We use cookies to enhance the usability of our website. If you continue, we'll assume that you are happy to receive all cookies. More information. Don't show this again.
RPL18
HPA
RESOURCES
  • TISSUE
  • BRAIN
  • SINGLE CELL
  • SUBCELLULAR
  • CANCER
  • BLOOD
  • CELL LINE
  • STRUCTURE & INTERACTION
ABOUT
  • INTRODUCTION
  • HISTORY
  • ORGANIZATION
  • PUBLICATIONS
  • ANTIBODY SUBMISSION
  • ANTIBODY AVAILABILITY
  • ACKNOWLEDGMENTS
  • CONTACT
NEWS
  • NEWS ARTICLES
  • PRESS ROOM
LEARN
  • DICTIONARY
  • PROTEIN CLASSES
  • PROTEIN EVIDENCE
  • METHODS
  • EDUCATIONAL VIDEOS
DATA
  • DOWNLOADABLE DATA
  • PUBLICATION DATA
  • RELEASE HISTORY
HELP
  • ANTIBODY VALIDATION
  • ASSAYS & ANNOTATION
  • DISCLAIMER
  • HELP & FAQ
  • PRIVACY STATEMENT
  • LICENCE & CITATION
Fields »
Search result

Field
Term
Gene name
Class
Subclass
Class
Keyword
Chromosome
External id
Tissue
Cell type
Expression
Antibody panel
Tissue
Main location
Patient ID
Annotation
Tissue
Category
Tau score
Cluster
Reliability
Brain region
Category
Tau score
Brain region
Category
Tau score
Brain region
Category
Tau score
Cluster
Reliability
Tissue
Cell type
Enrichment
Cell type
Category
Tau score
Cell type
Category
Tau score
Cell type
Category
Tau score
Cell lineage
Category
Tau score
Cluster
Cluster
Location
Searches
Location
Cell line
Class
Type
Phase
Reliability
Cancer
Prognosis
Cancer
Category
Cancer
Category
Tau score
Cluster
Variants
Interacting gene (ensg_id)
Type
Number of interactions
Pathway
Category
Score
Score
Score
Validation
Validation
Validation
Validation
Antibodies
Data type
Column


  • SUMMARY

  • TISSUE

  • BRAIN

  • SINGLE CELL

  • SUBCELL

  • CANCER

  • BLOOD

  • CELL LINE

  • STRUCT & INT

  • RPL18
TISSUE PRIMARY DATA SKIN Show tissue menu
ADIPOSE TISSUE ADRENAL GLAND AMYGDALA APPENDIX BASAL GANGLIA BONE MARROW BREAST BRONCHUS CEREBELLUM CEREBRAL CORTEX CERVIX CHOROID PLEXUS COLON DUODENUM
ENDOMETRIUM EPIDIDYMIS ESOPHAGUS FALLOPIAN TUBE GALLBLADDER HEART MUSCLE HIPPOCAMPAL FORMATION HYPOTHALAMUS KIDNEY LIVER LUNG LYMPH NODE MIDBRAIN NASOPHARYNX
ORAL MUCOSA OVARY PANCREAS PARATHYROID GLAND PITUITARY GLAND PLACENTA PROSTATE RECTUM RETINA SALIVARY GLAND SEMINAL VESICLE SKELETAL MUSCLE SKIN SMALL INTESTINE
SMOOTH MUSCLE SOFT TISSUE SPINAL CORD SPLEEN STOMACH TESTIS THYMUS THYROID GLAND TONGUE TONSIL URINARY BLADDER VAGINA
ANTIBODIES
AND
VALIDATION
Dictionary
Skin
Tissue proteome
Skin
SKIN - Expression summary
Protein expression
Skini

On the top, protein expression in current human tissue, based on all annotated cell types, is reported with the units not detected (n), low (l), medium (m) and high (h). Underneath, protein expression in each annotated cell type are reported using the same units.

Protein expression data is based on knowledge-based annotation. For genes where more than one antibody has been used, a collective score is set.

If knowledge-based annotation could not be performed for a gene, no data is displayed here. View antibody staining data further down this page.

h
m
l
n
Epidermal cells: Medium
Fibroblasts: Not detected
Keratinocytes: Medium
Langerhans: Medium
Melanocytes: Low
RNA expressioni

A summary of mRNA expression data available for current tissue based on several datasets. The mRNA expression levels in human tissues are based on RNA-seq data generated by the Human Protein Atlas (HPA), Genotype-Tissue Expression (GTEx) portal and CAGE data generated by the FANTOM5 consortium. Consensus normalized expression levels for human tissues was created by combining the data from HPA and GTEx datasets.

The mRNA expression levels in pig are based on RNA-seq data generated by the Human Protein Atlas (HPA), and for mouse, HPA data and in situ hybridization generated by the Allen brain atlas are reported.

Scroll down to view mRNA expression data in more detail.
Consensus:1884.3 nTPM
HPA:1415.3 nTPM
GTEx:1884.3 nTPM

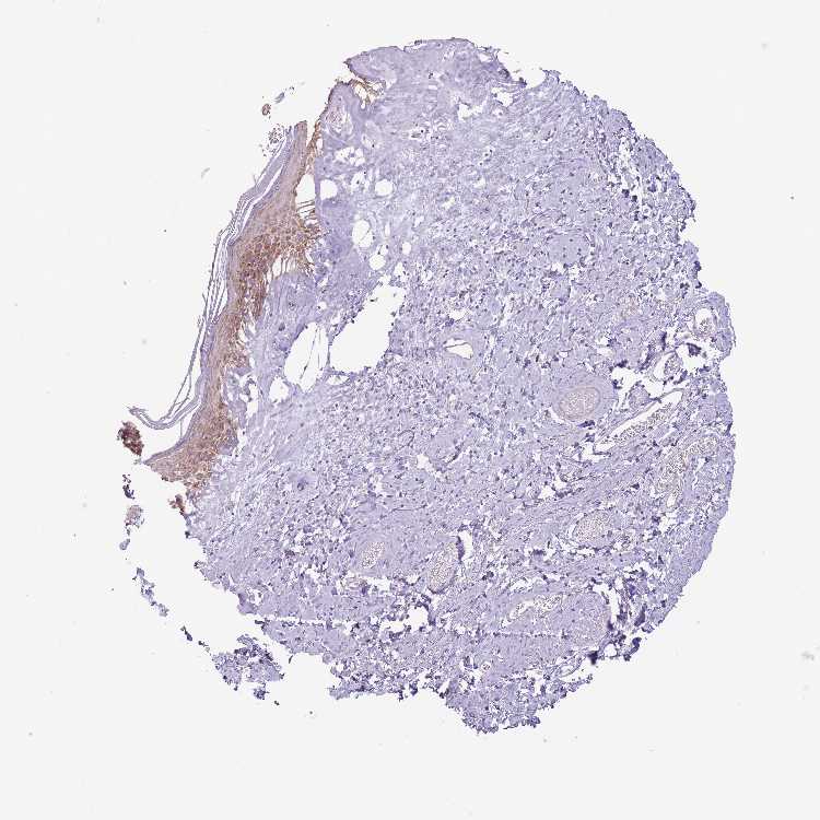
SKIN 1 - Antibody stainingi

Antibody staining in the annotated cell types in the current human tissue is reported as not detected, low, medium, or high, based on conventional immunohistochemistry profiling in selected tissues. This score is based on the combination of the staining intensity and fraction of stained cells.

Each image is clickable and will lead to virtual microscopy that enables deeper exploration of all samples and also displays staining intensity scores, fraction scores and subcellular localization as well as patient and tissue information for each sample.

Antibody HPA046572
Langerhans Medium
Fibroblasts Not detected
Keratinocytes Medium
Melanocytes Low


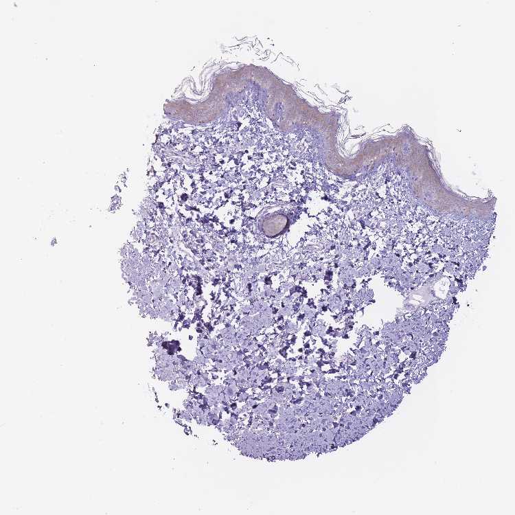
SKIN 2 - Antibody stainingi

Antibody staining in the annotated cell types in the current human tissue is reported as not detected, low, medium, or high, based on conventional immunohistochemistry profiling in selected tissues. This score is based on the combination of the staining intensity and fraction of stained cells.

Each image is clickable and will lead to virtual microscopy that enables deeper exploration of all samples and also displays staining intensity scores, fraction scores and subcellular localization as well as patient and tissue information for each sample.

Antibody HPA046572
Epidermal cells Medium
 
 
 



SKIN - HPA RNA-seqi

The RNA-seq details section shows detailed information about the individual samples used for the transcript profiling and results of the RNA-seq analysis.

Information about each individual sample is listed below, including gender, age, a tissue section image and estimated fractions of cell types. nTPM (normalized transcripts per million) values give a quantification of the gene abundance which is comparable between different genes and samples.
Average nTPMi

Max subtype nTPM is the value for the subtype with the largest average nTPM across the subtype samples.

1415.3
overview
Female, age 34
Skin sample 225
nTPM: 1536
Cell types%
Keratinocytes:
60

Other cell types:
40

overview
Female, age 30
Skin sample 226
nTPM: 914.1
Cell types%
Keratinocytes:
55

Other cell types:
45

N/A
Male, age 57
Skin sample 227
nTPM: 1795.7

SKIN - GTEx RNA-seqi

RNA-Seq data generated by the Genotype-Tissue Expression (GTEx) project from human tissues is reported as mean nTPM. More information can be found on the GTEx portal.

Distribution across the dataset is visualized with box plots, shown as median and 25th and 75th percentiles. Points are displayed as outliers if they are above or below 1.5 times the interquartile range. nTPM values of the individual samples are presented next to the box plot.
Max subtype nTPMi

Max subtype nTPM is the value for the subtype with the largest average nTPM across the subtype samples.

