We use cookies to enhance the usability of our website. If you continue, we'll assume that you are happy to receive all cookies. More information. Don't show this again.
ZNF76
HPA
RESOURCES
  • TISSUE
  • BRAIN
  • SINGLE CELL
  • SUBCELLULAR
  • CANCER
  • BLOOD
  • CELL LINE
  • STRUCTURE & INTERACTION
ABOUT
  • INTRODUCTION
  • HISTORY
  • ORGANIZATION
  • PUBLICATIONS
  • ANTIBODY SUBMISSION
  • ANTIBODY AVAILABILITY
  • ACKNOWLEDGMENTS
  • CONTACT
NEWS
  • NEWS ARTICLES
  • PRESS ROOM
LEARN
  • DICTIONARY
  • PROTEIN CLASSES
  • PROTEIN EVIDENCE
  • METHODS
  • EDUCATIONAL VIDEOS
DATA
  • DOWNLOADABLE DATA
  • PUBLICATION DATA
  • RELEASE HISTORY
HELP
  • ANTIBODY VALIDATION
  • ASSAYS & ANNOTATION
  • DISCLAIMER
  • HELP & FAQ
  • PRIVACY STATEMENT
  • LICENCE & CITATION
Fields »
Search result

Field
Term
Gene name
Class
Subclass
Class
Keyword
Chromosome
External id
Tissue
Cell type
Expression
Antibody panel
Tissue
Main location
Patient ID
Annotation
Tissue
Category
Tau score
Cluster
Reliability
Brain region
Category
Tau score
Brain region
Category
Tau score
Brain region
Category
Tau score
Cluster
Reliability
Tissue
Cell type
Enrichment
Cell type
Category
Tau score
Cell type
Category
Tau score
Cell type
Category
Tau score
Cell lineage
Category
Tau score
Cluster
Cluster
Location
Searches
Location
Cell line
Class
Type
Phase
Reliability
Cancer
Prognosis
Cancer
Category
Cancer
Category
Tau score
Cluster
Variants
Interacting gene (ensg_id)
Type
Number of interactions
Pathway
Category
Score
Score
Score
Validation
Validation
Validation
Validation
Antibodies
Data type
Column


  • SUMMARY

  • TISSUE

  • BRAIN

  • SINGLE CELL

  • SUBCELL

  • CANCER

  • BLOOD

  • CELL LINE

  • STRUCT & INT

  • ZNF76
TISSUE PRIMARY DATA STOMACH Show tissue menu
ADIPOSE TISSUE ADRENAL GLAND AMYGDALA APPENDIX BASAL GANGLIA BONE MARROW BREAST BRONCHUS CEREBELLUM CEREBRAL CORTEX CERVIX CHOROID PLEXUS COLON DUODENUM
ENDOMETRIUM EPIDIDYMIS ESOPHAGUS FALLOPIAN TUBE GALLBLADDER HEART MUSCLE HIPPOCAMPAL FORMATION HYPOTHALAMUS KIDNEY LIVER LUNG LYMPH NODE MIDBRAIN NASOPHARYNX
ORAL MUCOSA OVARY PANCREAS PARATHYROID GLAND PITUITARY GLAND PLACENTA PROSTATE RECTUM RETINA SALIVARY GLAND SEMINAL VESICLE SKELETAL MUSCLE SKIN SMALL INTESTINE
SMOOTH MUSCLE SOFT TISSUE SPINAL CORD SPLEEN STOMACH TESTIS THYMUS THYROID GLAND TONGUE TONSIL URINARY BLADDER VAGINA
ANTIBODIES
AND
VALIDATION
Dictionary
Tissue proteome
Stomach
STOMACH - Expression summary
Protein expression
Stomachi

On the top, protein expression in current human tissue, based on all annotated cell types, is reported with the units not detected (n), low (l), medium (m) and high (h). Underneath, protein expression in each annotated cell type are reported using the same units.

Protein expression data is based on knowledge-based annotation. For genes where more than one antibody has been used, a collective score is set.

If knowledge-based annotation could not be performed for a gene, no data is displayed here. View antibody staining data further down this page.

h
m
l
n
Glandular cells: Medium
RNA expressioni

A summary of mRNA expression data available for current tissue based on several datasets. The mRNA expression levels in human tissues are based on RNA-seq data generated by the Human Protein Atlas (HPA), Genotype-Tissue Expression (GTEx) portal and CAGE data generated by the FANTOM5 consortium. Consensus normalized expression levels for human tissues was created by combining the data from HPA and GTEx datasets.

The mRNA expression levels in pig are based on RNA-seq data generated by the Human Protein Atlas (HPA), and for mouse, HPA data and in situ hybridization generated by the Allen brain atlas are reported.

