We use cookies to enhance the usability of our website. If you continue, we'll assume that you are happy to receive all cookies. More information. Don't show this again.
DCN
HPA
RESOURCES
  • TISSUE
  • BRAIN
  • SINGLE CELL
  • SUBCELLULAR
  • CANCER
  • BLOOD
  • CELL LINE
  • STRUCTURE & INTERACTION
ABOUT
  • INTRODUCTION
  • HISTORY
  • ORGANIZATION
  • PUBLICATIONS
  • ANTIBODY SUBMISSION
  • ANTIBODY AVAILABILITY
  • ACKNOWLEDGMENTS
  • CONTACT
NEWS
  • NEWS ARTICLES
  • PRESS ROOM
LEARN
  • DICTIONARY
  • PROTEIN CLASSES
  • PROTEIN EVIDENCE
  • METHODS
  • EDUCATIONAL VIDEOS
DATA
  • DOWNLOADABLE DATA
  • PUBLICATION DATA
  • RELEASE HISTORY
HELP
  • ANTIBODY VALIDATION
  • ASSAYS & ANNOTATION
  • DISCLAIMER
  • HELP & FAQ
  • PRIVACY STATEMENT
  • LICENCE & CITATION
Fields »
Search result

Field
Term
Gene name
Class
Subclass
Class
Keyword
Chromosome
External id
Tissue
Cell type
Expression
Antibody panel
Tissue
Main location
Patient ID
Annotation
Tissue
Category
Tau score
Cluster
Reliability
Brain region
Category
Tau score
Brain region
Category
Tau score
Brain region
Category
Tau score
Cluster
Reliability
Tissue
Cell type
Enrichment
Cell type
Category
Tau score
Cell type
Category
Tau score
Cell type
Category
Tau score
Cell lineage
Category
Tau score
Cluster
Cluster
Location
Searches
Location
Cell line
Class
Type
Phase
Reliability
Cancer
Prognosis
Cancer
Category
Cancer
Category
Tau score
Cluster
Variants
Interacting gene (ensg_id)
Type
Number of interactions
Pathway
Category
Score
Score
Score
Validation
Validation
Validation
Validation
Antibodies
Data type
Column


  • SUMMARY

  • TISSUE

  • BRAIN

  • SINGLE CELL

  • SUBCELL

  • CANCER

  • BLOOD

  • CELL LINE

  • STRUCT & INT

  • DCN
TISSUE PRIMARY DATA SMALL INTESTINE Show tissue menu
ADIPOSE TISSUE ADRENAL GLAND AMYGDALA APPENDIX BASAL GANGLIA BONE MARROW BREAST BRONCHUS CEREBELLUM CEREBRAL CORTEX CERVIX CHOROID PLEXUS COLON DUODENUM
ENDOMETRIUM EPIDIDYMIS ESOPHAGUS FALLOPIAN TUBE GALLBLADDER HEART MUSCLE HIPPOCAMPAL FORMATION HYPOTHALAMUS KIDNEY LIVER LUNG LYMPH NODE MIDBRAIN ORAL MUCOSA
OVARY PANCREAS PARATHYROID GLAND PITUITARY GLAND PLACENTA PROSTATE RECTUM RETINA SALIVARY GLAND SEMINAL VESICLE SKELETAL MUSCLE SKIN SMALL INTESTINE SMOOTH MUSCLE
SOFT TISSUE SPINAL CORD SPLEEN STOMACH TESTIS THYMUS THYROID GLAND TONGUE TONSIL URINARY BLADDER VAGINA
ANTIBODIES
AND
VALIDATION
Dictionary
Small intestine
Tissue proteome
Intestine
SMALL INTESTINE - Expression summary
Protein expression
Small intestinei

On the top, protein expression in current human tissue, based on all annotated cell types, is reported with the units not detected (n), low (l), medium (m) and high (h). Underneath, protein expression in each annotated cell type are reported using the same units.

Protein expression data is based on knowledge-based annotation. For genes where more than one antibody has been used, a collective score is set.

If knowledge-based annotation could not be performed for a gene, no data is displayed here. View antibody staining data further down this page.

h
m
l
n
Glandular cells: Not detected
RNA expressioni

A summary of mRNA expression data available for current tissue based on several datasets. The mRNA expression levels in human tissues are based on RNA-seq data generated by the Human Protein Atlas (HPA), Genotype-Tissue Expression (GTEx) portal and CAGE data generated by the FANTOM5 consortium. Consensus normalized expression levels for human tissues was created by combining the data from HPA and GTEx datasets.

