We use cookies to enhance the usability of our website. If you continue, we'll assume that you are happy to receive all cookies. More information. Don't show this again.
LTF
HPA
RESOURCES
  • TISSUE
  • BRAIN
  • SINGLE CELL
  • SUBCELLULAR
  • CANCER
  • BLOOD
  • CELL LINE
  • STRUCTURE & INTERACTION
ABOUT
  • INTRODUCTION
  • HISTORY
  • ORGANIZATION
  • PUBLICATIONS
  • ANTIBODY SUBMISSION
  • ANTIBODY AVAILABILITY
  • ACKNOWLEDGMENTS
  • CONTACT
NEWS
  • NEWS ARTICLES
  • PRESS ROOM
LEARN
  • DICTIONARY
  • PROTEIN CLASSES
  • PROTEIN EVIDENCE
  • METHODS
  • EDUCATIONAL VIDEOS
DATA
  • DOWNLOADABLE DATA
  • PUBLICATION DATA
  • RELEASE HISTORY
HELP
  • ANTIBODY VALIDATION
  • ASSAYS & ANNOTATION
  • DISCLAIMER
  • HELP & FAQ
  • PRIVACY STATEMENT
  • LICENCE & CITATION
Fields »
Search result

Field
Term
Gene name
Class
Subclass
Class
Keyword
Chromosome
External id
Tissue
Cell type
Expression
Antibody panel
Tissue
Main location
Patient ID
Annotation
Tissue
Category
Tau score
Cluster
Reliability
Brain region
Category
Tau score
Brain region
Category
Tau score
Brain region
Category
Tau score
Cluster
Reliability
Tissue
Cell type
Enrichment
Cell type
Category
Tau score
Cell type
Category
Tau score
Cell type
Category
Tau score
Cell lineage
Category
Tau score
Cluster
Cluster
Location
Searches
Location
Cell line
Class
Type
Phase
Reliability
Cancer
Prognosis
Cancer
Category
Cancer
Category
Tau score
Cluster
Variants
Interacting gene (ensg_id)
Type
Number of interactions
Pathway
Category
Score
Score
Score
Validation
Validation
Validation
Validation
Antibodies
Data type
Column


  • SUMMARY

  • TISSUE

  • BRAIN

  • SINGLE CELL

  • SUBCELL

  • CANCER

  • BLOOD

  • CELL LINE

  • STRUCT & INT

  • LTF
TISSUE PRIMARY DATA ESOPHAGUS Show tissue menu
ADIPOSE TISSUE ADRENAL GLAND AMYGDALA APPENDIX BASAL GANGLIA BONE MARROW BREAST BRONCHUS CEREBELLUM CEREBRAL CORTEX CERVIX CHOROID PLEXUS COLON DUODENUM
ENDOMETRIUM EPIDIDYMIS ESOPHAGUS FALLOPIAN TUBE GALLBLADDER HEART MUSCLE HIPPOCAMPAL FORMATION HYPOTHALAMUS KIDNEY LACTATING BREAST LIVER LUNG LYMPH NODE MIDBRAIN
NASOPHARYNX ORAL MUCOSA OVARY PANCREAS PARATHYROID GLAND PITUITARY GLAND PLACENTA PROSTATE RECTUM RETINA SALIVARY GLAND SEMINAL VESICLE SKELETAL MUSCLE SKIN
SMALL INTESTINE SMOOTH MUSCLE SOFT TISSUE SPINAL CORD SPLEEN STOMACH TESTIS THYMUS THYROID GLAND TONGUE TONSIL URINARY BLADDER VAGINA
ANTIBODIES
AND
VALIDATION
Dictionary
Esophagus
Tissue proteome
Esophagus
ESOPHAGUS - Expression summary
Protein expression
Esophagusi

On the top, protein expression in current human tissue, based on all annotated cell types, is reported with the units not detected (n), low (l), medium (m) and high (h). Underneath, protein expression in each annotated cell type are reported using the same units.

Protein expression data is based on knowledge-based annotation. For genes where more than one antibody has been used, a collective score is set.

If knowledge-based annotation could not be performed for a gene, no data is displayed here. View antibody staining data further down this page.

h
m
l
n
Squamous epithelial cells: Not detected
RNA expressioni

A summary of mRNA expression data available for current tissue based on several datasets. The mRNA expression levels in human tissues are based on RNA-seq data generated by the Human Protein Atlas (HPA), Genotype-Tissue Expression (GTEx) portal and CAGE data generated by the FANTOM5 consortium. Consensus normalized expression levels for human tissues was created by combining the data from HPA and GTEx datasets.

The mRNA expression levels in pig are based on RNA-seq data generated by the Human Protein Atlas (HPA), and for mouse, HPA data and in situ hybridization generated by the Allen brain atlas are reported.

Scroll down to view mRNA expression data in more detail.
Consensus:22.3 nTPM
HPA:4.3 nTPM
GTEx:22.3 nTPM
FANTOM5:6.7 Scaled Tags Per Million

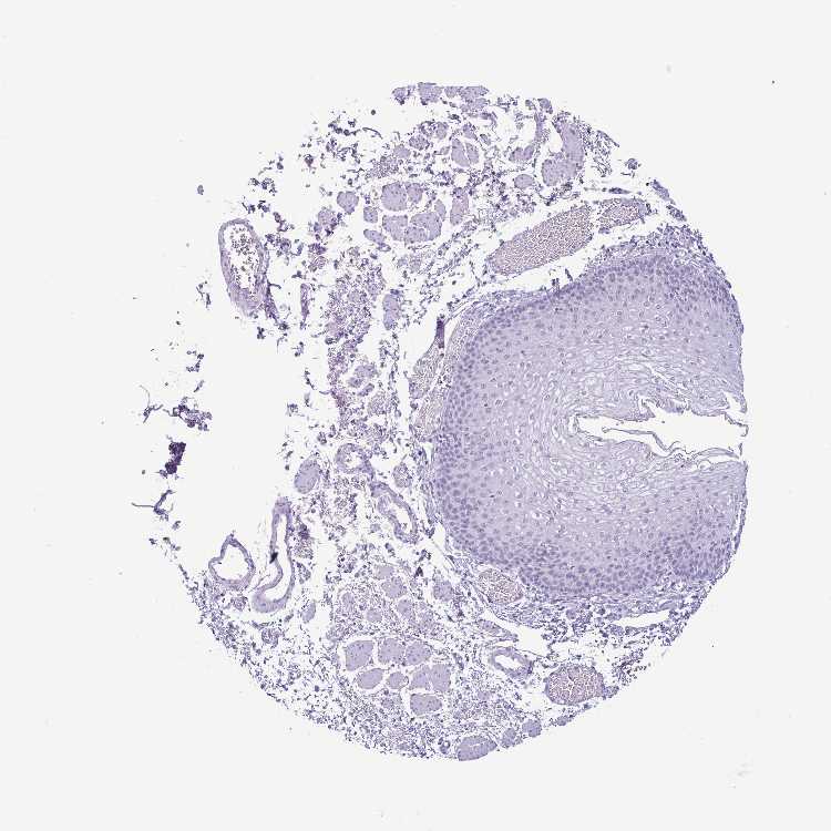
ESOPHAGUS - Antibody stainingi

Antibody staining in the annotated cell types in the current human tissue is reported as not detected, low, medium, or high, based on conventional immunohistochemistry profiling in selected tissues. This score is based on the combination of the staining intensity and fraction of stained cells.

Each image is clickable and will lead to virtual microscopy that enables deeper exploration of all samples and also displays staining intensity scores, fraction scores and subcellular localization as well as patient and tissue information for each sample.

