We use cookies to enhance the usability of our website. If you continue, we'll assume that you are happy to receive all cookies. More information. Don't show this again.
ZNF350
HPA
RESOURCES
  • TISSUE
  • BRAIN
  • SINGLE CELL
  • SUBCELLULAR
  • CANCER
  • BLOOD
  • CELL LINE
  • STRUCTURE & INTERACTION
ABOUT
  • INTRODUCTION
  • HISTORY
  • ORGANIZATION
  • PUBLICATIONS
  • ANTIBODY SUBMISSION
  • ANTIBODY AVAILABILITY
  • ACKNOWLEDGMENTS
  • CONTACT
NEWS
  • NEWS ARTICLES
  • PRESS ROOM
LEARN
  • DICTIONARY
  • PROTEIN CLASSES
  • PROTEIN EVIDENCE
  • METHODS
  • EDUCATIONAL VIDEOS
DATA
  • DOWNLOADABLE DATA
  • PUBLICATION DATA
  • RELEASE HISTORY
HELP
  • ANTIBODY VALIDATION
  • ASSAYS & ANNOTATION
  • DISCLAIMER
  • HELP & FAQ
  • PRIVACY STATEMENT
  • LICENCE & CITATION
Fields »
Search result

Field
Term
Gene name
Class
Subclass
Class
Keyword
Chromosome
External id
Tissue
Cell type
Expression
Antibody panel
Tissue
Main location
Patient ID
Annotation
Tissue
Category
Tau score
Cluster
Reliability
Brain region
Category
Tau score
Brain region
Category
Tau score
Brain region
Category
Tau score
Cluster
Reliability
Tissue
Cell type
Enrichment
Cell type
Category
Tau score
Cell type
Category
Tau score
Cell type
Category
Tau score
Cell lineage
Category
Tau score
Cluster
Cluster
Location
Searches
Location
Cell line
Class
Type
Phase
Reliability
Cancer
Prognosis
Cancer
Category
Cancer
Category
Tau score
Cluster
Variants
Interacting gene (ensg_id)
Type
Number of interactions
Pathway
Category
Score
Score
Score
Validation
Validation
Validation
Validation
Antibodies
Data type
Column


  • SUMMARY

  • TISSUE

  • BRAIN

  • SINGLE CELL

  • SUBCELL

  • CANCER

  • BLOOD

  • CELL LINE

  • STRUCT & INT

  • ZNF350
BRAIN CEREBELLUM Show tissue menu
AMYGDALA BASAL GANGLIA CEREBELLUM CEREBRAL CORTEX CHOROID PLEXUS HIPPOCAMPAL FORMATION HYPOTHALAMUS MEDULLA OBLONGATA
MIDBRAIN OLFACTORY BULB PITUITARY GLAND PONS RETINA SPINAL CORD THALAMUS WHITE MATTER
ANTIBODIES
AND
VALIDATION
Brain proteome
Cerebellum
CEREBELLUM - Expression summary
Protein expression
Cerebellumi

On the top, protein expression in current human tissue, based on all annotated cell types, is reported with the units not detected (n), low (l), medium (m) and high (h). Underneath, protein expression in each annotated cell type are reported using the same units.

Protein expression data is based on knowledge-based annotation. For genes where more than one antibody has been used, a collective score is set.

If knowledge-based annotation could not be performed for a gene, no data is displayed here. View antibody staining data further down this page.

h
m
l
n
Cells in granular layer: Not detected
Cells in molecular layer: Not detected
Purkinje cells: Low
RNA expressioni

A summary of mRNA expression data available for current tissue based on several datasets. The mRNA expression levels in human tissues are based on RNA-seq data generated by the Human Protein Atlas (HPA), Genotype-Tissue Expression (GTEx) portal and CAGE data generated by the FANTOM5 consortium. Consensus normalized expression levels for human tissues was created by combining the data from HPA and GTEx datasets.

The mRNA expression levels in pig are based on RNA-seq data generated by the Human Protein Atlas (HPA), and for mouse, HPA data and in situ hybridization generated by the Allen brain atlas are reported.

Scroll down to view mRNA expression data in more detail.
Consensus:7.3 nTPM
HPA Brain:19.4 nTPM
GTEx:7.3 nTPM
FANTOM5:21.3 Scaled Tags Per Million
Pig:8.6 nTPM

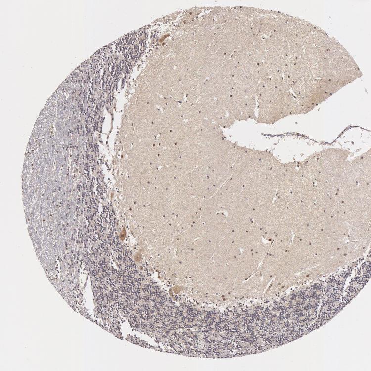
CEREBELLUM - Antibody stainingi

Antibody staining in the annotated cell types in the current human tissue is reported as not detected, low, medium, or high, based on conventional immunohistochemistry profiling in selected tissues. This score is based on the combination of the staining intensity and fraction of stained cells.

Each image is clickable and will lead to virtual microscopy that enables deeper exploration of all samples and also displays staining intensity scores, fraction scores and subcellular localization as well as patient and tissue information for each sample.

Antibody HPA001521
Purkinje cells Low
Cells in granular layer Not detected
Cells in molecular layer Not detected



CEREBELLUM - HPA Brain RNA-seq
Max subtype nTPMi

Max subtype nTPM is the value for the subtype with the largest average nTPM across the subtype samples.