Scroll down to view mRNA expression data in more detail.
Consensus:19.7 nTPM
HPA:12.9 nTPM
GTEx:19.7 nTPM

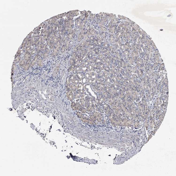
STOMACH 1 - Antibody stainingi

Antibody staining in the annotated cell types in the current human tissue is reported as not detected, low, medium, or high, based on conventional immunohistochemistry profiling in selected tissues. This score is based on the combination of the staining intensity and fraction of stained cells.

Each image is clickable and will lead to virtual microscopy that enables deeper exploration of all samples and also displays staining intensity scores, fraction scores and subcellular localization as well as patient and tissue information for each sample.

Antibody HPA030090Antibody HPA030091
Glandular cells MediumLow




STOMACH 2 - Antibody stainingi

Antibody staining in the annotated cell types in the current human tissue is reported as not detected, low, medium, or high, based on conventional immunohistochemistry profiling in selected tissues. This score is based on the combination of the staining intensity and fraction of stained cells.

Each image is clickable and will lead to virtual microscopy that enables deeper exploration of all samples and also displays staining intensity scores, fraction scores and subcellular localization as well as patient and tissue information for each sample.

Antibody HPA030090Antibody HPA030091
Glandular cells LowMedium



STOMACH - HPA RNA-seqi

The RNA-seq details section shows detailed information about the individual samples used for the transcript profiling and results of the RNA-seq analysis.

Information about each individual sample is listed below, including gender, age, a tissue section image and estimated fractions of cell types. nTPM (normalized transcripts per million) values give a quantification of the gene abundance which is comparable between different genes and samples.
Average nTPMi

Max subtype nTPM is the value for the subtype with the largest average nTPM across the subtype samples.

12.9
overview
Female, age 33
Stomach sample 61
nTPM: 14.4
Cell types%
Glandular cells:
60

Smooth muscle cells:
5

Other cell types:
35

N/A
Male, age 82
Stomach sample 240
nTPM: 11.2
Cell types%
Glandular cells:
65

Smooth muscle cells:
5

Other cell types:
30

overview
Male, age 71
Stomach sample 241
nTPM: 11.8
Cell types%
Glandular cells:
50

Smooth muscle cells:
5

Other cell types:
45

overview
Female, age 66
Stomach sample 369
nTPM: 14.2
Cell types%
Glandular cells:
50

Smooth muscle cells:
10

Other cell types:
40


STOMACH - GTEx RNA-seqi

RNA-Seq data generated by the Genotype-Tissue Expression (GTEx) project from human tissues is reported as mean nTPM. More information can be found on the GTEx portal.

Distribution across the dataset is visualized with box plots, shown as median and 25th and 75th percentiles. Points are displayed as outliers if they are above or below 1.5 times the interquartile range. nTPM values of the individual samples are presented next to the box plot.
Max subtype nTPMi

Max subtype nTPM is the value for the subtype with the largest average nTPM across the subtype samples.

