We use cookies to enhance the usability of our website. If you continue, we'll assume that you are happy to receive all cookies. More information. Don't show this again.
HERPUD1
HPA
RESOURCES
  • TISSUE
  • BRAIN
  • SINGLE CELL
  • SUBCELLULAR
  • CANCER
  • BLOOD
  • CELL LINE
  • STRUCTURE & INTERACTION
ABOUT
  • INTRODUCTION
  • HISTORY
  • ORGANIZATION
  • PUBLICATIONS
  • ANTIBODY SUBMISSION
  • ANTIBODY AVAILABILITY
  • ACKNOWLEDGMENTS
  • CONTACT
NEWS
  • NEWS ARTICLES
  • PRESS ROOM
LEARN
  • DICTIONARY
  • PROTEIN CLASSES
  • PROTEIN EVIDENCE
  • METHODS
  • EDUCATIONAL VIDEOS
DATA
  • DOWNLOADABLE DATA
  • PUBLICATION DATA
  • RELEASE HISTORY
HELP
  • ANTIBODY VALIDATION
  • ASSAYS & ANNOTATION
  • DISCLAIMER
  • HELP & FAQ
  • PRIVACY STATEMENT
  • LICENCE & CITATION
Fields »
Search result

Field
Term
Gene name
Class
Subclass
Class
Keyword
Chromosome
External id
Tissue
Cell type
Expression
Antibody panel
Tissue
Main location
Patient ID
Annotation
Tissue
Category
Tau score
Cluster
Reliability
Brain region
Category
Tau score
Brain region
Category
Tau score
Brain region
Category
Tau score
Cluster
Reliability
Tissue
Cell type
Enrichment
Cell type
Category
Tau score
Cell type
Category
Tau score
Cell type
Category
Tau score
Cell lineage
Category
Tau score
Cluster
Cluster
Location
Searches
Location
Cell line
Class
Type
Phase
Reliability
Cancer
Prognosis
Cancer
Category
Cancer
Category
Tau score
Cluster
Variants
Interacting gene (ensg_id)
Type
Number of interactions
Pathway
Category
Score
Score
Score
Validation
Validation
Validation
Validation
Antibodies
Data type
Column


  • SUMMARY

  • TISSUE

  • BRAIN

  • SINGLE CELL

  • SUBCELL

  • CANCER

  • BLOOD

  • CELL LINE

  • STRUCT & INT

  • HERPUD1
TISSUE PRIMARY DATA SKIN Show tissue menu
ADIPOSE TISSUE ADRENAL GLAND AMYGDALA APPENDIX BASAL GANGLIA BONE MARROW BREAST BRONCHUS CEREBELLUM CEREBRAL CORTEX CERVIX CHOROID PLEXUS COLON DUODENUM
ENDOMETRIUM EPIDIDYMIS ESOPHAGUS FALLOPIAN TUBE GALLBLADDER HEART MUSCLE HIPPOCAMPAL FORMATION HYPOTHALAMUS KIDNEY LIVER LUNG LYMPH NODE MIDBRAIN NASOPHARYNX
ORAL MUCOSA OVARY PANCREAS PARATHYROID GLAND PITUITARY GLAND PLACENTA PROSTATE RECTUM RETINA SALIVARY GLAND SEMINAL VESICLE SKELETAL MUSCLE SKIN SMALL INTESTINE
SMOOTH MUSCLE SOFT TISSUE SPINAL CORD SPLEEN STOMACH TESTIS THYMUS THYROID GLAND TONGUE TONSIL URINARY BLADDER VAGINA
ANTIBODIES
AND
VALIDATION
Dictionary
Skin
Tissue proteome
Skin
SKIN - Expression summary
Protein expression
Skini

On the top, protein expression in current human tissue, based on all annotated cell types, is reported with the units not detected (n), low (l), medium (m) and high (h). Underneath, protein expression in each annotated cell type are reported using the same units.

Protein expression data is based on knowledge-based annotation. For genes where more than one antibody has been used, a collective score is set.

If knowledge-based annotation could not be performed for a gene, no data is displayed here. View antibody staining data further down this page.

h
m
l
n
Epidermal cells: Medium
Fibroblasts: Medium
Keratinocytes: Medium
Langerhans: Medium
Melanocytes: Medium
RNA expressioni

A summary of mRNA expression data available for current tissue based on several datasets. The mRNA expression levels in human tissues are based on RNA-seq data generated by the Human Protein Atlas (HPA), Genotype-Tissue Expression (GTEx) portal and CAGE data generated by the FANTOM5 consortium. Consensus normalized expression levels for human tissues was created by combining the data from HPA and GTEx datasets.

The mRNA expression levels in pig are based on RNA-seq data generated by the Human Protein Atlas (HPA), and for mouse, HPA data and in situ hybridization generated by the Allen brain atlas are reported.

Scroll down to view mRNA expression data in more detail.
Consensus:56.9 nTPM
HPA:32.2 nTPM
GTEx:56.9 nTPM

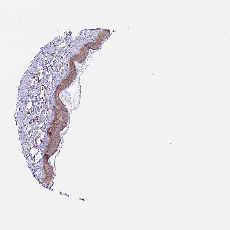
SKIN 1 - Antibody stainingi

Antibody staining in the annotated cell types in the current human tissue is reported as not detected, low, medium, or high, based on conventional immunohistochemistry profiling in selected tissues. This score is based on the combination of the staining intensity and fraction of stained cells.

Each image is clickable and will lead to virtual microscopy that enables deeper exploration of all samples and also displays staining intensity scores, fraction scores and subcellular localization as well as patient and tissue information for each sample.

Antibody HPA040754Antibody HPA041219Antibody CAB037041Antibody CAB037104
Langerhans HighMediumMediumLow
Fibroblasts Not detectedMediumMediumMedium
Keratinocytes LowMediumMediumMedium
Melanocytes LowMediumMediumMedium








SKIN 2 - Antibody stainingi

Antibody staining in the annotated cell types in the current human tissue is reported as not detected, low, medium, or high, based on conventional immunohistochemistry profiling in selected tissues. This score is based on the combination of the staining intensity and fraction of stained cells.

Each image is clickable and will lead to virtual microscopy that enables deeper exploration of all samples and also displays staining intensity scores, fraction scores and subcellular localization as well as patient and tissue information for each sample.

Antibody HPA040754Antibody HPA041219Antibody CAB037041Antibody CAB037104
Epidermal cells LowMediumMediumMedium
    
    
    





SKIN - HPA RNA-seqi

The RNA-seq details section shows detailed information about the individual samples used for the transcript profiling and results of the RNA-seq analysis.

Information about each individual sample is listed below, including gender, age, a tissue section image and estimated fractions of cell types. nTPM (normalized transcripts per million) values give a quantification of the gene abundance which is comparable between different genes and samples.
Average nTPMi

Max subtype nTPM is the value for the subtype with the largest average nTPM across the subtype samples.

32.2
overview
Female, age 34
Skin sample 225
nTPM: 35.8
Cell types%
Keratinocytes:
60

Other cell types:
40

overview
Female, age 30
Skin sample 226
nTPM: 31.2
Cell types%
Keratinocytes:
55

Other cell types:
45

N/A
Male, age 57
Skin sample 227
nTPM: 29.6

SKIN - GTEx RNA-seqi

RNA-Seq data generated by the Genotype-Tissue Expression (GTEx) project from human tissues is reported as mean nTPM. More information can be found on the GTEx portal.

Distribution across the dataset is visualized with box plots, shown as median and 25th and 75th percentiles. Points are displayed as outliers if they are above or below 1.5 times the interquartile range. nTPM values of the individual samples are presented next to the box plot.
Max subtype nTPMi

Max subtype nTPM is the value for the subtype with the largest average nTPM across the subtype samples.

