We use cookies to enhance the usability of our website. If you continue, we'll assume that you are happy to receive all cookies. More information. Don't show this again.
TNFRSF6B
HPA
RESOURCES
  • TISSUE
  • BRAIN
  • SINGLE CELL
  • SUBCELLULAR
  • CANCER
  • BLOOD
  • CELL LINE
  • STRUCTURE & INTERACTION
ABOUT
  • INTRODUCTION
  • HISTORY
  • ORGANIZATION
  • PUBLICATIONS
  • ANTIBODY SUBMISSION
  • ANTIBODY AVAILABILITY
  • ACKNOWLEDGMENTS
  • CONTACT
NEWS
  • NEWS ARTICLES
  • PRESS ROOM
LEARN
  • DICTIONARY
  • PROTEIN CLASSES
  • PROTEIN EVIDENCE
  • METHODS
  • EDUCATIONAL VIDEOS
DATA
  • DOWNLOADABLE DATA
  • PUBLICATION DATA
  • RELEASE HISTORY
HELP
  • ANTIBODY VALIDATION
  • ASSAYS & ANNOTATION
  • DISCLAIMER
  • HELP & FAQ
  • PRIVACY STATEMENT
  • LICENCE & CITATION
Fields »
Search result

Field
Term
Gene name
Class
Subclass
Class
Keyword
Chromosome
External id
Tissue
Cell type
Expression
Antibody panel
Tissue
Main location
Patient ID
Annotation
Tissue
Category
Tau score
Cluster
Reliability
Brain region
Category
Tau score
Brain region
Category
Tau score
Brain region
Category
Tau score
Cluster
Reliability
Tissue
Cell type
Enrichment
Cell type
Category
Tau score
Cell type
Category
Tau score
Cell type
Category
Tau score
Cell lineage
Category
Tau score
Cluster
Cluster
Location
Searches
Location
Cell line
Class
Type
Phase
Reliability
Cancer
Prognosis
Cancer
Category
Cancer
Category
Tau score
Cluster
Variants
Interacting gene (ensg_id)
Type
Number of interactions
Pathway
Category
Score
Score
Score
Validation
Validation
Validation
Validation
Antibodies
Data type
Column


  • SUMMARY

  • TISSUE

  • BRAIN

  • SINGLE CELL

  • SUBCELL

  • CANCER

  • BLOOD

  • CELL LINE

  • STRUCT & INT

  • TNFRSF6B
TISSUE PRIMARY DATA ESOPHAGUS Show tissue menu
ADIPOSE TISSUE ADRENAL GLAND AMYGDALA APPENDIX BASAL GANGLIA BONE MARROW BREAST BRONCHUS CEREBELLUM CEREBRAL CORTEX CERVIX CHOROID PLEXUS COLON DUODENUM
ENDOMETRIUM EPIDIDYMIS ESOPHAGUS FALLOPIAN TUBE GALLBLADDER HEART MUSCLE HIPPOCAMPAL FORMATION HYPOTHALAMUS KIDNEY LIVER LUNG LYMPH NODE MIDBRAIN NASOPHARYNX
ORAL MUCOSA OVARY PANCREAS PARATHYROID GLAND PITUITARY GLAND PLACENTA PROSTATE RECTUM RETINA SALIVARY GLAND SEMINAL VESICLE SKELETAL MUSCLE SKIN SMALL INTESTINE
SMOOTH MUSCLE SOFT TISSUE SPINAL CORD SPLEEN STOMACH TESTIS THYMUS THYROID GLAND TONGUE TONSIL URINARY BLADDER VAGINA
ANTIBODIES
AND
VALIDATION
Dictionary
Esophagus
Tissue proteome
Esophagus
ESOPHAGUS - Expression summary
Protein expression
Esophagusi

On the top, protein expression in current human tissue, based on all annotated cell types, is reported with the units not detected (n), low (l), medium (m) and high (h). Underneath, protein expression in each annotated cell type are reported using the same units.

Protein expression data is based on knowledge-based annotation. For genes where more than one antibody has been used, a collective score is set.

If knowledge-based annotation could not be performed for a gene, no data is displayed here. View antibody staining data further down this page.

h
m
l
n
Squamous epithelial cells: Not detected
RNA expressioni

A summary of mRNA expression data available for current tissue based on several datasets. The mRNA expression levels in human tissues are based on RNA-seq data generated by the Human Protein Atlas (HPA), Genotype-Tissue Expression (GTEx) portal and CAGE data generated by the FANTOM5 consortium. Consensus normalized expression levels for human tissues was created by combining the data from HPA and GTEx datasets.

The mRNA expression levels in pig are based on RNA-seq data generated by the Human Protein Atlas (HPA), and for mouse, HPA data and in situ hybridization generated by the Allen brain atlas are reported.

Scroll down to view mRNA expression data in more detail.
Consensus:11.4 nTPM
HPA:0.1 nTPM
GTEx:11.4 nTPM
FANTOM5:21.4 Scaled Tags Per Million

ESOPHAGUS - Antibody stainingi

Antibody staining in the annotated cell types in the current human tissue is reported as not detected, low, medium, or high, based on conventional immunohistochemistry profiling in selected tissues. This score is based on the combination of the staining intensity and fraction of stained cells.

Each image is clickable and will lead to virtual microscopy that enables deeper exploration of all samples and also displays staining intensity scores, fraction scores and subcellular localization as well as patient and tissue information for each sample.

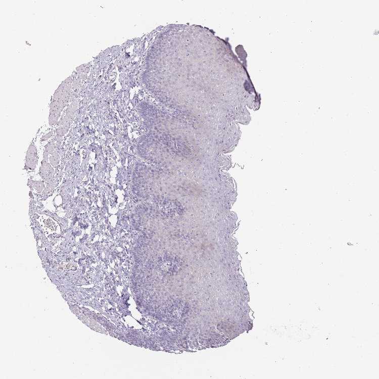
Antibody HPA047154
Squamous epithelial cells Not detected


ESOPHAGUS - HPA RNA-seqi

The RNA-seq details section shows detailed information about the individual samples used for the transcript profiling and results of the RNA-seq analysis.

Information about each individual sample is listed below, including gender, age, a tissue section image and estimated fractions of cell types. nTPM (normalized transcripts per million) values give a quantification of the gene abundance which is comparable between different genes and samples.
Average nTPMi

Max subtype nTPM is the value for the subtype with the largest average nTPM across the subtype samples.

0.1
overview
Female, age 70
Esophagus sample 130
nTPM: 0.5
Cell types%
Squamous epithelial cells:
35

Smooth muscle cells:
15

Skeletal muscle cells:
5

Other cell types:
45

overview
Male, age 38
Esophagus sample 131
nTPM: 0
Cell types%
Squamous epithelial cells:
60

Smooth muscle cells:
20

Other cell types:
20

overview
Male, age 76
Esophagus sample 132
nTPM: 0
Cell types%
Squamous epithelial cells:
45

Smooth muscle cells:
15

Other cell types:
40


ESOPHAGUS - GTEx RNA-seqi

RNA-Seq data generated by the Genotype-Tissue Expression (GTEx) project from human tissues is reported as mean nTPM. More information can be found on the GTEx portal.