1884.3
GTEx sample id Sample description nTPM
Skin - Not Sun Exposed (Suprapubic)
Average nTPM: 1884.3
Samples: 604

Max nTPM: 5570.5
Min nTPM: 724.0
Std nTPM: 585.1
Median nTPM: 1779.2
GTEX-1OJC3-1226-SM-DTXER 20-29 years, male 5570.5
GTEX-ZTX8-1326-SM-4YCEL 20-29 years, male 4622.6
GTEX-WFG7-2026-SM-5SI7P 20-29 years, male 4381.6
GTEX-15RIG-0726-SM-7KUM7 40-49 years, male 4265.9
GTEX-X585-2426-SM-46MW2 50-59 years, male 4044.5
GTEX-WI4N-2726-SM-3LK7Y 40-49 years, female 3987.6
GTEX-1IKOE-1426-SM-CE6T7 30-39 years, female 3911.2
GTEX-12WSJ-1126-SM-5LZVJ 40-49 years, female 3807.0
GTEX-ZPCL-1126-SM-4WWFE 60-69 years, female 3706.9
GTEX-1E2YA-2126-SM-7MXUO 50-59 years, male 3577.1
GTEX-Y114-2126-SM-4TT8B 50-59 years, female 3506.5
GTEX-XBEW-1126-SM-4QARW 40-49 years, male 3496.9
GTEX-13JVG-0726-SM-5KM16 60-69 years, male 3468.9
GTEX-1QP9N-1226-SM-E76QN 30-39 years, male 3389.8
GTEX-ZF3C-0626-SM-DO92O 50-59 years, female 3378.1
GTEX-1CAMS-2226-SM-7PBXQ 40-49 years, female 3285.8
GTEX-1399Q-2326-SM-5KM2X 40-49 years, male 3227.0
GTEX-Y9LG-1126-SM-4VBQ7 30-39 years, male 3175.4
GTEX-1JMPY-0226-SM-CKZOK 30-39 years, male 3174.2
GTEX-1JMLX-0626-SM-ARL8T 50-59 years, male 3150.1
GTEX-1ICLZ-0326-SM-ARL82 60-69 years, male 3120.2
GTEX-Y3I4-1726-SM-4TT89 50-59 years, male 3047.9
GTEX-1RAZQ-1326-SM-E9TK6 30-39 years, male 3021.7
GTEX-144FL-0626-SM-5LU43 50-59 years, male 3017.1
GTEX-16MTA-0926-SM-6M47Z 50-59 years, male 3014.2
GTEX-15UF6-1926-SM-7KUDV 70-79 years, female 3011.6
GTEX-Y5V6-2326-SM-4VDSA 60-69 years, male 2990.3
GTEX-WHSB-1326-SM-3LK6W 50-59 years, male 2984.3
GTEX-14ICL-1626-SM-5YYAO 30-39 years, male 2976.6
GTEX-13NYS-0626-SM-5L3F1 60-69 years, male 2947.3
GTEX-11OF3-0126-SM-5PNYF 60-69 years, male 2944.3
GTEX-1PIGE-1826-SM-E8VOU 20-29 years, male 2929.4
GTEX-1PPH8-0126-SM-EWRN8 20-29 years, male 2921.2
GTEX-1S82P-2126-SM-E6CI5 60-69 years, female 2886.7
GTEX-17F9E-2326-SM-79OKD 50-59 years, male 2858.5
GTEX-1HCUA-0826-SM-ADEHM 50-59 years, female 2855.7
GTEX-Y111-0626-SM-4SOIT 50-59 years, male 2852.8
GTEX-1399S-0126-SM-5IJCF 30-39 years, female 2843.9
GTEX-ZVZP-1226-SM-5GID7 50-59 years, male 2810.3
GTEX-1HBPN-0126-SM-CGQEF 50-59 years, male 2810.0
GTEX-ZYW4-0626-SM-59HJR 60-69 years, male 2808.1
GTEX-ZT9X-1526-SM-5DUXD 40-49 years, male 2788.4
GTEX-1MJK3-0726-SM-E6CJC 20-29 years, male 2778.2
GTEX-1LKK1-2626-SM-DKPQE 50-59 years, female 2775.7
GTEX-13RTJ-0126-SM-5S2NN 60-69 years, male 2754.7
GTEX-1NV5F-0626-SM-DTXEG 60-69 years, female 2751.2
GTEX-1MCYP-0526-SM-E9U6Q 20-29 years, female 2737.3
GTEX-1I1GT-1026-SM-ARZLV 60-69 years, female 2736.6
GTEX-13IVO-0726-SM-5LZYV 70-79 years, male 2731.8
GTEX-1N2DV-1526-SM-DTXEP 40-49 years, male 2731.3
GTEX-14C39-1726-SM-5RQIL 40-49 years, male 2724.9
GTEX-ZF29-0926-SM-4WKFZ 60-69 years, female 2715.8
GTEX-14E1K-2026-SM-7DUEI 50-59 years, male 2708.6
GTEX-131XG-0326-SM-5L3DX 50-59 years, female 2692.7
GTEX-1RMOY-1326-SM-E9TIH 50-59 years, male 2689.4
GTEX-17HII-1426-SM-7EPGG 50-59 years, male 2661.3
GTEX-11ZU8-0126-SM-5EQ58 60-69 years, male 2659.1
GTEX-13W3W-0726-SM-5IJDQ 60-69 years, female 2657.2
GTEX-17F97-2626-SM-7IGM5 50-59 years, male 2652.4
GTEX-11DXZ-2026-SM-5987S 50-59 years, male 2612.9
GTEX-15RIE-1926-SM-7KUKJ 60-69 years, male 2608.1
GTEX-14PJO-2526-SM-6AJBQ 60-69 years, male 2601.5
GTEX-16YQH-2226-SM-7IGM2 30-39 years, male 2594.2
GTEX-1GPI7-1826-SM-9KNU1 20-29 years, male 2578.9
GTEX-ZTTD-2826-SM-4YCFA 50-59 years, male 2576.9
GTEX-1S82U-1026-SM-E6CJK 30-39 years, female 2564.0
GTEX-ZVP2-0326-SM-57WBP 50-59 years, male 2562.7
GTEX-Y3IK-1626-SM-4YCF5 50-59 years, female 2561.4
GTEX-YFCO-1226-SM-5LUAT 40-49 years, male 2539.6
GTEX-13NYB-0126-SM-5J1MD 40-49 years, male 2532.0
GTEX-18QFQ-1826-SM-72D52 30-39 years, male 2532.0
GTEX-1QP2A-1726-SM-E76QC 50-59 years, male 2521.3
GTEX-1CB4E-0926-SM-7EPHT 60-69 years, male 2517.2
GTEX-14DAR-1226-SM-73KYV 50-59 years, male 2516.2
GTEX-1B97I-0626-SM-73KUZ 40-49 years, male 2504.5
GTEX-131XH-0126-SM-5LZUY 50-59 years, male 2493.5
GTEX-17HHE-1326-SM-7EWDZ 50-59 years, male 2477.8
GTEX-ZYY3-2926-SM-5GIEB 60-69 years, female 2471.9
GTEX-1H11D-1826-SM-9QEHM 40-49 years, male 2469.1
GTEX-1J1OQ-0126-SM-D4P2N 40-49 years, female 2459.0
GTEX-1QP28-1126-SM-EVYC4 50-59 years, female 2458.4
GTEX-11P7K-1126-SM-5HL4L 30-39 years, male 2454.6
GTEX-147F4-0726-SM-5TDDD 50-59 years, male 2450.2
GTEX-11DXX-2126-SM-5PNYR 60-69 years, female 2446.5
GTEX-1HGF4-0126-SM-CNPPX 60-69 years, male 2417.8
GTEX-1LSNM-0826-SM-DIPG8 50-59 years, male 2407.1
GTEX-12WSH-1526-SM-5BC5W 50-59 years, male 2406.5
GTEX-1H2FU-0926-SM-9WPPT 60-69 years, female 2405.8
GTEX-ZE7O-2726-SM-51MT5 50-59 years, female 2405.2
GTEX-1H3VE-0726-SM-9YFL5 40-49 years, male 2398.6
GTEX-139TS-2126-SM-5K7XC 60-69 years, male 2398.0
GTEX-1F6I4-2326-SM-7RHGL 60-69 years, male 2394.5
GTEX-13O61-1426-SM-5KM3D 60-69 years, male 2390.5
GTEX-WH7G-2026-SM-3NMBL 40-49 years, male 2388.8
GTEX-1AYD5-2626-SM-7PBXY 50-59 years, male 2379.9
GTEX-1117F-2926-SM-5GZYI 60-69 years, female 2374.2
GTEX-1192X-2726-SM-5N9DN 50-59 years, male 2373.1
GTEX-XV7Q-1826-SM-4BRUV 40-49 years, female 2372.6
GTEX-15RJE-2826-SM-7KUM9 40-49 years, male 2363.8
GTEX-11WQK-1026-SM-5EQLX 50-59 years, male 2361.0
GTEX-16AAH-0626-SM-793C9 50-59 years, male 2352.3
GTEX-YECK-0326-SM-4W1YS 60-69 years, male 2350.3
GTEX-11P81-2226-SM-5PNYI 30-39 years, female 2347.4
GTEX-1LVAN-0626-SM-CNPOQ 50-59 years, female 2344.7
GTEX-1NSGN-0726-SM-DTXEF 50-59 years, male 2340.3
GTEX-ZA64-1026-SM-5HL8R 20-29 years, male 2336.9
GTEX-1CB4J-1326-SM-7P8RX 60-69 years, male 2320.8
GTEX-13PL6-1126-SM-5L3IE 40-49 years, female 2319.5
GTEX-13FTX-1526-SM-5K7VJ 20-29 years, female 2316.9
GTEX-15DYW-2726-SM-6EU2I 60-69 years, female 2313.7
GTEX-11DYG-1526-SM-5A5JS 60-69 years, male 2309.1
GTEX-1CAMQ-1326-SM-7P8RV 40-49 years, male 2303.5
GTEX-147GR-2426-SM-5ZZWQ 60-69 years, male 2301.1
GTEX-1HSMQ-2626-SM-A9SML 50-59 years, male 2292.0
GTEX-15G1A-1626-SM-7KUKN 30-39 years, male 2291.6
GTEX-ZAB4-2126-SM-5HL8U 40-49 years, male 2290.5
GTEX-15G19-2426-SM-7KUMR 60-69 years, male 2285.1
GTEX-14PHX-2226-SM-6EU2P 50-59 years, male 2281.9
GTEX-1S3DN-2126-SM-E9TIN 50-59 years, male 2261.2
GTEX-1QW4Y-1126-SM-DTXE3 30-39 years, male 2252.9
GTEX-15CHR-1126-SM-7EWF4 50-59 years, male 2252.6
GTEX-YEC4-1826-SM-4W1YP 40-49 years, male 2251.7
GTEX-13PDP-0726-SM-5L3HP 60-69 years, male 2250.8
GTEX-1EH9U-2826-SM-7DUGT 60-69 years, male 2243.1
GTEX-XUW1-0926-SM-4BONX 50-59 years, female 2236.5
GTEX-1PPH7-1126-SM-DTX9A 40-49 years, male 2236.1
GTEX-17F96-0126-SM-7EWDU 70-79 years, male 2233.5
GTEX-XK95-0226-SM-4AT58 40-49 years, male 2233.1
GTEX-14PHY-1226-SM-5ZZWK 60-69 years, female 2232.3
GTEX-18A67-1626-SM-7LT9T 50-59 years, male 2228.3
GTEX-1JMQJ-0826-SM-CNPP7 50-59 years, male 2225.3
GTEX-13FTY-2126-SM-5IFFB 40-49 years, female 2223.6
GTEX-17MFQ-1526-SM-7KFRR 20-29 years, male 2223.3
GTEX-13X6H-0926-SM-5SIB2 50-59 years, female 2221.9
GTEX-13NYC-0126-SM-5L3F4 60-69 years, male 2221.7
GTEX-1PIIG-2326-SM-DTXFR 30-39 years, male 2220.4
GTEX-13D11-0926-SM-5J2NC 50-59 years, female 2220.0
GTEX-14PII-0726-SM-6EU2B 60-69 years, male 2218.5
GTEX-1LGRB-0926-SM-COH3K 50-59 years, female 2217.8
GTEX-1R9PN-0426-SM-DTXDT 40-49 years, female 2215.0
GTEX-XQ8I-0926-SM-4BOOF 50-59 years, male 2198.3
GTEX-14E6E-0526-SM-793DN 30-39 years, male 2187.6
GTEX-1K2DA-1026-SM-CGQGF 50-59 years, male 2185.0
GTEX-16MT8-2926-SM-7DUFO 60-69 years, female 2178.4
GTEX-1R46S-2426-SM-E76QA 60-69 years, female 2178.3
GTEX-1HB9E-0126-SM-CM2S5 50-59 years, male 2172.3
GTEX-ZF2S-1626-SM-57WES 50-59 years, female 2168.4
GTEX-14PJ5-1526-SM-6LLIL 60-69 years, female 2168.2
GTEX-ZC5H-1526-SM-5HL9Y 40-49 years, female 2166.0
GTEX-13G51-1826-SM-5KLZH 60-69 years, male 2161.4
GTEX-1KAFJ-0126-SM-DIPEK 50-59 years, male 2157.6
GTEX-ZLFU-1826-SM-4WWBV 40-49 years, male 2157.0
GTEX-14XAO-1226-SM-6EU1C 60-69 years, female 2152.5
GTEX-14753-0726-SM-5QGQO 60-69 years, male 2149.8
GTEX-139TU-0726-SM-5L3EK 60-69 years, male 2147.3
GTEX-13X6K-0626-SM-5LU5D 60-69 years, female 2143.6
GTEX-1497J-0226-SM-5QGPU 60-69 years, male 2141.9
GTEX-1LVAM-0726-SM-E6CIL 50-59 years, female 2141.4
GTEX-1H1ZS-2726-SM-9WG75 70-79 years, male 2141.1
GTEX-11PRG-0726-SM-5EGL1 50-59 years, male 2140.7
GTEX-ZZPU-0826-SM-5GZX5 50-59 years, female 2136.7
GTEX-1JJE9-2626-SM-ARZMT 70-79 years, male 2136.2
GTEX-13QJC-0126-SM-5ZZWJ 60-69 years, female 2133.5
GTEX-1F75I-2226-SM-7SB8U 40-49 years, male 2133.0
GTEX-14PK6-0226-SM-62LF5 70-79 years, female 2132.5
GTEX-1S5ZU-2526-SM-E6CIF 20-29 years, female 2130.3
GTEX-XYKS-1426-SM-4BRUO 60-69 years, female 2126.9
GTEX-1M4P7-0726-SM-E6CJ3 60-69 years, male 2123.8
GTEX-1A3MW-0626-SM-731CB 60-69 years, female 2118.9
GTEX-111CU-1126-SM-5EGIM 50-59 years, male 2118.6
GTEX-1122O-1026-SM-9WYSF 60-69 years, female 2104.3
GTEX-1GN1V-2826-SM-9JGIA 60-69 years, male 2104.2
GTEX-11ZTT-2126-SM-5CVLO 60-69 years, female 2103.0
GTEX-1J8EW-2726-SM-CY8HR 60-69 years, female 2096.7
GTEX-1R9PM-1926-SM-EVR3O 20-29 years, male 2093.1
GTEX-1B8KE-1126-SM-7EPHI 50-59 years, male 2092.7
GTEX-18D9A-1426-SM-7LT8M 30-39 years, female 2084.9
GTEX-ZYT6-2326-SM-5GZY3 30-39 years, male 2081.3
GTEX-1QPFJ-1926-SM-EVYBD 30-39 years, female 2080.2
GTEX-17EVP-2626-SM-7IGMA 40-49 years, male 2075.6
GTEX-ZPIC-0526-SM-DO91W 40-49 years, female 2075.0
GTEX-Y5LM-0926-SM-6LLJG 40-49 years, female 2073.8
GTEX-1JN76-0626-SM-CKZOQ 20-29 years, female 2073.4
GTEX-WHWD-1826-SM-3LK6I 50-59 years, male 2073.3
GTEX-X8HC-0626-SM-4E3HQ 50-59 years, female 2072.2
GTEX-ZDTT-0426-SM-4WKFL 60-69 years, male 2071.7
GTEX-14PJ4-0226-SM-5YY92 60-69 years, male 2070.0
GTEX-ZLV1-1526-SM-DO91J 60-69 years, female 2066.9
GTEX-ZDYS-2426-SM-4WKGI 50-59 years, male 2066.3
GTEX-13OVJ-0826-SM-5J1OK 50-59 years, female 2061.8
GTEX-15DDE-2926-SM-6LLJ3 50-59 years, female 2058.8
GTEX-1QCLY-0226-SM-EWRNH 30-39 years, male 2058.2
GTEX-11DZ1-2426-SM-5GZZX 50-59 years, male 2057.1
GTEX-183WM-0326-SM-72D5V 70-79 years, female 2051.6
GTEX-133LE-2326-SM-5K7W3 20-29 years, female 2038.1
GTEX-W5X1-2526-SM-3GILC 40-49 years, female 2033.7
GTEX-1H23P-0626-SM-9WG6T 60-69 years, male 2033.1
GTEX-139D8-1126-SM-5LU8W 30-39 years, female 2026.9
GTEX-14PKV-1126-SM-6LLJ1 20-29 years, female 2022.8
