We use cookies to enhance the usability of our website. If you continue, we'll assume that you are happy to receive all cookies. More information. Don't show this again.
RBM8A
HPA
RESOURCES
  • TISSUE
  • BRAIN
  • SINGLE CELL
  • SUBCELLULAR
  • CANCER
  • BLOOD
  • CELL LINE
  • STRUCTURE & INTERACTION
ABOUT
  • INTRODUCTION
  • HISTORY
  • ORGANIZATION
  • PUBLICATIONS
  • ANTIBODY SUBMISSION
  • ANTIBODY AVAILABILITY
  • ACKNOWLEDGMENTS
  • CONTACT
NEWS
  • NEWS ARTICLES
  • PRESS ROOM
LEARN
  • DICTIONARY
  • PROTEIN CLASSES
  • PROTEIN EVIDENCE
  • METHODS
  • EDUCATIONAL VIDEOS
DATA
  • DOWNLOADABLE DATA
  • PUBLICATION DATA
  • RELEASE HISTORY
HELP
  • ANTIBODY VALIDATION
  • ASSAYS & ANNOTATION
  • DISCLAIMER
  • HELP & FAQ
  • PRIVACY STATEMENT
  • LICENCE & CITATION
Fields »
Search result

Field
Term
Gene name
Class
Subclass
Class
Keyword
Chromosome
External id
Tissue
Cell type
Expression
Antibody panel
Tissue
Main location
Patient ID
Annotation
Tissue
Category
Tau score
Cluster
Reliability
Brain region
Category
Tau score
Brain region
Category
Tau score
Brain region
Category
Tau score
Cluster
Reliability
Tissue
Cell type
Enrichment
Cell type
Category
Tau score
Cell type
Category
Tau score
Cell type
Category
Tau score
Cell lineage
Category
Tau score
Cluster
Cluster
Location
Searches
Location
Cell line
Class
Type
Phase
Reliability
Cancer
Prognosis
Cancer
Category
Cancer
Category
Tau score
Cluster
Variants
Interacting gene (ensg_id)
Type
Number of interactions
Pathway
Category
Score
Score
Score
Validation
Validation
Validation
Validation
Antibodies
Data type
Column


  • SUMMARY

  • TISSUE

  • BRAIN

  • SINGLE CELL

  • SUBCELL

  • CANCER

  • BLOOD

  • CELL LINE

  • STRUCT & INT

  • RBM8A
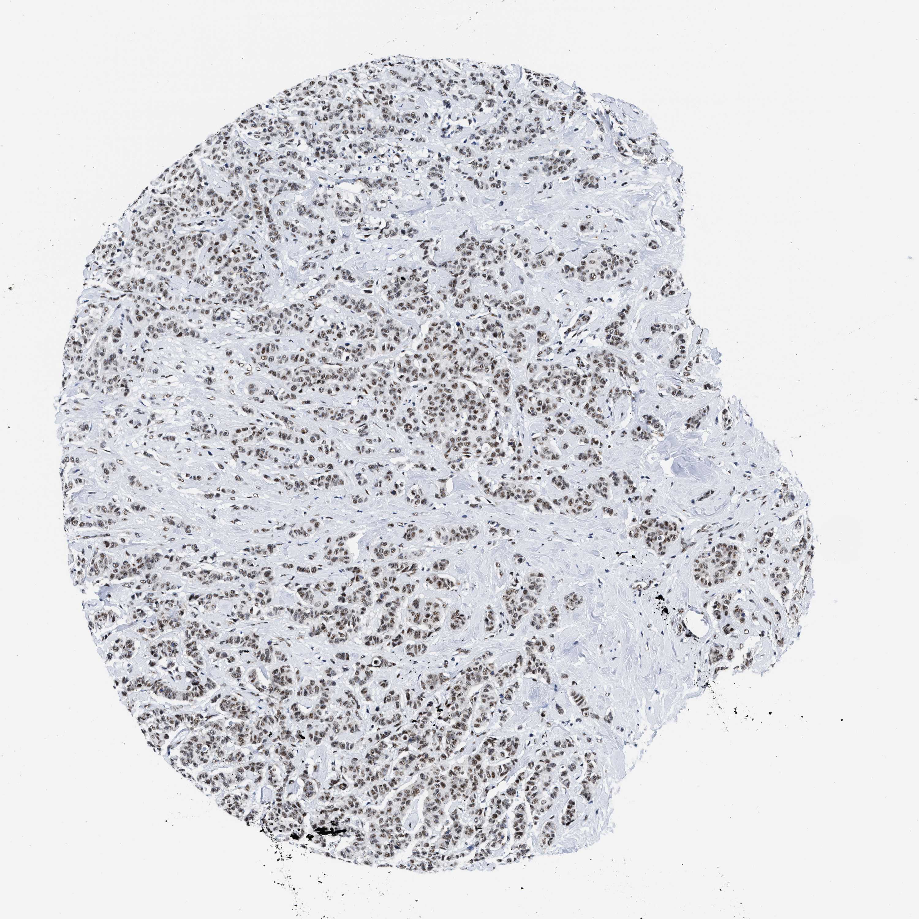
CANCER BREAST CANCER Show tissue menu
BREAST CANCER CARCINOID CERVICAL CANCER COLORECTAL CANCER ENDOMETRIAL CANCER GLIOMA HEAD AND NECK CANCER LIVER CANCER LUNG CANCER LYMPHOMA
MELANOMA OVARIAN CANCER PANCREATIC CANCER PROSTATE CANCER RENAL CANCER SKIN CANCER STOMACH CANCER TESTIS CANCER THYROID CANCER UROTHELIAL CANCER
BRCA TCGA BRCA VALIDATION PROTEIN EXPRESSION
ANTIBODIES
AND
VALIDATION
Dictionary
Breast cancer
Human cancer
Breast invasive carcinoma
BREAST INVASIVE CARCINOMA (TCGA) - Interactive survival scatter ploti

The Survival Scatter plot shows the clinical status (i.e. dead or alive) for all individuals in the patient cohort, based on the same data that underlies the corresponding Kaplan-Meier plots. Patients that are alive at last time for follow-up are shown in blue and patients who have died during the study are shown in red.

The x-axis shows the expression levels (FPKM) of the investigated gene in the tumor tissue at the time of diagnosis. The y-axis shows the follow-up time after diagnosis (years). Both axes are complimented with kernel density curves demonstrating the data density over the axes. The top density plot shows the expression levels (FPKM) distribution among dead (red) and alive patients (blue). The right density plot shows the data density of the survived years of dead patients with high and low expression levels respectively, stratified using the cutoff indicated by the vertical dashed line through the Survival Scatter plot. This cutoff is automatically defined based on the FPKM cutoff that minimizes the p-score. The cutoff can be changed by dragging the vertical line or by entering a cutoff value in the square labeled "Current cut-off".

Under the Survival Scatter plot the p-score landscape (black curve; left axis) is shown together with dead median separation (red curve; right axis). Dead median separation is the difference in median mRNA expression between patients who have died with high and low expression, respectively. It is calculated as follows: median FPKM expression of dead patients with high expression - median FPKM expression of dead patients with low expression. This is intended to aid the user in visually exploring custom cutoffs and the associated p-scores and dead median separation.

Individual patient data is displayed and can be filtered by clicking on one or more of the category buttons on the top of the page. Categories describing expression level and patient information include: high, low, alive, dead, female, male and tumor stages. The scale of the x-axis can be toggled between linear and log-scale by clicking on the "x log" button. Mouse-over function shows TCGA ID, patient information and mRNA expression (FPKM) for each patient.

& Survival analysisi

Kaplan-Meier plots summarize results from analysis of correlation between mRNA expression level and patient survival. Patients were divided based on level of expression into one of the two groups "low" (under cut off) or "high" (over cut off). X-axis shows time for survival (years) and y-axis shows the probability of survival, where 1.0 corresponds to 100 percent.

RBM8A is not prognostic in Breast Invasive Carcinoma (TCGA)


Stage:


Survival analysis
Current cut offi

Current cut-off shows the cut-off (FPKM) currently selected. It may be changed manually. When the current cut-off is changed, the vertical dashed line indicating cut-off, the interactive survival scatter plot and the Kaplan-Meier curve will be automatically adjusted to show results accordingly.

:
Best expression cut offi

Based on the FPKM value of each gene, patients were classified into two groups and association between prognosis (survival) and gene expression (FPKM) was examined. The best expression cut-off refers the FPKM value that yields maximal difference with regard to survival between the two groups at the lowest log-rank P-value. Best expression cut-off was selected based on survival analysis .

When clicking on this number, the vertical dashed line indicating cut-off, the interactive survival plot, and the Kaplan-Meier curve will be adjusted to show results based on the best expression cut-off.

: 197.89
Median expressioni

Median expression refers to the median FPKM value calculated based on the gene expression (FPKM) data from all patients in this dataset. When clicking on this number, the vertical dashed line indicating cut-off, the interactive survival plot, and the Kaplan-Meier curve will be adjusted to show results based on the median expression.

: N/A
Median follow up timei

Median follow up time refers to the median time (years) after diagnosis with this type of cancer, based on clinical data from all patients in this dataset.

: N/A
P scorei

Log-rank P value for Kaplan-Meier plot showing results from analysis of correlation between mRNA expression level and patient survival.

N/A
5-year survival highi

5-year survival for patients with higher expression than the expression cutoff.

For melanoma and glioma, 3-year survival is shown.

N/A
5-year survival lowi

5-year survival for patients with lower expression than the expression cutoff.

For melanoma and glioma, 3-year survival is shown.

N/A
TCGA RNA samplesi

RNA-seq data is reported as average FPKM (number Fragments Per Kilobase of exon per Million reads), generated by the The Cancer Genome Atlas (TCGA) .

Normal distribution across the dataset is visualized with box plots, shown as median and 25th and 75th percentiles. Points are displayed as outliers if they are above or below 1.5 times the interquartile range. FPKM values of the individual samples are presented next to the box plot.