Distribution across the dataset is visualized with box plots, shown as median and 25th and 75th percentiles. Points are displayed as outliers if they are above or below 1.5 times the interquartile range. nTPM values of the individual samples are presented next to the box plot.
Max subtype nTPMi

Max subtype nTPM is the value for the subtype with the largest average nTPM across the subtype samples.

11.4
GTEx sample id Sample description nTPM
Esophagus - Mucosa
Average nTPM: 11.4
Samples: 555

Max nTPM: 129.0
Min nTPM: 0.1
Std nTPM: 14.7
Median nTPM: 6.5
GTEX-WHWD-0926-SM-4OORY 50-59 years, male 129.0
GTEX-R55D-1126-SM-48FEB 50-59 years, male 117.6
GTEX-1I6K7-1426-SM-B2LXP 40-49 years, male 106.0
GTEX-1I1GP-1026-SM-C1YRZ 50-59 years, male 82.7
GTEX-145ME-5004-SM-7MGXP 40-49 years, female 78.5
GTEX-U8XE-1726-SM-4E3IF 30-39 years, male 78.2
GTEX-1F52S-1426-SM-7P8PU 60-69 years, female 70.2
GTEX-14PJ6-1026-SM-686ZB 60-69 years, female 63.7
GTEX-144GM-1426-SM-5LU31 20-29 years, male 61.9
GTEX-1H1DG-1226-SM-9JGH3 70-79 years, male 61.0
GTEX-13PVQ-1726-SM-5IFF3 50-59 years, male 60.6
GTEX-131XE-1426-SM-5HL7V 50-59 years, male 59.9
GTEX-1H3VY-2026-SM-9JGHK 50-59 years, male 57.3
GTEX-15EOM-5013-SM-7MKF9 20-29 years, female 55.5
GTEX-145MN-1026-SM-5NQ9G 30-39 years, male 54.4
GTEX-ZV68-0926-SM-59HK7 50-59 years, female 52.4
GTEX-13X6H-1326-SM-5LU42 50-59 years, female 52.0
GTEX-ZAB5-0926-SM-5CVMV 50-59 years, male 51.6
GTEX-ZGAY-1126-SM-4WWBS 40-49 years, female 51.4
GTEX-13X6I-1026-SM-5LU4C 60-69 years, male 50.3
GTEX-1C6VQ-1826-SM-7EWEH 50-59 years, male 48.1
GTEX-RUSQ-0826-SM-47JWW 50-59 years, male 46.8
GTEX-13CF3-1626-SM-5IFG9 60-69 years, female 46.3
GTEX-13OVJ-1226-SM-5L3HA 50-59 years, female 44.4
GTEX-13111-0826-SM-5LZV3 50-59 years, male 43.0
GTEX-U3ZN-1726-SM-4DXUQ 30-39 years, female 42.6
GTEX-11EM3-0826-SM-5N9CC 20-29 years, female 41.2
GTEX-15DCE-1326-SM-6LPJL 20-29 years, male 36.6
GTEX-13O1R-1326-SM-5IJF5 60-69 years, male 36.0
GTEX-11LCK-1726-SM-5S2OQ 30-39 years, male 35.3
GTEX-1H23P-1426-SM-9JGH5 60-69 years, male 35.2
GTEX-15EO6-1026-SM-7KUG9 50-59 years, male 35.0
GTEX-11DXX-1126-SM-5GZZK 60-69 years, female 34.7
GTEX-16MTA-0826-SM-6LLIC 50-59 years, male 34.6
GTEX-11GSP-1826-SM-5N9DQ 60-69 years, female 32.7
GTEX-1LVA9-2126-SM-DLHBY 50-59 years, male 31.5
GTEX-OXRL-0626-SM-3NM9C 50-59 years, male 30.7
GTEX-ZEX8-1426-SM-4WKHQ 50-59 years, male 30.6
GTEX-ZYW4-1326-SM-5E45N 60-69 years, male 30.6
GTEX-11TUW-1326-SM-5EQKV 60-69 years, male 30.4
GTEX-XGQ4-1526-SM-4AT6H 50-59 years, male 30.4
GTEX-ZT9X-0526-SM-5GCOP 40-49 years, male 30.0
GTEX-15RJ7-0926-SM-6LPJO 40-49 years, male 29.6
GTEX-1AX8Z-5016-SM-AHZ2B 60-69 years, male 29.3
GTEX-13NYB-0926-SM-5IFFA 40-49 years, male 28.7
GTEX-T5JW-1326-SM-4DM5G 20-29 years, female 28.3
GTEX-ZAJG-1326-SM-5S2NV 50-59 years, female 27.6
GTEX-1JMLX-2326-SM-CXZJP 50-59 years, male 27.3
GTEX-13JVG-2026-SM-5KM1N 60-69 years, male 27.0
GTEX-POYW-1326-SM-48TCG 60-69 years, male 27.0
GTEX-16NPX-1626-SM-6LLI5 50-59 years, male 26.9
GTEX-QESD-0826-SM-47J4G 20-29 years, male 26.6
GTEX-12ZZX-1326-SM-5DUWI 40-49 years, female 26.2
GTEX-1KANB-1826-SM-DHXJU 50-59 years, male 25.3
GTEX-WFJO-0826-SM-4LVM5 30-39 years, male 24.3
GTEX-14C38-2126-SM-5RQJO 50-59 years, male 24.2
GTEX-S4P3-0426-SM-4AD56 50-59 years, female 24.1
GTEX-13FLV-1126-SM-5J2NO 50-59 years, male 24.0
GTEX-1JMQK-2026-SM-C1YQN 60-69 years, male 24.0
GTEX-146FR-0426-SM-5SI97 60-69 years, female 23.7
GTEX-X4XY-1726-SM-46MVO 60-69 years, male 23.4
GTEX-17F9E-1926-SM-7IGQF 50-59 years, male 23.2
GTEX-16XZY-0926-SM-7938M 70-79 years, male 23.1
GTEX-OXRN-1726-SM-3NM9B 50-59 years, male 23.1
GTEX-REY6-1326-SM-48FDO 60-69 years, male 23.1
GTEX-11NUK-1326-SM-5P9GN 50-59 years, male 22.9
GTEX-1QP29-2126-SM-E6CPZ 50-59 years, male 22.7
GTEX-X15G-0826-SM-4PQZD 50-59 years, female 22.3
GTEX-1IDFM-1126-SM-A96SY 60-69 years, male 22.3
GTEX-1HCU7-2126-SM-A96SG 50-59 years, male 21.9
GTEX-1JMQJ-1226-SM-D3L97 50-59 years, male 21.9
