We use cookies to enhance the usability of our website. If you continue, we'll assume that you are happy to receive all cookies. More information. Don't show this again.
TTC4
HPA
RESOURCES
  • TISSUE
  • BRAIN
  • SINGLE CELL
  • SUBCELLULAR
  • CANCER
  • BLOOD
  • CELL LINE
  • STRUCTURE & INTERACTION
ABOUT
  • INTRODUCTION
  • HISTORY
  • ORGANIZATION
  • PUBLICATIONS
  • ANTIBODY SUBMISSION
  • ANTIBODY AVAILABILITY
  • ACKNOWLEDGMENTS
  • CONTACT
NEWS
  • NEWS ARTICLES
  • PRESS ROOM
LEARN
  • DICTIONARY
  • PROTEIN CLASSES
  • PROTEIN EVIDENCE
  • METHODS
  • EDUCATIONAL VIDEOS
DATA
  • DOWNLOADABLE DATA
  • PUBLICATION DATA
  • RELEASE HISTORY
HELP
  • ANTIBODY VALIDATION
  • ASSAYS & ANNOTATION
  • DISCLAIMER
  • HELP & FAQ
  • PRIVACY STATEMENT
  • LICENCE & CITATION
Fields »
Search result

Field
Term
Gene name
Class
Subclass
Class
Keyword
Chromosome
External id
Tissue
Cell type
Expression
Antibody panel
Tissue
Main location
Patient ID
Annotation
Tissue
Category
Tau score
Cluster
Reliability
Brain region
Category
Tau score
Brain region
Category
Tau score
Brain region
Category
Tau score
Cluster
Reliability
Tissue
Cell type
Enrichment
Cell type
Category
Tau score
Cell type
Category
Tau score
Cell type
Category
Tau score
Cell lineage
Category
Tau score
Cluster
Cluster
Location
Searches
Location
Cell line
Class
Type
Phase
Reliability
Cancer
Prognosis
Cancer
Category
Cancer
Category
Tau score
Cluster
Variants
Interacting gene (ensg_id)
Type
Number of interactions
Pathway
Category
Score
Score
Score
Validation
Validation
Validation
Validation
Antibodies
Data type
Column


  • SUMMARY

  • TISSUE

  • BRAIN

  • SINGLE CELL

  • SUBCELL

  • CANCER

  • BLOOD

  • CELL LINE

  • STRUCT & INT

  • TTC4
TISSUE PRIMARY DATA SKIN Show tissue menu
ADIPOSE TISSUE ADRENAL GLAND AMYGDALA APPENDIX BASAL GANGLIA BONE MARROW BREAST BRONCHUS CEREBELLUM CEREBRAL CORTEX CERVIX CHOROID PLEXUS COLON DUODENUM
ENDOMETRIUM EPIDIDYMIS ESOPHAGUS FALLOPIAN TUBE GALLBLADDER HEART MUSCLE HIPPOCAMPAL FORMATION HYPOTHALAMUS KIDNEY LIVER LUNG LYMPH NODE MIDBRAIN NASOPHARYNX
ORAL MUCOSA OVARY PANCREAS PARATHYROID GLAND PITUITARY GLAND PLACENTA PROSTATE RECTUM RETINA SALIVARY GLAND SEMINAL VESICLE SKELETAL MUSCLE SKIN SMALL INTESTINE
SMOOTH MUSCLE SOFT TISSUE SPINAL CORD SPLEEN STOMACH TESTIS THYMUS THYROID GLAND TONGUE TONSIL URINARY BLADDER VAGINA
ANTIBODIES
AND
VALIDATION
Dictionary
Skin
Tissue proteome
Skin
SKIN - Expression summary
Protein expression
Skini

On the top, protein expression in current human tissue, based on all annotated cell types, is reported with the units not detected (n), low (l), medium (m) and high (h). Underneath, protein expression in each annotated cell type are reported using the same units.

Protein expression data is based on knowledge-based annotation. For genes where more than one antibody has been used, a collective score is set.

If knowledge-based annotation could not be performed for a gene, no data is displayed here. View antibody staining data further down this page.

h
m
l
n
Epidermal cells: Medium
Fibroblasts: High
Keratinocytes: Medium
Langerhans: Medium
Melanocytes: High
RNA expressioni

A summary of mRNA expression data available for current tissue based on several datasets. The mRNA expression levels in human tissues are based on RNA-seq data generated by the Human Protein Atlas (HPA), Genotype-Tissue Expression (GTEx) portal and CAGE data generated by the FANTOM5 consortium. Consensus normalized expression levels for human tissues was created by combining the data from HPA and GTEx datasets.

The mRNA expression levels in pig are based on RNA-seq data generated by the Human Protein Atlas (HPA), and for mouse, HPA data and in situ hybridization generated by the Allen brain atlas are reported.

Scroll down to view mRNA expression data in more detail.
Consensus:10.0 nTPM
HPA:8.8 nTPM
GTEx:10.0 nTPM

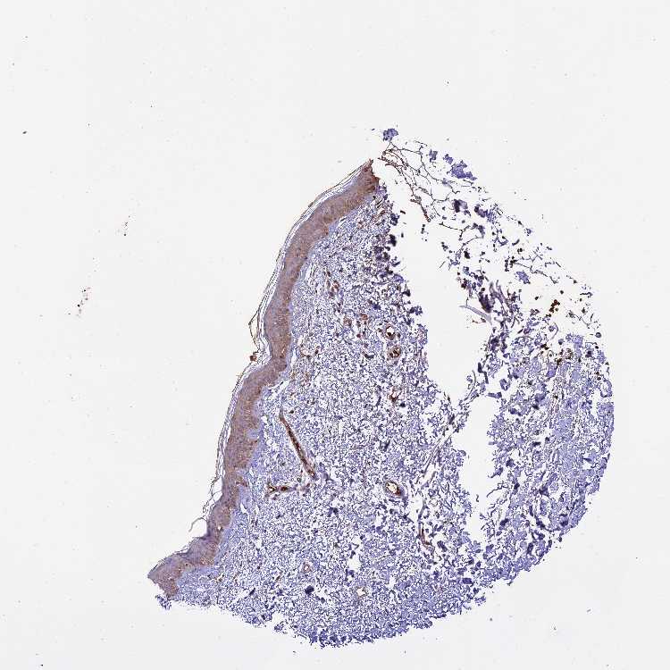
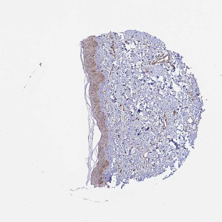
SKIN 1 - Antibody stainingi

Antibody staining in the annotated cell types in the current human tissue is reported as not detected, low, medium, or high, based on conventional immunohistochemistry profiling in selected tissues. This score is based on the combination of the staining intensity and fraction of stained cells.

Each image is clickable and will lead to virtual microscopy that enables deeper exploration of all samples and also displays staining intensity scores, fraction scores and subcellular localization as well as patient and tissue information for each sample.

Antibody HPA041608Antibody HPA042459
Langerhans Not detectedMedium
Fibroblasts Not detectedHigh
Keratinocytes LowMedium
Melanocytes Not detectedHigh




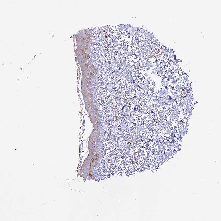
SKIN 2 - Antibody stainingi

Antibody staining in the annotated cell types in the current human tissue is reported as not detected, low, medium, or high, based on conventional immunohistochemistry profiling in selected tissues. This score is based on the combination of the staining intensity and fraction of stained cells.

Each image is clickable and will lead to virtual microscopy that enables deeper exploration of all samples and also displays staining intensity scores, fraction scores and subcellular localization as well as patient and tissue information for each sample.

Antibody HPA041608Antibody HPA042459
Epidermal cells LowMedium
  
  
  



SKIN - HPA RNA-seqi

The RNA-seq details section shows detailed information about the individual samples used for the transcript profiling and results of the RNA-seq analysis.

Information about each individual sample is listed below, including gender, age, a tissue section image and estimated fractions of cell types. nTPM (normalized transcripts per million) values give a quantification of the gene abundance which is comparable between different genes and samples.
Average nTPMi

Max subtype nTPM is the value for the subtype with the largest average nTPM across the subtype samples.

8.8
overview
Female, age 34
Skin sample 225
nTPM: 6.5
Cell types%
Keratinocytes:
60

Other cell types:
40

overview
Female, age 30
Skin sample 226
nTPM: 10.5
Cell types%
Keratinocytes:
55

Other cell types:
45

N/A
Male, age 57
Skin sample 227
nTPM: 9.3

SKIN - GTEx RNA-seqi

RNA-Seq data generated by the Genotype-Tissue Expression (GTEx) project from human tissues is reported as mean nTPM. More information can be found on the GTEx portal.

Distribution across the dataset is visualized with box plots, shown as median and 25th and 75th percentiles. Points are displayed as outliers if they are above or below 1.5 times the interquartile range. nTPM values of the individual samples are presented next to the box plot.
Max subtype nTPMi

Max subtype nTPM is the value for the subtype with the largest average nTPM across the subtype samples.

