We use cookies to enhance the usability of our website. If you continue, we'll assume that you are happy to receive all cookies. More information. Don't show this again.
RPL31
HPA
RESOURCES
  • TISSUE
  • BRAIN
  • SINGLE CELL
  • SUBCELLULAR
  • CANCER
  • BLOOD
  • CELL LINE
  • STRUCTURE & INTERACTION
ABOUT
  • INTRODUCTION
  • HISTORY
  • ORGANIZATION
  • PUBLICATIONS
  • ANTIBODY SUBMISSION
  • ANTIBODY AVAILABILITY
  • ACKNOWLEDGMENTS
  • CONTACT
NEWS
  • NEWS ARTICLES
  • PRESS ROOM
LEARN
  • DICTIONARY
  • PROTEIN CLASSES
  • PROTEIN EVIDENCE
  • METHODS
  • EDUCATIONAL VIDEOS
DATA
  • DOWNLOADABLE DATA
  • PUBLICATION DATA
  • RELEASE HISTORY
HELP
  • ANTIBODY VALIDATION
  • ASSAYS & ANNOTATION
  • DISCLAIMER
  • HELP & FAQ
  • PRIVACY STATEMENT
  • LICENCE & CITATION
Fields »
Search result

Field
Term
Gene name
Class
Subclass
Class
Keyword
Chromosome
External id
Tissue
Cell type
Expression
Antibody panel
Tissue
Main location
Patient ID
Annotation
Tissue
Category
Tau score
Cluster
Reliability
Brain region
Category
Tau score
Brain region
Category
Tau score
Brain region
Category
Tau score
Cluster
Reliability
Tissue
Cell type
Enrichment
Cell type
Category
Tau score
Cell type
Category
Tau score
Cell type
Category
Tau score
Cell lineage
Category
Tau score
Cluster
Cluster
Location
Searches
Location
Cell line
Class
Type
Phase
Reliability
Cancer
Prognosis
Cancer
Category
Cancer
Category
Tau score
Cluster
Variants
Interacting gene (ensg_id)
Type
Number of interactions
Pathway
Category
Score
Score
Score
Validation
Validation
Validation
Validation
Antibodies
Data type
Column


  • SUMMARY

  • TISSUE

  • BRAIN

  • SINGLE CELL

  • SUBCELL

  • CANCER

  • BLOOD

  • CELL LINE

  • STRUCT & INT

  • RPL31
TISSUE PRIMARY DATA SKIN Show tissue menu
ADIPOSE TISSUE ADRENAL GLAND AMYGDALA APPENDIX BASAL GANGLIA BONE MARROW BREAST BRONCHUS CEREBELLUM CEREBRAL CORTEX CERVIX CHOROID PLEXUS COLON DUODENUM
ENDOMETRIUM EPIDIDYMIS ESOPHAGUS FALLOPIAN TUBE GALLBLADDER HEART MUSCLE HIPPOCAMPAL FORMATION HYPOTHALAMUS KIDNEY LIVER LUNG LYMPH NODE MIDBRAIN NASOPHARYNX
ORAL MUCOSA OVARY PANCREAS PARATHYROID GLAND PITUITARY GLAND PLACENTA PROSTATE RECTUM RETINA SALIVARY GLAND SEMINAL VESICLE SKELETAL MUSCLE SKIN SMALL INTESTINE
SMOOTH MUSCLE SOFT TISSUE SPINAL CORD SPLEEN STOMACH TESTIS THYMUS THYROID GLAND TONGUE TONSIL URINARY BLADDER VAGINA
ANTIBODIES
AND
VALIDATION
Dictionary
Skin
Tissue proteome
Skin
SKIN - Expression summary
Protein expression
Skini

On the top, protein expression in current human tissue, based on all annotated cell types, is reported with the units not detected (n), low (l), medium (m) and high (h). Underneath, protein expression in each annotated cell type are reported using the same units.

Protein expression data is based on knowledge-based annotation. For genes where more than one antibody has been used, a collective score is set.

If knowledge-based annotation could not be performed for a gene, no data is displayed here. View antibody staining data further down this page.

h
m
l
n
Epidermal cells: High
Fibroblasts: Medium
Keratinocytes: High
Langerhans: Medium
Melanocytes: Medium
RNA expressioni

A summary of mRNA expression data available for current tissue based on several datasets. The mRNA expression levels in human tissues are based on RNA-seq data generated by the Human Protein Atlas (HPA), Genotype-Tissue Expression (GTEx) portal and CAGE data generated by the FANTOM5 consortium. Consensus normalized expression levels for human tissues was created by combining the data from HPA and GTEx datasets.

The mRNA expression levels in pig are based on RNA-seq data generated by the Human Protein Atlas (HPA), and for mouse, HPA data and in situ hybridization generated by the Allen brain atlas are reported.

Scroll down to view mRNA expression data in more detail.
Consensus:3150.4 nTPM
HPA:1376.9 nTPM
GTEx:3150.4 nTPM

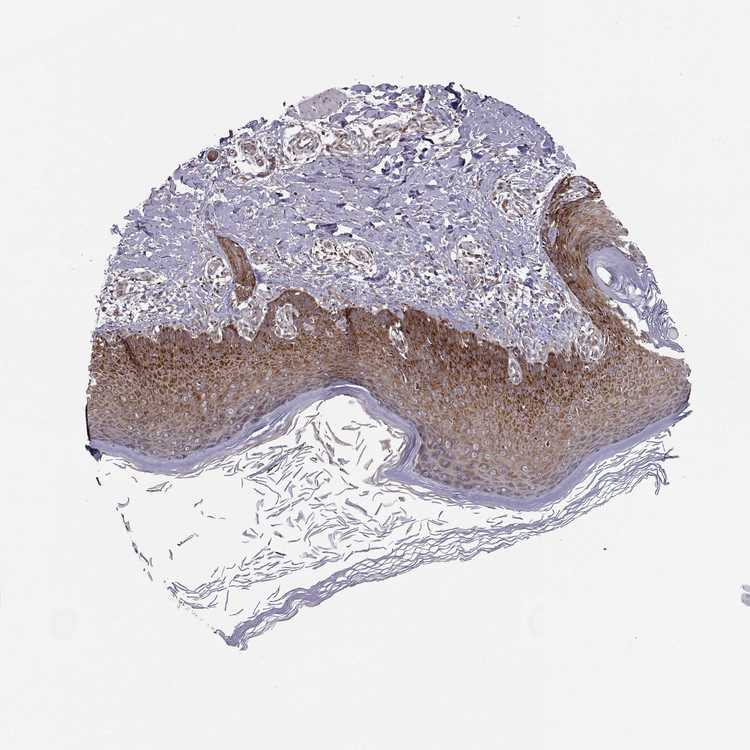
SKIN 1 - Antibody stainingi

Antibody staining in the annotated cell types in the current human tissue is reported as not detected, low, medium, or high, based on conventional immunohistochemistry profiling in selected tissues. This score is based on the combination of the staining intensity and fraction of stained cells.

Each image is clickable and will lead to virtual microscopy that enables deeper exploration of all samples and also displays staining intensity scores, fraction scores and subcellular localization as well as patient and tissue information for each sample.

Antibody HPA072263
Langerhans Medium
Fibroblasts Medium
Keratinocytes High
Melanocytes Medium


SKIN 2 - Antibody stainingi

Antibody staining in the annotated cell types in the current human tissue is reported as not detected, low, medium, or high, based on conventional immunohistochemistry profiling in selected tissues. This score is based on the combination of the staining intensity and fraction of stained cells.

Each image is clickable and will lead to virtual microscopy that enables deeper exploration of all samples and also displays staining intensity scores, fraction scores and subcellular localization as well as patient and tissue information for each sample.

Antibody HPA072263
Epidermal cells High
 
 
 



SKIN - HPA RNA-seqi

The RNA-seq details section shows detailed information about the individual samples used for the transcript profiling and results of the RNA-seq analysis.

Information about each individual sample is listed below, including gender, age, a tissue section image and estimated fractions of cell types. nTPM (normalized transcripts per million) values give a quantification of the gene abundance which is comparable between different genes and samples.
Average nTPMi

Max subtype nTPM is the value for the subtype with the largest average nTPM across the subtype samples.

1376.9
overview
Female, age 34
Skin sample 225
nTPM: 1377.7
Cell types%
Keratinocytes:
60

Other cell types:
40

overview
Female, age 30
Skin sample 226
nTPM: 1244.3
Cell types%
Keratinocytes:
55

Other cell types:
45

N/A
Male, age 57
Skin sample 227
nTPM: 1508.7

SKIN - GTEx RNA-seqi

RNA-Seq data generated by the Genotype-Tissue Expression (GTEx) project from human tissues is reported as mean nTPM. More information can be found on the GTEx portal.

Distribution across the dataset is visualized with box plots, shown as median and 25th and 75th percentiles. Points are displayed as outliers if they are above or below 1.5 times the interquartile range. nTPM values of the individual samples are presented next to the box plot.
Max subtype nTPMi

Max subtype nTPM is the value for the subtype with the largest average nTPM across the subtype samples.

