We use cookies to enhance the usability of our website. If you continue, we'll assume that you are happy to receive all cookies. More information. Don't show this again.
VIM
HPA
RESOURCES
  • TISSUE
  • BRAIN
  • SINGLE CELL
  • SUBCELLULAR
  • CANCER
  • BLOOD
  • CELL LINE
  • STRUCTURE & INTERACTION
ABOUT
  • INTRODUCTION
  • HISTORY
  • ORGANIZATION
  • PUBLICATIONS
  • ANTIBODY SUBMISSION
  • ANTIBODY AVAILABILITY
  • ACKNOWLEDGMENTS
  • CONTACT
NEWS
  • NEWS ARTICLES
  • PRESS ROOM
LEARN
  • DICTIONARY
  • PROTEIN CLASSES
  • PROTEIN EVIDENCE
  • METHODS
  • EDUCATIONAL VIDEOS
DATA
  • DOWNLOADABLE DATA
  • PUBLICATION DATA
  • RELEASE HISTORY
HELP
  • ANTIBODY VALIDATION
  • ASSAYS & ANNOTATION
  • DISCLAIMER
  • HELP & FAQ
  • PRIVACY STATEMENT
  • LICENCE & CITATION
Fields »
Search result

Field
Term
Gene name
Class
Subclass
Class
Keyword
Chromosome
External id
Tissue
Cell type
Expression
Antibody panel
Tissue
Main location
Patient ID
Annotation
Tissue
Category
Tau score
Cluster
Reliability
Brain region
Category
Tau score
Brain region
Category
Tau score
Brain region
Category
Tau score
Cluster
Reliability
Tissue
Cell type
Enrichment
Cell type
Category
Tau score
Cell type
Category
Tau score
Cell type
Category
Tau score
Cell lineage
Category
Tau score
Cluster
Cluster
Location
Searches
Location
Cell line
Class
Type
Phase
Reliability
Cancer
Prognosis
Cancer
Category
Cancer
Category
Tau score
Cluster
Variants
Interacting gene (ensg_id)
Type
Number of interactions
Pathway
Category
Score
Score
Score
Validation
Validation
Validation
Validation
Antibodies
Data type
Column


  • SUMMARY

  • TISSUE

  • BRAIN

  • SINGLE CELL

  • SUBCELL

  • CANCER

  • BLOOD

  • CELL LINE

  • STRUCT & INT

  • VIM
TISSUE PRIMARY DATA SKIN Show tissue menu
ADIPOSE TISSUE ADRENAL GLAND AMYGDALA APPENDIX BASAL GANGLIA BONE MARROW BREAST BRONCHUS CEREBELLUM CEREBRAL CORTEX CERVIX CHOROID PLEXUS COLON DUODENUM
ENDOMETRIUM EPIDIDYMIS ESOPHAGUS FALLOPIAN TUBE GALLBLADDER HEART MUSCLE HIPPOCAMPAL FORMATION HYPOTHALAMUS KIDNEY LIVER LUNG LYMPH NODE MIDBRAIN NASOPHARYNX
ORAL MUCOSA OVARY PANCREAS PARATHYROID GLAND PITUITARY GLAND PLACENTA PROSTATE RECTUM RETINA SALIVARY GLAND SEMINAL VESICLE SKELETAL MUSCLE SKIN SMALL INTESTINE
SMOOTH MUSCLE SOFT TISSUE SPINAL CORD SPLEEN STOMACH TESTIS THYMUS THYROID GLAND TONGUE TONSIL URINARY BLADDER VAGINA
ANTIBODIES
AND
VALIDATION
Dictionary
Skin
Tissue proteome
Skin
SKIN - Expression summary
Protein expression
Skini

On the top, protein expression in current human tissue, based on all annotated cell types, is reported with the units not detected (n), low (l), medium (m) and high (h). Underneath, protein expression in each annotated cell type are reported using the same units.

Protein expression data is based on knowledge-based annotation. For genes where more than one antibody has been used, a collective score is set.

If knowledge-based annotation could not be performed for a gene, no data is displayed here. View antibody staining data further down this page.

h
m
l
n
Cells in basal layer: Not detected
Cells in corneal layer: Not detected
Cells in granular layer: Not detected
Cells in spinous layer: Not detected
Endothelial cells: High
Extracellular matrix: Not detected
Fibrohistiocytic cells: High
Hair follicles: Not detected
Langerhans cells: High
Lymphocytes: High
Melanocytes: High
Vascular mural cells: High
RNA expressioni

A summary of mRNA expression data available for current tissue based on several datasets. The mRNA expression levels in human tissues are based on RNA-seq data generated by the Human Protein Atlas (HPA), Genotype-Tissue Expression (GTEx) portal and CAGE data generated by the FANTOM5 consortium. Consensus normalized expression levels for human tissues was created by combining the data from HPA and GTEx datasets.

The mRNA expression levels in pig are based on RNA-seq data generated by the Human Protein Atlas (HPA), and for mouse, HPA data and in situ hybridization generated by the Allen brain atlas are reported.

Scroll down to view mRNA expression data in more detail.
Consensus:1090.3 nTPM
HPA:582.2 nTPM
GTEx:1090.3 nTPM

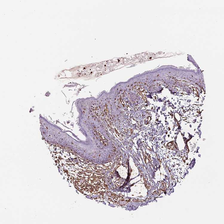
SKIN 1 - Antibody stainingi

Antibody staining in the annotated cell types in the current human tissue is reported as not detected, low, medium, or high, based on conventional immunohistochemistry profiling in selected tissues. This score is based on the combination of the staining intensity and fraction of stained cells.

Each image is clickable and will lead to virtual microscopy that enables deeper exploration of all samples and also displays staining intensity scores, fraction scores and subcellular localization as well as patient and tissue information for each sample.

Antibody HPA001762Antibody CAB000080Antibody CAB058687
Langerhans High-High
Cells in basal layer -Not detected-
Cells in corneal layer -Not detected-
Cells in granular layer -Not detected-
Cells in spinous layer -Not detected-
Endothelial cells -High-
Extracellular matrix -Not detected-
Fibroblasts High-High
Fibrohistiocytic cells -High-
Hair follicles -Not detected-
Keratinocytes Not detected-Not detected
Langerhans cells -High-
Lymphocytes -High-
Melanocytes MediumHighMedium
Vascular mural cells -High-



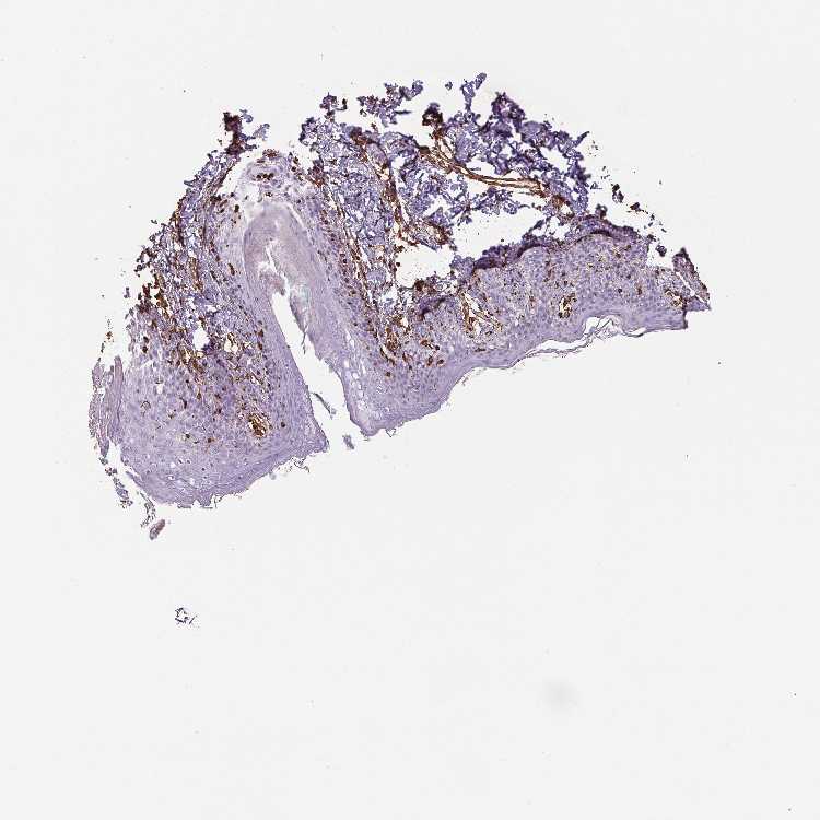
SKIN 2 - Antibody stainingi

Antibody staining in the annotated cell types in the current human tissue is reported as not detected, low, medium, or high, based on conventional immunohistochemistry profiling in selected tissues. This score is based on the combination of the staining intensity and fraction of stained cells.

Each image is clickable and will lead to virtual microscopy that enables deeper exploration of all samples and also displays staining intensity scores, fraction scores and subcellular localization as well as patient and tissue information for each sample.

Antibody HPA001762Antibody CAB000080Antibody CAB058687
Cells in basal layer -Not detected-
Cells in corneal layer -Not detected-
Cells in granular layer -Not detected-
Cells in spinous layer -Not detected-
Endothelial cells -High-
Epidermal cells Medium-Low
Extracellular matrix -Not detected-
Fibrohistiocytic cells -High-
Hair follicles -Not detected-
Langerhans cells -High-
Lymphocytes -High-
Melanocytes -High-
Vascular mural cells -High-
   
   






SKIN - HPA RNA-seqi

The RNA-seq details section shows detailed information about the individual samples used for the transcript profiling and results of the RNA-seq analysis.

Information about each individual sample is listed below, including gender, age, a tissue section image and estimated fractions of cell types. nTPM (normalized transcripts per million) values give a quantification of the gene abundance which is comparable between different genes and samples.
Average nTPMi

Max subtype nTPM is the value for the subtype with the largest average nTPM across the subtype samples.

582.2
overview
Female, age 34
Skin sample 225
nTPM: 641.7
Cell types%
Keratinocytes:
60

Other cell types:
40

overview
Female, age 30
Skin sample 226
nTPM: 420.8
Cell types%
Keratinocytes:
55

Other cell types:
45

N/A
Male, age 57
Skin sample 227
nTPM: 684

SKIN - GTEx RNA-seqi

RNA-Seq data generated by the Genotype-Tissue Expression (GTEx) project from human tissues is reported as mean nTPM. More information can be found on the GTEx portal.

Distribution across the dataset is visualized with box plots, shown as median and 25th and 75th percentiles. Points are displayed as outliers if they are above or below 1.5 times the interquartile range. nTPM values of the individual samples are presented next to the box plot.
Max subtype nTPMi

Max subtype nTPM is the value for the subtype with the largest average nTPM across the subtype samples.

