We use cookies to enhance the usability of our website. If you continue, we'll assume that you are happy to receive all cookies. More information. Don't show this again.
MEF2C
HPA
RESOURCES
  • TISSUE
  • BRAIN
  • SINGLE CELL
  • SUBCELLULAR
  • CANCER
  • BLOOD
  • CELL LINE
  • STRUCTURE & INTERACTION
ABOUT
  • INTRODUCTION
  • HISTORY
  • ORGANIZATION
  • PUBLICATIONS
  • ANTIBODY SUBMISSION
  • ANTIBODY AVAILABILITY
  • ACKNOWLEDGMENTS
  • CONTACT
NEWS
  • NEWS ARTICLES
  • PRESS ROOM
LEARN
  • DICTIONARY
  • PROTEIN CLASSES
  • PROTEIN EVIDENCE
  • METHODS
  • EDUCATIONAL VIDEOS
DATA
  • DOWNLOADABLE DATA
  • PUBLICATION DATA
  • RELEASE HISTORY
HELP
  • ANTIBODY VALIDATION
  • ASSAYS & ANNOTATION
  • DISCLAIMER
  • HELP & FAQ
  • PRIVACY STATEMENT
  • LICENCE & CITATION
Fields »
Search result

Field
Term
Gene name
Class
Subclass
Class
Keyword
Chromosome
External id
Tissue
Cell type
Expression
Antibody panel
Tissue
Main location
Patient ID
Annotation
Tissue
Category
Tau score
Cluster
Reliability
Brain region
Category
Tau score
Brain region
Category
Tau score
Brain region
Category
Tau score
Cluster
Reliability
Tissue
Cell type
Enrichment
Cell type
Category
Tau score
Cell type
Category
Tau score
Cell type
Category
Tau score
Cell lineage
Category
Tau score
Cluster
Cluster
Location
Searches
Location
Cell line
Class
Type
Phase
Reliability
Cancer
Prognosis
Cancer
Category
Cancer
Category
Tau score
Cluster
Variants
Interacting gene (ensg_id)
Type
Number of interactions
Pathway
Category
Score
Score
Score
Validation
Validation
Validation
Validation
Antibodies
Data type
Column


  • SUMMARY

  • TISSUE

  • BRAIN

  • SINGLE CELL

  • SUBCELL

  • CANCER

  • BLOOD

  • CELL LINE

  • STRUCT & INT

  • MEF2C
TISSUE PRIMARY DATA SKELETAL MUSCLE Show tissue menu
ADIPOSE TISSUE ADRENAL GLAND AMYGDALA APPENDIX BASAL GANGLIA BONE MARROW BREAST BRONCHUS CEREBELLUM CEREBRAL CORTEX CERVIX CHOROID PLEXUS COLON DUODENUM
ENDOMETRIUM EPIDIDYMIS ESOPHAGUS FALLOPIAN TUBE GALLBLADDER HEART MUSCLE HIPPOCAMPAL FORMATION HYPOTHALAMUS KIDNEY LIVER LUNG LYMPH NODE MIDBRAIN NASOPHARYNX
ORAL MUCOSA OVARY PANCREAS PARATHYROID GLAND PITUITARY GLAND PLACENTA PROSTATE RECTUM RETINA SALIVARY GLAND SEMINAL VESICLE SKELETAL MUSCLE SKIN SMALL INTESTINE
SMOOTH MUSCLE SOFT TISSUE SPINAL CORD SPLEEN STOMACH TESTIS THYMUS THYROID GLAND TONGUE TONSIL URINARY BLADDER VAGINA
ANTIBODIES
AND
VALIDATION
Dictionary
Skeletal muscle
Tissue proteome
Skeletal muscle
SKELETAL MUSCLE - Expression summary
Protein expression
Skeletal musclei

On the top, protein expression in current human tissue, based on all annotated cell types, is reported with the units not detected (n), low (l), medium (m) and high (h). Underneath, protein expression in each annotated cell type are reported using the same units.

Protein expression data is based on knowledge-based annotation. For genes where more than one antibody has been used, a collective score is set.

If knowledge-based annotation could not be performed for a gene, no data is displayed here. View antibody staining data further down this page.

h
m
l
n
Myocytes: High
RNA expressioni

A summary of mRNA expression data available for current tissue based on several datasets. The mRNA expression levels in human tissues are based on RNA-seq data generated by the Human Protein Atlas (HPA), Genotype-Tissue Expression (GTEx) portal and CAGE data generated by the FANTOM5 consortium. Consensus normalized expression levels for human tissues was created by combining the data from HPA and GTEx datasets.

The mRNA expression levels in pig are based on RNA-seq data generated by the Human Protein Atlas (HPA), and for mouse, HPA data and in situ hybridization generated by the Allen brain atlas are reported.

Scroll down to view mRNA expression data in more detail.
Consensus:537.8 nTPM
HPA:537.8 nTPM
GTEx:156.5 nTPM
FANTOM5:197.5 Scaled Tags Per Million

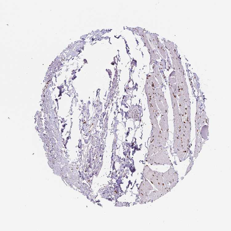
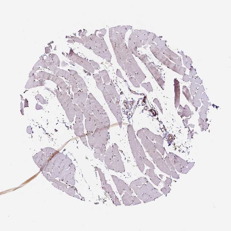
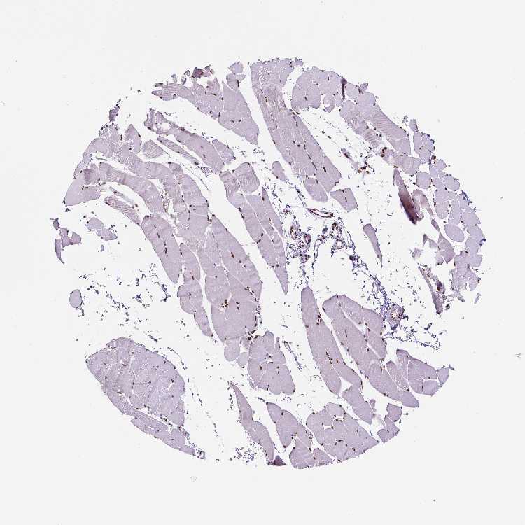
SKELETAL MUSCLE - Antibody stainingi

Antibody staining in the annotated cell types in the current human tissue is reported as not detected, low, medium, or high, based on conventional immunohistochemistry profiling in selected tissues. This score is based on the combination of the staining intensity and fraction of stained cells.

Each image is clickable and will lead to virtual microscopy that enables deeper exploration of all samples and also displays staining intensity scores, fraction scores and subcellular localization as well as patient and tissue information for each sample.

Antibody HPA005533Antibody CAB068196Antibody CAB068197
Myocytes LowHighMedium







SKELETAL MUSCLE - HPA RNA-seqi

The RNA-seq details section shows detailed information about the individual samples used for the transcript profiling and results of the RNA-seq analysis.

Information about each individual sample is listed below, including gender, age, a tissue section image and estimated fractions of cell types. nTPM (normalized transcripts per million) values give a quantification of the gene abundance which is comparable between different genes and samples.
Average nTPMi

Max subtype nTPM is the value for the subtype with the largest average nTPM across the subtype samples.

537.8
N/A
Male, age 23
Skeletal muscle sample 339
nTPM: 691.1
N/A
Female, age 25
Skeletal muscle sample 340
nTPM: 541.7
N/A
Female, age -
Skeletal muscle sample 341
nTPM: 414.5
N/A
Female, age 22
Skeletal muscle sample 342
nTPM: 512.5
N/A
Male, age 29
Skeletal muscle sample 343
nTPM: 529

SKELETAL MUSCLE - GTEx RNA-seqi

RNA-Seq data generated by the Genotype-Tissue Expression (GTEx) project from human tissues is reported as mean nTPM. More information can be found on the GTEx portal.

Distribution across the dataset is visualized with box plots, shown as median and 25th and 75th percentiles. Points are displayed as outliers if they are above or below 1.5 times the interquartile range. nTPM values of the individual samples are presented next to the box plot.
Max subtype nTPMi

Max subtype nTPM is the value for the subtype with the largest average nTPM across the subtype samples.

