We use cookies to enhance the usability of our website. If you continue, we'll assume that you are happy to receive all cookies. More information. Don't show this again.
DCN
HPA
RESOURCES
  • TISSUE
  • BRAIN
  • SINGLE CELL
  • SUBCELLULAR
  • CANCER
  • BLOOD
  • CELL LINE
  • STRUCTURE & INTERACTION
ABOUT
  • INTRODUCTION
  • HISTORY
  • ORGANIZATION
  • PUBLICATIONS
  • ANTIBODY SUBMISSION
  • ANTIBODY AVAILABILITY
  • ACKNOWLEDGMENTS
  • CONTACT
NEWS
  • NEWS ARTICLES
  • PRESS ROOM
LEARN
  • DICTIONARY
  • PROTEIN CLASSES
  • PROTEIN EVIDENCE
  • METHODS
  • EDUCATIONAL VIDEOS
DATA
  • DOWNLOADABLE DATA
  • PUBLICATION DATA
  • RELEASE HISTORY
HELP
  • ANTIBODY VALIDATION
  • ASSAYS & ANNOTATION
  • DISCLAIMER
  • HELP & FAQ
  • PRIVACY STATEMENT
  • LICENCE & CITATION
Fields »
Search result

Field
Term
Gene name
Class
Subclass
Class
Keyword
Chromosome
External id
Tissue
Cell type
Expression
Antibody panel
Tissue
Main location
Patient ID
Annotation
Tissue
Category
Tau score
Cluster
Reliability
Brain region
Category
Tau score
Brain region
Category
Tau score
Brain region
Category
Tau score
Cluster
Reliability
Tissue
Cell type
Enrichment
Cell type
Category
Tau score
Cell type
Category
Tau score
Cell type
Category
Tau score
Cell lineage
Category
Tau score
Cluster
Cluster
Location
Searches
Location
Cell line
Class
Type
Phase
Reliability
Cancer
Prognosis
Cancer
Category
Cancer
Category
Tau score
Cluster
Variants
Interacting gene (ensg_id)
Type
Number of interactions
Pathway
Category
Score
Score
Score
Validation
Validation
Validation
Validation
Antibodies
Data type
Column


  • SUMMARY

  • TISSUE

  • BRAIN

  • SINGLE CELL

  • SUBCELL

  • CANCER

  • BLOOD

  • CELL LINE

  • STRUCT & INT

  • DCN
TISSUE PRIMARY DATA ADRENAL GLAND Show tissue menu
ADIPOSE TISSUE ADRENAL GLAND AMYGDALA APPENDIX BASAL GANGLIA BONE MARROW BREAST BRONCHUS CEREBELLUM CEREBRAL CORTEX CERVIX CHOROID PLEXUS COLON DUODENUM
ENDOMETRIUM EPIDIDYMIS ESOPHAGUS FALLOPIAN TUBE GALLBLADDER HEART MUSCLE HIPPOCAMPAL FORMATION HYPOTHALAMUS KIDNEY LIVER LUNG LYMPH NODE MIDBRAIN ORAL MUCOSA
OVARY PANCREAS PARATHYROID GLAND PITUITARY GLAND PLACENTA PROSTATE RECTUM RETINA SALIVARY GLAND SEMINAL VESICLE SKELETAL MUSCLE SKIN SMALL INTESTINE SMOOTH MUSCLE
SOFT TISSUE SPINAL CORD SPLEEN STOMACH TESTIS THYMUS THYROID GLAND TONGUE TONSIL URINARY BLADDER VAGINA
ANTIBODIES
AND
VALIDATION
Dictionary
Adrenal gland
Tissue proteome
Adrenal gland
ADRENAL GLAND - Expression summary
Protein expression
Adrenal glandi

On the top, protein expression in current human tissue, based on all annotated cell types, is reported with the units not detected (n), low (l), medium (m) and high (h). Underneath, protein expression in each annotated cell type are reported using the same units.

Protein expression data is based on knowledge-based annotation. For genes where more than one antibody has been used, a collective score is set.

