We use cookies to enhance the usability of our website. If you continue, we'll assume that you are happy to receive all cookies. More information. Don't show this again.
AP5B1
HPA
RESOURCES
  • TISSUE
  • BRAIN
  • SINGLE CELL
  • SUBCELLULAR
  • CANCER
  • BLOOD
  • CELL LINE
  • STRUCTURE & INTERACTION
ABOUT
  • INTRODUCTION
  • HISTORY
  • ORGANIZATION
  • PUBLICATIONS
  • ANTIBODY SUBMISSION
  • ANTIBODY AVAILABILITY
  • ACKNOWLEDGMENTS
  • CONTACT
NEWS
  • NEWS ARTICLES
  • PRESS ROOM
LEARN
  • DICTIONARY
  • PROTEIN CLASSES
  • PROTEIN EVIDENCE
  • METHODS
  • EDUCATIONAL VIDEOS
DATA
  • DOWNLOADABLE DATA
  • PUBLICATION DATA
  • RELEASE HISTORY
HELP
  • ANTIBODY VALIDATION
  • ASSAYS & ANNOTATION
  • DISCLAIMER
  • HELP & FAQ
  • PRIVACY STATEMENT
  • LICENCE & CITATION
Fields »
Search result

Field
Term
Gene name
Class
Subclass
Class
Keyword
Chromosome
External id
Tissue
Cell type
Expression
Antibody panel
Tissue
Main location
Patient ID
Annotation
Tissue
Category
Tau score
Cluster
Reliability
Brain region
Category
Tau score
Brain region
Category
Tau score
Brain region
Category
Tau score
Cluster
Reliability
Tissue
Cell type
Enrichment
Cell type
Category
Tau score
Cell type
Category
Tau score
Cell type
Category
Tau score
Cell lineage
Category
Tau score
Cluster
Cluster
Location
Searches
Location
Cell line
Class
Type
Phase
Reliability
Cancer
Prognosis
Cancer
Category
Cancer
Category
Tau score
Cluster
Variants
Interacting gene (ensg_id)
Type
Number of interactions
Pathway
Category
Score
Score
Score
Validation
Validation
Validation
Validation
Antibodies
Data type
Column


  • SUMMARY

  • TISSUE

  • BRAIN

  • SINGLE CELL

  • SUBCELL

  • CANCER

  • BLOOD

  • CELL LINE

  • STRUCT & INT

  • AP5B1
TISSUE PRIMARY DATA SKIN Show tissue menu
ADIPOSE TISSUE ADRENAL GLAND AMYGDALA APPENDIX BASAL GANGLIA BONE MARROW BREAST BRONCHUS CEREBELLUM CEREBRAL CORTEX CERVIX CHOROID PLEXUS COLON DUODENUM
ENDOMETRIUM EPIDIDYMIS ESOPHAGUS FALLOPIAN TUBE GALLBLADDER HEART MUSCLE HIPPOCAMPAL FORMATION HYPOTHALAMUS KIDNEY LIVER LUNG LYMPH NODE MIDBRAIN NASOPHARYNX
ORAL MUCOSA OVARY PANCREAS PARATHYROID GLAND PITUITARY GLAND PLACENTA PROSTATE RECTUM RETINA SALIVARY GLAND SEMINAL VESICLE SKELETAL MUSCLE SKIN SMALL INTESTINE
SMOOTH MUSCLE SOFT TISSUE SPINAL CORD SPLEEN STOMACH TESTIS THYMUS THYROID GLAND TONGUE TONSIL URINARY BLADDER VAGINA
ANTIBODIES
AND
VALIDATION
Dictionary
Skin
Tissue proteome
Skin
SKIN - Expression summary
Protein expression
Skini

On the top, protein expression in current human tissue, based on all annotated cell types, is reported with the units not detected (n), low (l), medium (m) and high (h). Underneath, protein expression in each annotated cell type are reported using the same units.

Protein expression data is based on knowledge-based annotation. For genes where more than one antibody has been used, a collective score is set.

If knowledge-based annotation could not be performed for a gene, no data is displayed here. View antibody staining data further down this page.

h
m
l
n
Epidermal cells: Low
Fibroblasts: Low
Keratinocytes: Low
Langerhans: Not detected
Melanocytes: Not detected
RNA expressioni

A summary of mRNA expression data available for current tissue based on several datasets. The mRNA expression levels in human tissues are based on RNA-seq data generated by the Human Protein Atlas (HPA), Genotype-Tissue Expression (GTEx) portal and CAGE data generated by the FANTOM5 consortium. Consensus normalized expression levels for human tissues was created by combining the data from HPA and GTEx datasets.

The mRNA expression levels in pig are based on RNA-seq data generated by the Human Protein Atlas (HPA), and for mouse, HPA data and in situ hybridization generated by the Allen brain atlas are reported.

Scroll down to view mRNA expression data in more detail.
Consensus:8.8 nTPM
HPA:7.1 nTPM
GTEx:8.8 nTPM

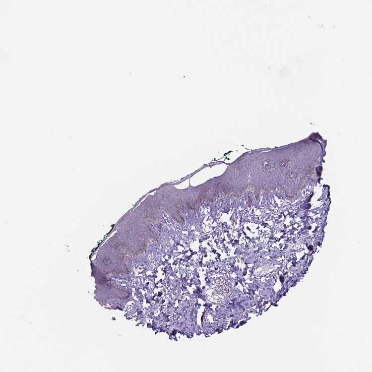
SKIN 1 - Antibody stainingi

Antibody staining in the annotated cell types in the current human tissue is reported as not detected, low, medium, or high, based on conventional immunohistochemistry profiling in selected tissues. This score is based on the combination of the staining intensity and fraction of stained cells.

Each image is clickable and will lead to virtual microscopy that enables deeper exploration of all samples and also displays staining intensity scores, fraction scores and subcellular localization as well as patient and tissue information for each sample.

Antibody HPA065739Antibody HPA067880
Langerhans Not detectedNot detected
Fibroblasts Not detectedNot detected
Keratinocytes Not detectedNot detected
Melanocytes Not detectedNot detected

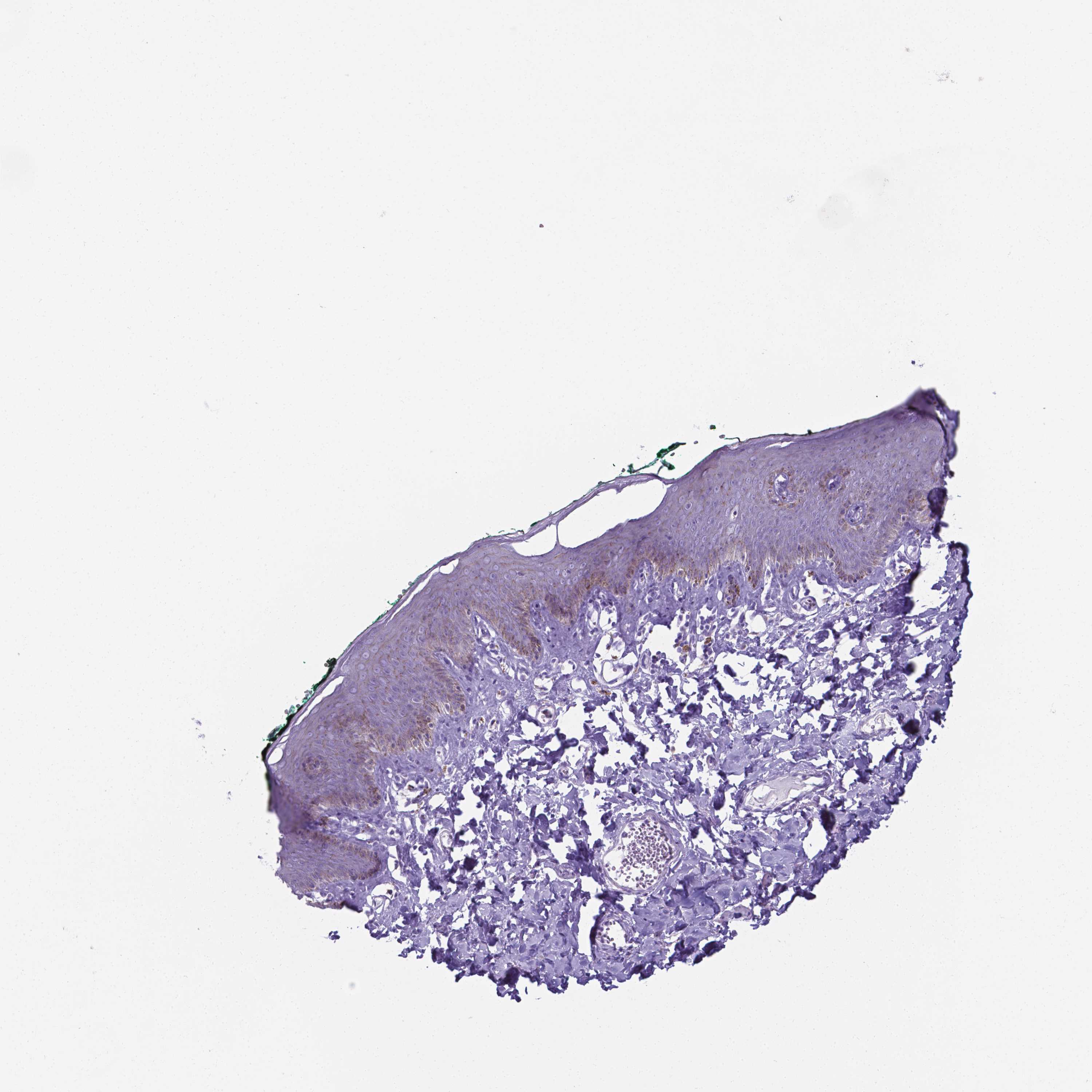
SKIN 2 - Antibody stainingi

Antibody staining in the annotated cell types in the current human tissue is reported as not detected, low, medium, or high, based on conventional immunohistochemistry profiling in selected tissues. This score is based on the combination of the staining intensity and fraction of stained cells.

Each image is clickable and will lead to virtual microscopy that enables deeper exploration of all samples and also displays staining intensity scores, fraction scores and subcellular localization as well as patient and tissue information for each sample.

Antibody HPA065739Antibody HPA067880
Epidermal cells Not detectedNot detected
  
  
  



SKIN - HPA RNA-seqi

The RNA-seq details section shows detailed information about the individual samples used for the transcript profiling and results of the RNA-seq analysis.

Information about each individual sample is listed below, including gender, age, a tissue section image and estimated fractions of cell types. nTPM (normalized transcripts per million) values give a quantification of the gene abundance which is comparable between different genes and samples.
Average nTPMi

Max subtype nTPM is the value for the subtype with the largest average nTPM across the subtype samples.

7.1
overview
Female, age 34
Skin sample 225
nTPM: 5.5
Cell types%
Keratinocytes:
60

Other cell types:
40

overview
Female, age 30
Skin sample 226
nTPM: 6.1
Cell types%
Keratinocytes:
55

Other cell types:
45

N/A
Male, age 57
Skin sample 227
nTPM: 9.7

SKIN - GTEx RNA-seqi

RNA-Seq data generated by the Genotype-Tissue Expression (GTEx) project from human tissues is reported as mean nTPM. More information can be found on the GTEx portal.

Distribution across the dataset is visualized with box plots, shown as median and 25th and 75th percentiles. Points are displayed as outliers if they are above or below 1.5 times the interquartile range. nTPM values of the individual samples are presented next to the box plot.
Max subtype nTPMi

Max subtype nTPM is the value for the subtype with the largest average nTPM across the subtype samples.