56.9
GTEx sample id Sample description nTPM
Skin - Not Sun Exposed (Suprapubic)
Average nTPM: 56.9
Samples: 604

Max nTPM: 190.7
Min nTPM: 28.0
Std nTPM: 18.1
Median nTPM: 53.6
GTEX-15UF6-1926-SM-7KUDV 70-79 years, female 190.7
GTEX-14A5H-0826-SM-5QGPJ 60-69 years, male 150.8
GTEX-1R9PN-0426-SM-DTXDT 40-49 years, female 142.5
GTEX-1C64N-2626-SM-7PC2N 50-59 years, male 139.7
GTEX-13QBU-1226-SM-5LU4G 40-49 years, female 139.2
GTEX-11EQ8-0926-SM-5H12V 60-69 years, male 136.1
GTEX-18D9B-0926-SM-7LG4U 60-69 years, male 127.3
GTEX-1NSGN-0726-SM-DTXEF 50-59 years, male 118.9
GTEX-1PBJJ-1026-SM-E76OS 30-39 years, male 117.8
GTEX-X4EP-0626-SM-3P621 60-69 years, female 112.4
GTEX-1AX9I-2226-SM-73KUO 60-69 years, male 107.4
GTEX-1ICLZ-0326-SM-ARL82 60-69 years, male 106.6
GTEX-11DZ1-2426-SM-5GZZX 50-59 years, male 106.4
GTEX-13112-0126-SM-5P9IU 50-59 years, male 100.2
GTEX-ZA64-1026-SM-5HL8R 20-29 years, male 98.7
GTEX-ZLV1-1526-SM-DO91J 60-69 years, female 97.6
GTEX-1EMGI-2326-SM-7PBYA 60-69 years, male 97.1
GTEX-ZVZP-1226-SM-5GID7 50-59 years, male 95.6
GTEX-139UW-0326-SM-5J1ML 60-69 years, male 93.5
GTEX-13IVO-0726-SM-5LZYV 70-79 years, male 92.3
GTEX-1JN6P-2926-SM-CL54D 60-69 years, male 92.0
GTEX-1IKOE-1426-SM-CE6T7 30-39 years, female 90.9
GTEX-1RLM8-2926-SM-E8VON 50-59 years, male 89.8
GTEX-1C2JI-1026-SM-73KY1 50-59 years, male 89.5
GTEX-1S82U-1026-SM-E6CJK 30-39 years, female 88.8
GTEX-13O61-1426-SM-5KM3D 60-69 years, male 88.2
GTEX-1CAMS-2226-SM-7PBXQ 40-49 years, female 87.3
GTEX-1OJC3-1226-SM-DTXER 20-29 years, male 87.0
GTEX-XK95-0226-SM-4AT58 40-49 years, male 86.5
GTEX-1HCUA-0826-SM-ADEHM 50-59 years, female 86.5
GTEX-1C6WA-2626-SM-7MKGM 60-69 years, male 86.3
GTEX-13YAN-0226-SM-5TDC6 60-69 years, male 86.0
GTEX-15SHW-0226-SM-7LTAT 60-69 years, male 86.0
GTEX-ZLFU-1826-SM-4WWBV 40-49 years, male 85.2
GTEX-13X6H-0926-SM-5SIB2 50-59 years, female 84.5
GTEX-ZTX8-1326-SM-4YCEL 20-29 years, male 84.5
GTEX-1269C-0126-SM-5EQ5L 60-69 years, female 84.3
GTEX-14LZ3-0126-SM-69LPM 60-69 years, female 83.8
GTEX-14ICL-1626-SM-5YYAO 30-39 years, male 83.5
GTEX-11DXY-0126-SM-5H11Q 60-69 years, male 83.2
GTEX-ZF3C-0626-SM-DO92O 50-59 years, female 83.2
GTEX-1497J-0226-SM-5QGPU 60-69 years, male 83.0
GTEX-17EVP-2626-SM-7IGMA 40-49 years, male 83.0
GTEX-14DAR-1226-SM-73KYV 50-59 years, male 82.8
GTEX-1JMPY-0226-SM-CKZOK 30-39 years, male 82.8
GTEX-1313W-0626-SM-5EQ4H 50-59 years, female 82.5
GTEX-147F4-0726-SM-5TDDD 50-59 years, male 82.5
GTEX-17F97-2626-SM-7IGM5 50-59 years, male 82.5
GTEX-ZDTS-0826-SM-4WKHL 60-69 years, male 82.5
GTEX-1RAZQ-1326-SM-E9TK6 30-39 years, male 82.1
GTEX-13N1W-2426-SM-5IJD1 70-79 years, male 81.7
GTEX-14PKU-0126-SM-6LLHV 40-49 years, female 81.4
GTEX-1JMOU-1026-SM-CYPSS 60-69 years, female 81.3
GTEX-13W3W-0726-SM-5IJDQ 60-69 years, female 81.0
GTEX-1I1GT-1026-SM-ARZLV 60-69 years, female 80.9
GTEX-15ER7-0626-SM-6PANF 20-29 years, female 80.7
GTEX-1J8Q3-0526-SM-ARL8U 60-69 years, male 80.6
GTEX-145ME-1726-SM-5Q5EU 40-49 years, female 80.0
GTEX-ZAJG-1526-SM-5CVML 50-59 years, female 79.9
GTEX-1B996-0426-SM-7EWF8 60-69 years, male 79.7
GTEX-XBED-1926-SM-47JYP 60-69 years, male 79.7
GTEX-XQ8I-0926-SM-4BOOF 50-59 years, male 79.2
GTEX-13113-1626-SM-5EQ4I 60-69 years, female 78.6
GTEX-14PK6-0226-SM-62LF5 70-79 years, female 78.5
GTEX-13NYC-0126-SM-5L3F4 60-69 years, male 78.0
GTEX-1J8Q2-2626-SM-ACKWQ 60-69 years, male 77.3
GTEX-Y114-2126-SM-4TT8B 50-59 years, female 77.1
GTEX-13NZ8-1226-SM-5KM4A 60-69 years, female 76.7
GTEX-Y9LG-1126-SM-4VBQ7 30-39 years, male 76.3
GTEX-1HSKV-1226-SM-ADEI4 60-69 years, male 76.1
GTEX-WEY5-2326-SM-3GIKK 40-49 years, female 75.9
GTEX-1GF9W-1426-SM-7PBYM 60-69 years, male 75.8
GTEX-13PL6-1126-SM-5L3IE 40-49 years, female 75.7
GTEX-WFG7-2026-SM-5SI7P 20-29 years, male 75.6
GTEX-1F6RS-2026-SM-7RHHC 60-69 years, female 75.6
GTEX-1QP2A-1726-SM-E76QC 50-59 years, male 75.6
GTEX-16XZZ-0726-SM-7KUF2 60-69 years, male 75.5
GTEX-1399U-1126-SM-5L3DB 50-59 years, female 75.0
GTEX-1QW4Y-1126-SM-DTXE3 30-39 years, male 74.8
GTEX-1R9K4-2826-SM-DTX8F 60-69 years, male 74.4
GTEX-WYBS-0626-SM-3NMAS 60-69 years, female 74.3
GTEX-12BJ1-0926-SM-5EQ62 60-69 years, male 74.2
GTEX-V1D1-2026-SM-3GAF4 50-59 years, male 74.1
GTEX-1GN73-0726-SM-7P8TJ 60-69 years, male 73.9
GTEX-13FTY-2126-SM-5IFFB 40-49 years, female 73.8
GTEX-1M4P7-0726-SM-E6CJ3 60-69 years, male 73.6
GTEX-11EM3-1226-SM-5N9DD 20-29 years, female 73.4
GTEX-1PIGE-1826-SM-E8VOU 20-29 years, male 73.4
GTEX-VJYA-1526-SM-3GIJV 60-69 years, male 73.2
GTEX-WFG8-2126-SM-3GIKQ 20-29 years, male 73.0
GTEX-1H23P-0626-SM-9WG6T 60-69 years, male 72.9
GTEX-1QPFJ-1926-SM-EVYBD 30-39 years, female 72.7
GTEX-1HBPM-0726-SM-9YFL7 60-69 years, female 72.3
GTEX-11ZTT-2126-SM-5CVLO 60-69 years, female 72.1
GTEX-13FTX-1526-SM-5K7VJ 20-29 years, female 72.1
GTEX-ZYW4-0626-SM-59HJR 60-69 years, male 71.2
GTEX-1QP28-1126-SM-EVYC4 50-59 years, female 71.0
GTEX-ZGAY-1826-SM-DO91Q 40-49 years, female 70.9
GTEX-XMD2-2126-SM-4YCF8 60-69 years, female 70.6
GTEX-1NV5F-0626-SM-DTXEG 60-69 years, female 70.3
GTEX-12WSL-2026-SM-5GCML 50-59 years, male 70.2
GTEX-ZE7O-2726-SM-51MT5 50-59 years, female 70.2
GTEX-1F5PL-0926-SM-7PC2W 40-49 years, female 69.3
GTEX-15RIG-0726-SM-7KUM7 40-49 years, male 69.2
GTEX-1A3MV-1826-SM-731CD 30-39 years, male 69.2
GTEX-YEC4-1826-SM-4W1YP 40-49 years, male 69.2
GTEX-ZYFG-1526-SM-5GZYM 60-69 years, female 69.2
GTEX-131XF-2626-SM-5EQ6K 60-69 years, male 69.1
GTEX-X5EB-1926-SM-4E3IW 40-49 years, male 69.0
GTEX-ZPU1-1126-SM-4YCF3 40-49 years, male 69.0
GTEX-1HT8W-0626-SM-A9G2H 30-39 years, male 68.8
GTEX-1LVAN-0626-SM-CNPOQ 50-59 years, female 68.8
GTEX-1QP9N-1226-SM-E76QN 30-39 years, male 68.7
GTEX-1JMLX-0626-SM-ARL8T 50-59 years, male 68.6
GTEX-17HII-1426-SM-7EPGG 50-59 years, male 68.4
GTEX-1IKJJ-2226-SM-CJI4C 60-69 years, male 68.4
GTEX-11O72-0626-SM-5PNYE 40-49 years, male 68.3
GTEX-1CB4E-0926-SM-7EPHT 60-69 years, male 68.3
GTEX-1GZ4H-0526-SM-9KNU9 50-59 years, female 68.3
GTEX-148VJ-0626-SM-5LUAW 70-79 years, male 68.2
GTEX-XYKS-1426-SM-4BRUO 60-69 years, female 68.2
GTEX-1MCYP-0526-SM-E9U6Q 20-29 years, female 68.2
GTEX-WXYG-2026-SM-4E3IY 50-59 years, female 68.1
GTEX-1RAZR-2126-SM-E9U6T 40-49 years, male 68.1
GTEX-1HKZK-0726-SM-ACKW2 40-49 years, male 68.0
GTEX-1117F-2926-SM-5GZYI 60-69 years, female 67.9
GTEX-UPK5-0426-SM-3GAEK 40-49 years, male 67.8
GTEX-WY7C-2126-SM-3NB2R 50-59 years, male 67.8
GTEX-1F88E-1626-SM-7SB8Z 60-69 years, female 67.7
GTEX-1PDJ9-1226-SM-EXUSX 20-29 years, male 67.6
GTEX-1CAV2-0126-SM-7IGN7 40-49 years, female 67.5
GTEX-12696-0126-SM-5EQ4L 60-69 years, male 67.4
GTEX-11P7K-1126-SM-5HL4L 30-39 years, male 67.1
GTEX-1I1GS-2626-SM-B2LY3 60-69 years, male 67.1
GTEX-12WSF-1626-SM-7KUG5 70-79 years, male 67.0
GTEX-131XG-0326-SM-5L3DX 50-59 years, female 67.0
GTEX-18QFQ-1826-SM-72D52 30-39 years, male 67.0
GTEX-1L5NE-1126-SM-D3L9P 50-59 years, male 66.9
GTEX-1CAMR-1326-SM-7PC1F 20-29 years, male 66.8
GTEX-1H2FU-0926-SM-9WPPT 60-69 years, female 66.7
GTEX-117YX-1926-SM-5GIEC 50-59 years, male 66.6
GTEX-1F75I-2226-SM-7SB8U 40-49 years, male 66.4
GTEX-15G1A-1626-SM-7KUKN 30-39 years, male 66.0
GTEX-X8HC-0626-SM-4E3HQ 50-59 years, female 66.0
GTEX-ZY6K-1426-SM-5GZX2 50-59 years, male 66.0
GTEX-1A32A-0626-SM-731AQ 50-59 years, female 65.9
GTEX-13OVG-1626-SM-5J1NF 60-69 years, male 65.8
GTEX-ZPCL-1126-SM-4WWFE 60-69 years, female 65.2
GTEX-WH7G-2026-SM-3NMBL 40-49 years, male 65.0
GTEX-1HSMQ-2626-SM-A9SML 50-59 years, male 64.9
GTEX-131XH-0126-SM-5LZUY 50-59 years, male 64.8
GTEX-14PJ6-2626-SM-6EU2T 60-69 years, female 64.6
GTEX-1S82P-2126-SM-E6CI5 60-69 years, female 64.6
GTEX-14753-0726-SM-5QGQO 60-69 years, male 64.5
GTEX-17HHE-1326-SM-7EWDZ 50-59 years, male 64.4
GTEX-14PJ5-1526-SM-6LLIL 60-69 years, female 64.3
GTEX-1AMFI-1326-SM-7939R 50-59 years, female 64.3
GTEX-1HCU6-2526-SM-ADEHL 60-69 years, female 64.3
GTEX-YECK-0326-SM-4W1YS 60-69 years, male 63.9
GTEX-ZT9W-1126-SM-57WDR 50-59 years, male 63.9
GTEX-1HFI7-2326-SM-CGQFS 50-59 years, female 63.9
GTEX-WHSE-0126-SM-3NMBT 20-29 years, male 63.7
GTEX-YFCO-1226-SM-5LUAT 40-49 years, male 63.6
GTEX-13VXT-1926-SM-5K7UO 20-29 years, female 63.4
GTEX-1R7EU-1626-SM-DTXG3 60-69 years, male 63.3
GTEX-1S5ZU-2526-SM-E6CIF 20-29 years, female 63.2
GTEX-16AAH-0626-SM-793C9 50-59 years, male 63.0
GTEX-1JKYN-0826-SM-ARU8S 30-39 years, male 63.0
GTEX-13FTW-0326-SM-5K7UW 40-49 years, male 62.8
GTEX-Y5LM-0926-SM-6LLJG 40-49 years, female 62.8
GTEX-Y8LW-1526-SM-5IFHL 50-59 years, female 62.8
GTEX-1GF9V-0826-SM-9KNUV 60-69 years, male 62.7
GTEX-1MJK3-0726-SM-E6CJC 20-29 years, male 62.7
GTEX-1IDJH-0126-SM-D3L92 70-79 years, male 62.4
GTEX-12ZZZ-0726-SM-5GCNZ 60-69 years, male 62.2
GTEX-17F9E-2326-SM-79OKD 50-59 years, male 62.2
GTEX-Y5V6-2326-SM-4VDSA 60-69 years, male 62.0
GTEX-ZVE1-0726-SM-51MRN 50-59 years, female 62.0
GTEX-1B97I-0626-SM-73KUZ 40-49 years, male 61.9
GTEX-1PIIG-2326-SM-DTXFR 30-39 years, male 61.7
GTEX-1H1DE-1326-SM-9KNUG 20-29 years, male 61.6
GTEX-1AYD5-2626-SM-7PBXY 50-59 years, male 61.4
GTEX-14PJ4-0226-SM-5YY92 60-69 years, male 61.3
GTEX-1122O-1026-SM-9WYSF 60-69 years, female 61.3
GTEX-111YS-1526-SM-5GZYW 60-69 years, male 61.1
GTEX-1PPH8-0126-SM-EWRN8 20-29 years, male 61.1
GTEX-16NGA-0726-SM-731AO 40-49 years, female 60.8
GTEX-YJ8O-2526-SM-5HL85 40-49 years, female 60.7
GTEX-1GN1U-0626-SM-9MQL9 50-59 years, female 60.7
GTEX-14PJN-1826-SM-6AJ98 30-39 years, male 60.4
GTEX-1KANC-1226-SM-CYPT7 50-59 years, female 60.4
GTEX-1I1GV-0626-SM-ARL7M 60-69 years, male 60.3
GTEX-12WSJ-1126-SM-5LZVJ 40-49 years, female 60.2
GTEX-139YR-1026-SM-5LZYN 50-59 years, male 60.2
GTEX-147JS-0226-SM-5S2U9 60-69 years, male 60.2
GTEX-17MFQ-1526-SM-7KFRR 20-29 years, male 60.1
GTEX-18D9U-0126-SM-731BM 40-49 years, male 60.1
GTEX-13OW5-2326-SM-5L3HO 60-69 years, male 60.0
GTEX-1I4MK-0126-SM-CY8G6 50-59 years, female 60.0