Average pTPM 187.6
Number of samples 1022
Samples
Sample Description pTPM
TCGA-AR-A2LR-01A 49 years, female, white, stage:Stage I, alive, 1742 days 1146.8
TCGA-AC-A2BK-01A 78 years, female, black or african american, stage:Stage IIIA, alive, 2222 days 667.1
TCGA-B6-A0I1-01A 73 years, female, black or african american, stage:Stage IIA, dead, 2361 days 634.3
TCGA-LL-A6FR-01A 50 years, female, black or african american, stage:Stage IIA, alive, 489 days 610.5
TCGA-D8-A1XQ-01A 69 years, female, white, stage:Stage IIA, alive, 499 days 601.0
TCGA-OL-A66I-01A 36 years, female, black or african american, stage:Stage IIA, alive, 714 days 585.1
TCGA-AR-A1AY-01A 65 years, female, white, stage:Stage I, alive, 1026 days 581.4
TCGA-A8-A07R-01A 80 years, female, stage:Stage IIIC, alive, 273 days 561.2
TCGA-B6-A0IQ-01A 40 years, female, white, stage:Stage IIIA, alive, 4285 days 541.6
TCGA-B6-A400-01A 43 years, female, black or african american, stage:Stage IIIA, alive, 215 days 525.7
TCGA-A2-A0CM-01A 40 years, female, black or african american, stage:Stage IIA, dead, 754 days 504.1
TCGA-A8-A07O-01A 51 years, female, stage:Stage IIA, alive, 304 days 474.6
TCGA-AC-A62X-01A 72 years, female, black or african american, stage:Stage IIA, alive, 417 days 471.1
TCGA-E2-A1LI-01A 57 years, female, white, stage:Stage IIB, alive, 3121 days 455.5
TCGA-AN-A04D-01A 58 years, female, white, stage:Stage IIB, alive, 52 days 453.5
TCGA-EW-A1P8-01A 58 years, female, white, stage:Stage IIIC, dead, 239 days 450.6
TCGA-AC-A6IW-01A 73 years, female, black or african american, stage:Stage IIA, alive, 413 days 436.3
TCGA-A2-A04X-01A 34 years, female, white, stage:Stage IIA, alive, 1686 days 423.6
TCGA-E2-A573-01A 48 years, female, black or african american, stage:Stage IA, alive, 1062 days 421.6
TCGA-BH-A0B3-01A 53 years, female, white, stage:Stage IIB, alive, 1203 days 421.6
TCGA-S3-AA0Z-01A 63 years, female, black or african american, stage:Stage IIB, alive, 629 days 419.4
TCGA-A7-A6VV-01A 51 years, female, black or african american, stage:Stage IIA, alive, 313 days 416.1
TCGA-A2-A3XX-01A 49 years, female, black or african american, stage:Stage IIA, dead, 1439 days 412.8
TCGA-A7-A5ZV-01A 62 years, female, black or african american, stage:Stage IIA, alive, 368 days 411.7
TCGA-AN-A0FW-01A 67 years, female, white, stage:Stage IIIA, alive, 11 days 411.5
TCGA-D8-A143-01A 51 years, female, white, stage:Stage IIA, alive, 431 days 411.1
TCGA-A2-A0CY-01A 63 years, female, white, stage:Stage IIB, alive, 1673 days 409.6
TCGA-BH-A203-01A 78 years, female, white, stage:Stage IIB, dead, 1174 days 408.2
TCGA-BH-A0E0-01A 38 years, female, white, stage:Stage IIIC, alive, 134 days 406.0
TCGA-D8-A1XK-01A 55 years, female, white, stage:Stage IIB, alive, 441 days 405.8
TCGA-E9-A3QA-01A 33 years, female, white, stage:Stage IIA, alive, 918 days 398.8
TCGA-E2-A1AZ-01A 63 years, female, white, stage:Stage IIB, alive, 2329 days 395.7
TCGA-AR-A256-01A 45 years, female, white, stage:Stage IIA, dead, 2854 days 395.2
TCGA-A8-A07C-01A 57 years, female, stage:Stage IIA, alive, 1034 days 393.9
TCGA-BH-A0E6-01A 69 years, female, white, stage:Stage IA, alive, 293 days 388.8
TCGA-EW-A1PB-01A 70 years, female, black or african american, stage:Stage IIIA, alive, 608 days 383.5
TCGA-B6-A0RT-01A 39 years, female, white, stage:Stage IIIA, alive, 2721 days 383.5
TCGA-BH-A0AV-01A 52 years, female, black or african american, stage:Stage I, alive, 1820 days 375.1
TCGA-E2-A574-01A 44 years, female, black or african american, stage:Stage IIA, alive, 1179 days 370.4
TCGA-AQ-A04J-01A 45 years, female, white, stage:Stage IIA, alive, 819 days 368.7
TCGA-EW-A1OW-01A 58 years, female, black or african american, stage:Stage IIA, alive, 694 days 367.6
TCGA-AO-A12F-01A 36 years, female, white, stage:Stage IIA, alive, 1842 days 366.8
TCGA-A2-A0T2-01A 66 years, female, white, stage:Stage IV, dead, 255 days 365.4
TCGA-BH-A1FJ-01A 66 years, female, white, stage:Stage IIIA, dead, 1927 days 362.3
TCGA-A2-A3Y0-01A 57 years, female, black or african american, stage:Stage IIB, alive, 1546 days 355.8
TCGA-GM-A2DH-01A 58 years, female, white, stage:Stage I, alive, 2193 days 354.7
TCGA-OL-A5S0-01A 66 years, female, black or african american, stage:Stage IIB, alive, 620 days 354.7
TCGA-OL-A5D7-01A 70 years, female, black or african american, stage:Stage IIA, alive, 1780 days 353.3
TCGA-A1-A0SI-01A 52 years, female, white, stage:Stage IIB, alive, 635 days 351.6
TCGA-B6-A0RE-01A 61 years, female, black or african american, stage:Stage X, alive, 7777 days 347.6
TCGA-E2-A10A-01A 41 years, female, white, stage:Stage IIB, alive, 1229 days 344.5
TCGA-C8-A12P-01A 55 years, female, asian, stage:Stage IIB, alive, 358 days 343.2
TCGA-A2-A0D2-01A 45 years, female, white, stage:Stage IIA, alive, 1027 days 343.0
TCGA-AR-A1AH-01A 51 years, female, white, stage:Stage IIB, alive, 3807 days 336.9
TCGA-AN-A0XU-01A 54 years, female, white, stage:Stage IIA, alive, 10 days 336.8
TCGA-BH-A18T-01A 70 years, female, white, stage:Stage IIA, dead, 224 days 330.0
TCGA-BH-A0BD-01A 47 years, female, white, stage:Stage IIA, alive, 554 days 329.9
TCGA-A2-A25C-01A 50 years, female, white, stage:Stage IIB, alive, 523 days 328.1
TCGA-PL-A8LZ-01A 29 years, female, black or african american, stage:Stage IIIB, alive, 302 days 327.4
TCGA-LL-A50Y-01A 84 years, female, white, stage:Stage IIA, alive, 762 days 326.8
TCGA-A7-A0CE-01A 57 years, female, white, stage:Stage IIA, alive, 1074 days 325.5
TCGA-E9-A6HE-01A 45 years, female, white, stage:Stage IIIC, alive, 847 days 322.3
TCGA-OL-A5D8-01A 40 years, female, black or african american, stage:Stage IIB, alive, 973 days 320.8
TCGA-AN-A0G0-01A 56 years, female, white, stage:Stage IIA, alive, 16 days 320.4
TCGA-BH-A0BL-01A 35 years, female, white, stage:Stage I, alive, 2278 days 317.0
TCGA-OL-A66L-01A 71 years, female, black or african american, stage:Stage IA, alive, 1301 days 314.7
TCGA-C8-A27B-01A 48 years, female, asian, stage:Stage IIB, alive, 439 days 311.0
TCGA-BH-A0H0-01A 69 years, female, white, stage:Stage IA, alive, 461 days 309.7
TCGA-AR-A1AI-01A 47 years, female, white, stage:Stage IIA, alive, 3296 days 309.2
TCGA-B6-A409-01A 44 years, female, black or african american, stage:Stage IIIA, dead, 573 days 308.5
TCGA-AO-A124-01A 38 years, female, white, stage:Stage IIA, alive, 3506 days 307.0
TCGA-OL-A6VO-01A 43 years, female, black or african american, stage:Stage IA, alive, 858 days 307.0
TCGA-A1-A0SO-01A 67 years, female, white, stage:Stage IIB, alive, 852 days 306.6
TCGA-D8-A27V-01A 62 years, female, white, stage:Stage IIA, alive, 381 days 302.8
TCGA-LL-A5YP-01A 49 years, female, black or african american, stage:Stage IIB, alive, 450 days 300.5
TCGA-AN-A0FF-01A 32 years, female, white, stage:Stage IA, alive, 172 days 298.8
TCGA-AC-A3TM-01A 50 years, female, white, stage:Stage IIIA, alive, 762 days 295.4
TCGA-AO-A129-01A 29 years, female, white, stage:Stage IIB, alive, 3286 days 295.2
TCGA-B6-A0WX-01A 40 years, female, black or african american, stage:Stage IIIA, dead, 639 days 294.6
TCGA-AC-A6IX-01A 49 years, female, white, stage:Stage IIIC, alive, 373 days 293.1
TCGA-Z7-A8R6-01A 46 years, female, white, stage:Stage I, alive, 3256 days 292.3
TCGA-S3-A6ZF-01A 64 years, female, black or african american, stage:Stage IIA, alive, 572 days 292.1
TCGA-LL-A5YL-01A 64 years, female, white, stage:Stage IIB, alive, 519 days 291.7
TCGA-A8-A095-01A 45 years, female, stage:Stage I, alive, 1277 days 291.1
TCGA-BH-A18V-01A 48 years, female, white, stage:Stage IIB, dead, 1556 days 290.7
TCGA-AN-A0XR-01A 55 years, female, white, stage:Stage IIIA, alive, 10 days 290.5
TCGA-AC-A5XS-01A 74 years, female, white, stage:Stage IIA, alive, 588 days 290.4
TCGA-B6-A401-01A 47 years, female, black or african american, stage:Stage IIA, alive, 2596 days 289.3
TCGA-C8-A1HM-01A 74 years, female, asian, stage:Stage IIA, alive, 375 days 289.1
TCGA-E2-A1LK-01A 84 years, female, black or african american, stage:Stage IIIC, dead, 266 days 288.4
TCGA-A8-A0AB-01A 54 years, female, stage:Stage IIA, alive, 518 days 287.8
TCGA-LL-A441-01A 62 years, female, black or african american, stage:Stage IA, alive, 996 days 287.3
TCGA-E9-A244-01A 54 years, female, white, stage:Stage IIA, alive, 21 days 287.3
TCGA-A8-A084-01A 81 years, female, stage:Stage IIB, alive, 458 days 286.8
TCGA-A7-A425-01A 70 years, female, white, stage:Stage IIIC, alive, 447 days 286.7
TCGA-A2-A0T0-01A 59 years, female, white, stage:Stage IIB, alive, 533 days 286.6
TCGA-A7-A6VW-01A 48 years, female, black or african american, stage:Stage IIA, alive, 285 days 286.2
TCGA-C8-A12L-01A 67 years, female, asian, stage:Stage IIA, alive, 363 days 285.3
TCGA-BH-A1FC-01A 78 years, female, black or african american, stage:Stage IIA, dead, 3472 days 284.8
TCGA-E2-A1II-01A 51 years, female, white, stage:Stage I, alive, 1025 days 284.8
TCGA-C8-A12Y-01A 44 years, female, asian, stage:Stage IIB, alive, 1476 days 284.5
TCGA-D8-A1X7-01A 40 years, female, white, stage:Stage IIA, alive, 509 days 284.5
TCGA-D8-A1XT-01A 61 years, female, white, stage:Stage IIA, alive, 506 days 283.4
TCGA-AR-A1AV-01A 68 years, male, white, stage:Stage IIB, alive, 1864 days 282.3
TCGA-AR-A24M-01A 38 years, female, white, stage:Stage IIIA, alive, 3660 days 282.1
TCGA-AR-A0U3-01A 59 years, female, white, stage:Stage IIB, alive, 4080 days 281.1
TCGA-A2-A3XU-01A 35 years, female, black or african american, stage:Stage IIB, dead, 912 days 280.7
TCGA-A2-A0D0-01A 60 years, female, black or african american, stage:Stage IIA, alive, 2048 days 280.5
TCGA-A8-A07U-01A 66 years, female, stage:Stage IIIA, alive, 760 days 280.4
TCGA-A8-A092-01A 48 years, female, stage:Stage IIIA, alive, 942 days 279.9
TCGA-AR-A0U4-01A 54 years, female, white, stage:Stage IIA, alive, 3261 days 279.7
TCGA-S3-AA10-01A 65 years, female, black or african american, stage:Stage IIA, alive, 586 days 279.4
TCGA-BH-A0DL-01A 64 years, female, white, stage:Stage IIA, alive, 2381 days 279.1
TCGA-B6-A402-01A 47 years, female, black or african american, stage:Stage I, alive, 2281 days 278.2
TCGA-A2-A0YD-01A 63 years, female, white, stage:Stage IIB, alive, 769 days 277.5
TCGA-A7-A26J-01A 49 years, female, white, stage:Stage IIA, alive, 627 days 277.0
TCGA-BH-A0B9-01A 44 years, female, white, stage:Stage IA, alive, 1572 days 276.6
TCGA-A8-A09I-01A 84 years, female, stage:Stage IIA, alive, 1371 days 276.1
TCGA-AC-A6NO-01A 43 years, female, black or african american, stage:Stage IIB, alive, 51 days 275.6
TCGA-A8-A09V-01A 51 years, female, stage:Stage IIA, alive, 457 days 273.1
TCGA-B6-A0IJ-01A 42 years, female, black or african american, stage:Stage IIB, alive, 7106 days 272.9
TCGA-A8-A07E-01A 81 years, female, stage:Stage X, alive, 608 days 272.5
TCGA-A2-A0CX-01A 52 years, female, white, stage:Stage IIA, alive, 1728 days 270.2
TCGA-AN-A0AT-01A 62 years, female, white, stage:Stage IIA, alive, 10 days 269.4
TCGA-C8-A8HQ-01A 53 years, female, asian, stage:Stage IIB, alive, 380 days 268.9
TCGA-LD-A66U-01A 44 years, female, white, stage:Stage IIB, alive, 646 days 268.3
TCGA-A7-A13E-01A 62 years, female, white, stage:Stage IIB, dead, 614 days 268.3
TCGA-AR-A2LK-01A 62 years, female, white, stage:Stage III, dead, 1649 days 265.5
TCGA-AC-A2QI-01A 76 years, female, white, stage:Stage IIIA, alive, 588 days 265.1
TCGA-AR-A24Z-01A 57 years, female, white, stage:Stage IIA, alive, 3001 days 263.9
TCGA-A2-A3XZ-01A 46 years, female, black or african american, stage:Stage I, alive, 1532 days 262.0
TCGA-BH-A0C3-01A 47 years, female, white, stage:Stage I, alive, 2709 days 261.8
TCGA-A2-A0EM-01A 73 years, female, white, stage:Stage IA, alive, 3094 days 261.7
TCGA-OL-A5RW-01A 40 years, female, black or african american, stage:Stage IIA, alive, 1106 days 260.3
TCGA-EW-A1P4-01A 43 years, female, white, stage:Stage IIA, alive, 907 days 260.1
TCGA-AR-A1AJ-01A 83 years, female, white, stage:Stage I, alive, 2383 days 260.0
TCGA-AO-A0J2-01A 41 years, female, white, stage:Stage IA, alive, 997 days 260.0
TCGA-B6-A40B-01A 76 years, female, white, stage:Stage I, alive, 3152 days 258.8
TCGA-D8-A27F-01A 40 years, female, white, stage:Stage IIA, alive, 488 days 258.7
TCGA-A7-A4SD-01A 52 years, female, black or african american, stage:Stage IIA, alive, 441 days 257.2
TCGA-AO-A128-01A 61 years, female, white, stage:Stage IIA, alive, 3248 days 257.1
TCGA-BH-A18F-01A 50 years, female, white, stage:Stage IIA, alive, 1001 days 257.0
TCGA-AR-A5QN-01A 68 years, female, white, stage:Stage IIIC, alive, 1013 days 257.0
TCGA-A7-A0DA-01A 62 years, female, white, stage:Stage IIA, alive, 1085 days 257.0
TCGA-AO-A0JA-01A 36 years, female, black or african american, stage:Stage IIIC, alive, 655 days 255.4
TCGA-A2-A0D3-01A 42 years, female, white, stage:Stage IA, alive, 1873 days 255.4
TCGA-A8-A08R-01A 52 years, female, stage:Stage IIB, alive, 30 days 255.3
TCGA-A2-A0T3-01A 37 years, female, white, stage:Stage IB, alive, 1516 days 255.0
TCGA-S3-A6ZG-01A 71 years, female, black or african american, stage:Stage IIB, alive, 562 days 254.8
TCGA-BH-A5IZ-01A 51 years, female, black or african american, stage:Stage IIB, alive, 567 days 254.6
TCGA-B6-A0IB-01A 64 years, female, white, stage:Stage IV, dead, 3941 days 253.4
TCGA-A8-A07S-01A 73 years, female, stage:Stage IIA, alive, 243 days 251.8
TCGA-AO-A03O-01A 69 years, female, black or african american, stage:Stage IIA, dead, 2483 days 251.7
TCGA-E9-A1RC-01A 56 years, female, white, stage:Stage IIIC, alive, 1224 days 251.5
TCGA-5T-A9QA-01A 52 years, female, black or african american, stage:Stage IIA, alive, 303 days 251.5
TCGA-AR-A24X-01A 52 years, female, white, stage:Stage IIA, alive, 3004 days 250.2
TCGA-D8-A147-01A 45 years, female, white, stage:'--, alive, 584 days 250.2
TCGA-AR-A0TY-01A 54 years, female, white, stage:Stage IIA, dead, 1699 days 249.7
TCGA-A8-A06X-01A 77 years, female, stage:Stage IIB, dead, 943 days 249.5
TCGA-D8-A3Z6-01A 56 years, female, white, stage:Stage IIIC, alive, 563 days 248.6
TCGA-A8-A09E-01A 73 years, female, stage:Stage IIIB, alive, 1492 days 248.2
TCGA-BH-A18P-01A 60 years, female, white, stage:Stage I, dead, 921 days 247.6
TCGA-BH-A0BZ-01A 59 years, female, white, stage:Stage IIIA, alive, 2255 days 246.9
TCGA-AR-A1AN-01A 46 years, female, white, stage:Stage IIA, alive, 2920 days 246.6
TCGA-AC-A7VB-01A 51 years, female, black or african american, stage:Stage IIA, alive, 250 days 246.5
TCGA-B6-A0IK-01A 63 years, female, white, stage:Stage IIIB, dead, 571 days 246.3
TCGA-AR-A1AS-01A 54 years, female, asian, stage:Stage IIB, alive, 1150 days 245.9
TCGA-C8-A134-01A 52 years, female, asian, stage:Stage IIA, alive, 383 days 245.4
TCGA-E9-A1RB-01A 40 years, female, white, stage:Stage IIA, dead, 976 days 244.0
TCGA-D8-A1XM-01A 57 years, female, white, stage:Stage IA, alive, 538 days 243.8
TCGA-D8-A1XG-01A 86 years, female, white, stage:Stage IIIB, alive, 448 days 243.3
TCGA-B6-A0I9-01A 62 years, female, white, stage:Stage IV, dead, 362 days 243.0
TCGA-C8-A274-01A 63 years, female, asian, stage:Stage IIA, alive, 508 days 242.0
TCGA-A7-A6VY-01A 48 years, female, black or african american, stage:Stage IIB, alive, 266 days 241.6
TCGA-D8-A1XF-01A 45 years, female, white, stage:Stage IIA, alive, 463 days 241.1
TCGA-E2-A1B6-01A 44 years, female, white, stage:Stage IIA, alive, 867 days 241.1
TCGA-D8-A13Z-01A 51 years, female, white, stage:'--, alive, 635 days 240.3
TCGA-AC-A62Y-01A 79 years, female, white, stage:Stage IIB, alive, 530 days 239.8
TCGA-A8-A097-01A 65 years, female, stage:Stage IIB, alive, 365 days 239.7
TCGA-BH-A0BT-01A 56 years, female, white, stage:Stage IIA, alive, 2365 days 239.5
TCGA-BH-A0HU-01A 52 years, female, white, stage:Stage IA, alive, 392 days 239.5
TCGA-D8-A1JM-01A 59 years, female, white, stage:Stage IIB, alive, 590 days 238.6
TCGA-A2-A1FZ-01A 63 years, female, white, stage:Stage IIA, alive, 683 days 238.4
TCGA-BH-A0EE-01A 68 years, female, white, stage:Stage IIB, alive, 943 days 238.2
TCGA-BH-A0BW-01A 71 years, female, black or african american, stage:Stage I, alive, 2371 days 237.4
TCGA-AR-A0TZ-01A 43 years, female, white, stage:'--, dead, 3262 days 237.4
TCGA-E2-A10B-01A 67 years, female, white, stage:Stage IIB, alive, 1141 days 236.7
TCGA-AN-A0AR-01A 55 years, female, white, stage:Stage IIA, alive, 10 days 235.9
TCGA-D8-A73X-01A 53 years, female, white, stage:Stage IIA, alive, 767 days 235.8
TCGA-A7-A0CJ-01A 57 years, female, white, stage:Stage IIA, alive, 931 days 234.8
TCGA-E9-A1N8-01A 48 years, female, white, stage:Stage IIA, alive, 1039 days 234.1
TCGA-E2-A15G-01A 76 years, female, white, stage:Stage IIA, alive, 554 days 233.7
TCGA-A8-A08Z-01A 76 years, female, stage:'--, alive, 1217 days 233.7
TCGA-E2-A158-01A 43 years, female, white, stage:Stage IIA, alive, 450 days 233.3
TCGA-GM-A3XL-01A 49 years, female, black or african american, stage:Stage IIA, alive, 2108 days 233.0
TCGA-A2-A25F-01A 66 years, female, white, stage:Stage IIA, alive, 322 days 232.5
TCGA-BH-A2L8-01A 45 years, female, white, stage:Stage IIA, alive, 612 days 232.4
TCGA-OL-A6VQ-01A 49 years, female, white, stage:Stage IIA, alive, 600 days 232.3
TCGA-D8-A1XL-01A 34 years, female, white, stage:Stage IIB, alive, 606 days 232.1
TCGA-AR-A5QQ-01A 68 years, female, white, stage:Stage IIIA, dead, 322 days 232.1