8.8
GTEx sample id Sample description nTPM
Skin - Not Sun Exposed (Suprapubic)
Average nTPM: 8.8
Samples: 604

Max nTPM: 40.2
Min nTPM: 1.4
Std nTPM: 5.0
Median nTPM: 7.5
GTEX-1MCYP-0526-SM-E9U6Q 20-29 years, female 40.2
GTEX-1OJC3-1226-SM-DTXER 20-29 years, male 32.2
GTEX-12WSK-2126-SM-5CVNC 40-49 years, female 31.9
GTEX-1IKOE-1426-SM-CE6T7 30-39 years, female 31.9
GTEX-1NSGN-0726-SM-DTXEF 50-59 years, male 30.6
GTEX-1N2DV-1526-SM-DTXEP 40-49 years, male 27.5
GTEX-1I1GT-1026-SM-ARZLV 60-69 years, female 27.3
GTEX-1JMPY-0226-SM-CKZOK 30-39 years, male 25.9
GTEX-ZTX8-1326-SM-4YCEL 20-29 years, male 25.6
GTEX-1S82U-1026-SM-E6CJK 30-39 years, female 25.4
GTEX-17F9E-2326-SM-79OKD 50-59 years, male 24.9
GTEX-1GZ4H-0526-SM-9KNU9 50-59 years, female 24.6
GTEX-WFG7-2026-SM-5SI7P 20-29 years, male 23.6
GTEX-ZLFU-1826-SM-4WWBV 40-49 years, male 23.4
GTEX-1F75I-2226-SM-7SB8U 40-49 years, male 23.1
GTEX-1QP2A-1726-SM-E76QC 50-59 years, male 22.8
GTEX-YFCO-1226-SM-5LUAT 40-49 years, male 22.7
GTEX-14PJ6-2626-SM-6EU2T 60-69 years, female 21.9
GTEX-ZY6K-1426-SM-5GZX2 50-59 years, male 21.3
GTEX-Y114-2126-SM-4TT8B 50-59 years, female 20.9
GTEX-1GPI7-1826-SM-9KNU1 20-29 years, male 20.9
GTEX-11DZ1-2426-SM-5GZZX 50-59 years, male 20.8
GTEX-1S82P-2126-SM-E6CI5 60-69 years, female 20.8
GTEX-1MJK3-0726-SM-E6CJC 20-29 years, male 20.5
GTEX-1HSMQ-2626-SM-A9SML 50-59 years, male 20.3
GTEX-17F98-1326-SM-7DUEP 40-49 years, female 19.8
GTEX-13O61-1426-SM-5KM3D 60-69 years, male 19.3
GTEX-111CU-1126-SM-5EGIM 50-59 years, male 19.2
GTEX-ZLV1-1526-SM-DO91J 60-69 years, female 18.7
GTEX-1QPFJ-1926-SM-EVYBD 30-39 years, female 18.0
GTEX-ZZPU-0826-SM-5GZX5 50-59 years, female 17.9
GTEX-1F5PK-2226-SM-7SB6N 50-59 years, male 17.9
GTEX-13FTW-0326-SM-5K7UW 40-49 years, male 17.7
GTEX-13VXT-1926-SM-5K7UO 20-29 years, female 17.6
GTEX-18QFQ-1826-SM-72D52 30-39 years, male 17.6
GTEX-15CHR-1126-SM-7EWF4 50-59 years, male 17.3
GTEX-X5EB-1926-SM-4E3IW 40-49 years, male 17.3
GTEX-ZP4G-1426-SM-4WWCL 20-29 years, female 17.3
GTEX-1RMOY-1326-SM-E9TIH 50-59 years, male 17.1
GTEX-13X6H-0926-SM-5SIB2 50-59 years, female 16.9
GTEX-WXYG-2026-SM-4E3IY 50-59 years, female 16.9
GTEX-12WSJ-1126-SM-5LZVJ 40-49 years, female 16.8
GTEX-WHSB-1326-SM-3LK6W 50-59 years, male 16.7
GTEX-ZA64-1026-SM-5HL8R 20-29 years, male 16.5
GTEX-14ICL-1626-SM-5YYAO 30-39 years, male 16.4
GTEX-13W3W-0726-SM-5IJDQ 60-69 years, female 16.3
GTEX-1H2FU-0926-SM-9WPPT 60-69 years, female 16.3
GTEX-11P7K-1126-SM-5HL4L 30-39 years, male 16.1
GTEX-15RIG-0726-SM-7KUM7 40-49 years, male 15.9
GTEX-14PHY-1226-SM-5ZZWK 60-69 years, female 15.8
GTEX-1ICLZ-0326-SM-ARL82 60-69 years, male 15.7
GTEX-1PPH8-0126-SM-EWRN8 20-29 years, male 15.7
GTEX-15FZZ-0526-SM-7KUGD 30-39 years, female 15.6
GTEX-15RJ7-2126-SM-6PAMD 40-49 years, male 15.5
GTEX-17HHE-1326-SM-7EWDZ 50-59 years, male 15.4
GTEX-XQ8I-0926-SM-4BOOF 50-59 years, male 15.4
GTEX-13FTX-1526-SM-5K7VJ 20-29 years, female 15.3
GTEX-1CB4F-1026-SM-7DUH1 60-69 years, male 15.3
GTEX-1HCUA-0826-SM-ADEHM 50-59 years, female 15.3
GTEX-XBEW-1126-SM-4QARW 40-49 years, male 15.1
GTEX-1H11D-1826-SM-9QEHM 40-49 years, male 15.1
GTEX-1LBAC-0826-SM-CY8IJ 20-29 years, male 15.0
GTEX-1S83E-1326-SM-E6CJM 40-49 years, male 15.0
GTEX-11EQ9-1626-SM-5PNY8 30-39 years, male 14.9
GTEX-15G1A-1626-SM-7KUKN 30-39 years, male 14.8
GTEX-Y9LG-1126-SM-4VBQ7 30-39 years, male 14.7
GTEX-1JK1U-0226-SM-ARZMX 60-69 years, male 14.7
GTEX-1399U-1126-SM-5L3DB 50-59 years, female 14.6
GTEX-1399S-0126-SM-5IJCF 30-39 years, female 14.5
GTEX-131XF-2626-SM-5EQ6K 60-69 years, male 14.4
GTEX-Y3I4-1726-SM-4TT89 50-59 years, male 14.3
GTEX-ZF2S-1626-SM-57WES 50-59 years, female 14.3
GTEX-ZPCL-1126-SM-4WWFE 60-69 years, female 14.2
GTEX-1QP28-1126-SM-EVYC4 50-59 years, female 14.2
GTEX-1C2JI-1026-SM-73KY1 50-59 years, male 14.1
GTEX-1CB4E-0926-SM-7EPHT 60-69 years, male 14.1
GTEX-1JN76-0626-SM-CKZOQ 20-29 years, female 14.0
GTEX-14PJ4-0226-SM-5YY92 60-69 years, male 13.9
GTEX-1LVAN-0626-SM-CNPOQ 50-59 years, female 13.9
GTEX-16AAH-0626-SM-793C9 50-59 years, male 13.8
GTEX-Y8E4-2026-SM-5IFJB 40-49 years, male 13.7
GTEX-183FY-1026-SM-7939A 20-29 years, male 13.6
GTEX-117YX-1926-SM-5GIEC 50-59 years, male 13.5
GTEX-1LVAM-0726-SM-E6CIL 50-59 years, female 13.5
GTEX-1NV5F-0626-SM-DTXEG 60-69 years, female 13.5
GTEX-131XG-0326-SM-5L3DX 50-59 years, female 13.4
GTEX-ZTSS-1426-SM-5985P 40-49 years, male 13.4
GTEX-1R7EU-1626-SM-DTXG3 60-69 years, male 13.4
GTEX-14PJ3-1126-SM-5ZZVX 50-59 years, male 13.3
GTEX-ZT9X-1526-SM-5DUXD 40-49 years, male 13.3
GTEX-1IDJU-1726-SM-CMKHU 60-69 years, female 13.3
GTEX-1B8KE-1126-SM-7EPHI 50-59 years, male 13.2
GTEX-ZZ64-1026-SM-5GZXG 20-29 years, male 13.1
GTEX-14PKU-0126-SM-6LLHV 40-49 years, female 12.8
GTEX-ZDTT-0426-SM-4WKFL 60-69 years, male 12.8
GTEX-146FQ-2126-SM-5RQHU 30-39 years, male 12.7
GTEX-1KXAM-1626-SM-D3LAD 60-69 years, male 12.7
GTEX-YEC3-1326-SM-DO92X 50-59 years, male 12.7
GTEX-ZGAY-1826-SM-DO91Q 40-49 years, female 12.7
GTEX-1497J-0226-SM-5QGPU 60-69 years, male 12.6
GTEX-14B4R-1326-SM-5Q5EZ 30-39 years, male 12.6
GTEX-14JG6-1426-SM-9WG7C 30-39 years, female 12.6
GTEX-145MN-1526-SM-5SI9T 30-39 years, male 12.5
GTEX-12WSH-1526-SM-5BC5W 50-59 years, male 12.4
GTEX-1R9PN-0426-SM-DTXDT 40-49 years, female 12.4
GTEX-14PHX-2226-SM-6EU2P 50-59 years, male 12.2
GTEX-111VG-1626-SM-5EGIO 60-69 years, male 12.1
GTEX-WHPG-2626-SM-3NMBR 50-59 years, male 12.1
GTEX-1CAMS-2226-SM-7PBXQ 40-49 years, female 12.1
GTEX-1QW4Y-1126-SM-DTXE3 30-39 years, male 12.1
GTEX-139YR-1026-SM-5LZYN 50-59 years, male 12.0
GTEX-147F3-1726-SM-5SIAW 50-59 years, female 12.0
GTEX-17HGU-2326-SM-7DUFE 50-59 years, male 12.0
GTEX-1AMEY-0826-SM-72D65 30-39 years, female 12.0
GTEX-XUW1-0926-SM-4BONX 50-59 years, female 12.0
GTEX-1GN1W-2426-SM-9KNUU 50-59 years, female 12.0
GTEX-1HKZK-0726-SM-ACKW2 40-49 years, male 12.0
GTEX-1PIGE-1826-SM-E8VOU 20-29 years, male 12.0
GTEX-15ER7-0626-SM-6PANF 20-29 years, female 11.9
GTEX-WEY5-2326-SM-3GIKK 40-49 years, female 11.9
GTEX-ZLWG-0826-SM-59888 50-59 years, female 11.9
GTEX-18D9A-1426-SM-7LT8M 30-39 years, female 11.9
GTEX-1J1R8-2026-SM-CL53Y 40-49 years, male 11.9
GTEX-1122O-1026-SM-9WYSF 60-69 years, female 11.8
GTEX-18A67-1626-SM-7LT9T 50-59 years, male 11.7
GTEX-1JKYR-0626-SM-ARL8R 20-29 years, male 11.7
GTEX-15RIE-1926-SM-7KUKJ 60-69 years, male 11.5
GTEX-1B932-2326-SM-79OL5 40-49 years, female 11.5
GTEX-1C475-1326-SM-7SB73 40-49 years, female 11.5
GTEX-1HSMP-0926-SM-A9SKX 70-79 years, male 11.5
GTEX-1I4MK-0126-SM-CY8G6 50-59 years, female 11.5
GTEX-1KANA-1326-SM-DIPFA 20-29 years, male 11.5
GTEX-1RAZQ-1326-SM-E9TK6 30-39 years, male 11.5
GTEX-14PJN-1826-SM-6AJ98 30-39 years, male 11.4
GTEX-WHWD-1826-SM-3LK6I 50-59 years, male 11.4
GTEX-11P81-2226-SM-5PNYI 30-39 years, female 11.3
GTEX-14BMU-1226-SM-5S2OR 20-29 years, female 11.3
GTEX-17MFQ-1526-SM-7KFRR 20-29 years, male 11.3
GTEX-1GMR2-0826-SM-7PC3V 50-59 years, male 11.2
GTEX-1I6K6-1726-SM-CGQFD 30-39 years, male 11.2
GTEX-1LSNM-0826-SM-DIPG8 50-59 years, male 11.2
GTEX-13OVK-1426-SM-6PAN7 40-49 years, male 11.1
GTEX-13PVR-0426-SM-5RQK2 60-69 years, female 11.1
GTEX-ZDYS-2426-SM-4WKGI 50-59 years, male 11.1
GTEX-1S831-1826-SM-EWROF 20-29 years, male 11.1
GTEX-11EM3-1226-SM-5N9DD 20-29 years, female 11.0
GTEX-13QBU-1226-SM-5LU4G 40-49 years, female 11.0
GTEX-1CAMR-1326-SM-7PC1F 20-29 years, male 11.0
GTEX-11DXX-2126-SM-5PNYR 60-69 years, female 10.9
GTEX-ZVZP-1226-SM-5GID7 50-59 years, male 10.9
GTEX-14DAR-1226-SM-73KYV 50-59 years, male 10.8
GTEX-X3Y1-2026-SM-3P5YM 40-49 years, male 10.8
GTEX-XYKS-1426-SM-4BRUO 60-69 years, female 10.7
GTEX-1GF9V-0826-SM-9KNUV 60-69 years, male 10.7
GTEX-11DXZ-2026-SM-5987S 50-59 years, male 10.6
GTEX-11ZTT-2126-SM-5CVLO 60-69 years, female 10.6
GTEX-12C56-1526-SM-5FQUQ 20-29 years, male 10.6
GTEX-14PJ5-1526-SM-6LLIL 60-69 years, female 10.6
GTEX-17F97-2626-SM-7IGM5 50-59 years, male 10.6
GTEX-ZVP2-0326-SM-57WBP 50-59 years, male 10.6
GTEX-1QCLY-0226-SM-EWRNH 30-39 years, male 10.6
GTEX-17KNJ-2126-SM-718AM 50-59 years, male 10.5
GTEX-18A66-0626-SM-7LT8Z 60-69 years, male 10.5
GTEX-UPJH-0226-SM-3GADV 50-59 years, male 10.5
GTEX-WH7G-2026-SM-3NMBL 40-49 years, male 10.5
GTEX-XAJ8-1426-SM-47JYM 40-49 years, male 10.5
GTEX-ZPIC-0526-SM-DO91W 40-49 years, female 10.5
GTEX-1IDJC-1526-SM-B2LW4 50-59 years, male 10.4
GTEX-1RAZR-2126-SM-E9U6T 40-49 years, male 10.4
GTEX-11LCK-2226-SM-5HL4Q 30-39 years, male 10.3
GTEX-ZVT2-0126-SM-5GIDQ 50-59 years, female 10.3
GTEX-1IDJF-2026-SM-CL53V 20-29 years, male 10.3
GTEX-1JMLX-0626-SM-ARL8T 50-59 years, male 10.3
GTEX-11VI4-1126-SM-5EQMD 40-49 years, female 10.2
GTEX-1B97I-0626-SM-73KUZ 40-49 years, male 10.2
GTEX-1C64O-1326-SM-7MGWR 60-69 years, male 10.2
GTEX-1AMFI-1326-SM-7939R 50-59 years, female 10.1
GTEX-1JKYN-0826-SM-ARU8S 30-39 years, male 10.1
GTEX-111YS-1526-SM-5GZYW 60-69 years, male 10.0
GTEX-1LGRB-0926-SM-COH3K 50-59 years, female 10.0
GTEX-14AS3-1526-SM-5Q5ED 40-49 years, female 9.9
GTEX-14PK6-0226-SM-62LF5 70-79 years, female 9.9
GTEX-1A3MV-1826-SM-731CD 30-39 years, male 9.9
GTEX-XBED-1926-SM-47JYP 60-69 years, male 9.9
GTEX-Y8LW-1526-SM-5IFHL 50-59 years, female 9.9
GTEX-1HBPN-0126-SM-CGQEF 50-59 years, male 9.9
GTEX-1QP9N-1226-SM-E76QN 30-39 years, male 9.8
GTEX-13OVG-1626-SM-5J1NF 60-69 years, male 9.7
GTEX-14C5O-0326-SM-5ZZUX 60-69 years, male 9.7
GTEX-1F52S-2926-SM-7MKGA 60-69 years, female 9.7
GTEX-1H1E6-0426-SM-9WYUS 30-39 years, male 9.7
GTEX-12ZZX-2426-SM-5GCOE 40-49 years, female 9.6
GTEX-13U4I-2226-SM-5LU5H 40-49 years, female 9.6
GTEX-18D9B-0926-SM-7LG4U 60-69 years, male 9.6
GTEX-Y111-0626-SM-4SOIT 50-59 years, male 9.6
GTEX-Y3IK-1626-SM-4YCF5 50-59 years, female 9.6
GTEX-1HSGN-0826-SM-ACKW3 40-49 years, female 9.6
