We use cookies to enhance the usability of our website. If you continue, we'll assume that you are happy to receive all cookies. More information. Don't show this again.
HP
HPA
RESOURCES
  • TISSUE
  • BRAIN
  • SINGLE CELL
  • SUBCELLULAR
  • CANCER
  • BLOOD
  • CELL LINE
  • STRUCTURE & INTERACTION
ABOUT
  • INTRODUCTION
  • HISTORY
  • ORGANIZATION
  • PUBLICATIONS
  • ANTIBODY SUBMISSION
  • ANTIBODY AVAILABILITY
  • ACKNOWLEDGMENTS
  • CONTACT
NEWS
  • NEWS ARTICLES
  • PRESS ROOM
LEARN
  • DICTIONARY
  • PROTEIN CLASSES
  • PROTEIN EVIDENCE
  • METHODS
  • EDUCATIONAL VIDEOS
DATA
  • DOWNLOADABLE DATA
  • PUBLICATION DATA
  • RELEASE HISTORY
HELP
  • ANTIBODY VALIDATION
  • ASSAYS & ANNOTATION
  • DISCLAIMER
  • HELP & FAQ
  • PRIVACY STATEMENT
  • LICENCE & CITATION
Fields »
Search result

Field
Term
Gene name
Class
Subclass
Class
Keyword
Chromosome
External id
Tissue
Cell type
Expression
Antibody panel
Tissue
Main location
Patient ID
Annotation
Tissue
Category
Tau score
Cluster
Reliability
Brain region
Category
Tau score
Brain region
Category
Tau score
Brain region
Category
Tau score
Cluster
Reliability
Tissue
Cell type
Enrichment
Cell type
Category
Tau score
Cell type
Category
Tau score
Cell type
Category
Tau score
Cell lineage
Category
Tau score
Cluster
Cluster
Location
Searches
Location
Cell line
Class
Type
Phase
Reliability
Cancer
Prognosis
Cancer
Category
Cancer
Category
Tau score
Cluster
Variants
Interacting gene (ensg_id)
Type
Number of interactions
Pathway
Category
Score
Score
Score
Validation
Validation
Validation
Validation
Antibodies
Data type
Column


  • SUMMARY

  • TISSUE

  • BRAIN

  • SINGLE CELL

  • SUBCELL

  • CANCER

  • BLOOD

  • CELL LINE

  • STRUCT & INT

  • HP
CANCER LIVER CANCER Show tissue menu
BREAST CANCER CARCINOID CERVICAL CANCER COLORECTAL CANCER ENDOMETRIAL CANCER GLIOMA HEAD AND NECK CANCER LIVER CANCER LUNG CANCER LYMPHOMA
MELANOMA OVARIAN CANCER PANCREATIC CANCER PROSTATE CANCER RENAL CANCER SKIN CANCER STOMACH CANCER TESTIS CANCER THYROID CANCER UROTHELIAL CANCER
LIHC TCGA LIHC VALIDATION PROTEIN LIHC CPTAC PROTEIN EXPRESSION
ANTIBODIES
AND
VALIDATION
Dictionary
Liver cancer
Human cancer
Liver hepatocellular carcinoma
LIVER HEPATOCELLULAR CARCINOMA (TCGA) - Interactive survival scatter ploti

The Survival Scatter plot shows the clinical status (i.e. dead or alive) for all individuals in the patient cohort, based on the same data that underlies the corresponding Kaplan-Meier plots. Patients that are alive at last time for follow-up are shown in blue and patients who have died during the study are shown in red.

The x-axis shows the expression levels (FPKM) of the investigated gene in the tumor tissue at the time of diagnosis. The y-axis shows the follow-up time after diagnosis (years). Both axes are complimented with kernel density curves demonstrating the data density over the axes. The top density plot shows the expression levels (FPKM) distribution among dead (red) and alive patients (blue). The right density plot shows the data density of the survived years of dead patients with high and low expression levels respectively, stratified using the cutoff indicated by the vertical dashed line through the Survival Scatter plot. This cutoff is automatically defined based on the FPKM cutoff that minimizes the p-score. The cutoff can be changed by dragging the vertical line or by entering a cutoff value in the square labeled "Current cut-off".

Under the Survival Scatter plot the p-score landscape (black curve; left axis) is shown together with dead median separation (red curve; right axis). Dead median separation is the difference in median mRNA expression between patients who have died with high and low expression, respectively. It is calculated as follows: median FPKM expression of dead patients with high expression - median FPKM expression of dead patients with low expression. This is intended to aid the user in visually exploring custom cutoffs and the associated p-scores and dead median separation.

Individual patient data is displayed and can be filtered by clicking on one or more of the category buttons on the top of the page. Categories describing expression level and patient information include: high, low, alive, dead, female, male and tumor stages. The scale of the x-axis can be toggled between linear and log-scale by clicking on the "x log" button. Mouse-over function shows TCGA ID, patient information and mRNA expression (FPKM) for each patient.

& Survival analysisi

Kaplan-Meier plots summarize results from analysis of correlation between mRNA expression level and patient survival. Patients were divided based on level of expression into one of the two groups "low" (under cut off) or "high" (over cut off). X-axis shows time for survival (years) and y-axis shows the probability of survival, where 1.0 corresponds to 100 percent.

HP is not prognostic in Liver Hepatocellular Carcinoma (TCGA)


Stage:


Survival analysis
Current cut offi

Current cut-off shows the cut-off (FPKM) currently selected. It may be changed manually. When the current cut-off is changed, the vertical dashed line indicating cut-off, the interactive survival scatter plot and the Kaplan-Meier curve will be automatically adjusted to show results accordingly.

:
Best expression cut offi

Based on the FPKM value of each gene, patients were classified into two groups and association between prognosis (survival) and gene expression (FPKM) was examined. The best expression cut-off refers the FPKM value that yields maximal difference with regard to survival between the two groups at the lowest log-rank P-value. Best expression cut-off was selected based on survival analysis .

When clicking on this number, the vertical dashed line indicating cut-off, the interactive survival plot, and the Kaplan-Meier curve will be adjusted to show results based on the best expression cut-off.

: 3954.24
Median expressioni

Median expression refers to the median FPKM value calculated based on the gene expression (FPKM) data from all patients in this dataset. When clicking on this number, the vertical dashed line indicating cut-off, the interactive survival plot, and the Kaplan-Meier curve will be adjusted to show results based on the median expression.

: N/A
Median follow up timei

Median follow up time refers to the median time (years) after diagnosis with this type of cancer, based on clinical data from all patients in this dataset.

: N/A
P scorei

Log-rank P value for Kaplan-Meier plot showing results from analysis of correlation between mRNA expression level and patient survival.

N/A
5-year survival highi

5-year survival for patients with higher expression than the expression cutoff.

For melanoma and glioma, 3-year survival is shown.

N/A
5-year survival lowi

5-year survival for patients with lower expression than the expression cutoff.

For melanoma and glioma, 3-year survival is shown.

N/A
TCGA RNA samplesi

RNA-seq data is reported as average FPKM (number Fragments Per Kilobase of exon per Million reads), generated by the The Cancer Genome Atlas (TCGA) .

Normal distribution across the dataset is visualized with box plots, shown as median and 25th and 75th percentiles. Points are displayed as outliers if they are above or below 1.5 times the interquartile range. FPKM values of the individual samples are presented next to the box plot.