The mRNA expression levels in pig are based on RNA-seq data generated by the Human Protein Atlas (HPA), and for mouse, HPA data and in situ hybridization generated by the Allen brain atlas are reported.

Scroll down to view mRNA expression data in more detail.
Consensus:326.7 nTPM
HPA:326.7 nTPM
GTEx:263.6 nTPM
FANTOM5:377.1 Scaled Tags Per Million

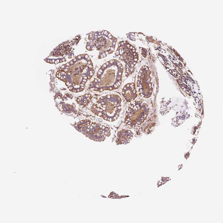
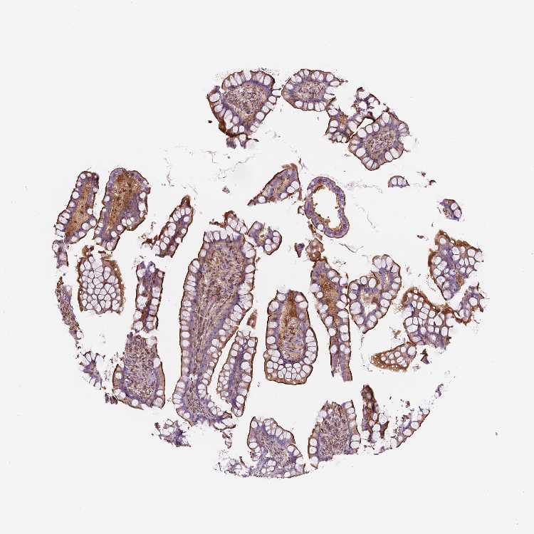
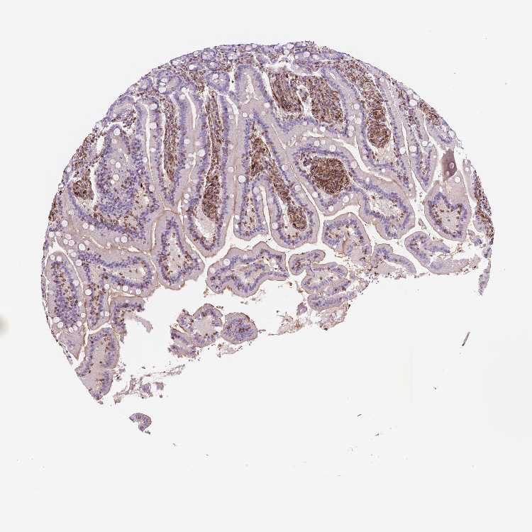
SMALL INTESTINE - Antibody stainingi

Antibody staining in the annotated cell types in the current human tissue is reported as not detected, low, medium, or high, based on conventional immunohistochemistry profiling in selected tissues. This score is based on the combination of the staining intensity and fraction of stained cells.

Each image is clickable and will lead to virtual microscopy that enables deeper exploration of all samples and also displays staining intensity scores, fraction scores and subcellular localization as well as patient and tissue information for each sample.

Antibody HPA003315Antibody HPA064736Antibody CAB017118Antibody CAB068930
Glandular cells Not detectedMediumNot detectedNot detected








SMALL INTESTINE - HPA RNA-seqi

The RNA-seq details section shows detailed information about the individual samples used for the transcript profiling and results of the RNA-seq analysis.

Information about each individual sample is listed below, including gender, age, a tissue section image and estimated fractions of cell types. nTPM (normalized transcripts per million) values give a quantification of the gene abundance which is comparable between different genes and samples.
Average nTPMi

Max subtype nTPM is the value for the subtype with the largest average nTPM across the subtype samples.

326.7
overview
Male, age 65
Small intestine sample 232
nTPM: 174.8
Cell types%
Glandular cells:
55

Smooth muscle cells:
5

Other cell types:
40

overview
Male, age 39
Small intestine sample 233
nTPM: 331.3
Cell types%
Glandular cells:
40

Smooth muscle cells:
5

Other cell types:
55

overview
Male, age 68
Small intestine sample 234
nTPM: 390.2
Cell types%
Glandular cells:
30

Smooth muscle cells:
15

Other cell types:
55

N/A
Male, age 85
Small intestine sample 235
nTPM: 410.6

SMALL INTESTINE - GTEx RNA-seqi

RNA-Seq data generated by the Genotype-Tissue Expression (GTEx) project from human tissues is reported as mean nTPM. More information can be found on the GTEx portal.