19.7
GTEx sample id Sample description nTPM
Stomach
Average nTPM: 19.7
Samples: 359

Max nTPM: 35.6
Min nTPM: 6.8
Std nTPM: 4.6
Median nTPM: 19.2
GTEX-1LSNM-1026-SM-DHXL2 50-59 years, male 35.6
GTEX-1E1VI-2826-SM-7MGWU 50-59 years, male 32.8
GTEX-12WSG-2026-SM-5FQUU 50-59 years, female 31.8
GTEX-13N1W-2026-SM-5K7YU 70-79 years, male 31.4
GTEX-14BIL-1926-SM-73KYI 50-59 years, male 31.4
GTEX-14DAQ-2826-SM-664MU 60-69 years, female 31.3
GTEX-1EH9U-2226-SM-7PBXX 60-69 years, male 30.9
GTEX-OXRL-1526-SM-E6CHQ 50-59 years, male 30.9
GTEX-1KD5A-1426-SM-D4P3V 50-59 years, male 30.8
GTEX-1GZ4H-1026-SM-9OSXL 50-59 years, female 29.9
GTEX-14BMV-2226-SM-5RQHX 50-59 years, male 29.4
GTEX-17JCI-2226-SM-7LTA1 60-69 years, female 29.3
GTEX-1LVAN-2426-SM-CNNPZ 50-59 years, female 29.1
GTEX-17F9E-2226-SM-7IGNC 50-59 years, male 29.0
GTEX-WZTO-2126-SM-4PQYW 40-49 years, male 29.0
GTEX-1RMOY-1126-SM-EV79E 50-59 years, male 28.7
GTEX-1J8JJ-1726-SM-C1YQG 60-69 years, female 28.6
GTEX-1JMQJ-1326-SM-D4P3B 50-59 years, male 28.2
GTEX-1HKZK-1526-SM-B2LWG 40-49 years, male 28.0
GTEX-1LG7Z-1226-SM-DHXK4 30-39 years, male 27.7
GTEX-1QP2A-2126-SM-DPRZ7 50-59 years, male 27.7
GTEX-1J8EW-2226-SM-AHZ3T 60-69 years, female 27.6
GTEX-1QMI2-2126-SM-DPRXQ 60-69 years, male 27.6
GTEX-13U4I-2526-SM-5SI8Z 40-49 years, female 27.5
GTEX-X15G-1126-SM-4PQZG 50-59 years, female 27.5
GTEX-18A7A-2726-SM-7LG6U 50-59 years, female 27.4
GTEX-1RQEC-2126-SM-DPS15 60-69 years, male 27.2
GTEX-13FTX-0726-SM-5N9BI 20-29 years, female 26.7
GTEX-YB5E-1126-SM-664NU 40-49 years, male 26.6
GTEX-11NSD-1426-SM-5HL67 20-29 years, male 26.4
GTEX-17HHE-1026-SM-79ON6 50-59 years, male 26.4
GTEX-1CB4H-2426-SM-7PBYR 60-69 years, female 26.3
GTEX-XQ8I-2026-SM-4BOOL 50-59 years, male 26.2
GTEX-Y8LW-0826-SM-4WWDO 50-59 years, female 26.2
GTEX-1E2YA-2426-SM-7EPIG 50-59 years, male 26.1
GTEX-1I1HK-2026-SM-CNNRB 60-69 years, male 26.1
GTEX-XUZC-0726-SM-4BOPH 30-39 years, female 25.9
GTEX-15CHR-1326-SM-79OLT 50-59 years, male 25.8
GTEX-1HBPN-1626-SM-9WPNP 50-59 years, male 25.8
GTEX-PW2O-1226-SM-48TCH 20-29 years, male 25.7
GTEX-17HII-2426-SM-7KFTT 50-59 years, male 25.5
GTEX-13PVR-2126-SM-73KVR 60-69 years, female 25.3
GTEX-PX3G-1526-SM-48U11 20-29 years, female 25.3
GTEX-T5JC-1926-SM-4DM6Q 20-29 years, male 25.3
GTEX-ZLV1-0826-SM-DO11P 60-69 years, female 25.3
GTEX-S4Z8-1226-SM-4AD6W 60-69 years, male 25.2
GTEX-11EI6-2426-SM-5PNVS 60-69 years, male 25.1
GTEX-12696-1726-SM-5EQLH 60-69 years, male 25.1
GTEX-ZAB4-1526-SM-5CVN7 40-49 years, male 25.1
GTEX-P78B-1826-SM-3P5YX 40-49 years, female 25.0
GTEX-RWS6-0926-SM-47JXE 60-69 years, female 25.0
GTEX-1A3MX-1926-SM-72D7F 60-69 years, male 24.8
GTEX-1LBAC-1426-SM-CXZKT 20-29 years, male 24.7
GTEX-1LGRB-1726-SM-CNNRA 50-59 years, female 24.7
GTEX-WHWD-1426-SM-4OORU 50-59 years, male 24.6
GTEX-1QP28-2126-SM-DTX8B 50-59 years, female 24.6
GTEX-PLZ6-0826-SM-3P61K 30-39 years, male 24.5
GTEX-1QCLZ-1826-SM-DPRXP 60-69 years, female 24.5
