We use cookies to enhance the usability of our website. If you continue, we'll assume that you are happy to receive all cookies. More information. Don't show this again.
MEF2C
HPA
RESOURCES
  • TISSUE
  • BRAIN
  • SINGLE CELL
  • SUBCELLULAR
  • CANCER
  • BLOOD
  • CELL LINE
  • STRUCTURE & INTERACTION
ABOUT
  • INTRODUCTION
  • HISTORY
  • ORGANIZATION
  • PUBLICATIONS
  • ANTIBODY SUBMISSION
  • ANTIBODY AVAILABILITY
  • ACKNOWLEDGMENTS
  • CONTACT
NEWS
  • NEWS ARTICLES
  • PRESS ROOM
LEARN
  • DICTIONARY
  • PROTEIN CLASSES
  • PROTEIN EVIDENCE
  • METHODS
  • EDUCATIONAL VIDEOS
DATA
  • DOWNLOADABLE DATA
  • PUBLICATION DATA
  • RELEASE HISTORY
HELP
  • ANTIBODY VALIDATION
  • ASSAYS & ANNOTATION
  • DISCLAIMER
  • HELP & FAQ
  • PRIVACY STATEMENT
  • LICENCE & CITATION
Fields »
Search result

Field
Term
Gene name
Class
Subclass
Class
Keyword
Chromosome
External id
Tissue
Cell type
Expression
Antibody panel
Tissue
Main location
Patient ID
Annotation
Tissue
Category
Tau score
Cluster
Reliability
Brain region
Category
Tau score
Brain region
Category
Tau score
Brain region
Category
Tau score
Cluster
Reliability
Tissue
Cell type
Enrichment
Cell type
Category
Tau score
Cell type
Category
Tau score
Cell type
Category
Tau score
Cell lineage
Category
Tau score
Cluster
Cluster
Location
Searches
Location
Cell line
Class
Type
Phase
Reliability
Cancer
Prognosis
Cancer
Category
Cancer
Category
Tau score
Cluster
Variants
Interacting gene (ensg_id)
Type
Number of interactions
Pathway
Category
Score
Score
Score
Validation
Validation
Validation
Validation
Antibodies
Data type
Column


  • SUMMARY

  • TISSUE

  • BRAIN

  • SINGLE CELL

  • SUBCELL

  • CANCER

  • BLOOD

  • CELL LINE

  • STRUCT & INT

  • MEF2C
TISSUE PRIMARY DATA COLON Show tissue menu
ADIPOSE TISSUE ADRENAL GLAND AMYGDALA APPENDIX BASAL GANGLIA BONE MARROW BREAST BRONCHUS CEREBELLUM CEREBRAL CORTEX CERVIX CHOROID PLEXUS COLON DUODENUM
ENDOMETRIUM EPIDIDYMIS ESOPHAGUS FALLOPIAN TUBE GALLBLADDER HEART MUSCLE HIPPOCAMPAL FORMATION HYPOTHALAMUS KIDNEY LIVER LUNG LYMPH NODE MIDBRAIN NASOPHARYNX
ORAL MUCOSA OVARY PANCREAS PARATHYROID GLAND PITUITARY GLAND PLACENTA PROSTATE RECTUM RETINA SALIVARY GLAND SEMINAL VESICLE SKELETAL MUSCLE SKIN SMALL INTESTINE
SMOOTH MUSCLE SOFT TISSUE SPINAL CORD SPLEEN STOMACH TESTIS THYMUS THYROID GLAND TONGUE TONSIL URINARY BLADDER VAGINA
ANTIBODIES
AND
VALIDATION
Dictionary
Colon
Tissue proteome
Intestine
COLON - Expression summary
Protein expression
Coloni

On the top, protein expression in current human tissue, based on all annotated cell types, is reported with the units not detected (n), low (l), medium (m) and high (h). Underneath, protein expression in each annotated cell type are reported using the same units.

Protein expression data is based on knowledge-based annotation. For genes where more than one antibody has been used, a collective score is set.

If knowledge-based annotation could not be performed for a gene, no data is displayed here. View antibody staining data further down this page.

h
m
l
n
Endocrine cells: Not detected
Endothelial cells: High
Enterocytes: Not detected
Enterocytes - Microvilli: Not detected
Fibroblasts: Not detected
Goblet cells: Not detected
Mucosal lymphoid cells: High
RNA expressioni

A summary of mRNA expression data available for current tissue based on several datasets. The mRNA expression levels in human tissues are based on RNA-seq data generated by the Human Protein Atlas (HPA), Genotype-Tissue Expression (GTEx) portal and CAGE data generated by the FANTOM5 consortium. Consensus normalized expression levels for human tissues was created by combining the data from HPA and GTEx datasets.

The mRNA expression levels in pig are based on RNA-seq data generated by the Human Protein Atlas (HPA), and for mouse, HPA data and in situ hybridization generated by the Allen brain atlas are reported.

Scroll down to view mRNA expression data in more detail.
Consensus:15.4 nTPM
HPA:15.4 nTPM
GTEx:10.2 nTPM
FANTOM5:105.2 Scaled Tags Per Million

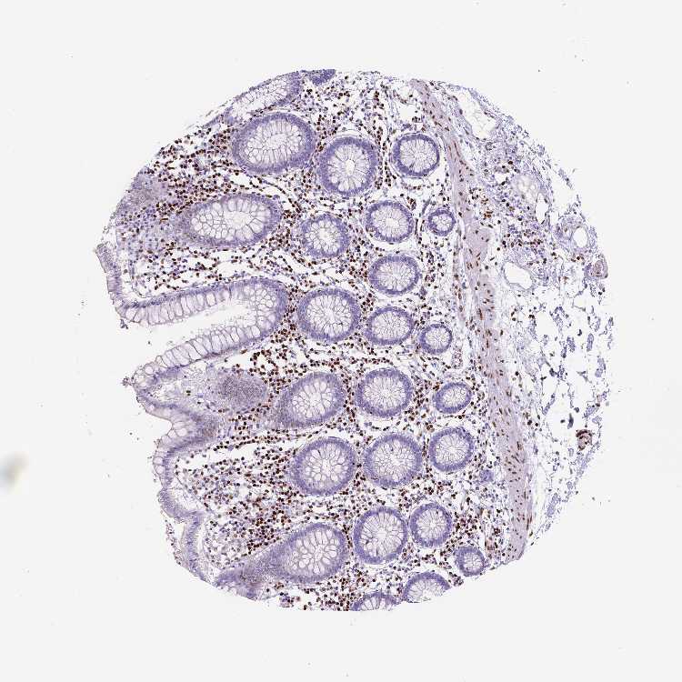
COLON - Antibody stainingi

Antibody staining in the annotated cell types in the current human tissue is reported as not detected, low, medium, or high, based on conventional immunohistochemistry profiling in selected tissues. This score is based on the combination of the staining intensity and fraction of stained cells.

Each image is clickable and will lead to virtual microscopy that enables deeper exploration of all samples and also displays staining intensity scores, fraction scores and subcellular localization as well as patient and tissue information for each sample.

Antibody HPA005533Antibody CAB068196Antibody CAB068197
Endocrine cells -Not detected-
Endothelial cells Not detectedHighMedium
Enterocytes -Not detected-
Enterocytes - Microvilli -Not detected-
Fibroblasts -Not detected-
Glandular cells Not detected-Not detected
Goblet cells -Not detected-
Mucosal lymphoid cells -High-
Peripheral nerve/ganglion Not detected-Low







COLON - HPA RNA-seqi

The RNA-seq details section shows detailed information about the individual samples used for the transcript profiling and results of the RNA-seq analysis.

Information about each individual sample is listed below, including gender, age, a tissue section image and estimated fractions of cell types. nTPM (normalized transcripts per million) values give a quantification of the gene abundance which is comparable between different genes and samples.
Average nTPMi

Max subtype nTPM is the value for the subtype with the largest average nTPM across the subtype samples.

15.4
overview
Male, age 54
Colon sample 67
nTPM: 10.1
Cell types%
Glandular cells:
65

Smooth muscle cells:
10

Other cell types:
25

overview
Female, age 57
Colon sample 68
nTPM: 16.7
Cell types%
Glandular cells:
40

Smooth muscle cells:
5

Other cell types:
55

overview
Male, age 80
Colon sample 69
nTPM: 10.4
Cell types%
Glandular cells:
55

Smooth muscle cells:
5

Other cell types:
40

overview
Male, age 68
Colon sample 70
nTPM: 19.4
Cell types%
Glandular cells:
35

Smooth muscle cells:
10

Other cell types:
55

overview
Female, age 68
Colon sample 76
nTPM: 27.1
Cell types%
Glandular cells:
25

Smooth muscle cells:
5

Other cell types:
70

overview
Female, age 61
Colon sample 299
nTPM: 12.4
Cell types%
Glandular cells:
5

Smooth muscle cells:
65

Other cell types:
30

overview
Male, age 80
Colon sample 300
nTPM: 15.9
Cell types%
Glandular cells:
15

Smooth muscle cells:
20

Other cell types:
65

overview
Female, age 78
Colon sample 368
nTPM: 13.9
Cell types%
Glandular cells:
45

Smooth muscle cells:
5

Other cell types:
50

overview
Male, age 84
Colon sample 381
nTPM: 16
Cell types%
Glandular cells:
50

Smooth muscle cells:
15

Other cell types:
35

overview
Male, age 80
Colon sample 384
nTPM: 12.5
Cell types%
Glandular cells:
20

Smooth muscle cells:
35

Other cell types:
45

overview
Female, age 78
Colon sample 389
nTPM: 16
Cell types%
Glandular cells:
35

Smooth muscle cells:
10

Other cell types:
55

overview
Female, age 69
Colon sample 391
nTPM: 16.9
Cell types%
Glandular cells:
10

Smooth muscle cells:
45

Other cell types:
45

overview
Female, age 72
Colon sample 403
nTPM: 13.2
Cell types%
Glandular cells:
20

Smooth muscle cells:
15

Other cell types:
65


COLON - GTEx RNA-seqi

RNA-Seq data generated by the Genotype-Tissue Expression (GTEx) project from human tissues is reported as mean nTPM. More information can be found on the GTEx portal.

