We use cookies to enhance the usability of our website. If you continue, we'll assume that you are happy to receive all cookies. More information. Don't show this again.
EEF1G
HPA
RESOURCES
  • TISSUE
  • BRAIN
  • SINGLE CELL
  • SUBCELLULAR
  • CANCER
  • BLOOD
  • CELL LINE
  • STRUCTURE & INTERACTION
ABOUT
  • INTRODUCTION
  • HISTORY
  • ORGANIZATION
  • PUBLICATIONS
  • ANTIBODY SUBMISSION
  • ANTIBODY AVAILABILITY
  • ACKNOWLEDGMENTS
  • CONTACT
NEWS
  • NEWS ARTICLES
  • PRESS ROOM
LEARN
  • DICTIONARY
  • PROTEIN CLASSES
  • PROTEIN EVIDENCE
  • METHODS
  • EDUCATIONAL VIDEOS
DATA
  • DOWNLOADABLE DATA
  • PUBLICATION DATA
  • RELEASE HISTORY
HELP
  • ANTIBODY VALIDATION
  • ASSAYS & ANNOTATION
  • DISCLAIMER
  • HELP & FAQ
  • PRIVACY STATEMENT
  • LICENCE & CITATION
Fields »
Search result

Field
Term
Gene name
Class
Subclass
Class
Keyword
Chromosome
External id
Tissue
Cell type
Expression
Antibody panel
Tissue
Main location
Patient ID
Annotation
Tissue
Category
Tau score
Cluster
Reliability
Brain region
Category
Tau score
Brain region
Category
Tau score
Brain region
Category
Tau score
Cluster
Reliability
Tissue
Cell type
Enrichment
Cell type
Category
Tau score
Cell type
Category
Tau score
Cell type
Category
Tau score
Cell lineage
Category
Tau score
Cluster
Cluster
Location
Searches
Location
Cell line
Class
Type
Phase
Reliability
Cancer
Prognosis
Cancer
Category
Cancer
Category
Tau score
Cluster
Variants
Interacting gene (ensg_id)
Type
Number of interactions
Pathway
Category
Score
Score
Score
Validation
Validation
Validation
Validation
Antibodies
Data type
Column


  • SUMMARY

  • TISSUE

  • BRAIN

  • SINGLE CELL

  • SUBCELL

  • CANCER

  • BLOOD

  • CELL LINE

  • STRUCT & INT

  • EEF1G
CANCER LIVER CANCER Show tissue menu
BREAST CANCER CARCINOID CERVICAL CANCER COLORECTAL CANCER ENDOMETRIAL CANCER GLIOMA HEAD AND NECK CANCER LIVER CANCER LUNG CANCER LYMPHOMA
MELANOMA OVARIAN CANCER PANCREATIC CANCER PROSTATE CANCER RENAL CANCER SKIN CANCER STOMACH CANCER TESTIS CANCER THYROID CANCER UROTHELIAL CANCER
LIHC TCGA LIHC VALIDATION PROTEIN LIHC CPTAC PROTEIN EXPRESSION
ANTIBODIES
AND
VALIDATION
Dictionary
Liver cancer
Human cancer
Liver hepatocellular carcinoma
LIVER HEPATOCELLULAR CARCINOMA (TCGA) - Interactive survival scatter ploti

The Survival Scatter plot shows the clinical status (i.e. dead or alive) for all individuals in the patient cohort, based on the same data that underlies the corresponding Kaplan-Meier plots. Patients that are alive at last time for follow-up are shown in blue and patients who have died during the study are shown in red.

The x-axis shows the expression levels (FPKM) of the investigated gene in the tumor tissue at the time of diagnosis. The y-axis shows the follow-up time after diagnosis (years). Both axes are complimented with kernel density curves demonstrating the data density over the axes. The top density plot shows the expression levels (FPKM) distribution among dead (red) and alive patients (blue). The right density plot shows the data density of the survived years of dead patients with high and low expression levels respectively, stratified using the cutoff indicated by the vertical dashed line through the Survival Scatter plot. This cutoff is automatically defined based on the FPKM cutoff that minimizes the p-score. The cutoff can be changed by dragging the vertical line or by entering a cutoff value in the square labeled "Current cut-off".

Under the Survival Scatter plot the p-score landscape (black curve; left axis) is shown together with dead median separation (red curve; right axis). Dead median separation is the difference in median mRNA expression between patients who have died with high and low expression, respectively. It is calculated as follows: median FPKM expression of dead patients with high expression - median FPKM expression of dead patients with low expression. This is intended to aid the user in visually exploring custom cutoffs and the associated p-scores and dead median separation.

Individual patient data is displayed and can be filtered by clicking on one or more of the category buttons on the top of the page. Categories describing expression level and patient information include: high, low, alive, dead, female, male and tumor stages. The scale of the x-axis can be toggled between linear and log-scale by clicking on the "x log" button. Mouse-over function shows TCGA ID, patient information and mRNA expression (FPKM) for each patient.

& Survival analysisi

Kaplan-Meier plots summarize results from analysis of correlation between mRNA expression level and patient survival. Patients were divided based on level of expression into one of the two groups "low" (under cut off) or "high" (over cut off). X-axis shows time for survival (years) and y-axis shows the probability of survival, where 1.0 corresponds to 100 percent.

EEF1G is not prognostic in Liver Hepatocellular Carcinoma (TCGA)


Stage:


Survival analysis
Current cut offi

Current cut-off shows the cut-off (FPKM) currently selected. It may be changed manually. When the current cut-off is changed, the vertical dashed line indicating cut-off, the interactive survival scatter plot and the Kaplan-Meier curve will be automatically adjusted to show results accordingly.

:
Best expression cut offi

Based on the FPKM value of each gene, patients were classified into two groups and association between prognosis (survival) and gene expression (FPKM) was examined. The best expression cut-off refers the FPKM value that yields maximal difference with regard to survival between the two groups at the lowest log-rank P-value. Best expression cut-off was selected based on survival analysis .

When clicking on this number, the vertical dashed line indicating cut-off, the interactive survival plot, and the Kaplan-Meier curve will be adjusted to show results based on the best expression cut-off.

: 1233.31
Median expressioni

Median expression refers to the median FPKM value calculated based on the gene expression (FPKM) data from all patients in this dataset. When clicking on this number, the vertical dashed line indicating cut-off, the interactive survival plot, and the Kaplan-Meier curve will be adjusted to show results based on the median expression.

: N/A
Median follow up timei

Median follow up time refers to the median time (years) after diagnosis with this type of cancer, based on clinical data from all patients in this dataset.

: N/A
P scorei

Log-rank P value for Kaplan-Meier plot showing results from analysis of correlation between mRNA expression level and patient survival.

N/A
5-year survival highi

5-year survival for patients with higher expression than the expression cutoff.

For melanoma and glioma, 3-year survival is shown.

N/A
5-year survival lowi

5-year survival for patients with lower expression than the expression cutoff.

For melanoma and glioma, 3-year survival is shown.

N/A
TCGA RNA samplesi

RNA-seq data is reported as average FPKM (number Fragments Per Kilobase of exon per Million reads), generated by the The Cancer Genome Atlas (TCGA) .

Normal distribution across the dataset is visualized with box plots, shown as median and 25th and 75th percentiles. Points are displayed as outliers if they are above or below 1.5 times the interquartile range. FPKM values of the individual samples are presented next to the box plot.

