We use cookies to enhance the usability of our website. If you continue, we'll assume that you are happy to receive all cookies. More information. Don't show this again.
EPPK1
HPA
RESOURCES
  • TISSUE
  • BRAIN
  • SINGLE CELL
  • SUBCELLULAR
  • CANCER
  • BLOOD
  • CELL LINE
  • STRUCTURE & INTERACTION
ABOUT
  • INTRODUCTION
  • HISTORY
  • ORGANIZATION
  • PUBLICATIONS
  • ANTIBODY SUBMISSION
  • ANTIBODY AVAILABILITY
  • ACKNOWLEDGMENTS
  • CONTACT
NEWS
  • NEWS ARTICLES
  • PRESS ROOM
LEARN
  • DICTIONARY
  • PROTEIN CLASSES
  • PROTEIN EVIDENCE
  • METHODS
  • EDUCATIONAL VIDEOS
DATA
  • DOWNLOADABLE DATA
  • PUBLICATION DATA
  • RELEASE HISTORY
HELP
  • ANTIBODY VALIDATION
  • ASSAYS & ANNOTATION
  • DISCLAIMER
  • HELP & FAQ
  • PRIVACY STATEMENT
  • LICENCE & CITATION
Fields »
Search result

Field
Term
Gene name
Class
Subclass
Class
Keyword
Chromosome
External id
Tissue
Cell type
Expression
Antibody panel
Tissue
Main location
Patient ID
Annotation
Tissue
Category
Tau score
Cluster
Reliability
Brain region
Category
Tau score
Brain region
Category
Tau score
Brain region
Category
Tau score
Cluster
Reliability
Tissue
Cell type
Enrichment
Cell type
Category
Tau score
Cell type
Category
Tau score
Cell type
Category
Tau score
Cell lineage
Category
Tau score
Cluster
Cluster
Location
Searches
Location
Cell line
Class
Type
Phase
Reliability
Cancer
Prognosis
Cancer
Category
Cancer
Category
Tau score
Cluster
Variants
Interacting gene (ensg_id)
Type
Number of interactions
Pathway
Category
Score
Score
Score
Validation
Validation
Validation
Validation
Antibodies
Data type
Column


  • SUMMARY

  • TISSUE

  • BRAIN

  • SINGLE CELL

  • SUBCELL

  • CANCER

  • BLOOD

  • CELL LINE

  • STRUCT & INT

  • EPPK1
TISSUE PRIMARY DATA SKIN Show tissue menu
ADIPOSE TISSUE ADRENAL GLAND AMYGDALA APPENDIX BASAL GANGLIA BONE MARROW BREAST BRONCHUS CEREBELLUM CEREBRAL CORTEX CERVIX CHOROID PLEXUS COLON DUODENUM
ENDOMETRIUM EPIDIDYMIS ESOPHAGUS FALLOPIAN TUBE GALLBLADDER HEART MUSCLE HIPPOCAMPAL FORMATION HYPOTHALAMUS KIDNEY LIVER LUNG LYMPH NODE MIDBRAIN NASOPHARYNX
ORAL MUCOSA OVARY PANCREAS PARATHYROID GLAND PITUITARY GLAND PLACENTA PROSTATE RECTUM RETINA SALIVARY GLAND SEMINAL VESICLE SKELETAL MUSCLE SKIN SMALL INTESTINE
SMOOTH MUSCLE SOFT TISSUE SPINAL CORD SPLEEN STOMACH TESTIS THYMUS THYROID GLAND TONGUE TONSIL URINARY BLADDER VAGINA
ANTIBODIES
AND
VALIDATION
Dictionary
Skin
Tissue proteome
Skin
SKIN - Expression summary
Protein expression
Skini

On the top, protein expression in current human tissue, based on all annotated cell types, is reported with the units not detected (n), low (l), medium (m) and high (h). Underneath, protein expression in each annotated cell type are reported using the same units.

Protein expression data is based on knowledge-based annotation. For genes where more than one antibody has been used, a collective score is set.

If knowledge-based annotation could not be performed for a gene, no data is displayed here. View antibody staining data further down this page.

h
m
l
n
Epidermal cells: Medium
Fibroblasts: Not detected
Keratinocytes: Medium
Langerhans: Not detected
Melanocytes: Not detected
RNA expressioni

A summary of mRNA expression data available for current tissue based on several datasets. The mRNA expression levels in human tissues are based on RNA-seq data generated by the Human Protein Atlas (HPA), Genotype-Tissue Expression (GTEx) portal and CAGE data generated by the FANTOM5 consortium. Consensus normalized expression levels for human tissues was created by combining the data from HPA and GTEx datasets.

The mRNA expression levels in pig are based on RNA-seq data generated by the Human Protein Atlas (HPA), and for mouse, HPA data and in situ hybridization generated by the Allen brain atlas are reported.

Scroll down to view mRNA expression data in more detail.
Consensus:15.6 nTPM
HPA:9.3 nTPM
GTEx:15.6 nTPM

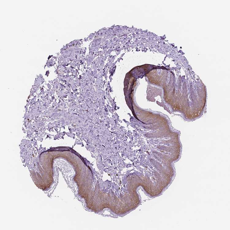
SKIN 1 - Antibody stainingi

Antibody staining in the annotated cell types in the current human tissue is reported as not detected, low, medium, or high, based on conventional immunohistochemistry profiling in selected tissues. This score is based on the combination of the staining intensity and fraction of stained cells.

Each image is clickable and will lead to virtual microscopy that enables deeper exploration of all samples and also displays staining intensity scores, fraction scores and subcellular localization as well as patient and tissue information for each sample.

Antibody HPA069333
Langerhans Not detected
Fibroblasts Not detected
Keratinocytes Medium
Melanocytes Not detected
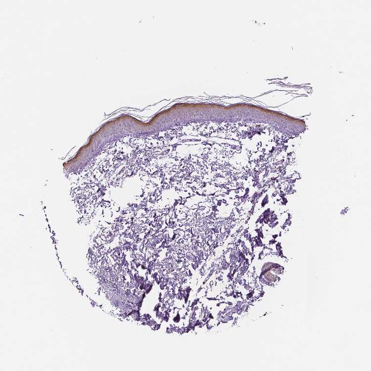
SKIN 2 - Antibody stainingi

Antibody staining in the annotated cell types in the current human tissue is reported as not detected, low, medium, or high, based on conventional immunohistochemistry profiling in selected tissues. This score is based on the combination of the staining intensity and fraction of stained cells.

Each image is clickable and will lead to virtual microscopy that enables deeper exploration of all samples and also displays staining intensity scores, fraction scores and subcellular localization as well as patient and tissue information for each sample.

Antibody HPA069333
Epidermal cells Medium
 
 
 


SKIN - HPA RNA-seqi

The RNA-seq details section shows detailed information about the individual samples used for the transcript profiling and results of the RNA-seq analysis.

Information about each individual sample is listed below, including gender, age, a tissue section image and estimated fractions of cell types. nTPM (normalized transcripts per million) values give a quantification of the gene abundance which is comparable between different genes and samples.
Average nTPMi

Max subtype nTPM is the value for the subtype with the largest average nTPM across the subtype samples.

9.3
overview
Female, age 34
Skin sample 225
nTPM: 5.3
Cell types%
Keratinocytes:
60

Other cell types:
40

overview
Female, age 30
Skin sample 226
nTPM: 6.1
Cell types%
Keratinocytes:
55

Other cell types:
45

N/A
Male, age 57
Skin sample 227
nTPM: 16.4

SKIN - GTEx RNA-seqi

RNA-Seq data generated by the Genotype-Tissue Expression (GTEx) project from human tissues is reported as mean nTPM. More information can be found on the GTEx portal.

Distribution across the dataset is visualized with box plots, shown as median and 25th and 75th percentiles. Points are displayed as outliers if they are above or below 1.5 times the interquartile range. nTPM values of the individual samples are presented next to the box plot.
Max subtype nTPMi

Max subtype nTPM is the value for the subtype with the largest average nTPM across the subtype samples.

