We use cookies to enhance the usability of our website. If you continue, we'll assume that you are happy to receive all cookies. More information. Don't show this again.
N4BP2L2
HPA
RESOURCES
  • TISSUE
  • BRAIN
  • SINGLE CELL
  • SUBCELLULAR
  • CANCER
  • BLOOD
  • CELL LINE
  • STRUCTURE & INTERACTION
ABOUT
  • INTRODUCTION
  • HISTORY
  • ORGANIZATION
  • PUBLICATIONS
  • ANTIBODY SUBMISSION
  • ANTIBODY AVAILABILITY
  • ACKNOWLEDGMENTS
  • CONTACT
NEWS
  • NEWS ARTICLES
  • PRESS ROOM
LEARN
  • DICTIONARY
  • PROTEIN CLASSES
  • PROTEIN EVIDENCE
  • METHODS
  • EDUCATIONAL VIDEOS
DATA
  • DOWNLOADABLE DATA
  • PUBLICATION DATA
  • RELEASE HISTORY
HELP
  • ANTIBODY VALIDATION
  • ASSAYS & ANNOTATION
  • DISCLAIMER
  • HELP & FAQ
  • PRIVACY STATEMENT
  • LICENCE & CITATION
Fields »
Search result

Field
Term
Gene name
Class
Subclass
Class
Keyword
Chromosome
External id
Tissue
Cell type
Expression
Antibody panel
Tissue
Main location
Patient ID
Annotation
Tissue
Category
Tau score
Cluster
Reliability
Brain region
Category
Tau score
Brain region
Category
Tau score
Brain region
Category
Tau score
Cluster
Reliability
Tissue
Cell type
Enrichment
Cell type
Category
Tau score
Cell type
Category
Tau score
Cell type
Category
Tau score
Cell lineage
Category
Tau score
Cluster
Cluster
Location
Searches
Location
Cell line
Class
Type
Phase
Reliability
Cancer
Prognosis
Cancer
Category
Cancer
Category
Tau score
Cluster
Variants
Interacting gene (ensg_id)
Type
Number of interactions
Pathway
Category
Score
Score
Score
Validation
Validation
Validation
Validation
Antibodies
Data type
Column


  • SUMMARY

  • TISSUE

  • BRAIN

  • SINGLE CELL

  • SUBCELL

  • CANCER

  • BLOOD

  • CELL LINE

  • STRUCT & INT

  • N4BP2L2
TISSUE PRIMARY DATA PANCREAS Show tissue menu
ADIPOSE TISSUE ADRENAL GLAND AMYGDALA APPENDIX BASAL GANGLIA BONE MARROW BREAST BRONCHUS CEREBELLUM CEREBRAL CORTEX CERVIX CHOROID PLEXUS COLON DUODENUM
ENDOMETRIUM EPIDIDYMIS ESOPHAGUS FALLOPIAN TUBE GALLBLADDER HEART MUSCLE HIPPOCAMPAL FORMATION HYPOTHALAMUS KIDNEY LIVER LUNG LYMPH NODE MIDBRAIN NASOPHARYNX
ORAL MUCOSA OVARY PANCREAS PARATHYROID GLAND PITUITARY GLAND PLACENTA PROSTATE RECTUM RETINA SALIVARY GLAND SEMINAL VESICLE SKELETAL MUSCLE SKIN SMALL INTESTINE
SMOOTH MUSCLE SOFT TISSUE SPINAL CORD SPLEEN STOMACH TESTIS THYMUS THYROID GLAND TONGUE TONSIL URINARY BLADDER VAGINA
ANTIBODIES
AND
VALIDATION
Dictionary
Pancreas
Tissue proteome
Pancreas
PANCREAS - Expression summary
Protein expression
Pancreasi

On the top, protein expression in current human tissue, based on all annotated cell types, is reported with the units not detected (n), low (l), medium (m) and high (h). Underneath, protein expression in each annotated cell type are reported using the same units.

Protein expression data is based on knowledge-based annotation. For genes where more than one antibody has been used, a collective score is set.

If knowledge-based annotation could not be performed for a gene, no data is displayed here. View antibody staining data further down this page.

h
m
l
n
Exocrine glandular cells: Medium
Pancreatic endocrine cells: Low
RNA expressioni

A summary of mRNA expression data available for current tissue based on several datasets. The mRNA expression levels in human tissues are based on RNA-seq data generated by the Human Protein Atlas (HPA), Genotype-Tissue Expression (GTEx) portal and CAGE data generated by the FANTOM5 consortium. Consensus normalized expression levels for human tissues was created by combining the data from HPA and GTEx datasets.

The mRNA expression levels in pig are based on RNA-seq data generated by the Human Protein Atlas (HPA), and for mouse, HPA data and in situ hybridization generated by the Allen brain atlas are reported.

