We use cookies to enhance the usability of our website. If you continue, we'll assume that you are happy to receive all cookies. More information. Don't show this again.
RBM12
HPA
RESOURCES
  • TISSUE
  • BRAIN
  • SINGLE CELL
  • SUBCELLULAR
  • CANCER
  • BLOOD
  • CELL LINE
  • STRUCTURE & INTERACTION
ABOUT
  • INTRODUCTION
  • HISTORY
  • ORGANIZATION
  • PUBLICATIONS
  • ANTIBODY SUBMISSION
  • ANTIBODY AVAILABILITY
  • ACKNOWLEDGMENTS
  • CONTACT
NEWS
  • NEWS ARTICLES
  • PRESS ROOM
LEARN
  • DICTIONARY
  • PROTEIN CLASSES
  • PROTEIN EVIDENCE
  • METHODS
  • EDUCATIONAL VIDEOS
DATA
  • DOWNLOADABLE DATA
  • PUBLICATION DATA
  • RELEASE HISTORY
HELP
  • ANTIBODY VALIDATION
  • ASSAYS & ANNOTATION
  • DISCLAIMER
  • HELP & FAQ
  • PRIVACY STATEMENT
  • LICENCE & CITATION
Fields »
Search result

Field
Term
Gene name
Class
Subclass
Class
Keyword
Chromosome
External id
Tissue
Cell type
Expression
Antibody panel
Tissue
Main location
Patient ID
Annotation
Tissue
Category
Tau score
Cluster
Reliability
Brain region
Category
Tau score
Brain region
Category
Tau score
Brain region
Category
Tau score
Cluster
Reliability
Tissue
Cell type
Enrichment
Cell type
Category
Tau score
Cell type
Category
Tau score
Cell type
Category
Tau score
Cell lineage
Category
Tau score
Cluster
Cluster
Location
Searches
Location
Cell line
Class
Type
Phase
Reliability
Cancer
Prognosis
Cancer
Category
Cancer
Category
Tau score
Cluster
Variants
Interacting gene (ensg_id)
Type
Number of interactions
Pathway
Category
Score
Score
Score
Validation
Validation
Validation
Validation
Antibodies
Data type
Column


  • SUMMARY

  • TISSUE

  • BRAIN

  • SINGLE CELL

  • SUBCELL

  • CANCER

  • BLOOD

  • CELL LINE

  • STRUCT & INT

  • RBM12
TISSUE PRIMARY DATA ADIPOSE TISSUE Show tissue menu
ADIPOSE TISSUE ADRENAL GLAND AMYGDALA APPENDIX BASAL GANGLIA BONE MARROW BREAST BRONCHUS CEREBELLUM CEREBRAL CORTEX CERVIX CHOROID PLEXUS COLON DUODENUM
ENDOMETRIUM EPIDIDYMIS ESOPHAGUS FALLOPIAN TUBE GALLBLADDER HEART MUSCLE HIPPOCAMPAL FORMATION HYPOTHALAMUS KIDNEY LIVER LUNG LYMPH NODE MIDBRAIN NASOPHARYNX
ORAL MUCOSA OVARY PANCREAS PARATHYROID GLAND PITUITARY GLAND PLACENTA PROSTATE RECTUM RETINA SALIVARY GLAND SEMINAL VESICLE SKELETAL MUSCLE SKIN SMALL INTESTINE
SMOOTH MUSCLE SOFT TISSUE SPINAL CORD SPLEEN STOMACH TESTIS THYMUS THYROID GLAND TONGUE TONSIL URINARY BLADDER VAGINA
ANTIBODIES
AND
VALIDATION
Dictionary
Tissue proteome
Adipose tissue
ADIPOSE TISSUE - Expression summary
Protein expression
Adipose tissuei

On the top, protein expression in current human tissue, based on all annotated cell types, is reported with the units not detected (n), low (l), medium (m) and high (h). Underneath, protein expression in each annotated cell type are reported using the same units.

Protein expression data is based on knowledge-based annotation. For genes where more than one antibody has been used, a collective score is set.

If knowledge-based annotation could not be performed for a gene, no data is displayed here. View antibody staining data further down this page.

h
m
l
n
Adipocytes: Not detected
RNA expressioni

A summary of mRNA expression data available for current tissue based on several datasets. The mRNA expression levels in human tissues are based on RNA-seq data generated by the Human Protein Atlas (HPA), Genotype-Tissue Expression (GTEx) portal and CAGE data generated by the FANTOM5 consortium. Consensus normalized expression levels for human tissues was created by combining the data from HPA and GTEx datasets.

The mRNA expression levels in pig are based on RNA-seq data generated by the Human Protein Atlas (HPA), and for mouse, HPA data and in situ hybridization generated by the Allen brain atlas are reported.

Scroll down to view mRNA expression data in more detail.
Consensus:23.7 nTPM
HPA:23.7 nTPM
GTEx:17.8 nTPM
FANTOM5:101.5 Scaled Tags Per Million

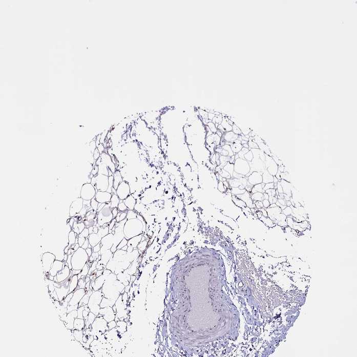
ADIPOSE TISSUE - Antibody stainingi

Antibody staining in the annotated cell types in the current human tissue is reported as not detected, low, medium, or high, based on conventional immunohistochemistry profiling in selected tissues. This score is based on the combination of the staining intensity and fraction of stained cells.

Each image is clickable and will lead to virtual microscopy that enables deeper exploration of all samples and also displays staining intensity scores, fraction scores and subcellular localization as well as patient and tissue information for each sample.

Antibody HPA043258Antibody HPA043621
Adipocytes MediumNot detected





ADIPOSE TISSUE - HPA RNA-seqi

The RNA-seq details section shows detailed information about the individual samples used for the transcript profiling and results of the RNA-seq analysis.

Information about each individual sample is listed below, including gender, age, a tissue section image and estimated fractions of cell types. nTPM (normalized transcripts per million) values give a quantification of the gene abundance which is comparable between different genes and samples.
Average nTPMi

Max subtype nTPM is the value for the subtype with the largest average nTPM across the subtype samples.

23.7
N/A
Female, age 80
Adipose tissue sample 86
nTPM: 20.5
Cell types%
Adipocytes:
95

Other cell types:
5

N/A
Female, age 45
Adipose tissue sample 115
nTPM: 16.2
N/A
Female, age 57
Adipose tissue sample 137
nTPM: 15.5
Cell types%
Adipocytes:
60

Fibroblasts:
20

Smooth muscle cells:
15

Other cell types:
5

overview
Female, age 74
Adipose tissue sample 329
nTPM: 30.6
Cell types%
Adipocytes:
50

Fibroblasts:
30

Smooth muscle cells:
15

Other cell types:
5

overview
Female, age 59
Adipose tissue sample 331
nTPM: 35.5
Cell types%
Adipocytes:
40

Fibroblasts:
40

Smooth muscle cells:
15

Other cell types:
5


ADIPOSE TISSUE - GTEx RNA-seqi

RNA-Seq data generated by the Genotype-Tissue Expression (GTEx) project from human tissues is reported as mean nTPM. More information can be found on the GTEx portal.

Distribution across the dataset is visualized with box plots, shown as median and 25th and 75th percentiles. Points are displayed as outliers if they are above or below 1.5 times the interquartile range. nTPM values of the individual samples are presented next to the box plot.
Max subtype nTPMi

Max subtype nTPM is the value for the subtype with the largest average nTPM across the subtype samples.

