We use cookies to enhance the usability of our website. If you continue, we'll assume that you are happy to receive all cookies. More information. Don't show this again.
LTF
HPA
RESOURCES
  • TISSUE
  • BRAIN
  • SINGLE CELL
  • SUBCELLULAR
  • CANCER
  • BLOOD
  • CELL LINE
  • STRUCTURE & INTERACTION
ABOUT
  • INTRODUCTION
  • HISTORY
  • ORGANIZATION
  • PUBLICATIONS
  • ANTIBODY SUBMISSION
  • ANTIBODY AVAILABILITY
  • ACKNOWLEDGMENTS
  • CONTACT
NEWS
  • NEWS ARTICLES
  • PRESS ROOM
LEARN
  • DICTIONARY
  • PROTEIN CLASSES
  • PROTEIN EVIDENCE
  • METHODS
  • EDUCATIONAL VIDEOS
DATA
  • DOWNLOADABLE DATA
  • PUBLICATION DATA
  • RELEASE HISTORY
HELP
  • ANTIBODY VALIDATION
  • ASSAYS & ANNOTATION
  • DISCLAIMER
  • HELP & FAQ
  • PRIVACY STATEMENT
  • LICENCE & CITATION
Fields »
Search result

Field
Term
Gene name
Class
Subclass
Class
Keyword
Chromosome
External id
Tissue
Cell type
Expression
Antibody panel
Tissue
Main location
Patient ID
Annotation
Tissue
Category
Tau score
Cluster
Reliability
Brain region
Category
Tau score
Brain region
Category
Tau score
Brain region
Category
Tau score
Cluster
Reliability
Tissue
Cell type
Enrichment
Cell type
Category
Tau score
Cell type
Category
Tau score
Cell type
Category
Tau score
Cell lineage
Category
Tau score
Cluster
Cluster
Location
Searches
Location
Cell line
Class
Type
Phase
Reliability
Cancer
Prognosis
Cancer
Category
Cancer
Category
Tau score
Cluster
Variants
Interacting gene (ensg_id)
Type
Number of interactions
Pathway
Category
Score
Score
Score
Validation
Validation
Validation
Validation
Antibodies
Data type
Column


  • SUMMARY

  • TISSUE

  • BRAIN

  • SINGLE CELL

  • SUBCELL

  • CANCER

  • BLOOD

  • CELL LINE

  • STRUCT & INT

  • LTF
TISSUE PRIMARY DATA BREAST Show tissue menu
ADIPOSE TISSUE ADRENAL GLAND AMYGDALA APPENDIX BASAL GANGLIA BONE MARROW BREAST BRONCHUS CEREBELLUM CEREBRAL CORTEX CERVIX CHOROID PLEXUS COLON DUODENUM
ENDOMETRIUM EPIDIDYMIS ESOPHAGUS FALLOPIAN TUBE GALLBLADDER HEART MUSCLE HIPPOCAMPAL FORMATION HYPOTHALAMUS KIDNEY LACTATING BREAST LIVER LUNG LYMPH NODE MIDBRAIN
NASOPHARYNX ORAL MUCOSA OVARY PANCREAS PARATHYROID GLAND PITUITARY GLAND PLACENTA PROSTATE RECTUM RETINA SALIVARY GLAND SEMINAL VESICLE SKELETAL MUSCLE SKIN
SMALL INTESTINE SMOOTH MUSCLE SOFT TISSUE SPINAL CORD SPLEEN STOMACH TESTIS THYMUS THYROID GLAND TONGUE TONSIL URINARY BLADDER VAGINA
ANTIBODIES
AND
VALIDATION
Dictionary
Breast
Tissue proteome
Breast
BREAST - Expression summary
Protein expression
Breasti

On the top, protein expression in current human tissue, based on all annotated cell types, is reported with the units not detected (n), low (l), medium (m) and high (h). Underneath, protein expression in each annotated cell type are reported using the same units.

Protein expression data is based on knowledge-based annotation. For genes where more than one antibody has been used, a collective score is set.

If knowledge-based annotation could not be performed for a gene, no data is displayed here. View antibody staining data further down this page.

h
m
l
n
Adipocytes: Not detected
Glandular cells: Not detected
Myoepithelial cells: Not detected
Protein expression
Lactating breasti

On the top, protein expression in current human tissue, based on all annotated cell types, is reported with the units not detected (n), low (l), medium (m) and high (h). Underneath, protein expression in each annotated cell type are reported using the same units.

Protein expression data is based on knowledge-based annotation. For genes where more than one antibody has been used, a collective score is set.

If knowledge-based annotation could not be performed for a gene, no data is displayed here. View antibody staining data further down this page.

h
m
l
n
Lactating glandular cells: Medium
RNA expressioni

A summary of mRNA expression data available for current tissue based on several datasets. The mRNA expression levels in human tissues are based on RNA-seq data generated by the Human Protein Atlas (HPA), Genotype-Tissue Expression (GTEx) portal and CAGE data generated by the FANTOM5 consortium. Consensus normalized expression levels for human tissues was created by combining the data from HPA and GTEx datasets.

The mRNA expression levels in pig are based on RNA-seq data generated by the Human Protein Atlas (HPA), and for mouse, HPA data and in situ hybridization generated by the Allen brain atlas are reported.

Scroll down to view mRNA expression data in more detail.
Consensus:322.0 nTPM
HPA:322.0 nTPM
GTEx:162.0 nTPM
FANTOM5:111.4 Scaled Tags Per Million

LACTATING BREAST - Extended tissue profilei

For selected proteins extended tissue profiling is performed in addition to standard tissue microarrays. The section below contains results from the extended profiling.

, antibody CAB008646
Lactating glandular cells Medium

LACTATING BREAST - Extended tissue profilei

For selected proteins extended tissue profiling is performed in addition to standard tissue microarrays. The section below contains results from the extended profiling.

, antibody CAB016201
Ductal cells Not detected
Lactating glandular cells Low

LACTATING BREAST - Extended tissue profilei

For selected proteins extended tissue profiling is performed in addition to standard tissue microarrays. The section below contains results from the extended profiling.

