We use cookies to enhance the usability of our website. If you continue, we'll assume that you are happy to receive all cookies. More information. Don't show this again.
CEP95
HPA
RESOURCES
  • TISSUE
  • BRAIN
  • SINGLE CELL
  • SUBCELLULAR
  • CANCER
  • BLOOD
  • CELL LINE
  • STRUCTURE & INTERACTION
ABOUT
  • INTRODUCTION
  • HISTORY
  • ORGANIZATION
  • PUBLICATIONS
  • ANTIBODY SUBMISSION
  • ANTIBODY AVAILABILITY
  • ACKNOWLEDGMENTS
  • CONTACT
NEWS
  • NEWS ARTICLES
  • PRESS ROOM
LEARN
  • DICTIONARY
  • PROTEIN CLASSES
  • PROTEIN EVIDENCE
  • METHODS
  • EDUCATIONAL VIDEOS
DATA
  • DOWNLOADABLE DATA
  • PUBLICATION DATA
  • RELEASE HISTORY
HELP
  • ANTIBODY VALIDATION
  • ASSAYS & ANNOTATION
  • DISCLAIMER
  • HELP & FAQ
  • PRIVACY STATEMENT
  • LICENCE & CITATION
Fields »
Search result

Field
Term
Gene name
Class
Subclass
Class
Keyword
Chromosome
External id
Tissue
Cell type
Expression
Antibody panel
Tissue
Main location
Patient ID
Annotation
Tissue
Category
Tau score
Cluster
Reliability
Brain region
Category
Tau score
Brain region
Category
Tau score
Brain region
Category
Tau score
Cluster
Reliability
Tissue
Cell type
Enrichment
Cell type
Category
Tau score
Cell type
Category
Tau score
Cell type
Category
Tau score
Cell lineage
Category
Tau score
Cluster
Cluster
Location
Searches
Location
Cell line
Class
Type
Phase
Reliability
Cancer
Prognosis
Cancer
Category
Cancer
Category
Tau score
Cluster
Variants
Interacting gene (ensg_id)
Type
Number of interactions
Pathway
Category
Score
Score
Score
Validation
Validation
Validation
Validation
Antibodies
Data type
Column


  • SUMMARY

  • TISSUE

  • BRAIN

  • SINGLE CELL

  • SUBCELL

  • CANCER

  • BLOOD

  • CELL LINE

  • STRUCT & INT

  • CEP95
TISSUE PRIMARY DATA SKIN Show tissue menu
ADIPOSE TISSUE ADRENAL GLAND AMYGDALA APPENDIX BASAL GANGLIA BONE MARROW BREAST BRONCHUS CEREBELLUM CEREBRAL CORTEX CERVIX CHOROID PLEXUS COLON DUODENUM
ENDOMETRIUM EPIDIDYMIS ESOPHAGUS FALLOPIAN TUBE GALLBLADDER HEART MUSCLE HIPPOCAMPAL FORMATION HYPOTHALAMUS KIDNEY LIVER LUNG LYMPH NODE MIDBRAIN NASOPHARYNX
ORAL MUCOSA OVARY PANCREAS PARATHYROID GLAND PITUITARY GLAND PLACENTA PROSTATE RECTUM RETINA SALIVARY GLAND SEMINAL VESICLE SKELETAL MUSCLE SKIN SMALL INTESTINE
SMOOTH MUSCLE SOFT TISSUE SPINAL CORD SPLEEN STOMACH TESTIS THYMUS THYROID GLAND TONGUE TONSIL URINARY BLADDER VAGINA
ANTIBODIES
AND
VALIDATION
Dictionary
Skin
Tissue proteome
Skin
SKIN - Expression summary
Protein expression
Skini

On the top, protein expression in current human tissue, based on all annotated cell types, is reported with the units not detected (n), low (l), medium (m) and high (h). Underneath, protein expression in each annotated cell type are reported using the same units.

Protein expression data is based on knowledge-based annotation. For genes where more than one antibody has been used, a collective score is set.

If knowledge-based annotation could not be performed for a gene, no data is displayed here. View antibody staining data further down this page.

h
m
l
n
Epidermal cells: Low
Fibroblasts: Low
Keratinocytes: Low
Langerhans: Low
Melanocytes: Low
RNA expressioni

A summary of mRNA expression data available for current tissue based on several datasets. The mRNA expression levels in human tissues are based on RNA-seq data generated by the Human Protein Atlas (HPA), Genotype-Tissue Expression (GTEx) portal and CAGE data generated by the FANTOM5 consortium. Consensus normalized expression levels for human tissues was created by combining the data from HPA and GTEx datasets.

The mRNA expression levels in pig are based on RNA-seq data generated by the Human Protein Atlas (HPA), and for mouse, HPA data and in situ hybridization generated by the Allen brain atlas are reported.

Scroll down to view mRNA expression data in more detail.
Consensus:22.4 nTPM
HPA:22.4 nTPM
GTEx:8.9 nTPM

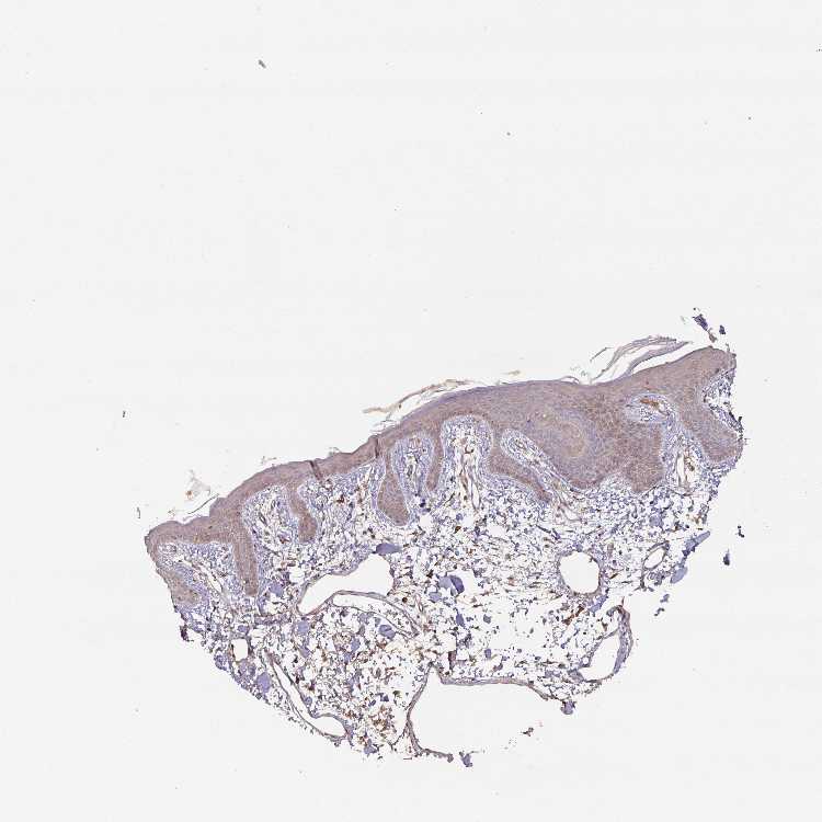
SKIN 1 - Antibody stainingi

Antibody staining in the annotated cell types in the current human tissue is reported as not detected, low, medium, or high, based on conventional immunohistochemistry profiling in selected tissues. This score is based on the combination of the staining intensity and fraction of stained cells.

Each image is clickable and will lead to virtual microscopy that enables deeper exploration of all samples and also displays staining intensity scores, fraction scores and subcellular localization as well as patient and tissue information for each sample.

Antibody HPA052426Antibody HPA052428Antibody HPA061371
Langerhans LowNot detectedNot detected
Fibroblasts LowHighNot detected
Keratinocytes LowLowLow
Melanocytes LowMediumNot detected




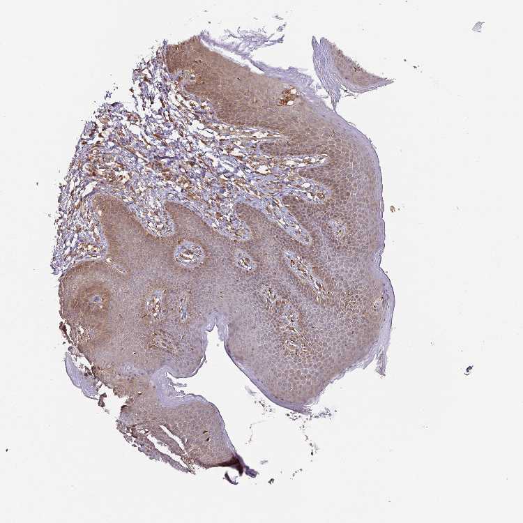
SKIN 2 - Antibody stainingi

Antibody staining in the annotated cell types in the current human tissue is reported as not detected, low, medium, or high, based on conventional immunohistochemistry profiling in selected tissues. This score is based on the combination of the staining intensity and fraction of stained cells.

Each image is clickable and will lead to virtual microscopy that enables deeper exploration of all samples and also displays staining intensity scores, fraction scores and subcellular localization as well as patient and tissue information for each sample.

Antibody HPA052426Antibody HPA052428Antibody HPA061371
Epidermal cells LowMediumMedium
   
   
   




SKIN - HPA RNA-seqi

The RNA-seq details section shows detailed information about the individual samples used for the transcript profiling and results of the RNA-seq analysis.

Information about each individual sample is listed below, including gender, age, a tissue section image and estimated fractions of cell types. nTPM (normalized transcripts per million) values give a quantification of the gene abundance which is comparable between different genes and samples.
Average nTPMi

Max subtype nTPM is the value for the subtype with the largest average nTPM across the subtype samples.

22.4
overview
Female, age 34
Skin sample 225
nTPM: 23.2
Cell types%
Keratinocytes:
60

Other cell types:
40

overview
Female, age 30
Skin sample 226
nTPM: 29
Cell types%
Keratinocytes:
55

Other cell types:
45

N/A
Male, age 57
Skin sample 227
nTPM: 15.1

SKIN - GTEx RNA-seqi

RNA-Seq data generated by the Genotype-Tissue Expression (GTEx) project from human tissues is reported as mean nTPM. More information can be found on the GTEx portal.

Distribution across the dataset is visualized with box plots, shown as median and 25th and 75th percentiles. Points are displayed as outliers if they are above or below 1.5 times the interquartile range. nTPM values of the individual samples are presented next to the box plot.
Max subtype nTPMi

Max subtype nTPM is the value for the subtype with the largest average nTPM across the subtype samples.

