We use cookies to enhance the usability of our website. If you continue, we'll assume that you are happy to receive all cookies. More information. Don't show this again.
MICAL3
HPA
RESOURCES
  • TISSUE
  • BRAIN
  • SINGLE CELL
  • SUBCELLULAR
  • CANCER
  • BLOOD
  • CELL LINE
  • STRUCTURE & INTERACTION
ABOUT
  • INTRODUCTION
  • HISTORY
  • ORGANIZATION
  • PUBLICATIONS
  • ANTIBODY SUBMISSION
  • ANTIBODY AVAILABILITY
  • ACKNOWLEDGMENTS
  • CONTACT
NEWS
  • NEWS ARTICLES
  • PRESS ROOM
LEARN
  • DICTIONARY
  • PROTEIN CLASSES
  • PROTEIN EVIDENCE
  • METHODS
  • EDUCATIONAL VIDEOS
DATA
  • DOWNLOADABLE DATA
  • PUBLICATION DATA
  • RELEASE HISTORY
HELP
  • ANTIBODY VALIDATION
  • ASSAYS & ANNOTATION
  • DISCLAIMER
  • HELP & FAQ
  • PRIVACY STATEMENT
  • LICENCE & CITATION
Fields »
Search result

Field
Term
Gene name
Class
Subclass
Class
Keyword
Chromosome
External id
Tissue
Cell type
Expression
Antibody panel
Tissue
Main location
Patient ID
Annotation
Tissue
Category
Tau score
Cluster
Reliability
Brain region
Category
Tau score
Brain region
Category
Tau score
Brain region
Category
Tau score
Cluster
Reliability
Tissue
Cell type
Enrichment
Cell type
Category
Tau score
Cell type
Category
Tau score
Cell type
Category
Tau score
Cell lineage
Category
Tau score
Cluster
Cluster
Location
Searches
Location
Cell line
Class
Type
Phase
Reliability
Cancer
Prognosis
Cancer
Category
Cancer
Category
Tau score
Cluster
Variants
Interacting gene (ensg_id)
Type
Number of interactions
Pathway
Category
Score
Score
Score
Validation
Validation
Validation
Validation
Antibodies
Data type
Column


  • SUMMARY

  • TISSUE

  • BRAIN

  • SINGLE CELL

  • SUBCELL

  • CANCER

  • BLOOD

  • CELL LINE

  • STRUCT & INT

  • MICAL3
TISSUE PRIMARY DATA STOMACH Show tissue menu
ADIPOSE TISSUE ADRENAL GLAND AMYGDALA APPENDIX BASAL GANGLIA BONE MARROW BREAST BRONCHUS CEREBELLUM CEREBRAL CORTEX CERVIX CHOROID PLEXUS COLON DUODENUM
ENDOMETRIUM EPIDIDYMIS ESOPHAGUS FALLOPIAN TUBE GALLBLADDER HEART MUSCLE HIPPOCAMPAL FORMATION HYPOTHALAMUS KIDNEY LIVER LUNG LYMPH NODE MIDBRAIN NASOPHARYNX
ORAL MUCOSA OVARY PANCREAS PARATHYROID GLAND PITUITARY GLAND PLACENTA PROSTATE RECTUM RETINA SALIVARY GLAND SEMINAL VESICLE SKELETAL MUSCLE SKIN SMALL INTESTINE
SMOOTH MUSCLE SOFT TISSUE SPINAL CORD SPLEEN STOMACH TESTIS THYMUS THYROID GLAND TONGUE TONSIL URINARY BLADDER VAGINA
ANTIBODIES
AND
VALIDATION
Dictionary
Tissue proteome
Stomach
STOMACH - Expression summary
Protein expression
Stomachi

On the top, protein expression in current human tissue, based on all annotated cell types, is reported with the units not detected (n), low (l), medium (m) and high (h). Underneath, protein expression in each annotated cell type are reported using the same units.

Protein expression data is based on knowledge-based annotation. For genes where more than one antibody has been used, a collective score is set.

If knowledge-based annotation could not be performed for a gene, no data is displayed here. View antibody staining data further down this page.

h
m
l
n
Glandular cells: Not detected
RNA expressioni

A summary of mRNA expression data available for current tissue based on several datasets. The mRNA expression levels in human tissues are based on RNA-seq data generated by the Human Protein Atlas (HPA), Genotype-Tissue Expression (GTEx) portal and CAGE data generated by the FANTOM5 consortium. Consensus normalized expression levels for human tissues was created by combining the data from HPA and GTEx datasets.

The mRNA expression levels in pig are based on RNA-seq data generated by the Human Protein Atlas (HPA), and for mouse, HPA data and in situ hybridization generated by the Allen brain atlas are reported.

Scroll down to view mRNA expression data in more detail.
Consensus:10.3 nTPM
HPA:8.5 nTPM
GTEx:10.3 nTPM

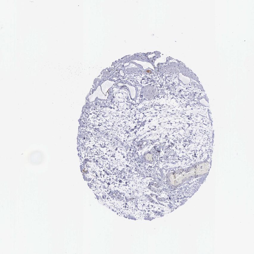
STOMACH 1 - Antibody stainingi

Antibody staining in the annotated cell types in the current human tissue is reported as not detected, low, medium, or high, based on conventional immunohistochemistry profiling in selected tissues. This score is based on the combination of the staining intensity and fraction of stained cells.