17.8
GTEx sample id Sample description nTPM
Adipose - Subcutaneous
Average nTPM: 17.6
Samples: 663

Max nTPM: 37.6
Min nTPM: 5.7
Std nTPM: 3.5
Median nTPM: 17.2
GTEX-REY6-0326-SM-2TF5A 60-69 years, male 37.6
GTEX-17MF6-0226-SM-7LG4G 40-49 years, male 34.1
GTEX-VUSH-0226-SM-EXUQV 30-39 years, male 31.3
GTEX-17HII-0326-SM-7LG4X 50-59 years, male 30.2
GTEX-1JN1M-0126-SM-D4P23 60-69 years, female 30.2
GTEX-14E6C-0226-SM-5S2N3 40-49 years, male 28.6
GTEX-QV31-1326-SM-2S1QE 30-39 years, male 28.5
GTEX-13O1R-0226-SM-5K7U5 60-69 years, male 26.7
GTEX-1S5ZU-0226-SM-E6CHW 20-29 years, female 26.0
GTEX-13X6K-0226-SM-5QGPB 60-69 years, female 25.6
GTEX-13JUV-2826-SM-5LZWU 40-49 years, female 25.4
GTEX-14C5O-0226-SM-5SI6O 60-69 years, male 25.3
GTEX-QDVJ-1826-SM-2S1P3 50-59 years, male 25.3
GTEX-13OVJ-0326-SM-5L3GL 50-59 years, female 25.2
GTEX-1JJ6O-0226-SM-E6CI9 60-69 years, male 25.0
GTEX-1I1GR-0226-SM-CMKHQ 60-69 years, male 24.7
GTEX-13OW8-1226-SM-5K7XD 60-69 years, male 24.6
GTEX-1JMQK-0126-SM-CM2S3 60-69 years, male 24.6
GTEX-RTLS-0226-SM-2TF5E 60-69 years, female 24.5
GTEX-1LSNM-2026-SM-E6CIJ 50-59 years, male 24.5
GTEX-14ICL-2026-SM-62LDN 30-39 years, male 24.4
GTEX-1HSKV-0326-SM-ADEJC 60-69 years, male 24.4
GTEX-P4PQ-0226-SM-2S1NK 60-69 years, male 24.3
GTEX-1CB4F-0526-SM-9KNW2 60-69 years, male 24.2
GTEX-1ICLY-0226-SM-ARL7R 50-59 years, male 24.2
GTEX-PWCY-1926-SM-3NB25 20-29 years, female 24.1
GTEX-ZYVF-0226-SM-5GIEG 50-59 years, female 24.1
GTEX-ZYW4-0226-SM-5E44M 60-69 years, male 24.1
GTEX-146FH-0226-SM-5QGPQ 50-59 years, female 24.0
GTEX-RWSA-0226-SM-2XCBA 40-49 years, male 24.0
GTEX-Y114-2326-SM-4TT7X 50-59 years, female 24.0
GTEX-11DXW-0326-SM-5H11W 40-49 years, male 23.9
GTEX-1A3MV-2126-SM-718BV 30-39 years, male 23.8
GTEX-13N1W-0226-SM-5K7W6 70-79 years, male 23.7
GTEX-1CB4H-0326-SM-9WG5G 60-69 years, female 23.7
GTEX-1F88E-0526-SM-7SB8J 60-69 years, female 23.7
GTEX-1S82P-0226-SM-E6CI6 60-69 years, female 23.7
GTEX-11GSO-2326-SM-5A5LX 60-69 years, male 23.5
GTEX-1CAMS-0326-SM-7PC35 40-49 years, female 23.3
GTEX-ZV68-0226-SM-59HJF 50-59 years, female 23.2
GTEX-1F75A-0226-SM-7PC2K 50-59 years, male 23.2
GTEX-14JIY-0526-SM-62LFH 60-69 years, male 23.1
GTEX-Q2AI-1426-SM-2S1P5 40-49 years, male 23.1
GTEX-QEG5-0326-SM-2S1PB 20-29 years, male 23.1
GTEX-ZAJG-0226-SM-5HL81 50-59 years, female 23.0
GTEX-1MA7X-2126-SM-E6CIX 60-69 years, male 22.8
GTEX-12WSL-2426-SM-5GCN7 50-59 years, male 22.7
GTEX-13113-1826-SM-5LZW4 60-69 years, female 22.7
GTEX-13QBU-2526-SM-5LU4X 40-49 years, female 22.7
GTEX-14E6D-0226-SM-62LDW 50-59 years, male 22.7
GTEX-14PJ2-0226-SM-6LLH4 50-59 years, male 22.7
GTEX-OOBK-0226-SM-2YUMF 40-49 years, male 22.7
GTEX-12WSC-0226-SM-5EQ52 50-59 years, male 22.6
GTEX-17F97-0426-SM-7LT9U 50-59 years, male 22.6
GTEX-14BIL-0226-SM-5SI9E 50-59 years, male 22.5
GTEX-1A32A-0226-SM-718B2 50-59 years, female 22.5
GTEX-15G19-0226-SM-6PAL2 60-69 years, male 22.4
GTEX-T6MN-0226-SM-32PMD 50-59 years, male 22.4
GTEX-1I1CD-0226-SM-CM2TL 60-69 years, female 22.4
GTEX-133LE-1926-SM-5N9FV 20-29 years, female 22.3
GTEX-1GMR2-2526-SM-9MQKW 50-59 years, male 22.3
GTEX-12WSA-0326-SM-5BC6I 60-69 years, male 22.2
GTEX-131XE-2426-SM-5EQ5V 50-59 years, male 22.2
GTEX-14BMU-2126-SM-5S2TS 20-29 years, female 22.2
GTEX-16XZY-2526-SM-7DHL2 70-79 years, male 22.2
GTEX-1JMLX-0126-SM-CMKG9 50-59 years, male 22.2
GTEX-139TU-0226-SM-5J1NM 60-69 years, male 22.1
GTEX-1313W-0226-SM-5LZV7 50-59 years, female 22.0
GTEX-13QJ3-0426-SM-5RQHP 50-59 years, male 22.0
GTEX-146FQ-0226-SM-5NQAL 30-39 years, male 22.0
GTEX-15CHQ-0226-SM-6EU2S 60-69 years, male 21.9
GTEX-1AX9I-0226-SM-7SB75 60-69 years, male 21.9
GTEX-1HCU8-0726-SM-ADEIR 60-69 years, female 21.9
GTEX-12C56-1626-SM-5FQUO 20-29 years, male 21.8
GTEX-12WSD-0226-SM-59HKO 60-69 years, female 21.8
GTEX-PLZ6-1326-SM-3NB24 30-39 years, male 21.8
GTEX-1B8SG-0226-SM-7939Q 50-59 years, male 21.7
GTEX-11NUK-0326-SM-5HL5K 50-59 years, male 21.7
GTEX-1I1GU-2326-SM-CGQFB 40-49 years, male 21.7
GTEX-1KWVE-1326-SM-E6CJ1 30-39 years, male 21.7
GTEX-13PVQ-0226-SM-5SIBG 50-59 years, male 21.6
GTEX-14C39-2526-SM-5S2UH 40-49 years, male 21.6
GTEX-1GN1U-0226-SM-9YFLQ 50-59 years, female 21.6
GTEX-1HUB1-0326-SM-A9SKQ 60-69 years, male 21.5
GTEX-WFG8-2326-SM-DIPDX 20-29 years, male 21.5
GTEX-1H1E6-2026-SM-9KNVK 30-39 years, male 21.4
GTEX-131XW-0526-SM-5PNXZ 50-59 years, female 21.3
GTEX-13CF2-2626-SM-5LZZA 60-69 years, male 21.3
GTEX-XQ8I-0526-SM-4BOPS 50-59 years, male 21.3
GTEX-13FH7-2226-SM-5IJD4 50-59 years, female 21.2
GTEX-17F98-1126-SM-79OJS 40-49 years, female 21.2
GTEX-ZT9X-1926-SM-57WE7 40-49 years, male 21.2
GTEX-1H23P-0226-SM-9YFLO 60-69 years, male 21.2
GTEX-1LH75-2526-SM-E9U5A 50-59 years, female 21.2
GTEX-1LVAO-0226-SM-E9U6O 60-69 years, male 21.2
GTEX-11LCK-1126-SM-5A5KC 30-39 years, male 21.1
GTEX-XLM4-0226-SM-4AT4N 60-69 years, male 21.1
GTEX-P4PP-0226-SM-D4P1Z 30-39 years, female 21.1
GTEX-QEL4-0326-SM-3GAE5 50-59 years, male 21.0
GTEX-1C6VQ-0226-SM-7P8S5 50-59 years, male 21.0
GTEX-1H3O1-0526-SM-9MQLS 60-69 years, male 21.0
GTEX-11P82-1726-SM-5Q5AT 20-29 years, male 20.9
GTEX-15ETS-0426-SM-6PANI 40-49 years, female 20.9
GTEX-17HHE-1926-SM-7EPGW 50-59 years, male 20.9
GTEX-17MFQ-1826-SM-7DHLS 20-29 years, male 20.9
GTEX-1C6WA-0226-SM-7IGPO 60-69 years, male 20.9
GTEX-NFK9-0326-SM-3MJGV 40-49 years, male 20.9
GTEX-OIZI-0226-SM-2XCEE 40-49 years, male 20.7
GTEX-11ZVC-2626-SM-5FQTA 50-59 years, female 20.6
GTEX-1212Z-2426-SM-5EQ5D 60-69 years, male 20.6
GTEX-139TT-0226-SM-5K7YH 60-69 years, male 20.6
GTEX-1B8SF-0526-SM-7939F 60-69 years, male 20.6
GTEX-1CB4I-0426-SM-7IGPR 50-59 years, male 20.6
GTEX-R53T-1626-SM-3GAEW 50-59 years, female 20.6
GTEX-ZYFC-0326-SM-5NQ7H 50-59 years, male 20.6
GTEX-11GS4-2626-SM-5A5LD 60-69 years, male 20.5
GTEX-1211K-2226-SM-5FQU6 60-69 years, female 20.5
GTEX-13W3W-2526-SM-5SI9P 60-69 years, female 20.5
GTEX-18A67-0226-SM-7LG67 50-59 years, male 20.5
GTEX-QESD-1526-SM-2S1QT 20-29 years, male 20.5
GTEX-ZDTS-0226-SM-5HL7Q 60-69 years, male 20.5
GTEX-11DZ1-0226-SM-5A5KF 50-59 years, male 20.4
GTEX-11EM3-2326-SM-5H12B 20-29 years, female 20.4
GTEX-12584-0226-SM-5EQL5 40-49 years, male 20.4
GTEX-145LS-0226-SM-5O9A5 60-69 years, female 20.4
GTEX-OXRO-0226-SM-3LK6F 60-69 years, female 20.4
GTEX-QCQG-1826-SM-2S1P2 50-59 years, female 20.4
GTEX-YF7O-2426-SM-5IFJL 50-59 years, male 20.4
GTEX-ZF29-2226-SM-4WWB9 60-69 years, female 20.4
GTEX-1RQEC-0526-SM-E6CHV 60-69 years, male 20.4
GTEX-R3RS-0226-SM-EYYVE 40-49 years, female 20.4
GTEX-11ZU8-2426-SM-5EQMV 60-69 years, male 20.3
GTEX-12ZZZ-0526-SM-5DUX6 60-69 years, male 20.3
GTEX-132AR-0226-SM-5IJBE 50-59 years, female 20.3
GTEX-13PLJ-0126-SM-5L3HU 60-69 years, female 20.3
GTEX-XBED-2326-SM-47JYR 60-69 years, male 20.3
GTEX-1A8G6-0526-SM-7PC1E 60-69 years, male 20.3
GTEX-ZDYS-2126-SM-5S2P2 50-59 years, male 20.3
GTEX-145MO-0426-SM-5QGP6 60-69 years, male 20.2
GTEX-P44H-0326-SM-2XCES 40-49 years, male 20.2
GTEX-1117F-0226-SM-5GZZ7 60-69 years, female 20.1
GTEX-117YX-2226-SM-5EGJJ 50-59 years, male 20.1
GTEX-14PHX-2426-SM-62LEN 50-59 years, male 20.1
GTEX-QMRM-1726-SM-2S1QG 50-59 years, male 20.1
GTEX-SN8G-0226-SM-4DM6B 50-59 years, female 20.1
GTEX-1H1ZS-0526-SM-9WG5L 70-79 years, male 20.1
GTEX-14PJM-0326-SM-62LF2 50-59 years, female 20.0
GTEX-XBEC-0326-SM-4AT4M 50-59 years, male 20.0
GTEX-Y3IK-2526-SM-4WWDM 50-59 years, female 20.0
GTEX-1CB4J-1126-SM-7PBY1 60-69 years, male 20.0
GTEX-1FIGZ-1626-SM-7SB8L 40-49 years, male 20.0
GTEX-1N2EF-0626-SM-E9J32 60-69 years, male 20.0
GTEX-12KS4-0426-SM-5EQMC 30-39 years, male 19.9
GTEX-14PN3-2526-SM-6EU15 60-69 years, female 19.9
GTEX-16NGA-1826-SM-7LG5L 40-49 years, female 19.9
GTEX-NPJ8-0226-SM-48TBN 40-49 years, male 19.9
GTEX-ZF28-0226-SM-5S2OE 60-69 years, male 19.9
GTEX-1GN73-0326-SM-9KNTW 60-69 years, male 19.9
GTEX-1I4MK-2026-SM-B2LVR 50-59 years, female 19.9
GTEX-12ZZY-0326-SM-5LZVQ 60-69 years, male 19.8
GTEX-13IVO-0226-SM-5LZXU 70-79 years, male 19.8
GTEX-13VXU-0226-SM-5SI9R 50-59 years, male 19.8
GTEX-148VI-1726-SM-5S2W9 60-69 years, female 19.8
GTEX-WEY5-1926-SM-3GIL8 40-49 years, female 19.8
