We use cookies to enhance the usability of our website. If you continue, we'll assume that you are happy to receive all cookies. More information. Don't show this again.
SRI
HPA
RESOURCES
  • TISSUE
  • BRAIN
  • SINGLE CELL
  • SUBCELLULAR
  • CANCER
  • BLOOD
  • CELL LINE
  • STRUCTURE & INTERACTION
ABOUT
  • INTRODUCTION
  • HISTORY
  • ORGANIZATION
  • PUBLICATIONS
  • ANTIBODY SUBMISSION
  • ANTIBODY AVAILABILITY
  • ACKNOWLEDGMENTS
  • CONTACT
NEWS
  • NEWS ARTICLES
  • PRESS ROOM
LEARN
  • DICTIONARY
  • PROTEIN CLASSES
  • PROTEIN EVIDENCE
  • METHODS
  • EDUCATIONAL VIDEOS
DATA
  • DOWNLOADABLE DATA
  • PUBLICATION DATA
  • RELEASE HISTORY
HELP
  • ANTIBODY VALIDATION
  • ASSAYS & ANNOTATION
  • DISCLAIMER
  • HELP & FAQ
  • PRIVACY STATEMENT
  • LICENCE & CITATION
Fields »
Search result

Field
Term
Gene name
Class
Subclass
Class
Keyword
Chromosome
External id
Tissue
Cell type
Expression
Antibody panel
Tissue
Main location
Patient ID
Annotation
Tissue
Category
Tau score
Cluster
Reliability
Brain region
Category
Tau score
Brain region
Category
Tau score
Brain region
Category
Tau score
Cluster
Reliability
Tissue
Cell type
Enrichment
Cell type
Category
Tau score
Cell type
Category
Tau score
Cell type
Category
Tau score
Cell lineage
Category
Tau score
Cluster
Cluster
Location
Searches
Location
Cell line
Class
Type
Phase
Reliability
Cancer
Prognosis
Cancer
Category
Cancer
Category
Tau score
Cluster
Variants
Interacting gene (ensg_id)
Type
Number of interactions
Pathway
Category
Score
Score
Score
Validation
Validation
Validation
Validation
Antibodies
Data type
Column


  • SUMMARY

  • TISSUE

  • BRAIN

  • SINGLE CELL

  • SUBCELL

  • CANCER

  • BLOOD

  • CELL LINE

  • STRUCT & INT

  • SRI
TISSUE PRIMARY DATA SALIVARY GLAND Show tissue menu
ADIPOSE TISSUE ADRENAL GLAND AMYGDALA APPENDIX BASAL GANGLIA BONE MARROW BREAST CEREBELLUM CEREBRAL CORTEX CERVIX CHOROID PLEXUS COLON DUODENUM ENDOMETRIUM
EPIDIDYMIS ESOPHAGUS FALLOPIAN TUBE GALLBLADDER HEART MUSCLE HIPPOCAMPAL FORMATION HYPOTHALAMUS KIDNEY LIVER LUNG LYMPH NODE MIDBRAIN NASOPHARYNX ORAL MUCOSA
OVARY PANCREAS PARATHYROID GLAND PITUITARY GLAND PLACENTA PROSTATE RECTUM RETINA SALIVARY GLAND SEMINAL VESICLE SKELETAL MUSCLE SKIN SMALL INTESTINE SMOOTH MUSCLE
SOFT TISSUE SPINAL CORD SPLEEN STOMACH TESTIS THYMUS THYROID GLAND TONGUE TONSIL URINARY BLADDER VAGINA
ANTIBODIES
AND
VALIDATION
Dictionary
Salivary gland
Tissue proteome
Salivary gland
SALIVARY GLAND - Expression summary
Protein expression
Salivary glandi

On the top, protein expression in current human tissue, based on all annotated cell types, is reported with the units not detected (n), low (l), medium (m) and high (h). Underneath, protein expression in each annotated cell type are reported using the same units.