8.9
GTEx sample id Sample description nTPM
Skin - Not Sun Exposed (Suprapubic)
Average nTPM: 8.9
Samples: 604

Max nTPM: 26.6
Min nTPM: 2.8
Std nTPM: 2.7
Median nTPM: 8.6
GTEX-1ICLZ-0326-SM-ARL82 60-69 years, male 26.6
GTEX-1CB4F-1026-SM-7DUH1 60-69 years, male 21.8
GTEX-1HKZK-0726-SM-ACKW2 40-49 years, male 19.1
GTEX-15D1Q-2826-SM-6LLH7 40-49 years, male 18.7
GTEX-15FZZ-0526-SM-7KUGD 30-39 years, female 17.3
GTEX-1CB4J-1326-SM-7P8RX 60-69 years, male 17.3
GTEX-ZYY3-2926-SM-5GIEB 60-69 years, female 17.2
GTEX-1JN6P-2926-SM-CL54D 60-69 years, male 17.1
GTEX-1MCYP-0526-SM-E9U6Q 20-29 years, female 16.0
GTEX-1S83E-1326-SM-E6CJM 40-49 years, male 15.7
GTEX-1AMFI-1326-SM-7939R 50-59 years, female 15.0
GTEX-1EH9U-2826-SM-7DUGT 60-69 years, male 15.0
GTEX-1IDFM-0326-SM-ARL7V 60-69 years, male 15.0
GTEX-1I4MK-0126-SM-CY8G6 50-59 years, female 14.9
GTEX-17MF6-2626-SM-79OKQ 40-49 years, male 14.7
GTEX-ZTSS-1426-SM-5985P 40-49 years, male 14.6
GTEX-14E6C-2426-SM-5S2NF 40-49 years, male 14.5
GTEX-1IDJU-1726-SM-CMKHU 60-69 years, female 14.4
GTEX-11O72-0626-SM-5PNYE 40-49 years, male 14.3
GTEX-13W3W-0726-SM-5IJDQ 60-69 years, female 14.3
GTEX-1F6RS-2026-SM-7RHHC 60-69 years, female 14.3
GTEX-1HBPM-0726-SM-9YFL7 60-69 years, female 14.1
GTEX-1HFI7-2326-SM-CGQFS 50-59 years, female 14.1
GTEX-1I1GV-0626-SM-ARL7M 60-69 years, male 14.1
GTEX-13NYC-0126-SM-5L3F4 60-69 years, male 14.0
GTEX-15CHQ-0326-SM-69LQD 60-69 years, male 14.0
GTEX-1AMEY-0826-SM-72D65 30-39 years, female 13.9
GTEX-1HR9M-2226-SM-CNPPY 60-69 years, male 13.9
GTEX-1LG7Y-2526-SM-EWRO7 50-59 years, male 13.9
GTEX-11WQK-1026-SM-5EQLX 50-59 years, male 13.8
GTEX-14PJN-1826-SM-6AJ98 30-39 years, male 13.8
GTEX-1HSGN-0826-SM-ACKW3 40-49 years, female 13.8
GTEX-1GMR8-0626-SM-7RHI7 50-59 years, female 13.7
GTEX-1J8Q3-0526-SM-ARL8U 60-69 years, male 13.7
GTEX-ZPIC-0526-SM-DO91W 40-49 years, female 13.7
GTEX-1JN1M-2726-SM-CY8I4 60-69 years, female 13.6
GTEX-11UD2-2526-SM-5CVNU 50-59 years, male 13.5
GTEX-147JS-0226-SM-5S2U9 60-69 years, male 13.5
GTEX-14C39-1726-SM-5RQIL 40-49 years, male 13.5
GTEX-11EM3-1226-SM-5N9DD 20-29 years, female 13.4
GTEX-1H23P-0626-SM-9WG6T 60-69 years, male 13.4
GTEX-1212Z-0126-SM-59HK4 60-69 years, male 13.3
GTEX-13U4I-2226-SM-5LU5H 40-49 years, female 13.2
GTEX-ZAB4-2126-SM-5HL8U 40-49 years, male 13.2
GTEX-1H3VE-0726-SM-9YFL5 40-49 years, male 13.2
GTEX-1C6WA-2626-SM-7MKGM 60-69 years, male 13.0
GTEX-1C475-1326-SM-7SB73 40-49 years, female 13.0
GTEX-1I1GT-1026-SM-ARZLV 60-69 years, female 13.0
GTEX-1211K-1526-SM-5FQU4 60-69 years, female 12.9
GTEX-1F5PK-2226-SM-7SB6N 50-59 years, male 12.9
GTEX-1IOXB-2726-SM-CM2RI 50-59 years, male 12.8
GTEX-14C5O-0326-SM-5ZZUX 60-69 years, male 12.7
GTEX-17EVP-2626-SM-7IGMA 40-49 years, male 12.7
GTEX-X8HC-0626-SM-4E3HQ 50-59 years, female 12.7
GTEX-ZVE1-0726-SM-51MRN 50-59 years, female 12.7
GTEX-ZVT4-2426-SM-5GIEI 50-59 years, female 12.5
GTEX-1F75W-2726-SM-7SB8H 60-69 years, male 12.5
GTEX-1H1DE-1326-SM-9KNUG 20-29 years, male 12.5
GTEX-ZLV1-1526-SM-DO91J 60-69 years, female 12.5
GTEX-11LCK-2226-SM-5HL4Q 30-39 years, male 12.4
GTEX-13N1W-2426-SM-5IJD1 70-79 years, male 12.4
GTEX-1CAMQ-1326-SM-7P8RV 40-49 years, male 12.4
GTEX-1GZHY-0626-SM-9KNVC 50-59 years, female 12.4
GTEX-1H4P4-2126-SM-9WYSL 50-59 years, male 12.4
GTEX-1JMPY-0226-SM-CKZOK 30-39 years, male 12.4
GTEX-12696-0126-SM-5EQ4L 60-69 years, male 12.2
GTEX-15UF6-1926-SM-7KUDV 70-79 years, female 12.1
GTEX-1HCU8-2526-SM-CE6RX 60-69 years, female 12.1
GTEX-1J1R8-2026-SM-CL53Y 40-49 years, male 12.1
GTEX-1M4P7-0726-SM-E6CJ3 60-69 years, male 12.1
GTEX-1QP2A-1726-SM-E76QC 50-59 years, male 12.1
GTEX-1R46S-2426-SM-E76QA 60-69 years, female 12.1
GTEX-1CB4H-1126-SM-7MKGL 60-69 years, female 12.0
GTEX-1ICLY-0826-SM-CMKG1 50-59 years, male 12.0
GTEX-1JJ6O-2726-SM-CNPOG 60-69 years, male 12.0
GTEX-1O9I2-0226-SM-EYYXD 50-59 years, male 12.0
GTEX-13OVH-0526-SM-5L3E6 70-79 years, male 11.9
GTEX-1A3MX-2626-SM-7PC24 60-69 years, male 11.9
GTEX-13QBU-1226-SM-5LU4G 40-49 years, female 11.8
GTEX-15CHR-1126-SM-7EWF4 50-59 years, male 11.8
GTEX-1I1GS-2626-SM-B2LY3 60-69 years, male 11.8
GTEX-1LGOU-1326-SM-D3L8M 20-29 years, female 11.8
GTEX-1PPH7-1126-SM-DTX9A 40-49 years, male 11.8
GTEX-14B4R-1326-SM-5Q5EZ 30-39 years, male 11.7
GTEX-1C2JI-1026-SM-73KY1 50-59 years, male 11.7
GTEX-1GPI6-1926-SM-9KNV7 60-69 years, male 11.7
GTEX-13QJC-0126-SM-5ZZWJ 60-69 years, female 11.6
GTEX-12ZZZ-0726-SM-5GCNZ 60-69 years, male 11.5
GTEX-13FLV-0126-SM-5K7WT 50-59 years, male 11.5
GTEX-13O3Q-0126-SM-5KM34 50-59 years, male 11.5
GTEX-17HHE-1326-SM-7EWDZ 50-59 years, male 11.5
GTEX-1CB4E-0926-SM-7EPHT 60-69 years, male 11.5
GTEX-1F75I-2226-SM-7SB8U 40-49 years, male 11.5
GTEX-1GPI7-1826-SM-9KNU1 20-29 years, male 11.5
GTEX-1J8QM-2426-SM-A9SLS 60-69 years, female 11.5
GTEX-1S82U-1026-SM-E6CJK 30-39 years, female 11.5
GTEX-1H2FU-0926-SM-9WPPT 60-69 years, female 11.4
GTEX-1PDJ9-1226-SM-EXUSX 20-29 years, male 11.4
GTEX-1269C-0126-SM-5EQ5L 60-69 years, female 11.3
GTEX-1A8G7-1326-SM-73KVM 60-69 years, male 11.3
GTEX-1EN7A-2426-SM-793DB 40-49 years, male 11.3
GTEX-13RTJ-0126-SM-5S2NN 60-69 years, male 11.2
GTEX-1C6VQ-1226-SM-73KYD 50-59 years, male 11.2
GTEX-ZA64-1026-SM-5HL8R 20-29 years, male 11.2
GTEX-11P82-1426-SM-DTXFY 20-29 years, male 11.2
GTEX-1F88E-1626-SM-7SB8Z 60-69 years, female 11.2
GTEX-1I1GU-0926-SM-ACKVS 40-49 years, male 11.2
GTEX-1JKYR-0626-SM-ARL8R 20-29 years, male 11.2
GTEX-14BMV-2826-SM-5TDED 50-59 years, male 11.1
GTEX-16NGA-0726-SM-731AO 40-49 years, female 11.1
GTEX-1A3MV-1826-SM-731CD 30-39 years, male 11.1
GTEX-1EKGG-0626-SM-7DUGJ 60-69 years, male 11.1
GTEX-UPJH-0226-SM-3GADV 50-59 years, male 11.1
GTEX-13NYS-0626-SM-5L3F1 60-69 years, male 11.0
GTEX-1POEN-2326-SM-E9J2L 30-39 years, female 11.0
GTEX-18D9A-1426-SM-7LT8M 30-39 years, female 10.9
GTEX-1J8JJ-0626-SM-ARZMQ 60-69 years, female 10.9
GTEX-11DXZ-2026-SM-5987S 50-59 years, male 10.8
GTEX-131XF-2626-SM-5EQ6K 60-69 years, male 10.8
GTEX-Y5LM-0926-SM-6LLJG 40-49 years, female 10.8
GTEX-1I1CD-0626-SM-CE6SW 60-69 years, female 10.8
GTEX-1IE54-1126-SM-A9G2Z 40-49 years, female 10.8
GTEX-1JMPZ-0726-SM-CY8HZ 30-39 years, male 10.8
GTEX-11EI6-2826-SM-5H11D 60-69 years, male 10.7
GTEX-11GSP-2326-SM-5HL63 60-69 years, female 10.7
GTEX-11VI4-1126-SM-5EQMD 40-49 years, female 10.7
GTEX-12KS4-2126-SM-5FQUT 30-39 years, male 10.7
GTEX-13O3O-2326-SM-5IJD6 60-69 years, female 10.7
GTEX-13OVJ-0826-SM-5J1OK 50-59 years, female 10.7
GTEX-13VXT-1926-SM-5K7UO 20-29 years, female 10.7
GTEX-147F4-0726-SM-5TDDD 50-59 years, male 10.7
GTEX-15EO6-2426-SM-6PALZ 50-59 years, male 10.7
GTEX-1B97I-0626-SM-73KUZ 40-49 years, male 10.7
GTEX-1HSMQ-2626-SM-A9SML 50-59 years, male 10.7
GTEX-111CU-1126-SM-5EGIM 50-59 years, male 10.6
GTEX-139UW-0326-SM-5J1ML 60-69 years, male 10.6
GTEX-Y8LW-1526-SM-5IFHL 50-59 years, female 10.6
GTEX-1JMQJ-0826-SM-CNPP7 50-59 years, male 10.6
GTEX-1K2DU-1226-SM-CYPT4 20-29 years, male 10.6
GTEX-1RLM8-2926-SM-E8VON 50-59 years, male 10.6
GTEX-14LLW-2626-SM-62LDZ 70-79 years, female 10.5
GTEX-ZVT2-0126-SM-5GIDQ 50-59 years, female 10.5
GTEX-1F88F-0126-SM-9WYSZ 60-69 years, female 10.5
GTEX-1N2EE-0626-SM-E76PW 60-69 years, male 10.5
GTEX-148VJ-0626-SM-5LUAW 70-79 years, male 10.4
GTEX-14DAQ-0626-SM-793DS 60-69 years, female 10.4
GTEX-1GF9W-1426-SM-7PBYM 60-69 years, male 10.4
GTEX-1GN1U-0626-SM-9MQL9 50-59 years, female 10.4
GTEX-1IDJI-0126-SM-CMKHS 50-59 years, female 10.4
GTEX-1J8Q2-2626-SM-ACKWQ 60-69 years, male 10.4
GTEX-1JMQL-2226-SM-CNPP4 50-59 years, female 10.4
GTEX-1NV5F-0626-SM-DTXEG 60-69 years, female 10.4
GTEX-145MF-0926-SM-5Q5EA 50-59 years, male 10.3
GTEX-14DAR-1226-SM-73KYV 50-59 years, male 10.3
GTEX-15RJE-2826-SM-7KUM9 40-49 years, male 10.3
GTEX-V1D1-2026-SM-3GAF4 50-59 years, male 10.3
GTEX-XQ8I-0926-SM-4BOOF 50-59 years, male 10.3
GTEX-Z93S-1626-SM-5CVMB 50-59 years, male 10.3
GTEX-ZLWG-0826-SM-59888 50-59 years, female 10.3
GTEX-1S831-1826-SM-EWROF 20-29 years, male 10.3
GTEX-11GS4-0226-SM-5HL77 60-69 years, male 10.2
GTEX-145MO-2826-SM-5LU96 60-69 years, male 10.2
GTEX-14A5H-0826-SM-5QGPJ 60-69 years, male 10.2
GTEX-183WM-0326-SM-72D5V 70-79 years, female 10.2
GTEX-WFG8-2126-SM-3GIKQ 20-29 years, male 10.2
GTEX-1GN1W-2426-SM-9KNUU 50-59 years, female 10.2
GTEX-1GZ2Q-0126-SM-9WG6M 40-49 years, male 10.2
GTEX-1HR98-2226-SM-ADEI2 60-69 years, male 10.2
GTEX-1IDJV-0126-SM-COH3Y 60-69 years, male 10.2
GTEX-1S5ZU-2526-SM-E6CIF 20-29 years, female 10.2
GTEX-13113-1626-SM-5EQ4I 60-69 years, female 10.1
GTEX-13FH7-1126-SM-5K7UG 50-59 years, female 10.1
GTEX-13OW7-0426-SM-5K7VK 50-59 years, male 10.1
GTEX-145MI-0626-SM-5SI8S 60-69 years, female 10.1
GTEX-1H3NZ-2726-SM-9WYTQ 60-69 years, male 10.1
GTEX-1LGRB-0926-SM-COH3K 50-59 years, female 10.1
GTEX-13PVQ-0626-SM-5LU47 50-59 years, male 10.0
GTEX-16GPK-0626-SM-7KFSF 60-69 years, male 10.0
GTEX-1B8SF-0126-SM-7DUG3 60-69 years, male 10.0
GTEX-WHSB-1326-SM-3LK6W 50-59 years, male 10.0
GTEX-1A8FM-0626-SM-7PC25 50-59 years, female 10.0
GTEX-1C64N-2626-SM-7PC2N 50-59 years, male 10.0
GTEX-1HSMO-0626-SM-ACKXC 60-69 years, male 10.0
GTEX-1QAET-0326-SM-EVR3U 50-59 years, male 10.0
GTEX-1RAZS-2526-SM-E6CHT 50-59 years, male 10.0
GTEX-11EQ9-1626-SM-5PNY8 30-39 years, male 9.9
GTEX-14PJO-2526-SM-6AJBQ 60-69 years, male 9.9
GTEX-18A7A-0126-SM-731AH 50-59 years, female 9.9
GTEX-1CAV2-0126-SM-7IGN7 40-49 years, female 9.9
GTEX-Y8E4-2026-SM-5IFJB 40-49 years, male 9.9
GTEX-ZAJG-1526-SM-5CVML 50-59 years, female 9.9
GTEX-ZY6K-1426-SM-5GZX2 50-59 years, male 9.9
GTEX-ZZ64-1026-SM-5GZXG 20-29 years, male 9.9
GTEX-1QP28-1126-SM-EVYC4 50-59 years, female 9.9
GTEX-144GO-2026-SM-5O99P 60-69 years, male 9.8
GTEX-1497J-0226-SM-5QGPU 60-69 years, male 9.8