15.6
GTEx sample id Sample description nTPM
Skin - Not Sun Exposed (Suprapubic)
Average nTPM: 13.9
Samples: 604

Max nTPM: 91.9
Min nTPM: 0.5
Std nTPM: 12.2
Median nTPM: 10.1
GTEX-1MCYP-0526-SM-E9U6Q 20-29 years, female 91.9
GTEX-1NSGN-0726-SM-DTXEF 50-59 years, male 75.1
GTEX-1OJC3-1226-SM-DTXER 20-29 years, male 69.7
GTEX-ZTX8-1326-SM-4YCEL 20-29 years, male 64.4
GTEX-1399S-0126-SM-5IJCF 30-39 years, female 63.6
GTEX-16AAH-0626-SM-793C9 50-59 years, male 60.9
GTEX-13O61-1426-SM-5KM3D 60-69 years, male 58.6
GTEX-WFG7-2026-SM-5SI7P 20-29 years, male 56.2
GTEX-1HCUA-0826-SM-ADEHM 50-59 years, female 53.9
GTEX-13FTX-1526-SM-5K7VJ 20-29 years, female 51.3
GTEX-12WSK-2126-SM-5CVNC 40-49 years, female 50.0
GTEX-15CHR-1126-SM-7EWF4 50-59 years, male 48.7
GTEX-Y114-2126-SM-4TT8B 50-59 years, female 47.8
GTEX-1HKZK-0726-SM-ACKW2 40-49 years, male 45.8
GTEX-ZVZP-1226-SM-5GID7 50-59 years, male 45.7
GTEX-17F98-1326-SM-7DUEP 40-49 years, female 45.3
GTEX-14PJ6-2626-SM-6EU2T 60-69 years, female 45.1
GTEX-1JMPY-0226-SM-CKZOK 30-39 years, male 45.1
GTEX-1ICLZ-0326-SM-ARL82 60-69 years, male 44.9
GTEX-139YR-1026-SM-5LZYN 50-59 years, male 44.8
GTEX-1I1GT-1026-SM-ARZLV 60-69 years, female 44.1
GTEX-1PPH8-0126-SM-EWRN8 20-29 years, male 44.1
GTEX-1RMOY-1326-SM-E9TIH 50-59 years, male 42.7
GTEX-15G1A-1626-SM-7KUKN 30-39 years, male 41.5
GTEX-WHSB-1326-SM-3LK6W 50-59 years, male 41.3
GTEX-12WSJ-1126-SM-5LZVJ 40-49 years, female 41.1
GTEX-1QP2A-1726-SM-E76QC 50-59 years, male 40.4
GTEX-ZLFU-1826-SM-4WWBV 40-49 years, male 39.6
GTEX-XQ8I-0926-SM-4BOOF 50-59 years, male 38.4
GTEX-17HHE-1326-SM-7EWDZ 50-59 years, male 37.9
GTEX-1HSMQ-2626-SM-A9SML 50-59 years, male 37.8
GTEX-13OVK-1426-SM-6PAN7 40-49 years, male 37.3
GTEX-1S82U-1026-SM-E6CJK 30-39 years, female 36.4
GTEX-17F9E-2326-SM-79OKD 50-59 years, male 36.1
GTEX-1313W-0626-SM-5EQ4H 50-59 years, female 35.7
GTEX-1GZ4H-0526-SM-9KNU9 50-59 years, female 35.0
GTEX-1JK1U-0226-SM-ARZMX 60-69 years, male 34.7
GTEX-18QFQ-1826-SM-72D52 30-39 years, male 34.5
GTEX-ZA64-1026-SM-5HL8R 20-29 years, male 34.4
GTEX-1EMGI-2326-SM-7PBYA 60-69 years, male 34.2
GTEX-14PHY-1226-SM-5ZZWK 60-69 years, female 34.0
GTEX-ZLV1-1526-SM-DO91J 60-69 years, female 33.9
GTEX-131XG-0326-SM-5L3DX 50-59 years, female 33.7
GTEX-ZDTT-0426-SM-4WKFL 60-69 years, male 33.7
GTEX-1LVAN-0626-SM-CNPOQ 50-59 years, female 33.4
GTEX-1QPFJ-1926-SM-EVYBD 30-39 years, female 33.4
GTEX-14PK6-0226-SM-62LF5 70-79 years, female 33.3
GTEX-1I1GU-0926-SM-ACKVS 40-49 years, male 33.3
GTEX-ZPCL-1126-SM-4WWFE 60-69 years, female 33.2
GTEX-13FTW-0326-SM-5K7UW 40-49 years, male 33.1
GTEX-1R9PN-0426-SM-DTXDT 40-49 years, female 33.1
GTEX-1HBPN-0126-SM-CGQEF 50-59 years, male 32.5
GTEX-XBED-1926-SM-47JYP 60-69 years, male 31.8
GTEX-Y3I4-1726-SM-4TT89 50-59 years, male 31.8
GTEX-YFCO-1226-SM-5LUAT 40-49 years, male 31.6
GTEX-111CU-1126-SM-5EGIM 50-59 years, male 31.5
GTEX-ZP4G-1426-SM-4WWCL 20-29 years, female 31.4
GTEX-14PJ3-1126-SM-5ZZVX 50-59 years, male 31.3
GTEX-1IKOE-1426-SM-CE6T7 30-39 years, female 31.3
GTEX-17KNJ-2126-SM-718AM 50-59 years, male 31.2
GTEX-14PKU-0126-SM-6LLHV 40-49 years, female 31.0
GTEX-1N2DV-1526-SM-DTXEP 40-49 years, male 30.7
GTEX-1H11D-1826-SM-9QEHM 40-49 years, male 30.6
GTEX-Y9LG-1126-SM-4VBQ7 30-39 years, male 30.5
GTEX-WXYG-2026-SM-4E3IY 50-59 years, female 30.4
GTEX-XBEW-1126-SM-4QARW 40-49 years, male 30.2
GTEX-ZZPU-0826-SM-5GZX5 50-59 years, female 30.2
GTEX-1CAMS-2226-SM-7PBXQ 40-49 years, female 29.5
GTEX-11DXZ-2026-SM-5987S 50-59 years, male 29.1
GTEX-1S82P-2126-SM-E6CI5 60-69 years, female 28.5
GTEX-1J8EW-2726-SM-CY8HR 60-69 years, female 28.1
GTEX-1399U-1126-SM-5L3DB 50-59 years, female 27.9
GTEX-13W3W-0726-SM-5IJDQ 60-69 years, female 27.8
GTEX-111VG-1626-SM-5EGIO 60-69 years, male 27.5
GTEX-ZVP2-0326-SM-57WBP 50-59 years, male 27.4
GTEX-1QP28-1126-SM-EVYC4 50-59 years, female 27.4
GTEX-14PJ4-0226-SM-5YY92 60-69 years, male 27.2
GTEX-1HGF4-0126-SM-CNPPX 60-69 years, male 27.2
GTEX-1122O-1026-SM-9WYSF 60-69 years, female 27.0
GTEX-1HSGN-0826-SM-ACKW3 40-49 years, female 26.9
GTEX-1KXAM-1626-SM-D3LAD 60-69 years, male 26.3
GTEX-1CAMR-1326-SM-7PC1F 20-29 years, male 25.8
GTEX-1GF9V-0826-SM-9KNUV 60-69 years, male 25.8
GTEX-1HB9E-0126-SM-CM2S5 50-59 years, male 25.6
GTEX-ZE7O-2726-SM-51MT5 50-59 years, female 25.5
GTEX-1JMLX-0626-SM-ARL8T 50-59 years, male 25.5
GTEX-1LB8K-0726-SM-D5OV2 50-59 years, male 25.2
GTEX-117YX-1926-SM-5GIEC 50-59 years, male 24.9
GTEX-1JMQJ-0826-SM-CNPP7 50-59 years, male 24.8
GTEX-1C64O-1326-SM-7MGWR 60-69 years, male 24.5
GTEX-1CB4F-1026-SM-7DUH1 60-69 years, male 24.4
GTEX-1F6RS-2026-SM-7RHHC 60-69 years, female 24.2
GTEX-145MH-2826-SM-5RQJF 50-59 years, male 23.7
GTEX-14XAO-1226-SM-6EU1C 60-69 years, female 23.6
GTEX-ZYFG-1526-SM-5GZYM 60-69 years, female 23.5
GTEX-15RIG-0726-SM-7KUM7 40-49 years, male 23.4
GTEX-1CAMQ-1326-SM-7P8RV 40-49 years, male 23.4
GTEX-1CB4J-1326-SM-7P8RX 60-69 years, male 23.3
GTEX-13FTY-2126-SM-5IFFB 40-49 years, female 23.2
GTEX-1F5PK-2226-SM-7SB6N 50-59 years, male 23.2
GTEX-11VI4-1126-SM-5EQMD 40-49 years, female 23.0
GTEX-1B8SF-0126-SM-7DUG3 60-69 years, male 23.0
GTEX-1JN76-0626-SM-CKZOQ 20-29 years, female 23.0
GTEX-13X6H-0926-SM-5SIB2 50-59 years, female 22.9
GTEX-11P7K-1126-SM-5HL4L 30-39 years, male 22.8
GTEX-14ICL-1626-SM-5YYAO 30-39 years, male 22.8
GTEX-1LBAC-0826-SM-CY8IJ 20-29 years, male 22.7
GTEX-13VXT-1926-SM-5K7UO 20-29 years, female 22.5
GTEX-16NGA-0726-SM-731AO 40-49 years, female 22.5
GTEX-11ZTT-2126-SM-5CVLO 60-69 years, female 22.4
GTEX-15RJ7-2126-SM-6PAMD 40-49 years, male 22.4
GTEX-WI4N-2726-SM-3LK7Y 40-49 years, female 22.3
GTEX-XYKS-1426-SM-4BRUO 60-69 years, female 22.3
GTEX-1GN1W-2426-SM-9KNUU 50-59 years, female 21.9
GTEX-1GZHY-0626-SM-9KNVC 50-59 years, female 21.7
GTEX-1KANA-1326-SM-DIPFA 20-29 years, male 21.2
GTEX-1S83E-1326-SM-E6CJM 40-49 years, male 21.2
GTEX-12WSH-1526-SM-5BC5W 50-59 years, male 21.1
GTEX-16MTA-0926-SM-6M47Z 50-59 years, male 21.1
GTEX-1F75I-2226-SM-7SB8U 40-49 years, male 21.1
GTEX-1497J-0226-SM-5QGPU 60-69 years, male 20.9
GTEX-1RAZS-2526-SM-E6CHT 50-59 years, male 20.7
GTEX-1C2JI-1026-SM-73KY1 50-59 years, male 20.6
GTEX-13NYC-0126-SM-5L3F4 60-69 years, male 20.4
GTEX-1H2FU-0926-SM-9WPPT 60-69 years, female 20.3
GTEX-ZGAY-1826-SM-DO91Q 40-49 years, female 20.3
GTEX-X5EB-1926-SM-4E3IW 40-49 years, male 20.2
GTEX-1AMEY-0826-SM-72D65 30-39 years, female 20.0
GTEX-1J8QM-2426-SM-A9SLS 60-69 years, female 19.9
GTEX-1S831-1826-SM-EWROF 20-29 years, male 19.9
GTEX-1B8KE-1126-SM-7EPHI 50-59 years, male 19.8
GTEX-1I4MK-0126-SM-CY8G6 50-59 years, female 19.7
GTEX-1IDJU-1726-SM-CMKHU 60-69 years, female 19.7
GTEX-11P81-2226-SM-5PNYI 30-39 years, female 19.6
GTEX-14PJN-1826-SM-6AJ98 30-39 years, male 19.6
GTEX-17HII-1426-SM-7EPGG 50-59 years, male 19.5
GTEX-1CB4E-0926-SM-7EPHT 60-69 years, male 19.5
GTEX-ZDYS-2426-SM-4WKGI 50-59 years, male 19.5
GTEX-1GL5R-1326-SM-7RHHF 50-59 years, male 19.5
GTEX-14PII-0726-SM-6EU2B 60-69 years, male 19.4
GTEX-1GN2E-0226-SM-9WG6K 60-69 years, male 19.4
GTEX-14BMU-1226-SM-5S2OR 20-29 years, female 19.3
GTEX-14C5O-0326-SM-5ZZUX 60-69 years, male 19.3
GTEX-139TU-0726-SM-5L3EK 60-69 years, male 19.2
GTEX-ZVT2-0126-SM-5GIDQ 50-59 years, female 19.2
GTEX-11EQ9-1626-SM-5PNY8 30-39 years, male 19.0
GTEX-U8XE-0226-SM-4E3J3 30-39 years, male 19.0
GTEX-12ZZX-2426-SM-5GCOE 40-49 years, female 18.9
GTEX-ZLWG-0826-SM-59888 50-59 years, female 18.9
GTEX-14JG6-1426-SM-9WG7C 30-39 years, female 18.9
GTEX-1212Z-0126-SM-59HK4 60-69 years, male 18.8
GTEX-12WSM-1926-SM-5BC65 60-69 years, male 18.8
GTEX-ZT9X-1526-SM-5DUXD 40-49 years, male 18.8
GTEX-1B932-2326-SM-79OL5 40-49 years, female 18.7
GTEX-WY7C-2126-SM-3NB2R 50-59 years, male 18.7
GTEX-11ZU8-0126-SM-5EQ58 60-69 years, male 18.6
GTEX-1GN73-0726-SM-7P8TJ 60-69 years, male 18.6
GTEX-1MJK3-0726-SM-E6CJC 20-29 years, male 18.6
GTEX-YEC3-1326-SM-DO92X 50-59 years, male 18.4
GTEX-14E1K-2026-SM-7DUEI 50-59 years, male 18.3
GTEX-131XF-2626-SM-5EQ6K 60-69 years, male 18.2
GTEX-14PHX-2226-SM-6EU2P 50-59 years, male 18.1
GTEX-1GPI7-1826-SM-9KNU1 20-29 years, male 18.1
GTEX-145ME-1726-SM-5Q5EU 40-49 years, female 18.0
GTEX-1A3MV-1826-SM-731CD 30-39 years, male 17.9
GTEX-11EM3-1226-SM-5N9DD 20-29 years, female 17.6
GTEX-144GM-0526-SM-79OJO 20-29 years, male 17.6
GTEX-15CHC-1126-SM-6LLHQ 60-69 years, female 17.5
GTEX-WHPG-2626-SM-3NMBR 50-59 years, male 17.5
GTEX-ZTSS-1426-SM-5985P 40-49 years, male 17.5
GTEX-1JKYN-0826-SM-ARU8S 30-39 years, male 17.5
GTEX-1PPGY-1626-SM-EVYBL 60-69 years, male 17.4
GTEX-ZF29-0926-SM-4WKFZ 60-69 years, female 17.3
GTEX-1C475-1326-SM-7SB73 40-49 years, female 17.3
GTEX-1LVAM-0726-SM-E6CIL 50-59 years, female 17.2
GTEX-XAJ8-1426-SM-47JYM 40-49 years, male 17.1
GTEX-1HSMP-0926-SM-A9SKX 70-79 years, male 17.0
GTEX-11DXX-2126-SM-5PNYR 60-69 years, female 16.9
GTEX-ZAK1-0626-SM-5HL8E 50-59 years, female 16.8
GTEX-1F75A-0726-SM-7RHHD 50-59 years, male 16.7
GTEX-1JKYR-0626-SM-ARL8R 20-29 years, male 16.7
GTEX-1JN1M-2726-SM-CY8I4 60-69 years, female 16.7
GTEX-1K2DA-1026-SM-CGQGF 50-59 years, male 16.7
GTEX-Y3IK-1626-SM-4YCF5 50-59 years, female 16.6
GTEX-1QMI2-2526-SM-E8VNZ 60-69 years, male 16.6
GTEX-1RAZQ-1326-SM-E9TK6 30-39 years, male 16.6
GTEX-14PJ5-1526-SM-6LLIL 60-69 years, female 16.5
GTEX-XUW1-0926-SM-4BONX 50-59 years, female 16.5
GTEX-1H1DE-1326-SM-9KNUG 20-29 years, male 16.5
GTEX-1HSKV-1226-SM-ADEI4 60-69 years, male 16.5
GTEX-1PIIG-2326-SM-DTXFR 30-39 years, male 16.5
GTEX-1QW4Y-1126-SM-DTXE3 30-39 years, male 16.5
GTEX-1CB4H-1126-SM-7MKGL 60-69 years, female 16.4
GTEX-1IDJC-1526-SM-B2LW4 50-59 years, male 16.4
GTEX-1R7EU-1626-SM-DTXG3 60-69 years, male 16.4
GTEX-ZF2S-1626-SM-57WES 50-59 years, female 16.2
GTEX-18A7A-0126-SM-731AH 50-59 years, female 16.1