3150.4
GTEx sample id Sample description nTPM
Skin - Not Sun Exposed (Suprapubic)
Average nTPM: 3150.4
Samples: 604

Max nTPM: 6097.8
Min nTPM: 1128.2
Std nTPM: 775.8
Median nTPM: 3141.1
GTEX-144FL-0626-SM-5LU43 50-59 years, male 6097.8
GTEX-1PIGE-1826-SM-E8VOU 20-29 years, male 5865.1
GTEX-1LKK1-2626-SM-DKPQE 50-59 years, female 5635.0
GTEX-ZF3C-0626-SM-DO92O 50-59 years, female 5601.9
GTEX-11DZ1-2426-SM-5GZZX 50-59 years, male 5571.5
GTEX-15UF6-1926-SM-7KUDV 70-79 years, female 5570.2
GTEX-11OF3-0126-SM-5PNYF 60-69 years, male 5405.7
GTEX-1117F-2926-SM-5GZYI 60-69 years, female 5258.4
GTEX-ZVZP-1226-SM-5GID7 50-59 years, male 5098.3
GTEX-ZYY3-2926-SM-5GIEB 60-69 years, female 5059.0
GTEX-15RIE-1926-SM-7KUKJ 60-69 years, male 4968.2
GTEX-ZPCL-1126-SM-4WWFE 60-69 years, female 4967.3
GTEX-1QP2A-1726-SM-E76QC 50-59 years, male 4941.9
GTEX-1S82P-2126-SM-E6CI5 60-69 years, female 4929.9
GTEX-1E2YA-2126-SM-7MXUO 50-59 years, male 4911.0
GTEX-ZTTD-2826-SM-4YCFA 50-59 years, male 4863.4
GTEX-XQ8I-0926-SM-4BOOF 50-59 years, male 4858.2
GTEX-1399Q-2326-SM-5KM2X 40-49 years, male 4857.5
GTEX-1LVAM-0726-SM-E6CIL 50-59 years, female 4839.8
GTEX-1QPFJ-1926-SM-EVYBD 30-39 years, female 4747.5
GTEX-1S82U-1026-SM-E6CJK 30-39 years, female 4745.3
GTEX-1F48J-0726-SM-7RHGS 50-59 years, female 4745.2
GTEX-14ICL-1626-SM-5YYAO 30-39 years, male 4712.6
GTEX-1I1GT-1026-SM-ARZLV 60-69 years, female 4705.5
GTEX-13NZ8-1226-SM-5KM4A 60-69 years, female 4685.4
GTEX-XV7Q-1826-SM-4BRUV 40-49 years, female 4627.6
GTEX-1A3MW-0626-SM-731CB 60-69 years, female 4606.9
GTEX-1H3VE-0726-SM-9YFL5 40-49 years, male 4584.3
GTEX-183WM-0326-SM-72D5V 70-79 years, female 4553.6
GTEX-1R46S-2426-SM-E76QA 60-69 years, female 4542.1
GTEX-144GO-2026-SM-5O99P 60-69 years, male 4518.3
GTEX-1RAZQ-1326-SM-E9TK6 30-39 years, male 4507.2
GTEX-13NYS-0626-SM-5L3F1 60-69 years, male 4488.6
GTEX-XMD2-2126-SM-4YCF8 60-69 years, female 4480.7
GTEX-1GN73-0726-SM-7P8TJ 60-69 years, male 4475.1
GTEX-13RTJ-0126-SM-5S2NN 60-69 years, male 4453.6
GTEX-16YQH-2226-SM-7IGM2 30-39 years, male 4450.2
GTEX-Y9LG-1126-SM-4VBQ7 30-39 years, male 4381.7
GTEX-13NYC-0126-SM-5L3F4 60-69 years, male 4343.3
GTEX-11DXX-2126-SM-5PNYR 60-69 years, female 4342.5
GTEX-13IVO-0726-SM-5LZYV 70-79 years, male 4335.6
GTEX-Y3I4-1726-SM-4TT89 50-59 years, male 4284.6
GTEX-1H2FU-0926-SM-9WPPT 60-69 years, female 4281.7
GTEX-15SKB-2826-SM-6PAMH 60-69 years, male 4281.5
GTEX-17EVP-2626-SM-7IGMA 40-49 years, male 4275.4
GTEX-1LG7Y-2526-SM-EWRO7 50-59 years, male 4273.9
GTEX-1PPH7-1126-SM-DTX9A 40-49 years, male 4268.0
GTEX-1S5ZU-2526-SM-E6CIF 20-29 years, female 4231.9
GTEX-15DYW-2726-SM-6EU2I 60-69 years, female 4223.6
GTEX-17HII-1426-SM-7EPGG 50-59 years, male 4220.5
GTEX-ZVE1-0726-SM-51MRN 50-59 years, female 4219.7
GTEX-1OJC4-2726-SM-E76PJ 50-59 years, female 4213.0
GTEX-Y5V6-2326-SM-4VDSA 60-69 years, male 4208.7
GTEX-1CB4J-1326-SM-7P8RX 60-69 years, male 4199.4
GTEX-11DXY-0126-SM-5H11Q 60-69 years, male 4191.5
GTEX-14753-0726-SM-5QGQO 60-69 years, male 4190.5
GTEX-X585-2426-SM-46MW2 50-59 years, male 4187.6
GTEX-14A5H-0826-SM-5QGPJ 60-69 years, male 4159.5
GTEX-1GPI7-1826-SM-9KNU1 20-29 years, male 4153.2
GTEX-15RIG-0726-SM-7KUM7 40-49 years, male 4152.6
GTEX-14C39-1726-SM-5RQIL 40-49 years, male 4139.1
GTEX-14PJ6-2626-SM-6EU2T 60-69 years, female 4135.3
GTEX-ZF29-0926-SM-4WKFZ 60-69 years, female 4119.0
GTEX-ZE7O-2726-SM-51MT5 50-59 years, female 4106.5
GTEX-131XH-0126-SM-5LZUY 50-59 years, male 4092.8
GTEX-1IKJJ-2226-SM-CJI4C 60-69 years, male 4087.2
GTEX-11WQK-1026-SM-5EQLX 50-59 years, male 4082.9
GTEX-14LZ3-0126-SM-69LPM 60-69 years, female 4076.3
GTEX-13112-0126-SM-5P9IU 50-59 years, male 4074.3
GTEX-ZF2S-1626-SM-57WES 50-59 years, female 4060.6
GTEX-1ICLY-0826-SM-CMKG1 50-59 years, male 4019.2
GTEX-ZYT6-2326-SM-5GZY3 30-39 years, male 4007.0
GTEX-ZYW4-0626-SM-59HJR 60-69 years, male 4006.8
GTEX-ZAJG-1526-SM-5CVML 50-59 years, female 3997.2
GTEX-13FTY-2126-SM-5IFFB 40-49 years, female 3993.9
GTEX-133LE-2326-SM-5K7W3 20-29 years, female 3992.9
GTEX-12WSK-2126-SM-5CVNC 40-49 years, female 3990.5
GTEX-1QP9N-1226-SM-E76QN 30-39 years, male 3975.1
GTEX-1NSGN-0726-SM-DTXEF 50-59 years, male 3974.4
GTEX-1K2DU-1226-SM-CYPT4 20-29 years, male 3940.4
GTEX-1RAZS-2526-SM-E6CHT 50-59 years, male 3933.8
GTEX-ZZPU-0826-SM-5GZX5 50-59 years, female 3927.8
GTEX-17HHE-1326-SM-7EWDZ 50-59 years, male 3916.5
GTEX-1HBPM-0726-SM-9YFL7 60-69 years, female 3912.3
GTEX-13OVH-0526-SM-5L3E6 70-79 years, male 3892.6
GTEX-1F6IF-0926-SM-7SB7M 60-69 years, male 3891.0
GTEX-YECK-0326-SM-4W1YS 60-69 years, male 3880.5
GTEX-1F5PK-2226-SM-7SB6N 50-59 years, male 3874.2
GTEX-13PDP-0726-SM-5L3HP 60-69 years, male 3868.4
GTEX-17MFQ-1526-SM-7KFRR 20-29 years, male 3866.8
GTEX-1HSMO-0626-SM-ACKXC 60-69 years, male 3857.0
GTEX-147GR-2426-SM-5ZZWQ 60-69 years, male 3854.8
GTEX-14BMV-2826-SM-5TDED 50-59 years, male 3850.7
GTEX-15G19-2426-SM-7KUMR 60-69 years, male 3844.7
GTEX-13SLW-0626-SM-5Q5ER 70-79 years, male 3844.4
GTEX-1HSGN-0826-SM-ACKW3 40-49 years, female 3842.2
GTEX-1LGRB-0926-SM-COH3K 50-59 years, female 3841.0
GTEX-14E1K-2026-SM-7DUEI 50-59 years, male 3835.5
GTEX-1C6VQ-1226-SM-73KYD 50-59 years, male 3826.6
GTEX-1LSVX-2526-SM-DIPEU 60-69 years, male 3817.5
GTEX-ZY6K-1426-SM-5GZX2 50-59 years, male 3813.3
GTEX-YEC4-1826-SM-4W1YP 40-49 years, male 3809.6
GTEX-14BIN-1126-SM-5RQJZ 50-59 years, female 3796.0
GTEX-13X6H-0926-SM-5SIB2 50-59 years, female 3794.0
GTEX-13OVJ-0826-SM-5J1OK 50-59 years, female 3792.0
GTEX-15RJE-2826-SM-7KUM9 40-49 years, male 3782.3
GTEX-1A8G6-2726-SM-731AR 60-69 years, male 3780.4
GTEX-139T8-0626-SM-5KLZX 60-69 years, male 3771.3
GTEX-14DAR-1226-SM-73KYV 50-59 years, male 3766.7
GTEX-14C5O-0326-SM-5ZZUX 60-69 years, male 3765.5
GTEX-1HFI6-0126-SM-CNPPI 40-49 years, male 3762.1
GTEX-111YS-1526-SM-5GZYW 60-69 years, male 3761.8
GTEX-18D9A-1426-SM-7LT8M 30-39 years, female 3756.6
GTEX-1JMQL-2226-SM-CNPP4 50-59 years, female 3753.1
GTEX-1J1OQ-0126-SM-D4P2N 40-49 years, female 3744.1
GTEX-XBED-1926-SM-47JYP 60-69 years, male 3733.4
GTEX-14XAO-1226-SM-6EU1C 60-69 years, female 3730.0
GTEX-1IKOE-1426-SM-CE6T7 30-39 years, female 3723.8
GTEX-1H1DG-2426-SM-9QEHJ 70-79 years, male 3721.7
GTEX-12WSA-0426-SM-5EQ5X 60-69 years, male 3720.2
GTEX-1A8FM-0626-SM-7PC25 50-59 years, female 3718.7
GTEX-ZVT2-0126-SM-5GIDQ 50-59 years, female 3716.3
GTEX-11P81-2226-SM-5PNYI 30-39 years, female 3714.7
GTEX-UPK5-0426-SM-3GAEK 40-49 years, male 3698.0
GTEX-1IDJI-0126-SM-CMKHS 50-59 years, female 3691.7
GTEX-1GMRU-2126-SM-7P8RA 50-59 years, male 3672.4
GTEX-13PL6-1126-SM-5L3IE 40-49 years, female 3665.2
GTEX-1GMR8-0626-SM-7RHI7 50-59 years, female 3663.5
GTEX-13X6K-0626-SM-5LU5D 60-69 years, female 3656.4
GTEX-14PJ4-0226-SM-5YY92 60-69 years, male 3644.9
GTEX-1LVA9-2626-SM-EVYD4 50-59 years, male 3640.8
GTEX-13NYB-0126-SM-5J1MD 40-49 years, male 3635.1
GTEX-1AMFI-1326-SM-7939R 50-59 years, female 3632.6
GTEX-144GL-0626-SM-5LU4D 50-59 years, male 3628.5
GTEX-144GM-0526-SM-79OJO 20-29 years, male 3624.9
GTEX-13O3Q-0126-SM-5KM34 50-59 years, male 3623.9
GTEX-1HFI7-2326-SM-CGQFS 50-59 years, female 3621.9
GTEX-1GN1V-2826-SM-9JGIA 60-69 years, male 3613.9
GTEX-1HR9M-2226-SM-CNPPY 60-69 years, male 3613.5
GTEX-13QJC-0126-SM-5ZZWJ 60-69 years, female 3611.1
GTEX-148VJ-0626-SM-5LUAW 70-79 years, male 3609.9
GTEX-1J8QM-2426-SM-A9SLS 60-69 years, female 3600.6
GTEX-14LLW-2626-SM-62LDZ 70-79 years, female 3599.2
GTEX-14JG1-1526-SM-5YY9X 40-49 years, male 3594.5
GTEX-1N2EE-0626-SM-E76PW 60-69 years, male 3590.5
GTEX-1JJE9-2626-SM-ARZMT 70-79 years, male 3581.2
GTEX-117YX-1926-SM-5GIEC 50-59 years, male 3575.9
GTEX-1B8L1-2226-SM-7P8PT 60-69 years, male 3573.8
GTEX-XYKS-1426-SM-4BRUO 60-69 years, female 3567.5
GTEX-15ER7-0626-SM-6PANF 20-29 years, female 3567.2
GTEX-15EO6-2426-SM-6PALZ 50-59 years, male 3564.5
GTEX-15FZZ-0526-SM-7KUGD 30-39 years, female 3563.8
GTEX-X4EO-2926-SM-4E3JH 60-69 years, female 3560.8
GTEX-1F6RS-2026-SM-7RHHC 60-69 years, female 3560.2
GTEX-1A8G7-1326-SM-73KVM 60-69 years, male 3558.4
GTEX-14ABY-2026-SM-62LDL 50-59 years, male 3557.7
GTEX-1HCUA-0826-SM-ADEHM 50-59 years, female 3551.0
GTEX-13W3W-0726-SM-5IJDQ 60-69 years, female 3550.1
GTEX-WHSB-1326-SM-3LK6W 50-59 years, male 3549.6
GTEX-1M4P7-0726-SM-E6CJ3 60-69 years, male 3538.8
GTEX-ZLV1-1526-SM-DO91J 60-69 years, female 3532.4
GTEX-14E6C-2426-SM-5S2NF 40-49 years, male 3525.4
GTEX-1H11D-1826-SM-9QEHM 40-49 years, male 3523.7
GTEX-1C6WA-2626-SM-7MKGM 60-69 years, male 3516.9
GTEX-1QW4Y-1126-SM-DTXE3 30-39 years, male 3516.4
GTEX-1H4P4-2126-SM-9WYSL 50-59 years, male 3515.4
GTEX-Z93S-1626-SM-5CVMB 50-59 years, male 3508.2
GTEX-13QBU-1226-SM-5LU4G 40-49 years, female 3507.2
GTEX-1IDFM-0326-SM-ARL7V 60-69 years, male 3502.3
GTEX-V1D1-2026-SM-3GAF4 50-59 years, male 3501.7
GTEX-13FTW-0326-SM-5K7UW 40-49 years, male 3500.4
GTEX-1E1VI-0326-SM-793D1 50-59 years, male 3499.5
GTEX-1H1ZS-2726-SM-9WG75 70-79 years, male 3497.1
GTEX-1399S-0126-SM-5IJCF 30-39 years, female 3493.8
GTEX-1F88E-1626-SM-7SB8Z 60-69 years, female 3492.9
GTEX-1JMPZ-0726-SM-CY8HZ 30-39 years, male 3491.0
GTEX-145MF-0926-SM-5Q5EA 50-59 years, male 3490.3
GTEX-13VXT-1926-SM-5K7UO 20-29 years, female 3488.6
GTEX-14B4R-1326-SM-5Q5EZ 30-39 years, male 3484.7
GTEX-14C38-0726-SM-5SI6M 50-59 years, male 3484.4
GTEX-1J1R8-2026-SM-CL53Y 40-49 years, male 3483.9
GTEX-13VXU-0626-SM-5L3F9 50-59 years, male 3475.9
GTEX-13OVG-1626-SM-5J1NF 60-69 years, male 3470.6
GTEX-13X6I-1826-SM-5SIAO 60-69 years, male 3463.0
GTEX-14A6H-2026-SM-5Q5DD 30-39 years, male 3452.1
GTEX-139D8-1126-SM-5LU8W 30-39 years, female 3447.4
GTEX-1PBJJ-1026-SM-E76OS 30-39 years, male 3440.6
GTEX-1EH9U-2826-SM-7DUGT 60-69 years, male 3435.2
GTEX-1JN1M-2726-SM-CY8I4 60-69 years, female 3434.8
GTEX-14PJN-1826-SM-6AJ98 30-39 years, male 3423.7
GTEX-1IOXB-2726-SM-CM2RI 50-59 years, male 3422.8
GTEX-16NPX-0726-SM-7KULC 50-59 years, male 3421.8
GTEX-XUW1-0926-SM-4BONX 50-59 years, female 3421.3
GTEX-1GZ4I-2626-SM-9KNU3 50-59 years, male 3421.1
GTEX-XK95-0226-SM-4AT58 40-49 years, male 3420.9
GTEX-139TT-2126-SM-5LZWC 60-69 years, male 3418.1
GTEX-13FHO-0426-SM-5L3F5 60-69 years, male 3418.0
GTEX-1C2JI-1026-SM-73KY1 50-59 years, male 3416.7
GTEX-1399R-1326-SM-5PNYS 30-39 years, male 3413.4
