We use cookies to enhance the usability of our website. If you continue, we'll assume that you are happy to receive all cookies. More information. Don't show this again.
ZNF76
HPA
RESOURCES
  • TISSUE
  • BRAIN
  • SINGLE CELL
  • SUBCELLULAR
  • CANCER
  • BLOOD
  • CELL LINE
  • STRUCTURE & INTERACTION
ABOUT
  • INTRODUCTION
  • HISTORY
  • ORGANIZATION
  • PUBLICATIONS
  • ANTIBODY SUBMISSION
  • ANTIBODY AVAILABILITY
  • ACKNOWLEDGMENTS
  • CONTACT
NEWS
  • NEWS ARTICLES
  • PRESS ROOM
LEARN
  • DICTIONARY
  • PROTEIN CLASSES
  • PROTEIN EVIDENCE
  • METHODS
  • EDUCATIONAL VIDEOS
DATA
  • DOWNLOADABLE DATA
  • PUBLICATION DATA
  • RELEASE HISTORY
HELP
  • ANTIBODY VALIDATION
  • ASSAYS & ANNOTATION
  • DISCLAIMER
  • HELP & FAQ
  • PRIVACY STATEMENT
  • LICENCE & CITATION
Fields »
Search result

Field
Term
Gene name
Class
Subclass
Class
Keyword
Chromosome
External id
Tissue
Cell type
Expression
Antibody panel
Tissue
Main location
Patient ID
Annotation
Tissue
Category
Tau score
Cluster
Reliability
Brain region
Category
Tau score
Brain region
Category
Tau score
Brain region
Category
Tau score
Cluster
Reliability
Tissue
Cell type
Enrichment
Cell type
Category
Tau score
Cell type
Category
Tau score
Cell type
Category
Tau score
Cell lineage
Category
Tau score
Cluster
Cluster
Location
Searches
Location
Cell line
Class
Type
Phase
Reliability
Cancer
Prognosis
Cancer
Category
Cancer
Category
Tau score
Cluster
Variants
Interacting gene (ensg_id)
Type
Number of interactions
Pathway
Category
Score
Score
Score
Validation
Validation
Validation
Validation
Antibodies
Data type
Column


  • SUMMARY

  • TISSUE

  • BRAIN

  • SINGLE CELL

  • SUBCELL

  • CANCER

  • BLOOD

  • CELL LINE

  • STRUCT & INT

  • ZNF76
TISSUE PRIMARY DATA COLON Show tissue menu
ADIPOSE TISSUE ADRENAL GLAND AMYGDALA APPENDIX BASAL GANGLIA BONE MARROW BREAST BRONCHUS CEREBELLUM CEREBRAL CORTEX CERVIX CHOROID PLEXUS COLON DUODENUM
ENDOMETRIUM EPIDIDYMIS ESOPHAGUS FALLOPIAN TUBE GALLBLADDER HEART MUSCLE HIPPOCAMPAL FORMATION HYPOTHALAMUS KIDNEY LIVER LUNG LYMPH NODE MIDBRAIN NASOPHARYNX
ORAL MUCOSA OVARY PANCREAS PARATHYROID GLAND PITUITARY GLAND PLACENTA PROSTATE RECTUM RETINA SALIVARY GLAND SEMINAL VESICLE SKELETAL MUSCLE SKIN SMALL INTESTINE
SMOOTH MUSCLE SOFT TISSUE SPINAL CORD SPLEEN STOMACH TESTIS THYMUS THYROID GLAND TONGUE TONSIL URINARY BLADDER VAGINA
ANTIBODIES
AND
VALIDATION
Dictionary
Colon
Tissue proteome
Intestine
COLON - Expression summary
Protein expression
Coloni

On the top, protein expression in current human tissue, based on all annotated cell types, is reported with the units not detected (n), low (l), medium (m) and high (h). Underneath, protein expression in each annotated cell type are reported using the same units.

Protein expression data is based on knowledge-based annotation. For genes where more than one antibody has been used, a collective score is set.

If knowledge-based annotation could not be performed for a gene, no data is displayed here. View antibody staining data further down this page.

h
m
l
n
Endothelial cells: Low
Glandular cells: Medium
Peripheral nerve/ganglion: Low
RNA expressioni

A summary of mRNA expression data available for current tissue based on several datasets. The mRNA expression levels in human tissues are based on RNA-seq data generated by the Human Protein Atlas (HPA), Genotype-Tissue Expression (GTEx) portal and CAGE data generated by the FANTOM5 consortium. Consensus normalized expression levels for human tissues was created by combining the data from HPA and GTEx datasets.

The mRNA expression levels in pig are based on RNA-seq data generated by the Human Protein Atlas (HPA), and for mouse, HPA data and in situ hybridization generated by the Allen brain atlas are reported.

Scroll down to view mRNA expression data in more detail.
Consensus:20.5 nTPM
HPA:10.5 nTPM
GTEx:20.5 nTPM
FANTOM5:16.1 Scaled Tags Per Million

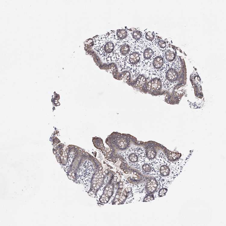
COLON - Antibody stainingi

Antibody staining in the annotated cell types in the current human tissue is reported as not detected, low, medium, or high, based on conventional immunohistochemistry profiling in selected tissues. This score is based on the combination of the staining intensity and fraction of stained cells.

Each image is clickable and will lead to virtual microscopy that enables deeper exploration of all samples and also displays staining intensity scores, fraction scores and subcellular localization as well as patient and tissue information for each sample.

Antibody HPA030090Antibody HPA030091
Endothelial cells MediumNot detected
Glandular cells MediumMedium
Peripheral nerve/ganglion MediumNot detected




COLON - HPA RNA-seqi

The RNA-seq details section shows detailed information about the individual samples used for the transcript profiling and results of the RNA-seq analysis.

Information about each individual sample is listed below, including gender, age, a tissue section image and estimated fractions of cell types. nTPM (normalized transcripts per million) values give a quantification of the gene abundance which is comparable between different genes and samples.
Average nTPMi

Max subtype nTPM is the value for the subtype with the largest average nTPM across the subtype samples.

10.5
overview
Male, age 54
Colon sample 67
nTPM: 10.2
Cell types%
Glandular cells:
65

Smooth muscle cells:
10

Other cell types:
25

overview
Female, age 57
Colon sample 68
nTPM: 9.7
Cell types%
Glandular cells:
40

Smooth muscle cells:
5

Other cell types:
55

overview
Male, age 80
Colon sample 69
nTPM: 10.9
Cell types%
Glandular cells:
55

Smooth muscle cells:
5

Other cell types:
40

overview
Male, age 68
Colon sample 70
nTPM: 6.9
Cell types%
Glandular cells:
35

Smooth muscle cells:
10

Other cell types:
55

overview
Female, age 68
Colon sample 76
nTPM: 7.1
Cell types%
Glandular cells:
25

Smooth muscle cells:
5

Other cell types:
70

overview
Female, age 61
Colon sample 299
nTPM: 9.6
Cell types%
Glandular cells:
5

Smooth muscle cells:
65

Other cell types:
30

overview
Male, age 80
Colon sample 300
nTPM: 9.2
Cell types%
Glandular cells:
15

Smooth muscle cells:
20

Other cell types:
65

overview
Female, age 78
Colon sample 368
nTPM: 13.1
Cell types%
Glandular cells:
45

Smooth muscle cells:
5

Other cell types:
50

overview
Male, age 84
Colon sample 381
nTPM: 10.9
Cell types%
Glandular cells:
50

Smooth muscle cells:
15

Other cell types:
35

overview
Male, age 80
Colon sample 384
nTPM: 14.1
Cell types%
Glandular cells:
20

Smooth muscle cells:
35

Other cell types:
45

overview
Female, age 78
Colon sample 389
nTPM: 12
Cell types%
Glandular cells:
35

Smooth muscle cells:
10

Other cell types:
55

overview
Female, age 69
Colon sample 391
nTPM: 9.2
Cell types%
Glandular cells:
10

Smooth muscle cells:
45

Other cell types:
45

overview
Female, age 72
Colon sample 403
nTPM: 14
Cell types%
Glandular cells:
20

Smooth muscle cells:
15

Other cell types:
65


COLON - GTEx RNA-seqi

RNA-Seq data generated by the Genotype-Tissue Expression (GTEx) project from human tissues is reported as mean nTPM. More information can be found on the GTEx portal.

Distribution across the dataset is visualized with box plots, shown as median and 25th and 75th percentiles. Points are displayed as outliers if they are above or below 1.5 times the interquartile range. nTPM values of the individual samples are presented next to the box plot.
Max subtype nTPMi

Max subtype nTPM is the value for the subtype with the largest average nTPM across the subtype samples.