Each image is clickable and will lead to virtual microscopy that enables deeper exploration of all samples and also displays staining intensity scores, fraction scores and subcellular localization as well as patient and tissue information for each sample.

Antibody HPA000639
Glandular cells Not detected


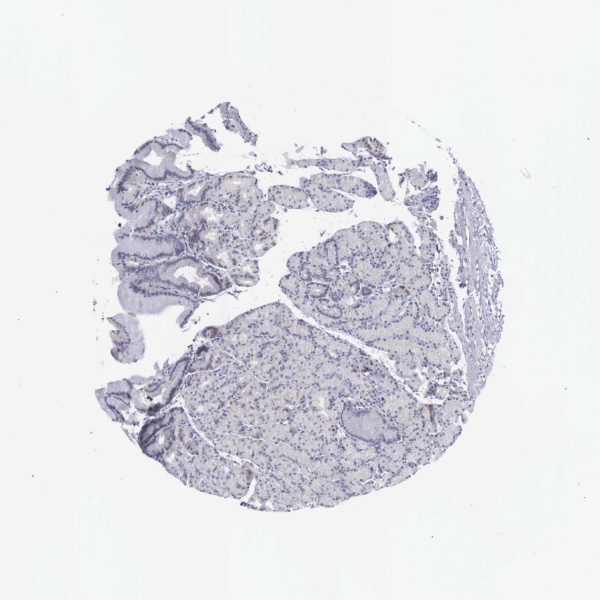
STOMACH 2 - Antibody stainingi

Antibody staining in the annotated cell types in the current human tissue is reported as not detected, low, medium, or high, based on conventional immunohistochemistry profiling in selected tissues. This score is based on the combination of the staining intensity and fraction of stained cells.

Each image is clickable and will lead to virtual microscopy that enables deeper exploration of all samples and also displays staining intensity scores, fraction scores and subcellular localization as well as patient and tissue information for each sample.

Antibody HPA000639
Glandular cells Not detected



STOMACH - HPA RNA-seqi

The RNA-seq details section shows detailed information about the individual samples used for the transcript profiling and results of the RNA-seq analysis.

Information about each individual sample is listed below, including gender, age, a tissue section image and estimated fractions of cell types. nTPM (normalized transcripts per million) values give a quantification of the gene abundance which is comparable between different genes and samples.
Average nTPMi

Max subtype nTPM is the value for the subtype with the largest average nTPM across the subtype samples.

8.5
overview
Female, age 33
Stomach sample 61
nTPM: 9.1
Cell types%
Glandular cells:
60

Smooth muscle cells:
5

Other cell types:
35

N/A
Male, age 82
Stomach sample 240
nTPM: 12.4
Cell types%
Glandular cells:
65

Smooth muscle cells:
5

Other cell types:
30

overview
Male, age 71
Stomach sample 241
nTPM: 5.7
Cell types%
Glandular cells:
50

Smooth muscle cells:
5

Other cell types:
45

overview
Female, age 66
Stomach sample 369
nTPM: 6.8
Cell types%
Glandular cells:
50

Smooth muscle cells:
10

Other cell types:
40


STOMACH - GTEx RNA-seqi

RNA-Seq data generated by the Genotype-Tissue Expression (GTEx) project from human tissues is reported as mean nTPM. More information can be found on the GTEx portal.

Distribution across the dataset is visualized with box plots, shown as median and 25th and 75th percentiles. Points are displayed as outliers if they are above or below 1.5 times the interquartile range. nTPM values of the individual samples are presented next to the box plot.
Max subtype nTPMi

Max subtype nTPM is the value for the subtype with the largest average nTPM across the subtype samples.