TCGA-OL-A5RV-01A 43 years, female, black or african american, stage:Stage IIIC, alive, 1062 days 232.0
TCGA-EW-A1PH-01A 52 years, female, white, stage:Stage IIA, alive, 607 days 231.6
TCGA-A8-A07W-01A 76 years, female, stage:Stage IV, alive, 304 days 231.5
TCGA-E2-A107-01A 54 years, female, white, stage:Stage IIIA, alive, 1047 days 231.4
TCGA-AN-A041-01A 29 years, female, white, stage:Stage IIB, alive, 7 days 231.3
TCGA-E9-A1NC-01A 61 years, female, white, stage:Stage IIB, alive, 1203 days 231.2
TCGA-A8-A08A-01A 89 years, female, stage:Stage I, alive, 30 days 231.2
TCGA-E9-A1NH-01A 71 years, female, white, stage:Stage IIB, alive, 576 days 230.7
TCGA-A2-A0T7-01A 51 years, female, white, stage:Stage IIA, alive, 631 days 230.6
TCGA-A2-A04P-01A 36 years, female, black or african american, stage:Stage IIIC, dead, 548 days 229.9
TCGA-A2-A0YT-01A 56 years, female, white, stage:Stage IIIB, dead, 723 days 229.8
TCGA-AR-A0TS-01A 46 years, female, white, stage:Stage IIB, alive, 2558 days 229.6
TCGA-B6-A0X1-01A 48 years, female, white, stage:'--, dead, 7455 days 229.4
TCGA-A7-A0CH-01A 79 years, female, white, stage:Stage IIA, alive, 1079 days 228.8
TCGA-UU-A93S-01A 63 years, female, black or african american, stage:Stage IV, dead, 116 days 228.5
TCGA-AC-A3EH-01A 79 years, female, white, stage:Stage IIIC, dead, 197 days 228.2
TCGA-A1-A0SN-01A 50 years, female, white, stage:Stage IIA, alive, 1196 days 228.2
TCGA-AO-A0J4-01A 41 years, female, black or african american, stage:Stage IA, alive, 1587 days 228.1
TCGA-A2-A0ET-01A 58 years, female, white, stage:Stage IIIA, alive, 1066 days 228.1
TCGA-A2-A04R-01A 36 years, female, black or african american, stage:Stage IA, alive, 3709 days 228.0
TCGA-E2-A14R-01A 62 years, female, white, stage:Stage IIA, alive, 1174 days 228.0
TCGA-AO-A03L-01A 34 years, female, asian, stage:Stage IIIA, alive, 2442 days 227.7
TCGA-AN-A0AJ-01A 79 years, female, white, stage:Stage IIB, alive, 303 days 227.7
TCGA-C8-A1HJ-01A 53 years, female, asian, stage:Stage IIA, alive, 5 days 227.3
TCGA-S3-AA11-01A 67 years, female, black or african american, stage:Stage IIA, alive, 421 days 226.9
TCGA-BH-A1FD-01A 68 years, female, white, stage:Stage I, dead, 1009 days 226.8
TCGA-A2-A1FX-01A 61 years, female, white, stage:Stage IIIA, alive, 1847 days 226.7
TCGA-AN-A0FS-01A 55 years, female, white, stage:Stage IA, alive, 210 days 226.7
TCGA-EW-A1J5-01A 59 years, female, white, stage:Stage IIB, alive, 477 days 226.4
TCGA-A8-A08C-01A 65 years, female, stage:Stage IIA, alive, 881 days 226.0
TCGA-BH-A0B5-01A 40 years, female, white, stage:Stage IIIA, alive, 2136 days 225.6
TCGA-A2-A0YM-01A 67 years, female, white, stage:Stage IIA, alive, 965 days 225.4
TCGA-LL-A73Y-01A 67 years, female, black or african american, stage:Stage IA, alive, 477 days 225.4
TCGA-A1-A0SP-01A 40 years, female, stage:Stage IIA, alive, 584 days 224.8
TCGA-A2-A0YE-01A 48 years, female, white, stage:Stage IIB, alive, 554 days 224.0
TCGA-BH-A18L-01A 50 years, female, white, stage:Stage IIIA, dead, 811 days 223.9
TCGA-BH-A6R8-01A 46 years, female, black or african american, stage:Stage IIA, alive, 293 days 223.8
TCGA-AO-A0J8-01A 61 years, female, white, stage:Stage IIA, alive, 680 days 223.1
TCGA-D8-A1JS-01A 77 years, female, white, stage:Stage IA, alive, 371 days 222.8
TCGA-E2-A570-01A 47 years, female, black or african american, stage:Stage IB, alive, 931 days 222.2
TCGA-AR-A0TR-01A 68 years, female, white, stage:Stage IIB, dead, 160 days 222.0
TCGA-A7-A26E-01A 71 years, female, white, stage:Stage IIIA, alive, 954 days 221.9
TCGA-A7-A13H-01A 61 years, female, white, stage:Stage IIB, alive, 899 days 221.3
TCGA-B6-A0RI-01A 44 years, female, white, stage:Stage IIIB, alive, 7126 days 220.3
TCGA-AC-A3YJ-01A 66 years, female, white, stage:Stage IIA, alive, 754 days 219.8
TCGA-E2-A1L7-01A 40 years, female, white, stage:Stage IIIA, alive, 1836 days 219.7
TCGA-A7-A4SF-01A 54 years, female, black or african american, stage:Stage IIA, alive, 545 days 219.3
TCGA-C8-A1HI-01A 40 years, female, asian, stage:Stage IIIA, alive, 343 days 219.2
TCGA-E9-A22H-01A 42 years, female, white, stage:Stage IIB, alive, 1232 days 218.5
TCGA-C8-A275-01A 56 years, female, asian, stage:Stage IIA, alive, 1 days 218.5
TCGA-PE-A5DE-01A 41 years, female, white, stage:Stage IIA, alive, 2645 days 218.5
TCGA-AR-A1AL-01A 60 years, female, white, stage:Stage IIIA, alive, 2971 days 218.2
TCGA-BH-A0H9-01A 69 years, female, white, stage:Stage IIA, alive, 1247 days 218.0
TCGA-AO-A1KR-01A 51 years, female, white, stage:Stage IIA, alive, 2513 days 217.9
TCGA-BH-A0AW-01A 56 years, female, white, stage:Stage IIA, alive, 622 days 217.6
TCGA-A8-A07Z-01A 85 years, female, stage:Stage IIA, alive, 1371 days 217.5
TCGA-BH-A0BA-01A 51 years, female, white, stage:Stage IIIC, alive, 1132 days 217.5
TCGA-A8-A09R-01A 82 years, female, stage:Stage IIB, alive, 273 days 217.4
TCGA-A2-A04U-01A 47 years, female, white, stage:Stage IIA, alive, 2654 days 217.3
TCGA-BH-A209-01A 77 years, female, black or african american, stage:Stage I, dead, 3959 days 217.2
TCGA-GM-A2DC-01A 57 years, female, white, stage:Stage IIA, alive, 2535 days 216.9
TCGA-AR-A2LH-01A 55 years, female, white, stage:Stage III, dead, 616 days 216.9
TCGA-E9-A1ND-01A 75 years, female, white, stage:Stage IIB, alive, 1266 days 216.7
TCGA-5L-AAT1-01A 63 years, female, white, stage:Stage IV, alive, 1471 days 216.5
TCGA-E2-A1IL-01A 78 years, female, white, stage:Stage IIA, alive, 118 days 216.1
TCGA-A1-A0SE-01A 56 years, female, white, stage:Stage I, alive, 1321 days 216.0
TCGA-C8-A12V-01A 55 years, female, asian, stage:Stage IIA, alive, 385 days 215.9
TCGA-A2-A0EY-01A 62 years, female, white, stage:Stage IIB, alive, 1925 days 215.5
TCGA-A7-A13D-01A 46 years, female, black or african american, stage:Stage IIA, alive, 965 days 215.1
TCGA-A1-A0SD-01A 59 years, female, white, stage:Stage IIA, alive, 437 days 215.1
TCGA-E2-A15D-01A 47 years, female, white, stage:Stage IIA, alive, 526 days 215.0
TCGA-A2-A0CW-01A 67 years, female, white, stage:Stage IIB, alive, 3283 days 214.9
TCGA-AR-A2LL-01A 70 years, female, white, stage:Stage IIB, alive, 2012 days 214.9
TCGA-E9-A1RG-01A 62 years, female, white, stage:Stage IIIA, alive, 647 days 214.3
TCGA-EW-A2FV-01A 39 years, female, white, stage:Stage IIIC, alive, 788 days 214.3
TCGA-LL-A73Z-01A 55 years, female, black or african american, stage:Stage IV, dead, 227 days 214.2
TCGA-GM-A5PX-01A 65 years, female, white, stage:Stage IIB, alive, 551 days 214.0
TCGA-A8-A0A9-01A 80 years, female, stage:Stage IIA, alive, 822 days 213.8
TCGA-AN-A0FK-01A 88 years, female, white, stage:Stage IIIB, alive, 213 days 213.7
TCGA-BH-A1FL-01A 69 years, female, white, stage:Stage IIB, dead, 1673 days 213.1
TCGA-AN-A0XL-01A 61 years, female, white, stage:Stage IIA, alive, 163 days 213.1
TCGA-A7-A5ZW-01A 47 years, female, black or african american, stage:Stage IIA, alive, 326 days 213.0
TCGA-A2-A0EV-01A 80 years, female, white, stage:Stage IA, alive, 968 days 212.8
TCGA-BH-AB28-01A 53 years, female, white, stage:Stage IIIA, alive, 287 days 212.8
TCGA-E2-A15R-01A 64 years, female, white, stage:Stage IIA, alive, 1732 days 212.7
TCGA-LD-A7W6-01A 54 years, female, white, stage:Stage IIB, alive, 404 days 212.6
TCGA-JL-A3YX-01A 46 years, female, asian, stage:Stage IIA, alive, 352 days 212.5
TCGA-A8-A09T-01A 68 years, female, stage:'--, alive, 579 days 212.5
TCGA-B6-A0RL-01A 60 years, female, black or african american, stage:Stage IIA, dead, 2469 days 212.2
TCGA-BH-A0WA-01A 82 years, female, white, stage:Stage I, alive, 701 days 212.1
TCGA-A8-A09B-01A 58 years, female, stage:Stage IIIB, alive, 365 days 212.0
TCGA-A2-A4S3-01A 59 years, female, black or african american, stage:Stage IIB, alive, 666 days 211.8
TCGA-B6-A40C-01A 51 years, female, white, stage:Stage IIB, alive, 2164 days 211.5
TCGA-D8-A1JL-01A 72 years, female, white, stage:Stage IIA, alive, 611 days 211.4
TCGA-A7-A6VX-01A 68 years, female, black or african american, stage:Stage IIA, alive, 317 days 210.9
TCGA-AR-A1AT-01A 62 years, female, white, stage:Stage IIA, dead, 1272 days 210.0
TCGA-B6-A2IU-01A 62 years, female, white, stage:Stage IIA, alive, 5176 days 209.9
TCGA-BH-A18S-01A 79 years, female, white, stage:Stage I, dead, 2009 days 209.9
TCGA-BH-A28Q-01A 46 years, female, white, stage:Stage IIB, alive, 1119 days 209.3
TCGA-AR-A0TQ-01A 27 years, female, white, stage:Stage IIIA, alive, 2991 days 209.0
TCGA-OL-A97C-01A 67 years, female, black or african american, stage:Stage IIB, alive, 271 days 208.9
TCGA-B6-A0IE-01A 38 years, female, black or african american, stage:Stage IIIA, dead, 1993 days 208.9
TCGA-E2-A15H-01A 38 years, female, white, stage:Stage IIA, alive, 393 days 208.9
TCGA-E9-A1N6-01A 52 years, female, white, stage:Stage IIB, dead, 678 days 208.8
TCGA-A7-A56D-01A 84 years, female, black or african american, stage:Stage IIA, alive, 448 days 208.8
TCGA-E2-A10F-01A 47 years, female, white, stage:Stage IIA, alive, 878 days 208.7
TCGA-AN-A0FJ-01A 59 years, female, white, stage:Stage IV, alive, 242 days 208.0
TCGA-LQ-A4E4-01A 73 years, female, white, stage:Stage IIIA, alive, 849 days 207.8
TCGA-D8-A1XR-01A 56 years, female, white, stage:Stage IIB, alive, 482 days 207.6
TCGA-BH-A0BC-01A 60 years, female, white, stage:Stage IIIC, alive, 974 days 207.4
TCGA-E2-A1IF-01A 74 years, female, white, stage:Stage I, alive, 1138 days 207.0
TCGA-AC-A3W7-01A 66 years, female, white, stage:Stage IIB, alive, 471 days 206.3
TCGA-5L-AAT0-01A 42 years, female, white, stage:Stage IIA, alive, 1477 days 205.8
TCGA-E2-A1BD-01A 53 years, female, white, stage:Stage IIA, alive, 1133 days 205.8
TCGA-A8-A06Q-01A 63 years, female, stage:Stage IIIA, alive, 31 days 205.3
TCGA-A7-A4SE-01A 54 years, female, black or african american, stage:Stage IIA, alive, 644 days 205.2
TCGA-A1-A0SK-01A 54 years, female, asian, stage:Stage IIA, dead, 967 days 205.2
TCGA-GM-A3XN-01A 44 years, female, white, stage:Stage IIIA, alive, 2019 days 204.7
TCGA-D8-A1Y1-01A 80 years, female, white, stage:Stage IIIA, dead, 302 days 204.0
TCGA-BH-A5J0-01A 63 years, female, black or african american, stage:Stage IA, alive, 715 days 203.8
TCGA-BH-A0E1-01A 52 years, female, white, stage:Stage IIB, alive, 477 days 203.6
TCGA-BH-A18Q-01A 56 years, female, white, stage:Stage IIB, dead, 1692 days 203.4
TCGA-E2-A15T-01A 65 years, female, white, stage:Stage IIA, alive, 1563 days 203.4
TCGA-BH-A201-01A 64 years, female, white, stage:Stage IA, alive, 856 days 203.3
TCGA-AR-A24R-01A 45 years, female, white, stage:Stage IIIA, alive, 3430 days 202.7
TCGA-BH-A1EX-01A 67 years, female, white, stage:Stage IIB, dead, 1508 days 202.6
TCGA-A7-A5ZX-01A 48 years, female, white, stage:Stage IIIC, alive, 336 days 202.6
TCGA-AR-A1AQ-01A 49 years, female, white, stage:Stage IIA, alive, 3021 days 201.9
TCGA-A8-A093-01A 61 years, female, stage:Stage IIA, alive, 546 days 201.8
TCGA-E9-A3X8-01A 48 years, female, white, stage:Stage IIB, alive, 926 days 201.4
TCGA-OL-A66K-01A 72 years, female, white, stage:Stage IIA, dead, 1275 days 201.3
TCGA-D8-A13Y-01A 52 years, female, white, stage:Stage IA, alive, 1728 days 201.1
TCGA-AN-A0AK-01A 76 years, female, white, stage:Stage IIA, alive, 224 days 200.6
TCGA-OL-A66N-01A 59 years, female, white, stage:Stage IIIC, alive, 792 days 200.5
TCGA-OL-A5RX-01A 51 years, female, black or african american, stage:Stage IA, alive, 878 days 200.3
TCGA-A2-A0T5-01A 39 years, female, white, stage:Stage IIA, alive, 531 days 199.8
TCGA-EW-A1OX-01A 43 years, female, white, stage:Stage IIA, alive, 911 days 199.7
TCGA-BH-A1FU-01A 44 years, female, white, stage:Stage IA, dead, 1688 days 199.5
TCGA-E2-A14Q-01A 50 years, female, white, stage:Stage IIB, alive, 1163 days 199.5
TCGA-E9-A1RH-01A 63 years, female, white, stage:Stage IIA, alive, 1417 days 199.1
TCGA-WT-AB41-01A 55 years, female, black or african american, stage:Stage IIB, alive, 1611 days 198.9
TCGA-BH-A42T-01A 75 years, female, black or african american, stage:Stage IIA, dead, 320 days 198.8
TCGA-AC-A2QJ-01A 48 years, female, white, stage:Stage IIIB, dead, 446 days 198.7
TCGA-AR-A255-01A 62 years, female, white, stage:Stage I, alive, 2161 days 198.5
TCGA-AC-A2FG-01A 79 years, female, white, stage:Stage IIB, alive, 1853 days 198.4
TCGA-EW-A1P0-01A 55 years, female, white, stage:Stage IIB, alive, 1251 days 198.4
TCGA-AC-A3TN-01A 75 years, female, white, stage:Stage IIB, alive, 456 days 198.1
TCGA-AR-A2LM-01A 49 years, female, white, stage:Stage II, alive, 1935 days 198.1
TCGA-AC-A62V-01A 58 years, male, black or african american, stage:Stage IV, dead, 348 days 197.9
TCGA-BH-A18G-01A 81 years, female, white, stage:Stage IA, alive, 149 days 197.6
TCGA-AR-A24H-01A 65 years, female, white, stage:Stage IIA, alive, 4894 days 197.6
TCGA-BH-A0GY-01A 67 years, female, white, stage:Stage IIA, alive, 923 days 197.6
TCGA-BH-A0HQ-01A 56 years, female, white, stage:Stage IIA, alive, 1121 days 197.1
TCGA-BH-A0HY-01A 60 years, female, white, stage:Stage I, alive, 1545 days 196.9
TCGA-BH-A1FN-01A 34 years, female, white, stage:Stage IIA, dead, 2192 days 196.9
TCGA-A8-A09N-01A 57 years, female, stage:Stage IIIC, alive, 31 days 196.9
TCGA-D8-A1XJ-01A 76 years, female, white, stage:Stage IIIA, alive, 664 days 196.3
TCGA-B6-A0RU-01A 40 years, female, white, stage:Stage IA, alive, 8605 days 196.1
TCGA-E2-A106-01A 34 years, female, asian, stage:Stage IB, alive, 2541 days 196.0
TCGA-C8-A26Z-01A 59 years, female, asian, stage:Stage IIA, alive, 470 days 195.9
TCGA-OK-A5Q2-01A 59 years, female, stage:Stage II, alive, 64 days 195.5
TCGA-E9-A1R5-01A 63 years, female, white, stage:Stage IA, alive, 92 days 195.1
TCGA-E2-A15L-01A 65 years, female, black or african american, stage:Stage IIA, alive, 626 days 194.2
TCGA-LL-A5YO-01A 50 years, female, black or african american, stage:Stage IA, alive, 440 days 193.9
TCGA-B6-A0I2-01A 45 years, female, white, stage:Stage IA, alive, 4361 days 193.8
TCGA-EW-A6SC-01A 60 years, female, black or african american, stage:Stage IIA, alive, 952 days 193.7
TCGA-LD-A74U-01A 79 years, female, white, stage:Stage IIIC, alive, 402 days 193.5
TCGA-A2-A0SW-01A 82 years, female, white, stage:Stage IV, dead, 1365 days 193.4
TCGA-GM-A3NW-01A 63 years, female, white, stage:Stage IIA, alive, 3361 days 193.2
TCGA-E9-A24A-01A 69 years, female, white, stage:Stage IIA, alive, 747 days 193.1
TCGA-AR-A1AP-01A 80 years, female, white, stage:Stage I, alive, 2856 days 192.9
TCGA-A8-A09W-01A 70 years, female, stage:Stage IIIB, alive, 30 days 192.9
TCGA-E2-A14N-01A 37 years, female, white, stage:Stage IIB, alive, 1434 days 192.8
TCGA-AO-A0JD-01A 59 years, female, white, stage:Stage IIIA, alive, 2190 days 192.4
TCGA-A2-A25A-01A 44 years, female, white, stage:Stage IIA, alive, 3276 days 192.2
TCGA-E9-A249-01A 45 years, female, white, stage:Stage IIA, alive, 217 days 192.1
TCGA-AN-A0FZ-01A 45 years, female, white, stage:Stage IIIA, alive, 10 days 192.0
TCGA-AC-A2BM-01A 41 years, female, black or african american, stage:Stage IIB, alive, 3022 days 191.9
TCGA-BH-A0BR-01A 59 years, female, white, stage:Stage I, alive, 2330 days 191.5
TCGA-A8-A08L-01A 89 years, female, stage:Stage IIIA, dead, 30 days 191.4
TCGA-LL-A5YM-01A 88 years, female, black or african american, stage:Stage IIIB, alive, 394 days 191.3
TCGA-A2-A0CQ-01A 62 years, female, black or african american, stage:Stage IA, alive, 2695 days 191.3
TCGA-E2-A15K-01A 58 years, female, white, stage:Stage IIB, alive, 275 days 191.3
TCGA-AN-A0FY-01A 55 years, female, white, stage:Stage IA, alive, 10 days 191.3
TCGA-D8-A142-01A 74 years, female, white, stage:Stage IIB, alive, 425 days 191.2
TCGA-A8-A08F-01A 59 years, female, stage:Stage IIIC, alive, 1004 days 191.1
TCGA-C8-A12Q-01A 78 years, female, asian, stage:Stage IIIA, dead, 385 days 190.9
TCGA-BH-A0HN-01A 67 years, female, white, stage:Stage IA, alive, 516 days 190.7
TCGA-AO-A03V-01A 41 years, female, white, stage:Stage I, alive, 1351 days 190.0
TCGA-AN-A04A-01A 36 years, female, white, stage:Stage IIIA, alive, 90 days 189.8
TCGA-E2-A159-01A 50 years, female, white, stage:Stage IIA, alive, 762 days 189.7
TCGA-AR-A1AR-01A 50 years, female, white, stage:Stage IIIA, dead, 524 days 189.0
TCGA-A8-A08T-01A 64 years, female, stage:Stage IV, dead, 3409 days 188.7
TCGA-C8-A131-01A 82 years, female, asian, stage:Stage IIIA, alive, 411 days 188.6
TCGA-LL-A6FQ-01A 77 years, female, black or african american, stage:Stage IIIA, alive, 80 days 188.5
TCGA-E9-A1RA-01A 48 years, female, white, stage:Stage IA, alive, 1369 days 188.4
TCGA-D8-A3Z5-01A 54 years, female, white, stage:Stage IIIC, alive, 1015 days 188.3
TCGA-B6-A0WT-01A 61 years, female, white, stage:Stage IIB, alive, 5739 days 187.8
TCGA-A2-A0SV-01A 63 years, female, white, stage:Stage IV, dead, 825 days 187.7
TCGA-BH-A0BP-01A 76 years, female, white, stage:Stage I, dead, 2296 days 187.7
TCGA-A8-A08O-01A 45 years, female, stage:Stage IV, alive, 943 days 187.6
TCGA-BH-A0RX-01A 59 years, female, white, stage:Stage IIA, alive, 170 days 187.3
TCGA-B6-A1KN-01A 57 years, female, white, stage:Stage IIIB, alive, 4233 days 187.1
TCGA-BH-A0DX-01A 62 years, female, white, stage:Stage I, alive, 2156 days 187.0
TCGA-C8-A27A-01A 48 years, female, asian, stage:Stage IIB, alive, 747 days 186.8
