We use cookies to enhance the usability of our website. If you continue, we'll assume that you are happy to receive all cookies. More information. Don't show this again.
GPIHBP1
HPA
RESOURCES
  • TISSUE
  • BRAIN
  • SINGLE CELL
  • SUBCELLULAR
  • CANCER
  • BLOOD
  • CELL LINE
  • STRUCTURE & INTERACTION
ABOUT
  • INTRODUCTION
  • HISTORY
  • ORGANIZATION
  • PUBLICATIONS
  • ANTIBODY SUBMISSION
  • ANTIBODY AVAILABILITY
  • ACKNOWLEDGMENTS
  • CONTACT
NEWS
  • NEWS ARTICLES
  • PRESS ROOM
LEARN
  • DICTIONARY
  • PROTEIN CLASSES
  • PROTEIN EVIDENCE
  • METHODS
  • EDUCATIONAL VIDEOS
DATA
  • DOWNLOADABLE DATA
  • PUBLICATION DATA
  • RELEASE HISTORY
HELP
  • ANTIBODY VALIDATION
  • ASSAYS & ANNOTATION
  • DISCLAIMER
  • HELP & FAQ
  • PRIVACY STATEMENT
  • LICENCE & CITATION
Fields »
Search result

Field
Term
Gene name
Class
Subclass
Class
Keyword
Chromosome
External id
Tissue
Cell type
Expression
Antibody panel
Tissue
Main location
Patient ID
Annotation
Tissue
Category
Tau score
Cluster
Reliability
Brain region
Category
Tau score
Brain region
Category
Tau score
Brain region
Category
Tau score
Cluster
Reliability
Tissue
Cell type
Enrichment
Cell type
Category
Tau score
Cell type
Category
Tau score
Cell type
Category
Tau score
Cell lineage
Category
Tau score
Cluster
Cluster
Location
Searches
Location
Cell line
Class
Type
Phase
Reliability
Cancer
Prognosis
Cancer
Category
Cancer
Category
Tau score
Cluster
Variants
Interacting gene (ensg_id)
Type
Number of interactions
Pathway
Category
Score
Score
Score
Validation
Validation
Validation
Validation
Antibodies
Data type
Column


  • SUMMARY

  • TISSUE

  • BRAIN

  • SINGLE CELL

  • SUBCELL

  • CANCER

  • BLOOD

  • CELL LINE

  • STRUCT & INT

  • GPIHBP1
TISSUE PRIMARY DATA SKIN Show tissue menu
ADIPOSE TISSUE ADRENAL GLAND AMYGDALA APPENDIX BASAL GANGLIA BONE MARROW BREAST BRONCHUS CEREBELLUM CEREBRAL CORTEX CERVIX CHOROID PLEXUS COLON DUODENUM
ENDOMETRIUM EPIDIDYMIS ESOPHAGUS FALLOPIAN TUBE GALLBLADDER HEART MUSCLE HIPPOCAMPAL FORMATION HYPOTHALAMUS KIDNEY LIVER LUNG LYMPH NODE MIDBRAIN NASOPHARYNX
ORAL MUCOSA OVARY PANCREAS PARATHYROID GLAND PITUITARY GLAND PLACENTA PROSTATE RECTUM RETINA SALIVARY GLAND SEMINAL VESICLE SKELETAL MUSCLE SKIN SMALL INTESTINE
SMOOTH MUSCLE SOFT TISSUE SPINAL CORD SPLEEN STOMACH TESTIS THYMUS THYROID GLAND TONGUE TONSIL URINARY BLADDER VAGINA
ANTIBODIES
AND
VALIDATION
Dictionary
Skin
Tissue proteome
Skin
SKIN - Expression summary
Protein expression
Skini

On the top, protein expression in current human tissue, based on all annotated cell types, is reported with the units not detected (n), low (l), medium (m) and high (h). Underneath, protein expression in each annotated cell type are reported using the same units.

Protein expression data is based on knowledge-based annotation. For genes where more than one antibody has been used, a collective score is set.

If knowledge-based annotation could not be performed for a gene, no data is displayed here. View antibody staining data further down this page.

h
m
l
n
Epidermal cells: Not detected
Fibroblasts: Not detected
Keratinocytes: Low
Langerhans: Low
Melanocytes: Not detected
RNA expressioni

A summary of mRNA expression data available for current tissue based on several datasets. The mRNA expression levels in human tissues are based on RNA-seq data generated by the Human Protein Atlas (HPA), Genotype-Tissue Expression (GTEx) portal and CAGE data generated by the FANTOM5 consortium. Consensus normalized expression levels for human tissues was created by combining the data from HPA and GTEx datasets.

The mRNA expression levels in pig are based on RNA-seq data generated by the Human Protein Atlas (HPA), and for mouse, HPA data and in situ hybridization generated by the Allen brain atlas are reported.

Scroll down to view mRNA expression data in more detail.
Consensus:7.2 nTPM
HPA:2.6 nTPM
GTEx:7.2 nTPM

SKIN 1 - Antibody stainingi

Antibody staining in the annotated cell types in the current human tissue is reported as not detected, low, medium, or high, based on conventional immunohistochemistry profiling in selected tissues. This score is based on the combination of the staining intensity and fraction of stained cells.

Each image is clickable and will lead to virtual microscopy that enables deeper exploration of all samples and also displays staining intensity scores, fraction scores and subcellular localization as well as patient and tissue information for each sample.

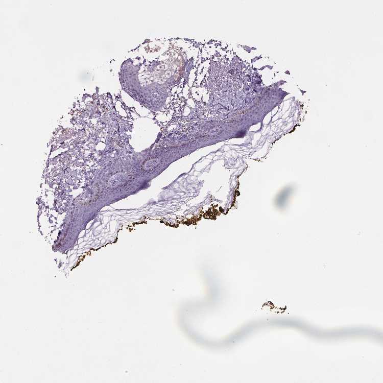
Antibody HPA066302
Langerhans Low
Fibroblasts Not detected
Keratinocytes Low
Melanocytes Not detected

SKIN 2 - Antibody stainingi

Antibody staining in the annotated cell types in the current human tissue is reported as not detected, low, medium, or high, based on conventional immunohistochemistry profiling in selected tissues. This score is based on the combination of the staining intensity and fraction of stained cells.

Each image is clickable and will lead to virtual microscopy that enables deeper exploration of all samples and also displays staining intensity scores, fraction scores and subcellular localization as well as patient and tissue information for each sample.

Antibody HPA066302
Epidermal cells Not detected
 
 
 

SKIN - HPA RNA-seqi

The RNA-seq details section shows detailed information about the individual samples used for the transcript profiling and results of the RNA-seq analysis.

Information about each individual sample is listed below, including gender, age, a tissue section image and estimated fractions of cell types. nTPM (normalized transcripts per million) values give a quantification of the gene abundance which is comparable between different genes and samples.
Average nTPMi

Max subtype nTPM is the value for the subtype with the largest average nTPM across the subtype samples.

2.6
overview
Female, age 34
Skin sample 225
nTPM: 2.4
Cell types%
Keratinocytes:
60

Other cell types:
40

overview
Female, age 30
Skin sample 226
nTPM: 1.2
Cell types%
Keratinocytes:
55

Other cell types:
45

N/A
Male, age 57
Skin sample 227
nTPM: 4

SKIN - GTEx RNA-seqi

RNA-Seq data generated by the Genotype-Tissue Expression (GTEx) project from human tissues is reported as mean nTPM. More information can be found on the GTEx portal.

Distribution across the dataset is visualized with box plots, shown as median and 25th and 75th percentiles. Points are displayed as outliers if they are above or below 1.5 times the interquartile range. nTPM values of the individual samples are presented next to the box plot.
Max subtype nTPMi

Max subtype nTPM is the value for the subtype with the largest average nTPM across the subtype samples.