10.0
GTEx sample id Sample description nTPM
Skin - Not Sun Exposed (Suprapubic)
Average nTPM: 10.0
Samples: 604

Max nTPM: 21.3
Min nTPM: 3.2
Std nTPM: 2.8
Median nTPM: 9.7
GTEX-ZTX8-1326-SM-4YCEL 20-29 years, male 21.3
GTEX-11WQK-1026-SM-5EQLX 50-59 years, male 18.9
GTEX-1NV5F-0626-SM-DTXEG 60-69 years, female 18.7
GTEX-15G1A-1626-SM-7KUKN 30-39 years, male 17.9
GTEX-1ICLZ-0326-SM-ARL82 60-69 years, male 17.7
GTEX-Y111-0626-SM-4SOIT 50-59 years, male 17.4
GTEX-1LSVX-2526-SM-DIPEU 60-69 years, male 16.9
GTEX-Y114-2126-SM-4TT8B 50-59 years, female 16.7
GTEX-1RAZS-2526-SM-E6CHT 50-59 years, male 16.7
GTEX-11OF3-0126-SM-5PNYF 60-69 years, male 16.5
GTEX-12ZZX-2426-SM-5GCOE 40-49 years, female 16.5
GTEX-148VJ-0626-SM-5LUAW 70-79 years, male 16.5
GTEX-1S83E-1326-SM-E6CJM 40-49 years, male 16.5
GTEX-14XAO-1226-SM-6EU1C 60-69 years, female 16.4
GTEX-X585-2426-SM-46MW2 50-59 years, male 16.4
GTEX-XXEK-1626-SM-4BRUZ 50-59 years, male 16.3
GTEX-1R9PN-0426-SM-DTXDT 40-49 years, female 16.3
GTEX-1F52S-2926-SM-7MKGA 60-69 years, female 16.2
GTEX-1I1GU-0926-SM-ACKVS 40-49 years, male 16.1
GTEX-1H11D-1826-SM-9QEHM 40-49 years, male 16.0
GTEX-1LVAM-0726-SM-E6CIL 50-59 years, female 16.0
GTEX-1R46S-2426-SM-E76QA 60-69 years, female 16.0
GTEX-13IVO-0726-SM-5LZYV 70-79 years, male 15.8
GTEX-144FL-0626-SM-5LU43 50-59 years, male 15.7
GTEX-15DDE-2926-SM-6LLJ3 50-59 years, female 15.7
GTEX-1A3MW-0626-SM-731CB 60-69 years, female 15.7
GTEX-13NYC-0126-SM-5L3F4 60-69 years, male 15.6
GTEX-1OJC4-2726-SM-E76PJ 50-59 years, female 15.6
GTEX-11EQ8-0926-SM-5H12V 60-69 years, male 15.3
GTEX-139YR-1026-SM-5LZYN 50-59 years, male 15.3
GTEX-1F5PL-0926-SM-7PC2W 40-49 years, female 15.3
GTEX-1JMQI-1726-SM-ARL93 50-59 years, male 15.3
GTEX-1JN1M-2726-SM-CY8I4 60-69 years, female 15.3
GTEX-15G19-2426-SM-7KUMR 60-69 years, male 15.2
GTEX-1HSMO-0626-SM-ACKXC 60-69 years, male 15.2
GTEX-11PRG-0726-SM-5EGL1 50-59 years, male 15.1
GTEX-11ZUS-2626-SM-5FQUR 30-39 years, male 15.0
GTEX-1HBPM-0726-SM-9YFL7 60-69 years, female 15.0
GTEX-139UW-0326-SM-5J1ML 60-69 years, male 14.9
GTEX-1R9K4-2826-SM-DTX8F 60-69 years, male 14.9
GTEX-1313W-0626-SM-5EQ4H 50-59 years, female 14.8
GTEX-139D8-1126-SM-5LU8W 30-39 years, female 14.8
GTEX-1I1HK-2326-SM-CKZOH 60-69 years, male 14.8
GTEX-13VXT-1926-SM-5K7UO 20-29 years, female 14.7
GTEX-13NZ8-1226-SM-5KM4A 60-69 years, female 14.6
GTEX-XBEW-1126-SM-4QARW 40-49 years, male 14.6
GTEX-XYKS-1426-SM-4BRUO 60-69 years, female 14.6
GTEX-1F75B-0726-SM-7PC3R 50-59 years, male 14.6
GTEX-1H2FU-0926-SM-9WPPT 60-69 years, female 14.6
GTEX-1IKOE-1426-SM-CE6T7 30-39 years, female 14.6
GTEX-1JMQK-1226-SM-D4P2S 60-69 years, male 14.6
GTEX-1PPGY-1626-SM-EVYBL 60-69 years, male 14.6
GTEX-14C38-0726-SM-5SI6M 50-59 years, male 14.5
GTEX-1HR98-2226-SM-ADEI2 60-69 years, male 14.5
GTEX-13JVG-0726-SM-5KM16 60-69 years, male 14.3
GTEX-13SLW-0626-SM-5Q5ER 70-79 years, male 14.3
GTEX-1A8G7-1326-SM-73KVM 60-69 years, male 14.3
GTEX-11WQC-1826-SM-5GU59 60-69 years, male 14.2
GTEX-1N2DV-1526-SM-DTXEP 40-49 years, male 14.1
GTEX-1PBJJ-1026-SM-E76OS 30-39 years, male 14.0
GTEX-1MJK3-0726-SM-E6CJC 20-29 years, male 13.9
GTEX-1S82U-1026-SM-E6CJK 30-39 years, female 13.9
GTEX-11ZU8-0126-SM-5EQ58 60-69 years, male 13.8
GTEX-16AAH-0626-SM-793C9 50-59 years, male 13.8
GTEX-15EO6-2426-SM-6PALZ 50-59 years, male 13.6
GTEX-1B8SF-0126-SM-7DUG3 60-69 years, male 13.6
GTEX-1KANB-2826-SM-CY8I6 50-59 years, male 13.6
GTEX-1OJC3-1226-SM-DTXER 20-29 years, male 13.6
GTEX-11DXX-2126-SM-5PNYR 60-69 years, female 13.5
GTEX-13FTX-1526-SM-5K7VJ 20-29 years, female 13.5
GTEX-15SKB-2826-SM-6PAMH 60-69 years, male 13.5
GTEX-1QP2A-1726-SM-E76QC 50-59 years, male 13.5
GTEX-1JJEA-1826-SM-ARU8P 60-69 years, male 13.4
GTEX-1K2DU-1226-SM-CYPT4 20-29 years, male 13.4
GTEX-14PJO-2526-SM-6AJBQ 60-69 years, male 13.3
GTEX-11P82-1426-SM-DTXFY 20-29 years, male 13.3
GTEX-1F88E-1626-SM-7SB8Z 60-69 years, female 13.3
GTEX-1RAZR-2126-SM-E9U6T 40-49 years, male 13.3
GTEX-13FHO-0426-SM-5L3F5 60-69 years, male 13.2
GTEX-13NYB-0126-SM-5J1MD 40-49 years, male 13.2
GTEX-1C6VQ-1226-SM-73KYD 50-59 years, male 13.2
GTEX-WFON-1926-SM-3LK7L 40-49 years, male 13.2
GTEX-1HBPI-2126-SM-ARL9K 50-59 years, male 13.2
GTEX-1M4P7-0726-SM-E6CJ3 60-69 years, male 13.2
GTEX-1RAZQ-1326-SM-E9TK6 30-39 years, male 13.2
GTEX-131XH-0126-SM-5LZUY 50-59 years, male 13.1
GTEX-1JN76-0626-SM-CKZOQ 20-29 years, female 13.1
GTEX-13OW7-0426-SM-5K7VK 50-59 years, male 13.0
GTEX-13PDP-0726-SM-5L3HP 60-69 years, male 13.0
GTEX-13QJC-0126-SM-5ZZWJ 60-69 years, female 13.0
GTEX-WFG7-2026-SM-5SI7P 20-29 years, male 13.0
GTEX-1QAET-0326-SM-EVR3U 50-59 years, male 13.0
GTEX-17HGU-2326-SM-7DUFE 50-59 years, male 12.9
GTEX-ZYVF-0926-SM-5E44J 50-59 years, female 12.9
GTEX-1HSMQ-2626-SM-A9SML 50-59 years, male 12.9
GTEX-14E1K-2026-SM-7DUEI 50-59 years, male 12.8
GTEX-1LVA9-2626-SM-EVYD4 50-59 years, male 12.8
GTEX-1JK1U-0226-SM-ARZMX 60-69 years, male 12.7
GTEX-1399Q-2326-SM-5KM2X 40-49 years, male 12.6
GTEX-13OW5-2326-SM-5L3HO 60-69 years, male 12.6
GTEX-13X6I-1826-SM-5SIAO 60-69 years, male 12.6
GTEX-14PHY-1226-SM-5ZZWK 60-69 years, female 12.6
GTEX-1HGF4-0126-SM-CNPPX 60-69 years, male 12.6
GTEX-1HT8W-0626-SM-A9G2H 30-39 years, male 12.6
GTEX-13W3W-0726-SM-5IJDQ 60-69 years, female 12.5
GTEX-1F6RS-2026-SM-7RHHC 60-69 years, female 12.5
GTEX-1HR9M-2226-SM-CNPPY 60-69 years, male 12.5
GTEX-12584-0726-SM-5FQTK 40-49 years, male 12.4
GTEX-14C39-1726-SM-5RQIL 40-49 years, male 12.4
GTEX-UPK5-0426-SM-3GAEK 40-49 years, male 12.4
GTEX-11DXW-0826-SM-5H118 40-49 years, male 12.3
GTEX-12WSD-0626-SM-5GCMW 60-69 years, female 12.3
GTEX-13X6K-0626-SM-5LU5D 60-69 years, female 12.3
GTEX-144GL-0626-SM-5LU4D 50-59 years, male 12.3
GTEX-17HHY-0426-SM-7DHLC 50-59 years, male 12.3
GTEX-18A7A-0126-SM-731AH 50-59 years, female 12.3
GTEX-1JKYR-0626-SM-ARL8R 20-29 years, male 12.3
GTEX-1117F-2926-SM-5GZYI 60-69 years, female 12.2
GTEX-111VG-1626-SM-5EGIO 60-69 years, male 12.2
GTEX-14DAQ-0626-SM-793DS 60-69 years, female 12.2
GTEX-14E6E-0526-SM-793DN 30-39 years, male 12.2
GTEX-17F98-1326-SM-7DUEP 40-49 years, female 12.2
GTEX-1A8G6-2726-SM-731AR 60-69 years, male 12.2
GTEX-11DXY-0126-SM-5H11Q 60-69 years, male 12.1
GTEX-11ZTT-2126-SM-5CVLO 60-69 years, female 12.1
GTEX-1EH9U-2826-SM-7DUGT 60-69 years, male 12.1
GTEX-X4EP-0626-SM-3P621 60-69 years, female 12.1
GTEX-Y8E4-2026-SM-5IFJB 40-49 years, male 12.1
GTEX-1GZ4I-2626-SM-9KNU3 50-59 years, male 12.1
GTEX-1MCC2-1826-SM-DIPEX 30-39 years, female 12.1
GTEX-1PDJ9-1226-SM-EXUSX 20-29 years, male 12.1
GTEX-12WSA-0426-SM-5EQ5X 60-69 years, male 12.0
GTEX-146FQ-2126-SM-5RQHU 30-39 years, male 12.0
GTEX-16MT9-0126-SM-7EPI8 60-69 years, female 12.0
GTEX-1BAJH-2426-SM-7IGP8 70-79 years, male 12.0
GTEX-1E1VI-0326-SM-793D1 50-59 years, male 12.0
GTEX-1IDJV-0126-SM-COH3Y 60-69 years, male 12.0
GTEX-12KS4-2126-SM-5FQUT 30-39 years, male 11.9
GTEX-139TU-0726-SM-5L3EK 60-69 years, male 11.9
GTEX-13O61-1426-SM-5KM3D 60-69 years, male 11.9
GTEX-17HG3-2626-SM-7DUF2 30-39 years, female 11.9
GTEX-UPJH-0226-SM-3GADV 50-59 years, male 11.9
GTEX-1H1DE-1326-SM-9KNUG 20-29 years, male 11.9
GTEX-1IKJJ-2226-SM-CJI4C 60-69 years, male 11.9
GTEX-1LKK1-2626-SM-DKPQE 50-59 years, female 11.9
GTEX-11DYG-1526-SM-5A5JS 60-69 years, male 11.8
GTEX-145MI-0626-SM-5SI8S 60-69 years, female 11.8
GTEX-14LLW-2626-SM-62LDZ 70-79 years, female 11.8
GTEX-16YQH-2226-SM-7IGM2 30-39 years, male 11.8
GTEX-17F9Y-0126-SM-79OKX 70-79 years, female 11.8
GTEX-1J8QM-2426-SM-A9SLS 60-69 years, female 11.8
GTEX-1K2DA-1026-SM-CGQGF 50-59 years, male 11.8
GTEX-1LGOU-1326-SM-D3L8M 20-29 years, female 11.8
GTEX-15EU6-2226-SM-6EU2L 50-59 years, male 11.7
GTEX-15RJ7-2126-SM-6PAMD 40-49 years, male 11.7
GTEX-13G51-1826-SM-5KLZH 60-69 years, male 11.6
GTEX-13N11-2326-SM-5IJBF 50-59 years, female 11.6
GTEX-14ICL-1626-SM-5YYAO 30-39 years, male 11.6
GTEX-14LZ3-0126-SM-69LPM 60-69 years, female 11.6
GTEX-1B933-2426-SM-7DHMD 50-59 years, female 11.6
GTEX-1EX96-1026-SM-7MKG2 50-59 years, male 11.6
GTEX-X8HC-0626-SM-4E3HQ 50-59 years, female 11.6
GTEX-ZYT6-2326-SM-5GZY3 30-39 years, male 11.6
GTEX-1HSGN-0826-SM-ACKW3 40-49 years, female 11.6
GTEX-1I19N-0126-SM-CYPSF 70-79 years, male 11.6
GTEX-1IL2V-1926-SM-B2LW8 70-79 years, male 11.6
GTEX-12126-0826-SM-5FQTZ 20-29 years, male 11.5
GTEX-17F97-2626-SM-7IGM5 50-59 years, male 11.5
GTEX-17KNJ-2126-SM-718AM 50-59 years, male 11.5
GTEX-VUSG-2326-SM-4KL1U 50-59 years, male 11.5
GTEX-XMD2-2126-SM-4YCF8 60-69 years, female 11.5
GTEX-ZAJG-1526-SM-5CVML 50-59 years, female 11.5
GTEX-1CAMS-2226-SM-7PBXQ 40-49 years, female 11.5
GTEX-1GF9X-1326-SM-7PC2Y 40-49 years, female 11.5
GTEX-ZF3C-0626-SM-DO92O 50-59 years, female 11.5
GTEX-11P81-2226-SM-5PNYI 30-39 years, female 11.4
GTEX-1269C-0126-SM-5EQ5L 60-69 years, female 11.4
GTEX-15D1Q-2826-SM-6LLH7 40-49 years, male 11.4
GTEX-1N2EE-0626-SM-E76PW 60-69 years, male 11.4
GTEX-13PL6-1126-SM-5L3IE 40-49 years, female 11.3
GTEX-14BMV-2826-SM-5TDED 50-59 years, male 11.3
GTEX-1C64N-2626-SM-7PC2N 50-59 years, male 11.3
GTEX-1H1E6-0426-SM-9WYUS 30-39 years, male 11.3
GTEX-1H3VE-0726-SM-9YFL5 40-49 years, male 11.3
GTEX-11DXZ-2026-SM-5987S 50-59 years, male 11.2
GTEX-13OW6-2726-SM-5J2OE 50-59 years, male 11.2
GTEX-147GR-2426-SM-5ZZWQ 60-69 years, male 11.2
GTEX-1EU9M-1426-SM-793AI 60-69 years, male 11.2
GTEX-WHSB-1326-SM-3LK6W 50-59 years, male 11.2
GTEX-ZE9C-2526-SM-5IJDR 60-69 years, male 11.2
GTEX-ZYFD-0626-SM-5E44E 50-59 years, male 11.2
GTEX-1GPI6-1926-SM-9KNV7 60-69 years, male 11.2
GTEX-1H1DF-1126-SM-9WG7G 40-49 years, female 11.2
GTEX-139TT-2126-SM-5LZWC 60-69 years, male 11.1
GTEX-U8XE-0226-SM-4E3J3 30-39 years, male 11.1
GTEX-1CB4J-1326-SM-7P8RX 60-69 years, male 11.1
GTEX-1GMR3-0126-SM-A9SLW 40-49 years, male 11.1
