We use cookies to enhance the usability of our website. If you continue, we'll assume that you are happy to receive all cookies. More information. Don't show this again.
PRODH
HPA
RESOURCES
  • TISSUE
  • BRAIN
  • SINGLE CELL
  • SUBCELLULAR
  • CANCER
  • BLOOD
  • CELL LINE
  • STRUCTURE & INTERACTION
ABOUT
  • INTRODUCTION
  • HISTORY
  • ORGANIZATION
  • PUBLICATIONS
  • ANTIBODY SUBMISSION
  • ANTIBODY AVAILABILITY
  • ACKNOWLEDGMENTS
  • CONTACT
NEWS
  • NEWS ARTICLES
  • PRESS ROOM
LEARN
  • DICTIONARY
  • PROTEIN CLASSES
  • PROTEIN EVIDENCE
  • METHODS
  • EDUCATIONAL VIDEOS
DATA
  • DOWNLOADABLE DATA
  • PUBLICATION DATA
  • RELEASE HISTORY
HELP
  • ANTIBODY VALIDATION
  • ASSAYS & ANNOTATION
  • DISCLAIMER
  • HELP & FAQ
  • PRIVACY STATEMENT
  • LICENCE & CITATION
Fields »
Search result

Field
Term
Gene name
Class
Subclass
Class
Keyword
Chromosome
External id
Tissue
Cell type
Expression
Antibody panel
Tissue
Main location
Patient ID
Annotation
Tissue
Category
Tau score
Cluster
Reliability
Brain region
Category
Tau score
Brain region
Category
Tau score
Brain region
Category
Tau score
Cluster
Reliability
Tissue
Cell type
Enrichment
Cell type
Category
Tau score
Cell type
Category
Tau score
Cell type
Category
Tau score
Cell lineage
Category
Tau score
Cluster
Cluster
Location
Searches
Location
Cell line
Class
Type
Phase
Reliability
Cancer
Prognosis
Cancer
Category
Cancer
Category
Tau score
Cluster
Variants
Interacting gene (ensg_id)
Type
Number of interactions
Pathway
Category
Score
Score
Score
Validation
Validation
Validation
Validation
Antibodies
Data type
Column


  • SUMMARY

  • TISSUE

  • BRAIN

  • SINGLE CELL

  • SUBCELL

  • CANCER

  • BLOOD

  • CELL LINE

  • STRUCT & INT

  • PRODH
CANCER LUNG CANCER Show tissue menu
BREAST CANCER CARCINOID CERVICAL CANCER COLORECTAL CANCER ENDOMETRIAL CANCER GLIOMA HEAD AND NECK CANCER LIVER CANCER LUNG CANCER LYMPHOMA
MELANOMA OVARIAN CANCER PANCREATIC CANCER PROSTATE CANCER RENAL CANCER SKIN CANCER STOMACH CANCER TESTIS CANCER THYROID CANCER UROTHELIAL CANCER
LUAD TCGA LUAD VALIDATION LUSC TCGA LUSC VALIDATION PROTEIN LUAD CPTAC PROTEIN LUSC CPTAC PROTEIN EXPRESSION
ANTIBODIES
AND
VALIDATION
Dictionary
Lung cancer
Human cancer
Lung adenocarcinoma
Lung squamous cell carcinoma
LUNG ADENOCARCINOMA (TCGA) - Interactive survival scatter ploti

The Survival Scatter plot shows the clinical status (i.e. dead or alive) for all individuals in the patient cohort, based on the same data that underlies the corresponding Kaplan-Meier plots. Patients that are alive at last time for follow-up are shown in blue and patients who have died during the study are shown in red.

The x-axis shows the expression levels (FPKM) of the investigated gene in the tumor tissue at the time of diagnosis. The y-axis shows the follow-up time after diagnosis (years). Both axes are complimented with kernel density curves demonstrating the data density over the axes. The top density plot shows the expression levels (FPKM) distribution among dead (red) and alive patients (blue). The right density plot shows the data density of the survived years of dead patients with high and low expression levels respectively, stratified using the cutoff indicated by the vertical dashed line through the Survival Scatter plot. This cutoff is automatically defined based on the FPKM cutoff that minimizes the p-score. The cutoff can be changed by dragging the vertical line or by entering a cutoff value in the square labeled "Current cut-off".

Under the Survival Scatter plot the p-score landscape (black curve; left axis) is shown together with dead median separation (red curve; right axis). Dead median separation is the difference in median mRNA expression between patients who have died with high and low expression, respectively. It is calculated as follows: median FPKM expression of dead patients with high expression - median FPKM expression of dead patients with low expression. This is intended to aid the user in visually exploring custom cutoffs and the associated p-scores and dead median separation.

Individual patient data is displayed and can be filtered by clicking on one or more of the category buttons on the top of the page. Categories describing expression level and patient information include: high, low, alive, dead, female, male and tumor stages. The scale of the x-axis can be toggled between linear and log-scale by clicking on the "x log" button. Mouse-over function shows TCGA ID, patient information and mRNA expression (FPKM) for each patient.