GTEX-ZE9C-2526-SM-5IJDR 60-69 years, male 3412.9
GTEX-XAJ8-1426-SM-47JYM 40-49 years, male 3412.7
GTEX-ZWKS-0626-SM-5GIDV 30-39 years, male 3409.7
GTEX-13PVR-0426-SM-5RQK2 60-69 years, female 3405.9
GTEX-145LS-0626-SM-7EPG7 60-69 years, female 3404.9
GTEX-1HBPN-0126-SM-CGQEF 50-59 years, male 3402.3
GTEX-1C6VR-0126-SM-7RHGB 60-69 years, male 3399.1
GTEX-11UD2-2526-SM-5CVNU 50-59 years, male 3398.4
GTEX-1399U-1126-SM-5L3DB 50-59 years, female 3396.0
GTEX-11DXW-0826-SM-5H118 40-49 years, male 3387.5
GTEX-11EQ9-1626-SM-5PNY8 30-39 years, male 3386.7
GTEX-13OW7-0426-SM-5K7VK 50-59 years, male 3385.4
GTEX-17MF6-2626-SM-79OKQ 40-49 years, male 3381.0
GTEX-1HKZK-0726-SM-ACKW2 40-49 years, male 3379.8
GTEX-1JJ6O-2726-SM-CNPOG 60-69 years, male 3378.5
GTEX-1AYD5-2626-SM-7PBXY 50-59 years, male 3375.2
GTEX-15DDE-2926-SM-6LLJ3 50-59 years, female 3369.1
GTEX-ZT9X-1526-SM-5DUXD 40-49 years, male 3364.4
GTEX-15SHW-0226-SM-7LTAT 60-69 years, male 3364.3
GTEX-1GMR3-0126-SM-A9SLW 40-49 years, male 3361.2
GTEX-WI4N-2726-SM-3LK7Y 40-49 years, female 3360.1
GTEX-147F3-1726-SM-5SIAW 50-59 years, female 3354.0
GTEX-1JN76-0626-SM-CKZOQ 20-29 years, female 3352.6
GTEX-12ZZZ-0726-SM-5GCNZ 60-69 years, male 3350.8
GTEX-13YAN-0226-SM-5TDC6 60-69 years, male 3349.6
GTEX-1F5PL-0926-SM-7PC2W 40-49 years, female 3349.4
GTEX-1CB4I-0126-SM-7RHGG 50-59 years, male 3335.8
GTEX-1BAJH-2426-SM-7IGP8 70-79 years, male 3334.8
GTEX-1LB8K-0726-SM-D5OV2 50-59 years, male 3333.3
GTEX-11ZTT-2126-SM-5CVLO 60-69 years, female 3332.3
GTEX-Y5LM-0926-SM-6LLJG 40-49 years, female 3331.7
GTEX-1KXAM-1626-SM-D3LAD 60-69 years, male 3330.6
GTEX-1GN1U-0626-SM-9MQL9 50-59 years, female 3325.0
GTEX-1269C-0126-SM-5EQ5L 60-69 years, female 3319.5
GTEX-1HSMP-0926-SM-A9SKX 70-79 years, male 3313.0
GTEX-13JVG-0726-SM-5KM16 60-69 years, male 3312.9
GTEX-111VG-1626-SM-5EGIO 60-69 years, male 3311.8
GTEX-18A67-1626-SM-7LT9T 50-59 years, male 3311.6
GTEX-14E6E-0526-SM-793DN 30-39 years, male 3310.1
GTEX-1O9I2-0226-SM-EYYXD 50-59 years, male 3308.5
GTEX-1I19N-0126-SM-CYPSF 70-79 years, male 3307.2
GTEX-1PPGY-1626-SM-EVYBL 60-69 years, male 3304.8
GTEX-1S83E-1326-SM-E6CJM 40-49 years, male 3300.9
GTEX-1HR98-2226-SM-ADEI2 60-69 years, male 3299.2
GTEX-13D11-0926-SM-5J2NC 50-59 years, female 3291.6
GTEX-12WSF-1626-SM-7KUG5 70-79 years, male 3289.0
GTEX-1HB9E-0126-SM-CM2S5 50-59 years, male 3288.5
GTEX-1S3DN-2126-SM-E9TIN 50-59 years, male 3287.2
GTEX-13N11-2326-SM-5IJBF 50-59 years, female 3285.0
GTEX-1B8SF-0126-SM-7DUG3 60-69 years, male 3283.6
GTEX-12696-0126-SM-5EQ4L 60-69 years, male 3280.2
GTEX-13O3O-2326-SM-5IJD6 60-69 years, female 3279.1
GTEX-1QAET-0326-SM-EVR3U 50-59 years, male 3278.6
GTEX-11NUK-2726-SM-5A5MC 50-59 years, male 3276.5
GTEX-16XZZ-0726-SM-7KUF2 60-69 years, male 3268.7
GTEX-11ZUS-2626-SM-5FQUR 30-39 years, male 3268.1
GTEX-ZYFG-1526-SM-5GZYM 60-69 years, female 3267.3
GTEX-WH7G-2026-SM-3NMBL 40-49 years, male 3266.0
GTEX-145MI-0626-SM-5SI8S 60-69 years, female 3265.3
GTEX-145MH-2826-SM-5RQJF 50-59 years, male 3259.2
GTEX-14PHX-2226-SM-6EU2P 50-59 years, male 3257.3
GTEX-16Z82-2626-SM-7KULU 60-69 years, male 3255.0
GTEX-14PKU-0126-SM-6LLHV 40-49 years, female 3249.8
GTEX-13OW8-1026-SM-5J1NQ 60-69 years, male 3236.9
GTEX-15G1A-1626-SM-7KUKN 30-39 years, male 3236.2
GTEX-1H23P-0626-SM-9WG6T 60-69 years, male 3233.1
GTEX-1I1GS-2626-SM-B2LY3 60-69 years, male 3231.1
GTEX-16MT9-0126-SM-7EPI8 60-69 years, female 3224.8
GTEX-1JKYR-0626-SM-ARL8R 20-29 years, male 3223.6
GTEX-1EMGI-2326-SM-7PBYA 60-69 years, male 3219.2
GTEX-1CB4H-1126-SM-7MKGL 60-69 years, female 3217.6
GTEX-1H3O1-1326-SM-9MQLD 60-69 years, male 3215.3
GTEX-ZXG5-2126-SM-59HKD 60-69 years, male 3212.6
GTEX-ZAB4-2126-SM-5HL8U 40-49 years, male 3212.5
GTEX-15EU6-2226-SM-6EU2L 50-59 years, male 3209.5
GTEX-1313W-0626-SM-5EQ4H 50-59 years, female 3208.7
GTEX-1KANB-2826-SM-CY8I6 50-59 years, male 3200.7
GTEX-131XW-0626-SM-5PNVD 50-59 years, female 3199.6
GTEX-1HT8W-0626-SM-A9G2H 30-39 years, male 3198.4
GTEX-13FLV-0126-SM-5K7WT 50-59 years, male 3197.2
GTEX-1R9PM-1926-SM-EVR3O 20-29 years, male 3197.2
GTEX-1QMI2-2526-SM-E8VNZ 60-69 years, male 3196.8
GTEX-1I1GU-0926-SM-ACKVS 40-49 years, male 3193.8
GTEX-1IDJH-0126-SM-D3L92 70-79 years, male 3190.5
GTEX-1POEN-2326-SM-E9J2L 30-39 years, female 3189.0
GTEX-11EI6-2826-SM-5H11D 60-69 years, male 3186.4
GTEX-1I6K7-1926-SM-B2LXR 40-49 years, male 3177.1
GTEX-1I1GP-1326-SM-A9G28 50-59 years, male 3175.7
GTEX-1QP28-1126-SM-EVYC4 50-59 years, female 3175.3
GTEX-1GZHY-0626-SM-9KNVC 50-59 years, female 3172.7
GTEX-13SLX-2226-SM-62LEP 50-59 years, female 3172.6
GTEX-13FTX-1526-SM-5K7VJ 20-29 years, female 3171.4
GTEX-1R9PN-0426-SM-DTXDT 40-49 years, female 3171.1
GTEX-1JMQK-1226-SM-D4P2S 60-69 years, male 3167.9
GTEX-YFCO-1226-SM-5LUAT 40-49 years, male 3166.6
GTEX-1IDJU-1726-SM-CMKHU 60-69 years, female 3161.2
GTEX-1122O-1026-SM-9WYSF 60-69 years, female 3159.2
GTEX-13PVQ-0626-SM-5LU47 50-59 years, male 3154.2
GTEX-15D1Q-2826-SM-6LLH7 40-49 years, male 3146.6
GTEX-1C64N-2626-SM-7PC2N 50-59 years, male 3145.9
GTEX-1477Z-0326-SM-7IGLA 60-69 years, male 3142.2
GTEX-111CU-1126-SM-5EGIM 50-59 years, male 3141.6
GTEX-14PHY-1226-SM-5ZZWK 60-69 years, female 3141.2
GTEX-ZVT4-2426-SM-5GIEI 50-59 years, female 3141.0
GTEX-1RB15-1326-SM-E76Q9 60-69 years, male 3132.9
GTEX-XOT4-0626-SM-4B66L 60-69 years, female 3123.1
GTEX-145MN-1526-SM-5SI9T 30-39 years, male 3120.2
GTEX-1N5O9-0926-SM-E9J3C 60-69 years, male 3117.9
GTEX-1EN7A-2426-SM-793DB 40-49 years, male 3112.1
GTEX-1I6K6-1726-SM-CGQFD 30-39 years, male 3110.3
GTEX-1RAZA-2226-SM-E9U4X 20-29 years, male 3104.3
GTEX-1RLM8-2926-SM-E8VON 50-59 years, male 3102.0
GTEX-14PII-0726-SM-6EU2B 60-69 years, male 3101.0
GTEX-1R7EU-1626-SM-DTXG3 60-69 years, male 3089.1
GTEX-1ICG6-1226-SM-A9SLN 70-79 years, female 3085.3
GTEX-1B932-2326-SM-79OL5 40-49 years, female 3085.1
GTEX-13FH7-1126-SM-5K7UG 50-59 years, female 3083.9
GTEX-1GF9X-1326-SM-7PC2Y 40-49 years, female 3081.8
GTEX-17HHY-0426-SM-7DHLC 50-59 years, male 3079.4
GTEX-13U4I-2226-SM-5LU5H 40-49 years, female 3078.5
GTEX-1K9T9-1526-SM-DIPFR 50-59 years, female 3076.6
GTEX-139UW-0326-SM-5J1ML 60-69 years, male 3073.5
GTEX-18D9B-0926-SM-7LG4U 60-69 years, male 3073.2
GTEX-1A32A-0626-SM-731AQ 50-59 years, female 3070.3
GTEX-11VI4-1126-SM-5EQMD 40-49 years, female 3069.5
GTEX-1LVAO-2726-SM-E9TJ8 60-69 years, male 3066.4
GTEX-146FQ-2126-SM-5RQHU 30-39 years, male 3065.7
GTEX-1HC8U-1326-SM-9YFMJ 40-49 years, female 3064.6
GTEX-1NV5F-0626-SM-DTXEG 60-69 years, female 3063.6
GTEX-ZYVF-0926-SM-5E44J 50-59 years, female 3062.4
GTEX-13N1W-2426-SM-5IJD1 70-79 years, male 3042.0
GTEX-15CHQ-0326-SM-69LQD 60-69 years, male 3036.9
GTEX-14JFF-0626-SM-5ZZVT 60-69 years, male 3036.8
GTEX-1B996-0426-SM-7EWF8 60-69 years, male 3036.3
GTEX-1HSKV-1226-SM-ADEI4 60-69 years, male 3034.3
GTEX-1PDJ9-1226-SM-EXUSX 20-29 years, male 3032.5
GTEX-1MCC2-1826-SM-DIPEX 30-39 years, female 3029.5
GTEX-13X6J-0626-SM-5LU5F 50-59 years, male 3025.7
GTEX-1KANA-1326-SM-DIPFA 20-29 years, male 3024.8
GTEX-YB5K-2026-SM-4VDT3 40-49 years, female 3022.9
GTEX-14PJ5-1526-SM-6LLIL 60-69 years, female 3021.5
GTEX-1GTWX-2026-SM-9YFLM 60-69 years, male 3013.9
GTEX-1J8Q3-0526-SM-ARL8U 60-69 years, male 3013.7
GTEX-145MO-2826-SM-5LU96 60-69 years, male 3012.2
GTEX-XBEC-0726-SM-4QARZ 50-59 years, male 3011.8
GTEX-13N2G-0226-SM-5K7VF 60-69 years, male 3008.7
GTEX-VUSG-2326-SM-4KL1U 50-59 years, male 3007.3
GTEX-XXEK-1626-SM-4BRUZ 50-59 years, male 3006.3
GTEX-X8HC-0626-SM-4E3HQ 50-59 years, female 3003.5
GTEX-14AS3-1526-SM-5Q5ED 40-49 years, female 3000.6
GTEX-11PRG-0726-SM-5EGL1 50-59 years, male 3000.5
GTEX-1LSNL-2726-SM-E9TKJ 50-59 years, male 2996.2
GTEX-XQ3S-1426-SM-4BOPR 20-29 years, male 2995.0
GTEX-1MJK3-0726-SM-E6CJC 20-29 years, male 2990.8
GTEX-145LT-0526-SM-5LUB2 40-49 years, male 2989.7
GTEX-11TUW-0626-SM-5LU9M 60-69 years, male 2989.3
GTEX-145ME-1726-SM-5Q5EU 40-49 years, female 2985.8
GTEX-WK11-2726-SM-3NMAQ 50-59 years, male 2978.7
GTEX-145LU-1926-SM-79OJN 50-59 years, male 2976.8
GTEX-18A7B-2726-SM-7LG56 70-79 years, male 2971.4
GTEX-ZYFD-0626-SM-5E44E 50-59 years, male 2970.2
GTEX-1IL2V-1926-SM-B2LW8 70-79 years, male 2969.9
GTEX-11EM3-1226-SM-5N9DD 20-29 years, female 2965.2
GTEX-16GPK-0626-SM-7KFSF 60-69 years, male 2964.0
GTEX-18QFQ-1826-SM-72D52 30-39 years, male 2960.6
GTEX-ZDTT-0426-SM-4WKFL 60-69 years, male 2957.8
GTEX-13OVL-0126-SM-5L3GJ 50-59 years, male 2956.6
GTEX-1JN6P-2926-SM-CL54D 60-69 years, male 2951.7
GTEX-139TU-0726-SM-5L3EK 60-69 years, male 2950.7
GTEX-1JJEA-1826-SM-ARU8P 60-69 years, male 2950.1
GTEX-1KAFJ-0126-SM-DIPEK 50-59 years, male 2949.0
GTEX-13OW6-2726-SM-5J2OE 50-59 years, male 2942.4
GTEX-1GF9V-0826-SM-9KNUV 60-69 years, male 2940.5
GTEX-11EQ8-0926-SM-5H12V 60-69 years, male 2936.6
GTEX-1A3MV-1826-SM-731CD 30-39 years, male 2927.2
GTEX-11GSP-2326-SM-5HL63 60-69 years, female 2925.3
GTEX-13O61-1426-SM-5KM3D 60-69 years, male 2922.0
GTEX-12BJ1-0926-SM-5EQ62 60-69 years, male 2920.7
GTEX-1PIIG-2326-SM-DTXFR 30-39 years, male 2906.9
GTEX-1GZ2Q-0126-SM-9WG6M 40-49 years, male 2903.8
GTEX-17EVQ-0126-SM-7IGLR 70-79 years, male 2902.7
GTEX-145MG-1526-SM-5Q5EM 50-59 years, male 2895.8
GTEX-178AV-1726-SM-7KUL8 40-49 years, male 2888.9
GTEX-WFG8-2126-SM-3GIKQ 20-29 years, male 2887.7
GTEX-1K2DA-1026-SM-CGQGF 50-59 years, male 2886.7
GTEX-ZLFU-1826-SM-4WWBV 40-49 years, male 2886.4
GTEX-1QCLY-0226-SM-EWRNH 30-39 years, male 2885.2
GTEX-ZVTK-0226-SM-51MRG 20-29 years, male 2883.4
GTEX-1QCLZ-2426-SM-EVYBW 60-69 years, female 2880.1
GTEX-1F75W-2726-SM-7SB8H 60-69 years, male 2870.7
GTEX-131XG-0326-SM-5L3DX 50-59 years, female 2865.7
GTEX-1B8KZ-0326-SM-73KY4 50-59 years, male 2862.9
GTEX-ZVE2-2826-SM-5GU51 50-59 years, male 2856.0
GTEX-1F75A-0726-SM-7RHHD 50-59 years, male 2849.7
GTEX-ZAK1-0626-SM-5HL8E 50-59 years, female 2849.0
GTEX-12WSM-1926-SM-5BC65 60-69 years, male 2844.8
GTEX-ZPIC-0526-SM-DO91W 40-49 years, female 2843.8
GTEX-1GN2E-0226-SM-9WG6K 60-69 years, male 2835.3
GTEX-11O72-0626-SM-5PNYE 40-49 years, male 2834.6
GTEX-17HG3-2626-SM-7DUF2 30-39 years, female 2833.4
GTEX-1F52S-2926-SM-7MKGA 60-69 years, female 2825.2
GTEX-16BQI-1326-SM-6M486 30-39 years, female 2822.8
GTEX-1CAMS-2226-SM-7PBXQ 40-49 years, female 2822.8