GTEX-1QP29-1826-SM-DTX9S 50-59 years, male 11.1
GTEX-1RB15-1326-SM-E76Q9 60-69 years, male 11.1
GTEX-1F75I-2226-SM-7SB8U 40-49 years, male 11.0
GTEX-1JMPY-0226-SM-CKZOK 30-39 years, male 11.0
GTEX-1QPFJ-1926-SM-EVYBD 30-39 years, female 11.0
GTEX-13VXU-0626-SM-5L3F9 50-59 years, male 10.9
GTEX-144GO-2026-SM-5O99P 60-69 years, male 10.9
GTEX-15RIG-0726-SM-7KUM7 40-49 years, male 10.9
GTEX-1B97I-0626-SM-73KUZ 40-49 years, male 10.9
GTEX-WXYG-2026-SM-4E3IY 50-59 years, female 10.9
GTEX-XK95-0226-SM-4AT58 40-49 years, male 10.9
GTEX-XQ8I-0926-SM-4BOOF 50-59 years, male 10.9
GTEX-14JFF-0626-SM-5ZZVT 60-69 years, male 10.9
GTEX-1A8FM-0626-SM-7PC25 50-59 years, female 10.9
GTEX-1HB9E-0126-SM-CM2S5 50-59 years, male 10.9
GTEX-1ICLY-0826-SM-CMKG1 50-59 years, male 10.9
GTEX-1QMI2-2526-SM-E8VNZ 60-69 years, male 10.9
GTEX-14AS3-1526-SM-5Q5ED 40-49 years, female 10.8
GTEX-X5EB-1926-SM-4E3IW 40-49 years, male 10.8
GTEX-1IDJC-1526-SM-B2LW4 50-59 years, male 10.8
GTEX-ZPIC-0526-SM-DO91W 40-49 years, female 10.8
GTEX-117YX-1926-SM-5GIEC 50-59 years, male 10.7
GTEX-131XF-2626-SM-5EQ6K 60-69 years, male 10.7
GTEX-131XG-0326-SM-5L3DX 50-59 years, female 10.7
GTEX-14A6H-2026-SM-5Q5DD 30-39 years, male 10.7
GTEX-ZUA1-2626-SM-5NQ92 40-49 years, male 10.7
GTEX-1GZ2Q-0126-SM-9WG6M 40-49 years, male 10.7
GTEX-1IDFM-0326-SM-ARL7V 60-69 years, male 10.7
GTEX-1PIIG-2326-SM-DTXFR 30-39 years, male 10.7
GTEX-13FH7-1126-SM-5K7UG 50-59 years, female 10.6
GTEX-18A7B-2726-SM-7LG56 70-79 years, male 10.6
GTEX-1EWIQ-0326-SM-7DHMQ 70-79 years, female 10.6
GTEX-ZYFG-1526-SM-5GZYM 60-69 years, female 10.6
GTEX-1C6VR-0126-SM-7RHGB 60-69 years, male 10.6
GTEX-1IDJH-0126-SM-D3L92 70-79 years, male 10.6
GTEX-1IDJI-0126-SM-CMKHS 50-59 years, female 10.6
GTEX-1PPH7-1126-SM-DTX9A 40-49 years, male 10.6
GTEX-13FLV-0126-SM-5K7WT 50-59 years, male 10.5
GTEX-15RIE-1926-SM-7KUKJ 60-69 years, male 10.5
GTEX-16NGA-0726-SM-731AO 40-49 years, female 10.5
GTEX-XBED-1926-SM-47JYP 60-69 years, male 10.5
GTEX-ZDXO-3126-SM-5IJDF 60-69 years, male 10.5
GTEX-ZPU1-1126-SM-4YCF3 40-49 years, male 10.5
GTEX-1HCVE-2726-SM-CL54F 50-59 years, male 10.5
GTEX-1QP66-1226-SM-DTX7U 50-59 years, male 10.5
GTEX-133LE-2326-SM-5K7W3 20-29 years, female 10.4
GTEX-13N2G-0226-SM-5K7VF 60-69 years, male 10.4
GTEX-1EN7A-2426-SM-793DB 40-49 years, male 10.4
GTEX-ZXG5-2126-SM-59HKD 60-69 years, male 10.4
GTEX-1H3O1-1326-SM-9MQLD 60-69 years, male 10.4
GTEX-1LSNM-0826-SM-DIPG8 50-59 years, male 10.4
GTEX-1PPH8-0126-SM-EWRN8 20-29 years, male 10.4
GTEX-13O3O-2326-SM-5IJD6 60-69 years, female 10.3
GTEX-13OVK-1426-SM-6PAN7 40-49 years, male 10.3
GTEX-145LS-0626-SM-7EPG7 60-69 years, female 10.3
GTEX-145LU-1926-SM-79OJN 50-59 years, male 10.3
GTEX-14PII-0726-SM-6EU2B 60-69 years, male 10.3
GTEX-ZAK1-0626-SM-5HL8E 50-59 years, female 10.3
GTEX-ZF29-0926-SM-4WKFZ 60-69 years, female 10.3
GTEX-1F6I4-2326-SM-7RHGL 60-69 years, male 10.3
GTEX-1KAFJ-0126-SM-DIPEK 50-59 years, male 10.3
GTEX-1QEPI-2626-SM-DTXF4 60-69 years, female 10.3
GTEX-13RTJ-0126-SM-5S2NN 60-69 years, male 10.2
GTEX-ZC5H-1526-SM-5HL9Y 40-49 years, female 10.2
GTEX-1GN2E-0226-SM-9WG6K 60-69 years, male 10.2
GTEX-1I6K7-1926-SM-B2LXR 40-49 years, male 10.2
GTEX-1S82P-2126-SM-E6CI5 60-69 years, female 10.2
GTEX-13OVH-0526-SM-5L3E6 70-79 years, male 10.1
GTEX-147F4-0726-SM-5TDDD 50-59 years, male 10.1
GTEX-14PJ3-1126-SM-5ZZVX 50-59 years, male 10.1
GTEX-18D9B-0926-SM-7LG4U 60-69 years, male 10.1
GTEX-1AMFI-1326-SM-7939R 50-59 years, female 10.1
GTEX-1CAMR-1326-SM-7PC1F 20-29 years, male 10.1
GTEX-1GN1W-2426-SM-9KNUU 50-59 years, female 10.1
GTEX-1HFI6-0126-SM-CNPPI 40-49 years, male 10.1
GTEX-1HSKV-1226-SM-ADEI4 60-69 years, male 10.1
GTEX-1LB8K-0726-SM-D5OV2 50-59 years, male 10.1
GTEX-1PIGE-1826-SM-E8VOU 20-29 years, male 10.1
GTEX-1R7EU-1626-SM-DTXG3 60-69 years, male 10.1
GTEX-111YS-1526-SM-5GZYW 60-69 years, male 10.0
GTEX-11P7K-1126-SM-5HL4L 30-39 years, male 10.0
GTEX-13OVL-0126-SM-5L3GJ 50-59 years, male 10.0
GTEX-13YAN-0226-SM-5TDC6 60-69 years, male 10.0
GTEX-17HHE-1326-SM-7EWDZ 50-59 years, male 10.0
GTEX-18A66-0626-SM-7LT8Z 60-69 years, male 10.0
GTEX-1F75A-0726-SM-7RHHD 50-59 years, male 10.0
GTEX-1HCU7-0726-SM-A9SL1 50-59 years, male 10.0
GTEX-1QP9N-1226-SM-E76QN 30-39 years, male 10.0
GTEX-132AR-0326-SM-5KM2C 50-59 years, female 9.9
GTEX-1399S-0126-SM-5IJCF 30-39 years, female 9.9
GTEX-13NZ9-2626-SM-5L3FK 50-59 years, male 9.9
GTEX-14ABY-2026-SM-62LDL 50-59 years, male 9.9
GTEX-1B932-2326-SM-79OL5 40-49 years, female 9.9
GTEX-1HSMP-0926-SM-A9SKX 70-79 years, male 9.9
GTEX-YEC3-1326-SM-DO92X 50-59 years, male 9.9
GTEX-12C56-1526-SM-5FQUQ 20-29 years, male 9.8
GTEX-147F3-1726-SM-5SIAW 50-59 years, female 9.8
GTEX-1AX9I-2226-SM-73KUO 60-69 years, male 9.8
GTEX-1CB4H-1126-SM-7MKGL 60-69 years, female 9.8
GTEX-WH7G-2026-SM-3NMBL 40-49 years, male 9.8
GTEX-1N5O9-0926-SM-E9J3C 60-69 years, male 9.8
GTEX-1RLM8-2926-SM-E8VON 50-59 years, male 9.8
GTEX-13O3Q-0126-SM-5KM34 50-59 years, male 9.7
GTEX-14PJ2-0626-SM-6LLII 50-59 years, male 9.7
GTEX-14PJ5-1526-SM-6LLIL 60-69 years, female 9.7
GTEX-WHPG-2626-SM-3NMBR 50-59 years, male 9.7
GTEX-WY7C-2126-SM-3NB2R 50-59 years, male 9.7
GTEX-Y3I4-1726-SM-4TT89 50-59 years, male 9.7
GTEX-ZZPU-0826-SM-5GZX5 50-59 years, female 9.7
GTEX-1HCUA-0826-SM-ADEHM 50-59 years, female 9.7
GTEX-1JMPZ-0726-SM-CY8HZ 30-39 years, male 9.7
GTEX-1LBAC-0826-SM-CY8IJ 20-29 years, male 9.7
GTEX-15SHW-0226-SM-7LTAT 60-69 years, male 9.6
GTEX-1CB4E-0926-SM-7EPHT 60-69 years, male 9.6
GTEX-WHSE-0126-SM-3NMBT 20-29 years, male 9.6
GTEX-WHWD-1826-SM-3LK6I 50-59 years, male 9.6
GTEX-WI4N-2726-SM-3LK7Y 40-49 years, female 9.6
GTEX-Y3IK-1626-SM-4YCF5 50-59 years, female 9.6
GTEX-ZDTS-0826-SM-4WKHL 60-69 years, male 9.6
GTEX-1LSNL-2726-SM-E9TKJ 50-59 years, male 9.6
GTEX-12BJ1-0926-SM-5EQ62 60-69 years, male 9.5
GTEX-13X6H-0926-SM-5SIB2 50-59 years, female 9.4
GTEX-14PJN-1826-SM-6AJ98 30-39 years, male 9.4
GTEX-16BQI-1326-SM-6M486 30-39 years, female 9.4
GTEX-16XZZ-0726-SM-7KUF2 60-69 years, male 9.4
GTEX-ZYFC-0426-SM-5GICQ 50-59 years, male 9.4
GTEX-1A3MX-2626-SM-7PC24 60-69 years, male 9.4
GTEX-1C475-1326-SM-7SB73 40-49 years, female 9.4
GTEX-1F75W-2726-SM-7SB8H 60-69 years, male 9.4
GTEX-1K9T9-1526-SM-DIPFR 50-59 years, female 9.4
GTEX-1QCLY-0226-SM-EWRNH 30-39 years, male 9.4
GTEX-12ZZY-0726-SM-5EQ66 60-69 years, male 9.3
GTEX-14PJ4-0226-SM-5YY92 60-69 years, male 9.3
GTEX-18D9U-0126-SM-731BM 40-49 years, male 9.3
GTEX-1B8KZ-0326-SM-73KY4 50-59 years, male 9.3
GTEX-WYBS-0626-SM-3NMAS 60-69 years, female 9.3
GTEX-ZVE1-0726-SM-51MRN 50-59 years, female 9.3
GTEX-1H1CY-0126-SM-9YFLY 60-69 years, female 9.3
GTEX-1H1DG-2426-SM-9QEHJ 70-79 years, male 9.3
GTEX-1I1GS-2626-SM-B2LY3 60-69 years, male 9.3
GTEX-1IDJF-2026-SM-CL53V 20-29 years, male 9.3
GTEX-1IY9M-2826-SM-ARU8H 60-69 years, male 9.3
GTEX-1R9PM-1926-SM-EVR3O 20-29 years, male 9.3
GTEX-13JUV-2026-SM-5K7UA 40-49 years, female 9.2
GTEX-144GM-0526-SM-79OJO 20-29 years, male 9.2
GTEX-15ER7-0626-SM-6PANF 20-29 years, female 9.2
GTEX-1A3MV-1826-SM-731CD 30-39 years, male 9.2
GTEX-ZA64-1026-SM-5HL8R 20-29 years, male 9.2
GTEX-1GTWX-2026-SM-9YFLM 60-69 years, male 9.2
GTEX-1J8EW-2726-SM-CY8HR 60-69 years, female 9.2
GTEX-1J8Q3-0526-SM-ARL8U 60-69 years, male 9.2
GTEX-1JMOU-1026-SM-CYPSS 60-69 years, female 9.2
GTEX-1399U-1126-SM-5L3DB 50-59 years, female 9.1
GTEX-139TS-2126-SM-5K7XC 60-69 years, male 9.1
GTEX-14753-0726-SM-5QGQO 60-69 years, male 9.1
GTEX-15RJE-2826-SM-7KUM9 40-49 years, male 9.1
GTEX-16Z82-2626-SM-7KULU 60-69 years, male 9.1
GTEX-17EVP-2626-SM-7IGMA 40-49 years, male 9.1
GTEX-1AX8Z-0726-SM-73KTS 60-69 years, male 9.1
GTEX-XOT4-0626-SM-4B66L 60-69 years, female 9.1
GTEX-YJ8O-2526-SM-5HL85 40-49 years, female 9.1
GTEX-ZTTD-2826-SM-4YCFA 50-59 years, male 9.1
GTEX-1F48J-0726-SM-7RHGS 50-59 years, female 9.1
GTEX-1GMR8-0626-SM-7RHI7 50-59 years, female 9.1
GTEX-1I1GT-1026-SM-ARZLV 60-69 years, female 9.1
GTEX-1JJE9-2626-SM-ARZMT 70-79 years, male 9.1
GTEX-1211K-1526-SM-5FQU4 60-69 years, female 9.0
GTEX-14PK6-0226-SM-62LF5 70-79 years, female 9.0
GTEX-183WM-0326-SM-72D5V 70-79 years, female 9.0
GTEX-ZP4G-1426-SM-4WWCL 20-29 years, female 9.0
GTEX-1CAMQ-1326-SM-7P8RV 40-49 years, male 9.0
GTEX-1F6IF-0926-SM-7SB7M 60-69 years, male 9.0
GTEX-1GN1U-0626-SM-9MQL9 50-59 years, female 9.0
GTEX-1HCU6-2526-SM-ADEHL 60-69 years, female 9.0
GTEX-1I1GV-0626-SM-ARL7M 60-69 years, male 9.0
GTEX-13112-0126-SM-5P9IU 50-59 years, male 8.9
GTEX-13N1W-2426-SM-5IJD1 70-79 years, male 8.9
GTEX-145LT-0526-SM-5LUB2 40-49 years, male 8.9
GTEX-15CHC-1126-SM-6LLHQ 60-69 years, female 8.9
GTEX-15UF6-1926-SM-7KUDV 70-79 years, female 8.9
GTEX-1AYD5-2626-SM-7PBXY 50-59 years, male 8.9
GTEX-1LG7Y-2526-SM-EWRO7 50-59 years, male 8.9
GTEX-111CU-1126-SM-5EGIM 50-59 years, male 8.8
GTEX-11EI6-2826-SM-5H11D 60-69 years, male 8.8
GTEX-11O72-0626-SM-5PNYE 40-49 years, male 8.8
GTEX-12696-0126-SM-5EQ4L 60-69 years, male 8.8
GTEX-13SLX-2226-SM-62LEP 50-59 years, female 8.8
GTEX-WRHU-2826-SM-3MJG8 50-59 years, female 8.8
GTEX-X3Y1-2026-SM-3P5YM 40-49 years, male 8.8
GTEX-ZDYS-2426-SM-4WKGI 50-59 years, male 8.8
GTEX-ZF2S-1626-SM-57WES 50-59 years, female 8.8
GTEX-ZYY3-2926-SM-5GIEB 60-69 years, female 8.8
GTEX-1IDJE-1426-SM-ADEIW 50-59 years, female 8.8
GTEX-1IE54-1126-SM-A9G2Z 40-49 years, female 8.8
GTEX-1KANA-1326-SM-DIPFA 20-29 years, male 8.8
GTEX-11NUK-2726-SM-5A5MC 50-59 years, male 8.7
GTEX-12WSJ-1126-SM-5LZVJ 40-49 years, female 8.7
GTEX-139T8-0626-SM-5KLZX 60-69 years, male 8.7
GTEX-14A5H-0826-SM-5QGPJ 60-69 years, male 8.7
GTEX-14PJ6-2626-SM-6EU2T 60-69 years, female 8.7
GTEX-1122O-1026-SM-9WYSF 60-69 years, female 8.7
GTEX-1C64O-1326-SM-7MGWR 60-69 years, male 8.7
GTEX-1HFI7-2326-SM-CGQFS 50-59 years, female 8.7
