We use cookies to enhance the usability of our website. If you continue, we'll assume that you are happy to receive all cookies. More information. Don't show this again.
MRPL33
HPA
RESOURCES
  • TISSUE
  • BRAIN
  • SINGLE CELL
  • SUBCELLULAR
  • CANCER
  • BLOOD
  • CELL LINE
  • STRUCTURE & INTERACTION
ABOUT
  • INTRODUCTION
  • HISTORY
  • ORGANIZATION
  • PUBLICATIONS
  • ANTIBODY SUBMISSION
  • ANTIBODY AVAILABILITY
  • ACKNOWLEDGMENTS
  • CONTACT
NEWS
  • NEWS ARTICLES
  • PRESS ROOM
LEARN
  • DICTIONARY
  • PROTEIN CLASSES
  • PROTEIN EVIDENCE
  • METHODS
  • EDUCATIONAL VIDEOS
DATA
  • DOWNLOADABLE DATA
  • PUBLICATION DATA
  • RELEASE HISTORY
HELP
  • ANTIBODY VALIDATION
  • ASSAYS & ANNOTATION
  • DISCLAIMER
  • HELP & FAQ
  • PRIVACY STATEMENT
  • LICENCE & CITATION
Fields »
Search result

Field
Term
Gene name
Class
Subclass
Class
Keyword
Chromosome
External id
Tissue
Cell type
Expression
Antibody panel
Tissue
Main location
Patient ID
Annotation
Tissue
Category
Tau score
Cluster
Reliability
Brain region
Category
Tau score
Brain region
Category
Tau score
Brain region
Category
Tau score
Cluster
Reliability
Tissue
Cell type
Enrichment
Cell type
Category
Tau score
Cell type
Category
Tau score
Cell type
Category
Tau score
Cell lineage
Category
Tau score
Cluster
Cluster
Location
Searches
Location
Cell line
Class
Type
Phase
Reliability
Cancer
Prognosis
Cancer
Category
Cancer
Category
Tau score
Cluster
Variants
Interacting gene (ensg_id)
Type
Number of interactions
Pathway
Category
Score
Score
Score
Validation
Validation
Validation
Validation
Antibodies
Data type
Column


  • SUMMARY

  • TISSUE

  • BRAIN

  • SINGLE CELL

  • SUBCELL

  • CANCER

  • BLOOD

  • CELL LINE

  • STRUCT & INT

  • MRPL33
TISSUE PRIMARY DATA THYROID GLAND Show tissue menu
ADIPOSE TISSUE ADRENAL GLAND AMYGDALA APPENDIX BASAL GANGLIA BONE MARROW BREAST BRONCHUS CEREBELLUM CEREBRAL CORTEX CERVIX CHOROID PLEXUS COLON DUODENUM
ENDOMETRIUM EPIDIDYMIS ESOPHAGUS FALLOPIAN TUBE GALLBLADDER HEART MUSCLE HIPPOCAMPAL FORMATION HYPOTHALAMUS KIDNEY LIVER LUNG LYMPH NODE MIDBRAIN NASOPHARYNX
ORAL MUCOSA OVARY PANCREAS PARATHYROID GLAND PITUITARY GLAND PLACENTA PROSTATE RECTUM RETINA SALIVARY GLAND SEMINAL VESICLE SKELETAL MUSCLE SKIN SMALL INTESTINE
SMOOTH MUSCLE SOFT TISSUE SPINAL CORD SPLEEN STOMACH TESTIS THYMUS THYROID GLAND TONGUE TONSIL URINARY BLADDER VAGINA
ANTIBODIES
AND
VALIDATION
Dictionary
Thyroid gland
Tissue proteome
Thyroid gland
THYROID GLAND - Expression summary
Protein expression
Thyroid glandi

On the top, protein expression in current human tissue, based on all annotated cell types, is reported with the units not detected (n), low (l), medium (m) and high (h). Underneath, protein expression in each annotated cell type are reported using the same units.

Protein expression data is based on knowledge-based annotation. For genes where more than one antibody has been used, a collective score is set.

If knowledge-based annotation could not be performed for a gene, no data is displayed here. View antibody staining data further down this page.

h
m
l
n
Glandular cells: High
RNA expressioni

A summary of mRNA expression data available for current tissue based on several datasets. The mRNA expression levels in human tissues are based on RNA-seq data generated by the Human Protein Atlas (HPA), Genotype-Tissue Expression (GTEx) portal and CAGE data generated by the FANTOM5 consortium. Consensus normalized expression levels for human tissues was created by combining the data from HPA and GTEx datasets.

The mRNA expression levels in pig are based on RNA-seq data generated by the Human Protein Atlas (HPA), and for mouse, HPA data and in situ hybridization generated by the Allen brain atlas are reported.

Scroll down to view mRNA expression data in more detail.
Consensus:109.4 nTPM
HPA:87.6 nTPM
GTEx:109.4 nTPM
FANTOM5:49.5 Scaled Tags Per Million

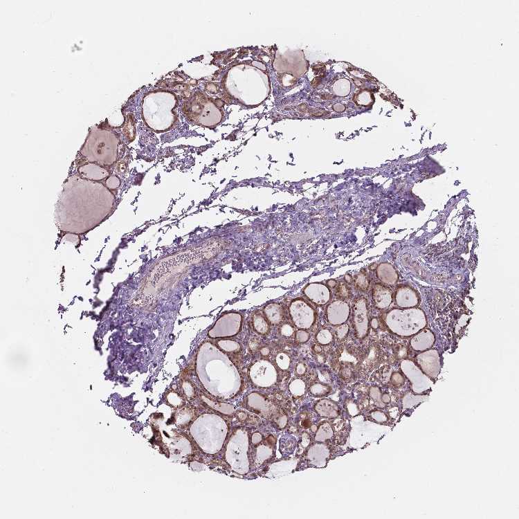
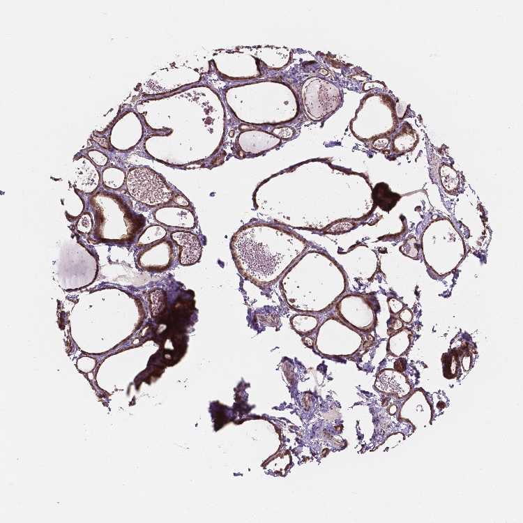
THYROID GLAND - Antibody stainingi

Antibody staining in the annotated cell types in the current human tissue is reported as not detected, low, medium, or high, based on conventional immunohistochemistry profiling in selected tissues. This score is based on the combination of the staining intensity and fraction of stained cells.

Each image is clickable and will lead to virtual microscopy that enables deeper exploration of all samples and also displays staining intensity scores, fraction scores and subcellular localization as well as patient and tissue information for each sample.

Antibody HPA066872
Glandular cells High


THYROID GLAND - HPA RNA-seqi

The RNA-seq details section shows detailed information about the individual samples used for the transcript profiling and results of the RNA-seq analysis.

Information about each individual sample is listed below, including gender, age, a tissue section image and estimated fractions of cell types. nTPM (normalized transcripts per million) values give a quantification of the gene abundance which is comparable between different genes and samples.
Average nTPMi

Max subtype nTPM is the value for the subtype with the largest average nTPM across the subtype samples.

87.6
overview
Female, age 20
Thyroid gland sample 249
nTPM: 104.9
Cell types%
Glandular cells:
70

Endothelial cells:
20

Other cell types:
10

overview
Female, age 55
Thyroid gland sample 250
nTPM: 58.5
Cell types%
Glandular cells:
70

Endothelial cells:
20

Other cell types:
10

overview
Female, age 58
Thyroid gland sample 251
nTPM: 75.9
Cell types%
Glandular cells:
70

Endothelial cells:
15

Other cell types:
15

overview
Female, age 48
Thyroid gland sample 252
nTPM: 90.6
Cell types%
Glandular cells:
70

Endothelial cells:
20

Other cell types:
10

overview
Male, age 21
Thyroid gland sample 363
nTPM: 108
Cell types%
Glandular cells:
75

Endothelial cells:
10

Other cell types:
15


THYROID GLAND - GTEx RNA-seqi

RNA-Seq data generated by the Genotype-Tissue Expression (GTEx) project from human tissues is reported as mean nTPM. More information can be found on the GTEx portal.