GTEX-1HCU7-0726-SM-A9SL1 50-59 years, male 2822.4
GTEX-16NGA-0726-SM-731AO 40-49 years, female 2819.1
GTEX-1PPH8-0126-SM-EWRN8 20-29 years, male 2818.8
GTEX-1H3NZ-2726-SM-9WYTQ 60-69 years, male 2813.5
GTEX-Y5V5-0126-SM-5S2NW 60-69 years, female 2806.6
GTEX-1I1HK-2326-SM-CKZOH 60-69 years, male 2802.5
GTEX-1QEPI-2626-SM-DTXF4 60-69 years, female 2795.9
GTEX-1H1CY-0126-SM-9YFLY 60-69 years, female 2795.3
GTEX-1GL5R-1326-SM-7RHHF 50-59 years, male 2795.2
GTEX-ZGAY-1826-SM-DO91Q 40-49 years, female 2794.1
GTEX-14DAQ-0626-SM-793DS 60-69 years, female 2788.4
GTEX-1EKGG-0626-SM-7DUGJ 60-69 years, male 2778.0
GTEX-12584-0726-SM-5FQTK 40-49 years, male 2773.1
GTEX-ZU9S-1826-SM-5NQ9E 30-39 years, male 2767.2
GTEX-1B933-2426-SM-7DHMD 50-59 years, female 2766.3
GTEX-XPVG-2126-SM-4B667 50-59 years, male 2765.0
GTEX-1HCU6-2526-SM-ADEHL 60-69 years, female 2764.3
GTEX-ZA64-1026-SM-5HL8R 20-29 years, male 2762.3
GTEX-1IDJV-0126-SM-COH3Y 60-69 years, male 2760.0
GTEX-12WSD-0626-SM-5GCMW 60-69 years, female 2759.7
GTEX-1212Z-0126-SM-59HK4 60-69 years, male 2756.7
GTEX-13JUV-2026-SM-5K7UA 40-49 years, female 2754.5
GTEX-11DXZ-2026-SM-5987S 50-59 years, male 2754.3
GTEX-1497J-0226-SM-5QGPU 60-69 years, male 2749.5
GTEX-X5EB-1926-SM-4E3IW 40-49 years, male 2745.0
GTEX-1KD5A-0126-SM-E9U54 50-59 years, male 2739.6
GTEX-1ICLZ-0326-SM-ARL82 60-69 years, male 2738.1
GTEX-1GF9W-1426-SM-7PBYM 60-69 years, male 2737.0
GTEX-1JMQJ-0826-SM-CNPP7 50-59 years, male 2735.5
GTEX-1I1CD-0626-SM-CE6SW 60-69 years, female 2734.7
GTEX-12KS4-2126-SM-5FQUT 30-39 years, male 2732.5
GTEX-1211K-1526-SM-5FQU4 60-69 years, female 2726.4
GTEX-1OJC3-1226-SM-DTXER 20-29 years, male 2726.1
GTEX-17KNJ-2126-SM-718AM 50-59 years, male 2725.9
GTEX-11LCK-2226-SM-5HL4Q 30-39 years, male 2725.1
GTEX-1HUB1-1426-SM-CGQF5 60-69 years, male 2721.0
GTEX-1JMOU-1026-SM-CYPSS 60-69 years, female 2714.1
GTEX-1QP66-1226-SM-DTX7U 50-59 years, male 2713.2
GTEX-1KANC-1226-SM-CYPT7 50-59 years, female 2707.7
GTEX-12ZZX-2426-SM-5GCOE 40-49 years, female 2706.1
GTEX-ZYFC-0426-SM-5GICQ 50-59 years, male 2702.0
GTEX-1JK1U-0226-SM-ARZMX 60-69 years, male 2700.1
GTEX-131YS-2826-SM-5EQ47 60-69 years, female 2697.8
GTEX-1J8EW-2726-SM-CY8HR 60-69 years, female 2690.0
GTEX-147JS-0226-SM-5S2U9 60-69 years, male 2686.3
GTEX-X4EP-0626-SM-3P621 60-69 years, female 2685.7
GTEX-15CHC-1126-SM-6LLHQ 60-69 years, female 2683.4
GTEX-WXYG-2026-SM-4E3IY 50-59 years, female 2681.2
GTEX-U8XE-0226-SM-4E3J3 30-39 years, male 2679.3
GTEX-ZTX8-1326-SM-4YCEL 20-29 years, male 2674.1
GTEX-132AR-0326-SM-5KM2C 50-59 years, female 2673.1
GTEX-1AMEY-0826-SM-72D65 30-39 years, female 2672.7
GTEX-1I1GV-0626-SM-ARL7M 60-69 years, male 2669.7
GTEX-1GMR2-0826-SM-7PC3V 50-59 years, male 2667.1
GTEX-YEC3-1326-SM-DO92X 50-59 years, male 2666.4
GTEX-1RMOY-1326-SM-E9TIH 50-59 years, male 2664.0
GTEX-14BMU-1226-SM-5S2OR 20-29 years, female 2660.9
GTEX-1KWVE-1026-SM-D3L9O 30-39 years, male 2659.7
GTEX-1H1DF-1126-SM-9WG7G 40-49 years, female 2654.0
GTEX-18465-2826-SM-7LT9J 50-59 years, male 2643.2
GTEX-12WSL-2026-SM-5GCML 50-59 years, male 2637.2
GTEX-1AX8Z-0726-SM-73KTS 60-69 years, male 2635.5
GTEX-1IDJF-2026-SM-CL53V 20-29 years, male 2634.0
GTEX-13NZ9-2626-SM-5L3FK 50-59 years, male 2633.7
GTEX-1JKYN-0826-SM-ARU8S 30-39 years, male 2633.7
GTEX-ZDYS-2426-SM-4WKGI 50-59 years, male 2632.4
GTEX-14PJ2-0626-SM-6LLII 50-59 years, male 2629.2
GTEX-1B8KE-1126-SM-7EPHI 50-59 years, male 2625.6
GTEX-1HBPI-2126-SM-ARL9K 50-59 years, male 2624.7
GTEX-1HCU9-0426-SM-9WYSD 20-29 years, male 2621.2
GTEX-1S831-1826-SM-EWROF 20-29 years, male 2619.9
GTEX-16MTA-0926-SM-6M47Z 50-59 years, male 2616.8
GTEX-1CAV2-0126-SM-7IGN7 40-49 years, female 2611.3
GTEX-16MT8-2926-SM-7DUFO 60-69 years, female 2602.5
GTEX-Y3IK-1626-SM-4YCF5 50-59 years, female 2589.7
GTEX-ZZ64-1026-SM-5GZXG 20-29 years, male 2578.3
GTEX-ZP4G-1426-SM-4WWCL 20-29 years, female 2577.1
GTEX-11ZU8-0126-SM-5EQ58 60-69 years, male 2569.7
GTEX-UPJH-0226-SM-3GADV 50-59 years, male 2568.2
GTEX-ZPU1-1126-SM-4YCF3 40-49 years, male 2565.5
GTEX-1QP29-1826-SM-DTX9S 50-59 years, male 2564.4
GTEX-11WQC-1826-SM-5GU59 60-69 years, male 2563.0
GTEX-ZDXO-3126-SM-5IJDF 60-69 years, male 2561.5
GTEX-14PK6-0226-SM-62LF5 70-79 years, female 2554.7
GTEX-YJ8O-2526-SM-5HL85 40-49 years, female 2548.5
GTEX-1F88F-0126-SM-9WYSZ 60-69 years, female 2548.2
GTEX-1EWIQ-0326-SM-7DHMQ 70-79 years, female 2539.9
GTEX-WYBS-0626-SM-3NMAS 60-69 years, female 2538.9
GTEX-1J8JJ-0626-SM-ARZMQ 60-69 years, female 2536.0
GTEX-WRHU-2826-SM-3MJG8 50-59 years, female 2529.0
GTEX-1HCVE-2726-SM-CL54F 50-59 years, male 2520.7
GTEX-VJYA-1526-SM-3GIJV 60-69 years, male 2515.7
GTEX-W5X1-2526-SM-3GILC 40-49 years, female 2512.7
GTEX-13G51-1826-SM-5KLZH 60-69 years, male 2512.6
GTEX-11DYG-1526-SM-5A5JS 60-69 years, male 2506.3
GTEX-1RAZR-2126-SM-E9U6T 40-49 years, male 2504.2
GTEX-1IDJD-2326-SM-ACKWX 30-39 years, male 2496.9
GTEX-YF7O-1526-SM-5IFI6 50-59 years, male 2493.2
GTEX-1J8Q2-2626-SM-ACKWQ 60-69 years, male 2487.2
GTEX-12WSH-1526-SM-5BC5W 50-59 years, male 2470.6
GTEX-WFON-1926-SM-3LK7L 40-49 years, male 2459.5
GTEX-1B97I-0626-SM-73KUZ 40-49 years, male 2459.3
GTEX-1LSNM-0826-SM-DIPG8 50-59 years, male 2457.7
GTEX-12126-0826-SM-5FQTZ 20-29 years, male 2455.9
GTEX-12C56-1526-SM-5FQUQ 20-29 years, male 2453.6
GTEX-1LBAC-0826-SM-CY8IJ 20-29 years, male 2436.8
GTEX-1LGOU-1326-SM-D3L8M 20-29 years, female 2418.5
GTEX-1I4MK-0126-SM-CY8G6 50-59 years, female 2417.1
GTEX-183FY-1026-SM-7939A 20-29 years, male 2410.8
GTEX-WYJK-0526-SM-3NM8Z 50-59 years, male 2408.3
GTEX-17F98-1326-SM-7DUEP 40-49 years, female 2388.0
GTEX-12WSC-2826-SM-5BC5Y 50-59 years, male 2372.0
GTEX-1IE54-1126-SM-A9G2Z 40-49 years, female 2371.8
GTEX-1314G-1326-SM-5BC6E 30-39 years, male 2371.1
GTEX-111FC-2526-SM-5GZXU 60-69 years, male 2367.6
GTEX-12WSJ-1126-SM-5LZVJ 40-49 years, female 2361.5
GTEX-ZUA1-2626-SM-5NQ92 40-49 years, male 2352.3
GTEX-139YR-1026-SM-5LZYN 50-59 years, male 2346.8
GTEX-Y111-0626-SM-4SOIT 50-59 years, male 2346.4
GTEX-13113-1626-SM-5EQ4I 60-69 years, female 2337.0
GTEX-11NSD-0626-SM-5A5LU 20-29 years, male 2324.7
GTEX-1GZ4H-0526-SM-9KNU9 50-59 years, female 2322.6
GTEX-139TS-2126-SM-5K7XC 60-69 years, male 2321.9
GTEX-11TT1-1826-SM-5EQLV 20-29 years, male 2306.9
GTEX-1GPI6-1926-SM-9KNV7 60-69 years, male 2306.4
GTEX-1L5NE-1126-SM-D3L9P 50-59 years, male 2301.9
GTEX-1AX9J-1326-SM-731BJ 60-69 years, male 2298.6
GTEX-X3Y1-2026-SM-3P5YM 40-49 years, male 2296.7
GTEX-ZLWG-0826-SM-59888 50-59 years, female 2295.1
GTEX-11GS4-0226-SM-5HL77 60-69 years, male 2222.5
GTEX-1GF9U-2026-SM-7SB92 40-49 years, female 2214.4
GTEX-Y8LW-1526-SM-5IFHL 50-59 years, female 2200.9
GTEX-1IDJE-1426-SM-ADEIW 50-59 years, female 2199.6
GTEX-1192X-2726-SM-5N9DN 50-59 years, male 2198.1
GTEX-18A7A-0126-SM-731AH 50-59 years, female 2188.7
GTEX-1CB4E-0926-SM-7EPHT 60-69 years, male 2183.9
GTEX-14PKV-1126-SM-6LLJ1 20-29 years, female 2183.7
GTEX-1EU9M-1426-SM-793AI 60-69 years, male 2178.7
GTEX-1C475-1326-SM-7SB73 40-49 years, female 2174.4
GTEX-12ZZY-0726-SM-5EQ66 60-69 years, male 2171.9
GTEX-15CHR-1126-SM-7EWF4 50-59 years, male 2162.3
GTEX-1LG7Z-1626-SM-CXKYR 30-39 years, male 2160.8
GTEX-1A3MX-2626-SM-7PC24 60-69 years, male 2155.7
GTEX-ZC5H-1526-SM-5HL9Y 40-49 years, female 2153.3
GTEX-1R9K4-2826-SM-DTX8F 60-69 years, male 2152.7
GTEX-1LVAN-0626-SM-CNPOQ 50-59 years, female 2146.3
GTEX-1H1E6-0426-SM-9WYUS 30-39 years, male 2138.6
GTEX-1HCU8-2526-SM-CE6RX 60-69 years, female 2126.4
GTEX-1F75B-0726-SM-7PC3R 50-59 years, male 2119.5
GTEX-1MCYP-0526-SM-E9U6Q 20-29 years, female 2117.1
GTEX-1CAMQ-1326-SM-7P8RV 40-49 years, male 2103.7
GTEX-13OW5-2326-SM-5L3HO 60-69 years, male 2103.3
GTEX-1JMLX-0626-SM-ARL8T 50-59 years, male 2103.3
GTEX-14JG6-1426-SM-9WG7C 30-39 years, female 2103.2
GTEX-1AX9I-2226-SM-73KUO 60-69 years, male 2097.2
GTEX-WY7C-2126-SM-3NB2R 50-59 years, male 2093.0
GTEX-1HSMQ-2626-SM-A9SML 50-59 years, male 2090.4
GTEX-13OVK-1426-SM-6PAN7 40-49 years, male 2080.1
GTEX-17HGU-2326-SM-7DUFE 50-59 years, male 2075.5
GTEX-1JMPY-0226-SM-CKZOK 30-39 years, male 2068.3
GTEX-17JCI-2926-SM-7DUFF 60-69 years, female 2048.0
GTEX-18A6Q-0626-SM-7KFRP 60-69 years, male 1992.7
GTEX-XBEW-1126-SM-4QARW 40-49 years, male 1990.5
GTEX-17F9E-2326-SM-79OKD 50-59 years, male 1989.3
GTEX-1CB4F-1026-SM-7DUH1 60-69 years, male 1984.7
GTEX-17F96-0126-SM-7EWDU 70-79 years, male 1944.6
GTEX-1C64O-1326-SM-7MGWR 60-69 years, male 1911.3
GTEX-Y8E4-2026-SM-5IFJB 40-49 years, male 1910.8
GTEX-147F4-0726-SM-5TDDD 50-59 years, male 1902.4
GTEX-1JMQI-1726-SM-ARL93 50-59 years, male 1890.9
GTEX-1IDJC-1526-SM-B2LW4 50-59 years, male 1882.0
GTEX-ZTSS-1426-SM-5985P 40-49 years, male 1875.9
GTEX-1N2DV-1526-SM-DTXEP 40-49 years, male 1872.4
GTEX-ZT9W-1126-SM-57WDR 50-59 years, male 1868.6
GTEX-ZDTS-0826-SM-4WKHL 60-69 years, male 1862.5
GTEX-16AAH-0626-SM-793C9 50-59 years, male 1840.7
GTEX-1GN1W-2426-SM-9KNUU 50-59 years, female 1815.7
GTEX-Y114-2126-SM-4TT8B 50-59 years, female 1800.0
GTEX-11P7K-1126-SM-5HL4L 30-39 years, male 1790.3
GTEX-WHWD-1826-SM-3LK6I 50-59 years, male 1766.5
GTEX-WYVS-1626-SM-3NM9R 40-49 years, female 1749.1
GTEX-WHSE-0126-SM-3NMBT 20-29 years, male 1736.1
GTEX-1F6I4-2326-SM-7RHGL 60-69 years, male 1733.6
GTEX-1EX96-1026-SM-7MKG2 50-59 years, male 1714.6
GTEX-17F9Y-0126-SM-79OKX 70-79 years, female 1695.6
GTEX-WEY5-2326-SM-3GIKK 40-49 years, female 1693.6
GTEX-1CAMR-1326-SM-7PC1F 20-29 years, male 1685.1
GTEX-18D9U-0126-SM-731BM 40-49 years, male 1678.6
GTEX-WFG7-2026-SM-5SI7P 20-29 years, male 1663.4
GTEX-ZVP2-0326-SM-57WBP 50-59 years, male 1644.7
GTEX-18A66-0626-SM-7LT8Z 60-69 years, male 1611.7
GTEX-1HGF4-0126-SM-CNPPX 60-69 years, male 1570.0
GTEX-131XF-2626-SM-5EQ6K 60-69 years, male 1557.8
GTEX-1H1DE-1326-SM-9KNUG 20-29 years, male 1554.1
GTEX-11P82-1426-SM-DTXFY 20-29 years, male 1517.7
GTEX-14PJO-2526-SM-6AJBQ 60-69 years, male 1497.7
GTEX-1F75I-2226-SM-7SB8U 40-49 years, male 1495.3
GTEX-1IY9M-2826-SM-ARU8H 60-69 years, male 1476.8
GTEX-14PJ3-1126-SM-5ZZVX 50-59 years, male 1417.4
GTEX-17F97-2626-SM-7IGM5 50-59 years, male 1258.9
GTEX-WHPG-2626-SM-3NMBR 50-59 years, male 1224.8
GTEX-15RJ7-2126-SM-6PAMD 40-49 years, male 1128.2
Show allShow less
Skin - Sun Exposed (Lower leg)
Average nTPM: 2734.3
Samples: 701