GTEX-1R9PM-1926-SM-EVR3O 20-29 years, male 9.6
GTEX-WFON-1926-SM-3LK7L 40-49 years, male 9.5
GTEX-1RB15-1326-SM-E76Q9 60-69 years, male 9.5
GTEX-11DYG-1526-SM-5A5JS 60-69 years, male 9.4
GTEX-14XAO-1226-SM-6EU1C 60-69 years, female 9.4
GTEX-16NGA-0726-SM-731AO 40-49 years, female 9.4
GTEX-178AV-1726-SM-7KUL8 40-49 years, male 9.4
GTEX-1I6K7-1926-SM-B2LXR 40-49 years, male 9.4
GTEX-1J8EW-2726-SM-CY8HR 60-69 years, female 9.4
GTEX-1MCC2-1826-SM-DIPEX 30-39 years, female 9.4
GTEX-145LU-1926-SM-79OJN 50-59 years, male 9.3
GTEX-16MTA-0926-SM-6M47Z 50-59 years, male 9.3
GTEX-1H1DE-1326-SM-9KNUG 20-29 years, male 9.3
GTEX-1J8QM-2426-SM-A9SLS 60-69 years, female 9.3
GTEX-11NSD-0626-SM-5A5LU 20-29 years, male 9.2
GTEX-13N11-2326-SM-5IJBF 50-59 years, female 9.2
GTEX-14E6E-0526-SM-793DN 30-39 years, male 9.2
GTEX-1GL5R-1326-SM-7RHHF 50-59 years, male 9.2
GTEX-1HSKV-1226-SM-ADEI4 60-69 years, male 9.2
GTEX-1QP29-1826-SM-DTX9S 50-59 years, male 9.2
GTEX-12BJ1-0926-SM-5EQ62 60-69 years, male 9.1
GTEX-1AX9J-1326-SM-731BJ 60-69 years, male 9.1
GTEX-1K2DA-1026-SM-CGQGF 50-59 years, male 9.1
GTEX-1PDJ9-1226-SM-EXUSX 20-29 years, male 9.1
GTEX-WFG8-2126-SM-3GIKQ 20-29 years, male 9.0
GTEX-Z93S-1626-SM-5CVMB 50-59 years, male 9.0
GTEX-ZF29-0926-SM-4WKFZ 60-69 years, female 9.0
GTEX-1PIIG-2326-SM-DTXFR 30-39 years, male 9.0
GTEX-13113-1626-SM-5EQ4I 60-69 years, female 8.8
GTEX-145MH-2826-SM-5RQJF 50-59 years, male 8.8
GTEX-16BQI-1326-SM-6M486 30-39 years, female 8.8
GTEX-1B8SF-0126-SM-7DUG3 60-69 years, male 8.8
GTEX-X585-2426-SM-46MW2 50-59 years, male 8.8
GTEX-1I1GV-0626-SM-ARL7M 60-69 years, male 8.8
GTEX-139TU-0726-SM-5L3EK 60-69 years, male 8.7
GTEX-18A7A-0126-SM-731AH 50-59 years, female 8.7
GTEX-1AX8Z-0726-SM-73KTS 60-69 years, male 8.7
GTEX-Y5LM-0926-SM-6LLJG 40-49 years, female 8.7
GTEX-ZYFG-1526-SM-5GZYM 60-69 years, female 8.7
GTEX-ZPU1-1126-SM-4YCF3 40-49 years, male 8.6
GTEX-1PPGY-1626-SM-EVYBL 60-69 years, male 8.6
GTEX-1211K-1526-SM-5FQU4 60-69 years, female 8.5
GTEX-13G51-1826-SM-5KLZH 60-69 years, male 8.5
GTEX-17F96-0126-SM-7EWDU 70-79 years, male 8.5
GTEX-1C6WA-2626-SM-7MKGM 60-69 years, male 8.5
GTEX-11P82-1426-SM-DTXFY 20-29 years, male 8.5
GTEX-1F5PL-0926-SM-7PC2W 40-49 years, female 8.5
GTEX-11WQC-1826-SM-5GU59 60-69 years, male 8.4
GTEX-11ZU8-0126-SM-5EQ58 60-69 years, male 8.4
GTEX-14ABY-2026-SM-62LDL 50-59 years, male 8.4
GTEX-ZDTS-0826-SM-4WKHL 60-69 years, male 8.4
GTEX-1H23P-0626-SM-9WG6T 60-69 years, male 8.4
GTEX-1S3DN-2126-SM-E9TIN 50-59 years, male 8.4
GTEX-1KANC-1226-SM-CYPT7 50-59 years, female 8.3
GTEX-1L5NE-1126-SM-D3L9P 50-59 years, male 8.3
GTEX-1QMI2-2526-SM-E8VNZ 60-69 years, male 8.3
GTEX-12126-0826-SM-5FQTZ 20-29 years, male 8.2
GTEX-WYVS-1626-SM-3NM9R 40-49 years, female 8.2
GTEX-1IDJE-1426-SM-ADEIW 50-59 years, female 8.2
GTEX-145LT-0526-SM-5LUB2 40-49 years, male 8.1
GTEX-18D9U-0126-SM-731BM 40-49 years, male 8.1
GTEX-XQ3S-1426-SM-4BOPR 20-29 years, male 8.1
GTEX-1GMRU-2126-SM-7P8RA 50-59 years, male 8.1
GTEX-1ICG6-1226-SM-A9SLN 70-79 years, female 8.1
GTEX-1IDJI-0126-SM-CMKHS 50-59 years, female 8.1
GTEX-13NYS-0626-SM-5L3F1 60-69 years, male 8.0
GTEX-14PII-0726-SM-6EU2B 60-69 years, male 8.0
GTEX-YECK-0326-SM-4W1YS 60-69 years, male 8.0
GTEX-1EMGI-2326-SM-7PBYA 60-69 years, male 8.0
GTEX-1GF9U-2026-SM-7SB92 40-49 years, female 8.0
GTEX-1HC8U-1326-SM-9YFMJ 40-49 years, female 8.0
GTEX-1HFI7-2326-SM-CGQFS 50-59 years, female 8.0
GTEX-1HGF4-0126-SM-CNPPX 60-69 years, male 8.0
GTEX-1JMQJ-0826-SM-CNPP7 50-59 years, male 8.0
GTEX-1N5O9-0926-SM-E9J3C 60-69 years, male 8.0
GTEX-12ZZZ-0726-SM-5GCNZ 60-69 years, male 7.9
GTEX-131YS-2826-SM-5EQ47 60-69 years, female 7.9
GTEX-147GR-2426-SM-5ZZWQ 60-69 years, male 7.9
GTEX-XXEK-1626-SM-4BRUZ 50-59 years, male 7.9
GTEX-YEC4-1826-SM-4W1YP 40-49 years, male 7.9
GTEX-ZT9W-1126-SM-57WDR 50-59 years, male 7.9
GTEX-1F6I4-2326-SM-7RHGL 60-69 years, male 7.9
GTEX-1IY9M-2826-SM-ARU8H 60-69 years, male 7.9
GTEX-1LGOU-1326-SM-D3L8M 20-29 years, female 7.9
GTEX-11OF3-0126-SM-5PNYF 60-69 years, male 7.8
GTEX-17HII-1426-SM-7EPGG 50-59 years, male 7.8
GTEX-1AX9I-2226-SM-73KUO 60-69 years, male 7.8
GTEX-YF7O-1526-SM-5IFI6 50-59 years, male 7.8
GTEX-1HCVE-2726-SM-CL54F 50-59 years, male 7.8
GTEX-1IDJD-2326-SM-ACKWX 30-39 years, male 7.8
GTEX-132AR-0326-SM-5KM2C 50-59 years, female 7.7
GTEX-13D11-0926-SM-5J2NC 50-59 years, female 7.7
GTEX-13FH7-1126-SM-5K7UG 50-59 years, female 7.7
GTEX-ZAK1-0626-SM-5HL8E 50-59 years, female 7.7
GTEX-1POEN-2326-SM-E9J2L 30-39 years, female 7.7
GTEX-1313W-0626-SM-5EQ4H 50-59 years, female 7.6
GTEX-14PKV-1126-SM-6LLJ1 20-29 years, female 7.6
GTEX-15EU6-2226-SM-6EU2L 50-59 years, male 7.6
GTEX-1EU9M-1426-SM-793AI 60-69 years, male 7.6
GTEX-1C64N-2626-SM-7PC2N 50-59 years, male 7.6
GTEX-1HCU9-0426-SM-9WYSD 20-29 years, male 7.6
GTEX-11TT1-1826-SM-5EQLV 20-29 years, male 7.5
GTEX-17EVQ-0126-SM-7IGLR 70-79 years, male 7.5
GTEX-1GF9X-1326-SM-7PC2Y 40-49 years, female 7.5
GTEX-1KANB-2826-SM-CY8I6 50-59 years, male 7.5
GTEX-1KD5A-0126-SM-E9U54 50-59 years, male 7.5
GTEX-1LB8K-0726-SM-D5OV2 50-59 years, male 7.5
GTEX-11GS4-0226-SM-5HL77 60-69 years, male 7.4
GTEX-14E1K-2026-SM-7DUEI 50-59 years, male 7.4
GTEX-WYJK-0526-SM-3NM8Z 50-59 years, male 7.4
GTEX-1H3NZ-2726-SM-9WYTQ 60-69 years, male 7.4
GTEX-1JMQK-1226-SM-D4P2S 60-69 years, male 7.4
GTEX-1QP66-1226-SM-DTX7U 50-59 years, male 7.4
GTEX-1RAZA-2226-SM-E9U4X 20-29 years, male 7.4
GTEX-14BIN-1126-SM-5RQJZ 50-59 years, female 7.3
GTEX-1EKGG-0626-SM-7DUGJ 60-69 years, male 7.3
GTEX-1GZHY-0626-SM-9KNVC 50-59 years, female 7.3
GTEX-1JJEA-1826-SM-ARU8P 60-69 years, male 7.3
GTEX-1PBJJ-1026-SM-E76OS 30-39 years, male 7.3
GTEX-1RAZS-2526-SM-E6CHT 50-59 years, male 7.3
GTEX-11PRG-0726-SM-5EGL1 50-59 years, male 7.2
GTEX-15CHC-1126-SM-6LLHQ 60-69 years, female 7.2
GTEX-16YQH-2226-SM-7IGM2 30-39 years, male 7.2
GTEX-XPVG-2126-SM-4B667 50-59 years, male 7.2
GTEX-1GN2E-0226-SM-9WG6K 60-69 years, male 7.2
GTEX-11O72-0626-SM-5PNYE 40-49 years, male 7.1
GTEX-12584-0726-SM-5FQTK 40-49 years, male 7.1
GTEX-145ME-1726-SM-5Q5EU 40-49 years, female 7.1
GTEX-1EN7A-2426-SM-793DB 40-49 years, male 7.1
GTEX-X4EP-0626-SM-3P621 60-69 years, female 7.1
GTEX-1QCLZ-2426-SM-EVYBW 60-69 years, female 7.1
GTEX-1192X-2726-SM-5N9DN 50-59 years, male 7.0
GTEX-13NYB-0126-SM-5J1MD 40-49 years, male 7.0
GTEX-1C6VQ-1226-SM-73KYD 50-59 years, male 7.0
GTEX-WY7C-2126-SM-3NB2R 50-59 years, male 7.0
GTEX-1HBPI-2126-SM-ARL9K 50-59 years, male 7.0
GTEX-1212Z-0126-SM-59HK4 60-69 years, male 6.9
GTEX-12WSD-0626-SM-5GCMW 60-69 years, female 6.9
GTEX-13FTY-2126-SM-5IFFB 40-49 years, female 6.9
GTEX-17HHY-0426-SM-7DHLC 50-59 years, male 6.9
GTEX-XV7Q-1826-SM-4BRUV 40-49 years, female 6.9
GTEX-ZYT6-2326-SM-5GZY3 30-39 years, male 6.9
GTEX-1C6VR-0126-SM-7RHGB 60-69 years, male 6.9
GTEX-1R9K4-2826-SM-DTX8F 60-69 years, male 6.9
GTEX-13VXU-0626-SM-5L3F9 50-59 years, male 6.8
GTEX-15CHQ-0326-SM-69LQD 60-69 years, male 6.8
GTEX-1B933-2426-SM-7DHMD 50-59 years, female 6.8
GTEX-YB5K-2026-SM-4VDT3 40-49 years, female 6.8
GTEX-1B8L1-2226-SM-7P8PT 60-69 years, male 6.8
GTEX-1E2YA-2126-SM-7MXUO 50-59 years, male 6.8
GTEX-1IOXB-2726-SM-CM2RI 50-59 years, male 6.8
GTEX-12ZZY-0726-SM-5EQ66 60-69 years, male 6.7
GTEX-131XH-0126-SM-5LZUY 50-59 years, male 6.7
GTEX-1399R-1326-SM-5PNYS 30-39 years, male 6.7
GTEX-Y5V6-2326-SM-4VDSA 60-69 years, male 6.7
GTEX-1CB4J-1326-SM-7P8RX 60-69 years, male 6.7
GTEX-1F88F-0126-SM-9WYSZ 60-69 years, female 6.7
GTEX-1H3O1-1326-SM-9MQLD 60-69 years, male 6.7
GTEX-1JMOU-1026-SM-CYPSS 60-69 years, female 6.7
GTEX-12WSM-1926-SM-5BC65 60-69 years, male 6.6
GTEX-147F4-0726-SM-5TDDD 50-59 years, male 6.6
GTEX-14PJO-2526-SM-6AJBQ 60-69 years, male 6.6
GTEX-1E1VI-0326-SM-793D1 50-59 years, male 6.6
GTEX-1CAMQ-1326-SM-7P8RV 40-49 years, male 6.6
GTEX-1CB4I-0126-SM-7RHGG 50-59 years, male 6.6
GTEX-1LG7Z-1626-SM-CXKYR 30-39 years, male 6.6
GTEX-139TS-2126-SM-5K7XC 60-69 years, male 6.5
GTEX-15D1Q-2826-SM-6LLH7 40-49 years, male 6.5
GTEX-1EWIQ-0326-SM-7DHMQ 70-79 years, female 6.5
GTEX-ZE7O-2726-SM-51MT5 50-59 years, female 6.5
GTEX-1F75A-0726-SM-7RHHD 50-59 years, male 6.5
GTEX-1GPI6-1926-SM-9KNV7 60-69 years, male 6.5
GTEX-1IDJV-0126-SM-COH3Y 60-69 years, male 6.5
GTEX-1IE54-1126-SM-A9G2Z 40-49 years, female 6.5
GTEX-1N2EE-0626-SM-E76PW 60-69 years, male 6.5
GTEX-13FHO-0426-SM-5L3F5 60-69 years, male 6.4
GTEX-13X6K-0626-SM-5LU5D 60-69 years, female 6.4
GTEX-18A7B-2726-SM-7LG56 70-79 years, male 6.4
GTEX-YJ8O-2526-SM-5HL85 40-49 years, female 6.4
GTEX-13112-0126-SM-5P9IU 50-59 years, male 6.3
GTEX-133LE-2326-SM-5K7W3 20-29 years, female 6.3
GTEX-13OW6-2726-SM-5J2OE 50-59 years, male 6.3
GTEX-11EI6-2826-SM-5H11D 60-69 years, male 6.2
GTEX-12WSF-1626-SM-7KUG5 70-79 years, male 6.2
GTEX-1399Q-2326-SM-5KM2X 40-49 years, male 6.2
GTEX-144GM-0526-SM-79OJO 20-29 years, male 6.2
GTEX-147JS-0226-SM-5S2U9 60-69 years, male 6.1
GTEX-1EH9U-2826-SM-7DUGT 60-69 years, male 6.1
GTEX-1AYD5-2626-SM-7PBXY 50-59 years, male 6.1
GTEX-1RLM8-2926-SM-E8VON 50-59 years, male 6.1
GTEX-13FLV-0126-SM-5K7WT 50-59 years, male 6.0
GTEX-145MG-1526-SM-5Q5EM 50-59 years, male 6.0
GTEX-145MO-2826-SM-5LU96 60-69 years, male 6.0
GTEX-16Z82-2626-SM-7KULU 60-69 years, male 6.0
GTEX-V1D1-2026-SM-3GAF4 50-59 years, male 6.0
GTEX-1I1GP-1326-SM-A9G28 50-59 years, male 6.0
GTEX-1IKJJ-2226-SM-CJI4C 60-69 years, male 6.0
GTEX-1KAFJ-0126-SM-DIPEK 50-59 years, male 6.0
GTEX-1QEPI-2626-SM-DTXF4 60-69 years, female 6.0
GTEX-13NZ9-2626-SM-5L3FK 50-59 years, male 5.9
GTEX-13QJC-0126-SM-5ZZWJ 60-69 years, female 5.9
GTEX-1B8KZ-0326-SM-73KY4 50-59 years, male 5.9
GTEX-ZUA1-2626-SM-5NQ92 40-49 years, male 5.9
GTEX-1F6IF-0926-SM-7SB7M 60-69 years, male 5.9