GTEX-1399U-1126-SM-5L3DB 50-59 years, female 2021.8
GTEX-1EX96-1026-SM-7MKG2 50-59 years, male 2021.1
GTEX-1HFI7-2326-SM-CGQFS 50-59 years, female 2021.0
GTEX-1A3MV-1826-SM-731CD 30-39 years, male 2019.3
GTEX-1PDJ9-1226-SM-EXUSX 20-29 years, male 2015.0
GTEX-13112-0126-SM-5P9IU 50-59 years, male 2009.9
GTEX-1GZ4H-0526-SM-9KNU9 50-59 years, female 2002.6
GTEX-1C6WA-2626-SM-7MKGM 60-69 years, male 2002.3
GTEX-14LZ3-0126-SM-69LPM 60-69 years, female 2000.7
GTEX-ZYFG-1526-SM-5GZYM 60-69 years, female 1996.6
GTEX-13U4I-2226-SM-5LU5H 40-49 years, female 1994.8
GTEX-144GM-0526-SM-79OJO 20-29 years, male 1994.2
GTEX-ZP4G-1426-SM-4WWCL 20-29 years, female 1991.8
GTEX-131XF-2626-SM-5EQ6K 60-69 years, male 1991.0
GTEX-1HBPI-2126-SM-ARL9K 50-59 years, male 1990.6
GTEX-14PJ3-1126-SM-5ZZVX 50-59 years, male 1990.2
GTEX-WXYG-2026-SM-4E3IY 50-59 years, female 1988.0
GTEX-Y8E4-2026-SM-5IFJB 40-49 years, male 1977.7
GTEX-18D9U-0126-SM-731BM 40-49 years, male 1976.6
GTEX-12WSF-1626-SM-7KUG5 70-79 years, male 1973.4
GTEX-1JJEA-1826-SM-ARU8P 60-69 years, male 1973.0
GTEX-ZWKS-0626-SM-5GIDV 30-39 years, male 1971.0
GTEX-13VXT-1926-SM-5K7UO 20-29 years, female 1962.0
GTEX-XQ3S-1426-SM-4BOPR 20-29 years, male 1961.5
GTEX-132AR-0326-SM-5KM2C 50-59 years, female 1955.5
GTEX-1C2JI-1026-SM-73KY1 50-59 years, male 1954.5
GTEX-1313W-0626-SM-5EQ4H 50-59 years, female 1953.9
GTEX-14PJ6-2626-SM-6EU2T 60-69 years, female 1949.7
GTEX-12ZZZ-0726-SM-5GCNZ 60-69 years, male 1949.0
GTEX-145MN-1526-SM-5SI9T 30-39 years, male 1949.0
GTEX-1HCU7-0726-SM-A9SL1 50-59 years, male 1944.5
GTEX-14JG1-1526-SM-5YY9X 40-49 years, male 1944.1
GTEX-13SLX-2226-SM-62LEP 50-59 years, female 1939.1
GTEX-XPVG-2126-SM-4B667 50-59 years, male 1938.9
GTEX-1QAET-0326-SM-EVR3U 50-59 years, male 1938.8
GTEX-1I1GU-0926-SM-ACKVS 40-49 years, male 1933.8
GTEX-13N11-2326-SM-5IJBF 50-59 years, female 1932.9
GTEX-12WSK-2126-SM-5CVNC 40-49 years, female 1930.9
GTEX-11O72-0626-SM-5PNYE 40-49 years, male 1927.2
GTEX-15SHW-0226-SM-7LTAT 60-69 years, male 1926.9
GTEX-XOT4-0626-SM-4B66L 60-69 years, female 1926.4
GTEX-1JMQK-1226-SM-D4P2S 60-69 years, male 1925.6
GTEX-139YR-1026-SM-5LZYN 50-59 years, male 1924.0
GTEX-1JKYR-0626-SM-ARL8R 20-29 years, male 1923.9
GTEX-14AS3-1526-SM-5Q5ED 40-49 years, female 1920.9
GTEX-1AX8Z-0726-SM-73KTS 60-69 years, male 1920.8
GTEX-1F52S-2926-SM-7MKGA 60-69 years, female 1920.0
GTEX-1JK1U-0226-SM-ARZMX 60-69 years, male 1914.7
GTEX-1EMGI-2326-SM-7PBYA 60-69 years, male 1911.4
GTEX-ZDTS-0826-SM-4WKHL 60-69 years, male 1910.9
GTEX-14ABY-2026-SM-62LDL 50-59 years, male 1909.2
GTEX-Z93S-1626-SM-5CVMB 50-59 years, male 1904.5
GTEX-11P82-1426-SM-DTXFY 20-29 years, male 1902.9
GTEX-ZVT2-0126-SM-5GIDQ 50-59 years, female 1901.2
GTEX-1OJC4-2726-SM-E76PJ 50-59 years, female 1900.9
GTEX-1H1DE-1326-SM-9KNUG 20-29 years, male 1900.2
GTEX-1LSVX-2526-SM-DIPEU 60-69 years, male 1900.2
GTEX-15FZZ-0526-SM-7KUGD 30-39 years, female 1899.6
GTEX-Y8LW-1526-SM-5IFHL 50-59 years, female 1899.0
GTEX-1GMRU-2126-SM-7P8RA 50-59 years, male 1897.8
GTEX-1LVA9-2626-SM-EVYD4 50-59 years, male 1896.8
GTEX-11DXY-0126-SM-5H11Q 60-69 years, male 1896.1
GTEX-14LLW-2626-SM-62LDZ 70-79 years, female 1894.3
GTEX-1C6VQ-1226-SM-73KYD 50-59 years, male 1891.9
GTEX-1LG7Y-2526-SM-EWRO7 50-59 years, male 1890.7
GTEX-1IKJJ-2226-SM-CJI4C 60-69 years, male 1890.1
GTEX-XXEK-1626-SM-4BRUZ 50-59 years, male 1889.5
GTEX-1C64N-2626-SM-7PC2N 50-59 years, male 1882.6
GTEX-1RAZS-2526-SM-E6CHT 50-59 years, male 1880.7
GTEX-11TUW-0626-SM-5LU9M 60-69 years, male 1875.8
GTEX-1B996-0426-SM-7EWF8 60-69 years, male 1865.1
GTEX-1I1GV-0626-SM-ARL7M 60-69 years, male 1863.9
GTEX-14PJN-1826-SM-6AJ98 30-39 years, male 1863.4
GTEX-1K2DU-1226-SM-CYPT4 20-29 years, male 1860.8
GTEX-ZPU1-1126-SM-4YCF3 40-49 years, male 1855.5
GTEX-139T8-0626-SM-5KLZX 60-69 years, male 1852.9
GTEX-WHPG-2626-SM-3NMBR 50-59 years, male 1850.3
GTEX-14A5H-0826-SM-5QGPJ 60-69 years, male 1849.2
GTEX-18465-2826-SM-7LT9J 50-59 years, male 1848.6
GTEX-1J1R8-2026-SM-CL53Y 40-49 years, male 1847.4
GTEX-ZVE1-0726-SM-51MRN 50-59 years, female 1845.1
GTEX-11NSD-0626-SM-5A5LU 20-29 years, male 1844.1
GTEX-117YX-1926-SM-5GIEC 50-59 years, male 1840.7
GTEX-1PPGY-1626-SM-EVYBL 60-69 years, male 1829.8
GTEX-ZY6K-1426-SM-5GZX2 50-59 years, male 1827.5
GTEX-1I1GS-2626-SM-B2LY3 60-69 years, male 1827.0
GTEX-X5EB-1926-SM-4E3IW 40-49 years, male 1824.8
GTEX-11EQ8-0926-SM-5H12V 60-69 years, male 1815.3
GTEX-145MH-2826-SM-5RQJF 50-59 years, male 1813.9
GTEX-144GO-2026-SM-5O99P 60-69 years, male 1813.3
GTEX-13OVH-0526-SM-5L3E6 70-79 years, male 1812.7
GTEX-11WQC-1826-SM-5GU59 60-69 years, male 1810.1
GTEX-1BAJH-2426-SM-7IGP8 70-79 years, male 1808.9
GTEX-1GTWX-2026-SM-9YFLM 60-69 years, male 1808.5
GTEX-139TT-2126-SM-5LZWC 60-69 years, male 1802.4
GTEX-17F9Y-0126-SM-79OKX 70-79 years, female 1800.3
GTEX-1JJ6O-2726-SM-CNPOG 60-69 years, male 1799.6
GTEX-12WSA-0426-SM-5EQ5X 60-69 years, male 1795.7
GTEX-14C5O-0326-SM-5ZZUX 60-69 years, male 1790.8
GTEX-1I1GP-1326-SM-A9G28 50-59 years, male 1787.0
GTEX-WHSE-0126-SM-3NMBT 20-29 years, male 1786.9
GTEX-1H3O1-1326-SM-9MQLD 60-69 years, male 1786.2
GTEX-1C64O-1326-SM-7MGWR 60-69 years, male 1781.8
GTEX-XBED-1926-SM-47JYP 60-69 years, male 1776.6
GTEX-13FTW-0326-SM-5K7UW 40-49 years, male 1776.2
GTEX-1HSMP-0926-SM-A9SKX 70-79 years, male 1775.6
GTEX-12BJ1-0926-SM-5EQ62 60-69 years, male 1775.0
GTEX-11NUK-2726-SM-5A5MC 50-59 years, male 1773.4
GTEX-1R9K4-2826-SM-DTX8F 60-69 years, male 1770.8
GTEX-1211K-1526-SM-5FQU4 60-69 years, female 1767.1
GTEX-1GN73-0726-SM-7P8TJ 60-69 years, male 1766.8
GTEX-16Z82-2626-SM-7KULU 60-69 years, male 1766.4
GTEX-1CB4F-1026-SM-7DUH1 60-69 years, male 1762.8
GTEX-ZYVF-0926-SM-5E44J 50-59 years, female 1762.3
GTEX-1477Z-0326-SM-7IGLA 60-69 years, male 1762.0
GTEX-13FHO-0426-SM-5L3F5 60-69 years, male 1761.8
GTEX-13X6I-1826-SM-5SIAO 60-69 years, male 1756.7
GTEX-17HGU-2326-SM-7DUFE 50-59 years, male 1755.8
GTEX-1JMQL-2226-SM-CNPP4 50-59 years, female 1755.3
GTEX-111YS-1526-SM-5GZYW 60-69 years, male 1754.3
GTEX-1IDJI-0126-SM-CMKHS 50-59 years, female 1753.9
GTEX-13QBU-1226-SM-5LU4G 40-49 years, female 1752.7
GTEX-1GMR2-0826-SM-7PC3V 50-59 years, male 1752.3
GTEX-1S831-1826-SM-EWROF 20-29 years, male 1752.3
GTEX-14C38-0726-SM-5SI6M 50-59 years, male 1752.2
GTEX-1PBJJ-1026-SM-E76OS 30-39 years, male 1750.8
GTEX-139UW-0326-SM-5J1ML 60-69 years, male 1744.8
GTEX-111VG-1626-SM-5EGIO 60-69 years, male 1744.0
GTEX-16XZZ-0726-SM-7KUF2 60-69 years, male 1739.9
GTEX-11UD2-2526-SM-5CVNU 50-59 years, male 1739.4
GTEX-13NZ8-1226-SM-5KM4A 60-69 years, female 1738.1
GTEX-14E6C-2426-SM-5S2NF 40-49 years, male 1737.9
GTEX-1CAMR-1326-SM-7PC1F 20-29 years, male 1737.4
GTEX-145LS-0626-SM-7EPG7 60-69 years, female 1734.4
GTEX-14BIN-1126-SM-5RQJZ 50-59 years, female 1732.0
GTEX-147F3-1726-SM-5SIAW 50-59 years, female 1731.8
GTEX-1F5PK-2226-SM-7SB6N 50-59 years, male 1730.5
GTEX-15D1Q-2826-SM-6LLH7 40-49 years, male 1729.3
GTEX-1N2EE-0626-SM-E76PW 60-69 years, male 1729.3
GTEX-14BMU-1226-SM-5S2OR 20-29 years, female 1728.6
GTEX-148VJ-0626-SM-5LUAW 70-79 years, male 1724.7
GTEX-145MG-1526-SM-5Q5EM 50-59 years, male 1713.9
GTEX-X4EO-2926-SM-4E3JH 60-69 years, female 1713.8
GTEX-15EO6-2426-SM-6PALZ 50-59 years, male 1712.7
GTEX-1GZ2Q-0126-SM-9WG6M 40-49 years, male 1712.2
GTEX-18D9B-0926-SM-7LG4U 60-69 years, male 1706.9
GTEX-1JMQI-1726-SM-ARL93 50-59 years, male 1703.6
GTEX-YB5K-2026-SM-4VDT3 40-49 years, female 1702.8
GTEX-UPJH-0226-SM-3GADV 50-59 years, male 1697.1
GTEX-15SKB-2826-SM-6PAMH 60-69 years, male 1696.9
GTEX-1JKYN-0826-SM-ARU8S 30-39 years, male 1695.5
GTEX-1HBPM-0726-SM-9YFL7 60-69 years, female 1694.1
GTEX-1399R-1326-SM-5PNYS 30-39 years, male 1688.6
GTEX-17KNJ-2126-SM-718AM 50-59 years, male 1685.1
GTEX-1I4MK-0126-SM-CY8G6 50-59 years, female 1684.0
GTEX-1RLM8-2926-SM-E8VON 50-59 years, male 1683.9
GTEX-16BQI-1326-SM-6M486 30-39 years, female 1680.0
GTEX-ZXG5-2126-SM-59HKD 60-69 years, male 1678.5
GTEX-1LVAO-2726-SM-E9TJ8 60-69 years, male 1675.7
GTEX-1CB4I-0126-SM-7RHGG 50-59 years, male 1675.6
GTEX-13FH7-1126-SM-5K7UG 50-59 years, female 1674.7
GTEX-1HFI6-0126-SM-CNPPI 40-49 years, male 1668.4
GTEX-15EU6-2226-SM-6EU2L 50-59 years, male 1661.5
GTEX-1H1DG-2426-SM-9QEHJ 70-79 years, male 1661.5
GTEX-1EN7A-2426-SM-793DB 40-49 years, male 1660.7
GTEX-1CB4H-1126-SM-7MKGL 60-69 years, female 1657.8
GTEX-1IDFM-0326-SM-ARL7V 60-69 years, male 1656.8
GTEX-1F6RS-2026-SM-7RHHC 60-69 years, female 1651.6
GTEX-12126-0826-SM-5FQTZ 20-29 years, male 1642.9
GTEX-ZAK1-0626-SM-5HL8E 50-59 years, female 1642.0
GTEX-1IY9M-2826-SM-ARU8H 60-69 years, male 1641.5
GTEX-1MCC2-1826-SM-DIPEX 30-39 years, female 1638.6
GTEX-11EQ9-1626-SM-5PNY8 30-39 years, male 1635.0
GTEX-XMD2-2126-SM-4YCF8 60-69 years, female 1634.3
GTEX-12ZZY-0726-SM-5EQ66 60-69 years, male 1633.6
GTEX-1O9I2-0226-SM-EYYXD 50-59 years, male 1633.6
GTEX-16MT9-0126-SM-7EPI8 60-69 years, female 1633.3
GTEX-WY7C-2126-SM-3NB2R 50-59 years, male 1631.0
GTEX-13OW5-2326-SM-5L3HO 60-69 years, male 1630.4
GTEX-145LU-1926-SM-79OJN 50-59 years, male 1630.0
GTEX-15CHQ-0326-SM-69LQD 60-69 years, male 1629.8
GTEX-13SLW-0626-SM-5Q5ER 70-79 years, male 1628.8
GTEX-1J8QM-2426-SM-A9SLS 60-69 years, female 1623.8
GTEX-1IDJU-1726-SM-CMKHU 60-69 years, female 1621.5
GTEX-XAJ8-1426-SM-47JYM 40-49 years, male 1620.6
GTEX-1F48J-0726-SM-7RHGS 50-59 years, female 1615.9
GTEX-1HCU6-2526-SM-ADEHL 60-69 years, female 1614.9
GTEX-1H1E6-0426-SM-9WYUS 30-39 years, male 1614.4
GTEX-1212Z-0126-SM-59HK4 60-69 years, male 1612.7
GTEX-1LB8K-0726-SM-D5OV2 50-59 years, male 1610.5
GTEX-1R7EU-1626-SM-DTXG3 60-69 years, male 1610.0
GTEX-1HKZK-0726-SM-ACKW2 40-49 years, male 1604.4
GTEX-17F98-1326-SM-7DUEP 40-49 years, female 1602.7
GTEX-14PKU-0126-SM-6LLHV 40-49 years, female 1598.6
GTEX-1K9T9-1526-SM-DIPFR 50-59 years, female 1595.9
GTEX-12ZZX-2426-SM-5GCOE 40-49 years, female 1594.8
GTEX-18A6Q-0626-SM-7KFRP 60-69 years, male 1589.2
GTEX-13O3Q-0126-SM-5KM34 50-59 years, male 1587.1
GTEX-1POEN-2326-SM-E9J2L 30-39 years, female 1585.7
GTEX-1N5O9-0926-SM-E9J3C 60-69 years, male 1585.1
GTEX-1HSGN-0826-SM-ACKW3 40-49 years, female 1584.6
GTEX-13OVG-1626-SM-5J1NF 60-69 years, male 1582.7
GTEX-1RB15-1326-SM-E76Q9 60-69 years, male 1580.0