1090.3
GTEx sample id Sample description nTPM
Skin - Not Sun Exposed (Suprapubic)
Average nTPM: 920.3
Samples: 604

Max nTPM: 2619.6
Min nTPM: 222.9
Std nTPM: 383.0
Median nTPM: 854.1
GTEX-14DAR-1226-SM-73KYV 50-59 years, male 2619.6
GTEX-ZYW4-0626-SM-59HJR 60-69 years, male 2340.8
GTEX-1QP29-1826-SM-DTX9S 50-59 years, male 2274.8
GTEX-1H3VE-0726-SM-9YFL5 40-49 years, male 2247.1
GTEX-1H1ZS-2726-SM-9WG75 70-79 years, male 2141.1
GTEX-14BMU-1226-SM-5S2OR 20-29 years, female 2082.1
GTEX-Y3IK-1626-SM-4YCF5 50-59 years, female 2080.0
GTEX-13QBU-1226-SM-5LU4G 40-49 years, female 1997.9
GTEX-1399R-1326-SM-5PNYS 30-39 years, male 1992.9
GTEX-1RLM8-2926-SM-E8VON 50-59 years, male 1989.3
GTEX-YB5K-2026-SM-4VDT3 40-49 years, female 1974.3
GTEX-ZA64-1026-SM-5HL8R 20-29 years, male 1910.5
GTEX-13YAN-0226-SM-5TDC6 60-69 years, male 1901.6
GTEX-1HUB1-1426-SM-CGQF5 60-69 years, male 1900.5
GTEX-11NSD-0626-SM-5A5LU 20-29 years, male 1895.1
GTEX-X5EB-1926-SM-4E3IW 40-49 years, male 1891.8
GTEX-13113-1626-SM-5EQ4I 60-69 years, female 1871.2
GTEX-1117F-2926-SM-5GZYI 60-69 years, female 1869.3
GTEX-X585-2426-SM-46MW2 50-59 years, male 1773.2
GTEX-1F75W-2726-SM-7SB8H 60-69 years, male 1771.7
GTEX-ZYFG-1526-SM-5GZYM 60-69 years, female 1749.9
GTEX-13OVJ-0826-SM-5J1OK 50-59 years, female 1737.5
GTEX-ZLFU-1826-SM-4WWBV 40-49 years, male 1730.3
GTEX-1CAV2-0126-SM-7IGN7 40-49 years, female 1725.0
GTEX-1F75I-2226-SM-7SB8U 40-49 years, male 1699.8
GTEX-146FQ-2126-SM-5RQHU 30-39 years, male 1694.6
GTEX-139YR-1026-SM-5LZYN 50-59 years, male 1679.6
GTEX-X3Y1-2026-SM-3P5YM 40-49 years, male 1660.4
GTEX-ZGAY-1826-SM-DO91Q 40-49 years, female 1652.8
GTEX-XQ8I-0926-SM-4BOOF 50-59 years, male 1652.3
GTEX-12WSL-2026-SM-5GCML 50-59 years, male 1638.7
GTEX-1RAZR-2126-SM-E9U6T 40-49 years, male 1632.0
GTEX-1JMQI-1726-SM-ARL93 50-59 years, male 1617.8
GTEX-1497J-0226-SM-5QGPU 60-69 years, male 1609.2
GTEX-ZLWG-0826-SM-59888 50-59 years, female 1604.0
GTEX-1LBAC-0826-SM-CY8IJ 20-29 years, male 1600.3
GTEX-1HKZK-0726-SM-ACKW2 40-49 years, male 1598.6
GTEX-16BQI-1326-SM-6M486 30-39 years, female 1588.1
GTEX-1MJK3-0726-SM-E6CJC 20-29 years, male 1580.7
GTEX-1A32A-0626-SM-731AQ 50-59 years, female 1569.6
GTEX-1IDJI-0126-SM-CMKHS 50-59 years, female 1568.6
GTEX-Y8LW-1526-SM-5IFHL 50-59 years, female 1560.7
GTEX-1H3NZ-2726-SM-9WYTQ 60-69 years, male 1559.3
GTEX-11EM3-1226-SM-5N9DD 20-29 years, female 1557.6
GTEX-18D9B-0926-SM-7LG4U 60-69 years, male 1554.8
GTEX-11DYG-1526-SM-5A5JS 60-69 years, male 1541.2
GTEX-145ME-1726-SM-5Q5EU 40-49 years, female 1537.8
GTEX-YF7O-1526-SM-5IFI6 50-59 years, male 1531.7
GTEX-1JKYN-0826-SM-ARU8S 30-39 years, male 1527.2
GTEX-ZE7O-2726-SM-51MT5 50-59 years, female 1518.2
GTEX-ZVTK-0226-SM-51MRG 20-29 years, male 1515.2
GTEX-ZVP2-0326-SM-57WBP 50-59 years, male 1511.6
GTEX-WXYG-2026-SM-4E3IY 50-59 years, female 1494.9
GTEX-17EVQ-0126-SM-7IGLR 70-79 years, male 1483.2
GTEX-13N2G-0226-SM-5K7VF 60-69 years, male 1469.7
GTEX-1J8Q3-0526-SM-ARL8U 60-69 years, male 1467.9
GTEX-13VXT-1926-SM-5K7UO 20-29 years, female 1463.7
GTEX-14JG6-1426-SM-9WG7C 30-39 years, female 1463.0
GTEX-1F6IF-0926-SM-7SB7M 60-69 years, male 1436.1
GTEX-1OJC3-1226-SM-DTXER 20-29 years, male 1426.3
GTEX-1F75B-0726-SM-7PC3R 50-59 years, male 1425.5
GTEX-1QP9N-1226-SM-E76QN 30-39 years, male 1422.9
GTEX-1F48J-0726-SM-7RHGS 50-59 years, female 1417.1
GTEX-17F9E-2326-SM-79OKD 50-59 years, male 1408.1
GTEX-13X6H-0926-SM-5SIB2 50-59 years, female 1405.4
GTEX-12584-0726-SM-5FQTK 40-49 years, male 1404.8
GTEX-145MN-1526-SM-5SI9T 30-39 years, male 1398.3
GTEX-1F6I4-2326-SM-7RHGL 60-69 years, male 1380.4
GTEX-Y3I4-1726-SM-4TT89 50-59 years, male 1378.7
GTEX-1GZ2Q-0126-SM-9WG6M 40-49 years, male 1371.1
GTEX-12C56-1526-SM-5FQUQ 20-29 years, male 1369.4
GTEX-1HCU6-2526-SM-ADEHL 60-69 years, female 1363.2
GTEX-1IDJE-1426-SM-ADEIW 50-59 years, female 1360.6
GTEX-14PK6-0226-SM-62LF5 70-79 years, female 1352.9
GTEX-18D9A-1426-SM-7LT8M 30-39 years, female 1351.4
GTEX-1CAMR-1326-SM-7PC1F 20-29 years, male 1349.8
GTEX-1F75A-0726-SM-7RHHD 50-59 years, male 1348.1
GTEX-1I19N-0126-SM-CYPSF 70-79 years, male 1347.3
GTEX-ZTSS-1426-SM-5985P 40-49 years, male 1342.7
GTEX-W5X1-2526-SM-3GILC 40-49 years, female 1331.9
GTEX-1LGOU-1326-SM-D3L8M 20-29 years, female 1331.7
GTEX-Y8E4-2026-SM-5IFJB 40-49 years, male 1329.4
GTEX-11DZ1-2426-SM-5GZZX 50-59 years, male 1314.1
GTEX-XBEW-1126-SM-4QARW 40-49 years, male 1311.2
GTEX-139T8-0626-SM-5KLZX 60-69 years, male 1309.3
GTEX-1GMR2-0826-SM-7PC3V 50-59 years, male 1309.2
GTEX-147F3-1726-SM-5SIAW 50-59 years, female 1307.6
GTEX-13IVO-0726-SM-5LZYV 70-79 years, male 1305.7
GTEX-16MTA-0926-SM-6M47Z 50-59 years, male 1305.5
GTEX-16MT8-2926-SM-7DUFO 60-69 years, female 1302.3
GTEX-WHSE-0126-SM-3NMBT 20-29 years, male 1302.2
GTEX-1HCU9-0426-SM-9WYSD 20-29 years, male 1302.1
GTEX-15RJ7-2126-SM-6PAMD 40-49 years, male 1292.6
GTEX-Y5V5-0126-SM-5S2NW 60-69 years, female 1292.6
GTEX-1H1CY-0126-SM-9YFLY 60-69 years, female 1292.3
GTEX-1HSMO-0626-SM-ACKXC 60-69 years, male 1286.4
GTEX-1QCLZ-2426-SM-EVYBW 60-69 years, female 1284.7
GTEX-12WSJ-1126-SM-5LZVJ 40-49 years, female 1268.9
GTEX-1PIGE-1826-SM-E8VOU 20-29 years, male 1262.6
GTEX-13O61-1426-SM-5KM3D 60-69 years, male 1258.4
GTEX-12ZZZ-0726-SM-5GCNZ 60-69 years, male 1258.2
GTEX-ZAB4-2126-SM-5HL8U 40-49 years, male 1256.3
GTEX-12BJ1-0926-SM-5EQ62 60-69 years, male 1255.6
GTEX-1KANA-1326-SM-DIPFA 20-29 years, male 1252.4
GTEX-WEY5-2326-SM-3GIKK 40-49 years, female 1251.0
GTEX-15FZZ-0526-SM-7KUGD 30-39 years, female 1240.4
GTEX-1EWIQ-0326-SM-7DHMQ 70-79 years, female 1236.6
GTEX-WFG7-2026-SM-5SI7P 20-29 years, male 1234.1
GTEX-16AAH-0626-SM-793C9 50-59 years, male 1233.4
GTEX-11P7K-1126-SM-5HL4L 30-39 years, male 1231.0
GTEX-WYVS-1626-SM-3NM9R 40-49 years, female 1228.6
GTEX-139TS-2126-SM-5K7XC 60-69 years, male 1228.0
GTEX-14E6C-2426-SM-5S2NF 40-49 years, male 1225.4
GTEX-13FH7-1126-SM-5K7UG 50-59 years, female 1224.0
GTEX-14PHX-2226-SM-6EU2P 50-59 years, male 1217.5
GTEX-15UF6-1926-SM-7KUDV 70-79 years, female 1213.9
GTEX-12WSK-2126-SM-5CVNC 40-49 years, female 1210.7
GTEX-UPK5-0426-SM-3GAEK 40-49 years, male 1209.3
GTEX-133LE-2326-SM-5K7W3 20-29 years, female 1207.9
GTEX-1LVAN-0626-SM-CNPOQ 50-59 years, female 1205.3
GTEX-1314G-1326-SM-5BC6E 30-39 years, male 1200.6
GTEX-11EQ9-1626-SM-5PNY8 30-39 years, male 1200.4
GTEX-1HSMQ-2626-SM-A9SML 50-59 years, male 1197.5
GTEX-1HFI7-2326-SM-CGQFS 50-59 years, female 1195.0
GTEX-18A7B-2726-SM-7LG56 70-79 years, male 1191.8
GTEX-17F96-0126-SM-7EWDU 70-79 years, male 1188.7
GTEX-13FTW-0326-SM-5K7UW 40-49 years, male 1187.6
GTEX-131XF-2626-SM-5EQ6K 60-69 years, male 1186.6
GTEX-1I4MK-0126-SM-CY8G6 50-59 years, female 1183.8
GTEX-1GTWX-2026-SM-9YFLM 60-69 years, male 1171.5
GTEX-ZZ64-1026-SM-5GZXG 20-29 years, male 1169.8
GTEX-17F97-2626-SM-7IGM5 50-59 years, male 1168.9
GTEX-15CHQ-0326-SM-69LQD 60-69 years, male 1166.8
GTEX-15D1Q-2826-SM-6LLH7 40-49 years, male 1163.3
GTEX-18A66-0626-SM-7LT8Z 60-69 years, male 1163.3
GTEX-WFG8-2126-SM-3GIKQ 20-29 years, male 1160.8
GTEX-13OW5-2326-SM-5L3HO 60-69 years, male 1160.7
GTEX-1GF9W-1426-SM-7PBYM 60-69 years, male 1156.9
GTEX-148VJ-0626-SM-5LUAW 70-79 years, male 1151.0
GTEX-1IDJD-2326-SM-ACKWX 30-39 years, male 1151.0
GTEX-13NYS-0626-SM-5L3F1 60-69 years, male 1148.8
GTEX-11P82-1426-SM-DTXFY 20-29 years, male 1148.5
GTEX-YEC4-1826-SM-4W1YP 40-49 years, male 1145.9
GTEX-WHPG-2626-SM-3NMBR 50-59 years, male 1145.8
GTEX-1JMLX-0626-SM-ARL8T 50-59 years, male 1141.2
GTEX-1S831-1826-SM-EWROF 20-29 years, male 1140.1
GTEX-1HCUA-0826-SM-ADEHM 50-59 years, female 1136.8
GTEX-YFCO-1226-SM-5LUAT 40-49 years, male 1136.6
GTEX-WYBS-0626-SM-3NMAS 60-69 years, female 1135.8
GTEX-ZZPU-0826-SM-5GZX5 50-59 years, female 1134.2
GTEX-15RIG-0726-SM-7KUM7 40-49 years, male 1132.7
GTEX-ZT9W-1126-SM-57WDR 50-59 years, male 1132.7
GTEX-145MG-1526-SM-5Q5EM 50-59 years, male 1132.1
GTEX-1HFI6-0126-SM-CNPPI 40-49 years, male 1131.9
GTEX-18QFQ-1826-SM-72D52 30-39 years, male 1130.4
GTEX-1C64N-2626-SM-7PC2N 50-59 years, male 1130.2
GTEX-1HC8U-1326-SM-9YFMJ 40-49 years, female 1127.9
GTEX-1IY9M-2826-SM-ARU8H 60-69 years, male 1122.2
GTEX-16YQH-2226-SM-7IGM2 30-39 years, male 1120.2
GTEX-12126-0826-SM-5FQTZ 20-29 years, male 1120.1
GTEX-1JJ6O-2726-SM-CNPOG 60-69 years, male 1119.8
GTEX-1S82P-2126-SM-E6CI5 60-69 years, female 1117.9
GTEX-ZPIC-0526-SM-DO91W 40-49 years, female 1115.8
GTEX-11EI6-2826-SM-5H11D 60-69 years, male 1115.5
GTEX-111FC-2526-SM-5GZXU 60-69 years, male 1114.5
GTEX-14PJN-1826-SM-6AJ98 30-39 years, male 1113.4
GTEX-ZPU1-1126-SM-4YCF3 40-49 years, male 1113.0
GTEX-17MF6-2626-SM-79OKQ 40-49 years, male 1112.9
GTEX-YJ8O-2526-SM-5HL85 40-49 years, female 1107.7
GTEX-1LSNM-0826-SM-DIPG8 50-59 years, male 1106.9
GTEX-1JMQL-2226-SM-CNPP4 50-59 years, female 1103.9
GTEX-13N11-2326-SM-5IJBF 50-59 years, female 1099.9
GTEX-1ICLZ-0326-SM-ARL82 60-69 years, male 1092.6
GTEX-14A5H-0826-SM-5QGPJ 60-69 years, male 1090.2
GTEX-14PJ5-1526-SM-6LLIL 60-69 years, female 1089.7
GTEX-16XZZ-0726-SM-7KUF2 60-69 years, male 1089.3
GTEX-1N2DV-1526-SM-DTXEP 40-49 years, male 1081.4
GTEX-12WSH-1526-SM-5BC5W 50-59 years, male 1081.3
GTEX-1QP28-1126-SM-EVYC4 50-59 years, female 1080.2
GTEX-XYKS-1426-SM-4BRUO 60-69 years, female 1079.9
GTEX-ZU9S-1826-SM-5NQ9E 30-39 years, male 1077.6
GTEX-1JMOU-1026-SM-CYPSS 60-69 years, female 1077.6
GTEX-1IDJF-2026-SM-CL53V 20-29 years, male 1076.5
GTEX-ZAK1-0626-SM-5HL8E 50-59 years, female 1074.9
GTEX-12WSF-1626-SM-7KUG5 70-79 years, male 1074.6
GTEX-1GZHY-0626-SM-9KNVC 50-59 years, female 1072.9
GTEX-1I6K6-1726-SM-CGQFD 30-39 years, male 1072.5
GTEX-1GZ4H-0526-SM-9KNU9 50-59 years, female 1070.7
GTEX-13OVK-1426-SM-6PAN7 40-49 years, male 1066.4
GTEX-1EX96-1026-SM-7MKG2 50-59 years, male 1065.8
GTEX-1EN7A-2426-SM-793DB 40-49 years, male 1062.2
GTEX-1MCC2-1826-SM-DIPEX 30-39 years, female 1059.0
GTEX-14PJ2-0626-SM-6LLII 50-59 years, male 1058.8
GTEX-ZF2S-1626-SM-57WES 50-59 years, female 1054.7
GTEX-117YX-1926-SM-5GIEC 50-59 years, male 1047.3
GTEX-11VI4-1126-SM-5EQMD 40-49 years, female 1042.2
GTEX-ZP4G-1426-SM-4WWCL 20-29 years, female 1041.3