GTEX-1AMFI-1326-SM-7939R 50-59 years, female 15.8
GTEX-1MCC2-1826-SM-DIPEX 30-39 years, female 15.8
GTEX-147GR-2426-SM-5ZZWQ 60-69 years, male 15.6
GTEX-1EWIQ-0326-SM-7DHMQ 70-79 years, female 15.5
GTEX-WHWD-1826-SM-3LK6I 50-59 years, male 15.5
GTEX-1B8L1-2226-SM-7P8PT 60-69 years, male 15.5
GTEX-15FZZ-0526-SM-7KUGD 30-39 years, female 15.4
GTEX-13113-1626-SM-5EQ4I 60-69 years, female 15.3
GTEX-WH7G-2026-SM-3NMBL 40-49 years, male 15.3
GTEX-1F52S-2926-SM-7MKGA 60-69 years, female 15.2
GTEX-145LU-1926-SM-79OJN 50-59 years, male 15.0
GTEX-1IDJI-0126-SM-CMKHS 50-59 years, female 15.0
GTEX-1HFI7-2326-SM-CGQFS 50-59 years, female 14.9
GTEX-1PDJ9-1226-SM-EXUSX 20-29 years, male 14.9
GTEX-146FQ-2126-SM-5RQHU 30-39 years, male 14.8
GTEX-1ICG6-1226-SM-A9SLN 70-79 years, female 14.8
GTEX-1QP9N-1226-SM-E76QN 30-39 years, male 14.8
GTEX-18D9U-0126-SM-731BM 40-49 years, male 14.7
GTEX-1H1E6-0426-SM-9WYUS 30-39 years, male 14.7
GTEX-ZPIC-0526-SM-DO91W 40-49 years, female 14.7
GTEX-ZZ64-1026-SM-5GZXG 20-29 years, male 14.6
GTEX-1J1R8-2026-SM-CL53Y 40-49 years, male 14.6
GTEX-1S3DN-2126-SM-E9TIN 50-59 years, male 14.6
GTEX-11GS4-0226-SM-5HL77 60-69 years, male 14.5
GTEX-14AS3-1526-SM-5Q5ED 40-49 years, female 14.5
GTEX-12C56-1526-SM-5FQUQ 20-29 years, male 14.2
GTEX-1R9PM-1926-SM-EVR3O 20-29 years, male 14.2
GTEX-13QBU-1226-SM-5LU4G 40-49 years, female 14.1
GTEX-1GPI6-1926-SM-9KNV7 60-69 years, male 14.1
GTEX-11P82-1426-SM-DTXFY 20-29 years, male 14.0
GTEX-132AR-0326-SM-5KM2C 50-59 years, female 13.8
GTEX-13FH7-1126-SM-5K7UG 50-59 years, female 13.8
GTEX-1LSNM-0826-SM-DIPG8 50-59 years, male 13.7
GTEX-11NSD-0626-SM-5A5LU 20-29 years, male 13.6
GTEX-17HGU-2326-SM-7DUFE 50-59 years, male 13.6
GTEX-Y111-0626-SM-4SOIT 50-59 years, male 13.6
GTEX-13NYS-0626-SM-5L3F1 60-69 years, male 13.5
GTEX-12584-0726-SM-5FQTK 40-49 years, male 13.4
GTEX-18A67-1626-SM-7LT9T 50-59 years, male 13.4
GTEX-18D9B-0926-SM-7LG4U 60-69 years, male 13.4
GTEX-1GF9X-1326-SM-7PC2Y 40-49 years, female 13.4
GTEX-13QJC-0126-SM-5ZZWJ 60-69 years, female 13.3
GTEX-12ZZZ-0726-SM-5GCNZ 60-69 years, male 13.2
GTEX-1QCLY-0226-SM-EWRNH 30-39 years, male 13.2
GTEX-14E6E-0526-SM-793DN 30-39 years, male 13.1
GTEX-Y5V6-2326-SM-4VDSA 60-69 years, male 13.1
GTEX-18D9A-1426-SM-7LT8M 30-39 years, female 12.8
GTEX-1JMQK-1226-SM-D4P2S 60-69 years, male 12.8
GTEX-1NV5F-0626-SM-DTXEG 60-69 years, female 12.8
GTEX-Y8E4-2026-SM-5IFJB 40-49 years, male 12.7
GTEX-1GTWX-2026-SM-9YFLM 60-69 years, male 12.7
GTEX-145MN-1526-SM-5SI9T 30-39 years, male 12.6
GTEX-14ABY-2026-SM-62LDL 50-59 years, male 12.6
GTEX-Z93S-1626-SM-5CVMB 50-59 years, male 12.6
GTEX-17F96-0126-SM-7EWDU 70-79 years, male 12.5
GTEX-1KANB-2826-SM-CY8I6 50-59 years, male 12.5
GTEX-11GSP-2326-SM-5HL63 60-69 years, female 12.4
GTEX-11WQC-1826-SM-5GU59 60-69 years, male 12.4
GTEX-1IKJJ-2226-SM-CJI4C 60-69 years, male 12.3
GTEX-1RAZR-2126-SM-E9U6T 40-49 years, male 12.3
GTEX-1I1HK-2326-SM-CKZOH 60-69 years, male 12.2
GTEX-12ZZY-0726-SM-5EQ66 60-69 years, male 12.1
GTEX-14B4R-1326-SM-5Q5EZ 30-39 years, male 12.1
GTEX-1192X-2726-SM-5N9DN 50-59 years, male 12.0
GTEX-139TS-2126-SM-5K7XC 60-69 years, male 12.0
GTEX-ZYT6-2326-SM-5GZY3 30-39 years, male 12.0
GTEX-1I1GV-0626-SM-ARL7M 60-69 years, male 12.0
GTEX-1J8Q3-0526-SM-ARL8U 60-69 years, male 12.0
GTEX-ZVT4-2426-SM-5GIEI 50-59 years, female 11.9
GTEX-1F5PL-0926-SM-7PC2W 40-49 years, female 11.9
GTEX-17MFQ-1526-SM-7KFRR 20-29 years, male 11.8
GTEX-1PIGE-1826-SM-E8VOU 20-29 years, male 11.8
GTEX-1B97I-0626-SM-73KUZ 40-49 years, male 11.7
GTEX-1F6I4-2326-SM-7RHGL 60-69 years, male 11.7
GTEX-1GMR2-0826-SM-7PC3V 50-59 years, male 11.7
GTEX-1IDJH-0126-SM-D3L92 70-79 years, male 11.7
GTEX-XPVG-2126-SM-4B667 50-59 years, male 11.6
GTEX-17HHY-0426-SM-7DHLC 50-59 years, male 11.5
GTEX-1H1ZS-2726-SM-9WG75 70-79 years, male 11.5
GTEX-1IY9M-2826-SM-ARU8H 60-69 years, male 11.4
GTEX-13OVJ-0826-SM-5J1OK 50-59 years, female 11.3
GTEX-WYVS-1626-SM-3NM9R 40-49 years, female 11.3
GTEX-XV7Q-1826-SM-4BRUV 40-49 years, female 11.3
GTEX-17F97-2626-SM-7IGM5 50-59 years, male 11.2
GTEX-XXEK-1626-SM-4BRUZ 50-59 years, male 11.2
GTEX-1H1DF-1126-SM-9WG7G 40-49 years, female 11.2
GTEX-1B8KZ-0326-SM-73KY4 50-59 years, male 11.1
GTEX-1POEN-2326-SM-E9J2L 30-39 years, female 11.1
GTEX-131YS-2826-SM-5EQ47 60-69 years, female 11.0
GTEX-Y8LW-1526-SM-5IFHL 50-59 years, female 11.0
GTEX-1LGRB-0926-SM-COH3K 50-59 years, female 11.0
GTEX-14PKV-1126-SM-6LLJ1 20-29 years, female 10.9
GTEX-XOT4-0626-SM-4B66L 60-69 years, female 10.9
GTEX-1IE54-1126-SM-A9G2Z 40-49 years, female 10.8
GTEX-14C38-0726-SM-5SI6M 50-59 years, male 10.7
GTEX-1EN7A-2426-SM-793DB 40-49 years, male 10.6
GTEX-1HCU6-2526-SM-ADEHL 60-69 years, female 10.6
GTEX-15EU6-2226-SM-6EU2L 50-59 years, male 10.5
GTEX-147F3-1726-SM-5SIAW 50-59 years, female 10.4
GTEX-1CB4I-0126-SM-7RHGG 50-59 years, male 10.4
GTEX-1N2EE-0626-SM-E76PW 60-69 years, male 10.3
GTEX-11DZ1-2426-SM-5GZZX 50-59 years, male 10.2
GTEX-18A66-0626-SM-7LT8Z 60-69 years, male 10.2
GTEX-UPJH-0226-SM-3GADV 50-59 years, male 10.2
GTEX-1C6VR-0126-SM-7RHGB 60-69 years, male 10.2
GTEX-13PVQ-0626-SM-5LU47 50-59 years, male 10.1
GTEX-X3Y1-2026-SM-3P5YM 40-49 years, male 10.1
GTEX-131XW-0626-SM-5PNVD 50-59 years, female 9.9
GTEX-YEC4-1826-SM-4W1YP 40-49 years, male 9.9
GTEX-14BIN-1126-SM-5RQJZ 50-59 years, female 9.8
GTEX-1EKGG-0626-SM-7DUGJ 60-69 years, male 9.8
GTEX-13FLV-0126-SM-5K7WT 50-59 years, male 9.7
GTEX-ZPU1-1126-SM-4YCF3 40-49 years, male 9.7
GTEX-133LE-2326-SM-5K7W3 20-29 years, female 9.6
GTEX-13PVR-0426-SM-5RQK2 60-69 years, female 9.6
GTEX-1HBPI-2126-SM-ARL9K 50-59 years, male 9.6
GTEX-1C64N-2626-SM-7PC2N 50-59 years, male 9.5
GTEX-1211K-1526-SM-5FQU4 60-69 years, female 9.4
GTEX-15G19-2426-SM-7KUMR 60-69 years, male 9.4
GTEX-1C6WA-2626-SM-7MKGM 60-69 years, male 9.4
GTEX-ZC5H-1526-SM-5HL9Y 40-49 years, female 9.4
GTEX-1KD5A-0126-SM-E9U54 50-59 years, male 9.4
GTEX-11OF3-0126-SM-5PNYF 60-69 years, male 9.3
GTEX-WEY5-2326-SM-3GIKK 40-49 years, female 9.3
GTEX-1E2YA-2126-SM-7MXUO 50-59 years, male 9.3
GTEX-1QP29-1826-SM-DTX9S 50-59 years, male 9.3
GTEX-1HCU9-0426-SM-9WYSD 20-29 years, male 9.2
GTEX-1JJEA-1826-SM-ARU8P 60-69 years, male 9.2
GTEX-1N5O9-0926-SM-E9J3C 60-69 years, male 9.2
GTEX-11EQ8-0926-SM-5H12V 60-69 years, male 9.1
GTEX-11WQK-1026-SM-5EQLX 50-59 years, male 9.1
GTEX-13G51-1826-SM-5KLZH 60-69 years, male 9.1
GTEX-15EO6-2426-SM-6PALZ 50-59 years, male 9.1
GTEX-1HCVE-2726-SM-CL54F 50-59 years, male 9.1
GTEX-V1D1-2026-SM-3GAF4 50-59 years, male 9.0
GTEX-1PBJJ-1026-SM-E76OS 30-39 years, male 9.0
GTEX-1IDJD-2326-SM-ACKWX 30-39 years, male 8.9
GTEX-1K9T9-1526-SM-DIPFR 50-59 years, female 8.9
GTEX-11LCK-2226-SM-5HL4Q 30-39 years, male 8.8
GTEX-12BJ1-0926-SM-5EQ62 60-69 years, male 8.8
GTEX-147F4-0726-SM-5TDDD 50-59 years, male 8.8
GTEX-183FY-1026-SM-7939A 20-29 years, male 8.8
GTEX-1EU9M-1426-SM-793AI 60-69 years, male 8.8
GTEX-1F88F-0126-SM-9WYSZ 60-69 years, female 8.8
GTEX-1KANC-1226-SM-CYPT7 50-59 years, female 8.8
GTEX-1R46S-2426-SM-E76QA 60-69 years, female 8.8
GTEX-111YS-1526-SM-5GZYW 60-69 years, male 8.7
GTEX-13OW8-1026-SM-5J1NQ 60-69 years, male 8.7
GTEX-15D1Q-2826-SM-6LLH7 40-49 years, male 8.7
GTEX-11NUK-2726-SM-5A5MC 50-59 years, male 8.6
GTEX-1GMRU-2126-SM-7P8RA 50-59 years, male 8.6
GTEX-1K2DU-1226-SM-CYPT4 20-29 years, male 8.6
GTEX-1QAET-0326-SM-EVR3U 50-59 years, male 8.6
GTEX-WFON-1926-SM-3LK7L 40-49 years, male 8.5
GTEX-1LGOU-1326-SM-D3L8M 20-29 years, female 8.5
GTEX-1RLM8-2926-SM-E8VON 50-59 years, male 8.5
GTEX-178AV-1726-SM-7KUL8 40-49 years, male 8.4
GTEX-1B996-0426-SM-7EWF8 60-69 years, male 8.4
GTEX-X585-2426-SM-46MW2 50-59 years, male 8.4
GTEX-ZAJG-1526-SM-5CVML 50-59 years, female 8.4
GTEX-1HC8U-1326-SM-9YFMJ 40-49 years, female 8.4
GTEX-131XH-0126-SM-5LZUY 50-59 years, male 8.3
GTEX-16BQI-1326-SM-6M486 30-39 years, female 8.3
GTEX-1IDJF-2026-SM-CL53V 20-29 years, male 8.3
GTEX-15DYW-2726-SM-6EU2I 60-69 years, female 8.1
GTEX-16MT8-2926-SM-7DUFO 60-69 years, female 8.1
GTEX-ZF3C-0626-SM-DO92O 50-59 years, female 8.1
GTEX-1269C-0126-SM-5EQ5L 60-69 years, female 8.0
GTEX-145LT-0526-SM-5LUB2 40-49 years, male 8.0
GTEX-14C39-1726-SM-5RQIL 40-49 years, male 8.0
GTEX-W5X1-2526-SM-3GILC 40-49 years, female 8.0
GTEX-12WSD-0626-SM-5GCMW 60-69 years, female 7.9
GTEX-15CHQ-0326-SM-69LQD 60-69 years, male 7.9
GTEX-1QEPI-2626-SM-DTXF4 60-69 years, female 7.9
GTEX-1I6K6-1726-SM-CGQFD 30-39 years, male 7.8
GTEX-1IDJE-1426-SM-ADEIW 50-59 years, female 7.8
GTEX-1OJC4-2726-SM-E76PJ 50-59 years, female 7.8
GTEX-15RJE-2826-SM-7KUM9 40-49 years, male 7.7
GTEX-YECK-0326-SM-4W1YS 60-69 years, male 7.7
GTEX-1H1DG-2426-SM-9QEHJ 70-79 years, male 7.7
GTEX-15RIE-1926-SM-7KUKJ 60-69 years, male 7.6
GTEX-1GN1U-0626-SM-9MQL9 50-59 years, female 7.6
GTEX-1HT8W-0626-SM-A9G2H 30-39 years, male 7.5
GTEX-1I1GP-1326-SM-A9G28 50-59 years, male 7.5
GTEX-1I6K7-1926-SM-B2LXR 40-49 years, male 7.5
GTEX-16NPX-0726-SM-7KULC 50-59 years, male 7.4
GTEX-1QCLZ-2426-SM-EVYBW 60-69 years, female 7.4
GTEX-1A32A-0626-SM-731AQ 50-59 years, female 7.3
GTEX-ZE9C-2526-SM-5IJDR 60-69 years, male 7.3
GTEX-1KWVE-1026-SM-D3L9O 30-39 years, male 7.3
GTEX-13RTJ-0126-SM-5S2NN 60-69 years, male 7.2
GTEX-1H3NZ-2726-SM-9WYTQ 60-69 years, male 7.2
GTEX-1H3O1-1326-SM-9MQLD 60-69 years, male 7.2
GTEX-1JJ6O-2726-SM-CNPOG 60-69 years, male 7.2
GTEX-145MG-1526-SM-5Q5EM 50-59 years, male 7.0
GTEX-14A5H-0826-SM-5QGPJ 60-69 years, male 7.0
GTEX-17EVP-2626-SM-7IGMA 40-49 years, male 7.0
GTEX-1AX9I-2226-SM-73KUO 60-69 years, male 7.0
GTEX-1LVAO-2726-SM-E9TJ8 60-69 years, male 7.0
GTEX-13N11-2326-SM-5IJBF 50-59 years, female 6.9
GTEX-14DAR-1226-SM-73KYV 50-59 years, male 6.9
GTEX-Y5V5-0126-SM-5S2NW 60-69 years, female 6.9
GTEX-ZYY3-2926-SM-5GIEB 60-69 years, female 6.9