156.5
GTEx sample id Sample description nTPM
Muscle - Skeletal
Average nTPM: 156.5
Samples: 803

Max nTPM: 640.3
Min nTPM: 11.0
Std nTPM: 124.4
Median nTPM: 112.4
GTEX-1GN73-0126-SM-CNPPT 60-69 years, male 640.3
GTEX-XUYS-0326-SM-47JX2 50-59 years, male 633.5
GTEX-131XW-0326-SM-5KM1J 50-59 years, female 627.7
GTEX-14ABY-0126-SM-62LDI 50-59 years, male 599.3
GTEX-1EN7A-0326-SM-7P8T1 40-49 years, male 588.9
GTEX-1I1GQ-0326-SM-A9SKS 50-59 years, male 588.7
GTEX-14A6H-5019-SM-793DH 30-39 years, male 584.8
GTEX-1CB4G-0426-SM-7MXUN 60-69 years, male 577.6
GTEX-1C4CL-0326-SM-7DHMH 30-39 years, male 538.2
GTEX-13FHP-0526-SM-5K7UY 50-59 years, male 513.8
GTEX-ZDXO-0326-SM-4WKHJ 60-69 years, male 511.2
GTEX-12ZZY-0626-SM-5EQ5T 60-69 years, male 497.7
GTEX-12WSC-0326-SM-5EQ5E 50-59 years, male 487.2
GTEX-1E1VI-0426-SM-7DHN1 50-59 years, male 486.8
GTEX-14E6D-0326-SM-62LDX 50-59 years, male 474.1
GTEX-12126-0526-SM-5PNW4 20-29 years, male 462.7
GTEX-13VXU-0326-SM-5LU36 50-59 years, male 453.4
GTEX-11OC5-0326-SM-5PNW5 60-69 years, male 452.6
GTEX-13OW7-0326-SM-5J1MP 50-59 years, male 448.0
GTEX-14BMV-0326-SM-5RQHW 50-59 years, male 446.6
GTEX-17HII-0426-SM-793A3 50-59 years, male 446.4
GTEX-1F6IF-0226-SM-7PBZ6 60-69 years, male 439.1
GTEX-13X6J-0326-SM-7EPGD 50-59 years, male 439.0
GTEX-1BAJH-0126-SM-7DHMF 70-79 years, male 433.9
GTEX-11DXW-0726-SM-5H12J 40-49 years, male 433.6
GTEX-SJXC-0526-SM-2XCFG 60-69 years, male 430.0
GTEX-QESD-1626-SM-2S1RB 20-29 years, male 427.3
GTEX-14PK6-2126-SM-6ETZV 70-79 years, female 426.0
GTEX-15SDE-2326-SM-6PAL4 50-59 years, female 424.3
GTEX-1B8SF-0426-SM-79OL4 60-69 years, male 421.1
GTEX-WK11-2526-SM-3NM9Y 50-59 years, male 418.7
GTEX-1IKOH-0126-SM-COH4D 60-69 years, female 417.1
GTEX-1C6VR-2526-SM-7DHMT 60-69 years, male 416.1
GTEX-11ZVC-2726-SM-5FQSZ 50-59 years, female 415.2
GTEX-1F75A-0626-SM-7PBYI 50-59 years, male 415.2
GTEX-1AX9I-0326-SM-73KXQ 60-69 years, male 413.5
GTEX-1QEPI-0526-SM-E76QF 60-69 years, female 411.7
GTEX-13PVQ-0326-SM-5K7YF 50-59 years, male 410.5
GTEX-13OVL-1426-SM-5IJC1 50-59 years, male 410.0
GTEX-1GZHY-0126-SM-9WYUQ 50-59 years, female 405.9
GTEX-17HHY-0326-SM-7938H 50-59 years, male 405.5
GTEX-1IDJH-0226-SM-CYPSB 70-79 years, male 404.5
GTEX-18A7A-0626-SM-718BJ 50-59 years, female 401.3
GTEX-ZUA1-0326-SM-5NQA3 40-49 years, male 401.1
GTEX-13FXS-0326-SM-5K7TV 50-59 years, male 401.0
GTEX-ZYT6-1626-SM-5E45R 30-39 years, male 397.6
GTEX-1PPGY-0426-SM-DTXFE 60-69 years, male 388.8
GTEX-16GPK-0526-SM-7KUER 60-69 years, male 388.7
GTEX-12WSD-0526-SM-5EQ6F 60-69 years, female 387.3
GTEX-13OW6-0626-SM-5L3IB 50-59 years, male 386.9
GTEX-14DAQ-0326-SM-664MR 60-69 years, female 385.6
GTEX-SIU8-0526-SM-2XCDP 50-59 years, male 383.0
GTEX-14JIY-0426-SM-62LF7 60-69 years, male 380.8
GTEX-14JG1-0126-SM-5ZZUP 40-49 years, male 379.6
GTEX-14PJM-0426-SM-5ZZVN 50-59 years, female 378.7
GTEX-1I1HK-0326-SM-ACKW5 60-69 years, male 378.0
GTEX-WRHU-0826-SM-3MJFN 50-59 years, female 376.4
GTEX-13OW8-1426-SM-5IJDT 60-69 years, male 376.0
GTEX-1LBAC-0326-SM-DIPF1 20-29 years, male 372.7
GTEX-1IY9M-0326-SM-ARZMN 60-69 years, male 371.9
GTEX-1F75W-0326-SM-7PC2Q 60-69 years, male 370.6
GTEX-Q734-2026-SM-3GADA 40-49 years, female 370.2
GTEX-1EMGI-0326-SM-9MQM5 60-69 years, male 369.7
GTEX-1QMI2-0526-SM-DTXFU 60-69 years, male 367.5
GTEX-ZDTS-0526-SM-4WKH9 60-69 years, male 366.9
GTEX-131YS-0526-SM-5EGKJ 60-69 years, female 366.5
GTEX-18A6Q-0326-SM-718AT 60-69 years, male 366.2
GTEX-12C56-1926-SM-5FQUG 20-29 years, male 363.5
GTEX-145LU-2026-SM-5Q5E8 50-59 years, male 362.4
GTEX-117XS-2526-SM-5H11G 60-69 years, male 362.0
GTEX-17HG3-2726-SM-7DHL5 30-39 years, female 360.3
GTEX-1313W-0526-SM-5P9FZ 50-59 years, female 355.4
GTEX-1GMRU-0326-SM-9WYT6 50-59 years, male 354.2
GTEX-1KWVE-0926-SM-CXZKP 30-39 years, male 352.5
GTEX-11NUK-0226-SM-5A5L4 50-59 years, male 349.7
GTEX-1I1GR-0326-SM-CKZPI 60-69 years, male 347.6
GTEX-R55E-0526-SM-2TC6B 20-29 years, male 347.4
GTEX-1EX96-1526-SM-7PBXK 50-59 years, male 345.6
GTEX-1KD4Q-0326-SM-E9TJA 40-49 years, male 345.3
GTEX-T6MN-0526-SM-32PMS 50-59 years, male 344.8
GTEX-13NZ9-0626-SM-5IJCO 50-59 years, male 343.9
GTEX-1C64N-0326-SM-7P8QC 50-59 years, male 343.6
GTEX-11GSO-2526-SM-5PNVX 60-69 years, male 343.2
GTEX-17MFQ-1926-SM-793A6 20-29 years, male 342.1
GTEX-11PRG-0326-SM-5GU53 50-59 years, male 340.8
GTEX-117YW-2426-SM-5Q5AE 50-59 years, male 338.2
GTEX-RWSA-0726-SM-2XCBE 40-49 years, male 337.9
GTEX-RN64-0326-SM-2TC5J 50-59 years, male 337.4
GTEX-Z93S-1326-SM-5CVMR 50-59 years, male 336.1
GTEX-11NV4-0326-SM-5HL58 60-69 years, male 335.9
GTEX-ZLFU-2526-SM-DO91K 40-49 years, male 335.6
GTEX-15RIE-2426-SM-7KUDS 60-69 years, male 334.4
GTEX-1QP6S-0426-SM-DTXG4 40-49 years, male 333.8
GTEX-ZVT3-0526-SM-5GIE9 60-69 years, female 333.4
GTEX-ZAK1-0526-SM-5K7X4 50-59 years, female 330.5
GTEX-1J8JJ-0126-SM-D3L93 60-69 years, female 330.3
GTEX-S7PM-0526-SM-3NM92 60-69 years, male 329.7
GTEX-Y8DK-0326-SM-4TT3P 60-69 years, male 326.0
GTEX-YJ8O-2826-SM-5CVM4 40-49 years, female 325.2
GTEX-13FTZ-2226-SM-5LZXI 60-69 years, male 325.0
GTEX-17JCI-0326-SM-7LG5H 60-69 years, female 324.7
GTEX-ZAKK-0326-SM-5EGHA 70-79 years, male 322.9
GTEX-1EU9M-0126-SM-7P8P8 60-69 years, male 321.4
GTEX-1JMQJ-0126-SM-E6CI2 50-59 years, male 320.1
GTEX-1GF9V-0126-SM-9WYT2 60-69 years, male 319.8
GTEX-OXRP-2326-SM-2S1NL 60-69 years, female 317.8
GTEX-11DXZ-2426-SM-5N9DT 50-59 years, male 317.1
GTEX-QEG4-0626-SM-2S1OY 30-39 years, male 316.8
GTEX-11DXY-2726-SM-5GID2 60-69 years, male 315.7
GTEX-1HSKV-0126-SM-E6CI1 60-69 years, male 315.5
GTEX-144GL-0326-SM-5QGOY 50-59 years, male 315.0
GTEX-X4EO-0526-SM-3P5Z3 60-69 years, female 314.4
GTEX-1GN2E-0726-SM-9MQLU 60-69 years, male 312.1
GTEX-1A8G7-0326-SM-72D5B 60-69 years, male 311.6