Antibody HPA057177Antibody HPA059976Antibody CAB008646Antibody CAB016201
Squamous epithelial cells Not detectedNot detectedNot detectedNot detected






ESOPHAGUS - HPA RNA-seqi

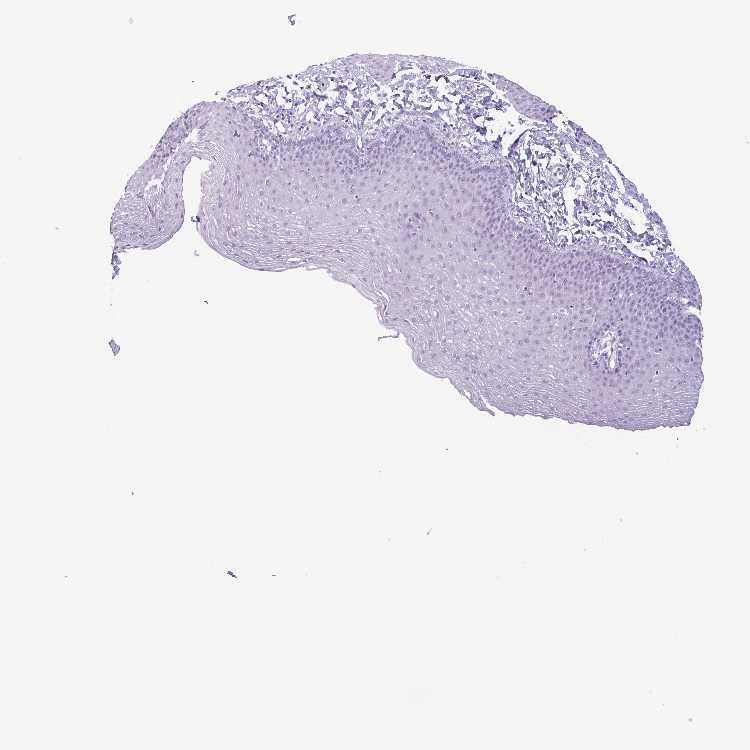
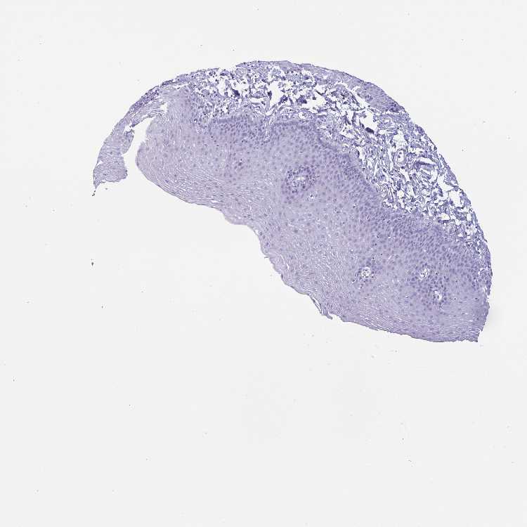
The RNA-seq details section shows detailed information about the individual samples used for the transcript profiling and results of the RNA-seq analysis.

Information about each individual sample is listed below, including gender, age, a tissue section image and estimated fractions of cell types. nTPM (normalized transcripts per million) values give a quantification of the gene abundance which is comparable between different genes and samples.
Average nTPMi

Max subtype nTPM is the value for the subtype with the largest average nTPM across the subtype samples.

4.3
overview
Female, age 70
Esophagus sample 130
nTPM: 12.2
Cell types%
Squamous epithelial cells:
35

Smooth muscle cells:
15

Skeletal muscle cells:
5

Other cell types:
45

overview
Male, age 38
Esophagus sample 131
nTPM: 0.6
Cell types%
Squamous epithelial cells:
60

Smooth muscle cells:
20

Other cell types:
20

overview
Male, age 76
Esophagus sample 132
nTPM: 0.3
Cell types%
Squamous epithelial cells:
45

Smooth muscle cells:
15

Other cell types:
40


ESOPHAGUS - GTEx RNA-seqi

RNA-Seq data generated by the Genotype-Tissue Expression (GTEx) project from human tissues is reported as mean nTPM. More information can be found on the GTEx portal.

Distribution across the dataset is visualized with box plots, shown as median and 25th and 75th percentiles. Points are displayed as outliers if they are above or below 1.5 times the interquartile range. nTPM values of the individual samples are presented next to the box plot.
Max subtype nTPMi

Max subtype nTPM is the value for the subtype with the largest average nTPM across the subtype samples.