Scroll down to view mRNA expression data in more detail.
Consensus:17.6 nTPM
HPA:15.3 nTPM
GTEx:17.6 nTPM
FANTOM5:52.9 Scaled Tags Per Million

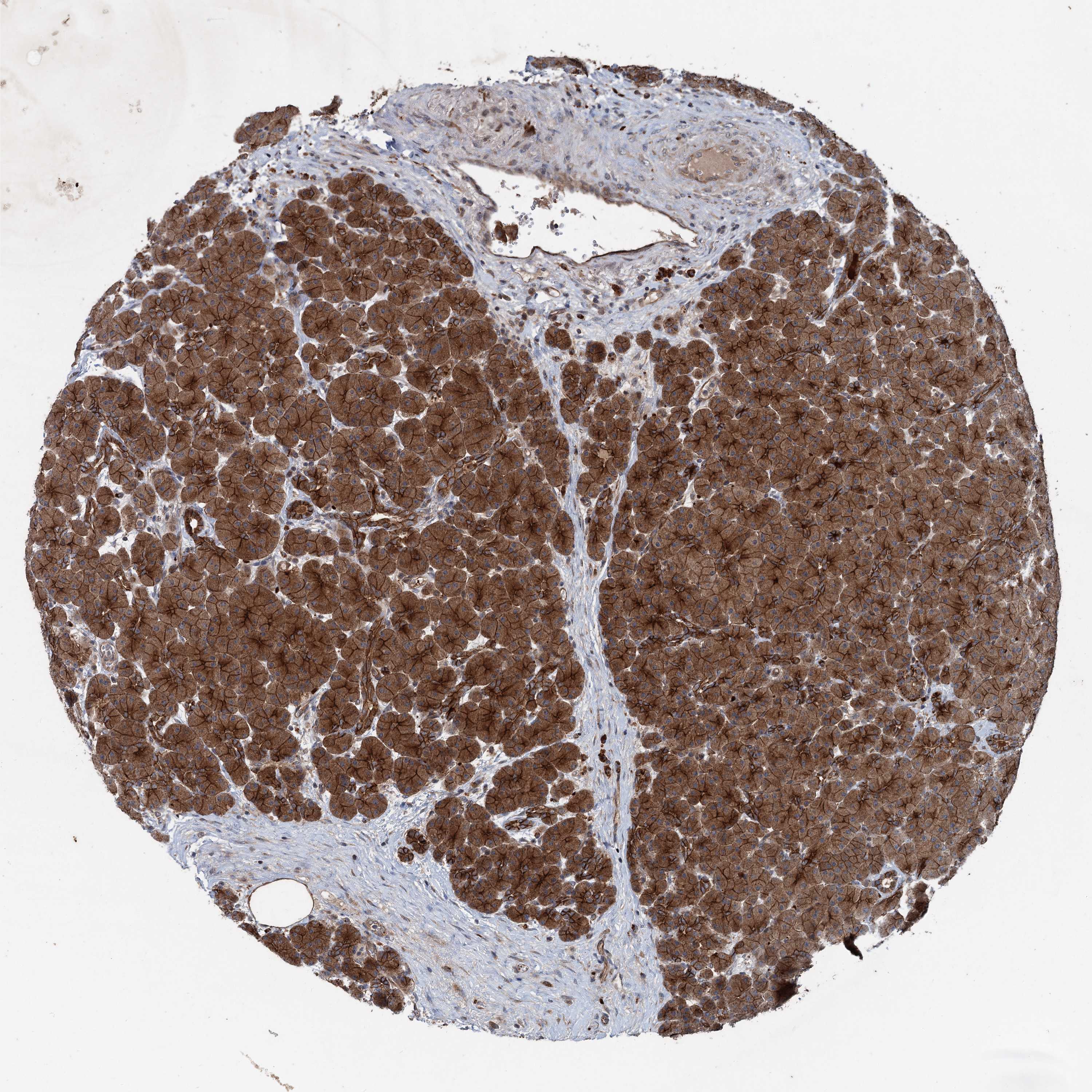
PANCREAS - Antibody stainingi

Antibody staining in the annotated cell types in the current human tissue is reported as not detected, low, medium, or high, based on conventional immunohistochemistry profiling in selected tissues. This score is based on the combination of the staining intensity and fraction of stained cells.

Each image is clickable and will lead to virtual microscopy that enables deeper exploration of all samples and also displays staining intensity scores, fraction scores and subcellular localization as well as patient and tissue information for each sample.

Antibody HPA039338Antibody HPA039434
Exocrine glandular cells HighHigh
Pancreatic endocrine cells MediumLow





PANCREAS - HPA RNA-seqi

The RNA-seq details section shows detailed information about the individual samples used for the transcript profiling and results of the RNA-seq analysis.

Information about each individual sample is listed below, including gender, age, a tissue section image and estimated fractions of cell types. nTPM (normalized transcripts per million) values give a quantification of the gene abundance which is comparable between different genes and samples.
Average nTPMi

Max subtype nTPM is the value for the subtype with the largest average nTPM across the subtype samples.