GTEX-1F75B-0726-SM-7PC3R 50-59 years, male 1579.5
GTEX-1I6K7-1926-SM-B2LXR 40-49 years, male 1577.3
GTEX-15RJ7-2126-SM-6PAMD 40-49 years, male 1576.2
GTEX-11TT1-1826-SM-5EQLV 20-29 years, male 1574.6
GTEX-1GMR8-0626-SM-7RHI7 50-59 years, female 1574.0
GTEX-1B8SF-0126-SM-7DUG3 60-69 years, male 1573.2
GTEX-XBEC-0726-SM-4QARZ 50-59 years, male 1572.8
GTEX-13OW8-1026-SM-5J1NQ 60-69 years, male 1570.9
GTEX-15ER7-0626-SM-6PANF 20-29 years, female 1569.6
GTEX-1HR98-2226-SM-ADEI2 60-69 years, male 1567.0
GTEX-1HC8U-1326-SM-9YFMJ 40-49 years, female 1565.4
GTEX-X4EP-0626-SM-3P621 60-69 years, female 1561.0
GTEX-1HR9M-2226-SM-CNPPY 60-69 years, male 1560.7
GTEX-1JN1M-2726-SM-CY8I4 60-69 years, female 1560.3
GTEX-YEC3-1326-SM-DO92X 50-59 years, male 1560.0
GTEX-13OW6-2726-SM-5J2OE 50-59 years, male 1556.3
GTEX-1S83E-1326-SM-E6CJM 40-49 years, male 1555.9
GTEX-ZU9S-1826-SM-5NQ9E 30-39 years, male 1555.0
GTEX-1KANA-1326-SM-DIPFA 20-29 years, male 1549.1
GTEX-1HT8W-0626-SM-A9G2H 30-39 years, male 1546.9
GTEX-1GPI6-1926-SM-9KNV7 60-69 years, male 1543.9
GTEX-16NPX-0726-SM-7KULC 50-59 years, male 1541.2
GTEX-1ICLY-0826-SM-CMKG1 50-59 years, male 1538.9
GTEX-145ME-1726-SM-5Q5EU 40-49 years, female 1529.0
GTEX-12WSD-0626-SM-5GCMW 60-69 years, female 1526.5
GTEX-VUSG-2326-SM-4KL1U 50-59 years, male 1524.9
GTEX-ZE9C-2526-SM-5IJDR 60-69 years, male 1524.7
GTEX-1JMOU-1026-SM-CYPSS 60-69 years, female 1524.2
GTEX-145LT-0526-SM-5LUB2 40-49 years, male 1520.6
GTEX-17MF6-2626-SM-79OKQ 40-49 years, male 1516.5
GTEX-1HCU8-2526-SM-CE6RX 60-69 years, female 1515.9
GTEX-1IE54-1126-SM-A9G2Z 40-49 years, female 1515.7
GTEX-1A8G6-2726-SM-731AR 60-69 years, male 1507.9
GTEX-1I1HK-2326-SM-CKZOH 60-69 years, male 1507.7
GTEX-X3Y1-2026-SM-3P5YM 40-49 years, male 1505.5
GTEX-U8XE-0226-SM-4E3J3 30-39 years, male 1504.5
GTEX-1LBAC-0826-SM-CY8IJ 20-29 years, male 1503.6
GTEX-13PVR-0426-SM-5RQK2 60-69 years, female 1503.2
GTEX-1GF9V-0826-SM-9KNUV 60-69 years, male 1502.7
GTEX-11VI4-1126-SM-5EQMD 40-49 years, female 1500.5
GTEX-1JMPZ-0726-SM-CY8HZ 30-39 years, male 1500.0
GTEX-1H4P4-2126-SM-9WYSL 50-59 years, male 1499.4
GTEX-ZDXO-3126-SM-5IJDF 60-69 years, male 1495.8
GTEX-1AX9I-2226-SM-73KUO 60-69 years, male 1494.8
GTEX-131XW-0626-SM-5PNVD 50-59 years, female 1491.9
GTEX-ZYFD-0626-SM-5E44E 50-59 years, male 1489.8
GTEX-13VXU-0626-SM-5L3F9 50-59 years, male 1489.6
GTEX-13PVQ-0626-SM-5LU47 50-59 years, male 1488.0
GTEX-11GSP-2326-SM-5HL63 60-69 years, female 1487.2
GTEX-ZAJG-1526-SM-5CVML 50-59 years, female 1486.6
GTEX-145MF-0926-SM-5Q5EA 50-59 years, male 1486.3
GTEX-11EM3-1226-SM-5N9DD 20-29 years, female 1485.8
GTEX-1B8L1-2226-SM-7P8PT 60-69 years, male 1485.3
GTEX-1A8G7-1326-SM-73KVM 60-69 years, male 1484.1
GTEX-1AMFI-1326-SM-7939R 50-59 years, female 1480.6
GTEX-1GZ4I-2626-SM-9KNU3 50-59 years, male 1480.0
GTEX-1JN6P-2926-SM-CL54D 60-69 years, male 1477.2
GTEX-1IOXB-2726-SM-CM2RI 50-59 years, male 1475.8
GTEX-18A66-0626-SM-7LT8Z 60-69 years, male 1470.8
GTEX-Y5V5-0126-SM-5S2NW 60-69 years, female 1467.0
GTEX-1B8KZ-0326-SM-73KY4 50-59 years, male 1466.9
GTEX-1QMI2-2526-SM-E8VNZ 60-69 years, male 1464.7
GTEX-12C56-1526-SM-5FQUQ 20-29 years, male 1455.7
GTEX-11ZUS-2626-SM-5FQUR 30-39 years, male 1452.9
GTEX-1F75A-0726-SM-7RHHD 50-59 years, male 1452.8
GTEX-13YAN-0226-SM-5TDC6 60-69 years, male 1451.9
GTEX-1I19N-0126-SM-CYPSF 70-79 years, male 1450.3
GTEX-12696-0126-SM-5EQ4L 60-69 years, male 1448.1
GTEX-1F88F-0126-SM-9WYSZ 60-69 years, female 1446.0
GTEX-11LCK-2226-SM-5HL4Q 30-39 years, male 1445.7
GTEX-1E1VI-0326-SM-793D1 50-59 years, male 1438.6
GTEX-1KXAM-1626-SM-D3LAD 60-69 years, male 1434.1
GTEX-1J8Q3-0526-SM-ARL8U 60-69 years, male 1432.3
GTEX-1H1CY-0126-SM-9YFLY 60-69 years, female 1431.8
GTEX-1KD5A-0126-SM-E9U54 50-59 years, male 1428.9
GTEX-1269C-0126-SM-5EQ5L 60-69 years, female 1426.7
GTEX-1GL5R-1326-SM-7RHHF 50-59 years, male 1423.2
GTEX-1ICG6-1226-SM-A9SLN 70-79 years, female 1421.4
GTEX-14B4R-1326-SM-5Q5EZ 30-39 years, male 1419.0
GTEX-1EU9M-1426-SM-793AI 60-69 years, male 1417.4
GTEX-11DXW-0826-SM-5H118 40-49 years, male 1416.4
GTEX-1B932-2326-SM-79OL5 40-49 years, female 1411.2
GTEX-1F5PL-0926-SM-7PC2W 40-49 years, female 1407.5
GTEX-1GN1U-0626-SM-9MQL9 50-59 years, female 1403.6
GTEX-1GN1W-2426-SM-9KNUU 50-59 years, female 1402.1
GTEX-WEY5-2326-SM-3GIKK 40-49 years, female 1402.0
GTEX-1EKGG-0626-SM-7DUGJ 60-69 years, male 1389.1
GTEX-14A6H-2026-SM-5Q5DD 30-39 years, male 1388.6
GTEX-1GF9W-1426-SM-7PBYM 60-69 years, male 1385.1
GTEX-12584-0726-SM-5FQTK 40-49 years, male 1381.9
GTEX-1C6VR-0126-SM-7RHGB 60-69 years, male 1381.0
GTEX-1LSNL-2726-SM-E9TKJ 50-59 years, male 1379.5
GTEX-1J8Q2-2626-SM-ACKWQ 60-69 years, male 1376.5
GTEX-1C475-1326-SM-7SB73 40-49 years, female 1370.7
GTEX-1IDJH-0126-SM-D3L92 70-79 years, male 1370.0
GTEX-1HSMO-0626-SM-ACKXC 60-69 years, male 1366.0
GTEX-1AMEY-0826-SM-72D65 30-39 years, female 1363.7
GTEX-14BMV-2826-SM-5TDED 50-59 years, male 1360.8
GTEX-13OVL-0126-SM-5L3GJ 50-59 years, male 1358.9
GTEX-1GN2E-0226-SM-9WG6K 60-69 years, male 1358.8
GTEX-1IL2V-1926-SM-B2LW8 70-79 years, male 1354.3
GTEX-13OW7-0426-SM-5K7VK 50-59 years, male 1351.4
GTEX-14JFF-0626-SM-5ZZVT 60-69 years, male 1350.9
GTEX-18A7A-0126-SM-731AH 50-59 years, female 1349.9
GTEX-17EVQ-0126-SM-7IGLR 70-79 years, male 1349.7
GTEX-144GL-0626-SM-5LU4D 50-59 years, male 1348.6
GTEX-WRHU-2826-SM-3MJG8 50-59 years, female 1347.4
GTEX-1I6K6-1726-SM-CGQFD 30-39 years, male 1346.6
GTEX-12WSM-1926-SM-5BC65 60-69 years, male 1342.6
GTEX-1LGOU-1326-SM-D3L8M 20-29 years, female 1340.8
GTEX-1IDJF-2026-SM-CL53V 20-29 years, male 1338.2
GTEX-12KS4-2126-SM-5FQUT 30-39 years, male 1338.1
GTEX-13X6J-0626-SM-5LU5F 50-59 years, male 1337.2
GTEX-13NZ9-2626-SM-5L3FK 50-59 years, male 1336.2
GTEX-1HSKV-1226-SM-ADEI4 60-69 years, male 1333.2
GTEX-11GS4-0226-SM-5HL77 60-69 years, male 1330.8
GTEX-ZZ64-1026-SM-5GZXG 20-29 years, male 1328.8
GTEX-WFG8-2126-SM-3GIKQ 20-29 years, male 1324.3
GTEX-13FLV-0126-SM-5K7WT 50-59 years, male 1321.6
GTEX-1IDJC-1526-SM-B2LW4 50-59 years, male 1320.6
GTEX-13N1W-2426-SM-5IJD1 70-79 years, male 1318.8
GTEX-1B933-2426-SM-7DHMD 50-59 years, female 1315.8
GTEX-1GF9X-1326-SM-7PC2Y 40-49 years, female 1309.5
GTEX-13N2G-0226-SM-5K7VF 60-69 years, male 1302.5
GTEX-17HHY-0426-SM-7DHLC 50-59 years, male 1300.6
GTEX-1QP29-1826-SM-DTX9S 50-59 years, male 1297.6
GTEX-13OVK-1426-SM-6PAN7 40-49 years, male 1294.7
GTEX-1F88E-1626-SM-7SB8Z 60-69 years, female 1293.2
GTEX-14DAQ-0626-SM-793DS 60-69 years, female 1292.6
GTEX-1EWIQ-0326-SM-7DHMQ 70-79 years, female 1292.2
GTEX-1F6IF-0926-SM-7SB7M 60-69 years, male 1290.3
GTEX-178AV-1726-SM-7KUL8 40-49 years, male 1285.5
GTEX-ZLWG-0826-SM-59888 50-59 years, female 1282.6
GTEX-WFON-1926-SM-3LK7L 40-49 years, male 1279.5
GTEX-WK11-2726-SM-3NMAQ 50-59 years, male 1278.5
GTEX-145MO-2826-SM-5LU96 60-69 years, male 1276.4
GTEX-1QCLZ-2426-SM-EVYBW 60-69 years, female 1276.0
GTEX-18A7B-2726-SM-7LG56 70-79 years, male 1273.9
GTEX-1RAZR-2126-SM-E9U6T 40-49 years, male 1273.4
GTEX-YJ8O-2526-SM-5HL85 40-49 years, female 1272.4
GTEX-1HCU9-0426-SM-9WYSD 20-29 years, male 1271.9
GTEX-1H1DF-1126-SM-9WG7G 40-49 years, female 1268.5
GTEX-1QEPI-2626-SM-DTXF4 60-69 years, female 1267.7
GTEX-146FQ-2126-SM-5RQHU 30-39 years, male 1266.7
GTEX-1KANB-2826-SM-CY8I6 50-59 years, male 1264.8
GTEX-1KANC-1226-SM-CYPT7 50-59 years, female 1263.1
GTEX-1GMR3-0126-SM-A9SLW 40-49 years, male 1262.7
GTEX-1A32A-0626-SM-731AQ 50-59 years, female 1258.6
GTEX-ZVE2-2826-SM-5GU51 50-59 years, male 1258.3
GTEX-1LG7Z-1626-SM-CXKYR 30-39 years, male 1257.2
GTEX-13113-1626-SM-5EQ4I 60-69 years, female 1255.5
GTEX-ZTSS-1426-SM-5985P 40-49 years, male 1254.9
GTEX-WYJK-0526-SM-3NM8Z 50-59 years, male 1251.5
GTEX-1GZHY-0626-SM-9KNVC 50-59 years, female 1247.8
GTEX-1IDJD-2326-SM-ACKWX 30-39 years, male 1244.5
GTEX-145MI-0626-SM-5SI8S 60-69 years, female 1242.9
GTEX-1HCVE-2726-SM-CL54F 50-59 years, male 1239.2
GTEX-1CAV2-0126-SM-7IGN7 40-49 years, female 1232.6
GTEX-ZVT4-2426-SM-5GIEI 50-59 years, female 1218.0
GTEX-1A8FM-0626-SM-7PC25 50-59 years, female 1212.8
GTEX-1HUB1-1426-SM-CGQF5 60-69 years, male 1207.0
GTEX-ZGAY-1826-SM-DO91Q 40-49 years, female 1206.9
GTEX-15CHC-1126-SM-6LLHQ 60-69 years, female 1204.8
GTEX-12WSL-2026-SM-5GCML 50-59 years, male 1189.2
GTEX-1J8JJ-0626-SM-ARZMQ 60-69 years, female 1188.2
GTEX-13O3O-2326-SM-5IJD6 60-69 years, female 1188.0
GTEX-V1D1-2026-SM-3GAF4 50-59 years, male 1187.7
GTEX-131YS-2826-SM-5EQ47 60-69 years, female 1186.7
GTEX-UPK5-0426-SM-3GAEK 40-49 years, male 1182.5
GTEX-17HG3-2626-SM-7DUF2 30-39 years, female 1180.7
GTEX-183FY-1026-SM-7939A 20-29 years, male 1178.7
GTEX-ZVTK-0226-SM-51MRG 20-29 years, male 1166.0
GTEX-16NGA-0726-SM-731AO 40-49 years, female 1160.9
GTEX-ZT9W-1126-SM-57WDR 50-59 years, male 1141.3
GTEX-1314G-1326-SM-5BC6E 30-39 years, male 1139.6
GTEX-1IDJV-0126-SM-COH3Y 60-69 years, male 1123.5
GTEX-12WSC-2826-SM-5BC5Y 50-59 years, male 1120.1
GTEX-1A3MX-2626-SM-7PC24 60-69 years, male 1117.9
GTEX-13JUV-2026-SM-5K7UA 40-49 years, female 1116.8
GTEX-16GPK-0626-SM-7KFSF 60-69 years, male 1114.7
GTEX-1H3NZ-2726-SM-9WYTQ 60-69 years, male 1111.5
GTEX-11EI6-2826-SM-5H11D 60-69 years, male 1098.9
GTEX-1RAZA-2226-SM-E9U4X 20-29 years, male 1096.6
GTEX-147JS-0226-SM-5S2U9 60-69 years, male 1096.2
GTEX-17JCI-2926-SM-7DUFF 60-69 years, female 1075.4
GTEX-111FC-2526-SM-5GZXU 60-69 years, male 1065.2
GTEX-1KWVE-1026-SM-D3L9O 30-39 years, male 1064.7
GTEX-WYBS-0626-SM-3NMAS 60-69 years, female 1064.4
GTEX-14PJ2-0626-SM-6LLII 50-59 years, male 1062.6
GTEX-WYVS-1626-SM-3NM9R 40-49 years, female 1060.0
GTEX-1F75W-2726-SM-7SB8H 60-69 years, male 1050.2
GTEX-1AX9J-1326-SM-731BJ 60-69 years, male 1049.0
GTEX-1QP66-1226-SM-DTX7U 50-59 years, male 1028.1
GTEX-14JG6-1426-SM-9WG7C 30-39 years, female 1004.7
GTEX-VJYA-1526-SM-3GIJV 60-69 years, male 992.7
GTEX-YF7O-1526-SM-5IFI6 50-59 years, male 977.7
GTEX-1I1CD-0626-SM-CE6SW 60-69 years, female 945.9
GTEX-1IDJE-1426-SM-ADEIW 50-59 years, female 902.7
GTEX-ZYFC-0426-SM-5GICQ 50-59 years, male 895.1
GTEX-1L5NE-1126-SM-D3L9P 50-59 years, male 883.5
GTEX-ZUA1-2626-SM-5NQ92 40-49 years, male 873.9
GTEX-1GF9U-2026-SM-7SB92 40-49 years, female 724.0
Show allShow less
Skin - Sun Exposed (Lower leg)
Average nTPM: 1816.4
Samples: 701