Distribution across the dataset is visualized with box plots, shown as median and 25th and 75th percentiles. Points are displayed as outliers if they are above or below 1.5 times the interquartile range. nTPM values of the individual samples are presented next to the box plot.
Max subtype nTPMi

Max subtype nTPM is the value for the subtype with the largest average nTPM across the subtype samples.

263.6
GTEx sample id Sample description nTPM
Small Intestine - Terminal Ileum
Average nTPM: 263.6
Samples: 187

Max nTPM: 1729.2
Min nTPM: 12.0
Std nTPM: 232.0
Median nTPM: 186.4
GTEX-1R9K4-2326-SM-E6CRB 60-69 years, male 1729.2
GTEX-Y5V5-1826-SM-4VDS5 60-69 years, female 1138.2
GTEX-15EU6-1826-SM-7PC1W 50-59 years, male 1017.3
GTEX-13NYB-1826-SM-5J1N3 40-49 years, male 757.3
GTEX-XMK1-1826-SM-4B66F 40-49 years, male 753.5
GTEX-14PJ3-1326-SM-664O7 50-59 years, male 720.0
GTEX-1B8KZ-1126-SM-7IGLX 50-59 years, male 709.1
GTEX-ZF2S-1726-SM-57WFT 50-59 years, female 689.3
GTEX-1R9JW-1926-SM-EVR4J 30-39 years, female 653.4
GTEX-13OVI-1926-SM-5IJCG 60-69 years, female 653.3
GTEX-WFON-1526-SM-4LVMP 40-49 years, male 638.6
GTEX-1QCLZ-2126-SM-EWRNC 60-69 years, female 638.1
GTEX-17KNJ-1626-SM-718AL 50-59 years, male 627.5
GTEX-ZAB5-1526-SM-5HL9P 50-59 years, male 624.5
GTEX-ZPIC-2326-SM-57WDW 40-49 years, female 619.9
GTEX-1RAZR-1826-SM-E6CRE 40-49 years, male 613.4
GTEX-1QW4Y-1226-SM-EWRMY 30-39 years, male 599.4
GTEX-1GMR3-2726-SM-7MKFB 40-49 years, male 598.2
GTEX-Y111-2226-SM-4SOJB 50-59 years, male 595.6
GTEX-1R7EU-1326-SM-E6CQ6 60-69 years, male 569.4
GTEX-1C64O-2526-SM-79ONO 60-69 years, male 567.4
GTEX-1R9K5-2026-SM-E6CPS 50-59 years, male 561.0
GTEX-117YX-0326-SM-5GICL 50-59 years, male 550.0
GTEX-1OKEX-1126-SM-DTXEB 60-69 years, male 545.1
GTEX-1192X-2526-SM-59868 50-59 years, male 538.0
GTEX-Y3I4-1326-SM-4TT8Z 50-59 years, male 536.6
GTEX-111CU-1326-SM-5NQ8L 50-59 years, male 523.8
GTEX-1RAZA-1826-SM-DTXA2 20-29 years, male 520.6
GTEX-1BAJH-2526-SM-7IGOT 70-79 years, male 510.5
GTEX-1S82Z-1826-SM-E9TIK 30-39 years, female 498.6
GTEX-1MUQO-2426-SM-EAZ5A 60-69 years, male 488.9
GTEX-1JMQK-2426-SM-CXZJU 60-69 years, male 485.1
GTEX-1R9PM-1626-SM-DPRY9 20-29 years, male 483.2
GTEX-1R7EV-1226-SM-DTX82 40-49 years, male 480.3
GTEX-Y5LM-1626-SM-4VDTB 40-49 years, female 456.2
GTEX-WYJK-1526-SM-4ONCW 50-59 years, male 437.5
GTEX-1EMGI-2826-SM-7IGMR 60-69 years, male 436.9
GTEX-ZQUD-0926-SM-57WE3 30-39 years, male 436.3
GTEX-14C39-1826-SM-5ZZW4 40-49 years, male 433.8
GTEX-1497J-1926-SM-5TDCC 60-69 years, male 428.2
GTEX-1I1GT-1826-SM-ARZLW 60-69 years, female 418.9
GTEX-ZTPG-2626-SM-57WFX 20-29 years, female 410.9