Distribution across the dataset is visualized with box plots, shown as median and 25th and 75th percentiles. Points are displayed as outliers if they are above or below 1.5 times the interquartile range. nTPM values of the individual samples are presented next to the box plot.
Max subtype nTPMi

Max subtype nTPM is the value for the subtype with the largest average nTPM across the subtype samples.

10.2
GTEx sample id Sample description nTPM
Colon - Sigmoid
Average nTPM: 10.2
Samples: 373

Max nTPM: 25.0
Min nTPM: 2.6
Std nTPM: 2.7
Median nTPM: 10.0
GTEX-WHSE-2726-SM-EZ6ML 20-29 years, male 25.0
GTEX-11ZU8-1126-SM-5EQ5K 60-69 years, male 19.3
GTEX-12KS4-2326-SM-5EGJB 30-39 years, male 19.1
GTEX-13OVI-2126-SM-5KM3U 60-69 years, female 17.7
GTEX-ZAB4-2426-SM-5HL8A 40-49 years, male 17.3
GTEX-145LS-2926-SM-5O99G 60-69 years, female 17.0
GTEX-1BAJH-2726-SM-7IGNJ 70-79 years, male 16.8
GTEX-1IL2U-2526-SM-C1YQV 60-69 years, male 16.8
GTEX-1J8EW-2426-SM-CE6T5 60-69 years, female 16.8
GTEX-1J1OQ-2826-SM-D3L88 40-49 years, female 16.7
GTEX-13X6I-2726-SM-5Q5ET 60-69 years, male 16.6
GTEX-16Z82-2426-SM-7KUMS 60-69 years, male 16.6
GTEX-1JMPZ-2626-SM-ARU8Z 30-39 years, male 16.6
GTEX-15RJE-2226-SM-6M46A 40-49 years, male 16.3
GTEX-1LSVX-2026-SM-E9TJD 60-69 years, male 16.0
GTEX-13X6K-2726-SM-5O9DG 60-69 years, female 15.9
GTEX-WFON-1326-SM-4LVMN 40-49 years, male 15.6
GTEX-14AS3-1026-SM-5TDD7 40-49 years, female 15.5
GTEX-1R9JW-2126-SM-E76QT 30-39 years, female 15.5
GTEX-13111-1926-SM-5GCOL 50-59 years, male 15.4
GTEX-14E6C-2226-SM-5QGQG 40-49 years, male 15.4
GTEX-1AYCT-1926-SM-793AE 50-59 years, male 15.4
GTEX-Y114-1626-SM-4TT7I 50-59 years, female 15.3
GTEX-14PN3-1926-SM-6EU1Y 60-69 years, female 15.0
GTEX-13SLW-2826-SM-5Q5ES 70-79 years, male 14.9
GTEX-11DXZ-1626-SM-5GIDI 50-59 years, male 14.8
GTEX-13G51-2126-SM-5IJD9 60-69 years, male 14.8
GTEX-1I1CD-2826-SM-A9SL4 60-69 years, female 14.5
GTEX-1CB4G-2726-SM-79OO4 60-69 years, male 14.4
GTEX-11PRG-2026-SM-5GU5F 50-59 years, male 14.3
GTEX-11EM3-1626-SM-5N9CO 20-29 years, female 14.2
GTEX-1HBPM-2626-SM-9WYU5 60-69 years, female 14.2
GTEX-1J8JJ-2426-SM-D4P4A 60-69 years, female 14.1
GTEX-YF7O-1626-SM-5IFII 50-59 years, male 14.0
GTEX-12ZZW-2426-SM-5DUWE 50-59 years, male 13.7
GTEX-1LVAO-2826-SM-E9TJH 60-69 years, male 13.7
GTEX-1EU9M-2726-SM-7P8QD 60-69 years, male 13.6
GTEX-1GTWX-2626-SM-9WPOT 60-69 years, male 13.6
GTEX-183FY-1426-SM-7DHLM 20-29 years, male 13.4
GTEX-1H3NZ-2526-SM-9KNVO 60-69 years, male 13.4
GTEX-12WSD-2626-SM-5EGJE 60-69 years, female 13.3
GTEX-12ZZY-2726-SM-5EQ45 60-69 years, male 13.3
GTEX-13FHO-2726-SM-5K7VG 60-69 years, male 13.3
GTEX-11GS4-1826-SM-5HL4T 60-69 years, male 13.2
GTEX-12ZZX-2726-SM-5N9FT 40-49 years, female 13.2
GTEX-111YS-1826-SM-5GIEP 60-69 years, male 13.1
GTEX-12WSG-2426-SM-5EQLZ 50-59 years, female 13.1
GTEX-1F75W-2126-SM-7RHIA 60-69 years, male 13.1
GTEX-17HHE-1626-SM-7DHLN 50-59 years, male 13.0
GTEX-1I1GP-2826-SM-A9SKZ 50-59 years, male 13.0
GTEX-1B97I-1526-SM-73KUK 40-49 years, male 12.9
GTEX-ZE9C-2126-SM-4WKGY 60-69 years, male 12.9
GTEX-1H1DE-1626-SM-9KNU5 20-29 years, male 12.9
GTEX-11EMC-1426-SM-5N9E4 60-69 years, female 12.8
GTEX-17KNJ-1826-SM-7LT9N 50-59 years, male 12.8
GTEX-144GM-1126-SM-79OJK 20-29 years, male 12.7
GTEX-15DYW-2426-SM-7KUG8 60-69 years, female 12.7
GTEX-1EMGI-2626-SM-7IGNR 60-69 years, male 12.7
GTEX-WFG7-1626-SM-4LVMF 20-29 years, male 12.7
GTEX-1H3VE-2326-SM-9KNVU 40-49 years, male 12.6
GTEX-1HB9E-2526-SM-D4P35 50-59 years, male 12.6
GTEX-1HSKV-2326-SM-A9SL9 60-69 years, male 12.6
GTEX-1J1R8-1426-SM-CL55O 40-49 years, male 12.6
GTEX-1JKYR-2026-SM-CNPON 20-29 years, male 12.6
GTEX-1KXAM-1926-SM-D3LAG 60-69 years, male 12.6
GTEX-1R9PO-2026-SM-E9J4N 60-69 years, female 12.6
GTEX-1RDX4-1926-SM-E6CJJ 50-59 years, female 12.6
GTEX-17HG3-1126-SM-7DUFC 30-39 years, female 12.5
GTEX-1JN6P-2126-SM-ARL98 60-69 years, male 12.5
GTEX-13OW8-2726-SM-5L3FZ 60-69 years, male 12.4
GTEX-17HGU-2626-SM-79OKN 50-59 years, male 12.4
GTEX-WI4N-2226-SM-4OOS9 40-49 years, female 12.4
GTEX-1RLM8-1726-SM-E9TKF 50-59 years, male 12.3
GTEX-1399R-2126-SM-5K7WZ 30-39 years, male 12.2
GTEX-1CAMR-1026-SM-7P8QI 20-29 years, male 12.2
GTEX-1K9T9-2926-SM-E9TKD 50-59 years, female 12.2
GTEX-14PHX-1126-SM-5YYA5 50-59 years, male 12.1
GTEX-ZE7O-2626-SM-51MSS 50-59 years, female 12.1
GTEX-1GPI7-1926-SM-9KNUH 20-29 years, male 12.1
GTEX-12BJ1-2026-SM-5FQUH 60-69 years, male 12.0
GTEX-WY7C-1926-SM-4ONCI 50-59 years, male 12.0
GTEX-148VJ-2426-SM-5NQ9Y 70-79 years, male 11.9
GTEX-18A6Q-2226-SM-7LG61 60-69 years, male 11.9
GTEX-1I1GT-2026-SM-CKZPK 60-69 years, female 11.9
GTEX-1LGOU-1726-SM-D3L8P 20-29 years, female 11.9
GTEX-13VXT-2026-SM-5L3EW 20-29 years, female 11.8
GTEX-1GMR3-2526-SM-7P8QS 40-49 years, male 11.8
GTEX-11ZTT-1626-SM-5EQKR 60-69 years, female 11.7
GTEX-131YS-2926-SM-5EGKI 60-69 years, female 11.7
GTEX-1E2YA-2526-SM-7IGOU 50-59 years, male 11.7
GTEX-1PBJI-2526-SM-E6CP4 20-29 years, female 11.7
GTEX-13CF3-1326-SM-5LZXZ 60-69 years, female 11.6
GTEX-18A66-2626-SM-72D67 60-69 years, male 11.6
GTEX-18QFQ-1726-SM-731C9 30-39 years, male 11.6
GTEX-14DAQ-2926-SM-664MV 60-69 years, female 11.5
GTEX-WHWD-1526-SM-4OORV 50-59 years, male 11.5
GTEX-ZXES-1726-SM-5E43G 30-39 years, female 11.5
GTEX-ZYT6-2826-SM-5GICX 30-39 years, male 11.5
GTEX-1H1ZS-2626-SM-9QEIX 70-79 years, male 11.5
GTEX-1IDJH-2826-SM-CJI49 70-79 years, male 11.5
GTEX-13OVK-1026-SM-7KFTC 40-49 years, male 11.4
GTEX-15F5U-1426-SM-7KUN2 40-49 years, male 11.4
GTEX-1HSMQ-2526-SM-A9SMK 50-59 years, male 11.4
GTEX-1LVAM-1726-SM-DHXKQ 50-59 years, female 11.4
GTEX-1PIGE-1526-SM-DTXFC 20-29 years, male 11.4
GTEX-11DXX-1926-SM-5EGJK 60-69 years, female 11.3
GTEX-147JS-2626-SM-5S2UX 60-69 years, male 11.3
GTEX-14JG6-1626-SM-5YYBC 30-39 years, female 11.3
GTEX-WYVS-1126-SM-4SOJX 40-49 years, female 11.3
GTEX-1LKK1-2426-SM-DIPES 50-59 years, female 11.3
GTEX-11ONC-1926-SM-5GU75 60-69 years, male 11.2
GTEX-13OW6-2226-SM-5N9FL 50-59 years, male 11.2
GTEX-15DZA-1026-SM-6PAND 30-39 years, female 11.2
GTEX-15ETS-2326-SM-7KUGC 40-49 years, female 11.2
GTEX-1CB4F-1926-SM-7MKFN 60-69 years, male 11.2
GTEX-ZYFG-1826-SM-5GZWX 60-69 years, female 11.2