GTEX-14PKU-0126-SM-6LLHV 40-49 years, female 9.8
GTEX-1E1VI-0326-SM-793D1 50-59 years, male 9.8
GTEX-1HSKV-1226-SM-ADEI4 60-69 years, male 9.8
GTEX-1LSVX-2526-SM-DIPEU 60-69 years, male 9.8
GTEX-14PHX-2226-SM-6EU2P 50-59 years, male 9.7
GTEX-15SKB-2826-SM-6PAMH 60-69 years, male 9.7
GTEX-17HII-1426-SM-7EPGG 50-59 years, male 9.7
GTEX-1B996-0426-SM-7EWF8 60-69 years, male 9.7
GTEX-XUW1-0926-SM-4BONX 50-59 years, female 9.7
GTEX-ZYFD-0626-SM-5E44E 50-59 years, male 9.7
GTEX-1JJE9-2626-SM-ARZMT 70-79 years, male 9.7
GTEX-1JMLX-0626-SM-ARL8T 50-59 years, male 9.7
GTEX-1QCLZ-2426-SM-EVYBW 60-69 years, female 9.7
GTEX-13NZ8-1226-SM-5KM4A 60-69 years, female 9.6
GTEX-13X6H-0926-SM-5SIB2 50-59 years, female 9.6
GTEX-14BIN-1126-SM-5RQJZ 50-59 years, female 9.6
GTEX-16MT9-0126-SM-7EPI8 60-69 years, female 9.6
GTEX-1JMQI-1726-SM-ARL93 50-59 years, male 9.6
GTEX-1K9T9-1526-SM-DIPFR 50-59 years, female 9.6
GTEX-1OJC4-2726-SM-E76PJ 50-59 years, female 9.6
GTEX-1S82P-2126-SM-E6CI5 60-69 years, female 9.6
GTEX-11P81-2226-SM-5PNYI 30-39 years, female 9.5
GTEX-11PRG-0726-SM-5EGL1 50-59 years, male 9.5
GTEX-13OVK-1426-SM-6PAN7 40-49 years, male 9.5
GTEX-ZC5H-1526-SM-5HL9Y 40-49 years, female 9.5
GTEX-1HCVE-2726-SM-CL54F 50-59 years, male 9.5
GTEX-1IY9M-2826-SM-ARU8H 60-69 years, male 9.5
GTEX-1JK1U-0226-SM-ARZMX 60-69 years, male 9.5
GTEX-1LVAM-0726-SM-E6CIL 50-59 years, female 9.5
GTEX-11TUW-0626-SM-5LU9M 60-69 years, male 9.4
GTEX-13112-0126-SM-5P9IU 50-59 years, male 9.4
GTEX-14BMU-1226-SM-5S2OR 20-29 years, female 9.4
GTEX-1A32A-0626-SM-731AQ 50-59 years, female 9.4
GTEX-1H3O1-1326-SM-9MQLD 60-69 years, male 9.4
GTEX-11ZU8-0126-SM-5EQ58 60-69 years, male 9.3
GTEX-12WSF-1626-SM-7KUG5 70-79 years, male 9.3
GTEX-1399S-0126-SM-5IJCF 30-39 years, female 9.3
GTEX-139TT-2126-SM-5LZWC 60-69 years, male 9.3
GTEX-17F9E-2326-SM-79OKD 50-59 years, male 9.3
GTEX-1GN1V-2826-SM-9JGIA 60-69 years, male 9.3
GTEX-1HUB1-1426-SM-CGQF5 60-69 years, male 9.3
GTEX-1IDJD-2326-SM-ACKWX 30-39 years, male 9.3
GTEX-1LB8K-0726-SM-D5OV2 50-59 years, male 9.3
GTEX-1QP66-1226-SM-DTX7U 50-59 years, male 9.3
GTEX-1QPFJ-1926-SM-EVYBD 30-39 years, female 9.3
GTEX-1QW4Y-1126-SM-DTXE3 30-39 years, male 9.3
GTEX-17EVQ-0126-SM-7IGLR 70-79 years, male 9.2
GTEX-ZE9C-2526-SM-5IJDR 60-69 years, male 9.2
GTEX-1GN2E-0226-SM-9WG6K 60-69 years, male 9.2
GTEX-1IDJH-0126-SM-D3L92 70-79 years, male 9.2
GTEX-1KANA-1326-SM-DIPFA 20-29 years, male 9.2
GTEX-1RAZR-2126-SM-E9U6T 40-49 years, male 9.2
GTEX-139T8-0626-SM-5KLZX 60-69 years, male 9.1
GTEX-13JVG-0726-SM-5KM16 60-69 years, male 9.1
GTEX-13X6J-0626-SM-5LU5F 50-59 years, male 9.1
GTEX-XMD2-2126-SM-4YCF8 60-69 years, female 9.1
GTEX-Y3I4-1726-SM-4TT89 50-59 years, male 9.1
GTEX-ZF29-0926-SM-4WKFZ 60-69 years, female 9.1
GTEX-ZVE2-2826-SM-5GU51 50-59 years, male 9.1
GTEX-14JFF-0626-SM-5ZZVT 60-69 years, male 9.1
GTEX-12C56-1526-SM-5FQUQ 20-29 years, male 9.0
GTEX-12WSC-2826-SM-5BC5Y 50-59 years, male 9.0
GTEX-133LE-2326-SM-5K7W3 20-29 years, female 9.0
GTEX-13JUV-2026-SM-5K7UA 40-49 years, female 9.0
GTEX-13OW6-2726-SM-5J2OE 50-59 years, male 9.0
GTEX-13SLW-0626-SM-5Q5ER 70-79 years, male 9.0
GTEX-147GR-2426-SM-5ZZWQ 60-69 years, male 9.0
GTEX-14PJ6-2626-SM-6EU2T 60-69 years, female 9.0
GTEX-16BQI-1326-SM-6M486 30-39 years, female 9.0
GTEX-Y5V5-0126-SM-5S2NW 60-69 years, female 9.0
GTEX-1GN73-0726-SM-7P8TJ 60-69 years, male 9.0
GTEX-1PPGY-1626-SM-EVYBL 60-69 years, male 9.0
GTEX-1QCLY-0226-SM-EWRNH 30-39 years, male 9.0
GTEX-12WSJ-1126-SM-5LZVJ 40-49 years, female 8.9
GTEX-13YAN-0226-SM-5TDC6 60-69 years, male 8.9
GTEX-14A6H-2026-SM-5Q5DD 30-39 years, male 8.9
GTEX-16XZZ-0726-SM-7KUF2 60-69 years, male 8.9
GTEX-ZUA1-2626-SM-5NQ92 40-49 years, male 8.9
GTEX-ZVZP-1226-SM-5GID7 50-59 years, male 8.9
GTEX-ZXG5-2126-SM-59HKD 60-69 years, male 8.9
GTEX-1H11D-1826-SM-9QEHM 40-49 years, male 8.9
GTEX-1IKJJ-2226-SM-CJI4C 60-69 years, male 8.9
GTEX-1JJEA-1826-SM-ARU8P 60-69 years, male 8.9
GTEX-11DXY-0126-SM-5H11Q 60-69 years, male 8.8
GTEX-145LU-1926-SM-79OJN 50-59 years, male 8.8
GTEX-14PK6-0226-SM-62LF5 70-79 years, female 8.8
GTEX-1AX9I-2226-SM-73KUO 60-69 years, male 8.8
GTEX-WRHU-2826-SM-3MJG8 50-59 years, female 8.8
GTEX-Y9LG-1126-SM-4VBQ7 30-39 years, male 8.8
GTEX-ZU9S-1826-SM-5NQ9E 30-39 years, male 8.8
GTEX-1GMR2-0826-SM-7PC3V 50-59 years, male 8.8
GTEX-1GTWX-2026-SM-9YFLM 60-69 years, male 8.8
GTEX-1HB9E-0126-SM-CM2S5 50-59 years, male 8.8
GTEX-1I6K6-1726-SM-CGQFD 30-39 years, male 8.8
GTEX-1S3DN-2126-SM-E9TIN 50-59 years, male 8.8
GTEX-ZGAY-1826-SM-DO91Q 40-49 years, female 8.8
GTEX-111FC-2526-SM-5GZXU 60-69 years, male 8.7
GTEX-12WSH-1526-SM-5BC5W 50-59 years, male 8.7
GTEX-131YS-2826-SM-5EQ47 60-69 years, female 8.7
GTEX-13OW8-1026-SM-5J1NQ 60-69 years, male 8.7
GTEX-ZWKS-0626-SM-5GIDV 30-39 years, male 8.7
GTEX-1C6VR-0126-SM-7RHGB 60-69 years, male 8.7
GTEX-1I1GP-1326-SM-A9G28 50-59 years, male 8.7
GTEX-11EQ8-0926-SM-5H12V 60-69 years, male 8.6
GTEX-12126-0826-SM-5FQTZ 20-29 years, male 8.6
GTEX-12584-0726-SM-5FQTK 40-49 years, male 8.6
GTEX-1399U-1126-SM-5L3DB 50-59 years, female 8.6
GTEX-13D11-0926-SM-5J2NC 50-59 years, female 8.6
GTEX-15DDE-2926-SM-6LLJ3 50-59 years, female 8.6
GTEX-1B8KZ-0326-SM-73KY4 50-59 years, male 8.6
GTEX-X4EP-0626-SM-3P621 60-69 years, female 8.6
GTEX-1HCU6-2526-SM-ADEHL 60-69 years, female 8.6
GTEX-1JN76-0626-SM-CKZOQ 20-29 years, female 8.6
GTEX-1KXAM-1626-SM-D3LAD 60-69 years, male 8.6
GTEX-11DZ1-2426-SM-5GZZX 50-59 years, male 8.5
GTEX-14E6E-0526-SM-793DN 30-39 years, male 8.5
GTEX-14PJ4-0226-SM-5YY92 60-69 years, male 8.5
GTEX-14PJ5-1526-SM-6LLIL 60-69 years, female 8.5
GTEX-WYJK-0526-SM-3NM8Z 50-59 years, male 8.5
GTEX-XAJ8-1426-SM-47JYM 40-49 years, male 8.5
GTEX-ZDTT-0426-SM-4WKFL 60-69 years, male 8.5
GTEX-14JG6-1426-SM-9WG7C 30-39 years, female 8.5
GTEX-1F75B-0726-SM-7PC3R 50-59 years, male 8.5
GTEX-1HCU7-0726-SM-A9SL1 50-59 years, male 8.5
GTEX-1QEPI-2626-SM-DTXF4 60-69 years, female 8.5
GTEX-12BJ1-0926-SM-5EQ62 60-69 years, male 8.4
GTEX-15ER7-0626-SM-6PANF 20-29 years, female 8.4
GTEX-17HG3-2626-SM-7DUF2 30-39 years, female 8.4
GTEX-18465-2826-SM-7LT9J 50-59 years, male 8.4
GTEX-XBEC-0726-SM-4QARZ 50-59 years, male 8.4
GTEX-ZDYS-2426-SM-4WKGI 50-59 years, male 8.4
GTEX-1GMR3-0126-SM-A9SLW 40-49 years, male 8.4
GTEX-1K2DA-1026-SM-CGQGF 50-59 years, male 8.4
GTEX-1LSNL-2726-SM-E9TKJ 50-59 years, male 8.4
GTEX-1PPH8-0126-SM-EWRN8 20-29 years, male 8.4
GTEX-1117F-2926-SM-5GZYI 60-69 years, female 8.3
GTEX-13OVL-0126-SM-5L3GJ 50-59 years, male 8.3
GTEX-13X6I-1826-SM-5SIAO 60-69 years, male 8.3
GTEX-13X6K-0626-SM-5LU5D 60-69 years, female 8.3
GTEX-144GM-0526-SM-79OJO 20-29 years, male 8.3
GTEX-15CHC-1126-SM-6LLHQ 60-69 years, female 8.3
GTEX-Y3IK-1626-SM-4YCF5 50-59 years, female 8.3
GTEX-1CB4I-0126-SM-7RHGG 50-59 years, male 8.3
GTEX-1KANB-2826-SM-CY8I6 50-59 years, male 8.3
GTEX-1KD5A-0126-SM-E9U54 50-59 years, male 8.3
GTEX-1KWVE-1026-SM-D3L9O 30-39 years, male 8.3
GTEX-1R9K4-2826-SM-DTX8F 60-69 years, male 8.3
GTEX-1313W-0626-SM-5EQ4H 50-59 years, female 8.2
GTEX-13OVG-1626-SM-5J1NF 60-69 years, male 8.2
GTEX-13SLX-2226-SM-62LEP 50-59 years, female 8.2
GTEX-144FL-0626-SM-5LU43 50-59 years, male 8.2
GTEX-16MT8-2926-SM-7DUFO 60-69 years, female 8.2
GTEX-WEY5-2326-SM-3GIKK 40-49 years, female 8.2
GTEX-ZYFG-1526-SM-5GZYM 60-69 years, female 8.2
GTEX-1QMI2-2526-SM-E8VNZ 60-69 years, male 8.2
GTEX-11ZTT-2126-SM-5CVLO 60-69 years, female 8.1
GTEX-131XG-0326-SM-5L3DX 50-59 years, female 8.1
GTEX-13FHO-0426-SM-5L3F5 60-69 years, male 8.1
GTEX-13VXU-0626-SM-5L3F9 50-59 years, male 8.1
GTEX-144GL-0626-SM-5LU4D 50-59 years, male 8.1
GTEX-147F3-1726-SM-5SIAW 50-59 years, female 8.1
GTEX-WYBS-0626-SM-3NMAS 60-69 years, female 8.1
GTEX-Y111-0626-SM-4SOIT 50-59 years, male 8.1
GTEX-1122O-1026-SM-9WYSF 60-69 years, female 8.1
GTEX-1C64O-1326-SM-7MGWR 60-69 years, male 8.1
GTEX-1GF9U-2026-SM-7SB92 40-49 years, female 8.1
GTEX-1GZ4H-0526-SM-9KNU9 50-59 years, female 8.1
GTEX-1HBPN-0126-SM-CGQEF 50-59 years, male 8.1
GTEX-1IDJF-2026-SM-CL53V 20-29 years, male 8.1
GTEX-11DXX-2126-SM-5PNYR 60-69 years, female 8.0
GTEX-11TT1-1826-SM-5EQLV 20-29 years, male 8.0
GTEX-14ICL-1626-SM-5YYAO 30-39 years, male 8.0
GTEX-17F98-1326-SM-7DUEP 40-49 years, female 8.0
GTEX-WI4N-2726-SM-3LK7Y 40-49 years, female 8.0
GTEX-XV7Q-1826-SM-4BRUV 40-49 years, female 8.0
GTEX-ZT9W-1126-SM-57WDR 50-59 years, male 8.0
GTEX-ZYFC-0426-SM-5GICQ 50-59 years, male 8.0
GTEX-12WSA-0426-SM-5EQ5X 60-69 years, male 7.9
GTEX-12WSM-1926-SM-5BC65 60-69 years, male 7.9
GTEX-139TU-0726-SM-5L3EK 60-69 years, male 7.9
GTEX-13FTW-0326-SM-5K7UW 40-49 years, male 7.9
GTEX-13N2G-0226-SM-5K7VF 60-69 years, male 7.9
GTEX-WFON-1926-SM-3LK7L 40-49 years, male 7.9
GTEX-1F6IF-0926-SM-7SB7M 60-69 years, male 7.9
GTEX-1I1HK-2326-SM-CKZOH 60-69 years, male 7.9
GTEX-1ICG6-1226-SM-A9SLN 70-79 years, female 7.9
GTEX-1J8EW-2726-SM-CY8HR 60-69 years, female 7.9
GTEX-13FTY-2126-SM-5IFFB 40-49 years, female 7.8
GTEX-14PII-0726-SM-6EU2B 60-69 years, male 7.8
GTEX-1F52S-2926-SM-7MKGA 60-69 years, female 7.8
GTEX-ZF2S-1626-SM-57WES 50-59 years, female 7.8
GTEX-ZVTK-0226-SM-51MRG 20-29 years, male 7.8
GTEX-1HT8W-0626-SM-A9G2H 30-39 years, male 7.8
GTEX-1KANC-1226-SM-CYPT7 50-59 years, female 7.8
GTEX-1R7EU-1626-SM-DTXG3 60-69 years, male 7.8
GTEX-11WQC-1826-SM-5GU59 60-69 years, male 7.7
GTEX-14LZ3-0126-SM-69LPM 60-69 years, female 7.7
GTEX-15RIG-0726-SM-7KUM7 40-49 years, male 7.7
GTEX-16NPX-0726-SM-7KULC 50-59 years, male 7.7
GTEX-18D9U-0126-SM-731BM 40-49 years, male 7.7
GTEX-X5EB-1926-SM-4E3IW 40-49 years, male 7.7
GTEX-ZDXO-3126-SM-5IJDF 60-69 years, male 7.7
GTEX-ZZPU-0826-SM-5GZX5 50-59 years, female 7.7
GTEX-YEC3-1326-SM-DO92X 50-59 years, male 7.7
GTEX-13IVO-0726-SM-5LZYV 70-79 years, male 7.6