20.5
GTEx sample id Sample description nTPM
Colon - Sigmoid
Average nTPM: 20.5
Samples: 373

Max nTPM: 35.8
Min nTPM: 4.3
Std nTPM: 5.1
Median nTPM: 19.7
GTEX-1J8EW-2426-SM-CE6T5 60-69 years, female 35.8
GTEX-1RDX4-1926-SM-E6CJJ 50-59 years, female 35.7
GTEX-1EH9U-1926-SM-7P8QM 60-69 years, male 34.4
GTEX-1H1ZS-2626-SM-9QEIX 70-79 years, male 34.4
GTEX-139TS-2226-SM-5J2N1 60-69 years, male 34.3
GTEX-11ZTS-1526-SM-5N9G7 60-69 years, female 33.4
GTEX-1JN6P-2126-SM-ARL98 60-69 years, male 32.9
GTEX-139UW-2326-SM-5KM1Y 60-69 years, male 32.7
GTEX-1GMR3-2526-SM-7P8QS 40-49 years, male 32.2
GTEX-13X6J-2826-SM-7EPGA 50-59 years, male 31.7
GTEX-1HCU6-2926-SM-B2LWV 60-69 years, female 31.6
GTEX-1HSEH-1926-SM-A96SB 60-69 years, male 31.5
GTEX-1C6VQ-2626-SM-7IGMQ 50-59 years, male 31.4
GTEX-13CF2-1826-SM-5N9GK 60-69 years, male 31.1
GTEX-1BAJH-2726-SM-7IGNJ 70-79 years, male 31.1
GTEX-16XZZ-2726-SM-7EWDO 60-69 years, male 30.9
GTEX-1LKK1-2426-SM-DIPES 50-59 years, female 30.8
GTEX-17JCI-2826-SM-7IGNA 60-69 years, female 30.7
GTEX-145MH-2726-SM-5QGQ6 50-59 years, male 30.6
GTEX-13PVQ-2726-SM-5L3H7 50-59 years, male 30.5
GTEX-1GMRU-2626-SM-9WPPM 50-59 years, male 30.3
GTEX-13OW8-2726-SM-5L3FZ 60-69 years, male 29.4
GTEX-147JS-2626-SM-5S2UX 60-69 years, male 29.4
GTEX-1LB8K-2526-SM-DIPEQ 50-59 years, male 29.4
GTEX-1I1GR-2226-SM-ARL7F 60-69 years, male 29.3
GTEX-X4EO-2726-SM-4E3HS 60-69 years, female 28.6
GTEX-1IDJH-2826-SM-CJI49 70-79 years, male 28.6
GTEX-YECK-2826-SM-5IFHF 60-69 years, male 28.4
GTEX-12ZZX-2726-SM-5N9FT 40-49 years, female 28.3
GTEX-15EO6-2326-SM-6LPKK 50-59 years, male 28.3
GTEX-1HSKV-2326-SM-A9SL9 60-69 years, male 28.2
GTEX-1QP9N-0826-SM-DTX9O 30-39 years, male 28.2
GTEX-1RAZQ-2026-SM-E76P7 30-39 years, male 28.2
GTEX-15CHQ-2626-SM-686YZ 60-69 years, male 28.0
GTEX-13OW6-2226-SM-5N9FL 50-59 years, male 27.9
GTEX-11ONC-1926-SM-5GU75 60-69 years, male 27.4
GTEX-YJ8O-1426-SM-5PNV9 40-49 years, female 27.4
GTEX-15RJE-2226-SM-6M46A 40-49 years, male 27.3
GTEX-1J8JJ-2426-SM-D4P4A 60-69 years, female 27.0
GTEX-13FHO-2726-SM-5K7VG 60-69 years, male 26.9
GTEX-XUW1-1826-SM-4BOQD 50-59 years, female 26.9
GTEX-145MO-2626-SM-5QGPD 60-69 years, male 26.8
GTEX-1EMGI-2626-SM-7IGNR 60-69 years, male 26.7
GTEX-Y9LG-1326-SM-4VBQB 30-39 years, male 26.7
GTEX-1JMQK-2326-SM-ARZN4 60-69 years, male 26.5
GTEX-14PKV-1926-SM-686YU 20-29 years, female 26.4
GTEX-1212Z-1826-SM-5FQSH 60-69 years, male 26.3
GTEX-1CB4G-2726-SM-79OO4 60-69 years, male 26.3
GTEX-WXYG-1726-SM-4ONCU 50-59 years, female 26.3
GTEX-1E2YA-2526-SM-7IGOU 50-59 years, male 26.2
GTEX-1C64N-2226-SM-7SB7C 50-59 years, male 26.2
GTEX-1HCVE-2326-SM-9WYUD 50-59 years, male 26.2
GTEX-1GTWX-2626-SM-9WPOT 60-69 years, male 26.0
GTEX-14BIN-2426-SM-5TDCF 50-59 years, female 25.9
GTEX-1C4CL-1626-SM-7DUF3 30-39 years, male 25.9
GTEX-12WSD-2626-SM-5EGJE 60-69 years, female 25.8
GTEX-1IDJU-1926-SM-CL53W 60-69 years, female 25.8
GTEX-1RQEC-2626-SM-EVR3Z 60-69 years, male 25.8
GTEX-1JMLX-2526-SM-CY8HX 50-59 years, male 25.7
GTEX-12KS4-2326-SM-5EGJB 30-39 years, male 25.6
GTEX-1JJE9-2526-SM-ARU8K 70-79 years, male 25.6
GTEX-X15G-1526-SM-4PQZM 50-59 years, female 25.4
GTEX-1H23P-2626-SM-9KNVN 60-69 years, male 25.4
GTEX-13OVJ-1826-SM-5KM2D 50-59 years, female 25.3
GTEX-ZYY3-2226-SM-5E45A 60-69 years, female 25.2
GTEX-15UF6-2726-SM-7KULY 70-79 years, female 25.1
GTEX-1HBPM-2626-SM-9WYU5 60-69 years, female 25.1
GTEX-1LG7Y-2226-SM-E9U5K 50-59 years, male 25.0
GTEX-11DXY-2026-SM-5N9CZ 60-69 years, male 24.9
GTEX-ZVT3-2826-SM-5GU6A 60-69 years, female 24.8
GTEX-1LSNM-1426-SM-E6CIH 50-59 years, male 24.8
GTEX-1PIIG-2126-SM-EXUSD 30-39 years, male 24.8
GTEX-11TUW-2326-SM-5EQMO 60-69 years, male 24.6
GTEX-13FTW-2126-SM-5K7YG 40-49 years, male 24.6
GTEX-131YS-2926-SM-5EGKI 60-69 years, female 24.5
GTEX-1HKZK-2026-SM-9WYUF 40-49 years, male 24.4
GTEX-11EMC-1426-SM-5N9E4 60-69 years, female 24.3
GTEX-1477Z-2126-SM-5Q5CM 60-69 years, male 24.2
GTEX-1F75W-2126-SM-7RHIA 60-69 years, male 24.2
GTEX-1GMR2-1826-SM-9KNUP 50-59 years, male 24.2
GTEX-1JJEA-2526-SM-CY8HJ 60-69 years, male 24.2
GTEX-1LVAM-1726-SM-DHXKQ 50-59 years, female 24.2
GTEX-14A5I-2426-SM-5Q5CP 50-59 years, female 24.1
GTEX-1P4AB-2626-SM-DTXEU 50-59 years, male 24.1
GTEX-13X6K-2726-SM-5O9DG 60-69 years, female 24.0
GTEX-14E6C-2226-SM-5QGQG 40-49 years, male 24.0
GTEX-Z93S-2626-SM-57WBX 50-59 years, male 24.0
GTEX-ZVZQ-2626-SM-59HLB 60-69 years, female 24.0
GTEX-11GS4-1826-SM-5HL4T 60-69 years, male 23.9
GTEX-13PL7-2426-SM-5J2N3 60-69 years, female 23.8
GTEX-1LVAO-2826-SM-E9TJH 60-69 years, male 23.8
GTEX-Y8E4-2326-SM-EAZAZ 40-49 years, male 23.7
GTEX-18A6Q-2226-SM-7LG61 60-69 years, male 23.5
GTEX-1OFPY-1226-SM-E76OM 60-69 years, male 23.5
GTEX-12WSM-1426-SM-5GCPA 60-69 years, male 23.4
GTEX-132NY-2726-SM-5PNY2 60-69 years, male 23.3
GTEX-1I1GT-2026-SM-CKZPK 60-69 years, female 23.3
GTEX-1JMPZ-2626-SM-ARU8Z 30-39 years, male 23.3
GTEX-11EI6-2626-SM-5PNVT 60-69 years, male 23.2
GTEX-14DAQ-2926-SM-664MV 60-69 years, female 23.2
GTEX-1N2DV-1826-SM-E6CJ5 40-49 years, male 23.2
GTEX-ZYFG-1826-SM-5GZWX 60-69 years, female 23.1
GTEX-1R9JW-2126-SM-E76QT 30-39 years, female 23.1
GTEX-13RTJ-1926-SM-5YYA2 60-69 years, male 23.0
GTEX-13U4I-2626-SM-5SI9C 40-49 years, female 23.0
GTEX-1JMQJ-2626-SM-CY8HQ 50-59 years, male 23.0
GTEX-1PDJ9-2026-SM-E76PT 20-29 years, male 23.0
GTEX-18QFQ-1726-SM-731C9 30-39 years, male 22.8
GTEX-1QW4Y-1426-SM-E76P3 30-39 years, male 22.8
GTEX-13QBU-2026-SM-5KLZB 40-49 years, female 22.7
GTEX-148VJ-2426-SM-5NQ9Y 70-79 years, male 22.7
GTEX-1H3NZ-2526-SM-9KNVO 60-69 years, male 22.7
GTEX-1QCLZ-2026-SM-EAZ4A 60-69 years, female 22.7
GTEX-XUZC-1526-SM-4BRV4 30-39 years, female 22.6
GTEX-13OW5-2826-SM-5KM1G 60-69 years, male 22.5
GTEX-17F96-2126-SM-7KFSM 70-79 years, male 22.5
GTEX-1R9PO-2026-SM-E9J4N 60-69 years, female 22.5
GTEX-ZE7O-2626-SM-51MSS 50-59 years, female 22.4
GTEX-14JG6-1626-SM-5YYBC 30-39 years, female 22.3
GTEX-117XS-2226-SM-5GIE1 60-69 years, male 22.2
GTEX-1QP28-2226-SM-DTX8C 50-59 years, female 22.2
GTEX-11ZU8-1126-SM-5EQ5K 60-69 years, male 22.1
GTEX-ZAB4-2426-SM-5HL8A 40-49 years, male 22.1