GTEX-1I1HK-2326-SM-CKZOH 60-69 years, male 5.9
GTEX-1R46S-2426-SM-E76QA 60-69 years, female 5.9
GTEX-11ZUS-2626-SM-5FQUR 30-39 years, male 5.8
GTEX-12696-0126-SM-5EQ4L 60-69 years, male 5.8
GTEX-1269C-0126-SM-5EQ5L 60-69 years, female 5.8
GTEX-12WSL-2026-SM-5GCML 50-59 years, male 5.8
GTEX-13OVH-0526-SM-5L3E6 70-79 years, male 5.8
GTEX-VJYA-1526-SM-3GIJV 60-69 years, male 5.8
GTEX-WRHU-2826-SM-3MJG8 50-59 years, female 5.8
GTEX-Y5V5-0126-SM-5S2NW 60-69 years, female 5.8
GTEX-1GMR3-0126-SM-A9SLW 40-49 years, male 5.8
GTEX-1GN1U-0626-SM-9MQL9 50-59 years, female 5.8
GTEX-1GZ4I-2626-SM-9KNU3 50-59 years, male 5.8
GTEX-1JN1M-2726-SM-CY8I4 60-69 years, female 5.8
GTEX-1OJC4-2726-SM-E76PJ 50-59 years, female 5.8
GTEX-11NUK-2726-SM-5A5MC 50-59 years, male 5.7
GTEX-13NYC-0126-SM-5L3F4 60-69 years, male 5.7
GTEX-13OW7-0426-SM-5K7VK 50-59 years, male 5.7
GTEX-13SLX-2226-SM-62LEP 50-59 years, female 5.7
GTEX-15EO6-2426-SM-6PALZ 50-59 years, male 5.7
GTEX-ZE9C-2526-SM-5IJDR 60-69 years, male 5.7
GTEX-ZVT4-2426-SM-5GIEI 50-59 years, female 5.7
GTEX-ZYFC-0426-SM-5GICQ 50-59 years, male 5.7
GTEX-1H4P4-2126-SM-9WYSL 50-59 years, male 5.7
GTEX-1HT8W-0626-SM-A9G2H 30-39 years, male 5.7
GTEX-1IDJH-0126-SM-D3L92 70-79 years, male 5.7
GTEX-1J8Q3-0526-SM-ARL8U 60-69 years, male 5.7
GTEX-1K9T9-1526-SM-DIPFR 50-59 years, female 5.7
GTEX-111FC-2526-SM-5GZXU 60-69 years, male 5.6
GTEX-11TUW-0626-SM-5LU9M 60-69 years, male 5.6
GTEX-139TT-2126-SM-5LZWC 60-69 years, male 5.6
GTEX-13OVJ-0826-SM-5J1OK 50-59 years, female 5.6
GTEX-13OW8-1026-SM-5J1NQ 60-69 years, male 5.6
GTEX-1B996-0426-SM-7EWF8 60-69 years, male 5.6
GTEX-1BAJH-2426-SM-7IGP8 70-79 years, male 5.6
GTEX-W5X1-2526-SM-3GILC 40-49 years, female 5.6
GTEX-XBEC-0726-SM-4QARZ 50-59 years, male 5.6
GTEX-ZTTD-2826-SM-4YCFA 50-59 years, male 5.6
GTEX-ZXG5-2126-SM-59HKD 60-69 years, male 5.6
GTEX-1GTWX-2026-SM-9YFLM 60-69 years, male 5.6
GTEX-1KWVE-1026-SM-D3L9O 30-39 years, male 5.6
GTEX-13OW5-2326-SM-5L3HO 60-69 years, male 5.5
GTEX-13PVQ-0626-SM-5LU47 50-59 years, male 5.5
GTEX-16GPK-0626-SM-7KFSF 60-69 years, male 5.5
GTEX-1A8G6-2726-SM-731AR 60-69 years, male 5.5
GTEX-ZDXO-3126-SM-5IJDF 60-69 years, male 5.5
GTEX-1GN73-0726-SM-7P8TJ 60-69 years, male 5.5
GTEX-1JJ6O-2726-SM-CNPOG 60-69 years, male 5.5
GTEX-1K2DU-1226-SM-CYPT4 20-29 years, male 5.5
GTEX-13X6J-0626-SM-5LU5F 50-59 years, male 5.4
GTEX-16MT8-2926-SM-7DUFO 60-69 years, female 5.4
GTEX-17JCI-2926-SM-7DUFF 60-69 years, female 5.4
GTEX-X4EO-2926-SM-4E3JH 60-69 years, female 5.4
GTEX-ZAB4-2126-SM-5HL8U 40-49 years, male 5.4
GTEX-1F48J-0726-SM-7RHGS 50-59 years, female 5.4
GTEX-12KS4-2126-SM-5FQUT 30-39 years, male 5.3
GTEX-12WSC-2826-SM-5BC5Y 50-59 years, male 5.3
GTEX-13OVL-0126-SM-5L3GJ 50-59 years, male 5.3
GTEX-144GL-0626-SM-5LU4D 50-59 years, male 5.3
GTEX-17EVP-2626-SM-7IGMA 40-49 years, male 5.3
GTEX-VUSG-2326-SM-4KL1U 50-59 years, male 5.3
GTEX-ZU9S-1826-SM-5NQ9E 30-39 years, male 5.3
GTEX-1HCU7-0726-SM-A9SL1 50-59 years, male 5.3
GTEX-13O3O-2326-SM-5IJD6 60-69 years, female 5.2
GTEX-14A5H-0826-SM-5QGPJ 60-69 years, male 5.2
GTEX-16NPX-0726-SM-7KULC 50-59 years, male 5.2
GTEX-18A6Q-0626-SM-7KFRP 60-69 years, male 5.2
GTEX-1A32A-0626-SM-731AQ 50-59 years, female 5.2
GTEX-XOT4-0626-SM-4B66L 60-69 years, female 5.2
GTEX-ZC5H-1526-SM-5HL9Y 40-49 years, female 5.2
GTEX-1H1DF-1126-SM-9WG7G 40-49 years, female 5.2
GTEX-WK11-2726-SM-3NMAQ 50-59 years, male 5.1
GTEX-1H1CY-0126-SM-9YFLY 60-69 years, female 5.1
GTEX-1HBPM-0726-SM-9YFL7 60-69 years, female 5.1
GTEX-139T8-0626-SM-5KLZX 60-69 years, male 5.0
GTEX-14LZ3-0126-SM-69LPM 60-69 years, female 5.0
GTEX-1CB4H-1126-SM-7MKGL 60-69 years, female 5.0
GTEX-14JFF-0626-SM-5ZZVT 60-69 years, male 5.0
GTEX-1GF9W-1426-SM-7PBYM 60-69 years, male 5.0
GTEX-13IVO-0726-SM-5LZYV 70-79 years, male 4.9
GTEX-13JUV-2026-SM-5K7UA 40-49 years, female 4.9
GTEX-145MF-0926-SM-5Q5EA 50-59 years, male 4.9
GTEX-WI4N-2726-SM-3LK7Y 40-49 years, female 4.9
GTEX-ZWKS-0626-SM-5GIDV 30-39 years, male 4.9
GTEX-1F75W-2726-SM-7SB8H 60-69 years, male 4.9
GTEX-1HB9E-0126-SM-CM2S5 50-59 years, male 4.9
GTEX-1I1GS-2626-SM-B2LY3 60-69 years, male 4.9
GTEX-1LSNL-2726-SM-E9TKJ 50-59 years, male 4.9
GTEX-1QAET-0326-SM-EVR3U 50-59 years, male 4.9
GTEX-11EQ8-0926-SM-5H12V 60-69 years, male 4.8
GTEX-13JVG-0726-SM-5KM16 60-69 years, male 4.8
GTEX-13O3Q-0126-SM-5KM34 50-59 years, male 4.8
GTEX-1I1GU-0926-SM-ACKVS 40-49 years, male 4.8
GTEX-11UD2-2526-SM-5CVNU 50-59 years, male 4.7
GTEX-14A6H-2026-SM-5Q5DD 30-39 years, male 4.7
GTEX-14JG1-1526-SM-5YY9X 40-49 years, male 4.7
GTEX-15UF6-1926-SM-7KUDV 70-79 years, female 4.7
GTEX-17F9Y-0126-SM-79OKX 70-79 years, female 4.7
GTEX-WHSE-0126-SM-3NMBT 20-29 years, male 4.7
GTEX-XK95-0226-SM-4AT58 40-49 years, male 4.7
GTEX-1LVA9-2626-SM-EVYD4 50-59 years, male 4.7
GTEX-131XW-0626-SM-5PNVD 50-59 years, female 4.6
GTEX-139D8-1126-SM-5LU8W 30-39 years, female 4.6
GTEX-13PDP-0726-SM-5L3HP 60-69 years, male 4.6
GTEX-15DYW-2726-SM-6EU2I 60-69 years, female 4.6
GTEX-U8XE-0226-SM-4E3J3 30-39 years, male 4.6
GTEX-13N2G-0226-SM-5K7VF 60-69 years, male 4.5
GTEX-13X6I-1826-SM-5SIAO 60-69 years, male 4.5
GTEX-14BMV-2826-SM-5TDED 50-59 years, male 4.5
GTEX-1A8G7-1326-SM-73KVM 60-69 years, male 4.5
GTEX-1GMR8-0626-SM-7RHI7 50-59 years, female 4.5
GTEX-1H1ZS-2726-SM-9WG75 70-79 years, male 4.5
GTEX-1S5ZU-2526-SM-E6CIF 20-29 years, female 4.5
GTEX-13RTJ-0126-SM-5S2NN 60-69 years, male 4.4
GTEX-144GO-2026-SM-5O99P 60-69 years, male 4.4
GTEX-1477Z-0326-SM-7IGLA 60-69 years, male 4.4
GTEX-1HR9M-2226-SM-CNPPY 60-69 years, male 4.4
GTEX-1JN6P-2926-SM-CL54D 60-69 years, male 4.4
GTEX-13PL6-1126-SM-5L3IE 40-49 years, female 4.3
GTEX-15G19-2426-SM-7KUMR 60-69 years, male 4.3
GTEX-17HG3-2626-SM-7DUF2 30-39 years, female 4.3
GTEX-WYBS-0626-SM-3NMAS 60-69 years, female 4.3
GTEX-ZVTK-0226-SM-51MRG 20-29 years, male 4.3
GTEX-1PPH7-1126-SM-DTX9A 40-49 years, male 4.3
GTEX-11GSP-2326-SM-5HL63 60-69 years, female 4.2
GTEX-12WSA-0426-SM-5EQ5X 60-69 years, male 4.2
GTEX-183WM-0326-SM-72D5V 70-79 years, female 4.2
GTEX-1EX96-1026-SM-7MKG2 50-59 years, male 4.2
GTEX-1H1DG-2426-SM-9QEHJ 70-79 years, male 4.2
GTEX-1JJE9-2626-SM-ARZMT 70-79 years, male 4.2
GTEX-11DXW-0826-SM-5H118 40-49 years, male 4.1
GTEX-11WQK-1026-SM-5EQLX 50-59 years, male 4.1
GTEX-14753-0726-SM-5QGQO 60-69 years, male 4.1
GTEX-UPK5-0426-SM-3GAEK 40-49 years, male 4.1
GTEX-ZAJG-1526-SM-5CVML 50-59 years, female 4.1
GTEX-ZYFD-0626-SM-5E44E 50-59 years, male 4.1
GTEX-1F6RS-2026-SM-7RHHC 60-69 years, female 4.1
GTEX-1F75B-0726-SM-7PC3R 50-59 years, male 4.1
GTEX-1HUB1-1426-SM-CGQF5 60-69 years, male 4.1
GTEX-1J1OQ-0126-SM-D4P2N 40-49 years, female 4.1
GTEX-1J8JJ-0626-SM-ARZMQ 60-69 years, female 4.1
GTEX-15SHW-0226-SM-7LTAT 60-69 years, male 4.0
GTEX-16MT9-0126-SM-7EPI8 60-69 years, female 4.0
GTEX-17MF6-2626-SM-79OKQ 40-49 years, male 4.0
GTEX-ZYW4-0626-SM-59HJR 60-69 years, male 4.0
GTEX-1GZ2Q-0126-SM-9WG6M 40-49 years, male 4.0
GTEX-1HR98-2226-SM-ADEI2 60-69 years, male 4.0
GTEX-14C39-1726-SM-5RQIL 40-49 years, male 3.9
GTEX-1A3MX-2626-SM-7PC24 60-69 years, male 3.9
GTEX-1HSMO-0626-SM-ACKXC 60-69 years, male 3.9
GTEX-1IL2V-1926-SM-B2LW8 70-79 years, male 3.9
GTEX-1JMQI-1726-SM-ARL93 50-59 years, male 3.9
GTEX-1LVAO-2726-SM-E9TJ8 60-69 years, male 3.9
GTEX-139UW-0326-SM-5J1ML 60-69 years, male 3.8
GTEX-1314G-1326-SM-5BC6E 30-39 years, male 3.7
GTEX-144FL-0626-SM-5LU43 50-59 years, male 3.7
GTEX-145LS-0626-SM-7EPG7 60-69 years, female 3.7
GTEX-14C38-0726-SM-5SI6M 50-59 years, male 3.7
GTEX-14E6C-2426-SM-5S2NF 40-49 years, male 3.7
GTEX-15RJE-2826-SM-7KUM9 40-49 years, male 3.7
GTEX-18465-2826-SM-7LT9J 50-59 years, male 3.7
GTEX-ZVE2-2826-SM-5GU51 50-59 years, male 3.7
GTEX-1HCU8-2526-SM-CE6RX 60-69 years, female 3.7
GTEX-1JMQL-2226-SM-CNPP4 50-59 years, female 3.7
GTEX-1M4P7-0726-SM-E6CJ3 60-69 years, male 3.7
GTEX-14DAQ-0626-SM-793DS 60-69 years, female 3.6
GTEX-X8HC-0626-SM-4E3HQ 50-59 years, female 3.6
GTEX-1A3MW-0626-SM-731CB 60-69 years, female 3.5
GTEX-1CAV2-0126-SM-7IGN7 40-49 years, female 3.5
GTEX-1JMPZ-0726-SM-CY8HZ 30-39 years, male 3.5
GTEX-1LKK1-2626-SM-DKPQE 50-59 years, female 3.5
GTEX-14PJ2-0626-SM-6LLII 50-59 years, male 3.4
GTEX-1HCU6-2526-SM-ADEHL 60-69 years, female 3.4
GTEX-1LG7Y-2526-SM-EWRO7 50-59 years, male 3.4
GTEX-11DXY-0126-SM-5H11Q 60-69 years, male 3.3
GTEX-14LLW-2626-SM-62LDZ 70-79 years, female 3.3
GTEX-15DDE-2926-SM-6LLJ3 50-59 years, female 3.3
GTEX-15SKB-2826-SM-6PAMH 60-69 years, male 3.3
GTEX-1GN1V-2826-SM-9JGIA 60-69 years, male 3.3
GTEX-1HFI6-0126-SM-CNPPI 40-49 years, male 3.3
GTEX-13SLW-0626-SM-5Q5ER 70-79 years, male 3.2
GTEX-1A8FM-0626-SM-7PC25 50-59 years, female 3.2
GTEX-1117F-2926-SM-5GZYI 60-69 years, female 3.1
GTEX-1O9I2-0226-SM-EYYXD 50-59 years, male 3.1
GTEX-16XZZ-0726-SM-7KUF2 60-69 years, male 3.0
GTEX-XMD2-2126-SM-4YCF8 60-69 years, female 3.0
GTEX-ZYVF-0926-SM-5E44J 50-59 years, female 3.0
GTEX-1I1CD-0626-SM-CE6SW 60-69 years, female 3.0
GTEX-1J8Q2-2626-SM-ACKWQ 60-69 years, male 3.0
GTEX-1LSVX-2526-SM-DIPEU 60-69 years, male 3.0
GTEX-1F88E-1626-SM-7SB8Z 60-69 years, female 2.9
GTEX-1ICLY-0826-SM-CMKG1 50-59 years, male 2.9
GTEX-ZF3C-0626-SM-DO92O 50-59 years, female 2.9
GTEX-ZYY3-2926-SM-5GIEB 60-69 years, female 2.8
GTEX-13YAN-0226-SM-5TDC6 60-69 years, male 2.7
GTEX-148VJ-0626-SM-5LUAW 70-79 years, male 2.6
GTEX-ZVE1-0726-SM-51MRN 50-59 years, female 2.5
GTEX-13N1W-2426-SM-5IJD1 70-79 years, male 2.4
GTEX-1IDFM-0326-SM-ARL7V 60-69 years, male 2.4
GTEX-1I19N-0126-SM-CYPSF 70-79 years, male 2.3
GTEX-1H3VE-0726-SM-9YFL5 40-49 years, male 2.2
GTEX-145MI-0626-SM-5SI8S 60-69 years, female 1.9
GTEX-13NZ8-1226-SM-5KM4A 60-69 years, female 1.4
Show allShow less
Skin - Sun Exposed (Lower leg)
Average nTPM: 8.1
Samples: 701