Protein expression data is based on knowledge-based annotation. For genes where more than one antibody has been used, a collective score is set.

If knowledge-based annotation could not be performed for a gene, no data is displayed here. View antibody staining data further down this page.

h
m
l
n
Glandular cells: Not detected
RNA expressioni

A summary of mRNA expression data available for current tissue based on several datasets. The mRNA expression levels in human tissues are based on RNA-seq data generated by the Human Protein Atlas (HPA), Genotype-Tissue Expression (GTEx) portal and CAGE data generated by the FANTOM5 consortium. Consensus normalized expression levels for human tissues was created by combining the data from HPA and GTEx datasets.

The mRNA expression levels in pig are based on RNA-seq data generated by the Human Protein Atlas (HPA), and for mouse, HPA data and in situ hybridization generated by the Allen brain atlas are reported.

Scroll down to view mRNA expression data in more detail.
Consensus:72.2 nTPM
HPA:40.9 nTPM
GTEx:72.2 nTPM
FANTOM5:62.0 Scaled Tags Per Million

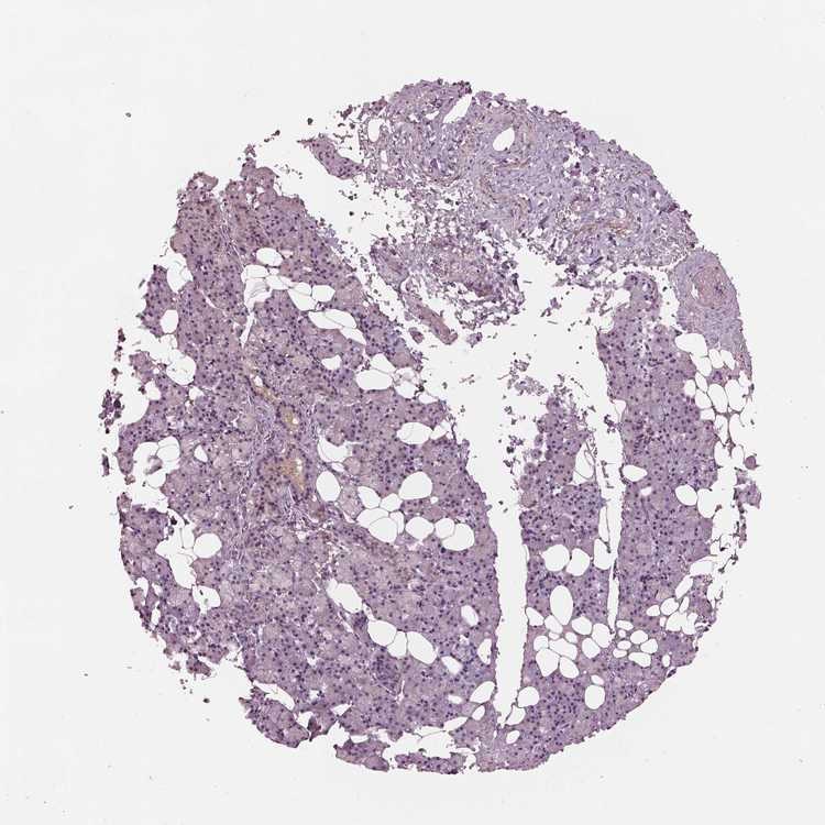
SALIVARY GLAND - Antibody stainingi

Antibody staining in the annotated cell types in the current human tissue is reported as not detected, low, medium, or high, based on conventional immunohistochemistry profiling in selected tissues. This score is based on the combination of the staining intensity and fraction of stained cells.

Each image is clickable and will lead to virtual microscopy that enables deeper exploration of all samples and also displays staining intensity scores, fraction scores and subcellular localization as well as patient and tissue information for each sample.