Average pTPM 14658.5
Number of samples 362
Samples
Sample Description pTPM
TCGA-DD-AACD-01A 48 years, male, asian, stage:Stage I, dead, 381 days 113312.0
TCGA-DD-A73C-01A 65 years, female, white, stage:Stage IIIA, alive, 701 days 86068.7
TCGA-DD-A4NP-01A 32 years, male, white, stage:Stage I, alive, 3308 days 74223.2
TCGA-LG-A9QD-01A 68 years, male, white, stage:Stage IIIA, alive, 366 days 61007.5
TCGA-DD-AAVX-01A 38 years, male, asian, stage:Stage II, alive, 1718 days 59049.8
TCGA-DD-A1ED-01A 68 years, male, white, stage:Stage I, alive, 2301 days 57910.1
TCGA-DD-A4NL-01A 46 years, male, white, stage:Stage I, alive, 1711 days 57471.7
TCGA-DD-A39V-01A 77 years, male, white, stage:Stage II, dead, 643 days 55977.9
TCGA-2Y-A9GV-01A 54 years, female, white, stage:Stage I, dead, 2532 days 51864.4
TCGA-G3-A25Z-01A 58 years, male, asian, stage:Stage I, alive, 655 days 49568.8
TCGA-WQ-AB4B-01A 62 years, male, white, stage:Stage II, alive, 395 days 48939.0
TCGA-2Y-A9H1-01A 58 years, male, white, stage:Stage I, dead, 1229 days 48304.6
TCGA-DD-AAE4-01A 49 years, female, asian, stage:Stage I, alive, 608 days 47782.6
TCGA-BC-A69I-01A 69 years, male, white, stage:Stage I, alive, 387 days 46875.7
TCGA-G3-A5SK-01A 58 years, male, white, stage:Stage I, alive, 744 days 44158.9
TCGA-2Y-A9GT-01A 51 years, male, white, stage:Stage I, dead, 1624 days 44077.5
TCGA-G3-A3CK-01A 61 years, male, asian, stage:Stage I, alive, 585 days 44032.7
TCGA-DD-AADM-01A 58 years, male, asian, stage:Stage II, dead, 12 days 43609.5
TCGA-CC-5259-01A 60 years, female, asian, stage:Stage IIIC, alive, 250 days 43237.6
TCGA-DD-AADQ-01A 59 years, male, asian, stage:Stage II, alive, 436 days 43116.6
TCGA-DD-AACT-01A 69 years, female, asian, stage:Stage I, alive, 1562 days 42357.2
TCGA-DD-A3A1-01A 65 years, male, stage:Stage IIIA, dead, 233 days 42006.4
TCGA-WX-AA47-01A 33 years, female, white, stage:Stage IIIA, dead, 556 days 41167.4
TCGA-G3-A5SM-01A 58 years, male, white, stage:Stage II, alive, 520 days 40913.2
TCGA-DD-A119-01A 40 years, male, asian, stage:Stage IV, dead, 223 days 40186.9
TCGA-DD-A4NK-01A 80 years, female, white, stage:Stage IIIA, dead, 1210 days 39701.6
TCGA-DD-AADS-01A 63 years, male, asian, stage:Stage I, alive, 474 days 39586.0
TCGA-BC-A110-01A 51 years, female, black or african american, stage:'--, dead, 2116 days 38478.7
TCGA-ES-A2HT-01A 54 years, male, black or african american, stage:Stage I, dead, 438 days 38243.4
TCGA-G3-A3CG-01A 80 years, male, white, stage:Stage I, alive, 673 days 38164.3
TCGA-DD-A115-01A 53 years, male, white, stage:Stage IIIA, dead, 2542 days 37610.6
TCGA-G3-A3CJ-01A 52 years, male, american indian or alaska native, stage:Stage II, alive, 594 days 36186.0
TCGA-LG-A6GG-01A 79 years, female, white, stage:Stage II, alive, 387 days 35333.3
TCGA-ZS-A9CE-01A 79 years, female, white, stage:Stage II, alive, 1241 days 34811.4
TCGA-DD-A11C-01A 69 years, male, white, stage:Stage I, alive, 662 days 34371.4
TCGA-DD-A3A3-01A 45 years, male, asian, stage:Stage I, dead, 535 days 33806.2
TCGA-BD-A3ER-01A 62 years, male, white, stage:Stage II, alive, 1115 days 33735.5
TCGA-MI-A75E-01A 61 years, male, white, stage:Stage IIIC, alive, 507 days 33332.7
TCGA-EP-A3JL-01A 76 years, male, white, stage:Stage I, alive, 303 days 33245.6
TCGA-ED-A459-01A 47 years, male, asian, stage:Stage II, alive, 910 days 32566.6
TCGA-K7-A6G5-01A 66 years, male, white, stage:Stage I, alive, 512 days 32527.9
TCGA-2Y-A9GZ-01A 82 years, female, white, stage:Stage II, dead, 848 days 32509.8
TCGA-G3-A7M5-01A 76 years, male, asian, stage:Stage I, alive, 447 days 32454.2
TCGA-5R-AA1D-01A 17 years, female, white, stage:Stage IIIA, alive, 449 days 32442.7
TCGA-DD-AAC8-01A 72 years, male, asian, stage:Stage I, dead, 16 days 32407.5
TCGA-DD-A1EK-01A 64 years, female, white, stage:Stage IVB, dead, 558 days 32067.2
TCGA-DD-AAC9-01A 51 years, male, asian, stage:Stage I, alive, 347 days 31847.7
TCGA-G3-AAV2-01A 50 years, male, white, stage:Stage I, alive, 372 days 31442.9
TCGA-5R-AAAM-01A 65 years, female, white, stage:Stage II, dead, 46 days 30751.3
TCGA-DD-AAEG-01A 59 years, female, asian, stage:Stage I, alive, 719 days 30593.9
TCGA-GJ-A6C0-01A 75 years, female, white, stage:Stage II, dead, 31 days 30424.8
TCGA-EP-A3RK-01A 73 years, male, white, stage:Stage IIIA, alive, 363 days 29877.4
TCGA-5R-AA1C-01A 57 years, male, white, stage:Stage II, alive, 520 days 29607.5
TCGA-G3-A3CI-01A 71 years, male, white, stage:Stage I, alive, 180 days 29296.5
TCGA-ED-A627-01A 74 years, male, white, stage:Stage I, alive, 423 days 29295.2
TCGA-EP-A2KC-01A 62 years, male, black or african american, stage:Stage I, dead, 19 days 28867.7
TCGA-ZP-A9CY-01A 66 years, female, white, stage:'--, alive, 782 days 28330.7
TCGA-DD-A4NO-01A 65 years, male, white, stage:Stage I, alive, 2245 days 27794.1
TCGA-HP-A5MZ-01A 78 years, male, stage:Stage I, dead, 91 days 27696.4
TCGA-G3-A25V-01A 68 years, male, white, stage:Stage I, alive, 860 days 27518.9
TCGA-DD-AAEK-01A 51 years, male, asian, stage:Stage II, alive, 1067 days 27432.8
TCGA-DD-AADO-01A 55 years, male, asian, stage:Stage I, alive, 453 days 27063.8
TCGA-BC-A10S-01A 81 years, male, white, stage:'--, dead, 1423 days 27053.5
TCGA-DD-AAD8-01A 73 years, female, asian, stage:Stage I, alive, 1219 days 26908.3
TCGA-UB-AA0V-01A 69 years, female, white, stage:Stage I, alive, 314 days 26190.9
TCGA-ZS-A9CD-01A 73 years, male, white, stage:Stage II, dead, 1386 days 26172.7
TCGA-BC-A10X-01A 52 years, female, white, stage:Stage IIIA, dead, 770 days 26164.0
TCGA-ZP-A9D1-01A 56 years, female, white, stage:'--, alive, 21 days 25667.4
TCGA-DD-A1EB-01A 72 years, female, stage:Stage I, alive, 2017 days 25238.4
TCGA-DD-A4NV-01A 61 years, male, white, stage:Stage IIIA, alive, 2398 days 24860.8
TCGA-2Y-A9H9-01A 70 years, male, white, stage:Stage I, alive, 697 days 24840.5
TCGA-DD-AAEB-01A 60 years, male, asian, stage:Stage I, alive, 478 days 24698.0
TCGA-DD-A3A2-01A 76 years, female, white, stage:Stage I, dead, 2131 days 24443.6
TCGA-ZS-A9CG-01A 55 years, male, white, stage:Stage II, alive, 341 days 24215.1
TCGA-K7-A5RF-01A 64 years, male, white, stage:Stage I, alive, 631 days 23927.5
TCGA-DD-AACO-01A 40 years, male, asian, stage:Stage I, alive, 1876 days 22960.2
TCGA-DD-AAE3-01A 50 years, male, asian, stage:Stage I, alive, 566 days 22880.9
TCGA-FV-A3I1-01A 81 years, female, white, stage:Stage II, dead, 247 days 22425.2
TCGA-DD-A1EA-01A 68 years, male, asian, stage:Stage II, alive, 2415 days 22180.8
TCGA-DD-AAVR-01A 44 years, male, asian, stage:Stage I, alive, 2513 days 22083.3
TCGA-2Y-A9GW-01A 64 years, male, white, stage:Stage I, dead, 1271 days 21929.0
TCGA-DD-AAE2-01A 51 years, male, asian, stage:Stage I, alive, 638 days 21892.8
TCGA-DD-A73B-01A 72 years, female, white, stage:Stage I, dead, 283 days 21791.2
TCGA-PD-A5DF-01A 58 years, female, white, stage:Stage IIIB, dead, 639 days 21712.5
TCGA-G3-AAV0-01A 58 years, male, asian, stage:Stage I, alive, 476 days 21704.1
TCGA-DD-AAD2-01A 66 years, male, asian, stage:Stage I, alive, 658 days 21577.2
TCGA-DD-A39X-01A 78 years, female, white, stage:Stage I, dead, 1694 days 21484.8
TCGA-T1-A6J8-01A 68 years, male, white, stage:'--, alive, 23 days 21415.4
TCGA-DD-AADF-01A 64 years, female, asian, stage:Stage I, dead, 115 days 21323.7
TCGA-G3-A7M8-01A 31 years, male, asian, stage:Stage I, alive, 430 days 21321.0
TCGA-2Y-A9GX-01A 68 years, male, white, stage:Stage I, alive, 2442 days 21291.6
TCGA-DD-AACY-01A 61 years, male, asian, stage:Stage I, alive, 1450 days 21041.3
TCGA-FV-A495-01A 51 years, female, white, stage:Stage II, alive, 1 days 20961.4
TCGA-ES-A2HS-01A 80 years, male, white, stage:Stage I, dead, 688 days 20865.8
TCGA-NI-A4U2-01A 71 years, male, white, stage:Stage IIIA, dead, 1791 days 20821.5
TCGA-DD-A11D-01A 57 years, female, white, stage:Stage I, dead, 1560 days 20593.2
TCGA-DD-A4NG-01A 77 years, male, white, stage:Stage IIIA, dead, 802 days 20562.1
TCGA-DD-A4NB-01A 25 years, male, white, stage:Stage I, alive, 989 days 20436.9
TCGA-MR-A520-01A 58 years, male, white, stage:Stage I, alive, 229 days 20423.7
TCGA-DD-A3A5-01A 66 years, female, white, stage:Stage III, dead, 3125 days 20266.8
TCGA-RC-A6M5-01A 20 years, female, white, stage:Stage IVA, alive, 15 days 20262.1
TCGA-DD-AADR-01A 58 years, male, asian, stage:Stage I, alive, 2028 days 20084.7
TCGA-DD-AAE7-01A 72 years, male, asian, stage:Stage I, alive, 644 days 19965.0
TCGA-DD-AAVV-01A 56 years, male, asian, stage:Stage II, alive, 2455 days 19769.9
TCGA-DD-A3A8-01A 75 years, male, white, stage:Stage II, dead, 11 days 19760.2
TCGA-ZP-A9CV-01A 59 years, male, white, stage:'--, dead, 1088 days 19655.7
TCGA-ZP-A9D0-01A 67 years, female, black or african american, stage:'--, alive, 1091 days 19638.9
TCGA-G3-A6UC-01A 65 years, male, white, stage:Stage IIIB, alive, 671 days 19410.5
TCGA-DD-AACC-01A 61 years, male, asian, stage:Stage I, dead, 1685 days 19201.0
TCGA-DD-A3A7-01A 67 years, male, stage:Stage IIIB, dead, 419 days 19051.7
TCGA-G3-AAV3-01A 58 years, female, white, stage:Stage II, alive, 412 days 18970.2
TCGA-KR-A7K7-01A 61 years, female, white, stage:Stage II, alive, 951 days 18688.9
TCGA-CC-A3MC-01A 54 years, male, asian, stage:Stage IIIA, alive, 363 days 18650.5
TCGA-CC-5262-01A 67 years, male, asian, stage:Stage IIIC, dead, 103 days 18450.8
TCGA-G3-A5SL-01A 70 years, male, white, stage:Stage II, alive, 621 days 18223.0
TCGA-DD-AADK-01A 68 years, female, asian, stage:Stage II, alive, 1049 days 18153.2
TCGA-CC-A123-01A 24 years, female, asian, stage:Stage IIIA, alive, 219 days 17853.3
TCGA-DD-A4NI-01A 67 years, male, white, stage:Stage II, alive, 816 days 17807.1
TCGA-DD-AAW1-01A 55 years, male, asian, stage:Stage IIIA, alive, 1989 days 17779.9
TCGA-DD-AAVU-01A 46 years, male, asian, stage:Stage II, alive, 2202 days 17443.8