GTEX-13111-1426-SM-5DUW3 50-59 years, male 410.5
GTEX-1MGNQ-2326-SM-EV7BG 40-49 years, male 407.0
GTEX-ZVT2-2126-SM-5NQ93 50-59 years, female 405.9
GTEX-17MFQ-1026-SM-7KFSZ 20-29 years, male 396.5
GTEX-13O21-1026-SM-5IJDU 50-59 years, male 387.8
GTEX-11LCK-1926-SM-5A5KE 30-39 years, male 381.5
GTEX-1LH75-1926-SM-DIPGD 50-59 years, female 350.5
GTEX-1QP28-1726-SM-E6CRK 50-59 years, female 349.6
GTEX-WFG8-1626-SM-4LVMB 20-29 years, male 345.7
GTEX-1OJC3-1626-SM-E9U65 20-29 years, male 341.6
GTEX-Y114-1426-SM-4TT6W 50-59 years, female 331.0
GTEX-XXEK-1026-SM-4BRUW 50-59 years, male 328.8
GTEX-Y3IK-1726-SM-4YCCR 50-59 years, female 328.1
GTEX-1S5ZA-1326-SM-EV7BB 20-29 years, male 320.7
GTEX-1C475-1426-SM-793CH 40-49 years, female 316.8
GTEX-ZC5H-2326-SM-4WAYT 40-49 years, female 316.2
GTEX-ZF29-1626-SM-4WKFJ 60-69 years, female 299.9
GTEX-18QFQ-1626-SM-72D7H 30-39 years, male 298.6
GTEX-1IKOE-1926-SM-ARU7V 30-39 years, female 278.4
GTEX-139YR-2226-SM-5IFFW 50-59 years, male 276.1
GTEX-148VJ-2226-SM-5NQ9M 70-79 years, male 272.3
GTEX-XBED-1426-SM-4AT4G 60-69 years, male 268.8
GTEX-ZQG8-2526-SM-57WEQ 60-69 years, female 265.7
GTEX-1RAZQ-2226-SM-DPRZR 30-39 years, male 263.1
GTEX-1PIEJ-1526-SM-E6CP8 20-29 years, female 260.6
GTEX-ZP4G-1626-SM-57WGD 20-29 years, female 259.1
GTEX-145ME-0926-SM-5O9AR 40-49 years, female 259.0
GTEX-1PDJ9-1826-SM-E9U66 20-29 years, male 257.4
GTEX-13QBU-1926-SM-5IJEW 40-49 years, female 254.3
GTEX-12WSK-1526-SM-5CVNO 40-49 years, female 254.1
GTEX-1CB4F-1826-SM-7MGXI 60-69 years, male 254.0
GTEX-WEY5-1526-SM-4LMJF 40-49 years, female 253.5
GTEX-XUZC-1426-SM-4BRV3 30-39 years, female 249.0
GTEX-1NSGN-2126-SM-DPRYN 50-59 years, male 232.6
GTEX-WFG7-1726-SM-4LVME 20-29 years, male 229.0
GTEX-VUSG-1726-SM-4KKZL 50-59 years, male 221.4
GTEX-13RTK-0826-SM-5Q5C6 20-29 years, male 221.0
GTEX-YEC4-1726-SM-4W21E 40-49 years, male 214.1
GTEX-11XUK-1426-SM-5EQMG 40-49 years, female 213.4
GTEX-16A39-1426-SM-6LLI6 30-39 years, female 208.9
GTEX-14PKU-1626-SM-6871C 40-49 years, female 206.6
GTEX-1GMR2-1026-SM-7MKHJ 50-59 years, male 205.6
GTEX-1LBAC-1526-SM-CXZKU 20-29 years, male 204.3
GTEX-13113-1226-SM-5EGHT 60-69 years, female 203.5
GTEX-XPVG-1726-SM-4B65W 50-59 years, male 203.1
GTEX-1HSMQ-2226-SM-C1YRD 50-59 years, male 199.6
GTEX-13W3W-2026-SM-5K7UL 60-69 years, female 198.9
GTEX-1F75I-2526-SM-9WPOZ 40-49 years, male 196.4
GTEX-1JK1U-1226-SM-CNNPN 60-69 years, male 195.8
GTEX-16AAH-1426-SM-7KFTR 50-59 years, male 188.0
GTEX-1LGOU-1426-SM-D3L8N 20-29 years, female 186.5
GTEX-X15G-1426-SM-4PQZK 50-59 years, female 186.4
GTEX-ZTSS-0926-SM-59865 40-49 years, male 181.8
GTEX-1GL5R-2026-SM-7MKHP 50-59 years, male 180.4