If knowledge-based annotation could not be performed for a gene, no data is displayed here. View antibody staining data further down this page.

h
m
l
n
Glandular cells: Not detected
RNA expressioni

A summary of mRNA expression data available for current tissue based on several datasets. The mRNA expression levels in human tissues are based on RNA-seq data generated by the Human Protein Atlas (HPA), Genotype-Tissue Expression (GTEx) portal and CAGE data generated by the FANTOM5 consortium. Consensus normalized expression levels for human tissues was created by combining the data from HPA and GTEx datasets.

The mRNA expression levels in pig are based on RNA-seq data generated by the Human Protein Atlas (HPA), and for mouse, HPA data and in situ hybridization generated by the Allen brain atlas are reported.

Scroll down to view mRNA expression data in more detail.
Consensus:1132.7 nTPM
HPA:1132.7 nTPM
GTEx:328.6 nTPM

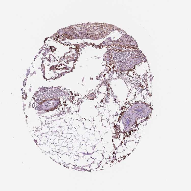
ADRENAL GLAND - Antibody stainingi

Antibody staining in the annotated cell types in the current human tissue is reported as not detected, low, medium, or high, based on conventional immunohistochemistry profiling in selected tissues. This score is based on the combination of the staining intensity and fraction of stained cells.

Each image is clickable and will lead to virtual microscopy that enables deeper exploration of all samples and also displays staining intensity scores, fraction scores and subcellular localization as well as patient and tissue information for each sample.

Antibody HPA003315Antibody HPA064736Antibody CAB017118Antibody CAB068930
Glandular cells Not detectedMediumLowNot detected







ADRENAL GLAND - HPA RNA-seqi

The RNA-seq details section shows detailed information about the individual samples used for the transcript profiling and results of the RNA-seq analysis.

Information about each individual sample is listed below, including gender, age, a tissue section image and estimated fractions of cell types. nTPM (normalized transcripts per million) values give a quantification of the gene abundance which is comparable between different genes and samples.
Average nTPMi

Max subtype nTPM is the value for the subtype with the largest average nTPM across the subtype samples.

1132.7
overview
Female, age 62
Adrenal gland sample 87
nTPM: 1403
Cell types%
Cortical cells:
50

Medullary cells:
40

Other cell types:
10

overview
Female, age 36
Adrenal gland sample 88
nTPM: 1107.7
Cell types%
Cortical cells:
50

Medullary cells:
40

Other cell types:
10

overview
Female, age 63
Adrenal gland sample 89
nTPM: 887.3
Cell types%
Cortical cells:
50

Medullary cells:
40

Other cell types:
10


ADRENAL GLAND - GTEx RNA-seqi

RNA-Seq data generated by the Genotype-Tissue Expression (GTEx) project from human tissues is reported as mean nTPM. More information can be found on the GTEx portal.

Distribution across the dataset is visualized with box plots, shown as median and 25th and 75th percentiles. Points are displayed as outliers if they are above or below 1.5 times the interquartile range. nTPM values of the individual samples are presented next to the box plot.
Max subtype nTPMi

Max subtype nTPM is the value for the subtype with the largest average nTPM across the subtype samples.