Distribution across the dataset is visualized with box plots, shown as median and 25th and 75th percentiles. Points are displayed as outliers if they are above or below 1.5 times the interquartile range. nTPM values of the individual samples are presented next to the box plot.
Max subtype nTPMi

Max subtype nTPM is the value for the subtype with the largest average nTPM across the subtype samples.

109.4
GTEx sample id Sample description nTPM
Thyroid
Average nTPM: 109.4
Samples: 653

Max nTPM: 443.2
Min nTPM: 57.9
Std nTPM: 26.6
Median nTPM: 106.0
GTEX-15RIF-0326-SM-7KUFR 20-29 years, male 443.2
GTEX-13PDP-1026-SM-5L3FA 60-69 years, male 208.0
GTEX-183WM-2626-SM-7KFRY 70-79 years, female 199.8
GTEX-1GZ4H-0226-SM-9JGGJ 50-59 years, female 179.9
GTEX-1HB9E-0826-SM-CNNQJ 50-59 years, male 177.4
GTEX-14PJ6-0326-SM-6871H 60-69 years, female 177.3
GTEX-1NV5F-0726-SM-DTXEH 60-69 years, female 176.8
GTEX-1MJK2-0826-SM-DTXE8 50-59 years, male 176.2
GTEX-1RNSC-1126-SM-E9TIP 60-69 years, male 174.4
GTEX-12WSH-0226-SM-5GCOG 50-59 years, male 173.4
GTEX-13NZA-1026-SM-5MR48 60-69 years, male 173.0
GTEX-13NYC-2426-SM-5MR3K 60-69 years, male 172.6
GTEX-ZAJG-0726-SM-5HL9A 50-59 years, female 172.0
GTEX-1I1GP-0326-SM-CNPQ4 50-59 years, male 171.8
GTEX-U412-0726-SM-EVR2Y 60-69 years, male 167.1
GTEX-15G19-0626-SM-6M474 60-69 years, male 166.3
GTEX-14ASI-0726-SM-5Q5DC 60-69 years, male 164.8
GTEX-14PK6-0426-SM-6EU1J 70-79 years, female 164.4
GTEX-1MUQO-0726-SM-E9TJM 60-69 years, male 163.8
GTEX-11DZ1-2726-SM-5A5KH 50-59 years, male 162.7
GTEX-1HR98-0326-SM-CGQEL 60-69 years, male 161.3
GTEX-1GF9W-0626-SM-7MXVJ 60-69 years, male 161.1
GTEX-YFCO-0326-SM-4W1ZP 40-49 years, male 158.9
GTEX-14PQA-1226-SM-6M47A 50-59 years, female 158.6
GTEX-YB5E-0626-SM-4VDSE 40-49 years, male 157.8
GTEX-13IVO-0926-SM-5KLZP 70-79 years, male 157.6
GTEX-1OJC3-0626-SM-E8VMO 20-29 years, male 157.5
GTEX-11EQ8-0826-SM-5N9FG 60-69 years, male 155.9
GTEX-1B8SF-0626-SM-73KVV 60-69 years, male 154.4
GTEX-1O9I2-1226-SM-E6CQC 50-59 years, male 153.4
GTEX-OXRO-1226-SM-48TDL 60-69 years, female 152.8
GTEX-14JIY-1226-SM-6871R 60-69 years, male 151.8
GTEX-11EMC-0226-SM-5EGLP 60-69 years, female 151.3
GTEX-1LG7Z-0526-SM-D4P3Q 30-39 years, male 151.1
GTEX-13OVJ-0626-SM-5J2O2 50-59 years, female 150.1
GTEX-1M4P7-0626-SM-EVR51 60-69 years, male 150.0
GTEX-11P82-0226-SM-5HL4O 20-29 years, male 149.7
GTEX-131XE-0126-SM-5LZVC 50-59 years, male 149.6
GTEX-13D11-0226-SM-5LZXL 50-59 years, female 149.4
GTEX-1PIGE-0726-SM-DPRZD 20-29 years, male 149.1
GTEX-1QP66-0326-SM-DTX7V 50-59 years, male 148.9
GTEX-1H2FU-0626-SM-9WPPS 60-69 years, female 148.0
GTEX-OXRP-0326-SM-33HBJ 60-69 years, female 147.7
GTEX-OXRN-1526-SM-E6CHM 50-59 years, male 147.6
GTEX-14XAO-0426-SM-6AJB6 60-69 years, female 147.4
GTEX-12WSJ-0326-SM-5GCMT 40-49 years, female 147.3
GTEX-12ZZZ-1226-SM-59HK1 60-69 years, male 145.9
GTEX-V955-0426-SM-3GAEL 60-69 years, male 145.5
GTEX-X261-0726-SM-EZ6MH 50-59 years, male 145.0
GTEX-18D9B-0726-SM-72D6K 60-69 years, male 144.4
GTEX-XYKS-0826-SM-4BRVF 60-69 years, female 143.6
GTEX-YF7O-0726-SM-4W213 50-59 years, male 143.1
GTEX-1R9PM-0226-SM-DPRY7 20-29 years, male 142.6
GTEX-13NYB-0726-SM-5MR4J 40-49 years, male 142.3
GTEX-SN8G-1526-SM-4DM79 50-59 years, female 142.0
GTEX-1PPGY-1426-SM-EVR3R 60-69 years, male 142.0
GTEX-XGQ4-0426-SM-4AT4I 50-59 years, male 141.4
GTEX-15G1A-0326-SM-6M467 30-39 years, male 141.3
GTEX-ZPCL-0126-SM-4WWC8 60-69 years, female 141.1
GTEX-1RQEC-1026-SM-EVR5B 60-69 years, male 140.8
GTEX-1KANC-0826-SM-D3LA8 50-59 years, female 140.7
GTEX-WFG8-0426-SM-3GILD 20-29 years, male 140.6
GTEX-ZF3C-0826-SM-DO11E 50-59 years, female 140.6
GTEX-1LSVX-0726-SM-E9TJG 60-69 years, male 140.5
GTEX-17F97-0626-SM-7IGOH 50-59 years, male 139.9
GTEX-WEY5-0526-SM-3GIKZ 40-49 years, female 139.6
GTEX-1F75A-0326-SM-7MXTR 50-59 years, male 139.3
GTEX-XLM4-0726-SM-4AT64 60-69 years, male 139.2
GTEX-1QP28-0626-SM-E76P5 50-59 years, female 138.9
GTEX-N7MS-2326-SM-2HMLD 60-69 years, male 138.8
GTEX-1HBPN-1226-SM-B2LW9 50-59 years, male 138.4
GTEX-1KXAM-1726-SM-D3LAE 60-69 years, male 138.2
GTEX-1399R-0126-SM-5IFEV 30-39 years, male 138.0
GTEX-15EU6-1426-SM-6M48E 50-59 years, male 137.9
GTEX-13FXS-0726-SM-5LZXJ 50-59 years, male 137.3
GTEX-1R9K4-0726-SM-EWRN2 60-69 years, male 137.3
GTEX-1CB4J-1426-SM-7MKFR 60-69 years, male 137.1
GTEX-1GN1V-0626-SM-7P8QU 60-69 years, male 137.1
GTEX-145MI-1126-SM-5O9AK 60-69 years, female 136.6
GTEX-1HT8W-1526-SM-CE6S3 30-39 years, male 136.4
GTEX-1313W-0726-SM-5EGK1 50-59 years, female 136.3
GTEX-11TTK-0826-SM-5N9EG 60-69 years, female 135.8
GTEX-1KD5A-0426-SM-D4P3X 50-59 years, male 135.8
GTEX-ZT9X-0226-SM-51MT2 40-49 years, male 135.5
GTEX-ZY6K-0226-SM-5SIAY 50-59 years, male 135.4