GTEX-1QW4Y-1126-SM-DTXE3 30-39 years, male 8.7
GTEX-11DZ1-2426-SM-5GZZX 50-59 years, male 8.6
GTEX-12WSM-1926-SM-5BC65 60-69 years, male 8.6
GTEX-13NYS-0626-SM-5L3F1 60-69 years, male 8.6
GTEX-145MH-2826-SM-5RQJF 50-59 years, male 8.6
GTEX-18A67-1626-SM-7LT9T 50-59 years, male 8.6
GTEX-1F88F-0126-SM-9WYSZ 60-69 years, female 8.6
GTEX-1GMR2-0826-SM-7PC3V 50-59 years, male 8.6
GTEX-1GZ4H-0526-SM-9KNU9 50-59 years, female 8.6
GTEX-1H23P-0626-SM-9WG6T 60-69 years, male 8.6
GTEX-1HCU9-0426-SM-9WYSD 20-29 years, male 8.6
GTEX-1S5ZU-2526-SM-E6CIF 20-29 years, female 8.6
GTEX-13D11-0926-SM-5J2NC 50-59 years, female 8.5
GTEX-145MG-1526-SM-5Q5EM 50-59 years, male 8.5
GTEX-1477Z-0326-SM-7IGLA 60-69 years, male 8.5
GTEX-14PHX-2226-SM-6EU2P 50-59 years, male 8.5
GTEX-17F96-0126-SM-7EWDU 70-79 years, male 8.5
GTEX-17MFQ-1526-SM-7KFRR 20-29 years, male 8.5
GTEX-18A6Q-0626-SM-7KFRP 60-69 years, male 8.5
GTEX-WK11-2726-SM-3NMAQ 50-59 years, male 8.5
GTEX-1IDJU-1726-SM-CMKHU 60-69 years, female 8.5
GTEX-1314G-1326-SM-5BC6E 30-39 years, male 8.4
GTEX-131YS-2826-SM-5EQ47 60-69 years, female 8.4
GTEX-14BIN-1126-SM-5RQJZ 50-59 years, female 8.4
GTEX-V1D1-2026-SM-3GAF4 50-59 years, male 8.4
GTEX-1ICG6-1226-SM-A9SLN 70-79 years, female 8.4
GTEX-1IOXB-2726-SM-CM2RI 50-59 years, male 8.4
GTEX-1S3DN-2126-SM-E9TIN 50-59 years, male 8.4
GTEX-12WSH-1526-SM-5BC5W 50-59 years, male 8.3
GTEX-1399R-1326-SM-5PNYS 30-39 years, male 8.3
GTEX-1CAV2-0126-SM-7IGN7 40-49 years, female 8.3
GTEX-XV7Q-1826-SM-4BRUV 40-49 years, female 8.3
GTEX-1GN1V-2826-SM-9JGIA 60-69 years, male 8.3
GTEX-1J1OQ-0126-SM-D4P2N 40-49 years, female 8.3
GTEX-1JMQJ-0826-SM-CNPP7 50-59 years, male 8.3
GTEX-1LVAO-2726-SM-E9TJ8 60-69 years, male 8.3
GTEX-15CHR-1126-SM-7EWF4 50-59 years, male 8.2
GTEX-YF7O-1526-SM-5IFI6 50-59 years, male 8.2
GTEX-ZVZP-1226-SM-5GID7 50-59 years, male 8.2
GTEX-1E2YA-2126-SM-7MXUO 50-59 years, male 8.2
GTEX-1F5PK-2226-SM-7SB6N 50-59 years, male 8.2
GTEX-1H3NZ-2726-SM-9WYTQ 60-69 years, male 8.2
GTEX-1QCLZ-2426-SM-EVYBW 60-69 years, female 8.2
GTEX-13X6J-0626-SM-5LU5F 50-59 years, male 8.1
GTEX-1KWVE-1026-SM-D3L9O 30-39 years, male 8.1
GTEX-11GS4-0226-SM-5HL77 60-69 years, male 8.0
GTEX-13FTY-2126-SM-5IFFB 40-49 years, female 8.0
GTEX-X4EO-2926-SM-4E3JH 60-69 years, female 8.0
GTEX-ZVP2-0326-SM-57WBP 50-59 years, male 8.0
GTEX-ZZ64-1026-SM-5GZXG 20-29 years, male 8.0
GTEX-1HUB1-1426-SM-CGQF5 60-69 years, male 8.0
GTEX-1NSGN-0726-SM-DTXEF 50-59 years, male 8.0
GTEX-1RAZA-2226-SM-E9U4X 20-29 years, male 8.0
GTEX-111FC-2526-SM-5GZXU 60-69 years, male 7.9
GTEX-14JG1-1526-SM-5YY9X 40-49 years, male 7.9
GTEX-XUW1-0926-SM-4BONX 50-59 years, female 7.9
GTEX-ZDTT-0426-SM-4WKFL 60-69 years, male 7.9
GTEX-ZT9X-1526-SM-5DUXD 40-49 years, male 7.9
GTEX-ZWKS-0626-SM-5GIDV 30-39 years, male 7.9
GTEX-1EMGI-2326-SM-7PBYA 60-69 years, male 7.9
GTEX-1GF9V-0826-SM-9KNUV 60-69 years, male 7.9
GTEX-1KXAM-1626-SM-D3LAD 60-69 years, male 7.9
GTEX-145MO-2826-SM-5LU96 60-69 years, male 7.8
GTEX-17MF6-2626-SM-79OKQ 40-49 years, male 7.8
GTEX-18465-2826-SM-7LT9J 50-59 years, male 7.8
GTEX-Y9LG-1126-SM-4VBQ7 30-39 years, male 7.8
GTEX-ZLWG-0826-SM-59888 50-59 years, female 7.8
GTEX-ZVT4-2426-SM-5GIEI 50-59 years, female 7.8
GTEX-1GMRU-2126-SM-7P8RA 50-59 years, male 7.8
GTEX-1MCYP-0526-SM-E9U6Q 20-29 years, female 7.8
GTEX-1POEN-2326-SM-E9J2L 30-39 years, female 7.8
GTEX-16MT8-2926-SM-7DUFO 60-69 years, female 7.7
GTEX-1EKGG-0626-SM-7DUGJ 60-69 years, male 7.7
GTEX-1GF9W-1426-SM-7PBYM 60-69 years, male 7.7
GTEX-1HBPN-0126-SM-CGQEF 50-59 years, male 7.7
GTEX-1HC8U-1326-SM-9YFMJ 40-49 years, female 7.7
GTEX-1KANC-1226-SM-CYPT7 50-59 years, female 7.7
GTEX-131XW-0626-SM-5PNVD 50-59 years, female 7.6
GTEX-14C5O-0326-SM-5ZZUX 60-69 years, male 7.6
GTEX-14E6C-2426-SM-5S2NF 40-49 years, male 7.6
GTEX-Y5V5-0126-SM-5S2NW 60-69 years, female 7.6
GTEX-1GZHY-0626-SM-9KNVC 50-59 years, female 7.6
GTEX-1QP28-1126-SM-EVYC4 50-59 years, female 7.6
GTEX-1192X-2726-SM-5N9DN 50-59 years, male 7.5
GTEX-11GSP-2326-SM-5HL63 60-69 years, female 7.5
GTEX-183FY-1026-SM-7939A 20-29 years, male 7.5
GTEX-VJYA-1526-SM-3GIJV 60-69 years, male 7.5
GTEX-1I6K6-1726-SM-CGQFD 30-39 years, male 7.5
GTEX-1JJ6O-2726-SM-CNPOG 60-69 years, male 7.5
GTEX-1KD5A-0126-SM-E9U54 50-59 years, male 7.5
GTEX-12ZZZ-0726-SM-5GCNZ 60-69 years, male 7.4
GTEX-1497J-0226-SM-5QGPU 60-69 years, male 7.4
GTEX-1A32A-0626-SM-731AQ 50-59 years, female 7.4
GTEX-WYVS-1626-SM-3NM9R 40-49 years, female 7.4
GTEX-YFCO-1226-SM-5LUAT 40-49 years, male 7.4
GTEX-ZLFU-1826-SM-4WWBV 40-49 years, male 7.4
GTEX-1H4P4-2126-SM-9WYSL 50-59 years, male 7.4
GTEX-1J1R8-2026-SM-CL53Y 40-49 years, male 7.4
GTEX-1O9I2-0226-SM-EYYXD 50-59 years, male 7.4
GTEX-1RMOY-1326-SM-E9TIH 50-59 years, male 7.4
GTEX-11EM3-1226-SM-5N9DD 20-29 years, female 7.3
GTEX-13113-1626-SM-5EQ4I 60-69 years, female 7.3
GTEX-14PKU-0126-SM-6LLHV 40-49 years, female 7.3
GTEX-Y8LW-1526-SM-5IFHL 50-59 years, female 7.3
GTEX-13QBU-1226-SM-5LU4G 40-49 years, female 7.2
GTEX-178AV-1726-SM-7KUL8 40-49 years, male 7.2
GTEX-18QFQ-1826-SM-72D52 30-39 years, male 7.2
GTEX-ZVE2-2826-SM-5GU51 50-59 years, male 7.2
GTEX-1HKZK-0726-SM-ACKW2 40-49 years, male 7.2
GTEX-1L5NE-1126-SM-D3L9P 50-59 years, male 7.2
GTEX-14BMU-1226-SM-5S2OR 20-29 years, female 7.1
GTEX-1212Z-0126-SM-59HK4 60-69 years, male 7.0
GTEX-145MF-0926-SM-5Q5EA 50-59 years, male 7.0
GTEX-147JS-0226-SM-5S2U9 60-69 years, male 7.0
GTEX-15CHQ-0326-SM-69LQD 60-69 years, male 7.0
GTEX-XAJ8-1426-SM-47JYM 40-49 years, male 7.0
GTEX-1I1GP-1326-SM-A9G28 50-59 years, male 7.0
GTEX-1IDJD-2326-SM-ACKWX 30-39 years, male 7.0
GTEX-ZGAY-1826-SM-DO91Q 40-49 years, female 7.0
GTEX-11NSD-0626-SM-5A5LU 20-29 years, male 6.9
GTEX-12WSK-2126-SM-5CVNC 40-49 years, female 6.9
GTEX-ZPCL-1126-SM-4WWFE 60-69 years, female 6.9
GTEX-1JN6P-2926-SM-CL54D 60-69 years, male 6.9
GTEX-11EQ9-1626-SM-5PNY8 30-39 years, male 6.8
GTEX-16GPK-0626-SM-7KFSF 60-69 years, male 6.8
GTEX-1CB4F-1026-SM-7DUH1 60-69 years, male 6.8
GTEX-XQ3S-1426-SM-4BOPR 20-29 years, male 6.8
GTEX-YECK-0326-SM-4W1YS 60-69 years, male 6.8
GTEX-14PKV-1126-SM-6LLJ1 20-29 years, female 6.7
GTEX-WEY5-2326-SM-3GIKK 40-49 years, female 6.7
GTEX-Y5LM-0926-SM-6LLJG 40-49 years, female 6.7
GTEX-ZTSS-1426-SM-5985P 40-49 years, male 6.7
GTEX-1LVAN-0626-SM-CNPOQ 50-59 years, female 6.7
GTEX-13PVR-0426-SM-5RQK2 60-69 years, female 6.6
GTEX-145ME-1726-SM-5Q5EU 40-49 years, female 6.6
GTEX-16MTA-0926-SM-6M47Z 50-59 years, male 6.6
GTEX-ZU9S-1826-SM-5NQ9E 30-39 years, male 6.6
GTEX-1B8L1-2226-SM-7P8PT 60-69 years, male 6.6
GTEX-1GL5R-1326-SM-7RHHF 50-59 years, male 6.6
GTEX-12WSL-2026-SM-5GCML 50-59 years, male 6.5
GTEX-17EVQ-0126-SM-7IGLR 70-79 years, male 6.5
GTEX-17F9E-2326-SM-79OKD 50-59 years, male 6.5
GTEX-W5X1-2526-SM-3GILC 40-49 years, female 6.5
GTEX-XBEC-0726-SM-4QARZ 50-59 years, male 6.5
GTEX-ZT9W-1126-SM-57WDR 50-59 years, male 6.5
GTEX-ZVTK-0226-SM-51MRG 20-29 years, male 6.5
GTEX-1J8JJ-0626-SM-ARZMQ 60-69 years, female 6.5
GTEX-1J8Q2-2626-SM-ACKWQ 60-69 years, male 6.5
GTEX-11TUW-0626-SM-5LU9M 60-69 years, male 6.4
GTEX-ZE7O-2726-SM-51MT5 50-59 years, female 6.4
GTEX-1GF9U-2026-SM-7SB92 40-49 years, female 6.4
GTEX-1JMLX-0626-SM-ARL8T 50-59 years, male 6.4
GTEX-ZLV1-1526-SM-DO91J 60-69 years, female 6.4
GTEX-12WSF-1626-SM-7KUG5 70-79 years, male 6.3
GTEX-1GN73-0726-SM-7P8TJ 60-69 years, male 6.3
GTEX-1GPI7-1826-SM-9KNU1 20-29 years, male 6.3
GTEX-13OVJ-0826-SM-5J1OK 50-59 years, female 6.2
GTEX-14B4R-1326-SM-5Q5EZ 30-39 years, male 6.2
GTEX-15DYW-2726-SM-6EU2I 60-69 years, female 6.2
GTEX-16NPX-0726-SM-7KULC 50-59 years, male 6.2
GTEX-145MN-1526-SM-5SI9T 30-39 years, male 6.1
GTEX-14DAR-1226-SM-73KYV 50-59 years, male 6.1
GTEX-YB5K-2026-SM-4VDT3 40-49 years, female 6.1
GTEX-13OW8-1026-SM-5J1NQ 60-69 years, male 6.0
GTEX-17HII-1426-SM-7EPGG 50-59 years, male 6.0
GTEX-1AX9J-1326-SM-731BJ 60-69 years, male 6.0
GTEX-1B8KE-1126-SM-7EPHI 50-59 years, male 6.0
GTEX-1I1CD-0626-SM-CE6SW 60-69 years, female 6.0
GTEX-11VI4-1126-SM-5EQMD 40-49 years, female 5.9
GTEX-12WSC-2826-SM-5BC5Y 50-59 years, male 5.9
GTEX-1C2JI-1026-SM-73KY1 50-59 years, male 5.9
GTEX-Y5V6-2326-SM-4VDSA 60-69 years, male 5.9
GTEX-ZYW4-0626-SM-59HJR 60-69 years, male 5.9
GTEX-1HCU8-2526-SM-CE6RX 60-69 years, female 5.9
GTEX-ZVT2-0126-SM-5GIDQ 50-59 years, female 5.8
GTEX-18D9A-1426-SM-7LT8M 30-39 years, female 5.8
GTEX-1JMQL-2226-SM-CNPP4 50-59 years, female 5.8
GTEX-11UD2-2526-SM-5CVNU 50-59 years, male 5.7
GTEX-1C6WA-2626-SM-7MKGM 60-69 years, male 5.7
GTEX-Z93S-1626-SM-5CVMB 50-59 years, male 5.7
GTEX-1LG7Z-1626-SM-CXKYR 30-39 years, male 5.7
GTEX-WFG8-2126-SM-3GIKQ 20-29 years, male 5.6
GTEX-13U4I-2226-SM-5LU5H 40-49 years, female 5.5
GTEX-1S831-1826-SM-EWROF 20-29 years, male 5.5
GTEX-13OVG-1626-SM-5J1NF 60-69 years, male 5.4
GTEX-15FZZ-0526-SM-7KUGD 30-39 years, female 5.4
GTEX-13PVQ-0626-SM-5LU47 50-59 years, male 5.2
GTEX-1H1ZS-2726-SM-9WG75 70-79 years, male 5.2
GTEX-13FTW-0326-SM-5K7UW 40-49 years, male 5.1
GTEX-17JCI-2926-SM-7DUFF 60-69 years, female 5.1
GTEX-14JG6-1426-SM-9WG7C 30-39 years, female 5.1
GTEX-YEC4-1826-SM-4W1YP 40-49 years, male 5.0
GTEX-1I4MK-0126-SM-CY8G6 50-59 years, female 5.0
GTEX-1LGRB-0926-SM-COH3K 50-59 years, female 5.0
GTEX-11LCK-2226-SM-5HL4Q 30-39 years, male 4.9
GTEX-1B996-0426-SM-7EWF8 60-69 years, male 4.8
GTEX-1JKYN-0826-SM-ARU8S 30-39 years, male 4.8
GTEX-1AMEY-0826-SM-72D65 30-39 years, female 4.7
GTEX-1CB4I-0126-SM-7RHGG 50-59 years, male 4.7
GTEX-11TT1-1826-SM-5EQLV 20-29 years, male 4.6
GTEX-WYJK-0526-SM-3NM8Z 50-59 years, male 4.6
GTEX-ZY6K-1426-SM-5GZX2 50-59 years, male 4.5
GTEX-XPVG-2126-SM-4B667 50-59 years, male 4.3
GTEX-ZAB4-2126-SM-5HL8U 40-49 years, male 3.2
Show allShow less
Skin - Sun Exposed (Lower leg)
Average nTPM: 9.5
Samples: 701