GTEX-11DYG-1526-SM-5A5JS 60-69 years, male 6.8
GTEX-11O72-0626-SM-5PNYE 40-49 years, male 6.8
GTEX-11PRG-0726-SM-5EGL1 50-59 years, male 6.8
GTEX-1AYD5-2626-SM-7PBXY 50-59 years, male 6.8
GTEX-1HSMO-0626-SM-ACKXC 60-69 years, male 6.8
GTEX-139T8-0626-SM-5KLZX 60-69 years, male 6.7
GTEX-13OW6-2726-SM-5J2OE 50-59 years, male 6.7
GTEX-VUSG-2326-SM-4KL1U 50-59 years, male 6.7
GTEX-1HCU7-0726-SM-A9SL1 50-59 years, male 6.7
GTEX-1JJE9-2626-SM-ARZMT 70-79 years, male 6.7
GTEX-1LG7Z-1626-SM-CXKYR 30-39 years, male 6.7
GTEX-1RB15-1326-SM-E76Q9 60-69 years, male 6.7
GTEX-13OVG-1626-SM-5J1NF 60-69 years, male 6.6
GTEX-13X6J-0626-SM-5LU5F 50-59 years, male 6.6
GTEX-14A6H-2026-SM-5Q5DD 30-39 years, male 6.6
GTEX-13OVH-0526-SM-5L3E6 70-79 years, male 6.5
GTEX-15ER7-0626-SM-6PANF 20-29 years, female 6.5
GTEX-16YQH-2226-SM-7IGM2 30-39 years, male 6.5
GTEX-1KAFJ-0126-SM-DIPEK 50-59 years, male 6.5
GTEX-11TUW-0626-SM-5LU9M 60-69 years, male 6.4
GTEX-13SLX-2226-SM-62LEP 50-59 years, female 6.4
GTEX-ZY6K-1426-SM-5GZX2 50-59 years, male 6.4
GTEX-147JS-0226-SM-5S2U9 60-69 years, male 6.3
GTEX-1A8G7-1326-SM-73KVM 60-69 years, male 6.3
GTEX-13D11-0926-SM-5J2NC 50-59 years, female 6.2
GTEX-ZU9S-1826-SM-5NQ9E 30-39 years, male 6.1
GTEX-13112-0126-SM-5P9IU 50-59 years, male 6.0
GTEX-145LS-0626-SM-7EPG7 60-69 years, female 6.0
GTEX-14E6C-2426-SM-5S2NF 40-49 years, male 6.0
GTEX-WHSE-0126-SM-3NMBT 20-29 years, male 6.0
GTEX-WRHU-2826-SM-3MJG8 50-59 years, female 6.0
GTEX-13O3O-2326-SM-5IJD6 60-69 years, female 5.9
GTEX-13OW5-2326-SM-5L3HO 60-69 years, male 5.9
GTEX-WFG8-2126-SM-3GIKQ 20-29 years, male 5.9
GTEX-13OW7-0426-SM-5K7VK 50-59 years, male 5.8
GTEX-YJ8O-2526-SM-5HL85 40-49 years, female 5.8
GTEX-13N2G-0226-SM-5K7VF 60-69 years, male 5.7
GTEX-XK95-0226-SM-4AT58 40-49 years, male 5.7
GTEX-1PPH7-1126-SM-DTX9A 40-49 years, male 5.7
GTEX-13IVO-0726-SM-5LZYV 70-79 years, male 5.5
GTEX-1GZ4I-2626-SM-9KNU3 50-59 years, male 5.5
GTEX-12WSC-2826-SM-5BC5Y 50-59 years, male 5.4
GTEX-1C6VQ-1226-SM-73KYD 50-59 years, male 5.4
GTEX-1LKK1-2626-SM-DKPQE 50-59 years, female 5.4
GTEX-13FHO-0426-SM-5L3F5 60-69 years, male 5.3
GTEX-13OVL-0126-SM-5L3GJ 50-59 years, male 5.3
GTEX-13VXU-0626-SM-5L3F9 50-59 years, male 5.3
GTEX-1477Z-0326-SM-7IGLA 60-69 years, male 5.3
GTEX-1AX8Z-0726-SM-73KTS 60-69 years, male 5.3
GTEX-ZYW4-0626-SM-59HJR 60-69 years, male 5.3
GTEX-16Z82-2626-SM-7KULU 60-69 years, male 5.2
GTEX-1R9K4-2826-SM-DTX8F 60-69 years, male 5.2
GTEX-13PL6-1126-SM-5L3IE 40-49 years, female 5.1
GTEX-144GL-0626-SM-5LU4D 50-59 years, male 5.1
GTEX-12WSL-2026-SM-5GCML 50-59 years, male 5.0
GTEX-ZAB4-2126-SM-5HL8U 40-49 years, male 5.0
GTEX-1H23P-0626-SM-9WG6T 60-69 years, male 5.0
GTEX-11TT1-1826-SM-5EQLV 20-29 years, male 4.9
GTEX-12126-0826-SM-5FQTZ 20-29 years, male 4.9
GTEX-13X6K-0626-SM-5LU5D 60-69 years, female 4.9
GTEX-17MF6-2626-SM-79OKQ 40-49 years, male 4.9
GTEX-18A7B-2726-SM-7LG56 70-79 years, male 4.9
GTEX-YB5K-2026-SM-4VDT3 40-49 years, female 4.9
GTEX-1GMR8-0626-SM-7RHI7 50-59 years, female 4.9
GTEX-1IDJV-0126-SM-COH3Y 60-69 years, male 4.9
GTEX-1JMQL-2226-SM-CNPP4 50-59 years, female 4.9
GTEX-1H4P4-2126-SM-9WYSL 50-59 years, male 4.8
GTEX-1J8Q2-2626-SM-ACKWQ 60-69 years, male 4.8
GTEX-1QP66-1226-SM-DTX7U 50-59 years, male 4.8
GTEX-13NYB-0126-SM-5J1MD 40-49 years, male 4.7
GTEX-13O3Q-0126-SM-5KM34 50-59 years, male 4.7
GTEX-13PDP-0726-SM-5L3HP 60-69 years, male 4.7
GTEX-VJYA-1526-SM-3GIJV 60-69 years, male 4.7
GTEX-ZWKS-0626-SM-5GIDV 30-39 years, male 4.7
GTEX-1HBPM-0726-SM-9YFL7 60-69 years, female 4.7
GTEX-13U4I-2226-SM-5LU5H 40-49 years, female 4.6
GTEX-139D8-1126-SM-5LU8W 30-39 years, female 4.5
GTEX-139TT-2126-SM-5LZWC 60-69 years, male 4.5
GTEX-14753-0726-SM-5QGQO 60-69 years, male 4.5
GTEX-17JCI-2926-SM-7DUFF 60-69 years, female 4.5
GTEX-WK11-2726-SM-3NMAQ 50-59 years, male 4.5
GTEX-ZDXO-3126-SM-5IJDF 60-69 years, male 4.5
GTEX-1JMOU-1026-SM-CYPSS 60-69 years, female 4.5
GTEX-X4EP-0626-SM-3P621 60-69 years, female 4.4
GTEX-1I1CD-0626-SM-CE6SW 60-69 years, female 4.4
GTEX-X4EO-2926-SM-4E3JH 60-69 years, female 4.3
GTEX-ZYFC-0426-SM-5GICQ 50-59 years, male 4.3
GTEX-1J1OQ-0126-SM-D4P2N 40-49 years, female 4.3
GTEX-1JMPZ-0726-SM-CY8HZ 30-39 years, male 4.3
GTEX-1EH9U-2826-SM-7DUGT 60-69 years, male 4.2
GTEX-XQ3S-1426-SM-4BOPR 20-29 years, male 4.2
GTEX-13JVG-0726-SM-5KM16 60-69 years, male 4.1
GTEX-148VJ-0626-SM-5LUAW 70-79 years, male 4.1
GTEX-18A6Q-0626-SM-7KFRP 60-69 years, male 4.1
GTEX-UPK5-0426-SM-3GAEK 40-49 years, male 4.1
GTEX-1IOXB-2726-SM-CM2RI 50-59 years, male 4.1
GTEX-1CAV2-0126-SM-7IGN7 40-49 years, female 4.0
GTEX-1EX96-1026-SM-7MKG2 50-59 years, male 4.0
GTEX-WYJK-0526-SM-3NM8Z 50-59 years, male 4.0
GTEX-ZT9W-1126-SM-57WDR 50-59 years, male 4.0
GTEX-ZXG5-2126-SM-59HKD 60-69 years, male 4.0
GTEX-1M4P7-0726-SM-E6CJ3 60-69 years, male 4.0
GTEX-1399Q-2326-SM-5KM2X 40-49 years, male 3.9
GTEX-1A8G6-2726-SM-731AR 60-69 years, male 3.9
GTEX-1BAJH-2426-SM-7IGP8 70-79 years, male 3.9
GTEX-ZDTS-0826-SM-4WKHL 60-69 years, male 3.9
GTEX-1F48J-0726-SM-7RHGS 50-59 years, female 3.9
GTEX-11DXY-0126-SM-5H11Q 60-69 years, male 3.8
GTEX-1B933-2426-SM-7DHMD 50-59 years, female 3.8
GTEX-11EI6-2826-SM-5H11D 60-69 years, male 3.7
GTEX-12KS4-2126-SM-5FQUT 30-39 years, male 3.7
GTEX-Y5LM-0926-SM-6LLJG 40-49 years, female 3.7
GTEX-14JG1-1526-SM-5YY9X 40-49 years, male 3.6
GTEX-145MF-0926-SM-5Q5EA 50-59 years, male 3.5
GTEX-ZVE1-0726-SM-51MRN 50-59 years, female 3.5
GTEX-11ZUS-2626-SM-5FQUR 30-39 years, male 3.4
GTEX-144FL-0626-SM-5LU43 50-59 years, male 3.4
GTEX-1H1CY-0126-SM-9YFLY 60-69 years, female 3.4
GTEX-1ICLY-0826-SM-CMKG1 50-59 years, male 3.4
GTEX-1LSNL-2726-SM-E9TKJ 50-59 years, male 3.4
GTEX-1LSVX-2526-SM-DIPEU 60-69 years, male 3.4
GTEX-16MT9-0126-SM-7EPI8 60-69 years, female 3.3
GTEX-14JFF-0626-SM-5ZZVT 60-69 years, male 3.3
GTEX-1HUB1-1426-SM-CGQF5 60-69 years, male 3.3
GTEX-12WSA-0426-SM-5EQ5X 60-69 years, male 3.2
GTEX-14LLW-2626-SM-62LDZ 70-79 years, female 3.2
GTEX-XBEC-0726-SM-4QARZ 50-59 years, male 3.2
GTEX-1O9I2-0226-SM-EYYXD 50-59 years, male 3.2
GTEX-1117F-2926-SM-5GZYI 60-69 years, female 3.1
GTEX-11UD2-2526-SM-5CVNU 50-59 years, male 3.1
GTEX-1I1GS-2626-SM-B2LY3 60-69 years, male 3.1
GTEX-13SLW-0626-SM-5Q5ER 70-79 years, male 3.0
GTEX-1A3MW-0626-SM-731CB 60-69 years, female 3.0
GTEX-ZYVF-0926-SM-5E44J 50-59 years, female 3.0
GTEX-1HR98-2226-SM-ADEI2 60-69 years, male 3.0
GTEX-1RAZA-2226-SM-E9U4X 20-29 years, male 3.0
GTEX-1GN1V-2826-SM-9JGIA 60-69 years, male 2.9
GTEX-15DDE-2926-SM-6LLJ3 50-59 years, female 2.8
GTEX-1F88E-1626-SM-7SB8Z 60-69 years, female 2.8
GTEX-1IL2V-1926-SM-B2LW8 70-79 years, male 2.8
GTEX-12696-0126-SM-5EQ4L 60-69 years, male 2.7
GTEX-145MO-2826-SM-5LU96 60-69 years, male 2.7
GTEX-1A3MX-2626-SM-7PC24 60-69 years, male 2.7
GTEX-13N1W-2426-SM-5IJD1 70-79 years, male 2.6
GTEX-18465-2826-SM-7LT9J 50-59 years, male 2.6
GTEX-12WSF-1626-SM-7KUG5 70-79 years, male 2.4
GTEX-183WM-0326-SM-72D5V 70-79 years, female 2.4
GTEX-ZYFD-0626-SM-5E44E 50-59 years, male 2.4
GTEX-1F75B-0726-SM-7PC3R 50-59 years, male 2.4
GTEX-1S5ZU-2526-SM-E6CIF 20-29 years, female 2.4
GTEX-14DAQ-0626-SM-793DS 60-69 years, female 2.3
GTEX-14LZ3-0126-SM-69LPM 60-69 years, female 2.3
GTEX-13X6I-1826-SM-5SIAO 60-69 years, male 2.2
GTEX-WYBS-0626-SM-3NMAS 60-69 years, female 2.2
GTEX-1HR9M-2226-SM-CNPPY 60-69 years, male 2.2
GTEX-145MI-0626-SM-5SI8S 60-69 years, female 2.1
GTEX-14BMV-2826-SM-5TDED 50-59 years, male 2.1
GTEX-14PJO-2526-SM-6AJBQ 60-69 years, male 2.1
GTEX-YF7O-1526-SM-5IFI6 50-59 years, male 2.1
GTEX-1GF9W-1426-SM-7PBYM 60-69 years, male 2.1
GTEX-1399R-1326-SM-5PNYS 30-39 years, male 2.0
GTEX-17F9Y-0126-SM-79OKX 70-79 years, female 2.0
GTEX-1F75W-2726-SM-7SB8H 60-69 years, male 2.0
GTEX-1J8JJ-0626-SM-ARZMQ 60-69 years, female 2.0
GTEX-1LG7Y-2526-SM-EWRO7 50-59 years, male 2.0
GTEX-1LVA9-2626-SM-EVYD4 50-59 years, male 2.0
GTEX-111FC-2526-SM-5GZXU 60-69 years, male 1.9
GTEX-1E1VI-0326-SM-793D1 50-59 years, male 1.9
GTEX-XMD2-2126-SM-4YCF8 60-69 years, female 1.9
GTEX-1A8FM-0626-SM-7PC25 50-59 years, female 1.9
GTEX-1JN6P-2926-SM-CL54D 60-69 years, male 1.9
GTEX-1HFI6-0126-SM-CNPPI 40-49 years, male 1.8
GTEX-1314G-1326-SM-5BC6E 30-39 years, male 1.7
GTEX-139UW-0326-SM-5J1ML 60-69 years, male 1.7
GTEX-13NZ8-1226-SM-5KM4A 60-69 years, female 1.7
GTEX-1F6IF-0926-SM-7SB7M 60-69 years, male 1.7
GTEX-1GMR3-0126-SM-A9SLW 40-49 years, male 1.6
GTEX-1JMQI-1726-SM-ARL93 50-59 years, male 1.6
GTEX-1L5NE-1126-SM-D3L9P 50-59 years, male 1.6
GTEX-17EVQ-0126-SM-7IGLR 70-79 years, male 1.5
GTEX-1GZ2Q-0126-SM-9WG6M 40-49 years, male 1.5
GTEX-1IDFM-0326-SM-ARL7V 60-69 years, male 1.5
GTEX-13JUV-2026-SM-5K7UA 40-49 years, female 1.4
GTEX-144GO-2026-SM-5O99P 60-69 years, male 1.4
GTEX-ZVE2-2826-SM-5GU51 50-59 years, male 1.4
GTEX-ZVTK-0226-SM-51MRG 20-29 years, male 1.4
GTEX-1GF9U-2026-SM-7SB92 40-49 years, female 1.4
GTEX-1HCU8-2526-SM-CE6RX 60-69 years, female 1.4
GTEX-13NZ9-2626-SM-5L3FK 50-59 years, male 1.3
GTEX-ZTTD-2826-SM-4YCFA 50-59 years, male 1.3
GTEX-ZUA1-2626-SM-5NQ92 40-49 years, male 1.3
GTEX-11DXW-0826-SM-5H118 40-49 years, male 1.2
GTEX-17HG3-2626-SM-7DUF2 30-39 years, female 1.2
GTEX-X8HC-0626-SM-4E3HQ 50-59 years, female 1.2
GTEX-14PJ2-0626-SM-6LLII 50-59 years, male 1.1
GTEX-13YAN-0226-SM-5TDC6 60-69 years, male 1.0
GTEX-15SHW-0226-SM-7LTAT 60-69 years, male 1.0
GTEX-15UF6-1926-SM-7KUDV 70-79 years, female 1.0
GTEX-15SKB-2826-SM-6PAMH 60-69 years, male 0.9
GTEX-1AX9J-1326-SM-731BJ 60-69 years, male 0.9
GTEX-16GPK-0626-SM-7KFSF 60-69 years, male 0.8
GTEX-16XZZ-0726-SM-7KUF2 60-69 years, male 0.8
GTEX-1H3VE-0726-SM-9YFL5 40-49 years, male 0.7
GTEX-1I19N-0126-SM-CYPSF 70-79 years, male 0.5
Show allShow less
Skin - Sun Exposed (Lower leg)
Average nTPM: 15.6
Samples: 701