22.3
GTEx sample id Sample description nTPM
Esophagus - Mucosa
Average nTPM: 22.3
Samples: 555

Max nTPM: 1230.7
Min nTPM: 0.0
Std nTPM: 83.6
Median nTPM: 1.9
GTEX-ZT9X-0526-SM-5GCOP 40-49 years, male 1230.7
GTEX-1AX8Z-5016-SM-AHZ2B 60-69 years, male 823.9
GTEX-16MTA-0826-SM-6LLIC 50-59 years, male 818.1
GTEX-14PJ6-1026-SM-686ZB 60-69 years, female 470.8
GTEX-13CF3-1626-SM-5IFG9 60-69 years, female 334.0
GTEX-144GN-0626-SM-5O9B2 50-59 years, male 306.9
GTEX-145ME-5004-SM-7MGXP 40-49 years, female 302.8
GTEX-1QP67-0726-SM-DPRY1 40-49 years, female 270.5
GTEX-1I6K7-1426-SM-B2LXP 40-49 years, male 266.7
GTEX-XLM4-2326-SM-4AT5E 60-69 years, male 239.8
GTEX-1H3VY-2026-SM-9JGHK 50-59 years, male 190.3
GTEX-13111-0826-SM-5LZV3 50-59 years, male 187.8
GTEX-ZAB5-0926-SM-5CVMV 50-59 years, male 183.7
GTEX-ZEX8-1426-SM-4WKHQ 50-59 years, male 182.6
GTEX-OXRL-0626-SM-3NM9C 50-59 years, male 156.5
GTEX-ZTX8-0226-SM-5E44D 20-29 years, male 149.2
GTEX-P4QS-0626-SM-3NMD1 60-69 years, male 145.6
GTEX-ZGAY-1126-SM-4WWBS 40-49 years, female 145.6
GTEX-WOFM-0626-SM-4OOS3 20-29 years, male 143.0
GTEX-144FL-2726-SM-5O98Z 50-59 years, male 140.0
GTEX-WFJO-0826-SM-4LVM5 30-39 years, male 138.1
GTEX-Y8E4-1726-SM-5LU9G 40-49 years, male 136.1
GTEX-1I4MK-0426-SM-B2LWQ 50-59 years, female 108.2
GTEX-14BIM-1326-SM-7EWD1 60-69 years, female 106.1
GTEX-183FY-1526-SM-7IGOW 20-29 years, male 105.8
GTEX-1B8KZ-0726-SM-7938W 50-59 years, male 103.2
GTEX-1GL5R-1526-SM-7MKHO 50-59 years, male 102.3
GTEX-OHPN-1026-SM-E9TI8 60-69 years, female 101.2
GTEX-145MN-1026-SM-5NQ9G 30-39 years, male 98.8
GTEX-131XF-0826-SM-5GICG 60-69 years, male 98.7
GTEX-XGQ4-1526-SM-4AT6H 50-59 years, male 90.5
GTEX-16XZY-0926-SM-7938M 70-79 years, male 86.4
GTEX-1C475-0926-SM-7MKFI 40-49 years, female 85.3
GTEX-1QW4Y-0526-SM-EAZ3V 30-39 years, male 83.6
GTEX-WH7G-0926-SM-4LVMJ 40-49 years, male 82.5
GTEX-ZVE2-1326-SM-5NQ94 50-59 years, male 82.0
GTEX-R55D-1126-SM-48FEB 50-59 years, male 79.6
GTEX-1RAZA-1326-SM-DPS12 20-29 years, male 79.1
GTEX-WFON-0826-SM-4LVMI 40-49 years, male 78.4
GTEX-PSDG-1326-SM-48TD2 50-59 years, male 77.2
GTEX-145MF-1426-SM-5O9B6 50-59 years, male 75.7
GTEX-XMK1-1326-SM-4B65Q 40-49 years, male 68.7
GTEX-13O61-0926-SM-5IFFE 60-69 years, male 67.3
GTEX-11DXX-1126-SM-5GZZK 60-69 years, female 65.5
GTEX-1K9T9-2026-SM-CXZK3 50-59 years, female 63.1
GTEX-S32W-0926-SM-4AD5X 50-59 years, female 62.8
GTEX-144GO-2726-SM-5O9A2 60-69 years, male 62.6
GTEX-1I1GP-1026-SM-C1YRZ 50-59 years, male 61.8
GTEX-15EOM-5013-SM-7MKF9 20-29 years, female 58.5
GTEX-1CB4J-2426-SM-7MXVC 60-69 years, male 57.3
GTEX-15DCE-1326-SM-6LPJL 20-29 years, male 56.0
GTEX-WFG8-1226-SM-4V6EI 20-29 years, male 53.6
GTEX-13G51-0926-SM-5IFFU 60-69 years, male 51.0
GTEX-V955-1126-SM-4JBH3 60-69 years, male 48.5
GTEX-YF7O-0926-SM-5IFIF 50-59 years, male 46.4
GTEX-1LBAC-1226-SM-DHXK1 20-29 years, male 46.1
GTEX-1QP9N-0926-SM-E9U5S 30-39 years, male 45.9
GTEX-WXYG-1226-SM-4ONCJ 50-59 years, female 43.5
GTEX-1MA7W-0426-SM-E9TJ5 20-29 years, female 41.6
GTEX-169BO-0526-SM-793AK 50-59 years, male 40.9
GTEX-11DYG-1326-SM-5N9DO 60-69 years, male 40.5
GTEX-SNMC-0526-SM-4DM69 20-29 years, male 39.9
GTEX-1HSGN-1626-SM-A96U2 40-49 years, female 39.4
GTEX-SNOS-0626-SM-4DM5F 40-49 years, male 39.3
GTEX-14PJM-1526-SM-664NY 50-59 years, female 39.0
GTEX-14BMU-0926-SM-5S2QB 20-29 years, female 38.6
GTEX-1JKYR-2126-SM-CNNPC 20-29 years, male 38.2
GTEX-1N2EE-2426-SM-EXOIO 60-69 years, male 36.8
GTEX-QEL4-1426-SM-447AC 50-59 years, male 35.0
GTEX-178AV-0526-SM-6LPJH 40-49 years, male 34.5
GTEX-1GMR8-1826-SM-9WYUE 50-59 years, female 33.2
GTEX-147F3-0826-SM-5NQA7 50-59 years, female 32.0
GTEX-12WSG-5007-SM-7DUGZ 50-59 years, female 31.7
GTEX-1LGRB-1626-SM-CNNR7 50-59 years, female 31.7
GTEX-11LCK-1726-SM-5S2OQ 30-39 years, male 31.4
GTEX-15EU6-1626-SM-6LPKF 50-59 years, male 31.1
GTEX-ZYFC-1626-SM-5N9EU 50-59 years, male 30.9
GTEX-1QCLZ-1626-SM-E9U5R 60-69 years, female 30.9
GTEX-Y114-0926-SM-4TT7J 50-59 years, female 28.5
GTEX-1GF9U-0826-SM-7MXTZ 40-49 years, female 28.2
GTEX-1AX9K-1126-SM-731DQ 50-59 years, male 27.6
GTEX-1OJC3-0826-SM-DPRYU 20-29 years, male 26.9
GTEX-RUSQ-0826-SM-47JWW 50-59 years, male 26.6
GTEX-17KNJ-1326-SM-7KFTG 50-59 years, male 26.5
GTEX-TML8-1526-SM-4DXUX 40-49 years, female 26.3
GTEX-ZAB4-1126-SM-5HL86 40-49 years, male 26.1
GTEX-139UW-1126-SM-5IJEJ 60-69 years, male 24.8
GTEX-1PFEY-0826-SM-E9U6A 30-39 years, male 24.7
GTEX-16MT8-1326-SM-6M47R 60-69 years, female 24.4
GTEX-15UF6-2326-SM-6M465 70-79 years, female 23.9
GTEX-1HKZK-1426-SM-A96U1 40-49 years, male 23.8