GTEX-15DZA-0226-SM-7KFS6 30-39 years, female 135.3
GTEX-1I19N-0226-SM-CE6ST 70-79 years, male 135.2
GTEX-111FC-1026-SM-5GZX1 60-69 years, male 135.1
GTEX-1OFPY-1526-SM-DTX8R 60-69 years, male 134.0
GTEX-14B4R-0126-SM-5TDE4 30-39 years, male 133.9
GTEX-XUZC-0126-SM-4BOO6 30-39 years, female 133.9
GTEX-14C39-0226-SM-5TDDW 40-49 years, male 133.7
GTEX-13PL6-1026-SM-5L3E5 40-49 years, female 133.4
GTEX-1H1DF-1026-SM-9QEJ1 40-49 years, female 133.3
GTEX-WFG7-0326-SM-DKPO8 20-29 years, male 133.3
GTEX-1H3VE-0826-SM-9KNVQ 40-49 years, male 133.2
GTEX-1QP67-0326-SM-EVR45 40-49 years, female 133.0
GTEX-13O61-0226-SM-5KM52 60-69 years, male 132.8
GTEX-1RQED-0926-SM-EWRNZ 60-69 years, male 132.8
GTEX-144GM-0226-SM-5Q5CB 20-29 years, male 132.6
GTEX-ZYY3-1926-SM-5GZXS 60-69 years, female 132.6
GTEX-1EX96-0126-SM-9KNVH 50-59 years, male 132.5
GTEX-111CU-0226-SM-5GZXC 50-59 years, male 132.1
GTEX-1QAET-0226-SM-EVR3T 50-59 years, male 132.0
GTEX-14C38-0826-SM-5S2U8 50-59 years, male 131.9
GTEX-OIZF-2626-SM-7P8QZ 60-69 years, male 131.8
GTEX-11O72-2326-SM-5BC7H 40-49 years, male 131.3
GTEX-1B8KE-0626-SM-7189H 50-59 years, male 131.3
GTEX-ZXG5-0926-SM-5NQ8H 60-69 years, male 131.2
GTEX-13NZ8-0226-SM-5J2OK 60-69 years, female 131.1
GTEX-18A67-0826-SM-7KFTI 50-59 years, male 130.8
GTEX-11DXY-0426-SM-5H12R 60-69 years, male 130.5
GTEX-145MH-0426-SM-5LU8T 50-59 years, male 130.5
GTEX-R3RS-0726-SM-3GIJR 40-49 years, female 130.1
GTEX-1EU9M-0626-SM-7MXUT 60-69 years, male 130.1
GTEX-1GN1W-0126-SM-7MXV7 50-59 years, female 130.1
GTEX-11DXX-0226-SM-5P9HL 60-69 years, female 130.0
GTEX-ZYFC-0926-SM-5GZWW 50-59 years, male 129.8
GTEX-Z9EW-0226-SM-5CVM7 40-49 years, male 129.7
GTEX-11DYG-0826-SM-5N9GH 60-69 years, male 129.2
GTEX-1K9T9-0826-SM-EAZ4X 50-59 years, female 129.2
GTEX-15DDE-0626-SM-69LOK 50-59 years, female 129.1
GTEX-132QS-0326-SM-5IJFN 60-69 years, male 128.9
GTEX-1JMQJ-2026-SM-CNPP9 50-59 years, male 128.8
GTEX-117YX-1226-SM-5H11S 50-59 years, male 128.4
GTEX-15UF6-1126-SM-6LPJ3 70-79 years, female 128.4
GTEX-WYBS-1926-SM-3NM8N 60-69 years, female 128.1
GTEX-1PBJJ-1926-SM-DTX8T 30-39 years, male 127.8
GTEX-1F75B-0826-SM-9QEIT 50-59 years, male 127.7
GTEX-O5YV-1526-SM-EV799 60-69 years, female 127.2
GTEX-ZYFG-0626-SM-5GZYA 60-69 years, female 126.6
GTEX-13RTK-0326-SM-5RQHS 20-29 years, male 126.5
GTEX-13S86-1126-SM-5RQJX 40-49 years, male 126.4
GTEX-14ICK-1626-SM-6ETZX 40-49 years, male 126.2
GTEX-1KAFJ-0426-SM-DHXJH 50-59 years, male 126.2
GTEX-ZDTS-0926-SM-5YY9D 60-69 years, male 126.1
GTEX-ZTPG-0826-SM-5DUVC 20-29 years, female 126.1
GTEX-RVPV-1226-SM-2TF73 60-69 years, male 125.7
GTEX-ZYFD-0826-SM-5NQ9A 50-59 years, male 125.7
GTEX-13FLW-0326-SM-5J2M4 50-59 years, male 125.5
GTEX-1K2DU-0126-SM-E9TIU 20-29 years, male 125.4
GTEX-11TT1-1126-SM-5P9GV 20-29 years, male 125.3
GTEX-14PN4-1526-SM-6871V 50-59 years, male 125.2
GTEX-ZF28-0826-SM-4WKGJ 60-69 years, male 125.2
GTEX-1MCC2-0526-SM-DHXJS 30-39 years, female 125.2
GTEX-ZLWG-0526-SM-4WWFB 50-59 years, female 125.1
GTEX-ZZ64-0126-SM-5GZXA 20-29 years, male 124.9
GTEX-1CB4H-0126-SM-7IGN2 60-69 years, female 124.8
GTEX-13OW8-0126-SM-5IJE5 60-69 years, male 124.7
GTEX-Y5V6-0526-SM-4VBRV 60-69 years, male 124.7
GTEX-11GSO-0626-SM-5A5LW 60-69 years, male 124.6
GTEX-14ABY-0926-SM-5Q5DY 50-59 years, male 124.1
GTEX-16XZZ-0826-SM-7IGM3 60-69 years, male 124.1
GTEX-1RAZR-1126-SM-E6CRC 40-49 years, male 123.9
GTEX-ZVZP-1026-SM-5GICI 50-59 years, male 123.8
GTEX-17F9Y-0526-SM-7EWDC 70-79 years, female 123.7
GTEX-14PJ4-0326-SM-664OT 60-69 years, male 123.4
GTEX-VJYA-0426-SM-3GIJK 60-69 years, male 123.4
GTEX-1QPFJ-0626-SM-DTX7Y 30-39 years, female 123.4
GTEX-1497J-0126-SM-5Q5BK 60-69 years, male 123.3
GTEX-145LU-0426-SM-5O9AH 50-59 years, male 123.1
GTEX-1ICLZ-0526-SM-ARZM8 60-69 years, male 123.1
GTEX-132AR-1126-SM-5P9GA 50-59 years, female 122.8
GTEX-1I1GV-0726-SM-ARZLY 60-69 years, male 122.8
GTEX-131XG-0226-SM-5IFG1 50-59 years, female 122.7
GTEX-WK11-0926-SM-3NMAU 50-59 years, male 122.7
GTEX-1MGNQ-0726-SM-DPRYH 40-49 years, male 122.4
GTEX-1122O-0226-SM-5N9DA 60-69 years, female 122.3
GTEX-146FR-0326-SM-5SI8U 60-69 years, female 122.3
GTEX-YEC3-0826-SM-4WWFP 50-59 years, male 122.2
GTEX-12WSE-1226-SM-73KUF 20-29 years, male 122.1
GTEX-13VXU-0826-SM-5KLZ2 50-59 years, male 122.1
GTEX-144GO-0126-SM-5LUAO 60-69 years, male 122.1
GTEX-15EO6-0126-SM-6LPKJ 50-59 years, male 121.9
GTEX-1H1DG-0726-SM-A96TN 70-79 years, male 121.9
GTEX-1LG7Y-0626-SM-DHXJM 50-59 years, male 121.9
GTEX-1S5ZU-0726-SM-EWROH 20-29 years, female 121.9
GTEX-1HUB1-1226-SM-B2LWX 60-69 years, male 121.6
GTEX-ZV7C-0126-SM-57WDE 50-59 years, male 121.5
GTEX-1IKOH-0626-SM-CJI35 60-69 years, female 121.4
GTEX-ZT9W-0226-SM-7SB6H 50-59 years, male 121.4
GTEX-14E6E-0326-SM-73KY6 30-39 years, male 121.3
