We use cookies to enhance the usability of our website. If you continue, we'll assume that you are happy to receive all cookies. More information. Don't show this again.
ZNF10
HPA
RESOURCES
  • TISSUE
  • BRAIN
  • SINGLE CELL
  • SUBCELLULAR
  • CANCER
  • BLOOD
  • CELL LINE
  • STRUCTURE & INTERACTION
ABOUT
  • INTRODUCTION
  • HISTORY
  • ORGANIZATION
  • PUBLICATIONS
  • ANTIBODY SUBMISSION
  • ANTIBODY AVAILABILITY
  • ACKNOWLEDGMENTS
  • CONTACT
NEWS
  • NEWS ARTICLES
  • PRESS ROOM
LEARN
  • DICTIONARY
  • PROTEIN CLASSES
  • PROTEIN EVIDENCE
  • METHODS
  • EDUCATIONAL VIDEOS
DATA
  • DOWNLOADABLE DATA
  • PUBLICATION DATA
  • RELEASE HISTORY
HELP
  • ANTIBODY VALIDATION
  • ASSAYS & ANNOTATION
  • DISCLAIMER
  • HELP & FAQ
  • PRIVACY STATEMENT
  • LICENCE & CITATION
Fields »
Search result

Field
Term
Gene name
Class
Subclass
Class
Keyword
Chromosome
External id
Tissue
Cell type
Expression
Antibody panel
Tissue
Main location
Patient ID
Annotation
Tissue
Category
Tau score
Cluster
Reliability
Brain region
Category
Tau score
Brain region
Category
Tau score
Brain region
Category
Tau score
Cluster
Reliability
Tissue
Cell type
Enrichment
Cell type
Category
Tau score
Cell type
Category
Tau score
Cell type
Category
Tau score
Cell lineage
Category
Tau score
Cluster
Cluster
Location
Searches
Location
Cell line
Class
Type
Phase
Reliability
Cancer
Prognosis
Cancer
Category
Cancer
Category
Tau score
Cluster
Variants
Interacting gene (ensg_id)
Type
Number of interactions
Pathway
Category
Score
Score
Score
Validation
Validation
Validation
Validation
Antibodies
Data type
Column


  • SUMMARY

  • TISSUE

  • BRAIN

  • SINGLE CELL

  • SUBCELL

  • CANCER

  • BLOOD

  • CELL LINE

  • STRUCT & INT

  • ZNF10
TISSUE PRIMARY DATA OVARY Show tissue menu
ADIPOSE TISSUE ADRENAL GLAND AMYGDALA APPENDIX BASAL GANGLIA BONE MARROW BREAST CEREBELLUM CEREBRAL CORTEX CERVIX CHOROID PLEXUS COLON DUODENUM
ENDOMETRIUM EPIDIDYMIS ESOPHAGUS FALLOPIAN TUBE GALLBLADDER HEART MUSCLE HIPPOCAMPAL FORMATION HYPOTHALAMUS KIDNEY LIVER LUNG LYMPH NODE MIDBRAIN
OVARY PANCREAS PARATHYROID GLAND PITUITARY GLAND PLACENTA PROSTATE RECTUM RETINA SALIVARY GLAND SEMINAL VESICLE SKELETAL MUSCLE SKIN SMALL INTESTINE
SMOOTH MUSCLE SPINAL CORD SPLEEN STOMACH TESTIS THYMUS THYROID GLAND TONGUE TONSIL URINARY BLADDER VAGINA
ANTIBODIES
AND
VALIDATION
Dictionary
Ovary
Tissue proteome
Ovary
OVARY - Expression summary
Protein expressioni

On the top, protein expression in current human tissue, based on all annotated cell types, is reported with the units not detected (n), low (l), medium (m) and high (h). Underneath, protein expression in each annotated cell type are reported using the same units.

Protein expression data is based on knowledge-based annotation. For genes where more than one antibody has been used, a collective score is set.

If knowledge-based annotation could not be performed for a gene, no data is displayed here. View antibody staining data further down this page.