, antibody HPA057177
Ductal cells Not detected
Lactating glandular cells Not detected

LACTATING BREAST - Extended tissue profilei

For selected proteins extended tissue profiling is performed in addition to standard tissue microarrays. The section below contains results from the extended profiling.

, antibody HPA059976
Ductal cells Not detected
Lactating glandular cells Medium

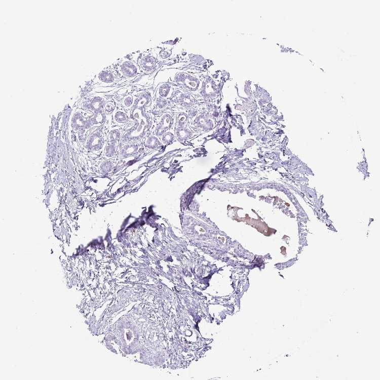
BREAST - Antibody stainingi

Antibody staining in the annotated cell types in the current human tissue is reported as not detected, low, medium, or high, based on conventional immunohistochemistry profiling in selected tissues. This score is based on the combination of the staining intensity and fraction of stained cells.

Each image is clickable and will lead to virtual microscopy that enables deeper exploration of all samples and also displays staining intensity scores, fraction scores and subcellular localization as well as patient and tissue information for each sample.

Antibody HPA057177Antibody HPA059976Antibody CAB008646Antibody CAB016201
Adipocytes Not detectedNot detectedNot detectedNot detected
Glandular cells Not detectedNot detectedNot detectedNot detected
Myoepithelial cells Not detectedNot detectedNot detectedNot detected








BREAST - HPA RNA-seqi

The RNA-seq details section shows detailed information about the individual samples used for the transcript profiling and results of the RNA-seq analysis.

Information about each individual sample is listed below, including gender, age, a tissue section image and estimated fractions of cell types. nTPM (normalized transcripts per million) values give a quantification of the gene abundance which is comparable between different genes and samples.
Average nTPMi

Max subtype nTPM is the value for the subtype with the largest average nTPM across the subtype samples.

322.0
overview
Female, age 52
Breast sample 373
nTPM: 169.2
Cell types%
Glandular cells:
15

Adipocytes:
5

Other cell types:
80

overview
Female, age 80
Breast sample 390
nTPM: 17.2
Cell types%
Glandular cells:
5

Adipocytes:
15

Other cell types:
80

overview
Female, age 47
Breast sample 405
nTPM: 71.4
Cell types%
Glandular cells:
5

Adipocytes:
5

Other cell types:
90

overview
Female, age 38
Breast sample 410
nTPM: 1030.4
Cell types%
Glandular cells:
40

Adipocytes:
5

Other cell types:
55


BREAST - GTEx RNA-seqi

RNA-Seq data generated by the Genotype-Tissue Expression (GTEx) project from human tissues is reported as mean nTPM. More information can be found on the GTEx portal.

Distribution across the dataset is visualized with box plots, shown as median and 25th and 75th percentiles. Points are displayed as outliers if they are above or below 1.5 times the interquartile range. nTPM values of the individual samples are presented next to the box plot.
Max subtype nTPMi

Max subtype nTPM is the value for the subtype with the largest average nTPM across the subtype samples.