10.3
GTEx sample id Sample description nTPM
Stomach
Average nTPM: 10.3
Samples: 359

Max nTPM: 42.8
Min nTPM: 2.1
Std nTPM: 8.6
Median nTPM: 6.2
GTEX-WH7G-1526-SM-4LVMX 40-49 years, male 42.8
GTEX-PLZ6-0826-SM-3P61K 30-39 years, male 40.4
GTEX-RU1J-0526-SM-46MUT 20-29 years, female 40.1
GTEX-WZTO-2126-SM-4PQYW 40-49 years, male 37.0
GTEX-TKQ2-0926-SM-4DXU5 50-59 years, male 36.6
GTEX-1S82Z-1726-SM-E6CHZ 30-39 years, female 36.0
GTEX-11P7K-1726-SM-5GU6F 30-39 years, male 35.3
GTEX-1PIGE-1126-SM-EWRMV 20-29 years, male 35.1
GTEX-S4P3-0726-SM-4AD57 50-59 years, female 33.3
GTEX-17EUY-1526-SM-793CA 20-29 years, male 32.1
GTEX-13111-1226-SM-5GCNC 50-59 years, male 31.4
GTEX-11EQ9-1226-SM-5987E 30-39 years, male 31.3
GTEX-1H1DE-1226-SM-9JGHH 20-29 years, male 30.8
GTEX-P4QT-1526-SM-3NMCT 50-59 years, female 30.4
GTEX-11P82-0726-SM-5PNYL 20-29 years, male 30.1
GTEX-R55G-1126-SM-48FDG 40-49 years, female 29.6
GTEX-13N1W-2026-SM-5K7YU 70-79 years, male 29.1
GTEX-1HSMQ-2426-SM-CE6RY 50-59 years, male 28.7
GTEX-1GPI7-1326-SM-9KNVA 20-29 years, male 28.4
GTEX-1N2DV-0926-SM-E9TJT 40-49 years, male 28.3
GTEX-YEC3-1426-SM-D4P1S 50-59 years, male 28.2
GTEX-TKQ1-0526-SM-4DXTG 30-39 years, male 28.0
GTEX-1E2YA-2426-SM-7EPIG 50-59 years, male 27.9
GTEX-1B8L1-1526-SM-79OLK 60-69 years, male 27.7
GTEX-1LVAM-1426-SM-E9TJ4 50-59 years, female 27.7
GTEX-1QW4Y-0726-SM-DTX8E 30-39 years, male 27.5
GTEX-1C64O-2226-SM-73KTV 60-69 years, male 26.5
GTEX-17KNJ-1526-SM-7LTA9 50-59 years, male 26.2
GTEX-1KD5A-1426-SM-D4P3V 50-59 years, male 26.2
GTEX-1K2DA-0826-SM-CGQGD 50-59 years, male 26.1
GTEX-11VI4-0326-SM-5EQ6L 40-49 years, female 25.8
GTEX-13O3Q-2126-SM-5KM4C 50-59 years, male 25.7
GTEX-12WSJ-0926-SM-5P9JD 40-49 years, female 25.6
GTEX-T5JC-1926-SM-4DM6Q 20-29 years, male 25.5
GTEX-1JN76-0926-SM-ARZNH 20-29 years, female 25.5
GTEX-WFJO-1126-SM-4LVLZ 30-39 years, male 25.4
GTEX-UJHI-1026-SM-4IHJP 50-59 years, female 25.3
GTEX-ZTX8-0426-SM-59HLG 20-29 years, male 24.8
GTEX-OIZH-1526-SM-3NB1J 50-59 years, male 24.2
GTEX-1H3NZ-2226-SM-9WYUT 60-69 years, male 24.2
GTEX-XAJ8-0326-SM-47JYI 40-49 years, male 23.9
GTEX-R55D-1526-SM-48FEJ 50-59 years, male 23.8
GTEX-P4PQ-1526-SM-3NMCK 60-69 years, male 23.6
GTEX-131XE-2226-SM-5PNYX 50-59 years, male 23.1
GTEX-Y114-1226-SM-4TT88 50-59 years, female 23.0
GTEX-1JMPY-0926-SM-ARL92 30-39 years, male 22.6
GTEX-146FH-2126-SM-5SI9U 50-59 years, female 22.4
GTEX-12C56-0526-SM-5FQST 20-29 years, male 22.1
GTEX-146FR-2026-SM-5NQAI 60-69 years, female 22.0
GTEX-R55C-1026-SM-48FCM 40-49 years, male 21.4
GTEX-ZV6S-0926-SM-57WGB 40-49 years, female 21.4
GTEX-1339X-1426-SM-5K7YO 40-49 years, male 21.1
GTEX-XPVG-1526-SM-4B66C 50-59 years, male 21.0
GTEX-1QP28-2126-SM-DTX8B 50-59 years, female 20.3
GTEX-1CB4E-1326-SM-7DUGD 60-69 years, male 19.7
GTEX-1PPH8-1326-SM-DTXFO 20-29 years, male 19.7
GTEX-S4Z8-1226-SM-4AD6W 60-69 years, male 19.5
GTEX-1IL2V-2026-SM-ARZMA 70-79 years, male 19.4