Max nTPM: 5345.9
Min nTPM: 995.0
Std nTPM: 679.6
Median nTPM: 2675.5
GTEX-183WM-0126-SM-7LTAB 70-79 years, female 5345.9
GTEX-14E6C-0126-SM-5RQIP 40-49 years, male 5163.2
GTEX-POMQ-2226-SM-2I5FK 20-29 years, female 5095.4
GTEX-1HSMO-0126-SM-CL547 60-69 years, male 5078.1
GTEX-O5YT-0126-SM-48TBW 20-29 years, male 4928.7
GTEX-144FL-0126-SM-5TDC8 50-59 years, male 4885.2
GTEX-PWO3-1526-SM-48TCM 60-69 years, female 4751.2
GTEX-1122O-2126-SM-5EGIR 60-69 years, female 4725.7
GTEX-131XF-5016-SM-7MGWE 60-69 years, male 4666.7
GTEX-11H98-0126-SM-5EGHG 50-59 years, male 4563.3
GTEX-15UF6-0826-SM-6PALJ 70-79 years, female 4484.6
GTEX-145LS-0126-SM-5QGP1 60-69 years, female 4469.9
GTEX-UJHI-1526-SM-3DB99 50-59 years, female 4461.4
GTEX-1OJC3-0126-SM-E76QX 20-29 years, male 4413.5
GTEX-RVPV-0126-SM-EAZAW 60-69 years, male 4403.0
GTEX-15EOM-0126-SM-7KUGG 20-29 years, female 4367.6
GTEX-12WSA-0226-SM-5BC5V 60-69 years, male 4328.8
GTEX-13PDP-0126-SM-5L3HD 60-69 years, male 4309.9
GTEX-1JJ6O-0126-SM-E6CI8 60-69 years, male 4227.9
GTEX-145LT-1726-SM-5QGP3 40-49 years, male 4192.1
GTEX-OIZH-0126-SM-2HMIS 50-59 years, male 4186.5
GTEX-13OVH-0126-SM-5MR4B 70-79 years, male 4180.1
GTEX-13NYB-2526-SM-5K7Z6 40-49 years, male 4169.5
GTEX-13NZ8-0826-SM-5MR3I 60-69 years, female 4152.8
GTEX-145MO-0326-SM-5Q5B3 60-69 years, male 4149.7
GTEX-1C6VQ-0126-SM-7P8RI 50-59 years, male 4145.4
GTEX-NPJ8-0126-SM-2YUNR 40-49 years, male 4119.6
GTEX-1L5NE-2526-SM-E6CIE 50-59 years, male 4106.0
GTEX-X585-0226-SM-4QAS2 50-59 years, male 4075.6
GTEX-18D9A-1926-SM-7LG6P 30-39 years, female 4054.8
GTEX-17JCI-0126-SM-7LG5G 60-69 years, female 4048.5
GTEX-1K2DU-2326-SM-E9TIV 20-29 years, male 4023.8
GTEX-15RIG-0226-SM-7KFTL 40-49 years, male 3973.1
GTEX-13IVO-0126-SM-5J1NG 70-79 years, male 3964.4
GTEX-17MF6-0126-SM-7LG4F 40-49 years, male 3949.3
GTEX-1I1GT-0626-SM-CGQER 60-69 years, female 3872.3
GTEX-13U4I-0126-SM-5LU38 40-49 years, female 3871.3
GTEX-SN8G-0126-SM-32PLI 50-59 years, female 3868.9
GTEX-14BMV-0126-SM-5S2PO 50-59 years, male 3864.9
GTEX-1H1ZS-0426-SM-9WG6G 70-79 years, male 3855.3
GTEX-15SB6-1726-SM-6PAME 50-59 years, female 3847.3
GTEX-1MJK2-0426-SM-DTXE5 50-59 years, male 3844.9
GTEX-ZVZO-0126-SM-5A5L9 40-49 years, male 3843.2
GTEX-WVJS-0126-SM-4MVOT 50-59 years, male 3832.6
GTEX-XPVG-2626-SM-4B669 50-59 years, male 3824.9
GTEX-13X6I-0626-SM-5QGP9 60-69 years, male 3802.6
GTEX-RTLS-0126-SM-447CA 60-69 years, female 3793.3
GTEX-1JMPZ-0226-SM-CNPP1 30-39 years, male 3786.9
GTEX-131XE-2326-SM-5PNZ2 50-59 years, male 3771.5
GTEX-QDVN-2026-SM-3GAEP 50-59 years, male 3768.6
GTEX-1IDJH-0326-SM-A9SLQ 70-79 years, male 3763.9
GTEX-Z93T-0126-SM-5HL5N 50-59 years, male 3748.2
GTEX-14C5O-0126-SM-5SI6N 60-69 years, male 3724.4
GTEX-1PDJ9-0326-SM-DTX95 20-29 years, male 3713.7
GTEX-1JN1M-0326-SM-CYPT3 60-69 years, female 3698.7
GTEX-1O97I-0326-SM-EYYX7 60-69 years, male 3681.3
GTEX-12WSE-0526-SM-793B2 20-29 years, male 3676.1
GTEX-1H4P4-0726-SM-9YFLR 50-59 years, male 3666.5
GTEX-P4PP-0126-SM-3LK69 30-39 years, female 3664.6
GTEX-17HII-0226-SM-7LG4E 50-59 years, male 3658.3
GTEX-1MA7W-2026-SM-E9TJ6 20-29 years, female 3656.0
GTEX-11WQK-0526-SM-5EQLD 50-59 years, male 3650.8
GTEX-13NYS-0126-SM-5MR3W 60-69 years, male 3649.7
GTEX-131XH-2226-SM-5DUXJ 50-59 years, male 3630.4
GTEX-X4XY-0226-SM-4E3IZ 60-69 years, male 3622.4
GTEX-ZV6S-2326-SM-4YCEY 40-49 years, female 3616.8
GTEX-145MF-0626-SM-5LUAI 50-59 years, male 3598.8
GTEX-139D8-0226-SM-5KLZO 30-39 years, female 3596.9
GTEX-13OVK-2026-SM-7KUEO 40-49 years, male 3592.5
GTEX-1GZ2Q-0226-SM-7P8TL 40-49 years, male 3585.2
GTEX-Z93S-0126-SM-5HL7M 50-59 years, male 3569.8
GTEX-13OW8-1326-SM-5J1OW 60-69 years, male 3569.7
GTEX-PLZ6-1426-SM-DKPOT 30-39 years, male 3568.2
GTEX-15EU6-0426-SM-6PAN5 50-59 years, male 3549.4
GTEX-15D1Q-0126-SM-7KUG6 40-49 years, male 3544.0
GTEX-13RTJ-2426-SM-5S2Q2 60-69 years, male 3537.1
GTEX-1HB9E-0226-SM-E9U4R 50-59 years, male 3536.7
GTEX-1PIIG-0226-SM-EWRN6 30-39 years, male 3528.5
GTEX-117XS-2726-SM-5N9BL 60-69 years, male 3527.0
GTEX-13W46-0226-SM-5SIAG 50-59 years, male 3521.8
GTEX-14E6D-0126-SM-62LDV 50-59 years, male 3513.1
GTEX-XBEW-0626-SM-4QASP 40-49 years, male 3498.4
GTEX-1GF9U-2126-SM-7SB7L 40-49 years, female 3479.8
GTEX-13PVR-2326-SM-5QGR1 60-69 years, female 3478.3
GTEX-1JMQL-0226-SM-CNPP5 50-59 years, female 3473.9
GTEX-ZYY3-0126-SM-5GZY5 60-69 years, female 3471.5
GTEX-PWCY-1826-SM-DHXIZ 20-29 years, female 3469.9
GTEX-1M5QR-1226-SM-EWROB 40-49 years, male 3460.5
GTEX-145ME-1826-SM-5SI9G 40-49 years, female 3459.7
GTEX-17HHY-0126-SM-7LG5D 50-59 years, male 3458.8
GTEX-13N11-2526-SM-5K7UE 50-59 years, female 3455.1
GTEX-14753-0426-SM-5NQAM 60-69 years, male 3452.7
GTEX-13NZB-2526-SM-5J1OM 30-39 years, male 3444.7
GTEX-S32W-2126-SM-2XCB1 50-59 years, female 3432.5
GTEX-1R9PM-2026-SM-E76OY 20-29 years, male 3429.2
GTEX-1399U-2326-SM-5K7WY 50-59 years, female 3428.7
GTEX-1HSMP-0126-SM-E6CJS 70-79 years, male 3428.7
GTEX-1A3MW-0126-SM-73KXX 60-69 years, female 3425.3
GTEX-14E6E-1826-SM-5S2R7 30-39 years, male 3416.5
GTEX-QV44-1926-SM-2S1RF 50-59 years, male 3415.9
GTEX-1GZ4H-1726-SM-7PBZJ 50-59 years, female 3414.6
GTEX-13RTL-0126-SM-7LG5S 40-49 years, male 3412.4
GTEX-XUYS-0126-SM-47JWZ 50-59 years, male 3404.2
GTEX-1497J-2426-SM-7IGNX 60-69 years, male 3398.7
GTEX-1AMFI-2026-SM-731BH 50-59 years, female 3395.2
GTEX-U412-0426-SM-3DB9O 60-69 years, male 3394.3
GTEX-16YQH-0126-SM-7DUFJ 30-39 years, male 3393.8
GTEX-15ETS-0126-SM-7KUMW 40-49 years, female 3392.5
GTEX-1A3MX-0126-SM-731BR 60-69 years, male 3391.3
GTEX-1R46S-0626-SM-E9J41 60-69 years, female 3378.1
GTEX-13RTK-1426-SM-5QGQJ 20-29 years, male 3375.5
GTEX-ZVZP-2426-SM-59HKJ 50-59 years, male 3375.4
GTEX-1ICLZ-0126-SM-CKZPO 60-69 years, male 3364.3
GTEX-Q2AH-1626-SM-3GAF8 40-49 years, male 3352.0
GTEX-1CB4H-0226-SM-7PBXM 60-69 years, female 3351.8
GTEX-1IDFM-0126-SM-COH2V 60-69 years, male 3349.4
GTEX-13QJ3-0326-SM-5S2RA 50-59 years, male 3345.2
GTEX-11DZ1-0126-SM-5985Q 50-59 years, male 3344.6
GTEX-14PJ6-2126-SM-6EU1V 60-69 years, female 3340.5
GTEX-117YW-2626-SM-5GZZH 50-59 years, male 3339.5
GTEX-13113-5016-SM-7EPIP 60-69 years, female 3338.7
GTEX-1KANB-0526-SM-E6CJH 50-59 years, male 3334.7
GTEX-14A5H-0426-SM-5QGQF 60-69 years, male 3331.4
GTEX-OXRO-0126-SM-2YUN4 60-69 years, female 3326.7
GTEX-1M4P7-0226-SM-DIPEV 60-69 years, male 3319.7
GTEX-183FY-0126-SM-7LT9P 20-29 years, male 3313.7
GTEX-1S82Z-0826-SM-E6CHY 30-39 years, female 3308.9
GTEX-1N2EF-0226-SM-EYYXB 60-69 years, male 3302.2
GTEX-VJWN-0126-SM-3GIK7 50-59 years, female 3299.5
GTEX-16MT8-0426-SM-7KUEY 60-69 years, female 3298.9
GTEX-Y5LM-1926-SM-5RQJH 40-49 years, female 3294.1
GTEX-1I1GQ-0126-SM-COH3H 50-59 years, male 3291.2
GTEX-1ICLY-0126-SM-D4P36 50-59 years, male 3280.9
GTEX-13S7M-0126-SM-5SI6A 60-69 years, female 3276.7
GTEX-1F7RK-0126-SM-7PC2S 20-29 years, female 3272.8
GTEX-1IKJJ-0126-SM-CNPQB 60-69 years, male 3270.0
GTEX-TML8-1926-SM-32QOS 40-49 years, female 3256.0
GTEX-1LH75-2426-SM-E9TJE 50-59 years, female 3254.0
GTEX-1K2DA-1826-SM-CGQGT 50-59 years, male 3241.3
GTEX-18A67-0126-SM-7LG5P 50-59 years, male 3241.2
GTEX-13JUV-2726-SM-5LZZ8 40-49 years, female 3240.7
GTEX-1LSNM-1926-SM-E6CII 50-59 years, male 3235.0
GTEX-169BO-1326-SM-9MQK2 50-59 years, male 3228.1
GTEX-Y5V6-2426-SM-4VDSB 60-69 years, male 3226.2
GTEX-ZPIC-1726-SM-DHXIU 40-49 years, female 3223.7
GTEX-14JG1-0426-SM-6ETZZ 40-49 years, male 3223.4
GTEX-ZAJG-0126-SM-5HL94 50-59 years, female 3223.3
GTEX-1C64N-0126-SM-793D7 50-59 years, male 3220.3
GTEX-T2IS-0126-SM-4DM6O 20-29 years, female 3219.6
GTEX-1GN2E-0426-SM-9MQKX 60-69 years, male 3218.2
GTEX-11DXW-0226-SM-5H122 40-49 years, male 3213.9
GTEX-XQ8I-0426-SM-4BOPO 50-59 years, male 3207.8
GTEX-ZYT6-0226-SM-5NQ6T 30-39 years, male 3207.1
GTEX-S7SE-0126-SM-2XCD5 50-59 years, male 3206.1
GTEX-1PWST-0226-SM-E76QJ 70-79 years, male 3202.4
GTEX-11GSO-2426-SM-5A5LY 60-69 years, male 3202.2
GTEX-X8HC-0126-SM-4E3JW 50-59 years, female 3199.0
GTEX-1LB8K-0226-SM-EWRNW 50-59 years, male 3193.7
GTEX-1IGQW-0126-SM-COH42 60-69 years, male 3191.0
GTEX-11UD2-0226-SM-5EQKY 50-59 years, male 3190.6
GTEX-1H1DG-0126-SM-9WYU2 70-79 years, male 3187.9
GTEX-1QPFJ-0226-SM-E76PB 30-39 years, female 3185.6
GTEX-1EU9M-0226-SM-7P8SP 60-69 years, male 3182.8
GTEX-ZQG8-1626-SM-DHXIT 60-69 years, female 3178.9
GTEX-1313W-0126-SM-5LZUN 50-59 years, female 3177.5
GTEX-1HCU8-0626-SM-A9SM9 60-69 years, female 3167.6
GTEX-1A3MV-1926-SM-718BT 30-39 years, male 3166.0
GTEX-11DYG-0126-SM-59883 60-69 years, male 3163.5
GTEX-11EQ9-2426-SM-5HL5T 30-39 years, male 3159.1
GTEX-111FC-0126-SM-5N9DL 60-69 years, male 3152.7
GTEX-13X6J-0126-SM-5QGOU 50-59 years, male 3151.0
GTEX-17F96-1626-SM-7DUFL 70-79 years, male 3148.6
GTEX-11EM3-2426-SM-59861 20-29 years, female 3145.2
GTEX-1LG7Y-0526-SM-DKPQC 50-59 years, male 3142.5
GTEX-TMZS-0126-SM-3DB9Q 60-69 years, male 3131.7
GTEX-1QMI2-0226-SM-EVYBX 60-69 years, male 3131.6