162.0
GTEx sample id Sample description nTPM
Breast - Mammary Tissue
Average nTPM: 162.0
Samples: 459

Max nTPM: 12401.1
Min nTPM: 0.3
Std nTPM: 667.8
Median nTPM: 29.0
GTEX-1NUQO-2226-SM-E9U68 20-29 years, female 12401.1
GTEX-XUZC-1626-SM-4BRVP 30-39 years, female 6089.3
GTEX-1HBPN-2326-SM-9WPPU 50-59 years, male 1833.1
GTEX-RU1J-0626-SM-4WAWY 20-29 years, female 1182.6
GTEX-ZAJG-0626-SM-5HL8X 50-59 years, female 1173.6
GTEX-1B932-0826-SM-73KXG 40-49 years, female 1165.6
GTEX-14PHY-1926-SM-5YY95 60-69 years, female 1089.9
GTEX-Y5LM-1726-SM-4VDSX 40-49 years, female 976.0
GTEX-ZGAY-1726-SM-DO91P 40-49 years, female 880.1
GTEX-1QPFJ-2026-SM-EVYBE 30-39 years, female 848.7
GTEX-XUW1-2326-SM-4BOO5 50-59 years, female 736.1
GTEX-15UF6-0126-SM-6PAMB 70-79 years, female 722.2
GTEX-1IKOE-1326-SM-CE6T6 30-39 years, female 683.0
GTEX-ZVE2-1226-SM-5NQ8R 50-59 years, male 632.9
GTEX-14H4A-2526-SM-5YYAY 40-49 years, female 620.5
GTEX-TMMY-0726-SM-33HBE 40-49 years, female 611.0
GTEX-ZZPU-0626-SM-5E43T 50-59 years, female 585.5
GTEX-1I1GT-1126-SM-ARL7J 60-69 years, female 578.6
GTEX-Y3IK-2326-SM-4WWDT 50-59 years, female 575.0
GTEX-13NZ9-1026-SM-5MR5K 50-59 years, male 574.1
GTEX-1399U-1826-SM-5PNZ1 50-59 years, female 560.1
GTEX-ZC5H-2626-SM-5J2MG 40-49 years, female 551.6
GTEX-1269C-2426-SM-5FQSN 60-69 years, female 550.0
GTEX-18A7A-0726-SM-7LTAI 50-59 years, female 539.6
GTEX-1MCC2-2126-SM-EWRON 30-39 years, female 492.9
GTEX-1GZHY-0726-SM-9WG6B 50-59 years, female 489.4
GTEX-SE5C-2126-SM-4BRUJ 40-49 years, female 480.5
GTEX-11PRG-0826-SM-5EQ6A 50-59 years, male 474.5
GTEX-1CB4J-1826-SM-7EWF9 60-69 years, male 468.2
GTEX-14LLW-0626-SM-62LFC 70-79 years, female 464.7
GTEX-13O3O-0826-SM-5K7WE 60-69 years, female 453.6
GTEX-1MA7W-1026-SM-DKPQK 20-29 years, female 443.0
GTEX-1M5QR-2526-SM-E9U5P 40-49 years, male 437.9
GTEX-1HC8U-0826-SM-ADEIL 40-49 years, female 430.6
GTEX-1F5PL-1026-SM-7RHI1 40-49 years, female 409.8
GTEX-S4P3-1326-SM-4AD6V 50-59 years, female 404.1
GTEX-1GMR8-0726-SM-9KNVI 50-59 years, female 401.5
GTEX-13O3P-0826-SM-5L3DH 50-59 years, male 401.2
GTEX-R3RS-0626-SM-48FE1 40-49 years, female 399.4
GTEX-WYBS-0926-SM-3NM94 60-69 years, female 399.0
GTEX-11EM3-1326-SM-5N9C6 20-29 years, female 394.2
GTEX-1CAMS-1426-SM-7IGPM 40-49 years, female 384.0
GTEX-1IDJE-0826-SM-CKZNZ 50-59 years, female 376.9
GTEX-1POEN-0926-SM-DTX88 30-39 years, female 376.5
GTEX-15FZZ-0726-SM-7KUFZ 30-39 years, female 373.7
GTEX-16NGA-0826-SM-718AF 40-49 years, female 370.2
GTEX-1GF9X-1026-SM-ACKX2 40-49 years, female 365.0
GTEX-1HCUA-0726-SM-ACKVU 50-59 years, female 355.1
GTEX-1QEPI-0926-SM-DTXF3 60-69 years, female 348.3
GTEX-ZF3C-2326-SM-5S2NC 50-59 years, female 345.4
GTEX-13W3W-1226-SM-5LU4H 60-69 years, female 340.3
GTEX-11GSP-0926-SM-9WYSG 60-69 years, female 327.5
GTEX-T2IS-1526-SM-32QPR 20-29 years, female 325.4
GTEX-11TT1-2126-SM-5GU5Y 20-29 years, male 325.3
GTEX-17F98-0526-SM-79OK5 40-49 years, female 318.1
GTEX-16BQI-1026-SM-7KUEA 30-39 years, female 317.9
GTEX-1GN1U-0526-SM-9KNTT 50-59 years, female 317.3
GTEX-14AS3-1626-SM-5S2OY 40-49 years, female 314.6
GTEX-13PVR-2226-SM-7DHKP 60-69 years, female 307.7
GTEX-17HHE-1426-SM-7EPH4 50-59 years, male 303.1
GTEX-1R46S-2526-SM-E8VN2 60-69 years, female 302.5
GTEX-QDT8-0626-SM-48TYW 30-39 years, female 300.4
GTEX-XBED-1626-SM-47JYN 60-69 years, male 292.3
GTEX-Y114-2026-SM-4TT7L 50-59 years, female 287.8
GTEX-18QFQ-0826-SM-718AX 30-39 years, male 285.6
GTEX-13QIC-2326-SM-5LU5N 60-69 years, female 285.2
GTEX-1GN1W-1926-SM-7P8TH 50-59 years, female 285.1
GTEX-ZY6K-1626-SM-5GZWV 50-59 years, male 282.9
GTEX-1IKOH-2326-SM-CM2TW 60-69 years, female 282.2
GTEX-133LE-1726-SM-5K7VQ 20-29 years, female 272.0
GTEX-1P4AB-1826-SM-E76PU 50-59 years, male 269.7
GTEX-X4EP-2926-SM-3P5YQ 60-69 years, female 269.0
GTEX-WI4N-1426-SM-3LK7H 40-49 years, female 266.6