GTEX-1IDJF-1426-SM-ACKWK 20-29 years, male 19.0
GTEX-14PHY-0926-SM-5ZZWL 60-69 years, female 18.9
GTEX-1399U-1626-SM-5P9J3 50-59 years, female 18.7
GTEX-1MCYP-1126-SM-E9J2P 20-29 years, female 18.7
GTEX-14PKU-1126-SM-69LOU 40-49 years, female 18.5
GTEX-RUSQ-1126-SM-EAZAU 50-59 years, male 18.5
GTEX-1HR9M-2326-SM-CNPPZ 60-69 years, male 18.2
GTEX-1211K-1426-SM-5FQTF 60-69 years, female 18.1
GTEX-1S3DN-1526-SM-EVYCB 50-59 years, male 18.0
GTEX-1AMEY-1226-SM-731DU 30-39 years, female 17.8
GTEX-15EU6-2526-SM-7KUGB 50-59 years, male 17.4
GTEX-1NSGN-1926-SM-E9J36 50-59 years, male 17.0
GTEX-S7SF-0626-SM-4AD4V 20-29 years, female 16.9
GTEX-14BMV-2226-SM-5RQHX 50-59 years, male 16.7
GTEX-14PN3-1326-SM-6AJ9U 60-69 years, female 16.5
GTEX-1HCUA-1626-SM-A9SMG 50-59 years, female 16.1
GTEX-11WQK-2626-SM-5EQ4K 50-59 years, male 16.0
GTEX-QXCU-1926-SM-48FE4 50-59 years, male 16.0
GTEX-14E1K-1526-SM-664MN 50-59 years, male 15.9
GTEX-16NGA-1526-SM-72D56 40-49 years, female 15.7
GTEX-1J8EW-2226-SM-AHZ3T 60-69 years, female 15.6
GTEX-117YW-2226-SM-5N9DB 50-59 years, male 15.3
GTEX-ZPIC-2026-SM-57WG3 40-49 years, female 15.3
GTEX-1H11D-2226-SM-9OSXN 40-49 years, male 15.3
GTEX-1RQEC-2126-SM-DPS15 60-69 years, male 15.3
GTEX-1S831-1126-SM-EWROI 20-29 years, male 15.3
GTEX-13O61-1126-SM-5L3FI 60-69 years, male 15.2
GTEX-1QP67-1026-SM-EVR47 40-49 years, female 15.2
GTEX-18D9B-2226-SM-718BM 60-69 years, male 15.1
GTEX-1L5NE-1526-SM-DIPFW 50-59 years, male 14.9
GTEX-15SHW-2126-SM-6M46Y 60-69 years, male 14.5
GTEX-Y8E4-1526-SM-4WWDI 40-49 years, male 14.3
GTEX-1HT8W-2326-SM-A9SLA 30-39 years, male 14.0
GTEX-17JCI-2226-SM-7LTA1 60-69 years, female 13.9
GTEX-QDT8-2026-SM-EZ6LS 30-39 years, female 13.7
GTEX-13OVI-2426-SM-5KM4J 60-69 years, female 13.6
GTEX-1AX9J-2626-SM-731EK 60-69 years, male 13.6
GTEX-1EH9U-2226-SM-7PBXX 60-69 years, male 13.5
GTEX-1LSNM-1026-SM-DHXL2 50-59 years, male 13.4
GTEX-14DAQ-2826-SM-664MU 60-69 years, female 13.3
GTEX-13X6H-1626-SM-5Q5CT 50-59 years, female 13.0
GTEX-1HSEH-1526-SM-B2LXG 60-69 years, male 13.0
GTEX-13QJ3-2726-SM-5SI6L 50-59 years, male 12.9
GTEX-ZYVF-2726-SM-5GID4 50-59 years, female 12.5
GTEX-1CB4H-2426-SM-7PBYR 60-69 years, female 12.5
GTEX-YJ8A-1526-SM-5P9FT 20-29 years, male 12.3
GTEX-O5YV-1926-SM-EV797 60-69 years, female 12.2
GTEX-139YR-1926-SM-5LZXM 50-59 years, male 11.7
GTEX-18A7A-2726-SM-7LG6U 50-59 years, female 11.7
GTEX-NFK9-1526-SM-3LK7B 40-49 years, male 11.7
GTEX-O5YW-1526-SM-3MJGL 50-59 years, male 11.7
GTEX-11EI6-2426-SM-5PNVS 60-69 years, male 11.1
GTEX-WYVS-1326-SM-4ONCQ 40-49 years, female 11.1
GTEX-XBEW-1826-SM-4RTWX 40-49 years, male 11.0
GTEX-ZZPU-1426-SM-5GZZ6 50-59 years, female 11.0
GTEX-SNOS-0826-SM-4DM5N 40-49 years, male 10.3
GTEX-132AR-2426-SM-5IFFD 50-59 years, female 10.2
GTEX-1JMLX-2426-SM-CXZJQ 50-59 years, male 10.2
GTEX-13QBU-1126-SM-5LU44 40-49 years, female 10.0
GTEX-139D8-2326-SM-5IFGE 30-39 years, female 9.9