GTEX-1QCLY-0226-SM-EWRNH 30-39 years, male 60.0
GTEX-11EQ9-1626-SM-5PNY8 30-39 years, male 59.8
GTEX-18D9A-1426-SM-7LT8M 30-39 years, female 59.8
GTEX-1C475-1326-SM-7SB73 40-49 years, female 59.7
GTEX-1F88F-0126-SM-9WYSZ 60-69 years, female 59.7
GTEX-1192X-2726-SM-5N9DN 50-59 years, male 59.5
GTEX-1H1ZS-2726-SM-9WG75 70-79 years, male 59.5
GTEX-13PVQ-0626-SM-5LU47 50-59 years, male 59.4
GTEX-Z93S-1626-SM-5CVMB 50-59 years, male 59.4
GTEX-ZF29-0926-SM-4WKFZ 60-69 years, female 59.4
GTEX-1LG7Y-2526-SM-EWRO7 50-59 years, male 59.3
GTEX-1RB15-1326-SM-E76Q9 60-69 years, male 59.3
GTEX-WHSB-1326-SM-3LK6W 50-59 years, male 59.2
GTEX-Y3I4-1726-SM-4TT89 50-59 years, male 59.2
GTEX-111CU-1126-SM-5EGIM 50-59 years, male 59.1
GTEX-1211K-1526-SM-5FQU4 60-69 years, female 59.1
GTEX-11LCK-2226-SM-5HL4Q 30-39 years, male 58.9
GTEX-16BQI-1326-SM-6M486 30-39 years, female 58.9
GTEX-XUW1-0926-SM-4BONX 50-59 years, female 58.9
GTEX-ZVP2-0326-SM-57WBP 50-59 years, male 58.9
GTEX-1LGOU-1326-SM-D3L8M 20-29 years, female 58.9
GTEX-13RTJ-0126-SM-5S2NN 60-69 years, male 58.8
GTEX-1LBAC-0826-SM-CY8IJ 20-29 years, male 58.8
GTEX-15FZZ-0526-SM-7KUGD 30-39 years, female 58.7
GTEX-16MT9-0126-SM-7EPI8 60-69 years, female 58.7
GTEX-1KXAM-1626-SM-D3LAD 60-69 years, male 58.7
GTEX-146FQ-2126-SM-5RQHU 30-39 years, male 58.6
GTEX-14PHY-1226-SM-5ZZWK 60-69 years, female 58.4
GTEX-1S83E-1326-SM-E6CJM 40-49 years, male 58.3
GTEX-1JKYR-0626-SM-ARL8R 20-29 years, male 58.2
GTEX-ZDYS-2426-SM-4WKGI 50-59 years, male 58.1
GTEX-ZP4G-1426-SM-4WWCL 20-29 years, female 58.1
GTEX-1QP66-1226-SM-DTX7U 50-59 years, male 58.0
GTEX-11ZU8-0126-SM-5EQ58 60-69 years, male 57.9
GTEX-11P81-2226-SM-5PNYI 30-39 years, female 57.8
GTEX-11UD2-2526-SM-5CVNU 50-59 years, male 57.8
GTEX-16YQH-2226-SM-7IGM2 30-39 years, male 57.8
GTEX-ZDTT-0426-SM-4WKFL 60-69 years, male 57.7
GTEX-1LKK1-2626-SM-DKPQE 50-59 years, female 57.7
GTEX-ZZ64-1026-SM-5GZXG 20-29 years, male 57.6
GTEX-1S3DN-2126-SM-E9TIN 50-59 years, male 57.6
GTEX-145LT-0526-SM-5LUB2 40-49 years, male 57.5
GTEX-1H11D-1826-SM-9QEHM 40-49 years, male 57.4
GTEX-11TT1-1826-SM-5EQLV 20-29 years, male 57.3
GTEX-145LS-0626-SM-7EPG7 60-69 years, female 57.3
GTEX-14BMU-1226-SM-5S2OR 20-29 years, female 57.3
GTEX-12WSK-2126-SM-5CVNC 40-49 years, female 57.2
GTEX-1HFI6-0126-SM-CNPPI 40-49 years, male 57.1
GTEX-1HGF4-0126-SM-CNPPX 60-69 years, male 57.1
GTEX-ZDXO-3126-SM-5IJDF 60-69 years, male 57.0
GTEX-1GMR2-0826-SM-7PC3V 50-59 years, male 57.0
GTEX-1HCU7-0726-SM-A9SL1 50-59 years, male 57.0
GTEX-111FC-2526-SM-5GZXU 60-69 years, male 56.9
GTEX-ZTTD-2826-SM-4YCFA 50-59 years, male 56.9
GTEX-ZLWG-0826-SM-59888 50-59 years, female 56.8
GTEX-1IDJI-0126-SM-CMKHS 50-59 years, female 56.8
GTEX-1399S-0126-SM-5IJCF 30-39 years, female 56.7
GTEX-1C64O-1326-SM-7MGWR 60-69 years, male 56.6
GTEX-12C56-1526-SM-5FQUQ 20-29 years, male 56.4
GTEX-13FH7-1126-SM-5K7UG 50-59 years, female 56.4
GTEX-15DYW-2726-SM-6EU2I 60-69 years, female 56.4
GTEX-1IDJU-1726-SM-CMKHU 60-69 years, female 56.4
GTEX-1RAZA-2226-SM-E9U4X 20-29 years, male 56.4
GTEX-1399R-1326-SM-5PNYS 30-39 years, male 56.3
GTEX-1JMQJ-0826-SM-CNPP7 50-59 years, male 56.2
GTEX-13OVJ-0826-SM-5J1OK 50-59 years, female 56.1
GTEX-14PKV-1126-SM-6LLJ1 20-29 years, female 56.1
GTEX-WK11-2726-SM-3NMAQ 50-59 years, male 56.1
GTEX-XBEW-1126-SM-4QARW 40-49 years, male 56.1
GTEX-1LVAM-0726-SM-E6CIL 50-59 years, female 56.0
GTEX-13JVG-0726-SM-5KM16 60-69 years, male 55.9
GTEX-15RIE-1926-SM-7KUKJ 60-69 years, male 55.9
GTEX-1F5PK-2226-SM-7SB6N 50-59 years, male 55.8
GTEX-1HCU9-0426-SM-9WYSD 20-29 years, male 55.8
GTEX-1QMI2-2526-SM-E8VNZ 60-69 years, male 55.8
GTEX-11GSP-2326-SM-5HL63 60-69 years, female 55.7
GTEX-1N2EE-0626-SM-E76PW 60-69 years, male 55.6
GTEX-13PVR-0426-SM-5RQK2 60-69 years, female 55.5
GTEX-1JJ6O-2726-SM-CNPOG 60-69 years, male 55.5
GTEX-1KANA-1326-SM-DIPFA 20-29 years, male 55.5
GTEX-14E6E-0526-SM-793DN 30-39 years, male 55.4
GTEX-13SLX-2226-SM-62LEP 50-59 years, female 55.1
GTEX-1POEN-2326-SM-E9J2L 30-39 years, female 55.1
GTEX-1QP29-1826-SM-DTX9S 50-59 years, male 55.1
GTEX-139T8-0626-SM-5KLZX 60-69 years, male 55.0
GTEX-1CB4H-1126-SM-7MKGL 60-69 years, female 54.9
GTEX-Y3IK-1626-SM-4YCF5 50-59 years, female 54.7
GTEX-ZU9S-1826-SM-5NQ9E 30-39 years, male 54.7
GTEX-1HUB1-1426-SM-CGQF5 60-69 years, male 54.7
GTEX-1I6K6-1726-SM-CGQFD 30-39 years, male 54.7
GTEX-1N2DV-1526-SM-DTXEP 40-49 years, male 54.7
GTEX-11P82-1426-SM-DTXFY 20-29 years, male 54.5
GTEX-1CB4J-1326-SM-7P8RX 60-69 years, male 54.4
GTEX-1N5O9-0926-SM-E9J3C 60-69 years, male 54.3
GTEX-1F75B-0726-SM-7PC3R 50-59 years, male 54.2
GTEX-1PPH7-1126-SM-DTX9A 40-49 years, male 54.2
GTEX-17F98-1326-SM-7DUEP 40-49 years, female 54.1
GTEX-1F52S-2926-SM-7MKGA 60-69 years, female 54.1
GTEX-11WQC-1826-SM-5GU59 60-69 years, male 53.9
GTEX-13NYS-0626-SM-5L3F1 60-69 years, male 53.9
GTEX-1J1R8-2026-SM-CL53Y 40-49 years, male 53.9
GTEX-13QJC-0126-SM-5ZZWJ 60-69 years, female 53.8
GTEX-1AMEY-0826-SM-72D65 30-39 years, female 53.6
GTEX-XOT4-0626-SM-4B66L 60-69 years, female 53.6
GTEX-11WQK-1026-SM-5EQLX 50-59 years, male 53.5
GTEX-12ZZY-0726-SM-5EQ66 60-69 years, male 53.4
GTEX-144GL-0626-SM-5LU4D 50-59 years, male 53.4
GTEX-178AV-1726-SM-7KUL8 40-49 years, male 53.4
GTEX-131XW-0626-SM-5PNVD 50-59 years, female 53.3
GTEX-YF7O-1526-SM-5IFI6 50-59 years, male 53.3
GTEX-12584-0726-SM-5FQTK 40-49 years, male 53.1
GTEX-13D11-0926-SM-5J2NC 50-59 years, female 53.1
GTEX-15CHQ-0326-SM-69LQD 60-69 years, male 53.1
GTEX-1GN1W-2426-SM-9KNUU 50-59 years, female 53.1
GTEX-14C39-1726-SM-5RQIL 40-49 years, male 53.0
GTEX-1A8G7-1326-SM-73KVM 60-69 years, male 53.0
GTEX-1AX9J-1326-SM-731BJ 60-69 years, male 53.0
GTEX-Y8E4-2026-SM-5IFJB 40-49 years, male 52.9
GTEX-14E6C-2426-SM-5S2NF 40-49 years, male 52.8
GTEX-1GPI7-1826-SM-9KNU1 20-29 years, male 52.8
GTEX-1I1GP-1326-SM-A9G28 50-59 years, male 52.8
GTEX-12KS4-2126-SM-5FQUT 30-39 years, male 52.7
GTEX-15SKB-2826-SM-6PAMH 60-69 years, male 52.7
GTEX-1IDJF-2026-SM-CL53V 20-29 years, male 52.7
GTEX-YB5K-2026-SM-4VDT3 40-49 years, female 52.6
GTEX-13FHO-0426-SM-5L3F5 60-69 years, male 52.5
GTEX-16MTA-0926-SM-6M47Z 50-59 years, male 52.5
GTEX-1F48J-0726-SM-7RHGS 50-59 years, female 52.4
GTEX-11DYG-1526-SM-5A5JS 60-69 years, male 52.3
GTEX-ZZPU-0826-SM-5GZX5 50-59 years, female 52.2
GTEX-14PHX-2226-SM-6EU2P 50-59 years, male 52.1
GTEX-16NPX-0726-SM-7KULC 50-59 years, male 52.1
GTEX-1CAMQ-1326-SM-7P8RV 40-49 years, male 52.1
GTEX-1HSGN-0826-SM-ACKW3 40-49 years, female 52.1
GTEX-YEC3-1326-SM-DO92X 50-59 years, male 51.8
GTEX-18A7B-2726-SM-7LG56 70-79 years, male 51.7
GTEX-UPJH-0226-SM-3GADV 50-59 years, male 51.7
GTEX-14PJ3-1126-SM-5ZZVX 50-59 years, male 51.6
GTEX-XAJ8-1426-SM-47JYM 40-49 years, male 51.6
GTEX-ZYFD-0626-SM-5E44E 50-59 years, male 51.5
GTEX-1HBPN-0126-SM-CGQEF 50-59 years, male 51.5
GTEX-1LGRB-0926-SM-COH3K 50-59 years, female 51.5
GTEX-12WSM-1926-SM-5BC65 60-69 years, male 51.4
GTEX-X4EO-2926-SM-4E3JH 60-69 years, female 51.4
GTEX-1IDJC-1526-SM-B2LW4 50-59 years, male 51.4
GTEX-1B8KE-1126-SM-7EPHI 50-59 years, male 51.3
GTEX-12WSH-1526-SM-5BC5W 50-59 years, male 51.2
GTEX-139TS-2126-SM-5K7XC 60-69 years, male 51.2
GTEX-1KAFJ-0126-SM-DIPEK 50-59 years, male 51.2
GTEX-1RAZS-2526-SM-E6CHT 50-59 years, male 51.2
GTEX-11DXW-0826-SM-5H118 40-49 years, male 51.1
GTEX-145MG-1526-SM-5Q5EM 50-59 years, male 51.0
GTEX-1S831-1826-SM-EWROF 20-29 years, male 51.0
GTEX-WI4N-2726-SM-3LK7Y 40-49 years, female 50.9
GTEX-131YS-2826-SM-5EQ47 60-69 years, female 50.7
GTEX-14E1K-2026-SM-7DUEI 50-59 years, male 50.7
GTEX-1GTWX-2026-SM-9YFLM 60-69 years, male 50.7
GTEX-1J8QM-2426-SM-A9SLS 60-69 years, female 50.7
GTEX-1IDJE-1426-SM-ADEIW 50-59 years, female 50.5
GTEX-1R46S-2426-SM-E76QA 60-69 years, female 50.4
GTEX-14B4R-1326-SM-5Q5EZ 30-39 years, male 50.3
GTEX-WRHU-2826-SM-3MJG8 50-59 years, female 50.3
GTEX-1JJEA-1826-SM-ARU8P 60-69 years, male 50.3
GTEX-1RMOY-1326-SM-E9TIH 50-59 years, male 50.3
GTEX-ZAK1-0626-SM-5HL8E 50-59 years, female 50.2
GTEX-139TU-0726-SM-5L3EK 60-69 years, male 50.1
GTEX-147F3-1726-SM-5SIAW 50-59 years, female 50.1
GTEX-1GF9X-1326-SM-7PC2Y 40-49 years, female 50.1
GTEX-1I19N-0126-SM-CYPSF 70-79 years, male 50.1
GTEX-Y5V5-0126-SM-5S2NW 60-69 years, female 50.0
GTEX-1JMQK-1226-SM-D4P2S 60-69 years, male 50.0
GTEX-1LG7Z-1626-SM-CXKYR 30-39 years, male 50.0
GTEX-133LE-2326-SM-5K7W3 20-29 years, female 49.9
GTEX-ZVT4-2426-SM-5GIEI 50-59 years, female 49.9
GTEX-1GL5R-1326-SM-7RHHF 50-59 years, male 49.9
GTEX-1212Z-0126-SM-59HK4 60-69 years, male 49.8
GTEX-ZVT2-0126-SM-5GIDQ 50-59 years, female 49.8
GTEX-ZXG5-2126-SM-59HKD 60-69 years, male 49.7
GTEX-1R9PM-1926-SM-EVR3O 20-29 years, male 49.7
GTEX-1A8G6-2726-SM-731AR 60-69 years, male 49.6
GTEX-ZVE2-2826-SM-5GU51 50-59 years, male 49.4
GTEX-1PPGY-1626-SM-EVYBL 60-69 years, male 49.4
GTEX-ZPIC-0526-SM-DO91W 40-49 years, female 49.4
GTEX-11NSD-0626-SM-5A5LU 20-29 years, male 49.3
GTEX-ZTSS-1426-SM-5985P 40-49 years, male 49.3
GTEX-15RJ7-2126-SM-6PAMD 40-49 years, male 49.2
GTEX-14JG6-1426-SM-9WG7C 30-39 years, female 49.2
GTEX-144GO-2026-SM-5O99P 60-69 years, male 49.0
GTEX-1H1E6-0426-SM-9WYUS 30-39 years, male 49.0
GTEX-11DXX-2126-SM-5PNYR 60-69 years, female 48.8
GTEX-12WSD-0626-SM-5GCMW 60-69 years, female 48.8
GTEX-13NYB-0126-SM-5J1MD 40-49 years, male 48.8
GTEX-1E2YA-2126-SM-7MXUO 50-59 years, male 48.8
GTEX-1399Q-2326-SM-5KM2X 40-49 years, male 48.7
GTEX-1JK1U-0226-SM-ARZMX 60-69 years, male 48.5
GTEX-1QCLZ-2426-SM-EVYBW 60-69 years, female 48.5
GTEX-12126-0826-SM-5FQTZ 20-29 years, male 48.3
GTEX-X3Y1-2026-SM-3P5YM 40-49 years, male 48.3
GTEX-14PII-0726-SM-6EU2B 60-69 years, male 48.2
GTEX-11VI4-1126-SM-5EQMD 40-49 years, female 48.1
GTEX-1OJC4-2726-SM-E76PJ 50-59 years, female 48.1
GTEX-ZYY3-2926-SM-5GIEB 60-69 years, female 48.0
GTEX-1F6I4-2326-SM-7RHGL 60-69 years, male 48.0