GTEX-ZAJG-1526-SM-5CVML 50-59 years, female 1041.0
GTEX-14AS3-1526-SM-5Q5ED 40-49 years, female 1039.6
GTEX-XBED-1926-SM-47JYP 60-69 years, male 1039.5
GTEX-1211K-1526-SM-5FQU4 60-69 years, female 1037.9
GTEX-1E1VI-0326-SM-793D1 50-59 years, male 1036.7
GTEX-14E6E-0526-SM-793DN 30-39 years, male 1032.6
GTEX-11WQC-1826-SM-5GU59 60-69 years, male 1031.6
GTEX-1LVAO-2726-SM-E9TJ8 60-69 years, male 1031.4
GTEX-1KANC-1226-SM-CYPT7 50-59 years, female 1023.9
GTEX-1C475-1326-SM-7SB73 40-49 years, female 1023.1
GTEX-ZYFC-0426-SM-5GICQ 50-59 years, male 1022.7
GTEX-11DXY-0126-SM-5H11Q 60-69 years, male 1018.4
GTEX-1RB15-1326-SM-E76Q9 60-69 years, male 1010.2
GTEX-1S82U-1026-SM-E6CJK 30-39 years, female 1009.4
GTEX-17JCI-2926-SM-7DUFF 60-69 years, female 1007.8
GTEX-11P81-2226-SM-5PNYI 30-39 years, female 1005.1
GTEX-145LT-0526-SM-5LUB2 40-49 years, male 1003.1
GTEX-1IDJC-1526-SM-B2LW4 50-59 years, male 1002.8
GTEX-Y114-2126-SM-4TT8B 50-59 years, female 1001.0
GTEX-ZDTS-0826-SM-4WKHL 60-69 years, male 998.0
GTEX-1L5NE-1126-SM-D3L9P 50-59 years, male 997.7
GTEX-1GF9U-2026-SM-7SB92 40-49 years, female 994.3
GTEX-18D9U-0126-SM-731BM 40-49 years, male 992.2
GTEX-ZDYS-2426-SM-4WKGI 50-59 years, male 990.8
GTEX-1H1DE-1326-SM-9KNUG 20-29 years, male 990.4
GTEX-1J8JJ-0626-SM-ARZMQ 60-69 years, female 989.9
GTEX-14E1K-2026-SM-7DUEI 50-59 years, male 989.5
GTEX-1192X-2726-SM-5N9DN 50-59 years, male 988.3
GTEX-139TU-0726-SM-5L3EK 60-69 years, male 987.7
GTEX-14PKV-1126-SM-6LLJ1 20-29 years, female 983.4
GTEX-1GPI7-1826-SM-9KNU1 20-29 years, male 982.3
GTEX-ZVE2-2826-SM-5GU51 50-59 years, male 979.9
GTEX-1F52S-2926-SM-7MKGA 60-69 years, female 979.7
GTEX-ZXG5-2126-SM-59HKD 60-69 years, male 979.5
GTEX-1BAJH-2426-SM-7IGP8 70-79 years, male 973.7
GTEX-11O72-0626-SM-5PNYE 40-49 years, male 972.3
GTEX-15DYW-2726-SM-6EU2I 60-69 years, female 970.9
GTEX-139D8-1126-SM-5LU8W 30-39 years, female 970.7
GTEX-13JUV-2026-SM-5K7UA 40-49 years, female 970.6
GTEX-ZF3C-0626-SM-DO92O 50-59 years, female 970.2
GTEX-11DXW-0826-SM-5H118 40-49 years, male 966.9
GTEX-14ICL-1626-SM-5YYAO 30-39 years, male 962.5
GTEX-131XH-0126-SM-5LZUY 50-59 years, male 961.7
GTEX-Z93S-1626-SM-5CVMB 50-59 years, male 961.6
GTEX-XBEC-0726-SM-4QARZ 50-59 years, male 960.6
GTEX-14753-0726-SM-5QGQO 60-69 years, male 958.5
GTEX-ZTX8-1326-SM-4YCEL 20-29 years, male 954.1
GTEX-131YS-2826-SM-5EQ47 60-69 years, female 949.5
GTEX-1JJE9-2626-SM-ARZMT 70-79 years, male 948.8
GTEX-14PJO-2526-SM-6AJBQ 60-69 years, male 946.2
GTEX-1LVA9-2626-SM-EVYD4 50-59 years, male 944.7
GTEX-13X6J-0626-SM-5LU5F 50-59 years, male 941.4
GTEX-1J1R8-2026-SM-CL53Y 40-49 years, male 938.3
GTEX-183FY-1026-SM-7939A 20-29 years, male 934.7
GTEX-17F9Y-0126-SM-79OKX 70-79 years, female 933.5
GTEX-VJYA-1526-SM-3GIJV 60-69 years, male 933.5
GTEX-X8HC-0626-SM-4E3HQ 50-59 years, female 931.1
GTEX-14C39-1726-SM-5RQIL 40-49 years, male 928.9
GTEX-12WSD-0626-SM-5GCMW 60-69 years, female 928.6
GTEX-17HGU-2326-SM-7DUFE 50-59 years, male 926.4
GTEX-1KWVE-1026-SM-D3L9O 30-39 years, male 926.4
GTEX-1HCVE-2726-SM-CL54F 50-59 years, male 926.2
GTEX-ZLV1-1526-SM-DO91J 60-69 years, female 925.0
GTEX-1C6VQ-1226-SM-73KYD 50-59 years, male 923.1
GTEX-1S5ZU-2526-SM-E6CIF 20-29 years, female 922.7
GTEX-WHWD-1826-SM-3LK6I 50-59 years, male 921.7
GTEX-U8XE-0226-SM-4E3J3 30-39 years, male 919.4
GTEX-111CU-1126-SM-5EGIM 50-59 years, male 918.1
GTEX-1LG7Z-1626-SM-CXKYR 30-39 years, male 918.1
GTEX-1I1CD-0626-SM-CE6SW 60-69 years, female 915.7
GTEX-1QP66-1226-SM-DTX7U 50-59 years, male 914.7
GTEX-1QMI2-2526-SM-E8VNZ 60-69 years, male 913.4
GTEX-1AX9I-2226-SM-73KUO 60-69 years, male 912.2
GTEX-183WM-0326-SM-72D5V 70-79 years, female 911.2
GTEX-1IDJH-0126-SM-D3L92 70-79 years, male 909.7
GTEX-1F5PL-0926-SM-7PC2W 40-49 years, female 909.1
GTEX-13SLX-2226-SM-62LEP 50-59 years, female 907.9
GTEX-18A7A-0126-SM-731AH 50-59 years, female 907.0
GTEX-15EO6-2426-SM-6PALZ 50-59 years, male 898.8
GTEX-1PPH7-1126-SM-DTX9A 40-49 years, male 896.8
GTEX-1RAZA-2226-SM-E9U4X 20-29 years, male 896.7
GTEX-13FTX-1526-SM-5K7VJ 20-29 years, female 896.0
GTEX-15EU6-2226-SM-6EU2L 50-59 years, male 888.9
GTEX-1AX8Z-0726-SM-73KTS 60-69 years, male 887.1
GTEX-1AX9J-1326-SM-731BJ 60-69 years, male 887.0
GTEX-1IKOE-1426-SM-CE6T7 30-39 years, female 886.5
GTEX-1CB4F-1026-SM-7DUH1 60-69 years, male 885.8
GTEX-13OVG-1626-SM-5J1NF 60-69 years, male 884.9
GTEX-1K2DA-1026-SM-CGQGF 50-59 years, male 882.3
GTEX-147JS-0226-SM-5S2U9 60-69 years, male 882.0
GTEX-13RTJ-0126-SM-5S2NN 60-69 years, male 880.2
GTEX-1B996-0426-SM-7EWF8 60-69 years, male 878.8
GTEX-XUW1-0926-SM-4BONX 50-59 years, female 878.3
GTEX-1M4P7-0726-SM-E6CJ3 60-69 years, male 877.2
GTEX-1CB4H-1126-SM-7MKGL 60-69 years, female 875.0
GTEX-1B97I-0626-SM-73KUZ 40-49 years, male 871.5
GTEX-1CAMS-2226-SM-7PBXQ 40-49 years, female 869.2
GTEX-1JKYR-0626-SM-ARL8R 20-29 years, male 869.1
GTEX-14LZ3-0126-SM-69LPM 60-69 years, female 868.4
GTEX-15ER7-0626-SM-6PANF 20-29 years, female 866.1
GTEX-17HG3-2626-SM-7DUF2 30-39 years, female 865.7
GTEX-13O3Q-0126-SM-5KM34 50-59 years, male 864.3
GTEX-1I6K7-1926-SM-B2LXR 40-49 years, male 860.8
GTEX-1I1GS-2626-SM-B2LY3 60-69 years, male 860.3
GTEX-1O9I2-0226-SM-EYYXD 50-59 years, male 854.5
GTEX-17HHY-0426-SM-7DHLC 50-59 years, male 853.7
GTEX-1PPH8-0126-SM-EWRN8 20-29 years, male 853.3
GTEX-1HBPI-2126-SM-ARL9K 50-59 years, male 853.2
GTEX-1H23P-0626-SM-9WG6T 60-69 years, male 851.1
GTEX-1JN1M-2726-SM-CY8I4 60-69 years, female 849.5
GTEX-1EU9M-1426-SM-793AI 60-69 years, male 848.2
GTEX-ZDXO-3126-SM-5IJDF 60-69 years, male 847.6
GTEX-1JK1U-0226-SM-ARZMX 60-69 years, male 846.4
GTEX-11ZU8-0126-SM-5EQ58 60-69 years, male 844.0
GTEX-ZC5H-1526-SM-5HL9Y 40-49 years, female 840.3
GTEX-13U4I-2226-SM-5LU5H 40-49 years, female 839.9
GTEX-1KAFJ-0126-SM-DIPEK 50-59 years, male 838.5
GTEX-ZVT2-0126-SM-5GIDQ 50-59 years, female 835.7
GTEX-1R7EU-1626-SM-DTXG3 60-69 years, male 835.6
GTEX-Y5V6-2326-SM-4VDSA 60-69 years, male 832.9
GTEX-1LSVX-2526-SM-DIPEU 60-69 years, male 832.0
GTEX-1PDJ9-1226-SM-EXUSX 20-29 years, male 830.2
GTEX-13FHO-0426-SM-5L3F5 60-69 years, male 828.1
GTEX-16NGA-0726-SM-731AO 40-49 years, female 826.7
GTEX-1K2DU-1226-SM-CYPT4 20-29 years, male 826.1
GTEX-13NYB-0126-SM-5J1MD 40-49 years, male 824.3
GTEX-XOT4-0626-SM-4B66L 60-69 years, female 824.1
GTEX-15SHW-0226-SM-7LTAT 60-69 years, male 823.9
GTEX-1HR98-2226-SM-ADEI2 60-69 years, male 820.7
GTEX-16GPK-0626-SM-7KFSF 60-69 years, male 820.2
GTEX-16Z82-2626-SM-7KULU 60-69 years, male 819.5
GTEX-WI4N-2726-SM-3LK7Y 40-49 years, female 818.6
GTEX-XK95-0226-SM-4AT58 40-49 years, male 818.6
GTEX-1A8FM-0626-SM-7PC25 50-59 years, female 817.7
GTEX-1S3DN-2126-SM-E9TIN 50-59 years, male 810.9
GTEX-1A3MV-1826-SM-731CD 30-39 years, male 809.4
GTEX-144GO-2026-SM-5O99P 60-69 years, male 808.6
GTEX-1122O-1026-SM-9WYSF 60-69 years, female 808.6
GTEX-1GMRU-2126-SM-7P8RA 50-59 years, male 808.1
GTEX-1HCU8-2526-SM-CE6RX 60-69 years, female 807.3
GTEX-1CAMQ-1326-SM-7P8RV 40-49 years, male 798.2
GTEX-11ZTT-2126-SM-5CVLO 60-69 years, female 797.3
GTEX-13JVG-0726-SM-5KM16 60-69 years, male 793.9
GTEX-11DXZ-2026-SM-5987S 50-59 years, male 793.8
GTEX-11EQ8-0926-SM-5H12V 60-69 years, male 793.6
GTEX-1R9K4-2826-SM-DTX8F 60-69 years, male 791.2
GTEX-WY7C-2126-SM-3NB2R 50-59 years, male 789.0
GTEX-1H2FU-0926-SM-9WPPT 60-69 years, female 787.9
GTEX-17F98-1326-SM-7DUEP 40-49 years, female 785.6
GTEX-13OW8-1026-SM-5J1NQ 60-69 years, male 782.9
GTEX-1LGRB-0926-SM-COH3K 50-59 years, female 782.2
GTEX-13PVQ-0626-SM-5LU47 50-59 years, male 779.8
GTEX-12KS4-2126-SM-5FQUT 30-39 years, male 778.8
GTEX-1EKGG-0626-SM-7DUGJ 60-69 years, male 774.4
GTEX-16NPX-0726-SM-7KULC 50-59 years, male 773.1
GTEX-1CB4E-0926-SM-7EPHT 60-69 years, male 770.3
GTEX-ZUA1-2626-SM-5NQ92 40-49 years, male 769.7
GTEX-1B8KE-1126-SM-7EPHI 50-59 years, male 769.0
GTEX-Y111-0626-SM-4SOIT 50-59 years, male 764.4
GTEX-1C6WA-2626-SM-7MKGM 60-69 years, male 763.1
GTEX-15CHR-1126-SM-7EWF4 50-59 years, male 762.1
GTEX-131XW-0626-SM-5PNVD 50-59 years, female 761.8
GTEX-132AR-0326-SM-5KM2C 50-59 years, female 761.7
GTEX-1KD5A-0126-SM-E9U54 50-59 years, male 761.6
GTEX-1JN6P-2926-SM-CL54D 60-69 years, male 760.3
GTEX-139TT-2126-SM-5LZWC 60-69 years, male 759.8
GTEX-13O3O-2326-SM-5IJD6 60-69 years, female 754.0
GTEX-1EH9U-2826-SM-7DUGT 60-69 years, male 754.0
GTEX-1QCLY-0226-SM-EWRNH 30-39 years, male 753.8
GTEX-1R9PN-0426-SM-DTXDT 40-49 years, female 753.6
GTEX-11OF3-0126-SM-5PNYF 60-69 years, male 752.5
GTEX-15SKB-2826-SM-6PAMH 60-69 years, male 751.9
GTEX-11UD2-2526-SM-5CVNU 50-59 years, male 749.9
GTEX-15CHC-1126-SM-6LLHQ 60-69 years, female 749.5
GTEX-XPVG-2126-SM-4B667 50-59 years, male 748.9
GTEX-12WSM-1926-SM-5BC65 60-69 years, male 748.0
GTEX-11LCK-2226-SM-5HL4Q 30-39 years, male 747.3
GTEX-15RJE-2826-SM-7KUM9 40-49 years, male 745.1
GTEX-13N1W-2426-SM-5IJD1 70-79 years, male 744.7
GTEX-1GMR8-0626-SM-7RHI7 50-59 years, female 744.0
GTEX-Y5LM-0926-SM-6LLJG 40-49 years, female 743.4
GTEX-14PKU-0126-SM-6LLHV 40-49 years, female 742.7
GTEX-1N5O9-0926-SM-E9J3C 60-69 years, male 740.9
GTEX-14PJ3-1126-SM-5ZZVX 50-59 years, male 737.2
GTEX-1JMQK-1226-SM-D4P2S 60-69 years, male 736.4
GTEX-13X6K-0626-SM-5LU5D 60-69 years, female 734.1
GTEX-1KXAM-1626-SM-D3LAD 60-69 years, male 733.1
GTEX-17MFQ-1526-SM-7KFRR 20-29 years, male 730.8
GTEX-1IL2V-1926-SM-B2LW8 70-79 years, male 728.6
GTEX-145LS-0626-SM-7EPG7 60-69 years, female 724.6
GTEX-1JMPZ-0726-SM-CY8HZ 30-39 years, male 724.0
GTEX-1NSGN-0726-SM-DTXEF 50-59 years, male 724.0
GTEX-1IDJU-1726-SM-CMKHU 60-69 years, female 723.8
GTEX-131XG-0326-SM-5L3DX 50-59 years, female 723.6
GTEX-145MO-2826-SM-5LU96 60-69 years, male 720.9
GTEX-1PPGY-1626-SM-EVYBL 60-69 years, male 720.0
GTEX-1477Z-0326-SM-7IGLA 60-69 years, male 718.3
GTEX-X4EO-2926-SM-4E3JH 60-69 years, female 717.9
GTEX-1JMQJ-0826-SM-CNPP7 50-59 years, male 716.0
GTEX-WK11-2726-SM-3NMAQ 50-59 years, male 715.4
GTEX-XXEK-1626-SM-4BRUZ 50-59 years, male 714.7
GTEX-147F4-0726-SM-5TDDD 50-59 years, male 714.3
GTEX-1H4P4-2126-SM-9WYSL 50-59 years, male 713.0
GTEX-1JMPY-0226-SM-CKZOK 30-39 years, male 709.0