7.2
GTEx sample id Sample description nTPM
Skin - Not Sun Exposed (Suprapubic)
Average nTPM: 6.5
Samples: 604

Max nTPM: 71.3
Min nTPM: 0.2
Std nTPM: 5.8
Median nTPM: 5.1
GTEX-ZLFU-1826-SM-4WWBV 40-49 years, male 71.3
GTEX-1AX9J-1326-SM-731BJ 60-69 years, male 49.4
GTEX-YB5K-2026-SM-4VDT3 40-49 years, female 41.9
GTEX-X3Y1-2026-SM-3P5YM 40-49 years, male 34.0
GTEX-12WSL-2026-SM-5GCML 50-59 years, male 33.6
GTEX-1399R-1326-SM-5PNYS 30-39 years, male 28.3
GTEX-13FH7-1126-SM-5K7UG 50-59 years, female 27.9
GTEX-13N2G-0226-SM-5K7VF 60-69 years, male 26.6
GTEX-1211K-1526-SM-5FQU4 60-69 years, female 23.8
GTEX-1GMR2-0826-SM-7PC3V 50-59 years, male 21.6
GTEX-1I4MK-0126-SM-CY8G6 50-59 years, female 21.4
GTEX-UPK5-0426-SM-3GAEK 40-49 years, male 20.5
GTEX-1QP29-1826-SM-DTX9S 50-59 years, male 20.2
GTEX-WYJK-0526-SM-3NM8Z 50-59 years, male 19.7
GTEX-Y3IK-1626-SM-4YCF5 50-59 years, female 19.7
GTEX-14PKV-1126-SM-6LLJ1 20-29 years, female 18.2
GTEX-14DAR-1226-SM-73KYV 50-59 years, male 17.3
GTEX-1C475-1326-SM-7SB73 40-49 years, female 17.3
GTEX-ZT9W-1126-SM-57WDR 50-59 years, male 17.2
GTEX-1LGOU-1326-SM-D3L8M 20-29 years, female 16.4
GTEX-1S831-1826-SM-EWROF 20-29 years, male 16.2
GTEX-12WSJ-1126-SM-5LZVJ 40-49 years, female 16.1
GTEX-13VXT-1926-SM-5K7UO 20-29 years, female 16.1
GTEX-1F75W-2726-SM-7SB8H 60-69 years, male 16.1
GTEX-1J1R8-2026-SM-CL53Y 40-49 years, male 16.1
GTEX-ZTSS-1426-SM-5985P 40-49 years, male 16.0
GTEX-1RLM8-2926-SM-E8VON 50-59 years, male 15.8
GTEX-18A7B-2726-SM-7LG56 70-79 years, male 15.3
GTEX-ZU9S-1826-SM-5NQ9E 30-39 years, male 15.2
GTEX-1RAZA-2226-SM-E9U4X 20-29 years, male 15.0
GTEX-17F96-0126-SM-7EWDU 70-79 years, male 14.8
GTEX-ZYFG-1526-SM-5GZYM 60-69 years, female 14.8
GTEX-12C56-1526-SM-5FQUQ 20-29 years, male 14.6
GTEX-14E6E-0526-SM-793DN 30-39 years, male 14.6
GTEX-11EI6-2826-SM-5H11D 60-69 years, male 14.5
GTEX-1LSNM-0826-SM-DIPG8 50-59 years, male 14.2
GTEX-1117F-2926-SM-5GZYI 60-69 years, female 14.1
GTEX-18D9B-0926-SM-7LG4U 60-69 years, male 14.1
GTEX-1H3NZ-2726-SM-9WYTQ 60-69 years, male 14.1
GTEX-1O9I2-0226-SM-EYYXD 50-59 years, male 14.0
GTEX-X5EB-1926-SM-4E3IW 40-49 years, male 13.9
GTEX-14BMU-1226-SM-5S2OR 20-29 years, female 13.8
GTEX-17EVQ-0126-SM-7IGLR 70-79 years, male 13.8
GTEX-ZVP2-0326-SM-57WBP 50-59 years, male 13.8
GTEX-11NSD-0626-SM-5A5LU 20-29 years, male 13.7
GTEX-17F9E-2326-SM-79OKD 50-59 years, male 13.7
GTEX-WFG8-2126-SM-3GIKQ 20-29 years, male 13.7
GTEX-1C64O-1326-SM-7MGWR 60-69 years, male 13.7
GTEX-1I6K6-1726-SM-CGQFD 30-39 years, male 13.6
GTEX-12WSK-2126-SM-5CVNC 40-49 years, female 13.5
GTEX-16MTA-0926-SM-6M47Z 50-59 years, male 13.5
GTEX-1KANC-1226-SM-CYPT7 50-59 years, female 13.5
GTEX-133LE-2326-SM-5K7W3 20-29 years, female 13.4
GTEX-13OVJ-0826-SM-5J1OK 50-59 years, female 13.0
GTEX-145ME-1726-SM-5Q5EU 40-49 years, female 13.0
GTEX-Y8LW-1526-SM-5IFHL 50-59 years, female 13.0
GTEX-YF7O-1526-SM-5IFI6 50-59 years, male 13.0
GTEX-YFCO-1226-SM-5LUAT 40-49 years, male 13.0
GTEX-117YX-1926-SM-5GIEC 50-59 years, male 12.9
GTEX-132AR-0326-SM-5KM2C 50-59 years, female 12.9
GTEX-ZLWG-0826-SM-59888 50-59 years, female 12.8
GTEX-1HCU8-2526-SM-CE6RX 60-69 years, female 12.8
GTEX-1192X-2726-SM-5N9DN 50-59 years, male 12.7
GTEX-11EM3-1226-SM-5N9DD 20-29 years, female 12.6
GTEX-ZA64-1026-SM-5HL8R 20-29 years, male 12.6
GTEX-16XZZ-0726-SM-7KUF2 60-69 years, male 12.5
GTEX-17MF6-2626-SM-79OKQ 40-49 years, male 12.5
GTEX-WXYG-2026-SM-4E3IY 50-59 years, female 12.5
GTEX-YEC3-1326-SM-DO92X 50-59 years, male 12.5
GTEX-1GMR8-0626-SM-7RHI7 50-59 years, female 12.4
GTEX-17JCI-2926-SM-7DUFF 60-69 years, female 12.3
GTEX-1GF9U-2026-SM-7SB92 40-49 years, female 12.2
GTEX-18D9A-1426-SM-7LT8M 30-39 years, female 12.1
GTEX-14PJ2-0626-SM-6LLII 50-59 years, male 12.0
GTEX-1HKZK-0726-SM-ACKW2 40-49 years, male 11.7
GTEX-13N11-2326-SM-5IJBF 50-59 years, female 11.6
GTEX-1R7EU-1626-SM-DTXG3 60-69 years, male 11.6
GTEX-11DZ1-2426-SM-5GZZX 50-59 years, male 11.4
GTEX-14JG6-1426-SM-9WG7C 30-39 years, female 11.3
GTEX-16AAH-0626-SM-793C9 50-59 years, male 11.2
GTEX-139T8-0626-SM-5KLZX 60-69 years, male 11.1
GTEX-WEY5-2326-SM-3GIKK 40-49 years, female 11.1
GTEX-XQ8I-0926-SM-4BOOF 50-59 years, male 11.0
GTEX-1H1ZS-2726-SM-9WG75 70-79 years, male 11.0
GTEX-1HCUA-0826-SM-ADEHM 50-59 years, female 11.0
GTEX-13U4I-2226-SM-5LU5H 40-49 years, female 10.9
GTEX-1LBAC-0826-SM-CY8IJ 20-29 years, male 10.9
GTEX-1QMI2-2526-SM-E8VNZ 60-69 years, male 10.9
GTEX-1QCLZ-2426-SM-EVYBW 60-69 years, female 10.8
GTEX-XBEC-0726-SM-4QARZ 50-59 years, male 10.6
GTEX-1HFI7-2326-SM-CGQFS 50-59 years, female 10.6
GTEX-1IDJI-0126-SM-CMKHS 50-59 years, female 10.6
GTEX-1LG7Z-1626-SM-CXKYR 30-39 years, male 10.6
GTEX-1RAZR-2126-SM-E9U6T 40-49 years, male 10.6
GTEX-13X6I-1826-SM-5SIAO 60-69 years, male 10.5
GTEX-12584-0726-SM-5FQTK 40-49 years, male 10.3
GTEX-16BQI-1326-SM-6M486 30-39 years, female 10.3
GTEX-Y8E4-2026-SM-5IFJB 40-49 years, male 10.3
GTEX-11ZTT-2126-SM-5CVLO 60-69 years, female 10.2
GTEX-1F75B-0726-SM-7PC3R 50-59 years, male 10.2
GTEX-1RB15-1326-SM-E76Q9 60-69 years, male 10.2
GTEX-18A66-0626-SM-7LT8Z 60-69 years, male 10.1
GTEX-1B996-0426-SM-7EWF8 60-69 years, male 10.1
GTEX-1J8JJ-0626-SM-ARZMQ 60-69 years, female 10.1
GTEX-12WSA-0426-SM-5EQ5X 60-69 years, male 10.0
GTEX-1I1CD-0626-SM-CE6SW 60-69 years, female 10.0
GTEX-1I1GS-2626-SM-B2LY3 60-69 years, male 10.0
GTEX-13113-1626-SM-5EQ4I 60-69 years, female 9.9
GTEX-1F75I-2226-SM-7SB8U 40-49 years, male 9.9
GTEX-13OVG-1626-SM-5J1NF 60-69 years, male 9.8
GTEX-1CAMR-1326-SM-7PC1F 20-29 years, male 9.8
GTEX-131XF-2626-SM-5EQ6K 60-69 years, male 9.7
GTEX-18D9U-0126-SM-731BM 40-49 years, male 9.7
GTEX-111FC-2526-SM-5GZXU 60-69 years, male 9.4
GTEX-13RTJ-0126-SM-5S2NN 60-69 years, male 9.4
GTEX-15D1Q-2826-SM-6LLH7 40-49 years, male 9.4
GTEX-1CAV2-0126-SM-7IGN7 40-49 years, female 9.4
GTEX-WFG7-2026-SM-5SI7P 20-29 years, male 9.4
GTEX-Y114-2126-SM-4TT8B 50-59 years, female 9.4
GTEX-11P82-1426-SM-DTXFY 20-29 years, male 9.4
GTEX-11EQ9-1626-SM-5PNY8 30-39 years, male 9.3
GTEX-144FL-0626-SM-5LU43 50-59 years, male 9.3
GTEX-1497J-0226-SM-5QGPU 60-69 years, male 9.3
GTEX-15CHR-1126-SM-7EWF4 50-59 years, male 9.3
GTEX-15UF6-1926-SM-7KUDV 70-79 years, female 9.3
GTEX-1HUB1-1426-SM-CGQF5 60-69 years, male 9.3
GTEX-1J8Q3-0526-SM-ARL8U 60-69 years, male 9.3
GTEX-1A32A-0626-SM-731AQ 50-59 years, female 9.2
GTEX-1K2DA-1026-SM-CGQGF 50-59 years, male 9.2
GTEX-1KXAM-1626-SM-D3LAD 60-69 years, male 9.2
GTEX-13IVO-0726-SM-5LZYV 70-79 years, male 9.1
GTEX-1LVA9-2626-SM-EVYD4 50-59 years, male 9.1
GTEX-13OW5-2326-SM-5L3HO 60-69 years, male 9.0
GTEX-15CHQ-0326-SM-69LQD 60-69 years, male 9.0
GTEX-13QBU-1226-SM-5LU4G 40-49 years, female 8.9
GTEX-16NGA-0726-SM-731AO 40-49 years, female 8.9
GTEX-11DXZ-2026-SM-5987S 50-59 years, male 8.8
GTEX-16GPK-0626-SM-7KFSF 60-69 years, male 8.8
GTEX-WHPG-2626-SM-3NMBR 50-59 years, male 8.8
GTEX-12BJ1-0926-SM-5EQ62 60-69 years, male 8.7
GTEX-145MG-1526-SM-5Q5EM 50-59 years, male 8.7
GTEX-1L5NE-1126-SM-D3L9P 50-59 years, male 8.7
GTEX-145MN-1526-SM-5SI9T 30-39 years, male 8.6
GTEX-Y5V6-2326-SM-4VDSA 60-69 years, male 8.6
GTEX-ZVT2-0126-SM-5GIDQ 50-59 years, female 8.6
GTEX-11VI4-1126-SM-5EQMD 40-49 years, female 8.5
GTEX-14PHX-2226-SM-6EU2P 50-59 years, male 8.5
GTEX-1EH9U-2826-SM-7DUGT 60-69 years, male 8.5
GTEX-1GZ4H-0526-SM-9KNU9 50-59 years, female 8.5
GTEX-17F97-2626-SM-7IGM5 50-59 years, male 8.4
GTEX-XUW1-0926-SM-4BONX 50-59 years, female 8.4
GTEX-11P7K-1126-SM-5HL4L 30-39 years, male 8.3
GTEX-13FTW-0326-SM-5K7UW 40-49 years, male 8.3
GTEX-1I6K7-1926-SM-B2LXR 40-49 years, male 8.3
GTEX-1ICLZ-0326-SM-ARL82 60-69 years, male 8.3
GTEX-1LVAN-0626-SM-CNPOQ 50-59 years, female 8.3
GTEX-139YR-1026-SM-5LZYN 50-59 years, male 8.2
GTEX-14PK6-0226-SM-62LF5 70-79 years, female 8.2
GTEX-ZVTK-0226-SM-51MRG 20-29 years, male 8.2
GTEX-1H2FU-0926-SM-9WPPT 60-69 years, female 8.2
GTEX-1MCC2-1826-SM-DIPEX 30-39 years, female 8.2
GTEX-1QCLY-0226-SM-EWRNH 30-39 years, male 8.2
GTEX-ZGAY-1826-SM-DO91Q 40-49 years, female 8.2
GTEX-13OW8-1026-SM-5J1NQ 60-69 years, male 8.1
GTEX-1GTWX-2026-SM-9YFLM 60-69 years, male 8.1
GTEX-1HC8U-1326-SM-9YFMJ 40-49 years, female 8.1
GTEX-1N2DV-1526-SM-DTXEP 40-49 years, male 8.1
GTEX-1F48J-0726-SM-7RHGS 50-59 years, female 8.0
GTEX-1QP9N-1226-SM-E76QN 30-39 years, male 8.0
GTEX-14E6C-2426-SM-5S2NF 40-49 years, male 7.9
GTEX-YEC4-1826-SM-4W1YP 40-49 years, male 7.9
GTEX-1CB4I-0126-SM-7RHGG 50-59 years, male 7.9
GTEX-X585-2426-SM-46MW2 50-59 years, male 7.8
GTEX-XPVG-2126-SM-4B667 50-59 years, male 7.8
GTEX-1JK1U-0226-SM-ARZMX 60-69 years, male 7.8
GTEX-1AX8Z-0726-SM-73KTS 60-69 years, male 7.7
GTEX-13O61-1426-SM-5KM3D 60-69 years, male 7.6
GTEX-13JUV-2026-SM-5K7UA 40-49 years, female 7.5
GTEX-147F3-1726-SM-5SIAW 50-59 years, female 7.5
GTEX-Y3I4-1726-SM-4TT89 50-59 years, male 7.5
GTEX-ZAB4-2126-SM-5HL8U 40-49 years, male 7.5
GTEX-1OJC3-1226-SM-DTXER 20-29 years, male 7.5
GTEX-1RAZS-2526-SM-E6CHT 50-59 years, male 7.5
GTEX-111CU-1126-SM-5EGIM 50-59 years, male 7.4
GTEX-WYVS-1626-SM-3NM9R 40-49 years, female 7.4
GTEX-XBEW-1126-SM-4QARW 40-49 years, male 7.4
GTEX-ZP4G-1426-SM-4WWCL 20-29 years, female 7.3
GTEX-1H1CY-0126-SM-9YFLY 60-69 years, female 7.3
GTEX-1S5ZU-2526-SM-E6CIF 20-29 years, female 7.3
GTEX-1GZ2Q-0126-SM-9WG6M 40-49 years, male 7.2
GTEX-1IDJF-2026-SM-CL53V 20-29 years, male 7.2
GTEX-1JMLX-0626-SM-ARL8T 50-59 years, male 7.2
GTEX-1NSGN-0726-SM-DTXEF 50-59 years, male 7.2
GTEX-15RIE-1926-SM-7KUKJ 60-69 years, male 7.1
GTEX-XYKS-1426-SM-4BRUO 60-69 years, female 7.1
GTEX-ZZ64-1026-SM-5GZXG 20-29 years, male 7.1
GTEX-1JMOU-1026-SM-CYPSS 60-69 years, female 7.1
GTEX-1S82U-1026-SM-E6CJK 30-39 years, female 7.1