15.3
overview
Female, age 59
Pancreas sample 194
nTPM: 14.8
Cell types%
Exocrine glandular cells:
75

Pancreatic endocrine cells:
10

Ductal cells:
5

Other cell types:
10

overview
Male, age 60
Pancreas sample 195
nTPM: 15.8
Cell types%
Exocrine glandular cells:
90

Pancreatic endocrine cells:
5

Ductal cells:
5


PANCREAS - GTEx RNA-seqi

RNA-Seq data generated by the Genotype-Tissue Expression (GTEx) project from human tissues is reported as mean nTPM. More information can be found on the GTEx portal.

Distribution across the dataset is visualized with box plots, shown as median and 25th and 75th percentiles. Points are displayed as outliers if they are above or below 1.5 times the interquartile range. nTPM values of the individual samples are presented next to the box plot.
Max subtype nTPMi

Max subtype nTPM is the value for the subtype with the largest average nTPM across the subtype samples.

17.6
GTEx sample id Sample description nTPM
Pancreas
Average nTPM: 17.6
Samples: 328

Max nTPM: 30.5
Min nTPM: 7.6
Std nTPM: 3.3
Median nTPM: 17.8
GTEX-1QW4Y-0926-SM-DPRY2 30-39 years, male 30.5
GTEX-P4PQ-1026-SM-3NMCN 60-69 years, male 28.6
GTEX-1C2JI-0926-SM-731F1 50-59 years, male 25.3
GTEX-Y114-0826-SM-4TT77 50-59 years, female 24.7
GTEX-Y8LW-1026-SM-5IFJY 50-59 years, female 24.5
GTEX-1R7EV-1126-SM-DPRXU 40-49 years, male 24.5
GTEX-ZYW4-2126-SM-59HJ9 60-69 years, male 24.3
GTEX-1QP2A-1326-SM-EAZ3K 50-59 years, male 24.3
GTEX-O5YT-1026-SM-3MJGF 20-29 years, male 23.8
GTEX-VJYA-0826-SM-4KL1M 60-69 years, male 23.5
GTEX-ZP4G-0426-SM-4YCER 20-29 years, female 23.5
GTEX-15RJ7-0826-SM-6LLI8 40-49 years, male 23.2
GTEX-Q2AI-0426-SM-48U13 40-49 years, male 23.1
GTEX-14BMU-0726-SM-73KXS 20-29 years, female 23.0
GTEX-YEC4-1326-SM-5IFHG 40-49 years, male 23.0
GTEX-S3XE-0526-SM-4AD4G 50-59 years, male 22.9
GTEX-15UKP-1326-SM-6LPI8 20-29 years, male 22.8
GTEX-1R7EU-0726-SM-DPRZM 60-69 years, male 22.8
GTEX-1RAZA-1626-SM-EV79I 20-29 years, male 22.8
GTEX-1S82P-1026-SM-EAZ4W 60-69 years, female 22.8
GTEX-1GF9X-1126-SM-7MKHC 40-49 years, female 22.7
GTEX-1B996-1326-SM-731EO 60-69 years, male 22.3
GTEX-QLQ7-0626-SM-CE6QX 60-69 years, male 22.3
GTEX-1122O-0726-SM-5GIEV 60-69 years, female 22.2
GTEX-1H1E6-0826-SM-9WG83 30-39 years, male 22.2
GTEX-14PKU-0626-SM-6EU1Q 40-49 years, female 22.1
GTEX-1LGRB-0426-SM-CNNRD 50-59 years, female 22.1
GTEX-17F9E-1426-SM-793BG 50-59 years, male 21.9
GTEX-1AMFI-0726-SM-731D9 50-59 years, female 21.9
GTEX-OHPL-1026-SM-3MJGI 60-69 years, female 21.9
GTEX-1PWST-1526-SM-EXOIT 70-79 years, male 21.9
GTEX-QCQG-0426-SM-48U29 50-59 years, female 21.8
GTEX-XUW1-1726-SM-4BOOZ 50-59 years, female 21.8
GTEX-1QP28-1026-SM-EAZ4K 50-59 years, female 21.8
GTEX-YEC3-0626-SM-CMKFG 50-59 years, male 21.8
GTEX-QEL4-1326-SM-447AD 50-59 years, male 21.6
GTEX-WHSB-0726-SM-4M1XQ 50-59 years, male 21.6
GTEX-17KNJ-1926-SM-7KFRV 50-59 years, male 21.4
GTEX-1N2EF-2126-SM-DPRYL 60-69 years, male 21.4