GTEX-QV44-1226-SM-CJI1S 50-59 years, male 24.3
GTEX-1399R-1126-SM-5IFIO 30-39 years, male 24.1
GTEX-UJMC-1226-SM-4IHLI 50-59 years, male 24.1
GTEX-1RB15-1026-SM-E9U6V 60-69 years, male 24.0
GTEX-13O21-0926-SM-5IFGT 50-59 years, male 23.9
GTEX-14PJ6-0826-SM-686Z9 60-69 years, female 23.9
GTEX-ZT9W-1526-SM-4YCDE 50-59 years, male 23.9
GTEX-15DCE-1626-SM-6LPJM 20-29 years, male 23.8
GTEX-WYJK-2526-SM-4ONDF 50-59 years, male 23.7
GTEX-1JK1U-1326-SM-AHZ45 60-69 years, male 23.6
GTEX-Y9LG-1026-SM-5IFJN 30-39 years, male 23.5
GTEX-OIZF-1526-SM-2I5GR 60-69 years, male 23.5
GTEX-QLQW-0726-SM-447AA 30-39 years, male 23.4
GTEX-1GF9U-1126-SM-AHZ4H 40-49 years, female 23.4
GTEX-1HT8W-2326-SM-A9SLA 30-39 years, male 23.4
GTEX-13113-0726-SM-5LZUF 60-69 years, female 23.3
GTEX-13QJ3-2726-SM-5SI6L 50-59 years, male 23.3
GTEX-WYVS-1326-SM-4ONCQ 40-49 years, female 23.3
GTEX-14PJ5-0826-SM-6AJAR 60-69 years, female 23.2
GTEX-ZLFU-1326-SM-DO11R 40-49 years, male 23.2
GTEX-WXYG-1626-SM-4ONCR 50-59 years, female 23.1
GTEX-15UF7-1226-SM-6M46G 40-49 years, male 23.0
GTEX-18QFQ-1226-SM-718AE 30-39 years, male 23.0
GTEX-1CAMR-0726-SM-7EPIE 20-29 years, male 23.0
GTEX-1ICG6-1826-SM-AHZ2O 70-79 years, female 23.0
GTEX-QDT8-2026-SM-EZ6LS 30-39 years, female 23.0
GTEX-O5YW-1526-SM-3MJGL 50-59 years, male 22.9
GTEX-ZXES-1426-SM-5NQ8S 30-39 years, female 22.8
GTEX-13111-1226-SM-5GCNC 50-59 years, male 22.7
GTEX-SUCS-0926-SM-4DM4Z 70-79 years, male 22.7
GTEX-U3ZN-2026-SM-4DXUC 30-39 years, female 22.7
GTEX-XPVG-1526-SM-4B66C 50-59 years, male 22.6
GTEX-ZVP2-1626-SM-5GU5D 50-59 years, male 22.6
GTEX-POMQ-0826-SM-3P61H 20-29 years, female 22.5
GTEX-1KXAM-0926-SM-CXZKA 60-69 years, male 22.5
GTEX-1MGNQ-1826-SM-DPRYI 40-49 years, male 22.5
GTEX-1122O-1926-SM-5EGIQ 60-69 years, female 22.4
GTEX-145ME-1026-SM-5O9B4 40-49 years, female 22.4
GTEX-XXEK-0826-SM-4BRWG 50-59 years, male 22.4
GTEX-ZZ64-0426-SM-5E43F 20-29 years, male 22.3
GTEX-1B97I-1226-SM-7MGWQ 40-49 years, male 22.2
GTEX-XMK1-1526-SM-EYYVO 40-49 years, male 22.2
GTEX-13OVI-2426-SM-5KM4J 60-69 years, female 22.1
GTEX-1AYCT-1326-SM-7MKHB 50-59 years, male 22.1
GTEX-1S3DN-1526-SM-EVYCB 50-59 years, male 22.1
GTEX-11DXX-1326-SM-5GIDZ 60-69 years, female 22.0
GTEX-13O3Q-2126-SM-5KM4C 50-59 years, male 22.0
GTEX-Q734-1026-SM-48U16 40-49 years, female 22.0
GTEX-T5JW-0926-SM-4DM5K 20-29 years, female 22.0
GTEX-V1D1-1726-SM-4JBHB 50-59 years, male 22.0
GTEX-1H23P-2726-SM-9JGHN 60-69 years, male 22.0
GTEX-145LT-1426-SM-5O9B3 40-49 years, male 21.9
GTEX-1H3NZ-2226-SM-9WYUT 60-69 years, male 21.9
GTEX-1R7EU-1126-SM-EAZ4M 60-69 years, male 21.9
GTEX-WFON-1126-SM-4LVMA 40-49 years, male 21.8
GTEX-1R9K5-1026-SM-EAZ4F 50-59 years, male 21.8
GTEX-15RIE-1026-SM-6LPJQ 60-69 years, male 21.7
GTEX-ZPU1-1626-SM-4WWB2 40-49 years, male 21.7
GTEX-ZYFG-1326-SM-5GICJ 60-69 years, female 21.7
GTEX-13OVK-0926-SM-7KUFX 40-49 years, male 21.6
GTEX-144GN-1226-SM-5O991 50-59 years, male 21.4
GTEX-14PKV-1826-SM-69LO9 20-29 years, female 21.4