& Survival analysisi

Kaplan-Meier plots summarize results from analysis of correlation between mRNA expression level and patient survival. Patients were divided based on level of expression into one of the two groups "low" (under cut off) or "high" (over cut off). X-axis shows time for survival (years) and y-axis shows the probability of survival, where 1.0 corresponds to 100 percent.

  Survival analysis data not available.
LUNG ADENOCARCINOMA (VALIDATION) - Interactive survival scatter ploti

The Survival Scatter plot shows the clinical status (i.e. dead or alive) for all individuals in the patient cohort, based on the same data that underlies the corresponding Kaplan-Meier plots. Patients that are alive at last time for follow-up are shown in blue and patients who have died during the study are shown in red.

The x-axis shows the expression levels (FPKM) of the investigated gene in the tumor tissue at the time of diagnosis. The y-axis shows the follow-up time after diagnosis (years). Both axes are complimented with kernel density curves demonstrating the data density over the axes. The top density plot shows the expression levels (FPKM) distribution among dead (red) and alive patients (blue). The right density plot shows the data density of the survived years of dead patients with high and low expression levels respectively, stratified using the cutoff indicated by the vertical dashed line through the Survival Scatter plot. This cutoff is automatically defined based on the FPKM cutoff that minimizes the p-score. The cutoff can be changed by dragging the vertical line or by entering a cutoff value in the square labeled "Current cut-off".

Under the Survival Scatter plot the p-score landscape (black curve; left axis) is shown together with dead median separation (red curve; right axis). Dead median separation is the difference in median mRNA expression between patients who have died with high and low expression, respectively. It is calculated as follows: median FPKM expression of dead patients with high expression - median FPKM expression of dead patients with low expression. This is intended to aid the user in visually exploring custom cutoffs and the associated p-scores and dead median separation.

Individual patient data is displayed and can be filtered by clicking on one or more of the category buttons on the top of the page. Categories describing expression level and patient information include: high, low, alive, dead, female, male and tumor stages. The scale of the x-axis can be toggled between linear and log-scale by clicking on the "x log" button. Mouse-over function shows TCGA ID, patient information and mRNA expression (FPKM) for each patient.

& Survival analysisi

Kaplan-Meier plots summarize results from analysis of correlation between mRNA expression level and patient survival. Patients were divided based on level of expression into one of the two groups "low" (under cut off) or "high" (over cut off). X-axis shows time for survival (years) and y-axis shows the probability of survival, where 1.0 corresponds to 100 percent.

  Survival analysis data not available.
LUNG SQUAMOUS CELL CARCINOMA (TCGA) - Interactive survival scatter ploti

The Survival Scatter plot shows the clinical status (i.e. dead or alive) for all individuals in the patient cohort, based on the same data that underlies the corresponding Kaplan-Meier plots. Patients that are alive at last time for follow-up are shown in blue and patients who have died during the study are shown in red.

The x-axis shows the expression levels (FPKM) of the investigated gene in the tumor tissue at the time of diagnosis. The y-axis shows the follow-up time after diagnosis (years). Both axes are complimented with kernel density curves demonstrating the data density over the axes. The top density plot shows the expression levels (FPKM) distribution among dead (red) and alive patients (blue). The right density plot shows the data density of the survived years of dead patients with high and low expression levels respectively, stratified using the cutoff indicated by the vertical dashed line through the Survival Scatter plot. This cutoff is automatically defined based on the FPKM cutoff that minimizes the p-score. The cutoff can be changed by dragging the vertical line or by entering a cutoff value in the square labeled "Current cut-off".

Under the Survival Scatter plot the p-score landscape (black curve; left axis) is shown together with dead median separation (red curve; right axis). Dead median separation is the difference in median mRNA expression between patients who have died with high and low expression, respectively. It is calculated as follows: median FPKM expression of dead patients with high expression - median FPKM expression of dead patients with low expression. This is intended to aid the user in visually exploring custom cutoffs and the associated p-scores and dead median separation.

Individual patient data is displayed and can be filtered by clicking on one or more of the category buttons on the top of the page. Categories describing expression level and patient information include: high, low, alive, dead, female, male and tumor stages. The scale of the x-axis can be toggled between linear and log-scale by clicking on the "x log" button. Mouse-over function shows TCGA ID, patient information and mRNA expression (FPKM) for each patient.

& Survival analysisi

Kaplan-Meier plots summarize results from analysis of correlation between mRNA expression level and patient survival. Patients were divided based on level of expression into one of the two groups "low" (under cut off) or "high" (over cut off). X-axis shows time for survival (years) and y-axis shows the probability of survival, where 1.0 corresponds to 100 percent.