Max nTPM: 23.1
Min nTPM: 2.6
Std nTPM: 2.8
Median nTPM: 7.7
GTEX-SE5C-1626-SM-2XCE3 40-49 years, female 23.1
GTEX-ZGAY-0526-SM-4WWBB 40-49 years, female 22.2
GTEX-P4QT-0126-SM-2I3FL 50-59 years, female 20.5
GTEX-1K2DA-1826-SM-CGQGT 50-59 years, male 19.9
GTEX-18D9A-1926-SM-7LG6P 30-39 years, female 17.9
GTEX-14PII-0226-SM-6EU1T 60-69 years, male 17.8
GTEX-T2YK-0526-SM-32QPJ 50-59 years, male 17.4
GTEX-1MA7W-2026-SM-E9TJ6 20-29 years, female 17.0
GTEX-X88G-0126-SM-47JZ3 30-39 years, male 16.4
GTEX-1OJC3-0126-SM-E76QX 20-29 years, male 16.3
GTEX-1LSNM-1926-SM-E6CII 50-59 years, male 16.2
GTEX-Y3IK-2426-SM-4WWDU 50-59 years, female 16.1
GTEX-1LG7Z-1726-SM-D3LA4 30-39 years, male 15.9
GTEX-1B8KE-2126-SM-73KYX 50-59 years, male 15.7
GTEX-T6MN-0126-SM-32PLP 50-59 years, male 15.6
GTEX-1B8L1-2526-SM-9WYTF 60-69 years, male 15.4
GTEX-1CB4E-2226-SM-793DC 60-69 years, male 15.3
GTEX-1IL2U-0226-SM-CE6T8 60-69 years, male 15.3
GTEX-13CF2-2526-SM-5LZYX 60-69 years, male 15.2
GTEX-1I4MK-2226-SM-ACKWD 50-59 years, female 15.1
GTEX-1C475-1826-SM-73KWA 40-49 years, female 14.7
GTEX-12WSK-2326-SM-5GCOH 40-49 years, female 14.5
GTEX-PX3G-0126-SM-2I3EN 20-29 years, female 14.2
GTEX-15F5U-1526-SM-6PANO 40-49 years, male 14.1
GTEX-ZV68-0126-SM-59HKS 50-59 years, female 14.0
GTEX-1I1GT-0626-SM-CGQER 60-69 years, female 14.0
GTEX-1KANC-1526-SM-D3LAB 50-59 years, female 13.9
GTEX-145MN-2226-SM-5SIAU 30-39 years, male 13.7
GTEX-1AX9J-0226-SM-73KXM 60-69 years, male 13.6
GTEX-1J1R8-1726-SM-ARL8M 40-49 years, male 13.6
GTEX-1JMPY-1326-SM-ARL8Y 30-39 years, male 13.6
GTEX-13FXS-0226-SM-5IJCK 50-59 years, male 13.5
GTEX-1EMGI-0126-SM-9KNUE 60-69 years, male 13.5
GTEX-1QP9N-1426-SM-DTXFL 30-39 years, male 13.5
GTEX-13X6H-2126-SM-7EWD5 50-59 years, female 13.4
GTEX-1GZHY-0326-SM-9QEHI 50-59 years, female 13.3
GTEX-13111-1626-SM-5EGJY 50-59 years, male 13.2
GTEX-T5JW-1626-SM-3GADZ 20-29 years, female 13.1
GTEX-1GF9X-2026-SM-7PC3A 40-49 years, female 13.1
GTEX-14PJM-0226-SM-62LF1 50-59 years, female 13.0
GTEX-Y8DK-0126-SM-4TT3L 60-69 years, male 13.0
GTEX-1R7EU-0226-SM-EVR4G 60-69 years, male 13.0
GTEX-1HSGN-0226-SM-CGQFV 40-49 years, female 12.9
GTEX-ZYT6-0226-SM-5NQ6T 30-39 years, male 12.8
GTEX-12ZZX-0126-SM-5EGK9 40-49 years, female 12.7
GTEX-16GPK-0126-SM-7DHLE 60-69 years, male 12.7
GTEX-1LVAN-0226-SM-COH3S 50-59 years, female 12.7
GTEX-11DZ1-0126-SM-5985Q 50-59 years, male 12.6
GTEX-1C4CL-0526-SM-73KVK 30-39 years, male 12.6
GTEX-1PPH8-0226-SM-E8VND 20-29 years, male 12.6
GTEX-13NZB-2526-SM-5J1OM 30-39 years, male 12.5
GTEX-11EM3-2426-SM-59861 20-29 years, female 12.4
GTEX-1399U-2326-SM-5K7WY 50-59 years, female 12.4
GTEX-1IDJU-2626-SM-CM2RT 60-69 years, female 12.4
GTEX-11DXZ-2326-SM-5EGGV 50-59 years, male 12.3
GTEX-15ER7-0326-SM-7KUEV 20-29 years, female 12.2
GTEX-NFK9-0226-SM-2HMKQ 40-49 years, male 12.2
GTEX-15RIG-0226-SM-7KFTL 40-49 years, male 12.1
GTEX-1QMI2-0226-SM-EVYBX 60-69 years, male 12.1
GTEX-11DYG-0126-SM-59883 60-69 years, male 11.9
GTEX-ZVT2-2526-SM-51MT1 50-59 years, female 11.9
GTEX-1S5ZA-0126-SM-EVYCV 20-29 years, male 11.9
GTEX-12WSJ-1826-SM-5GCNY 40-49 years, female 11.7
GTEX-17JCI-0126-SM-7LG5G 60-69 years, female 11.7
GTEX-ZXES-1826-SM-5E43S 30-39 years, female 11.7
GTEX-1GZ4H-1726-SM-7PBZJ 50-59 years, female 11.7
GTEX-1QCLY-0326-SM-E8VOG 30-39 years, male 11.7
GTEX-16AAH-1726-SM-7939C 50-59 years, male 11.6
GTEX-132NY-0326-SM-5IJBL 60-69 years, male 11.5
GTEX-SUCS-1926-SM-32PM3 70-79 years, male 11.5
GTEX-P4PP-0126-SM-3LK69 30-39 years, female 11.4
GTEX-POMQ-2226-SM-2I5FK 20-29 years, female 11.4
GTEX-X5EB-2226-SM-46MW4 40-49 years, male 11.3
GTEX-1EWIQ-0126-SM-7RHH2 70-79 years, female 11.3
GTEX-1MJK2-0426-SM-DTXE5 50-59 years, male 11.3
GTEX-ZPIC-1726-SM-DHXIU 40-49 years, female 11.3
GTEX-11P7K-2126-SM-5GU7G 30-39 years, male 11.2
GTEX-PLZ5-2026-SM-2S1O4 50-59 years, male 11.2
GTEX-XUZC-1726-SM-4BRWS 30-39 years, female 11.2
GTEX-YB5K-2126-SM-4WWDJ 40-49 years, female 11.2
GTEX-1CAV2-2226-SM-7P8P2 40-49 years, female 11.2
GTEX-1IOXB-0126-SM-ARL8G 50-59 years, male 11.2
GTEX-PLZ6-1426-SM-DKPOT 30-39 years, male 11.2
GTEX-13FTW-2626-SM-5K7WL 40-49 years, male 11.1
GTEX-1B8SG-0126-SM-73KZ3 50-59 years, male 11.1
GTEX-WXYG-2326-SM-4E3I6 50-59 years, female 11.1
GTEX-1H11D-0226-SM-9WG6Z 40-49 years, male 11.1
GTEX-1JMLX-0226-SM-CM2RO 50-59 years, male 11.1
GTEX-OOBJ-0126-SM-E6CJW 60-69 years, male 11.1
GTEX-13YAN-0326-SM-5O9DF 60-69 years, male 11.0
GTEX-XUYS-0126-SM-47JWZ 50-59 years, male 11.0
GTEX-ZVTK-0426-SM-51MRS 20-29 years, male 11.0
GTEX-1HCU9-1526-SM-A9SL7 20-29 years, male 11.0
GTEX-1JJEA-0326-SM-CNPOT 60-69 years, male 11.0
GTEX-1JN76-0126-SM-CNPPE 20-29 years, female 11.0
GTEX-13RTK-1426-SM-5QGQJ 20-29 years, male 10.9
GTEX-XYKS-2126-SM-4E3IB 60-69 years, female 10.9
GTEX-Y114-2426-SM-4TT8A 50-59 years, female 10.9
GTEX-ZYFG-2326-SM-5E44B 60-69 years, female 10.9
GTEX-1EN7A-0126-SM-7SB81 40-49 years, male 10.9
GTEX-OHPL-0126-SM-2HMJ7 60-69 years, female 10.8
GTEX-Y111-0126-SM-4SOIV 50-59 years, male 10.8
GTEX-ZTX8-1426-SM-5DUVO 20-29 years, male 10.8
GTEX-1GF9W-0326-SM-9KNUN 60-69 years, male 10.8
GTEX-1GN1U-0126-SM-7PBZK 50-59 years, female 10.8
GTEX-1PIGE-0126-SM-EVYBJ 20-29 years, male 10.8
GTEX-1R9PM-2026-SM-E76OY 20-29 years, male 10.8
GTEX-14BIN-0626-SM-793DP 50-59 years, female 10.7
GTEX-1AMFI-2026-SM-731BH 50-59 years, female 10.7
GTEX-11EQ9-2426-SM-5HL5T 30-39 years, male 10.6
GTEX-17HG3-2226-SM-7938L 30-39 years, female 10.6
GTEX-1BAJH-0526-SM-793CQ 70-79 years, male 10.6
GTEX-1J1OQ-0226-SM-CYPSH 40-49 years, female 10.6
GTEX-ZQG8-1626-SM-DHXIT 60-69 years, female 10.6
GTEX-13D11-2426-SM-5KM1V 50-59 years, female 10.5
GTEX-17EUY-0426-SM-793BD 20-29 years, male 10.5
GTEX-18A67-0126-SM-7LG5P 50-59 years, male 10.5
GTEX-QCQG-1726-SM-3GIJ9 50-59 years, female 10.5
GTEX-YB5E-2026-SM-5IFIS 40-49 years, male 10.5
GTEX-ZDYS-2026-SM-5HL5L 50-59 years, male 10.5
GTEX-1I6K6-0126-SM-A9SLE 30-39 years, male 10.5
GTEX-1J8QM-2126-SM-CYPSJ 60-69 years, female 10.5
GTEX-1S82Y-2026-SM-EVYCM 40-49 years, male 10.5
GTEX-ZF29-2326-SM-DO92K 60-69 years, female 10.5
GTEX-18A7A-0226-SM-718BH 50-59 years, female 10.4
GTEX-1B8SF-1426-SM-7DUGL 60-69 years, male 10.4
GTEX-11P81-2326-SM-59875 30-39 years, female 10.3
GTEX-12696-2426-SM-5EQ6H 60-69 years, male 10.3
GTEX-13OVH-0126-SM-5MR4B 70-79 years, male 10.3
GTEX-14PJ6-2126-SM-6EU1V 60-69 years, female 10.3
GTEX-15SHU-0126-SM-7KUEH 40-49 years, female 10.3
GTEX-XBEW-0626-SM-4QASP 40-49 years, male 10.3
GTEX-XUW1-0426-SM-4BOOT 50-59 years, female 10.3
GTEX-1OFPY-2426-SM-DTXEJ 60-69 years, male 10.3
GTEX-1C64N-0126-SM-793D7 50-59 years, male 10.2
GTEX-1KD4Q-0226-SM-E9TJ9 40-49 years, male 10.2
GTEX-16NGA-1726-SM-731B4 40-49 years, female 10.1
GTEX-1I1GV-0526-SM-A9G29 60-69 years, male 10.1
GTEX-1JJ6O-0126-SM-E6CI8 60-69 years, male 10.1
GTEX-1PIIG-0226-SM-EWRN6 30-39 years, male 10.1
GTEX-1CB4I-0226-SM-79OLH 50-59 years, male 10.0
GTEX-TKQ1-1026-SM-4GICL 30-39 years, male 10.0
GTEX-W5WG-1826-SM-4KL2Y 50-59 years, female 10.0
GTEX-Z93T-0126-SM-5HL5N 50-59 years, male 10.0
GTEX-1GPI7-0126-SM-9MQL8 20-29 years, male 10.0
GTEX-1HSKV-0226-SM-A9SKJ 60-69 years, male 10.0
GTEX-1NV5F-0226-SM-E8VNY 60-69 years, female 10.0
GTEX-1S83E-0126-SM-EWRO4 40-49 years, male 10.0
GTEX-145LV-2126-SM-5LU8N 50-59 years, male 9.9
GTEX-SSA3-0126-SM-32QPU 60-69 years, male 9.9
GTEX-Z93S-0126-SM-5HL7M 50-59 years, male 9.9
GTEX-ZYFC-0226-SM-5NQ75 50-59 years, male 9.9
GTEX-1H4P4-0726-SM-9YFLR 50-59 years, male 9.9
GTEX-1RAZA-0126-SM-E6CI3 20-29 years, male 9.9
GTEX-13PVR-2326-SM-5QGR1 60-69 years, female 9.8
GTEX-17F97-0326-SM-7LG5B 50-59 years, male 9.8
GTEX-17MFQ-1726-SM-793C7 20-29 years, male 9.8
GTEX-WYJK-0126-SM-3NMAB 50-59 years, male 9.8
GTEX-ZAK1-0126-SM-5IJD3 50-59 years, female 9.8
GTEX-1GMRU-0126-SM-9YFLV 50-59 years, male 9.8
GTEX-12584-0126-SM-5EGKQ 40-49 years, male 9.7
GTEX-14JG1-0426-SM-6ETZZ 40-49 years, male 9.7
GTEX-15ETS-0126-SM-7KUMW 40-49 years, female 9.7
GTEX-17F96-1626-SM-7DUFL 70-79 years, male 9.7
GTEX-1HCUA-2426-SM-ADEIS 50-59 years, female 9.7
GTEX-11GSP-2526-SM-5N9BP 60-69 years, female 9.6
GTEX-131YS-0126-SM-5KM1M 60-69 years, female 9.6
GTEX-13OW6-0426-SM-5L3HM 50-59 years, male 9.6
GTEX-14PHX-2326-SM-62LEM 50-59 years, male 9.6
GTEX-Z9EW-1626-SM-5CVMN 40-49 years, male 9.6
GTEX-1JMOU-1526-SM-CL54I 60-69 years, female 9.6
GTEX-1399R-2726-SM-5IJBA 30-39 years, male 9.5
GTEX-14JG6-2226-SM-6EU2G 30-39 years, female 9.5