GTEX-OOBK-0625-SM-3LK5P 40-49 years, male 21.9
GTEX-146FQ-1026-SM-5LU8I 30-39 years, male 21.8
GTEX-12WSL-1526-SM-5GCP8 50-59 years, male 21.4
GTEX-1PPH8-1626-SM-E6CQP 20-29 years, male 21.4
GTEX-X585-1226-SM-46MW7 50-59 years, male 21.2
GTEX-11P81-0826-SM-5P9GR 30-39 years, female 20.9
GTEX-1AMEY-0226-SM-7189Q 30-39 years, female 20.8
GTEX-16NPX-1626-SM-6LLI5 50-59 years, male 20.6
GTEX-ZQUD-0426-SM-57WFR 30-39 years, male 20.5
GTEX-13X6I-1026-SM-5LU4C 60-69 years, male 20.4
GTEX-18A66-1426-SM-7KFRT 60-69 years, male 19.9
GTEX-XUZC-0426-SM-4BOPE 30-39 years, female 19.8
GTEX-1HGF4-0926-SM-9WPP8 60-69 years, male 19.1
GTEX-1K2DU-1726-SM-EV79S 20-29 years, male 19.1
GTEX-ZA64-0626-SM-5HL9O 20-29 years, male 19.0
GTEX-ZYFG-1126-SM-5GICY 60-69 years, female 18.9
GTEX-NPJ8-1926-SM-3MJGB 40-49 years, male 18.7
GTEX-Y5V6-1026-SM-4VBS2 60-69 years, male 18.7
GTEX-12ZZW-1726-SM-5DUVD 50-59 years, male 18.4
GTEX-TMMY-1126-SM-4DXSX 40-49 years, female 18.4
GTEX-1B97J-1026-SM-7MXTE 50-59 years, female 18.1
GTEX-13X6H-1326-SM-5LU42 50-59 years, female 17.8
GTEX-14PHY-0626-SM-664NN 60-69 years, female 17.0
GTEX-1JMPZ-2026-SM-C1YR8 30-39 years, male 15.7
GTEX-1HCU8-2226-SM-9WPOV 60-69 years, female 15.6
GTEX-16NGA-1426-SM-718AC 40-49 years, female 15.4
GTEX-X15G-0826-SM-4PQZD 50-59 years, female 15.4
GTEX-1HSMQ-2026-SM-B2LY1 50-59 years, male 15.2
GTEX-11EM3-0826-SM-5N9CC 20-29 years, female 15.1
GTEX-13O21-0626-SM-5IJDI 50-59 years, male 15.1
GTEX-1HCUA-1426-SM-9WPP7 50-59 years, female 14.9
GTEX-15F5U-5010-SM-AHZ2D 40-49 years, male 14.8
GTEX-17F98-1726-SM-7938O 40-49 years, female 14.2
GTEX-1A8FM-1526-SM-7MXTA 50-59 years, female 14.2
GTEX-13OW8-2326-SM-5L3I9 60-69 years, male 13.6
GTEX-NFK9-1126-SM-3LK78 40-49 years, male 13.5
GTEX-UJMC-0926-SM-4IHLK 50-59 years, male 13.5
GTEX-13NYB-0926-SM-5IFFA 40-49 years, male 13.1
GTEX-P78B-1026-SM-3NMC4 40-49 years, female 12.7
GTEX-ZYVF-2226-SM-5GIDD 50-59 years, female 12.7
GTEX-13OVI-2626-SM-5KM4T 60-69 years, female 12.6
GTEX-P4PP-0626-SM-3NM9X 30-39 years, female 12.2
GTEX-XMD2-1326-SM-4YCET 60-69 years, female 12.0
GTEX-XYKS-1526-SM-4BRUP 60-69 years, female 11.8
GTEX-ZF29-1326-SM-DNZYV 60-69 years, female 11.8
GTEX-RU1J-0326-SM-46MUM 20-29 years, female 11.7
GTEX-1RAZQ-1726-SM-EAZ4T 30-39 years, male 11.1
GTEX-Y3I4-1226-SM-4TT8N 50-59 years, male 11.0
GTEX-QDVN-1026-SM-48TZA 50-59 years, male 10.7
GTEX-1GTWX-1326-SM-9JGHU 60-69 years, male 10.7
GTEX-1I1GV-2226-SM-ARU7E 60-69 years, male 10.5
GTEX-146FR-0426-SM-5SI97 60-69 years, female 10.3
GTEX-1HC8U-1526-SM-9WPO4 40-49 years, female 10.3
GTEX-18D9B-2026-SM-7LT96 60-69 years, male 10.2
GTEX-QLQ7-0926-SM-447BC 60-69 years, male 10.1
GTEX-1HCU7-2126-SM-A96SG 50-59 years, male 10.1
GTEX-ZY6K-0626-SM-59HJL 50-59 years, male 9.7
GTEX-1QPFJ-1226-SM-EAZ3M 30-39 years, female 9.7
GTEX-13RTK-0526-SM-5S2QF 20-29 years, male 9.6
GTEX-VJYA-0726-SM-4KL1T 60-69 years, male 9.6
GTEX-Q2AH-0826-SM-48TZN 40-49 years, male 9.5
GTEX-QDVJ-0726-SM-48U1W 50-59 years, male 9.5
GTEX-1IDJF-1226-SM-C1YPX 20-29 years, male 9.5
GTEX-11DZ1-2026-SM-5A5KG 50-59 years, male 9.4
GTEX-1JMLX-2326-SM-CXZJP 50-59 years, male 9.4
GTEX-SUCS-0726-SM-4DM7J 70-79 years, male 9.3
GTEX-132Q8-1826-SM-5EGIY 60-69 years, male 9.2
GTEX-V1D1-1026-SM-4JBHE 50-59 years, male 9.0
GTEX-17F97-1326-SM-7MGVO 50-59 years, male 9.0
GTEX-Q2AG-1326-SM-43V8K 40-49 years, female 8.9
GTEX-14PJ4-1526-SM-664OA 60-69 years, male 8.7
GTEX-S4P3-0426-SM-4AD56 50-59 years, female 8.7
GTEX-1C2JI-1126-SM-731FH 50-59 years, male 8.6
GTEX-1R9K5-1526-SM-DPRZA 50-59 years, male 8.6
GTEX-16BQI-1526-SM-6LLIE 30-39 years, female 8.4
GTEX-S3XE-0926-SM-4AD4S 50-59 years, male 8.4
GTEX-1LVAM-1126-SM-DHXKP 50-59 years, female 8.4
GTEX-133LE-0626-SM-5IFFJ 20-29 years, female 7.9
GTEX-1JMQK-2026-SM-C1YQN 60-69 years, male 7.9
GTEX-QLQW-0526-SM-4R1KS 30-39 years, male 7.8
GTEX-ZF2S-1226-SM-4WWAX 50-59 years, female 7.7
GTEX-TSE9-1226-SM-4DXTM 60-69 years, female 7.5
GTEX-183WM-1726-SM-7KFT5 70-79 years, female 7.4
GTEX-N7MT-0326-SM-48TDP 60-69 years, female 7.4
GTEX-17HGU-1426-SM-7938G 50-59 years, male 7.3
GTEX-PLZ4-1626-SM-3P618 50-59 years, female 7.2
GTEX-S33H-0826-SM-4AD5Y 30-39 years, male 7.2
GTEX-1F5PL-1726-SM-9QEGL 40-49 years, female 7.2
GTEX-R3RS-1326-SM-48FE7 40-49 years, female 6.8
GTEX-13U4I-1126-SM-5LU3S 40-49 years, female 6.7
GTEX-13W3W-1626-SM-5LU35 60-69 years, female 6.7
GTEX-1JMQJ-1226-SM-D3L97 50-59 years, male 6.7
GTEX-WHSB-0426-SM-4M1XI 50-59 years, male 6.5
GTEX-13PVR-1826-SM-5Q5CC 60-69 years, female 6.3
GTEX-13QJ3-1726-SM-5RQK9 50-59 years, male 6.3