GTEX-1I1GR-2226-SM-ARL7F 60-69 years, male 11.2
GTEX-1IKOE-2126-SM-A96T5 30-39 years, female 11.2
GTEX-117XS-2226-SM-5GIE1 60-69 years, male 11.1
GTEX-13U4I-2626-SM-5SI9C 40-49 years, female 11.1
GTEX-14A5H-1626-SM-5SIAN 60-69 years, male 11.1
GTEX-17JCI-2826-SM-7IGNA 60-69 years, female 11.1
GTEX-1B8L1-1926-SM-7IGND 60-69 years, male 11.1
GTEX-VJYA-2126-SM-4KL1O 60-69 years, male 11.1
GTEX-ZPU1-1726-SM-4WWFV 40-49 years, male 11.1
GTEX-11EQ8-2626-SM-5N9BO 60-69 years, male 11.0
GTEX-1477Z-2126-SM-5Q5CM 60-69 years, male 11.0
GTEX-ZC5H-2426-SM-4WAZ6 40-49 years, female 11.0
GTEX-ZF2S-1826-SM-4WKFF 50-59 years, female 11.0
GTEX-15G1A-1926-SM-7KUFF 30-39 years, male 10.9
GTEX-1HBPH-2526-SM-ACKXK 40-49 years, female 10.9
GTEX-1JJE9-2526-SM-ARU8K 70-79 years, male 10.9
GTEX-1PDJ9-2026-SM-E76PT 20-29 years, male 10.9
GTEX-132NY-2726-SM-5PNY2 60-69 years, male 10.8
GTEX-139T6-1426-SM-5P9J7 50-59 years, male 10.8
GTEX-15EO6-2326-SM-6LPKK 50-59 years, male 10.8
GTEX-1A3MX-2326-SM-718B4 60-69 years, male 10.8
GTEX-1F5PK-1726-SM-7RHHW 50-59 years, male 10.8
GTEX-1GMR8-2926-SM-9KNW5 50-59 years, female 10.8
GTEX-1JMQJ-2626-SM-CY8HQ 50-59 years, male 10.8
GTEX-1LBAC-1726-SM-D3L9W 20-29 years, male 10.8
GTEX-1LSNL-1626-SM-E9TJY 50-59 years, male 10.8
GTEX-1RMOY-1726-SM-EVYC9 50-59 years, male 10.8
GTEX-13QBU-2026-SM-5KLZB 40-49 years, female 10.7
GTEX-15CHQ-2626-SM-686YZ 60-69 years, male 10.7
GTEX-15ER7-2826-SM-6PAN2 20-29 years, female 10.7
GTEX-18465-2726-SM-7LT9I 50-59 years, male 10.7
GTEX-ZAB5-1426-SM-5HL9D 50-59 years, male 10.7
GTEX-1QP67-1426-SM-E8VOO 40-49 years, female 10.7
GTEX-1QP9N-0826-SM-DTX9O 30-39 years, male 10.7
GTEX-14E1K-1626-SM-664MO 50-59 years, male 10.6
GTEX-1AMFI-1826-SM-73KWB 50-59 years, female 10.6
GTEX-X15G-1526-SM-4PQZM 50-59 years, female 10.6
GTEX-1F5PL-1926-SM-7MXTP 40-49 years, female 10.6
GTEX-1P4AB-2626-SM-DTXEU 50-59 years, male 10.6
GTEX-145LT-0826-SM-5S2QL 40-49 years, male 10.5
GTEX-14C39-1626-SM-5S2P4 40-49 years, male 10.5
GTEX-1H1E6-1826-SM-A9G21 30-39 years, male 10.5
GTEX-1HBPI-2226-SM-9WYTY 50-59 years, male 10.5
GTEX-1QP2A-2226-SM-DTXF6 50-59 years, male 10.5
GTEX-1R9K5-2226-SM-DTX9G 50-59 years, male 10.5
GTEX-1C4CL-1626-SM-7DUF3 30-39 years, male 10.4
GTEX-X4EO-2726-SM-4E3HS 60-69 years, female 10.4
GTEX-1GL5R-1726-SM-9KNUX 50-59 years, male 10.4
GTEX-1H3VY-2526-SM-9KNW1 50-59 years, male 10.4
GTEX-1212Z-1826-SM-5FQSH 60-69 years, male 10.3
GTEX-13OVJ-1826-SM-5KM2D 50-59 years, female 10.3
GTEX-15RIE-2026-SM-7KFRW 60-69 years, male 10.3
GTEX-1C6VQ-2626-SM-7IGMQ 50-59 years, male 10.3
GTEX-Z93S-2626-SM-57WBX 50-59 years, male 10.3
GTEX-1LG7Z-1326-SM-DIPF3 30-39 years, male 10.3
GTEX-1QPFJ-2426-SM-EVR3L 30-39 years, female 10.3
GTEX-13CF2-1826-SM-5N9GK 60-69 years, male 10.2
GTEX-YECK-2826-SM-5IFHF 60-69 years, male 10.2
GTEX-ZVT4-2626-SM-5N9GJ 50-59 years, female 10.2
GTEX-ZVZQ-2626-SM-59HLB 60-69 years, female 10.2
GTEX-1HSMO-2526-SM-A9SKP 60-69 years, male 10.2
GTEX-1MGNQ-2126-SM-EV7AC 40-49 years, male 10.2
GTEX-14PJ3-1226-SM-5ZZVY 50-59 years, male 10.1
GTEX-1AX9K-1626-SM-73KUS 50-59 years, male 10.1
GTEX-1B996-2726-SM-7DUGG 60-69 years, male 10.1
GTEX-1C2JI-1726-SM-73KUW 50-59 years, male 10.1
GTEX-WHPG-1626-SM-4M1ZL 50-59 years, male 10.1
GTEX-1J8QM-1226-SM-CY8HI 60-69 years, female 10.1
GTEX-1211K-1826-SM-5EGJ2 60-69 years, female 10.0
GTEX-12696-1926-SM-5EGJT 60-69 years, male 10.0
GTEX-131XE-1026-SM-5EGKE 50-59 years, male 10.0
GTEX-139TS-2226-SM-5J2N1 60-69 years, male 10.0
GTEX-14PKV-1926-SM-686YU 20-29 years, female 10.0
GTEX-17MFQ-1226-SM-7KFSA 20-29 years, male 10.0
GTEX-1C475-1526-SM-7DHM3 40-49 years, female 10.0
GTEX-YJ8O-1426-SM-5PNV9 40-49 years, female 10.0
GTEX-1EH9U-1926-SM-7P8QM 60-69 years, male 10.0
GTEX-1HSGN-2226-SM-A9SL6 40-49 years, female 10.0
GTEX-ZY6K-1326-SM-5GZWP 50-59 years, male 9.9
GTEX-1C64N-2226-SM-7SB7C 50-59 years, male 9.9
GTEX-1GN73-2726-SM-9WYUB 60-69 years, male 9.9
GTEX-1IDJI-2226-SM-CKZPM 50-59 years, female 9.9
GTEX-1JMLX-2526-SM-CY8HX 50-59 years, male 9.9
GTEX-11I78-1326-SM-5PNY9 50-59 years, female 9.8
GTEX-13X6J-2826-SM-7EPGA 50-59 years, male 9.8
GTEX-146FH-2426-SM-5Q5EW 50-59 years, female 9.8
GTEX-17GQL-1626-SM-7LG69 60-69 years, male 9.8
GTEX-1B932-2126-SM-7IGMU 40-49 years, female 9.8
GTEX-1JJEA-2526-SM-CY8HJ 60-69 years, male 9.8
GTEX-1QCLZ-2026-SM-EAZ4A 60-69 years, female 9.8
GTEX-11P7K-1826-SM-5HL5A 30-39 years, male 9.7
GTEX-13PVR-1726-SM-5Q5EC 60-69 years, female 9.7
GTEX-18D9A-1326-SM-7LT8P 30-39 years, female 9.7
GTEX-ZDTS-2726-SM-5L3E2 60-69 years, male 9.7
GTEX-ZYY3-2226-SM-5E45A 60-69 years, female 9.7
GTEX-1I6K6-1926-SM-A96SN 30-39 years, male 9.7
GTEX-Y8E4-2326-SM-EAZAZ 40-49 years, male 9.7
GTEX-11EQ9-1526-SM-5PNY7 30-39 years, male 9.6
GTEX-11P81-1426-SM-5P9JN 30-39 years, female 9.6
GTEX-11TUW-2326-SM-5EQMO 60-69 years, male 9.6
GTEX-11VI4-1426-SM-5GU6O 40-49 years, female 9.6
GTEX-145MH-2726-SM-5QGQ6 50-59 years, male 9.6
GTEX-147GR-2826-SM-5RQK8 60-69 years, male 9.6
GTEX-14BIN-2426-SM-5TDCF 50-59 years, female 9.6
GTEX-1GZ4H-1326-SM-7P8TE 50-59 years, female 9.6
GTEX-11ZTS-1526-SM-5N9G7 60-69 years, female 9.5
GTEX-ZA64-1426-SM-5CVMC 20-29 years, male 9.5
GTEX-1QW4Y-1426-SM-E76P3 30-39 years, male 9.5
GTEX-117YX-0526-SM-5EGJH 50-59 years, male 9.4
GTEX-XXEK-1826-SM-4BRVC 50-59 years, male 9.4
GTEX-ZPIC-2626-SM-57WE2 40-49 years, female 9.4
GTEX-ZVT3-2826-SM-5GU6A 60-69 years, female 9.4
GTEX-1PIIG-2126-SM-EXUSD 30-39 years, male 9.4
GTEX-131XG-1526-SM-5GCNQ 50-59 years, female 9.3
GTEX-13PVQ-2726-SM-5L3H7 50-59 years, male 9.3
GTEX-15UF7-1326-SM-7KUKV 40-49 years, male 9.3
GTEX-1GMRU-2626-SM-9WPPM 50-59 years, male 9.3
GTEX-1HFI7-1626-SM-9WYTR 50-59 years, female 9.3
GTEX-1K2DA-1626-SM-CGQGB 50-59 years, male 9.3
GTEX-1OJC3-1826-SM-DTX93 20-29 years, male 9.3
GTEX-1S82P-2026-SM-E9TIQ 60-69 years, female 9.3
GTEX-16BQI-2026-SM-7KULQ 30-39 years, female 9.2
GTEX-17F96-2126-SM-7KFSM 70-79 years, male 9.2
GTEX-YFCO-1526-SM-5YYB8 40-49 years, male 9.2
GTEX-1GMR2-1826-SM-9KNUP 50-59 years, male 9.2
GTEX-1JN76-1326-SM-ARU94 20-29 years, female 9.2
GTEX-ZLWG-1826-SM-DO11I 50-59 years, female 9.2
GTEX-11EI6-2626-SM-5PNVT 60-69 years, male 9.1