GTEX-1H1DF-1126-SM-9WG7G 40-49 years, female 48.0
GTEX-1IL2V-1926-SM-B2LW8 70-79 years, male 47.8
GTEX-15D1Q-2826-SM-6LLH7 40-49 years, male 47.5
GTEX-ZF2S-1626-SM-57WES 50-59 years, female 47.5
GTEX-17MF6-2626-SM-79OKQ 40-49 years, male 47.4
GTEX-1HB9E-0126-SM-CM2S5 50-59 years, male 47.4
GTEX-1K2DA-1026-SM-CGQGF 50-59 years, male 47.4
GTEX-1LSNM-0826-SM-DIPG8 50-59 years, male 47.4
GTEX-145MF-0926-SM-5Q5EA 50-59 years, male 47.3
GTEX-14BIN-1126-SM-5RQJZ 50-59 years, female 47.3
GTEX-X585-2426-SM-46MW2 50-59 years, male 47.3
GTEX-ZUA1-2626-SM-5NQ92 40-49 years, male 47.3
GTEX-1LB8K-0726-SM-D5OV2 50-59 years, male 47.3
GTEX-1LSVX-2526-SM-DIPEU 60-69 years, male 47.3
GTEX-1B933-2426-SM-7DHMD 50-59 years, female 47.1
GTEX-ZAB4-2126-SM-5HL8U 40-49 years, male 46.9
GTEX-1GMRU-2126-SM-7P8RA 50-59 years, male 46.9
GTEX-1H3O1-1326-SM-9MQLD 60-69 years, male 46.9
GTEX-XPVG-2126-SM-4B667 50-59 years, male 46.8
GTEX-1JN76-0626-SM-CKZOQ 20-29 years, female 46.8
GTEX-1H3VE-0726-SM-9YFL5 40-49 years, male 46.7
GTEX-147GR-2426-SM-5ZZWQ 60-69 years, male 46.6
GTEX-1H4P4-2126-SM-9WYSL 50-59 years, male 46.6
GTEX-1GPI6-1926-SM-9KNV7 60-69 years, male 46.4
GTEX-1KANB-2826-SM-CY8I6 50-59 years, male 46.3
GTEX-1K9T9-1526-SM-DIPFR 50-59 years, female 46.2
GTEX-ZYT6-2326-SM-5GZY3 30-39 years, male 46.0
GTEX-1477Z-0326-SM-7IGLA 60-69 years, male 45.9
GTEX-145LU-1926-SM-79OJN 50-59 years, male 45.8
GTEX-14PJO-2526-SM-6AJBQ 60-69 years, male 45.8
GTEX-17F96-0126-SM-7EWDU 70-79 years, male 45.8
GTEX-144FL-0626-SM-5LU43 50-59 years, male 45.7
GTEX-WHWD-1826-SM-3LK6I 50-59 years, male 45.6
GTEX-U8XE-0226-SM-4E3J3 30-39 years, male 45.5
GTEX-11PRG-0726-SM-5EGL1 50-59 years, male 45.3
GTEX-1J8EW-2726-SM-CY8HR 60-69 years, female 45.3
GTEX-145MI-0626-SM-5SI8S 60-69 years, female 45.2
GTEX-14JG1-1526-SM-5YY9X 40-49 years, male 45.2
GTEX-15G19-2426-SM-7KUMR 60-69 years, male 45.2
GTEX-1IDFM-0326-SM-ARL7V 60-69 years, male 45.2
GTEX-1I1CD-0626-SM-CE6SW 60-69 years, female 45.0
GTEX-1HSMP-0926-SM-A9SKX 70-79 years, male 44.9
GTEX-WYJK-0526-SM-3NM8Z 50-59 years, male 44.8
GTEX-1GMR8-0626-SM-7RHI7 50-59 years, female 44.8
GTEX-1I1GU-0926-SM-ACKVS 40-49 years, male 44.8
GTEX-17KNJ-2126-SM-718AM 50-59 years, male 44.6
GTEX-ZC5H-1526-SM-5HL9Y 40-49 years, female 44.5
GTEX-1GN2E-0226-SM-9WG6K 60-69 years, male 44.5
GTEX-11DXZ-2026-SM-5987S 50-59 years, male 44.4
GTEX-W5X1-2526-SM-3GILC 40-49 years, female 44.4
GTEX-13O3O-2326-SM-5IJD6 60-69 years, female 44.3
GTEX-14LLW-2626-SM-62LDZ 70-79 years, female 44.3
GTEX-15EO6-2426-SM-6PALZ 50-59 years, male 44.3
GTEX-1CB4I-0126-SM-7RHGG 50-59 years, male 44.3
GTEX-1HSMO-0626-SM-ACKXC 60-69 years, male 44.3
GTEX-1LVAO-2726-SM-E9TJ8 60-69 years, male 44.3
GTEX-1EX96-1026-SM-7MKG2 50-59 years, male 44.2
GTEX-1HR98-2226-SM-ADEI2 60-69 years, male 44.2
GTEX-13N11-2326-SM-5IJBF 50-59 years, female 44.1
GTEX-13VXU-0626-SM-5L3F9 50-59 years, male 43.9
GTEX-1GN1V-2826-SM-9JGIA 60-69 years, male 43.9
GTEX-15DDE-2926-SM-6LLJ3 50-59 years, female 43.8
GTEX-18A66-0626-SM-7LT8Z 60-69 years, male 43.8
GTEX-1HBPI-2126-SM-ARL9K 50-59 years, male 43.7
GTEX-11TUW-0626-SM-5LU9M 60-69 years, male 43.5
GTEX-145MN-1526-SM-5SI9T 30-39 years, male 43.4
GTEX-1IE54-1126-SM-A9G2Z 40-49 years, female 43.4
GTEX-13OVK-1426-SM-6PAN7 40-49 years, male 43.3
GTEX-16MT8-2926-SM-7DUFO 60-69 years, female 43.3
GTEX-18A6Q-0626-SM-7KFRP 60-69 years, male 43.3
GTEX-ZT9X-1526-SM-5DUXD 40-49 years, male 43.3
GTEX-1O9I2-0226-SM-EYYXD 50-59 years, male 43.3
GTEX-17F9Y-0126-SM-79OKX 70-79 years, female 43.2
GTEX-18465-2826-SM-7LT9J 50-59 years, male 43.2
GTEX-1I6K7-1926-SM-B2LXR 40-49 years, male 43.2
GTEX-15RJE-2826-SM-7KUM9 40-49 years, male 43.0
GTEX-1B8KZ-0326-SM-73KY4 50-59 years, male 43.0
GTEX-XBEC-0726-SM-4QARZ 50-59 years, male 43.0
GTEX-1HC8U-1326-SM-9YFMJ 40-49 years, female 43.0
GTEX-13PDP-0726-SM-5L3HP 60-69 years, male 42.9
GTEX-17EVQ-0126-SM-7IGLR 70-79 years, male 42.9
GTEX-WYVS-1626-SM-3NM9R 40-49 years, female 42.9
GTEX-15EU6-2226-SM-6EU2L 50-59 years, male 42.8
GTEX-1B932-2326-SM-79OL5 40-49 years, female 42.8
GTEX-1KD5A-0126-SM-E9U54 50-59 years, male 42.6
GTEX-1IY9M-2826-SM-ARU8H 60-69 years, male 42.5
GTEX-18A7A-0126-SM-731AH 50-59 years, female 42.4
GTEX-1IDJD-2326-SM-ACKWX 30-39 years, male 42.4
GTEX-1LVA9-2626-SM-EVYD4 50-59 years, male 42.4
GTEX-18A67-1626-SM-7LT9T 50-59 years, male 42.3
GTEX-1I1HK-2326-SM-CKZOH 60-69 years, male 42.3
GTEX-15CHR-1126-SM-7EWF4 50-59 years, male 42.1
GTEX-1EU9M-1426-SM-793AI 60-69 years, male 42.1
GTEX-132AR-0326-SM-5KM2C 50-59 years, female 41.9
GTEX-1F75A-0726-SM-7RHHD 50-59 years, male 41.9
GTEX-14ABY-2026-SM-62LDL 50-59 years, male 41.8
GTEX-1EN7A-2426-SM-793DB 40-49 years, male 41.8
GTEX-145MO-2826-SM-5LU96 60-69 years, male 41.7
GTEX-1JMQL-2226-SM-CNPP4 50-59 years, female 41.7
GTEX-1J1OQ-0126-SM-D4P2N 40-49 years, female 41.6
GTEX-13X6K-0626-SM-5LU5D 60-69 years, female 41.5
GTEX-14JFF-0626-SM-5ZZVT 60-69 years, male 41.5
GTEX-13FLV-0126-SM-5K7WT 50-59 years, male 41.3
GTEX-1B8SF-0126-SM-7DUG3 60-69 years, male 41.3
GTEX-1JJE9-2626-SM-ARZMT 70-79 years, male 41.3
GTEX-1K2DU-1226-SM-CYPT4 20-29 years, male 41.3
GTEX-12ZZX-2426-SM-5GCOE 40-49 years, female 41.2
GTEX-13OVH-0526-SM-5L3E6 70-79 years, male 41.2
GTEX-13U4I-2226-SM-5LU5H 40-49 years, female 41.0
GTEX-1CB4F-1026-SM-7DUH1 60-69 years, male 41.0
GTEX-14DAQ-0626-SM-793DS 60-69 years, female 40.9
GTEX-17JCI-2926-SM-7DUFF 60-69 years, female 40.8
GTEX-1E1VI-0326-SM-793D1 50-59 years, male 40.8
GTEX-139D8-1126-SM-5LU8W 30-39 years, female 40.6
GTEX-13JUV-2026-SM-5K7UA 40-49 years, female 40.6
GTEX-Y111-0626-SM-4SOIT 50-59 years, male 40.6
GTEX-1H1DG-2426-SM-9QEHJ 70-79 years, male 40.6
GTEX-11EI6-2826-SM-5H11D 60-69 years, male 40.4
GTEX-15CHC-1126-SM-6LLHQ 60-69 years, female 40.4
GTEX-1AX8Z-0726-SM-73KTS 60-69 years, male 40.4
GTEX-13OVL-0126-SM-5L3GJ 50-59 years, male 40.3
GTEX-1EKGG-0626-SM-7DUGJ 60-69 years, male 40.3
GTEX-13N2G-0226-SM-5K7VF 60-69 years, male 40.1
GTEX-XXEK-1626-SM-4BRUZ 50-59 years, male 40.1
GTEX-13SLW-0626-SM-5Q5ER 70-79 years, male 40.0
GTEX-13G51-1826-SM-5KLZH 60-69 years, male 39.6
GTEX-1A8FM-0626-SM-7PC25 50-59 years, female 39.6
GTEX-1HR9M-2226-SM-CNPPY 60-69 years, male 39.6
GTEX-XQ3S-1426-SM-4BOPR 20-29 years, male 39.5
GTEX-1IDJV-0126-SM-COH3Y 60-69 years, male 39.5
GTEX-1ICG6-1226-SM-A9SLN 70-79 years, female 39.4
GTEX-14XAO-1226-SM-6EU1C 60-69 years, female 39.2
GTEX-17HGU-2326-SM-7DUFE 50-59 years, male 39.2
GTEX-1KWVE-1026-SM-D3L9O 30-39 years, male 39.1
GTEX-13X6J-0626-SM-5LU5F 50-59 years, male 39.0
GTEX-XV7Q-1826-SM-4BRUV 40-49 years, female 39.0
GTEX-1H1CY-0126-SM-9YFLY 60-69 years, female 39.0
GTEX-1MCC2-1826-SM-DIPEX 30-39 years, female 39.0
GTEX-14C5O-0326-SM-5ZZUX 60-69 years, male 38.9
GTEX-1EWIQ-0326-SM-7DHMQ 70-79 years, female 38.9
GTEX-13NZ9-2626-SM-5L3FK 50-59 years, male 38.7
GTEX-WFON-1926-SM-3LK7L 40-49 years, male 38.5
GTEX-1GMR3-0126-SM-A9SLW 40-49 years, male 38.5
GTEX-1QEPI-2626-SM-DTXF4 60-69 years, female 38.5
GTEX-WHPG-2626-SM-3NMBR 50-59 years, male 38.4
GTEX-ZWKS-0626-SM-5GIDV 30-39 years, male 38.4
GTEX-1EH9U-2826-SM-7DUGT 60-69 years, male 38.3
GTEX-14AS3-1526-SM-5Q5ED 40-49 years, female 38.2
GTEX-1HCU8-2526-SM-CE6RX 60-69 years, female 38.2
GTEX-11NUK-2726-SM-5A5MC 50-59 years, male 38.1
GTEX-139TT-2126-SM-5LZWC 60-69 years, male 38.1
GTEX-1J8JJ-0626-SM-ARZMQ 60-69 years, female 37.9
GTEX-111VG-1626-SM-5EGIO 60-69 years, male 37.7
GTEX-VUSG-2326-SM-4KL1U 50-59 years, male 37.7
GTEX-11ZUS-2626-SM-5FQUR 30-39 years, male 37.6
GTEX-13OW8-1026-SM-5J1NQ 60-69 years, male 37.4
GTEX-17HHY-0426-SM-7DHLC 50-59 years, male 37.2
GTEX-1ICLY-0826-SM-CMKG1 50-59 years, male 37.2
GTEX-13OW7-0426-SM-5K7VK 50-59 years, male 37.1
GTEX-1B8L1-2226-SM-7P8PT 60-69 years, male 37.1
GTEX-144GM-0526-SM-79OJO 20-29 years, male 36.9
GTEX-1314G-1326-SM-5BC6E 30-39 years, male 36.8
GTEX-13OW6-2726-SM-5J2OE 50-59 years, male 36.7
GTEX-ZE9C-2526-SM-5IJDR 60-69 years, male 36.7
GTEX-1C6VR-0126-SM-7RHGB 60-69 years, male 36.6
GTEX-16GPK-0626-SM-7KFSF 60-69 years, male 36.5
GTEX-ZYFC-0426-SM-5GICQ 50-59 years, male 36.5
GTEX-1GZ4I-2626-SM-9KNU3 50-59 years, male 36.5
GTEX-13X6I-1826-SM-5SIAO 60-69 years, male 36.4
GTEX-12WSA-0426-SM-5EQ5X 60-69 years, male 36.3
GTEX-1BAJH-2426-SM-7IGP8 70-79 years, male 36.3
GTEX-1H3NZ-2726-SM-9WYTQ 60-69 years, male 36.3
GTEX-12WSC-2826-SM-5BC5Y 50-59 years, male 36.2
GTEX-1GF9U-2026-SM-7SB92 40-49 years, female 36.1
GTEX-1LSNL-2726-SM-E9TKJ 50-59 years, male 36.1
GTEX-16Z82-2626-SM-7KULU 60-69 years, male 36.0
GTEX-1QAET-0326-SM-EVR3U 50-59 years, male 35.9
GTEX-145MH-2826-SM-5RQJF 50-59 years, male 35.6
GTEX-11GS4-0226-SM-5HL77 60-69 years, male 35.5
GTEX-183FY-1026-SM-7939A 20-29 years, male 35.3
GTEX-11OF3-0126-SM-5PNYF 60-69 years, male 35.2
GTEX-13O3Q-0126-SM-5KM34 50-59 years, male 34.9
GTEX-1JMPZ-0726-SM-CY8HZ 30-39 years, male 34.5
GTEX-14A6H-2026-SM-5Q5DD 30-39 years, male 34.3
GTEX-1F6IF-0926-SM-7SB7M 60-69 years, male 34.2
GTEX-1GZHY-0626-SM-9KNVC 50-59 years, female 34.0
GTEX-1HCVE-2726-SM-CL54F 50-59 years, male 33.1
GTEX-14BMV-2826-SM-5TDED 50-59 years, male 33.0
GTEX-1C6VQ-1226-SM-73KYD 50-59 years, male 32.9
GTEX-1A3MW-0626-SM-731CB 60-69 years, female 32.2
GTEX-14C38-0726-SM-5SI6M 50-59 years, male 32.1
GTEX-14PJ2-0626-SM-6LLII 50-59 years, male 32.1
GTEX-1F75W-2726-SM-7SB8H 60-69 years, male 31.8
GTEX-ZYVF-0926-SM-5E44J 50-59 years, female 31.7
GTEX-17HG3-2626-SM-7DUF2 30-39 years, female 31.5
GTEX-1JMQI-1726-SM-ARL93 50-59 years, male 31.1
GTEX-183WM-0326-SM-72D5V 70-79 years, female 31.0
GTEX-1A3MX-2626-SM-7PC24 60-69 years, male 31.0
GTEX-1JN1M-2726-SM-CY8I4 60-69 years, female 31.0
GTEX-1GZ2Q-0126-SM-9WG6M 40-49 years, male 30.6
GTEX-1IOXB-2726-SM-CM2RI 50-59 years, male 30.1
GTEX-ZVTK-0226-SM-51MRG 20-29 years, male 28.0
Show allShow less
Skin - Sun Exposed (Lower leg)
Average nTPM: 53.2
Samples: 701