GTEX-13RTK-0226-SM-5RQHR 20-29 years, male 9.9
GTEX-145LT-1426-SM-5O9B3 40-49 years, male 9.8
GTEX-1A3MX-1926-SM-72D7F 60-69 years, male 9.8
GTEX-1I1GT-1726-SM-C1YS3 60-69 years, female 9.7
GTEX-145MO-2226-SM-5Q5BN 60-69 years, male 9.6
GTEX-QMRM-1126-SM-447BN 50-59 years, male 9.3
GTEX-WEY5-1226-SM-4LMIQ 40-49 years, female 9.3
GTEX-131XF-1226-SM-5HL8V 60-69 years, male 9.2
GTEX-1A8G6-1426-SM-731EZ 60-69 years, male 9.1
GTEX-R53T-1226-SM-48FCT 50-59 years, female 9.1
GTEX-13S7M-1826-SM-5RQK6 60-69 years, female 9.0
GTEX-14JG6-1226-SM-664O6 30-39 years, female 9.0
GTEX-15G19-1526-SM-6LPKP 60-69 years, male 9.0
GTEX-13X6J-2126-SM-5TDCV 50-59 years, male 8.8
GTEX-12WSD-2326-SM-59HKQ 60-69 years, female 8.7
GTEX-UPK5-2126-SM-4JBJK 40-49 years, male 8.6
GTEX-15G1A-1226-SM-7KUF3 30-39 years, male 8.5
GTEX-18A66-2226-SM-7189E 60-69 years, male 8.5
GTEX-1F5PK-1826-SM-7RHHX 50-59 years, male 8.5
GTEX-1B8KE-1326-SM-73KVI 50-59 years, male 8.3
GTEX-ZVT3-2126-SM-59HL2 60-69 years, female 8.3
GTEX-1HBPI-0726-SM-9WG7Z 50-59 years, male 8.3
GTEX-1QCLZ-1826-SM-DPRXP 60-69 years, female 8.2
GTEX-PLZ5-1226-SM-EXOHA 50-59 years, male 8.2
GTEX-1A3MV-1226-SM-718BW 30-39 years, male 7.7
GTEX-ZEX8-1626-SM-4WKG7 50-59 years, male 7.7
GTEX-111YS-1126-SM-5GZYQ 60-69 years, male 7.6
GTEX-145ME-1026-SM-5O9B4 40-49 years, female 7.6
GTEX-RTLS-2626-SM-46MUJ 60-69 years, female 7.6
GTEX-X15G-1126-SM-4PQZG 50-59 years, female 7.6
GTEX-Q734-1026-SM-48U16 40-49 years, female 7.4
GTEX-1I4MK-0926-SM-A9SLD 50-59 years, female 7.4
GTEX-1IDJU-1526-SM-CNNR3 60-69 years, female 7.4
GTEX-1J8JJ-1726-SM-C1YQG 60-69 years, female 7.4
GTEX-1I1HK-2026-SM-CNNRB 60-69 years, male 7.3
GTEX-ZGAY-1626-SM-DNZZ3 40-49 years, female 7.2
GTEX-13FH7-1026-SM-5IJGF 50-59 years, female 7.1
GTEX-1GN1W-2126-SM-9JGI7 50-59 years, female 7.1
GTEX-WHWD-1426-SM-4OORU 50-59 years, male 6.9
GTEX-ZVZP-1726-SM-5GZWY 50-59 years, male 6.9
GTEX-1E1VI-2826-SM-7MGWU 50-59 years, male 6.9
GTEX-1H3VY-2326-SM-9WG81 50-59 years, male 6.9
GTEX-11NUK-2426-SM-5BC4U 50-59 years, male 6.8
GTEX-P78B-1826-SM-3P5YX 40-49 years, female 6.8
GTEX-1GMRU-2526-SM-9WG7T 50-59 years, male 6.8
GTEX-11TT1-0726-SM-5GU5A 20-29 years, male 6.6
GTEX-14DAR-0926-SM-73KUQ 50-59 years, male 6.6
GTEX-16AAH-1226-SM-79OO9 50-59 years, male 6.6
GTEX-1JN1M-2926-SM-CNNPJ 60-69 years, female 6.6
GTEX-XQ8I-2026-SM-4BOOL 50-59 years, male 6.5
GTEX-Y3I4-1626-SM-4TT7W 50-59 years, male 6.5
GTEX-1H23P-2726-SM-9JGHN 60-69 years, male 6.5
GTEX-1JMPZ-1826-SM-CXZJT 30-39 years, male 6.5
GTEX-XV7Q-1326-SM-4BRWM 40-49 years, female 6.4
GTEX-ZYY3-1726-SM-5EGH3 60-69 years, female 6.4
GTEX-1HCU8-1326-SM-C1YQQ 60-69 years, female 6.4
GTEX-WHPG-0426-SM-4M1XW 50-59 years, male 6.3
GTEX-1JMQJ-1326-SM-D4P3B 50-59 years, male 6.3
GTEX-15DZA-1126-SM-6LPK8 30-39 years, female 6.2
GTEX-15RIF-1126-SM-7KUG2 20-29 years, male 6.2
GTEX-ZE7O-3026-SM-51MS4 50-59 years, female 6.2
GTEX-1LGRB-1726-SM-CNNRA 50-59 years, female 6.2