GTEX-14C5O-2626-SM-5RQI5 60-69 years, male 9.1
GTEX-15UF6-2726-SM-7KULY 70-79 years, female 9.1
GTEX-16XZZ-2726-SM-7EWDO 60-69 years, male 9.1
GTEX-1HCUA-1926-SM-B2LWE 50-59 years, female 9.1
GTEX-1HCVE-2326-SM-9WYUD 50-59 years, male 9.1
GTEX-1HKZK-2026-SM-9WYUF 40-49 years, male 9.1
GTEX-1HSEH-1926-SM-A96SB 60-69 years, male 9.1
GTEX-1B8KE-1526-SM-7DUG2 50-59 years, male 9.0
GTEX-YJ8A-1726-SM-5P9IQ 20-29 years, male 9.0
GTEX-1J8Q3-2426-SM-CL53S 60-69 years, male 9.0
GTEX-1JMQK-2326-SM-ARZN4 60-69 years, male 9.0
GTEX-1N2DV-1826-SM-E6CJ5 40-49 years, male 9.0
GTEX-YEC3-2026-SM-DKPOL 50-59 years, male 9.0
GTEX-139UW-2326-SM-5KM1Y 60-69 years, male 8.9
GTEX-14E6E-1726-SM-5S2R6 30-39 years, male 8.9
GTEX-14PJ4-1826-SM-5YY97 60-69 years, male 8.9
GTEX-15RIF-1426-SM-7KUKQ 20-29 years, male 8.9
GTEX-XAJ8-0726-SM-47JY5 40-49 years, male 8.9
GTEX-ZP4G-1526-SM-57WE5 20-29 years, female 8.9
GTEX-ZVT2-1726-SM-51MRO 50-59 years, female 8.9
GTEX-1JKYN-2226-SM-ARZNE 30-39 years, male 8.9
GTEX-1N2EF-1726-SM-EXUSI 60-69 years, male 8.9
GTEX-13FTW-2126-SM-5K7YG 40-49 years, male 8.7
GTEX-ZQG8-2426-SM-57WEE 60-69 years, female 8.7
GTEX-1PPH8-2226-SM-EWRN7 20-29 years, male 8.7
GTEX-1RAZR-2026-SM-E9TKE 40-49 years, male 8.7
GTEX-1S831-1726-SM-EWROJ 20-29 years, male 8.7
GTEX-13N2G-2226-SM-5IJCU 60-69 years, male 8.6
GTEX-XUZC-1526-SM-4BRV4 30-39 years, female 8.6
GTEX-ZV6S-1126-SM-57WE9 40-49 years, female 8.6
GTEX-1LB8K-2526-SM-DIPEQ 50-59 years, male 8.6
GTEX-1QP29-2526-SM-E6CQ3 50-59 years, male 8.6
GTEX-11DXY-2026-SM-5N9CZ 60-69 years, male 8.5
GTEX-13FH7-1626-SM-5J2O9 50-59 years, female 8.5
GTEX-13O1R-2426-SM-5KLZZ 60-69 years, male 8.5
GTEX-14A5I-2426-SM-5Q5CP 50-59 years, female 8.5
GTEX-16NGA-0926-SM-718AG 40-49 years, female 8.5
GTEX-WFG8-1726-SM-4LVM6 20-29 years, male 8.5
GTEX-XQ8I-2326-SM-4BOQC 50-59 years, male 8.5
GTEX-XUW1-1826-SM-4BOQD 50-59 years, female 8.5
GTEX-1IDJU-1926-SM-CL53W 60-69 years, female 8.5
GTEX-ZLV1-1326-SM-DO11Q 60-69 years, female 8.5
GTEX-14BMU-1326-SM-5RQIH 20-29 years, female 8.4
GTEX-XBED-1726-SM-47JYO 60-69 years, male 8.4
GTEX-1ICG6-2226-SM-B2LY7 70-79 years, female 8.4
GTEX-1S5ZA-1426-SM-E6CJQ 20-29 years, male 8.4
GTEX-145MO-2626-SM-5QGPD 60-69 years, male 8.3
GTEX-1A3MV-1026-SM-72D5U 30-39 years, male 8.3
GTEX-1LVAN-2626-SM-CNPQF 50-59 years, female 8.3
GTEX-1122O-1426-SM-5H11R 60-69 years, female 8.2
GTEX-17F9Y-2626-SM-7IGN9 70-79 years, female 8.2
GTEX-1AX9J-2526-SM-73KUY 60-69 years, male 8.2
GTEX-WXYG-1726-SM-4ONCU 50-59 years, female 8.2
GTEX-ZTTD-2626-SM-57WEX 50-59 years, male 8.2
GTEX-1JK1U-1426-SM-CNPOW 60-69 years, male 8.2
GTEX-ZZ64-0826-SM-5E449 20-29 years, male 8.1
GTEX-1GF9X-1426-SM-7RHGX 40-49 years, female 8.1
GTEX-1HCU7-2726-SM-A9G3D 50-59 years, male 8.1
GTEX-13RTJ-1926-SM-5YYA2 60-69 years, male 8.0
GTEX-1HBPN-2026-SM-B2LWA 50-59 years, male 8.0
GTEX-1PBJJ-2026-SM-DTX8U 30-39 years, male 8.0
GTEX-17EUY-1726-SM-79OK4 20-29 years, male 7.9
GTEX-18A67-2226-SM-7LT9Z 50-59 years, male 7.9
GTEX-WQUQ-2626-SM-4MVNP 60-69 years, male 7.9
GTEX-1LSNM-1426-SM-E6CIH 50-59 years, male 7.9
GTEX-1RQEC-2626-SM-EVR3Z 60-69 years, male 7.9
GTEX-139D8-2926-SM-5IJBM 30-39 years, female 7.8
GTEX-15FZZ-1826-SM-6LLJP 30-39 years, female 7.8
GTEX-183WM-2526-SM-731BP 70-79 years, female 7.8
GTEX-1HCU6-2926-SM-B2LWV 60-69 years, female 7.8
GTEX-13OW5-2826-SM-5KM1G 60-69 years, male 7.7
GTEX-Y3I4-1126-SM-4TT7Y 50-59 years, male 7.7
GTEX-1LGRB-2026-SM-COH47 50-59 years, female 7.6
GTEX-1RAZQ-2026-SM-E76P7 30-39 years, male 7.6
GTEX-13O61-1526-SM-5KM3P 60-69 years, male 7.5
GTEX-145ME-1126-SM-5SIAT 40-49 years, female 7.5
GTEX-16MTA-1626-SM-6M47N 50-59 years, male 7.5
GTEX-15G19-2726-SM-6LPKG 60-69 years, male 7.4
GTEX-WRHK-1126-SM-4MVOJ 20-29 years, female 7.4
GTEX-1QP28-2226-SM-DTX8C 50-59 years, female 7.4
GTEX-12WSM-1426-SM-5GCPA 60-69 years, male 7.3
GTEX-Y5LM-1426-SM-5RQJL 40-49 years, female 7.3
GTEX-1H23P-2626-SM-9KNVN 60-69 years, male 7.3
GTEX-14PK6-1826-SM-69LOM 70-79 years, female 7.2
GTEX-1A32A-2626-SM-73KX9 50-59 years, female 7.2
GTEX-1CAMS-2626-SM-7PBY3 40-49 years, female 7.2
GTEX-1KANA-1726-SM-CY8IG 20-29 years, male 7.2
GTEX-1L5NE-1926-SM-D3L9R 50-59 years, male 7.1
GTEX-111CU-1226-SM-5EGIN 50-59 years, male 7.0
GTEX-X5EB-1126-SM-46MVV 40-49 years, male 7.0
GTEX-1PIEJ-1826-SM-EWRMN 20-29 years, female 7.0
GTEX-ZQUD-1026-SM-4YCEZ 30-39 years, male 6.9
GTEX-1R7EU-1826-SM-DTX9L 60-69 years, male 6.9
GTEX-12WSJ-1426-SM-5GCON 40-49 years, female 6.8
GTEX-V955-1726-SM-4JBHF 60-69 years, male 6.8
GTEX-1OFPY-1226-SM-E76OM 60-69 years, male 6.8
GTEX-13PL7-2426-SM-5J2N3 60-69 years, female 6.7
GTEX-Y9LG-1326-SM-4VBQB 30-39 years, male 6.7
GTEX-1QCLY-2026-SM-EVR4C 30-39 years, male 6.7
GTEX-13D11-0626-SM-5LZYY 50-59 years, female 6.6
GTEX-ZPCL-1626-SM-57WGC 60-69 years, female 6.6
GTEX-1LG7Y-2226-SM-E9U5K 50-59 years, male 6.6
GTEX-11TT1-0926-SM-5GU5M 20-29 years, male 6.5
GTEX-ZT9W-1726-SM-51MS3 50-59 years, male 6.5
GTEX-1JMPY-1026-SM-ARZN1 30-39 years, male 6.5
GTEX-ZF28-2526-SM-57WFH 60-69 years, male 6.3
GTEX-ZLFU-1426-SM-4WWEU 40-49 years, male 6.3
GTEX-WH7G-1426-SM-4LVMU 40-49 years, male 6.2
GTEX-132AR-2826-SM-5IJFV 50-59 years, female 6.1
GTEX-XV7Q-2226-SM-4BRVY 40-49 years, female 6.1
GTEX-ZF29-1826-SM-4WKG8 60-69 years, female 6.1
GTEX-12WSL-1826-SM-5LZW9 50-59 years, male 6.0
GTEX-13113-1426-SM-5EGHU 60-69 years, female 6.0
GTEX-ZTSS-1226-SM-51MSZ 40-49 years, male 6.0
GTEX-1PFEY-1726-SM-DPRZ4 30-39 years, male 6.0
GTEX-1C64O-2426-SM-7P8R3 60-69 years, male 5.9
GTEX-1AMEY-1826-SM-72D5L 30-39 years, female 5.5
GTEX-ZG7Y-1826-SM-4WWD3 50-59 years, male 5.5
GTEX-1339X-1726-SM-5P9J9 40-49 years, male 5.4
GTEX-15RJ7-1726-SM-6PAL3 40-49 years, male 5.2
GTEX-ZAJG-2626-SM-5S2NU 50-59 years, female 5.0
GTEX-1399U-2226-SM-5KLZI 50-59 years, female 4.8
GTEX-13W3W-2226-SM-5LU4M 60-69 years, female 4.8
GTEX-Y5V6-1626-SM-4VDT2 60-69 years, male 4.7
GTEX-Y8LW-1126-SM-4VDS4 50-59 years, female 4.4
GTEX-WOFM-1926-SM-4OOSP 20-29 years, male 4.1
GTEX-WYJK-2326-SM-4ONDN 50-59 years, male 4.0
GTEX-W5WG-2026-SM-4LMIB 50-59 years, female 3.9
GTEX-ZYFD-2226-SM-5E43P 50-59 years, male 2.6
Show allShow less
Colon - Transverse
Average nTPM: 8.0
Samples: 406