GTEX-1192X-2326-SM-5987X 50-59 years, male 262.4
GTEX-1R9PN-0326-SM-DTX85 40-49 years, female 251.9
GTEX-13PL6-2926-SM-5L3I2 40-49 years, female 246.6
GTEX-T6MO-0326-SM-32QOK 40-49 years, female 244.3
GTEX-1J8QM-2026-SM-ARZMW 60-69 years, female 240.9
GTEX-T5JW-2026-SM-4DM63 20-29 years, female 238.9
GTEX-XOT4-0726-SM-4GIAW 60-69 years, female 238.7
GTEX-13FHO-0826-SM-5L3E8 60-69 years, male 236.2
GTEX-ZF2S-2026-SM-5E461 50-59 years, female 235.3
GTEX-15ETS-0626-SM-7KUMX 40-49 years, female 234.3
GTEX-1S82U-1126-SM-E9U6I 30-39 years, female 229.3
GTEX-1AX8Z-0926-SM-731AW 60-69 years, male 225.9
GTEX-131XW-0726-SM-5EGK3 50-59 years, female 223.8
GTEX-1H1CY-2226-SM-9WG7E 60-69 years, female 222.6
GTEX-14A5I-0726-SM-5TDEB 50-59 years, female 220.9
GTEX-ZF29-1926-SM-5S2P1 60-69 years, female 220.6
GTEX-1B97J-0426-SM-79OLQ 50-59 years, female 219.6
GTEX-ZVT2-1826-SM-5NQ8W 50-59 years, female 218.2
GTEX-131YS-0626-SM-5EGKL 60-69 years, female 217.9
GTEX-ZXES-0826-SM-5E43C 30-39 years, female 217.7
GTEX-11EI6-0626-SM-5985T 60-69 years, male 215.8
GTEX-14PKU-0426-SM-6EU1P 40-49 years, female 215.7
GTEX-14BMU-1626-SM-5TDE7 20-29 years, female 213.5
GTEX-TML8-1226-SM-32QON 40-49 years, female 213.0
GTEX-ZAK1-1326-SM-EVYAS 50-59 years, female 210.2
GTEX-1RAZS-1226-SM-E8VMT 50-59 years, male 201.5
GTEX-13SLX-2326-SM-5ZZWE 50-59 years, female 200.4
GTEX-1GN2E-2226-SM-9WG6J 60-69 years, male 200.3
GTEX-1GZ4H-0326-SM-7P8QX 50-59 years, female 199.9
GTEX-UJHI-1426-SM-3DB9C 50-59 years, female 194.8
GTEX-17JCI-0726-SM-7EPH1 60-69 years, female 193.3
GTEX-1IE54-0626-SM-ARL8D 40-49 years, female 192.8
GTEX-13D11-1026-SM-5IJFB 50-59 years, female 192.3
GTEX-ZLV1-1426-SM-DO92Z 60-69 years, female 190.9
GTEX-17EUY-1926-SM-7DUF6 20-29 years, male 187.2
GTEX-1J8EW-2626-SM-CL53E 60-69 years, female 186.9
GTEX-13NZ8-0126-SM-5IJCT 60-69 years, female 186.4
GTEX-XMD2-0926-SM-4WWEF 60-69 years, female 185.9
GTEX-1HKZK-1826-SM-ADEJ2 40-49 years, male 183.7
GTEX-VJWN-0726-SM-3GIJ8 50-59 years, female 182.9
GTEX-11EMC-2026-SM-5A5JV 60-69 years, female 178.4
GTEX-Q2AG-0326-SM-48U1O 40-49 years, female 177.5
GTEX-U3ZN-1926-SM-4DXSG 30-39 years, female 177.5
GTEX-1MCYP-0126-SM-E6CIS 20-29 years, female 175.8
GTEX-1LVAN-1326-SM-CNPQE 50-59 years, female 174.2
GTEX-14ICK-2426-SM-6EU27 40-49 years, male 174.1
GTEX-1F6I4-2526-SM-7SB8F 60-69 years, male 167.6
GTEX-132Q8-1426-SM-5EGK7 60-69 years, male 165.3
GTEX-T5JC-2126-SM-32PMO 20-29 years, male 163.9
GTEX-1RQEC-2026-SM-DTXDM 60-69 years, male 162.6
GTEX-11P81-1926-SM-5BC53 30-39 years, female 156.1
GTEX-15EOM-5019-SM-793DK 20-29 years, female 155.2
GTEX-15ER7-1626-SM-6PAMZ 20-29 years, female 144.8
GTEX-1CB4G-2326-SM-79OOI 60-69 years, male 144.3
GTEX-1QP28-1226-SM-E9J2M 50-59 years, female 143.4
GTEX-S4UY-0726-SM-4AD6X 40-49 years, female 142.7
GTEX-1LNCM-0226-SM-DIPF4 50-59 years, female 140.5
GTEX-11WQC-1726-SM-5GU4W 60-69 years, male 140.0
GTEX-X15G-1626-SM-3NMB3 50-59 years, female 137.5
GTEX-1HSGN-1526-SM-A9SMO 40-49 years, female 132.2
GTEX-14PN4-0626-SM-62LFP 50-59 years, male 132.0
GTEX-1I6K7-1026-SM-A9SLK 40-49 years, male 131.2
GTEX-RU72-0626-SM-46MUI 50-59 years, female 130.8
GTEX-13FTY-2226-SM-5J1ND 40-49 years, female 129.5
GTEX-1GMR2-1926-SM-9MQLZ 50-59 years, male 124.4
GTEX-ZPIC-1126-SM-5BC7F 40-49 years, female 123.6
GTEX-12ZZX-1126-SM-5EGKB 40-49 years, female 122.6
GTEX-139T8-0826-SM-5L3DE 60-69 years, male 119.0
GTEX-ZVTK-0326-SM-51MRR 20-29 years, male 117.1
GTEX-WRHU-0326-SM-3MJFY 50-59 years, female 115.8
GTEX-ZVZQ-0826-SM-51MRF 60-69 years, female 114.8
GTEX-XYKS-1326-SM-4BRUN 60-69 years, female 113.7
GTEX-17HG3-0126-SM-7IGNH 30-39 years, female 111.7
GTEX-ZQUD-1926-SM-51MSA 30-39 years, male 110.4
GTEX-1LGRB-1826-SM-CNPQL 50-59 years, female 109.4
GTEX-1F75I-2026-SM-7SB7N 40-49 years, male 105.2
GTEX-Y5V5-2126-SM-4WWFO 60-69 years, female 104.4
GTEX-1B933-2526-SM-7IGO5 50-59 years, female 103.7