GTEX-111YS-1526-SM-5GZYW 60-69 years, male 7.0
GTEX-146FQ-2126-SM-5RQHU 30-39 years, male 7.0
GTEX-1F52S-2926-SM-7MKGA 60-69 years, female 7.0
GTEX-ZDYS-2426-SM-4WKGI 50-59 years, male 7.0
GTEX-1H1E6-0426-SM-9WYUS 30-39 years, male 7.0
GTEX-1HBPM-0726-SM-9YFL7 60-69 years, female 7.0
GTEX-131XH-0126-SM-5LZUY 50-59 years, male 6.9
GTEX-1MJK3-0726-SM-E6CJC 20-29 years, male 6.9
GTEX-1AX9I-2226-SM-73KUO 60-69 years, male 6.8
GTEX-13W3W-0726-SM-5IJDQ 60-69 years, female 6.7
GTEX-16MT8-2926-SM-7DUFO 60-69 years, female 6.7
GTEX-178AV-1726-SM-7KUL8 40-49 years, male 6.7
GTEX-XV7Q-1826-SM-4BRUV 40-49 years, female 6.7
GTEX-ZUA1-2626-SM-5NQ92 40-49 years, male 6.7
GTEX-1H3VE-0726-SM-9YFL5 40-49 years, male 6.7
GTEX-1HCU9-0426-SM-9WYSD 20-29 years, male 6.6
GTEX-1IY9M-2826-SM-ARU8H 60-69 years, male 6.6
GTEX-ZF3C-0626-SM-DO92O 50-59 years, female 6.6
GTEX-11WQC-1826-SM-5GU59 60-69 years, male 6.5
GTEX-13PVR-0426-SM-5RQK2 60-69 years, female 6.5
GTEX-13X6H-0926-SM-5SIB2 50-59 years, female 6.5
GTEX-144GO-2026-SM-5O99P 60-69 years, male 6.5
GTEX-1477Z-0326-SM-7IGLA 60-69 years, male 6.5
GTEX-14PJO-2526-SM-6AJBQ 60-69 years, male 6.5
GTEX-1CB4H-1126-SM-7MKGL 60-69 years, female 6.5
GTEX-XAJ8-1426-SM-47JYM 40-49 years, male 6.5
GTEX-ZAK1-0626-SM-5HL8E 50-59 years, female 6.5
GTEX-ZVE2-2826-SM-5GU51 50-59 years, male 6.5
GTEX-1GF9W-1426-SM-7PBYM 60-69 years, male 6.5
GTEX-1JKYN-0826-SM-ARU8S 30-39 years, male 6.5
GTEX-1S3DN-2126-SM-E9TIN 50-59 years, male 6.5
GTEX-17MFQ-1526-SM-7KFRR 20-29 years, male 6.4
GTEX-X8HC-0626-SM-4E3HQ 50-59 years, female 6.4
GTEX-1C64N-2626-SM-7PC2N 50-59 years, male 6.4
GTEX-1E2YA-2126-SM-7MXUO 50-59 years, male 6.4
GTEX-1IDJU-1726-SM-CMKHU 60-69 years, female 6.4
GTEX-15RIG-0726-SM-7KUM7 40-49 years, male 6.3
GTEX-1HBPN-0126-SM-CGQEF 50-59 years, male 6.3
GTEX-1N5O9-0926-SM-E9J3C 60-69 years, male 6.3
GTEX-1A3MV-1826-SM-731CD 30-39 years, male 6.2
GTEX-WY7C-2126-SM-3NB2R 50-59 years, male 6.2
GTEX-1LGRB-0926-SM-COH3K 50-59 years, female 6.2
GTEX-12WSF-1626-SM-7KUG5 70-79 years, male 6.1
GTEX-14E1K-2026-SM-7DUEI 50-59 years, male 6.1
GTEX-14PHY-1226-SM-5ZZWK 60-69 years, female 6.1
GTEX-14PKU-0126-SM-6LLHV 40-49 years, female 6.1
GTEX-15RJE-2826-SM-7KUM9 40-49 years, male 6.0
GTEX-1JMPZ-0726-SM-CY8HZ 30-39 years, male 6.0
GTEX-1399U-1126-SM-5L3DB 50-59 years, female 5.9
GTEX-139TU-0726-SM-5L3EK 60-69 years, male 5.9
GTEX-14PJ5-1526-SM-6LLIL 60-69 years, female 5.9
GTEX-16Z82-2626-SM-7KULU 60-69 years, male 5.9
GTEX-WRHU-2826-SM-3MJG8 50-59 years, female 5.9
GTEX-1HSMQ-2626-SM-A9SML 50-59 years, male 5.9
GTEX-11OF3-0126-SM-5PNYF 60-69 years, male 5.8
GTEX-139D8-1126-SM-5LU8W 30-39 years, female 5.8
GTEX-139TT-2126-SM-5LZWC 60-69 years, male 5.8
GTEX-YJ8O-2526-SM-5HL85 40-49 years, female 5.8
GTEX-1F6IF-0926-SM-7SB7M 60-69 years, male 5.8
GTEX-1HSGN-0826-SM-ACKW3 40-49 years, female 5.8
GTEX-1K2DU-1226-SM-CYPT4 20-29 years, male 5.8
GTEX-1LKK1-2626-SM-DKPQE 50-59 years, female 5.8
GTEX-1RMOY-1326-SM-E9TIH 50-59 years, male 5.8
GTEX-1399S-0126-SM-5IJCF 30-39 years, female 5.7
GTEX-Y5V5-0126-SM-5S2NW 60-69 years, female 5.7
GTEX-1R9K4-2826-SM-DTX8F 60-69 years, male 5.7
GTEX-11NUK-2726-SM-5A5MC 50-59 years, male 5.6
GTEX-11TT1-1826-SM-5EQLV 20-29 years, male 5.6
GTEX-1269C-0126-SM-5EQ5L 60-69 years, female 5.6
GTEX-13D11-0926-SM-5J2NC 50-59 years, female 5.6
GTEX-15EO6-2426-SM-6PALZ 50-59 years, male 5.6
GTEX-1EWIQ-0326-SM-7DHMQ 70-79 years, female 5.6
GTEX-WFON-1926-SM-3LK7L 40-49 years, male 5.6
GTEX-ZPU1-1126-SM-4YCF3 40-49 years, male 5.6
GTEX-1ICG6-1226-SM-A9SLN 70-79 years, female 5.6
GTEX-14LZ3-0126-SM-69LPM 60-69 years, female 5.5
GTEX-14PJ6-2626-SM-6EU2T 60-69 years, female 5.5
GTEX-18QFQ-1826-SM-72D52 30-39 years, male 5.5
GTEX-1CB4E-0926-SM-7EPHT 60-69 years, male 5.5
GTEX-WI4N-2726-SM-3LK7Y 40-49 years, female 5.5
GTEX-ZYW4-0626-SM-59HJR 60-69 years, male 5.5
GTEX-1CAMS-2226-SM-7PBXQ 40-49 years, female 5.5
GTEX-1I19N-0126-SM-CYPSF 70-79 years, male 5.5
GTEX-1IDJC-1526-SM-B2LW4 50-59 years, male 5.5
GTEX-1LVAO-2726-SM-E9TJ8 60-69 years, male 5.5
GTEX-14ICL-1626-SM-5YYAO 30-39 years, male 5.4
GTEX-15EU6-2226-SM-6EU2L 50-59 years, male 5.4
GTEX-WHWD-1826-SM-3LK6I 50-59 years, male 5.4
GTEX-1HGF4-0126-SM-CNPPX 60-69 years, male 5.4
GTEX-1IDJE-1426-SM-ADEIW 50-59 years, female 5.4
GTEX-1J8EW-2726-SM-CY8HR 60-69 years, female 5.4
GTEX-1JMQJ-0826-SM-CNPP7 50-59 years, male 5.4
GTEX-XBED-1926-SM-47JYP 60-69 years, male 5.3
GTEX-1HCU6-2526-SM-ADEHL 60-69 years, female 5.3
GTEX-1JMPY-0226-SM-CKZOK 30-39 years, male 5.3
GTEX-1JMQI-1726-SM-ARL93 50-59 years, male 5.3
GTEX-1PIGE-1826-SM-E8VOU 20-29 years, male 5.3
GTEX-13NZ9-2626-SM-5L3FK 50-59 years, male 5.2
GTEX-145LT-0526-SM-5LUB2 40-49 years, male 5.2
GTEX-1B8KE-1126-SM-7EPHI 50-59 years, male 5.2
GTEX-ZDTS-0826-SM-4WKHL 60-69 years, male 5.2
GTEX-ZF2S-1626-SM-57WES 50-59 years, female 5.2
GTEX-1KAFJ-0126-SM-DIPEK 50-59 years, male 5.2
GTEX-14DAQ-0626-SM-793DS 60-69 years, female 5.1
GTEX-183WM-0326-SM-72D5V 70-79 years, female 5.1
GTEX-1AMFI-1326-SM-7939R 50-59 years, female 5.1
GTEX-WHSB-1326-SM-3LK6W 50-59 years, male 5.1
GTEX-1J8QM-2426-SM-A9SLS 60-69 years, female 5.1
GTEX-1JJE9-2626-SM-ARZMT 70-79 years, male 5.1
GTEX-12WSM-1926-SM-5BC65 60-69 years, male 5.0
GTEX-1B932-2326-SM-79OL5 40-49 years, female 5.0
GTEX-1IDJD-2326-SM-ACKWX 30-39 years, male 5.0
GTEX-1K9T9-1526-SM-DIPFR 50-59 years, female 5.0
GTEX-1KWVE-1026-SM-D3L9O 30-39 years, male 5.0
GTEX-12KS4-2126-SM-5FQUT 30-39 years, male 4.9
GTEX-1314G-1326-SM-5BC6E 30-39 years, male 4.9
GTEX-131XW-0626-SM-5PNVD 50-59 years, female 4.9
GTEX-13OVK-1426-SM-6PAN7 40-49 years, male 4.9
GTEX-14AS3-1526-SM-5Q5ED 40-49 years, female 4.9
GTEX-14LLW-2626-SM-62LDZ 70-79 years, female 4.9
GTEX-17HHE-1326-SM-7EWDZ 50-59 years, male 4.9
GTEX-XOT4-0626-SM-4B66L 60-69 years, female 4.9
GTEX-1212Z-0126-SM-59HK4 60-69 years, male 4.8
GTEX-1HSMP-0926-SM-A9SKX 70-79 years, male 4.8
GTEX-1LG7Y-2526-SM-EWRO7 50-59 years, male 4.8
GTEX-WH7G-2026-SM-3NMBL 40-49 years, male 4.7
GTEX-1HB9E-0126-SM-CM2S5 50-59 years, male 4.7
GTEX-1JKYR-0626-SM-ARL8R 20-29 years, male 4.7
GTEX-14JG1-1526-SM-5YY9X 40-49 years, male 4.6
GTEX-1122O-1026-SM-9WYSF 60-69 years, female 4.6
GTEX-1HSMO-0626-SM-ACKXC 60-69 years, male 4.6
GTEX-1JJ6O-2726-SM-CNPOG 60-69 years, male 4.6
GTEX-131XG-0326-SM-5L3DX 50-59 years, female 4.5
GTEX-13FLV-0126-SM-5K7WT 50-59 years, male 4.5
GTEX-15DDE-2926-SM-6LLJ3 50-59 years, female 4.5
GTEX-ZDTT-0426-SM-4WKFL 60-69 years, male 4.5
GTEX-1CAMQ-1326-SM-7P8RV 40-49 years, male 4.5
GTEX-1GPI7-1826-SM-9KNU1 20-29 years, male 4.5
GTEX-1KANA-1326-SM-DIPFA 20-29 years, male 4.5
GTEX-11O72-0626-SM-5PNYE 40-49 years, male 4.4
GTEX-12WSH-1526-SM-5BC5W 50-59 years, male 4.4
GTEX-139TS-2126-SM-5K7XC 60-69 years, male 4.4
GTEX-145LS-0626-SM-7EPG7 60-69 years, female 4.4
GTEX-XMD2-2126-SM-4YCF8 60-69 years, female 4.4
GTEX-ZDXO-3126-SM-5IJDF 60-69 years, male 4.4
GTEX-ZY6K-1426-SM-5GZX2 50-59 years, male 4.4
GTEX-1GL5R-1326-SM-7RHHF 50-59 years, male 4.4
GTEX-1HFI6-0126-SM-CNPPI 40-49 years, male 4.4
GTEX-1IKOE-1426-SM-CE6T7 30-39 years, female 4.4
GTEX-11P81-2226-SM-5PNYI 30-39 years, female 4.3
GTEX-13QJC-0126-SM-5ZZWJ 60-69 years, female 4.3
GTEX-15CHC-1126-SM-6LLHQ 60-69 years, female 4.3
GTEX-UPJH-0226-SM-3GADV 50-59 years, male 4.3
GTEX-XXEK-1626-SM-4BRUZ 50-59 years, male 4.3
GTEX-ZZPU-0826-SM-5GZX5 50-59 years, female 4.3
GTEX-1H1DE-1326-SM-9KNUG 20-29 years, male 4.3
GTEX-1QP66-1226-SM-DTX7U 50-59 years, male 4.3
GTEX-13OVH-0526-SM-5L3E6 70-79 years, male 4.2
GTEX-ZLV1-1526-SM-DO91J 60-69 years, female 4.2
GTEX-147GR-2426-SM-5ZZWQ 60-69 years, male 4.1
GTEX-1F6I4-2326-SM-7RHGL 60-69 years, male 4.1
GTEX-1HR98-2226-SM-ADEI2 60-69 years, male 4.1
GTEX-12WSD-0626-SM-5GCMW 60-69 years, female 4.0
GTEX-14PJ3-1126-SM-5ZZVX 50-59 years, male 4.0
GTEX-15FZZ-0526-SM-7KUGD 30-39 years, female 4.0
GTEX-16MT9-0126-SM-7EPI8 60-69 years, female 4.0
GTEX-1AMEY-0826-SM-72D65 30-39 years, female 4.0
GTEX-VJYA-1526-SM-3GIJV 60-69 years, male 4.0
GTEX-ZTX8-1326-SM-4YCEL 20-29 years, male 4.0
GTEX-1AYD5-2626-SM-7PBXY 50-59 years, male 4.0
GTEX-1F5PL-0926-SM-7PC2W 40-49 years, female 4.0
GTEX-1R9PM-1926-SM-EVR3O 20-29 years, male 4.0
GTEX-1A3MW-0626-SM-731CB 60-69 years, female 3.9
GTEX-ZTTD-2826-SM-4YCFA 50-59 years, male 3.9
GTEX-ZVZP-1226-SM-5GID7 50-59 years, male 3.9
GTEX-1GN1W-2426-SM-9KNUU 50-59 years, female 3.9
GTEX-1H11D-1826-SM-9QEHM 40-49 years, male 3.9
GTEX-1LSVX-2526-SM-DIPEU 60-69 years, male 3.9
GTEX-1PDJ9-1226-SM-EXUSX 20-29 years, male 3.9
GTEX-15DYW-2726-SM-6EU2I 60-69 years, female 3.8
GTEX-18A7A-0126-SM-731AH 50-59 years, female 3.8
GTEX-Z93S-1626-SM-5CVMB 50-59 years, male 3.8
GTEX-ZE7O-2726-SM-51MT5 50-59 years, female 3.8
GTEX-ZYFD-0626-SM-5E44E 50-59 years, male 3.8
GTEX-1GMRU-2126-SM-7P8RA 50-59 years, male 3.8
GTEX-1HCVE-2726-SM-CL54F 50-59 years, male 3.8
GTEX-ZPIC-0526-SM-DO91W 40-49 years, female 3.8
GTEX-11DYG-1526-SM-5A5JS 60-69 years, male 3.7
GTEX-15G1A-1626-SM-7KUKN 30-39 years, male 3.7
GTEX-Y9LG-1126-SM-4VBQ7 30-39 years, male 3.7
GTEX-1H1DF-1126-SM-9WG7G 40-49 years, female 3.7
GTEX-1LVAM-0726-SM-E6CIL 50-59 years, female 3.7
GTEX-1QEPI-2626-SM-DTXF4 60-69 years, female 3.7
GTEX-11GSP-2326-SM-5HL63 60-69 years, female 3.6
GTEX-11LCK-2226-SM-5HL4Q 30-39 years, male 3.6
GTEX-1BAJH-2426-SM-7IGP8 70-79 years, male 3.6
GTEX-U8XE-0226-SM-4E3J3 30-39 years, male 3.6
GTEX-ZAJG-1526-SM-5CVML 50-59 years, female 3.6
GTEX-1A8FM-0626-SM-7PC25 50-59 years, female 3.6
GTEX-1R9PN-0426-SM-DTXDT 40-49 years, female 3.6
GTEX-147JS-0226-SM-5S2U9 60-69 years, male 3.5
GTEX-14B4R-1326-SM-5Q5EZ 30-39 years, male 3.5
GTEX-15RJ7-2126-SM-6PAMD 40-49 years, male 3.5
GTEX-17EVP-2626-SM-7IGMA 40-49 years, male 3.5