Max nTPM: 25.5
Min nTPM: 2.2
Std nTPM: 3.3
Median nTPM: 7.4
GTEX-13OVG-1426-SM-5K7VP 60-69 years, male 25.5
GTEX-ZXES-1626-SM-5NQ7L 30-39 years, female 18.6
GTEX-13O3P-2326-SM-5KM55 50-59 years, male 18.2
GTEX-1IOXB-2626-SM-CJI2N 50-59 years, male 18.1
GTEX-1IKK5-2726-SM-CNPQ6 60-69 years, male 17.3
GTEX-1R9K5-2126-SM-E8VN1 50-59 years, male 17.3
GTEX-17EVQ-1826-SM-7IGPH 70-79 years, male 16.9
GTEX-111VG-2226-SM-5N9DU 60-69 years, male 16.6
GTEX-144GL-2526-SM-5TDDL 50-59 years, male 16.6
GTEX-11GSP-1626-SM-5986N 60-69 years, female 16.5
GTEX-R45C-2126-SM-EZ6KZ 60-69 years, female 16.4
GTEX-1KANB-1526-SM-CXZK4 50-59 years, male 16.2
GTEX-1CB4F-2026-SM-79OLU 60-69 years, male 16.0
GTEX-15CHQ-2526-SM-6EU24 60-69 years, male 15.3
GTEX-18A7A-2226-SM-7LT8K 50-59 years, female 15.3
GTEX-1JN1M-2626-SM-CY8I3 60-69 years, female 15.3
GTEX-13O3O-2526-SM-5L3DR 60-69 years, female 15.0
GTEX-13FHP-2426-SM-5KLZ5 50-59 years, male 14.8
GTEX-13OVK-0826-SM-7KULZ 40-49 years, male 14.8
GTEX-17HII-2726-SM-7MGVM 50-59 years, male 14.3
GTEX-1POEN-2026-SM-E6CRL 30-39 years, female 14.2
GTEX-ZYFC-2626-SM-5NQ6S 50-59 years, male 14.1
GTEX-11ONC-2026-SM-5HL61 60-69 years, male 14.0
GTEX-1PWST-2426-SM-EWRMP 70-79 years, male 14.0
GTEX-1AYD5-1726-SM-7RHFW 50-59 years, male 13.7
GTEX-1JMPZ-2426-SM-C1YQP 30-39 years, male 13.7
GTEX-15DYW-2326-SM-6PAMU 60-69 years, female 13.6
GTEX-13QJ3-2626-SM-9OSXQ 50-59 years, male 13.4
GTEX-1IDJD-2226-SM-A96TD 30-39 years, male 13.2
GTEX-1HSMP-2326-SM-D3L8R 70-79 years, male 13.0
GTEX-1J1OQ-2726-SM-AHZ3R 40-49 years, female 12.8
GTEX-17F98-1026-SM-7IGO8 40-49 years, female 12.7
GTEX-1EH9U-2026-SM-7PBYS 60-69 years, male 12.7
GTEX-1EMGI-2726-SM-7P8S4 60-69 years, male 12.5
GTEX-15CHC-1626-SM-5ZZWS 60-69 years, female 12.4
GTEX-13U4I-2426-SM-5LU34 40-49 years, female 12.3
GTEX-14DAQ-2726-SM-5S2QY 60-69 years, female 12.2
GTEX-U3ZH-1326-SM-4DXSF 30-39 years, male 12.2
GTEX-17F96-2026-SM-79ON4 70-79 years, male 12.1
GTEX-1B996-2626-SM-73KZ1 60-69 years, male 12.1
GTEX-Z93S-2426-SM-5HL8N 50-59 years, male 12.0
GTEX-WVJS-2426-SM-EZ6LI 50-59 years, male 12.0
GTEX-ZYVF-2826-SM-5GIDK 50-59 years, female 11.9
GTEX-1GN73-2626-SM-9KNUQ 60-69 years, male 11.9
GTEX-1QMI2-2626-SM-E6CR4 60-69 years, male 11.9
GTEX-147JS-2526-SM-5S2Q8 60-69 years, male 11.8
GTEX-17MF6-2426-SM-7LTAM 40-49 years, male 11.8
GTEX-1N2EF-1926-SM-DTX8M 60-69 years, male 11.8
GTEX-14ICL-1226-SM-5S2RD 30-39 years, male 11.7
GTEX-1R9JW-2026-SM-EAZ4O 30-39 years, female 11.7
GTEX-ZV6S-1226-SM-59HLH 40-49 years, female 11.6
GTEX-1IGQW-2326-SM-CE6RV 60-69 years, male 11.6
GTEX-16XZZ-2626-SM-6M47S 60-69 years, male 11.5
GTEX-1C6VQ-2726-SM-73KUL 50-59 years, male 11.5
GTEX-ZAB4-2226-SM-5HL97 40-49 years, male 11.5
GTEX-1JMLX-2726-SM-CM2SB 50-59 years, male 11.5
GTEX-1BAJH-2326-SM-7IGMO 70-79 years, male 11.4
GTEX-1S5VW-2926-SM-E9U6H 60-69 years, male 11.4
GTEX-14BMV-2426-SM-5S2PP 50-59 years, male 11.3
GTEX-1H1DE-1526-SM-ARL9B 20-29 years, male 11.2
GTEX-11P82-1026-SM-5BC5J 20-29 years, male 11.1
GTEX-14ICK-1026-SM-6AJA4 40-49 years, male 11.1
GTEX-1RMOY-1626-SM-EVYC8 50-59 years, male 11.1
GTEX-17JCI-2626-SM-7EWE6 60-69 years, female 11.0
GTEX-1HCVE-2526-SM-A9G2G 50-59 years, male 11.0
GTEX-1JJ6O-2426-SM-ARU8J 60-69 years, male 11.0
GTEX-111YS-1626-SM-5GZZ9 60-69 years, male 10.9
GTEX-145LS-2726-SM-5Q5D8 60-69 years, female 10.9
GTEX-145MO-2426-SM-5NQ9W 60-69 years, male 10.9
GTEX-14JIY-3326-SM-6871E 60-69 years, male 10.9
GTEX-ZGAY-2126-SM-4YCFB 40-49 years, female 10.9
GTEX-1JJE9-2426-SM-D3L8T 70-79 years, male 10.9
GTEX-OXRO-0726-SM-E9U4C 60-69 years, female 10.9
GTEX-117YX-0826-SM-5H11J 50-59 years, male 10.8
GTEX-148VJ-2626-SM-5QGPI 70-79 years, male 10.8
GTEX-18QFQ-1526-SM-72D57 30-39 years, male 10.8
GTEX-1A3MV-1126-SM-718BS 30-39 years, male 10.8
GTEX-12KS4-2426-SM-5LU8P 30-39 years, male 10.7
GTEX-ZYFG-1926-SM-5GID5 60-69 years, female 10.7
GTEX-1I1GR-2526-SM-CNNQF 60-69 years, male 10.7
GTEX-12ZZZ-2426-SM-5GCNN 60-69 years, male 10.6
GTEX-13W3W-2126-SM-5K7UX 60-69 years, female 10.6
GTEX-147GR-2726-SM-664OO 60-69 years, male 10.6
GTEX-1LGOU-1626-SM-D3LAK 20-29 years, female 10.6
GTEX-11ZVC-2126-SM-5EGJ1 50-59 years, female 10.5
GTEX-Y8E4-2426-SM-4WWDN 40-49 years, male 10.5
GTEX-1GZ4I-2426-SM-9WPPP 50-59 years, male 10.5
GTEX-1NV5F-2226-SM-DTX8O 60-69 years, female 10.5
GTEX-15SHU-2526-SM-6M47D 40-49 years, female 10.4
GTEX-1C2JI-1626-SM-7EPHC 50-59 years, male 10.4
GTEX-1E2YA-2626-SM-7MGWW 50-59 years, male 10.4
GTEX-1IDJC-1326-SM-CL53H 50-59 years, male 10.4
GTEX-12WSL-1626-SM-5GCMU 50-59 years, male 10.3
GTEX-15DZA-0926-SM-69LQ3 30-39 years, female 10.3
GTEX-P78B-1726-SM-3P5ZV 40-49 years, female 10.3
GTEX-14AS3-1126-SM-5Q5CR 40-49 years, female 10.2
GTEX-17HHE-1826-SM-79OKE 50-59 years, male 10.2
GTEX-18A7B-2026-SM-72D71 70-79 years, male 10.1
GTEX-1AX9I-2626-SM-73KU5 60-69 years, male 10.1
GTEX-1GMR3-2826-SM-9WPOG 40-49 years, male 10.1
GTEX-1ICLZ-2426-SM-CKZOD 60-69 years, male 10.1
GTEX-1LSVX-1726-SM-DHXJP 60-69 years, male 10.1
GTEX-1MCC2-1626-SM-DIPEW 30-39 years, female 10.0