Max nTPM: 175.2
Min nTPM: 28.2
Std nTPM: 12.6
Median nTPM: 51.2
GTEX-14E6C-0126-SM-5RQIP 40-49 years, male 175.2
GTEX-XYKS-2126-SM-4E3IB 60-69 years, female 131.6
GTEX-1F6RS-0126-SM-9MQKZ 60-69 years, female 122.4
GTEX-183WM-0126-SM-7LTAB 70-79 years, female 114.6
GTEX-RVPV-0126-SM-EAZAW 60-69 years, male 108.3
GTEX-T2YK-0526-SM-32QPJ 50-59 years, male 108.0
GTEX-ZTPG-0326-SM-5O9AX 20-29 years, female 98.8
GTEX-ZAJG-0126-SM-5HL94 50-59 years, female 96.4
GTEX-15UF6-0826-SM-6PALJ 70-79 years, female 92.3
GTEX-17HII-0226-SM-7LG4E 50-59 years, male 88.2
GTEX-11DZ1-0126-SM-5985Q 50-59 years, male 86.9
GTEX-R45C-0126-SM-EAZ2R 60-69 years, female 86.9
GTEX-1ICLZ-0126-SM-CKZPO 60-69 years, male 85.3
GTEX-P4QT-0126-SM-2I3FL 50-59 years, female 81.2
GTEX-1LBAC-0126-SM-DIPEZ 20-29 years, male 80.8
GTEX-VJYA-1126-SM-3GIJU 60-69 years, male 80.6
GTEX-131XF-5016-SM-7MGWE 60-69 years, male 80.4
GTEX-1CAV2-2226-SM-7P8P2 40-49 years, female 79.8
GTEX-1399U-2326-SM-5K7WY 50-59 years, female 78.9
GTEX-139D8-0226-SM-5KLZO 30-39 years, female 78.9
GTEX-1HCU6-0126-SM-CL54K 60-69 years, female 78.4
GTEX-OXRK-0226-SM-3NB2G 50-59 years, female 77.7
GTEX-1JN1M-0326-SM-CYPT3 60-69 years, female 77.5
GTEX-11TTK-0126-SM-5987B 60-69 years, female 76.7
GTEX-1L5NE-2526-SM-E6CIE 50-59 years, male 76.6
GTEX-Q734-1926-SM-2I5EV 40-49 years, female 76.5
GTEX-11WQK-0526-SM-5EQLD 50-59 years, male 76.4
GTEX-1LGOU-2026-SM-DIPFF 20-29 years, female 76.1
GTEX-1B996-0226-SM-7RHGO 60-69 years, male 76.0
GTEX-SSA3-0126-SM-32QPU 60-69 years, male 75.4
GTEX-P44H-0226-SM-2XCEU 40-49 years, male 75.3
GTEX-T5JC-0426-SM-32PLO 20-29 years, male 74.7
GTEX-TML8-1926-SM-32QOS 40-49 years, female 74.7
GTEX-1HT8W-0126-SM-CNPPP 30-39 years, male 74.2
GTEX-1QMI2-0226-SM-EVYBX 60-69 years, male 74.2
GTEX-145ME-1826-SM-5SI9G 40-49 years, female 74.1
GTEX-X8HC-0126-SM-4E3JW 50-59 years, female 74.1
GTEX-15SHW-0326-SM-6PAML 60-69 years, male 73.7
GTEX-XPVG-2626-SM-4B669 50-59 years, male 73.3
GTEX-T8EM-1026-SM-3DB7M 40-49 years, male 73.1
GTEX-1122O-2126-SM-5EGIR 60-69 years, female 72.7
GTEX-139UW-2826-SM-5L3E7 60-69 years, male 71.7
GTEX-1GZHY-0326-SM-9QEHI 50-59 years, female 71.2
GTEX-14753-0426-SM-5NQAM 60-69 years, male 71.1
GTEX-ZY6K-1826-SM-5GZXK 50-59 years, male 70.8
GTEX-13OVI-1426-SM-5L3EY 60-69 years, female 70.7
GTEX-1AX9J-0226-SM-73KXM 60-69 years, male 70.5
GTEX-13NZ8-0826-SM-5MR3I 60-69 years, female 70.2
GTEX-148VJ-0126-SM-5TDDN 70-79 years, male 70.1
GTEX-Y5LM-1926-SM-5RQJH 40-49 years, female 70.1
GTEX-145MO-0326-SM-5Q5B3 60-69 years, male 69.9
GTEX-14PK6-1926-SM-6ETZU 70-79 years, female 69.6
GTEX-PLZ4-0126-SM-5SI8O 50-59 years, female 69.5
GTEX-1KANC-1526-SM-D3LAB 50-59 years, female 69.4
GTEX-145LT-1726-SM-5QGP3 40-49 years, male 69.1
GTEX-OIZG-0726-SM-33HBL 50-59 years, male 69.0
GTEX-131XG-2626-SM-5KM17 50-59 years, female 68.9
GTEX-U412-0426-SM-3DB9O 60-69 years, male 68.9
GTEX-S7PM-0126-SM-4AD6S 60-69 years, male 68.8
GTEX-1GN1U-0126-SM-7PBZK 50-59 years, female 68.8
GTEX-1HSMO-0126-SM-CL547 60-69 years, male 68.7
GTEX-1B8KE-2126-SM-73KYX 50-59 years, male 68.6
GTEX-NFK9-0226-SM-2HMKQ 40-49 years, male 68.6
GTEX-Q2AH-1626-SM-3GAF8 40-49 years, male 68.6
GTEX-14LLW-0126-SM-6LLIO 70-79 years, female 68.5
GTEX-131XE-2326-SM-5PNZ2 50-59 years, male 68.4
GTEX-1JMOU-1526-SM-CL54I 60-69 years, female 68.4
GTEX-13OVJ-0126-SM-5KM36 50-59 years, female 68.1
GTEX-S32W-2126-SM-2XCB1 50-59 years, female 68.1
GTEX-1IL2U-0226-SM-CE6T8 60-69 years, male 68.0
GTEX-11DYG-0126-SM-59883 60-69 years, male 67.9
GTEX-14PJM-0226-SM-62LF1 50-59 years, female 67.9
GTEX-1QCLY-0326-SM-E8VOG 30-39 years, male 67.9
GTEX-13113-5016-SM-7EPIP 60-69 years, female 67.8
GTEX-146FH-0126-SM-5QGPP 50-59 years, female 67.6
GTEX-17GQL-2026-SM-718BA 60-69 years, male 67.5
GTEX-1JMLX-0226-SM-CM2RO 50-59 years, male 67.4
GTEX-113IC-0126-SM-5HL6T 60-69 years, male 66.7
GTEX-13YAN-0326-SM-5O9DF 60-69 years, male 66.5
GTEX-14A5I-0126-SM-5TDEA 50-59 years, female 66.5
GTEX-SJXC-0126-SM-2XCFF 60-69 years, male 66.5
GTEX-1OJC3-0126-SM-E76QX 20-29 years, male 66.5
GTEX-QDVN-2026-SM-3GAEP 50-59 years, male 66.4
GTEX-12696-2426-SM-5EQ6H 60-69 years, male 66.2
GTEX-1QP9N-1426-SM-DTXFL 30-39 years, male 66.2
GTEX-ZVZP-2426-SM-59HKJ 50-59 years, male 66.1
GTEX-ZVT4-0126-SM-DTXFN 50-59 years, female 66.1
GTEX-13X6H-2126-SM-7EWD5 50-59 years, female 66.0
GTEX-16XZZ-0126-SM-793DV 60-69 years, male 66.0
GTEX-1M5QR-1226-SM-EWROB 40-49 years, male 65.9
GTEX-15SB6-1726-SM-6PAME 50-59 years, female 65.8
GTEX-QCQG-1726-SM-3GIJ9 50-59 years, female 65.7
GTEX-13RTK-1426-SM-5QGQJ 20-29 years, male 65.5
GTEX-1JN76-0126-SM-CNPPE 20-29 years, female 65.3
GTEX-X5EB-2226-SM-46MW4 40-49 years, male 65.2
GTEX-1497J-2426-SM-7IGNX 60-69 years, male 65.1
GTEX-18D9B-0526-SM-7LTAS 60-69 years, male 65.1
GTEX-1A32A-0126-SM-718B1 50-59 years, female 65.1
GTEX-SE5C-1626-SM-2XCE3 40-49 years, female 65.0
GTEX-14PII-0226-SM-6EU1T 60-69 years, male 64.9
GTEX-131XH-2226-SM-5DUXJ 50-59 years, male 64.5
GTEX-YJ8A-0426-SM-5IFID 20-29 years, male 64.4
GTEX-1OFPY-2426-SM-DTXEJ 60-69 years, male 64.3
GTEX-PWCY-1826-SM-DHXIZ 20-29 years, female 64.0
GTEX-ZE7O-0126-SM-57WC1 50-59 years, female 63.9
GTEX-14PN4-0126-SM-6EU2V 50-59 years, male 63.6
GTEX-Q2AG-0126-SM-33HBV 40-49 years, female 63.6
GTEX-1GN2E-0426-SM-9MQKX 60-69 years, male 63.5
GTEX-1R7EV-2426-SM-EVYBG 40-49 years, male 63.0
GTEX-1211K-2026-SM-5EQ4Z 60-69 years, female 62.9
GTEX-1GN73-0226-SM-9WG67 60-69 years, male 62.9
GTEX-ZGAY-0526-SM-4WWBB 40-49 years, female 62.7
GTEX-13FXS-0226-SM-5IJCK 50-59 years, male 62.6
GTEX-13PVR-2326-SM-5QGR1 60-69 years, female 62.6
GTEX-VJWN-0126-SM-3GIK7 50-59 years, female 62.6
GTEX-1I1GP-2226-SM-CGQFK 50-59 years, male 62.6
GTEX-PLZ6-1426-SM-DKPOT 30-39 years, male 62.4
GTEX-14BMU-2226-SM-5TDE9 20-29 years, female 62.2
GTEX-1POEN-0126-SM-EYYXJ 30-39 years, female 62.1
GTEX-139TS-2826-SM-5J1OO 60-69 years, male 62.0
GTEX-WOFL-0126-SM-3MJG2 60-69 years, male 61.7
GTEX-SNMC-1226-SM-2XCFP 20-29 years, male 61.6
GTEX-1K2DA-1826-SM-CGQGT 50-59 years, male 61.2
GTEX-1F5PL-0326-SM-7P8PQ 40-49 years, female 61.0
GTEX-1HBPM-0226-SM-ARL9F 60-69 years, female 61.0
GTEX-1PDJ9-0326-SM-DTX95 20-29 years, male 61.0
GTEX-YB5E-2026-SM-5IFIS 40-49 years, male 60.9
GTEX-1C6VQ-0126-SM-7P8RI 50-59 years, male 60.9
GTEX-OOBJ-0126-SM-E6CJW 60-69 years, male 60.9
GTEX-1269C-2526-SM-5EGJ3 60-69 years, female 60.7
GTEX-1HSGN-0226-SM-CGQFV 40-49 years, female 60.7
GTEX-15ER7-0326-SM-7KUEV 20-29 years, female 60.6
GTEX-Y114-2426-SM-4TT8A 50-59 years, female 60.6
GTEX-18465-0126-SM-731BN 50-59 years, male 60.5
GTEX-13FTX-1826-SM-5J1NX 20-29 years, female 60.4
GTEX-15ETS-0126-SM-7KUMW 40-49 years, female 60.1
GTEX-1MCYP-1926-SM-E9J2R 20-29 years, female 60.1
GTEX-1QP66-1726-SM-E8VO1 50-59 years, male 60.1
GTEX-12WSD-0126-SM-59HKN 60-69 years, female 60.0
GTEX-1IDJH-0326-SM-A9SLQ 70-79 years, male 60.0
GTEX-18A7B-0126-SM-7LG64 70-79 years, male 59.9
GTEX-1H23P-0126-SM-ADEJ3 60-69 years, male 59.8
GTEX-1J8QM-2126-SM-CYPSJ 60-69 years, female 59.8
GTEX-R3RS-0126-SM-3GIJL 40-49 years, female 59.7
GTEX-RWS6-2026-SM-2XCB5 60-69 years, female 59.7
GTEX-Z93T-0126-SM-5HL5N 50-59 years, male 59.7
GTEX-UPJH-0326-SM-3GADU 50-59 years, male 59.6
GTEX-WRHK-1426-SM-3MJF9 20-29 years, female 59.6
GTEX-WXYG-2326-SM-4E3I6 50-59 years, female 59.6
GTEX-14DAR-2026-SM-5S2O3 50-59 years, male 59.5
GTEX-X638-0126-SM-47JZ8 70-79 years, female 59.5
GTEX-W5X1-3026-SM-EAZAX 40-49 years, female 59.5
GTEX-14ICK-0226-SM-6EU25 40-49 years, male 59.4
GTEX-16YQH-0126-SM-7DUFJ 30-39 years, male 59.4
GTEX-1HGF4-2426-SM-ACKXM 60-69 years, male 59.4
GTEX-1S3DN-2226-SM-EVYCD 50-59 years, male 59.4
GTEX-148VI-1626-SM-5SI6E 60-69 years, female 59.3
GTEX-ZYW4-0126-SM-5E44A 60-69 years, male 59.3
GTEX-1RAZQ-0726-SM-EAZ43 30-39 years, male 59.2
GTEX-UJHI-1526-SM-3DB99 50-59 years, female 59.1
GTEX-1HFI7-1826-SM-ACKXH 50-59 years, female 59.1
GTEX-12WSE-0526-SM-793B2 20-29 years, male 59.0
GTEX-1GF9V-0326-SM-7RHI5 60-69 years, male 58.9
GTEX-1I1GV-0526-SM-A9G29 60-69 years, male 58.9
GTEX-OXRP-0126-SM-3NB32 60-69 years, female 58.8
GTEX-ZVT2-2526-SM-51MT1 50-59 years, female 58.8
GTEX-13O3O-0126-SM-E9J49 60-69 years, female 58.8
GTEX-1IOXB-0126-SM-ARL8G 50-59 years, male 58.8
GTEX-13FTW-2626-SM-5K7WL 40-49 years, male 58.7
GTEX-WI4N-1026-SM-3LK7N 40-49 years, female 58.7
GTEX-QLQW-1126-SM-2S1Q8 30-39 years, male 58.6
GTEX-12WSK-2326-SM-5GCOH 40-49 years, female 58.5
GTEX-1I1GT-0626-SM-CGQER 60-69 years, female 58.4
GTEX-1PPH8-0226-SM-E8VND 20-29 years, male 58.4
GTEX-T5JW-1626-SM-3GADZ 20-29 years, female 58.3