No data
RNA expressioni

A summary of mRNA expression data available for current tissue based on several datasets. The mRNA expression levels in human tissues are based on RNA-seq data generated by the Human Protein Atlas (HPA), Genotype-Tissue Expression (GTEx) portal and CAGE data generated by the FANTOM5 consortium. Consensus normalized expression levels for human tissues was created by combining the data from HPA and GTEx datasets.

The mRNA expression levels in pig are based on RNA-seq data generated by the Human Protein Atlas (HPA), and for mouse, HPA data and in situ hybridization generated by the Allen brain atlas are reported.

Scroll down to view mRNA expression data in more detail.
Consensus:21.7 nTPM
HPA:10.1 nTPM
GTEx:21.7 nTPM
FANTOM5:26.5 Scaled Tags Per Million

OVARY - Annotated protein expression
Pending normal tissue analysis

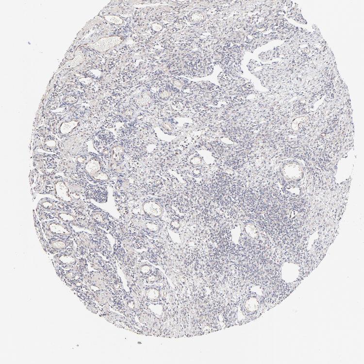
OVARY - Antibody stainingi

Antibody staining in the annotated cell types in the current human tissue is reported as not detected, low, medium, or high, based on conventional immunohistochemistry profiling in selected tissues. This score is based on the combination of the staining intensity and fraction of stained cells.

Each image is clickable and will lead to virtual microscopy that enables deeper exploration of all samples and also displays staining intensity scores, fraction scores and subcellular localization as well as patient and tissue information for each sample.

Antibody HPA003204
Follicle cells Low
Ovarian stroma cells Low



OVARY - HPA RNA-seqi

The RNA-seq details section shows detailed information about the individual samples used for the transcript profiling and results of the RNA-seq analysis.

Information about each individual sample is listed below, including gender, age, a tissue section image and estimated fractions of cell types. nTPM (normalized transcripts per million) values give a quantification of the gene abundance which is comparable between different genes and samples.
Average nTPMi

Max subtype nTPM is the value for the subtype with the largest average nTPM across the subtype samples.

10.1
overview
Female, age 64
Ovary sample 192
nTPM: 12.8
Cell types%
Stromal cells:
70

Smooth muscle cells:
15

Other cell types:
15

overview
Female, age 52
Ovary sample 193
nTPM: 11.1
Cell types%
Stromal cells:
95

Other cell types:
5

overview
Female, age 80
Ovary sample 308
nTPM: 15.8
Cell types%
Stromal cells:
70

Smooth muscle cells:
25

Other cell types:
5

N/A
Female, age 7
Ovary sample 3662
nTPM: 8.4
N/A
Female, age 16
Ovary sample 3663
nTPM: 5.6
N/A
Female, age 20
Ovary sample 3664
nTPM: 9.2
N/A
Female, age 32
Ovary sample 3665
nTPM: 7.6

OVARY - GTEx RNA-seqi

RNA-Seq data generated by the Genotype-Tissue Expression (GTEx) project from human tissues is reported as mean nTPM. More information can be found on the GTEx portal.

Distribution across the dataset is visualized with box plots, shown as median and 25th and 75th percentiles. Points are displayed as outliers if they are above or below 1.5 times the interquartile range. nTPM values of the individual samples are presented next to the box plot.
Max subtype nTPMi

Max subtype nTPM is the value for the subtype with the largest average nTPM across the subtype samples.