GTEX-16GPK-0926-SM-6LPJ9 60-69 years, male 121.0
GTEX-1LGRB-1226-SM-CNNPS 50-59 years, female 121.0
GTEX-13OVK-0226-SM-6M472 40-49 years, male 120.4
GTEX-TKQ1-0126-SM-33HB3 30-39 years, male 120.1
GTEX-1PFEY-0226-SM-EVR3M 30-39 years, male 120.1
GTEX-17GQL-0226-SM-7LTAK 60-69 years, male 119.9
GTEX-1O97I-1026-SM-E76PI 60-69 years, male 119.9
GTEX-11GSP-0126-SM-5A5KU 60-69 years, female 119.8
GTEX-18A66-0826-SM-72D5Z 60-69 years, male 119.7
GTEX-1K2DA-1526-SM-CGQGQ 50-59 years, male 119.7
GTEX-13N11-1026-SM-5K7XQ 50-59 years, female 119.6
GTEX-Y3I4-0226-SM-4TT27 50-59 years, male 119.5
GTEX-13111-0226-SM-5EQ55 50-59 years, male 119.3
GTEX-139TS-0126-SM-5K7XJ 60-69 years, male 119.3
GTEX-QEG5-0826-SM-2I5GF 20-29 years, male 119.3
GTEX-12ZZY-0826-SM-5EQMT 60-69 years, male 119.2
GTEX-OIZG-0226-SM-2TC5L 50-59 years, male 119.2
GTEX-VUSG-0426-SM-3GIKD 50-59 years, male 119.2
GTEX-W5WG-1426-SM-4KKZP 50-59 years, female 119.0
GTEX-1JJE9-0226-SM-CY8HU 70-79 years, male 118.7
GTEX-13FTW-0626-SM-5IFEX 40-49 years, male 118.6
GTEX-1N5O9-1026-SM-DTX8Y 60-69 years, male 118.6
GTEX-QV31-0726-SM-3GAEG 30-39 years, male 118.4
GTEX-Y5LM-0626-SM-4V6G4 40-49 years, female 118.4
GTEX-1C4CL-0726-SM-7IGP9 30-39 years, male 118.3
GTEX-XV7Q-0326-SM-4BRVM 40-49 years, female 118.3
GTEX-YEC4-0626-SM-5CVLU 40-49 years, male 118.2
GTEX-1IGQW-0626-SM-C1YR9 60-69 years, male 118.2
GTEX-1F52S-0526-SM-7P8TP 60-69 years, female 118.1
GTEX-WWYW-0826-SM-3NB2X 50-59 years, female 117.9
GTEX-1R46S-0426-SM-EVR48 60-69 years, female 117.9
GTEX-1I1GS-0726-SM-C1YS7 60-69 years, male 117.8
GTEX-1B8KZ-0426-SM-731DP 50-59 years, male 117.6
GTEX-ZA64-0426-SM-5HL96 20-29 years, male 117.6
GTEX-11ZTT-1026-SM-5EQKF 60-69 years, female 117.4
GTEX-16NPX-1426-SM-6LPK3 50-59 years, male 117.4
GTEX-1QCLY-0826-SM-DTX8A 30-39 years, male 117.4
GTEX-XMK1-0626-SM-4B65A 40-49 years, male 117.3
GTEX-ZV6S-0226-SM-59HJT 40-49 years, female 117.3
GTEX-11EI6-0726-SM-59866 60-69 years, male 116.9
GTEX-15CHQ-0826-SM-69LOT 60-69 years, male 116.8
GTEX-1J8Q3-0226-SM-C1YR4 60-69 years, male 116.8
GTEX-1IOXB-1026-SM-CJI4D 50-59 years, male 116.6
GTEX-1RMOY-0126-SM-EWRNN 50-59 years, male 116.6
GTEX-1AX9K-0626-SM-73KVD 50-59 years, male 116.3
GTEX-1HFI7-0326-SM-9WPOX 50-59 years, female 116.0
GTEX-1ICLY-0726-SM-A96TB 50-59 years, male 115.9
GTEX-111YS-0726-SM-5GZY8 60-69 years, male 115.6
GTEX-13QBU-0626-SM-5J2OG 40-49 years, female 115.4
GTEX-1CB4E-0326-SM-7MXT3 60-69 years, male 115.4
GTEX-OHPM-2626-SM-33HC5 50-59 years, male 115.2
GTEX-1QEPI-0726-SM-E76QG 60-69 years, female 115.2
GTEX-13OW5-0626-SM-5J2N2 60-69 years, male 114.8
GTEX-1A3MV-0326-SM-73KW7 30-39 years, male 114.8
GTEX-15RJ7-0326-SM-6M47H 40-49 years, male 114.5
GTEX-1QP9N-0126-SM-DPRZS 30-39 years, male 114.2
GTEX-RN5K-2826-SM-EZ6L3 50-59 years, female 114.2
GTEX-1HSMQ-0526-SM-A96TY 50-59 years, male 114.1
GTEX-1192X-1126-SM-5EGGU 50-59 years, male 114.0
GTEX-1JKYN-1126-SM-CGQG5 30-39 years, male 113.9
GTEX-15RIE-0426-SM-7KUMH 60-69 years, male 113.8
GTEX-16AAH-0326-SM-7DHML 50-59 years, male 113.8
GTEX-1GMR8-0826-SM-9KNUR 50-59 years, female 113.8
GTEX-13W46-0926-SM-5LU3T 50-59 years, male 113.7
GTEX-1J1R8-0126-SM-CJI36 40-49 years, male 113.6
GTEX-147F4-0826-SM-5QGRB 50-59 years, male 113.4
GTEX-1B97I-0326-SM-7DUGB 40-49 years, male 113.4
GTEX-13O3P-0726-SM-5J2OM 50-59 years, male 113.3
GTEX-18A6Q-0726-SM-7LT8Y 60-69 years, male 113.3
GTEX-ZGAY-1026-SM-4WWBR 40-49 years, female 113.3
GTEX-1P4AB-1126-SM-DTX94 50-59 years, male 113.1
GTEX-1LVAM-0826-SM-EV79X 50-59 years, female 112.8
GTEX-13OVI-0826-SM-5KLZ8 60-69 years, female 112.6
GTEX-15CHC-0126-SM-5YYBA 60-69 years, female 112.3
GTEX-146FQ-0726-SM-5LUA7 30-39 years, male 112.2
GTEX-1LVAN-0726-SM-CNNPF 50-59 years, female 112.2
GTEX-15ETS-0526-SM-6PAN3 40-49 years, female 112.1
GTEX-Y111-1926-SM-4SOIS 50-59 years, male 112.1
GTEX-147GR-0726-SM-5S2PL 60-69 years, male 112.0
GTEX-16MTA-0726-SM-7KUL4 50-59 years, male 112.0
GTEX-S341-0226-SM-D4P1Y 40-49 years, female 112.0
GTEX-16BQI-0726-SM-6LPJZ 30-39 years, female 111.5
GTEX-14C5O-0826-SM-5TDEG 60-69 years, male 111.4
GTEX-14PJ3-0126-SM-69LQP 50-59 years, male 111.4
GTEX-1RAZS-1026-SM-E9TID 50-59 years, male 111.3
GTEX-1RAZA-0826-SM-EAZ4I 20-29 years, male 111.2
GTEX-PLZ4-1226-SM-2I5FE 50-59 years, female 111.1
GTEX-1PDJ9-0826-SM-E76PS 20-29 years, male 111.1
GTEX-1B933-1026-SM-7P8RO 50-59 years, female 110.8
GTEX-U3ZH-0226-SM-3DB7B 30-39 years, male 110.6
GTEX-1F75I-0926-SM-7MXUU 40-49 years, male 110.5
GTEX-1C6VR-0426-SM-7IGN6 60-69 years, male 110.3
GTEX-1JMPY-0126-SM-CJI39 30-39 years, male 110.3
GTEX-1JJ6O-0626-SM-AHZ3H 60-69 years, male 110.2
GTEX-133LE-0326-SM-5P9G4 20-29 years, female 109.8
GTEX-1269C-0226-SM-5EGKS 60-69 years, female 109.7
GTEX-YJ89-0726-SM-5P9F7 60-69 years, male 109.7