19.4
Sample id Sample description nTPM
Cerebellar cortex
nTPM: 19.4
1788 Male, age 55, unknown 28.1
1774 Male, age 80, left hemisphere 21.6
2006 Male, age 61, right hemisphere 18.6
2055 Female, age 91, right hemisphere 18.3
1768 Female, age 72, unknown 18.0
2101 Male, age 74, right hemisphere 17.4
2003 Female, age 85, right hemisphere 16.8
1769 Male, age 76, right hemisphere 16.0
Cerebellar nuclei
nTPM: 12.0
2318 Male, age 74, left hemisphere 13.3
2005 Male, age 80, left hemisphere 13.2
1871 Male, age 74, unknown 12.7
2175 Male, age 61, right hemisphere 12.6
2177 Female, age 85, both hemispheres 11.9
2882 Male, age 76, left hemisphere 11.9
1966 Female, age 91, left hemisphere 11.7
1879 Male, age 55, unknown 10.6
2783 Female, age 72, unknown 9.8
Flocculonodular lobe
nTPM: 18.6
1765 Male, age 55, unknown 25.0
1771 Male, age 80, left hemisphere 22.0
1767 Male, age 76, left hemisphere 20.3
1835 Female, age 85, right hemisphere 18.0
2176 Female, age 91, right hemisphere 18.0
1792 Male, age 74, unknown 14.7
2004 Male, age 61, right hemisphere 12.4
Vermis
nTPM: 17.6
1778 Female, age 91, left hemisphere 20.9
1766 Male, age 55, unknown 19.9
1770 Male, age 76, left hemisphere 19.8
1751 Male, age 74, right hemisphere 18.9
1928 Female, age 72, unknown 18.6
2460 Male, age 61, both hemispheres 17.7
1825 Male, age 74, unknown 15.6
1988 Female, age 85, left hemisphere 15.1
2834 Male, age 80, left hemisphere 11.8

CEREBELLUM - GTEx RNA-seqi

RNA-Seq data generated by the Genotype-Tissue Expression (GTEx) project from human tissues is reported as mean nTPM. More information can be found on the GTEx portal.

Distribution across the dataset is visualized with box plots, shown as median and 25th and 75th percentiles. Points are displayed as outliers if they are above or below 1.5 times the interquartile range. nTPM values of the individual samples are presented next to the box plot.
Max subtype nTPMi

Max subtype nTPM is the value for the subtype with the largest average nTPM across the subtype samples.