GTEX-18A67-1726-SM-7KFT9 50-59 years, male 21.3
GTEX-S4P3-0626-SM-4AD59 50-59 years, female 21.2
GTEX-131XE-1926-SM-5IFER 50-59 years, male 21.1
GTEX-13PVR-0726-SM-5S2PX 60-69 years, female 21.1
GTEX-12WSL-0426-SM-5GCNX 50-59 years, male 21.0
GTEX-13X6H-0626-SM-5LU53 50-59 years, female 21.0
GTEX-OHPM-1026-SM-3LK74 50-59 years, male 21.0
GTEX-13FH7-1426-SM-5IFIC 50-59 years, female 20.9
GTEX-1OFPY-0626-SM-EXOJ4 60-69 years, male 20.9
GTEX-13W3W-1026-SM-5IFG4 60-69 years, female 20.8
GTEX-146FR-0126-SM-5Q5F3 60-69 years, female 20.8
GTEX-T5JW-0226-SM-4DM7I 20-29 years, female 20.8
GTEX-X5EB-0526-SM-46MVP 40-49 years, male 20.8
GTEX-1HKZK-1126-SM-9WG82 40-49 years, male 20.8
GTEX-1J8Q3-0626-SM-AHZ3V 60-69 years, male 20.8
GTEX-12WSK-0226-SM-5BC62 40-49 years, female 20.7
GTEX-OOBK-1026-SM-48TC2 40-49 years, male 20.6
GTEX-QV31-0226-SM-447BO 30-39 years, male 20.6
GTEX-UJMC-1126-SM-3GADP 50-59 years, male 20.6
GTEX-1JKYR-1026-SM-CGQGI 20-29 years, male 20.6
GTEX-1R9K5-1226-SM-E6CPQ 50-59 years, male 20.6
GTEX-ZF29-1126-SM-4WKGO 60-69 years, female 20.5
GTEX-1HSGN-1426-SM-A8NAA 40-49 years, female 20.5
GTEX-11LCK-0226-SM-5A5M6 30-39 years, male 20.4
GTEX-1CAMS-1926-SM-7DUEU 40-49 years, female 20.4
GTEX-PLZ6-0726-SM-3P619 30-39 years, male 20.4
GTEX-13PL7-2226-SM-5L3IC 60-69 years, female 20.3
GTEX-1AX9J-1726-SM-731FF 60-69 years, male 20.3
GTEX-XBED-0226-SM-47JY8 60-69 years, male 20.3
GTEX-1B932-1626-SM-731EA 40-49 years, female 20.2
GTEX-1399S-0326-SM-5IFFS 30-39 years, female 20.1
GTEX-QLQW-0326-SM-447A8 30-39 years, male 20.1
GTEX-TMMY-1326-SM-4DXU9 40-49 years, female 20.1
GTEX-VUSG-0326-SM-3GIJ7 50-59 years, male 20.1
GTEX-WYVS-0926-SM-4SOJV 40-49 years, female 20.1
GTEX-W5WG-0826-SM-4RGNE 50-59 years, female 20.0
GTEX-WXYG-0826-SM-4ONC7 50-59 years, female 20.0
GTEX-XXEK-1726-SM-4BRVB 50-59 years, male 20.0
GTEX-131XG-1426-SM-5GCMO 50-59 years, female 19.9
GTEX-14PHY-1126-SM-664OR 60-69 years, female 19.9
GTEX-ZLFU-0726-SM-57WF6 40-49 years, male 19.9
GTEX-11DXX-0926-SM-5H112 60-69 years, female 19.8
GTEX-13O61-2126-SM-5IJEO 60-69 years, male 19.8
GTEX-ZDYS-2526-SM-4WKGU 50-59 years, male 19.8
GTEX-1I1GU-0326-SM-AHZ2K 40-49 years, male 19.8
GTEX-1IDJD-0126-SM-C1YQZ 30-39 years, male 19.8
GTEX-16MT8-1726-SM-7EWE7 60-69 years, female 19.7
GTEX-1KXAM-0226-SM-EV7AP 60-69 years, male 19.7
GTEX-1MGNQ-1226-SM-EV7BM 40-49 years, male 19.7
GTEX-WYJK-2426-SM-4ONDQ 50-59 years, male 19.6
GTEX-X4LF-0326-SM-4QAS9 50-59 years, male 19.6
GTEX-1LSNM-0726-SM-DHXL1 50-59 years, male 19.6
GTEX-14PJ6-0926-SM-686ZA 60-69 years, female 19.5
GTEX-1AYCT-1226-SM-7EPGH 50-59 years, male 19.5
GTEX-XGQ4-0226-SM-4GIDS 50-59 years, male 19.5
GTEX-Y8E4-1326-SM-5IFIY 40-49 years, male 19.5
GTEX-1IDJU-0326-SM-CGQEE 60-69 years, female 19.4
GTEX-1K2DA-0326-SM-CGQGX 50-59 years, male 19.4
GTEX-1S831-0626-SM-EV79N 20-29 years, male 19.4
GTEX-13FTW-0526-SM-5IFIP 40-49 years, male 19.3
GTEX-17F98-0426-SM-79ONZ 40-49 years, female 19.3