GTEX-14JG1-1526-SM-5YY9X 40-49 years, male 708.4
GTEX-13W3W-0726-SM-5IJDQ 60-69 years, female 708.3
GTEX-1H1DF-1126-SM-9WG7G 40-49 years, female 707.9
GTEX-WRHU-2826-SM-3MJG8 50-59 years, female 707.3
GTEX-13PVR-0426-SM-5RQK2 60-69 years, female 705.0
GTEX-1I1GP-1326-SM-A9G28 50-59 years, male 703.9
GTEX-1B8KZ-0326-SM-73KY4 50-59 years, male 703.2
GTEX-1C2JI-1026-SM-73KY1 50-59 years, male 701.7
GTEX-1QEPI-2626-SM-DTXF4 60-69 years, female 700.1
GTEX-1LKK1-2626-SM-DKPQE 50-59 years, female 699.6
GTEX-14DAQ-0626-SM-793DS 60-69 years, female 699.3
GTEX-1A3MW-0626-SM-731CB 60-69 years, female 697.8
GTEX-1H1E6-0426-SM-9WYUS 30-39 years, male 694.8
GTEX-13112-0126-SM-5P9IU 50-59 years, male 691.6
GTEX-1EMGI-2326-SM-7PBYA 60-69 years, male 691.3
GTEX-17HII-1426-SM-7EPGG 50-59 years, male 690.2
GTEX-ZF29-0926-SM-4WKFZ 60-69 years, female 690.1
GTEX-1HT8W-0626-SM-A9G2H 30-39 years, male 690.1
GTEX-12ZZX-2426-SM-5GCOE 40-49 years, female 685.0
GTEX-1C64O-1326-SM-7MGWR 60-69 years, male 680.9
GTEX-1399U-1126-SM-5L3DB 50-59 years, female 680.5
GTEX-1J8EW-2726-SM-CY8HR 60-69 years, female 678.4
GTEX-1H11D-1826-SM-9QEHM 40-49 years, male 677.6
GTEX-1IDFM-0326-SM-ARL7V 60-69 years, male 676.3
GTEX-178AV-1726-SM-7KUL8 40-49 years, male 675.4
GTEX-12WSA-0426-SM-5EQ5X 60-69 years, male 674.8
GTEX-1H3O1-1326-SM-9MQLD 60-69 years, male 674.0
GTEX-1IE54-1126-SM-A9G2Z 40-49 years, female 673.0
GTEX-1F88E-1626-SM-7SB8Z 60-69 years, female 672.3
GTEX-1CB4I-0126-SM-7RHGG 50-59 years, male 670.7
GTEX-15RIE-1926-SM-7KUKJ 60-69 years, male 669.0
GTEX-XV7Q-1826-SM-4BRUV 40-49 years, female 667.1
GTEX-ZYFD-0626-SM-5E44E 50-59 years, male 665.7
GTEX-YEC3-1326-SM-DO92X 50-59 years, male 665.4
GTEX-WH7G-2026-SM-3NMBL 40-49 years, male 662.8
GTEX-1MCYP-0526-SM-E9U6Q 20-29 years, female 662.1
GTEX-1POEN-2326-SM-E9J2L 30-39 years, female 661.3
GTEX-1B933-2426-SM-7DHMD 50-59 years, female 659.0
GTEX-1J8QM-2426-SM-A9SLS 60-69 years, female 658.7
GTEX-14ABY-2026-SM-62LDL 50-59 years, male 658.2
GTEX-14LLW-2626-SM-62LDZ 70-79 years, female 656.4
GTEX-18465-2826-SM-7LT9J 50-59 years, male 656.1
GTEX-13OVL-0126-SM-5L3GJ 50-59 years, male 653.8
GTEX-ZTTD-2826-SM-4YCFA 50-59 years, male 653.5
GTEX-1HGF4-0126-SM-CNPPX 60-69 years, male 653.1
GTEX-1H1DG-2426-SM-9QEHJ 70-79 years, male 650.7
GTEX-1RMOY-1326-SM-E9TIH 50-59 years, male 650.2
GTEX-11NUK-2726-SM-5A5MC 50-59 years, male 647.4
GTEX-1PBJJ-1026-SM-E76OS 30-39 years, male 643.1
GTEX-17HHE-1326-SM-7EWDZ 50-59 years, male 641.9
GTEX-1JN76-0626-SM-CKZOQ 20-29 years, female 638.8
GTEX-1N2EE-0626-SM-E76PW 60-69 years, male 638.6
GTEX-1HSGN-0826-SM-ACKW3 40-49 years, female 637.9
GTEX-18A6Q-0626-SM-7KFRP 60-69 years, male 637.2
GTEX-XMD2-2126-SM-4YCF8 60-69 years, female 636.5
GTEX-145MH-2826-SM-5RQJF 50-59 years, male 635.6
GTEX-1GN73-0726-SM-7P8TJ 60-69 years, male 634.4
GTEX-12WSC-2826-SM-5BC5Y 50-59 years, male 633.7
GTEX-WFON-1926-SM-3LK7L 40-49 years, male 633.0
GTEX-139UW-0326-SM-5J1ML 60-69 years, male 631.6
GTEX-1ICG6-1226-SM-A9SLN 70-79 years, female 628.4
GTEX-1HSKV-1226-SM-ADEI4 60-69 years, male 628.3
GTEX-13FLV-0126-SM-5K7WT 50-59 years, male 627.6
GTEX-1AMEY-0826-SM-72D65 30-39 years, female 627.4
GTEX-1CB4J-1326-SM-7P8RX 60-69 years, male 626.8
GTEX-1E2YA-2126-SM-7MXUO 50-59 years, male 626.2
GTEX-17EVP-2626-SM-7IGMA 40-49 years, male 625.0
GTEX-ZDTT-0426-SM-4WKFL 60-69 years, male 624.2
GTEX-1RAZS-2526-SM-E6CHT 50-59 years, male 622.4
GTEX-VUSG-2326-SM-4KL1U 50-59 years, male 622.2
GTEX-15G19-2426-SM-7KUMR 60-69 years, male 618.6
GTEX-ZPCL-1126-SM-4WWFE 60-69 years, female 618.6
GTEX-1F5PK-2226-SM-7SB6N 50-59 years, male 617.7
GTEX-1I1GV-0626-SM-ARL7M 60-69 years, male 617.1
GTEX-1J8Q2-2626-SM-ACKWQ 60-69 years, male 616.8
GTEX-1QPFJ-1926-SM-EVYBD 30-39 years, female 614.6
GTEX-13VXU-0626-SM-5L3F9 50-59 years, male 614.4
GTEX-13NYC-0126-SM-5L3F4 60-69 years, male 613.5
GTEX-1B932-2326-SM-79OL5 40-49 years, female 612.6
GTEX-1GL5R-1326-SM-7RHHF 50-59 years, male 610.4
GTEX-1LG7Y-2526-SM-EWRO7 50-59 years, male 610.2
GTEX-1QW4Y-1126-SM-DTXE3 30-39 years, male 609.5
GTEX-1GMR3-0126-SM-A9SLW 40-49 years, male 607.4
GTEX-ZVE1-0726-SM-51MRN 50-59 years, female 606.6
GTEX-13X6I-1826-SM-5SIAO 60-69 years, male 606.1
GTEX-11GSP-2326-SM-5HL63 60-69 years, female 605.0
GTEX-1B8SF-0126-SM-7DUG3 60-69 years, male 603.8
GTEX-14C5O-0326-SM-5ZZUX 60-69 years, male 601.7
GTEX-1HB9E-0126-SM-CM2S5 50-59 years, male 600.7
GTEX-13D11-0926-SM-5J2NC 50-59 years, female 597.1
GTEX-15DDE-2926-SM-6LLJ3 50-59 years, female 594.9
GTEX-XQ3S-1426-SM-4BOPR 20-29 years, male 594.8
GTEX-145LU-1926-SM-79OJN 50-59 years, male 592.6
GTEX-1HBPM-0726-SM-9YFL7 60-69 years, female 591.6
GTEX-ZT9X-1526-SM-5DUXD 40-49 years, male 589.8
GTEX-13OVH-0526-SM-5L3E6 70-79 years, male 589.4
GTEX-1LSNL-2726-SM-E9TKJ 50-59 years, male 587.0
GTEX-WYJK-0526-SM-3NM8Z 50-59 years, male 586.2
GTEX-UPJH-0226-SM-3GADV 50-59 years, male 581.3
GTEX-144GM-0526-SM-79OJO 20-29 years, male 580.5
GTEX-14B4R-1326-SM-5Q5EZ 30-39 years, male 580.2
GTEX-12696-0126-SM-5EQ4L 60-69 years, male 574.2
GTEX-1RAZQ-1326-SM-E9TK6 30-39 years, male 571.5
GTEX-15G1A-1626-SM-7KUKN 30-39 years, male 570.7
GTEX-13FTY-2126-SM-5IFFB 40-49 years, female 566.3
GTEX-1HSMP-0926-SM-A9SKX 70-79 years, male 566.1
GTEX-1A3MX-2626-SM-7PC24 60-69 years, male 564.0
GTEX-1GN1W-2426-SM-9KNUU 50-59 years, female 561.6
GTEX-13NZ9-2626-SM-5L3FK 50-59 years, male 558.3
GTEX-14PHY-1226-SM-5ZZWK 60-69 years, female 554.1
GTEX-144FL-0626-SM-5LU43 50-59 years, male 553.9
GTEX-1S83E-1326-SM-E6CJM 40-49 years, male 553.8
GTEX-11GS4-0226-SM-5HL77 60-69 years, male 553.0
GTEX-14PII-0726-SM-6EU2B 60-69 years, male 550.2
GTEX-13OW7-0426-SM-5K7VK 50-59 years, male 547.7
GTEX-1LB8K-0726-SM-D5OV2 50-59 years, male 543.5
GTEX-14PJ6-2626-SM-6EU2T 60-69 years, female 541.2
GTEX-1AMFI-1326-SM-7939R 50-59 years, female 540.2
GTEX-1GF9X-1326-SM-7PC2Y 40-49 years, female 539.4
GTEX-ZVZP-1226-SM-5GID7 50-59 years, male 538.0
GTEX-1I1HK-2326-SM-CKZOH 60-69 years, male 537.0
GTEX-ZVT4-2426-SM-5GIEI 50-59 years, female 536.4
GTEX-X4EP-0626-SM-3P621 60-69 years, female 534.2
GTEX-1GF9V-0826-SM-9KNUV 60-69 years, male 534.0
GTEX-1GN2E-0226-SM-9WG6K 60-69 years, male 532.7
GTEX-1GZ4I-2626-SM-9KNU3 50-59 years, male 530.1
GTEX-11WQK-1026-SM-5EQLX 50-59 years, male 528.8
GTEX-1IKJJ-2226-SM-CJI4C 60-69 years, male 528.1
GTEX-WHSB-1326-SM-3LK6W 50-59 years, male 526.6
GTEX-1AYD5-2626-SM-7PBXY 50-59 years, male 525.5
GTEX-111YS-1526-SM-5GZYW 60-69 years, male 524.8
GTEX-13PDP-0726-SM-5L3HP 60-69 years, male 522.4
GTEX-1JJEA-1826-SM-ARU8P 60-69 years, male 520.0
GTEX-1GN1U-0626-SM-9MQL9 50-59 years, female 519.8
GTEX-13OW6-2726-SM-5J2OE 50-59 years, male 516.1
GTEX-13NZ8-1226-SM-5KM4A 60-69 years, female 514.1
GTEX-1PIIG-2326-SM-DTXFR 30-39 years, male 510.9
GTEX-1269C-0126-SM-5EQ5L 60-69 years, female 508.0
GTEX-12ZZY-0726-SM-5EQ66 60-69 years, male 507.8
GTEX-Y9LG-1126-SM-4VBQ7 30-39 years, male 497.0
GTEX-1HCU7-0726-SM-A9SL1 50-59 years, male 494.0
GTEX-1LVAM-0726-SM-E6CIL 50-59 years, female 485.3
GTEX-1KANB-2826-SM-CY8I6 50-59 years, male 483.8
GTEX-17KNJ-2126-SM-718AM 50-59 years, male 482.5
GTEX-XAJ8-1426-SM-47JYM 40-49 years, male 478.2
GTEX-1A8G6-2726-SM-731AR 60-69 years, male 478.0
GTEX-1R46S-2426-SM-E76QA 60-69 years, female 473.9
GTEX-13QJC-0126-SM-5ZZWJ 60-69 years, female 473.0
GTEX-1F6RS-2026-SM-7RHHC 60-69 years, female 464.7
GTEX-1IOXB-2726-SM-CM2RI 50-59 years, male 464.2
GTEX-1K9T9-1526-SM-DIPFR 50-59 years, female 464.1
GTEX-1GPI6-1926-SM-9KNV7 60-69 years, male 462.8
GTEX-1I1GT-1026-SM-ARZLV 60-69 years, female 461.7
GTEX-1HBPN-0126-SM-CGQEF 50-59 years, male 458.0
GTEX-1QP2A-1726-SM-E76QC 50-59 years, male 456.6
GTEX-14JFF-0626-SM-5ZZVT 60-69 years, male 456.5
GTEX-14PJ4-0226-SM-5YY92 60-69 years, male 456.2
GTEX-14C38-0726-SM-5SI6M 50-59 years, male 453.0
GTEX-ZY6K-1426-SM-5GZX2 50-59 years, male 449.9
GTEX-1R9PM-1926-SM-EVR3O 20-29 years, male 445.6
GTEX-1212Z-0126-SM-59HK4 60-69 years, male 442.9
GTEX-1ICLY-0826-SM-CMKG1 50-59 years, male 440.7
GTEX-11TT1-1826-SM-5EQLV 20-29 years, male 439.5
GTEX-11ZUS-2626-SM-5FQUR 30-39 years, male 434.7
GTEX-13PL6-1126-SM-5L3IE 40-49 years, female 430.7
GTEX-14A6H-2026-SM-5Q5DD 30-39 years, male 429.3
GTEX-111VG-1626-SM-5EGIO 60-69 years, male 429.2
GTEX-ZYY3-2926-SM-5GIEB 60-69 years, female 427.6
GTEX-16MT9-0126-SM-7EPI8 60-69 years, female 423.5
GTEX-1OJC4-2726-SM-E76PJ 50-59 years, female 422.9
GTEX-1313W-0626-SM-5EQ4H 50-59 years, female 418.7
GTEX-V1D1-2026-SM-3GAF4 50-59 years, male 412.9
GTEX-ZYT6-2326-SM-5GZY3 30-39 years, male 401.4
GTEX-145MF-0926-SM-5Q5EA 50-59 years, male 399.3
GTEX-YECK-0326-SM-4W1YS 60-69 years, male 398.5
GTEX-ZYVF-0926-SM-5E44J 50-59 years, female 398.4
GTEX-ZWKS-0626-SM-5GIDV 30-39 years, male 398.3
GTEX-144GL-0626-SM-5LU4D 50-59 years, male 394.4
GTEX-11DXX-2126-SM-5PNYR 60-69 years, female 391.1
GTEX-1A8G7-1326-SM-73KVM 60-69 years, male 390.4
GTEX-13G51-1826-SM-5KLZH 60-69 years, male 389.3
GTEX-14BMV-2826-SM-5TDED 50-59 years, male 385.7
GTEX-1399S-0126-SM-5IJCF 30-39 years, female 384.7
GTEX-1NV5F-0626-SM-DTXEG 60-69 years, female 375.5
GTEX-14BIN-1126-SM-5RQJZ 50-59 years, female 374.0
GTEX-13SLW-0626-SM-5Q5ER 70-79 years, male 372.9
GTEX-1QAET-0326-SM-EVR3U 50-59 years, male 360.5
GTEX-1I1GU-0926-SM-ACKVS 40-49 years, male 355.8
GTEX-147GR-2426-SM-5ZZWQ 60-69 years, male 355.6
GTEX-ZE9C-2526-SM-5IJDR 60-69 years, male 355.1
GTEX-1B8L1-2226-SM-7P8PT 60-69 years, male 352.8
GTEX-145MI-0626-SM-5SI8S 60-69 years, female 336.4
GTEX-1IDJV-0126-SM-COH3Y 60-69 years, male 326.3
GTEX-18A67-1626-SM-7LT9T 50-59 years, male 321.2
GTEX-1F88F-0126-SM-9WYSZ 60-69 years, female 308.0
GTEX-1GN1V-2826-SM-9JGIA 60-69 years, male 300.5
GTEX-1C6VR-0126-SM-7RHGB 60-69 years, male 295.2
GTEX-14XAO-1226-SM-6EU1C 60-69 years, female 281.7
GTEX-11TUW-0626-SM-5LU9M 60-69 years, male 274.9
GTEX-1HR9M-2226-SM-CNPPY 60-69 years, male 269.8
GTEX-1J1OQ-0126-SM-D4P2N 40-49 years, female 258.7
GTEX-11PRG-0726-SM-5EGL1 50-59 years, male 239.7
GTEX-1399Q-2326-SM-5KM2X 40-49 years, male 222.9
Show allShow less
Skin - Sun Exposed (Lower leg)
Average nTPM: 1090.3
Samples: 701