7.3
GTEx sample id Sample description nTPM
Brain - Cerebellar Hemisphere
Average nTPM: 7.3
Samples: 215

Max nTPM: 25.7
Min nTPM: 3.2
Std nTPM: 1.8
Median nTPM: 7.2
GTEX-NL3H-0011-R11A-SM-2I3E6 60-69 years, male 25.7
GTEX-17EVQ-0011-R11a-SM-7LT9C 70-79 years, male 11.5
GTEX-P44H-0011-R11A-SM-2XCER 40-49 years, male 11.1
GTEX-QDT8-0011-R11A-SM-32PKD 30-39 years, female 11.0
GTEX-13QIC-0011-R11b-SM-5O9BU 60-69 years, female 10.7
GTEX-1HUB1-0011-R11b-SM-CE6SC 60-69 years, male 10.7
GTEX-1H4P4-0011-R11b-SM-CE6S8 50-59 years, male 10.5
GTEX-1J8Q2-0011-R11a-SM-A9SKI 60-69 years, male 10.2
GTEX-13O3O-0011-R11b-SM-5KM4G 60-69 years, female 10.0
GTEX-14E6D-0011-R11b-SM-664NP 50-59 years, male 10.0
GTEX-TSE9-0011-R11A-SM-3DB7N 60-69 years, female 9.9
GTEX-RVPV-0011-R11A-SM-2TF6F 60-69 years, male 9.8
GTEX-1HCU6-0011-R11b-SM-AHZ2F 60-69 years, female 9.8
GTEX-12WSD-0011-R11a-SM-9OSVC 60-69 years, female 9.7
GTEX-1IKK5-0011-R11a-SM-C1YRX 60-69 years, male 9.7
GTEX-1JMOU-0011-R11b-SM-EXUTA 60-69 years, female 9.7
GTEX-13SLW-0011-R11a-SM-5SI8Q 70-79 years, male 9.5
GTEX-14C39-0011-R11b-SM-5YYAF 40-49 years, male 9.3
GTEX-16GPK-0011-R11b-SM-7MKFF 60-69 years, male 9.3
GTEX-13OVL-0011-R11b-SM-5L3G7 50-59 years, male 9.2
GTEX-144GL-0011-R11b-SM-5P9F6 50-59 years, male 9.2
GTEX-1R9PO-0011-R11b-SM-EZ6NB 60-69 years, female 9.1
GTEX-1F75W-0011-R11b-SM-AHZ34 60-69 years, male 9.0
GTEX-1GF9W-0011-R11b-SM-9OSXG 60-69 years, male 9.0
GTEX-1C64N-0011-R11b-SM-7P8Q6 50-59 years, male 8.9
GTEX-14BIN-0011-R11a-SM-5SI79 50-59 years, female 8.8
GTEX-Z93S-0011-R11a-SM-4RGNN 50-59 years, male 8.8
GTEX-S7SE-0011-R11A-SM-2XCDD 50-59 years, male 8.7
GTEX-1GZ4I-0011-R11b-SM-9OSWR 50-59 years, male 8.7
GTEX-1GZHY-0011-R11a-SM-C1YRQ 50-59 years, female 8.7
GTEX-13FHO-0011-R11b-SM-5LZYQ 60-69 years, male 8.6
GTEX-N7MS-0011-R11A-SM-2HMJS 60-69 years, male 8.6
GTEX-X4EP-0011-R11B-SM-4QASK 60-69 years, female 8.6
GTEX-1IL2U-0011-R11a-SM-CE6SO 60-69 years, male 8.6
GTEX-17HII-0011-R11b-SM-7KFSX 50-59 years, male 8.5
GTEX-QMR6-0011-R11A-SM-32PKK 50-59 years, male 8.5
GTEX-1GMRU-0011-R11b-SM-C1YQ4 50-59 years, male 8.5
GTEX-1LSVX-0011-R11b-SM-EXOIA 60-69 years, male 8.5
GTEX-13NZA-0011-R11b-SM-5KM4W 60-69 years, male 8.4
GTEX-NL4W-0011-R11A-SM-2I3DW 50-59 years, male 8.4
GTEX-1F48J-0011-R11b-SM-9OSWV 50-59 years, female 8.4
GTEX-1M4P7-0011-R11b-SM-EXOIK 60-69 years, male 8.4
GTEX-11H98-0011-R11b-SM-5NQ6U 50-59 years, male 8.3
GTEX-139UW-0011-R11a-SM-5IJGN 60-69 years, male 8.3
GTEX-13FTY-0011-R11a-SM-5IJEA 40-49 years, female 8.3
GTEX-14ABY-0011-R11a-SM-5SI7C 50-59 years, male 8.3
GTEX-17JCI-0011-R11a-SM-7189Y 60-69 years, female 8.3
GTEX-ZVT3-0011-R11b-SM-57WBI 60-69 years, female 8.3
GTEX-11ZTS-0011-R11a-SM-DO113 60-69 years, female 8.3
GTEX-1EKGG-0011-R11a-SM-9QEHZ 60-69 years, male 8.3
GTEX-1IGQW-0011-R11a-SM-C1YRV 60-69 years, male 8.3
GTEX-1R9K4-0011-R11a-SM-EZ6N9 60-69 years, male 8.3
GTEX-OHPN-0011-R11A-SM-2I5FM 60-69 years, female 8.2
GTEX-ZE7O-0011-R11a-SM-57WBC 50-59 years, female 8.2
GTEX-1EMGI-0011-R11b-SM-9OSWX 60-69 years, male 8.2
GTEX-1F6I4-0011-R11b-SM-9OSWS 60-69 years, male 8.2
GTEX-1H3NZ-0011-R11b-SM-CE6SF 60-69 years, male 8.2
GTEX-1H3O1-0011-R11a-SM-A96RV 60-69 years, male 8.2
GTEX-RU72-0011-R11A-SM-CM2U1 50-59 years, female 8.2
GTEX-1399T-0011-R11a-SM-5J2O1 60-69 years, male 8.1
GTEX-13FHP-0011-R11b-SM-5LZXP 50-59 years, male 8.1
GTEX-18464-0011-R11a-SM-72D76 50-59 years, male 8.1
GTEX-1IKOH-0011-R11a-SM-AHZ38 60-69 years, female 8.1
GTEX-15DCD-0011-R11a-SM-D4P1R 70-79 years, female 8.0
GTEX-1E1VI-0011-R11a-SM-9OSWI 50-59 years, male 8.0
GTEX-1H1ZS-0011-R11a-SM-C1YQM 70-79 years, male 8.0
GTEX-1313W-0011-R11a-SM-5DUXN 50-59 years, female 7.9
GTEX-16YQH-0011-R11b-SM-7LT98 30-39 years, male 7.9
GTEX-18A6Q-0011-R11a-SM-72D6H 60-69 years, male 7.9
GTEX-1GTWX-0011-R11b-SM-C1YQJ 60-69 years, male 7.9