Antibody HPA019004Antibody HPA073666
Glandular cells Not detectedNot detected




SALIVARY GLAND - HPA RNA-seqi

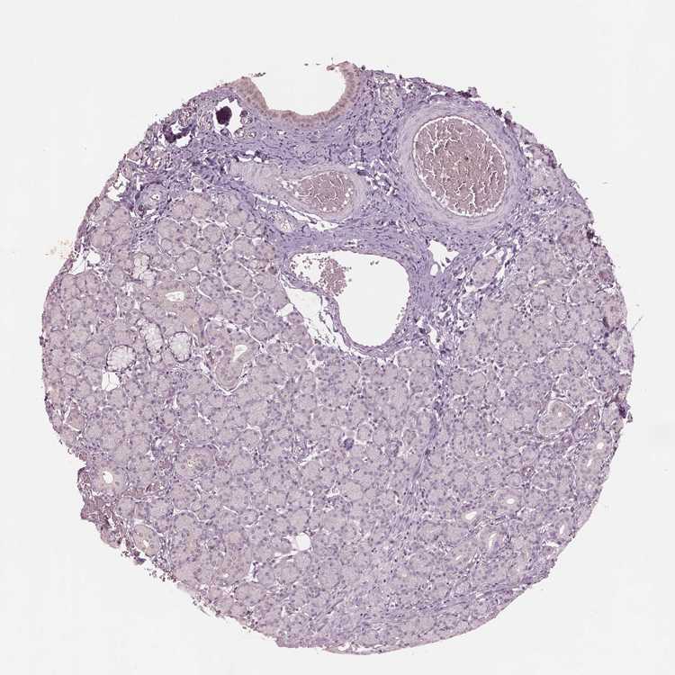
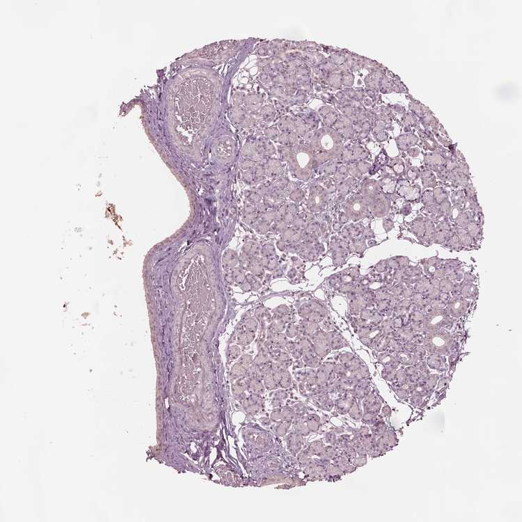
The RNA-seq details section shows detailed information about the individual samples used for the transcript profiling and results of the RNA-seq analysis.

Information about each individual sample is listed below, including gender, age, a tissue section image and estimated fractions of cell types. nTPM (normalized transcripts per million) values give a quantification of the gene abundance which is comparable between different genes and samples.
Average nTPMi

Max subtype nTPM is the value for the subtype with the largest average nTPM across the subtype samples.

40.9
overview
Female, age 68
Salivary gland sample 216
nTPM: 35.7
Cell types%
Glandular cells:
45

Ductal cells:
25

Adipocytes:
5

Other cell types:
25

overview
Male, age 60
Salivary gland sample 217
nTPM: 43.7
Cell types%
Glandular cells:
55

Ductal cells:
20

Adipocytes:
5

Endothelial cells:
5

Other cell types:
15

overview
Female, age 21
Salivary gland sample 218
nTPM: 43.3
Cell types%
Glandular cells:
55

Ductal cells:
15

Adipocytes:
5

Endothelial cells:
5

Other cell types:
20


SALIVARY GLAND - GTEx RNA-seqi

RNA-Seq data generated by the Genotype-Tissue Expression (GTEx) project from human tissues is reported as mean nTPM. More information can be found on the GTEx portal.