TCGA-ED-A4XI-01A 58 years, male, asian, stage:Stage II, alive, 819 days 17216.3
TCGA-DD-AAVY-01A 56 years, male, asian, stage:Stage IIIA, alive, 1970 days 17007.5
TCGA-EP-A12J-01A 62 years, male, black or african american, stage:Stage I, alive, 570 days 16608.9
TCGA-DD-A1EG-01A 76 years, male, white, stage:Stage I, dead, 1372 days 16560.9
TCGA-DD-A3A9-01A 64 years, female, white, stage:Stage IVB, dead, 931 days 16501.0
TCGA-G3-A7M7-01A 65 years, male, white, stage:Stage I, alive, 361 days 16203.2
TCGA-DD-A116-01A 68 years, male, asian, stage:Stage IIIA, dead, 1622 days 16136.6
TCGA-G3-AAUZ-01A 48 years, male, stage:Stage I, alive, 480 days 16117.5
TCGA-HP-A5N0-01A 90 years, female, stage:'--, dead, 752 days 16094.6
TCGA-GJ-A9DB-01A 68 years, male, white, stage:Stage I, dead, 67 days 16093.1
TCGA-FV-A3R2-01A 75 years, male, white, stage:Stage I, dead, 194 days 15870.3
TCGA-YA-A8S7-01A 68 years, male, white, stage:Stage IIIA, dead, 412 days 15836.5
TCGA-2Y-A9H6-01A 68 years, female, white, stage:Stage I, alive, 357 days 15756.9
TCGA-FV-A2QQ-01A 80 years, male, white, stage:Stage I, alive, 729 days 15501.8
TCGA-ED-A7XO-01A 29 years, male, asian, stage:Stage IIIA, alive, 427 days 15473.0
TCGA-DD-A73F-01A 77 years, female, white, stage:Stage I, alive, 1085 days 15226.0
TCGA-BD-A2L6-01A 69 years, male, white, stage:'--, alive, 1363 days 15130.4
TCGA-KR-A7K0-01A 65 years, male, white, stage:Stage I, dead, 65 days 15117.7
TCGA-FV-A2QR-01A 75 years, male, white, stage:Stage I, dead, 581 days 15084.8
TCGA-DD-AACG-01A 52 years, male, asian, stage:Stage II, dead, 469 days 14852.9
TCGA-CC-A9FS-01A 55 years, male, asian, stage:Stage II, alive, 211 days 14571.1
TCGA-UB-A7MD-01A 67 years, male, black or african american, stage:Stage I, dead, 52 days 14540.4
TCGA-FV-A496-01A 84 years, female, white, stage:Stage I, alive, 10 days 14246.9
TCGA-DD-AAEI-01A 72 years, male, asian, stage:Stage I, alive, 1531 days 14050.2
TCGA-G3-A5SI-01A 44 years, male, asian, stage:Stage II, dead, 768 days 13802.0
TCGA-K7-A5RG-01A 66 years, male, black or african american, stage:Stage I, alive, 519 days 13755.3
TCGA-3K-AAZ8-01A 65 years, male, black or african american, stage:Stage IIIB, alive, 396 days 13593.7
TCGA-DD-AACJ-01A 75 years, male, asian, stage:Stage II, alive, 2102 days 13534.2
TCGA-MR-A8JO-01A 34 years, male, white, stage:Stage I, alive, 330 days 13426.0
TCGA-DD-AAD6-01A 66 years, male, asian, stage:Stage IIIA, alive, 672 days 13401.3
TCGA-UB-AA0U-01A 60 years, male, white, stage:Stage II, alive, 327 days 13305.2
TCGA-DD-A1EL-01A 23 years, male, black or african american, stage:Stage II, dead, 415 days 13186.8
TCGA-WX-AA46-01A 61 years, male, white, stage:Stage II, alive, 756 days 13148.4
TCGA-XR-A8TG-01A 58 years, male, white, stage:Stage I, alive, 898 days 13101.3
TCGA-DD-AACE-01A 62 years, male, asian, stage:Stage I, alive, 2184 days 13021.0
TCGA-WJ-A86L-01A 68 years, female, white, stage:Stage I, alive, 345 days 12922.9
TCGA-CC-A9FW-01A 68 years, male, asian, stage:Stage IIIA, alive, 248 days 12828.4
TCGA-ED-A97K-01A 54 years, male, asian, stage:Stage IIIA, alive, 6 days 12808.9
TCGA-4R-AA8I-01A 66 years, male, white, stage:Stage II, dead, 262 days 12633.8
TCGA-DD-AAVZ-01A 38 years, male, asian, stage:Stage I, alive, 1900 days 12450.8
TCGA-DD-A73A-01A 71 years, male, white, stage:Stage I, alive, 728 days 12437.8
TCGA-BC-A10U-01A 69 years, male, white, stage:'--, dead, 837 days 12370.2
TCGA-O8-A75V-01A 54 years, male, stage:Stage I, alive, 538 days 12360.9
TCGA-2Y-A9HB-01A 66 years, male, stage:Stage I, alive, 260 days 12334.5
TCGA-GJ-A3OU-01A 59 years, male, white, stage:Stage I, alive, 879 days 12255.8
TCGA-ED-A7XP-01A 53 years, female, asian, stage:Stage II, alive, 400 days 12009.5
TCGA-DD-A4NR-01A 85 years, female, white, stage:Stage I, dead, 9 days 11855.9
TCGA-BW-A5NO-01A 50 years, male, black or african american, stage:Stage IIIA, alive, 20 days 11815.4
TCGA-BC-A217-01A 75 years, female, white, stage:Stage II, dead, 1397 days 11695.2
TCGA-2Y-A9H0-01A 49 years, male, white, stage:Stage IIIA, alive, 3675 days 11476.1
TCGA-MI-A75G-01A 63 years, male, white, stage:Stage II, alive, 698 days 11459.6
TCGA-MI-A75I-01A 61 years, male, black or african american, stage:'--, alive, 630 days 11399.4
TCGA-DD-AACI-01A 69 years, male, asian, stage:Stage II, alive, 1618 days 11155.1
TCGA-CC-A7IH-01A 58 years, male, asian, stage:Stage IIIA, alive, 365 days 11144.3
TCGA-XR-A8TE-01A 16 years, male, white, stage:Stage IIIA, alive, 925 days 11109.1
TCGA-G3-AAV1-01A 51 years, male, asian, stage:Stage IIIC, dead, 359 days 11029.6
TCGA-DD-AADG-01A 70 years, male, asian, stage:Stage IIIA, alive, 1145 days 10731.0
TCGA-2Y-A9H4-01A 68 years, male, black or african american, stage:Stage I, alive, 1452 days 10590.8
TCGA-BC-A10T-01A 76 years, male, white, stage:'--, dead, 837 days 10541.9
TCGA-G3-A25S-01A 64 years, male, white, stage:Stage I, dead, 416 days 10326.8
TCGA-2Y-A9GS-01A 58 years, male, white, stage:'--, dead, 724 days 10315.1
TCGA-G3-A3CH-01A 53 years, male, asian, stage:Stage IIIA, alive, 780 days 10310.3
TCGA-BC-A10W-01A 50 years, male, asian, stage:'--, dead, 91 days 10093.6
TCGA-DD-AADU-01A 60 years, male, asian, stage:Stage II, alive, 554 days 10058.7
TCGA-DD-A39Z-01A 43 years, female, stage:Stage II, dead, 601 days 10025.0
TCGA-MI-A75C-01A 64 years, male, white, stage:Stage I, alive, 291 days 9974.5
TCGA-DD-AAE9-01A 69 years, male, asian, stage:Stage I, alive, 722 days 9954.1
TCGA-DD-A73G-01A 73 years, female, white, stage:Stage I, alive, 3478 days 9943.0
TCGA-DD-AACK-01A 70 years, male, asian, stage:Stage I, alive, 9 days 9938.7
TCGA-DD-A3A4-01A 37 years, male, white, stage:Stage IIIA, dead, 612 days 9916.5
TCGA-DD-A4NJ-01A 54 years, female, white, stage:Stage II, alive, 928 days 9840.0
TCGA-BC-A10Y-01A 76 years, male, white, stage:'--, dead, 711 days 9791.3
TCGA-KR-A7K2-01A 64 years, male, white, stage:Stage I, alive, 829 days 9711.5
TCGA-ZS-A9CF-01A 64 years, male, white, stage:Stage II, alive, 2412 days 9505.1
TCGA-DD-AADV-01A 50 years, male, asian, stage:Stage I, alive, 574 days 9485.3
TCGA-QA-A7B7-01A 48 years, male, black or african american, stage:Stage II, alive, 94 days 9453.3
TCGA-BC-A216-01A 62 years, female, white, stage:Stage IIIA, alive, 1351 days 9307.0
TCGA-DD-A4NQ-01A 60 years, male, white, stage:Stage II, dead, 373 days 9205.0
TCGA-CC-5264-01A 71 years, male, asian, stage:Stage IIIA, dead, 102 days 9169.6
TCGA-BC-A3KF-01A 66 years, female, white, stage:Stage I, alive, 8 days 8989.7
TCGA-XR-A8TD-01A 49 years, female, white, stage:Stage IIIB, alive, 1030 days 8411.2
TCGA-UB-A7MC-01A 59 years, male, white, stage:Stage IIIA, alive, 500 days 8402.0
TCGA-DD-A1EI-01A 46 years, male, asian, stage:Stage I, alive, 183 days 8317.1
TCGA-DD-AADP-01A 45 years, male, asian, stage:Stage I, alive, 458 days 8141.4
TCGA-DD-AADC-01A 53 years, male, asian, stage:Stage I, dead, 425 days 8134.5
TCGA-BD-A3EP-01A 75 years, female, black or african american, stage:Stage I, alive, 409 days 7699.0
TCGA-5C-A9VH-01A 70 years, male, white, stage:Stage I, alive, 322 days 7559.4
TCGA-RC-A7SF-01A 66 years, male, asian, stage:Stage I, alive, 579 days 7527.4
TCGA-DD-AACF-01A 68 years, male, asian, stage:Stage I, dead, 365 days 7363.0
TCGA-DD-A118-01A 77 years, female, white, stage:Stage II, alive, 3437 days 7185.4
TCGA-DD-AAEH-01A 73 years, male, asian, stage:Stage I, alive, 784 days 7055.1
TCGA-DD-A1EE-01A 73 years, male, white, stage:Stage IIIA, dead, 349 days 6985.9
TCGA-EP-A26S-01A 70 years, male, white, stage:Stage I, alive, 608 days 6917.4
TCGA-CC-A7IL-01A 61 years, male, asian, stage:Stage IIIA, dead, 278 days 6898.5
TCGA-ZP-A9D4-01A 64 years, female, white, stage:'--, alive, 395 days 6863.1
TCGA-DD-A4NE-01A 75 years, female, white, stage:Stage IIIA, dead, 660 days 6860.8
TCGA-XR-A8TF-01A 74 years, male, white, stage:Stage I, dead, 693 days 6860.7
TCGA-MI-A75H-01A 77 years, male, white, stage:'--, alive, 747 days 6853.5
TCGA-DD-A4NS-01A 61 years, female, white, stage:Stage I, dead, 2456 days 6846.6
TCGA-ZP-A9CZ-01A 72 years, male, asian, stage:'--, alive, 706 days 6644.3
TCGA-DD-AAW3-01A 69 years, male, asian, stage:Stage I, alive, 1633 days 6598.8
TCGA-KR-A7K8-01A 57 years, male, stage:Stage I, alive, 906 days 6398.6
TCGA-2Y-A9H8-01A 85 years, female, white, stage:'--, dead, 633 days 6369.8
TCGA-FV-A23B-01A 70 years, female, white, stage:Stage II, dead, 1852 days 6324.2
TCGA-DD-AAEE-01A 55 years, male, asian, stage:Stage I, alive, 810 days 6117.5
TCGA-DD-A11B-01A 73 years, male, white, stage:Stage I, dead, 14 days 6042.9
TCGA-BC-A5W4-01A 69 years, male, white, stage:Stage IIIA, dead, 547 days 5946.4
TCGA-DD-AADJ-01A 70 years, female, asian, stage:Stage I, alive, 1066 days 5934.0
TCGA-DD-AADA-01A 66 years, female, asian, stage:Stage I, alive, 1233 days 5902.6
TCGA-RC-A6M6-01A 75 years, male, white, stage:Stage II, alive, 9 days 5858.6
TCGA-DD-AAEA-01A 65 years, male, asian, stage:Stage I, alive, 575 days 5705.6
TCGA-CC-A7IF-01A 59 years, male, asian, stage:Stage IIIA, dead, 649 days 5670.7
TCGA-G3-A25U-01A 63 years, female, asian, stage:Stage I, alive, 1636 days 5563.2
TCGA-DD-AACP-01A 64 years, male, asian, stage:Stage I, alive, 415 days 5541.7
TCGA-2Y-A9H2-01A 64 years, female, white, stage:Stage I, alive, 1731 days 5426.5
TCGA-DD-AACX-01A 66 years, male, asian, stage:Stage II, alive, 170 days 5403.0
TCGA-DD-AAD1-01A 51 years, female, asian, stage:Stage I, alive, 564 days 5320.3
TCGA-2Y-A9H3-01A 45 years, male, white, stage:Stage II, alive, 1516 days 5272.1
TCGA-RC-A7SB-01A 53 years, male, asian, stage:Stage II, alive, 588 days 5171.0
TCGA-DD-A39Y-01A 67 years, male, asian, stage:Stage I, dead, 171 days 5146.8
TCGA-G3-A7M6-01A 60 years, female, white, stage:Stage I, alive, 632 days 5108.9