GTEX-Y114-0926-SM-4TT7J 50-59 years, female 21.5
GTEX-1LVAM-1126-SM-DHXKP 50-59 years, female 21.5
GTEX-1CB4J-2426-SM-7MXVC 60-69 years, male 21.4
GTEX-ZYVF-2226-SM-5GIDD 50-59 years, female 21.3
GTEX-ZTX8-0226-SM-5E44D 20-29 years, male 21.1
GTEX-117YW-1926-SM-5H121 50-59 years, male 20.9
GTEX-1GMR8-1826-SM-9WYUE 50-59 years, female 20.9
GTEX-XLM4-2326-SM-4AT5E 60-69 years, male 20.8
GTEX-XK95-1026-SM-4GIDV 40-49 years, male 20.7
GTEX-12WSN-5013-SM-7P8P9 40-49 years, male 20.6
GTEX-17F97-1326-SM-7MGVO 50-59 years, male 20.5
GTEX-1HCUA-1426-SM-9WPP7 50-59 years, female 20.5
GTEX-1JK1U-1726-SM-CNNPM 60-69 years, male 20.5
GTEX-148VJ-1026-SM-5LU98 70-79 years, male 20.4
GTEX-YF7O-0926-SM-5IFIF 50-59 years, male 20.3
GTEX-QLQ7-0926-SM-447BC 60-69 years, male 20.2
GTEX-Y5V5-1626-SM-4VDSG 60-69 years, female 20.2
GTEX-144GN-0626-SM-5O9B2 50-59 years, male 20.1
GTEX-1HBPI-0626-SM-9WPP4 50-59 years, male 19.9
GTEX-1211K-0926-SM-5FQTL 60-69 years, female 19.5
GTEX-QEG5-1426-SM-447AS 20-29 years, male 19.5
GTEX-WOFM-0626-SM-4OOS3 20-29 years, male 19.5
GTEX-14BIM-1326-SM-7EWD1 60-69 years, female 19.4
GTEX-11TT1-0526-SM-5P9JO 20-29 years, male 18.7
GTEX-XV7Q-1126-SM-4BRVS 40-49 years, female 18.4
GTEX-144FL-2726-SM-5O98Z 50-59 years, male 18.2
GTEX-TSE9-1226-SM-4DXTM 60-69 years, female 18.1
GTEX-1GN73-1926-SM-9JGGS 60-69 years, male 18.0
GTEX-139UW-1126-SM-5IJEJ 60-69 years, male 17.9
GTEX-ZTPG-1626-SM-5DUX2 20-29 years, female 17.7
GTEX-PSDG-1326-SM-48TD2 50-59 years, male 17.6
GTEX-WFG8-1226-SM-4V6EI 20-29 years, male 17.2
GTEX-14E6E-0726-SM-5S2R3 30-39 years, male 17.1
GTEX-UJHI-0826-SM-4IHLM 50-59 years, female 17.1
GTEX-11ZU8-1526-SM-5EGHX 60-69 years, male 17.0
GTEX-1C475-0926-SM-7MKFI 40-49 years, female 17.0
GTEX-14BMU-0926-SM-5S2QB 20-29 years, female 16.9
GTEX-1497J-2726-SM-5SI9W 60-69 years, male 16.7
GTEX-1I1CD-1726-SM-A9G3P 60-69 years, female 16.2
GTEX-183FY-1526-SM-7IGOW 20-29 years, male 15.9
GTEX-ZLWG-1326-SM-DNZYZ 50-59 years, female 15.8
GTEX-XMK1-1326-SM-4B65Q 40-49 years, male 15.6
GTEX-ZYFC-1626-SM-5N9EU 50-59 years, male 15.6
GTEX-1F7RK-1526-SM-7P8T6 20-29 years, female 15.6
GTEX-1HBPH-1126-SM-A96TU 40-49 years, female 15.6
GTEX-ZVE2-1326-SM-5NQ94 50-59 years, male 15.5
GTEX-145MF-1426-SM-5O9B6 50-59 years, male 15.2
GTEX-1EN7A-1226-SM-7MGX9 40-49 years, male 15.2
GTEX-P4QS-0626-SM-3NMD1 60-69 years, male 15.1
GTEX-WVLH-1426-SM-4MVNX 50-59 years, male 15.1
GTEX-144GO-2726-SM-5O9A2 60-69 years, male 15.0
GTEX-1JMPY-0826-SM-AHZ4A 30-39 years, male 15.0
GTEX-ZA64-0626-SM-5HL9O 20-29 years, male 14.9
GTEX-1HCU6-1326-SM-A96TZ 60-69 years, female 14.6
GTEX-1PPH8-1626-SM-E6CQP 20-29 years, male 14.6
GTEX-TMMY-1126-SM-4DXSX 40-49 years, female 14.5
GTEX-ZPU1-1426-SM-4WWFU 40-49 years, male 14.5
GTEX-Q2AH-0826-SM-48TZN 40-49 years, male 14.4
GTEX-169BO-0526-SM-793AK 50-59 years, male 14.2
GTEX-18465-1126-SM-7LG6E 50-59 years, male 14.1
GTEX-1GL5R-1526-SM-7MKHO 50-59 years, male 13.8
GTEX-17HII-1526-SM-9OSVD 50-59 years, male 13.7
GTEX-X585-1226-SM-46MW7 50-59 years, male 13.3
GTEX-1HGF4-0926-SM-9WPP8 60-69 years, male 13.3
GTEX-13YAN-1926-SM-7EPH9 60-69 years, male 13.0
GTEX-16Z82-1926-SM-6M47U 60-69 years, male 13.0
GTEX-1MCQQ-1026-SM-EV7AX 60-69 years, male 13.0
GTEX-11VI4-0526-SM-5EQ48 40-49 years, female 12.8
GTEX-13FHP-1526-SM-5IJGE 50-59 years, male 12.6
GTEX-15DCD-1626-SM-6AJBH 70-79 years, female 12.6
GTEX-111CU-0726-SM-5GZYD 50-59 years, male 12.5
GTEX-NFK9-1126-SM-3LK78 40-49 years, male 12.4
GTEX-1GPI7-1026-SM-7MGY2 20-29 years, male 12.3
GTEX-16A39-1026-SM-6LPJU 30-39 years, female 12.2
GTEX-XXEK-0326-SM-4BRVV 50-59 years, male 12.1
GTEX-145LS-1826-SM-5LUAZ 60-69 years, female 12.0
GTEX-1A32A-1826-SM-72D5G 50-59 years, female 12.0
GTEX-1QW4Y-0526-SM-EAZ3V 30-39 years, male 11.9
GTEX-S4Q7-0626-SM-4AD5M 20-29 years, male 11.8
GTEX-1PFEY-0826-SM-E9U6A 30-39 years, male 11.8
GTEX-11DYG-1326-SM-5N9DO 60-69 years, male 11.6
GTEX-ZZ64-0226-SM-5E44X 20-29 years, male 11.6