TCGA-EW-A1IW-01A 80 years, female, white, stage:Stage IIB, alive, 371 days 186.8
TCGA-B6-A3ZX-01A 50 years, female, black or african american, stage:Stage IV, dead, 1152 days 186.7
TCGA-E2-A14P-01A 79 years, female, white, stage:Stage IIIC, alive, 1246 days 186.7
TCGA-AR-A24N-01A 54 years, female, white, stage:Stage I, alive, 3035 days 186.5
TCGA-AN-A04C-01A 51 years, female, white, stage:Stage IIB, alive, 54 days 186.3
TCGA-C8-A3M8-01A 68 years, female, asian, stage:Stage IA, alive, 394 days 186.3
TCGA-A1-A0SQ-01A 45 years, female, white, stage:Stage IIB, alive, 554 days 186.1
TCGA-B6-A0IM-01A 75 years, female, black or african american, stage:Stage IIB, dead, 3873 days 185.9
TCGA-D8-A27N-01A 36 years, female, white, stage:Stage IIIA, alive, 519 days 185.8
TCGA-B6-A0IA-01A 51 years, female, white, stage:Stage IIA, alive, 8391 days 185.8
TCGA-A2-A4S1-01A 66 years, female, white, stage:Stage IIA, alive, 820 days 185.7
TCGA-BH-A0BQ-01A 39 years, female, white, stage:Stage I, alive, 2255 days 185.7
TCGA-E9-A1N9-01A 58 years, female, white, stage:Stage IIA, alive, 1101 days 185.4
TCGA-OL-A66O-01A 39 years, female, black or african american, stage:Stage IIB, alive, 528 days 185.4
TCGA-AO-A0JG-01A 49 years, female, white, stage:Stage IIIA, alive, 798 days 185.2
TCGA-D8-A1Y3-01A 61 years, female, white, stage:Stage IIIA, alive, 430 days 185.2
TCGA-OL-A5RZ-01A 57 years, female, black or african american, stage:Stage IA, alive, 679 days 185.1
TCGA-B6-A0X0-01A 54 years, female, white, stage:Stage I, dead, 3945 days 184.9
TCGA-D8-A27G-01A 75 years, female, white, stage:Stage IIA, alive, 409 days 184.9
TCGA-E2-A576-01A 69 years, female, black or african american, stage:Stage IA, alive, 1043 days 184.7
TCGA-AR-A0TP-01A 43 years, female, white, stage:Stage IIA, alive, 4275 days 184.6
TCGA-AR-A24S-01A 61 years, female, white, stage:Stage I, alive, 2976 days 184.5
TCGA-BH-A0EB-01A 69 years, female, white, stage:Stage IA, alive, 745 days 184.4
TCGA-A7-A426-01A 50 years, female, white, stage:Stage IIIC, alive, 364 days 184.3
TCGA-B6-A0RH-01A 51 years, female, black or african american, stage:Stage IIA, dead, 6456 days 183.9
TCGA-GM-A3NY-01A 72 years, female, white, stage:Stage IIB, alive, 1162 days 183.8
TCGA-GM-A3XG-01A 46 years, female, white, stage:Stage IIIA, alive, 1330 days 183.8
TCGA-AC-A7VC-01A 56 years, female, white, stage:Stage IIB, alive, 1 days 183.6
TCGA-C8-A12Z-01A 45 years, female, asian, stage:Stage IIB, alive, 382 days 183.5
TCGA-D8-A1XW-01A 53 years, female, white, stage:Stage IIA, alive, 1309 days 183.5
TCGA-D8-A1JD-01A 41 years, female, white, stage:Stage IIB, alive, 552 days 183.4
TCGA-A7-A26H-01A 72 years, female, white, stage:Stage IIA, alive, 724 days 182.9
TCGA-BH-A6R9-01A 61 years, female, white, stage:Stage IIA, alive, 160 days 182.4
TCGA-AC-A2FM-01A 87 years, female, white, stage:Stage IIB, dead, 792 days 182.1
TCGA-BH-A0H3-01A 46 years, female, white, stage:Stage I, alive, 1928 days 181.8
TCGA-BH-A0DZ-01A 43 years, female, white, stage:Stage IIB, alive, 495 days 181.5
TCGA-A2-A3KD-01A 47 years, female, white, stage:Stage IIIA, alive, 1206 days 181.4
TCGA-AQ-A7U7-01A 55 years, female, white, stage:Stage IIIA, dead, 584 days 181.1
TCGA-D8-A141-01A 40 years, female, white, stage:'--, alive, 626 days 180.7
TCGA-A2-A0CR-01A 54 years, female, asian, stage:Stage IIB, alive, 3283 days 180.7
TCGA-EW-A6SD-01A 32 years, female, black or african american, stage:Stage IIB, alive, 1010 days 180.1
TCGA-C8-A26W-01A 58 years, female, asian, stage:Stage IIB, alive, 381 days 180.0
TCGA-LL-A5YN-01A 46 years, female, black or african american, stage:Stage IIA, alive, 447 days 179.9
TCGA-A8-A07L-01A 58 years, female, stage:Stage IIIA, alive, 975 days 179.9
TCGA-A2-A3XT-01A 45 years, female, black or african american, stage:Stage IIB, alive, 2770 days 179.6
TCGA-E2-A15O-01A 89 years, female, black or african american, stage:Stage I, alive, 289 days 179.6
TCGA-A8-A08B-01A 52 years, female, stage:Stage IIA, alive, 1156 days 179.5
TCGA-A8-A099-01A 76 years, female, stage:Stage X, alive, 304 days 179.5
TCGA-A8-A082-01A 58 years, female, stage:Stage IIB, alive, 549 days 179.5
TCGA-B6-A0IP-01A 74 years, female, white, stage:Stage IA, dead, 3926 days 179.2
TCGA-A2-A3XS-01A 62 years, female, black or african american, stage:Stage IIIA, dead, 1032 days 178.9
TCGA-EW-A1OY-01A 63 years, female, white, stage:Stage IIA, alive, 908 days 178.9
TCGA-AC-A2B8-01A 84 years, female, white, stage:Stage IIB, alive, 677 days 178.9
TCGA-BH-A0BO-01A 54 years, female, white, stage:Stage I, alive, 2197 days 178.7
TCGA-BH-A1F0-01A 80 years, female, white, stage:Stage IIA, dead, 785 days 178.4
TCGA-AC-A3BB-01A 46 years, female, black or african american, stage:Stage IIIA, alive, 987 days 178.1
TCGA-D8-A27P-01A 64 years, female, white, stage:Stage IA, alive, 49 days 178.0
TCGA-AN-A0AL-01A 41 years, female, white, stage:Stage IIIB, alive, 227 days 177.8
TCGA-B6-A0RG-01A 26 years, female, white, stage:Stage IIB, alive, 2082 days 177.7
TCGA-B6-A0RN-01A 60 years, female, white, stage:Stage IA, alive, 8008 days 177.6
TCGA-E9-A5UO-01A 41 years, female, white, stage:Stage IIA, alive, 785 days 177.6
TCGA-BH-A0HI-01A 78 years, female, white, stage:Stage IA, alive, 620 days 177.3
TCGA-A8-A08G-01A 41 years, female, stage:Stage IIA, alive, 607 days 177.2
TCGA-BH-A8FZ-01A 58 years, female, white, stage:Stage IA, alive, 574 days 177.2
TCGA-E9-A1NA-01A 58 years, female, white, stage:Stage IIA, alive, 1112 days 177.2
TCGA-BH-A0DK-01A 49 years, female, white, stage:Stage IIA, alive, 423 days 177.2
TCGA-EW-A6SB-01A 62 years, female, black or african american, stage:Stage II, alive, 760 days 177.0
TCGA-D8-A27T-01A 53 years, female, white, stage:Stage IIIC, alive, 398 days 177.0
TCGA-A7-A4SA-01A 40 years, female, white, stage:Stage IIB, alive, 454 days 176.9
TCGA-AC-A3YI-01A 74 years, female, white, stage:Stage IIIC, alive, 707 days 176.9
TCGA-A8-A06Y-01A 66 years, female, stage:Stage IIA, alive, 791 days 176.7
TCGA-LL-A440-01A 61 years, female, white, stage:Stage IA, alive, 759 days 176.6
TCGA-AR-A24K-01A 46 years, female, white, stage:Stage IIA, alive, 1548 days 176.5
TCGA-A2-A4S2-01A 62 years, female, white, stage:Stage IIIA, alive, 643 days 176.0
TCGA-B6-A0WV-01A 67 years, female, white, stage:Stage IIB, dead, 2417 days 176.0
TCGA-A2-A04Q-01A 48 years, female, white, stage:Stage IA, alive, 2385 days 175.9
TCGA-A2-A0SX-01A 48 years, female, white, stage:Stage IA, alive, 1534 days 175.8
TCGA-AR-A5QP-01A 54 years, female, white, stage:Stage IIB, alive, 1185 days 175.7
TCGA-EW-A6SA-01A 59 years, male, black or african american, stage:Stage II, alive, 510 days 175.6
TCGA-AR-A24P-01A 47 years, female, white, stage:Stage I, alive, 84 days 174.8
TCGA-BH-A1ES-01A 35 years, female, white, stage:Stage IIB, dead, 3462 days 174.5
TCGA-AR-A1AK-01A 70 years, female, white, stage:Stage I, alive, 3159 days 174.4
TCGA-BH-A0BV-01A 78 years, female, white, stage:Stage IIB, alive, 1519 days 174.3
TCGA-LL-A740-01A 61 years, female, black or african american, stage:Stage IA, alive, 441 days 174.2
TCGA-AC-A23E-01A 50 years, female, white, stage:Stage IIB, alive, 698 days 174.2
TCGA-V7-A7HQ-01A 75 years, female, black or african american, stage:Stage IIIA, alive, 2033 days 174.0
TCGA-BH-A1EW-01A 38 years, female, white, stage:Stage IIA, dead, 1694 days 174.0
TCGA-BH-A18J-01A 56 years, female, white, stage:Stage IV, dead, 612 days 173.9
TCGA-AR-A0U0-01A 73 years, female, white, stage:Stage IIB, alive, 1988 days 173.1
TCGA-PE-A5DD-01A 64 years, female, asian, stage:Stage IIA, alive, 1953 days 173.1
TCGA-AN-A03Y-01A 66 years, female, white, stage:Stage IIA, alive, 10 days 173.0
TCGA-E2-A572-01A 72 years, female, black or african american, stage:Stage IIIA, alive, 1208 days 173.0
TCGA-A8-A08P-01A 70 years, female, stage:Stage IIIA, alive, 943 days 173.0
TCGA-EW-A6S9-01A 34 years, female, black or african american, stage:Stage IIA, alive, 463 days 172.9
TCGA-E9-A295-01A 71 years, female, white, stage:Stage IIA, alive, 375 days 172.7
TCGA-AN-A0FV-01A 58 years, female, white, stage:Stage IIA, alive, 10 days 172.6
TCGA-E2-A1LG-01A 50 years, female, black or african american, stage:Stage IIA, alive, 1523 days 172.6
TCGA-GI-A2C9-01A 58 years, female, black or african american, stage:Stage IIB, alive, 3342 days 172.5
TCGA-A2-A0D4-01A 37 years, female, black or african american, stage:Stage IIB, alive, 767 days 172.2
TCGA-AN-A0AS-01A 70 years, female, white, stage:Stage IIIA, alive, 10 days 171.9
TCGA-D8-A1XD-01A 36 years, female, white, stage:Stage IIIA, alive, 522 days 171.8
TCGA-BH-A0BG-01A 73 years, female, white, stage:Stage I, alive, 1871 days 171.7
TCGA-E2-A10E-01A 64 years, female, white, stage:Stage IIA, alive, 865 days 171.5
TCGA-D8-A27L-01A 49 years, female, white, stage:Stage IIIA, alive, 499 days 171.5
TCGA-E2-A10C-01A 54 years, female, white, stage:Stage IIB, alive, 1220 days 171.5
TCGA-D8-A1XB-01A 62 years, female, white, stage:Stage IIB, alive, 552 days 171.4
TCGA-AN-A0XP-01A 69 years, female, white, stage:Stage IIIA, alive, 9 days 171.4
TCGA-E9-A1NE-01A 28 years, female, white, stage:Stage IIB, alive, 1088 days 171.2
TCGA-EW-A2FR-01A 59 years, female, black or african american, stage:Stage IIIC, alive, 1673 days 171.2
TCGA-EW-A1P1-01A 68 years, female, white, stage:Stage IIIC, alive, 1210 days 170.5
TCGA-GM-A2DI-01A 52 years, female, white, stage:Stage I, alive, 2590 days 170.4
TCGA-UL-AAZ6-01A 73 years, female, black or african american, stage:Stage IIA, alive, 518 days 170.4
TCGA-AO-A12A-01A 47 years, female, white, stage:Stage IIA, alive, 3112 days 170.1
TCGA-AN-A049-01A 62 years, female, white, stage:Stage IIA, alive, 19 days 170.1
TCGA-D8-A27M-01A 59 years, female, white, stage:Stage IA, alive, 410 days 170.0
TCGA-D8-A1JJ-01A 54 years, female, white, stage:Stage IIA, alive, 611 days 170.0
TCGA-E2-A152-01A 56 years, female, white, stage:Stage I, alive, 2128 days 170.0
TCGA-OL-A5RY-01A 52 years, female, black or african american, stage:Stage IIA, alive, 752 days 169.9
TCGA-OL-A5DA-01A 61 years, female, white, stage:Stage IIA, alive, 1783 days 169.6
TCGA-WT-AB44-01A 77 years, female, white, stage:Stage IA, alive, 883 days 169.5
TCGA-A2-A3KC-01A 55 years, female, black or african american, stage:Stage IIB, alive, 1102 days 169.4
TCGA-AO-A12C-01A 42 years, female, white, stage:Stage IIB, alive, 2372 days 169.3
TCGA-AN-A0FL-01A 62 years, female, white, stage:Stage IIA, alive, 231 days 168.7
TCGA-B6-A0RP-01A 73 years, female, white, stage:'--, dead, 3126 days 168.7
TCGA-3C-AALI-01A 50 years, female, black or african american, stage:Stage IIB, alive, 4005 days 168.6
TCGA-AN-A0XW-01A 36 years, female, white, stage:Stage IIIA, alive, 170 days 168.6
TCGA-AQ-A1H3-01A 49 years, female, white, stage:Stage IIIC, alive, 989 days 168.5
TCGA-OL-A5RU-01A 63 years, female, black or african american, stage:Stage IIA, alive, 1219 days 168.5
TCGA-JL-A3YW-01A 49 years, female, asian, stage:Stage IIB, alive, 360 days 168.4
TCGA-E2-A15J-01A 51 years, female, white, stage:Stage I, alive, 1640 days 168.1
TCGA-E2-A14X-01A 55 years, female, black or african american, stage:Stage IIIA, alive, 972 days 167.9
TCGA-A8-A0A1-01A 84 years, female, stage:Stage IIA, alive, 365 days 167.9
TCGA-AR-A250-01A 58 years, female, white, stage:Stage IIA, alive, 2707 days 167.8
TCGA-B6-A0I8-01A 46 years, female, white, stage:Stage X, dead, 749 days 167.7
TCGA-A2-A0YL-01A 48 years, female, white, stage:Stage IIIA, alive, 1474 days 167.4
TCGA-E2-A1B0-01A 50 years, female, white, stage:Stage IIIA, alive, 1631 days 167.4
TCGA-BH-A18R-01A 50 years, female, white, stage:Stage IIA, dead, 1142 days 167.2
TCGA-E2-A1LL-01A 73 years, female, black or african american, stage:Stage IIIA, alive, 1309 days 167.0
TCGA-B6-A0WW-01A 58 years, female, black or african american, stage:Stage X, dead, 558 days 166.8
TCGA-D8-A1JN-01A 80 years, female, white, stage:Stage IIIC, alive, 620 days 166.8
TCGA-E9-A248-01A 51 years, female, white, stage:Stage IIA, alive, 59 days 166.6
TCGA-Z7-A8R5-01A 61 years, female, white, stage:Stage IIIA, alive, 3287 days 166.5
TCGA-C8-A12W-01A 49 years, female, asian, stage:Stage IIIB, alive, 385 days 166.5
TCGA-D8-A1X8-01A 62 years, female, white, stage:Stage IIIA, alive, 783 days 166.4
TCGA-BH-A0E7-01A 79 years, female, white, stage:Stage IIB, alive, 1363 days 166.3
TCGA-AR-A0U2-01A 47 years, female, white, stage:Stage IIIA, dead, 2551 days 166.2
TCGA-E2-A1IN-01A 60 years, female, white, stage:Stage I, alive, 675 days 166.2
TCGA-AO-A0JE-01A 53 years, female, black or african american, stage:Stage IIIA, alive, 2335 days 166.0
TCGA-A2-A0YJ-01A 39 years, female, white, stage:Stage IIIA, alive, 566 days 166.0
TCGA-E2-A150-01A 48 years, female, white, stage:Stage IIA, alive, 1935 days 166.0
TCGA-E9-A229-01A 37 years, female, white, stage:Stage IA, alive, 1148 days 165.9
TCGA-A2-A0CK-01A 60 years, female, white, stage:Stage IIIA, alive, 4159 days 165.7
TCGA-D8-A1XO-01A 56 years, female, white, stage:Stage IIB, alive, 1682 days 165.6
TCGA-EW-A1PF-01A 50 years, female, white, stage:Stage IA, alive, 439 days 165.4
TCGA-A2-A0YH-01A 53 years, female, white, stage:Stage IIIA, alive, 659 days 165.3
TCGA-A8-A06O-01A 60 years, female, stage:Stage I, alive, 396 days 165.3
TCGA-BH-A202-01A 60 years, female, white, stage:Stage II, alive, 795 days 165.2
TCGA-AN-A0AM-01A 56 years, female, white, stage:Stage IIA, alive, 5 days 165.0
TCGA-AC-A5EH-01A 76 years, female, black or african american, stage:Stage IIB, alive, 511 days 164.8
TCGA-D8-A73W-01A 79 years, female, white, stage:Stage IIIA, dead, 385 days 164.6
TCGA-3C-AALK-01A 52 years, female, black or african american, stage:Stage IA, alive, 1448 days 164.6
TCGA-C8-A1HE-01A 59 years, female, asian, stage:Stage IIA, alive, 375 days 164.5
TCGA-EW-A2FW-01A 52 years, female, white, stage:Stage IIA, alive, 672 days 164.5
TCGA-E9-A1RF-01A 68 years, female, white, stage:Stage IIIA, alive, 200 days 164.4
TCGA-OL-A6VR-01A 48 years, female, black or african american, stage:Stage IA, alive, 1220 days 164.1
TCGA-A2-A0YC-01A 59 years, female, white, stage:Stage IIB, alive, 990 days 164.1
TCGA-E9-A1NI-01A 51 years, female, white, stage:Stage IIA, alive, 300 days 164.0
TCGA-A8-A06U-01A 80 years, female, stage:Stage IIB, dead, 883 days 163.9
TCGA-OL-A66J-01A 80 years, female, white, stage:Stage I, alive, 1996 days 163.7
TCGA-E2-A2P5-01A 78 years, female, black or african american, stage:Stage IIIC, dead, 821 days 163.6
TCGA-BH-A0DS-01A 71 years, female, white, stage:Stage IIIA, alive, 78 days 163.4
TCGA-GM-A2DL-01A 50 years, female, white, stage:Stage I, alive, 3519 days 163.4
TCGA-AN-A0FN-01A 61 years, female, white, stage:Stage IA, alive, 218 days 163.4
TCGA-E2-A1L9-01A 40 years, female, white, stage:Stage IIA, alive, 598 days 163.0
TCGA-EW-A1PA-01A 59 years, female, white, stage:Stage IIB, alive, 575 days 162.9
TCGA-EW-A1J2-01A 50 years, female, black or african american, stage:'--, alive, 403 days 162.8
TCGA-D8-A27H-01A 72 years, female, white, stage:Stage IIA, alive, 397 days 162.7
TCGA-BH-A0BJ-01A 41 years, female, white, stage:Stage IIB, alive, 660 days 162.6
TCGA-A2-A1G0-01A 49 years, female, white, stage:Stage IIB, alive, 616 days 162.3
TCGA-3C-AALJ-01A 62 years, female, black or african american, stage:Stage IIB, alive, 1474 days 161.9
TCGA-EW-A1OV-01A 56 years, female, white, stage:Stage IIB, alive, 789 days 161.5
TCGA-A2-A25B-01A 39 years, female, black or african american, stage:Stage IIB, alive, 1291 days 161.4
TCGA-BH-A0DH-01A 63 years, female, white, stage:Stage IIB, alive, 1156 days 161.2
TCGA-A7-A2KD-01A 53 years, female, black or african american, stage:Stage IIIA, alive, 679 days 160.9
TCGA-A1-A0SF-01A 54 years, female, white, stage:Stage IIA, alive, 1463 days 160.7
TCGA-A8-A079-01A 69 years, female, stage:Stage IIIB, alive, 274 days 160.4
TCGA-D8-A1XS-01A 48 years, male, white, stage:Stage IIIC, alive, 496 days 160.3
TCGA-A8-A075-01A 42 years, female, stage:Stage IIB, alive, 518 days 160.0
TCGA-BH-A0B7-01A 42 years, female, white, stage:Stage IIB, alive, 2559 days 159.8
TCGA-BH-A1EV-01A 45 years, female, white, stage:Stage IIIA, dead, 365 days 159.1
TCGA-E9-A247-01A 59 years, female, white, stage:Stage IA, alive, 1186 days 159.0
TCGA-BH-A0AY-01A 62 years, female, white, stage:Stage IIA, alive, 777 days 158.9
TCGA-C8-A273-01A 29 years, female, asian, stage:Stage IIB, alive, 513 days 158.8
TCGA-BH-A1EN-01A 78 years, female, white, stage:Stage IIA, dead, 2127 days 158.7
TCGA-AO-A0J5-01A 48 years, female, white, stage:Stage IV, dead, 792 days 158.6
TCGA-E9-A1RD-01A 67 years, female, white, stage:Stage IIA, alive, 34 days 158.4
TCGA-AR-A5QM-01A 62 years, female, white, stage:Stage IIA, alive, 2231 days 158.2
TCGA-A8-A06T-01A 75 years, female, stage:Stage IIIA, alive, 1614 days 158.2
TCGA-BH-A18U-01A 72 years, female, white, stage:Stage IIIA, dead, 1563 days 157.6
TCGA-BH-A0W7-01A 49 years, female, white, stage:Stage I, alive, 1363 days 157.5
TCGA-B6-A408-01A 55 years, female, black or african american, stage:Stage IIIC, alive, 2072 days 157.4
TCGA-E9-A2JT-01A 63 years, female, white, stage:Stage IIA, alive, 288 days 157.1
TCGA-BH-A0DT-01A 41 years, female, white, stage:Stage IIA, alive, 2403 days 156.8