TCGA-DD-A4NF-01A 72 years, male, white, stage:Stage I, alive, 942 days 5064.7
TCGA-DD-AAVW-01A 35 years, male, asian, stage:Stage I, alive, 2317 days 4997.2
TCGA-FV-A3R3-01A 38 years, female, white, stage:Stage I, dead, 366 days 4964.5
TCGA-DD-AAVP-01A 48 years, male, asian, stage:Stage I, alive, 2752 days 4909.4
TCGA-DD-A4ND-01A 56 years, female, white, stage:Stage I, alive, 2746 days 4847.8
TCGA-UB-A7MB-01A 24 years, male, white, stage:Stage II, alive, 601 days 4696.1
TCGA-UB-A7ME-01A 51 years, male, asian, stage:Stage I, alive, 486 days 4676.4
TCGA-WQ-A9G7-01A 71 years, female, white, stage:'--, alive, 30 days 4675.5
TCGA-RC-A6M4-01A 74 years, female, white, stage:Stage IIIA, alive, 22 days 4548.1
TCGA-NI-A8LF-01A 74 years, male, white, stage:Stage I, alive, 799 days 4450.2
TCGA-DD-AAD3-01A 43 years, male, asian, stage:Stage I, alive, 1295 days 4299.7
TCGA-WX-AA44-01A 64 years, female, white, stage:Stage I, alive, 615 days 4295.8
TCGA-G3-A25T-01A 45 years, female, white, stage:Stage IIIA, alive, 1553 days 4264.5
TCGA-DD-AADN-01A 59 years, male, asian, stage:Stage I, alive, 898 days 4225.2
TCGA-DD-AACV-01A 53 years, male, asian, stage:Stage I, alive, 1531 days 4211.4
TCGA-DD-AADI-01A 43 years, female, asian, stage:Stage I, alive, 1085 days 4026.6
TCGA-RG-A7D4-01A 69 years, male, black or african american, stage:Stage II, alive, 1098 days 3964.2
TCGA-DD-AACB-01A 74 years, female, asian, stage:Stage I, alive, 2324 days 3955.8
TCGA-CC-5258-01A 48 years, male, asian, stage:Stage II, dead, 129 days 3952.7
TCGA-CC-A5UC-01A 63 years, male, asian, stage:Stage IIIA, dead, 347 days 3936.4
TCGA-2Y-A9HA-01A 70 years, male, white, stage:Stage II, dead, 36 days 3933.6
TCGA-DD-AACN-01A 32 years, male, asian, stage:Stage I, alive, 1302 days 3871.8
TCGA-DD-AACZ-01A 63 years, female, asian, stage:Stage I, dead, 171 days 3827.5
TCGA-2Y-A9H7-01A 81 years, female, white, stage:Stage I, alive, 1168 days 3782.9
TCGA-RC-A7SK-01A 59 years, male, asian, stage:Stage I, alive, 472 days 3779.2
TCGA-UB-A7MF-01A 56 years, male, white, stage:Stage IIIA, dead, 214 days 3745.7
TCGA-ED-A8O6-01A 50 years, female, asian, stage:Stage IIIA, dead, 56 days 3667.1
TCGA-DD-AACQ-01A 50 years, male, asian, stage:Stage II, dead, 432 days 3661.0
TCGA-RC-A7S9-01A 47 years, female, asian, stage:Stage I, alive, 640 days 3657.4
TCGA-DD-AADL-01A 58 years, male, asian, stage:Stage I, alive, 636 days 3423.8
TCGA-DD-A73D-01A 68 years, female, white, stage:Stage II, alive, 693 days 3414.1
TCGA-DD-AACU-01A 59 years, male, asian, stage:Stage I, alive, 1567 days 3406.9
TCGA-CC-A5UE-01A 48 years, male, asian, stage:Stage IIIB, dead, 272 days 3271.3
TCGA-G3-A25Y-01A 52 years, female, asian, stage:Stage I, dead, 452 days 3260.3
TCGA-BC-A10Z-01A 62 years, female, white, stage:Stage I, dead, 34 days 3251.3
TCGA-DD-AACL-01A 66 years, female, asian, stage:Stage I, dead, 107 days 3239.6
TCGA-DD-A113-01A 55 years, female, white, stage:Stage II, alive, 2425 days 3177.6
TCGA-CC-A8HT-01A 74 years, male, asian, stage:Stage IIIA, dead, 140 days 3079.4
TCGA-DD-A1EC-01A 20 years, female, white, stage:Stage I, alive, 602 days 2801.9
TCGA-G3-AAV6-01A 53 years, female, white, stage:Stage IIIA, dead, 65 days 2624.8
TCGA-CC-A8HU-01A 39 years, female, asian, stage:Stage IIIA, dead, 344 days 2585.8
TCGA-K7-AAU7-01A 61 years, male, white, stage:Stage II, alive, 359 days 2556.9
TCGA-G3-AAV5-01A 67 years, male, white, stage:Stage II, alive, 354 days 2549.7
TCGA-BC-A69H-01A 64 years, male, white, stage:Stage II, alive, 444 days 2549.1
TCGA-CC-A3MB-01A 36 years, male, asian, stage:Stage IIIA, dead, 315 days 2513.3
TCGA-DD-AAD5-01A 54 years, male, asian, stage:Stage I, alive, 1345 days 2487.1
TCGA-DD-A4NH-01A 65 years, female, white, stage:Stage IIIB, alive, 917 days 2479.9
TCGA-2Y-A9H5-01A 59 years, female, white, stage:Stage I, dead, 555 days 2445.7
TCGA-ZP-A9D2-01A 51 years, male, white, stage:'--, dead, 765 days 2430.2
TCGA-G3-AAV7-01A 38 years, male, asian, stage:Stage II, alive, 361 days 2421.8
TCGA-G3-A5SJ-01A 59 years, male, white, stage:Stage I, alive, 698 days 2419.2
TCGA-DD-AAW2-01A 69 years, male, asian, stage:Stage I, alive, 1855 days 2329.5
TCGA-2Y-A9GU-01A 55 years, female, white, stage:Stage I, alive, 1939 days 2325.2
TCGA-FV-A4ZQ-01A 52 years, male, white, stage:Stage I, alive, 12 days 2238.3
TCGA-CC-A3MA-01A 61 years, male, asian, stage:Stage IIIA, dead, 303 days 2235.4
TCGA-DD-AACA-01A 65 years, male, asian, stage:Stage I, alive, 2301 days 2057.2
TCGA-CC-5261-01A 44 years, male, asian, stage:Stage II, dead, 97 days 2037.5
TCGA-CC-A8HV-01A 51 years, female, asian, stage:Stage II, dead, 279 days 2032.2
TCGA-EP-A2KB-01A 46 years, female, white, stage:Stage I, dead, 596 days 2003.1
TCGA-DD-AACS-01A 39 years, male, asian, stage:Stage I, alive, 1804 days 1987.1
TCGA-5C-AAPD-01A 61 years, male, asian, stage:Stage II, alive, 20 days 1978.0
TCGA-BC-A8YO-01A 66 years, female, white, stage:Stage IIIC, alive, 562 days 1913.1
TCGA-DD-AADD-01A 51 years, male, asian, stage:Stage I, alive, 1231 days 1808.5
TCGA-DD-AADB-01A 51 years, male, asian, stage:Stage I, alive, 1242 days 1762.0
TCGA-DD-AAE1-01A 52 years, male, asian, stage:Stage I, alive, 552 days 1744.3
TCGA-CC-A7IG-01A 47 years, male, asian, stage:Stage II, dead, 299 days 1681.6
TCGA-DD-AADY-01A 55 years, female, asian, stage:Stage I, alive, 555 days 1658.8
TCGA-FV-A4ZP-01A 78 years, male, white, stage:Stage IIIA, dead, 2486 days 1637.9
TCGA-DD-AADW-01A 48 years, male, asian, stage:Stage I, alive, 587 days 1631.8
TCGA-DD-AAVQ-01A 38 years, male, asian, stage:Stage I, alive, 2728 days 1616.4
TCGA-BC-A3KG-01A 68 years, female, white, stage:Stage II, alive, 680 days 1550.9
TCGA-CC-A7IE-01A 57 years, male, asian, stage:Stage IIIA, dead, 217 days 1478.3
TCGA-LG-A9QC-01A 48 years, male, white, stage:Stage I, alive, 425 days 1456.5
TCGA-BC-A10R-01A 66 years, female, white, stage:'--, dead, 308 days 1446.3
TCGA-DD-A114-01A 42 years, male, black or african american, stage:Stage II, dead, 1149 days 1286.4
TCGA-DD-A73E-01A 66 years, male, white, stage:Stage I, alive, 44 days 1241.4
TCGA-DD-AACW-01A 43 years, male, asian, stage:Stage I, alive, 1424 days 1211.2
TCGA-DD-A39W-01A 29 years, female, white, stage:Stage III, dead, 827 days 1203.1
TCGA-ED-A66X-01A 35 years, male, asian, stage:Stage IIIA, alive, 406 days 1198.1
TCGA-XR-A8TC-01A 43 years, female, white, stage:Stage I, alive, 1339 days 1194.6
TCGA-G3-A7M9-01A 70 years, male, white, stage:Stage IIIB, dead, 56 days 1157.1
TCGA-G3-A25X-01A 73 years, male, asian, stage:Stage II, alive, 1779 days 1051.8
TCGA-ED-A7PY-01A 20 years, female, asian, stage:Stage II, alive, 390 days 1030.8
TCGA-DD-AAE0-01A 45 years, female, asian, stage:Stage IIIA, alive, 555 days 968.4
TCGA-ED-A7PZ-01A 61 years, male, asian, stage:Stage II, alive, 6 days 959.5
TCGA-DD-A1EF-01A 57 years, female, white, stage:Stage I, dead, 394 days 877.0
TCGA-DD-AAED-01A 51 years, male, asian, stage:Stage I, alive, 763 days 848.6
TCGA-DD-AAD0-01A 73 years, female, asian, stage:Stage I, alive, 137 days 772.0
TCGA-RC-A7SH-01A 42 years, male, asian, stage:Stage II, alive, 468 days 752.8
TCGA-DD-AAE6-01A 59 years, female, asian, stage:Stage I, alive, 141 days 734.9
TCGA-CC-A1HT-01A 50 years, male, asian, stage:Stage IIIA, dead, 101 days 723.0
TCGA-CC-5263-01A 35 years, male, asian, stage:Stage IIIA, dead, 129 days 719.4
TCGA-ED-A8O5-01A 59 years, female, asian, stage:Stage IIIA, alive, 406 days 631.5
TCGA-DD-AA3A-01A 81 years, female, white, stage:Stage I, dead, 410 days 596.8
TCGA-CC-A7IK-01A 59 years, male, asian, stage:Stage IIIA, dead, 262 days 588.3
TCGA-UB-A7MA-01A 62 years, female, white, stage:Stage II, alive, 848 days 528.5
TCGA-DD-AAVS-01A 56 years, male, asian, stage:Stage I, alive, 1823 days 515.1
TCGA-5C-A9VG-01A 58 years, male, white, stage:Stage II, alive, 328 days 478.5
TCGA-DD-A4NN-01A 56 years, female, white, stage:Stage I, dead, 899 days 415.1
TCGA-DD-AACH-01A 69 years, male, asian, stage:Stage II, dead, 195 days 366.5
TCGA-DD-A1EH-01A 23 years, male, white, stage:Stage III, alive, 1495 days 360.6
TCGA-DD-AAW0-01A 54 years, male, asian, stage:Stage I, alive, 2015 days 309.6
TCGA-DD-A1EJ-01A 71 years, female, white, stage:Stage IIIC, dead, 1005 days 262.2
TCGA-EP-A2KA-01A 52 years, female, white, stage:Stage IIIA, dead, 627 days 260.0
TCGA-G3-AAV4-01A 83 years, female, white, stage:Stage I, dead, 27 days 212.7
TCGA-CC-A5UD-01A 45 years, male, asian, stage:Stage IIIA, dead, 304 days 209.0
TCGA-ED-A5KG-01A 60 years, female, asian, stage:Stage II, alive, 854 days 191.2
TCGA-DD-A4NA-01A 67 years, female, white, stage:Stage IIIC, alive, 1008 days 157.1
TCGA-2Y-A9GY-01A 64 years, female, white, stage:Stage II, dead, 757 days 99.8
TCGA-ED-A66Y-01A 51 years, female, asian, stage:Stage IIIA, dead, 296 days 87.7
TCGA-CC-A8HS-01A 18 years, male, asian, stage:Stage IIIC, dead, 300 days 75.2
TCGA-ED-A7PX-01A 48 years, female, asian, stage:Stage II, alive, 6 days 67.8
TCGA-BC-A112-01A 80 years, male, white, stage:'--, dead, 153 days 55.3
TCGA-CC-A3M9-01A 45 years, male, asian, stage:Stage IIIA, dead, 300 days 42.9
TCGA-FV-A3I0-01A 76 years, female, white, stage:Stage II, alive, 848 days 37.8
TCGA-DD-A3A6-01A 72 years, female, white, stage:Stage II, dead, 3258 days 34.3
TCGA-CC-5260-01A 61 years, female, asian, stage:Stage IIIC, dead, 87 days 20.1
TCGA-ED-A82E-01A 60 years, female, asian, stage:Stage IIIA, alive, 408 days 17.5
TCGA-CC-A7II-01A 54 years, male, asian, stage:Stage IIIA, alive, 399 days 8.8
TCGA-BC-A10Q-01A 72 years, female, white, stage:'--, dead, 1135 days 8.4
TCGA-CC-A7IJ-01A 56 years, male, asian, stage:Stage II, alive, 382 days 0.8
Show allShow less
LIVER HEPATOCELLULAR CARCINOMA (VALIDATION) - Interactive survival scatter ploti