GTEX-16Z82-1926-SM-6M47U 60-69 years, male 6.3
GTEX-1MCQQ-1026-SM-EV7AX 60-69 years, male 6.3
GTEX-131XE-1426-SM-5HL7V 50-59 years, male 6.2
GTEX-1RAZR-1226-SM-E6CRD 40-49 years, male 6.2
GTEX-S7SF-0926-SM-4AD4M 20-29 years, female 6.1
GTEX-R53T-1126-SM-48FD4 50-59 years, female 6.0
GTEX-16A39-1026-SM-6LPJU 30-39 years, female 5.9
GTEX-15EO6-1026-SM-7KUG9 50-59 years, male 5.6
GTEX-P4QT-0626-SM-3NMCP 50-59 years, female 5.6
GTEX-ZC5H-1326-SM-5HL7E 40-49 years, female 5.6
GTEX-12C56-1226-SM-5FQSU 20-29 years, male 5.5
GTEX-WRHK-0526-SM-4MVOF 20-29 years, female 5.1
GTEX-145MO-1426-SM-DTX9W 60-69 years, male 5.1
GTEX-1HBPI-0626-SM-9WPP4 50-59 years, male 5.1
GTEX-12KS4-0926-SM-5BC5S 30-39 years, male 4.9
GTEX-U8XE-1726-SM-4E3IF 30-39 years, male 4.9
GTEX-XV7Q-1126-SM-4BRVS 40-49 years, female 4.8
GTEX-Y5V5-1626-SM-4VDSG 60-69 years, female 4.8
GTEX-17HII-1526-SM-9OSVD 50-59 years, male 4.8
GTEX-1LGOU-0526-SM-D3LAO 20-29 years, female 4.8
GTEX-ZLFU-1126-SM-DO11K 40-49 years, male 4.8
GTEX-11EQ9-0726-SM-5A5K2 30-39 years, male 4.6
GTEX-18465-1126-SM-7LG6E 50-59 years, male 4.6
GTEX-14JG6-0926-SM-6871Y 30-39 years, female 4.5
GTEX-12BJ1-1626-SM-5HL8Y 60-69 years, male 4.4
GTEX-145LS-1826-SM-5LUAZ 60-69 years, female 4.3
GTEX-111YS-0926-SM-5EGGI 60-69 years, male 4.0
GTEX-T5JW-1326-SM-4DM5G 20-29 years, female 4.0
GTEX-1I1GU-1426-SM-B2LX3 40-49 years, male 4.0
GTEX-1JMPY-0826-SM-AHZ4A 30-39 years, male 4.0
GTEX-11TUW-1326-SM-5EQKV 60-69 years, male 3.9
GTEX-1IY9M-1626-SM-AHZ39 60-69 years, male 3.9
GTEX-1QP28-1826-SM-EAZ4L 50-59 years, female 3.9
GTEX-OXRP-0926-SM-48TC1 60-69 years, female 3.8
GTEX-S4Q7-0626-SM-4AD5M 20-29 years, male 3.8
GTEX-WHWD-0926-SM-4OORY 50-59 years, male 3.8
GTEX-14PKV-1726-SM-6871U 20-29 years, female 3.7
GTEX-14B4R-0326-SM-5TDDP 30-39 years, male 3.5
GTEX-1IKOE-1526-SM-C1YSD 30-39 years, female 3.5
GTEX-1C64O-1826-SM-7DHM4 60-69 years, male 3.4
GTEX-1QCLY-1526-SM-DPRXX 30-39 years, male 3.4
GTEX-13S86-0826-SM-5SI6J 40-49 years, male 3.3
GTEX-ZE9C-1126-SM-4WWBD 60-69 years, male 3.3
GTEX-QEG4-0726-SM-CNNRF 30-39 years, male 3.3
GTEX-13O1R-1326-SM-5IJF5 60-69 years, male 3.2
GTEX-R45C-1226-SM-48FEE 60-69 years, female 3.2
GTEX-1211K-0926-SM-5FQTL 60-69 years, female 3.1
GTEX-WFG7-1126-SM-4LMK3 20-29 years, male 3.1
GTEX-132AR-2226-SM-5J2NT 50-59 years, female 3.0
GTEX-1KD4Q-1126-SM-CXZKK 40-49 years, male 3.0
GTEX-1R9K4-1926-SM-DPRZW 60-69 years, male 3.0
GTEX-RU72-0726-SM-46MUW 50-59 years, female 2.9
GTEX-13NZB-1226-SM-5J2MW 30-39 years, male 2.8
GTEX-18A67-2426-SM-7LT95 50-59 years, male 2.8
GTEX-1LVA9-2126-SM-DLHBY 50-59 years, male 2.8
GTEX-11XUK-0826-SM-5GU6P 40-49 years, female 2.6
GTEX-13OVK-1126-SM-6PAMR 40-49 years, male 2.6
GTEX-1HSKV-2426-SM-A8N8K 60-69 years, male 2.6
GTEX-1JK1U-1726-SM-CNNPM 60-69 years, male 2.6
GTEX-1LSNL-2226-SM-DHXKM 50-59 years, male 2.6
GTEX-1ICG6-1926-SM-ARU7L 70-79 years, female 2.5
GTEX-111CU-0726-SM-5GZYD 50-59 years, male 2.4
GTEX-11EI6-1526-SM-5P9GL 60-69 years, male 2.4
GTEX-S341-0526-SM-4AD5U 40-49 years, female 2.4
GTEX-ZPU1-1426-SM-4WWFU 40-49 years, male 2.4
GTEX-12WSN-5013-SM-7P8P9 40-49 years, male 2.4
GTEX-1CAMQ-2726-SM-7MKGD 40-49 years, male 2.4
GTEX-QESD-0826-SM-47J4G 20-29 years, male 2.3
GTEX-WVLH-1426-SM-4MVNX 50-59 years, male 2.3
GTEX-YB5E-0926-SM-4WWDQ 40-49 years, male 2.3
GTEX-1R7EU-0826-SM-DPRZL 60-69 years, male 2.3
GTEX-1J8QM-1926-SM-AHZ3Z 60-69 years, female 2.2
GTEX-1S83E-0826-SM-EV7B7 40-49 years, male 2.2
GTEX-15RJ7-0926-SM-6LPJO 40-49 years, male 2.1
GTEX-1E1VI-1526-SM-7IGQ2 50-59 years, male 2.1
GTEX-T2YK-1326-SM-4DM6S 50-59 years, male 2.1
GTEX-ZPCL-1426-SM-57WEC 60-69 years, female 2.1
GTEX-1J1R8-0326-SM-AHZ3D 40-49 years, male 2.1
GTEX-1RAZS-2626-SM-EV79C 50-59 years, male 2.1
GTEX-1399Q-1126-SM-5P9JA 40-49 years, male 2.0
GTEX-13W46-1926-SM-5J2MF 50-59 years, male 2.0
GTEX-15DYW-1826-SM-6LPIY 60-69 years, female 2.0
GTEX-17JCI-1226-SM-793D9 60-69 years, female 2.0
GTEX-OXRK-1326-SM-3NB1A 50-59 years, female 2.0
GTEX-ZYW4-1326-SM-5E45N 60-69 years, male 2.0
GTEX-1KANB-1826-SM-DHXJU 50-59 years, male 2.0
GTEX-13PVQ-1726-SM-5IFF3 50-59 years, male 1.9
GTEX-15UF7-0926-SM-6M46F 40-49 years, male 1.9
GTEX-RNOR-1226-SM-48FDQ 50-59 years, female 1.9
GTEX-WHPG-1126-SM-4M1XT 50-59 years, male 1.9
GTEX-WK11-1026-SM-4OOS8 50-59 years, male 1.9
GTEX-X3Y1-1326-SM-4PQZB 40-49 years, male 1.9
GTEX-14C38-2126-SM-5RQJO 50-59 years, male 1.8
GTEX-18A7A-2326-SM-7KFRH 50-59 years, female 1.8
GTEX-Y111-1626-SM-57WCY 50-59 years, male 1.8
GTEX-13FLV-1126-SM-5J2NO 50-59 years, male 1.7
GTEX-14BIN-2726-SM-5RQIE 50-59 years, female 1.7