GTEX-1I1GP-2126-SM-CKZPJ 50-59 years, male 310.9
GTEX-1IL2U-0726-SM-EAZ2Y 60-69 years, male 307.5
GTEX-1LSNL-0126-SM-EWRNR 50-59 years, male 307.4
GTEX-11ZUS-1426-SM-5FQSP 30-39 years, male 305.7
GTEX-16Z82-0126-SM-7DHLF 60-69 years, male 302.1
GTEX-1N2EF-0526-SM-E76OK 60-69 years, male 301.4
GTEX-QLQ7-1726-SM-2S1QQ 60-69 years, male 300.0
GTEX-111VG-2626-SM-5GZY2 60-69 years, male 297.1
GTEX-X638-0326-SM-47JY1 70-79 years, female 296.0
GTEX-1EWIQ-0626-SM-7PBYW 70-79 years, female 296.0
GTEX-113JC-2726-SM-5EGIS 50-59 years, female 295.4
GTEX-ZVTK-0626-SM-5GU6Y 20-29 years, male 295.2
GTEX-16NPX-0626-SM-7KULB 50-59 years, male 292.5
GTEX-1IKJJ-0326-SM-CL55L 60-69 years, male 291.0
GTEX-1HCU6-0526-SM-A9SKU 60-69 years, female 290.1
GTEX-1IL2V-0526-SM-ARL8B 70-79 years, male 289.6
GTEX-1IDJF-0326-SM-ADEIG 20-29 years, male 289.2
GTEX-13112-2626-SM-5BC66 50-59 years, male 288.8
GTEX-11ZTS-0526-SM-5CVL9 60-69 years, female 288.3
GTEX-13G51-2726-SM-5LZZ9 60-69 years, male 288.0
GTEX-1F6I4-0326-SM-7P8T8 60-69 years, male 286.9
GTEX-RNOR-0526-SM-2TF4O 50-59 years, female 285.2
GTEX-17HHE-2126-SM-7DHLO 50-59 years, male 280.5
GTEX-YECK-0626-SM-4W1ZE 60-69 years, male 280.3
GTEX-1399T-2426-SM-5L3FJ 60-69 years, male 280.1
GTEX-1LB8K-0126-SM-EVYCN 50-59 years, male 279.8
GTEX-139TU-0526-SM-5J2M8 60-69 years, male 279.6
GTEX-1N2DW-0426-SM-E9TK4 50-59 years, male 278.4
GTEX-1PIIG-0126-SM-E9J46 30-39 years, male 278.2
GTEX-16YQH-0426-SM-7KUL7 30-39 years, male 275.2
GTEX-PW2O-1726-SM-2S1OO 20-29 years, male 275.2
GTEX-15UF7-2226-SM-6PAMQ 40-49 years, male 274.2
GTEX-U8XE-0726-SM-3DB8O 30-39 years, male 274.2
GTEX-1212Z-2626-SM-5YY8P 60-69 years, male 274.1
GTEX-11GSP-2726-SM-5A5LJ 60-69 years, female 273.3
GTEX-POMQ-1926-SM-3NB1Y 20-29 years, female 273.3
GTEX-17EVP-1326-SM-7DHMR 40-49 years, male 272.9
GTEX-Y5V5-2526-SM-4VBQ4 60-69 years, female 272.2
GTEX-13QJ3-0726-SM-5SI68 50-59 years, male 271.7
GTEX-15CHQ-0726-SM-6EU18 60-69 years, male 271.6
GTEX-15ER7-0226-SM-7KUEU 20-29 years, female 271.5
GTEX-OIZG-1326-SM-2HMIQ 50-59 years, male 271.1
GTEX-1AYD5-2226-SM-73KX3 50-59 years, male 271.0
GTEX-12WSL-2726-SM-5CVNL 50-59 years, male 270.0
GTEX-15RJ7-2426-SM-6M48L 40-49 years, male 269.6
GTEX-1B8L1-2726-SM-793AL 60-69 years, male 268.0
GTEX-147JS-0526-SM-5TDD3 60-69 years, male 267.1
GTEX-13CF2-2726-SM-5LZWW 60-69 years, male 266.6
GTEX-13RTL-0326-SM-7LT89 40-49 years, male 266.4
GTEX-QXCU-1726-SM-2TC6L 50-59 years, male 265.7
GTEX-1HT8W-0326-SM-CM2SG 30-39 years, male 263.8
GTEX-1IDJE-2426-SM-ACKWF 50-59 years, female 263.3
GTEX-1CB4F-0326-SM-9MQKD 60-69 years, male 263.2
GTEX-1B8SG-0326-SM-73KXW 50-59 years, male 258.8
GTEX-1IOXB-0326-SM-CL55M 50-59 years, male 258.7
GTEX-11GS4-2526-SM-5A5KT 60-69 years, male 258.0
GTEX-145MH-0326-SM-5LU8H 50-59 years, male 257.9
GTEX-132NY-0726-SM-5KLZM 60-69 years, male 256.9
GTEX-YBZK-0326-SM-59HLN 50-59 years, female 256.0
GTEX-ZAB4-0426-SM-5HL7N 40-49 years, male 255.4
GTEX-1HBPI-0226-SM-ADEJ7 50-59 years, male 254.0
GTEX-1B933-0426-SM-7DHMC 50-59 years, female 253.2
GTEX-145MG-0226-SM-5TDDB 50-59 years, male 252.6
GTEX-12ZZX-0326-SM-5DUVH 40-49 years, female 252.4
GTEX-18A67-0326-SM-7LG5X 50-59 years, male 251.9
GTEX-U3ZN-2226-SM-3DB88 30-39 years, female 251.2
GTEX-13SLX-0326-SM-5Q5E4 50-59 years, female 251.0
GTEX-1A8FM-0526-SM-7P8SF 50-59 years, female 245.9
GTEX-1RQEC-0126-SM-E9J2H 60-69 years, male 243.1
GTEX-11WQC-2626-SM-5CVLF 60-69 years, male 242.5
GTEX-18465-0326-SM-7LTAD 50-59 years, male 241.6
GTEX-1LVA9-0326-SM-DLHBU 50-59 years, male 241.0
GTEX-139TS-2626-SM-5J1MT 60-69 years, male 240.1
GTEX-SSA3-0326-SM-32QPS 60-69 years, male 240.0
GTEX-1JJEA-0126-SM-D3L8A 60-69 years, male 239.2
GTEX-1A8G6-0126-SM-7DUFY 60-69 years, male 238.7
GTEX-147F4-0326-SM-5TDCK 50-59 years, male 237.6
GTEX-1B8KZ-2126-SM-73KYG 50-59 years, male 236.6
GTEX-1RAZA-0526-SM-E76R2 20-29 years, male 235.4
GTEX-111FC-0326-SM-5GZZ1 60-69 years, male 235.2
GTEX-1F7RK-0326-SM-7RHH7 20-29 years, female 234.9
GTEX-Y3IK-2626-SM-4WWDK 50-59 years, female 234.6
GTEX-ZVZO-0326-SM-5HL4N 40-49 years, male 233.5
GTEX-1I1GV-0126-SM-CL55G 60-69 years, male 233.4
GTEX-1H3O1-0626-SM-9MQM4 60-69 years, male 233.2
GTEX-1JMLX-0326-SM-CM2RP 50-59 years, male 232.1
GTEX-15SHW-0726-SM-7KUEI 60-69 years, male 231.3
GTEX-1A32A-0526-SM-731B9 50-59 years, female 231.3
GTEX-16XZY-2226-SM-7938N 70-79 years, male 230.7
GTEX-13S86-2326-SM-5RQK1 40-49 years, male 230.3
GTEX-1H3VY-0326-SM-9WYU6 50-59 years, male 230.3
GTEX-1HBPH-0826-SM-ARZNB 40-49 years, female 229.4
GTEX-1KANB-0126-SM-E6CJT 50-59 years, male 229.0
GTEX-XQ3S-0426-SM-4BOOA 20-29 years, male 228.9
GTEX-13S7M-0326-SM-5S2PH 60-69 years, female 228.1
GTEX-XBEC-0626-SM-4QARY 50-59 years, male 227.9
GTEX-15DCD-0626-SM-7KUG7 70-79 years, female 226.8
GTEX-S33H-2226-SM-DKPOP 30-39 years, male 226.6
GTEX-WZTO-0826-SM-3NM8Q 40-49 years, male 226.3
GTEX-1HFI6-0426-SM-B2LXB 40-49 years, male 226.0
GTEX-13U4I-1826-SM-5IJD2 40-49 years, female 224.5
GTEX-ZTX8-1626-SM-51MRY 20-29 years, male 223.9
GTEX-139TT-0426-SM-5IJFA 60-69 years, male 220.6
GTEX-1I6K7-0326-SM-B2LXO 40-49 years, male 220.3
GTEX-13OVK-1926-SM-6M48G 40-49 years, male 219.8
GTEX-ZYFC-0526-SM-5GIDF 50-59 years, male 218.9
GTEX-N7MS-0426-SM-2YUN6 60-69 years, male 218.4
GTEX-131XH-2726-SM-5GCO2 50-59 years, male 217.6
GTEX-WL46-0626-SM-3LK7R 50-59 years, male 215.8
GTEX-TKQ2-0826-SM-33HB6 50-59 years, male 215.2
GTEX-REY6-0826-SM-2TF4S 60-69 years, male 214.6
GTEX-13NZA-0526-SM-5L3D7 60-69 years, male 214.1
GTEX-1F88F-2526-SM-7PC2R 60-69 years, female 212.1
GTEX-13O3O-0526-SM-5J1NL 60-69 years, female 210.7
GTEX-14BIL-0326-SM-5SI9Q 50-59 years, male 210.2
GTEX-1JN6P-0526-SM-COH33 60-69 years, male 210.0
GTEX-Y111-0326-SM-4SOIX 50-59 years, male 209.3