GTEX-1211K-1926-SM-5EQLB 60-69 years, female 102.6
GTEX-1GMR3-2626-SM-7RHHG 40-49 years, male 100.1
GTEX-1I4MK-1626-SM-CM2TJ 50-59 years, female 100.0
GTEX-1IY9M-2726-SM-CMKG5 60-69 years, male 95.6
GTEX-1R7EU-1226-SM-E8VMR 60-69 years, male 94.1
GTEX-UPK5-2326-SM-3P5Z8 40-49 years, male 92.6
GTEX-1GMRU-0826-SM-9WYT7 50-59 years, male 92.1
GTEX-1B8SG-1226-SM-7IGPF 50-59 years, male 91.1
GTEX-11P7K-0726-SM-5EGKX 30-39 years, male 90.5
GTEX-X4XY-0926-SM-4E3JD 60-69 years, male 88.8
GTEX-1JJE9-2326-SM-ARL8Q 70-79 years, male 88.7
GTEX-1QCLZ-2326-SM-DTXDO 60-69 years, female 88.6
GTEX-146FH-0826-SM-5SI8T 50-59 years, female 88.0
GTEX-RWS6-1926-SM-47JXY 60-69 years, female 85.1
GTEX-1K9T9-1426-SM-DIPFQ 50-59 years, female 85.1
GTEX-ZTTD-1026-SM-51MRD 50-59 years, male 84.1
GTEX-X261-0626-SM-3NMD9 50-59 years, male 83.9
GTEX-XMD1-0826-SM-4AT52 60-69 years, male 83.8
GTEX-13N11-1726-SM-5J1OJ 50-59 years, female 79.9
GTEX-145LT-0726-SM-5S2VM 40-49 years, male 79.2
GTEX-QEG5-0726-SM-D4P1T 20-29 years, male 76.3
GTEX-1H1E6-0926-SM-9YFLT 30-39 years, male 73.4
GTEX-1IKJJ-2326-SM-COH3U 60-69 years, male 73.0
GTEX-15SHW-1326-SM-6PAL8 60-69 years, male 71.2
GTEX-1B8KZ-1526-SM-7DUG7 50-59 years, male 68.9
GTEX-1122O-1226-SM-5H113 60-69 years, female 68.5
GTEX-13NZB-2126-SM-5MR4Y 30-39 years, male 68.0
GTEX-WYVS-1726-SM-3NMAY 40-49 years, female 67.7
GTEX-WXYG-2226-SM-4E3IM 50-59 years, female 67.1
GTEX-1K2DA-1726-SM-CGQGS 50-59 years, male 67.0
GTEX-ZV7C-1826-SM-5NQ83 50-59 years, male 65.6
GTEX-1HCU8-0126-SM-ADEHH 60-69 years, female 65.6
GTEX-YFC4-1426-SM-5IFJG 40-49 years, female 65.5
GTEX-12BJ1-1826-SM-5HL9N 60-69 years, male 65.2
GTEX-WFG8-2026-SM-EXOHO 20-29 years, male 65.0
GTEX-1HUB1-1626-SM-CM2SL 60-69 years, male 62.6
GTEX-1LVAM-0926-SM-E9TJ2 50-59 years, female 62.5
GTEX-13113-5013-SM-7SB7G 60-69 years, female 62.4
GTEX-11GS4-2126-SM-5A5KR 60-69 years, male 61.3
GTEX-1HBPM-0126-SM-ARL9E 60-69 years, female 61.1
GTEX-17HHY-0926-SM-793C1 50-59 years, male 59.3
GTEX-Y8LW-1626-SM-5IFHX 50-59 years, female 59.1
GTEX-S341-1526-SM-4AD6K 40-49 years, female 57.9
GTEX-1HCVE-2626-SM-ADEJ8 50-59 years, male 57.7
GTEX-U3ZH-1426-SM-4DXSR 30-39 years, male 57.6
GTEX-VUSG-2226-SM-4KKZO 50-59 years, male 57.5
GTEX-1C6VS-0726-SM-7EPHF 60-69 years, male 56.3
GTEX-1JMPY-0526-SM-CL54O 30-39 years, male 56.3
GTEX-R53T-1526-SM-48FEK 50-59 years, female 55.0
GTEX-QVJO-1826-SM-447C9 60-69 years, female 54.1
GTEX-W5X1-2326-SM-3GIL6 40-49 years, female 53.3
GTEX-13SLW-2526-SM-62LDQ 70-79 years, male 49.9
GTEX-13OW5-2226-SM-5L3HC 60-69 years, male 49.8
GTEX-111YS-1926-SM-5GICC 60-69 years, male 49.3
GTEX-139TU-0626-SM-5KM3X 60-69 years, male 48.9
GTEX-1JMOU-2026-SM-CMKGU 60-69 years, female 47.8
GTEX-1QP29-1726-SM-E8VMQ 50-59 years, male 47.6
GTEX-1KAFJ-0226-SM-DIPEL 50-59 years, male 46.4
GTEX-1ICG6-1326-SM-ACKWR 70-79 years, female 45.2
GTEX-11I78-2226-SM-5PNYA 50-59 years, female 45.0
GTEX-147F4-2826-SM-5NQBN 50-59 years, male 44.7
GTEX-ZVT4-1026-SM-57WC4 50-59 years, female 39.4
GTEX-XQ3S-1326-SM-4BOPQ 20-29 years, male 38.7
GTEX-1HR9M-2426-SM-ACKXI 60-69 years, male 38.3
GTEX-ZTX8-1226-SM-4YCE9 20-29 years, male 37.3
GTEX-14ABY-2126-SM-5QGQZ 50-59 years, male 37.1
GTEX-1JK1U-1826-SM-ARL8W 60-69 years, male 36.5
GTEX-1LSNM-1326-SM-E9TJ1 50-59 years, male 36.2
GTEX-1N2EE-2126-SM-E8VNN 60-69 years, male 35.1
GTEX-1H1DG-0526-SM-9YFLN 70-79 years, male 32.7
GTEX-1EWIQ-1726-SM-7SB7T 70-79 years, female 32.1
GTEX-1B97I-0426-SM-79OL7 40-49 years, male 31.9
GTEX-14E7W-0826-SM-62LEJ 70-79 years, male 31.6
GTEX-QEL4-2126-SM-447AE 50-59 years, male 30.5
GTEX-WYJK-1326-SM-3NB2T 50-59 years, male 30.1
GTEX-YB5K-1626-SM-5IFIN 40-49 years, female 29.3
GTEX-1LBAC-0926-SM-CXKY9 20-29 years, male 29.3
GTEX-ZT9W-2026-SM-51MRA 50-59 years, male 29.2
GTEX-Y111-2026-SM-4SOJA 50-59 years, male 29.0
GTEX-1CB4E-0226-SM-79OLW 60-69 years, male 28.1