GTEX-17F98-1326-SM-7DUEP 40-49 years, female 3.5
GTEX-VUSG-2326-SM-4KL1U 50-59 years, male 3.5
GTEX-W5X1-2526-SM-3GILC 40-49 years, female 3.5
GTEX-WYBS-0626-SM-3NMAS 60-69 years, female 3.5
GTEX-1PPGY-1626-SM-EVYBL 60-69 years, male 3.5
GTEX-12ZZX-2426-SM-5GCOE 40-49 years, female 3.4
GTEX-13G51-1826-SM-5KLZH 60-69 years, male 3.4
GTEX-13SLW-0626-SM-5Q5ER 70-79 years, male 3.4
GTEX-148VJ-0626-SM-5LUAW 70-79 years, male 3.4
GTEX-14PJN-1826-SM-6AJ98 30-39 years, male 3.4
GTEX-183FY-1026-SM-7939A 20-29 years, male 3.4
GTEX-ZF29-0926-SM-4WKFZ 60-69 years, female 3.4
GTEX-1I1GP-1326-SM-A9G28 50-59 years, male 3.4
GTEX-1M4P7-0726-SM-E6CJ3 60-69 years, male 3.4
GTEX-1PPH8-0126-SM-EWRN8 20-29 years, male 3.4
GTEX-1QP28-1126-SM-EVYC4 50-59 years, female 3.4
GTEX-1S82P-2126-SM-E6CI5 60-69 years, female 3.4
GTEX-13FTX-1526-SM-5K7VJ 20-29 years, female 3.3
GTEX-145MO-2826-SM-5LU96 60-69 years, male 3.3
GTEX-1EN7A-2426-SM-793DB 40-49 years, male 3.3
GTEX-1A3MX-2626-SM-7PC24 60-69 years, male 3.3
GTEX-1F5PK-2226-SM-7SB6N 50-59 years, male 3.3
GTEX-1H1DG-2426-SM-9QEHJ 70-79 years, male 3.3
GTEX-1I1HK-2326-SM-CKZOH 60-69 years, male 3.3
GTEX-1IDJH-0126-SM-D3L92 70-79 years, male 3.3
GTEX-11DXY-0126-SM-5H11Q 60-69 years, male 3.2
GTEX-145MI-0626-SM-5SI8S 60-69 years, female 3.2
GTEX-ZC5H-1526-SM-5HL9Y 40-49 years, female 3.2
GTEX-1GF9X-1326-SM-7PC2Y 40-49 years, female 3.2
GTEX-1KD5A-0126-SM-E9U54 50-59 years, male 3.2
GTEX-13JVG-0726-SM-5KM16 60-69 years, male 3.1
GTEX-13SLX-2226-SM-62LEP 50-59 years, female 3.1
GTEX-14ABY-2026-SM-62LDL 50-59 years, male 3.1
GTEX-14PII-0726-SM-6EU2B 60-69 years, male 3.1
GTEX-15G19-2426-SM-7KUMR 60-69 years, male 3.1
GTEX-17HGU-2326-SM-7DUFE 50-59 years, male 3.1
GTEX-1A8G6-2726-SM-731AR 60-69 years, male 3.1
GTEX-X4EO-2926-SM-4E3JH 60-69 years, female 3.1
GTEX-ZXG5-2126-SM-59HKD 60-69 years, male 3.1
GTEX-12ZZY-0726-SM-5EQ66 60-69 years, male 3.0
GTEX-13112-0126-SM-5P9IU 50-59 years, male 3.0
GTEX-13NZ8-1226-SM-5KM4A 60-69 years, female 3.0
GTEX-13OVL-0126-SM-5L3GJ 50-59 years, male 3.0
GTEX-13OW6-2726-SM-5J2OE 50-59 years, male 3.0
GTEX-13VXU-0626-SM-5L3F9 50-59 years, male 3.0
GTEX-145MH-2826-SM-5RQJF 50-59 years, male 3.0
GTEX-17HII-1426-SM-7EPGG 50-59 years, male 3.0
GTEX-1RAZQ-1326-SM-E9TK6 30-39 years, male 3.0
GTEX-13N1W-2426-SM-5IJD1 70-79 years, male 2.9
GTEX-13NYS-0626-SM-5L3F1 60-69 years, male 2.9
GTEX-13O3Q-0126-SM-5KM34 50-59 years, male 2.9
GTEX-13PVQ-0626-SM-5LU47 50-59 years, male 2.9
GTEX-15ER7-0626-SM-6PANF 20-29 years, female 2.9
GTEX-1C6WA-2626-SM-7MKGM 60-69 years, male 2.9
GTEX-1CB4F-1026-SM-7DUH1 60-69 years, male 2.9
GTEX-1EX96-1026-SM-7MKG2 50-59 years, male 2.9
GTEX-WK11-2726-SM-3NMAQ 50-59 years, male 2.9
GTEX-Y5LM-0926-SM-6LLJG 40-49 years, female 2.9
GTEX-ZPCL-1126-SM-4WWFE 60-69 years, female 2.9
GTEX-1GMR3-0126-SM-A9SLW 40-49 years, male 2.9
GTEX-1H23P-0626-SM-9WG6T 60-69 years, male 2.9
GTEX-1HSKV-1226-SM-ADEI4 60-69 years, male 2.9
GTEX-1JN6P-2926-SM-CL54D 60-69 years, male 2.9
GTEX-1QW4Y-1126-SM-DTXE3 30-39 years, male 2.9
GTEX-1R46S-2426-SM-E76QA 60-69 years, female 2.9
GTEX-11ZU8-0126-SM-5EQ58 60-69 years, male 2.8
GTEX-12696-0126-SM-5EQ4L 60-69 years, male 2.8
GTEX-14PJ4-0226-SM-5YY92 60-69 years, male 2.8
GTEX-XQ3S-1426-SM-4BOPR 20-29 years, male 2.8
GTEX-1F75A-0726-SM-7RHHD 50-59 years, male 2.8
GTEX-1H4P4-2126-SM-9WYSL 50-59 years, male 2.8
GTEX-1HT8W-0626-SM-A9G2H 30-39 years, male 2.8
GTEX-11DXW-0826-SM-5H118 40-49 years, male 2.7
GTEX-16NPX-0726-SM-7KULC 50-59 years, male 2.7
GTEX-16YQH-2226-SM-7IGM2 30-39 years, male 2.7
GTEX-1B97I-0626-SM-73KUZ 40-49 years, male 2.7
GTEX-ZYVF-0926-SM-5E44J 50-59 years, female 2.7
GTEX-1ICLY-0826-SM-CMKG1 50-59 years, male 2.7
GTEX-13X6K-0626-SM-5LU5D 60-69 years, female 2.6
GTEX-14753-0726-SM-5QGQO 60-69 years, male 2.6
GTEX-14BIN-1126-SM-5RQJZ 50-59 years, female 2.6
GTEX-14C38-0726-SM-5SI6M 50-59 years, male 2.6
GTEX-1C2JI-1026-SM-73KY1 50-59 years, male 2.6
GTEX-ZYT6-2326-SM-5GZY3 30-39 years, male 2.6
GTEX-1IDJV-0126-SM-COH3Y 60-69 years, male 2.6
GTEX-1J8Q2-2626-SM-ACKWQ 60-69 years, male 2.6
GTEX-11DXX-2126-SM-5PNYR 60-69 years, female 2.5
GTEX-12ZZZ-0726-SM-5GCNZ 60-69 years, male 2.5
GTEX-131YS-2826-SM-5EQ47 60-69 years, female 2.5
GTEX-13O3O-2326-SM-5IJD6 60-69 years, female 2.5
GTEX-14A6H-2026-SM-5Q5DD 30-39 years, male 2.5
GTEX-18A67-1626-SM-7LT9T 50-59 years, male 2.5
GTEX-1B8SF-0126-SM-7DUG3 60-69 years, male 2.5
GTEX-1E1VI-0326-SM-793D1 50-59 years, male 2.5
GTEX-ZVT4-2426-SM-5GIEI 50-59 years, female 2.5
GTEX-ZYFC-0426-SM-5GICQ 50-59 years, male 2.5
GTEX-1GN1U-0626-SM-9MQL9 50-59 years, female 2.5
GTEX-1I1GT-1026-SM-ARZLV 60-69 years, female 2.5
GTEX-1I1GU-0926-SM-ACKVS 40-49 years, male 2.5
GTEX-11UD2-2526-SM-5CVNU 50-59 years, male 2.4
GTEX-1B8KZ-0326-SM-73KY4 50-59 years, male 2.4
GTEX-1KANB-2826-SM-CY8I6 50-59 years, male 2.4
GTEX-13FHO-0426-SM-5L3F5 60-69 years, male 2.3
GTEX-13YAN-0226-SM-5TDC6 60-69 years, male 2.3
GTEX-145LU-1926-SM-79OJN 50-59 years, male 2.3
GTEX-147F4-0726-SM-5TDDD 50-59 years, male 2.3
GTEX-14C5O-0326-SM-5ZZUX 60-69 years, male 2.3
GTEX-17HHY-0426-SM-7DHLC 50-59 years, male 2.3
GTEX-17KNJ-2126-SM-718AM 50-59 years, male 2.3
GTEX-XK95-0226-SM-4AT58 40-49 years, male 2.3
GTEX-ZWKS-0626-SM-5GIDV 30-39 years, male 2.3
GTEX-14JFF-0626-SM-5ZZVT 60-69 years, male 2.3
GTEX-1HBPI-2126-SM-ARL9K 50-59 years, male 2.3
GTEX-1JN76-0626-SM-CKZOQ 20-29 years, female 2.3
GTEX-144GM-0526-SM-79OJO 20-29 years, male 2.2
GTEX-1EMGI-2326-SM-7PBYA 60-69 years, male 2.2
GTEX-1I1GV-0626-SM-ARL7M 60-69 years, male 2.2
GTEX-1MCYP-0526-SM-E9U6Q 20-29 years, female 2.2
GTEX-1QP2A-1726-SM-E76QC 50-59 years, male 2.2
GTEX-13OW7-0426-SM-5K7VK 50-59 years, male 2.1
GTEX-14C39-1726-SM-5RQIL 40-49 years, male 2.1
GTEX-14XAO-1226-SM-6EU1C 60-69 years, female 2.1
GTEX-17F9Y-0126-SM-79OKX 70-79 years, female 2.1
GTEX-1B933-2426-SM-7DHMD 50-59 years, female 2.1
GTEX-ZYY3-2926-SM-5GIEB 60-69 years, female 2.1
GTEX-1PPH7-1126-SM-DTX9A 40-49 years, male 2.1
GTEX-1QPFJ-1926-SM-EVYBD 30-39 years, female 2.1
GTEX-11ZUS-2626-SM-5FQUR 30-39 years, male 2.0
GTEX-13FTY-2126-SM-5IFFB 40-49 years, female 2.0
GTEX-15SHW-0226-SM-7LTAT 60-69 years, male 2.0
GTEX-ZT9X-1526-SM-5DUXD 40-49 years, male 2.0
GTEX-1GF9V-0826-SM-9KNUV 60-69 years, male 2.0
GTEX-1IL2V-1926-SM-B2LW8 70-79 years, male 2.0
GTEX-12WSC-2826-SM-5BC5Y 50-59 years, male 1.9
GTEX-1399Q-2326-SM-5KM2X 40-49 years, male 1.9
GTEX-14A5H-0826-SM-5QGPJ 60-69 years, male 1.9
GTEX-18465-2826-SM-7LT9J 50-59 years, male 1.9
GTEX-1EU9M-1426-SM-793AI 60-69 years, male 1.9
GTEX-1H3O1-1326-SM-9MQLD 60-69 years, male 1.9
GTEX-1J1OQ-0126-SM-D4P2N 40-49 years, female 1.9
GTEX-1LSNL-2726-SM-E9TKJ 50-59 years, male 1.9
GTEX-12126-0826-SM-5FQTZ 20-29 years, male 1.8
GTEX-14BMV-2826-SM-5TDED 50-59 years, male 1.8
GTEX-1A8G7-1326-SM-73KVM 60-69 years, male 1.8
GTEX-WHSE-0126-SM-3NMBT 20-29 years, male 1.8
GTEX-1GN2E-0226-SM-9WG6K 60-69 years, male 1.8
GTEX-139UW-0326-SM-5J1ML 60-69 years, male 1.7
GTEX-18A6Q-0626-SM-7KFRP 60-69 years, male 1.7
GTEX-1GZHY-0626-SM-9KNVC 50-59 years, female 1.7
GTEX-1HCU7-0726-SM-A9SL1 50-59 years, male 1.7
GTEX-1JN1M-2726-SM-CY8I4 60-69 years, female 1.7
GTEX-1POEN-2326-SM-E9J2L 30-39 years, female 1.7
GTEX-13PDP-0726-SM-5L3HP 60-69 years, male 1.6
GTEX-1EKGG-0626-SM-7DUGJ 60-69 years, male 1.6
GTEX-V1D1-2026-SM-3GAF4 50-59 years, male 1.6
GTEX-ZE9C-2526-SM-5IJDR 60-69 years, male 1.6
GTEX-1F6RS-2026-SM-7RHHC 60-69 years, female 1.6
GTEX-1JMQK-1226-SM-D4P2S 60-69 years, male 1.6
GTEX-111VG-1626-SM-5EGIO 60-69 years, male 1.5
GTEX-13X6J-0626-SM-5LU5F 50-59 years, male 1.5
GTEX-1F88E-1626-SM-7SB8Z 60-69 years, female 1.5
GTEX-1F88F-0126-SM-9WYSZ 60-69 years, female 1.5
GTEX-1GZ4I-2626-SM-9KNU3 50-59 years, male 1.5
GTEX-1JMQL-2226-SM-CNPP4 50-59 years, female 1.5
GTEX-11GS4-0226-SM-5HL77 60-69 years, male 1.4
GTEX-1HR9M-2226-SM-CNPPY 60-69 years, male 1.4
GTEX-1IE54-1126-SM-A9G2Z 40-49 years, female 1.4
GTEX-1IOXB-2726-SM-CM2RI 50-59 years, male 1.4
GTEX-1OJC4-2726-SM-E76PJ 50-59 years, female 1.4
GTEX-13PL6-1126-SM-5L3IE 40-49 years, female 1.3
GTEX-145MF-0926-SM-5Q5EA 50-59 years, male 1.3
GTEX-1IKJJ-2226-SM-CJI4C 60-69 years, male 1.3
GTEX-1LB8K-0726-SM-D5OV2 50-59 years, male 1.3
GTEX-1N2EE-0626-SM-E76PW 60-69 years, male 1.3
GTEX-1S83E-1326-SM-E6CJM 40-49 years, male 1.3
GTEX-11PRG-0726-SM-5EGL1 50-59 years, male 1.2
GTEX-13NYB-0126-SM-5J1MD 40-49 years, male 1.2
GTEX-15SKB-2826-SM-6PAMH 60-69 years, male 1.2
GTEX-17HG3-2626-SM-7DUF2 30-39 years, female 1.2
GTEX-X4EP-0626-SM-3P621 60-69 years, female 1.2
GTEX-ZVE1-0726-SM-51MRN 50-59 years, female 1.2
GTEX-1C6VR-0126-SM-7RHGB 60-69 years, male 1.2
GTEX-1GN73-0726-SM-7P8TJ 60-69 years, male 1.2
GTEX-1C6VQ-1226-SM-73KYD 50-59 years, male 1.1
GTEX-1CB4J-1326-SM-7P8RX 60-69 years, male 1.1
GTEX-1GPI6-1926-SM-9KNV7 60-69 years, male 1.1
GTEX-1NV5F-0626-SM-DTXEG 60-69 years, female 1.1
GTEX-11EQ8-0926-SM-5H12V 60-69 years, male 1.0
GTEX-13NYC-0126-SM-5L3F4 60-69 years, male 1.0
GTEX-YECK-0326-SM-4W1YS 60-69 years, male 1.0
GTEX-1B8L1-2226-SM-7P8PT 60-69 years, male 1.0
GTEX-1PBJJ-1026-SM-E76OS 30-39 years, male 1.0
GTEX-1PIIG-2326-SM-DTXFR 30-39 years, male 1.0
GTEX-1QAET-0326-SM-EVR3U 50-59 years, male 1.0
GTEX-1313W-0626-SM-5EQ4H 50-59 years, female 0.9
GTEX-Y111-0626-SM-4SOIT 50-59 years, male 0.9
GTEX-1IDFM-0326-SM-ARL7V 60-69 years, male 0.8
GTEX-1JJEA-1826-SM-ARU8P 60-69 years, male 0.8
GTEX-11TUW-0626-SM-5LU9M 60-69 years, male 0.6
GTEX-11WQK-1026-SM-5EQLX 50-59 years, male 0.5
GTEX-144GL-0626-SM-5LU4D 50-59 years, male 0.4
GTEX-1GN1V-2826-SM-9JGIA 60-69 years, male 0.2
Show allShow less
Skin - Sun Exposed (Lower leg)
Average nTPM: 7.2
Samples: 701