GTEX-ZXG5-0226-SM-59HJI 60-69 years, male 19.8
GTEX-1HCU6-0226-SM-CGQES 60-69 years, female 19.8
GTEX-1I1GS-0226-SM-B2LVX 60-69 years, male 19.8
GTEX-1J1R8-2226-SM-ARZMP 40-49 years, male 19.8
GTEX-139T4-0126-SM-5HL5G 50-59 years, female 19.7
GTEX-145MG-0126-SM-5TDDA 50-59 years, male 19.7
GTEX-14DAQ-0226-SM-664MQ 60-69 years, female 19.7
GTEX-Y8E4-0726-SM-4WWFN 40-49 years, male 19.7
GTEX-YECK-0226-SM-4W215 60-69 years, male 19.7
GTEX-Z93S-0226-SM-5HL7R 50-59 years, male 19.7
GTEX-1AYCT-2226-SM-7SB98 50-59 years, male 19.7
GTEX-13O61-2426-SM-5J1NV 60-69 years, male 19.6
GTEX-R55G-2426-SM-2TC5I 40-49 years, female 19.6
GTEX-RU72-1026-SM-46MUG 50-59 years, female 19.6
GTEX-T5JW-1726-SM-3GADN 20-29 years, female 19.6
GTEX-1A8FM-0126-SM-7SB7P 50-59 years, female 19.6
GTEX-1HCU7-0326-SM-CMKGI 50-59 years, male 19.6
GTEX-139T8-0226-SM-5L3EA 60-69 years, male 19.5
GTEX-13FTY-0626-SM-5L3F8 40-49 years, female 19.5
GTEX-13NZB-2426-SM-5K7UF 30-39 years, male 19.5
GTEX-14PII-0326-SM-6LLIQ 60-69 years, male 19.5
GTEX-UJHI-1626-SM-3DB9A 50-59 years, female 19.5
GTEX-1I19N-0426-SM-ACKVY 70-79 years, male 19.5
GTEX-13U4I-0226-SM-5SIB1 40-49 years, female 19.4
GTEX-QLQ7-1526-SM-2S1QA 60-69 years, male 19.4
GTEX-1F48J-0226-SM-7SB82 50-59 years, female 19.4
GTEX-1GF9V-0226-SM-9MQKA 60-69 years, male 19.4
GTEX-1IY9M-0226-SM-CMKHP 60-69 years, male 19.4
GTEX-14E6E-1926-SM-664N4 30-39 years, male 19.3
GTEX-1BAJH-0426-SM-73KWY 70-79 years, male 19.3
GTEX-ZVZO-0226-SM-5A5LA 40-49 years, male 19.3
GTEX-13111-1726-SM-5EGJZ 50-59 years, male 19.2
GTEX-139D8-0326-SM-5IJCJ 30-39 years, female 19.2
GTEX-13SLX-0426-SM-5QGRC 50-59 years, female 19.2
GTEX-1CAMQ-0126-SM-7SB7S 40-49 years, male 19.2
GTEX-11O72-0226-SM-59869 40-49 years, male 19.1
GTEX-11ONC-2526-SM-5986W 60-69 years, male 19.1
GTEX-13NZA-0126-SM-5K7UH 60-69 years, male 19.1
GTEX-XMD2-0226-SM-4WWEE 60-69 years, female 19.1
GTEX-Y111-0226-SM-4SOIW 50-59 years, male 19.1
GTEX-111FC-0226-SM-5N9B8 60-69 years, male 19.0
GTEX-TKQ1-1126-SM-4GIAZ 30-39 years, male 19.0
GTEX-ZTSS-2026-SM-5987K 40-49 years, male 19.0
GTEX-1B996-0126-SM-7PBYF 60-69 years, male 19.0
GTEX-1EH9U-0226-SM-7PBY8 60-69 years, male 19.0
GTEX-1I1GV-0426-SM-ARZLX 60-69 years, male 19.0
GTEX-1314G-1626-SM-5EQ67 30-39 years, male 18.9
GTEX-13OW6-0526-SM-5L3HY 50-59 years, male 18.9
GTEX-X261-0226-SM-3NMD2 50-59 years, male 18.9
GTEX-YJ8A-0526-SM-5IFHT 20-29 years, male 18.9
GTEX-169BO-1426-SM-9MQJT 50-59 years, male 18.9
GTEX-1H1CY-2626-SM-9MQKJ 60-69 years, female 18.9
GTEX-11PRG-0626-SM-5BC56 50-59 years, male 18.8
GTEX-12WSM-0226-SM-5LZV6 60-69 years, male 18.8
GTEX-144GL-0226-SM-5QGOX 50-59 years, male 18.8
GTEX-145MN-2626-SM-5NQAH 30-39 years, male 18.8
GTEX-VJYA-1326-SM-3GIJC 60-69 years, male 18.8
GTEX-1IL2U-0326-SM-CE6T9 60-69 years, male 18.8
GTEX-1LGOU-2226-SM-E9U56 20-29 years, female 18.8
GTEX-1MA7W-1926-SM-E6CIO 20-29 years, female 18.8
GTEX-PWN1-0226-SM-DKPO9 40-49 years, female 18.8
GTEX-RNOR-0226-SM-EZ6MF 50-59 years, female 18.8
GTEX-11ZUS-0726-SM-59886 30-39 years, male 18.7
GTEX-13CF3-2326-SM-5IFGL 60-69 years, female 18.7
GTEX-144GO-1626-SM-7EPG5 60-69 years, male 18.7
GTEX-15DDE-0226-SM-6LLJ6 50-59 years, female 18.7
GTEX-R55C-1626-SM-48FEG 40-49 years, male 18.7
GTEX-X4XY-0326-SM-46MVZ 60-69 years, male 18.7
GTEX-ZQG8-1526-SM-5HL65 60-69 years, female 18.7
GTEX-1CB4G-0326-SM-7SB8R 60-69 years, male 18.7
GTEX-11P7K-2026-SM-5GU74 30-39 years, male 18.6
GTEX-11TT1-2426-SM-5EQMK 20-29 years, male 18.6
GTEX-16YQH-0226-SM-6PALD 30-39 years, male 18.6
GTEX-1HSGN-0126-SM-CGQFU 40-49 years, female 18.6
GTEX-1HSMQ-1426-SM-ADEHT 50-59 years, male 18.6
GTEX-1LG7Y-0426-SM-DKPQB 50-59 years, male 18.6
GTEX-1MJK2-0526-SM-DTXE6 50-59 years, male 18.6
GTEX-111CU-1826-SM-5GZYN 50-59 years, male 18.5
GTEX-11UD2-0126-SM-5EQL2 50-59 years, male 18.5
GTEX-13O21-1526-SM-5K7W4 50-59 years, male 18.5
GTEX-144GM-1926-SM-5LUAN 20-29 years, male 18.5
GTEX-14H4A-1026-SM-62LDY 40-49 years, female 18.5
GTEX-14JG6-2326-SM-6LLH3 30-39 years, female 18.5
GTEX-R55D-0326-SM-48FES 50-59 years, male 18.5
GTEX-1H4P4-0226-SM-9YFKT 50-59 years, male 18.5
GTEX-1HGF4-2526-SM-ADEIZ 60-69 years, male 18.5
GTEX-1I6K6-0226-SM-ADEID 30-39 years, male 18.5
GTEX-13X6J-0226-SM-7EPGC 50-59 years, male 18.4
GTEX-13YAN-0426-SM-5O9DR 60-69 years, male 18.4
GTEX-WH7G-2226-SM-3NMBN 40-49 years, male 18.4
GTEX-1J8EW-0226-SM-CYPSW 60-69 years, female 18.4
GTEX-11EMC-2826-SM-5PNY6 60-69 years, female 18.3
GTEX-OHPM-0226-SM-3LK61 50-59 years, male 18.3
GTEX-1JMQI-2026-SM-CMKGP 50-59 years, male 18.3
GTEX-11ZTS-0226-SM-5EQKD 60-69 years, female 18.2
GTEX-13FTW-2526-SM-5IJC8 40-49 years, male 18.2
GTEX-16BQI-0526-SM-6PAM8 30-39 years, female 18.2
GTEX-1AX9K-2426-SM-73KZ4 50-59 years, male 18.2
GTEX-1C64O-0226-SM-73KXB 60-69 years, male 18.2
GTEX-OXRP-0226-SM-3NB14 60-69 years, female 18.2
GTEX-X8HC-0226-SM-4E3K1 50-59 years, female 18.2
GTEX-1EX96-1426-SM-7PBZ5 50-59 years, male 18.2
GTEX-1H3VY-0226-SM-9YFMF 50-59 years, male 18.2
GTEX-111VG-2326-SM-5N9BK 60-69 years, male 18.1
GTEX-131XF-2226-SM-5EQKG 60-69 years, male 18.1
GTEX-145MI-0426-SM-5O99V 60-69 years, female 18.1
GTEX-15DCD-0226-SM-6LPKC 70-79 years, female 18.1
GTEX-16MT8-0526-SM-6PAM6 60-69 years, female 18.1
GTEX-1A3MW-0226-SM-7939O 60-69 years, female 18.1
GTEX-1E1VI-0226-SM-793CZ 50-59 years, male 18.1
GTEX-OXRN-0226-SM-2I5EJ 50-59 years, male 18.1
GTEX-XGQ4-2226-SM-4AT4Y 50-59 years, male 18.1
GTEX-Y3I4-2226-SM-4TT7O 50-59 years, male 18.1
GTEX-1F6I4-0226-SM-9MQMA 60-69 years, male 18.1
GTEX-1GF9X-1926-SM-ADEIC 40-49 years, female 18.1
GTEX-1LSNL-0526-SM-DIPFI 50-59 years, male 18.1
GTEX-14ICK-0326-SM-6LLIZ 40-49 years, male 18.0
GTEX-P44G-2326-SM-2XCCZ 30-39 years, male 18.0
GTEX-RM2N-1726-SM-2TF55 50-59 years, male 18.0
GTEX-WFJO-1926-SM-3GILA 30-39 years, male 18.0
GTEX-ZPIC-1826-SM-57WFE 40-49 years, female 18.0
GTEX-1B932-0226-SM-7PBYH 40-49 years, female 18.0
GTEX-1GN1V-0226-SM-9WYTN 60-69 years, male 18.0
GTEX-1HFI6-0326-SM-ADEI5 40-49 years, male 18.0
GTEX-1I1GP-2326-SM-CGQFL 50-59 years, male 18.0
GTEX-11UD1-0226-SM-5EQKL 40-49 years, female 17.9
GTEX-12696-2526-SM-5EQLN 60-69 years, male 17.9
GTEX-1HBPM-0326-SM-CMKGR 60-69 years, female 17.9
GTEX-1JMPY-1426-SM-ARL8Z 30-39 years, male 17.9
GTEX-1QCLY-0526-SM-EAZ47 30-39 years, male 17.9
GTEX-1128S-2126-SM-5H12U 60-69 years, female 17.8
GTEX-13OVI-1326-SM-5IJBO 60-69 years, female 17.8
GTEX-13112-2726-SM-5DUW5 50-59 years, male 17.7
GTEX-139T6-2126-SM-5KM37 50-59 years, male 17.7
GTEX-1CAMR-1826-SM-7MXUJ 20-29 years, male 17.7
GTEX-1H3VE-0226-SM-9WYST 40-49 years, male 17.7
GTEX-13OW7-0226-SM-5MR3N 50-59 years, male 17.6
GTEX-147JS-0426-SM-5TDD2 60-69 years, male 17.6
GTEX-14PJ3-1926-SM-62LEY 50-59 years, male 17.6
GTEX-17EVP-0426-SM-79OKG 40-49 years, male 17.6
GTEX-OHPK-0226-SM-3MJH6 50-59 years, female 17.6
GTEX-OOBJ-0226-SM-2YUMM 60-69 years, male 17.6
GTEX-P78B-0226-SM-3NB1Z 40-49 years, female 17.6
GTEX-Q2AG-0226-SM-2S1P4 40-49 years, female 17.6
GTEX-YFC4-0226-SM-57WD2 40-49 years, female 17.6
GTEX-ZVT4-0226-SM-51MSD 50-59 years, female 17.6
GTEX-1JJEA-0226-SM-COH2X 60-69 years, male 17.6
GTEX-111YS-2426-SM-5GZZQ 60-69 years, male 17.5
GTEX-15SDE-2426-SM-7KFRC 50-59 years, female 17.5
GTEX-O5YV-0226-SM-48TBY 60-69 years, female 17.5
GTEX-S32W-2226-SM-2XCAY 50-59 years, female 17.5
GTEX-TSE9-0226-SM-3DB84 60-69 years, female 17.5
GTEX-R45C-0226-SM-EVYAJ 60-69 years, female 17.5
GTEX-11EI6-0226-SM-5EQ64 60-69 years, male 17.4
GTEX-T2IS-0226-SM-32QPH 20-29 years, female 17.4
GTEX-1EMGI-0226-SM-9MQL1 60-69 years, male 17.4
GTEX-1HSEH-0226-SM-ACKVV 60-69 years, male 17.4
GTEX-1HSMO-0226-SM-CGQEZ 60-69 years, male 17.4
GTEX-11ZTT-2526-SM-5EQM9 60-69 years, female 17.3
GTEX-14LLW-0226-SM-62LEL 70-79 years, female 17.3
GTEX-1F75I-0426-SM-7PC3S 40-49 years, male 17.3
GTEX-1H1DE-2026-SM-9WG6Q 20-29 years, male 17.3
GTEX-1OJC4-1726-SM-EXUSV 50-59 years, female 17.3
GTEX-1R7EU-0326-SM-EWRNJ 60-69 years, male 17.3
GTEX-14BIN-0726-SM-793DQ 50-59 years, female 17.2
GTEX-17EUY-0526-SM-7EWDE 20-29 years, male 17.2
