We use cookies to enhance the usability of our website. If you continue, we'll assume that you are happy to receive all cookies. More information. Don't show this again.
LHX1
HPA
RESOURCES
  • TISSUE
  • BRAIN
  • SINGLE CELL
  • SUBCELLULAR
  • CANCER
  • BLOOD
  • CELL LINE
  • STRUCTURE & INTERACTION
ABOUT
  • INTRODUCTION
  • HISTORY
  • ORGANIZATION
  • PUBLICATIONS
  • ANTIBODY SUBMISSION
  • ANTIBODY AVAILABILITY
  • ACKNOWLEDGMENTS
  • CONTACT
NEWS
  • NEWS ARTICLES
  • PRESS ROOM
LEARN
  • DICTIONARY
  • PROTEIN CLASSES
  • PROTEIN EVIDENCE
  • METHODS
  • EDUCATIONAL VIDEOS
DATA
  • DOWNLOADABLE DATA
  • PUBLICATION DATA
  • RELEASE HISTORY
HELP
  • ANTIBODY VALIDATION
  • ASSAYS & ANNOTATION
  • DISCLAIMER
  • HELP & FAQ
  • PRIVACY STATEMENT
  • LICENCE & CITATION
Fields »
Search result

Field
Term
Gene name
Class
Subclass
Class
Keyword
Chromosome
External id
Tissue
Cell type
Expression
Antibody panel
Tissue
Main location
Patient ID
Annotation
Tissue
Category
Tau score
Cluster
Reliability
Brain region
Category
Tau score
Brain region
Category
Tau score
Brain region
Category
Tau score
Cluster
Reliability
Tissue
Cell type
Enrichment
Cell type
Category
Tau score
Cell type
Category
Tau score
Cell type
Category
Tau score
Cell lineage
Category
Tau score
Cluster
Cluster
Location
Searches
Location
Cell line
Class
Type
Phase
Reliability
Cancer
Prognosis
Cancer
Category
Cancer
Category
Tau score
Cluster
Variants
Interacting gene (ensg_id)
Type
Number of interactions
Pathway
Category
Score
Score
Score
Validation
Validation
Validation
Validation
Antibodies
Data type
Column


  • SUMMARY

  • TISSUE

  • BRAIN

  • SINGLE CELL

  • SUBCELL

  • CANCER

  • BLOOD

  • CELL LINE

  • STRUCT & INT

  • LHX1
TISSUE PRIMARY DATA TISSUES Show tissue menu
ADIPOSE TISSUE ADRENAL GLAND AMYGDALA APPENDIX BASAL GANGLIA BONE MARROW BREAST BRONCHUS CEREBELLUM CEREBRAL CORTEX CERVIX CHOROID PLEXUS COLON DUODENUM
ENDOMETRIUM EPIDIDYMIS ESOPHAGUS FALLOPIAN TUBE GALLBLADDER HEART MUSCLE HIPPOCAMPAL FORMATION HYPOTHALAMUS KIDNEY LIVER LUNG LYMPH NODE MIDBRAIN NASOPHARYNX
OVARY PANCREAS PARATHYROID GLAND PITUITARY GLAND PLACENTA PROSTATE RECTUM RETINA SALIVARY GLAND SEMINAL VESICLE SKELETAL MUSCLE SKIN SMALL INTESTINE SMOOTH MUSCLE
SOFT TISSUE SPINAL CORD SPLEEN STOMACH TESTIS THYMUS THYROID GLAND TONGUE TONSIL URINARY BLADDER VAGINA
ANTIBODIES
AND
VALIDATION
Dictionary
Tissue proteome
GENERAL INFORMATIONi

General description of the gene and the encoded protein(s) using information from HGNC and Ensembl, as well as predictions made by the Human Protein Atlas project.

Gene namei

Official gene symbol, which is typically a short form of the gene name, according to HGNC.

LHX1
Gene descriptioni

Full gene name according to HGNC.

LIM homeobox 1
Protein classi

Assigned HPA protein class(es) for the encoded protein(s).