The Survival Scatter plot shows the clinical status (i.e. dead or alive) for all individuals in the patient cohort, based on the same data that underlies the corresponding Kaplan-Meier plots. Patients that are alive at last time for follow-up are shown in blue and patients who have died during the study are shown in red.

The x-axis shows the expression levels (FPKM) of the investigated gene in the tumor tissue at the time of diagnosis. The y-axis shows the follow-up time after diagnosis (years). Both axes are complimented with kernel density curves demonstrating the data density over the axes. The top density plot shows the expression levels (FPKM) distribution among dead (red) and alive patients (blue). The right density plot shows the data density of the survived years of dead patients with high and low expression levels respectively, stratified using the cutoff indicated by the vertical dashed line through the Survival Scatter plot. This cutoff is automatically defined based on the FPKM cutoff that minimizes the p-score. The cutoff can be changed by dragging the vertical line or by entering a cutoff value in the square labeled "Current cut-off".

Under the Survival Scatter plot the p-score landscape (black curve; left axis) is shown together with dead median separation (red curve; right axis). Dead median separation is the difference in median mRNA expression between patients who have died with high and low expression, respectively. It is calculated as follows: median FPKM expression of dead patients with high expression - median FPKM expression of dead patients with low expression. This is intended to aid the user in visually exploring custom cutoffs and the associated p-scores and dead median separation.

Individual patient data is displayed and can be filtered by clicking on one or more of the category buttons on the top of the page. Categories describing expression level and patient information include: high, low, alive, dead, female, male and tumor stages. The scale of the x-axis can be toggled between linear and log-scale by clicking on the "x log" button. Mouse-over function shows TCGA ID, patient information and mRNA expression (FPKM) for each patient.

& Survival analysisi

Kaplan-Meier plots summarize results from analysis of correlation between mRNA expression level and patient survival. Patients were divided based on level of expression into one of the two groups "low" (under cut off) or "high" (over cut off). X-axis shows time for survival (years) and y-axis shows the probability of survival, where 1.0 corresponds to 100 percent.

HP is potential prognostic, high expression is favorable in Liver Hepatocellular Carcinoma (validation)


Stage:
Survival analysis
Current cut offi

Current cut-off shows the cut-off (FPKM) currently selected. It may be changed manually. When the current cut-off is changed, the vertical dashed line indicating cut-off, the interactive survival scatter plot and the Kaplan-Meier curve will be automatically adjusted to show results accordingly.

:
Best expression cut offi

Based on the FPKM value of each gene, patients were classified into two groups and association between prognosis (survival) and gene expression (FPKM) was examined. The best expression cut-off refers the FPKM value that yields maximal difference with regard to survival between the two groups at the lowest log-rank P-value. Best expression cut-off was selected based on survival analysis .

When clicking on this number, the vertical dashed line indicating cut-off, the interactive survival plot, and the Kaplan-Meier curve will be adjusted to show results based on the best expression cut-off.

: 1966.12
Median expressioni

Median expression refers to the median FPKM value calculated based on the gene expression (FPKM) data from all patients in this dataset. When clicking on this number, the vertical dashed line indicating cut-off, the interactive survival plot, and the Kaplan-Meier curve will be adjusted to show results based on the median expression.

: N/A
Median follow up timei

Median follow up time refers to the median time (years) after diagnosis with this type of cancer, based on clinical data from all patients in this dataset.

: N/A
P scorei

Log-rank P value for Kaplan-Meier plot showing results from analysis of correlation between mRNA expression level and patient survival.

N/A
5-year survival highi

5-year survival for patients with higher expression than the expression cutoff.

For melanoma and glioma, 3-year survival is shown.

N/A
5-year survival lowi

5-year survival for patients with lower expression than the expression cutoff.

For melanoma and glioma, 3-year survival is shown.

N/A
TCGA RNA samplesi

RNA-seq data is reported as average FPKM (number Fragments Per Kilobase of exon per Million reads), generated by the The Cancer Genome Atlas (TCGA) .

Normal distribution across the dataset is visualized with box plots, shown as median and 25th and 75th percentiles. Points are displayed as outliers if they are above or below 1.5 times the interquartile range. FPKM values of the individual samples are presented next to the box plot.