GTEX-1IOXB-0011-R11a-SM-A9G1X 50-59 years, male 7.9
GTEX-13S7M-0011-R11b-SM-5P9HU 60-69 years, female 7.8
GTEX-1H1CY-0011-R11a-SM-C1YQR 60-69 years, female 7.8
GTEX-131XW-0011-R11a-SM-5DUV9 50-59 years, female 7.7
GTEX-13CZV-0011-R11b-SM-5N9FN 60-69 years, male 7.7
GTEX-T2IS-0011-R11A-SM-32QPC 20-29 years, female 7.7
GTEX-ZUA1-0011-R11b-SM-51MTI 40-49 years, male 7.7
GTEX-1HBPI-0011-R11b-SM-CE6SH 50-59 years, male 7.7
GTEX-13OW7-0011-R11a-SM-5O9DY 50-59 years, male 7.6
GTEX-13X6I-0011-R11a-SM-5P9HN 60-69 years, male 7.6
GTEX-17EVP-0011-R11a-SM-7EWDL 40-49 years, male 7.6
GTEX-1BAJH-0011-R11b-SM-7IGLM 70-79 years, male 7.6
GTEX-1B933-0011-R11a-SM-7P8PM 50-59 years, female 7.6
GTEX-1CB4G-0011-R11a-SM-9OSWG 60-69 years, male 7.6
GTEX-1I1GS-0011-R11a-SM-C1YRU 60-69 years, male 7.6
GTEX-12WSI-0011-R11b-SM-5P9EZ 50-59 years, male 7.5
GTEX-13PLJ-0011-R11b-SM-5O9BS 60-69 years, female 7.5
GTEX-13RTJ-0011-R11a-SM-5O9CK 60-69 years, male 7.5
GTEX-1JMQJ-0011-R11a-SM-EXOJY 50-59 years, male 7.5
GTEX-12WSM-0011-R11a-SM-5DUX8 60-69 years, male 7.4
GTEX-13FLV-0011-R11a-SM-5LZZ7 50-59 years, male 7.4
GTEX-13PVQ-0011-R11a-SM-5O9DU 50-59 years, male 7.4
GTEX-X261-0011-R11A-SM-4E3JY 50-59 years, male 7.4
GTEX-11OF3-0011-R11a-SM-57WCR 60-69 years, male 7.3
GTEX-11WQC-0011-R11b-SM-57WD6 60-69 years, male 7.3
GTEX-11EI6-0011-R11a-SM-DO11V 60-69 years, male 7.3
GTEX-1CAV2-0011-R11a-SM-ARU8D 40-49 years, female 7.3
GTEX-1I1HK-0011-R11a-SM-B2LVN 60-69 years, male 7.3
GTEX-1ICLZ-0011-R11a-SM-CJI3N 60-69 years, male 7.3
GTEX-1N2DW-0011-R11b-SM-EXOIL 50-59 years, male 7.3
GTEX-132Q8-0011-R11b-SM-5DUW9 60-69 years, male 7.2
GTEX-13OVH-0011-R11b-SM-5KM4X 70-79 years, male 7.2
GTEX-145MI-0011-R11a-SM-5P9JZ 60-69 years, female 7.2
GTEX-Q2AG-0011-R11A-SM-2HMKZ 40-49 years, female 7.2
GTEX-11EMC-0011-R11b-SM-DNZZK 60-69 years, female 7.2
GTEX-1HSKV-0011-R11b-SM-AHZ2E 60-69 years, male 7.2
GTEX-1IDJH-0011-R11b-SM-C1YRT 70-79 years, male 7.2
GTEX-1J8EW-0011-R11a-SM-AHZ37 60-69 years, female 7.2
GTEX-13VXU-0011-R11b-SM-5O9DJ 50-59 years, male 7.1
GTEX-13X6K-0011-R11a-SM-5P9F5 60-69 years, female 7.1
GTEX-WVLH-0011-R11A-SM-3MJFO 50-59 years, male 7.1
GTEX-ZVZQ-0011-R11a-SM-51MS6 60-69 years, female 7.1
GTEX-1H1DG-0011-R11a-SM-C1YQK 70-79 years, male 7.1
GTEX-1KD4Q-0011-R11b-SM-EXOIE 40-49 years, male 7.1
GTEX-183WM-0011-R11a-SM-718A5 70-79 years, female 7.0
GTEX-NPJ7-0011-R11A-SM-2I3E8 60-69 years, female 7.0
GTEX-T6MN-0011-R11A-SM-32QOX 50-59 years, male 7.0
GTEX-WZTO-0011-R11A-SM-4E3K9 40-49 years, male 7.0
GTEX-11PRG-0011-R11b-SM-DNZZY 50-59 years, male 7.0
GTEX-1F52S-0011-R11a-SM-CJI23 60-69 years, female 7.0
GTEX-1J1OQ-0011-R11a-SM-A96S3 40-49 years, female 7.0
GTEX-1JJ6O-0011-R11b-SM-EXUS2 60-69 years, male 7.0
GTEX-1JJEA-0011-R11a-SM-EXUTE 60-69 years, male 7.0
GTEX-13JVG-0011-R11a-SM-5KM53 60-69 years, male 6.9
GTEX-14ASI-0011-R11b-SM-6AJBJ 60-69 years, male 6.9
GTEX-17HG3-0011-R11b-SM-7KFT4 30-39 years, female 6.9
GTEX-13O3Q-0011-R11b-SM-5KM2W 50-59 years, male 6.8
GTEX-15CHQ-0011-R11b-SM-686ZZ 60-69 years, male 6.8
GTEX-NPJ8-0011-R11A-SM-2YUMS 40-49 years, male 6.8
GTEX-P44G-0011-R11A-SM-2I3FD 30-39 years, male 6.8
GTEX-11DYG-0011-R11a-SM-DNZZP 60-69 years, male 6.8
GTEX-1GMR8-0011-R11b-SM-9OSX2 50-59 years, female 6.8
GTEX-13FXS-0011-R11a-SM-5L3DM 50-59 years, male 6.7
GTEX-13OW8-0011-R11a-SM-5L3GT 60-69 years, male 6.7
GTEX-14PN4-0011-R11a-SM-686ZW 50-59 years, male 6.7
GTEX-YJ89-0011-R11a-SM-4SOKA 60-69 years, male 6.7
GTEX-ZAB4-0011-R11a-SM-4SOKI 40-49 years, male 6.7
GTEX-11DZ1-0011-R11b-SM-DO11W 50-59 years, male 6.7
GTEX-1HGF4-0011-R11a-SM-C1YRR 60-69 years, male 6.7
GTEX-1I1GR-0011-R11a-SM-CM2T5 60-69 years, male 6.7
GTEX-1IY9M-0011-R11b-SM-A96TI 60-69 years, male 6.7
GTEX-13CF2-0011-R11b-SM-5LZXO 60-69 years, male 6.6
GTEX-13G51-0011-R11b-SM-5J2NE 60-69 years, male 6.6