GTEX-18A6Q-1726-SM-7LT9A 60-69 years, male 19.3
GTEX-1LVAN-1226-SM-CNNQY 50-59 years, female 19.3
GTEX-1OKEX-1726-SM-E9U4F 60-69 years, male 19.3
GTEX-17HHE-0526-SM-7DUGR 50-59 years, male 19.2
GTEX-NFK9-1626-SM-3LK5J 40-49 years, male 19.2
GTEX-1N2DV-1726-SM-DPRYR 40-49 years, male 19.2
GTEX-P4PP-1026-SM-3NM9O 30-39 years, female 19.1
GTEX-RWS6-1126-SM-47JXC 60-69 years, female 19.1
GTEX-UJHI-0626-SM-3DB8T 50-59 years, female 19.1
GTEX-14PHX-2026-SM-6872C 50-59 years, male 19.0
GTEX-178AV-0226-SM-793B7 40-49 years, male 19.0
GTEX-Y3I4-0826-SM-4TT2A 50-59 years, male 19.0
GTEX-1H23P-2026-SM-9OSXY 60-69 years, male 19.0
GTEX-111YS-1226-SM-5EGGJ 60-69 years, male 18.9
GTEX-1GN1W-1126-SM-9OSW3 50-59 years, female 18.9
GTEX-1PPH8-2326-SM-EAZ48 20-29 years, male 18.9
GTEX-145MN-1426-SM-5SI9H 30-39 years, male 18.8
GTEX-ZEX8-1026-SM-4WKHE 50-59 years, male 18.8
GTEX-ZT9W-0926-SM-57WFS 50-59 years, male 18.8
GTEX-ZYFG-0826-SM-5BC5T 60-69 years, female 18.8
GTEX-1GZ4H-0626-SM-9OSXJ 50-59 years, female 18.8
GTEX-1JK1U-1026-SM-AHZ44 60-69 years, male 18.8
GTEX-1211K-1126-SM-5EGGB 60-69 years, female 18.7
GTEX-1B8KZ-0926-SM-731D7 50-59 years, male 18.7
GTEX-1IL2U-2326-SM-CNNQV 60-69 years, male 18.7
GTEX-13FTX-1226-SM-5IFGN 20-29 years, female 18.6
GTEX-14JG6-0426-SM-68715 30-39 years, female 18.6
GTEX-11TT1-0326-SM-5LUAY 20-29 years, male 18.5
GTEX-1399U-0926-SM-5IFHA 50-59 years, female 18.5
GTEX-14PJ3-0426-SM-6LLHF 50-59 years, male 18.5
GTEX-1AX8Z-1726-SM-731DE 60-69 years, male 18.5
GTEX-1L5NE-0826-SM-DHXKU 50-59 years, male 18.5
GTEX-131XF-1426-SM-5BC68 60-69 years, male 18.4
GTEX-15FZZ-0626-SM-7KFTO 30-39 years, female 18.4
GTEX-SNOS-0926-SM-4DM7A 40-49 years, male 18.4
GTEX-U8XE-2026-SM-3DB8S 30-39 years, male 18.4
GTEX-14PJ4-0726-SM-6872E 60-69 years, male 18.3
GTEX-X15G-0726-SM-4PQZ5 50-59 years, female 18.3
GTEX-1KANA-1526-SM-CXZKG 20-29 years, male 18.3
GTEX-1MUQO-1426-SM-DPRYJ 60-69 years, male 18.3
GTEX-13VXT-1226-SM-5LU3M 20-29 years, female 18.2
GTEX-14PN3-0126-SM-6AJAU 60-69 years, female 18.2
GTEX-R55G-0326-SM-48FDM 40-49 years, female 18.2
GTEX-SUCS-1426-SM-4DM5W 70-79 years, male 18.2
GTEX-YF7O-1326-SM-4W1ZR 50-59 years, male 18.2
GTEX-1QP29-1926-SM-DPRZO 50-59 years, male 18.2
GTEX-1339X-1026-SM-5IFH5 40-49 years, male 18.1
GTEX-13D11-2226-SM-5IFEO 50-59 years, female 18.1
GTEX-144GM-0726-SM-79OJQ 20-29 years, male 18.1
GTEX-144GN-0826-SM-5LU5G 50-59 years, male 18.1
GTEX-11P7K-0526-SM-5BC5I 30-39 years, male 18.0
GTEX-132AR-1826-SM-5EGHR 50-59 years, female 18.0
GTEX-14PK6-1026-SM-664NZ 70-79 years, female 18.0
GTEX-1LG7Z-0326-SM-DHXK3 30-39 years, male 18.0
GTEX-YB5K-1826-SM-5IFJC 40-49 years, female 17.9
GTEX-15CHR-2026-SM-7MXU2 50-59 years, male 17.9
GTEX-1GL5R-0926-SM-9JGFO 50-59 years, male 17.9
GTEX-11NSD-0526-SM-5A5LT 20-29 years, male 17.8
GTEX-11VI4-0426-SM-5EGHZ 40-49 years, female 17.8
GTEX-1399R-0426-SM-5IJE3 30-39 years, male 17.8
GTEX-18A7A-1726-SM-7LT93 50-59 years, female 17.8