Distribution across the dataset is visualized with box plots, shown as median and 25th and 75th percentiles. Points are displayed as outliers if they are above or below 1.5 times the interquartile range. nTPM values of the individual samples are presented next to the box plot.
Max subtype nTPMi

Max subtype nTPM is the value for the subtype with the largest average nTPM across the subtype samples.

72.2
GTEx sample id Sample description nTPM
Minor Salivary Gland
Average nTPM: 72.2
Samples: 162

Max nTPM: 126.9
Min nTPM: 34.2
Std nTPM: 20.5
Median nTPM: 67.5
GTEX-ZA64-1726-SM-5CVMF 20-29 years, male 126.9
GTEX-1PPH8-1526-SM-E6CQO 20-29 years, male 121.4
GTEX-1GPI7-0326-SM-7MKH6 20-29 years, male 120.2
GTEX-11P81-2026-SM-5P9GT 30-39 years, female 119.9
GTEX-WY7C-1426-SM-4OND1 50-59 years, male 119.6
GTEX-XMK1-2626-SM-4B65R 40-49 years, male 116.1
GTEX-1PIEJ-0626-SM-DTX99 20-29 years, female 115.6
GTEX-1JKYR-0726-SM-AHZ3K 20-29 years, male 115.4
GTEX-YB5K-1726-SM-5IFIZ 40-49 years, female 114.4
GTEX-ZQG8-2126-SM-4YCF1 60-69 years, female 114.2
GTEX-15EU6-2626-SM-7KUN4 50-59 years, male 112.6
GTEX-1MGNQ-1926-SM-DTX8L 40-49 years, male 112.2
GTEX-1C64O-0626-SM-7DHL1 60-69 years, male 108.8
GTEX-13OVI-2326-SM-5KM47 60-69 years, female 107.2
GTEX-1IDJD-2526-SM-C1YSA 30-39 years, male 105.3
GTEX-1R9K5-0626-SM-DPRZB 50-59 years, male 103.6
GTEX-1OJC3-1026-SM-E6CQK 20-29 years, male 103.4
GTEX-18A67-0626-SM-7KFSL 50-59 years, male 103.1
GTEX-1I6K7-0926-SM-A96SV 40-49 years, male 100.7
GTEX-ZXG5-2826-SM-5NQ8T 60-69 years, male 100.6
GTEX-X261-2426-SM-4PQZU 50-59 years, male 100.2
GTEX-1GF9X-0226-SM-7P8SM 40-49 years, female 100.2
GTEX-11EQ9-2026-SM-5P9JI 30-39 years, male 99.9
GTEX-17KNJ-2726-SM-7KFRE 50-59 years, male 98.8
GTEX-YF7O-2226-SM-5CVN8 50-59 years, male 97.6
GTEX-14PJ3-1526-SM-664O9 50-59 years, male 97.0
GTEX-ZG7Y-2426-SM-DO11H 50-59 years, male 96.5
GTEX-1LKK1-2926-SM-EVR4Z 50-59 years, female 95.8
GTEX-1NSGN-0626-SM-E9J35 50-59 years, male 95.2
GTEX-11WQK-2926-SM-5EQKT 50-59 years, male 92.6
GTEX-ZLWG-2026-SM-DO11F 50-59 years, female 91.9
GTEX-18D9U-2226-SM-7KFTN 40-49 years, male 90.0
GTEX-WH7G-2126-SM-4M1XU 40-49 years, male 89.9
GTEX-145ME-1626-SM-5RQI3 40-49 years, female 89.7
GTEX-13111-2326-SM-5LZUQ 50-59 years, male 88.4
GTEX-ZLFU-2226-SM-EXUS7 40-49 years, male 88.1
GTEX-13QJC-2326-SM-5Q5CD 60-69 years, female 87.3