  Survival analysis data not available.
LUNG SQUAMOUS CELL CARCINOMA (VALIDATION) - Interactive survival scatter ploti

The Survival Scatter plot shows the clinical status (i.e. dead or alive) for all individuals in the patient cohort, based on the same data that underlies the corresponding Kaplan-Meier plots. Patients that are alive at last time for follow-up are shown in blue and patients who have died during the study are shown in red.

The x-axis shows the expression levels (FPKM) of the investigated gene in the tumor tissue at the time of diagnosis. The y-axis shows the follow-up time after diagnosis (years). Both axes are complimented with kernel density curves demonstrating the data density over the axes. The top density plot shows the expression levels (FPKM) distribution among dead (red) and alive patients (blue). The right density plot shows the data density of the survived years of dead patients with high and low expression levels respectively, stratified using the cutoff indicated by the vertical dashed line through the Survival Scatter plot. This cutoff is automatically defined based on the FPKM cutoff that minimizes the p-score. The cutoff can be changed by dragging the vertical line or by entering a cutoff value in the square labeled "Current cut-off".

Under the Survival Scatter plot the p-score landscape (black curve; left axis) is shown together with dead median separation (red curve; right axis). Dead median separation is the difference in median mRNA expression between patients who have died with high and low expression, respectively. It is calculated as follows: median FPKM expression of dead patients with high expression - median FPKM expression of dead patients with low expression. This is intended to aid the user in visually exploring custom cutoffs and the associated p-scores and dead median separation.

Individual patient data is displayed and can be filtered by clicking on one or more of the category buttons on the top of the page. Categories describing expression level and patient information include: high, low, alive, dead, female, male and tumor stages. The scale of the x-axis can be toggled between linear and log-scale by clicking on the "x log" button. Mouse-over function shows TCGA ID, patient information and mRNA expression (FPKM) for each patient.

& Survival analysisi

Kaplan-Meier plots summarize results from analysis of correlation between mRNA expression level and patient survival. Patients were divided based on level of expression into one of the two groups "low" (under cut off) or "high" (over cut off). X-axis shows time for survival (years) and y-axis shows the probability of survival, where 1.0 corresponds to 100 percent.