GTEX-11OF3-2526-SM-5P9JL 60-69 years, male 208.8
GTEX-1MCQQ-0626-SM-E9U5Q 60-69 years, male 208.7
GTEX-1J8EW-0326-SM-CYPSX 60-69 years, female 204.2
GTEX-ZAB5-2126-SM-5K7UN 50-59 years, male 204.0
GTEX-13N1W-0526-SM-5MR4I 70-79 years, male 203.7
GTEX-ZF2S-2126-SM-4WWAY 50-59 years, female 202.5
GTEX-14ASI-0526-SM-5QGQP 60-69 years, male 201.8
GTEX-13FTY-0226-SM-5IJBW 40-49 years, female 200.7
GTEX-1PIGE-0226-SM-E76OT 20-29 years, male 199.6
GTEX-Y9LG-1926-SM-5IFHY 30-39 years, male 198.3
GTEX-1B932-0526-SM-73KU7 40-49 years, female 197.0
GTEX-18QFQ-0326-SM-731C3 30-39 years, male 194.9
GTEX-15SB6-1826-SM-6PALN 50-59 years, female 194.4
GTEX-XOT4-0526-SM-4B66O 60-69 years, female 194.4
GTEX-12584-0526-SM-5FQTS 40-49 years, male 193.9
GTEX-YFC4-1026-SM-5RQJM 40-49 years, female 192.6
GTEX-11UD2-0326-SM-5EQLE 50-59 years, male 191.7
GTEX-13OVG-2126-SM-5KM1K 60-69 years, male 191.5
GTEX-1GMR3-2126-SM-9WYTZ 40-49 years, male 191.4
GTEX-15DZA-2026-SM-6PANE 30-39 years, female 190.2
GTEX-12ZZZ-0226-SM-59HKU 60-69 years, male 189.1
GTEX-T2IS-2626-SM-32QPP 20-29 years, female 188.6
GTEX-17KNJ-2426-SM-7DHLR 50-59 years, male 188.0
GTEX-1IGQW-0526-SM-CKZO3 60-69 years, male 187.9
GTEX-1S82U-1426-SM-E6CJL 30-39 years, female 185.2
GTEX-R53T-1826-SM-3GIJX 50-59 years, female 184.5
GTEX-1R9K5-0326-SM-EWRNG 50-59 years, male 184.1
GTEX-TMZS-0326-SM-3DB9P 60-69 years, male 183.9
GTEX-12WSG-5016-SM-7SB84 50-59 years, female 183.6
GTEX-1GZ2Q-0426-SM-9WPOU 40-49 years, male 183.6
GTEX-146FQ-0326-SM-5NQAX 30-39 years, male 183.5
GTEX-1IKK5-0426-SM-CL53X 60-69 years, male 182.9
GTEX-PX3G-1626-SM-2S1PT 20-29 years, female 182.4
GTEX-1LG7Y-0126-SM-E6CJ8 50-59 years, male 181.5
GTEX-1N2DV-0526-SM-DTX8W 40-49 years, male 180.8
GTEX-1GPI6-0326-SM-9MQM6 60-69 years, male 180.2
GTEX-139UW-2626-SM-5K7W1 60-69 years, male 179.2
GTEX-QDVJ-1926-SM-2S1PJ 50-59 years, male 177.5
GTEX-1H1CY-2726-SM-9MQLR 60-69 years, female 177.5
GTEX-1GZ4I-0526-SM-9YFLX 50-59 years, male 176.3
GTEX-WHPG-2226-SM-3NMBO 50-59 years, male 176.2
GTEX-ZY6K-2026-SM-5GZXQ 50-59 years, male 175.6
GTEX-WOFM-1326-SM-3MJFR 20-29 years, male 174.9
GTEX-1GPI7-0426-SM-7RHHP 20-29 years, male 172.5
GTEX-OHPN-2726-SM-2I5H4 60-69 years, female 172.4
GTEX-QLQW-1326-SM-2S1QS 30-39 years, male 172.2
GTEX-1I6K6-0326-SM-CJI4A 30-39 years, male 171.7
GTEX-13X6K-0326-SM-5Q5D6 60-69 years, female 171.1
GTEX-OIZI-0626-SM-2XCEH 40-49 years, male 169.6
GTEX-1PIEJ-0326-SM-EVYB5 20-29 years, female 168.9
GTEX-14A5H-0326-SM-5RQIB 60-69 years, male 168.8
GTEX-14LZ3-0626-SM-5ZZWP 60-69 years, female 167.8
GTEX-1IDJC-2026-SM-ADEIK 50-59 years, male 166.9
GTEX-15D79-0526-SM-6ETZP 50-59 years, male 166.2
GTEX-145LS-0526-SM-5LU8Y 60-69 years, female 164.3
GTEX-1314G-1726-SM-5LZUX 30-39 years, male 163.9
GTEX-17HGU-0626-SM-7939Y 50-59 years, male 163.5
GTEX-ZVT4-0326-SM-51MS5 50-59 years, female 163.5
GTEX-1399R-2526-SM-5IFG2 30-39 years, male 160.9
GTEX-Y114-2526-SM-4TT8M 50-59 years, female 160.7
GTEX-1RAZQ-0426-SM-DTXFQ 30-39 years, male 160.2
GTEX-VJWN-0426-SM-3GIJI 50-59 years, female 159.7
GTEX-ZT9X-1826-SM-57WDU 40-49 years, male 158.7
GTEX-ZXG5-0326-SM-5GICH 60-69 years, male 157.5
GTEX-1C6WA-0326-SM-7DUGE 60-69 years, male 156.6
GTEX-18D9U-0626-SM-7LTA4 40-49 years, male 156.3
GTEX-1RB15-2226-SM-DTXFZ 60-69 years, male 155.9
GTEX-T5JC-0626-SM-3NMA6 20-29 years, male 155.8
GTEX-1HCUA-2326-SM-ACKVJ 50-59 years, female 155.4
GTEX-OHPL-1626-SM-2HMIR 60-69 years, female 155.3
GTEX-1MA7W-1826-SM-DIPFP 20-29 years, female 152.3
GTEX-1GN1U-2226-SM-9MQK1 50-59 years, female 152.1
GTEX-13NYB-2726-SM-5J2MT 40-49 years, male 151.2
GTEX-PLZ5-1726-SM-2I5F6 50-59 years, male 151.0
GTEX-ZF3C-0326-SM-4WWBF 50-59 years, female 150.8
GTEX-1KAFJ-2326-SM-D3L8Z 50-59 years, male 150.4
GTEX-15F5U-1826-SM-6LLJF 40-49 years, male 149.4
GTEX-Q2AG-0426-SM-2S1PU 40-49 years, female 147.6
GTEX-1M4P7-0126-SM-DKPQF 60-69 years, male 147.6
GTEX-13FTX-2026-SM-5L3D6 20-29 years, female 147.5
GTEX-1H11D-0326-SM-9WG71 40-49 years, male 146.7
GTEX-1QW4Y-1726-SM-EWRN1 30-39 years, male 146.7
GTEX-1B996-0326-SM-7DHMU 60-69 years, male 146.6
GTEX-11ONC-2426-SM-5GU7H 60-69 years, male 144.2
GTEX-1H1ZS-0626-SM-CNPPU 70-79 years, male 143.6
GTEX-1LNCM-1226-SM-E9U5C 50-59 years, female 143.5
GTEX-14E1K-2326-SM-664MP 50-59 years, male 143.2
GTEX-1R9PM-2226-SM-E8VOC 20-29 years, male 142.5
GTEX-1E2YA-0526-SM-7P8RY 50-59 years, male 142.0
GTEX-1LG7Z-2126-SM-CXKYU 30-39 years, male 141.4
GTEX-P4QT-1626-SM-DHXIR 50-59 years, female 141.0
GTEX-1S82Y-2226-SM-EWRNV 40-49 years, male 140.3
GTEX-VJYA-1926-SM-3GIJJ 60-69 years, male 140.0
GTEX-13113-5019-SM-7EPH2 60-69 years, female 139.7
GTEX-U3ZG-0326-SM-47JXN 50-59 years, male 139.6
GTEX-13N11-2726-SM-5L3ER 50-59 years, female 138.9
GTEX-1IE54-0326-SM-ARZMD 40-49 years, female 138.9
GTEX-131XG-2326-SM-5HL8F 50-59 years, female 138.8
GTEX-ZQUD-1726-SM-7P8ON 30-39 years, male 138.4
GTEX-14C5O-0626-SM-664N2 60-69 years, male 138.2
GTEX-139YR-2526-SM-5IJC6 50-59 years, male 137.9
GTEX-1AX9J-0126-SM-73KY2 60-69 years, male 137.8
GTEX-183FY-0226-SM-7LG54 20-29 years, male 137.6
GTEX-13NZB-2626-SM-5J2M7 30-39 years, male 137.5
GTEX-1KANC-1626-SM-E6CIA 50-59 years, female 137.4
GTEX-14PJ2-0326-SM-6EU2Q 50-59 years, male 136.9
GTEX-1H1DE-1726-SM-A9G3G 20-29 years, male 136.9
GTEX-ZV7C-2426-SM-5NQ7Q 50-59 years, male 136.4
GTEX-QV44-2026-SM-2S1RD 50-59 years, male 136.2
GTEX-UPJH-0526-SM-4IHK8 50-59 years, male 136.2
GTEX-1C64O-0326-SM-73KVW 60-69 years, male 136.0
GTEX-1F5PL-0426-SM-7P8PR 40-49 years, female 135.4
GTEX-13QIC-1226-SM-5K7YR 60-69 years, female 135.2
GTEX-1269C-2626-SM-5EQ5C 60-69 years, female 134.9
GTEX-SN8G-0326-SM-32PLG 50-59 years, female 134.8
GTEX-14AS3-2126-SM-5S2MK 40-49 years, female 134.6
GTEX-1HSMP-0326-SM-A9SMC 70-79 years, male 134.4