GTEX-11P81-1126-SM-5GU5G 30-39 years, female 9.9
GTEX-1B932-2826-SM-73KUD 40-49 years, female 9.8
GTEX-11EM3-1526-SM-5A5KN 20-29 years, female 9.7
GTEX-11TTK-2426-SM-5PNYO 60-69 years, female 9.7
GTEX-14E1K-1826-SM-793DT 50-59 years, male 9.7
GTEX-WY7C-1626-SM-4ONC8 50-59 years, male 9.7
GTEX-1QW4Y-1326-SM-EWRMZ 30-39 years, male 9.6
GTEX-SJXC-2226-SM-EVYAK 60-69 years, male 9.6
GTEX-11O72-2226-SM-5PNW2 40-49 years, male 9.5
GTEX-1AX8Z-2726-SM-73KUC 60-69 years, male 9.5
GTEX-OXRL-1426-SM-3NM9E 50-59 years, male 9.5
GTEX-1LBAC-1626-SM-CXZKV 20-29 years, male 9.5
GTEX-1PPGY-2826-SM-DTX9H 60-69 years, male 9.5
GTEX-U412-1726-SM-EZ6KX 60-69 years, male 9.5
GTEX-13VXT-2426-SM-5LU46 20-29 years, female 9.4
GTEX-1GPI7-1726-SM-7P8R1 20-29 years, male 9.4
GTEX-14H4A-1926-SM-5ZZWN 40-49 years, female 9.3
GTEX-16MT8-2726-SM-7IGLJ 60-69 years, female 9.3
GTEX-16NPV-2626-SM-6M484 50-59 years, female 9.3
GTEX-1F75B-2726-SM-7P8QO 50-59 years, male 9.3
GTEX-1GMR2-1726-SM-9JGI2 50-59 years, male 9.3
GTEX-1HCU7-2626-SM-C1YQO 50-59 years, male 9.3
GTEX-14C39-1926-SM-5ZZW5 40-49 years, male 9.2
GTEX-15UF6-2626-SM-6M466 70-79 years, female 9.2
GTEX-WEY5-1426-SM-4LMJ3 40-49 years, female 9.2
GTEX-1IDJF-1826-SM-CKZOE 20-29 years, male 9.2
GTEX-11NSD-1626-SM-5986U 20-29 years, male 9.1
GTEX-Y8LW-1226-SM-4WWDP 50-59 years, female 9.1
GTEX-1QPFJ-2326-SM-E6CR7 30-39 years, female 9.1
GTEX-PSDG-1826-SM-EAZ2S 50-59 years, male 9.1
GTEX-13OW6-2126-SM-5N9GL 50-59 years, male 9.0
GTEX-1GL5R-2426-SM-7MXV1 50-59 years, male 9.0
GTEX-X4EO-2526-SM-EWRM8 60-69 years, female 9.0
GTEX-16Z82-2226-SM-6LPJ7 60-69 years, male 8.9
GTEX-Y114-1526-SM-4TT79 50-59 years, female 8.9
GTEX-Y3I4-1426-SM-4TT9C 50-59 years, male 8.8
GTEX-1GZ4H-1226-SM-9KNUA 50-59 years, female 8.8
GTEX-1HCU6-2726-SM-A9SKV 60-69 years, female 8.8
GTEX-1I1GT-1926-SM-ARU7D 60-69 years, female 8.8
GTEX-1LG7Y-2126-SM-DIPER 50-59 years, male 8.8
GTEX-17KNJ-1726-SM-7LG6A 50-59 years, male 8.7
GTEX-1N5O9-2726-SM-E76QH 60-69 years, male 8.7
GTEX-1PIGE-1426-SM-E9U61 20-29 years, male 8.7
GTEX-OIZF-1426-SM-2HML2 60-69 years, male 8.7
GTEX-13OW5-2626-SM-5MR3M 60-69 years, male 8.6
GTEX-14PJM-2626-SM-686ZD 50-59 years, female 8.6
GTEX-R53T-1326-SM-48FCQ 50-59 years, female 8.6
GTEX-ZF29-1726-SM-4WKFV 60-69 years, female 8.6
GTEX-1N2DV-1426-SM-DPRYQ 40-49 years, male 8.6
GTEX-11TUW-2026-SM-5EQL8 60-69 years, male 8.5
GTEX-1KXAM-2126-SM-CY8I9 60-69 years, male 8.5
GTEX-1S3DN-1826-SM-EV79K 50-59 years, male 8.5
GTEX-QEL4-1926-SM-D3L8D 50-59 years, male 8.5
GTEX-14PJ3-0926-SM-69LQG 50-59 years, male 8.4
GTEX-1AYCT-1826-SM-731EG 50-59 years, male 8.4
GTEX-1C64O-2326-SM-73KU8 60-69 years, male 8.4
GTEX-13OVI-2026-SM-5J1MU 60-69 years, female 8.3
GTEX-13OVJ-1726-SM-5IJDZ 50-59 years, female 8.3
GTEX-1RAZR-1926-SM-E6CRF 40-49 years, male 8.3
GTEX-13CF3-1426-SM-5K7YY 60-69 years, female 8.2
GTEX-XQ8I-2126-SM-4BOOM 50-59 years, male 8.2
GTEX-XXEK-1926-SM-4BRVD 50-59 years, male 8.2
GTEX-14PJ5-0926-SM-6LLIK 60-69 years, female 8.1
GTEX-QLQ7-1126-SM-CYPRB 60-69 years, male 8.1
GTEX-TKQ1-0626-SM-4DXTS 30-39 years, male 8.0
GTEX-ZZ64-0726-SM-5GZX4 20-29 years, male 8.0
GTEX-1HKZK-2126-SM-A9SL3 40-49 years, male 8.0
GTEX-OXRN-2026-SM-E6CHK 50-59 years, male 8.0
GTEX-12WSJ-1526-SM-5GCNI 40-49 years, female 7.9
GTEX-18D9B-2526-SM-718BN 60-69 years, male 7.9
GTEX-1CAMS-2526-SM-7EPH7 40-49 years, female 7.9
GTEX-PX3G-1426-SM-48U1J 20-29 years, female 7.9
GTEX-1MJK3-0926-SM-EV7AY 20-29 years, male 7.9
GTEX-139YR-2126-SM-5KM11 50-59 years, male 7.8
GTEX-13FH7-1526-SM-5J2N6 50-59 years, female 7.8
GTEX-145ME-0826-SM-5O9AF 40-49 years, female 7.8
GTEX-17F9E-1826-SM-7IGMC 50-59 years, male 7.8
GTEX-ZEX8-1926-SM-4WKFR 50-59 years, male 7.8
GTEX-1H1DG-2226-SM-9WPPC 70-79 years, male 7.8
GTEX-1RDX4-1826-SM-EVR54 50-59 years, female 7.8
GTEX-ZLWG-1726-SM-DNZZ2 50-59 years, female 7.8
GTEX-117YW-1826-SM-5PNY5 50-59 years, male 7.7
GTEX-14BIN-3026-SM-5ZZUS 50-59 years, female 7.7
GTEX-1AMEY-1926-SM-73KVT 30-39 years, female 7.7
GTEX-P4PP-1426-SM-3NM9L 30-39 years, female 7.7
GTEX-WYVS-1826-SM-4OND6 40-49 years, female 7.7
GTEX-1MUQO-2626-SM-EWRO3 60-69 years, male 7.7
GTEX-1OKEX-1226-SM-DTXEC 60-69 years, male 7.7
GTEX-1128S-1626-SM-5H12O 60-69 years, female 7.6
GTEX-11EQ9-1426-SM-5987G 30-39 years, male 7.6
GTEX-1CB4I-2226-SM-7P8SL 50-59 years, male 7.6
GTEX-1QCLZ-1926-SM-E6CR3 60-69 years, female 7.6
GTEX-O5YW-1426-SM-3MJHF 50-59 years, male 7.5
GTEX-S341-1426-SM-4AD6U 40-49 years, female 7.5
GTEX-ZVP2-1526-SM-5NQ82 50-59 years, male 7.5
GTEX-1HSMQ-2726-SM-C1YRE 50-59 years, male 7.5
GTEX-11DXZ-1726-SM-5H12M 50-59 years, male 7.4
GTEX-11VI4-1526-SM-5EQKC 40-49 years, female 7.4
GTEX-SNMC-1126-SM-4DM5M 20-29 years, male 7.4
GTEX-T6MO-0826-SM-4DM51 40-49 years, female 7.4
GTEX-XAJ8-0426-SM-47JYJ 40-49 years, male 7.4
GTEX-1QCLY-1726-SM-DPRXY 30-39 years, male 7.4
GTEX-178AV-1326-SM-6LPJX 40-49 years, male 7.3
GTEX-S7SF-1926-SM-4AT5B 20-29 years, female 7.3
GTEX-WYJK-2226-SM-4ONDJ 50-59 years, male 7.3
GTEX-1HSGN-2626-SM-CE6S1 40-49 years, female 7.3
GTEX-1L5NE-2026-SM-CXZKR 50-59 years, male 7.3