Max nTPM: 4546.1
Min nTPM: 678.3
Std nTPM: 566.4
Median nTPM: 1726.7
GTEX-1399U-2326-SM-5K7WY 50-59 years, female 4546.1
GTEX-15SB6-1726-SM-6PAME 50-59 years, female 4451.3
GTEX-1JMLX-0226-SM-CM2RO 50-59 years, male 4230.1
GTEX-15UF6-0826-SM-6PALJ 70-79 years, female 4217.8
GTEX-O5YT-0126-SM-48TBW 20-29 years, male 4122.0
GTEX-11UD1-0126-SM-5PNYG 40-49 years, female 3940.6
GTEX-P4QT-0126-SM-2I3FL 50-59 years, female 3799.7
GTEX-WI4N-1026-SM-3LK7N 40-49 years, female 3704.0
GTEX-P4PP-0126-SM-3LK69 30-39 years, female 3658.8
GTEX-W5X1-3026-SM-EAZAX 40-49 years, female 3635.4
GTEX-Y3IK-2426-SM-4WWDU 50-59 years, female 3436.6
GTEX-1QP9N-1426-SM-DTXFL 30-39 years, male 3418.7
GTEX-RTLS-0126-SM-447CA 60-69 years, female 3356.4
GTEX-UJHI-1526-SM-3DB99 50-59 years, female 3322.9
GTEX-ZVTK-0426-SM-51MRS 20-29 years, male 3321.2
GTEX-NPJ8-0126-SM-2YUNR 40-49 years, male 3275.5
GTEX-O5YW-0126-SM-3LK6D 50-59 years, male 3269.0
GTEX-XUZC-1726-SM-4BRWS 30-39 years, female 3250.5
GTEX-1OJC3-0126-SM-E76QX 20-29 years, male 3233.6
GTEX-1JMQL-0226-SM-CNPP5 50-59 years, female 3212.9
GTEX-1HSMO-0126-SM-CL547 60-69 years, male 3173.4
GTEX-1PFEY-1526-SM-E76PP 30-39 years, male 3111.1
GTEX-139TS-2826-SM-5J1OO 60-69 years, male 3109.7
GTEX-117XS-2726-SM-5N9BL 60-69 years, male 3066.6
GTEX-13NZ8-0826-SM-5MR3I 60-69 years, female 3031.5
GTEX-13FTW-2626-SM-5K7WL 40-49 years, male 3026.7
GTEX-1NV5F-0226-SM-E8VNY 60-69 years, female 3004.2
GTEX-13NYB-2526-SM-5K7Z6 40-49 years, male 2996.8
GTEX-ZYFG-2326-SM-5E44B 60-69 years, female 2980.4
GTEX-18D9A-1926-SM-7LG6P 30-39 years, female 2948.3
GTEX-14753-0426-SM-5NQAM 60-69 years, male 2942.0
GTEX-ZF3C-0126-SM-DO92D 50-59 years, female 2938.7
GTEX-1497J-2426-SM-7IGNX 60-69 years, male 2938.6
GTEX-13CF2-2526-SM-5LZYX 60-69 years, male 2880.5
GTEX-131XE-2326-SM-5PNZ2 50-59 years, male 2842.1
GTEX-14E6C-0126-SM-5RQIP 40-49 years, male 2833.1
GTEX-1L5NE-2526-SM-E6CIE 50-59 years, male 2814.8
GTEX-Y114-2426-SM-4TT8A 50-59 years, female 2791.8
GTEX-POMQ-2226-SM-2I5FK 20-29 years, female 2774.5
GTEX-13FXS-0226-SM-5IJCK 50-59 years, male 2773.6
GTEX-Y5V6-2426-SM-4VDSB 60-69 years, male 2771.9
GTEX-1HBPM-0226-SM-ARL9F 60-69 years, female 2768.1
GTEX-15RIG-0226-SM-7KFTL 40-49 years, male 2750.1
GTEX-1122O-2126-SM-5EGIR 60-69 years, female 2739.5
GTEX-Z93T-0126-SM-5HL5N 50-59 years, male 2729.6
GTEX-X88G-0126-SM-47JZ3 30-39 years, male 2722.0
GTEX-S33H-1026-SM-EZ6L6 30-39 years, male 2713.7
GTEX-1QAET-0926-SM-E76QM 50-59 years, male 2711.5
GTEX-XYKS-2126-SM-4E3IB 60-69 years, female 2696.3
GTEX-TMZS-0126-SM-3DB9Q 60-69 years, male 2692.7
GTEX-18QFQ-0126-SM-731BE 30-39 years, male 2676.8
GTEX-Y5LM-1926-SM-5RQJH 40-49 years, female 2666.9
GTEX-RVPV-0126-SM-EAZAW 60-69 years, male 2666.2
GTEX-15ETS-0126-SM-7KUMW 40-49 years, female 2643.8
GTEX-X8HC-0126-SM-4E3JW 50-59 years, female 2637.7
GTEX-1IKK5-0626-SM-ARL8A 60-69 years, male 2628.4
GTEX-1JMPY-1326-SM-ARL8Y 30-39 years, male 2603.5
GTEX-1JMPZ-0226-SM-CNPP1 30-39 years, male 2601.9
GTEX-OIZH-0126-SM-2HMIS 50-59 years, male 2590.9
GTEX-U412-0426-SM-3DB9O 60-69 years, male 2590.4
GTEX-ZTX8-1426-SM-5DUVO 20-29 years, male 2587.4
GTEX-PX3G-0126-SM-2I3EN 20-29 years, female 2579.4
GTEX-13NYS-0126-SM-5MR3W 60-69 years, male 2573.0
GTEX-T6MN-0126-SM-32PLP 50-59 years, male 2569.6
GTEX-1M5QR-1226-SM-EWROB 40-49 years, male 2568.7
GTEX-1JN1M-0326-SM-CYPT3 60-69 years, female 2563.4
GTEX-13PDP-0126-SM-5L3HD 60-69 years, male 2553.9
GTEX-T2YK-0526-SM-32QPJ 50-59 years, male 2541.9
GTEX-1OFPY-2426-SM-DTXEJ 60-69 years, male 2537.2
GTEX-OOBJ-0126-SM-E6CJW 60-69 years, male 2530.4
GTEX-1MJK2-0426-SM-DTXE5 50-59 years, male 2514.2
GTEX-11DYG-0126-SM-59883 60-69 years, male 2511.9
GTEX-1PDJ9-0326-SM-DTX95 20-29 years, male 2505.7
GTEX-U8T8-0126-SM-3DB94 60-69 years, male 2501.8
GTEX-ZVZO-0126-SM-5A5L9 40-49 years, male 2496.6
GTEX-1B8KE-2126-SM-73KYX 50-59 years, male 2479.8
GTEX-139UW-2826-SM-5L3E7 60-69 years, male 2477.3
GTEX-145MF-0626-SM-5LUAI 50-59 years, male 2475.5
GTEX-1I1GV-0526-SM-A9G29 60-69 years, male 2470.0
GTEX-X4XX-0126-SM-3NMC2 60-69 years, male 2467.2
GTEX-Y8DK-0126-SM-4TT3L 60-69 years, male 2461.8
GTEX-ZAB4-0226-SM-5N9F5 40-49 years, male 2457.4
GTEX-ZWKS-0126-SM-5SIAA 30-39 years, male 2455.3
GTEX-14ICK-0226-SM-6EU25 40-49 years, male 2449.9
GTEX-1CAMS-0426-SM-7P8T2 40-49 years, female 2449.8
GTEX-16MT8-0426-SM-7KUEY 60-69 years, female 2436.3
GTEX-SUCS-1926-SM-32PM3 70-79 years, male 2426.0
GTEX-YB5E-2026-SM-5IFIS 40-49 years, male 2424.1
GTEX-145MN-2226-SM-5SIAU 30-39 years, male 2420.2
GTEX-OIZG-0726-SM-33HBL 50-59 years, male 2417.0
GTEX-18D9U-0226-SM-718BP 40-49 years, male 2413.4
GTEX-ZAJG-0126-SM-5HL94 50-59 years, female 2412.6
GTEX-SN8G-0126-SM-32PLI 50-59 years, female 2406.9
GTEX-145MO-0326-SM-5Q5B3 60-69 years, male 2398.9
GTEX-1CAV2-2226-SM-7P8P2 40-49 years, female 2394.0
GTEX-PSDG-0226-SM-DKPOZ 50-59 years, male 2393.2
GTEX-1KANC-1526-SM-D3LAB 50-59 years, female 2391.8
GTEX-ZDTS-0126-SM-4WAY5 60-69 years, male 2374.2
GTEX-NFK9-0226-SM-2HMKQ 40-49 years, male 2372.4
GTEX-1K2DA-1826-SM-CGQGT 50-59 years, male 2362.1
GTEX-1PIIG-0226-SM-EWRN6 30-39 years, male 2360.4
GTEX-1CB4E-2226-SM-793DC 60-69 years, male 2358.1
GTEX-1IDJH-0326-SM-A9SLQ 70-79 years, male 2357.8
GTEX-OHPL-0126-SM-2HMJ7 60-69 years, female 2354.1
GTEX-ZV68-0126-SM-59HKS 50-59 years, female 2341.6
GTEX-1F6RS-0126-SM-9MQKZ 60-69 years, female 2341.6
GTEX-TML8-1926-SM-32QOS 40-49 years, female 2336.0
GTEX-131XF-5016-SM-7MGWE 60-69 years, male 2333.1
GTEX-SIU8-0126-SM-2XCDT 50-59 years, male 2330.3
GTEX-13NZB-2526-SM-5J1OM 30-39 years, male 2326.4
GTEX-13X6H-2126-SM-7EWD5 50-59 years, female 2309.7
GTEX-1K2DU-2326-SM-E9TIV 20-29 years, male 2303.6
GTEX-13RTK-1426-SM-5QGQJ 20-29 years, male 2300.1
GTEX-TKQ1-1026-SM-4GICL 30-39 years, male 2296.7
GTEX-12126-0326-SM-5PNW3 20-29 years, male 2295.5
GTEX-1LGOU-2026-SM-DIPFF 20-29 years, female 2292.9
GTEX-1HGF4-2426-SM-ACKXM 60-69 years, male 2292.2
GTEX-1R9PM-2026-SM-E76OY 20-29 years, male 2290.3
GTEX-1PPH8-0226-SM-E8VND 20-29 years, male 2282.5
GTEX-11EQ9-2426-SM-5HL5T 30-39 years, male 2279.4
GTEX-1IOXB-0126-SM-ARL8G 50-59 years, male 2279.4
GTEX-PWCY-1826-SM-DHXIZ 20-29 years, female 2279.2
GTEX-11DXZ-2326-SM-5EGGV 50-59 years, male 2278.1
GTEX-PWO3-1526-SM-48TCM 60-69 years, female 2278.1
GTEX-144FL-0126-SM-5TDC8 50-59 years, male 2277.1
GTEX-XBEW-0626-SM-4QASP 40-49 years, male 2277.1
GTEX-13O21-1426-SM-5K7XI 50-59 years, male 2276.5
GTEX-12WSE-0526-SM-793B2 20-29 years, male 2265.6
GTEX-1C4CL-0526-SM-73KVK 30-39 years, male 2262.3
GTEX-1HSGN-0226-SM-CGQFV 40-49 years, female 2257.4
GTEX-QV44-1926-SM-2S1RF 50-59 years, male 2254.9
GTEX-13111-1626-SM-5EGJY 50-59 years, male 2254.7
GTEX-X585-0226-SM-4QAS2 50-59 years, male 2253.2
GTEX-ZGAY-0526-SM-4WWBB 40-49 years, female 2251.6
GTEX-1H1CY-2826-SM-9MQM3 60-69 years, female 2249.4
GTEX-YJ89-0126-SM-4TT3X 60-69 years, male 2247.9
GTEX-1JJ6O-0126-SM-E6CI8 60-69 years, male 2247.9
GTEX-13O3P-0126-SM-5KM4S 50-59 years, male 2242.2
GTEX-WVJS-0126-SM-4MVOT 50-59 years, male 2241.3
GTEX-1ICLZ-0126-SM-CKZPO 60-69 years, male 2240.6
GTEX-13PVR-2326-SM-5QGR1 60-69 years, female 2239.2
GTEX-ZE9C-2726-SM-57WB5 60-69 years, male 2225.3
GTEX-X5EB-2226-SM-46MW4 40-49 years, male 2224.7
GTEX-1CB4I-0226-SM-79OLH 50-59 years, male 2222.6
GTEX-1F5PL-0326-SM-7P8PQ 40-49 years, female 2220.1
GTEX-12WSJ-1826-SM-5GCNY 40-49 years, female 2218.9
GTEX-1313W-0126-SM-5LZUN 50-59 years, female 2212.6
GTEX-12WSA-0226-SM-5BC5V 60-69 years, male 2201.1
GTEX-14E6E-1826-SM-5S2R7 30-39 years, male 2195.9
GTEX-1MGNQ-0126-SM-EVYCJ 40-49 years, male 2192.5
GTEX-1LSNM-1926-SM-E6CII 50-59 years, male 2188.6
GTEX-WYJK-0126-SM-3NMAB 50-59 years, male 2187.0
GTEX-1211K-2026-SM-5EQ4Z 60-69 years, female 2186.5
GTEX-1S5ZA-0126-SM-EVYCV 20-29 years, male 2185.9
GTEX-14XAO-2326-SM-6EU1B 60-69 years, female 2184.0
GTEX-14PII-0226-SM-6EU1T 60-69 years, male 2183.7
GTEX-14JG1-0426-SM-6ETZZ 40-49 years, male 2179.6
GTEX-11WQK-0526-SM-5EQLD 50-59 years, male 2172.5
GTEX-14PHX-2326-SM-62LEM 50-59 years, male 2166.8
GTEX-S95S-1226-SM-4GICG 60-69 years, male 2163.3
GTEX-13SLW-0126-SM-5SI6C 70-79 years, male 2157.0
GTEX-U8XE-0326-SM-3DB8P 30-39 years, male 2152.9
GTEX-1GPI7-0126-SM-9MQL8 20-29 years, male 2150.5
GTEX-13OVI-1426-SM-5L3EY 60-69 years, female 2145.0
GTEX-169BO-1326-SM-9MQK2 50-59 years, male 2137.1
GTEX-1LG7Z-1726-SM-D3LA4 30-39 years, male 2135.8
GTEX-QESD-1426-SM-2S1R9 20-29 years, male 2131.2
GTEX-1J1R8-1726-SM-ARL8M 40-49 years, male 2126.7
GTEX-11H98-0126-SM-5EGHG 50-59 years, male 2125.5
GTEX-XPVG-2626-SM-4B669 50-59 years, male 2115.6
GTEX-14PN4-0126-SM-6EU2V 50-59 years, male 2115.1
GTEX-1B97I-1626-SM-73KYO 40-49 years, male 2109.2
GTEX-X4EP-0126-SM-3P5YV 60-69 years, female 2108.0
GTEX-111FC-0126-SM-5N9DL 60-69 years, male 2106.7
GTEX-1MA7W-2026-SM-E9TJ6 20-29 years, female 2106.5
GTEX-11GSO-2426-SM-5A5LY 60-69 years, male 2104.7