GTEX-QV44-1825-SM-447CF 50-59 years, male 17.2
GTEX-ZZPU-2726-SM-5NQ8O 50-59 years, female 17.2
GTEX-1GMRU-0226-SM-9YFLW 50-59 years, male 17.2
GTEX-1HB9E-0426-SM-CNPPV 50-59 years, male 17.2
GTEX-1N2DW-0326-SM-E9TK3 50-59 years, male 17.2
GTEX-1PPGY-0326-SM-DTXFD 60-69 years, male 17.2
GTEX-1R7EV-1926-SM-EVYBF 40-49 years, male 17.2
GTEX-XOT4-0226-SM-4B66Z 60-69 years, female 17.2
GTEX-11TTK-0226-SM-5N9EC 60-69 years, female 17.1
GTEX-12ZZX-0226-SM-5DUXU 40-49 years, female 17.1
GTEX-13FHO-0326-SM-5IJBH 60-69 years, male 17.1
GTEX-WI4N-1126-SM-3LK7Q 40-49 years, female 17.1
GTEX-18QFQ-0226-SM-731BQ 30-39 years, male 17.1
GTEX-1KAFJ-2426-SM-D4P32 50-59 years, male 17.1
GTEX-1LBAC-0226-SM-DHXJZ 20-29 years, male 17.1
GTEX-1PDJ9-0426-SM-E9J3E 20-29 years, male 17.1
GTEX-1QP66-1326-SM-DTXDQ 50-59 years, male 17.1
GTEX-13S7M-0226-SM-5S2UG 60-69 years, female 17.0
GTEX-14PJ4-2226-SM-6LLIS 60-69 years, male 17.0
GTEX-WFON-2226-SM-3TW8W 40-49 years, male 17.0
GTEX-YJ8O-2426-SM-5HL7S 40-49 years, female 17.0
GTEX-ZVE2-0326-SM-57WFC 50-59 years, male 17.0
GTEX-145ME-1926-SM-5MR6T 40-49 years, female 17.0
GTEX-1GN1W-0626-SM-9MQK3 50-59 years, female 17.0
GTEX-14PK6-2026-SM-6LLHP 70-79 years, female 16.9
GTEX-18D9U-0726-SM-7LG5J 40-49 years, male 16.9
GTEX-WVJS-0226-SM-4MVOU 50-59 years, male 16.9
GTEX-XXEK-2426-SM-4BRUS 50-59 years, male 16.9
GTEX-ZAK1-0226-SM-5CVMX 50-59 years, female 16.9
GTEX-ZEX8-2326-SM-5S2MN 50-59 years, male 16.9
GTEX-ZYY3-0226-SM-5E45M 60-69 years, female 16.9
GTEX-1IE54-0226-SM-CMKHX 40-49 years, female 16.9
GTEX-16AAH-2026-SM-7LG5F 50-59 years, male 16.8
GTEX-1EWIQ-0226-SM-793D3 70-79 years, female 16.8
GTEX-1EU9M-0326-SM-7RHGF 60-69 years, male 16.8
GTEX-1J8JJ-0326-SM-CMKG6 60-69 years, female 16.8
GTEX-1PPH8-0626-SM-EWRN9 20-29 years, male 16.8
GTEX-1QEPI-0226-SM-EWRMR 60-69 years, female 16.8
GTEX-UTHO-0426-SM-CE6QU 60-69 years, male 16.8
GTEX-11WQC-2426-SM-5EQKQ 60-69 years, male 16.7
GTEX-13O3P-0226-SM-5KM3Z 50-59 years, male 16.7
GTEX-13RTJ-2526-SM-5S2Q3 60-69 years, male 16.7
GTEX-1C475-1926-SM-7DUFV 40-49 years, female 16.7
GTEX-OIZH-0226-SM-2YUMH 50-59 years, male 16.7
GTEX-T8EM-1126-SM-3DB7D 40-49 years, male 16.7
GTEX-WVLH-0226-SM-3MJG6 50-59 years, male 16.7
GTEX-XPVG-2726-SM-4B66W 50-59 years, male 16.7
GTEX-Z9EW-1826-SM-5CVMA 40-49 years, male 16.7
GTEX-ZPU1-2426-SM-4WWFM 40-49 years, male 16.7
GTEX-16XZZ-0226-SM-7MGVJ 60-69 years, male 16.7
GTEX-1H1DF-0226-SM-ARL9A 40-49 years, female 16.7
GTEX-1HSMP-0226-SM-CGQFI 70-79 years, male 16.7
GTEX-1IKK5-0526-SM-CMKGG 60-69 years, male 16.7
GTEX-131YS-0226-SM-5IJEH 60-69 years, female 16.6
GTEX-14ABY-0326-SM-5TDDK 50-59 years, male 16.6
GTEX-18D9A-2026-SM-718BL 30-39 years, female 16.6
GTEX-1AX9J-0326-SM-73KXY 60-69 years, male 16.6
GTEX-1B8KE-2526-SM-73KYQ 50-59 years, male 16.6
GTEX-1B8KZ-1926-SM-7DUG8 50-59 years, male 16.6
GTEX-1B8L1-2626-SM-7SB77 60-69 years, male 16.6
GTEX-1HR9M-0226-SM-COH3E 60-69 years, male 16.6
GTEX-1KD5A-0326-SM-D5OVD 50-59 years, male 16.6
GTEX-1399U-2426-SM-5K7XB 50-59 years, female 16.5
GTEX-SUCS-1826-SM-32PM1 70-79 years, male 16.5
GTEX-WHPG-2126-SM-4M1ZM 50-59 years, male 16.5
GTEX-X4EO-0426-SM-4QASA 60-69 years, female 16.5
GTEX-XUW1-0526-SM-4BOP3 50-59 years, female 16.5
GTEX-ZVTK-0526-SM-5GZWT 20-29 years, male 16.5
GTEX-1CB4E-1826-SM-7RHG8 60-69 years, male 16.5
GTEX-1IDJD-1226-SM-CM2TP 30-39 years, male 16.5
GTEX-1PIGE-0526-SM-DTXFA 20-29 years, male 16.5
GTEX-1R46S-0526-SM-EVYBZ 60-69 years, female 16.5
GTEX-ZLFU-2626-SM-DO91L 40-49 years, male 16.5
GTEX-13O3Q-2326-SM-5KM3G 50-59 years, male 16.4
GTEX-16MTA-2126-SM-6PALC 50-59 years, male 16.4
GTEX-16NPX-0326-SM-7EWDI 50-59 years, male 16.4
GTEX-18A66-0326-SM-718BE 60-69 years, male 16.4
GTEX-N7MS-0326-SM-4E3K2 60-69 years, male 16.4
GTEX-WL46-0326-SM-3LK6Y 50-59 years, male 16.4
GTEX-YJ89-0226-SM-4TT3Y 60-69 years, male 16.4
GTEX-ZDXO-2426-SM-5S2NJ 60-69 years, male 16.4
GTEX-1KANA-0826-SM-D3L9J 20-29 years, male 16.4
GTEX-113IC-0226-SM-5HL5C 60-69 years, male 16.3
GTEX-14753-0326-SM-5QGQB 60-69 years, male 16.3
GTEX-18465-0226-SM-7LG5M 50-59 years, male 16.3
GTEX-X15G-2326-SM-4PQZS 50-59 years, female 16.3
GTEX-1GPI7-0226-SM-9MQKB 20-29 years, male 16.3
GTEX-1JKYR-0226-SM-CNPOK 20-29 years, male 16.3
GTEX-13JVG-0226-SM-5J1MW 60-69 years, male 16.2
GTEX-145MF-0526-SM-5LUA6 50-59 years, male 16.2
GTEX-1B933-0526-SM-7EPHM 50-59 years, female 16.2
GTEX-S7SE-0226-SM-2XCD4 50-59 years, male 16.2
GTEX-SJXC-0226-SM-2XCDU 60-69 years, male 16.2
GTEX-X4LF-1726-SM-3NMBZ 50-59 years, male 16.2
GTEX-XMK1-2226-SM-4B673 40-49 years, male 16.2
GTEX-1EKGG-0126-SM-9YFLS 60-69 years, male 16.2
GTEX-1GZ4H-1826-SM-9MQLE 50-59 years, female 16.2
GTEX-1MGNQ-0226-SM-EVYCK 40-49 years, male 16.2
GTEX-1MUQO-0526-SM-E9J31 60-69 years, male 16.2
GTEX-OIZG-0826-SM-E9TI4 50-59 years, male 16.2
GTEX-ZGAY-0626-SM-DO92E 40-49 years, female 16.2
GTEX-144FL-0226-SM-5Q5D4 50-59 years, male 16.1
GTEX-17F9Y-0326-SM-7IGLS 70-79 years, female 16.1
GTEX-17HHY-0226-SM-793BQ 50-59 years, male 16.1
GTEX-1A3MX-0226-SM-731C4 60-69 years, male 16.1
GTEX-1AMFI-2126-SM-731BT 50-59 years, female 16.1
GTEX-ZUA1-0226-SM-5NQ9Q 40-49 years, male 16.1
GTEX-11DXX-2326-SM-9YFKS 60-69 years, female 16.1
GTEX-1H2FU-0226-SM-9YFKO 60-69 years, female 16.1
GTEX-1LSVX-0126-SM-EVYCY 60-69 years, male 16.1
GTEX-1QP28-0226-SM-E9J2N 50-59 years, female 16.1
GTEX-PLZ4-0226-SM-CYPR1 50-59 years, female 16.1
GTEX-1C6VS-0426-SM-79OJV 60-69 years, male 16.0
GTEX-ZF3C-0226-SM-4WWB3 50-59 years, female 16.0
GTEX-1ICLZ-0226-SM-CKZPP 60-69 years, male 16.0
GTEX-1IDJU-2526-SM-CMKGF 60-69 years, female 16.0
GTEX-1399R-2626-SM-5KLZ7 30-39 years, male 15.9
GTEX-1AMEY-1426-SM-7939I 30-39 years, female 15.9
GTEX-O5YT-0226-SM-32PK5 20-29 years, male 15.9
GTEX-SSA3-0226-SM-32QPN 60-69 years, male 15.9
GTEX-XK95-0426-SM-4AT4R 40-49 years, male 15.9
GTEX-YB5E-2126-SM-5IFI7 40-49 years, male 15.9
GTEX-ZYT6-0326-SM-7LG5R 30-39 years, male 15.9
GTEX-1HR98-0226-SM-CGQEK 60-69 years, male 15.9
GTEX-1IDJF-0226-SM-CMKGE 20-29 years, male 15.9
GTEX-1NHNU-1126-SM-E9J2C 50-59 years, male 15.9
GTEX-1QP29-0726-SM-DTXFM 50-59 years, male 15.9
GTEX-11H98-0226-SM-5NQ89 50-59 years, male 15.8
GTEX-13D11-2326-SM-5IJCY 50-59 years, female 15.8
GTEX-1497J-2326-SM-5NQBK 60-69 years, male 15.8
GTEX-17HGU-0326-SM-7DUER 50-59 years, male 15.8
GTEX-18A7A-0326-SM-731AT 50-59 years, female 15.8
GTEX-1B97I-1726-SM-7939V 40-49 years, male 15.8
GTEX-VUSG-2426-SM-4KKZG 50-59 years, male 15.8
GTEX-X88G-0226-SM-4GIE4 30-39 years, male 15.8
GTEX-1HBPI-1426-SM-B2LW7 50-59 years, male 15.8
GTEX-1IKJJ-0226-SM-COH3T 60-69 years, male 15.8
GTEX-1IOXB-0226-SM-CMKHY 50-59 years, male 15.8
GTEX-1LVAN-0126-SM-COH4H 50-59 years, female 15.8
GTEX-1RAZA-0226-SM-E9U4W 20-29 years, male 15.8
GTEX-11TUW-2626-SM-5EQKZ 60-69 years, male 15.7
GTEX-QLQW-1226-SM-2S1Q9 30-39 years, male 15.7
GTEX-XBEW-0726-SM-4QARX 40-49 years, male 15.7
GTEX-Y5V5-2426-SM-5IFJA 60-69 years, female 15.7
GTEX-ZVZP-2326-SM-59HL4 50-59 years, male 15.7
GTEX-1PWST-0326-SM-EAZ42 70-79 years, male 15.7
GTEX-1RAZR-0226-SM-EVYC6 40-49 years, male 15.7
GTEX-WYJK-0226-SM-EYYV8 50-59 years, male 15.7
GTEX-11P81-2426-SM-5GU65 30-39 years, female 15.6
GTEX-1AYD5-2326-SM-73KXF 50-59 years, male 15.6
GTEX-1F75W-0226-SM-9JGGP 60-69 years, male 15.6
GTEX-1HCVE-0226-SM-CGQEV 50-59 years, male 15.6
GTEX-1PFEY-1626-SM-E9J3M 30-39 years, male 15.6
GTEX-QEG4-0326-SM-DIPE3 30-39 years, male 15.6
GTEX-1C6VR-2626-SM-7MGX2 60-69 years, male 15.5
GTEX-1JJE9-1226-SM-CNPOI 70-79 years, male 15.5
GTEX-1LB8K-0326-SM-E9TJC 50-59 years, male 15.5
GTEX-11XUK-2126-SM-5EQLR 40-49 years, female 15.4
GTEX-OHPN-0226-SM-48TBV 60-69 years, female 15.4
GTEX-U4B1-1726-SM-3DB9F 40-49 years, male 15.4
GTEX-1LVA9-0226-SM-E9U5N 50-59 years, male 15.4
GTEX-1R9K5-0226-SM-EWRNF 50-59 years, male 15.4
GTEX-15ER7-0426-SM-6PAM3 20-29 years, female 15.3
GTEX-17HG3-2326-SM-79OKH 30-39 years, female 15.3
GTEX-S95S-1326-SM-2XCDK 60-69 years, male 15.3
GTEX-U412-0526-SM-3DB9I 60-69 years, male 15.3
GTEX-Y9LG-2026-SM-62LFS 30-39 years, male 15.3
GTEX-11OF3-2426-SM-5Q5AS 60-69 years, male 15.2