GTEX-1I6K6-1926-SM-A96SN 30-39 years, male 22.1
GTEX-1ICG6-2226-SM-B2LY7 70-79 years, female 22.1
GTEX-1PBJI-2526-SM-E6CP4 20-29 years, female 22.1
GTEX-13OVI-2126-SM-5KM3U 60-69 years, female 22.0
GTEX-15DYW-2426-SM-7KUG8 60-69 years, female 22.0
GTEX-18465-2726-SM-7LT9I 50-59 years, male 22.0
GTEX-WH7G-1426-SM-4LVMU 40-49 years, male 22.0
GTEX-ZPU1-1726-SM-4WWFV 40-49 years, male 22.0
GTEX-1PIEJ-1826-SM-EWRMN 20-29 years, female 21.9
GTEX-1B8L1-1926-SM-7IGND 60-69 years, male 21.7
GTEX-1GL5R-1726-SM-9KNUX 50-59 years, male 21.7
GTEX-145LT-0826-SM-5S2QL 40-49 years, male 21.6
GTEX-18A67-2226-SM-7LT9Z 50-59 years, male 21.6
GTEX-1HBPI-2226-SM-9WYTY 50-59 years, male 21.6
GTEX-1QPFJ-2426-SM-EVR3L 30-39 years, female 21.6
GTEX-WY7C-1926-SM-4ONCI 50-59 years, male 21.5
GTEX-1GMR8-2926-SM-9KNW5 50-59 years, female 21.5
GTEX-1LSNL-1626-SM-E9TJY 50-59 years, male 21.5
GTEX-13FH7-1626-SM-5J2O9 50-59 years, female 21.4
GTEX-1PFEY-1726-SM-DPRZ4 30-39 years, male 21.4
GTEX-13G51-2126-SM-5IJD9 60-69 years, male 21.3
GTEX-WHPG-1626-SM-4M1ZL 50-59 years, male 21.1
GTEX-12696-1926-SM-5EGJT 60-69 years, male 21.0
GTEX-145LS-2926-SM-5O99G 60-69 years, female 21.0
GTEX-WYJK-2326-SM-4ONDN 50-59 years, male 21.0
GTEX-1J1OQ-2826-SM-D3L88 40-49 years, female 21.0
GTEX-13D11-0626-SM-5LZYY 50-59 years, female 20.9
GTEX-XQ8I-2326-SM-4BOQC 50-59 years, male 20.9
GTEX-1EU9M-2726-SM-7P8QD 60-69 years, male 20.9
GTEX-1LSVX-2026-SM-E9TJD 60-69 years, male 20.9
GTEX-Y5LM-1426-SM-5RQJL 40-49 years, female 20.8
GTEX-1GPI7-1926-SM-9KNUH 20-29 years, male 20.8
GTEX-12WSG-2426-SM-5EQLZ 50-59 years, female 20.7
GTEX-1A32A-2626-SM-73KX9 50-59 years, female 20.7
GTEX-ZE9C-2126-SM-4WKGY 60-69 years, male 20.7
GTEX-ZYT6-2826-SM-5GICX 30-39 years, male 20.7
GTEX-1399U-2226-SM-5KLZI 50-59 years, female 20.6
GTEX-15RJ7-1726-SM-6PAL3 40-49 years, male 20.6
GTEX-17HHE-1626-SM-7DHLN 50-59 years, male 20.6
GTEX-17MFQ-1226-SM-7KFSA 20-29 years, male 20.6
GTEX-WI4N-2226-SM-4OOS9 40-49 years, female 20.6
GTEX-ZP4G-1526-SM-57WE5 20-29 years, female 20.6
GTEX-ZVT4-2626-SM-5N9GJ 50-59 years, female 20.6
GTEX-1LG7Z-1326-SM-DIPF3 30-39 years, male 20.6
GTEX-16Z82-2426-SM-7KUMS 60-69 years, male 20.5
GTEX-1IL2U-2526-SM-C1YQV 60-69 years, male 20.5
GTEX-WFG8-1726-SM-4LVM6 20-29 years, male 20.4
GTEX-1GZ4H-1326-SM-7P8TE 50-59 years, female 20.3
GTEX-1AX9K-1626-SM-73KUS 50-59 years, male 20.2
GTEX-1H3VE-2326-SM-9KNVU 40-49 years, male 20.2
GTEX-13N2G-2226-SM-5IJCU 60-69 years, male 20.1
GTEX-1AMFI-1826-SM-73KWB 50-59 years, female 20.1
GTEX-ZLWG-1826-SM-DO11I 50-59 years, female 20.1
GTEX-111YS-1826-SM-5GIEP 60-69 years, male 20.0
GTEX-17GQL-1626-SM-7LG69 60-69 years, male 20.0
GTEX-17HGU-2626-SM-79OKN 50-59 years, male 20.0
GTEX-1I1CD-2826-SM-A9SL4 60-69 years, female 20.0
GTEX-1PIGE-1526-SM-DTXFC 20-29 years, male 20.0
GTEX-1211K-1826-SM-5EGJ2 60-69 years, female 19.9
GTEX-1C475-1526-SM-7DHM3 40-49 years, female 19.9
GTEX-ZVT2-1726-SM-51MRO 50-59 years, female 19.9
GTEX-1I1GP-2826-SM-A9SKZ 50-59 years, male 19.8
GTEX-1QP29-2526-SM-E6CQ3 50-59 years, male 19.8
GTEX-183WM-2526-SM-731BP 70-79 years, female 19.7
GTEX-1KANA-1726-SM-CY8IG 20-29 years, male 19.7
GTEX-1122O-1426-SM-5H11R 60-69 years, female 19.6
GTEX-1F5PK-1726-SM-7RHHW 50-59 years, male 19.6
GTEX-1QCLY-2026-SM-EVR4C 30-39 years, male 19.6
GTEX-12WSJ-1426-SM-5GCON 40-49 years, female 19.5
GTEX-147GR-2826-SM-5RQK8 60-69 years, male 19.5
GTEX-14PHX-1126-SM-5YYA5 50-59 years, male 19.5
GTEX-14PJ4-1826-SM-5YY97 60-69 years, male 19.5
GTEX-13SLW-2826-SM-5Q5ES 70-79 years, male 19.4
GTEX-VJYA-2126-SM-4KL1O 60-69 years, male 19.4
GTEX-ZT9W-1726-SM-51MS3 50-59 years, male 19.4
GTEX-1LVAN-2626-SM-CNPQF 50-59 years, female 19.4
GTEX-1CB4F-1926-SM-7MKFN 60-69 years, male 19.3
GTEX-1OJC3-1826-SM-DTX93 20-29 years, male 19.3
GTEX-1R7EU-1826-SM-DTX9L 60-69 years, male 19.3
GTEX-1RAZR-2026-SM-E9TKE 40-49 years, male 19.3
GTEX-13O61-1526-SM-5KM3P 60-69 years, male 19.2
GTEX-13PVR-1726-SM-5Q5EC 60-69 years, female 19.2
GTEX-1A3MX-2326-SM-718B4 60-69 years, male 19.2
GTEX-1AX9J-2526-SM-73KUY 60-69 years, male 19.2
GTEX-1GN73-2726-SM-9WYUB 60-69 years, male 19.2
GTEX-1J8QM-1226-SM-CY8HI 60-69 years, female 19.2
GTEX-1C2JI-1726-SM-73KUW 50-59 years, male 19.1
GTEX-1HCUA-1926-SM-B2LWE 50-59 years, female 19.1
GTEX-13CF3-1326-SM-5LZXZ 60-69 years, female 19.0
GTEX-1HSGN-2226-SM-A9SL6 40-49 years, female 19.0
GTEX-111CU-1226-SM-5EGIN 50-59 years, male 18.9
GTEX-1S5ZA-1426-SM-E6CJQ 20-29 years, male 18.9
GTEX-12ZZY-2726-SM-5EQ45 60-69 years, male 18.8
GTEX-14A5H-1626-SM-5SIAN 60-69 years, male 18.8
GTEX-16BQI-2026-SM-7KULQ 30-39 years, female 18.8
GTEX-1B996-2726-SM-7DUGG 60-69 years, male 18.8
GTEX-WQUQ-2626-SM-4MVNP 60-69 years, male 18.8
GTEX-ZDTS-2726-SM-5L3E2 60-69 years, male 18.8
GTEX-1S831-1726-SM-EWROJ 20-29 years, male 18.8
GTEX-15UF7-1326-SM-7KUKV 40-49 years, male 18.7
GTEX-ZF29-1826-SM-4WKG8 60-69 years, female 18.7
GTEX-1HBPN-2026-SM-B2LWA 50-59 years, male 18.7
GTEX-13X6I-2726-SM-5Q5ET 60-69 years, male 18.6
GTEX-1B97I-1526-SM-73KUK 40-49 years, male 18.6
GTEX-1A3MV-1026-SM-72D5U 30-39 years, male 18.5
GTEX-1HB9E-2526-SM-D4P35 50-59 years, male 18.5
GTEX-1HSMO-2526-SM-A9SKP 60-69 years, male 18.5
GTEX-1J8Q3-2426-SM-CL53S 60-69 years, male 18.5
GTEX-1S82P-2026-SM-E9TIQ 60-69 years, female 18.5
GTEX-17HG3-1126-SM-7DUFC 30-39 years, female 18.4
GTEX-WYVS-1126-SM-4SOJX 40-49 years, female 18.4
GTEX-ZY6K-1326-SM-5GZWP 50-59 years, male 18.4
GTEX-1H1E6-1826-SM-A9G21 30-39 years, male 18.4
GTEX-1RLM8-1726-SM-E9TKF 50-59 years, male 18.4
GTEX-14PN3-1926-SM-6EU1Y 60-69 years, female 18.3
GTEX-16NGA-0926-SM-718AG 40-49 years, female 18.3
GTEX-1B8KE-1526-SM-7DUG2 50-59 years, male 18.3
GTEX-ZC5H-2426-SM-4WAZ6 40-49 years, female 18.3
GTEX-1IDJI-2226-SM-CKZPM 50-59 years, female 18.3
GTEX-15DZA-1026-SM-6PAND 30-39 years, female 18.2
GTEX-WFON-1326-SM-4LVMN 40-49 years, male 18.2
GTEX-1PBJJ-2026-SM-DTX8U 30-39 years, male 18.2
GTEX-1R9K5-2226-SM-DTX9G 50-59 years, male 18.2
GTEX-13O1R-2426-SM-5KLZZ 60-69 years, male 18.1
GTEX-ZXES-1726-SM-5E43G 30-39 years, female 18.1