Cancer-related genes
Transcription factors
Predicted locationi

All transcripts of all genes have been analyzed regarding the location(s) of corresponding protein based on prediction methods for signal peptides and transmembrane regions.

  • Genes with at least one transcript predicted to encode a secreted protein, according to prediction methods or to UniProt location data, have been further annotated and classified with the aim to determine if the corresponding protein(s) are secreted or actually retained in intracellular locations or membrane-attached.

  • Remaining genes, with no transcript predicted to encode a secreted protein, will be assigned the prediction-based location(s).

The annotated location overrules the predicted location, so that a gene encoding a predicted secreted protein that has been annotated as intracellular will have intracellular as the final location.

Intracellular
Number of transcriptsi

Number of protein-coding transcripts from the gene as defined by Ensembl.

2
HUMAN PROTEIN ATLAS INFORMATIONi

Summary of RNA expression analysis and annotation data generated within the Human Protein Atlas project.

Tissue expression
cluster (RNA)i

The RNA data was used to cluster genes according to their expression across tissues. Clusters contain genes that have similar expression patterns, and each cluster has been manually annotated to describe common features in terms of function and specificity.

Cerebellum - Nervous system development (mainly)
Tissue specificity (RNA)i

The RNA specificity category is based on mRNA expression levels in the consensus dataset which is calculated from the RNA expression levels in samples from HPA and GTEX. The categories include: tissue enriched, group enriched, tissue enhanced, low tissue specificity and not detected.

Group enriched (Brain, Kidney)
Tau specificity score (RNA)i

Tau specificity score is a numerical indicator of the specificity of the gene expression across cells or tissues. The value ranges from 0 and 1, where 0 indicates identical expression across all cells/tissue types, while 1 indicates expression in a single cell/tissue type.

0.97
Tissue distribution (RNA)i

The RNA distribution category is based on mRNA expression levels in the analyzed samples based on a combination of data from HPA and GTEX. The categories include: detected in all, detected in many, detected in some, detected in single and not detected.

Detected in some
Protein evidencei

Evidence score for genes based on UniProt protein existence (UniProt evidence); neXtProt protein existence (neXtProt evidence);and a Human Protein Atlas antibody- or RNA based score (HPA evidence). The avaliable scores are evidence at protein level, evidence at transcript level, no evidence, or not avaliable.

Evidence at protein level
Protein expressioni

A summary of the overall protein expression pattern across the analyzed normal tissues. The summary is based on knowledge-based annotation.

"Estimation of protein expression could not be performed. View primary data." is shown for genes analyzed with a knowledge-based approach where available RNA-seq and gene/protein characterization data has been evaluated as not sufficient in combination with immunohistochemistry data to yield a reliable estimation of the protein expression profile.
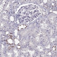
Nuclear expression in Purkinje cells of cerebellum and in a subset of renal tubules.

IMMUNOHISTOCHEMISTRY DATA RELIABILITY
Data reliability
descriptioni

Standardized explanatory sentences with additional information required for full understanding of the protein expression profile, based on knowledge-based and secretome-based annotation.

Pending external verification.
Reliability scorei

A reliability score is manually set for all genes and indicates the level of reliability of the analyzed protein expression pattern based on available RNA-seq data, protein/gene characterization data and immunohistochemical data from one or several antibodies with non-overlapping epitopes. The reliability score is based on the 44 normal tissues analyzed, and if there is available data from more than one antibody, the staining patterns of all antibodies are taken into consideration during evaluation.

The reliability score is divided into Enhanced, Supported, Approved, or Uncertain, and is displayed on both Tissue resource and Cancer resource.

Enhanced
Antibodiesi

Antibodies used for this assay. Click on an antibody for more information.

HPA073521
SHOW MORE
ASSAYSi

Links to data of the different assays available in the Tissue resource of the Human Protein Atlas. Click on the miniature images to directly get to the respective section.