328.6
GTEx sample id Sample description nTPM
Adrenal Gland
Average nTPM: 328.6
Samples: 258

Max nTPM: 1252.4
Min nTPM: 20.1
Std nTPM: 212.0
Median nTPM: 278.4
GTEX-1AX9K-0126-SM-7PC1B 50-59 years, male 1252.4
GTEX-1RQEC-1926-SM-DTX7M 60-69 years, male 1211.2
GTEX-11P7K-0126-SM-5986E 30-39 years, male 1087.8
GTEX-12BJ1-0526-SM-5FQUD 60-69 years, male 1011.5
GTEX-12WSD-2126-SM-5LZWK 60-69 years, female 999.9
GTEX-ZPCL-0826-SM-DNZZ7 60-69 years, female 944.8
GTEX-ZT9W-0126-SM-4YCFD 50-59 years, male 863.6
GTEX-13OVI-1226-SM-5J2ME 60-69 years, female 844.7
GTEX-1BAJH-2626-SM-7EPG6 70-79 years, male 823.6
GTEX-18A7A-1826-SM-7KFTU 50-59 years, female 795.9
GTEX-1B996-2026-SM-7MKG7 60-69 years, male 733.5
GTEX-14PKV-0726-SM-686ZF 20-29 years, female 720.3
GTEX-QCQG-0126-SM-48U27 50-59 years, female 704.7
GTEX-16NGA-0126-SM-72D6U 40-49 years, female 683.1
GTEX-T6MO-0126-SM-4DM6X 40-49 years, female 675.5
GTEX-1PIIG-1426-SM-EXOIS 30-39 years, male 675.1
GTEX-1CAMS-0226-SM-79397 40-49 years, female 673.0
GTEX-1F5PK-0826-SM-7MXVI 50-59 years, male 667.3
GTEX-1QMI2-1926-SM-EAZ4B 60-69 years, male 660.7
GTEX-1IDJU-0126-SM-CNNR2 60-69 years, female 659.1
GTEX-1LVAN-0826-SM-CNNPG 50-59 years, female 643.4
GTEX-S3XE-0126-SM-4AD4R 50-59 years, male 643.1
GTEX-ZYFG-0926-SM-5BC5U 60-69 years, female 631.2
GTEX-131YS-2026-SM-5P9J8 60-69 years, female 629.3
GTEX-139YR-0126-SM-5IJEY 50-59 years, male 615.9
GTEX-1KWVE-0726-SM-D4P3O 30-39 years, male 614.7
GTEX-U4B1-0126-SM-4DXSN 40-49 years, male 610.1
GTEX-1GL5R-1026-SM-7P8U1 50-59 years, male 600.7
GTEX-1CB4F-0126-SM-9JGGZ 60-69 years, male 600.1
GTEX-QMRM-0126-SM-CJI1R 50-59 years, male 595.0
GTEX-ZLFU-0826-SM-4WWBP 40-49 years, male 591.4
GTEX-1LGRB-0326-SM-CNPQC 50-59 years, female 590.3
GTEX-1EKGG-2126-SM-7MKFT 60-69 years, male 588.5
GTEX-ZLWG-0126-SM-4WWC5 50-59 years, female 580.7
GTEX-1399R-0326-SM-5KM1X 30-39 years, male 567.7
GTEX-1C475-0126-SM-731DC 40-49 years, female 562.3
GTEX-131XF-0126-SM-5DUVF 60-69 years, male 560.6
GTEX-1PPH8-0826-SM-DTX9T 20-29 years, male 549.4
GTEX-1J8Q3-0326-SM-CE6TD 60-69 years, male 540.2
GTEX-S4Z8-0126-SM-4GICC 60-69 years, male 539.8
GTEX-1I1GT-0126-SM-B2LWM 60-69 years, female 539.0
GTEX-YB5E-0226-SM-5IFHI 40-49 years, male 535.7
GTEX-QDVN-0426-SM-48TZ6 50-59 years, male 527.1
GTEX-1H3VY-1826-SM-9JGI4 50-59 years, male 515.7
GTEX-1GN1V-1626-SM-7PBZF 60-69 years, male 496.5
GTEX-11DXY-1626-SM-5H12L 60-69 years, male 496.0
GTEX-1F75I-0126-SM-9WPPW 40-49 years, male 495.4
GTEX-13FTW-0126-SM-5IJED 40-49 years, male 493.8
GTEX-S4Q7-0226-SM-4AD5O 20-29 years, male 492.3
GTEX-14PN3-1426-SM-686Z8 60-69 years, female 491.2