GTEX-17KNJ-2126-SM-718AM 50-59 years, male 7.6
GTEX-1EWIQ-0326-SM-7DHMQ 70-79 years, female 7.6
GTEX-ZE7O-2726-SM-51MT5 50-59 years, female 7.6
GTEX-1GZ4I-2626-SM-9KNU3 50-59 years, male 7.6
GTEX-1H1DG-2426-SM-9QEHJ 70-79 years, male 7.6
GTEX-1I6K7-1926-SM-B2LXR 40-49 years, male 7.6
GTEX-1N5O9-0926-SM-E9J3C 60-69 years, male 7.6
GTEX-11NUK-2726-SM-5A5MC 50-59 years, male 7.5
GTEX-11OF3-0126-SM-5PNYF 60-69 years, male 7.5
GTEX-12ZZY-0726-SM-5EQ66 60-69 years, male 7.5
GTEX-1314G-1326-SM-5BC6E 30-39 years, male 7.5
GTEX-132AR-0326-SM-5KM2C 50-59 years, female 7.5
GTEX-17JCI-2926-SM-7DUFF 60-69 years, female 7.5
GTEX-18A7B-2726-SM-7LG56 70-79 years, male 7.5
GTEX-ZYT6-2326-SM-5GZY3 30-39 years, male 7.5
GTEX-1GF9X-1326-SM-7PC2Y 40-49 years, female 7.5
GTEX-1GL5R-1326-SM-7RHHF 50-59 years, male 7.5
GTEX-1I19N-0126-SM-CYPSF 70-79 years, male 7.5
GTEX-1J1OQ-0126-SM-D4P2N 40-49 years, female 7.5
GTEX-1NSGN-0726-SM-DTXEF 50-59 years, male 7.5
GTEX-1RMOY-1326-SM-E9TIH 50-59 years, male 7.5
GTEX-1192X-2726-SM-5N9DN 50-59 years, male 7.4
GTEX-14JG1-1526-SM-5YY9X 40-49 years, male 7.4
GTEX-16MTA-0926-SM-6M47Z 50-59 years, male 7.4
GTEX-18D9B-0926-SM-7LG4U 60-69 years, male 7.4
GTEX-1B932-2326-SM-79OL5 40-49 years, female 7.4
GTEX-1B933-2426-SM-7DHMD 50-59 years, female 7.4
GTEX-ZYVF-0926-SM-5E44J 50-59 years, female 7.4
GTEX-1EMGI-2326-SM-7PBYA 60-69 years, male 7.4
GTEX-1GF9V-0826-SM-9KNUV 60-69 years, male 7.4
GTEX-1H1DF-1126-SM-9WG7G 40-49 years, female 7.4
GTEX-1LKK1-2626-SM-DKPQE 50-59 years, female 7.4
GTEX-1LVAN-0626-SM-CNPOQ 50-59 years, female 7.4
GTEX-ZF3C-0626-SM-DO92O 50-59 years, female 7.4
GTEX-145LS-0626-SM-7EPG7 60-69 years, female 7.3
GTEX-16Z82-2626-SM-7KULU 60-69 years, male 7.3
GTEX-183FY-1026-SM-7939A 20-29 years, male 7.3
GTEX-X3Y1-2026-SM-3P5YM 40-49 years, male 7.3
GTEX-YB5K-2026-SM-4VDT3 40-49 years, female 7.3
GTEX-ZDTS-0826-SM-4WKHL 60-69 years, male 7.3
GTEX-1F48J-0726-SM-7RHGS 50-59 years, female 7.3
GTEX-1HCUA-0826-SM-ADEHM 50-59 years, female 7.3
GTEX-1JKYN-0826-SM-ARU8S 30-39 years, male 7.3
GTEX-1MJK3-0726-SM-E6CJC 20-29 years, male 7.3
GTEX-1R9PN-0426-SM-DTXDT 40-49 years, female 7.3
GTEX-X4EO-2926-SM-4E3JH 60-69 years, female 7.2
GTEX-XXEK-1626-SM-4BRUZ 50-59 years, male 7.2
GTEX-1B8L1-2226-SM-7P8PT 60-69 years, male 7.2
GTEX-1HBPI-2126-SM-ARL9K 50-59 years, male 7.2
GTEX-111YS-1526-SM-5GZYW 60-69 years, male 7.1
GTEX-12ZZX-2426-SM-5GCOE 40-49 years, female 7.1
GTEX-146FQ-2126-SM-5RQHU 30-39 years, male 7.1
GTEX-14753-0726-SM-5QGQO 60-69 years, male 7.1
GTEX-14ABY-2026-SM-62LDL 50-59 years, male 7.1
GTEX-1A3MW-0626-SM-731CB 60-69 years, female 7.1
GTEX-1AX9J-1326-SM-731BJ 60-69 years, male 7.1
GTEX-1H1ZS-2726-SM-9WG75 70-79 years, male 7.1
GTEX-1PIIG-2326-SM-DTXFR 30-39 years, male 7.1
GTEX-11DXW-0826-SM-5H118 40-49 years, male 7.0
GTEX-12WSL-2026-SM-5GCML 50-59 years, male 7.0
GTEX-131XW-0626-SM-5PNVD 50-59 years, female 7.0
GTEX-14PKV-1126-SM-6LLJ1 20-29 years, female 7.0
GTEX-18A66-0626-SM-7LT8Z 60-69 years, male 7.0
GTEX-1AX8Z-0726-SM-73KTS 60-69 years, male 7.0
GTEX-WK11-2726-SM-3NMAQ 50-59 years, male 7.0
GTEX-ZP4G-1426-SM-4WWCL 20-29 years, female 7.0
GTEX-1CAMR-1326-SM-7PC1F 20-29 years, male 7.0
GTEX-1LVA9-2626-SM-EVYD4 50-59 years, male 7.0
GTEX-139D8-1126-SM-5LU8W 30-39 years, female 6.9
GTEX-13PVR-0426-SM-5RQK2 60-69 years, female 6.9
GTEX-145LT-0526-SM-5LUB2 40-49 years, male 6.9
GTEX-15EU6-2226-SM-6EU2L 50-59 years, male 6.9
GTEX-15G1A-1626-SM-7KUKN 30-39 years, male 6.9
GTEX-17F9Y-0126-SM-79OKX 70-79 years, female 6.9
GTEX-XPVG-2126-SM-4B667 50-59 years, male 6.9
GTEX-12WSK-2126-SM-5CVNC 40-49 years, female 6.8
GTEX-145MG-1526-SM-5Q5EM 50-59 years, male 6.8
GTEX-17HGU-2326-SM-7DUFE 50-59 years, male 6.8
GTEX-1B8KE-1126-SM-7EPHI 50-59 years, male 6.8
GTEX-XBEW-1126-SM-4QARW 40-49 years, male 6.8
GTEX-1CAMS-2226-SM-7PBXQ 40-49 years, female 6.8
GTEX-1F6I4-2326-SM-7RHGL 60-69 years, male 6.8
GTEX-1F75A-0726-SM-7RHHD 50-59 years, male 6.8
GTEX-1LG7Z-1626-SM-CXKYR 30-39 years, male 6.8
GTEX-1RAZQ-1326-SM-E9TK6 30-39 years, male 6.8
GTEX-1477Z-0326-SM-7IGLA 60-69 years, male 6.7
GTEX-178AV-1726-SM-7KUL8 40-49 years, male 6.7
GTEX-1EU9M-1426-SM-793AI 60-69 years, male 6.7
GTEX-WY7C-2126-SM-3NB2R 50-59 years, male 6.7
GTEX-XBED-1926-SM-47JYP 60-69 years, male 6.7
GTEX-ZT9X-1526-SM-5DUXD 40-49 years, male 6.7
GTEX-1H1E6-0426-SM-9WYUS 30-39 years, male 6.7
GTEX-1HC8U-1326-SM-9YFMJ 40-49 years, female 6.7
GTEX-1MCC2-1826-SM-DIPEX 30-39 years, female 6.7
GTEX-145MN-1526-SM-5SI9T 30-39 years, male 6.6
GTEX-14PJ2-0626-SM-6LLII 50-59 years, male 6.6
GTEX-17HHY-0426-SM-7DHLC 50-59 years, male 6.6
GTEX-WHPG-2626-SM-3NMBR 50-59 years, male 6.6
GTEX-1LVAO-2726-SM-E9TJ8 60-69 years, male 6.6
GTEX-1RB15-1326-SM-E76Q9 60-69 years, male 6.6
GTEX-13N11-2326-SM-5IJBF 50-59 years, female 6.5
GTEX-13PL6-1126-SM-5L3IE 40-49 years, female 6.5
GTEX-18A6Q-0626-SM-7KFRP 60-69 years, male 6.5
GTEX-18QFQ-1826-SM-72D52 30-39 years, male 6.5
GTEX-1A8G6-2726-SM-731AR 60-69 years, male 6.5
GTEX-U8XE-0226-SM-4E3J3 30-39 years, male 6.5
GTEX-WYVS-1626-SM-3NM9R 40-49 years, female 6.5
GTEX-1AYD5-2626-SM-7PBXY 50-59 years, male 6.5
GTEX-1HFI6-0126-SM-CNPPI 40-49 years, male 6.5
GTEX-1L5NE-1126-SM-D3L9P 50-59 years, male 6.5
GTEX-1PBJJ-1026-SM-E76OS 30-39 years, male 6.5
GTEX-1QP29-1826-SM-DTX9S 50-59 years, male 6.5
GTEX-1399Q-2326-SM-5KM2X 40-49 years, male 6.4
GTEX-YF7O-1526-SM-5IFI6 50-59 years, male 6.4
GTEX-1IDJE-1426-SM-ADEIW 50-59 years, female 6.4
GTEX-1JMQK-1226-SM-D4P2S 60-69 years, male 6.4
GTEX-1LBAC-0826-SM-CY8IJ 20-29 years, male 6.4
GTEX-11ZUS-2626-SM-5FQUR 30-39 years, male 6.3
GTEX-12WSD-0626-SM-5GCMW 60-69 years, female 6.3
GTEX-13NZ9-2626-SM-5L3FK 50-59 years, male 6.3
GTEX-16YQH-2226-SM-7IGM2 30-39 years, male 6.3
GTEX-17F96-0126-SM-7EWDU 70-79 years, male 6.3
GTEX-1EX96-1026-SM-7MKG2 50-59 years, male 6.3
GTEX-WHSE-0126-SM-3NMBT 20-29 years, male 6.3
GTEX-YJ8O-2526-SM-5HL85 40-49 years, female 6.3
GTEX-ZTX8-1326-SM-4YCEL 20-29 years, male 6.3
GTEX-1HGF4-0126-SM-CNPPX 60-69 years, male 6.3
GTEX-1R9PM-1926-SM-EVR3O 20-29 years, male 6.3
GTEX-14XAO-1226-SM-6EU1C 60-69 years, female 6.2
GTEX-1LSNM-0826-SM-DIPG8 50-59 years, male 6.2
GTEX-1RAZA-2226-SM-E9U4X 20-29 years, male 6.2
GTEX-111VG-1626-SM-5EGIO 60-69 years, male 6.1
GTEX-117YX-1926-SM-5GIEC 50-59 years, male 6.1
GTEX-17MFQ-1526-SM-7KFRR 20-29 years, male 6.1
GTEX-WHWD-1826-SM-3LK6I 50-59 years, male 6.1
GTEX-ZAK1-0626-SM-5HL8E 50-59 years, female 6.1
GTEX-ZPCL-1126-SM-4WWFE 60-69 years, female 6.1
GTEX-1F5PL-0926-SM-7PC2W 40-49 years, female 6.1
GTEX-11NSD-0626-SM-5A5LU 20-29 years, male 6.0
GTEX-16AAH-0626-SM-793C9 50-59 years, male 6.0
GTEX-XQ3S-1426-SM-4BOPR 20-29 years, male 6.0
GTEX-YECK-0326-SM-4W1YS 60-69 years, male 6.0
GTEX-ZLFU-1826-SM-4WWBV 40-49 years, male 6.0
GTEX-1399R-1326-SM-5PNYS 30-39 years, male 5.9
GTEX-139TS-2126-SM-5K7XC 60-69 years, male 5.9
GTEX-13FTX-1526-SM-5K7VJ 20-29 years, female 5.9
GTEX-18A67-1626-SM-7LT9T 50-59 years, male 5.9
GTEX-VUSG-2326-SM-4KL1U 50-59 years, male 5.9
GTEX-1GMRU-2126-SM-7P8RA 50-59 years, male 5.9
GTEX-1HCU9-0426-SM-9WYSD 20-29 years, male 5.9
GTEX-1N2DV-1526-SM-DTXEP 40-49 years, male 5.9
GTEX-145ME-1726-SM-5Q5EU 40-49 years, female 5.8
GTEX-14C38-0726-SM-5SI6M 50-59 years, male 5.8
GTEX-17F97-2626-SM-7IGM5 50-59 years, male 5.8
GTEX-1BAJH-2426-SM-7IGP8 70-79 years, male 5.8
GTEX-YFCO-1226-SM-5LUAT 40-49 years, male 5.8
GTEX-1JMOU-1026-SM-CYPSS 60-69 years, female 5.8
GTEX-13G51-1826-SM-5KLZH 60-69 years, male 5.7
GTEX-13NYB-0126-SM-5J1MD 40-49 years, male 5.7
GTEX-15DYW-2726-SM-6EU2I 60-69 years, female 5.7
GTEX-15G19-2426-SM-7KUMR 60-69 years, male 5.7
GTEX-ZTTD-2826-SM-4YCFA 50-59 years, male 5.6
GTEX-13O61-1426-SM-5KM3D 60-69 years, male 5.5
GTEX-1E2YA-2126-SM-7MXUO 50-59 years, male 5.5
GTEX-1H1CY-0126-SM-9YFLY 60-69 years, female 5.5
GTEX-1IDJC-1526-SM-B2LW4 50-59 years, male 5.5
GTEX-13OW5-2326-SM-5L3HO 60-69 years, male 5.4
GTEX-WXYG-2026-SM-4E3IY 50-59 years, female 5.4
GTEX-Y114-2126-SM-4TT8B 50-59 years, female 5.4
GTEX-15RJ7-2126-SM-6PAMD 40-49 years, male 5.3
GTEX-XYKS-1426-SM-4BRUO 60-69 years, female 5.3
GTEX-ZYW4-0626-SM-59HJR 60-69 years, male 5.3
GTEX-WFG7-2026-SM-5SI7P 20-29 years, male 5.2
GTEX-X585-2426-SM-46MW2 50-59 years, male 5.1
GTEX-14AS3-1526-SM-5Q5ED 40-49 years, female 5.0
GTEX-YEC4-1826-SM-4W1YP 40-49 years, male 4.9
GTEX-1HSMP-0926-SM-A9SKX 70-79 years, male 4.8
GTEX-1IKOE-1426-SM-CE6T7 30-39 years, female 4.8
GTEX-15RIE-1926-SM-7KUKJ 60-69 years, male 4.7
GTEX-15SHW-0226-SM-7LTAT 60-69 years, male 4.7
GTEX-XK95-0226-SM-4AT58 40-49 years, male 4.7
GTEX-1IL2V-1926-SM-B2LW8 70-79 years, male 4.7
GTEX-14E1K-2026-SM-7DUEI 50-59 years, male 4.6
GTEX-14PJ3-1126-SM-5ZZVX 50-59 years, male 4.6
GTEX-1OJC3-1226-SM-DTXER 20-29 years, male 4.6
GTEX-13PDP-0726-SM-5L3HP 60-69 years, male 4.5
GTEX-11DYG-1526-SM-5A5JS 60-69 years, male 4.4
GTEX-ZPU1-1126-SM-4YCF3 40-49 years, male 4.4
GTEX-Y5V6-2326-SM-4VDSA 60-69 years, male 4.2
GTEX-VJYA-1526-SM-3GIJV 60-69 years, male 4.1
GTEX-WH7G-2026-SM-3NMBL 40-49 years, male 4.1
GTEX-XOT4-0626-SM-4B66L 60-69 years, female 4.1
GTEX-145MH-2826-SM-5RQJF 50-59 years, male 4.0
GTEX-1QP9N-1226-SM-E76QN 30-39 years, male 4.0
GTEX-14PHY-1226-SM-5ZZWK 60-69 years, female 3.9
GTEX-1KAFJ-0126-SM-DIPEK 50-59 years, male 3.9
GTEX-139YR-1026-SM-5LZYN 50-59 years, male 3.7
GTEX-W5X1-2526-SM-3GILC 40-49 years, female 3.7
GTEX-11P7K-1126-SM-5HL4L 30-39 years, male 3.5
GTEX-131XH-0126-SM-5LZUY 50-59 years, male 3.1
GTEX-ZVP2-0326-SM-57WBP 50-59 years, male 3.1
GTEX-UPK5-0426-SM-3GAEK 40-49 years, male 2.9
GTEX-1PIGE-1826-SM-E8VOU 20-29 years, male 2.8
Show allShow less
Skin - Sun Exposed (Lower leg)
Average nTPM: 8.2
Samples: 701