GTEX-1HSMQ-2526-SM-A9SMK 50-59 years, male 18.1
GTEX-1K2DA-1626-SM-CGQGB 50-59 years, male 18.1
GTEX-1MGNQ-2126-SM-EV7AC 40-49 years, male 18.1
GTEX-183FY-1426-SM-7DHLM 20-29 years, male 18.0
GTEX-1B932-2126-SM-7IGMU 40-49 years, female 18.0
GTEX-1HFI7-1626-SM-9WYTR 50-59 years, female 18.0
GTEX-11DXZ-1626-SM-5GIDI 50-59 years, male 17.9
GTEX-1QP67-1426-SM-E8VOO 40-49 years, female 17.9
GTEX-11PRG-2026-SM-5GU5F 50-59 years, male 17.8
GTEX-WHWD-1526-SM-4OORV 50-59 years, male 17.8
GTEX-XXEK-1826-SM-4BRVC 50-59 years, male 17.8
GTEX-ZV6S-1126-SM-57WE9 40-49 years, female 17.8
GTEX-WOFM-1926-SM-4OOSP 20-29 years, male 17.7
GTEX-18D9A-1326-SM-7LT8P 30-39 years, female 17.6
GTEX-Y3I4-1126-SM-4TT7Y 50-59 years, male 17.6
GTEX-1JMPY-1026-SM-ARZN1 30-39 years, male 17.6
GTEX-145ME-1126-SM-5SIAT 40-49 years, female 17.5
GTEX-11EM3-1626-SM-5N9CO 20-29 years, female 17.4
GTEX-11VI4-1426-SM-5GU6O 40-49 years, female 17.4
GTEX-W5WG-2026-SM-4LMIB 50-59 years, female 17.4
GTEX-X5EB-1126-SM-46MVV 40-49 years, male 17.4
GTEX-1LGOU-1726-SM-D3L8P 20-29 years, female 17.4
GTEX-11P81-1426-SM-5P9JN 30-39 years, female 17.3
GTEX-1LGRB-2026-SM-COH47 50-59 years, female 17.3
GTEX-13113-1426-SM-5EGHU 60-69 years, female 17.2
GTEX-139T6-1426-SM-5P9J7 50-59 years, male 17.2
GTEX-Y114-1626-SM-4TT7I 50-59 years, female 17.2
GTEX-Y5V6-1626-SM-4VDT2 60-69 years, male 17.2
GTEX-ZG7Y-1826-SM-4WWD3 50-59 years, male 17.2
GTEX-1H1DE-1626-SM-9KNU5 20-29 years, male 17.2
GTEX-1HBPH-2526-SM-ACKXK 40-49 years, female 17.2
GTEX-1KXAM-1926-SM-D3LAG 60-69 years, male 17.2
GTEX-Y8LW-1126-SM-4VDS4 50-59 years, female 17.1
GTEX-1CAMR-1026-SM-7P8QI 20-29 years, male 17.1
GTEX-1N2EF-1726-SM-EXUSI 60-69 years, male 17.1
GTEX-ZTTD-2626-SM-57WEX 50-59 years, male 16.9
GTEX-1JN76-1326-SM-ARU94 20-29 years, female 16.9
GTEX-13VXT-2026-SM-5L3EW 20-29 years, female 16.8
GTEX-15RIF-1426-SM-7KUKQ 20-29 years, male 16.8
GTEX-ZQUD-1026-SM-4YCEZ 30-39 years, male 16.8
GTEX-1CAMS-2626-SM-7PBY3 40-49 years, female 16.8
GTEX-1F5PL-1926-SM-7MXTP 40-49 years, female 16.8
GTEX-1JK1U-1426-SM-CNPOW 60-69 years, male 16.8
GTEX-15ETS-2326-SM-7KUGC 40-49 years, female 16.7
GTEX-V955-1726-SM-4JBHF 60-69 years, male 16.7
GTEX-WRHK-1126-SM-4MVOJ 20-29 years, female 16.7
GTEX-ZA64-1426-SM-5CVMC 20-29 years, male 16.7
GTEX-13111-1926-SM-5GCOL 50-59 years, male 16.6
GTEX-ZQG8-2426-SM-57WEE 60-69 years, female 16.5
GTEX-1C64O-2426-SM-7P8R3 60-69 years, male 16.5
GTEX-1H3VY-2526-SM-9KNW1 50-59 years, male 16.4
GTEX-1HCU7-2726-SM-A9G3D 50-59 years, male 16.4
GTEX-11ZTT-1626-SM-5EQKR 60-69 years, female 16.3
GTEX-15FZZ-1826-SM-6LLJP 30-39 years, female 16.3
GTEX-1PPH8-2226-SM-EWRN7 20-29 years, male 16.3
GTEX-ZPIC-2626-SM-57WE2 40-49 years, female 16.2
GTEX-131XG-1526-SM-5GCNQ 50-59 years, female 16.1
GTEX-139D8-2926-SM-5IJBM 30-39 years, female 16.1
GTEX-WFG7-1626-SM-4LVMF 20-29 years, male 16.1
GTEX-1QP2A-2226-SM-DTXF6 50-59 years, male 16.1
GTEX-18A66-2626-SM-72D67 60-69 years, male 16.0
GTEX-YF7O-1626-SM-5IFII 50-59 years, male 16.0
GTEX-1LBAC-1726-SM-D3L9W 20-29 years, male 16.0
GTEX-15F5U-1426-SM-7KUN2 40-49 years, male 15.9
GTEX-ZF2S-1826-SM-4WKFF 50-59 years, female 15.9
GTEX-ZLFU-1426-SM-4WWEU 40-49 years, male 15.9
GTEX-13W3W-2226-SM-5LU4M 60-69 years, female 15.8
GTEX-14PK6-1826-SM-69LOM 70-79 years, female 15.8
GTEX-ZAB5-1426-SM-5HL9D 50-59 years, male 15.8
GTEX-1RMOY-1726-SM-EVYC9 50-59 years, male 15.8
GTEX-11DXX-1926-SM-5EGJK 60-69 years, female 15.6
GTEX-12WSL-1826-SM-5LZW9 50-59 years, male 15.6
GTEX-14C5O-2626-SM-5RQI5 60-69 years, male 15.6
GTEX-11P7K-1826-SM-5HL5A 30-39 years, male 15.5
GTEX-14PJ3-1226-SM-5ZZVY 50-59 years, male 15.5
GTEX-ZPCL-1626-SM-57WGC 60-69 years, female 15.5
GTEX-1IKOE-2126-SM-A96T5 30-39 years, female 15.5
GTEX-1JKYN-2226-SM-ARZNE 30-39 years, male 15.5
GTEX-12BJ1-2026-SM-5FQUH 60-69 years, male 15.4
GTEX-14C39-1626-SM-5S2P4 40-49 years, male 15.4
GTEX-1K9T9-2926-SM-E9TKD 50-59 years, female 15.3
GTEX-117YX-0526-SM-5EGJH 50-59 years, male 15.2
GTEX-146FH-2426-SM-5Q5EW 50-59 years, female 15.2
GTEX-YFCO-1526-SM-5YYB8 40-49 years, male 15.2
GTEX-1GF9X-1426-SM-7RHGX 40-49 years, female 15.2
GTEX-1JKYR-2026-SM-CNPON 20-29 years, male 15.2
GTEX-YEC3-2026-SM-DKPOL 50-59 years, male 15.2
GTEX-11EQ9-1526-SM-5PNY7 30-39 years, male 15.1
GTEX-1339X-1726-SM-5P9J9 40-49 years, male 15.1
GTEX-14E6E-1726-SM-5S2R6 30-39 years, male 15.1
GTEX-17F9Y-2626-SM-7IGN9 70-79 years, female 15.1
GTEX-1J1R8-1426-SM-CL55O 40-49 years, male 15.0
GTEX-XV7Q-2226-SM-4BRVY 40-49 years, female 14.9
GTEX-14AS3-1026-SM-5TDD7 40-49 years, female 14.2
GTEX-17KNJ-1826-SM-7LT9N 50-59 years, male 14.0
GTEX-ZZ64-0826-SM-5E449 20-29 years, male 14.0
GTEX-ZLV1-1326-SM-DO11Q 60-69 years, female 13.8
GTEX-144GM-1126-SM-79OJK 20-29 years, male 13.7
GTEX-XBED-1726-SM-47JYO 60-69 years, male 13.7
GTEX-12ZZW-2426-SM-5DUWE 50-59 years, male 13.3
GTEX-15G19-2726-SM-6LPKG 60-69 years, male 13.3
GTEX-ZTSS-1226-SM-51MSZ 40-49 years, male 13.3
GTEX-131XE-1026-SM-5EGKE 50-59 years, male 13.1
GTEX-17EUY-1726-SM-79OK4 20-29 years, male 13.1
GTEX-11I78-1326-SM-5PNY9 50-59 years, female 12.9
GTEX-1AMEY-1826-SM-72D5L 30-39 years, female 12.8
GTEX-YJ8A-1726-SM-5P9IQ 20-29 years, male 12.7
GTEX-16MTA-1626-SM-6M47N 50-59 years, male 12.6
GTEX-XAJ8-0726-SM-47JY5 40-49 years, male 12.5
GTEX-15G1A-1926-SM-7KUFF 30-39 years, male 12.5
GTEX-ZYFD-2226-SM-5E43P 50-59 years, male 12.3
GTEX-15ER7-2826-SM-6PAN2 20-29 years, female 12.1
GTEX-1AYCT-1926-SM-793AE 50-59 years, male 12.0
GTEX-1399R-2126-SM-5K7WZ 30-39 years, male 11.8
GTEX-15RIE-2026-SM-7KFRW 60-69 years, male 11.8
GTEX-14E1K-1626-SM-664MO 50-59 years, male 11.4
GTEX-ZAJG-2626-SM-5S2NU 50-59 years, female 11.0
GTEX-WHSE-2726-SM-EZ6ML 20-29 years, male 11.0
GTEX-14BMU-1326-SM-5RQIH 20-29 years, female 10.8
GTEX-13OVK-1026-SM-7KFTC 40-49 years, male 10.7
GTEX-1L5NE-1926-SM-D3L9R 50-59 years, male 10.7
GTEX-ZF28-2526-SM-57WFH 60-69 years, male 10.0
GTEX-11TT1-0926-SM-5GU5M 20-29 years, male 8.0
GTEX-11EQ8-2626-SM-5N9BO 60-69 years, male 7.4
GTEX-132AR-2826-SM-5IJFV 50-59 years, female 4.3
Show allShow less
Colon - Transverse
Average nTPM: 18.0
Samples: 406