GTEX-17GQL-1926-SM-718B9 60-69 years, male 134.1
GTEX-1445S-0626-SM-5LU3C 60-69 years, male 132.8
GTEX-1HUB1-0526-SM-CL54N 60-69 years, male 132.5
GTEX-11P81-2526-SM-5GU6H 30-39 years, female 132.4
GTEX-1R9PN-1826-SM-E8VO4 40-49 years, female 132.1
GTEX-ZE7O-0326-SM-51MTH 50-59 years, female 132.0
GTEX-QEG5-0426-SM-2I5GJ 20-29 years, male 131.7
GTEX-ZPIC-2526-SM-57WDP 40-49 years, female 131.2
GTEX-14PJ6-2326-SM-6ETZR 60-69 years, female 131.1
GTEX-11UD1-0326-SM-5EQKX 40-49 years, female 130.9
GTEX-1CB4I-0326-SM-7DHMM 50-59 years, male 130.8
GTEX-1AX8Z-5004-SM-ARZLD 60-69 years, male 130.7
GTEX-1KD5A-0726-SM-DIPEO 50-59 years, male 130.1
GTEX-SNMC-1426-SM-2XCFM 20-29 years, male 129.6
GTEX-1JMPY-1226-SM-CJI3A 30-39 years, male 129.1
GTEX-1HCVE-0326-SM-CGQEW 50-59 years, male 128.9
GTEX-13PL6-0326-SM-5IJCP 40-49 years, female 128.7
GTEX-Y8E4-1026-SM-4VBQ5 40-49 years, male 128.5
GTEX-16BQI-0326-SM-6PAM4 30-39 years, female 128.2
GTEX-X5EB-2326-SM-46MW5 40-49 years, male 128.2
GTEX-OXRO-1726-SM-3LK6C 60-69 years, female 127.7
GTEX-1RQED-0426-SM-E6CJP 60-69 years, male 127.6
GTEX-1CAV2-2426-SM-7P8QF 40-49 years, female 127.2
GTEX-1MJIX-2126-SM-E9J3A 40-49 years, male 127.2
GTEX-11EI6-0326-SM-5EQ6G 60-69 years, male 126.7
GTEX-147GR-0126-SM-62LER 60-69 years, male 126.1
GTEX-WYVS-2326-SM-3NMAI 40-49 years, female 125.8
GTEX-12KS4-0826-SM-5BC5R 30-39 years, male 125.3
GTEX-11TUW-2526-SM-5EQKN 60-69 years, male 124.6
GTEX-1GN1V-0326-SM-9WYTO 60-69 years, male 123.7
GTEX-17F9E-0226-SM-79OKK 50-59 years, male 121.9
GTEX-ZDYS-1726-SM-5HL4Y 50-59 years, male 121.9
GTEX-RTLS-0526-SM-2TF64 60-69 years, female 121.4
GTEX-1B97I-2026-SM-7DHN2 40-49 years, male 121.2
GTEX-RWS6-2126-SM-2XCAV 60-69 years, female 121.0
GTEX-13PLJ-0326-SM-5L3I7 60-69 years, female 120.9
GTEX-VUSG-2626-SM-4KKZI 50-59 years, male 120.0
GTEX-ZV68-0526-SM-59HKI 50-59 years, female 120.0
GTEX-OOBJ-1626-SM-2I3F7 60-69 years, male 119.8
GTEX-11EMC-2626-SM-59864 60-69 years, female 119.5
GTEX-13O21-1726-SM-5MR5A 50-59 years, male 119.4
GTEX-ZPCL-2026-SM-57WFD 60-69 years, female 119.4
GTEX-1H4P4-0626-SM-9YFKZ 50-59 years, male 119.3
GTEX-11XUK-2226-SM-5CVLL 40-49 years, female 117.3
GTEX-1J8Q3-1426-SM-CKZPU 60-69 years, male 117.0
GTEX-ZE9C-2326-SM-5J1NT 60-69 years, male 116.5
GTEX-1KXAM-2426-SM-DIPFC 60-69 years, male 116.3
GTEX-145MO-0726-SM-5NQB9 60-69 years, male 115.8
GTEX-1R9K4-0626-SM-E76OZ 60-69 years, male 115.1
GTEX-1GF9U-2326-SM-7RHH9 40-49 years, female 113.5
GTEX-1HFI7-1926-SM-A96TQ 50-59 years, female 113.5
GTEX-15DDE-0526-SM-6ETZQ 50-59 years, female 113.4
GTEX-12WSM-0326-SM-5LZVI 60-69 years, male 112.6
GTEX-1GF9X-2126-SM-7PBXN 40-49 years, female 112.4
GTEX-1PBJJ-0326-SM-E8VNT 30-39 years, male 112.0
GTEX-11O72-0326-SM-5986D 40-49 years, male 111.6
GTEX-1H3NZ-0326-SM-9MQL6 60-69 years, male 111.4
GTEX-18A66-0126-SM-731CQ 60-69 years, male 111.0
GTEX-11P7K-1926-SM-5GU6R 30-39 years, male 110.5
GTEX-16MTA-2026-SM-7KUL3 50-59 years, male 110.2
GTEX-UTHO-0726-SM-3GAEN 60-69 years, male 109.6
GTEX-17EVQ-1226-SM-7LG59 70-79 years, male 109.3
GTEX-PWCY-2026-SM-5SI8R 20-29 years, female 108.7
GTEX-1GTWX-0326-SM-9WYTP 60-69 years, male 108.3
GTEX-1S5ZA-0526-SM-EWRO1 20-29 years, male 107.9
GTEX-OIZF-1626-SM-2YUNE 60-69 years, male 107.8
GTEX-1JN76-0326-SM-ARZNJ 20-29 years, female 107.5
GTEX-V1D1-2426-SM-3GAER 50-59 years, male 107.4
GTEX-ZA64-2026-SM-5PNXT 20-29 years, male 107.4
GTEX-TML8-1826-SM-32QOR 40-49 years, female 106.8
GTEX-18D9B-0426-SM-7LTAR 60-69 years, male 106.7
GTEX-1S5VW-0526-SM-E6CHL 60-69 years, male 106.6
GTEX-PWN1-1626-SM-2S1OL 40-49 years, female 106.2
GTEX-11EQ8-0526-SM-5N9BC 60-69 years, male 105.9
GTEX-13JUV-2326-SM-5IJCE 40-49 years, female 105.9
GTEX-1HCU9-1926-SM-9WYSE 20-29 years, male 105.4
GTEX-1HSMQ-1326-SM-ADEHS 50-59 years, male 105.3
GTEX-1399Q-2426-SM-5J2MO 40-49 years, male 105.0
GTEX-13111-2226-SM-5LZUE 50-59 years, male 103.7
GTEX-13O3Q-2726-SM-5KM51 50-59 years, male 103.3
GTEX-U412-0326-SM-3DB9L 60-69 years, male 103.2
GTEX-11ZTT-2626-SM-5EQKK 60-69 years, female 101.9
GTEX-1P4AB-0326-SM-EXUT3 50-59 years, male 101.6
GTEX-12WSN-2526-SM-5LZU8 40-49 years, male 100.9
GTEX-15ETS-0326-SM-6PANH 40-49 years, female 100.3
GTEX-14E6C-1526-SM-664ND 40-49 years, male 100.1
GTEX-1JKYR-0326-SM-CNPOL 20-29 years, male 100.1
GTEX-1C6VQ-0326-SM-7DHMS 50-59 years, male 100.0
GTEX-15CHR-2426-SM-7DUFX 50-59 years, male 99.9
GTEX-12WSH-2526-SM-5CVNH 50-59 years, male 99.4
GTEX-P44H-0426-SM-2XCEZ 40-49 years, male 99.2
GTEX-14753-0526-SM-5QGPR 60-69 years, male 99.1
GTEX-1M5QR-1326-SM-EWROC 40-49 years, male 99.0
GTEX-P4PP-1626-SM-2HMJF 30-39 years, female 98.6
GTEX-1ICG6-2726-SM-CKZPN 70-79 years, female 98.2
GTEX-13SLW-0326-SM-5RQK5 70-79 years, male 98.1
GTEX-WY7C-2526-SM-3NB2N 50-59 years, male 98.1
GTEX-1I19N-2026-SM-ACKXJ 70-79 years, male 97.8
GTEX-11TTK-0326-SM-5BC5N 60-69 years, female 97.5
GTEX-12BJ1-2526-SM-5FQUE 60-69 years, male 97.2
GTEX-1HSGN-0326-SM-ACKXQ 40-49 years, female 96.9
GTEX-144GM-2026-SM-5LU3D 20-29 years, male 96.8
GTEX-WHSE-0526-SM-5GZZD 20-29 years, male 96.7
GTEX-1399U-2526-SM-5L3DL 50-59 years, female 96.6
GTEX-R3RS-0526-SM-3GADG 40-49 years, female 96.6
GTEX-1S83E-2126-SM-EWRO6 40-49 years, male 96.5
GTEX-18A7B-0326-SM-7LG65 70-79 years, male 94.4
GTEX-Z9EW-1726-SM-5CVMO 40-49 years, male 94.4
GTEX-WHSB-1826-SM-3TW8M 50-59 years, male 93.4
GTEX-YEC4-2226-SM-5IFJT 40-49 years, male 93.4
GTEX-ZYW4-0526-SM-5GZZ5 60-69 years, male 93.2
GTEX-OIZH-1626-SM-2HMKI 50-59 years, male 92.9
GTEX-133LE-2026-SM-5K7WM 20-29 years, female 92.5
GTEX-RU72-1326-SM-2TF6T 50-59 years, female 92.0
GTEX-144GN-2426-SM-5LU4R 50-59 years, male 91.6
GTEX-QVJO-0126-SM-3GIK4 60-69 years, female 91.6
GTEX-148VJ-0326-SM-5QGQE 70-79 years, male 91.5