Max nTPM: 3333.3
Min nTPM: 169.8
Std nTPM: 454.1
Median nTPM: 1042.8
GTEX-1QP67-1626-SM-EAZ3X 40-49 years, female 3333.3
GTEX-1HBPH-0426-SM-B2LW5 40-49 years, female 3179.9
GTEX-148VJ-0126-SM-5TDDN 70-79 years, male 2814.7
GTEX-1HSMO-0126-SM-CL547 60-69 years, male 2706.9
GTEX-14JIY-0126-SM-6LLH6 60-69 years, male 2697.3
GTEX-1192X-0226-SM-5H12D 50-59 years, male 2685.1
GTEX-146FR-1326-SM-E9J48 60-69 years, female 2619.6
GTEX-14BIL-0126-SM-5SI92 50-59 years, male 2500.4
GTEX-11EMC-2926-SM-5EQ4F 60-69 years, female 2470.4
GTEX-PLZ4-0126-SM-5SI8O 50-59 years, female 2433.0
GTEX-11TTK-0126-SM-5987B 60-69 years, female 2397.5
GTEX-1OJC4-0126-SM-E9J2E 50-59 years, female 2358.3
GTEX-O5YW-0126-SM-3LK6D 50-59 years, male 2338.0
GTEX-113IC-0126-SM-5HL6T 60-69 years, male 2328.5
GTEX-1399U-2326-SM-5K7WY 50-59 years, female 2268.8
GTEX-15EOM-0126-SM-7KUGG 20-29 years, female 2267.2
GTEX-1MGNQ-0126-SM-EVYCJ 40-49 years, male 2250.1
GTEX-1QW4Y-1526-SM-EAZ3Z 30-39 years, male 2210.1
GTEX-145MO-0326-SM-5Q5B3 60-69 years, male 2182.4
GTEX-1F48J-0126-SM-7P8TT 50-59 years, female 2157.1
GTEX-QDT8-0126-SM-48TZ1 30-39 years, female 2146.2
GTEX-1LNCM-1126-SM-E9U5E 50-59 years, female 2132.0
GTEX-1RAZQ-0726-SM-EAZ43 30-39 years, male 2079.4
GTEX-12WSJ-1826-SM-5GCNY 40-49 years, female 2059.7
GTEX-13X6H-2126-SM-7EWD5 50-59 years, female 2023.9
GTEX-X5EB-2226-SM-46MW4 40-49 years, male 2017.5
GTEX-1N2DV-0226-SM-E6CJ6 40-49 years, male 2015.9
GTEX-ZAB4-0226-SM-5N9F5 40-49 years, male 2011.3
GTEX-1PWST-0226-SM-E76QJ 70-79 years, male 2006.1
GTEX-RTLS-0126-SM-447CA 60-69 years, female 1984.2
GTEX-11P82-1626-SM-59879 20-29 years, male 1950.4
GTEX-13OVI-1426-SM-5L3EY 60-69 years, female 1923.3
GTEX-1H1DG-0126-SM-9WYU2 70-79 years, male 1904.0
GTEX-1H2FU-0126-SM-9WYSI 60-69 years, female 1903.6
GTEX-1HCU6-0126-SM-CL54K 60-69 years, female 1901.5
GTEX-17HII-0226-SM-7LG4E 50-59 years, male 1835.5
GTEX-13OVJ-0126-SM-5KM36 50-59 years, female 1834.9
GTEX-XUW1-0426-SM-4BOOT 50-59 years, female 1833.8
GTEX-OXRK-0226-SM-3NB2G 50-59 years, female 1832.9
GTEX-13VXT-0126-SM-5LU4I 20-29 years, female 1831.5
GTEX-11H98-0126-SM-5EGHG 50-59 years, male 1822.8
GTEX-1AYD5-2426-SM-73KXR 50-59 years, male 1816.0
GTEX-1JKYN-1326-SM-CGQG9 30-39 years, male 1813.4
GTEX-11GSP-2526-SM-5N9BP 60-69 years, female 1808.6
GTEX-1H1ZS-0426-SM-9WG6G 70-79 years, male 1802.3
GTEX-ZF29-2326-SM-DO92K 60-69 years, female 1801.9
GTEX-R45C-0126-SM-EAZ2R 60-69 years, female 1797.6
GTEX-1I1HK-0126-SM-COH49 60-69 years, male 1784.7
GTEX-1HUB1-0426-SM-E9U4U 60-69 years, male 1784.3
GTEX-WI4N-1026-SM-3LK7N 40-49 years, female 1783.0
GTEX-13YAN-0326-SM-5O9DF 60-69 years, male 1781.0
GTEX-15SHU-0126-SM-7KUEH 40-49 years, female 1771.5
GTEX-139T8-0126-SM-5K7XZ 60-69 years, male 1762.9
GTEX-S33H-1026-SM-EZ6L6 30-39 years, male 1760.0
GTEX-W5X1-3026-SM-EAZAX 40-49 years, female 1758.6
GTEX-17EVQ-0226-SM-7LG4P 70-79 years, male 1752.7
GTEX-Q2AI-1326-SM-2S1PL 40-49 years, male 1752.0
GTEX-SSA3-0126-SM-32QPU 60-69 years, male 1750.2
GTEX-1RLM8-2326-SM-EWRN4 50-59 years, male 1744.5
GTEX-P4PQ-0126-SM-2S1NM 60-69 years, male 1743.2
GTEX-1H3NZ-0126-SM-ACKX7 60-69 years, male 1738.0
GTEX-Y3I4-2126-SM-4TT7C 50-59 years, male 1732.9
GTEX-ZE7O-0126-SM-57WC1 50-59 years, female 1730.8
GTEX-14LLW-0126-SM-6LLIO 70-79 years, female 1711.4
GTEX-1PPH7-2326-SM-EVYB8 40-49 years, male 1703.7
GTEX-WRHK-1426-SM-3MJF9 20-29 years, female 1698.2
GTEX-ZUA1-0126-SM-5GU76 40-49 years, male 1694.6
GTEX-13NZ8-0826-SM-5MR3I 60-69 years, female 1689.2
GTEX-U4B1-1826-SM-4DXSU 40-49 years, male 1687.1
GTEX-ZEX8-2426-SM-4WKG4 50-59 years, male 1681.9
GTEX-1211K-2026-SM-5EQ4Z 60-69 years, female 1681.4
GTEX-1C6VQ-0126-SM-7P8RI 50-59 years, male 1674.5
GTEX-1AYCT-2426-SM-7IGQ3 50-59 years, male 1665.0
GTEX-1AX9K-2326-SM-73KWU 50-59 years, male 1661.8
GTEX-X638-0126-SM-47JZ8 70-79 years, female 1636.8
GTEX-1H1E6-1726-SM-ACKVK 30-39 years, male 1634.4
GTEX-1RAZA-0126-SM-E6CI3 20-29 years, male 1625.9
GTEX-1LC47-0326-SM-E9TJP 60-69 years, male 1625.7
GTEX-13CF2-2526-SM-5LZYX 60-69 years, male 1625.1
GTEX-12WSD-0126-SM-59HKN 60-69 years, female 1623.7
GTEX-1F6I4-0126-SM-9MQL2 60-69 years, male 1618.6
GTEX-13D11-2426-SM-5KM1V 50-59 years, female 1610.0
GTEX-13O1R-0126-SM-5L3EH 60-69 years, male 1607.6
GTEX-ZVT2-2526-SM-51MT1 50-59 years, female 1605.3
GTEX-15SB6-1726-SM-6PAME 50-59 years, female 1590.7
GTEX-ZYW4-0126-SM-5E44A 60-69 years, male 1589.9
GTEX-11ZUS-0626-SM-59885 30-39 years, male 1589.4
GTEX-XQ8I-0426-SM-4BOPO 50-59 years, male 1586.0
GTEX-OXRP-0126-SM-3NB32 60-69 years, female 1579.8
GTEX-ZTPG-0326-SM-5O9AX 20-29 years, female 1567.2
GTEX-PWCY-1826-SM-DHXIZ 20-29 years, female 1563.7
GTEX-11GS4-2726-SM-5A5LE 60-69 years, male 1562.5
GTEX-14DAR-2026-SM-5S2O3 50-59 years, male 1553.2
GTEX-YEC4-2126-SM-5IFJH 40-49 years, male 1552.1
GTEX-WH7G-2326-SM-3NMBC 40-49 years, male 1551.4
GTEX-1GN1W-0526-SM-9MQJQ 50-59 years, female 1543.4
GTEX-1IY9M-0126-SM-D3L8S 60-69 years, male 1543.1
GTEX-146FQ-0126-SM-5NQA9 30-39 years, male 1542.4
GTEX-ZVT3-0126-SM-5GU6I 60-69 years, female 1538.6
GTEX-R55E-0126-SM-2TC5Y 20-29 years, male 1538.5
GTEX-14E6C-0126-SM-5RQIP 40-49 years, male 1534.7
GTEX-Q2AG-0126-SM-33HBV 40-49 years, female 1533.5
GTEX-18QFQ-0126-SM-731BE 30-39 years, male 1526.4
GTEX-13N1W-0126-SM-5K7VT 70-79 years, male 1525.9
GTEX-SN8G-0126-SM-32PLI 50-59 years, female 1525.5
GTEX-X62O-0126-SM-4E3JN 50-59 years, male 1521.8
GTEX-Z93T-0126-SM-5HL5N 50-59 years, male 1521.8
GTEX-Y3IK-2426-SM-4WWDU 50-59 years, female 1521.5
GTEX-13OVG-1926-SM-5L3DK 60-69 years, male 1520.2
GTEX-11EM3-2426-SM-59861 20-29 years, female 1516.7
GTEX-145MN-2226-SM-5SIAU 30-39 years, male 1515.5
GTEX-1MCYP-1926-SM-E9J2R 20-29 years, female 1509.3
GTEX-13O3O-0126-SM-E9J49 60-69 years, female 1504.5
GTEX-X585-0226-SM-4QAS2 50-59 years, male 1502.3
GTEX-12C56-1726-SM-5EQ61 20-29 years, male 1501.8
GTEX-1LGOU-2026-SM-DIPFF 20-29 years, female 1494.1
GTEX-P4PP-0126-SM-3LK69 30-39 years, female 1492.5
GTEX-1GTWX-0126-SM-9YFLK 60-69 years, male 1488.2
GTEX-13RTK-1426-SM-5QGQJ 20-29 years, male 1487.9
GTEX-1GZ4H-1726-SM-7PBZJ 50-59 years, female 1481.6
GTEX-16YQH-0126-SM-7DUFJ 30-39 years, male 1476.2
GTEX-117YW-2626-SM-5GZZH 50-59 years, male 1474.4
GTEX-1I1GS-0126-SM-B2LVW 60-69 years, male 1471.9
GTEX-1B8KE-2126-SM-73KYX 50-59 years, male 1463.0
GTEX-1F5PK-2426-SM-7RHHY 50-59 years, male 1461.9
GTEX-13U4I-0126-SM-5LU38 40-49 years, female 1461.0
GTEX-1A32A-0126-SM-718B1 50-59 years, female 1460.7
GTEX-Y114-2426-SM-4TT8A 50-59 years, female 1456.1
GTEX-ZAJG-0126-SM-5HL94 50-59 years, female 1453.9
GTEX-1PFEY-1526-SM-E76PP 30-39 years, male 1453.6
GTEX-14753-0426-SM-5NQAM 60-69 years, male 1432.6
GTEX-1MUQO-0126-SM-EAZ58 60-69 years, male 1429.3
GTEX-1M4P7-0226-SM-DIPEV 60-69 years, male 1418.8
GTEX-RM2N-1426-SM-2TF4H 50-59 years, male 1417.4
GTEX-131XG-2626-SM-5KM17 50-59 years, female 1416.5
GTEX-1HSEH-0126-SM-ACKXN 60-69 years, male 1414.3
GTEX-13OW7-0126-SM-5MR3B 50-59 years, male 1414.2
GTEX-11ZVC-2526-SM-5FQTE 50-59 years, female 1409.1
GTEX-11DZ1-0126-SM-5985Q 50-59 years, male 1408.0
GTEX-1CAV2-2226-SM-7P8P2 40-49 years, female 1406.7
GTEX-Y5LM-1926-SM-5RQJH 40-49 years, female 1399.2
GTEX-TMZS-0126-SM-3DB9Q 60-69 years, male 1396.8
GTEX-RNOR-0126-SM-E9J4R 50-59 years, female 1391.5
GTEX-13O21-1426-SM-5K7XI 50-59 years, male 1390.1
GTEX-14PJ3-1826-SM-62LEX 50-59 years, male 1390.0
GTEX-18A7A-0226-SM-718BH 50-59 years, female 1387.8
GTEX-14PK6-1926-SM-6ETZU 70-79 years, female 1384.2
GTEX-1JMOU-1526-SM-CL54I 60-69 years, female 1383.2
GTEX-RUSQ-1526-SM-2TF62 50-59 years, male 1380.0
GTEX-ZDTT-2726-SM-4WKF8 60-69 years, male 1379.2
GTEX-145LT-1726-SM-5QGP3 40-49 years, male 1378.7
GTEX-OOBJ-0126-SM-E6CJW 60-69 years, male 1375.8
GTEX-1R9PO-2126-SM-E9J4O 60-69 years, female 1373.9
GTEX-1GPI7-0126-SM-9MQL8 20-29 years, male 1370.4
GTEX-13N11-2526-SM-5K7UE 50-59 years, female 1367.4
GTEX-1A3MW-0126-SM-73KXX 60-69 years, female 1366.1
GTEX-Z9EW-1626-SM-5CVMN 40-49 years, male 1363.8
GTEX-17EUY-0426-SM-793BD 20-29 years, male 1357.3
GTEX-YB5E-2026-SM-5IFIS 40-49 years, male 1356.1
GTEX-132NY-0326-SM-5IJBL 60-69 years, male 1356.0
GTEX-1CAMS-0426-SM-7P8T2 40-49 years, female 1354.0
GTEX-1F6IF-0726-SM-7P8TW 60-69 years, male 1351.1
GTEX-12KS4-0326-SM-5EQ41 30-39 years, male 1349.5
GTEX-1R46S-0626-SM-E9J41 60-69 years, female 1346.6
GTEX-1C6WA-0126-SM-7PC2B 60-69 years, male 1345.2
GTEX-1S82Y-2026-SM-EVYCM 40-49 years, male 1343.5
GTEX-1R7EV-2426-SM-EVYBG 40-49 years, male 1340.6
GTEX-14BMU-2226-SM-5TDE9 20-29 years, female 1337.2
GTEX-1GN73-0226-SM-9WG67 60-69 years, male 1334.5
GTEX-12WSN-5019-SM-79OM6 40-49 years, male 1333.4
GTEX-14PN4-0126-SM-6EU2V 50-59 years, male 1333.1
GTEX-18A66-0226-SM-718BD 60-69 years, male 1331.5
GTEX-1CB4G-0226-SM-7PC3O 60-69 years, male 1331.5
GTEX-13G51-2526-SM-5LZYK 60-69 years, male 1329.9