Average pTPM 1008.1
Number of samples 362
Samples
Sample Description pTPM
TCGA-CC-A7II-01A 54 years, male, asian, stage:Stage IIIA, alive, 399 days 5898.9
TCGA-DD-AAE0-01A 45 years, female, asian, stage:Stage IIIA, alive, 555 days 3796.2
TCGA-FV-A3I0-01A 76 years, female, white, stage:Stage II, alive, 848 days 3630.7
TCGA-FV-A4ZQ-01A 52 years, male, white, stage:Stage I, alive, 12 days 3241.6
TCGA-DD-AAVU-01A 46 years, male, asian, stage:Stage II, alive, 2202 days 3083.3
TCGA-CC-5260-01A 61 years, female, asian, stage:Stage IIIC, dead, 87 days 2914.4
TCGA-CC-A3MA-01A 61 years, male, asian, stage:Stage IIIA, dead, 303 days 2768.9
TCGA-DD-AADY-01A 55 years, female, asian, stage:Stage I, alive, 555 days 2641.9
TCGA-ED-A8O5-01A 59 years, female, asian, stage:Stage IIIA, alive, 406 days 2582.6
TCGA-CC-A7IE-01A 57 years, male, asian, stage:Stage IIIA, dead, 217 days 2421.3
TCGA-DD-AA3A-01A 81 years, female, white, stage:Stage I, dead, 410 days 2416.4
TCGA-G3-A7M9-01A 70 years, male, white, stage:Stage IIIB, dead, 56 days 2391.7
TCGA-G3-A25T-01A 45 years, female, white, stage:Stage IIIA, alive, 1553 days 2295.9
TCGA-ED-A82E-01A 60 years, female, asian, stage:Stage IIIA, alive, 408 days 2292.0
TCGA-BC-A69H-01A 64 years, male, white, stage:Stage II, alive, 444 days 2102.3
TCGA-BC-A112-01A 80 years, male, white, stage:'--, dead, 153 days 2008.3
TCGA-UB-A7MA-01A 62 years, female, white, stage:Stage II, alive, 848 days 1978.4
TCGA-DD-AACN-01A 32 years, male, asian, stage:Stage I, alive, 1302 days 1973.4
TCGA-CC-5263-01A 35 years, male, asian, stage:Stage IIIA, dead, 129 days 1938.6
TCGA-DD-AAC8-01A 72 years, male, asian, stage:Stage I, dead, 16 days 1928.9
TCGA-CC-A5UE-01A 48 years, male, asian, stage:Stage IIIB, dead, 272 days 1896.2
TCGA-CC-5258-01A 48 years, male, asian, stage:Stage II, dead, 129 days 1866.8
TCGA-DD-AADI-01A 43 years, female, asian, stage:Stage I, alive, 1085 days 1842.2
TCGA-CC-A123-01A 24 years, female, asian, stage:Stage IIIA, alive, 219 days 1777.4
TCGA-DD-AACP-01A 64 years, male, asian, stage:Stage I, alive, 415 days 1772.6
TCGA-G3-AAV4-01A 83 years, female, white, stage:Stage I, dead, 27 days 1764.1
TCGA-ED-A5KG-01A 60 years, female, asian, stage:Stage II, alive, 854 days 1755.9
TCGA-ED-A8O6-01A 50 years, female, asian, stage:Stage IIIA, dead, 56 days 1755.3
TCGA-CC-5261-01A 44 years, male, asian, stage:Stage II, dead, 97 days 1746.6
TCGA-DD-AACA-01A 65 years, male, asian, stage:Stage I, alive, 2301 days 1742.9
TCGA-DD-A1EJ-01A 71 years, female, white, stage:Stage IIIC, dead, 1005 days 1713.7
TCGA-G3-A25X-01A 73 years, male, asian, stage:Stage II, alive, 1779 days 1703.2
TCGA-KR-A7K8-01A 57 years, male, stage:Stage I, alive, 906 days 1697.5
TCGA-5C-A9VG-01A 58 years, male, white, stage:Stage II, alive, 328 days 1695.1
TCGA-CC-A8HV-01A 51 years, female, asian, stage:Stage II, dead, 279 days 1683.2
TCGA-UB-A7MB-01A 24 years, male, white, stage:Stage II, alive, 601 days 1676.0
TCGA-DD-A1EF-01A 57 years, female, white, stage:Stage I, dead, 394 days 1667.4
TCGA-EP-A2KA-01A 52 years, female, white, stage:Stage IIIA, dead, 627 days 1641.6
TCGA-G3-AAV6-01A 53 years, female, white, stage:Stage IIIA, dead, 65 days 1640.8
TCGA-ED-A66Y-01A 51 years, female, asian, stage:Stage IIIA, dead, 296 days 1633.3
TCGA-G3-A7M6-01A 60 years, female, white, stage:Stage I, alive, 632 days 1622.5
TCGA-DD-A1EH-01A 23 years, male, white, stage:Stage III, alive, 1495 days 1612.6
TCGA-DD-AADO-01A 55 years, male, asian, stage:Stage I, alive, 453 days 1607.5
TCGA-CC-A9FW-01A 68 years, male, asian, stage:Stage IIIA, alive, 248 days 1594.1
TCGA-DD-AACG-01A 52 years, male, asian, stage:Stage II, dead, 469 days 1585.1
TCGA-DD-AADB-01A 51 years, male, asian, stage:Stage I, alive, 1242 days 1579.6
TCGA-EP-A2KB-01A 46 years, female, white, stage:Stage I, dead, 596 days 1579.5
TCGA-G3-A25Y-01A 52 years, female, asian, stage:Stage I, dead, 452 days 1575.0
TCGA-CC-A1HT-01A 50 years, male, asian, stage:Stage IIIA, dead, 101 days 1558.1
TCGA-DD-A73E-01A 66 years, male, white, stage:Stage I, alive, 44 days 1543.5
TCGA-DD-AADW-01A 48 years, male, asian, stage:Stage I, alive, 587 days 1541.5
TCGA-DD-AADN-01A 59 years, male, asian, stage:Stage I, alive, 898 days 1516.7
TCGA-RC-A6M6-01A 75 years, male, white, stage:Stage II, alive, 9 days 1511.3
TCGA-DD-AACB-01A 74 years, female, asian, stage:Stage I, alive, 2324 days 1475.5
TCGA-DD-A4NE-01A 75 years, female, white, stage:Stage IIIA, dead, 660 days 1472.0
TCGA-CC-A5UC-01A 63 years, male, asian, stage:Stage IIIA, dead, 347 days 1469.5
TCGA-DD-A39Z-01A 43 years, female, stage:Stage II, dead, 601 days 1461.8
TCGA-2Y-A9GS-01A 58 years, male, white, stage:'--, dead, 724 days 1437.0
TCGA-CC-A7IG-01A 47 years, male, asian, stage:Stage II, dead, 299 days 1430.9
TCGA-DD-A3A9-01A 64 years, female, white, stage:Stage IVB, dead, 931 days 1427.5
TCGA-ED-A97K-01A 54 years, male, asian, stage:Stage IIIA, alive, 6 days 1417.4
TCGA-BC-A10Q-01A 72 years, female, white, stage:'--, dead, 1135 days 1415.5
TCGA-ED-A66X-01A 35 years, male, asian, stage:Stage IIIA, alive, 406 days 1406.6
TCGA-DD-AAVP-01A 48 years, male, asian, stage:Stage I, alive, 2752 days 1406.0
TCGA-CC-A3M9-01A 45 years, male, asian, stage:Stage IIIA, dead, 300 days 1403.7
TCGA-DD-A39Y-01A 67 years, male, asian, stage:Stage I, dead, 171 days 1396.7
TCGA-DD-AAVQ-01A 38 years, male, asian, stage:Stage I, alive, 2728 days 1373.7
TCGA-DD-AADP-01A 45 years, male, asian, stage:Stage I, alive, 458 days 1373.0
TCGA-DD-AACW-01A 43 years, male, asian, stage:Stage I, alive, 1424 days 1365.1
TCGA-K7-AAU7-01A 61 years, male, white, stage:Stage II, alive, 359 days 1362.5
TCGA-DD-AACU-01A 59 years, male, asian, stage:Stage I, alive, 1567 days 1342.8
TCGA-UB-A7ME-01A 51 years, male, asian, stage:Stage I, alive, 486 days 1339.6
TCGA-DD-A1EL-01A 23 years, male, black or african american, stage:Stage II, dead, 415 days 1319.2
TCGA-DD-AACZ-01A 63 years, female, asian, stage:Stage I, dead, 171 days 1308.8
TCGA-DD-AADV-01A 50 years, male, asian, stage:Stage I, alive, 574 days 1305.8
TCGA-DD-AACL-01A 66 years, female, asian, stage:Stage I, dead, 107 days 1305.5
TCGA-2Y-A9H2-01A 64 years, female, white, stage:Stage I, alive, 1731 days 1273.5
TCGA-YA-A8S7-01A 68 years, male, white, stage:Stage IIIA, dead, 412 days 1265.0
TCGA-DD-A114-01A 42 years, male, black or african american, stage:Stage II, dead, 1149 days 1263.3
TCGA-DD-AAW2-01A 69 years, male, asian, stage:Stage I, alive, 1855 days 1255.1
TCGA-DD-AACF-01A 68 years, male, asian, stage:Stage I, dead, 365 days 1251.2
TCGA-XR-A8TE-01A 16 years, male, white, stage:Stage IIIA, alive, 925 days 1246.6
TCGA-DD-AACQ-01A 50 years, male, asian, stage:Stage II, dead, 432 days 1233.3
TCGA-DD-A1EI-01A 46 years, male, asian, stage:Stage I, alive, 183 days 1225.5
TCGA-DD-AACJ-01A 75 years, male, asian, stage:Stage II, alive, 2102 days 1218.8
TCGA-BW-A5NO-01A 50 years, male, black or african american, stage:Stage IIIA, alive, 20 days 1197.7
TCGA-DD-A4NJ-01A 54 years, female, white, stage:Stage II, alive, 928 days 1192.0
TCGA-CC-A7IJ-01A 56 years, male, asian, stage:Stage II, alive, 382 days 1174.0
TCGA-DD-AAD1-01A 51 years, female, asian, stage:Stage I, alive, 564 days 1171.5
TCGA-DD-AACS-01A 39 years, male, asian, stage:Stage I, alive, 1804 days 1169.8
TCGA-DD-A73G-01A 73 years, female, white, stage:Stage I, alive, 3478 days 1163.4
TCGA-DD-AAD3-01A 43 years, male, asian, stage:Stage I, alive, 1295 days 1162.6
TCGA-DD-AADC-01A 53 years, male, asian, stage:Stage I, dead, 425 days 1158.6
TCGA-BC-A217-01A 75 years, female, white, stage:Stage II, dead, 1397 days 1158.1
TCGA-ED-A7XO-01A 29 years, male, asian, stage:Stage IIIA, alive, 427 days 1154.6
TCGA-HP-A5N0-01A 90 years, female, stage:'--, dead, 752 days 1145.9
TCGA-ZS-A9CG-01A 55 years, male, white, stage:Stage II, alive, 341 days 1143.5
TCGA-GJ-A3OU-01A 59 years, male, white, stage:Stage I, alive, 879 days 1141.6
TCGA-CC-A8HS-01A 18 years, male, asian, stage:Stage IIIC, dead, 300 days 1133.5
TCGA-KR-A7K7-01A 61 years, female, white, stage:Stage II, alive, 951 days 1132.5
TCGA-DD-AAED-01A 51 years, male, asian, stage:Stage I, alive, 763 days 1120.7
TCGA-XR-A8TC-01A 43 years, female, white, stage:Stage I, alive, 1339 days 1113.9
TCGA-DD-A39V-01A 77 years, male, white, stage:Stage II, dead, 643 days 1113.5
TCGA-DD-A39W-01A 29 years, female, white, stage:Stage III, dead, 827 days 1102.2
TCGA-CC-5262-01A 67 years, male, asian, stage:Stage IIIC, dead, 103 days 1094.1
TCGA-G3-AAUZ-01A 48 years, male, stage:Stage I, alive, 480 days 1091.6
TCGA-FV-A3I1-01A 81 years, female, white, stage:Stage II, dead, 247 days 1079.1
TCGA-EP-A26S-01A 70 years, male, white, stage:Stage I, alive, 608 days 1078.7
TCGA-2Y-A9H7-01A 81 years, female, white, stage:Stage I, alive, 1168 days 1071.3
TCGA-FV-A4ZP-01A 78 years, male, white, stage:Stage IIIA, dead, 2486 days 1071.2
TCGA-CC-A3MB-01A 36 years, male, asian, stage:Stage IIIA, dead, 315 days 1071.1
TCGA-MI-A75H-01A 77 years, male, white, stage:'--, alive, 747 days 1067.9
TCGA-BC-A10W-01A 50 years, male, asian, stage:'--, dead, 91 days 1063.6
TCGA-DD-AAVY-01A 56 years, male, asian, stage:Stage IIIA, alive, 1970 days 1062.4
TCGA-2Y-A9H5-01A 59 years, female, white, stage:Stage I, dead, 555 days 1061.1
TCGA-DD-AADD-01A 51 years, male, asian, stage:Stage I, alive, 1231 days 1057.5
TCGA-ZP-A9D2-01A 51 years, male, white, stage:'--, dead, 765 days 1055.5
TCGA-CC-A7IK-01A 59 years, male, asian, stage:Stage IIIA, dead, 262 days 1053.9
TCGA-XR-A8TF-01A 74 years, male, white, stage:Stage I, dead, 693 days 1051.1
TCGA-RG-A7D4-01A 69 years, male, black or african american, stage:Stage II, alive, 1098 days 1048.9
TCGA-DD-AAVS-01A 56 years, male, asian, stage:Stage I, alive, 1823 days 1046.7
TCGA-FV-A495-01A 51 years, female, white, stage:Stage II, alive, 1 days 1043.8
TCGA-DD-A39X-01A 78 years, female, white, stage:Stage I, dead, 1694 days 1039.6
TCGA-ED-A7PZ-01A 61 years, male, asian, stage:Stage II, alive, 6 days 1037.5
TCGA-DD-A3A5-01A 66 years, female, white, stage:Stage III, dead, 3125 days 1025.9
TCGA-DD-A4NS-01A 61 years, female, white, stage:Stage I, dead, 2456 days 1022.7
TCGA-DD-AACY-01A 61 years, male, asian, stage:Stage I, alive, 1450 days 1020.3
TCGA-BC-A10Y-01A 76 years, male, white, stage:'--, dead, 711 days 1010.6
TCGA-DD-A3A3-01A 45 years, male, asian, stage:Stage I, dead, 535 days 1009.7
TCGA-DD-AACK-01A 70 years, male, asian, stage:Stage I, alive, 9 days 1006.7
TCGA-RC-A6M4-01A 74 years, female, white, stage:Stage IIIA, alive, 22 days 1005.9
TCGA-DD-A116-01A 68 years, male, asian, stage:Stage IIIA, dead, 1622 days 1005.7
TCGA-DD-AADJ-01A 70 years, female, asian, stage:Stage I, alive, 1066 days 1005.2
TCGA-BC-A10T-01A 76 years, male, white, stage:'--, dead, 837 days 996.9
TCGA-2Y-A9GZ-01A 82 years, female, white, stage:Stage II, dead, 848 days 989.7
TCGA-FV-A23B-01A 70 years, female, white, stage:Stage II, dead, 1852 days 987.4
TCGA-BD-A3EP-01A 75 years, female, black or african american, stage:Stage I, alive, 409 days 978.6
TCGA-FV-A496-01A 84 years, female, white, stage:Stage I, alive, 10 days 977.2
TCGA-ZS-A9CF-01A 64 years, male, white, stage:Stage II, alive, 2412 days 966.1
TCGA-3K-AAZ8-01A 65 years, male, black or african american, stage:Stage IIIB, alive, 396 days 964.5
TCGA-BC-A8YO-01A 66 years, female, white, stage:Stage IIIC, alive, 562 days 960.5
TCGA-2Y-A9GY-01A 64 years, female, white, stage:Stage II, dead, 757 days 957.6
TCGA-DD-A115-01A 53 years, male, white, stage:Stage IIIA, dead, 2542 days 956.9
TCGA-DD-AACX-01A 66 years, male, asian, stage:Stage II, alive, 170 days 956.2
TCGA-DD-A4NA-01A 67 years, female, white, stage:Stage IIIC, alive, 1008 days 953.0
TCGA-DD-AAVZ-01A 38 years, male, asian, stage:Stage I, alive, 1900 days 952.7
TCGA-DD-A118-01A 77 years, female, white, stage:Stage II, alive, 3437 days 949.5
TCGA-ED-A7PX-01A 48 years, female, asian, stage:Stage II, alive, 6 days 944.9
TCGA-RC-A7SH-01A 42 years, male, asian, stage:Stage II, alive, 468 days 944.2
TCGA-MI-A75E-01A 61 years, male, white, stage:Stage IIIC, alive, 507 days 941.0
TCGA-BC-A10U-01A 69 years, male, white, stage:'--, dead, 837 days 939.4
TCGA-5C-A9VH-01A 70 years, male, white, stage:Stage I, alive, 322 days 935.3
TCGA-G3-A25U-01A 63 years, female, asian, stage:Stage I, alive, 1636 days 933.7
TCGA-DD-AAE4-01A 49 years, female, asian, stage:Stage I, alive, 608 days 932.0
TCGA-DD-A4NR-01A 85 years, female, white, stage:Stage I, dead, 9 days 929.0
TCGA-QA-A7B7-01A 48 years, male, black or african american, stage:Stage II, alive, 94 days 924.9
TCGA-ZP-A9D0-01A 67 years, female, black or african american, stage:'--, alive, 1091 days 924.3
TCGA-DD-AACC-01A 61 years, male, asian, stage:Stage I, dead, 1685 days 920.9
TCGA-DD-AAW3-01A 69 years, male, asian, stage:Stage I, alive, 1633 days 920.2
TCGA-G3-AAV5-01A 67 years, male, white, stage:Stage II, alive, 354 days 918.8
TCGA-DD-A73D-01A 68 years, female, white, stage:Stage II, alive, 693 days 911.9
TCGA-XR-A8TG-01A 58 years, male, white, stage:Stage I, alive, 898 days 911.3
TCGA-DD-A1EE-01A 73 years, male, white, stage:Stage IIIA, dead, 349 days 909.8
TCGA-G3-AAV1-01A 51 years, male, asian, stage:Stage IIIC, dead, 359 days 909.3
TCGA-DD-AADA-01A 66 years, female, asian, stage:Stage I, alive, 1233 days 908.9
TCGA-DD-AACO-01A 40 years, male, asian, stage:Stage I, alive, 1876 days 907.3
TCGA-DD-AAE2-01A 51 years, male, asian, stage:Stage I, alive, 638 days 899.6
TCGA-DD-AACH-01A 69 years, male, asian, stage:Stage II, dead, 195 days 899.1
TCGA-RC-A7S9-01A 47 years, female, asian, stage:Stage I, alive, 640 days 898.1
TCGA-ED-A627-01A 74 years, male, white, stage:Stage I, alive, 423 days 893.9
TCGA-LG-A6GG-01A 79 years, female, white, stage:Stage II, alive, 387 days 890.5
TCGA-DD-A3A7-01A 67 years, male, stage:Stage IIIB, dead, 419 days 884.3
TCGA-EP-A3RK-01A 73 years, male, white, stage:Stage IIIA, alive, 363 days 883.4
TCGA-DD-AAEH-01A 73 years, male, asian, stage:Stage I, alive, 784 days 882.2
TCGA-MI-A75I-01A 61 years, male, black or african american, stage:'--, alive, 630 days 872.8
TCGA-WQ-A9G7-01A 71 years, female, white, stage:'--, alive, 30 days 869.5
TCGA-BC-A69I-01A 69 years, male, white, stage:Stage I, alive, 387 days 869.4
TCGA-BC-A5W4-01A 69 years, male, white, stage:Stage IIIA, dead, 547 days 868.4
TCGA-G3-A6UC-01A 65 years, male, white, stage:Stage IIIB, alive, 671 days 864.9
TCGA-DD-AAD5-01A 54 years, male, asian, stage:Stage I, alive, 1345 days 863.1