Protein expression Expression clustering
RNA expression
RNA AND PROTEIN EXPRESSION SUMMARYi

Below is an overview of RNA and protein expression data generated in the Human Protein Atlas project. Analyzed tissues are divided into color-coded groups according to which functional features they have in common. For each group, a list of included tissues is accessed by clicking on the group name, group symbol, RNA bar, or protein bar. Subsequent selection of a particular tissue in this list links to the image data page.

The IHC image panel to the right display selected tissues that give a visual summary of the protein expression profile.

To the left, the two human bodies provide an anatomical display of the expression levels and detection of mRNA in the analyzed organs. Toggle between these two views by clicking on the buttons between the figures.

Expression
Detection
All organs
RNA expression (nTPM)i

RNA expression summary shows the consensus data based on normalized expression (nTPM) values from two different sources: internally generated Human Protein Atlas (HPA) RNA-seq data and RNA-seq data from the Genotype-Tissue Expression (GTEx) project. Color-coding is based on tissue groups, each consisting of tissues with functional features in common. To access sample data, click on tissue name or bar.

Protein expression (score)i

Each bar represents the highest expression score found in a particular group of tissues. Protein expression scores are based on a best estimate of the "true" protein expression from a knowledge-based annotation, described more in detail under Assays & annotation. For genes where more than one antibody has been used, a collective score is set displaying the estimated true protein expression.

Brain
Hippocampal formation
Amygdala
N/A
Basal ganglia
Midbrain
N/A
Spinal cord
N/A
Cerebral cortex
Cerebellum
Hypothalamus
N/A
Choroid plexus
N/A
Eye
Retina
N/A
Endocrine tissues
Thyroid gland
Parathyroid gland
Adrenal gland
Pituitary gland
N/A
Respiratory system
Nasopharynx
N/A
Bronchus
N/A
Lung
Proximal digestive tract
Salivary gland
Esophagus
Tongue
N/A
Gastrointestinal tract
Stomach
Small intestine
Colon
Rectum
Duodenum
Liver & Gallbladder
Liver
Gallbladder
Pancreas
Pancreas
Kidney & Urinary bladder
Kidney
Urinary bladder
Male tissues
Testis
Epididymis
Prostate
Seminal vesicle
Female tissues
Vagina
Breast
Cervix
Endometrium
Fallopian tube
Ovary
Placenta
Muscle tissues
Heart muscle
Skeletal muscle
Smooth muscle
Connective & Soft tissue
Soft tissue
N/A
Adipose tissue
Skin
Skin
Bone marrow & Lymphoid tissues
Bone marrow
Appendix
Thymus
N/A
Spleen
Lymph node
Tonsil
Cerebral cortex

Cerebellum

Colon

Liver

Kidney

Testis

Lymph node

PROTEIN EXPRESSION OVERVIEWi

Protein expression data is shown for each of the 44 tissues based on knowledge-based annotation. Color-coding is based on tissue groups, each consisting of tissues with functional features in common. Mouse-over function shows protein score for analyzed cell types in a selected tissue. To access image data click on tissue name or bar. Annotation of protein expression is described in detail in Assays & annotation.

For genes with available protein data for which a knowledge-based annotation gave inconclusive results, no protein expression data is displayed in the protein expression data overview. However, all immunohistochemical images are still available and the annotation data can be found under Primary data.
Organ
Expression
Alphabetical
EXPRESSION CLUSTERING & CORRELATIONi

The RNA data was used to cluster genes according to their expression across samples. The resulting clusters have been manually annotated to describe common features in terms of function and specificity. The annotation of the cluster is displayed together with a confidence score of the gene's assignment to the cluster. The confidence is calculated as the fraction of times the gene was assigned to this cluster in repeated calculations and is reported between 0 to 1, where 1 is the highest possible confidence. The clustering results are shown in a UMAP, where the cluster this gene was assigned to is highlighted as a colored area in which most of the cluster genes reside. A table shows the 15 most similar genes in terms of expression profile.

LHX1 is part of cluster 65 Cerebellum - Nervous system development with confidencei

Confidence is the fraction of times a gene was assigned to the cluster in repeated clustering, and therefore reflects how strongly associated it is to the cluster. A confidence of 1 indicates that the gene was assigned to this cluster in all repeated clusterings.