Max nTPM: 52.5
Min nTPM: 0.3
Std nTPM: 5.1
Median nTPM: 6.1
GTEX-1RLM8-2326-SM-EWRN4 50-59 years, male 52.5
GTEX-1RAZQ-0726-SM-EAZ43 30-39 years, male 44.8
GTEX-139T4-0226-SM-5HL5S 50-59 years, female 29.0
GTEX-OXRL-0126-SM-2YUMP 50-59 years, male 25.3
GTEX-ZZPT-0226-SM-5E43X 50-59 years, male 25.1
GTEX-1399U-2326-SM-5K7WY 50-59 years, female 24.9
GTEX-113IC-0126-SM-5HL6T 60-69 years, male 23.3
GTEX-R55G-2526-SM-2TC6D 40-49 years, female 22.2
GTEX-1LC47-0326-SM-E9TJP 60-69 years, male 22.0
GTEX-13N1W-0126-SM-5K7VT 70-79 years, male 21.7
GTEX-X638-0126-SM-47JZ8 70-79 years, female 20.7
GTEX-P4PQ-0126-SM-2S1NM 60-69 years, male 20.4
GTEX-1HUB1-0426-SM-E9U4U 60-69 years, male 19.5
GTEX-11P7K-2126-SM-5GU7G 30-39 years, male 19.2
GTEX-1OJC4-0126-SM-E9J2E 50-59 years, female 19.2
GTEX-OOBJ-0126-SM-E6CJW 60-69 years, male 19.0
GTEX-ZF28-0126-SM-4WKGK 60-69 years, male 18.8
GTEX-NPJ8-0126-SM-2YUNR 40-49 years, male 18.7
GTEX-1H3NZ-0126-SM-ACKX7 60-69 years, male 18.6
GTEX-139T8-0126-SM-5K7XZ 60-69 years, male 18.5
GTEX-1HBPM-0226-SM-ARL9F 60-69 years, female 18.5
GTEX-1MCYP-1926-SM-E9J2R 20-29 years, female 18.3
GTEX-OHPM-0126-SM-2YUN9 50-59 years, male 18.2
GTEX-1192X-0226-SM-5H12D 50-59 years, male 18.1
GTEX-O5YW-0126-SM-3LK6D 50-59 years, male 18.0
GTEX-14A6H-0126-SM-5QGPK 30-39 years, male 17.8
GTEX-WH7G-2326-SM-3NMBC 40-49 years, male 17.7
GTEX-Q2AI-1326-SM-2S1PL 40-49 years, male 17.6
GTEX-PLZ4-0126-SM-5SI8O 50-59 years, female 17.5
GTEX-12WSJ-1826-SM-5GCNY 40-49 years, female 17.4
GTEX-QV44-1926-SM-2S1RF 50-59 years, male 17.4
GTEX-RTLS-0126-SM-447CA 60-69 years, female 17.4
GTEX-R45C-0126-SM-EAZ2R 60-69 years, female 17.3
GTEX-1QP67-1626-SM-EAZ3X 40-49 years, female 17.0
GTEX-PLZ5-2026-SM-2S1O4 50-59 years, male 16.9
GTEX-XQ8I-0426-SM-4BOPO 50-59 years, male 16.6
GTEX-12WSK-2326-SM-5GCOH 40-49 years, female 16.3
GTEX-1QW4Y-1526-SM-EAZ3Z 30-39 years, male 16.1
GTEX-13OVI-1426-SM-5L3EY 60-69 years, female 16.0
GTEX-QDVN-2026-SM-3GAEP 50-59 years, male 16.0
GTEX-1R9PO-2126-SM-E9J4O 60-69 years, female 16.0
GTEX-14PK6-1926-SM-6ETZU 70-79 years, female 15.9
GTEX-QLQ7-1626-SM-2S1R8 60-69 years, male 15.8
GTEX-14PN3-2426-SM-6LLHS 60-69 years, female 15.7
GTEX-13O21-1426-SM-5K7XI 50-59 years, male 15.6
GTEX-13OVG-1926-SM-5L3DK 60-69 years, male 15.6
GTEX-U3ZM-1526-SM-3DB9D 40-49 years, male 15.6
GTEX-1QP2A-0126-SM-E9J43 50-59 years, male 15.6
GTEX-11P82-1626-SM-59879 20-29 years, male 15.4
GTEX-WXYG-2326-SM-4E3I6 50-59 years, female 15.4
GTEX-11UD1-0126-SM-5PNYG 40-49 years, female 15.3
GTEX-13N11-2526-SM-5K7UE 50-59 years, female 15.3
GTEX-1I1HK-0126-SM-COH49 60-69 years, male 15.1
GTEX-16YQH-0126-SM-7DUFJ 30-39 years, male 15.0
GTEX-1F48J-0126-SM-7P8TT 50-59 years, female 14.9
GTEX-1N2DV-0226-SM-E6CJ6 40-49 years, male 14.8
GTEX-WYJK-0126-SM-3NMAB 50-59 years, male 14.7
GTEX-12C56-1726-SM-5EQ61 20-29 years, male 14.6
GTEX-1AMEY-1326-SM-73KYK 30-39 years, female 14.6
GTEX-1J8Q3-1626-SM-CMKGC 60-69 years, male 14.6
GTEX-U4B1-1826-SM-4DXSU 40-49 years, male 14.5
GTEX-1HKZK-0326-SM-9WYUH 40-49 years, male 14.4
GTEX-13VXT-0126-SM-5LU4I 20-29 years, female 14.3
GTEX-1HSMP-0126-SM-E6CJS 70-79 years, male 14.3
GTEX-1RAZA-0126-SM-E6CI3 20-29 years, male 14.3
GTEX-1S82Y-2026-SM-EVYCM 40-49 years, male 14.2
GTEX-XBEW-0626-SM-4QASP 40-49 years, male 13.9
GTEX-146FR-1326-SM-E9J48 60-69 years, female 13.9
GTEX-QDT8-0126-SM-48TZ1 30-39 years, female 13.8
GTEX-1PWST-0226-SM-E76QJ 70-79 years, male 13.8
GTEX-QLQW-1126-SM-2S1Q8 30-39 years, male 13.7
GTEX-1J1R8-1726-SM-ARL8M 40-49 years, male 13.7
GTEX-1GN73-0226-SM-9WG67 60-69 years, male 13.6
GTEX-145LV-2126-SM-5LU8N 50-59 years, male 13.5
GTEX-14BMU-2226-SM-5TDE9 20-29 years, female 13.5
GTEX-WOFL-0126-SM-3MJG2 60-69 years, male 13.3
GTEX-PWCY-1826-SM-DHXIZ 20-29 years, female 13.3
GTEX-1F5PK-2426-SM-7RHHY 50-59 years, male 13.2
GTEX-1JKYR-0126-SM-CNPOJ 20-29 years, male 13.2
GTEX-14PHW-0126-SM-6LLJI 60-69 years, female 13.1
GTEX-1C64O-0126-SM-7SB8P 60-69 years, male 13.1
GTEX-1S5ZA-0126-SM-EVYCV 20-29 years, male 13.1
GTEX-1H1E6-1726-SM-ACKVK 30-39 years, male 13.0
GTEX-1GN1W-0526-SM-9MQJQ 50-59 years, female 12.9
GTEX-1QP29-0626-SM-EWRMX 50-59 years, male 12.9
GTEX-144FL-0126-SM-5TDC8 50-59 years, male 12.8
GTEX-1GZ4H-1726-SM-7PBZJ 50-59 years, female 12.8
GTEX-14JIY-0126-SM-6LLH6 60-69 years, male 12.7
GTEX-YEC4-2126-SM-5IFJH 40-49 years, male 12.7
GTEX-1I1GS-0126-SM-B2LVW 60-69 years, male 12.7
GTEX-18QFQ-0126-SM-731BE 30-39 years, male 12.6
GTEX-S95S-1226-SM-4GICG 60-69 years, male 12.6
GTEX-Y3I4-2126-SM-4TT7C 50-59 years, male 12.6
GTEX-PW2O-1526-SM-7RHHB 20-29 years, male 12.4
GTEX-SE5C-1626-SM-2XCE3 40-49 years, female 12.2
GTEX-147F3-0526-SM-5SI98 50-59 years, female 12.1
GTEX-15RIG-0226-SM-7KFTL 40-49 years, male 12.1
GTEX-ZQUD-1426-SM-57WER 30-39 years, male 12.1
GTEX-T2YK-0526-SM-32QPJ 50-59 years, male 12.0
GTEX-X585-0226-SM-4QAS2 50-59 years, male 12.0
GTEX-12WSN-5019-SM-79OM6 40-49 years, male 11.9
GTEX-18A7B-0126-SM-7LG64 70-79 years, male 11.9
GTEX-18D9U-0226-SM-718BP 40-49 years, male 11.9
GTEX-X5EB-2226-SM-46MW4 40-49 years, male 11.8
GTEX-1GPI7-0126-SM-9MQL8 20-29 years, male 11.8
GTEX-1R7EV-2426-SM-EVYBG 40-49 years, male 11.8
GTEX-13D11-2426-SM-5KM1V 50-59 years, female 11.7
GTEX-13RTL-0126-SM-7LG5S 40-49 years, male 11.5
GTEX-1HBPN-0226-SM-9YFM1 50-59 years, male 11.5
GTEX-WRHK-1426-SM-3MJF9 20-29 years, female 11.4
GTEX-Y8LW-1826-SM-5S2MV 50-59 years, female 11.4
GTEX-1IKK5-0626-SM-ARL8A 60-69 years, male 11.4
GTEX-1IY9M-0126-SM-D3L8S 60-69 years, male 11.4
GTEX-1269C-2526-SM-5EGJ3 60-69 years, female 11.2
GTEX-144GN-2326-SM-5LU4F 50-59 years, male 11.2
GTEX-15CHC-2126-SM-6EU21 60-69 years, female 11.2
GTEX-RWS6-2026-SM-2XCB5 60-69 years, female 11.2
GTEX-ZVT2-2526-SM-51MT1 50-59 years, female 11.2
GTEX-1F75I-0326-SM-9YFLU 40-49 years, male 11.2
GTEX-1GMR8-0126-SM-9WYTM 50-59 years, female 11.2
GTEX-1H2FU-0126-SM-9WYSI 60-69 years, female 11.2
GTEX-1HCUA-2426-SM-ADEIS 50-59 years, female 11.2
GTEX-1QCLY-0326-SM-E8VOG 30-39 years, male 11.2
GTEX-11EM3-2426-SM-59861 20-29 years, female 11.1
GTEX-11ZTT-2426-SM-5EQLS 60-69 years, female 11.0
GTEX-14PJ3-1826-SM-62LEX 50-59 years, male 11.0
GTEX-1HSEH-0126-SM-ACKXN 60-69 years, male 11.0
GTEX-WY7C-2326-SM-3NB2U 50-59 years, male 10.9
GTEX-14JG6-2226-SM-6EU2G 30-39 years, female 10.8
GTEX-15SDE-2226-SM-7IGLO 50-59 years, female 10.7
GTEX-17EVQ-0226-SM-7LG4P 70-79 years, male 10.7
GTEX-1C6VS-0526-SM-7DUEN 60-69 years, male 10.7
GTEX-NFK9-0226-SM-2HMKQ 40-49 years, male 10.7
GTEX-Z93T-0126-SM-5HL5N 50-59 years, male 10.6
GTEX-1GF9U-2126-SM-7SB7L 40-49 years, female 10.6
GTEX-13IVO-0126-SM-5J1NG 70-79 years, male 10.5
GTEX-1CAMS-0426-SM-7P8T2 40-49 years, female 10.5
GTEX-1LG7Y-0526-SM-DKPQC 50-59 years, male 10.5
GTEX-S33H-1026-SM-EZ6L6 30-39 years, male 10.5
GTEX-ZF29-2326-SM-DO92K 60-69 years, female 10.5
GTEX-1211K-2026-SM-5EQ4Z 60-69 years, female 10.4
GTEX-13W3W-2426-SM-5LU5B 60-69 years, female 10.3
GTEX-XAJ8-0826-SM-47JY6 40-49 years, male 10.3
GTEX-1HSMQ-1226-SM-CGQFX 50-59 years, male 10.3
GTEX-1MUQO-0126-SM-EAZ58 60-69 years, male 10.3
GTEX-17HHE-2026-SM-79OKF 50-59 years, male 10.2
GTEX-1314G-1526-SM-5EGK2 30-39 years, male 10.1
GTEX-TKQ1-1026-SM-4GICL 30-39 years, male 10.1
GTEX-131XF-5016-SM-7MGWE 60-69 years, male 10.0
GTEX-1JMPY-1326-SM-ARL8Y 30-39 years, male 10.0
GTEX-P44H-0226-SM-2XCEU 40-49 years, male 9.9
GTEX-RM2N-1426-SM-2TF4H 50-59 years, male 9.9
GTEX-X88G-0126-SM-47JZ3 30-39 years, male 9.9
GTEX-XBED-2226-SM-47JYQ 60-69 years, male 9.9
GTEX-1H3O1-0426-SM-9YFKY 60-69 years, male 9.9
GTEX-SSA3-0126-SM-32QPU 60-69 years, male 9.8
GTEX-XV7Q-2526-SM-4BRV9 40-49 years, female 9.8
GTEX-1AX9I-0126-SM-7SB74 60-69 years, male 9.8
GTEX-1B933-0126-SM-7PC29 50-59 years, female 9.8
GTEX-1R46S-0626-SM-E9J41 60-69 years, female 9.8
GTEX-PLZ6-1426-SM-DKPOT 30-39 years, male 9.8
GTEX-13RTJ-2426-SM-5S2Q2 60-69 years, male 9.7
GTEX-OHPL-0126-SM-2HMJ7 60-69 years, female 9.7
GTEX-YB5K-2126-SM-4WWDJ 40-49 years, female 9.7
GTEX-1NV5F-0226-SM-E8VNY 60-69 years, female 9.7
GTEX-1128S-2326-SM-5GZZY 60-69 years, female 9.6
GTEX-11H98-0126-SM-5EGHG 50-59 years, male 9.6
GTEX-11NUK-0126-SM-5A5L3 50-59 years, male 9.6
GTEX-1AMFI-2026-SM-731BH 50-59 years, female 9.6
GTEX-13QJ3-0326-SM-5S2RA 50-59 years, male 9.5
GTEX-TMZS-0126-SM-3DB9Q 60-69 years, male 9.5
GTEX-17MF6-0126-SM-7LG4F 40-49 years, male 9.4
GTEX-Y114-2426-SM-4TT8A 50-59 years, female 9.4
GTEX-1KXAM-2226-SM-CYPTC 60-69 years, male 9.3