TCGA-WX-AA44-01A 64 years, female, white, stage:Stage I, alive, 615 days 862.7
TCGA-2Y-A9H6-01A 68 years, female, white, stage:Stage I, alive, 357 days 861.9
TCGA-ZP-A9CZ-01A 72 years, male, asian, stage:'--, alive, 706 days 854.9
TCGA-ES-A2HS-01A 80 years, male, white, stage:Stage I, dead, 688 days 852.9
TCGA-DD-AAEE-01A 55 years, male, asian, stage:Stage I, alive, 810 days 848.3
TCGA-DD-A1EG-01A 76 years, male, white, stage:Stage I, dead, 1372 days 845.7
TCGA-GJ-A9DB-01A 68 years, male, white, stage:Stage I, dead, 67 days 842.7
TCGA-DD-A11C-01A 69 years, male, white, stage:Stage I, alive, 662 days 841.0
TCGA-CC-A5UD-01A 45 years, male, asian, stage:Stage IIIA, dead, 304 days 831.8
TCGA-DD-AAD2-01A 66 years, male, asian, stage:Stage I, alive, 658 days 830.9
TCGA-DD-AADL-01A 58 years, male, asian, stage:Stage I, alive, 636 days 829.8
TCGA-G3-A3CG-01A 80 years, male, white, stage:Stage I, alive, 673 days 818.6
TCGA-DD-A4NN-01A 56 years, female, white, stage:Stage I, dead, 899 days 817.9
TCGA-UB-AA0U-01A 60 years, male, white, stage:Stage II, alive, 327 days 816.1
TCGA-DD-AADM-01A 58 years, male, asian, stage:Stage II, dead, 12 days 815.1
TCGA-DD-A4NV-01A 61 years, male, white, stage:Stage IIIA, alive, 2398 days 813.0
TCGA-G3-A3CK-01A 61 years, male, asian, stage:Stage I, alive, 585 days 812.5
TCGA-DD-AAD0-01A 73 years, female, asian, stage:Stage I, alive, 137 days 810.6
TCGA-G3-AAV2-01A 50 years, male, white, stage:Stage I, alive, 372 days 810.2
TCGA-EP-A2KC-01A 62 years, male, black or african american, stage:Stage I, dead, 19 days 807.8
TCGA-ED-A459-01A 47 years, male, asian, stage:Stage II, alive, 910 days 805.3
TCGA-G3-AAV0-01A 58 years, male, asian, stage:Stage I, alive, 476 days 803.8
TCGA-DD-AAVW-01A 35 years, male, asian, stage:Stage I, alive, 2317 days 803.1
TCGA-DD-A4NQ-01A 60 years, male, white, stage:Stage II, dead, 373 days 798.9
TCGA-G3-A7M5-01A 76 years, male, asian, stage:Stage I, alive, 447 days 797.6
TCGA-5R-AAAM-01A 65 years, female, white, stage:Stage II, dead, 46 days 789.1
TCGA-DD-AAW0-01A 54 years, male, asian, stage:Stage I, alive, 2015 days 787.2
TCGA-FV-A3R2-01A 75 years, male, white, stage:Stage I, dead, 194 days 783.2
TCGA-T1-A6J8-01A 68 years, male, white, stage:'--, alive, 23 days 782.7
TCGA-BC-A10Z-01A 62 years, female, white, stage:Stage I, dead, 34 days 780.5
TCGA-2Y-A9H1-01A 58 years, male, white, stage:Stage I, dead, 1229 days 780.0
TCGA-G3-A5SI-01A 44 years, male, asian, stage:Stage II, dead, 768 days 777.2
TCGA-DD-A119-01A 40 years, male, asian, stage:Stage IV, dead, 223 days 773.3
TCGA-G3-AAV3-01A 58 years, female, white, stage:Stage II, alive, 412 days 772.6
TCGA-DD-AAE6-01A 59 years, female, asian, stage:Stage I, alive, 141 days 772.5
TCGA-2Y-A9GX-01A 68 years, male, white, stage:Stage I, alive, 2442 days 770.2
TCGA-DD-AAE1-01A 52 years, male, asian, stage:Stage I, alive, 552 days 766.4
TCGA-DD-AADK-01A 68 years, female, asian, stage:Stage II, alive, 1049 days 763.7
TCGA-UB-A7MD-01A 67 years, male, black or african american, stage:Stage I, dead, 52 days 761.9
TCGA-RC-A7SK-01A 59 years, male, asian, stage:Stage I, alive, 472 days 759.7
TCGA-FV-A3R3-01A 38 years, female, white, stage:Stage I, dead, 366 days 755.9
TCGA-CC-5264-01A 71 years, male, asian, stage:Stage IIIA, dead, 102 days 754.3
TCGA-DD-AADR-01A 58 years, male, asian, stage:Stage I, alive, 2028 days 753.7
TCGA-BC-A3KG-01A 68 years, female, white, stage:Stage II, alive, 680 days 753.2
TCGA-DD-AAVV-01A 56 years, male, asian, stage:Stage II, alive, 2455 days 752.7
TCGA-4R-AA8I-01A 66 years, male, white, stage:Stage II, dead, 262 days 747.9
TCGA-BC-A216-01A 62 years, female, white, stage:Stage IIIA, alive, 1351 days 747.8
TCGA-2Y-A9H8-01A 85 years, female, white, stage:'--, dead, 633 days 747.1
TCGA-RC-A6M5-01A 20 years, female, white, stage:Stage IVA, alive, 15 days 745.6
TCGA-NI-A8LF-01A 74 years, male, white, stage:Stage I, alive, 799 days 745.1
TCGA-MI-A75C-01A 64 years, male, white, stage:Stage I, alive, 291 days 743.0
TCGA-CC-A7IL-01A 61 years, male, asian, stage:Stage IIIA, dead, 278 days 743.0
TCGA-DD-AAEI-01A 72 years, male, asian, stage:Stage I, alive, 1531 days 740.9
TCGA-CC-A8HU-01A 39 years, female, asian, stage:Stage IIIA, dead, 344 days 736.7
TCGA-DD-AAEK-01A 51 years, male, asian, stage:Stage II, alive, 1067 days 732.8
TCGA-WX-AA46-01A 61 years, male, white, stage:Stage II, alive, 756 days 731.5
TCGA-CC-A8HT-01A 74 years, male, asian, stage:Stage IIIA, dead, 140 days 730.2
TCGA-UB-A7MC-01A 59 years, male, white, stage:Stage IIIA, alive, 500 days 729.4
TCGA-BC-A10S-01A 81 years, male, white, stage:'--, dead, 1423 days 728.9
TCGA-DD-A1EC-01A 20 years, female, white, stage:Stage I, alive, 602 days 726.5
TCGA-DD-A1EA-01A 68 years, male, asian, stage:Stage II, alive, 2415 days 724.0
TCGA-ED-A7PY-01A 20 years, female, asian, stage:Stage II, alive, 390 days 724.0
TCGA-FV-A2QQ-01A 80 years, male, white, stage:Stage I, alive, 729 days 720.6
TCGA-G3-A3CH-01A 53 years, male, asian, stage:Stage IIIA, alive, 780 days 720.4
TCGA-ZS-A9CD-01A 73 years, male, white, stage:Stage II, dead, 1386 days 719.8
TCGA-G3-A7M7-01A 65 years, male, white, stage:Stage I, alive, 361 days 718.5
TCGA-DD-AACE-01A 62 years, male, asian, stage:Stage I, alive, 2184 days 714.6
TCGA-DD-AACD-01A 48 years, male, asian, stage:Stage I, dead, 381 days 709.3
TCGA-G3-A5SJ-01A 59 years, male, white, stage:Stage I, alive, 698 days 707.7
TCGA-2Y-A9H9-01A 70 years, male, white, stage:Stage I, alive, 697 days 707.0
TCGA-MI-A75G-01A 63 years, male, white, stage:Stage II, alive, 698 days 706.7
TCGA-DD-AAEG-01A 59 years, female, asian, stage:Stage I, alive, 719 days 701.9
TCGA-2Y-A9H4-01A 68 years, male, black or african american, stage:Stage I, alive, 1452 days 701.8
TCGA-G3-A25V-01A 68 years, male, white, stage:Stage I, alive, 860 days 701.7
TCGA-DD-AACI-01A 69 years, male, asian, stage:Stage II, alive, 1618 days 700.2
TCGA-PD-A5DF-01A 58 years, female, white, stage:Stage IIIB, dead, 639 days 696.9
TCGA-BC-A110-01A 51 years, female, black or african american, stage:'--, dead, 2116 days 693.3
TCGA-CC-A9FS-01A 55 years, male, asian, stage:Stage II, alive, 211 days 687.5
TCGA-EP-A12J-01A 62 years, male, black or african american, stage:Stage I, alive, 570 days 683.1
TCGA-DD-AAVR-01A 44 years, male, asian, stage:Stage I, alive, 2513 days 674.6
TCGA-O8-A75V-01A 54 years, male, stage:Stage I, alive, 538 days 672.0
TCGA-DD-AAW1-01A 55 years, male, asian, stage:Stage IIIA, alive, 1989 days 670.1
TCGA-DD-A3A8-01A 75 years, male, white, stage:Stage II, dead, 11 days 669.6
TCGA-BC-A10X-01A 52 years, female, white, stage:Stage IIIA, dead, 770 days 669.3
TCGA-ZP-A9D4-01A 64 years, female, white, stage:'--, alive, 395 days 668.5
TCGA-2Y-A9H3-01A 45 years, male, white, stage:Stage II, alive, 1516 days 665.7
TCGA-DD-A3A1-01A 65 years, male, stage:Stage IIIA, dead, 233 days 660.6
TCGA-G3-A5SL-01A 70 years, male, white, stage:Stage II, alive, 621 days 659.1
TCGA-DD-A3A4-01A 37 years, male, white, stage:Stage IIIA, dead, 612 days 658.5
TCGA-5R-AA1C-01A 57 years, male, white, stage:Stage II, alive, 520 days 657.8
TCGA-DD-AADG-01A 70 years, male, asian, stage:Stage IIIA, alive, 1145 days 655.0
TCGA-2Y-A9HB-01A 66 years, male, stage:Stage I, alive, 260 days 654.2
TCGA-DD-A4NF-01A 72 years, male, white, stage:Stage I, alive, 942 days 650.9
TCGA-DD-A4NP-01A 32 years, male, white, stage:Stage I, alive, 3308 days 649.5
TCGA-2Y-A9GU-01A 55 years, female, white, stage:Stage I, alive, 1939 days 648.0
TCGA-DD-AAE9-01A 69 years, male, asian, stage:Stage I, alive, 722 days 647.7
TCGA-2Y-A9H0-01A 49 years, male, white, stage:Stage IIIA, alive, 3675 days 647.1
TCGA-DD-AADF-01A 64 years, female, asian, stage:Stage I, dead, 115 days 633.2
TCGA-ED-A4XI-01A 58 years, male, asian, stage:Stage II, alive, 819 days 630.3
TCGA-UB-AA0V-01A 69 years, female, white, stage:Stage I, alive, 314 days 630.2
TCGA-MR-A8JO-01A 34 years, male, white, stage:Stage I, alive, 330 days 627.2
TCGA-BD-A2L6-01A 69 years, male, white, stage:'--, alive, 1363 days 625.8
TCGA-2Y-A9GW-01A 64 years, male, white, stage:Stage I, dead, 1271 days 625.1
TCGA-2Y-A9HA-01A 70 years, male, white, stage:Stage II, dead, 36 days 624.8
TCGA-XR-A8TD-01A 49 years, female, white, stage:Stage IIIB, alive, 1030 days 623.6
TCGA-G3-A7M8-01A 31 years, male, asian, stage:Stage I, alive, 430 days 622.2
TCGA-5R-AA1D-01A 17 years, female, white, stage:Stage IIIA, alive, 449 days 620.1
TCGA-DD-A73C-01A 65 years, female, white, stage:Stage IIIA, alive, 701 days 619.1
TCGA-2Y-A9GV-01A 54 years, female, white, stage:Stage I, dead, 2532 days 617.0
TCGA-WQ-AB4B-01A 62 years, male, white, stage:Stage II, alive, 395 days 614.4
TCGA-UB-A7MF-01A 56 years, male, white, stage:Stage IIIA, dead, 214 days 613.9
TCGA-DD-A3A6-01A 72 years, female, white, stage:Stage II, dead, 3258 days 613.5
TCGA-CC-5259-01A 60 years, female, asian, stage:Stage IIIC, alive, 250 days 610.3
TCGA-DD-A4NO-01A 65 years, male, white, stage:Stage I, alive, 2245 days 610.0
TCGA-KR-A7K2-01A 64 years, male, white, stage:Stage I, alive, 829 days 609.2
TCGA-K7-A5RG-01A 66 years, male, black or african american, stage:Stage I, alive, 519 days 608.4
TCGA-KR-A7K0-01A 65 years, male, white, stage:Stage I, dead, 65 days 607.3
TCGA-DD-AAE3-01A 50 years, male, asian, stage:Stage I, alive, 566 days 599.7
TCGA-DD-AAVX-01A 38 years, male, asian, stage:Stage II, alive, 1718 days 596.0
TCGA-RC-A7SF-01A 66 years, male, asian, stage:Stage I, alive, 579 days 590.7
TCGA-DD-AACV-01A 53 years, male, asian, stage:Stage I, alive, 1531 days 590.3
TCGA-BC-A10R-01A 66 years, female, white, stage:'--, dead, 308 days 588.6
TCGA-DD-AAC9-01A 51 years, male, asian, stage:Stage I, alive, 347 days 587.3
TCGA-DD-A113-01A 55 years, female, white, stage:Stage II, alive, 2425 days 586.6
TCGA-K7-A6G5-01A 66 years, male, white, stage:Stage I, alive, 512 days 583.9
TCGA-DD-A73F-01A 77 years, female, white, stage:Stage I, alive, 1085 days 582.4
TCGA-DD-AAE7-01A 72 years, male, asian, stage:Stage I, alive, 644 days 581.5
TCGA-G3-A3CJ-01A 52 years, male, american indian or alaska native, stage:Stage II, alive, 594 days 580.1
TCGA-BC-A3KF-01A 66 years, female, white, stage:Stage I, alive, 8 days 568.9
TCGA-CC-A3MC-01A 54 years, male, asian, stage:Stage IIIA, alive, 363 days 567.1
TCGA-LG-A9QC-01A 48 years, male, white, stage:Stage I, alive, 425 days 565.4
TCGA-DD-AAEB-01A 60 years, male, asian, stage:Stage I, alive, 478 days 563.0
TCGA-ZP-A9CV-01A 59 years, male, white, stage:'--, dead, 1088 days 561.0
TCGA-G3-A3CI-01A 71 years, male, white, stage:Stage I, alive, 180 days 560.5
TCGA-RC-A7SB-01A 53 years, male, asian, stage:Stage II, alive, 588 days 554.3
TCGA-FV-A2QR-01A 75 years, male, white, stage:Stage I, dead, 581 days 552.7
TCGA-G3-A25S-01A 64 years, male, white, stage:Stage I, dead, 416 days 546.3
TCGA-ZS-A9CE-01A 79 years, female, white, stage:Stage II, alive, 1241 days 545.2
TCGA-G3-AAV7-01A 38 years, male, asian, stage:Stage II, alive, 361 days 535.9
TCGA-ED-A7XP-01A 53 years, female, asian, stage:Stage II, alive, 400 days 535.8
TCGA-DD-A73A-01A 71 years, male, white, stage:Stage I, alive, 728 days 535.0
TCGA-DD-A4NB-01A 25 years, male, white, stage:Stage I, alive, 989 days 531.7
TCGA-5C-AAPD-01A 61 years, male, asian, stage:Stage II, alive, 20 days 529.8
TCGA-DD-AAD6-01A 66 years, male, asian, stage:Stage IIIA, alive, 672 days 528.1
TCGA-CC-A7IF-01A 59 years, male, asian, stage:Stage IIIA, dead, 649 days 520.1
TCGA-DD-A4NK-01A 80 years, female, white, stage:Stage IIIA, dead, 1210 days 516.4
TCGA-2Y-A9GT-01A 51 years, male, white, stage:Stage I, dead, 1624 days 512.5
TCGA-EP-A3JL-01A 76 years, male, white, stage:Stage I, alive, 303 days 509.7
TCGA-DD-A1ED-01A 68 years, male, white, stage:Stage I, alive, 2301 days 508.3
TCGA-DD-A4ND-01A 56 years, female, white, stage:Stage I, alive, 2746 days 506.4
TCGA-MR-A520-01A 58 years, male, white, stage:Stage I, alive, 229 days 504.5
TCGA-WJ-A86L-01A 68 years, female, white, stage:Stage I, alive, 345 days 503.5
TCGA-DD-A4NH-01A 65 years, female, white, stage:Stage IIIB, alive, 917 days 503.3
TCGA-DD-A11D-01A 57 years, female, white, stage:Stage I, dead, 1560 days 501.1
TCGA-ZP-A9D1-01A 56 years, female, white, stage:'--, alive, 21 days 488.9
TCGA-DD-A73B-01A 72 years, female, white, stage:Stage I, dead, 283 days 485.8
TCGA-DD-A1EB-01A 72 years, female, stage:Stage I, alive, 2017 days 464.0
TCGA-DD-A1EK-01A 64 years, female, white, stage:Stage IVB, dead, 558 days 463.5
TCGA-HP-A5MZ-01A 78 years, male, stage:Stage I, dead, 91 days 462.3
TCGA-DD-AAEA-01A 65 years, male, asian, stage:Stage I, alive, 575 days 450.0
TCGA-DD-AACT-01A 69 years, female, asian, stage:Stage I, alive, 1562 days 441.0
TCGA-ZP-A9CY-01A 66 years, female, white, stage:'--, alive, 782 days 436.8
TCGA-DD-A11B-01A 73 years, male, white, stage:Stage I, dead, 14 days 434.6
TCGA-DD-A4NL-01A 46 years, male, white, stage:Stage I, alive, 1711 days 431.3
TCGA-DD-AADS-01A 63 years, male, asian, stage:Stage I, alive, 474 days 429.2
TCGA-G3-A5SM-01A 58 years, male, white, stage:Stage II, alive, 520 days 428.7
TCGA-GJ-A6C0-01A 75 years, female, white, stage:Stage II, dead, 31 days 428.4
TCGA-CC-A7IH-01A 58 years, male, asian, stage:Stage IIIA, alive, 365 days 425.6
TCGA-BD-A3ER-01A 62 years, male, white, stage:Stage II, alive, 1115 days 415.6
TCGA-K7-A5RF-01A 64 years, male, white, stage:Stage I, alive, 631 days 411.0
TCGA-WX-AA47-01A 33 years, female, white, stage:Stage IIIA, dead, 556 days 410.5
TCGA-DD-A4NG-01A 77 years, male, white, stage:Stage IIIA, dead, 802 days 400.5
TCGA-ES-A2HT-01A 54 years, male, black or african american, stage:Stage I, dead, 438 days 388.9
TCGA-DD-A4NI-01A 67 years, male, white, stage:Stage II, alive, 816 days 388.4
TCGA-DD-A3A2-01A 76 years, female, white, stage:Stage I, dead, 2131 days 382.6
TCGA-NI-A4U2-01A 71 years, male, white, stage:Stage IIIA, dead, 1791 days 374.8
TCGA-G3-A25Z-01A 58 years, male, asian, stage:Stage I, alive, 655 days 367.9
TCGA-DD-AADQ-01A 59 years, male, asian, stage:Stage II, alive, 436 days 361.7
TCGA-LG-A9QD-01A 68 years, male, white, stage:Stage IIIA, alive, 366 days 352.9
TCGA-DD-AAD8-01A 73 years, female, asian, stage:Stage I, alive, 1219 days 351.9
TCGA-DD-AADU-01A 60 years, male, asian, stage:Stage II, alive, 554 days 330.8
TCGA-G3-A5SK-01A 58 years, male, white, stage:Stage I, alive, 744 days 301.3
Show allShow less
LIVER HEPATOCELLULAR CARCINOMA (VALIDATION) - Interactive survival scatter ploti