Max nTPM: 73.2
Min nTPM: 0.3
Std nTPM: 10.0
Median nTPM: 13.7
GTEX-WI4N-1026-SM-3LK7N 40-49 years, female 73.2
GTEX-1GZHY-0326-SM-9QEHI 50-59 years, female 67.1
GTEX-1CAV2-2226-SM-7P8P2 40-49 years, female 64.2
GTEX-P4QT-0126-SM-2I3FL 50-59 years, female 59.8
GTEX-1QMI2-0226-SM-EVYBX 60-69 years, male 59.1
GTEX-ZV68-0126-SM-59HKS 50-59 years, female 59.0
GTEX-ZGAY-0526-SM-4WWBB 40-49 years, female 56.3
GTEX-ZF3C-0126-SM-DO92D 50-59 years, female 50.4
GTEX-Y3IK-2426-SM-4WWDU 50-59 years, female 48.8
GTEX-145ME-1826-SM-5SI9G 40-49 years, female 46.0
GTEX-T2YK-0526-SM-32QPJ 50-59 years, male 43.8
GTEX-ZXES-1826-SM-5E43S 30-39 years, female 43.4
GTEX-1LG7Z-1726-SM-D3LA4 30-39 years, male 42.5
GTEX-11ZTS-0126-SM-5EQ6M 60-69 years, female 42.4
GTEX-OHPL-0126-SM-2HMJ7 60-69 years, female 42.4
GTEX-16GPK-0126-SM-7DHLE 60-69 years, male 41.6
GTEX-13CF2-2526-SM-5LZYX 60-69 years, male 41.4
GTEX-TKQ1-1026-SM-4GICL 30-39 years, male 40.8
GTEX-1JMLX-0226-SM-CM2RO 50-59 years, male 40.8
GTEX-11DXZ-2326-SM-5EGGV 50-59 years, male 40.6
GTEX-Z93T-0126-SM-5HL5N 50-59 years, male 38.4
GTEX-1B996-0226-SM-7RHGO 60-69 years, male 38.0
GTEX-1F5PL-0326-SM-7P8PQ 40-49 years, female 37.9
GTEX-13111-1626-SM-5EGJY 50-59 years, male 37.8
GTEX-17JCI-0126-SM-7LG5G 60-69 years, female 37.6
GTEX-1EMGI-0126-SM-9KNUE 60-69 years, male 36.8
GTEX-1H4P4-0726-SM-9YFLR 50-59 years, male 36.7
GTEX-12WSK-2326-SM-5GCOH 40-49 years, female 35.9
GTEX-1HSGN-0226-SM-CGQFV 40-49 years, female 35.6
GTEX-1J1OQ-0226-SM-CYPSH 40-49 years, female 35.5
GTEX-ZVZO-0126-SM-5A5L9 40-49 years, male 35.1
GTEX-X88G-0126-SM-47JZ3 30-39 years, male 34.8
GTEX-1OFPY-2426-SM-DTXEJ 60-69 years, male 34.7
GTEX-14PJM-0226-SM-62LF1 50-59 years, female 34.3
GTEX-XUZC-1726-SM-4BRWS 30-39 years, female 34.3
GTEX-1PPH8-0226-SM-E8VND 20-29 years, male 33.8
GTEX-Y114-2426-SM-4TT8A 50-59 years, female 33.6
GTEX-1RDX4-0126-SM-E9J4P 50-59 years, female 32.2
GTEX-1212Z-2526-SM-5EGKP 60-69 years, male 32.1
GTEX-1B8L1-2526-SM-9WYTF 60-69 years, male 32.1
GTEX-15ETS-0126-SM-7KUMW 40-49 years, female 31.8
GTEX-1K2DA-1826-SM-CGQGT 50-59 years, male 31.7
GTEX-ZE7O-0126-SM-57WC1 50-59 years, female 31.6
GTEX-1CB4I-0226-SM-79OLH 50-59 years, male 31.2
GTEX-12WSD-0126-SM-59HKN 60-69 years, female 31.1
GTEX-ZYFG-2326-SM-5E44B 60-69 years, female 31.1
GTEX-1E2YA-0126-SM-9KNUC 50-59 years, male 30.9
GTEX-1QP9N-1426-SM-DTXFL 30-39 years, male 30.7
GTEX-1GL5R-1826-SM-9KNUY 50-59 years, male 30.5
GTEX-145MN-2226-SM-5SIAU 30-39 years, male 30.4
GTEX-1JN76-0126-SM-CNPPE 20-29 years, female 30.3
GTEX-1OJC3-0126-SM-E76QX 20-29 years, male 30.3
GTEX-ZAK1-0126-SM-5IJD3 50-59 years, female 30.0
GTEX-ZVZP-2426-SM-59HKJ 50-59 years, male 29.9
GTEX-PX3G-0126-SM-2I3EN 20-29 years, female 29.8
GTEX-1H11D-0226-SM-9WG6Z 40-49 years, male 29.7
GTEX-1GF9X-2026-SM-7PC3A 40-49 years, female 29.6
GTEX-1I1GT-0626-SM-CGQER 60-69 years, female 29.0
GTEX-1R9PM-2026-SM-E76OY 20-29 years, male 29.0
GTEX-Y8DK-0126-SM-4TT3L 60-69 years, male 28.9
GTEX-132NY-0326-SM-5IJBL 60-69 years, male 28.8
GTEX-YB5E-2026-SM-5IFIS 40-49 years, male 28.8
GTEX-ZTX8-1426-SM-5DUVO 20-29 years, male 28.8
GTEX-1IL2U-0226-SM-CE6T8 60-69 years, male 28.8
GTEX-13FTW-2626-SM-5K7WL 40-49 years, male 28.7
GTEX-14PII-0226-SM-6EU1T 60-69 years, male 28.7
GTEX-1LGOU-2026-SM-DIPFF 20-29 years, female 28.7
GTEX-1399R-2726-SM-5IJBA 30-39 years, male 28.5
GTEX-1F52S-0126-SM-9MQJU 60-69 years, female 28.3
GTEX-XYKS-2126-SM-4E3IB 60-69 years, female 28.2
GTEX-ZVTK-0426-SM-51MRS 20-29 years, male 28.2
GTEX-1KD5A-0226-SM-D5OV3 50-59 years, male 28.2
GTEX-13PVR-2326-SM-5QGR1 60-69 years, female 28.1
GTEX-1B8KE-2126-SM-73KYX 50-59 years, male 27.8
GTEX-1RAZA-0126-SM-E6CI3 20-29 years, male 27.8
GTEX-1GN1U-0126-SM-7PBZK 50-59 years, female 27.7
GTEX-1GF9V-0326-SM-7RHI5 60-69 years, male 27.6
GTEX-1HCU6-0126-SM-CL54K 60-69 years, female 27.4
GTEX-XUYS-0126-SM-47JWZ 50-59 years, male 27.2
GTEX-ZAJG-0126-SM-5HL94 50-59 years, female 27.0
GTEX-1MJK2-0426-SM-DTXE5 50-59 years, male 26.9
GTEX-1C475-1826-SM-73KWA 40-49 years, female 26.8
GTEX-15SHU-0126-SM-7KUEH 40-49 years, female 26.7
GTEX-1GN73-0226-SM-9WG67 60-69 years, male 26.7
GTEX-ZYT6-0226-SM-5NQ6T 30-39 years, male 26.6
GTEX-T6MN-0126-SM-32PLP 50-59 years, male 26.5
GTEX-1HSKV-0226-SM-A9SKJ 60-69 years, male 26.5
GTEX-111FC-0126-SM-5N9DL 60-69 years, male 26.4
GTEX-16NGA-1726-SM-731B4 40-49 years, female 26.4
GTEX-12584-0126-SM-5EGKQ 40-49 years, male 26.3
GTEX-1H3NZ-0126-SM-ACKX7 60-69 years, male 26.3
GTEX-1JMPY-1326-SM-ARL8Y 30-39 years, male 26.1
GTEX-13RTK-1426-SM-5QGQJ 20-29 years, male 26.0
GTEX-139TU-0126-SM-5K7WH 60-69 years, male 25.7
GTEX-1NV5F-0226-SM-E8VNY 60-69 years, female 25.7
GTEX-1IOXB-0126-SM-ARL8G 50-59 years, male 25.6
GTEX-1H1DG-0126-SM-9WYU2 70-79 years, male 25.5
GTEX-1I1GQ-0126-SM-COH3H 50-59 years, male 25.5
GTEX-11DYG-0126-SM-59883 60-69 years, male 25.4
GTEX-SUCS-1926-SM-32PM3 70-79 years, male 25.4
GTEX-1C4CL-0526-SM-73KVK 30-39 years, male 25.2
GTEX-YB5K-2126-SM-4WWDJ 40-49 years, female 25.2
GTEX-12ZZZ-0626-SM-5DUXI 60-69 years, male 25.0
GTEX-17F96-1626-SM-7DUFL 70-79 years, male 25.0
GTEX-ZF2S-2326-SM-4WWCE 50-59 years, female 25.0
GTEX-12WSL-2526-SM-5GCNJ 50-59 years, male 24.9
GTEX-13OW6-0426-SM-5L3HM 50-59 years, male 24.9
GTEX-1CB4E-2226-SM-793DC 60-69 years, male 24.8
GTEX-1A8FM-0226-SM-7SB7Q 50-59 years, female 24.8
GTEX-11P81-2326-SM-59875 30-39 years, female 24.6
GTEX-14XAO-2326-SM-6EU1B 60-69 years, female 24.6
GTEX-13N2G-2626-SM-5J1OT 60-69 years, male 24.4
GTEX-1JJEA-0326-SM-CNPOT 60-69 years, male 24.4
GTEX-14PN4-0126-SM-6EU2V 50-59 years, male 24.3
GTEX-1LVAN-0226-SM-COH3S 50-59 years, female 24.2
GTEX-14PJ6-2126-SM-6EU1V 60-69 years, female 24.1
GTEX-1EWIQ-0126-SM-7RHH2 70-79 years, female 24.1
GTEX-1JMPZ-0226-SM-CNPP1 30-39 years, male 24.1
GTEX-13G51-2526-SM-5LZYK 60-69 years, male 23.9
GTEX-WFON-2126-SM-3LK7O 40-49 years, male 23.8
GTEX-1MCQQ-0826-SM-DLHC2 60-69 years, male 23.8
GTEX-17KNJ-2326-SM-7DHLQ 50-59 years, male 23.6
GTEX-18D9A-1926-SM-7LG6P 30-39 years, female 23.6
GTEX-P4PP-0126-SM-3LK69 30-39 years, female 23.5
GTEX-1S5ZA-0126-SM-EVYCV 20-29 years, male 23.5
GTEX-ZTPG-0326-SM-5O9AX 20-29 years, female 23.4
GTEX-1LB8K-0226-SM-EWRNW 50-59 years, male 23.4
GTEX-1J8QM-2126-SM-CYPSJ 60-69 years, female 23.1
GTEX-13RTJ-2426-SM-5S2Q2 60-69 years, male 22.9
GTEX-14C5O-0126-SM-5SI6N 60-69 years, male 22.9
GTEX-18A7A-0226-SM-718BH 50-59 years, female 22.9
GTEX-ZVT2-2526-SM-51MT1 50-59 years, female 22.9
GTEX-1A32A-0126-SM-718B1 50-59 years, female 22.8
GTEX-1K2DU-2326-SM-E9TIV 20-29 years, male 22.8
GTEX-1313W-0126-SM-5LZUN 50-59 years, female 22.7
GTEX-1KANC-1526-SM-D3LAB 50-59 years, female 22.6
GTEX-139D8-0226-SM-5KLZO 30-39 years, female 22.5
GTEX-1MA7W-2026-SM-E9TJ6 20-29 years, female 22.5
GTEX-W5WG-1826-SM-4KL2Y 50-59 years, female 22.4
GTEX-1I1GV-0526-SM-A9G29 60-69 years, male 22.4
GTEX-1JMQI-2226-SM-CM2SD 50-59 years, male 22.3
GTEX-UJHI-1526-SM-3DB99 50-59 years, female 22.2
GTEX-13FH7-2026-SM-E9J4I 50-59 years, female 22.2
GTEX-1H3VE-0326-SM-9YFLH 40-49 years, male 22.1
GTEX-WYJK-0126-SM-3NMAB 50-59 years, male 21.9
GTEX-13OW5-0126-SM-DTXFS 60-69 years, male 21.9
GTEX-1I4MK-2226-SM-ACKWD 50-59 years, female 21.8
GTEX-1QCLY-0326-SM-E8VOG 30-39 years, male 21.8
GTEX-WXYG-2326-SM-4E3I6 50-59 years, female 21.7
GTEX-14E6D-0126-SM-62LDV 50-59 years, male 21.6
GTEX-1HCU9-1526-SM-A9SL7 20-29 years, male 21.6
GTEX-1399U-2326-SM-5K7WY 50-59 years, female 21.3
GTEX-1R7EU-0226-SM-EVR4G 60-69 years, male 21.3
GTEX-14E6E-1826-SM-5S2R7 30-39 years, male 21.2
GTEX-Z9EW-1626-SM-5CVMN 40-49 years, male 21.2
GTEX-131YS-0126-SM-5KM1M 60-69 years, female 21.1
GTEX-13CF3-2426-SM-5IFGX 60-69 years, female 21.1
GTEX-1QPFJ-0226-SM-E76PB 30-39 years, female 21.0
GTEX-14BIN-0626-SM-793DP 50-59 years, female 20.9
GTEX-Y5V5-2326-SM-4V6GA 60-69 years, female 20.9
GTEX-1HBPN-0226-SM-9YFM1 50-59 years, male 20.9
GTEX-13FXS-0226-SM-5IJCK 50-59 years, male 20.8
GTEX-12WSJ-1826-SM-5GCNY 40-49 years, female 20.7
GTEX-13FHP-0126-SM-5IJBG 50-59 years, male 20.7
GTEX-111VG-2426-SM-5GZXD 60-69 years, male 20.6
GTEX-145MI-0526-SM-5O9A8 60-69 years, female 20.6
GTEX-13X6J-0126-SM-5QGOU 50-59 years, male 20.5
GTEX-U8T8-0126-SM-3DB94 60-69 years, male 20.4
GTEX-1KXAM-2226-SM-CYPTC 60-69 years, male 20.4
GTEX-1BAJH-0526-SM-793CQ 70-79 years, male 20.2
GTEX-XPVG-2626-SM-4B669 50-59 years, male 20.2
GTEX-1IDJH-0326-SM-A9SLQ 70-79 years, male 20.2
GTEX-1JJ6O-0126-SM-E6CI8 60-69 years, male 20.2
GTEX-ZVT4-0126-SM-DTXFN 50-59 years, female 20.2