Average pTPM 11586.4
Number of samples 231
Samples
Sample Description pTPM
DO23551 73 years, male, NA, stage:3, dead, 150 days 68010.9
DO48693 71 years, male, NA, stage:2, alive, 900 days 59136.8
DO48674 80 years, male, NA, stage:2, alive, 1260 days 57444.8
DO50845 72 years, male, NA, stage:3, alive, 210 days 53996.0
DO23544 67 years, male, NA, stage:2, alive, 960 days 53313.8
DO45199 86 years, female, NA, stage:2, alive, 1350 days 48367.0
DO50776 75 years, male, NA, stage:1, alive, 690 days 43935.8
DO45195 62 years, male, NA, stage:1, alive, 390 days 43814.4
DO227643 79 years, male, NA, stage:2, alive, 1260 days 43814.0
DO45229 74 years, male, NA, stage:1, alive, 990 days 43695.0
DO50800 74 years, male, NA, stage:2, alive, 510 days 43649.5
DO45215 65 years, male, NA, stage:2, alive, 1170 days 40410.4
DO45167 67 years, male, NA, stage:2, dead, 1440 days 37792.4
DO23518 67 years, male, NA, stage:2, alive, 1320 days 37235.5
DO45109 63 years, male, NA, stage:2, alive, 1590 days 35239.9
DO45261 74 years, male, NA, stage:3, alive, 990 days 34781.7
DO227801 77 years, female, NA, stage:1, alive, 660 days 34548.0
DO48760 70 years, female, NA, stage:2, alive, 690 days 31823.0
DO45095 66 years, male, NA, stage:2, alive, 1620 days 31760.8
DO23517 62 years, male, NA, stage:2, alive, 1200 days 30828.9
DO45159 65 years, male, NA, stage:3, alive, 1470 days 30498.9
DO45094 76 years, male, NA, stage:3, alive, 1650 days 30324.7
DO23541 65 years, male, NA, stage:2, alive, 930 days 29060.3
DO45103 47 years, male, NA, stage:3, alive, 450 days 28866.3
DO45175 74 years, male, NA, stage:2, alive, 1140 days 28431.5
DO48723 73 years, male, NA, stage:1, alive, 600 days 28386.3
DO48737 52 years, male, NA, stage:1, alive, 720 days 27424.2
DO48679 72 years, male, NA, stage:2, alive, 1200 days 26585.3
DO50805 72 years, male, NA, stage:2, alive, 690 days 26326.9
DO45177 81 years, female, NA, stage:3, alive, 1260 days 26214.8
DO48700 78 years, female, NA, stage:2, alive, 810 days 26055.3
DO23527 72 years, male, NA, stage:1, alive, 1050 days 25657.3
DO50813 56 years, male, NA, stage:2, alive, 420 days 25304.7
DO45153 77 years, female, NA, stage:2, alive, 1380 days 24983.2
DO48716 71 years, male, NA, stage:2, alive, 720 days 24355.3
DO23531 78 years, female, NA, stage:3, alive, 900 days 23406.0
DO45117 73 years, female, NA, stage:2, dead, 1110 days 21915.4
DO45099 46 years, male, NA, stage:3, alive, 1590 days 20823.5
DO50798 77 years, male, NA, stage:3, dead, 30 days 20665.3
DO45125 58 years, male, NA, stage:3, alive, 1680 days 20063.3
DO48742 76 years, male, NA, stage:2, alive, 600 days 19780.9
DO50825 70 years, male, NA, stage:2, alive, 390 days 19747.9
DO45111 74 years, male, NA, stage:2, alive, 1590 days 19732.4
DO50819 72 years, female, NA, stage:2, alive, 510 days 19697.5
DO50818 65 years, male, NA, stage:2, alive, 510 days 19591.2
DO45141 73 years, male, NA, stage:2, alive, 1320 days 19415.9
DO45201 49 years, male, NA, stage:1, alive, 900 days 19031.9
DO50822 66 years, male, NA, stage:2, alive, 510 days 18871.6
DO45155 69 years, male, NA, stage:2, alive, 2160 days 18715.7
DO48704 68 years, female, NA, stage:3, alive, 750 days 18591.8
DO45241 49 years, male, NA, stage:1, alive, 1080 days 18376.0
DO45257 46 years, male, NA, stage:3, alive, 810 days 18254.9
DO23514 64 years, male, NA, stage:2, alive, 1290 days 17762.1
DO23546 63 years, male, NA, stage:2, alive, 1050 days 17407.4
DO45169 74 years, male, NA, stage:3, alive, 1350 days 16877.2
DO45107 63 years, female, NA, stage:2, alive, 1710 days 16506.9
DO50807 67 years, male, NA, stage:1, alive, 540 days 16271.4
DO45091 56 years, male, NA, stage:2, dead, 1320 days 15718.8
DO48721 58 years, female, NA, stage:1, alive, 900 days 15513.8
DO45227 57 years, female, NA, stage:2, alive, 1020 days 15460.5
DO23543 63 years, male, NA, stage:2, alive, 1020 days 15335.9
DO45101 63 years, male, NA, stage:2, alive, 1680 days 15248.3
DO23548 78 years, female, NA, stage:1, alive, 840 days 15200.1
DO45235 68 years, female, NA, stage:1, alive, 900 days 15148.5
DO48759 73 years, male, NA, stage:3, alive, 720 days 14828.4
DO45157 62 years, male, NA, stage:2, alive, 1980 days 14552.8
DO45273 62 years, male, NA, stage:2, alive, 480 days 14523.3
DO50787 63 years, male, NA, stage:3, alive, 480 days 14444.6
DO48733 72 years, male, NA, stage:2, alive, 600 days 14386.6
DO23525 71 years, male, NA, stage:4, alive, 1050 days 14078.9
DO23509 60 years, male, NA, stage:3, dead, 780 days 13993.0
DO23510 80 years, female, NA, stage:2, alive, 870 days 13742.7
DO50791 79 years, female, NA, stage:1, dead, 480 days 13735.5
DO45181 84 years, female, NA, stage:2, alive, 1200 days 13626.8
DO45231 84 years, male, NA, stage:2, alive, 930 days 12984.4
DO45135 77 years, male, NA, stage:1, alive, 1410 days 12591.1
DO45139 63 years, male, NA, stage:3, alive, 1320 days 12493.7
DO23538 67 years, male, NA, stage:2, alive, 450 days 12416.9
DO23534 60 years, male, NA, stage:2, alive, 840 days 12066.3
DO50857 72 years, male, NA, stage:2, alive, 210 days 12007.8
DO45133 64 years, male, NA, stage:3, dead, 660 days 11972.1
DO45092 62 years, male, NA, stage:4, dead, 1200 days 11689.6
DO50774 68 years, female, NA, stage:2, alive, 720 days 11314.0
DO23549 74 years, male, NA, stage:3, alive, 990 days 11094.1
DO23536 56 years, male, NA, stage:2, alive, 930 days 11081.5
DO45123 78 years, female, NA, stage:2, dead, 570 days 11065.6
DO50803 62 years, female, NA, stage:1, alive, 540 days 10638.9
DO45221 75 years, female, NA, stage:4, dead, 390 days 10342.8
DO48761 55 years, male, NA, stage:2, alive, 870 days 10275.2
DO45255 81 years, male, NA, stage:3, alive, 720 days 10251.8
DO50816 63 years, male, NA, stage:2, alive, 390 days 10215.6
DO45233 83 years, male, NA, stage:3, alive, 900 days 10086.5
DO23547 74 years, male, NA, stage:1, alive, 1020 days 9933.1
DO23533 61 years, male, NA, stage:2, alive, 900 days 9874.4
DO50817 75 years, male, NA, stage:2, alive, 390 days 9773.2
DO45171 56 years, male, NA, stage:3, alive, 600 days 9530.6
DO50840 49 years, male, NA, stage:2, alive, 330 days 9475.5
DO45143 69 years, male, NA, stage:3, alive, 1290 days 9442.6
DO45207 68 years, male, NA, stage:1, alive, 1050 days 9441.3
DO48672 81 years, male, NA, stage:2, alive, 450 days 9379.0
DO50850 74 years, male, NA, stage:3, alive, 720 days 9246.4
DO45129 61 years, male, NA, stage:3, alive, 1470 days 9113.3
DO23511 83 years, female, NA, stage:3, dead, 180 days 8864.3
DO50832 73 years, male, NA, stage:3, alive, 90 days 8841.8
DO23512 60 years, male, NA, stage:1, alive, 1260 days 8800.4
DO23535 67 years, male, NA, stage:1, alive, 960 days 8665.1
DO48725 66 years, male, NA, stage:1, alive, 780 days 8333.4
DO45131 53 years, male, NA, stage:4, dead, 360 days 8024.3
DO50859 77 years, male, NA, stage:2, alive, 180 days 7801.6
DO23540 73 years, male, NA, stage:1, alive, 750 days 7781.8
DO50809 56 years, male, NA, stage:3, dead, 720 days 7470.4
DO48746 76 years, male, NA, stage:3, alive, 570 days 7446.9
DO45105 61 years, male, NA, stage:1, alive, 1680 days 7398.2
DO45179 78 years, female, NA, stage:2, alive, 600 days 7390.1
DO45163 76 years, male, NA, stage:2, alive, 960 days 7316.8
DO50793 76 years, male, NA, stage:4, alive, 540 days 7185.7
DO23542 66 years, male, NA, stage:3, alive, 960 days 7163.1
DO45096 69 years, male, NA, stage:2, dead, 1290 days 7093.6
DO45115 81 years, male, NA, stage:2, alive, 840 days 7084.5
DO45281 83 years, male, NA, stage:4, alive, 750 days 7027.7
DO45223 67 years, male, NA, stage:4, alive, 1020 days 7027.5
DO23550 69 years, male, NA, stage:1, alive, 990 days 6622.6
DO50806 70 years, male, NA, stage:4, alive, 540 days 6544.4
DO23508 79 years, female, NA, stage:2, alive, 390 days 6403.6
DO23532 71 years, female, NA, stage:1, alive, 960 days 6271.6
DO50802 49 years, male, NA, stage:2, alive, 930 days 6258.9
DO45165 75 years, male, NA, stage:2, alive, 690 days 6241.6
DO45253 50 years, male, NA, stage:2, alive, 870 days 6141.9
DO48695 77 years, male, NA, stage:2, alive, 720 days 6108.1
DO45203 71 years, female, NA, stage:2, alive, 1170 days 6053.7
DO48743 69 years, female, NA, stage:2, alive, 570 days 6009.6
DO45263 67 years, male, NA, stage:3, dead, 270 days 5912.4
DO45119 74 years, male, NA, stage:3, dead, 510 days 5810.8
DO48727 81 years, female, NA, stage:2, dead, 390 days 5752.8
DO45243 74 years, female, NA, stage:3, alive, 930 days 5593.0
DO45161 74 years, male, NA, stage:2, dead, 540 days 5532.3
DO45191 61 years, female, NA, stage:2, alive, 1200 days 5423.3
DO23537 79 years, male, NA, stage:2, dead, 900 days 5290.3
DO50839 47 years, female, NA, stage:3, alive, 330 days 5242.8
DO50808 68 years, male, NA, stage:2, alive, 570 days 5237.5
DO45197 51 years, male, NA, stage:2, alive, 1170 days 5195.9
DO23526 66 years, male, NA, stage:3, alive, 1050 days 5018.7
DO48712 50 years, male, NA, stage:2, alive, 810 days 4958.5
DO23516 69 years, male, NA, stage:3, dead, 20 days 4742.1
DO45213 58 years, male, NA, stage:1, alive, 1200 days 4685.6
DO23524 71 years, female, NA, stage:2, alive, 1050 days 4634.3
DO23552 80 years, female, NA, stage:1, alive, 810 days 4628.7
DO23529 72 years, male, NA, stage:4, alive, 930 days 4622.2
DO45251 57 years, female, NA, stage:2, alive, 900 days 4402.7
DO23530 53 years, male, NA, stage:4, dead, 180 days 4395.7
DO45137 38 years, male, NA, stage:1, alive, 1320 days 4173.3
DO45173 63 years, male, NA, stage:3, alive, 1170 days 4084.4
DO45225 69 years, male, NA, stage:1, alive, 1050 days 3986.3
DO50783 62 years, male, NA, stage:3, alive, 480 days 3962.3
DO50811 62 years, male, NA, stage:1, alive, 450 days 3924.2
DO45239 42 years, male, NA, stage:2, alive, 870 days 3921.9
DO50799 66 years, female, NA, stage:2, alive, 540 days 3775.0