GTEX-1LVAN-2426-SM-CNNPZ 50-59 years, female 6.2
GTEX-1MUQO-1926-SM-EAZ59 60-69 years, male 6.2
GTEX-V1D1-1726-SM-4JBHB 50-59 years, male 6.1
GTEX-ZV7C-1626-SM-5NQ7E 50-59 years, male 6.1
GTEX-1ICG6-1826-SM-AHZ2O 70-79 years, female 6.1
GTEX-1J8QM-1126-SM-C1YQB 60-69 years, female 6.1
GTEX-144GN-1226-SM-5O991 50-59 years, male 6.0
GTEX-1H1E6-1626-SM-9OSWC 30-39 years, male 6.0
GTEX-1JKYN-1726-SM-AHZ48 30-39 years, male 6.0
GTEX-11EM3-1026-SM-5A5KL 20-29 years, female 5.9
GTEX-13OW6-2526-SM-5IJEC 50-59 years, male 5.9
GTEX-1122O-1926-SM-5EGIQ 60-69 years, female 5.8
GTEX-XUZC-0726-SM-4BOPH 30-39 years, female 5.8
GTEX-ZP4G-1226-SM-4WWCJ 20-29 years, female 5.8
GTEX-1MGNQ-1826-SM-DPRYI 40-49 years, male 5.8
GTEX-133LE-1326-SM-5IFGO 20-29 years, female 5.7
GTEX-14PJ3-1426-SM-664O8 50-59 years, male 5.7
GTEX-17MF6-2126-SM-7KFS7 40-49 years, male 5.7
GTEX-ZXES-1426-SM-5NQ8S 30-39 years, female 5.7
GTEX-14E6E-0926-SM-664N8 30-39 years, male 5.6
GTEX-17F98-1526-SM-7EWD8 40-49 years, female 5.6
GTEX-17HHE-1026-SM-79ON6 50-59 years, male 5.6
GTEX-P4PP-1526-SM-3P61M 30-39 years, female 5.6
GTEX-1QP29-2326-SM-EXOJO 50-59 years, male 5.6
GTEX-OHPM-1526-SM-EV796 50-59 years, male 5.6
GTEX-ZLV1-0826-SM-DO11P 60-69 years, female 5.6
GTEX-1AMFI-1226-SM-731CZ 50-59 years, female 5.5
GTEX-PW2O-1226-SM-48TCH 20-29 years, male 5.5
GTEX-T8EM-1226-SM-4DM5J 40-49 years, male 5.5
GTEX-1B97I-1226-SM-7MGWQ 40-49 years, male 5.5
GTEX-1IDJD-2426-SM-C1YS6 30-39 years, male 5.5
GTEX-1LBAC-1426-SM-CXZKT 20-29 years, male 5.5
GTEX-11DXX-1326-SM-5GIDZ 60-69 years, female 5.4
GTEX-1399R-1126-SM-5IFIO 30-39 years, male 5.4
GTEX-1H1DG-2126-SM-9WPPB 70-79 years, male 5.4
GTEX-RM2N-0826-SM-48FD3 50-59 years, male 5.3
GTEX-YB5E-1126-SM-664NU 40-49 years, male 5.3
GTEX-1KXAM-0926-SM-CXZKA 60-69 years, male 5.3
GTEX-13113-0726-SM-5LZUF 60-69 years, female 5.2
GTEX-17HII-2426-SM-7KFTT 50-59 years, male 5.2
GTEX-1CAMR-0726-SM-7EPIE 20-29 years, male 5.2
GTEX-V955-1326-SM-4JBHR 60-69 years, male 5.2
GTEX-1RAZR-1526-SM-EAZ4U 40-49 years, male 5.2
GTEX-ZLWG-1526-SM-DO12F 50-59 years, female 5.2
GTEX-11GSP-2126-SM-5HL5E 60-69 years, female 5.1
GTEX-11NSD-1426-SM-5HL67 20-29 years, male 5.1
GTEX-131XG-1226-SM-5EGH9 50-59 years, female 5.1
GTEX-14B4R-0726-SM-5TDDR 30-39 years, male 5.1
GTEX-1AYCT-1326-SM-7MKHB 50-59 years, male 5.1
GTEX-S4UY-1626-SM-4AD55 40-49 years, female 5.1
GTEX-Y5LM-1326-SM-5RQIS 40-49 years, female 5.1
GTEX-U3ZN-2026-SM-4DXUC 30-39 years, female 5.0
GTEX-1KANA-1126-SM-D3L9M 20-29 years, male 5.0
GTEX-1QMI2-2126-SM-DPRXQ 60-69 years, male 5.0
GTEX-1RMOY-1126-SM-EV79E 50-59 years, male 5.0
GTEX-QV44-1226-SM-CJI1S 50-59 years, male 5.0
GTEX-S4Q7-0726-SM-4AD5F 20-29 years, male 4.9
GTEX-TMMY-1626-SM-4DXTY 40-49 years, female 4.9
GTEX-Y3IK-1426-SM-4YCES 50-59 years, female 4.9
GTEX-ZQUD-0826-SM-57WDQ 30-39 years, male 4.9
GTEX-1HBPN-1626-SM-9WPNP 50-59 years, male 4.9
GTEX-1HKZK-1526-SM-B2LWG 40-49 years, male 4.9