GTEX-T6MN-0726-SM-32PML 50-59 years, male 27.4
GTEX-1GPI6-0626-SM-7RHHJ 60-69 years, male 26.8
GTEX-ZZ64-1226-SM-5E43R 20-29 years, male 26.0
GTEX-1J8Q3-1326-SM-CMKI1 60-69 years, male 26.0
GTEX-1R9JW-0326-SM-EAZ45 30-39 years, female 26.0
GTEX-1A8G7-2426-SM-731AK 60-69 years, male 25.8
GTEX-1GZ4I-2826-SM-9MQK5 50-59 years, male 25.7
GTEX-1MJK2-2226-SM-EVYCR 50-59 years, male 25.4
GTEX-Y8E4-1626-SM-5S2MW 40-49 years, male 25.3
GTEX-15G19-2126-SM-6M48J 60-69 years, male 24.5
GTEX-1117F-2826-SM-5GZXL 60-69 years, female 23.8
GTEX-1HCU9-0326-SM-9WYSC 20-29 years, male 23.6
GTEX-1KANA-2026-SM-DIPFB 20-29 years, male 23.4
GTEX-WOFL-0826-SM-3MJG1 60-69 years, male 23.0
GTEX-12WSN-1326-SM-5GCNT 40-49 years, male 22.4
GTEX-ZV6S-1826-SM-5NQ8D 40-49 years, female 22.4
GTEX-1R9PM-1826-SM-EVYBH 20-29 years, male 21.6
GTEX-132NY-0826-SM-5K7Y7 60-69 years, male 21.3
GTEX-ZEX8-2226-SM-57WC6 50-59 years, male 21.3
GTEX-1J8Q2-2726-SM-A9G2X 60-69 years, male 21.2
GTEX-1HSEH-2026-SM-ADEHN 60-69 years, male 20.9
GTEX-13CF2-2026-SM-5K7VI 60-69 years, male 20.8
GTEX-U412-1826-SM-4DXTJ 60-69 years, male 20.7
GTEX-1QP9N-1826-SM-E8VMP 30-39 years, male 20.7
GTEX-1F75A-1826-SM-7SB8G 50-59 years, male 20.2
GTEX-1JMQK-2626-SM-COH2W 60-69 years, male 19.8
GTEX-1JKYN-0726-SM-ARZMY 30-39 years, male 19.5
GTEX-1RAZQ-1226-SM-EWRNL 30-39 years, male 18.5
GTEX-183WM-0726-SM-7LTAA 70-79 years, female 18.1
GTEX-1F75B-0626-SM-7SB8A 50-59 years, male 18.1
GTEX-S33H-0326-SM-4AD6N 30-39 years, male 17.7
GTEX-17GQL-0326-SM-7LG5U 60-69 years, male 16.5
GTEX-17MF6-0326-SM-7EPH5 40-49 years, male 16.1
GTEX-14PJO-0726-SM-69LO8 60-69 years, male 15.7
GTEX-1CAMR-1426-SM-793BO 20-29 years, male 15.6
GTEX-1QCLY-1626-SM-DTXDW 30-39 years, male 15.3
GTEX-1GPI7-0926-SM-7PC3J 20-29 years, male 14.9
GTEX-T2YK-2226-SM-32QPT 50-59 years, male 14.7
GTEX-1E2YA-2726-SM-7IGPW 50-59 years, male 14.5
GTEX-TKQ1-0226-SM-33HB5 30-39 years, male 14.4
GTEX-13S86-1226-SM-5S2OA 40-49 years, male 14.2
GTEX-ZLWG-1926-SM-DO92J 50-59 years, female 14.2
GTEX-13O61-1826-SM-5KM4I 60-69 years, male 13.6
GTEX-1313W-0826-SM-5EQ4T 50-59 years, female 13.5
GTEX-16YQH-2826-SM-6PAMY 30-39 years, male 13.4
GTEX-17EVP-0226-SM-79OND 40-49 years, male 13.4
GTEX-1KANC-1426-SM-CYPT9 50-59 years, female 13.4
GTEX-1C475-1226-SM-7SB72 40-49 years, female 12.9
GTEX-1HFI7-0126-SM-CGQFQ 50-59 years, female 12.5
GTEX-1BAJH-0826-SM-7EWEF 70-79 years, male 12.3
GTEX-145MO-0826-SM-5NQBL 60-69 years, male 12.1
GTEX-ZU9S-1926-SM-5NQBP 30-39 years, male 11.4
GTEX-1HSKV-2026-SM-CMKGX 60-69 years, male 11.4
GTEX-1ICLY-1726-SM-B2LVT 50-59 years, male 11.3
GTEX-13N1W-0626-SM-5MR4U 70-79 years, male 11.0
GTEX-13VXU-2826-SM-664MA 50-59 years, male 11.0
GTEX-1B8L1-2426-SM-9WYTE 60-69 years, male 10.8
GTEX-1I19N-2826-SM-CL55D 70-79 years, male 10.8
GTEX-11LCK-2426-SM-5HL5F 30-39 years, male 10.7
GTEX-XV7Q-2326-SM-4BRVZ 40-49 years, female 10.7
GTEX-1GZ2Q-2626-SM-7MXV9 40-49 years, male 10.6
GTEX-QMRM-1626-SM-D4P1U 50-59 years, male 10.6
GTEX-1A3MV-1626-SM-731C1 30-39 years, male 10.2
GTEX-13OW8-0226-SM-5K7UP 60-69 years, male 9.7
GTEX-144GM-0926-SM-5O994 20-29 years, male 9.5
GTEX-1MA7X-1626-SM-E9U5B 60-69 years, male 9.5
GTEX-1OKEX-0826-SM-E9J2B 60-69 years, male 9.5
GTEX-17KNJ-2026-SM-7LG53 50-59 years, male 9.3
GTEX-18A6Q-0926-SM-7LG4N 60-69 years, male 9.3
GTEX-1PDJ9-1126-SM-EXUSW 20-29 years, male 9.3
GTEX-YECK-0726-SM-EZ6LV 60-69 years, male 9.3
GTEX-1QW4Y-1026-SM-DTXE2 30-39 years, male 9.1
GTEX-1LSNL-2826-SM-E9U5L 50-59 years, male 9.0
GTEX-1I1GV-2426-SM-CGQFM 60-69 years, male 8.9
GTEX-11ONC-2126-SM-5HL6E 60-69 years, male 8.5
GTEX-1JN6P-2426-SM-ARL99 60-69 years, male 8.3
GTEX-ZDTT-2126-SM-DKPOM 60-69 years, male 8.3
GTEX-11DXY-2326-SM-5GICW 60-69 years, male 7.9
GTEX-1314G-1226-SM-5BC6D 30-39 years, male 7.9
GTEX-Y5V6-2126-SM-4WWFX 60-69 years, male 7.9
GTEX-12WSK-2226-SM-5GCO5 40-49 years, female 7.7