GTEX-13OVJ-0126-SM-5KM36 50-59 years, female 9.2
GTEX-R55E-0126-SM-2TC5Y 20-29 years, male 9.2
GTEX-RN64-0126-SM-2TC68 50-59 years, male 9.2
GTEX-U3ZN-2326-SM-3DB7W 30-39 years, female 9.2
GTEX-XUZC-1726-SM-4BRWS 30-39 years, female 9.2
GTEX-12WSG-2826-SM-E9J4H 50-59 years, female 9.2
GTEX-1J8QM-2126-SM-CYPSJ 60-69 years, female 9.2
GTEX-13NZA-0226-SM-5K7Z7 60-69 years, male 9.1
GTEX-15ETS-0126-SM-7KUMW 40-49 years, female 9.1
GTEX-16NGA-1726-SM-731B4 40-49 years, female 9.1
GTEX-P4PP-0126-SM-3LK69 30-39 years, female 9.1
GTEX-18D9B-0526-SM-7LTAS 60-69 years, male 9.0
GTEX-T6MO-1626-SM-32QOM 40-49 years, female 9.0
GTEX-1OFPY-2426-SM-DTXEJ 60-69 years, male 9.0
GTEX-ZQG8-1626-SM-DHXIT 60-69 years, female 9.0
GTEX-17F97-0326-SM-7LG5B 50-59 years, male 8.9
GTEX-1GTWX-0126-SM-9YFLK 60-69 years, male 8.9
GTEX-145MN-2226-SM-5SIAU 30-39 years, male 8.8
GTEX-Q2AG-0126-SM-33HBV 40-49 years, female 8.8
GTEX-Y5V6-2426-SM-4VDSB 60-69 years, male 8.8
GTEX-13O3Q-2426-SM-5IJBR 50-59 years, male 8.7
GTEX-147GR-0526-SM-5S2MY 60-69 years, male 8.7
GTEX-15SHU-0126-SM-7KUEH 40-49 years, female 8.7
GTEX-1C2JI-1826-SM-73KXC 50-59 years, male 8.7
GTEX-UJHI-1526-SM-3DB99 50-59 years, female 8.7
GTEX-XUW1-0426-SM-4BOOT 50-59 years, female 8.7
GTEX-ZDTT-2726-SM-4WKF8 60-69 years, male 8.7
GTEX-ZEX8-2426-SM-4WKG4 50-59 years, male 8.7
GTEX-W5X1-3026-SM-EAZAX 40-49 years, female 8.7
GTEX-11GS4-2726-SM-5A5LE 60-69 years, male 8.6
GTEX-12WSD-0126-SM-59HKN 60-69 years, female 8.6
GTEX-146FQ-0126-SM-5NQA9 30-39 years, male 8.6
GTEX-17EUY-0426-SM-793BD 20-29 years, male 8.6
GTEX-Q2AH-1626-SM-3GAF8 40-49 years, male 8.6
GTEX-P4QT-0126-SM-2I3FL 50-59 years, female 8.5
GTEX-1H1ZS-0426-SM-9WG6G 70-79 years, male 8.5
GTEX-1HCVE-0126-SM-CGQEU 50-59 years, male 8.5
GTEX-11ZUS-0626-SM-59885 30-39 years, male 8.4
GTEX-13X6I-0626-SM-5QGP9 60-69 years, male 8.4
GTEX-14PHX-2326-SM-62LEM 50-59 years, male 8.4
GTEX-17MFQ-1726-SM-793C7 20-29 years, male 8.4
GTEX-1QP9N-1426-SM-DTXFL 30-39 years, male 8.4
GTEX-13U4I-0126-SM-5LU38 40-49 years, female 8.3
GTEX-QCQG-1726-SM-3GIJ9 50-59 years, female 8.3
GTEX-SUCS-1926-SM-32PM3 70-79 years, male 8.3
GTEX-ZY6K-1826-SM-5GZXK 50-59 years, male 8.3
GTEX-1H3VY-0126-SM-ACKXD 50-59 years, male 8.3
GTEX-139D8-0226-SM-5KLZO 30-39 years, female 8.2
GTEX-1F52S-0126-SM-9MQJU 60-69 years, female 8.2
GTEX-1AYD5-2426-SM-73KXR 50-59 years, male 8.1
GTEX-1ICG6-2526-SM-CGQFZ 70-79 years, female 8.1
GTEX-1KAFJ-2026-SM-CY8ID 50-59 years, male 8.1
GTEX-1LNCM-1126-SM-E9U5E 50-59 years, female 8.1
GTEX-1NHNU-1026-SM-E9J2A 50-59 years, male 8.1
GTEX-117YX-2326-SM-5H12W 50-59 years, male 8.0
GTEX-131XH-2226-SM-5DUXJ 50-59 years, male 8.0
GTEX-14753-0426-SM-5NQAM 60-69 years, male 8.0
GTEX-1AX8Z-0126-SM-7DHM6 60-69 years, male 8.0
GTEX-1CAMR-1926-SM-7EPI2 20-29 years, male 8.0
GTEX-1EU9M-0226-SM-7P8SP 60-69 years, male 8.0
GTEX-1H3VE-0326-SM-9YFLH 40-49 years, male 8.0
GTEX-1HGF4-2426-SM-ACKXM 60-69 years, male 8.0
GTEX-13X6H-2126-SM-7EWD5 50-59 years, female 7.9
GTEX-14DAR-2026-SM-5S2O3 50-59 years, male 7.9
GTEX-OOBK-0126-SM-2YUND 40-49 years, male 7.9
GTEX-U412-0426-SM-3DB9O 60-69 years, male 7.9
GTEX-ZDYS-2026-SM-5HL5L 50-59 years, male 7.9
GTEX-ZYY3-0126-SM-5GZY5 60-69 years, female 7.9
GTEX-1LGOU-2026-SM-DIPFF 20-29 years, female 7.9
GTEX-1S3DN-2226-SM-EVYCD 50-59 years, male 7.9
GTEX-117YW-2626-SM-5GZZH 50-59 years, male 7.8
GTEX-13YAN-0326-SM-5O9DF 60-69 years, male 7.8
GTEX-14PII-0226-SM-6EU1T 60-69 years, male 7.8
GTEX-TML8-1926-SM-32QOS 40-49 years, female 7.8
GTEX-RNOR-0126-SM-E9J4R 50-59 years, female 7.8
GTEX-RVPV-0126-SM-EAZAW 60-69 years, male 7.8
GTEX-13NZB-2526-SM-5J1OM 30-39 years, male 7.7
GTEX-QDVJ-1726-SM-2I5FX 50-59 years, male 7.7
GTEX-X62O-0126-SM-4E3JN 50-59 years, male 7.7
GTEX-1HBPH-0426-SM-B2LW5 40-49 years, female 7.7
GTEX-1I4MK-2226-SM-ACKWD 50-59 years, female 7.7
GTEX-13G51-2526-SM-5LZYK 60-69 years, male 7.6
GTEX-16XZY-2126-SM-79OK1 70-79 years, male 7.6
GTEX-1ICLZ-0126-SM-CKZPO 60-69 years, male 7.6
GTEX-11OF3-2626-SM-5GU7F 60-69 years, male 7.5
GTEX-11ZVC-2526-SM-5FQTE 50-59 years, female 7.5
GTEX-131XG-2626-SM-5KM17 50-59 years, female 7.5
GTEX-13FH7-2026-SM-E9J4I 50-59 years, female 7.5
GTEX-1I1GP-2226-SM-CGQFK 50-59 years, male 7.5
GTEX-1IGQW-0126-SM-COH42 60-69 years, male 7.5
GTEX-1R7EU-0226-SM-EVR4G 60-69 years, male 7.5
GTEX-11GSP-2526-SM-5N9BP 60-69 years, female 7.4
GTEX-15D1Q-0126-SM-7KUG6 40-49 years, male 7.4
GTEX-1A32A-0126-SM-718B1 50-59 years, female 7.4
GTEX-X4XX-0126-SM-3NMC2 60-69 years, male 7.4
GTEX-ZYFG-2326-SM-5E44B 60-69 years, female 7.4
GTEX-1497J-2426-SM-7IGNX 60-69 years, male 7.3
GTEX-1A3MV-1926-SM-718BT 30-39 years, male 7.3
GTEX-18A67-0126-SM-7LG5P 50-59 years, male 7.2
GTEX-1B8KE-2126-SM-73KYX 50-59 years, male 7.2
GTEX-1B8KZ-2026-SM-7DHMB 50-59 years, male 7.2
GTEX-1C6WA-0126-SM-7PC2B 60-69 years, male 7.2
GTEX-1I1GU-2226-SM-CGQFA 40-49 years, male 7.2
GTEX-1JKYN-1326-SM-CGQG9 30-39 years, male 7.2
GTEX-13SLW-0126-SM-5SI6C 70-79 years, male 7.1
GTEX-ZAB4-0226-SM-5N9F5 40-49 years, male 7.1
GTEX-111VG-2426-SM-5GZXD 60-69 years, male 7.0
GTEX-132NY-0326-SM-5IJBL 60-69 years, male 7.0
GTEX-13FHO-0226-SM-5IFGY 60-69 years, male 7.0
GTEX-OIZG-0726-SM-33HBL 50-59 years, male 7.0
GTEX-XPVG-2626-SM-4B669 50-59 years, male 7.0
GTEX-1B996-0226-SM-7RHGO 60-69 years, male 7.0
GTEX-1F75A-0126-SM-7RHGM 50-59 years, male 7.0
GTEX-1GPI6-0126-SM-9WG69 60-69 years, male 7.0
GTEX-1I1CD-0126-SM-CM2TK 60-69 years, female 7.0
GTEX-11DZ1-0126-SM-5985Q 50-59 years, male 6.9
GTEX-11P81-2326-SM-59875 30-39 years, female 6.9
GTEX-13OW7-0126-SM-5MR3B 50-59 years, male 6.9
GTEX-WYVS-2126-SM-3NMA3 40-49 years, female 6.9
GTEX-1PPH8-0226-SM-E8VND 20-29 years, male 6.9
GTEX-11EMC-2926-SM-5EQ4F 60-69 years, female 6.8
GTEX-13N2G-2626-SM-5J1OT 60-69 years, male 6.8
GTEX-YB5E-2026-SM-5IFIS 40-49 years, male 6.8
GTEX-1CB4H-0226-SM-7PBXM 60-69 years, female 6.8
GTEX-1F6I4-0126-SM-9MQL2 60-69 years, male 6.8
GTEX-1H1DG-0126-SM-9WYU2 70-79 years, male 6.8
GTEX-1HCU6-0126-SM-CL54K 60-69 years, female 6.8
GTEX-1JK1U-2026-SM-CM2RZ 60-69 years, male 6.8
GTEX-1122O-2126-SM-5EGIR 60-69 years, female 6.7
GTEX-11EQ9-2426-SM-5HL5T 30-39 years, male 6.7
GTEX-14PJ6-2126-SM-6EU1V 60-69 years, female 6.7
GTEX-183FY-0126-SM-7LT9P 20-29 years, male 6.7
GTEX-V1D1-2226-SM-3NMAX 50-59 years, male 6.7
GTEX-1N2DW-0226-SM-E9TK2 50-59 years, male 6.7
GTEX-1PBJI-0526-SM-E8VNK 20-29 years, female 6.7
GTEX-13PDP-0126-SM-5L3HD 60-69 years, male 6.6
GTEX-1AYCT-2426-SM-7IGQ3 50-59 years, male 6.6
GTEX-OXRK-0226-SM-3NB2G 50-59 years, female 6.6
GTEX-WQUQ-0426-SM-3MJFU 60-69 years, male 6.6
GTEX-11LCK-1026-SM-5A5KB 30-39 years, male 6.5
GTEX-11VI4-1726-SM-5CVLH 40-49 years, female 6.5
GTEX-1313W-0126-SM-5LZUN 50-59 years, female 6.5
GTEX-WVJS-0126-SM-4MVOT 50-59 years, male 6.5
GTEX-X261-0126-SM-3NMD6 50-59 years, male 6.5
GTEX-Y3IK-2426-SM-4WWDU 50-59 years, female 6.5
GTEX-1GF9W-0326-SM-9KNUN 60-69 years, male 6.5
GTEX-1GZ2Q-0226-SM-7P8TL 40-49 years, male 6.5
GTEX-1H1CY-2826-SM-9MQM3 60-69 years, female 6.5
GTEX-1I6K6-0126-SM-A9SLE 30-39 years, male 6.5
GTEX-1LSNM-1926-SM-E6CII 50-59 years, male 6.5
GTEX-1OJC3-0126-SM-E76QX 20-29 years, male 6.5
GTEX-PSDG-0226-SM-DKPOZ 50-59 years, male 6.5
GTEX-13113-5016-SM-7EPIP 60-69 years, female 6.4
GTEX-13NZ8-0826-SM-5MR3I 60-69 years, female 6.4
GTEX-145LT-1726-SM-5QGP3 40-49 years, male 6.4
GTEX-18A66-0226-SM-718BD 60-69 years, male 6.4
GTEX-QEG4-0226-SM-2S1PY 30-39 years, male 6.4
GTEX-SN8G-0126-SM-32PLI 50-59 years, female 6.4
GTEX-W5WG-1826-SM-4KL2Y 50-59 years, female 6.4
GTEX-WZTO-0126-SM-3NM95 40-49 years, male 6.4
GTEX-X8HC-0126-SM-4E3JW 50-59 years, female 6.4
GTEX-1GN1V-0126-SM-9WPOS 60-69 years, male 6.4
GTEX-1IDJU-2626-SM-CM2RT 60-69 years, female 6.4
GTEX-1AX9K-2326-SM-73KWU 50-59 years, male 6.3
GTEX-1C4CL-0526-SM-73KVK 30-39 years, male 6.3
GTEX-RU72-0926-SM-2TF6B 50-59 years, female 6.3
GTEX-ZUA1-0126-SM-5GU76 40-49 years, male 6.3
GTEX-1KANB-0526-SM-E6CJH 50-59 years, male 6.3
GTEX-1PFEY-1526-SM-E76PP 30-39 years, male 6.3
GTEX-1PPH7-2326-SM-EVYB8 40-49 years, male 6.3
GTEX-13VXU-0126-SM-5SI9F 50-59 years, male 6.2
GTEX-15DDE-0126-SM-6LPKH 50-59 years, female 6.2
GTEX-17F96-1626-SM-7DUFL 70-79 years, male 6.2
GTEX-ZTPG-0326-SM-5O9AX 20-29 years, female 6.2
GTEX-1HFI6-0226-SM-ADEHZ 40-49 years, male 6.2
GTEX-1HFI7-1826-SM-ACKXH 50-59 years, female 6.2
GTEX-11DXX-2426-SM-5GZZW 60-69 years, female 6.1
GTEX-14E7W-0126-SM-6LLJ9 70-79 years, male 6.1