GTEX-17HHE-2026-SM-79OKF 50-59 years, male 9.5
GTEX-1GN73-0226-SM-9WG67 60-69 years, male 9.5
GTEX-1H2FU-0126-SM-9WYSI 60-69 years, female 9.5
GTEX-1HFI6-0226-SM-ADEHZ 40-49 years, male 9.5
GTEX-1122O-2126-SM-5EGIR 60-69 years, female 9.4
GTEX-1269C-2526-SM-5EGJ3 60-69 years, female 9.4
GTEX-12ZZZ-0626-SM-5DUXI 60-69 years, male 9.4
GTEX-131XG-2626-SM-5KM17 50-59 years, female 9.4
GTEX-13VXT-0126-SM-5LU4I 20-29 years, female 9.4
GTEX-13X6J-0126-SM-5QGOU 50-59 years, male 9.4
GTEX-17F98-0626-SM-79OMX 40-49 years, female 9.4
GTEX-18A6Q-0126-SM-731BZ 60-69 years, male 9.4
GTEX-18D9U-0226-SM-718BP 40-49 years, male 9.4
GTEX-WRHK-1426-SM-3MJF9 20-29 years, female 9.4
GTEX-X4EP-0126-SM-3P5YV 60-69 years, female 9.4
GTEX-XBED-2226-SM-47JYQ 60-69 years, male 9.4
GTEX-1HFI7-1826-SM-ACKXH 50-59 years, female 9.4
GTEX-12WSC-0126-SM-5EQ4P 50-59 years, male 9.3
GTEX-13G51-2526-SM-5LZYK 60-69 years, male 9.3
GTEX-144GN-2326-SM-5LU4F 50-59 years, male 9.3
GTEX-14C5O-0126-SM-5SI6N 60-69 years, male 9.3
GTEX-17GQL-2026-SM-718BA 60-69 years, male 9.3
GTEX-U8T8-0126-SM-3DB94 60-69 years, male 9.3
GTEX-WFON-2126-SM-3LK7O 40-49 years, male 9.3
GTEX-13FH7-2026-SM-E9J4I 50-59 years, female 9.3
GTEX-1IDJH-0326-SM-A9SLQ 70-79 years, male 9.3
GTEX-16BQI-0226-SM-7KUEX 30-39 years, female 9.2
GTEX-RWSA-0126-SM-2XCBB 40-49 years, male 9.2
GTEX-Y8E4-0626-SM-4WWDL 40-49 years, male 9.2
GTEX-1CB4F-0426-SM-9KNV4 60-69 years, male 9.2
GTEX-1J8EW-0126-SM-CJI4F 60-69 years, female 9.2
GTEX-1LGRB-2526-SM-CNPPQ 50-59 years, female 9.2
GTEX-13FHP-0126-SM-5IJBG 50-59 years, male 9.1
GTEX-13N11-2526-SM-5K7UE 50-59 years, female 9.1
GTEX-15SB6-1726-SM-6PAME 50-59 years, female 9.1
GTEX-ZF2S-2326-SM-4WWCE 50-59 years, female 9.1
GTEX-1MGNQ-0126-SM-EVYCJ 40-49 years, male 9.1
GTEX-12126-0326-SM-5PNW3 20-29 years, male 9.0
GTEX-1C6VR-2426-SM-79OLD 60-69 years, male 9.0
GTEX-XAJ8-0826-SM-47JY6 40-49 years, male 9.0
GTEX-XPVG-2626-SM-4B669 50-59 years, male 9.0
GTEX-1JMQI-2226-SM-CM2SD 50-59 years, male 9.0
GTEX-111FC-0126-SM-5N9DL 60-69 years, male 8.9
GTEX-11VI4-1726-SM-5CVLH 40-49 years, female 8.9
GTEX-145ME-1826-SM-5SI9G 40-49 years, female 8.9
GTEX-14DAR-2026-SM-5S2O3 50-59 years, male 8.9
GTEX-17KNJ-2326-SM-7DHLQ 50-59 years, male 8.9
GTEX-ZU9S-0226-SM-5E441 30-39 years, male 8.9
GTEX-1HSMQ-1226-SM-CGQFX 50-59 years, male 8.9
GTEX-1PFEY-1526-SM-E76PP 30-39 years, male 8.9
GTEX-13N2G-2626-SM-5J1OT 60-69 years, male 8.8
GTEX-14PJ3-1826-SM-62LEX 50-59 years, male 8.8
GTEX-17EVP-0326-SM-7DHLG 40-49 years, male 8.8
GTEX-OHPM-0126-SM-2YUN9 50-59 years, male 8.8
GTEX-OIZG-0726-SM-33HBL 50-59 years, male 8.8
GTEX-TMZS-0126-SM-3DB9Q 60-69 years, male 8.8
GTEX-Y5V5-2326-SM-4V6GA 60-69 years, female 8.8
GTEX-1H3O1-0426-SM-9YFKY 60-69 years, male 8.8
GTEX-1HBPM-0226-SM-ARL9F 60-69 years, female 8.8
GTEX-1K9T9-0126-SM-EVYCF 50-59 years, female 8.8
GTEX-1KANA-0726-SM-D3L9I 20-29 years, male 8.8
GTEX-117XS-2726-SM-5N9BL 60-69 years, male 8.7
GTEX-139D8-0226-SM-5KLZO 30-39 years, female 8.7
GTEX-13O3P-0126-SM-5KM4S 50-59 years, male 8.7
GTEX-14PN3-2426-SM-6LLHS 60-69 years, female 8.7
GTEX-1A3MV-1926-SM-718BT 30-39 years, male 8.7
GTEX-RWS6-2026-SM-2XCB5 60-69 years, female 8.7
GTEX-11ZTS-0126-SM-5EQ6M 60-69 years, female 8.6
GTEX-UJHI-1526-SM-3DB99 50-59 years, female 8.6
GTEX-1A8FM-0226-SM-7SB7Q 50-59 years, female 8.6
GTEX-1F5PL-0326-SM-7P8PQ 40-49 years, female 8.6
GTEX-1GL5R-1826-SM-9KNUY 50-59 years, male 8.6
GTEX-1I1GQ-0126-SM-COH3H 50-59 years, male 8.6
GTEX-1ICG6-2526-SM-CGQFZ 70-79 years, female 8.6
GTEX-1N2DV-0226-SM-E6CJ6 40-49 years, male 8.6
GTEX-1S82Z-0826-SM-E6CHY 30-39 years, female 8.6
GTEX-PSDG-0226-SM-DKPOZ 50-59 years, male 8.6
GTEX-RNOR-0126-SM-E9J4R 50-59 years, female 8.6
GTEX-117YX-2326-SM-5H12W 50-59 years, male 8.5
GTEX-13OVI-1426-SM-5L3EY 60-69 years, female 8.5
GTEX-14ABY-0226-SM-5TDCQ 50-59 years, male 8.5
GTEX-17HHY-0126-SM-7LG5D 50-59 years, male 8.5
GTEX-17HII-0226-SM-7LG4E 50-59 years, male 8.5
GTEX-S7SE-0126-SM-2XCD5 50-59 years, male 8.5
GTEX-WH7G-2326-SM-3NMBC 40-49 years, male 8.5
GTEX-WI4N-1026-SM-3LK7N 40-49 years, female 8.5
GTEX-1B996-0226-SM-7RHGO 60-69 years, male 8.5
GTEX-1E2YA-0126-SM-9KNUC 50-59 years, male 8.5
GTEX-1F52S-0126-SM-9MQJU 60-69 years, female 8.5
GTEX-1QPFJ-0226-SM-E76PB 30-39 years, female 8.5
GTEX-S33H-1026-SM-EZ6L6 30-39 years, male 8.5
GTEX-11TT1-2526-SM-5EGIB 20-29 years, male 8.4
GTEX-1E1VI-0126-SM-7DHMZ 50-59 years, male 8.4
GTEX-ZAJG-0126-SM-5HL94 50-59 years, female 8.4
GTEX-1CB4G-0226-SM-7PC3O 60-69 years, male 8.4
GTEX-1IDJF-0126-SM-CM2RS 20-29 years, male 8.4
GTEX-1JMQK-0226-SM-CL543 60-69 years, male 8.4
GTEX-1K2DU-2326-SM-E9TIV 20-29 years, male 8.4
GTEX-1KANB-0526-SM-E6CJH 50-59 years, male 8.4
GTEX-1LB8K-0226-SM-EWRNW 50-59 years, male 8.4
GTEX-PWCY-1826-SM-DHXIZ 20-29 years, female 8.4
GTEX-1212Z-2526-SM-5EGKP 60-69 years, male 8.3
GTEX-12C56-1726-SM-5EQ61 20-29 years, male 8.3
GTEX-139TT-0126-SM-5K7Y5 60-69 years, male 8.3
GTEX-18A66-0226-SM-718BD 60-69 years, male 8.3
GTEX-RUSQ-1526-SM-2TF62 50-59 years, male 8.3
GTEX-Y8LW-1826-SM-5S2MV 50-59 years, female 8.3
GTEX-ZTPG-0326-SM-5O9AX 20-29 years, female 8.3
GTEX-1MUQO-0126-SM-EAZ58 60-69 years, male 8.3
GTEX-13VXU-0126-SM-5SI9F 50-59 years, male 8.2
GTEX-145LU-0126-SM-5TDCB 50-59 years, male 8.2
GTEX-14ICK-0226-SM-6EU25 40-49 years, male 8.2
GTEX-O5YW-0126-SM-3LK6D 50-59 years, male 8.2
GTEX-QESD-1426-SM-2S1R9 20-29 years, male 8.2
GTEX-ZTSS-1926-SM-57WEW 40-49 years, male 8.2
GTEX-1C64O-0126-SM-7SB8P 60-69 years, male 8.2
GTEX-1J8JJ-0226-SM-CL53I 60-69 years, female 8.2
GTEX-1JK1U-2026-SM-CM2RZ 60-69 years, male 8.2
GTEX-1MCQQ-0826-SM-DLHC2 60-69 years, male 8.2
GTEX-1PWST-0226-SM-E76QJ 70-79 years, male 8.2
GTEX-11EMC-2926-SM-5EQ4F 60-69 years, female 8.1
GTEX-11OF3-2626-SM-5GU7F 60-69 years, male 8.1
GTEX-11UD1-0126-SM-5PNYG 40-49 years, female 8.1
GTEX-11XUK-2026-SM-5EQLF 40-49 years, female 8.1
GTEX-15EU6-0426-SM-6PAN5 50-59 years, male 8.1
GTEX-18QFQ-0126-SM-731BE 30-39 years, male 8.1
GTEX-1A32A-0126-SM-718B1 50-59 years, female 8.1
GTEX-Q2AI-1326-SM-2S1PL 40-49 years, male 8.1
GTEX-RTLS-0126-SM-447CA 60-69 years, female 8.1
GTEX-X585-0226-SM-4QAS2 50-59 years, male 8.1
GTEX-ZAB4-0226-SM-5N9F5 40-49 years, male 8.1
GTEX-11TUW-2726-SM-E9J4M 60-69 years, male 8.1
GTEX-169BO-1326-SM-9MQK2 50-59 years, male 8.1
GTEX-1HR98-0126-SM-B2LWI 60-69 years, male 8.1
GTEX-1192X-0226-SM-5H12D 50-59 years, male 8.0
GTEX-1211K-2026-SM-5EQ4Z 60-69 years, female 8.0
GTEX-12WSL-2526-SM-5GCNJ 50-59 years, male 8.0
GTEX-13JUV-2726-SM-5LZZ8 40-49 years, female 8.0
GTEX-WQUQ-0426-SM-3MJFU 60-69 years, male 8.0
GTEX-X4EO-0326-SM-3P5YO 60-69 years, female 8.0
GTEX-Y5LM-1926-SM-5RQJH 40-49 years, female 8.0
GTEX-1JKYR-0126-SM-CNPOJ 20-29 years, male 8.0
GTEX-1MA7X-2226-SM-E6CIY 60-69 years, male 8.0
GTEX-1MCYP-1926-SM-E9J2R 20-29 years, female 8.0
GTEX-1313W-0126-SM-5LZUN 50-59 years, female 7.9
GTEX-139TU-0126-SM-5K7WH 60-69 years, male 7.9
GTEX-13OVL-0226-SM-5L3E9 50-59 years, male 7.9
GTEX-14A5H-0426-SM-5QGQF 60-69 years, male 7.9
GTEX-17EVQ-0226-SM-7LG4P 70-79 years, male 7.9
GTEX-S7PM-0126-SM-4AD6S 60-69 years, male 7.9
GTEX-WYVS-2126-SM-3NMA3 40-49 years, female 7.9
GTEX-Y3I4-2126-SM-4TT7C 50-59 years, male 7.9
GTEX-ZQUD-1426-SM-57WER 30-39 years, male 7.9
GTEX-13CF3-2426-SM-5IFGX 60-69 years, female 7.8
GTEX-147F3-0526-SM-5SI98 50-59 years, female 7.8
GTEX-18D9B-0526-SM-7LTAS 60-69 years, male 7.8
GTEX-OIZH-0126-SM-2HMIS 50-59 years, male 7.8
GTEX-UPJH-0326-SM-3GADU 50-59 years, male 7.8
GTEX-YEC4-2126-SM-5IFJH 40-49 years, male 7.8
GTEX-ZDTS-0126-SM-4WAY5 60-69 years, male 7.8
GTEX-1AX9I-0126-SM-7SB74 60-69 years, male 7.8
GTEX-1HSEH-0126-SM-ACKXN 60-69 years, male 7.8
GTEX-1I1GS-0126-SM-B2LVW 60-69 years, male 7.8
GTEX-1JN6P-0126-SM-D3L98 60-69 years, male 7.8
GTEX-1KWVE-1426-SM-E9TJO 30-39 years, male 7.8
GTEX-15DYW-0126-SM-7KULE 60-69 years, female 7.7
GTEX-1AYD5-2426-SM-73KXR 50-59 years, male 7.7
GTEX-RM2N-1426-SM-2TF4H 50-59 years, male 7.7
GTEX-ZE7O-0126-SM-57WC1 50-59 years, female 7.7
GTEX-ZVT3-0126-SM-5GU6I 60-69 years, female 7.7
GTEX-ZYFD-0126-SM-5GIDL 50-59 years, male 7.7
GTEX-1F5PK-2426-SM-7RHHY 50-59 years, male 7.7
GTEX-1GTWX-0126-SM-9YFLK 60-69 years, male 7.7
GTEX-1H3NZ-0126-SM-ACKX7 60-69 years, male 7.7
GTEX-1HGF4-2426-SM-ACKXM 60-69 years, male 7.7
GTEX-1IKK5-0626-SM-ARL8A 60-69 years, male 7.7
GTEX-1KXAM-2226-SM-CYPTC 60-69 years, male 7.7
GTEX-1QP66-1726-SM-E8VO1 50-59 years, male 7.7