Max nTPM: 18.9
Min nTPM: 2.6
Std nTPM: 2.4
Median nTPM: 7.9
GTEX-11WQK-0526-SM-5EQLD 50-59 years, male 18.9
GTEX-1EN7A-0126-SM-7SB81 40-49 years, male 17.5
GTEX-1JN76-0126-SM-CNPPE 20-29 years, female 16.6
GTEX-11TTK-0126-SM-5987B 60-69 years, female 16.1
GTEX-1HFI7-1826-SM-ACKXH 50-59 years, female 15.3
GTEX-13OVH-0126-SM-5MR4B 70-79 years, male 15.1
GTEX-OXRO-0126-SM-2YUN4 60-69 years, female 15.1
GTEX-1JJ6O-0126-SM-E6CI8 60-69 years, male 14.9
GTEX-17HII-0226-SM-7LG4E 50-59 years, male 14.7
GTEX-148VJ-0126-SM-5TDDN 70-79 years, male 14.6
GTEX-11LCK-1026-SM-5A5KB 30-39 years, male 14.5
GTEX-1H1DE-2126-SM-9WG6R 20-29 years, male 14.5
GTEX-14E7W-0126-SM-6LLJ9 70-79 years, male 14.4
GTEX-15D1Q-0126-SM-7KUG6 40-49 years, male 14.3
GTEX-16YQH-0126-SM-7DUFJ 30-39 years, male 14.1
GTEX-ZPIC-1726-SM-DHXIU 40-49 years, female 14.1
GTEX-1LH75-2426-SM-E9TJE 50-59 years, female 13.9
GTEX-139UW-2826-SM-5L3E7 60-69 years, male 13.7
GTEX-14DAQ-0126-SM-5S2MQ 60-69 years, female 13.7
GTEX-1JMQL-0226-SM-CNPP5 50-59 years, female 13.7
GTEX-14E6C-0126-SM-5RQIP 40-49 years, male 13.6
GTEX-169BO-1326-SM-9MQK2 50-59 years, male 13.6
GTEX-1J8Q2-0526-SM-CM2RW 60-69 years, male 13.5
GTEX-14BIL-0126-SM-5SI92 50-59 years, male 13.4
GTEX-TSE9-0126-SM-3DB83 60-69 years, female 13.4
GTEX-1I1GP-2226-SM-CGQFK 50-59 years, male 13.4
GTEX-1E1VI-0126-SM-7DHMZ 50-59 years, male 13.3
GTEX-ZVT4-0126-SM-DTXFN 50-59 years, female 13.3
GTEX-11ZU8-2526-SM-5EQKI 60-69 years, male 13.2
GTEX-17HHE-2026-SM-79OKF 50-59 years, male 13.2
GTEX-11H98-0126-SM-5EGHG 50-59 years, male 13.1
GTEX-Y8LW-1826-SM-5S2MV 50-59 years, female 13.1
GTEX-1H1DG-0126-SM-9WYU2 70-79 years, male 13.1
GTEX-13O1R-0126-SM-5L3EH 60-69 years, male 12.9
GTEX-17EVP-0326-SM-7DHLG 40-49 years, male 12.9
GTEX-P44H-0226-SM-2XCEU 40-49 years, male 12.9
GTEX-13U4I-0126-SM-5LU38 40-49 years, female 12.8
GTEX-148VI-1626-SM-5SI6E 60-69 years, female 12.7
GTEX-14A5I-0126-SM-5TDEA 50-59 years, female 12.7
GTEX-Q2AH-1626-SM-3GAF8 40-49 years, male 12.7
GTEX-11GSO-2426-SM-5A5LY 60-69 years, male 12.6
GTEX-13OW8-1326-SM-5J1OW 60-69 years, male 12.6
GTEX-1C475-1826-SM-73KWA 40-49 years, female 12.6
GTEX-17MF6-0126-SM-7LG4F 40-49 years, male 12.5
GTEX-X4XY-0226-SM-4E3IZ 60-69 years, male 12.5
GTEX-1C64O-0126-SM-7SB8P 60-69 years, male 12.5
GTEX-1E2YA-0126-SM-9KNUC 50-59 years, male 12.5
GTEX-1HSMP-0126-SM-E6CJS 70-79 years, male 12.5
GTEX-1QP66-1726-SM-E8VO1 50-59 years, male 12.5
GTEX-1I1GQ-0126-SM-COH3H 50-59 years, male 12.3
GTEX-VJWN-0126-SM-3GIK7 50-59 years, female 12.2
GTEX-1I1GS-0126-SM-B2LVW 60-69 years, male 12.2
GTEX-1LC47-0326-SM-E9TJP 60-69 years, male 12.2
GTEX-1R9PO-2126-SM-E9J4O 60-69 years, female 12.2
GTEX-ZAJG-0126-SM-5HL94 50-59 years, female 12.1
GTEX-1HSMO-0126-SM-CL547 60-69 years, male 12.1
GTEX-15F5U-1526-SM-6PANO 40-49 years, male 12.0
GTEX-1H4P4-0726-SM-9YFLR 50-59 years, male 12.0
GTEX-18A7B-0126-SM-7LG64 70-79 years, male 11.9
GTEX-1H23P-0126-SM-ADEJ3 60-69 years, male 11.9
GTEX-ZYY3-0126-SM-5GZY5 60-69 years, female 11.8
GTEX-11TT1-2526-SM-5EGIB 20-29 years, male 11.7
GTEX-V1D1-2226-SM-3NMAX 50-59 years, male 11.7
GTEX-ZAB4-0226-SM-5N9F5 40-49 years, male 11.7
GTEX-1HBPM-0226-SM-ARL9F 60-69 years, female 11.6
GTEX-1JN1M-0326-SM-CYPT3 60-69 years, female 11.6
GTEX-OIZF-0126-SM-7SB8I 60-69 years, male 11.6
GTEX-1CAMQ-0226-SM-7IGPK 40-49 years, male 11.5
GTEX-1IKJJ-0126-SM-CNPQB 60-69 years, male 11.5
GTEX-16XZZ-0126-SM-793DV 60-69 years, male 11.4
GTEX-P4PQ-0126-SM-2S1NM 60-69 years, male 11.4
GTEX-1S5ZA-0126-SM-EVYCV 20-29 years, male 11.4
GTEX-14A5H-0426-SM-5QGQF 60-69 years, male 11.3
GTEX-14JG1-0426-SM-6ETZZ 40-49 years, male 11.3
GTEX-S32W-2126-SM-2XCB1 50-59 years, female 11.3
GTEX-1H1ZS-0426-SM-9WG6G 70-79 years, male 11.3
GTEX-11EI6-0126-SM-5985R 60-69 years, male 11.2
GTEX-131XE-2326-SM-5PNZ2 50-59 years, male 11.2
GTEX-13X6I-0626-SM-5QGP9 60-69 years, male 11.2
GTEX-1I1HK-0126-SM-COH49 60-69 years, male 11.2
GTEX-1O97I-0326-SM-EYYX7 60-69 years, male 11.2
GTEX-139T4-0226-SM-5HL5S 50-59 years, female 11.1
GTEX-14C5O-0126-SM-5SI6N 60-69 years, male 11.1
GTEX-1B97I-1626-SM-73KYO 40-49 years, male 11.1
GTEX-13111-1626-SM-5EGJY 50-59 years, male 11.0
GTEX-1IDJU-2626-SM-CM2RT 60-69 years, female 11.0
GTEX-1J8Q3-1626-SM-CMKGC 60-69 years, male 11.0
GTEX-1KWVE-1426-SM-E9TJO 30-39 years, male 11.0
GTEX-12WSC-0126-SM-5EQ4P 50-59 years, male 10.9
GTEX-14DAR-2026-SM-5S2O3 50-59 years, male 10.9
GTEX-14LLW-0126-SM-6LLIO 70-79 years, female 10.9
GTEX-13FH7-2026-SM-E9J4I 50-59 years, female 10.9
GTEX-1F5PK-2426-SM-7RHHY 50-59 years, male 10.9
GTEX-1NHNU-1026-SM-E9J2A 50-59 years, male 10.9
GTEX-1212Z-2526-SM-5EGKP 60-69 years, male 10.8
GTEX-18465-0126-SM-731BN 50-59 years, male 10.8
GTEX-1C64N-0126-SM-793D7 50-59 years, male 10.8
GTEX-X62O-0126-SM-4E3JN 50-59 years, male 10.8
GTEX-1I1GU-2226-SM-CGQFA 40-49 years, male 10.8
GTEX-1LG7Y-0526-SM-DKPQC 50-59 years, male 10.8
GTEX-11DZ1-0126-SM-5985Q 50-59 years, male 10.7
GTEX-11EM3-2426-SM-59861 20-29 years, female 10.7
GTEX-15EOM-0126-SM-7KUGG 20-29 years, female 10.7
GTEX-1AMFI-2026-SM-731BH 50-59 years, female 10.7
GTEX-QDT8-0126-SM-48TZ1 30-39 years, female 10.7
GTEX-1GN1V-0126-SM-9WPOS 60-69 years, male 10.7
GTEX-1HCU7-0226-SM-CL545 50-59 years, male 10.7
GTEX-1HSMQ-1226-SM-CGQFX 50-59 years, male 10.7
GTEX-1K2DU-2326-SM-E9TIV 20-29 years, male 10.7
GTEX-1R46S-0626-SM-E9J41 60-69 years, female 10.7
GTEX-1JMOU-1526-SM-CL54I 60-69 years, female 10.6
GTEX-1L5NE-2526-SM-E6CIE 50-59 years, male 10.6
GTEX-PWO3-1526-SM-48TCM 60-69 years, female 10.5
GTEX-ZF2S-2326-SM-4WWCE 50-59 years, female 10.5
GTEX-1HB9E-0226-SM-E9U4R 50-59 years, male 10.5
GTEX-YJ89-0126-SM-4TT3X 60-69 years, male 10.4
GTEX-ZXG5-0126-SM-5GIEU 60-69 years, male 10.4
GTEX-1A8FM-0226-SM-7SB7Q 50-59 years, female 10.4
GTEX-1J8QM-2126-SM-CYPSJ 60-69 years, female 10.4
GTEX-1RQEC-0426-SM-E6CHU 60-69 years, male 10.4
GTEX-11NSD-2226-SM-5986V 20-29 years, male 10.3
GTEX-13NZB-2526-SM-5J1OM 30-39 years, male 10.3
GTEX-13S7M-0126-SM-5SI6A 60-69 years, female 10.3
GTEX-145MF-0626-SM-5LUAI 50-59 years, male 10.3
GTEX-146FH-0126-SM-5QGPP 50-59 years, female 10.3
GTEX-16NGA-1726-SM-731B4 40-49 years, female 10.3
GTEX-1JJE9-0326-SM-CL53Z 70-79 years, male 10.3
GTEX-1N2DV-0226-SM-E6CJ6 40-49 years, male 10.3
GTEX-14XAO-2326-SM-6EU1B 60-69 years, female 10.2
GTEX-WRHK-1426-SM-3MJF9 20-29 years, female 10.2
GTEX-13O3O-0126-SM-E9J49 60-69 years, female 10.2
GTEX-1PPH8-0226-SM-E8VND 20-29 years, male 10.2
GTEX-1128S-2326-SM-5GZZY 60-69 years, female 10.1
GTEX-12WSE-0526-SM-793B2 20-29 years, male 10.1
GTEX-13NZ8-0826-SM-5MR3I 60-69 years, female 10.1
GTEX-145LV-2126-SM-5LU8N 50-59 years, male 10.1
GTEX-147GR-0526-SM-5S2MY 60-69 years, male 10.1
GTEX-R55E-0126-SM-2TC5Y 20-29 years, male 10.1
GTEX-1HCU8-0626-SM-A9SM9 60-69 years, female 10.1
GTEX-1I4MK-2226-SM-ACKWD 50-59 years, female 10.1
GTEX-13OVI-1426-SM-5L3EY 60-69 years, female 10.0
GTEX-1AX9K-2326-SM-73KWU 50-59 years, male 10.0
GTEX-1IDJH-0326-SM-A9SLQ 70-79 years, male 10.0
GTEX-12584-0126-SM-5EGKQ 40-49 years, male 9.9
GTEX-15ETS-0126-SM-7KUMW 40-49 years, female 9.9
GTEX-QLQ7-1626-SM-2S1R8 60-69 years, male 9.9
GTEX-XUW1-0426-SM-4BOOT 50-59 years, female 9.9
GTEX-ZU9S-0226-SM-5E441 30-39 years, male 9.9
GTEX-1IGQW-0126-SM-COH42 60-69 years, male 9.9
GTEX-1QW4Y-1526-SM-EAZ3Z 30-39 years, male 9.9
GTEX-13JUV-2726-SM-5LZZ8 40-49 years, female 9.8
GTEX-WH7G-2326-SM-3NMBC 40-49 years, male 9.8
GTEX-ZVT3-0126-SM-5GU6I 60-69 years, female 9.8
GTEX-1H3NZ-0126-SM-ACKX7 60-69 years, male 9.8
GTEX-111VG-2426-SM-5GZXD 60-69 years, male 9.7
GTEX-12696-2426-SM-5EQ6H 60-69 years, male 9.7
GTEX-13NZA-0226-SM-5K7Z7 60-69 years, male 9.7
GTEX-13RTK-1426-SM-5QGQJ 20-29 years, male 9.7
GTEX-144GL-0126-SM-5TDE2 50-59 years, male 9.7
GTEX-1A3MW-0126-SM-73KXX 60-69 years, female 9.7
GTEX-ZUA1-0126-SM-5GU76 40-49 years, male 9.7
GTEX-1AX9I-0126-SM-7SB74 60-69 years, male 9.7
GTEX-1CB4H-0226-SM-7PBXM 60-69 years, female 9.7
GTEX-1I1CD-0126-SM-CM2TK 60-69 years, female 9.7
GTEX-1I1GT-0626-SM-CGQER 60-69 years, female 9.7
GTEX-13FTY-0526-SM-5L3EV 40-49 years, female 9.6
GTEX-13OVG-1926-SM-5L3DK 60-69 years, male 9.6
GTEX-13OVJ-0126-SM-5KM36 50-59 years, female 9.6
GTEX-16NPX-0226-SM-79OMT 50-59 years, male 9.6
GTEX-1B8SG-0126-SM-73KZ3 50-59 years, male 9.6
GTEX-12WSG-2826-SM-E9J4H 50-59 years, female 9.6
GTEX-1IL2V-0126-SM-CM2TX 70-79 years, male 9.6
GTEX-11ZVC-2526-SM-5FQTE 50-59 years, female 9.5