GTEX-1QP2A-1926-SM-EXOJ9 50-59 years, male 11.5
GTEX-P78B-1026-SM-3NMC4 40-49 years, female 11.3
GTEX-ZY6K-0626-SM-59HJL 50-59 years, male 11.2
GTEX-P4PQ-0626-SM-3NMCU 60-69 years, male 11.1
GTEX-1K9T9-2026-SM-CXZK3 50-59 years, female 11.1
GTEX-WHSE-1526-SM-4M1XH 20-29 years, male 11.0
GTEX-1F5PL-1726-SM-9QEGL 40-49 years, female 11.0
GTEX-Y3I4-1226-SM-4TT8N 50-59 years, male 10.9
GTEX-11NSD-1126-SM-5N9BQ 20-29 years, male 10.8
GTEX-ZDYS-0826-SM-4WWCR 50-59 years, male 10.8
GTEX-1I1GU-1426-SM-B2LX3 40-49 years, male 10.8
GTEX-14PJN-0526-SM-68724 30-39 years, male 10.7
GTEX-XYKS-1526-SM-4BRUP 60-69 years, female 10.7
GTEX-S32W-0926-SM-4AD5X 50-59 years, female 10.6
GTEX-1M5QR-0726-SM-DHXK7 40-49 years, male 10.4
GTEX-1PPGY-1726-SM-EVR3S 60-69 years, male 10.4
GTEX-145MO-1426-SM-DTX9W 60-69 years, male 10.3
GTEX-14A6H-1326-SM-5NQBC 30-39 years, male 10.2
GTEX-15UF6-2326-SM-6M465 70-79 years, female 10.2
GTEX-1A3MV-1326-SM-7LG6C 30-39 years, male 10.2
GTEX-14PJ5-0526-SM-664OE 60-69 years, female 10.1
GTEX-WK11-1026-SM-4OOS8 50-59 years, male 10.1
GTEX-146FH-1726-SM-5QGQ2 50-59 years, female 10.0
GTEX-14B4R-0326-SM-5TDDP 30-39 years, male 10.0
GTEX-13FH7-0526-SM-5IJF8 50-59 years, female 9.8
GTEX-1JKYR-2126-SM-CNNPC 20-29 years, male 9.8
GTEX-1NUQO-1126-SM-DTX98 20-29 years, female 9.7
GTEX-13PVR-1826-SM-5Q5CC 60-69 years, female 9.5
GTEX-12KS4-0926-SM-5BC5S 30-39 years, male 9.4
GTEX-S341-0526-SM-4AD5U 40-49 years, female 9.4
GTEX-11DXY-1426-SM-5N9CN 60-69 years, male 9.3
GTEX-N7MS-1225-SM-3LK5G 60-69 years, male 9.3
GTEX-R45C-1226-SM-48FEE 60-69 years, female 9.3
GTEX-132QS-1426-SM-5P9GE 60-69 years, male 9.2
GTEX-N7MT-0326-SM-48TDP 60-69 years, female 9.2
GTEX-1CB4H-1526-SM-7MXU4 60-69 years, female 9.2
GTEX-14PHY-0626-SM-664NN 60-69 years, female 9.1
GTEX-T6MO-0526-SM-4DM6R 40-49 years, female 9.1
GTEX-X4EP-1626-SM-4QAS6 60-69 years, female 9.1
GTEX-ZC5H-1326-SM-5HL7E 40-49 years, female 9.0
GTEX-13QBU-1026-SM-5LU3R 40-49 years, female 8.9
GTEX-S3XE-0926-SM-4AD4S 50-59 years, male 8.9
GTEX-1N2EE-2426-SM-EXOIO 60-69 years, male 8.9
GTEX-14BIN-2726-SM-5RQIE 50-59 years, female 8.8
GTEX-15DYW-1826-SM-6LPIY 60-69 years, female 8.8
GTEX-1HBPM-1426-SM-9WPPE 60-69 years, female 8.8
GTEX-1212Z-2126-SM-5FQTM 60-69 years, male 8.7
GTEX-Y9LG-0626-SM-4WWDH 30-39 years, male 8.7
GTEX-1J1OQ-2526-SM-AHZ3Q 40-49 years, female 8.7
GTEX-1LSNL-2226-SM-DHXKM 50-59 years, male 8.7
GTEX-1LSVX-1226-SM-DHXJN 60-69 years, male 8.7
GTEX-Q2AG-1326-SM-43V8K 40-49 years, female 8.6
GTEX-QLQW-0526-SM-4R1KS 30-39 years, male 8.5
GTEX-1I4MK-0426-SM-B2LWQ 50-59 years, female 8.5
GTEX-11DZ1-2026-SM-5A5KG 50-59 years, male 8.3
GTEX-1B8KZ-0726-SM-7938W 50-59 years, male 8.3
GTEX-1OJC3-0826-SM-DPRYU 20-29 years, male 8.3
GTEX-1R7EU-0826-SM-DPRZL 60-69 years, male 8.3
GTEX-132Q8-1826-SM-5EGIY 60-69 years, male 8.2
GTEX-V1D1-1026-SM-4JBHE 50-59 years, male 8.2
GTEX-133LE-0626-SM-5IFFJ 20-29 years, female 8.1
GTEX-13O21-0626-SM-5IJDI 50-59 years, male 8.1
GTEX-17F98-1726-SM-7938O 40-49 years, female 8.1
GTEX-1EWIQ-1526-SM-79OO7 70-79 years, female 8.1
GTEX-QDVJ-0726-SM-48U1W 50-59 years, male 8.1
GTEX-ZLFU-1126-SM-DO11K 40-49 years, male 8.1
GTEX-PVOW-1626-SM-48TC9 40-49 years, male 8.0
GTEX-1BAJH-2026-SM-7P8OZ 70-79 years, male 8.0
GTEX-12ZZW-1726-SM-5DUVD 50-59 years, male 7.9
GTEX-17EUY-1426-SM-7938X 20-29 years, male 7.9
GTEX-RM2N-0726-SM-48FD5 50-59 years, male 7.9
GTEX-RVPV-0526-SM-47JYL 60-69 years, male 7.9
GTEX-S95S-0426-SM-4B64I 60-69 years, male 7.9
GTEX-1GF9U-0826-SM-7MXTZ 40-49 years, female 7.9
GTEX-1HKZK-1426-SM-A96U1 40-49 years, male 7.9
GTEX-1269C-1026-SM-5N9EY 60-69 years, female 7.8
GTEX-SNOS-0626-SM-4DM5F 40-49 years, male 7.8
GTEX-WQUQ-1626-SM-4OOSH 60-69 years, male 7.8
GTEX-WXYG-1226-SM-4ONCJ 50-59 years, female 7.8
GTEX-13O3Q-0826-SM-5IFGF 50-59 years, male 7.7
GTEX-14JG6-0926-SM-6871Y 30-39 years, female 7.7
GTEX-P4QT-0626-SM-3NMCP 50-59 years, female 7.7
GTEX-1HSGN-1626-SM-A96U2 40-49 years, female 7.7
GTEX-1JMPZ-2026-SM-C1YR8 30-39 years, male 7.7