GTEX-13OW6-1726-SM-5IJGI 50-59 years, male 483.1
GTEX-15DYW-2126-SM-6M47B 60-69 years, female 480.8
GTEX-15SHU-1926-SM-7KUMO 40-49 years, female 473.3
GTEX-Q2AI-0226-SM-48U1D 40-49 years, male 469.4
GTEX-146FR-1526-SM-5SIB8 60-69 years, female 466.4
GTEX-147F4-2526-SM-5NQBB 50-59 years, male 459.5
GTEX-1I1GQ-2026-SM-ARU7F 50-59 years, male 459.5
GTEX-14DAQ-1826-SM-5S2VV 60-69 years, female 457.3
GTEX-1GN73-1526-SM-9WPP1 60-69 years, male 456.1
GTEX-1K2DA-0226-SM-CGQGW 50-59 years, male 448.8
GTEX-11EM3-0326-SM-5A5KJ 20-29 years, female 442.1
GTEX-Q734-0126-SM-48U1E 40-49 years, female 436.3
GTEX-1KANB-2626-SM-EV7BF 50-59 years, male 432.1
GTEX-PWCY-0226-SM-48TD8 20-29 years, female 430.9
GTEX-1AMFI-0626-SM-731DR 50-59 years, female 428.7
GTEX-1399S-0426-SM-5IFG5 30-39 years, female 422.8
GTEX-X4LF-0126-SM-4QAS7 50-59 years, male 422.2
GTEX-13N11-0826-SM-5IJFP 50-59 years, female 421.2
GTEX-UJMC-0226-SM-4IHLH 50-59 years, male 418.3
GTEX-117YX-0126-SM-5EGH5 50-59 years, male 400.7
GTEX-13111-0326-SM-5DUXF 50-59 years, male 400.3
GTEX-12ZZZ-0926-SM-5N9EQ 60-69 years, male 398.0
GTEX-ZVP2-0126-SM-5NQ7D 50-59 years, male 397.8
GTEX-1QP29-0326-SM-E6CQ4 50-59 years, male 394.6
GTEX-O5YV-1126-SM-3LK73 60-69 years, female 392.6
GTEX-14BMU-0126-SM-5S2Q9 20-29 years, female 392.1
GTEX-14E1K-0626-SM-5S2PG 50-59 years, male 391.1
GTEX-YFCO-0126-SM-4W1YT 40-49 years, male 390.9
GTEX-11NSD-0226-SM-5A5LR 20-29 years, male 390.5
GTEX-14H4A-0226-SM-5SI6Q 40-49 years, female 390.5
GTEX-ZVT2-0826-SM-5GIEO 50-59 years, female 387.0
GTEX-ZTSS-0326-SM-5987M 40-49 years, male 385.1
GTEX-ZLV1-0226-SM-4WWC1 60-69 years, female 382.8
GTEX-11DXX-0126-SM-5EGH7 60-69 years, female 377.7
GTEX-ZF2S-0126-SM-4WKFO 50-59 years, female 376.8
GTEX-13O21-0126-SM-5IJE8 50-59 years, male 375.9
GTEX-PX3G-1326-SM-48U18 20-29 years, female 370.8
GTEX-Y114-0526-SM-4TT8V 50-59 years, female 370.5
GTEX-131XG-1326-SM-5DUX4 50-59 years, female 369.5
GTEX-R55G-0126-SM-48FDS 40-49 years, female 361.9
GTEX-1399U-0226-SM-5P9J2 50-59 years, female 360.4
GTEX-VJYA-0526-SM-4KL1R 60-69 years, male 360.2
GTEX-13PVR-0226-SM-5RQJI 60-69 years, female 358.2
GTEX-1S82P-1126-SM-EV79M 60-69 years, female 353.5
GTEX-16AAH-0226-SM-793A8 50-59 years, male 350.2
GTEX-1F5PL-2326-SM-7MKFC 40-49 years, female 341.3
GTEX-1B8L1-1326-SM-7MKG6 60-69 years, male 340.1
GTEX-13OW7-2726-SM-5L3HN 50-59 years, male 339.3
GTEX-ZEX8-0626-SM-DO118 50-59 years, male 339.1
GTEX-145MN-0226-SM-5QGPY 30-39 years, male 336.6
GTEX-11I78-1826-SM-5A5M4 50-59 years, female 334.1
GTEX-1ICG6-0226-SM-AHZ2P 70-79 years, female 331.9
GTEX-XQ3S-1726-SM-4BOOD 20-29 years, male 329.1