GTEX-1IDJD-2426-SM-C1YS6 30-39 years, male 21.4
GTEX-144GM-1726-SM-5O9AS 20-29 years, male 21.3
GTEX-17GQL-1226-SM-7KFTS 60-69 years, male 21.3
GTEX-1IDJU-1526-SM-CNNR3 60-69 years, female 21.3
GTEX-1N2DV-0926-SM-E9TJT 40-49 years, male 21.3
GTEX-T6MO-0726-SM-4DM58 40-49 years, female 21.2
GTEX-13OW6-2526-SM-5IJEC 50-59 years, male 21.1
GTEX-NFK9-1526-SM-3LK7B 40-49 years, male 21.1
GTEX-13S7M-1826-SM-5RQK6 60-69 years, female 21.0
GTEX-1B8KE-1326-SM-73KVI 50-59 years, male 21.0
GTEX-1B8KZ-1226-SM-793CP 50-59 years, male 21.0
GTEX-P4PP-1526-SM-3P61M 30-39 years, female 21.0
GTEX-1H1E6-1626-SM-9OSWC 30-39 years, male 20.9
GTEX-14PN3-1326-SM-6AJ9U 60-69 years, female 20.8
GTEX-VJYA-1026-SM-4KL21 60-69 years, male 20.8
GTEX-ZA64-0826-SM-5HL9U 20-29 years, male 20.8
GTEX-1K2DA-0826-SM-CGQGD 50-59 years, male 20.8
GTEX-1IL2V-2026-SM-ARZMA 70-79 years, male 20.7
GTEX-ZGAY-1626-SM-DNZZ3 40-49 years, female 20.7
GTEX-S4UY-1626-SM-4AD55 40-49 years, female 20.6
GTEX-1GL5R-1926-SM-9WG7U 50-59 years, male 20.6
GTEX-1QW4Y-0726-SM-DTX8E 30-39 years, male 20.6
GTEX-1399S-1626-SM-5P9GI 30-39 years, female 20.5
GTEX-ZV7C-1626-SM-5NQ7E 50-59 years, male 20.5
GTEX-14ICL-0826-SM-5YY9W 30-39 years, male 20.4
GTEX-1PPH8-1326-SM-DTXFO 20-29 years, male 20.4
GTEX-13QBU-1126-SM-5LU44 40-49 years, female 20.3
GTEX-1J8QM-1126-SM-C1YQB 60-69 years, female 20.3
GTEX-15DZA-1126-SM-6LPK8 30-39 years, female 20.2
GTEX-1H3VY-2326-SM-9WG81 50-59 years, male 20.2
GTEX-13CF3-1926-SM-5K7WF 60-69 years, female 20.1
GTEX-UPK5-2126-SM-4JBJK 40-49 years, male 20.1
GTEX-ZZPU-1426-SM-5GZZ6 50-59 years, female 20.1
GTEX-1H1DG-2126-SM-9WPPB 70-79 years, male 20.1
GTEX-146FR-2026-SM-5NQAI 60-69 years, female 20.0
GTEX-1399U-1626-SM-5P9J3 50-59 years, female 19.9
GTEX-TMMY-1626-SM-4DXTY 40-49 years, female 19.9
GTEX-1J8Q3-1926-SM-C1YSJ 60-69 years, male 19.9
GTEX-1LVAM-1426-SM-E9TJ4 50-59 years, female 19.9
GTEX-O5YV-1926-SM-EV797 60-69 years, female 19.9
GTEX-139D8-2326-SM-5IFGE 30-39 years, female 19.8
GTEX-1B97J-1826-SM-7IGPP 50-59 years, female 19.8
GTEX-XAJ8-0326-SM-47JYI 40-49 years, male 19.8
GTEX-1PIGE-1126-SM-EWRMV 20-29 years, male 19.8
GTEX-132QS-1826-SM-5IFFN 60-69 years, male 19.7
GTEX-OOBJ-1526-SM-3NB1Q 60-69 years, male 19.7
GTEX-QMRM-1126-SM-447BN 50-59 years, male 19.7
GTEX-13D11-2126-SM-5IFH2 50-59 years, female 19.5
GTEX-14E6E-0926-SM-664N8 30-39 years, male 19.4
GTEX-1F75I-1826-SM-7MKGX 40-49 years, male 19.4
GTEX-QDVJ-1426-SM-48U1Y 50-59 years, male 19.4
GTEX-S341-0626-SM-4AD5T 40-49 years, female 19.4
GTEX-S3XE-1026-SM-4AD4O 50-59 years, male 19.4
GTEX-TKQ2-0926-SM-4DXU5 50-59 years, male 19.4
GTEX-11GSP-2126-SM-5HL5E 60-69 years, female 19.3
GTEX-145MO-2226-SM-5Q5BN 60-69 years, male 19.3
GTEX-Q2AI-0826-SM-48TZO 40-49 years, male 19.3
GTEX-QLQ7-0826-SM-447B3 60-69 years, male 19.3
GTEX-1GN1W-2126-SM-9JGI7 50-59 years, female 19.2
GTEX-1I6K7-1726-SM-B2LXQ 40-49 years, male 19.2
GTEX-YEC3-1426-SM-D4P1S 50-59 years, male 19.2