GTEX-R55G-2526-SM-2TC6D 40-49 years, female 1328.1
GTEX-RN64-0126-SM-2TC68 50-59 years, male 1327.0
GTEX-WXYG-2326-SM-4E3I6 50-59 years, female 1326.8
GTEX-1497J-2426-SM-7IGNX 60-69 years, male 1326.1
GTEX-144GN-2326-SM-5LU4F 50-59 years, male 1325.8
GTEX-15DYW-0126-SM-7KULE 60-69 years, female 1324.6
GTEX-1NHNU-1026-SM-E9J2A 50-59 years, male 1323.4
GTEX-1J8EW-0126-SM-CJI4F 60-69 years, female 1323.2
GTEX-15UF6-0826-SM-6PALJ 70-79 years, female 1318.5
GTEX-ZYFG-2326-SM-5E44B 60-69 years, female 1317.3
GTEX-S7PM-0126-SM-4AD6S 60-69 years, male 1317.1
GTEX-12WSG-2826-SM-E9J4H 50-59 years, female 1315.6
GTEX-ZYY3-0126-SM-5GZY5 60-69 years, female 1315.5
GTEX-1MCQQ-0826-SM-DLHC2 60-69 years, male 1312.3
GTEX-16XZZ-0126-SM-793DV 60-69 years, male 1309.3
GTEX-1GMR8-0126-SM-9WYTM 50-59 years, female 1306.3
GTEX-ZDXO-3026-SM-5J1N5 60-69 years, male 1304.5
GTEX-1JK1U-2026-SM-CM2RZ 60-69 years, male 1300.6
GTEX-1J1R8-1726-SM-ARL8M 40-49 years, male 1299.9
GTEX-TML8-1926-SM-32QOS 40-49 years, female 1297.2
GTEX-139T4-0226-SM-5HL5S 50-59 years, female 1296.0
GTEX-1AX8Z-0126-SM-7DHM6 60-69 years, male 1290.6
GTEX-13FHO-0226-SM-5IFGY 60-69 years, male 1288.6
GTEX-111VG-2426-SM-5GZXD 60-69 years, male 1287.6
GTEX-PLZ5-2026-SM-2S1O4 50-59 years, male 1286.1
GTEX-14ICK-0226-SM-6EU25 40-49 years, male 1285.8
GTEX-T2YK-0526-SM-32QPJ 50-59 years, male 1283.4
GTEX-1HBPM-0226-SM-ARL9F 60-69 years, female 1283.1
GTEX-ZZPT-0226-SM-5E43X 50-59 years, male 1282.2
GTEX-WY7C-2326-SM-3NB2U 50-59 years, male 1275.7
GTEX-X4EO-0326-SM-3P5YO 60-69 years, female 1275.6
GTEX-1GF9X-2026-SM-7PC3A 40-49 years, female 1275.6
GTEX-U3ZN-2326-SM-3DB7W 30-39 years, female 1266.0
GTEX-1MA7X-2226-SM-E6CIY 60-69 years, male 1265.6
GTEX-16MT8-0426-SM-7KUEY 60-69 years, female 1262.2
GTEX-1PBJI-0526-SM-E8VNK 20-29 years, female 1262.0
GTEX-17HHY-0126-SM-7LG5D 50-59 years, male 1258.4
GTEX-11UD1-0126-SM-5PNYG 40-49 years, female 1256.7
GTEX-13OVL-0226-SM-5L3E9 50-59 years, male 1256.4
GTEX-14PHX-2326-SM-62LEM 50-59 years, male 1255.6
GTEX-1RB15-2126-SM-E9TIM 60-69 years, male 1254.5
GTEX-14A6H-0126-SM-5QGPK 30-39 years, male 1253.7
GTEX-13W46-0226-SM-5SIAG 50-59 years, male 1239.4
GTEX-1IDFM-0126-SM-COH2V 60-69 years, male 1239.0
GTEX-ZC5H-0226-SM-4WAY9 40-49 years, female 1236.8
GTEX-1QP9N-1426-SM-DTXFL 30-39 years, male 1233.4
GTEX-12584-0126-SM-5EGKQ 40-49 years, male 1230.7
GTEX-WQUQ-0426-SM-3MJFU 60-69 years, male 1229.9
GTEX-1QP29-0626-SM-EWRMX 50-59 years, male 1227.5
GTEX-YB5K-2126-SM-4WWDJ 40-49 years, female 1226.8
GTEX-117YX-2326-SM-5H12W 50-59 years, male 1221.8
GTEX-13VXU-0126-SM-5SI9F 50-59 years, male 1221.3
GTEX-ZXES-1826-SM-5E43S 30-39 years, female 1218.7
GTEX-1HSMQ-1226-SM-CGQFX 50-59 years, male 1218.1
GTEX-1I4MK-2226-SM-ACKWD 50-59 years, female 1217.8
GTEX-1J8Q3-1626-SM-CMKGC 60-69 years, male 1215.4
GTEX-ZYFD-0126-SM-5GIDL 50-59 years, male 1211.9
GTEX-1PIGE-0126-SM-EVYBJ 20-29 years, male 1211.4
GTEX-ZTSS-1926-SM-57WEW 40-49 years, male 1210.5
GTEX-13NYS-0126-SM-5MR3W 60-69 years, male 1210.2
GTEX-1QP66-1726-SM-E8VO1 50-59 years, male 1207.0
GTEX-Y8LW-1826-SM-5S2MV 50-59 years, female 1203.9
GTEX-17MF6-0126-SM-7LG4F 40-49 years, male 1201.2
GTEX-16XZY-2126-SM-79OK1 70-79 years, male 1197.9
GTEX-QDVN-2026-SM-3GAEP 50-59 years, male 1193.6
GTEX-1H3VE-0326-SM-9YFLH 40-49 years, male 1192.9
GTEX-139TT-0126-SM-5K7Y5 60-69 years, male 1191.3
GTEX-15D1Q-0126-SM-7KUG6 40-49 years, male 1191.1
GTEX-TMMY-0226-SM-33HBA 40-49 years, female 1188.5
GTEX-147F4-0226-SM-5QGPW 50-59 years, male 1185.0
GTEX-1C64O-0126-SM-7SB8P 60-69 years, male 1184.5
GTEX-Q734-1926-SM-2I5EV 40-49 years, female 1183.2
GTEX-Y111-0126-SM-4SOIV 50-59 years, male 1181.9
GTEX-14BIM-0226-SM-7IGLD 60-69 years, female 1181.4
GTEX-1GN1U-0126-SM-7PBZK 50-59 years, female 1178.6
GTEX-1H3O1-0426-SM-9YFKY 60-69 years, male 1177.7
GTEX-ZAB5-1826-SM-5HL7C 50-59 years, male 1175.6
GTEX-1KD5A-0226-SM-D5OV3 50-59 years, male 1175.4
GTEX-T2IS-0126-SM-4DM6O 20-29 years, female 1174.7
GTEX-1AMEY-1326-SM-73KYK 30-39 years, female 1174.6
GTEX-ZF28-0126-SM-4WKGK 60-69 years, male 1174.5
GTEX-1IE54-0126-SM-CMKHW 40-49 years, female 1173.0
GTEX-14JG6-2226-SM-6EU2G 30-39 years, female 1168.8
GTEX-1S82Z-0826-SM-E6CHY 30-39 years, female 1167.3
GTEX-U3ZM-1526-SM-3DB9D 40-49 years, male 1165.0
GTEX-ZVTK-0426-SM-51MRS 20-29 years, male 1165.0
GTEX-ZVE2-0226-SM-59HJB 50-59 years, male 1163.8
GTEX-ZQG8-1626-SM-DHXIT 60-69 years, female 1163.6
GTEX-11VI4-1726-SM-5CVLH 40-49 years, female 1163.5
GTEX-13X6I-0626-SM-5QGP9 60-69 years, male 1163.4
GTEX-11DXW-0226-SM-5H122 40-49 years, male 1163.3
GTEX-1HGF4-2426-SM-ACKXM 60-69 years, male 1162.7
GTEX-15SHW-0326-SM-6PAML 60-69 years, male 1156.5
GTEX-14PJM-0226-SM-62LF1 50-59 years, female 1155.2
GTEX-15SDE-2226-SM-7IGLO 50-59 years, female 1155.0
GTEX-OIZF-0126-SM-7SB8I 60-69 years, male 1152.2
GTEX-11P7K-2126-SM-5GU7G 30-39 years, male 1151.2
GTEX-1QCLY-0326-SM-E8VOG 30-39 years, male 1151.2
GTEX-PLZ6-1426-SM-DKPOT 30-39 years, male 1149.9
GTEX-11DXX-2426-SM-5GZZW 60-69 years, female 1149.8
GTEX-X8HC-0126-SM-4E3JW 50-59 years, female 1149.3
GTEX-1F75I-0326-SM-9YFLU 40-49 years, male 1148.0
GTEX-X88G-0126-SM-47JZ3 30-39 years, male 1144.9
GTEX-13SLX-0526-SM-5S2ON 50-59 years, female 1143.5
GTEX-139TS-2826-SM-5J1OO 60-69 years, male 1140.0
GTEX-T8EM-1026-SM-3DB7M 40-49 years, male 1139.1
GTEX-1F75A-0126-SM-7RHGM 50-59 years, male 1138.7
GTEX-P44H-0226-SM-2XCEU 40-49 years, male 1132.4
GTEX-1LBAC-0126-SM-DIPEZ 20-29 years, male 1130.2
GTEX-145LV-2126-SM-5LU8N 50-59 years, male 1128.6
GTEX-13NZB-2526-SM-5J1OM 30-39 years, male 1128.3
GTEX-18A6Q-0126-SM-731BZ 60-69 years, male 1127.2
GTEX-T6MO-1626-SM-32QOM 40-49 years, female 1126.0
GTEX-148VI-1626-SM-5SI6E 60-69 years, female 1125.4
GTEX-1GZ2Q-0226-SM-7P8TL 40-49 years, male 1125.3
GTEX-QLQW-1126-SM-2S1Q8 30-39 years, male 1124.1
GTEX-X4EP-0126-SM-3P5YV 60-69 years, female 1123.9
GTEX-YFC4-0126-SM-5CVLY 40-49 years, female 1122.9
GTEX-XUYS-0126-SM-47JWZ 50-59 years, male 1122.1
GTEX-XBEW-0626-SM-4QASP 40-49 years, male 1118.9
GTEX-13RTJ-2426-SM-5S2Q2 60-69 years, male 1117.3
GTEX-XV7Q-2526-SM-4BRV9 40-49 years, female 1117.0
GTEX-RWS6-2026-SM-2XCB5 60-69 years, female 1116.9
GTEX-OXRL-0126-SM-2YUMP 50-59 years, male 1114.0
GTEX-17HGU-0226-SM-7DHKV 50-59 years, male 1113.0
GTEX-UPJH-0326-SM-3GADU 50-59 years, male 1112.8
GTEX-PWO3-1526-SM-48TCM 60-69 years, female 1109.1
GTEX-11P81-2326-SM-59875 30-39 years, female 1108.2
GTEX-1AX9I-0126-SM-7SB74 60-69 years, male 1107.5
GTEX-13QJ3-0326-SM-5S2RA 50-59 years, male 1106.2
GTEX-QEG4-0226-SM-2S1PY 30-39 years, male 1105.9
GTEX-17F97-0326-SM-7LG5B 50-59 years, male 1103.7
GTEX-183FY-0126-SM-7LT9P 20-29 years, male 1103.7
GTEX-OHPM-0126-SM-2YUN9 50-59 years, male 1103.7
GTEX-1269C-2526-SM-5EGJ3 60-69 years, female 1101.3
GTEX-1192W-2626-SM-5Q5AF 60-69 years, male 1100.5
GTEX-ZDYS-2026-SM-5HL5L 50-59 years, male 1099.3
GTEX-ZGAY-0526-SM-4WWBB 40-49 years, female 1098.2
GTEX-1A8FM-0226-SM-7SB7Q 50-59 years, female 1098.0
GTEX-ZDTS-0126-SM-4WAY5 60-69 years, male 1097.5
GTEX-1GN1V-0126-SM-9WPOS 60-69 years, male 1097.5
GTEX-XYKS-2126-SM-4E3IB 60-69 years, female 1095.7
GTEX-1HFI6-0226-SM-ADEHZ 40-49 years, male 1095.7
GTEX-1S5ZA-0126-SM-EVYCV 20-29 years, male 1094.5
GTEX-11DXY-2626-SM-5GIE7 60-69 years, male 1092.9
GTEX-XBED-2226-SM-47JYQ 60-69 years, male 1089.7
GTEX-11GSO-2426-SM-5A5LY 60-69 years, male 1088.3
GTEX-18D9B-0526-SM-7LTAS 60-69 years, male 1087.0
GTEX-1B933-0126-SM-7PC29 50-59 years, female 1086.3
GTEX-S95S-1226-SM-4GICG 60-69 years, male 1085.2
GTEX-139TU-0126-SM-5K7WH 60-69 years, male 1084.8
GTEX-139D8-0226-SM-5KLZO 30-39 years, female 1083.7
GTEX-1HKZK-0326-SM-9WYUH 40-49 years, male 1080.5
GTEX-QCQG-1726-SM-3GIJ9 50-59 years, female 1075.3
GTEX-W5WG-1826-SM-4KL2Y 50-59 years, female 1075.2
GTEX-NPJ8-0126-SM-2YUNR 40-49 years, male 1074.9
GTEX-1B8L1-2526-SM-9WYTF 60-69 years, male 1073.2
GTEX-11NSD-2226-SM-5986V 20-29 years, male 1072.8
GTEX-YJ8A-0426-SM-5IFID 20-29 years, male 1071.7
GTEX-U8T8-0126-SM-3DB94 60-69 years, male 1068.3
GTEX-15DDE-0126-SM-6LPKH 50-59 years, female 1067.2
GTEX-1314G-1526-SM-5EGK2 30-39 years, male 1066.7
GTEX-1LSNM-1926-SM-E6CII 50-59 years, male 1064.7
GTEX-11DXZ-2326-SM-5EGGV 50-59 years, male 1062.4
GTEX-13RTL-0126-SM-7LG5S 40-49 years, male 1061.8
GTEX-18A7B-0126-SM-7LG64 70-79 years, male 1058.0
GTEX-11WQC-2526-SM-5CVLE 60-69 years, male 1056.3
GTEX-147GR-0526-SM-5S2MY 60-69 years, male 1054.3
GTEX-1ICG6-2526-SM-CGQFZ 70-79 years, female 1052.4
GTEX-147F3-0526-SM-5SI98 50-59 years, female 1049.7
GTEX-13IVO-0126-SM-5J1NG 70-79 years, male 1046.6
GTEX-1NV5F-0226-SM-E8VNY 60-69 years, female 1046.2
GTEX-1EWIQ-0126-SM-7RHH2 70-79 years, female 1044.5
GTEX-1C2JI-1826-SM-73KXC 50-59 years, male 1044.2
GTEX-1JMPY-1326-SM-ARL8Y 30-39 years, male 1043.2
GTEX-12ZZX-0126-SM-5EGK9 40-49 years, female 1043.1