GTEX-1LVAN-0226-SM-COH3S 50-59 years, female 2097.0
GTEX-11TT1-2526-SM-5EGIB 20-29 years, male 2094.4
GTEX-1R46S-0626-SM-E9J41 60-69 years, female 2075.4
GTEX-ZPIC-1726-SM-DHXIU 40-49 years, female 2075.4
GTEX-183WM-0126-SM-7LTAB 70-79 years, female 2073.6
GTEX-14PK6-1926-SM-6ETZU 70-79 years, female 2071.8
GTEX-PLZ6-1426-SM-DKPOT 30-39 years, male 2070.5
GTEX-1HSMP-0126-SM-E6CJS 70-79 years, male 2065.8
GTEX-14BMU-2226-SM-5TDE9 20-29 years, female 2064.7
GTEX-1JKYR-0126-SM-CNPOJ 20-29 years, male 2063.6
GTEX-1RB15-2126-SM-E9TIM 60-69 years, male 2061.5
GTEX-13N11-2526-SM-5K7UE 50-59 years, female 2052.9
GTEX-18A6Q-0126-SM-731BZ 60-69 years, male 2051.4
GTEX-13OVH-0126-SM-5MR4B 70-79 years, male 2043.7
GTEX-17F98-0626-SM-79OMX 40-49 years, female 2041.4
GTEX-Q2AI-1326-SM-2S1PL 40-49 years, male 2040.6
GTEX-1LGRB-2526-SM-CNPPQ 50-59 years, female 2038.0
GTEX-133LE-1826-SM-5J1MV 20-29 years, female 2036.8
GTEX-1C6VQ-0126-SM-7P8RI 50-59 years, male 2035.6
GTEX-ZVZP-2426-SM-59HKJ 50-59 years, male 2033.8
GTEX-1GZ4H-1726-SM-7PBZJ 50-59 years, female 2033.4
GTEX-Y111-0126-SM-4SOIV 50-59 years, male 2027.5
GTEX-1HCU9-1526-SM-A9SL7 20-29 years, male 2025.8
GTEX-WXYG-2326-SM-4E3I6 50-59 years, female 2025.6
GTEX-145LS-0126-SM-5QGP1 60-69 years, female 2023.3
GTEX-ZE7O-0126-SM-57WC1 50-59 years, female 2021.7
GTEX-RNOR-0126-SM-E9J4R 50-59 years, female 2017.7
GTEX-ZYY3-0126-SM-5GZY5 60-69 years, female 2011.4
GTEX-1A3MW-0126-SM-73KXX 60-69 years, female 2009.0
GTEX-1EWIQ-0126-SM-7RHH2 70-79 years, female 2008.0
GTEX-1J1OQ-0226-SM-CYPSH 40-49 years, female 2007.2
GTEX-131XG-2626-SM-5KM17 50-59 years, female 2003.1
GTEX-117YW-2626-SM-5GZZH 50-59 years, male 2002.6
GTEX-16XZZ-0126-SM-793DV 60-69 years, male 2002.5
GTEX-11UD2-0226-SM-5EQKY 50-59 years, male 1997.4
GTEX-YFC4-0126-SM-5CVLY 40-49 years, female 1994.7
GTEX-1CAMQ-0226-SM-7IGPK 40-49 years, male 1991.7
GTEX-Y8E4-0626-SM-4WWDL 40-49 years, male 1986.0
GTEX-1PWST-0226-SM-E76QJ 70-79 years, male 1984.7
GTEX-ZVT2-2526-SM-51MT1 50-59 years, female 1982.3
GTEX-145LT-1726-SM-5QGP3 40-49 years, male 1980.2
GTEX-13FHP-0126-SM-5IJBG 50-59 years, male 1979.5
GTEX-ZDYS-2026-SM-5HL5L 50-59 years, male 1979.2
GTEX-13D11-2426-SM-5KM1V 50-59 years, female 1979.1
GTEX-139D8-0226-SM-5KLZO 30-39 years, female 1976.4
GTEX-XQ8I-0426-SM-4BOPO 50-59 years, male 1974.0
GTEX-WH7G-2326-SM-3NMBC 40-49 years, male 1971.4
GTEX-13OVK-2026-SM-7KUEO 40-49 years, male 1970.7
GTEX-132NY-0326-SM-5IJBL 60-69 years, male 1970.6
GTEX-17JCI-0126-SM-7LG5G 60-69 years, female 1964.8
GTEX-ZXES-1826-SM-5E43S 30-39 years, female 1964.8
GTEX-1HFI6-0226-SM-ADEHZ 40-49 years, male 1962.5
GTEX-1399R-2726-SM-5IJBA 30-39 years, male 1959.7
GTEX-WFON-2126-SM-3LK7O 40-49 years, male 1957.0
GTEX-13RTJ-2426-SM-5S2Q2 60-69 years, male 1955.2
GTEX-S7PM-0126-SM-4AD6S 60-69 years, male 1952.7
GTEX-12WSK-2326-SM-5GCOH 40-49 years, female 1948.2
GTEX-1H1ZS-0426-SM-9WG6G 70-79 years, male 1948.0
GTEX-XQ3S-1526-SM-4BOOC 20-29 years, male 1940.8
GTEX-P4PQ-0126-SM-2S1NM 60-69 years, male 1938.8
GTEX-1QP66-1726-SM-E8VO1 50-59 years, male 1932.6
GTEX-1I1GT-0626-SM-CGQER 60-69 years, female 1927.7
GTEX-1HCU8-0626-SM-A9SM9 60-69 years, female 1925.6
GTEX-YB5K-2126-SM-4WWDJ 40-49 years, female 1924.0
GTEX-14DAR-2026-SM-5S2O3 50-59 years, male 1923.8
GTEX-1IDJF-0126-SM-CM2RS 20-29 years, male 1923.7
GTEX-131YS-0126-SM-5KM1M 60-69 years, female 1921.4
GTEX-1EMGI-0126-SM-9KNUE 60-69 years, male 1919.9
GTEX-13JUV-2726-SM-5LZZ8 40-49 years, female 1919.8
GTEX-1S82Y-2026-SM-EVYCM 40-49 years, male 1918.5
GTEX-13U4I-0126-SM-5LU38 40-49 years, female 1916.8
GTEX-1RAZA-0126-SM-E6CI3 20-29 years, male 1911.8
GTEX-1KAFJ-2026-SM-CY8ID 50-59 years, male 1910.7
GTEX-W5WG-1826-SM-4KL2Y 50-59 years, female 1906.1
GTEX-1GF9W-0326-SM-9KNUN 60-69 years, male 1905.0
GTEX-1B8SF-1426-SM-7DUGL 60-69 years, male 1903.2
GTEX-139T8-0126-SM-5K7XZ 60-69 years, male 1902.0
GTEX-1LBAC-0126-SM-DIPEZ 20-29 years, male 1897.2
GTEX-1S3DN-2226-SM-EVYCD 50-59 years, male 1897.1
GTEX-T5JW-1626-SM-3GADZ 20-29 years, female 1896.6
GTEX-1GF9U-2126-SM-7SB7L 40-49 years, female 1895.7
GTEX-14LZ3-0226-SM-62LET 60-69 years, female 1890.9
GTEX-11DXW-0226-SM-5H122 40-49 years, male 1887.9
GTEX-13FHO-0226-SM-5IFGY 60-69 years, male 1884.9
GTEX-1GZ2Q-0226-SM-7P8TL 40-49 years, male 1884.1
GTEX-1JN6P-0126-SM-D3L98 60-69 years, male 1880.2
GTEX-1JMQK-0226-SM-CL543 60-69 years, male 1878.6
GTEX-13FTY-0526-SM-5L3EV 40-49 years, female 1878.4
GTEX-Y5V5-2326-SM-4V6GA 60-69 years, female 1875.5
GTEX-1GZHY-0326-SM-9QEHI 50-59 years, female 1875.3
GTEX-1AX8Z-0126-SM-7DHM6 60-69 years, male 1868.9
GTEX-13OW8-1326-SM-5J1OW 60-69 years, male 1866.1
GTEX-X261-0126-SM-3NMD6 50-59 years, male 1865.4
GTEX-Y3I4-2126-SM-4TT7C 50-59 years, male 1864.6
GTEX-1N2DV-0226-SM-E6CJ6 40-49 years, male 1864.4
GTEX-QEG4-0226-SM-2S1PY 30-39 years, male 1863.4
GTEX-1GMRU-0126-SM-9YFLV 50-59 years, male 1859.2
GTEX-15EOM-0126-SM-7KUGG 20-29 years, female 1858.9
GTEX-11ZTS-0126-SM-5EQ6M 60-69 years, female 1857.2
GTEX-1I6K6-0126-SM-A9SLE 30-39 years, male 1855.8
GTEX-15ER7-0326-SM-7KUEV 20-29 years, female 1855.1
GTEX-12ZZZ-0626-SM-5DUXI 60-69 years, male 1851.0
GTEX-14E6D-0126-SM-62LDV 50-59 years, male 1849.9
GTEX-ZYT6-0226-SM-5NQ6T 30-39 years, male 1849.6
GTEX-13113-5016-SM-7EPIP 60-69 years, female 1844.7
GTEX-OXRN-0126-SM-48TDM 50-59 years, male 1841.9
GTEX-1192X-0226-SM-5H12D 50-59 years, male 1837.5
GTEX-1LC47-0326-SM-E9TJP 60-69 years, male 1835.7
GTEX-S7SE-0126-SM-2XCD5 50-59 years, male 1835.4
GTEX-1AX9J-0226-SM-73KXM 60-69 years, male 1835.2
GTEX-1LB8K-0226-SM-EWRNW 50-59 years, male 1834.2
GTEX-145LV-2126-SM-5LU8N 50-59 years, male 1833.3
GTEX-XUW1-0426-SM-4BOOT 50-59 years, female 1831.4
GTEX-1QCLY-0326-SM-E8VOG 30-39 years, male 1831.3
GTEX-YEC4-2126-SM-5IFJH 40-49 years, male 1830.2
GTEX-ZYFD-0126-SM-5GIDL 50-59 years, male 1829.0
GTEX-ZTPG-0326-SM-5O9AX 20-29 years, female 1828.6
GTEX-1KWVE-1426-SM-E9TJO 30-39 years, male 1827.8
GTEX-1HCVE-0126-SM-CGQEU 50-59 years, male 1826.6
GTEX-15SHU-0126-SM-7KUEH 40-49 years, female 1825.2
GTEX-QVJO-1626-SM-2S1QW 60-69 years, female 1817.5
GTEX-1CB4H-0226-SM-7PBXM 60-69 years, female 1817.1
GTEX-17HII-0226-SM-7LG4E 50-59 years, male 1815.7
GTEX-1399T-2826-SM-5KLYZ 60-69 years, male 1811.9
GTEX-XXEK-2226-SM-4BRUM 50-59 years, male 1811.2
GTEX-1H1DG-0126-SM-9WYU2 70-79 years, male 1806.9
GTEX-1HSKV-0226-SM-A9SKJ 60-69 years, male 1806.4
GTEX-1GTWX-0126-SM-9YFLK 60-69 years, male 1804.1
GTEX-1LH75-2426-SM-E9TJE 50-59 years, female 1803.1
GTEX-1GN2E-0426-SM-9MQKX 60-69 years, male 1801.5
GTEX-ZY6K-1826-SM-5GZXK 50-59 years, male 1800.8
GTEX-13IVO-0126-SM-5J1NG 70-79 years, male 1800.2
GTEX-1MCQQ-0826-SM-DLHC2 60-69 years, male 1798.5
GTEX-T2IS-0126-SM-4DM6O 20-29 years, female 1796.2
GTEX-12WSD-0126-SM-59HKN 60-69 years, female 1794.8
GTEX-117YX-2326-SM-5H12W 50-59 years, male 1793.9
GTEX-1HR98-0126-SM-B2LWI 60-69 years, male 1793.3
GTEX-1RDX4-0126-SM-E9J4P 50-59 years, female 1789.5
GTEX-1F52S-0126-SM-9MQJU 60-69 years, female 1788.6
GTEX-1H3VE-0326-SM-9YFLH 40-49 years, male 1788.1
GTEX-1AYCT-2426-SM-7IGQ3 50-59 years, male 1787.4
GTEX-131XH-2226-SM-5DUXJ 50-59 years, male 1785.1
GTEX-13X6J-0126-SM-5QGOU 50-59 years, male 1783.7
GTEX-U3ZM-1526-SM-3DB9D 40-49 years, male 1782.4
GTEX-12696-2426-SM-5EQ6H 60-69 years, male 1780.6
GTEX-WY7C-2326-SM-3NB2U 50-59 years, male 1776.8
GTEX-QDVN-2026-SM-3GAEP 50-59 years, male 1776.7
GTEX-1BAJH-0526-SM-793CQ 70-79 years, male 1773.6
GTEX-1N2DW-0226-SM-E9TK2 50-59 years, male 1772.2
GTEX-1A3MX-0126-SM-731BR 60-69 years, male 1769.5
GTEX-ZDTT-2726-SM-4WKF8 60-69 years, male 1767.9
GTEX-145ME-1826-SM-5SI9G 40-49 years, female 1767.1
GTEX-OHPM-0126-SM-2YUN9 50-59 years, male 1766.4
GTEX-18A7B-0126-SM-7LG64 70-79 years, male 1764.7
GTEX-1HSEH-0126-SM-ACKXN 60-69 years, male 1764.2
GTEX-1JMQJ-0526-SM-CYPSU 50-59 years, male 1759.2
GTEX-14PJ6-2126-SM-6EU1V 60-69 years, female 1757.5
GTEX-13CF3-2426-SM-5IFGX 60-69 years, female 1756.4
GTEX-1E2YA-0126-SM-9KNUC 50-59 years, male 1753.8
GTEX-15UKP-0426-SM-7KUFQ 20-29 years, male 1752.3
GTEX-1JMQI-2226-SM-CM2SD 50-59 years, male 1752.3
GTEX-11P7K-2126-SM-5GU7G 30-39 years, male 1751.5
GTEX-1H3O1-0426-SM-9YFKY 60-69 years, male 1751.1
GTEX-1KD4Q-0226-SM-E9TJ9 40-49 years, male 1751.1
GTEX-17GQL-2026-SM-718BA 60-69 years, male 1748.9
GTEX-WZTO-0126-SM-3NM95 40-49 years, male 1744.1
GTEX-RU72-0926-SM-2TF6B 50-59 years, female 1743.4
GTEX-1H4P4-0726-SM-9YFLR 50-59 years, male 1742.6
GTEX-1HB9E-0226-SM-E9U4R 50-59 years, male 1742.4
GTEX-OXRO-0126-SM-2YUN4 60-69 years, female 1740.9
GTEX-1I1GP-2226-SM-CGQFK 50-59 years, male 1738.8
GTEX-R45C-0126-SM-EAZ2R 60-69 years, female 1737.9
GTEX-1IL2U-0226-SM-CE6T8 60-69 years, male 1734.0
GTEX-15D1Q-0126-SM-7KUG6 40-49 years, male 1733.8
GTEX-13FH7-2026-SM-E9J4I 50-59 years, female 1726.7
GTEX-1J8EW-0126-SM-CJI4F 60-69 years, female 1725.5
GTEX-1R7EU-0226-SM-EVR4G 60-69 years, male 1722.6