Max nTPM: 26.2
Min nTPM: 2.9
Std nTPM: 2.7
Median nTPM: 9.2
GTEX-SE5C-1626-SM-2XCE3 40-49 years, female 26.2
GTEX-XYKS-2126-SM-4E3IB 60-69 years, female 21.2
GTEX-11WQK-0526-SM-5EQLD 50-59 years, male 21.1
GTEX-1QAET-0926-SM-E76QM 50-59 years, male 18.8
GTEX-1JMQL-0226-SM-CNPP5 50-59 years, female 17.6
GTEX-15UF6-0826-SM-6PALJ 70-79 years, female 17.5
GTEX-W5X1-3026-SM-EAZAX 40-49 years, female 17.3
GTEX-1LBAC-0126-SM-DIPEZ 20-29 years, male 17.1
GTEX-14E6E-1826-SM-5S2R7 30-39 years, male 16.7
GTEX-Y114-2426-SM-4TT8A 50-59 years, female 16.7
GTEX-1OJC3-0126-SM-E76QX 20-29 years, male 16.7
GTEX-11UD1-0126-SM-5PNYG 40-49 years, female 16.6
GTEX-1F6RS-0126-SM-9MQKZ 60-69 years, female 16.4
GTEX-1JMQI-2226-SM-CM2SD 50-59 years, male 16.3
GTEX-13NYS-0126-SM-5MR3W 60-69 years, male 16.1
GTEX-1A3MX-0126-SM-731BR 60-69 years, male 16.1
GTEX-T2YK-0526-SM-32QPJ 50-59 years, male 16.1
GTEX-13FTX-1826-SM-5J1NX 20-29 years, female 16.0
GTEX-XMD2-0126-SM-4YCDU 60-69 years, female 15.9
GTEX-1HFI6-0226-SM-ADEHZ 40-49 years, male 15.7
GTEX-1L5NE-2526-SM-E6CIE 50-59 years, male 15.7
GTEX-1I6K6-0126-SM-A9SLE 30-39 years, male 15.6
GTEX-1RQEC-0426-SM-E6CHU 60-69 years, male 15.5
GTEX-1LGOU-2026-SM-DIPFF 20-29 years, female 15.4
GTEX-12ZZX-0126-SM-5EGK9 40-49 years, female 15.3
GTEX-11OF3-2626-SM-5GU7F 60-69 years, male 15.1
GTEX-Y8DK-0126-SM-4TT3L 60-69 years, male 15.1
GTEX-13PVR-2326-SM-5QGR1 60-69 years, female 15.0
GTEX-13X6J-0126-SM-5QGOU 50-59 years, male 15.0
GTEX-1IKK5-0626-SM-ARL8A 60-69 years, male 14.9
GTEX-1KANC-1526-SM-D3LAB 50-59 years, female 14.9
GTEX-1LSNM-1926-SM-E6CII 50-59 years, male 14.8
GTEX-1F52S-0126-SM-9MQJU 60-69 years, female 14.7
GTEX-13FHP-0126-SM-5IJBG 50-59 years, male 14.6
GTEX-OXRK-0226-SM-3NB2G 50-59 years, female 14.5
GTEX-RWSA-0126-SM-2XCBB 40-49 years, male 14.5
GTEX-1PDJ9-0326-SM-DTX95 20-29 years, male 14.5
GTEX-1EMGI-0126-SM-9KNUE 60-69 years, male 14.4
GTEX-1B97I-1626-SM-73KYO 40-49 years, male 14.3
GTEX-1R9PM-2026-SM-E76OY 20-29 years, male 14.3
GTEX-183WM-0126-SM-7LTAB 70-79 years, female 14.0
GTEX-1M5QR-1226-SM-EWROB 40-49 years, male 14.0
GTEX-1IDJF-0126-SM-CM2RS 20-29 years, male 13.9
GTEX-11TT1-2526-SM-5EGIB 20-29 years, male 13.8
GTEX-13NYC-0326-SM-E9J4S 60-69 years, male 13.8
GTEX-1HB9E-0226-SM-E9U4R 50-59 years, male 13.8
GTEX-1IOXB-0126-SM-ARL8G 50-59 years, male 13.8
GTEX-1N2DW-0226-SM-E9TK2 50-59 years, male 13.8
GTEX-13111-1626-SM-5EGJY 50-59 years, male 13.7
GTEX-XUYS-0126-SM-47JWZ 50-59 years, male 13.7
GTEX-ZDYS-2026-SM-5HL5L 50-59 years, male 13.7
GTEX-1I1GS-0126-SM-B2LVW 60-69 years, male 13.7
GTEX-11DXZ-2326-SM-5EGGV 50-59 years, male 13.6
GTEX-14XAO-2326-SM-6EU1B 60-69 years, female 13.6
GTEX-15SB6-1726-SM-6PAME 50-59 years, female 13.6
GTEX-1B8KZ-2026-SM-7DHMB 50-59 years, male 13.6
GTEX-1QMI2-0226-SM-EVYBX 60-69 years, male 13.6
GTEX-12584-0126-SM-5EGKQ 40-49 years, male 13.5
GTEX-1HCU7-0226-SM-CL545 50-59 years, male 13.5
GTEX-1MJK2-0426-SM-DTXE5 50-59 years, male 13.5
GTEX-1NV5F-0226-SM-E8VNY 60-69 years, female 13.5
GTEX-1JMQK-0226-SM-CL543 60-69 years, male 13.4
GTEX-1KANB-0526-SM-E6CJH 50-59 years, male 13.4
GTEX-1RLM8-2326-SM-EWRN4 50-59 years, male 13.4
GTEX-139UW-2826-SM-5L3E7 60-69 years, male 13.3
GTEX-WFON-2126-SM-3LK7O 40-49 years, male 13.3
GTEX-YJ89-0126-SM-4TT3X 60-69 years, male 13.3
GTEX-1IL2U-0226-SM-CE6T8 60-69 years, male 13.3
GTEX-1KD4Q-0226-SM-E9TJ9 40-49 years, male 13.3
GTEX-ZVZO-0126-SM-5A5L9 40-49 years, male 13.2
GTEX-1MA7W-2026-SM-E9TJ6 20-29 years, female 13.2
GTEX-11H98-0126-SM-5EGHG 50-59 years, male 13.1
GTEX-QVJO-1626-SM-2S1QW 60-69 years, female 13.1
GTEX-1H3O1-0426-SM-9YFKY 60-69 years, male 13.1
GTEX-18A66-0226-SM-718BD 60-69 years, male 13.0
GTEX-Y5V5-2326-SM-4V6GA 60-69 years, female 13.0
GTEX-WXYG-2326-SM-4E3I6 50-59 years, female 12.9
GTEX-1R7EU-0226-SM-EVR4G 60-69 years, male 12.9
GTEX-1S82Y-2026-SM-EVYCM 40-49 years, male 12.9
GTEX-13RTK-1426-SM-5QGQJ 20-29 years, male 12.8
GTEX-15EOM-0126-SM-7KUGG 20-29 years, female 12.8
GTEX-ZE7O-0126-SM-57WC1 50-59 years, female 12.8
GTEX-1RDX4-0126-SM-E9J4P 50-59 years, female 12.8
GTEX-117YX-2326-SM-5H12W 50-59 years, male 12.7
GTEX-XQ8I-0426-SM-4BOPO 50-59 years, male 12.7
GTEX-ZTX8-1426-SM-5DUVO 20-29 years, male 12.7
GTEX-145LU-0126-SM-5TDCB 50-59 years, male 12.6
GTEX-17HG3-2226-SM-7938L 30-39 years, female 12.6
GTEX-Y5LM-1926-SM-5RQJH 40-49 years, female 12.6
GTEX-1H1E6-1726-SM-ACKVK 30-39 years, male 12.6
GTEX-1HR98-0126-SM-B2LWI 60-69 years, male 12.6
GTEX-1IY9M-0126-SM-D3L8S 60-69 years, male 12.6
GTEX-1AX9I-0126-SM-7SB74 60-69 years, male 12.5
GTEX-1N2DV-0226-SM-E6CJ6 40-49 years, male 12.5
GTEX-OIZF-0126-SM-7SB8I 60-69 years, male 12.5
GTEX-1AX9K-2326-SM-73KWU 50-59 years, male 12.4
GTEX-12WSE-0526-SM-793B2 20-29 years, male 12.3
GTEX-17KNJ-2326-SM-7DHLQ 50-59 years, male 12.3
GTEX-ZF2S-2326-SM-4WWCE 50-59 years, female 12.3
GTEX-1GMR3-1926-SM-9KNUZ 40-49 years, male 12.3
GTEX-1JJEA-0326-SM-CNPOT 60-69 years, male 12.3
GTEX-15EU6-0426-SM-6PAN5 50-59 years, male 12.2
GTEX-ZYFD-0126-SM-5GIDL 50-59 years, male 12.2
GTEX-1HBPI-1526-SM-C1YQ1 50-59 years, male 12.2
GTEX-1HSMQ-1226-SM-CGQFX 50-59 years, male 12.2
GTEX-12WSL-2526-SM-5GCNJ 50-59 years, male 12.1
GTEX-S7PM-0126-SM-4AD6S 60-69 years, male 12.1
GTEX-TSE9-0126-SM-3DB83 60-69 years, female 12.1
GTEX-1GZ4H-1726-SM-7PBZJ 50-59 years, female 12.1
GTEX-11P82-1626-SM-59879 20-29 years, male 12.0
GTEX-13FXS-0226-SM-5IJCK 50-59 years, male 12.0
GTEX-ZYT6-0226-SM-5NQ6T 30-39 years, male 12.0
GTEX-1GF9X-2026-SM-7PC3A 40-49 years, female 12.0
GTEX-1JK1U-2026-SM-CM2RZ 60-69 years, male 12.0
GTEX-1PWST-0226-SM-E76QJ 70-79 years, male 12.0
GTEX-13JUV-2726-SM-5LZZ8 40-49 years, female 11.9
GTEX-13SLW-0126-SM-5SI6C 70-79 years, male 11.9
GTEX-16AAH-1726-SM-7939C 50-59 years, male 11.9
GTEX-13OW5-0126-SM-DTXFS 60-69 years, male 11.9
GTEX-1JJ6O-0126-SM-E6CI8 60-69 years, male 11.9
GTEX-1H11D-0226-SM-9WG6Z 40-49 years, male 11.8
GTEX-1I4MK-2226-SM-ACKWD 50-59 years, female 11.8
GTEX-11O72-0126-SM-59887 40-49 years, male 11.7
GTEX-13FTW-2626-SM-5K7WL 40-49 years, male 11.7
GTEX-145LS-0126-SM-5QGP1 60-69 years, female 11.7
GTEX-14PJM-0226-SM-62LF1 50-59 years, female 11.7
GTEX-1CAMQ-0226-SM-7IGPK 40-49 years, male 11.7
GTEX-OOBK-0126-SM-2YUND 40-49 years, male 11.7
GTEX-1HSGN-0226-SM-CGQFV 40-49 years, female 11.7
GTEX-131XH-2226-SM-5DUXJ 50-59 years, male 11.6
GTEX-16XZY-2126-SM-79OK1 70-79 years, male 11.6
GTEX-1C4CL-0526-SM-73KVK 30-39 years, male 11.6
GTEX-1LC47-0326-SM-E9TJP 60-69 years, male 11.6
GTEX-1OFPY-2426-SM-DTXEJ 60-69 years, male 11.6
GTEX-1PIGE-0126-SM-EVYBJ 20-29 years, male 11.6
GTEX-1PIIG-0226-SM-EWRN6 30-39 years, male 11.6
GTEX-1192X-0226-SM-5H12D 50-59 years, male 11.5
GTEX-11UD2-0226-SM-5EQKY 50-59 years, male 11.5
GTEX-13G51-2526-SM-5LZYK 60-69 years, male 11.5
GTEX-16NGA-1726-SM-731B4 40-49 years, female 11.5
GTEX-W5WG-1826-SM-4KL2Y 50-59 years, female 11.5
GTEX-1B8L1-2526-SM-9WYTF 60-69 years, male 11.5
GTEX-1HSMO-0126-SM-CL547 60-69 years, male 11.5
GTEX-1J8JJ-0226-SM-CL53I 60-69 years, female 11.5
GTEX-1399U-2326-SM-5K7WY 50-59 years, female 11.4
GTEX-14ABY-0226-SM-5TDCQ 50-59 years, male 11.4
GTEX-O5YT-0126-SM-48TBW 20-29 years, male 11.4
GTEX-WZTO-0126-SM-3NM95 40-49 years, male 11.4
GTEX-1JN1M-0326-SM-CYPT3 60-69 years, female 11.4
GTEX-1LB8K-0226-SM-EWRNW 50-59 years, male 11.4
GTEX-11P81-2326-SM-59875 30-39 years, female 11.3
GTEX-13OVK-2026-SM-7KUEO 40-49 years, male 11.3
GTEX-17JCI-0126-SM-7LG5G 60-69 years, female 11.3
GTEX-WVJS-0126-SM-4MVOT 50-59 years, male 11.3
GTEX-1F6I4-0126-SM-9MQL2 60-69 years, male 11.3
GTEX-1F75I-0326-SM-9YFLU 40-49 years, male 11.3
GTEX-1GN2E-0426-SM-9MQKX 60-69 years, male 11.3
GTEX-1H1CY-2826-SM-9MQM3 60-69 years, female 11.3
GTEX-1IDJU-2626-SM-CM2RT 60-69 years, female 11.3
GTEX-1IE54-0126-SM-CMKHW 40-49 years, female 11.3
GTEX-18465-0126-SM-731BN 50-59 years, male 11.2
GTEX-X261-0126-SM-3NMD6 50-59 years, male 11.2
GTEX-XBEW-0626-SM-4QASP 40-49 years, male 11.2
GTEX-11XUK-2026-SM-5EQLF 40-49 years, female 11.1
GTEX-11ZUS-0626-SM-59885 30-39 years, male 11.1
GTEX-1211K-2026-SM-5EQ4Z 60-69 years, female 11.1
GTEX-1399T-2826-SM-5KLYZ 60-69 years, male 11.1
GTEX-145MF-0626-SM-5LUAI 50-59 years, male 11.1
GTEX-1HBPM-0226-SM-ARL9F 60-69 years, female 11.1
GTEX-1JN6P-0126-SM-D3L98 60-69 years, male 11.1
GTEX-1QP9N-1426-SM-DTXFL 30-39 years, male 11.1
GTEX-PSDG-0226-SM-DKPOZ 50-59 years, male 11.1
GTEX-13VXT-0126-SM-5LU4I 20-29 years, female 11.0
GTEX-14BIN-0626-SM-793DP 50-59 years, female 11.0