GTEX-13SLX-0011-R11b-SM-5O9C8 50-59 years, female 6.6
GTEX-15ER7-0011-R11a-SM-6LPIL 20-29 years, female 6.6
GTEX-17F97-0011-R11b-SM-7KFRQ 50-59 years, male 6.6
GTEX-ZDXO-0011-R11a-SM-4WWD9 60-69 years, male 6.6
GTEX-ZE9C-0011-R11a-SM-4WKGG 60-69 years, male 6.6
GTEX-1F75A-0011-R11a-SM-AHZ35 50-59 years, male 6.6
GTEX-1I1GQ-0011-R11b-SM-CKZPA 50-59 years, male 6.6
GTEX-12ZZZ-0011-R11a-SM-5EGLC 60-69 years, male 6.5
GTEX-139TT-0011-R11b-SM-5LZV1 60-69 years, male 6.5
GTEX-13OVJ-0011-R11a-SM-5P9H8 50-59 years, female 6.5
GTEX-1AX9I-0011-R11b-SM-7DHN4 60-69 years, male 6.5
GTEX-R55E-0011-R11A-SM-2TC6I 20-29 years, male 6.5
GTEX-145MH-0011-R11a-SM-5P9HQ 50-59 years, male 6.4
GTEX-14BIM-0011-R11b-SM-5S2RN 60-69 years, female 6.4
GTEX-14DAQ-0011-R11a-SM-664NO 60-69 years, female 6.4
GTEX-14E7W-0011-R11a-SM-5ZZVA 70-79 years, male 6.4
GTEX-15G19-0011-R11b-SM-6LPIH 60-69 years, male 6.4
GTEX-YFC4-0011-R11a-SM-4SOK6 40-49 years, female 6.4
GTEX-11DXY-0011-R11a-SM-DNZZN 60-69 years, male 6.4
GTEX-1GN73-0011-R11b-SM-9OSX4 60-69 years, male 6.4
GTEX-1I1GV-0011-R11a-SM-CJI3Z 60-69 years, male 6.4
GTEX-12WSE-0011-R11b-SM-5P9JW 20-29 years, male 6.3
GTEX-13N2G-0011-R11a-SM-5MR3F 60-69 years, male 6.3
GTEX-13NYB-0011-R11a-SM-5KM3Q 40-49 years, male 6.3
GTEX-UTHO-0011-R11A-SM-3GIJE 60-69 years, male 6.3
GTEX-11TTK-0011-R11b-SM-DO112 60-69 years, female 6.3
GTEX-1IL2V-0011-R11a-SM-ARU6T 70-79 years, male 6.3
GTEX-12126-0011-R11a-SM-5BC6X 20-29 years, male 6.2
GTEX-1HB9E-0011-R11b-SM-ARU79 50-59 years, male 6.2
GTEX-1LG7Y-0011-R11a-SM-EXOIH 50-59 years, male 6.2
GTEX-1B8L1-0011-R11b-SM-793DJ 60-69 years, male 6.1
GTEX-1LVAO-0011-R11b-SM-EXOI8 60-69 years, male 6.1
GTEX-14C5O-0011-R11b-SM-6872H 60-69 years, male 6.0
GTEX-X4XX-0011-R11A-SM-46MWQ 60-69 years, male 6.0
GTEX-XMD1-0011-R11A-SM-4AT5J 60-69 years, male 5.9
GTEX-11ZUS-0011-R11b-SM-5BC7B 30-39 years, male 5.8
GTEX-13X6J-0011-R11a-SM-5P9HE 50-59 years, male 5.8
GTEX-1H3VE-0011-R11b-SM-C1YRP 40-49 years, male 5.8
GTEX-1HFI6-0011-R11b-SM-A96RU 40-49 years, male 5.8
GTEX-1A3MX-0011-R11b-SM-7DUGP 60-69 years, male 5.7
GTEX-Y8DK-0011-R11A-SM-4SOK2 60-69 years, male 5.7
GTEX-12WSH-0011-R11a-SM-5LZVM 50-59 years, male 5.6
GTEX-13JUV-0011-R11a-SM-5LZYH 40-49 years, female 5.6
GTEX-13OW6-0011-R11a-SM-5L3H2 50-59 years, male 5.6
GTEX-WHSE-0011-R11A-SM-3P5YY 20-29 years, male 5.6
GTEX-1LKK1-0011-R11a-SM-EXOIG 50-59 years, female 5.6
GTEX-16Z82-0011-R11a-SM-79OKJ 60-69 years, male 5.5
GTEX-18465-0011-R11a-SM-72D78 50-59 years, male 5.5
GTEX-1B8SF-0011-R11a-SM-79OOP 60-69 years, male 5.5
GTEX-ZF28-0011-R11a-SM-4WWEI 60-69 years, male 5.5
GTEX-1F7RK-0011-R11b-SM-9QEI2 20-29 years, female 5.5
GTEX-1I19N-0011-R11b-SM-ARU6Y 70-79 years, male 5.5
GTEX-13NYS-0011-R11b-SM-5MR4P 60-69 years, male 5.4
GTEX-16XZZ-0011-R11a-SM-7EPI3 60-69 years, male 5.4
GTEX-16NPV-0011-R11a-SM-7IGMK 50-59 years, female 5.4
GTEX-12ZZX-0011-R11a-SM-5DUVJ 40-49 years, female 5.3
GTEX-145LU-0011-R11b-SM-5P9JX 50-59 years, male 5.3
GTEX-15EO6-0011-R11b-SM-6M47M 50-59 years, male 5.3
GTEX-1B8SG-0011-R11a-SM-7P8PF 50-59 years, male 5.3
GTEX-11GSP-0011-R11b-SM-5NQ7V 60-69 years, female 5.1
GTEX-T5JC-0011-R11A-SM-32PMB 20-29 years, male 5.1
GTEX-1N2EE-0011-R11b-SM-EXOIJ 60-69 years, male 5.1
GTEX-12WSF-0011-R11a-SM-5LZVT 70-79 years, male 5.0
GTEX-12WSC-0011-R11a-SM-5GU5J 50-59 years, male 4.9
GTEX-13OW5-0011-R11b-SM-5L3GG 60-69 years, male 4.8
GTEX-WWYW-0011-R11A-SM-3NB38 50-59 years, female 4.8
GTEX-131YS-0011-R11b-SM-5EGLM 60-69 years, female 4.7
GTEX-X585-0011-R11B-SM-46MUZ 50-59 years, male 4.7
GTEX-15DYW-0011-R11a-SM-6LPIT 60-69 years, female 4.4
GTEX-WL46-0011-R11A-SM-3MJFT 50-59 years, male 4.3
GTEX-131XH-0011-R11a-SM-5EGLN 50-59 years, male 3.5
GTEX-N7MT-0011-R11A-SM-2I3DZ 60-69 years, female 3.2
Show allShow less
Brain - Cerebellum
Average nTPM: 6.5
Samples: 241