GTEX-W5X1-3026-SM-EAZAX 40-49 years, female 7.7
GTEX-111VG-2426-SM-5GZXD 60-69 years, male 7.6
GTEX-11LCK-1026-SM-5A5KB 30-39 years, male 7.6
GTEX-13O1R-0126-SM-5L3EH 60-69 years, male 7.6
GTEX-13OVJ-0126-SM-5KM36 50-59 years, female 7.6
GTEX-14PN4-0126-SM-6EU2V 50-59 years, male 7.6
GTEX-1CB4J-0626-SM-7DHMP 60-69 years, male 7.6
GTEX-O5YT-0126-SM-48TBW 20-29 years, male 7.6
GTEX-ZY6K-1826-SM-5GZXK 50-59 years, male 7.6
GTEX-1I1GR-0126-SM-CL55F 60-69 years, male 7.6
GTEX-1O97I-0326-SM-EYYX7 60-69 years, male 7.6
GTEX-1POEN-0126-SM-EYYXJ 30-39 years, female 7.6
GTEX-R45C-0126-SM-EAZ2R 60-69 years, female 7.6
GTEX-13O21-1426-SM-5K7XI 50-59 years, male 7.5
GTEX-148VI-1626-SM-5SI6E 60-69 years, female 7.5
GTEX-183FY-0126-SM-7LT9P 20-29 years, male 7.5
GTEX-1B97I-1626-SM-73KYO 40-49 years, male 7.5
GTEX-QLQW-1126-SM-2S1Q8 30-39 years, male 7.5
GTEX-XQ8I-0426-SM-4BOPO 50-59 years, male 7.5
GTEX-YJ8A-0426-SM-5IFID 20-29 years, male 7.5
GTEX-1EKGG-0226-SM-9WYTH 60-69 years, male 7.5
GTEX-1JMQJ-0526-SM-CYPSU 50-59 years, male 7.5
GTEX-1KD5A-0226-SM-D5OV3 50-59 years, male 7.5
GTEX-117YW-2626-SM-5GZZH 50-59 years, male 7.4
GTEX-1192W-2626-SM-5Q5AF 60-69 years, male 7.4
GTEX-131XE-2326-SM-5PNZ2 50-59 years, male 7.4
GTEX-147GR-0526-SM-5S2MY 60-69 years, male 7.4
GTEX-14A5I-0126-SM-5TDEA 50-59 years, female 7.4
GTEX-TML8-1926-SM-32QOS 40-49 years, female 7.4
GTEX-X638-0126-SM-47JZ8 70-79 years, female 7.4
GTEX-XQ3S-1526-SM-4BOOC 20-29 years, male 7.4
GTEX-ZVZP-2426-SM-59HKJ 50-59 years, male 7.4
GTEX-1HCU6-0126-SM-CL54K 60-69 years, female 7.4
GTEX-1KAFJ-2026-SM-CY8ID 50-59 years, male 7.4
GTEX-1S3DN-2226-SM-EVYCD 50-59 years, male 7.4
GTEX-1128S-2326-SM-5GZZY 60-69 years, female 7.3
GTEX-13OW7-0126-SM-5MR3B 50-59 years, male 7.3
GTEX-13QJ3-0326-SM-5S2RA 50-59 years, male 7.3
GTEX-15SDE-2226-SM-7IGLO 50-59 years, female 7.3
GTEX-T8EM-1026-SM-3DB7M 40-49 years, male 7.3
GTEX-XXEK-2226-SM-4BRUM 50-59 years, male 7.3
GTEX-ZAB5-1826-SM-5HL7C 50-59 years, male 7.3
GTEX-ZVZO-0126-SM-5A5L9 40-49 years, male 7.3
GTEX-ZZ64-1726-SM-5GZYB 20-29 years, male 7.3
GTEX-1F88F-2726-SM-7PBZZ 60-69 years, female 7.3
GTEX-1GMR8-0126-SM-9WYTM 50-59 years, female 7.3
GTEX-1RDX4-0126-SM-E9J4P 50-59 years, female 7.3
GTEX-11OC5-0126-SM-5HL6A 60-69 years, male 7.2
GTEX-13112-2826-SM-5DUWH 50-59 years, male 7.2
GTEX-13SLX-0526-SM-5S2ON 50-59 years, female 7.2
GTEX-145MO-0326-SM-5Q5B3 60-69 years, male 7.2
GTEX-16YQH-0126-SM-7DUFJ 30-39 years, male 7.2
GTEX-RU72-0926-SM-2TF6B 50-59 years, female 7.2
GTEX-S95S-1226-SM-4GICG 60-69 years, male 7.2
GTEX-WZTO-0126-SM-3NM95 40-49 years, male 7.2
GTEX-YJ89-0126-SM-4TT3X 60-69 years, male 7.2
GTEX-ZF28-0126-SM-4WKGK 60-69 years, male 7.2
GTEX-ZV6S-2326-SM-4YCEY 40-49 years, female 7.2
GTEX-ZXG5-0126-SM-5GIEU 60-69 years, male 7.2
GTEX-1H23P-0126-SM-ADEJ3 60-69 years, male 7.2
GTEX-1HBPN-0226-SM-9YFM1 50-59 years, male 7.2
GTEX-1IKOH-0226-SM-COH4E 60-69 years, female 7.2
GTEX-1JMPZ-0226-SM-CNPP1 30-39 years, male 7.2
GTEX-1R46S-0626-SM-E9J41 60-69 years, female 7.2
GTEX-11H98-0126-SM-5EGHG 50-59 years, male 7.1
GTEX-11NUK-0126-SM-5A5L3 50-59 years, male 7.1
GTEX-13N1W-0126-SM-5K7VT 70-79 years, male 7.1
GTEX-X4XX-0126-SM-3NMC2 60-69 years, male 7.1
GTEX-1GF9V-0326-SM-7RHI5 60-69 years, male 7.1
GTEX-1GN1W-0526-SM-9MQJQ 50-59 years, female 7.1
GTEX-1LGOU-2026-SM-DIPFF 20-29 years, female 7.1
GTEX-12WSE-0526-SM-793B2 20-29 years, male 7.0
GTEX-13FTX-1826-SM-5J1NX 20-29 years, female 7.0
GTEX-13OVG-1926-SM-5L3DK 60-69 years, male 7.0
GTEX-146FH-0126-SM-5QGPP 50-59 years, female 7.0
GTEX-14E6D-0126-SM-62LDV 50-59 years, male 7.0
GTEX-14PK6-1926-SM-6ETZU 70-79 years, female 7.0
GTEX-18465-0126-SM-731BN 50-59 years, male 7.0
GTEX-18A7B-0126-SM-7LG64 70-79 years, male 7.0
GTEX-Q2AH-1626-SM-3GAF8 40-49 years, male 7.0
GTEX-R55E-0126-SM-2TC5Y 20-29 years, male 7.0
GTEX-SIU8-0126-SM-2XCDT 50-59 years, male 7.0
GTEX-T2IS-0126-SM-4DM6O 20-29 years, female 7.0
GTEX-U3ZH-2026-SM-3DB78 30-39 years, male 7.0
GTEX-X261-0126-SM-3NMD6 50-59 years, male 7.0
GTEX-1GN2E-0426-SM-9MQKX 60-69 years, male 7.0
GTEX-1HBPI-1526-SM-C1YQ1 50-59 years, male 7.0
GTEX-1HCU7-0226-SM-CL545 50-59 years, male 7.0
GTEX-1IL2V-0126-SM-CM2TX 70-79 years, male 7.0
GTEX-11DXX-2426-SM-5GZZW 60-69 years, female 6.9
GTEX-139UW-2826-SM-5L3E7 60-69 years, male 6.9
GTEX-13NYB-2526-SM-5K7Z6 40-49 years, male 6.9
GTEX-144GL-0126-SM-5TDE2 50-59 years, male 6.9
GTEX-1EU9M-0226-SM-7P8SP 60-69 years, male 6.9
GTEX-1F6I4-0126-SM-9MQL2 60-69 years, male 6.9
GTEX-1H1CY-2826-SM-9MQM3 60-69 years, female 6.9
GTEX-1H1DG-0126-SM-9WYU2 70-79 years, male 6.9
GTEX-1IY9M-0126-SM-D3L8S 60-69 years, male 6.9
GTEX-1RQEC-0426-SM-E6CHU 60-69 years, male 6.9
GTEX-113JC-2326-SM-5EQ4E 50-59 years, female 6.8
GTEX-11ZTT-2426-SM-5EQLS 60-69 years, female 6.8
GTEX-131XH-2226-SM-5DUXJ 50-59 years, male 6.8
GTEX-13U4I-0126-SM-5LU38 40-49 years, female 6.8
GTEX-1B8KZ-2026-SM-7DHMB 50-59 years, male 6.8
GTEX-XV7Q-2526-SM-4BRV9 40-49 years, female 6.8
GTEX-ZDTT-2726-SM-4WKF8 60-69 years, male 6.8
GTEX-ZWKS-0126-SM-5SIAA 30-39 years, male 6.8
GTEX-131XF-5016-SM-7MGWE 60-69 years, male 6.8
GTEX-1JN1M-0326-SM-CYPT3 60-69 years, female 6.8
GTEX-OIZF-0126-SM-7SB8I 60-69 years, male 6.8
GTEX-12ZZY-0226-SM-5LZVE 60-69 years, male 6.7
GTEX-13OW8-1326-SM-5J1OW 60-69 years, male 6.7
GTEX-15CHC-2126-SM-6EU21 60-69 years, female 6.7
GTEX-1C2JI-1826-SM-73KXC 50-59 years, male 6.7
GTEX-QLQ7-1626-SM-2S1R8 60-69 years, male 6.7
GTEX-13OW5-0126-SM-DTXFS 60-69 years, male 6.7
GTEX-1CAMS-0426-SM-7P8T2 40-49 years, female 6.7
GTEX-1F75A-0126-SM-7RHGM 50-59 years, male 6.7
GTEX-1H1ZS-0426-SM-9WG6G 70-79 years, male 6.7
GTEX-1L5NE-2526-SM-E6CIE 50-59 years, male 6.7
GTEX-11DXW-0226-SM-5H122 40-49 years, male 6.6
GTEX-11GS4-2726-SM-5A5LE 60-69 years, male 6.6
GTEX-12WSD-0126-SM-59HKN 60-69 years, female 6.6
GTEX-139TS-2826-SM-5J1OO 60-69 years, male 6.6
GTEX-13RTJ-2426-SM-5S2Q2 60-69 years, male 6.6
GTEX-14LLW-0126-SM-6LLIO 70-79 years, female 6.6
GTEX-VJYA-1126-SM-3GIJU 60-69 years, male 6.6
GTEX-VUSG-2526-SM-4KL1V 50-59 years, male 6.6
GTEX-ZC5H-0226-SM-4WAY9 40-49 years, female 6.6
GTEX-1H1DE-2126-SM-9WG6R 20-29 years, male 6.6
GTEX-1314G-1526-SM-5EGK2 30-39 years, male 6.5
GTEX-13SLW-0126-SM-5SI6C 70-79 years, male 6.5
GTEX-1AX8Z-0126-SM-7DHM6 60-69 years, male 6.5
GTEX-P4PQ-0126-SM-2S1NM 60-69 years, male 6.5
GTEX-WY7C-2326-SM-3NB2U 50-59 years, male 6.5
GTEX-ZZPT-0226-SM-5E43X 50-59 years, male 6.5
GTEX-1IKJJ-0126-SM-CNPQB 60-69 years, male 6.5
GTEX-11EI6-0126-SM-5985R 60-69 years, male 6.4
GTEX-14DAQ-0126-SM-5S2MQ 60-69 years, female 6.4
GTEX-17HGU-0226-SM-7DHKV 50-59 years, male 6.4
GTEX-SJXC-0126-SM-2XCFF 60-69 years, male 6.4
GTEX-SN8G-0126-SM-32PLI 50-59 years, female 6.4
GTEX-1CB4H-0226-SM-7PBXM 60-69 years, female 6.4
GTEX-1F48J-0126-SM-7P8TT 50-59 years, female 6.4
GTEX-1H3VY-0126-SM-ACKXD 50-59 years, male 6.4
GTEX-1N2EF-0226-SM-EYYXB 60-69 years, male 6.4
GTEX-1PDJ9-0326-SM-DTX95 20-29 years, male 6.4
GTEX-11UD2-0226-SM-5EQKY 50-59 years, male 6.3
GTEX-139T8-0126-SM-5K7XZ 60-69 years, male 6.3
GTEX-1497J-2426-SM-7IGNX 60-69 years, male 6.3
GTEX-14A6H-0126-SM-5QGPK 30-39 years, male 6.3
GTEX-1CAMR-1926-SM-7EPI2 20-29 years, male 6.3
GTEX-OXRN-0126-SM-48TDM 50-59 years, male 6.3
GTEX-PLZ4-0126-SM-5SI8O 50-59 years, female 6.3
GTEX-X8HC-0126-SM-4E3JW 50-59 years, female 6.3
GTEX-ZEX8-2426-SM-4WKG4 50-59 years, male 6.3
GTEX-ZYY3-0126-SM-5GZY5 60-69 years, female 6.3
GTEX-1B933-0126-SM-7PC29 50-59 years, female 6.3
GTEX-1F6IF-0726-SM-7P8TW 60-69 years, male 6.3
GTEX-1GMR3-1926-SM-9KNUZ 40-49 years, male 6.3
GTEX-1JKYN-1326-SM-CGQG9 30-39 years, male 6.3
GTEX-1QEPI-0126-SM-EWRMQ 60-69 years, female 6.3
GTEX-PW2O-1526-SM-7RHHB 20-29 years, male 6.3
GTEX-11ZU8-2526-SM-5EQKI 60-69 years, male 6.2
GTEX-146FQ-0126-SM-5NQA9 30-39 years, male 6.2
GTEX-14XAO-2326-SM-6EU1B 60-69 years, female 6.2
GTEX-1CAMQ-0226-SM-7IGPK 40-49 years, male 6.2
GTEX-T5JC-0426-SM-32PLO 20-29 years, male 6.2
GTEX-1C6WA-0126-SM-7PC2B 60-69 years, male 6.2
GTEX-1F6RS-0126-SM-9MQKZ 60-69 years, female 6.2
GTEX-1HCU8-0626-SM-A9SM9 60-69 years, female 6.2
GTEX-1LBAC-0126-SM-DIPEZ 20-29 years, male 6.2
GTEX-1RB15-2126-SM-E9TIM 60-69 years, male 6.2
GTEX-145MI-0526-SM-5O9A8 60-69 years, female 6.1
GTEX-14BMV-0126-SM-5S2PO 50-59 years, male 6.1
GTEX-14E7W-0126-SM-6LLJ9 70-79 years, male 6.1
GTEX-OXRL-0126-SM-2YUMP 50-59 years, male 6.1
GTEX-R3RS-0126-SM-3GIJL 40-49 years, female 6.1
GTEX-ZVE2-0226-SM-59HJB 50-59 years, male 6.1