GTEX-1KXAM-0326-SM-EV7AQ 60-69 years, male 328.8
GTEX-1B8KE-0926-SM-7189I 50-59 years, male 328.6
GTEX-1H1E6-1026-SM-9JGFZ 30-39 years, male 326.4
GTEX-1GF9V-2026-SM-9JGHS 60-69 years, male 325.3
GTEX-S341-0126-SM-4AD64 40-49 years, female 324.7
GTEX-WY7C-0326-SM-4OND5 50-59 years, male 309.5
GTEX-111CU-0126-SM-5GZWZ 50-59 years, male 308.6
GTEX-R53T-0226-SM-48FEH 50-59 years, female 308.1
GTEX-13W3W-1326-SM-5LU4T 60-69 years, female 299.7
GTEX-NFK9-1726-SM-3TW8P 40-49 years, male 295.9
GTEX-18D9B-1926-SM-7KFSV 60-69 years, male 295.3
GTEX-WYVS-0226-SM-4ONDK 40-49 years, female 294.7
GTEX-TKQ2-0226-SM-4DM6V 50-59 years, male 293.9
GTEX-Y5LM-0126-SM-4VBRL 40-49 years, female 290.4
GTEX-OIZH-1326-SM-3NB1H 50-59 years, male 290.0
GTEX-1I1GU-0226-SM-AHZ2J 40-49 years, male 289.8
GTEX-11EMC-0526-SM-5EGJN 60-69 years, female 289.6
GTEX-14PJM-2226-SM-6AJAT 50-59 years, female 289.2
GTEX-XUZC-0226-SM-4BOO7 30-39 years, female 287.3
GTEX-12WSL-0326-SM-5CVMK 50-59 years, male 286.9
GTEX-QEG5-1826-SM-CE6QW 20-29 years, male 286.0
GTEX-1A3MV-0226-SM-731FS 30-39 years, male 285.8
GTEX-ZP4G-0126-SM-4YCE3 20-29 years, female 285.7
GTEX-13QBU-0526-SM-5IJFE 40-49 years, female 281.3
GTEX-1HCU6-1826-SM-C1YRN 60-69 years, female 280.8
GTEX-11EQ9-0126-SM-5986I 30-39 years, male 280.4
GTEX-ZDTT-0126-SM-4WKHA 60-69 years, male 276.5
GTEX-17HHY-2226-SM-7KFS4 50-59 years, male 275.2
GTEX-Y5V6-1926-SM-5IFIL 60-69 years, male 275.2
GTEX-18A6Q-1826-SM-72D6I 60-69 years, male 275.0
GTEX-13FH7-0226-SM-5IFGG 50-59 years, female 274.1
GTEX-1LG7Z-0426-SM-D4P47 30-39 years, male 266.1
GTEX-14PK6-0126-SM-664O1 70-79 years, female 260.1
GTEX-V955-0126-SM-4JBH5 60-69 years, male 258.2
GTEX-1HBPI-1926-SM-CE6RT 50-59 years, male 255.8
GTEX-1339X-0826-SM-5J2O6 40-49 years, male 255.7
GTEX-QLQW-0226-SM-447BJ 30-39 years, male 254.2
GTEX-XMK1-0226-SM-4B65D 40-49 years, male 253.7
GTEX-RNOR-1626-SM-EZ6MM 50-59 years, female 253.5
GTEX-WHPG-1526-SM-4M1ZK 50-59 years, male 253.2
GTEX-12WSK-0326-SM-5GCOJ 40-49 years, female 251.3
GTEX-S33H-1326-SM-4AD6A 30-39 years, male 250.1
GTEX-11DXZ-0226-SM-5EGGZ 50-59 years, male 245.9
GTEX-1NUQO-0626-SM-E6CQT 20-29 years, female 245.0
GTEX-U3ZM-0226-SM-4DXTA 40-49 years, male 244.3
GTEX-1IDJH-1726-SM-A96T3 70-79 years, male 243.2
GTEX-1H11D-2426-SM-9JGGN 40-49 years, male 242.4
GTEX-14PJ6-0126-SM-686Z5 60-69 years, female 242.2
GTEX-OXRK-0126-SM-3NB1E 50-59 years, female 237.7
GTEX-15EU6-0326-SM-6M48I 50-59 years, male 236.8
GTEX-YF7O-0126-SM-5IFIR 50-59 years, male 235.8
GTEX-1QP2A-2626-SM-EAZ3L 50-59 years, male 235.6
GTEX-OIZF-1326-SM-3MJGU 60-69 years, male 235.0
GTEX-O5YT-1326-SM-3MJGR 20-29 years, male 233.7