GTEX-13SLW-0126-SM-5SI6C 70-79 years, male 9.5
GTEX-15CHC-2126-SM-6EU21 60-69 years, female 9.5
GTEX-17EUY-0426-SM-793BD 20-29 years, male 9.5
GTEX-17MFQ-1726-SM-793C7 20-29 years, male 9.5
GTEX-OXRN-0126-SM-48TDM 50-59 years, male 9.5
GTEX-1RB15-2126-SM-E9TIM 60-69 years, male 9.5
GTEX-1192W-2626-SM-5Q5AF 60-69 years, male 9.4
GTEX-12WSD-0126-SM-59HKN 60-69 years, female 9.4
GTEX-15DCD-0126-SM-7KUEK 70-79 years, female 9.4
GTEX-1A3MV-1926-SM-718BT 30-39 years, male 9.4
GTEX-1CB4J-0626-SM-7DHMP 60-69 years, male 9.4
GTEX-SN8G-0126-SM-32PLI 50-59 years, female 9.4
GTEX-X4EP-0126-SM-3P5YV 60-69 years, female 9.4
GTEX-ZF28-0126-SM-4WKGK 60-69 years, male 9.4
GTEX-ZVZP-2426-SM-59HKJ 50-59 years, male 9.4
GTEX-ZYFC-0226-SM-5NQ75 50-59 years, male 9.4
GTEX-1GPI6-0126-SM-9WG69 60-69 years, male 9.4
GTEX-1IOXB-0126-SM-ARL8G 50-59 years, male 9.4
GTEX-1JMLX-0226-SM-CM2RO 50-59 years, male 9.4
GTEX-1JMQK-0226-SM-CL543 60-69 years, male 9.4
GTEX-1OJC4-0126-SM-E9J2E 50-59 years, female 9.4
GTEX-1QAET-0926-SM-E76QM 50-59 years, male 9.4
GTEX-113JC-2326-SM-5EQ4E 50-59 years, female 9.3
GTEX-13YAN-0326-SM-5O9DF 60-69 years, male 9.3
GTEX-145ME-1826-SM-5SI9G 40-49 years, female 9.3
GTEX-14PJ6-2126-SM-6EU1V 60-69 years, female 9.3
GTEX-RU72-0926-SM-2TF6B 50-59 years, female 9.3
GTEX-XBED-2226-SM-47JYQ 60-69 years, male 9.3
GTEX-11TUW-2726-SM-E9J4M 60-69 years, male 9.3
GTEX-1F5PL-0326-SM-7P8PQ 40-49 years, female 9.3
GTEX-1F7RK-0126-SM-7PC2S 20-29 years, female 9.3
GTEX-1N2EF-0226-SM-EYYXB 60-69 years, male 9.3
GTEX-11P81-2326-SM-59875 30-39 years, female 9.2
GTEX-11UD2-0226-SM-5EQKY 50-59 years, male 9.2
GTEX-15EU6-0426-SM-6PAN5 50-59 years, male 9.2
GTEX-15UF6-0826-SM-6PALJ 70-79 years, female 9.2
GTEX-X4EO-0326-SM-3P5YO 60-69 years, female 9.2
GTEX-13NYC-0326-SM-E9J4S 60-69 years, male 9.2
GTEX-1GL5R-1826-SM-9KNUY 50-59 years, male 9.2
GTEX-1H3O1-0426-SM-9YFKY 60-69 years, male 9.2
GTEX-1IKOH-0226-SM-COH4E 60-69 years, female 9.2
GTEX-1KD5A-0226-SM-D5OV3 50-59 years, male 9.2
GTEX-PW2O-1526-SM-7RHHB 20-29 years, male 9.2
GTEX-11ZUS-0626-SM-59885 30-39 years, male 9.1
GTEX-13RTJ-2426-SM-5S2Q2 60-69 years, male 9.1
GTEX-13W3W-2426-SM-5LU5B 60-69 years, female 9.1
GTEX-17GQL-2026-SM-718BA 60-69 years, male 9.1
GTEX-18A66-0226-SM-718BD 60-69 years, male 9.1
GTEX-1CB4E-2226-SM-793DC 60-69 years, male 9.1
GTEX-Q2AG-0126-SM-33HBV 40-49 years, female 9.1
GTEX-1HGF4-2426-SM-ACKXM 60-69 years, male 9.1
GTEX-1ICLY-0126-SM-D4P36 50-59 years, male 9.1
GTEX-1IE54-0126-SM-CMKHW 40-49 years, female 9.1
GTEX-PLZ6-1426-SM-DKPOT 30-39 years, male 9.1
GTEX-11EQ9-2426-SM-5HL5T 30-39 years, male 9.0
GTEX-11XUK-2026-SM-5EQLF 40-49 years, female 9.0
GTEX-11ZTT-2426-SM-5EQLS 60-69 years, female 9.0
GTEX-13QJ3-0326-SM-5S2RA 50-59 years, male 9.0
GTEX-14PN3-2426-SM-6LLHS 60-69 years, female 9.0
GTEX-17HG3-2226-SM-7938L 30-39 years, female 9.0
GTEX-1B8KE-2126-SM-73KYX 50-59 years, male 9.0
GTEX-T2YK-0526-SM-32QPJ 50-59 years, male 9.0
GTEX-1MA7W-2026-SM-E9TJ6 20-29 years, female 9.0
GTEX-1POEN-0126-SM-EYYXJ 30-39 years, female 9.0
GTEX-1QP2A-0126-SM-E9J43 50-59 years, male 9.0
GTEX-1269C-2526-SM-5EGJ3 60-69 years, female 8.9
GTEX-14BMV-0126-SM-5S2PO 50-59 years, male 8.9
GTEX-14PHW-0126-SM-6LLJI 60-69 years, female 8.9
GTEX-1GN1U-0126-SM-7PBZK 50-59 years, female 8.9
GTEX-1GTWX-0126-SM-9YFLK 60-69 years, male 8.9
GTEX-1HBPN-0226-SM-9YFM1 50-59 years, male 8.9
GTEX-1HCU6-0126-SM-CL54K 60-69 years, female 8.9
GTEX-1HSEH-0126-SM-ACKXN 60-69 years, male 8.9
GTEX-1IKK5-0626-SM-ARL8A 60-69 years, male 8.9
GTEX-1IY9M-0126-SM-D3L8S 60-69 years, male 8.9
GTEX-12ZZY-0226-SM-5LZVE 60-69 years, male 8.8
GTEX-13OW7-0126-SM-5MR3B 50-59 years, male 8.8
GTEX-147F4-0226-SM-5QGPW 50-59 years, male 8.8
GTEX-15UKP-0426-SM-7KUFQ 20-29 years, male 8.8
GTEX-18D9B-0526-SM-7LTAS 60-69 years, male 8.8
GTEX-R3RS-0126-SM-3GIJL 40-49 years, female 8.8
GTEX-U3ZN-2326-SM-3DB7W 30-39 years, female 8.8
GTEX-WFON-2126-SM-3LK7O 40-49 years, male 8.8
GTEX-WYVS-2126-SM-3NMA3 40-49 years, female 8.8
GTEX-ZAK1-0126-SM-5IJD3 50-59 years, female 8.8
GTEX-1HKZK-0326-SM-9WYUH 40-49 years, male 8.8
GTEX-1I1GR-0126-SM-CL55F 60-69 years, male 8.8
GTEX-139TT-0126-SM-5K7Y5 60-69 years, male 8.7
GTEX-14BIN-0626-SM-793DP 50-59 years, female 8.7
GTEX-15SDE-2226-SM-7IGLO 50-59 years, female 8.7
GTEX-1C6VS-0526-SM-7DUEN 60-69 years, male 8.7
GTEX-OXRL-0126-SM-2YUMP 50-59 years, male 8.7
GTEX-Y5LM-1926-SM-5RQJH 40-49 years, female 8.7
GTEX-1JKYR-0126-SM-CNPOJ 20-29 years, male 8.7
GTEX-1JN6P-0126-SM-D3L98 60-69 years, male 8.7
GTEX-1MA7X-2226-SM-E6CIY 60-69 years, male 8.7
GTEX-11GS4-2726-SM-5A5LE 60-69 years, male 8.6
GTEX-12C56-1726-SM-5EQ61 20-29 years, male 8.6
GTEX-1314G-1526-SM-5EGK2 30-39 years, male 8.6
GTEX-16BQI-0226-SM-7KUEX 30-39 years, female 8.6
GTEX-T5JC-0426-SM-32PLO 20-29 years, male 8.6
GTEX-1F88F-2726-SM-7PBZZ 60-69 years, female 8.6
GTEX-1K9T9-0126-SM-EVYCF 50-59 years, female 8.6
GTEX-1RDX4-0126-SM-E9J4P 50-59 years, female 8.6
GTEX-113IC-0126-SM-5HL6T 60-69 years, male 8.5
GTEX-11O72-0126-SM-59887 40-49 years, male 8.5
GTEX-11VI4-1726-SM-5CVLH 40-49 years, female 8.5
GTEX-11ZTS-0126-SM-5EQ6M 60-69 years, female 8.5
GTEX-12WSK-2326-SM-5GCOH 40-49 years, female 8.5
GTEX-14PJ3-1826-SM-62LEX 50-59 years, male 8.5
GTEX-17F98-0626-SM-79OMX 40-49 years, female 8.5
GTEX-1AX8Z-0126-SM-7DHM6 60-69 years, male 8.5
GTEX-ZQUD-1426-SM-57WER 30-39 years, male 8.5
GTEX-1HSKV-0226-SM-A9SKJ 60-69 years, male 8.5
GTEX-1PWST-0226-SM-E76QJ 70-79 years, male 8.5
GTEX-1RAZA-0126-SM-E6CI3 20-29 years, male 8.5
GTEX-11NUK-0126-SM-5A5L3 50-59 years, male 8.4
GTEX-14A6H-0126-SM-5QGPK 30-39 years, male 8.4
GTEX-1AMEY-1326-SM-73KYK 30-39 years, female 8.4
GTEX-1AYCT-2426-SM-7IGQ3 50-59 years, male 8.4
GTEX-UPJH-0326-SM-3GADU 50-59 years, male 8.4
GTEX-ZYW4-0126-SM-5E44A 60-69 years, male 8.4
GTEX-1CB4F-0426-SM-9KNV4 60-69 years, male 8.4
GTEX-1HUB1-0426-SM-E9U4U 60-69 years, male 8.4
GTEX-11DXW-0226-SM-5H122 40-49 years, male 8.3
GTEX-11EMC-2926-SM-5EQ4F 60-69 years, female 8.3
GTEX-13NYB-2526-SM-5K7Z6 40-49 years, male 8.3
GTEX-16MT8-0426-SM-7KUEY 60-69 years, female 8.3
GTEX-17KNJ-2326-SM-7DHLQ 50-59 years, male 8.3
GTEX-1BAJH-0526-SM-793CQ 70-79 years, male 8.3
GTEX-1C2JI-1826-SM-73KXC 50-59 years, male 8.3
GTEX-RN64-0126-SM-2TC68 50-59 years, male 8.3
GTEX-U8T8-0126-SM-3DB94 60-69 years, male 8.3
GTEX-1F75A-0126-SM-7RHGM 50-59 years, male 8.3
GTEX-1GN1W-0526-SM-9MQJQ 50-59 years, female 8.3
GTEX-1JMQJ-0526-SM-CYPSU 50-59 years, male 8.3
GTEX-13N1W-0126-SM-5K7VT 70-79 years, male 8.2
GTEX-13PDP-0126-SM-5L3HD 60-69 years, male 8.2
GTEX-145MI-0526-SM-5O9A8 60-69 years, female 8.2
GTEX-14E6E-1826-SM-5S2R7 30-39 years, male 8.2
GTEX-PLZ4-0126-SM-5SI8O 50-59 years, female 8.2
GTEX-RWS6-2026-SM-2XCB5 60-69 years, female 8.2
GTEX-U3ZM-1526-SM-3DB9D 40-49 years, male 8.2
GTEX-YJ8A-0426-SM-5IFID 20-29 years, male 8.2
GTEX-ZDTT-2726-SM-4WKF8 60-69 years, male 8.2
GTEX-1F52S-0126-SM-9MQJU 60-69 years, female 8.2
GTEX-1GN73-0226-SM-9WG67 60-69 years, male 8.2
GTEX-1H2FU-0126-SM-9WYSI 60-69 years, female 8.2
GTEX-1ICG6-2526-SM-CGQFZ 70-79 years, female 8.2
GTEX-1QEPI-0126-SM-EWRMQ 60-69 years, female 8.2
GTEX-1QMI2-0226-SM-EVYBX 60-69 years, male 8.2
GTEX-1QP67-1626-SM-EAZ3X 40-49 years, female 8.2
GTEX-13W46-0226-SM-5SIAG 50-59 years, male 8.1
GTEX-145LS-0126-SM-5QGP1 60-69 years, female 8.1
GTEX-15G19-0126-SM-6PANQ 60-69 years, male 8.1
GTEX-18QFQ-0126-SM-731BE 30-39 years, male 8.1
GTEX-ZTSS-1926-SM-57WEW 40-49 years, male 8.1
GTEX-1QCLY-0326-SM-E8VOG 30-39 years, male 8.1
GTEX-R45C-0126-SM-EAZ2R 60-69 years, female 8.1
GTEX-12WSL-2526-SM-5GCNJ 50-59 years, male 8.0
GTEX-14LZ3-0226-SM-62LET 60-69 years, female 8.0
GTEX-15DYW-0126-SM-7KULE 60-69 years, female 8.0
GTEX-S7SE-0126-SM-2XCD5 50-59 years, male 8.0
GTEX-XXEK-2226-SM-4BRUM 50-59 years, male 8.0
GTEX-Z9EW-1626-SM-5CVMN 40-49 years, male 8.0
GTEX-1F75I-0326-SM-9YFLU 40-49 years, male 8.0
GTEX-1KANB-0526-SM-E6CJH 50-59 years, male 8.0
GTEX-1R7EV-2426-SM-EVYBG 40-49 years, male 8.0
GTEX-1S82Z-0826-SM-E6CHY 30-39 years, female 8.0
GTEX-RNOR-0126-SM-E9J4R 50-59 years, female 8.0
GTEX-11DXY-2626-SM-5GIE7 60-69 years, male 7.9
GTEX-139TU-0126-SM-5K7WH 60-69 years, male 7.9
GTEX-13VXT-0126-SM-5LU4I 20-29 years, female 7.9
GTEX-15DDE-0126-SM-6LPKH 50-59 years, female 7.9
GTEX-16GPK-0126-SM-7DHLE 60-69 years, male 7.9
GTEX-QCQG-1726-SM-3GIJ9 50-59 years, female 7.9
GTEX-Z93S-0126-SM-5HL7M 50-59 years, male 7.9
GTEX-Z93T-0126-SM-5HL5N 50-59 years, male 7.9