GTEX-13FTX-1826-SM-5J1NX 20-29 years, female 20.0
GTEX-XBEW-0626-SM-4QASP 40-49 years, male 20.0
GTEX-1F6I4-0126-SM-9MQL2 60-69 years, male 20.0
GTEX-11EQ9-2426-SM-5HL5T 30-39 years, male 19.9
GTEX-1AX9J-0226-SM-73KXM 60-69 years, male 19.9
GTEX-1HSEH-0126-SM-ACKXN 60-69 years, male 19.8
GTEX-1HFI6-0226-SM-ADEHZ 40-49 years, male 19.7
GTEX-X4XY-0226-SM-4E3IZ 60-69 years, male 19.6
GTEX-YEC4-2126-SM-5IFJH 40-49 years, male 19.6
GTEX-1JMQK-0226-SM-CL543 60-69 years, male 19.6
GTEX-1KANA-0726-SM-D3L9I 20-29 years, male 19.6
GTEX-1LBAC-0126-SM-DIPEZ 20-29 years, male 19.6
GTEX-12ZZY-0226-SM-5LZVE 60-69 years, male 19.5
GTEX-1GPI7-0126-SM-9MQL8 20-29 years, male 19.5
GTEX-1PIIG-0226-SM-EWRN6 30-39 years, male 19.5
GTEX-RNOR-0126-SM-E9J4R 50-59 years, female 19.5
GTEX-13O1R-0126-SM-5L3EH 60-69 years, male 19.4
GTEX-WRHK-1426-SM-3MJF9 20-29 years, female 19.4
GTEX-WY7C-2326-SM-3NB2U 50-59 years, male 19.4
GTEX-PLZ6-1426-SM-DKPOT 30-39 years, male 19.4
GTEX-1269C-2526-SM-5EGJ3 60-69 years, female 19.3
GTEX-1JMQJ-0526-SM-CYPSU 50-59 years, male 19.3
GTEX-18D9U-0226-SM-718BP 40-49 years, male 19.2
GTEX-11UD1-0126-SM-5PNYG 40-49 years, female 19.1
GTEX-13O3P-0126-SM-5KM4S 50-59 years, male 19.1
GTEX-15F5U-1526-SM-6PANO 40-49 years, male 19.1
GTEX-1PFEY-1526-SM-E76PP 30-39 years, male 19.1
GTEX-1QP66-1726-SM-E8VO1 50-59 years, male 19.1
GTEX-1CAMQ-0226-SM-7IGPK 40-49 years, male 19.0
GTEX-X638-0126-SM-47JZ8 70-79 years, female 18.9
GTEX-131XG-2626-SM-5KM17 50-59 years, female 18.8
GTEX-1211K-2026-SM-5EQ4Z 60-69 years, female 18.7
GTEX-131XH-2226-SM-5DUXJ 50-59 years, male 18.7
GTEX-169BO-1326-SM-9MQK2 50-59 years, male 18.7
GTEX-1H3O1-0426-SM-9YFKY 60-69 years, male 18.7
GTEX-133LE-1826-SM-5J1MV 20-29 years, female 18.6
GTEX-1B97I-1626-SM-73KYO 40-49 years, male 18.5
GTEX-ZTSS-1926-SM-57WEW 40-49 years, male 18.5
GTEX-ZU9S-0226-SM-5E441 30-39 years, male 18.5
GTEX-1AX9I-0126-SM-7SB74 60-69 years, male 18.5
GTEX-1IDJU-2626-SM-CM2RT 60-69 years, female 18.3
GTEX-17EVP-0326-SM-7DHLG 40-49 years, male 18.2
GTEX-17F97-0326-SM-7LG5B 50-59 years, male 18.2
GTEX-TMZS-0126-SM-3DB9Q 60-69 years, male 18.1
GTEX-14A5I-0126-SM-5TDEA 50-59 years, female 17.9
GTEX-18D9B-0526-SM-7LTAS 60-69 years, male 17.9
GTEX-1I1GU-2226-SM-CGQFA 40-49 years, male 17.9
GTEX-1S3DN-2226-SM-EVYCD 50-59 years, male 17.9
GTEX-13O3O-0126-SM-E9J49 60-69 years, female 17.8
GTEX-1E1VI-0126-SM-7DHMZ 50-59 years, male 17.7
GTEX-U412-0426-SM-3DB9O 60-69 years, male 17.7
GTEX-W5X1-3026-SM-EAZAX 40-49 years, female 17.7
GTEX-113JC-2326-SM-5EQ4E 50-59 years, female 17.6
GTEX-12KS4-0326-SM-5EQ41 30-39 years, male 17.6
GTEX-14DAR-2026-SM-5S2O3 50-59 years, male 17.5
GTEX-ZDYS-2026-SM-5HL5L 50-59 years, male 17.5
GTEX-1MUQO-0126-SM-EAZ58 60-69 years, male 17.5
GTEX-11EM3-2426-SM-59861 20-29 years, female 17.4
GTEX-13113-5016-SM-7EPIP 60-69 years, female 17.4
GTEX-13NZB-2526-SM-5J1OM 30-39 years, male 17.4
GTEX-NFK9-0226-SM-2HMKQ 40-49 years, male 17.4
GTEX-14JG1-0426-SM-6ETZZ 40-49 years, male 17.3
GTEX-OHPM-0126-SM-2YUN9 50-59 years, male 17.3
GTEX-1GF9W-0326-SM-9KNUN 60-69 years, male 17.3
GTEX-1MGNQ-0126-SM-EVYCJ 40-49 years, male 17.3
GTEX-ZQG8-1626-SM-DHXIT 60-69 years, female 17.3
GTEX-ZV6S-2326-SM-4YCEY 40-49 years, female 17.2
GTEX-13OVL-0226-SM-5L3E9 50-59 years, male 17.1
GTEX-15G19-0126-SM-6PANQ 60-69 years, male 17.1
GTEX-1EN7A-0126-SM-7SB81 40-49 years, male 17.1
GTEX-1GTWX-0126-SM-9YFLK 60-69 years, male 17.1
GTEX-1IKK5-0626-SM-ARL8A 60-69 years, male 17.1
GTEX-XBED-2226-SM-47JYQ 60-69 years, male 17.0
GTEX-11TUW-2726-SM-E9J4M 60-69 years, male 17.0
GTEX-1122O-2126-SM-5EGIR 60-69 years, female 16.9
GTEX-14ABY-0226-SM-5TDCQ 50-59 years, male 16.9
GTEX-P4PQ-0126-SM-2S1NM 60-69 years, male 16.9
GTEX-X4XX-0126-SM-3NMC2 60-69 years, male 16.9
GTEX-139TT-0126-SM-5K7Y5 60-69 years, male 16.8
GTEX-1GMRU-0126-SM-9YFLV 50-59 years, male 16.8
GTEX-1J8JJ-0226-SM-CL53I 60-69 years, female 16.8
GTEX-15ER7-0326-SM-7KUEV 20-29 years, female 16.7
GTEX-1CB4F-0426-SM-9KNV4 60-69 years, male 16.7
GTEX-13SLW-0126-SM-5SI6C 70-79 years, male 16.6
GTEX-14PK6-1926-SM-6ETZU 70-79 years, female 16.6
GTEX-117YX-2326-SM-5H12W 50-59 years, male 16.5
GTEX-1192X-0226-SM-5H12D 50-59 years, male 16.5
GTEX-O5YT-0126-SM-48TBW 20-29 years, male 16.5
GTEX-1KAFJ-2026-SM-CY8ID 50-59 years, male 16.5
GTEX-1128S-2326-SM-5GZZY 60-69 years, female 16.4
GTEX-1H1ZS-0426-SM-9WG6G 70-79 years, male 16.4
GTEX-1ICG6-2526-SM-CGQFZ 70-79 years, female 16.4
GTEX-ZY6K-1826-SM-5GZXK 50-59 years, male 16.3
GTEX-1JK1U-2026-SM-CM2RZ 60-69 years, male 16.2
GTEX-1S83E-0126-SM-EWRO4 40-49 years, male 16.2
GTEX-12ZZX-0126-SM-5EGK9 40-49 years, female 16.1
GTEX-1CB4J-0626-SM-7DHMP 60-69 years, male 16.1
GTEX-SSA3-0126-SM-32QPU 60-69 years, male 16.1
GTEX-13SLX-0526-SM-5S2ON 50-59 years, female 16.0
GTEX-1C64N-0126-SM-793D7 50-59 years, male 16.0
GTEX-11VI4-1726-SM-5CVLH 40-49 years, female 15.9
GTEX-1C64O-0126-SM-7SB8P 60-69 years, male 15.9
GTEX-1J1R8-1726-SM-ARL8M 40-49 years, male 15.9
GTEX-1J8EW-0126-SM-CJI4F 60-69 years, female 15.9
GTEX-1JMQL-0226-SM-CNPP5 50-59 years, female 15.9
GTEX-OOBJ-0126-SM-E6CJW 60-69 years, male 15.9
GTEX-13D11-2426-SM-5KM1V 50-59 years, female 15.8
GTEX-XQ8I-0426-SM-4BOPO 50-59 years, male 15.8
GTEX-1IKOH-0226-SM-COH4E 60-69 years, female 15.8
GTEX-13S7M-0126-SM-5SI6A 60-69 years, female 15.7
GTEX-13VXU-0126-SM-5SI9F 50-59 years, male 15.7
GTEX-OOBK-0126-SM-2YUND 40-49 years, male 15.7
GTEX-1GMR8-0126-SM-9WYTM 50-59 years, female 15.7
GTEX-1LSNM-1926-SM-E6CII 50-59 years, male 15.7
GTEX-11OF3-2626-SM-5GU7F 60-69 years, male 15.6
GTEX-WYVS-2126-SM-3NMA3 40-49 years, female 15.6
GTEX-1H1CY-2826-SM-9MQM3 60-69 years, female 15.6
GTEX-1S82Y-2026-SM-EVYCM 40-49 years, male 15.6
GTEX-13NZ8-0826-SM-5MR3I 60-69 years, female 15.5
GTEX-1HB9E-0226-SM-E9U4R 50-59 years, male 15.5
GTEX-O5YW-0126-SM-3LK6D 50-59 years, male 15.4
GTEX-OIZH-0126-SM-2HMIS 50-59 years, male 15.4
GTEX-1B8SF-1426-SM-7DUGL 60-69 years, male 15.3
GTEX-QESD-1426-SM-2S1R9 20-29 years, male 15.3
GTEX-11LCK-1026-SM-5A5KB 30-39 years, male 15.2
GTEX-1KD4Q-0226-SM-E9TJ9 40-49 years, male 15.2
GTEX-145MO-0326-SM-5Q5B3 60-69 years, male 15.1
GTEX-17GQL-2026-SM-718BA 60-69 years, male 15.1
GTEX-POMQ-2226-SM-2I5FK 20-29 years, female 15.1
GTEX-16BQI-0226-SM-7KUEX 30-39 years, female 15.0
GTEX-Q2AH-1626-SM-3GAF8 40-49 years, male 14.9
GTEX-XAJ8-0826-SM-47JY6 40-49 years, male 14.9
GTEX-1GMR3-1926-SM-9KNUZ 40-49 years, male 14.9
GTEX-ZF29-2326-SM-DO92K 60-69 years, female 14.9
GTEX-13QJ3-0326-SM-5S2RA 50-59 years, male 14.8
GTEX-15DYW-0126-SM-7KULE 60-69 years, female 14.8
GTEX-11ZTT-2426-SM-5EQLS 60-69 years, female 14.7
GTEX-12C56-1726-SM-5EQ61 20-29 years, male 14.7
GTEX-145LS-0126-SM-5QGP1 60-69 years, female 14.7
GTEX-16AAH-1726-SM-7939C 50-59 years, male 14.7
GTEX-18A67-0126-SM-7LG5P 50-59 years, male 14.6
GTEX-Y8E4-0626-SM-4WWDL 40-49 years, male 14.6
GTEX-11GSP-2526-SM-5N9BP 60-69 years, female 14.5
GTEX-13OVH-0126-SM-5MR4B 70-79 years, male 14.5
GTEX-T5JW-1626-SM-3GADZ 20-29 years, female 14.5
GTEX-Y3I4-2126-SM-4TT7C 50-59 years, male 14.5
GTEX-1GN2E-0426-SM-9MQKX 60-69 years, male 14.5
GTEX-1MCYP-1926-SM-E9J2R 20-29 years, female 14.5
GTEX-1PIGE-0126-SM-EVYBJ 20-29 years, male 14.5
GTEX-11DZ1-0126-SM-5985Q 50-59 years, male 14.4
GTEX-11OC5-0126-SM-5HL6A 60-69 years, male 14.4
GTEX-14ICK-0226-SM-6EU25 40-49 years, male 14.4
GTEX-QCQG-1726-SM-3GIJ9 50-59 years, female 14.3
GTEX-X5EB-2226-SM-46MW4 40-49 years, male 14.3
GTEX-1IY9M-0126-SM-D3L8S 60-69 years, male 14.3
GTEX-146FH-0126-SM-5QGPP 50-59 years, female 14.2
GTEX-Q2AI-1326-SM-2S1PL 40-49 years, male 14.2
GTEX-S95S-1226-SM-4GICG 60-69 years, male 14.2
GTEX-1KANB-0526-SM-E6CJH 50-59 years, male 14.2
GTEX-1KWVE-1426-SM-E9TJO 30-39 years, male 14.2
GTEX-1O97I-0326-SM-EYYX7 60-69 years, male 14.2
GTEX-11EI6-0126-SM-5985R 60-69 years, male 14.1
GTEX-S7SE-0126-SM-2XCD5 50-59 years, male 14.1
GTEX-1HR98-0126-SM-B2LWI 60-69 years, male 14.1
GTEX-147GR-0526-SM-5S2MY 60-69 years, male 14.0
GTEX-17EUY-0426-SM-793BD 20-29 years, male 14.0
GTEX-T2IS-0126-SM-4DM6O 20-29 years, female 14.0
GTEX-VJYA-1126-SM-3GIJU 60-69 years, male 14.0
GTEX-1CAMS-0426-SM-7P8T2 40-49 years, female 13.9
GTEX-1IDJF-0126-SM-CM2RS 20-29 years, male 13.9
GTEX-11ZVC-2526-SM-5FQTE 50-59 years, female 13.8
GTEX-ZZ64-1726-SM-5GZYB 20-29 years, male 13.8
GTEX-13FTY-0526-SM-5L3EV 40-49 years, female 13.7
GTEX-145LU-0126-SM-5TDCB 50-59 years, male 13.7
GTEX-15SDE-2226-SM-7IGLO 50-59 years, female 13.7
GTEX-17MFQ-1726-SM-793C7 20-29 years, male 13.7