GTEX-QDT8-0526-SM-3NMD8 30-39 years, female 91.2
GTEX-ZZ64-1526-SM-5E43K 20-29 years, male 91.1
GTEX-1C2JI-2126-SM-793CG 50-59 years, male 91.0
GTEX-X4XX-0626-SM-3NMC1 60-69 years, male 90.8
GTEX-13FH7-2126-SM-5L3DJ 50-59 years, female 90.6
GTEX-1H1DG-0326-SM-9QEHK 70-79 years, male 90.5
GTEX-1RAZR-0326-SM-EWRNM 40-49 years, male 90.4
GTEX-1HBPN-0526-SM-A9SM6 50-59 years, male 90.2
GTEX-1QCLY-0426-SM-E8VOH 30-39 years, male 88.5
GTEX-Y8E5-0326-SM-57WBM 60-69 years, male 88.4
GTEX-1C475-1726-SM-73KVX 40-49 years, female 88.0
GTEX-1B97J-1226-SM-7PBZR 50-59 years, female 87.8
GTEX-ZGAY-0726-SM-DO91O 40-49 years, female 87.6
GTEX-1QP2A-0526-SM-E8VN5 50-59 years, male 87.5
GTEX-U3ZH-1926-SM-4DXTR 30-39 years, male 87.3
GTEX-1B8KE-2226-SM-7939K 50-59 years, male 87.2
GTEX-YB5K-2326-SM-5IFHD 40-49 years, female 87.2
GTEX-1CB4E-2126-SM-793AP 60-69 years, male 86.8
GTEX-ZYFD-0326-SM-5NQ8I 50-59 years, male 86.8
GTEX-1F75I-0526-SM-7RHI3 40-49 years, male 86.3
GTEX-13CF3-1826-SM-5J1NK 60-69 years, female 86.2
GTEX-1K2DA-2226-SM-CGQGM 50-59 years, male 86.2
GTEX-ZEX8-2526-SM-DO92M 50-59 years, male 85.5
GTEX-11EQ9-2126-SM-5PNVW 30-39 years, male 85.4
GTEX-P78B-1626-SM-5SI85 40-49 years, female 85.2
GTEX-1R9PO-2426-SM-EVYBS 60-69 years, female 84.7
GTEX-QV31-1426-SM-2S1QD 30-39 years, male 84.6
GTEX-1477Z-1626-SM-5SIA8 60-69 years, male 84.5
GTEX-1AX9K-2726-SM-7DHMA 50-59 years, male 84.3
GTEX-15CHC-2426-SM-6EU22 60-69 years, female 84.1
GTEX-ZVT2-2426-SM-57WCQ 50-59 years, female 84.1
GTEX-13OW5-0326-SM-5L3HK 60-69 years, male 83.8
GTEX-1FIGZ-1726-SM-9MQKS 40-49 years, male 82.9
GTEX-ZC5H-0326-SM-5HL9F 40-49 years, female 82.8
GTEX-XMD2-0526-SM-4YCDI 60-69 years, female 82.7
GTEX-1HKZK-0226-SM-9WYUG 40-49 years, male 82.4
GTEX-15SHU-0626-SM-7KUFH 40-49 years, female 82.2
GTEX-145MN-2426-SM-5NQA5 30-39 years, male 82.0
GTEX-Y8LW-2026-SM-4V6G8 50-59 years, female 82.0
GTEX-15EO6-2826-SM-6PANB 50-59 years, male 81.9
GTEX-12WSF-0926-SM-6PALU 70-79 years, male 81.7
GTEX-QCQG-2126-SM-DTXFV 50-59 years, female 81.7
GTEX-Y5V6-2626-SM-5IFIX 60-69 years, male 81.6
GTEX-13RTK-1626-SM-5QGQS 20-29 years, male 81.3
GTEX-14PJN-2126-SM-6AJBM 30-39 years, male 80.9
GTEX-1LVAM-0326-SM-DIPFL 50-59 years, female 80.6
GTEX-146FR-1726-SM-5Q5DT 60-69 years, female 80.4
GTEX-R55D-0626-SM-3GAD5 50-59 years, male 80.3
GTEX-WFG7-2226-SM-3GIKP 20-29 years, male 80.3
GTEX-1192X-0426-SM-5GIEE 50-59 years, male 80.0
GTEX-13W46-0726-SM-5LU3Z 50-59 years, male 79.4
GTEX-YEC3-2126-SM-4YCDB 50-59 years, male 79.2
GTEX-1L5NE-2226-SM-CXZKS 50-59 years, male 78.8
GTEX-1J1OQ-0426-SM-A9SLI 40-49 years, female 78.4
GTEX-145LT-1626-SM-5O992 40-49 years, male 78.1
GTEX-16NGA-1926-SM-7LTA6 40-49 years, female 77.8
GTEX-XBEW-1026-SM-4QARV 40-49 years, male 77.7
GTEX-P44G-0526-SM-2XCD1 30-39 years, male 77.3
GTEX-1J1R8-2326-SM-CKZPS 40-49 years, male 77.1
GTEX-U3ZM-1226-SM-3DB9G 40-49 years, male 76.5
GTEX-ZF29-2426-SM-DO92G 60-69 years, female 76.5
GTEX-1I1GS-0326-SM-ARL7X 60-69 years, male 76.4
GTEX-1K9T9-0326-SM-EWRNQ 50-59 years, female 76.3
GTEX-15G1A-2026-SM-7KUFG 30-39 years, male 76.2
GTEX-ZZPU-2626-SM-5E45Y 50-59 years, female 76.2
GTEX-15RIG-0426-SM-7KUF4 40-49 years, male 75.5
GTEX-131XE-2726-SM-5P9G7 50-59 years, male 75.3
GTEX-Y3I4-2326-SM-4TT81 50-59 years, male 74.7
GTEX-XBED-2626-SM-4E3J5 60-69 years, male 74.6
GTEX-WFON-2326-SM-3LK7M 40-49 years, male 74.5
GTEX-ZYY3-0526-SM-5E45G 60-69 years, female 74.5
GTEX-13N2G-2326-SM-5J1ON 60-69 years, male 74.4
GTEX-1I1GU-2126-SM-CGQF9 40-49 years, male 74.2
GTEX-146FH-0526-SM-5QGQ3 50-59 years, female 74.1
GTEX-UJHI-1726-SM-3DB9B 50-59 years, female 74.1
GTEX-111YS-2326-SM-5987L 60-69 years, male 73.9
GTEX-XPVG-2526-SM-4B66D 50-59 years, male 73.9
GTEX-1IDJD-1326-SM-CM2TQ 30-39 years, male 73.9
GTEX-Q2AH-1826-SM-2S1Q2 40-49 years, male 73.3
GTEX-1R7EV-2026-SM-DTX83 40-49 years, male 73.1
GTEX-1LH75-2626-SM-E9TKL 50-59 years, female 72.8
GTEX-147F3-0226-SM-5NQBV 50-59 years, female 72.7
GTEX-1R7EU-0626-SM-DTX9N 60-69 years, male 72.6
GTEX-1J8Q2-0126-SM-E9J2G 60-69 years, male 72.1
GTEX-T8EM-1326-SM-3DB7G 40-49 years, male 71.8
GTEX-XV7Q-2926-SM-4BRUL 40-49 years, female 71.6
GTEX-O5YT-1626-SM-32PK6 20-29 years, male 71.1
GTEX-1GN1W-0726-SM-9KNTV 50-59 years, female 70.9
GTEX-1MCC2-2726-SM-EWRN3 30-39 years, female 70.9
GTEX-1LSNM-2326-SM-EWRO8 50-59 years, male 70.7
GTEX-1NUQO-0726-SM-E9J3K 20-29 years, female 70.5
GTEX-YFCO-1926-SM-4W212 40-49 years, male 70.3
GTEX-ZF28-0526-SM-4WKGW 60-69 years, male 70.2
GTEX-1F52S-0826-SM-7P8TQ 60-69 years, female 70.2
GTEX-139T8-0526-SM-5KLZL 60-69 years, male 69.9
GTEX-13VXT-0326-SM-5LU4U 20-29 years, female 69.9
GTEX-1LVAN-0526-SM-CNNQ1 50-59 years, female 69.5
GTEX-14ICL-1926-SM-5RQIZ 30-39 years, male 69.4
GTEX-13O1R-0526-SM-5K7XU 60-69 years, male 69.2
GTEX-17MF6-2026-SM-7LG5I 40-49 years, male 68.8
GTEX-17F98-1626-SM-7938R 40-49 years, female 68.5
GTEX-1IDFM-1526-SM-ARL7U 60-69 years, male 68.5
GTEX-WYJK-1726-SM-3NM9U 50-59 years, male 68.2
GTEX-OXRL-1626-SM-2YUMU 50-59 years, male 68.0
GTEX-ZVP2-2126-SM-5GU6E 50-59 years, male 67.8
GTEX-13X6H-2326-SM-7EWEB 50-59 years, female 67.5
GTEX-1NHNU-1226-SM-DTX8I 50-59 years, male 67.5
GTEX-PSDG-0426-SM-5SI86 50-59 years, male 67.1
GTEX-13D11-2526-SM-5KM28 50-59 years, female 67.0
GTEX-1HCU7-0426-SM-D3L8Q 50-59 years, male 66.8
GTEX-1EH9U-0326-SM-7P8S2 60-69 years, male 66.7
GTEX-1GF9W-0526-SM-9MQJP 60-69 years, male 66.7
GTEX-144GO-1326-SM-5Q5EL 60-69 years, male 66.6
GTEX-SNOS-1526-SM-32PLW 40-49 years, male 65.9
GTEX-13FHO-0726-SM-5IJDG 60-69 years, male 65.8
GTEX-OOBK-1626-SM-2HMKG 40-49 years, male 65.3
GTEX-11VI4-1926-SM-5CVLI 40-49 years, female 65.2
GTEX-14A5I-0326-SM-5NQ9J 50-59 years, female 65.1
GTEX-117YX-2526-SM-5EQ4Q 50-59 years, male 65.0
GTEX-1CAMR-1726-SM-793CU 20-29 years, male 65.0