GTEX-1CB4I-1326-SM-79OLY 50-59 years, male 17.8
GTEX-PSDG-1526-SM-48TCY 50-59 years, male 17.8
GTEX-WRHK-0226-SM-4MVOH 20-29 years, female 17.8
GTEX-1K9T9-1726-SM-CXZK1 50-59 years, female 17.8
GTEX-1AX9K-2026-SM-731D1 50-59 years, male 17.7
GTEX-1M5QR-0926-SM-DHXK8 40-49 years, male 17.7
GTEX-P4QS-1026-SM-3NMCW 60-69 years, male 17.6
GTEX-S95S-0726-SM-4B64H 60-69 years, male 17.6
GTEX-QMRM-0326-SM-CKZNB 50-59 years, male 17.6
GTEX-15SHV-1526-SM-6LLIB 60-69 years, male 17.5
GTEX-111CU-0526-SM-5EGHK 50-59 years, male 17.4
GTEX-12WSN-0826-SM-5GCOF 40-49 years, male 17.4
GTEX-ZPIC-0926-SM-4WWFK 40-49 years, female 17.4
GTEX-ZVZP-0626-SM-59HL5 50-59 years, male 17.4
GTEX-11EQ9-1026-SM-5H134 30-39 years, male 17.3
GTEX-13OVI-0526-SM-5IFFQ 60-69 years, female 17.3
GTEX-15UF7-0826-SM-6M46E 40-49 years, male 17.3
GTEX-ZTPG-1026-SM-5DUWP 20-29 years, female 17.3
GTEX-ZZPU-0726-SM-5N9C8 50-59 years, female 17.3
GTEX-18A66-2126-SM-7189D 60-69 years, male 17.2
GTEX-18D9U-1626-SM-7KFTW 40-49 years, male 17.2
GTEX-WHPG-0326-SM-4M1XV 50-59 years, male 17.2
GTEX-Y5LM-0526-SM-4V6G3 40-49 years, female 17.2
GTEX-1S83E-1426-SM-EV7B8 40-49 years, male 17.2
GTEX-OXRK-1526-SM-E6CHJ 50-59 years, female 17.2
GTEX-132QS-0926-SM-5P9GB 60-69 years, male 17.1
GTEX-13FLV-0626-SM-5IFEY 50-59 years, male 17.1
GTEX-ZG7Y-0326-SM-4WWEY 50-59 years, male 17.1
GTEX-11GSP-0426-SM-5A5KX 60-69 years, female 17.0
GTEX-Q734-0426-SM-48TZX 40-49 years, female 17.0
GTEX-SE5C-0326-SM-4BRWX 40-49 years, female 17.0
GTEX-WQUQ-2126-SM-4OOSO 60-69 years, male 17.0
GTEX-Y3IK-0426-SM-4WWE2 50-59 years, female 17.0
GTEX-ZDTT-1126-SM-4WKFW 60-69 years, male 17.0
GTEX-ZVP2-0726-SM-59HKY 50-59 years, male 17.0
GTEX-1H11D-0926-SM-9OSXO 40-49 years, male 17.0
GTEX-1C4CL-0926-SM-79OL2 30-39 years, male 16.9
GTEX-1CB4G-1826-SM-7MKGO 60-69 years, male 16.9
GTEX-XQ8I-1926-SM-4BOOK 50-59 years, male 16.9
GTEX-ZVT2-2026-SM-5NQ8Q 50-59 years, female 16.9
GTEX-1RAZQ-1426-SM-EV7B2 30-39 years, male 16.9
GTEX-11I78-0626-SM-5A5LZ 50-59 years, female 16.8
GTEX-1B933-1726-SM-731FC 50-59 years, female 16.8
GTEX-Q2AH-0926-SM-48TZK 40-49 years, male 16.8
GTEX-1NUQO-0826-SM-DPS16 20-29 years, female 16.8
GTEX-1F5PL-0726-SM-7MKH8 40-49 years, female 16.7
GTEX-WFJO-0626-SM-4LVMC 30-39 years, male 16.7
GTEX-YB5E-0526-SM-4VDSD 40-49 years, male 16.7
GTEX-14AS3-0326-SM-5Q5DB 40-49 years, female 16.6
GTEX-QDVN-0926-SM-2I5GL 50-59 years, male 16.6
GTEX-R55D-1426-SM-48FEN 50-59 years, male 16.6
GTEX-1PFEY-1126-SM-DPRZ3 30-39 years, male 16.6
GTEX-12WSD-1626-SM-5GCNR 60-69 years, female 16.5
GTEX-1B97J-1526-SM-79ONI 50-59 years, female 16.5
GTEX-1IDJC-0526-SM-AHZ2Q 50-59 years, male 16.5
GTEX-ZPCL-0726-SM-DO91S 60-69 years, female 16.4
GTEX-14DAR-0526-SM-664MX 50-59 years, male 16.3
GTEX-14PKV-0926-SM-6AJB4 20-29 years, female 16.3
GTEX-15ER7-1326-SM-6LPK9 20-29 years, female 16.2
GTEX-TKQ2-0426-SM-4DXUO 50-59 years, male 16.2
GTEX-TML8-0526-SM-32QOQ 40-49 years, female 16.2
GTEX-1J8EW-1926-SM-CGQGR 60-69 years, female 16.2