The Survival Scatter plot shows the clinical status (i.e. dead or alive) for all individuals in the patient cohort, based on the same data that underlies the corresponding Kaplan-Meier plots. Patients that are alive at last time for follow-up are shown in blue and patients who have died during the study are shown in red.

The x-axis shows the expression levels (FPKM) of the investigated gene in the tumor tissue at the time of diagnosis. The y-axis shows the follow-up time after diagnosis (years). Both axes are complimented with kernel density curves demonstrating the data density over the axes. The top density plot shows the expression levels (FPKM) distribution among dead (red) and alive patients (blue). The right density plot shows the data density of the survived years of dead patients with high and low expression levels respectively, stratified using the cutoff indicated by the vertical dashed line through the Survival Scatter plot. This cutoff is automatically defined based on the FPKM cutoff that minimizes the p-score. The cutoff can be changed by dragging the vertical line or by entering a cutoff value in the square labeled "Current cut-off".

Under the Survival Scatter plot the p-score landscape (black curve; left axis) is shown together with dead median separation (red curve; right axis). Dead median separation is the difference in median mRNA expression between patients who have died with high and low expression, respectively. It is calculated as follows: median FPKM expression of dead patients with high expression - median FPKM expression of dead patients with low expression. This is intended to aid the user in visually exploring custom cutoffs and the associated p-scores and dead median separation.

Individual patient data is displayed and can be filtered by clicking on one or more of the category buttons on the top of the page. Categories describing expression level and patient information include: high, low, alive, dead, female, male and tumor stages. The scale of the x-axis can be toggled between linear and log-scale by clicking on the "x log" button. Mouse-over function shows TCGA ID, patient information and mRNA expression (FPKM) for each patient.

& Survival analysisi

Kaplan-Meier plots summarize results from analysis of correlation between mRNA expression level and patient survival. Patients were divided based on level of expression into one of the two groups "low" (under cut off) or "high" (over cut off). X-axis shows time for survival (years) and y-axis shows the probability of survival, where 1.0 corresponds to 100 percent.

EEF1G is not prognostic in Liver Hepatocellular Carcinoma (validation)


Stage:
Survival analysis
Current cut offi

Current cut-off shows the cut-off (FPKM) currently selected. It may be changed manually. When the current cut-off is changed, the vertical dashed line indicating cut-off, the interactive survival scatter plot and the Kaplan-Meier curve will be automatically adjusted to show results accordingly.

:
Best expression cut offi

Based on the FPKM value of each gene, patients were classified into two groups and association between prognosis (survival) and gene expression (FPKM) was examined. The best expression cut-off refers the FPKM value that yields maximal difference with regard to survival between the two groups at the lowest log-rank P-value. Best expression cut-off was selected based on survival analysis .

When clicking on this number, the vertical dashed line indicating cut-off, the interactive survival plot, and the Kaplan-Meier curve will be adjusted to show results based on the best expression cut-off.

: 857.3
Median expressioni

Median expression refers to the median FPKM value calculated based on the gene expression (FPKM) data from all patients in this dataset. When clicking on this number, the vertical dashed line indicating cut-off, the interactive survival plot, and the Kaplan-Meier curve will be adjusted to show results based on the median expression.

: N/A
Median follow up timei

Median follow up time refers to the median time (years) after diagnosis with this type of cancer, based on clinical data from all patients in this dataset.

: N/A
P scorei

Log-rank P value for Kaplan-Meier plot showing results from analysis of correlation between mRNA expression level and patient survival.

N/A
5-year survival highi

5-year survival for patients with higher expression than the expression cutoff.

For melanoma and glioma, 3-year survival is shown.

N/A
5-year survival lowi

5-year survival for patients with lower expression than the expression cutoff.

For melanoma and glioma, 3-year survival is shown.

N/A
TCGA RNA samplesi

RNA-seq data is reported as average FPKM (number Fragments Per Kilobase of exon per Million reads), generated by the The Cancer Genome Atlas (TCGA) .

Normal distribution across the dataset is visualized with box plots, shown as median and 25th and 75th percentiles. Points are displayed as outliers if they are above or below 1.5 times the interquartile range. FPKM values of the individual samples are presented next to the box plot.