TCGA-AC-A3HN-01A 87 years, female, white, stage:Stage IIB, alive, 496 days 156.4
TCGA-E9-A1QZ-01A 61 years, female, white, stage:Stage IIA, alive, 755 days 156.1
TCGA-BH-A0GZ-01A 62 years, female, white, stage:Stage IIA, alive, 328 days 155.9
TCGA-B6-A0I5-01A 49 years, female, white, stage:Stage IIB, alive, 8556 days 155.9
TCGA-A8-A09K-01A 68 years, female, stage:Stage IIA, alive, 912 days 155.9
TCGA-AR-A1AU-01A 39 years, female, white, stage:Stage IIIA, alive, 2868 days 155.8
TCGA-A2-A259-01A 70 years, female, black or african american, stage:Stage I, alive, 1596 days 155.7
TCGA-B6-A0WY-01A 40 years, female, white, stage:Stage IIIA, dead, 3461 days 155.6
TCGA-C8-A1HF-01A 48 years, female, asian, stage:Stage IIA, alive, 332 days 155.5
TCGA-AR-A1AO-01A 47 years, female, white, stage:Stage IIA, alive, 2618 days 155.4
TCGA-E9-A54Y-01A 63 years, female, white, stage:Stage IIIA, alive, 725 days 155.4
TCGA-B6-A0RO-01A 71 years, female, white, stage:Stage IIIB, alive, 4929 days 155.4
TCGA-D8-A1X9-01A 66 years, female, white, stage:Stage IIB, alive, 727 days 155.2
TCGA-BH-A0DP-01A 60 years, female, white, stage:Stage IIB, alive, 476 days 155.2
TCGA-AR-A1AX-01A 64 years, female, white, stage:Stage I, alive, 2629 days 155.1
TCGA-A2-A0ST-01A 62 years, female, white, stage:Stage IIA, alive, 3017 days 155.1
TCGA-BH-A0B0-01A 56 years, female, black or african american, stage:Stage I, alive, 2477 days 155.1
TCGA-BH-A18H-01A 63 years, female, white, stage:Stage IA, alive, 652 days 154.9
TCGA-E9-A1R3-01A 70 years, female, white, stage:Stage IIIC, alive, 78 days 154.4
TCGA-AC-A2FE-01A 62 years, female, white, stage:Stage IIIC, dead, 2636 days 154.1
TCGA-BH-A0DQ-01A 42 years, female, white, stage:Stage IIB, alive, 98 days 154.1
TCGA-A7-A3IY-01A 71 years, female, white, stage:Stage I, alive, 345 days 154.0
TCGA-C8-A130-01A 52 years, female, asian, stage:Stage IIIA, alive, 370 days 153.9
TCGA-AQ-A54N-01A 51 years, female, black or african american, stage:Stage IIA, alive, 78 days 153.8
TCGA-A7-A3IZ-01A 62 years, female, white, stage:Stage IIA, alive, 322 days 153.4
TCGA-E9-A5UP-01A 63 years, female, white, stage:Stage IIA, alive, 803 days 153.3
TCGA-AR-A24T-01A 46 years, female, white, stage:Stage IIIC, alive, 3202 days 153.2
TCGA-BH-A0H7-01A 65 years, female, white, stage:Stage IIIA, alive, 702 days 153.1
TCGA-A2-A0CV-01A 41 years, female, asian, stage:Stage IIB, alive, 3011 days 153.1
TCGA-A8-A09X-01A 62 years, female, stage:Stage IIIC, dead, 426 days 152.9
TCGA-E2-A15M-01A 66 years, female, white, stage:Stage IIA, dead, 336 days 152.8
TCGA-D8-A1XC-01A 85 years, female, white, stage:Stage IIIB, dead, 377 days 152.7
TCGA-BH-A0B1-01A 66 years, female, white, stage:Stage IIB, alive, 1148 days 152.5
TCGA-A8-A0A4-01A 73 years, female, stage:Stage IIA, alive, 396 days 152.3
TCGA-A2-A0CL-01A 37 years, female, black or african american, stage:Stage IIIA, alive, 3015 days 151.8
TCGA-AC-A8OP-01A 72 years, female, black or african american, stage:Stage IA, alive, 614 days 151.8
TCGA-A8-A0A2-01A 66 years, female, stage:Stage IIA, alive, 579 days 151.6
TCGA-A2-A0YG-01A 63 years, female, white, stage:Stage IIIC, alive, 666 days 151.6
TCGA-AR-A254-01A 50 years, female, white, stage:Stage IIIA, alive, 2605 days 151.5
TCGA-EW-A1PG-01A 53 years, female, white, stage:Stage IIB, alive, 1051 days 151.4
TCGA-D8-A27I-01A 58 years, female, white, stage:Stage IIIA, alive, 439 days 151.3
TCGA-A7-A3J1-01A 63 years, female, white, stage:Stage IA, alive, 343 days 151.3
TCGA-B6-A0RV-01A 42 years, female, white, stage:Stage IIIA, alive, 5156 days 151.2
TCGA-A2-A0T6-01A 50 years, female, white, stage:Stage IIB, alive, 575 days 151.1
TCGA-C8-A26V-01A 47 years, female, asian, stage:Stage IIIA, alive, 616 days 151.0
TCGA-A2-A1FW-01A 62 years, female, white, stage:Stage IIIA, alive, 528 days 151.0
TCGA-AR-A2LO-01A 46 years, female, white, stage:Stage IIB, alive, 1198 days 151.0
TCGA-D8-A1X5-01A 81 years, female, white, stage:Stage IIIC, alive, 565 days 150.9
TCGA-E2-A1L6-01A 44 years, female, white, stage:Stage IIA, alive, 1648 days 150.7
TCGA-A2-A4RY-01A 46 years, female, white, stage:Stage IIIC, alive, 648 days 150.6
TCGA-E9-A5FK-01A 60 years, female, white, stage:Stage IIIC, alive, 812 days 150.4
TCGA-EW-A1J1-01A 38 years, female, white, stage:Stage IIB, alive, 575 days 150.2
TCGA-A8-A06R-01A 69 years, female, stage:Stage IIB, alive, 547 days 150.0
TCGA-BH-A0HO-01A 48 years, female, white, stage:Stage IIA, alive, 76 days 149.4
TCGA-A7-A4SC-01A 62 years, female, white, stage:Stage IIB, alive, 446 days 149.3
TCGA-BH-A0AU-01A 45 years, female, white, stage:Stage IIA, alive, 1914 days 149.1
TCGA-E2-A14Y-01A 35 years, female, white, stage:Stage IIA, alive, 2109 days 148.9
TCGA-BH-A0DD-01A 58 years, male, white, stage:Stage IIB, alive, 2486 days 148.9
TCGA-GM-A2D9-01A 69 years, female, white, stage:Stage I, dead, 1812 days 148.7
TCGA-A2-A4RW-01A 49 years, female, white, stage:Stage IIIC, alive, 222 days 148.4
TCGA-E2-A1IG-01A 45 years, female, white, stage:Stage IIB, alive, 2140 days 148.1
TCGA-D8-A73U-01A 88 years, female, white, stage:Stage IIA, alive, 492 days 148.1
TCGA-E9-A22G-01A 47 years, female, white, stage:Stage IIA, alive, 1239 days 147.7
TCGA-C8-A3M7-01A 60 years, female, asian, stage:Stage IIIB, dead, 1034 days 147.7
TCGA-A2-A4RX-01A 67 years, female, black or african american, stage:Stage IIA, alive, 742 days 147.3
TCGA-GM-A2DB-01A 62 years, female, white, stage:Stage IIA, alive, 2406 days 147.3
TCGA-BH-A0DG-01A 30 years, female, black or african american, stage:Stage IIA, alive, 2041 days 147.2
TCGA-E2-A14Z-01A 64 years, female, white, stage:Stage I, dead, 563 days 147.0
TCGA-E2-A15S-01A 34 years, female, white, stage:Stage IIB, alive, 428 days 146.9
TCGA-A8-A09Q-01A 83 years, female, stage:Stage IIIB, alive, 761 days 146.2
TCGA-AC-A4ZE-01A 63 years, female, white, stage:Stage IIB, alive, 890 days 146.2
TCGA-AC-A23G-01A 76 years, female, white, stage:Stage IIA, alive, 2248 days 146.1
TCGA-EW-A1P5-01A 77 years, female, white, stage:Stage IIB, alive, 703 days 146.0
TCGA-AO-A0JL-01A 59 years, female, white, stage:Stage IIIA, alive, 1683 days 145.7
TCGA-BH-A8G0-01A 54 years, female, white, stage:Stage IIB, alive, 662 days 145.7
TCGA-AN-A0FX-01A 52 years, female, white, stage:Stage IIA, alive, 10 days 145.6
TCGA-3C-AAAU-01A 55 years, female, white, stage:Stage X, alive, 4047 days 145.6
TCGA-LL-A7T0-01A 70 years, female, black or african american, stage:Stage IIB, alive, 376 days 145.4
TCGA-D8-A1JU-01A 51 years, female, white, stage:Stage IA, alive, 447 days 145.4
TCGA-A2-A0YI-01A 62 years, female, white, stage:Stage I, alive, 1505 days 145.3
TCGA-LL-A9Q3-01A 69 years, female, white, stage:Stage IIIC, alive, 532 days 145.2
TCGA-LL-A8F5-01A 61 years, female, black or african american, stage:Stage IIA, alive, 596 days 145.0
TCGA-A7-A13F-01A 44 years, female, white, stage:Stage IIIA, alive, 765 days 145.0
TCGA-C8-A135-01A 64 years, female, asian, stage:Stage IIB, alive, 393 days 145.0
TCGA-E2-A156-01A 61 years, female, white, stage:Stage I, alive, 726 days 144.8
TCGA-BH-A42U-01A 80 years, female, black or african american, stage:Stage IIA, alive, 3364 days 144.6
TCGA-AO-A0J6-01A 61 years, female, white, stage:Stage IIA, alive, 1140 days 144.6
TCGA-A7-A0CG-01A 78 years, female, white, stage:Stage IIA, alive, 1043 days 144.5
TCGA-BH-A0EA-01A 72 years, female, white, stage:Stage IIA, dead, 991 days 144.3
TCGA-A7-A3J0-01A 62 years, female, white, stage:Stage IIA, alive, 313 days 143.9
TCGA-E2-A1LE-01A 71 years, female, white, stage:Stage IIIC, dead, 879 days 143.9
TCGA-E9-A1N5-01A 45 years, female, white, stage:Stage IIB, alive, 1120 days 143.8
TCGA-E9-A1NG-01A 62 years, female, white, stage:Stage IIA, dead, 786 days 143.7
TCGA-AN-A0XO-01A 59 years, female, white, stage:Stage IIIA, alive, 375 days 143.6
TCGA-BH-A0HB-01A 55 years, female, white, stage:Stage IA, alive, 806 days 143.4
TCGA-AR-A24Q-01A 49 years, female, white, stage:Stage IIB, alive, 3172 days 143.3
TCGA-GM-A5PV-01A 63 years, female, white, stage:Stage IIB, alive, 412 days 143.0
TCGA-E2-A56Z-01A 69 years, female, black or african american, stage:Stage IIB, alive, 252 days 142.5
TCGA-AC-A2FK-01A 45 years, female, white, stage:Stage IIIC, alive, 2650 days 142.5
TCGA-E2-A1IO-01A 37 years, female, white, stage:Stage I, alive, 1855 days 142.1
TCGA-AN-A0FT-01A 63 years, female, white, stage:Stage IIB, alive, 214 days 142.0
TCGA-D8-A27K-01A 47 years, female, white, stage:Stage IIB, alive, 1461 days 141.9
TCGA-BH-A0HX-01A 54 years, female, white, stage:Stage IIB, alive, 829 days 141.9
TCGA-E9-A227-01A 42 years, female, white, stage:Stage IIB, alive, 975 days 141.8
TCGA-E9-A228-01A 58 years, female, white, stage:Stage IIB, alive, 1285 days 141.5
TCGA-A8-A08I-01A 53 years, female, stage:Stage IIA, alive, 365 days 141.4
TCGA-A8-A0AD-01A 83 years, female, stage:Stage I, alive, 1157 days 141.3
TCGA-A2-A0T4-01A 62 years, female, white, stage:Stage IIA, alive, 624 days 141.0
TCGA-AC-A6IV-01A 47 years, female, white, stage:Stage IIB, alive, 568 days 141.0
TCGA-E9-A1R2-01A 51 years, female, white, stage:Stage IIIC, alive, 1063 days 140.9
TCGA-E9-A22A-01A 74 years, female, white, stage:Stage IIA, alive, 1189 days 140.8
TCGA-A1-A0SM-01A 77 years, male, white, stage:Stage IIA, alive, 242 days 140.3
TCGA-EW-A1P3-01A 48 years, female, white, stage:Stage IIA, alive, 1611 days 140.2
TCGA-A2-A0EO-01A 54 years, female, white, stage:Stage IA, alive, 2442 days 140.0
TCGA-A8-A06Z-01A 84 years, female, stage:Stage IIB, alive, 31 days 139.8
TCGA-EW-A423-01A 75 years, female, white, stage:Stage IIA, alive, 533 days 139.4
TCGA-D8-A1XZ-01A 81 years, female, white, stage:Stage IIIA, alive, 466 days 139.3
TCGA-HN-A2OB-01A 45 years, female, stage:Stage IIB, dead, 1900 days 139.1
TCGA-AO-A0J7-01A 71 years, female, white, stage:Stage IIB, alive, 618 days 139.1
TCGA-C8-A8HR-01A 49 years, female, asian, stage:Stage IIIA, alive, 408 days 138.7
TCGA-A2-A3XW-01A 42 years, female, black or african american, stage:Stage IIB, alive, 1712 days 138.5
TCGA-E2-A1IJ-01A 57 years, female, white, stage:Stage I, alive, 865 days 138.5
TCGA-B6-A1KI-01A 63 years, female, white, stage:Stage I, alive, 2236 days 138.4
TCGA-BH-A0BF-01A 56 years, female, white, stage:Stage IIB, dead, 1324 days 138.2
TCGA-A2-A0D1-01A 76 years, female, white, stage:Stage IIA, alive, 1051 days 138.0
TCGA-AO-A03P-01A 54 years, female, black or african american, stage:Stage IIB, dead, 2911 days 138.0
TCGA-XX-A89A-01A 68 years, female, white, stage:Stage IIB, alive, 488 days 138.0
TCGA-A8-A07B-01A 69 years, female, stage:Stage IIA, alive, 1308 days 137.7
TCGA-B6-A0RQ-01A 68 years, female, white, stage:Stage IIB, dead, 4267 days 137.3
TCGA-D8-A1XA-01A 64 years, female, white, stage:Stage IA, alive, 839 days 137.3
TCGA-A2-A0EW-01A 53 years, female, white, stage:Stage IIIC, dead, 1884 days 137.2
TCGA-BH-A0H5-01A 45 years, female, white, stage:Stage I, alive, 1620 days 137.1
TCGA-E2-A1IE-01A 61 years, female, white, stage:Stage IIB, alive, 2362 days 137.1
TCGA-A7-A0CD-01A 66 years, female, white, stage:Stage I, alive, 1165 days 136.9
TCGA-4H-AAAK-01A 50 years, female, white, stage:Stage IIIA, alive, 348 days 136.7
TCGA-AO-A0JM-01A 40 years, female, stage:Stage IIB, alive, 2184 days 136.6
TCGA-D8-A1Y0-01A 65 years, female, white, stage:Stage IIIA, alive, 472 days 136.6
TCGA-E9-A22D-01A 38 years, female, white, stage:Stage IIA, alive, 1248 days 136.5
TCGA-BH-A0H6-01A 82 years, female, white, stage:Stage I, alive, 747 days 136.4
TCGA-E9-A1R7-01A 64 years, female, white, stage:Stage IIA, alive, 1467 days 136.4
TCGA-AR-A1AM-01A 52 years, female, white, stage:Stage IIIA, alive, 2991 days 136.3
TCGA-C8-A138-01A 54 years, female, asian, stage:Stage IIIA, alive, 380 days 136.2
TCGA-A8-A0A6-01A 64 years, female, stage:Stage IIIC, alive, 640 days 135.9
TCGA-GM-A2DD-01A 53 years, female, white, stage:Stage I, alive, 2282 days 135.9
TCGA-C8-A12O-01A 50 years, female, asian, stage:Stage IIA, alive, 385 days 135.8
TCGA-E2-A1LB-01A 41 years, female, black or african american, stage:Stage IIB, alive, 2306 days 135.5
TCGA-W8-A86G-01A 66 years, female, white, stage:Stage IIA, alive, 347 days 135.5
TCGA-E9-A54X-01A 85 years, female, white, stage:Stage IA, alive, 727 days 135.3
TCGA-A7-A4SB-01A 56 years, female, white, stage:Stage IIIA, alive, 418 days 135.1
TCGA-AO-A0JF-01A 68 years, female, white, stage:Stage IIA, alive, 1980 days 134.6
TCGA-D8-A27R-01A 41 years, female, white, stage:Stage IIIC, alive, 307 days 134.6
TCGA-BH-A0HA-01A 31 years, female, white, stage:Stage I, alive, 1611 days 134.5
TCGA-D8-A1XU-01A 56 years, female, white, stage:Stage IA, alive, 395 days 134.5
TCGA-AQ-A1H2-01A 84 years, female, white, stage:Stage IIIA, alive, 475 days 134.4
TCGA-MS-A51U-01A 44 years, female, white, stage:Stage IIB, alive, 681 days 134.3
TCGA-E2-A1BC-01A 63 years, female, stage:Stage IA, alive, 501 days 134.3
TCGA-E2-A15I-01A 44 years, female, white, stage:Stage IIA, alive, 1692 days 134.2
TCGA-BH-A0E2-01A 49 years, female, black or african american, stage:Stage IIIA, alive, 435 days 134.0
TCGA-AC-A5XU-01A 74 years, female, black or african american, stage:Stage IIB, alive, 455 days 133.3
TCGA-EW-A1IX-01A 48 years, female, asian, stage:Stage IIA, alive, 1208 days 133.3
TCGA-A1-A0SB-01A 70 years, female, white, stage:Stage I, alive, 259 days 133.1
TCGA-D8-A1JH-01A 56 years, female, white, stage:Stage IA, alive, 426 days 132.9
TCGA-A2-A0EP-01A 56 years, female, white, stage:Stage I, alive, 3603 days 132.5
TCGA-E9-A1N4-01A 41 years, female, white, stage:Stage IIIA, alive, 1000 days 132.0
TCGA-BH-A0W4-01A 46 years, female, white, stage:Stage IIA, alive, 759 days 132.0
TCGA-D8-A4Z1-01A 68 years, female, white, stage:Stage IA, alive, 659 days 131.9
TCGA-BH-A1EY-01A 79 years, female, white, stage:Stage IIA, dead, 538 days 131.9
TCGA-GI-A2C8-01A 63 years, female, white, stage:Stage IIIB, alive, 225 days 131.9
TCGA-A2-A0ER-01A 63 years, female, white, stage:Stage IB, alive, 2263 days 131.7
TCGA-AR-A24L-01A 26 years, female, white, stage:Stage IIB, dead, 2866 days 131.5
TCGA-E2-A105-01A 79 years, female, white, stage:Stage IIA, alive, 1308 days 131.5
TCGA-BH-A0HP-01A 65 years, female, white, stage:Stage IIIA, alive, 414 days 131.4
TCGA-BH-A0B4-01A 65 years, male, white, stage:Stage IIIA, alive, 1191 days 131.2
TCGA-E2-A1IU-01A 60 years, female, white, stage:Stage IA, alive, 337 days 131.1
TCGA-EW-A1PE-01A 56 years, female, white, stage:Stage IIA, alive, 320 days 130.8
TCGA-C8-A12U-01A 46 years, female, asian, stage:Stage IIB, alive, 385 days 130.8
TCGA-A8-A06P-01A 63 years, female, stage:Stage IIIA, alive, 396 days 130.6
TCGA-GM-A2DN-01A 58 years, female, white, stage:Stage IIA, alive, 3091 days 130.4
TCGA-A8-A085-01A 44 years, male, stage:Stage IIB, alive, 1124 days 130.4
TCGA-AR-A1AW-01A 65 years, female, white, stage:Stage IIA, alive, 2632 days 130.0
TCGA-E2-A2P6-01A 77 years, female, stage:Stage IIB, alive, 1051 days 129.9
TCGA-E2-A14U-01A 74 years, female, white, stage:Stage I, alive, 1318 days 129.7
TCGA-AO-A0JJ-01A 54 years, female, white, stage:Stage IIB, alive, 1887 days 129.5
TCGA-AN-A0FD-01A 71 years, female, white, stage:Stage IIA, alive, 196 days 129.1
TCGA-BH-A1FH-01A 47 years, female, white, stage:Stage IV, dead, 1034 days 129.0
TCGA-XX-A899-01A 46 years, female, white, stage:Stage IIIA, alive, 467 days 128.7
TCGA-E2-A3DX-01A 43 years, female, white, stage:Stage IIIC, alive, 1325 days 128.7
TCGA-A2-A04T-01A 62 years, female, white, stage:Stage IIA, alive, 2246 days 128.7
TCGA-EW-A1PD-01A 61 years, male, white, stage:Stage IIA, alive, 424 days 128.3
TCGA-D8-A1XY-01A 74 years, female, white, stage:Stage IIA, alive, 503 days 128.2
TCGA-OL-A66H-01A 74 years, female, black or african american, stage:Stage IB, alive, 812 days 128.1
TCGA-A2-A1G1-01A 85 years, female, white, stage:Stage IIB, alive, 584 days 127.5
TCGA-AC-A3QP-01A 79 years, female, white, stage:Stage IIB, alive, 675 days 127.5
TCGA-AC-A8OR-01A 75 years, female, white, stage:Stage IA, alive, 40 days 127.4
TCGA-C8-A132-01A 56 years, female, asian, stage:Stage IIB, alive, 383 days 127.0
TCGA-AR-A2LN-01A 65 years, female, white, stage:Stage IIA, alive, 1161 days 127.0
TCGA-E9-A2JS-01A 72 years, female, white, stage:Stage IIB, dead, 904 days 126.9
TCGA-A8-A07J-01A 35 years, female, stage:Stage IIB, alive, 365 days 126.8
TCGA-C8-A137-01A 34 years, female, asian, stage:Stage IIB, alive, 379 days 126.8
TCGA-A2-A0CO-01A 85 years, female, white, stage:Stage IIB, dead, 1468 days 126.7
TCGA-AR-A24U-01A 47 years, female, white, stage:Stage IIA, alive, 3128 days 126.7
TCGA-C8-A1HK-01A 53 years, female, asian, stage:Stage IIB, alive, 366 days 126.3
TCGA-D8-A1J9-01A 48 years, female, white, stage:Stage IA, alive, 532 days 126.2
TCGA-AR-A2LQ-01A 59 years, female, white, stage:Stage IIB, alive, 1233 days 126.1
TCGA-E2-A1B1-01A 45 years, female, white, stage:Stage IIB, alive, 2653 days 126.0
TCGA-BH-A0DV-01A 54 years, female, white, stage:Stage IIIA, alive, 2064 days 126.0
TCGA-BH-A42V-01A 41 years, female, black or african american, stage:Stage IB, alive, 635 days 125.7
TCGA-E9-A245-01A 47 years, female, white, stage:Stage IIB, dead, 26 days 125.6