GTEX-18QFQ-0626-SM-718AW 30-39 years, male 87.3
GTEX-Y5V6-2226-SM-4VDTC 60-69 years, male 86.0
GTEX-WFJO-2026-SM-4LVM3 30-39 years, male 85.9
GTEX-WYVS-2026-SM-4RGNS 40-49 years, female 84.1
GTEX-15CHC-1226-SM-686ZH 60-69 years, female 83.0
GTEX-XV7Q-2426-SM-4BRV8 40-49 years, female 82.7
GTEX-1KANC-1326-SM-CYPT8 50-59 years, female 82.7
GTEX-11P82-0926-SM-5986X 20-29 years, male 81.2
GTEX-1AX8Z-0626-SM-731EH 60-69 years, male 81.2
GTEX-ZAB5-2326-SM-5IJFR 50-59 years, male 80.5
GTEX-X5EB-1726-SM-4E3J7 40-49 years, male 79.7
GTEX-14E1K-2626-SM-664OJ 50-59 years, male 79.4
GTEX-ZP4G-1926-SM-57WDZ 20-29 years, female 78.9
GTEX-1314G-2026-SM-5LZUM 30-39 years, male 78.5
GTEX-1AYD5-2726-SM-7MXVG 50-59 years, male 78.3
GTEX-1I6K6-0626-SM-ARU7J 30-39 years, male 78.0
GTEX-1AX9K-2126-SM-72D7K 50-59 years, male 77.5
GTEX-146FR-1226-SM-5SIA7 60-69 years, female 77.0
GTEX-1339X-2326-SM-5HL5B 40-49 years, male 76.6
GTEX-XGQ4-2626-SM-4AT6B 50-59 years, male 75.4
GTEX-1HFI7-2426-SM-B2LXV 50-59 years, female 75.0
GTEX-1S83E-0626-SM-E9TKC 40-49 years, male 74.6
GTEX-14PN4-2526-SM-686ZG 50-59 years, male 74.1
GTEX-1HSEH-1826-SM-A96SA 60-69 years, male 74.1
GTEX-13OVK-1826-SM-6PALE 40-49 years, male 73.3
GTEX-13O21-1926-SM-5MR39 50-59 years, male 73.1
GTEX-1I4MK-1326-SM-B2LWT 50-59 years, female 72.6
GTEX-1IE54-0826-SM-AHZ2Z 40-49 years, female 72.0
GTEX-X15G-2126-SM-4PQZR 50-59 years, female 71.8
GTEX-1QP9N-2026-SM-DPRZT 30-39 years, male 71.2
GTEX-1GN1W-2526-SM-9JGHX 50-59 years, female 71.1
GTEX-1J8QM-1826-SM-A96TA 60-69 years, female 70.4
GTEX-1QCLZ-2526-SM-EXUST 60-69 years, female 69.8
GTEX-1EH9U-2926-SM-7DHLX 60-69 years, male 69.3
GTEX-18A7B-2826-SM-7KFTK 70-79 years, male 69.0
GTEX-1HR9M-2526-SM-A9G3J 60-69 years, male 68.7
GTEX-1LVAO-2626-SM-EVR4S 60-69 years, male 68.7
GTEX-13113-1526-SM-5EGHV 60-69 years, female 68.5
GTEX-1AMEY-1126-SM-72D79 30-39 years, female 68.2
GTEX-1J1R8-1826-SM-AHZ3B 40-49 years, male 68.2
GTEX-13VXT-1726-SM-5IFF5 20-29 years, female 68.1
GTEX-1IDJC-1626-SM-AHZ2R 50-59 years, male 68.0
GTEX-12WSN-2226-SM-5DUXT 40-49 years, male 67.9
GTEX-ZT9W-2126-SM-51MSF 50-59 years, male 67.6
GTEX-14B4R-1426-SM-5Q5CG 30-39 years, male 67.4
GTEX-1GMR2-2026-SM-7MKHK 50-59 years, male 66.4
GTEX-1B932-0626-SM-731EM 40-49 years, female 66.1
GTEX-1P4AB-2926-SM-EXOJR 50-59 years, male 66.0