GTEX-13NYS-0226-SM-5MR49 60-69 years, male 15.2
GTEX-14JG1-0526-SM-6LLHW 40-49 years, male 15.2
GTEX-PSDG-0326-SM-48TCP 50-59 years, male 15.2
GTEX-T5JC-0526-SM-32PM7 20-29 years, male 15.2
GTEX-XAJ8-0926-SM-47JXZ 40-49 years, male 15.2
GTEX-13NYB-2626-SM-9YFMI 40-49 years, male 15.2
GTEX-1I1HK-0226-SM-COH4A 60-69 years, male 15.2
GTEX-1LG7Z-2026-SM-DLHBP 30-39 years, male 15.2
GTEX-1PBJI-0426-SM-E8VNM 20-29 years, female 15.2
GTEX-1POEN-0226-SM-EYYXE 30-39 years, female 15.2
GTEX-1399T-2726-SM-5K7XK 60-69 years, male 15.1
GTEX-146FR-1826-SM-5QGPF 60-69 years, female 15.1
GTEX-18A6Q-0226-SM-718AS 60-69 years, male 15.1
GTEX-TML8-2026-SM-32QOP 40-49 years, female 15.1
GTEX-ZE9C-2826-SM-5S2MO 60-69 years, male 15.1
GTEX-1F5PK-2526-SM-9MQKN 50-59 years, male 15.1
GTEX-1JK1U-2126-SM-CNPOU 60-69 years, male 15.1
GTEX-1RAZQ-0626-SM-E8VOR 30-39 years, male 15.1
GTEX-WY7C-2426-SM-3NB2V 50-59 years, male 15.0
GTEX-ZTX8-1526-SM-5N9GI 20-29 years, male 15.0
GTEX-13OVL-0326-SM-5IJCS 50-59 years, male 14.9
GTEX-P4QS-0226-SM-3NB1U 60-69 years, male 14.9
GTEX-1QP2A-0226-SM-EVYBC 50-59 years, male 14.9
GTEX-13PVR-2426-SM-5RQHN 60-69 years, female 14.8
GTEX-1A8G7-0226-SM-731AS 60-69 years, male 14.8
GTEX-YB5K-2226-SM-4WWG1 40-49 years, female 14.8
GTEX-YEC3-1226-SM-5IFI8 50-59 years, male 14.8
GTEX-1F6RS-0226-SM-9MQKO 60-69 years, female 14.8
GTEX-1F88F-2626-SM-9WG5K 60-69 years, female 14.8
GTEX-1HFI7-2026-SM-CGQFR 50-59 years, female 14.8
GTEX-1J8Q3-1526-SM-CMKGB 60-69 years, male 14.8
GTEX-1RDX4-0226-SM-DTXG1 50-59 years, female 14.8
GTEX-12126-0426-SM-5Q5AP 20-29 years, male 14.7
GTEX-P4QT-0226-SM-3LK68 50-59 years, female 14.7
GTEX-U8XE-0426-SM-3DB91 30-39 years, male 14.7
GTEX-ZC5H-0126-SM-4WAYL 40-49 years, female 14.7
GTEX-1ICG6-2626-SM-CGQG1 70-79 years, female 14.7
GTEX-132QS-2526-SM-62LFJ 60-69 years, male 14.6
GTEX-14BMV-0226-SM-5S2N2 50-59 years, male 14.6
GTEX-17F96-1726-SM-7IGMB 70-79 years, male 14.6
GTEX-183WM-0226-SM-7LT8T 70-79 years, female 14.6
GTEX-W5X1-2626-SM-4LMI8 40-49 years, female 14.6
GTEX-XQ3S-1626-SM-4WAYN 20-29 years, male 14.6
GTEX-1IL2V-0226-SM-CMKI2 70-79 years, male 14.6
GTEX-1J8QM-2326-SM-CYPSL 60-69 years, female 14.6
GTEX-1JMQL-0326-SM-CNPP6 50-59 years, female 14.6
GTEX-1269C-2726-SM-5EGJ4 60-69 years, female 14.5
GTEX-13N2G-2726-SM-5J1MG 60-69 years, male 14.5
GTEX-14AS3-2026-SM-5TDD9 40-49 years, female 14.5
GTEX-183FY-0326-SM-793BY 20-29 years, male 14.5
GTEX-Y8LW-1926-SM-4WWFZ 50-59 years, female 14.5
GTEX-YEC4-2426-SM-57WFO 40-49 years, male 14.5
GTEX-ZZ64-1626-SM-5E43W 20-29 years, male 14.5
GTEX-1GZ4I-0226-SM-7RHHO 50-59 years, male 14.5
GTEX-1JN6P-0226-SM-COH34 60-69 years, male 14.5
GTEX-POMQ-2326-SM-DHXIS 20-29 years, female 14.5
GTEX-Q2AH-1726-SM-DIPDV 40-49 years, male 14.5
GTEX-13NZ8-0926-SM-5MR3U 60-69 years, female 14.4
GTEX-147F3-0626-SM-5NQ9I 50-59 years, female 14.4
GTEX-PLZ5-1826-SM-3NB22 50-59 years, male 14.4
GTEX-XUZC-1826-SM-4BRVO 30-39 years, female 14.4
GTEX-Z93T-0226-SM-5HL5Z 50-59 years, male 14.4
GTEX-1E2YA-0226-SM-9MQLY 50-59 years, male 14.4
GTEX-1F52S-0226-SM-7SB7U 60-69 years, female 14.4
GTEX-1LGRB-2426-SM-CNPP3 50-59 years, female 14.4
GTEX-1MCYP-1826-SM-E9J2Q 20-29 years, female 14.4
GTEX-1QP9N-1526-SM-DTXFK 30-39 years, male 14.4
GTEX-1S83E-0226-SM-EVYCW 40-49 years, male 14.4
GTEX-RUSQ-1626-SM-EZ6L4 50-59 years, male 14.4
GTEX-XYKS-2726-SM-4E3IC 60-69 years, female 14.3
GTEX-1122O-2026-SM-9YFMG 60-69 years, female 14.3
GTEX-1GMR3-2026-SM-9MQLG 40-49 years, male 14.3
GTEX-1QAET-1126-SM-E8VML 50-59 years, male 14.3
GTEX-ZLWG-2226-SM-DO92V 50-59 years, female 14.3
GTEX-13N11-2626-SM-5K7UQ 50-59 years, female 14.2
GTEX-SNOS-1426-SM-32PLY 40-49 years, male 14.2
GTEX-X5EB-2426-SM-4E3HX 40-49 years, male 14.2
GTEX-X638-0226-SM-47JZ9 70-79 years, female 14.2
GTEX-XV7Q-2626-SM-4BRVA 40-49 years, female 14.2
GTEX-1HT8W-0226-SM-CMKGT 30-39 years, male 14.2
GTEX-1I6K7-0226-SM-CJI46 40-49 years, male 14.2
GTEX-1IDFM-0226-SM-CMKFX 60-69 years, male 14.2
GTEX-1OFPY-2326-SM-E8VNU 60-69 years, male 14.2
GTEX-14DAR-1926-SM-5S2NQ 50-59 years, male 14.1
GTEX-1C2JI-2226-SM-7IGPJ 50-59 years, male 14.1
GTEX-1JKYN-1226-SM-CGQG8 30-39 years, male 14.1
GTEX-VJWN-0226-SM-EZ6LF 50-59 years, female 14.1
GTEX-ZXES-2026-SM-5NQ6R 30-39 years, female 14.0
GTEX-1HCUA-2226-SM-ADEHF 50-59 years, female 14.0
GTEX-Q734-1826-SM-2I3EL 40-49 years, female 13.9
GTEX-ZLV1-1826-SM-5FQU5 60-69 years, female 13.9
GTEX-ZTPG-0226-SM-5O99I 20-29 years, female 13.9
GTEX-139YR-2426-SM-5J1OB 50-59 years, male 13.8
GTEX-1I1GT-0526-SM-CGQEQ 60-69 years, female 13.8
GTEX-1MCC2-2326-SM-E9U5G 30-39 years, female 13.8
GTEX-16GPK-0226-SM-7DUFI 60-69 years, male 13.7
GTEX-QDT8-0226-SM-32PL4 30-39 years, female 13.7
GTEX-1J1OQ-0326-SM-CYPTJ 40-49 years, female 13.7
GTEX-1PIIG-0326-SM-EVYBV 30-39 years, male 13.7
GTEX-OXRK-0326-SM-3NB3R 50-59 years, female 13.6
GTEX-1QPFJ-0126-SM-E9J4B 30-39 years, female 13.6
GTEX-13PDP-0226-SM-5K7W9 60-69 years, male 13.5
GTEX-OXRL-0226-SM-3NB18 50-59 years, male 13.5
GTEX-ZVP2-1826-SM-5GU62 50-59 years, male 13.5
GTEX-1I1GQ-0226-SM-COH3I 50-59 years, male 13.5
GTEX-1IGQW-0226-SM-COH43 60-69 years, male 13.5
GTEX-1QW4Y-1626-SM-EAZ41 30-39 years, male 13.5
GTEX-1KXAM-2326-SM-CYPTD 60-69 years, male 13.4
GTEX-RVPV-1526-SM-EXOHF 60-69 years, male 13.4
GTEX-13NZ9-0526-SM-5J1OX 50-59 years, male 13.3
GTEX-13OVK-2126-SM-6PAN1 40-49 years, male 13.3
GTEX-1HBPH-0526-SM-9YFMN 40-49 years, female 13.3
GTEX-1C4CL-0426-SM-7939N 30-39 years, male 13.2
GTEX-SIU8-0226-SM-2XCDS 50-59 years, male 13.2
GTEX-1GMR8-0226-SM-9YFL3 50-59 years, female 13.2
GTEX-OIZF-0226-SM-E9TI3 60-69 years, male 13.2
GTEX-11I78-2626-SM-5Q5AI 50-59 years, female 13.1
GTEX-T6MO-1726-SM-33HB8 40-49 years, female 13.1
GTEX-W5WG-2526-SM-4SOJ2 50-59 years, female 13.1
GTEX-11EQ9-2526-SM-5HL66 30-39 years, male 13.0
GTEX-13VXT-0226-SM-5LU9Q 20-29 years, female 13.0
GTEX-POYW-0726-SM-2XCEO 60-69 years, male 13.0
GTEX-1L5NE-2626-SM-E9U6P 50-59 years, male 13.0
GTEX-S4P3-1526-SM-E9J3W 50-59 years, female 13.0
GTEX-15UKP-0526-SM-7KFRO 20-29 years, male 12.9
GTEX-1GZ2Q-0326-SM-9WG6N 40-49 years, male 12.9
GTEX-1K2DA-2126-SM-CGQGL 50-59 years, male 12.9
GTEX-1K9T9-0226-SM-E9U6K 50-59 years, female 12.9
GTEX-S33H-1126-SM-2XCB6 30-39 years, male 12.8
GTEX-TMZS-0226-SM-3DB9N 60-69 years, male 12.7
GTEX-1R9PM-2126-SM-E8VOB 20-29 years, male 12.7
GTEX-Y8E5-0226-SM-57WCM 60-69 years, male 12.6
GTEX-ZVT2-2226-SM-5NQ6P 50-59 years, female 12.5
GTEX-PX3G-0226-SM-DKPOF 20-29 years, female 12.5
GTEX-11EQ8-0226-SM-5EQ5G 60-69 years, male 12.4
GTEX-14PJ6-2226-SM-6LLIV 60-69 years, female 12.4
GTEX-ZDTT-2626-SM-5S2OP 60-69 years, male 12.4
GTEX-1M5QR-2126-SM-DKPQM 40-49 years, male 12.4
GTEX-147GR-0426-SM-5S2OL 60-69 years, male 12.2
GTEX-14E1K-2126-SM-793DU 50-59 years, male 12.2
GTEX-SNMC-1326-SM-2XCFK 20-29 years, male 12.2
GTEX-U3ZN-2626-SM-3DB7T 30-39 years, female 12.2
GTEX-ZPCL-2126-SM-57WFZ 60-69 years, female 12.2
GTEX-13SLW-0226-SM-5S2NA 70-79 years, male 12.0
GTEX-13G51-2626-SM-5LZYW 60-69 years, male 11.9
GTEX-XUYS-0226-SM-47JX1 50-59 years, male 11.9
GTEX-1S831-0326-SM-EVYD3 20-29 years, male 11.9
GTEX-1QP67-1726-SM-E8VOP 40-49 years, female 11.8
GTEX-1QP6S-0126-SM-E9J4K 40-49 years, male 11.7
GTEX-WFG7-2526-SM-EWRM5 20-29 years, male 11.7
GTEX-1GN2E-0326-SM-COH3C 60-69 years, male 11.6
GTEX-U3ZM-1026-SM-EZ6LD 40-49 years, male 11.5
GTEX-YFCO-2026-SM-4W21Q 40-49 years, male 11.3
GTEX-ZP4G-2326-SM-57WEM 20-29 years, female 11.2
GTEX-1JN76-0226-SM-CMKGO 20-29 years, female 10.9
GTEX-13FHP-0226-SM-5K7WD 50-59 years, male 10.7
GTEX-14A5H-0526-SM-5TDCN 60-69 years, male 10.3
GTEX-17KNJ-2226-SM-DKPOU 50-59 years, male 10.2
GTEX-145LT-1826-SM-5QGP4 40-49 years, male 9.8
GTEX-ZE7O-0226-SM-5S2N1 50-59 years, female 9.4
GTEX-ZYFD-0226-SM-5NQ86 50-59 years, male 9.1
GTEX-15RIE-2326-SM-7KFSC 60-69 years, male 8.6
GTEX-1GTWX-0226-SM-9YFLL 60-69 years, male 8.6
GTEX-QDVN-2126-SM-33HBS 50-59 years, male 7.4
GTEX-Y5V6-2526-SM-5IFJV 60-69 years, male 5.7
Show allShow less
Adipose - Visceral (Omentum)
Average nTPM: 17.8
Samples: 541