GTEX-1F48J-0126-SM-7P8TT 50-59 years, female 7.9
GTEX-1H3VY-0126-SM-ACKXD 50-59 years, male 7.9
GTEX-1HBPI-1526-SM-C1YQ1 50-59 years, male 7.9
GTEX-1J1R8-1726-SM-ARL8M 40-49 years, male 7.9
GTEX-1KXAM-2226-SM-CYPTC 60-69 years, male 7.9
GTEX-13CF3-2426-SM-5IFGX 60-69 years, female 7.8
GTEX-13OVL-0226-SM-5L3E9 50-59 years, male 7.8
GTEX-13RTL-0126-SM-7LG5S 40-49 years, male 7.8
GTEX-14JIY-0126-SM-6LLH6 60-69 years, male 7.8
GTEX-183FY-0126-SM-7LT9P 20-29 years, male 7.8
GTEX-PVOW-0126-SM-2XCFA 40-49 years, male 7.8
GTEX-WI4N-1026-SM-3LK7N 40-49 years, female 7.8
GTEX-X638-0126-SM-47JZ8 70-79 years, female 7.8
GTEX-XV7Q-2526-SM-4BRV9 40-49 years, female 7.8
GTEX-ZE7O-0126-SM-57WC1 50-59 years, female 7.8
GTEX-1F75B-0126-SM-9KNVL 50-59 years, male 7.8
GTEX-1GZHY-0326-SM-9QEHI 50-59 years, female 7.8
GTEX-1ICLZ-0126-SM-CKZPO 60-69 years, male 7.8
GTEX-1J1OQ-0226-SM-CYPSH 40-49 years, female 7.8
GTEX-1KAFJ-2026-SM-CY8ID 50-59 years, male 7.8
GTEX-1NV5F-0226-SM-E8VNY 60-69 years, female 7.8
GTEX-1R9K4-0126-SM-DTX9X 60-69 years, male 7.8
GTEX-1S82Y-2026-SM-EVYCM 40-49 years, male 7.8
GTEX-ZQG8-1626-SM-DHXIT 60-69 years, female 7.8
GTEX-13FTX-1826-SM-5J1NX 20-29 years, female 7.7
GTEX-13N2G-2626-SM-5J1OT 60-69 years, male 7.7
GTEX-13NYS-0126-SM-5MR3W 60-69 years, male 7.7
GTEX-18A6Q-0126-SM-731BZ 60-69 years, male 7.7
GTEX-NPJ8-0126-SM-2YUNR 40-49 years, male 7.7
GTEX-SNMC-1226-SM-2XCFP 20-29 years, male 7.7
GTEX-T8EM-1026-SM-3DB7M 40-49 years, male 7.7
GTEX-XUYS-0126-SM-47JWZ 50-59 years, male 7.7
GTEX-YB5E-2026-SM-5IFIS 40-49 years, male 7.7
GTEX-YB5K-2126-SM-4WWDJ 40-49 years, female 7.7
GTEX-1EKGG-0226-SM-9WYTH 60-69 years, male 7.7
GTEX-1H1E6-1726-SM-ACKVK 30-39 years, male 7.7
GTEX-1HSGN-0226-SM-CGQFV 40-49 years, female 7.7
GTEX-1JMPZ-0226-SM-CNPP1 30-39 years, male 7.7
GTEX-1LVAN-0226-SM-COH3S 50-59 years, female 7.7
GTEX-1122O-2126-SM-5EGIR 60-69 years, female 7.6
GTEX-117XS-2726-SM-5N9BL 60-69 years, male 7.6
GTEX-1313W-0126-SM-5LZUN 50-59 years, female 7.6
GTEX-13OVK-2026-SM-7KUEO 40-49 years, male 7.6
GTEX-144FL-0126-SM-5TDC8 50-59 years, male 7.6
GTEX-14BMU-2226-SM-5TDE9 20-29 years, female 7.6
GTEX-S95S-1226-SM-4GICG 60-69 years, male 7.6
GTEX-WYJK-0126-SM-3NMAB 50-59 years, male 7.6
GTEX-XPVG-2626-SM-4B669 50-59 years, male 7.6
GTEX-XUZC-1726-SM-4BRWS 30-39 years, female 7.6
GTEX-146FR-1326-SM-E9J48 60-69 years, female 7.6
GTEX-1J8JJ-0226-SM-CL53I 60-69 years, female 7.6
GTEX-1PBJI-0526-SM-E8VNK 20-29 years, female 7.6
GTEX-11OC5-0126-SM-5HL6A 60-69 years, male 7.5
GTEX-14PII-0226-SM-6EU1T 60-69 years, male 7.5
GTEX-18A67-0126-SM-7LG5P 50-59 years, male 7.5
GTEX-18D9A-1926-SM-7LG6P 30-39 years, female 7.5
GTEX-P4QT-0126-SM-2I3FL 50-59 years, female 7.5
GTEX-W5WG-1826-SM-4KL2Y 50-59 years, female 7.5
GTEX-1EU9M-0226-SM-7P8SP 60-69 years, male 7.5
GTEX-1JKYN-1326-SM-CGQG9 30-39 years, male 7.5
GTEX-1PIGE-0126-SM-EVYBJ 20-29 years, male 7.5
GTEX-12KS4-0326-SM-5EQ41 30-39 years, male 7.4
GTEX-1399R-2726-SM-5IJBA 30-39 years, male 7.4
GTEX-13VXU-0126-SM-5SI9F 50-59 years, male 7.4
GTEX-16XZY-2126-SM-79OK1 70-79 years, male 7.4
GTEX-17EVQ-0226-SM-7LG4P 70-79 years, male 7.4
GTEX-RWSA-0126-SM-2XCBB 40-49 years, male 7.4
GTEX-TKQ1-1026-SM-4GICL 30-39 years, male 7.4
GTEX-WOFL-0126-SM-3MJG2 60-69 years, male 7.4
GTEX-XMD2-0126-SM-4YCDU 60-69 years, female 7.4
GTEX-ZAB5-1826-SM-5HL7C 50-59 years, male 7.4
GTEX-1C6WA-0126-SM-7PC2B 60-69 years, male 7.4
GTEX-1GMRU-0126-SM-9YFLV 50-59 years, male 7.4
GTEX-1HCU9-1526-SM-A9SL7 20-29 years, male 7.4
GTEX-1HT8W-0126-SM-CNPPP 30-39 years, male 7.4
GTEX-1IDJF-0126-SM-CM2RS 20-29 years, male 7.4
GTEX-1LB8K-0226-SM-EWRNW 50-59 years, male 7.4
GTEX-ZF29-2326-SM-DO92K 60-69 years, female 7.4
GTEX-ZF3C-0126-SM-DO92D 50-59 years, female 7.4
GTEX-131XW-0426-SM-5LZWP 50-59 years, female 7.3
GTEX-SUCS-1926-SM-32PM3 70-79 years, male 7.3
GTEX-ZEX8-2426-SM-4WKG4 50-59 years, male 7.3
GTEX-ZGAY-0526-SM-4WWBB 40-49 years, female 7.3
GTEX-1JMPY-1326-SM-ARL8Y 30-39 years, male 7.3
GTEX-1PPH7-2326-SM-EVYB8 40-49 years, male 7.3
GTEX-139D8-0226-SM-5KLZO 30-39 years, female 7.2
GTEX-13O3P-0126-SM-5KM4S 50-59 years, male 7.2
GTEX-147F3-0526-SM-5SI98 50-59 years, female 7.2
GTEX-1A3MX-0126-SM-731BR 60-69 years, male 7.2
GTEX-1CB4I-0226-SM-79OLH 50-59 years, male 7.2
GTEX-QESD-1426-SM-2S1R9 20-29 years, male 7.2
GTEX-1CB4G-0226-SM-7PC3O 60-69 years, male 7.2
GTEX-1GF9W-0326-SM-9KNUN 60-69 years, male 7.2
GTEX-1GF9X-2026-SM-7PC3A 40-49 years, female 7.2
GTEX-1KANA-0726-SM-D3L9I 20-29 years, male 7.2
GTEX-1LBAC-0126-SM-DIPEZ 20-29 years, male 7.2
GTEX-1QPFJ-0226-SM-E76PB 30-39 years, female 7.2
GTEX-131XH-2226-SM-5DUXJ 50-59 years, male 7.1
GTEX-139TS-2826-SM-5J1OO 60-69 years, male 7.1
GTEX-13SLX-0526-SM-5S2ON 50-59 years, female 7.1
GTEX-1B8KZ-2026-SM-7DHMB 50-59 years, male 7.1
GTEX-SSA3-0126-SM-32QPU 60-69 years, male 7.1
GTEX-T5JW-1626-SM-3GADZ 20-29 years, female 7.1
GTEX-TML8-1926-SM-32QOS 40-49 years, female 7.1
GTEX-YEC4-2126-SM-5IFJH 40-49 years, male 7.1
GTEX-ZV68-0126-SM-59HKS 50-59 years, female 7.1
GTEX-ZYT6-0226-SM-5NQ6T 30-39 years, male 7.1
GTEX-1GN2E-0426-SM-9MQKX 60-69 years, male 7.1
GTEX-117YX-2326-SM-5H12W 50-59 years, male 7.0
GTEX-11DYG-0126-SM-59883 60-69 years, male 7.0
GTEX-12WSJ-1826-SM-5GCNY 40-49 years, female 7.0
GTEX-13O21-1426-SM-5K7XI 50-59 years, male 7.0
GTEX-14JG6-2226-SM-6EU2G 30-39 years, female 7.0
GTEX-QDVN-2026-SM-3GAEP 50-59 years, male 7.0
GTEX-X8HC-0126-SM-4E3JW 50-59 years, female 7.0
GTEX-Y8E4-0626-SM-4WWDL 40-49 years, male 7.0
GTEX-ZTPG-0326-SM-5O9AX 20-29 years, female 7.0
GTEX-1C6VQ-0126-SM-7P8RI 50-59 years, male 7.0
GTEX-1EX96-1626-SM-7PBXR 50-59 years, male 7.0
GTEX-1GMR8-0126-SM-9WYTM 50-59 years, female 7.0
GTEX-1LGRB-2526-SM-CNPPQ 50-59 years, female 7.0
GTEX-1PDJ9-0326-SM-DTX95 20-29 years, male 7.0
GTEX-1S83E-0126-SM-EWRO4 40-49 years, male 7.0
GTEX-15SHW-0326-SM-6PAML 60-69 years, male 6.9
GTEX-U3ZH-2026-SM-3DB78 30-39 years, male 6.9
GTEX-X261-0126-SM-3NMD6 50-59 years, male 6.9
GTEX-XYKS-2126-SM-4E3IB 60-69 years, female 6.9
GTEX-Y8DK-0126-SM-4TT3L 60-69 years, male 6.9
GTEX-ZV6S-2326-SM-4YCEY 40-49 years, female 6.9
GTEX-1GPI7-0126-SM-9MQL8 20-29 years, male 6.9
GTEX-1GZ2Q-0226-SM-7P8TL 40-49 years, male 6.9
GTEX-1IL2U-0226-SM-CE6T8 60-69 years, male 6.9
GTEX-1LGOU-2026-SM-DIPFF 20-29 years, female 6.9
GTEX-1MUQO-0126-SM-EAZ58 60-69 years, male 6.9
GTEX-1OFPY-2426-SM-DTXEJ 60-69 years, male 6.9
GTEX-133LE-1826-SM-5J1MV 20-29 years, female 6.8
GTEX-13O3Q-2426-SM-5IJBR 50-59 years, male 6.8
GTEX-14PN4-0126-SM-6EU2V 50-59 years, male 6.8
GTEX-17F96-1626-SM-7DUFL 70-79 years, male 6.8
GTEX-RM2N-1426-SM-2TF4H 50-59 years, male 6.8
GTEX-T6MO-1626-SM-32QOM 40-49 years, female 6.8
GTEX-ZYFD-0126-SM-5GIDL 50-59 years, male 6.8
GTEX-1CAV2-2226-SM-7P8P2 40-49 years, female 6.8
GTEX-1H11D-0226-SM-9WG6Z 40-49 years, male 6.8
GTEX-1HBPH-0426-SM-B2LW5 40-49 years, female 6.8
GTEX-1JK1U-2026-SM-CM2RZ 60-69 years, male 6.8
GTEX-1K2DA-1826-SM-CGQGT 50-59 years, male 6.8
GTEX-1LSNM-1926-SM-E6CII 50-59 years, male 6.8
GTEX-131XG-2626-SM-5KM17 50-59 years, female 6.7
GTEX-13IVO-0126-SM-5J1NG 70-79 years, male 6.7
GTEX-13PVR-2326-SM-5QGR1 60-69 years, female 6.7
GTEX-13X6H-2126-SM-7EWD5 50-59 years, female 6.7
GTEX-145LU-0126-SM-5TDCB 50-59 years, male 6.7
GTEX-14E6D-0126-SM-62LDV 50-59 years, male 6.7
GTEX-1AX9J-0226-SM-73KXM 60-69 years, male 6.7
GTEX-1C6VR-2426-SM-79OLD 60-69 years, male 6.7
GTEX-NFK9-0226-SM-2HMKQ 40-49 years, male 6.7
GTEX-1I19N-0326-SM-ACKVX 70-79 years, male 6.7
GTEX-1JJEA-0326-SM-CNPOT 60-69 years, male 6.7
GTEX-OOBJ-0126-SM-E6CJW 60-69 years, male 6.7
GTEX-11WQC-2526-SM-5CVLE 60-69 years, male 6.6
GTEX-1211K-2026-SM-5EQ4Z 60-69 years, female 6.6
GTEX-12WSA-0226-SM-5BC5V 60-69 years, male 6.6
GTEX-145MO-0326-SM-5Q5B3 60-69 years, male 6.6
GTEX-14ABY-0226-SM-5TDCQ 50-59 years, male 6.6
GTEX-1C4CL-0526-SM-73KVK 30-39 years, male 6.6
GTEX-U4B1-1826-SM-4DXSU 40-49 years, male 6.6
GTEX-VUSG-2526-SM-4KL1V 50-59 years, male 6.6
GTEX-WFG8-2226-SM-3GIL9 20-29 years, male 6.6
GTEX-XQ3S-1526-SM-4BOOC 20-29 years, male 6.6
GTEX-Y114-2426-SM-4TT8A 50-59 years, female 6.6
GTEX-ZC5H-0226-SM-4WAY9 40-49 years, female 6.6
GTEX-131XF-5016-SM-7MGWE 60-69 years, male 6.6
GTEX-1GF9U-2126-SM-7SB7L 40-49 years, female 6.6
GTEX-1GF9V-0326-SM-7RHI5 60-69 years, male 6.6
GTEX-1HCVE-0126-SM-CGQEU 50-59 years, male 6.6
GTEX-1MCQQ-0826-SM-DLHC2 60-69 years, male 6.6
GTEX-1OJC3-0126-SM-E76QX 20-29 years, male 6.6