Average pTPM 831.1
Number of samples 231
Samples
Sample Description pTPM
DO45289 78 years, female, NA, stage:3, alive, 360 days 3987.7
DO45303 62 years, female, NA, stage:3, alive, 990 days 3675.2
DO45285 59 years, male, NA, stage:3, alive, 480 days 3249.8
DO45305 66 years, male, NA, stage:4, alive, 300 days 3175.8
DO50815 62 years, male, NA, stage:3, alive, 150 days 2726.8
DO45299 70 years, female, NA, stage:1, alive, 1440 days 2656.6
DO45209 70 years, male, NA, stage:4, alive, 1350 days 2492.7
DO50785 37 years, male, NA, stage:4, dead, 90 days 2388.8
DO23515 71 years, male, NA, stage:2, alive, 1230 days 2349.8
DO45251 57 years, female, NA, stage:2, alive, 900 days 2334.9
DO45307 54 years, female, NA, stage:4, dead, 240 days 2280.8
DO48682 72 years, female, NA, stage:3, dead, 120 days 2194.5
DO48715 58 years, female, NA, stage:2, dead, 690 days 2182.9
DO23537 79 years, male, NA, stage:2, dead, 900 days 2138.2
DO50806 70 years, male, NA, stage:4, alive, 540 days 2007.6
DO23516 69 years, male, NA, stage:3, dead, 20 days 2005.7
DO48737 52 years, male, NA, stage:1, alive, 720 days 1989.1
DO45249 57 years, male, NA, stage:1, alive, 630 days 1952.2
DO45287 74 years, male, NA, stage:1, alive, 390 days 1844.5
DO45205 67 years, female, NA, stage:2, dead, 90 days 1826.0
DO45187 32 years, female, NA, stage:1, alive, 1260 days 1786.3
DO45267 73 years, male, NA, stage:3, dead, 570 days 1778.5
DO50799 66 years, female, NA, stage:2, alive, 540 days 1717.8
DO45189 85 years, female, NA, stage:2, alive, 1200 days 1641.7
DO48727 81 years, female, NA, stage:2, dead, 390 days 1611.1
DO48747 62 years, male, NA, stage:3, alive, 540 days 1576.5
DO48712 50 years, male, NA, stage:2, alive, 810 days 1571.0
DO48681 57 years, male, NA, stage:2, alive, 900 days 1525.6
DO23519 65 years, male, NA, stage:3, alive, 630 days 1524.6
DO45211 76 years, male, NA, stage:3, alive, 240 days 1512.1
DO50814 83 years, male, NA, stage:3, alive, 420 days 1510.0
DO45273 62 years, male, NA, stage:2, alive, 480 days 1502.5
DO50820 77 years, female, NA, stage:3, alive, 510 days 1478.4
DO23528 45 years, female, NA, stage:2, alive, 1020 days 1465.7
DO48732 73 years, male, NA, stage:3, alive, 630 days 1420.2
DO48736 76 years, female, NA, stage:1, alive, 600 days 1403.6
DO48757 68 years, female, NA, stage:3, alive, 480 days 1379.1
DO45139 63 years, male, NA, stage:3, alive, 1320 days 1360.5
DO45297 61 years, female, NA, stage:4, dead, 1260 days 1351.5
DO50829 78 years, male, NA, stage:3, alive, 570 days 1342.0
DO45157 62 years, male, NA, stage:2, alive, 1980 days 1319.6
DO45261 74 years, male, NA, stage:3, alive, 990 days 1243.6
DO45259 65 years, male, NA, stage:3, alive, 330 days 1237.5
DO23523 52 years, male, NA, stage:3, alive, 1080 days 1235.0
DO50809 56 years, male, NA, stage:3, dead, 720 days 1230.3
DO45185 89 years, male, NA, stage:2, alive, 600 days 1228.1
DO23526 66 years, male, NA, stage:3, alive, 1050 days 1196.4
DO23545 67 years, male, NA, stage:2, dead, 570 days 1184.1
DO45095 66 years, male, NA, stage:2, alive, 1620 days 1160.9
DO50839 47 years, female, NA, stage:3, alive, 330 days 1159.0
DO50859 77 years, male, NA, stage:2, alive, 180 days 1134.8
DO45301 56 years, male, NA, stage:2, dead, 1440 days 1118.0
DO50850 74 years, male, NA, stage:3, alive, 720 days 1108.2
DO50802 49 years, male, NA, stage:2, alive, 930 days 1107.7
DO23530 53 years, male, NA, stage:4, dead, 180 days 1105.9
DO50783 62 years, male, NA, stage:3, alive, 480 days 1098.9
DO50800 74 years, male, NA, stage:2, alive, 510 days 1093.7
DO50844 75 years, male, NA, stage:4, alive, 300 days 1089.8
DO50855 47 years, male, NA, stage:2, alive, 570 days 1025.2
DO50811 62 years, male, NA, stage:1, alive, 450 days 1016.4
DO48717 54 years, male, NA, stage:4, dead, 180 days 1003.4
DO23533 61 years, male, NA, stage:2, alive, 900 days 990.4
DO45199 86 years, female, NA, stage:2, alive, 1350 days 982.3
DO50791 79 years, female, NA, stage:1, dead, 480 days 977.7
DO45121 61 years, male, NA, stage:3, alive, 1530 days 970.4
DO45229 74 years, male, NA, stage:1, alive, 990 days 968.4
DO45217 69 years, female, NA, stage:3, dead, 270 days 954.4
DO23547 74 years, male, NA, stage:1, alive, 1020 days 953.2
DO50822 66 years, male, NA, stage:2, alive, 510 days 953.0
DO45257 46 years, male, NA, stage:3, alive, 810 days 941.1
DO50805 72 years, male, NA, stage:2, alive, 690 days 937.2
DO50819 72 years, female, NA, stage:2, alive, 510 days 915.2
DO50857 72 years, male, NA, stage:2, alive, 210 days 914.7
DO45207 68 years, male, NA, stage:1, alive, 1050 days 910.2
DO50840 49 years, male, NA, stage:2, alive, 330 days 907.1
DO50798 77 years, male, NA, stage:3, dead, 30 days 891.1
DO23540 73 years, male, NA, stage:1, alive, 750 days 884.6
DO50825 70 years, male, NA, stage:2, alive, 390 days 881.9
DO45219 78 years, male, NA, stage:2, alive, 1080 days 867.7
DO45127 73 years, male, NA, stage:3, dead, 420 days 862.0
DO45161 74 years, male, NA, stage:2, dead, 540 days 857.3
DO48723 73 years, male, NA, stage:1, alive, 600 days 843.2
DO45149 70 years, female, NA, stage:2, alive, 1260 days 843.1
DO45097 69 years, male, NA, stage:3, alive, 1620 days 838.6
DO45279 67 years, male, NA, stage:3, alive, 1290 days 833.1
DO50776 75 years, male, NA, stage:1, alive, 690 days 826.4
DO50808 68 years, male, NA, stage:2, alive, 570 days 823.8
DO48743 69 years, female, NA, stage:2, alive, 570 days 816.1
DO45233 83 years, male, NA, stage:3, alive, 900 days 815.7
DO45201 49 years, male, NA, stage:1, alive, 900 days 815.2
DO50804 81 years, male, NA, stage:2, alive, 720 days 808.4
DO48730 73 years, female, NA, stage:2, alive, 630 days 808.3
DO45283 60 years, male, NA, stage:3, alive, 510 days 803.4
DO48695 77 years, male, NA, stage:2, alive, 720 days 798.1
DO48706 72 years, male, NA, stage:2, alive, 870 days 793.6
DO45235 68 years, female, NA, stage:1, alive, 900 days 785.5
DO48759 73 years, male, NA, stage:3, alive, 720 days 768.6
DO23521 63 years, male, NA, stage:3, alive, 1110 days 756.5
DO50774 68 years, female, NA, stage:2, alive, 720 days 752.8
DO45255 81 years, male, NA, stage:3, alive, 720 days 747.4
DO50832 73 years, male, NA, stage:3, alive, 90 days 746.6
DO48700 78 years, female, NA, stage:2, alive, 810 days 738.0
DO50818 65 years, male, NA, stage:2, alive, 510 days 723.0
DO45135 77 years, male, NA, stage:1, alive, 1410 days 706.1
DO227801 77 years, female, NA, stage:1, alive, 660 days 703.5