  Survival analysis data not available.
LUNG ADENOCARCINOMA - Protein relative expression (CPTAC)
Number of samples 213
Samples
Sample ID Sample type nRPX
CPT0148280004 Tumor 2.3
CPT0067620003 Tumor 2.2
CPT0146880004 Tumor 1.9
CPT0104970003 Tumor 1.8
CPT0070060003 Tumor 1.7
CPT0067250003 Tumor 1.6
CPT0086750003 Tumor 1.5
CPT0053040004 Tumor 1.5
CPT0015410003 Tumor 1.4
CPT0068800003 Tumor 1.4
CPT0147580004 Tumor 1.2
CPT0113990003 Tumor 1.2
CPT0118570003 Tumor 1.2
CPT0147980004 Tumor 1.0
CPT0118880003 Tumor 0.9
CPT0146780004 Tumor 0.9
CPT0013880003 Tumor 0.8
CPT0082770003 Normal 0.7
CPT0052940004 Tumor 0.7
CPT0089340003 Tumor 0.7
CPT0082850004 Tumor 0.7
CPT0147380004 Tumor 0.7
CPT0001960003 Tumor 0.6
CPT0067940003 Tumor 0.6
CPT0068100003 Tumor 0.6
CPT0118010003 Normal 0.5
CPT0082740004 Tumor 0.5
CPT0114660004 Tumor 0.5
CPT0117970003 Tumor 0.4
CPT0105060003 Tumor 0.4
CPT0105600003 Tumor 0.4
CPT0109740004 Tumor 0.3
CPT0105940003 Tumor 0.3
CPT0063810003 Tumor 0.3
CPT0014930003 Normal 0.3
CPT0105630003 Tumor 0.3
CPT0147880004 Tumor 0.2
CPT0106100003 Normal 0.2
CPT0083100003 Tumor 0.2
CPT0021490003 Normal 0.2
CPT0070080003 Normal 0.1
CPT0011930003 Normal 0.1
CPT0092530003 Tumor 0.1
CPT0105610003 Normal 0.0
CPT0066810003 Normal 0.0
CPT0098130003 Tumor 0.0
CPT0090200003 Normal 0.0
CPT0083810003 Normal 0.0
CPT0090720003 Normal 0.0
CPT0118360003 Normal 0.0
CPT0067770003 Normal 0.0
CPT0090860003 Tumor 0.0
CPT0086310003 Tumor 0.0
CPT0146680004 Tumor 0.0
CPT0118650003 Normal 0.0
CPT0118620003 Tumor 0.0
CPT0118180003 Normal 0.0
CPT0069370003 Normal -0.1
CPT0001810003 Normal -0.1
CPT0110860004 Tumor -0.1
CPT0115070003 Tumor -0.1
CPT0011750003 Normal -0.1
CPT0148300003 Normal -0.1
CPT0092930003 Tumor -0.1
CPT0069360003 Tumor -0.1
CPT0111590003 Normal -0.1
CPT0105680003 Normal -0.1
CPT0147400003 Normal -0.1
CPT0011910004 Tumor -0.1
CPT0105710003 Tumor -0.2
CPT0000930003 Normal -0.2
CPT0148180004 Tumor -0.2
CPT0118600003 Normal -0.2
CPT0068610003 Tumor -0.2
CPT0001390003 Normal -0.2
CPT0013600003 Tumor -0.2
CPT0069720003 Normal -0.2
CPT0083140003 Normal -0.2
CPT0125830003 Normal -0.2
CPT0014290003 Normal -0.2
CPT0062810003 Normal -0.2
CPT0090600003 Normal -0.2
CPT0109830004 Tumor -0.3
CPT0109720004 Tumor -0.3
CPT0105980003 Normal -0.3
CPT0063840003 Normal -0.3
CPT0105010004 Normal -0.3
CPT0067470004 Normal -0.3
CPT0067290003 Normal -0.3
CPT0066930003 Normal -0.3
CPT0097580003 Tumor -0.3
CPT0051690004 Tumor -0.3
CPT0104650003 Normal -0.3
CPT0069700003 Tumor -0.3
CPT0021450003 Tumor -0.3
CPT0105370004 Normal -0.3
CPT0013630003 Normal -0.3
CPT0105740003 Normal -0.3
CPT0097600003 Normal -0.3
CPT0147000003 Normal -0.3
CPT0008410003 Tumor -0.3
CPT0106110003 Tumor -0.3
CPT0104630003 Tumor -0.3
CPT0147600003 Normal -0.3
CPT0114010003 Normal -0.3