GTEX-17JCI-1226-SM-793D9 60-69 years, female 7.6
GTEX-ZF3C-1626-SM-4WWB4 50-59 years, female 7.6
GTEX-1B996-1826-SM-7MGY6 60-69 years, male 7.6
GTEX-1E1VI-1526-SM-7IGQ2 50-59 years, male 7.5
GTEX-OOBK-0625-SM-3LK5P 40-49 years, male 7.5
GTEX-SNMC-0526-SM-4DM69 20-29 years, male 7.5
GTEX-1MJIX-0826-SM-DTXEO 40-49 years, male 7.5
GTEX-1QP67-0726-SM-DPRY1 40-49 years, female 7.5
GTEX-SJXC-1426-SM-EYYVB 60-69 years, male 7.5
GTEX-12WSA-1426-SM-5EGJU 60-69 years, male 7.4
GTEX-15UF7-0926-SM-6M46F 40-49 years, male 7.4
GTEX-T5JC-1726-SM-4DM6U 20-29 years, male 7.4
GTEX-TKQ1-0326-SM-4DXSM 30-39 years, male 7.4
GTEX-1HCVE-1226-SM-9WPPH 50-59 years, male 7.4
GTEX-1KD4Q-1126-SM-CXZKK 40-49 years, male 7.4
GTEX-1QP9N-0926-SM-E9U5S 30-39 years, male 7.4
GTEX-1RLM8-0726-SM-E6CRH 50-59 years, male 7.4
GTEX-18A6Q-1226-SM-7KFS9 60-69 years, male 7.3
GTEX-1F88F-1126-SM-7MKHL 60-69 years, female 7.3
GTEX-1HCU8-2226-SM-9WPOV 60-69 years, female 7.3
GTEX-13W46-1926-SM-5J2MF 50-59 years, male 7.2
GTEX-Y8E4-1726-SM-5LU9G 40-49 years, male 7.2
GTEX-1KAFJ-0626-SM-D3L8X 50-59 years, male 7.2
GTEX-1MA7W-0426-SM-E9TJ5 20-29 years, female 7.2
GTEX-11P82-0526-SM-5986P 20-29 years, male 7.1
GTEX-1EU9M-2326-SM-7MKGS 60-69 years, male 7.1
GTEX-1ICG6-1926-SM-ARU7L 70-79 years, female 7.1
GTEX-1QPFJ-1226-SM-EAZ3M 30-39 years, female 7.1
GTEX-11EI6-1526-SM-5P9GL 60-69 years, male 7.0
GTEX-13G51-0926-SM-5IFFU 60-69 years, male 7.0
GTEX-16BQI-1526-SM-6LLIE 30-39 years, female 7.0
GTEX-1EH9U-2426-SM-7EWFG 60-69 years, male 6.9
GTEX-WYJK-1926-SM-4ONDP 50-59 years, male 6.9
GTEX-ZAB4-1126-SM-5HL86 40-49 years, male 6.9
GTEX-1H1ZS-1526-SM-9OSXR 70-79 years, male 6.9
GTEX-12C56-1226-SM-5FQSU 20-29 years, male 6.8
GTEX-1QEPI-1826-SM-EAZ3J 60-69 years, female 6.8
GTEX-1AYD5-0926-SM-793AF 50-59 years, male 6.6
GTEX-OIZI-1426-SM-3NB1T 40-49 years, male 6.5
GTEX-UJMC-0926-SM-4IHLK 50-59 years, male 6.5
GTEX-ZXES-1126-SM-5GZXN 30-39 years, female 6.5
GTEX-1R9K4-1926-SM-DPRZW 60-69 years, male 6.5
GTEX-UPJH-1026-SM-EAZB2 50-59 years, male 6.5
GTEX-1399U-1026-SM-5J1OC 50-59 years, female 6.4
GTEX-13FTW-1626-SM-5KM4N 40-49 years, male 6.4
GTEX-XMD2-1326-SM-4YCET 60-69 years, female 6.4
GTEX-ZYFG-1126-SM-5GICY 60-69 years, female 6.4
GTEX-14PJ4-1526-SM-664OA 60-69 years, male 6.3
GTEX-ZE9C-1126-SM-4WWBD 60-69 years, male 6.3
GTEX-ZQUD-0426-SM-57WFR 30-39 years, male 6.3
GTEX-1EKGG-1726-SM-7MXUP 60-69 years, male 6.3
GTEX-1IDJF-1226-SM-C1YPX 20-29 years, male 6.3
GTEX-1F75I-1726-SM-7MKGW 40-49 years, male 6.2
GTEX-T2YK-1326-SM-4DM6S 50-59 years, male 6.2
GTEX-X62O-2226-SM-46MW3 50-59 years, male 6.2
GTEX-ZDTT-1326-SM-4WKFH 60-69 years, male 6.2
GTEX-1I1GS-2126-SM-ARU7G 60-69 years, male 6.2
GTEX-1IDJH-2026-SM-CNNQX 70-79 years, male 6.2
GTEX-1LBAC-1226-SM-DHXK1 20-29 years, male 6.2
GTEX-12WSG-5007-SM-7DUGZ 50-59 years, female 6.1
GTEX-18A66-1426-SM-7KFRT 60-69 years, male 6.1
GTEX-S33H-0826-SM-4AD5Y 30-39 years, male 6.1
GTEX-X4LF-0626-SM-4QASB 50-59 years, male 6.0
GTEX-Y111-1626-SM-57WCY 50-59 years, male 6.0
GTEX-1GMR2-1526-SM-7MXV6 50-59 years, male 6.0
GTEX-1RDX4-2126-SM-EV7B3 50-59 years, female 6.0
GTEX-132AR-2226-SM-5J2NT 50-59 years, female 5.9
GTEX-T8EM-0526-SM-4DM64 40-49 years, male 5.9
GTEX-U3ZH-1026-SM-4DXUZ 30-39 years, male 5.9
GTEX-YECK-1626-SM-5IFHQ 60-69 years, male 5.9
GTEX-12WSD-1826-SM-5GCOA 60-69 years, female 5.8
GTEX-1AMEY-0226-SM-7189Q 30-39 years, female 5.8
GTEX-Q2AI-0626-SM-48TZU 40-49 years, male 5.8
GTEX-QEL4-1426-SM-447AC 50-59 years, male 5.8
GTEX-1HSMQ-2026-SM-B2LY1 50-59 years, male 5.8
GTEX-13NZB-1226-SM-5J2MW 30-39 years, male 5.7
GTEX-1EX96-2226-SM-7MKGT 50-59 years, male 5.7
GTEX-RTLS-1126-SM-46MUQ 60-69 years, female 5.7
GTEX-1LG7Z-0926-SM-CXKYK 30-39 years, male 5.7
GTEX-1399Q-1126-SM-5P9JA 40-49 years, male 5.6
GTEX-14PK6-1326-SM-686ZE 70-79 years, female 5.6
GTEX-17KNJ-1326-SM-7KFTG 50-59 years, male 5.6
GTEX-1AX9K-1126-SM-731DQ 50-59 years, male 5.6
GTEX-Y3IK-1126-SM-51MSV 50-59 years, female 5.6