Max nTPM: 42.2
Min nTPM: 6.8
Std nTPM: 4.0
Median nTPM: 17.6
GTEX-14C39-1926-SM-5ZZW5 40-49 years, male 42.2
GTEX-OOBJ-1426-SM-E6CHH 60-69 years, male 31.6
GTEX-145MO-2426-SM-5NQ9W 60-69 years, male 31.3
GTEX-17HII-2726-SM-7MGVM 50-59 years, male 31.2
GTEX-1JMLX-2726-SM-CM2SB 50-59 years, male 30.9
GTEX-1HSMQ-2726-SM-C1YRE 50-59 years, male 28.8
GTEX-11GSP-1626-SM-5986N 60-69 years, female 28.6
GTEX-1AYD5-1726-SM-7RHFW 50-59 years, male 28.4
GTEX-1N5O9-2726-SM-E76QH 60-69 years, male 28.3
GTEX-X4EO-2526-SM-EWRM8 60-69 years, female 27.9
GTEX-1HCU6-2726-SM-A9SKV 60-69 years, female 27.4
GTEX-18A7A-2226-SM-7LT8K 50-59 years, female 27.1
GTEX-17GQL-1526-SM-7LTAC 60-69 years, male 26.4
GTEX-1QMI2-2626-SM-E6CR4 60-69 years, male 26.4
GTEX-11ONC-2026-SM-5HL61 60-69 years, male 25.6
GTEX-1LG7Y-2126-SM-DIPER 50-59 years, male 25.5
GTEX-1PPGY-2826-SM-DTX9H 60-69 years, male 25.4
GTEX-OXRN-2026-SM-E6CHK 50-59 years, male 25.4
GTEX-16Z82-2226-SM-6LPJ7 60-69 years, male 25.2
GTEX-1JJ6O-2426-SM-ARU8J 60-69 years, male 25.1
GTEX-YEC3-2426-SM-DO11A 50-59 years, male 25.1
GTEX-1PWST-2426-SM-EWRMP 70-79 years, male 24.8
GTEX-ZYFC-2626-SM-5NQ6S 50-59 years, male 24.4
GTEX-16MT8-2726-SM-7IGLJ 60-69 years, female 24.2
GTEX-ZAB4-2226-SM-5HL97 40-49 years, male 24.1
GTEX-1C6VQ-2726-SM-73KUL 50-59 years, male 23.9
GTEX-UJMC-1326-SM-4IHLS 50-59 years, male 23.8
GTEX-1E2YA-2626-SM-7MGWW 50-59 years, male 23.8
GTEX-1RDX4-1826-SM-EVR54 50-59 years, female 23.8
GTEX-1PPH8-2026-SM-DTX7P 20-29 years, male 23.7
GTEX-1POEN-2026-SM-E6CRL 30-39 years, female 23.6
GTEX-1S3DN-1826-SM-EV79K 50-59 years, male 23.2
GTEX-14BIN-3026-SM-5ZZUS 50-59 years, female 23.1
GTEX-RWS6-1826-SM-47JXX 60-69 years, female 23.1
GTEX-X5EB-0926-SM-46MVT 40-49 years, male 23.1
GTEX-1GF9U-1526-SM-7MXUW 40-49 years, female 23.1
GTEX-1GMR3-2826-SM-9WPOG 40-49 years, male 23.1
GTEX-1S83E-1626-SM-EV7B9 40-49 years, male 23.1
GTEX-1BAJH-2326-SM-7IGMO 70-79 years, male 23.0
GTEX-13QJ3-2626-SM-9OSXQ 50-59 years, male 22.9
GTEX-17EUY-1826-SM-7DUEZ 20-29 years, male 22.8
GTEX-13OVI-2026-SM-5J1MU 60-69 years, female 22.7
GTEX-1I1GR-2526-SM-CNNQF 60-69 years, male 22.7
GTEX-1LH75-2126-SM-EVR5F 50-59 years, female 22.7
GTEX-11TUW-2026-SM-5EQL8 60-69 years, male 22.6
GTEX-17MF6-2426-SM-7LTAM 40-49 years, male 22.6
GTEX-1CAMS-2526-SM-7EPH7 40-49 years, female 22.6
GTEX-1GMR2-1726-SM-9JGI2 50-59 years, male 22.6
GTEX-P4QT-1426-SM-3NMCX 50-59 years, female 22.5
GTEX-1LGRB-1426-SM-CNNPT 50-59 years, female 22.5
GTEX-111VG-2226-SM-5N9DU 60-69 years, male 22.3
GTEX-11TTK-2426-SM-5PNYO 60-69 years, female 22.3
GTEX-U3ZM-1126-SM-4DXUB 40-49 years, male 22.3
GTEX-13U4I-2426-SM-5LU34 40-49 years, female 22.2
GTEX-XPVG-1826-SM-4B64X 50-59 years, male 22.2
GTEX-12KS4-2426-SM-5LU8P 30-39 years, male 22.0
GTEX-S4P3-1226-SM-4AD4Y 50-59 years, female 22.0
GTEX-13OW5-2626-SM-5MR3M 60-69 years, male 21.9
GTEX-1KANA-1926-SM-DHXKF 20-29 years, male 21.9
GTEX-YEC4-1926-SM-5IFHJ 40-49 years, male 21.8
GTEX-17JCI-2626-SM-7EWE6 60-69 years, female 21.7
GTEX-16XZZ-2626-SM-6M47S 60-69 years, male 21.6
GTEX-1GZ4I-2426-SM-9WPPP 50-59 years, male 21.6
GTEX-14PJM-2626-SM-686ZD 50-59 years, female 21.5
GTEX-14DAQ-2726-SM-5S2QY 60-69 years, female 21.4
GTEX-13OW6-2126-SM-5N9GL 50-59 years, male 21.3
GTEX-1R7EU-1926-SM-E9U62 60-69 years, male 21.3
GTEX-1R9PM-1526-SM-DPRY8 20-29 years, male 21.2
GTEX-SJXC-2226-SM-EVYAK 60-69 years, male 21.2
GTEX-13O21-2426-SM-5MR4A 50-59 years, male 21.1
GTEX-PLZ5-1126-SM-3P613 50-59 years, male 21.1
GTEX-1MJK3-0926-SM-EV7AY 20-29 years, male 21.1
GTEX-OXRL-1426-SM-3NM9E 50-59 years, male 21.0
GTEX-RU1J-1326-SM-46MUL 20-29 years, female 21.0
GTEX-1HCU9-1326-SM-B2LXT 20-29 years, male 21.0
GTEX-1N2DV-1426-SM-DPRYQ 40-49 years, male 21.0
GTEX-OHPN-2026-SM-E9TIA 60-69 years, female 21.0
GTEX-148VJ-2626-SM-5QGPI 70-79 years, male 20.9
GTEX-1L5NE-2026-SM-CXZKR 50-59 years, male 20.9
GTEX-15ER7-2926-SM-7KUFK 20-29 years, female 20.8
GTEX-1C2JI-1626-SM-7EPHC 50-59 years, male 20.8
GTEX-Y114-1526-SM-4TT79 50-59 years, female 20.8
GTEX-1JMPZ-2426-SM-C1YQP 30-39 years, male 20.8
GTEX-139TS-1926-SM-5IJFO 60-69 years, male 20.6
GTEX-15DZA-0926-SM-69LQ3 30-39 years, female 20.6
GTEX-ZF29-1726-SM-4WKFV 60-69 years, female 20.6
GTEX-1AX9I-2626-SM-73KU5 60-69 years, male 20.5
GTEX-1H1DE-1526-SM-ARL9B 20-29 years, male 20.5
GTEX-1HCVE-2526-SM-A9G2G 50-59 years, male 20.5
GTEX-13O61-1626-SM-5KM3T 60-69 years, male 20.4
GTEX-15CHQ-2526-SM-6EU24 60-69 years, male 20.4
GTEX-1EMGI-2726-SM-7P8S4 60-69 years, male 20.4
GTEX-1I6K6-1826-SM-B2LX5 30-39 years, male 20.4
GTEX-1K2DA-2026-SM-CGQGK 50-59 years, male 20.4
GTEX-1K9T9-2826-SM-D4P3F 50-59 years, female 20.4
GTEX-1128S-1626-SM-5H12O 60-69 years, female 20.3
GTEX-S341-1426-SM-4AD6U 40-49 years, female 20.3
GTEX-Y5LM-1526-SM-4VDTA 40-49 years, female 20.3
GTEX-13FH7-1526-SM-5J2N6 50-59 years, female 20.2
GTEX-QCQG-1626-SM-48U26 50-59 years, female 20.2
GTEX-U3ZH-1326-SM-4DXSF 30-39 years, male 20.2
GTEX-WFON-1426-SM-4LVMT 40-49 years, male 20.2
GTEX-Y3I4-1426-SM-4TT9C 50-59 years, male 20.2
GTEX-14H4A-1926-SM-5ZZWN 40-49 years, female 20.1
GTEX-Y9LG-1526-SM-4WWDR 30-39 years, male 20.1