GTEX-1C64O-0726-SM-7DUFU 60-69 years, male 7.7
GTEX-S4Q7-1126-SM-4AD6R 20-29 years, male 7.7
GTEX-YJ8O-2226-SM-5IFHW 40-49 years, female 7.7
GTEX-1I1GU-1026-SM-ADEHJ 40-49 years, male 7.6
GTEX-145MF-2226-SM-7EPIR 50-59 years, male 7.3
GTEX-1RLM8-2226-SM-EVYD1 50-59 years, male 7.3
GTEX-18465-2026-SM-718AP 50-59 years, male 7.1
GTEX-1B8KE-1226-SM-73KWK 50-59 years, male 7.1
GTEX-ZQG8-0726-SM-5P9H9 60-69 years, female 7.1
GTEX-1MJK3-1126-SM-E9J3F 20-29 years, male 7.0
GTEX-WHSB-1926-SM-EXOHH 50-59 years, male 7.0
GTEX-11P82-1326-SM-5HL62 20-29 years, male 6.9
GTEX-REY6-2426-SM-48FF5 60-69 years, male 6.9
GTEX-1H4P4-2226-SM-9MQKQ 50-59 years, male 6.7
GTEX-1PPGY-1526-SM-EVYBK 60-69 years, male 6.7
GTEX-1I1GP-0426-SM-COH3N 50-59 years, male 6.6
GTEX-17MFQ-0926-SM-7LG4S 20-29 years, male 6.5
GTEX-Y3I4-1526-SM-4TT7K 50-59 years, male 6.5
GTEX-1ICLZ-0426-SM-B2LW2 60-69 years, male 6.4
GTEX-1IDJH-2226-SM-E6CJV 70-79 years, male 6.4
GTEX-12KS4-0126-SM-5Q5A5 30-39 years, male 6.3
GTEX-1QMI2-0726-SM-E9J4F 60-69 years, male 6.3
GTEX-13FTX-1126-SM-5N9EN 20-29 years, female 6.2
GTEX-1EU9M-2826-SM-7EWFH 60-69 years, male 6.2
GTEX-1N5O9-1126-SM-DTXEQ 60-69 years, male 6.2
GTEX-11DZ1-0326-SM-5N9BN 50-59 years, male 6.1
GTEX-11O72-2126-SM-5N9FO 40-49 years, male 5.8
GTEX-132AR-0826-SM-5EGK6 50-59 years, female 5.8
GTEX-15RJE-2626-SM-7KFT1 40-49 years, male 5.8
GTEX-17HGU-1326-SM-79OKB 50-59 years, male 5.8
GTEX-1EKGG-2626-SM-7IGPY 60-69 years, male 5.8
GTEX-1H3VY-0926-SM-ACKXE 50-59 years, male 5.8
GTEX-U8XE-0826-SM-4E3J1 30-39 years, male 5.7
GTEX-1JN1M-3026-SM-CMKGK 60-69 years, female 5.7
GTEX-1N2EF-2226-SM-E9J33 60-69 years, male 5.7
GTEX-TKQ2-1826-SM-33HB2 50-59 years, male 5.6
GTEX-S32W-2026-SM-4AD6E 50-59 years, female 5.5
GTEX-1C6WA-2426-SM-7SB86 60-69 years, male 5.5
GTEX-1JJEA-2726-SM-ARL8V 60-69 years, male 5.5
GTEX-Z9EW-1526-SM-EZ6LU 40-49 years, male 5.3
GTEX-1IOXB-1926-SM-ARL8E 50-59 years, male 5.1
GTEX-14PJ4-2126-SM-6ETZJ 60-69 years, male 5.0
GTEX-UTHO-1026-SM-3GAF7 60-69 years, male 5.0
GTEX-ZUA1-1526-SM-59HLS 40-49 years, male 5.0
GTEX-ZYT6-0126-SM-5E45J 30-39 years, male 5.0
GTEX-1GF9U-1726-SM-7MGY5 40-49 years, female 5.0
GTEX-1I1HK-2426-SM-ADEHX 60-69 years, male 5.0
GTEX-S7SE-0826-SM-4AT4D 50-59 years, male 4.9
GTEX-17F97-2526-SM-7EWDV 50-59 years, male 4.8
GTEX-11ZUS-0826-SM-5FQUY 30-39 years, male 4.7
GTEX-14BMV-0626-SM-793AU 50-59 years, male 4.7
GTEX-17F9E-2526-SM-7MGW2 50-59 years, male 4.7
GTEX-ZLFU-2126-SM-DO931 40-49 years, male 4.7
GTEX-1M4P7-2626-SM-E9U5F 60-69 years, male 4.6
GTEX-1H1ZS-0126-SM-9YFKQ 70-79 years, male 4.5
GTEX-1IDJF-2326-SM-ARL86 20-29 years, male 4.4
GTEX-117XS-1926-SM-5GICO 60-69 years, male 4.2
GTEX-11NV4-2026-SM-5N9DG 60-69 years, male 4.2
GTEX-11OF3-1926-SM-59889 60-69 years, male 4.2
GTEX-1A3MX-2726-SM-718B6 60-69 years, male 4.2
GTEX-XMK1-1126-SM-4IHJ8 40-49 years, male 4.2
GTEX-1JMPZ-1626-SM-COH31 30-39 years, male 4.2
GTEX-1LSVX-2426-SM-E6CJX 60-69 years, male 4.2
GTEX-1PPH7-0826-SM-E8VNX 40-49 years, male 4.2
GTEX-ZWKS-2826-SM-5NQ74 30-39 years, male 4.1
GTEX-1LC47-1226-SM-D4P44 60-69 years, male 4.1
GTEX-13QJ3-0826-SM-7DHKK 50-59 years, male 4.0
GTEX-ZYFC-0826-SM-5E44K 50-59 years, male 4.0
GTEX-1KD5A-1926-SM-DKPQA 50-59 years, male 4.0
GTEX-13W46-0826-SM-5LU3H 50-59 years, male 3.9
GTEX-18A66-1726-SM-7LG5N 60-69 years, male 3.9
GTEX-X62O-0526-SM-EWRMA 50-59 years, male 3.8
GTEX-12WSM-1726-SM-5BC6J 60-69 years, male 3.7
GTEX-14753-2426-SM-5LU8U 60-69 years, male 3.7
GTEX-14E6C-1326-SM-62LEQ 40-49 years, male 3.7
GTEX-18D9A-1526-SM-7LG4J 30-39 years, female 3.7
GTEX-1HT8W-2226-SM-CGQEC 30-39 years, male 3.7
GTEX-1JKYR-0926-SM-CMKGJ 20-29 years, male 3.7
GTEX-11ZTT-2326-SM-5EQLG 60-69 years, female 3.4
GTEX-PSDG-1626-SM-48TCQ 50-59 years, male 3.4
GTEX-1NV8Z-2826-SM-E8VME 60-69 years, male 3.4
GTEX-17F96-2426-SM-7IGLN 70-79 years, male 3.3