GTEX-14PN4-0126-SM-6EU2V 50-59 years, male 11.0
GTEX-15D1Q-0126-SM-7KUG6 40-49 years, male 11.0
GTEX-17GQL-2026-SM-718BA 60-69 years, male 11.0
GTEX-14A5H-0426-SM-5QGQF 60-69 years, male 10.9
GTEX-15G19-0126-SM-6PANQ 60-69 years, male 10.9
GTEX-17F98-0626-SM-79OMX 40-49 years, female 10.9
GTEX-V1D1-2226-SM-3NMAX 50-59 years, male 10.9
GTEX-VJWN-0126-SM-3GIK7 50-59 years, female 10.9
GTEX-ZV68-0126-SM-59HKS 50-59 years, female 10.9
GTEX-1LVAN-0226-SM-COH3S 50-59 years, female 10.9
GTEX-1S83E-0126-SM-EWRO4 40-49 years, male 10.9
GTEX-OOBJ-0126-SM-E6CJW 60-69 years, male 10.9
GTEX-PW2O-1526-SM-7RHHB 20-29 years, male 10.9
GTEX-11ZU8-2526-SM-5EQKI 60-69 years, male 10.8
GTEX-13U4I-0126-SM-5LU38 40-49 years, female 10.8
GTEX-18D9U-0226-SM-718BP 40-49 years, male 10.8
GTEX-18QFQ-0126-SM-731BE 30-39 years, male 10.8
GTEX-ZAK1-0126-SM-5IJD3 50-59 years, female 10.8
GTEX-1HCU6-0126-SM-CL54K 60-69 years, female 10.8
GTEX-13112-2826-SM-5DUWH 50-59 years, male 10.7
GTEX-1314G-1526-SM-5EGK2 30-39 years, male 10.7
GTEX-144GN-2326-SM-5LU4F 50-59 years, male 10.7
GTEX-Y3I4-2126-SM-4TT7C 50-59 years, male 10.7
GTEX-Y3IK-2426-SM-4WWDU 50-59 years, female 10.7
GTEX-1IDFM-0126-SM-COH2V 60-69 years, male 10.7
GTEX-1IDJH-0326-SM-A9SLQ 70-79 years, male 10.7
GTEX-1MUQO-0126-SM-EAZ58 60-69 years, male 10.7
GTEX-1RAZA-0126-SM-E6CI3 20-29 years, male 10.7
GTEX-12KS4-0326-SM-5EQ41 30-39 years, male 10.6
GTEX-133LE-1826-SM-5J1MV 20-29 years, female 10.6
GTEX-13NZ8-0826-SM-5MR3I 60-69 years, female 10.6
GTEX-14LZ3-0226-SM-62LET 60-69 years, female 10.6
GTEX-1CAMR-1926-SM-7EPI2 20-29 years, male 10.6
GTEX-ZE9C-2726-SM-57WB5 60-69 years, male 10.6
GTEX-1GMR8-0126-SM-9WYTM 50-59 years, female 10.6
GTEX-1H1DE-2126-SM-9WG6R 20-29 years, male 10.6
GTEX-1HCUA-2426-SM-ADEIS 50-59 years, female 10.6
GTEX-1JMQJ-0526-SM-CYPSU 50-59 years, male 10.6
GTEX-1MA7X-2226-SM-E6CIY 60-69 years, male 10.6
GTEX-1QP2A-0126-SM-E9J43 50-59 years, male 10.6
GTEX-18A6Q-0126-SM-731BZ 60-69 years, male 10.5
GTEX-NPJ8-0126-SM-2YUNR 40-49 years, male 10.5
GTEX-WY7C-2326-SM-3NB2U 50-59 years, male 10.5
GTEX-YJ8A-0426-SM-5IFID 20-29 years, male 10.5
GTEX-ZDTS-0126-SM-4WAY5 60-69 years, male 10.5
GTEX-1A8FM-0226-SM-7SB7Q 50-59 years, female 10.5
GTEX-1K2DA-1826-SM-CGQGT 50-59 years, male 10.5
GTEX-1PPH8-0226-SM-E8VND 20-29 years, male 10.5
GTEX-11WQC-2526-SM-5CVLE 60-69 years, male 10.4
GTEX-12WSJ-1826-SM-5GCNY 40-49 years, female 10.4
GTEX-13NYB-2526-SM-5K7Z6 40-49 years, male 10.4
GTEX-16NPX-0226-SM-79OMT 50-59 years, male 10.4
GTEX-17EVQ-0226-SM-7LG4P 70-79 years, male 10.4
GTEX-17HGU-0226-SM-7DHKV 50-59 years, male 10.4
GTEX-18D9B-0526-SM-7LTAS 60-69 years, male 10.4
GTEX-1A3MW-0126-SM-73KXX 60-69 years, female 10.4
GTEX-PX3G-0126-SM-2I3EN 20-29 years, female 10.4
GTEX-ZU9S-0226-SM-5E441 30-39 years, male 10.4
GTEX-1CAMS-0426-SM-7P8T2 40-49 years, female 10.4
GTEX-1GN73-0226-SM-9WG67 60-69 years, male 10.4
GTEX-1IGQW-0126-SM-COH42 60-69 years, male 10.4
GTEX-14PII-0226-SM-6EU1T 60-69 years, male 10.3
GTEX-14PN3-2426-SM-6LLHS 60-69 years, female 10.3
GTEX-15SHW-0326-SM-6PAML 60-69 years, male 10.3
GTEX-1C64N-0126-SM-793D7 50-59 years, male 10.3
GTEX-1CB4E-2226-SM-793DC 60-69 years, male 10.3
GTEX-1CB4J-0626-SM-7DHMP 60-69 years, male 10.3
GTEX-U4B1-1826-SM-4DXSU 40-49 years, male 10.3
GTEX-1QW4Y-1526-SM-EAZ3Z 30-39 years, male 10.3
GTEX-11ZTT-2426-SM-5EQLS 60-69 years, female 10.2
GTEX-12WSK-2326-SM-5GCOH 40-49 years, female 10.2
GTEX-13X6H-2126-SM-7EWD5 50-59 years, female 10.2
GTEX-1A3MV-1926-SM-718BT 30-39 years, male 10.2
GTEX-WI4N-1026-SM-3LK7N 40-49 years, female 10.2
GTEX-ZY6K-1826-SM-5GZXK 50-59 years, male 10.2
GTEX-1GN1U-0126-SM-7PBZK 50-59 years, female 10.2
GTEX-1H3VE-0326-SM-9YFLH 40-49 years, male 10.2
GTEX-1HCU9-1526-SM-A9SL7 20-29 years, male 10.2
GTEX-1HSMP-0126-SM-E6CJS 70-79 years, male 10.2
GTEX-131YS-0126-SM-5KM1M 60-69 years, female 10.1
GTEX-139T8-0126-SM-5K7XZ 60-69 years, male 10.1
GTEX-1497J-2426-SM-7IGNX 60-69 years, male 10.1
GTEX-14PJ3-1826-SM-62LEX 50-59 years, male 10.1
GTEX-VJYA-1126-SM-3GIJU 60-69 years, male 10.1
GTEX-X4XY-0226-SM-4E3IZ 60-69 years, male 10.1
GTEX-YEC4-2126-SM-5IFJH 40-49 years, male 10.1
GTEX-1F5PK-2426-SM-7RHHY 50-59 years, male 10.1
GTEX-1ICLY-0126-SM-D4P36 50-59 years, male 10.1
GTEX-117XS-2726-SM-5N9BL 60-69 years, male 10.0
GTEX-WFG8-2226-SM-3GIL9 20-29 years, male 10.0
GTEX-X62O-0126-SM-4E3JN 50-59 years, male 10.0
GTEX-1LGRB-2526-SM-CNPPQ 50-59 years, female 10.0
GTEX-1QP29-0626-SM-EWRMX 50-59 years, male 10.0
GTEX-11GSO-2426-SM-5A5LY 60-69 years, male 9.9
GTEX-12126-0326-SM-5PNW3 20-29 years, male 9.9
GTEX-13VXU-0126-SM-5SI9F 50-59 years, male 9.9
GTEX-1BAJH-0526-SM-793CQ 70-79 years, male 9.9
GTEX-P44H-0226-SM-2XCEU 40-49 years, male 9.9
GTEX-SIU8-0126-SM-2XCDT 50-59 years, male 9.9
GTEX-ZWKS-0126-SM-5SIAA 30-39 years, male 9.9
GTEX-1GPI6-0126-SM-9WG69 60-69 years, male 9.9
GTEX-1HSEH-0126-SM-ACKXN 60-69 years, male 9.9
GTEX-ZF3C-0126-SM-DO92D 50-59 years, female 9.9
GTEX-139TT-0126-SM-5K7Y5 60-69 years, male 9.8
GTEX-13RTJ-2426-SM-5S2Q2 60-69 years, male 9.8
GTEX-146FQ-0126-SM-5NQA9 30-39 years, male 9.8
GTEX-14PHW-0126-SM-6LLJI 60-69 years, female 9.8
GTEX-18A67-0126-SM-7LG5P 50-59 years, male 9.8
GTEX-X4XX-0126-SM-3NMC2 60-69 years, male 9.8
GTEX-Y111-0126-SM-4SOIV 50-59 years, male 9.8
GTEX-ZYFG-2326-SM-5E44B 60-69 years, female 9.8
GTEX-1I1GU-2226-SM-CGQFA 40-49 years, male 9.8
GTEX-1J1R8-1726-SM-ARL8M 40-49 years, male 9.8
GTEX-1S3DN-2226-SM-EVYCD 50-59 years, male 9.8
GTEX-13O21-1426-SM-5K7XI 50-59 years, male 9.7
GTEX-1AX8Z-0126-SM-7DHM6 60-69 years, male 9.7
GTEX-1AYCT-2426-SM-7IGQ3 50-59 years, male 9.7
GTEX-1C2JI-1826-SM-73KXC 50-59 years, male 9.7
GTEX-1C6VR-2426-SM-79OLD 60-69 years, male 9.7
GTEX-S32W-2126-SM-2XCB1 50-59 years, female 9.7
GTEX-YB5K-2126-SM-4WWDJ 40-49 years, female 9.7
GTEX-ZTPG-0326-SM-5O9AX 20-29 years, female 9.7
GTEX-ZZ64-1726-SM-5GZYB 20-29 years, male 9.7
GTEX-1KAFJ-2026-SM-CY8ID 50-59 years, male 9.7
GTEX-111FC-0126-SM-5N9DL 60-69 years, male 9.6
GTEX-13RTL-0126-SM-7LG5S 40-49 years, male 9.6
GTEX-13S7M-0126-SM-5SI6A 60-69 years, female 9.6
GTEX-148VJ-0126-SM-5TDDN 70-79 years, male 9.6
GTEX-14PHX-2326-SM-62LEM 50-59 years, male 9.6
GTEX-16GPK-0126-SM-7DHLE 60-69 years, male 9.6
GTEX-Q2AI-1326-SM-2S1PL 40-49 years, male 9.6
GTEX-XUZC-1726-SM-4BRWS 30-39 years, female 9.6
GTEX-ZC5H-0226-SM-4WAY9 40-49 years, female 9.6
GTEX-1HT8W-0126-SM-CNPPP 30-39 years, male 9.6
GTEX-1I1CD-0126-SM-CM2TK 60-69 years, female 9.6
GTEX-1I1GQ-0126-SM-COH3H 50-59 years, male 9.6
GTEX-1JKYN-1326-SM-CGQG9 30-39 years, male 9.6
GTEX-1JMOU-1526-SM-CL54I 60-69 years, female 9.6
GTEX-1PPH7-2326-SM-EVYB8 40-49 years, male 9.6
GTEX-13D11-2426-SM-5KM1V 50-59 years, female 9.5
GTEX-13YAN-0326-SM-5O9DF 60-69 years, male 9.5
GTEX-145MN-2226-SM-5SIAU 30-39 years, male 9.5
GTEX-14ICK-0226-SM-6EU25 40-49 years, male 9.5
GTEX-16XZZ-0126-SM-793DV 60-69 years, male 9.5
GTEX-OXRN-0126-SM-48TDM 50-59 years, male 9.5
GTEX-X4EO-0326-SM-3P5YO 60-69 years, female 9.5
GTEX-XXEK-2226-SM-4BRUM 50-59 years, male 9.5
GTEX-1F75B-0126-SM-9KNVL 50-59 years, male 9.5
GTEX-1R9K4-0126-SM-DTX9X 60-69 years, male 9.5
GTEX-13O1R-0126-SM-5L3EH 60-69 years, male 9.4
GTEX-15DCD-0126-SM-7KUEK 70-79 years, female 9.4
GTEX-1AMFI-2026-SM-731BH 50-59 years, female 9.4
GTEX-OHPM-0126-SM-2YUN9 50-59 years, male 9.4
GTEX-RU72-0926-SM-2TF6B 50-59 years, female 9.4
GTEX-U412-0426-SM-3DB9O 60-69 years, male 9.4
GTEX-VUSG-2526-SM-4KL1V 50-59 years, male 9.4
GTEX-Y8E4-0626-SM-4WWDL 40-49 years, male 9.4
GTEX-1HBPN-0226-SM-9YFM1 50-59 years, male 9.4
GTEX-1LG7Z-1726-SM-D3LA4 30-39 years, male 9.4
GTEX-1M4P7-0226-SM-DIPEV 60-69 years, male 9.4
GTEX-1PFEY-1526-SM-E76PP 30-39 years, male 9.4
GTEX-1QPFJ-0226-SM-E76PB 30-39 years, female 9.4
GTEX-11GS4-2726-SM-5A5LE 60-69 years, male 9.3
GTEX-12ZZY-0226-SM-5LZVE 60-69 years, male 9.3
GTEX-14E6C-0126-SM-5RQIP 40-49 years, male 9.3
GTEX-1B8SF-1426-SM-7DUGL 60-69 years, male 9.3
GTEX-OXRL-0126-SM-2YUMP 50-59 years, male 9.3
GTEX-T6MN-0126-SM-32PLP 50-59 years, male 9.3
GTEX-XBED-2226-SM-47JYQ 60-69 years, male 9.3
GTEX-ZV6S-2326-SM-4YCEY 40-49 years, female 9.3
GTEX-1C64O-0126-SM-7SB8P 60-69 years, male 9.3
GTEX-1GZ2Q-0226-SM-7P8TL 40-49 years, male 9.3
GTEX-1S82Z-0826-SM-E6CHY 30-39 years, female 9.3
GTEX-11EM3-2426-SM-59861 20-29 years, female 9.2
GTEX-1212Z-2526-SM-5EGKP 60-69 years, male 9.2
GTEX-1313W-0126-SM-5LZUN 50-59 years, female 9.2
GTEX-13PDP-0126-SM-5L3HD 60-69 years, male 9.2