DO48719 80 years, male, NA, stage:2, alive, 690 days 3676.0
DO48728 74 years, female, NA, stage:2, alive, 150 days 3614.9
DO45237 58 years, male, NA, stage:2, alive, 900 days 3504.7
DO50814 83 years, male, NA, stage:3, alive, 420 days 3258.4
DO50789 73 years, female, NA, stage:2, alive, 570 days 3252.4
DO45265 73 years, male, NA, stage:3, alive, 1020 days 3229.0
DO48706 72 years, male, NA, stage:2, alive, 870 days 2834.8
DO48741 64 years, male, NA, stage:3, alive, 240 days 2689.8
DO45217 69 years, female, NA, stage:3, dead, 270 days 2655.4
DO23513 76 years, male, NA, stage:3, alive, 1200 days 2508.9
DO45249 57 years, male, NA, stage:1, alive, 630 days 2506.7
DO48720 62 years, female, NA, stage:2, alive, 570 days 2435.2
DO45269 59 years, male, NA, stage:3, alive, 750 days 2306.3
DO45097 69 years, male, NA, stage:3, alive, 1620 days 2285.9
DO45185 89 years, male, NA, stage:2, alive, 600 days 2267.1
DO23539 77 years, male, NA, stage:1, alive, 1110 days 2163.0
DO45219 78 years, male, NA, stage:2, alive, 1080 days 1966.1
DO48682 72 years, female, NA, stage:3, dead, 120 days 1936.8
DO23528 45 years, female, NA, stage:2, alive, 1020 days 1932.5
DO45301 56 years, male, NA, stage:2, dead, 1440 days 1927.6
DO45267 73 years, male, NA, stage:3, dead, 570 days 1906.5
DO45149 70 years, female, NA, stage:2, alive, 1260 days 1876.5
DO50829 78 years, male, NA, stage:3, alive, 570 days 1850.0
DO45183 72 years, female, NA, stage:2, dead, 570 days 1812.6
DO48730 73 years, female, NA, stage:2, alive, 630 days 1730.4
DO45121 61 years, male, NA, stage:3, alive, 1530 days 1717.4
DO48697 64 years, female, NA, stage:2, dead, 810 days 1697.5
DO48717 54 years, male, NA, stage:4, dead, 180 days 1580.9
DO50855 47 years, male, NA, stage:2, alive, 570 days 1569.1
DO50804 81 years, male, NA, stage:2, alive, 720 days 1567.7
DO48677 58 years, male, NA, stage:3, alive, 1140 days 1480.7
DO23521 63 years, male, NA, stage:3, alive, 1110 days 1385.5
DO23545 67 years, male, NA, stage:2, dead, 570 days 1315.6
DO50778 60 years, male, NA, stage:4, alive, 630 days 1201.3
DO48736 76 years, female, NA, stage:1, alive, 600 days 1136.1
DO50820 77 years, female, NA, stage:3, alive, 510 days 975.9
DO48747 62 years, male, NA, stage:3, alive, 540 days 962.0
DO45187 32 years, female, NA, stage:1, alive, 1260 days 853.3
DO45247 31 years, female, NA, stage:2, alive, 210 days 847.6
DO48681 57 years, male, NA, stage:2, alive, 900 days 804.7
DO48715 58 years, female, NA, stage:2, dead, 690 days 799.5
DO45305 66 years, male, NA, stage:4, alive, 300 days 793.5
DO45287 74 years, male, NA, stage:1, alive, 390 days 788.2
DO45127 73 years, male, NA, stage:3, dead, 420 days 770.6
DO48732 73 years, male, NA, stage:3, alive, 630 days 727.3
DO45209 70 years, male, NA, stage:4, alive, 1350 days 529.9
DO50844 75 years, male, NA, stage:4, alive, 300 days 473.8
DO45193 68 years, female, NA, stage:4, dead, 120 days 389.1
DO48757 68 years, female, NA, stage:3, alive, 480 days 384.4
DO50785 37 years, male, NA, stage:4, dead, 90 days 370.6
DO45275 65 years, male, NA, stage:3, dead, 10 days 298.7
DO45093 71 years, male, NA, stage:2, dead, 720 days 287.4
DO45145 78 years, male, NA, stage:3, dead, 60 days 264.4
DO50815 62 years, male, NA, stage:3, alive, 150 days 204.6
DO45205 67 years, female, NA, stage:2, dead, 90 days 138.6
DO45283 60 years, male, NA, stage:3, alive, 510 days 102.7
DO45279 67 years, male, NA, stage:3, alive, 1290 days 94.5
DO45277 64 years, male, NA, stage:3, alive, 600 days 90.1
DO45245 75 years, female, NA, stage:2, dead, 240 days 75.0
DO23515 71 years, male, NA, stage:2, alive, 1230 days 74.2
DO23523 52 years, male, NA, stage:3, alive, 1080 days 66.5
DO48751 68 years, male, NA, stage:2, dead, 480 days 50.7
DO45189 85 years, female, NA, stage:2, alive, 1200 days 45.6
DO45259 65 years, male, NA, stage:3, alive, 330 days 35.4
DO45303 62 years, female, NA, stage:3, alive, 990 days 33.6
DO23519 65 years, male, NA, stage:3, alive, 630 days 31.1
DO45299 70 years, female, NA, stage:1, alive, 1440 days 25.0
DO45285 59 years, male, NA, stage:3, alive, 480 days 22.2
DO45307 54 years, female, NA, stage:4, dead, 240 days 20.3
DO45211 76 years, male, NA, stage:3, alive, 240 days 17.0
DO45297 61 years, female, NA, stage:4, dead, 1260 days 16.3
DO45289 78 years, female, NA, stage:3, alive, 360 days 13.6
DO48701 78 years, male, NA, stage:2, alive, 780 days 7.6
DO45113 58 years, male, NA, stage:3, alive, 1560 days 3.4
Show allShow less
LIVER HEPATOCELLULAR CARCINOMA - Protein relative expression (CPTAC)
Number of samples 330
Samples
Sample ID Sample type nRPX
981 Tumor 1.6
218 Normal 1.2
113 Tumor 1.1
937 Tumor 1.0
327 Tumor 1.0
536 Normal 1.0
636 Normal 0.8
723 Tumor 0.8
1015 Tumor 0.8
518 Normal 0.8
142 Normal 0.8
778 Normal 0.8
368 Normal 0.8
554 Normal 0.8
396 Normal 0.7
526 Normal 0.7
391 Tumor 0.7
217 Tumor 0.7
286 Normal 0.6
686 Normal 0.6
857 Tumor 0.6
728 Normal 0.6
124 Normal 0.6
574 Normal 0.6
635 Tumor 0.6
697 Tumor 0.6
568 Normal 0.6
1026 Normal 0.6
866 Normal 0.6
816 Normal 0.6
952 Normal 0.6
392 Normal 0.6
492 Normal 0.5
525 Tumor 0.5
342 Normal 0.5
353 Tumor 0.5
488 Normal 0.5
1016 Normal 0.4
665 Tumor 0.4
746 Normal 0.4
1044 Normal 0.4
228 Normal 0.4
696 Normal 0.4
785 Tumor 0.4
1022 Normal 0.4
514 Normal 0.4
422 Normal 0.4
1045 Tumor 0.4
557 Tumor 0.4
395 Tumor 0.4
344 Normal 0.4
926 Normal 0.4
487 Tumor 0.3
538 Normal 0.3
573 Tumor 0.3
1028 Normal 0.3
474 Normal 0.3
426 Normal 0.3
452 Normal 0.3
938 Normal 0.3
222 Normal 0.3
145 Tumor 0.3
375 Tumor 0.3
484 Normal 0.3
862 Normal 0.3
745 Tumor 0.3
968 Normal 0.3
448 Normal 0.3
1014 Normal 0.3
111 Normal 0.3
863 Tumor 0.3
982 Normal 0.3
196 Normal 0.3
984 Normal 0.3
861 Tumor 0.2
553 Tumor 0.2
195 Tumor 0.2
648 Normal 0.2
358 Normal 0.2
376 Normal 0.2
138 Normal 0.2
1046 Normal 0.2
436 Normal 0.2
744 Normal 0.2
546 Normal 0.2
918 Normal 0.2
954 Normal 0.2
186 Normal 0.1
756 Normal 0.1
777 Tumor 0.1
232 Normal 0.1
558 Normal 0.1
146 Normal 0.1
755 Tumor 0.1
467 Tumor 0.1
722 Normal 0.1
662 Normal 0.1
352 Normal 0.1
414 Normal 0.1
714 Normal 0.1
481 Tumor 0.1
572 Normal 0.1
914 Normal 0.1
412 Normal 0.1
964 Normal 0.1
642 Normal 0.0
944 Normal 0.0
446 Normal 0.0
482 Normal 0.0
738 Normal 0.0
141 Tumor 0.0
223 Tumor 0.0
394 Normal 0.0
513 Tumor 0.0
534 Normal 0.0
564 Normal 0.0
224 Normal 0.0
314 Normal 0.0
956 Normal 0.0
393 Tumor 0.0
298 Normal 0.0
858 Normal 0.0
432 Normal 0.0
966 Normal 0.0
332 Normal 0.0
976 Normal 0.0
955 Tumor 0.0
284 Normal 0.0
356 Normal 0.0
114 Normal 0.0
354 Normal 0.0
698 Normal -0.1
261 Tumor -0.1
472 Normal -0.1
187 Tumor -0.1
868 Normal -0.1
387 Tumor -0.1
713 Tumor -0.1
616 Normal -0.1
618 Normal -0.1
813 Tumor -0.1
882 Normal -0.1
786 Normal -0.1
664 Normal -0.1
716 Normal -0.1
878 Normal -0.1
922 Normal -0.1
917 Tumor -0.1
864 Normal -0.1
528 Normal -0.1
491 Tumor -0.1
666 Normal -0.1
498 Normal -0.2
128 Normal -0.2
464 Normal -0.2
424 Normal -0.2
916 Normal -0.2
262 Normal -0.2
874 Normal -0.2
466 Normal -0.2
257 Tumor -0.2
384 Normal -0.2
428 Normal -0.2
468 Normal -0.3
516 Normal -0.3
388 Normal -0.3
126 Normal -0.3
628 Normal -0.3
386 Normal -0.3
523 Tumor -0.3
456 Normal -0.3
445 Tumor -0.3
515 Tumor -0.3
272 Normal -0.3
721 Tumor -0.3
685 Tumor -0.3
524 Normal -0.3
258 Normal -0.3
742 Normal -0.3
172 Normal -0.3
957 Tumor -0.3
364 Normal -0.3
814 Normal -0.3
527 Tumor -0.3
912 Normal -0.3
497 Tumor -0.3
451 Tumor -0.3
1043 Tumor -0.3
953 Tumor -0.3
958 Normal -0.4
963 Tumor -0.4
132 Normal -0.4
148 Normal -0.4
695 Tumor -0.4
162 Normal -0.4
1027 Tumor -0.4
884 Normal -0.4
627 Tumor -0.4
494 Normal -0.4
423 Tumor -0.4
978 Normal -0.4
444 Normal -0.4
1042 Normal -0.4
447 Tumor -0.4
425 Tumor -0.4
278 Normal -0.5
715 Tumor -0.5
1013 Tumor -0.5
297 Tumor -0.5
1021 Tumor -0.5
478 Normal -0.5
924 Normal -0.5
672 Normal -0.5
312 Normal -0.5
615 Tumor -0.5
1032 Normal -0.5
724 Normal -0.5
125 Tumor -0.5
852 Normal -0.5
951 Tumor -0.5
483 Tumor -0.5
137 Tumor -0.5
913 Tumor -0.6
867 Tumor -0.6
214 Normal -0.6
1041 Tumor -0.6
362 Normal -0.6
967 Tumor -0.6
328 Normal -0.6
1025 Tumor -0.6
975 Tumor -0.6
915 Tumor -0.6
231 Tumor -0.6
313 Tumor -0.6
455 Tumor -0.6
433 Tumor -0.6
411 Tumor -0.6
545 Tumor -0.6
341 Tumor -0.7
212 Normal -0.7
191 Tumor -0.7
366 Normal -0.7
617 Tumor -0.7
533 Tumor -0.7
925 Tumor -0.7
192 Normal -0.7
535 Tumor -0.7
921 Tumor -0.7
567 Tumor -0.7
421 Tumor -0.7
283 Tumor -0.7
477 Tumor -0.7
361 Tumor -0.8
462 Normal -0.8
136 Normal -0.8
537 Tumor -0.8
415 Tumor -0.8
873 Tumor -0.8
416 Normal -0.8
343 Tumor -0.8
385 Tumor -0.8
221 Tumor -0.8
147 Tumor -0.8
517 Tumor -0.8
112 Tumor -0.9
741 Tumor -0.9
563 Tumor -0.9
185 Tumor -0.9
188 Normal -0.9
647 Tumor -0.9
285 Tumor -0.9
881 Tumor -0.9
943 Tumor -0.9
737 Tumor -1.0
471 Tumor -1.0
727 Tumor -1.0
413 Tumor -1.0
571 Tumor -1.0
865 Tumor -1.0
268 Normal -1.0
331 Tumor -1.1
365 Tumor -1.1
465 Tumor -1.1
227 Tumor -1.1
824 Normal -1.1
383 Tumor -1.1
357 Tumor -1.1
434 Normal -1.1
123 Tumor -1.2
443 Tumor -1.2
431 Tumor -1.2
127 Tumor -1.2
883 Tumor -1.2
427 Tumor -1.2
851 Tumor -1.2
641 Tumor -1.2
473 Tumor -1.2
277 Tumor -1.2
663 Tumor -1.2
965 Tumor -1.2
911 Tumor -1.3
463 Tumor -1.3
671 Tumor -1.3
367 Tumor -1.3
131 Tumor -1.3
818 Normal -1.4
161 Tumor -1.4
817 Tumor -1.4
135 Tumor -1.4
877 Tumor -1.4
351 Tumor -1.5
355 Tumor -1.5
977 Tumor -1.5
661 Tumor -1.5
983 Tumor -1.5
363 Tumor -1.5
493 Tumor -1.6
435 Tumor -1.6
213 Tumor -1.6
743 Tumor -1.6
171 Tumor -1.6
923 Tumor -1.7
271 Tumor -1.7
211 Tumor -1.8
311 Tumor -1.8
1031 Tumor -1.9
461 Tumor -2.0
815 Tumor -2.1
267 Tumor -2.1
823 Tumor -2.2
Show allShow less
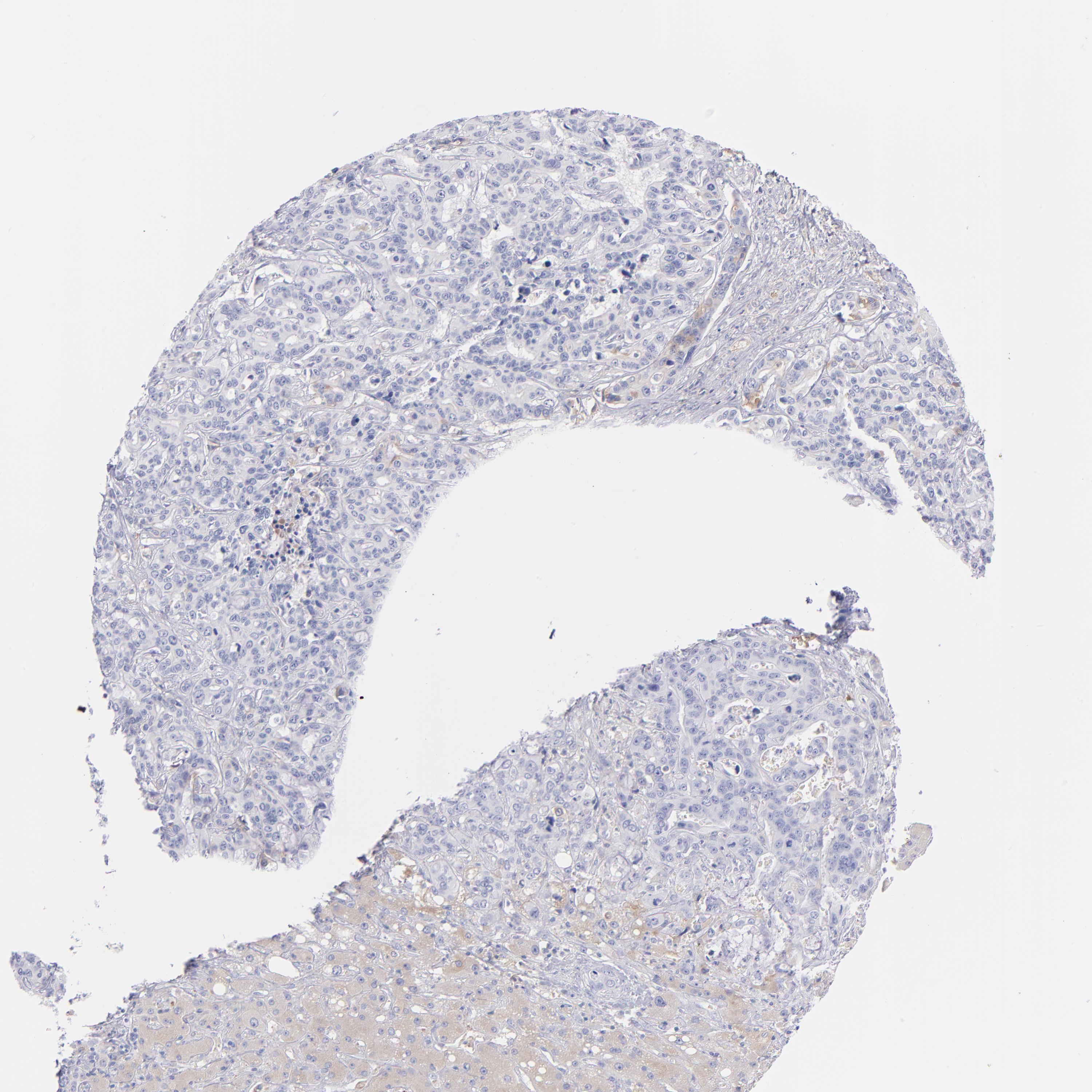
LIVER CANCER - Protein expressioni