GTEX-12WSJ-0126-SM-5GCOM 40-49 years, female 232.4
GTEX-ZZPU-1226-SM-5N9CK 50-59 years, female 231.0
GTEX-W5WG-1126-SM-4LMK4 50-59 years, female 230.9
GTEX-OHPL-1326-SM-3MJGG 60-69 years, female 227.4
GTEX-ZA64-0226-SM-5HL9C 20-29 years, male 225.4
GTEX-1EH9U-1726-SM-7P8QK 60-69 years, male 223.9
GTEX-TMMY-0126-SM-4DXTP 40-49 years, female 223.6
GTEX-QLQ7-0126-SM-CL55R 60-69 years, male 220.5
GTEX-1QPFJ-2526-SM-EXOJX 30-39 years, female 219.9
GTEX-15CHR-0626-SM-7938V 50-59 years, male 218.5
GTEX-S32W-0126-SM-4AD61 50-59 years, female 218.5
GTEX-12696-0626-SM-5EGGD 60-69 years, male 218.0
GTEX-R55E-1826-SM-EXOHD 20-29 years, male 217.8
GTEX-17HHE-0226-SM-79399 50-59 years, male 215.8
GTEX-14JG6-0126-SM-68726 30-39 years, female 215.5
GTEX-XV7Q-0226-SM-4BRVL 40-49 years, female 212.9
GTEX-QXCU-1326-SM-48FE2 50-59 years, male 211.7
GTEX-1AX8Z-2426-SM-72D7D 60-69 years, male 211.0
GTEX-1JKYN-0126-SM-AHZ4C 30-39 years, male 208.1
GTEX-P4QT-1326-SM-3NMD3 50-59 years, female 205.2
GTEX-P4QS-1326-SM-3NMCD 60-69 years, male 204.8
GTEX-144GL-1826-SM-79OMB 50-59 years, male 201.5
GTEX-1A32A-2126-SM-718AZ 50-59 years, female 197.1
GTEX-17HGU-0126-SM-7DHLV 50-59 years, male 196.4
GTEX-14PJ4-0426-SM-6871F 60-69 years, male 195.6
GTEX-U3ZN-0826-SM-4DXSZ 30-39 years, female 195.1
GTEX-13CF3-0126-SM-5IFFM 60-69 years, female 194.1
GTEX-Y9LG-0126-SM-5Q59W 30-39 years, male 194.0
GTEX-1R7EV-1726-SM-E6CR8 40-49 years, male 192.3
GTEX-11GSP-0326-SM-5A5KW 60-69 years, female 190.8
GTEX-132QS-0126-SM-5IFH9 60-69 years, male 189.6
GTEX-15ER7-1126-SM-6M47F 20-29 years, female 188.9
GTEX-Y3IK-0226-SM-51MRJ 50-59 years, female 188.8
GTEX-13D11-0426-SM-5LZYA 50-59 years, female 185.3
GTEX-13O61-0126-SM-5KM4P 60-69 years, male 185.0
GTEX-1B8KZ-0126-SM-7DHM5 50-59 years, male 184.8
GTEX-1LNCM-0826-SM-DHXL6 50-59 years, female 184.4
GTEX-12WSG-0726-SM-5EGIG 50-59 years, female 181.2
GTEX-PW2O-0226-SM-48TC7 20-29 years, male 180.4
GTEX-1KD4Q-1826-SM-DIPFV 40-49 years, male 178.1
GTEX-XYKS-0926-SM-4BRVG 60-69 years, female 176.2
GTEX-PLZ6-0226-SM-3P61I 30-39 years, male 173.6
GTEX-WFG8-0126-SM-4LVMH 20-29 years, male 173.6
GTEX-REY6-1726-SM-48FDL 60-69 years, male 172.8
GTEX-1RAZQ-0226-SM-EV7BK 30-39 years, male 170.5
GTEX-1A8FM-1926-SM-7MXTX 50-59 years, female 167.2
GTEX-ZT9X-0126-SM-4YCFC 40-49 years, male 164.8
GTEX-11TT1-0126-SM-5LUAA 20-29 years, male 162.5
GTEX-14E6E-0126-SM-73KXH 30-39 years, male 160.5
GTEX-1HKZK-0126-SM-B2LWF 40-49 years, male 156.1
GTEX-OHPK-1326-SM-3MJGN 50-59 years, female 155.6
GTEX-1F88F-1526-SM-9JGG1 60-69 years, female 154.4
GTEX-132AR-1726-SM-5EGHQ 50-59 years, female 151.6