GTEX-14DAQ-0126-SM-5S2MQ 60-69 years, female 9.2
GTEX-ZVTK-0426-SM-51MRS 20-29 years, male 9.2
GTEX-1B933-0126-SM-7PC29 50-59 years, female 9.2
GTEX-1CB4F-0426-SM-9KNV4 60-69 years, male 9.2
GTEX-1GF9W-0326-SM-9KNUN 60-69 years, male 9.2
GTEX-1GL5R-1826-SM-9KNUY 50-59 years, male 9.2
GTEX-1ICG6-2526-SM-CGQFZ 70-79 years, female 9.2
GTEX-1ICLZ-0126-SM-CKZPO 60-69 years, male 9.2
GTEX-RVPV-0126-SM-EAZAW 60-69 years, male 9.2
GTEX-11DXX-2426-SM-5GZZW 60-69 years, female 9.1
GTEX-139TS-2826-SM-5J1OO 60-69 years, male 9.1
GTEX-13SLX-0526-SM-5S2ON 50-59 years, female 9.1
GTEX-18D9A-1926-SM-7LG6P 30-39 years, female 9.1
GTEX-R3RS-0126-SM-3GIJL 40-49 years, female 9.1
GTEX-UJHI-1526-SM-3DB99 50-59 years, female 9.1
GTEX-WRHK-1426-SM-3MJF9 20-29 years, female 9.1
GTEX-Z9EW-1626-SM-5CVMN 40-49 years, male 9.1
GTEX-1F5PL-0326-SM-7P8PQ 40-49 years, female 9.1
GTEX-1IKJJ-0126-SM-CNPQB 60-69 years, male 9.1
GTEX-1J8Q3-1626-SM-CMKGC 60-69 years, male 9.1
GTEX-1RB15-2126-SM-E9TIM 60-69 years, male 9.1
GTEX-1399R-2726-SM-5IJBA 30-39 years, male 9.0
GTEX-13OW6-0426-SM-5L3HM 50-59 years, male 9.0
GTEX-17F97-0326-SM-7LG5B 50-59 years, male 9.0
GTEX-17HII-0226-SM-7LG4E 50-59 years, male 9.0
GTEX-1B8KE-2126-SM-73KYX 50-59 years, male 9.0
GTEX-OIZH-0126-SM-2HMIS 50-59 years, male 9.0
GTEX-OXRO-0126-SM-2YUN4 60-69 years, female 9.0
GTEX-YFC4-0126-SM-5CVLY 40-49 years, female 9.0
GTEX-Z93T-0126-SM-5HL5N 50-59 years, male 9.0
GTEX-ZVE2-0226-SM-59HJB 50-59 years, male 9.0
GTEX-1HKZK-0326-SM-9WYUH 40-49 years, male 9.0
GTEX-1I19N-0326-SM-ACKVX 70-79 years, male 9.0
GTEX-1IL2V-0126-SM-CM2TX 70-79 years, male 9.0
GTEX-12C56-1726-SM-5EQ61 20-29 years, male 8.9
GTEX-139TU-0126-SM-5K7WH 60-69 years, male 8.9
GTEX-18A7A-0226-SM-718BH 50-59 years, female 8.9
GTEX-PWO3-1526-SM-48TCM 60-69 years, female 8.9
GTEX-X4EP-0126-SM-3P5YV 60-69 years, female 8.9
GTEX-XAJ8-0826-SM-47JY6 40-49 years, male 8.9
GTEX-1H23P-0126-SM-ADEJ3 60-69 years, male 8.9
GTEX-1J1OQ-0226-SM-CYPSH 40-49 years, female 8.9
GTEX-1J8EW-0126-SM-CJI4F 60-69 years, female 8.9
GTEX-1JN76-0126-SM-CNPPE 20-29 years, female 8.9
GTEX-PLZ6-1426-SM-DKPOT 30-39 years, male 8.9
GTEX-ZPIC-1726-SM-DHXIU 40-49 years, female 8.9
GTEX-11NUK-0126-SM-5A5L3 50-59 years, male 8.8
GTEX-13IVO-0126-SM-5J1NG 70-79 years, male 8.8
GTEX-13OW7-0126-SM-5MR3B 50-59 years, male 8.8
GTEX-15UKP-0426-SM-7KUFQ 20-29 years, male 8.8
GTEX-1B8SG-0126-SM-73KZ3 50-59 years, male 8.8
GTEX-RUSQ-1526-SM-2TF62 50-59 years, male 8.8
GTEX-SN8G-0126-SM-32PLI 50-59 years, female 8.8
GTEX-169BO-1326-SM-9MQK2 50-59 years, male 8.8
GTEX-1CB4G-0226-SM-7PC3O 60-69 years, male 8.8
GTEX-1J8QM-2126-SM-CYPSJ 60-69 years, female 8.8
GTEX-1KD5A-0226-SM-D5OV3 50-59 years, male 8.8
GTEX-1R7EV-2426-SM-EVYBG 40-49 years, male 8.8
GTEX-ZQG8-1626-SM-DHXIT 60-69 years, female 8.8
GTEX-11DZ1-0126-SM-5985Q 50-59 years, male 8.7
GTEX-12WSC-0126-SM-5EQ4P 50-59 years, male 8.7
GTEX-13OVL-0226-SM-5L3E9 50-59 years, male 8.7
GTEX-144FL-0126-SM-5TDC8 50-59 years, male 8.7
GTEX-145LV-2126-SM-5LU8N 50-59 years, male 8.7
GTEX-14A5I-0126-SM-5TDEA 50-59 years, female 8.7
GTEX-17EUY-0426-SM-793BD 20-29 years, male 8.7
GTEX-P4PP-0126-SM-3LK69 30-39 years, female 8.7
GTEX-TMZS-0126-SM-3DB9Q 60-69 years, male 8.7
GTEX-UPJH-0326-SM-3GADU 50-59 years, male 8.7
GTEX-WYJK-0126-SM-3NMAB 50-59 years, male 8.7
GTEX-1EKGG-0226-SM-9WYTH 60-69 years, male 8.7
GTEX-1F48J-0126-SM-7P8TT 50-59 years, female 8.7
GTEX-PWCY-1826-SM-DHXIZ 20-29 years, female 8.7
GTEX-145LT-1726-SM-5QGP3 40-49 years, male 8.6
GTEX-14BIM-0226-SM-7IGLD 60-69 years, female 8.6
GTEX-15F5U-1526-SM-6PANO 40-49 years, male 8.6
GTEX-1AYD5-2426-SM-73KXR 50-59 years, male 8.6
GTEX-1E1VI-0126-SM-7DHMZ 50-59 years, male 8.6
GTEX-WOFL-0126-SM-3MJG2 60-69 years, male 8.6
GTEX-ZQUD-1426-SM-57WER 30-39 years, male 8.6
GTEX-1GZHY-0326-SM-9QEHI 50-59 years, female 8.6
GTEX-11EQ9-2426-SM-5HL5T 30-39 years, male 8.5
GTEX-131XW-0426-SM-5LZWP 50-59 years, female 8.5
GTEX-13O3P-0126-SM-5KM4S 50-59 years, male 8.5
GTEX-146FH-0126-SM-5QGPP 50-59 years, female 8.5
GTEX-17EVP-0326-SM-7DHLG 40-49 years, male 8.5
GTEX-17F96-1626-SM-7DUFL 70-79 years, male 8.5
GTEX-18A7B-0126-SM-7LG64 70-79 years, male 8.5
GTEX-SJXC-0126-SM-2XCFF 60-69 years, male 8.5
GTEX-ZZPT-0226-SM-5E43X 50-59 years, male 8.5
GTEX-1GN1V-0126-SM-9WPOS 60-69 years, male 8.5
GTEX-1K2DU-2326-SM-E9TIV 20-29 years, male 8.5
GTEX-RNOR-0126-SM-E9J4R 50-59 years, female 8.5
GTEX-11DYG-0126-SM-59883 60-69 years, male 8.4
GTEX-13X6I-0626-SM-5QGP9 60-69 years, male 8.4
GTEX-145ME-1826-SM-5SI9G 40-49 years, female 8.4
GTEX-15SHU-0126-SM-7KUEH 40-49 years, female 8.4
GTEX-183FY-0126-SM-7LT9P 20-29 years, male 8.4
GTEX-QDVN-2026-SM-3GAEP 50-59 years, male 8.4
GTEX-T5JC-0426-SM-32PLO 20-29 years, male 8.4
GTEX-U3ZH-2026-SM-3DB78 30-39 years, male 8.4
GTEX-ZAJG-0126-SM-5HL94 50-59 years, female 8.4
GTEX-1H1ZS-0426-SM-9WG6G 70-79 years, male 8.4
GTEX-1HUB1-0426-SM-E9U4U 60-69 years, male 8.4
GTEX-1J8Q2-0526-SM-CM2RW 60-69 years, male 8.4
GTEX-1PBJI-0526-SM-E8VNK 20-29 years, female 8.4
GTEX-1QEPI-0126-SM-EWRMQ 60-69 years, female 8.4
GTEX-ZVT4-0126-SM-DTXFN 50-59 years, female 8.4
GTEX-13N2G-2626-SM-5J1OT 60-69 years, male 8.3
GTEX-OXRP-0126-SM-3NB32 60-69 years, female 8.3
GTEX-TKQ1-1026-SM-4GICL 30-39 years, male 8.3
GTEX-1LG7Y-0526-SM-DKPQC 50-59 years, male 8.3
GTEX-11DXY-2626-SM-5GIE7 60-69 years, male 8.2
GTEX-11NSD-2226-SM-5986V 20-29 years, male 8.2
GTEX-139T4-0226-SM-5HL5S 50-59 years, female 8.2
GTEX-145MO-0326-SM-5Q5B3 60-69 years, male 8.2
GTEX-15ETS-0126-SM-7KUMW 40-49 years, female 8.2
GTEX-S7SE-0126-SM-2XCD5 50-59 years, male 8.2
GTEX-ZXG5-0126-SM-5GIEU 60-69 years, male 8.2
GTEX-1EU9M-0226-SM-7P8SP 60-69 years, male 8.2
GTEX-1GPI7-0126-SM-9MQL8 20-29 years, male 8.2
GTEX-1S5ZA-0126-SM-EVYCV 20-29 years, male 8.2
GTEX-13N11-2526-SM-5K7UE 50-59 years, female 8.1
GTEX-13W3W-2426-SM-5LU5B 60-69 years, female 8.1
GTEX-16BQI-0226-SM-7KUEX 30-39 years, female 8.1
GTEX-QLQW-1126-SM-2S1Q8 30-39 years, male 8.1
GTEX-T5JW-1626-SM-3GADZ 20-29 years, female 8.1
GTEX-WQUQ-0426-SM-3MJFU 60-69 years, male 8.1
GTEX-XUW1-0426-SM-4BOOT 50-59 years, female 8.1
GTEX-11TUW-2726-SM-E9J4M 60-69 years, male 8.1
GTEX-1H4P4-0726-SM-9YFLR 50-59 years, male 8.1
GTEX-1JMPZ-0226-SM-CNPP1 30-39 years, male 8.1
GTEX-1QP66-1726-SM-E8VO1 50-59 years, male 8.1
GTEX-13O3Q-2426-SM-5IJBR 50-59 years, male 8.0
GTEX-1C475-1826-SM-73KWA 40-49 years, female 8.0
GTEX-1F88F-2726-SM-7PBZZ 60-69 years, female 8.0
GTEX-1HBPH-0426-SM-B2LW5 40-49 years, female 8.0
GTEX-1HSKV-0226-SM-A9SKJ 60-69 years, male 8.0
GTEX-1MCQQ-0826-SM-DLHC2 60-69 years, male 8.0
GTEX-11ZTS-0126-SM-5EQ6M 60-69 years, female 7.9
GTEX-13OVH-0126-SM-5MR4B 70-79 years, male 7.9
GTEX-1CB4I-0226-SM-79OLH 50-59 years, male 7.9
GTEX-ZF28-0126-SM-4WKGK 60-69 years, male 7.9
GTEX-1GTWX-0126-SM-9YFLK 60-69 years, male 7.9
GTEX-1H3NZ-0126-SM-ACKX7 60-69 years, male 7.9
GTEX-1I1GP-2226-SM-CGQFK 50-59 years, male 7.9
GTEX-1QP67-1626-SM-EAZ3X 40-49 years, female 7.9
GTEX-11ZVC-2526-SM-5FQTE 50-59 years, female 7.8
GTEX-13CF2-2526-SM-5LZYX 60-69 years, male 7.8
GTEX-13OVI-1426-SM-5L3EY 60-69 years, female 7.8
GTEX-Q2AH-1626-SM-3GAF8 40-49 years, male 7.8
GTEX-RWS6-2026-SM-2XCB5 60-69 years, female 7.8
GTEX-1C6WA-0126-SM-7PC2B 60-69 years, male 7.8
GTEX-1H3VY-0126-SM-ACKXD 50-59 years, male 7.8
GTEX-1MCYP-1926-SM-E9J2R 20-29 years, female 7.8
GTEX-ZF29-2326-SM-DO92K 60-69 years, female 7.8
GTEX-1269C-2526-SM-5EGJ3 60-69 years, female 7.7
GTEX-12ZZZ-0626-SM-5DUXI 60-69 years, male 7.7
GTEX-13113-5016-SM-7EPIP 60-69 years, female 7.7
GTEX-13W46-0226-SM-5SIAG 50-59 years, male 7.7
GTEX-14BMU-2226-SM-5TDE9 20-29 years, female 7.7
GTEX-17HHY-0126-SM-7LG5D 50-59 years, male 7.7
GTEX-RN64-0126-SM-2TC68 50-59 years, male 7.7
GTEX-1C6VQ-0126-SM-7P8RI 50-59 years, male 7.7
GTEX-1CAV2-2226-SM-7P8P2 40-49 years, female 7.7
GTEX-1GF9U-2126-SM-7SB7L 40-49 years, female 7.7
GTEX-1HCU8-0626-SM-A9SM9 60-69 years, female 7.7
GTEX-113JC-2326-SM-5EQ4E 50-59 years, female 7.6
GTEX-13CF3-2426-SM-5IFGX 60-69 years, female 7.6
GTEX-145MI-0526-SM-5O9A8 60-69 years, female 7.6
GTEX-14JG6-2226-SM-6EU2G 30-39 years, female 7.6
GTEX-15RIG-0226-SM-7KFTL 40-49 years, male 7.6
GTEX-17MF6-0126-SM-7LG4F 40-49 years, male 7.6
GTEX-TML8-1926-SM-32QOS 40-49 years, female 7.6
GTEX-U3ZN-2326-SM-3DB7W 30-39 years, female 7.6
GTEX-U8XE-0326-SM-3DB8P 30-39 years, male 7.6
GTEX-13FH7-2026-SM-E9J4I 50-59 years, female 7.6
GTEX-1HCVE-0126-SM-CGQEU 50-59 years, male 7.6