GTEX-OXRP-0126-SM-3NB32 60-69 years, female 13.7
GTEX-SJXC-0126-SM-2XCFF 60-69 years, male 13.7
GTEX-1J8Q2-0526-SM-CM2RW 60-69 years, male 13.7
GTEX-QDVJ-1726-SM-2I5FX 50-59 years, male 13.6
GTEX-13VXT-0126-SM-5LU4I 20-29 years, female 13.5
GTEX-14E6C-0126-SM-5RQIP 40-49 years, male 13.5
GTEX-1JKYR-0126-SM-CNPOJ 20-29 years, male 13.5
GTEX-14PHX-2326-SM-62LEM 50-59 years, male 13.4
GTEX-16YQH-0126-SM-7DUFJ 30-39 years, male 13.4
GTEX-1B8SG-0126-SM-73KZ3 50-59 years, male 13.4
GTEX-ZDTT-2726-SM-4WKF8 60-69 years, male 13.4
GTEX-12WSG-2826-SM-E9J4H 50-59 years, female 13.4
GTEX-1R46S-0626-SM-E9J41 60-69 years, female 13.4
GTEX-15EU6-0426-SM-6PAN5 50-59 years, male 13.3
GTEX-1F5PK-2426-SM-7RHHY 50-59 years, male 13.3
GTEX-1IL2V-0126-SM-CM2TX 70-79 years, male 13.3
GTEX-1AMFI-2026-SM-731BH 50-59 years, female 13.2
GTEX-1S82Z-0826-SM-E6CHY 30-39 years, female 13.2
GTEX-11WQK-0526-SM-5EQLD 50-59 years, male 13.1
GTEX-13112-2826-SM-5DUWH 50-59 years, male 13.1
GTEX-13X6H-2126-SM-7EWD5 50-59 years, female 13.1
GTEX-QVJO-1626-SM-2S1QW 60-69 years, female 13.1
GTEX-RM2N-1426-SM-2TF4H 50-59 years, male 13.1
GTEX-Y5V6-2426-SM-4VDSB 60-69 years, male 13.1
GTEX-1HCUA-2426-SM-ADEIS 50-59 years, female 13.1
GTEX-15CHC-2126-SM-6EU21 60-69 years, female 13.0
GTEX-ZWKS-0126-SM-5SIAA 30-39 years, male 13.0
GTEX-1HCVE-0126-SM-CGQEU 50-59 years, male 13.0
GTEX-15UKP-0426-SM-7KUFQ 20-29 years, male 12.9
GTEX-17F98-0626-SM-79OMX 40-49 years, female 12.9
GTEX-18QFQ-0126-SM-731BE 30-39 years, male 12.9
GTEX-1CB4G-0226-SM-7PC3O 60-69 years, male 12.9
GTEX-1HSMQ-1226-SM-CGQFX 50-59 years, male 12.9
GTEX-1I6K6-0126-SM-A9SLE 30-39 years, male 12.9
GTEX-11P7K-2126-SM-5GU7G 30-39 years, male 12.8
GTEX-U3ZN-2326-SM-3DB7W 30-39 years, female 12.8
GTEX-YFC4-0126-SM-5CVLY 40-49 years, female 12.8
GTEX-ZDXO-3026-SM-5J1N5 60-69 years, male 12.8
GTEX-1K9T9-0126-SM-EVYCF 50-59 years, female 12.8
GTEX-17EVQ-0226-SM-7LG4P 70-79 years, male 12.7
GTEX-13NYC-0326-SM-E9J4S 60-69 years, male 12.7
GTEX-1I1GR-0126-SM-CL55F 60-69 years, male 12.7
GTEX-1M5QR-1226-SM-EWROB 40-49 years, male 12.7
GTEX-14LZ3-0226-SM-62LET 60-69 years, female 12.6
GTEX-17HHY-0126-SM-7LG5D 50-59 years, male 12.6
GTEX-ZYY3-0126-SM-5GZY5 60-69 years, female 12.6
GTEX-1GZ4H-1726-SM-7PBZJ 50-59 years, female 12.6
GTEX-11TT1-2526-SM-5EGIB 20-29 years, male 12.5
GTEX-YJ89-0126-SM-4TT3X 60-69 years, male 12.5
GTEX-1IKJJ-0126-SM-CNPQB 60-69 years, male 12.5
GTEX-1MA7X-2226-SM-E6CIY 60-69 years, male 12.5
GTEX-1N2EF-0226-SM-EYYXB 60-69 years, male 12.5
GTEX-12696-2426-SM-5EQ6H 60-69 years, male 12.4
GTEX-12WSC-0126-SM-5EQ4P 50-59 years, male 12.4
GTEX-1C6VR-2426-SM-79OLD 60-69 years, male 12.4
GTEX-OXRN-0126-SM-48TDM 50-59 years, male 12.4
GTEX-TML8-1926-SM-32QOS 40-49 years, female 12.4
GTEX-XUW1-0426-SM-4BOOT 50-59 years, female 12.4
GTEX-ZYFD-0126-SM-5GIDL 50-59 years, male 12.4
GTEX-144GL-0126-SM-5TDE2 50-59 years, male 12.3
GTEX-PLZ5-2026-SM-2S1O4 50-59 years, male 12.3
GTEX-ZPIC-1726-SM-DHXIU 40-49 years, female 12.3
GTEX-11GS4-2726-SM-5A5LE 60-69 years, male 12.0
GTEX-14BMU-2226-SM-5TDE9 20-29 years, female 12.0
GTEX-1HCU8-0626-SM-A9SM9 60-69 years, female 12.0
GTEX-U8XE-0326-SM-3DB8P 30-39 years, male 11.9
GTEX-Z93S-0126-SM-5HL7M 50-59 years, male 11.9
GTEX-ZDTS-0126-SM-4WAY5 60-69 years, male 11.9
GTEX-15SB6-1726-SM-6PAME 50-59 years, female 11.8
GTEX-146FQ-0126-SM-5NQA9 30-39 years, male 11.7
GTEX-YJ8A-0426-SM-5IFID 20-29 years, male 11.7
GTEX-ZYFC-0226-SM-5NQ75 50-59 years, male 11.7
GTEX-1LGRB-2526-SM-CNPPQ 50-59 years, female 11.7
GTEX-RWS6-2026-SM-2XCB5 60-69 years, female 11.6
GTEX-ZXG5-0126-SM-5GIEU 60-69 years, male 11.6
GTEX-1RB15-2126-SM-E9TIM 60-69 years, male 11.6
GTEX-RWSA-0126-SM-2XCBB 40-49 years, male 11.5
GTEX-XQ3S-1526-SM-4BOOC 20-29 years, male 11.5
GTEX-Y111-0126-SM-4SOIV 50-59 years, male 11.5
GTEX-ZVT3-0126-SM-5GU6I 60-69 years, female 11.4
GTEX-1H3VY-0126-SM-ACKXD 50-59 years, male 11.4
GTEX-1HCU7-0226-SM-CL545 50-59 years, male 11.4
GTEX-PW2O-1526-SM-7RHHB 20-29 years, male 11.4
GTEX-11XUK-2026-SM-5EQLF 40-49 years, female 11.3
GTEX-18A6Q-0126-SM-731BZ 60-69 years, male 11.3
GTEX-1JJE9-0326-SM-CL53Z 70-79 years, male 11.3
GTEX-1399T-2826-SM-5KLYZ 60-69 years, male 11.2
GTEX-13JUV-2726-SM-5LZZ8 40-49 years, female 11.2
GTEX-QEG4-0226-SM-2S1PY 30-39 years, male 11.2
GTEX-ZQUD-1426-SM-57WER 30-39 years, male 11.2
GTEX-1JN6P-0126-SM-D3L98 60-69 years, male 11.2
GTEX-14BMV-0126-SM-5S2PO 50-59 years, male 11.1
GTEX-1CAMR-1926-SM-7EPI2 20-29 years, male 11.1
GTEX-X4EP-0126-SM-3P5YV 60-69 years, female 11.1
GTEX-T6MO-1626-SM-32QOM 40-49 years, female 10.9
GTEX-1RQEC-0426-SM-E6CHU 60-69 years, male 10.9
GTEX-S33H-1026-SM-EZ6L6 30-39 years, male 10.9
GTEX-11GSO-2426-SM-5A5LY 60-69 years, male 10.8
GTEX-145LV-2126-SM-5LU8N 50-59 years, male 10.8
GTEX-183FY-0126-SM-7LT9P 20-29 years, male 10.8
GTEX-QLQW-1126-SM-2S1Q8 30-39 years, male 10.8
GTEX-12126-0326-SM-5PNW3 20-29 years, male 10.7
GTEX-139UW-2826-SM-5L3E7 60-69 years, male 10.7
GTEX-13U4I-0126-SM-5LU38 40-49 years, female 10.7
GTEX-1CB4H-0226-SM-7PBXM 60-69 years, female 10.7
GTEX-1ICLY-0126-SM-D4P36 50-59 years, male 10.7
GTEX-1HBPI-1526-SM-C1YQ1 50-59 years, male 10.6
GTEX-1J8Q3-1626-SM-CMKGC 60-69 years, male 10.6
GTEX-1QAET-0926-SM-E76QM 50-59 years, male 10.6
GTEX-17HHE-2026-SM-79OKF 50-59 years, male 10.5
GTEX-QV44-1926-SM-2S1RF 50-59 years, male 10.5
GTEX-131XF-5016-SM-7MGWE 60-69 years, male 10.5
GTEX-14A5H-0426-SM-5QGQF 60-69 years, male 10.4
GTEX-1AYD5-2426-SM-73KXR 50-59 years, male 10.4
GTEX-PWCY-1826-SM-DHXIZ 20-29 years, female 10.4
GTEX-13NYB-2526-SM-5K7Z6 40-49 years, male 10.3
GTEX-144GN-2326-SM-5LU4F 50-59 years, male 10.3
GTEX-14JG6-2226-SM-6EU2G 30-39 years, female 10.3
GTEX-X4EO-0326-SM-3P5YO 60-69 years, female 10.3
GTEX-ZC5H-0226-SM-4WAY9 40-49 years, female 10.3
GTEX-1I1HK-0126-SM-COH49 60-69 years, male 10.3
GTEX-1A3MV-1926-SM-718BT 30-39 years, male 10.2
GTEX-1HFI7-1826-SM-ACKXH 50-59 years, female 10.2
GTEX-1LH75-2426-SM-E9TJE 50-59 years, female 10.2
GTEX-1A3MX-0126-SM-731BR 60-69 years, male 10.1
GTEX-R3RS-0126-SM-3GIJL 40-49 years, female 10.1
GTEX-1F75A-0126-SM-7RHGM 50-59 years, male 10.1
GTEX-1I1CD-0126-SM-CM2TK 60-69 years, female 10.1
GTEX-14E7W-0126-SM-6LLJ9 70-79 years, male 9.9
GTEX-14PN3-2426-SM-6LLHS 60-69 years, female 9.9
GTEX-Y5LM-1926-SM-5RQJH 40-49 years, female 9.9
GTEX-1C6WA-0126-SM-7PC2B 60-69 years, male 9.9
GTEX-11DXX-2426-SM-5GZZW 60-69 years, female 9.8
GTEX-ZAB5-1826-SM-5HL7C 50-59 years, male 9.8
GTEX-1B933-0126-SM-7PC29 50-59 years, female 9.8
GTEX-1HSMP-0126-SM-E6CJS 70-79 years, male 9.8
GTEX-14PJ3-1826-SM-62LEX 50-59 years, male 9.7
GTEX-1HKZK-0326-SM-9WYUH 40-49 years, male 9.7
GTEX-PSDG-0226-SM-DKPOZ 50-59 years, male 9.7
GTEX-WZTO-0126-SM-3NM95 40-49 years, male 9.6
GTEX-XXEK-2226-SM-4BRUM 50-59 years, male 9.6
GTEX-1EU9M-0226-SM-7P8SP 60-69 years, male 9.5
GTEX-1H1DE-2126-SM-9WG6R 20-29 years, male 9.5
GTEX-1B8KZ-2026-SM-7DHMB 50-59 years, male 9.4
GTEX-U3ZM-1526-SM-3DB9D 40-49 years, male 9.4
GTEX-X261-0126-SM-3NMD6 50-59 years, male 9.4
GTEX-16NPX-0226-SM-79OMT 50-59 years, male 9.3
GTEX-16XZY-2126-SM-79OK1 70-79 years, male 9.3
GTEX-QLQ7-1626-SM-2S1R8 60-69 years, male 9.3
GTEX-145MF-0626-SM-5LUAI 50-59 years, male 9.2
GTEX-RU72-0926-SM-2TF6B 50-59 years, female 9.2
GTEX-13OVK-2026-SM-7KUEO 40-49 years, male 9.1
GTEX-144FL-0126-SM-5TDC8 50-59 years, male 9.1
GTEX-1F6RS-0126-SM-9MQKZ 60-69 years, female 9.1
GTEX-RVPV-0126-SM-EAZAW 60-69 years, male 9.1
GTEX-13O3Q-2426-SM-5IJBR 50-59 years, male 9.0
GTEX-13OW8-1326-SM-5J1OW 60-69 years, male 9.0
GTEX-OIZG-0726-SM-33HBL 50-59 years, male 9.0
GTEX-S7PM-0126-SM-4AD6S 60-69 years, male 9.0
GTEX-UPJH-0326-SM-3GADU 50-59 years, male 9.0
GTEX-1EKGG-0226-SM-9WYTH 60-69 years, male 9.0
GTEX-WH7G-2326-SM-3NMBC 40-49 years, male 8.9
GTEX-1GN1W-0526-SM-9MQJQ 50-59 years, female 8.9
GTEX-1JN1M-0326-SM-CYPT3 60-69 years, female 8.9
GTEX-OIZF-0126-SM-7SB8I 60-69 years, male 8.9
GTEX-1497J-2426-SM-7IGNX 60-69 years, male 8.8
GTEX-17HG3-2226-SM-7938L 30-39 years, female 8.8
GTEX-17HII-0226-SM-7LG4E 50-59 years, male 8.8
GTEX-18A7B-0126-SM-7LG64 70-79 years, male 8.8
GTEX-11NUK-0126-SM-5A5L3 50-59 years, male 8.7
GTEX-14LLW-0126-SM-6LLIO 70-79 years, female 8.7
GTEX-RN64-0126-SM-2TC68 50-59 years, male 8.7
GTEX-RUSQ-1526-SM-2TF62 50-59 years, male 8.7
GTEX-WQUQ-0426-SM-3MJFU 60-69 years, male 8.6
GTEX-1IE54-0126-SM-CMKHW 40-49 years, female 8.6
GTEX-11NSD-2226-SM-5986V 20-29 years, male 8.5
GTEX-139TS-2826-SM-5J1OO 60-69 years, male 8.5
GTEX-13N11-2526-SM-5K7UE 50-59 years, female 8.5