GTEX-13CF3-1926-SM-5K7WF 60-69 years, female 4.8
GTEX-13FTW-1726-SM-5KM2B 40-49 years, male 4.8
GTEX-18D9A-0626-SM-7KFTY 30-39 years, female 4.8
GTEX-1JK1U-1326-SM-AHZ45 60-69 years, male 4.8
GTEX-OIZF-1526-SM-2I5GR 60-69 years, male 4.8
GTEX-13U4I-2526-SM-5SI8Z 40-49 years, female 4.7
GTEX-VJYA-1026-SM-4KL21 60-69 years, male 4.7
GTEX-W5WG-1726-SM-4LMI5 50-59 years, female 4.7
GTEX-XXEK-0826-SM-4BRWG 50-59 years, male 4.7
GTEX-ZYFG-1326-SM-5GICJ 60-69 years, female 4.7
GTEX-14ICL-0826-SM-5YY9W 30-39 years, male 4.6
GTEX-18A67-2626-SM-718AD 50-59 years, male 4.6
GTEX-1C475-1026-SM-7MKFJ 40-49 years, female 4.6
GTEX-S3XE-1026-SM-4AD4O 50-59 years, male 4.6
GTEX-ZA64-0826-SM-5HL9U 20-29 years, male 4.6
GTEX-13O21-0926-SM-5IFGT 50-59 years, male 4.5
GTEX-13PVR-2126-SM-73KVR 60-69 years, female 4.5
GTEX-15DCE-1626-SM-6LPJM 20-29 years, male 4.5
GTEX-OXRK-1626-SM-3NB17 50-59 years, female 4.5
GTEX-ZY6K-0726-SM-5A5L8 50-59 years, male 4.5
GTEX-ZZ64-0426-SM-5E43F 20-29 years, male 4.5
GTEX-13D11-2126-SM-5IFH2 50-59 years, female 4.4
GTEX-OOBJ-1526-SM-3NB1Q 60-69 years, male 4.4
GTEX-QDVJ-1426-SM-48U1Y 50-59 years, male 4.4
GTEX-WHSB-1226-SM-4M1XR 50-59 years, male 4.4
GTEX-WYJK-2526-SM-4ONDF 50-59 years, male 4.4
GTEX-1J8Q3-1926-SM-C1YSJ 60-69 years, male 4.4
GTEX-1R7EU-1126-SM-EAZ4M 60-69 years, male 4.4
GTEX-13PVQ-2126-SM-5L3FW 50-59 years, male 4.3
GTEX-144GM-1726-SM-5O9AS 20-29 years, male 4.3
GTEX-17HGU-2126-SM-7IGOV 50-59 years, male 4.3
GTEX-POMQ-0826-SM-3P61H 20-29 years, female 4.3
GTEX-QLQ7-0826-SM-447B3 60-69 years, male 4.3
GTEX-QV31-0626-SM-447C5 30-39 years, male 4.3
GTEX-WFG7-1326-SM-4LMK1 20-29 years, male 4.3
GTEX-Y9LG-1026-SM-5IFJN 30-39 years, male 4.3
GTEX-1HFI7-1526-SM-9WG7W 50-59 years, female 4.3
GTEX-1I6K7-1726-SM-B2LXQ 40-49 years, male 4.3
GTEX-OXRL-1526-SM-E6CHQ 50-59 years, male 4.3
GTEX-145MN-1326-SM-5NQ9S 30-39 years, male 4.2
GTEX-14PJ5-0826-SM-6AJAR 60-69 years, female 4.2
GTEX-14PJ6-0826-SM-686Z9 60-69 years, female 4.2
GTEX-OHPK-1526-SM-3MJGM 50-59 years, female 4.2
GTEX-1GF9U-1126-SM-AHZ4H 40-49 years, female 4.2
GTEX-1GL5R-1926-SM-9WG7U 50-59 years, male 4.2
GTEX-1LG7Z-1226-SM-DHXK4 30-39 years, male 4.2
GTEX-ZLFU-1326-SM-DO11R 40-49 years, male 4.2
GTEX-17F9E-2226-SM-7IGNC 50-59 years, male 4.1
GTEX-SNMC-0626-SM-4DM6H 20-29 years, male 4.1
GTEX-T5JW-0926-SM-4DM5K 20-29 years, female 4.1
GTEX-U4B1-1026-SM-4DXT1 40-49 years, male 4.1
GTEX-ZF29-1526-SM-4WKF7 60-69 years, female 4.1
GTEX-1MJIX-1126-SM-EV7AO 40-49 years, male 4.1
GTEX-1R9K5-1026-SM-EAZ4F 50-59 years, male 4.1
GTEX-14BIL-1926-SM-73KYI 50-59 years, male 4.0
GTEX-14BMU-1126-SM-5RQJ8 20-29 years, female 4.0
GTEX-ZF2S-1426-SM-57WET 50-59 years, female 4.0
GTEX-13OVK-0926-SM-7KUFX 40-49 years, male 3.9
GTEX-PWCY-0926-SM-48TD7 20-29 years, female 3.9
GTEX-PX3G-1526-SM-48U11 20-29 years, female 3.9
GTEX-Y8LW-0826-SM-4WWDO 50-59 years, female 3.9
GTEX-111CU-0926-SM-5EGIK 50-59 years, male 3.8