GTEX-1AX8Z-2526-SM-731E3 60-69 years, male 173.3
GTEX-WY7C-1826-SM-4ONCE 50-59 years, male 171.3
GTEX-1CAMS-2426-SM-7DHMV 40-49 years, female 170.6
GTEX-14PJN-0826-SM-686ZL 30-39 years, male 166.1
GTEX-ZTX8-0526-SM-59HLD 20-29 years, male 163.2
GTEX-11TUW-1926-SM-5BC58 60-69 years, male 162.7
GTEX-144GM-1026-SM-79OKU 20-29 years, male 162.1
GTEX-1H1DE-1426-SM-9JGHV 20-29 years, male 156.7
GTEX-183FY-1626-SM-793D8 20-29 years, male 153.1
GTEX-WRHK-1026-SM-4MVOD 20-29 years, female 150.3
GTEX-14PK6-1626-SM-6871I 70-79 years, female 149.2
GTEX-13FH7-1226-SM-5IJFK 50-59 years, female 144.6
GTEX-11P82-0826-SM-5P9GU 20-29 years, male 142.9
GTEX-1JJE9-2226-SM-CXZJM 70-79 years, male 142.9
GTEX-1QPFJ-2626-SM-DPRZU 30-39 years, female 141.7
GTEX-ZLV1-1126-SM-4WWBW 60-69 years, female 139.2
GTEX-1H11D-2526-SM-9JGGU 40-49 years, male 138.8
GTEX-1J8Q3-2526-SM-CNNQ4 60-69 years, male 137.1
GTEX-14PKV-2026-SM-6AJ9A 20-29 years, female 137.0
GTEX-11DXZ-1326-SM-5H11X 50-59 years, male 136.2
GTEX-ZEX8-1826-SM-57WBH 50-59 years, male 134.9
GTEX-WQUQ-2426-SM-4MVNW 60-69 years, male 134.0
GTEX-16MTA-1526-SM-6LPJB 50-59 years, male 133.5
GTEX-17HHE-1726-SM-79OKT 50-59 years, male 132.8
GTEX-131XG-1726-SM-5LZUR 50-59 years, female 132.3
GTEX-13FTW-2026-SM-5IJE2 40-49 years, male 127.7
GTEX-1J8QM-1026-SM-C1YQA 60-69 years, female 127.3
GTEX-139T6-1026-SM-5IJGC 50-59 years, male 125.7
GTEX-131XE-0926-SM-5HL7J 50-59 years, male 123.8
GTEX-ZA64-1226-SM-5HL7B 20-29 years, male 123.2
GTEX-11NSD-1726-SM-5N9C3 20-29 years, male 122.1
GTEX-14DAR-1426-SM-5RQIR 50-59 years, male 121.8
GTEX-1122O-1326-SM-5H11F 60-69 years, female 118.6
GTEX-WHSB-1026-SM-4M1XN 50-59 years, male 117.9
GTEX-13X6H-1826-SM-7EWCZ 50-59 years, female 117.1
GTEX-1KXAM-2026-SM-DHXKI 60-69 years, male 113.3
GTEX-13PL7-2626-SM-5IFH4 60-69 years, female 112.7
GTEX-ZLFU-1526-SM-4WWBT 40-49 years, male 111.2
GTEX-18A66-2526-SM-7KFTZ 60-69 years, male 109.7
GTEX-ZG7Y-1926-SM-DNZZ5 50-59 years, male 109.2
GTEX-145LT-1026-SM-5LU9O 40-49 years, male 105.8
GTEX-ZPCL-1726-SM-57WEO 60-69 years, female 105.4
GTEX-XAJ8-0526-SM-47JYK 40-49 years, male 104.5
GTEX-ZXES-1526-SM-5NQ95 30-39 years, female 104.5
GTEX-ZYFG-2026-SM-5E43Y 60-69 years, female 102.1
GTEX-12BJ1-1926-SM-5HL9Z 60-69 years, male 101.8
GTEX-XGQ4-1326-SM-4GIDU 50-59 years, male 101.0
GTEX-WH7G-1626-SM-4LVMY 40-49 years, male 100.4
GTEX-13O61-1326-SM-5KM31 60-69 years, male 99.7
GTEX-14PN3-2026-SM-68729 60-69 years, female 97.5
GTEX-WFJO-0926-SM-4LVM2 30-39 years, male 96.9
GTEX-ZDTT-1726-SM-5HL69 60-69 years, male 95.3
GTEX-ZLWG-1626-SM-DNZZ1 50-59 years, female 92.5
GTEX-1L5NE-1826-SM-EV79T 50-59 years, male 91.9