GTEX-14A5I-0126-SM-5TDEA 50-59 years, female 3130.3
GTEX-1PFEY-1526-SM-E76PP 30-39 years, male 3121.7
GTEX-1RLM8-2326-SM-EWRN4 50-59 years, male 3120.0
GTEX-13N2G-2626-SM-5J1OT 60-69 years, male 3103.8
GTEX-1LVAN-0226-SM-COH3S 50-59 years, female 3101.9
GTEX-TSE9-0126-SM-3DB83 60-69 years, female 3101.7
GTEX-1MCQQ-0826-SM-DLHC2 60-69 years, male 3099.7
GTEX-PLZ4-0126-SM-5SI8O 50-59 years, female 3097.2
GTEX-1E2YA-0126-SM-9KNUC 50-59 years, male 3096.8
GTEX-1GMR3-1926-SM-9KNUZ 40-49 years, male 3094.3
GTEX-1H1CY-2826-SM-9MQM3 60-69 years, female 3093.8
GTEX-ZWKS-0126-SM-5SIAA 30-39 years, male 3090.8
GTEX-1PIGE-0126-SM-EVYBJ 20-29 years, male 3087.6
GTEX-U8XE-0326-SM-3DB8P 30-39 years, male 3087.2
GTEX-16BQI-0226-SM-7KUEX 30-39 years, female 3085.5
GTEX-1HBPN-0226-SM-9YFM1 50-59 years, male 3075.2
GTEX-RWS6-2026-SM-2XCB5 60-69 years, female 3074.9
GTEX-1IDJU-2626-SM-CM2RT 60-69 years, female 3073.9
GTEX-16NGA-1726-SM-731B4 40-49 years, female 3070.6
GTEX-1399T-2826-SM-5KLYZ 60-69 years, male 3064.8
GTEX-18465-0126-SM-731BN 50-59 years, male 3064.1
GTEX-WI4N-1026-SM-3LK7N 40-49 years, female 3063.8
GTEX-1KWVE-1426-SM-E9TJO 30-39 years, male 3063.6
GTEX-147F4-0226-SM-5QGPW 50-59 years, male 3059.2
GTEX-11LCK-1026-SM-5A5KB 30-39 years, male 3057.3
GTEX-1QAET-0926-SM-E76QM 50-59 years, male 3056.5
GTEX-13O3Q-2426-SM-5IJBR 50-59 years, male 3053.3
GTEX-1GTWX-0126-SM-9YFLK 60-69 years, male 3053.0
GTEX-1RAZA-0126-SM-E6CI3 20-29 years, male 3052.7
GTEX-1F75A-0126-SM-7RHGM 50-59 years, male 3050.2
GTEX-NFK9-0226-SM-2HMKQ 40-49 years, male 3045.5
GTEX-X4XX-0126-SM-3NMC2 60-69 years, male 3044.6
GTEX-1N2DV-0226-SM-E6CJ6 40-49 years, male 3037.7
GTEX-T2YK-0526-SM-32QPJ 50-59 years, male 3033.2
GTEX-1QP66-1726-SM-E8VO1 50-59 years, male 3032.2
GTEX-1LBAC-0126-SM-DIPEZ 20-29 years, male 3031.7
GTEX-P4PQ-0126-SM-2S1NM 60-69 years, male 3027.7
GTEX-13OVI-1426-SM-5L3EY 60-69 years, female 3025.4
GTEX-X88G-0126-SM-47JZ3 30-39 years, male 3021.7
GTEX-XAJ8-0826-SM-47JY6 40-49 years, male 3020.7
GTEX-14DAR-2026-SM-5S2O3 50-59 years, male 3020.2
GTEX-1CAMS-0426-SM-7P8T2 40-49 years, female 3011.6
GTEX-1B8SG-0126-SM-73KZ3 50-59 years, male 3008.9
GTEX-148VI-1626-SM-5SI6E 60-69 years, female 3006.0
GTEX-1KANC-1526-SM-D3LAB 50-59 years, female 3003.3
GTEX-U8T8-0126-SM-3DB94 60-69 years, male 3002.6
GTEX-1LC47-0326-SM-E9TJP 60-69 years, male 2999.2
GTEX-11TTK-0126-SM-5987B 60-69 years, female 2994.7
GTEX-OXRN-0126-SM-48TDM 50-59 years, male 2992.0
GTEX-TMMY-0226-SM-33HBA 40-49 years, female 2987.4
GTEX-ZYFG-2326-SM-5E44B 60-69 years, female 2980.6
GTEX-17MFQ-1726-SM-793C7 20-29 years, male 2979.5
GTEX-1B8L1-2526-SM-9WYTF 60-69 years, male 2977.0
GTEX-X261-0126-SM-3NMD6 50-59 years, male 2976.5
GTEX-1EWIQ-0126-SM-7RHH2 70-79 years, female 2972.8
GTEX-Y8DK-0126-SM-4TT3L 60-69 years, male 2970.7
GTEX-12ZZZ-0626-SM-5DUXI 60-69 years, male 2968.7
GTEX-13OW6-0426-SM-5L3HM 50-59 years, male 2968.0
GTEX-11DXY-2626-SM-5GIE7 60-69 years, male 2967.7
GTEX-1269C-2526-SM-5EGJ3 60-69 years, female 2963.9
GTEX-15ER7-0326-SM-7KUEV 20-29 years, female 2963.0
GTEX-1B933-0126-SM-7PC29 50-59 years, female 2962.1
GTEX-1HT8W-0126-SM-CNPPP 30-39 years, male 2958.1
GTEX-1JJE9-0326-SM-CL53Z 70-79 years, male 2957.8
GTEX-14LZ3-0226-SM-62LET 60-69 years, female 2948.6
GTEX-12ZZY-0226-SM-5LZVE 60-69 years, male 2944.8
GTEX-139TS-2826-SM-5J1OO 60-69 years, male 2942.1
GTEX-11OC5-0126-SM-5HL6A 60-69 years, male 2939.7
GTEX-S95S-1226-SM-4GICG 60-69 years, male 2937.9
GTEX-OIZG-0726-SM-33HBL 50-59 years, male 2934.9
GTEX-X4EP-0126-SM-3P5YV 60-69 years, female 2934.5
GTEX-146FH-0126-SM-5QGPP 50-59 years, female 2934.4
GTEX-13FTY-0526-SM-5L3EV 40-49 years, female 2930.8
GTEX-ZU9S-0226-SM-5E441 30-39 years, male 2930.3
GTEX-1POEN-0126-SM-EYYXJ 30-39 years, female 2929.4
GTEX-1GF9V-0326-SM-7RHI5 60-69 years, male 2926.6
GTEX-144GL-0126-SM-5TDE2 50-59 years, male 2922.9
GTEX-1AX8Z-0126-SM-7DHM6 60-69 years, male 2922.4
GTEX-14BIM-0226-SM-7IGLD 60-69 years, female 2922.0
GTEX-X638-0126-SM-47JZ8 70-79 years, female 2918.9
GTEX-Y8E4-0626-SM-4WWDL 40-49 years, male 2917.7
GTEX-13O3P-0126-SM-5KM4S 50-59 years, male 2917.6
GTEX-RWSA-0126-SM-2XCBB 40-49 years, male 2910.2
GTEX-13OVJ-0126-SM-5KM36 50-59 years, female 2906.1
GTEX-133LE-1826-SM-5J1MV 20-29 years, female 2905.6
GTEX-13D11-2426-SM-5KM1V 50-59 years, female 2904.7
GTEX-14JG6-2226-SM-6EU2G 30-39 years, female 2903.9
GTEX-145MN-2226-SM-5SIAU 30-39 years, male 2900.9
GTEX-139T8-0126-SM-5K7XZ 60-69 years, male 2898.2
GTEX-11EI6-0126-SM-5985R 60-69 years, male 2897.0
GTEX-ZE9C-2726-SM-57WB5 60-69 years, male 2896.4
GTEX-11VI4-1726-SM-5CVLH 40-49 years, female 2891.0
GTEX-13OW7-0126-SM-5MR3B 50-59 years, male 2884.8
GTEX-PLZ5-2026-SM-2S1O4 50-59 years, male 2883.1
GTEX-1IL2V-0126-SM-CM2TX 70-79 years, male 2882.8
GTEX-OOBK-0126-SM-2YUND 40-49 years, male 2880.2
GTEX-ZVT2-2526-SM-51MT1 50-59 years, female 2877.5
GTEX-XUW1-0426-SM-4BOOT 50-59 years, female 2877.2
GTEX-1J8Q3-1626-SM-CMKGC 60-69 years, male 2875.8
GTEX-QESD-1426-SM-2S1R9 20-29 years, male 2874.8
GTEX-11DXX-2426-SM-5GZZW 60-69 years, female 2874.3
GTEX-1OFPY-2426-SM-DTXEJ 60-69 years, male 2859.1
GTEX-14DAQ-0126-SM-5S2MQ 60-69 years, female 2857.0
GTEX-1IKOH-0226-SM-COH4E 60-69 years, female 2853.8
GTEX-ZDYS-2026-SM-5HL5L 50-59 years, male 2851.0
GTEX-15UKP-0426-SM-7KUFQ 20-29 years, male 2850.6
GTEX-1I19N-0326-SM-ACKVX 70-79 years, male 2849.1
GTEX-1HGF4-2426-SM-ACKXM 60-69 years, male 2847.5
GTEX-W5X1-3026-SM-EAZAX 40-49 years, female 2846.5
GTEX-1LGOU-2026-SM-DIPFF 20-29 years, female 2844.9
GTEX-1GZHY-0326-SM-9QEHI 50-59 years, female 2841.7
GTEX-14PK6-1926-SM-6ETZU 70-79 years, female 2841.0
GTEX-ZVE2-0226-SM-59HJB 50-59 years, male 2839.7
GTEX-1314G-1526-SM-5EGK2 30-39 years, male 2839.2
GTEX-1212Z-2526-SM-5EGKP 60-69 years, male 2836.9
GTEX-111VG-2426-SM-5GZXD 60-69 years, male 2832.5
GTEX-R3RS-0126-SM-3GIJL 40-49 years, female 2832.1
GTEX-1B996-0226-SM-7RHGO 60-69 years, male 2811.2
GTEX-147GR-0526-SM-5S2MY 60-69 years, male 2806.8
GTEX-15DCD-0126-SM-7KUEK 70-79 years, female 2805.9
GTEX-12WSC-0126-SM-5EQ4P 50-59 years, male 2796.9
GTEX-12696-2426-SM-5EQ6H 60-69 years, male 2796.8
GTEX-SIU8-0126-SM-2XCDT 50-59 years, male 2796.0
GTEX-11ZU8-2526-SM-5EQKI 60-69 years, male 2795.3
GTEX-X4EO-0326-SM-3P5YO 60-69 years, female 2795.0
GTEX-ZDTT-2726-SM-4WKF8 60-69 years, male 2786.8
GTEX-1GN73-0226-SM-9WG67 60-69 years, male 2782.0
GTEX-1HCVE-0126-SM-CGQEU 50-59 years, male 2775.7
GTEX-1HSGN-0226-SM-CGQFV 40-49 years, female 2772.7
GTEX-1HR98-0126-SM-B2LWI 60-69 years, male 2771.0
GTEX-XQ3S-1526-SM-4BOOC 20-29 years, male 2768.7
GTEX-17HGU-0226-SM-7DHKV 50-59 years, male 2765.3
GTEX-11O72-0126-SM-59887 40-49 years, male 2764.6
GTEX-1RB15-2126-SM-E9TIM 60-69 years, male 2761.8
GTEX-131XW-0426-SM-5LZWP 50-59 years, female 2759.8
GTEX-WOFL-0126-SM-3MJG2 60-69 years, male 2758.2
GTEX-1IDJF-0126-SM-CM2RS 20-29 years, male 2757.5
GTEX-XMD2-0126-SM-4YCDU 60-69 years, female 2757.3
GTEX-1F52S-0126-SM-9MQJU 60-69 years, female 2753.7
GTEX-1R7EV-2426-SM-EVYBG 40-49 years, male 2753.6
GTEX-15G19-0126-SM-6PANQ 60-69 years, male 2753.5
GTEX-11UD1-0126-SM-5PNYG 40-49 years, female 2750.0
GTEX-13VXT-0126-SM-5LU4I 20-29 years, female 2740.7
GTEX-ZVT4-0126-SM-DTXFN 50-59 years, female 2735.7
GTEX-1GPI7-0126-SM-9MQL8 20-29 years, male 2735.1
GTEX-17EVP-0326-SM-7DHLG 40-49 years, male 2734.6
GTEX-1GF9W-0326-SM-9KNUN 60-69 years, male 2730.3
GTEX-13CF3-2426-SM-5IFGX 60-69 years, female 2728.4
GTEX-1KXAM-2226-SM-CYPTC 60-69 years, male 2723.7
GTEX-1LG7Z-1726-SM-D3LA4 30-39 years, male 2723.4
GTEX-14LLW-0126-SM-6LLIO 70-79 years, female 2718.7
GTEX-18QFQ-0126-SM-731BE 30-39 years, male 2717.9
GTEX-1S5ZA-0126-SM-EVYCV 20-29 years, male 2716.5
GTEX-1JMQI-2226-SM-CM2SD 50-59 years, male 2714.7
GTEX-1KAFJ-2026-SM-CY8ID 50-59 years, male 2713.4
GTEX-YFC4-0126-SM-5CVLY 40-49 years, female 2713.2
GTEX-1LGRB-2526-SM-CNPPQ 50-59 years, female 2711.4
GTEX-1KD4Q-0226-SM-E9TJ9 40-49 years, male 2710.9
GTEX-1S3DN-2226-SM-EVYCD 50-59 years, male 2707.8
GTEX-18A7B-0126-SM-7LG64 70-79 years, male 2706.2
GTEX-1HCUA-2426-SM-ADEIS 50-59 years, female 2702.9
GTEX-1F5PL-0326-SM-7P8PQ 40-49 years, female 2701.3
GTEX-145MI-0526-SM-5O9A8 60-69 years, female 2697.0
GTEX-1F88F-2726-SM-7PBZZ 60-69 years, female 2694.8
GTEX-1H3O1-0426-SM-9YFKY 60-69 years, male 2691.3
GTEX-1I1GP-2226-SM-CGQFK 50-59 years, male 2686.6
GTEX-ZV68-0126-SM-59HKS 50-59 years, female 2686.3
GTEX-1H3VE-0326-SM-9YFLH 40-49 years, male 2684.8
GTEX-U3ZH-2026-SM-3DB78 30-39 years, male 2682.4
GTEX-13SLX-0526-SM-5S2ON 50-59 years, female 2682.2
GTEX-1QCLY-0326-SM-E8VOG 30-39 years, male 2681.4
GTEX-PSDG-0226-SM-DKPOZ 50-59 years, male 2681.0
GTEX-18A66-0226-SM-718BD 60-69 years, male 2680.9
GTEX-1MCYP-1926-SM-E9J2R 20-29 years, female 2678.2
GTEX-1GN1V-0126-SM-9WPOS 60-69 years, male 2675.5
GTEX-1F48J-0126-SM-7P8TT 50-59 years, female 2672.9
GTEX-1K9T9-0126-SM-EVYCF 50-59 years, female 2672.6