GTEX-SUCS-0526-SM-4DM56 70-79 years, male 151.1
GTEX-14DAR-1726-SM-664MZ 50-59 years, male 149.6
GTEX-WQUQ-0126-SM-4OOSS 60-69 years, male 149.3
GTEX-145LT-0126-SM-5S2QJ 40-49 years, male 148.2
GTEX-1122O-0326-SM-5H124 60-69 years, female 146.0
GTEX-1I1GV-1826-SM-CNNR8 60-69 years, male 141.8
GTEX-111YS-0126-SM-5987T 60-69 years, male 141.1
GTEX-16MT8-1626-SM-7EWDW 60-69 years, female 139.6
GTEX-ZY6K-0126-SM-5SIAM 50-59 years, male 138.6
GTEX-1211K-0126-SM-59HJE 60-69 years, female 138.3
GTEX-13PL7-1026-SM-5MR5C 60-69 years, female 136.0
GTEX-1CAMR-0126-SM-79391 20-29 years, male 134.7
GTEX-13O3O-1626-SM-5KM1O 60-69 years, female 134.5
GTEX-14A5I-2126-SM-5NQA8 50-59 years, female 134.0
GTEX-1AX9J-0626-SM-72D7L 60-69 years, male 133.7
GTEX-1M5QR-1726-SM-EV7AU 40-49 years, male 133.4
GTEX-17KNJ-0326-SM-7KFS5 50-59 years, male 130.9
GTEX-RWSA-1726-SM-47JX7 40-49 years, male 129.4
GTEX-Q2AH-0126-SM-48U2B 40-49 years, male 129.3
GTEX-QDVJ-1126-SM-48U1U 50-59 years, male 128.2
GTEX-RM2N-0126-SM-48FDD 50-59 years, male 127.5
GTEX-11XUK-0126-SM-5CVLK 40-49 years, female 124.3
GTEX-14XAO-0326-SM-6ETZN 60-69 years, female 122.5
GTEX-ZUA1-1926-SM-5E45E 40-49 years, male 116.9
GTEX-V1D1-0226-SM-4JBHG 50-59 years, male 116.8
GTEX-1F75A-2026-SM-9KNTR 50-59 years, male 113.5
GTEX-1JMLX-1126-SM-CXZJN 50-59 years, male 110.3
GTEX-X4EO-1726-SM-4QARN 60-69 years, female 104.7
GTEX-R55C-0226-SM-48FEO 40-49 years, male 104.6
GTEX-14C38-1726-SM-5RQJC 50-59 years, male 99.8
GTEX-12WSN-0926-SM-5GCN1 40-49 years, male 96.0
GTEX-1K2DU-0826-SM-DHXKA 20-29 years, male 92.6
GTEX-132NY-2226-SM-5J2LZ 60-69 years, male 84.7
GTEX-1HC8U-0226-SM-9WG7Q 40-49 years, female 77.7
GTEX-RUSQ-0226-SM-47JWT 50-59 years, male 76.6
GTEX-OOBK-3125-SM-3LK5R 40-49 years, male 67.5
GTEX-VUSG-1526-SM-4KKZH 50-59 years, male 61.7
GTEX-1PWST-2126-SM-DPRZ5 70-79 years, male 59.2
GTEX-14A5H-2126-SM-7IGNV 60-69 years, male 56.5
GTEX-1GMR3-0926-SM-9WPP9 40-49 years, male 55.5
GTEX-ZYVF-1626-SM-5N9EH 50-59 years, female 42.3
GTEX-14753-1726-SM-5NQ9X 60-69 years, male 42.1
GTEX-PLZ5-0326-SM-3P614 50-59 years, male 40.0
GTEX-Y5V5-1326-SM-4V6G9 60-69 years, female 39.3
GTEX-1J8EW-1826-SM-C1YQW 60-69 years, female 30.8
GTEX-1I1GP-1826-SM-C1YS1 50-59 years, male 25.8
GTEX-1A3MW-2126-SM-731DO 60-69 years, female 25.1
GTEX-13O1R-2326-SM-5IJF9 60-69 years, male 20.1
Show allShow less

Contact

  • NEWS ARTICLES
  • PRESS ROOM

The Project

  • INTRODUCTION
  • ORGANIZATION
  • PUBLICATIONS

The Human Protein Atlas

  • DOWNLOADABLE DATA
  • LICENCE & CITATION
  • HELP & FAQ
The Human Protein Atlas project is funded
by the Knut & Alice Wallenberg Foundation.


contact@proteinatlas.org