GTEX-1JK1U-0326-SM-CXZJH 60-69 years, male 109.6
GTEX-WHPG-0226-SM-3NMB9 50-59 years, male 109.5
GTEX-1QP2A-0626-SM-DTX9C 50-59 years, male 109.5
GTEX-ZPIC-0226-SM-DO91T 40-49 years, female 109.4
GTEX-QDVJ-0226-SM-2I5FV 50-59 years, male 109.2
GTEX-1PIIG-2026-SM-EVR43 30-39 years, male 109.2
GTEX-12WSC-0826-SM-5EQ5Q 50-59 years, male 109.1
GTEX-1IDJU-1626-SM-CJI4B 60-69 years, female 109.1
GTEX-11EM3-0126-SM-5985K 20-29 years, female 108.8
GTEX-12696-0326-SM-5EGL4 60-69 years, male 108.6
GTEX-14PN3-0826-SM-69LOS 60-69 years, female 108.5
GTEX-ZE7O-1126-SM-57WC8 50-59 years, female 108.4
GTEX-P4QS-2626-SM-2I3EV 60-69 years, male 108.2
GTEX-1JMQL-0926-SM-CJI3F 50-59 years, female 108.1
GTEX-13QJ3-0926-SM-73KX5 50-59 years, male 108.0
GTEX-139YR-1226-SM-5IFEU 50-59 years, male 107.6
GTEX-14PII-0826-SM-6871S 60-69 years, male 107.6
GTEX-U3ZM-0126-SM-3DB8M 40-49 years, male 107.6
GTEX-ZF29-0726-SM-DO92H 60-69 years, female 107.5
GTEX-1RDX4-0926-SM-E9U6D 50-59 years, female 107.4
GTEX-1CB4I-0726-SM-7DUGS 50-59 years, male 107.3
GTEX-ZTX8-0626-SM-59HKC 20-29 years, male 107.3
GTEX-1FIGZ-0226-SM-7P8QR 40-49 years, male 107.3
GTEX-T8EM-0226-SM-3DB7C 40-49 years, male 107.2
GTEX-1CAMR-0226-SM-7DUGO 20-29 years, male 107.1
GTEX-1I1GU-0826-SM-ARZM5 40-49 years, male 107.1
GTEX-14PHW-2926-SM-6AJBA 60-69 years, female 107.0
GTEX-13FH7-0126-SM-5KLZ1 50-59 years, female 106.8
GTEX-145ME-0126-SM-5S2QM 40-49 years, female 106.8
GTEX-13O3Q-0626-SM-5IJG1 50-59 years, male 106.7
GTEX-P44G-0626-SM-2I5EO 30-39 years, male 106.7
GTEX-1399U-0326-SM-5P9G5 50-59 years, female 106.6
GTEX-13X6J-0826-SM-5LU32 50-59 years, male 106.6
GTEX-14PKU-0326-SM-6AJA7 40-49 years, female 106.6
GTEX-13RTJ-0326-SM-5YYAE 60-69 years, male 106.5
GTEX-13N2G-0726-SM-5MR38 60-69 years, male 106.4
GTEX-17HII-1926-SM-79OLB 50-59 years, male 106.4
GTEX-1F6IF-1126-SM-9KNV2 60-69 years, male 106.4
GTEX-12BJ1-0426-SM-5FQSO 60-69 years, male 106.3
GTEX-145MG-0826-SM-5Q5C2 50-59 years, male 106.3
GTEX-WHSB-1626-SM-3LK6J 50-59 years, male 106.3
GTEX-XUW1-1026-SM-4BONY 50-59 years, female 106.3
GTEX-183FY-0626-SM-79OKR 20-29 years, male 106.2
GTEX-ZQUD-0126-SM-7EPIS 30-39 years, male 106.2
GTEX-139T6-0326-SM-5J2LY 50-59 years, male 106.1
GTEX-14JG6-1326-SM-9OSXU 30-39 years, female 106.1
GTEX-1S83E-0726-SM-EV7B6 40-49 years, male 106.1
GTEX-1C6VQ-0526-SM-7MGWD 50-59 years, male 106.0
GTEX-131XH-0526-SM-5DUX7 50-59 years, male 105.8
GTEX-14DAQ-0826-SM-73KWT 60-69 years, female 105.8
GTEX-169BO-0326-SM-7EPIM 50-59 years, male 105.8
GTEX-YB5K-0526-SM-5LUAS 40-49 years, female 105.7
GTEX-13OW6-0726-SM-5L3FX 50-59 years, male 105.6
GTEX-1J8QM-0726-SM-CE6RF 60-69 years, female 105.6
GTEX-12WSL-0626-SM-5GCOY 50-59 years, male 105.4
GTEX-13O21-2226-SM-5MR3L 50-59 years, male 105.4
GTEX-17MF6-0626-SM-7LT8D 40-49 years, male 105.4
GTEX-1IDJH-0826-SM-CE6SY 70-79 years, male 105.0
GTEX-11LCK-0526-SM-5A5M9 30-39 years, male 104.9
GTEX-1F5PL-0826-SM-7MXU7 40-49 years, female 104.8
GTEX-1OJC4-0526-SM-E6CQV 50-59 years, female 104.8
GTEX-131XF-1826-SM-5EGKG 60-69 years, male 104.7
GTEX-1R9JW-0226-SM-EVR4K 30-39 years, female 104.6
GTEX-1QP6S-2526-SM-DTX9Z 40-49 years, male 104.5
GTEX-1JMPZ-0626-SM-CY8HY 30-39 years, male 104.2
GTEX-13VXT-0626-SM-5SIA1 20-29 years, female 104.1
GTEX-14BMU-0226-SM-5S2QA 20-29 years, female 104.1
GTEX-1LGOU-0126-SM-EV79W 20-29 years, female 104.1
GTEX-SUCS-0226-SM-32PLQ 70-79 years, male 103.9
GTEX-1I1GQ-0826-SM-CNNQR 50-59 years, male 103.9
GTEX-WOFL-0726-SM-3MJG4 60-69 years, male 103.8
GTEX-U3ZN-0326-SM-3DB86 30-39 years, female 103.7
GTEX-1B97J-0626-SM-7P8RU 50-59 years, female 103.7
GTEX-1HBPI-0826-SM-9WYTX 50-59 years, male 103.7
GTEX-1C2JI-0326-SM-7EWFD 50-59 years, male 103.6
GTEX-16XZY-0726-SM-79OMU 70-79 years, male 103.5
GTEX-SE5C-0726-SM-4BRWY 40-49 years, female 103.5
GTEX-Y9LG-0426-SM-4VBRT 30-39 years, male 103.4
GTEX-1MA7X-0926-SM-DIPEJ 60-69 years, male 103.4
GTEX-1PBJI-0726-SM-EXUSQ 20-29 years, female 103.4
GTEX-1128S-0126-SM-5H12S 60-69 years, female 103.3
GTEX-13G51-1226-SM-5K7Z3 60-69 years, male 103.3
GTEX-1LB8K-0626-SM-D4P3Z 50-59 years, male 103.2
GTEX-13O3O-0926-SM-5KM1F 60-69 years, female 103.1
GTEX-11OF3-0626-SM-5BC4Y 60-69 years, male 103.0
GTEX-1AYCT-0226-SM-73KVB 50-59 years, male 102.9
GTEX-15SB6-1526-SM-7KUMQ 50-59 years, female 102.7
GTEX-11GS4-0826-SM-5986J 60-69 years, male 102.6
GTEX-ZTSS-0226-SM-59877 40-49 years, male 102.6
GTEX-17HHY-0826-SM-7EPID 50-59 years, male 102.4
GTEX-18A7A-0826-SM-7KFTJ 50-59 years, female 102.4
GTEX-1AMEY-0126-SM-73KTX 30-39 years, female 102.4
GTEX-11I78-0526-SM-5986A 50-59 years, female 102.3
GTEX-X15G-0526-SM-3NMB7 50-59 years, female 102.3
GTEX-ZVP2-0426-SM-57WC2 50-59 years, male 102.3
GTEX-13CF3-0926-SM-5LZZC 60-69 years, female 102.2