GTEX-W5WG-1726-SM-4LMI5 50-59 years, female 19.1
GTEX-WFG8-1326-SM-4LVN3 20-29 years, male 19.1
GTEX-11P82-0726-SM-5PNYL 20-29 years, male 19.0
GTEX-RTLS-2626-SM-46MUJ 60-69 years, female 19.0
GTEX-WRHK-0626-SM-4MVOE 20-29 years, female 19.0
GTEX-ZF2S-1426-SM-57WET 50-59 years, female 19.0
GTEX-RU1J-0526-SM-46MUT 20-29 years, female 18.9
GTEX-ZDYS-1926-SM-5HL59 50-59 years, male 18.9
GTEX-ZP4G-1226-SM-4WWCJ 20-29 years, female 18.9
GTEX-1QP67-1026-SM-EVR47 40-49 years, female 18.9
GTEX-13O61-1126-SM-5L3FI 60-69 years, male 18.8
GTEX-13RTK-0226-SM-5RQHR 20-29 years, male 18.8
GTEX-14PHX-1026-SM-664OL 50-59 years, male 18.8
GTEX-18A66-2226-SM-7189E 60-69 years, male 18.8
GTEX-WFG7-1326-SM-4LMK1 20-29 years, male 18.8
GTEX-1IDJF-1426-SM-ACKWK 20-29 years, male 18.8
GTEX-1QPFJ-1526-SM-DPRXT 30-39 years, female 18.8
GTEX-14JG6-1226-SM-664O6 30-39 years, female 18.7
GTEX-QDVN-1226-SM-48TZ5 50-59 years, male 18.7
GTEX-ZVT2-1626-SM-51MRC 50-59 years, female 18.7
GTEX-14PKU-1126-SM-69LOU 40-49 years, female 18.6
GTEX-S95S-0826-SM-4B64N 60-69 years, male 18.6
GTEX-1RAZR-1526-SM-EAZ4U 40-49 years, male 18.6
GTEX-11VI4-0326-SM-5EQ6L 40-49 years, female 18.5
GTEX-16AAH-1226-SM-79OO9 50-59 years, male 18.5
GTEX-1F5PL-1426-SM-7MKFH 40-49 years, female 18.5
GTEX-ZYVF-2726-SM-5GID4 50-59 years, female 18.5
GTEX-TKQ1-0526-SM-4DXTG 30-39 years, male 18.4
GTEX-145MN-1326-SM-5NQ9S 30-39 years, male 18.3
GTEX-14DAR-0926-SM-73KUQ 50-59 years, male 18.3
GTEX-1A8G6-1426-SM-731EZ 60-69 years, male 18.3
GTEX-1AMFI-1226-SM-731CZ 50-59 years, female 18.3
GTEX-RM2N-0826-SM-48FD3 50-59 years, male 18.3
GTEX-Y3IK-1426-SM-4YCES 50-59 years, female 18.3
GTEX-ZEX8-1626-SM-4WKG7 50-59 years, male 18.2
GTEX-17MF6-2126-SM-7KFS7 40-49 years, male 18.1
GTEX-Y8E4-1526-SM-4WWDI 40-49 years, male 18.1
GTEX-1B8L1-1526-SM-79OLK 60-69 years, male 18.0
GTEX-OHPK-1526-SM-3MJGM 50-59 years, female 18.0
GTEX-QCQG-0526-SM-48U2A 50-59 years, female 18.0
GTEX-T8EM-1226-SM-4DM5J 40-49 years, male 18.0
GTEX-YFCO-0826-SM-5LUAG 40-49 years, male 18.0
GTEX-ZVT3-2126-SM-59HL2 60-69 years, female 18.0
GTEX-17F98-1526-SM-7EWD8 40-49 years, female 17.9
GTEX-S7SF-0626-SM-4AD4V 20-29 years, female 17.8
GTEX-V955-1326-SM-4JBHR 60-69 years, male 17.8
GTEX-XBED-1226-SM-4AT5V 60-69 years, male 17.8
GTEX-ZVZP-1726-SM-5GZWY 50-59 years, male 17.8
GTEX-1GPI7-1326-SM-9KNVA 20-29 years, male 17.8
GTEX-111CU-0926-SM-5EGIK 50-59 years, male 17.7
GTEX-111YS-1126-SM-5GZYQ 60-69 years, male 17.7
GTEX-11EQ9-1226-SM-5987E 30-39 years, male 17.7
GTEX-1I1GT-1726-SM-C1YS3 60-69 years, female 17.7
GTEX-1JKYN-1726-SM-AHZ48 30-39 years, male 17.7
GTEX-1KANA-1126-SM-D3L9M 20-29 years, male 17.7
GTEX-11I78-1726-SM-5A5M3 50-59 years, female 17.6
GTEX-14PJ3-1426-SM-664O8 50-59 years, male 17.6
GTEX-S4Q7-0726-SM-4AD5F 20-29 years, male 17.6
GTEX-ZF29-1526-SM-4WKF7 60-69 years, female 17.6
GTEX-1HSMQ-2426-SM-CE6RY 50-59 years, male 17.6
GTEX-18A67-2626-SM-718AD 50-59 years, male 17.5
GTEX-Y114-1226-SM-4TT88 50-59 years, female 17.5
