Scaled Tags Per Million
Heart
Scaled Tags Per Million: 1.4
FF:10016-101C7 70,73,74 years, mixed 1.4
Left atrium
Scaled Tags Per Million: 4.0
FF:10079-102A7 40 years, male 4.0
Left ventricle
Scaled Tags Per Million: 0.0
FF:10078-102A6 73 years, female 0.0

Contact

  • NEWS ARTICLES
  • PRESS ROOM

The Project

  • INTRODUCTION
  • ORGANIZATION
  • PUBLICATIONS

The Human Protein Atlas

  • DOWNLOADABLE DATA
  • LICENCE & CITATION
  • HELP & FAQ
The Human Protein Atlas project is funded
by the Knut & Alice Wallenberg Foundation.


contact@proteinatlas.org