A mouse-over function shows sample information and annotation data. Click on an image to view it in a full screen mode. Samples can be filtered based on level of antibody staining by selecting one or several of the following categories: high, medium, low and not detected. The assay and annotation is described here.

Note that samples used for immunohistochemistry by the Human Protein Atlas do not correspond to samples in the TCGA dataset.

 

Antibody stainingi

Antibody staining in the annotated cell types in the current human tissue is reported as not detected, low, medium, or high, based on conventional immunohistochemistry profiling in selected tissues. This score is based on the combination of the staining intensity and fraction of stained cells.

Each image is clickable and will lead to virtual microscopy that enables deeper exploration of all samples and also displays staining intensity scores, fraction scores and subcellular localization as well as patient and tissue information for each sample.


Antibody HPA047750

Antibody HPA066795

Antibody CAB003787
 Staining
  High
  Medium
  Low
  Not detected
 Intensity
  Strong
  Moderate
  Weak
  Negative
 Quantity
  >75%
  75%-25%
  <25%
  None
 Location
  Nuclear
  Cytoplasmic/membranous
  Cytoplasmic/membranous,nuclear
  None
Carcinoma, Hepatocellular, NOS
Cholangiocarcinoma

Contact

  • NEWS ARTICLES
  • PRESS ROOM

The Project

  • INTRODUCTION
  • ORGANIZATION
  • PUBLICATIONS

The Human Protein Atlas

  • DOWNLOADABLE DATA
  • LICENCE & CITATION
  • HELP & FAQ
The Human Protein Atlas project is funded
by the Knut & Alice Wallenberg Foundation.


contact@proteinatlas.org