GTEX-145LT-0926-SM-5LU9C 40-49 years, male 20.0
GTEX-WH7G-1326-SM-4LVMS 40-49 years, male 20.0
GTEX-XBEW-1926-SM-4SOJO 40-49 years, male 20.0
GTEX-1I1GT-1926-SM-ARU7D 60-69 years, female 20.0
GTEX-1MUQO-2626-SM-EWRO3 60-69 years, male 20.0
GTEX-16NPV-2626-SM-6M484 50-59 years, female 19.9
GTEX-UJHI-1126-SM-4IHLN 50-59 years, female 19.9
GTEX-WOFM-2026-SM-4OOSQ 20-29 years, male 19.9
GTEX-U412-1726-SM-EZ6KX 60-69 years, male 19.9
GTEX-12C56-0626-SM-5EGGC 20-29 years, male 19.8
GTEX-13O3O-2526-SM-5L3DR 60-69 years, female 19.8
GTEX-13QBU-1826-SM-5IJG3 40-49 years, female 19.8
GTEX-14PJ4-1926-SM-6LLHG 60-69 years, male 19.8
GTEX-15DYW-2326-SM-6PAMU 60-69 years, female 19.8
GTEX-R55D-1826-SM-48FEF 50-59 years, male 19.8
GTEX-1IGQW-2326-SM-CE6RV 60-69 years, male 19.8
GTEX-1LSVX-1726-SM-DHXJP 60-69 years, male 19.8
GTEX-NFK9-2026-SM-3LK5K 40-49 years, male 19.7
GTEX-11LCK-2026-SM-5A5MA 30-39 years, male 19.6
GTEX-15SHU-2526-SM-6M47D 40-49 years, female 19.6
GTEX-V955-1626-SM-4JBHJ 60-69 years, male 19.6
GTEX-X15G-1326-SM-4PQZJ 50-59 years, female 19.6
GTEX-13FHP-2426-SM-5KLZ5 50-59 years, male 19.5
GTEX-1B8KZ-1326-SM-7DUG6 50-59 years, male 19.5
GTEX-Z93S-2426-SM-5HL8N 50-59 years, male 19.5
GTEX-1F75B-2726-SM-7P8QO 50-59 years, male 19.5
GTEX-1J1R8-1126-SM-CNPQ3 40-49 years, male 19.5
GTEX-1LVAM-1626-SM-EV79Y 50-59 years, female 19.5
GTEX-15SB6-1226-SM-7KUMP 50-59 years, female 19.4
GTEX-S7SF-1926-SM-4AT5B 20-29 years, female 19.4
GTEX-111YS-1626-SM-5GZZ9 60-69 years, male 19.3
GTEX-18D9U-1926-SM-7KFTM 40-49 years, male 19.3
GTEX-1LG7Z-1426-SM-CXKYV 30-39 years, male 19.3
GTEX-1S82U-0726-SM-E9TKI 30-39 years, female 19.3
GTEX-11O72-2226-SM-5PNW2 40-49 years, male 19.2
GTEX-1F75I-2426-SM-9WPOY 40-49 years, male 19.2
GTEX-1HKZK-2126-SM-A9SL3 40-49 years, male 19.2
GTEX-PLZ6-0926-SM-3P5ZQ 30-39 years, male 19.1
GTEX-1GN73-2626-SM-9KNUQ 60-69 years, male 19.1
GTEX-1H1DG-2226-SM-9WPPC 70-79 years, male 19.1
GTEX-1PFEY-1426-SM-E9U6U 30-39 years, male 19.1
GTEX-18D9B-2526-SM-718BN 60-69 years, male 19.0
GTEX-1KANC-0926-SM-D3LA9 50-59 years, female 19.0
GTEX-1QCLY-1726-SM-DPRXY 30-39 years, male 19.0
GTEX-11ZVC-2126-SM-5EGJ1 50-59 years, female 18.9
GTEX-1399S-1926-SM-5J2M5 30-39 years, female 18.9
GTEX-15UF6-2626-SM-6M466 70-79 years, female 18.9
GTEX-WYJK-2226-SM-4ONDJ 50-59 years, male 18.9
GTEX-1IDJF-1826-SM-CKZOE 20-29 years, male 18.9
GTEX-11I78-1226-SM-5A5K6 50-59 years, female 18.8
GTEX-1211K-1726-SM-5FQUJ 60-69 years, female 18.8
GTEX-14PJ3-0926-SM-69LQG 50-59 years, male 18.8
GTEX-147JS-2526-SM-5S2Q8 60-69 years, male 18.7
GTEX-1CAMR-0926-SM-7MXTD 20-29 years, male 18.7
GTEX-14ICL-1226-SM-5S2RD 30-39 years, male 18.6
GTEX-1NV5F-2226-SM-DTX8O 60-69 years, female 18.6
GTEX-1S5VW-2926-SM-E9U6H 60-69 years, male 18.6
GTEX-OIZF-1426-SM-2HML2 60-69 years, male 18.6
GTEX-13PL7-2526-SM-5IFGR 60-69 years, female 18.5
GTEX-146FQ-1926-SM-5NQBY 30-39 years, male 18.5
GTEX-1B8KE-1926-SM-731EE 50-59 years, male 18.5
GTEX-1C4CL-2126-SM-7IGQC 30-39 years, male 18.5
GTEX-1EH9U-2026-SM-7PBYS 60-69 years, male 18.5
GTEX-1JKYN-2326-SM-CGQG7 30-39 years, male 18.5
GTEX-14C5O-2526-SM-73KU2 60-69 years, male 18.4
GTEX-Y8LW-1226-SM-4WWDP 50-59 years, female 18.4
GTEX-ZYFG-1926-SM-5GID5 60-69 years, female 18.4
GTEX-1399U-1926-SM-5IFH7 50-59 years, female 18.3
GTEX-15CHR-1426-SM-7DUGV 50-59 years, male 18.3
GTEX-WEY5-1426-SM-4LMJ3 40-49 years, female 18.3
GTEX-ZG7Y-2126-SM-DO117 50-59 years, male 18.3
GTEX-1122O-1526-SM-5N9CL 60-69 years, female 18.2
GTEX-13FTW-1826-SM-5IJEN 40-49 years, male 18.2
GTEX-1A3MV-1126-SM-718BS 30-39 years, male 18.2
GTEX-S4Q7-0826-SM-4AD5E 20-29 years, male 18.2
GTEX-YB5E-1626-SM-5IFIQ 40-49 years, male 18.2
GTEX-1GPI7-1726-SM-7P8R1 20-29 years, male 18.2
GTEX-16AAH-1326-SM-7KFRG 50-59 years, male 18.1
GTEX-RM2N-0926-SM-48FD1 50-59 years, male 18.1
GTEX-Y3IK-1826-SM-4WWDS 50-59 years, female 18.1
GTEX-13O3P-2326-SM-5KM55 50-59 years, male 18.0
GTEX-145LS-2726-SM-5Q5D8 60-69 years, female 18.0
GTEX-14PKV-2126-SM-664O3 20-29 years, female 18.0
GTEX-WQUQ-2526-SM-4MVNO 60-69 years, male 18.0
GTEX-12ZZZ-2426-SM-5GCNN 60-69 years, male 17.9
GTEX-139T6-1326-SM-5IFFO 50-59 years, male 17.9
GTEX-SNOS-1226-SM-4DM5H 40-49 years, male 17.9
GTEX-1F5PK-1926-SM-7MXT7 50-59 years, male 17.9
GTEX-1HCU7-2626-SM-C1YQO 50-59 years, male 17.9
GTEX-O5YW-1426-SM-3MJHF 50-59 years, male 17.8
GTEX-P78B-1726-SM-3P5ZV 40-49 years, female 17.8
GTEX-ZT9W-1826-SM-51MQX 50-59 years, male 17.8
GTEX-1KANB-1526-SM-CXZK4 50-59 years, male 17.8
GTEX-1QW4Y-1326-SM-EWRMZ 30-39 years, male 17.8
GTEX-11DXZ-1726-SM-5H12M 50-59 years, male 17.7
GTEX-14DAR-1526-SM-5RQIX 50-59 years, male 17.7
GTEX-U3ZN-2126-SM-4DXU1 30-39 years, female 17.7
GTEX-PX3G-1426-SM-48U1J 20-29 years, female 17.6
GTEX-SE5C-1526-SM-4BRWU 40-49 years, female 17.6
GTEX-VJYA-2026-SM-4KL1K 60-69 years, male 17.6
GTEX-1IDJU-2026-SM-A9SLM 60-69 years, female 17.6
GTEX-13OVJ-1726-SM-5IJDZ 50-59 years, female 17.5
GTEX-14ICK-1026-SM-6AJA4 40-49 years, male 17.5
GTEX-15CHC-1626-SM-5ZZWS 60-69 years, female 17.5
GTEX-17EVQ-1826-SM-7IGPH 70-79 years, male 17.5
GTEX-18A7B-2026-SM-72D71 70-79 years, male 17.5