CPT0102480003 Normal -0.3
CPT0008450003 Tumor -0.3
CPT0063730003 Tumor -0.4
CPT0015420003 Normal -0.4
CPT0125810003 Tumor -0.4
CPT0055100004 Tumor -0.4
CPT0068830003 Normal -0.4
CPT0092250003 Normal -0.4
CPT0069550003 Normal -0.4
CPT0084170003 Normal -0.4
CPT0008420003 Normal -0.4
CPT0109700003 Normal -0.4
CPT0113220003 Normal -0.4
CPT0068130003 Normal -0.4
CPT0105270003 Tumor -0.4
CPT0090370003 Normal -0.4
CPT0086320003 Normal -0.4
CPT0114840003 Tumor -0.4
CPT0118890003 Normal -0.4
CPT0090900004 Normal -0.4
CPT0146600003 Normal -0.4
CPT0069520003 Tumor -0.4
CPT0114880003 Normal -0.4
CPT0148000003 Normal -0.5
CPT0067110003 Normal -0.5
CPT0001690003 Normal -0.5
CPT0105230003 Tumor -0.5
CPT0092940003 Normal -0.5
CPT0109710003 Normal -0.5
CPT0013910003 Normal -0.5
CPT0086770003 Normal -0.5
CPT0001590003 Normal -0.5
CPT0068650003 Normal -0.5
CPT0118830003 Normal -0.5
CPT0067070003 Tumor -0.5
CPT0147100003 Normal -0.5
CPT0001070003 Normal -0.5
CPT0089360003 Normal -0.5
CPT0146700003 Normal -0.5
CPT0105190003 Normal -0.5
CPT0066890003 Tumor -0.6
CPT0112080003 Normal -0.6
CPT0146800003 Normal -0.6
CPT0148100003 Normal -0.6
CPT0148200003 Normal -0.6
CPT0111480003 Normal -0.6
CPT0079850003 Normal -0.6
CPT0092240003 Tumor -0.6
CPT0014860003 Tumor -0.6
CPT0114690003 Normal -0.6
CPT0090570004 Tumor -0.6
CPT0118240003 Normal -0.6
CPT0105250003 Normal -0.7
CPT0147900003 Normal -0.7
CPT0023310003 Tumor -0.7
CPT0110890003 Normal -0.7
CPT0083420003 Normal -0.7
CPT0109850003 Normal -0.7
CPT0083780003 Tumor -0.7
CPT0105550003 Normal -0.8
CPT0115090003 Normal -0.8
CPT0105510003 Tumor -0.8
CPT0091870003 Normal -0.8
CPT0084140003 Tumor -0.8
CPT0001380003 Tumor -0.8
CPT0146980004 Tumor -0.8
CPT0001970003 Normal -0.8
CPT0067950003 Normal -0.8
CPT0023320003 Normal -0.9
CPT0011710004 Tumor -0.9
CPT0147500003 Normal -0.9
CPT0001580009 Tumor -0.9
CPT0104750003 Tumor -0.9
CPT0109760003 Normal -0.9
CPT0118200003 Tumor -0.9
CPT0066780003 Tumor -1.0
CPT0109680004 Tumor -1.0
CPT0001800013 Tumor -1.0
CPT0104760003 Normal -1.0
CPT0090700003 Tumor -1.0
CPT0083390004 Tumor -1.0
CPT0063750003 Normal -1.1
CPT0147480004 Tumor -1.1
CPT0091260003 Normal -1.1
CPT0082890003 Normal -1.1
CPT0112060003 Tumor -1.2
CPT0052170004 Tumor -1.2
CPT0014260003 Tumor -1.2
CPT0105330003 Tumor -1.3
CPT0001060010 Tumor -1.3
CPT0147080004 Tumor -1.3
CPT0001660013 Tumor -1.3
CPT0091860003 Tumor -1.3
CPT0000920017 Tumor -1.3
CPT0090340003 Tumor -1.3
CPT0102450003 Tumor -1.3
CPT0110980004 Tumor -1.4
CPT0113210003 Tumor -1.4
CPT0090170004 Tumor -1.4
CPT0067450003 Tumor -1.4
CPT0111300003 Tumor -1.4
CPT0118160003 Tumor -1.5
CPT0118810003 Tumor -1.6
CPT0118340003 Tumor -1.7
CPT0079830003 Tumor -1.8
CPT0091240003 Tumor -2.1
CPT0146580004 Tumor N/A
CPT0148080004 Tumor N/A
Show allShow less