GTEX-14PHW-0126-SM-6LLJI 60-69 years, female 1042.8
GTEX-RU72-0926-SM-2TF6B 50-59 years, female 1042.5
GTEX-14ABY-0226-SM-5TDCQ 50-59 years, male 1041.0
GTEX-1GPI6-0126-SM-9WG69 60-69 years, male 1040.4
GTEX-Q2AH-1626-SM-3GAF8 40-49 years, male 1037.0
GTEX-1313W-0126-SM-5LZUN 50-59 years, female 1036.4
GTEX-13FTX-1826-SM-5J1NX 20-29 years, female 1035.3
GTEX-U3ZH-2026-SM-3DB78 30-39 years, male 1035.0
GTEX-ZF3C-0126-SM-DO92D 50-59 years, female 1034.8
GTEX-1KANB-0526-SM-E6CJH 50-59 years, male 1033.6
GTEX-1QP2A-0126-SM-E9J43 50-59 years, male 1031.2
GTEX-1JMQK-0226-SM-CL543 60-69 years, male 1030.0
GTEX-1JMQI-2226-SM-CM2SD 50-59 years, male 1029.4
GTEX-16BQI-0226-SM-7KUEX 30-39 years, female 1027.6
GTEX-1GF9W-0326-SM-9KNUN 60-69 years, male 1027.0
GTEX-PSDG-0226-SM-DKPOZ 50-59 years, male 1026.0
GTEX-1I1CD-0126-SM-CM2TK 60-69 years, female 1025.9
GTEX-11ZU8-2526-SM-5EQKI 60-69 years, male 1024.4
GTEX-U412-0426-SM-3DB9O 60-69 years, male 1023.5
GTEX-13OW5-0126-SM-DTXFS 60-69 years, male 1020.8
GTEX-1CB4E-2226-SM-793DC 60-69 years, male 1017.6
GTEX-1HSMP-0126-SM-E6CJS 70-79 years, male 1017.0
GTEX-1C6VS-0526-SM-7DUEN 60-69 years, male 1016.2
GTEX-1EX96-1626-SM-7PBXR 50-59 years, male 1016.1
GTEX-146FH-0126-SM-5QGPP 50-59 years, female 1013.7
GTEX-1N2DW-0226-SM-E9TK2 50-59 years, male 1013.6
GTEX-XAJ8-0826-SM-47JY6 40-49 years, male 1013.3
GTEX-1CB4J-0626-SM-7DHMP 60-69 years, male 1013.1
GTEX-14PN3-2426-SM-6LLHS 60-69 years, female 1012.9
GTEX-1JMPZ-0226-SM-CNPP1 30-39 years, male 1006.9
GTEX-1I6K6-0126-SM-A9SLE 30-39 years, male 1003.6
GTEX-1B8KZ-2026-SM-7DHMB 50-59 years, male 1003.5
GTEX-UJHI-1526-SM-3DB99 50-59 years, female 1002.7
GTEX-1PPH8-0226-SM-E8VND 20-29 years, male 1001.3
GTEX-11OF3-2626-SM-5GU7F 60-69 years, male 1001.2
GTEX-131XF-5016-SM-7MGWE 60-69 years, male 1000.9
GTEX-1GZHY-0326-SM-9QEHI 50-59 years, female 1000.6
GTEX-1H3VY-0126-SM-ACKXD 50-59 years, male 999.0
GTEX-1C4CL-0526-SM-73KVK 30-39 years, male 998.7
GTEX-14PII-0226-SM-6EU1T 60-69 years, male 996.3
GTEX-WYJK-0126-SM-3NMAB 50-59 years, male 996.0
GTEX-15RIG-0226-SM-7KFTL 40-49 years, male 992.7
GTEX-13NZA-0226-SM-5K7Z7 60-69 years, male 990.0
GTEX-1ICLZ-0126-SM-CKZPO 60-69 years, male 988.8
GTEX-13PVR-2326-SM-5QGR1 60-69 years, female 986.8
GTEX-18A67-0126-SM-7LG5P 50-59 years, male 984.8
GTEX-VJWN-0126-SM-3GIK7 50-59 years, female 977.0
GTEX-ZPIC-1726-SM-DHXIU 40-49 years, female 975.4
GTEX-1GF9U-2126-SM-7SB7L 40-49 years, female 973.9
GTEX-Y5V5-2326-SM-4V6GA 60-69 years, female 973.6
GTEX-NFK9-0226-SM-2HMKQ 40-49 years, male 973.3
GTEX-1HCU9-1526-SM-A9SL7 20-29 years, male 966.5
GTEX-SIU8-0126-SM-2XCDT 50-59 years, male 964.7
GTEX-ZQUD-1426-SM-57WER 30-39 years, male 964.1
GTEX-1JN76-0126-SM-CNPPE 20-29 years, female 962.7
GTEX-131XE-2326-SM-5PNZ2 50-59 years, male 962.5
GTEX-1H23P-0126-SM-ADEJ3 60-69 years, male 962.4
GTEX-1K2DA-1826-SM-CGQGT 50-59 years, male 960.4
GTEX-113JC-2326-SM-5EQ4E 50-59 years, female 958.2
GTEX-1HFI7-1826-SM-ACKXH 50-59 years, female 957.9
GTEX-V1D1-2226-SM-3NMAX 50-59 years, male 951.1
GTEX-11ZTT-2426-SM-5EQLS 60-69 years, female 949.4
GTEX-1POEN-0126-SM-EYYXJ 30-39 years, female 945.2
GTEX-1JKYR-0126-SM-CNPOJ 20-29 years, male 944.0
GTEX-WYVS-2126-SM-3NMA3 40-49 years, female 941.6
GTEX-1JN1M-0326-SM-CYPT3 60-69 years, female 939.4
GTEX-ZE9C-2726-SM-57WB5 60-69 years, male 939.0
GTEX-1GMRU-0126-SM-9YFLV 50-59 years, male 935.3
GTEX-1H11D-0226-SM-9WG6Z 40-49 years, male 932.7
GTEX-13X6J-0126-SM-5QGOU 50-59 years, male 930.6
GTEX-17HHE-2026-SM-79OKF 50-59 years, male 930.2
GTEX-1H1DE-2126-SM-9WG6R 20-29 years, male 929.5
GTEX-ZAK1-0126-SM-5IJD3 50-59 years, female 929.1
GTEX-1OJC3-0126-SM-E76QX 20-29 years, male 925.5
GTEX-VJYA-1126-SM-3GIJU 60-69 years, male 924.2
GTEX-13O3P-0126-SM-5KM4S 50-59 years, male 920.9
GTEX-QVJO-1626-SM-2S1QW 60-69 years, female 920.2
GTEX-1EKGG-0226-SM-9WYTH 60-69 years, male 917.3
GTEX-12WSL-2526-SM-5GCNJ 50-59 years, male 915.0
GTEX-1S3DN-2226-SM-EVYCD 50-59 years, male 913.5
GTEX-1J8JJ-0226-SM-CL53I 60-69 years, female 912.3
GTEX-15ETS-0126-SM-7KUMW 40-49 years, female 910.9
GTEX-1I1GP-2226-SM-CGQFK 50-59 years, male 909.7
GTEX-13112-2826-SM-5DUWH 50-59 years, male 905.7
GTEX-1K2DU-2326-SM-E9TIV 20-29 years, male 904.3
GTEX-13FTW-2626-SM-5K7WL 40-49 years, male 902.7
GTEX-1HBPI-1526-SM-C1YQ1 50-59 years, male 900.2
GTEX-131XW-0426-SM-5LZWP 50-59 years, female 898.8
GTEX-1F52S-0126-SM-9MQJU 60-69 years, female 897.2
GTEX-1I1GU-2226-SM-CGQFA 40-49 years, male 896.2
GTEX-1HCVE-0126-SM-CGQEU 50-59 years, male 894.5
GTEX-1QEPI-0126-SM-EWRMQ 60-69 years, female 893.2
GTEX-1N2EF-0226-SM-EYYXB 60-69 years, male 889.8
GTEX-11LCK-1026-SM-5A5KB 30-39 years, male 889.4
GTEX-18D9U-0226-SM-718BP 40-49 years, male 889.0
GTEX-ZVZP-2426-SM-59HKJ 50-59 years, male 888.4
GTEX-17F98-0626-SM-79OMX 40-49 years, female 888.1
GTEX-11XUK-2026-SM-5EQLF 40-49 years, female 887.1
GTEX-1MA7W-2026-SM-E9TJ6 20-29 years, female 886.9
GTEX-1F7RK-0126-SM-7PC2S 20-29 years, female 886.7
GTEX-RVPV-0126-SM-EAZAW 60-69 years, male 884.1
GTEX-13W3W-2426-SM-5LU5B 60-69 years, female 883.9
GTEX-SNMC-1226-SM-2XCFP 20-29 years, male 879.9
GTEX-1EU9M-0226-SM-7P8SP 60-69 years, male 876.4
GTEX-1JN6P-0126-SM-D3L98 60-69 years, male 875.3
GTEX-OXRO-0126-SM-2YUN4 60-69 years, female 875.2
GTEX-QLQ7-1626-SM-2S1R8 60-69 years, male 872.1
GTEX-1J8QM-2126-SM-CYPSJ 60-69 years, female 871.0
GTEX-1I19N-0326-SM-ACKVX 70-79 years, male 868.3
GTEX-RWSA-0126-SM-2XCBB 40-49 years, male 867.4
GTEX-XMD2-0126-SM-4YCDU 60-69 years, female 864.1
GTEX-OOBK-0126-SM-2YUND 40-49 years, male 864.0
GTEX-TKQ1-1026-SM-4GICL 30-39 years, male 863.0
GTEX-PW2O-1526-SM-7RHHB 20-29 years, male 862.7
GTEX-1CAMR-1926-SM-7EPI2 20-29 years, male 862.6
GTEX-16NGA-1726-SM-731B4 40-49 years, female 859.5
GTEX-1HCUA-2426-SM-ADEIS 50-59 years, female 857.5
GTEX-11DYG-0126-SM-59883 60-69 years, male 856.3
GTEX-1F6RS-0126-SM-9MQKZ 60-69 years, female 853.7
GTEX-SUCS-1926-SM-32PM3 70-79 years, male 851.7
GTEX-1EN7A-0126-SM-7SB81 40-49 years, male 851.6
GTEX-1F88F-2726-SM-7PBZZ 60-69 years, female 850.2
GTEX-PVOW-0126-SM-2XCFA 40-49 years, male 849.7
GTEX-OXRN-0126-SM-48TDM 50-59 years, male 848.9
GTEX-11OC5-0126-SM-5HL6A 60-69 years, male 847.1
GTEX-X4XX-0126-SM-3NMC2 60-69 years, male 846.5
GTEX-QV44-1926-SM-2S1RF 50-59 years, male 844.8
GTEX-1IDJF-0126-SM-CM2RS 20-29 years, male 842.7
GTEX-WOFL-0126-SM-3MJG2 60-69 years, male 839.5
GTEX-1LG7Y-0526-SM-DKPQC 50-59 years, male 838.5
GTEX-ZY6K-1826-SM-5GZXK 50-59 years, male 837.9
GTEX-18465-0126-SM-731BN 50-59 years, male 837.5
GTEX-1KAFJ-2026-SM-CY8ID 50-59 years, male 835.9
GTEX-ZXG5-0126-SM-5GIEU 60-69 years, male 834.3
GTEX-1EMGI-0126-SM-9KNUE 60-69 years, male 830.8
GTEX-1H1CY-2826-SM-9MQM3 60-69 years, female 829.5
GTEX-13SLW-0126-SM-5SI6C 70-79 years, male 829.4
GTEX-VUSG-2526-SM-4KL1V 50-59 years, male 828.4
GTEX-WVJS-0126-SM-4MVOT 50-59 years, male 828.3
GTEX-12696-2426-SM-5EQ6H 60-69 years, male 827.8
GTEX-131YS-0126-SM-5KM1M 60-69 years, female 827.4
GTEX-145ME-1826-SM-5SI9G 40-49 years, female 826.2
GTEX-ZZ64-1726-SM-5GZYB 20-29 years, male 824.0
GTEX-15F5U-1526-SM-6PANO 40-49 years, male 822.5
GTEX-11ZTS-0126-SM-5EQ6M 60-69 years, female 822.3
GTEX-1R7EU-0226-SM-EVR4G 60-69 years, male 821.7
GTEX-11NUK-0126-SM-5A5L3 50-59 years, male 820.6
GTEX-1LGRB-2526-SM-CNPPQ 50-59 years, female 820.1
GTEX-144FL-0126-SM-5TDC8 50-59 years, male 820.0
GTEX-T5JC-0426-SM-32PLO 20-29 years, male 818.6
GTEX-1HR98-0126-SM-B2LWI 60-69 years, male 817.0
GTEX-15ER7-0326-SM-7KUEV 20-29 years, female 816.8
GTEX-1I1GR-0126-SM-CL55F 60-69 years, male 815.9
GTEX-1AX9J-0226-SM-73KXM 60-69 years, male 812.0
GTEX-1GN2E-0426-SM-9MQKX 60-69 years, male 807.8
GTEX-1IGQW-0126-SM-COH42 60-69 years, male 803.7
GTEX-1KD4Q-0226-SM-E9TJ9 40-49 years, male 803.6
GTEX-TSE9-0126-SM-3DB83 60-69 years, female 801.2
GTEX-13FXS-0226-SM-5IJCK 50-59 years, male 798.7
GTEX-1GF9V-0326-SM-7RHI5 60-69 years, male 797.1
GTEX-ZYFC-0226-SM-5NQ75 50-59 years, male 795.4
GTEX-ZU9S-0226-SM-5E441 30-39 years, male 795.1
GTEX-1HSGN-0226-SM-CGQFV 40-49 years, female 793.0
GTEX-11EQ9-2426-SM-5HL5T 30-39 years, male 791.3
GTEX-Y8E4-0626-SM-4WWDL 40-49 years, male 790.5
GTEX-1QPFJ-0226-SM-E76PB 30-39 years, female 789.7
GTEX-1LB8K-0226-SM-EWRNW 50-59 years, male 789.5
GTEX-1E1VI-0126-SM-7DHMZ 50-59 years, male 788.8
GTEX-13OW8-1326-SM-5J1OW 60-69 years, male 788.3
GTEX-1IKK5-0626-SM-ARL8A 60-69 years, male 784.0
GTEX-1CB4H-0226-SM-7PBXM 60-69 years, female 783.0
GTEX-13113-5016-SM-7EPIP 60-69 years, female 780.8
GTEX-1IKOH-0226-SM-COH4E 60-69 years, female 780.4
GTEX-133LE-1826-SM-5J1MV 20-29 years, female 780.3
GTEX-16GPK-0126-SM-7DHLE 60-69 years, male 777.8
GTEX-169BO-1326-SM-9MQK2 50-59 years, male 777.1
GTEX-XXEK-2226-SM-4BRUM 50-59 years, male 777.0
GTEX-1OFPY-2426-SM-DTXEJ 60-69 years, male 776.5