GTEX-12WSJ-0926-SM-5P9JD 40-49 years, female 17.4
GTEX-13FTW-1726-SM-5KM2B 40-49 years, male 17.4
GTEX-SNMC-0626-SM-4DM6H 20-29 years, male 17.4
GTEX-1H11D-2226-SM-9OSXN 40-49 years, male 17.4
GTEX-1211K-1426-SM-5FQTF 60-69 years, female 17.3
GTEX-139YR-1926-SM-5LZXM 50-59 years, male 17.3
GTEX-13X6J-2126-SM-5TDCV 50-59 years, male 17.2
GTEX-1S82Z-1726-SM-E6CHZ 30-39 years, female 17.2
GTEX-15SHW-2126-SM-6M46Y 60-69 years, male 17.1
GTEX-QV31-0626-SM-447C5 30-39 years, male 17.1
GTEX-P4PQ-1526-SM-3NMCK 60-69 years, male 17.0
GTEX-PWCY-0926-SM-48TD7 20-29 years, female 17.0
GTEX-1HSEH-1526-SM-B2LXG 60-69 years, male 17.0
GTEX-1LGOU-1526-SM-D3LAJ 20-29 years, female 17.0
GTEX-12C56-0526-SM-5FQST 20-29 years, male 16.9
GTEX-14PJ4-1626-SM-664OB 60-69 years, male 16.9
GTEX-WHSB-1226-SM-4M1XR 50-59 years, male 16.9
GTEX-YEC4-1426-SM-5IFHS 40-49 years, male 16.9
GTEX-15EU6-2526-SM-7KUGB 50-59 years, male 16.7
GTEX-SNOS-0826-SM-4DM5N 40-49 years, male 16.7
GTEX-Y3I4-1626-SM-4TT7W 50-59 years, male 16.7
GTEX-R55C-1026-SM-48FCM 40-49 years, male 16.6
GTEX-ZY6K-0726-SM-5A5L8 50-59 years, male 16.6
GTEX-1JMPY-0926-SM-ARL92 30-39 years, male 16.6
GTEX-1MCYP-1126-SM-E9J2P 20-29 years, female 16.6
GTEX-18D9A-0626-SM-7KFTY 30-39 years, female 16.5
GTEX-R55D-1526-SM-48FEJ 50-59 years, male 16.5
GTEX-1I4MK-0926-SM-A9SLD 50-59 years, female 16.5
GTEX-13X6H-1626-SM-5Q5CT 50-59 years, female 16.4
GTEX-ZV6S-0926-SM-57WGB 40-49 years, female 16.4
GTEX-1GMRU-2526-SM-9WG7T 50-59 years, male 16.3
GTEX-1JMLX-2426-SM-CXZJQ 50-59 years, male 16.3
GTEX-12BJ1-1726-SM-5HL9B 60-69 years, male 16.2
GTEX-18D9B-2226-SM-718BM 60-69 years, male 16.2
GTEX-12WSK-1426-SM-5CVNN 40-49 years, female 16.1
GTEX-WFJO-1126-SM-4LVLZ 30-39 years, male 16.1
GTEX-WY7C-1726-SM-4ONCC 50-59 years, male 16.1
GTEX-XBEW-1826-SM-4RTWX 40-49 years, male 16.1
GTEX-1MJIX-1126-SM-EV7AO 40-49 years, male 16.0
GTEX-12WSD-2326-SM-59HKQ 60-69 years, female 15.9
GTEX-1C475-1026-SM-7MKFJ 40-49 years, female 15.9
GTEX-ZQUD-0826-SM-57WDQ 30-39 years, male 15.9
GTEX-1QCLY-1126-SM-EAZ4J 30-39 years, male 15.9
GTEX-11P7K-1726-SM-5GU6F 30-39 years, male 15.8
GTEX-133LE-1326-SM-5IFGO 20-29 years, female 15.8
GTEX-QXCU-1926-SM-48FE4 50-59 years, male 15.8
GTEX-PLZ5-1226-SM-EXOHA 50-59 years, male 15.8
GTEX-11EM3-1026-SM-5A5KL 20-29 years, female 15.6
GTEX-ZE7O-3026-SM-51MS4 50-59 years, female 15.6
GTEX-1QP29-2326-SM-EXOJO 50-59 years, male 15.6
GTEX-1AX9J-2626-SM-731EK 60-69 years, male 15.5
GTEX-WEY5-1226-SM-4LMIQ 40-49 years, female 15.5
GTEX-YJ8A-1526-SM-5P9FT 20-29 years, male 15.5
GTEX-ZTX8-0426-SM-59HLG 20-29 years, male 15.5
GTEX-OXRK-1626-SM-3NB17 50-59 years, female 15.4
GTEX-13FH7-1026-SM-5IJGF 50-59 years, female 15.3
GTEX-XV7Q-1326-SM-4BRWM 40-49 years, female 15.3
GTEX-1HR9M-2326-SM-CNPPZ 60-69 years, male 15.3
GTEX-1MUQO-1926-SM-EAZ59 60-69 years, male 15.3
GTEX-1S831-1126-SM-EWROI 20-29 years, male 15.3
GTEX-117YX-1026-SM-5H11V 50-59 years, male 15.2