GTEX-1JJE9-0326-SM-CL53Z 70-79 years, male 6.1
GTEX-11WQC-2526-SM-5CVLE 60-69 years, male 6.0
GTEX-16XZZ-0126-SM-793DV 60-69 years, male 6.0
GTEX-QVJO-1626-SM-2S1QW 60-69 years, female 6.0
GTEX-T5JW-1626-SM-3GADZ 20-29 years, female 6.0
GTEX-ZE7O-0126-SM-57WC1 50-59 years, female 6.0
GTEX-ZZ64-1726-SM-5GZYB 20-29 years, male 6.0
GTEX-1B8L1-2526-SM-9WYTF 60-69 years, male 6.0
GTEX-1JMOU-1526-SM-CL54I 60-69 years, female 6.0
GTEX-13W46-0226-SM-5SIAG 50-59 years, male 5.9
GTEX-XYKS-2126-SM-4E3IB 60-69 years, female 5.9
GTEX-ZAB5-1826-SM-5HL7C 50-59 years, male 5.9
GTEX-1F6IF-0726-SM-7P8TW 60-69 years, male 5.9
GTEX-11GSO-2426-SM-5A5LY 60-69 years, male 5.8
GTEX-11TTK-0126-SM-5987B 60-69 years, female 5.8
GTEX-13PVR-2326-SM-5QGR1 60-69 years, female 5.8
GTEX-OXRO-0126-SM-2YUN4 60-69 years, female 5.8
GTEX-Y111-0126-SM-4SOIV 50-59 years, male 5.8
GTEX-ZV6S-2326-SM-4YCEY 40-49 years, female 5.8
GTEX-ZVE2-0226-SM-59HJB 50-59 years, male 5.8
GTEX-1F6RS-0126-SM-9MQKZ 60-69 years, female 5.8
GTEX-1GN1U-0126-SM-7PBZK 50-59 years, female 5.8
GTEX-1ICLY-0126-SM-D4P36 50-59 years, male 5.8
GTEX-133LE-1826-SM-5J1MV 20-29 years, female 5.7
GTEX-13OVK-2026-SM-7KUEO 40-49 years, male 5.7
GTEX-16MT8-0426-SM-7KUEY 60-69 years, female 5.7
GTEX-1K2DU-2326-SM-E9TIV 20-29 years, male 5.7
GTEX-131XW-0426-SM-5LZWP 50-59 years, female 5.6
GTEX-147F4-0226-SM-5QGPW 50-59 years, male 5.6
GTEX-T5JC-0426-SM-32PLO 20-29 years, male 5.6
GTEX-T8EM-1026-SM-3DB7M 40-49 years, male 5.6
GTEX-XXEK-2226-SM-4BRUM 50-59 years, male 5.6
GTEX-Y8E4-0626-SM-4WWDL 40-49 years, male 5.6
GTEX-ZDTS-0126-SM-4WAY5 60-69 years, male 5.6
GTEX-ZTSS-1926-SM-57WEW 40-49 years, male 5.6
GTEX-1HBPI-1526-SM-C1YQ1 50-59 years, male 5.6
GTEX-17F98-0626-SM-79OMX 40-49 years, female 5.5
GTEX-TMMY-0226-SM-33HBA 40-49 years, female 5.5
GTEX-TSE9-0126-SM-3DB83 60-69 years, female 5.5
GTEX-13O3O-0126-SM-E9J49 60-69 years, female 5.5
GTEX-1J8JJ-0226-SM-CL53I 60-69 years, female 5.5
GTEX-1LVAN-0226-SM-COH3S 50-59 years, female 5.5
GTEX-12WSA-0226-SM-5BC5V 60-69 years, male 5.4
GTEX-14E6C-0126-SM-5RQIP 40-49 years, male 5.4
GTEX-1AX9J-0226-SM-73KXM 60-69 years, male 5.4
GTEX-OXRP-0126-SM-3NB32 60-69 years, female 5.4
GTEX-1H11D-0226-SM-9WG6Z 40-49 years, male 5.4
GTEX-1IDJF-0126-SM-CM2RS 20-29 years, male 5.4
GTEX-1K2DA-1826-SM-CGQGT 50-59 years, male 5.4
GTEX-11EI6-0126-SM-5985R 60-69 years, male 5.3
GTEX-12KS4-0326-SM-5EQ41 30-39 years, male 5.3
GTEX-16BQI-0226-SM-7KUEX 30-39 years, female 5.3
GTEX-PWO3-1526-SM-48TCM 60-69 years, female 5.3
GTEX-Y5LM-1926-SM-5RQJH 40-49 years, female 5.3
GTEX-ZDXO-3026-SM-5J1N5 60-69 years, male 5.3
GTEX-1F75B-0126-SM-9KNVL 50-59 years, male 5.3
GTEX-1KWVE-1426-SM-E9TJO 30-39 years, male 5.3
GTEX-1LGRB-2526-SM-CNPPQ 50-59 years, female 5.3
GTEX-13OVL-0226-SM-5L3E9 50-59 years, male 5.2
GTEX-U8T8-0126-SM-3DB94 60-69 years, male 5.2
GTEX-1F7RK-0126-SM-7PC2S 20-29 years, female 5.2
GTEX-1HCU8-0626-SM-A9SM9 60-69 years, female 5.2
GTEX-11ZTS-0126-SM-5EQ6M 60-69 years, female 5.1
GTEX-139TU-0126-SM-5K7WH 60-69 years, male 5.1
GTEX-15DCD-0126-SM-7KUEK 70-79 years, female 5.1
GTEX-15UKP-0426-SM-7KUFQ 20-29 years, male 5.1
GTEX-169BO-1326-SM-9MQK2 50-59 years, male 5.1
GTEX-1F88F-2726-SM-7PBZZ 60-69 years, female 5.1
GTEX-1J1OQ-0226-SM-CYPSH 40-49 years, female 5.1
GTEX-1QEPI-0126-SM-EWRMQ 60-69 years, female 5.1
GTEX-15UF6-0826-SM-6PALJ 70-79 years, female 5.0
GTEX-T2IS-0126-SM-4DM6O 20-29 years, female 5.0
GTEX-U3ZH-2026-SM-3DB78 30-39 years, male 5.0
GTEX-Y8DK-0126-SM-4TT3L 60-69 years, male 5.0
GTEX-ZGAY-0526-SM-4WWBB 40-49 years, female 5.0
GTEX-ZXG5-0126-SM-5GIEU 60-69 years, male 5.0
GTEX-1LB8K-0226-SM-EWRNW 50-59 years, male 5.0
GTEX-1MCQQ-0826-SM-DLHC2 60-69 years, male 5.0
GTEX-15SB6-1726-SM-6PAME 50-59 years, female 4.9
GTEX-O5YT-0126-SM-48TBW 20-29 years, male 4.9
GTEX-ZVT3-0126-SM-5GU6I 60-69 years, female 4.9
GTEX-ZYFD-0126-SM-5GIDL 50-59 years, male 4.9
GTEX-1H1DE-2126-SM-9WG6R 20-29 years, male 4.9
GTEX-1MGNQ-0126-SM-EVYCJ 40-49 years, male 4.9
GTEX-1RDX4-0126-SM-E9J4P 50-59 years, female 4.9
GTEX-12ZZX-0126-SM-5EGK9 40-49 years, female 4.8
GTEX-13S7M-0126-SM-5SI6A 60-69 years, female 4.8
GTEX-1CB4F-0426-SM-9KNV4 60-69 years, male 4.8
GTEX-11OC5-0126-SM-5HL6A 60-69 years, male 4.7
GTEX-11ZU8-2526-SM-5EQKI 60-69 years, male 4.7
GTEX-13RTK-1426-SM-5QGQJ 20-29 years, male 4.7
GTEX-14ABY-0226-SM-5TDCQ 50-59 years, male 4.7
GTEX-14XAO-2326-SM-6EU1B 60-69 years, female 4.7
GTEX-SIU8-0126-SM-2XCDT 50-59 years, male 4.7
GTEX-UPJH-0326-SM-3GADU 50-59 years, male 4.7
GTEX-XUYS-0126-SM-47JWZ 50-59 years, male 4.7
GTEX-13OW5-0126-SM-DTXFS 60-69 years, male 4.7
GTEX-1A8FM-0226-SM-7SB7Q 50-59 years, female 4.7
GTEX-13FTY-0526-SM-5L3EV 40-49 years, female 4.6
GTEX-14LZ3-0226-SM-62LET 60-69 years, female 4.6
GTEX-14PN4-0126-SM-6EU2V 50-59 years, male 4.6
GTEX-S7PM-0126-SM-4AD6S 60-69 years, male 4.6
GTEX-WFG8-2226-SM-3GIL9 20-29 years, male 4.6
GTEX-1JMQJ-0526-SM-CYPSU 50-59 years, male 4.6
GTEX-11DXZ-2326-SM-5EGGV 50-59 years, male 4.5
GTEX-139TT-0126-SM-5K7Y5 60-69 years, male 4.5
GTEX-13CF3-2426-SM-5IFGX 60-69 years, female 4.5
GTEX-14LLW-0126-SM-6LLIO 70-79 years, female 4.5
GTEX-16AAH-1726-SM-7939C 50-59 years, male 4.5
GTEX-1EKGG-0226-SM-9WYTH 60-69 years, male 4.5
GTEX-1IDFM-0126-SM-COH2V 60-69 years, male 4.5
GTEX-1IKOH-0226-SM-COH4E 60-69 years, female 4.5
GTEX-11O72-0126-SM-59887 40-49 years, male 4.4
GTEX-1CB4E-2226-SM-793DC 60-69 years, male 4.4
GTEX-WI4N-1026-SM-3LK7N 40-49 years, female 4.4
GTEX-ZVZP-2426-SM-59HKJ 50-59 years, male 4.4
GTEX-1GMRU-0126-SM-9YFLV 50-59 years, male 4.4
GTEX-1J8EW-0126-SM-CJI4F 60-69 years, female 4.4
GTEX-1K9T9-0126-SM-EVYCF 50-59 years, female 4.4
GTEX-11NSD-2226-SM-5986V 20-29 years, male 4.3
GTEX-11XUK-2026-SM-5EQLF 40-49 years, female 4.3
GTEX-14BIL-0126-SM-5SI92 50-59 years, male 4.3
GTEX-15SHW-0326-SM-6PAML 60-69 years, male 4.3
GTEX-RUSQ-1526-SM-2TF62 50-59 years, male 4.3
GTEX-XQ3S-1526-SM-4BOOC 20-29 years, male 4.3
GTEX-1HSGN-0226-SM-CGQFV 40-49 years, female 4.3
GTEX-1KD5A-0226-SM-D5OV3 50-59 years, male 4.3
GTEX-1399R-2726-SM-5IJBA 30-39 years, male 4.2
GTEX-148VJ-0126-SM-5TDDN 70-79 years, male 4.2
GTEX-14E6D-0126-SM-62LDV 50-59 years, male 4.2
GTEX-1CB4J-0626-SM-7DHMP 60-69 years, male 4.2
GTEX-ZAK1-0126-SM-5IJD3 50-59 years, female 4.2
GTEX-1CAV2-2226-SM-7P8P2 40-49 years, female 4.2
GTEX-1HCU9-1526-SM-A9SL7 20-29 years, male 4.2
GTEX-1IL2U-0226-SM-CE6T8 60-69 years, male 4.2
GTEX-1JMPZ-0226-SM-CNPP1 30-39 years, male 4.2
GTEX-12126-0326-SM-5PNW3 20-29 years, male 4.1
GTEX-14E6E-1826-SM-5S2R7 30-39 years, male 4.1
GTEX-1CAMQ-0226-SM-7IGPK 40-49 years, male 4.1
GTEX-ZXES-1826-SM-5E43S 30-39 years, female 4.1
GTEX-13CF2-2526-SM-5LZYX 60-69 years, male 4.0
GTEX-13OW8-1326-SM-5J1OW 60-69 years, male 4.0
GTEX-148VI-1626-SM-5SI6E 60-69 years, female 4.0
GTEX-14ICK-0226-SM-6EU25 40-49 years, male 4.0
GTEX-OIZH-0126-SM-2HMIS 50-59 years, male 4.0
GTEX-Z9EW-1626-SM-5CVMN 40-49 years, male 4.0
GTEX-12ZZZ-0626-SM-5DUXI 60-69 years, male 3.9
GTEX-Z93S-0126-SM-5HL7M 50-59 years, male 3.9
GTEX-ZU9S-0226-SM-5E441 30-39 years, male 3.9
GTEX-1JN6P-0126-SM-D3L98 60-69 years, male 3.9
GTEX-ZVT4-0126-SM-DTXFN 50-59 years, female 3.9
GTEX-11DXY-2626-SM-5GIE7 60-69 years, male 3.8
GTEX-13FTW-2626-SM-5K7WL 40-49 years, male 3.8
GTEX-18D9A-1926-SM-7LG6P 30-39 years, female 3.8
GTEX-1CB4I-0226-SM-79OLH 50-59 years, male 3.8
GTEX-SJXC-0126-SM-2XCFF 60-69 years, male 3.8
GTEX-1F5PL-0326-SM-7P8PQ 40-49 years, female 3.8
GTEX-1I19N-0326-SM-ACKVX 70-79 years, male 3.8
GTEX-1JN1M-0326-SM-CYPT3 60-69 years, female 3.8
GTEX-1MA7X-2226-SM-E6CIY 60-69 years, male 3.8
GTEX-17HHY-0126-SM-7LG5D 50-59 years, male 3.7
GTEX-1BAJH-0526-SM-793CQ 70-79 years, male 3.7
GTEX-S7SE-0126-SM-2XCD5 50-59 years, male 3.7
GTEX-X4EP-0126-SM-3P5YV 60-69 years, female 3.7
GTEX-1EMGI-0126-SM-9KNUE 60-69 years, male 3.7
GTEX-1POEN-0126-SM-EYYXJ 30-39 years, female 3.7
GTEX-1RB15-2126-SM-E9TIM 60-69 years, male 3.7
GTEX-11DXW-0226-SM-5H122 40-49 years, male 3.6
GTEX-13112-2826-SM-5DUWH 50-59 years, male 3.6
GTEX-14A5I-0126-SM-5TDEA 50-59 years, female 3.6
GTEX-14BIN-0626-SM-793DP 50-59 years, female 3.6
GTEX-15F5U-1526-SM-6PANO 40-49 years, male 3.6
GTEX-1A3MW-0126-SM-73KXX 60-69 years, female 3.6
GTEX-T6MN-0126-SM-32PLP 50-59 years, male 3.6
GTEX-1EWIQ-0126-SM-7RHH2 70-79 years, female 3.6
GTEX-1IE54-0126-SM-CMKHW 40-49 years, female 3.6
GTEX-1S83E-0126-SM-EWRO4 40-49 years, male 3.6
GTEX-11TT1-2526-SM-5EGIB 20-29 years, male 3.5