TCGA-BH-A0C0-01A 62 years, female, white, stage:Stage IIA, alive, 1270 days 125.3
TCGA-D8-A27W-01A 55 years, female, white, stage:Stage IIIB, alive, 373 days 125.0
TCGA-BH-A0HL-01A 56 years, female, white, stage:Stage IIB, alive, 72 days 125.0
TCGA-E2-A154-01A 68 years, female, white, stage:Stage I, alive, 591 days 125.0
TCGA-A2-A0CT-01A 71 years, female, white, stage:Stage IIA, alive, 2289 days 125.0
TCGA-B6-A0X5-01A 61 years, female, black or african american, stage:Stage IIB, dead, 2097 days 125.0
TCGA-AR-A24W-01A 55 years, female, white, stage:Stage IIB, alive, 1550 days 124.9
TCGA-E9-A1NF-01A 60 years, female, white, stage:Stage IIA, dead, 1072 days 124.6
TCGA-A8-A09A-01A 40 years, female, stage:Stage X, alive, 304 days 124.5
TCGA-AC-A2FO-01A 65 years, female, white, stage:Stage IIB, alive, 2255 days 124.4
TCGA-BH-A8FY-01A 87 years, female, white, stage:Stage IA, dead, 295 days 124.3
TCGA-AC-A23C-01A 62 years, female, white, stage:Stage IIB, alive, 585 days 124.2
TCGA-A2-A25E-01A 34 years, female, black or african american, stage:Stage IIIA, alive, 3204 days 124.2
TCGA-A2-A0SY-01A 62 years, female, white, stage:Stage IIIA, alive, 1347 days 124.0
TCGA-A2-A0YK-01A 61 years, female, white, stage:Stage IIA, alive, 588 days 124.0
TCGA-E9-A5FL-01A 65 years, female, white, stage:Stage IIB, alive, 24 days 124.0
TCGA-E9-A22B-01A 71 years, female, white, stage:Stage IA, alive, 1167 days 123.8
TCGA-C8-A1HN-01A 56 years, female, asian, stage:Stage IIA, alive, 394 days 123.2
TCGA-A2-A0ES-01A 52 years, female, white, stage:Stage IIA, alive, 2190 days 123.2
TCGA-E9-A1RI-01A 43 years, female, white, stage:Stage IIIA, alive, 1449 days 123.0
TCGA-EW-A424-01A 51 years, female, white, stage:Stage IIIA, alive, 715 days 122.8
TCGA-BH-A1EU-01A 83 years, female, white, stage:Stage I, dead, 1286 days 122.8
TCGA-E9-A243-01A 52 years, female, white, stage:Stage IIA, alive, 612 days 122.7
TCGA-E9-A1RE-01A 74 years, female, white, stage:Stage IIIA, alive, 1419 days 122.6
TCGA-D8-A1JA-01A 60 years, female, white, stage:'--, alive, 502 days 122.4
TCGA-AC-A8OQ-01A 72 years, female, black or african american, stage:Stage IIB, alive, 34 days 122.4
TCGA-A8-A09M-01A 75 years, female, stage:Stage IIIC, alive, 1006 days 121.8
TCGA-C8-A26X-01A 58 years, female, asian, stage:Stage IIA, alive, 376 days 121.6
TCGA-E2-A1B5-01A 46 years, female, white, stage:Stage IIA, alive, 984 days 121.5
TCGA-D8-A145-01A 80 years, female, white, stage:Stage IIA, alive, 410 days 121.5
TCGA-AR-A2LJ-01A 40 years, female, white, stage:Stage IIIA, alive, 2632 days 121.4
TCGA-AR-A0TX-01A 64 years, female, stage:Stage IIA, alive, 1972 days 121.4
TCGA-AQ-A54O-01A 51 years, male, black or african american, stage:Stage IIA, alive, 1001 days 121.3
TCGA-A8-A09D-01A 47 years, female, stage:Stage IIB, alive, 1522 days 121.1
TCGA-EW-A1IZ-01A 53 years, female, white, stage:Stage IIIA, alive, 554 days 121.0
TCGA-B6-A0RM-01A 57 years, female, black or african american, stage:Stage X, dead, 2373 days 120.0
TCGA-A8-A07P-01A 68 years, female, stage:Stage IIB, alive, 334 days 119.9
TCGA-AO-A1KT-01A 78 years, female, white, stage:Stage IIA, alive, 541 days 119.8
TCGA-BH-A18M-01A 39 years, female, white, stage:Stage IIIA, dead, 2207 days 119.8
TCGA-AC-A2FB-01A 65 years, female, white, stage:Stage IIA, alive, 1234 days 119.5
TCGA-C8-A1HL-01A 38 years, female, asian, stage:Stage IIIA, alive, 317 days 119.1
TCGA-AO-A12G-01A 75 years, female, white, stage:Stage IIA, alive, 1639 days 119.0
TCGA-AR-A251-01A 51 years, female, white, stage:Stage IIIA, alive, 3030 days 119.0
TCGA-D8-A1X6-01A 80 years, female, white, stage:Stage IIIA, alive, 541 days 118.9
TCGA-BH-A18N-01A 88 years, female, white, stage:Stage IIA, dead, 468 days 118.7
TCGA-A7-A0D9-01A 37 years, female, white, stage:Stage IIA, alive, 1139 days 118.5
TCGA-AN-A0XN-01A 68 years, female, white, stage:Stage IIIA, alive, 10 days 118.5
TCGA-LL-A442-01A 56 years, female, black or african american, stage:Stage IIA, alive, 889 days 118.4
TCGA-A2-A0CU-01A 73 years, female, white, stage:Stage IIA, dead, 158 days 117.7
TCGA-PL-A8LX-01A 35 years, female, black or african american, stage:Stage IV, alive, 5 days 117.7
TCGA-BH-A1FB-01A 60 years, female, white, stage:Stage IIB, dead, 3669 days 117.6
TCGA-A8-A091-01A 61 years, female, stage:Stage IIA, alive, 1004 days 117.5
TCGA-D8-A1JI-01A 54 years, female, white, stage:Stage IIA, alive, 577 days 117.0
TCGA-BH-A0HW-01A 62 years, female, asian, stage:Stage IA, alive, 1561 days 116.8
TCGA-AO-A03R-01A 57 years, female, white, stage:Stage IIB, alive, 2091 days 116.4
TCGA-BH-A1EO-01A 68 years, female, white, stage:Stage IIA, dead, 2798 days 116.3
TCGA-EW-A1P7-01A 59 years, female, white, stage:Stage IIA, alive, 915 days 116.3
TCGA-S3-AA15-01A 51 years, female, black or african american, stage:Stage IIB, alive, 525 days 116.3
TCGA-A1-A0SG-01A 61 years, female, white, stage:Stage IIB, alive, 434 days 116.2
TCGA-E2-A1B4-01A 74 years, female, white, stage:Stage IIIA, dead, 1004 days 116.1
TCGA-B6-A0WS-01A 58 years, female, black or african american, stage:Stage X, dead, 2965 days 116.0
TCGA-A8-A076-01A 66 years, female, stage:Stage IIA, alive, 1642 days 115.9
TCGA-A2-A0CS-01A 73 years, female, white, stage:Stage IV, dead, 2348 days 115.9
TCGA-E2-A155-01A 58 years, female, white, stage:Stage IIB, alive, 640 days 115.6
TCGA-A2-A04W-01A 50 years, female, white, stage:Stage IIB, alive, 3102 days 115.5
TCGA-A2-A0EN-01A 70 years, female, white, stage:Stage IIA, alive, 4088 days 115.2
TCGA-S3-AA14-01A 47 years, female, black or african american, stage:Stage I, alive, 529 days 115.1
TCGA-AN-A03X-01A 74 years, female, white, stage:Stage IIA, alive, 10 days 114.8
TCGA-AN-A046-01A 68 years, female, white, stage:Stage IIA, alive, 10 days 114.7
TCGA-E9-A226-01A 45 years, female, white, stage:Stage IIIA, dead, 1048 days 114.7
TCGA-PL-A8LY-01A 30 years, female, black or african american, stage:Stage IIB, alive, 8 days 114.7
TCGA-A2-A1G4-01A 71 years, female, white, stage:Stage IIIA, alive, 595 days 114.7
TCGA-E9-A1R0-01A 58 years, female, white, stage:Stage IIA, alive, 860 days 114.6
TCGA-BH-A28O-01A 50 years, female, white, stage:Stage IIIC, alive, 1120 days 114.4
TCGA-AR-A24V-01A 52 years, female, white, stage:Stage IIB, alive, 3203 days 114.3
TCGA-B6-A0IG-01A 50 years, female, white, stage:Stage IIB, dead, 4456 days 114.3
TCGA-EW-A1P6-01A 64 years, female, white, stage:Stage IIB, alive, 562 days 114.1
TCGA-AR-A24O-01A 43 years, female, white, stage:Stage IIIA, alive, 3607 days 113.9
TCGA-AO-A12B-01A 63 years, female, white, stage:Stage IIA, alive, 2989 days 113.8
TCGA-E2-A153-01A 51 years, female, white, stage:Stage IIB, alive, 707 days 113.7
TCGA-AO-A125-01A 72 years, female, black or african american, stage:Stage IIA, alive, 3456 days 113.7
TCGA-A2-A04N-01A 66 years, female, white, stage:Stage IA, alive, 4354 days 113.1
TCGA-EW-A1OZ-01A 56 years, female, black or african american, stage:Stage IIA, alive, 1229 days 113.1
TCGA-E2-A15E-01A 40 years, female, white, stage:Stage IIA, alive, 630 days 112.9
TCGA-BH-A0HK-01A 81 years, female, white, stage:Stage IIB, alive, 178 days 112.9
TCGA-C8-A1HO-01A 34 years, female, asian, stage:Stage IIIC, alive, 375 days 112.6
TCGA-AN-A0XT-01A 54 years, female, white, stage:Stage IIIA, alive, 10 days 112.2
TCGA-A2-A04Y-01A 53 years, female, white, stage:Stage IIB, alive, 1099 days 112.0
TCGA-BH-A1FE-01A 31 years, female, white, stage:Stage IIB, dead, 2273 days 110.9
TCGA-LD-A9QF-01A 73 years, female, black or african american, stage:Stage IA, alive, 323 days 110.3
TCGA-A8-A08X-01A 43 years, female, stage:Stage IIIC, alive, 1308 days 110.2
TCGA-A2-A0CP-01A 60 years, female, white, stage:Stage IA, alive, 2813 days 109.7
TCGA-AN-A0XS-01A 63 years, female, white, stage:Stage IIIA, alive, 10 days 109.7
TCGA-E2-A108-01A 64 years, female, white, stage:Stage IIIA, alive, 837 days 109.7
TCGA-BH-A0DI-01A 63 years, female, white, stage:Stage IIB, alive, 912 days 109.5
TCGA-A2-A0EU-01A 79 years, female, white, stage:Stage IA, alive, 1043 days 109.4
TCGA-D8-A1XV-01A 84 years, female, white, stage:Stage IIA, alive, 461 days 109.2
TCGA-D8-A1J8-01A 77 years, female, white, stage:Stage IIB, alive, 431 days 108.9
TCGA-C8-A12N-01A 58 years, female, asian, stage:Stage IIA, alive, 358 days 108.6
TCGA-A2-A4S0-01A 77 years, female, white, stage:Stage IIA, alive, 706 days 108.5
TCGA-BH-A0EI-01A 51 years, female, white, stage:Stage IIA, alive, 1926 days 108.3
TCGA-A8-A086-01A 59 years, female, stage:Stage IIA, alive, 396 days 107.9
TCGA-AO-A12E-01A 51 years, female, white, stage:Stage IIB, alive, 2142 days 107.8
TCGA-A2-A3XV-01A 46 years, female, black or african american, stage:Stage IIA, alive, 996 days 107.4
TCGA-AC-A2FF-01A 40 years, female, asian, stage:Stage IIB, alive, 2759 days 107.1
TCGA-BH-A0W5-01A 77 years, female, white, stage:Stage IIA, alive, 1288 days 106.9
TCGA-PE-A5DC-01A 72 years, female, white, stage:Stage IIIA, dead, 1430 days 106.7
TCGA-E9-A1R6-01A 63 years, female, white, stage:Stage IIA, alive, 339 days 106.6
TCGA-AR-A0TW-01A 50 years, female, white, stage:Stage IIIA, alive, 3009 days 106.4
TCGA-BH-A1ET-01A 55 years, female, white, stage:Stage I, dead, 2520 days 106.0
TCGA-A1-A0SJ-01A 39 years, female, black or african american, stage:Stage IIIA, alive, 416 days 105.7
TCGA-E2-A15F-01A 64 years, female, white, stage:Stage I, alive, 658 days 105.6
TCGA-AO-A1KQ-01A 84 years, male, white, stage:Stage IIIB, alive, 1882 days 105.5
TCGA-C8-A278-01A 61 years, female, asian, stage:Stage IIIA, alive, 297 days 105.5
TCGA-BH-A0B8-01A 64 years, female, white, stage:Stage I, alive, 1569 days 105.4
TCGA-B6-A0IH-01A 81 years, female, white, stage:Stage IIIA, dead, 2965 days 105.4
TCGA-OL-A5D6-01A 71 years, female, black or african american, stage:Stage IIA, dead, 1104 days 105.3
TCGA-AO-A0J3-01A 67 years, female, white, stage:Stage IIB, alive, 651 days 105.2
TCGA-E2-A14T-01A 52 years, female, white, stage:Stage IIA, alive, 2311 days 104.8
TCGA-B6-A0IN-01A 45 years, female, white, stage:Stage X, dead, 2573 days 104.5
TCGA-D8-A1Y2-01A 71 years, female, white, stage:Stage IIA, alive, 433 days 104.5
TCGA-D8-A1JB-01A 54 years, female, white, stage:Stage IIB, alive, 1688 days 104.2
TCGA-A2-A0YF-01A 67 years, female, black or african american, stage:Stage I, alive, 1535 days 104.2
TCGA-BH-A0HF-01A 77 years, female, white, stage:Stage IA, alive, 727 days 103.2
TCGA-AR-A252-01A 50 years, female, white, stage:Stage I, alive, 2838 days 102.9
TCGA-C8-A8HP-01A 59 years, female, asian, stage:Stage IIIA, alive, 396 days 102.9
TCGA-GM-A2DK-01A 58 years, female, white, stage:Stage I, alive, 2645 days 102.7
TCGA-E2-A1LH-01A 59 years, female, white, stage:Stage I, alive, 3247 days 102.7
TCGA-AO-A0JI-01A 56 years, female, white, stage:Stage IIA, alive, 1528 days 102.6
TCGA-AO-A0JC-01A 64 years, female, white, stage:Stage IIA, alive, 1547 days 102.4
TCGA-A2-A0SU-01A 66 years, female, white, stage:Stage IIA, alive, 1662 days 102.2
TCGA-BH-A1FR-01A 73 years, female, white, stage:Stage IIIB, dead, 1642 days 101.5
TCGA-A2-A0EQ-01A 64 years, female, black or african american, stage:Stage IIA, alive, 2426 days 101.4
TCGA-E2-A109-01A 64 years, female, white, stage:Stage IIA, alive, 1417 days 100.7
TCGA-AC-A8OS-01A 71 years, female, white, stage:Stage IIA, alive, 70 days 100.5
TCGA-A2-A04V-01A 39 years, female, white, stage:Stage IIA, dead, 1920 days 100.2
TCGA-B6-A0WZ-01A 50 years, female, black or african american, stage:Stage II, alive, 6292 days 99.3
TCGA-E9-A1N3-01A 70 years, female, white, stage:Stage IIIA, alive, 1059 days 99.2
TCGA-AR-A0TV-01A 66 years, female, stage:Stage IIA, alive, 2288 days 98.8
TCGA-BH-A0BM-01A 54 years, female, white, stage:Stage IIB, alive, 1876 days 98.8
TCGA-OL-A66P-01A 75 years, female, black or african american, stage:Stage IIA, alive, 428 days 98.5
TCGA-D8-A1JP-01A 73 years, female, white, stage:Stage IA, alive, 639 days 97.8
TCGA-E9-A3HO-01A 49 years, female, white, stage:Stage IIA, alive, 1158 days 97.4
TCGA-A1-A0SH-01A 39 years, female, white, stage:Stage IIA, alive, 1437 days 96.8
TCGA-BH-A0B6-01A 47 years, female, white, stage:Stage I, alive, 2483 days 96.7
TCGA-E9-A1R4-01A 66 years, female, white, stage:Stage IA, alive, 186 days 96.5
TCGA-GM-A2DM-01A 57 years, female, white, stage:Stage IIA, alive, 3226 days 95.2
TCGA-A7-A3RF-01A 79 years, female, white, stage:Stage IIA, alive, 408 days 95.1
TCGA-E9-A22E-01A 56 years, female, white, stage:Stage IIIA, alive, 1269 days 94.1
TCGA-A2-A0T1-01A 55 years, female, american indian or alaska native, stage:Stage IIIC, alive, 521 days 94.1
TCGA-BH-A0DE-01A 62 years, female, white, stage:Stage IIA, alive, 2372 days 93.2
TCGA-LL-A7SZ-01A 49 years, female, black or african american, stage:Stage IIB, alive, 594 days 93.1
TCGA-AR-A0TT-01A 53 years, female, black or african american, stage:Stage IIIA, alive, 3316 days 93.0
TCGA-E2-A1LA-01A 59 years, female, stage:Stage IIA, alive, 748 days 92.7
TCGA-AN-A0XV-01A 67 years, female, white, stage:Stage IIIA, alive, 162 days 92.5
TCGA-S3-AA12-01A 82 years, female, black or african american, stage:Stage IIIA, alive, 574 days 92.5
TCGA-C8-A12X-01A 62 years, female, asian, stage:Stage IIB, alive, 385 days 92.4
TCGA-B6-A0X4-01A 62 years, female, white, stage:Stage IIB, dead, 860 days 92.2
TCGA-AO-A1KS-01A 69 years, female, white, stage:Stage IIA, alive, 350 days 91.5
TCGA-A7-A0DC-01A 63 years, female, white, stage:Stage IA, alive, 906 days 91.3
TCGA-GM-A4E0-01A 67 years, female, white, stage:Stage IIIC, alive, 2191 days 91.3
TCGA-BH-A1F2-01A 53 years, female, white, stage:Stage IIIB, dead, 959 days 91.2
TCGA-E2-A14V-01A 53 years, female, white, stage:Stage IIB, alive, 1042 days 91.1
TCGA-E2-A1IK-01A 71 years, female, white, stage:Stage IIA, alive, 1800 days 91.0
TCGA-E2-A15C-01A 61 years, female, white, stage:Stage I, alive, 694 days 90.8
TCGA-AR-A2LE-01A 69 years, female, white, stage:Stage I, alive, 5062 days 90.6
TCGA-BH-A204-01A 80 years, female, white, stage:Stage IIB, dead, 2534 days 90.2
TCGA-GM-A2DO-01A 54 years, female, black or african american, stage:Stage I, alive, 2596 days 89.4
TCGA-B6-A0RS-01A 38 years, female, white, stage:Stage IIA, dead, 3063 days 89.1
TCGA-D8-A27E-01A 66 years, female, white, stage:Stage IA, alive, 530 days 88.2
TCGA-GM-A2DF-01A 53 years, female, black or african american, stage:Stage IIA, alive, 2155 days 88.1
TCGA-EW-A3U0-01A 61 years, female, black or african american, stage:Stage IIIA, alive, 532 days 87.4
TCGA-AO-A12H-01A 69 years, female, black or african american, stage:Stage IIA, alive, 1234 days 87.2
TCGA-A8-A07I-01A 69 years, female, stage:Stage IIIA, alive, 426 days 84.8
TCGA-EW-A1IY-01A 38 years, female, asian, stage:Stage I, alive, 258 days 84.0
TCGA-E2-A14W-01A 78 years, male, white, stage:Stage IIA, alive, 974 days 83.7
TCGA-EW-A1J3-01A 61 years, female, white, stage:Stage IA, alive, 504 days 83.0
TCGA-BH-A208-01A 48 years, female, white, stage:Stage IIB, dead, 1759 days 82.9
TCGA-D8-A1JF-01A 79 years, female, white, stage:Stage IIIA, alive, 366 days 82.3
TCGA-E2-A1IH-01A 80 years, female, white, stage:Stage I, alive, 1026 days 82.2
TCGA-A8-A0A7-01A 57 years, female, stage:Stage IIB, alive, 30 days 79.2
TCGA-A7-A26G-01A 50 years, female, black or african american, stage:Stage IIA, alive, 722 days 78.4
TCGA-D8-A140-01A 62 years, female, white, stage:Stage IIB, alive, 403 days 77.9
TCGA-AO-A126-01A 39 years, female, asian, stage:Stage IIA, alive, 3307 days 77.7
TCGA-AO-A1KP-01A 77 years, female, white, stage:Stage IIA, alive, 2953 days 75.3
TCGA-AQ-A0Y5-01A 70 years, female, white, stage:Stage IIIA, dead, 172 days 75.3
TCGA-S3-AA17-01A 64 years, female, black or african american, stage:Stage IIB, alive, 424 days 74.8
TCGA-GM-A2DA-01A 46 years, female, white, stage:Stage IIB, dead, 6593 days 74.5
TCGA-AO-A0J9-01A 61 years, female, white, stage:Stage IIIC, alive, 1613 days 74.0
TCGA-A2-A1G6-01A 50 years, female, white, stage:Stage IIIA, alive, 501 days 72.7
TCGA-BH-A0AZ-01A 47 years, female, white, stage:Stage IIIA, alive, 1919 days 72.3
TCGA-E2-A15P-01A 61 years, female, white, stage:Stage IA, alive, 595 days 72.1
TCGA-AO-A03T-01A 42 years, female, white, stage:Stage IIB, alive, 2124 days 69.8
TCGA-A2-A1FV-01A 74 years, female, white, stage:Stage IIB, alive, 714 days 69.2
TCGA-AO-A1KO-01A 46 years, female, white, stage:Stage IIB, alive, 622 days 68.7
TCGA-AO-A12D-01A 43 years, female, white, stage:Stage IIA, alive, 2515 days 65.5
TCGA-D8-A1JE-01A 62 years, female, white, stage:Stage IIA, alive, 575 days 61.8
TCGA-BH-A1FG-01A 88 years, female, white, stage:Stage I, dead, 577 days 59.8
TCGA-E2-A1LS-01A 46 years, female, white, stage:Stage IA, alive, 1604 days 57.6
TCGA-BH-A1F5-01A 62 years, female, white, stage:Stage IIA, dead, 2712 days 56.6
TCGA-D8-A1JT-01A 70 years, female, white, stage:Stage IIA, alive, 405 days 53.7
TCGA-EW-A1J6-01A 70 years, female, white, stage:Stage I, alive, 875 days 45.4
TCGA-BH-A1F8-01A 90 years, female, white, stage:Stage IIIB, dead, 1 days 44.7
TCGA-AO-A0JB-01A 50 years, female, white, stage:Stage IIIA, alive, 1542 days 35.0
TCGA-E9-A3Q9-01A 78 years, female, white, stage:Stage IIIC, alive, 1001 days 31.0
Show allShow less
BREAST INVASIVE CARCINOMA (VALIDATION) - Interactive survival scatter ploti