LUNG SQUAMOUS CELL CARCINOMA - Protein relative expression (CPTAC)
Number of samples 212
Samples
Sample ID Sample type nRPX
CPT0202170003 Tumor 1.7
CPT0191750003 Normal 1.4
CPT0209510003 Normal 1.3
CPT0086270003 Normal 1.3
CPT0098770003 Tumor 1.2
CPT0175160003 Normal 1.2
CPT0147700003 Normal 1.1
CPT0234930004 Tumor 1.1
CPT0187380003 Normal 1.1
CPT0175120003 Tumor 1.1
CPT0102840003 Normal 1.1
CPT0202220004 Normal 1.1
CPT0237080003 Normal 1.0
CPT0205000003 Normal 0.9
CPT0068280003 Tumor 0.9
CPT0223790003 Tumor 0.9
CPT0234950004 Normal 0.8
CPT0209490003 Tumor 0.8
CPT0087210003 Normal 0.8
CPT0233160003 Normal 0.8
CPT0187370003 Tumor 0.8
CPT0237710003 Normal 0.8
CPT0128900003 Normal 0.8
CPT0091620003 Normal 0.7
CPT0112540003 Tumor 0.7
CPT0112550003 Normal 0.7
CPT0111150004 Tumor 0.7
CPT0207210003 Tumor 0.7
CPT0191710003 Tumor 0.7
CPT0130410003 Tumor 0.6
CPT0147680004 Tumor 0.6
CPT0209040003 Normal 0.6
CPT0183270003 Normal 0.6
CPT0130310003 Normal 0.6
CPT0023500003 Normal 0.6
CPT0010050003 Tumor 0.6
CPT0202740003 Normal 0.6
CPT0126670003 Tumor 0.5
CPT0104360003 Tumor 0.5
CPT0104380003 Normal 0.5
CPT0064050003 Normal 0.5
CPT0204660003 Normal 0.5
CPT0069890003 Tumor 0.5
CPT0007760003 Normal 0.5
CPT0105420003 Tumor 0.5
CPT0202040003 Normal 0.5
CPT0237990003 Normal 0.5
CPT0063500003 Normal 0.4
CPT0245780003 Tumor 0.4
CPT0001030003 Normal 0.4
CPT0232690003 Normal 0.4
CPT0237570003 Normal 0.4
CPT0186210003 Normal 0.4
CPT0104950003 Normal 0.4
CPT0208780003 Normal 0.4
CPT0186140003 Normal 0.4
CPT0245790003 Normal 0.3
CPT0126760003 Normal 0.3
CPT0218310003 Normal 0.3
CPT0221660003 Normal 0.3
CPT0126400003 Normal 0.3
CPT0195520003 Normal 0.3
CPT0117770003 Normal 0.3
CPT0183250004 Tumor 0.3
CPT0123370003 Normal 0.3
CPT0079060003 Normal 0.3
CPT0222730003 Tumor 0.3
CPT0221220003 Normal 0.2
CPT0197170003 Normal 0.2
CPT0112600003 Normal 0.2
CPT0105430003 Normal 0.2
CPT0087190003 Tumor 0.2
CPT0241210003 Normal 0.2
CPT0204820003 Normal 0.2
CPT0063440003 Normal 0.2
CPT0217490003 Normal 0.2
CPT0079100003 Tumor 0.2
CPT0245890003 Normal 0.2
CPT0222740003 Normal 0.2
CPT0126450003 Tumor 0.2
CPT0083990003 Normal 0.1
CPT0147200003 Normal 0.1
CPT0207250003 Normal 0.1
CPT0130070003 Normal 0.1
CPT0115860003 Normal 0.1
CPT0192590004 Normal 0.1
CPT0202580004 Normal 0.1
CPT0237210003 Normal 0.1
CPT0186130003 Tumor 0.1
CPT0175270003 Normal 0.1
CPT0237430003 Normal 0.1
CPT0111000004 Normal 0.1
CPT0108600003 Normal 0.1
CPT0202400004 Normal 0.1
CPT0225380003 Tumor 0.0
CPT0115830003 Tumor 0.0
CPT0219360003 Tumor 0.0
CPT0079110003 Normal 0.0
CPT0175390003 Tumor 0.0
CPT0227070003 Normal 0.0
CPT0236430003 Normal 0.0
CPT0234580003 Normal 0.0
CPT0068320003 Normal 0.0
CPT0208770003 Tumor -0.1
CPT0069900003 Normal -0.1
CPT0237550004 Tumor -0.1
CPT0086260003 Tumor -0.1
CPT0083980003 Tumor -0.1