DO50789 73 years, female, NA, stage:2, alive, 570 days 694.6
DO50787 63 years, male, NA, stage:3, alive, 480 days 685.6
DO50816 63 years, male, NA, stage:2, alive, 390 days 677.8
DO45265 73 years, male, NA, stage:3, alive, 1020 days 676.4
DO45093 71 years, male, NA, stage:2, dead, 720 days 672.3
DO48697 64 years, female, NA, stage:2, dead, 810 days 670.3
DO45241 49 years, male, NA, stage:1, alive, 1080 days 664.1
DO50793 76 years, male, NA, stage:4, alive, 540 days 655.9
DO45277 64 years, male, NA, stage:3, alive, 600 days 653.1
DO23546 63 years, male, NA, stage:2, alive, 1050 days 652.2
DO45221 75 years, female, NA, stage:4, dead, 390 days 650.5
DO48733 72 years, male, NA, stage:2, alive, 600 days 650.4
DO45179 78 years, female, NA, stage:2, alive, 600 days 648.6
DO45173 63 years, male, NA, stage:3, alive, 1170 days 639.6
DO45145 78 years, male, NA, stage:3, dead, 60 days 627.5
DO48716 71 years, male, NA, stage:2, alive, 720 days 625.6
DO45109 63 years, male, NA, stage:2, alive, 1590 days 625.4
DO23549 74 years, male, NA, stage:3, alive, 990 days 622.0
DO50778 60 years, male, NA, stage:4, alive, 630 days 616.9
DO48742 76 years, male, NA, stage:2, alive, 600 days 615.8
DO45215 65 years, male, NA, stage:2, alive, 1170 days 605.4
DO48693 71 years, male, NA, stage:2, alive, 900 days 585.9
DO50817 75 years, male, NA, stage:2, alive, 390 days 581.2
DO50803 62 years, female, NA, stage:1, alive, 540 days 570.4
DO45191 61 years, female, NA, stage:2, alive, 1200 days 568.4
DO48761 55 years, male, NA, stage:2, alive, 870 days 567.4
DO45247 31 years, female, NA, stage:2, alive, 210 days 566.3
DO45193 68 years, female, NA, stage:4, dead, 120 days 556.0
DO50807 67 years, male, NA, stage:1, alive, 540 days 553.7
DO50813 56 years, male, NA, stage:2, alive, 420 days 552.6
DO48677 58 years, male, NA, stage:3, alive, 1140 days 552.5
DO50845 72 years, male, NA, stage:3, alive, 210 days 551.2
DO23542 66 years, male, NA, stage:3, alive, 960 days 544.6
DO45165 75 years, male, NA, stage:2, alive, 690 days 528.5
DO48751 68 years, male, NA, stage:2, dead, 480 days 525.7
DO45113 58 years, male, NA, stage:3, alive, 1560 days 525.1
DO48760 70 years, female, NA, stage:2, alive, 690 days 519.0
DO23511 83 years, female, NA, stage:3, dead, 180 days 499.8
DO45269 59 years, male, NA, stage:3, alive, 750 days 484.0
DO45213 58 years, male, NA, stage:1, alive, 1200 days 475.8
DO48720 62 years, female, NA, stage:2, alive, 570 days 473.3
DO45203 71 years, female, NA, stage:2, alive, 1170 days 473.1
DO45281 83 years, male, NA, stage:4, alive, 750 days 468.8
DO45237 58 years, male, NA, stage:2, alive, 900 days 465.5
DO48741 64 years, male, NA, stage:3, alive, 240 days 459.6
DO45231 84 years, male, NA, stage:2, alive, 930 days 458.7
DO23536 56 years, male, NA, stage:2, alive, 930 days 456.9
DO23539 77 years, male, NA, stage:1, alive, 1110 days 454.0
DO45245 75 years, female, NA, stage:2, dead, 240 days 453.6
DO48728 74 years, female, NA, stage:2, alive, 150 days 453.5
DO45253 50 years, male, NA, stage:2, alive, 870 days 451.4
DO23544 67 years, male, NA, stage:2, alive, 960 days 442.9
DO45183 72 years, female, NA, stage:2, dead, 570 days 436.9
DO45227 57 years, female, NA, stage:2, alive, 1020 days 432.1
DO45225 69 years, male, NA, stage:1, alive, 1050 days 428.9
DO45103 47 years, male, NA, stage:3, alive, 450 days 426.1
DO45141 73 years, male, NA, stage:2, alive, 1320 days 423.5
DO45239 42 years, male, NA, stage:2, alive, 870 days 415.7
DO45092 62 years, male, NA, stage:4, dead, 1200 days 410.8
DO45155 69 years, male, NA, stage:2, alive, 2160 days 407.8
DO45243 74 years, female, NA, stage:3, alive, 930 days 403.0
DO45163 76 years, male, NA, stage:2, alive, 960 days 400.9
DO23525 71 years, male, NA, stage:4, alive, 1050 days 400.4
DO48672 81 years, male, NA, stage:2, alive, 450 days 399.6
DO45195 62 years, male, NA, stage:1, alive, 390 days 397.1
DO23510 80 years, female, NA, stage:2, alive, 870 days 391.8
DO45175 74 years, male, NA, stage:2, alive, 1140 days 384.4
DO45223 67 years, male, NA, stage:4, alive, 1020 days 382.0
DO45131 53 years, male, NA, stage:4, dead, 360 days 379.0
DO48719 80 years, male, NA, stage:2, alive, 690 days 362.1
DO23535 67 years, male, NA, stage:1, alive, 960 days 356.8
DO45275 65 years, male, NA, stage:3, dead, 10 days 355.1
DO48674 80 years, male, NA, stage:2, alive, 1260 days 352.5
DO48746 76 years, male, NA, stage:3, alive, 570 days 343.1
DO45137 38 years, male, NA, stage:1, alive, 1320 days 340.6
DO45119 74 years, male, NA, stage:3, dead, 510 days 336.7
DO45117 73 years, female, NA, stage:2, dead, 1110 days 332.5
DO48725 66 years, male, NA, stage:1, alive, 780 days 329.9
DO45177 81 years, female, NA, stage:3, alive, 1260 days 325.6
DO23514 64 years, male, NA, stage:2, alive, 1290 days 320.1
DO23508 79 years, female, NA, stage:2, alive, 390 days 319.0
DO45171 56 years, male, NA, stage:3, alive, 600 days 317.4
DO23543 63 years, male, NA, stage:2, alive, 1020 days 316.1
DO45105 61 years, male, NA, stage:1, alive, 1680 days 315.9
DO48704 68 years, female, NA, stage:3, alive, 750 days 294.1
DO45153 77 years, female, NA, stage:2, alive, 1380 days 286.5
DO45143 69 years, male, NA, stage:3, alive, 1290 days 284.0
DO23524 71 years, female, NA, stage:2, alive, 1050 days 282.8
DO45125 58 years, male, NA, stage:3, alive, 1680 days 272.2
DO48679 72 years, male, NA, stage:2, alive, 1200 days 263.6
DO45181 84 years, female, NA, stage:2, alive, 1200 days 258.0
DO23552 80 years, female, NA, stage:1, alive, 810 days 248.3
DO45159 65 years, male, NA, stage:3, alive, 1470 days 248.3
DO23513 76 years, male, NA, stage:3, alive, 1200 days 247.4
DO23538 67 years, male, NA, stage:2, alive, 450 days 243.2
DO45111 74 years, male, NA, stage:2, alive, 1590 days 243.1
DO23532 71 years, female, NA, stage:1, alive, 960 days 242.4
DO23527 72 years, male, NA, stage:1, alive, 1050 days 241.1
DO45115 81 years, male, NA, stage:2, alive, 840 days 240.7
DO23548 78 years, female, NA, stage:1, alive, 840 days 240.5
DO23531 78 years, female, NA, stage:3, alive, 900 days 235.6
DO23541 65 years, male, NA, stage:2, alive, 930 days 233.5
DO48701 78 years, male, NA, stage:2, alive, 780 days 233.3
DO45169 74 years, male, NA, stage:3, alive, 1350 days 229.9
DO45123 78 years, female, NA, stage:2, dead, 570 days 223.5
DO23551 73 years, male, NA, stage:3, dead, 150 days 217.6
DO45101 63 years, male, NA, stage:2, alive, 1680 days 215.8
DO23550 69 years, male, NA, stage:1, alive, 990 days 215.6