The Survival Scatter plot shows the clinical status (i.e. dead or alive) for all individuals in the patient cohort, based on the same data that underlies the corresponding Kaplan-Meier plots. Patients that are alive at last time for follow-up are shown in blue and patients who have died during the study are shown in red.

The x-axis shows the expression levels (FPKM) of the investigated gene in the tumor tissue at the time of diagnosis. The y-axis shows the follow-up time after diagnosis (years). Both axes are complimented with kernel density curves demonstrating the data density over the axes. The top density plot shows the expression levels (FPKM) distribution among dead (red) and alive patients (blue). The right density plot shows the data density of the survived years of dead patients with high and low expression levels respectively, stratified using the cutoff indicated by the vertical dashed line through the Survival Scatter plot. This cutoff is automatically defined based on the FPKM cutoff that minimizes the p-score. The cutoff can be changed by dragging the vertical line or by entering a cutoff value in the square labeled "Current cut-off".

Under the Survival Scatter plot the p-score landscape (black curve; left axis) is shown together with dead median separation (red curve; right axis). Dead median separation is the difference in median mRNA expression between patients who have died with high and low expression, respectively. It is calculated as follows: median FPKM expression of dead patients with high expression - median FPKM expression of dead patients with low expression. This is intended to aid the user in visually exploring custom cutoffs and the associated p-scores and dead median separation.