Max nTPM: 10.7
Min nTPM: 3.4
Std nTPM: 1.2
Median nTPM: 6.4
GTEX-QVUS-2926-SM-3GIJB 60-69 years, female 10.7
GTEX-QDT8-3026-SM-32PKB 30-39 years, female 10.1
GTEX-1R9PO-2826-SM-E6CPV 60-69 years, female 10.0
GTEX-1H3NZ-2926-SM-9WPQ8 60-69 years, male 9.7
GTEX-1A8G6-3126-SM-731D8 60-69 years, male 9.5
GTEX-13O3O-3026-SM-5KM42 60-69 years, female 9.4
GTEX-1GTWX-2926-SM-7MXV4 60-69 years, male 9.3
GTEX-1PWST-3026-SM-EAZ3H 70-79 years, male 9.2
GTEX-Q2AG-2826-SM-2HMJQ 40-49 years, female 9.1
GTEX-17EVQ-2726-SM-7EWDT 70-79 years, male 9.0
GTEX-PWO3-1026-SM-2I5F2 60-69 years, female 8.9
GTEX-14JFF-2826-SM-6871Q 60-69 years, male 8.6
GTEX-14C39-3026-SM-5S2QE 40-49 years, male 8.5
GTEX-P44H-2426-SM-2XCEJ 40-49 years, male 8.5
GTEX-QMR6-1326-SM-32PLB 50-59 years, male 8.5
GTEX-1E2YA-2926-SM-7MGWX 50-59 years, male 8.5
GTEX-1B996-2926-SM-7MXUH 60-69 years, male 8.4
GTEX-1JMQJ-3126-SM-EV79G 50-59 years, male 8.3
GTEX-17HII-2926-SM-79OMK 50-59 years, male 8.2
GTEX-TSE9-2926-SM-3DB77 60-69 years, female 8.2
GTEX-18A6Q-2826-SM-7LTAO 60-69 years, male 8.1
GTEX-13QIC-3026-SM-5LU58 60-69 years, female 8.0
GTEX-1B8SF-3026-SM-731DX 60-69 years, male 8.0
GTEX-1JMOU-2826-SM-EV79R 60-69 years, female 8.0
GTEX-12WSM-2126-SM-5GCOC 60-69 years, male 7.9
GTEX-1EX96-3126-SM-9JGGC 50-59 years, male 7.9
GTEX-1I1HK-2726-SM-AHZ2M 60-69 years, male 7.9
GTEX-14PJO-2926-SM-686ZI 60-69 years, male 7.8
GTEX-1EU9M-2926-SM-793DF 60-69 years, male 7.8
GTEX-T2IS-2926-SM-32QPO 20-29 years, female 7.8
GTEX-1H4P4-2726-SM-9JGGB 50-59 years, male 7.8
GTEX-1JMQK-2926-SM-D4P2T 60-69 years, male 7.8
GTEX-1P4AB-3026-SM-EXOJS 50-59 years, male 7.8
GTEX-1QEPI-3026-SM-EXOIW 60-69 years, female 7.8
GTEX-ZVT3-2926-SM-5GU6M 60-69 years, female 7.7
GTEX-ZZPT-2926-SM-5EQ5S 50-59 years, male 7.7
GTEX-1EKGG-3126-SM-9WPO5 60-69 years, male 7.7
GTEX-1EMGI-3126-SM-7MXUR 60-69 years, male 7.7
GTEX-11PRG-2826-SM-5BC54 50-59 years, male 7.6
GTEX-14A5I-2826-SM-5SIBF 50-59 years, female 7.6
GTEX-14PJM-3026-SM-6LLHM 50-59 years, female 7.6
GTEX-1GZHY-3026-SM-7MXVA 50-59 years, female 7.6
GTEX-1H1DG-2826-SM-9JGHB 70-79 years, male 7.6
GTEX-1KANB-3226-SM-D4P3G 50-59 years, male 7.6
GTEX-1J1OQ-3126-SM-D4P2O 40-49 years, female 7.5
GTEX-13S7M-3026-SM-5S2QQ 60-69 years, female 7.4
GTEX-14BIN-3326-SM-5Q5E6 50-59 years, female 7.4
GTEX-16Z82-2926-SM-6LPJJ 60-69 years, male 7.4
GTEX-13X6I-2926-SM-5Q5C3 60-69 years, male 7.3
GTEX-OHPN-2626-SM-2I5H1 60-69 years, female 7.3
GTEX-Z93S-2826-SM-57WBL 50-59 years, male 7.3
GTEX-ZAK1-2926-SM-5HL9S 50-59 years, female 7.3
GTEX-1HSKV-2926-SM-B2LWJ 60-69 years, male 7.3
GTEX-13OW7-2926-SM-5MR3Z 50-59 years, male 7.2
GTEX-1HBPI-2726-SM-9WPPF 50-59 years, male 7.2
GTEX-1JMLX-3026-SM-EV79Q 50-59 years, male 7.2
GTEX-1LG7Y-3126-SM-EV7AS 50-59 years, male 7.2
GTEX-1R46S-3126-SM-DPRZ9 60-69 years, female 7.2
GTEX-1399T-3126-SM-5IJFS 60-69 years, male 7.1
GTEX-13CF2-3026-SM-5IFFX 60-69 years, male 7.1
GTEX-16YQH-2926-SM-6LPJE 30-39 years, male 7.1
GTEX-1H1CY-3026-SM-9OSW7 60-69 years, female 7.1
GTEX-1KD4Q-3026-SM-EV7A7 40-49 years, male 7.1
GTEX-11EI6-2926-SM-5985U 60-69 years, male 7.0
GTEX-13VXU-3026-SM-5LU3K 50-59 years, male 7.0
GTEX-14E6D-2926-SM-664OP 50-59 years, male 7.0
GTEX-15ER7-3026-SM-6M47W 20-29 years, female 7.0
GTEX-1CB4H-3026-SM-79OLX 60-69 years, female 7.0
GTEX-S7SE-2526-SM-2XCDL 50-59 years, male 7.0
GTEX-X4XX-2926-SM-3NMB1 60-69 years, male 7.0
GTEX-1F48J-2726-SM-7P8PW 50-59 years, female 7.0
GTEX-1JJEA-2926-SM-C1YSK 60-69 years, male 7.0
GTEX-N7MT-1226-SM-DKPOK 60-69 years, female 7.0
GTEX-11DYG-2926-SM-5H132 60-69 years, male 6.9
GTEX-1C6VR-3026-SM-7IGLW 60-69 years, male 6.9
GTEX-NPJ7-2826-SM-2I3FU 60-69 years, female 6.9
GTEX-X261-3126-SM-4PQZC 50-59 years, male 6.9
GTEX-ZUA1-2926-SM-59HL3 40-49 years, male 6.9
GTEX-1F6I4-3026-SM-7P8SI 60-69 years, male 6.9
GTEX-1F75W-3126-SM-7P8SJ 60-69 years, male 6.9
GTEX-1LSVX-2826-SM-EVR58 60-69 years, male 6.9
GTEX-11ZUS-2826-SM-5EQKW 30-39 years, male 6.8
GTEX-1EWIQ-3026-SM-7IGOJ 70-79 years, female 6.8
GTEX-X4EP-3026-SM-3P5YP 60-69 years, female 6.8
GTEX-1BAJH-3126-SM-7MGXY 70-79 years, male 6.8
GTEX-1GN73-3026-SM-7MXV8 60-69 years, male 6.8
GTEX-1IL2V-3026-SM-CYPSA 70-79 years, male 6.8
GTEX-1QP6S-3026-SM-EAZ4N 40-49 years, male 6.8
GTEX-11NV4-2226-SM-5BC4T 60-69 years, male 6.7
GTEX-13SLX-3226-SM-5YYA6 50-59 years, female 6.7
GTEX-13X6K-2826-SM-5O9DS 60-69 years, female 6.7
GTEX-15EO6-2926-SM-6M48D 50-59 years, male 6.7
GTEX-15SHU-3026-SM-6LPIB 40-49 years, female 6.7
GTEX-17JCI-3026-SM-7EWDR 60-69 years, female 6.7
GTEX-1A8G7-3026-SM-73KTT 60-69 years, male 6.7
GTEX-1HCVE-2926-SM-9WPPJ 50-59 years, male 6.7
GTEX-1NV8Z-3026-SM-DTX8Z 60-69 years, male 6.7
GTEX-13OVH-2926-SM-5IJFH 70-79 years, male 6.6
GTEX-13OVL-3026-SM-5IJF1 50-59 years, male 6.6
GTEX-144GL-2926-SM-5O99F 50-59 years, male 6.6
GTEX-145MG-3126-SM-5Q5D3 50-59 years, male 6.6
GTEX-14ABY-3026-SM-664NE 50-59 years, male 6.6
GTEX-14DAQ-3026-SM-5S2QZ 60-69 years, female 6.6
GTEX-R55E-2526-SM-2TC6H 20-29 years, male 6.6
GTEX-T5JC-2326-SM-32PMR 20-29 years, male 6.6
GTEX-1GF9V-3026-SM-7P8R8 60-69 years, male 6.6
GTEX-1IY9M-3126-SM-AHZ3A 60-69 years, male 6.6
GTEX-1POEN-2726-SM-E9U6B 30-39 years, female 6.6
GTEX-13O3Q-3026-SM-5IJGD 50-59 years, male 6.5
GTEX-13RTJ-3126-SM-5S2Q4 60-69 years, male 6.5
GTEX-147F4-3026-SM-5Q5BJ 50-59 years, male 6.5
GTEX-17EVP-2926-SM-793BU 40-49 years, male 6.5
GTEX-1B8SG-1926-SM-73KUB 50-59 years, male 6.5
GTEX-PVOW-2626-SM-32PL8 40-49 years, male 6.5
GTEX-T6MN-2526-SM-32PMN 50-59 years, male 6.5
GTEX-Y8DK-0726-SM-4TT3S 60-69 years, male 6.5
GTEX-1B8L1-3226-SM-7P8OX 60-69 years, male 6.5
GTEX-1GF9W-2726-SM-9JGGW 60-69 years, male 6.5
GTEX-1GZ4I-2926-SM-9JGGO 50-59 years, male 6.5
GTEX-1H3O1-1826-SM-A96TO 60-69 years, male 6.5