CPT0237780003 Normal -0.1
CPT0234820003 Normal -0.1
CPT0146400003 Normal -0.1
CPT0195510003 Tumor -0.1
CPT0223820003 Normal -0.1
CPT0136660003 Normal -0.1
CPT0245880003 Tumor -0.1
CPT0091090003 Normal -0.1
CPT0238130003 Normal -0.1
CPT0196820003 Normal -0.1
CPT0233330003 Normal -0.1
CPT0098800003 Normal -0.1
CPT0007740003 Tumor -0.2
CPT0126390003 Tumor -0.2
CPT0112730003 Normal -0.2
CPT0126470003 Normal -0.2
CPT0233120003 Tumor -0.2
CPT0197520003 Normal -0.2
CPT0023470003 Tumor -0.2
CPT0225470003 Normal -0.2
CPT0190550003 Tumor -0.2
CPT0117720003 Tumor -0.2
CPT0091050003 Tumor -0.2
CPT0232670003 Tumor -0.2
CPT0204600003 Tumor -0.2
CPT0237970004 Tumor -0.2
CPT0238110004 Tumor -0.3
CPT0245840003 Normal -0.3
CPT0219390003 Normal -0.3
CPT0130440004 Normal -0.3
CPT0101130003 Tumor -0.3
CPT0146380004 Tumor -0.3
CPT0191930003 Normal -0.3
CPT0123350003 Tumor -0.3
CPT0218280003 Tumor -0.3
CPT0102790003 Tumor -0.4
CPT0175260003 Tumor -0.4
CPT0128890003 Tumor -0.4
CPT0197100003 Normal -0.4
CPT0108560003 Tumor -0.4
CPT0010060003 Normal -0.4
CPT0126740003 Tumor -0.4
CPT0064040003 Tumor -0.4
CPT0147180004 Tumor -0.4
CPT0197860003 Normal -0.4
CPT0001020003 Tumor -0.5
CPT0130270003 Tumor -0.5
CPT0227420003 Normal -0.5
CPT0233640003 Normal -0.5
CPT0202350004 Tumor -0.5
CPT0146500003 Normal -0.5
CPT0191860003 Tumor -0.5
CPT0112660003 Normal -0.6
CPT0063430003 Tumor -0.6
CPT0091610003 Tumor -0.6
CPT0112580003 Tumor -0.6
CPT0136640003 Tumor -0.6
CPT0245830003 Tumor -0.6
CPT0202530004 Tumor -0.6
CPT0237060004 Tumor -0.6
CPT0175410003 Normal -0.6
CPT0197150003 Tumor -0.7
CPT0202720003 Tumor -0.7
CPT0196810003 Tumor -0.7
CPT0175560003 Tumor -0.7
CPT0202020008 Tumor -0.7
CPT0227400003 Tumor -0.7
CPT0197090003 Tumor -0.7
CPT0241170003 Tumor -0.8
CPT0186180003 Tumor -0.8
CPT0234560003 Tumor -0.8
CPT0091820003 Tumor -0.8
CPT0130030003 Tumor -0.8
CPT0217420003 Tumor -0.8
CPT0233600003 Tumor -0.9
CPT0197480003 Tumor -0.9
CPT0090440003 Tumor -0.9
CPT0234790003 Tumor -0.9
CPT0209020004 Tumor -0.9
CPT0204990003 Tumor -0.9
CPT0192540004 Tumor -0.9
CPT0221650003 Tumor -0.9
CPT0126810003 Tumor -1.0
CPT0204800003 Tumor -1.0
CPT0197380003 Normal -1.0
CPT0063480003 Tumor -1.0
CPT0112650003 Tumor -1.0
CPT0237760003 Tumor -1.0
CPT0089880003 Tumor -1.0
CPT0221200003 Tumor -1.0
CPT0146480004 Tumor -1.1
CPT0112720003 Tumor -1.1
CPT0104930003 Tumor -1.1
CPT0237200004 Tumor -1.1
CPT0197210003 Tumor -1.2
CPT0079050003 Tumor -1.2
CPT0237690004 Tumor -1.2
CPT0197740003 Tumor -1.3
CPT0227020003 Tumor -1.3
CPT0126530003 Tumor -1.6
CPT0236420003 Tumor -1.6
CPT0126830003 Normal -1.6
CPT0233320003 Tumor -1.7
CPT0237410004 Tumor -2.0
Show allShow less
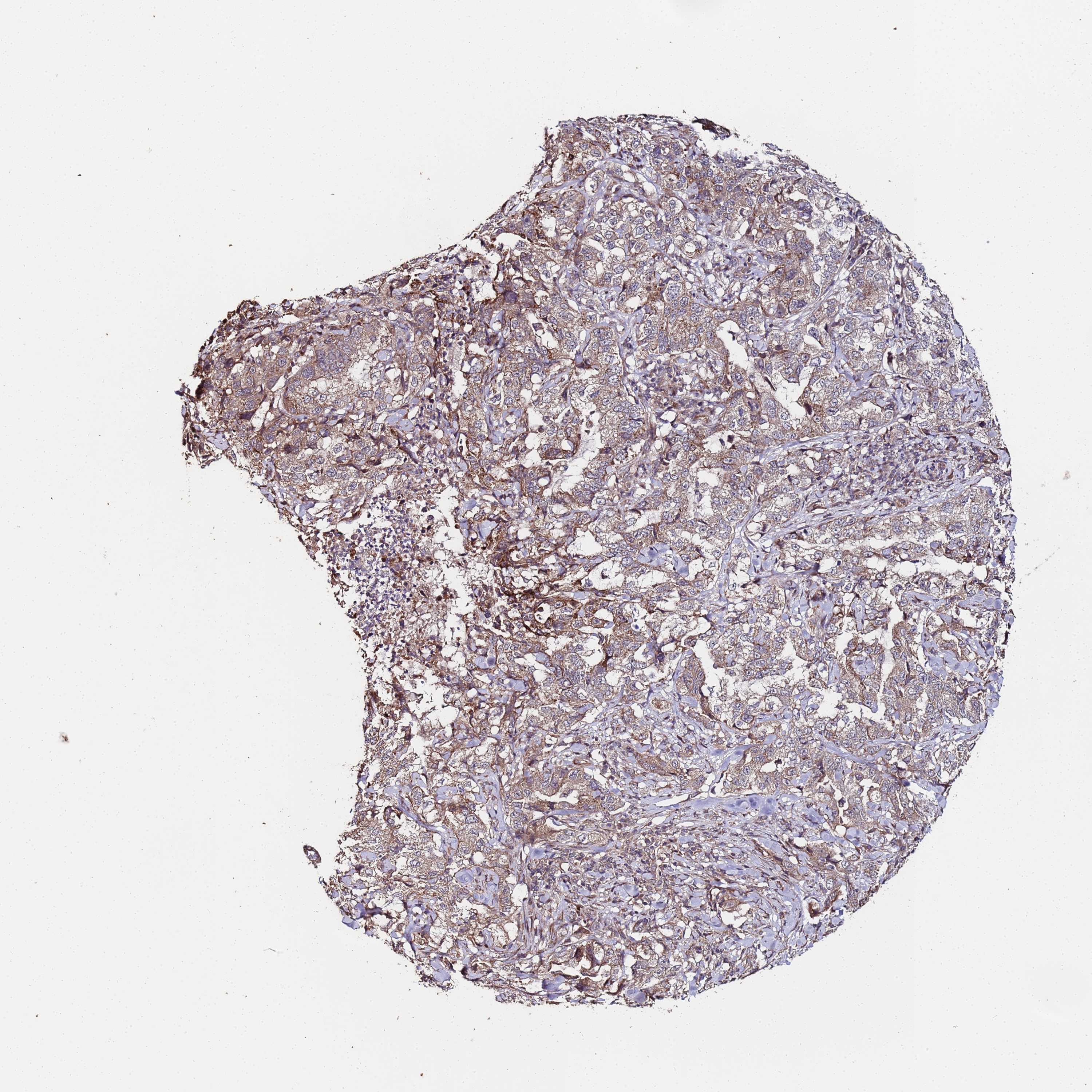
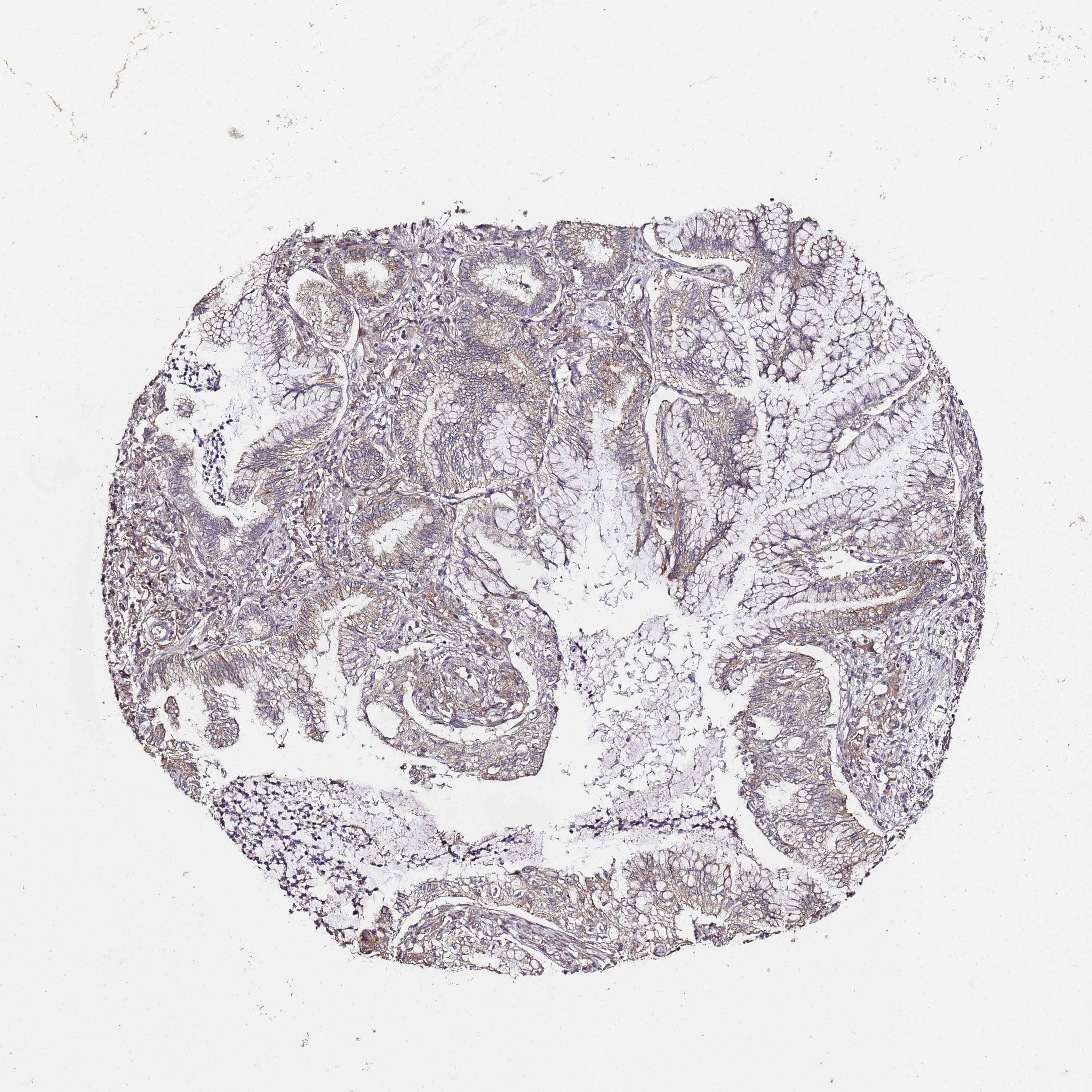
LUNG CANCER - Protein expressioni