GTEX-1AMEY-1026-SM-718AA 30-39 years, female 3.3
GTEX-YB5E-1726-SM-5IFJ3 40-49 years, male 3.3
GTEX-11DXZ-1926-SM-5GZZL 50-59 years, male 3.2
GTEX-183FY-1126-SM-7DHLJ 20-29 years, male 3.2
GTEX-1HCU7-1026-SM-ADEIP 50-59 years, male 3.2
GTEX-1KD4Q-2326-SM-D4P3M 40-49 years, male 3.2
GTEX-139T6-1626-SM-5PNYZ 50-59 years, male 3.0
GTEX-YFCO-1826-SM-4W1YH 40-49 years, male 3.0
GTEX-1HR98-0426-SM-COH36 60-69 years, male 3.0
GTEX-169BO-1126-SM-7MGWN 50-59 years, male 2.9
GTEX-1IDJU-1826-SM-CMKHV 60-69 years, female 2.9
GTEX-11TUW-1826-SM-5BC5D 60-69 years, male 2.8
GTEX-1S82Z-0726-SM-E6CHX 30-39 years, female 2.8
GTEX-ZDXO-0126-SM-5S2ND 60-69 years, male 2.7
GTEX-145MN-1926-SM-5SIAI 30-39 years, male 2.6
GTEX-ZAB4-2526-SM-5HL8M 40-49 years, male 2.6
GTEX-ZYW4-0826-SM-5GIDG 60-69 years, male 2.6
GTEX-1H23P-0726-SM-9WG7K 60-69 years, male 2.6
GTEX-1IGQW-0926-SM-ADEH6 60-69 years, male 2.6
GTEX-117YX-1426-SM-5H12H 50-59 years, male 2.5
GTEX-11NSD-0926-SM-5N9DR 20-29 years, male 2.5
GTEX-XGQ4-0926-SM-4AT4U 50-59 years, male 2.5
GTEX-1KXAM-1026-SM-CY8IA 60-69 years, male 2.5
GTEX-R55D-0826-SM-48FEA 50-59 years, male 2.4
GTEX-Y9LG-1426-SM-5IFJZ 30-39 years, male 2.4
GTEX-YEC3-1026-SM-5IFI5 50-59 years, male 2.4
GTEX-14E6E-1326-SM-5S2NR 30-39 years, male 2.3
GTEX-13PVQ-1026-SM-5KM3M 50-59 years, male 2.2
GTEX-14DAR-1326-SM-7DUEG 50-59 years, male 2.2
GTEX-1IDFM-0426-SM-B2LVV 60-69 years, male 2.2
GTEX-144GL-2026-SM-5LU3O 50-59 years, male 2.1
GTEX-14B4R-1226-SM-5TDDT 30-39 years, male 2.1
GTEX-V955-2026-SM-3GAFA 60-69 years, male 2.1
GTEX-XQ8I-2426-SM-4WAXY 50-59 years, male 2.1
GTEX-ZDYS-1126-SM-5K7UB 50-59 years, male 2.1
GTEX-1F5PK-2126-SM-7PC28 50-59 years, male 2.1
GTEX-1L5NE-2126-SM-CY8IH 50-59 years, male 2.1
GTEX-13O3Q-2226-SM-5KM4O 50-59 years, male 2.0
GTEX-145ME-1526-SM-5Q5F2 40-49 years, female 2.0
GTEX-1AX9I-0726-SM-73KWV 60-69 years, male 2.0
GTEX-RUSQ-2026-SM-4GIAK 50-59 years, male 2.0
GTEX-WFON-1826-SM-3GILG 40-49 years, male 2.0
GTEX-1H11D-1526-SM-9MQJY 40-49 years, male 2.0
GTEX-1R7EV-1526-SM-E8VOD 40-49 years, male 2.0
GTEX-13CF3-2126-SM-5IFJP 60-69 years, female 1.9
GTEX-1NHNU-0926-SM-E9J2T 50-59 years, male 1.7
GTEX-11WQK-2426-SM-5GU5C 50-59 years, male 1.6
GTEX-18A7B-2626-SM-7LG55 70-79 years, male 1.6
GTEX-1HSMO-0826-SM-ADEIV 60-69 years, male 1.6
GTEX-11DXW-0626-SM-5N9ER 40-49 years, male 1.5
GTEX-WY7C-2726-SM-3NB3P 50-59 years, male 1.5
GTEX-13FTW-1426-SM-5LZWZ 40-49 years, male 1.4
GTEX-11GSO-1926-SM-5A5K3 60-69 years, male 1.3
GTEX-15UF7-0726-SM-6M46D 40-49 years, male 1.3
GTEX-1AX9J-1126-SM-731B7 60-69 years, male 1.2
GTEX-1C6VQ-0426-SM-79OOX 50-59 years, male 1.2
GTEX-1GF9V-2526-SM-7SB8K 60-69 years, male 1.2
GTEX-11EQ9-1826-SM-5Q5AJ 30-39 years, male 1.1
GTEX-ZTPG-2826-SM-57WGA 20-29 years, female 1.1
GTEX-ZA64-1526-SM-5CVMD 20-29 years, male 1.0
GTEX-1EN7A-1426-SM-7PBY4 40-49 years, male 1.0
GTEX-1I6K6-0826-SM-ARL7Z 30-39 years, male 1.0
GTEX-1LG7Z-0726-SM-CXKYD 30-39 years, male 1.0
GTEX-17EVQ-0426-SM-7LG57 70-79 years, male 0.9
GTEX-1JMLX-2026-SM-CMKGN 50-59 years, male 0.3
Show allShow less

BREAST - FANTOM5 CAGEi

RNA expression in human tissues obtained through Cap Analysis of Gene Expression (CAGE) generated by the FANTOM5 project are reported as Scaled Tags Per Million.

Max subtype Scaled Tags Per Millioni

Max subtype Scaled Tags Per Million is the value for the subtype with the largest average Scaled Tags Per Million across the subtype samples.

111.4
FANTOM5 sample id Sample description Scaled Tags Per Million
Breast
Scaled Tags Per Million: 111.4
FF:10080-102A8 77 years, female 111.4

Contact

  • NEWS ARTICLES
  • PRESS ROOM

The Project

  • INTRODUCTION
  • ORGANIZATION
  • PUBLICATIONS

The Human Protein Atlas

  • DOWNLOADABLE DATA
  • LICENCE & CITATION
  • HELP & FAQ
The Human Protein Atlas project is funded
by the Knut & Alice Wallenberg Foundation.


contact@proteinatlas.org