GTEX-WY7C-1726-SM-4ONCC 50-59 years, male 3.8
GTEX-17GQL-1226-SM-7KFTS 60-69 years, male 3.7
GTEX-1F75I-1826-SM-7MKGX 40-49 years, male 3.7
GTEX-WRHK-0626-SM-4MVOE 20-29 years, female 3.7
GTEX-Y5V6-1326-SM-4VDTF 60-69 years, male 3.7
GTEX-ZT9W-1526-SM-4YCDE 50-59 years, male 3.7
GTEX-1GZ4H-1026-SM-9OSXL 50-59 years, female 3.7
GTEX-14PHX-1026-SM-664OL 50-59 years, male 3.6
GTEX-YEC4-1426-SM-5IFHS 40-49 years, male 3.6
GTEX-1LGOU-1526-SM-D3LAJ 20-29 years, female 3.6
GTEX-18QFQ-1226-SM-718AE 30-39 years, male 3.5
GTEX-13FTX-0726-SM-5N9BI 20-29 years, female 3.4
GTEX-QCQG-0526-SM-48U2A 50-59 years, female 3.4
GTEX-12WSG-2026-SM-5FQUU 50-59 years, female 3.3
GTEX-1B8KZ-1226-SM-793CP 50-59 years, male 3.3
GTEX-PWN1-1526-SM-48TDA 40-49 years, female 3.3
GTEX-QDVN-1226-SM-48TZ5 50-59 years, male 3.3
GTEX-T6MO-0726-SM-4DM58 40-49 years, female 3.3
GTEX-UJMC-1226-SM-4IHLI 50-59 years, male 3.3
GTEX-ZVP2-1626-SM-5GU5D 50-59 years, male 3.3
GTEX-XMK1-1526-SM-EYYVO 40-49 years, male 3.3
GTEX-15RIE-1026-SM-6LPJQ 60-69 years, male 3.2
GTEX-S95S-0826-SM-4B64N 60-69 years, male 3.2
GTEX-WFG8-1326-SM-4LVN3 20-29 years, male 3.2
GTEX-XBED-1226-SM-4AT5V 60-69 years, male 3.2
GTEX-117YX-1026-SM-5H11V 50-59 years, male 3.1
GTEX-12696-1726-SM-5EQLH 60-69 years, male 3.1
GTEX-12WSK-1426-SM-5CVNN 40-49 years, female 3.1
GTEX-14PKV-1826-SM-69LO9 20-29 years, female 3.1
GTEX-ZAB4-1526-SM-5CVN7 40-49 years, male 3.1
GTEX-1399S-1626-SM-5P9GI 30-39 years, female 3.0
GTEX-S341-0626-SM-4AD5T 40-49 years, female 3.0
GTEX-YFCO-0826-SM-5LUAG 40-49 years, male 3.0
GTEX-ZDYS-1926-SM-5HL59 50-59 years, male 3.0
GTEX-11I78-1726-SM-5A5M3 50-59 years, female 2.9
GTEX-15UF7-1226-SM-6M46G 40-49 years, male 2.9
GTEX-1B97J-1826-SM-7IGPP 50-59 years, female 2.9
GTEX-WXYG-1626-SM-4ONCR 50-59 years, female 2.9
GTEX-1QP2A-2126-SM-DPRZ7 50-59 years, male 2.9
GTEX-RWS6-0926-SM-47JXE 60-69 years, female 2.8
GTEX-WFON-1126-SM-4LVMA 40-49 years, male 2.8
GTEX-ZVT2-1626-SM-51MRC 50-59 years, female 2.8
GTEX-1QCLY-1126-SM-EAZ4J 30-39 years, male 2.8
GTEX-1QPFJ-1526-SM-DPRXT 30-39 years, female 2.8
GTEX-132QS-1826-SM-5IFFN 60-69 years, male 2.7
GTEX-Q2AH-1126-SM-48TZM 40-49 years, male 2.7
GTEX-1RB15-1026-SM-E9U6V 60-69 years, male 2.7
GTEX-14PJ4-1626-SM-664OB 60-69 years, male 2.6
GTEX-15CHR-1326-SM-79OLT 50-59 years, male 2.6
GTEX-1F5PL-1426-SM-7MKFH 40-49 years, female 2.5
GTEX-Q2AI-0826-SM-48TZO 40-49 years, male 2.5
GTEX-QLQW-0726-SM-447AA 30-39 years, male 2.5
GTEX-SUCS-0926-SM-4DM4Z 70-79 years, male 2.5
GTEX-12BJ1-1726-SM-5HL9B 60-69 years, male 2.4
GTEX-ZPU1-1626-SM-4WWB2 40-49 years, male 2.1
Show allShow less

Contact

  • NEWS ARTICLES
  • PRESS ROOM

The Project

  • INTRODUCTION
  • ORGANIZATION
  • PUBLICATIONS

The Human Protein Atlas

  • DOWNLOADABLE DATA
  • LICENCE & CITATION
  • HELP & FAQ
The Human Protein Atlas project is funded
by the Knut & Alice Wallenberg Foundation.


contact@proteinatlas.org