1
373 genes in cluster
Go to interactive expression cluster page
15 nearest neighbours based on tissue RNA expression
Neighbouri

Gene name according to HGNC.

Descriptioni

Gene description according to HGNC.

Correlationi

Correlation between the selected gene and neighboring gene. Correlation is calculated as Spearman correlation in PCA space based on the RNA-seq expression data.

Clusteri

ID of the expression cluster of the neighboring gene.

PRR35 Proline rich 35 0.9877 65
BRICD5 BRICHOS domain containing 5 0.9754 65
UNCX UNC homeobox 0.9667 65
ARVCF ARVCF delta catenin family member 0.9632 65
ZP2 Zona pellucida glycoprotein 2 0.9596 65
CADPS2 Calcium dependent secretion activator 2 0.9579 65
CBLN3 Cerebellin 3 precursor 0.9579 65
BARHL2 BarH like homeobox 2 0.9579 65
C20orf204 Chromosome 20 open reading frame 204 0.9579 65
TLX3 T cell leukemia homeobox 3 0.9561 65
SHISA8 Shisa family member 8 0.9561 65
ZIC4 Zic family member 4 0.9561 65
NRIP2 Nuclear receptor interacting protein 2 0.9561 65
FGF3 Fibroblast growth factor 3 0.9544 65
GABRA6 Gamma-aminobutyric acid type A receptor subunit alpha6 0.9544 65
RNA EXPRESSION OVERVIEWi

RNA expression overview shows RNA-data from two different sources: Internally generated Human Protein Atlas (HPA) RNA-seq data and RNA-seq data from the Genotype-Tissue Expression (GTEx) project, as well as the consensus dataset which is based on a combination of both sources. Color-coding is based on tissue groups, each consisting of tissues with functional features in common. To access sample data, click on tissue name or bar.

Consensus dataseti

The consensus dataset consists of normalized expression (nTPM) levels for 55 tissue types, created by combining the HPA and GTEx transcriptomics datasets using the internal normalization pipeline. Color-coding is based on tissue groups, each consisting of tissues with functional features in common. To access sample data, click on tissue name or bar.

Read more about how the datasets were combined into consensus normalized expression levels in Assays & Annotation.

Organ
Expression
Alphabetical
RNA tissue specificity: Group enriched (Brain, Kidney)
HPA dataseti

The HPA RNA-seq tissue data is reported as nTPM (normalized protein-coding transcripts per million), corresponding to mean values of the different individual samples from each tissue. Color-coding is based on tissue groups, each consisting of tissues with functional features in common. To access sample data, click on tissue name or bar.

The HPA RNA-seq assay is described in detail in Assays & Annotation.

Organ
Expression
Alphabetical
GTEx dataseti

The RNA-seq tissue data generated by the Genotype-Tissue Expression (GTEx) project is reported as nTPM (normalized protein-coding transcripts per million), corresponding to mean values of the different individual samples from each tissue. Color-coding is based on tissue groups, each consisting of tissues with functional features in common. To access sample data, click on tissue name or bar.

The GTEx RNA-seq assay is described in detail in Assays & Annotation.

Organ
Expression
Alphabetical
FANTOM EXPRESSION OVERVIEW
FANTOM5 dataseti

The tissue data for RNA expression obtained through Cap Analysis of Gene Expression (CAGE) generated by the FANTOM5 project are reported as Scaled Tags Per Million. Color-coding is based on tissue groups, each consisting of tissues with functional features in common. To access sample data, click on tissue name or bar.

The CAGE method is described in detail in Assays & Annotation.

Organ
Expression
Alphabetical

Contact

  • NEWS ARTICLES
  • PRESS ROOM

The Project

  • INTRODUCTION
  • ORGANIZATION
  • PUBLICATIONS

The Human Protein Atlas

  • DOWNLOADABLE DATA
  • LICENCE & CITATION
  • HELP & FAQ
The Human Protein Atlas project is funded
by the Knut & Alice Wallenberg Foundation.


contact@proteinatlas.org