GTEX-14BIN-0626-SM-793DP 50-59 years, female 2671.5
GTEX-117YX-2326-SM-5H12W 50-59 years, male 2662.3
GTEX-16NPX-0226-SM-79OMT 50-59 years, male 2660.5
GTEX-15DDE-0126-SM-6LPKH 50-59 years, female 2660.2
GTEX-1F6RS-0126-SM-9MQKZ 60-69 years, female 2659.5
GTEX-139TT-0126-SM-5K7Y5 60-69 years, male 2655.5
GTEX-1E1VI-0126-SM-7DHMZ 50-59 years, male 2655.3
GTEX-1CB4J-0626-SM-7DHMP 60-69 years, male 2654.9
GTEX-1C64O-0126-SM-7SB8P 60-69 years, male 2654.8
GTEX-13W3W-2426-SM-5LU5B 60-69 years, female 2654.6
GTEX-145LV-2126-SM-5LU8N 50-59 years, male 2648.8
GTEX-XV7Q-2526-SM-4BRV9 40-49 years, female 2636.5
GTEX-14PHX-2326-SM-62LEM 50-59 years, male 2635.1
GTEX-1R9K4-0126-SM-DTX9X 60-69 years, male 2634.8
GTEX-1CAMQ-0226-SM-7IGPK 40-49 years, male 2631.0
GTEX-VUSG-2526-SM-4KL1V 50-59 years, male 2629.5
GTEX-QCQG-1726-SM-3GIJ9 50-59 years, female 2629.3
GTEX-1HFI6-0226-SM-ADEHZ 40-49 years, male 2628.4
GTEX-1IOXB-0126-SM-ARL8G 50-59 years, male 2625.7
GTEX-1GMRU-0126-SM-9YFLV 50-59 years, male 2622.3
GTEX-WXYG-2326-SM-4E3I6 50-59 years, female 2622.1
GTEX-1GPI6-0126-SM-9WG69 60-69 years, male 2619.0
GTEX-1PPH7-2326-SM-EVYB8 40-49 years, male 2618.3
GTEX-ZC5H-0226-SM-4WAY9 40-49 years, female 2617.6
GTEX-1KANA-0726-SM-D3L9I 20-29 years, male 2616.0
GTEX-1JMQJ-0526-SM-CYPSU 50-59 years, male 2610.3
GTEX-13NZA-0226-SM-5K7Z7 60-69 years, male 2609.5
GTEX-1MUQO-0126-SM-EAZ58 60-69 years, male 2608.7
GTEX-18D9B-0526-SM-7LTAS 60-69 years, male 2605.8
GTEX-1GN1U-0126-SM-7PBZK 50-59 years, female 2605.3
GTEX-SUCS-1926-SM-32PM3 70-79 years, male 2600.5
GTEX-1EKGG-0226-SM-9WYTH 60-69 years, male 2596.5
GTEX-12126-0326-SM-5PNW3 20-29 years, male 2594.5
GTEX-17EVQ-0226-SM-7LG4P 70-79 years, male 2587.6
GTEX-13FHO-0226-SM-5IFGY 60-69 years, male 2587.4
GTEX-14PHW-0126-SM-6LLJI 60-69 years, female 2586.8
GTEX-1I1GU-2226-SM-CGQFA 40-49 years, male 2586.6
GTEX-13OVL-0226-SM-5L3E9 50-59 years, male 2586.4
GTEX-131YS-0126-SM-5KM1M 60-69 years, female 2585.8
GTEX-1AMEY-1326-SM-73KYK 30-39 years, female 2584.7
GTEX-1H3NZ-0126-SM-ACKX7 60-69 years, male 2582.1
GTEX-Q2AG-0126-SM-33HBV 40-49 years, female 2581.9
GTEX-14XAO-2326-SM-6EU1B 60-69 years, female 2580.9
GTEX-XBED-2226-SM-47JYQ 60-69 years, male 2580.6
GTEX-ZF29-2326-SM-DO92K 60-69 years, female 2574.2
GTEX-1HKZK-0326-SM-9WYUH 40-49 years, male 2572.0
GTEX-ZVTK-0426-SM-51MRS 20-29 years, male 2569.8
GTEX-1OJC4-0126-SM-E9J2E 50-59 years, female 2567.2
GTEX-X62O-0126-SM-4E3JN 50-59 years, male 2564.3
GTEX-V1D1-2226-SM-3NMAX 50-59 years, male 2564.0
GTEX-WZTO-0126-SM-3NM95 40-49 years, male 2563.3
GTEX-1B8SF-1426-SM-7DUGL 60-69 years, male 2562.3
GTEX-SSA3-0126-SM-32QPU 60-69 years, male 2559.4
GTEX-ZE7O-0126-SM-57WC1 50-59 years, female 2558.1
GTEX-1HCU6-0126-SM-CL54K 60-69 years, female 2557.3
GTEX-1128S-2326-SM-5GZZY 60-69 years, female 2556.7
GTEX-1QP2A-0126-SM-E9J43 50-59 years, male 2553.7
GTEX-ZZ64-1726-SM-5GZYB 20-29 years, male 2553.4
GTEX-1HSKV-0226-SM-A9SKJ 60-69 years, male 2552.0
GTEX-1JJEA-0326-SM-CNPOT 60-69 years, male 2542.8
GTEX-1AYCT-2426-SM-7IGQ3 50-59 years, male 2539.1
GTEX-VJYA-1126-SM-3GIJU 60-69 years, male 2536.7
GTEX-ZY6K-1826-SM-5GZXK 50-59 years, male 2535.5
GTEX-1QP9N-1426-SM-DTXFL 30-39 years, male 2531.3
GTEX-ZYFC-0226-SM-5NQ75 50-59 years, male 2529.7
GTEX-12WSN-5019-SM-79OM6 40-49 years, male 2528.9
GTEX-T5JC-0426-SM-32PLO 20-29 years, male 2526.4
GTEX-113JC-2326-SM-5EQ4E 50-59 years, female 2524.3
GTEX-139TU-0126-SM-5K7WH 60-69 years, male 2523.4
GTEX-14PN4-0126-SM-6EU2V 50-59 years, male 2515.0
GTEX-T6MN-0126-SM-32PLP 50-59 years, male 2513.0
GTEX-1QP67-1626-SM-EAZ3X 40-49 years, female 2512.7
GTEX-16GPK-0126-SM-7DHLE 60-69 years, male 2511.8
GTEX-1A32A-0126-SM-718B1 50-59 years, female 2511.5
GTEX-T8EM-1026-SM-3DB7M 40-49 years, male 2509.5
GTEX-WFON-2126-SM-3LK7O 40-49 years, male 2509.5
GTEX-1F75I-0326-SM-9YFLU 40-49 years, male 2504.2
GTEX-1J8Q2-0526-SM-CM2RW 60-69 years, male 2504.1
GTEX-13N1W-0126-SM-5K7VT 70-79 years, male 2502.2
GTEX-12ZZX-0126-SM-5EGK9 40-49 years, female 2501.7
GTEX-145LU-0126-SM-5TDCB 50-59 years, male 2501.3
GTEX-X5EB-2226-SM-46MW4 40-49 years, male 2499.7
GTEX-QVJO-1626-SM-2S1QW 60-69 years, female 2498.9
GTEX-1HBPI-1526-SM-C1YQ1 50-59 years, male 2498.0
GTEX-1J8QM-2126-SM-CYPSJ 60-69 years, female 2495.2
GTEX-1JMOU-1526-SM-CL54I 60-69 years, female 2495.2
GTEX-1I1CD-0126-SM-CM2TK 60-69 years, female 2491.3
GTEX-YB5E-2026-SM-5IFIS 40-49 years, male 2488.1
GTEX-14PN3-2426-SM-6LLHS 60-69 years, female 2487.0
GTEX-ZF3C-0126-SM-DO92D 50-59 years, female 2485.6
GTEX-15DYW-0126-SM-7KULE 60-69 years, female 2484.5
GTEX-P4QT-0126-SM-2I3FL 50-59 years, female 2482.2
GTEX-1I1GV-0526-SM-A9G29 60-69 years, male 2481.9
GTEX-QEG4-0226-SM-2S1PY 30-39 years, male 2481.3
GTEX-14A6H-0126-SM-5QGPK 30-39 years, male 2479.1
GTEX-14ICK-0226-SM-6EU25 40-49 years, male 2479.0
GTEX-147F3-0526-SM-5SI98 50-59 years, female 2476.7
GTEX-14BIL-0126-SM-5SI92 50-59 years, male 2476.2
GTEX-1JMQK-0226-SM-CL543 60-69 years, male 2476.2
GTEX-11XUK-2026-SM-5EQLF 40-49 years, female 2475.7
GTEX-13VXU-0126-SM-5SI9F 50-59 years, male 2471.8
GTEX-1I1GR-0126-SM-CL55F 60-69 years, male 2468.9
GTEX-ZYW4-0126-SM-5E44A 60-69 years, male 2468.8
GTEX-15CHC-2126-SM-6EU21 60-69 years, female 2465.5
GTEX-16XZY-2126-SM-79OK1 70-79 years, male 2465.0
GTEX-1S82Y-2026-SM-EVYCM 40-49 years, male 2462.3
GTEX-11TT1-2526-SM-5EGIB 20-29 years, male 2460.9
GTEX-1RQEC-0426-SM-E6CHU 60-69 years, male 2453.5
GTEX-1JKYR-0126-SM-CNPOJ 20-29 years, male 2451.6
GTEX-1S83E-0126-SM-EWRO4 40-49 years, male 2447.2
GTEX-1AX9J-0226-SM-73KXM 60-69 years, male 2436.6
GTEX-1HFI7-1826-SM-ACKXH 50-59 years, female 2436.2
GTEX-OXRP-0126-SM-3NB32 60-69 years, female 2435.7
GTEX-1HSMQ-1226-SM-CGQFX 50-59 years, male 2435.5
GTEX-13FTX-1826-SM-5J1NX 20-29 years, female 2434.3
GTEX-WH7G-2326-SM-3NMBC 40-49 years, male 2433.9
GTEX-1HBPM-0226-SM-ARL9F 60-69 years, female 2433.3
GTEX-ZAK1-0126-SM-5IJD3 50-59 years, female 2431.7
GTEX-ZTX8-1426-SM-5DUVO 20-29 years, male 2429.7
GTEX-1JK1U-2026-SM-CM2RZ 60-69 years, male 2427.7
GTEX-1J1R8-1726-SM-ARL8M 40-49 years, male 2424.5
GTEX-148VJ-0126-SM-5TDDN 70-79 years, male 2423.8
GTEX-1J1OQ-0226-SM-CYPSH 40-49 years, female 2420.7
GTEX-17GQL-2026-SM-718BA 60-69 years, male 2419.4
GTEX-14PII-0226-SM-6EU1T 60-69 years, male 2414.0
GTEX-1GL5R-1826-SM-9KNUY 50-59 years, male 2412.4
GTEX-17KNJ-2326-SM-7DHLQ 50-59 years, male 2411.7
GTEX-QDVJ-1726-SM-2I5FX 50-59 years, male 2411.4
GTEX-1EN7A-0126-SM-7SB81 40-49 years, male 2407.9
GTEX-11ZTT-2426-SM-5EQLS 60-69 years, female 2402.9
GTEX-1H23P-0126-SM-ADEJ3 60-69 years, male 2399.5
GTEX-SJXC-0126-SM-2XCFF 60-69 years, male 2397.9
GTEX-11P82-1626-SM-59879 20-29 years, male 2395.6
GTEX-1ICG6-2526-SM-CGQFZ 70-79 years, female 2391.9
GTEX-1HSEH-0126-SM-ACKXN 60-69 years, male 2389.1
GTEX-1IE54-0126-SM-CMKHW 40-49 years, female 2386.8
GTEX-1C6VS-0526-SM-7DUEN 60-69 years, male 2384.5
GTEX-1QP29-0626-SM-EWRMX 50-59 years, male 2384.4
GTEX-1MA7X-2226-SM-E6CIY 60-69 years, male 2380.0
GTEX-11GS4-2726-SM-5A5LE 60-69 years, male 2379.2
GTEX-R45C-0126-SM-EAZ2R 60-69 years, female 2375.0
GTEX-ZAB4-0226-SM-5N9F5 40-49 years, male 2373.7
GTEX-17HHE-2026-SM-79OKF 50-59 years, male 2371.5
GTEX-T5JW-1626-SM-3GADZ 20-29 years, female 2363.3
GTEX-12WSG-2826-SM-E9J4H 50-59 years, female 2363.3
GTEX-1KD5A-0226-SM-D5OV3 50-59 years, male 2362.9
GTEX-1HUB1-0426-SM-E9U4U 60-69 years, male 2361.8
GTEX-13FHP-0126-SM-5IJBG 50-59 years, male 2361.4
GTEX-ZAB5-1826-SM-5HL7C 50-59 years, male 2361.1
GTEX-13NYC-0326-SM-E9J4S 60-69 years, male 2359.3
GTEX-13112-2826-SM-5DUWH 50-59 years, male 2356.0
GTEX-WYJK-0126-SM-3NMAB 50-59 years, male 2355.4
GTEX-1QEPI-0126-SM-EWRMQ 60-69 years, female 2354.9
GTEX-16XZZ-0126-SM-793DV 60-69 years, male 2347.5
GTEX-S33H-1026-SM-EZ6L6 30-39 years, male 2345.6
GTEX-1R7EU-0226-SM-EVR4G 60-69 years, male 2344.6
GTEX-1GMR8-0126-SM-9WYTM 50-59 years, female 2344.3
GTEX-1QW4Y-1526-SM-EAZ3Z 30-39 years, male 2344.1
GTEX-15SHU-0126-SM-7KUEH 40-49 years, female 2336.8
GTEX-1AX9K-2326-SM-73KWU 50-59 years, male 2333.4
GTEX-WYVS-2126-SM-3NMA3 40-49 years, female 2333.2
GTEX-OOBJ-0126-SM-E6CJW 60-69 years, male 2330.6
GTEX-Y3I4-2126-SM-4TT7C 50-59 years, male 2329.4
GTEX-1JN6P-0126-SM-D3L98 60-69 years, male 2325.4
GTEX-11NUK-0126-SM-5A5L3 50-59 years, male 2323.2
GTEX-1J8EW-0126-SM-CJI4F 60-69 years, female 2312.8
GTEX-YJ8A-0426-SM-5IFID 20-29 years, male 2310.8
GTEX-14ABY-0226-SM-5TDCQ 50-59 years, male 2308.0
GTEX-1EMGI-0126-SM-9KNUE 60-69 years, male 2305.6
GTEX-1JN76-0126-SM-CNPPE 20-29 years, female 2296.9
GTEX-11ZVC-2526-SM-5FQTE 50-59 years, female 2296.2
GTEX-OXRL-0126-SM-2YUMP 50-59 years, male 2296.1
GTEX-1HCU7-0226-SM-CL545 50-59 years, male 2288.4
GTEX-15SHW-0326-SM-6PAML 60-69 years, male 2286.7
GTEX-11OF3-2626-SM-5GU7F 60-69 years, male 2283.2
GTEX-ZF2S-2326-SM-4WWCE 50-59 years, female 2280.9
GTEX-1JKYN-1326-SM-CGQG9 30-39 years, male 2278.9