21.7
GTEx sample id Sample description nTPM
Ovary
Average nTPM: 21.7
Samples: 180

Max nTPM: 121.2
Min nTPM: 4.8
Std nTPM: 16.7
Median nTPM: 15.1
GTEX-17JCI-2326-SM-7IGPC 60-69 years, female 121.2
GTEX-1PIEJ-1626-SM-E6CP9 20-29 years, female 80.7
GTEX-1AMEY-0926-SM-72D6G 30-39 years, female 74.1
GTEX-13FTX-0926-SM-5IFF7 20-29 years, female 73.1
GTEX-1F5PL-1626-SM-7MXTY 40-49 years, female 70.7
GTEX-1QP28-1326-SM-DPRXZ 50-59 years, female 69.2
GTEX-1C475-0426-SM-7P8OU 40-49 years, female 63.1
GTEX-11XUK-1626-SM-5GU5O 40-49 years, female 58.0
GTEX-1GZHY-2426-SM-9JGGK 50-59 years, female 54.8
GTEX-P4QT-2426-SM-3NMCL 50-59 years, female 54.5
GTEX-RWS6-1026-SM-47JXD 60-69 years, female 52.8
GTEX-S4P3-0926-SM-4AD54 50-59 years, female 51.7
GTEX-13PVR-1226-SM-5RQJ2 60-69 years, female 50.8
GTEX-ZLWG-0926-SM-4WWC3 50-59 years, female 49.9
GTEX-12WSG-1426-SM-5FQUK 50-59 years, female 49.7
GTEX-XUW1-0126-SM-4BOOQ 50-59 years, female 49.6
GTEX-1I4MK-1526-SM-CE6T1 50-59 years, female 47.7
GTEX-PWCY-1326-SM-48TCU 20-29 years, female 46.7
GTEX-11ZTT-1826-SM-5CVLN 60-69 years, female 46.5
GTEX-11I78-1926-SM-59878 50-59 years, female 46.2
GTEX-WXYG-1426-SM-4ONCK 50-59 years, female 45.8
GTEX-RU1J-0826-SM-46MUU 20-29 years, female 41.5
GTEX-1RDX4-0826-SM-E9TK7 50-59 years, female 40.1
GTEX-1QPFJ-1726-SM-EXOJU 30-39 years, female 39.9
GTEX-1KANC-1026-SM-D3LAA 50-59 years, female 39.6
GTEX-18D9A-0826-SM-718C1 30-39 years, female 38.6
GTEX-TMMY-1726-SM-4DXTD 40-49 years, female 35.0
GTEX-X4EO-2426-SM-4QASD 60-69 years, female 34.2
GTEX-WYVS-1526-SM-4OND4 40-49 years, female 33.7
GTEX-1IDJE-1126-SM-A96SO 50-59 years, female 33.6
GTEX-QCQG-1426-SM-48U22 50-59 years, female 31.8
GTEX-1MA7W-1426-SM-EV7A1 20-29 years, female 31.8
GTEX-1PBJI-2026-SM-DPRYF 20-29 years, female 31.8
GTEX-ZYFG-1726-SM-5GZZB 60-69 years, female 31.0
GTEX-13PL7-2326-SM-5L3FY 60-69 years, female 30.8
GTEX-14PN3-1526-SM-6ETZM 60-69 years, female 30.4
GTEX-ZVT2-0326-SM-5E44G 50-59 years, female 30.2
GTEX-1R9PN-0626-SM-E6CR9 40-49 years, female 28.9
GTEX-XUZC-1026-SM-4BOPY 30-39 years, female 28.8
GTEX-1QEPI-2726-SM-DPRZ6 60-69 years, female 28.4
GTEX-1AMFI-1426-SM-731EL 50-59 years, female 27.4
GTEX-15FZZ-0826-SM-6LLJO 30-39 years, female 26.4
GTEX-14PJM-2426-SM-686ZC 50-59 years, female 24.4
GTEX-1HSGN-2426-SM-C1YRI 40-49 years, female 24.0
GTEX-Y114-1726-SM-4TT7U 50-59 years, female 23.7
GTEX-PWN1-2426-SM-48TDD 40-49 years, female 23.4
GTEX-1A8FM-2226-SM-7PC1C 50-59 years, female 23.3