GTEX-13PVQ-2926-SM-5L3HJ 50-59 years, male 6.4
GTEX-13X6J-2926-SM-7EPGP 50-59 years, male 6.4
GTEX-14C5O-2926-SM-5RQI1 60-69 years, male 6.4
GTEX-14E7W-2926-SM-5S2R8 70-79 years, male 6.4
GTEX-WVLH-2926-SM-3MJG5 50-59 years, male 6.4
GTEX-Y111-2826-SM-4TT3O 50-59 years, male 6.4
GTEX-YJ89-2926-SM-5P9IT 60-69 years, male 6.4
GTEX-ZDXO-2926-SM-4WKFM 60-69 years, male 6.4
GTEX-1I1CD-2926-SM-A96SJ 60-69 years, female 6.4
GTEX-1RQEC-3026-SM-DPRXM 60-69 years, male 6.4
GTEX-11DXW-1026-SM-5H11K 40-49 years, male 6.3
GTEX-1269C-3126-SM-5EGI6 60-69 years, female 6.3
GTEX-13FHO-2926-SM-5L3ES 60-69 years, male 6.3
GTEX-145LU-2626-SM-5LU9Z 50-59 years, male 6.3
GTEX-14JIY-2326-SM-6AJAJ 60-69 years, male 6.3
GTEX-17HHY-2926-SM-79OJW 50-59 years, male 6.3
GTEX-183WM-2726-SM-7KFRF 70-79 years, female 6.3
GTEX-NPJ8-2626-SM-2D7W2 40-49 years, male 6.3
GTEX-1HB9E-3126-SM-AHZ4M 50-59 years, male 6.3
GTEX-1KWVE-2226-SM-CXZKN 30-39 years, male 6.3
GTEX-11NUK-3026-SM-5986K 50-59 years, male 6.2
GTEX-132Q8-2926-SM-5IFFP 60-69 years, male 6.2
GTEX-13N2G-3126-SM-5IJGL 60-69 years, male 6.2
GTEX-14JG1-2926-SM-686ZK 40-49 years, male 6.2
GTEX-1A3MX-2926-SM-718B7 60-69 years, male 6.2
GTEX-1B933-3026-SM-731DB 50-59 years, female 6.2
GTEX-1E1VI-2926-SM-7IGLT 50-59 years, male 6.2
GTEX-ZYY3-3026-SM-5GIEJ 60-69 years, female 6.2
GTEX-1IDJH-3126-SM-C1YQS 70-79 years, male 6.2
GTEX-1RDX4-3226-SM-DPS14 50-59 years, female 6.2
GTEX-11ZTS-3226-SM-5EGID 60-69 years, female 6.1
GTEX-13OW8-2926-SM-5L3FV 60-69 years, male 6.1
GTEX-14PN4-3026-SM-664O4 50-59 years, male 6.1
GTEX-1CB4G-2926-SM-7MKFQ 60-69 years, male 6.1
GTEX-1JMPZ-2826-SM-C1YRA 30-39 years, male 6.1
GTEX-12WSD-3026-SM-5LZU7 60-69 years, female 6.0
GTEX-12ZZZ-3126-SM-5LZU6 60-69 years, male 6.0
GTEX-13JVG-3226-SM-5IJGJ 60-69 years, male 6.0
GTEX-XLM4-2926-SM-4AT59 60-69 years, male 6.0
GTEX-1HBPH-3026-SM-9WPNY 40-49 years, female 6.0
GTEX-117XS-3126-SM-5GIDP 60-69 years, male 5.9
GTEX-11ZVC-3026-SM-59HJM 50-59 years, female 5.9
GTEX-12WSE-2926-SM-5RQJ9 20-29 years, male 5.9
GTEX-1313W-3026-SM-5LZUZ 50-59 years, female 5.9
GTEX-145MH-2926-SM-5Q5D2 50-59 years, male 5.9
GTEX-17HG3-2826-SM-7EPGO 30-39 years, female 5.9
GTEX-1C64N-3126-SM-79OO3 50-59 years, male 5.9
GTEX-P44G-2526-SM-2I5EK 30-39 years, male 5.9
GTEX-QVJO-1325-SM-2S1QX 60-69 years, female 5.9
GTEX-1H1ZS-2926-SM-9WPP2 70-79 years, male 5.9
GTEX-1I1GV-3026-SM-CNNR9 60-69 years, male 5.9
GTEX-1JJ6O-3026-SM-C1YQH 60-69 years, male 5.9
GTEX-1RNSC-3126-SM-EVR4V 60-69 years, male 5.9
GTEX-11GSO-3026-SM-5Q5AL 60-69 years, male 5.8
GTEX-12WSC-2926-SM-5BC5Z 50-59 years, male 5.8
GTEX-15G19-2826-SM-6M48K 60-69 years, male 5.8
GTEX-YFC4-3026-SM-5IFJK 40-49 years, female 5.8
GTEX-1IKOH-2826-SM-CNNRC 60-69 years, female 5.8
GTEX-12126-0926-SM-5FQTW 20-29 years, male 5.7
GTEX-13NYB-3226-SM-5J2ND 40-49 years, male 5.7
GTEX-1F52S-3026-SM-7P8PV 60-69 years, female 5.7
GTEX-1GZ2Q-3026-SM-9JGG3 40-49 years, male 5.7
GTEX-1HSMO-2926-SM-C1YR5 60-69 years, male 5.7
GTEX-1MJK2-3026-SM-EV7A5 50-59 years, male 5.7
GTEX-1192X-3226-SM-5987D 50-59 years, male 5.6
GTEX-11DXY-3126-SM-5N9BT 60-69 years, male 5.6
GTEX-12ZZX-2826-SM-5BC6K 40-49 years, female 5.6
GTEX-13112-2926-SM-5DUWT 50-59 years, male 5.6
GTEX-131YS-3026-SM-5EGHY 60-69 years, female 5.6
GTEX-139TT-2626-SM-5LZUB 60-69 years, male 5.6
GTEX-14ASI-2926-SM-5Q5DG 60-69 years, male 5.6
GTEX-1C6WA-3326-SM-7MKGN 60-69 years, male 5.6
GTEX-RU72-2926-SM-2TF66 50-59 years, female 5.6
GTEX-WZTO-2826-SM-3NM8P 40-49 years, male 5.6
GTEX-111FC-3326-SM-5GZYV 60-69 years, male 5.5
GTEX-11DZ1-2926-SM-5A5KI 50-59 years, male 5.5
GTEX-11GSP-3126-SM-5A5LL 60-69 years, female 5.5
GTEX-11ONC-3026-SM-5985W 60-69 years, male 5.5
GTEX-17F97-2926-SM-7DUEQ 50-59 years, male 5.5
GTEX-RNOR-2226-SM-2TF5O 50-59 years, female 5.5
GTEX-WHSE-2926-SM-3NMBG 20-29 years, male 5.5
GTEX-13FHP-2926-SM-5IJG9 50-59 years, male 5.4
GTEX-1F75A-2926-SM-7MXVN 50-59 years, male 5.4
GTEX-13JUV-3026-SM-5K7WX 40-49 years, female 5.3
GTEX-15DYW-3026-SM-7KFRM 60-69 years, female 5.3
GTEX-1PIIG-2826-SM-DTX7O 30-39 years, male 5.3
GTEX-11TTK-2826-SM-5GU5K 60-69 years, female 5.2
GTEX-13FXS-3026-SM-5LZYO 50-59 years, male 5.2
GTEX-ZAJG-3026-SM-5HL92 50-59 years, female 5.2
GTEX-11OC5-0626-SM-5HL6M 60-69 years, male 5.1
GTEX-12ZZY-2926-SM-5DUXO 60-69 years, male 5.1
GTEX-1JJE9-3026-SM-CNNPA 70-79 years, male 5.1
GTEX-145MF-2826-SM-7EPGU 50-59 years, male 5.0
GTEX-147GR-3126-SM-5S2PM 60-69 years, male 5.0
GTEX-14BIM-3126-SM-5Q5C7 60-69 years, female 5.0
GTEX-N7MS-2526-SM-2D7W3 60-69 years, male 5.0
GTEX-XMD1-2826-SM-4AT5F 60-69 years, male 5.0
GTEX-139TS-3126-SM-5LZWX 60-69 years, male 4.9
GTEX-145LS-3026-SM-5O99S 60-69 years, female 4.9
GTEX-UTHO-2926-SM-3P5Z9 60-69 years, male 4.9
GTEX-1F6IF-3026-SM-7P8QN 60-69 years, male 4.9
GTEX-13G51-3126-SM-5IJG7 60-69 years, male 4.8
GTEX-11EMC-3326-SM-5P9JH 60-69 years, female 4.7
GTEX-12WSH-3126-SM-5LZW8 50-59 years, male 4.7
GTEX-13OVJ-2726-SM-5IJG6 50-59 years, female 4.7
GTEX-13OW6-2926-SM-5KM29 50-59 years, male 4.7
GTEX-14BMV-2926-SM-5TDEE 50-59 years, male 4.7
GTEX-1128S-2826-SM-5N9DI 60-69 years, female 4.6
GTEX-13OW5-3126-SM-5MR3Y 60-69 years, male 4.4
GTEX-1H3VE-2826-SM-9WPOL 40-49 years, male 4.4
GTEX-18465-2926-SM-7KFSE 50-59 years, male 4.3
GTEX-ZAB4-2926-SM-57WCV 40-49 years, male 4.3
GTEX-ZF28-2926-SM-4WKG1 60-69 years, male 4.2
GTEX-1EH9U-3126-SM-7MXU5 60-69 years, male 4.1
GTEX-131XH-2926-SM-5LZU4 50-59 years, male 3.9
GTEX-1JN1M-3126-SM-AHZ4E 60-69 years, female 3.9
GTEX-11O72-2826-SM-5HL6W 40-49 years, male 3.8
GTEX-WL46-2826-SM-3LK81 50-59 years, male 3.7
GTEX-WWYW-3026-SM-3NB36 50-59 years, female 3.6
GTEX-ZYFD-2926-SM-5GID9 50-59 years, male 3.6
GTEX-16XZZ-2926-SM-6LPK4 60-69 years, male 3.4
Show allShow less