GTEX-131XF-1226-SM-5HL8V 60-69 years, male 15.2
GTEX-16NGA-1526-SM-72D56 40-49 years, female 15.2
GTEX-17HGU-2126-SM-7IGOV 50-59 years, male 15.2
GTEX-1A3MV-1226-SM-718BW 30-39 years, male 15.2
GTEX-P4QT-1526-SM-3NMCT 50-59 years, female 15.2
GTEX-Y5V6-1326-SM-4VDTF 60-69 years, male 15.2
GTEX-1HCU8-1326-SM-C1YQQ 60-69 years, female 15.2
GTEX-14E1K-1526-SM-664MN 50-59 years, male 15.1
GTEX-1JMPZ-1826-SM-CXZJT 30-39 years, male 15.1
GTEX-PWN1-1526-SM-48TDA 40-49 years, female 15.0
GTEX-WHPG-0426-SM-4M1XW 50-59 years, male 15.0
GTEX-1HFI7-1526-SM-9WG7W 50-59 years, female 15.0
GTEX-13PVQ-2126-SM-5L3FW 50-59 years, male 14.9
GTEX-S4P3-0726-SM-4AD57 50-59 years, female 14.9
GTEX-1AMEY-1226-SM-731DU 30-39 years, female 14.8
GTEX-WH7G-1526-SM-4LVMX 40-49 years, male 14.8
GTEX-1F5PK-1826-SM-7RHHX 50-59 years, male 14.8
GTEX-14PHY-0926-SM-5ZZWL 60-69 years, female 14.7
GTEX-1HBPI-0726-SM-9WG7Z 50-59 years, male 14.7
GTEX-11WQK-2626-SM-5EQ4K 50-59 years, male 14.5
GTEX-17KNJ-1526-SM-7LTA9 50-59 years, male 14.3
GTEX-UJHI-1026-SM-4IHJP 50-59 years, female 14.3
GTEX-1NSGN-1926-SM-E9J36 50-59 years, male 14.3
GTEX-RUSQ-1126-SM-EAZAU 50-59 years, male 14.3
GTEX-15RIF-1126-SM-7KUG2 20-29 years, male 14.2
GTEX-ZLWG-1526-SM-DO12F 50-59 years, female 14.0
GTEX-14B4R-0726-SM-5TDDR 30-39 years, male 13.9
GTEX-1CB4E-1326-SM-7DUGD 60-69 years, male 13.8
GTEX-OHPM-1526-SM-EV796 50-59 years, male 13.7
GTEX-1C64O-2226-SM-73KTV 60-69 years, male 13.4
GTEX-1H1DE-1226-SM-9JGHH 20-29 years, male 13.4
GTEX-131XE-2226-SM-5PNYX 50-59 years, male 13.2
GTEX-1339X-1426-SM-5K7YO 40-49 years, male 13.2
GTEX-15G1A-1226-SM-7KUF3 30-39 years, male 13.2
GTEX-Q2AH-1126-SM-48TZM 40-49 years, male 13.2
GTEX-R55G-1126-SM-48FDG 40-49 years, female 12.9
GTEX-OIZH-1526-SM-3NB1J 50-59 years, male 12.8
GTEX-R53T-1226-SM-48FCT 50-59 years, female 12.6
GTEX-1JN76-0926-SM-ARZNH 20-29 years, female 12.5
GTEX-ZPIC-2026-SM-57WG3 40-49 years, female 12.4
GTEX-ZYY3-1726-SM-5EGH3 60-69 years, female 12.3
GTEX-1HCUA-1626-SM-A9SMG 50-59 years, female 12.3
GTEX-131XG-1226-SM-5EGH9 50-59 years, female 11.4
GTEX-11TT1-0726-SM-5GU5A 20-29 years, male 10.9
GTEX-1L5NE-1526-SM-DIPFW 50-59 years, male 10.9
GTEX-U4B1-1026-SM-4DXT1 40-49 years, male 10.8
GTEX-14BMU-1126-SM-5RQJ8 20-29 years, female 10.7
GTEX-15G19-1526-SM-6LPKP 60-69 years, male 10.7
GTEX-1JN1M-2926-SM-CNNPJ 60-69 years, female 10.7
GTEX-146FH-2126-SM-5SI9U 50-59 years, female 10.4
GTEX-117YW-2226-SM-5N9DB 50-59 years, male 10.3
GTEX-11NUK-2426-SM-5BC4U 50-59 years, male 10.0
GTEX-17EUY-1526-SM-793CA 20-29 years, male 10.0
GTEX-Y5LM-1326-SM-5RQIS 40-49 years, female 9.6
GTEX-132AR-2426-SM-5IFFD 50-59 years, female 6.8
Show allShow less

Contact

  • NEWS ARTICLES
  • PRESS ROOM

The Project

  • INTRODUCTION
  • ORGANIZATION
  • PUBLICATIONS

The Human Protein Atlas

  • DOWNLOADABLE DATA
  • LICENCE & CITATION
  • HELP & FAQ
The Human Protein Atlas project is funded
by the Knut & Alice Wallenberg Foundation.


contact@proteinatlas.org