GTEX-14E6E-0726-SM-5S2R3 30-39 years, male 1.7
GTEX-15DCD-1626-SM-6AJBH 70-79 years, female 1.7
GTEX-1AX9J-1826-SM-731FM 60-69 years, male 1.7
GTEX-UJHI-0826-SM-4IHLM 50-59 years, female 1.7
GTEX-XK95-1026-SM-4GIDV 40-49 years, male 1.7
GTEX-ZF3C-1626-SM-4WWB4 50-59 years, female 1.7
GTEX-PLZ5-0926-SM-3TW8L 50-59 years, male 1.6
GTEX-Y8LW-0726-SM-5IFI1 50-59 years, female 1.6
GTEX-ZVP2-1326-SM-57WCE 50-59 years, male 1.6
GTEX-1S82Y-1226-SM-EV7BD 40-49 years, male 1.6
GTEX-1269C-1026-SM-5N9EY 60-69 years, female 1.5
GTEX-13JVG-2026-SM-5KM1N 60-69 years, male 1.5
GTEX-144GM-1426-SM-5LU31 20-29 years, male 1.5
GTEX-146FH-1726-SM-5QGQ2 50-59 years, female 1.5
GTEX-1GN1W-2226-SM-9JGI5 50-59 years, female 1.5
GTEX-11VI4-0526-SM-5EQ48 40-49 years, female 1.4
GTEX-N7MS-1225-SM-3LK5G 60-69 years, male 1.4
GTEX-T2IS-0826-SM-4DM6L 20-29 years, female 1.4
GTEX-WHSE-1526-SM-4M1XH 20-29 years, male 1.4
GTEX-1HCU6-1326-SM-A96TZ 60-69 years, female 1.4
GTEX-1PIGE-0926-SM-E9U5Z 20-29 years, male 1.4
GTEX-14ICL-0526-SM-5RQJ6 30-39 years, male 1.3
GTEX-XXEK-0326-SM-4BRVV 50-59 years, male 1.3
GTEX-1CB4H-1526-SM-7MXU4 60-69 years, female 1.3
GTEX-1MJIX-0826-SM-DTXEO 40-49 years, male 1.3
GTEX-SJXC-1426-SM-EYYVB 60-69 years, male 1.3
GTEX-11TT1-0526-SM-5P9JO 20-29 years, male 1.2
GTEX-1399S-1326-SM-5P9GH 30-39 years, female 1.2
GTEX-148VI-1026-SM-5TDDJ 60-69 years, female 1.2
GTEX-15ETS-1926-SM-7KUN5 40-49 years, female 1.2
GTEX-X4XY-1726-SM-46MVO 60-69 years, male 1.2
GTEX-Y3IK-1126-SM-51MSV 50-59 years, female 1.2
GTEX-ZAJG-1326-SM-5S2NV 50-59 years, female 1.2
GTEX-ZTPG-1626-SM-5DUX2 20-29 years, female 1.2
GTEX-11NSD-1126-SM-5N9BQ 20-29 years, male 1.1
GTEX-12WSD-1826-SM-5GCOA 60-69 years, female 1.1
GTEX-15ER7-2126-SM-7939E 20-29 years, female 1.1
GTEX-1CB4I-1026-SM-7MKFZ 50-59 years, male 1.1
GTEX-1F5PK-1526-SM-7MKGV 50-59 years, male 1.1
GTEX-O5YV-1026-SM-3LK72 60-69 years, female 1.1
GTEX-REY6-1326-SM-48FDO 60-69 years, male 1.1
GTEX-RVPV-0526-SM-47JYL 60-69 years, male 1.1
GTEX-XQ8I-1526-SM-4BOOH 50-59 years, male 1.1
GTEX-ZDYS-0826-SM-4WWCR 50-59 years, male 1.1
GTEX-ZV68-0926-SM-59HK7 50-59 years, female 1.1
GTEX-ZYY3-1526-SM-5SIA9 60-69 years, female 1.1
GTEX-1H1DG-1226-SM-9JGH3 70-79 years, male 1.1
GTEX-11GSP-1826-SM-5N9DQ 60-69 years, female 1.0
GTEX-132QS-1426-SM-5P9GE 60-69 years, male 1.0
GTEX-13FTW-1626-SM-5KM4N 40-49 years, male 1.0
GTEX-17EUY-1426-SM-7938X 20-29 years, male 1.0
GTEX-OIZG-1026-SM-3LK5X 50-59 years, male 1.0
GTEX-U3ZN-1726-SM-4DXUQ 30-39 years, female 1.0
GTEX-XBED-1026-SM-48TCB 60-69 years, male 1.0
GTEX-YECK-1626-SM-5IFHQ 60-69 years, male 1.0
GTEX-1BAJH-2026-SM-7P8OZ 70-79 years, male 1.0
GTEX-1HBPM-1426-SM-9WPPE 60-69 years, female 1.0
GTEX-1IDJD-1626-SM-C1YRC 30-39 years, male 1.0
GTEX-1LB8K-1326-SM-CXZKB 50-59 years, male 1.0
GTEX-YEC4-1026-SM-9WG7N 40-49 years, male 1.0
GTEX-145LT-1126-SM-5LUA1 40-49 years, male 0.9
GTEX-1B933-2026-SM-7EWFC 50-59 years, female 0.9
GTEX-X4LF-0626-SM-4QASB 50-59 years, male 0.9
GTEX-YB5K-0826-SM-5YYB7 40-49 years, female 0.9
GTEX-ZLV1-0526-SM-4WWD4 60-69 years, female 0.9
GTEX-1F52S-1426-SM-7P8PU 60-69 years, female 0.9
GTEX-1HFI6-1226-SM-A96SK 40-49 years, male 0.9
GTEX-1J1OQ-2526-SM-AHZ3Q 40-49 years, female 0.9
GTEX-1NUQO-1126-SM-DTX98 20-29 years, female 0.9
GTEX-QV44-1126-SM-CL55C 50-59 years, male 0.9
GTEX-12ZZX-1326-SM-5DUWI 40-49 years, female 0.8
GTEX-1497J-2726-SM-5SI9W 60-69 years, male 0.8
GTEX-14A6H-1326-SM-5NQBC 30-39 years, male 0.8
GTEX-18A6Q-1226-SM-7KFS9 60-69 years, male 0.8
GTEX-18D9A-0526-SM-7KFSW 30-39 years, female 0.8
GTEX-1CB4F-1526-SM-7MKFM 60-69 years, male 0.8
GTEX-1EU9M-2326-SM-7MKGS 60-69 years, male 0.8
GTEX-ZYT6-1126-SM-5GZYR 30-39 years, male 0.8
GTEX-1F7RK-1526-SM-7P8T6 20-29 years, female 0.8
GTEX-1I1GQ-1726-SM-B2LWZ 50-59 years, male 0.8
GTEX-1KAFJ-0626-SM-D3L8X 50-59 years, male 0.8
GTEX-1LSVX-1226-SM-DHXJN 60-69 years, male 0.8
GTEX-1M5QR-0726-SM-DHXK7 40-49 years, male 0.8
GTEX-1MCC2-1926-SM-DHXJR 30-39 years, female 0.8
GTEX-1QP29-2126-SM-E6CPZ 50-59 years, male 0.8
GTEX-12ZZY-1426-SM-5N9EI 60-69 years, male 0.7
GTEX-145LU-0926-SM-79OJL 50-59 years, male 0.7
GTEX-18D9U-2126-SM-7LG4Y 40-49 years, male 0.7
GTEX-1B97I-0926-SM-731DZ 40-49 years, male 0.7
GTEX-1CB4G-1326-SM-7MKFP 60-69 years, male 0.7
GTEX-QEG5-1426-SM-447AS 20-29 years, male 0.7
GTEX-SE5C-1226-SM-4BRWV 40-49 years, female 0.7
GTEX-Y9LG-0626-SM-4WWDH 30-39 years, male 0.7
GTEX-1GMR2-1526-SM-7MXV6 50-59 years, male 0.7
GTEX-1GN1U-1826-SM-9JGH2 50-59 years, female 0.7
GTEX-1J8EW-1326-SM-AHZ3S 60-69 years, female 0.7