GTEX-T6MO-1126-SM-4DM5D 40-49 years, female 23.2
GTEX-QDT8-2226-SM-EZ6LT 30-39 years, female 22.9
GTEX-WYBS-2426-SM-4ONDI 60-69 years, female 22.2
GTEX-13QIC-1526-SM-5IJFL 60-69 years, female 21.8
GTEX-1HBPH-2726-SM-A96TW 40-49 years, female 21.8
GTEX-W5WG-0926-SM-4RTX9 50-59 years, female 21.4
GTEX-1LVAM-1826-SM-DHXKR 50-59 years, female 21.4
GTEX-13O3O-2726-SM-5KM35 60-69 years, female 21.3
GTEX-14BMU-1726-SM-5TDE8 20-29 years, female 20.3
GTEX-16NGA-0426-SM-7LG6K 40-49 years, female 20.1
GTEX-11EMC-1726-SM-5H11P 60-69 years, female 19.6
GTEX-T5JW-0426-SM-4DM7M 20-29 years, female 19.6
GTEX-1MCC2-1026-SM-EVR5I 30-39 years, female 19.5
GTEX-UJHI-1226-SM-4IHLR 50-59 years, female 19.3
GTEX-T2IS-2026-SM-4DM6W 20-29 years, female 19.2
GTEX-1A32A-2726-SM-73KVU 50-59 years, female 18.9
GTEX-13W3W-1526-SM-5LU5I 60-69 years, female 18.5
GTEX-14PKU-1226-SM-686ZM 40-49 years, female 18.5
GTEX-TML8-0926-SM-4DXSJ 40-49 years, female 18.4
GTEX-15ER7-2326-SM-7KUN3 20-29 years, female 18.3
GTEX-WEY5-0626-SM-4LMIA 40-49 years, female 18.3
GTEX-1B933-2126-SM-7MGXR 50-59 years, female 18.2
GTEX-11EM3-1726-SM-5N9D1 20-29 years, female 18.0
GTEX-1269C-1826-SM-5N9E1 60-69 years, female 17.8
GTEX-13VXT-1526-SM-5LU3J 20-29 years, female 17.7
GTEX-1LVAN-2726-SM-CNPQG 50-59 years, female 17.6
GTEX-1QP67-1526-SM-E76P4 40-49 years, female 17.4
GTEX-OHPL-2426-SM-48TDN 60-69 years, female 17.0
GTEX-14DAQ-2226-SM-5YYAD 60-69 years, female 16.9
GTEX-PLZ4-2826-SM-3P617 50-59 years, female 16.7
GTEX-14PKV-1226-SM-6871T 20-29 years, female 16.4
GTEX-1JN1M-2126-SM-D4P2X 60-69 years, female 16.3
GTEX-145LS-2326-SM-5TDCY 60-69 years, female 16.2
GTEX-1IDJU-1126-SM-A9G2S 60-69 years, female 16.1
GTEX-13OVJ-2426-SM-5KM3I 50-59 years, female 15.8
GTEX-1LGOU-1026-SM-DHXL4 20-29 years, female 15.6
GTEX-ZP4G-0626-SM-4WWF1 20-29 years, female 15.5
GTEX-1LNCM-0926-SM-DHXK5 50-59 years, female 15.5
GTEX-12WSD-2726-SM-59HLR 60-69 years, female 15.4
GTEX-1OJC4-2026-SM-E6CQW 50-59 years, female 15.4
GTEX-145ME-1226-SM-5SIB6 40-49 years, female 15.3
GTEX-1K9T9-2426-SM-DHXKT 50-59 years, female 15.2
GTEX-1J8JJ-0826-SM-AHZ3F 60-69 years, female 15.1
GTEX-11DXX-1426-SM-5GIDU 60-69 years, female 15.0
GTEX-11ZTS-1926-SM-5CVLA 60-69 years, female 15.0
GTEX-RTLS-2326-SM-46MUH 60-69 years, female 15.0
GTEX-ZVT3-2626-SM-5GU5L 60-69 years, female 15.0
GTEX-Y3IK-2026-SM-4YCDG 50-59 years, female 14.9
GTEX-P78B-1926-SM-3P616 40-49 years, female 14.7
GTEX-ZAJG-2726-SM-5S2MU 50-59 years, female 14.7