Max nTPM: 42.1
Min nTPM: 8.5
Std nTPM: 5.3
Median nTPM: 16.6
GTEX-ZA64-0926-SM-5HL7H 20-29 years, male 42.1
GTEX-ZTX8-0726-SM-59HL9 20-29 years, male 40.4
GTEX-ZTSS-1026-SM-5985N 40-49 years, male 38.5
GTEX-11P82-0326-SM-5HL51 20-29 years, male 33.9
GTEX-WFJO-1026-SM-3GIKL 30-39 years, male 33.2
GTEX-133LE-0926-SM-5P9J1 20-29 years, female 32.7
GTEX-1F75I-1026-SM-7SB8B 40-49 years, male 32.5
GTEX-1HKZK-1726-SM-ADEJ9 40-49 years, male 32.5
GTEX-13PL7-1226-SM-5SIAR 60-69 years, female 32.3
GTEX-WFON-1226-SM-3TW8F 40-49 years, male 31.7
GTEX-Y114-1326-SM-4TT9A 50-59 years, female 31.5
GTEX-11EM3-1126-SM-5A5KM 20-29 years, female 30.9
GTEX-1LG7Z-0226-SM-E6CIG 30-39 years, male 30.1
GTEX-131XF-0726-SM-5GIE5 60-69 years, male 30.0
GTEX-14ICL-0926-SM-5S2TU 30-39 years, male 30.0
GTEX-14BMU-0626-SM-73KZ6 20-29 years, female 29.9
GTEX-1H1E6-1126-SM-9JGGV 30-39 years, male 29.8
GTEX-1CB4I-0826-SM-7MGX1 50-59 years, male 29.7
GTEX-117YX-0726-SM-5GIET 50-59 years, male 29.3
GTEX-14ICK-1726-SM-6AJA5 40-49 years, male 29.3
GTEX-18QFQ-1326-SM-731CF 30-39 years, male 29.3
GTEX-12C56-0826-SM-5EGJ5 20-29 years, male 28.8
GTEX-1MJK3-0626-SM-E6CJB 20-29 years, male 28.8
GTEX-13CF3-1126-SM-5LZXB 60-69 years, female 28.7
GTEX-14PHX-1626-SM-69LQB 50-59 years, male 28.5
GTEX-1RB15-1126-SM-E8VMX 60-69 years, male 28.5
GTEX-1IKOE-1726-SM-CNNQ6 30-39 years, female 28.2
GTEX-1211K-1226-SM-5EQ4N 60-69 years, female 27.8
GTEX-13QBU-1326-SM-5LU4K 40-49 years, female 27.7
GTEX-14PJN-0626-SM-6EU13 30-39 years, male 27.7
GTEX-ZXES-0926-SM-5E43O 30-39 years, female 27.6
GTEX-1A3MV-0626-SM-731CH 30-39 years, male 27.5
GTEX-1PPH8-1026-SM-DPRXN 20-29 years, male 27.4
GTEX-17F98-0326-SM-7DHLH 40-49 years, female 27.3
GTEX-1S831-1926-SM-EV79P 20-29 years, male 27.0
GTEX-11LCK-0326-SM-5A5M7 30-39 years, male 26.9
GTEX-14PJ4-0126-SM-62LEZ 60-69 years, male 26.9
GTEX-18D9B-1726-SM-7LTAP 60-69 years, male 26.9
GTEX-12WSF-1526-SM-6PAN6 70-79 years, male 26.8
GTEX-ZG7Y-1626-SM-5S2NO 50-59 years, male 26.8
GTEX-1KANA-1426-SM-CY8IF 20-29 years, male 26.8
GTEX-ZV7C-0826-SM-59HK8 50-59 years, male 26.7
GTEX-1JN76-1026-SM-ARZNI 20-29 years, female 26.5
GTEX-1GPI7-0826-SM-9JGG7 20-29 years, male 26.3
GTEX-111YS-1326-SM-5EGGK 60-69 years, male 26.2
GTEX-1CAMR-0326-SM-793AH 20-29 years, male 26.2
GTEX-1I4MK-0726-SM-ACKWC 50-59 years, female 26.0
GTEX-1S5ZA-1026-SM-EWRO2 20-29 years, male 25.9
GTEX-1QP28-0926-SM-EVR4D 50-59 years, female 25.7
GTEX-183FY-1226-SM-7DHLK 20-29 years, male 25.6
GTEX-1A32A-0926-SM-718AB 50-59 years, female 25.6
GTEX-1HCU9-0626-SM-ACKW6 20-29 years, male 25.6
GTEX-14DAR-0426-SM-664MW 50-59 years, male 25.5
GTEX-1339X-0726-SM-5L3FF 40-49 years, male 25.4
GTEX-13RTK-0726-SM-5Q5EN 20-29 years, male 25.4
GTEX-15EU6-1726-SM-6M48H 50-59 years, male 25.4
GTEX-WH7G-1126-SM-3NMBK 40-49 years, male 25.4
GTEX-1JKYN-0526-SM-CGQG3 30-39 years, male 25.4
GTEX-13FH7-1926-SM-5J2OL 50-59 years, female 25.3
GTEX-17MF6-1326-SM-79ONE 40-49 years, male 25.3
GTEX-WEY5-1326-SM-3GILS 40-49 years, female 25.2
GTEX-12WSK-1026-SM-5CVNR 40-49 years, female 25.1
GTEX-1N2DV-0626-SM-E9U5H 40-49 years, male 25.1
GTEX-ZLWG-0726-SM-5S2N4 50-59 years, female 24.8
GTEX-1C475-0326-SM-7SB8O 40-49 years, female 24.7
GTEX-11P7K-0826-SM-5BC5F 30-39 years, male 24.6
GTEX-17MFQ-1126-SM-7LT9O 20-29 years, male 24.6
GTEX-13U4I-1726-SM-5J1MF 40-49 years, female 24.5
GTEX-1F5PL-1326-SM-7SB83 40-49 years, female 24.4
GTEX-1GMR2-0226-SM-9JGHO 50-59 years, male 24.4
GTEX-1HFI7-0726-SM-ACKVN 50-59 years, female 24.2
GTEX-15DZA-0626-SM-6PANC 30-39 years, female 24.1
GTEX-15UKP-1426-SM-7KUDX 20-29 years, male 24.1
GTEX-1399U-2026-SM-9WPNN 50-59 years, female 24.0
GTEX-1RAZA-0926-SM-E6CQ8 20-29 years, male 23.8
GTEX-13W3W-1126-SM-5L3DO 60-69 years, female 23.7
GTEX-17GQL-0826-SM-731AM 60-69 years, male 23.7
GTEX-ZQUD-0526-SM-57WG4 30-39 years, male 23.7
GTEX-YEC3-0926-SM-5Q5AC 50-59 years, male 23.6
GTEX-ZVP2-0226-SM-57WBD 50-59 years, male 23.6
GTEX-16BQI-1126-SM-7KULF 30-39 years, female 23.5
GTEX-1I1GU-0626-SM-CMKHR 40-49 years, male 23.5
GTEX-16AAH-1526-SM-7LT9W 50-59 years, male 23.3
GTEX-12KS4-1526-SM-5EQ6E 30-39 years, male 23.2
GTEX-13FTW-0426-SM-5K7X2 40-49 years, male 23.1
GTEX-1HSGN-1926-SM-CMKGS 40-49 years, female 23.1
GTEX-18D9A-0726-SM-7LTA7 30-39 years, female 23.0
GTEX-13PVR-0526-SM-5S2OB 60-69 years, female 22.9
GTEX-1EU9M-1126-SM-793DE 60-69 years, male 22.9
GTEX-1HCU7-2026-SM-A9G2B 50-59 years, male 22.8
GTEX-1HSMP-1126-SM-B2LXJ 70-79 years, male 22.8
GTEX-WOFM-0726-SM-3MJF8 20-29 years, male 22.7
GTEX-1HSMQ-1026-SM-ADEHU 50-59 years, male 22.7
GTEX-13111-0626-SM-5LZVR 50-59 years, male 22.6
GTEX-13O61-1926-SM-5KM1R 60-69 years, male 22.6
GTEX-1AMFI-1026-SM-73KYM 50-59 years, female 22.6
GTEX-1LBAC-1026-SM-CXKYA 20-29 years, male 22.6
GTEX-Y9LG-1226-SM-4VBQA 30-39 years, male 22.5
GTEX-1IKK5-0826-SM-ACKWN 60-69 years, male 22.4
GTEX-13PVQ-2226-SM-5L3G9 50-59 years, male 22.3
GTEX-1OKEX-0926-SM-E8VNJ 60-69 years, male 22.3
GTEX-14JG6-0526-SM-6LLIH 30-39 years, female 22.2
GTEX-1AX8Z-1626-SM-73KWD 60-69 years, male 22.1
GTEX-ZLV1-0926-SM-5S2MR 60-69 years, female 22.1
GTEX-1B97J-1126-SM-7SB79 50-59 years, female 22.1
GTEX-1IDJF-1726-SM-A9SLL 20-29 years, male 22.1
GTEX-14PJ5-0426-SM-5ZZW2 60-69 years, female 22.0
GTEX-ZZPU-0326-SM-5N9BJ 50-59 years, female 22.0
GTEX-13VXT-0926-SM-5LU5K 20-29 years, female 21.9
GTEX-ZVZP-1126-SM-5GICU 50-59 years, male 21.9
GTEX-1MA7W-0526-SM-E6CIN 20-29 years, female 21.9
GTEX-1CAV2-0226-SM-7IGPQ 40-49 years, female 21.7
GTEX-1I1GT-1326-SM-ACKWB 60-69 years, female 21.7
GTEX-13OVG-1326-SM-5K7Y3 60-69 years, male 21.6
GTEX-13OVJ-0926-SM-5K7U1 50-59 years, female 21.6
GTEX-18D9U-0426-SM-731AN 40-49 years, male 21.6
GTEX-1B8KZ-1026-SM-73KYN 50-59 years, male 21.6
GTEX-WYJK-1426-SM-3NM8V 50-59 years, male 21.6
GTEX-1KANC-0526-SM-D4P3T 50-59 years, female 21.5
GTEX-15CHC-0826-SM-686YW 60-69 years, female 21.4
GTEX-XBEW-1726-SM-4RGMA 40-49 years, male 21.4
GTEX-ZTPG-2326-SM-57WFL 20-29 years, female 21.4
GTEX-1HC8U-0926-SM-A9G3L 40-49 years, female 21.4
GTEX-18A6Q-1026-SM-7LT9S 60-69 years, male 21.3
GTEX-ZDTT-0526-SM-5HL4M 60-69 years, male 21.3
GTEX-144GM-0626-SM-79OKY 20-29 years, male 21.1
GTEX-14PJ3-0726-SM-69LQE 50-59 years, male 21.1
GTEX-ZDYS-2226-SM-5S2MI 50-59 years, male 21.1
GTEX-1AYCT-1126-SM-79OO8 50-59 years, male 21.0
GTEX-1ICLY-1426-SM-CJI48 50-59 years, male 21.0
GTEX-1IDJC-0226-SM-CMKG2 50-59 years, male 21.0
GTEX-1PIGE-1226-SM-EVR3Q 20-29 years, male 21.0
GTEX-1RNTQ-0826-SM-E9TK8 20-29 years, female 21.0
GTEX-12BJ1-0826-SM-5EQ5P 60-69 years, male 20.9
GTEX-13D11-0526-SM-5LZYM 50-59 years, female 20.9
GTEX-1LGRB-0526-SM-COH3A 50-59 years, female 20.9
GTEX-14PN3-0326-SM-6EU1X 60-69 years, female 20.8
GTEX-1RAZQ-1526-SM-E6CJI 30-39 years, male 20.8
GTEX-14PK6-0926-SM-62LF4 70-79 years, female 20.7
GTEX-16XZZ-1626-SM-7KUEC 60-69 years, male 20.7
GTEX-XYKS-1826-SM-4E3JV 60-69 years, female 20.7
GTEX-ZT9W-1026-SM-57WG5 50-59 years, male 20.7
GTEX-1H11D-1126-SM-9YFM5 40-49 years, male 20.7
GTEX-ZAB4-1426-SM-5CVN6 40-49 years, male 20.6
GTEX-ZEX8-1226-SM-5S2OK 50-59 years, male 20.6
GTEX-1PBJI-1326-SM-E9J2V 20-29 years, female 20.6
GTEX-131XE-2026-SM-5LZW1 50-59 years, male 20.5
GTEX-14PHY-1026-SM-62LEV 60-69 years, female 20.5
GTEX-Y8LW-0926-SM-4VBQ8 50-59 years, female 20.5
GTEX-1J1R8-0526-SM-ACKWO 40-49 years, male 20.5
GTEX-1N2EF-0926-SM-E8VNW 60-69 years, male 20.5
GTEX-11TT1-1926-SM-5PNYN 20-29 years, male 20.4
GTEX-YEC4-0926-SM-5PNXY 40-49 years, male 20.4
GTEX-Y5LM-0826-SM-4VDSW 40-49 years, female 20.3
GTEX-1PFEY-0726-SM-E76PO 30-39 years, male 20.3
GTEX-13N1W-1226-SM-5K7UM 70-79 years, male 20.2
GTEX-1AMEY-0526-SM-72D62 30-39 years, female 20.2
GTEX-XGQ4-1026-SM-4AT4L 50-59 years, male 20.2
GTEX-1MCC2-0626-SM-DKPQI 30-39 years, female 20.2
GTEX-1117F-1326-SM-5EGHH 60-69 years, female 20.1
GTEX-ZP4G-1326-SM-5EGIW 20-29 years, female 20.1
GTEX-1CAMS-0926-SM-7SB7F 40-49 years, female 20.0
GTEX-1RAZR-1026-SM-E8VOJ 40-49 years, male 20.0
GTEX-13113-1126-SM-5LZU9 60-69 years, female 19.9
GTEX-1CB4E-0826-SM-793CS 60-69 years, male 19.9
GTEX-YFCO-1126-SM-5S2N9 40-49 years, male 19.9
GTEX-1S82P-0926-SM-EWRNP 60-69 years, female 19.9
GTEX-XBED-1326-SM-4AT4F 60-69 years, male 19.8
GTEX-14E6C-1226-SM-5ZZUN 40-49 years, male 19.7
GTEX-ZGAY-1326-SM-5S2NS 40-49 years, female 19.7
GTEX-WHPG-0626-SM-3NMBD 50-59 years, male 19.6
GTEX-WRHK-0826-SM-3MJFG 20-29 years, female 19.6
GTEX-1HBPN-1526-SM-9WYSB 50-59 years, male 19.6
GTEX-1QP29-1626-SM-EXUSZ 50-59 years, male 19.6
GTEX-ZF29-0826-SM-5S2O2 60-69 years, female 19.6
GTEX-11I78-0226-SM-5HL6R 50-59 years, female 19.5
GTEX-139T6-0526-SM-5IJC9 50-59 years, male 19.5
GTEX-16NGA-0526-SM-731AJ 40-49 years, female 19.5
GTEX-1JMPY-0326-SM-CM2S2 30-39 years, male 19.5
GTEX-11VI4-1226-SM-5EQMP 40-49 years, female 19.4
GTEX-1445S-2426-SM-79ON2 60-69 years, male 19.4
GTEX-1CAMQ-1226-SM-7SB7E 40-49 years, male 19.4
GTEX-18A7A-0926-SM-7LT8H 50-59 years, female 19.3
GTEX-ZPU1-1226-SM-5HL71 40-49 years, male 19.3
GTEX-1I1GP-1426-SM-ACKVZ 50-59 years, male 19.3