GTEX-1CAMQ-2726-SM-7MKGD 40-49 years, male 5.6
GTEX-1JKYN-1526-SM-CGQGA 30-39 years, male 5.6
GTEX-139TU-1226-SM-5J2NL 60-69 years, male 5.5
GTEX-13X6K-2126-SM-5O9D4 60-69 years, female 5.5
GTEX-P4PP-0626-SM-3NM9X 30-39 years, female 5.5
GTEX-14H4A-1626-SM-5SI69 40-49 years, female 5.4
GTEX-WRHK-0526-SM-4MVOF 20-29 years, female 5.4
GTEX-ZT9W-1326-SM-51MTB 50-59 years, male 5.4
GTEX-1HC8U-1526-SM-9WPO4 40-49 years, female 5.4
GTEX-18A7A-2326-SM-7KFRH 50-59 years, female 5.3
GTEX-18D9B-2026-SM-7LT96 60-69 years, male 5.3
GTEX-XBED-1026-SM-48TCB 60-69 years, male 5.3
GTEX-1R9JW-1526-SM-DPRZK 30-39 years, female 5.3
GTEX-1QCLY-1526-SM-DPRXX 30-39 years, male 5.2
GTEX-12WSL-1526-SM-5GCP8 50-59 years, male 5.1
GTEX-145LT-1126-SM-5LUA1 40-49 years, male 5.1
GTEX-U4B1-0826-SM-4DXTW 40-49 years, male 5.1
GTEX-XUZC-0426-SM-4BOPE 30-39 years, female 5.1
GTEX-11XUK-0826-SM-5GU6P 40-49 years, female 5.0
GTEX-13O61-0926-SM-5IFFE 60-69 years, male 5.0
GTEX-1QP28-1826-SM-EAZ4L 50-59 years, female 5.0
GTEX-ZF29-1326-SM-DNZYV 60-69 years, female 5.0
GTEX-SUCS-0726-SM-4DM7J 70-79 years, male 4.9
GTEX-WYVS-0726-SM-4ONDO 40-49 years, female 4.9
GTEX-ZF2S-1226-SM-4WWAX 50-59 years, female 4.9
GTEX-13U4I-1126-SM-5LU3S 40-49 years, female 4.8
GTEX-15EU6-1626-SM-6LPKF 50-59 years, male 4.8
GTEX-X4EO-1226-SM-4QARR 60-69 years, female 4.8
GTEX-XQ3S-1126-SM-4BOPK 20-29 years, male 4.8
GTEX-1I1GR-1326-SM-ARU7B 60-69 years, male 4.8
GTEX-1J8EW-1326-SM-AHZ3S 60-69 years, female 4.8
GTEX-1LGOU-0526-SM-D3LAO 20-29 years, female 4.8
GTEX-13SLX-1726-SM-5Q5E5 50-59 years, female 4.7
GTEX-1IKK5-1326-SM-AHZ2X 60-69 years, male 4.7
GTEX-13OVI-2626-SM-5KM4T 60-69 years, female 4.6
GTEX-13W3W-1626-SM-5LU35 60-69 years, female 4.6
GTEX-QVUS-0626-SM-447CC 60-69 years, female 4.6
GTEX-V955-1126-SM-4JBH3 60-69 years, male 4.6
GTEX-WFON-0826-SM-4LVMI 40-49 years, male 4.6
GTEX-YB5E-0926-SM-4WWDQ 40-49 years, male 4.6
GTEX-14PJM-1526-SM-664NY 50-59 years, female 4.5
GTEX-16AAH-0726-SM-793A9 50-59 years, male 4.5
GTEX-17HGU-1426-SM-7938G 50-59 years, male 4.5
GTEX-1EMGI-1926-SM-7938Y 60-69 years, male 4.5
GTEX-Y5V6-1026-SM-4VBS2 60-69 years, male 4.5
GTEX-ZVT2-1326-SM-5E45H 50-59 years, female 4.5
GTEX-1A8FM-1526-SM-7MXTA 50-59 years, female 4.5
GTEX-1HSKV-2426-SM-A8N8K 60-69 years, male 4.5
GTEX-139T6-0626-SM-5IFF9 50-59 years, male 4.4
GTEX-148VI-1026-SM-5TDDJ 60-69 years, female 4.4
GTEX-183WM-1726-SM-7KFT5 70-79 years, female 4.4
GTEX-RU72-0726-SM-46MUW 50-59 years, female 4.4
GTEX-SE5C-1226-SM-4BRWV 40-49 years, female 4.4
GTEX-NPJ8-1926-SM-3MJGB 40-49 years, male 4.3
GTEX-ZG7Y-1126-SM-4WWEZ 50-59 years, male 4.3
GTEX-1LB8K-1326-SM-CXZKB 50-59 years, male 4.3
GTEX-139YR-1726-SM-5IFFK 50-59 years, male 4.2
GTEX-178AV-0526-SM-6LPJH 40-49 years, male 4.2
GTEX-18A67-2426-SM-7LT95 50-59 years, male 4.2
GTEX-QDVN-1026-SM-48TZA 50-59 years, male 4.2
GTEX-R55G-1026-SM-48FDI 40-49 years, female 4.2
GTEX-VJYA-0726-SM-4KL1T 60-69 years, male 4.2
GTEX-Y5LM-1026-SM-4VDSQ 40-49 years, female 4.2
GTEX-15F5U-5010-SM-AHZ2D 40-49 years, male 4.2
GTEX-1122O-1726-SM-5GICM 60-69 years, female 4.1
GTEX-145LU-0926-SM-79OJL 50-59 years, male 4.1
GTEX-146FQ-1026-SM-5LU8I 30-39 years, male 4.1
GTEX-15ER7-2126-SM-7939E 20-29 years, female 4.1
GTEX-T2IS-0826-SM-4DM6L 20-29 years, female 4.1
GTEX-ZZPT-1426-SM-5N9C5 50-59 years, male 4.1
GTEX-1GMR3-1526-SM-9JGGL 40-49 years, male 4.1
GTEX-1GN1U-1826-SM-9JGH2 50-59 years, female 4.1
GTEX-1GTWX-1326-SM-9JGHU 60-69 years, male 4.1
GTEX-OHPN-1026-SM-E9TI8 60-69 years, female 4.1
GTEX-14ICK-2026-SM-6AJB2 40-49 years, male 4.0
GTEX-14PKV-1726-SM-6871U 20-29 years, female 4.0
GTEX-YJ89-1526-SM-5P9IR 60-69 years, male 4.0
GTEX-111YS-0926-SM-5EGGI 60-69 years, male 3.9
GTEX-14C5O-1626-SM-73KYH 60-69 years, male 3.9
GTEX-WFG7-1126-SM-4LMK3 20-29 years, male 3.9
GTEX-1HFI6-1226-SM-A96SK 40-49 years, male 3.9
GTEX-11ZTS-2626-SM-5EGIC 60-69 years, female 3.8
GTEX-15ETS-1926-SM-7KUN5 40-49 years, female 3.8
GTEX-PWN1-0626-SM-48TDT 40-49 years, female 3.8