GTEX-1GF9X-2026-SM-7PC3A 40-49 years, female 1721.8
GTEX-1HBPI-1526-SM-C1YQ1 50-59 years, male 1720.8
GTEX-13O3Q-2426-SM-5IJBR 50-59 years, male 1719.3
GTEX-16YQH-0126-SM-7DUFJ 30-39 years, male 1708.1
GTEX-17MFQ-1726-SM-793C7 20-29 years, male 1705.7
GTEX-1KANA-0726-SM-D3L9I 20-29 years, male 1705.2
GTEX-Z93S-0126-SM-5HL7M 50-59 years, male 1704.1
GTEX-12ZZY-0226-SM-5LZVE 60-69 years, male 1700.3
GTEX-1MCYP-1926-SM-E9J2R 20-29 years, female 1697.4
GTEX-1O97I-0326-SM-EYYX7 60-69 years, male 1697.1
GTEX-T6MO-1626-SM-32QOM 40-49 years, female 1696.8
GTEX-WFG8-2226-SM-3GIL9 20-29 years, male 1693.9
GTEX-T5JC-0426-SM-32PLO 20-29 years, male 1693.8
GTEX-13QJ3-0326-SM-5S2RA 50-59 years, male 1693.5
GTEX-13S7M-0126-SM-5SI6A 60-69 years, female 1692.3
GTEX-16GPK-0126-SM-7DHLE 60-69 years, male 1691.0
GTEX-13RTL-0126-SM-7LG5S 40-49 years, male 1690.6
GTEX-X4XY-0226-SM-4E3IZ 60-69 years, male 1690.1
GTEX-17HHY-0126-SM-7LG5D 50-59 years, male 1684.3
GTEX-13FTX-1826-SM-5J1NX 20-29 years, female 1683.4
GTEX-11EM3-2426-SM-59861 20-29 years, female 1683.0
GTEX-1H11D-0226-SM-9WG6Z 40-49 years, male 1683.0
GTEX-1GMR3-1926-SM-9KNUZ 40-49 years, male 1679.2
GTEX-1S83E-0126-SM-EWRO4 40-49 years, male 1678.3
GTEX-1B933-0126-SM-7PC29 50-59 years, female 1677.5
GTEX-ZV6S-2326-SM-4YCEY 40-49 years, female 1676.9
GTEX-1212Z-2526-SM-5EGKP 60-69 years, male 1676.6
GTEX-11DZ1-0126-SM-5985Q 50-59 years, male 1670.4
GTEX-XMD2-0126-SM-4YCDU 60-69 years, female 1670.0
GTEX-1N2EF-0226-SM-EYYXB 60-69 years, male 1669.3
GTEX-XAJ8-0826-SM-47JY6 40-49 years, male 1669.2
GTEX-14A5H-0426-SM-5QGQF 60-69 years, male 1660.3
GTEX-1MUQO-0126-SM-EAZ58 60-69 years, male 1658.7
GTEX-1J8QM-2126-SM-CYPSJ 60-69 years, female 1658.0
GTEX-146FQ-0126-SM-5NQA9 30-39 years, male 1652.9
GTEX-PLZ5-2026-SM-2S1O4 50-59 years, male 1648.1
GTEX-WRHK-1426-SM-3MJF9 20-29 years, female 1639.5
GTEX-RM2N-1426-SM-2TF4H 50-59 years, male 1639.4
GTEX-1B8SG-0126-SM-73KZ3 50-59 years, male 1637.9
GTEX-14BIM-0226-SM-7IGLD 60-69 years, female 1636.7
GTEX-OXRK-0226-SM-3NB2G 50-59 years, female 1635.2
GTEX-ZAK1-0126-SM-5IJD3 50-59 years, female 1633.9
GTEX-1JN76-0126-SM-CNPPE 20-29 years, female 1633.4
GTEX-1A3MV-1926-SM-718BT 30-39 years, male 1632.9
GTEX-XV7Q-2526-SM-4BRV9 40-49 years, female 1632.1
GTEX-13X6I-0626-SM-5QGP9 60-69 years, male 1631.6
GTEX-13OVL-0226-SM-5L3E9 50-59 years, male 1628.7
GTEX-13VXU-0126-SM-5SI9F 50-59 years, male 1628.4
GTEX-1GN73-0226-SM-9WG67 60-69 years, male 1627.3
GTEX-1F75B-0126-SM-9KNVL 50-59 years, male 1626.4
GTEX-1KXAM-2226-SM-CYPTC 60-69 years, male 1625.9
GTEX-1HCU6-0126-SM-CL54K 60-69 years, female 1625.2
GTEX-11OC5-0126-SM-5HL6A 60-69 years, male 1621.4
GTEX-1QPFJ-0226-SM-E76PB 30-39 years, female 1621.2
GTEX-1C64N-0126-SM-793D7 50-59 years, male 1621.1
GTEX-1F6I4-0126-SM-9MQL2 60-69 years, male 1620.7
GTEX-14BMV-0126-SM-5S2PO 50-59 years, male 1618.5
GTEX-1H1DE-2126-SM-9WG6R 20-29 years, male 1617.6
GTEX-WQUQ-0426-SM-3MJFU 60-69 years, male 1615.1
GTEX-17EUY-0426-SM-793BD 20-29 years, male 1614.9
GTEX-17EVQ-0226-SM-7LG4P 70-79 years, male 1612.2
GTEX-1A32A-0126-SM-718B1 50-59 years, female 1609.6
GTEX-T8EM-1026-SM-3DB7M 40-49 years, male 1608.8
GTEX-XUYS-0126-SM-47JWZ 50-59 years, male 1607.4
GTEX-15F5U-1526-SM-6PANO 40-49 years, male 1604.9
GTEX-1314G-1526-SM-5EGK2 30-39 years, male 1603.0
GTEX-17F97-0326-SM-7LG5B 50-59 years, male 1600.9
GTEX-14PJ3-1826-SM-62LEX 50-59 years, male 1599.8
GTEX-12C56-1726-SM-5EQ61 20-29 years, male 1597.5
GTEX-1HBPN-0226-SM-9YFM1 50-59 years, male 1596.9
GTEX-1HKZK-0326-SM-9WYUH 40-49 years, male 1596.0
GTEX-1R7EV-2426-SM-EVYBG 40-49 years, male 1595.6
GTEX-18D9B-0526-SM-7LTAS 60-69 years, male 1594.7
GTEX-XBED-2226-SM-47JYQ 60-69 years, male 1592.5
GTEX-144GN-2326-SM-5LU4F 50-59 years, male 1587.5
GTEX-1QMI2-0226-SM-EVYBX 60-69 years, male 1581.2
GTEX-X4EO-0326-SM-3P5YO 60-69 years, female 1580.8
GTEX-ZZ64-1726-SM-5GZYB 20-29 years, male 1580.2
GTEX-16BQI-0226-SM-7KUEX 30-39 years, female 1578.4
GTEX-1H2FU-0126-SM-9WYSI 60-69 years, female 1577.6
GTEX-1EX96-1626-SM-7PBXR 50-59 years, male 1572.2
GTEX-VUSG-2526-SM-4KL1V 50-59 years, male 1570.1
GTEX-1PIGE-0126-SM-EVYBJ 20-29 years, male 1567.9
GTEX-14BIN-0626-SM-793DP 50-59 years, female 1565.5
GTEX-18A7A-0226-SM-718BH 50-59 years, female 1565.4
GTEX-14C5O-0126-SM-5SI6N 60-69 years, male 1564.4
GTEX-1B8L1-2526-SM-9WYTF 60-69 years, male 1564.3
GTEX-UPJH-0326-SM-3GADU 50-59 years, male 1563.7
GTEX-1I4MK-2226-SM-ACKWD 50-59 years, female 1561.8
GTEX-17F96-1626-SM-7DUFL 70-79 years, male 1560.9
GTEX-11P82-1626-SM-59879 20-29 years, male 1560.1
GTEX-QDT8-0126-SM-48TZ1 30-39 years, female 1551.6
GTEX-1LG7Y-0526-SM-DKPQC 50-59 years, male 1547.0
GTEX-13W3W-2426-SM-5LU5B 60-69 years, female 1544.8
GTEX-RUSQ-1526-SM-2TF62 50-59 years, male 1544.3
GTEX-ZTSS-1926-SM-57WEW 40-49 years, male 1542.9
GTEX-183FY-0126-SM-7LT9P 20-29 years, male 1541.4
GTEX-11TTK-0126-SM-5987B 60-69 years, female 1540.1
GTEX-11P81-2326-SM-59875 30-39 years, female 1539.9
GTEX-1S82Z-0826-SM-E6CHY 30-39 years, female 1539.7
GTEX-12WSG-2826-SM-E9J4H 50-59 years, female 1539.2
GTEX-OOBK-0126-SM-2YUND 40-49 years, male 1538.5
GTEX-1IL2V-0126-SM-CM2TX 70-79 years, male 1537.6
GTEX-QLQ7-1626-SM-2S1R8 60-69 years, male 1537.2
GTEX-1C64O-0126-SM-7SB8P 60-69 years, male 1534.6
GTEX-1GF9V-0326-SM-7RHI5 60-69 years, male 1534.6
GTEX-13W46-0226-SM-5SIAG 50-59 years, male 1532.1
GTEX-1HCUA-2426-SM-ADEIS 50-59 years, female 1530.1
GTEX-17MF6-0126-SM-7LG4F 40-49 years, male 1528.3
GTEX-1AMFI-2026-SM-731BH 50-59 years, female 1527.8
GTEX-1IKOH-0226-SM-COH4E 60-69 years, female 1525.3
GTEX-OXRL-0126-SM-2YUMP 50-59 years, male 1523.2
GTEX-13112-2826-SM-5DUWH 50-59 years, male 1519.4
GTEX-14PJM-0226-SM-62LF1 50-59 years, female 1517.4
GTEX-11TUW-2726-SM-E9J4M 60-69 years, male 1516.8
GTEX-15DDE-0126-SM-6LPKH 50-59 years, female 1514.6
GTEX-13N2G-2626-SM-5J1OT 60-69 years, male 1512.7
GTEX-11GS4-2726-SM-5A5LE 60-69 years, male 1511.9
GTEX-11LCK-1026-SM-5A5KB 30-39 years, male 1511.4
GTEX-18465-0126-SM-731BN 50-59 years, male 1509.5
GTEX-1CAMR-1926-SM-7EPI2 20-29 years, male 1506.8
GTEX-14PN3-2426-SM-6LLHS 60-69 years, female 1504.6
GTEX-1269C-2526-SM-5EGJ3 60-69 years, female 1504.2
GTEX-1KANB-0526-SM-E6CJH 50-59 years, male 1504.2
GTEX-11NSD-2226-SM-5986V 20-29 years, male 1503.6
GTEX-18A67-0126-SM-7LG5P 50-59 years, male 1501.7
GTEX-17KNJ-2326-SM-7DHLQ 50-59 years, male 1501.2
GTEX-1CB4F-0426-SM-9KNV4 60-69 years, male 1498.1
GTEX-ZU9S-0226-SM-5E441 30-39 years, male 1497.0
GTEX-1JJEA-0326-SM-CNPOT 60-69 years, male 1494.0
GTEX-13G51-2526-SM-5LZYK 60-69 years, male 1492.3
GTEX-1AMEY-1326-SM-73KYK 30-39 years, female 1492.1
GTEX-12ZZX-0126-SM-5EGK9 40-49 years, female 1491.8
GTEX-WOFL-0126-SM-3MJG2 60-69 years, male 1491.3
GTEX-1CB4J-0626-SM-7DHMP 60-69 years, male 1491.1
GTEX-1HT8W-0126-SM-CNPPP 30-39 years, male 1487.9
GTEX-1IDFM-0126-SM-COH2V 60-69 years, male 1485.4
GTEX-1I1GS-0126-SM-B2LVW 60-69 years, male 1482.4
GTEX-1RLM8-2326-SM-EWRN4 50-59 years, male 1480.2
GTEX-1F75A-0126-SM-7RHGM 50-59 years, male 1476.9
GTEX-11DXY-2626-SM-5GIE7 60-69 years, male 1476.7
GTEX-YJ8A-0426-SM-5IFID 20-29 years, male 1475.0
GTEX-11EI6-0126-SM-5985R 60-69 years, male 1474.1
GTEX-RWS6-2026-SM-2XCB5 60-69 years, female 1467.6
GTEX-R55G-2526-SM-2TC6D 40-49 years, female 1467.5
GTEX-1H23P-0126-SM-ADEJ3 60-69 years, male 1463.2
GTEX-11XUK-2026-SM-5EQLF 40-49 years, female 1461.0
GTEX-13OW7-0126-SM-5MR3B 50-59 years, male 1457.1
GTEX-1AYD5-2426-SM-73KXR 50-59 years, male 1456.9
GTEX-11DXX-2426-SM-5GZZW 60-69 years, female 1456.6
GTEX-1GPI6-0126-SM-9WG69 60-69 years, male 1452.3
GTEX-X638-0126-SM-47JZ8 70-79 years, female 1449.0
GTEX-1IDJU-2626-SM-CM2RT 60-69 years, female 1448.3
GTEX-ZF28-0126-SM-4WKGK 60-69 years, male 1447.1
GTEX-ZAB5-1826-SM-5HL7C 50-59 years, male 1445.3
GTEX-13OVJ-0126-SM-5KM36 50-59 years, female 1444.6
GTEX-VJYA-1126-SM-3GIJU 60-69 years, male 1444.6
GTEX-13O3O-0126-SM-E9J49 60-69 years, female 1440.8
GTEX-17HG3-2226-SM-7938L 30-39 years, female 1439.8
GTEX-147GR-0526-SM-5S2MY 60-69 years, male 1438.9
GTEX-U3ZN-2326-SM-3DB7W 30-39 years, female 1438.8
GTEX-15EU6-0426-SM-6PAN5 50-59 years, male 1438.5
GTEX-ZQUD-1426-SM-57WER 30-39 years, male 1434.3
GTEX-1I1GQ-0126-SM-COH3H 50-59 years, male 1432.3
GTEX-1F7RK-0126-SM-7PC2S 20-29 years, female 1431.5
GTEX-PLZ4-0126-SM-5SI8O 50-59 years, female 1431.3
GTEX-14LLW-0126-SM-6LLIO 70-79 years, female 1428.2
GTEX-147F4-0226-SM-5QGPW 50-59 years, male 1427.0
GTEX-17HGU-0226-SM-7DHKV 50-59 years, male 1423.3
GTEX-Q2AH-1626-SM-3GAF8 40-49 years, male 1422.9
GTEX-U3ZH-2026-SM-3DB78 30-39 years, male 1422.4
GTEX-18A66-0226-SM-718BD 60-69 years, male 1421.4
GTEX-11GSP-2526-SM-5N9BP 60-69 years, female 1420.8
GTEX-1JJE9-0326-SM-CL53Z 70-79 years, male 1419.9
GTEX-1J8Q2-0526-SM-CM2RW 60-69 years, male 1419.4
GTEX-1M4P7-0226-SM-DIPEV 60-69 years, male 1419.2
GTEX-139TU-0126-SM-5K7WH 60-69 years, male 1415.3