GTEX-YJ8O-1026-SM-5CVM5 40-49 years, female 14.6
GTEX-QVJO-3126-SM-COH22 60-69 years, female 14.4
GTEX-12ZZX-2026-SM-5LZV9 40-49 years, female 14.3
GTEX-ZZPU-2126-SM-5EGIU 50-59 years, female 14.2
GTEX-1EWIQ-2226-SM-7MGXJ 70-79 years, female 14.2
GTEX-1H1CY-1926-SM-9WG7X 60-69 years, female 14.2
GTEX-1399U-1726-SM-5P9J4 50-59 years, female 14.1
GTEX-131YS-2226-SM-5P9G8 60-69 years, female 13.9
GTEX-1IKOE-2326-SM-A8N99 30-39 years, female 13.8
GTEX-YFC4-2726-SM-5IFJW 40-49 years, female 13.7
GTEX-11P81-1526-SM-5P9GS 30-39 years, female 13.6
GTEX-14BIN-1426-SM-664NI 50-59 years, female 13.6
GTEX-15DYW-2626-SM-6LPK7 60-69 years, female 13.5
GTEX-1F48J-2326-SM-7MKG3 50-59 years, female 13.5
GTEX-ZC5H-2026-SM-5CVN2 40-49 years, female 13.5
GTEX-1J1OQ-1626-SM-CE6TB 40-49 years, female 13.5
GTEX-11VI4-1026-SM-5EQM1 40-49 years, female 13.4
GTEX-13U4I-2126-SM-5LU55 40-49 years, female 13.4
GTEX-PX3G-2426-SM-48TZZ 20-29 years, female 13.4
GTEX-POMQ-1426-SM-3P61D 20-29 years, female 13.3
GTEX-1HCUA-1326-SM-9WPP6 50-59 years, female 13.3
GTEX-OHPK-2426-SM-3MJGH 50-59 years, female 13.2
GTEX-X8HC-2726-SM-46MUA 50-59 years, female 13.2
GTEX-1313W-2726-SM-5P9IX 50-59 years, female 12.9
GTEX-14AS3-1326-SM-5RQJE 40-49 years, female 12.7
GTEX-145MI-2626-SM-5QGQ8 60-69 years, female 12.6
GTEX-15EOM-1526-SM-68723 20-29 years, female 12.6
GTEX-S341-0726-SM-4AD5R 40-49 years, female 12.6
GTEX-S7SF-1326-SM-4AD4P 20-29 years, female 12.6
GTEX-P4PP-2426-SM-3P61L 30-39 years, female 12.5
GTEX-13QBU-1526-SM-5LU3W 40-49 years, female 12.4
GTEX-1F88E-2026-SM-7MXVP 60-69 years, female 12.4
GTEX-1F88F-2126-SM-9KNUK 60-69 years, female 12.4
GTEX-13N11-0526-SM-5IJFI 50-59 years, female 12.2
GTEX-183WM-1926-SM-72D5F 70-79 years, female 12.2
GTEX-1F6RS-2726-SM-7MKHA 60-69 years, female 12.1
GTEX-12WSJ-1226-SM-5LU91 40-49 years, female 12.0
GTEX-Q734-0726-SM-48TZP 40-49 years, female 11.9
GTEX-1GN1W-1426-SM-9JGHP 50-59 years, female 11.9
GTEX-15SDE-0926-SM-6LPIA 50-59 years, female 11.5
GTEX-18A7A-2626-SM-7LG6L 50-59 years, female 11.4
GTEX-U3ZN-1026-SM-4DXTC 30-39 years, female 11.3
GTEX-R55G-1526-SM-48FER 40-49 years, female 11.2
GTEX-TSE9-2226-SM-4DXUR 60-69 years, female 11.2
GTEX-ZYY3-2726-SM-5EGH4 60-69 years, female 11.2
GTEX-1LGRB-2326-SM-CNNPU 50-59 years, female 11.2
GTEX-WWYW-2726-SM-4MVOP 50-59 years, female 10.9
GTEX-1GN1U-2326-SM-9MQK4 50-59 years, female 10.9
GTEX-1LKK1-1626-SM-EVR4Y 50-59 years, female 10.9
GTEX-11GSP-0226-SM-5A5KV 60-69 years, female 10.7