GTEX-13OVG-1926-SM-5L3DK 60-69 years, male 8.5
GTEX-15RIG-0226-SM-7KFTL 40-49 years, male 8.5
GTEX-18465-0126-SM-731BN 50-59 years, male 8.5
GTEX-1HSMO-0126-SM-CL547 60-69 years, male 8.5
GTEX-13N1W-0126-SM-5K7VT 70-79 years, male 8.4
GTEX-14753-0426-SM-5NQAM 60-69 years, male 8.4
GTEX-18A66-0226-SM-718BD 60-69 years, male 8.4
GTEX-12WSE-0526-SM-793B2 20-29 years, male 8.3
GTEX-SN8G-0126-SM-32PLI 50-59 years, female 8.3
GTEX-TMMY-0226-SM-33HBA 40-49 years, female 8.3
GTEX-1I1GP-2226-SM-CGQFK 50-59 years, male 8.3
GTEX-1I1GS-0126-SM-B2LVW 60-69 years, male 8.3
GTEX-X585-0226-SM-4QAS2 50-59 years, male 8.2
GTEX-1POEN-0126-SM-EYYXJ 30-39 years, female 8.2
GTEX-1QP29-0626-SM-EWRMX 50-59 years, male 8.2
GTEX-13RTL-0126-SM-7LG5S 40-49 years, male 8.1
GTEX-16MT8-0426-SM-7KUEY 60-69 years, female 8.1
GTEX-1PWST-0226-SM-E76QJ 70-79 years, male 8.1
GTEX-131XE-2326-SM-5PNZ2 50-59 years, male 8.0
GTEX-131XW-0426-SM-5LZWP 50-59 years, female 8.0
GTEX-147F3-0526-SM-5SI98 50-59 years, female 8.0
GTEX-14DAQ-0126-SM-5S2MQ 60-69 years, female 8.0
GTEX-1C2JI-1826-SM-73KXC 50-59 years, male 7.9
GTEX-R55G-2526-SM-2TC6D 40-49 years, female 7.9
GTEX-11UD2-0226-SM-5EQKY 50-59 years, male 7.8
GTEX-13NZA-0226-SM-5K7Z7 60-69 years, male 7.8
GTEX-15SHW-0326-SM-6PAML 60-69 years, male 7.8
GTEX-1F88F-2726-SM-7PBZZ 60-69 years, female 7.8
GTEX-1PDJ9-0326-SM-DTX95 20-29 years, male 7.8
GTEX-1QP2A-0126-SM-E9J43 50-59 years, male 7.8
GTEX-1314G-1526-SM-5EGK2 30-39 years, male 7.7
GTEX-13OVI-1426-SM-5L3EY 60-69 years, female 7.7
GTEX-15DDE-0126-SM-6LPKH 50-59 years, female 7.7
GTEX-1AX9K-2326-SM-73KWU 50-59 years, male 7.7
GTEX-1GN1V-0126-SM-9WPOS 60-69 years, male 7.7
GTEX-13NYS-0126-SM-5MR3W 60-69 years, male 7.6
GTEX-NPJ8-0126-SM-2YUNR 40-49 years, male 7.6
GTEX-VUSG-2526-SM-4KL1V 50-59 years, male 7.6
GTEX-ZAB4-0226-SM-5N9F5 40-49 years, male 7.6
GTEX-117XS-2726-SM-5N9BL 60-69 years, male 7.5
GTEX-13W3W-2426-SM-5LU5B 60-69 years, female 7.5
GTEX-P44H-0226-SM-2XCEU 40-49 years, male 7.5
GTEX-1GPI6-0126-SM-9WG69 60-69 years, male 7.5
GTEX-OXRK-0226-SM-3NB2G 50-59 years, female 7.4
GTEX-WVJS-0126-SM-4MVOT 50-59 years, male 7.4
GTEX-ZEX8-2426-SM-4WKG4 50-59 years, male 7.4
GTEX-1EX96-1626-SM-7PBXR 50-59 years, male 7.4
GTEX-139T8-0126-SM-5K7XZ 60-69 years, male 7.3
GTEX-S32W-2126-SM-2XCB1 50-59 years, female 7.3
GTEX-XMD2-0126-SM-4YCDU 60-69 years, female 7.3
GTEX-1NHNU-1026-SM-E9J2A 50-59 years, male 7.3
GTEX-1QEPI-0126-SM-EWRMQ 60-69 years, female 7.3
GTEX-1R7EV-2426-SM-EVYBG 40-49 years, male 7.3
GTEX-11DXW-0226-SM-5H122 40-49 years, male 7.2
GTEX-13OVJ-0126-SM-5KM36 50-59 years, female 7.2
GTEX-PLZ4-0126-SM-5SI8O 50-59 years, female 7.2
GTEX-TSE9-0126-SM-3DB83 60-69 years, female 7.2
GTEX-1HT8W-0126-SM-CNPPP 30-39 years, male 7.2
GTEX-145LT-1726-SM-5QGP3 40-49 years, male 7.1
GTEX-1H23P-0126-SM-ADEJ3 60-69 years, male 7.1
GTEX-11O72-0126-SM-59887 40-49 years, male 7.0
GTEX-1L5NE-2526-SM-E6CIE 50-59 years, male 6.9
GTEX-11EMC-2926-SM-5EQ4F 60-69 years, female 6.8
GTEX-1AYCT-2426-SM-7IGQ3 50-59 years, male 6.8
GTEX-1LC47-0326-SM-E9TJP 60-69 years, male 6.8
GTEX-15DCD-0126-SM-7KUEK 70-79 years, female 6.7
GTEX-117YW-2626-SM-5GZZH 50-59 years, male 6.6
GTEX-SIU8-0126-SM-2XCDT 50-59 years, male 6.6
GTEX-1F48J-0126-SM-7P8TT 50-59 years, female 6.6
GTEX-1F7RK-0126-SM-7PC2S 20-29 years, female 6.6
GTEX-1N2DW-0226-SM-E9TK2 50-59 years, male 6.6
GTEX-13O21-1426-SM-5K7XI 50-59 years, male 6.5
GTEX-T8EM-1026-SM-3DB7M 40-49 years, male 6.5
GTEX-13YAN-0326-SM-5O9DF 60-69 years, male 6.4
GTEX-1AX8Z-0126-SM-7DHM6 60-69 years, male 6.3
GTEX-RTLS-0126-SM-447CA 60-69 years, female 6.3
GTEX-1JKYN-1326-SM-CGQG9 30-39 years, male 6.3
GTEX-1N2DV-0226-SM-E6CJ6 40-49 years, male 6.3
GTEX-1192W-2626-SM-5Q5AF 60-69 years, male 6.2
GTEX-SNMC-1226-SM-2XCFP 20-29 years, male 6.2
GTEX-1GF9U-2126-SM-7SB7L 40-49 years, female 6.2
GTEX-11H98-0126-SM-5EGHG 50-59 years, male 6.1
GTEX-11P82-1626-SM-59879 20-29 years, male 6.1
GTEX-QDT8-0126-SM-48TZ1 30-39 years, female 6.1
GTEX-U3ZH-2026-SM-3DB78 30-39 years, male 6.1
GTEX-X8HC-0126-SM-4E3JW 50-59 years, female 6.1
GTEX-12WSN-5019-SM-79OM6 40-49 years, male 5.9
GTEX-147F4-0226-SM-5QGPW 50-59 years, male 5.9
GTEX-113IC-0126-SM-5HL6T 60-69 years, male 5.8
GTEX-13FHO-0226-SM-5IFGY 60-69 years, male 5.8
GTEX-13OW7-0126-SM-5MR3B 50-59 years, male 5.8
GTEX-T5JC-0426-SM-32PLO 20-29 years, male 5.8
GTEX-1AMEY-1326-SM-73KYK 30-39 years, female 5.7
GTEX-PWO3-1526-SM-48TCM 60-69 years, female 5.7
GTEX-1HUB1-0426-SM-E9U4U 60-69 years, male 5.7
GTEX-R45C-0126-SM-EAZ2R 60-69 years, female 5.6
GTEX-14BIL-0126-SM-5SI92 50-59 years, male 5.5
GTEX-Q734-1926-SM-2I5EV 40-49 years, female 5.5
GTEX-14A6H-0126-SM-5QGPK 30-39 years, male 5.4
GTEX-R55E-0126-SM-2TC5Y 20-29 years, male 5.4
GTEX-WFG8-2226-SM-3GIL9 20-29 years, male 5.4
GTEX-Y8LW-1826-SM-5S2MV 50-59 years, female 5.4
GTEX-1H2FU-0126-SM-9WYSI 60-69 years, female 5.4
GTEX-Q2AG-0126-SM-33HBV 40-49 years, female 5.2
GTEX-ZF28-0126-SM-4WKGK 60-69 years, male 5.2
GTEX-1PBJI-0526-SM-E8VNK 20-29 years, female 5.2
GTEX-13IVO-0126-SM-5J1NG 70-79 years, male 5.1
GTEX-14BIM-0226-SM-7IGLD 60-69 years, female 5.1
GTEX-1F6IF-0726-SM-7P8TW 60-69 years, male 5.1
GTEX-13W46-0226-SM-5SIAG 50-59 years, male 5.0
GTEX-17HGU-0226-SM-7DHKV 50-59 years, male 5.0
GTEX-1C6VS-0526-SM-7DUEN 60-69 years, male 5.0
GTEX-11TTK-0126-SM-5987B 60-69 years, female 4.9
GTEX-13X6I-0626-SM-5QGP9 60-69 years, male 4.9
GTEX-ZVE2-0226-SM-59HJB 50-59 years, male 4.9
GTEX-1JMOU-1526-SM-CL54I 60-69 years, female 4.9
GTEX-SE5C-1626-SM-2XCE3 40-49 years, female 4.8
GTEX-ZUA1-0126-SM-5GU76 40-49 years, male 4.7
GTEX-ZYW4-0126-SM-5E44A 60-69 years, male 4.7
GTEX-1LG7Y-0526-SM-DKPQC 50-59 years, male 4.7
GTEX-VJWN-0126-SM-3GIK7 50-59 years, female 4.6
GTEX-1HBPM-0226-SM-ARL9F 60-69 years, female 4.6
GTEX-1ICLZ-0126-SM-CKZPO 60-69 years, male 4.6
GTEX-11ZU8-2526-SM-5EQKI 60-69 years, male 4.5
GTEX-OXRL-0126-SM-2YUMP 50-59 years, male 4.5
GTEX-1H1E6-1726-SM-ACKVK 30-39 years, male 4.5
GTEX-1IGQW-0126-SM-COH42 60-69 years, male 4.4
GTEX-V1D1-2226-SM-3NMAX 50-59 years, male 4.3
GTEX-1OJC4-0126-SM-E9J2E 50-59 years, female 4.3
GTEX-11DXY-2626-SM-5GIE7 60-69 years, male 4.2
GTEX-ZE9C-2726-SM-57WB5 60-69 years, male 4.2
GTEX-1GZ2Q-0226-SM-7P8TL 40-49 years, male 4.2
GTEX-1HGF4-2426-SM-ACKXM 60-69 years, male 4.2
GTEX-148VI-1626-SM-5SI6E 60-69 years, female 4.1
GTEX-PVOW-0126-SM-2XCFA 40-49 years, male 3.9
GTEX-15EOM-0126-SM-7KUGG 20-29 years, female 3.8
GTEX-16XZZ-0126-SM-793DV 60-69 years, male 3.8
GTEX-QDVN-2026-SM-3GAEP 50-59 years, male 3.6
GTEX-1R9K4-0126-SM-DTX9X 60-69 years, male 3.6
GTEX-148VJ-0126-SM-5TDDN 70-79 years, male 3.5
GTEX-17MF6-0126-SM-7LG4F 40-49 years, male 3.5
GTEX-1I19N-0326-SM-ACKVX 70-79 years, male 3.5
GTEX-12WSA-0226-SM-5BC5V 60-69 years, male 3.3
GTEX-1M4P7-0226-SM-DIPEV 60-69 years, male 3.3
GTEX-11WQC-2526-SM-5CVLE 60-69 years, male 3.2
GTEX-XV7Q-2526-SM-4BRV9 40-49 years, female 3.1
GTEX-1LNCM-1126-SM-E9U5E 50-59 years, female 3.1
GTEX-1RLM8-2326-SM-EWRN4 50-59 years, male 2.9
GTEX-15UF6-0826-SM-6PALJ 70-79 years, female 2.7
GTEX-X62O-0126-SM-4E3JN 50-59 years, male 2.7
GTEX-1F75B-0126-SM-9KNVL 50-59 years, male 2.7
GTEX-1PPH7-2326-SM-EVYB8 40-49 years, male 2.7
GTEX-1A3MW-0126-SM-73KXX 60-69 years, female 2.6
GTEX-139T4-0226-SM-5HL5S 50-59 years, female 2.3
GTEX-15D1Q-0126-SM-7KUG6 40-49 years, male 2.2
GTEX-1C6VQ-0126-SM-7P8RI 50-59 years, male 2.0
GTEX-1F75I-0326-SM-9YFLU 40-49 years, male 1.9
GTEX-13PDP-0126-SM-5L3HD 60-69 years, male 1.8
GTEX-ZZPT-0226-SM-5E43X 50-59 years, male 1.8
GTEX-1IDFM-0126-SM-COH2V 60-69 years, male 1.8
GTEX-14PHW-0126-SM-6LLJI 60-69 years, female 1.5
GTEX-OXRO-0126-SM-2YUN4 60-69 years, female 1.5
GTEX-14JIY-0126-SM-6LLH6 60-69 years, male 1.4
GTEX-1R9PO-2126-SM-E9J4O 60-69 years, female 1.4
GTEX-11ZUS-0626-SM-59885 30-39 years, male 1.2
GTEX-WOFL-0126-SM-3MJG2 60-69 years, male 1.2
GTEX-U4B1-1826-SM-4DXSU 40-49 years, male 0.8
GTEX-146FR-1326-SM-E9J48 60-69 years, female 0.7
GTEX-183WM-0126-SM-7LTAB 70-79 years, female 0.6
GTEX-1HBPH-0426-SM-B2LW5 40-49 years, female 0.4
GTEX-1QP67-1626-SM-EAZ3X 40-49 years, female 0.4
GTEX-1QW4Y-1526-SM-EAZ3Z 30-39 years, male 0.4
GTEX-1RAZQ-0726-SM-EAZ43 30-39 years, male 0.3
Show allShow less

Contact

  • NEWS ARTICLES
  • PRESS ROOM

The Project

  • INTRODUCTION
  • ORGANIZATION
  • PUBLICATIONS

The Human Protein Atlas

  • DOWNLOADABLE DATA
  • LICENCE & CITATION
  • HELP & FAQ
The Human Protein Atlas project is funded
by the Knut & Alice Wallenberg Foundation.


contact@proteinatlas.org