GTEX-13D11-0726-SM-5LZZB 50-59 years, female 86.9
GTEX-15DZA-0826-SM-6AJBF 30-39 years, female 84.4
GTEX-ZVP2-1726-SM-5GU5P 50-59 years, male 84.2
GTEX-1JN76-1126-SM-C1YRL 20-29 years, female 82.8
GTEX-11EQ9-1326-SM-5985X 30-39 years, male 80.5
GTEX-YB5E-1526-SM-5IFIE 40-49 years, male 80.3
GTEX-11P7K-1626-SM-5GU63 30-39 years, male 80.2
GTEX-1K9T9-2726-SM-D4P3E 50-59 years, female 79.0
GTEX-1399U-2126-SM-5IFEZ 50-59 years, female 78.4
GTEX-ZZ64-0526-SM-5GZXM 20-29 years, male 74.2
GTEX-VJYA-0926-SM-4KL1N 60-69 years, male 72.5
GTEX-16NGA-1126-SM-7KFSY 40-49 years, female 72.2
GTEX-1QP2A-2426-SM-EXOJA 50-59 years, male 68.3
GTEX-1399S-2026-SM-5KM4B 30-39 years, female 67.9
GTEX-11I78-1126-SM-5A5K5 50-59 years, female 65.5
GTEX-131XF-1326-SM-5GCMQ 60-69 years, male 63.2
GTEX-YFCO-1326-SM-664NV 40-49 years, male 63.2
GTEX-UPK5-2026-SM-4JBIM 40-49 years, male 62.0
GTEX-Z9EW-0926-SM-5CVMM 40-49 years, male 61.6
GTEX-1CAMR-0826-SM-7MKFK 20-29 years, male 61.1
GTEX-14XAO-1926-SM-6ETZO 60-69 years, female 59.0
GTEX-X5EB-1626-SM-4E3IV 40-49 years, male 57.5
GTEX-ZVZP-1826-SM-5GZXB 50-59 years, male 54.9
GTEX-Y9LG-1626-SM-5IFHM 30-39 years, male 54.2
GTEX-1399R-2026-SM-5K7WN 30-39 years, male 53.1
GTEX-1AMFI-1926-SM-731F2 50-59 years, female 52.8
GTEX-14E6E-1626-SM-5RQI7 30-39 years, male 49.1
GTEX-15G1A-1726-SM-6LPI4 30-39 years, male 49.1
GTEX-11VI4-1626-SM-5EQKO 40-49 years, female 47.5
GTEX-11DXX-1626-SM-5H11H 60-69 years, female 47.1
GTEX-YF7O-1826-SM-5IFIU 50-59 years, male 42.4
GTEX-14BMU-1426-SM-5TDE5 20-29 years, female 41.8
GTEX-13CF3-1226-SM-5LZXN 60-69 years, female 38.0
GTEX-14PJ6-1726-SM-6AJBN 60-69 years, female 32.7
GTEX-1B8KE-1726-SM-7IGMN 50-59 years, male 18.4
GTEX-111YS-1426-SM-5GID8 60-69 years, male 16.9
GTEX-133LE-1426-SM-5IFH1 20-29 years, female 12.0
Show allShow less

SMALL INTESTINE - FANTOM5 CAGEi

RNA expression in human tissues obtained through Cap Analysis of Gene Expression (CAGE) generated by the FANTOM5 project are reported as Scaled Tags Per Million.

Max subtype Scaled Tags Per Millioni

Max subtype Scaled Tags Per Million is the value for the subtype with the largest average Scaled Tags Per Million across the subtype samples.

377.1
FANTOM5 sample id Sample description Scaled Tags Per Million
Small intestine
Scaled Tags Per Million: 377.1
FF:10024-101D6 15,40,85 years, mixed 377.1

Contact

  • NEWS ARTICLES
  • PRESS ROOM

The Project

  • INTRODUCTION
  • ORGANIZATION
  • PUBLICATIONS

The Human Protein Atlas

  • DOWNLOADABLE DATA
  • LICENCE & CITATION
  • HELP & FAQ
The Human Protein Atlas project is funded
by the Knut & Alice Wallenberg Foundation.


contact@proteinatlas.org