GTEX-ZF29-2326-SM-DO92K 60-69 years, female 58.3
GTEX-13JUV-2726-SM-5LZZ8 40-49 years, female 58.2
GTEX-1NHNU-1026-SM-E9J2A 50-59 years, male 58.2
GTEX-SUCS-1926-SM-32PM3 70-79 years, male 58.1
GTEX-1HSMQ-1226-SM-CGQFX 50-59 years, male 58.0
GTEX-1J8EW-0126-SM-CJI4F 60-69 years, female 58.0
GTEX-1PFEY-1526-SM-E76PP 30-39 years, male 58.0
GTEX-ZYFG-2326-SM-5E44B 60-69 years, female 57.9
GTEX-11ZTS-0126-SM-5EQ6M 60-69 years, female 57.8
GTEX-13FH7-2026-SM-E9J4I 50-59 years, female 57.8
GTEX-1O97I-0326-SM-EYYX7 60-69 years, male 57.7
GTEX-12WSN-5019-SM-79OM6 40-49 years, male 57.6
GTEX-12126-0326-SM-5PNW3 20-29 years, male 57.4
GTEX-1H3VE-0326-SM-9YFLH 40-49 years, male 57.4
GTEX-PSDG-0226-SM-DKPOZ 50-59 years, male 57.4
GTEX-OIZH-0126-SM-2HMIS 50-59 years, male 57.3
GTEX-145LS-0126-SM-5QGP1 60-69 years, female 57.2
GTEX-1A3MV-1926-SM-718BT 30-39 years, male 57.2
GTEX-1KXAM-2226-SM-CYPTC 60-69 years, male 57.2
GTEX-11WQC-2526-SM-5CVLE 60-69 years, male 57.1
GTEX-12ZZZ-0626-SM-5DUXI 60-69 years, male 57.1
GTEX-1NV5F-0226-SM-E8VNY 60-69 years, female 57.0
GTEX-13D11-2426-SM-5KM1V 50-59 years, female 56.7
GTEX-YEC4-2126-SM-5IFJH 40-49 years, male 56.7
GTEX-14BIM-0226-SM-7IGLD 60-69 years, female 56.6
GTEX-WYJK-0126-SM-3NMAB 50-59 years, male 56.6
GTEX-13OVH-0126-SM-5MR4B 70-79 years, male 56.5
GTEX-RU72-0926-SM-2TF6B 50-59 years, female 56.4
GTEX-U8T8-0126-SM-3DB94 60-69 years, male 56.3
GTEX-1HCU8-0626-SM-A9SM9 60-69 years, female 56.3
GTEX-11GS4-2726-SM-5A5LE 60-69 years, male 56.2
GTEX-11UD2-0226-SM-5EQKY 50-59 years, male 56.2
GTEX-1H4P4-0726-SM-9YFLR 50-59 years, male 56.1
GTEX-117YX-2326-SM-5H12W 50-59 years, male 56.0
GTEX-1CB4J-0626-SM-7DHMP 60-69 years, male 56.0
GTEX-131XW-0426-SM-5LZWP 50-59 years, female 55.9
GTEX-1B8SG-0126-SM-73KZ3 50-59 years, male 55.8
GTEX-OHPL-0126-SM-2HMJ7 60-69 years, female 55.8
GTEX-1H1CY-2826-SM-9MQM3 60-69 years, female 55.8
GTEX-1JJEA-0326-SM-CNPOT 60-69 years, male 55.8
GTEX-1LVAN-0226-SM-COH3S 50-59 years, female 55.8
GTEX-11EM3-2426-SM-59861 20-29 years, female 55.7
GTEX-144GN-2326-SM-5LU4F 50-59 years, male 55.7
GTEX-Z93S-0126-SM-5HL7M 50-59 years, male 55.7
GTEX-1F75A-0126-SM-7RHGM 50-59 years, male 55.7
GTEX-1R7EU-0226-SM-EVR4G 60-69 years, male 55.6
GTEX-13O21-1426-SM-5K7XI 50-59 years, male 55.5
GTEX-1PPH7-2326-SM-EVYB8 40-49 years, male 55.5
GTEX-17JCI-0126-SM-7LG5G 60-69 years, female 55.4
GTEX-ZV68-0126-SM-59HKS 50-59 years, female 55.4
GTEX-1H2FU-0126-SM-9WYSI 60-69 years, female 55.4
GTEX-1KD5A-0226-SM-D5OV3 50-59 years, male 55.4
GTEX-17EUY-0426-SM-793BD 20-29 years, male 55.2
GTEX-ZDYS-2026-SM-5HL5L 50-59 years, male 55.2
GTEX-1JN6P-0126-SM-D3L98 60-69 years, male 55.2
GTEX-1S5ZA-0126-SM-EVYCV 20-29 years, male 55.2
GTEX-1AMEY-1326-SM-73KYK 30-39 years, female 55.1
GTEX-145LV-2126-SM-5LU8N 50-59 years, male 55.0
GTEX-1RDX4-0126-SM-E9J4P 50-59 years, female 55.0
GTEX-13RTJ-2426-SM-5S2Q2 60-69 years, male 54.9
GTEX-OXRO-0126-SM-2YUN4 60-69 years, female 54.9
GTEX-P4PP-0126-SM-3LK69 30-39 years, female 54.9
GTEX-X4EO-0326-SM-3P5YO 60-69 years, female 54.9
GTEX-1MUQO-0126-SM-EAZ58 60-69 years, male 54.9
GTEX-11P82-1626-SM-59879 20-29 years, male 54.8
GTEX-16GPK-0126-SM-7DHLE 60-69 years, male 54.8
GTEX-QESD-1426-SM-2S1R9 20-29 years, male 54.8
GTEX-ZVZO-0126-SM-5A5L9 40-49 years, male 54.8
GTEX-14BIL-0126-SM-5SI92 50-59 years, male 54.7
GTEX-14E6D-0126-SM-62LDV 50-59 years, male 54.7
GTEX-P4PQ-0126-SM-2S1NM 60-69 years, male 54.7
GTEX-1CAMS-0426-SM-7P8T2 40-49 years, female 54.7
GTEX-13S7M-0126-SM-5SI6A 60-69 years, female 54.6
GTEX-O5YT-0126-SM-48TBW 20-29 years, male 54.5
GTEX-17F98-0626-SM-79OMX 40-49 years, female 54.4
GTEX-XUW1-0426-SM-4BOOT 50-59 years, female 54.4
GTEX-1GN1W-0526-SM-9MQJQ 50-59 years, female 54.4
GTEX-14BIN-0626-SM-793DP 50-59 years, female 54.3
GTEX-14PN3-2426-SM-6LLHS 60-69 years, female 54.3
GTEX-WFG8-2226-SM-3GIL9 20-29 years, male 54.3
GTEX-XMD2-0126-SM-4YCDU 60-69 years, female 54.3
GTEX-1MJK2-0426-SM-DTXE5 50-59 years, male 54.3
GTEX-1QP29-0626-SM-EWRMX 50-59 years, male 54.3
GTEX-111FC-0126-SM-5N9DL 60-69 years, male 54.2
GTEX-13SLX-0526-SM-5S2ON 50-59 years, female 54.2
GTEX-O5YW-0126-SM-3LK6D 50-59 years, male 54.2
GTEX-1ICG6-2526-SM-CGQFZ 70-79 years, female 54.2
GTEX-1J8Q2-0526-SM-CM2RW 60-69 years, male 54.2
GTEX-1MGNQ-0126-SM-EVYCJ 40-49 years, male 54.2
GTEX-SN8G-0126-SM-32PLI 50-59 years, female 54.1
GTEX-12WSG-2826-SM-E9J4H 50-59 years, female 54.1
GTEX-1HBPI-1526-SM-C1YQ1 50-59 years, male 54.1
GTEX-11ZTT-2426-SM-5EQLS 60-69 years, female 54.0
GTEX-13N1W-0126-SM-5K7VT 70-79 years, male 54.0
GTEX-Y5V5-2326-SM-4V6GA 60-69 years, female 54.0
GTEX-1KD4Q-0226-SM-E9TJ9 40-49 years, male 54.0
GTEX-1MA7W-2026-SM-E9TJ6 20-29 years, female 54.0
GTEX-13OVG-1926-SM-5L3DK 60-69 years, male 53.9
GTEX-15EOM-0126-SM-7KUGG 20-29 years, female 53.9
GTEX-17HHE-2026-SM-79OKF 50-59 years, male 53.9
GTEX-WY7C-2326-SM-3NB2U 50-59 years, male 53.9
GTEX-1MA7X-2226-SM-E6CIY 60-69 years, male 53.8
GTEX-OOBK-0126-SM-2YUND 40-49 years, male 53.7
GTEX-QDVJ-1726-SM-2I5FX 50-59 years, male 53.7
GTEX-12584-0126-SM-5EGKQ 40-49 years, male 53.6
GTEX-RUSQ-1526-SM-2TF62 50-59 years, male 53.6
GTEX-XBEW-0626-SM-4QASP 40-49 years, male 53.6
GTEX-146FR-1326-SM-E9J48 60-69 years, female 53.6
GTEX-1I1GR-0126-SM-CL55F 60-69 years, male 53.6
GTEX-14PHX-2326-SM-62LEM 50-59 years, male 53.5
GTEX-X4XX-0126-SM-3NMC2 60-69 years, male 53.5
GTEX-1E2YA-0126-SM-9KNUC 50-59 years, male 53.5
GTEX-1128S-2326-SM-5GZZY 60-69 years, female 53.4
GTEX-133LE-1826-SM-5J1MV 20-29 years, female 53.4
GTEX-13X6J-0126-SM-5QGOU 50-59 years, male 53.4
GTEX-WH7G-2326-SM-3NMBC 40-49 years, male 53.4
GTEX-1LG7Y-0526-SM-DKPQC 50-59 years, male 53.4
GTEX-ZPIC-1726-SM-DHXIU 40-49 years, female 53.4
GTEX-13CF2-2526-SM-5LZYX 60-69 years, male 53.3
GTEX-1QP67-1626-SM-EAZ3X 40-49 years, female 53.3
GTEX-13O3Q-2426-SM-5IJBR 50-59 years, male 53.1
GTEX-14PHW-0126-SM-6LLJI 60-69 years, female 53.1
GTEX-18A6Q-0126-SM-731BZ 60-69 years, male 53.1
GTEX-XBED-2226-SM-47JYQ 60-69 years, male 53.1
GTEX-ZDTS-0126-SM-4WAY5 60-69 years, male 53.1
GTEX-12KS4-0326-SM-5EQ41 30-39 years, male 53.0
GTEX-S95S-1226-SM-4GICG 60-69 years, male 53.0
GTEX-U3ZH-2026-SM-3DB78 30-39 years, male 53.0
GTEX-YB5K-2126-SM-4WWDJ 40-49 years, female 53.0
GTEX-13NZB-2526-SM-5J1OM 30-39 years, male 52.7
GTEX-14PJ6-2126-SM-6EU1V 60-69 years, female 52.7
GTEX-X88G-0126-SM-47JZ3 30-39 years, male 52.7
GTEX-Y3IK-2426-SM-4WWDU 50-59 years, female 52.7
GTEX-1H3O1-0426-SM-9YFKY 60-69 years, male 52.7
GTEX-16AAH-1726-SM-7939C 50-59 years, male 52.6
GTEX-1AMFI-2026-SM-731BH 50-59 years, female 52.6
GTEX-1C475-1826-SM-73KWA 40-49 years, female 52.6
GTEX-X62O-0126-SM-4E3JN 50-59 years, male 52.6
GTEX-ZYFC-0226-SM-5NQ75 50-59 years, male 52.6
GTEX-1HCUA-2426-SM-ADEIS 50-59 years, female 52.5
GTEX-1I1GU-2226-SM-CGQFA 40-49 years, male 52.5
GTEX-1JMQL-0226-SM-CNPP5 50-59 years, female 52.5
GTEX-117YW-2626-SM-5GZZH 50-59 years, male 52.4
GTEX-13OW6-0426-SM-5L3HM 50-59 years, male 52.4
GTEX-XQ3S-1526-SM-4BOOC 20-29 years, male 52.4
GTEX-1JMPZ-0226-SM-CNPP1 30-39 years, male 52.4
GTEX-1R46S-0626-SM-E9J41 60-69 years, female 52.4
GTEX-1RB15-2126-SM-E9TIM 60-69 years, male 52.4
GTEX-1399R-2726-SM-5IJBA 30-39 years, male 52.0
GTEX-15SHU-0126-SM-7KUEH 40-49 years, female 52.0
GTEX-15EU6-0426-SM-6PAN5 50-59 years, male 51.9
GTEX-T6MN-0126-SM-32PLP 50-59 years, male 51.9
GTEX-1EWIQ-0126-SM-7RHH2 70-79 years, female 51.9
GTEX-1MCQQ-0826-SM-DLHC2 60-69 years, male 51.9
GTEX-1RAZA-0126-SM-E6CI3 20-29 years, male 51.9
GTEX-13QJ3-0326-SM-5S2RA 50-59 years, male 51.8
GTEX-RWSA-0126-SM-2XCBB 40-49 years, male 51.8
GTEX-13O3P-0126-SM-5KM4S 50-59 years, male 51.7
GTEX-18QFQ-0126-SM-731BE 30-39 years, male 51.7
GTEX-1C6VS-0526-SM-7DUEN 60-69 years, male 51.7
GTEX-ZF28-0126-SM-4WKGK 60-69 years, male 51.7
GTEX-ZDXO-3026-SM-5J1N5 60-69 years, male 51.6
GTEX-RM2N-1426-SM-2TF4H 50-59 years, male 51.5
GTEX-X261-0126-SM-3NMD6 50-59 years, male 51.5
GTEX-XAJ8-0826-SM-47JY6 40-49 years, male 51.5
GTEX-ZAB4-0226-SM-5N9F5 40-49 years, male 51.5
GTEX-W5WG-1826-SM-4KL2Y 50-59 years, female 51.4
GTEX-1HBPH-0426-SM-B2LW5 40-49 years, female 51.4
GTEX-1QPFJ-0226-SM-E76PB 30-39 years, female 51.4
GTEX-17HHY-0126-SM-7LG5D 50-59 years, male 51.3
GTEX-Y5V6-2426-SM-4VDSB 60-69 years, male 51.3
GTEX-1I4MK-2226-SM-ACKWD 50-59 years, female 51.3
GTEX-1R9PO-2126-SM-E9J4O 60-69 years, female 51.3
GTEX-14XAO-2326-SM-6EU1B 60-69 years, female 51.2
GTEX-ZTSS-1926-SM-57WEW 40-49 years, male 51.2
GTEX-ZTX8-1426-SM-5DUVO 20-29 years, male 51.2
GTEX-1H1DE-2126-SM-9WG6R 20-29 years, male 51.2