GTEX-11XUK-0626-SM-5N9ES 40-49 years, female 16.1
GTEX-12BJ1-1126-SM-5EGGG 60-69 years, male 16.1
GTEX-S32W-0826-SM-4AD5Z 50-59 years, female 16.1
GTEX-XBEW-1626-SM-4SOJP 40-49 years, male 16.1
GTEX-117YX-0226-SM-5EGH6 50-59 years, male 16.0
GTEX-13SLX-1326-SM-5S2QS 50-59 years, female 16.0
GTEX-WY7C-1026-SM-4OND3 50-59 years, male 15.9
GTEX-XYKS-1226-SM-4BRVI 60-69 years, female 15.9
GTEX-14PJN-1526-SM-6AJBP 30-39 years, male 15.8
GTEX-ZPU1-0226-SM-4WWC9 40-49 years, male 15.8
GTEX-13O1R-1826-SM-5KM3B 60-69 years, male 15.7
GTEX-PX3G-1026-SM-48TZW 20-29 years, female 15.7
GTEX-R53T-0426-SM-48FEM 50-59 years, female 15.7
GTEX-WH7G-0826-SM-4LVMR 40-49 years, male 15.7
GTEX-XMK1-0326-SM-4B652 40-49 years, male 15.7
GTEX-14E6E-1426-SM-5RQI2 30-39 years, male 15.6
GTEX-15RIF-0626-SM-6LLI3 20-29 years, male 15.6
GTEX-1I4MK-1026-SM-AHZ2H 50-59 years, female 15.6
GTEX-1B8KE-0726-SM-72D7G 50-59 years, male 15.5
GTEX-X3Y1-0726-SM-3P5YU 40-49 years, male 15.5
GTEX-YFCO-1026-SM-5LU9S 40-49 years, male 15.5
GTEX-13CF3-1026-SM-5LZWY 60-69 years, female 15.4
GTEX-15SB6-0226-SM-6LLIA 50-59 years, female 15.4
GTEX-1C64O-1426-SM-7EWER 60-69 years, male 15.4
GTEX-U4B1-0726-SM-4DXUA 40-49 years, male 15.4
GTEX-V1D1-0726-SM-4JBH7 50-59 years, male 15.4
GTEX-ZV7C-0726-SM-59HKH 50-59 years, male 15.4
GTEX-1A8FM-1826-SM-7MGXO 50-59 years, female 15.4
GTEX-1I1GT-0926-SM-AHZ2G 60-69 years, female 15.4
GTEX-OOBJ-1026-SM-3NB2L 60-69 years, male 15.3
GTEX-V955-0326-SM-4JBGV 60-69 years, male 15.3
GTEX-1NSGN-1726-SM-EXOJG 50-59 years, male 15.3
GTEX-11ONC-0526-SM-5BC57 60-69 years, male 15.2
GTEX-ZAB5-0826-SM-5P9FU 50-59 years, male 15.2
GTEX-1CAMQ-1626-SM-7MGXG 40-49 years, male 15.2
GTEX-1I1GQ-2226-SM-B2LX1 50-59 years, male 15.2
GTEX-WHWD-0726-SM-4OORX 50-59 years, male 15.1
GTEX-148VI-0826-SM-5TDDI 60-69 years, female 15.0
GTEX-15EU6-1126-SM-68721 50-59 years, male 15.0
GTEX-XPVG-0326-SM-4B653 50-59 years, male 15.0
GTEX-ZC5H-0826-SM-5N9FH 40-49 years, female 15.0
GTEX-145MO-2126-SM-5Q5CZ 60-69 years, male 14.8
GTEX-RM2N-0326-SM-48FD8 50-59 years, male 14.8
GTEX-ZAB4-1726-SM-5HL8C 40-49 years, male 14.8
GTEX-1O97I-1726-SM-EXOIP 60-69 years, male 14.8
GTEX-1QPFJ-2226-SM-EXOJW 30-39 years, female 14.7
GTEX-13U4I-1526-SM-5IFFF 40-49 years, female 14.5
GTEX-14C39-1026-SM-73KWG 40-49 years, male 14.5
GTEX-WFON-0626-SM-4LVLX 40-49 years, male 14.5
GTEX-QV44-0426-SM-4R1KF 50-59 years, male 14.4
GTEX-OIZI-1526-SM-E6CHI 40-49 years, male 14.4
GTEX-13YAN-2126-SM-5Q5C4 60-69 years, male 14.3
GTEX-QDVJ-1226-SM-48U1V 50-59 years, male 14.3
GTEX-WFG7-0426-SM-4LMK5 20-29 years, male 14.3
GTEX-ZYY3-0826-SM-5E44R 60-69 years, female 14.3
GTEX-146FQ-1526-SM-5Q5CX 30-39 years, male 14.2
GTEX-1JMPZ-1026-SM-CXZJS 30-39 years, male 14.2
GTEX-14ICL-1126-SM-5S2RE 30-39 years, male 14.0
GTEX-17MF6-1426-SM-7IGOX 40-49 years, male 14.0
GTEX-1CB4F-1226-SM-7DHKU 60-69 years, male 14.0
GTEX-1JKYN-0426-SM-CGQG2 30-39 years, male 14.0