GTEX-1QEPI-1826-SM-EAZ3J 60-69 years, female 0.7
GTEX-117YW-1926-SM-5H121 50-59 years, male 0.6
GTEX-11EMC-2226-SM-5A5JW 60-69 years, female 0.6
GTEX-11NUK-1326-SM-5P9GN 50-59 years, male 0.6
GTEX-11ONC-1526-SM-5GU6S 60-69 years, male 0.6
GTEX-139TU-1226-SM-5J2NL 60-69 years, male 0.6
GTEX-17EVQ-1926-SM-7IGOF 70-79 years, male 0.6
GTEX-1F88F-1126-SM-7MKHL 60-69 years, female 0.6
GTEX-OXRN-1726-SM-3NM9B 50-59 years, male 0.6
GTEX-RN64-1026-SM-48FDX 50-59 years, male 0.6
GTEX-T6MO-0526-SM-4DM6R 40-49 years, female 0.6
GTEX-T8EM-0526-SM-4DM64 40-49 years, male 0.6
GTEX-X62O-2226-SM-46MW3 50-59 years, male 0.6
GTEX-ZT9W-1326-SM-51MTB 50-59 years, male 0.6
GTEX-ZUA1-1226-SM-5NQ6O 40-49 years, male 0.6
GTEX-ZXES-1126-SM-5GZXN 30-39 years, female 0.6
GTEX-ZZPT-1426-SM-5N9C5 50-59 years, male 0.6
GTEX-1B996-1826-SM-7MGY6 60-69 years, male 0.6
GTEX-1H23P-1426-SM-9JGH5 60-69 years, male 0.6
GTEX-1H3NZ-1326-SM-9JGHI 60-69 years, male 0.6
GTEX-1I1CD-1726-SM-A9G3P 60-69 years, female 0.6
GTEX-1I1GS-2126-SM-ARU7G 60-69 years, male 0.6
GTEX-1IDFM-1126-SM-A96SY 60-69 years, male 0.6
GTEX-1IKK5-1326-SM-AHZ2X 60-69 years, male 0.6
GTEX-1KXAM-0826-SM-CXZK9 60-69 years, male 0.6
GTEX-1L5NE-1426-SM-DHXKV 50-59 years, male 0.6
GTEX-1LG7Z-0926-SM-CXKYK 30-39 years, male 0.6
GTEX-1LNCM-0626-SM-EV7AI 50-59 years, female 0.6
GTEX-1RLM8-0726-SM-E6CRH 50-59 years, male 0.6
GTEX-UPJH-1026-SM-EAZB2 50-59 years, male 0.6
GTEX-11DXZ-1226-SM-5H11L 50-59 years, male 0.5
GTEX-11ZTS-2626-SM-5EGIC 60-69 years, female 0.5
GTEX-1212Z-2126-SM-5FQTM 60-69 years, male 0.5
GTEX-131XG-1026-SM-5GCMX 50-59 years, female 0.5
GTEX-131YS-1426-SM-5IJF7 60-69 years, female 0.5
GTEX-139YR-1726-SM-5IFFK 50-59 years, male 0.5
GTEX-13O3Q-0826-SM-5IFGF 50-59 years, male 0.5
GTEX-13OVG-0626-SM-5IFEP 60-69 years, male 0.5
GTEX-13X6K-2126-SM-5O9D4 60-69 years, female 0.5
GTEX-13YAN-1926-SM-7EPH9 60-69 years, male 0.5
GTEX-14DAR-0826-SM-73KYJ 50-59 years, male 0.5
GTEX-15RIF-0826-SM-6M47C 20-29 years, male 0.5
GTEX-1A32A-1826-SM-72D5G 50-59 years, female 0.5
GTEX-1EX96-2226-SM-7MKGT 50-59 years, male 0.5
GTEX-OIZH-0626-SM-3NB1L 50-59 years, male 0.5
GTEX-OIZI-1426-SM-3NB1T 40-49 years, male 0.5
GTEX-POYW-1326-SM-48TCG 60-69 years, male 0.5
GTEX-Q2AI-0626-SM-48TZU 40-49 years, male 0.5
GTEX-R55C-0826-SM-48FCL 40-49 years, male 0.5
GTEX-RTLS-1126-SM-46MUQ 60-69 years, female 0.5
GTEX-S95S-0426-SM-4B64I 60-69 years, male 0.5
GTEX-T5JC-1726-SM-4DM6U 20-29 years, male 0.5
GTEX-YJ89-1526-SM-5P9IR 60-69 years, male 0.5
GTEX-Z9EW-0526-SM-5HL8S 40-49 years, male 0.5
GTEX-14PJ3-0626-SM-6UGC5 50-59 years, male 0.5
GTEX-1EKGG-1726-SM-7MXUP 60-69 years, male 0.5
GTEX-1GN73-1926-SM-9JGGS 60-69 years, male 0.5
GTEX-1H1ZS-1526-SM-9OSXR 70-79 years, male 0.5
GTEX-1IDJH-2026-SM-CNNQX 70-79 years, male 0.5
GTEX-1MA7X-0726-SM-EV7AB 60-69 years, male 0.5
GTEX-1R9PM-0926-SM-DPRYA 20-29 years, male 0.5
GTEX-12WSK-1126-SM-5LZV8 40-49 years, female 0.4
GTEX-1399U-1026-SM-5J1OC 50-59 years, female 0.4
GTEX-139T6-0626-SM-5IFF9 50-59 years, male 0.4
GTEX-13FH7-0526-SM-5IJF8 50-59 years, female 0.4
GTEX-13OVJ-1226-SM-5L3HA 50-59 years, female 0.4
GTEX-14PJ5-0526-SM-664OE 60-69 years, female 0.4
GTEX-15RIE-0826-SM-6M47X 60-69 years, male 0.4
GTEX-1C6VQ-1826-SM-7EWEH 50-59 years, male 0.4
GTEX-1F75I-1726-SM-7MKGW 40-49 years, male 0.4
GTEX-PWN1-0626-SM-48TDT 40-49 years, female 0.4
GTEX-QCQG-0626-SM-48U21 50-59 years, female 0.4
GTEX-R55E-1326-SM-48FCR 20-29 years, male 0.4
GTEX-R55G-1026-SM-48FDI 40-49 years, female 0.4
GTEX-VUSG-1226-SM-4KKZF 50-59 years, male 0.4
GTEX-WYJK-1926-SM-4ONDP 50-59 years, male 0.4
GTEX-ZDTT-1326-SM-4WKFH 60-69 years, male 0.4
GTEX-1HBPH-1126-SM-A96TU 40-49 years, female 0.4
GTEX-1HCVE-1226-SM-9WPPH 50-59 years, male 0.4
GTEX-1I1GR-1326-SM-ARU7B 60-69 years, male 0.4
GTEX-1N2DV-2026-SM-EV7BL 40-49 years, male 0.4
GTEX-1N2DW-1426-SM-EV7AZ 50-59 years, male 0.4
GTEX-1OKEX-1326-SM-E9J2U 60-69 years, male 0.4
GTEX-1PPGY-1726-SM-EVR3S 60-69 years, male 0.4
GTEX-1QP2A-1926-SM-EXOJ9 50-59 years, male 0.4
GTEX-1R9JW-1526-SM-DPRZK 30-39 years, female 0.4
GTEX-OIZF-0626-SM-7MKHG 60-69 years, male 0.4
GTEX-YEC3-2526-SM-CXZIH 50-59 years, male 0.4
GTEX-11ZU8-1526-SM-5EGHX 60-69 years, male 0.3
GTEX-12WSA-1426-SM-5EGJU 60-69 years, male 0.3
GTEX-1399R-0826-SM-5IJEL 30-39 years, male 0.3
GTEX-13FTX-0526-SM-5IFGS 20-29 years, female 0.3
GTEX-14E1K-1226-SM-5S2PD 50-59 years, male 0.3
GTEX-14H4A-1626-SM-5SI69 40-49 years, female 0.3
GTEX-14JIY-0926-SM-6871D 60-69 years, male 0.3
GTEX-14PJN-0526-SM-68724 30-39 years, male 0.3
GTEX-17F9E-1926-SM-7IGQF 50-59 years, male 0.3