GTEX-QDVJ-1726-SM-2I5FX 50-59 years, male 1413.6
GTEX-14A5I-0126-SM-5TDEA 50-59 years, female 1413.3
GTEX-13YAN-0326-SM-5O9DF 60-69 years, male 1412.4
GTEX-ZC5H-0226-SM-4WAY9 40-49 years, female 1407.5
GTEX-PW2O-1526-SM-7RHHB 20-29 years, male 1405.3
GTEX-111VG-2426-SM-5GZXD 60-69 years, male 1403.4
GTEX-17HHE-2026-SM-79OKF 50-59 years, male 1402.6
GTEX-13OW6-0426-SM-5L3HM 50-59 years, male 1401.8
GTEX-1CB4G-0226-SM-7PC3O 60-69 years, male 1399.1
GTEX-11OF3-2626-SM-5GU7F 60-69 years, male 1397.7
GTEX-16NPX-0226-SM-79OMT 50-59 years, male 1395.5
GTEX-146FH-0126-SM-5QGPP 50-59 years, female 1393.2
GTEX-WYVS-2126-SM-3NMA3 40-49 years, female 1392.1
GTEX-11ZVC-2526-SM-5FQTE 50-59 years, female 1391.0
GTEX-1HCU7-0226-SM-CL545 50-59 years, male 1387.2
GTEX-QCQG-1726-SM-3GIJ9 50-59 years, female 1386.5
GTEX-15DCD-0126-SM-7KUEK 70-79 years, female 1385.8
GTEX-148VI-1626-SM-5SI6E 60-69 years, female 1385.7
GTEX-1R9K4-0126-SM-DTX9X 60-69 years, male 1379.0
GTEX-1128S-2326-SM-5GZZY 60-69 years, female 1376.5
GTEX-S32W-2126-SM-2XCB1 50-59 years, female 1374.3
GTEX-ZF29-2326-SM-DO92K 60-69 years, female 1372.6
GTEX-1GN1V-0126-SM-9WPOS 60-69 years, male 1372.0
GTEX-14JG6-2226-SM-6EU2G 30-39 years, female 1370.9
GTEX-131XW-0426-SM-5LZWP 50-59 years, female 1369.6
GTEX-1H3NZ-0126-SM-ACKX7 60-69 years, male 1367.0
GTEX-QLQW-1126-SM-2S1Q8 30-39 years, male 1362.7
GTEX-1PPH7-2326-SM-EVYB8 40-49 years, male 1362.3
GTEX-RWSA-0126-SM-2XCBB 40-49 years, male 1358.8
GTEX-17EVP-0326-SM-7DHLG 40-49 years, male 1357.5
GTEX-1EU9M-0226-SM-7P8SP 60-69 years, male 1356.6
GTEX-1F48J-0126-SM-7P8TT 50-59 years, female 1356.2
GTEX-147F3-0526-SM-5SI98 50-59 years, female 1353.4
GTEX-144GL-0126-SM-5TDE2 50-59 years, male 1352.8
GTEX-1HSMQ-1226-SM-CGQFX 50-59 years, male 1351.1
GTEX-1C475-1826-SM-73KWA 40-49 years, female 1349.8
GTEX-13VXT-0126-SM-5LU4I 20-29 years, female 1349.4
GTEX-1K9T9-0126-SM-EVYCF 50-59 years, female 1347.6
GTEX-13OW5-0126-SM-DTXFS 60-69 years, male 1341.1
GTEX-145MI-0526-SM-5O9A8 60-69 years, female 1338.7
GTEX-R3RS-0126-SM-3GIJL 40-49 years, female 1337.6
GTEX-1F6IF-0726-SM-7P8TW 60-69 years, male 1334.7
GTEX-15G19-0126-SM-6PANQ 60-69 years, male 1334.6
GTEX-1JMOU-1526-SM-CL54I 60-69 years, female 1334.6
GTEX-1I1CD-0126-SM-CM2TK 60-69 years, female 1331.9
GTEX-ZVT4-0126-SM-DTXFN 50-59 years, female 1331.3
GTEX-ZYFC-0226-SM-5NQ75 50-59 years, male 1330.1
GTEX-12WSC-0126-SM-5EQ4P 50-59 years, male 1327.0
GTEX-148VJ-0126-SM-5TDDN 70-79 years, male 1326.7
GTEX-ZXG5-0126-SM-5GIEU 60-69 years, male 1326.7
GTEX-1C6VR-2426-SM-79OLD 60-69 years, male 1324.7
GTEX-1ICG6-2526-SM-CGQFZ 70-79 years, female 1324.4
GTEX-1GN1U-0126-SM-7PBZK 50-59 years, female 1322.8
GTEX-15CHC-2126-SM-6EU21 60-69 years, female 1319.3
GTEX-1ICLY-0126-SM-D4P36 50-59 years, male 1318.7
GTEX-1B8KZ-2026-SM-7DHMB 50-59 years, male 1318.2
GTEX-1J8JJ-0226-SM-CL53I 60-69 years, female 1316.9
GTEX-Q734-1926-SM-2I5EV 40-49 years, female 1314.3
GTEX-145LU-0126-SM-5TDCB 50-59 years, male 1310.3
GTEX-11ZU8-2526-SM-5EQKI 60-69 years, male 1309.2
GTEX-1GMR8-0126-SM-9WYTM 50-59 years, female 1305.3
GTEX-1IKJJ-0126-SM-CNPQB 60-69 years, male 1304.0
GTEX-ZQG8-1626-SM-DHXIT 60-69 years, female 1302.8
GTEX-1I19N-0326-SM-ACKVX 70-79 years, male 1299.5
GTEX-1C2JI-1826-SM-73KXC 50-59 years, male 1297.7
GTEX-1J8Q3-1626-SM-CMKGC 60-69 years, male 1294.8
GTEX-ZDXO-3026-SM-5J1N5 60-69 years, male 1294.6
GTEX-SNMC-1226-SM-2XCFP 20-29 years, male 1292.3
GTEX-1AX9I-0126-SM-7SB74 60-69 years, male 1291.5
GTEX-1RQEC-0426-SM-E6CHU 60-69 years, male 1290.6
GTEX-1LNCM-1126-SM-E9U5E 50-59 years, female 1290.3
GTEX-12584-0126-SM-5EGKQ 40-49 years, male 1289.5
GTEX-1POEN-0126-SM-EYYXJ 30-39 years, female 1288.9
GTEX-1I1GU-2226-SM-CGQFA 40-49 years, male 1288.7
GTEX-14PHW-0126-SM-6LLJI 60-69 years, female 1281.7
GTEX-1GL5R-1826-SM-9KNUY 50-59 years, male 1277.7
GTEX-ZF2S-2326-SM-4WWCE 50-59 years, female 1273.4
GTEX-OXRP-0126-SM-3NB32 60-69 years, female 1272.1
GTEX-1H3VY-0126-SM-ACKXD 50-59 years, male 1269.7
GTEX-11VI4-1726-SM-5CVLH 40-49 years, female 1265.3
GTEX-1JK1U-2026-SM-CM2RZ 60-69 years, male 1263.4
GTEX-1IGQW-0126-SM-COH42 60-69 years, male 1262.4
GTEX-TSE9-0126-SM-3DB83 60-69 years, female 1260.5
GTEX-11WQC-2526-SM-5CVLE 60-69 years, male 1257.2
GTEX-1NHNU-1026-SM-E9J2A 50-59 years, male 1257.2
GTEX-13O1R-0126-SM-5L3EH 60-69 years, male 1255.8
GTEX-16AAH-1726-SM-7939C 50-59 years, male 1255.5
GTEX-1QP29-0626-SM-EWRMX 50-59 years, male 1254.8
GTEX-1B996-0226-SM-7RHGO 60-69 years, male 1253.7
GTEX-11NUK-0126-SM-5A5L3 50-59 years, male 1253.2
GTEX-13SLX-0526-SM-5S2ON 50-59 years, female 1251.9
GTEX-ZYW4-0126-SM-5E44A 60-69 years, male 1247.3
GTEX-ZVT3-0126-SM-5GU6I 60-69 years, female 1242.9
GTEX-1EKGG-0226-SM-9WYTH 60-69 years, male 1242.8
GTEX-1E1VI-0126-SM-7DHMZ 50-59 years, male 1238.4
GTEX-SSA3-0126-SM-32QPU 60-69 years, male 1229.3
GTEX-OIZF-0126-SM-7SB8I 60-69 years, male 1228.1
GTEX-1MA7X-2226-SM-E6CIY 60-69 years, male 1225.6
GTEX-Y8LW-1826-SM-5S2MV 50-59 years, female 1219.8
GTEX-1HFI7-1826-SM-ACKXH 50-59 years, female 1218.9
GTEX-139TT-0126-SM-5K7Y5 60-69 years, male 1218.4
GTEX-SJXC-0126-SM-2XCFF 60-69 years, male 1218.4
GTEX-13NZA-0226-SM-5K7Z7 60-69 years, male 1218.2
GTEX-1IY9M-0126-SM-D3L8S 60-69 years, male 1216.6
GTEX-ZEX8-2426-SM-4WKG4 50-59 years, male 1214.5
GTEX-11EMC-2926-SM-5EQ4F 60-69 years, female 1210.3
GTEX-113JC-2326-SM-5EQ4E 50-59 years, female 1209.4
GTEX-15DYW-0126-SM-7KULE 60-69 years, female 1209.0
GTEX-VJWN-0126-SM-3GIK7 50-59 years, female 1207.9
GTEX-ZZPT-0226-SM-5E43X 50-59 years, male 1204.5
GTEX-1EN7A-0126-SM-7SB81 40-49 years, male 1203.2
GTEX-ZVE2-0226-SM-59HJB 50-59 years, male 1201.3
GTEX-X62O-0126-SM-4E3JN 50-59 years, male 1192.0
GTEX-TMMY-0226-SM-33HBA 40-49 years, female 1189.1
GTEX-Z9EW-1626-SM-5CVMN 40-49 years, male 1189.1
GTEX-1AX9K-2326-SM-73KWU 50-59 years, male 1188.6
GTEX-16NGA-1726-SM-731B4 40-49 years, female 1179.4
GTEX-14DAQ-0126-SM-5S2MQ 60-69 years, female 1176.8
GTEX-13NYC-0326-SM-E9J4S 60-69 years, male 1172.4
GTEX-12WSL-2526-SM-5GCNJ 50-59 years, male 1172.0
GTEX-1QP2A-0126-SM-E9J43 50-59 years, male 1162.5
GTEX-1OJC4-0126-SM-E9J2E 50-59 years, female 1159.3
GTEX-1F5PK-2426-SM-7RHHY 50-59 years, male 1149.3
GTEX-1192W-2626-SM-5Q5AF 60-69 years, male 1139.0
GTEX-P44H-0226-SM-2XCEU 40-49 years, male 1136.9
GTEX-14ABY-0226-SM-5TDCQ 50-59 years, male 1125.2
GTEX-11ZTT-2426-SM-5EQLS 60-69 years, female 1118.2
GTEX-11O72-0126-SM-59887 40-49 years, male 1116.6
GTEX-15SDE-2226-SM-7IGLO 50-59 years, female 1112.9
GTEX-12WSN-5019-SM-79OM6 40-49 years, male 1110.0
GTEX-R55E-0126-SM-2TC5Y 20-29 years, male 1106.6
GTEX-12KS4-0326-SM-5EQ41 30-39 years, male 1105.3
GTEX-1C6WA-0126-SM-7PC2B 60-69 years, male 1104.6
GTEX-1I1GR-0126-SM-CL55F 60-69 years, male 1103.2
GTEX-139T4-0226-SM-5HL5S 50-59 years, female 1097.1
GTEX-13OVG-1926-SM-5L3DK 60-69 years, male 1090.9
GTEX-1I1HK-0126-SM-COH49 60-69 years, male 1072.1
GTEX-Q2AG-0126-SM-33HBV 40-49 years, female 1066.9
GTEX-15SHW-0326-SM-6PAML 60-69 years, male 1064.6
GTEX-14A6H-0126-SM-5QGPK 30-39 years, male 1064.2
GTEX-1JKYN-1326-SM-CGQG9 30-39 years, male 1063.7
GTEX-1F75I-0326-SM-9YFLU 40-49 years, male 1061.7
GTEX-14E7W-0126-SM-6LLJ9 70-79 years, male 1061.3
GTEX-14BIL-0126-SM-5SI92 50-59 years, male 1057.0
GTEX-1QP67-1626-SM-EAZ3X 40-49 years, female 1055.5
GTEX-1GN1W-0526-SM-9MQJQ 50-59 years, female 1053.9
GTEX-1IE54-0126-SM-CMKHW 40-49 years, female 1053.9
GTEX-13N1W-0126-SM-5K7VT 70-79 years, male 1053.6
GTEX-1F88F-2726-SM-7PBZZ 60-69 years, female 1052.4
GTEX-RN64-0126-SM-2TC68 50-59 years, male 1049.6
GTEX-1PBJI-0526-SM-E8VNK 20-29 years, female 1048.3
GTEX-16XZY-2126-SM-79OK1 70-79 years, male 1037.3
GTEX-PVOW-0126-SM-2XCFA 40-49 years, male 1034.3
GTEX-1KD5A-0226-SM-D5OV3 50-59 years, male 1019.7
GTEX-V1D1-2226-SM-3NMAX 50-59 years, male 1014.9
GTEX-1H1E6-1726-SM-ACKVK 30-39 years, male 1009.3
GTEX-ZUA1-0126-SM-5GU76 40-49 years, male 980.7
GTEX-1QEPI-0126-SM-EWRMQ 60-69 years, female 979.6
GTEX-1R9PO-2126-SM-E9J4O 60-69 years, female 946.9
GTEX-SE5C-1626-SM-2XCE3 40-49 years, female 944.9
GTEX-1HUB1-0426-SM-E9U4U 60-69 years, male 930.7
GTEX-1HBPH-0426-SM-B2LW5 40-49 years, female 929.5
GTEX-1C6VS-0526-SM-7DUEN 60-69 years, male 927.0
GTEX-1A8FM-0226-SM-7SB7Q 50-59 years, female 926.2
GTEX-1QW4Y-1526-SM-EAZ3Z 30-39 years, male 893.4
GTEX-U4B1-1826-SM-4DXSU 40-49 years, male 863.9
GTEX-11ZUS-0626-SM-59885 30-39 years, male 814.7
GTEX-113IC-0126-SM-5HL6T 60-69 years, male 796.7
GTEX-146FR-1326-SM-E9J48 60-69 years, female 751.7
GTEX-1RAZQ-0726-SM-EAZ43 30-39 years, male 695.6
GTEX-14JIY-0126-SM-6LLH6 60-69 years, male 678.3
Show allShow less

Contact

  • NEWS ARTICLES
  • PRESS ROOM

The Project

  • INTRODUCTION
  • ORGANIZATION
  • PUBLICATIONS

The Human Protein Atlas

  • DOWNLOADABLE DATA
  • LICENCE & CITATION
  • HELP & FAQ
The Human Protein Atlas project is funded
by the Knut & Alice Wallenberg Foundation.


contact@proteinatlas.org