GTEX-1HCU7-0126-SM-C1YR3 50-59 years, male 65.8
GTEX-1445S-2926-SM-5O993 60-69 years, male 65.7
GTEX-12WSL-2126-SM-5GCNG 50-59 years, male 65.6
GTEX-Y3I4-1926-SM-4TT8L 50-59 years, male 65.5
GTEX-1S82P-0726-SM-EVR4O 60-69 years, female 64.9
GTEX-1MCC2-2226-SM-EV7AJ 30-39 years, female 64.8
GTEX-178AV-1426-SM-6LLID 40-49 years, male 64.6
GTEX-131XF-2826-SM-5EGKH 60-69 years, male 64.1
GTEX-1R9K4-0526-SM-E76P1 60-69 years, male 64.0
GTEX-1117F-3026-SM-5GZYU 60-69 years, female 63.8
GTEX-1JN6P-2526-SM-CNNPX 60-69 years, male 63.2
GTEX-ZQUD-2126-SM-51MSY 30-39 years, male 63.0
GTEX-1GZ2Q-2526-SM-9KNVW 40-49 years, male 63.0
GTEX-1192X-2926-SM-5N9BA 50-59 years, male 62.8
GTEX-1LBAC-0626-SM-D3L9T 20-29 years, male 62.6
GTEX-15RJE-2726-SM-6LPJ1 40-49 years, male 62.1
GTEX-111FC-2926-SM-5GZY7 60-69 years, male 61.7
GTEX-1LVA9-2526-SM-EVR5H 50-59 years, male 61.7
GTEX-11ZTT-2226-SM-5CVLP 60-69 years, female 61.6
GTEX-1LC47-2426-SM-DHXKK 60-69 years, male 61.5
GTEX-131XH-2626-SM-5GCNP 50-59 years, male 61.3
GTEX-1POEN-2226-SM-DPRXV 30-39 years, female 61.2
GTEX-14PJN-1726-SM-69LO7 30-39 years, male 60.8
GTEX-ZF29-2126-SM-DNZYX 60-69 years, female 60.5
GTEX-1QEPI-0626-SM-E76QE 60-69 years, female 60.2
GTEX-12BJ1-2226-SM-5BC6G 60-69 years, male 60.0
GTEX-15SHV-2226-SM-6M464 60-69 years, male 59.8
GTEX-1HSMQ-0926-SM-A96SI 50-59 years, male 59.7
GTEX-1B97J-2126-SM-79OL6 50-59 years, female 59.3
GTEX-1QMI2-0426-SM-EWRND 60-69 years, male 58.8
GTEX-1RAZA-0626-SM-EAZ4H 20-29 years, male 58.2
GTEX-1KD5A-2226-SM-EV79U 50-59 years, male 58.0
GTEX-ZC5H-2726-SM-5KLZW 40-49 years, female 57.8
GTEX-11ZTS-3026-SM-5EQM7 60-69 years, female 57.7
GTEX-11EMC-2526-SM-5PNVU 60-69 years, female 57.5
GTEX-1HSGN-0626-SM-A9G2E 40-49 years, female 57.5
GTEX-1CB4I-2526-SM-7MKG1 50-59 years, male 57.3
GTEX-1LSNL-2626-SM-EV7AT 50-59 years, male 56.9
GTEX-Y111-2626-SM-4TT24 50-59 years, male 56.8
GTEX-1J8EW-2826-SM-A96T9 60-69 years, female 56.2
GTEX-Y5LM-1826-SM-4VDT9 40-49 years, female 55.7
GTEX-1I1HK-2526-SM-A96SM 60-69 years, male 55.7
GTEX-1RNSC-2926-SM-EV79L 60-69 years, male 55.5
GTEX-1C4CL-2026-SM-731EB 30-39 years, male 55.4
GTEX-1C6VR-0726-SM-7P8OV 60-69 years, male 55.3
GTEX-1MCQQ-2226-SM-DLHC4 60-69 years, male 55.3
GTEX-1OJC4-3126-SM-EXOJK 50-59 years, female 55.2
GTEX-WHSB-2326-SM-4M1XK 50-59 years, male 55.1
GTEX-13G51-2426-SM-5LZY8 60-69 years, male 55.0