GTEX-13SLX-2426-SM-664OM 50-59 years, female 10.7
GTEX-11ZVC-1426-SM-5EGGA 50-59 years, female 10.5
GTEX-132AR-1426-SM-5IFF1 50-59 years, female 10.5
GTEX-1ICG6-1526-SM-C1YQT 70-79 years, female 10.5
GTEX-13D11-1126-SM-5KLYS 50-59 years, female 10.4
GTEX-1F52S-2226-SM-7MXVE 60-69 years, female 10.4
GTEX-S32W-1226-SM-4AD67 50-59 years, female 10.2
GTEX-XMD3-2326-SM-4AT5H 50-59 years, female 10.2
GTEX-ZPIC-1426-SM-4WWCP 40-49 years, female 10.1
GTEX-1JN76-1426-SM-AHZ4F 20-29 years, female 10.0
GTEX-139D8-2426-SM-5KM3A 30-39 years, female 9.9
GTEX-ZV6S-1426-SM-59HKX 40-49 years, female 9.9
GTEX-12WSK-1926-SM-5LZVK 40-49 years, female 9.8
GTEX-SN8G-2426-SM-EVR31 50-59 years, female 9.8
GTEX-146FH-2526-SM-5Q5BP 50-59 years, female 9.7
GTEX-15DDE-2326-SM-6AJA8 50-59 years, female 9.6
GTEX-16MT8-2226-SM-6LPK2 60-69 years, female 9.6
GTEX-X15G-1726-SM-4PQZN 50-59 years, female 9.5
GTEX-1H2FU-2326-SM-9WG7R 60-69 years, female 9.5
GTEX-133LE-1226-SM-5IFGC 20-29 years, female 9.4
GTEX-13X6H-1026-SM-5SIBE 50-59 years, female 9.4
GTEX-1CAMS-2126-SM-7MXTF 40-49 years, female 9.3
GTEX-RU72-2226-SM-46MUE 50-59 years, female 9.1
GTEX-1399S-2126-SM-5J2MH 30-39 years, female 9.0
GTEX-15UF6-2026-SM-6LPI3 70-79 years, female 8.7
GTEX-1GF9X-2426-SM-7SB7W 40-49 years, female 8.7
GTEX-1S5ZU-2326-SM-EAZ5B 20-29 years, female 8.6
GTEX-XV7Q-1426-SM-4BRWA 40-49 years, female 8.4
GTEX-14JG6-0626-SM-68716 30-39 years, female 8.1
GTEX-131XG-1926-SM-5LZVG 50-59 years, female 6.4
GTEX-XYKS-1726-SM-4E3IO 60-69 years, female 6.2
GTEX-WI4N-2526-SM-4OOSE 40-49 years, female 5.9
GTEX-13OVI-0726-SM-5L3DD 60-69 years, female 4.8
Show allShow less

OVARY - FANTOM5 CAGEi

RNA expression in human tissues obtained through Cap Analysis of Gene Expression (CAGE) generated by the FANTOM5 project are reported as Scaled Tags Per Million.

Max subtype Scaled Tags Per Millioni

Max subtype Scaled Tags Per Million is the value for the subtype with the largest average Scaled Tags Per Million across the subtype samples.

26.5
FANTOM5 sample id Sample description Scaled Tags Per Million
Ovary
Scaled Tags Per Million: 26.5
FF:10020-101D2 47,75,84 years, female 26.5

Contact

  • NEWS ARTICLES
  • PRESS ROOM

The Project

  • INTRODUCTION
  • ORGANIZATION
  • PUBLICATIONS

The Human Protein Atlas

  • DOWNLOADABLE DATA
  • LICENCE & CITATION
  • HELP & FAQ
The Human Protein Atlas project is funded
by the Knut & Alice Wallenberg Foundation.


contact@proteinatlas.org