A mouse-over function shows sample information and annotation data. Click on an image to view it in a full screen mode. Samples can be filtered based on level of antibody staining by selecting one or several of the following categories: high, medium, low and not detected. The assay and annotation is described here.

Note that samples used for immunohistochemistry by the Human Protein Atlas do not correspond to samples in the TCGA dataset.

 

Antibody stainingi

Antibody staining in the annotated cell types in the current human tissue is reported as not detected, low, medium, or high, based on conventional immunohistochemistry profiling in selected tissues. This score is based on the combination of the staining intensity and fraction of stained cells.

Each image is clickable and will lead to virtual microscopy that enables deeper exploration of all samples and also displays staining intensity scores, fraction scores and subcellular localization as well as patient and tissue information for each sample.


Antibody HPA020361
 Staining
  High
  Medium
  Low
  Not detected
 Intensity
  Strong
  Moderate
  Weak
  Negative
 Quantity
  >75%
  75%-25%
  <25%
  None
 Location
  Nuclear
  Cytoplasmic/membranous
  Cytoplasmic/membranous,nuclear
  None
Adenocarcinoma, NOS
Squamous cell carcinoma, NOS

Contact

  • NEWS ARTICLES
  • PRESS ROOM

The Project

  • INTRODUCTION
  • ORGANIZATION
  • PUBLICATIONS

The Human Protein Atlas

  • DOWNLOADABLE DATA
  • LICENCE & CITATION
  • HELP & FAQ
The Human Protein Atlas project is funded
by the Knut & Alice Wallenberg Foundation.


contact@proteinatlas.org