DO45096 69 years, male, NA, stage:2, dead, 1290 days 211.3
DO23512 60 years, male, NA, stage:1, alive, 1260 days 211.2
DO45197 51 years, male, NA, stage:2, alive, 1170 days 211.0
DO45133 64 years, male, NA, stage:3, dead, 660 days 204.9
DO23518 67 years, male, NA, stage:2, alive, 1320 days 198.9
DO227643 79 years, male, NA, stage:2, alive, 1260 days 197.7
DO23517 62 years, male, NA, stage:2, alive, 1200 days 193.8
DO45094 76 years, male, NA, stage:3, alive, 1650 days 191.9
DO45099 46 years, male, NA, stage:3, alive, 1590 days 186.9
DO45263 67 years, male, NA, stage:3, dead, 270 days 185.6
DO23529 72 years, male, NA, stage:4, alive, 930 days 181.7
DO45091 56 years, male, NA, stage:2, dead, 1320 days 175.7
DO23534 60 years, male, NA, stage:2, alive, 840 days 170.9
DO45129 61 years, male, NA, stage:3, alive, 1470 days 167.1
DO48721 58 years, female, NA, stage:1, alive, 900 days 166.7
DO23509 60 years, male, NA, stage:3, dead, 780 days 139.2
DO45167 67 years, male, NA, stage:2, dead, 1440 days 123.5
DO45107 63 years, female, NA, stage:2, alive, 1710 days 111.8
Show allShow less
LIVER HEPATOCELLULAR CARCINOMA - Protein relative expression (CPTAC)
Number of samples 330
Samples
Sample ID Sample type nRPX
815 Tumor 0.8
443 Tumor 0.7
435 Tumor 0.6
277 Tumor 0.6
813 Tumor 0.6
387 Tumor 0.6
395 Tumor 0.6
171 Tumor 0.5
147 Tumor 0.5
635 Tumor 0.5
557 Tumor 0.5
883 Tumor 0.5
421 Tumor 0.5
257 Tumor 0.5
743 Tumor 0.5
615 Tumor 0.5
1027 Tumor 0.4
271 Tumor 0.4
745 Tumor 0.4
357 Tumor 0.4
573 Tumor 0.4
463 Tumor 0.4
223 Tumor 0.4
465 Tumor 0.4
367 Tumor 0.4
353 Tumor 0.3
627 Tumor 0.3
671 Tumor 0.3
515 Tumor 0.3
533 Tumor 0.3
411 Tumor 0.3
125 Tumor 0.3
537 Tumor 0.3
343 Tumor 0.3
341 Tumor 0.3
127 Tumor 0.3
145 Tumor 0.3
137 Tumor 0.3
313 Tumor 0.3
331 Tumor 0.3
814 Normal 0.3
361 Tumor 0.3
365 Tumor 0.3
135 Tumor 0.3
425 Tumor 0.3
461 Tumor 0.3
285 Tumor 0.3
777 Tumor 0.3
1021 Tumor 0.3
185 Tumor 0.3
217 Tumor 0.2
221 Tumor 0.2
393 Tumor 0.2
527 Tumor 0.2
953 Tumor 0.2
195 Tumor 0.2
161 Tumor 0.2
1043 Tumor 0.2
641 Tumor 0.2
563 Tumor 0.2
467 Tumor 0.2
431 Tumor 0.2
647 Tumor 0.2
661 Tumor 0.2
172 Normal 0.2
213 Tumor 0.2
141 Tumor 0.2
112 Tumor 0.2
455 Tumor 0.2
851 Tumor 0.2
865 Tumor 0.2
113 Tumor 0.2
391 Tumor 0.2
452 Normal 0.2
394 Normal 0.2
186 Normal 0.1
567 Tumor 0.1
571 Tumor 0.1
392 Normal 0.1
423 Tumor 0.1
636 Normal 0.1
368 Normal 0.1
737 Tumor 0.1
191 Tumor 0.1
433 Tumor 0.1
375 Tumor 0.1
923 Tumor 0.1
483 Tumor 0.1
436 Normal 0.1
162 Normal 0.1
297 Tumor 0.1
218 Normal 0.1
873 Tumor 0.1
187 Tumor 0.1
695 Tumor 0.1
663 Tumor 0.1
957 Tumor 0.1
222 Normal 0.1
648 Normal 0.1
447 Tumor 0.1
413 Tumor 0.1
114 Normal 0.1
665 Tumor 0.1
742 Normal 0.1
432 Normal 0.1
385 Tumor 0.1
111 Normal 0.1
286 Normal 0.1
666 Normal 0.1
462 Normal 0.1
148 Normal 0.1
227 Tumor 0.1
327 Tumor 0.1
617 Tumor 0.1
414 Normal 0.1
721 Tumor 0.0
445 Tumor 0.0
136 Normal 0.0
123 Tumor 0.0
188 Normal 0.0
422 Normal 0.0
925 Tumor 0.0
196 Normal 0.0
464 Normal 0.0
267 Tumor 0.0
525 Tumor 0.0
1025 Tumor 0.0
396 Normal 0.0
283 Tumor 0.0
258 Normal 0.0
664 Normal 0.0
1013 Tumor 0.0
376 Normal 0.0
642 Normal 0.0
523 Tumor 0.0
126 Normal 0.0
434 Normal 0.0
342 Normal 0.0
917 Tumor 0.0
1015 Tumor 0.0
975 Tumor 0.0
618 Normal 0.0
937 Tumor 0.0
727 Tumor 0.0
426 Normal 0.0
535 Tumor 0.0
124 Normal 0.0
427 Tumor 0.0
138 Normal 0.0
428 Normal 0.0
128 Normal 0.0
358 Normal 0.0
513 Tumor 0.0
517 Tumor 0.0
214 Normal 0.0
568 Normal 0.0
466 Normal 0.0
388 Normal 0.0
451 Tumor 0.0
386 Normal 0.0
477 Tumor 0.0
867 Tumor 0.0
823 Tumor 0.0
662 Normal 0.0
362 Normal 0.0
628 Normal 0.0
967 Tumor 0.0
741 Tumor -0.1
697 Tumor -0.1
564 Normal -0.1
481 Tumor -0.1
468 Normal -0.1
786 Normal -0.1
877 Tumor -0.1
912 Normal -0.1
824 Normal -0.1
314 Normal -0.1
744 Normal -0.1
574 Normal -0.1
366 Normal -0.1
298 Normal -0.1
444 Normal -0.1
858 Normal -0.1
424 Normal -0.1
344 Normal -0.1
963 Tumor -0.1
616 Normal -0.1
446 Normal -0.1
268 Normal -0.1
964 Normal -0.1
863 Tumor -0.1
132 Normal -0.1
352 Normal -0.1
672 Normal -0.1
332 Normal -0.1
272 Normal -0.1
884 Normal -0.1
913 Tumor -0.1
456 Normal -0.1
558 Normal -0.1
232 Normal -0.1
738 Normal -0.1
311 Tumor -0.1
278 Normal -0.1
785 Tumor -0.1
312 Normal -0.1
572 Normal -0.1
926 Normal -0.1
526 Normal -0.1
1016 Normal -0.1
497 Tumor -0.1
966 Normal -0.1
192 Normal -0.1
868 Normal -0.1
356 Normal -0.1
528 Normal -0.1
262 Normal -0.1
284 Normal -0.1
978 Normal -0.1
261 Tumor -0.1
864 Normal -0.1
1042 Normal -0.1
723 Tumor -0.1
817 Tumor -0.1
862 Normal -0.2
816 Normal -0.2
354 Normal -0.2
1026 Normal -0.2
914 Normal -0.2
146 Normal -0.2
231 Tumor -0.2
968 Normal -0.2
924 Normal -0.2
448 Normal -0.2
866 Normal -0.2
384 Normal -0.2
818 Normal -0.2
881 Tumor -0.2
1028 Normal -0.2
131 Tumor -0.2
922 Normal -0.2
351 Tumor -0.2
1014 Normal -0.2
713 Tumor -0.2
958 Normal -0.2
228 Normal -0.2
982 Normal -0.2
1022 Normal -0.2
918 Normal -0.2
915 Tumor -0.2
976 Normal -0.2
984 Normal -0.2
981 Tumor -0.2
724 Normal -0.2
686 Normal -0.2
728 Normal -0.2
471 Tumor -0.2
518 Normal -0.2
778 Normal -0.2
746 Normal -0.2
977 Tumor -0.2
685 Tumor -0.2
493 Tumor -0.2
921 Tumor -0.2
878 Normal -0.2
484 Normal -0.2
212 Normal -0.2
1031 Tumor -0.2
955 Tumor -0.2
882 Normal -0.2
852 Normal -0.2
328 Normal -0.2
874 Normal -0.2
1044 Normal -0.2
383 Tumor -0.2
142 Normal -0.2
756 Normal -0.2
224 Normal -0.2
488 Normal -0.2
1046 Normal -0.3
415 Tumor -0.3
472 Normal -0.3
514 Normal -0.3
1041 Tumor -0.3
1045 Tumor -0.3
916 Normal -0.3
416 Normal -0.3
983 Tumor -0.3
714 Normal -0.3
363 Tumor -0.3
1032 Normal -0.3
698 Normal -0.3
938 Normal -0.3
755 Tumor -0.3
474 Normal -0.3
944 Normal -0.3
412 Normal -0.3
554 Normal -0.3
943 Tumor -0.3
715 Tumor -0.3
696 Normal -0.3
494 Normal -0.3
857 Tumor -0.3
954 Normal -0.3
553 Tumor -0.3
516 Normal -0.3
545 Tumor -0.3
211 Tumor -0.3
482 Normal -0.4
492 Normal -0.4
487 Tumor -0.4
951 Tumor -0.4
355 Tumor -0.4
722 Normal -0.4
952 Normal -0.4
965 Tumor -0.4
364 Normal -0.4
956 Normal -0.4
861 Tumor -0.4
716 Normal -0.4
538 Normal -0.4
534 Normal -0.4
478 Normal -0.4
498 Normal -0.4
911 Tumor -0.4
524 Normal -0.4
536 Normal -0.4
491 Tumor -0.4
546 Normal -0.6
473 Tumor -0.8
Show allShow less
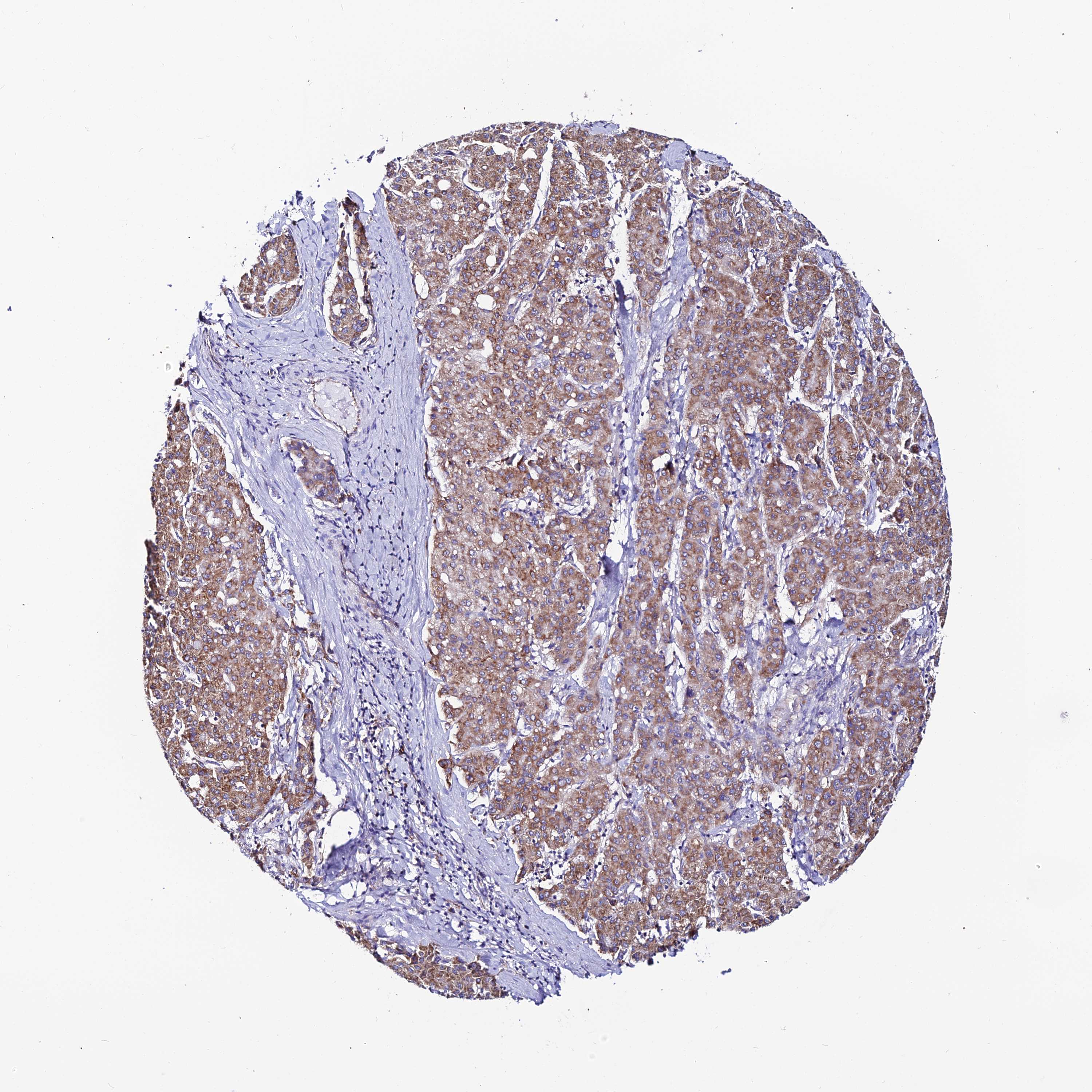
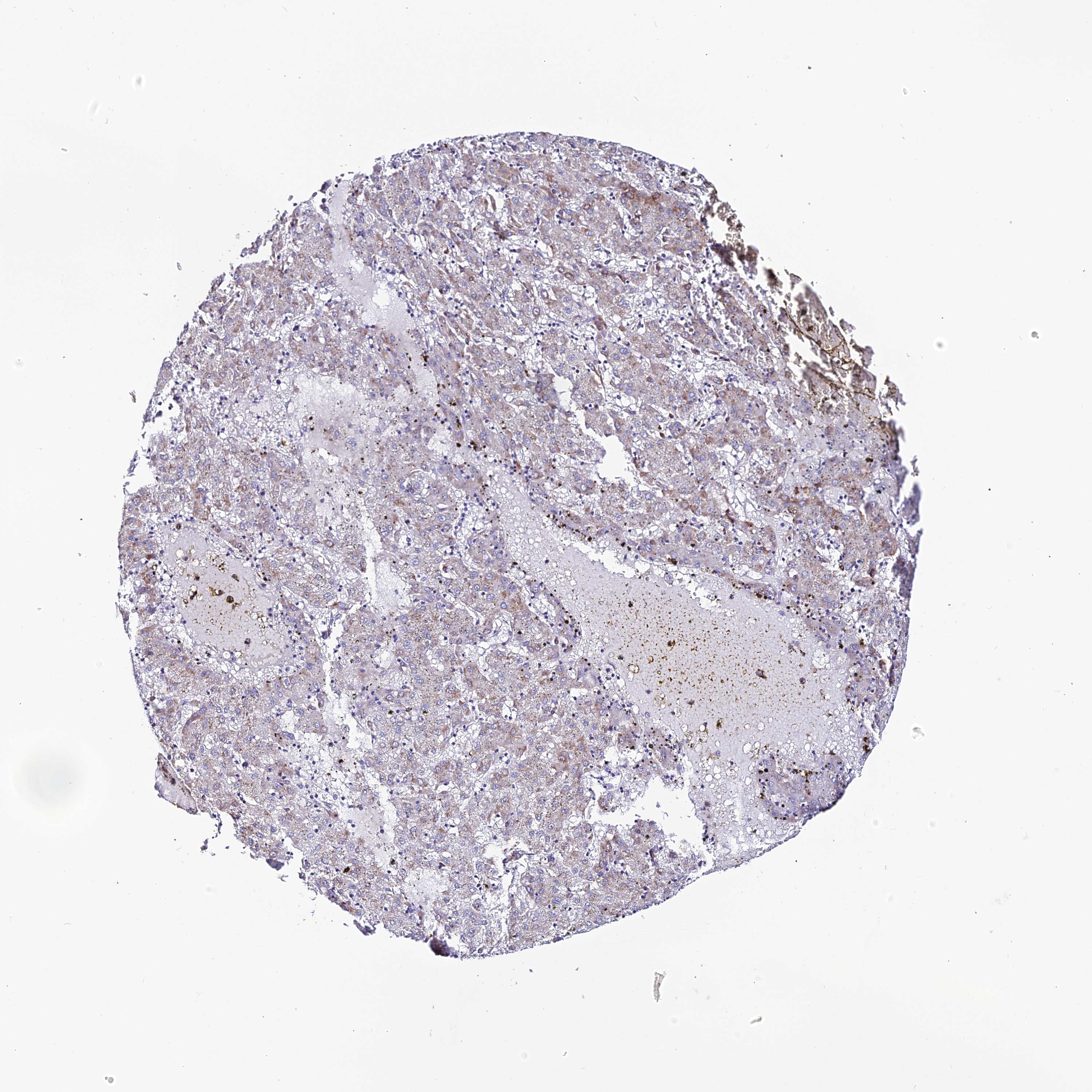
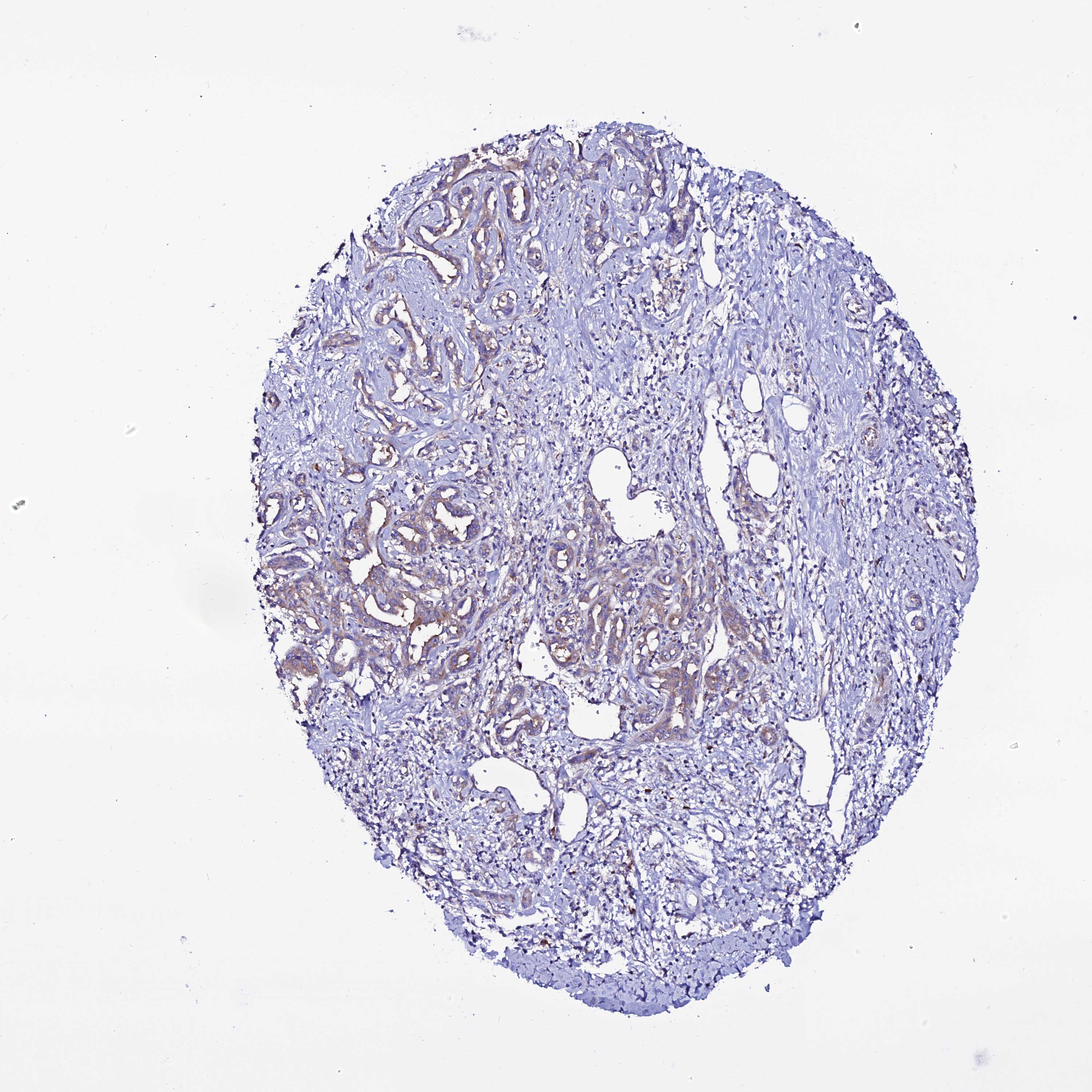
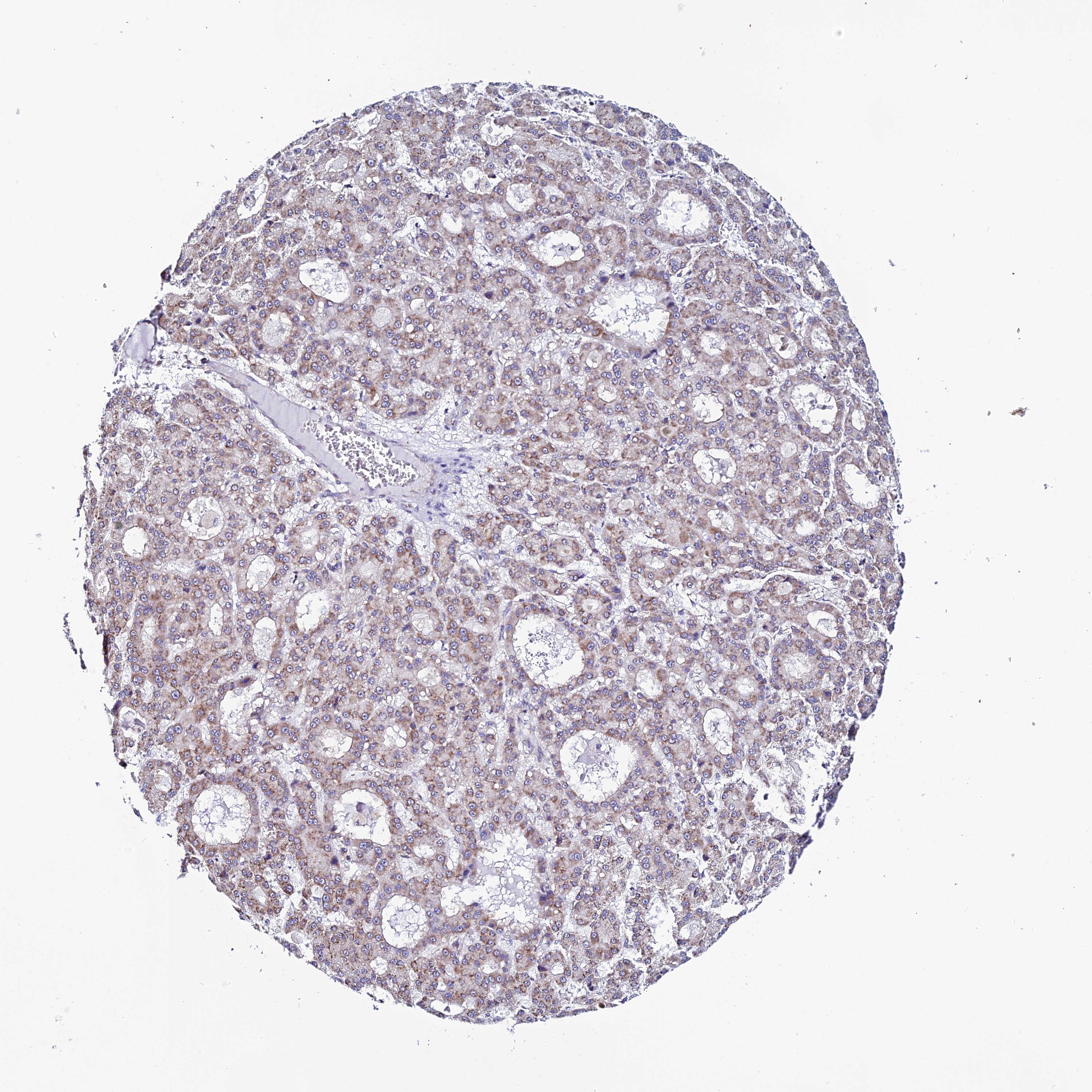
LIVER CANCER - Protein expressioni