GTEX-1RAZQ-2126-SM-DTX9V 30-39 years, male 7.3
GTEX-1S82U-0726-SM-E9TKI 30-39 years, female 7.3
GTEX-12BJ1-2126-SM-5BC5O 60-69 years, male 7.2
GTEX-14C5O-2526-SM-73KU2 60-69 years, male 7.2
GTEX-1MA7W-0626-SM-EV79Z 20-29 years, female 7.2
GTEX-1LVAN-2526-SM-CNPPC 50-59 years, female 7.1
GTEX-15DCE-2026-SM-7KUFE 20-29 years, male 7.0
GTEX-16NGA-1026-SM-7KFS3 40-49 years, female 7.0
GTEX-WHWD-1226-SM-4OOS1 50-59 years, male 7.0
GTEX-1PPH8-2026-SM-DTX7P 20-29 years, male 7.0
GTEX-1C475-1626-SM-731FP 40-49 years, female 6.9
GTEX-RM2N-0926-SM-48FD1 50-59 years, male 6.9
GTEX-XMK1-1726-SM-4B64Z 40-49 years, male 6.9
GTEX-ZPU1-1926-SM-57WDT 40-49 years, male 6.9
GTEX-1IDJU-2026-SM-A9SLM 60-69 years, female 6.9
GTEX-1K9T9-2826-SM-D4P3F 50-59 years, female 6.9
GTEX-1PIEJ-2026-SM-E6CPA 20-29 years, female 6.9
GTEX-S3XE-1126-SM-4AD4N 50-59 years, male 6.8
GTEX-1I6K6-1826-SM-B2LX5 30-39 years, male 6.8
GTEX-13FTW-1826-SM-5IJEN 40-49 years, male 6.7
GTEX-144GN-1126-SM-5LU33 50-59 years, male 6.7
GTEX-14JG6-1726-SM-69LPL 30-39 years, female 6.7
GTEX-17GQL-1526-SM-7LTAC 60-69 years, male 6.7
GTEX-1HFI7-1726-SM-A9G22 50-59 years, female 6.7
GTEX-1NHNU-2326-SM-E6CQE 50-59 years, male 6.7
GTEX-1R9PM-1526-SM-DPRY8 20-29 years, male 6.7
GTEX-11P7K-1526-SM-5EGI7 30-39 years, male 6.6
GTEX-18A66-2426-SM-7KFSQ 60-69 years, male 6.6
GTEX-RWS6-1826-SM-47JXX 60-69 years, female 6.6
GTEX-WFG7-1526-SM-4LVMG 20-29 years, male 6.6
GTEX-ZF2S-1926-SM-4WWAN 50-59 years, female 6.6
GTEX-1RAZA-1726-SM-DPS13 20-29 years, male 6.6
GTEX-131XE-0826-SM-5HL9W 50-59 years, male 6.5
GTEX-13O61-1626-SM-5KM3T 60-69 years, male 6.5
GTEX-145MN-1726-SM-5SIA6 30-39 years, male 6.5
GTEX-15ER7-2926-SM-7KUFK 20-29 years, female 6.5
GTEX-XBED-1526-SM-4AT5W 60-69 years, male 6.5
GTEX-1LH75-2126-SM-EVR5F 50-59 years, female 6.5
GTEX-1339X-1626-SM-5IJDN 40-49 years, male 6.4
GTEX-X3Y1-1726-SM-4PQZL 40-49 years, male 6.4
GTEX-ZTSS-1126-SM-5985O 40-49 years, male 6.4
GTEX-13PL7-2526-SM-5IFGR 60-69 years, female 6.3
GTEX-R55G-1226-SM-48FDC 40-49 years, female 6.3
GTEX-YEC4-1926-SM-5IFHJ 40-49 years, male 6.3
GTEX-ZY6K-1226-SM-5GZYL 50-59 years, male 6.3
GTEX-1F75I-2426-SM-9WPOY 40-49 years, male 6.3
GTEX-1KANC-0926-SM-D3LA9 50-59 years, female 6.3
GTEX-15SB6-1226-SM-7KUMP 50-59 years, female 6.2
GTEX-PLZ5-1126-SM-3P613 50-59 years, male 6.2
GTEX-WQUQ-2526-SM-4MVNO 60-69 years, male 6.2
GTEX-XGQ4-1226-SM-4AT67 50-59 years, male 6.2
GTEX-1H11D-2626-SM-9JGH4 40-49 years, male 6.2
GTEX-1NSGN-2326-SM-E9U5X 50-59 years, male 6.2
GTEX-144GM-1226-SM-5LU52 20-29 years, male 6.1
GTEX-14BMU-1526-SM-5TDE6 20-29 years, female 6.1
GTEX-QDVJ-1326-SM-48U1X 50-59 years, male 6.1
GTEX-XYKS-2226-SM-4E3IU 60-69 years, female 6.1
GTEX-1F5PL-2126-SM-7PC2O 40-49 years, female 6.1
GTEX-1LGRB-1426-SM-CNNPT 50-59 years, female 6.1
GTEX-1MGNQ-2026-SM-EAZ51 40-49 years, male 6.1
GTEX-14PJ4-1926-SM-6LLHG 60-69 years, male 6.0
GTEX-15CHR-1426-SM-7DUGV 50-59 years, male 6.0
GTEX-V955-1626-SM-4JBHJ 60-69 years, male 6.0
GTEX-YB5E-1626-SM-5IFIQ 40-49 years, male 6.0
GTEX-15RIE-1826-SM-6M48P 60-69 years, male 5.9
GTEX-PLZ6-0926-SM-3P5ZQ 30-39 years, male 5.9
GTEX-VJYA-2026-SM-4KL1K 60-69 years, male 5.9
GTEX-1LVAM-1626-SM-EV79Y 50-59 years, female 5.9
GTEX-NFK9-2026-SM-3LK5K 40-49 years, male 5.8
GTEX-OHPM-1426-SM-3TW8Y 50-59 years, male 5.8
GTEX-WHSB-0926-SM-4M1XJ 50-59 years, male 5.8
GTEX-Y3IK-1826-SM-4WWDS 50-59 years, female 5.8
GTEX-ZV7C-1526-SM-5NQ72 50-59 years, male 5.8
GTEX-139T6-1326-SM-5IFFO 50-59 years, male 5.7
GTEX-SE5C-1526-SM-4BRWU 40-49 years, female 5.7
GTEX-TKQ2-1326-SM-4DXT9 50-59 years, male 5.7
GTEX-X5EB-0926-SM-46MVT 40-49 years, male 5.7
GTEX-XUW1-1926-SM-4BOP1 50-59 years, female 5.7
GTEX-ZP4G-1726-SM-4WWCM 20-29 years, female 5.7
GTEX-1R7EU-1926-SM-E9U62 60-69 years, male 5.7
GTEX-12C56-0626-SM-5EGGC 20-29 years, male 5.6
GTEX-13D11-0826-SM-5KLZJ 50-59 years, female 5.6
GTEX-QLQW-0426-SM-447A7 30-39 years, male 5.6
GTEX-ZPIC-2226-SM-57WDX 40-49 years, female 5.6
GTEX-1F5PK-1926-SM-7MXT7 50-59 years, male 5.6
GTEX-1B8KZ-1326-SM-7DUG6 50-59 years, male 5.5
GTEX-1C4CL-2126-SM-7IGQC 30-39 years, male 5.5
GTEX-O5YT-1426-SM-3MJHC 20-29 years, male 5.5
GTEX-S4UY-0826-SM-4AD4Z 40-49 years, female 5.5
GTEX-W5WG-2426-SM-4LMI6 50-59 years, female 5.5
GTEX-X15G-1326-SM-4PQZJ 50-59 years, female 5.5
GTEX-Y9LG-1526-SM-4WWDR 30-39 years, male 5.5
GTEX-1GF9U-1526-SM-7MXUW 40-49 years, female 5.5
GTEX-1JK1U-1526-SM-AHZ46 60-69 years, male 5.5
GTEX-1JMPY-0426-SM-C1YQ3 30-39 years, male 5.5
GTEX-15G1A-1826-SM-7KUKO 30-39 years, male 5.4
GTEX-17HGU-2426-SM-7EWDP 50-59 years, male 5.4
GTEX-OIZH-1426-SM-3NB1O 50-59 years, male 5.4
GTEX-RU1J-1326-SM-46MUL 20-29 years, female 5.4
GTEX-1S83E-1626-SM-EV7B9 40-49 years, male 5.4
GTEX-ZG7Y-2126-SM-DO117 50-59 years, male 5.4
GTEX-13PVR-1626-SM-73KVF 60-69 years, female 5.3
GTEX-Q734-1126-SM-48TZY 40-49 years, female 5.3
GTEX-S4Q7-0826-SM-4AD5E 20-29 years, male 5.3
GTEX-1JKYR-1926-SM-C1YR7 20-29 years, male 5.3
GTEX-1LG7Z-1426-SM-CXKYV 30-39 years, male 5.3
GTEX-1QP67-1326-SM-EAZ4D 40-49 years, female 5.3