GTEX-1GN1V-2926-SM-9JGI3 60-69 years, male 55.0
GTEX-X3Y1-1926-SM-4PQZO 40-49 years, male 54.5
GTEX-1IY9M-2926-SM-A96TH 60-69 years, male 54.1
GTEX-ZE7O-2926-SM-51MSG 50-59 years, female 53.8
GTEX-ZPU1-2326-SM-57WEP 40-49 years, male 53.6
GTEX-1R9PM-1726-SM-E8VOA 20-29 years, male 53.1
GTEX-12WSM-1826-SM-5BC64 60-69 years, male 52.5
GTEX-13NYB-2426-SM-5IFF4 40-49 years, male 52.0
GTEX-11TUW-2426-SM-5EQKB 60-69 years, male 51.6
GTEX-1R9PO-2626-SM-E6CPU 60-69 years, female 50.9
GTEX-11NV4-1926-SM-5N9D4 60-69 years, male 50.6
GTEX-13QBU-2126-SM-5KLZN 40-49 years, female 50.4
GTEX-1JN1M-2426-SM-ARU93 60-69 years, female 49.7
GTEX-13OVL-2926-SM-5IFG3 50-59 years, male 49.5
GTEX-1A3MV-1726-SM-72D68 30-39 years, male 49.3
GTEX-1B8SF-1826-SM-731DJ 60-69 years, male 47.5
GTEX-1H4P4-2026-SM-9WPNV 50-59 years, male 47.3
GTEX-14JIY-3026-SM-6EU1R 60-69 years, male 47.2
GTEX-1GTWX-2526-SM-9JGHG 60-69 years, male 47.1
GTEX-13CF2-2426-SM-5LZYL 60-69 years, male 44.9
GTEX-1KD4Q-2526-SM-CXZKL 40-49 years, male 44.4
GTEX-17MFQ-1626-SM-7938Z 20-29 years, male 44.1
GTEX-1IOXB-2826-SM-AHZ32 50-59 years, male 42.4
GTEX-13JVG-2926-SM-5J2N9 60-69 years, male 42.1
GTEX-1B8KZ-1726-SM-73KV7 50-59 years, male 42.1
GTEX-1C64N-2926-SM-79OLM 50-59 years, male 39.7
GTEX-1H1CY-2326-SM-9OSXW 60-69 years, female 35.6
GTEX-WOFM-2126-SM-4OOSR 20-29 years, male 34.2
Show allShow less

SALIVARY GLAND - FANTOM5 CAGEi

RNA expression in human tissues obtained through Cap Analysis of Gene Expression (CAGE) generated by the FANTOM5 project are reported as Scaled Tags Per Million.

Max subtype Scaled Tags Per Millioni

Max subtype Scaled Tags Per Million is the value for the subtype with the largest average Scaled Tags Per Million across the subtype samples.

62.0
FANTOM5 sample id Sample description Scaled Tags Per Million
Parotid gland
Scaled Tags Per Million: 56.4
FF:10199-103F1 23 years, male 56.4
Salivary gland
Scaled Tags Per Million: 41.5
FF:10093-102C3 16-60 years, mixed 41.5
Submaxillary gland
Scaled Tags Per Million: 62.0
FF:10202-103F4 24 years, male 62.0

Contact

  • NEWS ARTICLES
  • PRESS ROOM

The Project

  • INTRODUCTION
  • ORGANIZATION
  • PUBLICATIONS

The Human Protein Atlas

  • DOWNLOADABLE DATA
  • LICENCE & CITATION
  • HELP & FAQ
The Human Protein Atlas project is funded
by the Knut & Alice Wallenberg Foundation.


contact@proteinatlas.org