GTEX-1QEPI-1626-SM-EAZ3I 60-69 years, female 14.0
GTEX-OIZF-1026-SM-2HML5 60-69 years, male 14.0
GTEX-145ME-0326-SM-5S2QO 40-49 years, female 13.9
GTEX-15UF6-1826-SM-6LLI9 70-79 years, female 13.9
GTEX-17HGU-2026-SM-79OKS 50-59 years, male 13.9
GTEX-QESD-0226-SM-447BH 20-29 years, male 13.9
GTEX-XV7Q-0926-SM-4BRVQ 40-49 years, female 13.9
GTEX-NPJ8-2126-SM-3MJGK 40-49 years, male 13.7
GTEX-S33H-1226-SM-4AD69 30-39 years, male 13.7
GTEX-T8EM-0826-SM-4DM76 40-49 years, male 13.7
GTEX-15SDE-0826-SM-6M463 50-59 years, female 13.4
GTEX-15DYW-1626-SM-6LLI1 60-69 years, female 13.3
GTEX-1497J-0426-SM-5Q5CO 60-69 years, male 13.1
GTEX-14PJ2-1526-SM-686Z4 50-59 years, male 13.1
GTEX-139YR-1526-SM-5IFJ1 50-59 years, male 13.0
GTEX-1CAMR-1126-SM-7MGXF 20-29 years, male 13.0
GTEX-1HSMO-2026-SM-CNNQO 60-69 years, male 13.0
GTEX-14PN4-1626-SM-6AJB5 50-59 years, male 12.9
GTEX-12WSG-1026-SM-5EGII 50-59 years, female 12.7
GTEX-1AYD5-0326-SM-7EWEO 50-59 years, male 12.6
GTEX-ZLWG-0326-SM-4WWC7 50-59 years, female 12.6
GTEX-1C6VQ-1726-SM-7IGLQ 50-59 years, male 12.2
GTEX-WFG8-0326-SM-4LVN4 20-29 years, male 12.2
GTEX-ZF3C-2026-SM-4WWB5 50-59 years, female 12.2
GTEX-16Z82-1726-SM-7MGX3 60-69 years, male 12.0
GTEX-1K2DU-1026-SM-DHXKC 20-29 years, male 12.0
GTEX-1128S-0826-SM-5GZZI 60-69 years, female 11.8
GTEX-1GMR3-1226-SM-7MGY1 40-49 years, male 11.8
GTEX-13N11-0226-SM-5KM3C 50-59 years, female 11.7
GTEX-ZYT6-1326-SM-5E453 30-39 years, male 11.7
GTEX-1GN1U-1126-SM-9WPPZ 50-59 years, female 11.5
GTEX-1H1DG-1426-SM-9OSXP 70-79 years, male 11.5
GTEX-WI4N-1826-SM-4OOSF 40-49 years, female 11.3
GTEX-1PBJI-2126-SM-DPRYG 20-29 years, female 11.3
GTEX-Y9LG-0726-SM-4VDS3 30-39 years, male 10.9
GTEX-144FL-1526-SM-5Q5CA 50-59 years, male 10.8
GTEX-14PJM-2126-SM-6AJAS 50-59 years, female 10.7
GTEX-PW2O-0826-SM-48TC5 20-29 years, male 10.5
GTEX-1R46S-1426-SM-EXOJD 60-69 years, female 10.0
GTEX-1A3MW-1926-SM-7IGM8 60-69 years, female 9.7
GTEX-1QAET-1326-SM-E9U64 50-59 years, male 9.6
GTEX-14PJO-1826-SM-69LPR 60-69 years, male 9.2
GTEX-N7MT-1626-SM-3LK71 60-69 years, female 8.5
GTEX-ZAK1-2326-SM-5CVMY 50-59 years, female 7.6
Show allShow less

PANCREAS - FANTOM5 CAGEi

RNA expression in human tissues obtained through Cap Analysis of Gene Expression (CAGE) generated by the FANTOM5 project are reported as Scaled Tags Per Million.

Max subtype Scaled Tags Per Millioni

Max subtype Scaled Tags Per Million is the value for the subtype with the largest average Scaled Tags Per Million across the subtype samples.

52.9
FANTOM5 sample id Sample description Scaled Tags Per Million
Pancreas
Scaled Tags Per Million: 52.9
FF:10049-101G4 52 years, male 52.9

Contact

  • NEWS ARTICLES
  • PRESS ROOM

The Project

  • INTRODUCTION
  • ORGANIZATION
  • PUBLICATIONS

The Human Protein Atlas

  • DOWNLOADABLE DATA
  • LICENCE & CITATION
  • HELP & FAQ
The Human Protein Atlas project is funded
by the Knut & Alice Wallenberg Foundation.


contact@proteinatlas.org