GTEX-11UD1-0126-SM-5PNYG 40-49 years, female 51.1
GTEX-12ZZY-0226-SM-5LZVE 60-69 years, male 51.1
GTEX-13CF3-2426-SM-5IFGX 60-69 years, female 51.1
GTEX-18D9A-1926-SM-7LG6P 30-39 years, female 51.1
GTEX-1F88F-2726-SM-7PBZZ 60-69 years, female 51.1
GTEX-17EVP-0326-SM-7DHLG 40-49 years, male 51.0
GTEX-1GL5R-1826-SM-9KNUY 50-59 years, male 51.0
GTEX-11LCK-1026-SM-5A5KB 30-39 years, male 50.9
GTEX-15DDE-0126-SM-6LPKH 50-59 years, female 50.9
GTEX-1GZ4H-1726-SM-7PBZJ 50-59 years, female 50.9
GTEX-1IDJF-0126-SM-CM2RS 20-29 years, male 50.9
GTEX-1S82Z-0826-SM-E6CHY 30-39 years, female 50.9
GTEX-ZE9C-2726-SM-57WB5 60-69 years, male 50.8
GTEX-1GMRU-0126-SM-9YFLV 50-59 years, male 50.8
GTEX-1IKOH-0226-SM-COH4E 60-69 years, female 50.8
GTEX-1JMPY-1326-SM-ARL8Y 30-39 years, male 50.8
GTEX-17MF6-0126-SM-7LG4F 40-49 years, male 50.7
GTEX-Y8LW-1826-SM-5S2MV 50-59 years, female 50.7
GTEX-ZDTT-2726-SM-4WKF8 60-69 years, male 50.7
GTEX-1HSKV-0226-SM-A9SKJ 60-69 years, male 50.7
GTEX-1IDFM-0126-SM-COH2V 60-69 years, male 50.7
GTEX-1313W-0126-SM-5LZUN 50-59 years, female 50.6
GTEX-WVJS-0126-SM-4MVOT 50-59 years, male 50.6
GTEX-X585-0226-SM-4QAS2 50-59 years, male 50.6
GTEX-1JMQK-0226-SM-CL543 60-69 years, male 50.6
GTEX-1LB8K-0226-SM-EWRNW 50-59 years, male 50.6
GTEX-11GSO-2426-SM-5A5LY 60-69 years, male 50.5
GTEX-16NGA-1726-SM-731B4 40-49 years, female 50.5
GTEX-13OVK-2026-SM-7KUEO 40-49 years, male 50.4
GTEX-13VXU-0126-SM-5SI9F 50-59 years, male 50.4
GTEX-WZTO-0126-SM-3NM95 40-49 years, male 50.4
GTEX-1399T-2826-SM-5KLYZ 60-69 years, male 50.3
GTEX-145LU-0126-SM-5TDCB 50-59 years, male 50.3
GTEX-T2IS-0126-SM-4DM6O 20-29 years, female 50.3
GTEX-QDT8-0126-SM-48TZ1 30-39 years, female 50.2
GTEX-1KAFJ-2026-SM-CY8ID 50-59 years, male 50.2
GTEX-ZF3C-0126-SM-DO92D 50-59 years, female 50.2
GTEX-15RIG-0226-SM-7KFTL 40-49 years, male 50.1
GTEX-17MFQ-1726-SM-793C7 20-29 years, male 50.1
GTEX-1EX96-1626-SM-7PBXR 50-59 years, male 50.1
GTEX-1GTWX-0126-SM-9YFLK 60-69 years, male 50.1
GTEX-13NYB-2526-SM-5K7Z6 40-49 years, male 50.0
GTEX-18A66-0226-SM-718BD 60-69 years, male 50.0
GTEX-1JJ6O-0126-SM-E6CI8 60-69 years, male 49.9
GTEX-12WSJ-1826-SM-5GCNY 40-49 years, female 49.8
GTEX-13N11-2526-SM-5K7UE 50-59 years, female 49.8
GTEX-WQUQ-0426-SM-3MJFU 60-69 years, male 49.8
GTEX-XUYS-0126-SM-47JWZ 50-59 years, male 49.8
GTEX-13FTY-0526-SM-5L3EV 40-49 years, female 49.7
GTEX-13O1R-0126-SM-5L3EH 60-69 years, male 49.7
GTEX-13W46-0226-SM-5SIAG 50-59 years, male 49.7
GTEX-1LSNM-1926-SM-E6CII 50-59 years, male 49.7
GTEX-1QW4Y-1526-SM-EAZ3Z 30-39 years, male 49.7
GTEX-11P7K-2126-SM-5GU7G 30-39 years, male 49.6
GTEX-12WSA-0226-SM-5BC5V 60-69 years, male 49.6
GTEX-13FHO-0226-SM-5IFGY 60-69 years, male 49.6
GTEX-1N2EF-0226-SM-EYYXB 60-69 years, male 49.6
GTEX-13112-2826-SM-5DUWH 50-59 years, male 49.5
GTEX-1CAMQ-0226-SM-7IGPK 40-49 years, male 49.5
GTEX-1PIIG-0226-SM-EWRN6 30-39 years, male 49.5
GTEX-145MN-2226-SM-5SIAU 30-39 years, male 49.4
GTEX-ZAB5-1826-SM-5HL7C 50-59 years, male 49.4
GTEX-ZQUD-1426-SM-57WER 30-39 years, male 49.4
GTEX-PW2O-1526-SM-7RHHB 20-29 years, male 49.4
GTEX-ZVTK-0426-SM-51MRS 20-29 years, male 49.3
GTEX-1J1OQ-0226-SM-CYPSH 40-49 years, female 49.3
GTEX-S33H-1026-SM-EZ6L6 30-39 years, male 49.3
GTEX-1C2JI-1826-SM-73KXC 50-59 years, male 49.2
GTEX-1IL2V-0126-SM-CM2TX 70-79 years, male 49.2
GTEX-ZVT3-0126-SM-5GU6I 60-69 years, female 49.1
GTEX-ZZPT-0226-SM-5E43X 50-59 years, male 49.1
GTEX-1H1E6-1726-SM-ACKVK 30-39 years, male 49.1
GTEX-13NYS-0126-SM-5MR3W 60-69 years, male 49.0
GTEX-13NZA-0226-SM-5K7Z7 60-69 years, male 49.0
GTEX-1C64O-0126-SM-7SB8P 60-69 years, male 49.0
GTEX-1LG7Z-1726-SM-D3LA4 30-39 years, male 49.0
GTEX-ZV6S-2326-SM-4YCEY 40-49 years, female 48.9
GTEX-ZWKS-0126-SM-5SIAA 30-39 years, male 48.9
GTEX-1I1CD-0126-SM-CM2TK 60-69 years, female 48.9
GTEX-132NY-0326-SM-5IJBL 60-69 years, male 48.8
GTEX-U4B1-1826-SM-4DXSU 40-49 years, male 48.8
GTEX-1H11D-0226-SM-9WG6Z 40-49 years, male 48.8
GTEX-12WSL-2526-SM-5GCNJ 50-59 years, male 48.5
GTEX-1F75I-0326-SM-9YFLU 40-49 years, male 48.5
GTEX-1J1R8-1726-SM-ARL8M 40-49 years, male 48.5
GTEX-1C4CL-0526-SM-73KVK 30-39 years, male 48.4
GTEX-1KANA-0726-SM-D3L9I 20-29 years, male 48.4
GTEX-14JG6-2226-SM-6EU2G 30-39 years, female 48.3
GTEX-17EVQ-0226-SM-7LG4P 70-79 years, male 48.3
GTEX-1C6WA-0126-SM-7PC2B 60-69 years, male 48.3
GTEX-1IE54-0126-SM-CMKHW 40-49 years, female 48.3
GTEX-1S83E-0126-SM-EWRO4 40-49 years, male 48.3
GTEX-QLQ7-1626-SM-2S1R8 60-69 years, male 48.2
GTEX-13OW7-0126-SM-5MR3B 50-59 years, male 48.1
GTEX-ZC5H-0226-SM-4WAY9 40-49 years, female 48.1
GTEX-1H1ZS-0426-SM-9WG6G 70-79 years, male 48.1
GTEX-XQ8I-0426-SM-4BOPO 50-59 years, male 48.0
GTEX-1GPI7-0126-SM-9MQL8 20-29 years, male 48.0
GTEX-1J8Q3-1626-SM-CMKGC 60-69 years, male 48.0
GTEX-113JC-2326-SM-5EQ4E 50-59 years, female 47.9
GTEX-1JKYR-0126-SM-CNPOJ 20-29 years, male 47.9
GTEX-11TUW-2726-SM-E9J4M 60-69 years, male 47.8
GTEX-1H3NZ-0126-SM-ACKX7 60-69 years, male 47.8
GTEX-1J8JJ-0226-SM-CL53I 60-69 years, female 47.7
GTEX-RTLS-0126-SM-447CA 60-69 years, female 47.6
GTEX-Y8DK-0126-SM-4TT3L 60-69 years, male 47.6
GTEX-13FHP-0126-SM-5IJBG 50-59 years, male 47.5
GTEX-PVOW-0126-SM-2XCFA 40-49 years, male 47.5
GTEX-U3ZM-1526-SM-3DB9D 40-49 years, male 47.5
GTEX-14ABY-0226-SM-5TDCQ 50-59 years, male 47.4
GTEX-15UKP-0426-SM-7KUFQ 20-29 years, male 47.4
GTEX-1BAJH-0526-SM-793CQ 70-79 years, male 47.4
GTEX-QV44-1926-SM-2S1RF 50-59 years, male 47.4
GTEX-1ICLY-0126-SM-D4P36 50-59 years, male 47.4
GTEX-1PIGE-0126-SM-EVYBJ 20-29 years, male 47.4
GTEX-111VG-2426-SM-5GZXD 60-69 years, male 47.3
GTEX-117XS-2726-SM-5N9BL 60-69 years, male 47.3
GTEX-139TT-0126-SM-5K7Y5 60-69 years, male 47.3
GTEX-WYVS-2126-SM-3NMA3 40-49 years, female 47.3
GTEX-1JMQJ-0526-SM-CYPSU 50-59 years, male 47.3
GTEX-11EMC-2926-SM-5EQ4F 60-69 years, female 47.2
GTEX-15DYW-0126-SM-7KULE 60-69 years, female 47.2
GTEX-18A7A-0226-SM-718BH 50-59 years, female 47.2
GTEX-169BO-1326-SM-9MQK2 50-59 years, male 47.2
GTEX-1EMGI-0126-SM-9KNUE 60-69 years, male 47.2
GTEX-1IKK5-0626-SM-ARL8A 60-69 years, male 47.2
GTEX-1PBJI-0526-SM-E8VNK 20-29 years, female 47.2
GTEX-145MF-0626-SM-5LUAI 50-59 years, male 47.1
GTEX-1JK1U-2026-SM-CM2RZ 60-69 years, male 47.1
GTEX-11DXW-0226-SM-5H122 40-49 years, male 47.0
GTEX-131YS-0126-SM-5KM1M 60-69 years, female 47.0
GTEX-1IKJJ-0126-SM-CNPQB 60-69 years, male 47.0
GTEX-1212Z-2526-SM-5EGKP 60-69 years, male 46.9
GTEX-13VXT-0126-SM-5LU4I 20-29 years, female 46.9
GTEX-1RLM8-2326-SM-EWRN4 50-59 years, male 46.9
GTEX-14JIY-0126-SM-6LLH6 60-69 years, male 46.8
GTEX-1F5PK-2426-SM-7RHHY 50-59 years, male 46.8
GTEX-1F7RK-0126-SM-7PC2S 20-29 years, female 46.8
GTEX-1IDJU-2626-SM-CM2RT 60-69 years, female 46.8
GTEX-1KWVE-1426-SM-E9TJO 30-39 years, male 46.7
GTEX-13N2G-2626-SM-5J1OT 60-69 years, male 46.6
GTEX-14PJ3-1826-SM-62LEX 50-59 years, male 46.6
GTEX-1CB4G-0226-SM-7PC3O 60-69 years, male 46.6
GTEX-1B933-0126-SM-7PC29 50-59 years, female 46.5
GTEX-1JKYN-1326-SM-CGQG9 30-39 years, male 46.5
GTEX-QEG4-0226-SM-2S1PY 30-39 years, male 46.4
GTEX-1GF9W-0326-SM-9KNUN 60-69 years, male 46.4
GTEX-11EQ9-2426-SM-5HL5T 30-39 years, male 46.2
GTEX-13OVL-0226-SM-5L3E9 50-59 years, male 46.2
GTEX-1C64N-0126-SM-793D7 50-59 years, male 46.2
GTEX-R55E-0126-SM-2TC5Y 20-29 years, male 46.1
GTEX-YJ89-0126-SM-4TT3X 60-69 years, male 46.1
GTEX-1F75B-0126-SM-9KNVL 50-59 years, male 46.1
GTEX-1S82Y-2026-SM-EVYCM 40-49 years, male 46.1
GTEX-13SLW-0126-SM-5SI6C 70-79 years, male 45.9
GTEX-Y3I4-2126-SM-4TT7C 50-59 years, male 45.9
GTEX-1N2DV-0226-SM-E6CJ6 40-49 years, male 45.9
GTEX-14DAQ-0126-SM-5S2MQ 60-69 years, female 45.8
GTEX-S7SE-0126-SM-2XCD5 50-59 years, male 45.8
GTEX-1K2DU-2326-SM-E9TIV 20-29 years, male 45.8
GTEX-1LGRB-2526-SM-CNPPQ 50-59 years, female 45.8
GTEX-11DXX-2426-SM-5GZZW 60-69 years, female 45.7
GTEX-13111-1626-SM-5EGJY 50-59 years, male 45.7
GTEX-1IGQW-0126-SM-COH42 60-69 years, male 45.6
GTEX-12WSC-0126-SM-5EQ4P 50-59 years, male 45.5
GTEX-13G51-2526-SM-5LZYK 60-69 years, male 45.4
GTEX-1B97I-1626-SM-73KYO 40-49 years, male 45.4
GTEX-11NSD-2226-SM-5986V 20-29 years, male 45.3
GTEX-U8XE-0326-SM-3DB8P 30-39 years, male 45.2
GTEX-1CB4H-0226-SM-7PBXM 60-69 years, female 45.1
GTEX-1F6I4-0126-SM-9MQL2 60-69 years, male 45.1
GTEX-1LH75-2426-SM-E9TJE 50-59 years, female 45.1
GTEX-1OJC4-0126-SM-E9J2E 50-59 years, female 45.1
GTEX-11DXZ-2326-SM-5EGGV 50-59 years, male 45.0
GTEX-11GSP-2526-SM-5N9BP 60-69 years, female 45.0
GTEX-139TU-0126-SM-5K7WH 60-69 years, male 45.0
GTEX-16MT8-0426-SM-7KUEY 60-69 years, female 45.0
GTEX-1GMR8-0126-SM-9WYTM 50-59 years, female 45.0