GTEX-13FTX-1826-SM-5J1NX 20-29 years, female 3.5
GTEX-146FH-0126-SM-5QGPP 50-59 years, female 3.5
GTEX-17HGU-0226-SM-7DHKV 50-59 years, male 3.5
GTEX-17KNJ-2326-SM-7DHLQ 50-59 years, male 3.5
GTEX-VJWN-0126-SM-3GIK7 50-59 years, female 3.5
GTEX-ZAJG-0126-SM-5HL94 50-59 years, female 3.5
GTEX-1GN2E-0426-SM-9MQKX 60-69 years, male 3.5
GTEX-1H4P4-0726-SM-9YFLR 50-59 years, male 3.5
GTEX-1I1GR-0126-SM-CL55F 60-69 years, male 3.5
GTEX-1I1GT-0626-SM-CGQER 60-69 years, female 3.5
GTEX-1IL2V-0126-SM-CM2TX 70-79 years, male 3.5
GTEX-1LH75-2426-SM-E9TJE 50-59 years, female 3.5
GTEX-1PDJ9-0326-SM-DTX95 20-29 years, male 3.5
GTEX-111FC-0126-SM-5N9DL 60-69 years, male 3.4
GTEX-13NYS-0126-SM-5MR3W 60-69 years, male 3.4
GTEX-17HII-0226-SM-7LG4E 50-59 years, male 3.4
GTEX-OXRN-0126-SM-48TDM 50-59 years, male 3.4
GTEX-1GF9X-2026-SM-7PC3A 40-49 years, female 3.4
GTEX-1KANA-0726-SM-D3L9I 20-29 years, male 3.4
GTEX-1KANC-1526-SM-D3LAB 50-59 years, female 3.4
GTEX-1PIGE-0126-SM-EVYBJ 20-29 years, male 3.4
GTEX-113JC-2326-SM-5EQ4E 50-59 years, female 3.3
GTEX-14DAQ-0126-SM-5S2MQ 60-69 years, female 3.3
GTEX-XMD2-0126-SM-4YCDU 60-69 years, female 3.3
GTEX-1HB9E-0226-SM-E9U4R 50-59 years, male 3.3
GTEX-1JJ6O-0126-SM-E6CI8 60-69 years, male 3.3
GTEX-1QMI2-0226-SM-EVYBX 60-69 years, male 3.3
GTEX-OIZF-0126-SM-7SB8I 60-69 years, male 3.3
GTEX-12584-0126-SM-5EGKQ 40-49 years, male 3.2
GTEX-13FXS-0226-SM-5IJCK 50-59 years, male 3.2
GTEX-145MI-0526-SM-5O9A8 60-69 years, female 3.2
GTEX-RWSA-0126-SM-2XCBB 40-49 years, male 3.2
GTEX-1GZHY-0326-SM-9QEHI 50-59 years, female 3.2
GTEX-1O97I-0326-SM-EYYX7 60-69 years, male 3.2
GTEX-1R9PM-2026-SM-E76OY 20-29 years, male 3.2
GTEX-1192W-2626-SM-5Q5AF 60-69 years, male 3.1
GTEX-145MF-0626-SM-5LUAI 50-59 years, male 3.1
GTEX-14C5O-0126-SM-5SI6N 60-69 years, male 3.1
GTEX-18A6Q-0126-SM-731BZ 60-69 years, male 3.1
GTEX-18A7A-0226-SM-718BH 50-59 years, female 3.1
GTEX-ZVTK-0426-SM-51MRS 20-29 years, male 3.1
GTEX-1HSKV-0226-SM-A9SKJ 60-69 years, male 3.1
GTEX-1M4P7-0226-SM-DIPEV 60-69 years, male 3.1
GTEX-1QP66-1726-SM-E8VO1 50-59 years, male 3.1
GTEX-1S82Z-0826-SM-E6CHY 30-39 years, female 3.1
GTEX-ZPIC-1726-SM-DHXIU 40-49 years, female 3.1
GTEX-145ME-1826-SM-5SI9G 40-49 years, female 3.0
GTEX-14BIM-0226-SM-7IGLD 60-69 years, female 3.0
GTEX-U8XE-0326-SM-3DB8P 30-39 years, male 3.0
GTEX-1J8Q2-0526-SM-CM2RW 60-69 years, male 3.0
GTEX-1MA7W-2026-SM-E9TJ6 20-29 years, female 3.0
GTEX-13OVH-0126-SM-5MR4B 70-79 years, male 2.9
GTEX-17GQL-2026-SM-718BA 60-69 years, male 2.9
GTEX-1C6VR-2426-SM-79OLD 60-69 years, male 2.9
GTEX-ZYFC-0226-SM-5NQ75 50-59 years, male 2.9
GTEX-12WSC-0126-SM-5EQ4P 50-59 years, male 2.8
GTEX-13111-1626-SM-5EGJY 50-59 years, male 2.8
GTEX-13OW6-0426-SM-5L3HM 50-59 years, male 2.8
GTEX-15G19-0126-SM-6PANQ 60-69 years, male 2.8
GTEX-R3RS-0126-SM-3GIJL 40-49 years, female 2.8
GTEX-VJYA-1126-SM-3GIJU 60-69 years, male 2.8
GTEX-ZE9C-2726-SM-57WB5 60-69 years, male 2.8
GTEX-1EX96-1626-SM-7PBXR 50-59 years, male 2.8
GTEX-1KD4Q-0226-SM-E9TJ9 40-49 years, male 2.8
GTEX-1RQEC-0426-SM-E6CHU 60-69 years, male 2.8
GTEX-15DYW-0126-SM-7KULE 60-69 years, female 2.7
GTEX-X4EO-0326-SM-3P5YO 60-69 years, female 2.7
GTEX-ZC5H-0226-SM-4WAY9 40-49 years, female 2.7
GTEX-1C6VQ-0126-SM-7P8RI 50-59 years, male 2.7
GTEX-1GMR3-1926-SM-9KNUZ 40-49 years, male 2.7
GTEX-1M5QR-1226-SM-EWROB 40-49 years, male 2.7
GTEX-1B8SG-0126-SM-73KZ3 50-59 years, male 2.6
GTEX-VUSG-2526-SM-4KL1V 50-59 years, male 2.6
GTEX-Y5V5-2326-SM-4V6GA 60-69 years, female 2.6
GTEX-11UD2-0226-SM-5EQKY 50-59 years, male 2.5
GTEX-13JUV-2726-SM-5LZZ8 40-49 years, female 2.5
GTEX-13O1R-0126-SM-5L3EH 60-69 years, male 2.5
GTEX-145MO-0326-SM-5Q5B3 60-69 years, male 2.5
GTEX-16GPK-0126-SM-7DHLE 60-69 years, male 2.5
GTEX-1A3MX-0126-SM-731BR 60-69 years, male 2.5
GTEX-YJ8A-0426-SM-5IFID 20-29 years, male 2.5
GTEX-1I1GV-0526-SM-A9G29 60-69 years, male 2.5
GTEX-1IDJH-0326-SM-A9SLQ 70-79 years, male 2.5
GTEX-1JMQI-2226-SM-CM2SD 50-59 years, male 2.5
GTEX-1JN76-0126-SM-CNPPE 20-29 years, female 2.5
GTEX-ZYW4-0126-SM-5E44A 60-69 years, male 2.4
GTEX-1IOXB-0126-SM-ARL8G 50-59 years, male 2.4
GTEX-1399T-2826-SM-5KLYZ 60-69 years, male 2.3
GTEX-13O3P-0126-SM-5KM4S 50-59 years, male 2.3
GTEX-13X6J-0126-SM-5QGOU 50-59 years, male 2.3
GTEX-15EU6-0426-SM-6PAN5 50-59 years, male 2.3
GTEX-1C475-1826-SM-73KWA 40-49 years, female 2.3
GTEX-YFC4-0126-SM-5CVLY 40-49 years, female 2.3
GTEX-1CB4G-0226-SM-7PC3O 60-69 years, male 2.3
GTEX-ZV68-0126-SM-59HKS 50-59 years, female 2.2
GTEX-1E2YA-0126-SM-9KNUC 50-59 years, male 2.2
GTEX-1GL5R-1826-SM-9KNUY 50-59 years, male 2.2
GTEX-1QPFJ-0226-SM-E76PB 30-39 years, female 2.2
GTEX-117XS-2726-SM-5N9BL 60-69 years, male 2.1
GTEX-12696-2426-SM-5EQ6H 60-69 years, male 2.1
GTEX-12WSE-0526-SM-793B2 20-29 years, male 2.1
GTEX-12WSL-2526-SM-5GCNJ 50-59 years, male 2.1
GTEX-14PJM-0226-SM-62LF1 50-59 years, female 2.1
GTEX-PX3G-0126-SM-2I3EN 20-29 years, female 2.1
GTEX-X4XY-0226-SM-4E3IZ 60-69 years, male 2.1
GTEX-1HT8W-0126-SM-CNPPP 30-39 years, male 2.1
GTEX-1JMLX-0226-SM-CM2RO 50-59 years, male 2.1
GTEX-139TS-2826-SM-5J1OO 60-69 years, male 2.0
GTEX-139UW-2826-SM-5L3E7 60-69 years, male 2.0
GTEX-145LS-0126-SM-5QGP1 60-69 years, female 2.0
GTEX-16NPX-0226-SM-79OMT 50-59 years, male 2.0
GTEX-183WM-0126-SM-7LTAB 70-79 years, female 2.0
GTEX-WFON-2126-SM-3LK7O 40-49 years, male 2.0
GTEX-ZTX8-1426-SM-5DUVO 20-29 years, male 2.0
GTEX-1EN7A-0126-SM-7SB81 40-49 years, male 2.0
GTEX-1H23P-0126-SM-ADEJ3 60-69 years, male 2.0
GTEX-1N2EF-0226-SM-EYYXB 60-69 years, male 2.0
GTEX-14BMV-0126-SM-5S2PO 50-59 years, male 1.9
GTEX-PVOW-0126-SM-2XCFA 40-49 years, male 1.9
GTEX-SNMC-1226-SM-2XCFP 20-29 years, male 1.9
GTEX-1LG7Z-1726-SM-D3LA4 30-39 years, male 1.9
GTEX-11DYG-0126-SM-59883 60-69 years, male 1.8
GTEX-145LU-0126-SM-5TDCB 50-59 years, male 1.8
GTEX-14JG1-0426-SM-6ETZZ 40-49 years, male 1.8
GTEX-17HG3-2226-SM-7938L 30-39 years, female 1.8
GTEX-ZYT6-0226-SM-5NQ6T 30-39 years, male 1.8
GTEX-1HR98-0126-SM-B2LWI 60-69 years, male 1.8
GTEX-1R9K4-0126-SM-DTX9X 60-69 years, male 1.8
GTEX-13SLX-0526-SM-5S2ON 50-59 years, female 1.7
GTEX-1B97I-1626-SM-73KYO 40-49 years, male 1.7
GTEX-1E1VI-0126-SM-7DHMZ 50-59 years, male 1.7
GTEX-Q734-1926-SM-2I5EV 40-49 years, female 1.7
GTEX-1I1GQ-0126-SM-COH3H 50-59 years, male 1.7
GTEX-1LBAC-0126-SM-DIPEZ 20-29 years, male 1.7
GTEX-1PIIG-0226-SM-EWRN6 30-39 years, male 1.7
GTEX-12ZZY-0226-SM-5LZVE 60-69 years, male 1.6
GTEX-15ER7-0326-SM-7KUEV 20-29 years, female 1.6
GTEX-S32W-2126-SM-2XCB1 50-59 years, female 1.6
GTEX-11TUW-2726-SM-E9J4M 60-69 years, male 1.6
GTEX-1JMQK-0226-SM-CL543 60-69 years, male 1.6
GTEX-131YS-0126-SM-5KM1M 60-69 years, female 1.5
GTEX-18465-0126-SM-731BN 50-59 years, male 1.5
GTEX-1B8SF-1426-SM-7DUGL 60-69 years, male 1.5
GTEX-1C64N-0126-SM-793D7 50-59 years, male 1.5
GTEX-ZF3C-0126-SM-DO92D 50-59 years, female 1.4
GTEX-13FHP-0126-SM-5IJBG 50-59 years, male 1.3
GTEX-17EVP-0326-SM-7DHLG 40-49 years, male 1.3
GTEX-ZF2S-2326-SM-4WWCE 50-59 years, female 1.3
GTEX-1HCU7-0226-SM-CL545 50-59 years, male 1.3
GTEX-1L5NE-2526-SM-E6CIE 50-59 years, male 1.3
GTEX-1QAET-0926-SM-E76QM 50-59 years, male 1.3
GTEX-15EOM-0126-SM-7KUGG 20-29 years, female 1.2
GTEX-ZVZO-0126-SM-5A5L9 40-49 years, male 1.2
GTEX-ZWKS-0126-SM-5SIAA 30-39 years, male 1.2
GTEX-1212Z-2526-SM-5EGKP 60-69 years, male 1.1
GTEX-1IKJJ-0126-SM-CNPQB 60-69 years, male 1.1
GTEX-13NYB-2526-SM-5K7Z6 40-49 years, male 1.0
GTEX-17JCI-0126-SM-7LG5G 60-69 years, female 1.0
GTEX-YJ89-0126-SM-4TT3X 60-69 years, male 1.0
GTEX-14A5H-0426-SM-5QGQF 60-69 years, male 0.9
GTEX-POMQ-2226-SM-2I5FK 20-29 years, female 0.9
GTEX-144GL-0126-SM-5TDE2 50-59 years, male 0.8
GTEX-QESD-1426-SM-2S1R9 20-29 years, male 0.7
GTEX-1GF9V-0326-SM-7RHI5 60-69 years, male 0.7
GTEX-131XE-2326-SM-5PNZ2 50-59 years, male 0.6
GTEX-13NYC-0326-SM-E9J4S 60-69 years, male 0.6
GTEX-1JJEA-0326-SM-CNPOT 60-69 years, male 0.6
GTEX-11WQK-0526-SM-5EQLD 50-59 years, male 0.4
GTEX-1JMQL-0226-SM-CNPP5 50-59 years, female 0.4
GTEX-1HSMO-0126-SM-CL547 60-69 years, male 0.3
GTEX-1MJK2-0426-SM-DTXE5 50-59 years, male 0.3
Show allShow less

Contact

  • NEWS ARTICLES
  • PRESS ROOM

The Project

  • INTRODUCTION
  • ORGANIZATION
  • PUBLICATIONS

The Human Protein Atlas

  • DOWNLOADABLE DATA
  • LICENCE & CITATION
  • HELP & FAQ
The Human Protein Atlas project is funded
by the Knut & Alice Wallenberg Foundation.


contact@proteinatlas.org