A mouse-over function shows sample information and annotation data. Click on an image to view it in a full screen mode. Samples can be filtered based on level of antibody staining by selecting one or several of the following categories: high, medium, low and not detected. The assay and annotation is described here.

Note that samples used for immunohistochemistry by the Human Protein Atlas do not correspond to samples in the TCGA dataset.

 

Antibody stainingi

Antibody staining in the annotated cell types in the current human tissue is reported as not detected, low, medium, or high, based on conventional immunohistochemistry profiling in selected tissues. This score is based on the combination of the staining intensity and fraction of stained cells.

Each image is clickable and will lead to virtual microscopy that enables deeper exploration of all samples and also displays staining intensity scores, fraction scores and subcellular localization as well as patient and tissue information for each sample.


Antibody HPA040688

Antibody HPA055316
 Staining
  High
  Medium
  Low
  Not detected
 Intensity
  Strong
  Moderate
  Weak
  Negative
 Quantity
  >75%
  75%-25%
  <25%
  None
 Location
  Nuclear
  Cytoplasmic/membranous
  Cytoplasmic/membranous,nuclear
  None
Cholangiocarcinoma
Carcinoma, Hepatocellular, NOS

Contact

  • NEWS ARTICLES
  • PRESS ROOM

The Project

  • INTRODUCTION
  • ORGANIZATION
  • PUBLICATIONS

The Human Protein Atlas

  • DOWNLOADABLE DATA
  • LICENCE & CITATION
  • HELP & FAQ
The Human Protein Atlas project is funded
by the Knut & Alice Wallenberg Foundation.


contact@proteinatlas.org