CEREBELLUM - FANTOM5 CAGEi

RNA expression in human tissues obtained through Cap Analysis of Gene Expression (CAGE) generated by the FANTOM5 project are reported as Scaled Tags Per Million.

Max subtype Scaled Tags Per Millioni

Max subtype Scaled Tags Per Million is the value for the subtype with the largest average Scaled Tags Per Million across the subtype samples.

21.3
FANTOM5 sample id Sample description Scaled Tags Per Million
Cerebellum
Scaled Tags Per Million: 21.3
FF:10166-103B4 76 years, female 31.9
FF:10083-102B2 22-68 years, mixed 10.8

CEREBELLUM - Pig RNA-seqi

RNA-seq data obtained from pig brain is reported as nTPM .

Normal distribution across the dataset is visualized with box plots, shown as median and 25th and 75th percentiles. Points are displayed as outliers if they are above or below 1.5 times the interquartile range. nTPM values of the individual samples are presented next to the box plot.
Max subtype nTPMi

Max subtype nTPM is the value for the subtype with the largest average nTPM across the subtype samples.

8.6
Pig sample Sample description nTPM
Cerebellum
nTPM: 8.6
Samples: 4

Max nTPM: 9.6
Min nTPM: 7.2
Sample A Female 7.2
Sample B Female 8.0
Sample C Male 9.5
Sample D Male 9.6

Contact

  • NEWS ARTICLES
  • PRESS ROOM

The Project

  • INTRODUCTION
  • ORGANIZATION
  • PUBLICATIONS

The Human Protein Atlas

  • DOWNLOADABLE DATA
  • LICENCE & CITATION
  • HELP & FAQ
The Human Protein Atlas project is funded
by the Knut & Alice Wallenberg Foundation.


contact@proteinatlas.org