GTEX-18465-1426-SM-7KFTF 50-59 years, male 102.2
GTEX-14BMV-0726-SM-73KVE 50-59 years, male 101.9
GTEX-P4PQ-2626-SM-33HC9 60-69 years, male 101.9
GTEX-Y114-0626-SM-4TT98 50-59 years, female 101.9
GTEX-S7SF-0226-SM-5SI7H 20-29 years, female 101.8
GTEX-1HCU9-0226-SM-9WPNT 20-29 years, male 101.8
GTEX-1PPH8-0926-SM-DTX9U 20-29 years, male 101.8
GTEX-1GZ2Q-0826-SM-7P8TK 40-49 years, male 101.7
GTEX-Q2AI-0326-SM-2I3EK 40-49 years, male 101.4
GTEX-1H1E6-0326-SM-9OSWE 30-39 years, male 101.4
GTEX-1211K-0726-SM-5FQUW 60-69 years, female 101.0
GTEX-18D9U-1026-SM-72D5R 40-49 years, male 101.0
GTEX-ZYW4-1126-SM-5SI99 60-69 years, male 100.9
GTEX-1GPI7-0726-SM-9WG84 20-29 years, male 100.7
GTEX-14ICL-0426-SM-5RQJ3 30-39 years, male 100.6
GTEX-T6MO-0226-SM-32QOL 40-49 years, female 100.6
GTEX-QV44-0826-SM-2S1RG 50-59 years, male 100.5
GTEX-11P81-0126-SM-5HL5Y 30-39 years, female 100.4
GTEX-15SHV-0426-SM-6M476 60-69 years, male 100.4
GTEX-1IDJC-1026-SM-A96T2 50-59 years, male 100.4
GTEX-18D9A-0126-SM-7KFSI 30-39 years, female 100.2
GTEX-14PJO-0626-SM-6LLHH 60-69 years, male 100.1
GTEX-WH7G-0526-SM-3NMBI 40-49 years, male 99.8
GTEX-SJXC-0726-SM-2XCFJ 60-69 years, male 99.7
GTEX-WVLH-0626-SM-3MJG7 50-59 years, male 99.7
GTEX-1HCUA-0126-SM-B2LWC 50-59 years, female 99.7
GTEX-1QMI2-0826-SM-EXUT4 60-69 years, male 99.7
GTEX-117XS-0526-SM-5987Q 60-69 years, male 99.5
GTEX-1MJK3-0326-SM-DTX96 20-29 years, male 99.5
GTEX-Z93S-0526-SM-EVYB4 50-59 years, male 99.5
GTEX-13FHP-0926-SM-5L3EC 50-59 years, male 99.4
GTEX-14PKV-0626-SM-6AJA2 20-29 years, female 99.4
GTEX-1H1DE-0226-SM-ARZN8 20-29 years, male 99.3
GTEX-NFK9-0726-SM-2HMJW 40-49 years, male 99.1
GTEX-1HCVE-0726-SM-A96SH 50-59 years, male 98.8
GTEX-1399T-0126-SM-5KM15 60-69 years, male 98.7
GTEX-13FHO-0926-SM-5N9EW 60-69 years, male 98.6
GTEX-OXRK-0626-SM-2HMJ5 50-59 years, female 98.2
GTEX-ZYT6-0426-SM-5GID3 30-39 years, male 98.2
GTEX-S32W-0726-SM-2XCBL 50-59 years, female 98.1
GTEX-ZPU1-0426-SM-4WWCA 40-49 years, male 98.1
GTEX-1ICG6-0426-SM-ARU7M 70-79 years, female 98.1
GTEX-11VI4-0226-SM-5GU6C 40-49 years, female 97.9
GTEX-ZQG8-0926-SM-57WFF 60-69 years, female 97.7
GTEX-11EQ9-0626-SM-5A5K1 30-39 years, male 97.6
GTEX-PWN1-2626-SM-2I3FH 40-49 years, female 97.6
GTEX-13YAN-0926-SM-5O9C3 60-69 years, male 97.5
GTEX-WXYG-0226-SM-3NB2Y 50-59 years, female 97.5
GTEX-1IY9M-1026-SM-A96TG 60-69 years, male 97.5
GTEX-11ZVC-0126-SM-5986G 50-59 years, female 97.3
GTEX-13O1R-0826-SM-5J2MB 60-69 years, male 97.1
GTEX-WHSE-0626-SM-4RGNF 20-29 years, male 97.0
GTEX-1EWIQ-0826-SM-7MXTH 70-79 years, female 97.0
GTEX-11P7K-0226-SM-5986Z 30-39 years, male 96.8
GTEX-17HGU-0826-SM-7EWE5 50-59 years, male 96.7
GTEX-1HBPH-0926-SM-A9SME 40-49 years, female 96.6
GTEX-ZAK1-0726-SM-5HL8Q 50-59 years, female 96.5
GTEX-1CB4F-0826-SM-793CV 60-69 years, male 96.4
GTEX-1JMQK-2126-SM-CY8I2 60-69 years, male 96.4
GTEX-14E7W-0926-SM-5YYA4 70-79 years, male 96.3
GTEX-T2IS-0626-SM-32QP6 20-29 years, female 96.2
GTEX-15SHU-0726-SM-7KUFI 40-49 years, female 96.1
GTEX-17KNJ-1026-SM-79ONK 50-59 years, male 96.0
GTEX-1GN1U-0826-SM-9WPPX 50-59 years, female 96.0
GTEX-15FZZ-0226-SM-6LLI4 30-39 years, female 95.8
GTEX-Y3IK-0526-SM-4WWE3 50-59 years, female 95.8
GTEX-15D1Q-0626-SM-6AJAZ 40-49 years, male 95.6
GTEX-XBEW-0126-SM-4AT66 40-49 years, male 95.5
GTEX-TMMY-0826-SM-33HB9 40-49 years, female 95.4
GTEX-1J8JJ-0726-SM-AHZ3E 60-69 years, female 95.4
GTEX-1NUQO-0926-SM-DTXEX 20-29 years, female 95.4
GTEX-1CAMS-0826-SM-7P8P1 40-49 years, female 95.3
GTEX-15CHR-1726-SM-7DUGW 50-59 years, male 95.2
GTEX-1EMGI-0826-SM-7EPHY 60-69 years, male 95.2
GTEX-ZLV1-0126-SM-4WWBZ 60-69 years, female 95.2
GTEX-1I1GT-0826-SM-B2LWO 60-69 years, female 94.9
GTEX-1AX9I-0626-SM-72D54 60-69 years, male 94.8
GTEX-1HBPM-0926-SM-ARL9C 60-69 years, female 94.8
GTEX-13PVR-0626-SM-5S2RC 60-69 years, female 94.7
GTEX-RUSQ-1026-SM-2TF6V 50-59 years, male 94.7
GTEX-XBED-0126-SM-47JY7 60-69 years, male 94.6
GTEX-1LBAC-0726-SM-D3L9U 20-29 years, male 94.5
GTEX-1B932-0926-SM-73KUP 40-49 years, female 94.2
GTEX-WYVS-0326-SM-3NM9V 40-49 years, female 94.2
GTEX-1HSEH-0826-SM-B2LXE 60-69 years, male 94.0
GTEX-13JVG-0926-SM-5IJE1 60-69 years, male 93.9
GTEX-1HSGN-0726-SM-A9G2F 40-49 years, female 93.8
GTEX-WYJK-1626-SM-3NM9J 50-59 years, male 93.7
GTEX-13NZ9-1126-SM-5MR37 50-59 years, male 93.4
GTEX-1JKYR-0826-SM-ARU8L 20-29 years, male 93.3
GTEX-1PWST-0726-SM-EWRMO 70-79 years, male 93.3
GTEX-16NGA-0326-SM-718AJ 40-49 years, female 93.2
GTEX-1B8L1-1626-SM-7IGMH 60-69 years, male 93.1
GTEX-1R9K5-0726-SM-EAZ4E 50-59 years, male 93.1
GTEX-P4QT-2626-SM-2I3FM 50-59 years, female 93.0
GTEX-1QCLZ-0626-SM-E6CR2 60-69 years, female 92.9
GTEX-1HKZK-0826-SM-A9G2C 40-49 years, male 92.6
GTEX-1EKGG-0726-SM-7IGPX 60-69 years, male 92.5