GTEX-1H1DG-0126-SM-9WYU2 70-79 years, male 45.0
GTEX-1R9PM-2026-SM-E76OY 20-29 years, male 45.0
GTEX-1AX9K-2326-SM-73KWU 50-59 years, male 44.9
GTEX-OHPM-0126-SM-2YUN9 50-59 years, male 44.9
GTEX-X4EP-0126-SM-3P5YV 60-69 years, female 44.9
GTEX-18D9U-0226-SM-718BP 40-49 years, male 44.8
GTEX-TMMY-0226-SM-33HBA 40-49 years, female 44.7
GTEX-ZAK1-0126-SM-5IJD3 50-59 years, female 44.7
GTEX-ZYT6-0226-SM-5NQ6T 30-39 years, male 44.7
GTEX-11OF3-2626-SM-5GU7F 60-69 years, male 44.6
GTEX-13PDP-0126-SM-5L3HD 60-69 years, male 44.6
GTEX-16BQI-0226-SM-7KUEX 30-39 years, female 44.6
GTEX-ZXES-1826-SM-5E43S 30-39 years, female 44.6
GTEX-1HUB1-0426-SM-E9U4U 60-69 years, male 44.6
GTEX-XXEK-2226-SM-4BRUM 50-59 years, male 44.5
GTEX-ZXG5-0126-SM-5GIEU 60-69 years, male 44.5
GTEX-1LC47-0326-SM-E9TJP 60-69 years, male 44.5
GTEX-YFC4-0126-SM-5CVLY 40-49 years, female 44.4
GTEX-15SDE-2226-SM-7IGLO 50-59 years, female 44.3
GTEX-1CB4E-2226-SM-793DC 60-69 years, male 44.3
GTEX-Y8E4-0626-SM-4WWDL 40-49 years, male 44.3
GTEX-1R9K4-0126-SM-DTX9X 60-69 years, male 44.3
GTEX-1GPI6-0126-SM-9WG69 60-69 years, male 44.2
GTEX-1GZ2Q-0226-SM-7P8TL 40-49 years, male 44.2
GTEX-1KANB-0526-SM-E6CJH 50-59 years, male 44.2
GTEX-OXRL-0126-SM-2YUMP 50-59 years, male 44.1
GTEX-XV7Q-2526-SM-4BRV9 40-49 years, female 44.1
GTEX-14JG1-0426-SM-6ETZZ 40-49 years, male 44.0
GTEX-15DCD-0126-SM-7KUEK 70-79 years, female 44.0
GTEX-13NYC-0326-SM-E9J4S 60-69 years, male 44.0
GTEX-1I1GS-0126-SM-B2LVW 60-69 years, male 44.0
GTEX-11NUK-0126-SM-5A5L3 50-59 years, male 43.9
GTEX-1AX9I-0126-SM-7SB74 60-69 years, male 43.9
GTEX-1IY9M-0126-SM-D3L8S 60-69 years, male 43.9
GTEX-1F52S-0126-SM-9MQJU 60-69 years, female 43.8
GTEX-TKQ1-1026-SM-4GICL 30-39 years, male 43.7
GTEX-1K9T9-0126-SM-EVYCF 50-59 years, female 43.7
GTEX-1B8SF-1426-SM-7DUGL 60-69 years, male 43.6
GTEX-PX3G-0126-SM-2I3EN 20-29 years, female 43.5
GTEX-TMZS-0126-SM-3DB9Q 60-69 years, male 43.5
GTEX-1HCU9-1526-SM-A9SL7 20-29 years, male 43.5
GTEX-13OW8-1326-SM-5J1OW 60-69 years, male 43.4
GTEX-POMQ-2226-SM-2I5FK 20-29 years, female 43.4
GTEX-1HBPN-0226-SM-9YFM1 50-59 years, male 43.4
GTEX-1HSMP-0126-SM-E6CJS 70-79 years, male 43.4
GTEX-1CAMR-1926-SM-7EPI2 20-29 years, male 43.3
GTEX-12C56-1726-SM-5EQ61 20-29 years, male 43.2
GTEX-1GF9X-2026-SM-7PC3A 40-49 years, female 43.2
GTEX-1AYD5-2426-SM-73KXR 50-59 years, male 43.1
GTEX-WFON-2126-SM-3LK7O 40-49 years, male 43.1
GTEX-1HKZK-0326-SM-9WYUH 40-49 years, male 43.1
GTEX-1192W-2626-SM-5Q5AF 60-69 years, male 43.0
GTEX-145MI-0526-SM-5O9A8 60-69 years, female 43.0
GTEX-1HCU7-0226-SM-CL545 50-59 years, male 43.0
GTEX-11DXY-2626-SM-5GIE7 60-69 years, male 42.9
GTEX-11H98-0126-SM-5EGHG 50-59 years, male 42.9
GTEX-13OW5-0126-SM-DTXFS 60-69 years, male 42.9
GTEX-PLZ5-2026-SM-2S1O4 50-59 years, male 42.8
GTEX-1HFI6-0226-SM-ADEHZ 40-49 years, male 42.8
GTEX-ZYY3-0126-SM-5GZY5 60-69 years, female 42.7
GTEX-144GL-0126-SM-5TDE2 50-59 years, male 42.5
GTEX-1CB4I-0226-SM-79OLH 50-59 years, male 42.5
GTEX-13IVO-0126-SM-5J1NG 70-79 years, male 42.3
GTEX-13W3W-2426-SM-5LU5B 60-69 years, female 42.3
GTEX-1N2DW-0226-SM-E9TK2 50-59 years, male 42.3
GTEX-13U4I-0126-SM-5LU38 40-49 years, female 42.2
GTEX-1HSEH-0126-SM-ACKXN 60-69 years, male 42.2
GTEX-12ZZX-0126-SM-5EGK9 40-49 years, female 42.1
GTEX-1E1VI-0126-SM-7DHMZ 50-59 years, male 42.1
GTEX-QVJO-1626-SM-2S1QW 60-69 years, female 42.1
GTEX-SIU8-0126-SM-2XCDT 50-59 years, male 42.1
GTEX-14E7W-0126-SM-6LLJ9 70-79 years, male 42.0
GTEX-16NPX-0226-SM-79OMT 50-59 years, male 42.0
GTEX-17F96-1626-SM-7DUFL 70-79 years, male 42.0
GTEX-1AX8Z-0126-SM-7DHM6 60-69 years, male 42.0
GTEX-14LZ3-0226-SM-62LET 60-69 years, female 41.9
GTEX-OXRN-0126-SM-48TDM 50-59 years, male 41.9
GTEX-U3ZN-2326-SM-3DB7W 30-39 years, female 41.7
GTEX-147F3-0526-SM-5SI98 50-59 years, female 41.6
GTEX-NPJ8-0126-SM-2YUNR 40-49 years, male 41.6
GTEX-ZYFD-0126-SM-5GIDL 50-59 years, male 41.6
GTEX-1B8L1-2526-SM-9WYTF 60-69 years, male 41.6
GTEX-T6MO-1626-SM-32QOM 40-49 years, female 41.5
GTEX-1JMQI-2226-SM-CM2SD 50-59 years, male 41.5
GTEX-1PWST-0226-SM-E76QJ 70-79 years, male 41.5
GTEX-1H3VY-0126-SM-ACKXD 50-59 years, male 41.3
GTEX-17HG3-2226-SM-7938L 30-39 years, female 41.2
GTEX-11ZU8-2526-SM-5EQKI 60-69 years, male 41.1
GTEX-1314G-1526-SM-5EGK2 30-39 years, male 41.1
GTEX-R55G-2526-SM-2TC6D 40-49 years, female 41.1
GTEX-1EKGG-0226-SM-9WYTH 60-69 years, male 41.1
GTEX-139T4-0226-SM-5HL5S 50-59 years, female 41.0
GTEX-11ZVC-2526-SM-5FQTE 50-59 years, female 40.9
GTEX-144FL-0126-SM-5TDC8 50-59 years, male 40.9
GTEX-Z9EW-1626-SM-5CVMN 40-49 years, male 40.9
GTEX-1I1GQ-0126-SM-COH3H 50-59 years, male 40.9
GTEX-1QAET-0926-SM-E76QM 50-59 years, male 40.9
GTEX-146FQ-0126-SM-5NQA9 30-39 years, male 40.8
GTEX-14C5O-0126-SM-5SI6N 60-69 years, male 40.8
GTEX-ZZ64-1726-SM-5GZYB 20-29 years, male 40.8
GTEX-13RTL-0126-SM-7LG5S 40-49 years, male 40.7
GTEX-ZVE2-0226-SM-59HJB 50-59 years, male 40.7
GTEX-17KNJ-2326-SM-7DHLQ 50-59 years, male 40.6
GTEX-X4XY-0226-SM-4E3IZ 60-69 years, male 40.6
GTEX-ZU9S-0226-SM-5E441 30-39 years, male 40.6
GTEX-11VI4-1726-SM-5CVLH 40-49 years, female 40.5
GTEX-XUZC-1726-SM-4BRWS 30-39 years, female 40.5
GTEX-ZUA1-0126-SM-5GU76 40-49 years, male 40.5
GTEX-1GN1V-0126-SM-9WPOS 60-69 years, male 40.5
GTEX-ZQG8-1626-SM-DHXIT 60-69 years, female 40.4
GTEX-14BMV-0126-SM-5S2PO 50-59 years, male 40.3
GTEX-1I1HK-0126-SM-COH49 60-69 years, male 40.3
GTEX-15G19-0126-SM-6PANQ 60-69 years, male 40.2
GTEX-16XZY-2126-SM-79OK1 70-79 years, male 40.2
GTEX-1I19N-0326-SM-ACKVX 70-79 years, male 40.2
GTEX-1192X-0226-SM-5H12D 50-59 years, male 39.9
GTEX-17HGU-0226-SM-7DHKV 50-59 years, male 39.9
GTEX-V1D1-2226-SM-3NMAX 50-59 years, male 39.9
GTEX-1HCVE-0126-SM-CGQEU 50-59 years, male 39.8
GTEX-1HR98-0126-SM-B2LWI 60-69 years, male 39.8
GTEX-14A6H-0126-SM-5QGPK 30-39 years, male 39.7
GTEX-1EN7A-0126-SM-7SB81 40-49 years, male 39.6
GTEX-1F48J-0126-SM-7P8TT 50-59 years, female 39.6
GTEX-1QP2A-0126-SM-E9J43 50-59 years, male 39.5
GTEX-15D1Q-0126-SM-7KUG6 40-49 years, male 39.4
GTEX-14A5H-0426-SM-5QGQF 60-69 years, male 39.3
GTEX-17F97-0326-SM-7LG5B 50-59 years, male 39.3
GTEX-Y111-0126-SM-4SOIV 50-59 years, male 39.2
GTEX-11TT1-2526-SM-5EGIB 20-29 years, male 39.0
GTEX-1I6K6-0126-SM-A9SLE 30-39 years, male 38.9
GTEX-1A3MW-0126-SM-73KXX 60-69 years, female 38.8
GTEX-TSE9-0126-SM-3DB83 60-69 years, female 38.8
GTEX-1M4P7-0226-SM-DIPEV 60-69 years, male 38.8
GTEX-15CHC-2126-SM-6EU21 60-69 years, female 38.7
GTEX-Q2AI-1326-SM-2S1PL 40-49 years, male 38.6
GTEX-11OC5-0126-SM-5HL6A 60-69 years, male 38.4
GTEX-147F4-0226-SM-5QGPW 50-59 years, male 38.4
GTEX-PWO3-1526-SM-48TCM 60-69 years, female 38.3
GTEX-1GMR3-1926-SM-9KNUZ 40-49 years, male 38.3
GTEX-RNOR-0126-SM-E9J4R 50-59 years, female 38.3
GTEX-1B8KZ-2026-SM-7DHMB 50-59 years, male 38.0
GTEX-139T8-0126-SM-5K7XZ 60-69 years, male 37.8
GTEX-1QEPI-0126-SM-EWRMQ 60-69 years, female 37.8
GTEX-11ZUS-0626-SM-59885 30-39 years, male 37.7
GTEX-1HB9E-0226-SM-E9U4R 50-59 years, male 37.4
GTEX-1AYCT-2426-SM-7IGQ3 50-59 years, male 37.3
GTEX-11P81-2326-SM-59875 30-39 years, female 37.2
GTEX-183FY-0126-SM-7LT9P 20-29 years, male 37.0
GTEX-ZF2S-2326-SM-4WWCE 50-59 years, female 36.8
GTEX-18A67-0126-SM-7LG5P 50-59 years, male 36.7
GTEX-1A8FM-0226-SM-7SB7Q 50-59 years, female 36.7
GTEX-11EI6-0126-SM-5985R 60-69 years, male 36.6
GTEX-11XUK-2026-SM-5EQLF 40-49 years, female 36.5
GTEX-1LNCM-1126-SM-E9U5E 50-59 years, female 36.5
GTEX-147GR-0526-SM-5S2MY 60-69 years, male 36.4
GTEX-1A3MX-0126-SM-731BR 60-69 years, male 36.3
GTEX-OIZF-0126-SM-7SB8I 60-69 years, male 36.3
GTEX-VUSG-2526-SM-4KL1V 50-59 years, male 35.9
GTEX-11O72-0126-SM-59887 40-49 years, male 35.5
GTEX-1F6IF-0726-SM-7P8TW 60-69 years, male 35.3
GTEX-1RQEC-0426-SM-E6CHU 60-69 years, male 35.2
GTEX-1C6VR-2426-SM-79OLD 60-69 years, male 34.5
GTEX-14E6E-1826-SM-5S2R7 30-39 years, male 34.0
GTEX-15F5U-1526-SM-6PANO 40-49 years, male 34.0
GTEX-1EU9M-0226-SM-7P8SP 60-69 years, male 33.9
GTEX-RN64-0126-SM-2TC68 50-59 years, male 33.5
GTEX-1GF9U-2126-SM-7SB7L 40-49 years, female 32.5
GTEX-13X6I-0626-SM-5QGP9 60-69 years, male 32.1
GTEX-1JJE9-0326-SM-CL53Z 70-79 years, male 31.6
GTEX-ZEX8-2426-SM-4WKG4 50-59 years, male 30.3
GTEX-1CB4F-0426-SM-9KNV4 60-69 years, male 28.2
Show allShow less

Contact

  • NEWS ARTICLES
  • PRESS ROOM

The Project

  • INTRODUCTION
  • ORGANIZATION
  • PUBLICATIONS

The Human Protein Atlas

  • DOWNLOADABLE DATA
  • LICENCE & CITATION
  • HELP & FAQ
The Human Protein Atlas project is funded
by the Knut & Alice Wallenberg Foundation.


contact@proteinatlas.org