GTEX-1F48J-0526-SM-9WYSX 50-59 years, female 64.9
GTEX-1HGF4-2626-SM-CM2SJ 60-69 years, male 64.8
GTEX-U4B1-1626-SM-3DB8N 40-49 years, male 64.5
GTEX-14JG6-2126-SM-6EU2F 30-39 years, female 64.1
GTEX-14PJ3-2026-SM-5ZZVK 50-59 years, male 64.1
GTEX-1497J-2626-SM-5SI9K 60-69 years, male 63.9
GTEX-11ZU8-2326-SM-5EQMJ 60-69 years, male 63.6
GTEX-1I4MK-2326-SM-ADEHR 50-59 years, female 63.3
GTEX-OHPK-1626-SM-2YUN3 50-59 years, female 63.2
GTEX-16AAH-1826-SM-7939D 50-59 years, male 63.1
GTEX-1QP66-1626-SM-E76PC 50-59 years, male 63.1
GTEX-1CAMQ-0326-SM-7MXUI 40-49 years, male 63.0
GTEX-PLZ6-1526-SM-2S1OC 30-39 years, male 62.8
GTEX-1AMFI-2226-SM-731C6 50-59 years, female 62.3
GTEX-Q2AI-1526-SM-3GIJ3 40-49 years, male 62.2
GTEX-15SKB-2526-SM-6PALP 60-69 years, male 61.7
GTEX-139T6-2026-SM-5IFFL 50-59 years, male 61.5
GTEX-11NSD-2026-SM-5HL5U 20-29 years, male 61.4
GTEX-15RIF-2126-SM-7KUM8 20-29 years, male 61.1
GTEX-1GZ4H-1626-SM-7PC3F 50-59 years, female 60.9
GTEX-14PII-0626-SM-69LPY 60-69 years, male 60.7
GTEX-1JKYN-1826-SM-ARZMZ 30-39 years, male 60.7
GTEX-1QP9N-1926-SM-E6CPY 30-39 years, male 60.4
GTEX-132AR-1026-SM-5PNVL 50-59 years, female 60.2
GTEX-1O9I2-0526-SM-EYYXI 50-59 years, male 60.2
GTEX-13RTJ-2726-SM-73KVG 60-69 years, male 59.9
GTEX-17EUY-0626-SM-793BE 20-29 years, male 59.9
GTEX-1J8QM-2226-SM-CYPSK 60-69 years, female 59.8
GTEX-1MJK3-1426-SM-E9TK1 20-29 years, male 59.5
GTEX-SUCS-1626-SM-32PLS 70-79 years, male 59.1
GTEX-1ICLY-0326-SM-ARL7S 50-59 years, male 58.7
GTEX-13OVH-0626-SM-5L3EI 70-79 years, male 58.6
GTEX-11P82-1826-SM-5PNYJ 20-29 years, male 58.5
GTEX-12696-2826-SM-5FQTY 60-69 years, male 58.5
GTEX-XUW1-0826-SM-4BOP6 50-59 years, female 58.0
GTEX-13FTW-2326-SM-5K7YS 40-49 years, male 57.8
GTEX-V955-2426-SM-3GAEF 60-69 years, male 57.6
GTEX-R55C-1726-SM-3GADJ 40-49 years, male 57.2
GTEX-X8HC-0526-SM-4E3JA 50-59 years, female 56.4
GTEX-1CB4J-1226-SM-7P8P3 60-69 years, male 56.0
GTEX-1117F-0426-SM-5EGHI 60-69 years, female 55.7
GTEX-1JMPZ-0126-SM-CNPOZ 30-39 years, male 55.6
GTEX-1HSEH-0326-SM-A9G26 60-69 years, male 55.5
GTEX-1QCLZ-0326-SM-DTXG2 60-69 years, female 55.5
GTEX-1LGOU-2126-SM-DIPFG 20-29 years, female 55.4
GTEX-13JVG-0126-SM-5L3D3 60-69 years, male 55.3
GTEX-17F97-0526-SM-7DUF8 50-59 years, male 55.2
GTEX-ZYFG-2426-SM-5GIE8 60-69 years, female 55.1
GTEX-1A3MW-0526-SM-731BY 60-69 years, female 54.4
GTEX-1MUQO-0226-SM-E9TJL 60-69 years, male 54.3
GTEX-11DXX-2726-SM-5PNXO 60-69 years, female 53.9
GTEX-1HC8U-2626-SM-CNPPH 40-49 years, female 53.9
GTEX-1211K-2126-SM-59HJZ 60-69 years, female 53.8
GTEX-X4XY-0626-SM-4E3IN 60-69 years, male 53.5
GTEX-1C6VS-0126-SM-7PC2H 60-69 years, male 53.3
GTEX-U8T8-1426-SM-3DB9H 60-69 years, male 53.1
GTEX-X88G-0326-SM-47JZ4 30-39 years, male 52.8
GTEX-11LCK-1226-SM-5Q5AM 30-39 years, male 52.7
GTEX-XAJ8-1026-SM-47JY9 40-49 years, male 52.2
GTEX-144FL-0326-SM-5O99O 50-59 years, male 51.9
GTEX-145MI-0326-SM-5Q5EV 60-69 years, female 51.7
GTEX-OXRN-1326-SM-3LK5V 50-59 years, male 51.3
GTEX-NFK9-0626-SM-2HMIV 40-49 years, male 51.0
GTEX-ZAJG-0526-SM-5S2MT 50-59 years, female 50.8
GTEX-UJMC-1826-SM-3GADT 50-59 years, male 50.5
GTEX-1OFPY-2526-SM-DTXEK 60-69 years, male 50.5
GTEX-1GMR8-0326-SM-9KNUO 50-59 years, female 50.0
GTEX-1LGRB-2626-SM-CNPPR 50-59 years, female 49.7
GTEX-1ICLZ-0626-SM-ARL83 60-69 years, male 49.5
GTEX-WRHK-1626-SM-3MJFH 20-29 years, female 49.1
GTEX-13IVO-0626-SM-5LZYJ 70-79 years, male 49.0
GTEX-1KANA-0926-SM-D3L9K 20-29 years, male 48.9
GTEX-1QAET-2026-SM-E9J3S 50-59 years, male 48.9
GTEX-1JK1U-2226-SM-CNNPL 60-69 years, male 48.7
GTEX-1HSMO-0526-SM-ACKXB 60-69 years, male 48.6
GTEX-T5JW-1826-SM-3GAE1 20-29 years, female 48.2
GTEX-139D8-0726-SM-5P9GJ 30-39 years, female 48.0
GTEX-1JMQI-2126-SM-CM2SC 50-59 years, male 47.9
GTEX-ZTPG-0126-SM-5O9AL 20-29 years, female 47.6
GTEX-1F88E-1826-SM-9MQLV 60-69 years, female 47.4
GTEX-11H98-0326-SM-5HL4S 50-59 years, male 47.2
GTEX-14PJ4-2426-SM-6EU1U 60-69 years, male 47.1
GTEX-13PDP-0326-SM-5K7XP 60-69 years, male 47.0
GTEX-1R9JW-2426-SM-DTXFI 30-39 years, female 47.0
GTEX-139T4-0326-SM-5K7XN 50-59 years, female 46.9
GTEX-1PDJ9-0526-SM-DTXDL 20-29 years, male 46.7
GTEX-TSE9-0526-SM-3DB7Z 60-69 years, female 46.2
GTEX-XPT6-2026-SM-4B64V 20-29 years, male 46.2
GTEX-1JMQL-0126-SM-CY8HN 50-59 years, female 45.9
GTEX-13OVJ-0226-SM-5L3GK 50-59 years, female 45.7
GTEX-15UKP-0326-SM-7KUFP 20-29 years, male 45.6
GTEX-YB5E-2226-SM-5IFJ5 40-49 years, male 45.6
GTEX-145ME-2026-SM-5SIA5 40-49 years, female 45.1
GTEX-RU1J-1726-SM-2TF5S 20-29 years, female 44.5
GTEX-ZV6S-2126-SM-4YCEM 40-49 years, female 44.2
GTEX-13NYC-0726-SM-5J2NQ 60-69 years, male 44.0
GTEX-14LLW-0526-SM-62LFB 70-79 years, female 43.9
GTEX-13W3W-2626-SM-5SIA2 60-69 years, female 43.8
GTEX-1AMEY-1526-SM-73KYW 30-39 years, female 43.5
GTEX-16MT8-0326-SM-6PAM5 60-69 years, female 43.4
GTEX-1S82P-0326-SM-E9TIR 60-69 years, female 43.4
GTEX-12WSA-0726-SM-5FQU2 60-69 years, male 43.1
GTEX-1HB9E-0326-SM-D3LA5 50-59 years, male 42.6
GTEX-RM2N-1626-SM-2TF5N 50-59 years, male 42.5
GTEX-1IDJV-0426-SM-COH3Z 60-69 years, male 42.3
GTEX-12WSJ-1726-SM-5LZVV 40-49 years, female 41.8
GTEX-SE5C-1826-SM-2XCE4 40-49 years, female 41.8
GTEX-ZQG8-1226-SM-51MRX 60-69 years, female 41.8
GTEX-1IDJU-2426-SM-ARZM9 60-69 years, female 41.8
GTEX-1399S-2726-SM-5KM22 30-39 years, female 41.7
GTEX-XGQ4-2326-SM-4AT53 50-59 years, male 41.7
GTEX-13O3P-0626-SM-5L3D5 50-59 years, male 41.2
GTEX-14E6E-2026-SM-664N5 30-39 years, male 41.2
GTEX-14C39-2426-SM-5S2U5 40-49 years, male 41.1
GTEX-14PJ5-2026-SM-6LLIN 60-69 years, female 41.1
GTEX-1HR9M-0326-SM-CL549 60-69 years, male 40.8
GTEX-XUZC-2126-SM-4BRW8 30-39 years, female 40.6
GTEX-13OVI-1726-SM-5L3DW 60-69 years, female 40.3
GTEX-1F75B-0526-SM-7P8T5 50-59 years, male 40.2