GTEX-1RQEC-0426-SM-E6CHU 60-69 years, male 775.1
GTEX-QDVJ-1726-SM-2I5FX 50-59 years, male 774.4
GTEX-1IDJU-2626-SM-CM2RT 60-69 years, female 774.4
GTEX-1JMLX-0226-SM-CM2RO 50-59 years, male 772.0
GTEX-14LZ3-0226-SM-62LET 60-69 years, female 771.3
GTEX-1K9T9-0126-SM-EVYCF 50-59 years, female 771.0
GTEX-11EI6-0126-SM-5985R 60-69 years, male 770.5
GTEX-13OVK-2026-SM-7KUEO 40-49 years, male 768.8
GTEX-14E7W-0126-SM-6LLJ9 70-79 years, male 767.0
GTEX-1A3MV-1926-SM-718BT 30-39 years, male 766.9
GTEX-1122O-2126-SM-5EGIR 60-69 years, female 763.9
GTEX-11UD2-0226-SM-5EQKY 50-59 years, male 762.5
GTEX-1ICLY-0126-SM-D4P36 50-59 years, male 761.4
GTEX-17MFQ-1726-SM-793C7 20-29 years, male 760.8
GTEX-13N2G-2626-SM-5J1OT 60-69 years, male 759.6
GTEX-13FH7-2026-SM-E9J4I 50-59 years, female 758.6
GTEX-1LVAN-0226-SM-COH3S 50-59 years, female 757.8
GTEX-1PDJ9-0326-SM-DTX95 20-29 years, male 757.8
GTEX-OIZG-0726-SM-33HBL 50-59 years, male 756.7
GTEX-17F96-1626-SM-7DUFL 70-79 years, male 756.5
GTEX-16AAH-1726-SM-7939C 50-59 years, male 755.1
GTEX-1F75B-0126-SM-9KNVL 50-59 years, male 753.7
GTEX-SJXC-0126-SM-2XCFF 60-69 years, male 751.9
GTEX-12WSK-2326-SM-5GCOH 40-49 years, female 750.1
GTEX-12ZZZ-0626-SM-5DUXI 60-69 years, male 749.7
GTEX-14DAQ-0126-SM-5S2MQ 60-69 years, female 743.3
GTEX-1JMQJ-0526-SM-CYPSU 50-59 years, male 742.8
GTEX-XQ3S-1526-SM-4BOOC 20-29 years, male 740.0
GTEX-14C5O-0126-SM-5SI6N 60-69 years, male 739.5
GTEX-Z93S-0126-SM-5HL7M 50-59 years, male 738.9
GTEX-WFG8-2226-SM-3GIL9 20-29 years, male 737.6
GTEX-11O72-0126-SM-59887 40-49 years, male 736.1
GTEX-131XH-2226-SM-5DUXJ 50-59 years, male 734.5
GTEX-1QMI2-0226-SM-EVYBX 60-69 years, male 728.3
GTEX-Y8DK-0126-SM-4TT3L 60-69 years, male 727.9
GTEX-1BAJH-0526-SM-793CQ 70-79 years, male 727.1
GTEX-15DCD-0126-SM-7KUEK 70-79 years, female 726.5
GTEX-P4QT-0126-SM-2I3FL 50-59 years, female 725.1
GTEX-1R9K4-0126-SM-DTX9X 60-69 years, male 717.9
GTEX-1B97I-1626-SM-73KYO 40-49 years, male 712.7
GTEX-1IOXB-0126-SM-ARL8G 50-59 years, male 711.6
GTEX-1IL2V-0126-SM-CM2TX 70-79 years, male 710.9
GTEX-1IL2U-0226-SM-CE6T8 60-69 years, male 703.6
GTEX-WZTO-0126-SM-3NM95 40-49 years, male 703.2
GTEX-1JJE9-0326-SM-CL53Z 70-79 years, male 699.9
GTEX-1128S-2326-SM-5GZZY 60-69 years, female 695.0
GTEX-13OW6-0426-SM-5L3HM 50-59 years, male 691.8
GTEX-13PDP-0126-SM-5L3HD 60-69 years, male 691.2
GTEX-139UW-2826-SM-5L3E7 60-69 years, male 688.4
GTEX-14E6D-0126-SM-62LDV 50-59 years, male 686.1
GTEX-X261-0126-SM-3NMD6 50-59 years, male 685.7
GTEX-ZVT4-0126-SM-DTXFN 50-59 years, female 684.4
GTEX-ZV68-0126-SM-59HKS 50-59 years, female 679.9
GTEX-OHPL-0126-SM-2HMJ7 60-69 years, female 679.3
GTEX-12126-0326-SM-5PNW3 20-29 years, male 678.0
GTEX-1C64N-0126-SM-793D7 50-59 years, male 677.5
GTEX-13FTY-0526-SM-5L3EV 40-49 years, female 674.6
GTEX-14A5I-0126-SM-5TDEA 50-59 years, female 673.7
GTEX-12WSC-0126-SM-5EQ4P 50-59 years, male 671.9
GTEX-13CF3-2426-SM-5IFGX 60-69 years, female 662.5
GTEX-1B996-0226-SM-7RHGO 60-69 years, male 660.6
GTEX-1HBPN-0226-SM-9YFM1 50-59 years, male 659.5
GTEX-1A3MX-0126-SM-731BR 60-69 years, male 655.8
GTEX-13111-1626-SM-5EGJY 50-59 years, male 655.6
GTEX-11TUW-2726-SM-E9J4M 60-69 years, male 653.1
GTEX-17GQL-2026-SM-718BA 60-69 years, male 646.5
GTEX-15G19-0126-SM-6PANQ 60-69 years, male 644.9
GTEX-1H4P4-0726-SM-9YFLR 50-59 years, male 643.3
GTEX-14BIN-0626-SM-793DP 50-59 years, female 642.2
GTEX-U8XE-0326-SM-3DB8P 30-39 years, male 639.8
GTEX-111FC-0126-SM-5N9DL 60-69 years, male 638.3
GTEX-11TT1-2526-SM-5EGIB 20-29 years, male 635.3
GTEX-1I1GV-0526-SM-A9G29 60-69 years, male 635.3
GTEX-ZV6S-2326-SM-4YCEY 40-49 years, female 635.1
GTEX-1JJ6O-0126-SM-E6CI8 60-69 years, male 635.0
GTEX-1C6VR-2426-SM-79OLD 60-69 years, male 632.0
GTEX-O5YT-0126-SM-48TBW 20-29 years, male 629.9
GTEX-1AMFI-2026-SM-731BH 50-59 years, female 629.4
GTEX-Y5V6-2426-SM-4VDSB 60-69 years, male 627.3
GTEX-15CHC-2126-SM-6EU21 60-69 years, female 608.9
GTEX-17HG3-2226-SM-7938L 30-39 years, female 608.8
GTEX-1O97I-0326-SM-EYYX7 60-69 years, male 607.2
GTEX-T6MN-0126-SM-32PLP 50-59 years, male 603.9
GTEX-1HT8W-0126-SM-CNPPP 30-39 years, male 600.8
GTEX-X4XY-0226-SM-4E3IZ 60-69 years, male 598.4
GTEX-1HCU7-0226-SM-CL545 50-59 years, male 595.6
GTEX-1HSKV-0226-SM-A9SKJ 60-69 years, male 592.5
GTEX-1B8SF-1426-SM-7DUGL 60-69 years, male 590.6
GTEX-18D9A-1926-SM-7LG6P 30-39 years, female 589.2
GTEX-R3RS-0126-SM-3GIJL 40-49 years, female 589.0
GTEX-S7SE-0126-SM-2XCD5 50-59 years, male 588.0
GTEX-1RDX4-0126-SM-E9J4P 50-59 years, female 585.5
GTEX-15UKP-0426-SM-7KUFQ 20-29 years, male 582.2
GTEX-11WQK-0526-SM-5EQLD 50-59 years, male 578.7
GTEX-145MI-0526-SM-5O9A8 60-69 years, female 576.6
GTEX-1B8SG-0126-SM-73KZ3 50-59 years, male 576.4
GTEX-1J1OQ-0226-SM-CYPSH 40-49 years, female 576.1
GTEX-1I1GT-0626-SM-CGQER 60-69 years, female 575.5
GTEX-1212Z-2526-SM-5EGKP 60-69 years, male 573.7
GTEX-14JG1-0426-SM-6ETZZ 40-49 years, male 571.9
GTEX-QESD-1426-SM-2S1R9 20-29 years, male 571.8
GTEX-1KANC-1526-SM-D3LAB 50-59 years, female 571.7
GTEX-1HCU8-0626-SM-A9SM9 60-69 years, female 567.3
GTEX-13S7M-0126-SM-5SI6A 60-69 years, female 564.2
GTEX-13FHP-0126-SM-5IJBG 50-59 years, male 559.0
GTEX-1S83E-0126-SM-EWRO4 40-49 years, male 558.7
GTEX-XPVG-2626-SM-4B669 50-59 years, male 551.2
GTEX-T5JW-1626-SM-3GADZ 20-29 years, female 551.0
GTEX-1HB9E-0226-SM-E9U4R 50-59 years, male 550.9
GTEX-1CB4I-0226-SM-79OLH 50-59 years, male 550.6
GTEX-117XS-2726-SM-5N9BL 60-69 years, male 549.5
GTEX-13O3Q-2426-SM-5IJBR 50-59 years, male 549.5
GTEX-13OVH-0126-SM-5MR4B 70-79 years, male 543.8
GTEX-16NPX-0226-SM-79OMT 50-59 years, male 540.4
GTEX-1KWVE-1426-SM-E9TJO 30-39 years, male 539.0
GTEX-1IDJH-0326-SM-A9SLQ 70-79 years, male 532.4
GTEX-12ZZY-0226-SM-5LZVE 60-69 years, male 529.5
GTEX-14XAO-2326-SM-6EU1B 60-69 years, female 527.9
GTEX-PX3G-0126-SM-2I3EN 20-29 years, female 525.2
GTEX-ZYT6-0226-SM-5NQ6T 30-39 years, male 518.6
GTEX-183WM-0126-SM-7LTAB 70-79 years, female 508.9
GTEX-17EVP-0326-SM-7DHLG 40-49 years, male 503.4
GTEX-1F5PL-0326-SM-7P8PQ 40-49 years, female 499.7
GTEX-1CB4F-0426-SM-9KNV4 60-69 years, male 499.4
GTEX-WFON-2126-SM-3LK7O 40-49 years, male 498.5
GTEX-1399R-2726-SM-5IJBA 30-39 years, male 496.0
GTEX-ZVZO-0126-SM-5A5L9 40-49 years, male 495.4
GTEX-XUZC-1726-SM-4BRWS 30-39 years, female 492.1
GTEX-1LH75-2426-SM-E9TJE 50-59 years, female 491.2
GTEX-1J8Q2-0526-SM-CM2RW 60-69 years, male 485.9
GTEX-1GMR3-1926-SM-9KNUZ 40-49 years, male 482.2
GTEX-1E2YA-0126-SM-9KNUC 50-59 years, male 478.2
GTEX-1QAET-0926-SM-E76QM 50-59 years, male 477.4
GTEX-1KANA-0726-SM-D3L9I 20-29 years, male 474.8
GTEX-14BMV-0126-SM-5S2PO 50-59 years, male 471.9
GTEX-1LG7Z-1726-SM-D3LA4 30-39 years, male 467.4
GTEX-1399T-2826-SM-5KLYZ 60-69 years, male 453.5
GTEX-1I1GQ-0126-SM-COH3H 50-59 years, male 446.7
GTEX-13JUV-2726-SM-5LZZ8 40-49 years, female 446.2
GTEX-OIZH-0126-SM-2HMIS 50-59 years, male 445.9
GTEX-145LS-0126-SM-5QGP1 60-69 years, female 442.8
GTEX-1MJK2-0426-SM-DTXE5 50-59 years, male 442.5
GTEX-145LU-0126-SM-5TDCB 50-59 years, male 437.6
GTEX-14PJ6-2126-SM-6EU1V 60-69 years, female 434.5
GTEX-1CAMQ-0226-SM-7IGPK 40-49 years, male 432.7
GTEX-17KNJ-2326-SM-7DHLQ 50-59 years, male 432.3
GTEX-ZF2S-2326-SM-4WWCE 50-59 years, female 417.7
GTEX-1M5QR-1226-SM-EWROB 40-49 years, male 411.5
GTEX-14E6E-1826-SM-5S2R7 30-39 years, male 403.3
GTEX-15EU6-0426-SM-6PAN5 50-59 years, male 403.2
GTEX-ZWKS-0126-SM-5SIAA 30-39 years, male 399.4
GTEX-S32W-2126-SM-2XCB1 50-59 years, female 395.4
GTEX-145MF-0626-SM-5LUAI 50-59 years, male 388.2
GTEX-YJ89-0126-SM-4TT3X 60-69 years, male 387.9
GTEX-1R9PM-2026-SM-E76OY 20-29 years, male 383.6
GTEX-1KXAM-2226-SM-CYPTC 60-69 years, male 381.7
GTEX-12WSA-0226-SM-5BC5V 60-69 years, male 378.8
GTEX-13NYB-2526-SM-5K7Z6 40-49 years, male 374.3
GTEX-13NYC-0326-SM-E9J4S 60-69 years, male 365.6
GTEX-ZTX8-1426-SM-5DUVO 20-29 years, male 362.2
GTEX-14A5H-0426-SM-5QGQF 60-69 years, male 361.2
GTEX-144GL-0126-SM-5TDE2 50-59 years, male 360.6
GTEX-1GL5R-1826-SM-9KNUY 50-59 years, male 357.9
GTEX-SE5C-1626-SM-2XCE3 40-49 years, female 350.1
GTEX-1JJEA-0326-SM-CNPOT 60-69 years, male 341.8
GTEX-1PIIG-0226-SM-EWRN6 30-39 years, male 334.9
GTEX-1C475-1826-SM-73KWA 40-49 years, female 310.0
GTEX-12WSE-0526-SM-793B2 20-29 years, male 306.3
GTEX-POMQ-2226-SM-2I5FK 20-29 years, female 278.3
GTEX-1JMQL-0226-SM-CNPP5 50-59 years, female 277.7
GTEX-1IKJJ-0126-SM-CNPQB 60-69 years, male 275.7
GTEX-17JCI-0126-SM-7LG5G 60-69 years, female 275.3
GTEX-1L5NE-2526-SM-E6CIE 50-59 years, male 169.8
Show allShow less

Contact

  • NEWS ARTICLES
  • PRESS ROOM

The Project

  • INTRODUCTION
  • ORGANIZATION
  • PUBLICATIONS

The Human Protein Atlas

  • DOWNLOADABLE DATA
  • LICENCE & CITATION
  • HELP & FAQ
The Human Protein Atlas project is funded
by the Knut & Alice Wallenberg Foundation.


contact@proteinatlas.org