GTEX-1LSNM-0626-SM-DIPG7 50-59 years, male 19.3
GTEX-11DXX-2026-SM-5EGJL 60-69 years, female 19.2
GTEX-1A8G7-1226-SM-73KYP 60-69 years, male 19.2
GTEX-1B8KE-0826-SM-72D6S 50-59 years, male 19.2
GTEX-1MUQO-0826-SM-EVYCZ 60-69 years, male 19.1
GTEX-1C2JI-0826-SM-7EPHB 50-59 years, male 19.0
GTEX-1GF9V-1126-SM-9MQM7 60-69 years, male 19.0
GTEX-12WSA-1626-SM-5EGJV 60-69 years, male 18.9
GTEX-1A3MX-0826-SM-72D64 60-69 years, male 18.9
GTEX-1QW4Y-0826-SM-DTXE1 30-39 years, male 18.9
GTEX-ZVT2-0226-SM-5GIE3 50-59 years, female 18.8
GTEX-1ICG6-1726-SM-ARU7K 70-79 years, female 18.8
GTEX-12696-1826-SM-5EGJS 60-69 years, male 18.7
GTEX-1B996-1226-SM-73KWZ 60-69 years, male 18.7
GTEX-VJYA-1626-SM-EXOHL 60-69 years, male 18.7
GTEX-17F9E-1326-SM-7DHL4 50-59 years, male 18.6
GTEX-1HSEH-1326-SM-ADEI1 60-69 years, male 18.6
GTEX-1NV5F-2526-SM-EXUSK 60-69 years, female 18.6
GTEX-1B932-1726-SM-793A5 40-49 years, female 18.5
GTEX-1HCUA-0926-SM-ADEIX 50-59 years, female 18.5
GTEX-1IDJU-0926-SM-ARL88 60-69 years, female 18.5
GTEX-18A67-1326-SM-7LT8V 50-59 years, male 18.4
GTEX-1AX9J-2226-SM-731CW 60-69 years, male 18.4
GTEX-111CU-1026-SM-5EGIL 50-59 years, male 18.3
GTEX-147JS-1026-SM-5S2MP 60-69 years, male 18.3
GTEX-1OJC3-1326-SM-E9J3D 20-29 years, male 18.3
GTEX-15EOM-2326-SM-7KUMV 20-29 years, female 18.2
GTEX-1GZ4H-0926-SM-9WG6Y 50-59 years, female 18.2
GTEX-1QP66-0626-SM-E76PD 50-59 years, male 18.2
GTEX-131XG-0126-SM-5K7UJ 50-59 years, female 18.1
GTEX-13S86-0926-SM-5SI6I 40-49 years, male 18.1
GTEX-17JCI-1626-SM-7EPGZ 60-69 years, female 18.1
GTEX-XXEK-1426-SM-4BRW1 50-59 years, male 18.1
GTEX-1GMR3-0826-SM-9WYT4 40-49 years, male 18.1
GTEX-1HCU8-1126-SM-CM2SA 60-69 years, female 18.1
GTEX-ZV6S-1626-SM-5NQ81 40-49 years, female 18.0
GTEX-1LGOU-0826-SM-DHXKL 20-29 years, female 18.0
GTEX-146FR-0226-SM-5Q5F6 60-69 years, female 17.9
GTEX-1H23P-1726-SM-A9SMN 60-69 years, male 17.9
GTEX-1HB9E-0526-SM-ARZNM 50-59 years, male 17.9
GTEX-1LVAN-0926-SM-CNNQ2 50-59 years, female 17.9
GTEX-1AX9I-1726-SM-731BX 60-69 years, male 17.8
GTEX-1F6IF-2026-SM-7P8SE 60-69 years, male 17.8
GTEX-1H2FU-1426-SM-9WPO6 60-69 years, female 17.8
GTEX-1RLM8-1026-SM-EWROE 50-59 years, male 17.8
GTEX-1128S-0926-SM-5GZZU 60-69 years, female 17.7
GTEX-1EN7A-1626-SM-79OLV 40-49 years, male 17.7
GTEX-WXYG-0926-SM-3NB2O 50-59 years, female 17.7
GTEX-11XUK-1726-SM-5GU61 40-49 years, female 17.6
GTEX-14DAQ-2526-SM-5RQIO 60-69 years, female 17.6
GTEX-14PHW-1626-SM-6EU2H 60-69 years, female 17.6
GTEX-17HII-0826-SM-7DUFH 50-59 years, male 17.6
GTEX-1C6VS-1826-SM-73KXN 60-69 years, male 17.6
GTEX-1I6K6-1526-SM-CGQFC 30-39 years, male 17.6
GTEX-13N2G-1926-SM-5J1O3 60-69 years, male 17.5
GTEX-WYVS-0626-SM-4SOJY 40-49 years, female 17.4
GTEX-1GF9U-1226-SM-ARL9I 40-49 years, female 17.4
GTEX-13FTX-0626-SM-5J2NS 20-29 years, female 17.3
GTEX-ZE9C-1326-SM-5S2OW 60-69 years, male 17.3
GTEX-ZF3C-1026-SM-5S2OC 50-59 years, female 17.3
GTEX-ZYW4-2226-SM-5GZYG 60-69 years, male 17.3
GTEX-1EMGI-0726-SM-7PBZ4 60-69 years, male 17.3
GTEX-1S3DN-1626-SM-EVYCC 50-59 years, male 17.3
GTEX-ZYFG-1426-SM-5GICS 60-69 years, female 17.2
GTEX-1JMQK-1326-SM-CNPOR 60-69 years, male 17.2
GTEX-15RIE-0126-SM-7KUF8 60-69 years, male 17.1
GTEX-1K2DU-0726-SM-DIPF7 20-29 years, male 17.1
GTEX-15CHQ-1126-SM-686YY 60-69 years, male 17.0
GTEX-178AV-0626-SM-6PAM1 40-49 years, male 17.0
GTEX-XUZC-1126-SM-4BOPZ 30-39 years, female 17.0
GTEX-ZZ64-0626-SM-5GZWR 20-29 years, male 17.0
GTEX-1HCU6-1626-SM-CMKGW 60-69 years, female 17.0
GTEX-1JKYR-1226-SM-CM2S7 20-29 years, male 17.0
GTEX-11DXZ-1426-SM-5H12A 50-59 years, male 16.9
GTEX-UTHO-1826-SM-3GAFE 60-69 years, male 16.9
GTEX-1KD5A-1326-SM-CYPTB 50-59 years, male 16.9
GTEX-145LT-1526-SM-5O98P 40-49 years, male 16.8
GTEX-145ME-0726-SM-5O9A3 40-49 years, female 16.8
GTEX-131XH-0826-SM-5GCN8 50-59 years, male 16.7
GTEX-18A66-1926-SM-7LTAG 60-69 years, male 16.7
GTEX-ZQG8-1026-SM-51MR9 60-69 years, female 16.7
GTEX-1LH75-1026-SM-EWROK 50-59 years, female 16.7
GTEX-Y3I4-0726-SM-E9J3Y 50-59 years, male 16.7
GTEX-12WSL-1126-SM-5CVNK 50-59 years, male 16.6
GTEX-14C39-0826-SM-5TDDU 40-49 years, male 16.6
GTEX-14E6E-0226-SM-7DUEF 30-39 years, male 16.6
GTEX-14PJ2-1426-SM-62LFF 50-59 years, male 16.6
GTEX-1QP9N-0426-SM-DTXFT 30-39 years, male 16.6
GTEX-17F96-0726-SM-793CB 70-79 years, male 16.5
GTEX-17HGU-1726-SM-79OKM 50-59 years, male 16.5
GTEX-1KAFJ-0826-SM-CYPTF 50-59 years, male 16.5
GTEX-1O9I2-1326-SM-E6CQD 50-59 years, male 16.5
GTEX-113JC-0726-SM-5GZZR 50-59 years, female 16.4
GTEX-13YAN-1126-SM-5TDC7 60-69 years, male 16.4
GTEX-WY7C-0926-SM-3NB34 50-59 years, male 16.4
GTEX-1MCQQ-1426-SM-E6CJA 60-69 years, male 16.4
GTEX-12WSC-1726-SM-5GCN3 50-59 years, male 16.3
GTEX-ZAJG-1626-SM-5HL7I 50-59 years, female 16.3
GTEX-YJ8A-1926-SM-EZ6LQ 20-29 years, male 16.3
GTEX-12WSM-0626-SM-5GCOK 60-69 years, male 16.2
GTEX-132AR-0526-SM-5J2MJ 50-59 years, female 16.2
GTEX-1IDJI-0926-SM-ACKWZ 50-59 years, female 16.2
GTEX-XQ8I-1426-SM-4BOPW 50-59 years, male 16.1
GTEX-1HGF4-0226-SM-CNNQL 60-69 years, male 16.1
GTEX-1KXAM-0526-SM-DKPQN 60-69 years, male 16.1
GTEX-1QPFJ-2126-SM-EXOJV 30-39 years, female 16.1
GTEX-12ZZW-2326-SM-5DUW2 50-59 years, male 16.0
GTEX-132QS-0826-SM-5K7WV 60-69 years, male 16.0
GTEX-1CB4G-2126-SM-7IGQ8 60-69 years, male 16.0
GTEX-1JJ6O-2826-SM-CNNP7 60-69 years, male 16.0
GTEX-1QCLY-1226-SM-EVYC3 30-39 years, male 16.0
GTEX-11EQ9-1126-SM-5987I 30-39 years, male 15.9
GTEX-132Q8-1726-SM-5EGK8 60-69 years, male 15.9
GTEX-13NZB-0826-SM-5K7X5 30-39 years, male 15.9
GTEX-13OW7-1126-SM-5K7V6 50-59 years, male 15.9
GTEX-1AX9K-0926-SM-7939G 50-59 years, male 15.9
GTEX-ZYVF-1026-SM-5E44V 50-59 years, female 15.9
GTEX-11GSO-0226-SM-5A5LV 60-69 years, male 15.8
GTEX-13JUV-0626-SM-5J1MQ 40-49 years, female 15.8
GTEX-ZC5H-1626-SM-5HL7L 40-49 years, female 15.8
GTEX-1LSNL-1426-SM-E6CJ9 50-59 years, male 15.8
GTEX-13OW8-0326-SM-5L3FB 60-69 years, male 15.7
GTEX-14AS3-0426-SM-5QGQK 40-49 years, female 15.7
GTEX-15G19-1126-SM-7KUEL 60-69 years, male 15.7
GTEX-17EVP-1426-SM-79OMN 40-49 years, male 15.7
GTEX-1B8SF-1726-SM-73KZ5 60-69 years, male 15.7
GTEX-XMK1-0926-SM-4B66X 40-49 years, male 15.7
GTEX-11ZTS-1326-SM-5EQMA 60-69 years, female 15.6
GTEX-13X6K-0726-SM-5LU2Z 60-69 years, female 15.6
GTEX-Z9EW-0826-SM-5HL9T 40-49 years, male 15.6
GTEX-ZPIC-0726-SM-57WFM 40-49 years, female 15.6
GTEX-1HUB1-1526-SM-CGQF6 60-69 years, male 15.6
GTEX-12ZZX-1726-SM-5BC63 40-49 years, female 15.5
GTEX-145LV-1026-SM-5O9AE 50-59 years, male 15.5
GTEX-18465-1826-SM-731BB 50-59 years, male 15.5
GTEX-1IE54-1426-SM-CL53C 40-49 years, female 15.5
GTEX-XPVG-1626-SM-EYYVK 50-59 years, male 15.5
GTEX-11GS4-1026-SM-5N9DE 60-69 years, male 15.4
GTEX-139TU-1426-SM-5LZY9 60-69 years, male 15.4
GTEX-14C38-1026-SM-73KY7 50-59 years, male 15.4
GTEX-1LG7Y-1126-SM-CYPTE 50-59 years, male 15.4
GTEX-1R7EV-1026-SM-DTX81 40-49 years, male 15.4
GTEX-18A7B-1226-SM-718AU 70-79 years, male 15.3
GTEX-1EH9U-1326-SM-79OM3 60-69 years, male 15.3
GTEX-X3Y1-0926-SM-3P5YT 40-49 years, male 15.3
GTEX-XLM4-1026-SM-4AT51 60-69 years, male 15.3
GTEX-1E1VI-1826-SM-9WG5J 50-59 years, male 15.3
GTEX-1R9K4-1426-SM-DPRY4 60-69 years, male 15.3
GTEX-W5X1-1426-SM-3GIKH 40-49 years, female 15.2
GTEX-Y8E4-1226-SM-5IFIM 40-49 years, male 15.2
GTEX-1122O-0926-SM-9YFLC 60-69 years, female 15.2
GTEX-1B8L1-0126-SM-9KNVS 60-69 years, male 15.2
GTEX-1GN1W-1226-SM-9MQLW 50-59 years, female 15.2
GTEX-1I1GS-0926-SM-A9SL5 60-69 years, male 15.2
GTEX-1LVAM-1026-SM-DIPFK 50-59 years, female 15.2
GTEX-15SKB-1626-SM-6PAL6 60-69 years, male 15.1
GTEX-1GN73-0626-SM-7PC3I 60-69 years, male 15.1
GTEX-11WQK-1526-SM-5EGKN 50-59 years, male 15.0
GTEX-131YS-1726-SM-5HL7G 60-69 years, female 15.0
GTEX-139YR-0326-SM-5J1MC 50-59 years, male 15.0
GTEX-1B8SG-1426-SM-7EWEM 50-59 years, male 15.0
GTEX-1EWIQ-2526-SM-7EPIJ 70-79 years, female 15.0
GTEX-1HR9M-1426-SM-A9SMB 60-69 years, male 15.0
GTEX-1IDJH-1626-SM-A9SLP 70-79 years, male 15.0
GTEX-144GN-0726-SM-5O98O 50-59 years, male 14.9
GTEX-146FH-2026-SM-5SI9I 50-59 years, female 14.9
GTEX-WHWD-0826-SM-3LK6R 50-59 years, male 14.9
GTEX-ZPCL-1026-SM-5GCOX 60-69 years, female 14.9
GTEX-1F48J-1826-SM-7SB8T 50-59 years, female 14.9
GTEX-1HBPH-2226-SM-9WYSO 40-49 years, female 14.9
GTEX-13N11-1826-SM-5IJDS 50-59 years, female 14.8
GTEX-13O21-3126-SM-5J1OI 50-59 years, male 14.8
GTEX-13X6I-1526-SM-5SIAC 60-69 years, male 14.8
GTEX-14C5O-0926-SM-793DM 60-69 years, male 14.8
GTEX-1H1DE-0826-SM-ARU8V 20-29 years, male 14.8
GTEX-117YW-0826-SM-5H11O 50-59 years, male 14.7
GTEX-14PJM-1226-SM-686Z7 50-59 years, female 14.7
GTEX-1H3VE-1926-SM-9YFL4 40-49 years, male 14.7
GTEX-UPK5-1826-SM-3GAEB 40-49 years, male 14.6
GTEX-WYBS-1026-SM-4ONCY 60-69 years, female 14.6
GTEX-ZAB5-1126-SM-5Q5AD 50-59 years, male 14.6
GTEX-1EKGG-1426-SM-7PBY2 60-69 years, male 14.6
GTEX-1H1CY-0826-SM-9WYTU 60-69 years, female 14.6
GTEX-1H1ZS-1326-SM-9WG74 70-79 years, male 14.6
GTEX-13OVK-0326-SM-7KUEJ 40-49 years, male 14.5
GTEX-17KNJ-0426-SM-718AK 50-59 years, male 14.5