GTEX-WXYG-2526-SM-3NB3F 50-59 years, female 39.7
GTEX-1JJ6O-0926-SM-CYPT1 60-69 years, male 39.6
GTEX-XYKS-2426-SM-4AT43 60-69 years, female 39.4
GTEX-OXRK-1826-SM-2HMJE 50-59 years, female 38.8
GTEX-169BO-1526-SM-9KNVR 50-59 years, male 38.8
GTEX-11I78-2426-SM-5A5K9 50-59 years, female 38.7
GTEX-11WQK-0726-SM-5GU71 50-59 years, male 38.7
GTEX-1A3MV-2026-SM-718BU 30-39 years, male 38.7
GTEX-WOFL-0626-SM-3MJG3 60-69 years, male 38.5
GTEX-ZLWG-2126-SM-DO91M 50-59 years, female 38.3
GTEX-13QBU-2426-SM-5LU4L 40-49 years, female 37.9
GTEX-14PQA-0526-SM-7KUFS 50-59 years, female 37.9
GTEX-16NPV-2426-SM-6M482 50-59 years, female 37.4
GTEX-QEL4-0626-SM-3GIJM 50-59 years, male 37.2
GTEX-1GMR2-2126-SM-7P8TX 50-59 years, male 37.2
GTEX-ZVE2-0626-SM-5GU7I 50-59 years, male 37.1
GTEX-1QP67-1826-SM-DTX8D 40-49 years, female 37.0
GTEX-18D9A-1826-SM-718BK 30-39 years, female 36.9
GTEX-WWYW-0526-SM-3NB2W 50-59 years, female 36.6
GTEX-13O61-2326-SM-5J1NJ 60-69 years, male 36.4
GTEX-ZWKS-0326-SM-5NQ7G 30-39 years, male 36.2
GTEX-ZP4G-2026-SM-57WEH 20-29 years, female 36.0
GTEX-1128S-2426-SM-5H11B 60-69 years, female 35.7
GTEX-TMMY-0426-SM-33HBB 40-49 years, female 35.7
GTEX-14DAR-1826-SM-664N1 50-59 years, male 35.6
GTEX-14H4A-0926-SM-5ZZUU 40-49 years, female 35.6
GTEX-QVUS-0226-SM-3GIJY 60-69 years, female 35.5
GTEX-TKQ1-1426-SM-4GICK 30-39 years, male 35.3
GTEX-1QP28-0526-SM-E8VNR 50-59 years, female 35.1
GTEX-1LVAO-0526-SM-EWRNS 60-69 years, male 35.0
GTEX-P4PQ-1626-SM-2HMKK 60-69 years, male 34.7
GTEX-1A3MX-0526-SM-718A9 60-69 years, male 34.3
GTEX-XMD1-0626-SM-EZ6MC 60-69 years, male 33.4
GTEX-S95S-1426-SM-2XCDM 60-69 years, male 33.3
GTEX-WFG8-2426-SM-3GILL 20-29 years, male 33.0
GTEX-1H3VE-0126-SM-9WYTW 40-49 years, male 33.0
GTEX-13YAN-0526-SM-5O9BE 60-69 years, male 32.8
GTEX-S32W-2326-SM-2XCAW 50-59 years, female 32.8
GTEX-11EM3-2126-SM-5H11M 20-29 years, female 32.7
GTEX-11DZ1-0926-SM-5EQ5R 50-59 years, male 32.6
GTEX-1PPH7-2526-SM-E76OJ 40-49 years, male 32.6
GTEX-13X6I-0526-SM-5QGP8 60-69 years, male 32.4
GTEX-W5WG-1926-SM-4KKZK 50-59 years, female 32.4
GTEX-1H1E6-2126-SM-9KNVM 30-39 years, male 32.4
GTEX-R55G-2326-SM-2TC61 40-49 years, female 32.2
GTEX-131XF-2326-SM-5BC6B 60-69 years, male 32.0
GTEX-1I1GT-0726-SM-B2LWN 60-69 years, female 32.0
GTEX-14BIM-0326-SM-5SI9B 60-69 years, female 31.6
GTEX-1R46S-0326-SM-EWRNE 60-69 years, female 30.9
GTEX-13NYS-0326-SM-5MR4L 60-69 years, male 29.7
GTEX-1CAMS-0126-SM-79396 40-49 years, female 29.7
GTEX-1JN1M-0526-SM-CJI3D 60-69 years, female 29.6
GTEX-11TT1-2326-SM-5GU6N 20-29 years, male 29.5
GTEX-111CU-2026-SM-5GZZC 50-59 years, male 29.3
GTEX-WEY5-2026-SM-CYPRC 40-49 years, female 29.3
GTEX-15SHV-2526-SM-6PAMG 60-69 years, male 28.9
GTEX-1122O-2426-SM-5GIDN 60-69 years, female 28.5
GTEX-YF7O-2526-SM-5IFJX 50-59 years, male 27.5
GTEX-14BMU-2026-SM-5S2W6 20-29 years, female 27.4
GTEX-WWTW-0626-SM-4MVNS 50-59 years, male 27.3
GTEX-1F5PK-2626-SM-7RHH6 50-59 years, male 27.1
GTEX-ZVZP-2526-SM-57WBR 50-59 years, male 27.0
GTEX-RUSQ-1726-SM-2TF68 50-59 years, male 26.8
GTEX-1HBPM-0426-SM-CKZOO 60-69 years, female 26.6
GTEX-ZLV1-2126-SM-4WWD2 60-69 years, female 26.0
GTEX-183WM-0426-SM-731B1 70-79 years, female 25.6
GTEX-14PN4-0326-SM-6EU2N 50-59 years, male 25.5
GTEX-15G19-0526-SM-6PAMT 60-69 years, male 25.5
GTEX-1PWST-0426-SM-E76QV 70-79 years, male 25.0
GTEX-O5YV-2026-SM-2D7VS 60-69 years, female 24.9
GTEX-P4QS-1626-SM-2S1NH 60-69 years, male 24.4
GTEX-PLZ4-0926-SM-2S1OI 50-59 years, female 24.2
GTEX-1PPH8-0326-SM-E76PR 20-29 years, male 23.8
GTEX-1339X-2426-SM-5KLYU 40-49 years, male 23.4
GTEX-16XZZ-0526-SM-7KUF1 60-69 years, male 23.4
GTEX-1H23P-0526-SM-9WG6S 60-69 years, male 22.7
GTEX-15UF6-1026-SM-7KUF7 70-79 years, female 21.7
GTEX-14PJO-0526-SM-6EU2O 60-69 years, male 21.4
GTEX-1MCYP-2026-SM-DTXE4 20-29 years, female 21.3
GTEX-ZVE1-0526-SM-5NQ71 50-59 years, female 20.3
GTEX-1K2DU-2526-SM-D3L8V 20-29 years, male 20.1
GTEX-14C38-0426-SM-5TDDZ 50-59 years, male 19.9
GTEX-1H2FU-0526-SM-ACKXO 60-69 years, female 19.6
GTEX-1LC47-0626-SM-DIPFE 60-69 years, male 19.4
GTEX-POYW-0526-SM-2XCEY 60-69 years, male 19.2
GTEX-145LV-2326-SM-5LU8Z 50-59 years, male 18.7
GTEX-QDVN-2426-SM-2S1Q4 50-59 years, male 18.4
GTEX-13PVR-2526-SM-5RQIT 60-69 years, female 18.0
GTEX-X261-0326-SM-3NMD4 50-59 years, male 16.9
GTEX-1JMQK-0326-SM-ARZN5 60-69 years, male 16.2
GTEX-1CB4H-0426-SM-7MXTL 60-69 years, female 16.0
GTEX-XQ8I-0626-SM-4BOPT 50-59 years, male 15.7
GTEX-Y5LM-2126-SM-4VDSY 40-49 years, female 15.2
GTEX-13PL7-0626-SM-5IJCD 60-69 years, female 14.9
GTEX-14XAO-2226-SM-6LLHU 60-69 years, female 14.2
GTEX-132Q8-0626-SM-5L3F3 60-69 years, male 14.0
GTEX-1QPFJ-0326-SM-E8VO2 30-39 years, female 13.9
GTEX-ZZPT-0626-SM-5GZXT 50-59 years, male 13.6
GTEX-17F96-2726-SM-7LT9F 70-79 years, male 11.0
Show allShow less

SKELETAL MUSCLE - FANTOM5 CAGEi

RNA expression in human tissues obtained through Cap Analysis of Gene Expression (CAGE) generated by the FANTOM5 project are reported as Scaled Tags Per Million.

Max subtype Scaled Tags Per Millioni

Max subtype Scaled Tags Per Million is the value for the subtype with the largest average Scaled Tags Per Million across the subtype samples.

197.5
FANTOM5 sample id Sample description Scaled Tags Per Million
Skeletal muscle
Scaled Tags Per Million: 105.2
FF:10023-101D5 55,79,79 years, mixed 105.2
Skeletal muscle - soleus muscle
Scaled Tags Per Million: 197.5
FF:10282-104F3 male 197.5

Contact

  • NEWS ARTICLES
  • PRESS ROOM

The Project

  • INTRODUCTION
  • ORGANIZATION
  • PUBLICATIONS

The Human Protein Atlas

  • DOWNLOADABLE DATA
  • LICENCE & CITATION
  • HELP & FAQ
The Human Protein Atlas project is funded
by the Knut & Alice Wallenberg Foundation.


contact@proteinatlas.org