GTEX-1RLM8-2326-SM-EWRN4 50-59 years, male 6.6
GTEX-1S3DN-2226-SM-EVYCD 50-59 years, male 6.6
GTEX-12WSN-5019-SM-79OM6 40-49 years, male 6.5
GTEX-12ZZZ-0626-SM-5DUXI 60-69 years, male 6.5
GTEX-13OW6-0426-SM-5L3HM 50-59 years, male 6.5
GTEX-14BIM-0226-SM-7IGLD 60-69 years, female 6.5
GTEX-15SHU-0126-SM-7KUEH 40-49 years, female 6.5
GTEX-17JCI-0126-SM-7LG5G 60-69 years, female 6.5
GTEX-1A32A-0126-SM-718B1 50-59 years, female 6.5
GTEX-1CAMR-1926-SM-7EPI2 20-29 years, male 6.5
GTEX-Y5V5-2326-SM-4V6GA 60-69 years, female 6.5
GTEX-ZVE2-0226-SM-59HJB 50-59 years, male 6.5
GTEX-1JMQI-2226-SM-CM2SD 50-59 years, male 6.5
GTEX-1MCYP-1926-SM-E9J2R 20-29 years, female 6.5
GTEX-1PFEY-1526-SM-E76PP 30-39 years, male 6.5
GTEX-12ZZX-0126-SM-5EGK9 40-49 years, female 6.4
GTEX-13112-2826-SM-5DUWH 50-59 years, male 6.4
GTEX-13X6J-0126-SM-5QGOU 50-59 years, male 6.4
GTEX-14ICK-0226-SM-6EU25 40-49 years, male 6.4
GTEX-15RIG-0226-SM-7KFTL 40-49 years, male 6.4
GTEX-18A7A-0226-SM-718BH 50-59 years, female 6.4
GTEX-YFC4-0126-SM-5CVLY 40-49 years, female 6.4
GTEX-1F6I4-0126-SM-9MQL2 60-69 years, male 6.4
GTEX-1QP9N-1426-SM-DTXFL 30-39 years, male 6.4
GTEX-11OF3-2626-SM-5GU7F 60-69 years, male 6.3
GTEX-144GN-2326-SM-5LU4F 50-59 years, male 6.3
GTEX-145LT-1726-SM-5QGP3 40-49 years, male 6.3
GTEX-15ER7-0326-SM-7KUEV 20-29 years, female 6.3
GTEX-17F97-0326-SM-7LG5B 50-59 years, male 6.3
GTEX-1M5QR-1226-SM-EWROB 40-49 years, male 6.3
GTEX-PWCY-1826-SM-DHXIZ 20-29 years, female 6.3
GTEX-117YW-2626-SM-5GZZH 50-59 years, male 6.2
GTEX-1399T-2826-SM-5KLYZ 60-69 years, male 6.2
GTEX-14PHX-2326-SM-62LEM 50-59 years, male 6.2
GTEX-14PJM-0226-SM-62LF1 50-59 years, female 6.2
GTEX-OHPL-0126-SM-2HMJ7 60-69 years, female 6.2
GTEX-OHPM-0126-SM-2YUN9 50-59 years, male 6.2
GTEX-WVJS-0126-SM-4MVOT 50-59 years, male 6.2
GTEX-WZTO-0126-SM-3NM95 40-49 years, male 6.2
GTEX-ZDYS-2026-SM-5HL5L 50-59 years, male 6.2
GTEX-ZWKS-0126-SM-5SIAA 30-39 years, male 6.2
GTEX-1QP29-0626-SM-EWRMX 50-59 years, male 6.2
GTEX-13FHO-0226-SM-5IFGY 60-69 years, male 6.1
GTEX-146FQ-0126-SM-5NQA9 30-39 years, male 6.1
GTEX-TMMY-0226-SM-33HBA 40-49 years, female 6.1
GTEX-X585-0226-SM-4QAS2 50-59 years, male 6.1
GTEX-ZZPT-0226-SM-5E43X 50-59 years, male 6.1
GTEX-1IDFM-0126-SM-COH2V 60-69 years, male 6.1
GTEX-1KD4Q-0226-SM-E9TJ9 40-49 years, male 6.1
GTEX-11P7K-2126-SM-5GU7G 30-39 years, male 6.0
GTEX-13D11-2426-SM-5KM1V 50-59 years, female 6.0
GTEX-15SB6-1726-SM-6PAME 50-59 years, female 6.0
GTEX-P4PP-0126-SM-3LK69 30-39 years, female 6.0
GTEX-PX3G-0126-SM-2I3EN 20-29 years, female 6.0
GTEX-QV44-1926-SM-2S1RF 50-59 years, male 6.0
GTEX-RTLS-0126-SM-447CA 60-69 years, female 6.0
GTEX-XQ8I-0426-SM-4BOPO 50-59 years, male 6.0
GTEX-Y3I4-2126-SM-4TT7C 50-59 years, male 6.0
GTEX-1B933-0126-SM-7PC29 50-59 years, female 6.0
GTEX-1I1GV-0526-SM-A9G29 60-69 years, male 6.0
GTEX-1MJK2-0426-SM-DTXE5 50-59 years, male 6.0
GTEX-1PIIG-0226-SM-EWRN6 30-39 years, male 6.0
GTEX-13113-5016-SM-7EPIP 60-69 years, female 5.9
GTEX-17HGU-0226-SM-7DHKV 50-59 years, male 5.9
GTEX-17HHY-0126-SM-7LG5D 50-59 years, male 5.9
GTEX-OXRK-0226-SM-3NB2G 50-59 years, female 5.9
GTEX-X5EB-2226-SM-46MW4 40-49 years, male 5.9
GTEX-ZYFG-2326-SM-5E44B 60-69 years, female 5.9
GTEX-1F6IF-0726-SM-7P8TW 60-69 years, male 5.9
GTEX-1HR98-0126-SM-B2LWI 60-69 years, male 5.9
GTEX-1M4P7-0226-SM-DIPEV 60-69 years, male 5.9
GTEX-12126-0326-SM-5PNW3 20-29 years, male 5.8
GTEX-18D9U-0226-SM-718BP 40-49 years, male 5.8
GTEX-1AYD5-2426-SM-73KXR 50-59 years, male 5.8
GTEX-ZDTS-0126-SM-4WAY5 60-69 years, male 5.8
GTEX-ZZ64-1726-SM-5GZYB 20-29 years, male 5.8
GTEX-1EMGI-0126-SM-9KNUE 60-69 years, male 5.8
GTEX-1GMR3-1926-SM-9KNUZ 40-49 years, male 5.8
GTEX-SE5C-1626-SM-2XCE3 40-49 years, female 5.8
GTEX-131YS-0126-SM-5KM1M 60-69 years, female 5.7
GTEX-145MN-2226-SM-5SIAU 30-39 years, male 5.7
GTEX-PLZ5-2026-SM-2S1O4 50-59 years, male 5.7
GTEX-T6MN-0126-SM-32PLP 50-59 years, male 5.7
GTEX-1J8EW-0126-SM-CJI4F 60-69 years, female 5.7
GTEX-1KANC-1526-SM-D3LAB 50-59 years, female 5.7
GTEX-S33H-1026-SM-EZ6L6 30-39 years, male 5.7
GTEX-132NY-0326-SM-5IJBL 60-69 years, male 5.6
GTEX-13FHP-0126-SM-5IJBG 50-59 years, male 5.6
GTEX-ZVZO-0126-SM-5A5L9 40-49 years, male 5.6
GTEX-1F6RS-0126-SM-9MQKZ 60-69 years, female 5.6
GTEX-1N2DW-0226-SM-E9TK2 50-59 years, male 5.6
GTEX-111FC-0126-SM-5N9DL 60-69 years, male 5.5
GTEX-16AAH-1726-SM-7939C 50-59 years, male 5.5
GTEX-U8XE-0326-SM-3DB8P 30-39 years, male 5.5
GTEX-1497J-2426-SM-7IGNX 60-69 years, male 5.4
GTEX-OOBK-0126-SM-2YUND 40-49 years, male 5.4
GTEX-Q2AI-1326-SM-2S1PL 40-49 years, male 5.4
GTEX-QLQW-1126-SM-2S1Q8 30-39 years, male 5.4
GTEX-S7PM-0126-SM-4AD6S 60-69 years, male 5.4
GTEX-SIU8-0126-SM-2XCDT 50-59 years, male 5.4
GTEX-Y111-0126-SM-4SOIV 50-59 years, male 5.4
GTEX-ZDXO-3026-SM-5J1N5 60-69 years, male 5.4
GTEX-ZVT2-2526-SM-51MT1 50-59 years, female 5.4
GTEX-1B996-0226-SM-7RHGO 60-69 years, male 5.4
GTEX-1LG7Z-1726-SM-D3LA4 30-39 years, male 5.4
GTEX-183WM-0126-SM-7LTAB 70-79 years, female 5.3
GTEX-O5YT-0126-SM-48TBW 20-29 years, male 5.3
GTEX-R55G-2526-SM-2TC6D 40-49 years, female 5.3
GTEX-ZXES-1826-SM-5E43S 30-39 years, female 5.3
GTEX-1GZ4H-1726-SM-7PBZJ 50-59 years, female 5.3
GTEX-1H1CY-2826-SM-9MQM3 60-69 years, female 5.3
GTEX-1HFI6-0226-SM-ADEHZ 40-49 years, male 5.3
GTEX-1RAZQ-0726-SM-EAZ43 30-39 years, male 5.3
GTEX-WY7C-2326-SM-3NB2U 50-59 years, male 5.2
GTEX-1HCUA-2426-SM-ADEIS 50-59 years, female 5.2
GTEX-1I6K6-0126-SM-A9SLE 30-39 years, male 5.2
GTEX-1R9PM-2026-SM-E76OY 20-29 years, male 5.2
GTEX-13N11-2526-SM-5K7UE 50-59 years, female 5.1
GTEX-1B8SF-1426-SM-7DUGL 60-69 years, male 5.1
GTEX-QEG4-0226-SM-2S1PY 30-39 years, male 5.1
GTEX-WQUQ-0426-SM-3MJFU 60-69 years, male 5.1
GTEX-13OW5-0126-SM-DTXFS 60-69 years, male 5.1
GTEX-1H3VE-0326-SM-9YFLH 40-49 years, male 5.1
GTEX-1R7EU-0226-SM-EVR4G 60-69 years, male 5.1
GTEX-11DXX-2426-SM-5GZZW 60-69 years, female 5.0
GTEX-13CF2-2526-SM-5LZYX 60-69 years, male 5.0
GTEX-OXRP-0126-SM-3NB32 60-69 years, female 5.0
GTEX-1EWIQ-0126-SM-7RHH2 70-79 years, female 5.0
GTEX-1LNCM-1126-SM-E9U5E 50-59 years, female 5.0
GTEX-11GSP-2526-SM-5N9BP 60-69 years, female 4.9
GTEX-13FTW-2626-SM-5K7WL 40-49 years, male 4.9
GTEX-13FXS-0226-SM-5IJCK 50-59 years, male 4.9
GTEX-14753-0426-SM-5NQAM 60-69 years, male 4.9
GTEX-QDVJ-1726-SM-2I5FX 50-59 years, male 4.9
GTEX-ZTX8-1426-SM-5DUVO 20-29 years, male 4.9
GTEX-139T8-0126-SM-5K7XZ 60-69 years, male 4.8
GTEX-TMZS-0126-SM-3DB9Q 60-69 years, male 4.8
GTEX-ZVTK-0426-SM-51MRS 20-29 years, male 4.8
GTEX-ZY6K-1826-SM-5GZXK 50-59 years, male 4.8
GTEX-1B8L1-2526-SM-9WYTF 60-69 years, male 4.8
GTEX-OIZH-0126-SM-2HMIS 50-59 years, male 4.7
GTEX-1MGNQ-0126-SM-EVYCJ 40-49 years, male 4.7
GTEX-1192X-0226-SM-5H12D 50-59 years, male 4.6
GTEX-X4XX-0126-SM-3NMC2 60-69 years, male 4.6
GTEX-XBEW-0626-SM-4QASP 40-49 years, male 4.6
GTEX-ZE9C-2726-SM-57WB5 60-69 years, male 4.6
GTEX-11DXZ-2326-SM-5EGGV 50-59 years, male 4.5
GTEX-O5YW-0126-SM-3LK6D 50-59 years, male 4.5
GTEX-X88G-0126-SM-47JZ3 30-39 years, male 4.5
GTEX-XAJ8-0826-SM-47JY6 40-49 years, male 4.5
GTEX-WXYG-2326-SM-4E3I6 50-59 years, female 4.3
GTEX-1CAMS-0426-SM-7P8T2 40-49 years, female 4.3
GTEX-PSDG-0226-SM-DKPOZ 50-59 years, male 4.3
GTEX-11P82-1626-SM-59879 20-29 years, male 4.1
GTEX-11UD1-0126-SM-5PNYG 40-49 years, female 4.0
GTEX-OIZG-0726-SM-33HBL 50-59 years, male 4.0
GTEX-VJYA-1126-SM-3GIJU 60-69 years, male 3.8
GTEX-Y5V6-2426-SM-4VDSB 60-69 years, male 3.8
GTEX-POMQ-2226-SM-2I5FK 20-29 years, female 3.7
GTEX-QVJO-1626-SM-2S1QW 60-69 years, female 3.7
GTEX-U412-0426-SM-3DB9O 60-69 years, male 3.7
GTEX-RVPV-0126-SM-EAZAW 60-69 years, male 3.7
GTEX-13G51-2526-SM-5LZYK 60-69 years, male 3.6
GTEX-Q734-1926-SM-2I5EV 40-49 years, female 3.6
GTEX-W5X1-3026-SM-EAZAX 40-49 years, female 3.6
GTEX-T2IS-0126-SM-4DM6O 20-29 years, female 3.4
GTEX-14PK6-1926-SM-6ETZU 70-79 years, female 3.2
GTEX-RUSQ-1526-SM-2TF62 50-59 years, male 3.2
GTEX-Y3IK-2426-SM-4WWDU 50-59 years, female 3.1
GTEX-UJHI-1526-SM-3DB99 50-59 years, female 3.0
GTEX-1399U-2326-SM-5K7WY 50-59 years, female 2.6
GTEX-SJXC-0126-SM-2XCFF 60-69 years, male 2.6
Show allShow less

Contact

  • NEWS ARTICLES
  • PRESS ROOM

The Project

  • INTRODUCTION
  • ORGANIZATION
  • PUBLICATIONS

The Human Protein Atlas

  • DOWNLOADABLE DATA
  • LICENCE & CITATION
  • HELP & FAQ
The Human Protein Atlas project is funded
by the Knut & Alice Wallenberg Foundation.


contact@proteinatlas.org