Individual patient data is displayed and can be filtered by clicking on one or more of the category buttons on the top of the page. Categories describing expression level and patient information include: high, low, alive, dead, female, male and tumor stages. The scale of the x-axis can be toggled between linear and log-scale by clicking on the "x log" button. Mouse-over function shows TCGA ID, patient information and mRNA expression (FPKM) for each patient.

& Survival analysisi

Kaplan-Meier plots summarize results from analysis of correlation between mRNA expression level and patient survival. Patients were divided based on level of expression into one of the two groups "low" (under cut off) or "high" (over cut off). X-axis shows time for survival (years) and y-axis shows the probability of survival, where 1.0 corresponds to 100 percent.

RBM8A is not prognostic in Breast Invasive Carcinoma (validation)


Stage:
Survival analysis
Current cut offi

Current cut-off shows the cut-off (FPKM) currently selected. It may be changed manually. When the current cut-off is changed, the vertical dashed line indicating cut-off, the interactive survival scatter plot and the Kaplan-Meier curve will be automatically adjusted to show results accordingly.

:
Best expression cut offi

Based on the FPKM value of each gene, patients were classified into two groups and association between prognosis (survival) and gene expression (FPKM) was examined. The best expression cut-off refers the FPKM value that yields maximal difference with regard to survival between the two groups at the lowest log-rank P-value. Best expression cut-off was selected based on survival analysis .

When clicking on this number, the vertical dashed line indicating cut-off, the interactive survival plot, and the Kaplan-Meier curve will be adjusted to show results based on the best expression cut-off.

: 117.4
Median expressioni

Median expression refers to the median FPKM value calculated based on the gene expression (FPKM) data from all patients in this dataset. When clicking on this number, the vertical dashed line indicating cut-off, the interactive survival plot, and the Kaplan-Meier curve will be adjusted to show results based on the median expression.

: N/A
Median follow up timei

Median follow up time refers to the median time (years) after diagnosis with this type of cancer, based on clinical data from all patients in this dataset.

: N/A
P scorei

Log-rank P value for Kaplan-Meier plot showing results from analysis of correlation between mRNA expression level and patient survival.

N/A
5-year survival highi

5-year survival for patients with higher expression than the expression cutoff.

For melanoma and glioma, 3-year survival is shown.

N/A
5-year survival lowi

5-year survival for patients with lower expression than the expression cutoff.

For melanoma and glioma, 3-year survival is shown.

N/A
TCGA RNA samplesi

RNA-seq data is reported as average FPKM (number Fragments Per Kilobase of exon per Million reads), generated by the The Cancer Genome Atlas (TCGA) .

Normal distribution across the dataset is visualized with box plots, shown as median and 25th and 75th percentiles. Points are displayed as outliers if they are above or below 1.5 times the interquartile range. FPKM values of the individual samples are presented next to the box plot.

Average pTPM 139.0
Number of samples 50
Samples
Sample Description pTPM
DO228383 30 years, female, NA, stage:2, alive, 3975 days 259.8
DO228290 31 years, female, NA, stage:2, alive, 4268 days 225.4
DO228441 29 years, female, NA, stage:1, dead, 147 days 217.7
DO228332 33 years, female, NA, stage:2, alive, 4776 days 214.3
DO228321 35 years, female, NA, stage:2, dead, 4286 days 195.9
DO228266 33 years, female, NA, stage:2, dead, 3785 days 186.5
DO228276 32 years, female, NA, stage:2, alive, 4613 days 182.2
DO228268 35 years, female, NA, stage:2, alive, 5084 days 179.3
DO228502 27 years, female, NA, stage:1, alive, 164 days 177.0
DO228350 34 years, female, NA, stage:1, alive, 3069 days 174.5
DO228488 30 years, female, NA, stage:2, alive, 991 days 173.9
DO228283 33 years, female, NA, stage:3, alive, 5180 days 172.9
DO228426 35 years, female, NA, stage:2, alive, 4129 days 170.3
DO228427 31 years, female, NA, stage:2, alive, 3995 days 168.1
DO228293 28 years, female, NA, stage:2, alive, 4339 days 166.0
DO228404 29 years, female, NA, stage:1, alive, 3737 days 161.2
DO228356 33 years, female, NA, stage:2, dead, 3732 days 157.3
DO228430 31 years, female, NA, stage:1, alive, 4647 days 155.3
DO228431 32 years, female, NA, stage:2, alive, 2915 days 150.5
DO228516 35 years, female, NA, stage:2, alive, 447 days 148.0
DO229483 34 years, female, NA, stage:0, alive, 299 days 147.1
DO228256 29 years, female, NA, stage:2, alive, 2312 days 141.8
DO228260 32 years, female, NA, stage:2, alive, 3026 days 141.3
DO228272 32 years, female, NA, stage:2, alive, 4126 days 141.0
DO228455 34 years, female, NA, stage:1, alive, 3115 days 137.3
DO228506 32 years, female, NA, stage:1, alive, 489 days 136.5
DO228300 35 years, female, NA, stage:2, alive, 952 days 136.2
DO228521 32 years, female, NA, stage:1, alive, 287 days 136.1
DO228423 34 years, female, NA, stage:2, alive, 4136 days 135.7
DO228452 32 years, female, NA, stage:2, dead, 1354 days 135.1
DO228262 33 years, female, NA, stage:2, alive, 3889 days 126.4
DO228453 34 years, female, NA, stage:0, alive, 4157 days 124.4
DO228433 34 years, female, NA, stage:3, alive, 1929 days 124.0
DO228319 35 years, female, NA, stage:1, alive, 4716 days 122.0
DO228483 34 years, female, NA, stage:0, alive, 1994 days 118.9
DO228439 33 years, female, NA, stage:1, alive, 1845 days 118.5
DO228477 33 years, female, NA, stage:3, alive, 2188 days 117.7
DO228340 34 years, female, NA, stage:3, dead, 1051 days 117.1
DO228509 33 years, female, NA, stage:1, alive, 377 days 116.5
DO228409 31 years, female, NA, stage:1, alive, 4423 days 114.2
DO228295 31 years, female, NA, stage:2, dead, 2616 days 111.4
DO228460 25 years, female, NA, stage:2, alive, 3385 days 110.6
DO228449 27 years, female, NA, stage:2, alive, 4896 days 110.0
DO228247 33 years, female, NA, stage:3, dead, 2584 days 105.1
DO228499 29 years, female, NA, stage:1, alive, 284 days 100.3
DO228479 27 years, female, NA, stage:2, alive, 1985 days 73.8
DO228471 28 years, female, NA, stage:2, alive, 1827 days 71.6
DO228307 35 years, female, NA, stage:2, alive, 4928 days 20.6
DO228246 26 years, female, NA, stage:3, dead, 327 days 19.8
DO228310 33 years, female, NA, stage:2, dead, 153 days 4.1
Show allShow less
BREAST CANCER - Protein expressioni

A mouse-over function shows sample information and annotation data. Click on an image to view it in a full screen mode. Samples can be filtered based on level of antibody staining by selecting one or several of the following categories: high, medium, low and not detected. The assay and annotation is described here.

Note that samples used for immunohistochemistry by the Human Protein Atlas do not correspond to samples in the TCGA dataset.

 

Antibody stainingi

Antibody staining in the annotated cell types in the current human tissue is reported as not detected, low, medium, or high, based on conventional immunohistochemistry profiling in selected tissues. This score is based on the combination of the staining intensity and fraction of stained cells.

Each image is clickable and will lead to virtual microscopy that enables deeper exploration of all samples and also displays staining intensity scores, fraction scores and subcellular localization as well as patient and tissue information for each sample.


Antibody HPA018403
 Staining
  High
  Medium
  Low
  Not detected
 Intensity
  Strong
  Moderate
  Weak
  Negative
 Quantity
  >75%
  75%-25%
  <25%
  None
 Location
  Nuclear
  Cytoplasmic/membranous
  Cytoplasmic/membranous,nuclear
  None
Lobular carcinoma, in situ
Lobular carcinoma
Lobular carcinoma
Duct carcinoma

Contact

  • NEWS ARTICLES
  • PRESS ROOM

The Project

  • INTRODUCTION
  • ORGANIZATION
  • PUBLICATIONS

The Human Protein Atlas

  • DOWNLOADABLE DATA
  • LICENCE & CITATION
  • HELP & FAQ
The Human Protein Atlas project is funded
by the Knut & Alice Wallenberg Foundation.


contact@proteinatlas.org