GTEX-RU1J-0326-SM-46MUM 20-29 years, female 3.8
GTEX-1K2DU-1726-SM-EV79S 20-29 years, male 3.8
GTEX-1MA7X-0726-SM-EV7AB 60-69 years, male 3.8
GTEX-11EQ9-0726-SM-5A5K2 30-39 years, male 3.7
GTEX-11ONC-1526-SM-5GU6S 60-69 years, male 3.7
GTEX-14E1K-1226-SM-5S2PD 50-59 years, male 3.7
GTEX-1CB4I-1026-SM-7MKFZ 50-59 years, male 3.7
GTEX-O5YV-1026-SM-3LK72 60-69 years, female 3.7
GTEX-RNOR-1226-SM-48FDQ 50-59 years, female 3.7
GTEX-WEY5-0926-SM-4LMI4 40-49 years, female 3.7
GTEX-Y8LW-0726-SM-5IFI1 50-59 years, female 3.7
GTEX-1H3NZ-1326-SM-9JGHI 60-69 years, male 3.7
GTEX-1H11D-2126-SM-9OSXM 40-49 years, male 3.6
GTEX-1J8QM-1926-SM-AHZ3Z 60-69 years, female 3.6
GTEX-131YS-1426-SM-5IJF7 60-69 years, female 3.5
GTEX-OXRP-0926-SM-48TC1 60-69 years, female 3.5
GTEX-1CB4F-1526-SM-7MKFM 60-69 years, male 3.4
GTEX-U3ZM-0526-SM-4DXTB 40-49 years, male 3.4
GTEX-XBEW-1326-SM-4AT63 40-49 years, male 3.4
GTEX-ZAK1-1526-SM-5S2OV 50-59 years, female 3.4
GTEX-ZUA1-1226-SM-5NQ6O 40-49 years, male 3.4
GTEX-ZVP2-1326-SM-57WCE 50-59 years, male 3.4
GTEX-1IY9M-1626-SM-AHZ39 60-69 years, male 3.4
GTEX-13RTK-0526-SM-5S2QF 20-29 years, male 3.3
GTEX-17MFQ-0526-SM-7KFTX 20-29 years, male 3.3
GTEX-1R9K5-1526-SM-DPRZA 50-59 years, male 3.3
GTEX-147F3-0826-SM-5NQA7 50-59 years, female 3.2
GTEX-15RIF-0826-SM-6M47C 20-29 years, male 3.2
GTEX-OIZH-0626-SM-3NB1L 50-59 years, male 3.2
GTEX-R55E-1326-SM-48FCR 20-29 years, male 3.2
GTEX-W5WG-1626-SM-4LMKG 50-59 years, female 3.2
GTEX-ZYY3-1526-SM-5SIA9 60-69 years, female 3.2
GTEX-1N2DW-1426-SM-EV7AZ 50-59 years, male 3.2
GTEX-1399S-1326-SM-5P9GH 30-39 years, female 3.1
GTEX-X3Y1-1326-SM-4PQZB 40-49 years, male 3.1
GTEX-13FHO-1726-SM-DPRZX 60-69 years, male 3.1
GTEX-1I1GV-2226-SM-ARU7E 60-69 years, male 3.1
GTEX-14ICL-0526-SM-5RQJ6 30-39 years, male 3.0
GTEX-1B8KE-1826-SM-731FD 50-59 years, male 3.0
GTEX-RN64-1026-SM-48FDX 50-59 years, male 3.0
GTEX-1OKEX-1326-SM-E9J2U 60-69 years, male 3.0
GTEX-1RAZS-2626-SM-EV79C 50-59 years, male 3.0
GTEX-PWCY-0726-SM-48TCS 20-29 years, female 2.9
GTEX-1H1DE-1026-SM-9JGH6 20-29 years, male 2.9
GTEX-131XG-1026-SM-5GCMX 50-59 years, female 2.8
GTEX-13QJ3-1726-SM-5RQK9 50-59 years, male 2.8
GTEX-17EVQ-1926-SM-7IGOF 70-79 years, male 2.8
GTEX-1IDJD-1626-SM-C1YRC 30-39 years, male 2.8
GTEX-1KXAM-0826-SM-CXZK9 60-69 years, male 2.8
GTEX-11P81-0826-SM-5P9GR 30-39 years, female 2.7
GTEX-12BJ1-1626-SM-5HL8Y 60-69 years, male 2.7
GTEX-13OW8-2326-SM-5L3I9 60-69 years, male 2.7
GTEX-14DAR-0826-SM-73KYJ 50-59 years, male 2.7
GTEX-WH7G-0926-SM-4LVMJ 40-49 years, male 2.7
GTEX-Z9EW-0526-SM-5HL8S 40-49 years, male 2.7
GTEX-1GN1W-2226-SM-9JGI5 50-59 years, female 2.7
GTEX-1LG7Y-1726-SM-EV7AR 50-59 years, male 2.7
GTEX-PLZ5-0926-SM-3TW8L 50-59 years, male 2.6
GTEX-QCQG-0626-SM-48U21 50-59 years, female 2.6
GTEX-UPK5-1226-SM-4IHL8 40-49 years, male 2.6
GTEX-XQ8I-1526-SM-4BOOH 50-59 years, male 2.6
GTEX-131XF-0826-SM-5GICG 60-69 years, male 2.5
GTEX-PLZ6-0526-SM-3P61C 30-39 years, male 2.5
GTEX-R3RS-1326-SM-48FE7 40-49 years, female 2.5
GTEX-WHPG-1126-SM-4M1XT 50-59 years, male 2.5
GTEX-WHSB-0426-SM-4M1XI 50-59 years, male 2.5
GTEX-1B97J-1026-SM-7MXTE 50-59 years, female 2.5
GTEX-1I1GQ-1726-SM-B2LWZ 50-59 years, male 2.5
GTEX-1LGRB-1626-SM-CNNR7 50-59 years, female 2.5
GTEX-1RAZA-1326-SM-DPS12 20-29 years, male 2.5
GTEX-YEC4-1026-SM-9WG7N 40-49 years, male 2.5
GTEX-13S86-0826-SM-5SI6J 40-49 years, male 2.4
GTEX-1AMFI-0226-SM-731D5 50-59 years, female 2.4
GTEX-OIZG-1026-SM-3LK5X 50-59 years, male 2.4
GTEX-S7SF-0926-SM-4AD4M 20-29 years, female 2.4
GTEX-13FTX-0526-SM-5IFGS 20-29 years, female 2.3
GTEX-15SB6-0726-SM-6M48F 50-59 years, female 2.3
GTEX-1C64O-1826-SM-7DHM4 60-69 years, male 2.3
GTEX-1MCYP-1026-SM-DPRYB 20-29 years, female 2.3
GTEX-16NGA-1426-SM-718AC 40-49 years, female 2.2
GTEX-1AX9J-1826-SM-731FM 60-69 years, male 2.2
GTEX-1B933-2026-SM-7EWFC 50-59 years, female 2.2
GTEX-1QCLZ-1626-SM-E9U5R 60-69 years, female 2.2
GTEX-12696-1326-SM-5FQTJ 60-69 years, male 2.1