GTEX-17MFQ-0526-SM-7KFTX 20-29 years, male 0.3
GTEX-1AYD5-0926-SM-793AF 50-59 years, male 0.3
GTEX-1B8KE-1826-SM-731FD 50-59 years, male 0.3
GTEX-1EWIQ-1526-SM-79OO7 70-79 years, female 0.3
GTEX-P4PQ-0626-SM-3NMCU 60-69 years, male 0.3
GTEX-PWCY-0726-SM-48TCS 20-29 years, female 0.3
GTEX-RM2N-0726-SM-48FD5 50-59 years, male 0.3
GTEX-TKQ1-0326-SM-4DXSM 30-39 years, male 0.3
GTEX-U3ZH-1026-SM-4DXUZ 30-39 years, male 0.3
GTEX-W5WG-1626-SM-4LMKG 50-59 years, female 0.3
GTEX-WEY5-0926-SM-4LMI4 40-49 years, female 0.3
GTEX-WYVS-0726-SM-4ONDO 40-49 years, female 0.3
GTEX-ZAK1-1526-SM-5S2OV 50-59 years, female 0.3
GTEX-ZG7Y-1126-SM-4WWEZ 50-59 years, male 0.3
GTEX-13FHO-1726-SM-DPRZX 60-69 years, male 0.3
GTEX-1EN7A-1226-SM-7MGX9 40-49 years, male 0.3
GTEX-1GPI7-1026-SM-7MGY2 20-29 years, male 0.3
GTEX-1H1DE-1026-SM-9JGH6 20-29 years, male 0.3
GTEX-1RDX4-2126-SM-EV7B3 50-59 years, female 0.3
GTEX-1122O-1726-SM-5GICM 60-69 years, female 0.2
GTEX-11P82-0526-SM-5986P 20-29 years, male 0.2
GTEX-12696-1326-SM-5FQTJ 60-69 years, male 0.2
GTEX-13D11-1926-SM-5IFGB 50-59 years, female 0.2
GTEX-13FHP-1526-SM-5IJGE 50-59 years, male 0.2
GTEX-13PL7-0226-SM-731DT 60-69 years, female 0.2
GTEX-13SLX-1726-SM-5Q5E5 50-59 years, female 0.2
GTEX-14AS3-0626-SM-5QGQD 40-49 years, female 0.2
GTEX-14ICK-2026-SM-6AJB2 40-49 years, male 0.2
GTEX-14PK6-1326-SM-686ZE 70-79 years, female 0.2
GTEX-15RJE-0926-SM-6LLHZ 40-49 years, male 0.2
GTEX-15SB6-0726-SM-6M48F 50-59 years, female 0.2
GTEX-15SHU-1426-SM-6LPIN 40-49 years, female 0.2
GTEX-17HHE-0926-SM-7938K 50-59 years, male 0.2
GTEX-1AX9I-1426-SM-7DHM8 60-69 years, male 0.2
GTEX-1EH9U-2426-SM-7EWFG 60-69 years, male 0.2
GTEX-U3ZM-0526-SM-4DXTB 40-49 years, male 0.2
GTEX-WQUQ-1626-SM-4OOSH 60-69 years, male 0.2
GTEX-XBEW-1326-SM-4AT63 40-49 years, male 0.2
GTEX-XQ3S-1126-SM-4BOPK 20-29 years, male 0.2
GTEX-Y5LM-1026-SM-4VDSQ 40-49 years, female 0.2
GTEX-YFC4-1226-SM-5LU9R 40-49 years, female 0.2
GTEX-ZVT2-1326-SM-5E45H 50-59 years, female 0.2
GTEX-ZZ64-0226-SM-5E44X 20-29 years, male 0.2
GTEX-1LG7Y-1726-SM-EV7AR 50-59 years, male 0.2
GTEX-1LVAN-2326-SM-CNNPY 50-59 years, female 0.2
GTEX-ZLWG-1326-SM-DNZYZ 50-59 years, female 0.2
GTEX-11I78-1526-SM-5A5K7 50-59 years, female 0.1
GTEX-11P7K-1326-SM-5BC5G 30-39 years, male 0.1
GTEX-13QBU-1026-SM-5LU3R 40-49 years, female 0.1
GTEX-145LV-1326-SM-5S2QI 50-59 years, male 0.1
GTEX-148VJ-1026-SM-5LU98 70-79 years, male 0.1
GTEX-14DAQ-1426-SM-5RQJD 60-69 years, female 0.1
GTEX-17F96-2526-SM-7DHL3 70-79 years, male 0.1
GTEX-1A3MV-1326-SM-7LG6C 30-39 years, male 0.1
GTEX-1AMFI-0226-SM-731D5 50-59 years, female 0.1
GTEX-1CB4E-1026-SM-793AB 60-69 years, male 0.1
GTEX-PLZ6-0526-SM-3P61C 30-39 years, male 0.1
GTEX-PVOW-1626-SM-48TC9 40-49 years, male 0.1
GTEX-RWS6-0826-SM-47JXF 60-69 years, female 0.1
GTEX-U4B1-0826-SM-4DXTW 40-49 years, male 0.1
GTEX-UPK5-1226-SM-4IHL8 40-49 years, male 0.1
GTEX-X4EO-1226-SM-4QARR 60-69 years, female 0.1
GTEX-X4EP-1626-SM-4QAS6 60-69 years, female 0.1
GTEX-ZTSS-0626-SM-59867 40-49 years, male 0.1
GTEX-18QFQ-1026-SM-7LG6B 30-39 years, male 0.1
GTEX-1GMR3-1526-SM-9JGGL 40-49 years, male 0.1
GTEX-1K2DA-0626-SM-CGQGO 50-59 years, male 0.1
GTEX-1KANA-0626-SM-D4P3I 20-29 years, male 0.1
GTEX-1MCYP-1026-SM-DPRYB 20-29 years, female 0.1
GTEX-1MGNQ-1626-SM-EAZ4Z 40-49 years, male 0.1
GTEX-11DXY-1426-SM-5N9CN 60-69 years, male 0.0
GTEX-14C5O-1626-SM-73KYH 60-69 years, male 0.0
GTEX-16AAH-0726-SM-793A9 50-59 years, male 0.0
GTEX-1EMGI-1926-SM-7938Y 60-69 years, male 0.0
GTEX-QVUS-0626-SM-447CC 60-69 years, female 0.0
GTEX-1H11D-2126-SM-9OSXM 40-49 years, male 0.0
GTEX-1HB9E-1526-SM-D3LA6 50-59 years, male 0.0
GTEX-1JKYN-1526-SM-CGQGA 30-39 years, male 0.0
GTEX-1NSGN-2026-SM-DPRYM 50-59 years, male 0.0
Show allShow less

ESOPHAGUS - FANTOM5 CAGEi

RNA expression in human tissues obtained through Cap Analysis of Gene Expression (CAGE) generated by the FANTOM5 project are reported as Scaled Tags Per Million.

Max subtype Scaled Tags Per Millioni

Max subtype Scaled Tags Per Million is the value for the subtype with the largest average Scaled Tags Per Million across the subtype samples.

6.7
FANTOM5 sample id Sample description Scaled Tags Per Million
Esophagus
Scaled Tags Per Million: 6.7
FF:10015-101C6 68,74,75 years, mixed 6.7

Contact

  • NEWS ARTICLES
  • PRESS ROOM

The Project

  • INTRODUCTION
  • ORGANIZATION
  • PUBLICATIONS

The Human Protein Atlas

  • DOWNLOADABLE DATA
  • LICENCE & CITATION
  • HELP & FAQ
The Human Protein Atlas project is funded
by the Knut & Alice Wallenberg Foundation.


contact@proteinatlas.org