GTEX-132AR-2726-SM-5PNVN 50-59 years, female 5.2
GTEX-Q2AH-1226-SM-48TZL 40-49 years, male 5.2
GTEX-QDVN-1326-SM-48TZ3 50-59 years, male 5.2
GTEX-133LE-1526-SM-5IFEN 20-29 years, female 5.1
GTEX-14DAR-1526-SM-5RQIX 50-59 years, male 5.1
GTEX-17EUY-1826-SM-7DUEZ 20-29 years, male 5.1
GTEX-PWN1-1426-SM-48TDF 40-49 years, female 5.1
GTEX-ZPCL-1826-SM-57WF1 60-69 years, female 5.1
GTEX-ZDTT-1926-SM-5HL5W 60-69 years, male 5.1
GTEX-139TS-1926-SM-5IJFO 60-69 years, male 5.0
GTEX-14PKV-2126-SM-664O3 20-29 years, female 5.0
GTEX-WFON-1426-SM-4LVMT 40-49 years, male 5.0
GTEX-1H3VY-2426-SM-9WPPD 50-59 years, male 5.0
GTEX-OHPN-2026-SM-E9TIA 60-69 years, female 5.0
GTEX-11I78-1226-SM-5A5K6 50-59 years, female 4.9
GTEX-1211K-1726-SM-5FQUJ 60-69 years, female 4.9
GTEX-1399U-1926-SM-5IFH7 50-59 years, female 4.9
GTEX-1AMFI-1726-SM-7189L 50-59 years, female 4.9
GTEX-P4QT-1426-SM-3NMCX 50-59 years, female 4.9
GTEX-QMRM-1226-SM-447C6 50-59 years, male 4.9
GTEX-U4B1-1126-SM-4DXV3 40-49 years, male 4.9
GTEX-1JN76-1226-SM-C1YRM 20-29 years, female 4.9
GTEX-1PFEY-1426-SM-E9U6U 30-39 years, male 4.9
GTEX-131XG-1826-SM-5LZV4 50-59 years, female 4.8
GTEX-14PK6-1726-SM-6871J 70-79 years, female 4.8
GTEX-18D9U-1926-SM-7KFTM 40-49 years, male 4.8
GTEX-QCQG-1626-SM-48U26 50-59 years, female 4.8
GTEX-S4P3-1226-SM-4AD4Y 50-59 years, female 4.8
GTEX-U3ZM-1126-SM-4DXUB 40-49 years, male 4.8
GTEX-XPVG-1826-SM-4B64X 50-59 years, male 4.8
GTEX-YF7O-1726-SM-5IFJ9 50-59 years, male 4.8
GTEX-ZDYS-2326-SM-4WKG6 50-59 years, male 4.8
GTEX-QV31-0826-SM-CKZNC 30-39 years, male 4.8
GTEX-11LCK-2026-SM-5A5MA 30-39 years, male 4.7
GTEX-1399R-2226-SM-5P9JB 30-39 years, male 4.7
GTEX-146FQ-1926-SM-5NQBY 30-39 years, male 4.7
GTEX-147F3-1926-SM-5SIB9 50-59 years, female 4.7
GTEX-18D9A-1126-SM-7KFRJ 30-39 years, female 4.7
GTEX-R55C-1126-SM-48FCJ 40-49 years, male 4.7
GTEX-1HCU9-1326-SM-B2LXT 20-29 years, male 4.7
GTEX-WOFM-2026-SM-4OOSQ 20-29 years, male 4.6
GTEX-ZLV1-1226-SM-4WWBX 60-69 years, female 4.6
GTEX-1JKYN-2326-SM-CGQG7 30-39 years, male 4.6
GTEX-YEC3-2426-SM-DO11A 50-59 years, male 4.6
GTEX-13111-0726-SM-5DUVE 50-59 years, male 4.5
GTEX-R55D-1826-SM-48FEF 50-59 years, male 4.5
GTEX-XBEW-1926-SM-4SOJO 40-49 years, male 4.5
GTEX-XV7Q-2126-SM-4BRVX 40-49 years, female 4.5
GTEX-1QP9N-1026-SM-E6CPX 30-39 years, male 4.5
GTEX-Q2AI-0926-SM-48U1F 40-49 years, male 4.4
GTEX-TML8-1326-SM-4DXTO 40-49 years, female 4.4
GTEX-WH7G-1326-SM-4LVMS 40-49 years, male 4.4
GTEX-ZVT2-1926-SM-5GU5T 50-59 years, female 4.4
GTEX-1H1E6-1926-SM-9OSWD 30-39 years, male 4.3
GTEX-1I4MK-1126-SM-B2LWS 50-59 years, female 4.3
GTEX-13X6H-1926-SM-7EWD3 50-59 years, female 4.2
GTEX-145LT-0926-SM-5LU9C 40-49 years, male 4.2
GTEX-PWCY-1026-SM-48TD4 20-29 years, female 4.2
GTEX-U3ZN-2126-SM-4DXU1 30-39 years, female 4.2
GTEX-111CU-1426-SM-5GZYP 50-59 years, male 4.1
GTEX-SNOS-1226-SM-4DM5H 40-49 years, male 4.1
GTEX-UJMC-1326-SM-4IHLS 50-59 years, male 4.1
GTEX-1KANA-1926-SM-DHXKF 20-29 years, male 4.1
GTEX-16AAH-1326-SM-7KFRG 50-59 years, male 3.9
GTEX-OXRK-1726-SM-3NB16 50-59 years, female 3.9
GTEX-15RIF-1326-SM-6LPKO 20-29 years, male 3.8
GTEX-T5JW-1126-SM-4DM5V 20-29 years, female 3.8
GTEX-11TT1-1026-SM-5PNW7 20-29 years, male 3.7
GTEX-13QBU-1826-SM-5IJG3 40-49 years, female 3.7
GTEX-13S86-1626-SM-5Q5C5 40-49 years, male 3.7
GTEX-UJHI-1126-SM-4IHLN 50-59 years, female 3.7
GTEX-1GF9X-1526-SM-7P8QP 40-49 years, female 3.7
GTEX-1J1R8-1126-SM-CNPQ3 40-49 years, male 3.7
GTEX-OOBJ-1426-SM-E6CHH 60-69 years, male 3.7
GTEX-14PHX-1526-SM-68717 50-59 years, male 3.6
GTEX-1HSEH-1726-SM-B2LXH 60-69 years, male 3.5
GTEX-1B8KE-1926-SM-731EE 50-59 years, male 3.3
GTEX-1K2DA-2026-SM-CGQGK 50-59 years, male 3.3
GTEX-1399S-1926-SM-5J2M5 30-39 years, female 3.2
GTEX-1IKOE-2026-SM-AHZ31 30-39 years, female 3.2
GTEX-1122O-1526-SM-5N9CL 60-69 years, female 3.1
GTEX-1CAMR-0926-SM-7MXTD 20-29 years, male 3.1
GTEX-ZT9W-1826-SM-51MQX 50-59 years, male 2.9
GTEX-Y5LM-1526-SM-4VDTA 40-49 years, female 2.8
GTEX-14E6E-1526-SM-5RQIG 30-39 years, male 2.7
GTEX-14XAO-2026-SM-69LOI 60-69 years, female 2.7
GTEX-11DXX-1826-SM-5H126 60-69 years, female 2.5
GTEX-XUZC-1326-SM-4BRV2 30-39 years, female 2.3
GTEX-13O21-2426-SM-5MR4A 50-59 years, male 2.2
Show allShow less

COLON - FANTOM5 CAGEi

RNA expression in human tissues obtained through Cap Analysis of Gene Expression (CAGE) generated by the FANTOM5 project are reported as Scaled Tags Per Million.

Max subtype Scaled Tags Per Millioni

Max subtype Scaled Tags Per Million is the value for the subtype with the largest average Scaled Tags Per Million across the subtype samples.

105.2
FANTOM5 sample id Sample description Scaled Tags Per Million
Colon
Scaled Tags Per Million: 105.2
FF:10014-101C5 62,83,84 years, mixed 105.2

Contact

  • NEWS ARTICLES
  • PRESS ROOM

The Project

  • INTRODUCTION
  • ORGANIZATION
  • PUBLICATIONS

The Human Protein Atlas

  • DOWNLOADABLE DATA
  • LICENCE & CITATION
  • HELP & FAQ
The Human Protein Atlas project is funded
by the Knut & Alice Wallenberg Foundation.


contact@proteinatlas.org