GTEX-ZUA1-0926-SM-4YCDX 40-49 years, male 92.4
GTEX-1JJEA-0626-SM-D3L96 60-69 years, male 92.3
GTEX-14A5H-0726-SM-5Q5DW 60-69 years, male 92.2
GTEX-14AS3-0226-SM-5Q5B6 40-49 years, female 92.2
GTEX-17EVP-0126-SM-7EPHW 40-49 years, male 92.2
GTEX-132NY-1026-SM-5P9IY 60-69 years, male 92.1
GTEX-12WSD-0926-SM-5GCNL 60-69 years, female 92.0
GTEX-17HHE-0426-SM-79OK3 50-59 years, male 92.0
GTEX-17JCI-0626-SM-7IGM7 60-69 years, female 92.0
GTEX-1A8FM-0726-SM-7DUGK 50-59 years, female 91.9
GTEX-R53T-0526-SM-3GADL 50-59 years, female 91.9
GTEX-12WSN-0726-SM-5GCMS 40-49 years, male 91.8
GTEX-ZYVF-1126-SM-5E458 50-59 years, female 91.7
GTEX-17F9E-0626-SM-79ON5 50-59 years, male 91.6
GTEX-13OVG-0226-SM-5LU93 60-69 years, male 91.5
GTEX-145LT-0226-SM-5S2QK 40-49 years, male 91.5
GTEX-1477Z-0226-SM-5TDCI 60-69 years, male 91.3
GTEX-1LH75-0626-SM-DIPG3 50-59 years, female 91.3
GTEX-14A6H-2426-SM-5Q5BO 30-39 years, male 91.0
GTEX-1HFI6-1326-SM-A9SL8 40-49 years, male 91.0
GTEX-1A8G6-0626-SM-7IGNB 60-69 years, male 90.9
GTEX-ZZPU-1326-SM-5GZWS 50-59 years, female 90.9
GTEX-1IL2V-0626-SM-ARU7S 70-79 years, male 90.9
GTEX-1C64N-1026-SM-79ONM 50-59 years, male 90.8
GTEX-1H11D-0626-SM-9WPQ1 40-49 years, male 90.8
GTEX-13OW7-0826-SM-5L3EL 50-59 years, male 90.7
GTEX-X5EB-0726-SM-46MVR 40-49 years, male 90.4
GTEX-1AMFI-0526-SM-7189M 50-59 years, female 90.3
GTEX-Y8E4-0126-SM-4VBQ2 40-49 years, male 90.3
GTEX-1HC8U-1226-SM-9WYUW 40-49 years, female 90.2
GTEX-1KD4Q-1026-SM-CXZKJ 40-49 years, male 90.2
GTEX-15RJE-1326-SM-6LPI6 40-49 years, male 90.1
GTEX-1C6VS-0826-SM-7EWEI 60-69 years, male 90.1
GTEX-1212Z-0426-SM-5FQT6 60-69 years, male 90.0
GTEX-1HGF4-0726-SM-9WYU9 60-69 years, male 90.0
GTEX-1IKOE-0926-SM-ARU7X 30-39 years, female 89.8
GTEX-17F96-0526-SM-79OLE 70-79 years, male 89.7
GTEX-RM2N-0526-SM-2TF4N 50-59 years, male 89.6
GTEX-1192W-0126-SM-5EGGS 60-69 years, male 89.5
GTEX-S7SE-0726-SM-2XCD7 50-59 years, male 89.4
GTEX-1F88F-0726-SM-7P8R7 60-69 years, female 89.4
GTEX-13FTY-0726-SM-5J2OH 40-49 years, female 89.3
GTEX-RWS6-0626-SM-2XCAS 60-69 years, female 89.3
GTEX-T5JW-1226-SM-3GACY 20-29 years, female 89.3
GTEX-111VG-0526-SM-5N9BW 60-69 years, male 89.2
GTEX-1GF9V-0926-SM-9KNW7 60-69 years, male 89.1
GTEX-1GZHY-1426-SM-9WG5H 50-59 years, female 89.1
GTEX-XXEK-1326-SM-4BRV1 50-59 years, male 89.0
GTEX-Y5V5-0326-SM-5RQJG 60-69 years, female 89.0
GTEX-QEL4-0726-SM-3GIJ5 50-59 years, male 88.9
GTEX-U8T8-2326-SM-3DB96 60-69 years, male 88.9
GTEX-1JN6P-0626-SM-ARZN6 60-69 years, male 88.8
GTEX-1B8SG-1126-SM-7IGMT 50-59 years, male 88.6
GTEX-OHPK-2626-SM-2HMK9 50-59 years, female 88.5
GTEX-1H1ZS-0726-SM-A9G3K 70-79 years, male 88.4
GTEX-1F48J-0926-SM-7P8PZ 50-59 years, female 88.2
GTEX-11UD2-0626-SM-5GU6L 50-59 years, male 88.1
GTEX-OOBJ-2626-SM-2I3F6 60-69 years, male 87.9
GTEX-W5X1-0426-SM-3GILB 40-49 years, female 87.9
GTEX-14PJM-1326-SM-664NX 50-59 years, female 87.8
GTEX-WY7C-0226-SM-3NB37 50-59 years, male 87.8
GTEX-178AV-0726-SM-6LPJI 40-49 years, male 87.6
GTEX-1RAZQ-0926-SM-EAZ4Q 30-39 years, male 87.6
GTEX-1EN7A-1026-SM-7IGPZ 40-49 years, male 87.5
GTEX-1JMLX-0826-SM-CNNPP 50-59 years, male 87.4
GTEX-12WSK-0926-SM-5CVNQ 40-49 years, female 87.2
GTEX-R55E-0826-SM-2TC5M 20-29 years, male 87.2
GTEX-ZLFU-0626-SM-4WWBO 40-49 years, male 87.2
GTEX-QLQ7-0726-SM-2I5G2 60-69 years, male 87.1
GTEX-UJMC-0326-SM-3GAE2 50-59 years, male 87.0
GTEX-1IE54-0926-SM-A9G2Y 40-49 years, female 87.0
GTEX-1AX8Z-0826-SM-7DUFZ 60-69 years, male 86.8
GTEX-WL46-0126-SM-3TW8I 50-59 years, male 86.8
GTEX-1E1VI-0726-SM-7P8QJ 50-59 years, male 86.8
GTEX-1GMRU-1126-SM-9KNV1 50-59 years, male 86.8
GTEX-1HSMO-0726-SM-A96TM 60-69 years, male 86.4
GTEX-12ZZX-1226-SM-5EGHS 40-49 years, female 86.3
GTEX-1GF9U-0226-SM-7P8TY 40-49 years, female 86.3
GTEX-WFJO-0226-SM-3GIKW 30-39 years, male 86.2
GTEX-1HCU7-0826-SM-B2LX7 50-59 years, male 86.2
GTEX-11NSD-0126-SM-5987F 20-29 years, male 86.0
GTEX-11TUW-0226-SM-5LU8X 60-69 years, male 86.0
GTEX-1CB4G-1526-SM-7P8QG 60-69 years, male 86.0
GTEX-1GTWX-0726-SM-9WPPA 60-69 years, male 86.0
GTEX-R55C-0626-SM-2TF4Q 40-49 years, male 85.9
GTEX-11DXZ-0926-SM-5N9CG 50-59 years, male 85.8
GTEX-11ZTS-1126-SM-5LU9X 60-69 years, female 85.8
GTEX-1GF9X-0126-SM-A9G38 40-49 years, female 85.7
GTEX-1IL2U-0826-SM-CL53Q 60-69 years, male 85.7
GTEX-OHPL-2626-SM-2HMJA 60-69 years, female 85.6
GTEX-X4LF-0426-SM-3NMB5 50-59 years, male 85.4
GTEX-17HG3-0226-SM-7EWEA 30-39 years, female 85.2
GTEX-1H1CY-0726-SM-9OSXX 60-69 years, female 85.2
GTEX-QDVN-0626-SM-2I3FP 50-59 years, male 84.9
GTEX-P78B-0526-SM-2I5F7 40-49 years, female 84.8
GTEX-Q2AH-0726-SM-2I3EA 40-49 years, male 84.8
GTEX-ZDXO-1726-SM-5HL6L 60-69 years, male 84.8
GTEX-1AX9J-2126-SM-731DD 60-69 years, male 84.6
GTEX-1GZ4I-0626-SM-9WPPN 50-59 years, male 84.6