GTEX-1F6I4-2126-SM-7PC2J 60-69 years, male 14.5
GTEX-1I1GR-1726-SM-COH39 60-69 years, male 14.5
GTEX-1LKK1-1526-SM-EVYCO 50-59 years, female 14.5
GTEX-1R9PO-0926-SM-E9U4Q 60-69 years, female 14.5
GTEX-WVLH-1626-SM-EXURN 50-59 years, male 14.5
GTEX-U8XE-1926-SM-3DB98 30-39 years, male 14.4
GTEX-13NYS-0726-SM-5J1OR 60-69 years, male 14.3
GTEX-1J1OQ-1526-SM-CJI4E 40-49 years, female 14.3
GTEX-1LVAO-2126-SM-DIPGA 60-69 years, male 14.3
GTEX-1RQEC-2526-SM-EVYD2 60-69 years, male 14.3
GTEX-11P81-0726-SM-5PNYH 30-39 years, female 14.2
GTEX-14BIL-2426-SM-5QGQR 50-59 years, male 14.2
GTEX-15ER7-1026-SM-7KUMD 20-29 years, female 14.2
GTEX-169BO-0426-SM-7EPI1 50-59 years, male 14.2
GTEX-YECK-1426-SM-5IFHE 60-69 years, male 14.2
GTEX-ZT9X-0926-SM-5O9C4 40-49 years, male 14.2
GTEX-1LSVX-1326-SM-DIPET 60-69 years, male 14.2
GTEX-1QMI2-1626-SM-EYYXK 60-69 years, male 14.2
GTEX-14E7W-2326-SM-69LQC 70-79 years, male 14.1
GTEX-Y5V5-0226-SM-5S2N8 60-69 years, female 14.1
GTEX-1C64N-1326-SM-7SB7D 50-59 years, male 14.1
GTEX-1IDJD-0926-SM-ACKWW 30-39 years, male 14.1
GTEX-1JMQI-1026-SM-COH2U 50-59 years, male 14.1
GTEX-1JN6P-1626-SM-CYPSV 60-69 years, male 14.1
GTEX-14PJO-1626-SM-69LPQ 60-69 years, male 14.0
GTEX-Y5V6-0626-SM-4WWFY 60-69 years, male 14.0
GTEX-1GTWX-1526-SM-9MQLF 60-69 years, male 14.0
GTEX-1HBPI-1826-SM-ADEHE 50-59 years, male 14.0
GTEX-1J8EW-1526-SM-CMKFZ 60-69 years, female 14.0
GTEX-14PKU-0226-SM-6EU16 40-49 years, female 13.9
GTEX-1B97I-0526-SM-73KXE 40-49 years, male 13.9
GTEX-1F75B-1226-SM-7MXTW 50-59 years, male 13.9
GTEX-1JJE9-1526-SM-CM2RR 70-79 years, male 13.9
GTEX-13O3P-0926-SM-5IFFI 50-59 years, male 13.8
GTEX-16NPX-1026-SM-6PAM7 50-59 years, male 13.8
GTEX-1CB4F-1126-SM-79OLG 60-69 years, male 13.8
GTEX-XV7Q-1726-SM-4BRUU 40-49 years, female 13.8
GTEX-1GF9W-1026-SM-7SB8X 60-69 years, male 13.8
GTEX-1OFPY-0826-SM-DTX8P 60-69 years, male 13.8
GTEX-14753-2526-SM-5LU97 60-69 years, male 13.7
GTEX-1AYD5-0126-SM-7DUG5 50-59 years, male 13.7
GTEX-XOT4-0826-SM-4B66Y 60-69 years, female 13.7
GTEX-13X6J-1926-SM-5TDCU 50-59 years, male 13.6
GTEX-1H1DG-2026-SM-9QEIV 70-79 years, male 13.6
GTEX-1I1GQ-1026-SM-CNNQS 50-59 years, male 13.6
GTEX-14BMV-1626-SM-73KVQ 50-59 years, male 13.5
GTEX-14JIY-1426-SM-6EU29 60-69 years, male 13.5
GTEX-15DYW-1526-SM-7KUEP 60-69 years, female 13.5
GTEX-17EVQ-0626-SM-7KFTB 70-79 years, male 13.5
GTEX-1A8G6-2026-SM-73KYC 60-69 years, male 13.5
GTEX-1B933-1326-SM-7939U 50-59 years, female 13.5
GTEX-11DXY-0326-SM-5H12F 60-69 years, male 13.4
GTEX-1399S-1426-SM-5PNYQ 30-39 years, female 13.4
GTEX-139D8-1626-SM-5IJFZ 30-39 years, female 13.4
GTEX-145LU-1226-SM-5LU9B 50-59 years, male 13.4
GTEX-1I1CD-1026-SM-COH3G 60-69 years, female 13.4
GTEX-1IY9M-1226-SM-ACKX1 60-69 years, male 13.4
GTEX-1K9T9-1626-SM-DIPFS 50-59 years, female 13.4
GTEX-11ZUS-1826-SM-5FQTR 30-39 years, male 13.3
GTEX-13OVL-0826-SM-5L3GV 50-59 years, male 13.2
GTEX-14B4R-0526-SM-5QGQT 30-39 years, male 13.2
GTEX-1C6VQ-1526-SM-73KU9 50-59 years, male 13.2
GTEX-ZDTS-1826-SM-5S2N6 60-69 years, male 13.2
GTEX-1F52S-1326-SM-7SB6Q 60-69 years, female 13.2
GTEX-1GMRU-0726-SM-7PBZH 50-59 years, male 13.2
GTEX-13OW6-2426-SM-5K7WO 50-59 years, male 13.1
GTEX-17F9Y-0726-SM-7LT9G 70-79 years, female 13.1
GTEX-17HHE-1526-SM-793AS 50-59 years, male 13.1
GTEX-WK11-2426-SM-3NMAA 50-59 years, male 13.1
GTEX-1I6K7-1826-SM-CGQFO 40-49 years, male 13.1
GTEX-13W46-1226-SM-5SIAS 50-59 years, male 12.9
GTEX-XBEC-1826-SM-4QASN 50-59 years, male 12.9
GTEX-1313W-1626-SM-5J1OE 50-59 years, female 12.8
GTEX-14BIN-1226-SM-5S2OM 50-59 years, female 12.8
GTEX-X8HC-2326-SM-4QAS4 50-59 years, female 12.8
GTEX-ZYT6-2126-SM-5GZZ4 30-39 years, male 12.8
GTEX-1H4P4-0326-SM-9WYTD 50-59 years, male 12.8
GTEX-1K2DA-1126-SM-CGQGG 50-59 years, male 12.8
GTEX-11PRG-1526-SM-5HL6Z 50-59 years, male 12.7
GTEX-13X6H-1726-SM-5Q5EH 50-59 years, female 12.7
GTEX-ZDXO-2326-SM-5LU9W 60-69 years, male 12.7
GTEX-11DYG-2026-SM-5EGGX 60-69 years, male 12.6
GTEX-14PN4-1426-SM-6LLJ4 50-59 years, male 12.6
GTEX-1C6VR-1126-SM-7EPHD 60-69 years, male 12.6
GTEX-ZVE2-1826-SM-51MRZ 50-59 years, male 12.6
GTEX-1HT8W-0726-SM-A9SLB 30-39 years, male 12.6
GTEX-1ICLZ-1626-SM-CE6SS 60-69 years, male 12.6
GTEX-1JMLX-1026-SM-D3L8U 50-59 years, male 12.6
GTEX-1N2DW-0726-SM-DTX97 50-59 years, male 12.6
GTEX-13112-1126-SM-5GCMY 50-59 years, male 12.5
GTEX-13NZ9-2026-SM-5KM1U 50-59 years, male 12.5
GTEX-1GF9X-0926-SM-7PC2X 40-49 years, female 12.5
GTEX-1RMOY-0826-SM-E9TIF 50-59 years, male 12.5
GTEX-12WSG-0426-SM-5FQSE 50-59 years, female 12.4
GTEX-14E1K-0426-SM-5S2PF 50-59 years, male 12.4
GTEX-1HSMO-1426-SM-CNNQN 60-69 years, male 12.4
GTEX-1J8Q2-2226-SM-CM2TZ 60-69 years, male 12.4
GTEX-1JMQJ-1926-SM-D4P3A 50-59 years, male 12.4
GTEX-13OVH-1126-SM-5K7YP 70-79 years, male 12.3
GTEX-15SHU-2326-SM-7KUMC 40-49 years, female 12.3
GTEX-17HHY-1026-SM-7LG5E 50-59 years, male 12.3
GTEX-ZF28-1426-SM-5S2OG 60-69 years, male 12.3
GTEX-ZXG5-1626-SM-59HJK 60-69 years, male 12.3
GTEX-1H1DF-1426-SM-9YFMC 40-49 years, female 12.3
GTEX-1I19N-1026-SM-A96TT 70-79 years, male 12.3
GTEX-1L5NE-1726-SM-DHXKX 50-59 years, male 12.3
GTEX-13VXU-1026-SM-5KLZE 50-59 years, male 12.2
GTEX-ZUA1-2126-SM-57YRB 40-49 years, male 12.2
GTEX-1GN1U-0726-SM-9MQKL 50-59 years, female 12.2
GTEX-1N2EE-1526-SM-DTXE9 60-69 years, male 12.2
GTEX-1BAJH-2126-SM-7EWFB 70-79 years, male 12.1
GTEX-XAJ8-0226-SM-4GIB2 40-49 years, male 12.1
GTEX-XQ3S-2426-SM-4WAYB 20-29 years, male 12.1
GTEX-1HFI6-1726-SM-CGQFH 40-49 years, male 12.1
GTEX-17F97-1226-SM-79OJT 50-59 years, male 12.0
GTEX-ZE7O-1526-SM-5J1NH 50-59 years, female 12.0
GTEX-1A8FM-2126-SM-7PC27 50-59 years, female 12.0
GTEX-1QP67-1126-SM-EAZ4C 40-49 years, female 12.0
GTEX-13S7M-0826-SM-5QGQX 60-69 years, female 11.9
GTEX-ZYFC-1826-SM-5GZZA 50-59 years, male 11.9
GTEX-11GSP-1026-SM-9WYSH 60-69 years, female 11.9
GTEX-1HSKV-1926-SM-CNPPN 60-69 years, male 11.9
GTEX-1192X-1526-SM-5H11I 50-59 years, male 11.8
GTEX-1KD4Q-1426-SM-D4P3K 40-49 years, male 11.8
GTEX-1QP6S-1626-SM-EVYC5 40-49 years, male 11.8
GTEX-13PL6-0926-SM-5KLYY 40-49 years, female 11.7
GTEX-WL46-2026-SM-3LK7U 50-59 years, male 11.7
GTEX-1GL5R-0726-SM-9MQL5 50-59 years, male 11.7
GTEX-1GZ4I-2326-SM-9YFMO 50-59 years, male 11.7
GTEX-1S5VW-2426-SM-EAZ52 60-69 years, male 11.7
GTEX-16GPK-1326-SM-7KUE4 60-69 years, male 11.6
GTEX-16NPV-0626-SM-7IGOR 50-59 years, female 11.6
GTEX-1MA7X-1026-SM-DKPQ8 60-69 years, male 11.6
GTEX-VJWN-2326-SM-EVYAP 50-59 years, female 11.6
GTEX-13FXS-1326-SM-62LFR 50-59 years, male 11.5
GTEX-X585-2526-SM-4QAS1 50-59 years, male 11.5
GTEX-ZF2S-1526-SM-5S2OO 50-59 years, female 11.5
GTEX-12584-2126-SM-5FQUM 40-49 years, male 11.4
GTEX-132NY-1126-SM-5PNVE 60-69 years, male 11.4
GTEX-13O3Q-1126-SM-5K7YK 50-59 years, male 11.4
GTEX-YJ89-1926-SM-5IFJ6 60-69 years, male 11.4
GTEX-14ABY-1926-SM-62LDJ 50-59 years, male 11.3
GTEX-1KANB-2426-SM-EV7BE 50-59 years, male 11.3
GTEX-11NV4-1426-SM-5BC4W 60-69 years, male 11.2
GTEX-11NUK-2026-SM-5PNVZ 50-59 years, male 11.1
GTEX-13G51-0526-SM-5IJCQ 60-69 years, male 11.1
GTEX-1QAET-1226-SM-DTX9I 50-59 years, male 11.1
GTEX-1399T-1326-SM-5PNVH 60-69 years, male 11.0
GTEX-14E6D-1326-SM-62LES 50-59 years, male 11.0
GTEX-1IL2U-2726-SM-C1YSG 60-69 years, male 11.0
GTEX-145MF-1026-SM-5Q5EQ 50-59 years, male 10.8
GTEX-WI4N-1526-SM-EZ6LG 40-49 years, female 10.8
GTEX-1GZ2Q-1226-SM-9MQM8 40-49 years, male 10.7
GTEX-1POEN-1626-SM-EVYC2 30-39 years, female 10.7
GTEX-1QEPI-2226-SM-E8VN6 60-69 years, female 10.7
GTEX-Y111-0926-SM-4SOIU 50-59 years, male 10.5
GTEX-13IVO-2426-SM-5K7V9 70-79 years, male 10.3
GTEX-VUSG-1426-SM-3GIJN 50-59 years, male 10.3
GTEX-14BIM-1626-SM-7EWD2 60-69 years, female 10.1
GTEX-12WSI-1526-SM-5GCNM 50-59 years, male 10.0
GTEX-1212Z-0526-SM-5FQSQ 60-69 years, male 9.9
GTEX-145MI-0826-SM-5SI95 60-69 years, female 9.9
GTEX-16MTA-1326-SM-6PALX 50-59 years, male 9.9
GTEX-15D1Q-1326-SM-69LOA 40-49 years, male 9.8
GTEX-1KWVE-0226-SM-E9TKK 30-39 years, male 9.6
GTEX-1P4AB-1226-SM-DTXET 50-59 years, male 9.5
GTEX-11OF3-0826-SM-5BC51 60-69 years, male 9.1
GTEX-13PDP-1226-SM-5K7TW 60-69 years, male 8.9
GTEX-WWTW-1326-SM-4MVNT 50-59 years, male 8.7
GTEX-13FHO-2026-SM-5J1OA 60-69 years, male 8.5
Show allShow less

ADIPOSE TISSUE - FANTOM5 CAGEi

RNA expression in human tissues obtained through Cap Analysis of Gene Expression (CAGE) generated by the FANTOM5 project are reported as Scaled Tags Per Million.

Max subtype Scaled Tags Per Millioni

Max subtype Scaled Tags Per Million is the value for the subtype with the largest average Scaled Tags Per Million across the subtype samples.

101.5
FANTOM5 sample id Sample description Scaled Tags Per Million
Adipose tissue
Scaled Tags Per Million: 101.5
FF:10010-101C1 65,65,76 years, mixed 101.5

Contact

  • NEWS ARTICLES
  • PRESS ROOM

The Project

  • INTRODUCTION
  • ORGANIZATION
  • PUBLICATIONS

The Human Protein Atlas

  • DOWNLOADABLE DATA
  • LICENCE & CITATION
  • HELP & FAQ
The Human Protein Atlas project is funded
by the Knut & Alice Wallenberg Foundation.


contact@proteinatlas.org