GTEX-1RDX4-0126-SM-E9J4P 50-59 years, female 2278.5
GTEX-13SLW-0126-SM-5SI6C 70-79 years, male 2275.5
GTEX-ZXES-1826-SM-5E43S 30-39 years, female 2274.7
GTEX-1H3VY-0126-SM-ACKXD 50-59 years, male 2269.8
GTEX-1A8FM-0226-SM-7SB7Q 50-59 years, female 2268.2
GTEX-1C2JI-1826-SM-73KXC 50-59 years, male 2266.8
GTEX-1C6WA-0126-SM-7PC2B 60-69 years, male 2262.9
GTEX-13O21-1426-SM-5K7XI 50-59 years, male 2252.1
GTEX-13O1R-0126-SM-5L3EH 60-69 years, male 2250.8
GTEX-QDT8-0126-SM-48TZ1 30-39 years, female 2248.8
GTEX-14PJM-0226-SM-62LF1 50-59 years, female 2245.5
GTEX-1192W-2626-SM-5Q5AF 60-69 years, male 2242.7
GTEX-XXEK-2226-SM-4BRUM 50-59 years, male 2241.1
GTEX-11DXZ-2326-SM-5EGGV 50-59 years, male 2240.8
GTEX-ZVT3-0126-SM-5GU6I 60-69 years, female 2229.5
GTEX-1CAV2-2226-SM-7P8P2 40-49 years, female 2228.9
GTEX-11NSD-2226-SM-5986V 20-29 years, male 2228.5
GTEX-ZXG5-0126-SM-5GIEU 60-69 years, male 2225.5
GTEX-1MGNQ-0126-SM-EVYCJ 40-49 years, male 2223.7
GTEX-17F98-0626-SM-79OMX 40-49 years, female 2213.1
GTEX-UPJH-0326-SM-3GADU 50-59 years, male 2208.2
GTEX-YEC4-2126-SM-5IFJH 40-49 years, male 2207.9
GTEX-WFG8-2226-SM-3GIL9 20-29 years, male 2205.4
GTEX-1C475-1826-SM-73KWA 40-49 years, female 2205.0
GTEX-1R9PO-2126-SM-E9J4O 60-69 years, female 2204.0
GTEX-14BMU-2226-SM-5TDE9 20-29 years, female 2203.4
GTEX-17F97-0326-SM-7LG5B 50-59 years, male 2200.4
GTEX-139T4-0226-SM-5HL5S 50-59 years, female 2197.2
GTEX-R55E-0126-SM-2TC5Y 20-29 years, male 2177.0
GTEX-OHPL-0126-SM-2HMJ7 60-69 years, female 2176.2
GTEX-1CB4G-0226-SM-7PC3O 60-69 years, male 2172.1
GTEX-1EX96-1626-SM-7PBXR 50-59 years, male 2171.3
GTEX-Y5V5-2326-SM-4V6GA 60-69 years, female 2171.0
GTEX-1PBJI-0526-SM-E8VNK 20-29 years, female 2166.1
GTEX-1GF9X-2026-SM-7PC3A 40-49 years, female 2162.8
GTEX-1NHNU-1026-SM-E9J2A 50-59 years, male 2161.9
GTEX-11ZTS-0126-SM-5EQ6M 60-69 years, female 2160.1
GTEX-1399R-2726-SM-5IJBA 30-39 years, male 2155.1
GTEX-146FR-1326-SM-E9J48 60-69 years, female 2148.5
GTEX-13FH7-2026-SM-E9J4I 50-59 years, female 2145.7
GTEX-U3ZN-2326-SM-3DB7W 30-39 years, female 2145.2
GTEX-1CAMR-1926-SM-7EPI2 20-29 years, male 2145.0
GTEX-QLQ7-1626-SM-2S1R8 60-69 years, male 2143.1
GTEX-Y3IK-2426-SM-4WWDU 50-59 years, female 2141.7
GTEX-1I1HK-0126-SM-COH49 60-69 years, male 2141.5
GTEX-144GN-2326-SM-5LU4F 50-59 years, male 2140.6
GTEX-1C6VR-2426-SM-79OLD 60-69 years, male 2136.5
GTEX-1H1DE-2126-SM-9WG6R 20-29 years, male 2133.6
GTEX-131XG-2626-SM-5KM17 50-59 years, female 2109.1
GTEX-146FQ-0126-SM-5NQA9 30-39 years, male 2105.3
GTEX-Y8LW-1826-SM-5S2MV 50-59 years, female 2104.5
GTEX-Z9EW-1626-SM-5CVMN 40-49 years, male 2101.7
GTEX-12C56-1726-SM-5EQ61 20-29 years, male 2098.1
GTEX-12KS4-0326-SM-5EQ41 30-39 years, male 2093.7
GTEX-ZUA1-0126-SM-5GU76 40-49 years, male 2093.0
GTEX-1F5PK-2426-SM-7RHHY 50-59 years, male 2084.5
GTEX-RN64-0126-SM-2TC68 50-59 years, male 2081.2
GTEX-1GN1W-0526-SM-9MQJQ 50-59 years, female 2078.0
GTEX-1LNCM-1126-SM-E9U5E 50-59 years, female 2076.3
GTEX-ZF28-0126-SM-4WKGK 60-69 years, male 2075.9
GTEX-139UW-2826-SM-5L3E7 60-69 years, male 2071.8
GTEX-O5YW-0126-SM-3LK6D 50-59 years, male 2062.9
GTEX-1HCU9-1526-SM-A9SL7 20-29 years, male 2058.9
GTEX-11ZUS-0626-SM-59885 30-39 years, male 2056.5
GTEX-WY7C-2326-SM-3NB2U 50-59 years, male 2052.5
GTEX-1N2DW-0226-SM-E9TK2 50-59 years, male 2052.5
GTEX-1HBPH-0426-SM-B2LW5 40-49 years, female 2051.1
GTEX-11EMC-2926-SM-5EQ4F 60-69 years, female 2042.4
GTEX-ZQUD-1426-SM-57WER 30-39 years, male 2038.0
GTEX-12584-0126-SM-5EGKQ 40-49 years, male 2034.1
GTEX-WQUQ-0426-SM-3MJFU 60-69 years, male 2027.1
GTEX-13YAN-0326-SM-5O9DF 60-69 years, male 2021.7
GTEX-14PJ3-1826-SM-62LEX 50-59 years, male 2020.5
GTEX-1BAJH-0526-SM-793CQ 70-79 years, male 2017.4
GTEX-1211K-2026-SM-5EQ4Z 60-69 years, female 2010.8
GTEX-14JIY-0126-SM-6LLH6 60-69 years, male 2006.2
GTEX-1H1E6-1726-SM-ACKVK 30-39 years, male 2000.6
GTEX-ZDTS-0126-SM-4WAY5 60-69 years, male 2000.4
GTEX-17HG3-2226-SM-7938L 30-39 years, female 1991.5
GTEX-ZGAY-0526-SM-4WWBB 40-49 years, female 1991.5
GTEX-1AYD5-2426-SM-73KXR 50-59 years, male 1986.7
GTEX-XYKS-2126-SM-4E3IB 60-69 years, female 1984.8
GTEX-1C4CL-0526-SM-73KVK 30-39 years, male 1981.2
GTEX-1IKK5-0626-SM-ARL8A 60-69 years, male 1977.9
GTEX-SNMC-1226-SM-2XCFP 20-29 years, male 1976.1
GTEX-YJ89-0126-SM-4TT3X 60-69 years, male 1972.9
GTEX-SE5C-1626-SM-2XCE3 40-49 years, female 1967.1
GTEX-1I4MK-2226-SM-ACKWD 50-59 years, female 1959.9
GTEX-11WQC-2526-SM-5CVLE 60-69 years, male 1955.6
GTEX-OXRK-0226-SM-3NB2G 50-59 years, female 1952.2
GTEX-W5WG-1826-SM-4KL2Y 50-59 years, female 1945.0
GTEX-OIZF-0126-SM-7SB8I 60-69 years, male 1939.3
GTEX-13OVG-1926-SM-5L3DK 60-69 years, male 1936.8
GTEX-12WSL-2526-SM-5GCNJ 50-59 years, male 1932.3
GTEX-WRHK-1426-SM-3MJF9 20-29 years, female 1925.6
GTEX-18A7A-0226-SM-718BH 50-59 years, female 1915.5
GTEX-14E7W-0126-SM-6LLJ9 70-79 years, male 1907.6
GTEX-1I6K6-0126-SM-A9SLE 30-39 years, male 1902.5
GTEX-18D9U-0226-SM-718BP 40-49 years, male 1901.3
GTEX-S7PM-0126-SM-4AD6S 60-69 years, male 1897.2
GTEX-17EUY-0426-SM-793BD 20-29 years, male 1889.4
GTEX-ZEX8-2426-SM-4WKG4 50-59 years, male 1889.0
GTEX-1NV5F-0226-SM-E8VNY 60-69 years, female 1887.0
GTEX-132NY-0326-SM-5IJBL 60-69 years, male 1885.5
GTEX-113IC-0126-SM-5HL6T 60-69 years, male 1884.4
GTEX-18A6Q-0126-SM-731BZ 60-69 years, male 1880.4
GTEX-R55G-2526-SM-2TC6D 40-49 years, female 1878.5
GTEX-PX3G-0126-SM-2I3EN 20-29 years, female 1877.9
GTEX-U4B1-1826-SM-4DXSU 40-49 years, male 1874.3
GTEX-ZYFD-0126-SM-5GIDL 50-59 years, male 1866.5
GTEX-1B8KZ-2026-SM-7DHMB 50-59 years, male 1853.9
GTEX-13OW5-0126-SM-DTXFS 60-69 years, male 1846.9
GTEX-11GSP-2526-SM-5N9BP 60-69 years, female 1834.4
GTEX-1CB4F-0426-SM-9KNV4 60-69 years, male 1830.9
GTEX-13FXS-0226-SM-5IJCK 50-59 years, male 1829.9
GTEX-1PPH8-0226-SM-E8VND 20-29 years, male 1824.1
GTEX-1B97I-1626-SM-73KYO 40-49 years, male 1809.8
GTEX-QLQW-1126-SM-2S1Q8 30-39 years, male 1809.7
GTEX-1J8JJ-0226-SM-CL53I 60-69 years, female 1806.8
GTEX-13O3O-0126-SM-E9J49 60-69 years, female 1806.7
GTEX-ZZPT-0226-SM-5E43X 50-59 years, male 1805.9
GTEX-1F75B-0126-SM-9KNVL 50-59 years, male 1799.5
GTEX-16AAH-1726-SM-7939C 50-59 years, male 1791.0
GTEX-OHPM-0126-SM-2YUN9 50-59 years, male 1782.1
GTEX-1CB4I-0226-SM-79OLH 50-59 years, male 1780.5
GTEX-ZDXO-3026-SM-5J1N5 60-69 years, male 1769.7
GTEX-13X6H-2126-SM-7EWD5 50-59 years, female 1767.8
GTEX-1CB4E-2226-SM-793DC 60-69 years, male 1758.7
GTEX-Y111-0126-SM-4SOIV 50-59 years, male 1757.6
GTEX-1RAZQ-0726-SM-EAZ43 30-39 years, male 1755.2
GTEX-11P81-2326-SM-59875 30-39 years, female 1740.8
GTEX-Q734-1926-SM-2I5EV 40-49 years, female 1739.2
GTEX-1192X-0226-SM-5H12D 50-59 years, male 1733.8
GTEX-ZTPG-0326-SM-5O9AX 20-29 years, female 1722.0
GTEX-1JMLX-0226-SM-CM2RO 50-59 years, male 1719.6
GTEX-RNOR-0126-SM-E9J4R 50-59 years, female 1718.6
GTEX-1IL2U-0226-SM-CE6T8 60-69 years, male 1706.6
GTEX-1B8KE-2126-SM-73KYX 50-59 years, male 1704.8
GTEX-13G51-2526-SM-5LZYK 60-69 years, male 1685.9
GTEX-Q2AI-1326-SM-2S1PL 40-49 years, male 1681.9
GTEX-RUSQ-1526-SM-2TF62 50-59 years, male 1680.6
GTEX-11TUW-2726-SM-E9J4M 60-69 years, male 1678.4
GTEX-ZTSS-1926-SM-57WEW 40-49 years, male 1677.6
GTEX-YB5K-2126-SM-4WWDJ 40-49 years, female 1652.3
GTEX-1JMPY-1326-SM-ARL8Y 30-39 years, male 1649.2
GTEX-PW2O-1526-SM-7RHHB 20-29 years, male 1644.0
GTEX-P44H-0226-SM-2XCEU 40-49 years, male 1626.8
GTEX-U3ZM-1526-SM-3DB9D 40-49 years, male 1619.8
GTEX-1IY9M-0126-SM-D3L8S 60-69 years, male 1617.7
GTEX-12WSD-0126-SM-59HKN 60-69 years, female 1607.3
GTEX-RM2N-1426-SM-2TF4H 50-59 years, male 1585.4
GTEX-13CF2-2526-SM-5LZYX 60-69 years, male 1584.4
GTEX-1H11D-0226-SM-9WG6Z 40-49 years, male 1568.9
GTEX-1AX9I-0126-SM-7SB74 60-69 years, male 1563.4
GTEX-T6MO-1626-SM-32QOM 40-49 years, female 1524.2
GTEX-1F6IF-0726-SM-7P8TW 60-69 years, male 1518.1
GTEX-PVOW-0126-SM-2XCFA 40-49 years, male 1510.2
GTEX-XUZC-1726-SM-4BRWS 30-39 years, female 1502.5
GTEX-Y114-2426-SM-4TT8A 50-59 years, female 1487.0
GTEX-12WSJ-1826-SM-5GCNY 40-49 years, female 1432.8
GTEX-13FTW-2626-SM-5K7WL 40-49 years, male 1386.1
GTEX-15SDE-2226-SM-7IGLO 50-59 years, female 1377.0
GTEX-15F5U-1526-SM-6PANO 40-49 years, male 1319.4
GTEX-RU72-0926-SM-2TF6B 50-59 years, female 1305.6
GTEX-TKQ1-1026-SM-4GICL 30-39 years, male 1298.8
GTEX-13111-1626-SM-5EGJY 50-59 years, male 1293.3
GTEX-12WSK-2326-SM-5GCOH 40-49 years, female 1289.2
GTEX-1F6I4-0126-SM-9MQL2 60-69 years, male 1255.0
GTEX-1I1GS-0126-SM-B2LVW 60-69 years, male 1216.6
GTEX-1H2FU-0126-SM-9WYSI 60-69 years, female 1180.9
GTEX-11P7K-2126-SM-5GU7G 30-39 years, male 995.0
Show allShow less

Contact

  • NEWS ARTICLES
  • PRESS ROOM

The Project

  • INTRODUCTION
  • ORGANIZATION
  • PUBLICATIONS

The Human Protein Atlas

  • DOWNLOADABLE DATA
  • LICENCE & CITATION
  • HELP & FAQ
The Human Protein Atlas project is funded
by the Knut & Alice Wallenberg Foundation.


contact@proteinatlas.org