GTEX-XOT4-1526-SM-EAZ2W 60-69 years, female 84.2
GTEX-TSE9-0626-SM-3DB8B 60-69 years, female 83.8
GTEX-OIZI-0726-SM-2XCEI 40-49 years, male 83.7
GTEX-X4XY-0826-SM-4E3JM 60-69 years, male 83.6
GTEX-U4B1-0626-SM-3DB8L 40-49 years, male 83.5
GTEX-1J1OQ-0526-SM-A9G2P 40-49 years, female 83.3
GTEX-1QW4Y-0226-SM-EAZ3U 30-39 years, male 83.3
GTEX-139UW-0126-SM-5KM1B 60-69 years, male 83.2
GTEX-13113-0126-SM-5LZVX 60-69 years, female 83.1
GTEX-13PVQ-0726-SM-5L3GI 50-59 years, male 83.0
GTEX-12WSG-0226-SM-5EGIF 50-59 years, female 82.9
GTEX-13X6H-0526-SM-5LU4Q 50-59 years, female 82.9
GTEX-1A8G7-1026-SM-73KVA 60-69 years, male 82.9
GTEX-1I1GR-1126-SM-A9G2I 60-69 years, male 82.9
GTEX-RWSA-0826-SM-2XCBF 40-49 years, male 82.7
GTEX-11NUK-1026-SM-5HL5J 50-59 years, male 82.5
GTEX-QDT8-1226-SM-EVR35 30-39 years, female 82.4
GTEX-14E6C-2626-SM-5RQJP 40-49 years, male 82.2
GTEX-12584-0826-SM-5FQSK 40-49 years, male 82.1
GTEX-16Z82-0426-SM-7EPGX 60-69 years, male 82.0
GTEX-Q734-0526-SM-2I3EH 40-49 years, female 81.9
GTEX-1C475-0226-SM-7MGXM 40-49 years, female 81.9
GTEX-13112-0326-SM-5P9IW 50-59 years, male 81.7
GTEX-RU1J-0226-SM-2TF5Y 20-29 years, female 81.6
GTEX-T6MN-0626-SM-32PM9 50-59 years, male 81.6
GTEX-18QFQ-0726-SM-7LG6D 30-39 years, male 81.4
GTEX-144GL-1226-SM-5O9A4 50-59 years, male 81.2
GTEX-ZDYS-0626-SM-5J2N5 50-59 years, male 81.1
GTEX-13QJC-0826-SM-5RQKC 60-69 years, female 80.9
GTEX-148VI-0526-SM-5TDDG 60-69 years, female 80.5
GTEX-13FLV-0226-SM-5J2OF 50-59 years, male 80.4
GTEX-Q2AG-0826-SM-2HMKF 40-49 years, female 80.4
GTEX-11NV4-0626-SM-5N9BR 60-69 years, male 80.3
GTEX-15ER7-0726-SM-7KUMF 20-29 years, female 80.3
GTEX-PWCY-2326-SM-2I3EQ 20-29 years, female 80.1
GTEX-ZC5H-0626-SM-5LU9K 40-49 years, female 80.0
GTEX-YFC4-2626-SM-5P9FQ 40-49 years, female 79.9
GTEX-131YS-0726-SM-5P9G9 60-69 years, female 79.7
GTEX-1IKJJ-1026-SM-A96SQ 60-69 years, male 79.5
GTEX-1BAJH-0926-SM-79OO6 70-79 years, male 79.4
GTEX-1HR9M-0626-SM-A96S6 60-69 years, male 79.4
GTEX-1GL5R-0626-SM-7PBZY 50-59 years, male 79.1
GTEX-117YW-0126-SM-5EGGN 50-59 years, male 78.3
GTEX-1I6K7-1126-SM-A96SW 40-49 years, male 78.3
GTEX-1CAMQ-1126-SM-7EWFE 40-49 years, male 78.1
GTEX-WRHU-0926-SM-4E3IG 50-59 years, female 78.0
GTEX-14BIN-0126-SM-5TDCG 50-59 years, female 77.6
GTEX-16MT8-0626-SM-6M47Q 60-69 years, female 77.6
GTEX-X4XX-0926-SM-46MV7 60-69 years, male 77.4
GTEX-16YQH-0326-SM-6LPJV 30-39 years, male 77.3
GTEX-13N1W-0826-SM-5MR5J 70-79 years, male 76.9
GTEX-POYW-0826-SM-2XCEM 60-69 years, male 76.2
GTEX-SNOS-0226-SM-32PLR 40-49 years, male 75.9
GTEX-ZAB5-0726-SM-5P9JG 50-59 years, male 75.9
GTEX-148VJ-0726-SM-5LU8J 70-79 years, male 75.8
GTEX-1I6K6-0726-SM-B2LX4 30-39 years, male 75.2
GTEX-1GMR3-0726-SM-9WPOF 40-49 years, male 75.1
GTEX-113JC-0126-SM-5EGJW 50-59 years, female 74.9
GTEX-V1D1-0926-SM-4JBHQ 50-59 years, male 74.7
GTEX-14753-0926-SM-5Q5BI 60-69 years, male 74.4
GTEX-PX3G-2626-SM-2I3EG 20-29 years, female 74.2
GTEX-RN64-0626-SM-2TC5V 50-59 years, male 73.8
GTEX-1HSKV-1026-SM-B2LWK 60-69 years, male 73.8
GTEX-13U4I-0526-SM-5LU59 40-49 years, female 73.4
GTEX-OXRL-2626-SM-2I3F1 50-59 years, male 71.7
GTEX-REY6-0526-SM-2TF5M 60-69 years, male 71.4
GTEX-RTLS-0626-SM-5SI7Z 60-69 years, female 71.2
GTEX-R55G-0726-SM-2TC6J 40-49 years, female 70.5
GTEX-1EH9U-0926-SM-7EWF1 60-69 years, male 70.4
GTEX-QXCU-0326-SM-2TC63 50-59 years, male 70.2
GTEX-RU72-0126-SM-2TF6Z 50-59 years, female 70.2
GTEX-SIU8-0626-SM-2XCDN 50-59 years, male 70.1
GTEX-1GN73-0826-SM-9OSW4 60-69 years, male 69.6
GTEX-ZVT3-0726-SM-5GICN 60-69 years, female 68.9
GTEX-17EVQ-0526-SM-7KFSK 70-79 years, male 67.9
GTEX-ZVZQ-0626-SM-59HJU 60-69 years, female 67.2
GTEX-1J8EW-1126-SM-A96T8 60-69 years, female 67.0
GTEX-1GN2E-0826-SM-9WYT8 60-69 years, male 63.9
GTEX-11XUK-0226-SM-5EQLW 40-49 years, female 62.3
GTEX-X8HC-0726-SM-46MWG 50-59 years, female 60.9
GTEX-RNOR-0926-SM-2TF56 50-59 years, female 57.9
Show allShow less

THYROID GLAND - FANTOM5 CAGEi

RNA expression in human tissues obtained through Cap Analysis of Gene Expression (CAGE) generated by the FANTOM5 project are reported as Scaled Tags Per Million.

Max subtype Scaled Tags Per Millioni

Max subtype Scaled Tags Per Million is the value for the subtype with the largest average Scaled Tags Per Million across the subtype samples.

49.5
FANTOM5 sample id Sample description Scaled Tags Per Million
Thyroid
Scaled Tags Per Million: 49.5
FF:10028-101E1 67,68,78 years, mixed 49.5

Contact

  • NEWS ARTICLES
  • PRESS ROOM

The Project

  • INTRODUCTION
  • ORGANIZATION
  • PUBLICATIONS

The Human Protein Atlas

  • DOWNLOADABLE DATA
  • LICENCE & CITATION
  • HELP & FAQ
The Human Protein Atlas project is funded
by the Knut & Alice Wallenberg Foundation.


contact@proteinatlas.org