GTEX-13OVK-1126-SM-6PAMR 40-49 years, male 2.1
GTEX-18D9A-0526-SM-7KFSW 30-39 years, female 2.1
GTEX-18D9U-2126-SM-7LG4Y 40-49 years, male 2.1
GTEX-ZTSS-0626-SM-59867 40-49 years, male 2.1
GTEX-11EMC-2226-SM-5A5JW 60-69 years, female 2.0
GTEX-12WSK-1126-SM-5LZV8 40-49 years, female 2.0
GTEX-12ZZY-1426-SM-5N9EI 60-69 years, male 2.0
GTEX-1B97I-0926-SM-731DZ 40-49 years, male 2.0
GTEX-RWS6-0826-SM-47JXF 60-69 years, female 2.0
GTEX-TML8-1526-SM-4DXUX 40-49 years, female 2.0
GTEX-YFC4-1226-SM-5LU9R 40-49 years, female 2.0
GTEX-ZYT6-1126-SM-5GZYR 30-39 years, male 2.0
GTEX-14PJ3-0626-SM-6UGC5 50-59 years, male 2.0
GTEX-1J1R8-0326-SM-AHZ3D 40-49 years, male 2.0
GTEX-14DAQ-1426-SM-5RQJD 60-69 years, female 1.9
GTEX-1MCC2-1926-SM-DHXJR 30-39 years, female 1.9
GTEX-1N2DV-2026-SM-EV7BL 40-49 years, male 1.9
GTEX-14AS3-0626-SM-5QGQD 40-49 years, female 1.8
GTEX-15RIE-0826-SM-6M47X 60-69 years, male 1.8
GTEX-R55C-0826-SM-48FCL 40-49 years, male 1.8
GTEX-18QFQ-1026-SM-7LG6B 30-39 years, male 1.8
GTEX-1LNCM-0626-SM-EV7AI 50-59 years, female 1.8
GTEX-13D11-1926-SM-5IFGB 50-59 years, female 1.7
GTEX-1CB4E-1026-SM-793AB 60-69 years, male 1.7
GTEX-R53T-1126-SM-48FD4 50-59 years, female 1.7
GTEX-VUSG-1226-SM-4KKZF 50-59 years, male 1.7
GTEX-ZLV1-0526-SM-4WWD4 60-69 years, female 1.7
GTEX-1S82Y-1226-SM-EV7BD 40-49 years, male 1.7
GTEX-OIZF-0626-SM-7MKHG 60-69 years, male 1.7
GTEX-YEC3-2526-SM-CXZIH 50-59 years, male 1.7
GTEX-13PL7-0226-SM-731DT 60-69 years, female 1.6
GTEX-17HHE-0926-SM-7938K 50-59 years, male 1.6
GTEX-1CB4G-1326-SM-7MKFP 60-69 years, male 1.6
GTEX-1LVAN-2326-SM-CNNPY 50-59 years, female 1.6
GTEX-11I78-1526-SM-5A5K7 50-59 years, female 1.5
GTEX-145LV-1326-SM-5S2QI 50-59 years, male 1.5
GTEX-YB5K-0826-SM-5YYB7 40-49 years, female 1.5
GTEX-ZPCL-1426-SM-57WEC 60-69 years, female 1.5
GTEX-1HB9E-1526-SM-D3LA6 50-59 years, male 1.5
GTEX-16MT8-1326-SM-6M47R 60-69 years, female 1.4
GTEX-1F5PK-1526-SM-7MKGV 50-59 years, male 1.4
GTEX-1K2DA-0626-SM-CGQGO 50-59 years, male 1.4
GTEX-1399R-0826-SM-5IJEL 30-39 years, male 1.3
GTEX-17F96-2526-SM-7DHL3 70-79 years, male 1.3
GTEX-1C2JI-1126-SM-731FH 50-59 years, male 1.3
GTEX-QV44-1126-SM-CL55C 50-59 years, male 1.3
GTEX-1KANA-0626-SM-D4P3I 20-29 years, male 1.2
GTEX-1MGNQ-1626-SM-EAZ4Z 40-49 years, male 1.2
GTEX-11DXZ-1226-SM-5H11L 50-59 years, male 1.1
GTEX-11P7K-1326-SM-5BC5G 30-39 years, male 1.1
GTEX-1AX9I-1426-SM-7DHM8 60-69 years, male 1.1
GTEX-OXRK-1326-SM-3NB1A 50-59 years, female 1.1
GTEX-1RAZR-1226-SM-E6CRD 40-49 years, male 1.1
GTEX-PLZ4-1626-SM-3P618 50-59 years, female 0.9
GTEX-1RAZQ-1726-SM-EAZ4T 30-39 years, male 0.9
GTEX-1IKOE-1526-SM-C1YSD 30-39 years, female 0.8
GTEX-1PIGE-0926-SM-E9U5Z 20-29 years, male 0.8
GTEX-1L5NE-1426-SM-DHXKV 50-59 years, male 0.7
GTEX-1R9PM-0926-SM-DPRYA 20-29 years, male 0.6
GTEX-QEG4-0726-SM-CNNRF 30-39 years, male 0.6
GTEX-13OVG-0626-SM-5IFEP 60-69 years, male 0.5
GTEX-1S83E-0826-SM-EV7B7 40-49 years, male 0.5
GTEX-14JIY-0926-SM-6871D 60-69 years, male 0.4
GTEX-15RJE-0926-SM-6LLHZ 40-49 years, male 0.4
GTEX-1NSGN-2026-SM-DPRYM 50-59 years, male 0.3
GTEX-15SHU-1426-SM-6LPIN 40-49 years, female 0.1
Show allShow less

ESOPHAGUS - FANTOM5 CAGEi

RNA expression in human tissues obtained through Cap Analysis of Gene Expression (CAGE) generated by the FANTOM5 project are reported as Scaled Tags Per Million.

Max subtype Scaled Tags Per Millioni

Max subtype Scaled Tags Per Million is the value for the subtype with the largest average Scaled Tags Per Million across the subtype samples.

21.4
FANTOM5 sample id Sample description Scaled Tags Per Million
Esophagus
Scaled Tags Per Million: 21.4
FF:10015-101C6 68,74,75 years, mixed 21.4

Contact

  • NEWS ARTICLES
  • PRESS ROOM

The Project

  • INTRODUCTION
  • ORGANIZATION
  • PUBLICATIONS

The Human Protein Atlas

  • DOWNLOADABLE DATA
  • LICENCE & CITATION
  • HELP & FAQ
The Human Protein Atlas project is funded
by the Knut & Alice Wallenberg Foundation.


contact@proteinatlas.org