GTEX-1I1GV-0526-SM-A9G29 60-69 years, male 7.6
GTEX-131XE-2326-SM-5PNZ2 50-59 years, male 7.5
GTEX-14JG1-0426-SM-6ETZZ 40-49 years, male 7.5
GTEX-15CHC-2126-SM-6EU21 60-69 years, female 7.5
GTEX-1AX9J-0226-SM-73KXM 60-69 years, male 7.5
GTEX-QV44-1926-SM-2S1RF 50-59 years, male 7.5
GTEX-X638-0126-SM-47JZ8 70-79 years, female 7.5
GTEX-X88G-0126-SM-47JZ3 30-39 years, male 7.5
GTEX-XV7Q-2526-SM-4BRV9 40-49 years, female 7.5
GTEX-1GN1W-0526-SM-9MQJQ 50-59 years, female 7.5
GTEX-1H1DG-0126-SM-9WYU2 70-79 years, male 7.5
GTEX-1POEN-0126-SM-EYYXJ 30-39 years, female 7.5
GTEX-1128S-2326-SM-5GZZY 60-69 years, female 7.4
GTEX-11DXW-0226-SM-5H122 40-49 years, male 7.4
GTEX-11GSP-2526-SM-5N9BP 60-69 years, female 7.4
GTEX-132NY-0326-SM-5IJBL 60-69 years, male 7.4
GTEX-14753-0426-SM-5NQAM 60-69 years, male 7.4
GTEX-147GR-0526-SM-5S2MY 60-69 years, male 7.4
GTEX-14E6D-0126-SM-62LDV 50-59 years, male 7.4
GTEX-X585-0226-SM-4QAS2 50-59 years, male 7.4
GTEX-1B996-0226-SM-7RHGO 60-69 years, male 7.4
GTEX-1EN7A-0126-SM-7SB81 40-49 years, male 7.4
GTEX-1EX96-1626-SM-7PBXR 50-59 years, male 7.4
GTEX-117YW-2626-SM-5GZZH 50-59 years, male 7.3
GTEX-11TTK-0126-SM-5987B 60-69 years, female 7.3
GTEX-131XG-2626-SM-5KM17 50-59 years, female 7.3
GTEX-13FHO-0226-SM-5IFGY 60-69 years, male 7.3
GTEX-16MT8-0426-SM-7KUEY 60-69 years, female 7.3
GTEX-X5EB-2226-SM-46MW4 40-49 years, male 7.3
GTEX-1EWIQ-0126-SM-7RHH2 70-79 years, female 7.3
GTEX-1H2FU-0126-SM-9WYSI 60-69 years, female 7.3
GTEX-11LCK-1026-SM-5A5KB 30-39 years, male 7.2
GTEX-14BMV-0126-SM-5S2PO 50-59 years, male 7.2
GTEX-1AMEY-1326-SM-73KYK 30-39 years, female 7.2
GTEX-SNMC-1226-SM-2XCFP 20-29 years, male 7.2
GTEX-XPVG-2626-SM-4B669 50-59 years, male 7.2
GTEX-Y5V6-2426-SM-4VDSB 60-69 years, male 7.2
GTEX-1K9T9-0126-SM-EVYCF 50-59 years, female 7.2
GTEX-11EI6-0126-SM-5985R 60-69 years, male 7.1
GTEX-139D8-0226-SM-5KLZO 30-39 years, female 7.1
GTEX-147F4-0226-SM-5QGPW 50-59 years, male 7.1
GTEX-T8EM-1026-SM-3DB7M 40-49 years, male 7.1
GTEX-ZTSS-1926-SM-57WEW 40-49 years, male 7.1
GTEX-1CB4H-0226-SM-7PBXM 60-69 years, female 7.1
GTEX-1MGNQ-0126-SM-EVYCJ 40-49 years, male 7.1
GTEX-1R9PO-2126-SM-E9J4O 60-69 years, female 7.1
GTEX-11VI4-1726-SM-5CVLH 40-49 years, female 7.0
GTEX-14A6H-0126-SM-5QGPK 30-39 years, male 7.0
GTEX-14JIY-0126-SM-6LLH6 60-69 years, male 7.0
GTEX-XQ3S-1526-SM-4BOOC 20-29 years, male 7.0
GTEX-ZGAY-0526-SM-4WWBB 40-49 years, female 7.0
GTEX-1GMRU-0126-SM-9YFLV 50-59 years, male 7.0
GTEX-1KWVE-1426-SM-E9TJO 30-39 years, male 7.0
GTEX-1LNCM-1126-SM-E9U5E 50-59 years, female 7.0
GTEX-1R46S-0626-SM-E9J41 60-69 years, female 7.0
GTEX-13N1W-0126-SM-5K7VT 70-79 years, male 6.9
GTEX-144GL-0126-SM-5TDE2 50-59 years, male 6.9
GTEX-17HHE-2026-SM-79OKF 50-59 years, male 6.9
GTEX-PVOW-0126-SM-2XCFA 40-49 years, male 6.9
GTEX-ZVZP-2426-SM-59HKJ 50-59 years, male 6.9
GTEX-1JJE9-0326-SM-CL53Z 70-79 years, male 6.9
GTEX-1KANA-0726-SM-D3L9I 20-29 years, male 6.9
GTEX-1O97I-0326-SM-EYYX7 60-69 years, male 6.9
GTEX-11EMC-2926-SM-5EQ4F 60-69 years, female 6.8
GTEX-12696-2426-SM-5EQ6H 60-69 years, male 6.8
GTEX-13OW8-1326-SM-5J1OW 60-69 years, male 6.8
GTEX-15DYW-0126-SM-7KULE 60-69 years, female 6.8
GTEX-1C6VS-0526-SM-7DUEN 60-69 years, male 6.8
GTEX-PLZ4-0126-SM-5SI8O 50-59 years, female 6.8
GTEX-QEG4-0226-SM-2S1PY 30-39 years, male 6.8
GTEX-1HGF4-2426-SM-ACKXM 60-69 years, male 6.8
GTEX-111VG-2426-SM-5GZXD 60-69 years, male 6.7
GTEX-POMQ-2226-SM-2I5FK 20-29 years, female 6.7
GTEX-QDVJ-1726-SM-2I5FX 50-59 years, male 6.7
GTEX-WYVS-2126-SM-3NMA3 40-49 years, female 6.7
GTEX-ZVT3-0126-SM-5GU6I 60-69 years, female 6.7
GTEX-1HFI7-1826-SM-ACKXH 50-59 years, female 6.7
GTEX-15DDE-0126-SM-6LPKH 50-59 years, female 6.6
GTEX-1A32A-0126-SM-718B1 50-59 years, female 6.6
GTEX-P4QT-0126-SM-2I3FL 50-59 years, female 6.6
GTEX-ZDTT-2726-SM-4WKF8 60-69 years, male 6.6
GTEX-ZEX8-2426-SM-4WKG4 50-59 years, male 6.6
GTEX-OHPL-0126-SM-2HMJ7 60-69 years, female 6.5
GTEX-QDT8-0126-SM-48TZ1 30-39 years, female 6.5
GTEX-SUCS-1926-SM-32PM3 70-79 years, male 6.5
GTEX-T6MO-1626-SM-32QOM 40-49 years, female 6.5
GTEX-ZYY3-0126-SM-5GZY5 60-69 years, female 6.5
GTEX-1F7RK-0126-SM-7PC2S 20-29 years, female 6.5
GTEX-1N2EF-0226-SM-EYYXB 60-69 years, male 6.5
GTEX-1QCLY-0326-SM-E8VOG 30-39 years, male 6.5
GTEX-17MFQ-1726-SM-793C7 20-29 years, male 6.4
GTEX-QESD-1426-SM-2S1R9 20-29 years, male 6.4
GTEX-X8HC-0126-SM-4E3JW 50-59 years, female 6.4
GTEX-1E2YA-0126-SM-9KNUC 50-59 years, male 6.4
GTEX-1IKOH-0226-SM-COH4E 60-69 years, female 6.4
GTEX-14BIL-0126-SM-5SI92 50-59 years, male 6.3
GTEX-14PJ6-2126-SM-6EU1V 60-69 years, female 6.3
GTEX-YB5E-2026-SM-5IFIS 40-49 years, male 6.3
GTEX-Z93S-0126-SM-5HL7M 50-59 years, male 6.3
GTEX-146FR-1326-SM-E9J48 60-69 years, female 6.3
GTEX-1I1HK-0126-SM-COH49 60-69 years, male 6.3
GTEX-1JMPY-1326-SM-ARL8Y 30-39 years, male 6.3
GTEX-12WSA-0226-SM-5BC5V 60-69 years, male 6.2
GTEX-14DAR-2026-SM-5S2O3 50-59 years, male 6.2
GTEX-15ER7-0326-SM-7KUEV 20-29 years, female 6.2
GTEX-ZAB5-1826-SM-5HL7C 50-59 years, male 6.2
GTEX-1JMLX-0226-SM-CM2RO 50-59 years, male 6.2
GTEX-S95S-1226-SM-4GICG 60-69 years, male 6.1
GTEX-1JKYR-0126-SM-CNPOJ 20-29 years, male 6.1
GTEX-13OVJ-0126-SM-5KM36 50-59 years, female 6.0
GTEX-147F3-0526-SM-5SI98 50-59 years, female 6.0
GTEX-QLQ7-1626-SM-2S1R8 60-69 years, male 6.0
GTEX-WH7G-2326-SM-3NMBC 40-49 years, male 6.0
GTEX-ZDXO-3026-SM-5J1N5 60-69 years, male 6.0
GTEX-1OJC4-0126-SM-E9J2E 50-59 years, female 6.0
GTEX-13NZB-2526-SM-5J1OM 30-39 years, male 5.9
GTEX-OIZG-0726-SM-33HBL 50-59 years, male 5.9
GTEX-ZYFC-0226-SM-5NQ75 50-59 years, male 5.9
GTEX-ZYW4-0126-SM-5E44A 60-69 years, male 5.9
GTEX-1I1GR-0126-SM-CL55F 60-69 years, male 5.9
GTEX-12WSN-5019-SM-79OM6 40-49 years, male 5.8
GTEX-148VI-1626-SM-5SI6E 60-69 years, female 5.8
GTEX-14E7W-0126-SM-6LLJ9 70-79 years, male 5.8
GTEX-P4PQ-0126-SM-2S1NM 60-69 years, male 5.8
GTEX-12WSG-2826-SM-E9J4H 50-59 years, female 5.8
GTEX-1NHNU-1026-SM-E9J2A 50-59 years, male 5.8
GTEX-113IC-0126-SM-5HL6T 60-69 years, male 5.7
GTEX-U3ZM-1526-SM-3DB9D 40-49 years, male 5.7
GTEX-131XF-5016-SM-7MGWE 60-69 years, male 5.7
GTEX-R55G-2526-SM-2TC6D 40-49 years, female 5.6
GTEX-RM2N-1426-SM-2TF4H 50-59 years, male 5.6
GTEX-SSA3-0126-SM-32QPU 60-69 years, male 5.6
GTEX-1F75A-0126-SM-7RHGM 50-59 years, male 5.6
GTEX-1122O-2126-SM-5EGIR 60-69 years, female 5.5
GTEX-14C5O-0126-SM-5SI6N 60-69 years, male 5.5
GTEX-14LLW-0126-SM-6LLIO 70-79 years, female 5.5
GTEX-16YQH-0126-SM-7DUFJ 30-39 years, male 5.5
GTEX-R55E-0126-SM-2TC5Y 20-29 years, male 5.5
GTEX-1F6IF-0726-SM-7P8TW 60-69 years, male 5.5
GTEX-1192W-2626-SM-5Q5AF 60-69 years, male 5.4
GTEX-14PK6-1926-SM-6ETZU 70-79 years, female 5.4
GTEX-15SDE-2226-SM-7IGLO 50-59 years, female 5.4
GTEX-QCQG-1726-SM-3GIJ9 50-59 years, female 5.4
GTEX-T2IS-0126-SM-4DM6O 20-29 years, female 5.4
GTEX-U8T8-0126-SM-3DB94 60-69 years, male 5.4
GTEX-12WSD-0126-SM-59HKN 60-69 years, female 5.3
GTEX-Y8LW-1826-SM-5S2MV 50-59 years, female 5.3
GTEX-13FTY-0526-SM-5L3EV 40-49 years, female 5.2
GTEX-Q734-1926-SM-2I5EV 40-49 years, female 5.2
GTEX-ZUA1-0126-SM-5GU76 40-49 years, male 5.2
GTEX-1I1GT-0626-SM-CGQER 60-69 years, female 5.2
GTEX-O5YW-0126-SM-3LK6D 50-59 years, male 5.1
GTEX-ZXES-1826-SM-5E43S 30-39 years, female 5.1
GTEX-ZVT2-2526-SM-51MT1 50-59 years, female 5.0
GTEX-Q2AG-0126-SM-33HBV 40-49 years, female 4.9
GTEX-13O3O-0126-SM-E9J49 60-69 years, female 4.9
GTEX-13QJ3-0326-SM-5S2RA 50-59 years, male 4.8
GTEX-NFK9-0226-SM-2HMKQ 40-49 years, male 4.8
GTEX-ZAB4-0226-SM-5N9F5 40-49 years, male 4.8
GTEX-1LH75-2426-SM-E9TJE 50-59 years, female 4.8
GTEX-11OC5-0126-SM-5HL6A 60-69 years, male 4.7
GTEX-1GF9V-0326-SM-7RHI5 60-69 years, male 4.7
GTEX-1RAZQ-0726-SM-EAZ43 30-39 years, male 4.7
GTEX-13NZA-0226-SM-5K7Z7 60-69 years, male 4.4
GTEX-13OVG-1926-SM-5L3DK 60-69 years, male 4.4
GTEX-1KXAM-2226-SM-CYPTC 60-69 years, male 4.4
GTEX-11P7K-2126-SM-5GU7G 30-39 years, male 4.2
GTEX-PLZ5-2026-SM-2S1O4 50-59 years, male 4.2
GTEX-RTLS-0126-SM-447CA 60-69 years, female 4.2
GTEX-TMMY-0226-SM-33HBA 40-49 years, female 4.2
GTEX-R45C-0126-SM-EAZ2R 60-69 years, female 4.1
GTEX-S33H-1026-SM-EZ6L6 30-39 years, male 2.9
Show allShow less

Contact

  • NEWS ARTICLES
  • PRESS ROOM

The Project

  • INTRODUCTION
  • ORGANIZATION
  • PUBLICATIONS

The Human Protein Atlas

  • DOWNLOADABLE DATA
  • LICENCE & CITATION
  • HELP & FAQ
The Human Protein Atlas project is funded
by the Knut & Alice Wallenberg Foundation.


contact@proteinatlas.org