GTEX-ZVT2-1926-SM-5GU5T 50-59 years, female 17.5
GTEX-1GL5R-2426-SM-7MXV1 50-59 years, male 17.5
GTEX-1NSGN-2326-SM-E9U5X 50-59 years, male 17.5
GTEX-1RAZR-1926-SM-E6CRF 40-49 years, male 17.5
GTEX-14E6E-1526-SM-5RQIG 30-39 years, male 17.4
GTEX-WHWD-1226-SM-4OOS1 50-59 years, male 17.4
GTEX-X3Y1-1726-SM-4PQZL 40-49 years, male 17.4
GTEX-ZV6S-1226-SM-59HLH 40-49 years, female 17.4
GTEX-1HSEH-1726-SM-B2LXH 60-69 years, male 17.4
GTEX-13111-0726-SM-5DUVE 50-59 years, male 17.3
GTEX-144GL-2526-SM-5TDDL 50-59 years, male 17.3
GTEX-147F3-1926-SM-5SIB9 50-59 years, female 17.3
GTEX-14JG6-1726-SM-69LPL 30-39 years, female 17.3
GTEX-14PJ5-0926-SM-6LLIK 60-69 years, female 17.3
GTEX-WY7C-1626-SM-4ONC8 50-59 years, male 17.3
GTEX-11P81-1126-SM-5GU5G 30-39 years, female 17.1
GTEX-17HGU-2426-SM-7EWDP 50-59 years, male 17.1
GTEX-T5JW-1126-SM-4DM5V 20-29 years, female 17.1
GTEX-ZF2S-1926-SM-4WWAN 50-59 years, female 17.1
GTEX-ZVP2-1526-SM-5NQ82 50-59 years, male 17.1
GTEX-1JMPY-0426-SM-C1YQ3 30-39 years, male 17.1
GTEX-1PIGE-1426-SM-E9U61 20-29 years, male 17.1
GTEX-1RAZA-1726-SM-DPS13 20-29 years, male 17.1
GTEX-1B996-2626-SM-73KZ1 60-69 years, male 17.0
GTEX-OXRO-0726-SM-E9U4C 60-69 years, female 17.0
GTEX-R45C-2126-SM-EZ6KZ 60-69 years, female 17.0
GTEX-Q2AH-1226-SM-48TZL 40-49 years, male 16.9
GTEX-1I4MK-1126-SM-B2LWS 50-59 years, female 16.9
GTEX-1QP9N-1026-SM-E6CPX 30-39 years, male 16.9
GTEX-11DXX-1826-SM-5H126 60-69 years, female 16.8
GTEX-13VXT-2426-SM-5LU46 20-29 years, female 16.8
GTEX-ZTSS-1126-SM-5985O 40-49 years, male 16.8
GTEX-ZV7C-1526-SM-5NQ72 50-59 years, male 16.8
GTEX-1JJE9-2426-SM-D3L8T 70-79 years, male 16.8
GTEX-14PHX-1526-SM-68717 50-59 years, male 16.7
GTEX-ZPIC-2226-SM-57WDX 40-49 years, female 16.7
GTEX-1H1E6-1926-SM-9OSWD 30-39 years, male 16.7
GTEX-11NSD-1626-SM-5986U 20-29 years, male 16.6
GTEX-147GR-2726-SM-664OO 60-69 years, male 16.6
GTEX-T6MO-0826-SM-4DM51 40-49 years, female 16.6
GTEX-1CB4I-2226-SM-7P8SL 50-59 years, male 16.6
GTEX-1HSGN-2626-SM-CE6S1 40-49 years, female 16.6
GTEX-PSDG-1826-SM-EAZ2S 50-59 years, male 16.6
GTEX-17F96-2026-SM-79ON4 70-79 years, male 16.5
GTEX-R55C-1126-SM-48FCJ 40-49 years, male 16.5
GTEX-ZP4G-1726-SM-4WWCM 20-29 years, female 16.4
GTEX-1JK1U-1526-SM-AHZ46 60-69 years, male 16.4
GTEX-1JN76-1226-SM-C1YRM 20-29 years, female 16.4
GTEX-WVJS-2426-SM-EZ6LI 50-59 years, male 16.4
GTEX-W5WG-2426-SM-4LMI6 50-59 years, female 16.3
GTEX-XUW1-1926-SM-4BOP1 50-59 years, female 16.3
GTEX-YF7O-1726-SM-5IFJ9 50-59 years, male 16.3
GTEX-18QFQ-1526-SM-72D57 30-39 years, male 16.2
GTEX-WHSB-0926-SM-4M1XJ 50-59 years, male 16.2
GTEX-XV7Q-2126-SM-4BRVX 40-49 years, female 16.2
GTEX-1IKK5-2726-SM-CNPQ6 60-69 years, male 16.2
GTEX-14PK6-1726-SM-6871J 70-79 years, female 16.1
GTEX-17HHE-1826-SM-79OKE 50-59 years, male 16.1
GTEX-Q2AI-0926-SM-48U1F 40-49 years, male 16.1
GTEX-XXEK-1926-SM-4BRVD 50-59 years, male 16.1
GTEX-XYKS-2226-SM-4E3IU 60-69 years, female 16.1
GTEX-ZEX8-1926-SM-4WKFR 50-59 years, male 16.1
GTEX-1JKYR-1926-SM-C1YR7 20-29 years, male 16.1
GTEX-15DCE-2026-SM-7KUFE 20-29 years, male 16.0
GTEX-1AMFI-1726-SM-7189L 50-59 years, female 16.0
GTEX-WFG7-1526-SM-4LVMG 20-29 years, male 16.0
GTEX-XUZC-1326-SM-4BRV2 30-39 years, female 16.0
GTEX-1LBAC-1626-SM-CXZKV 20-29 years, male 16.0
GTEX-11VI4-1526-SM-5EQKC 40-49 years, female 15.9
GTEX-15RIF-1326-SM-6LPKO 20-29 years, male 15.9
GTEX-178AV-1326-SM-6LPJX 40-49 years, male 15.9
GTEX-PWN1-1426-SM-48TDF 40-49 years, female 15.9
GTEX-TKQ2-1326-SM-4DXT9 50-59 years, male 15.9
GTEX-1RAZQ-2126-SM-DTX9V 30-39 years, male 15.9
GTEX-13PVR-1626-SM-73KVF 60-69 years, female 15.8
GTEX-TKQ1-0626-SM-4DXTS 30-39 years, male 15.8
GTEX-1NHNU-2326-SM-E6CQE 50-59 years, male 15.8
GTEX-QLQ7-1126-SM-CYPRB 60-69 years, male 15.8
GTEX-13OVK-0826-SM-7KULZ 40-49 years, male 15.7
GTEX-ZLV1-1226-SM-4WWBX 60-69 years, female 15.7
GTEX-1KXAM-2126-SM-CY8I9 60-69 years, male 15.7
GTEX-145ME-0826-SM-5O9AF 40-49 years, female 15.6
GTEX-XBED-1526-SM-4AT5W 60-69 years, male 15.6
GTEX-18D9A-1126-SM-7KFRJ 30-39 years, female 15.5
GTEX-QMRM-1226-SM-447C6 50-59 years, male 15.5
GTEX-TML8-1326-SM-4DXTO 40-49 years, female 15.5
GTEX-ZYVF-2826-SM-5GIDK 50-59 years, female 15.5
GTEX-1IDJD-2226-SM-A96TD 30-39 years, male 15.5
GTEX-1QCLZ-1926-SM-E6CR3 60-69 years, female 15.5
GTEX-QEL4-1926-SM-D3L8D 50-59 years, male 15.5
GTEX-ZDTT-1926-SM-5HL5W 60-69 years, male 15.5
GTEX-15G1A-1826-SM-7KUKO 30-39 years, male 15.3
GTEX-S4UY-0826-SM-4AD4Z 40-49 years, female 15.3
GTEX-WYVS-1826-SM-4OND6 40-49 years, female 15.3
GTEX-ZXES-1626-SM-5NQ7L 30-39 years, female 15.3
GTEX-1R9K5-2126-SM-E8VN1 50-59 years, male 15.2
GTEX-133LE-1526-SM-5IFEN 20-29 years, female 15.1
GTEX-1C64O-2326-SM-73KU8 60-69 years, male 15.1
GTEX-SNMC-1126-SM-4DM5M 20-29 years, male 15.1
GTEX-XMK1-1726-SM-4B64Z 40-49 years, male 15.1
GTEX-ZDYS-2326-SM-4WKG6 50-59 years, male 15.1
GTEX-1J1OQ-2726-SM-AHZ3R 40-49 years, female 15.1
GTEX-1PIEJ-2026-SM-E6CPA 20-29 years, female 15.1
GTEX-XGQ4-1226-SM-4AT67 50-59 years, male 15.0
GTEX-QV31-0826-SM-CKZNC 30-39 years, male 15.0
GTEX-12BJ1-2126-SM-5BC5O 60-69 years, male 14.9