GTEX-1GPI6-0126-SM-9WG69 60-69 years, male 6.1
GTEX-1QP2A-0126-SM-E9J43 50-59 years, male 6.1
GTEX-16NPX-0226-SM-79OMT 50-59 years, male 6.0
GTEX-146FR-1326-SM-E9J48 60-69 years, female 6.0
GTEX-1I1CD-0126-SM-CM2TK 60-69 years, female 6.0
GTEX-1399T-2826-SM-5KLYZ 60-69 years, male 5.9
GTEX-13RTL-0126-SM-7LG5S 40-49 years, male 5.9
GTEX-12WSG-2826-SM-E9J4H 50-59 years, female 5.9
GTEX-11NSD-2226-SM-5986V 20-29 years, male 5.8
GTEX-11TTK-0126-SM-5987B 60-69 years, female 5.8
GTEX-13OVK-2026-SM-7KUEO 40-49 years, male 5.8
GTEX-13X6I-0626-SM-5QGP9 60-69 years, male 5.8
GTEX-14BIL-0126-SM-5SI92 50-59 years, male 5.8
GTEX-OOBK-0126-SM-2YUND 40-49 years, male 5.8
GTEX-Q734-1926-SM-2I5EV 40-49 years, female 5.8
GTEX-QEG4-0226-SM-2S1PY 30-39 years, male 5.8
GTEX-TMMY-0226-SM-33HBA 40-49 years, female 5.8
GTEX-WVJS-0126-SM-4MVOT 50-59 years, male 5.8
GTEX-1GF9U-2126-SM-7SB7L 40-49 years, female 5.8
GTEX-1ICLY-0126-SM-D4P36 50-59 years, male 5.8
GTEX-1J8Q3-1626-SM-CMKGC 60-69 years, male 5.8
GTEX-1LC47-0326-SM-E9TJP 60-69 years, male 5.8
GTEX-1R9K4-0126-SM-DTX9X 60-69 years, male 5.8
GTEX-113IC-0126-SM-5HL6T 60-69 years, male 5.7
GTEX-11GSO-2426-SM-5A5LY 60-69 years, male 5.7
GTEX-11P82-1626-SM-59879 20-29 years, male 5.7
GTEX-13113-5016-SM-7EPIP 60-69 years, female 5.7
GTEX-13NZ8-0826-SM-5MR3I 60-69 years, female 5.7
GTEX-15DCD-0126-SM-7KUEK 70-79 years, female 5.7
GTEX-1A3MX-0126-SM-731BR 60-69 years, male 5.7
GTEX-1AYCT-2426-SM-7IGQ3 50-59 years, male 5.7
GTEX-Q2AG-0126-SM-33HBV 40-49 years, female 5.7
GTEX-RN64-0126-SM-2TC68 50-59 years, male 5.7
GTEX-S32W-2126-SM-2XCB1 50-59 years, female 5.7
GTEX-1I1GU-2226-SM-CGQFA 40-49 years, male 5.7
GTEX-1I1HK-0126-SM-COH49 60-69 years, male 5.7
GTEX-13NYS-0126-SM-5MR3W 60-69 years, male 5.6
GTEX-13NZA-0226-SM-5K7Z7 60-69 years, male 5.6
GTEX-145MF-0626-SM-5LUAI 50-59 years, male 5.6
GTEX-R55G-2526-SM-2TC6D 40-49 years, female 5.6
GTEX-T6MO-1626-SM-32QOM 40-49 years, female 5.6
GTEX-1HT8W-0126-SM-CNPPP 30-39 years, male 5.6
GTEX-1NHNU-1026-SM-E9J2A 50-59 years, male 5.6
GTEX-13S7M-0126-SM-5SI6A 60-69 years, female 5.5
GTEX-144FL-0126-SM-5TDC8 50-59 years, male 5.5
GTEX-15SHW-0326-SM-6PAML 60-69 years, male 5.5
GTEX-16XZZ-0126-SM-793DV 60-69 years, male 5.5
GTEX-QDVJ-1726-SM-2I5FX 50-59 years, male 5.5
GTEX-QV44-1926-SM-2S1RF 50-59 years, male 5.5
GTEX-SNMC-1226-SM-2XCFP 20-29 years, male 5.5
GTEX-U3ZM-1526-SM-3DB9D 40-49 years, male 5.5
GTEX-U412-0426-SM-3DB9O 60-69 years, male 5.5
GTEX-1LH75-2426-SM-E9TJE 50-59 years, female 5.5
GTEX-RVPV-0126-SM-EAZAW 60-69 years, male 5.5
GTEX-ZF3C-0126-SM-DO92D 50-59 years, female 5.5
GTEX-11ZVC-2526-SM-5FQTE 50-59 years, female 5.4
GTEX-13IVO-0126-SM-5J1NG 70-79 years, male 5.4
GTEX-OXRK-0226-SM-3NB2G 50-59 years, female 5.4
GTEX-QVJO-1626-SM-2S1QW 60-69 years, female 5.4
GTEX-ZDXO-3026-SM-5J1N5 60-69 years, male 5.4
GTEX-1ICLZ-0126-SM-CKZPO 60-69 years, male 5.4
GTEX-ZVT4-0126-SM-DTXFN 50-59 years, female 5.4
GTEX-133LE-1826-SM-5J1MV 20-29 years, female 5.3
GTEX-14PHW-0126-SM-6LLJI 60-69 years, female 5.3
GTEX-1AMEY-1326-SM-73KYK 30-39 years, female 5.3
GTEX-1AX9K-2326-SM-73KWU 50-59 years, male 5.3
GTEX-OXRP-0126-SM-3NB32 60-69 years, female 5.3
GTEX-TSE9-0126-SM-3DB83 60-69 years, female 5.3
GTEX-U3ZN-2326-SM-3DB7W 30-39 years, female 5.3
GTEX-X4XY-0226-SM-4E3IZ 60-69 years, male 5.3
GTEX-13O3Q-2426-SM-5IJBR 50-59 years, male 5.2
GTEX-15G19-0126-SM-6PANQ 60-69 years, male 5.2
GTEX-16MT8-0426-SM-7KUEY 60-69 years, female 5.2
GTEX-17MF6-0126-SM-7LG4F 40-49 years, male 5.2
GTEX-ZE9C-2726-SM-57WB5 60-69 years, male 5.2
GTEX-ZUA1-0126-SM-5GU76 40-49 years, male 5.2
GTEX-1C6VQ-0126-SM-7P8RI 50-59 years, male 5.2
GTEX-1HB9E-0226-SM-E9U4R 50-59 years, male 5.2
GTEX-14753-0426-SM-5NQAM 60-69 years, male 5.1
GTEX-14BMU-2226-SM-5TDE9 20-29 years, female 5.1
GTEX-YFC4-0126-SM-5CVLY 40-49 years, female 5.1
GTEX-1H3VE-0326-SM-9YFLH 40-49 years, male 5.1
GTEX-1IE54-0126-SM-CMKHW 40-49 years, female 5.1
GTEX-12WSN-5019-SM-79OM6 40-49 years, male 5.0
GTEX-13W3W-2426-SM-5LU5B 60-69 years, female 5.0
GTEX-15UKP-0426-SM-7KUFQ 20-29 years, male 5.0
GTEX-V1D1-2226-SM-3NMAX 50-59 years, male 5.0
GTEX-1HCVE-0126-SM-CGQEU 50-59 years, male 5.0
GTEX-1I19N-0326-SM-ACKVX 70-79 years, male 5.0
GTEX-1OJC4-0126-SM-E9J2E 50-59 years, female 5.0
GTEX-13FTY-0526-SM-5L3EV 40-49 years, female 4.9
GTEX-15DDE-0126-SM-6LPKH 50-59 years, female 4.9
GTEX-NPJ8-0126-SM-2YUNR 40-49 years, male 4.9
GTEX-WFG8-2226-SM-3GIL9 20-29 years, male 4.9
GTEX-13O3O-0126-SM-E9J49 60-69 years, female 4.9
GTEX-1HKZK-0326-SM-9WYUH 40-49 years, male 4.9
GTEX-1I1GP-2226-SM-CGQFK 50-59 years, male 4.9
GTEX-1QP29-0626-SM-EWRMX 50-59 years, male 4.9
GTEX-13FHO-0226-SM-5IFGY 60-69 years, male 4.8
GTEX-13W46-0226-SM-5SIAG 50-59 years, male 4.8
GTEX-145LS-0126-SM-5QGP1 60-69 years, female 4.8
GTEX-147F4-0226-SM-5QGPW 50-59 years, male 4.8
GTEX-14E6E-1826-SM-5S2R7 30-39 years, male 4.8
GTEX-14LZ3-0226-SM-62LET 60-69 years, female 4.8
GTEX-1A3MW-0126-SM-73KXX 60-69 years, female 4.8
GTEX-QDT8-0126-SM-48TZ1 30-39 years, female 4.8
GTEX-U4B1-1826-SM-4DXSU 40-49 years, male 4.8
GTEX-1F7RK-0126-SM-7PC2S 20-29 years, female 4.8
GTEX-1H1E6-1726-SM-ACKVK 30-39 years, male 4.8
GTEX-1HUB1-0426-SM-E9U4U 60-69 years, male 4.8
GTEX-1LNCM-1126-SM-E9U5E 50-59 years, female 4.8
GTEX-1N2DW-0226-SM-E9TK2 50-59 years, male 4.8
GTEX-1PPH7-2326-SM-EVYB8 40-49 years, male 4.8
GTEX-1QAET-0926-SM-E76QM 50-59 years, male 4.8
GTEX-139T4-0226-SM-5HL5S 50-59 years, female 4.7
GTEX-13PDP-0126-SM-5L3HD 60-69 years, male 4.7
GTEX-145LT-1726-SM-5QGP3 40-49 years, male 4.7
GTEX-P44H-0226-SM-2XCEU 40-49 years, male 4.7
GTEX-1F75I-0326-SM-9YFLU 40-49 years, male 4.7
GTEX-1GZ2Q-0226-SM-7P8TL 40-49 years, male 4.7
GTEX-1JJE9-0326-SM-CL53Z 70-79 years, male 4.7
GTEX-1JMQL-0226-SM-CNPP5 50-59 years, female 4.7
GTEX-1RAZQ-0726-SM-EAZ43 30-39 years, male 4.7
GTEX-12KS4-0326-SM-5EQ41 30-39 years, male 4.6
GTEX-U8XE-0326-SM-3DB8P 30-39 years, male 4.6
GTEX-XMD2-0126-SM-4YCDU 60-69 years, female 4.6
GTEX-1GN1V-0126-SM-9WPOS 60-69 years, male 4.6
GTEX-1HSMP-0126-SM-E6CJS 70-79 years, male 4.6
GTEX-1M5QR-1226-SM-EWROB 40-49 years, male 4.6
GTEX-11WQC-2526-SM-5CVLE 60-69 years, male 4.5
GTEX-131XW-0426-SM-5LZWP 50-59 years, female 4.5
GTEX-16XZY-2126-SM-79OK1 70-79 years, male 4.5
GTEX-13NYC-0326-SM-E9J4S 60-69 years, male 4.5
GTEX-1R7EV-2426-SM-EVYBG 40-49 years, male 4.5
GTEX-11O72-0126-SM-59887 40-49 years, male 4.4
GTEX-PVOW-0126-SM-2XCFA 40-49 years, male 4.4
GTEX-1IGQW-0126-SM-COH42 60-69 years, male 4.4
GTEX-PWO3-1526-SM-48TCM 60-69 years, female 4.3
GTEX-QDVN-2026-SM-3GAEP 50-59 years, male 4.3
GTEX-ZYW4-0126-SM-5E44A 60-69 years, male 4.3
GTEX-1F75B-0126-SM-9KNVL 50-59 years, male 4.3
GTEX-148VJ-0126-SM-5TDDN 70-79 years, male 4.2
GTEX-VJWN-0126-SM-3GIK7 50-59 years, female 4.2
GTEX-1HSMO-0126-SM-CL547 60-69 years, male 4.2
GTEX-X62O-0126-SM-4E3JN 50-59 years, male 4.1
GTEX-1EX96-1626-SM-7PBXR 50-59 years, male 4.1
GTEX-1LG7Y-0526-SM-DKPQC 50-59 years, male 4.1
GTEX-1QP67-1626-SM-EAZ3X 40-49 years, female 4.1
GTEX-11WQK-0526-SM-5EQLD 50-59 years, male 4.0
GTEX-14E6C-0126-SM-5RQIP 40-49 years, male 4.0
GTEX-1C6VS-0526-SM-7DUEN 60-69 years, male 4.0
GTEX-OXRO-0126-SM-2YUN4 60-69 years, female 4.0
GTEX-Y5V6-2426-SM-4VDSB 60-69 years, male 4.0
GTEX-1J8Q2-0526-SM-CM2RW 60-69 years, male 4.0
GTEX-11DXY-2626-SM-5GIE7 60-69 years, male 3.9
GTEX-15EOM-0126-SM-7KUGG 20-29 years, female 3.9
GTEX-12WSA-0226-SM-5BC5V 60-69 years, male 3.8
GTEX-1RLM8-2326-SM-EWRN4 50-59 years, male 3.8
GTEX-15D1Q-0126-SM-7KUG6 40-49 years, male 3.6
GTEX-WOFL-0126-SM-3MJG2 60-69 years, male 3.6
GTEX-1IDFM-0126-SM-COH2V 60-69 years, male 3.6
GTEX-1PBJI-0526-SM-E8VNK 20-29 years, female 3.6
GTEX-14BIM-0226-SM-7IGLD 60-69 years, female 3.5
GTEX-14JIY-0126-SM-6LLH6 60-69 years, male 3.5
GTEX-15UF6-0826-SM-6PALJ 70-79 years, female 3.4
GTEX-1HBPH-0426-SM-B2LW5 40-49 years, female 3.3
GTEX-183WM-0126-SM-7LTAB 70-79 years, female 3.2
GTEX-11ZUS-0626-SM-59885 30-39 years, male 3.1
GTEX-1R9PO-2126-SM-E9J4O 60-69 years, female 3.1
GTEX-1M4P7-0226-SM-DIPEV 60-69 years, male 2.8
GTEX-1QW4Y-1526-SM-EAZ3Z 30-39 years, male 2.6
Show allShow less

Contact

  • NEWS ARTICLES
  • PRESS ROOM

The Project

  • INTRODUCTION
  • ORGANIZATION
  • PUBLICATIONS

The Human Protein Atlas

  • DOWNLOADABLE DATA
  • LICENCE & CITATION
  • HELP & FAQ
The Human Protein Atlas project is funded
by the Knut & Alice Wallenberg Foundation.


contact@proteinatlas.org