GTEX-14BMV-2426-SM-5S2PP 50-59 years, male 14.9
GTEX-1C475-1626-SM-731FP 40-49 years, female 14.8
GTEX-QDVN-1326-SM-48TZ3 50-59 years, male 14.8
GTEX-1HSMP-2326-SM-D3L8R 70-79 years, male 14.8
GTEX-1RMOY-1626-SM-EVYC8 50-59 years, male 14.8
GTEX-131XG-1826-SM-5LZV4 50-59 years, female 14.7
GTEX-14AS3-1126-SM-5Q5CR 40-49 years, female 14.7
GTEX-14XAO-2026-SM-69LOI 60-69 years, female 14.7
GTEX-1QP67-1326-SM-EAZ4D 40-49 years, female 14.7
GTEX-11P7K-1526-SM-5EGI7 30-39 years, male 14.6
GTEX-PWCY-1026-SM-48TD4 20-29 years, female 14.6
GTEX-1N2EF-1926-SM-DTX8M 60-69 years, male 14.6
GTEX-17F9E-1826-SM-7IGMC 50-59 years, male 14.5
GTEX-1MA7W-0626-SM-EV79Z 20-29 years, female 14.5
GTEX-12WSL-1626-SM-5GCMU 50-59 years, male 14.4
GTEX-QLQW-0426-SM-447A7 30-39 years, male 14.4
GTEX-XQ8I-2126-SM-4BOOM 50-59 years, male 14.4
GTEX-17KNJ-1726-SM-7LG6A 50-59 years, male 14.3
GTEX-1IOXB-2626-SM-CJI2N 50-59 years, male 14.3
GTEX-1MGNQ-2026-SM-EAZ51 40-49 years, male 14.3
GTEX-P4PP-1426-SM-3NM9L 30-39 years, female 14.2
GTEX-QDVJ-1326-SM-48U1X 50-59 years, male 14.2
GTEX-11EQ9-1426-SM-5987G 30-39 years, male 14.1
GTEX-13D11-0826-SM-5KLZJ 50-59 years, female 14.1
GTEX-Y8E4-2426-SM-4WWDN 40-49 years, male 14.1
GTEX-1F5PL-2126-SM-7PC2O 40-49 years, female 14.1
GTEX-12WSJ-1526-SM-5GCNI 40-49 years, female 14.0
GTEX-1LVAN-2526-SM-CNPPC 50-59 years, female 14.0
GTEX-ZLWG-1726-SM-DNZZ2 50-59 years, female 14.0
GTEX-111CU-1426-SM-5GZYP 50-59 years, male 13.9
GTEX-14E1K-1826-SM-793DT 50-59 years, male 13.9
GTEX-ZPU1-1926-SM-57WDT 40-49 years, male 13.9
GTEX-117YX-0826-SM-5H11J 50-59 years, male 13.8
GTEX-OHPM-1426-SM-3TW8Y 50-59 years, male 13.8
GTEX-S3XE-1126-SM-4AD4N 50-59 years, male 13.8
GTEX-1MCC2-1626-SM-DIPEW 30-39 years, female 13.8
GTEX-1399R-2226-SM-5P9JB 30-39 years, male 13.7
GTEX-ZZ64-0726-SM-5GZX4 20-29 years, male 13.7
GTEX-131XE-0826-SM-5HL9W 50-59 years, male 13.6
GTEX-13X6H-1926-SM-7EWD3 50-59 years, female 13.5
GTEX-17F98-1026-SM-7IGO8 40-49 years, female 13.4
GTEX-ZGAY-2126-SM-4YCFB 40-49 years, female 13.4
GTEX-1LGOU-1626-SM-D3LAK 20-29 years, female 13.4
GTEX-14JIY-3326-SM-6871E 60-69 years, male 13.3
GTEX-U4B1-1126-SM-4DXV3 40-49 years, male 13.3
GTEX-ZPCL-1826-SM-57WF1 60-69 years, female 13.3
GTEX-1H11D-2626-SM-9JGH4 40-49 years, male 13.3
GTEX-139YR-2126-SM-5KM11 50-59 years, male 13.2
GTEX-1AYCT-1826-SM-731EG 50-59 years, male 13.2
GTEX-1GF9X-1526-SM-7P8QP 40-49 years, female 13.2
GTEX-1GZ4H-1226-SM-9KNUA 50-59 years, female 13.2
GTEX-11EM3-1526-SM-5A5KN 20-29 years, female 13.1
GTEX-13CF3-1426-SM-5K7YY 60-69 years, female 13.0
GTEX-145MN-1726-SM-5SIA6 30-39 years, male 13.0
GTEX-1IDJC-1326-SM-CL53H 50-59 years, male 13.0
GTEX-1R9JW-2026-SM-EAZ4O 30-39 years, female 13.0
GTEX-1H3VY-2426-SM-9WPPD 50-59 years, male 12.9
GTEX-15RIE-1826-SM-6M48P 60-69 years, male 12.8
GTEX-Q734-1126-SM-48TZY 40-49 years, female 12.8
GTEX-OXRK-1726-SM-3NB16 50-59 years, female 12.6
GTEX-1QPFJ-2326-SM-E6CR7 30-39 years, female 12.6
GTEX-1AX8Z-2726-SM-73KUC 60-69 years, male 12.5
GTEX-R55G-1226-SM-48FDC 40-49 years, female 12.5
GTEX-XAJ8-0426-SM-47JYJ 40-49 years, male 12.5
GTEX-13W3W-2126-SM-5K7UX 60-69 years, female 12.4
GTEX-16NGA-1026-SM-7KFS3 40-49 years, female 12.3
GTEX-1B932-2826-SM-73KUD 40-49 years, female 12.3
GTEX-1CB4F-2026-SM-79OLU 60-69 years, male 12.3
GTEX-R53T-1326-SM-48FCQ 50-59 years, female 12.2
GTEX-ZY6K-1226-SM-5GZYL 50-59 years, male 12.1
GTEX-1IKOE-2026-SM-AHZ31 30-39 years, female 12.1
GTEX-144GN-1126-SM-5LU33 50-59 years, male 12.0
GTEX-OIZH-1426-SM-3NB1O 50-59 years, male 12.0
GTEX-1HFI7-1726-SM-A9G22 50-59 years, female 12.0
GTEX-1OKEX-1226-SM-DTXEC 60-69 years, male 12.0
GTEX-14BMU-1526-SM-5TDE6 20-29 years, female 11.9
GTEX-1AMEY-1926-SM-73KVT 30-39 years, female 11.9
GTEX-1ICLZ-2426-SM-CKZOD 60-69 years, male 11.7
GTEX-13OVG-1426-SM-5K7VP 60-69 years, male 11.6
GTEX-18A66-2426-SM-7KFSQ 60-69 years, male 11.6
GTEX-11P82-1026-SM-5BC5J 20-29 years, male 11.5
GTEX-1339X-1626-SM-5IJDN 40-49 years, male 11.5
GTEX-O5YT-1426-SM-3MJHC 20-29 years, male 11.3
GTEX-144GM-1226-SM-5LU52 20-29 years, male 11.1
GTEX-1JN1M-2626-SM-CY8I3 60-69 years, female 10.9
GTEX-117YW-1826-SM-5PNY5 50-59 years, male 10.0
GTEX-13S86-1626-SM-5Q5C5 40-49 years, male 9.2
GTEX-11TT1-1026-SM-5PNW7 20-29 years, male 8.5
GTEX-132AR-2726-SM-5PNVN 50-59 years, female 6.8
Show allShow less

COLON - FANTOM5 CAGEi

RNA expression in human tissues obtained through Cap Analysis of Gene Expression (CAGE) generated by the FANTOM5 project are reported as Scaled Tags Per Million.

Max subtype Scaled Tags Per Millioni

Max subtype Scaled Tags Per Million is the value for the subtype with the largest average Scaled Tags Per Million across the subtype samples.

16.1
FANTOM5 sample id Sample description Scaled Tags Per Million
Colon
Scaled Tags Per Million: 16.1
FF:10014-101C5 62,83,84 years, mixed 16.1

Contact

  • NEWS ARTICLES
  • PRESS ROOM

The Project

  • INTRODUCTION
  • ORGANIZATION
  • PUBLICATIONS

The Human Protein Atlas

  • DOWNLOADABLE DATA
  • LICENCE & CITATION
  • HELP & FAQ
The Human Protein Atlas project is funded
by the Knut & Alice Wallenberg Foundation.


contact@proteinatlas.org